We use cookies to enhance the usability of our website. If you continue, we'll assume that you are happy to receive all cookies. More information. Don't show this again.
HLA-DRB1
HPA
RESOURCES
  • TISSUE
  • BRAIN
  • SINGLE CELL
  • SUBCELLULAR
  • CANCER
  • BLOOD
  • CELL LINE
  • STRUCTURE & INTERACTION
ABOUT
  • INTRODUCTION
  • HISTORY
  • ORGANIZATION
  • PUBLICATIONS
  • ANTIBODY SUBMISSION
  • ANTIBODY AVAILABILITY
  • ACKNOWLEDGMENTS
  • CONTACT
NEWS
  • NEWS ARTICLES
  • PRESS ROOM
LEARN
  • DICTIONARY
  • PROTEIN CLASSES
  • PROTEIN EVIDENCE
  • METHODS
  • EDUCATIONAL VIDEOS
DATA
  • DOWNLOADABLE DATA
  • PUBLICATION DATA
  • RELEASE HISTORY
HELP
  • ANTIBODY VALIDATION
  • ASSAYS & ANNOTATION
  • DISCLAIMER
  • HELP & FAQ
  • PRIVACY STATEMENT
  • LICENCE & CITATION
Fields »
Search result

Field
Term
Gene name
Class
Subclass
Class
Keyword
Chromosome
External id
Tissue
Cell type
Expression
Antibody panel
Tissue
Main location
Patient ID
Annotation
Tissue
Category
Tau score
Cluster
Reliability
Brain region
Category
Tau score
Brain region
Category
Tau score
Brain region
Category
Tau score
Cluster
Reliability
Tissue
Cell type
Enrichment
Cell type
Category
Tau score
Cell type
Category
Tau score
Cell type
Category
Tau score
Cell lineage
Category
Tau score
Cluster
Cluster
Location
Searches
Location
Cell line
Class
Type
Phase
Reliability
Cancer
Prognosis
Cancer
Category
Cancer
Category
Tau score
Cluster
Variants
Interacting gene (ensg_id)
Type
Number of interactions
Pathway
Category
Score
Score
Score
Validation
Validation
Validation
Validation
Antibodies
Data type
Column


  • SUMMARY

  • TISSUE

  • BRAIN

  • SINGLE CELL

  • SUBCELL

  • CANCER

  • BLOOD

  • CELL LINE

  • STRUCT & INT

  • HLA-DRB1
BRAIN CEREBELLUM Show tissue menu
AMYGDALA BASAL GANGLIA CEREBELLUM CEREBRAL CORTEX CHOROID PLEXUS HIPPOCAMPAL FORMATION HYPOTHALAMUS
MEDULLA OBLONGATA MIDBRAIN PONS SPINAL CORD THALAMUS WHITE MATTER
ANTIBODIES
AND
VALIDATION
Brain proteome
Cerebellum
CEREBELLUM - Expression summary
Protein expression
Cerebellumi

On the top, protein expression in current human tissue, based on all annotated cell types, is reported with the units not detected (n), low (l), medium (m) and high (h). Underneath, protein expression in each annotated cell type are reported using the same units.

Protein expression data is based on knowledge-based annotation. For genes where more than one antibody has been used, a collective score is set.

If knowledge-based annotation could not be performed for a gene, no data is displayed here. View antibody staining data further down this page.

h
m
l
n
Cells in granular layer: Not detected
Cells in molecular layer: Not detected
Purkinje cells: Not detected
RNA expressioni

A summary of mRNA expression data available for current tissue based on several datasets. The mRNA expression levels in human tissues are based on RNA-seq data generated by the Human Protein Atlas (HPA), Genotype-Tissue Expression (GTEx) portal and CAGE data generated by the FANTOM5 consortium. Consensus normalized expression levels for human tissues was created by combining the data from HPA and GTEx datasets.

The mRNA expression levels in pig are based on RNA-seq data generated by the Human Protein Atlas (HPA), and for mouse, HPA data and in situ hybridization generated by the Allen brain atlas are reported.

Scroll down to view mRNA expression data in more detail.
Consensus:10.2 nTPM
HPA Brain:2.9 nTPM
GTEx:10.2 nTPM
FANTOM5:3.9 Scaled Tags Per Million

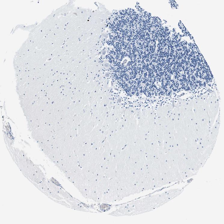
CEREBELLUM - Antibody stainingi

Antibody staining in the annotated cell types in the current human tissue is reported as not detected, low, medium, or high, based on conventional immunohistochemistry profiling in selected tissues. This score is based on the combination of the staining intensity and fraction of stained cells.

Each image is clickable and will lead to virtual microscopy that enables deeper exploration of all samples and also displays staining intensity scores, fraction scores and subcellular localization as well as patient and tissue information for each sample.

Antibody HPA043151Antibody CAB015400Antibody CAB034021
Purkinje cells Not detectedNot detectedNot detected
Cells in granular layer Not detectedNot detectedNot detected
Cells in molecular layer Not detectedNot detectedNot detected







CEREBELLUM - HPA Brain RNA-seq
Max subtype nTPMi

Max subtype nTPM is the value for the subtype with the largest average nTPM across the subtype samples.

2.9
Sample id Sample description nTPM
Cerebellar cortex
nTPM: 1.7
1788 Male, age 55, unknown 2.8
1774 Male, age 80, left hemisphere 2.3
2003 Female, age 85, right hemisphere 2.2
1769 Male, age 76, right hemisphere 2.1
2006 Male, age 61, right hemisphere 2.1
2101 Male, age 74, right hemisphere 2.1
2055 Female, age 91, right hemisphere 0.3
1768 Female, age 72, unknown 0.0
Cerebellar nuclei
nTPM: 2.9
2783 Female, age 72, unknown 6.4
1966 Female, age 91, left hemisphere 3.6
1879 Male, age 55, unknown 2.8
2005 Male, age 80, left hemisphere 2.3
1871 Male, age 74, unknown 2.2
2177 Female, age 85, both hemispheres 2.2
2175 Male, age 61, right hemisphere 2.1
2318 Male, age 74, left hemisphere 2.1
2882 Male, age 76, left hemisphere 2.1
Flocculonodular lobe
nTPM: 2.0
1765 Male, age 55, unknown 2.8
1771 Male, age 80, left hemisphere 2.3
1792 Male, age 74, unknown 2.2
1835 Female, age 85, right hemisphere 2.2
1767 Male, age 76, left hemisphere 2.1
2004 Male, age 61, right hemisphere 2.1
2176 Female, age 91, right hemisphere 0.0
Vermis
nTPM: 1.8
1766 Male, age 55, unknown 2.8
2834 Male, age 80, left hemisphere 2.3
1825 Male, age 74, unknown 2.2
1988 Female, age 85, left hemisphere 2.2
1751 Male, age 74, right hemisphere 2.1
1770 Male, age 76, left hemisphere 2.1
2460 Male, age 61, both hemispheres 2.1
1778 Female, age 91, left hemisphere 0.1
1928 Female, age 72, unknown 0.0

CEREBELLUM - GTEx RNA-seqi

RNA-Seq data generated by the Genotype-Tissue Expression (GTEx) project from human tissues is reported as mean nTPM. More information can be found on the GTEx portal.

Distribution across the dataset is visualized with box plots, shown as median and 25th and 75th percentiles. Points are displayed as outliers if they are above or below 1.5 times the interquartile range. nTPM values of the individual samples are presented next to the box plot.
Max subtype nTPMi

Max subtype nTPM is the value for the subtype with the largest average nTPM across the subtype samples.

10.2
GTEx sample id Sample description nTPM
Brain - Cerebellar Hemisphere
Average nTPM: 10.2
Samples: 215

Max nTPM: 135.7
Min nTPM: 1.2
Std nTPM: 12.8
Median nTPM: 7.5
GTEX-15DCD-0011-R11a-SM-D4P1R 70-79 years, female 135.7
GTEX-X585-0011-R11B-SM-46MUZ 50-59 years, male 105.7
GTEX-1JMOU-0011-R11b-SM-EXUTA 60-69 years, female 53.9
GTEX-16Z82-0011-R11a-SM-79OKJ 60-69 years, male 34.8
GTEX-WHSE-0011-R11A-SM-3P5YY 20-29 years, male 34.3
GTEX-1HB9E-0011-R11b-SM-ARU79 50-59 years, male 33.2
GTEX-13NYS-0011-R11b-SM-5MR4P 60-69 years, male 25.1
GTEX-1CAV2-0011-R11a-SM-ARU8D 40-49 years, female 25.1
GTEX-N7MT-0011-R11A-SM-2I3DZ 60-69 years, female 24.9
GTEX-NPJ8-0011-R11A-SM-2YUMS 40-49 years, male 24.2
GTEX-15G19-0011-R11b-SM-6LPIH 60-69 years, male 24.0
GTEX-1H1DG-0011-R11a-SM-C1YQK 70-79 years, male 22.6
GTEX-1N2EE-0011-R11b-SM-EXOIJ 60-69 years, male 21.4
GTEX-1313W-0011-R11a-SM-5DUXN 50-59 years, female 19.1
GTEX-WWYW-0011-R11A-SM-3NB38 50-59 years, female 18.3
GTEX-1EMGI-0011-R11b-SM-9OSWX 60-69 years, male 18.3
GTEX-1IGQW-0011-R11a-SM-C1YRV 60-69 years, male 18.2
GTEX-1JJ6O-0011-R11b-SM-EXUS2 60-69 years, male 18.1
GTEX-15EO6-0011-R11b-SM-6M47M 50-59 years, male 18.0
GTEX-1LSVX-0011-R11b-SM-EXOIA 60-69 years, male 17.9
GTEX-139UW-0011-R11a-SM-5IJGN 60-69 years, male 17.6
GTEX-13X6I-0011-R11a-SM-5P9HN 60-69 years, male 17.5
GTEX-1F52S-0011-R11a-SM-CJI23 60-69 years, female 17.5
GTEX-RVPV-0011-R11A-SM-2TF6F 60-69 years, male 17.3
GTEX-OHPN-0011-R11A-SM-2I5FM 60-69 years, female 17.0
GTEX-15CHQ-0011-R11b-SM-686ZZ 60-69 years, male 16.9
GTEX-1LVAO-0011-R11b-SM-EXOI8 60-69 years, male 16.9
GTEX-1ICLZ-0011-R11a-SM-CJI3N 60-69 years, male 16.8
GTEX-16NPV-0011-R11a-SM-7IGMK 50-59 years, female 16.7
GTEX-1B8SG-0011-R11a-SM-7P8PF 50-59 years, male 16.7
GTEX-1F48J-0011-R11b-SM-9OSWV 50-59 years, female 16.5
GTEX-13OVJ-0011-R11a-SM-5P9H8 50-59 years, female 16.1
GTEX-1H3O1-0011-R11a-SM-A96RV 60-69 years, male 16.1
GTEX-1J1OQ-0011-R11a-SM-A96S3 40-49 years, female 16.1
GTEX-1R9PO-0011-R11b-SM-EZ6NB 60-69 years, female 16.0
GTEX-183WM-0011-R11a-SM-718A5 70-79 years, female 15.9
GTEX-14PN4-0011-R11a-SM-686ZW 50-59 years, male 15.8
GTEX-11EI6-0011-R11a-SM-DO11V 60-69 years, male 15.6
GTEX-17F97-0011-R11b-SM-7KFRQ 50-59 years, male 15.2
GTEX-1IY9M-0011-R11b-SM-A96TI 60-69 years, male 15.1
GTEX-1IKOH-0011-R11a-SM-AHZ38 60-69 years, female 15.0
GTEX-14E7W-0011-R11a-SM-5ZZVA 70-79 years, male 14.7
GTEX-11ZTS-0011-R11a-SM-DO113 60-69 years, female 14.7
GTEX-145MH-0011-R11a-SM-5P9HQ 50-59 years, male 14.3
GTEX-13PVQ-0011-R11a-SM-5O9DU 50-59 years, male 14.0
GTEX-132Q8-0011-R11b-SM-5DUW9 60-69 years, male 13.7
GTEX-13PLJ-0011-R11b-SM-5O9BS 60-69 years, female 13.6
GTEX-ZF28-0011-R11a-SM-4WWEI 60-69 years, male 13.4
GTEX-1I19N-0011-R11b-SM-ARU6Y 70-79 years, male 13.4
GTEX-12WSF-0011-R11a-SM-5LZVT 70-79 years, male 13.2
GTEX-14DAQ-0011-R11a-SM-664NO 60-69 years, female 13.2
GTEX-13G51-0011-R11b-SM-5J2NE 60-69 years, male 12.9
GTEX-13OW5-0011-R11b-SM-5L3GG 60-69 years, male 12.9
GTEX-16YQH-0011-R11b-SM-7LT98 30-39 years, male 12.8
GTEX-Q2AG-0011-R11A-SM-2HMKZ 40-49 years, female 12.1
GTEX-S7SE-0011-R11A-SM-2XCDD 50-59 years, male 12.0
GTEX-1GN73-0011-R11b-SM-9OSX4 60-69 years, male 11.8
GTEX-1IL2V-0011-R11a-SM-ARU6T 70-79 years, male 11.7
GTEX-13QIC-0011-R11b-SM-5O9BU 60-69 years, female 11.5
GTEX-T5JC-0011-R11A-SM-32PMB 20-29 years, male 11.3
GTEX-X261-0011-R11A-SM-4E3JY 50-59 years, male 11.3
GTEX-13N2G-0011-R11a-SM-5MR3F 60-69 years, male 11.1
GTEX-15DYW-0011-R11a-SM-6LPIT 60-69 years, female 11.1
GTEX-13CF2-0011-R11b-SM-5LZXO 60-69 years, male 11.0
GTEX-16XZZ-0011-R11a-SM-7EPI3 60-69 years, male 11.0
GTEX-ZVT3-0011-R11b-SM-57WBI 60-69 years, female 10.9
GTEX-13OW8-0011-R11a-SM-5L3GT 60-69 years, male 10.8
GTEX-NL4W-0011-R11A-SM-2I3DW 50-59 years, male 10.8
GTEX-1H3VE-0011-R11b-SM-C1YRP 40-49 years, male 10.7
GTEX-18A6Q-0011-R11a-SM-72D6H 60-69 years, male 10.6
GTEX-1BAJH-0011-R11b-SM-7IGLM 70-79 years, male 10.5
GTEX-1H1ZS-0011-R11a-SM-C1YQM 70-79 years, male 10.4
GTEX-1B8SF-0011-R11a-SM-79OOP 60-69 years, male 10.3
GTEX-NPJ7-0011-R11A-SM-2I3E8 60-69 years, female 10.3
GTEX-1HSKV-0011-R11b-SM-AHZ2E 60-69 years, male 10.2
GTEX-1HGF4-0011-R11a-SM-C1YRR 60-69 years, male 10.1
GTEX-11TTK-0011-R11b-SM-DO112 60-69 years, female 9.9
GTEX-11DXY-0011-R11a-SM-DNZZN 60-69 years, male 9.7
GTEX-R55E-0011-R11A-SM-2TC6I 20-29 years, male 9.4
GTEX-1B933-0011-R11a-SM-7P8PM 50-59 years, female 9.4
GTEX-1F75W-0011-R11b-SM-AHZ34 60-69 years, male 9.4
GTEX-14C5O-0011-R11b-SM-6872H 60-69 years, male 9.3
GTEX-WZTO-0011-R11A-SM-4E3K9 40-49 years, male 9.2
GTEX-1LG7Y-0011-R11a-SM-EXOIH 50-59 years, male 9.0
GTEX-1F6I4-0011-R11b-SM-9OSWS 60-69 years, male 8.9
GTEX-1GZHY-0011-R11a-SM-C1YRQ 50-59 years, female 8.9
GTEX-131YS-0011-R11b-SM-5EGLM 60-69 years, female 8.8
GTEX-13FHO-0011-R11b-SM-5LZYQ 60-69 years, male 8.8
GTEX-13FHP-0011-R11b-SM-5LZXP 50-59 years, male 8.7
GTEX-1IKK5-0011-R11a-SM-C1YRX 60-69 years, male 8.7
GTEX-12WSI-0011-R11b-SM-5P9EZ 50-59 years, male 8.6
GTEX-1E1VI-0011-R11a-SM-9OSWI 50-59 years, male 8.6
GTEX-11H98-0011-R11b-SM-5NQ6U 50-59 years, male 8.5
GTEX-18464-0011-R11a-SM-72D76 50-59 years, male 8.5
GTEX-13O3Q-0011-R11b-SM-5KM2W 50-59 years, male 8.4
GTEX-N7MS-0011-R11A-SM-2HMJS 60-69 years, male 8.3
GTEX-12WSM-0011-R11a-SM-5DUX8 60-69 years, male 8.2
GTEX-12ZZZ-0011-R11a-SM-5EGLC 60-69 years, male 8.1
GTEX-17EVP-0011-R11a-SM-7EWDL 40-49 years, male 8.1
GTEX-NL3H-0011-R11A-SM-2I3E6 60-69 years, male 8.1
GTEX-X4XX-0011-R11A-SM-46MWQ 60-69 years, male 8.1
GTEX-1GF9W-0011-R11b-SM-9OSXG 60-69 years, male 8.0
GTEX-1GMRU-0011-R11b-SM-C1YQ4 50-59 years, male 8.0
GTEX-13VXU-0011-R11b-SM-5O9DJ 50-59 years, male 7.9
GTEX-1J8Q2-0011-R11a-SM-A9SKI 60-69 years, male 7.9
GTEX-UTHO-0011-R11A-SM-3GIJE 60-69 years, male 7.8
GTEX-11DYG-0011-R11a-SM-DNZZP 60-69 years, male 7.6
GTEX-13RTJ-0011-R11a-SM-5O9CK 60-69 years, male 7.5
GTEX-T6MN-0011-R11A-SM-32QOX 50-59 years, male 7.5
GTEX-1H3NZ-0011-R11b-SM-CE6SF 60-69 years, male 7.4
GTEX-1IDJH-0011-R11b-SM-C1YRT 70-79 years, male 7.4
GTEX-1IL2U-0011-R11a-SM-CE6SO 60-69 years, male 7.4
GTEX-WL46-0011-R11A-SM-3MJFT 50-59 years, male 7.3
GTEX-11PRG-0011-R11b-SM-DNZZY 50-59 years, male 7.3
GTEX-1AX9I-0011-R11b-SM-7DHN4 60-69 years, male 7.1
GTEX-13OW7-0011-R11a-SM-5O9DY 50-59 years, male 7.0
GTEX-1I1GQ-0011-R11b-SM-CKZPA 50-59 years, male 7.0
GTEX-1HUB1-0011-R11b-SM-CE6SC 60-69 years, male 6.9
GTEX-13JUV-0011-R11a-SM-5LZYH 40-49 years, female 6.8
GTEX-17EVQ-0011-R11a-SM-7LT9C 70-79 years, male 6.8
GTEX-14E6D-0011-R11b-SM-664NP 50-59 years, male 6.7
GTEX-12WSD-0011-R11a-SM-9OSVC 60-69 years, female 6.7
GTEX-ZE9C-0011-R11a-SM-4WKGG 60-69 years, male 6.6
GTEX-16GPK-0011-R11b-SM-7MKFF 60-69 years, male 6.5
GTEX-1A3MX-0011-R11b-SM-7DUGP 60-69 years, male 6.5
GTEX-QMR6-0011-R11A-SM-32PKK 50-59 years, male 6.3
GTEX-Z93S-0011-R11a-SM-4RGNN 50-59 years, male 6.3
GTEX-145MI-0011-R11a-SM-5P9JZ 60-69 years, female 6.1
GTEX-13FTY-0011-R11a-SM-5IJEA 40-49 years, female 6.0
GTEX-TSE9-0011-R11A-SM-3DB7N 60-69 years, female 6.0
GTEX-XMD1-0011-R11A-SM-4AT5J 60-69 years, male 6.0
GTEX-1R9K4-0011-R11a-SM-EZ6N9 60-69 years, male 6.0
GTEX-18465-0011-R11a-SM-72D78 50-59 years, male 5.8
GTEX-145LU-0011-R11b-SM-5P9JX 50-59 years, male 5.7
GTEX-YFC4-0011-R11a-SM-4SOK6 40-49 years, female 5.7
GTEX-13X6J-0011-R11a-SM-5P9HE 50-59 years, male 5.6
GTEX-1GZ4I-0011-R11b-SM-9OSWR 50-59 years, male 5.5
GTEX-13NZA-0011-R11b-SM-5KM4W 60-69 years, male 5.4
GTEX-ZUA1-0011-R11b-SM-51MTI 40-49 years, male 5.4
GTEX-13FXS-0011-R11a-SM-5L3DM 50-59 years, male 5.3
GTEX-X4EP-0011-R11B-SM-4QASK 60-69 years, female 5.3
GTEX-14BIN-0011-R11a-SM-5SI79 50-59 years, female 5.2
GTEX-131XW-0011-R11a-SM-5DUV9 50-59 years, female 5.1
GTEX-14ASI-0011-R11b-SM-6AJBJ 60-69 years, male 5.1
GTEX-1F75A-0011-R11a-SM-AHZ35 50-59 years, male 5.1
GTEX-13X6K-0011-R11a-SM-5P9F5 60-69 years, female 5.0
GTEX-1KD4Q-0011-R11b-SM-EXOIE 40-49 years, male 4.9
GTEX-1LKK1-0011-R11a-SM-EXOIG 50-59 years, female 4.9
GTEX-1I1GV-0011-R11a-SM-CJI3Z 60-69 years, male 4.8
GTEX-12WSH-0011-R11a-SM-5LZVM 50-59 years, male 4.7
GTEX-13FLV-0011-R11a-SM-5LZZ7 50-59 years, male 4.7
GTEX-1B8L1-0011-R11b-SM-793DJ 60-69 years, male 4.7
GTEX-1C64N-0011-R11b-SM-7P8Q6 50-59 years, male 4.7
GTEX-1JMQJ-0011-R11a-SM-EXOJY 50-59 years, male 4.7
GTEX-WVLH-0011-R11A-SM-3MJFO 50-59 years, male 4.5
GTEX-ZVZQ-0011-R11a-SM-51MS6 60-69 years, female 4.5
GTEX-12ZZX-0011-R11a-SM-5DUVJ 40-49 years, female 4.4
GTEX-Y8DK-0011-R11A-SM-4SOK2 60-69 years, male 4.4
GTEX-1I1GS-0011-R11a-SM-C1YRU 60-69 years, male 4.4
GTEX-1I1HK-0011-R11a-SM-B2LVN 60-69 years, male 4.3
GTEX-1IOXB-0011-R11a-SM-A9G1X 50-59 years, male 4.3
GTEX-1JJEA-0011-R11a-SM-EXUTE 60-69 years, male 4.3
GTEX-RU72-0011-R11A-SM-CM2U1 50-59 years, female 4.3
GTEX-T2IS-0011-R11A-SM-32QPC 20-29 years, female 4.2
GTEX-11ZUS-0011-R11b-SM-5BC7B 30-39 years, male 4.1
GTEX-1GMR8-0011-R11b-SM-9OSX2 50-59 years, female 4.1
GTEX-1M4P7-0011-R11b-SM-EXOIK 60-69 years, male 4.1
GTEX-1399T-0011-R11a-SM-5J2O1 60-69 years, male 4.0
GTEX-14ABY-0011-R11a-SM-5SI7C 50-59 years, male 4.0
GTEX-11GSP-0011-R11b-SM-5NQ7V 60-69 years, female 3.9
GTEX-11WQC-0011-R11b-SM-57WD6 60-69 years, male 3.9
GTEX-13S7M-0011-R11b-SM-5P9HU 60-69 years, female 3.9
GTEX-P44H-0011-R11A-SM-2XCER 40-49 years, male 3.8
GTEX-11OF3-0011-R11a-SM-57WCR 60-69 years, male 3.7
GTEX-13NYB-0011-R11a-SM-5KM3Q 40-49 years, male 3.7
GTEX-11DZ1-0011-R11b-SM-DO11W 50-59 years, male 3.7
GTEX-1CB4G-0011-R11a-SM-9OSWG 60-69 years, male 3.7
GTEX-ZAB4-0011-R11a-SM-4SOKI 40-49 years, male 3.6
GTEX-1I1GR-0011-R11a-SM-CM2T5 60-69 years, male 3.5
GTEX-1N2DW-0011-R11b-SM-EXOIL 50-59 years, male 3.5
GTEX-12126-0011-R11a-SM-5BC6X 20-29 years, male 3.4
GTEX-17HII-0011-R11b-SM-7KFSX 50-59 years, male 3.4
GTEX-13O3O-0011-R11b-SM-5KM4G 60-69 years, female 3.3
GTEX-13OW6-0011-R11a-SM-5L3H2 50-59 years, male 3.3
GTEX-11EMC-0011-R11b-SM-DNZZK 60-69 years, female 3.3
GTEX-1EKGG-0011-R11a-SM-9QEHZ 60-69 years, male 3.3
GTEX-1GTWX-0011-R11b-SM-C1YQJ 60-69 years, male 3.2
GTEX-13CZV-0011-R11b-SM-5N9FN 60-69 years, male 3.1
GTEX-YJ89-0011-R11a-SM-4SOKA 60-69 years, male 3.1
GTEX-1F7RK-0011-R11b-SM-9QEI2 20-29 years, female 3.1
GTEX-139TT-0011-R11b-SM-5LZV1 60-69 years, male 3.0
GTEX-P44G-0011-R11A-SM-2I3FD 30-39 years, male 3.0
GTEX-17HG3-0011-R11b-SM-7KFT4 30-39 years, female 2.9
GTEX-17JCI-0011-R11a-SM-7189Y 60-69 years, female 2.8
GTEX-ZE7O-0011-R11a-SM-57WBC 50-59 years, female 2.8
GTEX-144GL-0011-R11b-SM-5P9F6 50-59 years, male 2.7
GTEX-ZDXO-0011-R11a-SM-4WWD9 60-69 years, male 2.7
GTEX-13JVG-0011-R11a-SM-5KM53 60-69 years, male 2.6
GTEX-13OVL-0011-R11b-SM-5L3G7 50-59 years, male 2.6
GTEX-14C39-0011-R11b-SM-5YYAF 40-49 years, male 2.6
GTEX-1HFI6-0011-R11b-SM-A96RU 40-49 years, male 2.6
GTEX-12WSC-0011-R11a-SM-5GU5J 50-59 years, male 2.5
GTEX-13SLW-0011-R11a-SM-5SI8Q 70-79 years, male 2.4
GTEX-15ER7-0011-R11a-SM-6LPIL 20-29 years, female 2.4
GTEX-131XH-0011-R11a-SM-5EGLN 50-59 years, male 2.3
GTEX-13OVH-0011-R11b-SM-5KM4X 70-79 years, male 2.3
GTEX-1J8EW-0011-R11a-SM-AHZ37 60-69 years, female 2.3
GTEX-13SLX-0011-R11b-SM-5O9C8 50-59 years, female 2.0
GTEX-1HBPI-0011-R11b-SM-CE6SH 50-59 years, male 2.0
GTEX-12WSE-0011-R11b-SM-5P9JW 20-29 years, male 1.9
GTEX-14BIM-0011-R11b-SM-5S2RN 60-69 years, female 1.8
GTEX-1HCU6-0011-R11b-SM-AHZ2F 60-69 years, female 1.6
GTEX-QDT8-0011-R11A-SM-32PKD 30-39 years, female 1.3
GTEX-1H4P4-0011-R11b-SM-CE6S8 50-59 years, male 1.3
GTEX-1H1CY-0011-R11a-SM-C1YQR 60-69 years, female 1.2
Show allShow less
Brain - Cerebellum
Average nTPM: 7.9
Samples: 241

Max nTPM: 47.8
Min nTPM: 0.9
Std nTPM: 6.7
Median nTPM: 6.1
GTEX-11OC5-0626-SM-5HL6M 60-69 years, male 47.8
GTEX-1HB9E-3126-SM-AHZ4M 50-59 years, male 39.0
GTEX-1269C-3126-SM-5EGI6 60-69 years, female 38.5
GTEX-R55E-2526-SM-2TC6H 20-29 years, male 34.8
GTEX-1E1VI-2926-SM-7IGLT 50-59 years, male 32.9
GTEX-15G19-2826-SM-6M48K 60-69 years, male 28.3
GTEX-16Z82-2926-SM-6LPJJ 60-69 years, male 23.9
GTEX-X4EP-3026-SM-3P5YP 60-69 years, female 23.4
GTEX-1H3VE-2826-SM-9WPOL 40-49 years, male 23.4
GTEX-1A8G7-3026-SM-73KTT 60-69 years, male 23.1
GTEX-1RNSC-3126-SM-EVR4V 60-69 years, male 21.5
GTEX-15DYW-3026-SM-7KFRM 60-69 years, female 20.2
GTEX-1F6IF-3026-SM-7P8QN 60-69 years, male 20.1
GTEX-1GF9W-2726-SM-9JGGW 60-69 years, male 19.4
GTEX-1BAJH-3126-SM-7MGXY 70-79 years, male 18.8
GTEX-RU72-2926-SM-2TF66 50-59 years, female 17.4
GTEX-NPJ8-2626-SM-2D7W2 40-49 years, male 17.2
GTEX-WHSE-2926-SM-3NMBG 20-29 years, male 17.1
GTEX-1JN1M-3126-SM-AHZ4E 60-69 years, female 16.6
GTEX-1B8SG-1926-SM-73KUB 50-59 years, male 16.4
GTEX-1CB4H-3026-SM-79OLX 60-69 years, female 16.4
GTEX-WWYW-3026-SM-3NB36 50-59 years, female 16.4
GTEX-XLM4-2926-SM-4AT59 60-69 years, male 16.4
GTEX-1EMGI-3126-SM-7MXUR 60-69 years, male 16.3
GTEX-1JMOU-2826-SM-EV79R 60-69 years, female 15.7
GTEX-13OVJ-2726-SM-5IJG6 50-59 years, female 14.6
GTEX-14PJO-2926-SM-686ZI 60-69 years, male 14.3
GTEX-1EH9U-3126-SM-7MXU5 60-69 years, male 14.1
GTEX-11EI6-2926-SM-5985U 60-69 years, male 13.8
GTEX-13PVQ-2926-SM-5L3HJ 50-59 years, male 13.8
GTEX-1313W-3026-SM-5LZUZ 50-59 years, female 13.7
GTEX-1IL2V-3026-SM-CYPSA 70-79 years, male 13.6
GTEX-13FHP-2926-SM-5IJG9 50-59 years, male 13.5
GTEX-1IKOH-2826-SM-CNNRC 60-69 years, female 13.1
GTEX-1E2YA-2926-SM-7MGWX 50-59 years, male 13.0
GTEX-111FC-3326-SM-5GZYV 60-69 years, male 12.7
GTEX-11TTK-2826-SM-5GU5K 60-69 years, female 12.6
GTEX-1RQEC-3026-SM-DPRXM 60-69 years, male 12.6
GTEX-132Q8-2926-SM-5IFFP 60-69 years, male 12.4
GTEX-1H1ZS-2926-SM-9WPP2 70-79 years, male 12.4
GTEX-14PN4-3026-SM-664O4 50-59 years, male 12.3
GTEX-RNOR-2226-SM-2TF5O 50-59 years, female 12.2
GTEX-13FHO-2926-SM-5L3ES 60-69 years, male 12.1
GTEX-1JJE9-3026-SM-CNNPA 70-79 years, male 12.1
GTEX-14DAQ-3026-SM-5S2QZ 60-69 years, female 12.0
GTEX-15EO6-2926-SM-6M48D 50-59 years, male 11.8
GTEX-1GN73-3026-SM-7MXV8 60-69 years, male 11.6
GTEX-1PWST-3026-SM-EAZ3H 70-79 years, male 11.5
GTEX-1192X-3226-SM-5987D 50-59 years, male 11.3
GTEX-13JUV-3026-SM-5K7WX 40-49 years, female 11.2
GTEX-ZF28-2926-SM-4WKG1 60-69 years, male 11.2
GTEX-17F97-2926-SM-7DUEQ 50-59 years, male 10.9
GTEX-13OW7-2926-SM-5MR3Z 50-59 years, male 10.5
GTEX-14BMV-2926-SM-5TDEE 50-59 years, male 10.4
GTEX-PWO3-1026-SM-2I5F2 60-69 years, female 10.4
GTEX-1F48J-2726-SM-7P8PW 50-59 years, female 10.1
GTEX-13OW5-3126-SM-5MR3Y 60-69 years, male 9.8
GTEX-145MH-2926-SM-5Q5D2 50-59 years, male 9.8
GTEX-18A6Q-2826-SM-7LTAO 60-69 years, male 9.8
GTEX-15SHU-3026-SM-6LPIB 40-49 years, female 9.7
GTEX-1EU9M-2926-SM-793DF 60-69 years, male 9.6
GTEX-13CF2-3026-SM-5IFFX 60-69 years, male 9.5
GTEX-ZVT3-2926-SM-5GU6M 60-69 years, female 9.5
GTEX-1JMQK-2926-SM-D4P2T 60-69 years, male 9.4
GTEX-139TS-3126-SM-5LZWX 60-69 years, male 9.3
GTEX-T6MN-2526-SM-32PMN 50-59 years, male 9.3
GTEX-ZAJG-3026-SM-5HL92 50-59 years, female 9.3
GTEX-1H1DG-2826-SM-9JGHB 70-79 years, male 9.3
GTEX-117XS-3126-SM-5GIDP 60-69 years, male 9.1
GTEX-X261-3126-SM-4PQZC 50-59 years, male 9.1
GTEX-Y111-2826-SM-4TT3O 50-59 years, male 9.1
GTEX-ZZPT-2926-SM-5EQ5S 50-59 years, male 9.1
GTEX-1HSMO-2926-SM-C1YR5 60-69 years, male 9.1
GTEX-1LSVX-2826-SM-EVR58 60-69 years, male 9.1
GTEX-12ZZZ-3126-SM-5LZU6 60-69 years, male 9.0
GTEX-OHPN-2626-SM-2I5H1 60-69 years, female 8.9
GTEX-11ZTS-3226-SM-5EGID 60-69 years, female 8.6
GTEX-13OW8-2926-SM-5L3FV 60-69 years, male 8.6
GTEX-13X6I-2926-SM-5Q5C3 60-69 years, male 8.6
GTEX-1J1OQ-3126-SM-D4P2O 40-49 years, female 8.4
GTEX-147GR-3126-SM-5S2PM 60-69 years, male 8.3
GTEX-1JJ6O-3026-SM-C1YQH 60-69 years, male 8.3
GTEX-QVJO-1325-SM-2S1QX 60-69 years, female 8.2
GTEX-1C6WA-3326-SM-7MKGN 60-69 years, male 8.1
GTEX-1IDJH-3126-SM-C1YQS 70-79 years, male 8.1
GTEX-16YQH-2926-SM-6LPJE 30-39 years, male 8.0
GTEX-1JMLX-3026-SM-EV79Q 50-59 years, male 8.0
GTEX-1GZHY-3026-SM-7MXVA 50-59 years, female 7.9
GTEX-11GSO-3026-SM-5Q5AL 60-69 years, male 7.8
GTEX-13O3Q-3026-SM-5IJGD 50-59 years, male 7.8
GTEX-1A8G6-3126-SM-731D8 60-69 years, male 7.8
GTEX-XMD1-2826-SM-4AT5F 60-69 years, male 7.8
GTEX-139TT-2626-SM-5LZUB 60-69 years, male 7.6
GTEX-1H3O1-1826-SM-A96TO 60-69 years, male 7.6
GTEX-131YS-3026-SM-5EGHY 60-69 years, female 7.4
GTEX-145MF-2826-SM-7EPGU 50-59 years, male 7.4
GTEX-1F52S-3026-SM-7P8PV 60-69 years, female 7.4
GTEX-147F4-3026-SM-5Q5BJ 50-59 years, male 7.2
GTEX-17JCI-3026-SM-7EWDR 60-69 years, female 7.1
GTEX-WVLH-2926-SM-3MJG5 50-59 years, male 7.0
GTEX-14PJM-3026-SM-6LLHM 50-59 years, female 6.9
GTEX-12WSD-3026-SM-5LZU7 60-69 years, female 6.8
GTEX-12ZZY-2926-SM-5DUXO 60-69 years, male 6.8
GTEX-1EWIQ-3026-SM-7IGOJ 70-79 years, female 6.8
GTEX-1QEPI-3026-SM-EXOIW 60-69 years, female 6.7
GTEX-14C5O-2926-SM-5RQI1 60-69 years, male 6.6
GTEX-Q2AG-2826-SM-2HMJQ 40-49 years, female 6.6
GTEX-WZTO-2826-SM-3NM8P 40-49 years, male 6.6
GTEX-1F75W-3126-SM-7P8SJ 60-69 years, male 6.6
GTEX-1HSKV-2926-SM-B2LWJ 60-69 years, male 6.6
GTEX-1IY9M-3126-SM-AHZ3A 60-69 years, male 6.6
GTEX-11O72-2826-SM-5HL6W 40-49 years, male 6.5
GTEX-T5JC-2326-SM-32PMR 20-29 years, male 6.4
GTEX-YFC4-3026-SM-5IFJK 40-49 years, female 6.4
GTEX-11DZ1-2926-SM-5A5KI 50-59 years, male 6.3
GTEX-13N2G-3126-SM-5IJGL 60-69 years, male 6.3
GTEX-14JIY-2326-SM-6AJAJ 60-69 years, male 6.3
GTEX-1GF9V-3026-SM-7P8R8 60-69 years, male 6.3
GTEX-N7MT-1226-SM-DKPOK 60-69 years, female 6.3
GTEX-1R9PO-2826-SM-E6CPV 60-69 years, female 6.2
GTEX-13QIC-3026-SM-5LU58 60-69 years, female 6.1
GTEX-ZYY3-3026-SM-5GIEJ 60-69 years, female 6.1
GTEX-145LU-2626-SM-5LU9Z 50-59 years, male 5.9
GTEX-1A3MX-2926-SM-718B7 60-69 years, male 5.9
GTEX-NPJ7-2826-SM-2I3FU 60-69 years, female 5.8
GTEX-1LG7Y-3126-SM-EV7AS 50-59 years, male 5.8
GTEX-11DXW-1026-SM-5H11K 40-49 years, male 5.6
GTEX-14E6D-2926-SM-664OP 50-59 years, male 5.6
GTEX-N7MS-2526-SM-2D7W3 60-69 years, male 5.6
GTEX-1I1CD-2926-SM-A96SJ 60-69 years, female 5.6
GTEX-S7SE-2526-SM-2XCDL 50-59 years, male 5.5
GTEX-11NV4-2226-SM-5BC4T 60-69 years, male 5.4
GTEX-13112-2926-SM-5DUWT 50-59 years, male 5.4
GTEX-14BIM-3126-SM-5Q5C7 60-69 years, female 5.4
GTEX-16XZZ-2926-SM-6LPK4 60-69 years, male 5.4
GTEX-183WM-2726-SM-7KFRF 70-79 years, female 5.4
GTEX-1POEN-2726-SM-E9U6B 30-39 years, female 5.4
GTEX-11DXY-3126-SM-5N9BT 60-69 years, male 5.3
GTEX-T2IS-2926-SM-32QPO 20-29 years, female 5.3
GTEX-11PRG-2826-SM-5BC54 50-59 years, male 5.2
GTEX-145LS-3026-SM-5O99S 60-69 years, female 5.2
GTEX-17EVP-2926-SM-793BU 40-49 years, male 5.2
GTEX-1399T-3126-SM-5IJFS 60-69 years, male 5.1
GTEX-1F75A-2926-SM-7MXVN 50-59 years, male 5.1
GTEX-TSE9-2926-SM-3DB77 60-69 years, female 5.0
GTEX-1GZ4I-2926-SM-9JGGO 50-59 years, male 5.0
GTEX-1KD4Q-3026-SM-EV7A7 40-49 years, male 5.0
GTEX-11NUK-3026-SM-5986K 50-59 years, male 4.9
GTEX-12WSM-2126-SM-5GCOC 60-69 years, male 4.9
GTEX-14JG1-2926-SM-686ZK 40-49 years, male 4.9
GTEX-UTHO-2926-SM-3P5Z9 60-69 years, male 4.9
GTEX-1B8SF-3026-SM-731DX 60-69 years, male 4.8
GTEX-ZAB4-2926-SM-57WCV 40-49 years, male 4.7
GTEX-1P4AB-3026-SM-EXOJS 50-59 years, male 4.7
GTEX-1F6I4-3026-SM-7P8SI 60-69 years, male 4.6
GTEX-11ONC-3026-SM-5985W 60-69 years, male 4.5
GTEX-11ZUS-2826-SM-5EQKW 30-39 years, male 4.5
GTEX-13G51-3126-SM-5IJG7 60-69 years, male 4.5
GTEX-13O3O-3026-SM-5KM42 60-69 years, female 4.5
GTEX-1KWVE-2226-SM-CXZKN 30-39 years, male 4.5
GTEX-1QP6S-3026-SM-EAZ4N 40-49 years, male 4.5
GTEX-13RTJ-3126-SM-5S2Q4 60-69 years, male 4.4
GTEX-13VXU-3026-SM-5LU3K 50-59 years, male 4.3
GTEX-14E7W-2926-SM-5S2R8 70-79 years, male 4.3
GTEX-11GSP-3126-SM-5A5LL 60-69 years, female 4.2
GTEX-11DYG-2926-SM-5H132 60-69 years, male 4.1
GTEX-1B933-3026-SM-731DB 50-59 years, female 4.0
GTEX-1PIIG-2826-SM-DTX7O 30-39 years, male 4.0
GTEX-Z93S-2826-SM-57WBL 50-59 years, male 3.8
GTEX-1R46S-3126-SM-DPRZ9 60-69 years, female 3.8
GTEX-14BIN-3326-SM-5Q5E6 50-59 years, female 3.7
GTEX-QMR6-1326-SM-32PLB 50-59 years, male 3.7
GTEX-13FXS-3026-SM-5LZYO 50-59 years, male 3.6
GTEX-13JVG-3226-SM-5IJGJ 60-69 years, male 3.6
GTEX-1B996-2926-SM-7MXUH 60-69 years, male 3.6
GTEX-X4XX-2926-SM-3NMB1 60-69 years, male 3.5
GTEX-11EMC-3326-SM-5P9JH 60-69 years, female 3.4
GTEX-12126-0926-SM-5FQTW 20-29 years, male 3.4
GTEX-13NYB-3226-SM-5J2ND 40-49 years, male 3.3
GTEX-13X6K-2826-SM-5O9DS 60-69 years, female 3.3
GTEX-14A5I-2826-SM-5SIBF 50-59 years, female 3.3
GTEX-1C6VR-3026-SM-7IGLW 60-69 years, male 3.3
GTEX-1JMQJ-3126-SM-EV79G 50-59 years, male 3.3
GTEX-1KANB-3226-SM-D4P3G 50-59 years, male 3.3
GTEX-17HHY-2926-SM-79OJW 50-59 years, male 3.2
GTEX-13OW6-2926-SM-5KM29 50-59 years, male 3.1
GTEX-1H3NZ-2926-SM-9WPQ8 60-69 years, male 3.1
GTEX-1RDX4-3226-SM-DPS14 50-59 years, female 3.1
GTEX-12WSC-2926-SM-5BC5Z 50-59 years, male 3.0
GTEX-1CB4G-2926-SM-7MKFQ 60-69 years, male 3.0
GTEX-1B8L1-3226-SM-7P8OX 60-69 years, male 3.0
GTEX-17HII-2926-SM-79OMK 50-59 years, male 2.9
GTEX-1C64N-3126-SM-79OO3 50-59 years, male 2.9
GTEX-ZYFD-2926-SM-5GID9 50-59 years, male 2.9
GTEX-1JMPZ-2826-SM-C1YRA 30-39 years, male 2.9
GTEX-13S7M-3026-SM-5S2QQ 60-69 years, female 2.8
GTEX-17HG3-2826-SM-7EPGO 30-39 years, female 2.8
GTEX-QVUS-2926-SM-3GIJB 60-69 years, female 2.8
GTEX-ZUA1-2926-SM-59HL3 40-49 years, male 2.8
GTEX-1GZ2Q-3026-SM-9JGG3 40-49 years, male 2.8
GTEX-1I1GV-3026-SM-CNNR9 60-69 years, male 2.8
GTEX-14ABY-3026-SM-664NE 50-59 years, male 2.7
GTEX-P44G-2526-SM-2I5EK 30-39 years, male 2.7
GTEX-Y8DK-0726-SM-4TT3S 60-69 years, male 2.7
GTEX-1EX96-3126-SM-9JGGC 50-59 years, male 2.7
GTEX-1HBPH-3026-SM-9WPNY 40-49 years, female 2.7
GTEX-12WSH-3126-SM-5LZW8 50-59 years, male 2.6
GTEX-12ZZX-2826-SM-5BC6K 40-49 years, female 2.6
GTEX-14JFF-2826-SM-6871Q 60-69 years, male 2.6
GTEX-13OVL-3026-SM-5IJF1 50-59 years, male 2.5
GTEX-1EKGG-3126-SM-9WPO5 60-69 years, male 2.5
GTEX-1NV8Z-3026-SM-DTX8Z 60-69 years, male 2.5
GTEX-13X6J-2926-SM-7EPGP 50-59 years, male 2.4
GTEX-17EVQ-2726-SM-7EWDT 70-79 years, male 2.4
GTEX-YJ89-2926-SM-5P9IT 60-69 years, male 2.4
GTEX-145MG-3126-SM-5Q5D3 50-59 years, male 2.3
GTEX-14ASI-2926-SM-5Q5DG 60-69 years, male 2.3
GTEX-ZAK1-2926-SM-5HL9S 50-59 years, female 2.3
GTEX-11ZVC-3026-SM-59HJM 50-59 years, female 2.2
GTEX-144GL-2926-SM-5O99F 50-59 years, male 2.2
GTEX-ZDXO-2926-SM-4WKFM 60-69 years, male 2.1
GTEX-1JJEA-2926-SM-C1YSK 60-69 years, male 2.1
GTEX-WL46-2826-SM-3LK81 50-59 years, male 2.0
GTEX-1HBPI-2726-SM-9WPPF 50-59 years, male 2.0
GTEX-1MJK2-3026-SM-EV7A5 50-59 years, male 2.0
GTEX-12WSE-2926-SM-5RQJ9 20-29 years, male 1.9
GTEX-18465-2926-SM-7KFSE 50-59 years, male 1.9
GTEX-PVOW-2626-SM-32PL8 40-49 years, male 1.9
GTEX-131XH-2926-SM-5LZU4 50-59 years, male 1.8
GTEX-15ER7-3026-SM-6M47W 20-29 years, female 1.8
GTEX-P44H-2426-SM-2XCEJ 40-49 years, male 1.8
GTEX-1HCVE-2926-SM-9WPPJ 50-59 years, male 1.8
GTEX-13OVH-2926-SM-5IJFH 70-79 years, male 1.7
GTEX-13SLX-3226-SM-5YYA6 50-59 years, female 1.6
GTEX-1GTWX-2926-SM-7MXV4 60-69 years, male 1.6
GTEX-1128S-2826-SM-5N9DI 60-69 years, female 1.5
GTEX-1I1HK-2726-SM-AHZ2M 60-69 years, male 1.5
GTEX-1H4P4-2726-SM-9JGGB 50-59 years, male 1.3
GTEX-QDT8-3026-SM-32PKB 30-39 years, female 1.2
GTEX-1H1CY-3026-SM-9OSW7 60-69 years, female 1.1
GTEX-14C39-3026-SM-5S2QE 40-49 years, male 0.9
Show allShow less

CEREBELLUM - FANTOM5 CAGEi

RNA expression in human tissues obtained through Cap Analysis of Gene Expression (CAGE) generated by the FANTOM5 project are reported as Scaled Tags Per Million.

Max subtype Scaled Tags Per Millioni

Max subtype Scaled Tags Per Million is the value for the subtype with the largest average Scaled Tags Per Million across the subtype samples.

3.9
FANTOM5 sample id Sample description Scaled Tags Per Million
Cerebellum
Scaled Tags Per Million: 3.9
FF:10083-102B2 22-68 years, mixed 5.6
FF:10166-103B4 76 years, female 2.2

Contact

  • NEWS ARTICLES
  • PRESS ROOM

The Project

  • INTRODUCTION
  • ORGANIZATION
  • PUBLICATIONS

The Human Protein Atlas

  • DOWNLOADABLE DATA
  • LICENCE & CITATION
  • HELP & FAQ
The Human Protein Atlas project is funded
by the Knut & Alice Wallenberg Foundation.


contact@proteinatlas.org