We use cookies to enhance the usability of our website. If you continue, we'll assume that you are happy to receive all cookies. More information. Don't show this again.
PLSCR1
HPA
RESOURCES
  • TISSUE
  • BRAIN
  • SINGLE CELL
  • SUBCELLULAR
  • CANCER
  • BLOOD
  • CELL LINE
  • STRUCTURE & INTERACTION
ABOUT
  • INTRODUCTION
  • HISTORY
  • ORGANIZATION
  • PUBLICATIONS
  • ANTIBODY SUBMISSION
  • ANTIBODY AVAILABILITY
  • ACKNOWLEDGMENTS
  • CONTACT
NEWS
  • NEWS ARTICLES
  • PRESS ROOM
LEARN
  • DICTIONARY
  • PROTEIN CLASSES
  • PROTEIN EVIDENCE
  • METHODS
  • EDUCATIONAL VIDEOS
DATA
  • DOWNLOADABLE DATA
  • PUBLICATION DATA
  • RELEASE HISTORY
HELP
  • ANTIBODY VALIDATION
  • ASSAYS & ANNOTATION
  • DISCLAIMER
  • HELP & FAQ
  • PRIVACY STATEMENT
  • LICENCE & CITATION
Fields »
Search result

Field
Term
Gene name
Class
Subclass
Class
Keyword
Chromosome
External id
Tissue
Cell type
Expression
Antibody panel
Tissue
Main location
Patient ID
Annotation
Tissue
Category
Tau score
Cluster
Reliability
Brain region
Category
Tau score
Brain region
Category
Tau score
Brain region
Category
Tau score
Cluster
Reliability
Tissue
Cell type
Enrichment
Cell type
Category
Tau score
Cell type
Category
Tau score
Cell type
Category
Tau score
Cell lineage
Category
Tau score
Cluster
Cluster
Location
Searches
Location
Cell line
Class
Type
Phase
Reliability
Cancer
Prognosis
Cancer
Category
Cancer
Category
Tau score
Cluster
Variants
Interacting gene (ensg_id)
Type
Number of interactions
Pathway
Category
Score
Score
Score
Validation
Validation
Validation
Validation
Antibodies
Data type
Column


  • SUMMARY

  • TISSUE

  • BRAIN

  • SINGLE CELL

  • SUBCELL

  • CANCER

  • BLOOD

  • CELL LINE

  • STRUCT & INT

  • PLSCR1
TISSUE PRIMARY DATA SKIN Show tissue menu
ADIPOSE TISSUE ADRENAL GLAND AMYGDALA APPENDIX BASAL GANGLIA BONE MARROW BREAST BRONCHUS CEREBELLUM CEREBRAL CORTEX CERVIX CHOROID PLEXUS COLON DUODENUM
ENDOMETRIUM EPIDIDYMIS ESOPHAGUS FALLOPIAN TUBE GALLBLADDER HEART MUSCLE HIPPOCAMPAL FORMATION HYPOTHALAMUS KIDNEY LIVER LUNG LYMPH NODE MIDBRAIN NASOPHARYNX
ORAL MUCOSA OVARY PANCREAS PARATHYROID GLAND PITUITARY GLAND PLACENTA PROSTATE RECTUM RETINA SALIVARY GLAND SEMINAL VESICLE SKELETAL MUSCLE SKIN SMALL INTESTINE
SMOOTH MUSCLE SOFT TISSUE SPINAL CORD SPLEEN STOMACH TESTIS THYMUS THYROID GLAND TONGUE TONSIL URINARY BLADDER VAGINA
ANTIBODIES
AND
VALIDATION
Dictionary
Skin
Tissue proteome
Skin
SKIN - Expression summary
Protein expression
Skini

On the top, protein expression in current human tissue, based on all annotated cell types, is reported with the units not detected (n), low (l), medium (m) and high (h). Underneath, protein expression in each annotated cell type are reported using the same units.

Protein expression data is based on knowledge-based annotation. For genes where more than one antibody has been used, a collective score is set.

If knowledge-based annotation could not be performed for a gene, no data is displayed here. View antibody staining data further down this page.

h
m
l
n
Epidermal cells: Not detected
Fibroblasts: Not detected
Keratinocytes: Not detected
Langerhans: Not detected
Melanocytes: Not detected
RNA expressioni

A summary of mRNA expression data available for current tissue based on several datasets. The mRNA expression levels in human tissues are based on RNA-seq data generated by the Human Protein Atlas (HPA), Genotype-Tissue Expression (GTEx) portal and CAGE data generated by the FANTOM5 consortium. Consensus normalized expression levels for human tissues was created by combining the data from HPA and GTEx datasets.

The mRNA expression levels in pig are based on RNA-seq data generated by the Human Protein Atlas (HPA), and for mouse, HPA data and in situ hybridization generated by the Allen brain atlas are reported.

Scroll down to view mRNA expression data in more detail.
Consensus:13.1 nTPM
HPA:11.0 nTPM
GTEx:13.1 nTPM

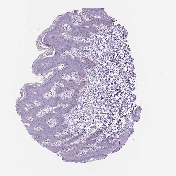
SKIN 1 - Antibody stainingi

Antibody staining in the annotated cell types in the current human tissue is reported as not detected, low, medium, or high, based on conventional immunohistochemistry profiling in selected tissues. This score is based on the combination of the staining intensity and fraction of stained cells.

Each image is clickable and will lead to virtual microscopy that enables deeper exploration of all samples and also displays staining intensity scores, fraction scores and subcellular localization as well as patient and tissue information for each sample.

Antibody CAB070421
Langerhans Not detected
Fibroblasts Not detected
Keratinocytes Not detected
Melanocytes Not detected


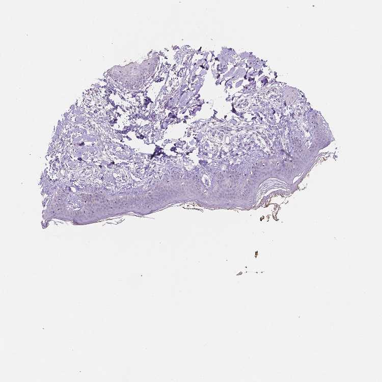
SKIN 2 - Antibody stainingi

Antibody staining in the annotated cell types in the current human tissue is reported as not detected, low, medium, or high, based on conventional immunohistochemistry profiling in selected tissues. This score is based on the combination of the staining intensity and fraction of stained cells.

Each image is clickable and will lead to virtual microscopy that enables deeper exploration of all samples and also displays staining intensity scores, fraction scores and subcellular localization as well as patient and tissue information for each sample.

Antibody CAB070421
Epidermal cells Not detected
 
 
 



SKIN - HPA RNA-seqi

The RNA-seq details section shows detailed information about the individual samples used for the transcript profiling and results of the RNA-seq analysis.

Information about each individual sample is listed below, including gender, age, a tissue section image and estimated fractions of cell types. nTPM (normalized transcripts per million) values give a quantification of the gene abundance which is comparable between different genes and samples.
Average nTPMi

Max subtype nTPM is the value for the subtype with the largest average nTPM across the subtype samples.

11.0
overview
Female, age 34
Skin sample 225
nTPM: 12.9
Cell types%
Keratinocytes:
60

Other cell types:
40

overview
Female, age 30
Skin sample 226
nTPM: 8.8
Cell types%
Keratinocytes:
55

Other cell types:
45

N/A
Male, age 57
Skin sample 227
nTPM: 11.2

SKIN - GTEx RNA-seqi

RNA-Seq data generated by the Genotype-Tissue Expression (GTEx) project from human tissues is reported as mean nTPM. More information can be found on the GTEx portal.

Distribution across the dataset is visualized with box plots, shown as median and 25th and 75th percentiles. Points are displayed as outliers if they are above or below 1.5 times the interquartile range. nTPM values of the individual samples are presented next to the box plot.
Max subtype nTPMi

Max subtype nTPM is the value for the subtype with the largest average nTPM across the subtype samples.

13.1
GTEx sample id Sample description nTPM
Skin - Not Sun Exposed (Suprapubic)
Average nTPM: 12.1
Samples: 604

Max nTPM: 57.1
Min nTPM: 3.1
Std nTPM: 7.0
Median nTPM: 10.3
GTEX-U8XE-0226-SM-4E3J3 30-39 years, male 57.1
GTEX-14A5H-0826-SM-5QGPJ 60-69 years, male 54.2
GTEX-X4EP-0626-SM-3P621 60-69 years, female 51.6
GTEX-17F97-2626-SM-7IGM5 50-59 years, male 51.4
GTEX-11DZ1-2426-SM-5GZZX 50-59 years, male 44.6
GTEX-1L5NE-1126-SM-D3L9P 50-59 years, male 40.7
GTEX-14E6C-2426-SM-5S2NF 40-49 years, male 38.9
GTEX-15G19-2426-SM-7KUMR 60-69 years, male 38.7
GTEX-ZYFD-0626-SM-5E44E 50-59 years, male 38.5
GTEX-1LVAO-2726-SM-E9TJ8 60-69 years, male 36.6
GTEX-1CAV2-0126-SM-7IGN7 40-49 years, female 36.4
GTEX-ZDYS-2426-SM-4WKGI 50-59 years, male 33.4
GTEX-1F88E-1626-SM-7SB8Z 60-69 years, female 30.8
GTEX-X8HC-0626-SM-4E3HQ 50-59 years, female 30.4
GTEX-ZAJG-1526-SM-5CVML 50-59 years, female 29.9
GTEX-1QP29-1826-SM-DTX9S 50-59 years, male 29.5
GTEX-132AR-0326-SM-5KM2C 50-59 years, female 29.4
GTEX-1IDJV-0126-SM-COH3Y 60-69 years, male 28.9
GTEX-1JMQL-2226-SM-CNPP4 50-59 years, female 28.9
GTEX-144GM-0526-SM-79OJO 20-29 years, male 28.7
GTEX-YF7O-1526-SM-5IFI6 50-59 years, male 28.5
GTEX-1ICLY-0826-SM-CMKG1 50-59 years, male 27.7
GTEX-1F48J-0726-SM-7RHGS 50-59 years, female 26.9
GTEX-1HUB1-1426-SM-CGQF5 60-69 years, male 26.9
GTEX-183FY-1026-SM-7939A 20-29 years, male 26.7
GTEX-13NYC-0126-SM-5L3F4 60-69 years, male 26.6
GTEX-14PK6-0226-SM-62LF5 70-79 years, female 25.7
GTEX-XXEK-1626-SM-4BRUZ 50-59 years, male 25.3
GTEX-1QP66-1226-SM-DTX7U 50-59 years, male 25.2
GTEX-ZVE1-0726-SM-51MRN 50-59 years, female 24.6
GTEX-1H3NZ-2726-SM-9WYTQ 60-69 years, male 24.6
GTEX-12WSL-2026-SM-5GCML 50-59 years, male 24.3
GTEX-1CB4H-1126-SM-7MKGL 60-69 years, female 24.3
GTEX-14PJ2-0626-SM-6LLII 50-59 years, male 24.1
GTEX-13FH7-1126-SM-5K7UG 50-59 years, female 24.0
GTEX-1O9I2-0226-SM-EYYXD 50-59 years, male 24.0
GTEX-14C38-0726-SM-5SI6M 50-59 years, male 23.4
GTEX-139YR-1026-SM-5LZYN 50-59 years, male 23.3
GTEX-YB5K-2026-SM-4VDT3 40-49 years, female 23.3
GTEX-ZVE2-2826-SM-5GU51 50-59 years, male 23.2
GTEX-1H1DG-2426-SM-9QEHJ 70-79 years, male 22.7
GTEX-13JUV-2026-SM-5K7UA 40-49 years, female 22.5
GTEX-18D9B-0926-SM-7LG4U 60-69 years, male 22.5
GTEX-ZT9W-1126-SM-57WDR 50-59 years, male 22.4
GTEX-ZYW4-0626-SM-59HJR 60-69 years, male 22.3
GTEX-1IDJF-2026-SM-CL53V 20-29 years, male 22.3
GTEX-1JN1M-2726-SM-CY8I4 60-69 years, female 22.1
GTEX-15G1A-1626-SM-7KUKN 30-39 years, male 22.0
GTEX-1314G-1326-SM-5BC6E 30-39 years, male 21.8
GTEX-13N2G-0226-SM-5K7VF 60-69 years, male 21.8
GTEX-WHSE-0126-SM-3NMBT 20-29 years, male 21.8
GTEX-1H1DF-1126-SM-9WG7G 40-49 years, female 21.6
GTEX-13RTJ-0126-SM-5S2NN 60-69 years, male 21.5
GTEX-12584-0726-SM-5FQTK 40-49 years, male 21.4
GTEX-117YX-1926-SM-5GIEC 50-59 years, male 21.3
GTEX-131YS-2826-SM-5EQ47 60-69 years, female 21.3
GTEX-1F75W-2726-SM-7SB8H 60-69 years, male 21.2
GTEX-1399R-1326-SM-5PNYS 30-39 years, male 20.9
GTEX-13OVJ-0826-SM-5J1OK 50-59 years, female 20.9
GTEX-Y5LM-0926-SM-6LLJG 40-49 years, female 20.9
GTEX-1I6K6-1726-SM-CGQFD 30-39 years, male 20.9
GTEX-1IDJC-1526-SM-B2LW4 50-59 years, male 20.9
GTEX-1F75B-0726-SM-7PC3R 50-59 years, male 20.8
GTEX-1LBAC-0826-SM-CY8IJ 20-29 years, male 20.8
GTEX-1RAZR-2126-SM-E9U6T 40-49 years, male 20.7
GTEX-11DYG-1526-SM-5A5JS 60-69 years, male 20.6
GTEX-WYBS-0626-SM-3NMAS 60-69 years, female 20.6
GTEX-11TT1-1826-SM-5EQLV 20-29 years, male 20.3
GTEX-VJYA-1526-SM-3GIJV 60-69 years, male 20.3
GTEX-14BMU-1226-SM-5S2OR 20-29 years, female 20.1
GTEX-XK95-0226-SM-4AT58 40-49 years, male 20.0
GTEX-1A3MW-0626-SM-731CB 60-69 years, female 19.9
GTEX-1HC8U-1326-SM-9YFMJ 40-49 years, female 19.8
GTEX-145MO-2826-SM-5LU96 60-69 years, male 19.5
GTEX-146FQ-2126-SM-5RQHU 30-39 years, male 19.5
GTEX-15UF6-1926-SM-7KUDV 70-79 years, female 19.5
GTEX-WH7G-2026-SM-3NMBL 40-49 years, male 19.5
GTEX-VUSG-2326-SM-4KL1U 50-59 years, male 19.4
GTEX-11WQK-1026-SM-5EQLX 50-59 years, male 19.3
GTEX-14XAO-1226-SM-6EU1C 60-69 years, female 18.7
GTEX-ZTTD-2826-SM-4YCFA 50-59 years, male 18.7
GTEX-1H23P-0626-SM-9WG6T 60-69 years, male 18.5
GTEX-WFG8-2126-SM-3GIKQ 20-29 years, male 18.4
GTEX-1RAZA-2226-SM-E9U4X 20-29 years, male 18.4
GTEX-1IDJE-1426-SM-ADEIW 50-59 years, female 18.3
GTEX-17EVQ-0126-SM-7IGLR 70-79 years, male 18.1
GTEX-1IDJD-2326-SM-ACKWX 30-39 years, male 18.1
GTEX-1AX9J-1326-SM-731BJ 60-69 years, male 18.0
GTEX-1I1CD-0626-SM-CE6SW 60-69 years, female 18.0
GTEX-1GF9U-2026-SM-7SB92 40-49 years, female 17.7
GTEX-1AX8Z-0726-SM-73KTS 60-69 years, male 17.3
GTEX-1M4P7-0726-SM-E6CJ3 60-69 years, male 17.2
GTEX-1R9PN-0426-SM-DTXDT 40-49 years, female 17.2
GTEX-12BJ1-0926-SM-5EQ62 60-69 years, male 17.1
GTEX-1JMPZ-0726-SM-CY8HZ 30-39 years, male 17.1
GTEX-1RLM8-2926-SM-E8VON 50-59 years, male 17.1
GTEX-1E1VI-0326-SM-793D1 50-59 years, male 17.0
GTEX-1R9K4-2826-SM-DTX8F 60-69 years, male 17.0
GTEX-13O61-1426-SM-5KM3D 60-69 years, male 16.9
GTEX-ZYFG-1526-SM-5GZYM 60-69 years, female 16.9
GTEX-183WM-0326-SM-72D5V 70-79 years, female 16.8
GTEX-1S831-1826-SM-EWROF 20-29 years, male 16.8
GTEX-16BQI-1326-SM-6M486 30-39 years, female 16.7
GTEX-WFON-1926-SM-3LK7L 40-49 years, male 16.7
GTEX-1I19N-0126-SM-CYPSF 70-79 years, male 16.7
GTEX-14E6E-0526-SM-793DN 30-39 years, male 16.6
GTEX-1RB15-1326-SM-E76Q9 60-69 years, male 16.6
GTEX-1A3MX-2626-SM-7PC24 60-69 years, male 16.5
GTEX-1H1ZS-2726-SM-9WG75 70-79 years, male 16.4
GTEX-18A66-0626-SM-7LT8Z 60-69 years, male 16.3
GTEX-13FTW-0326-SM-5K7UW 40-49 years, male 16.2
GTEX-XMD2-2126-SM-4YCF8 60-69 years, female 16.1
GTEX-16AAH-0626-SM-793C9 50-59 years, male 16.0
GTEX-11EM3-1226-SM-5N9DD 20-29 years, female 15.9
GTEX-1S5ZU-2526-SM-E6CIF 20-29 years, female 15.9
GTEX-13N11-2326-SM-5IJBF 50-59 years, female 15.8
GTEX-XV7Q-1826-SM-4BRUV 40-49 years, female 15.8
GTEX-ZU9S-1826-SM-5NQ9E 30-39 years, male 15.8
GTEX-13FTY-2126-SM-5IFFB 40-49 years, female 15.7
GTEX-1GZ2Q-0126-SM-9WG6M 40-49 years, male 15.7
GTEX-17HG3-2626-SM-7DUF2 30-39 years, female 15.6
GTEX-1JKYN-0826-SM-ARU8S 30-39 years, male 15.5
GTEX-139T8-0626-SM-5KLZX 60-69 years, male 15.4
GTEX-ZLFU-1826-SM-4WWBV 40-49 years, male 15.3
GTEX-1HSMO-0626-SM-ACKXC 60-69 years, male 15.1
GTEX-1JMOU-1026-SM-CYPSS 60-69 years, female 15.1
GTEX-1QCLZ-2426-SM-EVYBW 60-69 years, female 15.1
GTEX-1HB9E-0126-SM-CM2S5 50-59 years, male 15.0
GTEX-14AS3-1526-SM-5Q5ED 40-49 years, female 14.8
GTEX-1F6IF-0926-SM-7SB7M 60-69 years, male 14.8
GTEX-17F9E-2326-SM-79OKD 50-59 years, male 14.7
GTEX-1I6K7-1926-SM-B2LXR 40-49 years, male 14.7
GTEX-12WSK-2126-SM-5CVNC 40-49 years, female 14.6
GTEX-13NZ9-2626-SM-5L3FK 50-59 years, male 14.6
GTEX-13QBU-1226-SM-5LU4G 40-49 years, female 14.6
GTEX-145MG-1526-SM-5Q5EM 50-59 years, male 14.6
GTEX-1I4MK-0126-SM-CY8G6 50-59 years, female 14.6
GTEX-16GPK-0626-SM-7KFSF 60-69 years, male 14.5
GTEX-ZPU1-1126-SM-4YCF3 40-49 years, male 14.5
GTEX-ZVP2-0326-SM-57WBP 50-59 years, male 14.5
GTEX-16MT9-0126-SM-7EPI8 60-69 years, female 14.4
GTEX-1F5PL-0926-SM-7PC2W 40-49 years, female 14.4
GTEX-1GMR8-0626-SM-7RHI7 50-59 years, female 14.4
GTEX-1477Z-0326-SM-7IGLA 60-69 years, male 14.3
GTEX-15RIE-1926-SM-7KUKJ 60-69 years, male 14.3
GTEX-16XZZ-0726-SM-7KUF2 60-69 years, male 14.3
GTEX-1B932-2326-SM-79OL5 40-49 years, female 14.3
GTEX-111FC-2526-SM-5GZXU 60-69 years, male 14.2
GTEX-145LT-0526-SM-5LUB2 40-49 years, male 14.2
GTEX-18A7B-2726-SM-7LG56 70-79 years, male 14.2
GTEX-ZLWG-0826-SM-59888 50-59 years, female 14.2
GTEX-18D9A-1426-SM-7LT8M 30-39 years, female 14.2
GTEX-14JG1-1526-SM-5YY9X 40-49 years, male 14.1
GTEX-1IDJI-0126-SM-CMKHS 50-59 years, female 14.1
GTEX-1J8JJ-0626-SM-ARZMQ 60-69 years, female 14.1
GTEX-17MFQ-1526-SM-7KFRR 20-29 years, male 14.0
GTEX-1JMQK-1226-SM-D4P2S 60-69 years, male 14.0
GTEX-ZE9C-2526-SM-5IJDR 60-69 years, male 13.9
GTEX-13NYS-0626-SM-5L3F1 60-69 years, male 13.8
GTEX-13X6I-1826-SM-5SIAO 60-69 years, male 13.8
GTEX-1KD5A-0126-SM-E9U54 50-59 years, male 13.8
GTEX-145ME-1726-SM-5Q5EU 40-49 years, female 13.7
GTEX-WI4N-2726-SM-3LK7Y 40-49 years, female 13.7
GTEX-1MJK3-0726-SM-E6CJC 20-29 years, male 13.7
GTEX-16NPX-0726-SM-7KULC 50-59 years, male 13.6
GTEX-1I1GU-0926-SM-ACKVS 40-49 years, male 13.6
GTEX-13113-1626-SM-5EQ4I 60-69 years, female 13.5
GTEX-1C64O-1326-SM-7MGWR 60-69 years, male 13.5
GTEX-1HCU9-0426-SM-9WYSD 20-29 years, male 13.5
GTEX-15RJ7-2126-SM-6PAMD 40-49 years, male 13.4
GTEX-1F52S-2926-SM-7MKGA 60-69 years, female 13.4
GTEX-XBED-1926-SM-47JYP 60-69 years, male 13.4
GTEX-13N1W-2426-SM-5IJD1 70-79 years, male 13.3
GTEX-15EU6-2226-SM-6EU2L 50-59 years, male 13.3
GTEX-1K2DA-1026-SM-CGQGF 50-59 years, male 13.3
GTEX-1192X-2726-SM-5N9DN 50-59 years, male 13.2
GTEX-12C56-1526-SM-5FQUQ 20-29 years, male 13.2
GTEX-1GL5R-1326-SM-7RHHF 50-59 years, male 13.2
GTEX-12WSD-0626-SM-5GCMW 60-69 years, female 13.1
GTEX-13FHO-0426-SM-5L3F5 60-69 years, male 13.1
GTEX-13OW5-2326-SM-5L3HO 60-69 years, male 13.1
GTEX-13PVQ-0626-SM-5LU47 50-59 years, male 13.1
GTEX-15SHW-0226-SM-7LTAT 60-69 years, male 13.1
GTEX-1B996-0426-SM-7EWF8 60-69 years, male 13.1
GTEX-11EI6-2826-SM-5H11D 60-69 years, male 13.0
GTEX-13NYB-0126-SM-5J1MD 40-49 years, male 13.0
GTEX-14BMV-2826-SM-5TDED 50-59 years, male 13.0
GTEX-17JCI-2926-SM-7DUFF 60-69 years, female 13.0
GTEX-1QAET-0326-SM-EVR3U 50-59 years, male 13.0
GTEX-14PJO-2526-SM-6AJBQ 60-69 years, male 12.9
GTEX-17HGU-2326-SM-7DUFE 50-59 years, male 12.9
GTEX-UPK5-0426-SM-3GAEK 40-49 years, male 12.9
GTEX-V1D1-2026-SM-3GAF4 50-59 years, male 12.9
GTEX-1C64N-2626-SM-7PC2N 50-59 years, male 12.9
GTEX-13YAN-0226-SM-5TDC6 60-69 years, male 12.8
GTEX-14JG6-1426-SM-9WG7C 30-39 years, female 12.8
GTEX-1AYD5-2626-SM-7PBXY 50-59 years, male 12.8
GTEX-1J8Q3-0526-SM-ARL8U 60-69 years, male 12.8
GTEX-ZTSS-1426-SM-5985P 40-49 years, male 12.7
GTEX-1IDJH-0126-SM-D3L92 70-79 years, male 12.7
GTEX-13OVG-1626-SM-5J1NF 60-69 years, male 12.6
GTEX-13OW6-2726-SM-5J2OE 50-59 years, male 12.6
GTEX-ZZ64-1026-SM-5GZXG 20-29 years, male 12.6
GTEX-1HBPM-0726-SM-9YFL7 60-69 years, female 12.6
GTEX-12WSC-2826-SM-5BC5Y 50-59 years, male 12.5
GTEX-XOT4-0626-SM-4B66L 60-69 years, female 12.5
GTEX-ZAB4-2126-SM-5HL8U 40-49 years, male 12.5
GTEX-1J8Q2-2626-SM-ACKWQ 60-69 years, male 12.5
GTEX-1LSNL-2726-SM-E9TKJ 50-59 years, male 12.5
GTEX-12696-0126-SM-5EQ4L 60-69 years, male 12.4
GTEX-YFCO-1226-SM-5LUAT 40-49 years, male 12.4
GTEX-1LG7Z-1626-SM-CXKYR 30-39 years, male 12.4
GTEX-1QP9N-1226-SM-E76QN 30-39 years, male 12.4
GTEX-1I1GS-2626-SM-B2LY3 60-69 years, male 12.3
GTEX-ZPIC-0526-SM-DO91W 40-49 years, female 12.3
GTEX-11ZUS-2626-SM-5FQUR 30-39 years, male 12.2
GTEX-1HR98-2226-SM-ADEI2 60-69 years, male 12.2
GTEX-1R7EU-1626-SM-DTXG3 60-69 years, male 12.2
GTEX-11EQ9-1626-SM-5PNY8 30-39 years, male 12.1
GTEX-1211K-1526-SM-5FQU4 60-69 years, female 12.1
GTEX-13X6J-0626-SM-5LU5F 50-59 years, male 12.1
GTEX-14LLW-2626-SM-62LDZ 70-79 years, female 12.1
GTEX-Y5V5-0126-SM-5S2NW 60-69 years, female 12.1
GTEX-1LGRB-0926-SM-COH3K 50-59 years, female 12.1
GTEX-1QMI2-2526-SM-E8VNZ 60-69 years, male 12.1
GTEX-ZGAY-1826-SM-DO91Q 40-49 years, female 12.1
GTEX-139TS-2126-SM-5K7XC 60-69 years, male 12.0
GTEX-147F3-1726-SM-5SIAW 50-59 years, female 11.9
GTEX-1AMEY-0826-SM-72D65 30-39 years, female 11.9
GTEX-1HCU8-2526-SM-CE6RX 60-69 years, female 11.9
GTEX-1J1R8-2026-SM-CL53Y 40-49 years, male 11.9
GTEX-ZF3C-0626-SM-DO92O 50-59 years, female 11.9
GTEX-144FL-0626-SM-5LU43 50-59 years, male 11.8
GTEX-1BAJH-2426-SM-7IGP8 70-79 years, male 11.8
GTEX-Y8LW-1526-SM-5IFHL 50-59 years, female 11.8
GTEX-11DXW-0826-SM-5H118 40-49 years, male 11.7
GTEX-11UD2-2526-SM-5CVNU 50-59 years, male 11.7
GTEX-W5X1-2526-SM-3GILC 40-49 years, female 11.7
GTEX-XBEC-0726-SM-4QARZ 50-59 years, male 11.7
GTEX-ZVTK-0226-SM-51MRG 20-29 years, male 11.7
GTEX-1CB4J-1326-SM-7P8RX 60-69 years, male 11.7
GTEX-1ICG6-1226-SM-A9SLN 70-79 years, female 11.7
GTEX-13OW8-1026-SM-5J1NQ 60-69 years, male 11.6
GTEX-144GL-0626-SM-5LU4D 50-59 years, male 11.6
GTEX-145LS-0626-SM-7EPG7 60-69 years, female 11.6
GTEX-1A32A-0626-SM-731AQ 50-59 years, female 11.5
GTEX-YEC4-1826-SM-4W1YP 40-49 years, male 11.5
GTEX-ZA64-1026-SM-5HL8R 20-29 years, male 11.5
GTEX-1A8FM-0626-SM-7PC25 50-59 years, female 11.5
GTEX-1IL2V-1926-SM-B2LW8 70-79 years, male 11.5
GTEX-12KS4-2126-SM-5FQUT 30-39 years, male 11.4
GTEX-16MTA-0926-SM-6M47Z 50-59 years, male 11.4
GTEX-ZWKS-0626-SM-5GIDV 30-39 years, male 11.4
GTEX-12ZZX-2426-SM-5GCOE 40-49 years, female 11.3
GTEX-17HHY-0426-SM-7DHLC 50-59 years, male 11.3
GTEX-17MF6-2626-SM-79OKQ 40-49 years, male 11.3
GTEX-1LVA9-2626-SM-EVYD4 50-59 years, male 11.3
GTEX-1NSGN-0726-SM-DTXEF 50-59 years, male 11.3
GTEX-11TUW-0626-SM-5LU9M 60-69 years, male 11.2
GTEX-13OVK-1426-SM-6PAN7 40-49 years, male 11.2
GTEX-14PKV-1126-SM-6LLJ1 20-29 years, female 11.2
GTEX-1JJE9-2626-SM-ARZMT 70-79 years, male 11.2
GTEX-17F96-0126-SM-7EWDU 70-79 years, male 11.1
GTEX-ZC5H-1526-SM-5HL9Y 40-49 years, female 11.1
GTEX-ZUA1-2626-SM-5NQ92 40-49 years, male 11.1
GTEX-1KANC-1226-SM-CYPT7 50-59 years, female 11.1
GTEX-1LG7Y-2526-SM-EWRO7 50-59 years, male 11.1
GTEX-11VI4-1126-SM-5EQMD 40-49 years, female 11.0
GTEX-13OVL-0126-SM-5L3GJ 50-59 years, male 11.0
GTEX-147JS-0226-SM-5S2U9 60-69 years, male 11.0
GTEX-1GTWX-2026-SM-9YFLM 60-69 years, male 11.0
GTEX-1H1CY-0126-SM-9YFLY 60-69 years, female 10.9
GTEX-1JJ6O-2726-SM-CNPOG 60-69 years, male 10.9
GTEX-1JMQI-1726-SM-ARL93 50-59 years, male 10.9
GTEX-11EQ8-0926-SM-5H12V 60-69 years, male 10.8
GTEX-1AX9I-2226-SM-73KUO 60-69 years, male 10.8
GTEX-1GF9W-1426-SM-7PBYM 60-69 years, male 10.8
GTEX-1QEPI-2626-SM-DTXF4 60-69 years, female 10.8
GTEX-145MN-1526-SM-5SI9T 30-39 years, male 10.7
GTEX-X3Y1-2026-SM-3P5YM 40-49 years, male 10.7
GTEX-XYKS-1426-SM-4BRUO 60-69 years, female 10.7
GTEX-1K9T9-1526-SM-DIPFR 50-59 years, female 10.7
GTEX-YEC3-1326-SM-DO92X 50-59 years, male 10.7
GTEX-15CHQ-0326-SM-69LQD 60-69 years, male 10.6
GTEX-18D9U-0126-SM-731BM 40-49 years, male 10.6
GTEX-1A3MV-1826-SM-731CD 30-39 years, male 10.6
GTEX-1EX96-1026-SM-7MKG2 50-59 years, male 10.6
GTEX-WXYG-2026-SM-4E3IY 50-59 years, female 10.6
GTEX-1F75I-2226-SM-7SB8U 40-49 years, male 10.6
GTEX-1GMR2-0826-SM-7PC3V 50-59 years, male 10.6
GTEX-1GMR3-0126-SM-A9SLW 40-49 years, male 10.6
GTEX-1HBPI-2126-SM-ARL9K 50-59 years, male 10.6
GTEX-11LCK-2226-SM-5HL4Q 30-39 years, male 10.5
GTEX-12WSA-0426-SM-5EQ5X 60-69 years, male 10.5
GTEX-15FZZ-0526-SM-7KUGD 30-39 years, female 10.5
GTEX-11WQC-1826-SM-5GU59 60-69 years, male 10.4
GTEX-12WSH-1526-SM-5BC5W 50-59 years, male 10.4
GTEX-11P7K-1126-SM-5HL4L 30-39 years, male 10.3
GTEX-16Z82-2626-SM-7KULU 60-69 years, male 10.3
GTEX-178AV-1726-SM-7KUL8 40-49 years, male 10.3
GTEX-WHWD-1826-SM-3LK6I 50-59 years, male 10.3
GTEX-Y5V6-2326-SM-4VDSA 60-69 years, male 10.3
GTEX-1KANA-1326-SM-DIPFA 20-29 years, male 10.3
GTEX-WEY5-2326-SM-3GIKK 40-49 years, female 10.2
GTEX-WHPG-2626-SM-3NMBR 50-59 years, male 10.2
GTEX-1F88F-0126-SM-9WYSZ 60-69 years, female 10.2
GTEX-1N2EE-0626-SM-E76PW 60-69 years, male 10.2
GTEX-1PIGE-1826-SM-E8VOU 20-29 years, male 10.2
GTEX-148VJ-0626-SM-5LUAW 70-79 years, male 10.1
GTEX-WRHU-2826-SM-3MJG8 50-59 years, female 10.1
GTEX-1117F-2926-SM-5GZYI 60-69 years, female 10.0
GTEX-13SLX-2226-SM-62LEP 50-59 years, female 10.0
GTEX-13U4I-2226-SM-5LU5H 40-49 years, female 10.0
GTEX-14DAQ-0626-SM-793DS 60-69 years, female 10.0
GTEX-1LSNM-0826-SM-DIPG8 50-59 years, male 10.0
GTEX-1LSVX-2526-SM-DIPEU 60-69 years, male 10.0
GTEX-13O3O-2326-SM-5IJD6 60-69 years, female 9.9
GTEX-14PKU-0126-SM-6LLHV 40-49 years, female 9.9
GTEX-1EN7A-2426-SM-793DB 40-49 years, male 9.9
GTEX-ZDXO-3126-SM-5IJDF 60-69 years, male 9.9
GTEX-1I1HK-2326-SM-CKZOH 60-69 years, male 9.9
GTEX-1IY9M-2826-SM-ARU8H 60-69 years, male 9.9
GTEX-13FTX-1526-SM-5K7VJ 20-29 years, female 9.8
GTEX-14DAR-1226-SM-73KYV 50-59 years, male 9.8
GTEX-15SKB-2826-SM-6PAMH 60-69 years, male 9.8
GTEX-16YQH-2226-SM-7IGM2 30-39 years, male 9.8
GTEX-WYJK-0526-SM-3NM8Z 50-59 years, male 9.8
GTEX-ZDTT-0426-SM-4WKFL 60-69 years, male 9.8
GTEX-1H1E6-0426-SM-9WYUS 30-39 years, male 9.8
GTEX-1JJEA-1826-SM-ARU8P 60-69 years, male 9.8
GTEX-13OVH-0526-SM-5L3E6 70-79 years, male 9.7
GTEX-1HFI6-0126-SM-CNPPI 40-49 years, male 9.7
GTEX-1N5O9-0926-SM-E9J3C 60-69 years, male 9.7
GTEX-13PVR-0426-SM-5RQK2 60-69 years, female 9.6
GTEX-Y3IK-1626-SM-4YCF5 50-59 years, female 9.6
GTEX-YJ8O-2526-SM-5HL85 40-49 years, female 9.6
GTEX-1F6RS-2026-SM-7RHHC 60-69 years, female 9.6
GTEX-1H3VE-0726-SM-9YFL5 40-49 years, male 9.6
GTEX-1JN6P-2926-SM-CL54D 60-69 years, male 9.6
GTEX-11NSD-0626-SM-5A5LU 20-29 years, male 9.5
GTEX-12WSJ-1126-SM-5LZVJ 40-49 years, female 9.5
GTEX-15D1Q-2826-SM-6LLH7 40-49 years, male 9.5
GTEX-16MT8-2926-SM-7DUFO 60-69 years, female 9.5
GTEX-18QFQ-1826-SM-72D52 30-39 years, male 9.5
GTEX-1B933-2426-SM-7DHMD 50-59 years, female 9.5
GTEX-1LGOU-1326-SM-D3L8M 20-29 years, female 9.5
GTEX-1PPH7-1126-SM-DTX9A 40-49 years, male 9.5
GTEX-1S82P-2126-SM-E6CI5 60-69 years, female 9.5
GTEX-11GSP-2326-SM-5HL63 60-69 years, female 9.4
GTEX-1399Q-2326-SM-5KM2X 40-49 years, male 9.4
GTEX-139TT-2126-SM-5LZWC 60-69 years, male 9.4
GTEX-14ABY-2026-SM-62LDL 50-59 years, male 9.4
GTEX-18A6Q-0626-SM-7KFRP 60-69 years, male 9.4
GTEX-1B8KZ-0326-SM-73KY4 50-59 years, male 9.4
GTEX-XQ3S-1426-SM-4BOPR 20-29 years, male 9.4
GTEX-1CAMR-1326-SM-7PC1F 20-29 years, male 9.4
GTEX-1KXAM-1626-SM-D3LAD 60-69 years, male 9.4
GTEX-1QW4Y-1126-SM-DTXE3 30-39 years, male 9.4
GTEX-145MF-0926-SM-5Q5EA 50-59 years, male 9.3
GTEX-14E1K-2026-SM-7DUEI 50-59 years, male 9.3
GTEX-18A7A-0126-SM-731AH 50-59 years, female 9.3
GTEX-ZP4G-1426-SM-4WWCL 20-29 years, female 9.3
GTEX-1LKK1-2626-SM-DKPQE 50-59 years, female 9.3
GTEX-11DXY-0126-SM-5H11Q 60-69 years, male 9.2
GTEX-1497J-0226-SM-5QGPU 60-69 years, male 9.2
GTEX-X4EO-2926-SM-4E3JH 60-69 years, female 9.2
GTEX-XPVG-2126-SM-4B667 50-59 years, male 9.2
GTEX-ZYVF-0926-SM-5E44J 50-59 years, female 9.2
GTEX-1HCVE-2726-SM-CL54F 50-59 years, male 9.2
GTEX-1HKZK-0726-SM-ACKW2 40-49 years, male 9.2
GTEX-131XW-0626-SM-5PNVD 50-59 years, female 9.1
GTEX-14PJ4-0226-SM-5YY92 60-69 years, male 9.1
GTEX-1C475-1326-SM-7SB73 40-49 years, female 9.1
GTEX-1E2YA-2126-SM-7MXUO 50-59 years, male 9.1
GTEX-1LVAN-0626-SM-CNPOQ 50-59 years, female 9.1
GTEX-1269C-0126-SM-5EQ5L 60-69 years, female 9.0
GTEX-131XH-0126-SM-5LZUY 50-59 years, male 9.0
GTEX-13X6H-0926-SM-5SIB2 50-59 years, female 9.0
GTEX-14PJN-1826-SM-6AJ98 30-39 years, male 9.0
GTEX-17KNJ-2126-SM-718AM 50-59 years, male 9.0
GTEX-1CB4F-1026-SM-7DUH1 60-69 years, male 9.0
GTEX-Y3I4-1726-SM-4TT89 50-59 years, male 9.0
GTEX-ZT9X-1526-SM-5DUXD 40-49 years, male 9.0
GTEX-1PPGY-1626-SM-EVYBL 60-69 years, male 9.0
GTEX-139TU-0726-SM-5L3EK 60-69 years, male 8.9
GTEX-18465-2826-SM-7LT9J 50-59 years, male 8.9
GTEX-1GZHY-0626-SM-9KNVC 50-59 years, female 8.9
GTEX-1HFI7-2326-SM-CGQFS 50-59 years, female 8.9
GTEX-1JK1U-0226-SM-ARZMX 60-69 years, male 8.9
GTEX-12WSF-1626-SM-7KUG5 70-79 years, male 8.8
GTEX-133LE-2326-SM-5K7W3 20-29 years, female 8.8
GTEX-1EWIQ-0326-SM-7DHMQ 70-79 years, female 8.8
GTEX-WYVS-1626-SM-3NM9R 40-49 years, female 8.8
GTEX-14A6H-2026-SM-5Q5DD 30-39 years, male 8.7
GTEX-14LZ3-0126-SM-69LPM 60-69 years, female 8.7
GTEX-14PHY-1226-SM-5ZZWK 60-69 years, female 8.7
GTEX-1A8G7-1326-SM-73KVM 60-69 years, male 8.7
GTEX-X5EB-1926-SM-4E3IW 40-49 years, male 8.7
GTEX-XBEW-1126-SM-4QARW 40-49 years, male 8.7
GTEX-ZF2S-1626-SM-57WES 50-59 years, female 8.7
GTEX-ZYFC-0426-SM-5GICQ 50-59 years, male 8.7
GTEX-ZZPU-0826-SM-5GZX5 50-59 years, female 8.7
GTEX-1CB4I-0126-SM-7RHGG 50-59 years, male 8.7
GTEX-1GPI7-1826-SM-9KNU1 20-29 years, male 8.7
GTEX-1HSMP-0926-SM-A9SKX 70-79 years, male 8.7
GTEX-1IKOE-1426-SM-CE6T7 30-39 years, female 8.7
GTEX-1JKYR-0626-SM-ARL8R 20-29 years, male 8.7
GTEX-1RAZS-2526-SM-E6CHT 50-59 years, male 8.7
GTEX-ZLV1-1526-SM-DO91J 60-69 years, female 8.7
GTEX-14PHX-2226-SM-6EU2P 50-59 years, male 8.6
GTEX-15EO6-2426-SM-6PALZ 50-59 years, male 8.6
GTEX-1LVAM-0726-SM-E6CIL 50-59 years, female 8.6
GTEX-111YS-1526-SM-5GZYW 60-69 years, male 8.5
GTEX-12126-0826-SM-5FQTZ 20-29 years, male 8.5
GTEX-1212Z-0126-SM-59HK4 60-69 years, male 8.5
GTEX-139D8-1126-SM-5LU8W 30-39 years, female 8.5
GTEX-Y8E4-2026-SM-5IFJB 40-49 years, male 8.5
GTEX-13G51-1826-SM-5KLZH 60-69 years, male 8.4
GTEX-147GR-2426-SM-5ZZWQ 60-69 years, male 8.4
GTEX-14ICL-1626-SM-5YYAO 30-39 years, male 8.4
GTEX-1A8G6-2726-SM-731AR 60-69 years, male 8.4
GTEX-1EKGG-0626-SM-7DUGJ 60-69 years, male 8.4
GTEX-ZAK1-0626-SM-5HL8E 50-59 years, female 8.4
GTEX-1IOXB-2726-SM-CM2RI 50-59 years, male 8.4
GTEX-13X6K-0626-SM-5LU5D 60-69 years, female 8.3
GTEX-WK11-2726-SM-3NMAQ 50-59 years, male 8.3
GTEX-12ZZZ-0726-SM-5GCNZ 60-69 years, male 8.2
GTEX-13OW7-0426-SM-5K7VK 50-59 years, male 8.2
GTEX-14PJ6-2626-SM-6EU2T 60-69 years, female 8.2
GTEX-WY7C-2126-SM-3NB2R 50-59 years, male 8.2
GTEX-1GF9X-1326-SM-7PC2Y 40-49 years, female 8.2
GTEX-1HCU6-2526-SM-ADEHL 60-69 years, female 8.2
GTEX-1HCUA-0826-SM-ADEHM 50-59 years, female 8.2
GTEX-1ICLZ-0326-SM-ARL82 60-69 years, male 8.2
GTEX-1IE54-1126-SM-A9G2Z 40-49 years, female 8.2
GTEX-1JN76-0626-SM-CKZOQ 20-29 years, female 8.2
GTEX-1KANB-2826-SM-CY8I6 50-59 years, male 8.2
GTEX-14BIN-1126-SM-5RQJZ 50-59 years, female 8.1
GTEX-15ER7-0626-SM-6PANF 20-29 years, female 8.1
GTEX-1EU9M-1426-SM-793AI 60-69 years, male 8.1
GTEX-ZVT2-0126-SM-5GIDQ 50-59 years, female 8.1
GTEX-11O72-0626-SM-5PNYE 40-49 years, male 8.0
GTEX-144GO-2026-SM-5O99P 60-69 years, male 8.0
GTEX-14JFF-0626-SM-5ZZVT 60-69 years, male 8.0
GTEX-1OJC3-1226-SM-DTXER 20-29 years, male 8.0
GTEX-13112-0126-SM-5P9IU 50-59 years, male 7.9
GTEX-11P82-1426-SM-DTXFY 20-29 years, male 7.9
GTEX-1K2DU-1226-SM-CYPT4 20-29 years, male 7.9
GTEX-1KWVE-1026-SM-D3L9O 30-39 years, male 7.9
GTEX-12WSM-1926-SM-5BC65 60-69 years, male 7.8
GTEX-13PDP-0726-SM-5L3HP 60-69 years, male 7.8
GTEX-13SLW-0626-SM-5Q5ER 70-79 years, male 7.8
GTEX-ZE7O-2726-SM-51MT5 50-59 years, female 7.8
GTEX-1CAMS-2226-SM-7PBXQ 40-49 years, female 7.8
GTEX-1F75A-0726-SM-7RHHD 50-59 years, male 7.8
GTEX-1IDFM-0326-SM-ARL7V 60-69 years, male 7.8
GTEX-11P81-2226-SM-5PNYI 30-39 years, female 7.7
GTEX-17EVP-2626-SM-7IGMA 40-49 years, male 7.7
GTEX-1B8KE-1126-SM-7EPHI 50-59 years, male 7.7
GTEX-1GMRU-2126-SM-7P8RA 50-59 years, male 7.7
GTEX-1I1GP-1326-SM-A9G28 50-59 years, male 7.7
GTEX-111CU-1126-SM-5EGIM 50-59 years, male 7.6
GTEX-131XG-0326-SM-5L3DX 50-59 years, female 7.6
GTEX-139UW-0326-SM-5J1ML 60-69 years, male 7.6
GTEX-XUW1-0926-SM-4BONX 50-59 years, female 7.6
GTEX-ZY6K-1426-SM-5GZX2 50-59 years, male 7.6
GTEX-1HT8W-0626-SM-A9G2H 30-39 years, male 7.6
GTEX-1KAFJ-0126-SM-DIPEK 50-59 years, male 7.6
GTEX-13VXU-0626-SM-5L3F9 50-59 years, male 7.5
GTEX-1AMFI-1326-SM-7939R 50-59 years, female 7.5
GTEX-1N2DV-1526-SM-DTXEP 40-49 years, male 7.5
GTEX-15CHR-1126-SM-7EWF4 50-59 years, male 7.4
GTEX-1HR9M-2226-SM-CNPPY 60-69 years, male 7.4
GTEX-1NV5F-0626-SM-DTXEG 60-69 years, female 7.4
GTEX-1GZ4I-2626-SM-9KNU3 50-59 years, male 7.3
GTEX-1PBJJ-1026-SM-E76OS 30-39 years, male 7.3
GTEX-14753-0726-SM-5QGQO 60-69 years, male 7.2
GTEX-15DYW-2726-SM-6EU2I 60-69 years, female 7.2
GTEX-1B8L1-2226-SM-7P8PT 60-69 years, male 7.2
GTEX-1GZ4H-0526-SM-9KNU9 50-59 years, female 7.2
GTEX-1HCU7-0726-SM-A9SL1 50-59 years, male 7.2
GTEX-131XF-2626-SM-5EQ6K 60-69 years, male 7.1
GTEX-145MI-0626-SM-5SI8S 60-69 years, female 7.1
GTEX-1B8SF-0126-SM-7DUG3 60-69 years, male 7.1
GTEX-UPJH-0226-SM-3GADV 50-59 years, male 7.1
GTEX-1S83E-1326-SM-E6CJM 40-49 years, male 7.1
GTEX-11NUK-2726-SM-5A5MC 50-59 years, male 7.0
GTEX-13NZ8-1226-SM-5KM4A 60-69 years, female 7.0
GTEX-14B4R-1326-SM-5Q5EZ 30-39 years, male 7.0
GTEX-15RIG-0726-SM-7KUM7 40-49 years, male 7.0
GTEX-ZYY3-2926-SM-5GIEB 60-69 years, female 7.0
GTEX-1J8QM-2426-SM-A9SLS 60-69 years, female 7.0
GTEX-12ZZY-0726-SM-5EQ66 60-69 years, male 6.9
GTEX-14PJ3-1126-SM-5ZZVX 50-59 years, male 6.9
GTEX-1EH9U-2826-SM-7DUGT 60-69 years, male 6.9
GTEX-XAJ8-1426-SM-47JYM 40-49 years, male 6.9
GTEX-1H11D-1826-SM-9QEHM 40-49 years, male 6.9
GTEX-1HSKV-1226-SM-ADEI4 60-69 years, male 6.9
GTEX-13FLV-0126-SM-5K7WT 50-59 years, male 6.8
GTEX-14C5O-0326-SM-5ZZUX 60-69 years, male 6.8
GTEX-16NGA-0726-SM-731AO 40-49 years, female 6.8
GTEX-1C2JI-1026-SM-73KY1 50-59 years, male 6.8
GTEX-Z93S-1626-SM-5CVMB 50-59 years, male 6.8
GTEX-1HSGN-0826-SM-ACKW3 40-49 years, female 6.8
GTEX-1MCC2-1826-SM-DIPEX 30-39 years, female 6.8
GTEX-17F98-1326-SM-7DUEP 40-49 years, female 6.7
GTEX-XQ8I-0926-SM-4BOOF 50-59 years, male 6.7
GTEX-1J8EW-2726-SM-CY8HR 60-69 years, female 6.7
GTEX-11ZTT-2126-SM-5CVLO 60-69 years, female 6.6
GTEX-1399U-1126-SM-5L3DB 50-59 years, female 6.6
GTEX-15CHC-1126-SM-6LLHQ 60-69 years, female 6.6
GTEX-ZTX8-1326-SM-4YCEL 20-29 years, male 6.6
GTEX-1F6I4-2326-SM-7RHGL 60-69 years, male 6.6
GTEX-1H3O1-1326-SM-9MQLD 60-69 years, male 6.6
GTEX-1LB8K-0726-SM-D5OV2 50-59 years, male 6.6
GTEX-1RMOY-1326-SM-E9TIH 50-59 years, male 6.6
GTEX-14PJ5-1526-SM-6LLIL 60-69 years, female 6.5
GTEX-1B97I-0626-SM-73KUZ 40-49 years, male 6.5
GTEX-1H1DE-1326-SM-9KNUG 20-29 years, male 6.5
GTEX-1PPH8-0126-SM-EWRN8 20-29 years, male 6.5
GTEX-11DXZ-2026-SM-5987S 50-59 years, male 6.4
GTEX-145MH-2826-SM-5RQJF 50-59 years, male 6.4
GTEX-15RJE-2826-SM-7KUM9 40-49 years, male 6.4
GTEX-Y9LG-1126-SM-4VBQ7 30-39 years, male 6.4
GTEX-ZVT4-2426-SM-5GIEI 50-59 years, female 6.4
GTEX-1399S-0126-SM-5IJCF 30-39 years, female 6.3
GTEX-13O3Q-0126-SM-5KM34 50-59 years, male 6.3
GTEX-145LU-1926-SM-79OJN 50-59 years, male 6.3
GTEX-15DDE-2926-SM-6LLJ3 50-59 years, female 6.3
GTEX-17HHE-1326-SM-7EWDZ 50-59 years, male 6.3
GTEX-18A67-1626-SM-7LT9T 50-59 years, male 6.3
GTEX-1C6WA-2626-SM-7MKGM 60-69 years, male 6.3
GTEX-14PII-0726-SM-6EU2B 60-69 years, male 6.2
GTEX-ZYT6-2326-SM-5GZY3 30-39 years, male 6.2
GTEX-1C6VR-0126-SM-7RHGB 60-69 years, male 6.2
GTEX-1EMGI-2326-SM-7PBYA 60-69 years, male 6.2
GTEX-1GPI6-1926-SM-9KNV7 60-69 years, male 6.2
GTEX-1S82U-1026-SM-E6CJK 30-39 years, female 6.2
GTEX-147F4-0726-SM-5TDDD 50-59 years, male 6.1
GTEX-1JMLX-0626-SM-ARL8T 50-59 years, male 6.1
GTEX-1POEN-2326-SM-E9J2L 30-39 years, female 6.1
GTEX-11GS4-0226-SM-5HL77 60-69 years, male 6.0
GTEX-1C6VQ-1226-SM-73KYD 50-59 years, male 6.0
GTEX-ZPCL-1126-SM-4WWFE 60-69 years, female 6.0
GTEX-1GN2E-0226-SM-9WG6K 60-69 years, male 6.0
GTEX-1QCLY-0226-SM-EWRNH 30-39 years, male 6.0
GTEX-13IVO-0726-SM-5LZYV 70-79 years, male 5.9
GTEX-WFG7-2026-SM-5SI7P 20-29 years, male 5.9
GTEX-ZDTS-0826-SM-4WKHL 60-69 years, male 5.9
GTEX-1JMQJ-0826-SM-CNPP7 50-59 years, male 5.9
GTEX-1PDJ9-1226-SM-EXUSX 20-29 years, male 5.9
GTEX-11PRG-0726-SM-5EGL1 50-59 years, male 5.8
GTEX-13VXT-1926-SM-5K7UO 20-29 years, female 5.8
GTEX-13W3W-0726-SM-5IJDQ 60-69 years, female 5.8
GTEX-1CB4E-0926-SM-7EPHT 60-69 years, male 5.8
GTEX-ZXG5-2126-SM-59HKD 60-69 years, male 5.8
GTEX-1IDJU-1726-SM-CMKHU 60-69 years, female 5.8
GTEX-YECK-0326-SM-4W1YS 60-69 years, male 5.7
GTEX-11DXX-2126-SM-5PNYR 60-69 years, female 5.6
GTEX-1GN1U-0626-SM-9MQL9 50-59 years, female 5.6
GTEX-17HII-1426-SM-7EPGG 50-59 years, male 5.5
GTEX-X585-2426-SM-46MW2 50-59 years, male 5.5
GTEX-1HBPN-0126-SM-CGQEF 50-59 years, male 5.5
GTEX-1IKJJ-2226-SM-CJI4C 60-69 years, male 5.5
GTEX-13PL6-1126-SM-5L3IE 40-49 years, female 5.4
GTEX-1F5PK-2226-SM-7SB6N 50-59 years, male 5.4
GTEX-1H4P4-2126-SM-9WYSL 50-59 years, male 5.4
GTEX-1HSMQ-2626-SM-A9SML 50-59 years, male 5.4
GTEX-1J1OQ-0126-SM-D4P2N 40-49 years, female 5.4
GTEX-1QPFJ-1926-SM-EVYBD 30-39 years, female 5.4
GTEX-1R9PM-1926-SM-EVR3O 20-29 years, male 5.4
GTEX-11ZU8-0126-SM-5EQ58 60-69 years, male 5.3
GTEX-17F9Y-0126-SM-79OKX 70-79 years, female 5.3
GTEX-1JMPY-0226-SM-CKZOK 30-39 years, male 5.3
GTEX-1QP2A-1726-SM-E76QC 50-59 years, male 5.3
GTEX-1GN1W-2426-SM-9KNUU 50-59 years, female 5.2
GTEX-1I1GV-0626-SM-ARL7M 60-69 years, male 5.2
GTEX-1OJC4-2726-SM-E76PJ 50-59 years, female 5.2
GTEX-11OF3-0126-SM-5PNYF 60-69 years, male 5.0
GTEX-13D11-0926-SM-5J2NC 50-59 years, female 5.0
GTEX-1HGF4-0126-SM-CNPPX 60-69 years, male 5.0
GTEX-1GN1V-2826-SM-9JGIA 60-69 years, male 4.9
GTEX-14C39-1726-SM-5RQIL 40-49 years, male 4.8
GTEX-1CAMQ-1326-SM-7P8RV 40-49 years, male 4.8
GTEX-1PIIG-2326-SM-DTXFR 30-39 years, male 4.8
GTEX-1R46S-2426-SM-E76QA 60-69 years, female 4.7
GTEX-111VG-1626-SM-5EGIO 60-69 years, male 4.6
GTEX-1H2FU-0926-SM-9WPPT 60-69 years, female 4.6
GTEX-1S3DN-2126-SM-E9TIN 50-59 years, male 4.5
GTEX-13JVG-0726-SM-5KM16 60-69 years, male 4.3
GTEX-13QJC-0126-SM-5ZZWJ 60-69 years, female 4.3
GTEX-1QP28-1126-SM-EVYC4 50-59 years, female 4.2
GTEX-ZF29-0926-SM-4WKFZ 60-69 years, female 4.1
GTEX-ZVZP-1226-SM-5GID7 50-59 years, male 4.1
GTEX-1122O-1026-SM-9WYSF 60-69 years, female 4.0
GTEX-1GF9V-0826-SM-9KNUV 60-69 years, male 4.0
GTEX-1GN73-0726-SM-7P8TJ 60-69 years, male 4.0
GTEX-1RAZQ-1326-SM-E9TK6 30-39 years, male 4.0
GTEX-Y114-2126-SM-4TT8B 50-59 years, female 3.9
GTEX-1313W-0626-SM-5EQ4H 50-59 years, female 3.5
GTEX-WHSB-1326-SM-3LK6W 50-59 years, male 3.5
GTEX-1I1GT-1026-SM-ARZLV 60-69 years, female 3.3
GTEX-Y111-0626-SM-4SOIT 50-59 years, male 3.1
GTEX-1MCYP-0526-SM-E9U6Q 20-29 years, female 3.1
Show allShow less
Skin - Sun Exposed (Lower leg)
Average nTPM: 13.1
Samples: 701

Max nTPM: 49.5
Min nTPM: 1.9
Std nTPM: 7.6
Median nTPM: 11.0
GTEX-15G19-0126-SM-6PANQ 60-69 years, male 49.5
GTEX-15EOM-0126-SM-7KUGG 20-29 years, female 48.2
GTEX-183WM-0126-SM-7LTAB 70-79 years, female 47.0
GTEX-17F97-0326-SM-7LG5B 50-59 years, male 44.8
GTEX-1192W-2626-SM-5Q5AF 60-69 years, male 43.6
GTEX-RUSQ-1526-SM-2TF62 50-59 years, male 41.1
GTEX-ZYW4-0126-SM-5E44A 60-69 years, male 40.2
GTEX-14PK6-1926-SM-6ETZU 70-79 years, female 39.9
GTEX-YJ8A-0426-SM-5IFID 20-29 years, male 39.4
GTEX-U4B1-1826-SM-4DXSU 40-49 years, male 37.6
GTEX-146FR-1326-SM-E9J48 60-69 years, female 37.4
GTEX-1R9PO-2126-SM-E9J4O 60-69 years, female 36.9
GTEX-1IE54-0126-SM-CMKHW 40-49 years, female 36.7
GTEX-1QW4Y-1526-SM-EAZ3Z 30-39 years, male 36.3
GTEX-1A3MW-0126-SM-73KXX 60-69 years, female 36.1
GTEX-15UF6-0826-SM-6PALJ 70-79 years, female 36.0
GTEX-16XZY-2126-SM-79OK1 70-79 years, male 35.4
GTEX-ZTPG-0326-SM-5O9AX 20-29 years, female 35.1
GTEX-1RAZQ-0726-SM-EAZ43 30-39 years, male 34.8
GTEX-X4XY-0226-SM-4E3IZ 60-69 years, male 34.5
GTEX-146FH-0126-SM-5QGPP 50-59 years, female 33.9
GTEX-13NYC-0326-SM-E9J4S 60-69 years, male 33.9
GTEX-Q734-1926-SM-2I5EV 40-49 years, female 33.8
GTEX-1R9K4-0126-SM-DTX9X 60-69 years, male 33.8
GTEX-13O1R-0126-SM-5L3EH 60-69 years, male 32.8
GTEX-XXEK-2226-SM-4BRUM 50-59 years, male 32.7
GTEX-1ICLZ-0126-SM-CKZPO 60-69 years, male 32.5
GTEX-1RLM8-2326-SM-EWRN4 50-59 years, male 32.5
GTEX-WOFL-0126-SM-3MJG2 60-69 years, male 32.2
GTEX-1HUB1-0426-SM-E9U4U 60-69 years, male 32.1
GTEX-OOBK-0126-SM-2YUND 40-49 years, male 31.9
GTEX-144GN-2326-SM-5LU4F 50-59 years, male 31.5
GTEX-1I1GU-2226-SM-CGQFA 40-49 years, male 30.7
GTEX-1QP67-1626-SM-EAZ3X 40-49 years, female 30.1
GTEX-1ICLY-0126-SM-D4P36 50-59 years, male 29.5
GTEX-14E6C-0126-SM-5RQIP 40-49 years, male 29.4
GTEX-1HBPH-0426-SM-B2LW5 40-49 years, female 29.0
GTEX-11O72-0126-SM-59887 40-49 years, male 28.8
GTEX-139D8-0226-SM-5KLZO 30-39 years, female 28.3
GTEX-U8XE-0326-SM-3DB8P 30-39 years, male 28.3
GTEX-1F48J-0126-SM-7P8TT 50-59 years, female 28.0
GTEX-11WQK-0526-SM-5EQLD 50-59 years, male 27.8
GTEX-12WSL-2526-SM-5GCNJ 50-59 years, male 27.8
GTEX-15SDE-2226-SM-7IGLO 50-59 years, female 27.7
GTEX-ZAJG-0126-SM-5HL94 50-59 years, female 27.6
GTEX-11DZ1-0126-SM-5985Q 50-59 years, male 27.3
GTEX-W5X1-3026-SM-EAZAX 40-49 years, female 27.1
GTEX-14JIY-0126-SM-6LLH6 60-69 years, male 26.9
GTEX-12WSN-5019-SM-79OM6 40-49 years, male 26.8
GTEX-QDVN-2026-SM-3GAEP 50-59 years, male 26.7
GTEX-14A6H-0126-SM-5QGPK 30-39 years, male 26.3
GTEX-13FH7-2026-SM-E9J4I 50-59 years, female 26.2
GTEX-1C6VQ-0126-SM-7P8RI 50-59 years, male 25.9
GTEX-14PHW-0126-SM-6LLJI 60-69 years, female 25.4
GTEX-1RQEC-0426-SM-E6CHU 60-69 years, male 24.7
GTEX-1N2EF-0226-SM-EYYXB 60-69 years, male 24.5
GTEX-13RTJ-2426-SM-5S2Q2 60-69 years, male 24.4
GTEX-Q2AH-1626-SM-3GAF8 40-49 years, male 24.4
GTEX-1K9T9-0126-SM-EVYCF 50-59 years, female 24.3
GTEX-18D9B-0526-SM-7LTAS 60-69 years, male 24.2
GTEX-1PBJI-0526-SM-E8VNK 20-29 years, female 24.2
GTEX-X8HC-0126-SM-4E3JW 50-59 years, female 24.1
GTEX-12584-0126-SM-5EGKQ 40-49 years, male 24.0
GTEX-1A3MX-0126-SM-731BR 60-69 years, male 23.9
GTEX-11ZUS-0626-SM-59885 30-39 years, male 23.8
GTEX-11TUW-2726-SM-E9J4M 60-69 years, male 23.8
GTEX-ZF3C-0126-SM-DO92D 50-59 years, female 23.8
GTEX-13RTL-0126-SM-7LG5S 40-49 years, male 23.6
GTEX-1PWST-0226-SM-E76QJ 70-79 years, male 23.3
GTEX-1QP29-0626-SM-EWRMX 50-59 years, male 23.3
GTEX-X4EP-0126-SM-3P5YV 60-69 years, female 23.0
GTEX-PLZ4-0126-SM-5SI8O 50-59 years, female 22.9
GTEX-1HBPM-0226-SM-ARL9F 60-69 years, female 22.9
GTEX-13FTX-1826-SM-5J1NX 20-29 years, female 22.8
GTEX-1AX8Z-0126-SM-7DHM6 60-69 years, male 22.8
GTEX-ZE7O-0126-SM-57WC1 50-59 years, female 22.7
GTEX-NPJ8-0126-SM-2YUNR 40-49 years, male 22.5
GTEX-13FHO-0226-SM-5IFGY 60-69 years, male 22.4
GTEX-1H23P-0126-SM-ADEJ3 60-69 years, male 22.3
GTEX-145LT-1726-SM-5QGP3 40-49 years, male 21.9
GTEX-183FY-0126-SM-7LT9P 20-29 years, male 21.9
GTEX-1LNCM-1126-SM-E9U5E 50-59 years, female 21.9
GTEX-P4PQ-0126-SM-2S1NM 60-69 years, male 21.8
GTEX-1JKYN-1326-SM-CGQG9 30-39 years, male 21.8
GTEX-XV7Q-2526-SM-4BRV9 40-49 years, female 21.7
GTEX-1F75I-0326-SM-9YFLU 40-49 years, male 21.7
GTEX-14BIM-0226-SM-7IGLD 60-69 years, female 21.6
GTEX-POMQ-2226-SM-2I5FK 20-29 years, female 21.4
GTEX-139T4-0226-SM-5HL5S 50-59 years, female 21.2
GTEX-13OVG-1926-SM-5L3DK 60-69 years, male 21.0
GTEX-V1D1-2226-SM-3NMAX 50-59 years, male 21.0
GTEX-1JMOU-1526-SM-CL54I 60-69 years, female 21.0
GTEX-14PN4-0126-SM-6EU2V 50-59 years, male 20.7
GTEX-1LC47-0326-SM-E9TJP 60-69 years, male 20.7
GTEX-ZQG8-1626-SM-DHXIT 60-69 years, female 20.7
GTEX-113IC-0126-SM-5HL6T 60-69 years, male 20.5
GTEX-139T8-0126-SM-5K7XZ 60-69 years, male 20.5
GTEX-14E6E-1826-SM-5S2R7 30-39 years, male 20.5
GTEX-1M4P7-0226-SM-DIPEV 60-69 years, male 20.5
GTEX-ZDYS-2026-SM-5HL5L 50-59 years, male 20.4
GTEX-1I1HK-0126-SM-COH49 60-69 years, male 20.3
GTEX-13W46-0226-SM-5SIAG 50-59 years, male 20.2
GTEX-14BIL-0126-SM-5SI92 50-59 years, male 20.1
GTEX-1JJE9-0326-SM-CL53Z 70-79 years, male 20.1
GTEX-15UKP-0426-SM-7KUFQ 20-29 years, male 19.9
GTEX-ZE9C-2726-SM-57WB5 60-69 years, male 19.8
GTEX-15SHW-0326-SM-6PAML 60-69 years, male 19.6
GTEX-Y5LM-1926-SM-5RQJH 40-49 years, female 19.5
GTEX-X62O-0126-SM-4E3JN 50-59 years, male 19.4
GTEX-13NYS-0126-SM-5MR3W 60-69 years, male 19.3
GTEX-1HB9E-0226-SM-E9U4R 50-59 years, male 19.3
GTEX-1IDFM-0126-SM-COH2V 60-69 years, male 19.3
GTEX-14ICK-0226-SM-6EU25 40-49 years, male 19.2
GTEX-ZUA1-0126-SM-5GU76 40-49 years, male 19.2
GTEX-1OJC4-0126-SM-E9J2E 50-59 years, female 19.2
GTEX-1PPH7-2326-SM-EVYB8 40-49 years, male 19.2
GTEX-11TTK-0126-SM-5987B 60-69 years, female 19.1
GTEX-WI4N-1026-SM-3LK7N 40-49 years, female 19.1
GTEX-13X6I-0626-SM-5QGP9 60-69 years, male 19.0
GTEX-17EVQ-0226-SM-7LG4P 70-79 years, male 19.0
GTEX-XMD2-0126-SM-4YCDU 60-69 years, female 19.0
GTEX-ZDTT-2726-SM-4WKF8 60-69 years, male 19.0
GTEX-11ZVC-2526-SM-5FQTE 50-59 years, female 18.9
GTEX-1AYD5-2426-SM-73KXR 50-59 years, male 18.9
GTEX-13OVJ-0126-SM-5KM36 50-59 years, female 18.8
GTEX-14ABY-0226-SM-5TDCQ 50-59 years, male 18.7
GTEX-Y3I4-2126-SM-4TT7C 50-59 years, male 18.7
GTEX-X88G-0126-SM-47JZ3 30-39 years, male 18.6
GTEX-ZF28-0126-SM-4WKGK 60-69 years, male 18.4
GTEX-QDT8-0126-SM-48TZ1 30-39 years, female 18.3
GTEX-Y8LW-1826-SM-5S2MV 50-59 years, female 18.3
GTEX-ZVZO-0126-SM-5A5L9 40-49 years, male 18.2
GTEX-11EMC-2926-SM-5EQ4F 60-69 years, female 18.1
GTEX-1AX9K-2326-SM-73KWU 50-59 years, male 18.1
GTEX-11P82-1626-SM-59879 20-29 years, male 18.0
GTEX-ZC5H-0226-SM-4WAY9 40-49 years, female 18.0
GTEX-1KD5A-0226-SM-D5OV3 50-59 years, male 18.0
GTEX-148VJ-0126-SM-5TDDN 70-79 years, male 17.7
GTEX-18A66-0226-SM-718BD 60-69 years, male 17.7
GTEX-1AYCT-2426-SM-7IGQ3 50-59 years, male 17.6
GTEX-1GN1W-0526-SM-9MQJQ 50-59 years, female 17.6
GTEX-1HSMO-0126-SM-CL547 60-69 years, male 17.6
GTEX-117YX-2326-SM-5H12W 50-59 years, male 17.5
GTEX-1LBAC-0126-SM-DIPEZ 20-29 years, male 17.5
GTEX-15D1Q-0126-SM-7KUG6 40-49 years, male 17.4
GTEX-P44H-0226-SM-2XCEU 40-49 years, male 17.4
GTEX-ZZPT-0226-SM-5E43X 50-59 years, male 17.4
GTEX-1GF9X-2026-SM-7PC3A 40-49 years, female 17.4
GTEX-1GZ2Q-0226-SM-7P8TL 40-49 years, male 17.4
GTEX-14A5H-0426-SM-5QGQF 60-69 years, male 17.3
GTEX-ZU9S-0226-SM-5E441 30-39 years, male 17.3
GTEX-13O3O-0126-SM-E9J49 60-69 years, female 17.3
GTEX-1GTWX-0126-SM-9YFLK 60-69 years, male 17.2
GTEX-144FL-0126-SM-5TDC8 50-59 years, male 16.9
GTEX-15ETS-0126-SM-7KUMW 40-49 years, female 16.7
GTEX-131XW-0426-SM-5LZWP 50-59 years, female 16.6
GTEX-14PJ3-1826-SM-62LEX 50-59 years, male 16.6
GTEX-OXRO-0126-SM-2YUN4 60-69 years, female 16.6
GTEX-QESD-1426-SM-2S1R9 20-29 years, male 16.6
GTEX-14LLW-0126-SM-6LLIO 70-79 years, female 16.3
GTEX-1CB4J-0626-SM-7DHMP 60-69 years, male 16.3
GTEX-1H1E6-1726-SM-ACKVK 30-39 years, male 16.3
GTEX-1JMQK-0226-SM-CL543 60-69 years, male 16.3
GTEX-1N2DW-0226-SM-E9TK2 50-59 years, male 16.3
GTEX-13PDP-0126-SM-5L3HD 60-69 years, male 16.2
GTEX-OHPM-0126-SM-2YUN9 50-59 years, male 16.2
GTEX-1HCU8-0626-SM-A9SM9 60-69 years, female 16.2
GTEX-1I1GS-0126-SM-B2LVW 60-69 years, male 16.2
GTEX-1N2DV-0226-SM-E6CJ6 40-49 years, male 16.2
GTEX-18A7B-0126-SM-7LG64 70-79 years, male 16.1
GTEX-PWO3-1526-SM-48TCM 60-69 years, female 16.1
GTEX-14XAO-2326-SM-6EU1B 60-69 years, female 15.9
GTEX-QDVJ-1726-SM-2I5FX 50-59 years, male 15.9
GTEX-U3ZM-1526-SM-3DB9D 40-49 years, male 15.9
GTEX-1NHNU-1026-SM-E9J2A 50-59 years, male 15.8
GTEX-13N11-2526-SM-5K7UE 50-59 years, female 15.7
GTEX-YEC4-2126-SM-5IFJH 40-49 years, male 15.7
GTEX-1ICG6-2526-SM-CGQFZ 70-79 years, female 15.7
GTEX-11NSD-2226-SM-5986V 20-29 years, male 15.6
GTEX-13SLX-0526-SM-5S2ON 50-59 years, female 15.6
GTEX-1497J-2426-SM-7IGNX 60-69 years, male 15.6
GTEX-ZYFD-0126-SM-5GIDL 50-59 years, male 15.6
GTEX-1MUQO-0126-SM-EAZ58 60-69 years, male 15.6
GTEX-1S82Z-0826-SM-E6CHY 30-39 years, female 15.6
GTEX-1H3NZ-0126-SM-ACKX7 60-69 years, male 15.5
GTEX-1R7EV-2426-SM-EVYBG 40-49 years, male 15.5
GTEX-11UD1-0126-SM-5PNYG 40-49 years, female 15.4
GTEX-XUW1-0426-SM-4BOOT 50-59 years, female 15.4
GTEX-1JK1U-2026-SM-CM2RZ 60-69 years, male 15.4
GTEX-132NY-0326-SM-5IJBL 60-69 years, male 15.3
GTEX-1LH75-2426-SM-E9TJE 50-59 years, female 15.3
GTEX-147F3-0526-SM-5SI98 50-59 years, female 15.1
GTEX-WVJS-0126-SM-4MVOT 50-59 years, male 15.1
GTEX-ZVE2-0226-SM-59HJB 50-59 years, male 15.1
GTEX-1MCYP-1926-SM-E9J2R 20-29 years, female 15.1
GTEX-ZPIC-1726-SM-DHXIU 40-49 years, female 15.1
GTEX-113JC-2326-SM-5EQ4E 50-59 years, female 15.0
GTEX-Q2AI-1326-SM-2S1PL 40-49 years, male 15.0
GTEX-ZAB5-1826-SM-5HL7C 50-59 years, male 15.0
GTEX-1F88F-2726-SM-7PBZZ 60-69 years, female 15.0
GTEX-1H1ZS-0426-SM-9WG6G 70-79 years, male 15.0
GTEX-1HCVE-0126-SM-CGQEU 50-59 years, male 15.0
GTEX-1QP2A-0126-SM-E9J43 50-59 years, male 14.9
GTEX-11ZU8-2526-SM-5EQKI 60-69 years, male 14.8
GTEX-ZDXO-3026-SM-5J1N5 60-69 years, male 14.7
GTEX-1H1DG-0126-SM-9WYU2 70-79 years, male 14.7
GTEX-14PN3-2426-SM-6LLHS 60-69 years, female 14.6
GTEX-1R46S-0626-SM-E9J41 60-69 years, female 14.6
GTEX-13QJ3-0326-SM-5S2RA 50-59 years, male 14.5
GTEX-1A32A-0126-SM-718B1 50-59 years, female 14.4
GTEX-1C6WA-0126-SM-7PC2B 60-69 years, male 14.4
GTEX-1GZ4H-1726-SM-7PBZJ 50-59 years, female 14.4
GTEX-1I1CD-0126-SM-CM2TK 60-69 years, female 14.4
GTEX-11TT1-2526-SM-5EGIB 20-29 years, male 14.3
GTEX-13OW6-0426-SM-5L3HM 50-59 years, male 14.3
GTEX-145LV-2126-SM-5LU8N 50-59 years, male 14.3
GTEX-18A67-0126-SM-7LG5P 50-59 years, male 14.3
GTEX-1CB4H-0226-SM-7PBXM 60-69 years, female 14.3
GTEX-1HCUA-2426-SM-ADEIS 50-59 years, female 14.3
GTEX-1HSMQ-1226-SM-CGQFX 50-59 years, male 14.3
GTEX-PW2O-1526-SM-7RHHB 20-29 years, male 14.3
GTEX-ZEX8-2426-SM-4WKG4 50-59 years, male 14.2
GTEX-1HGF4-2426-SM-ACKXM 60-69 years, male 14.2
GTEX-1HKZK-0326-SM-9WYUH 40-49 years, male 14.2
GTEX-13CF3-2426-SM-5IFGX 60-69 years, female 14.1
GTEX-16MT8-0426-SM-7KUEY 60-69 years, female 14.1
GTEX-17EUY-0426-SM-793BD 20-29 years, male 14.1
GTEX-VJYA-1126-SM-3GIJU 60-69 years, male 14.1
GTEX-1NV5F-0226-SM-E8VNY 60-69 years, female 14.1
GTEX-11H98-0126-SM-5EGHG 50-59 years, male 14.0
GTEX-12KS4-0326-SM-5EQ41 30-39 years, male 14.0
GTEX-17MF6-0126-SM-7LG4F 40-49 years, male 14.0
GTEX-16YQH-0126-SM-7DUFJ 30-39 years, male 13.8
GTEX-13N2G-2626-SM-5J1OT 60-69 years, male 13.7
GTEX-VUSG-2526-SM-4KL1V 50-59 years, male 13.7
GTEX-1B996-0226-SM-7RHGO 60-69 years, male 13.7
GTEX-1F6RS-0126-SM-9MQKZ 60-69 years, female 13.7
GTEX-1H2FU-0126-SM-9WYSI 60-69 years, female 13.7
GTEX-1H3VY-0126-SM-ACKXD 50-59 years, male 13.7
GTEX-1J1R8-1726-SM-ARL8M 40-49 years, male 13.7
GTEX-1AMEY-1326-SM-73KYK 30-39 years, female 13.6
GTEX-13N1W-0126-SM-5K7VT 70-79 years, male 13.5
GTEX-QLQ7-1626-SM-2S1R8 60-69 years, male 13.5
GTEX-145MO-0326-SM-5Q5B3 60-69 years, male 13.4
GTEX-1H3VE-0326-SM-9YFLH 40-49 years, male 13.4
GTEX-13O3P-0126-SM-5KM4S 50-59 years, male 13.3
GTEX-18QFQ-0126-SM-731BE 30-39 years, male 13.3
GTEX-QCQG-1726-SM-3GIJ9 50-59 years, female 13.3
GTEX-U3ZN-2326-SM-3DB7W 30-39 years, female 13.3
GTEX-1QEPI-0126-SM-EWRMQ 60-69 years, female 13.3
GTEX-1RAZA-0126-SM-E6CI3 20-29 years, male 13.3
GTEX-Q2AG-0126-SM-33HBV 40-49 years, female 13.2
GTEX-TSE9-0126-SM-3DB83 60-69 years, female 13.2
GTEX-1IDJF-0126-SM-CM2RS 20-29 years, male 13.2
GTEX-1J8Q3-1626-SM-CMKGC 60-69 years, male 13.2
GTEX-11WQC-2526-SM-5CVLE 60-69 years, male 13.1
GTEX-ZYY3-0126-SM-5GZY5 60-69 years, female 13.1
GTEX-1F52S-0126-SM-9MQJU 60-69 years, female 13.1
GTEX-PWCY-1826-SM-DHXIZ 20-29 years, female 13.1
GTEX-14C5O-0126-SM-5SI6N 60-69 years, male 13.0
GTEX-1GN1V-0126-SM-9WPOS 60-69 years, male 13.0
GTEX-1S82Y-2026-SM-EVYCM 40-49 years, male 13.0
GTEX-12C56-1726-SM-5EQ61 20-29 years, male 12.9
GTEX-ZVT3-0126-SM-5GU6I 60-69 years, female 12.9
GTEX-117YW-2626-SM-5GZZH 50-59 years, male 12.8
GTEX-13VXT-0126-SM-5LU4I 20-29 years, female 12.8
GTEX-147GR-0526-SM-5S2MY 60-69 years, male 12.8
GTEX-15SHU-0126-SM-7KUEH 40-49 years, female 12.8
GTEX-1C2JI-1826-SM-73KXC 50-59 years, male 12.8
GTEX-OXRN-0126-SM-48TDM 50-59 years, male 12.8
GTEX-T6MO-1626-SM-32QOM 40-49 years, female 12.8
GTEX-1CAMS-0426-SM-7P8T2 40-49 years, female 12.8
GTEX-1GPI6-0126-SM-9WG69 60-69 years, male 12.8
GTEX-1HR98-0126-SM-B2LWI 60-69 years, male 12.8
GTEX-1I6K6-0126-SM-A9SLE 30-39 years, male 12.8
GTEX-14JG6-2226-SM-6EU2G 30-39 years, female 12.7
GTEX-1GPI7-0126-SM-9MQL8 20-29 years, male 12.7
GTEX-RN64-0126-SM-2TC68 50-59 years, male 12.6
GTEX-ZVT2-2526-SM-51MT1 50-59 years, female 12.6
GTEX-111VG-2426-SM-5GZXD 60-69 years, male 12.5
GTEX-O5YT-0126-SM-48TBW 20-29 years, male 12.5
GTEX-T5JC-0426-SM-32PLO 20-29 years, male 12.5
GTEX-1HSMP-0126-SM-E6CJS 70-79 years, male 12.5
GTEX-1192X-0226-SM-5H12D 50-59 years, male 12.4
GTEX-139TU-0126-SM-5K7WH 60-69 years, male 12.4
GTEX-13FTY-0526-SM-5L3EV 40-49 years, female 12.4
GTEX-S7PM-0126-SM-4AD6S 60-69 years, male 12.4
GTEX-12WSG-2826-SM-E9J4H 50-59 years, female 12.4
GTEX-1IY9M-0126-SM-D3L8S 60-69 years, male 12.4
GTEX-1211K-2026-SM-5EQ4Z 60-69 years, female 12.3
GTEX-1399U-2326-SM-5K7WY 50-59 years, female 12.3
GTEX-13IVO-0126-SM-5J1NG 70-79 years, male 12.3
GTEX-13U4I-0126-SM-5LU38 40-49 years, female 12.3
GTEX-147F4-0226-SM-5QGPW 50-59 years, male 12.3
GTEX-SUCS-1926-SM-32PM3 70-79 years, male 12.3
GTEX-131XE-2326-SM-5PNZ2 50-59 years, male 12.2
GTEX-OXRL-0126-SM-2YUMP 50-59 years, male 12.2
GTEX-X638-0126-SM-47JZ8 70-79 years, female 12.2
GTEX-1JMQL-0226-SM-CNPP5 50-59 years, female 12.2
GTEX-1K2DU-2326-SM-E9TIV 20-29 years, male 12.2
GTEX-1C64O-0126-SM-7SB8P 60-69 years, male 12.1
GTEX-1H1DE-2126-SM-9WG6R 20-29 years, male 12.1
GTEX-1J8EW-0126-SM-CJI4F 60-69 years, female 12.1
GTEX-11UD2-0226-SM-5EQKY 50-59 years, male 12.0
GTEX-1F7RK-0126-SM-7PC2S 20-29 years, female 12.0
GTEX-1GMR8-0126-SM-9WYTM 50-59 years, female 12.0
GTEX-18A7A-0226-SM-718BH 50-59 years, female 11.9
GTEX-1A3MV-1926-SM-718BT 30-39 years, male 11.9
GTEX-R55E-0126-SM-2TC5Y 20-29 years, male 11.9
GTEX-1EX96-1626-SM-7PBXR 50-59 years, male 11.9
GTEX-1I19N-0326-SM-ACKVX 70-79 years, male 11.9
GTEX-15DYW-0126-SM-7KULE 60-69 years, female 11.8
GTEX-WH7G-2326-SM-3NMBC 40-49 years, male 11.8
GTEX-YFC4-0126-SM-5CVLY 40-49 years, female 11.8
GTEX-R45C-0126-SM-EAZ2R 60-69 years, female 11.8
GTEX-11OC5-0126-SM-5HL6A 60-69 years, male 11.7
GTEX-16NPX-0226-SM-79OMT 50-59 years, male 11.7
GTEX-SSA3-0126-SM-32QPU 60-69 years, male 11.7
GTEX-X585-0226-SM-4QAS2 50-59 years, male 11.7
GTEX-1J8QM-2126-SM-CYPSJ 60-69 years, female 11.7
GTEX-1JMPZ-0226-SM-CNPP1 30-39 years, male 11.7
GTEX-1K2DA-1826-SM-CGQGT 50-59 years, male 11.7
GTEX-13NZB-2526-SM-5J1OM 30-39 years, male 11.6
GTEX-WXYG-2326-SM-4E3I6 50-59 years, female 11.6
GTEX-XBED-2226-SM-47JYQ 60-69 years, male 11.6
GTEX-ZY6K-1826-SM-5GZXK 50-59 years, male 11.6
GTEX-1F75A-0126-SM-7RHGM 50-59 years, male 11.6
GTEX-12ZZX-0126-SM-5EGK9 40-49 years, female 11.5
GTEX-13CF2-2526-SM-5LZYX 60-69 years, male 11.5
GTEX-16AAH-1726-SM-7939C 50-59 years, male 11.5
GTEX-RM2N-1426-SM-2TF4H 50-59 years, male 11.5
GTEX-T2YK-0526-SM-32QPJ 50-59 years, male 11.5
GTEX-Z9EW-1626-SM-5CVMN 40-49 years, male 11.5
GTEX-1MA7X-2226-SM-E6CIY 60-69 years, male 11.5
GTEX-1PIGE-0126-SM-EVYBJ 20-29 years, male 11.5
GTEX-131XG-2626-SM-5KM17 50-59 years, female 11.4
GTEX-17HGU-0226-SM-7DHKV 50-59 years, male 11.4
GTEX-11NUK-0126-SM-5A5L3 50-59 years, male 11.3
GTEX-14DAQ-0126-SM-5S2MQ 60-69 years, female 11.3
GTEX-1128S-2326-SM-5GZZY 60-69 years, female 11.2
GTEX-12WSC-0126-SM-5EQ4P 50-59 years, male 11.2
GTEX-16XZZ-0126-SM-793DV 60-69 years, male 11.2
GTEX-1B8SG-0126-SM-73KZ3 50-59 years, male 11.2
GTEX-1F5PK-2426-SM-7RHHY 50-59 years, male 11.2
GTEX-1QP66-1726-SM-E8VO1 50-59 years, male 11.2
GTEX-13G51-2526-SM-5LZYK 60-69 years, male 11.1
GTEX-169BO-1326-SM-9MQK2 50-59 years, male 11.1
GTEX-13W3W-2426-SM-5LU5B 60-69 years, female 11.0
GTEX-145MI-0526-SM-5O9A8 60-69 years, female 11.0
GTEX-14LZ3-0226-SM-62LET 60-69 years, female 11.0
GTEX-OHPL-0126-SM-2HMJ7 60-69 years, female 11.0
GTEX-1H3O1-0426-SM-9YFKY 60-69 years, male 11.0
GTEX-11DXW-0226-SM-5H122 40-49 years, male 10.9
GTEX-11ZTT-2426-SM-5EQLS 60-69 years, female 10.9
GTEX-1CAMR-1926-SM-7EPI2 20-29 years, male 10.9
GTEX-QV44-1926-SM-2S1RF 50-59 years, male 10.9
GTEX-RU72-0926-SM-2TF6B 50-59 years, female 10.9
GTEX-ZQUD-1426-SM-57WER 30-39 years, male 10.9
GTEX-12WSJ-1826-SM-5GCNY 40-49 years, female 10.8
GTEX-14PHX-2326-SM-62LEM 50-59 years, male 10.8
GTEX-17HHY-0126-SM-7LG5D 50-59 years, male 10.8
GTEX-1B933-0126-SM-7PC29 50-59 years, female 10.8
GTEX-1GF9U-2126-SM-7SB7L 40-49 years, female 10.8
GTEX-1JMQI-2226-SM-CM2SD 50-59 years, male 10.8
GTEX-1314G-1526-SM-5EGK2 30-39 years, male 10.7
GTEX-13D11-2426-SM-5KM1V 50-59 years, female 10.7
GTEX-OXRP-0126-SM-3NB32 60-69 years, female 10.7
GTEX-TMMY-0226-SM-33HBA 40-49 years, female 10.7
GTEX-XQ8I-0426-SM-4BOPO 50-59 years, male 10.7
GTEX-1RB15-2126-SM-E9TIM 60-69 years, male 10.7
GTEX-S33H-1026-SM-EZ6L6 30-39 years, male 10.7
GTEX-13NZA-0226-SM-5K7Z7 60-69 years, male 10.6
GTEX-SN8G-0126-SM-32PLI 50-59 years, female 10.6
GTEX-X5EB-2226-SM-46MW4 40-49 years, male 10.6
GTEX-1LG7Y-0526-SM-DKPQC 50-59 years, male 10.6
GTEX-1O97I-0326-SM-EYYX7 60-69 years, male 10.6
GTEX-11DXX-2426-SM-5GZZW 60-69 years, female 10.5
GTEX-13NZ8-0826-SM-5MR3I 60-69 years, female 10.5
GTEX-18465-0126-SM-731BN 50-59 years, male 10.5
GTEX-1C64N-0126-SM-793D7 50-59 years, male 10.5
GTEX-RWS6-2026-SM-2XCB5 60-69 years, female 10.5
GTEX-WY7C-2326-SM-3NB2U 50-59 years, male 10.5
GTEX-1JN1M-0326-SM-CYPT3 60-69 years, female 10.5
GTEX-13OVL-0226-SM-5L3E9 50-59 years, male 10.4
GTEX-13YAN-0326-SM-5O9DF 60-69 years, male 10.4
GTEX-146FQ-0126-SM-5NQA9 30-39 years, male 10.4
GTEX-148VI-1626-SM-5SI6E 60-69 years, female 10.4
GTEX-1S5ZA-0126-SM-EVYCV 20-29 years, male 10.4
GTEX-11EI6-0126-SM-5985R 60-69 years, male 10.3
GTEX-R3RS-0126-SM-3GIJL 40-49 years, female 10.3
GTEX-1IGQW-0126-SM-COH42 60-69 years, male 10.3
GTEX-11VI4-1726-SM-5CVLH 40-49 years, female 10.2
GTEX-139TT-0126-SM-5K7Y5 60-69 years, male 10.2
GTEX-13OW7-0126-SM-5MR3B 50-59 years, male 10.2
GTEX-U3ZH-2026-SM-3DB78 30-39 years, male 10.2
GTEX-WFG8-2226-SM-3GIL9 20-29 years, male 10.2
GTEX-1F6IF-0726-SM-7P8TW 60-69 years, male 10.2
GTEX-1J8JJ-0226-SM-CL53I 60-69 years, female 10.2
GTEX-11GS4-2726-SM-5A5LE 60-69 years, male 10.1
GTEX-11GSP-2526-SM-5N9BP 60-69 years, female 10.1
GTEX-11P7K-2126-SM-5GU7G 30-39 years, male 10.1
GTEX-145MN-2226-SM-5SIAU 30-39 years, male 10.1
GTEX-17MFQ-1726-SM-793C7 20-29 years, male 10.1
GTEX-TMZS-0126-SM-3DB9Q 60-69 years, male 10.1
GTEX-1A8FM-0226-SM-7SB7Q 50-59 years, female 10.1
GTEX-1EU9M-0226-SM-7P8SP 60-69 years, male 10.1
GTEX-1J8Q2-0526-SM-CM2RW 60-69 years, male 10.1
GTEX-17HG3-2226-SM-7938L 30-39 years, female 10.0
GTEX-13OW5-0126-SM-DTXFS 60-69 years, male 10.0
GTEX-1HBPN-0226-SM-9YFM1 50-59 years, male 10.0
GTEX-1HSEH-0126-SM-ACKXN 60-69 years, male 10.0
GTEX-1MGNQ-0126-SM-EVYCJ 40-49 years, male 10.0
GTEX-13O3Q-2426-SM-5IJBR 50-59 years, male 9.9
GTEX-14BMU-2226-SM-5TDE9 20-29 years, female 9.9
GTEX-17F98-0626-SM-79OMX 40-49 years, female 9.9
GTEX-PLZ5-2026-SM-2S1O4 50-59 years, male 9.9
GTEX-XUYS-0126-SM-47JWZ 50-59 years, male 9.9
GTEX-1MCQQ-0826-SM-DLHC2 60-69 years, male 9.9
GTEX-13OVI-1426-SM-5L3EY 60-69 years, female 9.8
GTEX-13OVK-2026-SM-7KUEO 40-49 years, male 9.8
GTEX-15DCD-0126-SM-7KUEK 70-79 years, female 9.8
GTEX-YJ89-0126-SM-4TT3X 60-69 years, male 9.8
GTEX-11DXY-2626-SM-5GIE7 60-69 years, male 9.7
GTEX-11EM3-2426-SM-59861 20-29 years, female 9.7
GTEX-11XUK-2026-SM-5EQLF 40-49 years, female 9.7
GTEX-14JG1-0426-SM-6ETZZ 40-49 years, male 9.7
GTEX-15SB6-1726-SM-6PAME 50-59 years, female 9.7
GTEX-VJWN-0126-SM-3GIK7 50-59 years, female 9.7
GTEX-ZAB4-0226-SM-5N9F5 40-49 years, male 9.7
GTEX-1I1GP-2226-SM-CGQFK 50-59 years, male 9.7
GTEX-1KANB-0526-SM-E6CJH 50-59 years, male 9.7
GTEX-18D9U-0226-SM-718BP 40-49 years, male 9.6
GTEX-1C6VS-0526-SM-7DUEN 60-69 years, male 9.6
GTEX-T8EM-1026-SM-3DB7M 40-49 years, male 9.6
GTEX-1IKOH-0226-SM-COH4E 60-69 years, female 9.6
GTEX-11LCK-1026-SM-5A5KB 30-39 years, male 9.5
GTEX-133LE-1826-SM-5J1MV 20-29 years, female 9.5
GTEX-15DDE-0126-SM-6LPKH 50-59 years, female 9.5
GTEX-WRHK-1426-SM-3MJF9 20-29 years, female 9.5
GTEX-X4EO-0326-SM-3P5YO 60-69 years, female 9.5
GTEX-Y8E4-0626-SM-4WWDL 40-49 years, male 9.5
GTEX-ZZ64-1726-SM-5GZYB 20-29 years, male 9.5
GTEX-1EKGG-0226-SM-9WYTH 60-69 years, male 9.5
GTEX-1IL2V-0126-SM-CM2TX 70-79 years, male 9.5
GTEX-1PFEY-1526-SM-E76PP 30-39 years, male 9.5
GTEX-QLQW-1126-SM-2S1Q8 30-39 years, male 9.4
GTEX-1S3DN-2226-SM-EVYCD 50-59 years, male 9.4
GTEX-11ZTS-0126-SM-5EQ6M 60-69 years, female 9.3
GTEX-145LS-0126-SM-5QGP1 60-69 years, female 9.3
GTEX-14PJ6-2126-SM-6EU1V 60-69 years, female 9.3
GTEX-16BQI-0226-SM-7KUEX 30-39 years, female 9.3
GTEX-S7SE-0126-SM-2XCD5 50-59 years, male 9.3
GTEX-ZDTS-0126-SM-4WAY5 60-69 years, male 9.3
GTEX-1GF9W-0326-SM-9KNUN 60-69 years, male 9.3
GTEX-1I4MK-2226-SM-ACKWD 50-59 years, female 9.3
GTEX-1IL2U-0226-SM-CE6T8 60-69 years, male 9.3
GTEX-13SLW-0126-SM-5SI6C 70-79 years, male 9.2
GTEX-145ME-1826-SM-5SI9G 40-49 years, female 9.2
GTEX-15CHC-2126-SM-6EU21 60-69 years, female 9.2
GTEX-WQUQ-0426-SM-3MJFU 60-69 years, male 9.2
GTEX-1JMPY-1326-SM-ARL8Y 30-39 years, male 9.2
GTEX-14DAR-2026-SM-5S2O3 50-59 years, male 9.1
GTEX-OXRK-0226-SM-3NB2G 50-59 years, female 9.1
GTEX-XYKS-2126-SM-4E3IB 60-69 years, female 9.1
GTEX-Z93T-0126-SM-5HL5N 50-59 years, male 9.1
GTEX-ZV6S-2326-SM-4YCEY 40-49 years, female 9.1
GTEX-13X6H-2126-SM-7EWD5 50-59 years, female 9.0
GTEX-15RIG-0226-SM-7KFTL 40-49 years, male 9.0
GTEX-X4XX-0126-SM-3NMC2 60-69 years, male 9.0
GTEX-1269C-2526-SM-5EGJ3 60-69 years, female 8.9
GTEX-1399T-2826-SM-5KLYZ 60-69 years, male 8.9
GTEX-1AMFI-2026-SM-731BH 50-59 years, female 8.9
GTEX-OOBJ-0126-SM-E6CJW 60-69 years, male 8.9
GTEX-12WSD-0126-SM-59HKN 60-69 years, female 8.8
GTEX-13113-5016-SM-7EPIP 60-69 years, female 8.8
GTEX-13FTW-2626-SM-5K7WL 40-49 years, male 8.8
GTEX-U8T8-0126-SM-3DB94 60-69 years, male 8.8
GTEX-1RDX4-0126-SM-E9J4P 50-59 years, female 8.8
GTEX-13NYB-2526-SM-5K7Z6 40-49 years, male 8.7
GTEX-17KNJ-2326-SM-7DHLQ 50-59 years, male 8.7
GTEX-OIZG-0726-SM-33HBL 50-59 years, male 8.7
GTEX-RTLS-0126-SM-447CA 60-69 years, female 8.7
GTEX-1F5PL-0326-SM-7P8PQ 40-49 years, female 8.7
GTEX-1HT8W-0126-SM-CNPPP 30-39 years, male 8.7
GTEX-14BIN-0626-SM-793DP 50-59 years, female 8.6
GTEX-TML8-1926-SM-32QOS 40-49 years, female 8.6
GTEX-Y3IK-2426-SM-4WWDU 50-59 years, female 8.6
GTEX-1LGOU-2026-SM-DIPFF 20-29 years, female 8.6
GTEX-15EU6-0426-SM-6PAN5 50-59 years, male 8.5
GTEX-XBEW-0626-SM-4QASP 40-49 years, male 8.5
GTEX-1F6I4-0126-SM-9MQL2 60-69 years, male 8.5
GTEX-1PDJ9-0326-SM-DTX95 20-29 years, male 8.5
GTEX-ZVT4-0126-SM-DTXFN 50-59 years, female 8.5
GTEX-1AX9J-0226-SM-73KXM 60-69 years, male 8.4
GTEX-R55G-2526-SM-2TC6D 40-49 years, female 8.4
GTEX-W5WG-1826-SM-4KL2Y 50-59 years, female 8.4
GTEX-12ZZY-0226-SM-5LZVE 60-69 years, male 8.3
GTEX-1JN76-0126-SM-CNPPE 20-29 years, female 8.3
GTEX-OIZF-0126-SM-7SB8I 60-69 years, male 8.3
GTEX-11OF3-2626-SM-5GU7F 60-69 years, male 8.2
GTEX-13RTK-1426-SM-5QGQJ 20-29 years, male 8.2
GTEX-145MF-0626-SM-5LUAI 50-59 years, male 8.2
GTEX-17GQL-2026-SM-718BA 60-69 years, male 8.2
GTEX-PVOW-0126-SM-2XCFA 40-49 years, male 8.2
GTEX-XAJ8-0826-SM-47JY6 40-49 years, male 8.2
GTEX-1HSGN-0226-SM-CGQFV 40-49 years, female 8.2
GTEX-1313W-0126-SM-5LZUN 50-59 years, female 8.1
GTEX-139TS-2826-SM-5J1OO 60-69 years, male 8.1
GTEX-145LU-0126-SM-5TDCB 50-59 years, male 8.1
GTEX-YB5K-2126-SM-4WWDJ 40-49 years, female 8.1
GTEX-1HCU7-0226-SM-CL545 50-59 years, male 8.1
GTEX-1HFI7-1826-SM-ACKXH 50-59 years, female 8.1
GTEX-1JJEA-0326-SM-CNPOT 60-69 years, male 8.1
GTEX-1R7EU-0226-SM-EVR4G 60-69 years, male 8.1
GTEX-11P81-2326-SM-59875 30-39 years, female 8.0
GTEX-17F96-1626-SM-7DUFL 70-79 years, male 8.0
GTEX-YB5E-2026-SM-5IFIS 40-49 years, male 8.0
GTEX-ZXG5-0126-SM-5GIEU 60-69 years, male 8.0
GTEX-1EN7A-0126-SM-7SB81 40-49 years, male 8.0
GTEX-1POEN-0126-SM-EYYXJ 30-39 years, female 8.0
GTEX-12WSA-0226-SM-5BC5V 60-69 years, male 7.9
GTEX-13VXU-0126-SM-5SI9F 50-59 years, male 7.9
GTEX-18A6Q-0126-SM-731BZ 60-69 years, male 7.9
GTEX-1H4P4-0726-SM-9YFLR 50-59 years, male 7.9
GTEX-1HBPI-1526-SM-C1YQ1 50-59 years, male 7.9
GTEX-1QMI2-0226-SM-EVYBX 60-69 years, male 7.9
GTEX-14E7W-0126-SM-6LLJ9 70-79 years, male 7.8
GTEX-1B8KZ-2026-SM-7DHMB 50-59 years, male 7.8
GTEX-1AX9I-0126-SM-7SB74 60-69 years, male 7.8
GTEX-1B8L1-2526-SM-9WYTF 60-69 years, male 7.8
GTEX-1I1GR-0126-SM-CL55F 60-69 years, male 7.8
GTEX-1J1OQ-0226-SM-CYPSH 40-49 years, female 7.8
GTEX-1KANA-0726-SM-D3L9I 20-29 years, male 7.8
GTEX-ZF29-2326-SM-DO92K 60-69 years, female 7.8
GTEX-14753-0426-SM-5NQAM 60-69 years, male 7.7
GTEX-SNMC-1226-SM-2XCFP 20-29 years, male 7.7
GTEX-1PPH8-0226-SM-E8VND 20-29 years, male 7.7
GTEX-1122O-2126-SM-5EGIR 60-69 years, female 7.6
GTEX-12ZZZ-0626-SM-5DUXI 60-69 years, male 7.6
GTEX-13OVH-0126-SM-5MR4B 70-79 years, male 7.6
GTEX-13S7M-0126-SM-5SI6A 60-69 years, female 7.6
GTEX-14E6D-0126-SM-62LDV 50-59 years, male 7.6
GTEX-1C4CL-0526-SM-73KVK 30-39 years, male 7.6
GTEX-U412-0426-SM-3DB9O 60-69 years, male 7.6
GTEX-ZXES-1826-SM-5E43S 30-39 years, female 7.6
GTEX-1CAV2-2226-SM-7P8P2 40-49 years, female 7.6
GTEX-111FC-0126-SM-5N9DL 60-69 years, male 7.5
GTEX-17HHE-2026-SM-79OKF 50-59 years, male 7.5
GTEX-Y8DK-0126-SM-4TT3L 60-69 years, male 7.5
GTEX-1CB4G-0226-SM-7PC3O 60-69 years, male 7.5
GTEX-1I1GT-0626-SM-CGQER 60-69 years, female 7.5
GTEX-1LSNM-1926-SM-E6CII 50-59 years, male 7.5
GTEX-14BMV-0126-SM-5S2PO 50-59 years, male 7.4
GTEX-14PJM-0226-SM-62LF1 50-59 years, female 7.4
GTEX-131XF-5016-SM-7MGWE 60-69 years, male 7.4
GTEX-1I1GQ-0126-SM-COH3H 50-59 years, male 7.4
GTEX-1IOXB-0126-SM-ARL8G 50-59 years, male 7.4
GTEX-1QAET-0926-SM-E76QM 50-59 years, male 7.4
GTEX-PSDG-0226-SM-DKPOZ 50-59 years, male 7.4
GTEX-RNOR-0126-SM-E9J4R 50-59 years, female 7.4
GTEX-11EQ9-2426-SM-5HL5T 30-39 years, male 7.3
GTEX-13112-2826-SM-5DUWH 50-59 years, male 7.3
GTEX-13PVR-2326-SM-5QGR1 60-69 years, female 7.3
GTEX-Y5V6-2426-SM-4VDSB 60-69 years, male 7.3
GTEX-1IDJU-2626-SM-CM2RT 60-69 years, female 7.3
GTEX-1JKYR-0126-SM-CNPOJ 20-29 years, male 7.3
GTEX-RVPV-0126-SM-EAZAW 60-69 years, male 7.3
GTEX-11GSO-2426-SM-5A5LY 60-69 years, male 7.2
GTEX-14A5I-0126-SM-5TDEA 50-59 years, female 7.2
GTEX-S32W-2126-SM-2XCB1 50-59 years, female 7.2
GTEX-XPVG-2626-SM-4B669 50-59 years, male 7.2
GTEX-1GN2E-0426-SM-9MQKX 60-69 years, male 7.2
GTEX-12WSK-2326-SM-5GCOH 40-49 years, female 7.1
GTEX-15F5U-1526-SM-6PANO 40-49 years, male 7.1
GTEX-1BAJH-0526-SM-793CQ 70-79 years, male 7.1
GTEX-QVJO-1626-SM-2S1QW 60-69 years, female 7.1
GTEX-RWSA-0126-SM-2XCBB 40-49 years, male 7.1
GTEX-ZYT6-0226-SM-5NQ6T 30-39 years, male 7.1
GTEX-1F75B-0126-SM-9KNVL 50-59 years, male 7.1
GTEX-13FHP-0126-SM-5IJBG 50-59 years, male 7.0
GTEX-1LGRB-2526-SM-CNPPQ 50-59 years, female 7.0
GTEX-1MJK2-0426-SM-DTXE5 50-59 years, male 7.0
GTEX-O5YW-0126-SM-3LK6D 50-59 years, male 6.9
GTEX-P4PP-0126-SM-3LK69 30-39 years, female 6.9
GTEX-Y5V5-2326-SM-4V6GA 60-69 years, female 6.9
GTEX-1HCU9-1526-SM-A9SL7 20-29 years, male 6.9
GTEX-1QP9N-1426-SM-DTXFL 30-39 years, male 6.9
GTEX-17JCI-0126-SM-7LG5G 60-69 years, female 6.8
GTEX-SIU8-0126-SM-2XCDT 50-59 years, male 6.8
GTEX-ZAK1-0126-SM-5IJD3 50-59 years, female 6.8
GTEX-PLZ6-1426-SM-DKPOT 30-39 years, male 6.8
GTEX-13O21-1426-SM-5K7XI 50-59 years, male 6.7
GTEX-16NGA-1726-SM-731B4 40-49 years, female 6.7
GTEX-WZTO-0126-SM-3NM95 40-49 years, male 6.7
GTEX-Z93S-0126-SM-5HL7M 50-59 years, male 6.7
GTEX-1GN1U-0126-SM-7PBZK 50-59 years, female 6.7
GTEX-13X6J-0126-SM-5QGOU 50-59 years, male 6.6
GTEX-1B8KE-2126-SM-73KYX 50-59 years, male 6.6
GTEX-1LB8K-0226-SM-EWRNW 50-59 years, male 6.6
GTEX-12126-0326-SM-5PNW3 20-29 years, male 6.5
GTEX-17HII-0226-SM-7LG4E 50-59 years, male 6.5
GTEX-S95S-1226-SM-4GICG 60-69 years, male 6.5
GTEX-1GN73-0226-SM-9WG67 60-69 years, male 6.5
GTEX-1H1CY-2826-SM-9MQM3 60-69 years, female 6.5
GTEX-12WSE-0526-SM-793B2 20-29 years, male 6.4
GTEX-T2IS-0126-SM-4DM6O 20-29 years, female 6.4
GTEX-WYVS-2126-SM-3NMA3 40-49 years, female 6.4
GTEX-1H11D-0226-SM-9WG6Z 40-49 years, male 6.4
GTEX-1HFI6-0226-SM-ADEHZ 40-49 years, male 6.4
GTEX-13OW8-1326-SM-5J1OW 60-69 years, male 6.3
GTEX-1E1VI-0126-SM-7DHMZ 50-59 years, male 6.3
GTEX-1GZHY-0326-SM-9QEHI 50-59 years, female 6.3
GTEX-1KD4Q-0226-SM-E9TJ9 40-49 years, male 6.3
GTEX-131XH-2226-SM-5DUXJ 50-59 years, male 6.2
GTEX-14PII-0226-SM-6EU1T 60-69 years, male 6.2
GTEX-1CB4E-2226-SM-793DC 60-69 years, male 6.2
GTEX-QEG4-0226-SM-2S1PY 30-39 years, male 6.2
GTEX-1MA7W-2026-SM-E9TJ6 20-29 years, female 6.2
GTEX-1QPFJ-0226-SM-E76PB 30-39 years, female 6.2
GTEX-ZYFC-0226-SM-5NQ75 50-59 years, male 6.1
GTEX-1EMGI-0126-SM-9KNUE 60-69 years, male 6.1
GTEX-1OFPY-2426-SM-DTXEJ 60-69 years, male 6.1
GTEX-Y114-2426-SM-4TT8A 50-59 years, female 6.0
GTEX-ZVZP-2426-SM-59HKJ 50-59 years, male 6.0
GTEX-1HCU6-0126-SM-CL54K 60-69 years, female 6.0
GTEX-11DXZ-2326-SM-5EGGV 50-59 years, male 5.9
GTEX-12696-2426-SM-5EQ6H 60-69 years, male 5.9
GTEX-X261-0126-SM-3NMD6 50-59 years, male 5.9
GTEX-ZF2S-2326-SM-4WWCE 50-59 years, female 5.9
GTEX-ZTSS-1926-SM-57WEW 40-49 years, male 5.9
GTEX-1GL5R-1826-SM-9KNUY 50-59 years, male 5.9
GTEX-1GMR3-1926-SM-9KNUZ 40-49 years, male 5.9
GTEX-13JUV-2726-SM-5LZZ8 40-49 years, female 5.8
GTEX-16GPK-0126-SM-7DHLE 60-69 years, male 5.8
GTEX-UPJH-0326-SM-3GADU 50-59 years, male 5.8
GTEX-1IKK5-0626-SM-ARL8A 60-69 years, male 5.8
GTEX-NFK9-0226-SM-2HMKQ 40-49 years, male 5.7
GTEX-Y111-0126-SM-4SOIV 50-59 years, male 5.7
GTEX-1CB4F-0426-SM-9KNV4 60-69 years, male 5.7
GTEX-1JJ6O-0126-SM-E6CI8 60-69 years, male 5.7
GTEX-1KXAM-2226-SM-CYPTC 60-69 years, male 5.7
GTEX-1IDJH-0326-SM-A9SLQ 70-79 years, male 5.6
GTEX-1M5QR-1226-SM-EWROB 40-49 years, male 5.6
GTEX-131YS-0126-SM-5KM1M 60-69 years, female 5.5
GTEX-1399R-2726-SM-5IJBA 30-39 years, male 5.5
GTEX-1B8SF-1426-SM-7DUGL 60-69 years, male 5.5
GTEX-1B97I-1626-SM-73KYO 40-49 years, male 5.5
GTEX-1CAMQ-0226-SM-7IGPK 40-49 years, male 5.5
GTEX-SJXC-0126-SM-2XCFF 60-69 years, male 5.5
GTEX-XQ3S-1526-SM-4BOOC 20-29 years, male 5.5
GTEX-1OJC3-0126-SM-E76QX 20-29 years, male 5.5
GTEX-1R9PM-2026-SM-E76OY 20-29 years, male 5.5
GTEX-SE5C-1626-SM-2XCE3 40-49 years, female 5.5
GTEX-1KAFJ-2026-SM-CY8ID 50-59 years, male 5.4
GTEX-1QCLY-0326-SM-E8VOG 30-39 years, male 5.4
GTEX-1212Z-2526-SM-5EGKP 60-69 years, male 5.3
GTEX-OIZH-0126-SM-2HMIS 50-59 years, male 5.3
GTEX-1EWIQ-0126-SM-7RHH2 70-79 years, female 5.2
GTEX-1I1GV-0526-SM-A9G29 60-69 years, male 5.2
GTEX-UJHI-1526-SM-3DB99 50-59 years, female 5.1
GTEX-1JMLX-0226-SM-CM2RO 50-59 years, male 5.1
GTEX-1GF9V-0326-SM-7RHI5 60-69 years, male 5.0
GTEX-1HSKV-0226-SM-A9SKJ 60-69 years, male 5.0
GTEX-1GMRU-0126-SM-9YFLV 50-59 years, male 4.9
GTEX-117XS-2726-SM-5N9BL 60-69 years, male 4.8
GTEX-T5JW-1626-SM-3GADZ 20-29 years, female 4.8
GTEX-T6MN-0126-SM-32PLP 50-59 years, male 4.8
GTEX-TKQ1-1026-SM-4GICL 30-39 years, male 4.8
GTEX-ZWKS-0126-SM-5SIAA 30-39 years, male 4.8
GTEX-1E2YA-0126-SM-9KNUC 50-59 years, male 4.8
GTEX-1JMQJ-0526-SM-CYPSU 50-59 years, male 4.8
GTEX-13FXS-0226-SM-5IJCK 50-59 years, male 4.7
GTEX-144GL-0126-SM-5TDE2 50-59 years, male 4.7
GTEX-15ER7-0326-SM-7KUEV 20-29 years, female 4.7
GTEX-XUZC-1726-SM-4BRWS 30-39 years, female 4.7
GTEX-ZGAY-0526-SM-4WWBB 40-49 years, female 4.7
GTEX-ZV68-0126-SM-59HKS 50-59 years, female 4.7
GTEX-ZVTK-0426-SM-51MRS 20-29 years, male 4.7
GTEX-1L5NE-2526-SM-E6CIE 50-59 years, male 4.7
GTEX-17EVP-0326-SM-7DHLG 40-49 years, male 4.6
GTEX-1CB4I-0226-SM-79OLH 50-59 years, male 4.6
GTEX-1S83E-0126-SM-EWRO4 40-49 years, male 4.6
GTEX-1LVAN-0226-SM-COH3S 50-59 years, female 4.5
GTEX-11DYG-0126-SM-59883 60-69 years, male 4.4
GTEX-1KWVE-1426-SM-E9TJO 30-39 years, male 4.4
GTEX-139UW-2826-SM-5L3E7 60-69 years, male 4.3
GTEX-1C475-1826-SM-73KWA 40-49 years, female 4.3
GTEX-1C6VR-2426-SM-79OLD 60-69 years, male 4.3
GTEX-1JN6P-0126-SM-D3L98 60-69 years, male 4.3
GTEX-18D9A-1926-SM-7LG6P 30-39 years, female 4.2
GTEX-PX3G-0126-SM-2I3EN 20-29 years, female 4.1
GTEX-1LG7Z-1726-SM-D3LA4 30-39 years, male 4.1
GTEX-WYJK-0126-SM-3NMAB 50-59 years, male 4.0
GTEX-ZYFG-2326-SM-5E44B 60-69 years, female 3.9
GTEX-1PIIG-0226-SM-EWRN6 30-39 years, male 3.7
GTEX-WFON-2126-SM-3LK7O 40-49 years, male 3.6
GTEX-P4QT-0126-SM-2I3FL 50-59 years, female 3.4
GTEX-1IKJJ-0126-SM-CNPQB 60-69 years, male 3.3
GTEX-ZTX8-1426-SM-5DUVO 20-29 years, male 3.1
GTEX-13111-1626-SM-5EGJY 50-59 years, male 2.5
GTEX-1KANC-1526-SM-D3LAB 50-59 years, female 1.9
Show allShow less

Contact

  • NEWS ARTICLES
  • PRESS ROOM

The Project

  • INTRODUCTION
  • ORGANIZATION
  • PUBLICATIONS

The Human Protein Atlas

  • DOWNLOADABLE DATA
  • LICENCE & CITATION
  • HELP & FAQ
The Human Protein Atlas project is funded
by the Knut & Alice Wallenberg Foundation.


contact@proteinatlas.org