We use cookies to enhance the usability of our website. If you continue, we'll assume that you are happy to receive all cookies. More information. Don't show this again.
S100A13
HPA
RESOURCES
  • TISSUE
  • BRAIN
  • SINGLE CELL
  • SUBCELLULAR
  • CANCER
  • BLOOD
  • CELL LINE
  • STRUCTURE & INTERACTION
ABOUT
  • INTRODUCTION
  • HISTORY
  • ORGANIZATION
  • PUBLICATIONS
  • ANTIBODY SUBMISSION
  • ANTIBODY AVAILABILITY
  • ACKNOWLEDGMENTS
  • CONTACT
NEWS
  • NEWS ARTICLES
  • PRESS ROOM
LEARN
  • DICTIONARY
  • PROTEIN CLASSES
  • PROTEIN EVIDENCE
  • METHODS
  • EDUCATIONAL VIDEOS
DATA
  • DOWNLOADABLE DATA
  • PUBLICATION DATA
  • RELEASE HISTORY
HELP
  • ANTIBODY VALIDATION
  • ASSAYS & ANNOTATION
  • DISCLAIMER
  • HELP & FAQ
  • PRIVACY STATEMENT
  • LICENCE & CITATION
Fields »
Search result

Field
Term
Gene name
Class
Subclass
Class
Keyword
Chromosome
External id
Tissue
Cell type
Expression
Antibody panel
Tissue
Main location
Patient ID
Annotation
Tissue
Category
Tau score
Cluster
Reliability
Brain region
Category
Tau score
Brain region
Category
Tau score
Brain region
Category
Tau score
Cluster
Reliability
Tissue
Cell type
Enrichment
Cell type
Category
Tau score
Cell type
Category
Tau score
Cell type
Category
Tau score
Cell lineage
Category
Tau score
Cluster
Cluster
Location
Searches
Location
Cell line
Class
Type
Phase
Reliability
Cancer
Prognosis
Cancer
Category
Cancer
Category
Tau score
Cluster
Variants
Interacting gene (ensg_id)
Type
Number of interactions
Pathway
Category
Score
Score
Score
Validation
Validation
Validation
Validation
Antibodies
Data type
Column


  • SUMMARY

  • TISSUE

  • BRAIN

  • SINGLE CELL

  • SUBCELL

  • CANCER

  • BLOOD

  • CELL LINE

  • STRUCT & INT

  • S100A13
TISSUE PRIMARY DATA COLON Show tissue menu
ADIPOSE TISSUE ADRENAL GLAND AMYGDALA APPENDIX BASAL GANGLIA BONE MARROW BREAST BRONCHUS CEREBELLUM CEREBRAL CORTEX CERVIX CHOROID PLEXUS COLON DUODENUM
ENDOMETRIUM EPIDIDYMIS ESOPHAGUS FALLOPIAN TUBE GALLBLADDER HEART MUSCLE HIPPOCAMPAL FORMATION HYPOTHALAMUS KIDNEY LIVER LUNG LYMPH NODE MIDBRAIN NASOPHARYNX
ORAL MUCOSA OVARY PANCREAS PARATHYROID GLAND PITUITARY GLAND PLACENTA PROSTATE RECTUM RETINA SALIVARY GLAND SEMINAL VESICLE SKELETAL MUSCLE SKIN SMALL INTESTINE
SMOOTH MUSCLE SOFT TISSUE SPINAL CORD SPLEEN STOMACH TESTIS THYMUS THYROID GLAND TONGUE TONSIL URINARY BLADDER VAGINA
ANTIBODIES
AND
VALIDATION
Dictionary
Colon
Tissue proteome
Intestine
COLON - Expression summary
Protein expression
Coloni

On the top, protein expression in current human tissue, based on all annotated cell types, is reported with the units not detected (n), low (l), medium (m) and high (h). Underneath, protein expression in each annotated cell type are reported using the same units.

Protein expression data is based on knowledge-based annotation. For genes where more than one antibody has been used, a collective score is set.

If knowledge-based annotation could not be performed for a gene, no data is displayed here. View antibody staining data further down this page.

h
m
l
n
Endothelial cells: Not detected
Glandular cells: Not detected
Peripheral nerve/ganglion: Not detected
RNA expressioni

A summary of mRNA expression data available for current tissue based on several datasets. The mRNA expression levels in human tissues are based on RNA-seq data generated by the Human Protein Atlas (HPA), Genotype-Tissue Expression (GTEx) portal and CAGE data generated by the FANTOM5 consortium. Consensus normalized expression levels for human tissues was created by combining the data from HPA and GTEx datasets.

The mRNA expression levels in pig are based on RNA-seq data generated by the Human Protein Atlas (HPA), and for mouse, HPA data and in situ hybridization generated by the Allen brain atlas are reported.

Scroll down to view mRNA expression data in more detail.
Consensus:192.3 nTPM
HPA:80.5 nTPM
GTEx:192.3 nTPM
FANTOM5:62.1 Scaled Tags Per Million

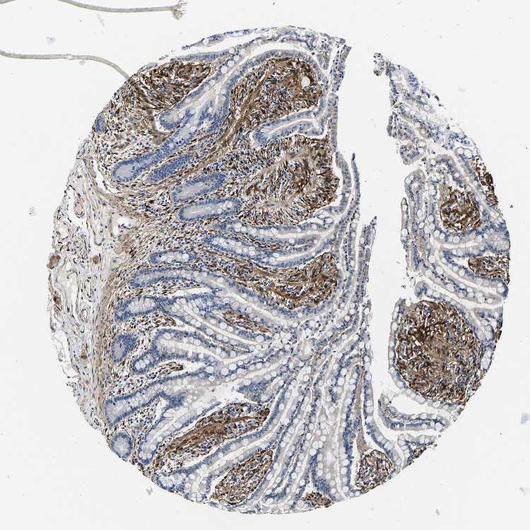
COLON - Antibody stainingi

Antibody staining in the annotated cell types in the current human tissue is reported as not detected, low, medium, or high, based on conventional immunohistochemistry profiling in selected tissues. This score is based on the combination of the staining intensity and fraction of stained cells.

Each image is clickable and will lead to virtual microscopy that enables deeper exploration of all samples and also displays staining intensity scores, fraction scores and subcellular localization as well as patient and tissue information for each sample.

Antibody HPA019592Antibody CAB025494
Endothelial cells MediumNot detected
Glandular cells Not detectedNot detected
Peripheral nerve/ganglion MediumNot detected





COLON - HPA RNA-seqi

The RNA-seq details section shows detailed information about the individual samples used for the transcript profiling and results of the RNA-seq analysis.

Information about each individual sample is listed below, including gender, age, a tissue section image and estimated fractions of cell types. nTPM (normalized transcripts per million) values give a quantification of the gene abundance which is comparable between different genes and samples.
Average nTPMi

Max subtype nTPM is the value for the subtype with the largest average nTPM across the subtype samples.

80.5
overview
Male, age 54
Colon sample 67
nTPM: 60.2
Cell types%
Glandular cells:
65

Smooth muscle cells:
10

Other cell types:
25

overview
Female, age 57
Colon sample 68
nTPM: 90.8
Cell types%
Glandular cells:
40

Smooth muscle cells:
5

Other cell types:
55

overview
Male, age 80
Colon sample 69
nTPM: 65.6
Cell types%
Glandular cells:
55

Smooth muscle cells:
5

Other cell types:
40

overview
Male, age 68
Colon sample 70
nTPM: 61.4
Cell types%
Glandular cells:
35

Smooth muscle cells:
10

Other cell types:
55

overview
Female, age 68
Colon sample 76
nTPM: 144.6
Cell types%
Glandular cells:
25

Smooth muscle cells:
5

Other cell types:
70

overview
Female, age 61
Colon sample 299
nTPM: 101.3
Cell types%
Glandular cells:
5

Smooth muscle cells:
65

Other cell types:
30

overview
Male, age 80
Colon sample 300
nTPM: 87.4
Cell types%
Glandular cells:
15

Smooth muscle cells:
20

Other cell types:
65

overview
Female, age 78
Colon sample 368
nTPM: 42.4
Cell types%
Glandular cells:
45

Smooth muscle cells:
5

Other cell types:
50

overview
Male, age 84
Colon sample 381
nTPM: 91.6
Cell types%
Glandular cells:
50

Smooth muscle cells:
15

Other cell types:
35

overview
Male, age 80
Colon sample 384
nTPM: 62.5
Cell types%
Glandular cells:
20

Smooth muscle cells:
35

Other cell types:
45

overview
Female, age 78
Colon sample 389
nTPM: 58.3
Cell types%
Glandular cells:
35

Smooth muscle cells:
10

Other cell types:
55

overview
Female, age 69
Colon sample 391
nTPM: 74
Cell types%
Glandular cells:
10

Smooth muscle cells:
45

Other cell types:
45

overview
Female, age 72
Colon sample 403
nTPM: 106.1
Cell types%
Glandular cells:
20

Smooth muscle cells:
15

Other cell types:
65


COLON - GTEx RNA-seqi

RNA-Seq data generated by the Genotype-Tissue Expression (GTEx) project from human tissues is reported as mean nTPM. More information can be found on the GTEx portal.

Distribution across the dataset is visualized with box plots, shown as median and 25th and 75th percentiles. Points are displayed as outliers if they are above or below 1.5 times the interquartile range. nTPM values of the individual samples are presented next to the box plot.
Max subtype nTPMi

Max subtype nTPM is the value for the subtype with the largest average nTPM across the subtype samples.

192.3
GTEx sample id Sample description nTPM
Colon - Sigmoid
Average nTPM: 192.3
Samples: 373

Max nTPM: 490.4
Min nTPM: 46.5
Std nTPM: 74.3
Median nTPM: 184.0
GTEX-1GN73-2726-SM-9WYUB 60-69 years, male 490.4
GTEX-1477Z-2126-SM-5Q5CM 60-69 years, male 469.1
GTEX-15RJ7-1726-SM-6PAL3 40-49 years, male 467.1
GTEX-13G51-2126-SM-5IJD9 60-69 years, male 454.2
GTEX-1RDX4-1926-SM-E6CJJ 50-59 years, female 395.6
GTEX-1PIEJ-1826-SM-EWRMN 20-29 years, female 382.7
GTEX-ZDTS-2726-SM-5L3E2 60-69 years, male 381.6
GTEX-1PIIG-2126-SM-EXUSD 30-39 years, male 381.3
GTEX-131YS-2926-SM-5EGKI 60-69 years, female 358.2
GTEX-131XE-1026-SM-5EGKE 50-59 years, male 350.9
GTEX-17JCI-2826-SM-7IGNA 60-69 years, female 349.8
GTEX-12WSM-1426-SM-5GCPA 60-69 years, male 348.8
GTEX-139TS-2226-SM-5J2N1 60-69 years, male 345.8
GTEX-1212Z-1826-SM-5FQSH 60-69 years, male 344.1
GTEX-1JN6P-2126-SM-ARL98 60-69 years, male 330.5
GTEX-17HG3-1126-SM-7DUFC 30-39 years, female 330.0
GTEX-ZLFU-1426-SM-4WWEU 40-49 years, male 317.2
GTEX-1QP9N-0826-SM-DTX9O 30-39 years, male 314.2
GTEX-11ZTS-1526-SM-5N9G7 60-69 years, female 313.4
GTEX-ZPU1-1726-SM-4WWFV 40-49 years, male 311.5
GTEX-18A6Q-2226-SM-7LG61 60-69 years, male 309.8
GTEX-18QFQ-1726-SM-731C9 30-39 years, male 309.2
GTEX-1399U-2226-SM-5KLZI 50-59 years, female 305.9
GTEX-1BAJH-2726-SM-7IGNJ 70-79 years, male 303.2
GTEX-13N2G-2226-SM-5IJCU 60-69 years, male 302.3
GTEX-1LB8K-2526-SM-DIPEQ 50-59 years, male 300.5
GTEX-18465-2726-SM-7LT9I 50-59 years, male 300.4
GTEX-15DYW-2426-SM-7KUG8 60-69 years, female 299.1
GTEX-1LSNM-1426-SM-E6CIH 50-59 years, male 294.3
GTEX-1GMRU-2626-SM-9WPPM 50-59 years, male 293.8
GTEX-1JMPZ-2626-SM-ARU8Z 30-39 years, male 293.8
GTEX-14C5O-2626-SM-5RQI5 60-69 years, male 289.0
GTEX-ZPCL-1626-SM-57WGC 60-69 years, female 287.6
GTEX-1CB4F-1926-SM-7MKFN 60-69 years, male 286.3
GTEX-1RQEC-2626-SM-EVR3Z 60-69 years, male 285.4
GTEX-1OFPY-1226-SM-E76OM 60-69 years, male 284.2
GTEX-1LVAO-2826-SM-E9TJH 60-69 years, male 283.6
GTEX-1QCLY-2026-SM-EVR4C 30-39 years, male 282.7
GTEX-ZVZQ-2626-SM-59HLB 60-69 years, female 281.0
GTEX-13O61-1526-SM-5KM3P 60-69 years, male 279.9
GTEX-1J8JJ-2426-SM-D4P4A 60-69 years, female 279.2
GTEX-1N2DV-1826-SM-E6CJ5 40-49 years, male 278.7
GTEX-WY7C-1926-SM-4ONCI 50-59 years, male 276.1
GTEX-1JJE9-2526-SM-ARU8K 70-79 years, male 276.0
GTEX-ZE9C-2126-SM-4WKGY 60-69 years, male 275.9
GTEX-1IDJI-2226-SM-CKZPM 50-59 years, female 275.9
GTEX-1LG7Z-1326-SM-DIPF3 30-39 years, male 275.2
GTEX-183FY-1426-SM-7DHLM 20-29 years, male 274.3
GTEX-1EMGI-2626-SM-7IGNR 60-69 years, male 273.7
GTEX-1IDJH-2826-SM-CJI49 70-79 years, male 273.3
GTEX-Z93S-2626-SM-57WBX 50-59 years, male 272.0
GTEX-16NGA-0926-SM-718AG 40-49 years, female 269.3
GTEX-YECK-2826-SM-5IFHF 60-69 years, male 268.9
GTEX-11PRG-2026-SM-5GU5F 50-59 years, male 268.8
GTEX-1IKOE-2126-SM-A96T5 30-39 years, female 267.9
GTEX-16MTA-1626-SM-6M47N 50-59 years, male 267.4
GTEX-1GMR3-2526-SM-7P8QS 40-49 years, male 266.2
GTEX-ZVT3-2826-SM-5GU6A 60-69 years, female 263.3
GTEX-13OW8-2726-SM-5L3FZ 60-69 years, male 263.2
GTEX-11TUW-2326-SM-5EQMO 60-69 years, male 262.9
GTEX-1S831-1726-SM-EWROJ 20-29 years, male 262.1
GTEX-1GTWX-2626-SM-9WPOT 60-69 years, male 261.4
GTEX-12WSD-2626-SM-5EGJE 60-69 years, female 261.2
GTEX-15CHQ-2626-SM-686YZ 60-69 years, male 261.2
GTEX-1R7EU-1826-SM-DTX9L 60-69 years, male 260.7
GTEX-1QP67-1426-SM-E8VOO 40-49 years, female 259.5
GTEX-1F5PK-1726-SM-7RHHW 50-59 years, male 259.3
GTEX-1LBAC-1726-SM-D3L9W 20-29 years, male 258.7
GTEX-1JJEA-2526-SM-CY8HJ 60-69 years, male 258.5
GTEX-145LS-2926-SM-5O99G 60-69 years, female 256.9
GTEX-1I1GP-2826-SM-A9SKZ 50-59 years, male 256.8
GTEX-1JMLX-2526-SM-CY8HX 50-59 years, male 253.9
GTEX-1HBPH-2526-SM-ACKXK 40-49 years, female 253.7
GTEX-11P81-1426-SM-5P9JN 30-39 years, female 252.6
GTEX-1LG7Y-2226-SM-E9U5K 50-59 years, male 252.3
GTEX-ZT9W-1726-SM-51MS3 50-59 years, male 251.1
GTEX-17HHE-1626-SM-7DHLN 50-59 years, male 250.1
GTEX-147JS-2626-SM-5S2UX 60-69 years, male 249.5
GTEX-1H1ZS-2626-SM-9QEIX 70-79 years, male 249.4
GTEX-13OVI-2126-SM-5KM3U 60-69 years, female 248.4
GTEX-1A32A-2626-SM-73KX9 50-59 years, female 248.0
GTEX-117XS-2226-SM-5GIE1 60-69 years, male 247.7
GTEX-1H1DE-1626-SM-9KNU5 20-29 years, male 247.7
GTEX-145LT-0826-SM-5S2QL 40-49 years, male 247.2
GTEX-12ZZY-2726-SM-5EQ45 60-69 years, male 246.9
GTEX-1H3VE-2326-SM-9KNVU 40-49 years, male 246.8
GTEX-1LSNL-1626-SM-E9TJY 50-59 years, male 246.4
GTEX-ZY6K-1326-SM-5GZWP 50-59 years, male 245.7
GTEX-ZLWG-1826-SM-DO11I 50-59 years, female 245.6
GTEX-ZF2S-1826-SM-4WKFF 50-59 years, female 244.8
GTEX-1JMQJ-2626-SM-CY8HQ 50-59 years, male 243.8
GTEX-11EI6-2626-SM-5PNVT 60-69 years, male 243.3
GTEX-1N2EF-1726-SM-EXUSI 60-69 years, male 242.8
GTEX-ZA64-1426-SM-5CVMC 20-29 years, male 240.3
GTEX-1H23P-2626-SM-9KNVN 60-69 years, male 239.9
GTEX-11ZU8-1126-SM-5EQ5K 60-69 years, male 239.7
GTEX-14AS3-1026-SM-5TDD7 40-49 years, female 239.7
GTEX-13OVK-1026-SM-7KFTC 40-49 years, male 239.5
GTEX-13FTW-2126-SM-5K7YG 40-49 years, male 239.4
GTEX-X15G-1526-SM-4PQZM 50-59 years, female 239.0
GTEX-15ETS-2326-SM-7KUGC 40-49 years, female 238.1
GTEX-14A5I-2426-SM-5Q5CP 50-59 years, female 238.0
GTEX-YJ8O-1426-SM-5PNV9 40-49 years, female 237.4
GTEX-ZE7O-2626-SM-51MSS 50-59 years, female 236.9
GTEX-16BQI-2026-SM-7KULQ 30-39 years, female 235.7
GTEX-17F96-2126-SM-7KFSM 70-79 years, male 235.5
GTEX-1EU9M-2726-SM-7P8QD 60-69 years, male 235.1
GTEX-14A5H-1626-SM-5SIAN 60-69 years, male 234.7
GTEX-145MH-2726-SM-5QGQ6 50-59 years, male 234.6
GTEX-145MO-2626-SM-5QGPD 60-69 years, male 232.1
GTEX-1HKZK-2026-SM-9WYUF 40-49 years, male 231.9
GTEX-1LKK1-2426-SM-DIPES 50-59 years, female 229.9
GTEX-11DXX-1926-SM-5EGJK 60-69 years, female 229.7
GTEX-16Z82-2426-SM-7KUMS 60-69 years, male 228.9
GTEX-16XZZ-2726-SM-7EWDO 60-69 years, male 228.1
GTEX-147GR-2826-SM-5RQK8 60-69 years, male 224.6
GTEX-14C39-1626-SM-5S2P4 40-49 years, male 222.6
GTEX-17F9Y-2626-SM-7IGN9 70-79 years, female 222.3
GTEX-1LSVX-2026-SM-E9TJD 60-69 years, male 221.9
GTEX-1PIGE-1526-SM-DTXFC 20-29 years, male 221.6
GTEX-13X6K-2726-SM-5O9DG 60-69 years, female 221.4
GTEX-1B8L1-1926-SM-7IGND 60-69 years, male 219.4
GTEX-1HSEH-1926-SM-A96SB 60-69 years, male 219.1
GTEX-13OVJ-1826-SM-5KM2D 50-59 years, female 218.8
GTEX-11P7K-1826-SM-5HL5A 30-39 years, male 218.5
GTEX-11GS4-1826-SM-5HL4T 60-69 years, male 218.3
GTEX-18A66-2626-SM-72D67 60-69 years, male 217.1
GTEX-1RLM8-1726-SM-E9TKF 50-59 years, male 216.6
GTEX-132NY-2726-SM-5PNY2 60-69 years, male 215.7
GTEX-14DAQ-2926-SM-664MV 60-69 years, female 213.8
GTEX-13X6I-2726-SM-5Q5ET 60-69 years, male 213.5
GTEX-13SLW-2826-SM-5Q5ES 70-79 years, male 213.4
GTEX-18D9A-1326-SM-7LT8P 30-39 years, female 212.9
GTEX-1AX9J-2526-SM-73KUY 60-69 years, male 212.9
GTEX-11ONC-1926-SM-5GU75 60-69 years, male 212.5
GTEX-13OW6-2226-SM-5N9FL 50-59 years, male 212.5
GTEX-ZQG8-2426-SM-57WEE 60-69 years, female 211.6
GTEX-11DXZ-1626-SM-5GIDI 50-59 years, male 211.4
GTEX-1RAZR-2026-SM-E9TKE 40-49 years, male 210.5
GTEX-1IL2U-2526-SM-C1YQV 60-69 years, male 210.1
GTEX-1QW4Y-1426-SM-E76P3 30-39 years, male 210.0
GTEX-1LGRB-2026-SM-COH47 50-59 years, female 209.0
GTEX-1LVAN-2626-SM-CNPQF 50-59 years, female 208.6
GTEX-13OW5-2826-SM-5KM1G 60-69 years, male 208.4
GTEX-13X6J-2826-SM-7EPGA 50-59 years, male 207.2
GTEX-ZXES-1726-SM-5E43G 30-39 years, female 206.6
GTEX-1RMOY-1726-SM-EVYC9 50-59 years, male 206.3
GTEX-1B932-2126-SM-7IGMU 40-49 years, female 205.9
GTEX-1GMR2-1826-SM-9KNUP 50-59 years, male 205.3
GTEX-XQ8I-2326-SM-4BOQC 50-59 years, male 204.5
GTEX-1F75W-2126-SM-7RHIA 60-69 years, male 204.2
GTEX-1HBPM-2626-SM-9WYU5 60-69 years, female 204.2
GTEX-1C64N-2226-SM-7SB7C 50-59 years, male 203.3
GTEX-1S5ZA-1426-SM-E6CJQ 20-29 years, male 203.0
GTEX-1J8EW-2426-SM-CE6T5 60-69 years, female 202.9
GTEX-1HSGN-2226-SM-A9SL6 40-49 years, female 202.7
GTEX-1QP29-2526-SM-E6CQ3 50-59 years, male 202.7
GTEX-1H3VY-2526-SM-9KNW1 50-59 years, male 200.4
GTEX-111YS-1826-SM-5GIEP 60-69 years, male 199.9
GTEX-X4EO-2726-SM-4E3HS 60-69 years, female 199.7
GTEX-WHPG-1626-SM-4M1ZL 50-59 years, male 196.3
GTEX-1P4AB-2626-SM-DTXEU 50-59 years, male 196.1
GTEX-1E2YA-2526-SM-7IGOU 50-59 years, male 195.8
GTEX-14PHX-1126-SM-5YYA5 50-59 years, male 195.6
GTEX-1PBJI-2526-SM-E6CP4 20-29 years, female 195.0
GTEX-XUW1-1826-SM-4BOQD 50-59 years, female 194.7
GTEX-12ZZX-2726-SM-5N9FT 40-49 years, female 193.6
GTEX-13FHO-2726-SM-5K7VG 60-69 years, male 193.1
GTEX-1B8KE-1526-SM-7DUG2 50-59 years, male 192.9
GTEX-12696-1926-SM-5EGJT 60-69 years, male 192.2
GTEX-13CF2-1826-SM-5N9GK 60-69 years, male 191.4
GTEX-ZVT2-1726-SM-51MRO 50-59 years, female 191.4
GTEX-1GZ4H-1326-SM-7P8TE 50-59 years, female 190.6
GTEX-148VJ-2426-SM-5NQ9Y 70-79 years, male 190.1
GTEX-1H3NZ-2526-SM-9KNVO 60-69 years, male 190.0
GTEX-14PJ3-1226-SM-5ZZVY 50-59 years, male 189.5
GTEX-1HBPI-2226-SM-9WYTY 50-59 years, male 189.3
GTEX-15RJE-2226-SM-6M46A 40-49 years, male 189.1
GTEX-1PPH8-2226-SM-EWRN7 20-29 years, male 188.7
GTEX-145ME-1126-SM-5SIAT 40-49 years, female 187.8
GTEX-14PJ4-1826-SM-5YY97 60-69 years, male 186.9
GTEX-1MGNQ-2126-SM-EV7AC 40-49 years, male 186.3
GTEX-ZTSS-1226-SM-51MSZ 40-49 years, male 185.9
GTEX-15UF6-2726-SM-7KULY 70-79 years, female 185.7
GTEX-WFON-1326-SM-4LVMN 40-49 years, male 184.8
GTEX-ZAB4-2426-SM-5HL8A 40-49 years, male 184.4
GTEX-ZYFG-1826-SM-5GZWX 60-69 years, female 184.0
GTEX-XUZC-1526-SM-4BRV4 30-39 years, female 183.3
GTEX-13CF3-1326-SM-5LZXZ 60-69 years, female 182.2
GTEX-1K2DA-1626-SM-CGQGB 50-59 years, male 181.8
GTEX-1R9JW-2126-SM-E76QT 30-39 years, female 181.4
GTEX-1J1OQ-2826-SM-D3L88 40-49 years, female 181.1
GTEX-14BIN-2426-SM-5TDCF 50-59 years, female 179.9
GTEX-183WM-2526-SM-731BP 70-79 years, female 179.9
GTEX-WHSE-2726-SM-EZ6ML 20-29 years, male 179.0
GTEX-14JG6-1626-SM-5YYBC 30-39 years, female 178.1
GTEX-15ER7-2826-SM-6PAN2 20-29 years, female 178.1
GTEX-ZF29-1826-SM-4WKG8 60-69 years, female 178.1
GTEX-15RIF-1426-SM-7KUKQ 20-29 years, male 177.0
GTEX-139T6-1426-SM-5P9J7 50-59 years, male 176.5
GTEX-1PDJ9-2026-SM-E76PT 20-29 years, male 175.9
GTEX-1AMFI-1826-SM-73KWB 50-59 years, female 174.9
GTEX-1R9PO-2026-SM-E9J4N 60-69 years, female 174.0
GTEX-YEC3-2026-SM-DKPOL 50-59 years, male 173.8
GTEX-1HCVE-2326-SM-9WYUD 50-59 years, male 173.7
GTEX-17EUY-1726-SM-79OK4 20-29 years, male 173.4
GTEX-1GMR8-2926-SM-9KNW5 50-59 years, female 173.1
GTEX-1H1E6-1826-SM-A9G21 30-39 years, male 172.8
GTEX-12ZZW-2426-SM-5DUWE 50-59 years, male 172.6
GTEX-1I1GT-2026-SM-CKZPK 60-69 years, female 172.6
GTEX-1211K-1826-SM-5EGJ2 60-69 years, female 172.5
GTEX-13PVR-1726-SM-5Q5EC 60-69 years, female 172.0
GTEX-YF7O-1626-SM-5IFII 50-59 years, male 171.1
GTEX-Y114-1626-SM-4TT7I 50-59 years, female 170.5
GTEX-144GM-1126-SM-79OJK 20-29 years, male 169.7
GTEX-11DXY-2026-SM-5N9CZ 60-69 years, male 169.4
GTEX-1J8Q3-2426-SM-CL53S 60-69 years, male 169.4
GTEX-ZAB5-1426-SM-5HL9D 50-59 years, male 169.2
GTEX-WYVS-1126-SM-4SOJX 40-49 years, female 167.4
GTEX-1I1CD-2826-SM-A9SL4 60-69 years, female 167.4
GTEX-15EO6-2326-SM-6LPKK 50-59 years, male 167.3
GTEX-1ICG6-2226-SM-B2LY7 70-79 years, female 167.2
GTEX-1KANA-1726-SM-CY8IG 20-29 years, male 167.0
GTEX-15UF7-1326-SM-7KUKV 40-49 years, male 166.9
GTEX-1HFI7-1626-SM-9WYTR 50-59 years, female 166.5
GTEX-1CAMR-1026-SM-7P8QI 20-29 years, male 166.4
GTEX-1QP2A-2226-SM-DTXF6 50-59 years, male 166.0
GTEX-1C6VQ-2626-SM-7IGMQ 50-59 years, male 165.3
GTEX-1EH9U-1926-SM-7P8QM 60-69 years, male 164.8
GTEX-ZLV1-1326-SM-DO11Q 60-69 years, female 163.6
GTEX-17GQL-1626-SM-7LG69 60-69 years, male 163.5
GTEX-ZV6S-1126-SM-57WE9 40-49 years, female 163.3
GTEX-Y3I4-1126-SM-4TT7Y 50-59 years, male 162.6
GTEX-1LGOU-1726-SM-D3L8P 20-29 years, female 162.1
GTEX-YFCO-1526-SM-5YYB8 40-49 years, male 161.6
GTEX-WQUQ-2626-SM-4MVNP 60-69 years, male 161.4
GTEX-WRHK-1126-SM-4MVOJ 20-29 years, female 161.0
GTEX-XXEK-1826-SM-4BRVC 50-59 years, male 159.6
GTEX-1PBJJ-2026-SM-DTX8U 30-39 years, male 159.1
GTEX-1A3MX-2326-SM-718B4 60-69 years, male 158.3
GTEX-1J1R8-1426-SM-CL55O 40-49 years, male 158.2
GTEX-1AX9K-1626-SM-73KUS 50-59 years, male 158.0
GTEX-ZP4G-1526-SM-57WE5 20-29 years, female 156.0
GTEX-WHWD-1526-SM-4OORV 50-59 years, male 155.5
GTEX-1J8QM-1226-SM-CY8HI 60-69 years, female 155.5
GTEX-13RTJ-1926-SM-5YYA2 60-69 years, male 153.4
GTEX-ZG7Y-1826-SM-4WWD3 50-59 years, male 153.4
GTEX-1HSMQ-2526-SM-A9SMK 50-59 years, male 153.4
GTEX-1QPFJ-2426-SM-EVR3L 30-39 years, female 152.5
GTEX-XV7Q-2226-SM-4BRVY 40-49 years, female 152.4
GTEX-1HB9E-2526-SM-D4P35 50-59 years, male 152.4
GTEX-1JMPY-1026-SM-ARZN1 30-39 years, male 151.1
GTEX-11EQ9-1526-SM-5PNY7 30-39 years, male 150.9
GTEX-13U4I-2626-SM-5SI9C 40-49 years, female 150.3
GTEX-1339X-1726-SM-5P9J9 40-49 years, male 149.6
GTEX-1HSKV-2326-SM-A9SL9 60-69 years, male 148.7
GTEX-ZZ64-0826-SM-5E449 20-29 years, male 148.1
GTEX-1QCLZ-2026-SM-EAZ4A 60-69 years, female 148.1
GTEX-13PVQ-2726-SM-5L3H7 50-59 years, male 147.8
GTEX-13FH7-1626-SM-5J2O9 50-59 years, female 147.0
GTEX-ZF28-2526-SM-57WFH 60-69 years, male 146.6
GTEX-139UW-2326-SM-5KM1Y 60-69 years, male 146.5
GTEX-ZVT4-2626-SM-5N9GJ 50-59 years, female 146.3
GTEX-Y8LW-1126-SM-4VDS4 50-59 years, female 145.8
GTEX-13QBU-2026-SM-5KLZB 40-49 years, female 145.2
GTEX-1JK1U-1426-SM-CNPOW 60-69 years, male 143.9
GTEX-1S82P-2026-SM-E9TIQ 60-69 years, female 142.9
GTEX-1R9K5-2226-SM-DTX9G 50-59 years, male 142.8
GTEX-1JMQK-2326-SM-ARZN4 60-69 years, male 142.7
GTEX-1QP28-2226-SM-DTX8C 50-59 years, female 142.5
GTEX-14E6C-2226-SM-5QGQG 40-49 years, male 141.9
GTEX-11VI4-1426-SM-5GU6O 40-49 years, female 140.4
GTEX-11I78-1326-SM-5PNY9 50-59 years, female 138.4
GTEX-139D8-2926-SM-5IJBM 30-39 years, female 138.4
GTEX-12KS4-2326-SM-5EGJB 30-39 years, male 138.3
GTEX-ZYT6-2826-SM-5GICX 30-39 years, male 137.9
GTEX-12BJ1-2026-SM-5FQUH 60-69 years, male 137.0
GTEX-1LVAM-1726-SM-DHXKQ 50-59 years, female 136.9
GTEX-14PKV-1926-SM-686YU 20-29 years, female 136.4
GTEX-1RAZQ-2026-SM-E76P7 30-39 years, male 136.1
GTEX-14E6E-1726-SM-5S2R6 30-39 years, male 135.7
GTEX-ZTTD-2626-SM-57WEX 50-59 years, male 135.6
GTEX-1C2JI-1726-SM-73KUW 50-59 years, male 135.2
GTEX-1HBPN-2026-SM-B2LWA 50-59 years, male 135.2
GTEX-ZYY3-2226-SM-5E45A 60-69 years, female 134.6
GTEX-1I1GR-2226-SM-ARL7F 60-69 years, male 134.4
GTEX-1C4CL-1626-SM-7DUF3 30-39 years, male 133.5
GTEX-WFG8-1726-SM-4LVM6 20-29 years, male 133.3
GTEX-15DZA-1026-SM-6PAND 30-39 years, female 133.2
GTEX-1HCUA-1926-SM-B2LWE 50-59 years, female 133.1
GTEX-17KNJ-1826-SM-7LT9N 50-59 years, male 133.0
GTEX-1B97I-1526-SM-73KUK 40-49 years, male 132.2
GTEX-Y5LM-1426-SM-5RQJL 40-49 years, female 131.9
GTEX-11EMC-1426-SM-5N9E4 60-69 years, female 131.3
GTEX-14PK6-1826-SM-69LOM 70-79 years, female 131.2
GTEX-ZPIC-2626-SM-57WE2 40-49 years, female 130.8
GTEX-146FH-2426-SM-5Q5EW 50-59 years, female 130.2
GTEX-13PL7-2426-SM-5J2N3 60-69 years, female 130.1
GTEX-15F5U-1426-SM-7KUN2 40-49 years, male 130.0
GTEX-Y9LG-1326-SM-4VBQB 30-39 years, male 130.0
GTEX-1122O-1426-SM-5H11R 60-69 years, female 129.6
GTEX-15RIE-2026-SM-7KFRW 60-69 years, male 129.1
GTEX-1CB4G-2726-SM-79OO4 60-69 years, male 128.1
GTEX-WI4N-2226-SM-4OOS9 40-49 years, female 128.0
GTEX-1PFEY-1726-SM-DPRZ4 30-39 years, male 127.6
GTEX-17MFQ-1226-SM-7KFSA 20-29 years, male 126.7
GTEX-14E1K-1626-SM-664MO 50-59 years, male 126.2
GTEX-ZC5H-2426-SM-4WAZ6 40-49 years, female 124.4
GTEX-YJ8A-1726-SM-5P9IQ 20-29 years, male 124.2
GTEX-1A3MV-1026-SM-72D5U 30-39 years, male 123.5
GTEX-1IDJU-1926-SM-CL53W 60-69 years, female 121.4
GTEX-18A67-2226-SM-7LT9Z 50-59 years, male 120.3
GTEX-12WSL-1826-SM-5LZW9 50-59 years, male 120.2
GTEX-117YX-0526-SM-5EGJH 50-59 years, male 119.9
GTEX-1GPI7-1926-SM-9KNUH 20-29 years, male 119.8
GTEX-111CU-1226-SM-5EGIN 50-59 years, male 119.1
GTEX-1B996-2726-SM-7DUGG 60-69 years, male 117.6
GTEX-1399R-2126-SM-5K7WZ 30-39 years, male 117.4
GTEX-14BMU-1326-SM-5RQIH 20-29 years, female 117.4
GTEX-1K9T9-2926-SM-E9TKD 50-59 years, female 116.2
GTEX-ZAJG-2626-SM-5S2NU 50-59 years, female 114.9
GTEX-XAJ8-0726-SM-47JY5 40-49 years, male 114.0
GTEX-13111-1926-SM-5GCOL 50-59 years, male 113.9
GTEX-Y8E4-2326-SM-EAZAZ 40-49 years, male 113.7
GTEX-1AYCT-1926-SM-793AE 50-59 years, male 113.3
GTEX-13VXT-2026-SM-5L3EW 20-29 years, female 112.8
GTEX-1F5PL-1926-SM-7MXTP 40-49 years, female 111.0
GTEX-12WSJ-1426-SM-5GCON 40-49 years, female 110.7
GTEX-1GL5R-1726-SM-9KNUX 50-59 years, male 109.9
GTEX-14PN3-1926-SM-6EU1Y 60-69 years, female 109.3
GTEX-15G1A-1926-SM-7KUFF 30-39 years, male 108.6
GTEX-ZYFD-2226-SM-5E43P 50-59 years, male 108.2
GTEX-13O1R-2426-SM-5KLZZ 60-69 years, male 107.9
GTEX-WFG7-1626-SM-4LVMF 20-29 years, male 106.4
GTEX-13D11-0626-SM-5LZYY 50-59 years, female 106.1
GTEX-11TT1-0926-SM-5GU5M 20-29 years, male 104.9
GTEX-1CAMS-2626-SM-7PBY3 40-49 years, female 103.1
GTEX-1JKYN-2226-SM-ARZNE 30-39 years, male 103.1
GTEX-17HGU-2626-SM-79OKN 50-59 years, male 102.3
GTEX-11EM3-1626-SM-5N9CO 20-29 years, female 101.6
GTEX-1JKYR-2026-SM-CNPON 20-29 years, male 99.7
GTEX-1HCU6-2926-SM-B2LWV 60-69 years, female 99.0
GTEX-1KXAM-1926-SM-D3LAG 60-69 years, male 98.5
GTEX-1HSMO-2526-SM-A9SKP 60-69 years, male 96.0
GTEX-1I6K6-1926-SM-A96SN 30-39 years, male 96.0
GTEX-1C64O-2426-SM-7P8R3 60-69 years, male 94.3
GTEX-13113-1426-SM-5EGHU 60-69 years, female 92.8
GTEX-WYJK-2326-SM-4ONDN 50-59 years, male 92.2
GTEX-1OJC3-1826-SM-DTX93 20-29 years, male 90.9
GTEX-1JN76-1326-SM-ARU94 20-29 years, female 89.9
GTEX-1HCU7-2726-SM-A9G3D 50-59 years, male 88.8
GTEX-11ZTT-1626-SM-5EQKR 60-69 years, female 88.3
GTEX-11EQ8-2626-SM-5N9BO 60-69 years, male 86.3
GTEX-WH7G-1426-SM-4LVMU 40-49 years, male 85.2
GTEX-V955-1726-SM-4JBHF 60-69 years, male 85.0
GTEX-1L5NE-1926-SM-D3L9R 50-59 years, male 85.0
GTEX-15FZZ-1826-SM-6LLJP 30-39 years, female 84.2
GTEX-1GF9X-1426-SM-7RHGX 40-49 years, female 82.4
GTEX-1C475-1526-SM-7DHM3 40-49 years, female 81.7
GTEX-131XG-1526-SM-5GCNQ 50-59 years, female 79.8
GTEX-12WSG-2426-SM-5EQLZ 50-59 years, female 79.6
GTEX-13W3W-2226-SM-5LU4M 60-69 years, female 73.8
GTEX-Y5V6-1626-SM-4VDT2 60-69 years, male 73.1
GTEX-W5WG-2026-SM-4LMIB 50-59 years, female 72.8
GTEX-WOFM-1926-SM-4OOSP 20-29 years, male 70.2
GTEX-15G19-2726-SM-6LPKG 60-69 years, male 68.1
GTEX-1AMEY-1826-SM-72D5L 30-39 years, female 66.6
GTEX-XBED-1726-SM-47JYO 60-69 years, male 66.6
GTEX-WXYG-1726-SM-4ONCU 50-59 years, female 60.6
GTEX-VJYA-2126-SM-4KL1O 60-69 years, male 54.5
GTEX-X5EB-1126-SM-46MVV 40-49 years, male 52.8
GTEX-132AR-2826-SM-5IJFV 50-59 years, female 47.6
GTEX-ZQUD-1026-SM-4YCEZ 30-39 years, male 46.5
Show allShow less
Colon - Transverse
Average nTPM: 124.5
Samples: 406

Max nTPM: 528.6
Min nTPM: 30.0
Std nTPM: 64.5
Median nTPM: 103.8
GTEX-13OVI-2026-SM-5J1MU 60-69 years, female 528.6
GTEX-1EMGI-2726-SM-7P8S4 60-69 years, male 349.1
GTEX-U412-1726-SM-EZ6KX 60-69 years, male 338.5
GTEX-12ZZZ-2426-SM-5GCNN 60-69 years, male 327.1
GTEX-ZXES-1626-SM-5NQ7L 30-39 years, female 313.8
GTEX-OXRN-2026-SM-E6CHK 50-59 years, male 312.0
GTEX-1PWST-2426-SM-EWRMP 70-79 years, male 302.6
GTEX-18QFQ-1526-SM-72D57 30-39 years, male 296.5
GTEX-1QMI2-2626-SM-E6CR4 60-69 years, male 289.2
GTEX-1GN73-2626-SM-9KNUQ 60-69 years, male 285.6
GTEX-1MUQO-2626-SM-EWRO3 60-69 years, male 275.8
GTEX-1S5VW-2926-SM-E9U6H 60-69 years, male 274.7
GTEX-145MO-2426-SM-5NQ9W 60-69 years, male 265.2
GTEX-1LG7Y-2126-SM-DIPER 50-59 years, male 261.4
GTEX-13O61-1626-SM-5KM3T 60-69 years, male 260.5
GTEX-1PPGY-2826-SM-DTX9H 60-69 years, male 258.2
GTEX-SJXC-2226-SM-EVYAK 60-69 years, male 255.4
GTEX-ZYFC-2626-SM-5NQ6S 50-59 years, male 252.6
GTEX-17HII-2726-SM-7MGVM 50-59 years, male 252.6
GTEX-Z93S-2426-SM-5HL8N 50-59 years, male 248.2
GTEX-147JS-2526-SM-5S2Q8 60-69 years, male 248.1
GTEX-11ONC-2026-SM-5HL61 60-69 years, male 244.5
GTEX-1LBAC-1626-SM-CXZKV 20-29 years, male 243.9
GTEX-145LS-2726-SM-5Q5D8 60-69 years, female 242.6
GTEX-ZF29-1726-SM-4WKFV 60-69 years, female 241.1
GTEX-15CHQ-2526-SM-6EU24 60-69 years, male 236.1
GTEX-148VJ-2626-SM-5QGPI 70-79 years, male 235.6
GTEX-1IKK5-2726-SM-CNPQ6 60-69 years, male 234.9
GTEX-15CHC-1626-SM-5ZZWS 60-69 years, female 233.7
GTEX-1JMLX-2726-SM-CM2SB 50-59 years, male 233.4
GTEX-1I1GT-1926-SM-ARU7D 60-69 years, female 231.4
GTEX-14E1K-1826-SM-793DT 50-59 years, male 229.8
GTEX-16Z82-2226-SM-6LPJ7 60-69 years, male 228.7
GTEX-1AYD5-1726-SM-7RHFW 50-59 years, male 226.7
GTEX-16XZZ-2626-SM-6M47S 60-69 years, male 225.2
GTEX-15SHU-2526-SM-6M47D 40-49 years, female 224.8
GTEX-15UF6-2626-SM-6M466 70-79 years, female 224.1
GTEX-17MF6-2426-SM-7LTAM 40-49 years, male 221.8
GTEX-14H4A-1926-SM-5ZZWN 40-49 years, female 219.0
GTEX-X4EO-2526-SM-EWRM8 60-69 years, female 217.3
GTEX-11O72-2226-SM-5PNW2 40-49 years, male 213.7
GTEX-1LVAN-2526-SM-CNPPC 50-59 years, female 212.7
GTEX-1S82U-0726-SM-E9TKI 30-39 years, female 212.6
GTEX-145ME-0826-SM-5O9AF 40-49 years, female 210.3
GTEX-16NPV-2626-SM-6M484 50-59 years, female 209.7
GTEX-S341-1426-SM-4AD6U 40-49 years, female 203.2
GTEX-1NV5F-2226-SM-DTX8O 60-69 years, female 202.4
GTEX-11TTK-2426-SM-5PNYO 60-69 years, female 200.9
GTEX-14BMV-2426-SM-5S2PP 50-59 years, male 200.7
GTEX-Y3I4-1426-SM-4TT9C 50-59 years, male 200.0
GTEX-14AS3-1126-SM-5Q5CR 40-49 years, female 198.6
GTEX-17JCI-2626-SM-7EWE6 60-69 years, female 198.3
GTEX-14PJ3-0926-SM-69LQG 50-59 years, male 198.0
GTEX-14ICL-1226-SM-5S2RD 30-39 years, male 197.9
GTEX-16NGA-1026-SM-7KFS3 40-49 years, female 197.0
GTEX-1I1GR-2526-SM-CNNQF 60-69 years, male 196.2
GTEX-11TUW-2026-SM-5EQL8 60-69 years, male 195.3
GTEX-ZYFG-1926-SM-5GID5 60-69 years, female 194.7
GTEX-11GSP-1626-SM-5986N 60-69 years, female 192.3
GTEX-1IDJC-1326-SM-CL53H 50-59 years, male 192.1
GTEX-17F9E-1826-SM-7IGMC 50-59 years, male 191.0
GTEX-1POEN-2026-SM-E6CRL 30-39 years, female 190.7
GTEX-1RMOY-1626-SM-EVYC8 50-59 years, male 189.1
GTEX-R45C-2126-SM-EZ6KZ 60-69 years, female 187.9
GTEX-1JJE9-2426-SM-D3L8T 70-79 years, male 187.8
GTEX-14C39-1926-SM-5ZZW5 40-49 years, male 186.8
GTEX-1BAJH-2326-SM-7IGMO 70-79 years, male 186.5
GTEX-1NHNU-2326-SM-E6CQE 50-59 years, male 185.0
GTEX-1E2YA-2626-SM-7MGWW 50-59 years, male 184.9
GTEX-1N2EF-1926-SM-DTX8M 60-69 years, male 183.9
GTEX-1JMPZ-2426-SM-C1YQP 30-39 years, male 183.5
GTEX-1LSVX-1726-SM-DHXJP 60-69 years, male 183.3
GTEX-14DAQ-2726-SM-5S2QY 60-69 years, female 183.1
GTEX-14C5O-2526-SM-73KU2 60-69 years, male 182.7
GTEX-1EH9U-2026-SM-7PBYS 60-69 years, male 182.5
GTEX-14BIN-3026-SM-5ZZUS 50-59 years, female 182.3
GTEX-RWS6-1826-SM-47JXX 60-69 years, female 180.3
GTEX-13U4I-2426-SM-5LU34 40-49 years, female 179.2
GTEX-WVJS-2426-SM-EZ6LI 50-59 years, male 178.6
GTEX-144GL-2526-SM-5TDDL 50-59 years, male 176.0
GTEX-13O3O-2526-SM-5L3DR 60-69 years, female 175.7
GTEX-1CB4I-2226-SM-7P8SL 50-59 years, male 175.1
GTEX-1JJ6O-2426-SM-ARU8J 60-69 years, male 174.4
GTEX-1N5O9-2726-SM-E76QH 60-69 years, male 173.2
GTEX-Y8LW-1226-SM-4WWDP 50-59 years, female 171.9
GTEX-T6MO-0826-SM-4DM51 40-49 years, female 171.7
GTEX-1RDX4-1826-SM-EVR54 50-59 years, female 171.7
GTEX-1KANB-1526-SM-CXZK4 50-59 years, male 169.0
GTEX-1HSMP-2326-SM-D3L8R 70-79 years, male 166.5
GTEX-12WSL-1626-SM-5GCMU 50-59 years, male 164.3
GTEX-11EQ9-1426-SM-5987G 30-39 years, male 164.1
GTEX-1H1DG-2226-SM-9WPPC 70-79 years, male 163.8
GTEX-1C2JI-1626-SM-7EPHC 50-59 years, male 163.5
GTEX-15DYW-2326-SM-6PAMU 60-69 years, female 163.0
GTEX-15G1A-1826-SM-7KUKO 30-39 years, male 163.0
GTEX-17EVQ-1826-SM-7IGPH 70-79 years, male 163.0
GTEX-13OW5-2626-SM-5MR3M 60-69 years, male 159.8
GTEX-13OVG-1426-SM-5K7VP 60-69 years, male 159.4
GTEX-13FHP-2426-SM-5KLZ5 50-59 years, male 158.9
GTEX-1H1DE-1526-SM-ARL9B 20-29 years, male 158.9
GTEX-ZAB4-2226-SM-5HL97 40-49 years, male 158.6
GTEX-18A7B-2026-SM-72D71 70-79 years, male 158.3
GTEX-18A7A-2226-SM-7LT8K 50-59 years, female 158.2
GTEX-1AX9I-2626-SM-73KU5 60-69 years, male 158.1
GTEX-16MT8-2726-SM-7IGLJ 60-69 years, female 157.1
GTEX-15DZA-0926-SM-69LQ3 30-39 years, female 156.7
GTEX-111VG-2226-SM-5N9DU 60-69 years, male 156.1
GTEX-WEY5-1426-SM-4LMJ3 40-49 years, female 155.4
GTEX-117YX-0826-SM-5H11J 50-59 years, male 155.3
GTEX-O5YW-1426-SM-3MJHF 50-59 years, male 155.1
GTEX-1128S-1626-SM-5H12O 60-69 years, female 154.6
GTEX-1PPH8-2026-SM-DTX7P 20-29 years, male 154.4
GTEX-1HCU7-2626-SM-C1YQO 50-59 years, male 154.2
GTEX-ZGAY-2126-SM-4YCFB 40-49 years, female 153.8
GTEX-111YS-1626-SM-5GZZ9 60-69 years, male 152.9
GTEX-11ZVC-2126-SM-5EGJ1 50-59 years, female 150.4
GTEX-1LH75-2126-SM-EVR5F 50-59 years, female 149.8
GTEX-1GL5R-2426-SM-7MXV1 50-59 years, male 149.0
GTEX-13O3P-2326-SM-5KM55 50-59 years, male 148.2
GTEX-18D9B-2526-SM-718BN 60-69 years, male 148.1
GTEX-12WSJ-1526-SM-5GCNI 40-49 years, female 148.0
GTEX-1339X-1626-SM-5IJDN 40-49 years, male 146.0
GTEX-PSDG-1826-SM-EAZ2S 50-59 years, male 144.6
GTEX-11P81-1126-SM-5GU5G 30-39 years, female 144.2
GTEX-QLQ7-1126-SM-CYPRB 60-69 years, male 144.2
GTEX-17GQL-1526-SM-7LTAC 60-69 years, male 143.1
GTEX-15ER7-2926-SM-7KUFK 20-29 years, female 142.7
GTEX-1IGQW-2326-SM-CE6RV 60-69 years, male 142.5
GTEX-1IOXB-2626-SM-CJI2N 50-59 years, male 142.4
GTEX-1QW4Y-1326-SM-EWRMZ 30-39 years, male 141.7
GTEX-1CB4F-2026-SM-79OLU 60-69 years, male 141.3
GTEX-WQUQ-2526-SM-4MVNO 60-69 years, male 141.2
GTEX-Y8E4-2426-SM-4WWDN 40-49 years, male 141.1
GTEX-15DCE-2026-SM-7KUFE 20-29 years, male 140.5
GTEX-1AMEY-1926-SM-73KVT 30-39 years, female 140.4
GTEX-OXRO-0726-SM-E9U4C 60-69 years, female 140.0
GTEX-1J1OQ-2726-SM-AHZ3R 40-49 years, female 139.8
GTEX-13FH7-1526-SM-5J2N6 50-59 years, female 138.7
GTEX-1GMR3-2826-SM-9WPOG 40-49 years, male 136.8
GTEX-1KXAM-2126-SM-CY8I9 60-69 years, male 136.8
GTEX-TKQ1-0626-SM-4DXTS 30-39 years, male 135.8
GTEX-ZV6S-1226-SM-59HLH 40-49 years, female 134.5
GTEX-1K9T9-2826-SM-D4P3F 50-59 years, female 134.4
GTEX-1HSGN-2626-SM-CE6S1 40-49 years, female 134.1
GTEX-ZY6K-1226-SM-5GZYL 50-59 years, male 133.9
GTEX-1IDJD-2226-SM-A96TD 30-39 years, male 133.7
GTEX-WY7C-1626-SM-4ONC8 50-59 years, male 131.5
GTEX-1AX8Z-2726-SM-73KUC 60-69 years, male 131.3
GTEX-PX3G-1426-SM-48U1J 20-29 years, female 131.3
GTEX-1HKZK-2126-SM-A9SL3 40-49 years, male 131.3
GTEX-Y114-1526-SM-4TT79 50-59 years, female 129.8
GTEX-OXRL-1426-SM-3NM9E 50-59 years, male 129.3
GTEX-13OVK-0826-SM-7KULZ 40-49 years, male 128.5
GTEX-NFK9-2026-SM-3LK5K 40-49 years, male 128.4
GTEX-1GMR2-1726-SM-9JGI2 50-59 years, male 127.7
GTEX-1GZ4I-2426-SM-9WPPP 50-59 years, male 127.5
GTEX-1MCC2-1626-SM-DIPEW 30-39 years, female 127.5
GTEX-1GZ4H-1226-SM-9KNUA 50-59 years, female 126.5
GTEX-OHPN-2026-SM-E9TIA 60-69 years, female 126.4
GTEX-13QJ3-2626-SM-9OSXQ 50-59 years, male 126.1
GTEX-14PJM-2626-SM-686ZD 50-59 years, female 125.6
GTEX-1HCVE-2526-SM-A9G2G 50-59 years, male 125.5
GTEX-1S3DN-1826-SM-EV79K 50-59 years, male 125.3
GTEX-1C6VQ-2726-SM-73KUL 50-59 years, male 125.0
GTEX-14PJ5-0926-SM-6LLIK 60-69 years, female 123.2
GTEX-1MJK3-0926-SM-EV7AY 20-29 years, male 122.2
GTEX-XUW1-1926-SM-4BOP1 50-59 years, female 122.1
GTEX-1LGOU-1626-SM-D3LAK 20-29 years, female 120.8
GTEX-14ICK-1026-SM-6AJA4 40-49 years, male 120.0
GTEX-13CF3-1426-SM-5K7YY 60-69 years, female 119.7
GTEX-13VXT-2426-SM-5LU46 20-29 years, female 119.2
GTEX-1A3MV-1126-SM-718BS 30-39 years, male 119.2
GTEX-XAJ8-0426-SM-47JYJ 40-49 years, male 118.9
GTEX-18D9U-1926-SM-7KFTM 40-49 years, male 118.8
GTEX-U3ZH-1326-SM-4DXSF 30-39 years, male 118.7
GTEX-1QCLZ-1926-SM-E6CR3 60-69 years, female 117.7
GTEX-1R9JW-2026-SM-EAZ4O 30-39 years, female 117.4
GTEX-ZPCL-1826-SM-57WF1 60-69 years, female 117.0
GTEX-13OW6-2126-SM-5N9GL 50-59 years, male 114.4
GTEX-14PK6-1726-SM-6871J 70-79 years, female 114.3
GTEX-14E6E-1526-SM-5RQIG 30-39 years, male 113.6
GTEX-13X6H-1926-SM-7EWD3 50-59 years, female 113.5
GTEX-SNMC-1126-SM-4DM5M 20-29 years, male 113.4
GTEX-1R7EU-1926-SM-E9U62 60-69 years, male 113.2
GTEX-1ICLZ-2426-SM-CKZOD 60-69 years, male 112.2
GTEX-13W3W-2126-SM-5K7UX 60-69 years, female 112.0
GTEX-1IDJF-1826-SM-CKZOE 20-29 years, male 111.2
GTEX-11VI4-1526-SM-5EQKC 40-49 years, female 111.0
GTEX-147F3-1926-SM-5SIB9 50-59 years, female 110.3
GTEX-13PVR-1626-SM-73KVF 60-69 years, female 110.1
GTEX-17F98-1026-SM-7IGO8 40-49 years, female 109.8
GTEX-1I4MK-1126-SM-B2LWS 50-59 years, female 108.7
GTEX-1JN1M-2626-SM-CY8I3 60-69 years, female 108.2
GTEX-1HSMQ-2726-SM-C1YRE 50-59 years, male 107.8
GTEX-P78B-1726-SM-3P5ZV 40-49 years, female 107.6
GTEX-1R9K5-2126-SM-E8VN1 50-59 years, male 107.4
GTEX-12KS4-2426-SM-5LU8P 30-39 years, male 107.2
GTEX-X3Y1-1726-SM-4PQZL 40-49 years, male 106.5
GTEX-18D9A-1126-SM-7KFRJ 30-39 years, female 106.4
GTEX-1OKEX-1226-SM-DTXEC 60-69 years, male 104.4
GTEX-1QPFJ-2326-SM-E6CR7 30-39 years, female 104.4
GTEX-ZTSS-1126-SM-5985O 40-49 years, male 104.1
GTEX-ZZ64-0726-SM-5GZX4 20-29 years, male 104.1
GTEX-1B996-2626-SM-73KZ1 60-69 years, male 103.5
GTEX-ZP4G-1726-SM-4WWCM 20-29 years, female 103.0
GTEX-17F96-2026-SM-79ON4 70-79 years, male 102.7
GTEX-11NSD-1626-SM-5986U 20-29 years, male 102.6
GTEX-146FQ-1926-SM-5NQBY 30-39 years, male 102.3
GTEX-1F75B-2726-SM-7P8QO 50-59 years, male 101.8
GTEX-WYJK-2226-SM-4ONDJ 50-59 years, male 101.5
GTEX-ZYVF-2826-SM-5GIDK 50-59 years, female 101.4
GTEX-SE5C-1526-SM-4BRWU 40-49 years, female 100.5
GTEX-WYVS-1826-SM-4OND6 40-49 years, female 100.5
GTEX-1R9PM-1526-SM-DPRY8 20-29 years, male 100.4
GTEX-17KNJ-1726-SM-7LG6A 50-59 years, male 100.3
GTEX-XXEK-1926-SM-4BRVD 50-59 years, male 99.9
GTEX-RU1J-1326-SM-46MUL 20-29 years, female 99.6
GTEX-P4QT-1426-SM-3NMCX 50-59 years, female 99.3
GTEX-1GF9U-1526-SM-7MXUW 40-49 years, female 99.3
GTEX-16AAH-1326-SM-7KFRG 50-59 years, male 98.3
GTEX-1HCU6-2726-SM-A9SKV 60-69 years, female 97.8
GTEX-ZDYS-2326-SM-4WKG6 50-59 years, male 97.7
GTEX-QMRM-1226-SM-447C6 50-59 years, male 97.5
GTEX-YEC4-1926-SM-5IFHJ 40-49 years, male 97.2
GTEX-ZT9W-1826-SM-51MQX 50-59 years, male 97.1
GTEX-1PIGE-1426-SM-E9U61 20-29 years, male 97.0
GTEX-V955-1626-SM-4JBHJ 60-69 years, male 96.8
GTEX-1HCU9-1326-SM-B2LXT 20-29 years, male 96.8
GTEX-YEC3-2426-SM-DO11A 50-59 years, male 96.7
GTEX-QDVJ-1326-SM-48U1X 50-59 years, male 96.4
GTEX-XGQ4-1226-SM-4AT67 50-59 years, male 96.2
GTEX-OHPM-1426-SM-3TW8Y 50-59 years, male 95.8
GTEX-14XAO-2026-SM-69LOI 60-69 years, female 95.0
GTEX-ZVT2-1926-SM-5GU5T 50-59 years, female 94.5
GTEX-O5YT-1426-SM-3MJHC 20-29 years, male 94.3
GTEX-139TS-1926-SM-5IJFO 60-69 years, male 93.9
GTEX-1H3VY-2426-SM-9WPPD 50-59 years, male 93.6
GTEX-144GN-1126-SM-5LU33 50-59 years, male 93.3
GTEX-1LVAM-1626-SM-EV79Y 50-59 years, female 93.0
GTEX-SNOS-1226-SM-4DM5H 40-49 years, male 92.8
GTEX-XBEW-1926-SM-4SOJO 40-49 years, male 92.7
GTEX-18A66-2426-SM-7KFSQ 60-69 years, male 92.6
GTEX-S3XE-1126-SM-4AD4N 50-59 years, male 92.0
GTEX-1CAMS-2526-SM-7EPH7 40-49 years, female 91.9
GTEX-1C64O-2326-SM-73KU8 60-69 years, male 91.8
GTEX-1IDJU-2026-SM-A9SLM 60-69 years, female 91.5
GTEX-1HFI7-1726-SM-A9G22 50-59 years, female 91.4
GTEX-1MA7W-0626-SM-EV79Z 20-29 years, female 90.4
GTEX-11LCK-2026-SM-5A5MA 30-39 years, male 90.0
GTEX-1KANA-1926-SM-DHXKF 20-29 years, male 89.8
GTEX-15SB6-1226-SM-7KUMP 50-59 years, female 89.7
GTEX-1C4CL-2126-SM-7IGQC 30-39 years, male 89.7
GTEX-S4Q7-0826-SM-4AD5E 20-29 years, male 89.6
GTEX-14PHX-1526-SM-68717 50-59 years, male 89.4
GTEX-1GPI7-1726-SM-7P8R1 20-29 years, male 89.0
GTEX-S4P3-1226-SM-4AD4Y 50-59 years, female 88.6
GTEX-1RAZQ-2126-SM-DTX9V 30-39 years, male 88.2
GTEX-ZG7Y-2126-SM-DO117 50-59 years, male 88.2
GTEX-13111-0726-SM-5DUVE 50-59 years, male 88.1
GTEX-1AYCT-1826-SM-731EG 50-59 years, male 88.1
GTEX-13OVJ-1726-SM-5IJDZ 50-59 years, female 87.7
GTEX-17EUY-1826-SM-7DUEZ 20-29 years, male 87.4
GTEX-12BJ1-2126-SM-5BC5O 60-69 years, male 87.2
GTEX-Y3IK-1826-SM-4WWDS 50-59 years, female 87.2
GTEX-U3ZM-1126-SM-4DXUB 40-49 years, male 87.1
GTEX-1S83E-1626-SM-EV7B9 40-49 years, male 86.1
GTEX-WOFM-2026-SM-4OOSQ 20-29 years, male 85.1
GTEX-117YW-1826-SM-5PNY5 50-59 years, male 85.0
GTEX-WH7G-1326-SM-4LVMS 40-49 years, male 85.0
GTEX-Y5LM-1526-SM-4VDTA 40-49 years, female 84.8
GTEX-145LT-0926-SM-5LU9C 40-49 years, male 84.5
GTEX-ZPU1-1926-SM-57WDT 40-49 years, male 84.4
GTEX-1CAMR-0926-SM-7MXTD 20-29 years, male 84.1
GTEX-139T6-1326-SM-5IFFO 50-59 years, male 84.0
GTEX-QDVN-1326-SM-48TZ3 50-59 years, male 83.9
GTEX-XYKS-2226-SM-4E3IU 60-69 years, female 83.3
GTEX-13PL7-2526-SM-5IFGR 60-69 years, female 82.9
GTEX-XQ8I-2126-SM-4BOOM 50-59 years, male 82.9
GTEX-TKQ2-1326-SM-4DXT9 50-59 years, male 82.8
GTEX-1PIEJ-2026-SM-E6CPA 20-29 years, female 82.8
GTEX-1JKYR-1926-SM-C1YR7 20-29 years, male 82.7
GTEX-17HGU-2426-SM-7EWDP 50-59 years, male 82.6
GTEX-P4PP-1426-SM-3NM9L 30-39 years, female 82.2
GTEX-1399U-1926-SM-5IFH7 50-59 years, female 82.1
GTEX-ZLWG-1726-SM-DNZZ2 50-59 years, female 82.0
GTEX-1399R-2226-SM-5P9JB 30-39 years, male 81.9
GTEX-133LE-1526-SM-5IFEN 20-29 years, female 81.8
GTEX-R55C-1126-SM-48FCJ 40-49 years, male 81.3
GTEX-1H1E6-1926-SM-9OSWD 30-39 years, male 81.3
GTEX-1NSGN-2326-SM-E9U5X 50-59 years, male 81.3
GTEX-OIZH-1426-SM-3NB1O 50-59 years, male 81.2
GTEX-PLZ6-0926-SM-3P5ZQ 30-39 years, male 81.0
GTEX-1MGNQ-2026-SM-EAZ51 40-49 years, male 81.0
GTEX-1JK1U-1526-SM-AHZ46 60-69 years, male 80.6
GTEX-13QBU-1826-SM-5IJG3 40-49 years, female 80.5
GTEX-ZDTT-1926-SM-5HL5W 60-69 years, male 80.2
GTEX-1JKYN-2326-SM-CGQG7 30-39 years, male 80.1
GTEX-1122O-1526-SM-5N9CL 60-69 years, female 80.0
GTEX-12C56-0626-SM-5EGGC 20-29 years, male 79.9
GTEX-1L5NE-2026-SM-CXZKR 50-59 years, male 79.0
GTEX-1PFEY-1426-SM-E9U6U 30-39 years, male 78.9
GTEX-XPVG-1826-SM-4B64X 50-59 years, male 78.7
GTEX-14PKV-2126-SM-664O3 20-29 years, female 78.5
GTEX-1J1R8-1126-SM-CNPQ3 40-49 years, male 78.5
GTEX-1QCLY-1726-SM-DPRXY 30-39 years, male 78.2
GTEX-11TT1-1026-SM-5PNW7 20-29 years, male 78.0
GTEX-1K2DA-2026-SM-CGQGK 50-59 years, male 77.9
GTEX-1QP67-1326-SM-EAZ4D 40-49 years, female 77.3
GTEX-1HSEH-1726-SM-B2LXH 60-69 years, male 77.2
GTEX-11DXX-1826-SM-5H126 60-69 years, female 77.0
GTEX-1F5PL-2126-SM-7PC2O 40-49 years, female 76.8
GTEX-RM2N-0926-SM-48FD1 50-59 years, male 76.6
GTEX-ZLV1-1226-SM-4WWBX 60-69 years, female 76.3
GTEX-PWCY-1026-SM-48TD4 20-29 years, female 76.0
GTEX-15RIF-1326-SM-6LPKO 20-29 years, male 75.6
GTEX-X5EB-0926-SM-46MVT 40-49 years, male 75.3
GTEX-QV31-0826-SM-CKZNC 30-39 years, male 75.1
GTEX-WFG7-1526-SM-4LVMG 20-29 years, male 75.0
GTEX-OOBJ-1426-SM-E6CHH 60-69 years, male 75.0
GTEX-YF7O-1726-SM-5IFJ9 50-59 years, male 74.9
GTEX-ZV7C-1526-SM-5NQ72 50-59 years, male 74.9
GTEX-QEL4-1926-SM-D3L8D 50-59 years, male 72.7
GTEX-1AMFI-1726-SM-7189L 50-59 years, female 72.1
GTEX-QLQW-0426-SM-447A7 30-39 years, male 71.8
GTEX-14JG6-1726-SM-69LPL 30-39 years, female 71.7
GTEX-13D11-0826-SM-5KLZJ 50-59 years, female 71.5
GTEX-ZEX8-1926-SM-4WKFR 50-59 years, male 71.5
GTEX-1JN76-1226-SM-C1YRM 20-29 years, female 71.5
GTEX-11I78-1226-SM-5A5K6 50-59 years, female 71.3
GTEX-XBED-1526-SM-4AT5W 60-69 years, male 71.3
GTEX-OIZF-1426-SM-2HML2 60-69 years, male 71.2
GTEX-178AV-1326-SM-6LPJX 40-49 years, male 71.0
GTEX-1GF9X-1526-SM-7P8QP 40-49 years, female 70.8
GTEX-139YR-2126-SM-5KM11 50-59 years, male 70.7
GTEX-131XE-0826-SM-5HL9W 50-59 years, male 70.6
GTEX-14PJ4-1926-SM-6LLHG 60-69 years, male 70.4
GTEX-132AR-2726-SM-5PNVN 50-59 years, female 70.0
GTEX-1211K-1726-SM-5FQUJ 60-69 years, female 69.7
GTEX-11EM3-1526-SM-5A5KN 20-29 years, female 69.3
GTEX-VJYA-2026-SM-4KL1K 60-69 years, male 69.3
GTEX-1C475-1626-SM-731FP 40-49 years, female 68.7
GTEX-WHWD-1226-SM-4OOS1 50-59 years, male 68.6
GTEX-111CU-1426-SM-5GZYP 50-59 years, male 68.1
GTEX-X15G-1326-SM-4PQZJ 50-59 years, female 67.8
GTEX-R55G-1226-SM-48FDC 40-49 years, female 67.3
GTEX-1JMPY-0426-SM-C1YQ3 30-39 years, male 67.2
GTEX-WFON-1426-SM-4LVMT 40-49 years, male 67.0
GTEX-UJMC-1326-SM-4IHLS 50-59 years, male 66.9
GTEX-Y9LG-1526-SM-4WWDR 30-39 years, male 66.9
GTEX-1F75I-2426-SM-9WPOY 40-49 years, male 66.9
GTEX-1399S-1926-SM-5J2M5 30-39 years, female 66.6
GTEX-S4UY-0826-SM-4AD4Z 40-49 years, female 66.1
GTEX-T5JW-1126-SM-4DM5V 20-29 years, female 66.1
GTEX-131XG-1826-SM-5LZV4 50-59 years, female 65.7
GTEX-1KANC-0926-SM-D3LA9 50-59 years, female 65.4
GTEX-14JIY-3326-SM-6871E 60-69 years, male 64.7
GTEX-ZVP2-1526-SM-5NQ82 50-59 years, male 64.7
GTEX-1I6K6-1826-SM-B2LX5 30-39 years, male 64.7
GTEX-S7SF-1926-SM-4AT5B 20-29 years, female 64.4
GTEX-U3ZN-2126-SM-4DXU1 30-39 years, female 64.3
GTEX-1N2DV-1426-SM-DPRYQ 40-49 years, male 63.6
GTEX-1LGRB-1426-SM-CNNPT 50-59 years, female 63.5
GTEX-147GR-2726-SM-664OO 60-69 years, male 63.4
GTEX-PWN1-1426-SM-48TDF 40-49 years, female 63.0
GTEX-11P7K-1526-SM-5EGI7 30-39 years, male 62.7
GTEX-13S86-1626-SM-5Q5C5 40-49 years, male 61.9
GTEX-XMK1-1726-SM-4B64Z 40-49 years, male 61.9
GTEX-15RIE-1826-SM-6M48P 60-69 years, male 61.6
GTEX-UJHI-1126-SM-4IHLN 50-59 years, female 61.5
GTEX-XV7Q-2126-SM-4BRVX 40-49 years, female 60.4
GTEX-Q734-1126-SM-48TZY 40-49 years, female 60.2
GTEX-1H11D-2626-SM-9JGH4 40-49 years, male 60.0
GTEX-14DAR-1526-SM-5RQIX 50-59 years, male 59.6
GTEX-ZPIC-2226-SM-57WDX 40-49 years, female 59.4
GTEX-1B932-2826-SM-73KUD 40-49 years, female 59.0
GTEX-W5WG-2426-SM-4LMI6 50-59 years, female 58.8
GTEX-14BMU-1526-SM-5TDE6 20-29 years, female 58.3
GTEX-13O21-2426-SM-5MR4A 50-59 years, male 57.9
GTEX-ZF2S-1926-SM-4WWAN 50-59 years, female 57.4
GTEX-YB5E-1626-SM-5IFIQ 40-49 years, male 57.3
GTEX-144GM-1226-SM-5LU52 20-29 years, male 56.2
GTEX-1F5PK-1926-SM-7MXT7 50-59 years, male 55.8
GTEX-1RAZA-1726-SM-DPS13 20-29 years, male 55.4
GTEX-13FTW-1826-SM-5IJEN 40-49 years, male 54.7
GTEX-R55D-1826-SM-48FEF 50-59 years, male 54.6
GTEX-R53T-1326-SM-48FCQ 50-59 years, female 53.5
GTEX-OXRK-1726-SM-3NB16 50-59 years, female 52.7
GTEX-Q2AI-0926-SM-48U1F 40-49 years, male 52.7
GTEX-1B8KE-1926-SM-731EE 50-59 years, male 50.9
GTEX-U4B1-1126-SM-4DXV3 40-49 years, male 49.4
GTEX-17HHE-1826-SM-79OKE 50-59 years, male 49.0
GTEX-1IKOE-2026-SM-AHZ31 30-39 years, female 48.6
GTEX-1LG7Z-1426-SM-CXKYV 30-39 years, male 48.5
GTEX-XUZC-1326-SM-4BRV2 30-39 years, female 48.1
GTEX-1RAZR-1926-SM-E6CRF 40-49 years, male 47.8
GTEX-1QP9N-1026-SM-E6CPX 30-39 years, male 47.5
GTEX-PLZ5-1126-SM-3P613 50-59 years, male 45.8
GTEX-QCQG-1626-SM-48U26 50-59 years, female 45.7
GTEX-15CHR-1426-SM-7DUGV 50-59 years, male 44.9
GTEX-11P82-1026-SM-5BC5J 20-29 years, male 42.7
GTEX-1B8KZ-1326-SM-7DUG6 50-59 years, male 42.1
GTEX-145MN-1726-SM-5SIA6 30-39 years, male 41.0
GTEX-11DXZ-1726-SM-5H12M 50-59 years, male 40.9
GTEX-TML8-1326-SM-4DXTO 40-49 years, female 33.0
GTEX-WHSB-0926-SM-4M1XJ 50-59 years, male 30.8
GTEX-Q2AH-1226-SM-48TZL 40-49 years, male 30.0
Show allShow less

COLON - FANTOM5 CAGEi

RNA expression in human tissues obtained through Cap Analysis of Gene Expression (CAGE) generated by the FANTOM5 project are reported as Scaled Tags Per Million.

Max subtype Scaled Tags Per Millioni

Max subtype Scaled Tags Per Million is the value for the subtype with the largest average Scaled Tags Per Million across the subtype samples.

62.1
FANTOM5 sample id Sample description Scaled Tags Per Million
Colon
Scaled Tags Per Million: 62.1
FF:10014-101C5 62,83,84 years, mixed 62.1

Contact

  • NEWS ARTICLES
  • PRESS ROOM

The Project

  • INTRODUCTION
  • ORGANIZATION
  • PUBLICATIONS

The Human Protein Atlas

  • DOWNLOADABLE DATA
  • LICENCE & CITATION
  • HELP & FAQ
The Human Protein Atlas project is funded
by the Knut & Alice Wallenberg Foundation.


contact@proteinatlas.org