We use cookies to enhance the usability of our website. If you continue, we'll assume that you are happy to receive all cookies. More information. Don't show this again.
MITF
HPA
RESOURCES
  • TISSUE
  • BRAIN
  • SINGLE CELL
  • SUBCELLULAR
  • CANCER
  • BLOOD
  • CELL LINE
  • STRUCTURE & INTERACTION
ABOUT
  • INTRODUCTION
  • HISTORY
  • ORGANIZATION
  • PUBLICATIONS
  • ANTIBODY SUBMISSION
  • ANTIBODY AVAILABILITY
  • ACKNOWLEDGMENTS
  • CONTACT
NEWS
  • NEWS ARTICLES
  • PRESS ROOM
LEARN
  • DICTIONARY
  • PROTEIN CLASSES
  • PROTEIN EVIDENCE
  • METHODS
  • EDUCATIONAL VIDEOS
DATA
  • DOWNLOADABLE DATA
  • PUBLICATION DATA
  • RELEASE HISTORY
HELP
  • ANTIBODY VALIDATION
  • ASSAYS & ANNOTATION
  • DISCLAIMER
  • HELP & FAQ
  • PRIVACY STATEMENT
  • LICENCE & CITATION
Fields »
Search result

Field
Term
Gene name
Class
Subclass
Class
Keyword
Chromosome
External id
Tissue
Cell type
Expression
Antibody panel
Tissue
Main location
Patient ID
Annotation
Tissue
Category
Tau score
Cluster
Reliability
Brain region
Category
Tau score
Brain region
Category
Tau score
Brain region
Category
Tau score
Cluster
Reliability
Tissue
Cell type
Enrichment
Cell type
Category
Tau score
Cell type
Category
Tau score
Cell type
Category
Tau score
Cell lineage
Category
Tau score
Cluster
Cluster
Location
Searches
Location
Cell line
Class
Type
Phase
Reliability
Cancer
Prognosis
Cancer
Category
Cancer
Category
Tau score
Cluster
Variants
Interacting gene (ensg_id)
Type
Number of interactions
Pathway
Category
Score
Score
Score
Validation
Validation
Validation
Validation
Antibodies
Data type
Column


  • SUMMARY

  • TISSUE

  • BRAIN

  • SINGLE CELL

  • SUBCELL

  • CANCER

  • BLOOD

  • CELL LINE

  • STRUCT & INT

  • MITF
TISSUE PRIMARY DATA SKIN 1 Show tissue menu
ADIPOSE TISSUE ADRENAL GLAND AMYGDALA APPENDIX BASAL GANGLIA BONE MARROW BREAST BRONCHUS CEREBELLUM CEREBRAL CORTEX CERVIX CHOROID PLEXUS COLON DUODENUM
ENDOMETRIUM EPIDIDYMIS ESOPHAGUS FALLOPIAN TUBE GALLBLADDER HEART MUSCLE HIPPOCAMPAL FORMATION HYPOTHALAMUS KIDNEY LIVER LUNG LYMPH NODE MIDBRAIN ORAL MUCOSA
OVARY PANCREAS PARATHYROID GLAND PITUITARY GLAND PLACENTA PROSTATE RECTUM RETINA SALIVARY GLAND SEMINAL VESICLE SKELETAL MUSCLE SKIN SMALL INTESTINE SMOOTH MUSCLE
SOFT TISSUE SPINAL CORD SPLEEN STOMACH TESTIS THYMUS THYROID GLAND TONGUE TONSIL URINARY BLADDER VAGINA
ANTIBODIES
AND
VALIDATION
Dictionary
Skin
Tissue proteome
SKIN - Expression summary
Protein expression
Skini

On the top, protein expression in current human tissue, based on all annotated cell types, is reported with the units not detected (n), low (l), medium (m) and high (h). Underneath, protein expression in each annotated cell type are reported using the same units.

Protein expression data is based on knowledge-based annotation. For genes where more than one antibody has been used, a collective score is set.

If knowledge-based annotation could not be performed for a gene, no data is displayed here. View antibody staining data further down this page.

h
m
l
n
Arrector pili muscle cells: Not detected
Cells in basal layer: Not detected
Cells in corneal layer: Not detected
Cells in granular layer: Not detected
Cells in spinous layer: Not detected
Endothelial cells: Not detected
Extracellular matrix: Not detected
Fibrohistiocytic cells: Medium
Langerhans cells: Not detected
Lymphocytes: Not detected
Melanocytes: High
Vascular mural cells: Not detected
RNA expressioni

A summary of mRNA expression data available for current tissue based on several datasets. The mRNA expression levels in human tissues are based on RNA-seq data generated by the Human Protein Atlas (HPA), Genotype-Tissue Expression (GTEx) portal and CAGE data generated by the FANTOM5 consortium. Consensus normalized expression levels for human tissues was created by combining the data from HPA and GTEx datasets.

The mRNA expression levels in pig are based on RNA-seq data generated by the Human Protein Atlas (HPA), and for mouse, HPA data and in situ hybridization generated by the Allen brain atlas are reported.

Scroll down to view mRNA expression data in more detail.
Consensus:10.7 nTPM
HPA:10.7 nTPM
GTEx:8.0 nTPM

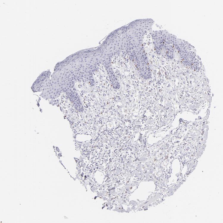
SKIN 1 - Antibody stainingi

Antibody staining in the annotated cell types in the current human tissue is reported as not detected, low, medium, or high, based on conventional immunohistochemistry profiling in selected tissues. This score is based on the combination of the staining intensity and fraction of stained cells.

Each image is clickable and will lead to virtual microscopy that enables deeper exploration of all samples and also displays staining intensity scores, fraction scores and subcellular localization as well as patient and tissue information for each sample.

Antibody HPA003259Antibody CAB002578
Langerhans Not detected-
Arrector pili muscle cells -Not detected
Cells in basal layer -Not detected
Cells in corneal layer -Not detected
Cells in granular layer -Not detected
Cells in spinous layer -Not detected
Endothelial cells -Not detected
Extracellular matrix -Not detected
Fibroblasts Not detected-
Fibrohistiocytic cells -Low
Keratinocytes Medium-
Langerhans cells -Not detected
Lymphocytes -Not detected
Melanocytes HighHigh
Vascular mural cells -Not detected



SKIN 2 - Antibody stainingi

Antibody staining in the annotated cell types in the current human tissue is reported as not detected, low, medium, or high, based on conventional immunohistochemistry profiling in selected tissues. This score is based on the combination of the staining intensity and fraction of stained cells.

Each image is clickable and will lead to virtual microscopy that enables deeper exploration of all samples and also displays staining intensity scores, fraction scores and subcellular localization as well as patient and tissue information for each sample.

Antibody HPA003259Antibody CAB002578
Cells in basal layer -Not detected
Cells in corneal layer -Not detected
Cells in granular layer -Not detected
Cells in spinous layer -Not detected
Endothelial cells -Not detected
Epidermal cells Medium-
Extracellular matrix -Not detected
Fibrohistiocytic cells -Medium
Langerhans cells -Not detected
Lymphocytes -Not detected
Melanocytes -High
Vascular mural cells -Not detected
  
  
  




SKIN - HPA RNA-seqi

The RNA-seq details section shows detailed information about the individual samples used for the transcript profiling and results of the RNA-seq analysis.

Information about each individual sample is listed below, including gender, age, a tissue section image and estimated fractions of cell types. nTPM (normalized transcripts per million) values give a quantification of the gene abundance which is comparable between different genes and samples.
Average nTPMi

Max subtype nTPM is the value for the subtype with the largest average nTPM across the subtype samples.

10.7
overview
Female, age 34
Skin sample 225
nTPM: 11.5
Cell types%
Keratinocytes:
60

Other cell types:
40

overview
Female, age 30
Skin sample 226
nTPM: 8
Cell types%
Keratinocytes:
55

Other cell types:
45

N/A
Male, age 57
Skin sample 227
nTPM: 12.6

SKIN - GTEx RNA-seqi

RNA-Seq data generated by the Genotype-Tissue Expression (GTEx) project from human tissues is reported as mean nTPM. More information can be found on the GTEx portal.

Distribution across the dataset is visualized with box plots, shown as median and 25th and 75th percentiles. Points are displayed as outliers if they are above or below 1.5 times the interquartile range. nTPM values of the individual samples are presented next to the box plot.
Max subtype nTPMi

Max subtype nTPM is the value for the subtype with the largest average nTPM across the subtype samples.

8.0
GTEx sample id Sample description nTPM
Skin - Not Sun Exposed (Suprapubic)
Average nTPM: 7.4
Samples: 604

Max nTPM: 34.7
Min nTPM: 2.0
Std nTPM: 3.4
Median nTPM: 6.7
GTEX-YF7O-1526-SM-5IFI6 50-59 years, male 34.7
GTEX-1AX9J-1326-SM-731BJ 60-69 years, male 33.3
GTEX-1MCYP-0526-SM-E9U6Q 20-29 years, female 23.2
GTEX-1JKYR-0626-SM-ARL8R 20-29 years, male 23.1
GTEX-1F48J-0726-SM-7RHGS 50-59 years, female 21.5
GTEX-1NSGN-0726-SM-DTXEF 50-59 years, male 20.4
GTEX-XQ8I-0926-SM-4BOOF 50-59 years, male 20.1
GTEX-17EVQ-0126-SM-7IGLR 70-79 years, male 19.3
GTEX-1CAV2-0126-SM-7IGN7 40-49 years, female 18.3
GTEX-1399R-1326-SM-5PNYS 30-39 years, male 17.6
GTEX-1GF9U-2026-SM-7SB92 40-49 years, female 17.4
GTEX-12WSK-2126-SM-5CVNC 40-49 years, female 16.3
GTEX-14JG6-1426-SM-9WG7C 30-39 years, female 16.0
GTEX-1117F-2926-SM-5GZYI 60-69 years, female 15.9
GTEX-1JMOU-1026-SM-CYPSS 60-69 years, female 15.8
GTEX-YJ8O-2526-SM-5HL85 40-49 years, female 15.6
GTEX-16GPK-0626-SM-7KFSF 60-69 years, male 15.4
GTEX-1CAMR-1326-SM-7PC1F 20-29 years, male 15.2
GTEX-13QBU-1226-SM-5LU4G 40-49 years, female 15.1
GTEX-1HKZK-0726-SM-ACKW2 40-49 years, male 15.1
GTEX-13113-1626-SM-5EQ4I 60-69 years, female 14.7
GTEX-1HUB1-1426-SM-CGQF5 60-69 years, male 14.6
GTEX-14PK6-0226-SM-62LF5 70-79 years, female 14.4
GTEX-1H11D-1826-SM-9QEHM 40-49 years, male 14.4
GTEX-1PIIG-2326-SM-DTXFR 30-39 years, male 14.4
GTEX-139YR-1026-SM-5LZYN 50-59 years, male 14.3
GTEX-WYBS-0626-SM-3NMAS 60-69 years, female 14.3
GTEX-13FTX-1526-SM-5K7VJ 20-29 years, female 14.2
GTEX-1IDJI-0126-SM-CMKHS 50-59 years, female 14.1
GTEX-1R9K4-2826-SM-DTX8F 60-69 years, male 14.1
GTEX-1IDJD-2326-SM-ACKWX 30-39 years, male 14.0
GTEX-14PKU-0126-SM-6LLHV 40-49 years, female 13.8
GTEX-WFON-1926-SM-3LK7L 40-49 years, male 13.8
GTEX-111FC-2526-SM-5GZXU 60-69 years, male 13.7
GTEX-1S831-1826-SM-EWROF 20-29 years, male 13.7
GTEX-WH7G-2026-SM-3NMBL 40-49 years, male 13.5
GTEX-XK95-0226-SM-4AT58 40-49 years, male 13.3
GTEX-1IKOE-1426-SM-CE6T7 30-39 years, female 13.1
GTEX-12WSC-2826-SM-5BC5Y 50-59 years, male 13.0
GTEX-1A32A-0626-SM-731AQ 50-59 years, female 12.9
GTEX-WYJK-0526-SM-3NM8Z 50-59 years, male 12.9
GTEX-Y3IK-1626-SM-4YCF5 50-59 years, female 12.9
GTEX-1H1ZS-2726-SM-9WG75 70-79 years, male 12.9
GTEX-1QP29-1826-SM-DTX9S 50-59 years, male 12.9
GTEX-ZVTK-0226-SM-51MRG 20-29 years, male 12.8
GTEX-1RLM8-2926-SM-E8VON 50-59 years, male 12.5
GTEX-1S83E-1326-SM-E6CJM 40-49 years, male 12.5
GTEX-15FZZ-0526-SM-7KUGD 30-39 years, female 12.3
GTEX-13OVK-1426-SM-6PAN7 40-49 years, male 12.1
GTEX-1N5O9-0926-SM-E9J3C 60-69 years, male 12.1
GTEX-11O72-0626-SM-5PNYE 40-49 years, male 11.9
GTEX-1RB15-1326-SM-E76Q9 60-69 years, male 11.9
GTEX-17MFQ-1526-SM-7KFRR 20-29 years, male 11.7
GTEX-1EU9M-1426-SM-793AI 60-69 years, male 11.7
GTEX-1CAMS-2226-SM-7PBXQ 40-49 years, female 11.7
GTEX-16MTA-0926-SM-6M47Z 50-59 years, male 11.6
GTEX-1I1CD-0626-SM-CE6SW 60-69 years, female 11.6
GTEX-147JS-0226-SM-5S2U9 60-69 years, male 11.5
GTEX-15UF6-1926-SM-7KUDV 70-79 years, female 11.5
GTEX-1CB4F-1026-SM-7DUH1 60-69 years, male 11.5
GTEX-139T8-0626-SM-5KLZX 60-69 years, male 11.4
GTEX-146FQ-2126-SM-5RQHU 30-39 years, male 11.4
GTEX-1211K-1526-SM-5FQU4 60-69 years, female 11.3
GTEX-1H3NZ-2726-SM-9WYTQ 60-69 years, male 11.3
GTEX-WYVS-1626-SM-3NM9R 40-49 years, female 11.2
GTEX-18D9A-1426-SM-7LT8M 30-39 years, female 11.2
GTEX-11LCK-2226-SM-5HL4Q 30-39 years, male 11.1
GTEX-WRHU-2826-SM-3MJG8 50-59 years, female 11.1
GTEX-1I6K6-1726-SM-CGQFD 30-39 years, male 11.1
GTEX-1S82U-1026-SM-E6CJK 30-39 years, female 11.1
GTEX-1C2JI-1026-SM-73KY1 50-59 years, male 11.0
GTEX-12C56-1526-SM-5FQUQ 20-29 years, male 10.9
GTEX-145MO-2826-SM-5LU96 60-69 years, male 10.9
GTEX-X5EB-1926-SM-4E3IW 40-49 years, male 10.9
GTEX-Y5V5-0126-SM-5S2NW 60-69 years, female 10.9
GTEX-1LG7Z-1626-SM-CXKYR 30-39 years, male 10.9
GTEX-139D8-1126-SM-5LU8W 30-39 years, female 10.8
GTEX-13NYS-0626-SM-5L3F1 60-69 years, male 10.8
GTEX-17MF6-2626-SM-79OKQ 40-49 years, male 10.8
GTEX-14DAR-1226-SM-73KYV 50-59 years, male 10.6
GTEX-1HCU8-2526-SM-CE6RX 60-69 years, female 10.6
GTEX-1HCU9-0426-SM-9WYSD 20-29 years, male 10.6
GTEX-145ME-1726-SM-5Q5EU 40-49 years, female 10.5
GTEX-XBED-1926-SM-47JYP 60-69 years, male 10.5
GTEX-ZAK1-0626-SM-5HL8E 50-59 years, female 10.5
GTEX-ZLFU-1826-SM-4WWBV 40-49 years, male 10.5
GTEX-ZZ64-1026-SM-5GZXG 20-29 years, male 10.4
GTEX-1HC8U-1326-SM-9YFMJ 40-49 years, female 10.3
GTEX-1IDJE-1426-SM-ADEIW 50-59 years, female 10.3
GTEX-15CHQ-0326-SM-69LQD 60-69 years, male 10.2
GTEX-1IDJC-1526-SM-B2LW4 50-59 years, male 10.2
GTEX-ZGAY-1826-SM-DO91Q 40-49 years, female 10.2
GTEX-18D9B-0926-SM-7LG4U 60-69 years, male 10.1
GTEX-1IDJF-2026-SM-CL53V 20-29 years, male 10.1
GTEX-18A7A-0126-SM-731AH 50-59 years, female 10.0
GTEX-117YX-1926-SM-5GIEC 50-59 years, male 9.9
GTEX-11EQ9-1626-SM-5PNY8 30-39 years, male 9.9
GTEX-11P81-2226-SM-5PNYI 30-39 years, female 9.9
GTEX-ZA64-1026-SM-5HL8R 20-29 years, male 9.9
GTEX-ZVE2-2826-SM-5GU51 50-59 years, male 9.9
GTEX-1H1DE-1326-SM-9KNUG 20-29 years, male 9.9
GTEX-1S5ZU-2526-SM-E6CIF 20-29 years, female 9.9
GTEX-11DXW-0826-SM-5H118 40-49 years, male 9.8
GTEX-1AX8Z-0726-SM-73KTS 60-69 years, male 9.8
GTEX-1RAZR-2126-SM-E9U6T 40-49 years, male 9.8
GTEX-13FH7-1126-SM-5K7UG 50-59 years, female 9.7
GTEX-1A8FM-0626-SM-7PC25 50-59 years, female 9.7
GTEX-1I6K7-1926-SM-B2LXR 40-49 years, male 9.7
GTEX-12584-0726-SM-5FQTK 40-49 years, male 9.6
GTEX-13NZ9-2626-SM-5L3FK 50-59 years, male 9.6
GTEX-ZAB4-2126-SM-5HL8U 40-49 years, male 9.6
GTEX-1L5NE-1126-SM-D3L9P 50-59 years, male 9.6
GTEX-12WSA-0426-SM-5EQ5X 60-69 years, male 9.5
GTEX-145MN-1526-SM-5SI9T 30-39 years, male 9.5
GTEX-14E6E-0526-SM-793DN 30-39 years, male 9.5
GTEX-X3Y1-2026-SM-3P5YM 40-49 years, male 9.5
GTEX-ZP4G-1426-SM-4WWCL 20-29 years, female 9.5
GTEX-14PHY-1226-SM-5ZZWK 60-69 years, female 9.4
GTEX-16NGA-0726-SM-731AO 40-49 years, female 9.4
GTEX-1GPI7-1826-SM-9KNU1 20-29 years, male 9.4
GTEX-1J8EW-2726-SM-CY8HR 60-69 years, female 9.4
GTEX-145LU-1926-SM-79OJN 50-59 years, male 9.3
GTEX-15RJ7-2126-SM-6PAMD 40-49 years, male 9.3
GTEX-183FY-1026-SM-7939A 20-29 years, male 9.3
GTEX-18D9U-0126-SM-731BM 40-49 years, male 9.3
GTEX-1F75A-0726-SM-7RHHD 50-59 years, male 9.3
GTEX-1QP66-1226-SM-DTX7U 50-59 years, male 9.3
GTEX-1R9PM-1926-SM-EVR3O 20-29 years, male 9.3
GTEX-1314G-1326-SM-5BC6E 30-39 years, male 9.2
GTEX-1GF9W-1426-SM-7PBYM 60-69 years, male 9.2
GTEX-1KXAM-1626-SM-D3LAD 60-69 years, male 9.2
GTEX-12WSH-1526-SM-5BC5W 50-59 years, male 9.1
GTEX-15ER7-0626-SM-6PANF 20-29 years, female 9.1
GTEX-18A66-0626-SM-7LT8Z 60-69 years, male 9.1
GTEX-1F5PL-0926-SM-7PC2W 40-49 years, female 9.1
GTEX-1I1GS-2626-SM-B2LY3 60-69 years, male 9.1
GTEX-1IDJH-0126-SM-D3L92 70-79 years, male 9.1
GTEX-1KANA-1326-SM-DIPFA 20-29 years, male 9.1
GTEX-11EI6-2826-SM-5H11D 60-69 years, male 9.0
GTEX-13X6H-0926-SM-5SIB2 50-59 years, female 9.0
GTEX-UPK5-0426-SM-3GAEK 40-49 years, male 9.0
GTEX-1JKYN-0826-SM-ARU8S 30-39 years, male 9.0
GTEX-13YAN-0226-SM-5TDC6 60-69 years, male 8.9
GTEX-15D1Q-2826-SM-6LLH7 40-49 years, male 8.9
GTEX-Z93S-1626-SM-5CVMB 50-59 years, male 8.9
GTEX-13N11-2326-SM-5IJBF 50-59 years, female 8.8
GTEX-WHPG-2626-SM-3NMBR 50-59 years, male 8.8
GTEX-1F75W-2726-SM-7SB8H 60-69 years, male 8.8
GTEX-1KWVE-1026-SM-D3L9O 30-39 years, male 8.8
GTEX-12WSL-2026-SM-5GCML 50-59 years, male 8.7
GTEX-17F96-0126-SM-7EWDU 70-79 years, male 8.7
GTEX-1HBPI-2126-SM-ARL9K 50-59 years, male 8.7
GTEX-11NSD-0626-SM-5A5LU 20-29 years, male 8.6
GTEX-145MG-1526-SM-5Q5EM 50-59 years, male 8.6
GTEX-1F6I4-2326-SM-7RHGL 60-69 years, male 8.6
GTEX-1PIGE-1826-SM-E8VOU 20-29 years, male 8.6
GTEX-131YS-2826-SM-5EQ47 60-69 years, female 8.5
GTEX-13OVJ-0826-SM-5J1OK 50-59 years, female 8.5
GTEX-13VXT-1926-SM-5K7UO 20-29 years, female 8.5
GTEX-1B933-2426-SM-7DHMD 50-59 years, female 8.5
GTEX-147F3-1726-SM-5SIAW 50-59 years, female 8.4
GTEX-14PKV-1126-SM-6LLJ1 20-29 years, female 8.4
GTEX-16BQI-1326-SM-6M486 30-39 years, female 8.4
GTEX-17JCI-2926-SM-7DUFF 60-69 years, female 8.4
GTEX-1LBAC-0826-SM-CY8IJ 20-29 years, male 8.4
GTEX-11EQ8-0926-SM-5H12V 60-69 years, male 8.3
GTEX-13PVQ-0626-SM-5LU47 50-59 years, male 8.3
GTEX-13U4I-2226-SM-5LU5H 40-49 years, female 8.3
GTEX-145LS-0626-SM-7EPG7 60-69 years, female 8.3
GTEX-1EN7A-2426-SM-793DB 40-49 years, male 8.3
GTEX-1F52S-2926-SM-7MKGA 60-69 years, female 8.3
GTEX-1F6IF-0926-SM-7SB7M 60-69 years, male 8.3
GTEX-1GF9V-0826-SM-9KNUV 60-69 years, male 8.3
GTEX-ZE7O-2726-SM-51MT5 50-59 years, female 8.2
GTEX-1HSMQ-2626-SM-A9SML 50-59 years, male 8.2
GTEX-1JN76-0626-SM-CKZOQ 20-29 years, female 8.2
GTEX-139TU-0726-SM-5L3EK 60-69 years, male 8.1
GTEX-139UW-0326-SM-5J1ML 60-69 years, male 8.1
GTEX-13X6J-0626-SM-5LU5F 50-59 years, male 8.1
GTEX-15DYW-2726-SM-6EU2I 60-69 years, female 8.1
GTEX-16MT8-2926-SM-7DUFO 60-69 years, female 8.1
GTEX-Y114-2126-SM-4TT8B 50-59 years, female 8.1
GTEX-1HFI6-0126-SM-CNPPI 40-49 years, male 8.1
GTEX-1J8JJ-0626-SM-ARZMQ 60-69 years, female 8.1
GTEX-12ZZZ-0726-SM-5GCNZ 60-69 years, male 8.0
GTEX-VJYA-1526-SM-3GIJV 60-69 years, male 8.0
GTEX-ZLWG-0826-SM-59888 50-59 years, female 8.0
GTEX-1GMR3-0126-SM-A9SLW 40-49 years, male 8.0
GTEX-1O9I2-0226-SM-EYYXD 50-59 years, male 8.0
GTEX-1QCLZ-2426-SM-EVYBW 60-69 years, female 8.0
GTEX-1S82P-2126-SM-E6CI5 60-69 years, female 8.0
GTEX-12WSD-0626-SM-5GCMW 60-69 years, female 7.9
GTEX-1JJE9-2626-SM-ARZMT 70-79 years, male 7.9
GTEX-1RAZA-2226-SM-E9U4X 20-29 years, male 7.9
GTEX-13FHO-0426-SM-5L3F5 60-69 years, male 7.8
GTEX-13FLV-0126-SM-5K7WT 50-59 years, male 7.8
GTEX-13PL6-1126-SM-5L3IE 40-49 years, female 7.8
GTEX-144FL-0626-SM-5LU43 50-59 years, male 7.8
GTEX-18QFQ-1826-SM-72D52 30-39 years, male 7.8
GTEX-ZT9W-1126-SM-57WDR 50-59 years, male 7.8
GTEX-1C64N-2626-SM-7PC2N 50-59 years, male 7.8
GTEX-1GZ2Q-0126-SM-9WG6M 40-49 years, male 7.8
GTEX-1HCU6-2526-SM-ADEHL 60-69 years, female 7.8
GTEX-1KD5A-0126-SM-E9U54 50-59 years, male 7.8
GTEX-1POEN-2326-SM-E9J2L 30-39 years, female 7.8
GTEX-13OW5-2326-SM-5L3HO 60-69 years, male 7.7
GTEX-16NPX-0726-SM-7KULC 50-59 years, male 7.7
GTEX-1B97I-0626-SM-73KUZ 40-49 years, male 7.7
GTEX-1CB4H-1126-SM-7MKGL 60-69 years, female 7.7
GTEX-WXYG-2026-SM-4E3IY 50-59 years, female 7.7
GTEX-1HSMO-0626-SM-ACKXC 60-69 years, male 7.7
GTEX-1LGOU-1326-SM-D3L8M 20-29 years, female 7.7
GTEX-18A7B-2726-SM-7LG56 70-79 years, male 7.6
GTEX-WK11-2726-SM-3NMAQ 50-59 years, male 7.6
GTEX-X4EP-0626-SM-3P621 60-69 years, female 7.6
GTEX-XV7Q-1826-SM-4BRUV 40-49 years, female 7.6
GTEX-Y8LW-1526-SM-5IFHL 50-59 years, female 7.6
GTEX-ZDYS-2426-SM-4WKGI 50-59 years, male 7.6
GTEX-ZF2S-1626-SM-57WES 50-59 years, female 7.6
GTEX-1EMGI-2326-SM-7PBYA 60-69 years, male 7.6
GTEX-1F75B-0726-SM-7PC3R 50-59 years, male 7.6
GTEX-1GF9X-1326-SM-7PC2Y 40-49 years, female 7.6
GTEX-1GMRU-2126-SM-7P8RA 50-59 years, male 7.6
GTEX-1GTWX-2026-SM-9YFLM 60-69 years, male 7.6
GTEX-1H1CY-0126-SM-9YFLY 60-69 years, female 7.6
GTEX-1JJ6O-2726-SM-CNPOG 60-69 years, male 7.6
GTEX-1QMI2-2526-SM-E8VNZ 60-69 years, male 7.6
GTEX-11GSP-2326-SM-5HL63 60-69 years, female 7.5
GTEX-14E6C-2426-SM-5S2NF 40-49 years, male 7.5
GTEX-183WM-0326-SM-72D5V 70-79 years, female 7.5
GTEX-XMD2-2126-SM-4YCF8 60-69 years, female 7.5
GTEX-ZUA1-2626-SM-5NQ92 40-49 years, male 7.5
GTEX-1HCUA-0826-SM-ADEHM 50-59 years, female 7.5
GTEX-1K2DA-1026-SM-CGQGF 50-59 years, male 7.5
GTEX-1LVA9-2626-SM-EVYD4 50-59 years, male 7.5
GTEX-11VI4-1126-SM-5EQMD 40-49 years, female 7.4
GTEX-13OVG-1626-SM-5J1NF 60-69 years, male 7.4
GTEX-14PJ2-0626-SM-6LLII 50-59 years, male 7.4
GTEX-178AV-1726-SM-7KUL8 40-49 years, male 7.4
GTEX-Y9LG-1126-SM-4VBQ7 30-39 years, male 7.4
GTEX-13X6I-1826-SM-5SIAO 60-69 years, male 7.3
GTEX-1B8KZ-0326-SM-73KY4 50-59 years, male 7.3
GTEX-1EH9U-2826-SM-7DUGT 60-69 years, male 7.3
GTEX-YEC4-1826-SM-4W1YP 40-49 years, male 7.3
GTEX-ZAJG-1526-SM-5CVML 50-59 years, female 7.3
GTEX-ZC5H-1526-SM-5HL9Y 40-49 years, female 7.3
GTEX-1J8Q3-0526-SM-ARL8U 60-69 years, male 7.3
GTEX-1JMPZ-0726-SM-CY8HZ 30-39 years, male 7.3
GTEX-11P7K-1126-SM-5HL4L 30-39 years, male 7.2
GTEX-131XW-0626-SM-5PNVD 50-59 years, female 7.2
GTEX-17HGU-2326-SM-7DUFE 50-59 years, male 7.2
GTEX-1B932-2326-SM-79OL5 40-49 years, female 7.2
GTEX-1EWIQ-0326-SM-7DHMQ 70-79 years, female 7.2
GTEX-ZWKS-0626-SM-5GIDV 30-39 years, male 7.2
GTEX-1IY9M-2826-SM-ARU8H 60-69 years, male 7.2
GTEX-11NUK-2726-SM-5A5MC 50-59 years, male 7.1
GTEX-13NYB-0126-SM-5J1MD 40-49 years, male 7.1
GTEX-13O3Q-0126-SM-5KM34 50-59 years, male 7.1
GTEX-13OW8-1026-SM-5J1NQ 60-69 years, male 7.1
GTEX-13SLX-2226-SM-62LEP 50-59 years, female 7.1
GTEX-14AS3-1526-SM-5Q5ED 40-49 years, female 7.1
GTEX-15SHW-0226-SM-7LTAT 60-69 years, male 7.1
GTEX-18465-2826-SM-7LT9J 50-59 years, male 7.1
GTEX-1GZ4H-0526-SM-9KNU9 50-59 years, female 7.1
GTEX-1LVAO-2726-SM-E9TJ8 60-69 years, male 7.1
GTEX-12WSF-1626-SM-7KUG5 70-79 years, male 7.0
GTEX-13JUV-2026-SM-5K7UA 40-49 years, female 7.0
GTEX-17F9E-2326-SM-79OKD 50-59 years, male 7.0
GTEX-17HG3-2626-SM-7DUF2 30-39 years, female 7.0
GTEX-WEY5-2326-SM-3GIKK 40-49 years, female 7.0
GTEX-WY7C-2126-SM-3NB2R 50-59 years, male 7.0
GTEX-YB5K-2026-SM-4VDT3 40-49 years, female 7.0
GTEX-ZYW4-0626-SM-59HJR 60-69 years, male 7.0
GTEX-1C64O-1326-SM-7MGWR 60-69 years, male 7.0
GTEX-YEC3-1326-SM-DO92X 50-59 years, male 7.0
GTEX-1192X-2726-SM-5N9DN 50-59 years, male 6.9
GTEX-12WSJ-1126-SM-5LZVJ 40-49 years, female 6.9
GTEX-14PJ6-2626-SM-6EU2T 60-69 years, female 6.9
GTEX-17HHY-0426-SM-7DHLC 50-59 years, male 6.9
GTEX-1EX96-1026-SM-7MKG2 50-59 years, male 6.9
GTEX-W5X1-2526-SM-3GILC 40-49 years, female 6.9
GTEX-Y8E4-2026-SM-5IFJB 40-49 years, male 6.9
GTEX-1GN73-0726-SM-7P8TJ 60-69 years, male 6.9
GTEX-1I1GV-0626-SM-ARL7M 60-69 years, male 6.9
GTEX-1ICLZ-0326-SM-ARL82 60-69 years, male 6.9
GTEX-1MJK3-0726-SM-E6CJC 20-29 years, male 6.9
GTEX-111CU-1126-SM-5EGIM 50-59 years, male 6.8
GTEX-15EO6-2426-SM-6PALZ 50-59 years, male 6.8
GTEX-WHSB-1326-SM-3LK6W 50-59 years, male 6.8
GTEX-XBEC-0726-SM-4QARZ 50-59 years, male 6.8
GTEX-ZYFD-0626-SM-5E44E 50-59 years, male 6.8
GTEX-ZZPU-0826-SM-5GZX5 50-59 years, female 6.8
GTEX-1AYD5-2626-SM-7PBXY 50-59 years, male 6.8
GTEX-1H1E6-0426-SM-9WYUS 30-39 years, male 6.8
GTEX-1H3O1-1326-SM-9MQLD 60-69 years, male 6.8
GTEX-1JMQL-2226-SM-CNPP4 50-59 years, female 6.8
GTEX-1477Z-0326-SM-7IGLA 60-69 years, male 6.7
GTEX-14ABY-2026-SM-62LDL 50-59 years, male 6.7
GTEX-17F97-2626-SM-7IGM5 50-59 years, male 6.7
GTEX-XAJ8-1426-SM-47JYM 40-49 years, male 6.7
GTEX-1JMLX-0626-SM-ARL8T 50-59 years, male 6.7
GTEX-1LSNM-0826-SM-DIPG8 50-59 years, male 6.7
GTEX-1313W-0626-SM-5EQ4H 50-59 years, female 6.6
GTEX-133LE-2326-SM-5K7W3 20-29 years, female 6.6
GTEX-145MF-0926-SM-5Q5EA 50-59 years, male 6.6
GTEX-14JG1-1526-SM-5YY9X 40-49 years, male 6.6
GTEX-ZDTS-0826-SM-4WKHL 60-69 years, male 6.6
GTEX-1GMR2-0826-SM-7PC3V 50-59 years, male 6.6
GTEX-1HBPM-0726-SM-9YFL7 60-69 years, female 6.6
GTEX-1OJC3-1226-SM-DTXER 20-29 years, male 6.6
GTEX-12KS4-2126-SM-5FQUT 30-39 years, male 6.5
GTEX-1399U-1126-SM-5L3DB 50-59 years, female 6.5
GTEX-139TT-2126-SM-5LZWC 60-69 years, male 6.5
GTEX-13FTY-2126-SM-5IFFB 40-49 years, female 6.5
GTEX-13VXU-0626-SM-5L3F9 50-59 years, male 6.5
GTEX-144GM-0526-SM-79OJO 20-29 years, male 6.5
GTEX-147F4-0726-SM-5TDDD 50-59 years, male 6.5
GTEX-1497J-0226-SM-5QGPU 60-69 years, male 6.5
GTEX-15CHC-1126-SM-6LLHQ 60-69 years, female 6.5
GTEX-1PDJ9-1226-SM-EXUSX 20-29 years, male 6.5
GTEX-131XG-0326-SM-5L3DX 50-59 years, female 6.4
GTEX-14BIN-1126-SM-5RQJZ 50-59 years, female 6.4
GTEX-14PJO-2526-SM-6AJBQ 60-69 years, male 6.4
GTEX-16Z82-2626-SM-7KULU 60-69 years, male 6.4
GTEX-1B996-0426-SM-7EWF8 60-69 years, male 6.4
GTEX-1C6VQ-1226-SM-73KYD 50-59 years, male 6.4
GTEX-V1D1-2026-SM-3GAF4 50-59 years, male 6.4
GTEX-1GN1W-2426-SM-9KNUU 50-59 years, female 6.4
GTEX-1LB8K-0726-SM-D5OV2 50-59 years, male 6.4
GTEX-1LVAN-0626-SM-CNPOQ 50-59 years, female 6.4
GTEX-1N2EE-0626-SM-E76PW 60-69 years, male 6.4
GTEX-11DXY-0126-SM-5H11Q 60-69 years, male 6.3
GTEX-11GS4-0226-SM-5HL77 60-69 years, male 6.3
GTEX-13FTW-0326-SM-5K7UW 40-49 years, male 6.3
GTEX-13OW6-2726-SM-5J2OE 50-59 years, male 6.3
GTEX-13PVR-0426-SM-5RQK2 60-69 years, female 6.3
GTEX-145LT-0526-SM-5LUB2 40-49 years, male 6.3
GTEX-15RIG-0726-SM-7KUM7 40-49 years, male 6.3
GTEX-17F98-1326-SM-7DUEP 40-49 years, female 6.3
GTEX-18A6Q-0626-SM-7KFRP 60-69 years, male 6.3
GTEX-1A3MW-0626-SM-731CB 60-69 years, female 6.3
GTEX-1AX9I-2226-SM-73KUO 60-69 years, male 6.3
GTEX-XPVG-2126-SM-4B667 50-59 years, male 6.3
GTEX-ZT9X-1526-SM-5DUXD 40-49 years, male 6.3
GTEX-ZVT2-0126-SM-5GIDQ 50-59 years, female 6.3
GTEX-1GL5R-1326-SM-7RHHF 50-59 years, male 6.3
GTEX-1H23P-0626-SM-9WG6T 60-69 years, male 6.3
GTEX-1JMPY-0226-SM-CKZOK 30-39 years, male 6.3
GTEX-1MCC2-1826-SM-DIPEX 30-39 years, female 6.3
GTEX-1QW4Y-1126-SM-DTXE3 30-39 years, male 6.3
GTEX-ZF3C-0626-SM-DO92O 50-59 years, female 6.3
GTEX-11UD2-2526-SM-5CVNU 50-59 years, male 6.2
GTEX-13N1W-2426-SM-5IJD1 70-79 years, male 6.2
GTEX-17EVP-2626-SM-7IGMA 40-49 years, male 6.2
GTEX-ZPU1-1126-SM-4YCF3 40-49 years, male 6.2
GTEX-ZVT4-2426-SM-5GIEI 50-59 years, female 6.2
GTEX-1H2FU-0926-SM-9WPPT 60-69 years, female 6.2
GTEX-1HSKV-1226-SM-ADEI4 60-69 years, male 6.2
GTEX-1J1R8-2026-SM-CL53Y 40-49 years, male 6.2
GTEX-13OVL-0126-SM-5L3GJ 50-59 years, male 6.1
GTEX-17HII-1426-SM-7EPGG 50-59 years, male 6.1
GTEX-UPJH-0226-SM-3GADV 50-59 years, male 6.1
GTEX-XOT4-0626-SM-4B66L 60-69 years, female 6.1
GTEX-XQ3S-1426-SM-4BOPR 20-29 years, male 6.1
GTEX-1C475-1326-SM-7SB73 40-49 years, female 6.1
GTEX-1I1GP-1326-SM-A9G28 50-59 years, male 6.1
GTEX-1IE54-1126-SM-A9G2Z 40-49 years, female 6.1
GTEX-1JN6P-2926-SM-CL54D 60-69 years, male 6.1
GTEX-1LSVX-2526-SM-DIPEU 60-69 years, male 6.1
GTEX-1EKGG-0626-SM-7DUGJ 60-69 years, male 6.0
GTEX-1F88E-1626-SM-7SB8Z 60-69 years, female 6.0
GTEX-1HSGN-0826-SM-ACKW3 40-49 years, female 6.0
GTEX-1KANC-1226-SM-CYPT7 50-59 years, female 6.0
GTEX-1LVAM-0726-SM-E6CIL 50-59 years, female 6.0
GTEX-1R46S-2426-SM-E76QA 60-69 years, female 6.0
GTEX-13NYC-0126-SM-5L3F4 60-69 years, male 5.9
GTEX-13X6K-0626-SM-5LU5D 60-69 years, female 5.9
GTEX-14A6H-2026-SM-5Q5DD 30-39 years, male 5.9
GTEX-14DAQ-0626-SM-793DS 60-69 years, female 5.9
GTEX-15EU6-2226-SM-6EU2L 50-59 years, male 5.9
GTEX-1A8G7-1326-SM-73KVM 60-69 years, male 5.9
GTEX-WFG7-2026-SM-5SI7P 20-29 years, male 5.9
GTEX-11P82-1426-SM-DTXFY 20-29 years, male 5.9
GTEX-1I4MK-0126-SM-CY8G6 50-59 years, female 5.9
GTEX-132AR-0326-SM-5KM2C 50-59 years, female 5.8
GTEX-13N2G-0226-SM-5K7VF 60-69 years, male 5.8
GTEX-13O3O-2326-SM-5IJD6 60-69 years, female 5.8
GTEX-16YQH-2226-SM-7IGM2 30-39 years, male 5.8
GTEX-18A67-1626-SM-7LT9T 50-59 years, male 5.8
GTEX-1A3MV-1826-SM-731CD 30-39 years, male 5.8
GTEX-Y5V6-2326-SM-4VDSA 60-69 years, male 5.8
GTEX-1GN2E-0226-SM-9WG6K 60-69 years, male 5.8
GTEX-1I19N-0126-SM-CYPSF 70-79 years, male 5.8
GTEX-1I1HK-2326-SM-CKZOH 60-69 years, male 5.8
GTEX-1JMQI-1726-SM-ARL93 50-59 years, male 5.8
GTEX-1JN1M-2726-SM-CY8I4 60-69 years, female 5.8
GTEX-1OJC4-2726-SM-E76PJ 50-59 years, female 5.8
GTEX-1RAZS-2526-SM-E6CHT 50-59 years, male 5.8
GTEX-111VG-1626-SM-5EGIO 60-69 years, male 5.7
GTEX-13W3W-0726-SM-5IJDQ 60-69 years, female 5.7
GTEX-1E2YA-2126-SM-7MXUO 50-59 years, male 5.7
GTEX-1GN1U-0626-SM-9MQL9 50-59 years, female 5.7
GTEX-1JMQJ-0826-SM-CNPP7 50-59 years, male 5.7
GTEX-1PPGY-1626-SM-EVYBL 60-69 years, male 5.7
GTEX-11DZ1-2426-SM-5GZZX 50-59 years, male 5.6
GTEX-11ZU8-0126-SM-5EQ58 60-69 years, male 5.6
GTEX-13SLW-0626-SM-5Q5ER 70-79 years, male 5.6
GTEX-14BMU-1226-SM-5S2OR 20-29 years, female 5.6
GTEX-14ICL-1626-SM-5YYAO 30-39 years, male 5.6
GTEX-14PJN-1826-SM-6AJ98 30-39 years, male 5.6
GTEX-17KNJ-2126-SM-718AM 50-59 years, male 5.6
GTEX-1B8SF-0126-SM-7DUG3 60-69 years, male 5.6
GTEX-WFG8-2126-SM-3GIKQ 20-29 years, male 5.6
GTEX-WHSE-0126-SM-3NMBT 20-29 years, male 5.6
GTEX-X4EO-2926-SM-4E3JH 60-69 years, female 5.6
GTEX-ZDXO-3126-SM-5IJDF 60-69 years, male 5.6
GTEX-1B8L1-2226-SM-7P8PT 60-69 years, male 5.6
GTEX-1HB9E-0126-SM-CM2S5 50-59 years, male 5.6
GTEX-1QPFJ-1926-SM-EVYBD 30-39 years, female 5.6
GTEX-14E1K-2026-SM-7DUEI 50-59 years, male 5.5
GTEX-1C6WA-2626-SM-7MKGM 60-69 years, male 5.5
GTEX-ZYY3-2926-SM-5GIEB 60-69 years, female 5.5
GTEX-1F75I-2226-SM-7SB8U 40-49 years, male 5.5
GTEX-1RAZQ-1326-SM-E9TK6 30-39 years, male 5.5
GTEX-13IVO-0726-SM-5LZYV 70-79 years, male 5.4
GTEX-148VJ-0626-SM-5LUAW 70-79 years, male 5.4
GTEX-1A8G6-2726-SM-731AR 60-69 years, male 5.4
GTEX-1BAJH-2426-SM-7IGP8 70-79 years, male 5.4
GTEX-1CB4E-0926-SM-7EPHT 60-69 years, male 5.4
GTEX-Y3I4-1726-SM-4TT89 50-59 years, male 5.4
GTEX-ZXG5-2126-SM-59HKD 60-69 years, male 5.4
GTEX-1CAMQ-1326-SM-7P8RV 40-49 years, male 5.4
GTEX-1GN1V-2826-SM-9JGIA 60-69 years, male 5.4
GTEX-1GZHY-0626-SM-9KNVC 50-59 years, female 5.4
GTEX-1HCVE-2726-SM-CL54F 50-59 years, male 5.4
GTEX-12126-0826-SM-5FQTZ 20-29 years, male 5.3
GTEX-131XH-0126-SM-5LZUY 50-59 years, male 5.3
GTEX-14PJ3-1126-SM-5ZZVX 50-59 years, male 5.3
GTEX-15CHR-1126-SM-7EWF4 50-59 years, male 5.3
GTEX-1E1VI-0326-SM-793D1 50-59 years, male 5.3
GTEX-ZYFG-1526-SM-5GZYM 60-69 years, female 5.3
GTEX-1JMQK-1226-SM-D4P2S 60-69 years, male 5.3
GTEX-1LG7Y-2526-SM-EWRO7 50-59 years, male 5.3
GTEX-1M4P7-0726-SM-E6CJ3 60-69 years, male 5.3
GTEX-1QEPI-2626-SM-DTXF4 60-69 years, female 5.3
GTEX-1R7EU-1626-SM-DTXG3 60-69 years, male 5.3
GTEX-1212Z-0126-SM-59HK4 60-69 years, male 5.2
GTEX-1269C-0126-SM-5EQ5L 60-69 years, female 5.2
GTEX-13PDP-0726-SM-5L3HP 60-69 years, male 5.2
GTEX-145MI-0626-SM-5SI8S 60-69 years, female 5.2
GTEX-U8XE-0226-SM-4E3J3 30-39 years, male 5.2
GTEX-VUSG-2326-SM-4KL1U 50-59 years, male 5.2
GTEX-ZU9S-1826-SM-5NQ9E 30-39 years, male 5.2
GTEX-ZVE1-0726-SM-51MRN 50-59 years, female 5.2
GTEX-1122O-1026-SM-9WYSF 60-69 years, female 5.2
GTEX-14JFF-0626-SM-5ZZVT 60-69 years, male 5.2
GTEX-1CB4J-1326-SM-7P8RX 60-69 years, male 5.2
GTEX-1HFI7-2326-SM-CGQFS 50-59 years, female 5.2
GTEX-1ICG6-1226-SM-A9SLN 70-79 years, female 5.2
GTEX-1IL2V-1926-SM-B2LW8 70-79 years, male 5.2
GTEX-1PBJJ-1026-SM-E76OS 30-39 years, male 5.2
GTEX-139TS-2126-SM-5K7XC 60-69 years, male 5.1
GTEX-144GO-2026-SM-5O99P 60-69 years, male 5.1
GTEX-ZDTT-0426-SM-4WKFL 60-69 years, male 5.1
GTEX-ZY6K-1426-SM-5GZX2 50-59 years, male 5.1
GTEX-1CB4I-0126-SM-7RHGG 50-59 years, male 5.1
GTEX-1GMR8-0626-SM-7RHI7 50-59 years, female 5.1
GTEX-1H1DF-1126-SM-9WG7G 40-49 years, female 5.1
GTEX-1HGF4-0126-SM-CNPPX 60-69 years, male 5.1
GTEX-1J8QM-2426-SM-A9SLS 60-69 years, female 5.1
GTEX-1S3DN-2126-SM-E9TIN 50-59 years, male 5.1
GTEX-11DYG-1526-SM-5A5JS 60-69 years, male 5.0
GTEX-131XF-2626-SM-5EQ6K 60-69 years, male 5.0
GTEX-13D11-0926-SM-5J2NC 50-59 years, female 5.0
GTEX-14C39-1726-SM-5RQIL 40-49 years, male 5.0
GTEX-14PII-0726-SM-6EU2B 60-69 years, male 5.0
GTEX-1AMFI-1326-SM-7939R 50-59 years, female 5.0
GTEX-XBEW-1126-SM-4QARW 40-49 years, male 5.0
GTEX-XYKS-1426-SM-4BRUO 60-69 years, female 5.0
GTEX-1IKJJ-2226-SM-CJI4C 60-69 years, male 5.0
GTEX-1J1OQ-0126-SM-D4P2N 40-49 years, female 5.0
GTEX-1J8Q2-2626-SM-ACKWQ 60-69 years, male 5.0
GTEX-11WQC-1826-SM-5GU59 60-69 years, male 4.9
GTEX-11ZTT-2126-SM-5CVLO 60-69 years, female 4.9
GTEX-12WSM-1926-SM-5BC65 60-69 years, male 4.9
GTEX-14LZ3-0126-SM-69LPM 60-69 years, female 4.9
GTEX-XUW1-0926-SM-4BONX 50-59 years, female 4.9
GTEX-ZTX8-1326-SM-4YCEL 20-29 years, male 4.9
GTEX-1H3VE-0726-SM-9YFL5 40-49 years, male 4.9
GTEX-1PPH7-1126-SM-DTX9A 40-49 years, male 4.9
GTEX-ZLV1-1526-SM-DO91J 60-69 years, female 4.9
GTEX-11DXZ-2026-SM-5987S 50-59 years, male 4.8
GTEX-11OF3-0126-SM-5PNYF 60-69 years, male 4.8
GTEX-13JVG-0726-SM-5KM16 60-69 years, male 4.8
GTEX-13OW7-0426-SM-5K7VK 50-59 years, male 4.8
GTEX-15RJE-2826-SM-7KUM9 40-49 years, male 4.8
GTEX-16MT9-0126-SM-7EPI8 60-69 years, female 4.8
GTEX-1B8KE-1126-SM-7EPHI 50-59 years, male 4.8
GTEX-12ZZX-2426-SM-5GCOE 40-49 years, female 4.7
GTEX-17HHE-1326-SM-7EWDZ 50-59 years, male 4.7
GTEX-Y5LM-0926-SM-6LLJG 40-49 years, female 4.7
GTEX-ZYVF-0926-SM-5E44J 50-59 years, female 4.7
GTEX-1JK1U-0226-SM-ARZMX 60-69 years, male 4.7
GTEX-1K9T9-1526-SM-DIPFR 50-59 years, female 4.7
GTEX-1KAFJ-0126-SM-DIPEK 50-59 years, male 4.7
GTEX-1QP9N-1226-SM-E76QN 30-39 years, male 4.7
GTEX-13O61-1426-SM-5KM3D 60-69 years, male 4.6
GTEX-144GL-0626-SM-5LU4D 50-59 years, male 4.6
GTEX-14753-0726-SM-5QGQO 60-69 years, male 4.6
GTEX-1F88F-0126-SM-9WYSZ 60-69 years, female 4.6
GTEX-1H4P4-2126-SM-9WYSL 50-59 years, male 4.6
GTEX-1IDFM-0326-SM-ARL7V 60-69 years, male 4.6
GTEX-1K2DU-1226-SM-CYPT4 20-29 years, male 4.6
GTEX-13G51-1826-SM-5KLZH 60-69 years, male 4.5
GTEX-14B4R-1326-SM-5Q5EZ 30-39 years, male 4.5
GTEX-14PHX-2226-SM-6EU2P 50-59 years, male 4.5
GTEX-14PJ5-1526-SM-6LLIL 60-69 years, female 4.5
GTEX-111YS-1526-SM-5GZYW 60-69 years, male 4.4
GTEX-11EM3-1226-SM-5N9DD 20-29 years, female 4.4
GTEX-1399S-0126-SM-5IJCF 30-39 years, female 4.4
GTEX-15RIE-1926-SM-7KUKJ 60-69 years, male 4.4
GTEX-16XZZ-0726-SM-7KUF2 60-69 years, male 4.4
GTEX-WHWD-1826-SM-3LK6I 50-59 years, male 4.4
GTEX-X8HC-0626-SM-4E3HQ 50-59 years, female 4.4
GTEX-1HCU7-0726-SM-A9SL1 50-59 years, male 4.4
GTEX-1ICLY-0826-SM-CMKG1 50-59 years, male 4.4
GTEX-1LSNL-2726-SM-E9TKJ 50-59 years, male 4.4
GTEX-12696-0126-SM-5EQ4L 60-69 years, male 4.3
GTEX-16AAH-0626-SM-793C9 50-59 years, male 4.3
GTEX-ZTSS-1426-SM-5985P 40-49 years, male 4.3
GTEX-ZYT6-2326-SM-5GZY3 30-39 years, male 4.3
GTEX-1A3MX-2626-SM-7PC24 60-69 years, male 4.3
GTEX-1RMOY-1326-SM-E9TIH 50-59 years, male 4.3
GTEX-11ZUS-2626-SM-5FQUR 30-39 years, male 4.2
GTEX-12BJ1-0926-SM-5EQ62 60-69 years, male 4.2
GTEX-12ZZY-0726-SM-5EQ66 60-69 years, male 4.2
GTEX-15DDE-2926-SM-6LLJ3 50-59 years, female 4.2
GTEX-XXEK-1626-SM-4BRUZ 50-59 years, male 4.2
GTEX-YFCO-1226-SM-5LUAT 40-49 years, male 4.2
GTEX-ZYFC-0426-SM-5GICQ 50-59 years, male 4.2
GTEX-1GPI6-1926-SM-9KNV7 60-69 years, male 4.2
GTEX-1GZ4I-2626-SM-9KNU3 50-59 years, male 4.2
GTEX-1HBPN-0126-SM-CGQEF 50-59 years, male 4.2
GTEX-1HSMP-0926-SM-A9SKX 70-79 years, male 4.2
GTEX-1QP28-1126-SM-EVYC4 50-59 years, female 4.2
GTEX-ZPIC-0526-SM-DO91W 40-49 years, female 4.2
GTEX-11TT1-1826-SM-5EQLV 20-29 years, male 4.1
GTEX-14BMV-2826-SM-5TDED 50-59 years, male 4.1
GTEX-X585-2426-SM-46MW2 50-59 years, male 4.1
GTEX-ZTTD-2826-SM-4YCFA 50-59 years, male 4.1
GTEX-1I1GU-0926-SM-ACKVS 40-49 years, male 4.1
GTEX-1JJEA-1826-SM-ARU8P 60-69 years, male 4.1
GTEX-1LKK1-2626-SM-DKPQE 50-59 years, female 4.1
GTEX-1QCLY-0226-SM-EWRNH 30-39 years, male 4.1
GTEX-145MH-2826-SM-5RQJF 50-59 years, male 4.0
GTEX-14XAO-1226-SM-6EU1C 60-69 years, female 4.0
GTEX-15G19-2426-SM-7KUMR 60-69 years, male 4.0
GTEX-1AMEY-0826-SM-72D65 30-39 years, female 4.0
GTEX-ZPCL-1126-SM-4WWFE 60-69 years, female 4.0
GTEX-1N2DV-1526-SM-DTXEP 40-49 years, male 4.0
GTEX-1QP2A-1726-SM-E76QC 50-59 years, male 4.0
GTEX-13112-0126-SM-5P9IU 50-59 years, male 3.9
GTEX-14LLW-2626-SM-62LDZ 70-79 years, female 3.9
GTEX-17F9Y-0126-SM-79OKX 70-79 years, female 3.9
GTEX-YECK-0326-SM-4W1YS 60-69 years, male 3.9
GTEX-1F6RS-2026-SM-7RHHC 60-69 years, female 3.9
GTEX-WI4N-2726-SM-3LK7Y 40-49 years, female 3.8
GTEX-1IOXB-2726-SM-CM2RI 50-59 years, male 3.8
GTEX-1LGRB-0926-SM-COH3K 50-59 years, female 3.8
GTEX-13NZ8-1226-SM-5KM4A 60-69 years, female 3.7
GTEX-14C38-0726-SM-5SI6M 50-59 years, male 3.7
GTEX-1IDJV-0126-SM-COH3Y 60-69 years, male 3.7
GTEX-11WQK-1026-SM-5EQLX 50-59 years, male 3.6
GTEX-147GR-2426-SM-5ZZWQ 60-69 years, male 3.6
GTEX-14A5H-0826-SM-5QGPJ 60-69 years, male 3.6
GTEX-15G1A-1626-SM-7KUKN 30-39 years, male 3.6
GTEX-Y111-0626-SM-4SOIT 50-59 years, male 3.6
GTEX-ZVP2-0326-SM-57WBP 50-59 years, male 3.6
GTEX-1F5PK-2226-SM-7SB6N 50-59 years, male 3.6
GTEX-1QAET-0326-SM-EVR3U 50-59 years, male 3.6
GTEX-1C6VR-0126-SM-7RHGB 60-69 years, male 3.5
GTEX-1H1DG-2426-SM-9QEHJ 70-79 years, male 3.5
GTEX-1HR9M-2226-SM-CNPPY 60-69 years, male 3.5
GTEX-11TUW-0626-SM-5LU9M 60-69 years, male 3.4
GTEX-13QJC-0126-SM-5ZZWJ 60-69 years, female 3.4
GTEX-ZF29-0926-SM-4WKFZ 60-69 years, female 3.4
GTEX-11PRG-0726-SM-5EGL1 50-59 years, male 3.3
GTEX-14PJ4-0226-SM-5YY92 60-69 years, male 3.3
GTEX-1IDJU-1726-SM-CMKHU 60-69 years, female 3.3
GTEX-1NV5F-0626-SM-DTXEG 60-69 years, female 3.3
GTEX-11DXX-2126-SM-5PNYR 60-69 years, female 3.2
GTEX-13RTJ-0126-SM-5S2NN 60-69 years, male 3.2
GTEX-15SKB-2826-SM-6PAMH 60-69 years, male 3.2
GTEX-1KANB-2826-SM-CY8I6 50-59 years, male 3.2
GTEX-1I1GT-1026-SM-ARZLV 60-69 years, female 3.1
GTEX-1R9PN-0426-SM-DTXDT 40-49 years, female 3.0
GTEX-1399Q-2326-SM-5KM2X 40-49 years, male 2.9
GTEX-14C5O-0326-SM-5ZZUX 60-69 years, male 2.9
GTEX-ZE9C-2526-SM-5IJDR 60-69 years, male 2.9
GTEX-1HT8W-0626-SM-A9G2H 30-39 years, male 2.9
GTEX-13OVH-0526-SM-5L3E6 70-79 years, male 2.8
GTEX-1HR98-2226-SM-ADEI2 60-69 years, male 2.8
GTEX-1PPH8-0126-SM-EWRN8 20-29 years, male 2.6
GTEX-ZVZP-1226-SM-5GID7 50-59 years, male 2.0
Show allShow less
Skin - Sun Exposed (Lower leg)
Average nTPM: 8.0
Samples: 701

Max nTPM: 25.1
Min nTPM: 2.0
Std nTPM: 3.1
Median nTPM: 7.5
GTEX-SE5C-1626-SM-2XCE3 40-49 years, female 25.1
GTEX-1A32A-0126-SM-718B1 50-59 years, female 22.5
GTEX-1F48J-0126-SM-7P8TT 50-59 years, female 19.4
GTEX-ZF28-0126-SM-4WKGK 60-69 years, male 18.9
GTEX-ZZPT-0226-SM-5E43X 50-59 years, male 18.8
GTEX-11TTK-0126-SM-5987B 60-69 years, female 18.5
GTEX-PLZ4-0126-SM-5SI8O 50-59 years, female 18.3
GTEX-13OVJ-0126-SM-5KM36 50-59 years, female 17.9
GTEX-1H2FU-0126-SM-9WYSI 60-69 years, female 17.4
GTEX-QDT8-0126-SM-48TZ1 30-39 years, female 16.1
GTEX-17EVQ-0226-SM-7LG4P 70-79 years, male 15.7
GTEX-X62O-0126-SM-4E3JN 50-59 years, male 15.7
GTEX-1I1CD-0126-SM-CM2TK 60-69 years, female 15.6
GTEX-139T4-0226-SM-5HL5S 50-59 years, female 15.5
GTEX-QCQG-1726-SM-3GIJ9 50-59 years, female 15.5
GTEX-13NZ8-0826-SM-5MR3I 60-69 years, female 15.3
GTEX-1OJC4-0126-SM-E9J2E 50-59 years, female 15.3
GTEX-13NZA-0226-SM-5K7Z7 60-69 years, male 15.2
GTEX-1EN7A-0126-SM-7SB81 40-49 years, male 15.0
GTEX-13FTY-0526-SM-5L3EV 40-49 years, female 14.8
GTEX-113JC-2326-SM-5EQ4E 50-59 years, female 14.7
GTEX-1F75A-0126-SM-7RHGM 50-59 years, male 14.7
GTEX-1GZHY-0326-SM-9QEHI 50-59 years, female 14.5
GTEX-111VG-2426-SM-5GZXD 60-69 years, male 14.4
GTEX-11GSP-2526-SM-5N9BP 60-69 years, female 14.4
GTEX-1C64N-0126-SM-793D7 50-59 years, male 14.4
GTEX-1H11D-0226-SM-9WG6Z 40-49 years, male 14.4
GTEX-1HBPM-0226-SM-ARL9F 60-69 years, female 14.4
GTEX-139D8-0226-SM-5KLZO 30-39 years, female 13.9
GTEX-ZAB4-0226-SM-5N9F5 40-49 years, male 13.8
GTEX-ZEX8-2426-SM-4WKG4 50-59 years, male 13.8
GTEX-1H3NZ-0126-SM-ACKX7 60-69 years, male 13.8
GTEX-17MFQ-1726-SM-793C7 20-29 years, male 13.7
GTEX-1HUB1-0426-SM-E9U4U 60-69 years, male 13.7
GTEX-1QMI2-0226-SM-EVYBX 60-69 years, male 13.7
GTEX-13W46-0226-SM-5SIAG 50-59 years, male 13.6
GTEX-1GF9V-0326-SM-7RHI5 60-69 years, male 13.6
GTEX-1GMR8-0126-SM-9WYTM 50-59 years, female 13.6
GTEX-R45C-0126-SM-EAZ2R 60-69 years, female 13.5
GTEX-ZE7O-0126-SM-57WC1 50-59 years, female 13.4
GTEX-1GN73-0226-SM-9WG67 60-69 years, male 13.4
GTEX-1F6IF-0726-SM-7P8TW 60-69 years, male 13.3
GTEX-1H3VE-0326-SM-9YFLH 40-49 years, male 13.3
GTEX-13NZB-2526-SM-5J1OM 30-39 years, male 13.1
GTEX-15SHW-0326-SM-6PAML 60-69 years, male 13.0
GTEX-XV7Q-2526-SM-4BRV9 40-49 years, female 13.0
GTEX-113IC-0126-SM-5HL6T 60-69 years, male 12.9
GTEX-1F6RS-0126-SM-9MQKZ 60-69 years, female 12.9
GTEX-1192X-0226-SM-5H12D 50-59 years, male 12.8
GTEX-1C6VQ-0126-SM-7P8RI 50-59 years, male 12.8
GTEX-1QP67-1626-SM-EAZ3X 40-49 years, female 12.8
GTEX-13N1W-0126-SM-5K7VT 70-79 years, male 12.7
GTEX-13OW7-0126-SM-5MR3B 50-59 years, male 12.7
GTEX-12WSN-5019-SM-79OM6 40-49 years, male 12.6
GTEX-OXRN-0126-SM-48TDM 50-59 years, male 12.6
GTEX-1F88F-2726-SM-7PBZZ 60-69 years, female 12.6
GTEX-1GN1U-0126-SM-7PBZK 50-59 years, female 12.6
GTEX-1HCU6-0126-SM-CL54K 60-69 years, female 12.6
GTEX-117YW-2626-SM-5GZZH 50-59 years, male 12.5
GTEX-1313W-0126-SM-5LZUN 50-59 years, female 12.5
GTEX-148VJ-0126-SM-5TDDN 70-79 years, male 12.5
GTEX-148VI-1626-SM-5SI6E 60-69 years, female 12.4
GTEX-Q2AG-0126-SM-33HBV 40-49 years, female 12.4
GTEX-145LV-2126-SM-5LU8N 50-59 years, male 12.3
GTEX-Y8LW-1826-SM-5S2MV 50-59 years, female 12.3
GTEX-OXRK-0226-SM-3NB2G 50-59 years, female 12.2
GTEX-T2IS-0126-SM-4DM6O 20-29 years, female 12.2
GTEX-ZVT3-0126-SM-5GU6I 60-69 years, female 12.2
GTEX-1ICLZ-0126-SM-CKZPO 60-69 years, male 12.1
GTEX-1RAZQ-0726-SM-EAZ43 30-39 years, male 12.1
GTEX-13OW6-0426-SM-5L3HM 50-59 years, male 12.0
GTEX-U3ZN-2326-SM-3DB7W 30-39 years, female 12.0
GTEX-ZQUD-1426-SM-57WER 30-39 years, male 12.0
GTEX-ZUA1-0126-SM-5GU76 40-49 years, male 12.0
GTEX-1F52S-0126-SM-9MQJU 60-69 years, female 12.0
GTEX-1POEN-0126-SM-EYYXJ 30-39 years, female 12.0
GTEX-11ZVC-2526-SM-5FQTE 50-59 years, female 11.9
GTEX-14E6C-0126-SM-5RQIP 40-49 years, male 11.9
GTEX-X638-0126-SM-47JZ8 70-79 years, female 11.9
GTEX-1EX96-1626-SM-7PBXR 50-59 years, male 11.9
GTEX-1R9K4-0126-SM-DTX9X 60-69 years, male 11.9
GTEX-14JIY-0126-SM-6LLH6 60-69 years, male 11.8
GTEX-1AYCT-2426-SM-7IGQ3 50-59 years, male 11.8
GTEX-1AYD5-2426-SM-73KXR 50-59 years, male 11.8
GTEX-146FR-1326-SM-E9J48 60-69 years, female 11.8
GTEX-1GMRU-0126-SM-9YFLV 50-59 years, male 11.8
GTEX-1I1GS-0126-SM-B2LVW 60-69 years, male 11.8
GTEX-1LNCM-1126-SM-E9U5E 50-59 years, female 11.8
GTEX-14ABY-0226-SM-5TDCQ 50-59 years, male 11.7
GTEX-1C6VS-0526-SM-7DUEN 60-69 years, male 11.7
GTEX-139T8-0126-SM-5K7XZ 60-69 years, male 11.6
GTEX-WH7G-2326-SM-3NMBC 40-49 years, male 11.6
GTEX-13RTL-0126-SM-7LG5S 40-49 years, male 11.5
GTEX-14LLW-0126-SM-6LLIO 70-79 years, female 11.5
GTEX-14PHW-0126-SM-6LLJI 60-69 years, female 11.5
GTEX-ZY6K-1826-SM-5GZXK 50-59 years, male 11.5
GTEX-1LGOU-2026-SM-DIPFF 20-29 years, female 11.5
GTEX-1S82Y-2026-SM-EVYCM 40-49 years, male 11.5
GTEX-1269C-2526-SM-5EGJ3 60-69 years, female 11.4
GTEX-13IVO-0126-SM-5J1NG 70-79 years, male 11.4
GTEX-PW2O-1526-SM-7RHHB 20-29 years, male 11.4
GTEX-18A66-0226-SM-718BD 60-69 years, male 11.3
GTEX-WRHK-1426-SM-3MJF9 20-29 years, female 11.3
GTEX-ZVE2-0226-SM-59HJB 50-59 years, male 11.3
GTEX-1PWST-0226-SM-E76QJ 70-79 years, male 11.3
GTEX-13FTX-1826-SM-5J1NX 20-29 years, female 11.2
GTEX-R55E-0126-SM-2TC5Y 20-29 years, male 11.2
GTEX-15DYW-0126-SM-7KULE 60-69 years, female 11.1
GTEX-WOFL-0126-SM-3MJG2 60-69 years, male 11.1
GTEX-117YX-2326-SM-5H12W 50-59 years, male 11.0
GTEX-17F97-0326-SM-7LG5B 50-59 years, male 11.0
GTEX-146FQ-0126-SM-5NQA9 30-39 years, male 10.9
GTEX-ZYW4-0126-SM-5E44A 60-69 years, male 10.9
GTEX-1GN1V-0126-SM-9WPOS 60-69 years, male 10.9
GTEX-1HGF4-2426-SM-ACKXM 60-69 years, male 10.9
GTEX-144FL-0126-SM-5TDC8 50-59 years, male 10.8
GTEX-1JMOU-1526-SM-CL54I 60-69 years, female 10.8
GTEX-1PPH7-2326-SM-EVYB8 40-49 years, male 10.8
GTEX-1R9PO-2126-SM-E9J4O 60-69 years, female 10.8
GTEX-OIZF-0126-SM-7SB8I 60-69 years, male 10.8
GTEX-131XW-0426-SM-5LZWP 50-59 years, female 10.7
GTEX-13FHO-0226-SM-5IFGY 60-69 years, male 10.7
GTEX-13OVI-1426-SM-5L3EY 60-69 years, female 10.7
GTEX-13QJ3-0326-SM-5S2RA 50-59 years, male 10.7
GTEX-QDVN-2026-SM-3GAEP 50-59 years, male 10.7
GTEX-X4XX-0126-SM-3NMC2 60-69 years, male 10.7
GTEX-ZYY3-0126-SM-5GZY5 60-69 years, female 10.7
GTEX-1IDFM-0126-SM-COH2V 60-69 years, male 10.7
GTEX-11EMC-2926-SM-5EQ4F 60-69 years, female 10.6
GTEX-131XG-2626-SM-5KM17 50-59 years, female 10.6
GTEX-WFG8-2226-SM-3GIL9 20-29 years, male 10.6
GTEX-ZTPG-0326-SM-5O9AX 20-29 years, female 10.6
GTEX-1A8FM-0226-SM-7SB7Q 50-59 years, female 10.6
GTEX-RNOR-0126-SM-E9J4R 50-59 years, female 10.6
GTEX-139TT-0126-SM-5K7Y5 60-69 years, male 10.5
GTEX-13OVG-1926-SM-5L3DK 60-69 years, male 10.5
GTEX-OXRP-0126-SM-3NB32 60-69 years, female 10.5
GTEX-PLZ5-2026-SM-2S1O4 50-59 years, male 10.5
GTEX-SSA3-0126-SM-32QPU 60-69 years, male 10.5
GTEX-12584-0126-SM-5EGKQ 40-49 years, male 10.4
GTEX-X585-0226-SM-4QAS2 50-59 years, male 10.4
GTEX-1HBPH-0426-SM-B2LW5 40-49 years, female 10.4
GTEX-1MCQQ-0826-SM-DLHC2 60-69 years, male 10.4
GTEX-13X6J-0126-SM-5QGOU 50-59 years, male 10.3
GTEX-17MF6-0126-SM-7LG4F 40-49 years, male 10.3
GTEX-ZC5H-0226-SM-4WAY9 40-49 years, female 10.3
GTEX-1GF9U-2126-SM-7SB7L 40-49 years, female 10.3
GTEX-1M5QR-1226-SM-EWROB 40-49 years, male 10.3
GTEX-12WSK-2326-SM-5GCOH 40-49 years, female 10.2
GTEX-14A6H-0126-SM-5QGPK 30-39 years, male 10.2
GTEX-PVOW-0126-SM-2XCFA 40-49 years, male 10.2
GTEX-R3RS-0126-SM-3GIJL 40-49 years, female 10.2
GTEX-1F7RK-0126-SM-7PC2S 20-29 years, female 10.2
GTEX-1KD5A-0226-SM-D5OV3 50-59 years, male 10.2
GTEX-1GN2E-0426-SM-9MQKX 60-69 years, male 10.1
GTEX-11DZ1-0126-SM-5985Q 50-59 years, male 10.0
GTEX-11OF3-2626-SM-5GU7F 60-69 years, male 10.0
GTEX-1A3MV-1926-SM-718BT 30-39 years, male 10.0
GTEX-WYVS-2126-SM-3NMA3 40-49 years, female 10.0
GTEX-1R46S-0626-SM-E9J41 60-69 years, female 10.0
GTEX-17HII-0226-SM-7LG4E 50-59 years, male 9.9
GTEX-183FY-0126-SM-7LT9P 20-29 years, male 9.9
GTEX-OXRL-0126-SM-2YUMP 50-59 years, male 9.9
GTEX-T5JC-0426-SM-32PLO 20-29 years, male 9.9
GTEX-1HSMO-0126-SM-CL547 60-69 years, male 9.9
GTEX-11P82-1626-SM-59879 20-29 years, male 9.8
GTEX-15SHU-0126-SM-7KUEH 40-49 years, female 9.8
GTEX-1C64O-0126-SM-7SB8P 60-69 years, male 9.8
GTEX-117XS-2726-SM-5N9BL 60-69 years, male 9.7
GTEX-12C56-1726-SM-5EQ61 20-29 years, male 9.7
GTEX-13G51-2526-SM-5LZYK 60-69 years, male 9.7
GTEX-147F3-0526-SM-5SI98 50-59 years, female 9.7
GTEX-1BAJH-0526-SM-793CQ 70-79 years, male 9.7
GTEX-QV44-1926-SM-2S1RF 50-59 years, male 9.7
GTEX-RTLS-0126-SM-447CA 60-69 years, female 9.7
GTEX-WZTO-0126-SM-3NM95 40-49 years, male 9.7
GTEX-X4EO-0326-SM-3P5YO 60-69 years, female 9.7
GTEX-X5EB-2226-SM-46MW4 40-49 years, male 9.7
GTEX-XMD2-0126-SM-4YCDU 60-69 years, female 9.7
GTEX-YEC4-2126-SM-5IFJH 40-49 years, male 9.7
GTEX-13OW5-0126-SM-DTXFS 60-69 years, male 9.6
GTEX-1I1HK-0126-SM-COH49 60-69 years, male 9.6
GTEX-1MA7X-2226-SM-E6CIY 60-69 years, male 9.6
GTEX-1N2EF-0226-SM-EYYXB 60-69 years, male 9.6
GTEX-1RAZA-0126-SM-E6CI3 20-29 years, male 9.6
GTEX-11P81-2326-SM-59875 30-39 years, female 9.5
GTEX-139UW-2826-SM-5L3E7 60-69 years, male 9.5
GTEX-13CF2-2526-SM-5LZYX 60-69 years, male 9.5
GTEX-13N11-2526-SM-5K7UE 50-59 years, female 9.5
GTEX-147GR-0526-SM-5S2MY 60-69 years, male 9.5
GTEX-1B8L1-2526-SM-9WYTF 60-69 years, male 9.5
GTEX-1EKGG-0226-SM-9WYTH 60-69 years, male 9.5
GTEX-1H3VY-0126-SM-ACKXD 50-59 years, male 9.5
GTEX-1I1GR-0126-SM-CL55F 60-69 years, male 9.5
GTEX-1H1ZS-0426-SM-9WG6G 70-79 years, male 9.4
GTEX-ZVT4-0126-SM-DTXFN 50-59 years, female 9.4
GTEX-13X6I-0626-SM-5QGP9 60-69 years, male 9.3
GTEX-15EOM-0126-SM-7KUGG 20-29 years, female 9.3
GTEX-QDVJ-1726-SM-2I5FX 50-59 years, male 9.3
GTEX-RWSA-0126-SM-2XCBB 40-49 years, male 9.3
GTEX-1EU9M-0226-SM-7P8SP 60-69 years, male 9.3
GTEX-1QW4Y-1526-SM-EAZ3Z 30-39 years, male 9.3
GTEX-13RTJ-2426-SM-5S2Q2 60-69 years, male 9.2
GTEX-15SDE-2226-SM-7IGLO 50-59 years, female 9.2
GTEX-16MT8-0426-SM-7KUEY 60-69 years, female 9.2
GTEX-18A7A-0226-SM-718BH 50-59 years, female 9.2
GTEX-ZXES-1826-SM-5E43S 30-39 years, female 9.2
GTEX-1GPI7-0126-SM-9MQL8 20-29 years, male 9.2
GTEX-1HBPI-1526-SM-C1YQ1 50-59 years, male 9.2
GTEX-1IKOH-0226-SM-COH4E 60-69 years, female 9.2
GTEX-1JJE9-0326-SM-CL53Z 70-79 years, male 9.2
GTEX-11ZTS-0126-SM-5EQ6M 60-69 years, female 9.1
GTEX-Q734-1926-SM-2I5EV 40-49 years, female 9.1
GTEX-1MJK2-0426-SM-DTXE5 50-59 years, male 9.1
GTEX-1R7EV-2426-SM-EVYBG 40-49 years, male 9.1
GTEX-1CAMR-1926-SM-7EPI2 20-29 years, male 9.0
GTEX-U3ZH-2026-SM-3DB78 30-39 years, male 9.0
GTEX-1HKZK-0326-SM-9WYUH 40-49 years, male 9.0
GTEX-1LVAN-0226-SM-COH3S 50-59 years, female 9.0
GTEX-1MUQO-0126-SM-EAZ58 60-69 years, male 9.0
GTEX-11H98-0126-SM-5EGHG 50-59 years, male 8.9
GTEX-12ZZX-0126-SM-5EGK9 40-49 years, female 8.9
GTEX-12ZZZ-0626-SM-5DUXI 60-69 years, male 8.9
GTEX-139TU-0126-SM-5K7WH 60-69 years, male 8.9
GTEX-1CAV2-2226-SM-7P8P2 40-49 years, female 8.9
GTEX-1CB4G-0226-SM-7PC3O 60-69 years, male 8.9
GTEX-1H3O1-0426-SM-9YFKY 60-69 years, male 8.9
GTEX-1LBAC-0126-SM-DIPEZ 20-29 years, male 8.9
GTEX-1MCYP-1926-SM-E9J2R 20-29 years, female 8.9
GTEX-1MGNQ-0126-SM-EVYCJ 40-49 years, male 8.9
GTEX-1QP29-0626-SM-EWRMX 50-59 years, male 8.9
GTEX-12KS4-0326-SM-5EQ41 30-39 years, male 8.8
GTEX-13D11-2426-SM-5KM1V 50-59 years, female 8.8
GTEX-17HGU-0226-SM-7DHKV 50-59 years, male 8.8
GTEX-VJWN-0126-SM-3GIK7 50-59 years, female 8.8
GTEX-12WSG-2826-SM-E9J4H 50-59 years, female 8.8
GTEX-1GZ2Q-0226-SM-7P8TL 40-49 years, male 8.8
GTEX-1JKYN-1326-SM-CGQG9 30-39 years, male 8.8
GTEX-1QEPI-0126-SM-EWRMQ 60-69 years, female 8.8
GTEX-1314G-1526-SM-5EGK2 30-39 years, male 8.7
GTEX-14BIN-0626-SM-793DP 50-59 years, female 8.7
GTEX-18D9B-0526-SM-7LTAS 60-69 years, male 8.7
GTEX-QLQW-1126-SM-2S1Q8 30-39 years, male 8.7
GTEX-U4B1-1826-SM-4DXSU 40-49 years, male 8.7
GTEX-ZWKS-0126-SM-5SIAA 30-39 years, male 8.7
GTEX-ZXG5-0126-SM-5GIEU 60-69 years, male 8.7
GTEX-169BO-1326-SM-9MQK2 50-59 years, male 8.7
GTEX-1C6WA-0126-SM-7PC2B 60-69 years, male 8.7
GTEX-1QP66-1726-SM-E8VO1 50-59 years, male 8.7
GTEX-11VI4-1726-SM-5CVLH 40-49 years, female 8.6
GTEX-12WSC-0126-SM-5EQ4P 50-59 years, male 8.6
GTEX-131YS-0126-SM-5KM1M 60-69 years, female 8.6
GTEX-13SLW-0126-SM-5SI6C 70-79 years, male 8.6
GTEX-14PK6-1926-SM-6ETZU 70-79 years, female 8.6
GTEX-16YQH-0126-SM-7DUFJ 30-39 years, male 8.6
GTEX-1B8SF-1426-SM-7DUGL 60-69 years, male 8.6
GTEX-1C2JI-1826-SM-73KXC 50-59 years, male 8.6
GTEX-O5YW-0126-SM-3LK6D 50-59 years, male 8.6
GTEX-11NUK-0126-SM-5A5L3 50-59 years, male 8.5
GTEX-13VXU-0126-SM-5SI9F 50-59 years, male 8.5
GTEX-1A3MW-0126-SM-73KXX 60-69 years, female 8.5
GTEX-P44H-0226-SM-2XCEU 40-49 years, male 8.5
GTEX-SIU8-0126-SM-2XCDT 50-59 years, male 8.5
GTEX-1S82Z-0826-SM-E6CHY 30-39 years, female 8.5
GTEX-11WQC-2526-SM-5CVLE 60-69 years, male 8.4
GTEX-11ZUS-0626-SM-59885 30-39 years, male 8.4
GTEX-13U4I-0126-SM-5LU38 40-49 years, female 8.4
GTEX-ZAK1-0126-SM-5IJD3 50-59 years, female 8.4
GTEX-1IY9M-0126-SM-D3L8S 60-69 years, male 8.4
GTEX-1PDJ9-0326-SM-DTX95 20-29 years, male 8.4
GTEX-ZQG8-1626-SM-DHXIT 60-69 years, female 8.4
GTEX-13S7M-0126-SM-5SI6A 60-69 years, female 8.3
GTEX-14DAQ-0126-SM-5S2MQ 60-69 years, female 8.3
GTEX-17HHE-2026-SM-79OKF 50-59 years, male 8.3
GTEX-1AMEY-1326-SM-73KYK 30-39 years, female 8.3
GTEX-RN64-0126-SM-2TC68 50-59 years, male 8.3
GTEX-XQ3S-1526-SM-4BOOC 20-29 years, male 8.3
GTEX-144GN-2326-SM-5LU4F 50-59 years, male 8.2
GTEX-XQ8I-0426-SM-4BOPO 50-59 years, male 8.2
GTEX-Z93T-0126-SM-5HL5N 50-59 years, male 8.2
GTEX-1IE54-0126-SM-CMKHW 40-49 years, female 8.2
GTEX-1JMQJ-0526-SM-CYPSU 50-59 years, male 8.2
GTEX-11DXW-0226-SM-5H122 40-49 years, male 8.1
GTEX-1AX9J-0226-SM-73KXM 60-69 years, male 8.1
GTEX-OIZG-0726-SM-33HBL 50-59 years, male 8.1
GTEX-V1D1-2226-SM-3NMAX 50-59 years, male 8.1
GTEX-VUSG-2526-SM-4KL1V 50-59 years, male 8.1
GTEX-WYJK-0126-SM-3NMAB 50-59 years, male 8.1
GTEX-13O3O-0126-SM-E9J49 60-69 years, female 8.1
GTEX-1JK1U-2026-SM-CM2RZ 60-69 years, male 8.1
GTEX-1PBJI-0526-SM-E8VNK 20-29 years, female 8.1
GTEX-1RB15-2126-SM-E9TIM 60-69 years, male 8.1
GTEX-1RLM8-2326-SM-EWRN4 50-59 years, male 8.1
GTEX-11DXX-2426-SM-5GZZW 60-69 years, female 8.0
GTEX-11EI6-0126-SM-5985R 60-69 years, male 8.0
GTEX-11GSO-2426-SM-5A5LY 60-69 years, male 8.0
GTEX-13OVL-0226-SM-5L3E9 50-59 years, male 8.0
GTEX-145LT-1726-SM-5QGP3 40-49 years, male 8.0
GTEX-145MI-0526-SM-5O9A8 60-69 years, female 8.0
GTEX-Q2AH-1626-SM-3GAF8 40-49 years, male 8.0
GTEX-QVJO-1626-SM-2S1QW 60-69 years, female 8.0
GTEX-ZDXO-3026-SM-5J1N5 60-69 years, male 8.0
GTEX-ZDYS-2026-SM-5HL5L 50-59 years, male 8.0
GTEX-1CB4F-0426-SM-9KNV4 60-69 years, male 8.0
GTEX-1EWIQ-0126-SM-7RHH2 70-79 years, female 8.0
GTEX-1H23P-0126-SM-ADEJ3 60-69 years, male 8.0
GTEX-1J8EW-0126-SM-CJI4F 60-69 years, female 8.0
GTEX-1LG7Y-0526-SM-DKPQC 50-59 years, male 8.0
GTEX-1PIGE-0126-SM-EVYBJ 20-29 years, male 8.0
GTEX-12WSD-0126-SM-59HKN 60-69 years, female 7.9
GTEX-145LS-0126-SM-5QGP1 60-69 years, female 7.9
GTEX-P4PQ-0126-SM-2S1NM 60-69 years, male 7.9
GTEX-PX3G-0126-SM-2I3EN 20-29 years, female 7.9
GTEX-TSE9-0126-SM-3DB83 60-69 years, female 7.9
GTEX-1CB4H-0226-SM-7PBXM 60-69 years, female 7.9
GTEX-1GN1W-0526-SM-9MQJQ 50-59 years, female 7.9
GTEX-1MA7W-2026-SM-E9TJ6 20-29 years, female 7.9
GTEX-13PDP-0126-SM-5L3HD 60-69 years, male 7.8
GTEX-14E7W-0126-SM-6LLJ9 70-79 years, male 7.8
GTEX-TMZS-0126-SM-3DB9Q 60-69 years, male 7.8
GTEX-1GF9W-0326-SM-9KNUN 60-69 years, male 7.8
GTEX-1GMR3-1926-SM-9KNUZ 40-49 years, male 7.8
GTEX-11XUK-2026-SM-5EQLF 40-49 years, female 7.7
GTEX-145MO-0326-SM-5Q5B3 60-69 years, male 7.7
GTEX-147F4-0226-SM-5QGPW 50-59 years, male 7.7
GTEX-1B8KZ-2026-SM-7DHMB 50-59 years, male 7.7
GTEX-ZAB5-1826-SM-5HL7C 50-59 years, male 7.7
GTEX-1M4P7-0226-SM-DIPEV 60-69 years, male 7.7
GTEX-13SLX-0526-SM-5S2ON 50-59 years, female 7.6
GTEX-146FH-0126-SM-5QGPP 50-59 years, female 7.6
GTEX-17EVP-0326-SM-7DHLG 40-49 years, male 7.6
GTEX-18465-0126-SM-731BN 50-59 years, male 7.6
GTEX-1C475-1826-SM-73KWA 40-49 years, female 7.6
GTEX-X4EP-0126-SM-3P5YV 60-69 years, female 7.6
GTEX-1F5PL-0326-SM-7P8PQ 40-49 years, female 7.6
GTEX-1KXAM-2226-SM-CYPTC 60-69 years, male 7.6
GTEX-S33H-1026-SM-EZ6L6 30-39 years, male 7.6
GTEX-1192W-2626-SM-5Q5AF 60-69 years, male 7.5
GTEX-11O72-0126-SM-59887 40-49 years, male 7.5
GTEX-13O21-1426-SM-5K7XI 50-59 years, male 7.5
GTEX-13X6H-2126-SM-7EWD5 50-59 years, female 7.5
GTEX-15D1Q-0126-SM-7KUG6 40-49 years, male 7.5
GTEX-PWO3-1526-SM-48TCM 60-69 years, female 7.5
GTEX-SN8G-0126-SM-32PLI 50-59 years, female 7.5
GTEX-U3ZM-1526-SM-3DB9D 40-49 years, male 7.5
GTEX-WQUQ-0426-SM-3MJFU 60-69 years, male 7.5
GTEX-XAJ8-0826-SM-47JY6 40-49 years, male 7.5
GTEX-YFC4-0126-SM-5CVLY 40-49 years, female 7.5
GTEX-Z9EW-1626-SM-5CVMN 40-49 years, male 7.5
GTEX-13FH7-2026-SM-E9J4I 50-59 years, female 7.5
GTEX-1J1OQ-0226-SM-CYPSH 40-49 years, female 7.5
GTEX-1JMPZ-0226-SM-CNPP1 30-39 years, male 7.5
GTEX-1JMQK-0226-SM-CL543 60-69 years, male 7.5
GTEX-1JN1M-0326-SM-CYPT3 60-69 years, female 7.5
GTEX-11NSD-2226-SM-5986V 20-29 years, male 7.4
GTEX-11ZU8-2526-SM-5EQKI 60-69 years, male 7.4
GTEX-133LE-1826-SM-5J1MV 20-29 years, female 7.4
GTEX-WY7C-2326-SM-3NB2U 50-59 years, male 7.4
GTEX-Y3I4-2126-SM-4TT7C 50-59 years, male 7.4
GTEX-1B933-0126-SM-7PC29 50-59 years, female 7.4
GTEX-1HCU8-0626-SM-A9SM9 60-69 years, female 7.4
GTEX-1HCVE-0126-SM-CGQEU 50-59 years, male 7.4
GTEX-1HSMQ-1226-SM-CGQFX 50-59 years, male 7.4
GTEX-14A5I-0126-SM-5TDEA 50-59 years, female 7.3
GTEX-1AX8Z-0126-SM-7DHM6 60-69 years, male 7.3
GTEX-1B8KE-2126-SM-73KYX 50-59 years, male 7.3
GTEX-1CAMQ-0226-SM-7IGPK 40-49 years, male 7.3
GTEX-RM2N-1426-SM-2TF4H 50-59 years, male 7.3
GTEX-WI4N-1026-SM-3LK7N 40-49 years, female 7.3
GTEX-XUZC-1726-SM-4BRWS 30-39 years, female 7.3
GTEX-1IDJF-0126-SM-CM2RS 20-29 years, male 7.3
GTEX-1QPFJ-0226-SM-E76PB 30-39 years, female 7.3
GTEX-14BIL-0126-SM-5SI92 50-59 years, male 7.2
GTEX-14DAR-2026-SM-5S2O3 50-59 years, male 7.2
GTEX-17EUY-0426-SM-793BD 20-29 years, male 7.2
GTEX-O5YT-0126-SM-48TBW 20-29 years, male 7.2
GTEX-SJXC-0126-SM-2XCFF 60-69 years, male 7.2
GTEX-Y114-2426-SM-4TT8A 50-59 years, female 7.2
GTEX-1HFI7-1826-SM-ACKXH 50-59 years, female 7.2
GTEX-1ICG6-2526-SM-CGQFZ 70-79 years, female 7.2
GTEX-1KD4Q-0226-SM-E9TJ9 40-49 years, male 7.2
GTEX-11OC5-0126-SM-5HL6A 60-69 years, male 7.1
GTEX-11ZTT-2426-SM-5EQLS 60-69 years, female 7.1
GTEX-1399R-2726-SM-5IJBA 30-39 years, male 7.1
GTEX-TML8-1926-SM-32QOS 40-49 years, female 7.1
GTEX-Y111-0126-SM-4SOIV 50-59 years, male 7.1
GTEX-ZVT2-2526-SM-51MT1 50-59 years, female 7.1
GTEX-1H1DE-2126-SM-9WG6R 20-29 years, male 7.1
GTEX-13OW8-1326-SM-5J1OW 60-69 years, male 7.0
GTEX-13VXT-0126-SM-5LU4I 20-29 years, female 7.0
GTEX-14753-0426-SM-5NQAM 60-69 years, male 7.0
GTEX-15DCD-0126-SM-7KUEK 70-79 years, female 7.0
GTEX-15DDE-0126-SM-6LPKH 50-59 years, female 7.0
GTEX-15F5U-1526-SM-6PANO 40-49 years, male 7.0
GTEX-16BQI-0226-SM-7KUEX 30-39 years, female 7.0
GTEX-18A67-0126-SM-7LG5P 50-59 years, male 7.0
GTEX-1C4CL-0526-SM-73KVK 30-39 years, male 7.0
GTEX-NPJ8-0126-SM-2YUNR 40-49 years, male 7.0
GTEX-1F75B-0126-SM-9KNVL 50-59 years, male 7.0
GTEX-1R9PM-2026-SM-E76OY 20-29 years, male 7.0
GTEX-12WSL-2526-SM-5GCNJ 50-59 years, male 6.9
GTEX-139TS-2826-SM-5J1OO 60-69 years, male 6.9
GTEX-15G19-0126-SM-6PANQ 60-69 years, male 6.9
GTEX-16XZY-2126-SM-79OK1 70-79 years, male 6.9
GTEX-17HHY-0126-SM-7LG5D 50-59 years, male 6.9
GTEX-18A7B-0126-SM-7LG64 70-79 years, male 6.9
GTEX-OOBK-0126-SM-2YUND 40-49 years, male 6.9
GTEX-RWS6-2026-SM-2XCB5 60-69 years, female 6.9
GTEX-XUW1-0426-SM-4BOOT 50-59 years, female 6.9
GTEX-YJ8A-0426-SM-5IFID 20-29 years, male 6.9
GTEX-1F5PK-2426-SM-7RHHY 50-59 years, male 6.9
GTEX-1HT8W-0126-SM-CNPPP 30-39 years, male 6.9
GTEX-1J8JJ-0226-SM-CL53I 60-69 years, female 6.9
GTEX-11GS4-2726-SM-5A5LE 60-69 years, male 6.8
GTEX-13O3Q-2426-SM-5IJBR 50-59 years, male 6.8
GTEX-14PJM-0226-SM-62LF1 50-59 years, female 6.8
GTEX-17F96-1626-SM-7DUFL 70-79 years, male 6.8
GTEX-1CB4J-0626-SM-7DHMP 60-69 years, male 6.8
GTEX-R55G-2526-SM-2TC6D 40-49 years, female 6.8
GTEX-XBED-2226-SM-47JYQ 60-69 years, male 6.8
GTEX-YB5K-2126-SM-4WWDJ 40-49 years, female 6.8
GTEX-1IGQW-0126-SM-COH42 60-69 years, male 6.8
GTEX-PLZ6-1426-SM-DKPOT 30-39 years, male 6.8
GTEX-14E6D-0126-SM-62LDV 50-59 years, male 6.7
GTEX-14PII-0226-SM-6EU1T 60-69 years, male 6.7
GTEX-14PN3-2426-SM-6LLHS 60-69 years, female 6.7
GTEX-17HG3-2226-SM-7938L 30-39 years, female 6.7
GTEX-18QFQ-0126-SM-731BE 30-39 years, male 6.7
GTEX-1AX9K-2326-SM-73KWU 50-59 years, male 6.7
GTEX-QLQ7-1626-SM-2S1R8 60-69 years, male 6.7
GTEX-ZDTS-0126-SM-4WAY5 60-69 years, male 6.7
GTEX-1CAMS-0426-SM-7P8T2 40-49 years, female 6.7
GTEX-1KWVE-1426-SM-E9TJO 30-39 years, male 6.7
GTEX-OOBJ-0126-SM-E6CJW 60-69 years, male 6.7
GTEX-ZF29-2326-SM-DO92K 60-69 years, female 6.7
GTEX-12126-0326-SM-5PNW3 20-29 years, male 6.6
GTEX-13O3P-0126-SM-5KM4S 50-59 years, male 6.6
GTEX-RU72-0926-SM-2TF6B 50-59 years, female 6.6
GTEX-SNMC-1226-SM-2XCFP 20-29 years, male 6.6
GTEX-RVPV-0126-SM-EAZAW 60-69 years, male 6.6
GTEX-13OVK-2026-SM-7KUEO 40-49 years, male 6.5
GTEX-15CHC-2126-SM-6EU21 60-69 years, female 6.5
GTEX-OHPL-0126-SM-2HMJ7 60-69 years, female 6.5
GTEX-1F6I4-0126-SM-9MQL2 60-69 years, male 6.5
GTEX-1I1GT-0626-SM-CGQER 60-69 years, female 6.5
GTEX-1PIIG-0226-SM-EWRN6 30-39 years, male 6.5
GTEX-1RQEC-0426-SM-E6CHU 60-69 years, male 6.5
GTEX-1S83E-0126-SM-EWRO4 40-49 years, male 6.5
GTEX-13112-2826-SM-5DUWH 50-59 years, male 6.4
GTEX-14LZ3-0226-SM-62LET 60-69 years, female 6.4
GTEX-15SB6-1726-SM-6PAME 50-59 years, female 6.4
GTEX-17F98-0626-SM-79OMX 40-49 years, female 6.4
GTEX-18D9U-0226-SM-718BP 40-49 years, male 6.4
GTEX-OHPM-0126-SM-2YUN9 50-59 years, male 6.4
GTEX-Q2AI-1326-SM-2S1PL 40-49 years, male 6.4
GTEX-TMMY-0226-SM-33HBA 40-49 years, female 6.4
GTEX-U412-0426-SM-3DB9O 60-69 years, male 6.4
GTEX-X88G-0126-SM-47JZ3 30-39 years, male 6.4
GTEX-1GTWX-0126-SM-9YFLK 60-69 years, male 6.4
GTEX-1HCUA-2426-SM-ADEIS 50-59 years, female 6.4
GTEX-145ME-1826-SM-5SI9G 40-49 years, female 6.3
GTEX-1497J-2426-SM-7IGNX 60-69 years, male 6.3
GTEX-QEG4-0226-SM-2S1PY 30-39 years, male 6.3
GTEX-1HCU9-1526-SM-A9SL7 20-29 years, male 6.3
GTEX-1I1GP-2226-SM-CGQFK 50-59 years, male 6.3
GTEX-1JKYR-0126-SM-CNPOJ 20-29 years, male 6.3
GTEX-1LB8K-0226-SM-EWRNW 50-59 years, male 6.3
GTEX-13CF3-2426-SM-5IFGX 60-69 years, female 6.2
GTEX-13N2G-2626-SM-5J1OT 60-69 years, male 6.2
GTEX-145LU-0126-SM-5TDCB 50-59 years, male 6.2
GTEX-T8EM-1026-SM-3DB7M 40-49 years, male 6.2
GTEX-XUYS-0126-SM-47JWZ 50-59 years, male 6.2
GTEX-1GPI6-0126-SM-9WG69 60-69 years, male 6.2
GTEX-1GZ4H-1726-SM-7PBZJ 50-59 years, female 6.2
GTEX-1H1DG-0126-SM-9WYU2 70-79 years, male 6.2
GTEX-1RDX4-0126-SM-E9J4P 50-59 years, female 6.2
GTEX-111FC-0126-SM-5N9DL 60-69 years, male 6.1
GTEX-15ER7-0326-SM-7KUEV 20-29 years, female 6.1
GTEX-16NPX-0226-SM-79OMT 50-59 years, male 6.1
GTEX-1E1VI-0126-SM-7DHMZ 50-59 years, male 6.1
GTEX-OXRO-0126-SM-2YUN4 60-69 years, female 6.1
GTEX-S7PM-0126-SM-4AD6S 60-69 years, male 6.1
GTEX-VJYA-1126-SM-3GIJU 60-69 years, male 6.1
GTEX-ZAJG-0126-SM-5HL94 50-59 years, female 6.1
GTEX-ZDTT-2726-SM-4WKF8 60-69 years, male 6.1
GTEX-1I19N-0326-SM-ACKVX 70-79 years, male 6.1
GTEX-1I1GV-0526-SM-A9G29 60-69 years, male 6.1
GTEX-PWCY-1826-SM-DHXIZ 20-29 years, female 6.1
GTEX-11DXZ-2326-SM-5EGGV 50-59 years, male 6.0
GTEX-12ZZY-0226-SM-5LZVE 60-69 years, male 6.0
GTEX-13W3W-2426-SM-5LU5B 60-69 years, female 6.0
GTEX-15ETS-0126-SM-7KUMW 40-49 years, female 6.0
GTEX-16GPK-0126-SM-7DHLE 60-69 years, male 6.0
GTEX-NFK9-0226-SM-2HMKQ 40-49 years, male 6.0
GTEX-P4QT-0126-SM-2I3FL 50-59 years, female 6.0
GTEX-WVJS-0126-SM-4MVOT 50-59 years, male 6.0
GTEX-Z93S-0126-SM-5HL7M 50-59 years, male 6.0
GTEX-ZYT6-0226-SM-5NQ6T 30-39 years, male 6.0
GTEX-1212Z-2526-SM-5EGKP 60-69 years, male 5.9
GTEX-132NY-0326-SM-5IJBL 60-69 years, male 5.9
GTEX-13NYS-0126-SM-5MR3W 60-69 years, male 5.9
GTEX-14JG6-2226-SM-6EU2G 30-39 years, female 5.9
GTEX-18A6Q-0126-SM-731BZ 60-69 years, male 5.9
GTEX-1B8SG-0126-SM-73KZ3 50-59 years, male 5.9
GTEX-1C6VR-2426-SM-79OLD 60-69 years, male 5.9
GTEX-OIZH-0126-SM-2HMIS 50-59 years, male 5.9
GTEX-UPJH-0326-SM-3GADU 50-59 years, male 5.9
GTEX-ZF2S-2326-SM-4WWCE 50-59 years, female 5.9
GTEX-ZV6S-2326-SM-4YCEY 40-49 years, female 5.9
GTEX-1AX9I-0126-SM-7SB74 60-69 years, male 5.9
GTEX-1HFI6-0226-SM-ADEHZ 40-49 years, male 5.9
GTEX-1HSKV-0226-SM-A9SKJ 60-69 years, male 5.9
GTEX-1J1R8-1726-SM-ARL8M 40-49 years, male 5.9
GTEX-1JN76-0126-SM-CNPPE 20-29 years, female 5.9
GTEX-1R7EU-0226-SM-EVR4G 60-69 years, male 5.9
GTEX-12WSA-0226-SM-5BC5V 60-69 years, male 5.8
GTEX-14PJ6-2126-SM-6EU1V 60-69 years, female 5.8
GTEX-ZVTK-0426-SM-51MRS 20-29 years, male 5.8
GTEX-ZYFG-2326-SM-5E44B 60-69 years, female 5.8
GTEX-11EQ9-2426-SM-5HL5T 30-39 years, male 5.7
GTEX-1211K-2026-SM-5EQ4Z 60-69 years, female 5.7
GTEX-13O1R-0126-SM-5L3EH 60-69 years, male 5.7
GTEX-145MN-2226-SM-5SIAU 30-39 years, male 5.7
GTEX-15UKP-0426-SM-7KUFQ 20-29 years, male 5.7
GTEX-1CB4E-2226-SM-793DC 60-69 years, male 5.7
GTEX-S7SE-0126-SM-2XCD5 50-59 years, male 5.7
GTEX-1HSMP-0126-SM-E6CJS 70-79 years, male 5.7
GTEX-1ICLY-0126-SM-D4P36 50-59 years, male 5.7
GTEX-1IDJH-0326-SM-A9SLQ 70-79 years, male 5.7
GTEX-1LC47-0326-SM-E9TJP 60-69 years, male 5.7
GTEX-11UD1-0126-SM-5PNYG 40-49 years, female 5.6
GTEX-13FHP-0126-SM-5IJBG 50-59 years, male 5.6
GTEX-14BMV-0126-SM-5S2PO 50-59 years, male 5.6
GTEX-17JCI-0126-SM-7LG5G 60-69 years, female 5.6
GTEX-T6MN-0126-SM-32PLP 50-59 years, male 5.6
GTEX-XYKS-2126-SM-4E3IB 60-69 years, female 5.6
GTEX-Y5V5-2326-SM-4V6GA 60-69 years, female 5.6
GTEX-1I1GU-2226-SM-CGQFA 40-49 years, male 5.6
GTEX-1IL2V-0126-SM-CM2TX 70-79 years, male 5.6
GTEX-1128S-2326-SM-5GZZY 60-69 years, female 5.5
GTEX-11LCK-1026-SM-5A5KB 30-39 years, male 5.5
GTEX-16XZZ-0126-SM-793DV 60-69 years, male 5.5
GTEX-RUSQ-1526-SM-2TF62 50-59 years, male 5.5
GTEX-Y5LM-1926-SM-5RQJH 40-49 years, female 5.5
GTEX-ZV68-0126-SM-59HKS 50-59 years, female 5.5
GTEX-ZVZO-0126-SM-5A5L9 40-49 years, male 5.5
GTEX-1I6K6-0126-SM-A9SLE 30-39 years, male 5.5
GTEX-1K2DU-2326-SM-E9TIV 20-29 years, male 5.5
GTEX-1S3DN-2226-SM-EVYCD 50-59 years, male 5.5
GTEX-11DXY-2626-SM-5GIE7 60-69 years, male 5.4
GTEX-11EM3-2426-SM-59861 20-29 years, female 5.4
GTEX-14PHX-2326-SM-62LEM 50-59 years, male 5.4
GTEX-16AAH-1726-SM-7939C 50-59 years, male 5.4
GTEX-1B97I-1626-SM-73KYO 40-49 years, male 5.4
GTEX-Y8DK-0126-SM-4TT3L 60-69 years, male 5.4
GTEX-ZZ64-1726-SM-5GZYB 20-29 years, male 5.4
GTEX-1EMGI-0126-SM-9KNUE 60-69 years, male 5.4
GTEX-1HSEH-0126-SM-ACKXN 60-69 years, male 5.4
GTEX-1J8Q3-1626-SM-CMKGC 60-69 years, male 5.4
GTEX-1K2DA-1826-SM-CGQGT 50-59 years, male 5.4
GTEX-18D9A-1926-SM-7LG6P 30-39 years, female 5.3
GTEX-TKQ1-1026-SM-4GICL 30-39 years, male 5.3
GTEX-U8XE-0326-SM-3DB8P 30-39 years, male 5.3
GTEX-XPVG-2626-SM-4B669 50-59 years, male 5.3
GTEX-Y8E4-0626-SM-4WWDL 40-49 years, male 5.3
GTEX-ZE9C-2726-SM-57WB5 60-69 years, male 5.3
GTEX-ZYFC-0226-SM-5NQ75 50-59 years, male 5.3
GTEX-ZYFD-0126-SM-5GIDL 50-59 years, male 5.3
GTEX-1HB9E-0226-SM-E9U4R 50-59 years, male 5.3
GTEX-1JMLX-0226-SM-CM2RO 50-59 years, male 5.3
GTEX-1JMPY-1326-SM-ARL8Y 30-39 years, male 5.3
GTEX-1LH75-2426-SM-E9TJE 50-59 years, female 5.3
GTEX-1N2DW-0226-SM-E9TK2 50-59 years, male 5.3
GTEX-1PPH8-0226-SM-E8VND 20-29 years, male 5.3
GTEX-ZPIC-1726-SM-DHXIU 40-49 years, female 5.3
GTEX-12WSJ-1826-SM-5GCNY 40-49 years, female 5.2
GTEX-13PVR-2326-SM-5QGR1 60-69 years, female 5.2
GTEX-YB5E-2026-SM-5IFIS 40-49 years, male 5.2
GTEX-1JMQI-2226-SM-CM2SD 50-59 years, male 5.2
GTEX-1KANB-0526-SM-E6CJH 50-59 years, male 5.2
GTEX-15RIG-0226-SM-7KFTL 40-49 years, male 5.1
GTEX-16NGA-1726-SM-731B4 40-49 years, female 5.1
GTEX-P4PP-0126-SM-3LK69 30-39 years, female 5.1
GTEX-T5JW-1626-SM-3GADZ 20-29 years, female 5.1
GTEX-XBEW-0626-SM-4QASP 40-49 years, male 5.1
GTEX-Y3IK-2426-SM-4WWDU 50-59 years, female 5.1
GTEX-1HBPN-0226-SM-9YFM1 50-59 years, male 5.1
GTEX-1N2DV-0226-SM-E6CJ6 40-49 years, male 5.1
GTEX-1OFPY-2426-SM-DTXEJ 60-69 years, male 5.1
GTEX-11WQK-0526-SM-5EQLD 50-59 years, male 5.0
GTEX-131XH-2226-SM-5DUXJ 50-59 years, male 5.0
GTEX-1399T-2826-SM-5KLYZ 60-69 years, male 5.0
GTEX-15UF6-0826-SM-6PALJ 70-79 years, female 5.0
GTEX-QESD-1426-SM-2S1R9 20-29 years, male 5.0
GTEX-T6MO-1626-SM-32QOM 40-49 years, female 5.0
GTEX-XXEK-2226-SM-4BRUM 50-59 years, male 5.0
GTEX-1B996-0226-SM-7RHGO 60-69 years, male 5.0
GTEX-1GF9X-2026-SM-7PC3A 40-49 years, female 5.0
GTEX-PSDG-0226-SM-DKPOZ 50-59 years, male 5.0
GTEX-W5X1-3026-SM-EAZAX 40-49 years, female 5.0
GTEX-Y5V6-2426-SM-4VDSB 60-69 years, male 4.9
GTEX-ZGAY-0526-SM-4WWBB 40-49 years, female 4.9
GTEX-1H4P4-0726-SM-9YFLR 50-59 years, male 4.9
GTEX-1O97I-0326-SM-EYYX7 60-69 years, male 4.9
GTEX-1QCLY-0326-SM-E8VOG 30-39 years, male 4.9
GTEX-11P7K-2126-SM-5GU7G 30-39 years, male 4.8
GTEX-11UD2-0226-SM-5EQKY 50-59 years, male 4.8
GTEX-12696-2426-SM-5EQ6H 60-69 years, male 4.8
GTEX-14PJ3-1826-SM-62LEX 50-59 years, male 4.8
GTEX-14PN4-0126-SM-6EU2V 50-59 years, male 4.8
GTEX-183WM-0126-SM-7LTAB 70-79 years, female 4.8
GTEX-U8T8-0126-SM-3DB94 60-69 years, male 4.8
GTEX-ZTSS-1926-SM-57WEW 40-49 years, male 4.8
GTEX-1HCU7-0226-SM-CL545 50-59 years, male 4.8
GTEX-1I4MK-2226-SM-ACKWD 50-59 years, female 4.8
GTEX-1IOXB-0126-SM-ARL8G 50-59 years, male 4.8
GTEX-1KAFJ-2026-SM-CY8ID 50-59 years, male 4.8
GTEX-1LSNM-1926-SM-E6CII 50-59 years, male 4.8
GTEX-1QAET-0926-SM-E76QM 50-59 years, male 4.8
GTEX-131XE-2326-SM-5PNZ2 50-59 years, male 4.7
GTEX-14BIM-0226-SM-7IGLD 60-69 years, female 4.7
GTEX-11TUW-2726-SM-E9J4M 60-69 years, male 4.7
GTEX-1H1E6-1726-SM-ACKVK 30-39 years, male 4.7
GTEX-1JN6P-0126-SM-D3L98 60-69 years, male 4.7
GTEX-1KANA-0726-SM-D3L9I 20-29 years, male 4.7
GTEX-1LGRB-2526-SM-CNPPQ 50-59 years, female 4.7
GTEX-1NHNU-1026-SM-E9J2A 50-59 years, male 4.7
GTEX-1NV5F-0226-SM-E8VNY 60-69 years, female 4.7
GTEX-145MF-0626-SM-5LUAI 50-59 years, male 4.6
GTEX-1CB4I-0226-SM-79OLH 50-59 years, male 4.6
GTEX-S95S-1226-SM-4GICG 60-69 years, male 4.6
GTEX-SUCS-1926-SM-32PM3 70-79 years, male 4.6
GTEX-YJ89-0126-SM-4TT3X 60-69 years, male 4.6
GTEX-1HR98-0126-SM-B2LWI 60-69 years, male 4.6
GTEX-1QP9N-1426-SM-DTXFL 30-39 years, male 4.6
GTEX-13JUV-2726-SM-5LZZ8 40-49 years, female 4.5
GTEX-WXYG-2326-SM-4E3I6 50-59 years, female 4.5
GTEX-ZU9S-0226-SM-5E441 30-39 years, male 4.5
GTEX-1E2YA-0126-SM-9KNUC 50-59 years, male 4.5
GTEX-1K9T9-0126-SM-EVYCF 50-59 years, female 4.5
GTEX-1OJC3-0126-SM-E76QX 20-29 years, male 4.5
GTEX-ZF3C-0126-SM-DO92D 50-59 years, female 4.5
GTEX-14E6E-1826-SM-5S2R7 30-39 years, male 4.4
GTEX-17KNJ-2326-SM-7DHLQ 50-59 years, male 4.4
GTEX-1F75I-0326-SM-9YFLU 40-49 years, male 4.4
GTEX-1QP2A-0126-SM-E9J43 50-59 years, male 4.4
GTEX-11DYG-0126-SM-59883 60-69 years, male 4.3
GTEX-1AMFI-2026-SM-731BH 50-59 years, female 4.3
GTEX-T2YK-0526-SM-32QPJ 50-59 years, male 4.3
GTEX-1HSGN-0226-SM-CGQFV 40-49 years, female 4.3
GTEX-1IDJU-2626-SM-CM2RT 60-69 years, female 4.3
GTEX-1IL2U-0226-SM-CE6T8 60-69 years, male 4.3
GTEX-1IKJJ-0126-SM-CNPQB 60-69 years, male 4.2
GTEX-1IKK5-0626-SM-ARL8A 60-69 years, male 4.2
GTEX-14BMU-2226-SM-5TDE9 20-29 years, female 4.1
GTEX-1A3MX-0126-SM-731BR 60-69 years, male 4.1
GTEX-1H1CY-2826-SM-9MQM3 60-69 years, female 4.1
GTEX-1JJ6O-0126-SM-E6CI8 60-69 years, male 4.1
GTEX-13FTW-2626-SM-5K7WL 40-49 years, male 4.0
GTEX-14ICK-0226-SM-6EU25 40-49 years, male 4.0
GTEX-13YAN-0326-SM-5O9DF 60-69 years, male 3.9
GTEX-14C5O-0126-SM-5SI6N 60-69 years, male 3.9
GTEX-14JG1-0426-SM-6ETZZ 40-49 years, male 3.9
GTEX-W5WG-1826-SM-4KL2Y 50-59 years, female 3.9
GTEX-WFON-2126-SM-3LK7O 40-49 years, male 3.9
GTEX-1S5ZA-0126-SM-EVYCV 20-29 years, male 3.9
GTEX-1122O-2126-SM-5EGIR 60-69 years, female 3.8
GTEX-12WSE-0526-SM-793B2 20-29 years, male 3.8
GTEX-13111-1626-SM-5EGJY 50-59 years, male 3.8
GTEX-13FXS-0226-SM-5IJCK 50-59 years, male 3.8
GTEX-13RTK-1426-SM-5QGQJ 20-29 years, male 3.8
GTEX-15EU6-0426-SM-6PAN5 50-59 years, male 3.8
GTEX-131XF-5016-SM-7MGWE 60-69 years, male 3.8
GTEX-1J8Q2-0526-SM-CM2RW 60-69 years, male 3.8
GTEX-1PFEY-1526-SM-E76PP 30-39 years, male 3.8
GTEX-13NYB-2526-SM-5K7Z6 40-49 years, male 3.7
GTEX-UJHI-1526-SM-3DB99 50-59 years, female 3.7
GTEX-X261-0126-SM-3NMD6 50-59 years, male 3.7
GTEX-1GL5R-1826-SM-9KNUY 50-59 years, male 3.7
GTEX-1JJEA-0326-SM-CNPOT 60-69 years, male 3.7
GTEX-1KANC-1526-SM-D3LAB 50-59 years, female 3.7
GTEX-13NYC-0326-SM-E9J4S 60-69 years, male 3.6
GTEX-1J8QM-2126-SM-CYPSJ 60-69 years, female 3.6
GTEX-13113-5016-SM-7EPIP 60-69 years, female 3.5
GTEX-1399U-2326-SM-5K7WY 50-59 years, female 3.5
GTEX-1I1GQ-0126-SM-COH3H 50-59 years, male 3.5
GTEX-17GQL-2026-SM-718BA 60-69 years, male 3.4
GTEX-X4XY-0226-SM-4E3IZ 60-69 years, male 3.4
GTEX-144GL-0126-SM-5TDE2 50-59 years, male 3.3
GTEX-1LG7Z-1726-SM-D3LA4 30-39 years, male 3.3
GTEX-S32W-2126-SM-2XCB1 50-59 years, female 3.2
GTEX-X8HC-0126-SM-4E3JW 50-59 years, female 3.1
GTEX-ZVZP-2426-SM-59HKJ 50-59 years, male 3.1
GTEX-11TT1-2526-SM-5EGIB 20-29 years, male 3.0
GTEX-14A5H-0426-SM-5QGQF 60-69 years, male 3.0
GTEX-14XAO-2326-SM-6EU1B 60-69 years, female 2.7
GTEX-ZTX8-1426-SM-5DUVO 20-29 years, male 2.5
GTEX-1L5NE-2526-SM-E6CIE 50-59 years, male 2.4
GTEX-13OVH-0126-SM-5MR4B 70-79 years, male 2.3
GTEX-POMQ-2226-SM-2I5FK 20-29 years, female 2.0
GTEX-1JMQL-0226-SM-CNPP5 50-59 years, female 2.0
Show allShow less

Contact

  • NEWS ARTICLES
  • PRESS ROOM

The Project

  • INTRODUCTION
  • ORGANIZATION
  • PUBLICATIONS

The Human Protein Atlas

  • DOWNLOADABLE DATA
  • LICENCE & CITATION
  • HELP & FAQ
The Human Protein Atlas project is funded
by the Knut & Alice Wallenberg Foundation.


contact@proteinatlas.org