We use cookies to enhance the usability of our website. If you continue, we'll assume that you are happy to receive all cookies. More information. Don't show this again.
PLA2G2A
HPA
RESOURCES
  • TISSUE
  • BRAIN
  • SINGLE CELL
  • SUBCELLULAR
  • CANCER
  • BLOOD
  • CELL LINE
  • STRUCTURE & INTERACTION
ABOUT
  • INTRODUCTION
  • HISTORY
  • ORGANIZATION
  • PUBLICATIONS
  • ANTIBODY SUBMISSION
  • ANTIBODY AVAILABILITY
  • ACKNOWLEDGMENTS
  • CONTACT
NEWS
  • NEWS ARTICLES
  • PRESS ROOM
LEARN
  • DICTIONARY
  • PROTEIN CLASSES
  • PROTEIN EVIDENCE
  • METHODS
  • EDUCATIONAL VIDEOS
DATA
  • DOWNLOADABLE DATA
  • PUBLICATION DATA
  • RELEASE HISTORY
HELP
  • ANTIBODY VALIDATION
  • ASSAYS & ANNOTATION
  • DISCLAIMER
  • HELP & FAQ
  • PRIVACY STATEMENT
  • LICENCE & CITATION
Fields »
Search result

Field
Term
Gene name
Class
Subclass
Class
Keyword
Chromosome
External id
Tissue
Cell type
Expression
Antibody panel
Tissue
Main location
Patient ID
Annotation
Tissue
Category
Tau score
Cluster
Reliability
Brain region
Category
Tau score
Brain region
Category
Tau score
Brain region
Category
Tau score
Cluster
Reliability
Tissue
Cell type
Enrichment
Cell type
Category
Tau score
Cell type
Category
Tau score
Cell type
Category
Tau score
Cell lineage
Category
Tau score
Cluster
Cluster
Location
Searches
Location
Cell line
Class
Type
Phase
Reliability
Cancer
Prognosis
Cancer
Category
Cancer
Category
Tau score
Cluster
Variants
Interacting gene (ensg_id)
Type
Number of interactions
Pathway
Category
Score
Score
Score
Validation
Validation
Validation
Validation
Antibodies
Data type
Column


  • SUMMARY

  • TISSUE

  • BRAIN

  • SINGLE CELL

  • SUBCELL

  • CANCER

  • BLOOD

  • CELL LINE

  • STRUCT & INT

  • PLA2G2A
TISSUE PRIMARY DATA SKIN Show tissue menu
ADIPOSE TISSUE ADRENAL GLAND AMYGDALA APPENDIX BASAL GANGLIA BONE MARROW BREAST BRONCHUS CEREBELLUM CEREBRAL CORTEX CERVIX CHOROID PLEXUS COLON DUODENUM
ENDOMETRIUM EPIDIDYMIS ESOPHAGUS FALLOPIAN TUBE GALLBLADDER HEART MUSCLE HIPPOCAMPAL FORMATION HYPOTHALAMUS KIDNEY LIVER LUNG LYMPH NODE MIDBRAIN NASOPHARYNX
ORAL MUCOSA OVARY PANCREAS PARATHYROID GLAND PITUITARY GLAND PLACENTA PROSTATE RECTUM RETINA SALIVARY GLAND SEMINAL VESICLE SKELETAL MUSCLE SKIN SMALL INTESTINE
SMOOTH MUSCLE SOFT TISSUE SPINAL CORD SPLEEN STOMACH TESTIS THYMUS THYROID GLAND TONGUE TONSIL URINARY BLADDER VAGINA
ANTIBODIES
AND
VALIDATION
Dictionary
Skin
Tissue proteome
Skin
SKIN - Expression summary
Protein expression
Skini

On the top, protein expression in current human tissue, based on all annotated cell types, is reported with the units not detected (n), low (l), medium (m) and high (h). Underneath, protein expression in each annotated cell type are reported using the same units.

Protein expression data is based on knowledge-based annotation. For genes where more than one antibody has been used, a collective score is set.

If knowledge-based annotation could not be performed for a gene, no data is displayed here. View antibody staining data further down this page.

h
m
l
n
Cells in basal layer: Not detected
Cells in corneal layer: Not detected
Cells in granular layer: Not detected
Cells in spinous layer: Medium
Eccrine glands: Not detected
Endothelial cells: Not detected
Extracellular matrix: Medium
Fibrohistiocytic cells: Not detected
Hair follicles: Medium
Langerhans cells: Not detected
Lymphocytes: Not detected
Melanocytes: Not detected
Vascular mural cells: Not detected
RNA expressioni

A summary of mRNA expression data available for current tissue based on several datasets. The mRNA expression levels in human tissues are based on RNA-seq data generated by the Human Protein Atlas (HPA), Genotype-Tissue Expression (GTEx) portal and CAGE data generated by the FANTOM5 consortium. Consensus normalized expression levels for human tissues was created by combining the data from HPA and GTEx datasets.

The mRNA expression levels in pig are based on RNA-seq data generated by the Human Protein Atlas (HPA), and for mouse, HPA data and in situ hybridization generated by the Allen brain atlas are reported.

Scroll down to view mRNA expression data in more detail.
Consensus:17.5 nTPM
HPA:1.5 nTPM
GTEx:17.5 nTPM

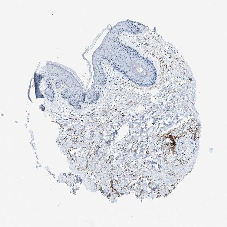
SKIN 1 - Antibody stainingi

Antibody staining in the annotated cell types in the current human tissue is reported as not detected, low, medium, or high, based on conventional immunohistochemistry profiling in selected tissues. This score is based on the combination of the staining intensity and fraction of stained cells.

Each image is clickable and will lead to virtual microscopy that enables deeper exploration of all samples and also displays staining intensity scores, fraction scores and subcellular localization as well as patient and tissue information for each sample.

Antibody HPA015236
Cells in basal layer Not detected
Cells in corneal layer Not detected
Cells in granular layer Not detected
Cells in spinous layer Not detected
Eccrine glands Not detected
Endothelial cells Not detected
Extracellular matrix Not detected
Fibrohistiocytic cells Not detected
Langerhans cells Not detected
Lymphocytes Not detected
Melanocytes Not detected
Vascular mural cells Not detected
 
SKIN 2 - Antibody stainingi

Antibody staining in the annotated cell types in the current human tissue is reported as not detected, low, medium, or high, based on conventional immunohistochemistry profiling in selected tissues. This score is based on the combination of the staining intensity and fraction of stained cells.

Each image is clickable and will lead to virtual microscopy that enables deeper exploration of all samples and also displays staining intensity scores, fraction scores and subcellular localization as well as patient and tissue information for each sample.

Antibody HPA015236
Cells in basal layer Not detected
Cells in corneal layer Not detected
Cells in granular layer Not detected
Cells in spinous layer Medium
Eccrine glands Not detected
Endothelial cells Not detected
Extracellular matrix Medium
Fibrohistiocytic cells Not detected
Hair follicles Medium
Langerhans cells Not detected
Lymphocytes Not detected
Melanocytes Not detected
Vascular mural cells Not detected


SKIN - HPA RNA-seqi

The RNA-seq details section shows detailed information about the individual samples used for the transcript profiling and results of the RNA-seq analysis.

Information about each individual sample is listed below, including gender, age, a tissue section image and estimated fractions of cell types. nTPM (normalized transcripts per million) values give a quantification of the gene abundance which is comparable between different genes and samples.
Average nTPMi

Max subtype nTPM is the value for the subtype with the largest average nTPM across the subtype samples.

1.5
overview
Female, age 34
Skin sample 225
nTPM: 1.6
Cell types%
Keratinocytes:
60

Other cell types:
40

overview
Female, age 30
Skin sample 226
nTPM: 1.2
Cell types%
Keratinocytes:
55

Other cell types:
45

N/A
Male, age 57
Skin sample 227
nTPM: 1.6

SKIN - GTEx RNA-seqi

RNA-Seq data generated by the Genotype-Tissue Expression (GTEx) project from human tissues is reported as mean nTPM. More information can be found on the GTEx portal.

Distribution across the dataset is visualized with box plots, shown as median and 25th and 75th percentiles. Points are displayed as outliers if they are above or below 1.5 times the interquartile range. nTPM values of the individual samples are presented next to the box plot.
Max subtype nTPMi

Max subtype nTPM is the value for the subtype with the largest average nTPM across the subtype samples.

17.5
GTEx sample id Sample description nTPM
Skin - Not Sun Exposed (Suprapubic)
Average nTPM: 13.1
Samples: 604

Max nTPM: 296.3
Min nTPM: 0.0
Std nTPM: 26.8
Median nTPM: 5.2
GTEX-WFG8-2126-SM-3GIKQ 20-29 years, male 296.3
GTEX-1AX8Z-0726-SM-73KTS 60-69 years, male 273.1
GTEX-1IDJF-2026-SM-CL53V 20-29 years, male 226.2
GTEX-146FQ-2126-SM-5RQHU 30-39 years, male 169.1
GTEX-18D9B-0926-SM-7LG4U 60-69 years, male 132.4
GTEX-13FH7-1126-SM-5K7UG 50-59 years, female 119.7
GTEX-12WSL-2026-SM-5GCML 50-59 years, male 115.5
GTEX-15G19-2426-SM-7KUMR 60-69 years, male 115.5
GTEX-1HC8U-1326-SM-9YFMJ 40-49 years, female 113.7
GTEX-14PJO-2526-SM-6AJBQ 60-69 years, male 112.5
GTEX-Y5LM-0926-SM-6LLJG 40-49 years, female 99.8
GTEX-1QP66-1226-SM-DTX7U 50-59 years, male 99.8
GTEX-WI4N-2726-SM-3LK7Y 40-49 years, female 99.5
GTEX-WH7G-2026-SM-3NMBL 40-49 years, male 94.4
GTEX-UPJH-0226-SM-3GADV 50-59 years, male 91.8
GTEX-1497J-0226-SM-5QGPU 60-69 years, male 79.8
GTEX-13113-1626-SM-5EQ4I 60-69 years, female 73.7
GTEX-1CAMR-1326-SM-7PC1F 20-29 years, male 68.3
GTEX-1JN1M-2726-SM-CY8I4 60-69 years, female 65.4
GTEX-U8XE-0226-SM-4E3J3 30-39 years, male 64.2
GTEX-1L5NE-1126-SM-D3L9P 50-59 years, male 64.0
GTEX-1IDJE-1426-SM-ADEIW 50-59 years, female 63.7
GTEX-YB5K-2026-SM-4VDT3 40-49 years, female 62.7
GTEX-18A66-0626-SM-7LT8Z 60-69 years, male 60.3
GTEX-1JMQL-2226-SM-CNPP4 50-59 years, female 60.0
GTEX-14JG6-1426-SM-9WG7C 30-39 years, female 59.0
GTEX-ZGAY-1826-SM-DO91Q 40-49 years, female 58.0
GTEX-132AR-0326-SM-5KM2C 50-59 years, female 55.5
GTEX-16BQI-1326-SM-6M486 30-39 years, female 54.8
GTEX-WFON-1926-SM-3LK7L 40-49 years, male 54.8
GTEX-13OVJ-0826-SM-5J1OK 50-59 years, female 53.1
GTEX-145ME-1726-SM-5Q5EU 40-49 years, female 52.0
GTEX-1117F-2926-SM-5GZYI 60-69 years, female 50.2
GTEX-1PDJ9-1226-SM-EXUSX 20-29 years, male 49.7
GTEX-17HG3-2626-SM-7DUF2 30-39 years, female 49.1
GTEX-1IDJC-1526-SM-B2LW4 50-59 years, male 48.5
GTEX-1LVAN-0626-SM-CNPOQ 50-59 years, female 47.4
GTEX-X4EP-0626-SM-3P621 60-69 years, female 47.3
GTEX-1H3NZ-2726-SM-9WYTQ 60-69 years, male 47.0
GTEX-14BMU-1226-SM-5S2OR 20-29 years, female 46.1
GTEX-1GF9U-2026-SM-7SB92 40-49 years, female 44.1
GTEX-183FY-1026-SM-7939A 20-29 years, male 43.8
GTEX-1IDJD-2326-SM-ACKWX 30-39 years, male 43.5
GTEX-1H1DG-2426-SM-9QEHJ 70-79 years, male 42.8
GTEX-15G1A-1626-SM-7KUKN 30-39 years, male 42.5
GTEX-1JMQK-1226-SM-D4P2S 60-69 years, male 42.2
GTEX-1RB15-1326-SM-E76Q9 60-69 years, male 40.6
GTEX-XBED-1926-SM-47JYP 60-69 years, male 38.7
GTEX-ZYFG-1526-SM-5GZYM 60-69 years, female 38.4
GTEX-1HCU6-2526-SM-ADEHL 60-69 years, female 37.1
GTEX-17HGU-2326-SM-7DUFE 50-59 years, male 35.9
GTEX-ZAJG-1526-SM-5CVML 50-59 years, female 35.6
GTEX-11EQ9-1626-SM-5PNY8 30-39 years, male 35.0
GTEX-1399R-1326-SM-5PNYS 30-39 years, male 35.0
GTEX-ZF3C-0626-SM-DO92O 50-59 years, female 34.7
GTEX-1H1E6-0426-SM-9WYUS 30-39 years, male 34.5
GTEX-14XAO-1226-SM-6EU1C 60-69 years, female 34.2
GTEX-139YR-1026-SM-5LZYN 50-59 years, male 33.7
GTEX-1QCLZ-2426-SM-EVYBW 60-69 years, female 32.9
GTEX-15EU6-2226-SM-6EU2L 50-59 years, male 32.7
GTEX-15FZZ-0526-SM-7KUGD 30-39 years, female 32.2
GTEX-ZDYS-2426-SM-4WKGI 50-59 years, male 31.6
GTEX-ZTTD-2826-SM-4YCFA 50-59 years, male 31.0
GTEX-1GF9W-1426-SM-7PBYM 60-69 years, male 30.9
GTEX-1JJ6O-2726-SM-CNPOG 60-69 years, male 30.4
GTEX-1B97I-0626-SM-73KUZ 40-49 years, male 30.3
GTEX-WHPG-2626-SM-3NMBR 50-59 years, male 29.9
GTEX-147F3-1726-SM-5SIAW 50-59 years, female 29.4
GTEX-14E1K-2026-SM-7DUEI 50-59 years, male 29.2
GTEX-133LE-2326-SM-5K7W3 20-29 years, female 28.8
GTEX-14PK6-0226-SM-62LF5 70-79 years, female 28.5
GTEX-1GMR2-0826-SM-7PC3V 50-59 years, male 28.5
GTEX-14A5H-0826-SM-5QGPJ 60-69 years, male 28.3
GTEX-ZPIC-0526-SM-DO91W 40-49 years, female 27.9
GTEX-XYKS-1426-SM-4BRUO 60-69 years, female 27.6
GTEX-13OVG-1626-SM-5J1NF 60-69 years, male 27.4
GTEX-17F9E-2326-SM-79OKD 50-59 years, male 27.2
GTEX-1HCUA-0826-SM-ADEHM 50-59 years, female 26.4
GTEX-1GTWX-2026-SM-9YFLM 60-69 years, male 26.1
GTEX-Y3I4-1726-SM-4TT89 50-59 years, male 26.0
GTEX-13OVK-1426-SM-6PAN7 40-49 years, male 25.8
GTEX-ZZPU-0826-SM-5GZX5 50-59 years, female 25.0
GTEX-145MO-2826-SM-5LU96 60-69 years, male 24.8
GTEX-14E6E-0526-SM-793DN 30-39 years, male 24.6
GTEX-13X6K-0626-SM-5LU5D 60-69 years, female 24.3
GTEX-145MN-1526-SM-5SI9T 30-39 years, male 23.5
GTEX-13O3Q-0126-SM-5KM34 50-59 years, male 23.4
GTEX-11P81-2226-SM-5PNYI 30-39 years, female 23.1
GTEX-18D9A-1426-SM-7LT8M 30-39 years, female 22.9
GTEX-1I4MK-0126-SM-CY8G6 50-59 years, female 22.3
GTEX-131XG-0326-SM-5L3DX 50-59 years, female 22.2
GTEX-1KXAM-1626-SM-D3LAD 60-69 years, male 21.3
GTEX-145LS-0626-SM-7EPG7 60-69 years, female 20.8
GTEX-14DAR-1226-SM-73KYV 50-59 years, male 20.8
GTEX-1PIGE-1826-SM-E8VOU 20-29 years, male 20.7
GTEX-1QP9N-1226-SM-E76QN 30-39 years, male 20.6
GTEX-WEY5-2326-SM-3GIKK 40-49 years, female 20.5
GTEX-14C38-0726-SM-5SI6M 50-59 years, male 20.0
GTEX-1ICLY-0826-SM-CMKG1 50-59 years, male 19.8
GTEX-Y5V6-2326-SM-4VDSA 60-69 years, male 19.6
GTEX-11EQ8-0926-SM-5H12V 60-69 years, male 19.5
GTEX-1I6K7-1926-SM-B2LXR 40-49 years, male 19.5
GTEX-1NSGN-0726-SM-DTXEF 50-59 years, male 19.4
GTEX-Y8LW-1526-SM-5IFHL 50-59 years, female 19.2
GTEX-1211K-1526-SM-5FQU4 60-69 years, female 19.1
GTEX-ZYW4-0626-SM-59HJR 60-69 years, male 18.8
GTEX-15D1Q-2826-SM-6LLH7 40-49 years, male 18.5
GTEX-1O9I2-0226-SM-EYYXD 50-59 years, male 18.4
GTEX-1K2DA-1026-SM-CGQGF 50-59 years, male 18.3
GTEX-183WM-0326-SM-72D5V 70-79 years, female 18.1
GTEX-WYJK-0526-SM-3NM8Z 50-59 years, male 18.1
GTEX-14LZ3-0126-SM-69LPM 60-69 years, female 17.9
GTEX-144GM-0526-SM-79OJO 20-29 years, male 17.7
GTEX-WYBS-0626-SM-3NMAS 60-69 years, female 17.6
GTEX-13OW6-2726-SM-5J2OE 50-59 years, male 17.5
GTEX-13W3W-0726-SM-5IJDQ 60-69 years, female 17.2
GTEX-ZPCL-1126-SM-4WWFE 60-69 years, female 17.1
GTEX-1HB9E-0126-SM-CM2S5 50-59 years, male 17.1
GTEX-1LBAC-0826-SM-CY8IJ 20-29 years, male 17.1
GTEX-15RJE-2826-SM-7KUM9 40-49 years, male 16.7
GTEX-13X6H-0926-SM-5SIB2 50-59 years, female 16.5
GTEX-1S3DN-2126-SM-E9TIN 50-59 years, male 16.4
GTEX-11ZTT-2126-SM-5CVLO 60-69 years, female 16.1
GTEX-12WSH-1526-SM-5BC5W 50-59 years, male 16.1
GTEX-145LT-0526-SM-5LUB2 40-49 years, male 16.0
GTEX-17MF6-2626-SM-79OKQ 40-49 years, male 15.9
GTEX-18A7B-2726-SM-7LG56 70-79 years, male 15.9
GTEX-1K9T9-1526-SM-DIPFR 50-59 years, female 15.8
GTEX-14PII-0726-SM-6EU2B 60-69 years, male 15.3
GTEX-131YS-2826-SM-5EQ47 60-69 years, female 15.1
GTEX-WHSE-0126-SM-3NMBT 20-29 years, male 15.1
GTEX-11LCK-2226-SM-5HL4Q 30-39 years, male 15.0
GTEX-1CAMS-2226-SM-7PBXQ 40-49 years, female 15.0
GTEX-1GZHY-0626-SM-9KNVC 50-59 years, female 15.0
GTEX-13N11-2326-SM-5IJBF 50-59 years, female 14.9
GTEX-V1D1-2026-SM-3GAF4 50-59 years, male 14.9
GTEX-ZLV1-1526-SM-DO91J 60-69 years, female 14.9
GTEX-Y114-2126-SM-4TT8B 50-59 years, female 14.7
GTEX-WYVS-1626-SM-3NM9R 40-49 years, female 14.6
GTEX-1R9PN-0426-SM-DTXDT 40-49 years, female 14.4
GTEX-1HFI7-2326-SM-CGQFS 50-59 years, female 14.3
GTEX-ZP4G-1426-SM-4WWCL 20-29 years, female 14.2
GTEX-1F75W-2726-SM-7SB8H 60-69 years, male 14.2
GTEX-1H1CY-0126-SM-9YFLY 60-69 years, female 14.2
GTEX-18A7A-0126-SM-731AH 50-59 years, female 14.1
GTEX-1A3MW-0626-SM-731CB 60-69 years, female 14.1
GTEX-X8HC-0626-SM-4E3HQ 50-59 years, female 14.1
GTEX-1CB4J-1326-SM-7P8RX 60-69 years, male 14.0
GTEX-YEC4-1826-SM-4W1YP 40-49 years, male 13.9
GTEX-ZZ64-1026-SM-5GZXG 20-29 years, male 13.9
GTEX-16NGA-0726-SM-731AO 40-49 years, female 13.8
GTEX-1RLM8-2926-SM-E8VON 50-59 years, male 13.8
GTEX-1H1DF-1126-SM-9WG7G 40-49 years, female 13.5
GTEX-1I1GP-1326-SM-A9G28 50-59 years, male 13.5
GTEX-1GN1W-2426-SM-9KNUU 50-59 years, female 13.3
GTEX-11EM3-1226-SM-5N9DD 20-29 years, female 13.2
GTEX-XXEK-1626-SM-4BRUZ 50-59 years, male 13.1
GTEX-1E2YA-2126-SM-7MXUO 50-59 years, male 13.1
GTEX-1HKZK-0726-SM-ACKW2 40-49 years, male 12.9
GTEX-15CHC-1126-SM-6LLHQ 60-69 years, female 12.8
GTEX-16MT8-2926-SM-7DUFO 60-69 years, female 12.8
GTEX-16MTA-0926-SM-6M47Z 50-59 years, male 12.8
GTEX-WY7C-2126-SM-3NB2R 50-59 years, male 12.8
GTEX-1GPI7-1826-SM-9KNU1 20-29 years, male 12.6
GTEX-1I19N-0126-SM-CYPSF 70-79 years, male 12.6
GTEX-1LVA9-2626-SM-EVYD4 50-59 years, male 12.5
GTEX-12WSF-1626-SM-7KUG5 70-79 years, male 12.4
GTEX-1GZ2Q-0126-SM-9WG6M 40-49 years, male 12.3
GTEX-ZA64-1026-SM-5HL8R 20-29 years, male 12.2
GTEX-ZUA1-2626-SM-5NQ92 40-49 years, male 12.1
GTEX-13PVR-0426-SM-5RQK2 60-69 years, female 12.0
GTEX-144GL-0626-SM-5LU4D 50-59 years, male 12.0
GTEX-11GSP-2326-SM-5HL63 60-69 years, female 11.8
GTEX-15DYW-2726-SM-6EU2I 60-69 years, female 11.8
GTEX-14753-0726-SM-5QGQO 60-69 years, male 11.7
GTEX-1314G-1326-SM-5BC6E 30-39 years, male 11.6
GTEX-1LSNM-0826-SM-DIPG8 50-59 years, male 11.2
GTEX-16AAH-0626-SM-793C9 50-59 years, male 11.1
GTEX-1LG7Z-1626-SM-CXKYR 30-39 years, male 11.1
GTEX-XMD2-2126-SM-4YCF8 60-69 years, female 11.0
GTEX-13NZ9-2626-SM-5L3FK 50-59 years, male 10.8
GTEX-1IKOE-1426-SM-CE6T7 30-39 years, female 10.7
GTEX-1QAET-0326-SM-EVR3U 50-59 years, male 10.7
GTEX-13YAN-0226-SM-5TDC6 60-69 years, male 10.6
GTEX-1QP28-1126-SM-EVYC4 50-59 years, female 10.6
GTEX-1N2DV-1526-SM-DTXEP 40-49 years, male 10.3
GTEX-18D9U-0126-SM-731BM 40-49 years, male 10.2
GTEX-1B933-2426-SM-7DHMD 50-59 years, female 10.2
GTEX-WXYG-2026-SM-4E3IY 50-59 years, female 10.1
GTEX-X3Y1-2026-SM-3P5YM 40-49 years, male 10.0
GTEX-13QBU-1226-SM-5LU4G 40-49 years, female 9.8
GTEX-1HSMP-0926-SM-A9SKX 70-79 years, male 9.8
GTEX-1J8QM-2426-SM-A9SLS 60-69 years, female 9.8
GTEX-1HSMO-0626-SM-ACKXC 60-69 years, male 9.7
GTEX-1A32A-0626-SM-731AQ 50-59 years, female 9.6
GTEX-15RIG-0726-SM-7KUM7 40-49 years, male 9.5
GTEX-1MCC2-1826-SM-DIPEX 30-39 years, female 9.5
GTEX-14PJ5-1526-SM-6LLIL 60-69 years, female 9.4
GTEX-17F96-0126-SM-7EWDU 70-79 years, male 9.4
GTEX-148VJ-0626-SM-5LUAW 70-79 years, male 9.2
GTEX-15SHW-0226-SM-7LTAT 60-69 years, male 9.2
GTEX-12ZZZ-0726-SM-5GCNZ 60-69 years, male 9.1
GTEX-16GPK-0626-SM-7KFSF 60-69 years, male 9.1
GTEX-1F75I-2226-SM-7SB8U 40-49 years, male 9.1
GTEX-ZT9W-1126-SM-57WDR 50-59 years, male 9.0
GTEX-1QEPI-2626-SM-DTXF4 60-69 years, female 9.0
GTEX-11DYG-1526-SM-5A5JS 60-69 years, male 8.9
GTEX-X4EO-2926-SM-4E3JH 60-69 years, female 8.9
GTEX-Y3IK-1626-SM-4YCF5 50-59 years, female 8.9
GTEX-1LVAO-2726-SM-E9TJ8 60-69 years, male 8.8
GTEX-1JN6P-2926-SM-CL54D 60-69 years, male 8.7
GTEX-1KAFJ-0126-SM-DIPEK 50-59 years, male 8.6
GTEX-15RJ7-2126-SM-6PAMD 40-49 years, male 8.4
GTEX-1LSVX-2526-SM-DIPEU 60-69 years, male 8.4
GTEX-16NPX-0726-SM-7KULC 50-59 years, male 8.3
GTEX-UPK5-0426-SM-3GAEK 40-49 years, male 8.3
GTEX-1IDJU-1726-SM-CMKHU 60-69 years, female 8.3
GTEX-1IDJV-0126-SM-COH3Y 60-69 years, male 8.3
GTEX-ZDXO-3126-SM-5IJDF 60-69 years, male 8.2
GTEX-ZVE2-2826-SM-5GU51 50-59 years, male 8.2
GTEX-17MFQ-1526-SM-7KFRR 20-29 years, male 8.1
GTEX-1GL5R-1326-SM-7RHHF 50-59 years, male 8.1
GTEX-1PPH7-1126-SM-DTX9A 40-49 years, male 8.1
GTEX-13FTX-1526-SM-5K7VJ 20-29 years, female 8.0
GTEX-145MG-1526-SM-5Q5EM 50-59 years, male 8.0
GTEX-14PKV-1126-SM-6LLJ1 20-29 years, female 8.0
GTEX-ZF29-0926-SM-4WKFZ 60-69 years, female 8.0
GTEX-1N2EE-0626-SM-E76PW 60-69 years, male 8.0
GTEX-1QMI2-2526-SM-E8VNZ 60-69 years, male 8.0
GTEX-1F48J-0726-SM-7RHGS 50-59 years, female 7.9
GTEX-15UF6-1926-SM-7KUDV 70-79 years, female 7.8
GTEX-1ICG6-1226-SM-A9SLN 70-79 years, female 7.8
GTEX-117YX-1926-SM-5GIEC 50-59 years, male 7.7
GTEX-YEC3-1326-SM-DO92X 50-59 years, male 7.7
GTEX-12C56-1526-SM-5FQUQ 20-29 years, male 7.6
GTEX-1477Z-0326-SM-7IGLA 60-69 years, male 7.6
GTEX-14C39-1726-SM-5RQIL 40-49 years, male 7.6
GTEX-14PJ4-0226-SM-5YY92 60-69 years, male 7.5
GTEX-16Z82-2626-SM-7KULU 60-69 years, male 7.5
GTEX-X585-2426-SM-46MW2 50-59 years, male 7.5
GTEX-XBEW-1126-SM-4QARW 40-49 years, male 7.5
GTEX-ZLFU-1826-SM-4WWBV 40-49 years, male 7.5
GTEX-13NYS-0626-SM-5L3F1 60-69 years, male 7.4
GTEX-16MT9-0126-SM-7EPI8 60-69 years, female 7.4
GTEX-1R9K4-2826-SM-DTX8F 60-69 years, male 7.4
GTEX-144FL-0626-SM-5LU43 50-59 years, male 7.3
GTEX-14PJN-1826-SM-6AJ98 30-39 years, male 7.3
GTEX-1CB4I-0126-SM-7RHGG 50-59 years, male 7.3
GTEX-YFCO-1226-SM-5LUAT 40-49 years, male 7.2
GTEX-X5EB-1926-SM-4E3IW 40-49 years, male 7.1
GTEX-1CAMQ-1326-SM-7P8RV 40-49 years, male 7.1
GTEX-1LSNL-2726-SM-E9TKJ 50-59 years, male 7.0
GTEX-1PPH8-0126-SM-EWRN8 20-29 years, male 7.0
GTEX-12WSD-0626-SM-5GCMW 60-69 years, female 6.9
GTEX-13PL6-1126-SM-5L3IE 40-49 years, female 6.9
GTEX-16YQH-2226-SM-7IGM2 30-39 years, male 6.9
GTEX-17HII-1426-SM-7EPGG 50-59 years, male 6.9
GTEX-1H1ZS-2726-SM-9WG75 70-79 years, male 6.9
GTEX-11NSD-0626-SM-5A5LU 20-29 years, male 6.8
GTEX-145MH-2826-SM-5RQJF 50-59 years, male 6.8
GTEX-17JCI-2926-SM-7DUFF 60-69 years, female 6.8
GTEX-1AMFI-1326-SM-7939R 50-59 years, female 6.8
GTEX-1H3VE-0726-SM-9YFL5 40-49 years, male 6.8
GTEX-1KANA-1326-SM-DIPFA 20-29 years, male 6.8
GTEX-13OW5-2326-SM-5L3HO 60-69 years, male 6.6
GTEX-178AV-1726-SM-7KUL8 40-49 years, male 6.6
GTEX-1C6WA-2626-SM-7MKGM 60-69 years, male 6.6
GTEX-14C5O-0326-SM-5ZZUX 60-69 years, male 6.5
GTEX-XBEC-0726-SM-4QARZ 50-59 years, male 6.5
GTEX-13D11-0926-SM-5J2NC 50-59 years, female 6.4
GTEX-1BAJH-2426-SM-7IGP8 70-79 years, male 6.4
GTEX-1122O-1026-SM-9WYSF 60-69 years, female 6.4
GTEX-13FLV-0126-SM-5K7WT 50-59 years, male 6.3
GTEX-145LU-1926-SM-79OJN 50-59 years, male 6.3
GTEX-11WQK-1026-SM-5EQLX 50-59 years, male 6.2
GTEX-139D8-1126-SM-5LU8W 30-39 years, female 6.2
GTEX-13SLX-2226-SM-62LEP 50-59 years, female 6.2
GTEX-14AS3-1526-SM-5Q5ED 40-49 years, female 6.2
GTEX-14E6C-2426-SM-5S2NF 40-49 years, male 6.2
GTEX-1399U-1126-SM-5L3DB 50-59 years, female 6.1
GTEX-1CAV2-0126-SM-7IGN7 40-49 years, female 6.1
GTEX-11OF3-0126-SM-5PNYF 60-69 years, male 6.0
GTEX-17EVQ-0126-SM-7IGLR 70-79 years, male 5.9
GTEX-17F97-2626-SM-7IGM5 50-59 years, male 5.9
GTEX-1JMPZ-0726-SM-CY8HZ 30-39 years, male 5.9
GTEX-11TUW-0626-SM-5LU9M 60-69 years, male 5.7
GTEX-18A67-1626-SM-7LT9T 50-59 years, male 5.7
GTEX-1B8KE-1126-SM-7EPHI 50-59 years, male 5.7
GTEX-1QW4Y-1126-SM-DTXE3 30-39 years, male 5.7
GTEX-ZT9X-1526-SM-5DUXD 40-49 years, male 5.6
GTEX-147JS-0226-SM-5S2U9 60-69 years, male 5.5
GTEX-1A3MV-1826-SM-731CD 30-39 years, male 5.5
GTEX-15RIE-1926-SM-7KUKJ 60-69 years, male 5.4
GTEX-ZTX8-1326-SM-4YCEL 20-29 years, male 5.4
GTEX-14B4R-1326-SM-5Q5EZ 30-39 years, male 5.3
GTEX-XK95-0226-SM-4AT58 40-49 years, male 5.3
GTEX-1JMOU-1026-SM-CYPSS 60-69 years, female 5.3
GTEX-1JMPY-0226-SM-CKZOK 30-39 years, male 5.3
GTEX-1LGOU-1326-SM-D3L8M 20-29 years, female 5.3
GTEX-1PBJJ-1026-SM-E76OS 30-39 years, male 5.3
GTEX-13VXT-1926-SM-5K7UO 20-29 years, female 5.2
GTEX-1CB4E-0926-SM-7EPHT 60-69 years, male 5.2
GTEX-1K2DU-1226-SM-CYPT4 20-29 years, male 5.2
GTEX-11P82-1426-SM-DTXFY 20-29 years, male 5.1
GTEX-1GPI6-1926-SM-9KNV7 60-69 years, male 5.1
GTEX-111YS-1526-SM-5GZYW 60-69 years, male 5.0
GTEX-13X6I-1826-SM-5SIAO 60-69 years, male 5.0
GTEX-1CB4H-1126-SM-7MKGL 60-69 years, female 5.0
GTEX-1QCLY-0226-SM-EWRNH 30-39 years, male 4.9
GTEX-13JVG-0726-SM-5KM16 60-69 years, male 4.8
GTEX-1B932-2326-SM-79OL5 40-49 years, female 4.8
GTEX-Y8E4-2026-SM-5IFJB 40-49 years, male 4.8
GTEX-ZY6K-1426-SM-5GZX2 50-59 years, male 4.8
GTEX-1GF9X-1326-SM-7PC2Y 40-49 years, female 4.8
GTEX-12BJ1-0926-SM-5EQ62 60-69 years, male 4.7
GTEX-WHWD-1826-SM-3LK6I 50-59 years, male 4.7
GTEX-ZVP2-0326-SM-57WBP 50-59 years, male 4.7
GTEX-139TT-2126-SM-5LZWC 60-69 years, male 4.6
GTEX-1AX9J-1326-SM-731BJ 60-69 years, male 4.6
GTEX-1F75A-0726-SM-7RHHD 50-59 years, male 4.5
GTEX-1QP29-1826-SM-DTX9S 50-59 years, male 4.5
GTEX-14PJ3-1126-SM-5ZZVX 50-59 years, male 4.4
GTEX-1EN7A-2426-SM-793DB 40-49 years, male 4.4
GTEX-ZDTS-0826-SM-4WKHL 60-69 years, male 4.4
GTEX-1HCU9-0426-SM-9WYSD 20-29 years, male 4.4
GTEX-17KNJ-2126-SM-718AM 50-59 years, male 4.3
GTEX-ZE9C-2526-SM-5IJDR 60-69 years, male 4.3
GTEX-1AX9I-2226-SM-73KUO 60-69 years, male 4.2
GTEX-1C6VQ-1226-SM-73KYD 50-59 years, male 4.2
GTEX-1EU9M-1426-SM-793AI 60-69 years, male 4.2
GTEX-1F52S-2926-SM-7MKGA 60-69 years, female 4.2
GTEX-13NYB-0126-SM-5J1MD 40-49 years, male 4.1
GTEX-13OW7-0426-SM-5K7VK 50-59 years, male 4.1
GTEX-14PJ6-2626-SM-6EU2T 60-69 years, female 4.1
GTEX-17F98-1326-SM-7DUEP 40-49 years, female 4.1
GTEX-1HBPN-0126-SM-CGQEF 50-59 years, male 4.1
GTEX-13X6J-0626-SM-5LU5F 50-59 years, male 4.0
GTEX-ZYT6-2326-SM-5GZY3 30-39 years, male 4.0
GTEX-ZYVF-0926-SM-5E44J 50-59 years, female 4.0
GTEX-14BMV-2826-SM-5TDED 50-59 years, male 3.9
GTEX-1H1DE-1326-SM-9KNUG 20-29 years, male 3.9
GTEX-1JJEA-1826-SM-ARU8P 60-69 years, male 3.9
GTEX-131XW-0626-SM-5PNVD 50-59 years, female 3.8
GTEX-14BIN-1126-SM-5RQJZ 50-59 years, female 3.7
GTEX-17EVP-2626-SM-7IGMA 40-49 years, male 3.7
GTEX-YJ8O-2526-SM-5HL85 40-49 years, female 3.7
GTEX-ZDTT-0426-SM-4WKFL 60-69 years, male 3.7
GTEX-1F6I4-2326-SM-7RHGL 60-69 years, male 3.7
GTEX-1RAZQ-1326-SM-E9TK6 30-39 years, male 3.7
GTEX-11ZUS-2626-SM-5FQUR 30-39 years, male 3.6
GTEX-Y5V5-0126-SM-5S2NW 60-69 years, female 3.6
GTEX-13O61-1426-SM-5KM3D 60-69 years, male 3.5
GTEX-1A8G7-1326-SM-73KVM 60-69 years, male 3.5
GTEX-1I1HK-2326-SM-CKZOH 60-69 years, male 3.5
GTEX-1LG7Y-2526-SM-EWRO7 50-59 years, male 3.5
GTEX-11EI6-2826-SM-5H11D 60-69 years, male 3.4
GTEX-11GS4-0226-SM-5HL77 60-69 years, male 3.4
GTEX-145MF-0926-SM-5Q5EA 50-59 years, male 3.4
GTEX-XV7Q-1826-SM-4BRUV 40-49 years, female 3.4
GTEX-1HGF4-0126-SM-CNPPX 60-69 years, male 3.3
GTEX-147F4-0726-SM-5TDDD 50-59 years, male 3.2
GTEX-14PJ2-0626-SM-6LLII 50-59 years, male 3.2
GTEX-1399Q-2326-SM-5KM2X 40-49 years, male 3.1
GTEX-14PHY-1226-SM-5ZZWK 60-69 years, female 3.1
GTEX-1I6K6-1726-SM-CGQFD 30-39 years, male 3.1
GTEX-1IY9M-2826-SM-ARU8H 60-69 years, male 3.1
GTEX-13VXU-0626-SM-5L3F9 50-59 years, male 3.0
GTEX-1EWIQ-0326-SM-7DHMQ 70-79 years, female 3.0
GTEX-XQ8I-0926-SM-4BOOF 50-59 years, male 3.0
GTEX-1GZ4I-2626-SM-9KNU3 50-59 years, male 3.0
GTEX-1N5O9-0926-SM-E9J3C 60-69 years, male 3.0
GTEX-111CU-1126-SM-5EGIM 50-59 years, male 2.9
GTEX-14ICL-1626-SM-5YYAO 30-39 years, male 2.9
GTEX-15CHQ-0326-SM-69LQD 60-69 years, male 2.9
GTEX-VUSG-2326-SM-4KL1U 50-59 years, male 2.9
GTEX-1H11D-1826-SM-9QEHM 40-49 years, male 2.9
GTEX-14LLW-2626-SM-62LDZ 70-79 years, female 2.8
GTEX-1AMEY-0826-SM-72D65 30-39 years, female 2.8
GTEX-ZVE1-0726-SM-51MRN 50-59 years, female 2.8
GTEX-1GN1U-0626-SM-9MQL9 50-59 years, female 2.8
GTEX-1KD5A-0126-SM-E9U54 50-59 years, male 2.8
GTEX-1MCYP-0526-SM-E9U6Q 20-29 years, female 2.8
GTEX-11O72-0626-SM-5PNYE 40-49 years, male 2.7
GTEX-1IDJI-0126-SM-CMKHS 50-59 years, female 2.7
GTEX-11DXZ-2026-SM-5987S 50-59 years, male 2.6
GTEX-13FHO-0426-SM-5L3F5 60-69 years, male 2.6
GTEX-15ER7-0626-SM-6PANF 20-29 years, female 2.6
GTEX-1GN73-0726-SM-7P8TJ 60-69 years, male 2.6
GTEX-1JKYN-0826-SM-ARU8S 30-39 years, male 2.6
GTEX-1R9PM-1926-SM-EVR3O 20-29 years, male 2.6
GTEX-WHSB-1326-SM-3LK6W 50-59 years, male 2.5
GTEX-ZVT4-2426-SM-5GIEI 50-59 years, female 2.5
GTEX-12ZZX-2426-SM-5GCOE 40-49 years, female 2.4
GTEX-13QJC-0126-SM-5ZZWJ 60-69 years, female 2.4
GTEX-1A8FM-0626-SM-7PC25 50-59 years, female 2.4
GTEX-1C64O-1326-SM-7MGWR 60-69 years, male 2.4
GTEX-1J1OQ-0126-SM-D4P2N 40-49 years, female 2.4
GTEX-Y111-0626-SM-4SOIT 50-59 years, male 2.3
GTEX-1HSGN-0826-SM-ACKW3 40-49 years, female 2.3
GTEX-1B996-0426-SM-7EWF8 60-69 years, male 2.2
GTEX-WFG7-2026-SM-5SI7P 20-29 years, male 2.2
GTEX-1JK1U-0226-SM-ARZMX 60-69 years, male 2.2
GTEX-11NUK-2726-SM-5A5MC 50-59 years, male 2.1
GTEX-139UW-0326-SM-5J1ML 60-69 years, male 2.1
GTEX-ZYY3-2926-SM-5GIEB 60-69 years, female 2.1
GTEX-1HFI6-0126-SM-CNPPI 40-49 years, male 2.1
GTEX-1HUB1-1426-SM-CGQF5 60-69 years, male 2.1
GTEX-1J1R8-2026-SM-CL53Y 40-49 years, male 2.1
GTEX-1LB8K-0726-SM-D5OV2 50-59 years, male 2.1
GTEX-1RAZA-2226-SM-E9U4X 20-29 years, male 2.1
GTEX-13JUV-2026-SM-5K7UA 40-49 years, female 2.0
GTEX-17HHE-1326-SM-7EWDZ 50-59 years, male 2.0
GTEX-YECK-0326-SM-4W1YS 60-69 years, male 2.0
GTEX-1HCU7-0726-SM-A9SL1 50-59 years, male 2.0
GTEX-1IE54-1126-SM-A9G2Z 40-49 years, female 2.0
GTEX-1EKGG-0626-SM-7DUGJ 60-69 years, male 1.9
GTEX-ZAB4-2126-SM-5HL8U 40-49 years, male 1.9
GTEX-1I1GS-2626-SM-B2LY3 60-69 years, male 1.9
GTEX-1RAZR-2126-SM-E9U6T 40-49 years, male 1.9
GTEX-18A6Q-0626-SM-7KFRP 60-69 years, male 1.8
GTEX-1C6VR-0126-SM-7RHGB 60-69 years, male 1.8
GTEX-1H4P4-2126-SM-9WYSL 50-59 years, male 1.8
GTEX-1HCVE-2726-SM-CL54F 50-59 years, male 1.8
GTEX-14DAQ-0626-SM-793DS 60-69 years, female 1.7
GTEX-14PKU-0126-SM-6LLHV 40-49 years, female 1.7
GTEX-13112-0126-SM-5P9IU 50-59 years, male 1.6
GTEX-XQ3S-1426-SM-4BOPR 20-29 years, male 1.6
GTEX-1F88F-0126-SM-9WYSZ 60-69 years, female 1.6
GTEX-1GN1V-2826-SM-9JGIA 60-69 years, male 1.6
GTEX-1212Z-0126-SM-59HK4 60-69 years, male 1.5
GTEX-1E1VI-0326-SM-793D1 50-59 years, male 1.5
GTEX-1H2FU-0926-SM-9WPPT 60-69 years, female 1.5
GTEX-1IKJJ-2226-SM-CJI4C 60-69 years, male 1.5
GTEX-145MI-0626-SM-5SI8S 60-69 years, female 1.3
GTEX-1GN2E-0226-SM-9WG6K 60-69 years, male 1.3
GTEX-1S831-1826-SM-EWROF 20-29 years, male 1.3
GTEX-139TS-2126-SM-5K7XC 60-69 years, male 1.2
GTEX-14ABY-2026-SM-62LDL 50-59 years, male 1.2
GTEX-XAJ8-1426-SM-47JYM 40-49 years, male 1.2
GTEX-ZE7O-2726-SM-51MT5 50-59 years, female 1.2
GTEX-ZYFC-0426-SM-5GICQ 50-59 years, male 1.2
GTEX-1HBPM-0726-SM-9YFL7 60-69 years, female 1.2
GTEX-WK11-2726-SM-3NMAQ 50-59 years, male 1.1
GTEX-ZC5H-1526-SM-5HL9Y 40-49 years, female 1.1
GTEX-1IL2V-1926-SM-B2LW8 70-79 years, male 1.1
GTEX-131XH-0126-SM-5LZUY 50-59 years, male 1.0
GTEX-13FTY-2126-SM-5IFFB 40-49 years, female 1.0
GTEX-1A8G6-2726-SM-731AR 60-69 years, male 1.0
GTEX-1KANB-2826-SM-CY8I6 50-59 years, male 1.0
GTEX-1OJC3-1226-SM-DTXER 20-29 years, male 1.0
GTEX-1B8KZ-0326-SM-73KY4 50-59 years, male 0.9
GTEX-13OVL-0126-SM-5L3GJ 50-59 years, male 0.8
GTEX-15SKB-2826-SM-6PAMH 60-69 years, male 0.8
GTEX-1AYD5-2626-SM-7PBXY 50-59 years, male 0.8
GTEX-1F5PK-2226-SM-7SB6N 50-59 years, male 0.8
GTEX-12WSJ-1126-SM-5LZVJ 40-49 years, female 0.7
GTEX-1B8SF-0126-SM-7DUG3 60-69 years, male 0.7
GTEX-1HSKV-1226-SM-ADEI4 60-69 years, male 0.7
GTEX-13PDP-0726-SM-5L3HP 60-69 years, male 0.6
GTEX-18QFQ-1826-SM-72D52 30-39 years, male 0.6
GTEX-1HT8W-0626-SM-A9G2H 30-39 years, male 0.6
GTEX-1J8EW-2726-SM-CY8HR 60-69 years, female 0.6
GTEX-1RMOY-1326-SM-E9TIH 50-59 years, male 0.6
GTEX-18465-2826-SM-7LT9J 50-59 years, male 0.5
GTEX-1EMGI-2326-SM-7PBYA 60-69 years, male 0.4
GTEX-1GF9V-0826-SM-9KNUV 60-69 years, male 0.4
GTEX-13RTJ-0126-SM-5S2NN 60-69 years, male 0.3
GTEX-14A6H-2026-SM-5Q5DD 30-39 years, male 0.3
GTEX-111FC-2526-SM-5GZXU 60-69 years, male 0.2
GTEX-11ZU8-0126-SM-5EQ58 60-69 years, male 0.2
GTEX-147GR-2426-SM-5ZZWQ 60-69 years, male 0.2
GTEX-1POEN-2326-SM-E9J2L 30-39 years, female 0.2
GTEX-1R46S-2426-SM-E76QA 60-69 years, female 0.2
GTEX-13NZ8-1226-SM-5KM4A 60-69 years, female 0.1
GTEX-13U4I-2226-SM-5LU5H 40-49 years, female 0.1
GTEX-Y9LG-1126-SM-4VBQ7 30-39 years, male 0.1
GTEX-1HR9M-2226-SM-CNPPY 60-69 years, male 0.1
GTEX-111VG-1626-SM-5EGIO 60-69 years, male 0.0
GTEX-1192X-2726-SM-5N9DN 50-59 years, male 0.0
GTEX-11DXW-0826-SM-5H118 40-49 years, male 0.0
GTEX-11DXX-2126-SM-5PNYR 60-69 years, female 0.0
GTEX-11DXY-0126-SM-5H11Q 60-69 years, male 0.0
GTEX-11DZ1-2426-SM-5GZZX 50-59 years, male 0.0
GTEX-11P7K-1126-SM-5HL4L 30-39 years, male 0.0
GTEX-11PRG-0726-SM-5EGL1 50-59 years, male 0.0
GTEX-11TT1-1826-SM-5EQLV 20-29 years, male 0.0
GTEX-11UD2-2526-SM-5CVNU 50-59 years, male 0.0
GTEX-11VI4-1126-SM-5EQMD 40-49 years, female 0.0
GTEX-11WQC-1826-SM-5GU59 60-69 years, male 0.0
GTEX-12126-0826-SM-5FQTZ 20-29 years, male 0.0
GTEX-12584-0726-SM-5FQTK 40-49 years, male 0.0
GTEX-12696-0126-SM-5EQ4L 60-69 years, male 0.0
GTEX-1269C-0126-SM-5EQ5L 60-69 years, female 0.0
GTEX-12KS4-2126-SM-5FQUT 30-39 years, male 0.0
GTEX-12WSA-0426-SM-5EQ5X 60-69 years, male 0.0
GTEX-12WSC-2826-SM-5BC5Y 50-59 years, male 0.0
GTEX-12WSK-2126-SM-5CVNC 40-49 years, female 0.0
GTEX-12WSM-1926-SM-5BC65 60-69 years, male 0.0
GTEX-12ZZY-0726-SM-5EQ66 60-69 years, male 0.0
GTEX-1313W-0626-SM-5EQ4H 50-59 years, female 0.0
GTEX-131XF-2626-SM-5EQ6K 60-69 years, male 0.0
GTEX-1399S-0126-SM-5IJCF 30-39 years, female 0.0
GTEX-139T8-0626-SM-5KLZX 60-69 years, male 0.0
GTEX-139TU-0726-SM-5L3EK 60-69 years, male 0.0
GTEX-13FTW-0326-SM-5K7UW 40-49 years, male 0.0
GTEX-13G51-1826-SM-5KLZH 60-69 years, male 0.0
GTEX-13IVO-0726-SM-5LZYV 70-79 years, male 0.0
GTEX-13N1W-2426-SM-5IJD1 70-79 years, male 0.0
GTEX-13N2G-0226-SM-5K7VF 60-69 years, male 0.0
GTEX-13NYC-0126-SM-5L3F4 60-69 years, male 0.0
GTEX-13O3O-2326-SM-5IJD6 60-69 years, female 0.0
GTEX-13OVH-0526-SM-5L3E6 70-79 years, male 0.0
GTEX-13OW8-1026-SM-5J1NQ 60-69 years, male 0.0
GTEX-13PVQ-0626-SM-5LU47 50-59 years, male 0.0
GTEX-13SLW-0626-SM-5Q5ER 70-79 years, male 0.0
GTEX-144GO-2026-SM-5O99P 60-69 years, male 0.0
GTEX-14JG1-1526-SM-5YY9X 40-49 years, male 0.0
GTEX-14PHX-2226-SM-6EU2P 50-59 years, male 0.0
GTEX-15CHR-1126-SM-7EWF4 50-59 years, male 0.0
GTEX-15DDE-2926-SM-6LLJ3 50-59 years, female 0.0
GTEX-15EO6-2426-SM-6PALZ 50-59 years, male 0.0
GTEX-16XZZ-0726-SM-7KUF2 60-69 years, male 0.0
GTEX-17F9Y-0126-SM-79OKX 70-79 years, female 0.0
GTEX-17HHY-0426-SM-7DHLC 50-59 years, male 0.0
GTEX-1C2JI-1026-SM-73KY1 50-59 years, male 0.0
GTEX-1CB4F-1026-SM-7DUH1 60-69 years, male 0.0
GTEX-1EH9U-2826-SM-7DUGT 60-69 years, male 0.0
GTEX-1EX96-1026-SM-7MKG2 50-59 years, male 0.0
GTEX-VJYA-1526-SM-3GIJV 60-69 years, male 0.0
GTEX-W5X1-2526-SM-3GILC 40-49 years, female 0.0
GTEX-WRHU-2826-SM-3MJG8 50-59 years, female 0.0
GTEX-XOT4-0626-SM-4B66L 60-69 years, female 0.0
GTEX-XPVG-2126-SM-4B667 50-59 years, male 0.0
GTEX-XUW1-0926-SM-4BONX 50-59 years, female 0.0
GTEX-YF7O-1526-SM-5IFI6 50-59 years, male 0.0
GTEX-Z93S-1626-SM-5CVMB 50-59 years, male 0.0
GTEX-ZAK1-0626-SM-5HL8E 50-59 years, female 0.0
GTEX-ZF2S-1626-SM-57WES 50-59 years, female 0.0
GTEX-ZLWG-0826-SM-59888 50-59 years, female 0.0
GTEX-ZPU1-1126-SM-4YCF3 40-49 years, male 0.0
GTEX-ZTSS-1426-SM-5985P 40-49 years, male 0.0
GTEX-ZU9S-1826-SM-5NQ9E 30-39 years, male 0.0
GTEX-ZVT2-0126-SM-5GIDQ 50-59 years, female 0.0
GTEX-ZVTK-0226-SM-51MRG 20-29 years, male 0.0
GTEX-ZVZP-1226-SM-5GID7 50-59 years, male 0.0
GTEX-ZWKS-0626-SM-5GIDV 30-39 years, male 0.0
GTEX-ZXG5-2126-SM-59HKD 60-69 years, male 0.0
GTEX-ZYFD-0626-SM-5E44E 50-59 years, male 0.0
GTEX-14JFF-0626-SM-5ZZVT 60-69 years, male 0.0
GTEX-1A3MX-2626-SM-7PC24 60-69 years, male 0.0
GTEX-1B8L1-2226-SM-7P8PT 60-69 years, male 0.0
GTEX-1C475-1326-SM-7SB73 40-49 years, female 0.0
GTEX-1C64N-2626-SM-7PC2N 50-59 years, male 0.0
GTEX-1F5PL-0926-SM-7PC2W 40-49 years, female 0.0
GTEX-1F6IF-0926-SM-7SB7M 60-69 years, male 0.0
GTEX-1F6RS-2026-SM-7RHHC 60-69 years, female 0.0
GTEX-1F75B-0726-SM-7PC3R 50-59 years, male 0.0
GTEX-1F88E-1626-SM-7SB8Z 60-69 years, female 0.0
GTEX-1GMR3-0126-SM-A9SLW 40-49 years, male 0.0
GTEX-1GMR8-0626-SM-7RHI7 50-59 years, female 0.0
GTEX-1GMRU-2126-SM-7P8RA 50-59 years, male 0.0
GTEX-1GZ4H-0526-SM-9KNU9 50-59 years, female 0.0
GTEX-1H23P-0626-SM-9WG6T 60-69 years, male 0.0
GTEX-1H3O1-1326-SM-9MQLD 60-69 years, male 0.0
GTEX-1HBPI-2126-SM-ARL9K 50-59 years, male 0.0
GTEX-1HCU8-2526-SM-CE6RX 60-69 years, female 0.0
GTEX-1HR98-2226-SM-ADEI2 60-69 years, male 0.0
GTEX-1HSMQ-2626-SM-A9SML 50-59 years, male 0.0
GTEX-1I1CD-0626-SM-CE6SW 60-69 years, female 0.0
GTEX-1I1GT-1026-SM-ARZLV 60-69 years, female 0.0
GTEX-1I1GU-0926-SM-ACKVS 40-49 years, male 0.0
GTEX-1I1GV-0626-SM-ARL7M 60-69 years, male 0.0
GTEX-1ICLZ-0326-SM-ARL82 60-69 years, male 0.0
GTEX-1IDFM-0326-SM-ARL7V 60-69 years, male 0.0
GTEX-1IDJH-0126-SM-D3L92 70-79 years, male 0.0
GTEX-1IOXB-2726-SM-CM2RI 50-59 years, male 0.0
GTEX-1J8JJ-0626-SM-ARZMQ 60-69 years, female 0.0
GTEX-1J8Q2-2626-SM-ACKWQ 60-69 years, male 0.0
GTEX-1J8Q3-0526-SM-ARL8U 60-69 years, male 0.0
GTEX-1JJE9-2626-SM-ARZMT 70-79 years, male 0.0
GTEX-1JKYR-0626-SM-ARL8R 20-29 years, male 0.0
GTEX-1JMLX-0626-SM-ARL8T 50-59 years, male 0.0
GTEX-1JMQI-1726-SM-ARL93 50-59 years, male 0.0
GTEX-1JMQJ-0826-SM-CNPP7 50-59 years, male 0.0
GTEX-1JN76-0626-SM-CKZOQ 20-29 years, female 0.0
GTEX-1KANC-1226-SM-CYPT7 50-59 years, female 0.0
GTEX-1KWVE-1026-SM-D3L9O 30-39 years, male 0.0
GTEX-1LGRB-0926-SM-COH3K 50-59 years, female 0.0
GTEX-1LKK1-2626-SM-DKPQE 50-59 years, female 0.0
GTEX-1LVAM-0726-SM-E6CIL 50-59 years, female 0.0
GTEX-1M4P7-0726-SM-E6CJ3 60-69 years, male 0.0
GTEX-1MJK3-0726-SM-E6CJC 20-29 years, male 0.0
GTEX-1NV5F-0626-SM-DTXEG 60-69 years, female 0.0
GTEX-1OJC4-2726-SM-E76PJ 50-59 years, female 0.0
GTEX-1PIIG-2326-SM-DTXFR 30-39 years, male 0.0
GTEX-1PPGY-1626-SM-EVYBL 60-69 years, male 0.0
GTEX-1QP2A-1726-SM-E76QC 50-59 years, male 0.0
GTEX-1QPFJ-1926-SM-EVYBD 30-39 years, female 0.0
GTEX-1R7EU-1626-SM-DTXG3 60-69 years, male 0.0
GTEX-1RAZS-2526-SM-E6CHT 50-59 years, male 0.0
GTEX-1S5ZU-2526-SM-E6CIF 20-29 years, female 0.0
GTEX-1S82P-2126-SM-E6CI5 60-69 years, female 0.0
GTEX-1S82U-1026-SM-E6CJK 30-39 years, female 0.0
GTEX-1S83E-1326-SM-E6CJM 40-49 years, male 0.0
Show allShow less
Skin - Sun Exposed (Lower leg)
Average nTPM: 17.5
Samples: 701

Max nTPM: 312.5
Min nTPM: 0.0
Std nTPM: 32.3
Median nTPM: 7.7
GTEX-13FH7-2026-SM-E9J4I 50-59 years, female 312.5
GTEX-14PN4-0126-SM-6EU2V 50-59 years, male 259.4
GTEX-Q734-1926-SM-2I5EV 40-49 years, female 251.1
GTEX-1AX8Z-0126-SM-7DHM6 60-69 years, male 215.1
GTEX-14PK6-1926-SM-6ETZU 70-79 years, female 209.3
GTEX-WI4N-1026-SM-3LK7N 40-49 years, female 200.7
GTEX-Q2AI-1326-SM-2S1PL 40-49 years, male 199.8
GTEX-15G19-0126-SM-6PANQ 60-69 years, male 192.0
GTEX-R45C-0126-SM-EAZ2R 60-69 years, female 183.4
GTEX-RUSQ-1526-SM-2TF62 50-59 years, male 155.8
GTEX-1EX96-1626-SM-7PBXR 50-59 years, male 135.7
GTEX-1K9T9-0126-SM-EVYCF 50-59 years, female 132.9
GTEX-146FH-0126-SM-5QGPP 50-59 years, female 128.9
GTEX-Q2AH-1626-SM-3GAF8 40-49 years, male 125.4
GTEX-1A3MW-0126-SM-73KXX 60-69 years, female 123.0
GTEX-SN8G-0126-SM-32PLI 50-59 years, female 116.3
GTEX-1AX9K-2326-SM-73KWU 50-59 years, male 106.3
GTEX-13FHO-0226-SM-5IFGY 60-69 years, male 104.5
GTEX-S33H-1026-SM-EZ6L6 30-39 years, male 103.2
GTEX-13O3O-0126-SM-E9J49 60-69 years, female 102.6
GTEX-12WSN-5019-SM-79OM6 40-49 years, male 101.0
GTEX-O5YT-0126-SM-48TBW 20-29 years, male 98.9
GTEX-146FR-1326-SM-E9J48 60-69 years, female 94.4
GTEX-1HCUA-2426-SM-ADEIS 50-59 years, female 92.3
GTEX-1I1GU-2226-SM-CGQFA 40-49 years, male 86.9
GTEX-X8HC-0126-SM-4E3JW 50-59 years, female 81.1
GTEX-Y3I4-2126-SM-4TT7C 50-59 years, male 79.2
GTEX-ZVZO-0126-SM-5A5L9 40-49 years, male 78.3
GTEX-146FQ-0126-SM-5NQA9 30-39 years, male 78.2
GTEX-U8XE-0326-SM-3DB8P 30-39 years, male 76.5
GTEX-W5X1-3026-SM-EAZAX 40-49 years, female 75.1
GTEX-1PWST-0226-SM-E76QJ 70-79 years, male 73.4
GTEX-1QP67-1626-SM-EAZ3X 40-49 years, female 71.9
GTEX-ZDXO-3026-SM-5J1N5 60-69 years, male 71.2
GTEX-QDVJ-1726-SM-2I5FX 50-59 years, male 67.7
GTEX-SUCS-1926-SM-32PM3 70-79 years, male 66.5
GTEX-183WM-0126-SM-7LTAB 70-79 years, female 65.0
GTEX-1JN1M-0326-SM-CYPT3 60-69 years, female 62.2
GTEX-OIZF-0126-SM-7SB8I 60-69 years, male 62.1
GTEX-13CF3-2426-SM-5IFGX 60-69 years, female 61.5
GTEX-1OJC4-0126-SM-E9J2E 50-59 years, female 61.0
GTEX-1C64O-0126-SM-7SB8P 60-69 years, male 59.5
GTEX-NPJ8-0126-SM-2YUNR 40-49 years, male 57.8
GTEX-ZV6S-2326-SM-4YCEY 40-49 years, female 57.2
GTEX-OOBK-0126-SM-2YUND 40-49 years, male 56.5
GTEX-144FL-0126-SM-5TDC8 50-59 years, male 56.1
GTEX-O5YW-0126-SM-3LK6D 50-59 years, male 56.1
GTEX-18A66-0226-SM-718BD 60-69 years, male 55.7
GTEX-U4B1-1826-SM-4DXSU 40-49 years, male 55.4
GTEX-1R9PO-2126-SM-E9J4O 60-69 years, female 54.9
GTEX-1GN1W-0526-SM-9MQJQ 50-59 years, female 53.8
GTEX-1H1DG-0126-SM-9WYU2 70-79 years, male 53.6
GTEX-PLZ4-0126-SM-5SI8O 50-59 years, female 52.5
GTEX-1GF9W-0326-SM-9KNUN 60-69 years, male 52.2
GTEX-1MGNQ-0126-SM-EVYCJ 40-49 years, male 52.2
GTEX-1HCU8-0626-SM-A9SM9 60-69 years, female 51.9
GTEX-1A3MX-0126-SM-731BR 60-69 years, male 50.7
GTEX-15SB6-1726-SM-6PAME 50-59 years, female 49.2
GTEX-15UF6-0826-SM-6PALJ 70-79 years, female 48.4
GTEX-X4EP-0126-SM-3P5YV 60-69 years, female 47.5
GTEX-1N2EF-0226-SM-EYYXB 60-69 years, male 47.2
GTEX-1HCU6-0126-SM-CL54K 60-69 years, female 45.9
GTEX-1ICG6-2526-SM-CGQFZ 70-79 years, female 45.8
GTEX-OXRN-0126-SM-48TDM 50-59 years, male 45.3
GTEX-OXRK-0226-SM-3NB2G 50-59 years, female 45.2
GTEX-13RTJ-2426-SM-5S2Q2 60-69 years, male 43.8
GTEX-PWCY-1826-SM-DHXIZ 20-29 years, female 43.8
GTEX-Q2AG-0126-SM-33HBV 40-49 years, female 43.7
GTEX-1IDJF-0126-SM-CM2RS 20-29 years, male 43.3
GTEX-18QFQ-0126-SM-731BE 30-39 years, male 42.9
GTEX-1HR98-0126-SM-B2LWI 60-69 years, male 42.9
GTEX-1RB15-2126-SM-E9TIM 60-69 years, male 41.4
GTEX-1J8Q3-1626-SM-CMKGC 60-69 years, male 39.8
GTEX-13RTK-1426-SM-5QGQJ 20-29 years, male 39.2
GTEX-U3ZM-1526-SM-3DB9D 40-49 years, male 38.9
GTEX-1LNCM-1126-SM-E9U5E 50-59 years, female 38.8
GTEX-13X6H-2126-SM-7EWD5 50-59 years, female 38.6
GTEX-U3ZN-2326-SM-3DB7W 30-39 years, female 38.6
GTEX-1C6VQ-0126-SM-7P8RI 50-59 years, male 38.2
GTEX-T6MO-1626-SM-32QOM 40-49 years, female 37.3
GTEX-11TUW-2726-SM-E9J4M 60-69 years, male 37.1
GTEX-ZTPG-0326-SM-5O9AX 20-29 years, female 36.6
GTEX-14JIY-0126-SM-6LLH6 60-69 years, male 35.5
GTEX-11DXX-2426-SM-5GZZW 60-69 years, female 35.1
GTEX-1J8EW-0126-SM-CJI4F 60-69 years, female 35.1
GTEX-18A7A-0226-SM-718BH 50-59 years, female 34.9
GTEX-12WSL-2526-SM-5GCNJ 50-59 years, male 34.4
GTEX-145MI-0526-SM-5O9A8 60-69 years, female 33.5
GTEX-18A67-0126-SM-7LG5P 50-59 years, male 33.2
GTEX-X5EB-2226-SM-46MW4 40-49 years, male 32.6
GTEX-1192W-2626-SM-5Q5AF 60-69 years, male 32.4
GTEX-15SDE-2226-SM-7IGLO 50-59 years, female 32.4
GTEX-1ICLZ-0126-SM-CKZPO 60-69 years, male 32.3
GTEX-16XZY-2126-SM-79OK1 70-79 years, male 32.2
GTEX-Y114-2426-SM-4TT8A 50-59 years, female 32.0
GTEX-QDT8-0126-SM-48TZ1 30-39 years, female 31.3
GTEX-ZGAY-0526-SM-4WWBB 40-49 years, female 30.6
GTEX-1S3DN-2226-SM-EVYCD 50-59 years, male 30.6
GTEX-R55G-2526-SM-2TC6D 40-49 years, female 30.4
GTEX-14XAO-2326-SM-6EU1B 60-69 years, female 30.2
GTEX-XV7Q-2526-SM-4BRV9 40-49 years, female 30.0
GTEX-14BMU-2226-SM-5TDE9 20-29 years, female 29.9
GTEX-1AMFI-2026-SM-731BH 50-59 years, female 29.6
GTEX-148VI-1626-SM-5SI6E 60-69 years, female 29.2
GTEX-OHPL-0126-SM-2HMJ7 60-69 years, female 29.1
GTEX-14PJ3-1826-SM-62LEX 50-59 years, male 28.9
GTEX-WY7C-2326-SM-3NB2U 50-59 years, male 28.8
GTEX-UPJH-0326-SM-3GADU 50-59 years, male 28.7
GTEX-1M5QR-1226-SM-EWROB 40-49 years, male 28.7
GTEX-PLZ5-2026-SM-2S1O4 50-59 years, male 28.5
GTEX-14E6E-1826-SM-5S2R7 30-39 years, male 28.1
GTEX-14ICK-0226-SM-6EU25 40-49 years, male 27.5
GTEX-OIZG-0726-SM-33HBL 50-59 years, male 27.5
GTEX-Y8LW-1826-SM-5S2MV 50-59 years, female 27.1
GTEX-QCQG-1726-SM-3GIJ9 50-59 years, female 27.0
GTEX-QESD-1426-SM-2S1R9 20-29 years, male 27.0
GTEX-1CB4J-0626-SM-7DHMP 60-69 years, male 26.9
GTEX-144GN-2326-SM-5LU4F 50-59 years, male 26.4
GTEX-13OVJ-0126-SM-5KM36 50-59 years, female 26.0
GTEX-14BIM-0226-SM-7IGLD 60-69 years, female 25.7
GTEX-X88G-0126-SM-47JZ3 30-39 years, male 25.7
GTEX-VUSG-2526-SM-4KL1V 50-59 years, male 25.4
GTEX-1MCYP-1926-SM-E9J2R 20-29 years, female 25.2
GTEX-11XUK-2026-SM-5EQLF 40-49 years, female 25.1
GTEX-11LCK-1026-SM-5A5KB 30-39 years, male 25.0
GTEX-1399U-2326-SM-5K7WY 50-59 years, female 24.7
GTEX-XBED-2226-SM-47JYQ 60-69 years, male 24.7
GTEX-13U4I-0126-SM-5LU38 40-49 years, female 24.5
GTEX-WH7G-2326-SM-3NMBC 40-49 years, male 24.4
GTEX-183FY-0126-SM-7LT9P 20-29 years, male 24.2
GTEX-13O21-1426-SM-5K7XI 50-59 years, male 24.1
GTEX-ZDTT-2726-SM-4WKF8 60-69 years, male 24.1
GTEX-XXEK-2226-SM-4BRUM 50-59 years, male 24.0
GTEX-14BIL-0126-SM-5SI92 50-59 years, male 23.9
GTEX-T5JC-0426-SM-32PLO 20-29 years, male 23.9
GTEX-16XZZ-0126-SM-793DV 60-69 years, male 23.5
GTEX-ZAJG-0126-SM-5HL94 50-59 years, female 23.4
GTEX-1I1GS-0126-SM-B2LVW 60-69 years, male 23.4
GTEX-1HB9E-0226-SM-E9U4R 50-59 years, male 23.3
GTEX-PWO3-1526-SM-48TCM 60-69 years, female 23.0
GTEX-1CAV2-2226-SM-7P8P2 40-49 years, female 22.7
GTEX-15SHW-0326-SM-6PAML 60-69 years, male 22.6
GTEX-1CB4E-2226-SM-793DC 60-69 years, male 22.6
GTEX-1PBJI-0526-SM-E8VNK 20-29 years, female 22.3
GTEX-1GF9X-2026-SM-7PC3A 40-49 years, female 22.2
GTEX-1497J-2426-SM-7IGNX 60-69 years, male 21.9
GTEX-ZF29-2326-SM-DO92K 60-69 years, female 21.9
GTEX-W5WG-1826-SM-4KL2Y 50-59 years, female 21.8
GTEX-YJ8A-0426-SM-5IFID 20-29 years, male 21.5
GTEX-1JMQK-0226-SM-CL543 60-69 years, male 21.5
GTEX-18D9B-0526-SM-7LTAS 60-69 years, male 21.4
GTEX-ZEX8-2426-SM-4WKG4 50-59 years, male 21.4
GTEX-WQUQ-0426-SM-3MJFU 60-69 years, male 21.3
GTEX-12WSG-2826-SM-E9J4H 50-59 years, female 20.4
GTEX-SSA3-0126-SM-32QPU 60-69 years, male 20.3
GTEX-WXYG-2326-SM-4E3I6 50-59 years, female 20.3
GTEX-ZF3C-0126-SM-DO92D 50-59 years, female 20.3
GTEX-1B933-0126-SM-7PC29 50-59 years, female 20.2
GTEX-1JK1U-2026-SM-CM2RZ 60-69 years, male 20.2
GTEX-11ZVC-2526-SM-5FQTE 50-59 years, female 20.1
GTEX-U8T8-0126-SM-3DB94 60-69 years, male 20.1
GTEX-ZAB4-0226-SM-5N9F5 40-49 years, male 20.1
GTEX-1HUB1-0426-SM-E9U4U 60-69 years, male 20.1
GTEX-1R7EV-2426-SM-EVYBG 40-49 years, male 20.1
GTEX-14PJM-0226-SM-62LF1 50-59 years, female 20.0
GTEX-QV44-1926-SM-2S1RF 50-59 years, male 20.0
GTEX-1K2DA-1826-SM-CGQGT 50-59 years, male 20.0
GTEX-1C6VS-0526-SM-7DUEN 60-69 years, male 19.9
GTEX-1211K-2026-SM-5EQ4Z 60-69 years, female 19.8
GTEX-QEG4-0226-SM-2S1PY 30-39 years, male 19.8
GTEX-YB5E-2026-SM-5IFIS 40-49 years, male 19.8
GTEX-OXRP-0126-SM-3NB32 60-69 years, female 19.7
GTEX-RTLS-0126-SM-447CA 60-69 years, female 19.7
GTEX-Y5LM-1926-SM-5RQJH 40-49 years, female 19.5
GTEX-145MO-0326-SM-5Q5B3 60-69 years, male 19.4
GTEX-UJHI-1526-SM-3DB99 50-59 years, female 19.4
GTEX-Z93T-0126-SM-5HL5N 50-59 years, male 19.4
GTEX-169BO-1326-SM-9MQK2 50-59 years, male 19.3
GTEX-ZTSS-1926-SM-57WEW 40-49 years, male 19.2
GTEX-15D1Q-0126-SM-7KUG6 40-49 years, male 19.0
GTEX-RN64-0126-SM-2TC68 50-59 years, male 19.0
GTEX-X638-0126-SM-47JZ8 70-79 years, female 19.0
GTEX-RM2N-1426-SM-2TF4H 50-59 years, male 18.9
GTEX-SNMC-1226-SM-2XCFP 20-29 years, male 18.8
GTEX-ZUA1-0126-SM-5GU76 40-49 years, male 18.6
GTEX-17F98-0626-SM-79OMX 40-49 years, female 18.5
GTEX-1K2DU-2326-SM-E9TIV 20-29 years, male 18.4
GTEX-1R46S-0626-SM-E9J41 60-69 years, female 18.2
GTEX-1B8KE-2126-SM-73KYX 50-59 years, male 18.1
GTEX-13W3W-2426-SM-5LU5B 60-69 years, female 18.0
GTEX-1GN1V-0126-SM-9WPOS 60-69 years, male 17.9
GTEX-12WSJ-1826-SM-5GCNY 40-49 years, female 17.5
GTEX-18A6Q-0126-SM-731BZ 60-69 years, male 17.5
GTEX-11O72-0126-SM-59887 40-49 years, male 17.4
GTEX-15UKP-0426-SM-7KUFQ 20-29 years, male 17.3
GTEX-17GQL-2026-SM-718BA 60-69 years, male 17.3
GTEX-RNOR-0126-SM-E9J4R 50-59 years, female 17.2
GTEX-1M4P7-0226-SM-DIPEV 60-69 years, male 17.0
GTEX-ZYW4-0126-SM-5E44A 60-69 years, male 16.8
GTEX-1IKOH-0226-SM-COH4E 60-69 years, female 16.8
GTEX-PVOW-0126-SM-2XCFA 40-49 years, male 16.5
GTEX-1HKZK-0326-SM-9WYUH 40-49 years, male 16.5
GTEX-WYVS-2126-SM-3NMA3 40-49 years, female 16.3
GTEX-11P7K-2126-SM-5GU7G 30-39 years, male 16.2
GTEX-13VXT-0126-SM-5LU4I 20-29 years, female 16.2
GTEX-14JG6-2226-SM-6EU2G 30-39 years, female 15.6
GTEX-P44H-0226-SM-2XCEU 40-49 years, male 15.6
GTEX-S32W-2126-SM-2XCB1 50-59 years, female 15.6
GTEX-Y5V5-2326-SM-4V6GA 60-69 years, female 15.5
GTEX-11VI4-1726-SM-5CVLH 40-49 years, female 15.4
GTEX-17HGU-0226-SM-7DHKV 50-59 years, male 15.3
GTEX-QLQ7-1626-SM-2S1R8 60-69 years, male 15.3
GTEX-13OVG-1926-SM-5L3DK 60-69 years, male 15.2
GTEX-1JN6P-0126-SM-D3L98 60-69 years, male 15.2
GTEX-1IE54-0126-SM-CMKHW 40-49 years, female 15.1
GTEX-1NHNU-1026-SM-E9J2A 50-59 years, male 15.1
GTEX-13D11-2426-SM-5KM1V 50-59 years, female 14.8
GTEX-QVJO-1626-SM-2S1QW 60-69 years, female 14.3
GTEX-13G51-2526-SM-5LZYK 60-69 years, male 14.1
GTEX-1GZHY-0326-SM-9QEHI 50-59 years, female 14.0
GTEX-17MFQ-1726-SM-793C7 20-29 years, male 13.8
GTEX-1CAMS-0426-SM-7P8T2 40-49 years, female 13.7
GTEX-1LG7Y-0526-SM-DKPQC 50-59 years, male 13.7
GTEX-R55E-0126-SM-2TC5Y 20-29 years, male 13.6
GTEX-TKQ1-1026-SM-4GICL 30-39 years, male 13.6
GTEX-X4EO-0326-SM-3P5YO 60-69 years, female 13.6
GTEX-1PIGE-0126-SM-EVYBJ 20-29 years, male 13.5
GTEX-1I4MK-2226-SM-ACKWD 50-59 years, female 13.4
GTEX-1JMPZ-0226-SM-CNPP1 30-39 years, male 13.4
GTEX-1GZ4H-1726-SM-7PBZJ 50-59 years, female 13.3
GTEX-1HBPH-0426-SM-B2LW5 40-49 years, female 13.3
GTEX-16GPK-0126-SM-7DHLE 60-69 years, male 13.2
GTEX-WYJK-0126-SM-3NMAB 50-59 years, male 13.0
GTEX-RWS6-2026-SM-2XCB5 60-69 years, female 12.9
GTEX-13O3Q-2426-SM-5IJBR 50-59 years, male 12.8
GTEX-14PN3-2426-SM-6LLHS 60-69 years, female 12.8
GTEX-Y5V6-2426-SM-4VDSB 60-69 years, male 12.8
GTEX-1HGF4-2426-SM-ACKXM 60-69 years, male 12.8
GTEX-13PVR-2326-SM-5QGR1 60-69 years, female 12.7
GTEX-Y3IK-2426-SM-4WWDU 50-59 years, female 12.7
GTEX-147GR-0526-SM-5S2MY 60-69 years, male 12.6
GTEX-ZC5H-0226-SM-4WAY9 40-49 years, female 12.6
GTEX-148VJ-0126-SM-5TDDN 70-79 years, male 12.5
GTEX-15ETS-0126-SM-7KUMW 40-49 years, female 12.5
GTEX-14PJ6-2126-SM-6EU1V 60-69 years, female 12.4
GTEX-T8EM-1026-SM-3DB7M 40-49 years, male 12.4
GTEX-1RAZQ-0726-SM-EAZ43 30-39 years, male 12.4
GTEX-PLZ6-1426-SM-DKPOT 30-39 years, male 12.4
GTEX-13NZB-2526-SM-5J1OM 30-39 years, male 12.3
GTEX-145ME-1826-SM-5SI9G 40-49 years, female 12.3
GTEX-15EOM-0126-SM-7KUGG 20-29 years, female 12.3
GTEX-1MUQO-0126-SM-EAZ58 60-69 years, male 12.3
GTEX-1B8SG-0126-SM-73KZ3 50-59 years, male 12.2
GTEX-TMMY-0226-SM-33HBA 40-49 years, female 12.1
GTEX-1RDX4-0126-SM-E9J4P 50-59 years, female 12.1
GTEX-1KXAM-2226-SM-CYPTC 60-69 years, male 12.0
GTEX-16AAH-1726-SM-7939C 50-59 years, male 11.9
GTEX-VJYA-1126-SM-3GIJU 60-69 years, male 11.9
GTEX-11EMC-2926-SM-5EQ4F 60-69 years, female 11.8
GTEX-15DYW-0126-SM-7KULE 60-69 years, female 11.8
GTEX-13NZA-0226-SM-5K7Z7 60-69 years, male 11.7
GTEX-1QW4Y-1526-SM-EAZ3Z 30-39 years, male 11.7
GTEX-13NZ8-0826-SM-5MR3I 60-69 years, female 11.6
GTEX-131XF-5016-SM-7MGWE 60-69 years, male 11.6
GTEX-1E2YA-0126-SM-9KNUC 50-59 years, male 11.6
GTEX-14A5I-0126-SM-5TDEA 50-59 years, female 11.5
GTEX-XMD2-0126-SM-4YCDU 60-69 years, female 11.5
GTEX-1S5ZA-0126-SM-EVYCV 20-29 years, male 11.5
GTEX-13N11-2526-SM-5K7UE 50-59 years, female 11.4
GTEX-16NGA-1726-SM-731B4 40-49 years, female 11.3
GTEX-XYKS-2126-SM-4E3IB 60-69 years, female 11.3
GTEX-1A32A-0126-SM-718B1 50-59 years, female 11.2
GTEX-1J8JJ-0226-SM-CL53I 60-69 years, female 11.2
GTEX-1KAFJ-2026-SM-CY8ID 50-59 years, male 11.2
GTEX-SIU8-0126-SM-2XCDT 50-59 years, male 11.1
GTEX-TMZS-0126-SM-3DB9Q 60-69 years, male 11.1
GTEX-1I1HK-0126-SM-COH49 60-69 years, male 11.0
GTEX-1C2JI-1826-SM-73KXC 50-59 years, male 10.9
GTEX-1EWIQ-0126-SM-7RHH2 70-79 years, female 10.9
GTEX-14PII-0226-SM-6EU1T 60-69 years, male 10.8
GTEX-15DCD-0126-SM-7KUEK 70-79 years, female 10.8
GTEX-1HBPN-0226-SM-9YFM1 50-59 years, male 10.7
GTEX-1IDJU-2626-SM-CM2RT 60-69 years, female 10.7
GTEX-1JKYR-0126-SM-CNPOJ 20-29 years, male 10.7
GTEX-13VXU-0126-SM-5SI9F 50-59 years, male 10.6
GTEX-QLQW-1126-SM-2S1Q8 30-39 years, male 10.6
GTEX-ZDYS-2026-SM-5HL5L 50-59 years, male 10.6
GTEX-1I1GP-2226-SM-CGQFK 50-59 years, male 10.6
GTEX-139UW-2826-SM-5L3E7 60-69 years, male 10.5
GTEX-11DZ1-0126-SM-5985Q 50-59 years, male 10.4
GTEX-1H1DE-2126-SM-9WG6R 20-29 years, male 10.4
GTEX-1JN76-0126-SM-CNPPE 20-29 years, female 10.3
GTEX-17F97-0326-SM-7LG5B 50-59 years, male 10.2
GTEX-1AMEY-1326-SM-73KYK 30-39 years, female 10.2
GTEX-P4PP-0126-SM-3LK69 30-39 years, female 10.1
GTEX-1H3VE-0326-SM-9YFLH 40-49 years, male 10.1
GTEX-1313W-0126-SM-5LZUN 50-59 years, female 10.0
GTEX-13OW5-0126-SM-DTXFS 60-69 years, male 10.0
GTEX-1EU9M-0226-SM-7P8SP 60-69 years, male 10.0
GTEX-113JC-2326-SM-5EQ4E 50-59 years, female 9.9
GTEX-145LT-1726-SM-5QGP3 40-49 years, male 9.8
GTEX-11EI6-0126-SM-5985R 60-69 years, male 9.7
GTEX-OIZH-0126-SM-2HMIS 50-59 years, male 9.7
GTEX-S95S-1226-SM-4GICG 60-69 years, male 9.7
GTEX-X585-0226-SM-4QAS2 50-59 years, male 9.7
GTEX-PSDG-0226-SM-DKPOZ 50-59 years, male 9.6
GTEX-ZPIC-1726-SM-DHXIU 40-49 years, female 9.6
GTEX-1QPFJ-0226-SM-E76PB 30-39 years, female 9.5
GTEX-17HHY-0126-SM-7LG5D 50-59 years, male 9.4
GTEX-WFG8-2226-SM-3GIL9 20-29 years, male 9.4
GTEX-13NYS-0126-SM-5MR3W 60-69 years, male 9.3
GTEX-14753-0426-SM-5NQAM 60-69 years, male 9.3
GTEX-1QP66-1726-SM-E8VO1 50-59 years, male 9.3
GTEX-RU72-0926-SM-2TF6B 50-59 years, female 9.2
GTEX-1H23P-0126-SM-ADEJ3 60-69 years, male 9.2
GTEX-1POEN-0126-SM-EYYXJ 30-39 years, female 9.2
GTEX-12584-0126-SM-5EGKQ 40-49 years, male 9.1
GTEX-1B8KZ-2026-SM-7DHMB 50-59 years, male 9.1
GTEX-11EQ9-2426-SM-5HL5T 30-39 years, male 9.0
GTEX-18D9U-0226-SM-718BP 40-49 years, male 8.9
GTEX-T5JW-1626-SM-3GADZ 20-29 years, female 8.9
GTEX-1CB4G-0226-SM-7PC3O 60-69 years, male 8.9
GTEX-14C5O-0126-SM-5SI6N 60-69 years, male 8.8
GTEX-117YW-2626-SM-5GZZH 50-59 years, male 8.7
GTEX-1B996-0226-SM-7RHGO 60-69 years, male 8.7
GTEX-SE5C-1626-SM-2XCE3 40-49 years, female 8.7
GTEX-11GSP-2526-SM-5N9BP 60-69 years, female 8.5
GTEX-11P81-2326-SM-59875 30-39 years, female 8.5
GTEX-13RTL-0126-SM-7LG5S 40-49 years, male 8.4
GTEX-Z9EW-1626-SM-5CVMN 40-49 years, male 8.4
GTEX-12696-2426-SM-5EQ6H 60-69 years, male 8.3
GTEX-131XW-0426-SM-5LZWP 50-59 years, female 8.3
GTEX-1AYCT-2426-SM-7IGQ3 50-59 years, male 8.2
GTEX-1GN2E-0426-SM-9MQKX 60-69 years, male 8.2
GTEX-1QP9N-1426-SM-DTXFL 30-39 years, male 8.2
GTEX-12WSK-2326-SM-5GCOH 40-49 years, female 8.1
GTEX-132NY-0326-SM-5IJBL 60-69 years, male 8.1
GTEX-15DDE-0126-SM-6LPKH 50-59 years, female 8.1
GTEX-16NPX-0226-SM-79OMT 50-59 years, male 8.1
GTEX-XBEW-0626-SM-4QASP 40-49 years, male 8.1
GTEX-1AYD5-2426-SM-73KXR 50-59 years, male 8.0
GTEX-S7PM-0126-SM-4AD6S 60-69 years, male 8.0
GTEX-ZVE2-0226-SM-59HJB 50-59 years, male 8.0
GTEX-17MF6-0126-SM-7LG4F 40-49 years, male 7.9
GTEX-NFK9-0226-SM-2HMKQ 40-49 years, male 7.9
GTEX-1HSMO-0126-SM-CL547 60-69 years, male 7.9
GTEX-1GMR8-0126-SM-9WYTM 50-59 years, female 7.8
GTEX-1GPI7-0126-SM-9MQL8 20-29 years, male 7.8
GTEX-WRHK-1426-SM-3MJF9 20-29 years, female 7.7
GTEX-1F75A-0126-SM-7RHGM 50-59 years, male 7.7
GTEX-1I1GR-0126-SM-CL55F 60-69 years, male 7.7
GTEX-12C56-1726-SM-5EQ61 20-29 years, male 7.6
GTEX-14DAR-2026-SM-5S2O3 50-59 years, male 7.6
GTEX-113IC-0126-SM-5HL6T 60-69 years, male 7.5
GTEX-ZYY3-0126-SM-5GZY5 60-69 years, female 7.4
GTEX-1C6WA-0126-SM-7PC2B 60-69 years, male 7.4
GTEX-1HCVE-0126-SM-CGQEU 50-59 years, male 7.4
GTEX-1PPH8-0226-SM-E8VND 20-29 years, male 7.4
GTEX-POMQ-2226-SM-2I5FK 20-29 years, female 7.3
GTEX-14PHW-0126-SM-6LLJI 60-69 years, female 7.2
GTEX-15EU6-0426-SM-6PAN5 50-59 years, male 7.2
GTEX-11H98-0126-SM-5EGHG 50-59 years, male 7.1
GTEX-17EUY-0426-SM-793BD 20-29 years, male 7.1
GTEX-1I1GT-0626-SM-CGQER 60-69 years, female 7.0
GTEX-11UD1-0126-SM-5PNYG 40-49 years, female 6.9
GTEX-1CAMR-1926-SM-7EPI2 20-29 years, male 6.9
GTEX-1F48J-0126-SM-7P8TT 50-59 years, female 6.9
GTEX-1LVAN-0226-SM-COH3S 50-59 years, female 6.9
GTEX-1S82Y-2026-SM-EVYCM 40-49 years, male 6.9
GTEX-1GF9U-2126-SM-7SB7L 40-49 years, female 6.8
GTEX-1H3NZ-0126-SM-ACKX7 60-69 years, male 6.8
GTEX-14LLW-0126-SM-6LLIO 70-79 years, female 6.7
GTEX-17KNJ-2326-SM-7DHLQ 50-59 years, male 6.7
GTEX-V1D1-2226-SM-3NMAX 50-59 years, male 6.7
GTEX-X261-0126-SM-3NMD6 50-59 years, male 6.7
GTEX-ZYFG-2326-SM-5E44B 60-69 years, female 6.7
GTEX-139TS-2826-SM-5J1OO 60-69 years, male 6.6
GTEX-1I1GQ-0126-SM-COH3H 50-59 years, male 6.6
GTEX-1IDFM-0126-SM-COH2V 60-69 years, male 6.6
GTEX-T2IS-0126-SM-4DM6O 20-29 years, female 6.4
GTEX-1OJC3-0126-SM-E76QX 20-29 years, male 6.4
GTEX-13QJ3-0326-SM-5S2RA 50-59 years, male 6.3
GTEX-11ZTS-0126-SM-5EQ6M 60-69 years, female 6.2
GTEX-1F5PK-2426-SM-7RHHY 50-59 years, male 6.2
GTEX-1F88F-2726-SM-7PBZZ 60-69 years, female 6.2
GTEX-145MN-2226-SM-5SIAU 30-39 years, male 6.1
GTEX-1HCU9-1526-SM-A9SL7 20-29 years, male 6.1
GTEX-ZQG8-1626-SM-DHXIT 60-69 years, female 6.1
GTEX-12WSD-0126-SM-59HKN 60-69 years, female 6.0
GTEX-ZF2S-2326-SM-4WWCE 50-59 years, female 6.0
GTEX-117YX-2326-SM-5H12W 50-59 years, male 5.9
GTEX-139T4-0226-SM-5HL5S 50-59 years, female 5.9
GTEX-13OW7-0126-SM-5MR3B 50-59 years, male 5.9
GTEX-U412-0426-SM-3DB9O 60-69 years, male 5.9
GTEX-1QEPI-0126-SM-EWRMQ 60-69 years, female 5.9
GTEX-X4XY-0226-SM-4E3IZ 60-69 years, male 5.8
GTEX-16YQH-0126-SM-7DUFJ 30-39 years, male 5.7
GTEX-1GMRU-0126-SM-9YFLV 50-59 years, male 5.7
GTEX-1J8Q2-0526-SM-CM2RW 60-69 years, male 5.7
GTEX-1JMQI-2226-SM-CM2SD 50-59 years, male 5.7
GTEX-11GS4-2726-SM-5A5LE 60-69 years, male 5.6
GTEX-13SLW-0126-SM-5SI6C 70-79 years, male 5.6
GTEX-1H1E6-1726-SM-ACKVK 30-39 years, male 5.6
GTEX-1LBAC-0126-SM-DIPEZ 20-29 years, male 5.6
GTEX-147F3-0526-SM-5SI98 50-59 years, female 5.5
GTEX-14BIN-0626-SM-793DP 50-59 years, female 5.5
GTEX-XPVG-2626-SM-4B669 50-59 years, male 5.5
GTEX-ZAK1-0126-SM-5IJD3 50-59 years, female 5.5
GTEX-XAJ8-0826-SM-47JY6 40-49 years, male 5.4
GTEX-147F4-0226-SM-5QGPW 50-59 years, male 5.3
GTEX-1BAJH-0526-SM-793CQ 70-79 years, male 5.3
GTEX-1NV5F-0226-SM-E8VNY 60-69 years, female 5.3
GTEX-18A7B-0126-SM-7LG64 70-79 years, male 5.2
GTEX-1HCU7-0226-SM-CL545 50-59 years, male 5.2
GTEX-11ZUS-0626-SM-59885 30-39 years, male 5.1
GTEX-13W46-0226-SM-5SIAG 50-59 years, male 5.1
GTEX-1HSKV-0226-SM-A9SKJ 60-69 years, male 5.1
GTEX-18D9A-1926-SM-7LG6P 30-39 years, female 5.0
GTEX-P4QT-0126-SM-2I3FL 50-59 years, female 5.0
GTEX-1N2DW-0226-SM-E9TK2 50-59 years, male 5.0
GTEX-139TT-0126-SM-5K7Y5 60-69 years, male 4.9
GTEX-14E6C-0126-SM-5RQIP 40-49 years, male 4.9
GTEX-1J8QM-2126-SM-CYPSJ 60-69 years, female 4.9
GTEX-1KWVE-1426-SM-E9TJO 30-39 years, male 4.9
GTEX-1QP2A-0126-SM-E9J43 50-59 years, male 4.9
GTEX-12126-0326-SM-5PNW3 20-29 years, male 4.8
GTEX-15SHU-0126-SM-7KUEH 40-49 years, female 4.8
GTEX-1CB4I-0226-SM-79OLH 50-59 years, male 4.8
GTEX-1QP29-0626-SM-EWRMX 50-59 years, male 4.8
GTEX-13OVK-2026-SM-7KUEO 40-49 years, male 4.7
GTEX-ZE9C-2726-SM-57WB5 60-69 years, male 4.7
GTEX-1F75I-0326-SM-9YFLU 40-49 years, male 4.7
GTEX-1B97I-1626-SM-73KYO 40-49 years, male 4.6
GTEX-11WQC-2526-SM-5CVLE 60-69 years, male 4.5
GTEX-18465-0126-SM-731BN 50-59 years, male 4.5
GTEX-1HSGN-0226-SM-CGQFV 40-49 years, female 4.5
GTEX-15ER7-0326-SM-7KUEV 20-29 years, female 4.4
GTEX-14PHX-2326-SM-62LEM 50-59 years, male 4.3
GTEX-1MA7W-2026-SM-E9TJ6 20-29 years, female 4.3
GTEX-14ABY-0226-SM-5TDCQ 50-59 years, male 4.2
GTEX-TML8-1926-SM-32QOS 40-49 years, female 4.2
GTEX-17EVP-0326-SM-7DHLG 40-49 years, male 4.1
GTEX-ZU9S-0226-SM-5E441 30-39 years, male 4.1
GTEX-1QCLY-0326-SM-E8VOG 30-39 years, male 4.1
GTEX-13FTY-0526-SM-5L3EV 40-49 years, female 4.0
GTEX-13OW6-0426-SM-5L3HM 50-59 years, male 4.0
GTEX-14JG1-0426-SM-6ETZZ 40-49 years, male 3.9
GTEX-U3ZH-2026-SM-3DB78 30-39 years, male 3.9
GTEX-1JJE9-0326-SM-CL53Z 70-79 years, male 3.9
GTEX-1QMI2-0226-SM-EVYBX 60-69 years, male 3.9
GTEX-1192X-0226-SM-5H12D 50-59 years, male 3.8
GTEX-1F5PL-0326-SM-7P8PQ 40-49 years, female 3.8
GTEX-1F6I4-0126-SM-9MQL2 60-69 years, male 3.8
GTEX-1IGQW-0126-SM-COH42 60-69 years, male 3.8
GTEX-1O97I-0326-SM-EYYX7 60-69 years, male 3.8
GTEX-11DYG-0126-SM-59883 60-69 years, male 3.7
GTEX-1EKGG-0226-SM-9WYTH 60-69 years, male 3.7
GTEX-1GN73-0226-SM-9WG67 60-69 years, male 3.7
GTEX-11ZTT-2426-SM-5EQLS 60-69 years, female 3.6
GTEX-12WSC-0126-SM-5EQ4P 50-59 years, male 3.6
GTEX-13IVO-0126-SM-5J1NG 70-79 years, male 3.6
GTEX-WVJS-0126-SM-4MVOT 50-59 years, male 3.6
GTEX-1F6IF-0726-SM-7P8TW 60-69 years, male 3.6
GTEX-1H3VY-0126-SM-ACKXD 50-59 years, male 3.6
GTEX-1HSMQ-1226-SM-CGQFX 50-59 years, male 3.6
GTEX-1I1CD-0126-SM-CM2TK 60-69 years, female 3.6
GTEX-1I1GV-0526-SM-A9G29 60-69 years, male 3.6
GTEX-1PDJ9-0326-SM-DTX95 20-29 years, male 3.6
GTEX-13YAN-0326-SM-5O9DF 60-69 years, male 3.5
GTEX-145LV-2126-SM-5LU8N 50-59 years, male 3.5
GTEX-1IKJJ-0126-SM-CNPQB 60-69 years, male 3.5
GTEX-1IY9M-0126-SM-D3L8S 60-69 years, male 3.5
GTEX-111FC-0126-SM-5N9DL 60-69 years, male 3.4
GTEX-11DXW-0226-SM-5H122 40-49 years, male 3.4
GTEX-13OW8-1326-SM-5J1OW 60-69 years, male 3.4
GTEX-145LU-0126-SM-5TDCB 50-59 years, male 3.3
GTEX-1C4CL-0526-SM-73KVK 30-39 years, male 3.3
GTEX-OXRO-0126-SM-2YUN4 60-69 years, female 3.3
GTEX-R3RS-0126-SM-3GIJL 40-49 years, female 3.3
GTEX-1LB8K-0226-SM-EWRNW 50-59 years, male 3.3
GTEX-X4XX-0126-SM-3NMC2 60-69 years, male 3.2
GTEX-1GZ2Q-0226-SM-7P8TL 40-49 years, male 3.2
GTEX-131XH-2226-SM-5DUXJ 50-59 years, male 3.1
GTEX-17HHE-2026-SM-79OKF 50-59 years, male 3.1
GTEX-1LGOU-2026-SM-DIPFF 20-29 years, female 3.1
GTEX-1269C-2526-SM-5EGJ3 60-69 years, female 3.0
GTEX-1314G-1526-SM-5EGK2 30-39 years, male 3.0
GTEX-15F5U-1526-SM-6PANO 40-49 years, male 3.0
GTEX-TSE9-0126-SM-3DB83 60-69 years, female 3.0
GTEX-1JMOU-1526-SM-CL54I 60-69 years, female 3.0
GTEX-13FTX-1826-SM-5J1NX 20-29 years, female 2.9
GTEX-ZZ64-1726-SM-5GZYB 20-29 years, male 2.9
GTEX-1H1ZS-0426-SM-9WG6G 70-79 years, male 2.9
GTEX-1HFI6-0226-SM-ADEHZ 40-49 years, male 2.9
GTEX-145MF-0626-SM-5LUAI 50-59 years, male 2.8
GTEX-P4PQ-0126-SM-2S1NM 60-69 years, male 2.8
GTEX-13NYC-0326-SM-E9J4S 60-69 years, male 2.8
GTEX-1CB4H-0226-SM-7PBXM 60-69 years, female 2.8
GTEX-1GMR3-1926-SM-9KNUZ 40-49 years, male 2.8
GTEX-1GN1U-0126-SM-7PBZK 50-59 years, female 2.8
GTEX-1H2FU-0126-SM-9WYSI 60-69 years, female 2.8
GTEX-13112-2826-SM-5DUWH 50-59 years, male 2.7
GTEX-139D8-0226-SM-5KLZO 30-39 years, female 2.7
GTEX-1212Z-2526-SM-5EGKP 60-69 years, male 2.6
GTEX-131XG-2626-SM-5KM17 50-59 years, female 2.6
GTEX-1F7RK-0126-SM-7PC2S 20-29 years, female 2.6
GTEX-1JKYN-1326-SM-CGQG9 30-39 years, male 2.6
GTEX-15RIG-0226-SM-7KFTL 40-49 years, male 2.5
GTEX-1GTWX-0126-SM-9YFLK 60-69 years, male 2.5
GTEX-1HBPI-1526-SM-C1YQ1 50-59 years, male 2.5
GTEX-17EVQ-0226-SM-7LG4P 70-79 years, male 2.4
GTEX-1CAMQ-0226-SM-7IGPK 40-49 years, male 2.4
GTEX-PX3G-0126-SM-2I3EN 20-29 years, female 2.4
GTEX-13PDP-0126-SM-5L3HD 60-69 years, male 2.3
GTEX-T6MN-0126-SM-32PLP 50-59 years, male 2.3
GTEX-13X6J-0126-SM-5QGOU 50-59 years, male 2.2
GTEX-XUYS-0126-SM-47JWZ 50-59 years, male 2.2
GTEX-Y111-0126-SM-4SOIV 50-59 years, male 2.2
GTEX-ZAB5-1826-SM-5HL7C 50-59 years, male 2.2
GTEX-13X6I-0626-SM-5QGP9 60-69 years, male 2.1
GTEX-YB5K-2126-SM-4WWDJ 40-49 years, female 2.1
GTEX-144GL-0126-SM-5TDE2 50-59 years, male 2.0
GTEX-1E1VI-0126-SM-7DHMZ 50-59 years, male 2.0
GTEX-1PPH7-2326-SM-EVYB8 40-49 years, male 2.0
GTEX-139T8-0126-SM-5K7XZ 60-69 years, male 1.9
GTEX-S7SE-0126-SM-2XCD5 50-59 years, male 1.9
GTEX-WFON-2126-SM-3LK7O 40-49 years, male 1.9
GTEX-1F75B-0126-SM-9KNVL 50-59 years, male 1.9
GTEX-1PFEY-1526-SM-E76PP 30-39 years, male 1.9
GTEX-11NUK-0126-SM-5A5L3 50-59 years, male 1.8
GTEX-13111-1626-SM-5EGJY 50-59 years, male 1.8
GTEX-1R9K4-0126-SM-DTX9X 60-69 years, male 1.8
GTEX-13113-5016-SM-7EPIP 60-69 years, female 1.7
GTEX-13JUV-2726-SM-5LZZ8 40-49 years, female 1.7
GTEX-1C64N-0126-SM-793D7 50-59 years, male 1.7
GTEX-12ZZX-0126-SM-5EGK9 40-49 years, female 1.6
GTEX-133LE-1826-SM-5J1MV 20-29 years, female 1.6
GTEX-1EN7A-0126-SM-7SB81 40-49 years, male 1.6
GTEX-14E6D-0126-SM-62LDV 50-59 years, male 1.5
GTEX-QDVN-2026-SM-3GAEP 50-59 years, male 1.5
GTEX-13O1R-0126-SM-5L3EH 60-69 years, male 1.4
GTEX-ZYFC-0226-SM-5NQ75 50-59 years, male 1.4
GTEX-1EMGI-0126-SM-9KNUE 60-69 years, male 1.4
GTEX-1H4P4-0726-SM-9YFLR 50-59 years, male 1.4
GTEX-1J1OQ-0226-SM-CYPSH 40-49 years, female 1.4
GTEX-ZVTK-0426-SM-51MRS 20-29 years, male 1.3
GTEX-1KANC-1526-SM-D3LAB 50-59 years, female 1.3
GTEX-17HII-0226-SM-7LG4E 50-59 years, male 1.2
GTEX-XUZC-1726-SM-4BRWS 30-39 years, female 1.2
GTEX-YJ89-0126-SM-4TT3X 60-69 years, male 1.2
GTEX-ZYT6-0226-SM-5NQ6T 30-39 years, male 1.2
GTEX-1MCQQ-0826-SM-DLHC2 60-69 years, male 1.2
GTEX-1RLM8-2326-SM-EWRN4 50-59 years, male 1.2
GTEX-1GF9V-0326-SM-7RHI5 60-69 years, male 1.1
GTEX-12WSE-0526-SM-793B2 20-29 years, male 1.0
GTEX-1C475-1826-SM-73KWA 40-49 years, female 1.0
GTEX-1JMQL-0226-SM-CNPP5 50-59 years, female 1.0
GTEX-1KD5A-0226-SM-D5OV3 50-59 years, male 1.0
GTEX-1IOXB-0126-SM-ARL8G 50-59 years, male 0.9
GTEX-13OVH-0126-SM-5MR4B 70-79 years, male 0.8
GTEX-Y8DK-0126-SM-4TT3L 60-69 years, male 0.8
GTEX-ZWKS-0126-SM-5SIAA 30-39 years, male 0.8
GTEX-Y8E4-0626-SM-4WWDL 40-49 years, male 0.7
GTEX-ZTX8-1426-SM-5DUVO 20-29 years, male 0.7
GTEX-1IL2V-0126-SM-CM2TX 70-79 years, male 0.7
GTEX-1R7EU-0226-SM-EVR4G 60-69 years, male 0.7
GTEX-131XE-2326-SM-5PNZ2 50-59 years, male 0.6
GTEX-13S7M-0126-SM-5SI6A 60-69 years, female 0.6
GTEX-15CHC-2126-SM-6EU21 60-69 years, female 0.6
GTEX-1AX9J-0226-SM-73KXM 60-69 years, male 0.6
GTEX-1I19N-0326-SM-ACKVX 70-79 years, male 0.6
GTEX-OOBJ-0126-SM-E6CJW 60-69 years, male 0.6
GTEX-1A3MV-1926-SM-718BT 30-39 years, male 0.5
GTEX-1B8SF-1426-SM-7DUGL 60-69 years, male 0.5
GTEX-1JJEA-0326-SM-CNPOT 60-69 years, male 0.5
GTEX-1MJK2-0426-SM-DTXE5 50-59 years, male 0.5
GTEX-1S82Z-0826-SM-E6CHY 30-39 years, female 0.5
GTEX-1399T-2826-SM-5KLYZ 60-69 years, male 0.4
GTEX-139TU-0126-SM-5K7WH 60-69 years, male 0.4
GTEX-ZDTS-0126-SM-4WAY5 60-69 years, male 0.4
GTEX-ZE7O-0126-SM-57WC1 50-59 years, female 0.3
GTEX-13SLX-0526-SM-5S2ON 50-59 years, female 0.2
GTEX-14LZ3-0226-SM-62LET 60-69 years, female 0.2
GTEX-1ICLY-0126-SM-D4P36 50-59 years, male 0.2
GTEX-13O3P-0126-SM-5KM4S 50-59 years, male 0.1
GTEX-1B8L1-2526-SM-9WYTF 60-69 years, male 0.1
GTEX-1HSEH-0126-SM-ACKXN 60-69 years, male 0.1
GTEX-111VG-2426-SM-5GZXD 60-69 years, male 0.0
GTEX-1122O-2126-SM-5EGIR 60-69 years, female 0.0
GTEX-1128S-2326-SM-5GZZY 60-69 years, female 0.0
GTEX-117XS-2726-SM-5N9BL 60-69 years, male 0.0
GTEX-11DXY-2626-SM-5GIE7 60-69 years, male 0.0
GTEX-11DXZ-2326-SM-5EGGV 50-59 years, male 0.0
GTEX-11EM3-2426-SM-59861 20-29 years, female 0.0
GTEX-11GSO-2426-SM-5A5LY 60-69 years, male 0.0
GTEX-11NSD-2226-SM-5986V 20-29 years, male 0.0
GTEX-11OC5-0126-SM-5HL6A 60-69 years, male 0.0
GTEX-11OF3-2626-SM-5GU7F 60-69 years, male 0.0
GTEX-11P82-1626-SM-59879 20-29 years, male 0.0
GTEX-11TT1-2526-SM-5EGIB 20-29 years, male 0.0
GTEX-11TTK-0126-SM-5987B 60-69 years, female 0.0
GTEX-11UD2-0226-SM-5EQKY 50-59 years, male 0.0
GTEX-11WQK-0526-SM-5EQLD 50-59 years, male 0.0
GTEX-11ZU8-2526-SM-5EQKI 60-69 years, male 0.0
GTEX-12KS4-0326-SM-5EQ41 30-39 years, male 0.0
GTEX-12WSA-0226-SM-5BC5V 60-69 years, male 0.0
GTEX-12ZZY-0226-SM-5LZVE 60-69 years, male 0.0
GTEX-12ZZZ-0626-SM-5DUXI 60-69 years, male 0.0
GTEX-131YS-0126-SM-5KM1M 60-69 years, female 0.0
GTEX-1399R-2726-SM-5IJBA 30-39 years, male 0.0
GTEX-13CF2-2526-SM-5LZYX 60-69 years, male 0.0
GTEX-13FHP-0126-SM-5IJBG 50-59 years, male 0.0
GTEX-13FTW-2626-SM-5K7WL 40-49 years, male 0.0
GTEX-13FXS-0226-SM-5IJCK 50-59 years, male 0.0
GTEX-13N1W-0126-SM-5K7VT 70-79 years, male 0.0
GTEX-13N2G-2626-SM-5J1OT 60-69 years, male 0.0
GTEX-13NYB-2526-SM-5K7Z6 40-49 years, male 0.0
GTEX-13OVI-1426-SM-5L3EY 60-69 years, female 0.0
GTEX-13OVL-0226-SM-5L3E9 50-59 years, male 0.0
GTEX-145LS-0126-SM-5QGP1 60-69 years, female 0.0
GTEX-14A5H-0426-SM-5QGQF 60-69 years, male 0.0
GTEX-14A6H-0126-SM-5QGPK 30-39 years, male 0.0
GTEX-14BMV-0126-SM-5S2PO 50-59 years, male 0.0
GTEX-14DAQ-0126-SM-5S2MQ 60-69 years, female 0.0
GTEX-14E7W-0126-SM-6LLJ9 70-79 years, male 0.0
GTEX-16BQI-0226-SM-7KUEX 30-39 years, female 0.0
GTEX-16MT8-0426-SM-7KUEY 60-69 years, female 0.0
GTEX-17F96-1626-SM-7DUFL 70-79 years, male 0.0
GTEX-17HG3-2226-SM-7938L 30-39 years, female 0.0
GTEX-17JCI-0126-SM-7LG5G 60-69 years, female 0.0
GTEX-1C6VR-2426-SM-79OLD 60-69 years, male 0.0
GTEX-OHPM-0126-SM-2YUN9 50-59 years, male 0.0
GTEX-OXRL-0126-SM-2YUMP 50-59 years, male 0.0
GTEX-RWSA-0126-SM-2XCBB 40-49 years, male 0.0
GTEX-SJXC-0126-SM-2XCFF 60-69 years, male 0.0
GTEX-T2YK-0526-SM-32QPJ 50-59 years, male 0.0
GTEX-VJWN-0126-SM-3GIK7 50-59 years, female 0.0
GTEX-WOFL-0126-SM-3MJG2 60-69 years, male 0.0
GTEX-WZTO-0126-SM-3NM95 40-49 years, male 0.0
GTEX-X62O-0126-SM-4E3JN 50-59 years, male 0.0
GTEX-XQ3S-1526-SM-4BOOC 20-29 years, male 0.0
GTEX-XQ8I-0426-SM-4BOPO 50-59 years, male 0.0
GTEX-XUW1-0426-SM-4BOOT 50-59 years, female 0.0
GTEX-YEC4-2126-SM-5IFJH 40-49 years, male 0.0
GTEX-YFC4-0126-SM-5CVLY 40-49 years, female 0.0
GTEX-Z93S-0126-SM-5HL7M 50-59 years, male 0.0
GTEX-ZF28-0126-SM-4WKGK 60-69 years, male 0.0
GTEX-ZQUD-1426-SM-57WER 30-39 years, male 0.0
GTEX-ZV68-0126-SM-59HKS 50-59 years, female 0.0
GTEX-ZVT2-2526-SM-51MT1 50-59 years, female 0.0
GTEX-ZVT3-0126-SM-5GU6I 60-69 years, female 0.0
GTEX-ZVZP-2426-SM-59HKJ 50-59 years, male 0.0
GTEX-ZXES-1826-SM-5E43S 30-39 years, female 0.0
GTEX-ZXG5-0126-SM-5GIEU 60-69 years, male 0.0
GTEX-ZY6K-1826-SM-5GZXK 50-59 years, male 0.0
GTEX-ZYFD-0126-SM-5GIDL 50-59 years, male 0.0
GTEX-ZZPT-0226-SM-5E43X 50-59 years, male 0.0
GTEX-1A8FM-0226-SM-7SB7Q 50-59 years, female 0.0
GTEX-1AX9I-0126-SM-7SB74 60-69 years, male 0.0
GTEX-1CB4F-0426-SM-9KNV4 60-69 years, male 0.0
GTEX-1F52S-0126-SM-9MQJU 60-69 years, female 0.0
GTEX-1F6RS-0126-SM-9MQKZ 60-69 years, female 0.0
GTEX-1GL5R-1826-SM-9KNUY 50-59 years, male 0.0
GTEX-1GPI6-0126-SM-9WG69 60-69 years, male 0.0
GTEX-1H11D-0226-SM-9WG6Z 40-49 years, male 0.0
GTEX-1H1CY-2826-SM-9MQM3 60-69 years, female 0.0
GTEX-1H3O1-0426-SM-9YFKY 60-69 years, male 0.0
GTEX-1HBPM-0226-SM-ARL9F 60-69 years, female 0.0
GTEX-1HFI7-1826-SM-ACKXH 50-59 years, female 0.0
GTEX-1HSMP-0126-SM-E6CJS 70-79 years, male 0.0
GTEX-1HT8W-0126-SM-CNPPP 30-39 years, male 0.0
GTEX-1I6K6-0126-SM-A9SLE 30-39 years, male 0.0
GTEX-1IDJH-0326-SM-A9SLQ 70-79 years, male 0.0
GTEX-1IKK5-0626-SM-ARL8A 60-69 years, male 0.0
GTEX-1IL2U-0226-SM-CE6T8 60-69 years, male 0.0
GTEX-1J1R8-1726-SM-ARL8M 40-49 years, male 0.0
GTEX-1JJ6O-0126-SM-E6CI8 60-69 years, male 0.0
GTEX-1JMLX-0226-SM-CM2RO 50-59 years, male 0.0
GTEX-1JMPY-1326-SM-ARL8Y 30-39 years, male 0.0
GTEX-1JMQJ-0526-SM-CYPSU 50-59 years, male 0.0
GTEX-1KANA-0726-SM-D3L9I 20-29 years, male 0.0
GTEX-1KANB-0526-SM-E6CJH 50-59 years, male 0.0
GTEX-1KD4Q-0226-SM-E9TJ9 40-49 years, male 0.0
GTEX-1L5NE-2526-SM-E6CIE 50-59 years, male 0.0
GTEX-1LC47-0326-SM-E9TJP 60-69 years, male 0.0
GTEX-1LG7Z-1726-SM-D3LA4 30-39 years, male 0.0
GTEX-1LGRB-2526-SM-CNPPQ 50-59 years, female 0.0
GTEX-1LH75-2426-SM-E9TJE 50-59 years, female 0.0
GTEX-1LSNM-1926-SM-E6CII 50-59 years, male 0.0
GTEX-1MA7X-2226-SM-E6CIY 60-69 years, male 0.0
GTEX-1N2DV-0226-SM-E6CJ6 40-49 years, male 0.0
GTEX-1OFPY-2426-SM-DTXEJ 60-69 years, male 0.0
GTEX-1PIIG-0226-SM-EWRN6 30-39 years, male 0.0
GTEX-1QAET-0926-SM-E76QM 50-59 years, male 0.0
GTEX-1R9PM-2026-SM-E76OY 20-29 years, male 0.0
GTEX-1RAZA-0126-SM-E6CI3 20-29 years, male 0.0
GTEX-1RQEC-0426-SM-E6CHU 60-69 years, male 0.0
GTEX-1S83E-0126-SM-EWRO4 40-49 years, male 0.0
GTEX-PW2O-1526-SM-7RHHB 20-29 years, male 0.0
GTEX-RVPV-0126-SM-EAZAW 60-69 years, male 0.0
GTEX-ZVT4-0126-SM-DTXFN 50-59 years, female 0.0
Show allShow less

Contact

  • NEWS ARTICLES
  • PRESS ROOM

The Project

  • INTRODUCTION
  • ORGANIZATION
  • PUBLICATIONS

The Human Protein Atlas

  • DOWNLOADABLE DATA
  • LICENCE & CITATION
  • HELP & FAQ
The Human Protein Atlas project is funded
by the Knut & Alice Wallenberg Foundation.


contact@proteinatlas.org