We use cookies to enhance the usability of our website. If you continue, we'll assume that you are happy to receive all cookies. More information. Don't show this again.
LONP1
HPA
RESOURCES
  • TISSUE
  • BRAIN
  • SINGLE CELL
  • SUBCELLULAR
  • CANCER
  • BLOOD
  • CELL LINE
  • STRUCTURE & INTERACTION
ABOUT
  • INTRODUCTION
  • HISTORY
  • ORGANIZATION
  • PUBLICATIONS
  • ANTIBODY SUBMISSION
  • ANTIBODY AVAILABILITY
  • ACKNOWLEDGMENTS
  • CONTACT
NEWS
  • NEWS ARTICLES
  • PRESS ROOM
LEARN
  • DICTIONARY
  • PROTEIN CLASSES
  • PROTEIN EVIDENCE
  • METHODS
  • EDUCATIONAL VIDEOS
DATA
  • DOWNLOADABLE DATA
  • PUBLICATION DATA
  • RELEASE HISTORY
HELP
  • ANTIBODY VALIDATION
  • ASSAYS & ANNOTATION
  • DISCLAIMER
  • HELP & FAQ
  • PRIVACY STATEMENT
  • LICENCE & CITATION
Fields »
Search result

Field
Term
Gene name
Class
Subclass
Class
Keyword
Chromosome
External id
Tissue
Cell type
Expression
Antibody panel
Tissue
Main location
Patient ID
Annotation
Tissue
Category
Tau score
Cluster
Reliability
Brain region
Category
Tau score
Brain region
Category
Tau score
Brain region
Category
Tau score
Cluster
Reliability
Tissue
Cell type
Enrichment
Cell type
Category
Tau score
Cell type
Category
Tau score
Cell type
Category
Tau score
Cell lineage
Category
Tau score
Cluster
Cluster
Location
Searches
Location
Cell line
Class
Type
Phase
Reliability
Cancer
Prognosis
Cancer
Category
Cancer
Category
Tau score
Cluster
Variants
Interacting gene (ensg_id)
Type
Number of interactions
Pathway
Category
Score
Score
Score
Validation
Validation
Validation
Validation
Antibodies
Data type
Column


  • SUMMARY

  • TISSUE

  • BRAIN

  • SINGLE CELL

  • SUBCELL

  • CANCER

  • BLOOD

  • CELL LINE

  • STRUCT & INT

  • LONP1
TISSUE PRIMARY DATA SKELETAL MUSCLE Show tissue menu
ADIPOSE TISSUE ADRENAL GLAND AMYGDALA APPENDIX BASAL GANGLIA BONE MARROW BREAST BRONCHUS CEREBELLUM CEREBRAL CORTEX CERVIX CHOROID PLEXUS COLON DUODENUM
ENDOMETRIUM EPIDIDYMIS ESOPHAGUS FALLOPIAN TUBE GALLBLADDER HEART MUSCLE HIPPOCAMPAL FORMATION HYPOTHALAMUS KIDNEY LIVER LUNG LYMPH NODE MIDBRAIN NASOPHARYNX
ORAL MUCOSA OVARY PANCREAS PARATHYROID GLAND PITUITARY GLAND PLACENTA PROSTATE RECTUM RETINA SALIVARY GLAND SEMINAL VESICLE SKELETAL MUSCLE SKIN SMALL INTESTINE
SMOOTH MUSCLE SOFT TISSUE SPINAL CORD SPLEEN STOMACH TESTIS THYMUS THYROID GLAND TONGUE TONSIL URINARY BLADDER VAGINA
ANTIBODIES
AND
VALIDATION
Dictionary
Skeletal muscle
Tissue proteome
Skeletal muscle
SKELETAL MUSCLE - Expression summary
Protein expression
Skeletal musclei

On the top, protein expression in current human tissue, based on all annotated cell types, is reported with the units not detected (n), low (l), medium (m) and high (h). Underneath, protein expression in each annotated cell type are reported using the same units.

Protein expression data is based on knowledge-based annotation. For genes where more than one antibody has been used, a collective score is set.

If knowledge-based annotation could not be performed for a gene, no data is displayed here. View antibody staining data further down this page.

h
m
l
n
Myocytes: Low
RNA expressioni

A summary of mRNA expression data available for current tissue based on several datasets. The mRNA expression levels in human tissues are based on RNA-seq data generated by the Human Protein Atlas (HPA), Genotype-Tissue Expression (GTEx) portal and CAGE data generated by the FANTOM5 consortium. Consensus normalized expression levels for human tissues was created by combining the data from HPA and GTEx datasets.

The mRNA expression levels in pig are based on RNA-seq data generated by the Human Protein Atlas (HPA), and for mouse, HPA data and in situ hybridization generated by the Allen brain atlas are reported.

Scroll down to view mRNA expression data in more detail.
Consensus:66.8 nTPM
HPA:66.8 nTPM
GTEx:65.3 nTPM
FANTOM5:70.3 Scaled Tags Per Million

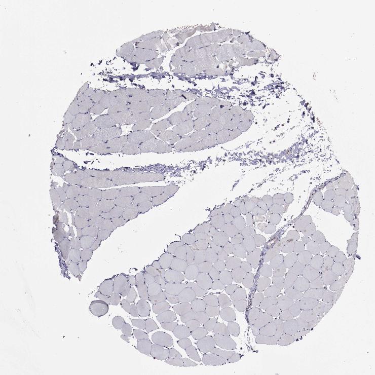
SKELETAL MUSCLE - Antibody stainingi

Antibody staining in the annotated cell types in the current human tissue is reported as not detected, low, medium, or high, based on conventional immunohistochemistry profiling in selected tissues. This score is based on the combination of the staining intensity and fraction of stained cells.

Each image is clickable and will lead to virtual microscopy that enables deeper exploration of all samples and also displays staining intensity scores, fraction scores and subcellular localization as well as patient and tissue information for each sample.

Antibody HPA002192
Myocytes Low



SKELETAL MUSCLE - HPA RNA-seqi

The RNA-seq details section shows detailed information about the individual samples used for the transcript profiling and results of the RNA-seq analysis.

Information about each individual sample is listed below, including gender, age, a tissue section image and estimated fractions of cell types. nTPM (normalized transcripts per million) values give a quantification of the gene abundance which is comparable between different genes and samples.
Average nTPMi

Max subtype nTPM is the value for the subtype with the largest average nTPM across the subtype samples.

66.8
N/A
Male, age 23
Skeletal muscle sample 339
nTPM: 57.8
N/A
Female, age 25
Skeletal muscle sample 340
nTPM: 55.9
N/A
Female, age -
Skeletal muscle sample 341
nTPM: 58.8
N/A
Female, age 22
Skeletal muscle sample 342
nTPM: 70.3
N/A
Male, age 29
Skeletal muscle sample 343
nTPM: 91.4

SKELETAL MUSCLE - GTEx RNA-seqi

RNA-Seq data generated by the Genotype-Tissue Expression (GTEx) project from human tissues is reported as mean nTPM. More information can be found on the GTEx portal.

Distribution across the dataset is visualized with box plots, shown as median and 25th and 75th percentiles. Points are displayed as outliers if they are above or below 1.5 times the interquartile range. nTPM values of the individual samples are presented next to the box plot.
Max subtype nTPMi

Max subtype nTPM is the value for the subtype with the largest average nTPM across the subtype samples.

65.3
GTEx sample id Sample description nTPM
Muscle - Skeletal
Average nTPM: 65.3
Samples: 803

Max nTPM: 135.7
Min nTPM: 33.8
Std nTPM: 14.2
Median nTPM: 64.5
GTEX-ZQUD-1726-SM-7P8ON 30-39 years, male 135.7
GTEX-145LV-2326-SM-5LU8Z 50-59 years, male 122.0
GTEX-XUZC-2126-SM-4BRW8 30-39 years, female 114.7
GTEX-XV7Q-2926-SM-4BRUL 40-49 years, female 110.4
GTEX-14XAO-2226-SM-6LLHU 60-69 years, female 110.1
GTEX-1H4P4-0626-SM-9YFKZ 50-59 years, male 109.7
GTEX-YFC4-1026-SM-5RQJM 40-49 years, female 106.2
GTEX-1N2DW-0426-SM-E9TK4 50-59 years, male 105.5
GTEX-1MA7W-1826-SM-DIPFP 20-29 years, female 104.0
GTEX-1CAV2-2426-SM-7P8QF 40-49 years, female 103.7
GTEX-ZV68-0526-SM-59HKI 50-59 years, female 103.6
GTEX-1F88F-2526-SM-7PC2R 60-69 years, female 102.2
GTEX-X4EO-0526-SM-3P5Z3 60-69 years, female 101.9
GTEX-1F52S-0826-SM-7P8TQ 60-69 years, female 99.7
GTEX-13X6H-2326-SM-7EWEB 50-59 years, female 99.4
GTEX-1H2FU-0526-SM-ACKXO 60-69 years, female 99.0
GTEX-WWYW-0526-SM-3NB2W 50-59 years, female 98.9
GTEX-13FXS-0326-SM-5K7TV 50-59 years, male 98.2
GTEX-11OF3-2526-SM-5P9JL 60-69 years, male 97.5
GTEX-14JG1-0126-SM-5ZZUP 40-49 years, male 96.7
GTEX-P4PP-1626-SM-2HMJF 30-39 years, female 96.6
GTEX-111FC-0326-SM-5GZZ1 60-69 years, male 96.3
GTEX-17HG3-2726-SM-7DHL5 30-39 years, female 96.2
GTEX-12126-0526-SM-5PNW4 20-29 years, male 96.1
GTEX-1PBJJ-0326-SM-E8VNT 30-39 years, male 95.8
GTEX-OHPK-1626-SM-2YUN3 50-59 years, female 95.1
GTEX-17EVP-1326-SM-7DHMR 40-49 years, male 93.7
GTEX-XBEW-1026-SM-4QARV 40-49 years, male 93.1
GTEX-N7MS-0426-SM-2YUN6 60-69 years, male 93.0
GTEX-ZYFD-0326-SM-5NQ8I 50-59 years, male 92.0
GTEX-113JC-2726-SM-5EGIS 50-59 years, female 91.9
GTEX-13NYC-0726-SM-5J2NQ 60-69 years, male 91.8
GTEX-147F4-0326-SM-5TDCK 50-59 years, male 91.8
GTEX-13VXU-0326-SM-5LU36 50-59 years, male 91.7
GTEX-14PK6-2126-SM-6ETZV 70-79 years, female 91.4
GTEX-13NZA-0526-SM-5L3D7 60-69 years, male 91.3
GTEX-1LSNM-2326-SM-EWRO8 50-59 years, male 90.5
GTEX-11GS4-2526-SM-5A5KT 60-69 years, male 89.7
GTEX-11O72-0326-SM-5986D 40-49 years, male 89.5
GTEX-17JCI-0326-SM-7LG5H 60-69 years, female 89.1
GTEX-OOBK-1626-SM-2HMKG 40-49 years, male 88.7
GTEX-P4PQ-1626-SM-2HMKK 60-69 years, male 88.7
GTEX-WHSB-1826-SM-3TW8M 50-59 years, male 88.7
GTEX-11P82-1826-SM-5PNYJ 20-29 years, male 88.4
GTEX-WZTO-0826-SM-3NM8Q 40-49 years, male 88.4
GTEX-ZVT2-2426-SM-57WCQ 50-59 years, female 88.4
GTEX-13NYB-2726-SM-5J2MT 40-49 years, male 88.3
GTEX-14LLW-0526-SM-62LFB 70-79 years, female 88.3
GTEX-1399T-2426-SM-5L3FJ 60-69 years, male 87.7
GTEX-139TS-2626-SM-5J1MT 60-69 years, male 87.7
GTEX-OIZG-1326-SM-2HMIQ 50-59 years, male 87.7
GTEX-1A3MV-2026-SM-718BU 30-39 years, male 87.3
GTEX-15F5U-1826-SM-6LLJF 40-49 years, male 87.2
GTEX-T5JC-0626-SM-3NMA6 20-29 years, male 87.1
GTEX-WXYG-2526-SM-3NB3F 50-59 years, female 86.8
GTEX-XQ3S-0426-SM-4BOOA 20-29 years, male 86.6
GTEX-1LVA9-0326-SM-DLHBU 50-59 years, male 86.3
GTEX-ZEX8-2526-SM-DO92M 50-59 years, male 86.1
GTEX-18A7A-0626-SM-718BJ 50-59 years, female 86.0
GTEX-WYJK-1726-SM-3NM9U 50-59 years, male 86.0
GTEX-XBEC-0626-SM-4QARY 50-59 years, male 85.7
GTEX-15G19-0526-SM-6PAMT 60-69 years, male 85.6
GTEX-1GZ2Q-0426-SM-9WPOU 40-49 years, male 85.5
GTEX-1I1GT-0726-SM-B2LWN 60-69 years, female 85.4
GTEX-1LSNL-0126-SM-EWRNR 50-59 years, male 85.3
GTEX-1HCUA-2326-SM-ACKVJ 50-59 years, female 85.2
GTEX-WYVS-2326-SM-3NMAI 40-49 years, female 85.1
GTEX-XUYS-0326-SM-47JX2 50-59 years, male 84.9
GTEX-1AX8Z-5004-SM-ARZLD 60-69 years, male 84.7
GTEX-11ZTS-0526-SM-5CVL9 60-69 years, female 84.6
GTEX-13O3Q-2726-SM-5KM51 50-59 years, male 84.5
GTEX-13VXT-0326-SM-5LU4U 20-29 years, female 84.5
GTEX-1RB15-2226-SM-DTXFZ 60-69 years, male 84.4
GTEX-U8XE-0726-SM-3DB8O 30-39 years, male 84.3
GTEX-1GZHY-0126-SM-9WYUQ 50-59 years, female 84.2
GTEX-1128S-2426-SM-5H11B 60-69 years, female 84.1
GTEX-147GR-0126-SM-62LER 60-69 years, male 84.1
GTEX-WK11-2526-SM-3NM9Y 50-59 years, male 84.1
GTEX-UPJH-0526-SM-4IHK8 50-59 years, male 83.8
GTEX-1269C-2626-SM-5EQ5C 60-69 years, female 83.6
GTEX-RN64-0326-SM-2TC5J 50-59 years, male 83.6
GTEX-Y8E5-0326-SM-57WBM 60-69 years, male 83.6
GTEX-ZGAY-0726-SM-DO91O 40-49 years, female 83.6
GTEX-OIZF-1626-SM-2YUNE 60-69 years, male 83.2
GTEX-117XS-2526-SM-5H11G 60-69 years, male 83.1
GTEX-14E1K-2326-SM-664MP 50-59 years, male 82.9
GTEX-13X6J-0326-SM-7EPGD 50-59 years, male 82.8
GTEX-P78B-1626-SM-5SI85 40-49 years, female 82.6
GTEX-1HCU6-0526-SM-A9SKU 60-69 years, female 82.6
GTEX-1R9K4-0626-SM-E76OZ 60-69 years, male 82.5
GTEX-14DAQ-0326-SM-664MR 60-69 years, female 82.3
GTEX-T2IS-2626-SM-32QPP 20-29 years, female 82.3
GTEX-139UW-2626-SM-5K7W1 60-69 years, male 82.2
GTEX-13O1R-0526-SM-5K7XU 60-69 years, male 81.9
GTEX-15ER7-0226-SM-7KUEU 20-29 years, female 81.9
GTEX-Y114-2526-SM-4TT8M 50-59 years, female 81.8
GTEX-13OW5-0326-SM-5L3HK 60-69 years, male 81.7
GTEX-15SKB-2526-SM-6PALP 60-69 years, male 81.6
GTEX-ZYT6-1626-SM-5E45R 30-39 years, male 81.6
GTEX-17F98-1626-SM-7938R 40-49 years, female 81.4
GTEX-14PJ2-0326-SM-6EU2Q 50-59 years, male 81.3
GTEX-1LBAC-0326-SM-DIPF1 20-29 years, male 81.2
GTEX-ZQG8-1226-SM-51MRX 60-69 years, female 81.0
GTEX-1ICG6-2726-SM-CKZPN 70-79 years, female 80.9
GTEX-1PPH7-2526-SM-E76OJ 40-49 years, male 80.9
GTEX-145MG-0226-SM-5TDDB 50-59 years, male 80.7
GTEX-1GN2E-0726-SM-9MQLU 60-69 years, male 80.7
GTEX-1B933-0426-SM-7DHMC 50-59 years, female 80.6
GTEX-WEY5-2026-SM-CYPRC 40-49 years, female 80.6
GTEX-RNOR-0526-SM-2TF4O 50-59 years, female 80.5
GTEX-18465-0326-SM-7LTAD 50-59 years, male 80.3
GTEX-11NUK-0226-SM-5A5L4 50-59 years, male 80.1
GTEX-13PVQ-0326-SM-5K7YF 50-59 years, male 80.1
GTEX-1C64N-0326-SM-7P8QC 50-59 years, male 80.1
GTEX-12KS4-0826-SM-5BC5R 30-39 years, male 80.0
GTEX-139TT-0426-SM-5IJFA 60-69 years, male 80.0
GTEX-11P81-2526-SM-5GU6H 30-39 years, female 79.9
GTEX-NFK9-0626-SM-2HMIV 40-49 years, male 79.9
GTEX-1GMR3-2126-SM-9WYTZ 40-49 years, male 79.9
GTEX-11NV4-0326-SM-5HL58 60-69 years, male 79.8
GTEX-PX3G-1626-SM-2S1PT 20-29 years, female 79.8
GTEX-1EMGI-0326-SM-9MQM5 60-69 years, male 79.8
GTEX-18QFQ-0326-SM-731C3 30-39 years, male 79.7
GTEX-14BIL-0326-SM-5SI9Q 50-59 years, male 79.6
GTEX-13113-5019-SM-7EPH2 60-69 years, female 79.4
GTEX-14E6D-0326-SM-62LDX 50-59 years, male 79.4
GTEX-1RQEC-0126-SM-E9J2H 60-69 years, male 79.3
GTEX-U412-0326-SM-3DB9L 60-69 years, male 79.2
GTEX-Y8DK-0326-SM-4TT3P 60-69 years, male 79.1
GTEX-QCQG-2126-SM-DTXFV 50-59 years, female 79.1
GTEX-13SLX-0326-SM-5Q5E4 50-59 years, female 79.0
GTEX-15UKP-0326-SM-7KUFP 20-29 years, male 79.0
GTEX-WFON-2326-SM-3LK7M 40-49 years, male 78.9
GTEX-1C64O-0326-SM-73KVW 60-69 years, male 78.6
GTEX-1C6VQ-0326-SM-7DHMS 50-59 years, male 78.6
GTEX-1B996-0326-SM-7DHMU 60-69 years, male 78.5
GTEX-14BIM-0326-SM-5SI9B 60-69 years, female 78.4
GTEX-ZVTK-0626-SM-5GU6Y 20-29 years, male 78.3
GTEX-1PPGY-0426-SM-DTXFE 60-69 years, male 78.3
GTEX-1NHNU-1226-SM-DTX8I 50-59 years, male 78.2
GTEX-1314G-1726-SM-5LZUX 30-39 years, male 78.1
GTEX-139YR-2526-SM-5IJC6 50-59 years, male 78.1
GTEX-ZVT3-0526-SM-5GIE9 60-69 years, female 77.9
GTEX-OOBJ-1626-SM-2I3F7 60-69 years, male 77.7
GTEX-1QP66-1626-SM-E76PC 50-59 years, male 77.5
GTEX-18A6Q-0326-SM-718AT 60-69 years, male 77.4
GTEX-15SHU-0626-SM-7KUFH 40-49 years, female 77.3
GTEX-1LNCM-1226-SM-E9U5C 50-59 years, female 77.1
GTEX-1313W-0526-SM-5P9FZ 50-59 years, female 77.0
GTEX-1AX9J-0126-SM-73KY2 60-69 years, male 77.0
GTEX-1H3VY-0326-SM-9WYU6 50-59 years, male 77.0
GTEX-11EQ9-2126-SM-5PNVW 30-39 years, male 76.9
GTEX-1CB4G-0426-SM-7MXUN 60-69 years, male 76.9
GTEX-1GPI7-0426-SM-7RHHP 20-29 years, male 76.9
GTEX-17EUY-0626-SM-793BE 20-29 years, male 76.8
GTEX-13OVH-0626-SM-5L3EI 70-79 years, male 76.7
GTEX-Q2AG-0426-SM-2S1PU 40-49 years, female 76.7
GTEX-145LU-2026-SM-5Q5E8 50-59 years, male 76.6
GTEX-11GSP-2726-SM-5A5LJ 60-69 years, female 76.5
GTEX-12WSJ-1726-SM-5LZVV 40-49 years, female 76.5
GTEX-13PL6-0326-SM-5IJCP 40-49 years, female 76.5
GTEX-13QIC-1226-SM-5K7YR 60-69 years, female 76.5
GTEX-1B8L1-2726-SM-793AL 60-69 years, male 76.5
GTEX-OIZH-1626-SM-2HMKI 50-59 years, male 76.4
GTEX-QEG5-0426-SM-2I5GJ 20-29 years, male 76.3
GTEX-1NUQO-0726-SM-E9J3K 20-29 years, female 76.3
GTEX-1JN6P-0526-SM-COH33 60-69 years, male 76.1
GTEX-1LB8K-0126-SM-EVYCN 50-59 years, male 76.1
GTEX-13OVJ-0226-SM-5L3GK 50-59 years, female 76.0
GTEX-1LVAM-0326-SM-DIPFL 50-59 years, female 75.9
GTEX-16MTA-2026-SM-7KUL3 50-59 years, male 75.7
GTEX-1KD5A-0726-SM-DIPEO 50-59 years, male 75.7
GTEX-132NY-0726-SM-5KLZM 60-69 years, male 75.6
GTEX-14PJM-0426-SM-5ZZVN 50-59 years, female 75.6
GTEX-1I4MK-2326-SM-ADEHR 50-59 years, female 75.6
GTEX-1K2DA-2226-SM-CGQGM 50-59 years, male 75.6
GTEX-17F96-2726-SM-7LT9F 70-79 years, male 75.5
GTEX-WL46-0626-SM-3LK7R 50-59 years, male 75.4
GTEX-ZF3C-0326-SM-4WWBF 50-59 years, female 75.4
GTEX-1R7EV-2026-SM-DTX83 40-49 years, male 75.4
GTEX-P4QS-1626-SM-2S1NH 60-69 years, male 75.3
GTEX-OXRP-2326-SM-2S1NL 60-69 years, female 75.2
GTEX-131YS-0526-SM-5EGKJ 60-69 years, female 75.1
GTEX-1F6I4-0326-SM-7P8T8 60-69 years, male 75.1
GTEX-1C2JI-2126-SM-793CG 50-59 years, male 75.0
GTEX-13G51-2726-SM-5LZZ9 60-69 years, male 74.9
GTEX-145MH-0326-SM-5LU8H 50-59 years, male 74.9
GTEX-OHPL-1626-SM-2HMIR 60-69 years, female 74.9
GTEX-OXRN-1326-SM-3LK5V 50-59 years, male 74.9
GTEX-Y111-0326-SM-4SOIX 50-59 years, male 74.8
GTEX-11I78-2426-SM-5A5K9 50-59 years, female 74.7
GTEX-1399S-2726-SM-5KM22 30-39 years, female 74.7
GTEX-1HFI6-0426-SM-B2LXB 40-49 years, male 74.7
GTEX-1497J-2626-SM-5SI9K 60-69 years, male 74.6
GTEX-13PLJ-0326-SM-5L3I7 60-69 years, female 74.5
GTEX-1GN1V-0326-SM-9WYTO 60-69 years, male 74.5
GTEX-T6MN-0526-SM-32PMS 50-59 years, male 74.4
GTEX-U3ZN-2226-SM-3DB88 30-39 years, female 74.4
GTEX-ZE9C-2326-SM-5J1NT 60-69 years, male 74.3
GTEX-1B97I-2026-SM-7DHN2 40-49 years, male 74.1
GTEX-13CF2-2726-SM-5LZWW 60-69 years, male 74.0
GTEX-14H4A-0926-SM-5ZZUU 40-49 years, female 74.0
GTEX-ZAK1-0526-SM-5K7X4 50-59 years, female 73.9
GTEX-1I1GR-0326-SM-CKZPI 60-69 years, male 73.9
GTEX-1212Z-2626-SM-5YY8P 60-69 years, male 73.7
GTEX-13OW7-0326-SM-5J1MP 50-59 years, male 73.7
GTEX-P4QT-1626-SM-DHXIR 50-59 years, female 73.7
GTEX-15RIG-0426-SM-7KUF4 40-49 years, male 73.6
GTEX-1R9PO-2426-SM-EVYBS 60-69 years, female 73.6
GTEX-YFCO-1926-SM-4W212 40-49 years, male 73.5
GTEX-13NZB-2626-SM-5J2M7 30-39 years, male 73.4
GTEX-13O61-2326-SM-5J1NJ 60-69 years, male 73.4
GTEX-131XG-2326-SM-5HL8F 50-59 years, female 73.3
GTEX-11PRG-0326-SM-5GU53 50-59 years, male 73.2
GTEX-1LVAN-0526-SM-CNNQ1 50-59 years, female 73.2
GTEX-TMZS-0326-SM-3DB9P 60-69 years, male 73.1
GTEX-1KXAM-2426-SM-DIPFC 60-69 years, male 73.1
GTEX-1RQED-0426-SM-E6CJP 60-69 years, male 73.1
GTEX-13OW6-0626-SM-5L3IB 50-59 years, male 72.7
GTEX-R55E-0526-SM-2TC6B 20-29 years, male 72.7
GTEX-1JJEA-0126-SM-D3L8A 60-69 years, male 72.7
GTEX-1QP6S-0426-SM-DTXG4 40-49 years, male 72.7
GTEX-13FHP-0526-SM-5K7UY 50-59 years, male 72.6
GTEX-14PJ4-2426-SM-6EU1U 60-69 years, male 72.6
GTEX-1PPH8-0326-SM-E76PR 20-29 years, male 72.6
GTEX-SIU8-0526-SM-2XCDP 50-59 years, male 72.5
GTEX-ZVT4-0326-SM-51MS5 50-59 years, female 72.5
GTEX-1CB4I-0326-SM-7DHMM 50-59 years, male 72.4
GTEX-1F75I-0526-SM-7RHI3 40-49 years, male 72.4
GTEX-13U4I-1826-SM-5IJD2 40-49 years, female 72.3
GTEX-145LT-1626-SM-5O992 40-49 years, male 72.3
GTEX-15ETS-0326-SM-6PANH 40-49 years, female 72.3
GTEX-QXCU-1726-SM-2TC6L 50-59 years, male 72.3
GTEX-XPVG-2526-SM-4B66D 50-59 years, male 72.3
GTEX-Y5V6-2626-SM-5IFIX 60-69 years, male 72.3
GTEX-11ZTT-2626-SM-5EQKK 60-69 years, female 72.2
GTEX-QEG4-0626-SM-2S1OY 30-39 years, male 72.2
GTEX-144GL-0326-SM-5QGOY 50-59 years, male 72.0
GTEX-14753-0526-SM-5QGPR 60-69 years, male 72.0
GTEX-ZZPU-2626-SM-5E45Y 50-59 years, female 72.0
GTEX-1IDJE-2426-SM-ACKWF 50-59 years, female 72.0
GTEX-12WSC-0326-SM-5EQ5E 50-59 years, male 71.9
GTEX-X88G-0326-SM-47JZ4 30-39 years, male 71.9
GTEX-13JVG-0126-SM-5L3D3 60-69 years, male 71.8
GTEX-OXRK-1826-SM-2HMJE 50-59 years, female 71.8
GTEX-1E1VI-0426-SM-7DHN1 50-59 years, male 71.7
GTEX-11NSD-2026-SM-5HL5U 20-29 years, male 71.5
GTEX-ZUA1-0326-SM-5NQA3 40-49 years, male 71.5
GTEX-14ICL-1926-SM-5RQIZ 30-39 years, male 71.4
GTEX-PLZ5-1726-SM-2I5F6 50-59 years, male 71.4
GTEX-14DAR-1826-SM-664N1 50-59 years, male 71.3
GTEX-1GF9V-0126-SM-9WYT2 60-69 years, male 71.3
GTEX-ZYFG-2426-SM-5GIE8 60-69 years, female 71.1
GTEX-1GPI6-0326-SM-9MQM6 60-69 years, male 71.1
GTEX-15CHC-2426-SM-6EU22 60-69 years, female 70.9
GTEX-1B8SF-0426-SM-79OL4 60-69 years, male 70.8
GTEX-XPT6-2026-SM-4B64V 20-29 years, male 70.6
GTEX-1I1GV-0126-SM-CL55G 60-69 years, male 70.6
GTEX-1S82P-0326-SM-E9TIR 60-69 years, female 70.6
GTEX-16YQH-0426-SM-7KUL7 30-39 years, male 70.5
GTEX-OXRL-1626-SM-2YUMU 50-59 years, male 70.5
GTEX-1H1CY-2726-SM-9MQLR 60-69 years, female 70.5
GTEX-1PIIG-0126-SM-E9J46 30-39 years, male 70.5
GTEX-U3ZM-1226-SM-3DB9G 40-49 years, male 70.4
GTEX-1FIGZ-1726-SM-9MQKS 40-49 years, male 70.4
GTEX-1IOXB-0326-SM-CL55M 50-59 years, male 70.4
GTEX-11UD2-0326-SM-5EQLE 50-59 years, male 70.3
GTEX-1GZ4H-1626-SM-7PC3F 50-59 years, female 70.3
GTEX-1HCU9-1926-SM-9WYSE 20-29 years, male 70.3
GTEX-1QCLY-0426-SM-E8VOH 30-39 years, male 70.3
GTEX-1QW4Y-1726-SM-EWRN1 30-39 years, male 70.3
GTEX-XMD1-0626-SM-EZ6MC 60-69 years, male 70.3
GTEX-13QBU-2426-SM-5LU4L 40-49 years, female 70.2
GTEX-YECK-0626-SM-4W1ZE 60-69 years, male 70.2
GTEX-1S5ZA-0526-SM-EWRO1 20-29 years, male 70.2
GTEX-16NGA-1926-SM-7LTA6 40-49 years, female 70.1
GTEX-1M5QR-1326-SM-EWROC 40-49 years, male 69.9
GTEX-117YW-2426-SM-5Q5AE 50-59 years, male 69.8
GTEX-ZDTS-0526-SM-4WKH9 60-69 years, male 69.8
GTEX-ZYFC-0526-SM-5GIDF 50-59 years, male 69.8
GTEX-12WSM-0326-SM-5LZVI 60-69 years, male 69.7
GTEX-13PVR-2526-SM-5RQIT 60-69 years, female 69.6
GTEX-1BAJH-0126-SM-7DHMF 70-79 years, male 69.6
GTEX-X5EB-2326-SM-46MW5 40-49 years, male 69.6
GTEX-14LZ3-0626-SM-5ZZWP 60-69 years, female 69.5
GTEX-YF7O-2526-SM-5IFJX 50-59 years, male 69.5
GTEX-ZYY3-0526-SM-5E45G 60-69 years, female 69.4
GTEX-1HGF4-2626-SM-CM2SJ 60-69 years, male 69.4
GTEX-1JMQJ-0126-SM-E6CI2 50-59 years, male 69.4
GTEX-1IDJH-0226-SM-CYPSB 70-79 years, male 69.3
GTEX-1LGOU-2126-SM-DIPFG 20-29 years, female 69.3
GTEX-1RAZQ-0426-SM-DTXFQ 30-39 years, male 69.3
GTEX-15SDE-2326-SM-6PAL4 50-59 years, female 69.2
GTEX-1F75W-0326-SM-7PC2Q 60-69 years, male 69.2
GTEX-145MO-0726-SM-5NQB9 60-69 years, male 69.1
GTEX-1KWVE-0926-SM-CXZKP 30-39 years, male 69.1
GTEX-12ZZY-0626-SM-5EQ5T 60-69 years, male 69.0
GTEX-1C6VR-2526-SM-7DHMT 60-69 years, male 69.0
GTEX-PSDG-0426-SM-5SI86 50-59 years, male 68.9
GTEX-12WSN-2526-SM-5LZU8 40-49 years, male 68.8
GTEX-1A32A-0526-SM-731B9 50-59 years, female 68.8
GTEX-ZVP2-2126-SM-5GU6E 50-59 years, male 68.8
GTEX-1IL2V-0526-SM-ARL8B 70-79 years, male 68.8
GTEX-1B97J-1226-SM-7PBZR 50-59 years, female 68.7
GTEX-16BQI-0326-SM-6PAM4 30-39 years, female 68.6
GTEX-14PJ3-2026-SM-5ZZVK 50-59 years, male 68.5
GTEX-1HUB1-0526-SM-CL54N 60-69 years, male 68.5
GTEX-1KD4Q-0326-SM-E9TJA 40-49 years, male 68.5
GTEX-1LG7Y-0126-SM-E6CJ8 50-59 years, male 68.5
GTEX-14AS3-2126-SM-5S2MK 40-49 years, female 68.4
GTEX-14BMV-0326-SM-5RQHW 50-59 years, male 68.4
GTEX-ZTPG-0126-SM-5O9AL 20-29 years, female 68.4
GTEX-1R9PN-1826-SM-E8VO4 40-49 years, female 68.4
GTEX-1C475-1726-SM-73KVX 40-49 years, female 68.3
GTEX-U8T8-1426-SM-3DB9H 60-69 years, male 68.2
GTEX-Y3IK-2626-SM-4WWDK 50-59 years, female 68.2
GTEX-YB5K-2326-SM-5IFHD 40-49 years, female 68.1
GTEX-ZA64-2026-SM-5PNXT 20-29 years, male 68.1
GTEX-1JMPY-1226-SM-CJI3A 30-39 years, male 68.0
GTEX-ZLWG-2126-SM-DO91M 50-59 years, female 68.0
GTEX-11DXW-0726-SM-5H12J 40-49 years, male 67.9
GTEX-1H1DG-0326-SM-9QEHK 70-79 years, male 67.9
GTEX-YJ8O-2826-SM-5CVM4 40-49 years, female 67.8
GTEX-S33H-2226-SM-DKPOP 30-39 years, male 67.8
GTEX-1C6WA-0326-SM-7DUGE 60-69 years, male 67.7
GTEX-11TUW-2526-SM-5EQKN 60-69 years, male 67.6
GTEX-12WSF-0926-SM-6PALU 70-79 years, male 67.6
GTEX-15DDE-0526-SM-6ETZQ 50-59 years, female 67.6
GTEX-1KANA-0926-SM-D3L9K 20-29 years, male 67.6
GTEX-13JUV-2326-SM-5IJCE 40-49 years, female 67.5
GTEX-13O3O-0526-SM-5J1NL 60-69 years, female 67.5
GTEX-POMQ-1926-SM-3NB1Y 20-29 years, female 67.5
GTEX-1GMRU-0326-SM-9WYT6 50-59 years, male 67.5
GTEX-111VG-2626-SM-5GZY2 60-69 years, male 67.4
GTEX-1IDJF-0326-SM-ADEIG 20-29 years, male 67.3
GTEX-14JIY-0426-SM-62LF7 60-69 years, male 67.2
GTEX-14A5I-0326-SM-5NQ9J 50-59 years, female 67.1
GTEX-13FTZ-2226-SM-5LZXI 60-69 years, male 67.0
GTEX-16NPX-0626-SM-7KULB 50-59 years, male 67.0
GTEX-PW2O-1726-SM-2S1OO 20-29 years, male 67.0
GTEX-1RAZR-0326-SM-EWRNM 40-49 years, male 67.0
GTEX-Z93S-1326-SM-5CVMR 50-59 years, male 66.9
GTEX-1I1GS-0326-SM-ARL7X 60-69 years, male 66.9
GTEX-1R46S-0326-SM-EWRNE 60-69 years, female 66.9
GTEX-ZLFU-2526-SM-DO91K 40-49 years, male 66.9
GTEX-1C4CL-0326-SM-7DHMH 30-39 years, male 66.8
GTEX-QDVN-2426-SM-2S1Q4 50-59 years, male 66.8
GTEX-ZAJG-0526-SM-5S2MT 50-59 years, female 66.8
GTEX-1F75A-0626-SM-7PBYI 50-59 years, male 66.8
GTEX-ZV6S-2126-SM-4YCEM 40-49 years, female 66.7
GTEX-1EU9M-0126-SM-7P8P8 60-69 years, male 66.5
GTEX-1GN1U-2226-SM-9MQK1 50-59 years, female 66.5
GTEX-1JJ6O-0926-SM-CYPT1 60-69 years, male 66.5
GTEX-1MCC2-2726-SM-EWRN3 30-39 years, female 66.5
GTEX-11GSO-2526-SM-5PNVX 60-69 years, male 66.4
GTEX-11ZUS-1426-SM-5FQSP 30-39 years, male 66.4
GTEX-1399Q-2426-SM-5J2MO 40-49 years, male 66.1
GTEX-WRHU-0826-SM-3MJFN 50-59 years, female 66.1
GTEX-1C6VS-0126-SM-7PC2H 60-69 years, male 66.1
GTEX-13FTW-2326-SM-5K7YS 40-49 years, male 66.0
GTEX-14PQA-0526-SM-7KUFS 50-59 years, female 66.0
GTEX-UJHI-1726-SM-3DB9B 50-59 years, female 66.0
GTEX-1H23P-0526-SM-9WG6S 60-69 years, male 66.0
GTEX-11EMC-2626-SM-59864 60-69 years, female 65.9
GTEX-17F97-0526-SM-7DUF8 50-59 years, male 65.9
GTEX-YEC3-2126-SM-4YCDB 50-59 years, male 65.9
GTEX-1QP67-1826-SM-DTX8D 40-49 years, female 65.8
GTEX-13111-2226-SM-5LZUE 50-59 years, male 65.7
GTEX-13FH7-2126-SM-5L3DJ 50-59 years, female 65.6
GTEX-13IVO-0626-SM-5LZYJ 70-79 years, male 65.6
GTEX-WY7C-2526-SM-3NB2N 50-59 years, male 65.6
GTEX-11P7K-1926-SM-5GU6R 30-39 years, male 65.5
GTEX-12WSD-0526-SM-5EQ6F 60-69 years, female 65.5
GTEX-PWCY-2026-SM-5SI8R 20-29 years, female 65.5
GTEX-TML8-1826-SM-32QOR 40-49 years, female 65.5
GTEX-139D8-0726-SM-5P9GJ 30-39 years, female 65.4
GTEX-13OVG-2126-SM-5KM1K 60-69 years, male 65.4
GTEX-W5WG-1926-SM-4KKZK 50-59 years, female 65.4
GTEX-XQ8I-0626-SM-4BOPT 50-59 years, male 65.4
GTEX-11EI6-0326-SM-5EQ6G 60-69 years, male 65.3
GTEX-14E6E-2026-SM-664N5 30-39 years, male 65.3
GTEX-1HBPH-0826-SM-ARZNB 40-49 years, female 65.3
GTEX-1B8SG-0326-SM-73KXW 50-59 years, male 65.2
GTEX-131XH-2726-SM-5GCO2 50-59 years, male 65.1
GTEX-18D9A-1826-SM-718BK 30-39 years, female 65.1
GTEX-1HBPI-0226-SM-ADEJ7 50-59 years, male 65.1
GTEX-1399R-2526-SM-5IFG2 30-39 years, male 65.0
GTEX-139TU-0526-SM-5J2M8 60-69 years, male 65.0
GTEX-14C39-2426-SM-5S2U5 40-49 years, male 65.0
GTEX-1CB4E-2126-SM-793AP 60-69 years, male 65.0
GTEX-T5JW-1826-SM-3GAE1 20-29 years, female 65.0
GTEX-1F7RK-0326-SM-7RHH7 20-29 years, female 65.0
GTEX-1H1ZS-0626-SM-CNPPU 70-79 years, male 65.0
GTEX-1IDJV-0426-SM-COH3Z 60-69 years, male 65.0
GTEX-1B932-0526-SM-73KU7 40-49 years, female 64.9
GTEX-15D79-0526-SM-6ETZP 50-59 years, male 64.8
GTEX-X4XY-0626-SM-4E3IN 60-69 years, male 64.8
GTEX-1HSEH-0326-SM-A9G26 60-69 years, male 64.8
GTEX-13NZ9-0626-SM-5IJCO 50-59 years, male 64.6
GTEX-1117F-0426-SM-5EGHI 60-69 years, female 64.5
GTEX-1122O-2426-SM-5GIDN 60-69 years, female 64.5
GTEX-11H98-0326-SM-5HL4S 50-59 years, male 64.5
GTEX-12WSH-2526-SM-5CVNH 50-59 years, male 64.5
GTEX-14PJO-0526-SM-6EU2O 60-69 years, male 64.5
GTEX-1HT8W-0326-SM-CM2SG 30-39 years, male 64.5
GTEX-11TT1-2326-SM-5GU6N 20-29 years, male 64.4
GTEX-16GPK-0526-SM-7KUER 60-69 years, male 64.4
GTEX-1PIEJ-0326-SM-EVYB5 20-29 years, female 64.4
GTEX-1S82U-1426-SM-E6CJL 30-39 years, female 64.3
GTEX-11DXX-2726-SM-5PNXO 60-69 years, female 64.2
GTEX-XUW1-0826-SM-4BOP6 50-59 years, female 64.2
GTEX-SUCS-1626-SM-32PLS 70-79 years, male 64.1
GTEX-12584-0526-SM-5FQTS 40-49 years, male 64.0
GTEX-1A8G7-0326-SM-72D5B 60-69 years, male 64.0
GTEX-1AX9I-0326-SM-73KXQ 60-69 years, male 64.0
GTEX-1J1R8-2326-SM-CKZPS 40-49 years, male 64.0
GTEX-133LE-2026-SM-5K7WM 20-29 years, female 63.9
GTEX-169BO-1526-SM-9KNVR 50-59 years, male 63.9
GTEX-12BJ1-2526-SM-5FQUE 60-69 years, male 63.8
GTEX-144GM-2026-SM-5LU3D 20-29 years, male 63.7
GTEX-1HBPM-0426-SM-CKZOO 60-69 years, female 63.7
GTEX-1AMFI-2226-SM-731C6 50-59 years, female 63.6
GTEX-Y8E4-1026-SM-4VBQ5 40-49 years, male 63.6
GTEX-U3ZH-1926-SM-4DXTR 30-39 years, male 63.5
GTEX-ZC5H-0326-SM-5HL9F 40-49 years, female 63.5
GTEX-1MJK3-1426-SM-E9TK1 20-29 years, male 63.5
GTEX-1399U-2526-SM-5L3DL 50-59 years, female 63.4
GTEX-Y9LG-1926-SM-5IFHY 30-39 years, male 63.4
GTEX-1EN7A-0326-SM-7P8T1 40-49 years, male 63.4
GTEX-1F5PL-0426-SM-7P8PR 40-49 years, female 63.4
GTEX-11WQK-0726-SM-5GU71 50-59 years, male 63.3
GTEX-14PJ6-2326-SM-6ETZR 60-69 years, female 63.3
GTEX-1J8QM-2226-SM-CYPSK 60-69 years, female 63.3
GTEX-13N2G-2326-SM-5J1ON 60-69 years, male 63.2
GTEX-14BMU-2026-SM-5S2W6 20-29 years, female 63.2
GTEX-15UF6-1026-SM-7KUF7 70-79 years, female 63.2
GTEX-1J8JJ-0126-SM-D3L93 60-69 years, female 63.2
GTEX-ZVZP-2526-SM-57WBR 50-59 years, male 63.1
GTEX-12WSG-5016-SM-7SB84 50-59 years, female 63.1
GTEX-1JMQI-2126-SM-CM2SC 50-59 years, male 63.1
GTEX-ZF29-2426-SM-DO92G 60-69 years, female 63.1
GTEX-Y3I4-2326-SM-4TT81 50-59 years, male 63.0
GTEX-117YX-2526-SM-5EQ4Q 50-59 years, male 62.9
GTEX-14A5H-0326-SM-5RQIB 60-69 years, male 62.9
GTEX-ZPCL-2026-SM-57WFD 60-69 years, female 62.9
GTEX-13OVL-1426-SM-5IJC1 50-59 years, male 62.7
GTEX-13112-2626-SM-5BC66 50-59 years, male 62.6
GTEX-16NPV-2426-SM-6M482 50-59 years, female 62.6
GTEX-1PDJ9-0526-SM-DTXDL 20-29 years, male 62.6
GTEX-X8HC-0526-SM-4E3JA 50-59 years, female 62.5
GTEX-13N1W-0526-SM-5MR4I 70-79 years, male 62.4
GTEX-1E2YA-0526-SM-7P8RY 50-59 years, male 62.4
GTEX-1I1HK-0326-SM-ACKW5 60-69 years, male 62.4
GTEX-1M4P7-0126-SM-DKPQF 60-69 years, male 62.4
GTEX-13S86-2326-SM-5RQK1 40-49 years, male 62.3
GTEX-145ME-2026-SM-5SIA5 40-49 years, female 62.3
GTEX-1F75B-0526-SM-7P8T5 50-59 years, male 62.3
GTEX-17F9E-0226-SM-79OKK 50-59 years, male 62.2
GTEX-13O3P-0626-SM-5L3D5 50-59 years, male 62.1
GTEX-1K9T9-0326-SM-EWRNQ 50-59 years, female 62.1
GTEX-1QP2A-0526-SM-E8VN5 50-59 years, male 62.1
GTEX-18A66-0126-SM-731CQ 60-69 years, male 62.0
GTEX-1HCU7-0426-SM-D3L8Q 50-59 years, male 62.0
GTEX-QESD-1626-SM-2S1RB 20-29 years, male 61.9
GTEX-ZE7O-0326-SM-51MTH 50-59 years, female 61.9
GTEX-1GMR2-2126-SM-7P8TX 50-59 years, male 61.9
GTEX-12C56-1926-SM-5FQUG 20-29 years, male 61.8
GTEX-145LS-0526-SM-5LU8Y 60-69 years, female 61.7
GTEX-11DXZ-2426-SM-5N9DT 50-59 years, male 61.6
GTEX-11WQC-2626-SM-5CVLF 60-69 years, male 61.6
GTEX-1H11D-0326-SM-9WG71 40-49 years, male 61.6
GTEX-14C38-0426-SM-5TDDZ 50-59 years, male 61.5
GTEX-1A8G6-0126-SM-7DUFY 60-69 years, male 61.5
GTEX-1KAFJ-2326-SM-D3L8Z 50-59 years, male 61.5
GTEX-145MI-0326-SM-5Q5EV 60-69 years, female 61.4
GTEX-14ABY-0126-SM-62LDI 50-59 years, male 61.4
GTEX-15RIF-2126-SM-7KUM8 20-29 years, male 61.4
GTEX-1EX96-1526-SM-7PBXK 50-59 years, male 61.4
GTEX-1IKOH-0126-SM-COH4D 60-69 years, female 61.4
GTEX-1F48J-0526-SM-9WYSX 50-59 years, female 61.2
GTEX-148VJ-0326-SM-5QGQE 70-79 years, male 61.1
GTEX-PWN1-1626-SM-2S1OL 40-49 years, female 61.1
GTEX-XBED-2626-SM-4E3J5 60-69 years, male 61.1
GTEX-1HB9E-0326-SM-D3LA5 50-59 years, male 61.1
GTEX-1JN1M-0526-SM-CJI3D 60-69 years, female 61.1
GTEX-SNOS-1526-SM-32PLW 40-49 years, male 61.0
GTEX-UJMC-1826-SM-3GADT 50-59 years, male 61.0
GTEX-1QAET-2026-SM-E9J3S 50-59 years, male 60.9
GTEX-15CHR-2426-SM-7DUFX 50-59 years, male 60.8
GTEX-R3RS-0526-SM-3GADG 40-49 years, female 60.7
GTEX-RTLS-0526-SM-2TF64 60-69 years, female 60.7
GTEX-1192X-0426-SM-5GIEE 50-59 years, male 60.5
GTEX-12ZZZ-0226-SM-59HKU 60-69 years, male 60.5
GTEX-132Q8-0626-SM-5L3F3 60-69 years, male 60.5
GTEX-11OC5-0326-SM-5PNW5 60-69 years, male 60.4
GTEX-14PII-0626-SM-69LPY 60-69 years, male 60.4
GTEX-RU72-1326-SM-2TF6T 50-59 years, female 60.4
GTEX-1L5NE-2226-SM-CXZKS 50-59 years, male 60.4
GTEX-11DXY-2726-SM-5GID2 60-69 years, male 60.3
GTEX-11DZ1-0926-SM-5EQ5R 50-59 years, male 60.3
GTEX-11ONC-2426-SM-5GU7H 60-69 years, male 60.3
GTEX-14JG6-2126-SM-6EU2F 30-39 years, female 60.3
GTEX-15SHV-2526-SM-6PAMG 60-69 years, male 60.3
GTEX-R55D-0626-SM-3GAD5 50-59 years, male 60.3
GTEX-XAJ8-1026-SM-47JY9 40-49 years, male 60.3
GTEX-13FTY-0226-SM-5IJBW 40-49 years, female 60.1
GTEX-144GO-1326-SM-5Q5EL 60-69 years, male 59.9
GTEX-QDT8-0526-SM-3NMD8 30-39 years, female 59.9
GTEX-QV44-2026-SM-2S1RD 50-59 years, male 59.9
GTEX-17MF6-2026-SM-7LG5I 40-49 years, male 59.8
GTEX-1CAMQ-0326-SM-7MXUI 40-49 years, male 59.8
GTEX-1HSKV-0126-SM-E6CI1 60-69 years, male 59.7
GTEX-1J8Q3-1426-SM-CKZPU 60-69 years, male 59.7
GTEX-17HHY-0326-SM-7938H 50-59 years, male 59.6
GTEX-ZY6K-2026-SM-5GZXQ 50-59 years, male 59.6
GTEX-1HSMP-0326-SM-A9SMC 70-79 years, male 59.6
GTEX-15EO6-2826-SM-6PANB 50-59 years, male 59.5
GTEX-15SB6-1826-SM-6PALN 50-59 years, female 59.5
GTEX-Q734-2026-SM-3GADA 40-49 years, female 59.5
GTEX-1I6K7-0326-SM-B2LXO 40-49 years, male 59.4
GTEX-13O21-1726-SM-5MR5A 50-59 years, male 59.3
GTEX-1H3VE-0126-SM-9WYTW 40-49 years, male 59.2
GTEX-15DCD-0626-SM-7KUG7 70-79 years, female 59.1
GTEX-Y8LW-2026-SM-4V6G8 50-59 years, female 59.1
GTEX-15RJ7-2426-SM-6M48L 40-49 years, male 59.0
GTEX-1CAMS-0126-SM-79396 40-49 years, female 58.9
GTEX-1GF9U-2326-SM-7RHH9 40-49 years, female 58.9
GTEX-XOT4-0526-SM-4B66O 60-69 years, female 58.8
GTEX-1GZ4I-0526-SM-9YFLX 50-59 years, male 58.8
GTEX-1HFI7-1926-SM-A96TQ 50-59 years, female 58.8
GTEX-139T6-2026-SM-5IFFL 50-59 years, male 58.7
GTEX-YB5E-2226-SM-5IFJ5 40-49 years, male 58.7
GTEX-1PIGE-0226-SM-E76OT 20-29 years, male 58.6
GTEX-1PWST-0426-SM-E76QV 70-79 years, male 58.6
GTEX-X261-0326-SM-3NMD4 50-59 years, male 58.5
GTEX-1CAMR-1726-SM-793CU 20-29 years, male 58.4
GTEX-ZXG5-0326-SM-5GICH 60-69 years, male 58.3
GTEX-131XW-0326-SM-5KM1J 50-59 years, female 58.2
GTEX-PLZ4-0926-SM-2S1OI 50-59 years, female 58.2
GTEX-15SHW-0726-SM-7KUEI 60-69 years, male 58.1
GTEX-1S5VW-0526-SM-E6CHL 60-69 years, male 58.1
GTEX-1HC8U-2626-SM-CNPPH 40-49 years, female 58.0
GTEX-13FTX-2026-SM-5L3D6 20-29 years, female 57.9
GTEX-WWTW-0626-SM-4MVNS 50-59 years, male 57.8
GTEX-1O9I2-0526-SM-EYYXI 50-59 years, male 57.8
GTEX-ZVZO-0326-SM-5HL4N 40-49 years, male 57.6
GTEX-1211K-2126-SM-59HJZ 60-69 years, female 57.5
GTEX-16AAH-1826-SM-7939D 50-59 years, male 57.5
GTEX-131XF-2326-SM-5BC6B 60-69 years, male 57.4
GTEX-1LG7Z-2126-SM-CXKYU 30-39 years, male 57.4
GTEX-13W3W-2626-SM-5SIA2 60-69 years, female 57.3
GTEX-17MFQ-1926-SM-793A6 20-29 years, male 57.3
GTEX-RU1J-1726-SM-2TF5S 20-29 years, female 57.3
GTEX-X638-0326-SM-47JY1 70-79 years, female 57.3
GTEX-1H1DE-1726-SM-A9G3G 20-29 years, male 57.3
GTEX-1AMEY-1526-SM-73KYW 30-39 years, female 57.2
GTEX-ZTX8-1626-SM-51MRY 20-29 years, male 57.2
GTEX-1IDJU-2426-SM-ARZM9 60-69 years, female 57.2
GTEX-13PL7-0626-SM-5IJCD 60-69 years, female 57.1
GTEX-S95S-1426-SM-2XCDM 60-69 years, male 57.0
GTEX-XMD2-0526-SM-4YCDI 60-69 years, female 57.0
GTEX-1LGRB-2626-SM-CNPPR 50-59 years, female 57.0
GTEX-13W46-0726-SM-5LU3Z 50-59 years, male 56.9
GTEX-TKQ1-1426-SM-4GICK 30-39 years, male 56.9
GTEX-1QPFJ-0326-SM-E8VO2 30-39 years, female 56.9
GTEX-14PJ5-2026-SM-6LLIN 60-69 years, female 56.8
GTEX-183FY-0226-SM-7LG54 20-29 years, male 56.8
GTEX-PLZ6-1526-SM-2S1OC 30-39 years, male 56.8
GTEX-1HCVE-0326-SM-CGQEW 50-59 years, male 56.8
GTEX-1QP9N-1926-SM-E6CPY 30-39 years, male 56.8
GTEX-RWSA-0726-SM-2XCBE 40-49 years, male 56.7
GTEX-TKQ2-0826-SM-33HB6 50-59 years, male 56.7
GTEX-1QP28-0526-SM-E8VNR 50-59 years, female 56.7
GTEX-11ZU8-2326-SM-5EQMJ 60-69 years, male 56.6
GTEX-1HSMQ-1326-SM-ADEHS 50-59 years, male 56.6
GTEX-1445S-0626-SM-5LU3C 60-69 years, male 56.5
GTEX-O5YT-1626-SM-32PK6 20-29 years, male 56.5
GTEX-1I1GP-2126-SM-CKZPJ 50-59 years, male 56.5
GTEX-1JMQK-0326-SM-ARZN5 60-69 years, male 56.3
GTEX-1I1GQ-0326-SM-A9SKS 50-59 years, male 56.2
GTEX-13FHO-0726-SM-5IJDG 60-69 years, male 56.1
GTEX-147JS-0526-SM-5TDD3 60-69 years, male 56.1
GTEX-1AX9K-2726-SM-7DHMA 50-59 years, male 56.1
GTEX-WOFM-1326-SM-3MJFR 20-29 years, male 56.0
GTEX-1JKYR-0326-SM-CNPOL 20-29 years, male 56.0
GTEX-U3ZG-0326-SM-47JXN 50-59 years, male 55.9
GTEX-ZAB5-2126-SM-5K7UN 50-59 years, male 55.9
GTEX-1EH9U-0326-SM-7P8S2 60-69 years, male 55.9
GTEX-1QEPI-0526-SM-E76QF 60-69 years, female 55.9
GTEX-1S82Y-2226-SM-EWRNV 40-49 years, male 55.9
GTEX-S7PM-0526-SM-3NM92 60-69 years, male 55.8
GTEX-1IDJD-1326-SM-CM2TQ 30-39 years, male 55.8
GTEX-1JMQL-0126-SM-CY8HN 50-59 years, female 55.8
GTEX-WHPG-2226-SM-3NMBO 50-59 years, male 55.6
GTEX-XYKS-2426-SM-4AT43 60-69 years, female 55.5
GTEX-1F88E-1826-SM-9MQLV 60-69 years, female 55.5
GTEX-1HKZK-0226-SM-9WYUG 40-49 years, male 55.5
GTEX-1IE54-0326-SM-ARZMD 40-49 years, female 55.5
GTEX-1R9JW-2426-SM-DTXFI 30-39 years, female 55.5
GTEX-1S83E-2126-SM-EWRO6 40-49 years, male 55.5
GTEX-147F3-0226-SM-5NQBV 50-59 years, female 55.4
GTEX-15UF7-2226-SM-6PAMQ 40-49 years, male 55.4
GTEX-13S7M-0326-SM-5S2PH 60-69 years, female 55.3
GTEX-15DZA-2026-SM-6PANE 30-39 years, female 55.3
GTEX-17KNJ-2426-SM-7DHLR 50-59 years, male 55.3
GTEX-QDVJ-1926-SM-2S1PJ 50-59 years, male 55.3
GTEX-1MUQO-0226-SM-E9TJL 60-69 years, male 55.3
GTEX-16XZY-2226-SM-7938N 70-79 years, male 55.2
GTEX-QV31-1426-SM-2S1QD 30-39 years, male 55.2
GTEX-1I6K6-0326-SM-CJI4A 30-39 years, male 55.2
GTEX-1MCQQ-0626-SM-E9U5Q 60-69 years, male 55.2
GTEX-1MCYP-2026-SM-DTXE4 20-29 years, female 55.2
GTEX-15RIE-2426-SM-7KUDS 60-69 years, male 55.1
GTEX-11ZVC-2726-SM-5FQSZ 50-59 years, female 55.0
GTEX-XGQ4-2326-SM-4AT53 50-59 years, male 55.0
GTEX-ZLV1-2126-SM-4WWD2 60-69 years, female 55.0
GTEX-1339X-2426-SM-5KLYU 40-49 years, male 54.9
GTEX-13QJ3-0726-SM-5SI68 50-59 years, male 54.9
GTEX-1GN73-0126-SM-CNPPT 60-69 years, male 54.9
GTEX-13CF3-1826-SM-5J1NK 60-69 years, female 54.7
GTEX-1HBPN-0526-SM-A9SM6 50-59 years, male 54.7
GTEX-1GMR8-0326-SM-9KNUO 50-59 years, female 54.6
GTEX-1R9PM-2226-SM-E8VOC 20-29 years, male 54.6
GTEX-17HHE-2126-SM-7DHLO 50-59 years, male 54.5
GTEX-WRHK-1626-SM-3MJFH 20-29 years, female 54.5
GTEX-1GTWX-0326-SM-9WYTP 60-69 years, male 54.5
GTEX-1A3MW-0526-SM-731BY 60-69 years, female 54.4
GTEX-1HR9M-0326-SM-CL549 60-69 years, male 54.4
GTEX-R55C-1726-SM-3GADJ 40-49 years, male 54.3
GTEX-1N2EF-0526-SM-E76OK 60-69 years, male 54.3
GTEX-12WSA-0726-SM-5FQU2 60-69 years, male 54.1
GTEX-13NYS-0326-SM-5MR4L 60-69 years, male 54.1
GTEX-QLQW-1326-SM-2S1QS 30-39 years, male 54.1
GTEX-RM2N-1626-SM-2TF5N 50-59 years, male 54.1
GTEX-1I1GU-2126-SM-CGQF9 40-49 years, male 54.1
GTEX-1GN1W-0726-SM-9KNTV 50-59 years, female 53.9
GTEX-1JMLX-0326-SM-CM2RP 50-59 years, male 53.9
GTEX-1OFPY-2526-SM-DTXEK 60-69 years, male 53.9
GTEX-13RTJ-2726-SM-73KVG 60-69 years, male 53.8
GTEX-Y5LM-2126-SM-4VDSY 40-49 years, female 53.8
GTEX-1JN76-0326-SM-ARZNJ 20-29 years, female 53.8
GTEX-REY6-0826-SM-2TF4S 60-69 years, male 53.7
GTEX-X4XX-0626-SM-3NMC1 60-69 years, male 53.7
GTEX-1QCLZ-0326-SM-DTXG2 60-69 years, female 53.6
GTEX-11XUK-2226-SM-5CVLL 40-49 years, female 53.4
GTEX-17GQL-1926-SM-718B9 60-69 years, male 53.2
GTEX-1HSGN-0326-SM-ACKXQ 40-49 years, female 53.2
GTEX-146FQ-0326-SM-5NQAX 30-39 years, male 52.9
GTEX-RWS6-2126-SM-2XCAV 60-69 years, female 52.9
GTEX-ZDXO-0326-SM-4WKHJ 60-69 years, male 52.7
GTEX-13RTL-0326-SM-7LT89 40-49 years, male 52.6
GTEX-144FL-0326-SM-5O99O 50-59 years, male 52.6
GTEX-16XZZ-0526-SM-7KUF1 60-69 years, male 52.6
GTEX-1R7EU-0626-SM-DTX9N 60-69 years, male 52.6
GTEX-1B8KE-2226-SM-7939K 50-59 years, male 52.5
GTEX-1LC47-0626-SM-DIPFE 60-69 years, male 52.5
GTEX-1LH75-2626-SM-E9TKL 50-59 years, female 52.5
GTEX-11UD1-0326-SM-5EQKX 40-49 years, female 52.4
GTEX-146FR-1726-SM-5Q5DT 60-69 years, female 52.4
GTEX-R53T-1826-SM-3GIJX 50-59 years, female 52.4
GTEX-1HSMO-0526-SM-ACKXB 60-69 years, male 52.4
GTEX-1J8EW-0326-SM-CYPSX 60-69 years, female 52.3
GTEX-1JKYN-1826-SM-ARZMZ 30-39 years, male 52.3
GTEX-18A67-0326-SM-7LG5X 50-59 years, male 52.2
GTEX-1CB4F-0326-SM-9MQKD 60-69 years, male 52.2
GTEX-1EWIQ-0626-SM-7PBYW 70-79 years, female 52.2
GTEX-1QMI2-0526-SM-DTXFU 60-69 years, male 52.2
GTEX-16MT8-0326-SM-6PAM5 60-69 years, female 52.1
GTEX-1IY9M-0326-SM-ARZMN 60-69 years, male 52.1
GTEX-P44G-0526-SM-2XCD1 30-39 years, male 52.0
GTEX-T8EM-1326-SM-3DB7G 40-49 years, male 51.9
GTEX-YBZK-0326-SM-59HLN 50-59 years, female 51.8
GTEX-QVUS-0226-SM-3GIJY 60-69 years, female 51.7
GTEX-14PJN-2126-SM-6AJBM 30-39 years, male 51.6
GTEX-12WSL-2726-SM-5CVNL 50-59 years, male 51.5
GTEX-ZAKK-0326-SM-5EGHA 70-79 years, male 51.5
GTEX-ZF2S-2126-SM-4WWAY 50-59 years, female 51.5
GTEX-11EM3-2126-SM-5H11M 20-29 years, female 51.4
GTEX-1477Z-1626-SM-5SIA8 60-69 years, male 51.4
GTEX-13OVI-1726-SM-5L3DW 60-69 years, female 51.2
GTEX-ZV7C-2426-SM-5NQ7Q 50-59 years, male 51.2
GTEX-QLQ7-1726-SM-2S1QQ 60-69 years, male 51.0
GTEX-1I19N-2026-SM-ACKXJ 70-79 years, male 51.0
GTEX-1IKJJ-0326-SM-CL55L 60-69 years, male 51.0
GTEX-1MJIX-2126-SM-E9J3A 40-49 years, male 51.0
GTEX-15G1A-2026-SM-7KUFG 30-39 years, male 50.9
GTEX-11VI4-1926-SM-5CVLI 40-49 years, female 50.8
GTEX-1H1E6-2126-SM-9KNVM 30-39 years, male 50.8
GTEX-18D9U-0626-SM-7LTA4 40-49 years, male 50.7
GTEX-O5YV-2026-SM-2D7VS 60-69 years, female 50.5
GTEX-111CU-2026-SM-5GZZC 50-59 years, male 50.4
GTEX-13D11-2526-SM-5KM28 50-59 years, female 50.4
GTEX-13OVK-1926-SM-6M48G 40-49 years, male 50.4
GTEX-1ICLY-0326-SM-ARL7S 50-59 years, male 50.4
GTEX-13RTK-1626-SM-5QGQS 20-29 years, male 50.3
GTEX-1IL2U-0726-SM-EAZ2Y 60-69 years, male 50.3
GTEX-12ZZX-0326-SM-5DUVH 40-49 years, female 50.2
GTEX-ZDYS-1726-SM-5HL4Y 50-59 years, male 50.2
GTEX-1F6IF-0226-SM-7PBZ6 60-69 years, male 50.0
GTEX-1J8Q2-0126-SM-E9J2G 60-69 years, male 49.8
GTEX-1CB4H-0426-SM-7MXTL 60-69 years, female 49.6
GTEX-U4B1-1626-SM-3DB8N 40-49 years, male 49.5
GTEX-RUSQ-1726-SM-2TF68 50-59 years, male 49.3
GTEX-Z9EW-1726-SM-5CVMO 40-49 years, male 49.3
GTEX-1CB4J-1226-SM-7P8P3 60-69 years, male 49.3
GTEX-1GF9X-2126-SM-7PBXN 40-49 years, female 49.2
GTEX-1N2DV-0526-SM-DTX8W 40-49 years, male 49.2
GTEX-13X6K-0326-SM-5Q5D6 60-69 years, female 49.0
GTEX-14C5O-0626-SM-664N2 60-69 years, male 48.8
GTEX-WHSE-0526-SM-5GZZD 20-29 years, male 48.8
GTEX-146FH-0526-SM-5QGQ3 50-59 years, female 48.7
GTEX-ZT9X-1826-SM-57WDU 40-49 years, male 48.7
GTEX-1RAZA-0526-SM-E76R2 20-29 years, male 48.6
GTEX-1B8KZ-2126-SM-73KYG 50-59 years, male 48.5
GTEX-QEL4-0626-SM-3GIJM 50-59 years, male 48.5
GTEX-WFG7-2226-SM-3GIKP 20-29 years, male 48.3
GTEX-13OW8-1426-SM-5IJDT 60-69 years, male 48.2
GTEX-ZF28-0526-SM-4WKGW 60-69 years, male 47.8
GTEX-OIZI-0626-SM-2XCEH 40-49 years, male 47.7
GTEX-YEC4-2226-SM-5IFJT 40-49 years, male 47.7
GTEX-131XE-2726-SM-5P9G7 50-59 years, male 47.5
GTEX-17EVQ-1226-SM-7LG59 70-79 years, male 47.5
GTEX-111YS-2326-SM-5987L 60-69 years, male 47.4
GTEX-16Z82-0126-SM-7DHLF 60-69 years, male 47.3
GTEX-TSE9-0526-SM-3DB7Z 60-69 years, female 47.3
GTEX-13N11-2726-SM-5L3ER 50-59 years, female 47.1
GTEX-17HII-0426-SM-793A3 50-59 years, male 46.9
GTEX-R55G-2326-SM-2TC61 40-49 years, female 46.8
GTEX-ZYW4-0526-SM-5GZZ5 60-69 years, male 46.8
GTEX-1GF9W-0526-SM-9MQJP 60-69 years, male 46.8
GTEX-12696-2826-SM-5FQTY 60-69 years, male 46.6
GTEX-145MN-2426-SM-5NQA5 30-39 years, male 46.6
GTEX-VJWN-0426-SM-3GIJI 50-59 years, female 46.5
GTEX-SE5C-1826-SM-2XCE4 40-49 years, female 46.1
GTEX-1F5PK-2626-SM-7RHH6 50-59 years, male 46.0
GTEX-ZVE2-0626-SM-5GU7I 50-59 years, male 45.8
GTEX-11LCK-1226-SM-5Q5AM 30-39 years, male 45.7
GTEX-183WM-0426-SM-731B1 70-79 years, female 45.7
GTEX-18A7B-0326-SM-7LG65 70-79 years, male 45.6
GTEX-1A3MX-0526-SM-718A9 60-69 years, male 45.6
GTEX-1IDJC-2026-SM-ADEIK 50-59 years, male 45.6
GTEX-S32W-2326-SM-2XCAW 50-59 years, female 45.5
GTEX-14ASI-0526-SM-5QGQP 60-69 years, male 45.4
GTEX-Q2AH-1826-SM-2S1Q2 40-49 years, male 45.3
GTEX-ZP4G-2026-SM-57WEH 20-29 years, female 45.3
GTEX-ZZPT-0626-SM-5GZXT 50-59 years, male 45.3
GTEX-144GN-2426-SM-5LU4R 50-59 years, male 45.2
GTEX-1K2DU-2526-SM-D3L8V 20-29 years, male 45.2
GTEX-11EQ8-0526-SM-5N9BC 60-69 years, male 45.0
GTEX-OHPN-2726-SM-2I5H4 60-69 years, female 45.0
GTEX-TMMY-0426-SM-33HBB 40-49 years, female 45.0
GTEX-1IDFM-1526-SM-ARL7U 60-69 years, male 45.0
GTEX-1IKK5-0426-SM-CL53X 60-69 years, male 45.0
GTEX-14A6H-5019-SM-793DH 30-39 years, male 44.9
GTEX-ZPIC-2526-SM-57WDP 40-49 years, female 44.9
GTEX-ZVE1-0526-SM-5NQ71 50-59 years, female 44.9
GTEX-ZZ64-1526-SM-5E43K 20-29 years, male 44.9
GTEX-13SLW-0326-SM-5RQK5 70-79 years, male 44.8
GTEX-1JK1U-2226-SM-CNNPL 60-69 years, male 44.8
GTEX-ZAB4-0426-SM-5HL7N 40-49 years, male 44.7
GTEX-14E6C-1526-SM-664ND 40-49 years, male 44.6
GTEX-1P4AB-0326-SM-EXUT3 50-59 years, male 44.4
GTEX-15CHQ-0726-SM-6EU18 60-69 years, male 44.2
GTEX-139T8-0526-SM-5KLZL 60-69 years, male 43.9
GTEX-Y5V5-2526-SM-4VBQ4 60-69 years, female 43.8
GTEX-1ICLZ-0626-SM-ARL83 60-69 years, male 43.7
GTEX-OXRO-1726-SM-3LK6C 60-69 years, female 43.4
GTEX-1A8FM-0526-SM-7P8SF 50-59 years, female 43.3
GTEX-1KANC-1626-SM-E6CIA 50-59 years, female 43.0
GTEX-13X6I-0526-SM-5QGP8 60-69 years, male 42.8
GTEX-1IGQW-0526-SM-CKZO3 60-69 years, male 42.6
GTEX-1J1OQ-0426-SM-A9SLI 40-49 years, female 42.6
GTEX-1AYD5-2226-SM-73KX3 50-59 years, male 42.5
GTEX-POYW-0526-SM-2XCEY 60-69 years, male 42.2
GTEX-VJYA-1926-SM-3GIJJ 60-69 years, male 42.2
GTEX-WFG8-2426-SM-3GILL 20-29 years, male 42.1
GTEX-132AR-1026-SM-5PNVL 50-59 years, female 42.0
GTEX-13PDP-0326-SM-5K7XP 60-69 years, male 41.9
GTEX-14PN4-0326-SM-6EU2N 50-59 years, male 41.3
GTEX-139T4-0326-SM-5K7XN 50-59 years, female 41.1
GTEX-P44H-0426-SM-2XCEZ 40-49 years, male 41.0
GTEX-18D9B-0426-SM-7LTAR 60-69 years, male 40.4
GTEX-11TTK-0326-SM-5BC5N 60-69 years, female 40.3
GTEX-SSA3-0326-SM-32QPS 60-69 years, male 40.3
GTEX-ZWKS-0326-SM-5NQ7G 30-39 years, male 40.3
GTEX-WOFL-0626-SM-3MJG3 60-69 years, male 40.2
GTEX-17HGU-0626-SM-7939Y 50-59 years, male 40.1
GTEX-SNMC-1426-SM-2XCFM 20-29 years, male 39.8
GTEX-SJXC-0526-SM-2XCFG 60-69 years, male 39.7
GTEX-V955-2426-SM-3GAEF 60-69 years, male 39.3
GTEX-1H3NZ-0326-SM-9MQL6 60-69 years, male 38.7
GTEX-13YAN-0526-SM-5O9BE 60-69 years, male 38.4
GTEX-1H3O1-0626-SM-9MQM4 60-69 years, male 38.0
GTEX-SN8G-0326-SM-32PLG 50-59 years, female 37.7
GTEX-1R9K5-0326-SM-EWRNG 50-59 years, male 36.7
GTEX-1LVAO-0526-SM-EWRNS 60-69 years, male 36.0
GTEX-1JMPZ-0126-SM-CNPOZ 30-39 years, male 35.6
GTEX-V1D1-2426-SM-3GAER 50-59 years, male 35.4
GTEX-Q2AI-1526-SM-3GIJ3 40-49 years, male 35.3
GTEX-1KANB-0126-SM-E6CJT 50-59 years, male 34.9
GTEX-QVJO-0126-SM-3GIK4 60-69 years, female 34.8
GTEX-VUSG-2626-SM-4KKZI 50-59 years, male 34.6
GTEX-UTHO-0726-SM-3GAEN 60-69 years, male 33.8
Show allShow less

SKELETAL MUSCLE - FANTOM5 CAGEi

RNA expression in human tissues obtained through Cap Analysis of Gene Expression (CAGE) generated by the FANTOM5 project are reported as Scaled Tags Per Million.

Max subtype Scaled Tags Per Millioni

Max subtype Scaled Tags Per Million is the value for the subtype with the largest average Scaled Tags Per Million across the subtype samples.

70.3
FANTOM5 sample id Sample description Scaled Tags Per Million
Skeletal muscle
Scaled Tags Per Million: 70.3
FF:10023-101D5 55,79,79 years, mixed 70.3
Skeletal muscle - soleus muscle
Scaled Tags Per Million: 67.0
FF:10282-104F3 male 67.0

Contact

  • NEWS ARTICLES
  • PRESS ROOM

The Project

  • INTRODUCTION
  • ORGANIZATION
  • PUBLICATIONS

The Human Protein Atlas

  • DOWNLOADABLE DATA
  • LICENCE & CITATION
  • HELP & FAQ
The Human Protein Atlas project is funded
by the Knut & Alice Wallenberg Foundation.


contact@proteinatlas.org