We use cookies to enhance the usability of our website. If you continue, we'll assume that you are happy to receive all cookies. More information. Don't show this again.
MITF
HPA
RESOURCES
  • TISSUE
  • BRAIN
  • SINGLE CELL
  • SUBCELLULAR
  • CANCER
  • BLOOD
  • CELL LINE
  • STRUCTURE & INTERACTION
ABOUT
  • INTRODUCTION
  • HISTORY
  • ORGANIZATION
  • PUBLICATIONS
  • ANTIBODY SUBMISSION
  • ANTIBODY AVAILABILITY
  • ACKNOWLEDGMENTS
  • CONTACT
NEWS
  • NEWS ARTICLES
  • PRESS ROOM
LEARN
  • DICTIONARY
  • PROTEIN CLASSES
  • PROTEIN EVIDENCE
  • METHODS
  • EDUCATIONAL VIDEOS
DATA
  • DOWNLOADABLE DATA
  • PUBLICATION DATA
  • RELEASE HISTORY
HELP
  • ANTIBODY VALIDATION
  • ASSAYS & ANNOTATION
  • DISCLAIMER
  • HELP & FAQ
  • PRIVACY STATEMENT
  • LICENCE & CITATION
Fields »
Search result

Field
Term
Gene name
Class
Subclass
Class
Keyword
Chromosome
External id
Tissue
Cell type
Expression
Antibody panel
Tissue
Main location
Patient ID
Annotation
Tissue
Category
Tau score
Cluster
Reliability
Brain region
Category
Tau score
Brain region
Category
Tau score
Brain region
Category
Tau score
Cluster
Reliability
Tissue
Cell type
Enrichment
Cell type
Category
Tau score
Cell type
Category
Tau score
Cell type
Category
Tau score
Cell lineage
Category
Tau score
Cluster
Cluster
Location
Searches
Location
Cell line
Class
Type
Phase
Reliability
Cancer
Prognosis
Cancer
Category
Cancer
Category
Tau score
Cluster
Variants
Interacting gene (ensg_id)
Type
Number of interactions
Pathway
Category
Score
Score
Score
Validation
Validation
Validation
Validation
Antibodies
Data type
Column


  • SUMMARY

  • TISSUE

  • BRAIN

  • SINGLE CELL

  • SUBCELL

  • CANCER

  • BLOOD

  • CELL LINE

  • STRUCT & INT

  • MITF
TISSUE PRIMARY DATA BREAST Show tissue menu
ADIPOSE TISSUE ADRENAL GLAND AMYGDALA APPENDIX BASAL GANGLIA BONE MARROW BREAST BRONCHUS CEREBELLUM CEREBRAL CORTEX CERVIX CHOROID PLEXUS COLON DUODENUM
ENDOMETRIUM EPIDIDYMIS ESOPHAGUS FALLOPIAN TUBE GALLBLADDER HEART MUSCLE HIPPOCAMPAL FORMATION HYPOTHALAMUS KIDNEY LIVER LUNG LYMPH NODE MIDBRAIN ORAL MUCOSA
OVARY PANCREAS PARATHYROID GLAND PITUITARY GLAND PLACENTA PROSTATE RECTUM RETINA SALIVARY GLAND SEMINAL VESICLE SKELETAL MUSCLE SKIN SMALL INTESTINE SMOOTH MUSCLE
SOFT TISSUE SPINAL CORD SPLEEN STOMACH TESTIS THYMUS THYROID GLAND TONGUE TONSIL URINARY BLADDER VAGINA
ANTIBODIES
AND
VALIDATION
Dictionary
Breast
Tissue proteome
Breast
BREAST - Expression summary
Protein expression
Breasti

On the top, protein expression in current human tissue, based on all annotated cell types, is reported with the units not detected (n), low (l), medium (m) and high (h). Underneath, protein expression in each annotated cell type are reported using the same units.

Protein expression data is based on knowledge-based annotation. For genes where more than one antibody has been used, a collective score is set.

If knowledge-based annotation could not be performed for a gene, no data is displayed here. View antibody staining data further down this page.

h
m
l
n
Glandular cells: Not detected
Myoepithelial cells: Not detected
RNA expressioni

A summary of mRNA expression data available for current tissue based on several datasets. The mRNA expression levels in human tissues are based on RNA-seq data generated by the Human Protein Atlas (HPA), Genotype-Tissue Expression (GTEx) portal and CAGE data generated by the FANTOM5 consortium. Consensus normalized expression levels for human tissues was created by combining the data from HPA and GTEx datasets.

The mRNA expression levels in pig are based on RNA-seq data generated by the Human Protein Atlas (HPA), and for mouse, HPA data and in situ hybridization generated by the Allen brain atlas are reported.

Scroll down to view mRNA expression data in more detail.
Consensus:9.7 nTPM
HPA:9.5 nTPM
GTEx:9.7 nTPM
FANTOM5:118.6 Scaled Tags Per Million

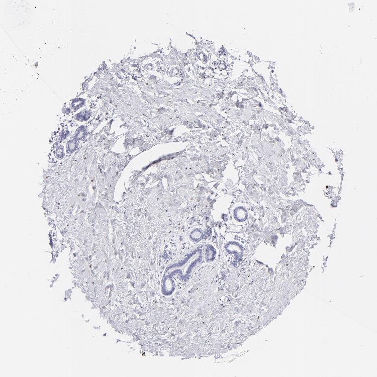
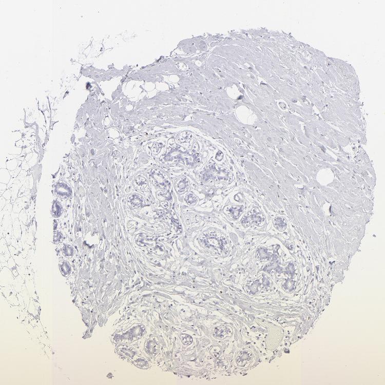
BREAST - Antibody stainingi

Antibody staining in the annotated cell types in the current human tissue is reported as not detected, low, medium, or high, based on conventional immunohistochemistry profiling in selected tissues. This score is based on the combination of the staining intensity and fraction of stained cells.

Each image is clickable and will lead to virtual microscopy that enables deeper exploration of all samples and also displays staining intensity scores, fraction scores and subcellular localization as well as patient and tissue information for each sample.

Antibody HPA003259Antibody CAB002578
Adipocytes -Not detected
Glandular cells Not detectedNot detected
Myoepithelial cells Not detectedNot detected



BREAST - HPA RNA-seqi

The RNA-seq details section shows detailed information about the individual samples used for the transcript profiling and results of the RNA-seq analysis.

Information about each individual sample is listed below, including gender, age, a tissue section image and estimated fractions of cell types. nTPM (normalized transcripts per million) values give a quantification of the gene abundance which is comparable between different genes and samples.
Average nTPMi

Max subtype nTPM is the value for the subtype with the largest average nTPM across the subtype samples.

9.5
overview
Female, age 52
Breast sample 373
nTPM: 10.2
Cell types%
Glandular cells:
15

Adipocytes:
5

Other cell types:
80

overview
Female, age 80
Breast sample 390
nTPM: 13.2
Cell types%
Glandular cells:
5

Adipocytes:
15

Other cell types:
80

overview
Female, age 47
Breast sample 405
nTPM: 2.5
Cell types%
Glandular cells:
5

Adipocytes:
5

Other cell types:
90

overview
Female, age 38
Breast sample 410
nTPM: 12
Cell types%
Glandular cells:
40

Adipocytes:
5

Other cell types:
55


BREAST - GTEx RNA-seqi

RNA-Seq data generated by the Genotype-Tissue Expression (GTEx) project from human tissues is reported as mean nTPM. More information can be found on the GTEx portal.

Distribution across the dataset is visualized with box plots, shown as median and 25th and 75th percentiles. Points are displayed as outliers if they are above or below 1.5 times the interquartile range. nTPM values of the individual samples are presented next to the box plot.
Max subtype nTPMi

Max subtype nTPM is the value for the subtype with the largest average nTPM across the subtype samples.

9.7
GTEx sample id Sample description nTPM
Breast - Mammary Tissue
Average nTPM: 9.7
Samples: 459

Max nTPM: 32.2
Min nTPM: 1.8
Std nTPM: 4.1
Median nTPM: 9.2
GTEX-13W46-0826-SM-5LU3H 50-59 years, male 32.2
GTEX-W5X1-2326-SM-3GIL6 40-49 years, female 31.5
GTEX-13QJ3-0826-SM-7DHKK 50-59 years, male 24.9
GTEX-12WSK-2226-SM-5GCO5 40-49 years, female 24.3
GTEX-ZDXO-0126-SM-5S2ND 60-69 years, male 23.6
GTEX-ZEX8-2226-SM-57WC6 50-59 years, male 23.2
GTEX-1GF9X-1026-SM-ACKX2 40-49 years, female 22.0
GTEX-S341-1526-SM-4AD6K 40-49 years, female 21.9
GTEX-11GSP-0926-SM-9WYSG 60-69 years, female 21.4
GTEX-TMMY-0726-SM-33HBE 40-49 years, female 21.3
GTEX-1JMPZ-1626-SM-COH31 30-39 years, male 20.8
GTEX-13FHO-0826-SM-5L3E8 60-69 years, male 20.5
GTEX-1MCYP-0126-SM-E6CIS 20-29 years, female 20.0
GTEX-ZVT4-1026-SM-57WC4 50-59 years, female 19.8
GTEX-1LBAC-0926-SM-CXKY9 20-29 years, male 19.6
GTEX-1LSVX-2426-SM-E6CJX 60-69 years, male 19.4
GTEX-1QMI2-0726-SM-E9J4F 60-69 years, male 18.9
GTEX-1F75A-1826-SM-7SB8G 50-59 years, male 18.8
GTEX-1I6K6-0826-SM-ARL7Z 30-39 years, male 18.2
GTEX-1JKYR-0926-SM-CMKGJ 20-29 years, male 18.2
GTEX-1LNCM-0226-SM-DIPF4 50-59 years, female 18.1
GTEX-S4P3-1326-SM-4AD6V 50-59 years, female 17.8
GTEX-1HCUA-0726-SM-ACKVU 50-59 years, female 17.8
GTEX-1AX9J-1126-SM-731B7 60-69 years, male 17.6
GTEX-1B97J-0426-SM-79OLQ 50-59 years, female 17.4
GTEX-13N11-1726-SM-5J1OJ 50-59 years, female 17.3
GTEX-RWS6-1926-SM-47JXY 60-69 years, female 17.2
GTEX-1HUB1-1626-SM-CM2SL 60-69 years, male 17.2
GTEX-11GSO-1926-SM-5A5K3 60-69 years, male 17.0
GTEX-147F4-2826-SM-5NQBN 50-59 years, male 17.0
GTEX-ZF29-1926-SM-5S2P1 60-69 years, female 16.9
GTEX-XMD1-0826-SM-4AT52 60-69 years, male 16.7
GTEX-17MFQ-0926-SM-7LG4S 20-29 years, male 16.6
GTEX-1122O-1226-SM-5H113 60-69 years, female 16.4
GTEX-13NZ8-0126-SM-5IJCT 60-69 years, female 16.2
GTEX-1GPI6-0626-SM-7RHHJ 60-69 years, male 16.1
GTEX-1CAMS-1426-SM-7IGPM 40-49 years, female 15.8
GTEX-Y114-2026-SM-4TT7L 50-59 years, female 15.8
GTEX-1P4AB-1826-SM-E76PU 50-59 years, male 15.7
GTEX-U3ZN-1926-SM-4DXSG 30-39 years, female 15.5
GTEX-11WQC-1726-SM-5GU4W 60-69 years, male 15.1
GTEX-VUSG-2226-SM-4KKZO 50-59 years, male 15.1
GTEX-WYJK-1326-SM-3NB2T 50-59 years, male 15.1
GTEX-1HBPM-0126-SM-ARL9E 60-69 years, female 15.0
GTEX-18A7A-0726-SM-7LTAI 50-59 years, female 14.8
GTEX-11ONC-2126-SM-5HL6E 60-69 years, male 14.6
GTEX-1C475-1226-SM-7SB72 40-49 years, female 14.5
GTEX-1S82Z-0726-SM-E6CHX 30-39 years, female 14.5
GTEX-1192X-2326-SM-5987X 50-59 years, male 14.4
GTEX-Y5V5-2126-SM-4WWFO 60-69 years, female 14.3
GTEX-ZZPU-0626-SM-5E43T 50-59 years, female 14.3
GTEX-1HC8U-0826-SM-ADEIL 40-49 years, female 14.3
GTEX-1IKOH-2326-SM-CM2TW 60-69 years, female 14.1
GTEX-13113-5013-SM-7SB7G 60-69 years, female 14.0
GTEX-1HR98-0426-SM-COH36 60-69 years, male 13.9
GTEX-ZAK1-1326-SM-EVYAS 50-59 years, female 13.8
GTEX-ZV6S-1826-SM-5NQ8D 40-49 years, female 13.7
GTEX-1EN7A-1426-SM-7PBY4 40-49 years, male 13.6
GTEX-1F5PL-1026-SM-7RHI1 40-49 years, female 13.6
GTEX-146FH-0826-SM-5SI8T 50-59 years, female 13.5
GTEX-15ER7-1626-SM-6PAMZ 20-29 years, female 13.5
GTEX-1GMR3-2626-SM-7RHHG 40-49 years, male 13.5
GTEX-13O3Q-2226-SM-5KM4O 50-59 years, male 13.4
GTEX-X15G-1626-SM-3NMB3 50-59 years, female 13.3
GTEX-XMD2-0926-SM-4WWEF 60-69 years, female 13.3
GTEX-1GZ4H-0326-SM-7P8QX 50-59 years, female 13.3
GTEX-1JMLX-2026-SM-CMKGN 50-59 years, male 13.3
GTEX-QMRM-1626-SM-D4P1U 50-59 years, male 13.3
GTEX-QDT8-0626-SM-48TYW 30-39 years, female 13.2
GTEX-1QPFJ-2026-SM-EVYBE 30-39 years, female 13.2
GTEX-11OF3-1926-SM-59889 60-69 years, male 13.1
GTEX-15UF6-0126-SM-6PAMB 70-79 years, female 13.1
GTEX-VJWN-0726-SM-3GIJ8 50-59 years, female 13.1
GTEX-117XS-1926-SM-5GICO 60-69 years, male 13.0
GTEX-1AX9I-0726-SM-73KWV 60-69 years, male 13.0
GTEX-Y8LW-1626-SM-5IFHX 50-59 years, female 13.0
GTEX-1314G-1226-SM-5BC6D 30-39 years, male 12.9
GTEX-Y3I4-1526-SM-4TT7K 50-59 years, male 12.9
GTEX-WY7C-2726-SM-3NB3P 50-59 years, male 12.8
GTEX-1J8QM-2026-SM-ARZMW 60-69 years, female 12.8
GTEX-139T6-1626-SM-5PNYZ 50-59 years, male 12.7
GTEX-WRHU-0326-SM-3MJFY 50-59 years, female 12.7
GTEX-WYVS-1726-SM-3NMAY 40-49 years, female 12.7
GTEX-1IE54-0626-SM-ARL8D 40-49 years, female 12.7
GTEX-1M4P7-2626-SM-E9U5F 60-69 years, male 12.7
GTEX-1GZ4I-2826-SM-9MQK5 50-59 years, male 12.6
GTEX-X261-0626-SM-3NMD9 50-59 years, male 12.5
GTEX-XBED-1626-SM-47JYN 60-69 years, male 12.5
GTEX-18QFQ-0826-SM-718AX 30-39 years, male 12.4
GTEX-17F98-0526-SM-79OK5 40-49 years, female 12.3
GTEX-XYKS-1326-SM-4BRUN 60-69 years, female 12.3
GTEX-ZVE2-1226-SM-5NQ8R 50-59 years, male 12.3
GTEX-1GF9V-2526-SM-7SB8K 60-69 years, male 12.3
GTEX-1NV8Z-2826-SM-E8VME 60-69 years, male 12.3
GTEX-1IDJH-2226-SM-E6CJV 70-79 years, male 12.2
GTEX-1JKYN-0726-SM-ARZMY 30-39 years, male 12.2
GTEX-1R46S-2526-SM-E8VN2 60-69 years, female 12.2
GTEX-ZU9S-1926-SM-5NQBP 30-39 years, male 12.1
GTEX-1J8Q3-1326-SM-CMKI1 60-69 years, male 12.1
GTEX-11I78-2226-SM-5PNYA 50-59 years, female 12.0
GTEX-1I6K7-1026-SM-A9SLK 40-49 years, male 12.0
GTEX-139T8-0826-SM-5L3DE 60-69 years, male 11.9
GTEX-1MJK2-2226-SM-EVYCR 50-59 years, male 11.9
GTEX-15FZZ-0726-SM-7KUFZ 30-39 years, female 11.8
GTEX-RU72-0626-SM-46MUI 50-59 years, female 11.8
GTEX-ZVZQ-0826-SM-51MRF 60-69 years, female 11.8
GTEX-1GMRU-0826-SM-9WYT7 50-59 years, male 11.8
GTEX-14A5I-0726-SM-5TDEB 50-59 years, female 11.7
GTEX-15SHW-1326-SM-6PAL8 60-69 years, male 11.7
GTEX-1H1DG-0526-SM-9YFLN 70-79 years, male 11.7
GTEX-13O3P-0826-SM-5L3DH 50-59 years, male 11.6
GTEX-17HHE-1426-SM-7EPH4 50-59 years, male 11.6
GTEX-T2YK-2226-SM-32QPT 50-59 years, male 11.6
GTEX-ZPIC-1126-SM-5BC7F 40-49 years, female 11.6
GTEX-1I19N-2826-SM-CL55D 70-79 years, male 11.6
GTEX-14753-2426-SM-5LU8U 60-69 years, male 11.5
GTEX-WYBS-0926-SM-3NM94 60-69 years, female 11.5
GTEX-1HSMO-0826-SM-ADEIV 60-69 years, male 11.5
GTEX-1LSNL-2826-SM-E9U5L 50-59 years, male 11.5
GTEX-11P7K-0726-SM-5EGKX 30-39 years, male 11.4
GTEX-11P82-1326-SM-5HL62 20-29 years, male 11.4
GTEX-13O61-1826-SM-5KM4I 60-69 years, male 11.4
GTEX-1B8KZ-1526-SM-7DUG7 50-59 years, male 11.4
GTEX-1C64O-0726-SM-7DUFU 60-69 years, male 11.4
GTEX-1JJE9-2326-SM-ARL8Q 70-79 years, male 11.4
GTEX-145ME-1526-SM-5Q5F2 40-49 years, female 11.3
GTEX-145MN-1926-SM-5SIAI 30-39 years, male 11.3
GTEX-132AR-0826-SM-5EGK6 50-59 years, female 11.2
GTEX-13NZB-2126-SM-5MR4Y 30-39 years, male 11.2
GTEX-1LVAN-1326-SM-CNPQE 50-59 years, female 11.2
GTEX-15UF7-0726-SM-6M46D 40-49 years, male 11.1
GTEX-17EVQ-0426-SM-7LG57 70-79 years, male 11.1
GTEX-1H3VY-0926-SM-ACKXE 50-59 years, male 11.1
GTEX-1I1HK-2426-SM-ADEHX 60-69 years, male 11.1
GTEX-1R9JW-0326-SM-EAZ45 30-39 years, female 11.1
GTEX-X62O-0526-SM-EWRMA 50-59 years, male 11.1
GTEX-11P81-1926-SM-5BC53 30-39 years, female 11.0
GTEX-145MF-2226-SM-7EPIR 50-59 years, male 11.0
GTEX-18A66-1726-SM-7LG5N 60-69 years, male 11.0
GTEX-1H4P4-2226-SM-9MQKQ 50-59 years, male 11.0
GTEX-WFON-1826-SM-3GILG 40-49 years, male 10.9
GTEX-ZGAY-1726-SM-DO91P 40-49 years, female 10.9
GTEX-UPK5-2326-SM-3P5Z8 40-49 years, male 10.8
GTEX-Y8E4-1626-SM-5S2MW 40-49 years, male 10.8
GTEX-1JMPY-0526-SM-CL54O 30-39 years, male 10.8
GTEX-1KANC-1426-SM-CYPT9 50-59 years, female 10.8
GTEX-1KXAM-1026-SM-CY8IA 60-69 years, male 10.8
GTEX-14E6C-1326-SM-62LEQ 40-49 years, male 10.7
GTEX-1C6VQ-0426-SM-79OOX 50-59 years, male 10.7
GTEX-1EKGG-2626-SM-7IGPY 60-69 years, male 10.7
GTEX-ZAB4-2526-SM-5HL8M 40-49 years, male 10.7
GTEX-1GN1W-1926-SM-7P8TH 50-59 years, female 10.7
GTEX-1IDFM-0426-SM-B2LVV 60-69 years, male 10.7
GTEX-1K2DA-1726-SM-CGQGS 50-59 years, male 10.7
GTEX-13N1W-0626-SM-5MR4U 70-79 years, male 10.6
GTEX-16NGA-0826-SM-718AF 40-49 years, female 10.6
GTEX-1CB4E-0226-SM-79OLW 60-69 years, male 10.6
GTEX-1117F-2826-SM-5GZXL 60-69 years, female 10.5
GTEX-13SLW-2526-SM-62LDQ 70-79 years, male 10.5
GTEX-U3ZH-1426-SM-4DXSR 30-39 years, male 10.5
GTEX-1I1GV-2426-SM-CGQFM 60-69 years, male 10.5
GTEX-1IDJU-1826-SM-CMKHV 60-69 years, female 10.5
GTEX-1S82U-1126-SM-E9U6I 30-39 years, female 10.5
GTEX-17F96-2426-SM-7IGLN 70-79 years, male 10.4
GTEX-17JCI-0726-SM-7EPH1 60-69 years, female 10.4
GTEX-WI4N-1426-SM-3LK7H 40-49 years, female 10.4
GTEX-1KAFJ-0226-SM-DIPEL 50-59 years, male 10.4
GTEX-ZF3C-2326-SM-5S2NC 50-59 years, female 10.4
GTEX-13QIC-2326-SM-5LU5N 60-69 years, female 10.3
GTEX-183FY-1126-SM-7DHLJ 20-29 years, male 10.3
GTEX-1B933-2526-SM-7IGO5 50-59 years, female 10.3
GTEX-UJHI-1426-SM-3DB9C 50-59 years, female 10.3
GTEX-WXYG-2226-SM-4E3IM 50-59 years, female 10.3
GTEX-ZTX8-1226-SM-4YCE9 20-29 years, male 10.3
GTEX-1H23P-0726-SM-9WG7K 60-69 years, male 10.3
GTEX-14E7W-0826-SM-62LEJ 70-79 years, male 10.2
GTEX-1E2YA-2726-SM-7IGPW 50-59 years, male 10.2
GTEX-ZYFC-0826-SM-5E44K 50-59 years, male 10.2
GTEX-1HCVE-2626-SM-ADEJ8 50-59 years, male 10.2
GTEX-13PL6-2926-SM-5L3I2 40-49 years, female 10.1
GTEX-R3RS-0626-SM-48FE1 40-49 years, female 10.1
GTEX-X4EP-2926-SM-3P5YQ 60-69 years, female 10.1
GTEX-1JMOU-2026-SM-CMKGU 60-69 years, female 10.1
GTEX-1R9PM-1826-SM-EVYBH 20-29 years, male 10.1
GTEX-132NY-0826-SM-5K7Y7 60-69 years, male 10.0
GTEX-139TU-0626-SM-5KM3X 60-69 years, male 10.0
GTEX-17HGU-1326-SM-79OKB 50-59 years, male 10.0
GTEX-17HHY-0926-SM-793C1 50-59 years, male 10.0
GTEX-1B932-0826-SM-73KXG 40-49 years, female 10.0
GTEX-QVJO-1826-SM-447C9 60-69 years, female 10.0
GTEX-T5JC-2126-SM-32PMO 20-29 years, male 10.0
GTEX-1GN2E-2226-SM-9WG6J 60-69 years, male 10.0
GTEX-1HFI7-0126-SM-CGQFQ 50-59 years, female 10.0
GTEX-1F75I-2026-SM-7SB7N 40-49 years, male 9.9
GTEX-1ICLZ-0426-SM-B2LW2 60-69 years, male 9.9
GTEX-11DXZ-1926-SM-5GZZL 50-59 years, male 9.8
GTEX-11NV4-2026-SM-5N9DG 60-69 years, male 9.8
GTEX-12KS4-0126-SM-5Q5A5 30-39 years, male 9.8
GTEX-131YS-0626-SM-5EGKL 60-69 years, female 9.8
GTEX-QEL4-2126-SM-447AE 50-59 years, male 9.8
GTEX-T6MN-0726-SM-32PML 50-59 years, male 9.8
GTEX-XV7Q-2326-SM-4BRVZ 40-49 years, female 9.8
GTEX-1HT8W-2226-SM-CGQEC 30-39 years, male 9.8
GTEX-1KD4Q-2326-SM-D4P3M 40-49 years, male 9.8
GTEX-1OKEX-0826-SM-E9J2B 60-69 years, male 9.8
GTEX-ZYW4-0826-SM-5GIDG 60-69 years, male 9.7
GTEX-1EWIQ-1726-SM-7SB7T 70-79 years, female 9.7
GTEX-WHSB-1926-SM-EXOHH 50-59 years, male 9.7
GTEX-TML8-1226-SM-32QON 40-49 years, female 9.6
GTEX-ZF2S-2026-SM-5E461 50-59 years, female 9.6
GTEX-1MCC2-2126-SM-EWRON 30-39 years, female 9.6
GTEX-1211K-1926-SM-5EQLB 60-69 years, female 9.5
GTEX-17F97-2526-SM-7EWDV 50-59 years, male 9.5
GTEX-X4XY-0926-SM-4E3JD 60-69 years, male 9.5
GTEX-1313W-0826-SM-5EQ4T 50-59 years, female 9.4
GTEX-13NZ9-1026-SM-5MR5K 50-59 years, male 9.4
GTEX-18465-2026-SM-718AP 50-59 years, male 9.4
GTEX-18D9A-1526-SM-7LG4J 30-39 years, female 9.4
GTEX-1F75B-0626-SM-7SB8A 50-59 years, male 9.4
GTEX-1LVAM-0926-SM-E9TJ2 50-59 years, female 9.4
GTEX-1MA7W-1026-SM-DKPQK 20-29 years, female 9.4
GTEX-1B8SG-1226-SM-7IGPF 50-59 years, male 9.3
GTEX-S4UY-0726-SM-4AD6X 40-49 years, female 9.3
GTEX-1F6I4-2526-SM-7SB8F 60-69 years, male 9.3
GTEX-13W3W-1226-SM-5LU4H 60-69 years, female 9.2
GTEX-14BMV-0626-SM-793AU 50-59 years, male 9.2
GTEX-1A8G7-2426-SM-731AK 60-69 years, male 9.2
GTEX-1B97I-0426-SM-79OL7 40-49 years, male 9.2
GTEX-YJ8O-2226-SM-5IFHW 40-49 years, female 9.2
GTEX-1IY9M-2726-SM-CMKG5 60-69 years, male 9.2
GTEX-1QCLZ-2326-SM-DTXDO 60-69 years, female 9.2
GTEX-Z9EW-1526-SM-EZ6LU 40-49 years, male 9.2
GTEX-11ZTT-2326-SM-5EQLG 60-69 years, female 9.1
GTEX-S7SE-0826-SM-4AT4D 50-59 years, male 9.1
GTEX-Y3IK-2326-SM-4WWDT 50-59 years, female 9.1
GTEX-1JMQK-2626-SM-COH2W 60-69 years, male 9.1
GTEX-1KD5A-1926-SM-DKPQA 50-59 years, male 9.1
GTEX-1QEPI-0926-SM-DTXF3 60-69 years, female 9.1
GTEX-Y9LG-1426-SM-5IFJZ 30-39 years, male 9.0
GTEX-ZY6K-1626-SM-5GZWV 50-59 years, male 9.0
GTEX-1QP28-1226-SM-E9J2M 50-59 years, female 9.0
GTEX-111YS-1926-SM-5GICC 60-69 years, male 8.9
GTEX-11LCK-2426-SM-5HL5F 30-39 years, male 8.9
GTEX-1C6VS-0726-SM-7EPHF 60-69 years, male 8.9
GTEX-1HSEH-2026-SM-ADEHN 60-69 years, male 8.9
GTEX-14DAR-1326-SM-7DUEG 50-59 years, male 8.8
GTEX-1B8L1-2426-SM-9WYTE 60-69 years, male 8.8
GTEX-1IDJE-0826-SM-CKZNZ 50-59 years, female 8.8
GTEX-117YX-1426-SM-5H12H 50-59 years, male 8.7
GTEX-12ZZX-1126-SM-5EGKB 40-49 years, female 8.7
GTEX-13D11-1026-SM-5IJFB 50-59 years, female 8.6
GTEX-R53T-1526-SM-48FEK 50-59 years, female 8.6
GTEX-1JN6P-2426-SM-ARL99 60-69 years, male 8.6
GTEX-13FTX-1126-SM-5N9EN 20-29 years, female 8.5
GTEX-18A7B-2626-SM-7LG55 70-79 years, male 8.5
GTEX-1HSGN-1526-SM-A9SMO 40-49 years, female 8.5
GTEX-133LE-1726-SM-5K7VQ 20-29 years, female 8.4
GTEX-14PKU-0426-SM-6EU1P 40-49 years, female 8.4
GTEX-S33H-0326-SM-4AD6N 30-39 years, male 8.4
GTEX-ZQG8-0726-SM-5P9H9 60-69 years, female 8.4
GTEX-1AMEY-1026-SM-718AA 30-39 years, female 8.3
GTEX-TKQ2-1826-SM-33HB2 50-59 years, male 8.3
GTEX-V955-2026-SM-3GAFA 60-69 years, male 8.3
GTEX-1I4MK-1626-SM-CM2TJ 50-59 years, female 8.3
GTEX-1IKJJ-2326-SM-COH3U 60-69 years, male 8.3
GTEX-13PVR-2226-SM-7DHKP 60-69 years, female 8.2
GTEX-17MF6-0326-SM-7EPH5 40-49 years, male 8.2
GTEX-1B8KE-1226-SM-73KWK 50-59 years, male 8.2
GTEX-T6MO-0326-SM-32QOK 40-49 years, female 8.2
GTEX-1LG7Z-0726-SM-CXKYD 30-39 years, male 8.2
GTEX-11DXY-2326-SM-5GICW 60-69 years, male 8.1
GTEX-11PRG-0826-SM-5EQ6A 50-59 years, male 8.1
GTEX-13VXU-2826-SM-664MA 50-59 years, male 8.1
GTEX-15ETS-0626-SM-7KUMX 40-49 years, female 8.1
GTEX-1I1GT-1126-SM-ARL7J 60-69 years, female 8.1
GTEX-1MJK3-1126-SM-E9J3F 20-29 years, male 8.1
GTEX-1N2EE-2126-SM-E8VNN 60-69 years, male 8.1
GTEX-1PPH7-0826-SM-E8VNX 40-49 years, male 8.1
GTEX-144GL-2026-SM-5LU3O 50-59 years, male 8.0
GTEX-14BMU-1626-SM-5TDE7 20-29 years, female 8.0
GTEX-17GQL-0326-SM-7LG5U 60-69 years, male 8.0
GTEX-17KNJ-2026-SM-7LG53 50-59 years, male 8.0
GTEX-XUW1-2326-SM-4BOO5 50-59 years, female 8.0
GTEX-1IGQW-0926-SM-ADEH6 60-69 years, male 8.0
GTEX-1JJEA-2726-SM-ARL8V 60-69 years, male 8.0
GTEX-1MA7X-1626-SM-E9U5B 60-69 years, male 8.0
GTEX-11WQK-2426-SM-5GU5C 50-59 years, male 7.9
GTEX-13FTW-1426-SM-5LZWZ 40-49 years, male 7.9
GTEX-16BQI-1026-SM-7KUEA 30-39 years, female 7.9
GTEX-1CB4G-2326-SM-79OOI 60-69 years, male 7.9
GTEX-WOFL-0826-SM-3MJG1 60-69 years, male 7.9
GTEX-ZAJG-0626-SM-5HL8X 50-59 years, female 7.9
GTEX-1C6WA-2426-SM-7SB86 60-69 years, male 7.9
GTEX-1R9PN-0326-SM-DTX85 40-49 years, female 7.9
GTEX-13SLX-2326-SM-5ZZWE 50-59 years, female 7.8
GTEX-14E6E-1326-SM-5S2NR 30-39 years, male 7.8
GTEX-1QP9N-1826-SM-E8VMP 30-39 years, male 7.8
GTEX-ZDTT-2126-SM-DKPOM 60-69 years, male 7.8
GTEX-11EI6-0626-SM-5985T 60-69 years, male 7.7
GTEX-12WSN-1326-SM-5GCNT 40-49 years, male 7.7
GTEX-14PJ4-2126-SM-6ETZJ 60-69 years, male 7.7
GTEX-16YQH-2826-SM-6PAMY 30-39 years, male 7.6
GTEX-183WM-0726-SM-7LTAA 70-79 years, female 7.6
GTEX-1A3MV-1626-SM-731C1 30-39 years, male 7.6
GTEX-1H1ZS-0126-SM-9YFKQ 70-79 years, male 7.6
GTEX-1HBPN-2326-SM-9WPPU 50-59 years, male 7.6
GTEX-1IOXB-1926-SM-ARL8E 50-59 years, male 7.6
GTEX-1K9T9-1426-SM-DIPFQ 50-59 years, female 7.6
GTEX-1LC47-1226-SM-D4P44 60-69 years, male 7.6
GTEX-1399U-1826-SM-5PNZ1 50-59 years, female 7.5
GTEX-1LSNM-1326-SM-E9TJ1 50-59 years, male 7.5
GTEX-ZLWG-1926-SM-DO92J 50-59 years, female 7.5
GTEX-11ZUS-0826-SM-5FQUY 30-39 years, male 7.4
GTEX-ZDYS-1126-SM-5K7UB 50-59 years, male 7.4
GTEX-ZVTK-0326-SM-51MRR 20-29 years, male 7.4
GTEX-1HCU9-0326-SM-9WYSC 20-29 years, male 7.4
GTEX-1JN1M-3026-SM-CMKGK 60-69 years, female 7.4
GTEX-11EM3-1326-SM-5N9C6 20-29 years, female 7.3
GTEX-1CAMR-1426-SM-793BO 20-29 years, male 7.3
GTEX-UTHO-1026-SM-3GAF7 60-69 years, male 7.3
GTEX-ZWKS-2826-SM-5NQ74 30-39 years, male 7.3
GTEX-1H1CY-2226-SM-9WG7E 60-69 years, female 7.3
GTEX-1RAZQ-1226-SM-EWRNL 30-39 years, male 7.3
GTEX-YFCO-1826-SM-4W1YH 40-49 years, male 7.2
GTEX-1GN1U-0526-SM-9KNTT 50-59 years, female 7.2
GTEX-144GM-0926-SM-5O994 20-29 years, male 7.1
GTEX-1J8EW-2626-SM-CL53E 60-69 years, female 7.1
GTEX-1NHNU-0926-SM-E9J2T 50-59 years, male 7.1
GTEX-131XW-0726-SM-5EGK3 50-59 years, female 7.0
GTEX-14AS3-1626-SM-5S2OY 40-49 years, female 7.0
GTEX-Q2AG-0326-SM-48U1O 40-49 years, female 7.0
GTEX-XOT4-0726-SM-4GIAW 60-69 years, female 7.0
GTEX-17F9E-2526-SM-7MGW2 50-59 years, male 7.0
GTEX-1GPI7-0926-SM-7PC3J 20-29 years, male 7.0
GTEX-1IKOE-1326-SM-CE6T6 30-39 years, female 7.0
GTEX-1R7EV-1526-SM-E8VOD 40-49 years, male 7.0
GTEX-ZLFU-2126-SM-DO931 40-49 years, male 7.0
GTEX-11DXW-0626-SM-5N9ER 40-49 years, male 6.9
GTEX-11EMC-2026-SM-5A5JV 60-69 years, female 6.9
GTEX-18A6Q-0926-SM-7LG4N 60-69 years, male 6.9
GTEX-1GF9U-1726-SM-7MGY5 40-49 years, female 6.9
GTEX-1IDJF-2326-SM-ARL86 20-29 years, male 6.9
GTEX-ZLV1-1426-SM-DO92Z 60-69 years, female 6.9
GTEX-YB5K-1626-SM-5IFIN 40-49 years, female 6.8
GTEX-1N5O9-1126-SM-DTXEQ 60-69 years, male 6.8
GTEX-12BJ1-1826-SM-5HL9N 60-69 years, male 6.7
GTEX-13CF2-2026-SM-5K7VI 60-69 years, male 6.7
GTEX-13OW5-2226-SM-5L3HC 60-69 years, male 6.7
GTEX-17EVP-0226-SM-79OND 40-49 years, male 6.7
GTEX-XQ3S-1326-SM-4BOPQ 20-29 years, male 6.7
GTEX-YB5E-1726-SM-5IFJ3 40-49 years, male 6.7
GTEX-ZQUD-1926-SM-51MSA 30-39 years, male 6.7
GTEX-1ICG6-1326-SM-ACKWR 70-79 years, female 6.7
GTEX-1J8Q2-2726-SM-A9G2X 60-69 years, male 6.7
GTEX-1R7EU-1226-SM-E8VMR 60-69 years, male 6.7
GTEX-ZTTD-1026-SM-51MRD 50-59 years, male 6.6
GTEX-169BO-1126-SM-7MGWN 50-59 years, male 6.6
GTEX-1HR9M-2426-SM-ACKXI 60-69 years, male 6.6
GTEX-1JK1U-1826-SM-ARL8W 60-69 years, male 6.6
GTEX-1PPGY-1526-SM-EVYBK 60-69 years, male 6.6
GTEX-1BAJH-0826-SM-7EWEF 70-79 years, male 6.5
GTEX-R55D-0826-SM-48FEA 50-59 years, male 6.5
GTEX-T2IS-1526-SM-32QPR 20-29 years, female 6.5
GTEX-Y5LM-1726-SM-4VDSX 40-49 years, female 6.5
GTEX-1GZHY-0726-SM-9WG6B 50-59 years, female 6.5
GTEX-1H11D-1526-SM-9MQJY 40-49 years, male 6.5
GTEX-1RLM8-2226-SM-EVYD1 50-59 years, male 6.5
GTEX-13OW8-0226-SM-5K7UP 60-69 years, male 6.4
GTEX-17EUY-1926-SM-7DUF6 20-29 years, male 6.4
GTEX-1A3MX-2726-SM-718B6 60-69 years, male 6.4
GTEX-1LGRB-1826-SM-CNPQL 50-59 years, female 6.4
GTEX-1QW4Y-1026-SM-DTXE2 30-39 years, male 6.4
GTEX-WFG8-2026-SM-EXOHO 20-29 years, male 6.4
GTEX-15RJE-2626-SM-7KFT1 40-49 years, male 6.3
GTEX-ZYT6-0126-SM-5E45J 30-39 years, male 6.3
GTEX-1HKZK-1826-SM-ADEJ2 40-49 years, male 6.3
GTEX-1ICLY-1726-SM-B2LVT 50-59 years, male 6.3
GTEX-1M5QR-2526-SM-E9U5P 40-49 years, male 6.3
GTEX-13PVQ-1026-SM-5KM3M 50-59 years, male 6.2
GTEX-145LT-0726-SM-5S2VM 40-49 years, male 6.2
GTEX-ZUA1-1526-SM-59HLS 40-49 years, male 6.2
GTEX-1F5PK-2126-SM-7PC28 50-59 years, male 6.2
GTEX-YFC4-1426-SM-5IFJG 40-49 years, female 6.1
GTEX-1GMR8-0726-SM-9KNVI 50-59 years, female 6.1
GTEX-1H1E6-0926-SM-9YFLT 30-39 years, male 6.1
GTEX-XMK1-1126-SM-4IHJ8 40-49 years, male 6.0
GTEX-XQ8I-2426-SM-4WAXY 50-59 years, male 6.0
GTEX-1HCU8-0126-SM-ADEHH 60-69 years, female 6.0
GTEX-132Q8-1426-SM-5EGK7 60-69 years, male 5.9
GTEX-1L5NE-2126-SM-CY8IH 50-59 years, male 5.9
GTEX-11NSD-0926-SM-5N9DR 20-29 years, male 5.8
GTEX-14PHY-1926-SM-5YY95 60-69 years, female 5.8
GTEX-15G19-2126-SM-6M48J 60-69 years, male 5.8
GTEX-1N2EF-2226-SM-E9J33 60-69 years, male 5.8
GTEX-11TUW-1826-SM-5BC5D 60-69 years, male 5.7
GTEX-12WSM-1726-SM-5BC6J 60-69 years, male 5.7
GTEX-13O3O-0826-SM-5K7WE 60-69 years, female 5.7
GTEX-17HG3-0126-SM-7IGNH 30-39 years, female 5.7
GTEX-ZZ64-1226-SM-5E43R 20-29 years, male 5.7
GTEX-1269C-2426-SM-5FQSN 60-69 years, female 5.6
GTEX-11EQ9-1826-SM-5Q5AJ 30-39 years, male 5.5
GTEX-13S86-1226-SM-5S2OA 40-49 years, male 5.5
GTEX-Y111-2026-SM-4SOJA 50-59 years, male 5.5
GTEX-ZA64-1526-SM-5CVMD 20-29 years, male 5.5
GTEX-ZV7C-1826-SM-5NQ83 50-59 years, male 5.5
GTEX-1I1GP-0426-SM-COH3N 50-59 years, male 5.5
GTEX-11GS4-2126-SM-5A5KR 60-69 years, male 5.4
GTEX-U412-1826-SM-4DXTJ 60-69 years, male 5.4
GTEX-1GMR2-1926-SM-9MQLZ 50-59 years, male 5.4
GTEX-1KANA-2026-SM-DIPFB 20-29 years, male 5.4
GTEX-1QCLY-1626-SM-DTXDW 30-39 years, male 5.4
GTEX-1AX8Z-0926-SM-731AW 60-69 years, male 5.3
GTEX-1CB4J-1826-SM-7EWF9 60-69 years, male 5.3
GTEX-ZT9W-2026-SM-51MRA 50-59 years, male 5.3
GTEX-1HSKV-2026-SM-CMKGX 60-69 years, male 5.3
GTEX-YECK-0726-SM-EZ6LV 60-69 years, male 5.3
GTEX-YEC3-1026-SM-5IFI5 50-59 years, male 5.2
GTEX-ZXES-0826-SM-5E43C 30-39 years, female 5.2
GTEX-1PDJ9-1126-SM-EXUSW 20-29 years, male 5.2
GTEX-ZC5H-2626-SM-5J2MG 40-49 years, female 5.1
GTEX-ZVT2-1826-SM-5NQ8W 50-59 years, female 5.1
GTEX-1RAZS-1226-SM-E8VMT 50-59 years, male 5.1
GTEX-13CF3-2126-SM-5IFJP 60-69 years, female 5.0
GTEX-S4Q7-1126-SM-4AD6R 20-29 years, male 5.0
GTEX-11O72-2126-SM-5N9FO 40-49 years, male 4.9
GTEX-S32W-2026-SM-4AD6E 50-59 years, female 4.9
GTEX-T5JW-2026-SM-4DM63 20-29 years, female 4.9
GTEX-TKQ1-0226-SM-33HB5 30-39 years, male 4.9
GTEX-Y5V6-2126-SM-4WWFX 60-69 years, male 4.9
GTEX-RU1J-0626-SM-4WAWY 20-29 years, female 4.8
GTEX-ZTPG-2826-SM-57WGA 20-29 years, female 4.8
GTEX-14H4A-2526-SM-5YYAY 40-49 years, female 4.7
GTEX-145MO-0826-SM-5NQBL 60-69 years, male 4.6
GTEX-14ABY-2126-SM-5QGQZ 50-59 years, male 4.5
GTEX-1EU9M-2826-SM-7EWFH 60-69 years, male 4.4
GTEX-13FTY-2226-SM-5J1ND 40-49 years, female 4.3
GTEX-1HCU7-1026-SM-ADEIP 50-59 years, male 4.3
GTEX-14B4R-1226-SM-5TDDT 30-39 years, male 4.2
GTEX-14LLW-0626-SM-62LFC 70-79 years, female 4.2
GTEX-15EOM-5019-SM-793DK 20-29 years, female 4.2
GTEX-XGQ4-0926-SM-4AT4U 50-59 years, male 4.2
GTEX-14ICK-2426-SM-6EU27 40-49 years, male 4.1
GTEX-14PN4-0626-SM-62LFP 50-59 years, male 4.1
GTEX-1QP29-1726-SM-E8VMQ 50-59 years, male 4.1
GTEX-REY6-2426-SM-48FF5 60-69 years, male 3.9
GTEX-PSDG-1626-SM-48TCQ 50-59 years, male 3.8
GTEX-RUSQ-2026-SM-4GIAK 50-59 years, male 3.7
GTEX-SE5C-2126-SM-4BRUJ 40-49 years, female 3.7
GTEX-11DZ1-0326-SM-5N9BN 50-59 years, male 3.6
GTEX-QEG5-0726-SM-D4P1T 20-29 years, male 3.5
GTEX-11TT1-2126-SM-5GU5Y 20-29 years, male 3.4
GTEX-1I1GU-1026-SM-ADEHJ 40-49 years, male 3.4
GTEX-1RQEC-2026-SM-DTXDM 60-69 years, male 3.4
GTEX-14PJO-0726-SM-69LO8 60-69 years, male 3.3
GTEX-XUZC-1626-SM-4BRVP 30-39 years, female 3.1
GTEX-1NUQO-2226-SM-E9U68 20-29 years, female 3.0
GTEX-U8XE-0826-SM-4E3J1 30-39 years, male 2.9
GTEX-1GZ2Q-2626-SM-7MXV9 40-49 years, male 2.4
GTEX-1POEN-0926-SM-DTX88 30-39 years, female 1.8
Show allShow less

BREAST - FANTOM5 CAGEi

RNA expression in human tissues obtained through Cap Analysis of Gene Expression (CAGE) generated by the FANTOM5 project are reported as Scaled Tags Per Million.

Max subtype Scaled Tags Per Millioni

Max subtype Scaled Tags Per Million is the value for the subtype with the largest average Scaled Tags Per Million across the subtype samples.

118.6
FANTOM5 sample id Sample description Scaled Tags Per Million
Breast
Scaled Tags Per Million: 118.6
FF:10080-102A8 77 years, female 118.6

Contact

  • NEWS ARTICLES
  • PRESS ROOM

The Project

  • INTRODUCTION
  • ORGANIZATION
  • PUBLICATIONS

The Human Protein Atlas

  • DOWNLOADABLE DATA
  • LICENCE & CITATION
  • HELP & FAQ
The Human Protein Atlas project is funded
by the Knut & Alice Wallenberg Foundation.


contact@proteinatlas.org