We use cookies to enhance the usability of our website. If you continue, we'll assume that you are happy to receive all cookies. More information. Don't show this again.
NCOR2
HPA
RESOURCES
  • TISSUE
  • BRAIN
  • SINGLE CELL
  • SUBCELLULAR
  • CANCER
  • BLOOD
  • CELL LINE
  • STRUCTURE & INTERACTION
ABOUT
  • INTRODUCTION
  • HISTORY
  • ORGANIZATION
  • PUBLICATIONS
  • ANTIBODY SUBMISSION
  • ANTIBODY AVAILABILITY
  • ACKNOWLEDGMENTS
  • CONTACT
NEWS
  • NEWS ARTICLES
  • PRESS ROOM
LEARN
  • DICTIONARY
  • PROTEIN CLASSES
  • PROTEIN EVIDENCE
  • METHODS
  • EDUCATIONAL VIDEOS
DATA
  • DOWNLOADABLE DATA
  • PUBLICATION DATA
  • RELEASE HISTORY
HELP
  • ANTIBODY VALIDATION
  • ASSAYS & ANNOTATION
  • DISCLAIMER
  • HELP & FAQ
  • PRIVACY STATEMENT
  • LICENCE & CITATION
Fields »
Search result

Field
Term
Gene name
Class
Subclass
Class
Keyword
Chromosome
External id
Tissue
Cell type
Expression
Antibody panel
Tissue
Main location
Patient ID
Annotation
Tissue
Category
Tau score
Cluster
Reliability
Brain region
Category
Tau score
Brain region
Category
Tau score
Brain region
Category
Tau score
Cluster
Reliability
Tissue
Cell type
Enrichment
Cell type
Category
Tau score
Cell type
Category
Tau score
Cell type
Category
Tau score
Cell lineage
Category
Tau score
Cluster
Cluster
Location
Searches
Location
Cell line
Class
Type
Phase
Reliability
Cancer
Prognosis
Cancer
Category
Cancer
Category
Tau score
Cluster
Variants
Interacting gene (ensg_id)
Type
Number of interactions
Pathway
Category
Score
Score
Score
Validation
Validation
Validation
Validation
Antibodies
Data type
Column


  • SUMMARY

  • TISSUE

  • BRAIN

  • SINGLE CELL

  • SUBCELL

  • CANCER

  • BLOOD

  • CELL LINE

  • STRUCT & INT

  • NCOR2
TISSUE PRIMARY DATA STOMACH Show tissue menu
ADIPOSE TISSUE ADRENAL GLAND AMYGDALA APPENDIX BASAL GANGLIA BONE MARROW BREAST CEREBELLUM CEREBRAL CORTEX CERVIX CHOROID PLEXUS COLON DUODENUM ENDOMETRIUM
EPIDIDYMIS ESOPHAGUS FALLOPIAN TUBE GALLBLADDER HEART MUSCLE HIPPOCAMPAL FORMATION HYPOTHALAMUS KIDNEY LIVER LUNG LYMPH NODE MIDBRAIN NASOPHARYNX ORAL MUCOSA
OVARY PANCREAS PARATHYROID GLAND PITUITARY GLAND PLACENTA PROSTATE RECTUM RETINA SALIVARY GLAND SEMINAL VESICLE SKELETAL MUSCLE SKIN SMALL INTESTINE SMOOTH MUSCLE
SOFT TISSUE SPINAL CORD SPLEEN STOMACH TESTIS THYMUS THYROID GLAND TONGUE TONSIL URINARY BLADDER VAGINA
ANTIBODIES
AND
VALIDATION
Dictionary
Tissue proteome
Stomach
STOMACH - Expression summary
Protein expression
Stomachi

On the top, protein expression in current human tissue, based on all annotated cell types, is reported with the units not detected (n), low (l), medium (m) and high (h). Underneath, protein expression in each annotated cell type are reported using the same units.

Protein expression data is based on knowledge-based annotation. For genes where more than one antibody has been used, a collective score is set.

If knowledge-based annotation could not be performed for a gene, no data is displayed here. View antibody staining data further down this page.

h
m
l
n
Glandular cells: Medium
RNA expressioni

A summary of mRNA expression data available for current tissue based on several datasets. The mRNA expression levels in human tissues are based on RNA-seq data generated by the Human Protein Atlas (HPA), Genotype-Tissue Expression (GTEx) portal and CAGE data generated by the FANTOM5 consortium. Consensus normalized expression levels for human tissues was created by combining the data from HPA and GTEx datasets.

The mRNA expression levels in pig are based on RNA-seq data generated by the Human Protein Atlas (HPA), and for mouse, HPA data and in situ hybridization generated by the Allen brain atlas are reported.

Scroll down to view mRNA expression data in more detail.
Consensus:44.5 nTPM
HPA:37.5 nTPM
GTEx:44.5 nTPM

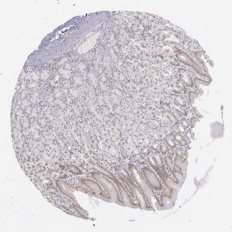
STOMACH 1 - Antibody stainingi

Antibody staining in the annotated cell types in the current human tissue is reported as not detected, low, medium, or high, based on conventional immunohistochemistry profiling in selected tissues. This score is based on the combination of the staining intensity and fraction of stained cells.

Each image is clickable and will lead to virtual microscopy that enables deeper exploration of all samples and also displays staining intensity scores, fraction scores and subcellular localization as well as patient and tissue information for each sample.

Antibody HPA001928
Glandular cells Medium

STOMACH 2 - Antibody stainingi

Antibody staining in the annotated cell types in the current human tissue is reported as not detected, low, medium, or high, based on conventional immunohistochemistry profiling in selected tissues. This score is based on the combination of the staining intensity and fraction of stained cells.

Each image is clickable and will lead to virtual microscopy that enables deeper exploration of all samples and also displays staining intensity scores, fraction scores and subcellular localization as well as patient and tissue information for each sample.

Antibody HPA001928
Glandular cells Medium



STOMACH - HPA RNA-seqi

The RNA-seq details section shows detailed information about the individual samples used for the transcript profiling and results of the RNA-seq analysis.

Information about each individual sample is listed below, including gender, age, a tissue section image and estimated fractions of cell types. nTPM (normalized transcripts per million) values give a quantification of the gene abundance which is comparable between different genes and samples.
Average nTPMi

Max subtype nTPM is the value for the subtype with the largest average nTPM across the subtype samples.

37.5
overview
Female, age 33
Stomach sample 61
nTPM: 41.2
Cell types%
Glandular cells:
60

Smooth muscle cells:
5

Other cell types:
35

N/A
Male, age 82
Stomach sample 240
nTPM: 42.1
Cell types%
Glandular cells:
65

Smooth muscle cells:
5

Other cell types:
30

overview
Male, age 71
Stomach sample 241
nTPM: 53.4
Cell types%
Glandular cells:
50

Smooth muscle cells:
5

Other cell types:
45

overview
Female, age 66
Stomach sample 369
nTPM: 13.2
Cell types%
Glandular cells:
50

Smooth muscle cells:
10

Other cell types:
40


STOMACH - GTEx RNA-seqi

RNA-Seq data generated by the Genotype-Tissue Expression (GTEx) project from human tissues is reported as mean nTPM. More information can be found on the GTEx portal.

Distribution across the dataset is visualized with box plots, shown as median and 25th and 75th percentiles. Points are displayed as outliers if they are above or below 1.5 times the interquartile range. nTPM values of the individual samples are presented next to the box plot.
Max subtype nTPMi

Max subtype nTPM is the value for the subtype with the largest average nTPM across the subtype samples.

44.5
GTEx sample id Sample description nTPM
Stomach
Average nTPM: 44.5
Samples: 359

Max nTPM: 76.6
Min nTPM: 21.9
Std nTPM: 9.4
Median nTPM: 43.6
GTEX-117YW-2226-SM-5N9DB 50-59 years, male 76.6
GTEX-ZPIC-2026-SM-57WG3 40-49 years, female 72.3
GTEX-WH7G-1526-SM-4LVMX 40-49 years, male 71.3
GTEX-1J8JJ-1726-SM-C1YQG 60-69 years, female 71.0
GTEX-1B97I-1226-SM-7MGWQ 40-49 years, male 70.6
GTEX-X15G-1126-SM-4PQZG 50-59 years, female 69.0
GTEX-13QBU-1126-SM-5LU44 40-49 years, female 68.0
GTEX-1399S-1626-SM-5P9GI 30-39 years, female 66.7
GTEX-1C475-1026-SM-7MKFJ 40-49 years, female 66.7
GTEX-1AMFI-1226-SM-731CZ 50-59 years, female 66.5
GTEX-14BIL-1926-SM-73KYI 50-59 years, male 66.2
GTEX-1JMLX-2426-SM-CXZJQ 50-59 years, male 66.0
GTEX-PWCY-0926-SM-48TD7 20-29 years, female 64.9
GTEX-11EQ9-1226-SM-5987E 30-39 years, male 64.2
GTEX-ZA64-0826-SM-5HL9U 20-29 years, male 63.3
GTEX-1I1HK-2026-SM-CNNRB 60-69 years, male 62.6
GTEX-11EM3-1026-SM-5A5KL 20-29 years, female 62.4
GTEX-11GSP-2126-SM-5HL5E 60-69 years, female 62.3
GTEX-ZPU1-1626-SM-4WWB2 40-49 years, male 62.0
GTEX-XUZC-0726-SM-4BOPH 30-39 years, female 61.7
GTEX-1HKZK-1526-SM-B2LWG 40-49 years, male 61.2
GTEX-WEY5-1226-SM-4LMIQ 40-49 years, female 60.6
GTEX-14DAR-0926-SM-73KUQ 50-59 years, male 60.0
GTEX-T6MO-0726-SM-4DM58 40-49 years, female 60.0
GTEX-QXCU-1926-SM-48FE4 50-59 years, male 59.8
GTEX-1QP28-2126-SM-DTX8B 50-59 years, female 59.6
GTEX-1QP2A-2126-SM-DPRZ7 50-59 years, male 59.3
GTEX-1B8KE-1326-SM-73KVI 50-59 years, male 59.1
GTEX-ZT9W-1526-SM-4YCDE 50-59 years, male 59.0
GTEX-P4QT-1526-SM-3NMCT 50-59 years, female 58.7
GTEX-13PVR-2126-SM-73KVR 60-69 years, female 58.6
GTEX-QLQW-0726-SM-447AA 30-39 years, male 58.4
GTEX-ZZ64-0426-SM-5E43F 20-29 years, male 58.4
GTEX-1AYCT-1326-SM-7MKHB 50-59 years, male 58.2
GTEX-13OVI-2426-SM-5KM4J 60-69 years, female 57.7
GTEX-13N1W-2026-SM-5K7YU 70-79 years, male 57.6
GTEX-12696-1726-SM-5EQLH 60-69 years, male 57.5
GTEX-1GF9U-1126-SM-AHZ4H 40-49 years, female 57.4
GTEX-1ICG6-1826-SM-AHZ2O 70-79 years, female 57.3
GTEX-S341-0626-SM-4AD5T 40-49 years, female 57.0
GTEX-W5WG-1726-SM-4LMI5 50-59 years, female 57.0
GTEX-WZTO-2126-SM-4PQYW 40-49 years, male 56.6
GTEX-PX3G-1526-SM-48U11 20-29 years, female 56.2
GTEX-RU1J-0526-SM-46MUT 20-29 years, female 56.2
GTEX-UJMC-1226-SM-4IHLI 50-59 years, male 55.4
GTEX-1LSNM-1026-SM-DHXL2 50-59 years, male 55.4
GTEX-1RQEC-2126-SM-DPS15 60-69 years, male 55.3
GTEX-12WSJ-0926-SM-5P9JD 40-49 years, female 54.9
GTEX-18A7A-2726-SM-7LG6U 50-59 years, female 54.8
GTEX-1L5NE-1526-SM-DIPFW 50-59 years, male 54.2
GTEX-13111-1226-SM-5GCNC 50-59 years, male 54.1
GTEX-R55C-1026-SM-48FCM 40-49 years, male 54.1
GTEX-T5JW-0926-SM-4DM5K 20-29 years, female 54.0
GTEX-YB5E-1126-SM-664NU 40-49 years, male 54.0
GTEX-1GL5R-1926-SM-9WG7U 50-59 years, male 53.9
GTEX-13FH7-1026-SM-5IJGF 50-59 years, female 53.8
GTEX-13FTW-1726-SM-5KM2B 40-49 years, male 53.7
GTEX-13OW6-2526-SM-5IJEC 50-59 years, male 53.7
GTEX-13CF3-1926-SM-5K7WF 60-69 years, female 53.6
GTEX-ZF29-1526-SM-4WKF7 60-69 years, female 53.6
GTEX-1A8G6-1426-SM-731EZ 60-69 years, male 53.5
GTEX-1HSEH-1526-SM-B2LXG 60-69 years, male 53.3
GTEX-ZEX8-1626-SM-4WKG7 50-59 years, male 53.2
GTEX-QLQ7-0826-SM-447B3 60-69 years, male 53.1
GTEX-Y9LG-1026-SM-5IFJN 30-39 years, male 53.0
GTEX-OXRL-1526-SM-E6CHQ 50-59 years, male 53.0
GTEX-12WSG-2026-SM-5FQUU 50-59 years, female 52.8
GTEX-PW2O-1226-SM-48TCH 20-29 years, male 52.8
GTEX-XXEK-0826-SM-4BRWG 50-59 years, male 52.8
GTEX-1H1E6-1626-SM-9OSWC 30-39 years, male 52.8
GTEX-1399U-1626-SM-5P9J3 50-59 years, female 52.7
GTEX-14PKV-1826-SM-69LO9 20-29 years, female 52.6
GTEX-1MCYP-1126-SM-E9J2P 20-29 years, female 52.5
GTEX-14DAQ-2826-SM-664MU 60-69 years, female 52.4
GTEX-R55D-1526-SM-48FEJ 50-59 years, male 52.3
GTEX-1LG7Z-1226-SM-DHXK4 30-39 years, male 52.3
GTEX-11VI4-0326-SM-5EQ6L 40-49 years, female 52.0
GTEX-1J8QM-1126-SM-C1YQB 60-69 years, female 52.0
GTEX-WRHK-0626-SM-4MVOE 20-29 years, female 51.6
GTEX-Y8LW-0826-SM-4WWDO 50-59 years, female 51.4
GTEX-YEC4-1426-SM-5IFHS 40-49 years, male 50.9
GTEX-WXYG-1626-SM-4ONCR 50-59 years, female 50.8
GTEX-14ICL-0826-SM-5YY9W 30-39 years, male 50.7
GTEX-ZVZP-1726-SM-5GZWY 50-59 years, male 50.7
GTEX-1J8Q3-1926-SM-C1YSJ 60-69 years, male 50.3
GTEX-QV44-1226-SM-CJI1S 50-59 years, male 50.1
GTEX-ZV7C-1626-SM-5NQ7E 50-59 years, male 50.0
GTEX-17F98-1526-SM-7EWD8 40-49 years, female 49.9
GTEX-1PIGE-1126-SM-EWRMV 20-29 years, male 49.8
GTEX-146FR-2026-SM-5NQAI 60-69 years, female 49.7
GTEX-14E6E-0926-SM-664N8 30-39 years, male 49.7
GTEX-YJ8A-1526-SM-5P9FT 20-29 years, male 49.7
GTEX-ZAB4-1526-SM-5CVN7 40-49 years, male 49.6
GTEX-15DZA-1126-SM-6LPK8 30-39 years, female 49.4
GTEX-1A3MV-1226-SM-718BW 30-39 years, male 49.4
GTEX-1E2YA-2426-SM-7EPIG 50-59 years, male 49.4
GTEX-QV31-0626-SM-447C5 30-39 years, male 49.3
GTEX-OXRK-1626-SM-3NB17 50-59 years, female 49.2
GTEX-Q2AI-0826-SM-48TZO 40-49 years, male 49.1
GTEX-1N2DV-0926-SM-E9TJT 40-49 years, male 49.1
GTEX-ZVT2-1626-SM-51MRC 50-59 years, female 48.8
GTEX-TMMY-1626-SM-4DXTY 40-49 years, female 48.4
GTEX-TKQ1-0526-SM-4DXTG 30-39 years, male 48.3
GTEX-Y3I4-1626-SM-4TT7W 50-59 years, male 48.3
GTEX-1JMPY-0926-SM-ARL92 30-39 years, male 48.3
GTEX-1LVAN-2426-SM-CNNPZ 50-59 years, female 48.2
GTEX-ZP4G-1226-SM-4WWCJ 20-29 years, female 48.0
GTEX-1I4MK-0926-SM-A9SLD 50-59 years, female 47.9
GTEX-O5YV-1926-SM-EV797 60-69 years, female 47.9
GTEX-SNMC-0626-SM-4DM6H 20-29 years, male 47.8
GTEX-WFG8-1326-SM-4LVN3 20-29 years, male 47.8
GTEX-1339X-1426-SM-5K7YO 40-49 years, male 47.7
GTEX-1H23P-2726-SM-9JGHN 60-69 years, male 47.5
GTEX-1HBPI-0726-SM-9WG7Z 50-59 years, male 47.5
GTEX-1AMEY-1226-SM-731DU 30-39 years, female 47.4
GTEX-18QFQ-1226-SM-718AE 30-39 years, male 47.3
GTEX-1CAMR-0726-SM-7EPIE 20-29 years, male 47.3
GTEX-Y5V6-1326-SM-4VDTF 60-69 years, male 47.3
GTEX-ZLFU-1326-SM-DO11R 40-49 years, male 47.3
GTEX-SNOS-0826-SM-4DM5N 40-49 years, male 47.2
GTEX-145LT-1426-SM-5O9B3 40-49 years, male 47.1
GTEX-17EUY-1526-SM-793CA 20-29 years, male 47.1
GTEX-17HII-2426-SM-7KFTT 50-59 years, male 46.7
GTEX-XBED-1226-SM-4AT5V 60-69 years, male 46.6
GTEX-1HCUA-1626-SM-A9SMG 50-59 years, female 46.5
GTEX-1HSMQ-2426-SM-CE6RY 50-59 years, male 46.5
GTEX-14PJ3-1426-SM-664O8 50-59 years, male 46.4
GTEX-1JKYN-1726-SM-AHZ48 30-39 years, male 46.4
GTEX-U3ZN-2026-SM-4DXUC 30-39 years, female 46.3
GTEX-WYVS-1326-SM-4ONCQ 40-49 years, female 46.3
GTEX-1QPFJ-1526-SM-DPRXT 30-39 years, female 46.3
GTEX-13X6H-1626-SM-5Q5CT 50-59 years, female 46.2
GTEX-1J8EW-2226-SM-AHZ3T 60-69 years, female 46.0
GTEX-13RTK-0226-SM-5RQHR 20-29 years, male 45.9
GTEX-15CHR-1326-SM-79OLT 50-59 years, male 45.9
GTEX-V1D1-1726-SM-4JBHB 50-59 years, male 45.9
GTEX-ZYFG-1326-SM-5GICJ 60-69 years, female 45.9
GTEX-P4PP-1526-SM-3P61M 30-39 years, female 45.8
GTEX-1A3MX-1926-SM-72D7F 60-69 years, male 45.7
GTEX-S4P3-0726-SM-4AD57 50-59 years, female 45.7
GTEX-UJHI-1026-SM-4IHJP 50-59 years, female 45.7
GTEX-1MJIX-1126-SM-EV7AO 40-49 years, male 45.7
GTEX-15DCE-1626-SM-6LPJM 20-29 years, male 45.6
GTEX-Y114-1226-SM-4TT88 50-59 years, female 45.6
GTEX-1CB4E-1326-SM-7DUGD 60-69 years, male 45.5
GTEX-1QCLY-1126-SM-EAZ4J 30-39 years, male 45.5
GTEX-144GM-1726-SM-5O9AS 20-29 years, male 45.3
GTEX-1PPH8-1326-SM-DTXFO 20-29 years, male 45.3
GTEX-1RB15-1026-SM-E9U6V 60-69 years, male 45.1
GTEX-ZVT3-2126-SM-59HL2 60-69 years, female 45.0
GTEX-1GPI7-1326-SM-9KNVA 20-29 years, male 45.0
GTEX-132QS-1826-SM-5IFFN 60-69 years, male 44.9
GTEX-13O61-1126-SM-5L3FI 60-69 years, male 44.9
GTEX-S4UY-1626-SM-4AD55 40-49 years, female 44.9
GTEX-S95S-0826-SM-4B64N 60-69 years, male 44.8
GTEX-144GN-1226-SM-5O991 50-59 years, male 44.7
GTEX-14JG6-1226-SM-664O6 30-39 years, female 44.6
GTEX-14PN3-1326-SM-6AJ9U 60-69 years, female 44.5
GTEX-ZYVF-2726-SM-5GID4 50-59 years, female 44.4
GTEX-PLZ6-0826-SM-3P61K 30-39 years, male 44.3
GTEX-TKQ2-0926-SM-4DXU5 50-59 years, male 44.3
GTEX-1QCLZ-1826-SM-DPRXP 60-69 years, female 44.3
GTEX-11WQK-2626-SM-5EQ4K 50-59 years, male 44.2
GTEX-13S7M-1826-SM-5RQK6 60-69 years, female 44.2
GTEX-1I1GT-1726-SM-C1YS3 60-69 years, female 44.2
GTEX-11NUK-2426-SM-5BC4U 50-59 years, male 44.1
GTEX-ZLV1-0826-SM-DO11P 60-69 years, female 44.1
GTEX-131XG-1226-SM-5EGH9 50-59 years, female 44.0
GTEX-R53T-1226-SM-48FCT 50-59 years, female 44.0
GTEX-1E1VI-2826-SM-7MGWU 50-59 years, male 44.0
GTEX-1LVAM-1426-SM-E9TJ4 50-59 years, female 44.0
GTEX-1S3DN-1526-SM-EVYCB 50-59 years, male 44.0
GTEX-OIZF-1526-SM-2I5GR 60-69 years, male 44.0
GTEX-S3XE-1026-SM-4AD4O 50-59 years, male 43.9
GTEX-1JN76-0926-SM-ARZNH 20-29 years, female 43.9
GTEX-17HHE-1026-SM-79ON6 50-59 years, male 43.8
GTEX-1B8L1-1526-SM-79OLK 60-69 years, male 43.8
GTEX-111CU-0926-SM-5EGIK 50-59 years, male 43.7
GTEX-14PKU-1126-SM-69LOU 40-49 years, female 43.7
GTEX-13FTX-0726-SM-5N9BI 20-29 years, female 43.6
GTEX-18A66-2226-SM-7189E 60-69 years, male 43.6
GTEX-1LGOU-1526-SM-D3LAJ 20-29 years, female 43.6
GTEX-1B8KZ-1226-SM-793CP 50-59 years, male 43.5
GTEX-POMQ-0826-SM-3P61H 20-29 years, female 43.5
GTEX-1HBPN-1626-SM-9WPNP 50-59 years, male 43.4
GTEX-12BJ1-1726-SM-5HL9B 60-69 years, male 43.2
GTEX-Q2AH-1126-SM-48TZM 40-49 years, male 43.2
GTEX-14PJ6-0826-SM-686Z9 60-69 years, female 43.1
GTEX-WFON-1126-SM-4LVMA 40-49 years, male 43.0
GTEX-ZYY3-1726-SM-5EGH3 60-69 years, female 43.0
GTEX-S4Q7-0726-SM-4AD5F 20-29 years, male 42.9
GTEX-1GMRU-2526-SM-9WG7T 50-59 years, male 42.8
GTEX-1HFI7-1526-SM-9WG7W 50-59 years, female 42.8
GTEX-QMRM-1126-SM-447BN 50-59 years, male 42.7
GTEX-11TT1-0726-SM-5GU5A 20-29 years, male 42.6
GTEX-15EU6-2526-SM-7KUGB 50-59 years, male 42.6
GTEX-13U4I-2526-SM-5SI8Z 40-49 years, female 42.5
GTEX-14PHY-0926-SM-5ZZWL 60-69 years, female 42.4
GTEX-VJYA-1026-SM-4KL21 60-69 years, male 42.4
GTEX-14PHX-1026-SM-664OL 50-59 years, male 42.2
GTEX-11DXX-1326-SM-5GIDZ 60-69 years, female 42.1
GTEX-17F9E-2226-SM-7IGNC 50-59 years, male 42.1
GTEX-PWN1-1526-SM-48TDA 40-49 years, female 42.1
GTEX-14PJ4-1626-SM-664OB 60-69 years, male 41.7
GTEX-S4Z8-1226-SM-4AD6W 60-69 years, male 41.7
GTEX-1H3VY-2326-SM-9WG81 50-59 years, male 41.6
GTEX-1K2DA-0826-SM-CGQGD 50-59 years, male 41.6
GTEX-131XF-1226-SM-5HL8V 60-69 years, male 41.5
GTEX-NFK9-1526-SM-3LK7B 40-49 years, male 41.5
GTEX-ZY6K-0726-SM-5A5L8 50-59 years, male 41.5
GTEX-1GZ4H-1026-SM-9OSXL 50-59 years, female 41.5
GTEX-15G19-1526-SM-6LPKP 60-69 years, male 41.3
GTEX-1KXAM-0926-SM-CXZKA 60-69 years, male 41.3
GTEX-ZGAY-1626-SM-DNZZ3 40-49 years, female 41.3
GTEX-T5JC-1926-SM-4DM6Q 20-29 years, male 41.2
GTEX-17MF6-2126-SM-7KFS7 40-49 years, male 41.1
GTEX-12WSD-2326-SM-59HKQ 60-69 years, female 41.0
GTEX-OIZH-1526-SM-3NB1J 50-59 years, male 41.0
GTEX-1C64O-2226-SM-73KTV 60-69 years, male 40.9
GTEX-15RIE-1026-SM-6LPJQ 60-69 years, male 40.7
GTEX-17JCI-2226-SM-7LTA1 60-69 years, female 40.7
GTEX-WYJK-2526-SM-4ONDF 50-59 years, male 40.7
GTEX-1H3NZ-2226-SM-9WYUT 60-69 years, male 40.6
GTEX-139YR-1926-SM-5LZXM 50-59 years, male 40.5
GTEX-QDVN-1226-SM-48TZ5 50-59 years, male 40.5
GTEX-YEC3-1426-SM-D4P1S 50-59 years, male 40.5
GTEX-133LE-1326-SM-5IFGO 20-29 years, female 40.4
GTEX-1R7EU-1126-SM-EAZ4M 60-69 years, male 40.4
GTEX-1211K-1426-SM-5FQTF 60-69 years, female 40.3
GTEX-QDVJ-1426-SM-48U1Y 50-59 years, male 40.3
GTEX-1I6K7-1726-SM-B2LXQ 40-49 years, male 40.3
GTEX-145ME-1026-SM-5O9B4 40-49 years, female 40.2
GTEX-Y5LM-1326-SM-5RQIS 40-49 years, female 40.2
GTEX-117YX-1026-SM-5H11V 50-59 years, male 40.1
GTEX-15G1A-1226-SM-7KUF3 30-39 years, male 40.1
GTEX-OHPK-1526-SM-3MJGM 50-59 years, female 40.1
GTEX-QCQG-0526-SM-48U2A 50-59 years, female 40.1
GTEX-WY7C-1726-SM-4ONCC 50-59 years, male 40.1
GTEX-1HCU8-1326-SM-C1YQQ 60-69 years, female 40.1
GTEX-14BMU-1126-SM-5RQJ8 20-29 years, female 40.0
GTEX-ZE7O-3026-SM-51MS4 50-59 years, female 40.0
GTEX-ZXES-1426-SM-5NQ8S 30-39 years, female 40.0
GTEX-11P82-0726-SM-5PNYL 20-29 years, male 39.9
GTEX-14B4R-0726-SM-5TDDR 30-39 years, male 39.9
GTEX-V955-1326-SM-4JBHR 60-69 years, male 39.9
GTEX-ZQUD-0826-SM-57WDQ 30-39 years, male 39.9
GTEX-1122O-1926-SM-5EGIQ 60-69 years, female 39.8
GTEX-13PVQ-2126-SM-5L3FW 50-59 years, male 39.8
GTEX-13X6J-2126-SM-5TDCV 50-59 years, male 39.8
GTEX-1B97J-1826-SM-7IGPP 50-59 years, female 39.8
GTEX-ZV6S-0926-SM-57WGB 40-49 years, female 39.7
GTEX-ZVP2-1626-SM-5GU5D 50-59 years, male 39.6
GTEX-13D11-2126-SM-5IFH2 50-59 years, female 39.4
GTEX-14PJ5-0826-SM-6AJAR 60-69 years, female 39.4
GTEX-WHWD-1426-SM-4OORU 50-59 years, male 39.4
GTEX-1HR9M-2326-SM-CNPPZ 60-69 years, male 39.3
GTEX-13OVK-0926-SM-7KUFX 40-49 years, male 39.1
GTEX-14BMV-2226-SM-5RQHX 50-59 years, male 38.9
GTEX-WHPG-0426-SM-4M1XW 50-59 years, male 38.9
GTEX-13O21-0926-SM-5IFGT 50-59 years, male 38.8
GTEX-1H1DG-2126-SM-9WPPB 70-79 years, male 38.8
GTEX-11P7K-1726-SM-5GU6F 30-39 years, male 38.7
GTEX-12WSK-1426-SM-5CVNN 40-49 years, female 38.7
GTEX-13O3Q-2126-SM-5KM4C 50-59 years, male 38.7
GTEX-18D9B-2226-SM-718BM 60-69 years, male 38.6
GTEX-1399R-1126-SM-5IFIO 30-39 years, male 38.5
GTEX-1MUQO-1926-SM-EAZ59 60-69 years, male 38.5
GTEX-139D8-2326-SM-5IFGE 30-39 years, female 38.4
GTEX-1LGRB-1726-SM-CNNRA 50-59 years, female 38.4
GTEX-11EI6-2426-SM-5PNVS 60-69 years, male 38.2
GTEX-145MO-2226-SM-5Q5BN 60-69 years, male 38.2
GTEX-15UF7-1226-SM-6M46G 40-49 years, male 38.1
GTEX-RWS6-0926-SM-47JXE 60-69 years, female 38.1
GTEX-O5YW-1526-SM-3MJGL 50-59 years, male 38.0
GTEX-P78B-1826-SM-3P5YX 40-49 years, female 38.0
GTEX-1JMQJ-1326-SM-D4P3B 50-59 years, male 38.0
GTEX-1LBAC-1426-SM-CXZKT 20-29 years, male 37.8
GTEX-145MN-1326-SM-5NQ9S 30-39 years, male 37.7
GTEX-1R9K5-1026-SM-EAZ4F 50-59 years, male 37.7
GTEX-13113-0726-SM-5LZUF 60-69 years, female 37.6
GTEX-1JN1M-2926-SM-CNNPJ 60-69 years, female 37.5
GTEX-1HT8W-2326-SM-A9SLA 30-39 years, male 37.4
GTEX-XAJ8-0326-SM-47JYI 40-49 years, male 37.2
GTEX-XV7Q-1326-SM-4BRWM 40-49 years, female 37.2
GTEX-16AAH-1226-SM-79OO9 50-59 years, male 37.0
GTEX-ZTX8-0426-SM-59HLG 20-29 years, male 37.0
GTEX-13QJ3-2726-SM-5SI6L 50-59 years, male 36.9
GTEX-XPVG-1526-SM-4B66C 50-59 years, male 36.9
GTEX-1H1DE-1226-SM-9JGHH 20-29 years, male 36.8
GTEX-R55G-1126-SM-48FDG 40-49 years, female 36.7
GTEX-1IDJU-1526-SM-CNNR3 60-69 years, female 36.7
GTEX-1IDJD-2426-SM-C1YS6 30-39 years, male 36.6
GTEX-Q734-1026-SM-48U16 40-49 years, female 36.3
GTEX-U4B1-1026-SM-4DXT1 40-49 years, male 36.3
GTEX-1GN1W-2126-SM-9JGI7 50-59 years, female 36.3
GTEX-1S831-1126-SM-EWROI 20-29 years, male 36.3
GTEX-131XE-2226-SM-5PNYX 50-59 years, male 36.2
GTEX-RM2N-0826-SM-48FD3 50-59 years, male 36.2
GTEX-1JMPZ-1826-SM-CXZJT 30-39 years, male 36.2
GTEX-WFG7-1326-SM-4LMK1 20-29 years, male 36.1
GTEX-RTLS-2626-SM-46MUJ 60-69 years, female 36.0
GTEX-1AX9J-2626-SM-731EK 60-69 years, male 35.8
GTEX-1H11D-2226-SM-9OSXN 40-49 years, male 35.8
GTEX-ZLWG-1526-SM-DO12F 50-59 years, female 35.8
GTEX-SUCS-0926-SM-4DM4Z 70-79 years, male 35.6
GTEX-ZDYS-1926-SM-5HL59 50-59 years, male 35.6
GTEX-12C56-0526-SM-5FQST 20-29 years, male 35.4
GTEX-XQ8I-2026-SM-4BOOL 50-59 years, male 35.2
GTEX-ZF2S-1426-SM-57WET 50-59 years, female 35.1
GTEX-1JK1U-1326-SM-AHZ45 60-69 years, male 35.0
GTEX-1S82Z-1726-SM-E6CHZ 30-39 years, female 34.9
GTEX-16NGA-1526-SM-72D56 40-49 years, female 34.8
GTEX-P4PQ-1526-SM-3NMCK 60-69 years, male 34.8
GTEX-1QMI2-2126-SM-DPRXQ 60-69 years, male 34.8
GTEX-111YS-1126-SM-5GZYQ 60-69 years, male 34.5
GTEX-18A67-2626-SM-718AD 50-59 years, male 34.5
GTEX-11NSD-1426-SM-5HL67 20-29 years, male 34.4
GTEX-Y8E4-1526-SM-4WWDI 40-49 years, male 34.4
GTEX-RUSQ-1126-SM-EAZAU 50-59 years, male 34.4
GTEX-WHSB-1226-SM-4M1XR 50-59 years, male 34.2
GTEX-1F5PL-1426-SM-7MKFH 40-49 years, female 34.1
GTEX-OOBJ-1526-SM-3NB1Q 60-69 years, male 34.1
GTEX-1KANA-1126-SM-D3L9M 20-29 years, male 34.1
GTEX-1QW4Y-0726-SM-DTX8E 30-39 years, male 33.9
GTEX-146FH-2126-SM-5SI9U 50-59 years, female 32.6
GTEX-XMK1-1526-SM-EYYVO 40-49 years, male 32.5
GTEX-XBEW-1826-SM-4RTWX 40-49 years, male 32.2
GTEX-ZZPU-1426-SM-5GZZ6 50-59 years, female 32.1
GTEX-1NSGN-1926-SM-E9J36 50-59 years, male 32.1
GTEX-WFJO-1126-SM-4LVLZ 30-39 years, male 31.9
GTEX-QDT8-2026-SM-EZ6LS 30-39 years, female 31.5
GTEX-17KNJ-1526-SM-7LTA9 50-59 years, male 31.3
GTEX-1KD5A-1426-SM-D4P3V 50-59 years, male 30.9
GTEX-1QP29-2326-SM-EXOJO 50-59 years, male 30.7
GTEX-1QP67-1026-SM-EVR47 40-49 years, female 30.6
GTEX-1MGNQ-1826-SM-DPRYI 40-49 years, male 30.4
GTEX-YFCO-0826-SM-5LUAG 40-49 years, male 30.3
GTEX-14E1K-1526-SM-664MN 50-59 years, male 30.2
GTEX-OHPM-1526-SM-EV796 50-59 years, male 30.2
GTEX-1IL2V-2026-SM-ARZMA 70-79 years, male 30.1
GTEX-15SHW-2126-SM-6M46Y 60-69 years, male 29.8
GTEX-1RAZR-1526-SM-EAZ4U 40-49 years, male 29.8
GTEX-18D9A-0626-SM-7KFTY 30-39 years, female 29.6
GTEX-1RMOY-1126-SM-EV79E 50-59 years, male 29.2
GTEX-17HGU-2126-SM-7IGOV 50-59 years, male 29.1
GTEX-1F75I-1826-SM-7MKGX 40-49 years, male 29.1
GTEX-1IDJF-1426-SM-ACKWK 20-29 years, male 29.1
GTEX-S7SF-0626-SM-4AD4V 20-29 years, female 28.8
GTEX-132AR-2426-SM-5IFFD 50-59 years, female 28.0
GTEX-T8EM-1226-SM-4DM5J 40-49 years, male 27.6
GTEX-1CB4H-2426-SM-7PBYR 60-69 years, female 27.6
GTEX-17GQL-1226-SM-7KFTS 60-69 years, male 27.5
GTEX-11I78-1726-SM-5A5M3 50-59 years, female 27.4
GTEX-UPK5-2126-SM-4JBJK 40-49 years, male 26.7
GTEX-Y3IK-1426-SM-4YCES 50-59 years, female 26.7
GTEX-1F5PK-1826-SM-7RHHX 50-59 years, male 25.7
GTEX-15RIF-1126-SM-7KUG2 20-29 years, male 24.6
GTEX-PLZ5-1226-SM-EXOHA 50-59 years, male 24.2
GTEX-1EH9U-2226-SM-7PBXX 60-69 years, male 21.9
Show allShow less

Contact

  • NEWS ARTICLES
  • PRESS ROOM

The Project

  • INTRODUCTION
  • ORGANIZATION
  • PUBLICATIONS

The Human Protein Atlas

  • DOWNLOADABLE DATA
  • LICENCE & CITATION
  • HELP & FAQ
The Human Protein Atlas project is funded
by the Knut & Alice Wallenberg Foundation.


contact@proteinatlas.org