We use cookies to enhance the usability of our website. If you continue, we'll assume that you are happy to receive all cookies. More information. Don't show this again.
DNAJB13
HPA
RESOURCES
  • TISSUE
  • BRAIN
  • SINGLE CELL
  • SUBCELLULAR
  • CANCER
  • BLOOD
  • CELL LINE
  • STRUCTURE & INTERACTION
ABOUT
  • INTRODUCTION
  • HISTORY
  • ORGANIZATION
  • PUBLICATIONS
  • ANTIBODY SUBMISSION
  • ANTIBODY AVAILABILITY
  • ACKNOWLEDGMENTS
  • CONTACT
NEWS
  • NEWS ARTICLES
  • PRESS ROOM
LEARN
  • DICTIONARY
  • PROTEIN CLASSES
  • PROTEIN EVIDENCE
  • METHODS
  • EDUCATIONAL VIDEOS
DATA
  • DOWNLOADABLE DATA
  • PUBLICATION DATA
  • RELEASE HISTORY
HELP
  • ANTIBODY VALIDATION
  • ASSAYS & ANNOTATION
  • DISCLAIMER
  • HELP & FAQ
  • PRIVACY STATEMENT
  • LICENCE & CITATION
Fields »
Search result

Field
Term
Gene name
Class
Subclass
Class
Keyword
Chromosome
External id
Tissue
Cell type
Expression
Antibody panel
Tissue
Main location
Patient ID
Annotation
Tissue
Category
Tau score
Cluster
Reliability
Brain region
Category
Tau score
Brain region
Category
Tau score
Brain region
Category
Tau score
Cluster
Reliability
Tissue
Cell type
Enrichment
Cell type
Category
Tau score
Cell type
Category
Tau score
Cell type
Category
Tau score
Cell lineage
Category
Tau score
Cluster
Cluster
Location
Searches
Location
Cell line
Class
Type
Phase
Reliability
Cancer
Prognosis
Cancer
Category
Cancer
Category
Tau score
Cluster
Variants
Interacting gene (ensg_id)
Type
Number of interactions
Pathway
Category
Score
Score
Score
Validation
Validation
Validation
Validation
Antibodies
Data type
Column


  • SUMMARY

  • TISSUE

  • BRAIN

  • SINGLE CELL

  • SUBCELL

  • CANCER

  • BLOOD

  • CELL LINE

  • STRUCT & INT

  • DNAJB13
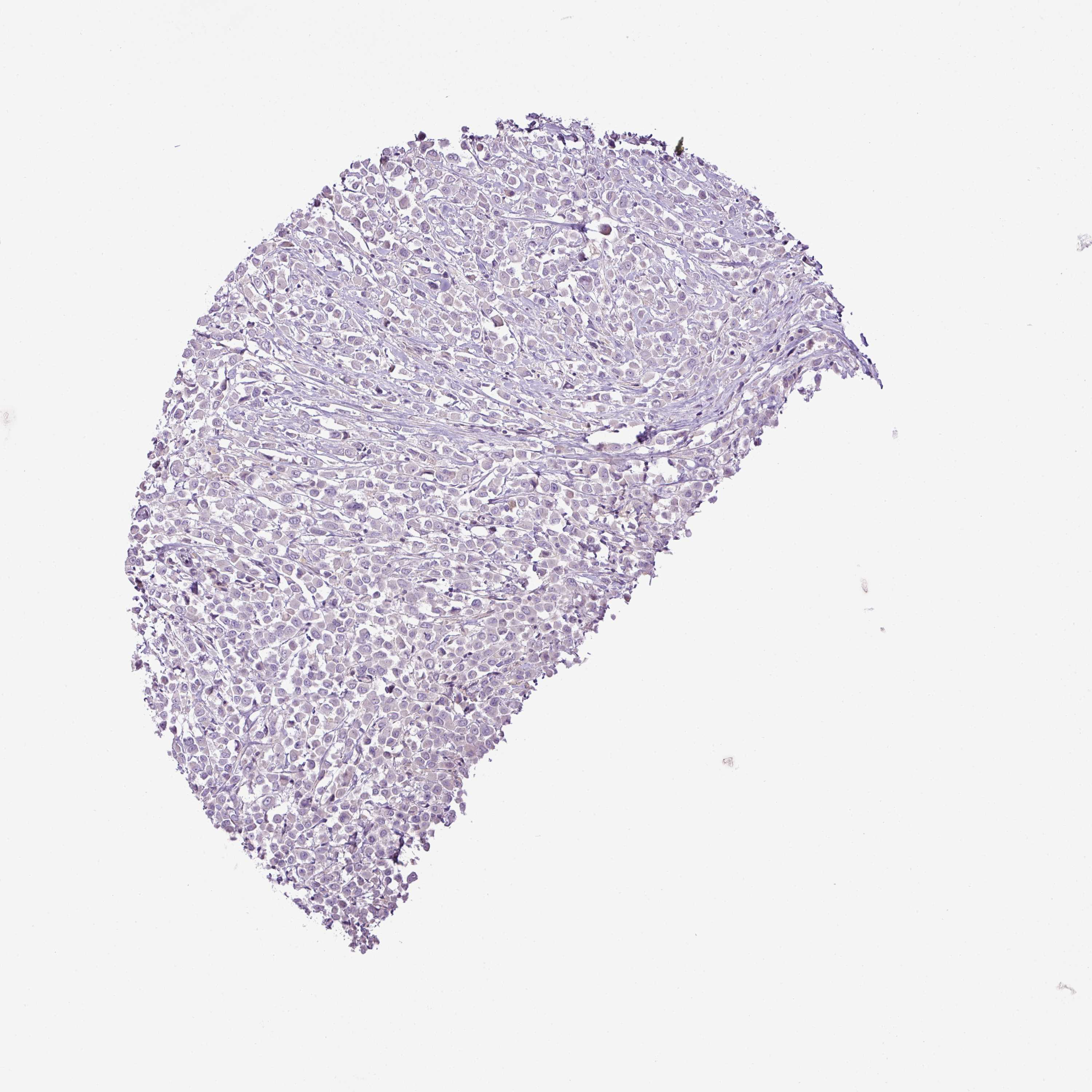
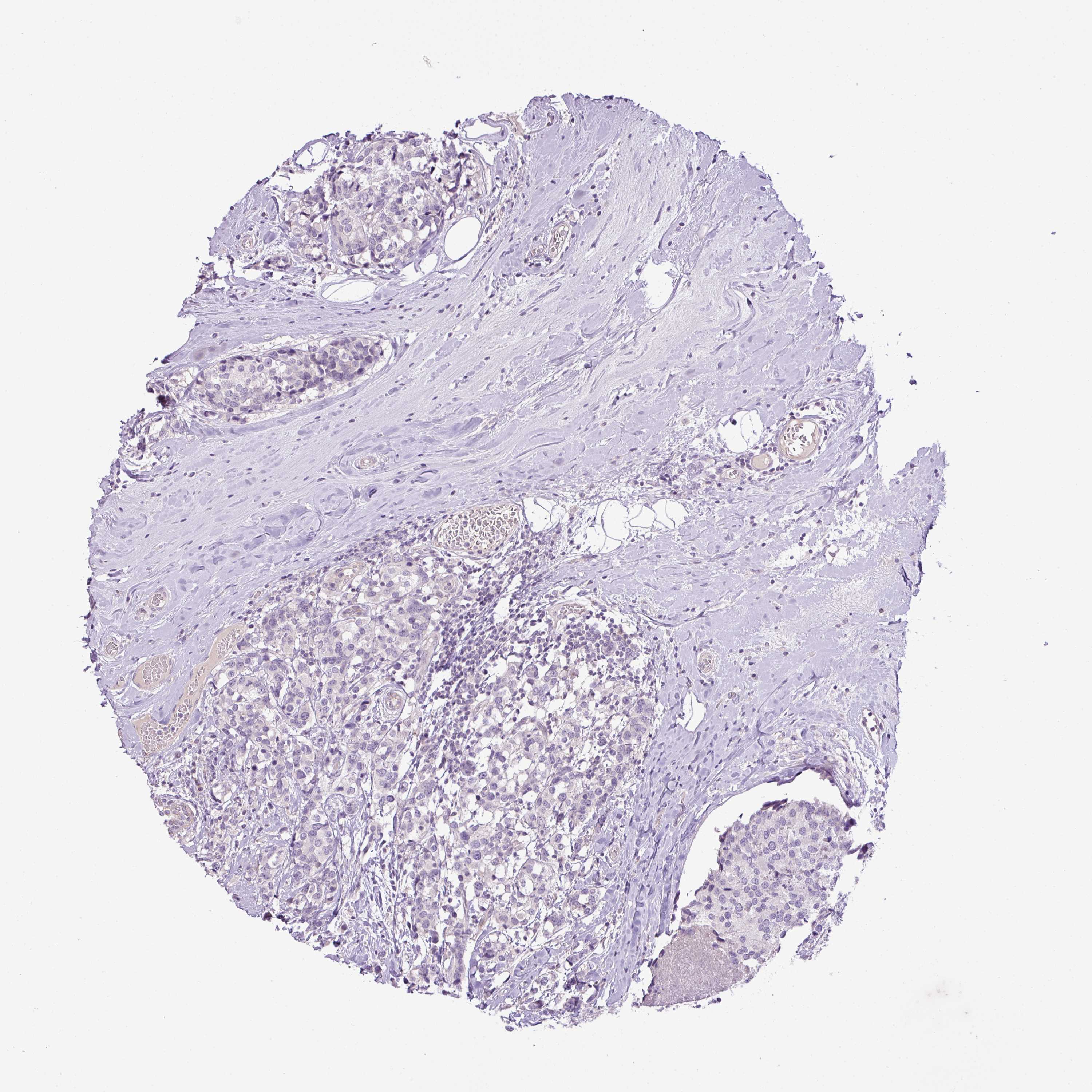
CANCER BREAST CANCER Show tissue menu
BREAST CANCER CARCINOID CERVICAL CANCER COLORECTAL CANCER ENDOMETRIAL CANCER GLIOMA HEAD AND NECK CANCER LIVER CANCER LUNG CANCER LYMPHOMA
MELANOMA OVARIAN CANCER PANCREATIC CANCER PROSTATE CANCER RENAL CANCER SKIN CANCER STOMACH CANCER TESTIS CANCER THYROID CANCER UROTHELIAL CANCER
BRCA TCGA BRCA VALIDATION PROTEIN EXPRESSION
ANTIBODIES
AND
VALIDATION
Dictionary
Breast cancer
Human cancer
Breast invasive carcinoma
BREAST INVASIVE CARCINOMA (TCGA) - Interactive survival scatter ploti

The Survival Scatter plot shows the clinical status (i.e. dead or alive) for all individuals in the patient cohort, based on the same data that underlies the corresponding Kaplan-Meier plots. Patients that are alive at last time for follow-up are shown in blue and patients who have died during the study are shown in red.

The x-axis shows the expression levels (FPKM) of the investigated gene in the tumor tissue at the time of diagnosis. The y-axis shows the follow-up time after diagnosis (years). Both axes are complimented with kernel density curves demonstrating the data density over the axes. The top density plot shows the expression levels (FPKM) distribution among dead (red) and alive patients (blue). The right density plot shows the data density of the survived years of dead patients with high and low expression levels respectively, stratified using the cutoff indicated by the vertical dashed line through the Survival Scatter plot. This cutoff is automatically defined based on the FPKM cutoff that minimizes the p-score. The cutoff can be changed by dragging the vertical line or by entering a cutoff value in the square labeled "Current cut-off".

Under the Survival Scatter plot the p-score landscape (black curve; left axis) is shown together with dead median separation (red curve; right axis). Dead median separation is the difference in median mRNA expression between patients who have died with high and low expression, respectively. It is calculated as follows: median FPKM expression of dead patients with high expression - median FPKM expression of dead patients with low expression. This is intended to aid the user in visually exploring custom cutoffs and the associated p-scores and dead median separation.

Individual patient data is displayed and can be filtered by clicking on one or more of the category buttons on the top of the page. Categories describing expression level and patient information include: high, low, alive, dead, female, male and tumor stages. The scale of the x-axis can be toggled between linear and log-scale by clicking on the "x log" button. Mouse-over function shows TCGA ID, patient information and mRNA expression (FPKM) for each patient.

& Survival analysisi

Kaplan-Meier plots summarize results from analysis of correlation between mRNA expression level and patient survival. Patients were divided based on level of expression into one of the two groups "low" (under cut off) or "high" (over cut off). X-axis shows time for survival (years) and y-axis shows the probability of survival, where 1.0 corresponds to 100 percent.

DNAJB13 is not prognostic in Breast Invasive Carcinoma (TCGA)


Stage:


Survival analysis
Current cut offi

Current cut-off shows the cut-off (FPKM) currently selected. It may be changed manually. When the current cut-off is changed, the vertical dashed line indicating cut-off, the interactive survival scatter plot and the Kaplan-Meier curve will be automatically adjusted to show results accordingly.

:
Best expression cut offi

Based on the FPKM value of each gene, patients were classified into two groups and association between prognosis (survival) and gene expression (FPKM) was examined. The best expression cut-off refers the FPKM value that yields maximal difference with regard to survival between the two groups at the lowest log-rank P-value. Best expression cut-off was selected based on survival analysis .

When clicking on this number, the vertical dashed line indicating cut-off, the interactive survival plot, and the Kaplan-Meier curve will be adjusted to show results based on the best expression cut-off.

: N/A
Median expressioni

Median expression refers to the median FPKM value calculated based on the gene expression (FPKM) data from all patients in this dataset. When clicking on this number, the vertical dashed line indicating cut-off, the interactive survival plot, and the Kaplan-Meier curve will be adjusted to show results based on the median expression.

: N/A
Median follow up timei

Median follow up time refers to the median time (years) after diagnosis with this type of cancer, based on clinical data from all patients in this dataset.

: N/A
P scorei

Log-rank P value for Kaplan-Meier plot showing results from analysis of correlation between mRNA expression level and patient survival.

N/A
5-year survival highi

5-year survival for patients with higher expression than the expression cutoff.

For melanoma and glioma, 3-year survival is shown.

N/A
5-year survival lowi

5-year survival for patients with lower expression than the expression cutoff.

For melanoma and glioma, 3-year survival is shown.

N/A
TCGA RNA samplesi

RNA-seq data is reported as average FPKM (number Fragments Per Kilobase of exon per Million reads), generated by the The Cancer Genome Atlas (TCGA) .

Normal distribution across the dataset is visualized with box plots, shown as median and 25th and 75th percentiles. Points are displayed as outliers if they are above or below 1.5 times the interquartile range. FPKM values of the individual samples are presented next to the box plot.

Average pTPM 0.7
Number of samples 1022
Samples
Sample Description pTPM
TCGA-B6-A0RL-01A 60 years, female, black or african american, stage:Stage IIA, dead, 2469 days 19.5
TCGA-BH-A2L8-01A 45 years, female, white, stage:Stage IIA, alive, 612 days 13.7
TCGA-A8-A08I-01A 53 years, female, stage:Stage IIA, alive, 365 days 9.9
TCGA-Z7-A8R6-01A 46 years, female, white, stage:Stage I, alive, 3256 days 9.3
TCGA-PE-A5DC-01A 72 years, female, white, stage:Stage IIIA, dead, 1430 days 8.5
TCGA-C8-A138-01A 54 years, female, asian, stage:Stage IIIA, alive, 380 days 8.1
TCGA-BH-A0B5-01A 40 years, female, white, stage:Stage IIIA, alive, 2136 days 7.4
TCGA-E2-A570-01A 47 years, female, black or african american, stage:Stage IB, alive, 931 days 7.2
TCGA-AN-A0FJ-01A 59 years, female, white, stage:Stage IV, alive, 242 days 6.7
TCGA-AQ-A54N-01A 51 years, female, black or african american, stage:Stage IIA, alive, 78 days 6.7
TCGA-A7-A4SB-01A 56 years, female, white, stage:Stage IIIA, alive, 418 days 6.5
TCGA-AR-A1AP-01A 80 years, female, white, stage:Stage I, alive, 2856 days 6.4
TCGA-AC-A7VB-01A 51 years, female, black or african american, stage:Stage IIA, alive, 250 days 6.3
TCGA-B6-A0RO-01A 71 years, female, white, stage:Stage IIIB, alive, 4929 days 6.3
TCGA-E2-A158-01A 43 years, female, white, stage:Stage IIA, alive, 450 days 6.3
TCGA-AN-A03Y-01A 66 years, female, white, stage:Stage IIA, alive, 10 days 5.9
TCGA-BH-A0W7-01A 49 years, female, white, stage:Stage I, alive, 1363 days 5.6
TCGA-BH-A1EY-01A 79 years, female, white, stage:Stage IIA, dead, 538 days 5.5
TCGA-B6-A408-01A 55 years, female, black or african american, stage:Stage IIIC, alive, 2072 days 5.5
TCGA-3C-AALI-01A 50 years, female, black or african american, stage:Stage IIB, alive, 4005 days 5.4
TCGA-A8-A07B-01A 69 years, female, stage:Stage IIA, alive, 1308 days 5.0
TCGA-D8-A27L-01A 49 years, female, white, stage:Stage IIIA, alive, 499 days 4.9
TCGA-5L-AAT1-01A 63 years, female, white, stage:Stage IV, alive, 1471 days 4.9
TCGA-A2-A4S2-01A 62 years, female, white, stage:Stage IIIA, alive, 643 days 4.8
TCGA-A7-A4SA-01A 40 years, female, white, stage:Stage IIB, alive, 454 days 4.2
TCGA-BH-A0DD-01A 58 years, male, white, stage:Stage IIB, alive, 2486 days 4.2
TCGA-S3-A6ZF-01A 64 years, female, black or african american, stage:Stage IIA, alive, 572 days 4.1
TCGA-AC-A5XU-01A 74 years, female, black or african american, stage:Stage IIB, alive, 455 days 4.0
TCGA-E9-A1RC-01A 56 years, female, white, stage:Stage IIIC, alive, 1224 days 4.0
TCGA-AN-A0AJ-01A 79 years, female, white, stage:Stage IIB, alive, 303 days 3.9
TCGA-C8-A12P-01A 55 years, female, asian, stage:Stage IIB, alive, 358 days 3.8
TCGA-A8-A07I-01A 69 years, female, stage:Stage IIIA, alive, 426 days 3.7
TCGA-LL-A7SZ-01A 49 years, female, black or african american, stage:Stage IIB, alive, 594 days 3.6
TCGA-S3-AA11-01A 67 years, female, black or african american, stage:Stage IIA, alive, 421 days 3.5
TCGA-S3-A6ZG-01A 71 years, female, black or african american, stage:Stage IIB, alive, 562 days 3.4
TCGA-XX-A899-01A 46 years, female, white, stage:Stage IIIA, alive, 467 days 3.3
TCGA-A8-A079-01A 69 years, female, stage:Stage IIIB, alive, 274 days 3.3
TCGA-EW-A1IY-01A 38 years, female, asian, stage:Stage I, alive, 258 days 3.2
TCGA-B6-A0I5-01A 49 years, female, white, stage:Stage IIB, alive, 8556 days 3.0
TCGA-BH-A0BR-01A 59 years, female, white, stage:Stage I, alive, 2330 days 3.0
TCGA-E9-A228-01A 58 years, female, white, stage:Stage IIB, alive, 1285 days 3.0
TCGA-E2-A14V-01A 53 years, female, white, stage:Stage IIB, alive, 1042 days 2.9
TCGA-EW-A6S9-01A 34 years, female, black or african american, stage:Stage IIA, alive, 463 days 2.9
TCGA-D8-A13Y-01A 52 years, female, white, stage:Stage IA, alive, 1728 days 2.8
TCGA-UL-AAZ6-01A 73 years, female, black or african american, stage:Stage IIA, alive, 518 days 2.8
TCGA-E2-A154-01A 68 years, female, white, stage:Stage I, alive, 591 days 2.7
TCGA-AC-A8OP-01A 72 years, female, black or african american, stage:Stage IA, alive, 614 days 2.7
TCGA-BH-A0B7-01A 42 years, female, white, stage:Stage IIB, alive, 2559 days 2.7
TCGA-BH-A0B0-01A 56 years, female, black or african american, stage:Stage I, alive, 2477 days 2.7
TCGA-B6-A0X5-01A 61 years, female, black or african american, stage:Stage IIB, dead, 2097 days 2.6
TCGA-E9-A1N8-01A 48 years, female, white, stage:Stage IIA, alive, 1039 days 2.6
TCGA-A8-A08C-01A 65 years, female, stage:Stage IIA, alive, 881 days 2.6
TCGA-B6-A0I1-01A 73 years, female, black or african american, stage:Stage IIA, dead, 2361 days 2.6
TCGA-B6-A40B-01A 76 years, female, white, stage:Stage I, alive, 3152 days 2.6
TCGA-GM-A2DO-01A 54 years, female, black or african american, stage:Stage I, alive, 2596 days 2.5
TCGA-AC-A5EH-01A 76 years, female, black or african american, stage:Stage IIB, alive, 511 days 2.4
TCGA-A2-A0SV-01A 63 years, female, white, stage:Stage IV, dead, 825 days 2.4
TCGA-BH-A0DG-01A 30 years, female, black or african american, stage:Stage IIA, alive, 2041 days 2.4
TCGA-EW-A6SD-01A 32 years, female, black or african american, stage:Stage IIB, alive, 1010 days 2.3
TCGA-EW-A6SC-01A 60 years, female, black or african american, stage:Stage IIA, alive, 952 days 2.3
TCGA-BH-A0C3-01A 47 years, female, white, stage:Stage I, alive, 2709 days 2.3
TCGA-S3-AA14-01A 47 years, female, black or african american, stage:Stage I, alive, 529 days 2.3
TCGA-A2-A3XZ-01A 46 years, female, black or african american, stage:Stage I, alive, 1532 days 2.3
TCGA-E2-A15D-01A 47 years, female, white, stage:Stage IIA, alive, 526 days 2.3
TCGA-E9-A54X-01A 85 years, female, white, stage:Stage IA, alive, 727 days 2.3
TCGA-AC-A3EH-01A 79 years, female, white, stage:Stage IIIC, dead, 197 days 2.2
TCGA-E9-A1NI-01A 51 years, female, white, stage:Stage IIA, alive, 300 days 2.2
TCGA-EW-A423-01A 75 years, female, white, stage:Stage IIA, alive, 533 days 2.1
TCGA-A8-A08B-01A 52 years, female, stage:Stage IIA, alive, 1156 days 2.1
TCGA-A8-A0A9-01A 80 years, female, stage:Stage IIA, alive, 822 days 2.1
TCGA-D8-A1X5-01A 81 years, female, white, stage:Stage IIIC, alive, 565 days 2.1
TCGA-LL-A5YN-01A 46 years, female, black or african american, stage:Stage IIA, alive, 447 days 2.0
TCGA-A7-A5ZV-01A 62 years, female, black or african american, stage:Stage IIA, alive, 368 days 2.0
TCGA-A7-A4SC-01A 62 years, female, white, stage:Stage IIB, alive, 446 days 2.0
TCGA-GM-A3XN-01A 44 years, female, white, stage:Stage IIIA, alive, 2019 days 1.9
TCGA-EW-A1P6-01A 64 years, female, white, stage:Stage IIB, alive, 562 days 1.9
TCGA-B6-A401-01A 47 years, female, black or african american, stage:Stage IIA, alive, 2596 days 1.9
TCGA-AR-A2LM-01A 49 years, female, white, stage:Stage II, alive, 1935 days 1.9
TCGA-B6-A0X4-01A 62 years, female, white, stage:Stage IIB, dead, 860 days 1.8
TCGA-OL-A5RV-01A 43 years, female, black or african american, stage:Stage IIIC, alive, 1062 days 1.8
TCGA-AO-A0JC-01A 64 years, female, white, stage:Stage IIA, alive, 1547 days 1.8
TCGA-EW-A1J6-01A 70 years, female, white, stage:Stage I, alive, 875 days 1.8
TCGA-A8-A0A4-01A 73 years, female, stage:Stage IIA, alive, 396 days 1.8
TCGA-B6-A3ZX-01A 50 years, female, black or african american, stage:Stage IV, dead, 1152 days 1.8
TCGA-D8-A1XF-01A 45 years, female, white, stage:Stage IIA, alive, 463 days 1.8
TCGA-E9-A1RA-01A 48 years, female, white, stage:Stage IA, alive, 1369 days 1.8
TCGA-A8-A08Z-01A 76 years, female, stage:'--, alive, 1217 days 1.7
TCGA-OL-A5D8-01A 40 years, female, black or african american, stage:Stage IIB, alive, 973 days 1.7
TCGA-AR-A1AX-01A 64 years, female, white, stage:Stage I, alive, 2629 days 1.6
TCGA-E9-A249-01A 45 years, female, white, stage:Stage IIA, alive, 217 days 1.6
TCGA-AR-A5QN-01A 68 years, female, white, stage:Stage IIIC, alive, 1013 days 1.6
TCGA-A2-A0CQ-01A 62 years, female, black or african american, stage:Stage IA, alive, 2695 days 1.6
TCGA-BH-A0GY-01A 67 years, female, white, stage:Stage IIA, alive, 923 days 1.6
TCGA-AN-A0XR-01A 55 years, female, white, stage:Stage IIIA, alive, 10 days 1.6
TCGA-V7-A7HQ-01A 75 years, female, black or african american, stage:Stage IIIA, alive, 2033 days 1.6
TCGA-AO-A0J7-01A 71 years, female, white, stage:Stage IIB, alive, 618 days 1.6
TCGA-AN-A049-01A 62 years, female, white, stage:Stage IIA, alive, 19 days 1.6
TCGA-AQ-A7U7-01A 55 years, female, white, stage:Stage IIIA, dead, 584 days 1.6
TCGA-BH-A0DS-01A 71 years, female, white, stage:Stage IIIA, alive, 78 days 1.5
TCGA-BH-A0E0-01A 38 years, female, white, stage:Stage IIIC, alive, 134 days 1.5
TCGA-A8-A08L-01A 89 years, female, stage:Stage IIIA, dead, 30 days 1.5
TCGA-A2-A0CR-01A 54 years, female, asian, stage:Stage IIB, alive, 3283 days 1.5
TCGA-AN-A0FV-01A 58 years, female, white, stage:Stage IIA, alive, 10 days 1.5
TCGA-AC-A6NO-01A 43 years, female, black or african american, stage:Stage IIB, alive, 51 days 1.5
TCGA-LL-A441-01A 62 years, female, black or african american, stage:Stage IA, alive, 996 days 1.5
TCGA-A2-A25A-01A 44 years, female, white, stage:Stage IIA, alive, 3276 days 1.5
TCGA-AQ-A54O-01A 51 years, male, black or african american, stage:Stage IIA, alive, 1001 days 1.5
TCGA-E2-A1IU-01A 60 years, female, white, stage:Stage IA, alive, 337 days 1.5
TCGA-BH-A202-01A 60 years, female, white, stage:Stage II, alive, 795 days 1.5
TCGA-AR-A1AM-01A 52 years, female, white, stage:Stage IIIA, alive, 2991 days 1.5
TCGA-E2-A1L7-01A 40 years, female, white, stage:Stage IIIA, alive, 1836 days 1.4
TCGA-C8-A12Y-01A 44 years, female, asian, stage:Stage IIB, alive, 1476 days 1.4
TCGA-BH-A18H-01A 63 years, female, white, stage:Stage IA, alive, 652 days 1.4
TCGA-OL-A5DA-01A 61 years, female, white, stage:Stage IIA, alive, 1783 days 1.4
TCGA-D8-A1JJ-01A 54 years, female, white, stage:Stage IIA, alive, 611 days 1.4
TCGA-E2-A15I-01A 44 years, female, white, stage:Stage IIA, alive, 1692 days 1.4
TCGA-E2-A56Z-01A 69 years, female, black or african american, stage:Stage IIB, alive, 252 days 1.4
TCGA-BH-A209-01A 77 years, female, black or african american, stage:Stage I, dead, 3959 days 1.4
TCGA-OL-A5RZ-01A 57 years, female, black or african american, stage:Stage IA, alive, 679 days 1.4
TCGA-3C-AAAU-01A 55 years, female, white, stage:Stage X, alive, 4047 days 1.4
TCGA-A8-A095-01A 45 years, female, stage:Stage I, alive, 1277 days 1.4
TCGA-AR-A1AL-01A 60 years, female, white, stage:Stage IIIA, alive, 2971 days 1.4
TCGA-OL-A5RW-01A 40 years, female, black or african american, stage:Stage IIA, alive, 1106 days 1.4
TCGA-LL-A5YL-01A 64 years, female, white, stage:Stage IIB, alive, 519 days 1.3
TCGA-BH-A28Q-01A 46 years, female, white, stage:Stage IIB, alive, 1119 days 1.3
TCGA-AO-A0J8-01A 61 years, female, white, stage:Stage IIA, alive, 680 days 1.3
TCGA-BH-A1FD-01A 68 years, female, white, stage:Stage I, dead, 1009 days 1.3
TCGA-A7-A4SD-01A 52 years, female, black or african american, stage:Stage IIA, alive, 441 days 1.3
TCGA-A1-A0SN-01A 50 years, female, white, stage:Stage IIA, alive, 1196 days 1.3
TCGA-A2-A4RY-01A 46 years, female, white, stage:Stage IIIC, alive, 648 days 1.3
TCGA-BH-A0E2-01A 49 years, female, black or african american, stage:Stage IIIA, alive, 435 days 1.3
TCGA-UU-A93S-01A 63 years, female, black or african american, stage:Stage IV, dead, 116 days 1.3
TCGA-AR-A5QP-01A 54 years, female, white, stage:Stage IIB, alive, 1185 days 1.3
TCGA-D8-A27K-01A 47 years, female, white, stage:Stage IIB, alive, 1461 days 1.3
TCGA-E9-A2JS-01A 72 years, female, white, stage:Stage IIB, dead, 904 days 1.3
TCGA-BH-A18P-01A 60 years, female, white, stage:Stage I, dead, 921 days 1.2
TCGA-D8-A1Y0-01A 65 years, female, white, stage:Stage IIIA, alive, 472 days 1.2
TCGA-LL-A73Z-01A 55 years, female, black or african american, stage:Stage IV, dead, 227 days 1.2
TCGA-AR-A24R-01A 45 years, female, white, stage:Stage IIIA, alive, 3430 days 1.2
TCGA-BH-A0W5-01A 77 years, female, white, stage:Stage IIA, alive, 1288 days 1.2
TCGA-D8-A140-01A 62 years, female, white, stage:Stage IIB, alive, 403 days 1.2
TCGA-BH-A1EW-01A 38 years, female, white, stage:Stage IIA, dead, 1694 days 1.2
TCGA-A8-A0A1-01A 84 years, female, stage:Stage IIA, alive, 365 days 1.2
TCGA-A8-A08F-01A 59 years, female, stage:Stage IIIC, alive, 1004 days 1.2
TCGA-A8-A06Y-01A 66 years, female, stage:Stage IIA, alive, 791 days 1.2
TCGA-A7-A3IZ-01A 62 years, female, white, stage:Stage IIA, alive, 322 days 1.2
TCGA-AN-A0FY-01A 55 years, female, white, stage:Stage IA, alive, 10 days 1.2
TCGA-AR-A2LN-01A 65 years, female, white, stage:Stage IIA, alive, 1161 days 1.2
TCGA-A2-A0EP-01A 56 years, female, white, stage:Stage I, alive, 3603 days 1.2
TCGA-BH-A0BF-01A 56 years, female, white, stage:Stage IIB, dead, 1324 days 1.2
TCGA-AR-A2LR-01A 49 years, female, white, stage:Stage I, alive, 1742 days 1.2
TCGA-A7-A4SF-01A 54 years, female, black or african american, stage:Stage IIA, alive, 545 days 1.2
TCGA-D8-A1XA-01A 64 years, female, white, stage:Stage IA, alive, 839 days 1.2
TCGA-AN-A046-01A 68 years, female, white, stage:Stage IIA, alive, 10 days 1.2
TCGA-E2-A15E-01A 40 years, female, white, stage:Stage IIA, alive, 630 days 1.2
TCGA-A7-A6VY-01A 48 years, female, black or african american, stage:Stage IIB, alive, 266 days 1.2
TCGA-E9-A3HO-01A 49 years, female, white, stage:Stage IIA, alive, 1158 days 1.2
TCGA-D8-A1JE-01A 62 years, female, white, stage:Stage IIA, alive, 575 days 1.2
TCGA-A2-A0EW-01A 53 years, female, white, stage:Stage IIIC, dead, 1884 days 1.2
TCGA-E2-A1B6-01A 44 years, female, white, stage:Stage IIA, alive, 867 days 1.2
TCGA-BH-A0B9-01A 44 years, female, white, stage:Stage IA, alive, 1572 days 1.1
TCGA-MS-A51U-01A 44 years, female, white, stage:Stage IIB, alive, 681 days 1.1
TCGA-JL-A3YX-01A 46 years, female, asian, stage:Stage IIA, alive, 352 days 1.1
TCGA-A8-A06Z-01A 84 years, female, stage:Stage IIB, alive, 31 days 1.1
TCGA-D8-A1JI-01A 54 years, female, white, stage:Stage IIA, alive, 577 days 1.1
TCGA-BH-A18R-01A 50 years, female, white, stage:Stage IIA, dead, 1142 days 1.1
TCGA-AR-A24N-01A 54 years, female, white, stage:Stage I, alive, 3035 days 1.1
TCGA-OL-A5RX-01A 51 years, female, black or african american, stage:Stage IA, alive, 878 days 1.1
TCGA-A7-A2KD-01A 53 years, female, black or african american, stage:Stage IIIA, alive, 679 days 1.1
TCGA-E9-A22H-01A 42 years, female, white, stage:Stage IIB, alive, 1232 days 1.1
TCGA-AN-A0FF-01A 32 years, female, white, stage:Stage IA, alive, 172 days 1.1
TCGA-GM-A3XG-01A 46 years, female, white, stage:Stage IIIA, alive, 1330 days 1.1
TCGA-BH-A0EE-01A 68 years, female, white, stage:Stage IIB, alive, 943 days 1.1
TCGA-A8-A06U-01A 80 years, female, stage:Stage IIB, dead, 883 days 1.1
TCGA-BH-A0W4-01A 46 years, female, white, stage:Stage IIA, alive, 759 days 1.1
TCGA-OL-A5RU-01A 63 years, female, black or african american, stage:Stage IIA, alive, 1219 days 1.1
TCGA-BH-A0C0-01A 62 years, female, white, stage:Stage IIA, alive, 1270 days 1.1
TCGA-AR-A2LH-01A 55 years, female, white, stage:Stage III, dead, 616 days 1.1
TCGA-E2-A15P-01A 61 years, female, white, stage:Stage IA, alive, 595 days 1.1
TCGA-BH-A8G0-01A 54 years, female, white, stage:Stage IIB, alive, 662 days 1.1
TCGA-3C-AALK-01A 52 years, female, black or african american, stage:Stage IA, alive, 1448 days 1.0
TCGA-A2-A0D1-01A 76 years, female, white, stage:Stage IIA, alive, 1051 days 1.0
TCGA-AO-A0J6-01A 61 years, female, white, stage:Stage IIA, alive, 1140 days 1.0
TCGA-A8-A086-01A 59 years, female, stage:Stage IIA, alive, 396 days 1.0
TCGA-C8-A132-01A 56 years, female, asian, stage:Stage IIB, alive, 383 days 1.0
TCGA-EW-A1P8-01A 58 years, female, white, stage:Stage IIIC, dead, 239 days 1.0
TCGA-A8-A075-01A 42 years, female, stage:Stage IIB, alive, 518 days 1.0
TCGA-C8-A274-01A 63 years, female, asian, stage:Stage IIA, alive, 508 days 1.0
TCGA-BH-A0HY-01A 60 years, female, white, stage:Stage I, alive, 1545 days 1.0
TCGA-A2-A0EQ-01A 64 years, female, black or african american, stage:Stage IIA, alive, 2426 days 1.0
TCGA-E9-A1R7-01A 64 years, female, white, stage:Stage IIA, alive, 1467 days 1.0
TCGA-AO-A1KQ-01A 84 years, male, white, stage:Stage IIIB, alive, 1882 days 1.0
TCGA-OL-A66L-01A 71 years, female, black or african american, stage:Stage IA, alive, 1301 days 1.0
TCGA-A2-A0EY-01A 62 years, female, white, stage:Stage IIB, alive, 1925 days 1.0
TCGA-A7-A13E-01A 62 years, female, white, stage:Stage IIB, dead, 614 days 1.0
TCGA-AC-A3W7-01A 66 years, female, white, stage:Stage IIB, alive, 471 days 1.0
TCGA-AR-A24H-01A 65 years, female, white, stage:Stage IIA, alive, 4894 days 1.0
TCGA-BH-A0DP-01A 60 years, female, white, stage:Stage IIB, alive, 476 days 1.0
TCGA-A2-A4S3-01A 59 years, female, black or african american, stage:Stage IIB, alive, 666 days 1.0
TCGA-D8-A3Z5-01A 54 years, female, white, stage:Stage IIIC, alive, 1015 days 1.0
TCGA-A8-A08O-01A 45 years, female, stage:Stage IV, alive, 943 days 1.0
TCGA-BH-A18U-01A 72 years, female, white, stage:Stage IIIA, dead, 1563 days 1.0
TCGA-A8-A085-01A 44 years, male, stage:Stage IIB, alive, 1124 days 1.0
TCGA-D8-A4Z1-01A 68 years, female, white, stage:Stage IA, alive, 659 days 1.0
TCGA-3C-AALJ-01A 62 years, female, black or african american, stage:Stage IIB, alive, 1474 days 1.0
TCGA-AN-A0FX-01A 52 years, female, white, stage:Stage IIA, alive, 10 days 1.0
TCGA-D8-A1Y1-01A 80 years, female, white, stage:Stage IIIA, dead, 302 days 0.9
TCGA-C8-A130-01A 52 years, female, asian, stage:Stage IIIA, alive, 370 days 0.9
TCGA-AR-A24Z-01A 57 years, female, white, stage:Stage IIA, alive, 3001 days 0.9
TCGA-OL-A66K-01A 72 years, female, white, stage:Stage IIA, dead, 1275 days 0.9
TCGA-AR-A1AH-01A 51 years, female, white, stage:Stage IIB, alive, 3807 days 0.9
TCGA-BH-A0B1-01A 66 years, female, white, stage:Stage IIB, alive, 1148 days 0.9
TCGA-AO-A03V-01A 41 years, female, white, stage:Stage I, alive, 1351 days 0.9
TCGA-A2-A0T5-01A 39 years, female, white, stage:Stage IIA, alive, 531 days 0.9
TCGA-AC-A7VC-01A 56 years, female, white, stage:Stage IIB, alive, 1 days 0.9
TCGA-A7-A4SE-01A 54 years, female, black or african american, stage:Stage IIA, alive, 644 days 0.9
TCGA-GM-A2DB-01A 62 years, female, white, stage:Stage IIA, alive, 2406 days 0.9
TCGA-AR-A0TZ-01A 43 years, female, white, stage:'--, dead, 3262 days 0.9
TCGA-D8-A141-01A 40 years, female, white, stage:'--, alive, 626 days 0.9
TCGA-A2-A0CU-01A 73 years, female, white, stage:Stage IIA, dead, 158 days 0.9
TCGA-A2-A0YF-01A 67 years, female, black or african american, stage:Stage I, alive, 1535 days 0.9
TCGA-E9-A1N6-01A 52 years, female, white, stage:Stage IIB, dead, 678 days 0.9
TCGA-AC-A2FK-01A 45 years, female, white, stage:Stage IIIC, alive, 2650 days 0.9
TCGA-AO-A128-01A 61 years, female, white, stage:Stage IIA, alive, 3248 days 0.9
TCGA-A8-A0A2-01A 66 years, female, stage:Stage IIA, alive, 579 days 0.9
TCGA-BH-A1EV-01A 45 years, female, white, stage:Stage IIIA, dead, 365 days 0.9
TCGA-AR-A24P-01A 47 years, female, white, stage:Stage I, alive, 84 days 0.9
TCGA-AR-A1AU-01A 39 years, female, white, stage:Stage IIIA, alive, 2868 days 0.9
TCGA-AC-A2FB-01A 65 years, female, white, stage:Stage IIA, alive, 1234 days 0.9
TCGA-E9-A5FL-01A 65 years, female, white, stage:Stage IIB, alive, 24 days 0.9
TCGA-LL-A6FQ-01A 77 years, female, black or african american, stage:Stage IIIA, alive, 80 days 0.9
TCGA-EW-A1P1-01A 68 years, female, white, stage:Stage IIIC, alive, 1210 days 0.8
TCGA-AR-A24V-01A 52 years, female, white, stage:Stage IIB, alive, 3203 days 0.8
TCGA-A8-A0AB-01A 54 years, female, stage:Stage IIA, alive, 518 days 0.8
TCGA-A7-A426-01A 50 years, female, white, stage:Stage IIIC, alive, 364 days 0.8
TCGA-AR-A255-01A 62 years, female, white, stage:Stage I, alive, 2161 days 0.8
TCGA-AQ-A04J-01A 45 years, female, white, stage:Stage IIA, alive, 819 days 0.8
TCGA-A2-A3XS-01A 62 years, female, black or african american, stage:Stage IIIA, dead, 1032 days 0.8
TCGA-B6-A40C-01A 51 years, female, white, stage:Stage IIB, alive, 2164 days 0.8
TCGA-BH-A18Q-01A 56 years, female, white, stage:Stage IIB, dead, 1692 days 0.8
TCGA-B6-A402-01A 47 years, female, black or african american, stage:Stage I, alive, 2281 days 0.8
TCGA-AN-A0XV-01A 67 years, female, white, stage:Stage IIIA, alive, 162 days 0.8
TCGA-AC-A5XS-01A 74 years, female, white, stage:Stage IIA, alive, 588 days 0.8
TCGA-C8-A8HQ-01A 53 years, female, asian, stage:Stage IIB, alive, 380 days 0.8
TCGA-E9-A1R6-01A 63 years, female, white, stage:Stage IIA, alive, 339 days 0.8
TCGA-A2-A0EN-01A 70 years, female, white, stage:Stage IIA, alive, 4088 days 0.8
TCGA-A1-A0SG-01A 61 years, female, white, stage:Stage IIB, alive, 434 days 0.8
TCGA-A2-A25C-01A 50 years, female, white, stage:Stage IIB, alive, 523 days 0.8
TCGA-D8-A27I-01A 58 years, female, white, stage:Stage IIIA, alive, 439 days 0.8
TCGA-D8-A1J9-01A 48 years, female, white, stage:Stage IA, alive, 532 days 0.8
TCGA-E2-A10F-01A 47 years, female, white, stage:Stage IIA, alive, 878 days 0.8
TCGA-GM-A2DN-01A 58 years, female, white, stage:Stage IIA, alive, 3091 days 0.8
TCGA-E9-A1ND-01A 75 years, female, white, stage:Stage IIB, alive, 1266 days 0.8
TCGA-GM-A3XL-01A 49 years, female, black or african american, stage:Stage IIA, alive, 2108 days 0.8
TCGA-AN-A0FZ-01A 45 years, female, white, stage:Stage IIIA, alive, 10 days 0.8
TCGA-A1-A0SK-01A 54 years, female, asian, stage:Stage IIA, dead, 967 days 0.8
TCGA-BH-A1FN-01A 34 years, female, white, stage:Stage IIA, dead, 2192 days 0.8
TCGA-E2-A1BD-01A 53 years, female, white, stage:Stage IIA, alive, 1133 days 0.8
TCGA-PL-A8LY-01A 30 years, female, black or african american, stage:Stage IIB, alive, 8 days 0.8
TCGA-AC-A4ZE-01A 63 years, female, white, stage:Stage IIB, alive, 890 days 0.8
TCGA-A7-A13H-01A 61 years, female, white, stage:Stage IIB, alive, 899 days 0.8
TCGA-A7-A0CJ-01A 57 years, female, white, stage:Stage IIA, alive, 931 days 0.8
TCGA-D8-A1XD-01A 36 years, female, white, stage:Stage IIIA, alive, 522 days 0.8
TCGA-A7-A56D-01A 84 years, female, black or african american, stage:Stage IIA, alive, 448 days 0.8
TCGA-BH-AB28-01A 53 years, female, white, stage:Stage IIIA, alive, 287 days 0.8
TCGA-AC-A62X-01A 72 years, female, black or african american, stage:Stage IIA, alive, 417 days 0.8
TCGA-AR-A5QM-01A 62 years, female, white, stage:Stage IIA, alive, 2231 days 0.8
TCGA-E2-A10A-01A 41 years, female, white, stage:Stage IIB, alive, 1229 days 0.8
TCGA-A7-A0CH-01A 79 years, female, white, stage:Stage IIA, alive, 1079 days 0.8
TCGA-AR-A0U3-01A 59 years, female, white, stage:Stage IIB, alive, 4080 days 0.8
TCGA-BH-A0BP-01A 76 years, female, white, stage:Stage I, dead, 2296 days 0.8
TCGA-BH-A8FZ-01A 58 years, female, white, stage:Stage IA, alive, 574 days 0.8
TCGA-GM-A2DC-01A 57 years, female, white, stage:Stage IIA, alive, 2535 days 0.8
TCGA-A2-A0CP-01A 60 years, female, white, stage:Stage IA, alive, 2813 days 0.8
TCGA-BH-A8FY-01A 87 years, female, white, stage:Stage IA, dead, 295 days 0.8
TCGA-A7-A6VX-01A 68 years, female, black or african american, stage:Stage IIA, alive, 317 days 0.8
TCGA-4H-AAAK-01A 50 years, female, white, stage:Stage IIIA, alive, 348 days 0.8
TCGA-BH-A42T-01A 75 years, female, black or african american, stage:Stage IIA, dead, 320 days 0.8
TCGA-AC-A2FG-01A 79 years, female, white, stage:Stage IIB, alive, 1853 days 0.7
TCGA-A2-A0T6-01A 50 years, female, white, stage:Stage IIB, alive, 575 days 0.7
TCGA-A2-A0SW-01A 82 years, female, white, stage:Stage IV, dead, 1365 days 0.7
TCGA-A2-A3XT-01A 45 years, female, black or african american, stage:Stage IIB, alive, 2770 days 0.7
TCGA-AO-A0JG-01A 49 years, female, white, stage:Stage IIIA, alive, 798 days 0.7
TCGA-AN-A04C-01A 51 years, female, white, stage:Stage IIB, alive, 54 days 0.7
TCGA-OL-A6VQ-01A 49 years, female, white, stage:Stage IIA, alive, 600 days 0.7
TCGA-LL-A9Q3-01A 69 years, female, white, stage:Stage IIIC, alive, 532 days 0.7
TCGA-A8-A076-01A 66 years, female, stage:Stage IIA, alive, 1642 days 0.7
TCGA-E9-A3QA-01A 33 years, female, white, stage:Stage IIA, alive, 918 days 0.7
TCGA-B6-A400-01A 43 years, female, black or african american, stage:Stage IIIA, alive, 215 days 0.7
TCGA-B6-A0RH-01A 51 years, female, black or african american, stage:Stage IIA, dead, 6456 days 0.7
TCGA-E2-A573-01A 48 years, female, black or african american, stage:Stage IA, alive, 1062 days 0.7
TCGA-W8-A86G-01A 66 years, female, white, stage:Stage IIA, alive, 347 days 0.7
TCGA-E2-A1LK-01A 84 years, female, black or african american, stage:Stage IIIC, dead, 266 days 0.7
TCGA-A2-A0ST-01A 62 years, female, white, stage:Stage IIA, alive, 3017 days 0.7
TCGA-A2-A0CO-01A 85 years, female, white, stage:Stage IIB, dead, 1468 days 0.7
TCGA-EW-A1J5-01A 59 years, female, white, stage:Stage IIB, alive, 477 days 0.7
TCGA-AO-A03O-01A 69 years, female, black or african american, stage:Stage IIA, dead, 2483 days 0.7
TCGA-AN-A0FS-01A 55 years, female, white, stage:Stage IA, alive, 210 days 0.7
TCGA-LD-A66U-01A 44 years, female, white, stage:Stage IIB, alive, 646 days 0.7
TCGA-D8-A1XY-01A 74 years, female, white, stage:Stage IIA, alive, 503 days 0.7
TCGA-AO-A12D-01A 43 years, female, white, stage:Stage IIA, alive, 2515 days 0.7
TCGA-D8-A27N-01A 36 years, female, white, stage:Stage IIIA, alive, 519 days 0.7
TCGA-A2-A0T7-01A 51 years, female, white, stage:Stage IIA, alive, 631 days 0.7
TCGA-A2-A4RW-01A 49 years, female, white, stage:Stage IIIC, alive, 222 days 0.7
TCGA-A7-A5ZX-01A 48 years, female, white, stage:Stage IIIC, alive, 336 days 0.7
TCGA-A2-A0D4-01A 37 years, female, black or african american, stage:Stage IIB, alive, 767 days 0.7
TCGA-D8-A1XW-01A 53 years, female, white, stage:Stage IIA, alive, 1309 days 0.7
TCGA-OL-A66H-01A 74 years, female, black or african american, stage:Stage IB, alive, 812 days 0.7
TCGA-E2-A1B1-01A 45 years, female, white, stage:Stage IIB, alive, 2653 days 0.7
TCGA-AO-A0JE-01A 53 years, female, black or african american, stage:Stage IIIA, alive, 2335 days 0.7
TCGA-A7-A3J0-01A 62 years, female, white, stage:Stage IIA, alive, 313 days 0.7
TCGA-E2-A109-01A 64 years, female, white, stage:Stage IIA, alive, 1417 days 0.7
TCGA-E2-A3DX-01A 43 years, female, white, stage:Stage IIIC, alive, 1325 days 0.7
TCGA-A8-A09V-01A 51 years, female, stage:Stage IIA, alive, 457 days 0.7
TCGA-AO-A126-01A 39 years, female, asian, stage:Stage IIA, alive, 3307 days 0.7
TCGA-E2-A2P6-01A 77 years, female, stage:Stage IIB, alive, 1051 days 0.7
TCGA-EW-A1P0-01A 55 years, female, white, stage:Stage IIB, alive, 1251 days 0.7
TCGA-AC-A62V-01A 58 years, male, black or african american, stage:Stage IV, dead, 348 days 0.7
TCGA-LL-A740-01A 61 years, female, black or african american, stage:Stage IA, alive, 441 days 0.7
TCGA-LD-A7W6-01A 54 years, female, white, stage:Stage IIB, alive, 404 days 0.7
TCGA-E9-A1NA-01A 58 years, female, white, stage:Stage IIA, alive, 1112 days 0.7
TCGA-AR-A1AK-01A 70 years, female, white, stage:Stage I, alive, 3159 days 0.7
TCGA-GM-A2DD-01A 53 years, female, white, stage:Stage I, alive, 2282 days 0.7
TCGA-A2-A0EU-01A 79 years, female, white, stage:Stage IA, alive, 1043 days 0.7
TCGA-AR-A2LO-01A 46 years, female, white, stage:Stage IIB, alive, 1198 days 0.7
TCGA-E9-A1NF-01A 60 years, female, white, stage:Stage IIA, dead, 1072 days 0.7
TCGA-LD-A74U-01A 79 years, female, white, stage:Stage IIIC, alive, 402 days 0.7
TCGA-A7-A26H-01A 72 years, female, white, stage:Stage IIA, alive, 724 days 0.7
TCGA-E2-A1IO-01A 37 years, female, white, stage:Stage I, alive, 1855 days 0.7
TCGA-S3-AA15-01A 51 years, female, black or african american, stage:Stage IIB, alive, 525 days 0.7
TCGA-AC-A6IV-01A 47 years, female, white, stage:Stage IIB, alive, 568 days 0.7
TCGA-BH-A0HQ-01A 56 years, female, white, stage:Stage IIA, alive, 1121 days 0.7
TCGA-E2-A1IL-01A 78 years, female, white, stage:Stage IIA, alive, 118 days 0.7
TCGA-AR-A0TS-01A 46 years, female, white, stage:Stage IIB, alive, 2558 days 0.7
TCGA-AO-A03R-01A 57 years, female, white, stage:Stage IIB, alive, 2091 days 0.7
TCGA-C8-A278-01A 61 years, female, asian, stage:Stage IIIA, alive, 297 days 0.7
TCGA-A8-A06R-01A 69 years, female, stage:Stage IIB, alive, 547 days 0.7
TCGA-AC-A8OS-01A 71 years, female, white, stage:Stage IIA, alive, 70 days 0.7
TCGA-A2-A0CS-01A 73 years, female, white, stage:Stage IV, dead, 2348 days 0.7
TCGA-BH-A1FH-01A 47 years, female, white, stage:Stage IV, dead, 1034 days 0.7
TCGA-BH-A18T-01A 70 years, female, white, stage:Stage IIA, dead, 224 days 0.7
TCGA-A2-A0EV-01A 80 years, female, white, stage:Stage IA, alive, 968 days 0.7
TCGA-A2-A0T3-01A 37 years, female, white, stage:Stage IB, alive, 1516 days 0.6
TCGA-AN-A0AS-01A 70 years, female, white, stage:Stage IIIA, alive, 10 days 0.6
TCGA-AR-A1AY-01A 65 years, female, white, stage:Stage I, alive, 1026 days 0.6
TCGA-D8-A1JL-01A 72 years, female, white, stage:Stage IIA, alive, 611 days 0.6
TCGA-OL-A5D6-01A 71 years, female, black or african american, stage:Stage IIA, dead, 1104 days 0.6
TCGA-D8-A1XK-01A 55 years, female, white, stage:Stage IIB, alive, 441 days 0.6
TCGA-GM-A2DI-01A 52 years, female, white, stage:Stage I, alive, 2590 days 0.6
TCGA-A8-A07E-01A 81 years, female, stage:Stage X, alive, 608 days 0.6
TCGA-B6-A0X1-01A 48 years, female, white, stage:'--, dead, 7455 days 0.6
TCGA-A8-A06Q-01A 63 years, female, stage:Stage IIIA, alive, 31 days 0.6
TCGA-D8-A73U-01A 88 years, female, white, stage:Stage IIA, alive, 492 days 0.6
TCGA-A8-A09T-01A 68 years, female, stage:'--, alive, 579 days 0.6
TCGA-BH-A0BL-01A 35 years, female, white, stage:Stage I, alive, 2278 days 0.6
TCGA-B6-A0I9-01A 62 years, female, white, stage:Stage IV, dead, 362 days 0.6
TCGA-A8-A09N-01A 57 years, female, stage:Stage IIIC, alive, 31 days 0.6
TCGA-OL-A5D7-01A 70 years, female, black or african american, stage:Stage IIA, alive, 1780 days 0.6
TCGA-AN-A0XN-01A 68 years, female, white, stage:Stage IIIA, alive, 10 days 0.6
TCGA-A8-A0A6-01A 64 years, female, stage:Stage IIIC, alive, 640 days 0.6
TCGA-AR-A0TX-01A 64 years, female, stage:Stage IIA, alive, 1972 days 0.6
TCGA-E2-A107-01A 54 years, female, white, stage:Stage IIIA, alive, 1047 days 0.6
TCGA-AC-A3TM-01A 50 years, female, white, stage:Stage IIIA, alive, 762 days 0.6
TCGA-5L-AAT0-01A 42 years, female, white, stage:Stage IIA, alive, 1477 days 0.6
TCGA-A1-A0SI-01A 52 years, female, white, stage:Stage IIB, alive, 635 days 0.6
TCGA-LL-A442-01A 56 years, female, black or african american, stage:Stage IIA, alive, 889 days 0.6
TCGA-A7-A3J1-01A 63 years, female, white, stage:Stage IA, alive, 343 days 0.6
TCGA-E9-A2JT-01A 63 years, female, white, stage:Stage IIA, alive, 288 days 0.6
TCGA-A8-A08A-01A 89 years, female, stage:Stage I, alive, 30 days 0.6
TCGA-B6-A0IB-01A 64 years, female, white, stage:Stage IV, dead, 3941 days 0.6
TCGA-E2-A15G-01A 76 years, female, white, stage:Stage IIA, alive, 554 days 0.6
TCGA-B6-A0RN-01A 60 years, female, white, stage:Stage IA, alive, 8008 days 0.6
TCGA-C8-A12L-01A 67 years, female, asian, stage:Stage IIA, alive, 363 days 0.6
TCGA-A2-A0D3-01A 42 years, female, white, stage:Stage IA, alive, 1873 days 0.6
TCGA-A8-A093-01A 61 years, female, stage:Stage IIA, alive, 546 days 0.6
TCGA-OL-A66O-01A 39 years, female, black or african american, stage:Stage IIB, alive, 528 days 0.6
TCGA-A8-A09B-01A 58 years, female, stage:Stage IIIB, alive, 365 days 0.6
TCGA-AR-A24K-01A 46 years, female, white, stage:Stage IIA, alive, 1548 days 0.6
TCGA-E9-A1NH-01A 71 years, female, white, stage:Stage IIB, alive, 576 days 0.6
TCGA-E9-A1RB-01A 40 years, female, white, stage:Stage IIA, dead, 976 days 0.6
TCGA-A2-A1G0-01A 49 years, female, white, stage:Stage IIB, alive, 616 days 0.6
TCGA-D8-A1JA-01A 60 years, female, white, stage:'--, alive, 502 days 0.6
TCGA-BH-A0DQ-01A 42 years, female, white, stage:Stage IIB, alive, 98 days 0.6
TCGA-E2-A15S-01A 34 years, female, white, stage:Stage IIB, alive, 428 days 0.6
TCGA-A2-A3Y0-01A 57 years, female, black or african american, stage:Stage IIB, alive, 1546 days 0.6
TCGA-AO-A1KP-01A 77 years, female, white, stage:Stage IIA, alive, 2953 days 0.6
TCGA-D8-A1Y2-01A 71 years, female, white, stage:Stage IIA, alive, 433 days 0.6
TCGA-S3-AA0Z-01A 63 years, female, black or african american, stage:Stage IIB, alive, 629 days 0.6
TCGA-EW-A1IW-01A 80 years, female, white, stage:Stage IIB, alive, 371 days 0.6
TCGA-E2-A14R-01A 62 years, female, white, stage:Stage IIA, alive, 1174 days 0.6
TCGA-A2-A0YE-01A 48 years, female, white, stage:Stage IIB, alive, 554 days 0.6
TCGA-BH-A0BJ-01A 41 years, female, white, stage:Stage IIB, alive, 660 days 0.6
TCGA-GM-A2DA-01A 46 years, female, white, stage:Stage IIB, dead, 6593 days 0.6
TCGA-OL-A5RY-01A 52 years, female, black or african american, stage:Stage IIA, alive, 752 days 0.6
TCGA-EW-A3U0-01A 61 years, female, black or african american, stage:Stage IIIA, alive, 532 days 0.6
TCGA-D8-A1XT-01A 61 years, female, white, stage:Stage IIA, alive, 506 days 0.6
TCGA-EW-A1J3-01A 61 years, female, white, stage:Stage IA, alive, 504 days 0.6
TCGA-EW-A1P3-01A 48 years, female, white, stage:Stage IIA, alive, 1611 days 0.6
TCGA-E9-A6HE-01A 45 years, female, white, stage:Stage IIIC, alive, 847 days 0.6
TCGA-C8-A137-01A 34 years, female, asian, stage:Stage IIB, alive, 379 days 0.6
TCGA-AC-A2FM-01A 87 years, female, white, stage:Stage IIB, dead, 792 days 0.6
TCGA-AC-A62Y-01A 79 years, female, white, stage:Stage IIB, alive, 530 days 0.6
TCGA-E9-A5UO-01A 41 years, female, white, stage:Stage IIA, alive, 785 days 0.6
TCGA-EW-A1J2-01A 50 years, female, black or african american, stage:'--, alive, 403 days 0.6
TCGA-BH-A0HN-01A 67 years, female, white, stage:Stage IA, alive, 516 days 0.6
TCGA-A2-A4RX-01A 67 years, female, black or african american, stage:Stage IIA, alive, 742 days 0.6
TCGA-B6-A0RT-01A 39 years, female, white, stage:Stage IIIA, alive, 2721 days 0.6
TCGA-GM-A2DH-01A 58 years, female, white, stage:Stage I, alive, 2193 days 0.6
TCGA-B6-A0WX-01A 40 years, female, black or african american, stage:Stage IIIA, dead, 639 days 0.6
TCGA-OL-A66I-01A 36 years, female, black or african american, stage:Stage IIA, alive, 714 days 0.6
TCGA-E2-A10C-01A 54 years, female, white, stage:Stage IIB, alive, 1220 days 0.6
TCGA-D8-A1X9-01A 66 years, female, white, stage:Stage IIB, alive, 727 days 0.6
TCGA-BH-A0BQ-01A 39 years, female, white, stage:Stage I, alive, 2255 days 0.6
TCGA-PE-A5DD-01A 64 years, female, asian, stage:Stage IIA, alive, 1953 days 0.6
TCGA-E9-A229-01A 37 years, female, white, stage:Stage IA, alive, 1148 days 0.6
TCGA-AR-A24L-01A 26 years, female, white, stage:Stage IIB, dead, 2866 days 0.6
TCGA-A8-A09K-01A 68 years, female, stage:Stage IIA, alive, 912 days 0.6
TCGA-D8-A1XU-01A 56 years, female, white, stage:Stage IA, alive, 395 days 0.6
TCGA-E9-A1R5-01A 63 years, female, white, stage:Stage IA, alive, 92 days 0.6
TCGA-E2-A15H-01A 38 years, female, white, stage:Stage IIA, alive, 393 days 0.6
TCGA-LL-A7T0-01A 70 years, female, black or african american, stage:Stage IIB, alive, 376 days 0.5
TCGA-AR-A1AR-01A 50 years, female, white, stage:Stage IIIA, dead, 524 days 0.5
TCGA-BH-A0BZ-01A 59 years, female, white, stage:Stage IIIA, alive, 2255 days 0.5
TCGA-D8-A1XB-01A 62 years, female, white, stage:Stage IIB, alive, 552 days 0.5
TCGA-E2-A15C-01A 61 years, female, white, stage:Stage I, alive, 694 days 0.5
TCGA-EW-A1IX-01A 48 years, female, asian, stage:Stage IIA, alive, 1208 days 0.5
TCGA-A8-A06O-01A 60 years, female, stage:Stage I, alive, 396 days 0.5
TCGA-LQ-A4E4-01A 73 years, female, white, stage:Stage IIIA, alive, 849 days 0.5
TCGA-D8-A1JD-01A 41 years, female, white, stage:Stage IIB, alive, 552 days 0.5
TCGA-BH-A1EU-01A 83 years, female, white, stage:Stage I, dead, 1286 days 0.5
TCGA-AC-A23G-01A 76 years, female, white, stage:Stage IIA, alive, 2248 days 0.5
TCGA-AO-A03L-01A 34 years, female, asian, stage:Stage IIIA, alive, 2442 days 0.5
TCGA-AC-A2QI-01A 76 years, female, white, stage:Stage IIIA, alive, 588 days 0.5
TCGA-AO-A12E-01A 51 years, female, white, stage:Stage IIB, alive, 2142 days 0.5
TCGA-E2-A15L-01A 65 years, female, black or african american, stage:Stage IIA, alive, 626 days 0.5
TCGA-BH-A203-01A 78 years, female, white, stage:Stage IIB, dead, 1174 days 0.5
TCGA-AC-A6IX-01A 49 years, female, white, stage:Stage IIIC, alive, 373 days 0.5
TCGA-A8-A06T-01A 75 years, female, stage:Stage IIIA, alive, 1614 days 0.5
TCGA-GM-A2DL-01A 50 years, female, white, stage:Stage I, alive, 3519 days 0.5
TCGA-LL-A440-01A 61 years, female, white, stage:Stage IA, alive, 759 days 0.5
TCGA-AR-A1AI-01A 47 years, female, white, stage:Stage IIA, alive, 3296 days 0.5
TCGA-E2-A10B-01A 67 years, female, white, stage:Stage IIB, alive, 1141 days 0.5
TCGA-A1-A0SP-01A 40 years, female, stage:Stage IIA, alive, 584 days 0.5
TCGA-BH-A1FL-01A 69 years, female, white, stage:Stage IIB, dead, 1673 days 0.5
TCGA-C8-A27A-01A 48 years, female, asian, stage:Stage IIB, alive, 747 days 0.5
TCGA-A2-A0CV-01A 41 years, female, asian, stage:Stage IIB, alive, 3011 days 0.5
TCGA-C8-A8HP-01A 59 years, female, asian, stage:Stage IIIA, alive, 396 days 0.5
TCGA-E9-A5FK-01A 60 years, female, white, stage:Stage IIIC, alive, 812 days 0.5
TCGA-E9-A1NE-01A 28 years, female, white, stage:Stage IIB, alive, 1088 days 0.5
TCGA-A8-A08G-01A 41 years, female, stage:Stage IIA, alive, 607 days 0.5
TCGA-EW-A6SB-01A 62 years, female, black or african american, stage:Stage II, alive, 760 days 0.5
TCGA-E9-A248-01A 51 years, female, white, stage:Stage IIA, alive, 59 days 0.5
TCGA-A8-A09E-01A 73 years, female, stage:Stage IIIB, alive, 1492 days 0.5
TCGA-B6-A0I2-01A 45 years, female, white, stage:Stage IA, alive, 4361 days 0.5
TCGA-C8-A26W-01A 58 years, female, asian, stage:Stage IIB, alive, 381 days 0.5
TCGA-AR-A1AJ-01A 83 years, female, white, stage:Stage I, alive, 2383 days 0.5
TCGA-A8-A09W-01A 70 years, female, stage:Stage IIIB, alive, 30 days 0.5
TCGA-A2-A0CW-01A 67 years, female, white, stage:Stage IIB, alive, 3283 days 0.5
TCGA-S3-AA17-01A 64 years, female, black or african american, stage:Stage IIB, alive, 424 days 0.5
TCGA-AO-A12A-01A 47 years, female, white, stage:Stage IIA, alive, 3112 days 0.5
TCGA-LD-A9QF-01A 73 years, female, black or african american, stage:Stage IA, alive, 323 days 0.5
TCGA-BH-A0HL-01A 56 years, female, white, stage:Stage IIB, alive, 72 days 0.5
TCGA-D8-A1JP-01A 73 years, female, white, stage:Stage IA, alive, 639 days 0.5
TCGA-AR-A0TR-01A 68 years, female, white, stage:Stage IIB, dead, 160 days 0.5
TCGA-D8-A27T-01A 53 years, female, white, stage:Stage IIIC, alive, 398 days 0.5
TCGA-BH-A0HX-01A 54 years, female, white, stage:Stage IIB, alive, 829 days 0.5
TCGA-BH-A1FJ-01A 66 years, female, white, stage:Stage IIIA, dead, 1927 days 0.5
TCGA-AR-A2LL-01A 70 years, female, white, stage:Stage IIB, alive, 2012 days 0.5
TCGA-A8-A0A7-01A 57 years, female, stage:Stage IIB, alive, 30 days 0.5
TCGA-E9-A1N3-01A 70 years, female, white, stage:Stage IIIA, alive, 1059 days 0.5
TCGA-EW-A1P5-01A 77 years, female, white, stage:Stage IIB, alive, 703 days 0.5
TCGA-OL-A6VR-01A 48 years, female, black or african american, stage:Stage IA, alive, 1220 days 0.5
TCGA-AO-A1KO-01A 46 years, female, white, stage:Stage IIB, alive, 622 days 0.5
TCGA-A2-A0CK-01A 60 years, female, white, stage:Stage IIIA, alive, 4159 days 0.5
TCGA-BH-A0H6-01A 82 years, female, white, stage:Stage I, alive, 747 days 0.5
TCGA-A2-A3XW-01A 42 years, female, black or african american, stage:Stage IIB, alive, 1712 days 0.5
TCGA-EW-A1PH-01A 52 years, female, white, stage:Stage IIA, alive, 607 days 0.5
TCGA-C8-A26Z-01A 59 years, female, asian, stage:Stage IIA, alive, 470 days 0.5
TCGA-PL-A8LZ-01A 29 years, female, black or african american, stage:Stage IIIB, alive, 302 days 0.5
TCGA-A2-A04W-01A 50 years, female, white, stage:Stage IIB, alive, 3102 days 0.5
TCGA-E2-A1LE-01A 71 years, female, white, stage:Stage IIIC, dead, 879 days 0.5
TCGA-A2-A0EM-01A 73 years, female, white, stage:Stage IA, alive, 3094 days 0.5
TCGA-A8-A09Q-01A 83 years, female, stage:Stage IIIB, alive, 761 days 0.5
TCGA-A2-A04R-01A 36 years, female, black or african american, stage:Stage IA, alive, 3709 days 0.5
TCGA-C8-A12N-01A 58 years, female, asian, stage:Stage IIA, alive, 358 days 0.5
TCGA-LL-A73Y-01A 67 years, female, black or african american, stage:Stage IA, alive, 477 days 0.5
TCGA-A8-A08P-01A 70 years, female, stage:Stage IIIA, alive, 943 days 0.5
TCGA-A8-A09A-01A 40 years, female, stage:Stage X, alive, 304 days 0.5
TCGA-A8-A097-01A 65 years, female, stage:Stage IIB, alive, 365 days 0.5
TCGA-AQ-A1H3-01A 49 years, female, white, stage:Stage IIIC, alive, 989 days 0.5
TCGA-S3-AA12-01A 82 years, female, black or african american, stage:Stage IIIA, alive, 574 days 0.5
TCGA-C8-A8HR-01A 49 years, female, asian, stage:Stage IIIA, alive, 408 days 0.5
TCGA-E2-A14U-01A 74 years, female, white, stage:Stage I, alive, 1318 days 0.5
TCGA-A2-A04N-01A 66 years, female, white, stage:Stage IA, alive, 4354 days 0.5
TCGA-D8-A27F-01A 40 years, female, white, stage:Stage IIA, alive, 488 days 0.5
TCGA-D8-A1XS-01A 48 years, male, white, stage:Stage IIIC, alive, 496 days 0.5
TCGA-A7-A6VV-01A 51 years, female, black or african american, stage:Stage IIA, alive, 313 days 0.5
TCGA-E9-A1RF-01A 68 years, female, white, stage:Stage IIIA, alive, 200 days 0.5
TCGA-AR-A1AV-01A 68 years, male, white, stage:Stage IIB, alive, 1864 days 0.5
TCGA-AR-A0TT-01A 53 years, female, black or african american, stage:Stage IIIA, alive, 3316 days 0.5
TCGA-AR-A250-01A 58 years, female, white, stage:Stage IIA, alive, 2707 days 0.5
TCGA-AC-A2BK-01A 78 years, female, black or african american, stage:Stage IIIA, alive, 2222 days 0.5
TCGA-E9-A1RG-01A 62 years, female, white, stage:Stage IIIA, alive, 647 days 0.5
TCGA-B6-A0IK-01A 63 years, female, white, stage:Stage IIIB, dead, 571 days 0.5
TCGA-OK-A5Q2-01A 59 years, female, stage:Stage II, alive, 64 days 0.5
TCGA-AC-A23C-01A 62 years, female, white, stage:Stage IIB, alive, 585 days 0.5
TCGA-B6-A0I8-01A 46 years, female, white, stage:Stage X, dead, 749 days 0.5
TCGA-AR-A1AW-01A 65 years, female, white, stage:Stage IIA, alive, 2632 days 0.5
TCGA-E2-A14Z-01A 64 years, female, white, stage:Stage I, dead, 563 days 0.5
TCGA-EW-A424-01A 51 years, female, white, stage:Stage IIIA, alive, 715 days 0.5
TCGA-AR-A24W-01A 55 years, female, white, stage:Stage IIB, alive, 1550 days 0.5
TCGA-E9-A1RE-01A 74 years, female, white, stage:Stage IIIA, alive, 1419 days 0.5
TCGA-D8-A145-01A 80 years, female, white, stage:Stage IIA, alive, 410 days 0.5
TCGA-LL-A6FR-01A 50 years, female, black or african american, stage:Stage IIA, alive, 489 days 0.5
TCGA-EW-A1J1-01A 38 years, female, white, stage:Stage IIB, alive, 575 days 0.5
TCGA-AN-A0XT-01A 54 years, female, white, stage:Stage IIIA, alive, 10 days 0.4
TCGA-A2-A1G6-01A 50 years, female, white, stage:Stage IIIA, alive, 501 days 0.4
TCGA-A7-A425-01A 70 years, female, white, stage:Stage IIIC, alive, 447 days 0.4
TCGA-AO-A0J4-01A 41 years, female, black or african american, stage:Stage IA, alive, 1587 days 0.4
TCGA-E2-A14W-01A 78 years, male, white, stage:Stage IIA, alive, 974 days 0.4
TCGA-A7-A13D-01A 46 years, female, black or african american, stage:Stage IIA, alive, 965 days 0.4
TCGA-E2-A1LS-01A 46 years, female, white, stage:Stage IA, alive, 1604 days 0.4
TCGA-E2-A1II-01A 51 years, female, white, stage:Stage I, alive, 1025 days 0.4
TCGA-GM-A3NY-01A 72 years, female, white, stage:Stage IIB, alive, 1162 days 0.4
TCGA-E2-A14Q-01A 50 years, female, white, stage:Stage IIB, alive, 1163 days 0.4
TCGA-AC-A6IW-01A 73 years, female, black or african american, stage:Stage IIA, alive, 413 days 0.4
TCGA-AC-A2FO-01A 65 years, female, white, stage:Stage IIB, alive, 2255 days 0.4
TCGA-B6-A0IJ-01A 42 years, female, black or african american, stage:Stage IIB, alive, 7106 days 0.4
TCGA-EW-A1OZ-01A 56 years, female, black or african american, stage:Stage IIA, alive, 1229 days 0.4
TCGA-D8-A1X6-01A 80 years, female, white, stage:Stage IIIA, alive, 541 days 0.4
TCGA-AR-A0U2-01A 47 years, female, white, stage:Stage IIIA, dead, 2551 days 0.4
TCGA-E2-A1B5-01A 46 years, female, white, stage:Stage IIA, alive, 984 days 0.4
TCGA-B6-A0IQ-01A 40 years, female, white, stage:Stage IIIA, alive, 4285 days 0.4
TCGA-A2-A0SX-01A 48 years, female, white, stage:Stage IA, alive, 1534 days 0.4
TCGA-BH-A0HA-01A 31 years, female, white, stage:Stage I, alive, 1611 days 0.4
TCGA-D8-A3Z6-01A 56 years, female, white, stage:Stage IIIC, alive, 563 days 0.4
TCGA-B6-A0WT-01A 61 years, female, white, stage:Stage IIB, alive, 5739 days 0.4
TCGA-C8-A1HE-01A 59 years, female, asian, stage:Stage IIA, alive, 375 days 0.4
TCGA-BH-A0DI-01A 63 years, female, white, stage:Stage IIB, alive, 912 days 0.4
TCGA-B6-A2IU-01A 62 years, female, white, stage:Stage IIA, alive, 5176 days 0.4
TCGA-EW-A1PA-01A 59 years, female, white, stage:Stage IIB, alive, 575 days 0.4
TCGA-AO-A125-01A 72 years, female, black or african american, stage:Stage IIA, alive, 3456 days 0.4
TCGA-AN-A0FW-01A 67 years, female, white, stage:Stage IIIA, alive, 11 days 0.4
TCGA-EW-A1IZ-01A 53 years, female, white, stage:Stage IIIA, alive, 554 days 0.4
TCGA-E9-A227-01A 42 years, female, white, stage:Stage IIB, alive, 975 days 0.4
TCGA-LL-A5YO-01A 50 years, female, black or african american, stage:Stage IA, alive, 440 days 0.4
TCGA-GI-A2C8-01A 63 years, female, white, stage:Stage IIIB, alive, 225 days 0.4
TCGA-AC-A3YJ-01A 66 years, female, white, stage:Stage IIA, alive, 754 days 0.4
TCGA-AO-A0JA-01A 36 years, female, black or african american, stage:Stage IIIC, alive, 655 days 0.4
TCGA-GM-A2DF-01A 53 years, female, black or african american, stage:Stage IIA, alive, 2155 days 0.4
TCGA-AR-A1AQ-01A 49 years, female, white, stage:Stage IIA, alive, 3021 days 0.4
TCGA-LL-A50Y-01A 84 years, female, white, stage:Stage IIA, alive, 762 days 0.4
TCGA-EW-A1P7-01A 59 years, female, white, stage:Stage IIA, alive, 915 days 0.4
TCGA-E2-A2P5-01A 78 years, female, black or african american, stage:Stage IIIC, dead, 821 days 0.4
TCGA-A2-A25E-01A 34 years, female, black or african american, stage:Stage IIIA, alive, 3204 days 0.4
TCGA-BH-A0BM-01A 54 years, female, white, stage:Stage IIB, alive, 1876 days 0.4
TCGA-GM-A5PX-01A 65 years, female, white, stage:Stage IIB, alive, 551 days 0.4
TCGA-BH-A28O-01A 50 years, female, white, stage:Stage IIIC, alive, 1120 days 0.4
TCGA-D8-A1XJ-01A 76 years, female, white, stage:Stage IIIA, alive, 664 days 0.4
TCGA-A2-A0D2-01A 45 years, female, white, stage:Stage IIA, alive, 1027 days 0.4
TCGA-HN-A2OB-01A 45 years, female, stage:Stage IIB, dead, 1900 days 0.4
TCGA-C8-A131-01A 82 years, female, asian, stage:Stage IIIA, alive, 411 days 0.4
TCGA-BH-A42U-01A 80 years, female, black or african american, stage:Stage IIA, alive, 3364 days 0.4
TCGA-E9-A295-01A 71 years, female, white, stage:Stage IIA, alive, 375 days 0.4
TCGA-BH-A0DZ-01A 43 years, female, white, stage:Stage IIB, alive, 495 days 0.4
TCGA-A7-A0DC-01A 63 years, female, white, stage:Stage IA, alive, 906 days 0.4
TCGA-A7-A0DA-01A 62 years, female, white, stage:Stage IIA, alive, 1085 days 0.4
TCGA-E9-A243-01A 52 years, female, white, stage:Stage IIA, alive, 612 days 0.4
TCGA-BH-A0DX-01A 62 years, female, white, stage:Stage I, alive, 2156 days 0.4
TCGA-PL-A8LX-01A 35 years, female, black or african american, stage:Stage IV, alive, 5 days 0.4
TCGA-XX-A89A-01A 68 years, female, white, stage:Stage IIB, alive, 488 days 0.4
TCGA-D8-A1XG-01A 86 years, female, white, stage:Stage IIIB, alive, 448 days 0.4
TCGA-E2-A1B0-01A 50 years, female, white, stage:Stage IIIA, alive, 1631 days 0.4
TCGA-AO-A0JB-01A 50 years, female, white, stage:Stage IIIA, alive, 1542 days 0.4
TCGA-AO-A12B-01A 63 years, female, white, stage:Stage IIA, alive, 2989 days 0.4
TCGA-B6-A0WS-01A 58 years, female, black or african american, stage:Stage X, dead, 2965 days 0.4
TCGA-E9-A245-01A 47 years, female, white, stage:Stage IIB, dead, 26 days 0.4
TCGA-A7-A3IY-01A 71 years, female, white, stage:Stage I, alive, 345 days 0.4
TCGA-D8-A1JB-01A 54 years, female, white, stage:Stage IIB, alive, 1688 days 0.4
TCGA-BH-A0BT-01A 56 years, female, white, stage:Stage IIA, alive, 2365 days 0.4
TCGA-AO-A0JJ-01A 54 years, female, white, stage:Stage IIB, alive, 1887 days 0.4
TCGA-AO-A0JL-01A 59 years, female, white, stage:Stage IIIA, alive, 1683 days 0.4
TCGA-A2-A0T1-01A 55 years, female, american indian or alaska native, stage:Stage IIIC, alive, 521 days 0.4
TCGA-AR-A0TV-01A 66 years, female, stage:Stage IIA, alive, 2288 days 0.4
TCGA-AO-A129-01A 29 years, female, white, stage:Stage IIB, alive, 3286 days 0.4
TCGA-B6-A0IH-01A 81 years, female, white, stage:Stage IIIA, dead, 2965 days 0.4
TCGA-B6-A0RI-01A 44 years, female, white, stage:Stage IIIB, alive, 7126 days 0.4
TCGA-EW-A1PB-01A 70 years, female, black or african american, stage:Stage IIIA, alive, 608 days 0.4
TCGA-AO-A0J9-01A 61 years, female, white, stage:Stage IIIC, alive, 1613 days 0.4
TCGA-BH-A5J0-01A 63 years, female, black or african american, stage:Stage IA, alive, 715 days 0.4
TCGA-D8-A1JN-01A 80 years, female, white, stage:Stage IIIC, alive, 620 days 0.4
TCGA-E9-A1QZ-01A 61 years, female, white, stage:Stage IIA, alive, 755 days 0.4
TCGA-A2-A0YK-01A 61 years, female, white, stage:Stage IIA, alive, 588 days 0.4
TCGA-E2-A14X-01A 55 years, female, black or african american, stage:Stage IIIA, alive, 972 days 0.4
TCGA-D8-A1XR-01A 56 years, female, white, stage:Stage IIB, alive, 482 days 0.4
TCGA-E2-A155-01A 58 years, female, white, stage:Stage IIB, alive, 640 days 0.4
TCGA-E9-A1N9-01A 58 years, female, white, stage:Stage IIA, alive, 1101 days 0.4
TCGA-AN-A0AT-01A 62 years, female, white, stage:Stage IIA, alive, 10 days 0.4
TCGA-A2-A3KC-01A 55 years, female, black or african american, stage:Stage IIB, alive, 1102 days 0.4
TCGA-E2-A1IG-01A 45 years, female, white, stage:Stage IIB, alive, 2140 days 0.4
TCGA-A2-A0CY-01A 63 years, female, white, stage:Stage IIB, alive, 1673 days 0.4
TCGA-A2-A0YM-01A 67 years, female, white, stage:Stage IIA, alive, 965 days 0.4
TCGA-C8-A12U-01A 46 years, female, asian, stage:Stage IIB, alive, 385 days 0.4
TCGA-BH-A0H3-01A 46 years, female, white, stage:Stage I, alive, 1928 days 0.4
TCGA-E9-A22G-01A 47 years, female, white, stage:Stage IIA, alive, 1239 days 0.4
TCGA-A1-A0SQ-01A 45 years, female, white, stage:Stage IIB, alive, 554 days 0.4
TCGA-BH-A0BW-01A 71 years, female, black or african american, stage:Stage I, alive, 2371 days 0.4
TCGA-A2-A4S0-01A 77 years, female, white, stage:Stage IIA, alive, 706 days 0.4
TCGA-A1-A0SF-01A 54 years, female, white, stage:Stage IIA, alive, 1463 days 0.4
TCGA-BH-A18J-01A 56 years, female, white, stage:Stage IV, dead, 612 days 0.4
TCGA-E9-A1R4-01A 66 years, female, white, stage:Stage IA, alive, 186 days 0.4
TCGA-BH-A0EA-01A 72 years, female, white, stage:Stage IIA, dead, 991 days 0.4
TCGA-E2-A14T-01A 52 years, female, white, stage:Stage IIA, alive, 2311 days 0.4
TCGA-EW-A2FR-01A 59 years, female, black or african american, stage:Stage IIIC, alive, 1673 days 0.4
TCGA-AR-A251-01A 51 years, female, white, stage:Stage IIIA, alive, 3030 days 0.4
TCGA-BH-A0AZ-01A 47 years, female, white, stage:Stage IIIA, alive, 1919 days 0.4
TCGA-AN-A04D-01A 58 years, female, white, stage:Stage IIB, alive, 52 days 0.4
TCGA-EW-A1PD-01A 61 years, male, white, stage:Stage IIA, alive, 424 days 0.4
TCGA-BH-A0RX-01A 59 years, female, white, stage:Stage IIA, alive, 170 days 0.4
TCGA-E9-A1N5-01A 45 years, female, white, stage:Stage IIB, alive, 1120 days 0.4
TCGA-AR-A254-01A 50 years, female, white, stage:Stage IIIA, alive, 2605 days 0.4
TCGA-A2-A0YG-01A 63 years, female, white, stage:Stage IIIC, alive, 666 days 0.4
TCGA-AO-A0JD-01A 59 years, female, white, stage:Stage IIIA, alive, 2190 days 0.4
TCGA-AR-A24U-01A 47 years, female, white, stage:Stage IIA, alive, 3128 days 0.3
TCGA-A8-A09R-01A 82 years, female, stage:Stage IIB, alive, 273 days 0.3
TCGA-EW-A1OY-01A 63 years, female, white, stage:Stage IIA, alive, 908 days 0.3
TCGA-A8-A08T-01A 64 years, female, stage:Stage IV, dead, 3409 days 0.3
TCGA-E2-A105-01A 79 years, female, white, stage:Stage IIA, alive, 1308 days 0.3
TCGA-BH-A18V-01A 48 years, female, white, stage:Stage IIB, dead, 1556 days 0.3
TCGA-E9-A1RI-01A 43 years, female, white, stage:Stage IIIA, alive, 1449 days 0.3
TCGA-A8-A06P-01A 63 years, female, stage:Stage IIIA, alive, 396 days 0.3
TCGA-EW-A2FW-01A 52 years, female, white, stage:Stage IIA, alive, 672 days 0.3
TCGA-B6-A0IM-01A 75 years, female, black or african american, stage:Stage IIB, dead, 3873 days 0.3
TCGA-S3-AA10-01A 65 years, female, black or african american, stage:Stage IIA, alive, 586 days 0.3
TCGA-A2-A1FV-01A 74 years, female, white, stage:Stage IIB, alive, 714 days 0.3
TCGA-C8-A275-01A 56 years, female, asian, stage:Stage IIA, alive, 1 days 0.3
TCGA-E2-A15F-01A 64 years, female, white, stage:Stage I, alive, 658 days 0.3
TCGA-AC-A3YI-01A 74 years, female, white, stage:Stage IIIC, alive, 707 days 0.3
TCGA-OL-A6VO-01A 43 years, female, black or african american, stage:Stage IA, alive, 858 days 0.3
TCGA-D8-A1JH-01A 56 years, female, white, stage:Stage IA, alive, 426 days 0.3
TCGA-D8-A1XC-01A 85 years, female, white, stage:Stage IIIB, dead, 377 days 0.3
TCGA-D8-A27V-01A 62 years, female, white, stage:Stage IIA, alive, 381 days 0.3
TCGA-B6-A1KN-01A 57 years, female, white, stage:Stage IIIB, alive, 4233 days 0.3
TCGA-E2-A576-01A 69 years, female, black or african american, stage:Stage IA, alive, 1043 days 0.3
TCGA-E9-A22E-01A 56 years, female, white, stage:Stage IIIA, alive, 1269 days 0.3
TCGA-AC-A2FE-01A 62 years, female, white, stage:Stage IIIC, dead, 2636 days 0.3
TCGA-E2-A1L6-01A 44 years, female, white, stage:Stage IIA, alive, 1648 days 0.3
TCGA-A2-A0CL-01A 37 years, female, black or african american, stage:Stage IIIA, alive, 3015 days 0.3
TCGA-EW-A1PE-01A 56 years, female, white, stage:Stage IIA, alive, 320 days 0.3
TCGA-D8-A147-01A 45 years, female, white, stage:'--, alive, 584 days 0.3
TCGA-B6-A0IP-01A 74 years, female, white, stage:Stage IA, dead, 3926 days 0.3
TCGA-AO-A03T-01A 42 years, female, white, stage:Stage IIB, alive, 2124 days 0.3
TCGA-A8-A07O-01A 51 years, female, stage:Stage IIA, alive, 304 days 0.3
TCGA-AN-A0XU-01A 54 years, female, white, stage:Stage IIA, alive, 10 days 0.3
TCGA-AN-A0XL-01A 61 years, female, white, stage:Stage IIA, alive, 163 days 0.3
TCGA-A1-A0SE-01A 56 years, female, white, stage:Stage I, alive, 1321 days 0.3
TCGA-A8-A092-01A 48 years, female, stage:Stage IIIA, alive, 942 days 0.3
TCGA-E2-A1IJ-01A 57 years, female, white, stage:Stage I, alive, 865 days 0.3
TCGA-BH-A0AW-01A 56 years, female, white, stage:Stage IIA, alive, 622 days 0.3
TCGA-B6-A0X0-01A 54 years, female, white, stage:Stage I, dead, 3945 days 0.3
TCGA-BH-A18M-01A 39 years, female, white, stage:Stage IIIA, dead, 2207 days 0.3
TCGA-OL-A5S0-01A 66 years, female, black or african american, stage:Stage IIB, alive, 620 days 0.3
TCGA-E9-A247-01A 59 years, female, white, stage:Stage IA, alive, 1186 days 0.3
TCGA-AN-A0XW-01A 36 years, female, white, stage:Stage IIIA, alive, 170 days 0.3
TCGA-C8-A27B-01A 48 years, female, asian, stage:Stage IIB, alive, 439 days 0.3
TCGA-BH-A0HW-01A 62 years, female, asian, stage:Stage IA, alive, 1561 days 0.3
TCGA-GI-A2C9-01A 58 years, female, black or african american, stage:Stage IIB, alive, 3342 days 0.3
TCGA-A2-A25B-01A 39 years, female, black or african american, stage:Stage IIB, alive, 1291 days 0.3
TCGA-AC-A2BM-01A 41 years, female, black or african american, stage:Stage IIB, alive, 3022 days 0.3
TCGA-E2-A1IE-01A 61 years, female, white, stage:Stage IIB, alive, 2362 days 0.3
TCGA-C8-A12Z-01A 45 years, female, asian, stage:Stage IIB, alive, 382 days 0.3
TCGA-E9-A1NC-01A 61 years, female, white, stage:Stage IIB, alive, 1203 days 0.3
TCGA-B6-A0RG-01A 26 years, female, white, stage:Stage IIB, alive, 2082 days 0.3
TCGA-D8-A73X-01A 53 years, female, white, stage:Stage IIA, alive, 767 days 0.3
TCGA-AR-A1AS-01A 54 years, female, asian, stage:Stage IIB, alive, 1150 days 0.3
TCGA-E2-A159-01A 50 years, female, white, stage:Stage IIA, alive, 762 days 0.3
TCGA-AN-A0XO-01A 59 years, female, white, stage:Stage IIIA, alive, 375 days 0.3
TCGA-A8-A09M-01A 75 years, female, stage:Stage IIIC, alive, 1006 days 0.3
TCGA-E2-A15K-01A 58 years, female, white, stage:Stage IIB, alive, 275 days 0.3
TCGA-AC-A8OR-01A 75 years, female, white, stage:Stage IA, alive, 40 days 0.3
TCGA-BH-A0H9-01A 69 years, female, white, stage:Stage IIA, alive, 1247 days 0.3
TCGA-BH-A0AU-01A 45 years, female, white, stage:Stage IIA, alive, 1914 days 0.3
TCGA-BH-A1F0-01A 80 years, female, white, stage:Stage IIA, dead, 785 days 0.3
TCGA-A2-A1G4-01A 71 years, female, white, stage:Stage IIIA, alive, 595 days 0.3
TCGA-E2-A10E-01A 64 years, female, white, stage:Stage IIA, alive, 865 days 0.3
TCGA-AC-A3BB-01A 46 years, female, black or african american, stage:Stage IIIA, alive, 987 days 0.3
TCGA-BH-A1F5-01A 62 years, female, white, stage:Stage IIA, dead, 2712 days 0.3
TCGA-BH-A0E7-01A 79 years, female, white, stage:Stage IIB, alive, 1363 days 0.3
TCGA-A2-A0ET-01A 58 years, female, white, stage:Stage IIIA, alive, 1066 days 0.3
TCGA-B6-A0RM-01A 57 years, female, black or african american, stage:Stage X, dead, 2373 days 0.3
TCGA-E2-A15M-01A 66 years, female, white, stage:Stage IIA, dead, 336 days 0.3
TCGA-A2-A0ES-01A 52 years, female, white, stage:Stage IIA, alive, 2190 days 0.3
TCGA-AR-A252-01A 50 years, female, white, stage:Stage I, alive, 2838 days 0.3
TCGA-A8-A084-01A 81 years, female, stage:Stage IIB, alive, 458 days 0.3
TCGA-5T-A9QA-01A 52 years, female, black or african american, stage:Stage IIA, alive, 303 days 0.3
TCGA-A2-A1FW-01A 62 years, female, white, stage:Stage IIIA, alive, 528 days 0.3
TCGA-A7-A6VW-01A 48 years, female, black or african american, stage:Stage IIA, alive, 285 days 0.3
TCGA-BH-A0BO-01A 54 years, female, white, stage:Stage I, alive, 2197 days 0.3
TCGA-C8-A1HI-01A 40 years, female, asian, stage:Stage IIIA, alive, 343 days 0.3
TCGA-A2-A1G1-01A 85 years, female, white, stage:Stage IIB, alive, 584 days 0.3
TCGA-A8-A08X-01A 43 years, female, stage:Stage IIIC, alive, 1308 days 0.3
TCGA-D8-A27P-01A 64 years, female, white, stage:Stage IA, alive, 49 days 0.3
TCGA-A7-A3RF-01A 79 years, female, white, stage:Stage IIA, alive, 408 days 0.3
TCGA-C8-A12V-01A 55 years, female, asian, stage:Stage IIA, alive, 385 days 0.3
TCGA-BH-A1FC-01A 78 years, female, black or african american, stage:Stage IIA, dead, 3472 days 0.3
TCGA-BH-A1F2-01A 53 years, female, white, stage:Stage IIIB, dead, 959 days 0.3
TCGA-A2-A0SY-01A 62 years, female, white, stage:Stage IIIA, alive, 1347 days 0.3
TCGA-E2-A156-01A 61 years, female, white, stage:Stage I, alive, 726 days 0.3
TCGA-GM-A3NW-01A 63 years, female, white, stage:Stage IIA, alive, 3361 days 0.3
TCGA-AO-A1KS-01A 69 years, female, white, stage:Stage IIA, alive, 350 days 0.3
TCGA-E9-A22D-01A 38 years, female, white, stage:Stage IIA, alive, 1248 days 0.3
TCGA-BH-A42V-01A 41 years, female, black or african american, stage:Stage IB, alive, 635 days 0.3
TCGA-A2-A1FX-01A 61 years, female, white, stage:Stage IIIA, alive, 1847 days 0.3
TCGA-C8-A1HL-01A 38 years, female, asian, stage:Stage IIIA, alive, 317 days 0.3
TCGA-B6-A0WY-01A 40 years, female, white, stage:Stage IIIA, dead, 3461 days 0.3
TCGA-A2-A0T4-01A 62 years, female, white, stage:Stage IIA, alive, 624 days 0.3
TCGA-A2-A3XX-01A 49 years, female, black or african american, stage:Stage IIA, dead, 1439 days 0.3
TCGA-AR-A0U0-01A 73 years, female, white, stage:Stage IIB, alive, 1988 days 0.3
TCGA-D8-A13Z-01A 51 years, female, white, stage:'--, alive, 635 days 0.3
TCGA-E2-A1L9-01A 40 years, female, white, stage:Stage IIA, alive, 598 days 0.3
TCGA-A2-A0YI-01A 62 years, female, white, stage:Stage I, alive, 1505 days 0.3
TCGA-E2-A14N-01A 37 years, female, white, stage:Stage IIB, alive, 1434 days 0.3
TCGA-A7-A5ZW-01A 47 years, female, black or african american, stage:Stage IIA, alive, 326 days 0.3
TCGA-D8-A1J8-01A 77 years, female, white, stage:Stage IIB, alive, 431 days 0.3
TCGA-AR-A5QQ-01A 68 years, female, white, stage:Stage IIIA, dead, 322 days 0.3
TCGA-AN-A0FN-01A 61 years, female, white, stage:Stage IA, alive, 218 days 0.3
TCGA-EW-A6SA-01A 59 years, male, black or african american, stage:Stage II, alive, 510 days 0.3
TCGA-D8-A1XO-01A 56 years, female, white, stage:Stage IIB, alive, 1682 days 0.3
TCGA-GM-A2DM-01A 57 years, female, white, stage:Stage IIA, alive, 3226 days 0.3
TCGA-BH-A1FR-01A 73 years, female, white, stage:Stage IIIB, dead, 1642 days 0.3
TCGA-BH-A0GZ-01A 62 years, female, white, stage:Stage IIA, alive, 328 days 0.3
TCGA-WT-AB41-01A 55 years, female, black or african american, stage:Stage IIB, alive, 1611 days 0.3
TCGA-A7-A13F-01A 44 years, female, white, stage:Stage IIIA, alive, 765 days 0.3
TCGA-OL-A66N-01A 59 years, female, white, stage:Stage IIIC, alive, 792 days 0.3
TCGA-AO-A0JI-01A 56 years, female, white, stage:Stage IIA, alive, 1528 days 0.3
TCGA-A2-A0YC-01A 59 years, female, white, stage:Stage IIB, alive, 990 days 0.3
TCGA-PE-A5DE-01A 41 years, female, white, stage:Stage IIA, alive, 2645 days 0.3
TCGA-A2-A0CT-01A 71 years, female, white, stage:Stage IIA, alive, 2289 days 0.3
TCGA-AO-A12G-01A 75 years, female, white, stage:Stage IIA, alive, 1639 days 0.3
TCGA-E2-A15O-01A 89 years, female, black or african american, stage:Stage I, alive, 289 days 0.3
TCGA-D8-A1JM-01A 59 years, female, white, stage:Stage IIB, alive, 590 days 0.3
TCGA-OL-A66P-01A 75 years, female, black or african american, stage:Stage IIA, alive, 428 days 0.3
TCGA-A2-A04U-01A 47 years, female, white, stage:Stage IIA, alive, 2654 days 0.3
TCGA-OL-A66J-01A 80 years, female, white, stage:Stage I, alive, 1996 days 0.3
TCGA-A2-A0T0-01A 59 years, female, white, stage:Stage IIB, alive, 533 days 0.3
TCGA-AC-A8OQ-01A 72 years, female, black or african american, stage:Stage IIB, alive, 34 days 0.3
TCGA-AO-A0JF-01A 68 years, female, white, stage:Stage IIA, alive, 1980 days 0.3
TCGA-E2-A1AZ-01A 63 years, female, white, stage:Stage IIB, alive, 2329 days 0.3
TCGA-C8-A1HM-01A 74 years, female, asian, stage:Stage IIA, alive, 375 days 0.3
TCGA-C8-A26V-01A 47 years, female, asian, stage:Stage IIIA, alive, 616 days 0.3
TCGA-GM-A2D9-01A 69 years, female, white, stage:Stage I, dead, 1812 days 0.3
TCGA-E9-A24A-01A 69 years, female, white, stage:Stage IIA, alive, 747 days 0.3
TCGA-C8-A12O-01A 50 years, female, asian, stage:Stage IIA, alive, 385 days 0.2
TCGA-BH-A1FG-01A 88 years, female, white, stage:Stage I, dead, 577 days 0.2
TCGA-D8-A142-01A 74 years, female, white, stage:Stage IIB, alive, 425 days 0.2
TCGA-BH-A0H7-01A 65 years, female, white, stage:Stage IIIA, alive, 702 days 0.2
TCGA-E9-A1RD-01A 67 years, female, white, stage:Stage IIA, alive, 34 days 0.2
TCGA-D8-A27M-01A 59 years, female, white, stage:Stage IA, alive, 410 days 0.2
TCGA-D8-A1JT-01A 70 years, female, white, stage:Stage IIA, alive, 405 days 0.2
TCGA-D8-A1XM-01A 57 years, female, white, stage:Stage IA, alive, 538 days 0.2
TCGA-E2-A108-01A 64 years, female, white, stage:Stage IIIA, alive, 837 days 0.2
TCGA-BH-A0DT-01A 41 years, female, white, stage:Stage IIA, alive, 2403 days 0.2
TCGA-B6-A0RE-01A 61 years, female, black or african american, stage:Stage X, alive, 7777 days 0.2
TCGA-BH-A0DV-01A 54 years, female, white, stage:Stage IIIA, alive, 2064 days 0.2
TCGA-E2-A1BC-01A 63 years, female, stage:Stage IA, alive, 501 days 0.2
TCGA-E9-A1R2-01A 51 years, female, white, stage:Stage IIIC, alive, 1063 days 0.2
TCGA-D8-A1X7-01A 40 years, female, white, stage:Stage IIA, alive, 509 days 0.2
TCGA-BH-A0BD-01A 47 years, female, white, stage:Stage IIA, alive, 554 days 0.2
TCGA-E9-A1NG-01A 62 years, female, white, stage:Stage IIA, dead, 786 days 0.2
TCGA-B6-A0IA-01A 51 years, female, white, stage:Stage IIA, alive, 8391 days 0.2
TCGA-AR-A2LQ-01A 59 years, female, white, stage:Stage IIB, alive, 1233 days 0.2
TCGA-AC-A3TN-01A 75 years, female, white, stage:Stage IIB, alive, 456 days 0.2
TCGA-E2-A1IF-01A 74 years, female, white, stage:Stage I, alive, 1138 days 0.2
TCGA-D8-A27G-01A 75 years, female, white, stage:Stage IIA, alive, 409 days 0.2
TCGA-A2-A04Y-01A 53 years, female, white, stage:Stage IIB, alive, 1099 days 0.2
TCGA-BH-A0H5-01A 45 years, female, white, stage:Stage I, alive, 1620 days 0.2
TCGA-A8-A07W-01A 76 years, female, stage:Stage IV, alive, 304 days 0.2
TCGA-BH-A1F8-01A 90 years, female, white, stage:Stage IIIB, dead, 1 days 0.2
TCGA-A2-A04T-01A 62 years, female, white, stage:Stage IIA, alive, 2246 days 0.2
TCGA-AQ-A1H2-01A 84 years, female, white, stage:Stage IIIA, alive, 475 days 0.2
TCGA-B6-A0RP-01A 73 years, female, white, stage:'--, dead, 3126 days 0.2
TCGA-JL-A3YW-01A 49 years, female, asian, stage:Stage IIB, alive, 360 days 0.2
TCGA-A2-A04P-01A 36 years, female, black or african american, stage:Stage IIIC, dead, 548 days 0.2
TCGA-B6-A409-01A 44 years, female, black or african american, stage:Stage IIIA, dead, 573 days 0.2
TCGA-GM-A5PV-01A 63 years, female, white, stage:Stage IIB, alive, 412 days 0.2
TCGA-A2-A0YJ-01A 39 years, female, white, stage:Stage IIIA, alive, 566 days 0.2
TCGA-E9-A244-01A 54 years, female, white, stage:Stage IIA, alive, 21 days 0.2
TCGA-A2-A0EO-01A 54 years, female, white, stage:Stage IA, alive, 2442 days 0.2
TCGA-E2-A153-01A 51 years, female, white, stage:Stage IIB, alive, 707 days 0.2
TCGA-AO-A12C-01A 42 years, female, white, stage:Stage IIB, alive, 2372 days 0.2
TCGA-C8-A12Q-01A 78 years, female, asian, stage:Stage IIIA, dead, 385 days 0.2
TCGA-D8-A1Y3-01A 61 years, female, white, stage:Stage IIIA, alive, 430 days 0.2
TCGA-C8-A3M7-01A 60 years, female, asian, stage:Stage IIIB, dead, 1034 days 0.2
TCGA-BH-A18N-01A 88 years, female, white, stage:Stage IIA, dead, 468 days 0.2
TCGA-C8-A135-01A 64 years, female, asian, stage:Stage IIB, alive, 393 days 0.2
TCGA-B6-A1KI-01A 63 years, female, white, stage:Stage I, alive, 2236 days 0.2
TCGA-AR-A1AO-01A 47 years, female, white, stage:Stage IIA, alive, 2618 days 0.2
TCGA-D8-A27R-01A 41 years, female, white, stage:Stage IIIC, alive, 307 days 0.2
TCGA-AO-A1KT-01A 78 years, female, white, stage:Stage IIA, alive, 541 days 0.2
TCGA-E9-A22B-01A 71 years, female, white, stage:Stage IA, alive, 1167 days 0.2
TCGA-BH-A0DE-01A 62 years, female, white, stage:Stage IIA, alive, 2372 days 0.2
TCGA-A2-A0D0-01A 60 years, female, black or african american, stage:Stage IIA, alive, 2048 days 0.2
TCGA-A8-A09I-01A 84 years, female, stage:Stage IIA, alive, 1371 days 0.2
TCGA-E2-A106-01A 34 years, female, asian, stage:Stage IB, alive, 2541 days 0.2
TCGA-A8-A07L-01A 58 years, female, stage:Stage IIIA, alive, 975 days 0.2
TCGA-EW-A1PF-01A 50 years, female, white, stage:Stage IA, alive, 439 days 0.2
TCGA-C8-A1HK-01A 53 years, female, asian, stage:Stage IIB, alive, 366 days 0.2
TCGA-BH-A0B8-01A 64 years, female, white, stage:Stage I, alive, 1569 days 0.2
TCGA-A1-A0SD-01A 59 years, female, white, stage:Stage IIA, alive, 437 days 0.2
TCGA-E2-A1B4-01A 74 years, female, white, stage:Stage IIIA, dead, 1004 days 0.2
TCGA-BH-A1EX-01A 67 years, female, white, stage:Stage IIB, dead, 1508 days 0.2
TCGA-E2-A572-01A 72 years, female, black or african american, stage:Stage IIIA, alive, 1208 days 0.2
TCGA-BH-A18S-01A 79 years, female, white, stage:Stage I, dead, 2009 days 0.2
TCGA-E2-A14Y-01A 35 years, female, white, stage:Stage IIA, alive, 2109 days 0.2
TCGA-E2-A15R-01A 64 years, female, white, stage:Stage IIA, alive, 1732 days 0.2
TCGA-AN-A0AM-01A 56 years, female, white, stage:Stage IIA, alive, 5 days 0.2
TCGA-BH-A1EN-01A 78 years, female, white, stage:Stage IIA, dead, 2127 days 0.2
TCGA-A1-A0SM-01A 77 years, male, white, stage:Stage IIA, alive, 242 days 0.2
TCGA-BH-A0AV-01A 52 years, female, black or african american, stage:Stage I, alive, 1820 days 0.2
TCGA-A8-A09D-01A 47 years, female, stage:Stage IIB, alive, 1522 days 0.2
TCGA-B6-A0WV-01A 67 years, female, white, stage:Stage IIB, dead, 2417 days 0.2
TCGA-C8-A273-01A 29 years, female, asian, stage:Stage IIB, alive, 513 days 0.2
TCGA-E2-A152-01A 56 years, female, white, stage:Stage I, alive, 2128 days 0.2
TCGA-AR-A1AT-01A 62 years, female, white, stage:Stage IIA, dead, 1272 days 0.2
TCGA-AR-A0TP-01A 43 years, female, white, stage:Stage IIA, alive, 4275 days 0.2
TCGA-AR-A24X-01A 52 years, female, white, stage:Stage IIA, alive, 3004 days 0.2
TCGA-AN-A0AR-01A 55 years, female, white, stage:Stage IIA, alive, 10 days 0.2
TCGA-BH-A1ET-01A 55 years, female, white, stage:Stage I, dead, 2520 days 0.2
TCGA-A2-A0CX-01A 52 years, female, white, stage:Stage IIA, alive, 1728 days 0.2
TCGA-BH-A0HK-01A 81 years, female, white, stage:Stage IIB, alive, 178 days 0.2
TCGA-AR-A24T-01A 46 years, female, white, stage:Stage IIIC, alive, 3202 days 0.2
TCGA-BH-A1FE-01A 31 years, female, white, stage:Stage IIB, dead, 2273 days 0.2
TCGA-BH-A0HF-01A 77 years, female, white, stage:Stage IA, alive, 727 days 0.2
TCGA-BH-A0EI-01A 51 years, female, white, stage:Stage IIA, alive, 1926 days 0.2
TCGA-E2-A1LG-01A 50 years, female, black or african american, stage:Stage IIA, alive, 1523 days 0.2
TCGA-GM-A4E0-01A 67 years, female, white, stage:Stage IIIC, alive, 2191 days 0.2
TCGA-D8-A1XL-01A 34 years, female, white, stage:Stage IIB, alive, 606 days 0.2
TCGA-C8-A134-01A 52 years, female, asian, stage:Stage IIA, alive, 383 days 0.2
TCGA-C8-A1HJ-01A 53 years, female, asian, stage:Stage IIA, alive, 5 days 0.2
TCGA-BH-A0BV-01A 78 years, female, white, stage:Stage IIB, alive, 1519 days 0.2
TCGA-EW-A1OX-01A 43 years, female, white, stage:Stage IIA, alive, 911 days 0.2
TCGA-B6-A0RU-01A 40 years, female, white, stage:Stage IA, alive, 8605 days 0.2
TCGA-B6-A0RV-01A 42 years, female, white, stage:Stage IIIA, alive, 5156 days 0.2
TCGA-E9-A54Y-01A 63 years, female, white, stage:Stage IIIA, alive, 725 days 0.2
TCGA-BH-A0HU-01A 52 years, female, white, stage:Stage IA, alive, 392 days 0.2
TCGA-AN-A0G0-01A 56 years, female, white, stage:Stage IIA, alive, 16 days 0.2
TCGA-A2-A0YD-01A 63 years, female, white, stage:Stage IIB, alive, 769 days 0.2
TCGA-A8-A09X-01A 62 years, female, stage:Stage IIIC, dead, 426 days 0.2
TCGA-D8-A1XQ-01A 69 years, female, white, stage:Stage IIA, alive, 499 days 0.2
TCGA-B6-A0IE-01A 38 years, female, black or african american, stage:Stage IIIA, dead, 1993 days 0.2
TCGA-BH-A0BA-01A 51 years, female, white, stage:Stage IIIC, alive, 1132 days 0.2
TCGA-AO-A03P-01A 54 years, female, black or african american, stage:Stage IIB, dead, 2911 days 0.2
TCGA-AR-A0U4-01A 54 years, female, white, stage:Stage IIA, alive, 3261 days 0.2
TCGA-A8-A091-01A 61 years, female, stage:Stage IIA, alive, 1004 days 0.2
TCGA-A8-A07S-01A 73 years, female, stage:Stage IIA, alive, 243 days 0.2
TCGA-A2-A04X-01A 34 years, female, white, stage:Stage IIA, alive, 1686 days 0.2
TCGA-D8-A1JU-01A 51 years, female, white, stage:Stage IA, alive, 447 days 0.2
TCGA-E2-A1IN-01A 60 years, female, white, stage:Stage I, alive, 675 days 0.2
TCGA-AC-A2FF-01A 40 years, female, asian, stage:Stage IIB, alive, 2759 days 0.2
TCGA-E9-A3X8-01A 48 years, female, white, stage:Stage IIB, alive, 926 days 0.2
TCGA-OL-A97C-01A 67 years, female, black or african american, stage:Stage IIB, alive, 271 days 0.2
TCGA-BH-A1ES-01A 35 years, female, white, stage:Stage IIB, dead, 3462 days 0.2
TCGA-A1-A0SO-01A 67 years, female, white, stage:Stage IIB, alive, 852 days 0.2
TCGA-C8-A1HN-01A 56 years, female, asian, stage:Stage IIA, alive, 394 days 0.2
TCGA-AN-A0FK-01A 88 years, female, white, stage:Stage IIIB, alive, 213 days 0.2
TCGA-BH-A0BC-01A 60 years, female, white, stage:Stage IIIC, alive, 974 days 0.2
TCGA-D8-A73W-01A 79 years, female, white, stage:Stage IIIA, dead, 385 days 0.2
TCGA-C8-A12X-01A 62 years, female, asian, stage:Stage IIB, alive, 385 days 0.2
TCGA-AR-A24Q-01A 49 years, female, white, stage:Stage IIB, alive, 3172 days 0.2
TCGA-A7-A0CG-01A 78 years, female, white, stage:Stage IIA, alive, 1043 days 0.2
TCGA-AN-A0AL-01A 41 years, female, white, stage:Stage IIIB, alive, 227 days 0.2
TCGA-D8-A1XV-01A 84 years, female, white, stage:Stage IIA, alive, 461 days 0.2
TCGA-A8-A07U-01A 66 years, female, stage:Stage IIIA, alive, 760 days 0.2
TCGA-AO-A12H-01A 69 years, female, black or african american, stage:Stage IIA, alive, 1234 days 0.2
TCGA-A7-A0D9-01A 37 years, female, white, stage:Stage IIA, alive, 1139 days 0.2
TCGA-A2-A0YL-01A 48 years, female, white, stage:Stage IIIA, alive, 1474 days 0.2
TCGA-A2-A25F-01A 66 years, female, white, stage:Stage IIA, alive, 322 days 0.2
TCGA-D8-A27H-01A 72 years, female, white, stage:Stage IIA, alive, 397 days 0.2
TCGA-AO-A124-01A 38 years, female, white, stage:Stage IIA, alive, 3506 days 0.2
TCGA-C8-A26X-01A 58 years, female, asian, stage:Stage IIA, alive, 376 days 0.2
TCGA-BH-A1FB-01A 60 years, female, white, stage:Stage IIB, dead, 3669 days 0.2
TCGA-A2-A0SU-01A 66 years, female, white, stage:Stage IIA, alive, 1662 days 0.2
TCGA-A8-A07R-01A 80 years, female, stage:Stage IIIC, alive, 273 days 0.2
TCGA-BH-A0AY-01A 62 years, female, white, stage:Stage IIA, alive, 777 days 0.2
TCGA-BH-A0E6-01A 69 years, female, white, stage:Stage IA, alive, 293 days 0.2
TCGA-AC-A2B8-01A 84 years, female, white, stage:Stage IIB, alive, 677 days 0.2
TCGA-A2-A4S1-01A 66 years, female, white, stage:Stage IIA, alive, 820 days 0.2
TCGA-LL-A5YP-01A 49 years, female, black or african american, stage:Stage IIB, alive, 450 days 0.2
TCGA-AN-A0FD-01A 71 years, female, white, stage:Stage IIA, alive, 196 days 0.2
TCGA-AN-A0FL-01A 62 years, female, white, stage:Stage IIA, alive, 231 days 0.2
TCGA-AR-A24O-01A 43 years, female, white, stage:Stage IIIA, alive, 3607 days 0.1
TCGA-BH-A6R9-01A 61 years, female, white, stage:Stage IIA, alive, 160 days 0.1
TCGA-Z7-A8R5-01A 61 years, female, white, stage:Stage IIIA, alive, 3287 days 0.1
TCGA-D8-A27E-01A 66 years, female, white, stage:Stage IA, alive, 530 days 0.1
TCGA-AQ-A0Y5-01A 70 years, female, white, stage:Stage IIIA, dead, 172 days 0.1
TCGA-E2-A1LA-01A 59 years, female, stage:Stage IIA, alive, 748 days 0.1
TCGA-AN-A0XS-01A 63 years, female, white, stage:Stage IIIA, alive, 10 days 0.1
TCGA-E2-A14P-01A 79 years, female, white, stage:Stage IIIC, alive, 1246 days 0.1
TCGA-BH-A0BG-01A 73 years, female, white, stage:Stage I, alive, 1871 days 0.1
TCGA-A8-A08R-01A 52 years, female, stage:Stage IIB, alive, 30 days 0.1
TCGA-AN-A0FT-01A 63 years, female, white, stage:Stage IIB, alive, 214 days 0.1
TCGA-BH-A0WA-01A 82 years, female, white, stage:Stage I, alive, 701 days 0.1
TCGA-A2-A259-01A 70 years, female, black or african american, stage:Stage I, alive, 1596 days 0.1
TCGA-E2-A1LI-01A 57 years, female, white, stage:Stage IIB, alive, 3121 days 0.1
TCGA-BH-A18F-01A 50 years, female, white, stage:Stage IIA, alive, 1001 days 0.1
TCGA-A2-A1FZ-01A 63 years, female, white, stage:Stage IIA, alive, 683 days 0.1
TCGA-AO-A12F-01A 36 years, female, white, stage:Stage IIA, alive, 1842 days 0.1
TCGA-E9-A1R3-01A 70 years, female, white, stage:Stage IIIC, alive, 78 days 0.1
TCGA-A8-A07J-01A 35 years, female, stage:Stage IIB, alive, 365 days 0.1
TCGA-BH-A1FU-01A 44 years, female, white, stage:Stage IA, dead, 1688 days 0.1
TCGA-EW-A1PG-01A 53 years, female, white, stage:Stage IIB, alive, 1051 days 0.1
TCGA-AR-A2LK-01A 62 years, female, white, stage:Stage III, dead, 1649 days 0.1
TCGA-D8-A143-01A 51 years, female, white, stage:Stage IIA, alive, 431 days 0.1
TCGA-EW-A2FV-01A 39 years, female, white, stage:Stage IIIC, alive, 788 days 0.1
TCGA-A1-A0SB-01A 70 years, female, white, stage:Stage I, alive, 259 days 0.1
TCGA-AR-A24M-01A 38 years, female, white, stage:Stage IIIA, alive, 3660 days 0.1
TCGA-AC-A3HN-01A 87 years, female, white, stage:Stage IIB, alive, 496 days 0.1
TCGA-A2-A0CM-01A 40 years, female, black or african american, stage:Stage IIA, dead, 754 days 0.1
TCGA-AC-A2QJ-01A 48 years, female, white, stage:Stage IIIB, dead, 446 days 0.1
TCGA-E9-A1R0-01A 58 years, female, white, stage:Stage IIA, alive, 860 days 0.1
TCGA-AR-A0TQ-01A 27 years, female, white, stage:Stage IIIA, alive, 2991 days 0.1
TCGA-B6-A0IG-01A 50 years, female, white, stage:Stage IIB, dead, 4456 days 0.1
TCGA-B6-A0IN-01A 45 years, female, white, stage:Stage X, dead, 2573 days 0.1
TCGA-BH-A0B3-01A 53 years, female, white, stage:Stage IIB, alive, 1203 days 0.1
TCGA-AN-A04A-01A 36 years, female, white, stage:Stage IIIA, alive, 90 days 0.1
TCGA-D8-A1JS-01A 77 years, female, white, stage:Stage IA, alive, 371 days 0.1
TCGA-D8-A1XZ-01A 81 years, female, white, stage:Stage IIIA, alive, 466 days 0.1
TCGA-GM-A2DK-01A 58 years, female, white, stage:Stage I, alive, 2645 days 0.1
TCGA-BH-A204-01A 80 years, female, white, stage:Stage IIB, dead, 2534 days 0.1
TCGA-B6-A0WZ-01A 50 years, female, black or african american, stage:Stage II, alive, 6292 days 0.1
TCGA-BH-A201-01A 64 years, female, white, stage:Stage IA, alive, 856 days 0.1
TCGA-E9-A22A-01A 74 years, female, white, stage:Stage IIA, alive, 1189 days 0.1
TCGA-BH-A0E1-01A 52 years, female, white, stage:Stage IIB, alive, 477 days 0.1
TCGA-A8-A082-01A 58 years, female, stage:Stage IIB, alive, 549 days 0.1
TCGA-BH-A0DK-01A 49 years, female, white, stage:Stage IIA, alive, 423 days 0.1
TCGA-A8-A07P-01A 68 years, female, stage:Stage IIB, alive, 334 days 0.1
TCGA-BH-A0HB-01A 55 years, female, white, stage:Stage IA, alive, 806 days 0.1
TCGA-EW-A1OV-01A 56 years, female, white, stage:Stage IIB, alive, 789 days 0.1
TCGA-E2-A574-01A 44 years, female, black or african american, stage:Stage IIA, alive, 1179 days 0.1
TCGA-A2-A0YH-01A 53 years, female, white, stage:Stage IIIA, alive, 659 days 0.1
TCGA-AR-A0TW-01A 50 years, female, white, stage:Stage IIIA, alive, 3009 days 0.1
TCGA-BH-A0B4-01A 65 years, male, white, stage:Stage IIIA, alive, 1191 days 0.1
TCGA-E2-A15J-01A 51 years, female, white, stage:Stage I, alive, 1640 days 0.1
TCGA-A2-A3KD-01A 47 years, female, white, stage:Stage IIIA, alive, 1206 days 0.1
TCGA-A8-A07Z-01A 85 years, female, stage:Stage IIA, alive, 1371 days 0.1
TCGA-E2-A1LH-01A 59 years, female, white, stage:Stage I, alive, 3247 days 0.1
TCGA-E9-A5UP-01A 63 years, female, white, stage:Stage IIA, alive, 803 days 0.1
TCGA-WT-AB44-01A 77 years, female, white, stage:Stage IA, alive, 883 days 0.1
TCGA-AN-A041-01A 29 years, female, white, stage:Stage IIB, alive, 7 days 0.1
TCGA-E2-A1IK-01A 71 years, female, white, stage:Stage IIA, alive, 1800 days 0.1
TCGA-C8-A12W-01A 49 years, female, asian, stage:Stage IIIB, alive, 385 days 0.1
TCGA-C8-A1HO-01A 34 years, female, asian, stage:Stage IIIC, alive, 375 days 0.1
TCGA-E9-A3Q9-01A 78 years, female, white, stage:Stage IIIC, alive, 1001 days 0.1
TCGA-A8-A06X-01A 77 years, female, stage:Stage IIB, dead, 943 days 0.1
TCGA-A1-A0SJ-01A 39 years, female, black or african american, stage:Stage IIIA, alive, 416 days 0.1
TCGA-E2-A15T-01A 65 years, female, white, stage:Stage IIA, alive, 1563 days 0.1
TCGA-D8-A27W-01A 55 years, female, white, stage:Stage IIIB, alive, 373 days 0.1
TCGA-BH-A0EB-01A 69 years, female, white, stage:Stage IA, alive, 745 days 0.1
TCGA-AR-A0TY-01A 54 years, female, white, stage:Stage IIA, dead, 1699 days 0.1
TCGA-BH-A208-01A 48 years, female, white, stage:Stage IIB, dead, 1759 days 0.1
TCGA-C8-A3M8-01A 68 years, female, asian, stage:Stage IA, alive, 394 days 0.1
TCGA-AR-A256-01A 45 years, female, white, stage:Stage IIA, dead, 2854 days 0.1
TCGA-BH-A0B6-01A 47 years, female, white, stage:Stage I, alive, 2483 days 0.1
TCGA-AN-A0XP-01A 69 years, female, white, stage:Stage IIIA, alive, 9 days 0.1
TCGA-E9-A226-01A 45 years, female, white, stage:Stage IIIA, dead, 1048 days 0.1
TCGA-D8-A1JF-01A 79 years, female, white, stage:Stage IIIA, alive, 366 days 0.1
TCGA-D8-A1X8-01A 62 years, female, white, stage:Stage IIIA, alive, 783 days 0.1
TCGA-BH-A0DH-01A 63 years, female, white, stage:Stage IIB, alive, 1156 days 0.1
TCGA-A2-A3XV-01A 46 years, female, black or african american, stage:Stage IIA, alive, 996 days 0.1
TCGA-AC-A23E-01A 50 years, female, white, stage:Stage IIB, alive, 698 days 0.1
TCGA-B6-A0RQ-01A 68 years, female, white, stage:Stage IIB, dead, 4267 days 0.1
TCGA-A2-A04Q-01A 48 years, female, white, stage:Stage IA, alive, 2385 days 0.1
TCGA-BH-A1EO-01A 68 years, female, white, stage:Stage IIA, dead, 2798 days 0.1
TCGA-A7-A26G-01A 50 years, female, black or african american, stage:Stage IIA, alive, 722 days 0.1
TCGA-LL-A8F5-01A 61 years, female, black or african american, stage:Stage IIA, alive, 596 days 0.1
TCGA-BH-A6R8-01A 46 years, female, black or african american, stage:Stage IIA, alive, 293 days 0.1
TCGA-BH-A5IZ-01A 51 years, female, black or african american, stage:Stage IIB, alive, 567 days 0.1
TCGA-A2-A0T2-01A 66 years, female, white, stage:Stage IV, dead, 255 days 0.1
TCGA-AO-A0JM-01A 40 years, female, stage:Stage IIB, alive, 2184 days 0.1
TCGA-B6-A0WW-01A 58 years, female, black or african american, stage:Stage X, dead, 558 days 0.1
TCGA-C8-A1HF-01A 48 years, female, asian, stage:Stage IIA, alive, 332 days 0.1
TCGA-E9-A1N4-01A 41 years, female, white, stage:Stage IIIA, alive, 1000 days 0.1
TCGA-B6-A0RS-01A 38 years, female, white, stage:Stage IIA, dead, 3063 days 0.1
TCGA-A8-A099-01A 76 years, female, stage:Stage X, alive, 304 days 0.1
TCGA-AR-A24S-01A 61 years, female, white, stage:Stage I, alive, 2976 days 0.1
TCGA-EW-A1OW-01A 58 years, female, black or african american, stage:Stage IIA, alive, 694 days 0.1
TCGA-A7-A26E-01A 71 years, female, white, stage:Stage IIIA, alive, 954 days 0.1
TCGA-A2-A0YT-01A 56 years, female, white, stage:Stage IIIB, dead, 723 days 0.1
TCGA-AC-A3QP-01A 79 years, female, white, stage:Stage IIB, alive, 675 days 0.1
TCGA-AO-A0J3-01A 67 years, female, white, stage:Stage IIB, alive, 651 days 0.1
TCGA-E9-A1RH-01A 63 years, female, white, stage:Stage IIA, alive, 1417 days 0.1
TCGA-E2-A150-01A 48 years, female, white, stage:Stage IIA, alive, 1935 days 0.1
TCGA-A7-A0CE-01A 57 years, female, white, stage:Stage IIA, alive, 1074 days 0.1
TCGA-BH-A0HP-01A 65 years, female, white, stage:Stage IIIA, alive, 414 days 0.1
TCGA-A1-A0SH-01A 39 years, female, white, stage:Stage IIA, alive, 1437 days 0.1
TCGA-AN-A0AK-01A 76 years, female, white, stage:Stage IIA, alive, 224 days 0.1
TCGA-LL-A5YM-01A 88 years, female, black or african american, stage:Stage IIIB, alive, 394 days 0.1
TCGA-A2-A3XU-01A 35 years, female, black or african american, stage:Stage IIB, dead, 912 days 0.1
TCGA-AR-A2LJ-01A 40 years, female, white, stage:Stage IIIA, alive, 2632 days 0.1
TCGA-BH-A0HO-01A 48 years, female, white, stage:Stage IIA, alive, 76 days 0.0
TCGA-E2-A1IH-01A 80 years, female, white, stage:Stage I, alive, 1026 days 0.0
TCGA-A8-A07C-01A 57 years, female, stage:Stage IIA, alive, 1034 days 0.0
TCGA-BH-A18L-01A 50 years, female, white, stage:Stage IIIA, dead, 811 days 0.0
TCGA-AO-A0J2-01A 41 years, female, white, stage:Stage IA, alive, 997 days 0.0
TCGA-AO-A1KR-01A 51 years, female, white, stage:Stage IIA, alive, 2513 days 0.0
TCGA-E2-A1LB-01A 41 years, female, black or african american, stage:Stage IIB, alive, 2306 days 0.0
TCGA-AR-A1AN-01A 46 years, female, white, stage:Stage IIA, alive, 2920 days 0.0
TCGA-A2-A04V-01A 39 years, female, white, stage:Stage IIA, dead, 1920 days 0.0
TCGA-AO-A0J5-01A 48 years, female, white, stage:Stage IV, dead, 792 days 0.0
TCGA-BH-A0DL-01A 64 years, female, white, stage:Stage IIA, alive, 2381 days 0.0
TCGA-A2-A0ER-01A 63 years, female, white, stage:Stage IB, alive, 2263 days 0.0
TCGA-EW-A1P4-01A 43 years, female, white, stage:Stage IIA, alive, 907 days 0.0
TCGA-A7-A26J-01A 49 years, female, white, stage:Stage IIA, alive, 627 days 0.0
TCGA-AN-A03X-01A 74 years, female, white, stage:Stage IIA, alive, 10 days 0.0
TCGA-BH-A18G-01A 81 years, female, white, stage:Stage IA, alive, 149 days 0.0
TCGA-BH-A0HI-01A 78 years, female, white, stage:Stage IA, alive, 620 days 0.0
TCGA-E2-A1LL-01A 73 years, female, black or african american, stage:Stage IIIA, alive, 1309 days 0.0
TCGA-A7-A0CD-01A 66 years, female, white, stage:Stage I, alive, 1165 days 0.0
TCGA-AR-A2LE-01A 69 years, female, white, stage:Stage I, alive, 5062 days 0.0
TCGA-A8-A0AD-01A 83 years, female, stage:Stage I, alive, 1157 days 0.0
TCGA-BH-A0H0-01A 69 years, female, white, stage:Stage IA, alive, 461 days 0.0
Show allShow less
BREAST INVASIVE CARCINOMA (VALIDATION) - Interactive survival scatter ploti

The Survival Scatter plot shows the clinical status (i.e. dead or alive) for all individuals in the patient cohort, based on the same data that underlies the corresponding Kaplan-Meier plots. Patients that are alive at last time for follow-up are shown in blue and patients who have died during the study are shown in red.

The x-axis shows the expression levels (FPKM) of the investigated gene in the tumor tissue at the time of diagnosis. The y-axis shows the follow-up time after diagnosis (years). Both axes are complimented with kernel density curves demonstrating the data density over the axes. The top density plot shows the expression levels (FPKM) distribution among dead (red) and alive patients (blue). The right density plot shows the data density of the survived years of dead patients with high and low expression levels respectively, stratified using the cutoff indicated by the vertical dashed line through the Survival Scatter plot. This cutoff is automatically defined based on the FPKM cutoff that minimizes the p-score. The cutoff can be changed by dragging the vertical line or by entering a cutoff value in the square labeled "Current cut-off".

Under the Survival Scatter plot the p-score landscape (black curve; left axis) is shown together with dead median separation (red curve; right axis). Dead median separation is the difference in median mRNA expression between patients who have died with high and low expression, respectively. It is calculated as follows: median FPKM expression of dead patients with high expression - median FPKM expression of dead patients with low expression. This is intended to aid the user in visually exploring custom cutoffs and the associated p-scores and dead median separation.

Individual patient data is displayed and can be filtered by clicking on one or more of the category buttons on the top of the page. Categories describing expression level and patient information include: high, low, alive, dead, female, male and tumor stages. The scale of the x-axis can be toggled between linear and log-scale by clicking on the "x log" button. Mouse-over function shows TCGA ID, patient information and mRNA expression (FPKM) for each patient.

& Survival analysisi

Kaplan-Meier plots summarize results from analysis of correlation between mRNA expression level and patient survival. Patients were divided based on level of expression into one of the two groups "low" (under cut off) or "high" (over cut off). X-axis shows time for survival (years) and y-axis shows the probability of survival, where 1.0 corresponds to 100 percent.

DNAJB13 is not prognostic in Breast Invasive Carcinoma (validation)


Stage:
Survival analysis
Current cut offi

Current cut-off shows the cut-off (FPKM) currently selected. It may be changed manually. When the current cut-off is changed, the vertical dashed line indicating cut-off, the interactive survival scatter plot and the Kaplan-Meier curve will be automatically adjusted to show results accordingly.

:
Best expression cut offi

Based on the FPKM value of each gene, patients were classified into two groups and association between prognosis (survival) and gene expression (FPKM) was examined. The best expression cut-off refers the FPKM value that yields maximal difference with regard to survival between the two groups at the lowest log-rank P-value. Best expression cut-off was selected based on survival analysis .

When clicking on this number, the vertical dashed line indicating cut-off, the interactive survival plot, and the Kaplan-Meier curve will be adjusted to show results based on the best expression cut-off.

: 0.78
Median expressioni

Median expression refers to the median FPKM value calculated based on the gene expression (FPKM) data from all patients in this dataset. When clicking on this number, the vertical dashed line indicating cut-off, the interactive survival plot, and the Kaplan-Meier curve will be adjusted to show results based on the median expression.

: N/A
Median follow up timei

Median follow up time refers to the median time (years) after diagnosis with this type of cancer, based on clinical data from all patients in this dataset.

: N/A
P scorei

Log-rank P value for Kaplan-Meier plot showing results from analysis of correlation between mRNA expression level and patient survival.

N/A
5-year survival highi

5-year survival for patients with higher expression than the expression cutoff.

For melanoma and glioma, 3-year survival is shown.

N/A
5-year survival lowi

5-year survival for patients with lower expression than the expression cutoff.

For melanoma and glioma, 3-year survival is shown.

N/A
TCGA RNA samplesi

RNA-seq data is reported as average FPKM (number Fragments Per Kilobase of exon per Million reads), generated by the The Cancer Genome Atlas (TCGA) .

Normal distribution across the dataset is visualized with box plots, shown as median and 25th and 75th percentiles. Points are displayed as outliers if they are above or below 1.5 times the interquartile range. FPKM values of the individual samples are presented next to the box plot.

Average pTPM 1.4
Number of samples 50
Samples
Sample Description pTPM
DO228471 28 years, female, NA, stage:2, alive, 1827 days 22.5
DO228383 30 years, female, NA, stage:2, alive, 3975 days 8.7
DO228479 27 years, female, NA, stage:2, alive, 1985 days 5.1
DO228488 30 years, female, NA, stage:2, alive, 991 days 4.2
DO228441 29 years, female, NA, stage:1, dead, 147 days 3.6
DO228260 32 years, female, NA, stage:2, alive, 3026 days 2.5
DO228356 33 years, female, NA, stage:2, dead, 3732 days 1.9
DO229483 34 years, female, NA, stage:0, alive, 299 days 1.7
DO228483 34 years, female, NA, stage:0, alive, 1994 days 1.5
DO228439 33 years, female, NA, stage:1, alive, 1845 days 1.3
DO228350 34 years, female, NA, stage:1, alive, 3069 days 1.3
DO228300 35 years, female, NA, stage:2, alive, 952 days 1.3
DO228293 28 years, female, NA, stage:2, alive, 4339 days 1.3
DO228262 33 years, female, NA, stage:2, alive, 3889 days 1.2
DO228516 35 years, female, NA, stage:2, alive, 447 days 1.1
DO228426 35 years, female, NA, stage:2, alive, 4129 days 1.1
DO228499 29 years, female, NA, stage:1, alive, 284 days 1.1
DO228295 31 years, female, NA, stage:2, dead, 2616 days 0.9
DO228340 34 years, female, NA, stage:3, dead, 1051 days 0.8
DO228460 25 years, female, NA, stage:2, alive, 3385 days 0.7
DO228272 32 years, female, NA, stage:2, alive, 4126 days 0.7
DO228332 33 years, female, NA, stage:2, alive, 4776 days 0.7
DO228452 32 years, female, NA, stage:2, dead, 1354 days 0.7
DO228319 35 years, female, NA, stage:1, alive, 4716 days 0.7
DO228427 31 years, female, NA, stage:2, alive, 3995 days 0.6
DO228321 35 years, female, NA, stage:2, dead, 4286 days 0.5
DO228433 34 years, female, NA, stage:3, alive, 1929 days 0.5
DO228430 31 years, female, NA, stage:1, alive, 4647 days 0.5
DO228409 31 years, female, NA, stage:1, alive, 4423 days 0.5
DO228502 27 years, female, NA, stage:1, alive, 164 days 0.5
DO228423 34 years, female, NA, stage:2, alive, 4136 days 0.5
DO228307 35 years, female, NA, stage:2, alive, 4928 days 0.4
DO228310 33 years, female, NA, stage:2, dead, 153 days 0.4
DO228453 34 years, female, NA, stage:0, alive, 4157 days 0.3
DO228283 33 years, female, NA, stage:3, alive, 5180 days 0.3
DO228246 26 years, female, NA, stage:3, dead, 327 days 0.3
DO228449 27 years, female, NA, stage:2, alive, 4896 days 0.3
DO228455 34 years, female, NA, stage:1, alive, 3115 days 0.3
DO228506 32 years, female, NA, stage:1, alive, 489 days 0.3
DO228404 29 years, female, NA, stage:1, alive, 3737 days 0.3
DO228268 35 years, female, NA, stage:2, alive, 5084 days 0.3
DO228276 32 years, female, NA, stage:2, alive, 4613 days 0.3
DO228256 29 years, female, NA, stage:2, alive, 2312 days 0.3
DO228477 33 years, female, NA, stage:3, alive, 2188 days 0.2
DO228521 32 years, female, NA, stage:1, alive, 287 days 0.2
DO228290 31 years, female, NA, stage:2, alive, 4268 days 0.0
DO228431 32 years, female, NA, stage:2, alive, 2915 days 0.0
DO228247 33 years, female, NA, stage:3, dead, 2584 days 0.0
DO228509 33 years, female, NA, stage:1, alive, 377 days 0.0
DO228266 33 years, female, NA, stage:2, dead, 3785 days 0.0
Show allShow less
BREAST CANCER - Protein expressioni

A mouse-over function shows sample information and annotation data. Click on an image to view it in a full screen mode. Samples can be filtered based on level of antibody staining by selecting one or several of the following categories: high, medium, low and not detected. The assay and annotation is described here.

Note that samples used for immunohistochemistry by the Human Protein Atlas do not correspond to samples in the TCGA dataset.

 

Antibody stainingi

Antibody staining in the annotated cell types in the current human tissue is reported as not detected, low, medium, or high, based on conventional immunohistochemistry profiling in selected tissues. This score is based on the combination of the staining intensity and fraction of stained cells.

Each image is clickable and will lead to virtual microscopy that enables deeper exploration of all samples and also displays staining intensity scores, fraction scores and subcellular localization as well as patient and tissue information for each sample.


Antibody HPA052465
 Staining
  High
  Medium
  Low
  Not detected
 Intensity
  Strong
  Moderate
  Weak
  Negative
 Quantity
  >75%
  75%-25%
  <25%
  None
 Location
  Nuclear
  Cytoplasmic/membranous
  Cytoplasmic/membranous,nuclear
  None
Duct carcinoma
Lobular carcinoma

Contact

  • NEWS ARTICLES
  • PRESS ROOM

The Project

  • INTRODUCTION
  • ORGANIZATION
  • PUBLICATIONS

The Human Protein Atlas

  • DOWNLOADABLE DATA
  • LICENCE & CITATION
  • HELP & FAQ
The Human Protein Atlas project is funded
by the Knut & Alice Wallenberg Foundation.


contact@proteinatlas.org