We use cookies to enhance the usability of our website. If you continue, we'll assume that you are happy to receive all cookies. More information. Don't show this again.
RPS19BP1
HPA
RESOURCES
  • TISSUE
  • BRAIN
  • SINGLE CELL
  • SUBCELLULAR
  • CANCER
  • BLOOD
  • CELL LINE
  • STRUCTURE & INTERACTION
ABOUT
  • INTRODUCTION
  • HISTORY
  • ORGANIZATION
  • PUBLICATIONS
  • ANTIBODY SUBMISSION
  • ANTIBODY AVAILABILITY
  • ACKNOWLEDGMENTS
  • CONTACT
NEWS
  • NEWS ARTICLES
  • PRESS ROOM
LEARN
  • DICTIONARY
  • PROTEIN CLASSES
  • PROTEIN EVIDENCE
  • METHODS
  • EDUCATIONAL VIDEOS
DATA
  • DOWNLOADABLE DATA
  • PUBLICATION DATA
  • RELEASE HISTORY
HELP
  • ANTIBODY VALIDATION
  • ASSAYS & ANNOTATION
  • DISCLAIMER
  • HELP & FAQ
  • PRIVACY STATEMENT
  • LICENCE & CITATION
Fields »
Search result

Field
Term
Gene name
Class
Subclass
Class
Keyword
Chromosome
External id
Tissue
Cell type
Expression
Antibody panel
Tissue
Main location
Patient ID
Annotation
Tissue
Category
Tau score
Cluster
Reliability
Brain region
Category
Tau score
Brain region
Category
Tau score
Brain region
Category
Tau score
Cluster
Reliability
Tissue
Cell type
Enrichment
Cell type
Category
Tau score
Cell type
Category
Tau score
Cell type
Category
Tau score
Cell lineage
Category
Tau score
Cluster
Cluster
Location
Searches
Location
Cell line
Class
Type
Phase
Reliability
Cancer
Prognosis
Cancer
Category
Cancer
Category
Tau score
Cluster
Variants
Interacting gene (ensg_id)
Type
Number of interactions
Pathway
Category
Score
Score
Score
Validation
Validation
Validation
Validation
Antibodies
Data type
Column


  • SUMMARY

  • TISSUE

  • BRAIN

  • SINGLE CELL

  • SUBCELL

  • CANCER

  • BLOOD

  • CELL LINE

  • STRUCT & INT

  • RPS19BP1
TISSUE PRIMARY DATA ESOPHAGUS Show tissue menu
ADIPOSE TISSUE ADRENAL GLAND AMYGDALA APPENDIX BASAL GANGLIA BONE MARROW BREAST BRONCHUS CEREBELLUM CEREBRAL CORTEX CERVIX CHOROID PLEXUS COLON DUODENUM
ENDOMETRIUM EPIDIDYMIS ESOPHAGUS FALLOPIAN TUBE GALLBLADDER HEART MUSCLE HIPPOCAMPAL FORMATION HYPOTHALAMUS KIDNEY LIVER LUNG LYMPH NODE MIDBRAIN NASOPHARYNX
ORAL MUCOSA OVARY PANCREAS PARATHYROID GLAND PITUITARY GLAND PLACENTA PROSTATE RECTUM RETINA SALIVARY GLAND SEMINAL VESICLE SKELETAL MUSCLE SKIN SMALL INTESTINE
SMOOTH MUSCLE SOFT TISSUE SPINAL CORD SPLEEN STOMACH TESTIS THYMUS THYROID GLAND TONGUE TONSIL URINARY BLADDER VAGINA
ANTIBODIES
AND
VALIDATION
Dictionary
Esophagus
Tissue proteome
Esophagus
ESOPHAGUS - Expression summary
Protein expression
Esophagusi

On the top, protein expression in current human tissue, based on all annotated cell types, is reported with the units not detected (n), low (l), medium (m) and high (h). Underneath, protein expression in each annotated cell type are reported using the same units.

Protein expression data is based on knowledge-based annotation. For genes where more than one antibody has been used, a collective score is set.

If knowledge-based annotation could not be performed for a gene, no data is displayed here. View antibody staining data further down this page.

h
m
l
n
Squamous epithelial cells: Medium
RNA expressioni

A summary of mRNA expression data available for current tissue based on several datasets. The mRNA expression levels in human tissues are based on RNA-seq data generated by the Human Protein Atlas (HPA), Genotype-Tissue Expression (GTEx) portal and CAGE data generated by the FANTOM5 consortium. Consensus normalized expression levels for human tissues was created by combining the data from HPA and GTEx datasets.

The mRNA expression levels in pig are based on RNA-seq data generated by the Human Protein Atlas (HPA), and for mouse, HPA data and in situ hybridization generated by the Allen brain atlas are reported.

Scroll down to view mRNA expression data in more detail.
Consensus:91.6 nTPM
HPA:16.8 nTPM
GTEx:91.6 nTPM
FANTOM5:71.5 Scaled Tags Per Million

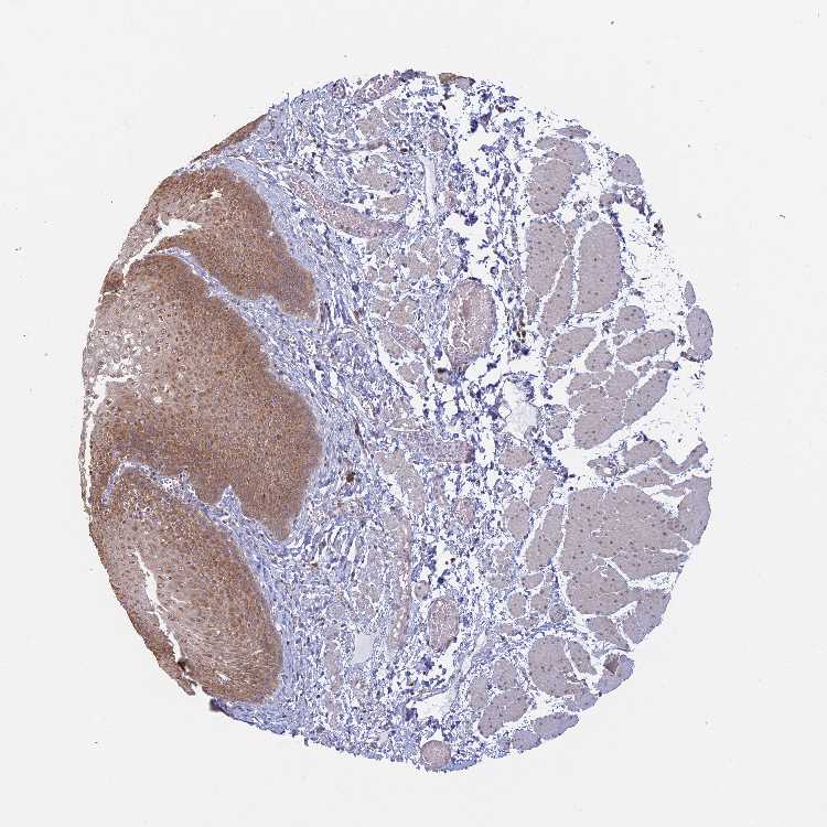
ESOPHAGUS - Antibody stainingi

Antibody staining in the annotated cell types in the current human tissue is reported as not detected, low, medium, or high, based on conventional immunohistochemistry profiling in selected tissues. This score is based on the combination of the staining intensity and fraction of stained cells.

Each image is clickable and will lead to virtual microscopy that enables deeper exploration of all samples and also displays staining intensity scores, fraction scores and subcellular localization as well as patient and tissue information for each sample.

Antibody HPA042874
Squamous epithelial cells Medium


ESOPHAGUS - HPA RNA-seqi

The RNA-seq details section shows detailed information about the individual samples used for the transcript profiling and results of the RNA-seq analysis.

Information about each individual sample is listed below, including gender, age, a tissue section image and estimated fractions of cell types. nTPM (normalized transcripts per million) values give a quantification of the gene abundance which is comparable between different genes and samples.
Average nTPMi

Max subtype nTPM is the value for the subtype with the largest average nTPM across the subtype samples.

16.8
overview
Female, age 70
Esophagus sample 130
nTPM: 19.7
Cell types%
Squamous epithelial cells:
35

Smooth muscle cells:
15

Skeletal muscle cells:
5

Other cell types:
45

overview
Male, age 38
Esophagus sample 131
nTPM: 17.9
Cell types%
Squamous epithelial cells:
60

Smooth muscle cells:
20

Other cell types:
20

overview
Male, age 76
Esophagus sample 132
nTPM: 12.9
Cell types%
Squamous epithelial cells:
45

Smooth muscle cells:
15

Other cell types:
40


ESOPHAGUS - GTEx RNA-seqi

RNA-Seq data generated by the Genotype-Tissue Expression (GTEx) project from human tissues is reported as mean nTPM. More information can be found on the GTEx portal.

Distribution across the dataset is visualized with box plots, shown as median and 25th and 75th percentiles. Points are displayed as outliers if they are above or below 1.5 times the interquartile range. nTPM values of the individual samples are presented next to the box plot.
Max subtype nTPMi

Max subtype nTPM is the value for the subtype with the largest average nTPM across the subtype samples.

91.6
GTEx sample id Sample description nTPM
Esophagus - Mucosa
Average nTPM: 91.6
Samples: 555

Max nTPM: 290.1
Min nTPM: 40.1
Std nTPM: 32.7
Median nTPM: 81.0
GTEX-1MCQQ-1026-SM-EV7AX 60-69 years, male 290.1
GTEX-18465-1126-SM-7LG6E 50-59 years, male 251.3
GTEX-1269C-1026-SM-5N9EY 60-69 years, female 243.6
GTEX-15RIF-0826-SM-6M47C 20-29 years, male 230.6
GTEX-16Z82-1926-SM-6M47U 60-69 years, male 218.8
GTEX-1LVA9-2126-SM-DLHBY 50-59 years, male 205.4
GTEX-1H1DG-1226-SM-9JGH3 70-79 years, male 204.4
GTEX-ZV68-0926-SM-59HK7 50-59 years, female 204.2
GTEX-13FHP-1526-SM-5IJGE 50-59 years, male 201.3
GTEX-1LB8K-1326-SM-CXZKB 50-59 years, male 201.0
GTEX-15DCD-1626-SM-6AJBH 70-79 years, female 189.3
GTEX-1QEPI-1826-SM-EAZ3J 60-69 years, female 186.1
GTEX-1F52S-1426-SM-7P8PU 60-69 years, female 182.8
GTEX-1EN7A-1226-SM-7MGX9 40-49 years, male 174.9
GTEX-1399Q-1126-SM-5P9JA 40-49 years, male 174.6
GTEX-T2YK-1326-SM-4DM6S 50-59 years, male 173.7
GTEX-12ZZW-1726-SM-5DUVD 50-59 years, male 170.2
GTEX-X4XY-1726-SM-46MVO 60-69 years, male 168.8
GTEX-14PJ5-0526-SM-664OE 60-69 years, female 168.4
GTEX-11EI6-1526-SM-5P9GL 60-69 years, male 165.6
GTEX-1EX96-2226-SM-7MKGT 50-59 years, male 164.2
GTEX-1CAMQ-2726-SM-7MKGD 40-49 years, male 163.3
GTEX-148VJ-1026-SM-5LU98 70-79 years, male 162.2
GTEX-1E1VI-1526-SM-7IGQ2 50-59 years, male 156.4
GTEX-117YW-1926-SM-5H121 50-59 years, male 156.3
GTEX-1RLM8-0726-SM-E6CRH 50-59 years, male 155.6
GTEX-POYW-1326-SM-48TCG 60-69 years, male 153.8
GTEX-13W46-1926-SM-5J2MF 50-59 years, male 152.3
GTEX-1RDX4-2126-SM-EV7B3 50-59 years, female 150.9
GTEX-1F7RK-1526-SM-7P8T6 20-29 years, female 150.8
GTEX-OXRP-0926-SM-48TC1 60-69 years, female 150.5
GTEX-XQ3S-1126-SM-4BOPK 20-29 years, male 149.3
GTEX-14A6H-1326-SM-5NQBC 30-39 years, male 147.7
GTEX-1M5QR-0726-SM-DHXK7 40-49 years, male 146.5
GTEX-1JMQK-2026-SM-C1YQN 60-69 years, male 146.1
GTEX-16A39-1026-SM-6LPJU 30-39 years, female 144.8
GTEX-12ZZY-1426-SM-5N9EI 60-69 years, male 144.3
GTEX-1S82Y-1226-SM-EV7BD 40-49 years, male 143.9
GTEX-1HCU6-1326-SM-A96TZ 60-69 years, female 143.8
GTEX-R3RS-1326-SM-48FE7 40-49 years, female 142.7
GTEX-YFC4-1226-SM-5LU9R 40-49 years, female 141.1
GTEX-1CB4H-1526-SM-7MXU4 60-69 years, female 141.0
GTEX-17HII-1526-SM-9OSVD 50-59 years, male 140.3
GTEX-1GF9U-0826-SM-7MXTZ 40-49 years, female 139.0
GTEX-1EH9U-2426-SM-7EWFG 60-69 years, male 138.6
GTEX-X62O-2226-SM-46MW3 50-59 years, male 138.6
GTEX-145ME-5004-SM-7MGXP 40-49 years, female 137.0
GTEX-ZE9C-1126-SM-4WWBD 60-69 years, male 136.8
GTEX-1RAZS-2626-SM-EV79C 50-59 years, male 136.7
GTEX-1LSNL-2226-SM-DHXKM 50-59 years, male 136.6
GTEX-1LSVX-1226-SM-DHXJN 60-69 years, male 136.4
GTEX-1MA7X-0726-SM-EV7AB 60-69 years, male 136.1
GTEX-1K2DU-1726-SM-EV79S 20-29 years, male 135.7
GTEX-14BIM-1326-SM-7EWD1 60-69 years, female 134.2
GTEX-1LG7Y-1726-SM-EV7AR 50-59 years, male 134.0
GTEX-1PPGY-1726-SM-EVR3S 60-69 years, male 134.0
GTEX-OXRN-1726-SM-3NM9B 50-59 years, male 133.9
GTEX-1LNCM-0626-SM-EV7AI 50-59 years, female 133.5
GTEX-13NZB-1226-SM-5J2MW 30-39 years, male 132.3
GTEX-183WM-1726-SM-7KFT5 70-79 years, female 131.9
GTEX-YJ89-1526-SM-5P9IR 60-69 years, male 131.8
GTEX-1C6VQ-1826-SM-7EWEH 50-59 years, male 131.7
GTEX-1I1GR-1326-SM-ARU7B 60-69 years, male 131.2
GTEX-WK11-1026-SM-4OOS8 50-59 years, male 131.0
GTEX-1F88F-1126-SM-7MKHL 60-69 years, female 130.9
GTEX-11NUK-1326-SM-5P9GN 50-59 years, male 130.6
GTEX-RN64-1026-SM-48FDX 50-59 years, male 130.6
GTEX-1I1GV-2226-SM-ARU7E 60-69 years, male 130.4
GTEX-17EVQ-1926-SM-7IGOF 70-79 years, male 128.7
GTEX-R45C-1226-SM-48FEE 60-69 years, female 128.4
GTEX-1IDJH-2026-SM-CNNQX 70-79 years, male 127.4
GTEX-1IDFM-1126-SM-A96SY 60-69 years, male 126.5
GTEX-11ZTS-2626-SM-5EGIC 60-69 years, female 125.4
GTEX-14BIN-2726-SM-5RQIE 50-59 years, female 124.4
GTEX-18A6Q-1226-SM-7KFS9 60-69 years, male 124.2
GTEX-SJXC-1426-SM-EYYVB 60-69 years, male 124.1
GTEX-1A8FM-1526-SM-7MXTA 50-59 years, female 123.9
GTEX-14JIY-0926-SM-6871D 60-69 years, male 123.4
GTEX-18D9U-2126-SM-7LG4Y 40-49 years, male 122.6
GTEX-1EWIQ-1526-SM-79OO7 70-79 years, female 122.5
GTEX-1KD4Q-1126-SM-CXZKK 40-49 years, male 122.3
GTEX-QEG5-1426-SM-447AS 20-29 years, male 122.2
GTEX-XMD2-1326-SM-4YCET 60-69 years, female 122.1
GTEX-WVLH-1426-SM-4MVNX 50-59 years, male 121.8
GTEX-1B933-2026-SM-7EWFC 50-59 years, female 121.0
GTEX-X4EP-1626-SM-4QAS6 60-69 years, female 121.0
GTEX-1HGF4-0926-SM-9WPP8 60-69 years, male 121.0
GTEX-QEG4-0726-SM-CNNRF 30-39 years, male 120.9
GTEX-15EO6-1026-SM-7KUG9 50-59 years, male 120.5
GTEX-RVPV-0526-SM-47JYL 60-69 years, male 120.5
GTEX-1HSKV-2426-SM-A8N8K 60-69 years, male 120.4
GTEX-15RIE-0826-SM-6M47X 60-69 years, male 119.8
GTEX-N7MS-1225-SM-3LK5G 60-69 years, male 119.1
GTEX-ZAJG-1326-SM-5S2NV 50-59 years, female 118.4
GTEX-WHWD-0926-SM-4OORY 50-59 years, male 118.3
GTEX-15UF6-2326-SM-6M465 70-79 years, female 118.1
GTEX-1IDJD-1626-SM-C1YRC 30-39 years, male 117.6
GTEX-1CB4G-1326-SM-7MKFP 60-69 years, male 116.6
GTEX-16NPX-1626-SM-6LLI5 50-59 years, male 115.9
GTEX-15SHU-1426-SM-6LPIN 40-49 years, female 115.3
GTEX-ZZPT-1426-SM-5N9C5 50-59 years, male 115.3
GTEX-1EU9M-2326-SM-7MKGS 60-69 years, male 115.2
GTEX-144GO-2726-SM-5O9A2 60-69 years, male 114.6
GTEX-PVOW-1626-SM-48TC9 40-49 years, male 114.5
GTEX-1K9T9-2026-SM-CXZK3 50-59 years, female 114.3
GTEX-QVUS-0626-SM-447CC 60-69 years, female 114.2
GTEX-1I1CD-1726-SM-A9G3P 60-69 years, female 114.1
GTEX-1HBPM-1426-SM-9WPPE 60-69 years, female 113.8
GTEX-1BAJH-2026-SM-7P8OZ 70-79 years, male 113.7
GTEX-ZTX8-0226-SM-5E44D 20-29 years, male 112.5
GTEX-17F97-1326-SM-7MGVO 50-59 years, male 112.4
GTEX-1NSGN-2026-SM-DPRYM 50-59 years, male 112.2
GTEX-11GSP-1826-SM-5N9DQ 60-69 years, female 111.8
GTEX-1HBPH-1126-SM-A96TU 40-49 years, female 110.7
GTEX-1R9K4-1926-SM-DPRZW 60-69 years, male 110.6
GTEX-1J8EW-1326-SM-AHZ3S 60-69 years, female 110.4
GTEX-12WSN-5013-SM-7P8P9 40-49 years, male 110.1
GTEX-1OKEX-1326-SM-E9J2U 60-69 years, male 110.1
GTEX-UPJH-1026-SM-EAZB2 50-59 years, male 110.1
GTEX-1LVAN-2326-SM-CNNPY 50-59 years, female 109.7
GTEX-1N2EE-2426-SM-EXOIO 60-69 years, male 109.6
GTEX-15RJE-0926-SM-6LLHZ 40-49 years, male 109.1
GTEX-1F75I-1726-SM-7MKGW 40-49 years, male 109.1
GTEX-1HCU7-2126-SM-A96SG 50-59 years, male 108.6
GTEX-17F9E-1926-SM-7IGQF 50-59 years, male 108.5
GTEX-11ZU8-1526-SM-5EGHX 60-69 years, male 108.2
GTEX-1H1ZS-1526-SM-9OSXR 70-79 years, male 108.2
GTEX-1EKGG-1726-SM-7MXUP 60-69 years, male 108.1
GTEX-1MCC2-1926-SM-DHXJR 30-39 years, female 107.8
GTEX-14C38-2126-SM-5RQJO 50-59 years, male 107.2
GTEX-1KAFJ-0626-SM-D3L8X 50-59 years, male 107.2
GTEX-WQUQ-1626-SM-4OOSH 60-69 years, male 107.1
GTEX-TSE9-1226-SM-4DXTM 60-69 years, female 106.9
GTEX-1HB9E-1526-SM-D3LA6 50-59 years, male 106.7
GTEX-1HFI6-1226-SM-A96SK 40-49 years, male 106.0
GTEX-YEC4-1026-SM-9WG7N 40-49 years, male 105.9
GTEX-11ONC-1526-SM-5GU6S 60-69 years, male 105.7
GTEX-145LU-0926-SM-79OJL 50-59 years, male 105.6
GTEX-XK95-1026-SM-4GIDV 40-49 years, male 105.5
GTEX-132AR-2226-SM-5J2NT 50-59 years, female 105.4
GTEX-1AX8Z-5016-SM-AHZ2B 60-69 years, male 105.4
GTEX-13O3Q-0826-SM-5IFGF 50-59 years, male 105.3
GTEX-13OW8-2326-SM-5L3I9 60-69 years, male 105.2
GTEX-1MGNQ-1626-SM-EAZ4Z 40-49 years, male 105.2
GTEX-ZYVF-2226-SM-5GIDD 50-59 years, female 105.0
GTEX-XMK1-1326-SM-4B65Q 40-49 years, male 104.5
GTEX-S33H-0826-SM-4AD5Y 30-39 years, male 104.4
GTEX-14PJ6-1026-SM-686ZB 60-69 years, female 103.7
GTEX-O5YV-1026-SM-3LK72 60-69 years, female 103.7
GTEX-XGQ4-1526-SM-4AT6H 50-59 years, male 103.6
GTEX-1J1OQ-2526-SM-AHZ3Q 40-49 years, female 103.4
GTEX-1N2DW-1426-SM-EV7AZ 50-59 years, male 103.1
GTEX-139TU-1226-SM-5J2NL 60-69 years, male 102.8
GTEX-1QP2A-1926-SM-EXOJ9 50-59 years, male 102.4
GTEX-11TT1-0526-SM-5P9JO 20-29 years, male 102.2
GTEX-14PK6-1326-SM-686ZE 70-79 years, female 101.9
GTEX-1QP29-2126-SM-E6CPZ 50-59 years, male 101.8
GTEX-YECK-1626-SM-5IFHQ 60-69 years, male 101.6
GTEX-RUSQ-0826-SM-47JWW 50-59 years, male 101.2
GTEX-13QJ3-1726-SM-5RQK9 50-59 years, male 101.1
GTEX-R55E-1326-SM-48FCR 20-29 years, male 100.3
GTEX-1HCVE-1226-SM-9WPPH 50-59 years, male 100.3
GTEX-1KANA-0626-SM-D4P3I 20-29 years, male 100.3
GTEX-1212Z-2126-SM-5FQTM 60-69 years, male 99.6
GTEX-ZAK1-1526-SM-5S2OV 50-59 years, female 98.7
GTEX-17JCI-1226-SM-793D9 60-69 years, female 98.3
GTEX-1H11D-2126-SM-9OSXM 40-49 years, male 98.2
GTEX-1L5NE-1426-SM-DHXKV 50-59 years, male 98.2
GTEX-1GN1U-1826-SM-9JGH2 50-59 years, female 98.1
GTEX-11DZ1-2026-SM-5A5KG 50-59 years, male 98.0
GTEX-1F5PK-1526-SM-7MKGV 50-59 years, male 97.7
GTEX-1F5PL-1726-SM-9QEGL 40-49 years, female 97.7
GTEX-1IKOE-1526-SM-C1YSD 30-39 years, female 97.7
GTEX-OOBK-0625-SM-3LK5P 40-49 years, male 97.6
GTEX-146FH-1726-SM-5QGQ2 50-59 years, female 97.5
GTEX-1I1GP-1026-SM-C1YRZ 50-59 years, male 97.4
GTEX-ZYFC-1626-SM-5N9EU 50-59 years, male 97.2
GTEX-13JVG-2026-SM-5KM1N 60-69 years, male 97.0
GTEX-1497J-2726-SM-5SI9W 60-69 years, male 96.9
GTEX-13FHO-1726-SM-DPRZX 60-69 years, male 96.9
GTEX-R55D-1126-SM-48FEB 50-59 years, male 96.7
GTEX-12WSG-5007-SM-7DUGZ 50-59 years, female 96.6
GTEX-145LS-1826-SM-5LUAZ 60-69 years, female 96.6
GTEX-REY6-1326-SM-48FDO 60-69 years, male 96.6
GTEX-144FL-2726-SM-5O98Z 50-59 years, male 96.3
GTEX-145LV-1326-SM-5S2QI 50-59 years, male 96.2
GTEX-ZTPG-1626-SM-5DUX2 20-29 years, female 96.2
GTEX-1I1GQ-1726-SM-B2LWZ 50-59 years, male 96.2
GTEX-13PVQ-1726-SM-5IFF3 50-59 years, male 96.1
GTEX-1LG7Z-0926-SM-CXKYK 30-39 years, male 96.1
GTEX-1GPI7-1026-SM-7MGY2 20-29 years, male 95.9
GTEX-YEC3-2526-SM-CXZIH 50-59 years, male 95.8
GTEX-NPJ8-1926-SM-3MJGB 40-49 years, male 95.6
GTEX-1H3VY-2026-SM-9JGHK 50-59 years, male 95.4
GTEX-1R9PM-0926-SM-DPRYA 20-29 years, male 95.0
GTEX-18A7A-2326-SM-7KFRH 50-59 years, female 94.8
GTEX-ZUA1-1226-SM-5NQ6O 40-49 years, male 94.6
GTEX-1A32A-1826-SM-72D5G 50-59 years, female 94.3
GTEX-PLZ4-1626-SM-3P618 50-59 years, female 94.3
GTEX-1CB4J-2426-SM-7MXVC 60-69 years, male 94.1
GTEX-13X6I-1026-SM-5LU4C 60-69 years, male 94.0
GTEX-OIZG-1026-SM-3LK5X 50-59 years, male 93.6
GTEX-Y3I4-1226-SM-4TT8N 50-59 years, male 93.4
GTEX-1H1DE-1026-SM-9JGH6 20-29 years, male 93.4
GTEX-1GMR8-1826-SM-9WYUE 50-59 years, female 92.8
GTEX-1QP9N-0926-SM-E9U5S 30-39 years, male 92.7
GTEX-RU72-0726-SM-46MUW 50-59 years, female 92.3
GTEX-1I1GS-2126-SM-ARU7G 60-69 years, male 92.0
GTEX-13PVR-1826-SM-5Q5CC 60-69 years, female 91.8
GTEX-ZLFU-1126-SM-DO11K 40-49 years, male 91.8
GTEX-132QS-1426-SM-5P9GE 60-69 years, male 91.5
GTEX-14PKV-1726-SM-6871U 20-29 years, female 91.5
GTEX-17MFQ-0526-SM-7KFTX 20-29 years, male 91.5
GTEX-1LVAM-1126-SM-DHXKP 50-59 years, female 91.5
GTEX-18A66-1426-SM-7KFRT 60-69 years, male 91.2
GTEX-N7MT-0326-SM-48TDP 60-69 years, female 91.0
GTEX-131YS-1426-SM-5IJF7 60-69 years, female 90.6
GTEX-T2IS-0826-SM-4DM6L 20-29 years, female 90.5
GTEX-1JMQJ-1226-SM-D3L97 50-59 years, male 90.5
GTEX-13G51-0926-SM-5IFFU 60-69 years, male 90.2
GTEX-VUSG-1226-SM-4KKZF 50-59 years, male 90.1
GTEX-11DYG-1326-SM-5N9DO 60-69 years, male 90.0
GTEX-XYKS-1526-SM-4BRUP 60-69 years, female 89.9
GTEX-13X6H-1326-SM-5LU42 50-59 years, female 89.5
GTEX-12WSA-1426-SM-5EGJU 60-69 years, male 89.4
GTEX-1HCU8-2226-SM-9WPOV 60-69 years, female 89.4
GTEX-145MO-1426-SM-DTX9W 60-69 years, male 89.3
GTEX-15F5U-5010-SM-AHZ2D 40-49 years, male 89.0
GTEX-Y111-1626-SM-57WCY 50-59 years, male 88.7
GTEX-S32W-0926-SM-4AD5X 50-59 years, female 88.6
GTEX-13S86-0826-SM-5SI6J 40-49 years, male 88.4
GTEX-1H23P-1426-SM-9JGH5 60-69 years, male 88.2
GTEX-ZYY3-1526-SM-5SIA9 60-69 years, female 88.1
GTEX-1399S-1326-SM-5P9GH 30-39 years, female 87.7
GTEX-13YAN-1926-SM-7EPH9 60-69 years, male 87.6
GTEX-SUCS-0726-SM-4DM7J 70-79 years, male 87.5
GTEX-1PPH8-1626-SM-E6CQP 20-29 years, male 87.5
GTEX-Q2AG-1326-SM-43V8K 40-49 years, female 87.3
GTEX-XUZC-0426-SM-4BOPE 30-39 years, female 87.2
GTEX-1N2DV-2026-SM-EV7BL 40-49 years, male 86.9
GTEX-1GMR2-1526-SM-7MXV6 50-59 years, male 86.6
GTEX-15DYW-1826-SM-6LPIY 60-69 years, female 86.4
GTEX-UPK5-1226-SM-4IHL8 40-49 years, male 86.4
GTEX-1RAZA-1326-SM-DPS12 20-29 years, male 86.3
GTEX-148VI-1026-SM-5TDDJ 60-69 years, female 86.1
GTEX-1IY9M-1626-SM-AHZ39 60-69 years, male 85.9
GTEX-T6MO-0526-SM-4DM6R 40-49 years, female 85.8
GTEX-1CB4E-1026-SM-793AB 60-69 years, male 85.3
GTEX-1GTWX-1326-SM-9JGHU 60-69 years, male 85.3
GTEX-16XZY-0926-SM-7938M 70-79 years, male 85.0
GTEX-1AYD5-0926-SM-793AF 50-59 years, male 85.0
GTEX-XXEK-0326-SM-4BRVV 50-59 years, male 85.0
GTEX-Q2AH-0826-SM-48TZN 40-49 years, male 84.8
GTEX-Q2AI-0626-SM-48TZU 40-49 years, male 84.8
GTEX-11TUW-1326-SM-5EQKV 60-69 years, male 84.3
GTEX-1QW4Y-0526-SM-EAZ3V 30-39 years, male 84.2
GTEX-139UW-1126-SM-5IJEJ 60-69 years, male 84.0
GTEX-17F96-2526-SM-7DHL3 70-79 years, male 84.0
GTEX-1AMEY-0226-SM-7189Q 30-39 years, female 83.6
GTEX-R55C-0826-SM-48FCL 40-49 years, male 83.2
GTEX-13SLX-1726-SM-5Q5E5 50-59 years, female 83.1
GTEX-OHPN-1026-SM-E9TI8 60-69 years, female 83.0
GTEX-XBEW-1326-SM-4AT63 40-49 years, male 82.9
GTEX-XQ8I-1526-SM-4BOOH 50-59 years, male 82.9
GTEX-OIZH-0626-SM-3NB1L 50-59 years, male 82.8
GTEX-PLZ5-0926-SM-3TW8L 50-59 years, male 82.4
GTEX-14E1K-1226-SM-5S2PD 50-59 years, male 82.3
GTEX-1R7EU-0826-SM-DPRZL 60-69 years, male 82.3
GTEX-ZC5H-1326-SM-5HL7E 40-49 years, female 82.1
GTEX-1LBAC-1226-SM-DHXK1 20-29 years, male 82.1
GTEX-S3XE-0926-SM-4AD4S 50-59 years, male 81.8
GTEX-X4EO-1226-SM-4QARR 60-69 years, female 81.7
GTEX-11EMC-2226-SM-5A5JW 60-69 years, female 81.4
GTEX-S95S-0426-SM-4B64I 60-69 years, male 81.4
GTEX-15SB6-0726-SM-6M48F 50-59 years, female 81.1
GTEX-ZLV1-0526-SM-4WWD4 60-69 years, female 81.1
GTEX-RNOR-1226-SM-48FDQ 50-59 years, female 81.0
GTEX-RU1J-0326-SM-46MUM 20-29 years, female 81.0
GTEX-1KXAM-0826-SM-CXZK9 60-69 years, male 80.9
GTEX-18D9A-0526-SM-7KFSW 30-39 years, female 80.8
GTEX-TMMY-1126-SM-4DXSX 40-49 years, female 80.8
GTEX-VJYA-0726-SM-4KL1T 60-69 years, male 80.7
GTEX-X4LF-0626-SM-4QASB 50-59 years, male 80.7
GTEX-1JK1U-1726-SM-CNNPM 60-69 years, male 80.7
GTEX-1QP28-1826-SM-EAZ4L 50-59 years, female 80.7
GTEX-11LCK-1726-SM-5S2OQ 30-39 years, male 80.5
GTEX-1K2DA-0626-SM-CGQGO 50-59 years, male 80.5
GTEX-14ICK-2026-SM-6AJB2 40-49 years, male 80.4
GTEX-PWCY-0726-SM-48TCS 20-29 years, female 80.4
GTEX-XLM4-2326-SM-4AT5E 60-69 years, male 80.1
GTEX-ZTSS-0626-SM-59867 40-49 years, male 80.0
GTEX-1B996-1826-SM-7MGY6 60-69 years, male 80.0
GTEX-Y5LM-1026-SM-4VDSQ 40-49 years, female 79.9
GTEX-1I6K7-1426-SM-B2LXP 40-49 years, male 79.7
GTEX-UJMC-0926-SM-4IHLK 50-59 years, male 79.5
GTEX-14BMU-0926-SM-5S2QB 20-29 years, female 79.2
GTEX-1JKYR-2126-SM-CNNPC 20-29 years, male 79.2
GTEX-ZF3C-1626-SM-4WWB4 50-59 years, female 79.1
GTEX-13O1R-1326-SM-5IJF5 60-69 years, male 79.0
GTEX-ZT9W-1326-SM-51MTB 50-59 years, male 78.9
GTEX-1QCLY-1526-SM-DPRXX 30-39 years, male 78.7
GTEX-QEL4-1426-SM-447AC 50-59 years, male 78.6
GTEX-ZY6K-0626-SM-59HJL 50-59 years, male 78.6
GTEX-S341-0526-SM-4AD5U 40-49 years, female 78.5
GTEX-1S83E-0826-SM-EV7B7 40-49 years, male 78.5
GTEX-ZLWG-1326-SM-DNZYZ 50-59 years, female 78.5
GTEX-1HSMQ-2026-SM-B2LY1 50-59 years, male 78.4
GTEX-1I1GU-1426-SM-B2LX3 40-49 years, male 78.4
GTEX-11DXX-1126-SM-5GZZK 60-69 years, female 78.2
GTEX-11I78-1526-SM-5A5K7 50-59 years, female 78.2
GTEX-1AX9I-1426-SM-7DHM8 60-69 years, male 77.8
GTEX-Y5V5-1626-SM-4VDSG 60-69 years, female 77.6
GTEX-ZVP2-1326-SM-57WCE 50-59 years, male 77.3
GTEX-17F98-1726-SM-7938O 40-49 years, female 77.2
GTEX-13OVG-0626-SM-5IFEP 60-69 years, male 77.1
GTEX-QDVJ-0726-SM-48U1W 50-59 years, male 77.1
GTEX-SNMC-0526-SM-4DM69 20-29 years, male 77.1
GTEX-WFG8-1226-SM-4V6EI 20-29 years, male 77.1
GTEX-1JMPZ-2026-SM-C1YR8 30-39 years, male 77.1
GTEX-PSDG-1326-SM-48TD2 50-59 years, male 77.0
GTEX-12696-1326-SM-5FQTJ 60-69 years, male 76.9
GTEX-RM2N-0726-SM-48FD5 50-59 years, male 76.9
GTEX-17HGU-1426-SM-7938G 50-59 years, male 76.8
GTEX-QV44-1126-SM-CL55C 50-59 years, male 76.7
GTEX-169BO-0526-SM-793AK 50-59 years, male 76.6
GTEX-13OVJ-1226-SM-5L3HA 50-59 years, female 76.4
GTEX-1OJC3-0826-SM-DPRYU 20-29 years, male 76.4
GTEX-ZYFG-1126-SM-5GICY 60-69 years, female 76.3
GTEX-16MTA-0826-SM-6LLIC 50-59 years, male 76.1
GTEX-145LT-1126-SM-5LUA1 40-49 years, male 75.5
GTEX-14PJ4-1526-SM-664OA 60-69 years, male 75.3
GTEX-P78B-1026-SM-3NMC4 40-49 years, female 75.3
GTEX-WRHK-0526-SM-4MVOF 20-29 years, female 75.3
GTEX-X585-1226-SM-46MW7 50-59 years, male 75.3
GTEX-145MF-1426-SM-5O9B6 50-59 years, male 75.2
GTEX-Y8E4-1726-SM-5LU9G 40-49 years, male 75.1
GTEX-1C2JI-1126-SM-731FH 50-59 years, male 75.0
GTEX-14AS3-0626-SM-5QGQD 40-49 years, female 74.9
GTEX-ZXES-1126-SM-5GZXN 30-39 years, female 74.9
GTEX-T5JC-1726-SM-4DM6U 20-29 years, male 74.8
GTEX-17KNJ-1326-SM-7KFTG 50-59 years, male 74.7
GTEX-15ER7-2126-SM-7939E 20-29 years, female 74.6
GTEX-18QFQ-1026-SM-7LG6B 30-39 years, male 74.5
GTEX-15DCE-1326-SM-6LPJL 20-29 years, male 74.3
GTEX-Y5V6-1026-SM-4VBS2 60-69 years, male 74.3
GTEX-ZG7Y-1126-SM-4WWEZ 50-59 years, male 74.3
GTEX-1IKK5-1326-SM-AHZ2X 60-69 years, male 74.2
GTEX-ZYT6-1126-SM-5GZYR 30-39 years, male 74.1
GTEX-1PFEY-0826-SM-E9U6A 30-39 years, male 74.1
GTEX-14B4R-0326-SM-5TDDP 30-39 years, male 74.0
GTEX-T5JW-1326-SM-4DM5G 20-29 years, female 74.0
GTEX-12WSL-1526-SM-5GCP8 50-59 years, male 73.9
GTEX-ZAB5-0926-SM-5CVMV 50-59 years, male 73.8
GTEX-ZDTT-1326-SM-4WKFH 60-69 years, male 73.8
GTEX-132Q8-1826-SM-5EGIY 60-69 years, male 73.7
GTEX-YB5E-0926-SM-4WWDQ 40-49 years, male 73.6
GTEX-11DXY-1426-SM-5N9CN 60-69 years, male 73.3
GTEX-QESD-0826-SM-47J4G 20-29 years, male 73.1
GTEX-13FTW-1626-SM-5KM4N 40-49 years, male 73.0
GTEX-QLQW-0526-SM-4R1KS 30-39 years, male 73.0
GTEX-S4P3-0426-SM-4AD56 50-59 years, female 73.0
GTEX-1I4MK-0426-SM-B2LWQ 50-59 years, female 73.0
GTEX-1MJIX-0826-SM-DTXEO 40-49 years, male 73.0
GTEX-16BQI-1526-SM-6LLIE 30-39 years, female 72.9
GTEX-18D9B-2026-SM-7LT96 60-69 years, male 72.9
GTEX-1RAZR-1226-SM-E6CRD 40-49 years, male 72.7
GTEX-11NSD-1126-SM-5N9BQ 20-29 years, male 72.6
GTEX-12ZZX-1326-SM-5DUWI 40-49 years, female 72.6
GTEX-1QPFJ-1226-SM-EAZ3M 30-39 years, female 72.5
GTEX-OXRL-0626-SM-3NM9C 50-59 years, male 72.4
GTEX-SE5C-1226-SM-4BRWV 40-49 years, female 72.4
GTEX-T8EM-0526-SM-4DM64 40-49 years, male 72.3
GTEX-SNOS-0626-SM-4DM5F 40-49 years, male 72.1
GTEX-Z9EW-0526-SM-5HL8S 40-49 years, male 72.1
GTEX-V955-1126-SM-4JBH3 60-69 years, male 72.0
GTEX-13FTX-0526-SM-5IFGS 20-29 years, female 71.9
GTEX-1C64O-1826-SM-7DHM4 60-69 years, male 71.9
GTEX-ZPU1-1426-SM-4WWFU 40-49 years, male 71.9
GTEX-ZYW4-1326-SM-5E45N 60-69 years, male 71.9
GTEX-1NUQO-1126-SM-DTX98 20-29 years, female 71.9
GTEX-NFK9-1126-SM-3LK78 40-49 years, male 71.7
GTEX-1J1R8-0326-SM-AHZ3D 40-49 years, male 71.7
GTEX-18A67-2426-SM-7LT95 50-59 years, male 71.6
GTEX-ZF29-1326-SM-DNZYV 60-69 years, female 71.6
GTEX-183FY-1526-SM-7IGOW 20-29 years, male 71.5
GTEX-14ICL-0526-SM-5RQJ6 30-39 years, male 71.4
GTEX-WYJK-1926-SM-4ONDP 50-59 years, male 71.4
GTEX-12WSD-1826-SM-5GCOA 60-69 years, female 71.2
GTEX-14PJN-0526-SM-68724 30-39 years, male 71.2
GTEX-WH7G-0926-SM-4LVMJ 40-49 years, male 71.1
GTEX-1JKYN-1526-SM-CGQGA 30-39 years, male 71.1
GTEX-U8XE-1726-SM-4E3IF 30-39 years, male 71.0
GTEX-1QP67-0726-SM-DPRY1 40-49 years, female 71.0
GTEX-1B97I-0926-SM-731DZ 40-49 years, male 70.8
GTEX-1HCUA-1426-SM-9WPP7 50-59 years, female 70.8
GTEX-16MT8-1326-SM-6M47R 60-69 years, female 70.7
GTEX-1AX9J-1826-SM-731FM 60-69 years, male 70.7
GTEX-R55G-1026-SM-48FDI 40-49 years, female 70.7
GTEX-U3ZH-1026-SM-4DXUZ 30-39 years, male 70.7
GTEX-Y3IK-1126-SM-51MSV 50-59 years, female 70.7
GTEX-ZVT2-1326-SM-5E45H 50-59 years, female 70.7
GTEX-1MA7W-0426-SM-E9TJ5 20-29 years, female 70.7
GTEX-1MCYP-1026-SM-DPRYB 20-29 years, female 70.7
GTEX-W5WG-1626-SM-4LMKG 50-59 years, female 70.6
GTEX-ZGAY-1126-SM-4WWBS 40-49 years, female 70.6
GTEX-WHSE-1526-SM-4M1XH 20-29 years, male 70.4
GTEX-WXYG-1226-SM-4ONCJ 50-59 years, female 70.4
GTEX-13W3W-1626-SM-5LU35 60-69 years, female 70.3
GTEX-1CB4I-1026-SM-7MKFZ 50-59 years, male 70.3
GTEX-1GN1W-2226-SM-9JGI5 50-59 years, female 70.2
GTEX-146FQ-1026-SM-5LU8I 30-39 years, male 70.0
GTEX-U4B1-0826-SM-4DXTW 40-49 years, male 69.9
GTEX-WYVS-0726-SM-4ONDO 40-49 years, female 69.8
GTEX-1ICG6-1926-SM-ARU7L 70-79 years, female 69.8
GTEX-1399R-0826-SM-5IJEL 30-39 years, male 69.7
GTEX-PLZ6-0526-SM-3P61C 30-39 years, male 69.7
GTEX-1QCLZ-1626-SM-E9U5R 60-69 years, female 69.7
GTEX-PWN1-0626-SM-48TDT 40-49 years, female 69.6
GTEX-XBED-1026-SM-48TCB 60-69 years, male 69.6
GTEX-X15G-0826-SM-4PQZD 50-59 years, female 69.4
GTEX-1JMLX-2326-SM-CXZJP 50-59 years, male 69.4
GTEX-13FLV-1126-SM-5J2NO 50-59 years, male 69.2
GTEX-RTLS-1126-SM-46MUQ 60-69 years, female 69.2
GTEX-1H3NZ-1326-SM-9JGHI 60-69 years, male 69.2
GTEX-1C475-0926-SM-7MKFI 40-49 years, female 69.1
GTEX-P4QS-0626-SM-3NMD1 60-69 years, male 69.1
GTEX-11XUK-0826-SM-5GU6P 40-49 years, female 69.0
GTEX-111YS-0926-SM-5EGGI 60-69 years, male 68.7
GTEX-RWS6-0826-SM-47JXF 60-69 years, female 68.7
GTEX-11P81-0826-SM-5P9GR 30-39 years, female 68.6
GTEX-WOFM-0626-SM-4OOS3 20-29 years, male 68.5
GTEX-1GMR3-1526-SM-9JGGL 40-49 years, male 68.5
GTEX-144GN-0626-SM-5O9B2 50-59 years, male 68.4
GTEX-1HBPI-0626-SM-9WPP4 50-59 years, male 68.4
GTEX-1R9K5-1526-SM-DPRZA 50-59 years, male 68.4
GTEX-OXRK-1326-SM-3NB1A 50-59 years, female 68.3
GTEX-1GN73-1926-SM-9JGGS 60-69 years, male 68.2
GTEX-1122O-1726-SM-5GICM 60-69 years, female 68.1
GTEX-133LE-0626-SM-5IFFJ 20-29 years, female 67.9
GTEX-WHPG-1126-SM-4M1XT 50-59 years, male 67.9
GTEX-WFG7-1126-SM-4LMK3 20-29 years, male 67.8
GTEX-1AX9K-1126-SM-731DQ 50-59 years, male 67.7
GTEX-OIZF-0626-SM-7MKHG 60-69 years, male 67.7
GTEX-12WSK-1126-SM-5LZV8 40-49 years, female 67.5
GTEX-12BJ1-1626-SM-5HL8Y 60-69 years, male 67.4
GTEX-15RJ7-0926-SM-6LPJO 40-49 years, male 67.3
GTEX-1RAZQ-1726-SM-EAZ4T 30-39 years, male 67.3
GTEX-14DAR-0826-SM-73KYJ 50-59 years, male 67.1
GTEX-ZVE2-1326-SM-5NQ94 50-59 years, male 67.1
GTEX-145MN-1026-SM-5NQ9G 30-39 years, male 67.0
GTEX-11P7K-1326-SM-5BC5G 30-39 years, male 66.9
GTEX-TKQ1-0326-SM-4DXSM 30-39 years, male 66.9
GTEX-S7SF-0926-SM-4AD4M 20-29 years, female 66.8
GTEX-146FR-0426-SM-5SI97 60-69 years, female 66.7
GTEX-14C5O-1626-SM-73KYH 60-69 years, male 66.7
GTEX-13X6K-2126-SM-5O9D4 60-69 years, female 66.6
GTEX-YB5K-0826-SM-5YYB7 40-49 years, female 66.6
GTEX-14E6E-0726-SM-5S2R3 30-39 years, male 66.5
GTEX-V1D1-1026-SM-4JBHE 50-59 years, male 66.5
GTEX-139YR-1726-SM-5IFFK 50-59 years, male 66.2
GTEX-1J8QM-1926-SM-AHZ3Z 60-69 years, female 66.2
GTEX-14JG6-0926-SM-6871Y 30-39 years, female 66.1
GTEX-1HKZK-1426-SM-A96U1 40-49 years, male 66.1
GTEX-11EQ9-0726-SM-5A5K2 30-39 years, male 66.0
GTEX-13CF3-1626-SM-5IFG9 60-69 years, female 65.9
GTEX-14PHY-0626-SM-664NN 60-69 years, female 65.9
GTEX-WFJO-0826-SM-4LVM5 30-39 years, male 65.9
GTEX-1CB4F-1526-SM-7MKFM 60-69 years, male 65.8
GTEX-QCQG-0626-SM-48U21 50-59 years, female 65.8
GTEX-WFON-0826-SM-4LVMI 40-49 years, male 65.8
GTEX-QDVN-1026-SM-48TZA 50-59 years, male 65.7
GTEX-144GM-1426-SM-5LU31 20-29 years, male 65.5
GTEX-Y8LW-0726-SM-5IFI1 50-59 years, female 65.5
GTEX-1B97J-1026-SM-7MXTE 50-59 years, female 65.4
GTEX-P4QT-0626-SM-3NMCP 50-59 years, female 65.3
GTEX-QLQ7-0926-SM-447BC 60-69 years, male 65.2
GTEX-1399U-1026-SM-5J1OC 50-59 years, female 65.1
GTEX-14PJM-1526-SM-664NY 50-59 years, female 65.0
GTEX-14DAQ-1426-SM-5RQJD 60-69 years, female 64.8
GTEX-TML8-1526-SM-4DXUX 40-49 years, female 64.8
GTEX-11P82-0526-SM-5986P 20-29 years, male 64.7
GTEX-131XE-1426-SM-5HL7V 50-59 years, male 64.6
GTEX-U3ZM-0526-SM-4DXTB 40-49 years, male 64.6
GTEX-ZPCL-1426-SM-57WEC 60-69 years, female 64.6
GTEX-13OVI-2626-SM-5KM4T 60-69 years, female 64.2
GTEX-1IDJF-1226-SM-C1YPX 20-29 years, male 64.0
GTEX-P4PQ-0626-SM-3NMCU 60-69 years, male 63.9
GTEX-ZAB4-1126-SM-5HL86 40-49 years, male 63.9
GTEX-XV7Q-1126-SM-4BRVS 40-49 years, female 63.4
GTEX-WEY5-0926-SM-4LMI4 40-49 years, female 63.3
GTEX-14PJ3-0626-SM-6UGC5 50-59 years, male 63.3
GTEX-15EOM-5013-SM-7MKF9 20-29 years, female 63.0
GTEX-R53T-1126-SM-48FD4 50-59 years, female 63.0
GTEX-U3ZN-1726-SM-4DXUQ 30-39 years, female 63.0
GTEX-1JMPY-0826-SM-AHZ4A 30-39 years, male 63.0
GTEX-1LGOU-0526-SM-D3LAO 20-29 years, female 63.0
GTEX-15ETS-1926-SM-7KUN5 40-49 years, female 62.8
GTEX-13OVK-1126-SM-6PAMR 40-49 years, male 62.7
GTEX-1LGRB-1626-SM-CNNR7 50-59 years, female 62.7
GTEX-111CU-0726-SM-5GZYD 50-59 years, male 62.6
GTEX-13FH7-0526-SM-5IJF8 50-59 years, female 62.5
GTEX-11EM3-0826-SM-5N9CC 20-29 years, female 62.1
GTEX-15UF7-0926-SM-6M46F 40-49 years, male 61.9
GTEX-ZDYS-0826-SM-4WWCR 50-59 years, male 61.9
GTEX-1HC8U-1526-SM-9WPO4 40-49 years, female 61.9
GTEX-13D11-1926-SM-5IFGB 50-59 years, female 61.8
GTEX-1B8KE-1826-SM-731FD 50-59 years, male 61.0
GTEX-Y9LG-0626-SM-4WWDH 30-39 years, male 60.5
GTEX-UJHI-0826-SM-4IHLM 50-59 years, female 60.1
GTEX-16NGA-1426-SM-718AC 40-49 years, female 60.0
GTEX-13O21-0626-SM-5IJDI 50-59 years, male 59.9
GTEX-13RTK-0526-SM-5S2QF 20-29 years, male 59.8
GTEX-16AAH-0726-SM-793A9 50-59 years, male 59.5
GTEX-1R9JW-1526-SM-DPRZK 30-39 years, female 59.5
GTEX-ZF2S-1226-SM-4WWAX 50-59 years, female 59.4
GTEX-178AV-0526-SM-6LPJH 40-49 years, male 59.3
GTEX-P4PP-0626-SM-3NM9X 30-39 years, female 59.2
GTEX-12KS4-0926-SM-5BC5S 30-39 years, male 58.9
GTEX-13U4I-1126-SM-5LU3S 40-49 years, female 58.8
GTEX-X3Y1-1326-SM-4PQZB 40-49 years, male 58.8
GTEX-ZEX8-1426-SM-4WKHQ 50-59 years, male 58.8
GTEX-Y114-0926-SM-4TT7J 50-59 years, female 58.7
GTEX-ZQUD-0426-SM-57WFR 30-39 years, male 58.7
GTEX-13O61-0926-SM-5IFFE 60-69 years, male 58.2
GTEX-11DXZ-1226-SM-5H11L 50-59 years, male 58.1
GTEX-131XG-1026-SM-5GCMX 50-59 years, female 58.1
GTEX-1AMFI-0226-SM-731D5 50-59 years, female 58.0
GTEX-147F3-0826-SM-5NQA7 50-59 years, female 57.9
GTEX-17HHE-0926-SM-7938K 50-59 years, male 57.9
GTEX-ZT9X-0526-SM-5GCOP 40-49 years, male 57.6
GTEX-1GL5R-1526-SM-7MKHO 50-59 years, male 57.4
GTEX-1KANB-1826-SM-DHXJU 50-59 years, male 57.3
GTEX-13NYB-0926-SM-5IFFA 40-49 years, male 57.2
GTEX-ZZ64-0226-SM-5E44X 20-29 years, male 57.2
GTEX-11VI4-0526-SM-5EQ48 40-49 years, female 56.2
GTEX-131XF-0826-SM-5GICG 60-69 years, male 55.7
GTEX-1EMGI-1926-SM-7938Y 60-69 years, male 55.7
GTEX-17EUY-1426-SM-7938X 20-29 years, male 55.5
GTEX-S4Q7-0626-SM-4AD5M 20-29 years, male 55.5
GTEX-13111-0826-SM-5LZV3 50-59 years, male 55.1
GTEX-15EU6-1626-SM-6LPKF 50-59 years, male 55.0
GTEX-1HSGN-1626-SM-A96U2 40-49 years, female 54.8
GTEX-1A3MV-1326-SM-7LG6C 30-39 years, male 54.4
GTEX-13QBU-1026-SM-5LU3R 40-49 years, female 54.1
GTEX-YF7O-0926-SM-5IFIF 50-59 years, male 53.8
GTEX-1B8KZ-0726-SM-7938W 50-59 years, male 53.7
GTEX-139T6-0626-SM-5IFF9 50-59 years, male 52.1
GTEX-OIZI-1426-SM-3NB1T 40-49 years, male 51.8
GTEX-14H4A-1626-SM-5SI69 40-49 years, female 51.7
GTEX-1211K-0926-SM-5FQTL 60-69 years, female 51.4
GTEX-ZA64-0626-SM-5HL9O 20-29 years, male 50.3
GTEX-13PL7-0226-SM-731DT 60-69 years, female 50.0
GTEX-WHSB-0426-SM-4M1XI 50-59 years, male 49.8
GTEX-12C56-1226-SM-5FQSU 20-29 years, male 49.0
GTEX-1PIGE-0926-SM-E9U5Z 20-29 years, male 40.1
Show allShow less

ESOPHAGUS - FANTOM5 CAGEi

RNA expression in human tissues obtained through Cap Analysis of Gene Expression (CAGE) generated by the FANTOM5 project are reported as Scaled Tags Per Million.

Max subtype Scaled Tags Per Millioni

Max subtype Scaled Tags Per Million is the value for the subtype with the largest average Scaled Tags Per Million across the subtype samples.

71.5
FANTOM5 sample id Sample description Scaled Tags Per Million
Esophagus
Scaled Tags Per Million: 71.5
FF:10015-101C6 68,74,75 years, mixed 71.5

Contact

  • NEWS ARTICLES
  • PRESS ROOM

The Project

  • INTRODUCTION
  • ORGANIZATION
  • PUBLICATIONS

The Human Protein Atlas

  • DOWNLOADABLE DATA
  • LICENCE & CITATION
  • HELP & FAQ
The Human Protein Atlas project is funded
by the Knut & Alice Wallenberg Foundation.


contact@proteinatlas.org