We use cookies to enhance the usability of our website. If you continue, we'll assume that you are happy to receive all cookies. More information. Don't show this again.
ISG15
HPA
RESOURCES
  • TISSUE
  • BRAIN
  • SINGLE CELL
  • SUBCELLULAR
  • CANCER
  • BLOOD
  • CELL LINE
  • STRUCTURE & INTERACTION
ABOUT
  • INTRODUCTION
  • HISTORY
  • ORGANIZATION
  • PUBLICATIONS
  • ANTIBODY SUBMISSION
  • ANTIBODY AVAILABILITY
  • ACKNOWLEDGMENTS
  • CONTACT
NEWS
  • NEWS ARTICLES
  • PRESS ROOM
LEARN
  • DICTIONARY
  • PROTEIN CLASSES
  • PROTEIN EVIDENCE
  • METHODS
  • EDUCATIONAL VIDEOS
DATA
  • DOWNLOADABLE DATA
  • PUBLICATION DATA
  • RELEASE HISTORY
HELP
  • ANTIBODY VALIDATION
  • ASSAYS & ANNOTATION
  • DISCLAIMER
  • HELP & FAQ
  • PRIVACY STATEMENT
  • LICENCE & CITATION
Fields »
Search result

Field
Term
Gene name
Class
Subclass
Class
Keyword
Chromosome
External id
Tissue
Cell type
Expression
Antibody panel
Tissue
Main location
Patient ID
Annotation
Tissue
Category
Tau score
Cluster
Reliability
Brain region
Category
Tau score
Brain region
Category
Tau score
Brain region
Category
Tau score
Cluster
Reliability
Tissue
Cell type
Enrichment
Cell type
Category
Tau score
Cell type
Category
Tau score
Cell type
Category
Tau score
Cell lineage
Category
Tau score
Cluster
Cluster
Location
Searches
Location
Cell line
Class
Type
Phase
Reliability
Cancer
Prognosis
Cancer
Category
Cancer
Category
Tau score
Cluster
Variants
Interacting gene (ensg_id)
Type
Number of interactions
Pathway
Category
Score
Score
Score
Validation
Validation
Validation
Validation
Antibodies
Data type
Column


  • SUMMARY

  • TISSUE

  • BRAIN

  • SINGLE CELL

  • SUBCELL

  • CANCER

  • BLOOD

  • CELL LINE

  • STRUCT & INT

  • ISG15
TISSUE PRIMARY DATA SKIN Show tissue menu
ADIPOSE TISSUE ADRENAL GLAND AMYGDALA APPENDIX BASAL GANGLIA BONE MARROW BREAST BRONCHUS CEREBELLUM CEREBRAL CORTEX CERVIX CHOROID PLEXUS COLON DUODENUM
ENDOMETRIUM EPIDIDYMIS ESOPHAGUS FALLOPIAN TUBE GALLBLADDER HEART MUSCLE HIPPOCAMPAL FORMATION HYPOTHALAMUS KIDNEY LIVER LUNG LYMPH NODE MIDBRAIN NASOPHARYNX
ORAL MUCOSA OVARY PANCREAS PARATHYROID GLAND PITUITARY GLAND PLACENTA PROSTATE RECTUM RETINA SALIVARY GLAND SEMINAL VESICLE SKELETAL MUSCLE SKIN SMALL INTESTINE
SMOOTH MUSCLE SOFT TISSUE SPINAL CORD SPLEEN STOMACH TESTIS THYMUS THYROID GLAND TONGUE TONSIL URINARY BLADDER VAGINA
ANTIBODIES
AND
VALIDATION
Dictionary
Skin
Tissue proteome
Skin
SKIN - Expression summary
Protein expression
Skini

On the top, protein expression in current human tissue, based on all annotated cell types, is reported with the units not detected (n), low (l), medium (m) and high (h). Underneath, protein expression in each annotated cell type are reported using the same units.

Protein expression data is based on knowledge-based annotation. For genes where more than one antibody has been used, a collective score is set.

If knowledge-based annotation could not be performed for a gene, no data is displayed here. View antibody staining data further down this page.

h
m
l
n
Epidermal cells: Not detected
Fibroblasts: Not detected
Keratinocytes: Not detected
Langerhans: Not detected
Melanocytes: Not detected
RNA expressioni

A summary of mRNA expression data available for current tissue based on several datasets. The mRNA expression levels in human tissues are based on RNA-seq data generated by the Human Protein Atlas (HPA), Genotype-Tissue Expression (GTEx) portal and CAGE data generated by the FANTOM5 consortium. Consensus normalized expression levels for human tissues was created by combining the data from HPA and GTEx datasets.

The mRNA expression levels in pig are based on RNA-seq data generated by the Human Protein Atlas (HPA), and for mouse, HPA data and in situ hybridization generated by the Allen brain atlas are reported.

Scroll down to view mRNA expression data in more detail.
Consensus:13.0 nTPM
HPA:6.3 nTPM
GTEx:13.0 nTPM

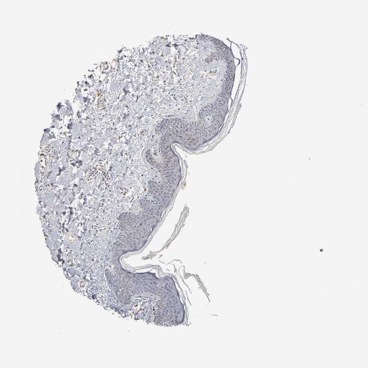
SKIN 1 - Antibody stainingi

Antibody staining in the annotated cell types in the current human tissue is reported as not detected, low, medium, or high, based on conventional immunohistochemistry profiling in selected tissues. This score is based on the combination of the staining intensity and fraction of stained cells.

Each image is clickable and will lead to virtual microscopy that enables deeper exploration of all samples and also displays staining intensity scores, fraction scores and subcellular localization as well as patient and tissue information for each sample.

Antibody HPA004627
Langerhans Medium
Fibroblasts Not detected
Keratinocytes High
Melanocytes Medium


SKIN 2 - Antibody stainingi

Antibody staining in the annotated cell types in the current human tissue is reported as not detected, low, medium, or high, based on conventional immunohistochemistry profiling in selected tissues. This score is based on the combination of the staining intensity and fraction of stained cells.

Each image is clickable and will lead to virtual microscopy that enables deeper exploration of all samples and also displays staining intensity scores, fraction scores and subcellular localization as well as patient and tissue information for each sample.

Antibody HPA004627
Epidermal cells Medium
 
 
 


SKIN - HPA RNA-seqi

The RNA-seq details section shows detailed information about the individual samples used for the transcript profiling and results of the RNA-seq analysis.

Information about each individual sample is listed below, including gender, age, a tissue section image and estimated fractions of cell types. nTPM (normalized transcripts per million) values give a quantification of the gene abundance which is comparable between different genes and samples.
Average nTPMi

Max subtype nTPM is the value for the subtype with the largest average nTPM across the subtype samples.

6.3
overview
Female, age 34
Skin sample 225
nTPM: 1.8
Cell types%
Keratinocytes:
60

Other cell types:
40

overview
Female, age 30
Skin sample 226
nTPM: 1
Cell types%
Keratinocytes:
55

Other cell types:
45

N/A
Male, age 57
Skin sample 227
nTPM: 16.1

SKIN - GTEx RNA-seqi

RNA-Seq data generated by the Genotype-Tissue Expression (GTEx) project from human tissues is reported as mean nTPM. More information can be found on the GTEx portal.

Distribution across the dataset is visualized with box plots, shown as median and 25th and 75th percentiles. Points are displayed as outliers if they are above or below 1.5 times the interquartile range. nTPM values of the individual samples are presented next to the box plot.
Max subtype nTPMi

Max subtype nTPM is the value for the subtype with the largest average nTPM across the subtype samples.

13.0
GTEx sample id Sample description nTPM
Skin - Not Sun Exposed (Suprapubic)
Average nTPM: 13.0
Samples: 604

Max nTPM: 818.8
Min nTPM: 2.1
Std nTPM: 35.6
Median nTPM: 9.2
GTEX-17F97-2626-SM-7IGM5 50-59 years, male 818.8
GTEX-11DYG-1526-SM-5A5JS 60-69 years, male 241.9
GTEX-ZDYS-2426-SM-4WKGI 50-59 years, male 144.0
GTEX-15G19-2426-SM-7KUMR 60-69 years, male 97.9
GTEX-1IDJV-0126-SM-COH3Y 60-69 years, male 84.3
GTEX-X4EP-0626-SM-3P621 60-69 years, female 69.1
GTEX-13FTY-2126-SM-5IFFB 40-49 years, female 54.7
GTEX-ZE9C-2526-SM-5IJDR 60-69 years, male 52.8
GTEX-1CAV2-0126-SM-7IGN7 40-49 years, female 49.4
GTEX-ZF3C-0626-SM-DO92O 50-59 years, female 43.9
GTEX-17HG3-2626-SM-7DUF2 30-39 years, female 41.8
GTEX-1CB4H-1126-SM-7MKGL 60-69 years, female 41.1
GTEX-13NYB-0126-SM-5J1MD 40-49 years, male 41.0
GTEX-146FQ-2126-SM-5RQHU 30-39 years, male 41.0
GTEX-XOT4-0626-SM-4B66L 60-69 years, female 38.0
GTEX-1C64N-2626-SM-7PC2N 50-59 years, male 35.5
GTEX-1J8JJ-0626-SM-ARZMQ 60-69 years, female 32.8
GTEX-16YQH-2226-SM-7IGM2 30-39 years, male 32.3
GTEX-15RJ7-2126-SM-6PAMD 40-49 years, male 31.2
GTEX-1399R-1326-SM-5PNYS 30-39 years, male 29.4
GTEX-12126-0826-SM-5FQTZ 20-29 years, male 28.9
GTEX-13SLX-2226-SM-62LEP 50-59 years, female 28.1
GTEX-13OW6-2726-SM-5J2OE 50-59 years, male 28.0
GTEX-Y3IK-1626-SM-4YCF5 50-59 years, female 26.7
GTEX-145MG-1526-SM-5Q5EM 50-59 years, male 26.4
GTEX-1H1CY-0126-SM-9YFLY 60-69 years, female 26.1
GTEX-1HFI6-0126-SM-CNPPI 40-49 years, male 26.1
GTEX-15DYW-2726-SM-6EU2I 60-69 years, female 25.9
GTEX-1HCU8-2526-SM-CE6RX 60-69 years, female 25.9
GTEX-183FY-1026-SM-7939A 20-29 years, male 25.4
GTEX-13NZ9-2626-SM-5L3FK 50-59 years, male 25.2
GTEX-1PIGE-1826-SM-E8VOU 20-29 years, male 24.4
GTEX-1QP29-1826-SM-DTX9S 50-59 years, male 24.3
GTEX-1RAZR-2126-SM-E9U6T 40-49 years, male 23.9
GTEX-1EMGI-2326-SM-7PBYA 60-69 years, male 23.8
GTEX-1F88F-0126-SM-9WYSZ 60-69 years, female 23.4
GTEX-1IL2V-1926-SM-B2LW8 70-79 years, male 23.0
GTEX-11ZU8-0126-SM-5EQ58 60-69 years, male 22.8
GTEX-1JJEA-1826-SM-ARU8P 60-69 years, male 22.5
GTEX-17JCI-2926-SM-7DUFF 60-69 years, female 22.3
GTEX-14JG1-1526-SM-5YY9X 40-49 years, male 22.0
GTEX-1F75W-2726-SM-7SB8H 60-69 years, male 22.0
GTEX-ZDXO-3126-SM-5IJDF 60-69 years, male 21.0
GTEX-11WQC-1826-SM-5GU59 60-69 years, male 20.9
GTEX-1LBAC-0826-SM-CY8IJ 20-29 years, male 20.8
GTEX-ZE7O-2726-SM-51MT5 50-59 years, female 20.7
GTEX-11DZ1-2426-SM-5GZZX 50-59 years, male 20.6
GTEX-X585-2426-SM-46MW2 50-59 years, male 20.6
GTEX-XBEC-0726-SM-4QARZ 50-59 years, male 20.6
GTEX-1LVAO-2726-SM-E9TJ8 60-69 years, male 20.6
GTEX-YJ8O-2526-SM-5HL85 40-49 years, female 20.5
GTEX-11DXW-0826-SM-5H118 40-49 years, male 20.3
GTEX-1CAMR-1326-SM-7PC1F 20-29 years, male 20.1
GTEX-1F6I4-2326-SM-7RHGL 60-69 years, male 20.1
GTEX-1BAJH-2426-SM-7IGP8 70-79 years, male 19.8
GTEX-1HUB1-1426-SM-CGQF5 60-69 years, male 19.8
GTEX-117YX-1926-SM-5GIEC 50-59 years, male 19.7
GTEX-1HCUA-0826-SM-ADEHM 50-59 years, female 19.7
GTEX-14PK6-0226-SM-62LF5 70-79 years, female 19.6
GTEX-1N2EE-0626-SM-E76PW 60-69 years, male 19.6
GTEX-139T8-0626-SM-5KLZX 60-69 years, male 19.2
GTEX-15CHQ-0326-SM-69LQD 60-69 years, male 18.8
GTEX-1GZ2Q-0126-SM-9WG6M 40-49 years, male 18.7
GTEX-1I1CD-0626-SM-CE6SW 60-69 years, female 18.7
GTEX-12WSK-2126-SM-5CVNC 40-49 years, female 18.6
GTEX-1IDJE-1426-SM-ADEIW 50-59 years, female 18.6
GTEX-139YR-1026-SM-5LZYN 50-59 years, male 18.4
GTEX-178AV-1726-SM-7KUL8 40-49 years, male 18.4
GTEX-17EVQ-0126-SM-7IGLR 70-79 years, male 18.4
GTEX-ZU9S-1826-SM-5NQ9E 30-39 years, male 18.3
GTEX-1477Z-0326-SM-7IGLA 60-69 years, male 18.1
GTEX-ZUA1-2626-SM-5NQ92 40-49 years, male 18.1
GTEX-1F6IF-0926-SM-7SB7M 60-69 years, male 18.1
GTEX-14A5H-0826-SM-5QGPJ 60-69 years, male 18.0
GTEX-1EX96-1026-SM-7MKG2 50-59 years, male 18.0
GTEX-1KAFJ-0126-SM-DIPEK 50-59 years, male 18.0
GTEX-15SHW-0226-SM-7LTAT 60-69 years, male 17.8
GTEX-16Z82-2626-SM-7KULU 60-69 years, male 17.7
GTEX-11GSP-2326-SM-5HL63 60-69 years, female 17.6
GTEX-XK95-0226-SM-4AT58 40-49 years, male 17.6
GTEX-ZVTK-0226-SM-51MRG 20-29 years, male 17.6
GTEX-WYVS-1626-SM-3NM9R 40-49 years, female 17.4
GTEX-15FZZ-0526-SM-7KUGD 30-39 years, female 17.3
GTEX-13U4I-2226-SM-5LU5H 40-49 years, female 17.1
GTEX-1A8G6-2726-SM-731AR 60-69 years, male 17.1
GTEX-ZT9X-1526-SM-5DUXD 40-49 years, male 17.0
GTEX-ZYFD-0626-SM-5E44E 50-59 years, male 17.0
GTEX-YFCO-1226-SM-5LUAT 40-49 years, male 16.9
GTEX-12WSF-1626-SM-7KUG5 70-79 years, male 16.8
GTEX-13FTW-0326-SM-5K7UW 40-49 years, male 16.5
GTEX-ZAB4-2126-SM-5HL8U 40-49 years, male 16.5
GTEX-1ICLZ-0326-SM-ARL82 60-69 years, male 16.5
GTEX-13N2G-0226-SM-5K7VF 60-69 years, male 16.4
GTEX-14PJO-2526-SM-6AJBQ 60-69 years, male 16.1
GTEX-1H1ZS-2726-SM-9WG75 70-79 years, male 16.0
GTEX-ZAK1-0626-SM-5HL8E 50-59 years, female 15.9
GTEX-18465-2826-SM-7LT9J 50-59 years, male 15.8
GTEX-145LS-0626-SM-7EPG7 60-69 years, female 15.7
GTEX-WI4N-2726-SM-3LK7Y 40-49 years, female 15.7
GTEX-ZC5H-1526-SM-5HL9Y 40-49 years, female 15.7
GTEX-1JN1M-2726-SM-CY8I4 60-69 years, female 15.6
GTEX-14PJ2-0626-SM-6LLII 50-59 years, male 15.5
GTEX-1IY9M-2826-SM-ARU8H 60-69 years, male 15.4
GTEX-1399Q-2326-SM-5KM2X 40-49 years, male 15.3
GTEX-1GMRU-2126-SM-7P8RA 50-59 years, male 15.3
GTEX-11OF3-0126-SM-5PNYF 60-69 years, male 15.2
GTEX-131XH-0126-SM-5LZUY 50-59 years, male 15.2
GTEX-147F4-0726-SM-5TDDD 50-59 years, male 15.2
GTEX-XYKS-1426-SM-4BRUO 60-69 years, female 15.2
GTEX-16GPK-0626-SM-7KFSF 60-69 years, male 15.1
GTEX-1AX8Z-0726-SM-73KTS 60-69 years, male 15.1
GTEX-1IDJI-0126-SM-CMKHS 50-59 years, female 15.1
GTEX-13OVL-0126-SM-5L3GJ 50-59 years, male 14.9
GTEX-1F75A-0726-SM-7RHHD 50-59 years, male 14.9
GTEX-1I1GP-1326-SM-A9G28 50-59 years, male 14.8
GTEX-1IOXB-2726-SM-CM2RI 50-59 years, male 14.8
GTEX-1JMQL-2226-SM-CNPP4 50-59 years, female 14.8
GTEX-16MT9-0126-SM-7EPI8 60-69 years, female 14.7
GTEX-VUSG-2326-SM-4KL1U 50-59 years, male 14.7
GTEX-1IDJF-2026-SM-CL53V 20-29 years, male 14.7
GTEX-11O72-0626-SM-5PNYE 40-49 years, male 14.6
GTEX-1192X-2726-SM-5N9DN 50-59 years, male 14.5
GTEX-145ME-1726-SM-5Q5EU 40-49 years, female 14.4
GTEX-11ZUS-2626-SM-5FQUR 30-39 years, male 14.3
GTEX-12WSC-2826-SM-5BC5Y 50-59 years, male 14.3
GTEX-15RIE-1926-SM-7KUKJ 60-69 years, male 14.3
GTEX-ZPCL-1126-SM-4WWFE 60-69 years, female 14.3
GTEX-1E2YA-2126-SM-7MXUO 50-59 years, male 14.3
GTEX-1IDJD-2326-SM-ACKWX 30-39 years, male 14.3
GTEX-12WSD-0626-SM-5GCMW 60-69 years, female 14.0
GTEX-13N1W-2426-SM-5IJD1 70-79 years, male 14.0
GTEX-14A6H-2026-SM-5Q5DD 30-39 years, male 13.8
GTEX-14LZ3-0126-SM-69LPM 60-69 years, female 13.8
GTEX-X8HC-0626-SM-4E3HQ 50-59 years, female 13.8
GTEX-11P81-2226-SM-5PNYI 30-39 years, female 13.7
GTEX-1EKGG-0626-SM-7DUGJ 60-69 years, male 13.7
GTEX-111FC-2526-SM-5GZXU 60-69 years, male 13.6
GTEX-ZVE2-2826-SM-5GU51 50-59 years, male 13.6
GTEX-1KANB-2826-SM-CY8I6 50-59 years, male 13.6
GTEX-1F75B-0726-SM-7PC3R 50-59 years, male 13.5
GTEX-WYBS-0626-SM-3NMAS 60-69 years, female 13.4
GTEX-ZDTS-0826-SM-4WKHL 60-69 years, male 13.4
GTEX-1LVA9-2626-SM-EVYD4 50-59 years, male 13.4
GTEX-11NSD-0626-SM-5A5LU 20-29 years, male 13.3
GTEX-ZLFU-1826-SM-4WWBV 40-49 years, male 13.3
GTEX-1O9I2-0226-SM-EYYXD 50-59 years, male 13.3
GTEX-11LCK-2226-SM-5HL4Q 30-39 years, male 13.2
GTEX-14E1K-2026-SM-7DUEI 50-59 years, male 13.2
GTEX-18A6Q-0626-SM-7KFRP 60-69 years, male 13.2
GTEX-11DXY-0126-SM-5H11Q 60-69 years, male 13.0
GTEX-1LG7Z-1626-SM-CXKYR 30-39 years, male 13.0
GTEX-1I19N-0126-SM-CYPSF 70-79 years, male 12.9
GTEX-1JN6P-2926-SM-CL54D 60-69 years, male 12.9
GTEX-1R9K4-2826-SM-DTX8F 60-69 years, male 12.9
GTEX-1R9PM-1926-SM-EVR3O 20-29 years, male 12.9
GTEX-WHPG-2626-SM-3NMBR 50-59 years, male 12.8
GTEX-XQ3S-1426-SM-4BOPR 20-29 years, male 12.8
GTEX-13OVK-1426-SM-6PAN7 40-49 years, male 12.6
GTEX-183WM-0326-SM-72D5V 70-79 years, female 12.6
GTEX-1A32A-0626-SM-731AQ 50-59 years, female 12.6
GTEX-1H3NZ-2726-SM-9WYTQ 60-69 years, male 12.6
GTEX-1LSNL-2726-SM-E9TKJ 50-59 years, male 12.6
GTEX-139TS-2126-SM-5K7XC 60-69 years, male 12.5
GTEX-13X6I-1826-SM-5SIAO 60-69 years, male 12.5
GTEX-14AS3-1526-SM-5Q5ED 40-49 years, female 12.5
GTEX-18A7A-0126-SM-731AH 50-59 years, female 12.5
GTEX-11EI6-2826-SM-5H11D 60-69 years, male 12.4
GTEX-11NUK-2726-SM-5A5MC 50-59 years, male 12.4
GTEX-147GR-2426-SM-5ZZWQ 60-69 years, male 12.4
GTEX-1E1VI-0326-SM-793D1 50-59 years, male 12.4
GTEX-Y111-0626-SM-4SOIT 50-59 years, male 12.4
GTEX-ZP4G-1426-SM-4WWCL 20-29 years, female 12.4
GTEX-15CHR-1126-SM-7EWF4 50-59 years, male 12.3
GTEX-132AR-0326-SM-5KM2C 50-59 years, female 12.2
GTEX-145MF-0926-SM-5Q5EA 50-59 years, male 12.2
GTEX-17HII-1426-SM-7EPGG 50-59 years, male 12.2
GTEX-1H3O1-1326-SM-9MQLD 60-69 years, male 12.2
GTEX-1POEN-2326-SM-E9J2L 30-39 years, female 12.2
GTEX-139D8-1126-SM-5LU8W 30-39 years, female 12.1
GTEX-13FH7-1126-SM-5K7UG 50-59 years, female 12.1
GTEX-17F96-0126-SM-7EWDU 70-79 years, male 12.1
GTEX-12WSJ-1126-SM-5LZVJ 40-49 years, female 12.0
GTEX-13NYS-0626-SM-5L3F1 60-69 years, male 12.0
GTEX-Z93S-1626-SM-5CVMB 50-59 years, male 12.0
GTEX-1AYD5-2626-SM-7PBXY 50-59 years, male 12.0
GTEX-1314G-1326-SM-5BC6E 30-39 years, male 11.9
GTEX-1C6WA-2626-SM-7MKGM 60-69 years, male 11.9
GTEX-1K9T9-1526-SM-DIPFR 50-59 years, female 11.9
GTEX-11EQ8-0926-SM-5H12V 60-69 years, male 11.8
GTEX-1H1DG-2426-SM-9QEHJ 70-79 years, male 11.8
GTEX-14ABY-2026-SM-62LDL 50-59 years, male 11.7
GTEX-WHSE-0126-SM-3NMBT 20-29 years, male 11.7
GTEX-ZPU1-1126-SM-4YCF3 40-49 years, male 11.7
GTEX-1HT8W-0626-SM-A9G2H 30-39 years, male 11.7
GTEX-17F9E-2326-SM-79OKD 50-59 years, male 11.6
GTEX-WRHU-2826-SM-3MJG8 50-59 years, female 11.6
GTEX-ZAJG-1526-SM-5CVML 50-59 years, female 11.6
GTEX-1JMQI-1726-SM-ARL93 50-59 years, male 11.6
GTEX-1IDJH-0126-SM-D3L92 70-79 years, male 11.5
GTEX-11UD2-2526-SM-5CVNU 50-59 years, male 11.4
GTEX-13RTJ-0126-SM-5S2NN 60-69 years, male 11.4
GTEX-ZYFG-1526-SM-5GZYM 60-69 years, female 11.4
GTEX-11DXZ-2026-SM-5987S 50-59 years, male 11.3
GTEX-12KS4-2126-SM-5FQUT 30-39 years, male 11.3
GTEX-13X6J-0626-SM-5LU5F 50-59 years, male 11.3
GTEX-XPVG-2126-SM-4B667 50-59 years, male 11.3
GTEX-1J8EW-2726-SM-CY8HR 60-69 years, female 11.3
GTEX-1JMQJ-0826-SM-CNPP7 50-59 years, male 11.3
GTEX-1NSGN-0726-SM-DTXEF 50-59 years, male 11.3
GTEX-1JMOU-1026-SM-CYPSS 60-69 years, female 11.2
GTEX-1QP66-1226-SM-DTX7U 50-59 years, male 11.2
GTEX-13OW8-1026-SM-5J1NQ 60-69 years, male 11.1
GTEX-1EN7A-2426-SM-793DB 40-49 years, male 11.1
GTEX-ZF2S-1626-SM-57WES 50-59 years, female 11.1
GTEX-1PBJJ-1026-SM-E76OS 30-39 years, male 11.1
GTEX-1269C-0126-SM-5EQ5L 60-69 years, female 11.0
GTEX-139TU-0726-SM-5L3EK 60-69 years, male 11.0
GTEX-1AX9I-2226-SM-73KUO 60-69 years, male 11.0
GTEX-WY7C-2126-SM-3NB2R 50-59 years, male 11.0
GTEX-Y5V5-0126-SM-5S2NW 60-69 years, female 11.0
GTEX-ZYW4-0626-SM-59HJR 60-69 years, male 11.0
GTEX-11PRG-0726-SM-5EGL1 50-59 years, male 10.9
GTEX-13IVO-0726-SM-5LZYV 70-79 years, male 10.9
GTEX-17HGU-2326-SM-7DUFE 50-59 years, male 10.9
GTEX-1JKYN-0826-SM-ARU8S 30-39 years, male 10.9
GTEX-1RB15-1326-SM-E76Q9 60-69 years, male 10.9
GTEX-13JVG-0726-SM-5KM16 60-69 years, male 10.8
GTEX-13VXU-0626-SM-5L3F9 50-59 years, male 10.8
GTEX-1EU9M-1426-SM-793AI 60-69 years, male 10.8
GTEX-1EWIQ-0326-SM-7DHMQ 70-79 years, female 10.8
GTEX-WK11-2726-SM-3NMAQ 50-59 years, male 10.8
GTEX-1A8FM-0626-SM-7PC25 50-59 years, female 10.8
GTEX-1HC8U-1326-SM-9YFMJ 40-49 years, female 10.8
GTEX-1HCU6-2526-SM-ADEHL 60-69 years, female 10.8
GTEX-14BIN-1126-SM-5RQJZ 50-59 years, female 10.7
GTEX-18A66-0626-SM-7LT8Z 60-69 years, male 10.7
GTEX-13PL6-1126-SM-5L3IE 40-49 years, female 10.6
GTEX-16XZZ-0726-SM-7KUF2 60-69 years, male 10.6
GTEX-XBED-1926-SM-47JYP 60-69 years, male 10.6
GTEX-1M4P7-0726-SM-E6CJ3 60-69 years, male 10.6
GTEX-13YAN-0226-SM-5TDC6 60-69 years, male 10.5
GTEX-18D9B-0926-SM-7LG4U 60-69 years, male 10.5
GTEX-XQ8I-0926-SM-4BOOF 50-59 years, male 10.5
GTEX-1GF9X-1326-SM-7PC2Y 40-49 years, female 10.5
GTEX-1I1GV-0626-SM-ARL7M 60-69 years, male 10.5
GTEX-1S3DN-2126-SM-E9TIN 50-59 years, male 10.5
GTEX-15EO6-2426-SM-6PALZ 50-59 years, male 10.4
GTEX-X3Y1-2026-SM-3P5YM 40-49 years, male 10.4
GTEX-Y114-2126-SM-4TT8B 50-59 years, female 10.4
GTEX-11TT1-1826-SM-5EQLV 20-29 years, male 10.3
GTEX-VJYA-1526-SM-3GIJV 60-69 years, male 10.3
GTEX-W5X1-2526-SM-3GILC 40-49 years, female 10.3
GTEX-X4EO-2926-SM-4E3JH 60-69 years, female 10.3
GTEX-1H23P-0626-SM-9WG6T 60-69 years, male 10.3
GTEX-1PIIG-2326-SM-DTXFR 30-39 years, male 10.3
GTEX-13JUV-2026-SM-5K7UA 40-49 years, female 10.2
GTEX-145MN-1526-SM-5SI9T 30-39 years, male 10.2
GTEX-15RIG-0726-SM-7KUM7 40-49 years, male 10.2
GTEX-16NPX-0726-SM-7KULC 50-59 years, male 10.2
GTEX-ZWKS-0626-SM-5GIDV 30-39 years, male 10.2
GTEX-13FLV-0126-SM-5K7WT 50-59 years, male 10.1
GTEX-16AAH-0626-SM-793C9 50-59 years, male 10.1
GTEX-X5EB-1926-SM-4E3IW 40-49 years, male 10.1
GTEX-1H1DE-1326-SM-9KNUG 20-29 years, male 10.1
GTEX-1K2DA-1026-SM-CGQGF 50-59 years, male 10.1
GTEX-13OVJ-0826-SM-5J1OK 50-59 years, female 10.0
GTEX-13OW5-2326-SM-5L3HO 60-69 years, male 10.0
GTEX-144FL-0626-SM-5LU43 50-59 years, male 10.0
GTEX-14PKV-1126-SM-6LLJ1 20-29 years, female 10.0
GTEX-1A8G7-1326-SM-73KVM 60-69 years, male 10.0
GTEX-1CB4F-1026-SM-7DUH1 60-69 years, male 10.0
GTEX-ZVE1-0726-SM-51MRN 50-59 years, female 10.0
GTEX-1HBPI-2126-SM-ARL9K 50-59 years, male 10.0
GTEX-1I1GS-2626-SM-B2LY3 60-69 years, male 10.0
GTEX-13112-0126-SM-5P9IU 50-59 years, male 9.9
GTEX-13FHO-0426-SM-5L3F5 60-69 years, male 9.9
GTEX-1AX9J-1326-SM-731BJ 60-69 years, male 9.9
GTEX-XMD2-2126-SM-4YCF8 60-69 years, female 9.9
GTEX-1JMPZ-0726-SM-CY8HZ 30-39 years, male 9.9
GTEX-1LSVX-2526-SM-DIPEU 60-69 years, male 9.9
GTEX-14JFF-0626-SM-5ZZVT 60-69 years, male 9.8
GTEX-1F48J-0726-SM-7RHGS 50-59 years, female 9.8
GTEX-1GMR2-0826-SM-7PC3V 50-59 years, male 9.8
GTEX-1PPGY-1626-SM-EVYBL 60-69 years, male 9.8
GTEX-1HR98-2226-SM-ADEI2 60-69 years, male 9.7
GTEX-12WSH-1526-SM-5BC5W 50-59 years, male 9.6
GTEX-13VXT-1926-SM-5K7UO 20-29 years, female 9.6
GTEX-144GL-0626-SM-5LU4D 50-59 years, male 9.6
GTEX-17EVP-2626-SM-7IGMA 40-49 years, male 9.6
GTEX-YEC4-1826-SM-4W1YP 40-49 years, male 9.6
GTEX-131YS-2826-SM-5EQ47 60-69 years, female 9.5
GTEX-16MT8-2926-SM-7DUFO 60-69 years, female 9.5
GTEX-XBEW-1126-SM-4QARW 40-49 years, male 9.5
GTEX-YB5K-2026-SM-4VDT3 40-49 years, female 9.5
GTEX-11GS4-0226-SM-5HL77 60-69 years, male 9.4
GTEX-13G51-1826-SM-5KLZH 60-69 years, male 9.4
GTEX-YECK-0326-SM-4W1YS 60-69 years, male 9.4
GTEX-13N11-2326-SM-5IJBF 50-59 years, female 9.3
GTEX-13SLW-0626-SM-5Q5ER 70-79 years, male 9.3
GTEX-1H1DF-1126-SM-9WG7G 40-49 years, female 9.3
GTEX-12ZZZ-0726-SM-5GCNZ 60-69 years, male 9.2
GTEX-13NYC-0126-SM-5L3F4 60-69 years, male 9.2
GTEX-17HHY-0426-SM-7DHLC 50-59 years, male 9.2
GTEX-18A7B-2726-SM-7LG56 70-79 years, male 9.2
GTEX-XV7Q-1826-SM-4BRUV 40-49 years, female 9.2
GTEX-1C64O-1326-SM-7MGWR 60-69 years, male 9.2
GTEX-139UW-0326-SM-5J1ML 60-69 years, male 9.1
GTEX-145LU-1926-SM-79OJN 50-59 years, male 9.1
GTEX-147JS-0226-SM-5S2U9 60-69 years, male 9.1
GTEX-14PHY-1226-SM-5ZZWK 60-69 years, female 9.1
GTEX-1LVAN-0626-SM-CNPOQ 50-59 years, female 9.1
GTEX-1OJC3-1226-SM-DTXER 20-29 years, male 9.1
GTEX-U8XE-0226-SM-4E3J3 30-39 years, male 9.0
GTEX-1GMR3-0126-SM-A9SLW 40-49 years, male 9.0
GTEX-ZLWG-0826-SM-59888 50-59 years, female 8.9
GTEX-1GF9W-1426-SM-7PBYM 60-69 years, male 8.9
GTEX-1IKJJ-2226-SM-CJI4C 60-69 years, male 8.9
GTEX-1RLM8-2926-SM-E8VON 50-59 years, male 8.9
GTEX-14DAR-1226-SM-73KYV 50-59 years, male 8.8
GTEX-1RAZQ-1326-SM-E9TK6 30-39 years, male 8.8
GTEX-1211K-1526-SM-5FQU4 60-69 years, female 8.7
GTEX-13FTX-1526-SM-5K7VJ 20-29 years, female 8.7
GTEX-15SKB-2826-SM-6PAMH 60-69 years, male 8.7
GTEX-1QW4Y-1126-SM-DTXE3 30-39 years, male 8.7
GTEX-1RAZA-2226-SM-E9U4X 20-29 years, male 8.7
GTEX-12WSL-2026-SM-5GCML 50-59 years, male 8.6
GTEX-144GO-2026-SM-5O99P 60-69 years, male 8.6
GTEX-Y5V6-2326-SM-4VDSA 60-69 years, male 8.6
GTEX-Y8E4-2026-SM-5IFJB 40-49 years, male 8.6
GTEX-14JG6-1426-SM-9WG7C 30-39 years, female 8.6
GTEX-1GMR8-0626-SM-7RHI7 50-59 years, female 8.6
GTEX-1HKZK-0726-SM-ACKW2 40-49 years, male 8.6
GTEX-1I6K6-1726-SM-CGQFD 30-39 years, male 8.6
GTEX-1LSNM-0826-SM-DIPG8 50-59 years, male 8.5
GTEX-1QEPI-2626-SM-DTXF4 60-69 years, female 8.5
GTEX-1R9PN-0426-SM-DTXDT 40-49 years, female 8.5
GTEX-13113-1626-SM-5EQ4I 60-69 years, female 8.4
GTEX-13O3O-2326-SM-5IJD6 60-69 years, female 8.4
GTEX-14DAQ-0626-SM-793DS 60-69 years, female 8.4
GTEX-WYJK-0526-SM-3NM8Z 50-59 years, male 8.4
GTEX-ZY6K-1426-SM-5GZX2 50-59 years, male 8.4
GTEX-ZYFC-0426-SM-5GICQ 50-59 years, male 8.4
GTEX-1I6K7-1926-SM-B2LXR 40-49 years, male 8.4
GTEX-1IE54-1126-SM-A9G2Z 40-49 years, female 8.4
GTEX-1117F-2926-SM-5GZYI 60-69 years, female 8.3
GTEX-111YS-1526-SM-5GZYW 60-69 years, male 8.3
GTEX-12ZZX-2426-SM-5GCOE 40-49 years, female 8.3
GTEX-145LT-0526-SM-5LUB2 40-49 years, male 8.3
GTEX-14E6E-0526-SM-793DN 30-39 years, male 8.3
GTEX-ZYT6-2326-SM-5GZY3 30-39 years, male 8.3
GTEX-1CAMQ-1326-SM-7P8RV 40-49 years, male 8.3
GTEX-13NZ8-1226-SM-5KM4A 60-69 years, female 8.2
GTEX-16MTA-0926-SM-6M47Z 50-59 years, male 8.2
GTEX-18D9U-0126-SM-731BM 40-49 years, male 8.2
GTEX-1HBPN-0126-SM-CGQEF 50-59 years, male 8.2
GTEX-1I1GU-0926-SM-ACKVS 40-49 years, male 8.2
GTEX-17HHE-1326-SM-7EWDZ 50-59 years, male 8.1
GTEX-WH7G-2026-SM-3NMBL 40-49 years, male 8.1
GTEX-1LKK1-2626-SM-DKPQE 50-59 years, female 8.1
GTEX-1N5O9-0926-SM-E9J3C 60-69 years, male 8.1
GTEX-15D1Q-2826-SM-6LLH7 40-49 years, male 8.0
GTEX-1F52S-2926-SM-7MKGA 60-69 years, female 8.0
GTEX-1L5NE-1126-SM-D3L9P 50-59 years, male 8.0
GTEX-1QMI2-2526-SM-E8VNZ 60-69 years, male 8.0
GTEX-ZLV1-1526-SM-DO91J 60-69 years, female 8.0
GTEX-131XW-0626-SM-5PNVD 50-59 years, female 7.9
GTEX-18QFQ-1826-SM-72D52 30-39 years, male 7.9
GTEX-1212Z-0126-SM-59HK4 60-69 years, male 7.8
GTEX-14PHX-2226-SM-6EU2P 50-59 years, male 7.8
GTEX-1B996-0426-SM-7EWF8 60-69 years, male 7.8
GTEX-ZYVF-0926-SM-5E44J 50-59 years, female 7.8
GTEX-1IDFM-0326-SM-ARL7V 60-69 years, male 7.8
GTEX-111VG-1626-SM-5EGIO 60-69 years, male 7.7
GTEX-12WSA-0426-SM-5EQ5X 60-69 years, male 7.7
GTEX-14BMV-2826-SM-5TDED 50-59 years, male 7.7
GTEX-17MF6-2626-SM-79OKQ 40-49 years, male 7.7
GTEX-18D9A-1426-SM-7LT8M 30-39 years, female 7.7
GTEX-1HB9E-0126-SM-CM2S5 50-59 years, male 7.7
GTEX-1HBPM-0726-SM-9YFL7 60-69 years, female 7.7
GTEX-1MCC2-1826-SM-DIPEX 30-39 years, female 7.7
GTEX-1R7EU-1626-SM-DTXG3 60-69 years, male 7.7
GTEX-1H4P4-2126-SM-9WYSL 50-59 years, male 7.6
GTEX-1JMLX-0626-SM-ARL8T 50-59 years, male 7.6
GTEX-1497J-0226-SM-5QGPU 60-69 years, male 7.5
GTEX-14BMU-1226-SM-5S2OR 20-29 years, female 7.5
GTEX-15ER7-0626-SM-6PANF 20-29 years, female 7.5
GTEX-15RJE-2826-SM-7KUM9 40-49 years, male 7.5
GTEX-1J1R8-2026-SM-CL53Y 40-49 years, male 7.5
GTEX-13PDP-0726-SM-5L3HP 60-69 years, male 7.4
GTEX-13PVQ-0626-SM-5LU47 50-59 years, male 7.4
GTEX-1B933-2426-SM-7DHMD 50-59 years, female 7.4
GTEX-1GZ4I-2626-SM-9KNU3 50-59 years, male 7.4
GTEX-1IKOE-1426-SM-CE6T7 30-39 years, female 7.4
GTEX-ZGAY-1826-SM-DO91Q 40-49 years, female 7.4
GTEX-14E6C-2426-SM-5S2NF 40-49 years, male 7.3
GTEX-15UF6-1926-SM-7KUDV 70-79 years, female 7.3
GTEX-1JK1U-0226-SM-ARZMX 60-69 years, male 7.3
GTEX-1LB8K-0726-SM-D5OV2 50-59 years, male 7.3
GTEX-13O3Q-0126-SM-5KM34 50-59 years, male 7.2
GTEX-1C6VR-0126-SM-7RHGB 60-69 years, male 7.2
GTEX-1CB4I-0126-SM-7RHGG 50-59 years, male 7.2
GTEX-1HSMP-0926-SM-A9SKX 70-79 years, male 7.2
GTEX-11EM3-1226-SM-5N9DD 20-29 years, female 7.1
GTEX-139TT-2126-SM-5LZWC 60-69 years, male 7.1
GTEX-1PPH8-0126-SM-EWRN8 20-29 years, male 7.1
GTEX-11WQK-1026-SM-5EQLX 50-59 years, male 7.0
GTEX-1A3MW-0626-SM-731CB 60-69 years, female 7.0
GTEX-1HCU9-0426-SM-9WYSD 20-29 years, male 7.0
GTEX-1QAET-0326-SM-EVR3U 50-59 years, male 7.0
GTEX-12BJ1-0926-SM-5EQ62 60-69 years, male 6.9
GTEX-13O61-1426-SM-5KM3D 60-69 years, male 6.9
GTEX-13W3W-0726-SM-5IJDQ 60-69 years, female 6.9
GTEX-17KNJ-2126-SM-718AM 50-59 years, male 6.9
GTEX-WFON-1926-SM-3LK7L 40-49 years, male 6.9
GTEX-1IDJC-1526-SM-B2LW4 50-59 years, male 6.9
GTEX-14753-0726-SM-5QGQO 60-69 years, male 6.8
GTEX-ZVT4-2426-SM-5GIEI 50-59 years, female 6.8
GTEX-1RAZS-2526-SM-E6CHT 50-59 years, male 6.8
GTEX-1S82U-1026-SM-E6CJK 30-39 years, female 6.8
GTEX-1F75I-2226-SM-7SB8U 40-49 years, male 6.7
GTEX-1GPI7-1826-SM-9KNU1 20-29 years, male 6.7
GTEX-1I4MK-0126-SM-CY8G6 50-59 years, female 6.7
GTEX-1LG7Y-2526-SM-EWRO7 50-59 years, male 6.7
GTEX-111CU-1126-SM-5EGIM 50-59 years, male 6.6
GTEX-13OW7-0426-SM-5K7VK 50-59 years, male 6.6
GTEX-144GM-0526-SM-79OJO 20-29 years, male 6.6
GTEX-14XAO-1226-SM-6EU1C 60-69 years, female 6.6
GTEX-1B932-2326-SM-79OL5 40-49 years, female 6.6
GTEX-1B97I-0626-SM-73KUZ 40-49 years, male 6.6
GTEX-WXYG-2026-SM-4E3IY 50-59 years, female 6.6
GTEX-1HFI7-2326-SM-CGQFS 50-59 years, female 6.6
GTEX-1I1HK-2326-SM-CKZOH 60-69 years, male 6.6
GTEX-1ICG6-1226-SM-A9SLN 70-79 years, female 6.6
GTEX-12584-0726-SM-5FQTK 40-49 years, male 6.5
GTEX-13QBU-1226-SM-5LU4G 40-49 years, female 6.5
GTEX-14LLW-2626-SM-62LDZ 70-79 years, female 6.5
GTEX-17MFQ-1526-SM-7KFRR 20-29 years, male 6.5
GTEX-1KD5A-0126-SM-E9U54 50-59 years, male 6.5
GTEX-ZPIC-0526-SM-DO91W 40-49 years, female 6.5
GTEX-ZF29-0926-SM-4WKFZ 60-69 years, female 6.4
GTEX-1A3MV-1826-SM-731CD 30-39 years, male 6.3
GTEX-XXEK-1626-SM-4BRUZ 50-59 years, male 6.3
GTEX-ZTTD-2826-SM-4YCFA 50-59 years, male 6.3
GTEX-1H1E6-0426-SM-9WYUS 30-39 years, male 6.3
GTEX-1HR9M-2226-SM-CNPPY 60-69 years, male 6.3
GTEX-11P7K-1126-SM-5HL4L 30-39 years, male 6.2
GTEX-11TUW-0626-SM-5LU9M 60-69 years, male 6.2
GTEX-1313W-0626-SM-5EQ4H 50-59 years, female 6.2
GTEX-145MH-2826-SM-5RQJF 50-59 years, male 6.2
GTEX-1B8SF-0126-SM-7DUG3 60-69 years, male 6.2
GTEX-XAJ8-1426-SM-47JYM 40-49 years, male 6.2
GTEX-1JJE9-2626-SM-ARZMT 70-79 years, male 6.2
GTEX-1JMQK-1226-SM-D4P2S 60-69 years, male 6.2
GTEX-1K2DU-1226-SM-CYPT4 20-29 years, male 6.2
GTEX-15EU6-2226-SM-6EU2L 50-59 years, male 6.1
GTEX-WHWD-1826-SM-3LK6I 50-59 years, male 6.1
GTEX-Y8LW-1526-SM-5IFHL 50-59 years, female 6.1
GTEX-1HSMO-0626-SM-ACKXC 60-69 years, male 6.1
GTEX-1KANC-1226-SM-CYPT7 50-59 years, female 6.1
GTEX-1QP9N-1226-SM-E76QN 30-39 years, male 6.1
GTEX-12ZZY-0726-SM-5EQ66 60-69 years, male 6.0
GTEX-14ICL-1626-SM-5YYAO 30-39 years, male 6.0
GTEX-1B8KE-1126-SM-7EPHI 50-59 years, male 6.0
GTEX-1B8KZ-0326-SM-73KY4 50-59 years, male 6.0
GTEX-15DDE-2926-SM-6LLJ3 50-59 years, female 5.9
GTEX-YF7O-1526-SM-5IFI6 50-59 years, male 5.9
GTEX-ZT9W-1126-SM-57WDR 50-59 years, male 5.9
GTEX-1ICLY-0826-SM-CMKG1 50-59 years, male 5.9
GTEX-YEC3-1326-SM-DO92X 50-59 years, male 5.9
GTEX-11ZTT-2126-SM-5CVLO 60-69 years, female 5.8
GTEX-XUW1-0926-SM-4BONX 50-59 years, female 5.8
GTEX-1KANA-1326-SM-DIPFA 20-29 years, male 5.8
GTEX-1KWVE-1026-SM-D3L9O 30-39 years, male 5.8
GTEX-14PJN-1826-SM-6AJ98 30-39 years, male 5.7
GTEX-ZXG5-2126-SM-59HKD 60-69 years, male 5.7
GTEX-1A3MX-2626-SM-7PC24 60-69 years, male 5.7
GTEX-1GN73-0726-SM-7P8TJ 60-69 years, male 5.7
GTEX-1GTWX-2026-SM-9YFLM 60-69 years, male 5.7
GTEX-1MJK3-0726-SM-E6CJC 20-29 years, male 5.7
GTEX-1S831-1826-SM-EWROF 20-29 years, male 5.7
GTEX-13OVG-1626-SM-5J1NF 60-69 years, male 5.6
GTEX-ZVZP-1226-SM-5GID7 50-59 years, male 5.6
GTEX-1GL5R-1326-SM-7RHHF 50-59 years, male 5.6
GTEX-1S5ZU-2526-SM-E6CIF 20-29 years, female 5.6
GTEX-131XG-0326-SM-5L3DX 50-59 years, female 5.5
GTEX-133LE-2326-SM-5K7W3 20-29 years, female 5.5
GTEX-14C38-0726-SM-5SI6M 50-59 years, male 5.5
GTEX-Y5LM-0926-SM-6LLJG 40-49 years, female 5.5
GTEX-ZTSS-1426-SM-5985P 40-49 years, male 5.5
GTEX-ZVP2-0326-SM-57WBP 50-59 years, male 5.5
GTEX-ZZ64-1026-SM-5GZXG 20-29 years, male 5.5
GTEX-1H11D-1826-SM-9QEHM 40-49 years, male 5.5
GTEX-1H2FU-0926-SM-9WPPT 60-69 years, female 5.5
GTEX-11VI4-1126-SM-5EQMD 40-49 years, female 5.4
GTEX-13X6H-0926-SM-5SIB2 50-59 years, female 5.4
GTEX-WFG8-2126-SM-3GIKQ 20-29 years, male 5.4
GTEX-ZA64-1026-SM-5HL8R 20-29 years, male 5.4
GTEX-1HSKV-1226-SM-ADEI4 60-69 years, male 5.4
GTEX-ZZPU-0826-SM-5GZX5 50-59 years, female 5.3
GTEX-1F5PL-0926-SM-7PC2W 40-49 years, female 5.3
GTEX-147F3-1726-SM-5SIAW 50-59 years, female 5.2
GTEX-17F9Y-0126-SM-79OKX 70-79 years, female 5.2
GTEX-1EH9U-2826-SM-7DUGT 60-69 years, male 5.2
GTEX-1HGF4-0126-SM-CNPPX 60-69 years, male 5.2
GTEX-1JJ6O-2726-SM-CNPOG 60-69 years, male 5.2
GTEX-1PPH7-1126-SM-DTX9A 40-49 years, male 5.2
GTEX-1399S-0126-SM-5IJCF 30-39 years, female 5.1
GTEX-11P82-1426-SM-DTXFY 20-29 years, male 5.1
GTEX-1GF9U-2026-SM-7SB92 40-49 years, female 5.1
GTEX-1GZHY-0626-SM-9KNVC 50-59 years, female 5.1
GTEX-1QCLZ-2426-SM-EVYBW 60-69 years, female 5.1
GTEX-145MO-2826-SM-5LU96 60-69 years, male 5.0
GTEX-14PJ3-1126-SM-5ZZVX 50-59 years, male 5.0
GTEX-1CAMS-2226-SM-7PBXQ 40-49 years, female 5.0
GTEX-1GN1U-0626-SM-9MQL9 50-59 years, female 5.0
GTEX-1GN2E-0226-SM-9WG6K 60-69 years, male 5.0
GTEX-1GPI6-1926-SM-9KNV7 60-69 years, male 5.0
GTEX-1RMOY-1326-SM-E9TIH 50-59 years, male 5.0
GTEX-11EQ9-1626-SM-5PNY8 30-39 years, male 4.9
GTEX-14PII-0726-SM-6EU2B 60-69 years, male 4.9
GTEX-16BQI-1326-SM-6M486 30-39 years, female 4.9
GTEX-15G1A-1626-SM-7KUKN 30-39 years, male 4.8
GTEX-1GF9V-0826-SM-9KNUV 60-69 years, male 4.8
GTEX-1HCU7-0726-SM-A9SL1 50-59 years, male 4.8
GTEX-1KXAM-1626-SM-D3LAD 60-69 years, male 4.8
GTEX-1LGOU-1326-SM-D3L8M 20-29 years, female 4.8
GTEX-Y3I4-1726-SM-4TT89 50-59 years, male 4.7
GTEX-1HCVE-2726-SM-CL54F 50-59 years, male 4.7
GTEX-1HSGN-0826-SM-ACKW3 40-49 years, female 4.7
GTEX-1JKYR-0626-SM-ARL8R 20-29 years, male 4.7
GTEX-1JMPY-0226-SM-CKZOK 30-39 years, male 4.7
GTEX-1N2DV-1526-SM-DTXEP 40-49 years, male 4.7
GTEX-1QPFJ-1926-SM-EVYBD 30-39 years, female 4.7
GTEX-145MI-0626-SM-5SI8S 60-69 years, female 4.6
GTEX-WFG7-2026-SM-5SI7P 20-29 years, male 4.6
GTEX-UPK5-0426-SM-3GAEK 40-49 years, male 4.5
GTEX-Y9LG-1126-SM-4VBQ7 30-39 years, male 4.5
GTEX-1C475-1326-SM-7SB73 40-49 years, female 4.5
GTEX-1F88E-1626-SM-7SB8Z 60-69 years, female 4.5
GTEX-1GZ4H-0526-SM-9KNU9 50-59 years, female 4.5
GTEX-1J1OQ-0126-SM-D4P2N 40-49 years, female 4.5
GTEX-1PDJ9-1226-SM-EXUSX 20-29 years, male 4.5
GTEX-1399U-1126-SM-5L3DB 50-59 years, female 4.4
GTEX-WEY5-2326-SM-3GIKK 40-49 years, female 4.4
GTEX-1B8L1-2226-SM-7P8PT 60-69 years, male 4.4
GTEX-1LVAM-0726-SM-E6CIL 50-59 years, female 4.4
GTEX-131XF-2626-SM-5EQ6K 60-69 years, male 4.3
GTEX-UPJH-0226-SM-3GADV 50-59 years, male 4.3
GTEX-1CB4J-1326-SM-7P8RX 60-69 years, male 4.3
GTEX-1F5PK-2226-SM-7SB6N 50-59 years, male 4.3
GTEX-1I1GT-1026-SM-ARZLV 60-69 years, female 4.3
GTEX-12C56-1526-SM-5FQUQ 20-29 years, male 4.2
GTEX-14C39-1726-SM-5RQIL 40-49 years, male 4.2
GTEX-15CHC-1126-SM-6LLHQ 60-69 years, female 4.2
GTEX-1QP28-1126-SM-EVYC4 50-59 years, female 4.2
GTEX-ZTX8-1326-SM-4YCEL 20-29 years, male 4.1
GTEX-12WSM-1926-SM-5BC65 60-69 years, male 4.0
GTEX-1F6RS-2026-SM-7RHHC 60-69 years, female 4.0
GTEX-1OJC4-2726-SM-E76PJ 50-59 years, female 4.0
GTEX-13X6K-0626-SM-5LU5D 60-69 years, female 3.9
GTEX-1JN76-0626-SM-CKZOQ 20-29 years, female 3.9
GTEX-148VJ-0626-SM-5LUAW 70-79 years, male 3.8
GTEX-WHSB-1326-SM-3LK6W 50-59 years, male 3.8
GTEX-1HSMQ-2626-SM-A9SML 50-59 years, male 3.8
GTEX-1QCLY-0226-SM-EWRNH 30-39 years, male 3.8
GTEX-1S83E-1326-SM-E6CJM 40-49 years, male 3.8
GTEX-12696-0126-SM-5EQ4L 60-69 years, male 3.7
GTEX-1J8Q2-2626-SM-ACKWQ 60-69 years, male 3.7
GTEX-1J8Q3-0526-SM-ARL8U 60-69 years, male 3.7
GTEX-17F98-1326-SM-7DUEP 40-49 years, female 3.6
GTEX-1LGRB-0926-SM-COH3K 50-59 years, female 3.6
GTEX-1NV5F-0626-SM-DTXEG 60-69 years, female 3.6
GTEX-1H3VE-0726-SM-9YFL5 40-49 years, male 3.5
GTEX-1J8QM-2426-SM-A9SLS 60-69 years, female 3.5
GTEX-1MCYP-0526-SM-E9U6Q 20-29 years, female 3.5
GTEX-14B4R-1326-SM-5Q5EZ 30-39 years, male 3.4
GTEX-1CB4E-0926-SM-7EPHT 60-69 years, male 3.4
GTEX-1R46S-2426-SM-E76QA 60-69 years, female 3.4
GTEX-1S82P-2126-SM-E6CI5 60-69 years, female 3.4
GTEX-1122O-1026-SM-9WYSF 60-69 years, female 3.3
GTEX-1C2JI-1026-SM-73KY1 50-59 years, male 3.2
GTEX-13D11-0926-SM-5J2NC 50-59 years, female 3.1
GTEX-13PVR-0426-SM-5RQK2 60-69 years, female 3.1
GTEX-ZVT2-0126-SM-5GIDQ 50-59 years, female 3.1
GTEX-1GN1V-2826-SM-9JGIA 60-69 years, male 3.1
GTEX-13OVH-0526-SM-5L3E6 70-79 years, male 3.0
GTEX-14PKU-0126-SM-6LLHV 40-49 years, female 3.0
GTEX-ZYY3-2926-SM-5GIEB 60-69 years, female 3.0
GTEX-14PJ5-1526-SM-6LLIL 60-69 years, female 2.9
GTEX-1GN1W-2426-SM-9KNUU 50-59 years, female 2.9
GTEX-14PJ6-2626-SM-6EU2T 60-69 years, female 2.8
GTEX-14C5O-0326-SM-5ZZUX 60-69 years, male 2.7
GTEX-18A67-1626-SM-7LT9T 50-59 years, male 2.7
GTEX-1C6VQ-1226-SM-73KYD 50-59 years, male 2.7
GTEX-11DXX-2126-SM-5PNYR 60-69 years, female 2.6
GTEX-14PJ4-0226-SM-5YY92 60-69 years, male 2.6
GTEX-13QJC-0126-SM-5ZZWJ 60-69 years, female 2.5
GTEX-1AMFI-1326-SM-7939R 50-59 years, female 2.5
GTEX-ZDTT-0426-SM-4WKFL 60-69 years, male 2.5
GTEX-1IDJU-1726-SM-CMKHU 60-69 years, female 2.5
GTEX-1QP2A-1726-SM-E76QC 50-59 years, male 2.4
GTEX-16NGA-0726-SM-731AO 40-49 years, female 2.3
GTEX-1AMEY-0826-SM-72D65 30-39 years, female 2.2
GTEX-V1D1-2026-SM-3GAF4 50-59 years, male 2.1
Show allShow less
Skin - Sun Exposed (Lower leg)
Average nTPM: 12.8
Samples: 701

Max nTPM: 291.0
Min nTPM: 0.9
Std nTPM: 15.6
Median nTPM: 9.6
GTEX-17F97-0326-SM-7LG5B 50-59 years, male 291.0
GTEX-14PK6-1926-SM-6ETZU 70-79 years, female 145.4
GTEX-15SDE-2226-SM-7IGLO 50-59 years, female 104.4
GTEX-15G19-0126-SM-6PANQ 60-69 years, male 92.9
GTEX-ZE9C-2726-SM-57WB5 60-69 years, male 86.8
GTEX-1RQEC-0426-SM-E6CHU 60-69 years, male 84.6
GTEX-X4EP-0126-SM-3P5YV 60-69 years, female 73.8
GTEX-1ICLZ-0126-SM-CKZPO 60-69 years, male 69.4
GTEX-113IC-0126-SM-5HL6T 60-69 years, male 66.6
GTEX-1192W-2626-SM-5Q5AF 60-69 years, male 66.6
GTEX-13FTY-0526-SM-5L3EV 40-49 years, female 57.0
GTEX-1HGF4-2426-SM-ACKXM 60-69 years, male 49.9
GTEX-ZDYS-2026-SM-5HL5L 50-59 years, male 49.4
GTEX-X88G-0126-SM-47JZ3 30-39 years, male 46.4
GTEX-113JC-2326-SM-5EQ4E 50-59 years, female 43.3
GTEX-ZDXO-3026-SM-5J1N5 60-69 years, male 42.2
GTEX-11UD1-0126-SM-5PNYG 40-49 years, female 40.9
GTEX-1HCUA-2426-SM-ADEIS 50-59 years, female 40.4
GTEX-QDT8-0126-SM-48TZ1 30-39 years, female 37.4
GTEX-11ZVC-2526-SM-5FQTE 50-59 years, female 37.3
GTEX-15SB6-1726-SM-6PAME 50-59 years, female 36.7
GTEX-14A6H-0126-SM-5QGPK 30-39 years, male 36.5
GTEX-11ZTS-0126-SM-5EQ6M 60-69 years, female 36.4
GTEX-1N2DW-0226-SM-E9TK2 50-59 years, male 34.0
GTEX-15ETS-0126-SM-7KUMW 40-49 years, female 33.7
GTEX-1M4P7-0226-SM-DIPEV 60-69 years, male 33.1
GTEX-1IY9M-0126-SM-D3L8S 60-69 years, male 32.0
GTEX-S33H-1026-SM-EZ6L6 30-39 years, male 31.5
GTEX-W5X1-3026-SM-EAZAX 40-49 years, female 31.4
GTEX-POMQ-2226-SM-2I5FK 20-29 years, female 31.0
GTEX-1CAV2-2226-SM-7P8P2 40-49 years, female 30.7
GTEX-146FQ-0126-SM-5NQA9 30-39 years, male 30.3
GTEX-1F6IF-0726-SM-7P8TW 60-69 years, male 30.2
GTEX-1RAZQ-0726-SM-EAZ43 30-39 years, male 30.2
GTEX-1J8EW-0126-SM-CJI4F 60-69 years, female 30.0
GTEX-1HBPH-0426-SM-B2LW5 40-49 years, female 29.6
GTEX-X4XY-0226-SM-4E3IZ 60-69 years, male 29.4
GTEX-13RTL-0126-SM-7LG5S 40-49 years, male 28.0
GTEX-11DXW-0226-SM-5H122 40-49 years, male 27.7
GTEX-ZVT3-0126-SM-5GU6I 60-69 years, female 26.5
GTEX-1F75A-0126-SM-7RHGM 50-59 years, male 26.1
GTEX-WVJS-0126-SM-4MVOT 50-59 years, male 25.9
GTEX-1A32A-0126-SM-718B1 50-59 years, female 25.8
GTEX-17HHY-0126-SM-7LG5D 50-59 years, male 24.4
GTEX-1AYD5-2426-SM-73KXR 50-59 years, male 24.4
GTEX-ZZPT-0226-SM-5E43X 50-59 years, male 24.4
GTEX-14ABY-0226-SM-5TDCQ 50-59 years, male 24.3
GTEX-11ZUS-0626-SM-59885 30-39 years, male 24.2
GTEX-17HG3-2226-SM-7938L 30-39 years, female 24.0
GTEX-11ZU8-2526-SM-5EQKI 60-69 years, male 23.9
GTEX-13NYB-2526-SM-5K7Z6 40-49 years, male 23.8
GTEX-11P7K-2126-SM-5GU7G 30-39 years, male 23.7
GTEX-13OW6-0426-SM-5L3HM 50-59 years, male 23.6
GTEX-1I1GP-2226-SM-CGQFK 50-59 years, male 23.6
GTEX-1PBJI-0526-SM-E8VNK 20-29 years, female 23.6
GTEX-1QP67-1626-SM-EAZ3X 40-49 years, female 23.5
GTEX-1313W-0126-SM-5LZUN 50-59 years, female 22.7
GTEX-1HUB1-0426-SM-E9U4U 60-69 years, male 22.7
GTEX-U3ZN-2326-SM-3DB7W 30-39 years, female 22.5
GTEX-ZUA1-0126-SM-5GU76 40-49 years, male 22.3
GTEX-144GN-2326-SM-5LU4F 50-59 years, male 22.2
GTEX-1QEPI-0126-SM-EWRMQ 60-69 years, female 22.1
GTEX-R3RS-0126-SM-3GIJL 40-49 years, female 22.0
GTEX-12WSG-2826-SM-E9J4H 50-59 years, female 21.9
GTEX-183WM-0126-SM-7LTAB 70-79 years, female 21.7
GTEX-13OW7-0126-SM-5MR3B 50-59 years, male 21.6
GTEX-13CF2-2526-SM-5LZYX 60-69 years, male 21.5
GTEX-Q734-1926-SM-2I5EV 40-49 years, female 21.3
GTEX-1IL2U-0226-SM-CE6T8 60-69 years, male 21.3
GTEX-1F6I4-0126-SM-9MQL2 60-69 years, male 21.1
GTEX-1H1ZS-0426-SM-9WG6G 70-79 years, male 21.0
GTEX-X585-0226-SM-4QAS2 50-59 years, male 20.9
GTEX-1I1GU-2226-SM-CGQFA 40-49 years, male 20.9
GTEX-1AYCT-2426-SM-7IGQ3 50-59 years, male 20.6
GTEX-11GSP-2526-SM-5N9BP 60-69 years, female 20.4
GTEX-16YQH-0126-SM-7DUFJ 30-39 years, male 20.4
GTEX-1LNCM-1126-SM-E9U5E 50-59 years, female 20.4
GTEX-OIZG-0726-SM-33HBL 50-59 years, male 20.3
GTEX-X62O-0126-SM-4E3JN 50-59 years, male 20.3
GTEX-1RLM8-2326-SM-EWRN4 50-59 years, male 20.3
GTEX-117YX-2326-SM-5H12W 50-59 years, male 20.1
GTEX-1LBAC-0126-SM-DIPEZ 20-29 years, male 20.1
GTEX-12126-0326-SM-5PNW3 20-29 years, male 20.0
GTEX-139T8-0126-SM-5K7XZ 60-69 years, male 20.0
GTEX-1R9K4-0126-SM-DTX9X 60-69 years, male 19.9
GTEX-1CB4H-0226-SM-7PBXM 60-69 years, female 19.8
GTEX-1F88F-2726-SM-7PBZZ 60-69 years, female 19.8
GTEX-17EVQ-0226-SM-7LG4P 70-79 years, male 19.6
GTEX-ZYFC-0226-SM-5NQ75 50-59 years, male 19.6
GTEX-15DYW-0126-SM-7KULE 60-69 years, female 19.3
GTEX-13SLX-0526-SM-5S2ON 50-59 years, female 19.1
GTEX-Y8DK-0126-SM-4TT3L 60-69 years, male 18.9
GTEX-1B933-0126-SM-7PC29 50-59 years, female 18.9
GTEX-1I1CD-0126-SM-CM2TK 60-69 years, female 18.6
GTEX-Y3IK-2426-SM-4WWDU 50-59 years, female 18.5
GTEX-1C6WA-0126-SM-7PC2B 60-69 years, male 18.4
GTEX-RVPV-0126-SM-EAZAW 60-69 years, male 18.4
GTEX-VUSG-2526-SM-4KL1V 50-59 years, male 18.3
GTEX-117YW-2626-SM-5GZZH 50-59 years, male 18.0
GTEX-ZAB4-0226-SM-5N9F5 40-49 years, male 17.9
GTEX-13OVL-0226-SM-5L3E9 50-59 years, male 17.8
GTEX-YJ89-0126-SM-4TT3X 60-69 years, male 17.8
GTEX-U412-0426-SM-3DB9O 60-69 years, male 17.7
GTEX-14PJM-0226-SM-62LF1 50-59 years, female 17.6
GTEX-ZF2S-2326-SM-4WWCE 50-59 years, female 17.6
GTEX-1GZ2Q-0226-SM-7P8TL 40-49 years, male 17.6
GTEX-132NY-0326-SM-5IJBL 60-69 years, male 17.4
GTEX-1PIGE-0126-SM-EVYBJ 20-29 years, male 17.4
GTEX-13O1R-0126-SM-5L3EH 60-69 years, male 17.3
GTEX-1C64N-0126-SM-793D7 50-59 years, male 17.3
GTEX-12WSD-0126-SM-59HKN 60-69 years, female 17.2
GTEX-1192X-0226-SM-5H12D 50-59 years, male 17.1
GTEX-1KD4Q-0226-SM-E9TJ9 40-49 years, male 17.1
GTEX-PW2O-1526-SM-7RHHB 20-29 years, male 17.1
GTEX-ZVT4-0126-SM-DTXFN 50-59 years, female 17.1
GTEX-146FR-1326-SM-E9J48 60-69 years, female 17.0
GTEX-1O97I-0326-SM-EYYX7 60-69 years, male 17.0
GTEX-11OF3-2626-SM-5GU7F 60-69 years, male 16.9
GTEX-1OJC4-0126-SM-E9J2E 50-59 years, female 16.8
GTEX-139T4-0226-SM-5HL5S 50-59 years, female 16.7
GTEX-14JG1-0426-SM-6ETZZ 40-49 years, male 16.7
GTEX-1497J-2426-SM-7IGNX 60-69 years, male 16.6
GTEX-XMD2-0126-SM-4YCDU 60-69 years, female 16.6
GTEX-1I1HK-0126-SM-COH49 60-69 years, male 16.6
GTEX-139TS-2826-SM-5J1OO 60-69 years, male 16.5
GTEX-1399U-2326-SM-5K7WY 50-59 years, female 16.4
GTEX-18QFQ-0126-SM-731BE 30-39 years, male 16.4
GTEX-RUSQ-1526-SM-2TF62 50-59 years, male 16.4
GTEX-SIU8-0126-SM-2XCDT 50-59 years, male 16.4
GTEX-1IDFM-0126-SM-COH2V 60-69 years, male 16.3
GTEX-R45C-0126-SM-EAZ2R 60-69 years, female 16.2
GTEX-R55E-0126-SM-2TC5Y 20-29 years, male 16.1
GTEX-1J8JJ-0226-SM-CL53I 60-69 years, female 16.0
GTEX-11NUK-0126-SM-5A5L3 50-59 years, male 15.9
GTEX-1GF9X-2026-SM-7PC3A 40-49 years, female 15.9
GTEX-1MCYP-1926-SM-E9J2R 20-29 years, female 15.9
GTEX-1R9PO-2126-SM-E9J4O 60-69 years, female 15.9
GTEX-14JIY-0126-SM-6LLH6 60-69 years, male 15.8
GTEX-111VG-2426-SM-5GZXD 60-69 years, male 15.6
GTEX-15EOM-0126-SM-7KUGG 20-29 years, female 15.6
GTEX-13QJ3-0326-SM-5S2RA 50-59 years, male 15.5
GTEX-V1D1-2226-SM-3NMAX 50-59 years, male 15.5
GTEX-1QP66-1726-SM-E8VO1 50-59 years, male 15.5
GTEX-SN8G-0126-SM-32PLI 50-59 years, female 15.4
GTEX-X638-0126-SM-47JZ8 70-79 years, female 15.4
GTEX-1H3O1-0426-SM-9YFKY 60-69 years, male 15.4
GTEX-11DZ1-0126-SM-5985Q 50-59 years, male 15.3
GTEX-ZEX8-2426-SM-4WKG4 50-59 years, male 15.3
GTEX-13G51-2526-SM-5LZYK 60-69 years, male 15.2
GTEX-15SHW-0326-SM-6PAML 60-69 years, male 15.2
GTEX-13NZ8-0826-SM-5MR3I 60-69 years, female 15.1
GTEX-1S82Y-2026-SM-EVYCM 40-49 years, male 15.1
GTEX-11GS4-2726-SM-5A5LE 60-69 years, male 15.0
GTEX-PWO3-1526-SM-48TCM 60-69 years, female 15.0
GTEX-QV44-1926-SM-2S1RF 50-59 years, male 15.0
GTEX-WZTO-0126-SM-3NM95 40-49 years, male 15.0
GTEX-XBED-2226-SM-47JYQ 60-69 years, male 15.0
GTEX-ZDTS-0126-SM-4WAY5 60-69 years, male 15.0
GTEX-XQ8I-0426-SM-4BOPO 50-59 years, male 14.9
GTEX-ZE7O-0126-SM-57WC1 50-59 years, female 14.9
GTEX-1H4P4-0726-SM-9YFLR 50-59 years, male 14.9
GTEX-1269C-2526-SM-5EGJ3 60-69 years, female 14.8
GTEX-1JJE9-0326-SM-CL53Z 70-79 years, male 14.8
GTEX-13O3Q-2426-SM-5IJBR 50-59 years, male 14.6
GTEX-13OVG-1926-SM-5L3DK 60-69 years, male 14.6
GTEX-13U4I-0126-SM-5LU38 40-49 years, female 14.6
GTEX-13W46-0226-SM-5SIAG 50-59 years, male 14.6
GTEX-147F4-0226-SM-5QGPW 50-59 years, male 14.6
GTEX-1EX96-1626-SM-7PBXR 50-59 years, male 14.6
GTEX-1H2FU-0126-SM-9WYSI 60-69 years, female 14.6
GTEX-1HR98-0126-SM-B2LWI 60-69 years, male 14.6
GTEX-1I1GS-0126-SM-B2LVW 60-69 years, male 14.6
GTEX-11DXZ-2326-SM-5EGGV 50-59 years, male 14.5
GTEX-14E6C-0126-SM-5RQIP 40-49 years, male 14.5
GTEX-11EMC-2926-SM-5EQ4F 60-69 years, female 14.4
GTEX-Y111-0126-SM-4SOIV 50-59 years, male 14.4
GTEX-1QW4Y-1526-SM-EAZ3Z 30-39 years, male 14.4
GTEX-OXRN-0126-SM-48TDM 50-59 years, male 14.3
GTEX-18465-0126-SM-731BN 50-59 years, male 14.2
GTEX-18A7A-0226-SM-718BH 50-59 years, female 14.2
GTEX-X4XX-0126-SM-3NMC2 60-69 years, male 14.2
GTEX-1H1CY-2826-SM-9MQM3 60-69 years, female 14.1
GTEX-SE5C-1626-SM-2XCE3 40-49 years, female 14.1
GTEX-145LU-0126-SM-5TDCB 50-59 years, male 14.0
GTEX-RTLS-0126-SM-447CA 60-69 years, female 14.0
GTEX-XV7Q-2526-SM-4BRV9 40-49 years, female 14.0
GTEX-ZAB5-1826-SM-5HL7C 50-59 years, male 14.0
GTEX-1RDX4-0126-SM-E9J4P 50-59 years, female 14.0
GTEX-13O21-1426-SM-5K7XI 50-59 years, male 13.9
GTEX-13PDP-0126-SM-5L3HD 60-69 years, male 13.9
GTEX-S7PM-0126-SM-4AD6S 60-69 years, male 13.9
GTEX-1HCU6-0126-SM-CL54K 60-69 years, female 13.9
GTEX-ZF3C-0126-SM-DO92D 50-59 years, female 13.9
GTEX-P4PP-0126-SM-3LK69 30-39 years, female 13.8
GTEX-TMZS-0126-SM-3DB9Q 60-69 years, male 13.7
GTEX-ZVZO-0126-SM-5A5L9 40-49 years, male 13.7
GTEX-1IOXB-0126-SM-ARL8G 50-59 years, male 13.7
GTEX-11O72-0126-SM-59887 40-49 years, male 13.6
GTEX-13FHP-0126-SM-5IJBG 50-59 years, male 13.6
GTEX-1C4CL-0526-SM-73KVK 30-39 years, male 13.6
GTEX-1CAMR-1926-SM-7EPI2 20-29 years, male 13.6
GTEX-Y114-2426-SM-4TT8A 50-59 years, female 13.6
GTEX-PLZ5-2026-SM-2S1O4 50-59 years, male 13.5
GTEX-18A7B-0126-SM-7LG64 70-79 years, male 13.4
GTEX-1HCU8-0626-SM-A9SM9 60-69 years, female 13.4
GTEX-11EI6-0126-SM-5985R 60-69 years, male 13.3
GTEX-13NZB-2526-SM-5J1OM 30-39 years, male 13.3
GTEX-ZC5H-0226-SM-4WAY9 40-49 years, female 13.3
GTEX-1GN73-0226-SM-9WG67 60-69 years, male 13.3
GTEX-13OVK-2026-SM-7KUEO 40-49 years, male 13.2
GTEX-Y3I4-2126-SM-4TT7C 50-59 years, male 13.2
GTEX-1GF9U-2126-SM-7SB7L 40-49 years, female 13.2
GTEX-1I1GV-0526-SM-A9G29 60-69 years, male 13.2
GTEX-1GF9W-0326-SM-9KNUN 60-69 years, male 13.1
GTEX-1IE54-0126-SM-CMKHW 40-49 years, female 13.1
GTEX-1JN1M-0326-SM-CYPT3 60-69 years, female 13.1
GTEX-18A6Q-0126-SM-731BZ 60-69 years, male 13.0
GTEX-XYKS-2126-SM-4E3IB 60-69 years, female 13.0
GTEX-ZVT2-2526-SM-51MT1 50-59 years, female 13.0
GTEX-11TTK-0126-SM-5987B 60-69 years, female 12.9
GTEX-146FH-0126-SM-5QGPP 50-59 years, female 12.9
GTEX-NPJ8-0126-SM-2YUNR 40-49 years, male 12.9
GTEX-1MA7X-2226-SM-E6CIY 60-69 years, male 12.9
GTEX-183FY-0126-SM-7LT9P 20-29 years, male 12.8
GTEX-1F6RS-0126-SM-9MQKZ 60-69 years, female 12.8
GTEX-1IKOH-0226-SM-COH4E 60-69 years, female 12.8
GTEX-WY7C-2326-SM-3NB2U 50-59 years, male 12.6
GTEX-11DXY-2626-SM-5GIE7 60-69 years, male 12.5
GTEX-13N1W-0126-SM-5K7VT 70-79 years, male 12.5
GTEX-T2YK-0526-SM-32QPJ 50-59 years, male 12.5
GTEX-1HFI6-0226-SM-ADEHZ 40-49 years, male 12.5
GTEX-1LB8K-0226-SM-EWRNW 50-59 years, male 12.5
GTEX-131XG-2626-SM-5KM17 50-59 years, female 12.4
GTEX-13VXU-0126-SM-5SI9F 50-59 years, male 12.4
GTEX-15DCD-0126-SM-7KUEK 70-79 years, female 12.4
GTEX-U8XE-0326-SM-3DB8P 30-39 years, male 12.4
GTEX-ZAK1-0126-SM-5IJD3 50-59 years, female 12.4
GTEX-17HHE-2026-SM-79OKF 50-59 years, male 12.3
GTEX-WYVS-2126-SM-3NMA3 40-49 years, female 12.3
GTEX-1EMGI-0126-SM-9KNUE 60-69 years, male 12.3
GTEX-1HB9E-0226-SM-E9U4R 50-59 years, male 12.3
GTEX-1MCQQ-0826-SM-DLHC2 60-69 years, male 12.3
GTEX-1KANB-0526-SM-E6CJH 50-59 years, male 12.2
GTEX-147GR-0526-SM-5S2MY 60-69 years, male 12.1
GTEX-S7SE-0126-SM-2XCD5 50-59 years, male 12.1
GTEX-QVJO-1626-SM-2S1QW 60-69 years, female 12.0
GTEX-1F7RK-0126-SM-7PC2S 20-29 years, female 12.0
GTEX-1GN1V-0126-SM-9WPOS 60-69 years, male 12.0
GTEX-1I6K6-0126-SM-A9SLE 30-39 years, male 12.0
GTEX-1MUQO-0126-SM-EAZ58 60-69 years, male 12.0
GTEX-14753-0426-SM-5NQAM 60-69 years, male 11.9
GTEX-Z93T-0126-SM-5HL5N 50-59 years, male 11.9
GTEX-ZY6K-1826-SM-5GZXK 50-59 years, male 11.9
GTEX-1RB15-2126-SM-E9TIM 60-69 years, male 11.8
GTEX-13FXS-0226-SM-5IJCK 50-59 years, male 11.7
GTEX-P4PQ-0126-SM-2S1NM 60-69 years, male 11.7
GTEX-ZVE2-0226-SM-59HJB 50-59 years, male 11.7
GTEX-1RAZA-0126-SM-E6CI3 20-29 years, male 11.7
GTEX-12ZZX-0126-SM-5EGK9 40-49 years, female 11.6
GTEX-Q2AI-1326-SM-2S1PL 40-49 years, male 11.6
GTEX-1C64O-0126-SM-7SB8P 60-69 years, male 11.6
GTEX-1LC47-0326-SM-E9TJP 60-69 years, male 11.6
GTEX-SSA3-0126-SM-32QPU 60-69 years, male 11.5
GTEX-1EKGG-0226-SM-9WYTH 60-69 years, male 11.5
GTEX-1H3VY-0126-SM-ACKXD 50-59 years, male 11.5
GTEX-PWCY-1826-SM-DHXIZ 20-29 years, female 11.5
GTEX-139D8-0226-SM-5KLZO 30-39 years, female 11.4
GTEX-17HII-0226-SM-7LG4E 50-59 years, male 11.4
GTEX-Z93S-0126-SM-5HL7M 50-59 years, male 11.4
GTEX-ZF28-0126-SM-4WKGK 60-69 years, male 11.4
GTEX-1NV5F-0226-SM-E8VNY 60-69 years, female 11.4
GTEX-13N11-2526-SM-5K7UE 50-59 years, female 11.3
GTEX-RN64-0126-SM-2TC68 50-59 years, male 11.3
GTEX-UJHI-1526-SM-3DB99 50-59 years, female 11.3
GTEX-WH7G-2326-SM-3NMBC 40-49 years, male 11.3
GTEX-ZAJG-0126-SM-5HL94 50-59 years, female 11.3
GTEX-1POEN-0126-SM-EYYXJ 30-39 years, female 11.3
GTEX-13RTK-1426-SM-5QGQJ 20-29 years, male 11.2
GTEX-13X6I-0626-SM-5QGP9 60-69 years, male 11.2
GTEX-15RIG-0226-SM-7KFTL 40-49 years, male 11.2
GTEX-15UKP-0426-SM-7KUFQ 20-29 years, male 11.2
GTEX-1I19N-0326-SM-ACKVX 70-79 years, male 11.2
GTEX-1IGQW-0126-SM-COH42 60-69 years, male 11.2
GTEX-1122O-2126-SM-5EGIR 60-69 years, female 11.1
GTEX-11UD2-0226-SM-5EQKY 50-59 years, male 11.1
GTEX-14BIM-0226-SM-7IGLD 60-69 years, female 11.1
GTEX-1HSKV-0226-SM-A9SKJ 60-69 years, male 11.1
GTEX-11GSO-2426-SM-5A5LY 60-69 years, male 11.0
GTEX-12KS4-0326-SM-5EQ41 30-39 years, male 11.0
GTEX-14BIN-0626-SM-793DP 50-59 years, female 11.0
GTEX-XAJ8-0826-SM-47JY6 40-49 years, male 11.0
GTEX-1ICG6-2526-SM-CGQFZ 70-79 years, female 11.0
GTEX-1K9T9-0126-SM-EVYCF 50-59 years, female 11.0
GTEX-1MJK2-0426-SM-DTXE5 50-59 years, male 11.0
GTEX-RNOR-0126-SM-E9J4R 50-59 years, female 11.0
GTEX-11DYG-0126-SM-59883 60-69 years, male 10.9
GTEX-1C6VS-0526-SM-7DUEN 60-69 years, male 10.9
GTEX-O5YT-0126-SM-48TBW 20-29 years, male 10.9
GTEX-1B8L1-2526-SM-9WYTF 60-69 years, male 10.9
GTEX-131XW-0426-SM-5LZWP 50-59 years, female 10.8
GTEX-14E6D-0126-SM-62LDV 50-59 years, male 10.8
GTEX-18A66-0226-SM-718BD 60-69 years, male 10.8
GTEX-ZTPG-0326-SM-5O9AX 20-29 years, female 10.8
GTEX-169BO-1326-SM-9MQK2 50-59 years, male 10.8
GTEX-1I1GR-0126-SM-CL55F 60-69 years, male 10.8
GTEX-1B8KZ-2026-SM-7DHMB 50-59 years, male 10.7
GTEX-YEC4-2126-SM-5IFJH 40-49 years, male 10.7
GTEX-ZXG5-0126-SM-5GIEU 60-69 years, male 10.7
GTEX-ZYFD-0126-SM-5GIDL 50-59 years, male 10.7
GTEX-1IL2V-0126-SM-CM2TX 70-79 years, male 10.7
GTEX-OXRP-0126-SM-3NB32 60-69 years, female 10.6
GTEX-T5JC-0426-SM-32PLO 20-29 years, male 10.6
GTEX-1HKZK-0326-SM-9WYUH 40-49 years, male 10.6
GTEX-131XH-2226-SM-5DUXJ 50-59 years, male 10.5
GTEX-139TU-0126-SM-5K7WH 60-69 years, male 10.5
GTEX-15DDE-0126-SM-6LPKH 50-59 years, female 10.5
GTEX-1QCLY-0326-SM-E8VOG 30-39 years, male 10.5
GTEX-11OC5-0126-SM-5HL6A 60-69 years, male 10.4
GTEX-16XZY-2126-SM-79OK1 70-79 years, male 10.4
GTEX-O5YW-0126-SM-3LK6D 50-59 years, male 10.4
GTEX-1JN6P-0126-SM-D3L98 60-69 years, male 10.4
GTEX-18A67-0126-SM-7LG5P 50-59 years, male 10.3
GTEX-1GTWX-0126-SM-9YFLK 60-69 years, male 10.3
GTEX-11WQC-2526-SM-5CVLE 60-69 years, male 10.2
GTEX-Y5LM-1926-SM-5RQJH 40-49 years, female 10.2
GTEX-17EUY-0426-SM-793BD 20-29 years, male 10.1
GTEX-SJXC-0126-SM-2XCFF 60-69 years, male 10.1
GTEX-YFC4-0126-SM-5CVLY 40-49 years, female 10.1
GTEX-1QP29-0626-SM-EWRMX 50-59 years, male 10.1
GTEX-11P81-2326-SM-59875 30-39 years, female 10.0
GTEX-13NYS-0126-SM-5MR3W 60-69 years, male 9.9
GTEX-13NZA-0226-SM-5K7Z7 60-69 years, male 9.9
GTEX-13VXT-0126-SM-5LU4I 20-29 years, female 9.9
GTEX-16MT8-0426-SM-7KUEY 60-69 years, female 9.9
GTEX-16NPX-0226-SM-79OMT 50-59 years, male 9.9
GTEX-PLZ4-0126-SM-5SI8O 50-59 years, female 9.9
GTEX-XXEK-2226-SM-4BRUM 50-59 years, male 9.9
GTEX-1GPI7-0126-SM-9MQL8 20-29 years, male 9.9
GTEX-17MFQ-1726-SM-793C7 20-29 years, male 9.8
GTEX-U3ZM-1526-SM-3DB9D 40-49 years, male 9.8
GTEX-147F3-0526-SM-5SI98 50-59 years, female 9.7
GTEX-RU72-0926-SM-2TF6B 50-59 years, female 9.7
GTEX-SUCS-1926-SM-32PM3 70-79 years, male 9.7
GTEX-XQ3S-1526-SM-4BOOC 20-29 years, male 9.7
GTEX-XUW1-0426-SM-4BOOT 50-59 years, female 9.7
GTEX-1HSMO-0126-SM-CL547 60-69 years, male 9.7
GTEX-1HSMP-0126-SM-E6CJS 70-79 years, male 9.7
GTEX-1JKYR-0126-SM-CNPOJ 20-29 years, male 9.7
GTEX-1LG7Y-0526-SM-DKPQC 50-59 years, male 9.7
GTEX-139UW-2826-SM-5L3E7 60-69 years, male 9.6
GTEX-14BMU-2226-SM-5TDE9 20-29 years, female 9.6
GTEX-1C6VQ-0126-SM-7P8RI 50-59 years, male 9.6
GTEX-1IDJF-0126-SM-CM2RS 20-29 years, male 9.6
GTEX-1J1R8-1726-SM-ARL8M 40-49 years, male 9.6
GTEX-ZF29-2326-SM-DO92K 60-69 years, female 9.6
GTEX-13FHO-0226-SM-5IFGY 60-69 years, male 9.5
GTEX-13IVO-0126-SM-5J1NG 70-79 years, male 9.5
GTEX-11NSD-2226-SM-5986V 20-29 years, male 9.4
GTEX-144FL-0126-SM-5TDC8 50-59 years, male 9.4
GTEX-X4EO-0326-SM-3P5YO 60-69 years, female 9.4
GTEX-ZYT6-0226-SM-5NQ6T 30-39 years, male 9.4
GTEX-1EU9M-0226-SM-7P8SP 60-69 years, male 9.4
GTEX-1GMRU-0126-SM-9YFLV 50-59 years, male 9.4
GTEX-OIZF-0126-SM-7SB8I 60-69 years, male 9.4
GTEX-148VJ-0126-SM-5TDDN 70-79 years, male 9.3
GTEX-WI4N-1026-SM-3LK7N 40-49 years, female 9.3
GTEX-X8HC-0126-SM-4E3JW 50-59 years, female 9.3
GTEX-1F48J-0126-SM-7P8TT 50-59 years, female 9.3
GTEX-1GPI6-0126-SM-9WG69 60-69 years, male 9.3
GTEX-1I1GQ-0126-SM-COH3H 50-59 years, male 9.3
GTEX-ZYW4-0126-SM-5E44A 60-69 years, male 9.2
GTEX-11TUW-2726-SM-E9J4M 60-69 years, male 9.2
GTEX-1H1DG-0126-SM-9WYU2 70-79 years, male 9.2
GTEX-1JMQK-0226-SM-CL543 60-69 years, male 9.2
GTEX-14DAQ-0126-SM-5S2MQ 60-69 years, female 9.1
GTEX-NFK9-0226-SM-2HMKQ 40-49 years, male 9.1
GTEX-OOBK-0126-SM-2YUND 40-49 years, male 9.1
GTEX-OXRK-0226-SM-3NB2G 50-59 years, female 9.1
GTEX-Q2AG-0126-SM-33HBV 40-49 years, female 9.1
GTEX-TML8-1926-SM-32QOS 40-49 years, female 9.1
GTEX-1HBPM-0226-SM-ARL9F 60-69 years, female 9.1
GTEX-1JJEA-0326-SM-CNPOT 60-69 years, male 9.1
GTEX-1MGNQ-0126-SM-EVYCJ 40-49 years, male 9.1
GTEX-145LV-2126-SM-5LU8N 50-59 years, male 9.0
GTEX-14ICK-0226-SM-6EU25 40-49 years, male 9.0
GTEX-1C2JI-1826-SM-73KXC 50-59 years, male 9.0
GTEX-OXRL-0126-SM-2YUMP 50-59 years, male 9.0
GTEX-YJ8A-0426-SM-5IFID 20-29 years, male 9.0
GTEX-1H3NZ-0126-SM-ACKX7 60-69 years, male 9.0
GTEX-1PWST-0226-SM-E76QJ 70-79 years, male 9.0
GTEX-131XE-2326-SM-5PNZ2 50-59 years, male 8.9
GTEX-13OVJ-0126-SM-5KM36 50-59 years, female 8.9
GTEX-17MF6-0126-SM-7LG4F 40-49 years, male 8.9
GTEX-QDVN-2026-SM-3GAEP 50-59 years, male 8.9
GTEX-13O3O-0126-SM-E9J49 60-69 years, female 8.9
GTEX-1HBPI-1526-SM-C1YQ1 50-59 years, male 8.9
GTEX-1K2DA-1826-SM-CGQGT 50-59 years, male 8.9
GTEX-12ZZZ-0626-SM-5DUXI 60-69 years, male 8.8
GTEX-145MN-2226-SM-5SIAU 30-39 years, male 8.8
GTEX-QLQW-1126-SM-2S1Q8 30-39 years, male 8.8
GTEX-15UF6-0826-SM-6PALJ 70-79 years, female 8.7
GTEX-1AMEY-1326-SM-73KYK 30-39 years, female 8.7
GTEX-ZU9S-0226-SM-5E441 30-39 years, male 8.7
GTEX-1H11D-0226-SM-9WG6Z 40-49 years, male 8.7
GTEX-1HSEH-0126-SM-ACKXN 60-69 years, male 8.7
GTEX-12WSN-5019-SM-79OM6 40-49 years, male 8.6
GTEX-13112-2826-SM-5DUWH 50-59 years, male 8.6
GTEX-14PHW-0126-SM-6LLJI 60-69 years, female 8.6
GTEX-1AX8Z-0126-SM-7DHM6 60-69 years, male 8.6
GTEX-13OW5-0126-SM-DTXFS 60-69 years, male 8.6
GTEX-111FC-0126-SM-5N9DL 60-69 years, male 8.5
GTEX-12WSL-2526-SM-5GCNJ 50-59 years, male 8.5
GTEX-WOFL-0126-SM-3MJG2 60-69 years, male 8.5
GTEX-Y5V6-2426-SM-4VDSB 60-69 years, male 8.5
GTEX-13FH7-2026-SM-E9J4I 50-59 years, female 8.5
GTEX-1F75I-0326-SM-9YFLU 40-49 years, male 8.5
GTEX-1GZHY-0326-SM-9QEHI 50-59 years, female 8.5
GTEX-1J8QM-2126-SM-CYPSJ 60-69 years, female 8.5
GTEX-1KWVE-1426-SM-E9TJO 30-39 years, male 8.5
GTEX-1314G-1526-SM-5EGK2 30-39 years, male 8.4
GTEX-145MO-0326-SM-5Q5B3 60-69 years, male 8.4
GTEX-1HT8W-0126-SM-CNPPP 30-39 years, male 8.4
GTEX-1JMPY-1326-SM-ARL8Y 30-39 years, male 8.4
GTEX-12WSC-0126-SM-5EQ4P 50-59 years, male 8.3
GTEX-15F5U-1526-SM-6PANO 40-49 years, male 8.3
GTEX-1EWIQ-0126-SM-7RHH2 70-79 years, female 8.3
GTEX-1ICLY-0126-SM-D4P36 50-59 years, male 8.3
GTEX-1R7EV-2426-SM-EVYBG 40-49 years, male 8.3
GTEX-13D11-2426-SM-5KM1V 50-59 years, female 8.2
GTEX-14PJ6-2126-SM-6EU1V 60-69 years, female 8.2
GTEX-18D9A-1926-SM-7LG6P 30-39 years, female 8.2
GTEX-131XF-5016-SM-7MGWE 60-69 years, male 8.2
GTEX-1F52S-0126-SM-9MQJU 60-69 years, female 8.2
GTEX-1IDJH-0326-SM-A9SLQ 70-79 years, male 8.2
GTEX-14E7W-0126-SM-6LLJ9 70-79 years, male 8.1
GTEX-16GPK-0126-SM-7DHLE 60-69 years, male 8.1
GTEX-1AX9I-0126-SM-7SB74 60-69 years, male 8.1
GTEX-145LT-1726-SM-5QGP3 40-49 years, male 8.0
GTEX-WYJK-0126-SM-3NMAB 50-59 years, male 8.0
GTEX-1JMPZ-0226-SM-CNPP1 30-39 years, male 8.0
GTEX-OOBJ-0126-SM-E6CJW 60-69 years, male 8.0
GTEX-14PJ3-1826-SM-62LEX 50-59 years, male 7.9
GTEX-1B8SF-1426-SM-7DUGL 60-69 years, male 7.9
GTEX-WQUQ-0426-SM-3MJFU 60-69 years, male 7.9
GTEX-1GN2E-0426-SM-9MQKX 60-69 years, male 7.9
GTEX-ZPIC-1726-SM-DHXIU 40-49 years, female 7.9
GTEX-11WQK-0526-SM-5EQLD 50-59 years, male 7.8
GTEX-13FTX-1826-SM-5J1NX 20-29 years, female 7.8
GTEX-14LLW-0126-SM-6LLIO 70-79 years, female 7.8
GTEX-14PHX-2326-SM-62LEM 50-59 years, male 7.8
GTEX-T6MN-0126-SM-32PLP 50-59 years, male 7.8
GTEX-UPJH-0326-SM-3GADU 50-59 years, male 7.8
GTEX-Y5V5-2326-SM-4V6GA 60-69 years, female 7.8
GTEX-YB5E-2026-SM-5IFIS 40-49 years, male 7.8
GTEX-131YS-0126-SM-5KM1M 60-69 years, female 7.7
GTEX-17JCI-0126-SM-7LG5G 60-69 years, female 7.7
GTEX-OHPL-0126-SM-2HMJ7 60-69 years, female 7.7
GTEX-QEG4-0226-SM-2S1PY 30-39 years, male 7.7
GTEX-13113-5016-SM-7EPIP 60-69 years, female 7.6
GTEX-13FTW-2626-SM-5K7WL 40-49 years, male 7.6
GTEX-1A3MW-0126-SM-73KXX 60-69 years, female 7.6
GTEX-R55G-2526-SM-2TC6D 40-49 years, female 7.6
GTEX-ZYFG-2326-SM-5E44B 60-69 years, female 7.6
GTEX-1GMR8-0126-SM-9WYTM 50-59 years, female 7.6
GTEX-1H3VE-0326-SM-9YFLH 40-49 years, male 7.6
GTEX-1PPH7-2326-SM-EVYB8 40-49 years, male 7.6
GTEX-11P82-1626-SM-59879 20-29 years, male 7.5
GTEX-1211K-2026-SM-5EQ4Z 60-69 years, female 7.5
GTEX-XUZC-1726-SM-4BRWS 30-39 years, female 7.5
GTEX-Y8LW-1826-SM-5S2MV 50-59 years, female 7.5
GTEX-1CB4G-0226-SM-7PC3O 60-69 years, male 7.5
GTEX-1399T-2826-SM-5KLYZ 60-69 years, male 7.4
GTEX-U4B1-1826-SM-4DXSU 40-49 years, male 7.4
GTEX-XUYS-0126-SM-47JWZ 50-59 years, male 7.4
GTEX-1CB4F-0426-SM-9KNV4 60-69 years, male 7.4
GTEX-1KD5A-0226-SM-D5OV3 50-59 years, male 7.4
GTEX-1LG7Z-1726-SM-D3LA4 30-39 years, male 7.4
GTEX-13S7M-0126-SM-5SI6A 60-69 years, female 7.3
GTEX-15CHC-2126-SM-6EU21 60-69 years, female 7.3
GTEX-1AX9K-2326-SM-73KWU 50-59 years, male 7.3
GTEX-QDVJ-1726-SM-2I5FX 50-59 years, male 7.3
GTEX-U3ZH-2026-SM-3DB78 30-39 years, male 7.3
GTEX-ZVTK-0426-SM-51MRS 20-29 years, male 7.3
GTEX-ZWKS-0126-SM-5SIAA 30-39 years, male 7.3
GTEX-1R46S-0626-SM-E9J41 60-69 years, female 7.3
GTEX-QLQ7-1626-SM-2S1R8 60-69 years, male 7.2
GTEX-Y8E4-0626-SM-4WWDL 40-49 years, male 7.2
GTEX-1HCVE-0126-SM-CGQEU 50-59 years, male 7.2
GTEX-12WSJ-1826-SM-5GCNY 40-49 years, female 7.1
GTEX-148VI-1626-SM-5SI6E 60-69 years, female 7.1
GTEX-QCQG-1726-SM-3GIJ9 50-59 years, female 7.1
GTEX-13NYC-0326-SM-E9J4S 60-69 years, male 7.1
GTEX-1PFEY-1526-SM-E76PP 30-39 years, male 7.1
GTEX-1A3MX-0126-SM-731BR 60-69 years, male 7.0
GTEX-QESD-1426-SM-2S1R9 20-29 years, male 7.0
GTEX-1QPFJ-0226-SM-E76PB 30-39 years, female 7.0
GTEX-13OVH-0126-SM-5MR4B 70-79 years, male 6.9
GTEX-U8T8-0126-SM-3DB94 60-69 years, male 6.9
GTEX-ZV68-0126-SM-59HKS 50-59 years, female 6.9
GTEX-1KAFJ-2026-SM-CY8ID 50-59 years, male 6.9
GTEX-11EQ9-2426-SM-5HL5T 30-39 years, male 6.8
GTEX-11TT1-2526-SM-5EGIB 20-29 years, male 6.8
GTEX-12C56-1726-SM-5EQ61 20-29 years, male 6.8
GTEX-13RTJ-2426-SM-5S2Q2 60-69 years, male 6.8
GTEX-145MI-0526-SM-5O9A8 60-69 years, female 6.8
GTEX-17KNJ-2326-SM-7DHLQ 50-59 years, male 6.8
GTEX-1CB4J-0626-SM-7DHMP 60-69 years, male 6.8
GTEX-P4QT-0126-SM-2I3FL 50-59 years, female 6.8
GTEX-1H1E6-1726-SM-ACKVK 30-39 years, male 6.8
GTEX-14LZ3-0226-SM-62LET 60-69 years, female 6.7
GTEX-17HGU-0226-SM-7DHKV 50-59 years, male 6.7
GTEX-18D9U-0226-SM-718BP 40-49 years, male 6.7
GTEX-T2IS-0126-SM-4DM6O 20-29 years, female 6.7
GTEX-1GN1U-0126-SM-7PBZK 50-59 years, female 6.7
GTEX-1JKYN-1326-SM-CGQG9 30-39 years, male 6.7
GTEX-1QP2A-0126-SM-E9J43 50-59 years, male 6.7
GTEX-1S3DN-2226-SM-EVYCD 50-59 years, male 6.7
GTEX-117XS-2726-SM-5N9BL 60-69 years, male 6.6
GTEX-13X6J-0126-SM-5QGOU 50-59 years, male 6.6
GTEX-1A3MV-1926-SM-718BT 30-39 years, male 6.6
GTEX-1BAJH-0526-SM-793CQ 70-79 years, male 6.6
GTEX-OHPM-0126-SM-2YUN9 50-59 years, male 6.6
GTEX-S95S-1226-SM-4GICG 60-69 years, male 6.6
GTEX-1EN7A-0126-SM-7SB81 40-49 years, male 6.6
GTEX-1F5PL-0326-SM-7P8PQ 40-49 years, female 6.6
GTEX-1JMQI-2226-SM-CM2SD 50-59 years, male 6.6
GTEX-1PPH8-0226-SM-E8VND 20-29 years, male 6.6
GTEX-1CB4E-2226-SM-793DC 60-69 years, male 6.5
GTEX-1B996-0226-SM-7RHGO 60-69 years, male 6.5
GTEX-1CAMS-0426-SM-7P8T2 40-49 years, female 6.5
GTEX-1HFI7-1826-SM-ACKXH 50-59 years, female 6.5
GTEX-1N2EF-0226-SM-EYYXB 60-69 years, male 6.4
GTEX-1R9PM-2026-SM-E76OY 20-29 years, male 6.4
GTEX-1S82Z-0826-SM-E6CHY 30-39 years, female 6.4
GTEX-13O3P-0126-SM-5KM4S 50-59 years, male 6.3
GTEX-13OW8-1326-SM-5J1OW 60-69 years, male 6.3
GTEX-13SLW-0126-SM-5SI6C 70-79 years, male 6.3
GTEX-1GN1W-0526-SM-9MQJQ 50-59 years, female 6.3
GTEX-13OVI-1426-SM-5L3EY 60-69 years, female 6.2
GTEX-14E6E-1826-SM-5S2R7 30-39 years, male 6.2
GTEX-14JG6-2226-SM-6EU2G 30-39 years, female 6.2
GTEX-VJYA-1126-SM-3GIJU 60-69 years, male 6.2
GTEX-ZXES-1826-SM-5E43S 30-39 years, female 6.2
GTEX-1J1OQ-0226-SM-CYPSH 40-49 years, female 6.2
GTEX-1K2DU-2326-SM-E9TIV 20-29 years, male 6.2
GTEX-1LGOU-2026-SM-DIPFF 20-29 years, female 6.2
GTEX-1128S-2326-SM-5GZZY 60-69 years, female 6.1
GTEX-11ZTT-2426-SM-5EQLS 60-69 years, female 6.1
GTEX-12WSA-0226-SM-5BC5V 60-69 years, male 6.1
GTEX-14PII-0226-SM-6EU1T 60-69 years, male 6.1
GTEX-16BQI-0226-SM-7KUEX 30-39 years, female 6.1
GTEX-1E1VI-0126-SM-7DHMZ 50-59 years, male 6.1
GTEX-PX3G-0126-SM-2I3EN 20-29 years, female 6.1
GTEX-1GZ4H-1726-SM-7PBZJ 50-59 years, female 6.1
GTEX-1LSNM-1926-SM-E6CII 50-59 years, male 6.1
GTEX-1OJC3-0126-SM-E76QX 20-29 years, male 6.1
GTEX-11H98-0126-SM-5EGHG 50-59 years, male 6.0
GTEX-13N2G-2626-SM-5J1OT 60-69 years, male 6.0
GTEX-1B8SG-0126-SM-73KZ3 50-59 years, male 6.0
GTEX-ZDTT-2726-SM-4WKF8 60-69 years, male 6.0
GTEX-ZGAY-0526-SM-4WWBB 40-49 years, female 6.0
GTEX-1JK1U-2026-SM-CM2RZ 60-69 years, male 6.0
GTEX-14DAR-2026-SM-5S2O3 50-59 years, male 5.9
GTEX-OXRO-0126-SM-2YUN4 60-69 years, female 5.9
GTEX-RWSA-0126-SM-2XCBB 40-49 years, male 5.9
GTEX-VJWN-0126-SM-3GIK7 50-59 years, female 5.9
GTEX-X5EB-2226-SM-46MW4 40-49 years, male 5.9
GTEX-1F75B-0126-SM-9KNVL 50-59 years, male 5.9
GTEX-1JMOU-1526-SM-CL54I 60-69 years, female 5.9
GTEX-1399R-2726-SM-5IJBA 30-39 years, male 5.8
GTEX-139TT-0126-SM-5K7Y5 60-69 years, male 5.8
GTEX-13W3W-2426-SM-5LU5B 60-69 years, female 5.8
GTEX-145MF-0626-SM-5LUAI 50-59 years, male 5.8
GTEX-15ER7-0326-SM-7KUEV 20-29 years, female 5.8
GTEX-ZV6S-2326-SM-4YCEY 40-49 years, female 5.8
GTEX-1IDJU-2626-SM-CM2RT 60-69 years, female 5.8
GTEX-1IKK5-0626-SM-ARL8A 60-69 years, male 5.8
GTEX-1QAET-0926-SM-E76QM 50-59 years, male 5.8
GTEX-11DXX-2426-SM-5GZZW 60-69 years, female 5.7
GTEX-11LCK-1026-SM-5A5KB 30-39 years, male 5.7
GTEX-144GL-0126-SM-5TDE2 50-59 years, male 5.7
GTEX-14BIL-0126-SM-5SI92 50-59 years, male 5.7
GTEX-14XAO-2326-SM-6EU1B 60-69 years, female 5.7
GTEX-13X6H-2126-SM-7EWD5 50-59 years, female 5.6
GTEX-14BMV-0126-SM-5S2PO 50-59 years, male 5.6
GTEX-T8EM-1026-SM-3DB7M 40-49 years, male 5.6
GTEX-Z9EW-1626-SM-5CVMN 40-49 years, male 5.6
GTEX-1M5QR-1226-SM-EWROB 40-49 years, male 5.6
GTEX-1QMI2-0226-SM-EVYBX 60-69 years, male 5.6
GTEX-1R7EU-0226-SM-EVR4G 60-69 years, male 5.6
GTEX-11XUK-2026-SM-5EQLF 40-49 years, female 5.5
GTEX-YB5K-2126-SM-4WWDJ 40-49 years, female 5.5
GTEX-1H1DE-2126-SM-9WG6R 20-29 years, male 5.5
GTEX-1HSMQ-1226-SM-CGQFX 50-59 years, male 5.5
GTEX-14C5O-0126-SM-5SI6N 60-69 years, male 5.4
GTEX-17F98-0626-SM-79OMX 40-49 years, female 5.4
GTEX-1AMFI-2026-SM-731BH 50-59 years, female 5.4
GTEX-1B8KE-2126-SM-73KYX 50-59 years, male 5.4
GTEX-1CB4I-0226-SM-79OLH 50-59 years, male 5.4
GTEX-T6MO-1626-SM-32QOM 40-49 years, female 5.4
GTEX-ZYY3-0126-SM-5GZY5 60-69 years, female 5.4
GTEX-1J8Q3-1626-SM-CMKGC 60-69 years, male 5.4
GTEX-1KXAM-2226-SM-CYPTC 60-69 years, male 5.4
GTEX-1QP9N-1426-SM-DTXFL 30-39 years, male 5.4
GTEX-11VI4-1726-SM-5CVLH 40-49 years, female 5.3
GTEX-16AAH-1726-SM-7939C 50-59 years, male 5.3
GTEX-18D9B-0526-SM-7LTAS 60-69 years, male 5.3
GTEX-TKQ1-1026-SM-4GICL 30-39 years, male 5.3
GTEX-XBEW-0626-SM-4QASP 40-49 years, male 5.3
GTEX-1F5PK-2426-SM-7RHHY 50-59 years, male 5.3
GTEX-1HCU9-1526-SM-A9SL7 20-29 years, male 5.3
GTEX-1JMQJ-0526-SM-CYPSU 50-59 years, male 5.3
GTEX-1PDJ9-0326-SM-DTX95 20-29 years, male 5.3
GTEX-1S83E-0126-SM-EWRO4 40-49 years, male 5.3
GTEX-ZQG8-1626-SM-DHXIT 60-69 years, female 5.3
GTEX-XPVG-2626-SM-4B669 50-59 years, male 5.2
GTEX-145ME-1826-SM-5SI9G 40-49 years, female 5.1
GTEX-OIZH-0126-SM-2HMIS 50-59 years, male 5.1
GTEX-1A8FM-0226-SM-7SB7Q 50-59 years, female 5.1
GTEX-1HSGN-0226-SM-CGQFV 40-49 years, female 5.1
GTEX-15D1Q-0126-SM-7KUG6 40-49 years, male 5.0
GTEX-RM2N-1426-SM-2TF4H 50-59 years, male 5.0
GTEX-T5JW-1626-SM-3GADZ 20-29 years, female 5.0
GTEX-1LVAN-0226-SM-COH3S 50-59 years, female 5.0
GTEX-1CAMQ-0226-SM-7IGPK 40-49 years, male 4.9
GTEX-1JMLX-0226-SM-CM2RO 50-59 years, male 4.9
GTEX-1LGRB-2526-SM-CNPPQ 50-59 years, female 4.9
GTEX-1N2DV-0226-SM-E6CJ6 40-49 years, male 4.9
GTEX-PLZ6-1426-SM-DKPOT 30-39 years, male 4.9
GTEX-W5WG-1826-SM-4KL2Y 50-59 years, female 4.8
GTEX-X261-0126-SM-3NMD6 50-59 years, male 4.8
GTEX-1E2YA-0126-SM-9KNUC 50-59 years, male 4.8
GTEX-1GF9V-0326-SM-7RHI5 60-69 years, male 4.8
GTEX-13CF3-2426-SM-5IFGX 60-69 years, female 4.7
GTEX-145LS-0126-SM-5QGP1 60-69 years, female 4.7
GTEX-ZTSS-1926-SM-57WEW 40-49 years, male 4.7
GTEX-1GMR3-1926-SM-9KNUZ 40-49 years, male 4.7
GTEX-PSDG-0226-SM-DKPOZ 50-59 years, male 4.7
GTEX-12696-2426-SM-5EQ6H 60-69 years, male 4.6
GTEX-1AX9J-0226-SM-73KXM 60-69 years, male 4.6
GTEX-1NHNU-1026-SM-E9J2A 50-59 years, male 4.6
GTEX-14A5H-0426-SM-5QGQF 60-69 years, male 4.5
GTEX-15SHU-0126-SM-7KUEH 40-49 years, female 4.5
GTEX-1C6VR-2426-SM-79OLD 60-69 years, male 4.5
GTEX-WRHK-1426-SM-3MJF9 20-29 years, female 4.5
GTEX-WXYG-2326-SM-4E3I6 50-59 years, female 4.5
GTEX-1OFPY-2426-SM-DTXEJ 60-69 years, male 4.5
GTEX-11EM3-2426-SM-59861 20-29 years, female 4.4
GTEX-12WSK-2326-SM-5GCOH 40-49 years, female 4.4
GTEX-13YAN-0326-SM-5O9DF 60-69 years, male 4.4
GTEX-ZZ64-1726-SM-5GZYB 20-29 years, male 4.4
GTEX-12WSE-0526-SM-793B2 20-29 years, male 4.3
GTEX-14PN4-0126-SM-6EU2V 50-59 years, male 4.3
GTEX-PVOW-0126-SM-2XCFA 40-49 years, male 4.3
GTEX-TMMY-0226-SM-33HBA 40-49 years, female 4.3
GTEX-1HBPN-0226-SM-9YFM1 50-59 years, male 4.3
GTEX-1PIIG-0226-SM-EWRN6 30-39 years, male 4.3
GTEX-1S5ZA-0126-SM-EVYCV 20-29 years, male 4.3
GTEX-1L5NE-2526-SM-E6CIE 50-59 years, male 4.2
GTEX-133LE-1826-SM-5J1MV 20-29 years, female 4.1
GTEX-RWS6-2026-SM-2XCB5 60-69 years, female 4.1
GTEX-ZQUD-1426-SM-57WER 30-39 years, male 4.1
GTEX-1KANC-1526-SM-D3LAB 50-59 years, female 4.1
GTEX-13JUV-2726-SM-5LZZ8 40-49 years, female 4.0
GTEX-13PVR-2326-SM-5QGR1 60-69 years, female 4.0
GTEX-17EVP-0326-SM-7DHLG 40-49 years, male 4.0
GTEX-P44H-0226-SM-2XCEU 40-49 years, male 3.9
GTEX-ZVZP-2426-SM-59HKJ 50-59 years, male 3.9
GTEX-1212Z-2526-SM-5EGKP 60-69 years, male 3.8
GTEX-12ZZY-0226-SM-5LZVE 60-69 years, male 3.8
GTEX-1JN76-0126-SM-CNPPE 20-29 years, female 3.8
GTEX-13111-1626-SM-5EGJY 50-59 years, male 3.6
GTEX-17GQL-2026-SM-718BA 60-69 years, male 3.6
GTEX-1H23P-0126-SM-ADEJ3 60-69 years, male 3.6
GTEX-17F96-1626-SM-7DUFL 70-79 years, male 3.5
GTEX-12584-0126-SM-5EGKQ 40-49 years, male 3.4
GTEX-TSE9-0126-SM-3DB83 60-69 years, female 3.4
GTEX-1MA7W-2026-SM-E9TJ6 20-29 years, female 3.4
GTEX-16XZZ-0126-SM-793DV 60-69 years, male 3.3
GTEX-1KANA-0726-SM-D3L9I 20-29 years, male 3.3
GTEX-1LH75-2426-SM-E9TJE 50-59 years, female 3.3
GTEX-WFON-2126-SM-3LK7O 40-49 years, male 3.1
GTEX-1IKJJ-0126-SM-CNPQB 60-69 years, male 3.1
GTEX-1J8Q2-0526-SM-CM2RW 60-69 years, male 3.1
GTEX-14PN3-2426-SM-6LLHS 60-69 years, female 3.0
GTEX-16NGA-1726-SM-731B4 40-49 years, female 3.0
GTEX-1JMQL-0226-SM-CNPP5 50-59 years, female 3.0
GTEX-1I1GT-0626-SM-CGQER 60-69 years, female 2.9
GTEX-1HCU7-0226-SM-CL545 50-59 years, male 2.8
GTEX-14A5I-0126-SM-5TDEA 50-59 years, female 2.6
GTEX-1GL5R-1826-SM-9KNUY 50-59 years, male 2.6
GTEX-1JJ6O-0126-SM-E6CI8 60-69 years, male 2.4
GTEX-WFG8-2226-SM-3GIL9 20-29 years, male 2.3
GTEX-15EU6-0426-SM-6PAN5 50-59 years, male 2.1
GTEX-1B97I-1626-SM-73KYO 40-49 years, male 2.1
GTEX-SNMC-1226-SM-2XCFP 20-29 years, male 1.9
GTEX-1I4MK-2226-SM-ACKWD 50-59 years, female 1.9
GTEX-ZTX8-1426-SM-5DUVO 20-29 years, male 1.8
GTEX-S32W-2126-SM-2XCB1 50-59 years, female 1.5
GTEX-1C475-1826-SM-73KWA 40-49 years, female 1.2
GTEX-Q2AH-1626-SM-3GAF8 40-49 years, male 0.9
Show allShow less

Contact

  • NEWS ARTICLES
  • PRESS ROOM

The Project

  • INTRODUCTION
  • ORGANIZATION
  • PUBLICATIONS

The Human Protein Atlas

  • DOWNLOADABLE DATA
  • LICENCE & CITATION
  • HELP & FAQ
The Human Protein Atlas project is funded
by the Knut & Alice Wallenberg Foundation.


contact@proteinatlas.org