We use cookies to enhance the usability of our website. If you continue, we'll assume that you are happy to receive all cookies. More information. Don't show this again.
BCAM
HPA
RESOURCES
  • TISSUE
  • BRAIN
  • SINGLE CELL
  • SUBCELLULAR
  • CANCER
  • BLOOD
  • CELL LINE
  • STRUCTURE & INTERACTION
ABOUT
  • INTRODUCTION
  • HISTORY
  • ORGANIZATION
  • PUBLICATIONS
  • ANTIBODY SUBMISSION
  • ANTIBODY AVAILABILITY
  • ACKNOWLEDGMENTS
  • CONTACT
NEWS
  • NEWS ARTICLES
  • PRESS ROOM
LEARN
  • DICTIONARY
  • PROTEIN CLASSES
  • PROTEIN EVIDENCE
  • METHODS
  • EDUCATIONAL VIDEOS
DATA
  • DOWNLOADABLE DATA
  • PUBLICATION DATA
  • RELEASE HISTORY
HELP
  • ANTIBODY VALIDATION
  • ASSAYS & ANNOTATION
  • DISCLAIMER
  • HELP & FAQ
  • PRIVACY STATEMENT
  • LICENCE & CITATION
Fields »
Search result

Field
Term
Gene name
Class
Subclass
Class
Keyword
Chromosome
External id
Tissue
Cell type
Expression
Antibody panel
Tissue
Main location
Patient ID
Annotation
Tissue
Category
Tau score
Cluster
Reliability
Brain region
Category
Tau score
Brain region
Category
Tau score
Brain region
Category
Tau score
Cluster
Reliability
Tissue
Cell type
Enrichment
Cell type
Category
Tau score
Cell type
Category
Tau score
Cell type
Category
Tau score
Cell lineage
Category
Tau score
Cluster
Cluster
Location
Searches
Location
Cell line
Class
Type
Phase
Reliability
Cancer
Prognosis
Cancer
Category
Cancer
Category
Tau score
Cluster
Variants
Interacting gene (ensg_id)
Type
Number of interactions
Pathway
Category
Score
Score
Score
Validation
Validation
Validation
Validation
Antibodies
Data type
Column


  • SUMMARY

  • TISSUE

  • BRAIN

  • SINGLE CELL

  • SUBCELL

  • CANCER

  • BLOOD

  • CELL LINE

  • STRUCT & INT

  • BCAM
TISSUE PRIMARY DATA SKIN Show tissue menu
ADIPOSE TISSUE ADRENAL GLAND AMYGDALA APPENDIX BASAL GANGLIA BONE MARROW BREAST BRONCHUS CEREBELLUM CEREBRAL CORTEX CERVIX CHOROID PLEXUS COLON DUODENUM
ENDOMETRIUM EPIDIDYMIS ESOPHAGUS FALLOPIAN TUBE GALLBLADDER HEART MUSCLE HIPPOCAMPAL FORMATION HYPOTHALAMUS KIDNEY LIVER LUNG LYMPH NODE MIDBRAIN NASOPHARYNX
ORAL MUCOSA OVARY PANCREAS PARATHYROID GLAND PITUITARY GLAND PLACENTA PROSTATE RECTUM RETINA SALIVARY GLAND SEMINAL VESICLE SKELETAL MUSCLE SKIN SMALL INTESTINE
SMOOTH MUSCLE SOFT TISSUE SPINAL CORD SPLEEN STOMACH TESTIS THYMUS THYROID GLAND TONGUE TONSIL URINARY BLADDER VAGINA
ANTIBODIES
AND
VALIDATION
Dictionary
Skin
Tissue proteome
Skin
SKIN - Expression summary
Protein expression
Skini

On the top, protein expression in current human tissue, based on all annotated cell types, is reported with the units not detected (n), low (l), medium (m) and high (h). Underneath, protein expression in each annotated cell type are reported using the same units.

Protein expression data is based on knowledge-based annotation. For genes where more than one antibody has been used, a collective score is set.

If knowledge-based annotation could not be performed for a gene, no data is displayed here. View antibody staining data further down this page.

h
m
l
n
Cells in basal layer: Low
Cells in corneal layer: Not detected
Cells in granular layer: Not detected
Cells in spinous layer: Not detected
Eccrine glands: Not detected
Endothelial cells: Medium
Extracellular matrix: Not detected
Fibrohistiocytic cells: Low
Hair follicles: Not detected
Langerhans cells: Not detected
Lymphocytes: Not detected
Melanocytes: Not detected
Sebaceous glands: High
Vascular mural cells: Not detected
RNA expressioni

A summary of mRNA expression data available for current tissue based on several datasets. The mRNA expression levels in human tissues are based on RNA-seq data generated by the Human Protein Atlas (HPA), Genotype-Tissue Expression (GTEx) portal and CAGE data generated by the FANTOM5 consortium. Consensus normalized expression levels for human tissues was created by combining the data from HPA and GTEx datasets.

The mRNA expression levels in pig are based on RNA-seq data generated by the Human Protein Atlas (HPA), and for mouse, HPA data and in situ hybridization generated by the Allen brain atlas are reported.

Scroll down to view mRNA expression data in more detail.
Consensus:52.4 nTPM
HPA:28.5 nTPM
GTEx:52.4 nTPM

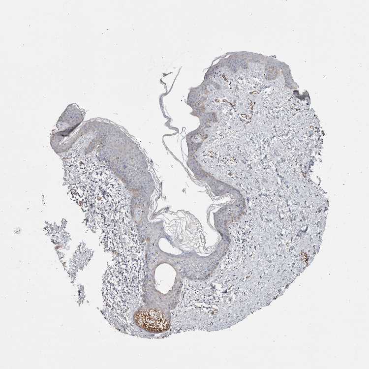
SKIN 1 - Antibody stainingi

Antibody staining in the annotated cell types in the current human tissue is reported as not detected, low, medium, or high, based on conventional immunohistochemistry profiling in selected tissues. This score is based on the combination of the staining intensity and fraction of stained cells.

Each image is clickable and will lead to virtual microscopy that enables deeper exploration of all samples and also displays staining intensity scores, fraction scores and subcellular localization as well as patient and tissue information for each sample.

Antibody HPA005654
Cells in basal layer Low
Cells in corneal layer Not detected
Cells in granular layer Not detected
Cells in spinous layer Not detected
Endothelial cells Medium
Extracellular matrix Not detected
Fibrohistiocytic cells Low
Hair follicles Not detected
Langerhans cells Not detected
Lymphocytes Not detected
Melanocytes Not detected
Sebaceous glands High
Vascular mural cells Not detected


SKIN 2 - Antibody stainingi

Antibody staining in the annotated cell types in the current human tissue is reported as not detected, low, medium, or high, based on conventional immunohistochemistry profiling in selected tissues. This score is based on the combination of the staining intensity and fraction of stained cells.

Each image is clickable and will lead to virtual microscopy that enables deeper exploration of all samples and also displays staining intensity scores, fraction scores and subcellular localization as well as patient and tissue information for each sample.

Antibody HPA005654
Cells in basal layer Low
Cells in corneal layer Not detected
Cells in granular layer Not detected
Cells in spinous layer Not detected
Eccrine glands Not detected
Endothelial cells Medium
Extracellular matrix Not detected
Fibrohistiocytic cells Low
Langerhans cells Not detected
Lymphocytes Not detected
Melanocytes Not detected
Vascular mural cells Not detected
 



SKIN - HPA RNA-seqi

The RNA-seq details section shows detailed information about the individual samples used for the transcript profiling and results of the RNA-seq analysis.

Information about each individual sample is listed below, including gender, age, a tissue section image and estimated fractions of cell types. nTPM (normalized transcripts per million) values give a quantification of the gene abundance which is comparable between different genes and samples.
Average nTPMi

Max subtype nTPM is the value for the subtype with the largest average nTPM across the subtype samples.

28.5
overview
Female, age 34
Skin sample 225
nTPM: 13.2
Cell types%
Keratinocytes:
60

Other cell types:
40

overview
Female, age 30
Skin sample 226
nTPM: 9.6
Cell types%
Keratinocytes:
55

Other cell types:
45

N/A
Male, age 57
Skin sample 227
nTPM: 62.8

SKIN - GTEx RNA-seqi

RNA-Seq data generated by the Genotype-Tissue Expression (GTEx) project from human tissues is reported as mean nTPM. More information can be found on the GTEx portal.

Distribution across the dataset is visualized with box plots, shown as median and 25th and 75th percentiles. Points are displayed as outliers if they are above or below 1.5 times the interquartile range. nTPM values of the individual samples are presented next to the box plot.
Max subtype nTPMi

Max subtype nTPM is the value for the subtype with the largest average nTPM across the subtype samples.

52.4
GTEx sample id Sample description nTPM
Skin - Not Sun Exposed (Suprapubic)
Average nTPM: 44.8
Samples: 604

Max nTPM: 133.7
Min nTPM: 12.9
Std nTPM: 17.9
Median nTPM: 41.7
GTEX-ZVTK-0226-SM-51MRG 20-29 years, male 133.7
GTEX-1AX9J-1326-SM-731BJ 60-69 years, male 113.0
GTEX-16GPK-0626-SM-7KFSF 60-69 years, male 105.1
GTEX-1F6I4-2326-SM-7RHGL 60-69 years, male 104.5
GTEX-1F75W-2726-SM-7SB8H 60-69 years, male 102.1
GTEX-YF7O-1526-SM-5IFI6 50-59 years, male 101.3
GTEX-1RB15-1326-SM-E76Q9 60-69 years, male 100.2
GTEX-17F96-0126-SM-7EWDU 70-79 years, male 95.2
GTEX-ZUA1-2626-SM-5NQ92 40-49 years, male 95.1
GTEX-139T8-0626-SM-5KLZX 60-69 years, male 93.5
GTEX-14E6C-2426-SM-5S2NF 40-49 years, male 93.3
GTEX-11O72-0626-SM-5PNYE 40-49 years, male 90.0
GTEX-11DYG-1526-SM-5A5JS 60-69 years, male 89.3
GTEX-1H1CY-0126-SM-9YFLY 60-69 years, female 88.9
GTEX-14PJO-2526-SM-6AJBQ 60-69 years, male 88.3
GTEX-16MT8-2926-SM-7DUFO 60-69 years, female 87.4
GTEX-13N2G-0226-SM-5K7VF 60-69 years, male 86.3
GTEX-139TS-2126-SM-5K7XC 60-69 years, male 86.2
GTEX-18A7B-2726-SM-7LG56 70-79 years, male 85.8
GTEX-1E2YA-2126-SM-7MXUO 50-59 years, male 85.3
GTEX-17JCI-2926-SM-7DUFF 60-69 years, female 85.1
GTEX-111FC-2526-SM-5GZXU 60-69 years, male 85.0
GTEX-1IL2V-1926-SM-B2LW8 70-79 years, male 83.1
GTEX-1PIGE-1826-SM-E8VOU 20-29 years, male 82.5
GTEX-1J8JJ-0626-SM-ARZMQ 60-69 years, female 82.3
GTEX-1IDJC-1526-SM-B2LW4 50-59 years, male 82.0
GTEX-1I1GP-1326-SM-A9G28 50-59 years, male 81.5
GTEX-12584-0726-SM-5FQTK 40-49 years, male 80.3
GTEX-14PKV-1126-SM-6LLJ1 20-29 years, female 77.7
GTEX-1N5O9-0926-SM-E9J3C 60-69 years, male 77.7
GTEX-17F97-2626-SM-7IGM5 50-59 years, male 77.5
GTEX-18A66-0626-SM-7LT8Z 60-69 years, male 77.5
GTEX-1E1VI-0326-SM-793D1 50-59 years, male 76.7
GTEX-12WSF-1626-SM-7KUG5 70-79 years, male 76.6
GTEX-13JUV-2026-SM-5K7UA 40-49 years, female 76.6
GTEX-11DZ1-2426-SM-5GZZX 50-59 years, male 75.6
GTEX-17EVQ-0126-SM-7IGLR 70-79 years, male 75.3
GTEX-1IY9M-2826-SM-ARU8H 60-69 years, male 75.2
GTEX-13OVJ-0826-SM-5J1OK 50-59 years, female 74.6
GTEX-1I19N-0126-SM-CYPSF 70-79 years, male 74.6
GTEX-WHSE-0126-SM-3NMBT 20-29 years, male 74.3
GTEX-X3Y1-2026-SM-3P5YM 40-49 years, male 74.2
GTEX-139TT-2126-SM-5LZWC 60-69 years, male 74.0
GTEX-1O9I2-0226-SM-EYYXD 50-59 years, male 74.0
GTEX-YB5K-2026-SM-4VDT3 40-49 years, female 73.7
GTEX-1399R-1326-SM-5PNYS 30-39 years, male 73.6
GTEX-14A5H-0826-SM-5QGPJ 60-69 years, male 73.2
GTEX-1LGOU-1326-SM-D3L8M 20-29 years, female 72.8
GTEX-145LS-0626-SM-7EPG7 60-69 years, female 72.7
GTEX-11TT1-1826-SM-5EQLV 20-29 years, male 72.4
GTEX-1C64N-2626-SM-7PC2N 50-59 years, male 72.2
GTEX-WFON-1926-SM-3LK7L 40-49 years, male 71.8
GTEX-1HUB1-1426-SM-CGQF5 60-69 years, male 71.7
GTEX-ZLFU-1826-SM-4WWBV 40-49 years, male 71.4
GTEX-12WSA-0426-SM-5EQ5X 60-69 years, male 71.1
GTEX-ZYFD-0626-SM-5E44E 50-59 years, male 71.1
GTEX-145MG-1526-SM-5Q5EM 50-59 years, male 70.5
GTEX-13NZ9-2626-SM-5L3FK 50-59 years, male 70.0
GTEX-1CAV2-0126-SM-7IGN7 40-49 years, female 69.9
GTEX-1GZ2Q-0126-SM-9WG6M 40-49 years, male 69.7
GTEX-1HCU6-2526-SM-ADEHL 60-69 years, female 69.5
GTEX-ZDTS-0826-SM-4WKHL 60-69 years, male 69.4
GTEX-ZT9W-1126-SM-57WDR 50-59 years, male 69.4
GTEX-146FQ-2126-SM-5RQHU 30-39 years, male 69.2
GTEX-1H1ZS-2726-SM-9WG75 70-79 years, male 69.2
GTEX-13FH7-1126-SM-5K7UG 50-59 years, female 68.6
GTEX-17F9E-2326-SM-79OKD 50-59 years, male 68.4
GTEX-YEC3-1326-SM-DO92X 50-59 years, male 68.0
GTEX-14PJ2-0626-SM-6LLII 50-59 years, male 67.9
GTEX-1F6IF-0926-SM-7SB7M 60-69 years, male 67.1
GTEX-16XZZ-0726-SM-7KUF2 60-69 years, male 66.7
GTEX-13U4I-2226-SM-5LU5H 40-49 years, female 66.6
GTEX-1RAZA-2226-SM-E9U4X 20-29 years, male 66.6
GTEX-1B933-2426-SM-7DHMD 50-59 years, female 66.4
GTEX-1192X-2726-SM-5N9DN 50-59 years, male 66.3
GTEX-1AX9I-2226-SM-73KUO 60-69 years, male 66.3
GTEX-1I6K7-1926-SM-B2LXR 40-49 years, male 66.0
GTEX-1HBPI-2126-SM-ARL9K 50-59 years, male 65.8
GTEX-139YR-1026-SM-5LZYN 50-59 years, male 65.5
GTEX-1JMLX-0626-SM-ARL8T 50-59 years, male 65.3
GTEX-1211K-1526-SM-5FQU4 60-69 years, female 65.1
GTEX-X585-2426-SM-46MW2 50-59 years, male 64.6
GTEX-14JG6-1426-SM-9WG7C 30-39 years, female 64.5
GTEX-1HR98-2226-SM-ADEI2 60-69 years, male 64.5
GTEX-ZYFG-1526-SM-5GZYM 60-69 years, female 64.4
GTEX-1A32A-0626-SM-731AQ 50-59 years, female 64.3
GTEX-1I6K6-1726-SM-CGQFD 30-39 years, male 64.3
GTEX-13OVL-0126-SM-5L3GJ 50-59 years, male 64.1
GTEX-XV7Q-1826-SM-4BRUV 40-49 years, female 64.0
GTEX-145MO-2826-SM-5LU96 60-69 years, male 63.8
GTEX-WYJK-0526-SM-3NM8Z 50-59 years, male 63.6
GTEX-WRHU-2826-SM-3MJG8 50-59 years, female 63.5
GTEX-ZVP2-0326-SM-57WBP 50-59 years, male 63.5
GTEX-1IDJE-1426-SM-ADEIW 50-59 years, female 63.3
GTEX-1JMQI-1726-SM-ARL93 50-59 years, male 62.9
GTEX-11DXW-0826-SM-5H118 40-49 years, male 62.8
GTEX-11P7K-1126-SM-5HL4L 30-39 years, male 62.8
GTEX-1I1GV-0626-SM-ARL7M 60-69 years, male 62.7
GTEX-1C64O-1326-SM-7MGWR 60-69 years, male 62.4
GTEX-14DAR-1226-SM-73KYV 50-59 years, male 62.1
GTEX-1PIIG-2326-SM-DTXFR 30-39 years, male 62.1
GTEX-145LT-0526-SM-5LUB2 40-49 years, male 62.0
GTEX-15CHR-1126-SM-7EWF4 50-59 years, male 62.0
GTEX-1GF9U-2026-SM-7SB92 40-49 years, female 61.3
GTEX-ZYW4-0626-SM-59HJR 60-69 years, male 61.2
GTEX-1RLM8-2926-SM-E8VON 50-59 years, male 61.2
GTEX-1LKK1-2626-SM-DKPQE 50-59 years, female 60.9
GTEX-1N2DV-1526-SM-DTXEP 40-49 years, male 60.9
GTEX-1EN7A-2426-SM-793DB 40-49 years, male 60.7
GTEX-WHWD-1826-SM-3LK6I 50-59 years, male 60.6
GTEX-11EI6-2826-SM-5H11D 60-69 years, male 60.3
GTEX-1B996-0426-SM-7EWF8 60-69 years, male 60.1
GTEX-1JN6P-2926-SM-CL54D 60-69 years, male 60.0
GTEX-1LBAC-0826-SM-CY8IJ 20-29 years, male 59.1
GTEX-131XF-2626-SM-5EQ6K 60-69 years, male 58.8
GTEX-1AX8Z-0726-SM-73KTS 60-69 years, male 58.8
GTEX-XQ3S-1426-SM-4BOPR 20-29 years, male 58.8
GTEX-13N11-2326-SM-5IJBF 50-59 years, female 58.7
GTEX-132AR-0326-SM-5KM2C 50-59 years, female 58.6
GTEX-15RIE-1926-SM-7KUKJ 60-69 years, male 58.6
GTEX-WK11-2726-SM-3NMAQ 50-59 years, male 58.6
GTEX-1HFI6-0126-SM-CNPPI 40-49 years, male 58.5
GTEX-14JG1-1526-SM-5YY9X 40-49 years, male 58.3
GTEX-1IDJH-0126-SM-D3L92 70-79 years, male 58.2
GTEX-1EH9U-2826-SM-7DUGT 60-69 years, male 58.1
GTEX-1GMR3-0126-SM-A9SLW 40-49 years, male 58.1
GTEX-1QP9N-1226-SM-E76QN 30-39 years, male 57.8
GTEX-WH7G-2026-SM-3NMBL 40-49 years, male 57.3
GTEX-13SLX-2226-SM-62LEP 50-59 years, female 57.1
GTEX-13VXT-1926-SM-5K7UO 20-29 years, female 57.1
GTEX-18D9A-1426-SM-7LT8M 30-39 years, female 57.1
GTEX-12C56-1526-SM-5FQUQ 20-29 years, male 56.9
GTEX-15UF6-1926-SM-7KUDV 70-79 years, female 56.8
GTEX-12BJ1-0926-SM-5EQ62 60-69 years, male 56.7
GTEX-16AAH-0626-SM-793C9 50-59 years, male 56.6
GTEX-1H1E6-0426-SM-9WYUS 30-39 years, male 56.6
GTEX-1H23P-0626-SM-9WG6T 60-69 years, male 56.4
GTEX-14DAQ-0626-SM-793DS 60-69 years, female 56.3
GTEX-12WSJ-1126-SM-5LZVJ 40-49 years, female 56.0
GTEX-13VXU-0626-SM-5L3F9 50-59 years, male 56.0
GTEX-ZLWG-0826-SM-59888 50-59 years, female 55.4
GTEX-YJ8O-2526-SM-5HL85 40-49 years, female 55.0
GTEX-12126-0826-SM-5FQTZ 20-29 years, male 54.9
GTEX-1A8FM-0626-SM-7PC25 50-59 years, female 54.9
GTEX-ZDXO-3126-SM-5IJDF 60-69 years, male 54.8
GTEX-1N2EE-0626-SM-E76PW 60-69 years, male 54.7
GTEX-14E6E-0526-SM-793DN 30-39 years, male 54.6
GTEX-ZU9S-1826-SM-5NQ9E 30-39 years, male 54.6
GTEX-1JMPZ-0726-SM-CY8HZ 30-39 years, male 54.4
GTEX-1J1R8-2026-SM-CL53Y 40-49 years, male 54.2
GTEX-13NYS-0626-SM-5L3F1 60-69 years, male 54.1
GTEX-1HCU9-0426-SM-9WYSD 20-29 years, male 54.1
GTEX-12WSL-2026-SM-5GCML 50-59 years, male 54.0
GTEX-13N1W-2426-SM-5IJD1 70-79 years, male 54.0
GTEX-17MF6-2626-SM-79OKQ 40-49 years, male 54.0
GTEX-17HG3-2626-SM-7DUF2 30-39 years, female 53.7
GTEX-13NYB-0126-SM-5J1MD 40-49 years, male 53.6
GTEX-16NPX-0726-SM-7KULC 50-59 years, male 53.6
GTEX-1F75B-0726-SM-7PC3R 50-59 years, male 53.6
GTEX-Y8E4-2026-SM-5IFJB 40-49 years, male 53.5
GTEX-1I1GS-2626-SM-B2LY3 60-69 years, male 53.5
GTEX-1HSMO-0626-SM-ACKXC 60-69 years, male 53.0
GTEX-15DYW-2726-SM-6EU2I 60-69 years, female 52.8
GTEX-18A7A-0126-SM-731AH 50-59 years, female 52.7
GTEX-1JKYN-0826-SM-ARU8S 30-39 years, male 52.7
GTEX-ZF3C-0626-SM-DO92O 50-59 years, female 52.7
GTEX-WHPG-2626-SM-3NMBR 50-59 years, male 52.6
GTEX-15CHQ-0326-SM-69LQD 60-69 years, male 52.5
GTEX-13OVG-1626-SM-5J1NF 60-69 years, male 52.4
GTEX-13RTJ-0126-SM-5S2NN 60-69 years, male 52.1
GTEX-1CAMR-1326-SM-7PC1F 20-29 years, male 52.0
GTEX-1LG7Z-1626-SM-CXKYR 30-39 years, male 52.0
GTEX-1GMR8-0626-SM-7RHI7 50-59 years, female 51.9
GTEX-1QP29-1826-SM-DTX9S 50-59 years, male 51.9
GTEX-1497J-0226-SM-5QGPU 60-69 years, male 51.4
GTEX-15FZZ-0526-SM-7KUGD 30-39 years, female 51.3
GTEX-1LSVX-2526-SM-DIPEU 60-69 years, male 51.3
GTEX-11NSD-0626-SM-5A5LU 20-29 years, male 51.2
GTEX-17HGU-2326-SM-7DUFE 50-59 years, male 51.0
GTEX-13X6J-0626-SM-5LU5F 50-59 years, male 50.7
GTEX-WI4N-2726-SM-3LK7Y 40-49 years, female 50.7
GTEX-1F75I-2226-SM-7SB8U 40-49 years, male 50.7
GTEX-ZAK1-0626-SM-5HL8E 50-59 years, female 50.5
GTEX-1KWVE-1026-SM-D3L9O 30-39 years, male 50.5
GTEX-13FTW-0326-SM-5K7UW 40-49 years, male 50.3
GTEX-14ABY-2026-SM-62LDL 50-59 years, male 50.2
GTEX-XYKS-1426-SM-4BRUO 60-69 years, female 50.2
GTEX-13OW8-1026-SM-5J1NQ 60-69 years, male 50.1
GTEX-1QCLZ-2426-SM-EVYBW 60-69 years, female 50.1
GTEX-1212Z-0126-SM-59HK4 60-69 years, male 50.0
GTEX-12WSC-2826-SM-5BC5Y 50-59 years, male 49.9
GTEX-131XH-0126-SM-5LZUY 50-59 years, male 49.9
GTEX-Y5V5-0126-SM-5S2NW 60-69 years, female 49.9
GTEX-WYVS-1626-SM-3NM9R 40-49 years, female 49.8
GTEX-YFCO-1226-SM-5LUAT 40-49 years, male 49.8
GTEX-131YS-2826-SM-5EQ47 60-69 years, female 49.7
GTEX-1KANA-1326-SM-DIPFA 20-29 years, male 49.7
GTEX-1H3O1-1326-SM-9MQLD 60-69 years, male 49.6
GTEX-ZAJG-1526-SM-5CVML 50-59 years, female 49.5
GTEX-1QEPI-2626-SM-DTXF4 60-69 years, female 49.4
GTEX-139D8-1126-SM-5LU8W 30-39 years, female 49.3
GTEX-1QCLY-0226-SM-EWRNH 30-39 years, male 49.3
GTEX-11EQ9-1626-SM-5PNY8 30-39 years, male 49.2
GTEX-Y114-2126-SM-4TT8B 50-59 years, female 49.2
GTEX-16NGA-0726-SM-731AO 40-49 years, female 49.1
GTEX-139TU-0726-SM-5L3EK 60-69 years, male 49.0
GTEX-1KD5A-0126-SM-E9U54 50-59 years, male 49.0
GTEX-11WQC-1826-SM-5GU59 60-69 years, male 48.8
GTEX-13PVQ-0626-SM-5LU47 50-59 years, male 48.8
GTEX-11EM3-1226-SM-5N9DD 20-29 years, female 48.7
GTEX-1314G-1326-SM-5BC6E 30-39 years, male 48.6
GTEX-145MF-0926-SM-5Q5EA 50-59 years, male 48.6
GTEX-Y5V6-2326-SM-4VDSA 60-69 years, male 48.6
GTEX-183WM-0326-SM-72D5V 70-79 years, female 48.5
GTEX-15RJ7-2126-SM-6PAMD 40-49 years, male 48.3
GTEX-12KS4-2126-SM-5FQUT 30-39 years, male 48.1
GTEX-1CB4F-1026-SM-7DUH1 60-69 years, male 48.0
GTEX-ZA64-1026-SM-5HL8R 20-29 years, male 48.0
GTEX-1S831-1826-SM-EWROF 20-29 years, male 48.0
GTEX-1HGF4-0126-SM-CNPPX 60-69 years, male 47.9
GTEX-144FL-0626-SM-5LU43 50-59 years, male 47.7
GTEX-1KANC-1226-SM-CYPT7 50-59 years, female 47.7
GTEX-13FHO-0426-SM-5L3F5 60-69 years, male 47.6
GTEX-14PHX-2226-SM-6EU2P 50-59 years, male 47.6
GTEX-16YQH-2226-SM-7IGM2 30-39 years, male 47.6
GTEX-XOT4-0626-SM-4B66L 60-69 years, female 47.6
GTEX-1L5NE-1126-SM-D3L9P 50-59 years, male 47.6
GTEX-1I1CD-0626-SM-CE6SW 60-69 years, female 47.5
GTEX-Y3IK-1626-SM-4YCF5 50-59 years, female 47.4
GTEX-15DDE-2926-SM-6LLJ3 50-59 years, female 47.3
GTEX-1GMR2-0826-SM-7PC3V 50-59 years, male 47.3
GTEX-WFG8-2126-SM-3GIKQ 20-29 years, male 47.2
GTEX-XK95-0226-SM-4AT58 40-49 years, male 47.2
GTEX-ZVE1-0726-SM-51MRN 50-59 years, female 47.1
GTEX-1IDJI-0126-SM-CMKHS 50-59 years, female 47.1
GTEX-ZPU1-1126-SM-4YCF3 40-49 years, male 47.0
GTEX-1S5ZU-2526-SM-E6CIF 20-29 years, female 46.9
GTEX-Z93S-1626-SM-5CVMB 50-59 years, male 46.8
GTEX-1QP66-1226-SM-DTX7U 50-59 years, male 46.8
GTEX-148VJ-0626-SM-5LUAW 70-79 years, male 46.7
GTEX-1M4P7-0726-SM-E6CJ3 60-69 years, male 46.6
GTEX-1RAZR-2126-SM-E9U6T 40-49 years, male 46.6
GTEX-183FY-1026-SM-7939A 20-29 years, male 46.5
GTEX-1EWIQ-0326-SM-7DHMQ 70-79 years, female 46.4
GTEX-1LVAO-2726-SM-E9TJ8 60-69 years, male 46.4
GTEX-16Z82-2626-SM-7KULU 60-69 years, male 46.3
GTEX-144GO-2026-SM-5O99P 60-69 years, male 46.2
GTEX-147F3-1726-SM-5SIAW 50-59 years, female 46.2
GTEX-ZVE2-2826-SM-5GU51 50-59 years, male 46.2
GTEX-11DXY-0126-SM-5H11Q 60-69 years, male 46.0
GTEX-14BMU-1226-SM-5S2OR 20-29 years, female 46.0
GTEX-1JK1U-0226-SM-ARZMX 60-69 years, male 45.9
GTEX-18465-2826-SM-7LT9J 50-59 years, male 45.8
GTEX-11DXZ-2026-SM-5987S 50-59 years, male 45.7
GTEX-WXYG-2026-SM-4E3IY 50-59 years, female 45.6
GTEX-13G51-1826-SM-5KLZH 60-69 years, male 45.5
GTEX-17HHY-0426-SM-7DHLC 50-59 years, male 45.5
GTEX-W5X1-2526-SM-3GILC 40-49 years, female 45.5
GTEX-12WSD-0626-SM-5GCMW 60-69 years, female 45.4
GTEX-1A3MV-1826-SM-731CD 30-39 years, male 45.4
GTEX-14ICL-1626-SM-5YYAO 30-39 years, male 45.3
GTEX-1A8G6-2726-SM-731AR 60-69 years, male 45.3
GTEX-ZZ64-1026-SM-5GZXG 20-29 years, male 45.2
GTEX-1K9T9-1526-SM-DIPFR 50-59 years, female 45.1
GTEX-Y8LW-1526-SM-5IFHL 50-59 years, female 45.0
GTEX-1F48J-0726-SM-7RHGS 50-59 years, female 44.9
GTEX-14LZ3-0126-SM-69LPM 60-69 years, female 44.8
GTEX-1H3NZ-2726-SM-9WYTQ 60-69 years, male 44.8
GTEX-11UD2-2526-SM-5CVNU 50-59 years, male 44.6
GTEX-ZC5H-1526-SM-5HL9Y 40-49 years, female 44.6
GTEX-15EO6-2426-SM-6PALZ 50-59 years, male 44.5
GTEX-13OW5-2326-SM-5L3HO 60-69 years, male 44.4
GTEX-XBEC-0726-SM-4QARZ 50-59 years, male 44.4
GTEX-1R9K4-2826-SM-DTX8F 60-69 years, male 44.1
GTEX-145MN-1526-SM-5SI9T 30-39 years, male 43.9
GTEX-1I4MK-0126-SM-CY8G6 50-59 years, female 43.9
GTEX-14AS3-1526-SM-5Q5ED 40-49 years, female 43.8
GTEX-13IVO-0726-SM-5LZYV 70-79 years, male 43.6
GTEX-1R9PM-1926-SM-EVR3O 20-29 years, male 43.4
GTEX-ZE7O-2726-SM-51MT5 50-59 years, female 43.3
GTEX-11OF3-0126-SM-5PNYF 60-69 years, male 43.1
GTEX-11WQK-1026-SM-5EQLX 50-59 years, male 42.9
GTEX-133LE-2326-SM-5K7W3 20-29 years, female 42.9
GTEX-14JFF-0626-SM-5ZZVT 60-69 years, male 42.9
GTEX-1JJE9-2626-SM-ARZMT 70-79 years, male 42.9
GTEX-12ZZX-2426-SM-5GCOE 40-49 years, female 42.8
GTEX-14BIN-1126-SM-5RQJZ 50-59 years, female 42.8
GTEX-1BAJH-2426-SM-7IGP8 70-79 years, male 42.8
GTEX-15D1Q-2826-SM-6LLH7 40-49 years, male 42.7
GTEX-117YX-1926-SM-5GIEC 50-59 years, male 42.6
GTEX-ZTTD-2826-SM-4YCFA 50-59 years, male 42.6
GTEX-1HFI7-2326-SM-CGQFS 50-59 years, female 42.6
GTEX-131XW-0626-SM-5PNVD 50-59 years, female 42.4
GTEX-16MTA-0926-SM-6M47Z 50-59 years, male 42.4
GTEX-12WSK-2126-SM-5CVNC 40-49 years, female 42.2
GTEX-14PK6-0226-SM-62LF5 70-79 years, female 42.2
GTEX-17HII-1426-SM-7EPGG 50-59 years, male 42.2
GTEX-1477Z-0326-SM-7IGLA 60-69 years, male 42.1
GTEX-18A6Q-0626-SM-7KFRP 60-69 years, male 42.1
GTEX-1JMPY-0226-SM-CKZOK 30-39 years, male 41.9
GTEX-1CAMQ-1326-SM-7P8RV 40-49 years, male 41.8
GTEX-13YAN-0226-SM-5TDC6 60-69 years, male 41.7
GTEX-1F52S-2926-SM-7MKGA 60-69 years, female 41.6
GTEX-ZYY3-2926-SM-5GIEB 60-69 years, female 41.6
GTEX-YEC4-1826-SM-4W1YP 40-49 years, male 41.4
GTEX-1H2FU-0926-SM-9WPPT 60-69 years, female 41.4
GTEX-1HCU8-2526-SM-CE6RX 60-69 years, female 41.4
GTEX-1JMQL-2226-SM-CNPP4 50-59 years, female 41.4
GTEX-1269C-0126-SM-5EQ5L 60-69 years, female 41.2
GTEX-13PVR-0426-SM-5RQK2 60-69 years, female 41.2
GTEX-13X6K-0626-SM-5LU5D 60-69 years, female 41.2
GTEX-15SHW-0226-SM-7LTAT 60-69 years, male 41.2
GTEX-1JKYR-0626-SM-ARL8R 20-29 years, male 41.0
GTEX-1JJ6O-2726-SM-CNPOG 60-69 years, male 40.5
GTEX-1K2DA-1026-SM-CGQGF 50-59 years, male 40.4
GTEX-1MCC2-1826-SM-DIPEX 30-39 years, female 40.4
GTEX-1JMOU-1026-SM-CYPSS 60-69 years, female 40.3
GTEX-X8HC-0626-SM-4E3HQ 50-59 years, female 40.2
GTEX-1HC8U-1326-SM-9YFMJ 40-49 years, female 40.2
GTEX-1JN1M-2726-SM-CY8I4 60-69 years, female 40.1
GTEX-14E1K-2026-SM-7DUEI 50-59 years, male 39.9
GTEX-VUSG-2326-SM-4KL1U 50-59 years, male 39.9
GTEX-1QW4Y-1126-SM-DTXE3 30-39 years, male 39.9
GTEX-12WSM-1926-SM-5BC65 60-69 years, male 39.8
GTEX-16MT9-0126-SM-7EPI8 60-69 years, female 39.8
GTEX-1F75A-0726-SM-7RHHD 50-59 years, male 39.7
GTEX-1LSNM-0826-SM-DIPG8 50-59 years, male 39.7
GTEX-1F5PL-0926-SM-7PC2W 40-49 years, female 39.4
GTEX-139UW-0326-SM-5J1ML 60-69 years, male 39.3
GTEX-XQ8I-0926-SM-4BOOF 50-59 years, male 39.3
GTEX-1OJC3-1226-SM-DTXER 20-29 years, male 39.3
GTEX-XXEK-1626-SM-4BRUZ 50-59 years, male 39.2
GTEX-1PPGY-1626-SM-EVYBL 60-69 years, male 39.2
GTEX-14BMV-2826-SM-5TDED 50-59 years, male 39.1
GTEX-ZF2S-1626-SM-57WES 50-59 years, female 39.1
GTEX-1CB4I-0126-SM-7RHGG 50-59 years, male 39.1
GTEX-ZGAY-1826-SM-DO91Q 40-49 years, female 38.9
GTEX-147F4-0726-SM-5TDDD 50-59 years, male 38.8
GTEX-ZAB4-2126-SM-5HL8U 40-49 years, male 38.8
GTEX-1LVAN-0626-SM-CNPOQ 50-59 years, female 38.8
GTEX-13O3O-2326-SM-5IJD6 60-69 years, female 38.7
GTEX-1IKOE-1426-SM-CE6T7 30-39 years, female 38.7
GTEX-1QMI2-2526-SM-E8VNZ 60-69 years, male 38.7
GTEX-13113-1626-SM-5EQ4I 60-69 years, female 38.6
GTEX-1LG7Y-2526-SM-EWRO7 50-59 years, male 38.6
GTEX-1GF9W-1426-SM-7PBYM 60-69 years, male 38.5
GTEX-15RIG-0726-SM-7KUM7 40-49 years, male 38.4
GTEX-18QFQ-1826-SM-72D52 30-39 years, male 38.4
GTEX-1CB4E-0926-SM-7EPHT 60-69 years, male 38.4
GTEX-1CB4H-1126-SM-7MKGL 60-69 years, female 38.4
GTEX-1IKJJ-2226-SM-CJI4C 60-69 years, male 38.4
GTEX-11NUK-2726-SM-5A5MC 50-59 years, male 38.3
GTEX-13FLV-0126-SM-5K7WT 50-59 years, male 38.0
GTEX-147GR-2426-SM-5ZZWQ 60-69 years, male 38.0
GTEX-1IDJF-2026-SM-CL53V 20-29 years, male 38.0
GTEX-17HHE-1326-SM-7EWDZ 50-59 years, male 37.9
GTEX-1ICLY-0826-SM-CMKG1 50-59 years, male 37.9
GTEX-17F98-1326-SM-7DUEP 40-49 years, female 37.8
GTEX-Y5LM-0926-SM-6LLJG 40-49 years, female 37.8
GTEX-144GM-0526-SM-79OJO 20-29 years, male 37.7
GTEX-1EX96-1026-SM-7MKG2 50-59 years, male 37.6
GTEX-1GZ4I-2626-SM-9KNU3 50-59 years, male 37.5
GTEX-ZWKS-0626-SM-5GIDV 30-39 years, male 37.4
GTEX-1GPI7-1826-SM-9KNU1 20-29 years, male 37.4
GTEX-XMD2-2126-SM-4YCF8 60-69 years, female 37.3
GTEX-1IOXB-2726-SM-CM2RI 50-59 years, male 37.3
GTEX-13O61-1426-SM-5KM3D 60-69 years, male 37.2
GTEX-13NYC-0126-SM-5L3F4 60-69 years, male 37.1
GTEX-WHSB-1326-SM-3LK6W 50-59 years, male 37.1
GTEX-1HKZK-0726-SM-ACKW2 40-49 years, male 37.0
GTEX-147JS-0226-SM-5S2U9 60-69 years, male 36.9
GTEX-1HSGN-0826-SM-ACKW3 40-49 years, female 36.9
GTEX-1LVA9-2626-SM-EVYD4 50-59 years, male 36.7
GTEX-13OW7-0426-SM-5K7VK 50-59 years, male 36.6
GTEX-ZDTT-0426-SM-4WKFL 60-69 years, male 36.6
GTEX-13O3Q-0126-SM-5KM34 50-59 years, male 36.3
GTEX-X4EO-2926-SM-4E3JH 60-69 years, female 36.3
GTEX-1HCVE-2726-SM-CL54F 50-59 years, male 36.3
GTEX-1GZ4H-0526-SM-9KNU9 50-59 years, female 36.2
GTEX-1C475-1326-SM-7SB73 40-49 years, female 35.9
GTEX-1H1DG-2426-SM-9QEHJ 70-79 years, male 35.9
GTEX-ZXG5-2126-SM-59HKD 60-69 years, male 35.8
GTEX-1J8EW-2726-SM-CY8HR 60-69 years, female 35.8
GTEX-11ZUS-2626-SM-5FQUR 30-39 years, male 35.6
GTEX-1HSMP-0926-SM-A9SKX 70-79 years, male 35.6
GTEX-13FTX-1526-SM-5K7VJ 20-29 years, female 35.5
GTEX-ZYVF-0926-SM-5E44J 50-59 years, female 35.5
GTEX-1B932-2326-SM-79OL5 40-49 years, female 35.3
GTEX-1HSMQ-2626-SM-A9SML 50-59 years, male 35.3
GTEX-1B8KE-1126-SM-7EPHI 50-59 years, male 35.2
GTEX-ZYFC-0426-SM-5GICQ 50-59 years, male 35.2
GTEX-11ZU8-0126-SM-5EQ58 60-69 years, male 35.1
GTEX-145ME-1726-SM-5Q5EU 40-49 years, female 35.1
GTEX-145MH-2826-SM-5RQJF 50-59 years, male 35.1
GTEX-1KAFJ-0126-SM-DIPEK 50-59 years, male 35.1
GTEX-111YS-1526-SM-5GZYW 60-69 years, male 35.0
GTEX-17MFQ-1526-SM-7KFRR 20-29 years, male 35.0
GTEX-Y9LG-1126-SM-4VBQ7 30-39 years, male 35.0
GTEX-X4EP-0626-SM-3P621 60-69 years, female 34.9
GTEX-XBEW-1126-SM-4QARW 40-49 years, male 34.9
GTEX-XPVG-2126-SM-4B667 50-59 years, male 34.8
GTEX-11TUW-0626-SM-5LU9M 60-69 years, male 34.7
GTEX-WY7C-2126-SM-3NB2R 50-59 years, male 34.7
GTEX-17KNJ-2126-SM-718AM 50-59 years, male 34.6
GTEX-1HB9E-0126-SM-CM2S5 50-59 years, male 34.6
GTEX-11GSP-2326-SM-5HL63 60-69 years, female 34.5
GTEX-VJYA-1526-SM-3GIJV 60-69 years, male 34.5
GTEX-12696-0126-SM-5EQ4L 60-69 years, male 34.4
GTEX-1A8G7-1326-SM-73KVM 60-69 years, male 34.4
GTEX-1NSGN-0726-SM-DTXEF 50-59 years, male 34.4
GTEX-11VI4-1126-SM-5EQMD 40-49 years, female 34.3
GTEX-12ZZY-0726-SM-5EQ66 60-69 years, male 34.3
GTEX-131XG-0326-SM-5L3DX 50-59 years, female 34.3
GTEX-13D11-0926-SM-5J2NC 50-59 years, female 34.3
GTEX-1IDJD-2326-SM-ACKWX 30-39 years, male 34.2
GTEX-UPK5-0426-SM-3GAEK 40-49 years, male 34.1
GTEX-1117F-2926-SM-5GZYI 60-69 years, female 34.0
GTEX-1PPH8-0126-SM-EWRN8 20-29 years, male 34.0
GTEX-1RAZQ-1326-SM-E9TK6 30-39 years, male 34.0
GTEX-13JVG-0726-SM-5KM16 60-69 years, male 33.8
GTEX-1JN76-0626-SM-CKZOQ 20-29 years, female 33.8
GTEX-1JMQK-1226-SM-D4P2S 60-69 years, male 33.7
GTEX-1LVAM-0726-SM-E6CIL 50-59 years, female 33.7
GTEX-1PBJJ-1026-SM-E76OS 30-39 years, male 33.7
GTEX-13X6I-1826-SM-5SIAO 60-69 years, male 33.6
GTEX-18D9B-0926-SM-7LG4U 60-69 years, male 33.6
GTEX-UPJH-0226-SM-3GADV 50-59 years, male 33.6
GTEX-ZT9X-1526-SM-5DUXD 40-49 years, male 33.6
GTEX-1GN1W-2426-SM-9KNUU 50-59 years, female 33.6
GTEX-1J8Q3-0526-SM-ARL8U 60-69 years, male 33.6
GTEX-11EQ8-0926-SM-5H12V 60-69 years, male 33.4
GTEX-14LLW-2626-SM-62LDZ 70-79 years, female 33.4
GTEX-1RMOY-1326-SM-E9TIH 50-59 years, male 33.4
GTEX-1B8KZ-0326-SM-73KY4 50-59 years, male 33.3
GTEX-1KANB-2826-SM-CY8I6 50-59 years, male 33.3
GTEX-1POEN-2326-SM-E9J2L 30-39 years, female 33.2
GTEX-13QBU-1226-SM-5LU4G 40-49 years, female 33.0
GTEX-1C6WA-2626-SM-7MKGM 60-69 years, male 33.0
GTEX-13112-0126-SM-5P9IU 50-59 years, male 32.8
GTEX-1HT8W-0626-SM-A9G2H 30-39 years, male 32.8
GTEX-15EU6-2226-SM-6EU2L 50-59 years, male 32.7
GTEX-1GF9V-0826-SM-9KNUV 60-69 years, male 32.6
GTEX-1GN2E-0226-SM-9WG6K 60-69 years, male 32.6
GTEX-1GTWX-2026-SM-9YFLM 60-69 years, male 32.6
GTEX-1ICG6-1226-SM-A9SLN 70-79 years, female 32.6
GTEX-ZE9C-2526-SM-5IJDR 60-69 years, male 32.5
GTEX-ZTSS-1426-SM-5985P 40-49 years, male 32.5
GTEX-15RJE-2826-SM-7KUM9 40-49 years, male 32.4
GTEX-1QP28-1126-SM-EVYC4 50-59 years, female 32.4
GTEX-11ZTT-2126-SM-5CVLO 60-69 years, female 32.3
GTEX-1GMRU-2126-SM-7P8RA 50-59 years, male 32.3
GTEX-1JMQJ-0826-SM-CNPP7 50-59 years, male 32.2
GTEX-145LU-1926-SM-79OJN 50-59 years, male 32.1
GTEX-1MJK3-0726-SM-E6CJC 20-29 years, male 32.1
GTEX-1H4P4-2126-SM-9WYSL 50-59 years, male 32.0
GTEX-ZYT6-2326-SM-5GZY3 30-39 years, male 31.9
GTEX-15G19-2426-SM-7KUMR 60-69 years, male 31.8
GTEX-178AV-1726-SM-7KUL8 40-49 years, male 31.8
GTEX-XUW1-0926-SM-4BONX 50-59 years, female 31.8
GTEX-1S82U-1026-SM-E6CJK 30-39 years, female 31.7
GTEX-ZP4G-1426-SM-4WWCL 20-29 years, female 31.6
GTEX-1GL5R-1326-SM-7RHHF 50-59 years, male 31.6
GTEX-1QAET-0326-SM-EVR3U 50-59 years, male 31.6
GTEX-111VG-1626-SM-5EGIO 60-69 years, male 31.5
GTEX-1313W-0626-SM-5EQ4H 50-59 years, female 31.5
GTEX-12WSH-1526-SM-5BC5W 50-59 years, male 31.4
GTEX-16BQI-1326-SM-6M486 30-39 years, female 31.4
GTEX-17F9Y-0126-SM-79OKX 70-79 years, female 31.4
GTEX-14753-0726-SM-5QGQO 60-69 years, male 31.3
GTEX-18D9U-0126-SM-731BM 40-49 years, male 31.3
GTEX-1IDFM-0326-SM-ARL7V 60-69 years, male 31.3
GTEX-13FTY-2126-SM-5IFFB 40-49 years, female 31.1
GTEX-1B8SF-0126-SM-7DUG3 60-69 years, male 31.1
GTEX-1EU9M-1426-SM-793AI 60-69 years, male 31.0
GTEX-ZDYS-2426-SM-4WKGI 50-59 years, male 31.0
GTEX-1H1DF-1126-SM-9WG7G 40-49 years, female 31.0
GTEX-1S3DN-2126-SM-E9TIN 50-59 years, male 31.0
GTEX-ZPIC-0526-SM-DO91W 40-49 years, female 31.0
GTEX-13X6H-0926-SM-5SIB2 50-59 years, female 30.9
GTEX-17EVP-2626-SM-7IGMA 40-49 years, male 30.8
GTEX-X5EB-1926-SM-4E3IW 40-49 years, male 30.8
GTEX-1HCUA-0826-SM-ADEHM 50-59 years, female 30.7
GTEX-1399U-1126-SM-5L3DB 50-59 years, female 30.6
GTEX-13OW6-2726-SM-5J2OE 50-59 years, male 30.5
GTEX-1LSNL-2726-SM-E9TKJ 50-59 years, male 30.4
GTEX-14C38-0726-SM-5SI6M 50-59 years, male 30.3
GTEX-15G1A-1626-SM-7KUKN 30-39 years, male 30.2
GTEX-1EKGG-0626-SM-7DUGJ 60-69 years, male 30.2
GTEX-11P82-1426-SM-DTXFY 20-29 years, male 30.2
GTEX-1A3MX-2626-SM-7PC24 60-69 years, male 30.2
GTEX-1GZHY-0626-SM-9KNVC 50-59 years, female 30.2
GTEX-11P81-2226-SM-5PNYI 30-39 years, female 30.1
GTEX-1EMGI-2326-SM-7PBYA 60-69 years, male 30.0
GTEX-1OJC4-2726-SM-E76PJ 50-59 years, female 30.0
GTEX-13NZ8-1226-SM-5KM4A 60-69 years, female 29.9
GTEX-1A3MW-0626-SM-731CB 60-69 years, female 29.9
GTEX-14PHY-1226-SM-5ZZWK 60-69 years, female 29.8
GTEX-1H1DE-1326-SM-9KNUG 20-29 years, male 29.7
GTEX-Y111-0626-SM-4SOIT 50-59 years, male 29.6
GTEX-1H11D-1826-SM-9QEHM 40-49 years, male 29.6
GTEX-WEY5-2326-SM-3GIKK 40-49 years, female 29.4
GTEX-14PJ3-1126-SM-5ZZVX 50-59 years, male 29.3
GTEX-1S82P-2126-SM-E6CI5 60-69 years, female 29.2
GTEX-1F88E-1626-SM-7SB8Z 60-69 years, female 29.0
GTEX-1HBPM-0726-SM-9YFL7 60-69 years, female 28.9
GTEX-1I1HK-2326-SM-CKZOH 60-69 years, male 28.8
GTEX-13SLW-0626-SM-5Q5ER 70-79 years, male 28.6
GTEX-Y3I4-1726-SM-4TT89 50-59 years, male 28.6
GTEX-1IE54-1126-SM-A9G2Z 40-49 years, female 28.6
GTEX-1RAZS-2526-SM-E6CHT 50-59 years, male 28.6
GTEX-1HSKV-1226-SM-ADEI4 60-69 years, male 28.5
GTEX-WYBS-0626-SM-3NMAS 60-69 years, female 28.3
GTEX-13QJC-0126-SM-5ZZWJ 60-69 years, female 28.1
GTEX-11LCK-2226-SM-5HL4Q 30-39 years, male 27.9
GTEX-11DXX-2126-SM-5PNYR 60-69 years, female 27.8
GTEX-1LB8K-0726-SM-D5OV2 50-59 years, male 27.7
GTEX-13PDP-0726-SM-5L3HP 60-69 years, male 27.6
GTEX-1PDJ9-1226-SM-EXUSX 20-29 years, male 27.6
GTEX-13OVH-0526-SM-5L3E6 70-79 years, male 27.4
GTEX-1R7EU-1626-SM-DTXG3 60-69 years, male 27.4
GTEX-13PL6-1126-SM-5L3IE 40-49 years, female 27.2
GTEX-1GF9X-1326-SM-7PC2Y 40-49 years, female 27.1
GTEX-13OVK-1426-SM-6PAN7 40-49 years, male 27.0
GTEX-XAJ8-1426-SM-47JYM 40-49 years, male 27.0
GTEX-11GS4-0226-SM-5HL77 60-69 years, male 26.9
GTEX-1H3VE-0726-SM-9YFL5 40-49 years, male 26.7
GTEX-14PII-0726-SM-6EU2B 60-69 years, male 26.6
GTEX-U8XE-0226-SM-4E3J3 30-39 years, male 26.6
GTEX-1LGRB-0926-SM-COH3K 50-59 years, female 26.2
GTEX-14PJ6-2626-SM-6EU2T 60-69 years, female 26.1
GTEX-12ZZZ-0726-SM-5GCNZ 60-69 years, male 26.0
GTEX-1HCU7-0726-SM-A9SL1 50-59 years, male 26.0
GTEX-13W3W-0726-SM-5IJDQ 60-69 years, female 25.8
GTEX-WFG7-2026-SM-5SI7P 20-29 years, male 25.8
GTEX-1IDJV-0126-SM-COH3Y 60-69 years, male 25.8
GTEX-1K2DU-1226-SM-CYPT4 20-29 years, male 25.7
GTEX-14PJ5-1526-SM-6LLIL 60-69 years, female 25.6
GTEX-ZPCL-1126-SM-4WWFE 60-69 years, female 25.6
GTEX-1F5PK-2226-SM-7SB6N 50-59 years, male 25.5
GTEX-1GN1U-0626-SM-9MQL9 50-59 years, female 25.4
GTEX-XBED-1926-SM-47JYP 60-69 years, male 25.3
GTEX-14A6H-2026-SM-5Q5DD 30-39 years, male 25.2
GTEX-15ER7-0626-SM-6PANF 20-29 years, female 25.1
GTEX-111CU-1126-SM-5EGIM 50-59 years, male 24.9
GTEX-1KXAM-1626-SM-D3LAD 60-69 years, male 24.9
GTEX-14C5O-0326-SM-5ZZUX 60-69 years, male 24.7
GTEX-1AMEY-0826-SM-72D65 30-39 years, female 24.5
GTEX-ZTX8-1326-SM-4YCEL 20-29 years, male 24.3
GTEX-ZF29-0926-SM-4WKFZ 60-69 years, female 24.1
GTEX-145MI-0626-SM-5SI8S 60-69 years, female 23.9
GTEX-1J8QM-2426-SM-A9SLS 60-69 years, female 23.7
GTEX-1I1GT-1026-SM-ARZLV 60-69 years, female 23.6
GTEX-1IDJU-1726-SM-CMKHU 60-69 years, female 23.3
GTEX-1PPH7-1126-SM-DTX9A 40-49 years, male 23.3
GTEX-1C6VQ-1226-SM-73KYD 50-59 years, male 23.2
GTEX-1B8L1-2226-SM-7P8PT 60-69 years, male 23.2
GTEX-1R9PN-0426-SM-DTXDT 40-49 years, female 23.0
GTEX-1C6VR-0126-SM-7RHGB 60-69 years, male 22.9
GTEX-1J1OQ-0126-SM-D4P2N 40-49 years, female 22.9
GTEX-YECK-0326-SM-4W1YS 60-69 years, male 22.8
GTEX-ZVT4-2426-SM-5GIEI 50-59 years, female 22.6
GTEX-1B97I-0626-SM-73KUZ 40-49 years, male 22.1
GTEX-1S83E-1326-SM-E6CJM 40-49 years, male 22.1
GTEX-1GPI6-1926-SM-9KNV7 60-69 years, male 22.0
GTEX-15CHC-1126-SM-6LLHQ 60-69 years, female 21.7
GTEX-1AMFI-1326-SM-7939R 50-59 years, female 21.6
GTEX-1ICLZ-0326-SM-ARL82 60-69 years, male 21.6
GTEX-1AYD5-2626-SM-7PBXY 50-59 years, male 21.5
GTEX-11PRG-0726-SM-5EGL1 50-59 years, male 21.3
GTEX-14B4R-1326-SM-5Q5EZ 30-39 years, male 21.0
GTEX-V1D1-2026-SM-3GAF4 50-59 years, male 21.0
GTEX-1R46S-2426-SM-E76QA 60-69 years, female 20.9
GTEX-1J8Q2-2626-SM-ACKWQ 60-69 years, male 20.8
GTEX-14PJN-1826-SM-6AJ98 30-39 years, male 20.5
GTEX-15SKB-2826-SM-6PAMH 60-69 years, male 20.4
GTEX-ZZPU-0826-SM-5GZX5 50-59 years, female 20.4
GTEX-1CB4J-1326-SM-7P8RX 60-69 years, male 20.4
GTEX-1399Q-2326-SM-5KM2X 40-49 years, male 20.1
GTEX-1HBPN-0126-SM-CGQEF 50-59 years, male 20.1
GTEX-1QPFJ-1926-SM-EVYBD 30-39 years, female 20.1
GTEX-1JJEA-1826-SM-ARU8P 60-69 years, male 19.9
GTEX-144GL-0626-SM-5LU4D 50-59 years, male 19.8
GTEX-1CAMS-2226-SM-7PBXQ 40-49 years, female 19.8
GTEX-18A67-1626-SM-7LT9T 50-59 years, male 19.7
GTEX-ZVT2-0126-SM-5GIDQ 50-59 years, female 19.4
GTEX-1GN73-0726-SM-7P8TJ 60-69 years, male 19.3
GTEX-14XAO-1226-SM-6EU1C 60-69 years, female 19.2
GTEX-1MCYP-0526-SM-E9U6Q 20-29 years, female 18.5
GTEX-ZLV1-1526-SM-DO91J 60-69 years, female 18.5
GTEX-1F88F-0126-SM-9WYSZ 60-69 years, female 18.0
GTEX-1I1GU-0926-SM-ACKVS 40-49 years, male 17.5
GTEX-1F6RS-2026-SM-7RHHC 60-69 years, female 17.3
GTEX-ZVZP-1226-SM-5GID7 50-59 years, male 16.9
GTEX-14C39-1726-SM-5RQIL 40-49 years, male 16.4
GTEX-14PJ4-0226-SM-5YY92 60-69 years, male 16.1
GTEX-ZY6K-1426-SM-5GZX2 50-59 years, male 15.9
GTEX-1122O-1026-SM-9WYSF 60-69 years, female 15.8
GTEX-14PKU-0126-SM-6LLHV 40-49 years, female 14.9
GTEX-1C2JI-1026-SM-73KY1 50-59 years, male 14.9
GTEX-1GN1V-2826-SM-9JGIA 60-69 years, male 14.9
GTEX-1399S-0126-SM-5IJCF 30-39 years, female 14.4
GTEX-1QP2A-1726-SM-E76QC 50-59 years, male 13.3
GTEX-1NV5F-0626-SM-DTXEG 60-69 years, female 13.1
GTEX-1HR9M-2226-SM-CNPPY 60-69 years, male 12.9
Show allShow less
Skin - Sun Exposed (Lower leg)
Average nTPM: 52.4
Samples: 701

Max nTPM: 121.0
Min nTPM: 14.0
Std nTPM: 18.4
Median nTPM: 49.4
GTEX-1RAZQ-0726-SM-EAZ43 30-39 years, male 121.0
GTEX-1OJC4-0126-SM-E9J2E 50-59 years, female 120.2
GTEX-146FR-1326-SM-E9J48 60-69 years, female 119.5
GTEX-1LNCM-1126-SM-E9U5E 50-59 years, female 118.1
GTEX-11UD1-0126-SM-5PNYG 40-49 years, female 117.7
GTEX-139T8-0126-SM-5K7XZ 60-69 years, male 116.1
GTEX-117YW-2626-SM-5GZZH 50-59 years, male 111.7
GTEX-1PBJI-0526-SM-E8VNK 20-29 years, female 110.7
GTEX-16MT8-0426-SM-7KUEY 60-69 years, female 109.8
GTEX-113IC-0126-SM-5HL6T 60-69 years, male 109.0
GTEX-1LBAC-0126-SM-DIPEZ 20-29 years, male 107.0
GTEX-14JIY-0126-SM-6LLH6 60-69 years, male 105.4
GTEX-13NZ8-0826-SM-5MR3I 60-69 years, female 104.8
GTEX-11GSP-2526-SM-5N9BP 60-69 years, female 103.8
GTEX-RTLS-0126-SM-447CA 60-69 years, female 101.6
GTEX-1H3O1-0426-SM-9YFKY 60-69 years, male 98.8
GTEX-ZZPT-0226-SM-5E43X 50-59 years, male 97.8
GTEX-1HSMO-0126-SM-CL547 60-69 years, male 97.0
GTEX-V1D1-2226-SM-3NMAX 50-59 years, male 96.7
GTEX-ZE9C-2726-SM-57WB5 60-69 years, male 96.5
GTEX-1AYCT-2426-SM-7IGQ3 50-59 years, male 95.9
GTEX-11ZUS-0626-SM-59885 30-39 years, male 95.2
GTEX-14A6H-0126-SM-5QGPK 30-39 years, male 95.2
GTEX-1QP67-1626-SM-EAZ3X 40-49 years, female 95.2
GTEX-1AMEY-1326-SM-73KYK 30-39 years, female 94.6
GTEX-13OVL-0226-SM-5L3E9 50-59 years, male 93.9
GTEX-1R9PO-2126-SM-E9J4O 60-69 years, female 91.6
GTEX-1399U-2326-SM-5K7WY 50-59 years, female 91.5
GTEX-147F4-0226-SM-5QGPW 50-59 years, male 90.9
GTEX-1QW4Y-1526-SM-EAZ3Z 30-39 years, male 90.4
GTEX-QDT8-0126-SM-48TZ1 30-39 years, female 90.3
GTEX-15SB6-1726-SM-6PAME 50-59 years, female 89.0
GTEX-1HBPM-0226-SM-ARL9F 60-69 years, female 88.3
GTEX-16YQH-0126-SM-7DUFJ 30-39 years, male 88.2
GTEX-ZE7O-0126-SM-57WC1 50-59 years, female 87.9
GTEX-11GS4-2726-SM-5A5LE 60-69 years, male 87.6
GTEX-P4PP-0126-SM-3LK69 30-39 years, female 87.4
GTEX-PWCY-1826-SM-DHXIZ 20-29 years, female 87.4
GTEX-13W46-0226-SM-5SIAG 50-59 years, male 87.2
GTEX-1192X-0226-SM-5H12D 50-59 years, male 85.6
GTEX-1F75I-0326-SM-9YFLU 40-49 years, male 85.1
GTEX-139TU-0126-SM-5K7WH 60-69 years, male 85.0
GTEX-1HUB1-0426-SM-E9U4U 60-69 years, male 85.0
GTEX-11P7K-2126-SM-5GU7G 30-39 years, male 84.8
GTEX-12WSG-2826-SM-E9J4H 50-59 years, female 84.6
GTEX-X62O-0126-SM-4E3JN 50-59 years, male 84.3
GTEX-13NYS-0126-SM-5MR3W 60-69 years, male 83.6
GTEX-ZAB4-0226-SM-5N9F5 40-49 years, male 83.5
GTEX-R55E-0126-SM-2TC5Y 20-29 years, male 83.4
GTEX-1A32A-0126-SM-718B1 50-59 years, female 83.1
GTEX-ZDTS-0126-SM-4WAY5 60-69 years, male 82.7
GTEX-QEG4-0226-SM-2S1PY 30-39 years, male 82.4
GTEX-1HBPH-0426-SM-B2LW5 40-49 years, female 80.2
GTEX-13G51-2526-SM-5LZYK 60-69 years, male 80.1
GTEX-1PIGE-0126-SM-EVYBJ 20-29 years, male 79.7
GTEX-18A7A-0226-SM-718BH 50-59 years, female 79.4
GTEX-1NV5F-0226-SM-E8VNY 60-69 years, female 79.4
GTEX-Y8DK-0126-SM-4TT3L 60-69 years, male 79.2
GTEX-1H1CY-2826-SM-9MQM3 60-69 years, female 78.6
GTEX-RNOR-0126-SM-E9J4R 50-59 years, female 78.2
GTEX-1F6I4-0126-SM-9MQL2 60-69 years, male 77.7
GTEX-1GN1W-0526-SM-9MQJQ 50-59 years, female 77.7
GTEX-WH7G-2326-SM-3NMBC 40-49 years, male 77.3
GTEX-1QCLY-0326-SM-E8VOG 30-39 years, male 77.3
GTEX-ZUA1-0126-SM-5GU76 40-49 years, male 77.1
GTEX-1MCYP-1926-SM-E9J2R 20-29 years, female 76.8
GTEX-13O21-1426-SM-5K7XI 50-59 years, male 76.4
GTEX-ZGAY-0526-SM-4WWBB 40-49 years, female 76.2
GTEX-15UF6-0826-SM-6PALJ 70-79 years, female 75.8
GTEX-1I1HK-0126-SM-COH49 60-69 years, male 75.7
GTEX-1AYD5-2426-SM-73KXR 50-59 years, male 75.3
GTEX-1GN73-0226-SM-9WG67 60-69 years, male 75.1
GTEX-OHPM-0126-SM-2YUN9 50-59 years, male 75.0
GTEX-U3ZN-2326-SM-3DB7W 30-39 years, female 74.9
GTEX-1H1ZS-0426-SM-9WG6G 70-79 years, male 74.7
GTEX-XQ8I-0426-SM-4BOPO 50-59 years, male 74.1
GTEX-W5X1-3026-SM-EAZAX 40-49 years, female 74.1
GTEX-13OVK-2026-SM-7KUEO 40-49 years, male 74.0
GTEX-1EN7A-0126-SM-7SB81 40-49 years, male 74.0
GTEX-15SHU-0126-SM-7KUEH 40-49 years, female 73.7
GTEX-S7PM-0126-SM-4AD6S 60-69 years, male 73.6
GTEX-X585-0226-SM-4QAS2 50-59 years, male 73.5
GTEX-17F96-1626-SM-7DUFL 70-79 years, male 73.4
GTEX-OXRO-0126-SM-2YUN4 60-69 years, female 73.3
GTEX-1QP29-0626-SM-EWRMX 50-59 years, male 73.3
GTEX-1GTWX-0126-SM-9YFLK 60-69 years, male 72.8
GTEX-1HCU6-0126-SM-CL54K 60-69 years, female 72.8
GTEX-1JMPY-1326-SM-ARL8Y 30-39 years, male 72.8
GTEX-17MF6-0126-SM-7LG4F 40-49 years, male 72.7
GTEX-RUSQ-1526-SM-2TF62 50-59 years, male 72.5
GTEX-139TS-2826-SM-5J1OO 60-69 years, male 72.4
GTEX-131XW-0426-SM-5LZWP 50-59 years, female 72.3
GTEX-QV44-1926-SM-2S1RF 50-59 years, male 72.3
GTEX-1PPH7-2326-SM-EVYB8 40-49 years, male 72.0
GTEX-13RTL-0126-SM-7LG5S 40-49 years, male 71.9
GTEX-ZTPG-0326-SM-5O9AX 20-29 years, female 71.3
GTEX-SUCS-1926-SM-32PM3 70-79 years, male 71.2
GTEX-1I1GS-0126-SM-B2LVW 60-69 years, male 71.1
GTEX-12WSA-0226-SM-5BC5V 60-69 years, male 71.0
GTEX-13FHP-0126-SM-5IJBG 50-59 years, male 70.6
GTEX-1I1GP-2226-SM-CGQFK 50-59 years, male 70.3
GTEX-12ZZX-0126-SM-5EGK9 40-49 years, female 70.0
GTEX-11TT1-2526-SM-5EGIB 20-29 years, male 69.5
GTEX-13N1W-0126-SM-5K7VT 70-79 years, male 69.4
GTEX-17F97-0326-SM-7LG5B 50-59 years, male 69.4
GTEX-TMZS-0126-SM-3DB9Q 60-69 years, male 69.4
GTEX-15SDE-2226-SM-7IGLO 50-59 years, female 69.3
GTEX-13O3O-0126-SM-E9J49 60-69 years, female 69.1
GTEX-1MCQQ-0826-SM-DLHC2 60-69 years, male 69.1
GTEX-14PJ3-1826-SM-62LEX 50-59 years, male 68.9
GTEX-13VXU-0126-SM-5SI9F 50-59 years, male 68.8
GTEX-13OVI-1426-SM-5L3EY 60-69 years, female 68.5
GTEX-1HCVE-0126-SM-CGQEU 50-59 years, male 68.4
GTEX-ZEX8-2426-SM-4WKG4 50-59 years, male 68.0
GTEX-1AX9I-0126-SM-7SB74 60-69 years, male 68.0
GTEX-1GPI6-0126-SM-9WG69 60-69 years, male 67.9
GTEX-11EMC-2926-SM-5EQ4F 60-69 years, female 67.8
GTEX-18A66-0226-SM-718BD 60-69 years, male 67.8
GTEX-1IDFM-0126-SM-COH2V 60-69 years, male 67.8
GTEX-17HGU-0226-SM-7DHKV 50-59 years, male 67.6
GTEX-WI4N-1026-SM-3LK7N 40-49 years, female 67.6
GTEX-1B8L1-2526-SM-9WYTF 60-69 years, male 67.5
GTEX-146FQ-0126-SM-5NQA9 30-39 years, male 67.4
GTEX-ZQUD-1426-SM-57WER 30-39 years, male 67.3
GTEX-ZF29-2326-SM-DO92K 60-69 years, female 67.1
GTEX-13FTX-1826-SM-5J1NX 20-29 years, female 67.0
GTEX-1N2EF-0226-SM-EYYXB 60-69 years, male 66.8
GTEX-13OW7-0126-SM-5MR3B 50-59 years, male 66.6
GTEX-15DYW-0126-SM-7KULE 60-69 years, female 66.6
GTEX-SIU8-0126-SM-2XCDT 50-59 years, male 66.6
GTEX-16XZY-2126-SM-79OK1 70-79 years, male 66.5
GTEX-RN64-0126-SM-2TC68 50-59 years, male 66.5
GTEX-1H1DG-0126-SM-9WYU2 70-79 years, male 66.5
GTEX-1H2FU-0126-SM-9WYSI 60-69 years, female 66.5
GTEX-S33H-1026-SM-EZ6L6 30-39 years, male 66.1
GTEX-1LG7Y-0526-SM-DKPQC 50-59 years, male 65.9
GTEX-1B8SG-0126-SM-73KZ3 50-59 years, male 65.8
GTEX-1CAMR-1926-SM-7EPI2 20-29 years, male 65.7
GTEX-ZYY3-0126-SM-5GZY5 60-69 years, female 65.7
GTEX-12C56-1726-SM-5EQ61 20-29 years, male 65.5
GTEX-12WSJ-1826-SM-5GCNY 40-49 years, female 65.5
GTEX-145LT-1726-SM-5QGP3 40-49 years, male 65.5
GTEX-X4EP-0126-SM-3P5YV 60-69 years, female 65.5
GTEX-1I19N-0326-SM-ACKVX 70-79 years, male 65.2
GTEX-13OW8-1326-SM-5J1OW 60-69 years, male 65.1
GTEX-13U4I-0126-SM-5LU38 40-49 years, female 65.0
GTEX-146FH-0126-SM-5QGPP 50-59 years, female 65.0
GTEX-1GPI7-0126-SM-9MQL8 20-29 years, male 65.0
GTEX-11H98-0126-SM-5EGHG 50-59 years, male 64.9
GTEX-14PHW-0126-SM-6LLJI 60-69 years, female 64.9
GTEX-1CAV2-2226-SM-7P8P2 40-49 years, female 64.8
GTEX-17HII-0226-SM-7LG4E 50-59 years, male 64.6
GTEX-1C6WA-0126-SM-7PC2B 60-69 years, male 64.6
GTEX-RVPV-0126-SM-EAZAW 60-69 years, male 64.6
GTEX-131XF-5016-SM-7MGWE 60-69 years, male 64.4
GTEX-NPJ8-0126-SM-2YUNR 40-49 years, male 64.3
GTEX-R45C-0126-SM-EAZ2R 60-69 years, female 64.3
GTEX-RU72-0926-SM-2TF6B 50-59 years, female 64.1
GTEX-1RLM8-2326-SM-EWRN4 50-59 years, male 64.1
GTEX-139TT-0126-SM-5K7Y5 60-69 years, male 64.0
GTEX-1HBPI-1526-SM-C1YQ1 50-59 years, male 63.8
GTEX-1JMLX-0226-SM-CM2RO 50-59 years, male 63.7
GTEX-17HHE-2026-SM-79OKF 50-59 years, male 63.5
GTEX-Y3IK-2426-SM-4WWDU 50-59 years, female 63.5
GTEX-WVJS-0126-SM-4MVOT 50-59 years, male 63.4
GTEX-YEC4-2126-SM-5IFJH 40-49 years, male 63.3
GTEX-11ZVC-2526-SM-5FQTE 50-59 years, female 63.2
GTEX-YB5E-2026-SM-5IFIS 40-49 years, male 63.1
GTEX-1PPH8-0226-SM-E8VND 20-29 years, male 63.0
GTEX-1GF9X-2026-SM-7PC3A 40-49 years, female 62.8
GTEX-1IL2V-0126-SM-CM2TX 70-79 years, male 62.8
GTEX-1313W-0126-SM-5LZUN 50-59 years, female 62.7
GTEX-ZAK1-0126-SM-5IJD3 50-59 years, female 62.7
GTEX-1IKK5-0626-SM-ARL8A 60-69 years, male 62.5
GTEX-1GZ2Q-0226-SM-7P8TL 40-49 years, male 62.4
GTEX-13IVO-0126-SM-5J1NG 70-79 years, male 62.2
GTEX-17HG3-2226-SM-7938L 30-39 years, female 62.2
GTEX-T5JC-0426-SM-32PLO 20-29 years, male 62.2
GTEX-WYJK-0126-SM-3NMAB 50-59 years, male 62.1
GTEX-1HSGN-0226-SM-CGQFV 40-49 years, female 62.0
GTEX-X88G-0126-SM-47JZ3 30-39 years, male 61.9
GTEX-1H3VE-0326-SM-9YFLH 40-49 years, male 61.8
GTEX-1QP2A-0126-SM-E9J43 50-59 years, male 61.7
GTEX-13FTY-0526-SM-5L3EV 40-49 years, female 61.6
GTEX-1LSNM-1926-SM-E6CII 50-59 years, male 61.4
GTEX-ZYFD-0126-SM-5GIDL 50-59 years, male 61.3
GTEX-18A6Q-0126-SM-731BZ 60-69 years, male 61.2
GTEX-Q2AI-1326-SM-2S1PL 40-49 years, male 61.2
GTEX-169BO-1326-SM-9MQK2 50-59 years, male 61.2
GTEX-145MO-0326-SM-5Q5B3 60-69 years, male 61.0
GTEX-139T4-0226-SM-5HL5S 50-59 years, female 60.9
GTEX-11NUK-0126-SM-5A5L3 50-59 years, male 60.8
GTEX-1EKGG-0226-SM-9WYTH 60-69 years, male 60.8
GTEX-1KWVE-1426-SM-E9TJO 30-39 years, male 60.8
GTEX-XYKS-2126-SM-4E3IB 60-69 years, female 60.5
GTEX-147GR-0526-SM-5S2MY 60-69 years, male 60.4
GTEX-O5YW-0126-SM-3LK6D 50-59 years, male 60.4
GTEX-12WSD-0126-SM-59HKN 60-69 years, female 60.2
GTEX-13N11-2526-SM-5K7UE 50-59 years, female 60.2
GTEX-13NZA-0226-SM-5K7Z7 60-69 years, male 60.2
GTEX-WQUQ-0426-SM-3MJFU 60-69 years, male 60.2
GTEX-1CB4G-0226-SM-7PC3O 60-69 years, male 60.2
GTEX-1IY9M-0126-SM-D3L8S 60-69 years, male 60.2
GTEX-14C5O-0126-SM-5SI6N 60-69 years, male 60.1
GTEX-1F6IF-0726-SM-7P8TW 60-69 years, male 60.1
GTEX-UPJH-0326-SM-3GADU 50-59 years, male 60.0
GTEX-1GF9U-2126-SM-7SB7L 40-49 years, female 59.9
GTEX-1I6K6-0126-SM-A9SLE 30-39 years, male 59.9
GTEX-OXRK-0226-SM-3NB2G 50-59 years, female 59.8
GTEX-12126-0326-SM-5PNW3 20-29 years, male 59.6
GTEX-PLZ4-0126-SM-5SI8O 50-59 years, female 59.6
GTEX-SN8G-0126-SM-32PLI 50-59 years, female 59.6
GTEX-X8HC-0126-SM-4E3JW 50-59 years, female 59.6
GTEX-OXRL-0126-SM-2YUMP 50-59 years, male 59.3
GTEX-1J1R8-1726-SM-ARL8M 40-49 years, male 59.3
GTEX-13X6J-0126-SM-5QGOU 50-59 years, male 59.2
GTEX-1AX8Z-0126-SM-7DHM6 60-69 years, male 59.0
GTEX-11O72-0126-SM-59887 40-49 years, male 58.9
GTEX-13VXT-0126-SM-5LU4I 20-29 years, female 58.9
GTEX-1LC47-0326-SM-E9TJP 60-69 years, male 58.9
GTEX-11ZU8-2526-SM-5EQKI 60-69 years, male 58.8
GTEX-1C4CL-0526-SM-73KVK 30-39 years, male 58.8
GTEX-1QEPI-0126-SM-EWRMQ 60-69 years, female 58.8
GTEX-131XE-2326-SM-5PNZ2 50-59 years, male 58.7
GTEX-147F3-0526-SM-5SI98 50-59 years, female 58.7
GTEX-Y5V5-2326-SM-4V6GA 60-69 years, female 58.5
GTEX-17F98-0626-SM-79OMX 40-49 years, female 58.4
GTEX-P4PQ-0126-SM-2S1NM 60-69 years, male 58.4
GTEX-13QJ3-0326-SM-5S2RA 50-59 years, male 58.3
GTEX-XUW1-0426-SM-4BOOT 50-59 years, female 58.3
GTEX-1HR98-0126-SM-B2LWI 60-69 years, male 58.2
GTEX-1314G-1526-SM-5EGK2 30-39 years, male 58.0
GTEX-OOBK-0126-SM-2YUND 40-49 years, male 58.0
GTEX-RM2N-1426-SM-2TF4H 50-59 years, male 57.5
GTEX-ZYW4-0126-SM-5E44A 60-69 years, male 57.4
GTEX-1LH75-2426-SM-E9TJE 50-59 years, female 57.2
GTEX-1N2DV-0226-SM-E6CJ6 40-49 years, male 57.2
GTEX-1B8KZ-2026-SM-7DHMB 50-59 years, male 57.0
GTEX-14PJM-0226-SM-62LF1 50-59 years, female 56.9
GTEX-1IGQW-0126-SM-COH42 60-69 years, male 56.9
GTEX-11GSO-2426-SM-5A5LY 60-69 years, male 56.8
GTEX-1BAJH-0526-SM-793CQ 70-79 years, male 56.7
GTEX-11DZ1-0126-SM-5985Q 50-59 years, male 56.6
GTEX-131YS-0126-SM-5KM1M 60-69 years, female 56.6
GTEX-1MGNQ-0126-SM-EVYCJ 40-49 years, male 56.6
GTEX-148VI-1626-SM-5SI6E 60-69 years, female 56.5
GTEX-1EWIQ-0126-SM-7RHH2 70-79 years, female 56.3
GTEX-WZTO-0126-SM-3NM95 40-49 years, male 56.2
GTEX-YJ8A-0426-SM-5IFID 20-29 years, male 56.2
GTEX-1GMRU-0126-SM-9YFLV 50-59 years, male 56.2
GTEX-ZF3C-0126-SM-DO92D 50-59 years, female 56.2
GTEX-15CHC-2126-SM-6EU21 60-69 years, female 56.1
GTEX-PW2O-1526-SM-7RHHB 20-29 years, male 56.1
GTEX-18QFQ-0126-SM-731BE 30-39 years, male 55.9
GTEX-OHPL-0126-SM-2HMJ7 60-69 years, female 55.8
GTEX-RWSA-0126-SM-2XCBB 40-49 years, male 55.7
GTEX-U412-0426-SM-3DB9O 60-69 years, male 55.6
GTEX-1HGF4-2426-SM-ACKXM 60-69 years, male 55.6
GTEX-1HKZK-0326-SM-9WYUH 40-49 years, male 55.6
GTEX-WRHK-1426-SM-3MJF9 20-29 years, female 55.4
GTEX-ZC5H-0226-SM-4WAY9 40-49 years, female 55.3
GTEX-13113-5016-SM-7EPIP 60-69 years, female 55.2
GTEX-1S3DN-2226-SM-EVYCD 50-59 years, male 55.2
GTEX-TML8-1926-SM-32QOS 40-49 years, female 55.1
GTEX-Y111-0126-SM-4SOIV 50-59 years, male 54.9
GTEX-13SLW-0126-SM-5SI6C 70-79 years, male 54.8
GTEX-1C64O-0126-SM-7SB8P 60-69 years, male 54.8
GTEX-11P81-2326-SM-59875 30-39 years, female 54.7
GTEX-1269C-2526-SM-5EGJ3 60-69 years, female 54.7
GTEX-13X6I-0626-SM-5QGP9 60-69 years, male 54.7
GTEX-1H3NZ-0126-SM-ACKX7 60-69 years, male 54.7
GTEX-1A3MV-1926-SM-718BT 30-39 years, male 54.6
GTEX-1IE54-0126-SM-CMKHW 40-49 years, female 54.6
GTEX-1AMFI-2026-SM-731BH 50-59 years, female 54.5
GTEX-1JMOU-1526-SM-CL54I 60-69 years, female 54.5
GTEX-1S82Y-2026-SM-EVYCM 40-49 years, male 54.4
GTEX-Y114-2426-SM-4TT8A 50-59 years, female 54.3
GTEX-ZVT2-2526-SM-51MT1 50-59 years, female 54.3
GTEX-14PK6-1926-SM-6ETZU 70-79 years, female 54.1
GTEX-U8T8-0126-SM-3DB94 60-69 years, male 54.1
GTEX-11NSD-2226-SM-5986V 20-29 years, male 54.0
GTEX-16XZZ-0126-SM-793DV 60-69 years, male 54.0
GTEX-T2YK-0526-SM-32QPJ 50-59 years, male 54.0
GTEX-1RDX4-0126-SM-E9J4P 50-59 years, female 54.0
GTEX-17HHY-0126-SM-7LG5D 50-59 years, male 53.9
GTEX-11EM3-2426-SM-59861 20-29 years, female 53.6
GTEX-ZVT3-0126-SM-5GU6I 60-69 years, female 53.6
GTEX-11DXY-2626-SM-5GIE7 60-69 years, male 53.5
GTEX-139D8-0226-SM-5KLZO 30-39 years, female 53.5
GTEX-1QAET-0926-SM-E76QM 50-59 years, male 53.5
GTEX-1I1GV-0526-SM-A9G29 60-69 years, male 53.2
GTEX-1KAFJ-2026-SM-CY8ID 50-59 years, male 53.2
GTEX-14BIM-0226-SM-7IGLD 60-69 years, female 53.0
GTEX-14LLW-0126-SM-6LLIO 70-79 years, female 53.0
GTEX-13O3P-0126-SM-5KM4S 50-59 years, male 52.8
GTEX-OIZG-0726-SM-33HBL 50-59 years, male 52.8
GTEX-1F52S-0126-SM-9MQJU 60-69 years, female 52.8
GTEX-1F75A-0126-SM-7RHGM 50-59 years, male 52.8
GTEX-11ZTS-0126-SM-5EQ6M 60-69 years, female 52.7
GTEX-15DDE-0126-SM-6LPKH 50-59 years, female 52.6
GTEX-1RAZA-0126-SM-E6CI3 20-29 years, male 52.4
GTEX-139UW-2826-SM-5L3E7 60-69 years, male 52.3
GTEX-WYVS-2126-SM-3NMA3 40-49 years, female 52.3
GTEX-1GZHY-0326-SM-9QEHI 50-59 years, female 52.2
GTEX-14E6D-0126-SM-62LDV 50-59 years, male 52.1
GTEX-YB5K-2126-SM-4WWDJ 40-49 years, female 52.1
GTEX-14ICK-0226-SM-6EU25 40-49 years, male 52.0
GTEX-1A3MX-0126-SM-731BR 60-69 years, male 52.0
GTEX-XAJ8-0826-SM-47JY6 40-49 years, male 51.9
GTEX-1CB4F-0426-SM-9KNV4 60-69 years, male 51.9
GTEX-ZPIC-1726-SM-DHXIU 40-49 years, female 51.9
GTEX-111VG-2426-SM-5GZXD 60-69 years, male 51.8
GTEX-14753-0426-SM-5NQAM 60-69 years, male 51.8
GTEX-OXRP-0126-SM-3NB32 60-69 years, female 51.7
GTEX-1F7RK-0126-SM-7PC2S 20-29 years, female 51.7
GTEX-1ICLY-0126-SM-D4P36 50-59 years, male 51.7
GTEX-1212Z-2526-SM-5EGKP 60-69 years, male 51.6
GTEX-1J8EW-0126-SM-CJI4F 60-69 years, female 51.6
GTEX-11VI4-1726-SM-5CVLH 40-49 years, female 51.5
GTEX-T6MN-0126-SM-32PLP 50-59 years, male 51.5
GTEX-Y3I4-2126-SM-4TT7C 50-59 years, male 51.5
GTEX-1GN1U-0126-SM-7PBZK 50-59 years, female 51.5
GTEX-14DAQ-0126-SM-5S2MQ 60-69 years, female 51.4
GTEX-1JKYR-0126-SM-CNPOJ 20-29 years, male 51.4
GTEX-1KD5A-0226-SM-D5OV3 50-59 years, male 51.4
GTEX-131XH-2226-SM-5DUXJ 50-59 years, male 51.3
GTEX-15D1Q-0126-SM-7KUG6 40-49 years, male 51.3
GTEX-1F48J-0126-SM-7P8TT 50-59 years, female 51.3
GTEX-14E6C-0126-SM-5RQIP 40-49 years, male 51.2
GTEX-13FHO-0226-SM-5IFGY 60-69 years, male 51.1
GTEX-1I1CD-0126-SM-CM2TK 60-69 years, female 51.1
GTEX-14E7W-0126-SM-6LLJ9 70-79 years, male 51.0
GTEX-1H1DE-2126-SM-9WG6R 20-29 years, male 50.9
GTEX-1CB4J-0626-SM-7DHMP 60-69 years, male 50.8
GTEX-1H1E6-1726-SM-ACKVK 30-39 years, male 50.8
GTEX-TKQ1-1026-SM-4GICL 30-39 years, male 50.7
GTEX-X5EB-2226-SM-46MW4 40-49 years, male 50.4
GTEX-1KD4Q-0226-SM-E9TJ9 40-49 years, male 50.4
GTEX-1OFPY-2426-SM-DTXEJ 60-69 years, male 50.3
GTEX-1H3VY-0126-SM-ACKXD 50-59 years, male 50.2
GTEX-QLQW-1126-SM-2S1Q8 30-39 years, male 50.0
GTEX-ZVT4-0126-SM-DTXFN 50-59 years, female 50.0
GTEX-ZAB5-1826-SM-5HL7C 50-59 years, male 49.8
GTEX-18A67-0126-SM-7LG5P 50-59 years, male 49.7
GTEX-1I1GR-0126-SM-CL55F 60-69 years, male 49.7
GTEX-1R7EV-2426-SM-EVYBG 40-49 years, male 49.7
GTEX-ZVTK-0426-SM-51MRS 20-29 years, male 49.6
GTEX-1IOXB-0126-SM-ARL8G 50-59 years, male 49.6
GTEX-QLQ7-1626-SM-2S1R8 60-69 years, male 49.5
GTEX-U3ZM-1526-SM-3DB9D 40-49 years, male 49.5
GTEX-13X6H-2126-SM-7EWD5 50-59 years, female 49.4
GTEX-1IDJH-0326-SM-A9SLQ 70-79 years, male 49.4
GTEX-1NHNU-1026-SM-E9J2A 50-59 years, male 49.4
GTEX-1B933-0126-SM-7PC29 50-59 years, female 49.3
GTEX-1GZ4H-1726-SM-7PBZJ 50-59 years, female 49.3
GTEX-1JMPZ-0226-SM-CNPP1 30-39 years, male 49.3
GTEX-14JG1-0426-SM-6ETZZ 40-49 years, male 49.0
GTEX-ZAJG-0126-SM-5HL94 50-59 years, female 49.0
GTEX-ZDXO-3026-SM-5J1N5 60-69 years, male 49.0
GTEX-1IKOH-0226-SM-COH4E 60-69 years, female 49.0
GTEX-11DYG-0126-SM-59883 60-69 years, male 48.9
GTEX-14LZ3-0226-SM-62LET 60-69 years, female 48.9
GTEX-U4B1-1826-SM-4DXSU 40-49 years, male 48.7
GTEX-1K2DA-1826-SM-CGQGT 50-59 years, male 48.7
GTEX-1POEN-0126-SM-EYYXJ 30-39 years, female 48.7
GTEX-U3ZH-2026-SM-3DB78 30-39 years, male 48.6
GTEX-UJHI-1526-SM-3DB99 50-59 years, female 48.6
GTEX-1K2DU-2326-SM-E9TIV 20-29 years, male 48.6
GTEX-18D9A-1926-SM-7LG6P 30-39 years, female 48.5
GTEX-ZU9S-0226-SM-5E441 30-39 years, male 48.5
GTEX-14PN3-2426-SM-6LLHS 60-69 years, female 48.4
GTEX-1GMR8-0126-SM-9WYTM 50-59 years, female 48.3
GTEX-11TTK-0126-SM-5987B 60-69 years, female 48.2
GTEX-13112-2826-SM-5DUWH 50-59 years, male 48.2
GTEX-14XAO-2326-SM-6EU1B 60-69 years, female 48.2
GTEX-17EUY-0426-SM-793BD 20-29 years, male 48.2
GTEX-1H23P-0126-SM-ADEJ3 60-69 years, male 48.2
GTEX-1HSKV-0226-SM-A9SKJ 60-69 years, male 48.2
GTEX-131XG-2626-SM-5KM17 50-59 years, female 48.1
GTEX-13O1R-0126-SM-5L3EH 60-69 years, male 48.1
GTEX-17EVQ-0226-SM-7LG4P 70-79 years, male 48.1
GTEX-U8XE-0326-SM-3DB8P 30-39 years, male 48.1
GTEX-1GMR3-1926-SM-9KNUZ 40-49 years, male 48.1
GTEX-1A8FM-0226-SM-7SB7Q 50-59 years, female 47.9
GTEX-11EI6-0126-SM-5985R 60-69 years, male 47.8
GTEX-14A5H-0426-SM-5QGQF 60-69 years, male 47.7
GTEX-OOBJ-0126-SM-E6CJW 60-69 years, male 47.7
GTEX-13O3Q-2426-SM-5IJBR 50-59 years, male 47.6
GTEX-18A7B-0126-SM-7LG64 70-79 years, male 47.6
GTEX-1C6VQ-0126-SM-7P8RI 50-59 years, male 47.6
GTEX-1LGOU-2026-SM-DIPFF 20-29 years, female 47.6
GTEX-1B8SF-1426-SM-7DUGL 60-69 years, male 47.4
GTEX-1211K-2026-SM-5EQ4Z 60-69 years, female 47.3
GTEX-13FXS-0226-SM-5IJCK 50-59 years, male 47.3
GTEX-ZVE2-0226-SM-59HJB 50-59 years, male 47.3
GTEX-1JJE9-0326-SM-CL53Z 70-79 years, male 47.3
GTEX-1PFEY-1526-SM-E76PP 30-39 years, male 47.3
GTEX-11P82-1626-SM-59879 20-29 years, male 47.2
GTEX-15EOM-0126-SM-7KUGG 20-29 years, female 47.2
GTEX-1I4MK-2226-SM-ACKWD 50-59 years, female 47.2
GTEX-1JJ6O-0126-SM-E6CI8 60-69 years, male 47.2
GTEX-1K9T9-0126-SM-EVYCF 50-59 years, female 47.2
GTEX-13YAN-0326-SM-5O9DF 60-69 years, male 47.0
GTEX-Q2AG-0126-SM-33HBV 40-49 years, female 47.0
GTEX-132NY-0326-SM-5IJBL 60-69 years, male 46.9
GTEX-13PVR-2326-SM-5QGR1 60-69 years, female 46.8
GTEX-14BMV-0126-SM-5S2PO 50-59 years, male 46.7
GTEX-R55G-2526-SM-2TC6D 40-49 years, female 46.7
GTEX-1C2JI-1826-SM-73KXC 50-59 years, male 46.6
GTEX-1HFI6-0226-SM-ADEHZ 40-49 years, male 46.6
GTEX-1J8JJ-0226-SM-CL53I 60-69 years, female 46.5
GTEX-ZQG8-1626-SM-DHXIT 60-69 years, female 46.5
GTEX-16GPK-0126-SM-7DHLE 60-69 years, male 46.4
GTEX-1E1VI-0126-SM-7DHMZ 50-59 years, male 46.4
GTEX-QVJO-1626-SM-2S1QW 60-69 years, female 46.4
GTEX-1GN1V-0126-SM-9WPOS 60-69 years, male 46.4
GTEX-PLZ6-1426-SM-DKPOT 30-39 years, male 46.4
GTEX-11OF3-2626-SM-5GU7F 60-69 years, male 46.3
GTEX-145MF-0626-SM-5LUAI 50-59 years, male 46.3
GTEX-XMD2-0126-SM-4YCDU 60-69 years, female 46.3
GTEX-1LB8K-0226-SM-EWRNW 50-59 years, male 46.3
GTEX-13NZB-2526-SM-5J1OM 30-39 years, male 46.2
GTEX-1AX9K-2326-SM-73KWU 50-59 years, male 46.2
GTEX-P44H-0226-SM-2XCEU 40-49 years, male 46.2
GTEX-WXYG-2326-SM-4E3I6 50-59 years, female 46.2
GTEX-1HSMQ-1226-SM-CGQFX 50-59 years, male 46.2
GTEX-14DAR-2026-SM-5S2O3 50-59 years, male 46.1
GTEX-1JMQL-0226-SM-CNPP5 50-59 years, female 46.1
GTEX-11OC5-0126-SM-5HL6A 60-69 years, male 46.0
GTEX-1J8QM-2126-SM-CYPSJ 60-69 years, female 46.0
GTEX-XXEK-2226-SM-4BRUM 50-59 years, male 45.8
GTEX-117YX-2326-SM-5H12W 50-59 years, male 45.7
GTEX-11UD2-0226-SM-5EQKY 50-59 years, male 45.7
GTEX-16BQI-0226-SM-7KUEX 30-39 years, female 45.7
GTEX-1B8KE-2126-SM-73KYX 50-59 years, male 45.7
GTEX-12ZZY-0226-SM-5LZVE 60-69 years, male 45.6
GTEX-145LS-0126-SM-5QGP1 60-69 years, female 45.6
GTEX-1ICG6-2526-SM-CGQFZ 70-79 years, female 45.5
GTEX-T2IS-0126-SM-4DM6O 20-29 years, female 45.4
GTEX-WOFL-0126-SM-3MJG2 60-69 years, male 45.4
GTEX-15ETS-0126-SM-7KUMW 40-49 years, female 45.3
GTEX-113JC-2326-SM-5EQ4E 50-59 years, female 45.1
GTEX-12584-0126-SM-5EGKQ 40-49 years, male 45.1
GTEX-XPVG-2626-SM-4B669 50-59 years, male 45.1
GTEX-Z93T-0126-SM-5HL5N 50-59 years, male 44.9
GTEX-183FY-0126-SM-7LT9P 20-29 years, male 44.8
GTEX-1J1OQ-0226-SM-CYPSH 40-49 years, female 44.8
GTEX-1H11D-0226-SM-9WG6Z 40-49 years, male 44.7
GTEX-16NPX-0226-SM-79OMT 50-59 years, male 44.6
GTEX-XV7Q-2526-SM-4BRV9 40-49 years, female 44.6
GTEX-1EU9M-0226-SM-7P8SP 60-69 years, male 44.6
GTEX-1399T-2826-SM-5KLYZ 60-69 years, male 44.5
GTEX-15DCD-0126-SM-7KUEK 70-79 years, female 44.3
GTEX-TSE9-0126-SM-3DB83 60-69 years, female 44.3
GTEX-VUSG-2526-SM-4KL1V 50-59 years, male 44.3
GTEX-1R46S-0626-SM-E9J41 60-69 years, female 44.3
GTEX-1RQEC-0426-SM-E6CHU 60-69 years, male 44.3
GTEX-13CF2-2526-SM-5LZYX 60-69 years, male 44.2
GTEX-13RTJ-2426-SM-5S2Q2 60-69 years, male 44.1
GTEX-145LV-2126-SM-5LU8N 50-59 years, male 44.1
GTEX-1HSEH-0126-SM-ACKXN 60-69 years, male 44.1
GTEX-1CAMS-0426-SM-7P8T2 40-49 years, female 44.0
GTEX-1JKYN-1326-SM-CGQG9 30-39 years, male 44.0
GTEX-Y5V6-2426-SM-4VDSB 60-69 years, male 43.8
GTEX-Z93S-0126-SM-5HL7M 50-59 years, male 43.7
GTEX-11TUW-2726-SM-E9J4M 60-69 years, male 43.7
GTEX-1GN2E-0426-SM-9MQKX 60-69 years, male 43.7
GTEX-X4XX-0126-SM-3NMC2 60-69 years, male 43.5
GTEX-1MA7X-2226-SM-E6CIY 60-69 years, male 43.5
GTEX-OIZF-0126-SM-7SB8I 60-69 years, male 43.5
GTEX-13PDP-0126-SM-5L3HD 60-69 years, male 43.4
GTEX-Y8E4-0626-SM-4WWDL 40-49 years, male 43.3
GTEX-13JUV-2726-SM-5LZZ8 40-49 years, female 43.2
GTEX-T6MO-1626-SM-32QOM 40-49 years, female 43.2
GTEX-T8EM-1026-SM-3DB7M 40-49 years, male 43.2
GTEX-1JMQK-0226-SM-CL543 60-69 years, male 43.2
GTEX-X4EO-0326-SM-3P5YO 60-69 years, female 43.1
GTEX-1JK1U-2026-SM-CM2RZ 60-69 years, male 43.1
GTEX-Q734-1926-SM-2I5EV 40-49 years, female 43.0
GTEX-13W3W-2426-SM-5LU5B 60-69 years, female 42.9
GTEX-148VJ-0126-SM-5TDDN 70-79 years, male 42.7
GTEX-1EMGI-0126-SM-9KNUE 60-69 years, male 42.6
GTEX-1HCUA-2426-SM-ADEIS 50-59 years, female 42.6
GTEX-11DXW-0226-SM-5H122 40-49 years, male 42.5
GTEX-1LG7Z-1726-SM-D3LA4 30-39 years, male 42.5
GTEX-17MFQ-1726-SM-793C7 20-29 years, male 42.4
GTEX-14PHX-2326-SM-62LEM 50-59 years, male 42.3
GTEX-1JN1M-0326-SM-CYPT3 60-69 years, female 42.3
GTEX-1A3MW-0126-SM-73KXX 60-69 years, female 42.2
GTEX-12WSK-2326-SM-5GCOH 40-49 years, female 42.1
GTEX-1F75B-0126-SM-9KNVL 50-59 years, male 42.0
GTEX-11XUK-2026-SM-5EQLF 40-49 years, female 41.9
GTEX-14JG6-2226-SM-6EU2G 30-39 years, female 41.7
GTEX-14PII-0226-SM-6EU1T 60-69 years, male 41.6
GTEX-1CB4H-0226-SM-7PBXM 60-69 years, female 41.6
GTEX-16NGA-1726-SM-731B4 40-49 years, female 41.5
GTEX-1N2DW-0226-SM-E9TK2 50-59 years, male 41.5
GTEX-RWS6-2026-SM-2XCB5 60-69 years, female 41.4
GTEX-ZXG5-0126-SM-5GIEU 60-69 years, male 41.4
GTEX-1RB15-2126-SM-E9TIM 60-69 years, male 41.4
GTEX-14BIN-0626-SM-793DP 50-59 years, female 41.3
GTEX-X4XY-0226-SM-4E3IZ 60-69 years, male 41.3
GTEX-1PDJ9-0326-SM-DTX95 20-29 years, male 41.3
GTEX-13SLX-0526-SM-5S2ON 50-59 years, female 41.2
GTEX-1I1GU-2226-SM-CGQFA 40-49 years, male 41.2
GTEX-11EQ9-2426-SM-5HL5T 30-39 years, male 41.1
GTEX-111FC-0126-SM-5N9DL 60-69 years, male 41.0
GTEX-13FTW-2626-SM-5K7WL 40-49 years, male 40.7
GTEX-14ABY-0226-SM-5TDCQ 50-59 years, male 40.7
GTEX-18465-0126-SM-731BN 50-59 years, male 40.7
GTEX-PLZ5-2026-SM-2S1O4 50-59 years, male 40.5
GTEX-1128S-2326-SM-5GZZY 60-69 years, female 40.4
GTEX-144FL-0126-SM-5TDC8 50-59 years, male 40.4
GTEX-13NYC-0326-SM-E9J4S 60-69 years, male 40.4
GTEX-1QMI2-0226-SM-EVYBX 60-69 years, male 40.4
GTEX-XUZC-1726-SM-4BRWS 30-39 years, female 40.3
GTEX-YFC4-0126-SM-5CVLY 40-49 years, female 40.3
GTEX-12ZZZ-0626-SM-5DUXI 60-69 years, male 40.2
GTEX-13CF3-2426-SM-5IFGX 60-69 years, female 40.1
GTEX-1B996-0226-SM-7RHGO 60-69 years, male 39.9
GTEX-14BMU-2226-SM-5TDE9 20-29 years, female 39.8
GTEX-SJXC-0126-SM-2XCFF 60-69 years, male 39.8
GTEX-1E2YA-0126-SM-9KNUC 50-59 years, male 39.8
GTEX-NFK9-0226-SM-2HMKQ 40-49 years, male 39.7
GTEX-1F5PL-0326-SM-7P8PQ 40-49 years, female 39.7
GTEX-ZV68-0126-SM-59HKS 50-59 years, female 39.6
GTEX-1R7EU-0226-SM-EVR4G 60-69 years, male 39.6
GTEX-1J8Q2-0526-SM-CM2RW 60-69 years, male 39.4
GTEX-11WQC-2526-SM-5CVLE 60-69 years, male 39.3
GTEX-14BIL-0126-SM-5SI92 50-59 years, male 39.3
GTEX-15ER7-0326-SM-7KUEV 20-29 years, female 39.3
GTEX-X638-0126-SM-47JZ8 70-79 years, female 39.3
GTEX-1JN6P-0126-SM-D3L98 60-69 years, male 39.1
GTEX-145ME-1826-SM-5SI9G 40-49 years, female 39.0
GTEX-15RIG-0226-SM-7KFTL 40-49 years, male 39.0
GTEX-1497J-2426-SM-7IGNX 60-69 years, male 38.9
GTEX-11ZTT-2426-SM-5EQLS 60-69 years, female 38.8
GTEX-1CAMQ-0226-SM-7IGPK 40-49 years, male 38.7
GTEX-1C6VS-0526-SM-7DUEN 60-69 years, male 38.5
GTEX-PX3G-0126-SM-2I3EN 20-29 years, female 38.5
GTEX-1F88F-2726-SM-7PBZZ 60-69 years, female 38.5
GTEX-18D9B-0526-SM-7LTAS 60-69 years, male 38.4
GTEX-12KS4-0326-SM-5EQ41 30-39 years, male 38.3
GTEX-1QP66-1726-SM-E8VO1 50-59 years, male 38.3
GTEX-PWO3-1526-SM-48TCM 60-69 years, female 38.2
GTEX-XQ3S-1526-SM-4BOOC 20-29 years, male 38.2
GTEX-1I1GT-0626-SM-CGQER 60-69 years, female 38.2
GTEX-1IL2U-0226-SM-CE6T8 60-69 years, male 38.2
GTEX-Y5LM-1926-SM-5RQJH 40-49 years, female 38.1
GTEX-15F5U-1526-SM-6PANO 40-49 years, male 38.0
GTEX-1F6RS-0126-SM-9MQKZ 60-69 years, female 38.0
GTEX-1AX9J-0226-SM-73KXM 60-69 years, male 37.9
GTEX-117XS-2726-SM-5N9BL 60-69 years, male 37.8
GTEX-13OVJ-0126-SM-5KM36 50-59 years, female 37.8
GTEX-WY7C-2326-SM-3NB2U 50-59 years, male 37.7
GTEX-13N2G-2626-SM-5J1OT 60-69 years, male 37.6
GTEX-QCQG-1726-SM-3GIJ9 50-59 years, female 37.6
GTEX-1HFI7-1826-SM-ACKXH 50-59 years, female 37.6
GTEX-1C64N-0126-SM-793D7 50-59 years, male 37.5
GTEX-1GF9W-0326-SM-9KNUN 60-69 years, male 37.4
GTEX-S7SE-0126-SM-2XCD5 50-59 years, male 37.3
GTEX-1HSMP-0126-SM-E6CJS 70-79 years, male 37.3
GTEX-1C6VR-2426-SM-79OLD 60-69 years, male 37.2
GTEX-XBEW-0626-SM-4QASP 40-49 years, male 37.2
GTEX-1MA7W-2026-SM-E9TJ6 20-29 years, female 37.2
GTEX-1QP9N-1426-SM-DTXFL 30-39 years, male 37.2
GTEX-1PWST-0226-SM-E76QJ 70-79 years, male 37.1
GTEX-X261-0126-SM-3NMD6 50-59 years, male 37.0
GTEX-QDVN-2026-SM-3GAEP 50-59 years, male 36.9
GTEX-ZWKS-0126-SM-5SIAA 30-39 years, male 36.8
GTEX-14PN4-0126-SM-6EU2V 50-59 years, male 36.7
GTEX-WFON-2126-SM-3LK7O 40-49 years, male 36.5
GTEX-16AAH-1726-SM-7939C 50-59 years, male 36.4
GTEX-17JCI-0126-SM-7LG5G 60-69 years, female 36.4
GTEX-1M4P7-0226-SM-DIPEV 60-69 years, male 36.3
GTEX-13D11-2426-SM-5KM1V 50-59 years, female 36.2
GTEX-13NYB-2526-SM-5K7Z6 40-49 years, male 36.0
GTEX-1H4P4-0726-SM-9YFLR 50-59 years, male 36.0
GTEX-1O97I-0326-SM-EYYX7 60-69 years, male 36.0
GTEX-ZYFC-0226-SM-5NQ75 50-59 years, male 35.9
GTEX-13FH7-2026-SM-E9J4I 50-59 years, female 35.9
GTEX-S32W-2126-SM-2XCB1 50-59 years, female 35.8
GTEX-12696-2426-SM-5EQ6H 60-69 years, male 35.6
GTEX-13OVH-0126-SM-5MR4B 70-79 years, male 35.6
GTEX-P4QT-0126-SM-2I3FL 50-59 years, female 35.6
GTEX-ZDYS-2026-SM-5HL5L 50-59 years, male 35.5
GTEX-1I1GQ-0126-SM-COH3H 50-59 years, male 35.5
GTEX-PSDG-0226-SM-DKPOZ 50-59 years, male 35.5
GTEX-17KNJ-2326-SM-7DHLQ 50-59 years, male 35.4
GTEX-144GL-0126-SM-5TDE2 50-59 years, male 35.3
GTEX-1JMQI-2226-SM-CM2SD 50-59 years, male 35.3
GTEX-1EX96-1626-SM-7PBXR 50-59 years, male 35.2
GTEX-1F5PK-2426-SM-7RHHY 50-59 years, male 35.2
GTEX-1KANB-0526-SM-E6CJH 50-59 years, male 35.1
GTEX-1KXAM-2226-SM-CYPTC 60-69 years, male 35.1
GTEX-1S5ZA-0126-SM-EVYCV 20-29 years, male 35.1
GTEX-1MUQO-0126-SM-EAZ58 60-69 years, male 35.0
GTEX-1IDJF-0126-SM-CM2RS 20-29 years, male 34.9
GTEX-OXRN-0126-SM-48TDM 50-59 years, male 34.8
GTEX-144GN-2326-SM-5LU4F 50-59 years, male 34.6
GTEX-XBED-2226-SM-47JYQ 60-69 years, male 34.6
GTEX-XUYS-0126-SM-47JWZ 50-59 years, male 34.6
GTEX-S95S-1226-SM-4GICG 60-69 years, male 34.5
GTEX-ZDTT-2726-SM-4WKF8 60-69 years, male 34.5
GTEX-1KANC-1526-SM-D3LAB 50-59 years, female 34.5
GTEX-11DXZ-2326-SM-5EGGV 50-59 years, male 34.4
GTEX-14A5I-0126-SM-5TDEA 50-59 years, female 34.4
GTEX-Y8LW-1826-SM-5S2MV 50-59 years, female 34.4
GTEX-W5WG-1826-SM-4KL2Y 50-59 years, female 34.2
GTEX-133LE-1826-SM-5J1MV 20-29 years, female 34.0
GTEX-SSA3-0126-SM-32QPU 60-69 years, male 34.0
GTEX-13OW5-0126-SM-DTXFS 60-69 years, male 33.9
GTEX-1HCU8-0626-SM-A9SM9 60-69 years, female 33.9
GTEX-O5YT-0126-SM-48TBW 20-29 years, male 33.7
GTEX-11WQK-0526-SM-5EQLD 50-59 years, male 33.6
GTEX-1399R-2726-SM-5IJBA 30-39 years, male 33.5
GTEX-1GF9V-0326-SM-7RHI5 60-69 years, male 33.3
GTEX-15G19-0126-SM-6PANQ 60-69 years, male 32.9
GTEX-1LGRB-2526-SM-CNPPQ 50-59 years, female 32.9
GTEX-145MN-2226-SM-5SIAU 30-39 years, male 32.8
GTEX-ZF28-0126-SM-4WKGK 60-69 years, male 32.7
GTEX-1JMQJ-0526-SM-CYPSU 50-59 years, male 32.7
GTEX-1CB4I-0226-SM-79OLH 50-59 years, male 32.6
GTEX-1R9PM-2026-SM-E76OY 20-29 years, male 32.0
GTEX-ZYFG-2326-SM-5E44B 60-69 years, female 31.8
GTEX-145MI-0526-SM-5O9A8 60-69 years, female 31.7
GTEX-VJWN-0126-SM-3GIK7 50-59 years, female 31.7
GTEX-15UKP-0426-SM-7KUFQ 20-29 years, male 31.5
GTEX-12WSC-0126-SM-5EQ4P 50-59 years, male 31.3
GTEX-1ICLZ-0126-SM-CKZPO 60-69 years, male 31.3
GTEX-13OW6-0426-SM-5L3HM 50-59 years, male 31.1
GTEX-13RTK-1426-SM-5QGQJ 20-29 years, male 31.1
GTEX-QDVJ-1726-SM-2I5FX 50-59 years, male 30.8
GTEX-TMMY-0226-SM-33HBA 40-49 years, female 30.8
GTEX-VJYA-1126-SM-3GIJU 60-69 years, male 30.7
GTEX-1J8Q3-1626-SM-CMKGC 60-69 years, male 30.7
GTEX-QESD-1426-SM-2S1R9 20-29 years, male 30.6
GTEX-R3RS-0126-SM-3GIJL 40-49 years, female 30.6
GTEX-1C475-1826-SM-73KWA 40-49 years, female 30.5
GTEX-ZV6S-2326-SM-4YCEY 40-49 years, female 30.4
GTEX-15SHW-0326-SM-6PAML 60-69 years, male 30.1
GTEX-Z9EW-1626-SM-5CVMN 40-49 years, male 30.1
GTEX-11LCK-1026-SM-5A5KB 30-39 years, male 30.0
GTEX-18D9U-0226-SM-718BP 40-49 years, male 29.9
GTEX-1KANA-0726-SM-D3L9I 20-29 years, male 29.9
GTEX-13S7M-0126-SM-5SI6A 60-69 years, female 29.8
GTEX-1M5QR-1226-SM-EWROB 40-49 years, male 29.8
GTEX-12WSE-0526-SM-793B2 20-29 years, male 29.7
GTEX-1HT8W-0126-SM-CNPPP 30-39 years, male 29.7
GTEX-1IKJJ-0126-SM-CNPQB 60-69 years, male 29.1
GTEX-ZZ64-1726-SM-5GZYB 20-29 years, male 29.0
GTEX-1HCU9-1526-SM-A9SL7 20-29 years, male 29.0
GTEX-1122O-2126-SM-5EGIR 60-69 years, female 28.8
GTEX-1MJK2-0426-SM-DTXE5 50-59 years, male 28.8
GTEX-1S82Z-0826-SM-E6CHY 30-39 years, female 28.8
GTEX-1192W-2626-SM-5Q5AF 60-69 years, male 28.7
GTEX-1CB4E-2226-SM-793DC 60-69 years, male 28.6
GTEX-1JN76-0126-SM-CNPPE 20-29 years, female 28.5
GTEX-12WSN-5019-SM-79OM6 40-49 years, male 28.3
GTEX-145LU-0126-SM-5TDCB 50-59 years, male 28.3
GTEX-YJ89-0126-SM-4TT3X 60-69 years, male 28.3
GTEX-14PJ6-2126-SM-6EU1V 60-69 years, female 28.2
GTEX-17EVP-0326-SM-7DHLG 40-49 years, male 28.1
GTEX-SNMC-1226-SM-2XCFP 20-29 years, male 27.9
GTEX-13OVG-1926-SM-5L3DK 60-69 years, male 27.8
GTEX-1IDJU-2626-SM-CM2RT 60-69 years, female 27.7
GTEX-ZY6K-1826-SM-5GZXK 50-59 years, male 27.5
GTEX-ZVZO-0126-SM-5A5L9 40-49 years, male 26.9
GTEX-OIZH-0126-SM-2HMIS 50-59 years, male 26.7
GTEX-14E6E-1826-SM-5S2R7 30-39 years, male 26.4
GTEX-1OJC3-0126-SM-E76QX 20-29 years, male 26.1
GTEX-17GQL-2026-SM-718BA 60-69 years, male 26.0
GTEX-11DXX-2426-SM-5GZZW 60-69 years, female 25.7
GTEX-1GL5R-1826-SM-9KNUY 50-59 years, male 25.7
GTEX-1R9K4-0126-SM-DTX9X 60-69 years, male 25.6
GTEX-PVOW-0126-SM-2XCFA 40-49 years, male 25.2
GTEX-ZVZP-2426-SM-59HKJ 50-59 years, male 24.3
GTEX-12WSL-2526-SM-5GCNJ 50-59 years, male 23.9
GTEX-1PIIG-0226-SM-EWRN6 30-39 years, male 23.9
GTEX-183WM-0126-SM-7LTAB 70-79 years, female 23.6
GTEX-1HBPN-0226-SM-9YFM1 50-59 years, male 23.4
GTEX-ZYT6-0226-SM-5NQ6T 30-39 years, male 23.1
GTEX-1QPFJ-0226-SM-E76PB 30-39 years, female 23.1
GTEX-1S83E-0126-SM-EWRO4 40-49 years, male 22.7
GTEX-ZXES-1826-SM-5E43S 30-39 years, female 21.9
GTEX-1HB9E-0226-SM-E9U4R 50-59 years, male 21.1
GTEX-Q2AH-1626-SM-3GAF8 40-49 years, male 21.0
GTEX-1JJEA-0326-SM-CNPOT 60-69 years, male 20.1
GTEX-1B97I-1626-SM-73KYO 40-49 years, male 20.0
GTEX-1LVAN-0226-SM-COH3S 50-59 years, female 19.5
GTEX-15EU6-0426-SM-6PAN5 50-59 years, male 19.1
GTEX-ZF2S-2326-SM-4WWCE 50-59 years, female 18.6
GTEX-13111-1626-SM-5EGJY 50-59 years, male 18.1
GTEX-ZTSS-1926-SM-57WEW 40-49 years, male 18.1
GTEX-ZTX8-1426-SM-5DUVO 20-29 years, male 18.1
GTEX-1HCU7-0226-SM-CL545 50-59 years, male 17.5
GTEX-WFG8-2226-SM-3GIL9 20-29 years, male 17.3
GTEX-T5JW-1626-SM-3GADZ 20-29 years, female 17.2
GTEX-SE5C-1626-SM-2XCE3 40-49 years, female 16.1
GTEX-POMQ-2226-SM-2I5FK 20-29 years, female 14.5
GTEX-1L5NE-2526-SM-E6CIE 50-59 years, male 14.0
Show allShow less

Contact

  • NEWS ARTICLES
  • PRESS ROOM

The Project

  • INTRODUCTION
  • ORGANIZATION
  • PUBLICATIONS

The Human Protein Atlas

  • DOWNLOADABLE DATA
  • LICENCE & CITATION
  • HELP & FAQ
The Human Protein Atlas project is funded
by the Knut & Alice Wallenberg Foundation.


contact@proteinatlas.org