We use cookies to enhance the usability of our website. If you continue, we'll assume that you are happy to receive all cookies. More information. Don't show this again.
AKR1C1
HPA
RESOURCES
  • TISSUE
  • BRAIN
  • SINGLE CELL
  • SUBCELLULAR
  • CANCER
  • BLOOD
  • CELL LINE
  • STRUCTURE & INTERACTION
ABOUT
  • INTRODUCTION
  • HISTORY
  • ORGANIZATION
  • PUBLICATIONS
  • ANTIBODY SUBMISSION
  • ANTIBODY AVAILABILITY
  • ACKNOWLEDGMENTS
  • CONTACT
NEWS
  • NEWS ARTICLES
  • PRESS ROOM
LEARN
  • DICTIONARY
  • PROTEIN CLASSES
  • PROTEIN EVIDENCE
  • METHODS
  • EDUCATIONAL VIDEOS
DATA
  • DOWNLOADABLE DATA
  • PUBLICATION DATA
  • RELEASE HISTORY
HELP
  • ANTIBODY VALIDATION
  • ASSAYS & ANNOTATION
  • DISCLAIMER
  • HELP & FAQ
  • PRIVACY STATEMENT
  • LICENCE & CITATION
Fields »
Search result

Field
Term
Gene name
Class
Subclass
Class
Keyword
Chromosome
External id
Tissue
Cell type
Expression
Antibody panel
Tissue
Main location
Patient ID
Annotation
Tissue
Category
Tau score
Cluster
Reliability
Brain region
Category
Tau score
Brain region
Category
Tau score
Brain region
Category
Tau score
Cluster
Reliability
Tissue
Cell type
Enrichment
Cell type
Category
Tau score
Cell type
Category
Tau score
Cell type
Category
Tau score
Cell lineage
Category
Tau score
Cluster
Cluster
Location
Searches
Location
Cell line
Class
Type
Phase
Reliability
Cancer
Prognosis
Cancer
Category
Cancer
Category
Tau score
Cluster
Variants
Interacting gene (ensg_id)
Type
Number of interactions
Pathway
Category
Score
Score
Score
Validation
Validation
Validation
Validation
Antibodies
Data type
Column


  • SUMMARY

  • TISSUE

  • BRAIN

  • SINGLE CELL

  • SUBCELL

  • CANCER

  • BLOOD

  • CELL LINE

  • STRUCT & INT

  • AKR1C1
TISSUE PRIMARY DATA SKIN Show tissue menu
ADIPOSE TISSUE ADRENAL GLAND AMYGDALA APPENDIX BASAL GANGLIA BONE MARROW BREAST BRONCHUS CEREBELLUM CEREBRAL CORTEX CERVIX CHOROID PLEXUS COLON DUODENUM
ENDOMETRIUM EPIDIDYMIS ESOPHAGUS FALLOPIAN TUBE GALLBLADDER HEART MUSCLE HIPPOCAMPAL FORMATION HYPOTHALAMUS KIDNEY LIVER LUNG LYMPH NODE MIDBRAIN NASOPHARYNX
ORAL MUCOSA OVARY PANCREAS PARATHYROID GLAND PITUITARY GLAND PLACENTA PROSTATE RECTUM RETINA SALIVARY GLAND SEMINAL VESICLE SKELETAL MUSCLE SKIN SMALL INTESTINE
SMOOTH MUSCLE SOFT TISSUE SPINAL CORD SPLEEN STOMACH TESTIS THYMUS THYROID GLAND TONGUE TONSIL URINARY BLADDER VAGINA
ANTIBODIES
AND
VALIDATION
Dictionary
Skin
Tissue proteome
Skin
SKIN - Expression summary
Protein expression
Skini

On the top, protein expression in current human tissue, based on all annotated cell types, is reported with the units not detected (n), low (l), medium (m) and high (h). Underneath, protein expression in each annotated cell type are reported using the same units.

Protein expression data is based on knowledge-based annotation. For genes where more than one antibody has been used, a collective score is set.

If knowledge-based annotation could not be performed for a gene, no data is displayed here. View antibody staining data further down this page.

h
m
l
n
Cells in basal layer: Not detected
Cells in corneal layer: Not detected
Cells in granular layer: Not detected
Cells in spinous layer: Low
Endothelial cells: Not detected
Extracellular matrix: Not detected
Fibrohistiocytic cells: Medium
Hair follicles: Low
Langerhans cells: Not detected
Lymphocytes: Not detected
Melanocytes: Not detected
Vascular mural cells: Not detected
RNA expressioni

A summary of mRNA expression data available for current tissue based on several datasets. The mRNA expression levels in human tissues are based on RNA-seq data generated by the Human Protein Atlas (HPA), Genotype-Tissue Expression (GTEx) portal and CAGE data generated by the FANTOM5 consortium. Consensus normalized expression levels for human tissues was created by combining the data from HPA and GTEx datasets.

The mRNA expression levels in pig are based on RNA-seq data generated by the Human Protein Atlas (HPA), and for mouse, HPA data and in situ hybridization generated by the Allen brain atlas are reported.

Scroll down to view mRNA expression data in more detail.
Consensus:34.2 nTPM
HPA:11.8 nTPM
GTEx:34.2 nTPM

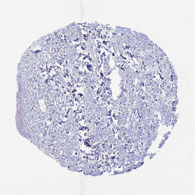
SKIN 1 - Antibody stainingi

Antibody staining in the annotated cell types in the current human tissue is reported as not detected, low, medium, or high, based on conventional immunohistochemistry profiling in selected tissues. This score is based on the combination of the staining intensity and fraction of stained cells.

Each image is clickable and will lead to virtual microscopy that enables deeper exploration of all samples and also displays staining intensity scores, fraction scores and subcellular localization as well as patient and tissue information for each sample.

Antibody HPA068265Antibody CAB047303
Langerhans Not detected-
Cells in basal layer -Not detected
Cells in corneal layer -Not detected
Cells in granular layer -Not detected
Cells in spinous layer -Not detected
Endothelial cells -Not detected
Extracellular matrix -Not detected
Fibroblasts Not detected-
Fibrohistiocytic cells -Medium
Keratinocytes Not detected-
Langerhans cells -Not detected
Lymphocytes -Not detected
Melanocytes Not detectedNot detected
Vascular mural cells -Not detected

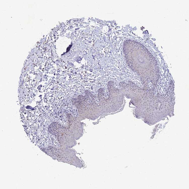
SKIN 2 - Antibody stainingi

Antibody staining in the annotated cell types in the current human tissue is reported as not detected, low, medium, or high, based on conventional immunohistochemistry profiling in selected tissues. This score is based on the combination of the staining intensity and fraction of stained cells.

Each image is clickable and will lead to virtual microscopy that enables deeper exploration of all samples and also displays staining intensity scores, fraction scores and subcellular localization as well as patient and tissue information for each sample.

Antibody HPA068265Antibody CAB047303
Cells in basal layer -Not detected
Cells in corneal layer -Not detected
Cells in granular layer -Not detected
Cells in spinous layer -Low
Endothelial cells -Not detected
Epidermal cells Not detected-
Extracellular matrix -Not detected
Fibrohistiocytic cells -Medium
Hair follicles -Low
Langerhans cells -Not detected
Lymphocytes -Not detected
Melanocytes -Not detected
Vascular mural cells -Not detected
  



SKIN - HPA RNA-seqi

The RNA-seq details section shows detailed information about the individual samples used for the transcript profiling and results of the RNA-seq analysis.

Information about each individual sample is listed below, including gender, age, a tissue section image and estimated fractions of cell types. nTPM (normalized transcripts per million) values give a quantification of the gene abundance which is comparable between different genes and samples.
Average nTPMi

Max subtype nTPM is the value for the subtype with the largest average nTPM across the subtype samples.

11.8
overview
Female, age 34
Skin sample 225
nTPM: 10.5
Cell types%
Keratinocytes:
60

Other cell types:
40

overview
Female, age 30
Skin sample 226
nTPM: 11.2
Cell types%
Keratinocytes:
55

Other cell types:
45

N/A
Male, age 57
Skin sample 227
nTPM: 13.7

SKIN - GTEx RNA-seqi

RNA-Seq data generated by the Genotype-Tissue Expression (GTEx) project from human tissues is reported as mean nTPM. More information can be found on the GTEx portal.

Distribution across the dataset is visualized with box plots, shown as median and 25th and 75th percentiles. Points are displayed as outliers if they are above or below 1.5 times the interquartile range. nTPM values of the individual samples are presented next to the box plot.
Max subtype nTPMi

Max subtype nTPM is the value for the subtype with the largest average nTPM across the subtype samples.

34.2
GTEx sample id Sample description nTPM
Skin - Not Sun Exposed (Suprapubic)
Average nTPM: 29.6
Samples: 604

Max nTPM: 189.1
Min nTPM: 3.4
Std nTPM: 21.5
Median nTPM: 23.7
GTEX-1GF9U-2026-SM-7SB92 40-49 years, female 189.1
GTEX-13NZ9-2626-SM-5L3FK 50-59 years, male 172.7
GTEX-1IDJE-1426-SM-ADEIW 50-59 years, female 154.2
GTEX-12WSL-2026-SM-5GCML 50-59 years, male 145.8
GTEX-1QP66-1226-SM-DTX7U 50-59 years, male 144.9
GTEX-1LBAC-0826-SM-CY8IJ 20-29 years, male 118.5
GTEX-1L5NE-1126-SM-D3L9P 50-59 years, male 115.6
GTEX-13FH7-1126-SM-5K7UG 50-59 years, female 111.9
GTEX-1KANC-1226-SM-CYPT7 50-59 years, female 106.2
GTEX-146FQ-2126-SM-5RQHU 30-39 years, male 93.4
GTEX-18A7B-2726-SM-7LG56 70-79 years, male 87.7
GTEX-1K2DA-1026-SM-CGQGF 50-59 years, male 87.4
GTEX-13N11-2326-SM-5IJBF 50-59 years, female 86.7
GTEX-14A6H-2026-SM-5Q5DD 30-39 years, male 84.2
GTEX-1A32A-0626-SM-731AQ 50-59 years, female 83.6
GTEX-XOT4-0626-SM-4B66L 60-69 years, female 78.7
GTEX-ZT9W-1126-SM-57WDR 50-59 years, male 77.8
GTEX-WFG8-2126-SM-3GIKQ 20-29 years, male 77.2
GTEX-YB5K-2026-SM-4VDT3 40-49 years, female 75.4
GTEX-1PBJJ-1026-SM-E76OS 30-39 years, male 75.1
GTEX-13FTX-1526-SM-5K7VJ 20-29 years, female 74.5
GTEX-1F52S-2926-SM-7MKGA 60-69 years, female 71.3
GTEX-1HCU9-0426-SM-9WYSD 20-29 years, male 70.1
GTEX-1192X-2726-SM-5N9DN 50-59 years, male 69.7
GTEX-1I6K6-1726-SM-CGQFD 30-39 years, male 69.5
GTEX-1RAZS-2526-SM-E6CHT 50-59 years, male 69.3
GTEX-1C475-1326-SM-7SB73 40-49 years, female 67.7
GTEX-1H1CY-0126-SM-9YFLY 60-69 years, female 67.7
GTEX-12BJ1-0926-SM-5EQ62 60-69 years, male 67.2
GTEX-14E1K-2026-SM-7DUEI 50-59 years, male 66.9
GTEX-11NSD-0626-SM-5A5LU 20-29 years, male 66.5
GTEX-1RAZA-2226-SM-E9U4X 20-29 years, male 66.1
GTEX-1RAZR-2126-SM-E9U6T 40-49 years, male 65.5
GTEX-17JCI-2926-SM-7DUFF 60-69 years, female 65.3
GTEX-1QW4Y-1126-SM-DTXE3 30-39 years, male 65.1
GTEX-1NSGN-0726-SM-DTXEF 50-59 years, male 64.9
GTEX-117YX-1926-SM-5GIEC 50-59 years, male 64.8
GTEX-ZDXO-3126-SM-5IJDF 60-69 years, male 64.3
GTEX-1H3NZ-2726-SM-9WYTQ 60-69 years, male 64.1
GTEX-1QEPI-2626-SM-DTXF4 60-69 years, female 63.5
GTEX-1CAV2-0126-SM-7IGN7 40-49 years, female 63.2
GTEX-145MG-1526-SM-5Q5EM 50-59 years, male 62.6
GTEX-ZTTD-2826-SM-4YCFA 50-59 years, male 61.6
GTEX-15RIE-1926-SM-7KUKJ 60-69 years, male 61.3
GTEX-ZLFU-1826-SM-4WWBV 40-49 years, male 60.5
GTEX-1IDJF-2026-SM-CL53V 20-29 years, male 60.5
GTEX-13JUV-2026-SM-5K7UA 40-49 years, female 59.0
GTEX-1LGOU-1326-SM-D3L8M 20-29 years, female 58.5
GTEX-VUSG-2326-SM-4KL1U 50-59 years, male 58.1
GTEX-1LVAN-0626-SM-CNPOQ 50-59 years, female 58.1
GTEX-1LSNM-0826-SM-DIPG8 50-59 years, male 57.3
GTEX-ZLWG-0826-SM-59888 50-59 years, female 56.9
GTEX-1IL2V-1926-SM-B2LW8 70-79 years, male 56.9
GTEX-WXYG-2026-SM-4E3IY 50-59 years, female 56.7
GTEX-14DAQ-0626-SM-793DS 60-69 years, female 56.6
GTEX-1LVA9-2626-SM-EVYD4 50-59 years, male 56.3
GTEX-11TT1-1826-SM-5EQLV 20-29 years, male 55.2
GTEX-1LG7Z-1626-SM-CXKYR 30-39 years, male 55.0
GTEX-12584-0726-SM-5FQTK 40-49 years, male 54.9
GTEX-ZYFG-1526-SM-5GZYM 60-69 years, female 54.9
GTEX-13X6I-1826-SM-5SIAO 60-69 years, male 54.7
GTEX-U8XE-0226-SM-4E3J3 30-39 years, male 54.5
GTEX-1CAMR-1326-SM-7PC1F 20-29 years, male 54.3
GTEX-1MJK3-0726-SM-E6CJC 20-29 years, male 54.3
GTEX-1HR98-2226-SM-ADEI2 60-69 years, male 54.2
GTEX-11EM3-1226-SM-5N9DD 20-29 years, female 53.7
GTEX-16XZZ-0726-SM-7KUF2 60-69 years, male 53.1
GTEX-139YR-1026-SM-5LZYN 50-59 years, male 52.7
GTEX-1S5ZU-2526-SM-E6CIF 20-29 years, female 51.7
GTEX-18D9B-0926-SM-7LG4U 60-69 years, male 51.6
GTEX-18A6Q-0626-SM-7KFRP 60-69 years, male 51.4
GTEX-1AX9J-1326-SM-731BJ 60-69 years, male 50.1
GTEX-111FC-2526-SM-5GZXU 60-69 years, male 49.3
GTEX-13113-1626-SM-5EQ4I 60-69 years, female 49.3
GTEX-16BQI-1326-SM-6M486 30-39 years, female 49.1
GTEX-15SHW-0226-SM-7LTAT 60-69 years, male 49.0
GTEX-Y3IK-1626-SM-4YCF5 50-59 years, female 47.9
GTEX-1F75I-2226-SM-7SB8U 40-49 years, male 47.5
GTEX-15RJ7-2126-SM-6PAMD 40-49 years, male 47.2
GTEX-ZVE1-0726-SM-51MRN 50-59 years, female 47.2
GTEX-WHWD-1826-SM-3LK6I 50-59 years, male 46.8
GTEX-X3Y1-2026-SM-3P5YM 40-49 years, male 46.6
GTEX-12WSF-1626-SM-7KUG5 70-79 years, male 46.4
GTEX-1IDJD-2326-SM-ACKWX 30-39 years, male 46.0
GTEX-1QCLZ-2426-SM-EVYBW 60-69 years, female 46.0
GTEX-17KNJ-2126-SM-718AM 50-59 years, male 45.8
GTEX-1POEN-2326-SM-E9J2L 30-39 years, female 45.5
GTEX-16NGA-0726-SM-731AO 40-49 years, female 45.4
GTEX-18A67-1626-SM-7LT9T 50-59 years, male 45.3
GTEX-16YQH-2226-SM-7IGM2 30-39 years, male 44.6
GTEX-1KANA-1326-SM-DIPFA 20-29 years, male 44.5
GTEX-Y5V6-2326-SM-4VDSA 60-69 years, male 44.4
GTEX-1ICG6-1226-SM-A9SLN 70-79 years, female 44.4
GTEX-145MO-2826-SM-5LU96 60-69 years, male 44.3
GTEX-VJYA-1526-SM-3GIJV 60-69 years, male 44.2
GTEX-14BMU-1226-SM-5S2OR 20-29 years, female 44.1
GTEX-ZP4G-1426-SM-4WWCL 20-29 years, female 43.8
GTEX-11OF3-0126-SM-5PNYF 60-69 years, male 43.6
GTEX-145LS-0626-SM-7EPG7 60-69 years, female 43.4
GTEX-WHSE-0126-SM-3NMBT 20-29 years, male 43.4
GTEX-ZDTT-0426-SM-4WKFL 60-69 years, male 43.2
GTEX-1497J-0226-SM-5QGPU 60-69 years, male 43.1
GTEX-1IDJC-1526-SM-B2LW4 50-59 years, male 43.1
GTEX-1GF9X-1326-SM-7PC2Y 40-49 years, female 43.0
GTEX-1IDJU-1726-SM-CMKHU 60-69 years, female 42.9
GTEX-XXEK-1626-SM-4BRUZ 50-59 years, male 42.8
GTEX-1J8JJ-0626-SM-ARZMQ 60-69 years, female 42.8
GTEX-11DXW-0826-SM-5H118 40-49 years, male 42.2
GTEX-15RJE-2826-SM-7KUM9 40-49 years, male 41.8
GTEX-1A3MX-2626-SM-7PC24 60-69 years, male 41.7
GTEX-14PK6-0226-SM-62LF5 70-79 years, female 41.6
GTEX-11P7K-1126-SM-5HL4L 30-39 years, male 41.5
GTEX-14JG1-1526-SM-5YY9X 40-49 years, male 41.5
GTEX-WK11-2726-SM-3NMAQ 50-59 years, male 41.5
GTEX-1RMOY-1326-SM-E9TIH 50-59 years, male 41.5
GTEX-1N5O9-0926-SM-E9J3C 60-69 years, male 41.4
GTEX-YEC3-1326-SM-DO92X 50-59 years, male 41.4
GTEX-11DXY-0126-SM-5H11Q 60-69 years, male 41.1
GTEX-1GZ2Q-0126-SM-9WG6M 40-49 years, male 40.8
GTEX-17HG3-2626-SM-7DUF2 30-39 years, female 40.7
GTEX-1K9T9-1526-SM-DIPFR 50-59 years, female 40.7
GTEX-1E1VI-0326-SM-793D1 50-59 years, male 40.5
GTEX-1399R-1326-SM-5PNYS 30-39 years, male 40.2
GTEX-YFCO-1226-SM-5LUAT 40-49 years, male 40.2
GTEX-1314G-1326-SM-5BC6E 30-39 years, male 40.1
GTEX-14PJ2-0626-SM-6LLII 50-59 years, male 40.1
GTEX-13OVL-0126-SM-5L3GJ 50-59 years, male 40.0
GTEX-ZPU1-1126-SM-4YCF3 40-49 years, male 40.0
GTEX-1IKOE-1426-SM-CE6T7 30-39 years, female 39.9
GTEX-1C64O-1326-SM-7MGWR 60-69 years, male 39.8
GTEX-1JMLX-0626-SM-ARL8T 50-59 years, male 39.6
GTEX-X8HC-0626-SM-4E3HQ 50-59 years, female 39.5
GTEX-14JG6-1426-SM-9WG7C 30-39 years, female 39.4
GTEX-1I4MK-0126-SM-CY8G6 50-59 years, female 39.4
GTEX-1B97I-0626-SM-73KUZ 40-49 years, male 39.3
GTEX-1S831-1826-SM-EWROF 20-29 years, male 39.3
GTEX-1JKYN-0826-SM-ARU8S 30-39 years, male 39.2
GTEX-13O61-1426-SM-5KM3D 60-69 years, male 39.0
GTEX-1IDJV-0126-SM-COH3Y 60-69 years, male 39.0
GTEX-139TU-0726-SM-5L3EK 60-69 years, male 38.6
GTEX-14PHY-1226-SM-5ZZWK 60-69 years, female 38.6
GTEX-16AAH-0626-SM-793C9 50-59 years, male 38.4
GTEX-1B996-0426-SM-7EWF8 60-69 years, male 38.4
GTEX-X585-2426-SM-46MW2 50-59 years, male 38.3
GTEX-11NUK-2726-SM-5A5MC 50-59 years, male 38.2
GTEX-1CB4I-0126-SM-7RHGG 50-59 years, male 38.1
GTEX-14E6C-2426-SM-5S2NF 40-49 years, male 38.0
GTEX-1F6I4-2326-SM-7RHGL 60-69 years, male 37.7
GTEX-11EI6-2826-SM-5H11D 60-69 years, male 37.4
GTEX-11DYG-1526-SM-5A5JS 60-69 years, male 37.0
GTEX-145ME-1726-SM-5Q5EU 40-49 years, female 37.0
GTEX-1R9PM-1926-SM-EVR3O 20-29 years, male 37.0
GTEX-V1D1-2026-SM-3GAF4 50-59 years, male 36.7
GTEX-17F9E-2326-SM-79OKD 50-59 years, male 36.6
GTEX-18A66-0626-SM-7LT8Z 60-69 years, male 36.6
GTEX-1H1DF-1126-SM-9WG7G 40-49 years, female 36.6
GTEX-1RB15-1326-SM-E76Q9 60-69 years, male 36.6
GTEX-14DAR-1226-SM-73KYV 50-59 years, male 36.5
GTEX-WYBS-0626-SM-3NMAS 60-69 years, female 36.3
GTEX-1H11D-1826-SM-9QEHM 40-49 years, male 36.1
GTEX-131XW-0626-SM-5PNVD 50-59 years, female 35.9
GTEX-13SLX-2226-SM-62LEP 50-59 years, female 35.9
GTEX-14LLW-2626-SM-62LDZ 70-79 years, female 35.9
GTEX-YJ8O-2526-SM-5HL85 40-49 years, female 35.8
GTEX-1HSGN-0826-SM-ACKW3 40-49 years, female 35.8
GTEX-12126-0826-SM-5FQTZ 20-29 years, male 35.7
GTEX-1S83E-1326-SM-E6CJM 40-49 years, male 35.6
GTEX-14BMV-2826-SM-5TDED 50-59 years, male 35.3
GTEX-16GPK-0626-SM-7KFSF 60-69 years, male 35.3
GTEX-17F96-0126-SM-7EWDU 70-79 years, male 35.2
GTEX-1JJ6O-2726-SM-CNPOG 60-69 years, male 35.1
GTEX-1EWIQ-0326-SM-7DHMQ 70-79 years, female 34.9
GTEX-12WSC-2826-SM-5BC5Y 50-59 years, male 34.8
GTEX-1PIGE-1826-SM-E8VOU 20-29 years, male 34.7
GTEX-1R9PN-0426-SM-DTXDT 40-49 years, female 34.7
GTEX-ZVTK-0226-SM-51MRG 20-29 years, male 34.6
GTEX-WEY5-2326-SM-3GIKK 40-49 years, female 34.4
GTEX-17EVQ-0126-SM-7IGLR 70-79 years, male 34.3
GTEX-1I19N-0126-SM-CYPSF 70-79 years, male 34.3
GTEX-15EU6-2226-SM-6EU2L 50-59 years, male 34.2
GTEX-18D9U-0126-SM-731BM 40-49 years, male 34.2
GTEX-1F75W-2726-SM-7SB8H 60-69 years, male 34.2
GTEX-YF7O-1526-SM-5IFI6 50-59 years, male 34.1
GTEX-1R7EU-1626-SM-DTXG3 60-69 years, male 33.8
GTEX-1MCC2-1826-SM-DIPEX 30-39 years, female 33.7
GTEX-11EQ9-1626-SM-5PNY8 30-39 years, male 33.3
GTEX-16MTA-0926-SM-6M47Z 50-59 years, male 33.3
GTEX-WH7G-2026-SM-3NMBL 40-49 years, male 33.0
GTEX-ZYFC-0426-SM-5GICQ 50-59 years, male 33.0
GTEX-ZXG5-2126-SM-59HKD 60-69 years, male 32.9
GTEX-14PJO-2526-SM-6AJBQ 60-69 years, male 32.8
GTEX-XK95-0226-SM-4AT58 40-49 years, male 32.8
GTEX-1J1R8-2026-SM-CL53Y 40-49 years, male 32.7
GTEX-ZDTS-0826-SM-4WKHL 60-69 years, male 32.6
GTEX-ZYW4-0626-SM-59HJR 60-69 years, male 32.6
GTEX-1H23P-0626-SM-9WG6T 60-69 years, male 32.5
GTEX-17F97-2626-SM-7IGM5 50-59 years, male 32.2
GTEX-13OW5-2326-SM-5L3HO 60-69 years, male 32.1
GTEX-1QCLY-0226-SM-EWRNH 30-39 years, male 32.1
GTEX-132AR-0326-SM-5KM2C 50-59 years, female 31.9
GTEX-1HC8U-1326-SM-9YFMJ 40-49 years, female 31.9
GTEX-1LGRB-0926-SM-COH3K 50-59 years, female 31.9
GTEX-ZWKS-0626-SM-5GIDV 30-39 years, male 31.8
GTEX-YECK-0326-SM-4W1YS 60-69 years, male 31.7
GTEX-XPVG-2126-SM-4B667 50-59 years, male 31.5
GTEX-ZUA1-2626-SM-5NQ92 40-49 years, male 31.5
GTEX-13N2G-0226-SM-5K7VF 60-69 years, male 31.4
GTEX-WYJK-0526-SM-3NM8Z 50-59 years, male 31.1
GTEX-1PPH8-0126-SM-EWRN8 20-29 years, male 31.1
GTEX-15CHQ-0326-SM-69LQD 60-69 years, male 31.0
GTEX-XYKS-1426-SM-4BRUO 60-69 years, female 31.0
GTEX-15DDE-2926-SM-6LLJ3 50-59 years, female 30.9
GTEX-1F5PL-0926-SM-7PC2W 40-49 years, female 30.7
GTEX-XBEC-0726-SM-4QARZ 50-59 years, male 30.5
GTEX-ZGAY-1826-SM-DO91Q 40-49 years, female 30.5
GTEX-WHPG-2626-SM-3NMBR 50-59 years, male 30.3
GTEX-ZTSS-1426-SM-5985P 40-49 years, male 30.3
GTEX-1KWVE-1026-SM-D3L9O 30-39 years, male 30.3
GTEX-12WSJ-1126-SM-5LZVJ 40-49 years, female 30.2
GTEX-18D9A-1426-SM-7LT8M 30-39 years, female 30.2
GTEX-11P81-2226-SM-5PNYI 30-39 years, female 30.1
GTEX-12C56-1526-SM-5FQUQ 20-29 years, male 30.1
GTEX-13OVG-1626-SM-5J1NF 60-69 years, male 30.1
GTEX-14PKV-1126-SM-6LLJ1 20-29 years, female 30.1
GTEX-17MFQ-1526-SM-7KFRR 20-29 years, male 30.1
GTEX-ZE9C-2526-SM-5IJDR 60-69 years, male 30.1
GTEX-1AMFI-1326-SM-7939R 50-59 years, female 30.0
GTEX-11EQ8-0926-SM-5H12V 60-69 years, male 29.9
GTEX-1HCU6-2526-SM-ADEHL 60-69 years, female 29.9
GTEX-1F75A-0726-SM-7RHHD 50-59 years, male 29.8
GTEX-1F6IF-0926-SM-7SB7M 60-69 years, male 29.7
GTEX-ZYT6-2326-SM-5GZY3 30-39 years, male 29.6
GTEX-Y114-2126-SM-4TT8B 50-59 years, female 29.5
GTEX-1CAMS-2226-SM-7PBXQ 40-49 years, female 29.5
GTEX-ZZ64-1026-SM-5GZXG 20-29 years, male 29.4
GTEX-1HCUA-0826-SM-ADEHM 50-59 years, female 29.1
GTEX-UPK5-0426-SM-3GAEK 40-49 years, male 29.0
GTEX-WY7C-2126-SM-3NB2R 50-59 years, male 29.0
GTEX-1A3MV-1826-SM-731CD 30-39 years, male 28.8
GTEX-WFON-1926-SM-3LK7L 40-49 years, male 28.7
GTEX-1JMQL-2226-SM-CNPP4 50-59 years, female 28.7
GTEX-1KANB-2826-SM-CY8I6 50-59 years, male 28.6
GTEX-15G1A-1626-SM-7KUKN 30-39 years, male 28.5
GTEX-XAJ8-1426-SM-47JYM 40-49 years, male 28.4
GTEX-183FY-1026-SM-7939A 20-29 years, male 28.3
GTEX-ZZPU-0826-SM-5GZX5 50-59 years, female 28.2
GTEX-XBED-1926-SM-47JYP 60-69 years, male 28.1
GTEX-11DZ1-2426-SM-5GZZX 50-59 years, male 28.0
GTEX-1F75B-0726-SM-7PC3R 50-59 years, male 28.0
GTEX-11ZUS-2626-SM-5FQUR 30-39 years, male 27.9
GTEX-12WSD-0626-SM-5GCMW 60-69 years, female 27.9
GTEX-1HSMP-0926-SM-A9SKX 70-79 years, male 27.9
GTEX-1B932-2326-SM-79OL5 40-49 years, female 27.8
GTEX-X5EB-1926-SM-4E3IW 40-49 years, male 27.8
GTEX-Y5LM-0926-SM-6LLJG 40-49 years, female 27.7
GTEX-ZC5H-1526-SM-5HL9Y 40-49 years, female 27.6
GTEX-14JFF-0626-SM-5ZZVT 60-69 years, male 27.6
GTEX-17HHY-0426-SM-7DHLC 50-59 years, male 27.5
GTEX-16Z82-2626-SM-7KULU 60-69 years, male 27.3
GTEX-ZVP2-0326-SM-57WBP 50-59 years, male 27.3
GTEX-13FTW-0326-SM-5K7UW 40-49 years, male 27.1
GTEX-144GO-2026-SM-5O99P 60-69 years, male 27.1
GTEX-1HCU8-2526-SM-CE6RX 60-69 years, female 27.1
GTEX-11ZTT-2126-SM-5CVLO 60-69 years, female 26.9
GTEX-15RIG-0726-SM-7KUM7 40-49 years, male 26.8
GTEX-139TS-2126-SM-5K7XC 60-69 years, male 26.7
GTEX-16MT8-2926-SM-7DUFO 60-69 years, female 26.7
GTEX-15G19-2426-SM-7KUMR 60-69 years, male 26.6
GTEX-1B8KE-1126-SM-7EPHI 50-59 years, male 26.4
GTEX-1M4P7-0726-SM-E6CJ3 60-69 years, male 26.4
GTEX-1PPH7-1126-SM-DTX9A 40-49 years, male 26.4
GTEX-13OVK-1426-SM-6PAN7 40-49 years, male 26.3
GTEX-1AX8Z-0726-SM-73KTS 60-69 years, male 26.2
GTEX-1JMPZ-0726-SM-CY8HZ 30-39 years, male 26.2
GTEX-1RAZQ-1326-SM-E9TK6 30-39 years, male 26.1
GTEX-W5X1-2526-SM-3GILC 40-49 years, female 25.9
GTEX-11P82-1426-SM-DTXFY 20-29 years, male 25.8
GTEX-1GN1U-0626-SM-9MQL9 50-59 years, female 25.8
GTEX-147GR-2426-SM-5ZZWQ 60-69 years, male 25.7
GTEX-1C6WA-2626-SM-7MKGM 60-69 years, male 25.7
GTEX-ZF3C-0626-SM-DO92O 50-59 years, female 25.7
GTEX-18QFQ-1826-SM-72D52 30-39 years, male 25.6
GTEX-1OJC3-1226-SM-DTXER 20-29 years, male 25.6
GTEX-1S82U-1026-SM-E6CJK 30-39 years, female 25.6
GTEX-18A7A-0126-SM-731AH 50-59 years, female 25.4
GTEX-1122O-1026-SM-9WYSF 60-69 years, female 25.3
GTEX-1RLM8-2926-SM-E8VON 50-59 years, male 25.3
GTEX-ZDYS-2426-SM-4WKGI 50-59 years, male 25.2
GTEX-ZAJG-1526-SM-5CVML 50-59 years, female 25.1
GTEX-11WQC-1826-SM-5GU59 60-69 years, male 25.0
GTEX-1JMQI-1726-SM-ARL93 50-59 years, male 25.0
GTEX-15CHC-1126-SM-6LLHQ 60-69 years, female 24.9
GTEX-1GMR2-0826-SM-7PC3V 50-59 years, male 24.6
GTEX-1J8Q2-2626-SM-ACKWQ 60-69 years, male 24.6
GTEX-1I6K7-1926-SM-B2LXR 40-49 years, male 24.5
GTEX-15UF6-1926-SM-7KUDV 70-79 years, female 24.4
GTEX-ZT9X-1526-SM-5DUXD 40-49 years, male 24.4
GTEX-13PVQ-0626-SM-5LU47 50-59 years, male 24.2
GTEX-145MN-1526-SM-5SI9T 30-39 years, male 24.2
GTEX-147F3-1726-SM-5SIAW 50-59 years, female 23.9
GTEX-18465-2826-SM-7LT9J 50-59 years, male 23.9
GTEX-ZAK1-0626-SM-5HL8E 50-59 years, female 23.8
GTEX-1C64N-2626-SM-7PC2N 50-59 years, male 23.7
GTEX-1GL5R-1326-SM-7RHHF 50-59 years, male 23.7
GTEX-1EX96-1026-SM-7MKG2 50-59 years, male 23.6
GTEX-1F88E-1626-SM-7SB8Z 60-69 years, female 23.6
GTEX-131XH-0126-SM-5LZUY 50-59 years, male 23.5
GTEX-14PJ3-1126-SM-5ZZVX 50-59 years, male 23.5
GTEX-1A8FM-0626-SM-7PC25 50-59 years, female 23.5
GTEX-XQ3S-1426-SM-4BOPR 20-29 years, male 23.4
GTEX-1HCVE-2726-SM-CL54F 50-59 years, male 23.4
GTEX-145MF-0926-SM-5Q5EA 50-59 years, male 23.0
GTEX-14A5H-0826-SM-5QGPJ 60-69 years, male 23.0
GTEX-14AS3-1526-SM-5Q5ED 40-49 years, female 22.9
GTEX-ZVT2-0126-SM-5GIDQ 50-59 years, female 22.9
GTEX-1IDJH-0126-SM-D3L92 70-79 years, male 22.9
GTEX-1GZ4I-2626-SM-9KNU3 50-59 years, male 22.8
GTEX-13FTY-2126-SM-5IFFB 40-49 years, female 22.6
GTEX-1IE54-1126-SM-A9G2Z 40-49 years, female 22.6
GTEX-1O9I2-0226-SM-EYYXD 50-59 years, male 22.6
GTEX-ZU9S-1826-SM-5NQ9E 30-39 years, male 22.5
GTEX-1H1E6-0426-SM-9WYUS 30-39 years, male 22.5
GTEX-1E2YA-2126-SM-7MXUO 50-59 years, male 22.4
GTEX-1KD5A-0126-SM-E9U54 50-59 years, male 22.4
GTEX-11DXX-2126-SM-5PNYR 60-69 years, female 22.3
GTEX-1IY9M-2826-SM-ARU8H 60-69 years, male 22.2
GTEX-147F4-0726-SM-5TDDD 50-59 years, male 22.1
GTEX-15ER7-0626-SM-6PANF 20-29 years, female 22.1
GTEX-1HBPN-0126-SM-CGQEF 50-59 years, male 22.1
GTEX-1QP9N-1226-SM-E76QN 30-39 years, male 22.1
GTEX-13X6H-0926-SM-5SIB2 50-59 years, female 22.0
GTEX-Y8LW-1526-SM-5IFHL 50-59 years, female 22.0
GTEX-Y8E4-2026-SM-5IFJB 40-49 years, male 21.9
GTEX-12WSM-1926-SM-5BC65 60-69 years, male 21.8
GTEX-1I1GP-1326-SM-A9G28 50-59 years, male 21.8
GTEX-15DYW-2726-SM-6EU2I 60-69 years, female 21.7
GTEX-XBEW-1126-SM-4QARW 40-49 years, male 21.7
GTEX-1GN1W-2426-SM-9KNUU 50-59 years, female 21.7
GTEX-1GZ4H-0526-SM-9KNU9 50-59 years, female 21.7
GTEX-14753-0726-SM-5QGQO 60-69 years, male 21.6
GTEX-1JJE9-2626-SM-ARZMT 70-79 years, male 21.5
GTEX-1QMI2-2526-SM-E8VNZ 60-69 years, male 21.5
GTEX-139TT-2126-SM-5LZWC 60-69 years, male 21.4
GTEX-1HSMQ-2626-SM-A9SML 50-59 years, male 21.4
GTEX-1LKK1-2626-SM-DKPQE 50-59 years, female 21.4
GTEX-111CU-1126-SM-5EGIM 50-59 years, male 21.3
GTEX-12WSA-0426-SM-5EQ5X 60-69 years, male 21.1
GTEX-13D11-0926-SM-5J2NC 50-59 years, female 20.8
GTEX-145LU-1926-SM-79OJN 50-59 years, male 20.6
GTEX-ZYFD-0626-SM-5E44E 50-59 years, male 20.6
GTEX-131XF-2626-SM-5EQ6K 60-69 years, male 20.5
GTEX-1A3MW-0626-SM-731CB 60-69 years, female 20.5
GTEX-WFG7-2026-SM-5SI7P 20-29 years, male 20.4
GTEX-ZPCL-1126-SM-4WWFE 60-69 years, female 20.4
GTEX-14ICL-1626-SM-5YYAO 30-39 years, male 20.3
GTEX-111VG-1626-SM-5EGIO 60-69 years, male 20.1
GTEX-1F88F-0126-SM-9WYSZ 60-69 years, female 20.1
GTEX-13PVR-0426-SM-5RQK2 60-69 years, female 20.0
GTEX-14E6E-0526-SM-793DN 30-39 years, male 19.9
GTEX-13OW7-0426-SM-5K7VK 50-59 years, male 19.8
GTEX-13U4I-2226-SM-5LU5H 40-49 years, female 19.8
GTEX-144GM-0526-SM-79OJO 20-29 years, male 19.8
GTEX-1B933-2426-SM-7DHMD 50-59 years, female 19.8
GTEX-1N2EE-0626-SM-E76PW 60-69 years, male 19.8
GTEX-1CAMQ-1326-SM-7P8RV 40-49 years, male 19.7
GTEX-1JN6P-2926-SM-CL54D 60-69 years, male 19.7
GTEX-12WSK-2126-SM-5CVNC 40-49 years, female 19.6
GTEX-X4EP-0626-SM-3P621 60-69 years, female 19.6
GTEX-148VJ-0626-SM-5LUAW 70-79 years, male 19.5
GTEX-WYVS-1626-SM-3NM9R 40-49 years, female 19.3
GTEX-14PJ5-1526-SM-6LLIL 60-69 years, female 19.2
GTEX-13FLV-0126-SM-5K7WT 50-59 years, male 19.1
GTEX-1EKGG-0626-SM-7DUGJ 60-69 years, male 19.1
GTEX-1HSKV-1226-SM-ADEI4 60-69 years, male 19.1
GTEX-1JK1U-0226-SM-ARZMX 60-69 years, male 19.1
GTEX-1LSNL-2726-SM-E9TKJ 50-59 years, male 19.1
GTEX-11VI4-1126-SM-5EQMD 40-49 years, female 19.0
GTEX-ZVE2-2826-SM-5GU51 50-59 years, male 19.0
GTEX-1AYD5-2626-SM-7PBXY 50-59 years, male 18.9
GTEX-1117F-2926-SM-5GZYI 60-69 years, female 18.8
GTEX-ZY6K-1426-SM-5GZX2 50-59 years, male 18.8
GTEX-1LG7Y-2526-SM-EWRO7 50-59 years, male 18.8
GTEX-111YS-1526-SM-5GZYW 60-69 years, male 18.7
GTEX-1399Q-2326-SM-5KM2X 40-49 years, male 18.7
GTEX-17HHE-1326-SM-7EWDZ 50-59 years, male 18.6
GTEX-1MCYP-0526-SM-E9U6Q 20-29 years, female 18.6
GTEX-1HBPI-2126-SM-ARL9K 50-59 years, male 18.5
GTEX-11O72-0626-SM-5PNYE 40-49 years, male 18.4
GTEX-131YS-2826-SM-5EQ47 60-69 years, female 18.4
GTEX-13NYB-0126-SM-5J1MD 40-49 years, male 18.4
GTEX-WRHU-2826-SM-3MJG8 50-59 years, female 18.4
GTEX-12WSH-1526-SM-5BC5W 50-59 years, male 18.3
GTEX-17MF6-2626-SM-79OKQ 40-49 years, male 18.3
GTEX-1HCU7-0726-SM-A9SL1 50-59 years, male 18.3
GTEX-1S82P-2126-SM-E6CI5 60-69 years, female 18.3
GTEX-139D8-1126-SM-5LU8W 30-39 years, female 18.0
GTEX-ZF2S-1626-SM-57WES 50-59 years, female 18.0
GTEX-ZPIC-0526-SM-DO91W 40-49 years, female 17.8
GTEX-11GSP-2326-SM-5HL63 60-69 years, female 17.7
GTEX-1H3O1-1326-SM-9MQLD 60-69 years, male 17.7
GTEX-1H4P4-2126-SM-9WYSL 50-59 years, male 17.7
GTEX-1IOXB-2726-SM-CM2RI 50-59 years, male 17.7
GTEX-1KXAM-1626-SM-D3LAD 60-69 years, male 17.7
GTEX-13NYS-0626-SM-5L3F1 60-69 years, male 17.6
GTEX-1C2JI-1026-SM-73KY1 50-59 years, male 17.6
GTEX-XV7Q-1826-SM-4BRUV 40-49 years, female 17.6
GTEX-1GN1V-2826-SM-9JGIA 60-69 years, male 17.6
GTEX-13OVJ-0826-SM-5J1OK 50-59 years, female 17.5
GTEX-1B8KZ-0326-SM-73KY4 50-59 years, male 17.5
GTEX-1212Z-0126-SM-59HK4 60-69 years, male 17.4
GTEX-13OVH-0526-SM-5L3E6 70-79 years, male 17.4
GTEX-13OW6-2726-SM-5J2OE 50-59 years, male 17.4
GTEX-14PHX-2226-SM-6EU2P 50-59 years, male 17.4
GTEX-12KS4-2126-SM-5FQUT 30-39 years, male 17.3
GTEX-X4EO-2926-SM-4E3JH 60-69 years, female 17.3
GTEX-1QP28-1126-SM-EVYC4 50-59 years, female 17.3
GTEX-1GF9W-1426-SM-7PBYM 60-69 years, male 17.2
GTEX-1QPFJ-1926-SM-EVYBD 30-39 years, female 17.1
GTEX-183WM-0326-SM-72D5V 70-79 years, female 16.8
GTEX-1I1GS-2626-SM-B2LY3 60-69 years, male 16.8
GTEX-1I1GV-0626-SM-ARL7M 60-69 years, male 16.8
GTEX-13VXT-1926-SM-5K7UO 20-29 years, female 16.7
GTEX-13YAN-0226-SM-5TDC6 60-69 years, male 16.6
GTEX-XMD2-2126-SM-4YCF8 60-69 years, female 16.6
GTEX-Z93S-1626-SM-5CVMB 50-59 years, male 16.6
GTEX-13O3Q-0126-SM-5KM34 50-59 years, male 16.5
GTEX-14ABY-2026-SM-62LDL 50-59 years, male 16.5
GTEX-1LB8K-0726-SM-D5OV2 50-59 years, male 16.5
GTEX-139UW-0326-SM-5J1ML 60-69 years, male 16.4
GTEX-13N1W-2426-SM-5IJD1 70-79 years, male 16.3
GTEX-1313W-0626-SM-5EQ4H 50-59 years, female 16.2
GTEX-13QBU-1226-SM-5LU4G 40-49 years, female 16.2
GTEX-16MT9-0126-SM-7EPI8 60-69 years, female 16.2
GTEX-1CB4F-1026-SM-7DUH1 60-69 years, male 16.1
GTEX-1EN7A-2426-SM-793DB 40-49 years, male 15.9
GTEX-131XG-0326-SM-5L3DX 50-59 years, female 15.8
GTEX-139T8-0626-SM-5KLZX 60-69 years, male 15.8
GTEX-UPJH-0226-SM-3GADV 50-59 years, male 15.8
GTEX-1H1DE-1326-SM-9KNUG 20-29 years, male 15.8
GTEX-1LVAO-2726-SM-E9TJ8 60-69 years, male 15.8
GTEX-14LZ3-0126-SM-69LPM 60-69 years, female 15.7
GTEX-14PJ6-2626-SM-6EU2T 60-69 years, female 15.7
GTEX-178AV-1726-SM-7KUL8 40-49 years, male 15.7
GTEX-XUW1-0926-SM-4BONX 50-59 years, female 15.7
GTEX-ZE7O-2726-SM-51MT5 50-59 years, female 15.6
GTEX-1I1HK-2326-SM-CKZOH 60-69 years, male 15.6
GTEX-ZA64-1026-SM-5HL8R 20-29 years, male 15.5
GTEX-1S3DN-2126-SM-E9TIN 50-59 years, male 15.5
GTEX-1AX9I-2226-SM-73KUO 60-69 years, male 15.4
GTEX-1HFI7-2326-SM-CGQFS 50-59 years, female 15.4
GTEX-1I1CD-0626-SM-CE6SW 60-69 years, female 15.4
GTEX-1N2DV-1526-SM-DTXEP 40-49 years, male 15.4
GTEX-1GTWX-2026-SM-9YFLM 60-69 years, male 15.3
GTEX-1H1ZS-2726-SM-9WG75 70-79 years, male 15.3
GTEX-11DXZ-2026-SM-5987S 50-59 years, male 15.2
GTEX-13FHO-0426-SM-5L3F5 60-69 years, male 15.2
GTEX-17EVP-2626-SM-7IGMA 40-49 years, male 15.2
GTEX-1AMEY-0826-SM-72D65 30-39 years, female 15.2
GTEX-1B8SF-0126-SM-7DUG3 60-69 years, male 15.2
GTEX-Y3I4-1726-SM-4TT89 50-59 years, male 15.2
GTEX-16NPX-0726-SM-7KULC 50-59 years, male 15.1
GTEX-1HGF4-0126-SM-CNPPX 60-69 years, male 15.1
GTEX-XQ8I-0926-SM-4BOOF 50-59 years, male 15.0
GTEX-12ZZX-2426-SM-5GCOE 40-49 years, female 14.9
GTEX-1CB4H-1126-SM-7MKGL 60-69 years, female 14.9
GTEX-1EMGI-2326-SM-7PBYA 60-69 years, male 14.8
GTEX-13QJC-0126-SM-5ZZWJ 60-69 years, female 14.7
GTEX-13RTJ-0126-SM-5S2NN 60-69 years, male 14.7
GTEX-1HSMO-0626-SM-ACKXC 60-69 years, male 14.7
GTEX-1GPI7-1826-SM-9KNU1 20-29 years, male 14.6
GTEX-1HUB1-1426-SM-CGQF5 60-69 years, male 14.6
GTEX-11WQK-1026-SM-5EQLX 50-59 years, male 14.5
GTEX-1GMRU-2126-SM-7P8RA 50-59 years, male 14.5
GTEX-1IDJI-0126-SM-CMKHS 50-59 years, female 14.5
GTEX-ZLV1-1526-SM-DO91J 60-69 years, female 14.5
GTEX-13G51-1826-SM-5KLZH 60-69 years, male 14.4
GTEX-ZF29-0926-SM-4WKFZ 60-69 years, female 14.4
GTEX-12ZZY-0726-SM-5EQ66 60-69 years, male 14.3
GTEX-14PJN-1826-SM-6AJ98 30-39 years, male 14.3
GTEX-1HT8W-0626-SM-A9G2H 30-39 years, male 14.3
GTEX-12696-0126-SM-5EQ4L 60-69 years, male 14.2
GTEX-YEC4-1826-SM-4W1YP 40-49 years, male 14.2
GTEX-1HFI6-0126-SM-CNPPI 40-49 years, male 14.2
GTEX-1LVAM-0726-SM-E6CIL 50-59 years, female 14.2
GTEX-13112-0126-SM-5P9IU 50-59 years, male 14.1
GTEX-13IVO-0726-SM-5LZYV 70-79 years, male 14.1
GTEX-1GMR3-0126-SM-A9SLW 40-49 years, male 14.1
GTEX-1J8Q3-0526-SM-ARL8U 60-69 years, male 14.1
GTEX-1GZHY-0626-SM-9KNVC 50-59 years, female 14.0
GTEX-13PDP-0726-SM-5L3HP 60-69 years, male 13.9
GTEX-1EU9M-1426-SM-793AI 60-69 years, male 13.9
GTEX-Y5V5-0126-SM-5S2NW 60-69 years, female 13.9
GTEX-15D1Q-2826-SM-6LLH7 40-49 years, male 13.8
GTEX-17F98-1326-SM-7DUEP 40-49 years, female 13.8
GTEX-1JKYR-0626-SM-ARL8R 20-29 years, male 13.8
GTEX-1CB4E-0926-SM-7EPHT 60-69 years, male 13.7
GTEX-1PIIG-2326-SM-DTXFR 30-39 years, male 13.6
GTEX-13X6J-0626-SM-5LU5F 50-59 years, male 13.5
GTEX-Y111-0626-SM-4SOIT 50-59 years, male 13.5
GTEX-11PRG-0726-SM-5EGL1 50-59 years, male 13.4
GTEX-13O3O-2326-SM-5IJD6 60-69 years, female 13.4
GTEX-13OW8-1026-SM-5J1NQ 60-69 years, male 13.4
GTEX-14C5O-0326-SM-5ZZUX 60-69 years, male 13.4
GTEX-14B4R-1326-SM-5Q5EZ 30-39 years, male 13.3
GTEX-1K2DU-1226-SM-CYPT4 20-29 years, male 13.3
GTEX-133LE-2326-SM-5K7W3 20-29 years, female 13.2
GTEX-14C38-0726-SM-5SI6M 50-59 years, male 13.2
GTEX-15FZZ-0526-SM-7KUGD 30-39 years, female 13.2
GTEX-1J8EW-2726-SM-CY8HR 60-69 years, female 13.2
GTEX-ZTX8-1326-SM-4YCEL 20-29 years, male 13.1
GTEX-1IDFM-0326-SM-ARL7V 60-69 years, male 13.1
GTEX-1KAFJ-0126-SM-DIPEK 50-59 years, male 13.1
GTEX-1269C-0126-SM-5EQ5L 60-69 years, female 13.0
GTEX-145MH-2826-SM-5RQJF 50-59 years, male 12.8
GTEX-17HII-1426-SM-7EPGG 50-59 years, male 12.8
GTEX-ZVZP-1226-SM-5GID7 50-59 years, male 12.7
GTEX-1H1DG-2426-SM-9QEHJ 70-79 years, male 12.7
GTEX-1IKJJ-2226-SM-CJI4C 60-69 years, male 12.7
GTEX-1PPGY-1626-SM-EVYBL 60-69 years, male 12.7
GTEX-1QP29-1826-SM-DTX9S 50-59 years, male 12.7
GTEX-ZYVF-0926-SM-5E44J 50-59 years, female 12.6
GTEX-1399S-0126-SM-5IJCF 30-39 years, female 12.5
GTEX-1BAJH-2426-SM-7IGP8 70-79 years, male 12.5
GTEX-1JMQK-1226-SM-D4P2S 60-69 years, male 12.4
GTEX-1QP2A-1726-SM-E76QC 50-59 years, male 12.4
GTEX-17F9Y-0126-SM-79OKX 70-79 years, female 12.3
GTEX-14PKU-0126-SM-6LLHV 40-49 years, female 12.1
GTEX-1C6VR-0126-SM-7RHGB 60-69 years, male 12.1
GTEX-1JN76-0626-SM-CKZOQ 20-29 years, female 12.1
GTEX-1LSVX-2526-SM-DIPEU 60-69 years, male 12.1
GTEX-11ZU8-0126-SM-5EQ58 60-69 years, male 12.0
GTEX-WHSB-1326-SM-3LK6W 50-59 years, male 12.0
GTEX-1F6RS-2026-SM-7RHHC 60-69 years, female 12.0
GTEX-1GN2E-0226-SM-9WG6K 60-69 years, male 12.0
GTEX-1JN1M-2726-SM-CY8I4 60-69 years, female 12.0
GTEX-11GS4-0226-SM-5HL77 60-69 years, male 11.9
GTEX-145MI-0626-SM-5SI8S 60-69 years, female 11.9
GTEX-11LCK-2226-SM-5HL4Q 30-39 years, male 11.8
GTEX-13PL6-1126-SM-5L3IE 40-49 years, female 11.8
GTEX-17HGU-2326-SM-7DUFE 50-59 years, male 11.8
GTEX-1B8L1-2226-SM-7P8PT 60-69 years, male 11.8
GTEX-13JVG-0726-SM-5KM16 60-69 years, male 11.7
GTEX-15CHR-1126-SM-7EWF4 50-59 years, male 11.7
GTEX-1GN73-0726-SM-7P8TJ 60-69 years, male 11.7
GTEX-1JMQJ-0826-SM-CNPP7 50-59 years, male 11.7
GTEX-14PII-0726-SM-6EU2B 60-69 years, male 11.6
GTEX-1JJEA-1826-SM-ARU8P 60-69 years, male 11.6
GTEX-1211K-1526-SM-5FQU4 60-69 years, female 11.5
GTEX-1399U-1126-SM-5L3DB 50-59 years, female 11.5
GTEX-13W3W-0726-SM-5IJDQ 60-69 years, female 11.5
GTEX-144FL-0626-SM-5LU43 50-59 years, male 11.5
GTEX-1OJC4-2726-SM-E76PJ 50-59 years, female 11.5
GTEX-144GL-0626-SM-5LU4D 50-59 years, male 11.4
GTEX-12ZZZ-0726-SM-5GCNZ 60-69 years, male 11.3
GTEX-11UD2-2526-SM-5CVNU 50-59 years, male 11.2
GTEX-1H3VE-0726-SM-9YFL5 40-49 years, male 11.2
GTEX-13NZ8-1226-SM-5KM4A 60-69 years, female 11.0
GTEX-1C6VQ-1226-SM-73KYD 50-59 years, male 10.9
GTEX-1JMOU-1026-SM-CYPSS 60-69 years, female 10.9
GTEX-15EO6-2426-SM-6PALZ 50-59 years, male 10.8
GTEX-1HKZK-0726-SM-ACKW2 40-49 years, male 10.7
GTEX-1A8G7-1326-SM-73KVM 60-69 years, male 10.5
GTEX-145LT-0526-SM-5LUB2 40-49 years, male 10.4
GTEX-1R9K4-2826-SM-DTX8F 60-69 years, male 10.3
GTEX-ZVT4-2426-SM-5GIEI 50-59 years, female 10.2
GTEX-1HBPM-0726-SM-9YFL7 60-69 years, female 10.2
GTEX-11TUW-0626-SM-5LU9M 60-69 years, male 10.1
GTEX-13VXU-0626-SM-5L3F9 50-59 years, male 10.1
GTEX-1GMR8-0626-SM-7RHI7 50-59 years, female 10.1
GTEX-1JMPY-0226-SM-CKZOK 30-39 years, male 10.0
GTEX-14BIN-1126-SM-5RQJZ 50-59 years, female 9.9
GTEX-ZAB4-2126-SM-5HL8U 40-49 years, male 9.9
GTEX-1GF9V-0826-SM-9KNUV 60-69 years, male 9.9
GTEX-147JS-0226-SM-5S2U9 60-69 years, male 9.8
GTEX-1H2FU-0926-SM-9WPPT 60-69 years, female 9.6
GTEX-1PDJ9-1226-SM-EXUSX 20-29 years, male 9.5
GTEX-13SLW-0626-SM-5Q5ER 70-79 years, male 9.3
GTEX-1HR9M-2226-SM-CNPPY 60-69 years, male 9.2
GTEX-1A8G6-2726-SM-731AR 60-69 years, male 9.1
GTEX-1J1OQ-0126-SM-D4P2N 40-49 years, female 9.1
GTEX-13X6K-0626-SM-5LU5D 60-69 years, female 9.0
GTEX-1477Z-0326-SM-7IGLA 60-69 years, male 8.9
GTEX-1I1GT-1026-SM-ARZLV 60-69 years, female 8.9
GTEX-14XAO-1226-SM-6EU1C 60-69 years, female 8.6
GTEX-1J8QM-2426-SM-A9SLS 60-69 years, female 8.6
GTEX-1NV5F-0626-SM-DTXEG 60-69 years, female 8.3
GTEX-15SKB-2826-SM-6PAMH 60-69 years, male 8.2
GTEX-WI4N-2726-SM-3LK7Y 40-49 years, female 8.0
GTEX-1F48J-0726-SM-7RHGS 50-59 years, female 8.0
GTEX-ZYY3-2926-SM-5GIEB 60-69 years, female 7.9
GTEX-13NYC-0126-SM-5L3F4 60-69 years, male 7.2
GTEX-1HB9E-0126-SM-CM2S5 50-59 years, male 7.2
GTEX-1GPI6-1926-SM-9KNV7 60-69 years, male 6.6
GTEX-Y9LG-1126-SM-4VBQ7 30-39 years, male 6.5
GTEX-1ICLY-0826-SM-CMKG1 50-59 years, male 6.4
GTEX-1ICLZ-0326-SM-ARL82 60-69 years, male 6.4
GTEX-14C39-1726-SM-5RQIL 40-49 years, male 6.3
GTEX-14PJ4-0226-SM-5YY92 60-69 years, male 6.3
GTEX-1EH9U-2826-SM-7DUGT 60-69 years, male 6.3
GTEX-1I1GU-0926-SM-ACKVS 40-49 years, male 6.2
GTEX-1F5PK-2226-SM-7SB6N 50-59 years, male 5.9
GTEX-1R46S-2426-SM-E76QA 60-69 years, female 5.5
GTEX-1QAET-0326-SM-EVR3U 50-59 years, male 4.7
GTEX-1CB4J-1326-SM-7P8RX 60-69 years, male 3.4
Show allShow less
Skin - Sun Exposed (Lower leg)
Average nTPM: 34.2
Samples: 701

Max nTPM: 967.6
Min nTPM: 4.0
Std nTPM: 41.1
Median nTPM: 28.1
GTEX-SE5C-1626-SM-2XCE3 40-49 years, female 967.6
GTEX-1QW4Y-1526-SM-EAZ3Z 30-39 years, male 227.7
GTEX-1RAZQ-0726-SM-EAZ43 30-39 years, male 188.5
GTEX-15SB6-1726-SM-6PAME 50-59 years, female 130.5
GTEX-X4XX-0126-SM-3NMC2 60-69 years, male 115.6
GTEX-XAJ8-0826-SM-47JY6 40-49 years, male 113.2
GTEX-146FQ-0126-SM-5NQA9 30-39 years, male 104.6
GTEX-QDVJ-1726-SM-2I5FX 50-59 years, male 102.7
GTEX-U4B1-1826-SM-4DXSU 40-49 years, male 101.1
GTEX-1F75I-0326-SM-9YFLU 40-49 years, male 96.3
GTEX-WXYG-2326-SM-4E3I6 50-59 years, female 94.2
GTEX-131XF-5016-SM-7MGWE 60-69 years, male 93.4
GTEX-146FR-1326-SM-E9J48 60-69 years, female 92.0
GTEX-14JIY-0126-SM-6LLH6 60-69 years, male 91.4
GTEX-1QP67-1626-SM-EAZ3X 40-49 years, female 89.4
GTEX-ZVT2-2526-SM-51MT1 50-59 years, female 87.5
GTEX-1IKK5-0626-SM-ARL8A 60-69 years, male 83.6
GTEX-1J1R8-1726-SM-ARL8M 40-49 years, male 82.4
GTEX-14A6H-0126-SM-5QGPK 30-39 years, male 80.4
GTEX-1HBPH-0426-SM-B2LW5 40-49 years, female 80.4
GTEX-1LNCM-1126-SM-E9U5E 50-59 years, female 80.0
GTEX-1H3VY-0126-SM-ACKXD 50-59 years, male 79.7
GTEX-PW2O-1526-SM-7RHHB 20-29 years, male 79.7
GTEX-1AMEY-1326-SM-73KYK 30-39 years, female 76.3
GTEX-RUSQ-1526-SM-2TF62 50-59 years, male 76.1
GTEX-T2YK-0526-SM-32QPJ 50-59 years, male 75.9
GTEX-1H23P-0126-SM-ADEJ3 60-69 years, male 75.5
GTEX-113JC-2326-SM-5EQ4E 50-59 years, female 75.0
GTEX-144GN-2326-SM-5LU4F 50-59 years, male 74.4
GTEX-ZF29-2326-SM-DO92K 60-69 years, female 73.9
GTEX-1JKYN-1326-SM-CGQG9 30-39 years, male 73.5
GTEX-OXRL-0126-SM-2YUMP 50-59 years, male 73.2
GTEX-VJWN-0126-SM-3GIK7 50-59 years, female 73.2
GTEX-Q2AH-1626-SM-3GAF8 40-49 years, male 73.0
GTEX-ZE9C-2726-SM-57WB5 60-69 years, male 72.8
GTEX-13FTX-1826-SM-5J1NX 20-29 years, female 72.3
GTEX-16AAH-1726-SM-7939C 50-59 years, male 71.9
GTEX-WVJS-0126-SM-4MVOT 50-59 years, male 71.8
GTEX-1GF9X-2026-SM-7PC3A 40-49 years, female 71.2
GTEX-1RLM8-2326-SM-EWRN4 50-59 years, male 71.0
GTEX-11DXX-2426-SM-5GZZW 60-69 years, female 70.9
GTEX-18A67-0126-SM-7LG5P 50-59 years, male 70.1
GTEX-1S82Z-0826-SM-E6CHY 30-39 years, female 68.8
GTEX-12WSD-0126-SM-59HKN 60-69 years, female 68.4
GTEX-14E7W-0126-SM-6LLJ9 70-79 years, male 68.2
GTEX-146FH-0126-SM-5QGPP 50-59 years, female 66.5
GTEX-17HHE-2026-SM-79OKF 50-59 years, male 66.3
GTEX-1LSNM-1926-SM-E6CII 50-59 years, male 65.8
GTEX-Y3I4-2126-SM-4TT7C 50-59 years, male 65.6
GTEX-13OW7-0126-SM-5MR3B 50-59 years, male 65.4
GTEX-14PK6-1926-SM-6ETZU 70-79 years, female 65.0
GTEX-1MA7X-2226-SM-E6CIY 60-69 years, male 65.0
GTEX-15EOM-0126-SM-7KUGG 20-29 years, female 64.8
GTEX-1IDJF-0126-SM-CM2RS 20-29 years, male 64.2
GTEX-1AYCT-2426-SM-7IGQ3 50-59 years, male 63.7
GTEX-1B996-0226-SM-7RHGO 60-69 years, male 62.0
GTEX-1192X-0226-SM-5H12D 50-59 years, male 61.5
GTEX-13FH7-2026-SM-E9J4I 50-59 years, female 60.6
GTEX-1MCYP-1926-SM-E9J2R 20-29 years, female 60.5
GTEX-1K2DA-1826-SM-CGQGT 50-59 years, male 60.3
GTEX-1PPH7-2326-SM-EVYB8 40-49 years, male 60.2
GTEX-11OF3-2626-SM-5GU7F 60-69 years, male 60.1
GTEX-U8XE-0326-SM-3DB8P 30-39 years, male 60.0
GTEX-1N2DV-0226-SM-E6CJ6 40-49 years, male 60.0
GTEX-11OC5-0126-SM-5HL6A 60-69 years, male 59.9
GTEX-145LV-2126-SM-5LU8N 50-59 years, male 59.9
GTEX-W5X1-3026-SM-EAZAX 40-49 years, female 59.6
GTEX-1I1GU-2226-SM-CGQFA 40-49 years, male 59.1
GTEX-1497J-2426-SM-7IGNX 60-69 years, male 58.9
GTEX-15SHW-0326-SM-6PAML 60-69 years, male 58.9
GTEX-POMQ-2226-SM-2I5FK 20-29 years, female 58.7
GTEX-1GN1V-0126-SM-9WPOS 60-69 years, male 58.7
GTEX-1R9PO-2126-SM-E9J4O 60-69 years, female 58.3
GTEX-131XG-2626-SM-5KM17 50-59 years, female 57.8
GTEX-1F52S-0126-SM-9MQJU 60-69 years, female 57.8
GTEX-11WQC-2526-SM-5CVLE 60-69 years, male 57.5
GTEX-1QCLY-0326-SM-E8VOG 30-39 years, male 57.5
GTEX-1GZ4H-1726-SM-7PBZJ 50-59 years, female 57.3
GTEX-QLQW-1126-SM-2S1Q8 30-39 years, male 57.1
GTEX-1PBJI-0526-SM-E8VNK 20-29 years, female 56.9
GTEX-1HSMQ-1226-SM-CGQFX 50-59 years, male 56.8
GTEX-QCQG-1726-SM-3GIJ9 50-59 years, female 56.7
GTEX-Y114-2426-SM-4TT8A 50-59 years, female 55.4
GTEX-Y8LW-1826-SM-5S2MV 50-59 years, female 55.4
GTEX-17EUY-0426-SM-793BD 20-29 years, male 55.1
GTEX-OHPM-0126-SM-2YUN9 50-59 years, male 55.1
GTEX-SSA3-0126-SM-32QPU 60-69 years, male 55.1
GTEX-1GPI6-0126-SM-9WG69 60-69 years, male 55.1
GTEX-1POEN-0126-SM-EYYXJ 30-39 years, female 55.0
GTEX-1I6K6-0126-SM-A9SLE 30-39 years, male 54.6
GTEX-VUSG-2526-SM-4KL1V 50-59 years, male 54.4
GTEX-1A32A-0126-SM-718B1 50-59 years, female 54.1
GTEX-QEG4-0226-SM-2S1PY 30-39 years, male 53.6
GTEX-1IDFM-0126-SM-COH2V 60-69 years, male 53.6
GTEX-WOFL-0126-SM-3MJG2 60-69 years, male 53.5
GTEX-1GN1W-0526-SM-9MQJQ 50-59 years, female 52.7
GTEX-18465-0126-SM-731BN 50-59 years, male 52.5
GTEX-12WSG-2826-SM-E9J4H 50-59 years, female 52.4
GTEX-14XAO-2326-SM-6EU1B 60-69 years, female 52.1
GTEX-X638-0126-SM-47JZ8 70-79 years, female 52.1
GTEX-1AMFI-2026-SM-731BH 50-59 years, female 51.6
GTEX-X88G-0126-SM-47JZ3 30-39 years, male 51.6
GTEX-ZDXO-3026-SM-5J1N5 60-69 years, male 51.4
GTEX-13VXT-0126-SM-5LU4I 20-29 years, female 50.9
GTEX-OIZH-0126-SM-2HMIS 50-59 years, male 50.5
GTEX-Q734-1926-SM-2I5EV 40-49 years, female 50.5
GTEX-1C2JI-1826-SM-73KXC 50-59 years, male 49.9
GTEX-1PPH8-0226-SM-E8VND 20-29 years, male 49.5
GTEX-U3ZM-1526-SM-3DB9D 40-49 years, male 49.4
GTEX-1NHNU-1026-SM-E9J2A 50-59 years, male 49.3
GTEX-1AX8Z-0126-SM-7DHM6 60-69 years, male 49.2
GTEX-X585-0226-SM-4QAS2 50-59 years, male 49.2
GTEX-1H1CY-2826-SM-9MQM3 60-69 years, female 49.1
GTEX-1GZ2Q-0226-SM-7P8TL 40-49 years, male 49.0
GTEX-1HSMP-0126-SM-E6CJS 70-79 years, male 49.0
GTEX-17KNJ-2326-SM-7DHLQ 50-59 years, male 48.8
GTEX-1F6I4-0126-SM-9MQL2 60-69 years, male 48.6
GTEX-ZVZP-2426-SM-59HKJ 50-59 years, male 48.3
GTEX-1B933-0126-SM-7PC29 50-59 years, female 48.2
GTEX-15UKP-0426-SM-7KUFQ 20-29 years, male 48.0
GTEX-11UD1-0126-SM-5PNYG 40-49 years, female 47.9
GTEX-11GS4-2726-SM-5A5LE 60-69 years, male 47.5
GTEX-11DXY-2626-SM-5GIE7 60-69 years, male 47.3
GTEX-V1D1-2226-SM-3NMAX 50-59 years, male 47.3
GTEX-13FTW-2626-SM-5K7WL 40-49 years, male 47.1
GTEX-15EU6-0426-SM-6PAN5 50-59 years, male 47.1
GTEX-1MA7W-2026-SM-E9TJ6 20-29 years, female 46.8
GTEX-18D9U-0226-SM-718BP 40-49 years, male 46.6
GTEX-11TUW-2726-SM-E9J4M 60-69 years, male 46.4
GTEX-1QP2A-0126-SM-E9J43 50-59 years, male 46.4
GTEX-OOBJ-0126-SM-E6CJW 60-69 years, male 46.3
GTEX-ZZPT-0226-SM-5E43X 50-59 years, male 46.2
GTEX-18QFQ-0126-SM-731BE 30-39 years, male 46.1
GTEX-SIU8-0126-SM-2XCDT 50-59 years, male 46.0
GTEX-16XZZ-0126-SM-793DV 60-69 years, male 45.8
GTEX-1GF9U-2126-SM-7SB7L 40-49 years, female 45.8
GTEX-1OJC4-0126-SM-E9J2E 50-59 years, female 45.5
GTEX-RWS6-2026-SM-2XCB5 60-69 years, female 45.4
GTEX-QESD-1426-SM-2S1R9 20-29 years, male 45.3
GTEX-ZAB5-1826-SM-5HL7C 50-59 years, male 45.3
GTEX-11ZUS-0626-SM-59885 30-39 years, male 45.2
GTEX-14BIM-0226-SM-7IGLD 60-69 years, female 45.0
GTEX-1F7RK-0126-SM-7PC2S 20-29 years, female 44.8
GTEX-13N11-2526-SM-5K7UE 50-59 years, female 44.7
GTEX-17HHY-0126-SM-7LG5D 50-59 years, male 44.5
GTEX-Y5LM-1926-SM-5RQJH 40-49 years, female 44.3
GTEX-WRHK-1426-SM-3MJF9 20-29 years, female 44.1
GTEX-13NYS-0126-SM-5MR3W 60-69 years, male 44.0
GTEX-13113-5016-SM-7EPIP 60-69 years, female 43.9
GTEX-14PN3-2426-SM-6LLHS 60-69 years, female 43.8
GTEX-1IL2V-0126-SM-CM2TX 70-79 years, male 43.7
GTEX-131XW-0426-SM-5LZWP 50-59 years, female 43.6
GTEX-X4XY-0226-SM-4E3IZ 60-69 years, male 43.6
GTEX-1CAMS-0426-SM-7P8T2 40-49 years, female 43.5
GTEX-1B8KZ-2026-SM-7DHMB 50-59 years, male 43.4
GTEX-RVPV-0126-SM-EAZAW 60-69 years, male 43.4
GTEX-13IVO-0126-SM-5J1NG 70-79 years, male 43.3
GTEX-17F97-0326-SM-7LG5B 50-59 years, male 43.3
GTEX-11TT1-2526-SM-5EGIB 20-29 years, male 43.0
GTEX-11XUK-2026-SM-5EQLF 40-49 years, female 42.9
GTEX-1J8Q3-1626-SM-CMKGC 60-69 years, male 42.9
GTEX-1A3MV-1926-SM-718BT 30-39 years, male 42.8
GTEX-WQUQ-0426-SM-3MJFU 60-69 years, male 42.7
GTEX-13OVG-1926-SM-5L3DK 60-69 years, male 42.6
GTEX-1NV5F-0226-SM-E8VNY 60-69 years, female 42.5
GTEX-13RTK-1426-SM-5QGQJ 20-29 years, male 42.3
GTEX-14DAQ-0126-SM-5S2MQ 60-69 years, female 42.3
GTEX-1F75A-0126-SM-7RHGM 50-59 years, male 42.3
GTEX-13G51-2526-SM-5LZYK 60-69 years, male 42.2
GTEX-1GN1U-0126-SM-7PBZK 50-59 years, female 42.2
GTEX-YJ8A-0426-SM-5IFID 20-29 years, male 42.0
GTEX-13JUV-2726-SM-5LZZ8 40-49 years, female 41.9
GTEX-11ZTT-2426-SM-5EQLS 60-69 years, female 41.7
GTEX-1A3MX-0126-SM-731BR 60-69 years, male 41.5
GTEX-1QP66-1726-SM-E8VO1 50-59 years, male 41.5
GTEX-16XZY-2126-SM-79OK1 70-79 years, male 41.3
GTEX-11EMC-2926-SM-5EQ4F 60-69 years, female 41.2
GTEX-14PJM-0226-SM-62LF1 50-59 years, female 41.2
GTEX-13O21-1426-SM-5K7XI 50-59 years, male 41.0
GTEX-PLZ4-0126-SM-5SI8O 50-59 years, female 41.0
GTEX-11NUK-0126-SM-5A5L3 50-59 years, male 40.9
GTEX-QVJO-1626-SM-2S1QW 60-69 years, female 40.9
GTEX-R3RS-0126-SM-3GIJL 40-49 years, female 40.7
GTEX-SUCS-1926-SM-32PM3 70-79 years, male 40.7
GTEX-1ICG6-2526-SM-CGQFZ 70-79 years, female 40.7
GTEX-1QP29-0626-SM-EWRMX 50-59 years, male 40.7
GTEX-1AYD5-2426-SM-73KXR 50-59 years, male 40.5
GTEX-XQ3S-1526-SM-4BOOC 20-29 years, male 40.5
GTEX-1AX9I-0126-SM-7SB74 60-69 years, male 40.5
GTEX-1J8EW-0126-SM-CJI4F 60-69 years, female 40.4
GTEX-WZTO-0126-SM-3NM95 40-49 years, male 40.3
GTEX-OXRP-0126-SM-3NB32 60-69 years, female 40.2
GTEX-1EWIQ-0126-SM-7RHH2 70-79 years, female 39.9
GTEX-1C6WA-0126-SM-7PC2B 60-69 years, male 39.8
GTEX-1HFI6-0226-SM-ADEHZ 40-49 years, male 39.8
GTEX-1LBAC-0126-SM-DIPEZ 20-29 years, male 39.8
GTEX-15DYW-0126-SM-7KULE 60-69 years, female 39.6
GTEX-OIZG-0726-SM-33HBL 50-59 years, male 39.6
GTEX-13QJ3-0326-SM-5S2RA 50-59 years, male 39.4
GTEX-18A6Q-0126-SM-731BZ 60-69 years, male 39.4
GTEX-1MUQO-0126-SM-EAZ58 60-69 years, male 39.3
GTEX-YB5K-2126-SM-4WWDJ 40-49 years, female 39.2
GTEX-13RTL-0126-SM-7LG5S 40-49 years, male 39.1
GTEX-U412-0426-SM-3DB9O 60-69 years, male 39.1
GTEX-ZV6S-2326-SM-4YCEY 40-49 years, female 39.0
GTEX-1128S-2326-SM-5GZZY 60-69 years, female 38.8
GTEX-1OFPY-2426-SM-DTXEJ 60-69 years, male 38.7
GTEX-12126-0326-SM-5PNW3 20-29 years, male 38.4
GTEX-1K9T9-0126-SM-EVYCF 50-59 years, female 38.2
GTEX-1399U-2326-SM-5K7WY 50-59 years, female 38.0
GTEX-QV44-1926-SM-2S1RF 50-59 years, male 38.0
GTEX-11P7K-2126-SM-5GU7G 30-39 years, male 37.9
GTEX-1HCUA-2426-SM-ADEIS 50-59 years, female 37.9
GTEX-XBED-2226-SM-47JYQ 60-69 years, male 37.8
GTEX-ZC5H-0226-SM-4WAY9 40-49 years, female 37.8
GTEX-ZEX8-2426-SM-4WKG4 50-59 years, male 37.7
GTEX-117YX-2326-SM-5H12W 50-59 years, male 37.6
GTEX-1QEPI-0126-SM-EWRMQ 60-69 years, female 37.6
GTEX-16GPK-0126-SM-7DHLE 60-69 years, male 37.5
GTEX-1IDJU-2626-SM-CM2RT 60-69 years, female 37.5
GTEX-X8HC-0126-SM-4E3JW 50-59 years, female 37.3
GTEX-RNOR-0126-SM-E9J4R 50-59 years, female 37.2
GTEX-1I1GP-2226-SM-CGQFK 50-59 years, male 37.1
GTEX-S7PM-0126-SM-4AD6S 60-69 years, male 37.0
GTEX-S33H-1026-SM-EZ6L6 30-39 years, male 36.8
GTEX-13X6H-2126-SM-7EWD5 50-59 years, female 36.7
GTEX-1H2FU-0126-SM-9WYSI 60-69 years, female 36.7
GTEX-1C4CL-0526-SM-73KVK 30-39 years, male 36.6
GTEX-1CAMR-1926-SM-7EPI2 20-29 years, male 36.4
GTEX-1CB4G-0226-SM-7PC3O 60-69 years, male 36.4
GTEX-14DAR-2026-SM-5S2O3 50-59 years, male 36.3
GTEX-RN64-0126-SM-2TC68 50-59 years, male 36.2
GTEX-UPJH-0326-SM-3GADU 50-59 years, male 36.0
GTEX-XV7Q-2526-SM-4BRV9 40-49 years, female 36.0
GTEX-1RB15-2126-SM-E9TIM 60-69 years, male 36.0
GTEX-12WSK-2326-SM-5GCOH 40-49 years, female 35.8
GTEX-17F98-0626-SM-79OMX 40-49 years, female 35.8
GTEX-183FY-0126-SM-7LT9P 20-29 years, male 35.7
GTEX-1R9PM-2026-SM-E76OY 20-29 years, male 35.7
GTEX-13OVK-2026-SM-7KUEO 40-49 years, male 35.6
GTEX-14ICK-0226-SM-6EU25 40-49 years, male 35.6
GTEX-ZZ64-1726-SM-5GZYB 20-29 years, male 35.6
GTEX-1A8FM-0226-SM-7SB7Q 50-59 years, female 35.6
GTEX-RM2N-1426-SM-2TF4H 50-59 years, male 35.5
GTEX-UJHI-1526-SM-3DB99 50-59 years, female 35.5
GTEX-XUYS-0126-SM-47JWZ 50-59 years, male 35.4
GTEX-Z93T-0126-SM-5HL5N 50-59 years, male 35.4
GTEX-T5JC-0426-SM-32PLO 20-29 years, male 35.3
GTEX-13PVR-2326-SM-5QGR1 60-69 years, female 35.0
GTEX-1PIGE-0126-SM-EVYBJ 20-29 years, male 35.0
GTEX-XXEK-2226-SM-4BRUM 50-59 years, male 34.9
GTEX-OXRO-0126-SM-2YUN4 60-69 years, female 34.8
GTEX-1HBPN-0226-SM-9YFM1 50-59 years, male 34.8
GTEX-1R7EV-2426-SM-EVYBG 40-49 years, male 34.8
GTEX-PLZ6-1426-SM-DKPOT 30-39 years, male 34.8
GTEX-117YW-2626-SM-5GZZH 50-59 years, male 34.7
GTEX-VJYA-1126-SM-3GIJU 60-69 years, male 34.7
GTEX-1I1GV-0526-SM-A9G29 60-69 years, male 34.7
GTEX-PWCY-1826-SM-DHXIZ 20-29 years, female 34.5
GTEX-13W46-0226-SM-5SIAG 50-59 years, male 34.4
GTEX-13OW6-0426-SM-5L3HM 50-59 years, male 34.3
GTEX-1JJ6O-0126-SM-E6CI8 60-69 years, male 34.3
GTEX-139UW-2826-SM-5L3E7 60-69 years, male 34.2
GTEX-ZDTS-0126-SM-4WAY5 60-69 years, male 34.2
GTEX-1IE54-0126-SM-CMKHW 40-49 years, female 34.2
GTEX-1S5ZA-0126-SM-EVYCV 20-29 years, male 34.2
GTEX-1F88F-2726-SM-7PBZZ 60-69 years, female 34.1
GTEX-13NZA-0226-SM-5K7Z7 60-69 years, male 33.8
GTEX-1GPI7-0126-SM-9MQL8 20-29 years, male 33.8
GTEX-1I1CD-0126-SM-CM2TK 60-69 years, female 33.8
GTEX-1211K-2026-SM-5EQ4Z 60-69 years, female 33.7
GTEX-13S7M-0126-SM-5SI6A 60-69 years, female 33.7
GTEX-18A7A-0226-SM-718BH 50-59 years, female 33.7
GTEX-NPJ8-0126-SM-2YUNR 40-49 years, male 33.7
GTEX-W5WG-1826-SM-4KL2Y 50-59 years, female 33.6
GTEX-1MCQQ-0826-SM-DLHC2 60-69 years, male 33.6
GTEX-ZDTT-2726-SM-4WKF8 60-69 years, male 33.5
GTEX-1LGRB-2526-SM-CNPPQ 50-59 years, female 33.5
GTEX-14A5H-0426-SM-5QGQF 60-69 years, male 33.3
GTEX-18A7B-0126-SM-7LG64 70-79 years, male 33.3
GTEX-1RAZA-0126-SM-E6CI3 20-29 years, male 33.3
GTEX-1HSGN-0226-SM-CGQFV 40-49 years, female 33.2
GTEX-XBEW-0626-SM-4QASP 40-49 years, male 33.1
GTEX-15SDE-2226-SM-7IGLO 50-59 years, female 33.0
GTEX-13W3W-2426-SM-5LU5B 60-69 years, female 32.9
GTEX-ZGAY-0526-SM-4WWBB 40-49 years, female 32.5
GTEX-1JN6P-0126-SM-D3L98 60-69 years, male 32.5
GTEX-13SLX-0526-SM-5S2ON 50-59 years, female 32.4
GTEX-17MFQ-1726-SM-793C7 20-29 years, male 32.3
GTEX-139D8-0226-SM-5KLZO 30-39 years, female 32.2
GTEX-139T8-0126-SM-5K7XZ 60-69 years, male 32.2
GTEX-14PJ3-1826-SM-62LEX 50-59 years, male 32.2
GTEX-16YQH-0126-SM-7DUFJ 30-39 years, male 32.2
GTEX-1J8JJ-0226-SM-CL53I 60-69 years, female 32.2
GTEX-13X6I-0626-SM-5QGP9 60-69 years, male 32.0
GTEX-15DDE-0126-SM-6LPKH 50-59 years, female 32.0
GTEX-1HCU9-1526-SM-A9SL7 20-29 years, male 32.0
GTEX-PX3G-0126-SM-2I3EN 20-29 years, female 31.9
GTEX-11TTK-0126-SM-5987B 60-69 years, female 31.8
GTEX-111VG-2426-SM-5GZXD 60-69 years, male 31.7
GTEX-1313W-0126-SM-5LZUN 50-59 years, female 31.7
GTEX-NFK9-0226-SM-2HMKQ 40-49 years, male 31.7
GTEX-1HCU6-0126-SM-CL54K 60-69 years, female 31.7
GTEX-YFC4-0126-SM-5CVLY 40-49 years, female 31.6
GTEX-U8T8-0126-SM-3DB94 60-69 years, male 31.5
GTEX-13O3O-0126-SM-E9J49 60-69 years, female 31.5
GTEX-QLQ7-1626-SM-2S1R8 60-69 years, male 31.4
GTEX-T6MO-1626-SM-32QOM 40-49 years, female 31.3
GTEX-X4EO-0326-SM-3P5YO 60-69 years, female 31.1
GTEX-1RQEC-0426-SM-E6CHU 60-69 years, male 30.9
GTEX-ZUA1-0126-SM-5GU76 40-49 years, male 30.8
GTEX-1IGQW-0126-SM-COH42 60-69 years, male 30.8
GTEX-139T4-0226-SM-5HL5S 50-59 years, female 30.7
GTEX-14PHX-2326-SM-62LEM 50-59 years, male 30.7
GTEX-1J8QM-2126-SM-CYPSJ 60-69 years, female 30.7
GTEX-SJXC-0126-SM-2XCFF 60-69 years, male 30.6
GTEX-1JMPY-1326-SM-ARL8Y 30-39 years, male 30.5
GTEX-13X6J-0126-SM-5QGOU 50-59 years, male 30.4
GTEX-1I19N-0326-SM-ACKVX 70-79 years, male 30.4
GTEX-XUW1-0426-SM-4BOOT 50-59 years, female 30.3
GTEX-13OW5-0126-SM-DTXFS 60-69 years, male 30.2
GTEX-17HG3-2226-SM-7938L 30-39 years, female 30.1
GTEX-11DZ1-0126-SM-5985Q 50-59 years, male 30.0
GTEX-1CAV2-2226-SM-7P8P2 40-49 years, female 30.0
GTEX-OXRK-0226-SM-3NB2G 50-59 years, female 29.9
GTEX-11DXW-0226-SM-5H122 40-49 years, male 29.7
GTEX-13NZB-2526-SM-5J1OM 30-39 years, male 29.7
GTEX-17F96-1626-SM-7DUFL 70-79 years, male 29.6
GTEX-1KANB-0526-SM-E6CJH 50-59 years, male 29.6
GTEX-1KD5A-0226-SM-D5OV3 50-59 years, male 29.6
GTEX-ZPIC-1726-SM-DHXIU 40-49 years, female 29.6
GTEX-13OVL-0226-SM-5L3E9 50-59 years, male 29.5
GTEX-1C6VS-0526-SM-7DUEN 60-69 years, male 29.5
GTEX-RU72-0926-SM-2TF6B 50-59 years, female 29.4
GTEX-1JMQI-2226-SM-CM2SD 50-59 years, male 29.4
GTEX-1RDX4-0126-SM-E9J4P 50-59 years, female 29.4
GTEX-ZAB4-0226-SM-5N9F5 40-49 years, male 29.3
GTEX-1GZHY-0326-SM-9QEHI 50-59 years, female 29.3
GTEX-12WSN-5019-SM-79OM6 40-49 years, male 29.1
GTEX-WH7G-2326-SM-3NMBC 40-49 years, male 29.1
GTEX-13PDP-0126-SM-5L3HD 60-69 years, male 28.8
GTEX-RWSA-0126-SM-2XCBB 40-49 years, male 28.8
GTEX-1GN2E-0426-SM-9MQKX 60-69 years, male 28.6
GTEX-1AX9K-2326-SM-73KWU 50-59 years, male 28.5
GTEX-1C64N-0126-SM-793D7 50-59 years, male 28.5
GTEX-1I1HK-0126-SM-COH49 60-69 years, male 28.5
GTEX-O5YW-0126-SM-3LK6D 50-59 years, male 28.4
GTEX-1HKZK-0326-SM-9WYUH 40-49 years, male 28.3
GTEX-1I4MK-2226-SM-ACKWD 50-59 years, female 28.3
GTEX-12WSJ-1826-SM-5GCNY 40-49 years, female 28.2
GTEX-1192W-2626-SM-5Q5AF 60-69 years, male 28.1
GTEX-147F4-0226-SM-5QGPW 50-59 years, male 28.0
GTEX-PVOW-0126-SM-2XCFA 40-49 years, male 28.0
GTEX-1B8KE-2126-SM-73KYX 50-59 years, male 27.9
GTEX-1QPFJ-0226-SM-E76PB 30-39 years, female 27.9
GTEX-13D11-2426-SM-5KM1V 50-59 years, female 27.8
GTEX-1MGNQ-0126-SM-EVYCJ 40-49 years, male 27.8
GTEX-1OJC3-0126-SM-E76QX 20-29 years, male 27.8
GTEX-14BMU-2226-SM-5TDE9 20-29 years, female 27.7
GTEX-PWO3-1526-SM-48TCM 60-69 years, female 27.7
GTEX-Q2AG-0126-SM-33HBV 40-49 years, female 27.7
GTEX-13CF2-2526-SM-5LZYX 60-69 years, male 27.6
GTEX-P4PP-0126-SM-3LK69 30-39 years, female 27.6
GTEX-1HCU8-0626-SM-A9SM9 60-69 years, female 27.6
GTEX-1IY9M-0126-SM-D3L8S 60-69 years, male 27.3
GTEX-TMMY-0226-SM-33HBA 40-49 years, female 27.2
GTEX-1HR98-0126-SM-B2LWI 60-69 years, male 27.2
GTEX-1HSEH-0126-SM-ACKXN 60-69 years, male 27.2
GTEX-11ZTS-0126-SM-5EQ6M 60-69 years, female 27.1
GTEX-12KS4-0326-SM-5EQ41 30-39 years, male 27.1
GTEX-13SLW-0126-SM-5SI6C 70-79 years, male 27.1
GTEX-T2IS-0126-SM-4DM6O 20-29 years, female 27.1
GTEX-1122O-2126-SM-5EGIR 60-69 years, female 27.0
GTEX-12WSA-0226-SM-5BC5V 60-69 years, male 27.0
GTEX-12WSL-2526-SM-5GCNJ 50-59 years, male 27.0
GTEX-PSDG-0226-SM-DKPOZ 50-59 years, male 27.0
GTEX-145MO-0326-SM-5Q5B3 60-69 years, male 26.8
GTEX-1314G-1526-SM-5EGK2 30-39 years, male 26.7
GTEX-13OVI-1426-SM-5L3EY 60-69 years, female 26.7
GTEX-WYJK-0126-SM-3NMAB 50-59 years, male 26.7
GTEX-15F5U-1526-SM-6PANO 40-49 years, male 26.6
GTEX-QDVN-2026-SM-3GAEP 50-59 years, male 26.6
GTEX-1C64O-0126-SM-7SB8P 60-69 years, male 26.6
GTEX-1399R-2726-SM-5IJBA 30-39 years, male 26.5
GTEX-18D9A-1926-SM-7LG6P 30-39 years, female 26.5
GTEX-14BIL-0126-SM-5SI92 50-59 years, male 26.3
GTEX-QDT8-0126-SM-48TZ1 30-39 years, female 26.2
GTEX-169BO-1326-SM-9MQK2 50-59 years, male 26.2
GTEX-1H3NZ-0126-SM-ACKX7 60-69 years, male 26.1
GTEX-1R7EU-0226-SM-EVR4G 60-69 years, male 26.1
GTEX-ZVT3-0126-SM-5GU6I 60-69 years, female 25.9
GTEX-1EMGI-0126-SM-9KNUE 60-69 years, male 25.9
GTEX-1PFEY-1526-SM-E76PP 30-39 years, male 25.9
GTEX-ZYFD-0126-SM-5GIDL 50-59 years, male 25.8
GTEX-1HBPM-0226-SM-ARL9F 60-69 years, female 25.8
GTEX-14753-0426-SM-5NQAM 60-69 years, male 25.7
GTEX-15DCD-0126-SM-7KUEK 70-79 years, female 25.7
GTEX-147GR-0526-SM-5S2MY 60-69 years, male 25.6
GTEX-U3ZN-2326-SM-3DB7W 30-39 years, female 25.6
GTEX-ZVT4-0126-SM-DTXFN 50-59 years, female 25.4
GTEX-OOBK-0126-SM-2YUND 40-49 years, male 25.3
GTEX-Y5V6-2426-SM-4VDSB 60-69 years, male 25.3
GTEX-1IKOH-0226-SM-COH4E 60-69 years, female 25.3
GTEX-11NSD-2226-SM-5986V 20-29 years, male 25.2
GTEX-16MT8-0426-SM-7KUEY 60-69 years, female 25.2
GTEX-1S83E-0126-SM-EWRO4 40-49 years, male 25.1
GTEX-113IC-0126-SM-5HL6T 60-69 years, male 25.0
GTEX-1KANA-0726-SM-D3L9I 20-29 years, male 25.0
GTEX-1LVAN-0226-SM-COH3S 50-59 years, female 25.0
GTEX-12584-0126-SM-5EGKQ 40-49 years, male 24.9
GTEX-13N1W-0126-SM-5K7VT 70-79 years, male 24.9
GTEX-13YAN-0326-SM-5O9DF 60-69 years, male 24.9
GTEX-14JG6-2226-SM-6EU2G 30-39 years, female 24.9
GTEX-16NPX-0226-SM-79OMT 50-59 years, male 24.9
GTEX-OHPL-0126-SM-2HMJ7 60-69 years, female 24.9
GTEX-WY7C-2326-SM-3NB2U 50-59 years, male 24.9
GTEX-ZQUD-1426-SM-57WER 30-39 years, male 24.9
GTEX-1I1GR-0126-SM-CL55F 60-69 years, male 24.9
GTEX-1EU9M-0226-SM-7P8SP 60-69 years, male 24.7
GTEX-14E6D-0126-SM-62LDV 50-59 years, male 24.6
GTEX-YB5E-2026-SM-5IFIS 40-49 years, male 24.6
GTEX-1F75B-0126-SM-9KNVL 50-59 years, male 24.6
GTEX-1IL2U-0226-SM-CE6T8 60-69 years, male 24.6
GTEX-1S3DN-2226-SM-EVYCD 50-59 years, male 24.6
GTEX-1KXAM-2226-SM-CYPTC 60-69 years, male 24.5
GTEX-1LB8K-0226-SM-EWRNW 50-59 years, male 24.5
GTEX-13FHO-0226-SM-5IFGY 60-69 years, male 24.2
GTEX-18A66-0226-SM-718BD 60-69 years, male 24.2
GTEX-12WSE-0526-SM-793B2 20-29 years, male 24.1
GTEX-1F5PL-0326-SM-7P8PQ 40-49 years, female 24.1
GTEX-ZF28-0126-SM-4WKGK 60-69 years, male 24.0
GTEX-ZYW4-0126-SM-5E44A 60-69 years, male 24.0
GTEX-131YS-0126-SM-5KM1M 60-69 years, female 23.8
GTEX-1F6RS-0126-SM-9MQKZ 60-69 years, female 23.8
GTEX-1H11D-0226-SM-9WG6Z 40-49 years, male 23.8
GTEX-1PDJ9-0326-SM-DTX95 20-29 years, male 23.8
GTEX-ZF3C-0126-SM-DO92D 50-59 years, female 23.8
GTEX-1H1DE-2126-SM-9WG6R 20-29 years, male 23.7
GTEX-1I1GS-0126-SM-B2LVW 60-69 years, male 23.4
GTEX-1EX96-1626-SM-7PBXR 50-59 years, male 23.2
GTEX-132NY-0326-SM-5IJBL 60-69 years, male 23.1
GTEX-15UF6-0826-SM-6PALJ 70-79 years, female 23.1
GTEX-1B8L1-2526-SM-9WYTF 60-69 years, male 23.1
GTEX-15ETS-0126-SM-7KUMW 40-49 years, female 23.0
GTEX-11P82-1626-SM-59879 20-29 years, male 22.7
GTEX-Y8DK-0126-SM-4TT3L 60-69 years, male 22.7
GTEX-1S82Y-2026-SM-EVYCM 40-49 years, male 22.7
GTEX-1269C-2526-SM-5EGJ3 60-69 years, female 22.6
GTEX-1KD4Q-0226-SM-E9TJ9 40-49 years, male 22.6
GTEX-1CB4I-0226-SM-79OLH 50-59 years, male 22.5
GTEX-1LC47-0326-SM-E9TJP 60-69 years, male 22.4
GTEX-13VXU-0126-SM-5SI9F 50-59 years, male 22.1
GTEX-1H1E6-1726-SM-ACKVK 30-39 years, male 22.1
GTEX-13FTY-0526-SM-5L3EV 40-49 years, female 22.0
GTEX-148VI-1626-SM-5SI6E 60-69 years, female 22.0
GTEX-1EKGG-0226-SM-9WYTH 60-69 years, male 22.0
GTEX-17EVQ-0226-SM-7LG4P 70-79 years, male 21.9
GTEX-O5YT-0126-SM-48TBW 20-29 years, male 21.9
GTEX-RTLS-0126-SM-447CA 60-69 years, female 21.9
GTEX-Z9EW-1626-SM-5CVMN 40-49 years, male 21.9
GTEX-1LG7Y-0526-SM-DKPQC 50-59 years, male 21.9
GTEX-14JG1-0426-SM-6ETZZ 40-49 years, male 21.8
GTEX-17JCI-0126-SM-7LG5G 60-69 years, female 21.8
GTEX-S95S-1226-SM-4GICG 60-69 years, male 21.8
GTEX-1R46S-0626-SM-E9J41 60-69 years, female 21.8
GTEX-14LLW-0126-SM-6LLIO 70-79 years, female 21.6
GTEX-YEC4-2126-SM-5IFJH 40-49 years, male 21.6
GTEX-14ABY-0226-SM-5TDCQ 50-59 years, male 21.5
GTEX-R55E-0126-SM-2TC5Y 20-29 years, male 21.5
GTEX-ZTPG-0326-SM-5O9AX 20-29 years, female 21.5
GTEX-13FXS-0226-SM-5IJCK 50-59 years, male 21.4
GTEX-1HGF4-2426-SM-ACKXM 60-69 years, male 21.3
GTEX-1I1GQ-0126-SM-COH3H 50-59 years, male 21.2
GTEX-1IOXB-0126-SM-ARL8G 50-59 years, male 21.2
GTEX-12C56-1726-SM-5EQ61 20-29 years, male 21.1
GTEX-OIZF-0126-SM-7SB8I 60-69 years, male 21.1
GTEX-16BQI-0226-SM-7KUEX 30-39 years, female 21.0
GTEX-Q2AI-1326-SM-2S1PL 40-49 years, male 21.0
GTEX-X62O-0126-SM-4E3JN 50-59 years, male 21.0
GTEX-13O3Q-2426-SM-5IJBR 50-59 years, male 20.9
GTEX-TMZS-0126-SM-3DB9Q 60-69 years, male 20.9
GTEX-1CB4F-0426-SM-9KNV4 60-69 years, male 20.8
GTEX-11VI4-1726-SM-5CVLH 40-49 years, female 20.7
GTEX-S7SE-0126-SM-2XCD5 50-59 years, male 20.7
GTEX-1QP9N-1426-SM-DTXFL 30-39 years, male 20.7
GTEX-13U4I-0126-SM-5LU38 40-49 years, female 20.6
GTEX-T8EM-1026-SM-3DB7M 40-49 years, male 20.6
GTEX-WFON-2126-SM-3LK7O 40-49 years, male 20.5
GTEX-1N2EF-0226-SM-EYYXB 60-69 years, male 20.5
GTEX-15G19-0126-SM-6PANQ 60-69 years, male 20.4
GTEX-1E1VI-0126-SM-7DHMZ 50-59 years, male 20.4
GTEX-P4PQ-0126-SM-2S1NM 60-69 years, male 20.4
GTEX-Y111-0126-SM-4SOIV 50-59 years, male 20.3
GTEX-1LGOU-2026-SM-DIPFF 20-29 years, female 20.3
GTEX-1GN73-0226-SM-9WG67 60-69 years, male 20.2
GTEX-14E6C-0126-SM-5RQIP 40-49 years, male 20.1
GTEX-1HUB1-0426-SM-E9U4U 60-69 years, male 20.1
GTEX-1AX9J-0226-SM-73KXM 60-69 years, male 20.0
GTEX-1J1OQ-0226-SM-CYPSH 40-49 years, female 20.0
GTEX-T5JW-1626-SM-3GADZ 20-29 years, female 19.9
GTEX-X5EB-2226-SM-46MW4 40-49 years, male 19.8
GTEX-R45C-0126-SM-EAZ2R 60-69 years, female 19.8
GTEX-ZAK1-0126-SM-5IJD3 50-59 years, female 19.7
GTEX-ZQG8-1626-SM-DHXIT 60-69 years, female 19.7
GTEX-X4EP-0126-SM-3P5YV 60-69 years, female 19.4
GTEX-15ER7-0326-SM-7KUEV 20-29 years, female 19.2
GTEX-1B8SG-0126-SM-73KZ3 50-59 years, male 19.2
GTEX-Z93S-0126-SM-5HL7M 50-59 years, male 19.2
GTEX-1GMRU-0126-SM-9YFLV 50-59 years, male 19.1
GTEX-15RIG-0226-SM-7KFTL 40-49 years, male 19.0
GTEX-Y3IK-2426-SM-4WWDU 50-59 years, female 19.0
GTEX-1J8Q2-0526-SM-CM2RW 60-69 years, male 19.0
GTEX-13NZ8-0826-SM-5MR3I 60-69 years, female 18.9
GTEX-14BMV-0126-SM-5S2PO 50-59 years, male 18.9
GTEX-XPVG-2626-SM-4B669 50-59 years, male 18.9
GTEX-1JN76-0126-SM-CNPPE 20-29 years, female 18.9
GTEX-1MJK2-0426-SM-DTXE5 50-59 years, male 18.9
GTEX-1ICLZ-0126-SM-CKZPO 60-69 years, male 18.8
GTEX-16NGA-1726-SM-731B4 40-49 years, female 18.7
GTEX-13NYC-0326-SM-E9J4S 60-69 years, male 18.7
GTEX-1F6IF-0726-SM-7P8TW 60-69 years, male 18.6
GTEX-111FC-0126-SM-5N9DL 60-69 years, male 18.5
GTEX-139TU-0126-SM-5K7WH 60-69 years, male 18.5
GTEX-12ZZX-0126-SM-5EGK9 40-49 years, female 18.4
GTEX-1IDJH-0326-SM-A9SLQ 70-79 years, male 18.4
GTEX-1JK1U-2026-SM-CM2RZ 60-69 years, male 18.4
GTEX-13FHP-0126-SM-5IJBG 50-59 years, male 18.3
GTEX-147F3-0526-SM-5SI98 50-59 years, female 18.3
GTEX-1GF9V-0326-SM-7RHI5 60-69 years, male 18.3
GTEX-145LU-0126-SM-5TDCB 50-59 years, male 18.2
GTEX-145MF-0626-SM-5LUAI 50-59 years, male 18.2
GTEX-11EQ9-2426-SM-5HL5T 30-39 years, male 18.1
GTEX-139TT-0126-SM-5K7Y5 60-69 years, male 18.0
GTEX-11GSO-2426-SM-5A5LY 60-69 years, male 17.9
GTEX-13O3P-0126-SM-5KM4S 50-59 years, male 17.8
GTEX-1BAJH-0526-SM-793CQ 70-79 years, male 17.8
GTEX-TML8-1926-SM-32QOS 40-49 years, female 17.8
GTEX-144FL-0126-SM-5TDC8 50-59 years, male 17.7
GTEX-1C6VQ-0126-SM-7P8RI 50-59 years, male 17.7
GTEX-1F48J-0126-SM-7P8TT 50-59 years, female 17.7
GTEX-14PII-0226-SM-6EU1T 60-69 years, male 17.5
GTEX-XMD2-0126-SM-4YCDU 60-69 years, female 17.5
GTEX-1HT8W-0126-SM-CNPPP 30-39 years, male 17.5
GTEX-15CHC-2126-SM-6EU21 60-69 years, female 17.4
GTEX-17HGU-0226-SM-7DHKV 50-59 years, male 17.4
GTEX-18D9B-0526-SM-7LTAS 60-69 years, male 17.4
GTEX-R55G-2526-SM-2TC6D 40-49 years, female 17.4
GTEX-11GSP-2526-SM-5N9BP 60-69 years, female 17.3
GTEX-1I1GT-0626-SM-CGQER 60-69 years, female 17.2
GTEX-14C5O-0126-SM-5SI6N 60-69 years, male 17.0
GTEX-XYKS-2126-SM-4E3IB 60-69 years, female 17.0
GTEX-1IKJJ-0126-SM-CNPQB 60-69 years, male 16.9
GTEX-11UD2-0226-SM-5EQKY 50-59 years, male 16.8
GTEX-ZE7O-0126-SM-57WC1 50-59 years, female 16.8
GTEX-X261-0126-SM-3NMD6 50-59 years, male 16.7
GTEX-1M4P7-0226-SM-DIPEV 60-69 years, male 16.7
GTEX-145LT-1726-SM-5QGP3 40-49 years, male 16.6
GTEX-148VJ-0126-SM-5TDDN 70-79 years, male 16.6
GTEX-1QMI2-0226-SM-EVYBX 60-69 years, male 16.6
GTEX-SNMC-1226-SM-2XCFP 20-29 years, male 16.5
GTEX-Y8E4-0626-SM-4WWDL 40-49 years, male 16.5
GTEX-1ICLY-0126-SM-D4P36 50-59 years, male 16.5
GTEX-12ZZY-0226-SM-5LZVE 60-69 years, male 16.4
GTEX-SN8G-0126-SM-32PLI 50-59 years, female 16.4
GTEX-1JKYR-0126-SM-CNPOJ 20-29 years, male 16.4
GTEX-17HII-0226-SM-7LG4E 50-59 years, male 16.3
GTEX-1EN7A-0126-SM-7SB81 40-49 years, male 16.3
GTEX-1HBPI-1526-SM-C1YQ1 50-59 years, male 16.3
GTEX-11DYG-0126-SM-59883 60-69 years, male 16.2
GTEX-145MI-0526-SM-5O9A8 60-69 years, female 16.2
GTEX-17EVP-0326-SM-7DHLG 40-49 years, male 16.2
GTEX-1GL5R-1826-SM-9KNUY 50-59 years, male 16.2
GTEX-TKQ1-1026-SM-4GICL 30-39 years, male 16.1
GTEX-ZDYS-2026-SM-5HL5L 50-59 years, male 16.1
GTEX-13OVJ-0126-SM-5KM36 50-59 years, female 15.9
GTEX-15SHU-0126-SM-7KUEH 40-49 years, female 15.9
GTEX-14LZ3-0226-SM-62LET 60-69 years, female 15.8
GTEX-14PHW-0126-SM-6LLJI 60-69 years, female 15.8
GTEX-ZU9S-0226-SM-5E441 30-39 years, male 15.8
GTEX-1JMPZ-0226-SM-CNPP1 30-39 years, male 15.8
GTEX-XQ8I-0426-SM-4BOPO 50-59 years, male 15.7
GTEX-OXRN-0126-SM-48TDM 50-59 years, male 15.5
GTEX-13RTJ-2426-SM-5S2Q2 60-69 years, male 15.4
GTEX-1PIIG-0226-SM-EWRN6 30-39 years, male 15.4
GTEX-1KWVE-1426-SM-E9TJO 30-39 years, male 15.3
GTEX-13O1R-0126-SM-5L3EH 60-69 years, male 15.2
GTEX-17MF6-0126-SM-7LG4F 40-49 years, male 15.2
GTEX-13NYB-2526-SM-5K7Z6 40-49 years, male 15.1
GTEX-14A5I-0126-SM-5TDEA 50-59 years, female 15.1
GTEX-1B8SF-1426-SM-7DUGL 60-69 years, male 15.0
GTEX-WYVS-2126-SM-3NMA3 40-49 years, female 15.0
GTEX-1O97I-0326-SM-EYYX7 60-69 years, male 15.0
GTEX-133LE-1826-SM-5J1MV 20-29 years, female 14.9
GTEX-YJ89-0126-SM-4TT3X 60-69 years, male 14.9
GTEX-1KAFJ-2026-SM-CY8ID 50-59 years, male 14.9
GTEX-11LCK-1026-SM-5A5KB 30-39 years, male 14.8
GTEX-1GTWX-0126-SM-9YFLK 60-69 years, male 14.8
GTEX-1R9K4-0126-SM-DTX9X 60-69 years, male 14.8
GTEX-1N2DW-0226-SM-E9TK2 50-59 years, male 14.7
GTEX-T6MN-0126-SM-32PLP 50-59 years, male 14.6
GTEX-1F5PK-2426-SM-7RHHY 50-59 years, male 14.6
GTEX-1C475-1826-SM-73KWA 40-49 years, female 14.4
GTEX-ZVTK-0426-SM-51MRS 20-29 years, male 14.4
GTEX-ZVZO-0126-SM-5A5L9 40-49 years, male 14.4
GTEX-1H3O1-0426-SM-9YFKY 60-69 years, male 14.4
GTEX-117XS-2726-SM-5N9BL 60-69 years, male 14.3
GTEX-ZY6K-1826-SM-5GZXK 50-59 years, male 14.3
GTEX-1JMQK-0226-SM-CL543 60-69 years, male 14.2
GTEX-11EM3-2426-SM-59861 20-29 years, female 14.1
GTEX-139TS-2826-SM-5J1OO 60-69 years, male 14.1
GTEX-P4QT-0126-SM-2I3FL 50-59 years, female 14.1
GTEX-TSE9-0126-SM-3DB83 60-69 years, female 13.9
GTEX-XUZC-1726-SM-4BRWS 30-39 years, female 13.8
GTEX-ZVE2-0226-SM-59HJB 50-59 years, male 13.8
GTEX-1KANC-1526-SM-D3LAB 50-59 years, female 13.8
GTEX-PLZ5-2026-SM-2S1O4 50-59 years, male 13.7
GTEX-ZYFC-0226-SM-5NQ75 50-59 years, male 13.6
GTEX-145MN-2226-SM-5SIAU 30-39 years, male 13.4
GTEX-11WQK-0526-SM-5EQLD 50-59 years, male 13.3
GTEX-1JN1M-0326-SM-CYPT3 60-69 years, female 13.3
GTEX-1399T-2826-SM-5KLYZ 60-69 years, male 13.2
GTEX-13N2G-2626-SM-5J1OT 60-69 years, male 13.2
GTEX-17GQL-2026-SM-718BA 60-69 years, male 13.1
GTEX-1GF9W-0326-SM-9KNUN 60-69 years, male 13.1
GTEX-13112-2826-SM-5DUWH 50-59 years, male 13.0
GTEX-13CF3-2426-SM-5IFGX 60-69 years, female 13.0
GTEX-1B97I-1626-SM-73KYO 40-49 years, male 12.9
GTEX-1C6VR-2426-SM-79OLD 60-69 years, male 12.9
GTEX-ZWKS-0126-SM-5SIAA 30-39 years, male 12.9
GTEX-14BIN-0626-SM-793DP 50-59 years, female 12.8
GTEX-1CB4H-0226-SM-7PBXM 60-69 years, female 12.5
GTEX-1M5QR-1226-SM-EWROB 40-49 years, male 12.5
GTEX-14PJ6-2126-SM-6EU1V 60-69 years, female 12.4
GTEX-11O72-0126-SM-59887 40-49 years, male 12.3
GTEX-11P81-2326-SM-59875 30-39 years, female 12.3
GTEX-1HCVE-0126-SM-CGQEU 50-59 years, male 12.3
GTEX-ZAJG-0126-SM-5HL94 50-59 years, female 12.2
GTEX-1JMQJ-0526-SM-CYPSU 50-59 years, male 12.2
GTEX-ZYT6-0226-SM-5NQ6T 30-39 years, male 12.1
GTEX-13OW8-1326-SM-5J1OW 60-69 years, male 12.0
GTEX-1JMOU-1526-SM-CL54I 60-69 years, female 12.0
GTEX-144GL-0126-SM-5TDE2 50-59 years, male 11.9
GTEX-ZXES-1826-SM-5E43S 30-39 years, female 11.8
GTEX-1H3VE-0326-SM-9YFLH 40-49 years, male 11.8
GTEX-1CB4J-0626-SM-7DHMP 60-69 years, male 11.7
GTEX-U3ZH-2026-SM-3DB78 30-39 years, male 11.7
GTEX-1GMR3-1926-SM-9KNUZ 40-49 years, male 11.7
GTEX-11ZU8-2526-SM-5EQKI 60-69 years, male 11.5
GTEX-12WSC-0126-SM-5EQ4P 50-59 years, male 11.5
GTEX-WFG8-2226-SM-3GIL9 20-29 years, male 11.5
GTEX-1JJEA-0326-SM-CNPOT 60-69 years, male 11.5
GTEX-ZXG5-0126-SM-5GIEU 60-69 years, male 11.4
GTEX-1HSKV-0226-SM-A9SKJ 60-69 years, male 11.4
GTEX-11ZVC-2526-SM-5FQTE 50-59 years, female 11.2
GTEX-Y5V5-2326-SM-4V6GA 60-69 years, female 11.2
GTEX-1PWST-0226-SM-E76QJ 70-79 years, male 11.2
GTEX-ZYFG-2326-SM-5E44B 60-69 years, female 11.1
GTEX-1GMR8-0126-SM-9WYTM 50-59 years, female 11.1
GTEX-1JJE9-0326-SM-CL53Z 70-79 years, male 11.1
GTEX-15D1Q-0126-SM-7KUG6 40-49 years, male 11.0
GTEX-131XH-2226-SM-5DUXJ 50-59 years, male 10.9
GTEX-1H1DG-0126-SM-9WYU2 70-79 years, male 10.9
GTEX-13111-1626-SM-5EGJY 50-59 years, male 10.7
GTEX-11EI6-0126-SM-5985R 60-69 years, male 10.5
GTEX-13OVH-0126-SM-5MR4B 70-79 years, male 10.5
GTEX-145ME-1826-SM-5SI9G 40-49 years, female 10.4
GTEX-1CAMQ-0226-SM-7IGPK 40-49 years, male 10.3
GTEX-145LS-0126-SM-5QGP1 60-69 years, female 10.1
GTEX-14E6E-1826-SM-5S2R7 30-39 years, male 10.1
GTEX-1A3MW-0126-SM-73KXX 60-69 years, female 10.1
GTEX-ZTSS-1926-SM-57WEW 40-49 years, male 10.0
GTEX-1QAET-0926-SM-E76QM 50-59 years, male 10.0
GTEX-1H1ZS-0426-SM-9WG6G 70-79 years, male 9.8
GTEX-1JMLX-0226-SM-CM2RO 50-59 years, male 9.6
GTEX-P44H-0226-SM-2XCEU 40-49 years, male 9.4
GTEX-1K2DU-2326-SM-E9TIV 20-29 years, male 9.4
GTEX-ZV68-0126-SM-59HKS 50-59 years, female 9.2
GTEX-11DXZ-2326-SM-5EGGV 50-59 years, male 9.1
GTEX-WI4N-1026-SM-3LK7N 40-49 years, female 9.1
GTEX-1JMQL-0226-SM-CNPP5 50-59 years, female 9.1
GTEX-ZF2S-2326-SM-4WWCE 50-59 years, female 9.0
GTEX-1H4P4-0726-SM-9YFLR 50-59 years, male 9.0
GTEX-183WM-0126-SM-7LTAB 70-79 years, female 8.7
GTEX-1212Z-2526-SM-5EGKP 60-69 years, male 8.6
GTEX-ZYY3-0126-SM-5GZY5 60-69 years, female 8.5
GTEX-1LH75-2426-SM-E9TJE 50-59 years, female 8.5
GTEX-1L5NE-2526-SM-E6CIE 50-59 years, male 8.3
GTEX-12ZZZ-0626-SM-5DUXI 60-69 years, male 8.0
GTEX-1HB9E-0226-SM-E9U4R 50-59 years, male 8.0
GTEX-1E2YA-0126-SM-9KNUC 50-59 years, male 7.9
GTEX-14PN4-0126-SM-6EU2V 50-59 years, male 7.4
GTEX-1LG7Z-1726-SM-D3LA4 30-39 years, male 7.2
GTEX-1HFI7-1826-SM-ACKXH 50-59 years, female 6.9
GTEX-1HSMO-0126-SM-CL547 60-69 years, male 6.8
GTEX-1HCU7-0226-SM-CL545 50-59 years, male 6.6
GTEX-1CB4E-2226-SM-793DC 60-69 years, male 6.4
GTEX-12696-2426-SM-5EQ6H 60-69 years, male 6.3
GTEX-131XE-2326-SM-5PNZ2 50-59 years, male 5.6
GTEX-ZTX8-1426-SM-5DUVO 20-29 years, male 5.3
GTEX-S32W-2126-SM-2XCB1 50-59 years, female 4.4
GTEX-11H98-0126-SM-5EGHG 50-59 years, male 4.0
Show allShow less

Contact

  • NEWS ARTICLES
  • PRESS ROOM

The Project

  • INTRODUCTION
  • ORGANIZATION
  • PUBLICATIONS

The Human Protein Atlas

  • DOWNLOADABLE DATA
  • LICENCE & CITATION
  • HELP & FAQ
The Human Protein Atlas project is funded
by the Knut & Alice Wallenberg Foundation.


contact@proteinatlas.org