We use cookies to enhance the usability of our website. If you continue, we'll assume that you are happy to receive all cookies. More information. Don't show this again.
FAM25A
HPA
RESOURCES
  • TISSUE
  • BRAIN
  • SINGLE CELL
  • SUBCELLULAR
  • CANCER
  • BLOOD
  • CELL LINE
  • STRUCTURE & INTERACTION
ABOUT
  • INTRODUCTION
  • HISTORY
  • ORGANIZATION
  • PUBLICATIONS
  • ANTIBODY SUBMISSION
  • ANTIBODY AVAILABILITY
  • ACKNOWLEDGMENTS
  • CONTACT
NEWS
  • NEWS ARTICLES
  • PRESS ROOM
LEARN
  • DICTIONARY
  • PROTEIN CLASSES
  • PROTEIN EVIDENCE
  • METHODS
  • EDUCATIONAL VIDEOS
DATA
  • DOWNLOADABLE DATA
  • PUBLICATION DATA
  • RELEASE HISTORY
HELP
  • ANTIBODY VALIDATION
  • ASSAYS & ANNOTATION
  • DISCLAIMER
  • HELP & FAQ
  • PRIVACY STATEMENT
  • LICENCE & CITATION
Fields »
Search result

Field
Term
Gene name
Class
Subclass
Class
Keyword
Chromosome
External id
Tissue
Cell type
Expression
Antibody panel
Tissue
Main location
Patient ID
Annotation
Tissue
Category
Tau score
Cluster
Reliability
Brain region
Category
Tau score
Brain region
Category
Tau score
Brain region
Category
Tau score
Cluster
Reliability
Tissue
Cell type
Enrichment
Cell type
Category
Tau score
Cell type
Category
Tau score
Cell type
Category
Tau score
Cell lineage
Category
Tau score
Cluster
Cluster
Location
Searches
Location
Cell line
Class
Type
Phase
Reliability
Cancer
Prognosis
Cancer
Category
Cancer
Category
Tau score
Cluster
Variants
Interacting gene (ensg_id)
Type
Number of interactions
Pathway
Category
Score
Score
Score
Validation
Validation
Validation
Validation
Antibodies
Data type
Column


  • SUMMARY

  • TISSUE

  • BRAIN

  • SINGLE CELL

  • SUBCELL

  • CANCER

  • BLOOD

  • CELL LINE

  • STRUCT & INT

  • FAM25A
TISSUE PRIMARY DATA ESOPHAGUS Show tissue menu
ADIPOSE TISSUE ADRENAL GLAND AMYGDALA APPENDIX BASAL GANGLIA BONE MARROW BREAST CEREBELLUM CEREBRAL CORTEX CERVIX CHOROID PLEXUS COLON DUODENUM
ENDOMETRIUM EPIDIDYMIS ESOPHAGUS FALLOPIAN TUBE GALLBLADDER HEART MUSCLE HIPPOCAMPAL FORMATION HYPOTHALAMUS KIDNEY LIVER LUNG LYMPH NODE MIDBRAIN
OVARY PANCREAS PARATHYROID GLAND PITUITARY GLAND PLACENTA PROSTATE RECTUM RETINA SALIVARY GLAND SEMINAL VESICLE SKELETAL MUSCLE SKIN SMALL INTESTINE
SMOOTH MUSCLE SPINAL CORD SPLEEN STOMACH TESTIS THYMUS THYROID GLAND TONGUE TONSIL URINARY BLADDER VAGINA
ANTIBODIES
AND
VALIDATION
Dictionary
Esophagus
Tissue proteome
Esophagus
ESOPHAGUS - Expression summary
Protein expressioni

On the top, protein expression in current human tissue, based on all annotated cell types, is reported with the units not detected (n), low (l), medium (m) and high (h). Underneath, protein expression in each annotated cell type are reported using the same units.

Protein expression data is based on knowledge-based annotation. For genes where more than one antibody has been used, a collective score is set.

If knowledge-based annotation could not be performed for a gene, no data is displayed here. View antibody staining data further down this page.

No data
RNA expressioni

A summary of mRNA expression data available for current tissue based on several datasets. The mRNA expression levels in human tissues are based on RNA-seq data generated by the Human Protein Atlas (HPA), Genotype-Tissue Expression (GTEx) portal and CAGE data generated by the FANTOM5 consortium. Consensus normalized expression levels for human tissues was created by combining the data from HPA and GTEx datasets.

The mRNA expression levels in pig are based on RNA-seq data generated by the Human Protein Atlas (HPA), and for mouse, HPA data and in situ hybridization generated by the Allen brain atlas are reported.

Scroll down to view mRNA expression data in more detail.
Consensus:505.0 nTPM
HPA:286.4 nTPM
GTEx:505.0 nTPM
FANTOM5:33.5 Scaled Tags Per Million

ESOPHAGUS - Annotated protein expression
Pending normal tissue analysis

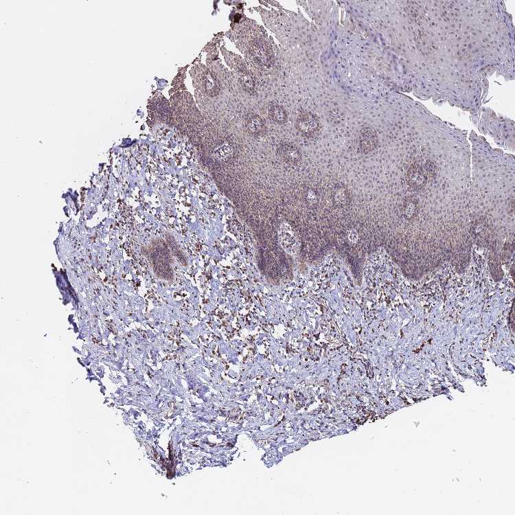
ESOPHAGUS - Antibody stainingi

Antibody staining in the annotated cell types in the current human tissue is reported as not detected, low, medium, or high, based on conventional immunohistochemistry profiling in selected tissues. This score is based on the combination of the staining intensity and fraction of stained cells.

Each image is clickable and will lead to virtual microscopy that enables deeper exploration of all samples and also displays staining intensity scores, fraction scores and subcellular localization as well as patient and tissue information for each sample.

Antibody HPA044808
Squamous epithelial cells Medium



ESOPHAGUS - HPA RNA-seqi

The RNA-seq details section shows detailed information about the individual samples used for the transcript profiling and results of the RNA-seq analysis.

Information about each individual sample is listed below, including gender, age, a tissue section image and estimated fractions of cell types. nTPM (normalized transcripts per million) values give a quantification of the gene abundance which is comparable between different genes and samples.
Average nTPMi

Max subtype nTPM is the value for the subtype with the largest average nTPM across the subtype samples.

286.4
overview
Female, age 70
Esophagus sample 130
nTPM: 245.8
Cell types%
Squamous epithelial cells:
35

Smooth muscle cells:
15

Skeletal muscle cells:
5

Other cell types:
45

overview
Male, age 38
Esophagus sample 131
nTPM: 190.7
Cell types%
Squamous epithelial cells:
60

Smooth muscle cells:
20

Other cell types:
20

overview
Male, age 76
Esophagus sample 132
nTPM: 422.8
Cell types%
Squamous epithelial cells:
45

Smooth muscle cells:
15

Other cell types:
40


ESOPHAGUS - GTEx RNA-seqi

RNA-Seq data generated by the Genotype-Tissue Expression (GTEx) project from human tissues is reported as mean nTPM. More information can be found on the GTEx portal.

Distribution across the dataset is visualized with box plots, shown as median and 25th and 75th percentiles. Points are displayed as outliers if they are above or below 1.5 times the interquartile range. nTPM values of the individual samples are presented next to the box plot.
Max subtype nTPMi

Max subtype nTPM is the value for the subtype with the largest average nTPM across the subtype samples.

505.0
GTEx sample id Sample description nTPM
Esophagus - Mucosa
Average nTPM: 505.0
Samples: 555

Max nTPM: 7394.7
Min nTPM: 0.0
Std nTPM: 735.0
Median nTPM: 184.4
GTEX-1NSGN-2026-SM-DPRYM 50-59 years, male 7394.7
GTEX-1LG7Y-1726-SM-EV7AR 50-59 years, male 3740.9
GTEX-OXRN-1726-SM-3NM9B 50-59 years, male 3714.2
GTEX-ZG7Y-1126-SM-4WWEZ 50-59 years, male 3695.9
GTEX-13QJ3-1726-SM-5RQK9 50-59 years, male 3240.3
GTEX-1EKGG-1726-SM-7MXUP 60-69 years, male 3064.5
GTEX-14PJM-1526-SM-664NY 50-59 years, female 3024.7
GTEX-1AMFI-0226-SM-731D5 50-59 years, female 2966.8
GTEX-ZT9W-1326-SM-51MTB 50-59 years, male 2903.4
GTEX-1I1GR-1326-SM-ARU7B 60-69 years, male 2886.2
GTEX-17HII-1526-SM-9OSVD 50-59 years, male 2672.5
GTEX-11DXZ-1226-SM-5H11L 50-59 years, male 2556.8
GTEX-131YS-1426-SM-5IJF7 60-69 years, female 2545.7
GTEX-1KANA-0626-SM-D4P3I 20-29 years, male 2507.3
GTEX-Q2AH-0826-SM-48TZN 40-49 years, male 2469.6
GTEX-1MA7X-0726-SM-EV7AB 60-69 years, male 2367.1
GTEX-1CAMQ-2726-SM-7MKGD 40-49 years, male 2294.5
GTEX-1IDJH-2026-SM-CNNQX 70-79 years, male 2264.4
GTEX-145LU-0926-SM-79OJL 50-59 years, male 2172.3
GTEX-1HSKV-2426-SM-A8N8K 60-69 years, male 2167.8
GTEX-1269C-1026-SM-5N9EY 60-69 years, female 2098.2
GTEX-1CB4G-1326-SM-7MKFP 60-69 years, male 2094.9
GTEX-1399R-0826-SM-5IJEL 30-39 years, male 2087.0
GTEX-17EVQ-1926-SM-7IGOF 70-79 years, male 2064.3
GTEX-ZTSS-0626-SM-59867 40-49 years, male 2060.5
GTEX-15RIE-0826-SM-6M47X 60-69 years, male 1988.9
GTEX-OIZG-1026-SM-3LK5X 50-59 years, male 1937.2
GTEX-POYW-1326-SM-48TCG 60-69 years, male 1922.7
GTEX-1EH9U-2426-SM-7EWFG 60-69 years, male 1910.5
GTEX-12ZZY-1426-SM-5N9EI 60-69 years, male 1899.6
GTEX-13FTX-0526-SM-5IFGS 20-29 years, female 1890.2
GTEX-S95S-0426-SM-4B64I 60-69 years, male 1875.2
GTEX-WVLH-1426-SM-4MVNX 50-59 years, male 1851.0
GTEX-111CU-0726-SM-5GZYD 50-59 years, male 1831.2
GTEX-18A66-1426-SM-7KFRT 60-69 years, male 1827.6
GTEX-12BJ1-1626-SM-5HL8Y 60-69 years, male 1804.0
GTEX-1EWIQ-1526-SM-79OO7 70-79 years, female 1770.6
GTEX-18QFQ-1026-SM-7LG6B 30-39 years, male 1767.8
GTEX-1J8QM-1926-SM-AHZ3Z 60-69 years, female 1761.4
GTEX-1KXAM-0826-SM-CXZK9 60-69 years, male 1745.3
GTEX-18D9A-0526-SM-7KFSW 30-39 years, female 1721.9
GTEX-Y3IK-1126-SM-51MSV 50-59 years, female 1695.2
GTEX-18A6Q-1226-SM-7KFS9 60-69 years, male 1681.6
GTEX-1JMPY-0826-SM-AHZ4A 30-39 years, male 1668.6
GTEX-1HFI6-1226-SM-A96SK 40-49 years, male 1652.7
GTEX-T6MO-0526-SM-4DM6R 40-49 years, female 1634.6
GTEX-1QCLY-1526-SM-DPRXX 30-39 years, male 1610.5
GTEX-13FHP-1526-SM-5IJGE 50-59 years, male 1605.4
GTEX-VUSG-1226-SM-4KKZF 50-59 years, male 1594.2
GTEX-X4XY-1726-SM-46MVO 60-69 years, male 1587.4
GTEX-139YR-1726-SM-5IFFK 50-59 years, male 1555.7
GTEX-1I1GU-1426-SM-B2LX3 40-49 years, male 1551.6
GTEX-XBEW-1326-SM-4AT63 40-49 years, male 1460.5
GTEX-132AR-2226-SM-5J2NT 50-59 years, female 1446.5
GTEX-1F75I-1726-SM-7MKGW 40-49 years, male 1437.7
GTEX-R55E-1326-SM-48FCR 20-29 years, male 1433.5
GTEX-1JMQJ-1226-SM-D3L97 50-59 years, male 1425.5
GTEX-131XE-1426-SM-5HL7V 50-59 years, male 1403.8
GTEX-14AS3-0626-SM-5QGQD 40-49 years, female 1336.8
GTEX-OIZH-0626-SM-3NB1L 50-59 years, male 1334.9
GTEX-14DAR-0826-SM-73KYJ 50-59 years, male 1320.7
GTEX-PWCY-0726-SM-48TCS 20-29 years, female 1301.8
GTEX-11P7K-1326-SM-5BC5G 30-39 years, male 1297.8
GTEX-O5YV-1026-SM-3LK72 60-69 years, female 1297.3
GTEX-17JCI-1226-SM-793D9 60-69 years, female 1293.7
GTEX-WYVS-0726-SM-4ONDO 40-49 years, female 1289.0
GTEX-13OW8-2326-SM-5L3I9 60-69 years, male 1287.8
GTEX-12C56-1226-SM-5FQSU 20-29 years, male 1279.1
GTEX-14DAQ-1426-SM-5RQJD 60-69 years, female 1277.6
GTEX-ZYT6-1126-SM-5GZYR 30-39 years, male 1275.5
GTEX-YB5K-0826-SM-5YYB7 40-49 years, female 1271.1
GTEX-ZC5H-1326-SM-5HL7E 40-49 years, female 1270.7
GTEX-ZAK1-1526-SM-5S2OV 50-59 years, female 1265.0
GTEX-1IKOE-1526-SM-C1YSD 30-39 years, female 1262.0
GTEX-14H4A-1626-SM-5SI69 40-49 years, female 1225.0
GTEX-1RDX4-2126-SM-EV7B3 50-59 years, female 1223.5
GTEX-14C5O-1626-SM-73KYH 60-69 years, male 1221.4
GTEX-1HB9E-1526-SM-D3LA6 50-59 years, male 1212.7
GTEX-R55G-1026-SM-48FDI 40-49 years, female 1199.2
GTEX-1GMR3-1526-SM-9JGGL 40-49 years, male 1199.0
GTEX-11DXY-1426-SM-5N9CN 60-69 years, male 1177.2
GTEX-XQ8I-1526-SM-4BOOH 50-59 years, male 1154.2
GTEX-ZDTT-1326-SM-4WKFH 60-69 years, male 1152.9
GTEX-YEC4-1026-SM-9WG7N 40-49 years, male 1136.0
GTEX-YB5E-0926-SM-4WWDQ 40-49 years, male 1130.4
GTEX-1AX9I-1426-SM-7DHM8 60-69 years, male 1106.7
GTEX-13PL7-0226-SM-731DT 60-69 years, female 1098.7
GTEX-QV44-1126-SM-CL55C 50-59 years, male 1092.9
GTEX-1HBPI-0626-SM-9WPP4 50-59 years, male 1092.6
GTEX-REY6-1326-SM-48FDO 60-69 years, male 1085.9
GTEX-15RIF-0826-SM-6M47C 20-29 years, male 1085.3
GTEX-T8EM-0526-SM-4DM64 40-49 years, male 1077.1
GTEX-ZVP2-1326-SM-57WCE 50-59 years, male 1073.6
GTEX-ZLV1-0526-SM-4WWD4 60-69 years, female 1073.1
GTEX-117YW-1926-SM-5H121 50-59 years, male 1050.4
GTEX-RU1J-0326-SM-46MUM 20-29 years, female 1047.2
GTEX-17KNJ-1326-SM-7KFTG 50-59 years, male 1042.5
GTEX-RN64-1026-SM-48FDX 50-59 years, male 1027.6
GTEX-ZUA1-1226-SM-5NQ6O 40-49 years, male 1025.6
GTEX-14A6H-1326-SM-5NQBC 30-39 years, male 1022.5
GTEX-11TUW-1326-SM-5EQKV 60-69 years, male 1014.7
GTEX-14PKV-1726-SM-6871U 20-29 years, female 1005.9
GTEX-ZF29-1326-SM-DNZYV 60-69 years, female 1000.1
GTEX-14PJ3-0626-SM-6UGC5 50-59 years, male 996.9
GTEX-Q2AI-0626-SM-48TZU 40-49 years, male 981.5
GTEX-11P82-0526-SM-5986P 20-29 years, male 981.1
GTEX-14JIY-0926-SM-6871D 60-69 years, male 967.8
GTEX-1J8EW-1326-SM-AHZ3S 60-69 years, female 961.7
GTEX-13SLX-1726-SM-5Q5E5 50-59 years, female 948.1
GTEX-15DYW-1826-SM-6LPIY 60-69 years, female 910.3
GTEX-1GMR2-1526-SM-7MXV6 50-59 years, male 902.7
GTEX-1399Q-1126-SM-5P9JA 40-49 years, male 897.3
GTEX-XK95-1026-SM-4GIDV 40-49 years, male 881.1
GTEX-1I1GQ-1726-SM-B2LWZ 50-59 years, male 875.1
GTEX-1MCYP-1026-SM-DPRYB 20-29 years, female 874.9
GTEX-1PPGY-1726-SM-EVR3S 60-69 years, male 854.5
GTEX-15UF7-0926-SM-6M46F 40-49 years, male 851.4
GTEX-11ONC-1526-SM-5GU6S 60-69 years, male 844.0
GTEX-11EQ9-0726-SM-5A5K2 30-39 years, male 843.5
GTEX-1C64O-1826-SM-7DHM4 60-69 years, male 830.0
GTEX-PWN1-0626-SM-48TDT 40-49 years, female 829.1
GTEX-QEG4-0726-SM-CNNRF 30-39 years, male 821.9
GTEX-1IY9M-1626-SM-AHZ39 60-69 years, male 802.3
GTEX-P4QT-0626-SM-3NMCP 50-59 years, female 795.2
GTEX-1H11D-2126-SM-9OSXM 40-49 years, male 787.7
GTEX-13X6K-2126-SM-5O9D4 60-69 years, female 785.0
GTEX-17HHE-0926-SM-7938K 50-59 years, male 777.8
GTEX-131XG-1026-SM-5GCMX 50-59 years, female 775.6
GTEX-WHPG-1126-SM-4M1XT 50-59 years, male 772.6
GTEX-T2IS-0826-SM-4DM6L 20-29 years, female 770.9
GTEX-UPK5-1226-SM-4IHL8 40-49 years, male 759.8
GTEX-17F96-2526-SM-7DHL3 70-79 years, male 759.2
GTEX-14E1K-1226-SM-5S2PD 50-59 years, male 756.0
GTEX-1R9K4-1926-SM-DPRZW 60-69 years, male 752.7
GTEX-14ICK-2026-SM-6AJB2 40-49 years, male 736.9
GTEX-1QP2A-1926-SM-EXOJ9 50-59 years, male 732.5
GTEX-U8XE-1726-SM-4E3IF 30-39 years, male 726.2
GTEX-1R9PM-0926-SM-DPRYA 20-29 years, male 721.9
GTEX-1CB4E-1026-SM-793AB 60-69 years, male 720.6
GTEX-1122O-1726-SM-5GICM 60-69 years, female 715.0
GTEX-XYKS-1526-SM-4BRUP 60-69 years, female 712.1
GTEX-NFK9-1126-SM-3LK78 40-49 years, male 710.3
GTEX-ZE9C-1126-SM-4WWBD 60-69 years, male 699.1
GTEX-XXEK-0326-SM-4BRVV 50-59 years, male 691.8
GTEX-WQUQ-1626-SM-4OOSH 60-69 years, male 685.7
GTEX-1GN73-1926-SM-9JGGS 60-69 years, male 685.7
GTEX-QVUS-0626-SM-447CC 60-69 years, female 683.5
GTEX-14PHY-0626-SM-664NN 60-69 years, female 676.2
GTEX-RWS6-0826-SM-47JXF 60-69 years, female 666.9
GTEX-13PVR-1826-SM-5Q5CC 60-69 years, female 655.0
GTEX-1B8KE-1826-SM-731FD 50-59 years, male 612.8
GTEX-ZPCL-1426-SM-57WEC 60-69 years, female 611.9
GTEX-TML8-1526-SM-4DXUX 40-49 years, female 610.9
GTEX-S3XE-0926-SM-4AD4S 50-59 years, male 607.0
GTEX-13G51-0926-SM-5IFFU 60-69 years, male 606.6
GTEX-13FTW-1626-SM-5KM4N 40-49 years, male 601.4
GTEX-18A67-2426-SM-7LT95 50-59 years, male 600.8
GTEX-1MGNQ-1626-SM-EAZ4Z 40-49 years, male 600.7
GTEX-R53T-1126-SM-48FD4 50-59 years, female 600.1
GTEX-SE5C-1226-SM-4BRWV 40-49 years, female 592.4
GTEX-ZQUD-0426-SM-57WFR 30-39 years, male 583.3
GTEX-1LVAN-2326-SM-CNNPY 50-59 years, female 577.8
GTEX-PLZ6-0526-SM-3P61C 30-39 years, male 574.7
GTEX-1ICG6-1926-SM-ARU7L 70-79 years, female 573.6
GTEX-1HBPH-1126-SM-A96TU 40-49 years, female 568.8
GTEX-1JK1U-1726-SM-CNNPM 60-69 years, male 567.0
GTEX-1QEPI-1826-SM-EAZ3J 60-69 years, female 564.3
GTEX-1211K-0926-SM-5FQTL 60-69 years, female 561.7
GTEX-ZLWG-1326-SM-DNZYZ 50-59 years, female 555.5
GTEX-1399S-1326-SM-5P9GH 30-39 years, female 549.8
GTEX-1A32A-1826-SM-72D5G 50-59 years, female 539.2
GTEX-RVPV-0526-SM-47JYL 60-69 years, male 528.0
GTEX-ZLFU-1126-SM-DO11K 40-49 years, male 524.0
GTEX-OXRP-0926-SM-48TC1 60-69 years, female 523.1
GTEX-S4Q7-0626-SM-4AD5M 20-29 years, male 521.9
GTEX-14PJ4-1526-SM-664OA 60-69 years, male 521.8
GTEX-1RAZS-2626-SM-EV79C 50-59 years, male 521.3
GTEX-146FH-1726-SM-5QGQ2 50-59 years, female 517.0
GTEX-T5JC-1726-SM-4DM6U 20-29 years, male 514.6
GTEX-12ZZX-1326-SM-5DUWI 40-49 years, female 509.5
GTEX-ZVT2-1326-SM-5E45H 50-59 years, female 505.8
GTEX-RM2N-0726-SM-48FD5 50-59 years, male 496.6
GTEX-15EOM-5013-SM-7MKF9 20-29 years, female 496.4
GTEX-1HBPM-1426-SM-9WPPE 60-69 years, female 492.3
GTEX-ZF2S-1226-SM-4WWAX 50-59 years, female 490.4
GTEX-P4PQ-0626-SM-3NMCU 60-69 years, male 486.9
GTEX-1B933-2026-SM-7EWFC 50-59 years, female 482.5
GTEX-U3ZM-0526-SM-4DXTB 40-49 years, male 477.8
GTEX-XMK1-1326-SM-4B65Q 40-49 years, male 474.9
GTEX-1R7EU-0826-SM-DPRZL 60-69 years, male 470.4
GTEX-ZTPG-1626-SM-5DUX2 20-29 years, female 469.3
GTEX-1KAFJ-0626-SM-D3L8X 50-59 years, male 467.8
GTEX-17F98-1726-SM-7938O 40-49 years, female 449.7
GTEX-WEY5-0926-SM-4LMI4 40-49 years, female 448.7
GTEX-1MCC2-1926-SM-DHXJR 30-39 years, female 441.2
GTEX-1QP28-1826-SM-EAZ4L 50-59 years, female 440.6
GTEX-14B4R-0326-SM-5TDDP 30-39 years, male 436.1
GTEX-16A39-1026-SM-6LPJU 30-39 years, female 434.5
GTEX-13OVG-0626-SM-5IFEP 60-69 years, male 433.2
GTEX-WHSE-1526-SM-4M1XH 20-29 years, male 431.1
GTEX-T2YK-1326-SM-4DM6S 50-59 years, male 429.6
GTEX-1I1GS-2126-SM-ARU7G 60-69 years, male 429.5
GTEX-QDVJ-0726-SM-48U1W 50-59 years, male 424.9
GTEX-V1D1-1026-SM-4JBHE 50-59 years, male 420.4
GTEX-1PPH8-1626-SM-E6CQP 20-29 years, male 415.9
GTEX-13OVK-1126-SM-6PAMR 40-49 years, male 405.5
GTEX-11GSP-1826-SM-5N9DQ 60-69 years, female 404.1
GTEX-WHSB-0426-SM-4M1XI 50-59 years, male 400.2
GTEX-XBED-1026-SM-48TCB 60-69 years, male 398.4
GTEX-1HKZK-1426-SM-A96U1 40-49 years, male 397.0
GTEX-Y5LM-1026-SM-4VDSQ 40-49 years, female 393.5
GTEX-1HCVE-1226-SM-9WPPH 50-59 years, male 391.2
GTEX-12696-1326-SM-5FQTJ 60-69 years, male 387.8
GTEX-U4B1-0826-SM-4DXTW 40-49 years, male 387.6
GTEX-1K2DU-1726-SM-EV79S 20-29 years, male 364.4
GTEX-15SHU-1426-SM-6LPIN 40-49 years, female 361.6
GTEX-15ER7-2126-SM-7939E 20-29 years, female 356.8
GTEX-1L5NE-1426-SM-DHXKV 50-59 years, male 354.6
GTEX-X4EO-1226-SM-4QARR 60-69 years, female 350.6
GTEX-11NUK-1326-SM-5P9GN 50-59 years, male 346.5
GTEX-13YAN-1926-SM-7EPH9 60-69 years, male 345.9
GTEX-147F3-0826-SM-5NQA7 50-59 years, female 344.6
GTEX-1LB8K-1326-SM-CXZKB 50-59 years, male 340.3
GTEX-1H1DG-1226-SM-9JGH3 70-79 years, male 336.2
GTEX-1S83E-0826-SM-EV7B7 40-49 years, male 336.2
GTEX-11TT1-0526-SM-5P9JO 20-29 years, male 335.4
GTEX-R55C-0826-SM-48FCL 40-49 years, male 334.9
GTEX-1AX9J-1826-SM-731FM 60-69 years, male 331.3
GTEX-1B996-1826-SM-7MGY6 60-69 years, male 331.1
GTEX-16Z82-1926-SM-6M47U 60-69 years, male 325.2
GTEX-13RTK-0526-SM-5S2QF 20-29 years, male 320.7
GTEX-Y9LG-0626-SM-4WWDH 30-39 years, male 316.3
GTEX-1PIGE-0926-SM-E9U5Z 20-29 years, male 309.7
GTEX-15EU6-1626-SM-6LPKF 50-59 years, male 297.4
GTEX-YFC4-1226-SM-5LU9R 40-49 years, female 291.6
GTEX-11P81-0826-SM-5P9GR 30-39 years, female 286.3
GTEX-X3Y1-1326-SM-4PQZB 40-49 years, male 285.9
GTEX-1QPFJ-1226-SM-EAZ3M 30-39 years, female 285.2
GTEX-14E6E-0726-SM-5S2R3 30-39 years, male 280.8
GTEX-1CB4H-1526-SM-7MXU4 60-69 years, female 280.1
GTEX-14PK6-1326-SM-686ZE 70-79 years, female 275.0
GTEX-18D9B-2026-SM-7LT96 60-69 years, male 271.8
GTEX-W5WG-1626-SM-4LMKG 50-59 years, female 270.0
GTEX-X4LF-0626-SM-4QASB 50-59 years, male 269.0
GTEX-132QS-1426-SM-5P9GE 60-69 years, male 266.3
GTEX-1K2DA-0626-SM-CGQGO 50-59 years, male 264.3
GTEX-Z9EW-0526-SM-5HL8S 40-49 years, male 261.7
GTEX-13O1R-1326-SM-5IJF5 60-69 years, male 260.9
GTEX-1JMLX-2326-SM-CXZJP 50-59 years, male 260.8
GTEX-1LG7Z-0926-SM-CXKYK 30-39 years, male 259.1
GTEX-X585-1226-SM-46MW7 50-59 years, male 257.2
GTEX-1GN1W-2226-SM-9JGI5 50-59 years, female 257.0
GTEX-1H23P-1426-SM-9JGH5 60-69 years, male 254.3
GTEX-139T6-0626-SM-5IFF9 50-59 years, male 249.6
GTEX-11NSD-1126-SM-5N9BQ 20-29 years, male 249.2
GTEX-12WSD-1826-SM-5GCOA 60-69 years, female 245.0
GTEX-PLZ5-0926-SM-3TW8L 50-59 years, male 244.6
GTEX-1JKYN-1526-SM-CGQGA 30-39 years, male 238.5
GTEX-1N2DW-1426-SM-EV7AZ 50-59 years, male 234.7
GTEX-14PJ5-0526-SM-664OE 60-69 years, female 234.0
GTEX-14C38-2126-SM-5RQJO 50-59 years, male 232.6
GTEX-17HGU-1426-SM-7938G 50-59 years, male 232.2
GTEX-183FY-1526-SM-7IGOW 20-29 years, male 231.1
GTEX-OIZF-0626-SM-7MKHG 60-69 years, male 228.0
GTEX-13FLV-1126-SM-5J2NO 50-59 years, male 227.7
GTEX-17MFQ-0526-SM-7KFTX 20-29 years, male 222.8
GTEX-1C6VQ-1826-SM-7EWEH 50-59 years, male 220.4
GTEX-S341-0526-SM-4AD5U 40-49 years, female 215.7
GTEX-11EM3-0826-SM-5N9CC 20-29 years, female 214.6
GTEX-TKQ1-0326-SM-4DXSM 30-39 years, male 213.5
GTEX-1IDJD-1626-SM-C1YRC 30-39 years, male 206.5
GTEX-X4EP-1626-SM-4QAS6 60-69 years, female 199.4
GTEX-ZPU1-1426-SM-4WWFU 40-49 years, male 196.1
GTEX-13FH7-0526-SM-5IJF8 50-59 years, female 194.0
GTEX-1C2JI-1126-SM-731FH 50-59 years, male 189.4
GTEX-13O3Q-0826-SM-5IFGF 50-59 years, male 187.7
GTEX-XQ3S-1126-SM-4BOPK 20-29 years, male 185.4
GTEX-1I1GV-2226-SM-ARU7E 60-69 years, male 184.4
GTEX-1S82Y-1226-SM-EV7BD 40-49 years, male 182.7
GTEX-QLQ7-0926-SM-447BC 60-69 years, male 180.4
GTEX-1LSNL-2226-SM-DHXKM 50-59 years, male 177.7
GTEX-13NYB-0926-SM-5IFFA 40-49 years, male 176.5
GTEX-OOBK-0625-SM-3LK5P 40-49 years, male 175.8
GTEX-13FHO-1726-SM-DPRZX 60-69 years, male 174.6
GTEX-1N2DV-2026-SM-EV7BL 40-49 years, male 173.7
GTEX-16XZY-0926-SM-7938M 70-79 years, male 172.9
GTEX-1HCU8-2226-SM-9WPOV 60-69 years, female 172.6
GTEX-1GPI7-1026-SM-7MGY2 20-29 years, male 171.5
GTEX-YEC3-2526-SM-CXZIH 50-59 years, male 169.5
GTEX-1F88F-1126-SM-7MKHL 60-69 years, female 169.0
GTEX-13O61-0926-SM-5IFFE 60-69 years, male 162.9
GTEX-1F5PK-1526-SM-7MKGV 50-59 years, male 160.5
GTEX-QEG5-1426-SM-447AS 20-29 years, male 157.3
GTEX-15RJ7-0926-SM-6LPJO 40-49 years, male 157.0
GTEX-Q2AG-1326-SM-43V8K 40-49 years, female 156.8
GTEX-X62O-2226-SM-46MW3 50-59 years, male 149.6
GTEX-1CB4J-2426-SM-7MXVC 60-69 years, male 149.6
GTEX-WFON-0826-SM-4LVMI 40-49 years, male 149.4
GTEX-1LGOU-0526-SM-D3LAO 20-29 years, female 149.1
GTEX-11I78-1526-SM-5A5K7 50-59 years, female 147.7
GTEX-ZZ64-0226-SM-5E44X 20-29 years, male 140.4
GTEX-RTLS-1126-SM-46MUQ 60-69 years, female 136.7
GTEX-YF7O-0926-SM-5IFIF 50-59 years, male 136.3
GTEX-11ZTS-2626-SM-5EGIC 60-69 years, female 135.6
GTEX-13NZB-1226-SM-5J2MW 30-39 years, male 131.9
GTEX-17EUY-1426-SM-7938X 20-29 years, male 130.5
GTEX-11XUK-0826-SM-5GU6P 40-49 years, female 130.4
GTEX-148VJ-1026-SM-5LU98 70-79 years, male 129.2
GTEX-14BMU-0926-SM-5S2QB 20-29 years, female 128.9
GTEX-WH7G-0926-SM-4LVMJ 40-49 years, male 128.1
GTEX-VJYA-0726-SM-4KL1T 60-69 years, male 127.9
GTEX-ZY6K-0626-SM-59HJL 50-59 years, male 125.6
GTEX-13D11-1926-SM-5IFGB 50-59 years, female 123.1
GTEX-13S86-0826-SM-5SI6J 40-49 years, male 122.0
GTEX-12WSN-5013-SM-7P8P9 40-49 years, male 121.7
GTEX-1EU9M-2326-SM-7MKGS 60-69 years, male 121.5
GTEX-13OVI-2626-SM-5KM4T 60-69 years, female 120.4
GTEX-15RJE-0926-SM-6LLHZ 40-49 years, male 117.6
GTEX-1497J-2726-SM-5SI9W 60-69 years, male 117.2
GTEX-15ETS-1926-SM-7KUN5 40-49 years, female 116.5
GTEX-133LE-0626-SM-5IFFJ 20-29 years, female 114.7
GTEX-OXRK-1326-SM-3NB1A 50-59 years, female 110.5
GTEX-1H1ZS-1526-SM-9OSXR 70-79 years, male 108.3
GTEX-1H3VY-2026-SM-9JGHK 50-59 years, male 105.1
GTEX-14BIN-2726-SM-5RQIE 50-59 years, female 104.9
GTEX-1EX96-2226-SM-7MKGT 50-59 years, male 104.7
GTEX-11EMC-2226-SM-5A5JW 60-69 years, female 103.0
GTEX-ZYVF-2226-SM-5GIDD 50-59 years, female 102.4
GTEX-16BQI-1526-SM-6LLIE 30-39 years, female 100.7
GTEX-144GM-1426-SM-5LU31 20-29 years, male 100.5
GTEX-PVOW-1626-SM-48TC9 40-49 years, male 99.2
GTEX-1AYD5-0926-SM-793AF 50-59 years, male 95.5
GTEX-16MT8-1326-SM-6M47R 60-69 years, female 93.8
GTEX-QCQG-0626-SM-48U21 50-59 years, female 93.4
GTEX-13JVG-2026-SM-5KM1N 60-69 years, male 93.1
GTEX-14PJN-0526-SM-68724 30-39 years, male 90.6
GTEX-UJHI-0826-SM-4IHLM 50-59 years, female 89.3
GTEX-18A7A-2326-SM-7KFRH 50-59 years, female 88.9
GTEX-1RAZA-1326-SM-DPS12 20-29 years, male 87.9
GTEX-1EMGI-1926-SM-7938Y 60-69 years, male 86.2
GTEX-1RAZR-1226-SM-E6CRD 40-49 years, male 85.9
GTEX-Y5V5-1626-SM-4VDSG 60-69 years, female 85.6
GTEX-1QP9N-0926-SM-E9U5S 30-39 years, male 84.3
GTEX-WRHK-0526-SM-4MVOF 20-29 years, female 83.6
GTEX-16NPX-1626-SM-6LLI5 50-59 years, male 83.3
GTEX-SNMC-0526-SM-4DM69 20-29 years, male 79.4
GTEX-QESD-0826-SM-47J4G 20-29 years, male 79.1
GTEX-1OJC3-0826-SM-DPRYU 20-29 years, male 78.8
GTEX-12WSL-1526-SM-5GCP8 50-59 years, male 77.1
GTEX-16AAH-0726-SM-793A9 50-59 years, male 75.5
GTEX-111YS-0926-SM-5EGGI 60-69 years, male 72.7
GTEX-145LV-1326-SM-5S2QI 50-59 years, male 71.1
GTEX-1I1CD-1726-SM-A9G3P 60-69 years, female 70.1
GTEX-13QBU-1026-SM-5LU3R 40-49 years, female 69.3
GTEX-Y3I4-1226-SM-4TT8N 50-59 years, male 67.1
GTEX-145LT-1126-SM-5LUA1 40-49 years, male 67.0
GTEX-Y8E4-1726-SM-5LU9G 40-49 years, male 66.8
GTEX-1A3MV-1326-SM-7LG6C 30-39 years, male 65.6
GTEX-13X6I-1026-SM-5LU4C 60-69 years, male 64.6
GTEX-1LVAM-1126-SM-DHXKP 50-59 years, female 64.6
GTEX-1KANB-1826-SM-DHXJU 50-59 years, male 64.3
GTEX-PLZ4-1626-SM-3P618 50-59 years, female 63.8
GTEX-11DXX-1126-SM-5GZZK 60-69 years, female 63.4
GTEX-1J1OQ-2526-SM-AHZ3Q 40-49 years, female 62.8
GTEX-11VI4-0526-SM-5EQ48 40-49 years, female 61.9
GTEX-SUCS-0726-SM-4DM7J 70-79 years, male 61.0
GTEX-1LBAC-1226-SM-DHXK1 20-29 years, male 60.4
GTEX-14ICL-0526-SM-5RQJ6 30-39 years, male 60.1
GTEX-13W46-1926-SM-5J2MF 50-59 years, male 58.7
GTEX-SNOS-0626-SM-4DM5F 40-49 years, male 58.4
GTEX-S4P3-0426-SM-4AD56 50-59 years, female 56.4
GTEX-RU72-0726-SM-46MUW 50-59 years, female 55.3
GTEX-12WSG-5007-SM-7DUGZ 50-59 years, female 55.0
GTEX-1IDFM-1126-SM-A96SY 60-69 years, male 54.9
GTEX-ZGAY-1126-SM-4WWBS 40-49 years, female 54.1
GTEX-1HCU7-2126-SM-A96SG 50-59 years, male 51.0
GTEX-WFG8-1226-SM-4V6EI 20-29 years, male 50.7
GTEX-11LCK-1726-SM-5S2OQ 30-39 years, male 50.6
GTEX-RNOR-1226-SM-48FDQ 50-59 years, female 49.7
GTEX-WXYG-1226-SM-4ONCJ 50-59 years, female 49.7
GTEX-16MTA-0826-SM-6LLIC 50-59 years, male 49.3
GTEX-1HCUA-1426-SM-9WPP7 50-59 years, female 49.2
GTEX-17F9E-1926-SM-7IGQF 50-59 years, male 48.7
GTEX-1QP29-2126-SM-E6CPZ 50-59 years, male 47.7
GTEX-QLQW-0526-SM-4R1KS 30-39 years, male 47.4
GTEX-12WSK-1126-SM-5LZV8 40-49 years, female 45.3
GTEX-1AX8Z-5016-SM-AHZ2B 60-69 years, male 44.4
GTEX-1M5QR-0726-SM-DHXK7 40-49 years, male 43.2
GTEX-1I4MK-0426-SM-B2LWQ 50-59 years, female 43.1
GTEX-1E1VI-1526-SM-7IGQ2 50-59 years, male 42.9
GTEX-UJMC-0926-SM-4IHLK 50-59 years, male 42.5
GTEX-T5JW-1326-SM-4DM5G 20-29 years, female 42.0
GTEX-1JMQK-2026-SM-C1YQN 60-69 years, male 40.3
GTEX-R3RS-1326-SM-48FE7 40-49 years, female 39.5
GTEX-1IKK5-1326-SM-AHZ2X 60-69 years, male 38.5
GTEX-ZYW4-1326-SM-5E45N 60-69 years, male 38.2
GTEX-1MA7W-0426-SM-E9TJ5 20-29 years, female 38.2
GTEX-131XF-0826-SM-5GICG 60-69 years, male 38.1
GTEX-1CB4F-1526-SM-7MKFM 60-69 years, male 37.8
GTEX-1N2EE-2426-SM-EXOIO 60-69 years, male 35.8
GTEX-ZYFG-1126-SM-5GICY 60-69 years, female 35.6
GTEX-15SB6-0726-SM-6M48F 50-59 years, female 34.9
GTEX-N7MT-0326-SM-48TDP 60-69 years, female 34.8
GTEX-QDVN-1026-SM-48TZA 50-59 years, male 33.8
GTEX-OXRL-0626-SM-3NM9C 50-59 years, male 33.7
GTEX-1IDJF-1226-SM-C1YPX 20-29 years, male 32.5
GTEX-ZAB4-1126-SM-5HL86 40-49 years, male 30.7
GTEX-13X6H-1326-SM-5LU42 50-59 years, female 30.6
GTEX-P4PP-0626-SM-3NM9X 30-39 years, female 29.7
GTEX-XUZC-0426-SM-4BOPE 30-39 years, female 29.7
GTEX-QEL4-1426-SM-447AC 50-59 years, male 29.5
GTEX-148VI-1026-SM-5TDDJ 60-69 years, female 29.4
GTEX-Y114-0926-SM-4TT7J 50-59 years, female 29.1
GTEX-1C475-0926-SM-7MKFI 40-49 years, female 28.0
GTEX-145ME-5004-SM-7MGXP 40-49 years, female 27.9
GTEX-12WSA-1426-SM-5EGJU 60-69 years, male 27.6
GTEX-18D9U-2126-SM-7LG4Y 40-49 years, male 26.6
GTEX-1R9K5-1526-SM-DPRZA 50-59 years, male 26.5
GTEX-XGQ4-1526-SM-4AT6H 50-59 years, male 26.3
GTEX-Y111-1626-SM-57WCY 50-59 years, male 26.3
GTEX-14PJ6-1026-SM-686ZB 60-69 years, female 26.2
GTEX-1HCU6-1326-SM-A96TZ 60-69 years, female 26.2
GTEX-145MO-1426-SM-DTX9W 60-69 years, male 26.1
GTEX-XMD2-1326-SM-4YCET 60-69 years, female 25.1
GTEX-11ZU8-1526-SM-5EGHX 60-69 years, male 25.0
GTEX-ZVE2-1326-SM-5NQ94 50-59 years, male 25.0
GTEX-1B8KZ-0726-SM-7938W 50-59 years, male 24.9
GTEX-1JKYR-2126-SM-CNNPC 20-29 years, male 24.7
GTEX-1MCQQ-1026-SM-EV7AX 60-69 years, male 24.5
GTEX-OIZI-1426-SM-3NB1T 40-49 years, male 24.0
GTEX-15F5U-5010-SM-AHZ2D 40-49 years, male 23.4
GTEX-146FQ-1026-SM-5LU8I 30-39 years, male 22.5
GTEX-1QCLZ-1626-SM-E9U5R 60-69 years, female 22.0
GTEX-ZF3C-1626-SM-4WWB4 50-59 years, female 21.7
GTEX-16NGA-1426-SM-718AC 40-49 years, female 21.3
GTEX-WFG7-1126-SM-4LMK3 20-29 years, male 21.2
GTEX-XV7Q-1126-SM-4BRVS 40-49 years, female 21.2
GTEX-1GF9U-0826-SM-7MXTZ 40-49 years, female 19.9
GTEX-1AMEY-0226-SM-7189Q 30-39 years, female 19.7
GTEX-V955-1126-SM-4JBH3 60-69 years, male 19.1
GTEX-1399U-1026-SM-5J1OC 50-59 years, female 18.9
GTEX-X15G-0826-SM-4PQZD 50-59 years, female 18.9
GTEX-1GTWX-1326-SM-9JGHU 60-69 years, male 18.9
GTEX-1B97I-0926-SM-731DZ 40-49 years, male 18.2
GTEX-ZDYS-0826-SM-4WWCR 50-59 years, male 18.2
GTEX-SJXC-1426-SM-EYYVB 60-69 years, male 18.1
GTEX-1I6K7-1426-SM-B2LXP 40-49 years, male 17.7
GTEX-YJ89-1526-SM-5P9IR 60-69 years, male 16.9
GTEX-1F5PL-1726-SM-9QEGL 40-49 years, female 16.7
GTEX-1I1GP-1026-SM-C1YRZ 50-59 years, male 16.7
GTEX-WFJO-0826-SM-4LVM5 30-39 years, male 16.3
GTEX-14JG6-0926-SM-6871Y 30-39 years, female 16.1
GTEX-17F97-1326-SM-7MGVO 50-59 years, male 15.7
GTEX-1RLM8-0726-SM-E6CRH 50-59 years, male 15.4
GTEX-1HC8U-1526-SM-9WPO4 40-49 years, female 15.0
GTEX-1J1R8-0326-SM-AHZ3D 40-49 years, male 15.0
GTEX-13CF3-1626-SM-5IFG9 60-69 years, female 14.8
GTEX-RUSQ-0826-SM-47JWW 50-59 years, male 14.8
GTEX-1AX9K-1126-SM-731DQ 50-59 years, male 14.6
GTEX-1CB4I-1026-SM-7MKFZ 50-59 years, male 14.3
GTEX-13OVJ-1226-SM-5L3HA 50-59 years, female 13.3
GTEX-145MF-1426-SM-5O9B6 50-59 years, male 13.0
GTEX-U3ZN-1726-SM-4DXUQ 30-39 years, female 13.0
GTEX-TMMY-1126-SM-4DXSX 40-49 years, female 12.7
GTEX-11DYG-1326-SM-5N9DO 60-69 years, male 12.5
GTEX-13W3W-1626-SM-5LU35 60-69 years, female 12.5
GTEX-S7SF-0926-SM-4AD4M 20-29 years, female 12.4
GTEX-1LGRB-1626-SM-CNNR7 50-59 years, female 12.1
GTEX-1MJIX-0826-SM-DTXEO 40-49 years, male 12.1
GTEX-169BO-0526-SM-793AK 50-59 years, male 12.0
GTEX-U3ZH-1026-SM-4DXUZ 30-39 years, male 12.0
GTEX-1A8FM-1526-SM-7MXTA 50-59 years, female 12.0
GTEX-S33H-0826-SM-4AD5Y 30-39 years, male 11.7
GTEX-1B97J-1026-SM-7MXTE 50-59 years, female 11.6
GTEX-139TU-1226-SM-5J2NL 60-69 years, male 11.5
GTEX-1PFEY-0826-SM-E9U6A 30-39 years, male 11.2
GTEX-1R9JW-1526-SM-DPRZK 30-39 years, female 10.9
GTEX-WHWD-0926-SM-4OORY 50-59 years, male 10.8
GTEX-WYJK-1926-SM-4ONDP 50-59 years, male 10.7
GTEX-ZEX8-1426-SM-4WKHQ 50-59 years, male 10.6
GTEX-1OKEX-1326-SM-E9J2U 60-69 years, male 10.2
GTEX-15EO6-1026-SM-7KUG9 50-59 years, male 9.8
GTEX-WK11-1026-SM-4OOS8 50-59 years, male 9.7
GTEX-1HSMQ-2026-SM-B2LY1 50-59 years, male 9.7
GTEX-13O21-0626-SM-5IJDI 50-59 years, male 9.6
GTEX-UPJH-1026-SM-EAZB2 50-59 years, male 9.6
GTEX-146FR-0426-SM-5SI97 60-69 years, female 9.5
GTEX-1QP67-0726-SM-DPRY1 40-49 years, female 9.5
GTEX-144GO-2726-SM-5O9A2 60-69 years, male 9.3
GTEX-ZA64-0626-SM-5HL9O 20-29 years, male 9.3
GTEX-1F52S-1426-SM-7P8PU 60-69 years, female 9.3
GTEX-12KS4-0926-SM-5BC5S 30-39 years, male 9.0
GTEX-11EI6-1526-SM-5P9GL 60-69 years, male 8.7
GTEX-NPJ8-1926-SM-3MJGB 40-49 years, male 8.7
GTEX-1LSVX-1226-SM-DHXJN 60-69 years, male 8.6
GTEX-1212Z-2126-SM-5FQTM 60-69 years, male 8.5
GTEX-15UF6-2326-SM-6M465 70-79 years, female 8.5
GTEX-ZYY3-1526-SM-5SIA9 60-69 years, female 8.3
GTEX-YECK-1626-SM-5IFHQ 60-69 years, male 8.0
GTEX-1EN7A-1226-SM-7MGX9 40-49 years, male 7.6
GTEX-15DCD-1626-SM-6AJBH 70-79 years, female 7.4
GTEX-ZTX8-0226-SM-5E44D 20-29 years, male 7.4
GTEX-1H3NZ-1326-SM-9JGHI 60-69 years, male 7.4
GTEX-Y5V6-1026-SM-4VBS2 60-69 years, male 7.3
GTEX-ZT9X-0526-SM-5GCOP 40-49 years, male 7.3
GTEX-PSDG-1326-SM-48TD2 50-59 years, male 7.2
GTEX-1H1DE-1026-SM-9JGH6 20-29 years, male 7.2
GTEX-13PVQ-1726-SM-5IFF3 50-59 years, male 7.0
GTEX-1GL5R-1526-SM-7MKHO 50-59 years, male 6.9
GTEX-TSE9-1226-SM-4DXTM 60-69 years, female 6.8
GTEX-WOFM-0626-SM-4OOS3 20-29 years, male 6.4
GTEX-18465-1126-SM-7LG6E 50-59 years, male 6.1
GTEX-1HGF4-0926-SM-9WPP8 60-69 years, male 5.9
GTEX-1HSGN-1626-SM-A96U2 40-49 years, female 5.8
GTEX-1F7RK-1526-SM-7P8T6 20-29 years, female 5.6
GTEX-1RAZQ-1726-SM-EAZ4T 30-39 years, male 5.5
GTEX-P4QS-0626-SM-3NMD1 60-69 years, male 4.9
GTEX-139UW-1126-SM-5IJEJ 60-69 years, male 4.7
GTEX-145LS-1826-SM-5LUAZ 60-69 years, female 4.4
GTEX-R45C-1226-SM-48FEE 60-69 years, female 4.4
GTEX-1BAJH-2026-SM-7P8OZ 70-79 years, male 4.4
GTEX-13111-0826-SM-5LZV3 50-59 years, male 4.3
GTEX-Y8LW-0726-SM-5IFI1 50-59 years, female 4.2
GTEX-ZV68-0926-SM-59HK7 50-59 years, female 4.1
GTEX-ZXES-1126-SM-5GZXN 30-39 years, female 4.1
GTEX-ZYFC-1626-SM-5N9EU 50-59 years, male 4.1
GTEX-1LVA9-2126-SM-DLHBY 50-59 years, male 3.9
GTEX-XLM4-2326-SM-4AT5E 60-69 years, male 3.5
GTEX-S32W-0926-SM-4AD5X 50-59 years, female 3.0
GTEX-ZAJG-1326-SM-5S2NV 50-59 years, female 3.0
GTEX-183WM-1726-SM-7KFT5 70-79 years, female 2.7
GTEX-R55D-1126-SM-48FEB 50-59 years, male 2.4
GTEX-15DCE-1326-SM-6LPJL 20-29 years, male 2.3
GTEX-145MN-1026-SM-5NQ9G 30-39 years, male 2.2
GTEX-OHPN-1026-SM-E9TI8 60-69 years, female 2.2
GTEX-144GN-0626-SM-5O9B2 50-59 years, male 2.1
GTEX-1GN1U-1826-SM-9JGH2 50-59 years, female 2.1
GTEX-ZAB5-0926-SM-5CVMV 50-59 years, male 1.9
GTEX-ZZPT-1426-SM-5N9C5 50-59 years, male 1.8
GTEX-1JMPZ-2026-SM-C1YR8 30-39 years, male 1.7
GTEX-1LNCM-0626-SM-EV7AI 50-59 years, female 1.7
GTEX-11DZ1-2026-SM-5A5KG 50-59 years, male 1.6
GTEX-P78B-1026-SM-3NMC4 40-49 years, female 1.6
GTEX-1K9T9-2026-SM-CXZK3 50-59 years, female 1.6
GTEX-1NUQO-1126-SM-DTX98 20-29 years, female 1.6
GTEX-1GMR8-1826-SM-9WYUE 50-59 years, female 1.4
GTEX-1KD4Q-1126-SM-CXZKK 40-49 years, male 1.2
GTEX-13U4I-1126-SM-5LU3S 40-49 years, female 1.1
GTEX-144FL-2726-SM-5O98Z 50-59 years, male 0.7
GTEX-12ZZW-1726-SM-5DUVD 50-59 years, male 0.6
GTEX-14BIM-1326-SM-7EWD1 60-69 years, female 0.5
GTEX-N7MS-1225-SM-3LK5G 60-69 years, male 0.1
GTEX-132Q8-1826-SM-5EGIY 60-69 years, male 0.0
GTEX-178AV-0526-SM-6LPJH 40-49 years, male 0.0
GTEX-1QW4Y-0526-SM-EAZ3V 30-39 years, male 0.0
Show allShow less

ESOPHAGUS - FANTOM5 CAGEi

RNA expression in human tissues obtained through Cap Analysis of Gene Expression (CAGE) generated by the FANTOM5 project are reported as Scaled Tags Per Million.

Max subtype Scaled Tags Per Millioni

Max subtype Scaled Tags Per Million is the value for the subtype with the largest average Scaled Tags Per Million across the subtype samples.

33.5
FANTOM5 sample id Sample description Scaled Tags Per Million
Esophagus
Scaled Tags Per Million: 33.5
FF:10015-101C6 68,74,75 years, mixed 33.5

Contact

  • NEWS ARTICLES
  • PRESS ROOM

The Project

  • INTRODUCTION
  • ORGANIZATION
  • PUBLICATIONS

The Human Protein Atlas

  • DOWNLOADABLE DATA
  • LICENCE & CITATION
  • HELP & FAQ
The Human Protein Atlas project is funded
by the Knut & Alice Wallenberg Foundation.


contact@proteinatlas.org