We use cookies to enhance the usability of our website. If you continue, we'll assume that you are happy to receive all cookies. More information. Don't show this again.
PTMA
HPA
RESOURCES
  • TISSUE
  • BRAIN
  • SINGLE CELL
  • SUBCELLULAR
  • CANCER
  • BLOOD
  • CELL LINE
  • STRUCTURE & INTERACTION
ABOUT
  • INTRODUCTION
  • HISTORY
  • ORGANIZATION
  • PUBLICATIONS
  • ANTIBODY SUBMISSION
  • ANTIBODY AVAILABILITY
  • ACKNOWLEDGMENTS
  • CONTACT
NEWS
  • NEWS ARTICLES
  • PRESS ROOM
LEARN
  • DICTIONARY
  • PROTEIN CLASSES
  • PROTEIN EVIDENCE
  • METHODS
  • EDUCATIONAL VIDEOS
DATA
  • DOWNLOADABLE DATA
  • PUBLICATION DATA
  • RELEASE HISTORY
HELP
  • ANTIBODY VALIDATION
  • ASSAYS & ANNOTATION
  • DISCLAIMER
  • HELP & FAQ
  • PRIVACY STATEMENT
  • LICENCE & CITATION
Fields »
Search result

Field
Term
Gene name
Class
Subclass
Class
Keyword
Chromosome
External id
Tissue
Cell type
Expression
Antibody panel
Tissue
Main location
Patient ID
Annotation
Tissue
Category
Tau score
Cluster
Reliability
Brain region
Category
Tau score
Brain region
Category
Tau score
Brain region
Category
Tau score
Cluster
Reliability
Tissue
Cell type
Enrichment
Cell type
Category
Tau score
Cell type
Category
Tau score
Cell type
Category
Tau score
Cell lineage
Category
Tau score
Cluster
Cluster
Location
Searches
Location
Cell line
Class
Type
Phase
Reliability
Cancer
Prognosis
Cancer
Category
Cancer
Category
Tau score
Cluster
Variants
Interacting gene (ensg_id)
Type
Number of interactions
Pathway
Category
Score
Score
Score
Validation
Validation
Validation
Validation
Antibodies
Data type
Column


  • SUMMARY

  • TISSUE

  • BRAIN

  • SINGLE CELL

  • SUBCELL

  • CANCER

  • BLOOD

  • CELL LINE

  • STRUCT & INT

  • PTMA
CANCER LIVER CANCER Show tissue menu
BREAST CANCER CARCINOID CERVICAL CANCER COLORECTAL CANCER ENDOMETRIAL CANCER GLIOMA HEAD AND NECK CANCER LIVER CANCER LUNG CANCER LYMPHOMA
MELANOMA OVARIAN CANCER PANCREATIC CANCER PROSTATE CANCER RENAL CANCER SKIN CANCER STOMACH CANCER TESTIS CANCER THYROID CANCER UROTHELIAL CANCER
LIHC TCGA LIHC VALIDATION PROTEIN LIHC CPTAC PROTEIN EXPRESSION
ANTIBODIES
AND
VALIDATION
Dictionary
Liver cancer
Human cancer
Liver hepatocellular carcinoma
LIVER HEPATOCELLULAR CARCINOMA (TCGA) - Interactive survival scatter ploti

The Survival Scatter plot shows the clinical status (i.e. dead or alive) for all individuals in the patient cohort, based on the same data that underlies the corresponding Kaplan-Meier plots. Patients that are alive at last time for follow-up are shown in blue and patients who have died during the study are shown in red.

The x-axis shows the expression levels (FPKM) of the investigated gene in the tumor tissue at the time of diagnosis. The y-axis shows the follow-up time after diagnosis (years). Both axes are complimented with kernel density curves demonstrating the data density over the axes. The top density plot shows the expression levels (FPKM) distribution among dead (red) and alive patients (blue). The right density plot shows the data density of the survived years of dead patients with high and low expression levels respectively, stratified using the cutoff indicated by the vertical dashed line through the Survival Scatter plot. This cutoff is automatically defined based on the FPKM cutoff that minimizes the p-score. The cutoff can be changed by dragging the vertical line or by entering a cutoff value in the square labeled "Current cut-off".

Under the Survival Scatter plot the p-score landscape (black curve; left axis) is shown together with dead median separation (red curve; right axis). Dead median separation is the difference in median mRNA expression between patients who have died with high and low expression, respectively. It is calculated as follows: median FPKM expression of dead patients with high expression - median FPKM expression of dead patients with low expression. This is intended to aid the user in visually exploring custom cutoffs and the associated p-scores and dead median separation.

Individual patient data is displayed and can be filtered by clicking on one or more of the category buttons on the top of the page. Categories describing expression level and patient information include: high, low, alive, dead, female, male and tumor stages. The scale of the x-axis can be toggled between linear and log-scale by clicking on the "x log" button. Mouse-over function shows TCGA ID, patient information and mRNA expression (FPKM) for each patient.

& Survival analysisi

Kaplan-Meier plots summarize results from analysis of correlation between mRNA expression level and patient survival. Patients were divided based on level of expression into one of the two groups "low" (under cut off) or "high" (over cut off). X-axis shows time for survival (years) and y-axis shows the probability of survival, where 1.0 corresponds to 100 percent.

PTMA is validated prognostic, high expression is unfavorable in Liver Hepatocellular Carcinoma (TCGA)


Stage:


Survival analysis
Current cut offi

Current cut-off shows the cut-off (FPKM) currently selected. It may be changed manually. When the current cut-off is changed, the vertical dashed line indicating cut-off, the interactive survival scatter plot and the Kaplan-Meier curve will be automatically adjusted to show results accordingly.

:
Best expression cut offi

Based on the FPKM value of each gene, patients were classified into two groups and association between prognosis (survival) and gene expression (FPKM) was examined. The best expression cut-off refers the FPKM value that yields maximal difference with regard to survival between the two groups at the lowest log-rank P-value. Best expression cut-off was selected based on survival analysis .

When clicking on this number, the vertical dashed line indicating cut-off, the interactive survival plot, and the Kaplan-Meier curve will be adjusted to show results based on the best expression cut-off.

: 925
Median expressioni

Median expression refers to the median FPKM value calculated based on the gene expression (FPKM) data from all patients in this dataset. When clicking on this number, the vertical dashed line indicating cut-off, the interactive survival plot, and the Kaplan-Meier curve will be adjusted to show results based on the median expression.

: N/A
Median follow up timei

Median follow up time refers to the median time (years) after diagnosis with this type of cancer, based on clinical data from all patients in this dataset.

: N/A
P scorei

Log-rank P value for Kaplan-Meier plot showing results from analysis of correlation between mRNA expression level and patient survival.

N/A
5-year survival highi

5-year survival for patients with higher expression than the expression cutoff.

For melanoma and glioma, 3-year survival is shown.

N/A
5-year survival lowi

5-year survival for patients with lower expression than the expression cutoff.

For melanoma and glioma, 3-year survival is shown.

N/A
TCGA RNA samplesi

RNA-seq data is reported as average FPKM (number Fragments Per Kilobase of exon per Million reads), generated by the The Cancer Genome Atlas (TCGA) .

Normal distribution across the dataset is visualized with box plots, shown as median and 25th and 75th percentiles. Points are displayed as outliers if they are above or below 1.5 times the interquartile range. FPKM values of the individual samples are presented next to the box plot.

Average pTPM 717.0
Number of samples 362
Samples
Sample Description pTPM
TCGA-CC-A1HT-01A 50 years, male, asian, stage:Stage IIIA, dead, 101 days 2684.0
TCGA-DD-AA3A-01A 81 years, female, white, stage:Stage I, dead, 410 days 2603.0
TCGA-CC-A3MA-01A 61 years, male, asian, stage:Stage IIIA, dead, 303 days 2164.8
TCGA-CC-5263-01A 35 years, male, asian, stage:Stage IIIA, dead, 129 days 2034.0
TCGA-ED-A5KG-01A 60 years, female, asian, stage:Stage II, alive, 854 days 1966.1
TCGA-DD-AACH-01A 69 years, male, asian, stage:Stage II, dead, 195 days 1812.9
TCGA-CC-A5UD-01A 45 years, male, asian, stage:Stage IIIA, dead, 304 days 1803.9
TCGA-CC-A7IJ-01A 56 years, male, asian, stage:Stage II, alive, 382 days 1689.6
TCGA-CC-A3M9-01A 45 years, male, asian, stage:Stage IIIA, dead, 300 days 1679.8
TCGA-YA-A8S7-01A 68 years, male, white, stage:Stage IIIA, dead, 412 days 1651.5
TCGA-DD-AADW-01A 48 years, male, asian, stage:Stage I, alive, 587 days 1517.8
TCGA-CC-A7IK-01A 59 years, male, asian, stage:Stage IIIA, dead, 262 days 1510.6
TCGA-G3-A7M6-01A 60 years, female, white, stage:Stage I, alive, 632 days 1510.0
TCGA-CC-A8HS-01A 18 years, male, asian, stage:Stage IIIC, dead, 300 days 1480.0
TCGA-ED-A97K-01A 54 years, male, asian, stage:Stage IIIA, alive, 6 days 1463.9
TCGA-ED-A7PX-01A 48 years, female, asian, stage:Stage II, alive, 6 days 1445.3
TCGA-G3-A7M9-01A 70 years, male, white, stage:Stage IIIB, dead, 56 days 1395.5
TCGA-G3-A25Y-01A 52 years, female, asian, stage:Stage I, dead, 452 days 1379.4
TCGA-BC-A3KG-01A 68 years, female, white, stage:Stage II, alive, 680 days 1374.0
TCGA-BC-A112-01A 80 years, male, white, stage:'--, dead, 153 days 1371.1
TCGA-ZP-A9CZ-01A 72 years, male, asian, stage:'--, alive, 706 days 1353.9
TCGA-G3-AAV7-01A 38 years, male, asian, stage:Stage II, alive, 361 days 1334.1
TCGA-K7-AAU7-01A 61 years, male, white, stage:Stage II, alive, 359 days 1330.0
TCGA-CC-5261-01A 44 years, male, asian, stage:Stage II, dead, 97 days 1307.1
TCGA-WX-AA44-01A 64 years, female, white, stage:Stage I, alive, 615 days 1281.9
TCGA-UB-A7MB-01A 24 years, male, white, stage:Stage II, alive, 601 days 1273.1
TCGA-DD-A114-01A 42 years, male, black or african american, stage:Stage II, dead, 1149 days 1266.2
TCGA-FV-A3I0-01A 76 years, female, white, stage:Stage II, alive, 848 days 1252.8
TCGA-CC-A7IG-01A 47 years, male, asian, stage:Stage II, dead, 299 days 1249.3
TCGA-G3-A25X-01A 73 years, male, asian, stage:Stage II, alive, 1779 days 1245.0
TCGA-2Y-A9H2-01A 64 years, female, white, stage:Stage I, alive, 1731 days 1243.4
TCGA-BC-A8YO-01A 66 years, female, white, stage:Stage IIIC, alive, 562 days 1242.6
TCGA-G3-AAV6-01A 53 years, female, white, stage:Stage IIIA, dead, 65 days 1227.9
TCGA-CC-5260-01A 61 years, female, asian, stage:Stage IIIC, dead, 87 days 1193.7
TCGA-ED-A8O5-01A 59 years, female, asian, stage:Stage IIIA, alive, 406 days 1181.8
TCGA-ZP-A9D2-01A 51 years, male, white, stage:'--, dead, 765 days 1166.2
TCGA-DD-AACL-01A 66 years, female, asian, stage:Stage I, dead, 107 days 1159.3
TCGA-BC-A217-01A 75 years, female, white, stage:Stage II, dead, 1397 days 1154.3
TCGA-DD-AAD8-01A 73 years, female, asian, stage:Stage I, alive, 1219 days 1142.3
TCGA-G3-A5SJ-01A 59 years, male, white, stage:Stage I, alive, 698 days 1137.3
TCGA-G3-A25T-01A 45 years, female, white, stage:Stage IIIA, alive, 1553 days 1111.8
TCGA-CC-A8HT-01A 74 years, male, asian, stage:Stage IIIA, dead, 140 days 1094.6
TCGA-DD-AACB-01A 74 years, female, asian, stage:Stage I, alive, 2324 days 1093.8
TCGA-RC-A7S9-01A 47 years, female, asian, stage:Stage I, alive, 640 days 1093.4
TCGA-KR-A7K8-01A 57 years, male, stage:Stage I, alive, 906 days 1084.2
TCGA-WX-AA47-01A 33 years, female, white, stage:Stage IIIA, dead, 556 days 1077.9
TCGA-DD-A1EH-01A 23 years, male, white, stage:Stage III, alive, 1495 days 1074.9
TCGA-BC-A10W-01A 50 years, male, asian, stage:'--, dead, 91 days 1074.4
TCGA-DD-AACF-01A 68 years, male, asian, stage:Stage I, dead, 365 days 1063.0
TCGA-CC-A3MB-01A 36 years, male, asian, stage:Stage IIIA, dead, 315 days 1062.5
TCGA-5C-A9VG-01A 58 years, male, white, stage:Stage II, alive, 328 days 1050.4
TCGA-DD-AAED-01A 51 years, male, asian, stage:Stage I, alive, 763 days 1047.1
TCGA-BC-A216-01A 62 years, female, white, stage:Stage IIIA, alive, 1351 days 1032.7
TCGA-CC-A3MC-01A 54 years, male, asian, stage:Stage IIIA, alive, 363 days 1023.7
TCGA-DD-A1EG-01A 76 years, male, white, stage:Stage I, dead, 1372 days 1018.6
TCGA-DD-AAC8-01A 72 years, male, asian, stage:Stage I, dead, 16 days 1017.3
TCGA-DD-AAVS-01A 56 years, male, asian, stage:Stage I, alive, 1823 days 1009.3
TCGA-FV-A3R2-01A 75 years, male, white, stage:Stage I, dead, 194 days 999.6
TCGA-CC-5258-01A 48 years, male, asian, stage:Stage II, dead, 129 days 994.2
TCGA-EP-A2KA-01A 52 years, female, white, stage:Stage IIIA, dead, 627 days 992.1
TCGA-XR-A8TG-01A 58 years, male, white, stage:Stage I, alive, 898 days 984.4
TCGA-G3-A5SI-01A 44 years, male, asian, stage:Stage II, dead, 768 days 983.3
TCGA-FV-A3I1-01A 81 years, female, white, stage:Stage II, dead, 247 days 979.3
TCGA-DD-AACN-01A 32 years, male, asian, stage:Stage I, alive, 1302 days 975.6
TCGA-UB-A7MF-01A 56 years, male, white, stage:Stage IIIA, dead, 214 days 974.5
TCGA-CC-A5UE-01A 48 years, male, asian, stage:Stage IIIB, dead, 272 days 969.4
TCGA-DD-A39Y-01A 67 years, male, asian, stage:Stage I, dead, 171 days 961.6
TCGA-FV-A4ZQ-01A 52 years, male, white, stage:Stage I, alive, 12 days 958.8
TCGA-PD-A5DF-01A 58 years, female, white, stage:Stage IIIB, dead, 639 days 957.7
TCGA-DD-A73E-01A 66 years, male, white, stage:Stage I, alive, 44 days 952.8
TCGA-DD-A1EC-01A 20 years, female, white, stage:Stage I, alive, 602 days 945.6
TCGA-GJ-A3OU-01A 59 years, male, white, stage:Stage I, alive, 879 days 944.7
TCGA-DD-A4NJ-01A 54 years, female, white, stage:Stage II, alive, 928 days 942.7
TCGA-DD-AAD5-01A 54 years, male, asian, stage:Stage I, alive, 1345 days 936.7
TCGA-ED-A82E-01A 60 years, female, asian, stage:Stage IIIA, alive, 408 days 935.5
TCGA-UB-AA0U-01A 60 years, male, white, stage:Stage II, alive, 327 days 927.9
TCGA-BC-A10R-01A 66 years, female, white, stage:'--, dead, 308 days 925.0
TCGA-DD-AAE0-01A 45 years, female, asian, stage:Stage IIIA, alive, 555 days 923.3
TCGA-2Y-A9H0-01A 49 years, male, white, stage:Stage IIIA, alive, 3675 days 921.8
TCGA-DD-AACP-01A 64 years, male, asian, stage:Stage I, alive, 415 days 916.4
TCGA-2Y-A9GS-01A 58 years, male, white, stage:'--, dead, 724 days 912.8
TCGA-XR-A8TE-01A 16 years, male, white, stage:Stage IIIA, alive, 925 days 911.8
TCGA-DD-A1EL-01A 23 years, male, black or african american, stage:Stage II, dead, 415 days 890.5
TCGA-DD-AADI-01A 43 years, female, asian, stage:Stage I, alive, 1085 days 886.7
TCGA-RG-A7D4-01A 69 years, male, black or african american, stage:Stage II, alive, 1098 days 884.0
TCGA-DD-AADB-01A 51 years, male, asian, stage:Stage I, alive, 1242 days 883.7
TCGA-CC-5264-01A 71 years, male, asian, stage:Stage IIIA, dead, 102 days 877.2
TCGA-DD-A4NA-01A 67 years, female, white, stage:Stage IIIC, alive, 1008 days 875.3
TCGA-CC-5262-01A 67 years, male, asian, stage:Stage IIIC, dead, 103 days 871.9
TCGA-BD-A2L6-01A 69 years, male, white, stage:'--, alive, 1363 days 868.2
TCGA-MR-A8JO-01A 34 years, male, white, stage:Stage I, alive, 330 days 867.6
TCGA-DD-A4NS-01A 61 years, female, white, stage:Stage I, dead, 2456 days 854.9
TCGA-CC-A8HV-01A 51 years, female, asian, stage:Stage II, dead, 279 days 853.8
TCGA-GJ-A6C0-01A 75 years, female, white, stage:Stage II, dead, 31 days 850.3
TCGA-DD-AADP-01A 45 years, male, asian, stage:Stage I, alive, 458 days 846.7
TCGA-DD-A3A9-01A 64 years, female, white, stage:Stage IVB, dead, 931 days 846.2
TCGA-MI-A75H-01A 77 years, male, white, stage:'--, alive, 747 days 845.7
TCGA-2Y-A9GY-01A 64 years, female, white, stage:Stage II, dead, 757 days 844.2
TCGA-WQ-A9G7-01A 71 years, female, white, stage:'--, alive, 30 days 841.5
TCGA-DD-AAEA-01A 65 years, male, asian, stage:Stage I, alive, 575 days 840.2
TCGA-DD-AAVQ-01A 38 years, male, asian, stage:Stage I, alive, 2728 days 824.1
TCGA-DD-AAVP-01A 48 years, male, asian, stage:Stage I, alive, 2752 days 823.0
TCGA-CC-A8HU-01A 39 years, female, asian, stage:Stage IIIA, dead, 344 days 822.4
TCGA-DD-A39V-01A 77 years, male, white, stage:Stage II, dead, 643 days 822.0
TCGA-BC-A5W4-01A 69 years, male, white, stage:Stage IIIA, dead, 547 days 820.6
TCGA-DD-A4NH-01A 65 years, female, white, stage:Stage IIIB, alive, 917 days 814.7
TCGA-EP-A3RK-01A 73 years, male, white, stage:Stage IIIA, alive, 363 days 812.6
TCGA-DD-AAD1-01A 51 years, female, asian, stage:Stage I, alive, 564 days 807.3
TCGA-DD-AAVW-01A 35 years, male, asian, stage:Stage I, alive, 2317 days 806.8
TCGA-DD-AACZ-01A 63 years, female, asian, stage:Stage I, dead, 171 days 805.5
TCGA-BC-A10Q-01A 72 years, female, white, stage:'--, dead, 1135 days 800.2
TCGA-CC-A7II-01A 54 years, male, asian, stage:Stage IIIA, alive, 399 days 795.9
TCGA-5R-AA1D-01A 17 years, female, white, stage:Stage IIIA, alive, 449 days 794.7
TCGA-DD-AACS-01A 39 years, male, asian, stage:Stage I, alive, 1804 days 792.5
TCGA-CC-A123-01A 24 years, female, asian, stage:Stage IIIA, alive, 219 days 792.0
TCGA-CC-A7IF-01A 59 years, male, asian, stage:Stage IIIA, dead, 649 days 790.9
TCGA-FV-A23B-01A 70 years, female, white, stage:Stage II, dead, 1852 days 789.0
TCGA-DD-AAVR-01A 44 years, male, asian, stage:Stage I, alive, 2513 days 787.0
TCGA-ZS-A9CF-01A 64 years, male, white, stage:Stage II, alive, 2412 days 785.3
TCGA-MI-A75I-01A 61 years, male, black or african american, stage:'--, alive, 630 days 784.2
TCGA-G3-A3CH-01A 53 years, male, asian, stage:Stage IIIA, alive, 780 days 780.3
TCGA-DD-A115-01A 53 years, male, white, stage:Stage IIIA, dead, 2542 days 775.9
TCGA-DD-AAD0-01A 73 years, female, asian, stage:Stage I, alive, 137 days 768.7
TCGA-G3-AAV2-01A 50 years, male, white, stage:Stage I, alive, 372 days 767.0
TCGA-DD-A4NE-01A 75 years, female, white, stage:Stage IIIA, dead, 660 days 765.5
TCGA-G3-A25S-01A 64 years, male, white, stage:Stage I, dead, 416 days 761.4
TCGA-UB-A7MA-01A 62 years, female, white, stage:Stage II, alive, 848 days 759.7
TCGA-DD-AAE6-01A 59 years, female, asian, stage:Stage I, alive, 141 days 755.5
TCGA-DD-AACG-01A 52 years, male, asian, stage:Stage II, dead, 469 days 755.4
TCGA-ED-A627-01A 74 years, male, white, stage:Stage I, alive, 423 days 754.4
TCGA-5C-A9VH-01A 70 years, male, white, stage:Stage I, alive, 322 days 747.1
TCGA-CC-A7IH-01A 58 years, male, asian, stage:Stage IIIA, alive, 365 days 745.4
TCGA-BC-A69H-01A 64 years, male, white, stage:Stage II, alive, 444 days 742.0
TCGA-DD-AADQ-01A 59 years, male, asian, stage:Stage II, alive, 436 days 737.8
TCGA-CC-A7IE-01A 57 years, male, asian, stage:Stage IIIA, dead, 217 days 731.4
TCGA-ED-A7PY-01A 20 years, female, asian, stage:Stage II, alive, 390 days 730.7
TCGA-DD-AADV-01A 50 years, male, asian, stage:Stage I, alive, 574 days 726.2
TCGA-G3-A25U-01A 63 years, female, asian, stage:Stage I, alive, 1636 days 719.1
TCGA-DD-AADY-01A 55 years, female, asian, stage:Stage I, alive, 555 days 716.2
TCGA-LG-A6GG-01A 79 years, female, white, stage:Stage II, alive, 387 days 715.2
TCGA-ED-A7PZ-01A 61 years, male, asian, stage:Stage II, alive, 6 days 710.5
TCGA-2Y-A9H4-01A 68 years, male, black or african american, stage:Stage I, alive, 1452 days 707.6
TCGA-BC-A10Y-01A 76 years, male, white, stage:'--, dead, 711 days 704.5
TCGA-DD-AACW-01A 43 years, male, asian, stage:Stage I, alive, 1424 days 703.7
TCGA-DD-AADG-01A 70 years, male, asian, stage:Stage IIIA, alive, 1145 days 702.3
TCGA-DD-AACA-01A 65 years, male, asian, stage:Stage I, alive, 2301 days 699.6
TCGA-DD-AAW3-01A 69 years, male, asian, stage:Stage I, alive, 1633 days 699.0
TCGA-DD-AADD-01A 51 years, male, asian, stage:Stage I, alive, 1231 days 697.0
TCGA-KR-A7K2-01A 64 years, male, white, stage:Stage I, alive, 829 days 688.1
TCGA-DD-AACV-01A 53 years, male, asian, stage:Stage I, alive, 1531 days 687.5
TCGA-DD-AAVY-01A 56 years, male, asian, stage:Stage IIIA, alive, 1970 days 686.1
TCGA-DD-AAVV-01A 56 years, male, asian, stage:Stage II, alive, 2455 days 684.2
TCGA-5C-AAPD-01A 61 years, male, asian, stage:Stage II, alive, 20 days 683.1
TCGA-FV-A2QR-01A 75 years, male, white, stage:Stage I, dead, 581 days 673.0
TCGA-XR-A8TF-01A 74 years, male, white, stage:Stage I, dead, 693 days 670.4
TCGA-UB-A7ME-01A 51 years, male, asian, stage:Stage I, alive, 486 days 669.7
TCGA-2Y-A9GX-01A 68 years, male, white, stage:Stage I, alive, 2442 days 666.4
TCGA-BC-A10U-01A 69 years, male, white, stage:'--, dead, 837 days 665.9
TCGA-DD-A118-01A 77 years, female, white, stage:Stage II, alive, 3437 days 656.5
TCGA-ED-A8O6-01A 50 years, female, asian, stage:Stage IIIA, dead, 56 days 655.6
TCGA-GJ-A9DB-01A 68 years, male, white, stage:Stage I, dead, 67 days 653.8
TCGA-G3-AAUZ-01A 48 years, male, stage:Stage I, alive, 480 days 652.8
TCGA-BW-A5NO-01A 50 years, male, black or african american, stage:Stage IIIA, alive, 20 days 652.3
TCGA-DD-AADA-01A 66 years, female, asian, stage:Stage I, alive, 1233 days 652.1
TCGA-ED-A7XP-01A 53 years, female, asian, stage:Stage II, alive, 400 days 651.4
TCGA-ZP-A9D0-01A 67 years, female, black or african american, stage:'--, alive, 1091 days 650.4
TCGA-DD-A4NF-01A 72 years, male, white, stage:Stage I, alive, 942 days 650.2
TCGA-CC-A9FS-01A 55 years, male, asian, stage:Stage II, alive, 211 days 649.0
TCGA-QA-A7B7-01A 48 years, male, black or african american, stage:Stage II, alive, 94 days 645.9
TCGA-RC-A6M6-01A 75 years, male, white, stage:Stage II, alive, 9 days 644.4
TCGA-G3-A5SL-01A 70 years, male, white, stage:Stage II, alive, 621 days 643.5
TCGA-DD-A4NQ-01A 60 years, male, white, stage:Stage II, dead, 373 days 642.5
TCGA-DD-A39X-01A 78 years, female, white, stage:Stage I, dead, 1694 days 640.1
TCGA-KR-A7K7-01A 61 years, female, white, stage:Stage II, alive, 951 days 639.6
TCGA-ED-A459-01A 47 years, male, asian, stage:Stage II, alive, 910 days 639.4
TCGA-CC-5259-01A 60 years, female, asian, stage:Stage IIIC, alive, 250 days 638.0
TCGA-EP-A2KC-01A 62 years, male, black or african american, stage:Stage I, dead, 19 days 636.4
TCGA-DD-A4NR-01A 85 years, female, white, stage:Stage I, dead, 9 days 635.9
TCGA-DD-AADC-01A 53 years, male, asian, stage:Stage I, dead, 425 days 632.2
TCGA-DD-A1EJ-01A 71 years, female, white, stage:Stage IIIC, dead, 1005 days 627.9
TCGA-DD-AAVZ-01A 38 years, male, asian, stage:Stage I, alive, 1900 days 626.3
TCGA-G3-AAV4-01A 83 years, female, white, stage:Stage I, dead, 27 days 624.1
TCGA-DD-AAEE-01A 55 years, male, asian, stage:Stage I, alive, 810 days 623.0
TCGA-2Y-A9HA-01A 70 years, male, white, stage:Stage II, dead, 36 days 622.3
TCGA-DD-AAE9-01A 69 years, male, asian, stage:Stage I, alive, 722 days 622.1
TCGA-2Y-A9GV-01A 54 years, female, white, stage:Stage I, dead, 2532 days 619.0
TCGA-G3-A25Z-01A 58 years, male, asian, stage:Stage I, alive, 655 days 617.1
TCGA-DD-AAD2-01A 66 years, male, asian, stage:Stage I, alive, 658 days 615.7
TCGA-ZS-A9CD-01A 73 years, male, white, stage:Stage II, dead, 1386 days 615.6
TCGA-DD-AACY-01A 61 years, male, asian, stage:Stage I, alive, 1450 days 613.5
TCGA-XR-A8TD-01A 49 years, female, white, stage:Stage IIIB, alive, 1030 days 613.2
TCGA-DD-AAEK-01A 51 years, male, asian, stage:Stage II, alive, 1067 days 607.3
TCGA-EP-A26S-01A 70 years, male, white, stage:Stage I, alive, 608 days 599.1
TCGA-DD-AAEH-01A 73 years, male, asian, stage:Stage I, alive, 784 days 598.6
TCGA-BD-A3EP-01A 75 years, female, black or african american, stage:Stage I, alive, 409 days 596.0
TCGA-G3-AAV3-01A 58 years, female, white, stage:Stage II, alive, 412 days 595.6
TCGA-DD-A1EF-01A 57 years, female, white, stage:Stage I, dead, 394 days 595.6
TCGA-FV-A3R3-01A 38 years, female, white, stage:Stage I, dead, 366 days 594.6
TCGA-BC-A10Z-01A 62 years, female, white, stage:Stage I, dead, 34 days 593.1
TCGA-DD-A4NN-01A 56 years, female, white, stage:Stage I, dead, 899 days 591.6
TCGA-DD-AACO-01A 40 years, male, asian, stage:Stage I, alive, 1876 days 591.0
TCGA-ED-A66Y-01A 51 years, female, asian, stage:Stage IIIA, dead, 296 days 590.6
TCGA-2Y-A9GW-01A 64 years, male, white, stage:Stage I, dead, 1271 days 590.3
TCGA-DD-AACK-01A 70 years, male, asian, stage:Stage I, alive, 9 days 584.8
TCGA-4R-AA8I-01A 66 years, male, white, stage:Stage II, dead, 262 days 583.6
TCGA-ZP-A9D1-01A 56 years, female, white, stage:'--, alive, 21 days 582.5
TCGA-DD-A73F-01A 77 years, female, white, stage:Stage I, alive, 1085 days 581.7
TCGA-2Y-A9H7-01A 81 years, female, white, stage:Stage I, alive, 1168 days 580.7
TCGA-DD-AAVU-01A 46 years, male, asian, stage:Stage II, alive, 2202 days 576.8
TCGA-HP-A5MZ-01A 78 years, male, stage:Stage I, dead, 91 days 575.6
TCGA-G3-A3CG-01A 80 years, male, white, stage:Stage I, alive, 673 days 574.1
TCGA-DD-A4NB-01A 25 years, male, white, stage:Stage I, alive, 989 days 572.1
TCGA-G3-AAV0-01A 58 years, male, asian, stage:Stage I, alive, 476 days 571.6
TCGA-DD-AADL-01A 58 years, male, asian, stage:Stage I, alive, 636 days 567.8
TCGA-2Y-A9H5-01A 59 years, female, white, stage:Stage I, dead, 555 days 567.1
TCGA-DD-AAE1-01A 52 years, male, asian, stage:Stage I, alive, 552 days 565.3
TCGA-DD-AADM-01A 58 years, male, asian, stage:Stage II, dead, 12 days 565.2
TCGA-DD-AADR-01A 58 years, male, asian, stage:Stage I, alive, 2028 days 563.1
TCGA-DD-AACI-01A 69 years, male, asian, stage:Stage II, alive, 1618 days 562.5
TCGA-K7-A5RG-01A 66 years, male, black or african american, stage:Stage I, alive, 519 days 561.3
TCGA-UB-A7MC-01A 59 years, male, white, stage:Stage IIIA, alive, 500 days 557.7
TCGA-DD-A3A6-01A 72 years, female, white, stage:Stage II, dead, 3258 days 555.6
TCGA-CC-A5UC-01A 63 years, male, asian, stage:Stage IIIA, dead, 347 days 555.1
TCGA-DD-A73A-01A 71 years, male, white, stage:Stage I, alive, 728 days 553.2
TCGA-G3-AAV5-01A 67 years, male, white, stage:Stage II, alive, 354 days 551.5
TCGA-DD-AAE4-01A 49 years, female, asian, stage:Stage I, alive, 608 days 550.7
TCGA-DD-AADO-01A 55 years, male, asian, stage:Stage I, alive, 453 days 548.3
TCGA-BC-A10S-01A 81 years, male, white, stage:'--, dead, 1423 days 548.0
TCGA-KR-A7K0-01A 65 years, male, white, stage:Stage I, dead, 65 days 543.4
TCGA-BC-A10T-01A 76 years, male, white, stage:'--, dead, 837 days 543.3
TCGA-DD-AACC-01A 61 years, male, asian, stage:Stage I, dead, 1685 days 540.1
TCGA-DD-A4NV-01A 61 years, male, white, stage:Stage IIIA, alive, 2398 days 539.9
TCGA-DD-A1EI-01A 46 years, male, asian, stage:Stage I, alive, 183 days 538.6
TCGA-5R-AA1C-01A 57 years, male, white, stage:Stage II, alive, 520 days 538.3
TCGA-RC-A6M4-01A 74 years, female, white, stage:Stage IIIA, alive, 22 days 538.1
TCGA-DD-AACQ-01A 50 years, male, asian, stage:Stage II, dead, 432 days 537.2
TCGA-DD-A39Z-01A 43 years, female, stage:Stage II, dead, 601 days 536.5
TCGA-3K-AAZ8-01A 65 years, male, black or african american, stage:Stage IIIB, alive, 396 days 535.9
TCGA-DD-AADN-01A 59 years, male, asian, stage:Stage I, alive, 898 days 535.0
TCGA-EP-A2KB-01A 46 years, female, white, stage:Stage I, dead, 596 days 534.3
TCGA-BC-A69I-01A 69 years, male, white, stage:Stage I, alive, 387 days 533.5
TCGA-2Y-A9HB-01A 66 years, male, stage:Stage I, alive, 260 days 532.6
TCGA-DD-A119-01A 40 years, male, asian, stage:Stage IV, dead, 223 days 531.4
TCGA-DD-A4NO-01A 65 years, male, white, stage:Stage I, alive, 2245 days 530.6
TCGA-DD-AAW2-01A 69 years, male, asian, stage:Stage I, alive, 1855 days 529.1
TCGA-BD-A3ER-01A 62 years, male, white, stage:Stage II, alive, 1115 days 528.9
TCGA-UB-A7MD-01A 67 years, male, black or african american, stage:Stage I, dead, 52 days 524.8
TCGA-DD-A116-01A 68 years, male, asian, stage:Stage IIIA, dead, 1622 days 523.9
TCGA-DD-AAEG-01A 59 years, female, asian, stage:Stage I, alive, 719 days 517.8
TCGA-DD-A3A8-01A 75 years, male, white, stage:Stage II, dead, 11 days 514.3
TCGA-RC-A7SH-01A 42 years, male, asian, stage:Stage II, alive, 468 days 512.5
TCGA-DD-A11C-01A 69 years, male, white, stage:Stage I, alive, 662 days 511.3
TCGA-DD-A73D-01A 68 years, female, white, stage:Stage II, alive, 693 days 509.2
TCGA-DD-AAEI-01A 72 years, male, asian, stage:Stage I, alive, 1531 days 507.4
TCGA-FV-A495-01A 51 years, female, white, stage:Stage II, alive, 1 days 503.8
TCGA-ED-A7XO-01A 29 years, male, asian, stage:Stage IIIA, alive, 427 days 503.6
TCGA-DD-A1EA-01A 68 years, male, asian, stage:Stage II, alive, 2415 days 502.0
TCGA-DD-AACD-01A 48 years, male, asian, stage:Stage I, dead, 381 days 500.0
TCGA-DD-AAW1-01A 55 years, male, asian, stage:Stage IIIA, alive, 1989 days 497.2
TCGA-ZP-A9D4-01A 64 years, female, white, stage:'--, alive, 395 days 495.2
TCGA-2Y-A9H9-01A 70 years, male, white, stage:Stage I, alive, 697 days 494.8
TCGA-ES-A2HS-01A 80 years, male, white, stage:Stage I, dead, 688 days 491.6
TCGA-K7-A6G5-01A 66 years, male, white, stage:Stage I, alive, 512 days 490.8
TCGA-DD-A39W-01A 29 years, female, white, stage:Stage III, dead, 827 days 486.6
TCGA-2Y-A9H6-01A 68 years, female, white, stage:Stage I, alive, 357 days 486.5
TCGA-ZP-A9CV-01A 59 years, male, white, stage:'--, dead, 1088 days 485.8
TCGA-DD-A1EK-01A 64 years, female, white, stage:Stage IVB, dead, 558 days 483.5
TCGA-CC-A9FW-01A 68 years, male, asian, stage:Stage IIIA, alive, 248 days 480.3
TCGA-DD-A1EE-01A 73 years, male, white, stage:Stage IIIA, dead, 349 days 480.1
TCGA-FV-A4ZP-01A 78 years, male, white, stage:Stage IIIA, dead, 2486 days 479.1
TCGA-DD-AADF-01A 64 years, female, asian, stage:Stage I, dead, 115 days 477.2
TCGA-EP-A3JL-01A 76 years, male, white, stage:Stage I, alive, 303 days 476.6
TCGA-BC-A10X-01A 52 years, female, white, stage:Stage IIIA, dead, 770 days 474.6
TCGA-UB-AA0V-01A 69 years, female, white, stage:Stage I, alive, 314 days 473.3
TCGA-MI-A75G-01A 63 years, male, white, stage:Stage II, alive, 698 days 472.6
TCGA-DD-AAD3-01A 43 years, male, asian, stage:Stage I, alive, 1295 days 468.8
TCGA-BC-A110-01A 51 years, female, black or african american, stage:'--, dead, 2116 days 467.2
TCGA-ZS-A9CE-01A 79 years, female, white, stage:Stage II, alive, 1241 days 465.9
TCGA-G3-A25V-01A 68 years, male, white, stage:Stage I, alive, 860 days 465.7
TCGA-LG-A9QC-01A 48 years, male, white, stage:Stage I, alive, 425 days 465.7
TCGA-RC-A7SB-01A 53 years, male, asian, stage:Stage II, alive, 588 days 463.3
TCGA-G3-A5SM-01A 58 years, male, white, stage:Stage II, alive, 520 days 461.6
TCGA-DD-AAD6-01A 66 years, male, asian, stage:Stage IIIA, alive, 672 days 461.4
TCGA-DD-A4ND-01A 56 years, female, white, stage:Stage I, alive, 2746 days 460.5
TCGA-DD-AACX-01A 66 years, male, asian, stage:Stage II, alive, 170 days 457.3
TCGA-DD-AAW0-01A 54 years, male, asian, stage:Stage I, alive, 2015 days 457.1
TCGA-2Y-A9GT-01A 51 years, male, white, stage:Stage I, dead, 1624 days 455.3
TCGA-DD-A113-01A 55 years, female, white, stage:Stage II, alive, 2425 days 454.0
TCGA-ED-A66X-01A 35 years, male, asian, stage:Stage IIIA, alive, 406 days 453.1
TCGA-DD-A11B-01A 73 years, male, white, stage:Stage I, dead, 14 days 451.4
TCGA-2Y-A9H8-01A 85 years, female, white, stage:'--, dead, 633 days 450.1
TCGA-EP-A12J-01A 62 years, male, black or african american, stage:Stage I, alive, 570 days 450.0
TCGA-DD-A3A4-01A 37 years, male, white, stage:Stage IIIA, dead, 612 days 449.2
TCGA-RC-A6M5-01A 20 years, female, white, stage:Stage IVA, alive, 15 days 446.1
TCGA-RC-A7SK-01A 59 years, male, asian, stage:Stage I, alive, 472 days 442.7
TCGA-G3-AAV1-01A 51 years, male, asian, stage:Stage IIIC, dead, 359 days 440.5
TCGA-DD-A3A1-01A 65 years, male, stage:Stage IIIA, dead, 233 days 439.0
TCGA-ZP-A9CY-01A 66 years, female, white, stage:'--, alive, 782 days 436.0
TCGA-FV-A496-01A 84 years, female, white, stage:Stage I, alive, 10 days 433.3
TCGA-DD-A4NI-01A 67 years, male, white, stage:Stage II, alive, 816 days 432.5
TCGA-DD-A4NG-01A 77 years, male, white, stage:Stage IIIA, dead, 802 days 431.1
TCGA-HP-A5N0-01A 90 years, female, stage:'--, dead, 752 days 429.0
TCGA-CC-A7IL-01A 61 years, male, asian, stage:Stage IIIA, dead, 278 days 428.9
TCGA-DD-AAE3-01A 50 years, male, asian, stage:Stage I, alive, 566 days 428.2
TCGA-XR-A8TC-01A 43 years, female, white, stage:Stage I, alive, 1339 days 427.2
TCGA-2Y-A9H3-01A 45 years, male, white, stage:Stage II, alive, 1516 days 426.5
TCGA-DD-AADJ-01A 70 years, female, asian, stage:Stage I, alive, 1066 days 423.8
TCGA-G3-A3CK-01A 61 years, male, asian, stage:Stage I, alive, 585 days 419.2
TCGA-O8-A75V-01A 54 years, male, stage:Stage I, alive, 538 days 419.1
TCGA-FV-A2QQ-01A 80 years, male, white, stage:Stage I, alive, 729 days 416.5
TCGA-DD-A11D-01A 57 years, female, white, stage:Stage I, dead, 1560 days 416.5
TCGA-ED-A4XI-01A 58 years, male, asian, stage:Stage II, alive, 819 days 413.9
TCGA-DD-AAVX-01A 38 years, male, asian, stage:Stage II, alive, 1718 days 410.9
TCGA-DD-A1ED-01A 68 years, male, white, stage:Stage I, alive, 2301 days 410.7
TCGA-MI-A75E-01A 61 years, male, white, stage:Stage IIIC, alive, 507 days 408.2
TCGA-ZS-A9CG-01A 55 years, male, white, stage:Stage II, alive, 341 days 407.8
TCGA-G3-A5SK-01A 58 years, male, white, stage:Stage I, alive, 744 days 407.4
TCGA-DD-AADK-01A 68 years, female, asian, stage:Stage II, alive, 1049 days 404.9
TCGA-RC-A7SF-01A 66 years, male, asian, stage:Stage I, alive, 579 days 400.8
TCGA-5R-AAAM-01A 65 years, female, white, stage:Stage II, dead, 46 days 398.1
TCGA-G3-A7M5-01A 76 years, male, asian, stage:Stage I, alive, 447 days 396.0
TCGA-DD-AACU-01A 59 years, male, asian, stage:Stage I, alive, 1567 days 389.9
TCGA-DD-AAC9-01A 51 years, male, asian, stage:Stage I, alive, 347 days 388.3
TCGA-WX-AA46-01A 61 years, male, white, stage:Stage II, alive, 756 days 386.7
TCGA-G3-A3CI-01A 71 years, male, white, stage:Stage I, alive, 180 days 386.2
TCGA-BC-A3KF-01A 66 years, female, white, stage:Stage I, alive, 8 days 383.9
TCGA-ES-A2HT-01A 54 years, male, black or african american, stage:Stage I, dead, 438 days 383.5
TCGA-G3-A6UC-01A 65 years, male, white, stage:Stage IIIB, alive, 671 days 383.4
TCGA-G3-A7M7-01A 65 years, male, white, stage:Stage I, alive, 361 days 370.5
TCGA-DD-A3A7-01A 67 years, male, stage:Stage IIIB, dead, 419 days 369.8
TCGA-T1-A6J8-01A 68 years, male, white, stage:'--, alive, 23 days 369.1
TCGA-DD-AAE2-01A 51 years, male, asian, stage:Stage I, alive, 638 days 368.8
TCGA-2Y-A9GU-01A 55 years, female, white, stage:Stage I, alive, 1939 days 368.1
TCGA-DD-A3A5-01A 66 years, female, white, stage:Stage III, dead, 3125 days 365.5
TCGA-2Y-A9GZ-01A 82 years, female, white, stage:Stage II, dead, 848 days 356.9
TCGA-WJ-A86L-01A 68 years, female, white, stage:Stage I, alive, 345 days 352.4
TCGA-G3-A7M8-01A 31 years, male, asian, stage:Stage I, alive, 430 days 349.0
TCGA-MI-A75C-01A 64 years, male, white, stage:Stage I, alive, 291 days 348.0
TCGA-DD-AAEB-01A 60 years, male, asian, stage:Stage I, alive, 478 days 347.9
TCGA-DD-A73C-01A 65 years, female, white, stage:Stage IIIA, alive, 701 days 346.4
TCGA-DD-A73B-01A 72 years, female, white, stage:Stage I, dead, 283 days 337.2
TCGA-G3-A3CJ-01A 52 years, male, american indian or alaska native, stage:Stage II, alive, 594 days 326.5
TCGA-DD-A4NK-01A 80 years, female, white, stage:Stage IIIA, dead, 1210 days 325.3
TCGA-LG-A9QD-01A 68 years, male, white, stage:Stage IIIA, alive, 366 days 323.9
TCGA-WQ-AB4B-01A 62 years, male, white, stage:Stage II, alive, 395 days 321.4
TCGA-DD-AACJ-01A 75 years, male, asian, stage:Stage II, alive, 2102 days 320.9
TCGA-K7-A5RF-01A 64 years, male, white, stage:Stage I, alive, 631 days 318.0
TCGA-DD-AACT-01A 69 years, female, asian, stage:Stage I, alive, 1562 days 314.1
TCGA-DD-A4NL-01A 46 years, male, white, stage:Stage I, alive, 1711 days 313.1
TCGA-DD-A4NP-01A 32 years, male, white, stage:Stage I, alive, 3308 days 311.5
TCGA-DD-AACE-01A 62 years, male, asian, stage:Stage I, alive, 2184 days 302.1
TCGA-2Y-A9H1-01A 58 years, male, white, stage:Stage I, dead, 1229 days 301.7
TCGA-DD-A3A3-01A 45 years, male, asian, stage:Stage I, dead, 535 days 294.3
TCGA-NI-A4U2-01A 71 years, male, white, stage:Stage IIIA, dead, 1791 days 267.0
TCGA-DD-AADU-01A 60 years, male, asian, stage:Stage II, alive, 554 days 265.7
TCGA-MR-A520-01A 58 years, male, white, stage:Stage I, alive, 229 days 240.5
TCGA-DD-AAE7-01A 72 years, male, asian, stage:Stage I, alive, 644 days 236.6
TCGA-DD-A3A2-01A 76 years, female, white, stage:Stage I, dead, 2131 days 213.1
TCGA-NI-A8LF-01A 74 years, male, white, stage:Stage I, alive, 799 days 212.3
TCGA-DD-A1EB-01A 72 years, female, stage:Stage I, alive, 2017 days 202.0
TCGA-DD-A73G-01A 73 years, female, white, stage:Stage I, alive, 3478 days 190.8
TCGA-DD-AADS-01A 63 years, male, asian, stage:Stage I, alive, 474 days 186.6
Show allShow less
LIVER HEPATOCELLULAR CARCINOMA (VALIDATION) - Interactive survival scatter ploti

The Survival Scatter plot shows the clinical status (i.e. dead or alive) for all individuals in the patient cohort, based on the same data that underlies the corresponding Kaplan-Meier plots. Patients that are alive at last time for follow-up are shown in blue and patients who have died during the study are shown in red.

The x-axis shows the expression levels (FPKM) of the investigated gene in the tumor tissue at the time of diagnosis. The y-axis shows the follow-up time after diagnosis (years). Both axes are complimented with kernel density curves demonstrating the data density over the axes. The top density plot shows the expression levels (FPKM) distribution among dead (red) and alive patients (blue). The right density plot shows the data density of the survived years of dead patients with high and low expression levels respectively, stratified using the cutoff indicated by the vertical dashed line through the Survival Scatter plot. This cutoff is automatically defined based on the FPKM cutoff that minimizes the p-score. The cutoff can be changed by dragging the vertical line or by entering a cutoff value in the square labeled "Current cut-off".

Under the Survival Scatter plot the p-score landscape (black curve; left axis) is shown together with dead median separation (red curve; right axis). Dead median separation is the difference in median mRNA expression between patients who have died with high and low expression, respectively. It is calculated as follows: median FPKM expression of dead patients with high expression - median FPKM expression of dead patients with low expression. This is intended to aid the user in visually exploring custom cutoffs and the associated p-scores and dead median separation.

Individual patient data is displayed and can be filtered by clicking on one or more of the category buttons on the top of the page. Categories describing expression level and patient information include: high, low, alive, dead, female, male and tumor stages. The scale of the x-axis can be toggled between linear and log-scale by clicking on the "x log" button. Mouse-over function shows TCGA ID, patient information and mRNA expression (FPKM) for each patient.

& Survival analysisi

Kaplan-Meier plots summarize results from analysis of correlation between mRNA expression level and patient survival. Patients were divided based on level of expression into one of the two groups "low" (under cut off) or "high" (over cut off). X-axis shows time for survival (years) and y-axis shows the probability of survival, where 1.0 corresponds to 100 percent.

PTMA is validated prognostic, high expression is unfavorable in Liver Hepatocellular Carcinoma (validation)


Stage:
Survival analysis
Current cut offi

Current cut-off shows the cut-off (FPKM) currently selected. It may be changed manually. When the current cut-off is changed, the vertical dashed line indicating cut-off, the interactive survival scatter plot and the Kaplan-Meier curve will be automatically adjusted to show results accordingly.

:
Best expression cut offi

Based on the FPKM value of each gene, patients were classified into two groups and association between prognosis (survival) and gene expression (FPKM) was examined. The best expression cut-off refers the FPKM value that yields maximal difference with regard to survival between the two groups at the lowest log-rank P-value. Best expression cut-off was selected based on survival analysis .

When clicking on this number, the vertical dashed line indicating cut-off, the interactive survival plot, and the Kaplan-Meier curve will be adjusted to show results based on the best expression cut-off.

: 1172.23
Median expressioni

Median expression refers to the median FPKM value calculated based on the gene expression (FPKM) data from all patients in this dataset. When clicking on this number, the vertical dashed line indicating cut-off, the interactive survival plot, and the Kaplan-Meier curve will be adjusted to show results based on the median expression.

: N/A
Median follow up timei

Median follow up time refers to the median time (years) after diagnosis with this type of cancer, based on clinical data from all patients in this dataset.

: N/A
P scorei

Log-rank P value for Kaplan-Meier plot showing results from analysis of correlation between mRNA expression level and patient survival.

N/A
5-year survival highi

5-year survival for patients with higher expression than the expression cutoff.

For melanoma and glioma, 3-year survival is shown.

N/A
5-year survival lowi

5-year survival for patients with lower expression than the expression cutoff.

For melanoma and glioma, 3-year survival is shown.

N/A
TCGA RNA samplesi

RNA-seq data is reported as average FPKM (number Fragments Per Kilobase of exon per Million reads), generated by the The Cancer Genome Atlas (TCGA) .

Normal distribution across the dataset is visualized with box plots, shown as median and 25th and 75th percentiles. Points are displayed as outliers if they are above or below 1.5 times the interquartile range. FPKM values of the individual samples are presented next to the box plot.

Average pTPM 968.8
Number of samples 231
Samples
Sample Description pTPM
DO45301 56 years, male, NA, stage:2, dead, 1440 days 3758.9
DO45287 74 years, male, NA, stage:1, alive, 390 days 3009.3
DO45299 70 years, female, NA, stage:1, alive, 1440 days 2746.9
DO45297 61 years, female, NA, stage:4, dead, 1260 days 2698.2
DO45185 89 years, male, NA, stage:2, alive, 600 days 2362.9
DO45145 78 years, male, NA, stage:3, dead, 60 days 2175.5
DO45283 60 years, male, NA, stage:3, alive, 510 days 2135.7
DO45211 76 years, male, NA, stage:3, alive, 240 days 2123.4
DO23526 66 years, male, NA, stage:3, alive, 1050 days 2055.3
DO45307 54 years, female, NA, stage:4, dead, 240 days 2054.1
DO50778 60 years, male, NA, stage:4, alive, 630 days 2021.5
DO45277 64 years, male, NA, stage:3, alive, 600 days 1953.0
DO45305 66 years, male, NA, stage:4, alive, 300 days 1948.5
DO50829 78 years, male, NA, stage:3, alive, 570 days 1932.5
DO45263 67 years, male, NA, stage:3, dead, 270 days 1909.8
DO45289 78 years, female, NA, stage:3, alive, 360 days 1881.8
DO45205 67 years, female, NA, stage:2, dead, 90 days 1839.8
DO23516 69 years, male, NA, stage:3, dead, 20 days 1813.5
DO23549 74 years, male, NA, stage:3, alive, 990 days 1812.4
DO45279 67 years, male, NA, stage:3, alive, 1290 days 1778.6
DO45127 73 years, male, NA, stage:3, dead, 420 days 1764.6
DO45245 75 years, female, NA, stage:2, dead, 240 days 1759.7
DO45251 57 years, female, NA, stage:2, alive, 900 days 1752.6
DO45209 70 years, male, NA, stage:4, alive, 1350 days 1724.1
DO23519 65 years, male, NA, stage:3, alive, 630 days 1707.0
DO23530 53 years, male, NA, stage:4, dead, 180 days 1690.1
DO45093 71 years, male, NA, stage:2, dead, 720 days 1637.5
DO23521 63 years, male, NA, stage:3, alive, 1110 days 1621.4
DO50791 79 years, female, NA, stage:1, dead, 480 days 1605.5
DO45249 57 years, male, NA, stage:1, alive, 630 days 1579.8
DO23537 79 years, male, NA, stage:2, dead, 900 days 1572.0
DO45225 69 years, male, NA, stage:1, alive, 1050 days 1568.5
DO48720 62 years, female, NA, stage:2, alive, 570 days 1517.0
DO23547 74 years, male, NA, stage:1, alive, 1020 days 1485.3
DO45253 50 years, male, NA, stage:2, alive, 870 days 1473.2
DO48728 74 years, female, NA, stage:2, alive, 150 days 1461.4
DO45269 59 years, male, NA, stage:3, alive, 750 days 1452.9
DO48717 54 years, male, NA, stage:4, dead, 180 days 1435.7
DO45267 73 years, male, NA, stage:3, dead, 570 days 1414.8
DO23543 63 years, male, NA, stage:2, alive, 1020 days 1404.1
DO45275 65 years, male, NA, stage:3, dead, 10 days 1365.2
DO45139 63 years, male, NA, stage:3, alive, 1320 days 1348.6
DO45237 58 years, male, NA, stage:2, alive, 900 days 1315.1
DO48697 64 years, female, NA, stage:2, dead, 810 days 1311.9
DO45273 62 years, male, NA, stage:2, alive, 480 days 1310.4
DO23524 71 years, female, NA, stage:2, alive, 1050 days 1287.8
DO50800 74 years, male, NA, stage:2, alive, 510 days 1274.7
DO45155 69 years, male, NA, stage:2, alive, 2160 days 1271.9
DO45189 85 years, female, NA, stage:2, alive, 1200 days 1248.3
DO45161 74 years, male, NA, stage:2, dead, 540 days 1200.4
DO45235 68 years, female, NA, stage:1, alive, 900 days 1194.1
DO23523 52 years, male, NA, stage:3, alive, 1080 days 1176.6
DO45193 68 years, female, NA, stage:4, dead, 120 days 1174.4
DO23542 66 years, male, NA, stage:3, alive, 960 days 1170.0
DO50811 62 years, male, NA, stage:1, alive, 450 days 1164.3
DO45157 62 years, male, NA, stage:2, alive, 1980 days 1162.2
DO48747 62 years, male, NA, stage:3, alive, 540 days 1156.6
DO23533 61 years, male, NA, stage:2, alive, 900 days 1139.4
DO50857 72 years, male, NA, stage:2, alive, 210 days 1133.0
DO45125 58 years, male, NA, stage:3, alive, 1680 days 1131.4
DO45285 59 years, male, NA, stage:3, alive, 480 days 1127.1
DO23525 71 years, male, NA, stage:4, alive, 1050 days 1127.0
DO23546 63 years, male, NA, stage:2, alive, 1050 days 1124.1
DO50815 62 years, male, NA, stage:3, alive, 150 days 1123.0
DO45243 74 years, female, NA, stage:3, alive, 930 days 1119.4
DO50806 70 years, male, NA, stage:4, alive, 540 days 1118.8
DO48732 73 years, male, NA, stage:3, alive, 630 days 1112.3
DO45303 62 years, female, NA, stage:3, alive, 990 days 1110.1
DO45103 47 years, male, NA, stage:3, alive, 450 days 1107.6
DO45213 58 years, male, NA, stage:1, alive, 1200 days 1106.4
DO45117 73 years, female, NA, stage:2, dead, 1110 days 1104.6
DO48757 68 years, female, NA, stage:3, alive, 480 days 1104.2
DO45207 68 years, male, NA, stage:1, alive, 1050 days 1090.2
DO50799 66 years, female, NA, stage:2, alive, 540 days 1084.7
DO48733 72 years, male, NA, stage:2, alive, 600 days 1073.3
DO50855 47 years, male, NA, stage:2, alive, 570 days 1060.0
DO48737 52 years, male, NA, stage:1, alive, 720 days 1052.6
DO45131 53 years, male, NA, stage:4, dead, 360 days 1043.2
DO45261 74 years, male, NA, stage:3, alive, 990 days 1026.9
DO23513 76 years, male, NA, stage:3, alive, 1200 days 1018.8
DO23515 71 years, male, NA, stage:2, alive, 1230 days 1017.3
DO45281 83 years, male, NA, stage:4, alive, 750 days 1001.7
DO48723 73 years, male, NA, stage:1, alive, 600 days 995.9
DO23509 60 years, male, NA, stage:3, dead, 780 days 987.8
DO23510 80 years, female, NA, stage:2, alive, 870 days 984.0
DO23514 64 years, male, NA, stage:2, alive, 1290 days 982.0
DO45141 73 years, male, NA, stage:2, alive, 1320 days 981.9
DO45092 62 years, male, NA, stage:4, dead, 1200 days 981.6
DO50809 56 years, male, NA, stage:3, dead, 720 days 979.3
DO45241 49 years, male, NA, stage:1, alive, 1080 days 973.3
DO45259 65 years, male, NA, stage:3, alive, 330 days 972.0
DO45137 38 years, male, NA, stage:1, alive, 1320 days 969.2
DO45153 77 years, female, NA, stage:2, alive, 1380 days 954.3
DO50798 77 years, male, NA, stage:3, dead, 30 days 951.8
DO50819 72 years, female, NA, stage:2, alive, 510 days 944.0
DO45091 56 years, male, NA, stage:2, dead, 1320 days 941.4
DO45217 69 years, female, NA, stage:3, dead, 270 days 933.0
DO45095 66 years, male, NA, stage:2, alive, 1620 days 932.4
DO45231 84 years, male, NA, stage:2, alive, 930 days 928.7
DO23539 77 years, male, NA, stage:1, alive, 1110 days 925.3
DO45123 78 years, female, NA, stage:2, dead, 570 days 925.3
DO50802 49 years, male, NA, stage:2, alive, 930 days 917.1
DO48741 64 years, male, NA, stage:3, alive, 240 days 908.1
DO45165 75 years, male, NA, stage:2, alive, 690 days 906.2
DO45135 77 years, male, NA, stage:1, alive, 1410 days 898.4
DO48682 72 years, female, NA, stage:3, dead, 120 days 896.0
DO45099 46 years, male, NA, stage:3, alive, 1590 days 890.8
DO48712 50 years, male, NA, stage:2, alive, 810 days 886.0
DO48730 73 years, female, NA, stage:2, alive, 630 days 885.7
DO45219 78 years, male, NA, stage:2, alive, 1080 days 879.8
DO45121 61 years, male, NA, stage:3, alive, 1530 days 872.0
DO45239 42 years, male, NA, stage:2, alive, 870 days 862.7
DO50825 70 years, male, NA, stage:2, alive, 390 days 861.6
DO45159 65 years, male, NA, stage:3, alive, 1470 days 859.4
DO45257 46 years, male, NA, stage:3, alive, 810 days 850.3
DO50803 62 years, female, NA, stage:1, alive, 540 days 848.1
DO50807 67 years, male, NA, stage:1, alive, 540 days 833.2
DO23512 60 years, male, NA, stage:1, alive, 1260 days 826.9
DO45183 72 years, female, NA, stage:2, dead, 570 days 823.5
DO48700 78 years, female, NA, stage:2, alive, 810 days 819.7
DO23548 78 years, female, NA, stage:1, alive, 840 days 814.6
DO48704 68 years, female, NA, stage:3, alive, 750 days 813.5
DO50805 72 years, male, NA, stage:2, alive, 690 days 811.7
DO45233 83 years, male, NA, stage:3, alive, 900 days 810.3
DO45223 67 years, male, NA, stage:4, alive, 1020 days 808.6
DO48681 57 years, male, NA, stage:2, alive, 900 days 798.6
DO48706 72 years, male, NA, stage:2, alive, 870 days 789.9
DO50844 75 years, male, NA, stage:4, alive, 300 days 783.0
DO45265 73 years, male, NA, stage:3, alive, 1020 days 772.7
DO45097 69 years, male, NA, stage:3, alive, 1620 days 771.9
DO45221 75 years, female, NA, stage:4, dead, 390 days 765.7
DO50817 75 years, male, NA, stage:2, alive, 390 days 755.0
DO23508 79 years, female, NA, stage:2, alive, 390 days 747.8
DO50859 77 years, male, NA, stage:2, alive, 180 days 746.8
DO48736 76 years, female, NA, stage:1, alive, 600 days 742.8
DO23535 67 years, male, NA, stage:1, alive, 960 days 740.2
DO23528 45 years, female, NA, stage:2, alive, 1020 days 720.7
DO23529 72 years, male, NA, stage:4, alive, 930 days 719.2
DO45203 71 years, female, NA, stage:2, alive, 1170 days 716.5
DO23544 67 years, male, NA, stage:2, alive, 960 days 715.9
DO45187 32 years, female, NA, stage:1, alive, 1260 days 711.3
DO45096 69 years, male, NA, stage:2, dead, 1290 days 711.1
DO45143 69 years, male, NA, stage:3, alive, 1290 days 710.8
DO50814 83 years, male, NA, stage:3, alive, 420 days 708.0
DO48715 58 years, female, NA, stage:2, dead, 690 days 703.5
DO50793 76 years, male, NA, stage:4, alive, 540 days 703.0
DO227801 77 years, female, NA, stage:1, alive, 660 days 702.1
DO45247 31 years, female, NA, stage:2, alive, 210 days 691.0
DO45113 58 years, male, NA, stage:3, alive, 1560 days 690.0
DO48746 76 years, male, NA, stage:3, alive, 570 days 689.1
DO45119 74 years, male, NA, stage:3, dead, 510 days 683.5
DO50820 77 years, female, NA, stage:3, alive, 510 days 683.1
DO50776 75 years, male, NA, stage:1, alive, 690 days 682.7
DO50850 74 years, male, NA, stage:3, alive, 720 days 682.2
DO50785 37 years, male, NA, stage:4, dead, 90 days 680.4
DO48725 66 years, male, NA, stage:1, alive, 780 days 676.0
DO45229 74 years, male, NA, stage:1, alive, 990 days 663.8
DO48743 69 years, female, NA, stage:2, alive, 570 days 655.9
DO50840 49 years, male, NA, stage:2, alive, 330 days 653.5
DO48693 71 years, male, NA, stage:2, alive, 900 days 645.2
DO48719 80 years, male, NA, stage:2, alive, 690 days 644.8
DO23536 56 years, male, NA, stage:2, alive, 930 days 644.2
DO23545 67 years, male, NA, stage:2, dead, 570 days 642.6
DO48761 55 years, male, NA, stage:2, alive, 870 days 633.1
DO45215 65 years, male, NA, stage:2, alive, 1170 days 630.3
DO45169 74 years, male, NA, stage:3, alive, 1350 days 628.7
DO50822 66 years, male, NA, stage:2, alive, 510 days 627.6
DO48701 78 years, male, NA, stage:2, alive, 780 days 621.7
DO50832 73 years, male, NA, stage:3, alive, 90 days 620.0
DO50818 65 years, male, NA, stage:2, alive, 510 days 617.5
DO23511 83 years, female, NA, stage:3, dead, 180 days 607.6
DO23541 65 years, male, NA, stage:2, alive, 930 days 606.7
DO50813 56 years, male, NA, stage:2, alive, 420 days 606.7
DO50808 68 years, male, NA, stage:2, alive, 570 days 606.3
DO45177 81 years, female, NA, stage:3, alive, 1260 days 604.8
DO45163 76 years, male, NA, stage:2, alive, 960 days 596.0
DO45255 81 years, male, NA, stage:3, alive, 720 days 592.5
DO45173 63 years, male, NA, stage:3, alive, 1170 days 588.3
DO45101 63 years, male, NA, stage:2, alive, 1680 days 584.2
DO48677 58 years, male, NA, stage:3, alive, 1140 days 582.2
DO48751 68 years, male, NA, stage:2, dead, 480 days 581.4
DO23532 71 years, female, NA, stage:1, alive, 960 days 571.4
DO48759 73 years, male, NA, stage:3, alive, 720 days 567.2
DO48760 70 years, female, NA, stage:2, alive, 690 days 561.8
DO50804 81 years, male, NA, stage:2, alive, 720 days 561.6
DO45181 84 years, female, NA, stage:2, alive, 1200 days 559.8
DO45201 49 years, male, NA, stage:1, alive, 900 days 558.2
DO45199 86 years, female, NA, stage:2, alive, 1350 days 556.1
DO48672 81 years, male, NA, stage:2, alive, 450 days 553.9
DO45179 78 years, female, NA, stage:2, alive, 600 days 551.9
DO23538 67 years, male, NA, stage:2, alive, 450 days 549.1
DO48742 76 years, male, NA, stage:2, alive, 600 days 547.2
DO48727 81 years, female, NA, stage:2, dead, 390 days 546.1
DO45105 61 years, male, NA, stage:1, alive, 1680 days 536.8
DO48716 71 years, male, NA, stage:2, alive, 720 days 536.8
DO23550 69 years, male, NA, stage:1, alive, 990 days 535.9
DO45115 81 years, male, NA, stage:2, alive, 840 days 535.7
DO45109 63 years, male, NA, stage:2, alive, 1590 days 523.2
DO23551 73 years, male, NA, stage:3, dead, 150 days 517.6
DO23534 60 years, male, NA, stage:2, alive, 840 days 516.6
DO50787 63 years, male, NA, stage:3, alive, 480 days 514.9
DO50783 62 years, male, NA, stage:3, alive, 480 days 514.9
DO23518 67 years, male, NA, stage:2, alive, 1320 days 511.4
DO50816 63 years, male, NA, stage:2, alive, 390 days 498.5
DO23540 73 years, male, NA, stage:1, alive, 750 days 488.7
DO23527 72 years, male, NA, stage:1, alive, 1050 days 484.9
DO48679 72 years, male, NA, stage:2, alive, 1200 days 478.3
DO45133 64 years, male, NA, stage:3, dead, 660 days 477.5
DO227643 79 years, male, NA, stage:2, alive, 1260 days 474.6
DO50789 73 years, female, NA, stage:2, alive, 570 days 463.0
DO45197 51 years, male, NA, stage:2, alive, 1170 days 461.2
DO50774 68 years, female, NA, stage:2, alive, 720 days 453.3
DO45227 57 years, female, NA, stage:2, alive, 1020 days 447.5
DO50845 72 years, male, NA, stage:3, alive, 210 days 447.4
DO45195 62 years, male, NA, stage:1, alive, 390 days 432.1
DO23517 62 years, male, NA, stage:2, alive, 1200 days 426.6
DO45171 56 years, male, NA, stage:3, alive, 600 days 426.5
DO23531 78 years, female, NA, stage:3, alive, 900 days 386.5
DO45175 74 years, male, NA, stage:2, alive, 1140 days 386.0
DO48695 77 years, male, NA, stage:2, alive, 720 days 381.9
DO45149 70 years, female, NA, stage:2, alive, 1260 days 361.5
DO45191 61 years, female, NA, stage:2, alive, 1200 days 358.0
DO23552 80 years, female, NA, stage:1, alive, 810 days 347.3
DO45129 61 years, male, NA, stage:3, alive, 1470 days 346.5
DO48674 80 years, male, NA, stage:2, alive, 1260 days 336.8
DO45111 74 years, male, NA, stage:2, alive, 1590 days 336.4
DO45167 67 years, male, NA, stage:2, dead, 1440 days 310.9
DO50839 47 years, female, NA, stage:3, alive, 330 days 310.5
DO45094 76 years, male, NA, stage:3, alive, 1650 days 303.4
DO45107 63 years, female, NA, stage:2, alive, 1710 days 284.1
DO48721 58 years, female, NA, stage:1, alive, 900 days 224.6
Show allShow less
LIVER HEPATOCELLULAR CARCINOMA - Protein relative expression (CPTAC)
Number of samples 330
Samples
Sample ID Sample type nRPX
131 Tumor 1.7
211 Tumor 1.7
497 Tumor 1.6
743 Tumor 1.6
357 Tumor 1.2
355 Tumor 1.2
411 Tumor 1.0
473 Tumor 1.0
1025 Tumor 1.0
814 Normal 1.0
297 Tumor 1.0
957 Tumor 1.0
917 Tumor 0.9
963 Tumor 0.9
567 Tumor 0.9
517 Tumor 0.9
953 Tumor 0.9
823 Tumor 0.8
813 Tumor 0.8
387 Tumor 0.8
545 Tumor 0.8
1013 Tumor 0.8
535 Tumor 0.8
737 Tumor 0.8
427 Tumor 0.8
965 Tumor 0.8
571 Tumor 0.8
1031 Tumor 0.8
311 Tumor 0.8
527 Tumor 0.8
525 Tumor 0.7
425 Tumor 0.7
951 Tumor 0.7
923 Tumor 0.7
431 Tumor 0.7
724 Normal 0.7
351 Tumor 0.7
661 Tumor 0.7
161 Tumor 0.7
447 Tumor 0.7
943 Tumor 0.6
283 Tumor 0.6
697 Tumor 0.6
695 Tumor 0.6
313 Tumor 0.6
483 Tumor 0.6
343 Tumor 0.6
493 Tumor 0.6
227 Tumor 0.6
433 Tumor 0.6
277 Tumor 0.6
727 Tumor 0.6
983 Tumor 0.6
487 Tumor 0.6
967 Tumor 0.6
977 Tumor 0.5
877 Tumor 0.5
533 Tumor 0.5
443 Tumor 0.5
445 Tumor 0.5
663 Tumor 0.5
573 Tumor 0.5
478 Normal 0.5
1021 Tumor 0.5
536 Normal 0.5
863 Tumor 0.5
715 Tumor 0.4
685 Tumor 0.4
455 Tumor 0.4
492 Normal 0.4
463 Tumor 0.4
171 Tumor 0.4
523 Tumor 0.4
465 Tumor 0.4
671 Tumor 0.4
498 Normal 0.4
721 Tumor 0.4
524 Normal 0.4
975 Tumor 0.4
665 Tumor 0.4
647 Tumor 0.4
615 Tumor 0.4
883 Tumor 0.4
423 Tumor 0.4
861 Tumor 0.4
231 Tumor 0.4
213 Tumor 0.4
444 Normal 0.3
285 Tumor 0.3
185 Tumor 0.3
268 Normal 0.3
223 Tumor 0.3
331 Tumor 0.3
413 Tumor 0.3
361 Tumor 0.3
383 Tumor 0.3
557 Tumor 0.3
865 Tumor 0.3
385 Tumor 0.3
1041 Tumor 0.3
435 Tumor 0.3
191 Tumor 0.3
873 Tumor 0.3
415 Tumor 0.3
785 Tumor 0.3
125 Tumor 0.3
563 Tumor 0.3
267 Tumor 0.3
141 Tumor 0.2
881 Tumor 0.2
817 Tumor 0.2
537 Tumor 0.2
635 Tumor 0.2
966 Normal 0.2
421 Tumor 0.2
393 Tumor 0.2
112 Tumor 0.2
741 Tumor 0.2
471 Tumor 0.2
857 Tumor 0.1
461 Tumor 0.1
713 Tumor 0.1
491 Tumor 0.1
978 Normal 0.1
553 Tumor 0.1
217 Tumor 0.1
367 Tumor 0.1
271 Tumor 0.1
958 Normal 0.1
192 Normal 0.1
434 Normal 0.1
672 Normal 0.1
937 Tumor 0.1
516 Normal 0.1
976 Normal 0.1
195 Tumor 0.1
538 Normal 0.1
716 Normal 0.1
1045 Tumor 0.1
777 Tumor 0.0
867 Tumor 0.0
135 Tumor 0.0
515 Tumor 0.0
375 Tumor 0.0
363 Tumor 0.0
916 Normal 0.0
187 Tumor 0.0
212 Normal 0.0
913 Tumor 0.0
481 Tumor 0.0
467 Tumor 0.0
188 Normal 0.0
137 Tumor 0.0
964 Normal 0.0
744 Normal -0.1
755 Tumor -0.1
641 Tumor -0.1
756 Normal -0.1
488 Normal -0.1
686 Normal -0.1
224 Normal -0.1
146 Normal -0.1
327 Tumor -0.1
666 Normal -0.1
921 Tumor -0.1
391 Tumor -0.1
954 Normal -0.1
341 Tumor -0.1
696 Normal -0.1
364 Normal -0.1
662 Normal -0.1
664 Normal -0.1
353 Tumor -0.1
786 Normal -0.1
451 Tumor -0.1
432 Normal -0.1
261 Tumor -0.1
714 Normal -0.1
384 Normal -0.1
477 Tumor -0.1
778 Normal -0.1
484 Normal -0.2
412 Normal -0.2
518 Normal -0.2
344 Normal -0.2
955 Tumor -0.2
257 Tumor -0.2
472 Normal -0.2
554 Normal -0.2
1032 Normal -0.2
944 Normal -0.2
914 Normal -0.2
924 Normal -0.2
746 Normal -0.2
858 Normal -0.2
386 Normal -0.2
1015 Tumor -0.2
1028 Normal -0.2
147 Tumor -0.2
145 Tumor -0.2
494 Normal -0.2
648 Normal -0.2
395 Tumor -0.2
952 Normal -0.2
1022 Normal -0.2
426 Normal -0.2
546 Normal -0.2
446 Normal -0.3
878 Normal -0.3
1043 Tumor -0.3
126 Normal -0.3
284 Normal -0.3
482 Normal -0.3
352 Normal -0.3
968 Normal -0.3
852 Normal -0.3
938 Normal -0.3
262 Normal -0.3
926 Normal -0.3
526 Normal -0.3
514 Normal -0.3
127 Tumor -0.3
328 Normal -0.3
1044 Normal -0.3
558 Normal -0.3
362 Normal -0.3
1042 Normal -0.3
925 Tumor -0.3
228 Normal -0.3
474 Normal -0.3
745 Tumor -0.3
815 Tumor -0.3
448 Normal -0.3
272 Normal -0.3
918 Normal -0.3
312 Normal -0.3
356 Normal -0.3
462 Normal -0.3
874 Normal -0.3
627 Tumor -0.3
424 Normal -0.3
162 Normal -0.3
984 Normal -0.4
534 Normal -0.4
617 Tumor -0.4
922 Normal -0.4
528 Normal -0.4
123 Tumor -0.4
698 Normal -0.4
1046 Normal -0.4
416 Normal -0.4
628 Normal -0.4
1026 Normal -0.4
738 Normal -0.4
258 Normal -0.4
868 Normal -0.4
221 Tumor -0.4
956 Normal -0.4
138 Normal -0.4
981 Tumor -0.4
428 Normal -0.4
422 Normal -0.4
1014 Normal -0.4
366 Normal -0.4
728 Normal -0.4
864 Normal -0.4
722 Normal -0.4
982 Normal -0.4
392 Normal -0.4
365 Tumor -0.4
396 Normal -0.4
388 Normal -0.4
572 Normal -0.4
286 Normal -0.5
136 Normal -0.5
358 Normal -0.5
394 Normal -0.5
1016 Normal -0.5
298 Normal -0.5
1027 Tumor -0.5
915 Tumor -0.5
354 Normal -0.5
148 Normal -0.5
214 Normal -0.5
456 Normal -0.5
851 Tumor -0.5
414 Normal -0.5
723 Tumor -0.5
172 Normal -0.5
866 Normal -0.5
368 Normal -0.5
912 Normal -0.5
332 Normal -0.5
232 Normal -0.5
142 Normal -0.5
618 Normal -0.5
278 Normal -0.5
862 Normal -0.5
464 Normal -0.6
342 Normal -0.6
124 Normal -0.6
113 Tumor -0.6
884 Normal -0.6
742 Normal -0.6
222 Normal -0.6
114 Normal -0.6
574 Normal -0.6
218 Normal -0.6
824 Normal -0.6
564 Normal -0.6
513 Tumor -0.6
816 Normal -0.6
196 Normal -0.6
186 Normal -0.7
436 Normal -0.7
468 Normal -0.7
882 Normal -0.7
616 Normal -0.7
636 Normal -0.7
568 Normal -0.7
132 Normal -0.7
466 Normal -0.7
911 Tumor -0.7
376 Normal -0.7
642 Normal -0.8
452 Normal -0.8
818 Normal -0.9
111 Normal -0.9
314 Normal -0.9
128 Normal -1.0
Show allShow less
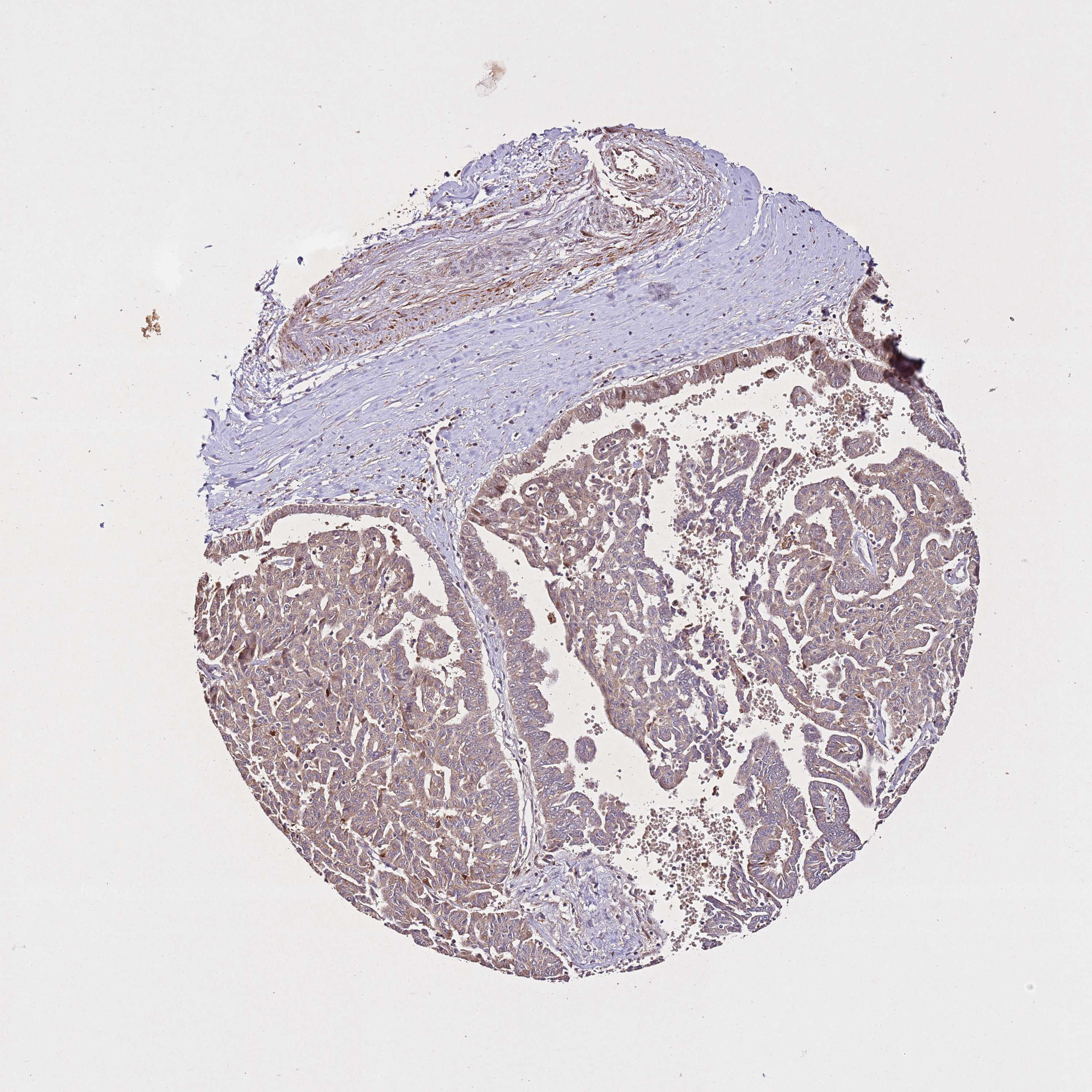
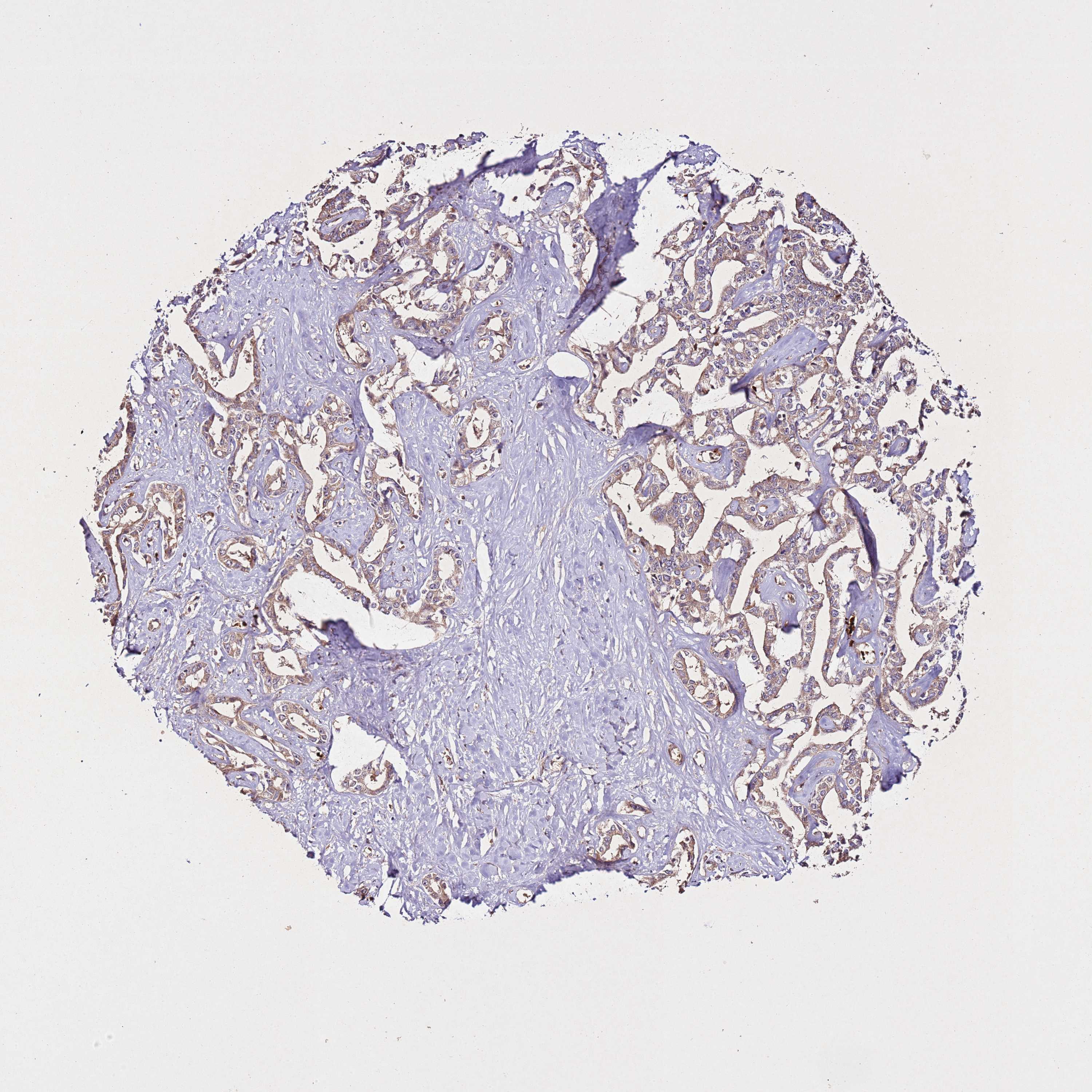
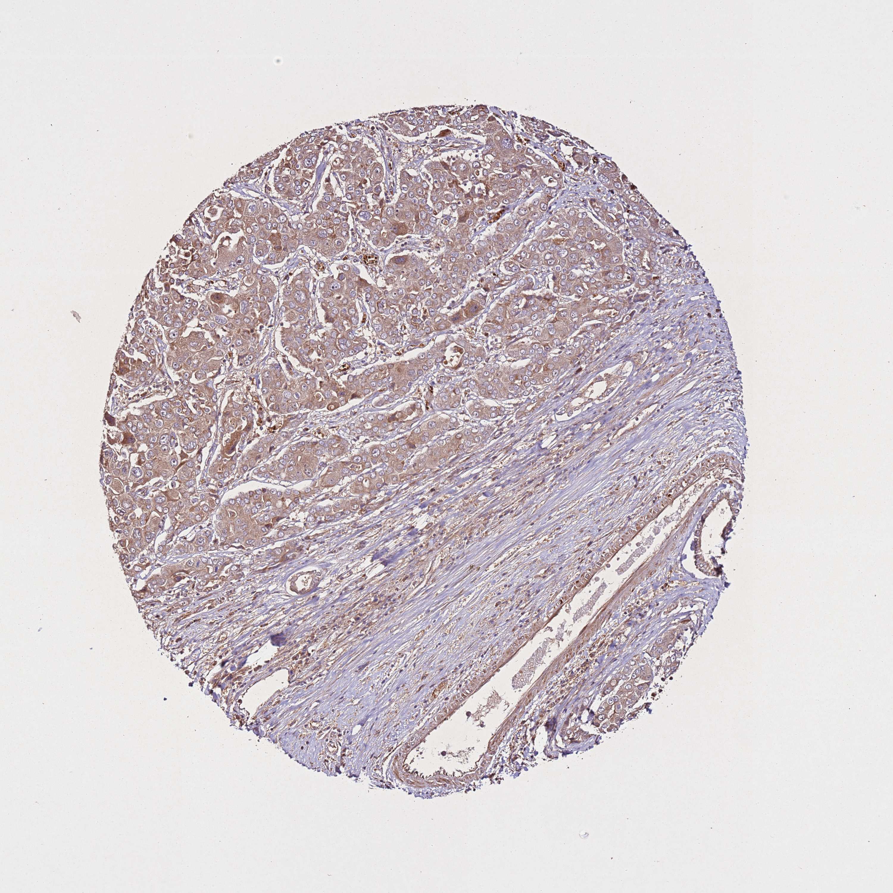
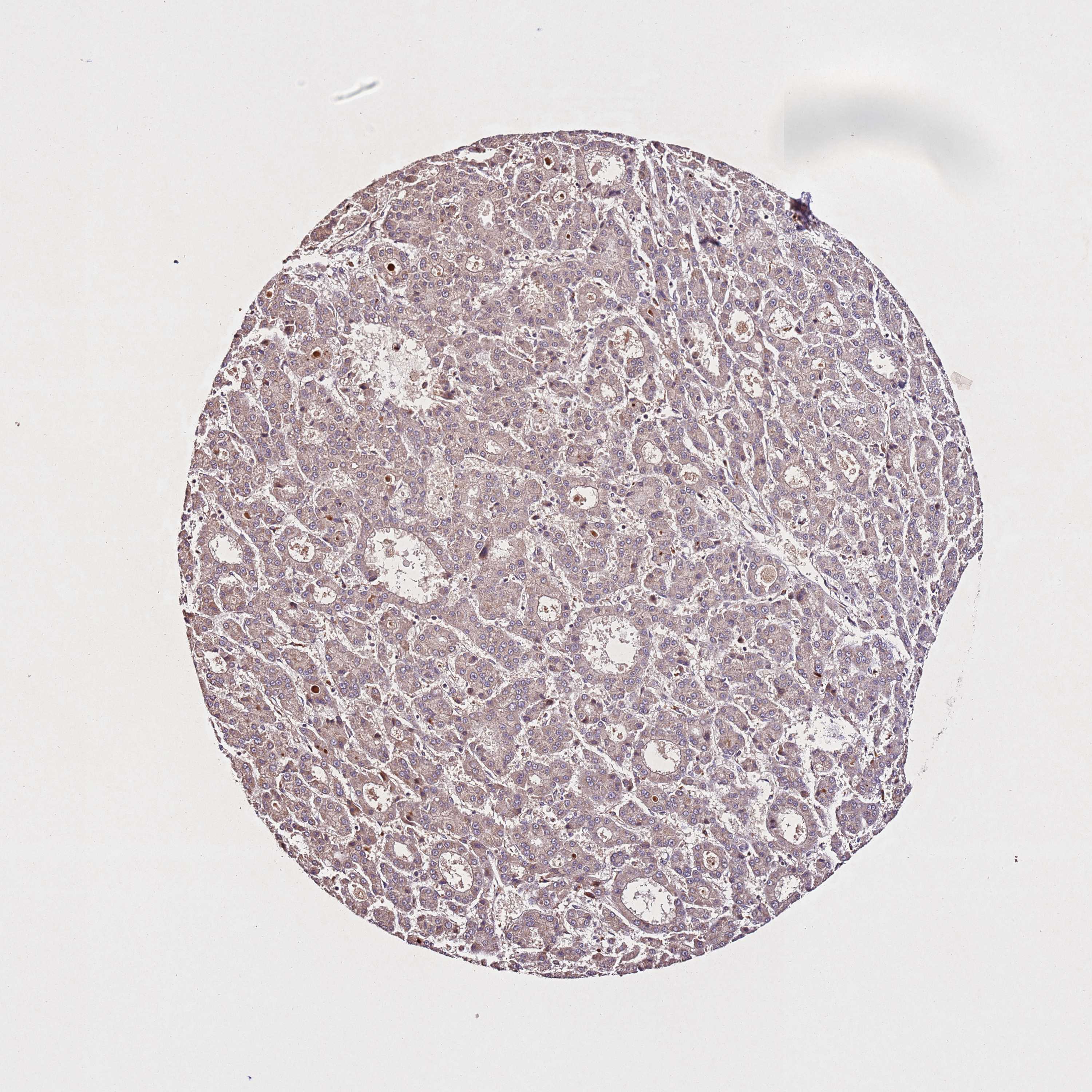
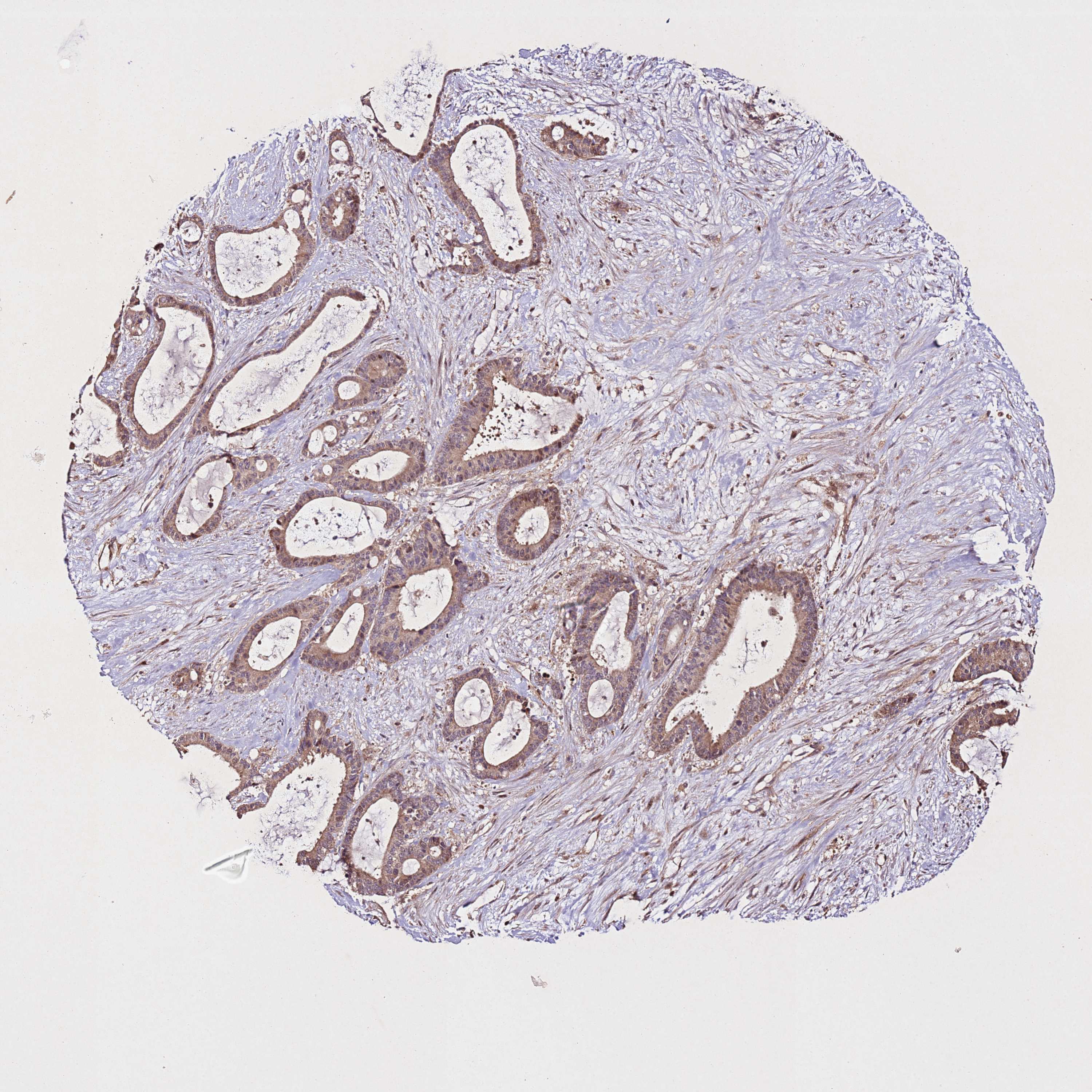
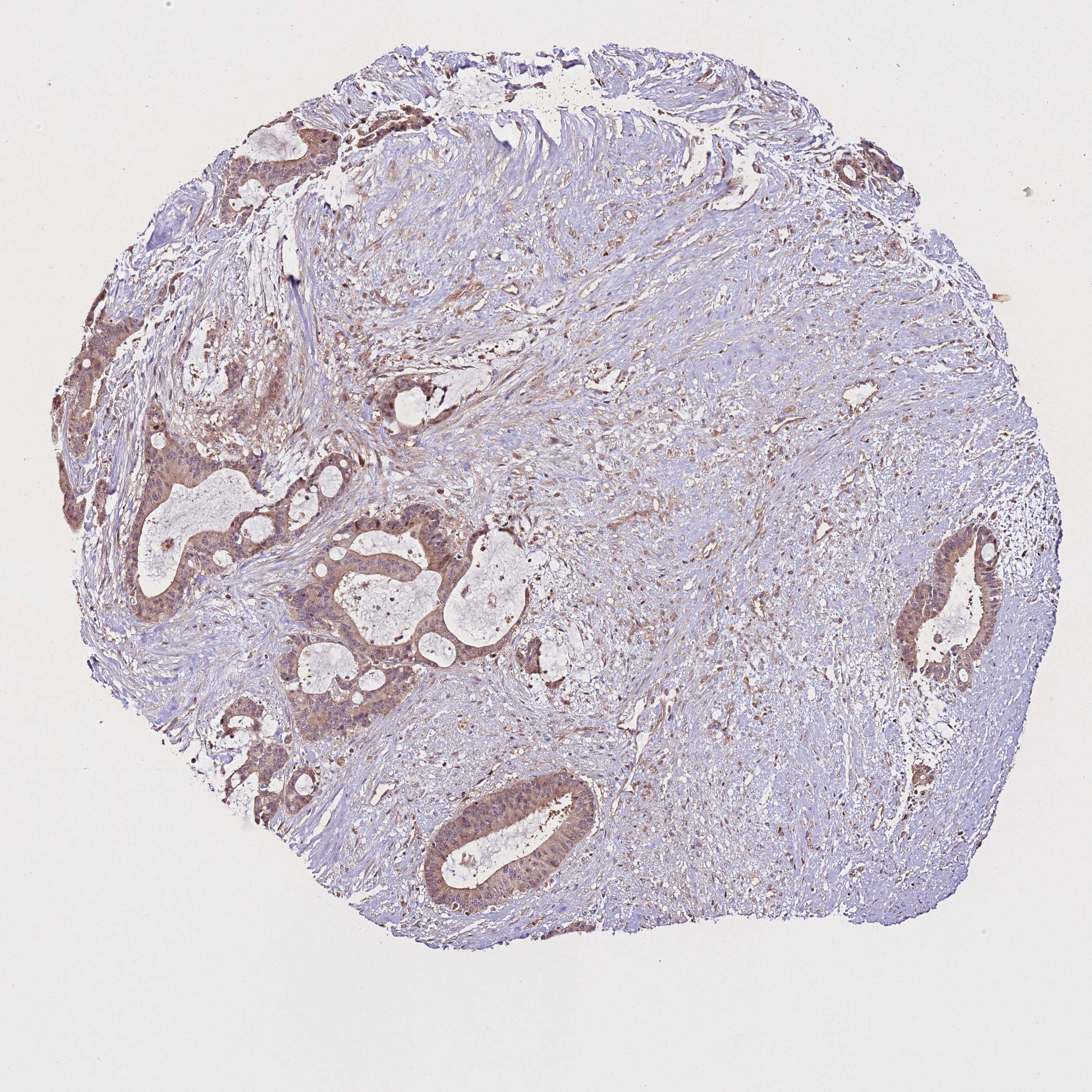
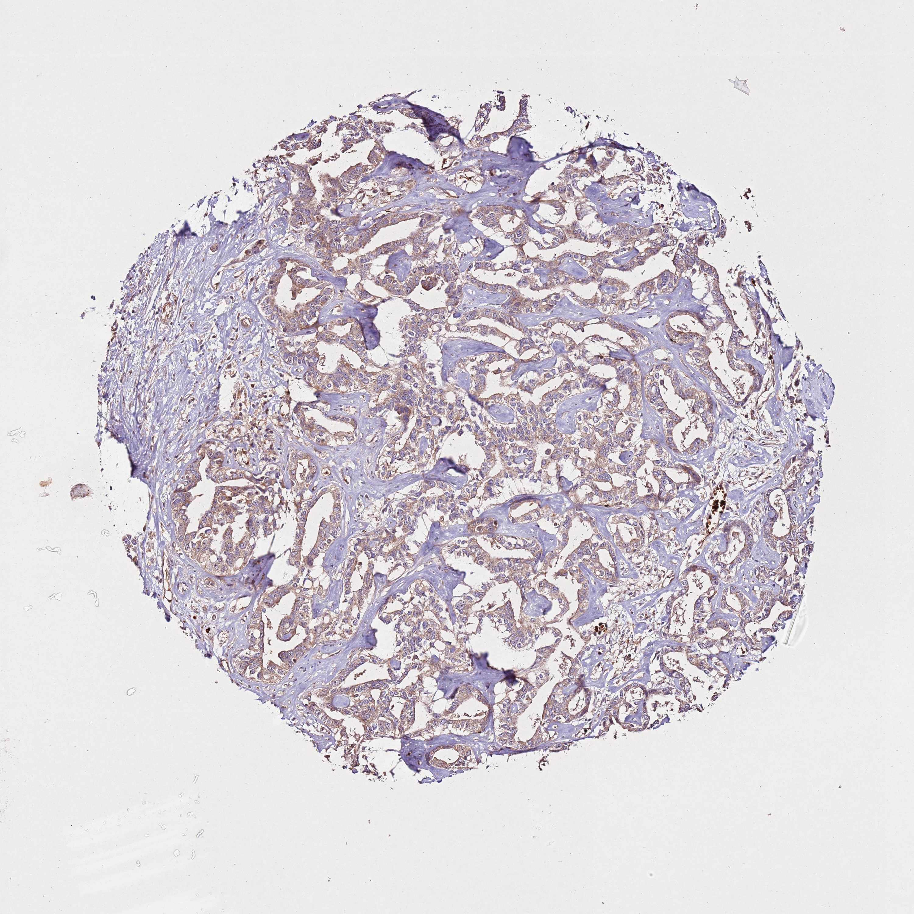
LIVER CANCER - Protein expressioni

A mouse-over function shows sample information and annotation data. Click on an image to view it in a full screen mode. Samples can be filtered based on level of antibody staining by selecting one or several of the following categories: high, medium, low and not detected. The assay and annotation is described here.

Note that samples used for immunohistochemistry by the Human Protein Atlas do not correspond to samples in the TCGA dataset.

 

Antibody stainingi

Antibody staining in the annotated cell types in the current human tissue is reported as not detected, low, medium, or high, based on conventional immunohistochemistry profiling in selected tissues. This score is based on the combination of the staining intensity and fraction of stained cells.

Each image is clickable and will lead to virtual microscopy that enables deeper exploration of all samples and also displays staining intensity scores, fraction scores and subcellular localization as well as patient and tissue information for each sample.


Antibody HPA047183
 Staining
  High
  Medium
  Low
  Not detected
 Intensity
  Strong
  Moderate
  Weak
  Negative
 Quantity
  >75%
  75%-25%
  <25%
  None
 Location
  Nuclear
  Cytoplasmic/membranous
  Cytoplasmic/membranous,nuclear
  None
Cholangiocarcinoma
Carcinoma, Hepatocellular, NOS

Contact

  • NEWS ARTICLES
  • PRESS ROOM

The Project

  • INTRODUCTION
  • ORGANIZATION
  • PUBLICATIONS

The Human Protein Atlas

  • DOWNLOADABLE DATA
  • LICENCE & CITATION
  • HELP & FAQ
The Human Protein Atlas project is funded
by the Knut & Alice Wallenberg Foundation.


contact@proteinatlas.org