We use cookies to enhance the usability of our website. If you continue, we'll assume that you are happy to receive all cookies. More information. Don't show this again.
HDAC2
HPA
RESOURCES
  • TISSUE
  • BRAIN
  • SINGLE CELL
  • SUBCELLULAR
  • CANCER
  • BLOOD
  • CELL LINE
  • STRUCTURE & INTERACTION
ABOUT
  • INTRODUCTION
  • HISTORY
  • ORGANIZATION
  • PUBLICATIONS
  • ANTIBODY SUBMISSION
  • ANTIBODY AVAILABILITY
  • ACKNOWLEDGMENTS
  • CONTACT
NEWS
  • NEWS ARTICLES
  • PRESS ROOM
LEARN
  • DICTIONARY
  • PROTEIN CLASSES
  • PROTEIN EVIDENCE
  • METHODS
  • EDUCATIONAL VIDEOS
DATA
  • DOWNLOADABLE DATA
  • PUBLICATION DATA
  • RELEASE HISTORY
HELP
  • ANTIBODY VALIDATION
  • ASSAYS & ANNOTATION
  • DISCLAIMER
  • HELP & FAQ
  • PRIVACY STATEMENT
  • LICENCE & CITATION
Fields »
Search result

Field
Term
Gene name
Class
Subclass
Class
Keyword
Chromosome
External id
Tissue
Cell type
Expression
Antibody panel
Tissue
Main location
Patient ID
Annotation
Tissue
Category
Tau score
Cluster
Reliability
Brain region
Category
Tau score
Brain region
Category
Tau score
Brain region
Category
Tau score
Cluster
Reliability
Tissue
Cell type
Enrichment
Cell type
Category
Tau score
Cell type
Category
Tau score
Cell type
Category
Tau score
Cell lineage
Category
Tau score
Cluster
Cluster
Location
Searches
Location
Cell line
Class
Type
Phase
Reliability
Cancer
Prognosis
Cancer
Category
Cancer
Category
Tau score
Cluster
Variants
Interacting gene (ensg_id)
Type
Number of interactions
Pathway
Category
Score
Score
Score
Validation
Validation
Validation
Validation
Antibodies
Data type
Column


  • SUMMARY

  • TISSUE

  • BRAIN

  • SINGLE CELL

  • SUBCELL

  • CANCER

  • BLOOD

  • CELL LINE

  • STRUCT & INT

  • HDAC2
TISSUE PRIMARY DATA SKIN Show tissue menu
ADIPOSE TISSUE ADRENAL GLAND AMYGDALA APPENDIX BASAL GANGLIA BONE MARROW BREAST BRONCHUS CEREBELLUM CEREBRAL CORTEX CERVIX CHOROID PLEXUS COLON DUODENUM
ENDOMETRIUM EPIDIDYMIS ESOPHAGUS FALLOPIAN TUBE GALLBLADDER HEART MUSCLE HIPPOCAMPAL FORMATION HYPOTHALAMUS KIDNEY LIVER LUNG LYMPH NODE MIDBRAIN NASOPHARYNX
ORAL MUCOSA OVARY PANCREAS PARATHYROID GLAND PITUITARY GLAND PLACENTA PROSTATE RECTUM RETINA SALIVARY GLAND SEMINAL VESICLE SKELETAL MUSCLE SKIN SMALL INTESTINE
SMOOTH MUSCLE SOFT TISSUE SPINAL CORD SPLEEN STOMACH TESTIS THYMUS THYROID GLAND TONGUE TONSIL URINARY BLADDER VAGINA
ANTIBODIES
AND
VALIDATION
Dictionary
Skin
Tissue proteome
Skin
SKIN - Expression summary
Protein expression
Skini

On the top, protein expression in current human tissue, based on all annotated cell types, is reported with the units not detected (n), low (l), medium (m) and high (h). Underneath, protein expression in each annotated cell type are reported using the same units.

Protein expression data is based on knowledge-based annotation. For genes where more than one antibody has been used, a collective score is set.

If knowledge-based annotation could not be performed for a gene, no data is displayed here. View antibody staining data further down this page.

h
m
l
n
Cells in basal layer: High
Cells in corneal layer: Not detected
Cells in granular layer: High
Cells in spinous layer: High
Endothelial cells: High
Extracellular matrix: Not detected
Fibrohistiocytic cells: High
Langerhans cells: High
Lymphocytes: High
Melanocytes: High
Vascular mural cells: High
RNA expressioni

A summary of mRNA expression data available for current tissue based on several datasets. The mRNA expression levels in human tissues are based on RNA-seq data generated by the Human Protein Atlas (HPA), Genotype-Tissue Expression (GTEx) portal and CAGE data generated by the FANTOM5 consortium. Consensus normalized expression levels for human tissues was created by combining the data from HPA and GTEx datasets.

The mRNA expression levels in pig are based on RNA-seq data generated by the Human Protein Atlas (HPA), and for mouse, HPA data and in situ hybridization generated by the Allen brain atlas are reported.

Scroll down to view mRNA expression data in more detail.
Consensus:44.9 nTPM
HPA:44.9 nTPM
GTEx:38.3 nTPM

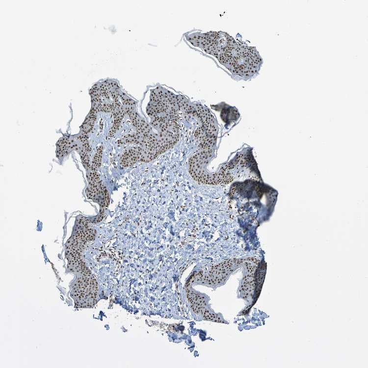
SKIN 1 - Antibody stainingi

Antibody staining in the annotated cell types in the current human tissue is reported as not detected, low, medium, or high, based on conventional immunohistochemistry profiling in selected tissues. This score is based on the combination of the staining intensity and fraction of stained cells.

Each image is clickable and will lead to virtual microscopy that enables deeper exploration of all samples and also displays staining intensity scores, fraction scores and subcellular localization as well as patient and tissue information for each sample.

Antibody HPA011727Antibody CAB005054
Langerhans High-
Cells in basal layer -High
Cells in corneal layer -Not detected
Cells in granular layer -High
Cells in spinous layer -High
Endothelial cells -High
Extracellular matrix -Not detected
Fibroblasts High-
Fibrohistiocytic cells -High
Keratinocytes High-
Langerhans cells -High
Lymphocytes -High
Melanocytes LowHigh
Vascular mural cells -Medium

SKIN 2 - Antibody stainingi

Antibody staining in the annotated cell types in the current human tissue is reported as not detected, low, medium, or high, based on conventional immunohistochemistry profiling in selected tissues. This score is based on the combination of the staining intensity and fraction of stained cells.

Each image is clickable and will lead to virtual microscopy that enables deeper exploration of all samples and also displays staining intensity scores, fraction scores and subcellular localization as well as patient and tissue information for each sample.

Antibody HPA011727Antibody CAB005054
Cells in basal layer -High
Cells in corneal layer -Not detected
Cells in granular layer -High
Cells in spinous layer -High
Endothelial cells -High
Epidermal cells High-
Extracellular matrix -Not detected
Fibrohistiocytic cells -High
Langerhans cells -High
Lymphocytes -High
Melanocytes -High
Vascular mural cells -High
  
  




SKIN - HPA RNA-seqi

The RNA-seq details section shows detailed information about the individual samples used for the transcript profiling and results of the RNA-seq analysis.

Information about each individual sample is listed below, including gender, age, a tissue section image and estimated fractions of cell types. nTPM (normalized transcripts per million) values give a quantification of the gene abundance which is comparable between different genes and samples.
Average nTPMi

Max subtype nTPM is the value for the subtype with the largest average nTPM across the subtype samples.

44.9
overview
Female, age 34
Skin sample 225
nTPM: 51.6
Cell types%
Keratinocytes:
60

Other cell types:
40

overview
Female, age 30
Skin sample 226
nTPM: 50.8
Cell types%
Keratinocytes:
55

Other cell types:
45

N/A
Male, age 57
Skin sample 227
nTPM: 32.2

SKIN - GTEx RNA-seqi

RNA-Seq data generated by the Genotype-Tissue Expression (GTEx) project from human tissues is reported as mean nTPM. More information can be found on the GTEx portal.

Distribution across the dataset is visualized with box plots, shown as median and 25th and 75th percentiles. Points are displayed as outliers if they are above or below 1.5 times the interquartile range. nTPM values of the individual samples are presented next to the box plot.
Max subtype nTPMi

Max subtype nTPM is the value for the subtype with the largest average nTPM across the subtype samples.

38.3
GTEx sample id Sample description nTPM
Skin - Not Sun Exposed (Suprapubic)
Average nTPM: 38.3
Samples: 604

Max nTPM: 68.8
Min nTPM: 23.6
Std nTPM: 6.7
Median nTPM: 37.4
GTEX-1F6RS-2026-SM-7RHHC 60-69 years, female 68.8
GTEX-15SKB-2826-SM-6PAMH 60-69 years, male 68.2
GTEX-11WQK-1026-SM-5EQLX 50-59 years, male 67.4
GTEX-145MI-0626-SM-5SI8S 60-69 years, female 64.6
GTEX-144GL-0626-SM-5LU4D 50-59 years, male 57.9
GTEX-13IVO-0726-SM-5LZYV 70-79 years, male 57.8
GTEX-15DDE-2926-SM-6LLJ3 50-59 years, female 57.6
GTEX-148VJ-0626-SM-5LUAW 70-79 years, male 56.6
GTEX-1GN1V-2826-SM-9JGIA 60-69 years, male 56.5
GTEX-ZE7O-2726-SM-51MT5 50-59 years, female 56.3
GTEX-1399Q-2326-SM-5KM2X 40-49 years, male 56.0
GTEX-1HR9M-2226-SM-CNPPY 60-69 years, male 55.7
GTEX-WHSE-0126-SM-3NMBT 20-29 years, male 55.0
GTEX-1E2YA-2126-SM-7MXUO 50-59 years, male 54.8
GTEX-18A67-1626-SM-7LT9T 50-59 years, male 54.6
GTEX-13G51-1826-SM-5KLZH 60-69 years, male 53.7
GTEX-18A6Q-0626-SM-7KFRP 60-69 years, male 53.7
GTEX-U8XE-0226-SM-4E3J3 30-39 years, male 53.7
GTEX-13PDP-0726-SM-5L3HP 60-69 years, male 53.6
GTEX-14A5H-0826-SM-5QGPJ 60-69 years, male 53.5
GTEX-11WQC-1826-SM-5GU59 60-69 years, male 52.6
GTEX-17F9Y-0126-SM-79OKX 70-79 years, female 52.5
GTEX-139UW-0326-SM-5J1ML 60-69 years, male 52.2
GTEX-1OJC4-2726-SM-E76PJ 50-59 years, female 52.0
GTEX-14PII-0726-SM-6EU2B 60-69 years, male 51.9
GTEX-13SLW-0626-SM-5Q5ER 70-79 years, male 51.7
GTEX-13NZ8-1226-SM-5KM4A 60-69 years, female 51.3
GTEX-13YAN-0226-SM-5TDC6 60-69 years, male 51.3
GTEX-1J8Q2-2626-SM-ACKWQ 60-69 years, male 51.3
GTEX-13PL6-1126-SM-5L3IE 40-49 years, female 51.2
GTEX-1IE54-1126-SM-A9G2Z 40-49 years, female 50.8
GTEX-12WSD-0626-SM-5GCMW 60-69 years, female 50.4
GTEX-14LZ3-0126-SM-69LPM 60-69 years, female 50.4
GTEX-1HGF4-0126-SM-CNPPX 60-69 years, male 50.4
GTEX-13QJC-0126-SM-5ZZWJ 60-69 years, female 50.3
GTEX-14XAO-1226-SM-6EU1C 60-69 years, female 50.2
GTEX-ZYT6-2326-SM-5GZY3 30-39 years, male 50.1
GTEX-1H3VE-0726-SM-9YFL5 40-49 years, male 50.0
GTEX-1ICLY-0826-SM-CMKG1 50-59 years, male 50.0
GTEX-1HCU7-0726-SM-A9SL1 50-59 years, male 49.7
GTEX-13OW5-2326-SM-5L3HO 60-69 years, male 49.2
GTEX-15ER7-0626-SM-6PANF 20-29 years, female 49.2
GTEX-ZC5H-1526-SM-5HL9Y 40-49 years, female 49.2
GTEX-15RIE-1926-SM-7KUKJ 60-69 years, male 49.1
GTEX-13NYB-0126-SM-5J1MD 40-49 years, male 49.0
GTEX-1LGRB-0926-SM-COH3K 50-59 years, female 49.0
GTEX-14C39-1726-SM-5RQIL 40-49 years, male 48.8
GTEX-1A3MW-0626-SM-731CB 60-69 years, female 48.5
GTEX-1BAJH-2426-SM-7IGP8 70-79 years, male 48.4
GTEX-1GF9X-1326-SM-7PC2Y 40-49 years, female 48.3
GTEX-1JMQJ-0826-SM-CNPP7 50-59 years, male 48.2
GTEX-1PBJJ-1026-SM-E76OS 30-39 years, male 48.2
GTEX-144GO-2026-SM-5O99P 60-69 years, male 48.1
GTEX-11EQ8-0926-SM-5H12V 60-69 years, male 47.9
GTEX-1PIGE-1826-SM-E8VOU 20-29 years, male 47.9
GTEX-139D8-1126-SM-5LU8W 30-39 years, female 47.6
GTEX-ZF3C-0626-SM-DO92O 50-59 years, female 47.6
GTEX-1HT8W-0626-SM-A9G2H 30-39 years, male 47.5
GTEX-1F88E-1626-SM-7SB8Z 60-69 years, female 47.4
GTEX-ZVE1-0726-SM-51MRN 50-59 years, female 47.2
GTEX-1C6VR-0126-SM-7RHGB 60-69 years, male 47.2
GTEX-1R9PN-0426-SM-DTXDT 40-49 years, female 47.2
GTEX-1F52S-2926-SM-7MKGA 60-69 years, female 47.0
GTEX-1GMR8-0626-SM-7RHI7 50-59 years, female 47.0
GTEX-VUSG-2326-SM-4KL1U 50-59 years, male 46.9
GTEX-ZTTD-2826-SM-4YCFA 50-59 years, male 46.9
GTEX-1R9PM-1926-SM-EVR3O 20-29 years, male 46.9
GTEX-11DXY-0126-SM-5H11Q 60-69 years, male 46.8
GTEX-1S5ZU-2526-SM-E6CIF 20-29 years, female 46.8
GTEX-YECK-0326-SM-4W1YS 60-69 years, male 46.6
GTEX-1I1GP-1326-SM-A9G28 50-59 years, male 46.6
GTEX-145MG-1526-SM-5Q5EM 50-59 years, male 46.2
GTEX-145MH-2826-SM-5RQJF 50-59 years, male 46.2
GTEX-1A8FM-0626-SM-7PC25 50-59 years, female 46.1
GTEX-1HCVE-2726-SM-CL54F 50-59 years, male 46.1
GTEX-1I1GU-0926-SM-ACKVS 40-49 years, male 45.9
GTEX-1NSGN-0726-SM-DTXEF 50-59 years, male 45.8
GTEX-14JG1-1526-SM-5YY9X 40-49 years, male 45.7
GTEX-1313W-0626-SM-5EQ4H 50-59 years, female 45.6
GTEX-1H3O1-1326-SM-9MQLD 60-69 years, male 45.6
GTEX-15RJE-2826-SM-7KUM9 40-49 years, male 45.4
GTEX-1F75A-0726-SM-7RHHD 50-59 years, male 45.4
GTEX-1H1CY-0126-SM-9YFLY 60-69 years, female 45.3
GTEX-1HSMP-0926-SM-A9SKX 70-79 years, male 45.2
GTEX-1117F-2926-SM-5GZYI 60-69 years, female 45.1
GTEX-15DYW-2726-SM-6EU2I 60-69 years, female 45.0
GTEX-W5X1-2526-SM-3GILC 40-49 years, female 44.9
GTEX-111VG-1626-SM-5EGIO 60-69 years, male 44.8
GTEX-14PJ5-1526-SM-6LLIL 60-69 years, female 44.8
GTEX-1B8L1-2226-SM-7P8PT 60-69 years, male 44.8
GTEX-1F75B-0726-SM-7PC3R 50-59 years, male 44.8
GTEX-1IDFM-0326-SM-ARL7V 60-69 years, male 44.8
GTEX-13FLV-0126-SM-5K7WT 50-59 years, male 44.7
GTEX-14LLW-2626-SM-62LDZ 70-79 years, female 44.5
GTEX-17MFQ-1526-SM-7KFRR 20-29 years, male 44.5
GTEX-1HBPM-0726-SM-9YFL7 60-69 years, female 44.5
GTEX-145MF-0926-SM-5Q5EA 50-59 years, male 44.4
GTEX-1GZ4I-2626-SM-9KNU3 50-59 years, male 44.4
GTEX-147GR-2426-SM-5ZZWQ 60-69 years, male 44.3
GTEX-15G19-2426-SM-7KUMR 60-69 years, male 44.3
GTEX-1GN1U-0626-SM-9MQL9 50-59 years, female 44.3
GTEX-139TS-2126-SM-5K7XC 60-69 years, male 44.2
GTEX-16YQH-2226-SM-7IGM2 30-39 years, male 44.2
GTEX-13O3O-2326-SM-5IJD6 60-69 years, female 44.1
GTEX-13OVH-0526-SM-5L3E6 70-79 years, male 44.1
GTEX-13NYS-0626-SM-5L3F1 60-69 years, male 44.0
GTEX-16GPK-0626-SM-7KFSF 60-69 years, male 44.0
GTEX-1A8G7-1326-SM-73KVM 60-69 years, male 44.0
GTEX-WH7G-2026-SM-3NMBL 40-49 years, male 44.0
GTEX-ZXG5-2126-SM-59HKD 60-69 years, male 44.0
GTEX-1I1HK-2326-SM-CKZOH 60-69 years, male 43.9
GTEX-1NV5F-0626-SM-DTXEG 60-69 years, female 43.9
GTEX-1GPI6-1926-SM-9KNV7 60-69 years, male 43.8
GTEX-14JFF-0626-SM-5ZZVT 60-69 years, male 43.7
GTEX-12KS4-2126-SM-5FQUT 30-39 years, male 43.5
GTEX-1399S-0126-SM-5IJCF 30-39 years, female 43.5
GTEX-YFCO-1226-SM-5LUAT 40-49 years, male 43.5
GTEX-ZYW4-0626-SM-59HJR 60-69 years, male 43.5
GTEX-13FTY-2126-SM-5IFFB 40-49 years, female 43.3
GTEX-ZY6K-1426-SM-5GZX2 50-59 years, male 43.3
GTEX-14C38-0726-SM-5SI6M 50-59 years, male 43.2
GTEX-ZF2S-1626-SM-57WES 50-59 years, female 43.2
GTEX-1H11D-1826-SM-9QEHM 40-49 years, male 43.1
GTEX-1RAZR-2126-SM-E9U6T 40-49 years, male 43.1
GTEX-UPK5-0426-SM-3GAEK 40-49 years, male 43.0
GTEX-XMD2-2126-SM-4YCF8 60-69 years, female 43.0
GTEX-ZVT4-2426-SM-5GIEI 50-59 years, female 43.0
GTEX-1GN2E-0226-SM-9WG6K 60-69 years, male 43.0
GTEX-1LSNL-2726-SM-E9TKJ 50-59 years, male 42.9
GTEX-12ZZX-2426-SM-5GCOE 40-49 years, female 42.8
GTEX-14ICL-1626-SM-5YYAO 30-39 years, male 42.8
GTEX-1C6VQ-1226-SM-73KYD 50-59 years, male 42.8
GTEX-WFG7-2026-SM-5SI7P 20-29 years, male 42.8
GTEX-1F5PL-0926-SM-7PC2W 40-49 years, female 42.8
GTEX-13112-0126-SM-5P9IU 50-59 years, male 42.7
GTEX-145MO-2826-SM-5LU96 60-69 years, male 42.7
GTEX-1J8EW-2726-SM-CY8HR 60-69 years, female 42.7
GTEX-15UF6-1926-SM-7KUDV 70-79 years, female 42.6
GTEX-1QMI2-2526-SM-E8VNZ 60-69 years, male 42.6
GTEX-1HSMO-0626-SM-ACKXC 60-69 years, male 42.5
GTEX-1HR98-2226-SM-ADEI2 60-69 years, male 42.4
GTEX-1JJ6O-2726-SM-CNPOG 60-69 years, male 42.4
GTEX-18A66-0626-SM-7LT8Z 60-69 years, male 42.3
GTEX-1F6IF-0926-SM-7SB7M 60-69 years, male 42.3
GTEX-1HBPI-2126-SM-ARL9K 50-59 years, male 42.3
GTEX-1LG7Y-2526-SM-EWRO7 50-59 years, male 42.3
GTEX-11UD2-2526-SM-5CVNU 50-59 years, male 42.2
GTEX-14E6C-2426-SM-5S2NF 40-49 years, male 42.1
GTEX-15SHW-0226-SM-7LTAT 60-69 years, male 42.1
GTEX-ZE9C-2526-SM-5IJDR 60-69 years, male 42.1
GTEX-1CB4H-1126-SM-7MKGL 60-69 years, female 42.0
GTEX-ZVZP-1226-SM-5GID7 50-59 years, male 42.0
GTEX-13X6K-0626-SM-5LU5D 60-69 years, female 41.9
GTEX-XXEK-1626-SM-4BRUZ 50-59 years, male 41.9
GTEX-1H1DF-1126-SM-9WG7G 40-49 years, female 41.8
GTEX-14BMV-2826-SM-5TDED 50-59 years, male 41.7
GTEX-13NYC-0126-SM-5L3F4 60-69 years, male 41.5
GTEX-1R7EU-1626-SM-DTXG3 60-69 years, male 41.5
GTEX-11DYG-1526-SM-5A5JS 60-69 years, male 41.4
GTEX-1269C-0126-SM-5EQ5L 60-69 years, female 41.4
GTEX-12WSC-2826-SM-5BC5Y 50-59 years, male 41.4
GTEX-13X6J-0626-SM-5LU5F 50-59 years, male 41.4
GTEX-17HHY-0426-SM-7DHLC 50-59 years, male 41.4
GTEX-1KANB-2826-SM-CY8I6 50-59 years, male 41.4
GTEX-1R9K4-2826-SM-DTX8F 60-69 years, male 41.4
GTEX-1A8G6-2726-SM-731AR 60-69 years, male 41.3
GTEX-1B8KZ-0326-SM-73KY4 50-59 years, male 41.3
GTEX-11DZ1-2426-SM-5GZZX 50-59 years, male 41.2
GTEX-1C64N-2626-SM-7PC2N 50-59 years, male 41.2
GTEX-12WSM-1926-SM-5BC65 60-69 years, male 41.1
GTEX-14C5O-0326-SM-5ZZUX 60-69 years, male 41.1
GTEX-WEY5-2326-SM-3GIKK 40-49 years, female 41.1
GTEX-1H1ZS-2726-SM-9WG75 70-79 years, male 41.1
GTEX-1IKJJ-2226-SM-CJI4C 60-69 years, male 41.1
GTEX-1KAFJ-0126-SM-DIPEK 50-59 years, male 41.1
GTEX-1LKK1-2626-SM-DKPQE 50-59 years, female 41.1
GTEX-1EH9U-2826-SM-7DUGT 60-69 years, male 41.0
GTEX-WHWD-1826-SM-3LK6I 50-59 years, male 41.0
GTEX-1GF9U-2026-SM-7SB92 40-49 years, female 41.0
GTEX-1OJC3-1226-SM-DTXER 20-29 years, male 41.0
GTEX-1PPH7-1126-SM-DTX9A 40-49 years, male 41.0
GTEX-1QP2A-1726-SM-E76QC 50-59 years, male 41.0
GTEX-1JJEA-1826-SM-ARU8P 60-69 years, male 40.9
GTEX-ZYFD-0626-SM-5E44E 50-59 years, male 40.8
GTEX-1I1CD-0626-SM-CE6SW 60-69 years, female 40.8
GTEX-1IDJV-0126-SM-COH3Y 60-69 years, male 40.8
GTEX-1LVA9-2626-SM-EVYD4 50-59 years, male 40.8
GTEX-13FHO-0426-SM-5L3F5 60-69 years, male 40.7
GTEX-14A6H-2026-SM-5Q5DD 30-39 years, male 40.7
GTEX-1EU9M-1426-SM-793AI 60-69 years, male 40.7
GTEX-XYKS-1426-SM-4BRUO 60-69 years, female 40.7
GTEX-1A3MX-2626-SM-7PC24 60-69 years, male 40.7
GTEX-16BQI-1326-SM-6M486 30-39 years, female 40.6
GTEX-1GMR3-0126-SM-A9SLW 40-49 years, male 40.6
GTEX-1M4P7-0726-SM-E6CJ3 60-69 years, male 40.6
GTEX-ZPCL-1126-SM-4WWFE 60-69 years, female 40.5
GTEX-1F48J-0726-SM-7RHGS 50-59 years, female 40.5
GTEX-1H1DG-2426-SM-9QEHJ 70-79 years, male 40.5
GTEX-1JKYR-0626-SM-ARL8R 20-29 years, male 40.5
GTEX-1QPFJ-1926-SM-EVYBD 30-39 years, female 40.5
GTEX-1RB15-1326-SM-E76Q9 60-69 years, male 40.5
GTEX-12WSK-2126-SM-5CVNC 40-49 years, female 40.4
GTEX-15EO6-2426-SM-6PALZ 50-59 years, male 40.4
GTEX-139TU-0726-SM-5L3EK 60-69 years, male 40.3
GTEX-1EX96-1026-SM-7MKG2 50-59 years, male 40.3
GTEX-1J8QM-2426-SM-A9SLS 60-69 years, female 40.3
GTEX-1314G-1326-SM-5BC6E 30-39 years, male 40.2
GTEX-131YS-2826-SM-5EQ47 60-69 years, female 40.2
GTEX-14E1K-2026-SM-7DUEI 50-59 years, male 40.2
GTEX-15G1A-1626-SM-7KUKN 30-39 years, male 40.2
GTEX-1399U-1126-SM-5L3DB 50-59 years, female 40.1
GTEX-17EVQ-0126-SM-7IGLR 70-79 years, male 40.0
GTEX-1AYD5-2626-SM-7PBXY 50-59 years, male 40.0
GTEX-13JVG-0726-SM-5KM16 60-69 years, male 39.9
GTEX-Y5V6-2326-SM-4VDSA 60-69 years, male 39.9
GTEX-1JN76-0626-SM-CKZOQ 20-29 years, female 39.9
GTEX-ZAJG-1526-SM-5CVML 50-59 years, female 39.8
GTEX-ZYVF-0926-SM-5E44J 50-59 years, female 39.8
GTEX-1KXAM-1626-SM-D3LAD 60-69 years, male 39.8
GTEX-11GSP-2326-SM-5HL63 60-69 years, female 39.7
GTEX-1F88F-0126-SM-9WYSZ 60-69 years, female 39.7
GTEX-1HFI6-0126-SM-CNPPI 40-49 years, male 39.7
GTEX-12126-0826-SM-5FQTZ 20-29 years, male 39.6
GTEX-14753-0726-SM-5QGQO 60-69 years, male 39.6
GTEX-14BIN-1126-SM-5RQJZ 50-59 years, female 39.6
GTEX-ZYY3-2926-SM-5GIEB 60-69 years, female 39.6
GTEX-11DXX-2126-SM-5PNYR 60-69 years, female 39.5
GTEX-1IDJC-1526-SM-B2LW4 50-59 years, male 39.5
GTEX-1KD5A-0126-SM-E9U54 50-59 years, male 39.5
GTEX-1QEPI-2626-SM-DTXF4 60-69 years, female 39.5
GTEX-144GM-0526-SM-79OJO 20-29 years, male 39.4
GTEX-18A7A-0126-SM-731AH 50-59 years, female 39.4
GTEX-1AX9I-2226-SM-73KUO 60-69 years, male 39.4
GTEX-YF7O-1526-SM-5IFI6 50-59 years, male 39.4
GTEX-ZT9X-1526-SM-5DUXD 40-49 years, male 39.4
GTEX-1HB9E-0126-SM-CM2S5 50-59 years, male 39.4
GTEX-1PIIG-2326-SM-DTXFR 30-39 years, male 39.4
GTEX-15RIG-0726-SM-7KUM7 40-49 years, male 39.3
GTEX-17F97-2626-SM-7IGM5 50-59 years, male 39.3
GTEX-1H2FU-0926-SM-9WPPT 60-69 years, female 39.3
GTEX-1IKOE-1426-SM-CE6T7 30-39 years, female 39.3
GTEX-13RTJ-0126-SM-5S2NN 60-69 years, male 39.2
GTEX-1CB4J-1326-SM-7P8RX 60-69 years, male 39.2
GTEX-1IOXB-2726-SM-CM2RI 50-59 years, male 39.2
GTEX-11ZUS-2626-SM-5FQUR 30-39 years, male 39.1
GTEX-X8HC-0626-SM-4E3HQ 50-59 years, female 39.1
GTEX-YB5K-2026-SM-4VDT3 40-49 years, female 39.1
GTEX-1HCU6-2526-SM-ADEHL 60-69 years, female 39.1
GTEX-1J1OQ-0126-SM-D4P2N 40-49 years, female 39.1
GTEX-1JMQL-2226-SM-CNPP4 50-59 years, female 39.1
GTEX-1JN1M-2726-SM-CY8I4 60-69 years, female 39.1
GTEX-ZYFC-0426-SM-5GICQ 50-59 years, male 38.9
GTEX-1GF9V-0826-SM-9KNUV 60-69 years, male 38.9
GTEX-12WSL-2026-SM-5GCML 50-59 years, male 38.8
GTEX-139TT-2126-SM-5LZWC 60-69 years, male 38.8
GTEX-ZVTK-0226-SM-51MRG 20-29 years, male 38.8
GTEX-1H4P4-2126-SM-9WYSL 50-59 years, male 38.8
GTEX-144FL-0626-SM-5LU43 50-59 years, male 38.7
GTEX-1EMGI-2326-SM-7PBYA 60-69 years, male 38.7
GTEX-1LVAM-0726-SM-E6CIL 50-59 years, female 38.7
GTEX-1PPGY-1626-SM-EVYBL 60-69 years, male 38.7
GTEX-1R46S-2426-SM-E76QA 60-69 years, female 38.7
GTEX-1AX9J-1326-SM-731BJ 60-69 years, male 38.6
GTEX-Y5V5-0126-SM-5S2NW 60-69 years, female 38.6
GTEX-1F5PK-2226-SM-7SB6N 50-59 years, male 38.6
GTEX-1PPH8-0126-SM-EWRN8 20-29 years, male 38.6
GTEX-1192X-2726-SM-5N9DN 50-59 years, male 38.5
GTEX-1GN73-0726-SM-7P8TJ 60-69 years, male 38.5
GTEX-1S83E-1326-SM-E6CJM 40-49 years, male 38.5
GTEX-ZWKS-0626-SM-5GIDV 30-39 years, male 38.4
GTEX-1122O-1026-SM-9WYSF 60-69 years, female 38.4
GTEX-1KWVE-1026-SM-D3L9O 30-39 years, male 38.4
GTEX-13N1W-2426-SM-5IJD1 70-79 years, male 38.3
GTEX-14AS3-1526-SM-5Q5ED 40-49 years, female 38.3
GTEX-1IDJF-2026-SM-CL53V 20-29 years, male 38.3
GTEX-1J8JJ-0626-SM-ARZMQ 60-69 years, female 38.2
GTEX-1QP28-1126-SM-EVYC4 50-59 years, female 38.2
GTEX-13NZ9-2626-SM-5L3FK 50-59 years, male 38.1
GTEX-13O3Q-0126-SM-5KM34 50-59 years, male 38.1
GTEX-14ABY-2026-SM-62LDL 50-59 years, male 38.1
GTEX-15CHC-1126-SM-6LLHQ 60-69 years, female 38.1
GTEX-1HBPN-0126-SM-CGQEF 50-59 years, male 38.1
GTEX-139YR-1026-SM-5LZYN 50-59 years, male 38.0
GTEX-1JMQK-1226-SM-D4P2S 60-69 years, male 38.0
GTEX-11GS4-0226-SM-5HL77 60-69 years, male 37.9
GTEX-1N5O9-0926-SM-E9J3C 60-69 years, male 37.9
GTEX-1HSMQ-2626-SM-A9SML 50-59 years, male 37.8
GTEX-1J8Q3-0526-SM-ARL8U 60-69 years, male 37.8
GTEX-1RAZS-2526-SM-E6CHT 50-59 years, male 37.8
GTEX-131XW-0626-SM-5PNVD 50-59 years, female 37.7
GTEX-13OW6-2726-SM-5J2OE 50-59 years, male 37.7
GTEX-13VXU-0626-SM-5L3F9 50-59 years, male 37.6
GTEX-16AAH-0626-SM-793C9 50-59 years, male 37.6
GTEX-16XZZ-0726-SM-7KUF2 60-69 years, male 37.6
GTEX-1I1GS-2626-SM-B2LY3 60-69 years, male 37.6
GTEX-1L5NE-1126-SM-D3L9P 50-59 years, male 37.6
GTEX-12WSH-1526-SM-5BC5W 50-59 years, male 37.5
GTEX-131XF-2626-SM-5EQ6K 60-69 years, male 37.5
GTEX-1HSKV-1226-SM-ADEI4 60-69 years, male 37.5
GTEX-1IDJH-0126-SM-D3L92 70-79 years, male 37.5
GTEX-11P81-2226-SM-5PNYI 30-39 years, female 37.4
GTEX-15RJ7-2126-SM-6PAMD 40-49 years, male 37.4
GTEX-1AMFI-1326-SM-7939R 50-59 years, female 37.4
GTEX-16NPX-0726-SM-7KULC 50-59 years, male 37.3
GTEX-1H1DE-1326-SM-9KNUG 20-29 years, male 37.3
GTEX-13FTX-1526-SM-5K7VJ 20-29 years, female 37.2
GTEX-13N11-2326-SM-5IJBF 50-59 years, female 37.2
GTEX-13OVK-1426-SM-6PAN7 40-49 years, male 37.2
GTEX-1B932-2326-SM-79OL5 40-49 years, female 37.2
GTEX-WHSB-1326-SM-3LK6W 50-59 years, male 37.2
GTEX-1ICLZ-0326-SM-ARL82 60-69 years, male 37.2
GTEX-11DXW-0826-SM-5H118 40-49 years, male 37.1
GTEX-11TUW-0626-SM-5LU9M 60-69 years, male 37.1
GTEX-13SLX-2226-SM-62LEP 50-59 years, female 37.1
GTEX-1CAMQ-1326-SM-7P8RV 40-49 years, male 37.1
GTEX-1IDJU-1726-SM-CMKHU 60-69 years, female 37.1
GTEX-ZF29-0926-SM-4WKFZ 60-69 years, female 37.0
GTEX-1JMPZ-0726-SM-CY8HZ 30-39 years, male 37.0
GTEX-1LSVX-2526-SM-DIPEU 60-69 years, male 37.0
GTEX-1RAZQ-1326-SM-E9TK6 30-39 years, male 37.0
GTEX-17KNJ-2126-SM-718AM 50-59 years, male 36.9
GTEX-18D9U-0126-SM-731BM 40-49 years, male 36.9
GTEX-1B8SF-0126-SM-7DUG3 60-69 years, male 36.9
GTEX-WK11-2726-SM-3NMAQ 50-59 years, male 36.9
GTEX-ZVE2-2826-SM-5GU51 50-59 years, male 36.9
GTEX-1QP66-1226-SM-DTX7U 50-59 years, male 36.9
GTEX-145LU-1926-SM-79OJN 50-59 years, male 36.8
GTEX-Y5LM-0926-SM-6LLJG 40-49 years, female 36.8
GTEX-1RAZA-2226-SM-E9U4X 20-29 years, male 36.8
GTEX-13OW7-0426-SM-5K7VK 50-59 years, male 36.7
GTEX-WXYG-2026-SM-4E3IY 50-59 years, female 36.7
GTEX-XV7Q-1826-SM-4BRUV 40-49 years, female 36.7
GTEX-131XH-0126-SM-5LZUY 50-59 years, male 36.6
GTEX-1F6I4-2326-SM-7RHGL 60-69 years, male 36.6
GTEX-1POEN-2326-SM-E9J2L 30-39 years, female 36.6
GTEX-12584-0726-SM-5FQTK 40-49 years, male 36.5
GTEX-14PJ4-0226-SM-5YY92 60-69 years, male 36.5
GTEX-1C2JI-1026-SM-73KY1 50-59 years, male 36.5
GTEX-ZDTT-0426-SM-4WKFL 60-69 years, male 36.5
GTEX-1H23P-0626-SM-9WG6T 60-69 years, male 36.5
GTEX-11ZU8-0126-SM-5EQ58 60-69 years, male 36.4
GTEX-183FY-1026-SM-7939A 20-29 years, male 36.4
GTEX-183WM-0326-SM-72D5V 70-79 years, female 36.4
GTEX-1EN7A-2426-SM-793DB 40-49 years, male 36.4
GTEX-ZUA1-2626-SM-5NQ92 40-49 years, male 36.4
GTEX-12696-0126-SM-5EQ4L 60-69 years, male 36.3
GTEX-17HG3-2626-SM-7DUF2 30-39 years, female 36.3
GTEX-Y3IK-1626-SM-4YCF5 50-59 years, female 36.3
GTEX-YEC4-1826-SM-4W1YP 40-49 years, male 36.3
GTEX-1JMPY-0226-SM-CKZOK 30-39 years, male 36.3
GTEX-1QP9N-1226-SM-E76QN 30-39 years, male 36.3
GTEX-147JS-0226-SM-5S2U9 60-69 years, male 36.1
GTEX-11P82-1426-SM-DTXFY 20-29 years, male 36.1
GTEX-1RLM8-2926-SM-E8VON 50-59 years, male 36.1
GTEX-15EU6-2226-SM-6EU2L 50-59 years, male 36.0
GTEX-WFON-1926-SM-3LK7L 40-49 years, male 36.0
GTEX-1I6K6-1726-SM-CGQFD 30-39 years, male 36.0
GTEX-ZLV1-1526-SM-DO91J 60-69 years, female 36.0
GTEX-18465-2826-SM-7LT9J 50-59 years, male 35.9
GTEX-1N2DV-1526-SM-DTXEP 40-49 years, male 35.9
GTEX-1N2EE-0626-SM-E76PW 60-69 years, male 35.9
GTEX-139T8-0626-SM-5KLZX 60-69 years, male 35.8
GTEX-X4EP-0626-SM-3P621 60-69 years, female 35.8
GTEX-1I19N-0126-SM-CYPSF 70-79 years, male 35.8
GTEX-1QCLY-0226-SM-EWRNH 30-39 years, male 35.8
GTEX-131XG-0326-SM-5L3DX 50-59 years, female 35.7
GTEX-13D11-0926-SM-5J2NC 50-59 years, female 35.7
GTEX-ZAK1-0626-SM-5HL8E 50-59 years, female 35.7
GTEX-1GN1W-2426-SM-9KNUU 50-59 years, female 35.7
GTEX-1GZ4H-0526-SM-9KNU9 50-59 years, female 35.7
GTEX-1JK1U-0226-SM-ARZMX 60-69 years, male 35.7
GTEX-1K2DU-1226-SM-CYPT4 20-29 years, male 35.7
GTEX-1QAET-0326-SM-EVR3U 50-59 years, male 35.7
GTEX-133LE-2326-SM-5K7W3 20-29 years, female 35.6
GTEX-ZTX8-1326-SM-4YCEL 20-29 years, male 35.6
GTEX-1IL2V-1926-SM-B2LW8 70-79 years, male 35.6
GTEX-1LB8K-0726-SM-D5OV2 50-59 years, male 35.6
GTEX-13O61-1426-SM-5KM3D 60-69 years, male 35.5
GTEX-145LS-0626-SM-7EPG7 60-69 years, female 35.5
GTEX-18A7B-2726-SM-7LG56 70-79 years, male 35.5
GTEX-WYBS-0626-SM-3NMAS 60-69 years, female 35.5
GTEX-12ZZZ-0726-SM-5GCNZ 60-69 years, male 35.4
GTEX-13OW8-1026-SM-5J1NQ 60-69 years, male 35.4
GTEX-14PJ6-2626-SM-6EU2T 60-69 years, female 35.4
GTEX-16MTA-0926-SM-6M47Z 50-59 years, male 35.3
GTEX-1B933-2426-SM-7DHMD 50-59 years, female 35.3
GTEX-1C6WA-2626-SM-7MKGM 60-69 years, male 35.3
GTEX-WY7C-2126-SM-3NB2R 50-59 years, male 35.3
GTEX-WYJK-0526-SM-3NM8Z 50-59 years, male 35.3
GTEX-Y9LG-1126-SM-4VBQ7 30-39 years, male 35.3
GTEX-13PVR-0426-SM-5RQK2 60-69 years, female 35.2
GTEX-14PJ3-1126-SM-5ZZVX 50-59 years, male 35.2
GTEX-14PKV-1126-SM-6LLJ1 20-29 years, female 35.2
GTEX-1E1VI-0326-SM-793D1 50-59 years, male 35.2
GTEX-1CAMS-2226-SM-7PBXQ 40-49 years, female 35.2
GTEX-11NUK-2726-SM-5A5MC 50-59 years, male 35.0
GTEX-11ZTT-2126-SM-5CVLO 60-69 years, female 35.0
GTEX-14PJN-1826-SM-6AJ98 30-39 years, male 35.0
GTEX-14PKU-0126-SM-6LLHV 40-49 years, female 35.0
GTEX-14PJ2-0626-SM-6LLII 50-59 years, male 34.9
GTEX-ZPU1-1126-SM-4YCF3 40-49 years, male 34.9
GTEX-1S831-1826-SM-EWROF 20-29 years, male 34.9
GTEX-111YS-1526-SM-5GZYW 60-69 years, male 34.8
GTEX-1B8KE-1126-SM-7EPHI 50-59 years, male 34.8
GTEX-Z93S-1626-SM-5CVMB 50-59 years, male 34.8
GTEX-1GF9W-1426-SM-7PBYM 60-69 years, male 34.8
GTEX-1JMLX-0626-SM-ARL8T 50-59 years, male 34.8
GTEX-1MJK3-0726-SM-E6CJC 20-29 years, male 34.8
GTEX-X4EO-2926-SM-4E3JH 60-69 years, female 34.7
GTEX-11PRG-0726-SM-5EGL1 50-59 years, male 34.6
GTEX-13X6H-0926-SM-5SIB2 50-59 years, female 34.6
GTEX-178AV-1726-SM-7KUL8 40-49 years, male 34.6
GTEX-Y111-0626-SM-4SOIT 50-59 years, male 34.6
GTEX-1H1E6-0426-SM-9WYUS 30-39 years, male 34.6
GTEX-1JJE9-2626-SM-ARZMT 70-79 years, male 34.6
GTEX-11EQ9-1626-SM-5PNY8 30-39 years, male 34.5
GTEX-12ZZY-0726-SM-5EQ66 60-69 years, male 34.5
GTEX-13X6I-1826-SM-5SIAO 60-69 years, male 34.5
GTEX-14DAQ-0626-SM-793DS 60-69 years, female 34.5
GTEX-17HHE-1326-SM-7EWDZ 50-59 years, male 34.5
GTEX-ZLFU-1826-SM-4WWBV 40-49 years, male 34.5
GTEX-ZVP2-0326-SM-57WBP 50-59 years, male 34.5
GTEX-1GPI7-1826-SM-9KNU1 20-29 years, male 34.5
GTEX-1HCU9-0426-SM-9WYSD 20-29 years, male 34.5
GTEX-1KANC-1226-SM-CYPT7 50-59 years, female 34.5
GTEX-1GMRU-2126-SM-7P8RA 50-59 years, male 34.4
GTEX-145ME-1726-SM-5Q5EU 40-49 years, female 34.3
GTEX-Y8E4-2026-SM-5IFJB 40-49 years, male 34.3
GTEX-18D9A-1426-SM-7LT8M 30-39 years, female 34.3
GTEX-1F75W-2726-SM-7SB8H 60-69 years, male 34.3
GTEX-11O72-0626-SM-5PNYE 40-49 years, male 34.2
GTEX-17F96-0126-SM-7EWDU 70-79 years, male 34.2
GTEX-XAJ8-1426-SM-47JYM 40-49 years, male 34.2
GTEX-145LT-0526-SM-5LUB2 40-49 years, male 34.1
GTEX-147F4-0726-SM-5TDDD 50-59 years, male 34.1
GTEX-UPJH-0226-SM-3GADV 50-59 years, male 34.1
GTEX-XQ8I-0926-SM-4BOOF 50-59 years, male 34.1
GTEX-17F98-1326-SM-7DUEP 40-49 years, female 34.0
GTEX-YJ8O-2526-SM-5HL85 40-49 years, female 34.0
GTEX-1I1GV-0626-SM-ARL7M 60-69 years, male 34.0
GTEX-1CB4E-0926-SM-7EPHT 60-69 years, male 33.9
GTEX-1EWIQ-0326-SM-7DHMQ 70-79 years, female 33.9
GTEX-1GZ2Q-0126-SM-9WG6M 40-49 years, male 33.9
GTEX-17F9E-2326-SM-79OKD 50-59 years, male 33.8
GTEX-1J1R8-2026-SM-CL53Y 40-49 years, male 33.8
GTEX-1LVAO-2726-SM-E9TJ8 60-69 years, male 33.8
GTEX-YEC3-1326-SM-DO92X 50-59 years, male 33.8
GTEX-13OVL-0126-SM-5L3GJ 50-59 years, male 33.7
GTEX-16MT9-0126-SM-7EPI8 60-69 years, female 33.7
GTEX-X5EB-1926-SM-4E3IW 40-49 years, male 33.7
GTEX-1I1GT-1026-SM-ARZLV 60-69 years, female 33.7
GTEX-1IDJI-0126-SM-CMKHS 50-59 years, female 33.7
GTEX-1LVAN-0626-SM-CNPOQ 50-59 years, female 33.7
GTEX-18QFQ-1826-SM-72D52 30-39 years, male 33.6
GTEX-147F3-1726-SM-5SIAW 50-59 years, female 33.5
GTEX-14B4R-1326-SM-5Q5EZ 30-39 years, male 33.5
GTEX-17HGU-2326-SM-7DUFE 50-59 years, male 33.5
GTEX-1QW4Y-1126-SM-DTXE3 30-39 years, male 33.5
GTEX-14E6E-0526-SM-793DN 30-39 years, male 33.4
GTEX-1H3NZ-2726-SM-9WYTQ 60-69 years, male 33.4
GTEX-1MCC2-1826-SM-DIPEX 30-39 years, female 33.4
GTEX-11DXZ-2026-SM-5987S 50-59 years, male 33.3
GTEX-1477Z-0326-SM-7IGLA 60-69 years, male 33.3
GTEX-14PHY-1226-SM-5ZZWK 60-69 years, female 33.3
GTEX-17EVP-2626-SM-7IGMA 40-49 years, male 33.3
GTEX-1HC8U-1326-SM-9YFMJ 40-49 years, female 33.3
GTEX-1497J-0226-SM-5QGPU 60-69 years, male 33.2
GTEX-WHPG-2626-SM-3NMBR 50-59 years, male 33.2
GTEX-Y114-2126-SM-4TT8B 50-59 years, female 33.2
GTEX-11EI6-2826-SM-5H11D 60-69 years, male 33.1
GTEX-1C475-1326-SM-7SB73 40-49 years, female 33.1
GTEX-1HUB1-1426-SM-CGQF5 60-69 years, male 33.1
GTEX-1JMQI-1726-SM-ARL93 50-59 years, male 33.1
GTEX-1QP29-1826-SM-DTX9S 50-59 years, male 33.1
GTEX-XK95-0226-SM-4AT58 40-49 years, male 33.0
GTEX-ZDTS-0826-SM-4WKHL 60-69 years, male 33.0
GTEX-ZP4G-1426-SM-4WWCL 20-29 years, female 33.0
GTEX-ZGAY-1826-SM-DO91Q 40-49 years, female 33.0
GTEX-13VXT-1926-SM-5K7UO 20-29 years, female 32.9
GTEX-146FQ-2126-SM-5RQHU 30-39 years, male 32.9
GTEX-ZT9W-1126-SM-57WDR 50-59 years, male 32.9
GTEX-ZVT2-0126-SM-5GIDQ 50-59 years, female 32.9
GTEX-17HII-1426-SM-7EPGG 50-59 years, male 32.8
GTEX-1EKGG-0626-SM-7DUGJ 60-69 years, male 32.8
GTEX-1JMOU-1026-SM-CYPSS 60-69 years, female 32.8
GTEX-11LCK-2226-SM-5HL4Q 30-39 years, male 32.7
GTEX-1CAV2-0126-SM-7IGN7 40-49 years, female 32.7
GTEX-1IY9M-2826-SM-ARU8H 60-69 years, male 32.7
GTEX-1RMOY-1326-SM-E9TIH 50-59 years, male 32.7
GTEX-1A32A-0626-SM-731AQ 50-59 years, female 32.6
GTEX-VJYA-1526-SM-3GIJV 60-69 years, male 32.6
GTEX-1I6K7-1926-SM-B2LXR 40-49 years, male 32.6
GTEX-12WSJ-1126-SM-5LZVJ 40-49 years, female 32.5
GTEX-ZLWG-0826-SM-59888 50-59 years, female 32.5
GTEX-ZZPU-0826-SM-5GZX5 50-59 years, female 32.5
GTEX-11TT1-1826-SM-5EQLV 20-29 years, male 32.4
GTEX-1399R-1326-SM-5PNYS 30-39 years, male 32.4
GTEX-13PVQ-0626-SM-5LU47 50-59 years, male 32.4
GTEX-13W3W-0726-SM-5IJDQ 60-69 years, female 32.3
GTEX-14BMU-1226-SM-5S2OR 20-29 years, female 32.3
GTEX-1IDJD-2326-SM-ACKWX 30-39 years, male 32.3
GTEX-1212Z-0126-SM-59HK4 60-69 years, male 32.2
GTEX-1AX8Z-0726-SM-73KTS 60-69 years, male 32.2
GTEX-ZZ64-1026-SM-5GZXG 20-29 years, male 32.2
GTEX-1F75I-2226-SM-7SB8U 40-49 years, male 32.2
GTEX-1IDJE-1426-SM-ADEIW 50-59 years, female 32.2
GTEX-12WSA-0426-SM-5EQ5X 60-69 years, male 32.1
GTEX-16Z82-2626-SM-7KULU 60-69 years, male 32.1
GTEX-1LBAC-0826-SM-CY8IJ 20-29 years, male 32.1
GTEX-11P7K-1126-SM-5HL4L 30-39 years, male 32.0
GTEX-1K9T9-1526-SM-DIPFR 50-59 years, female 32.0
GTEX-1CAMR-1326-SM-7PC1F 20-29 years, male 31.9
GTEX-13FTW-0326-SM-5K7UW 40-49 years, male 31.8
GTEX-XBEW-1126-SM-4QARW 40-49 years, male 31.8
GTEX-1C64O-1326-SM-7MGWR 60-69 years, male 31.8
GTEX-11VI4-1126-SM-5EQMD 40-49 years, female 31.7
GTEX-13JUV-2026-SM-5K7UA 40-49 years, female 31.7
GTEX-1GL5R-1326-SM-7RHHF 50-59 years, male 31.7
GTEX-1JN6P-2926-SM-CL54D 60-69 years, male 31.7
GTEX-1S3DN-2126-SM-E9TIN 50-59 years, male 31.7
GTEX-1S82U-1026-SM-E6CJK 30-39 years, female 31.7
GTEX-111CU-1126-SM-5EGIM 50-59 years, male 31.6
GTEX-1GTWX-2026-SM-9YFLM 60-69 years, male 31.6
GTEX-1ICG6-1226-SM-A9SLN 70-79 years, female 31.6
GTEX-1O9I2-0226-SM-EYYXD 50-59 years, male 31.6
GTEX-1AMEY-0826-SM-72D65 30-39 years, female 31.5
GTEX-14JG6-1426-SM-9WG7C 30-39 years, female 31.5
GTEX-13OVJ-0826-SM-5J1OK 50-59 years, female 31.4
GTEX-18D9B-0926-SM-7LG4U 60-69 years, male 31.4
GTEX-WYVS-1626-SM-3NM9R 40-49 years, female 31.3
GTEX-132AR-0326-SM-5KM2C 50-59 years, female 31.1
GTEX-14PK6-0226-SM-62LF5 70-79 years, female 31.1
GTEX-16NGA-0726-SM-731AO 40-49 years, female 31.1
GTEX-1KANA-1326-SM-DIPFA 20-29 years, male 31.1
GTEX-1211K-1526-SM-5FQU4 60-69 years, female 30.9
GTEX-14DAR-1226-SM-73KYV 50-59 years, male 30.9
GTEX-14PJO-2526-SM-6AJBQ 60-69 years, male 30.9
GTEX-1B996-0426-SM-7EWF8 60-69 years, male 30.9
GTEX-X3Y1-2026-SM-3P5YM 40-49 years, male 30.9
GTEX-ZDYS-2426-SM-4WKGI 50-59 years, male 30.9
GTEX-1LSNM-0826-SM-DIPG8 50-59 years, male 30.9
GTEX-117YX-1926-SM-5GIEC 50-59 years, male 30.8
GTEX-12WSF-1626-SM-7KUG5 70-79 years, male 30.8
GTEX-13113-1626-SM-5EQ4I 60-69 years, female 30.8
GTEX-WRHU-2826-SM-3MJG8 50-59 years, female 30.8
GTEX-1QCLZ-2426-SM-EVYBW 60-69 years, female 30.8
GTEX-12C56-1526-SM-5FQUQ 20-29 years, male 30.7
GTEX-15CHR-1126-SM-7EWF4 50-59 years, male 30.7
GTEX-WFG8-2126-SM-3GIKQ 20-29 years, male 30.7
GTEX-1CB4I-0126-SM-7RHGG 50-59 years, male 30.7
GTEX-1LG7Z-1626-SM-CXKYR 30-39 years, male 30.7
GTEX-13QBU-1226-SM-5LU4G 40-49 years, female 30.6
GTEX-17MF6-2626-SM-79OKQ 40-49 years, male 30.6
GTEX-15FZZ-0526-SM-7KUGD 30-39 years, female 30.3
GTEX-1B97I-0626-SM-73KUZ 40-49 years, male 30.3
GTEX-XBEC-0726-SM-4QARZ 50-59 years, male 30.3
GTEX-XBED-1926-SM-47JYP 60-69 years, male 30.3
GTEX-Y3I4-1726-SM-4TT89 50-59 years, male 30.2
GTEX-1MCYP-0526-SM-E9U6Q 20-29 years, female 30.2
GTEX-ZPIC-0526-SM-DO91W 40-49 years, female 30.1
GTEX-ZA64-1026-SM-5HL8R 20-29 years, male 29.9
GTEX-1S82P-2126-SM-E6CI5 60-69 years, female 29.9
GTEX-11NSD-0626-SM-5A5LU 20-29 years, male 29.8
GTEX-15D1Q-2826-SM-6LLH7 40-49 years, male 29.7
GTEX-1HSGN-0826-SM-ACKW3 40-49 years, female 29.7
GTEX-14PHX-2226-SM-6EU2P 50-59 years, male 29.4
GTEX-ZYFG-1526-SM-5GZYM 60-69 years, female 29.4
GTEX-1HFI7-2326-SM-CGQFS 50-59 years, female 29.4
GTEX-ZU9S-1826-SM-5NQ9E 30-39 years, male 29.3
GTEX-13N2G-0226-SM-5K7VF 60-69 years, male 28.9
GTEX-12BJ1-0926-SM-5EQ62 60-69 years, male 28.8
GTEX-1LGOU-1326-SM-D3L8M 20-29 years, female 28.8
GTEX-15CHQ-0326-SM-69LQD 60-69 years, male 28.7
GTEX-16MT8-2926-SM-7DUFO 60-69 years, female 28.6
GTEX-1CB4F-1026-SM-7DUH1 60-69 years, male 28.6
GTEX-1PDJ9-1226-SM-EXUSX 20-29 years, male 28.6
GTEX-XOT4-0626-SM-4B66L 60-69 years, female 28.5
GTEX-XQ3S-1426-SM-4BOPR 20-29 years, male 28.5
GTEX-ZDXO-3126-SM-5IJDF 60-69 years, male 28.5
GTEX-1HCUA-0826-SM-ADEHM 50-59 years, female 28.5
GTEX-11OF3-0126-SM-5PNYF 60-69 years, male 28.4
GTEX-ZAB4-2126-SM-5HL8U 40-49 years, male 28.4
GTEX-1A3MV-1826-SM-731CD 30-39 years, male 28.3
GTEX-1K2DA-1026-SM-CGQGF 50-59 years, male 28.3
GTEX-13U4I-2226-SM-5LU5H 40-49 years, female 28.2
GTEX-145MN-1526-SM-5SI9T 30-39 years, male 28.2
GTEX-1HKZK-0726-SM-ACKW2 40-49 years, male 28.2
GTEX-13OVG-1626-SM-5J1NF 60-69 years, male 28.1
GTEX-17JCI-2926-SM-7DUFF 60-69 years, female 28.0
GTEX-V1D1-2026-SM-3GAF4 50-59 years, male 27.5
GTEX-1GMR2-0826-SM-7PC3V 50-59 years, male 27.5
GTEX-XUW1-0926-SM-4BONX 50-59 years, female 27.1
GTEX-111FC-2526-SM-5GZXU 60-69 years, male 26.9
GTEX-1GZHY-0626-SM-9KNVC 50-59 years, female 26.7
GTEX-1JKYN-0826-SM-ARU8S 30-39 years, male 26.7
GTEX-Y8LW-1526-SM-5IFHL 50-59 years, female 26.6
GTEX-XPVG-2126-SM-4B667 50-59 years, male 26.0
GTEX-1I4MK-0126-SM-CY8G6 50-59 years, female 25.8
GTEX-X585-2426-SM-46MW2 50-59 years, male 25.5
GTEX-ZTSS-1426-SM-5985P 40-49 years, male 24.7
GTEX-WI4N-2726-SM-3LK7Y 40-49 years, female 24.6
GTEX-11EM3-1226-SM-5N9DD 20-29 years, female 24.3
GTEX-13FH7-1126-SM-5K7UG 50-59 years, female 24.2
GTEX-1HCU8-2526-SM-CE6RX 60-69 years, female 23.6
Show allShow less
Skin - Sun Exposed (Lower leg)
Average nTPM: 37.4
Samples: 701

Max nTPM: 65.3
Min nTPM: 19.6
Std nTPM: 6.7
Median nTPM: 36.5
GTEX-1GMR3-1926-SM-9KNUZ 40-49 years, male 65.3
GTEX-11TUW-2726-SM-E9J4M 60-69 years, male 62.5
GTEX-1122O-2126-SM-5EGIR 60-69 years, female 59.7
GTEX-11WQK-0526-SM-5EQLD 50-59 years, male 59.3
GTEX-1L5NE-2526-SM-E6CIE 50-59 years, male 58.9
GTEX-PVOW-0126-SM-2XCFA 40-49 years, male 58.1
GTEX-1LGRB-2526-SM-CNPPQ 50-59 years, female 57.9
GTEX-SNMC-1226-SM-2XCFP 20-29 years, male 57.2
GTEX-POMQ-2226-SM-2I5FK 20-29 years, female 56.8
GTEX-131XE-2326-SM-5PNZ2 50-59 years, male 56.7
GTEX-OIZG-0726-SM-33HBL 50-59 years, male 55.6
GTEX-1MJK2-0426-SM-DTXE5 50-59 years, male 55.3
GTEX-15EOM-0126-SM-7KUGG 20-29 years, female 54.7
GTEX-XYKS-2126-SM-4E3IB 60-69 years, female 54.7
GTEX-1IKJJ-0126-SM-CNPQB 60-69 years, male 54.2
GTEX-1N2EF-0226-SM-EYYXB 60-69 years, male 53.8
GTEX-11DXZ-2326-SM-5EGGV 50-59 years, male 53.6
GTEX-SJXC-0126-SM-2XCFF 60-69 years, male 53.6
GTEX-14A5I-0126-SM-5TDEA 50-59 years, female 53.4
GTEX-15DDE-0126-SM-6LPKH 50-59 years, female 53.4
GTEX-1HCU7-0226-SM-CL545 50-59 years, male 53.3
GTEX-Y3IK-2426-SM-4WWDU 50-59 years, female 52.6
GTEX-139TS-2826-SM-5J1OO 60-69 years, male 52.4
GTEX-15G19-0126-SM-6PANQ 60-69 years, male 52.0
GTEX-1B8SF-1426-SM-7DUGL 60-69 years, male 51.7
GTEX-1A3MX-0126-SM-731BR 60-69 years, male 51.5
GTEX-14PN4-0126-SM-6EU2V 50-59 years, male 51.3
GTEX-1EWIQ-0126-SM-7RHH2 70-79 years, female 51.3
GTEX-1R9PM-2026-SM-E76OY 20-29 years, male 51.2
GTEX-1KD4Q-0226-SM-E9TJ9 40-49 years, male 50.8
GTEX-145MI-0526-SM-5O9A8 60-69 years, female 50.1
GTEX-VJWN-0126-SM-3GIK7 50-59 years, female 50.0
GTEX-13OVK-2026-SM-7KUEO 40-49 years, male 49.7
GTEX-11WQC-2526-SM-5CVLE 60-69 years, male 49.5
GTEX-139UW-2826-SM-5L3E7 60-69 years, male 49.5
GTEX-11O72-0126-SM-59887 40-49 years, male 49.4
GTEX-1JJEA-0326-SM-CNPOT 60-69 years, male 49.3
GTEX-1C475-1826-SM-73KWA 40-49 years, female 49.2
GTEX-13NYC-0326-SM-E9J4S 60-69 years, male 49.2
GTEX-13OW5-0126-SM-DTXFS 60-69 years, male 48.9
GTEX-1GN1U-0126-SM-7PBZK 50-59 years, female 48.8
GTEX-ZYT6-0226-SM-5NQ6T 30-39 years, male 48.7
GTEX-145LS-0126-SM-5QGP1 60-69 years, female 48.5
GTEX-14E6E-1826-SM-5S2R7 30-39 years, male 48.5
GTEX-ZVTK-0426-SM-51MRS 20-29 years, male 48.3
GTEX-13NYS-0126-SM-5MR3W 60-69 years, male 48.1
GTEX-13G51-2526-SM-5LZYK 60-69 years, male 47.9
GTEX-YJ89-0126-SM-4TT3X 60-69 years, male 47.9
GTEX-1PIIG-0226-SM-EWRN6 30-39 years, male 47.8
GTEX-12WSE-0526-SM-793B2 20-29 years, male 47.6
GTEX-1B8KE-2126-SM-73KYX 50-59 years, male 47.6
GTEX-1H1CY-2826-SM-9MQM3 60-69 years, female 47.6
GTEX-1JMQL-0226-SM-CNPP5 50-59 years, female 47.6
GTEX-QESD-1426-SM-2S1R9 20-29 years, male 47.4
GTEX-ZYFD-0126-SM-5GIDL 50-59 years, male 47.4
GTEX-1F6RS-0126-SM-9MQKZ 60-69 years, female 47.4
GTEX-15UF6-0826-SM-6PALJ 70-79 years, female 47.3
GTEX-1H4P4-0726-SM-9YFLR 50-59 years, male 47.3
GTEX-1KANC-1526-SM-D3LAB 50-59 years, female 47.3
GTEX-1F75B-0126-SM-9KNVL 50-59 years, male 47.1
GTEX-14BIN-0626-SM-793DP 50-59 years, female 47.0
GTEX-1GN2E-0426-SM-9MQKX 60-69 years, male 47.0
GTEX-1S83E-0126-SM-EWRO4 40-49 years, male 47.0
GTEX-1J8JJ-0226-SM-CL53I 60-69 years, female 46.8
GTEX-1K2DA-1826-SM-CGQGT 50-59 years, male 46.8
GTEX-1LG7Z-1726-SM-D3LA4 30-39 years, male 46.8
GTEX-1CB4H-0226-SM-7PBXM 60-69 years, female 46.7
GTEX-P44H-0226-SM-2XCEU 40-49 years, male 46.6
GTEX-P4QT-0126-SM-2I3FL 50-59 years, female 46.6
GTEX-TMMY-0226-SM-33HBA 40-49 years, female 46.6
GTEX-ZF2S-2326-SM-4WWCE 50-59 years, female 46.6
GTEX-1HT8W-0126-SM-CNPPP 30-39 years, male 46.6
GTEX-T5JW-1626-SM-3GADZ 20-29 years, female 46.5
GTEX-U8XE-0326-SM-3DB8P 30-39 years, male 46.5
GTEX-1EMGI-0126-SM-9KNUE 60-69 years, male 46.3
GTEX-W5X1-3026-SM-EAZAX 40-49 years, female 46.3
GTEX-13FXS-0226-SM-5IJCK 50-59 years, male 46.2
GTEX-ZU9S-0226-SM-5E441 30-39 years, male 46.2
GTEX-ZTX8-1426-SM-5DUVO 20-29 years, male 46.1
GTEX-14PII-0226-SM-6EU1T 60-69 years, male 46.0
GTEX-YJ8A-0426-SM-5IFID 20-29 years, male 46.0
GTEX-ZE9C-2726-SM-57WB5 60-69 years, male 46.0
GTEX-1EX96-1626-SM-7PBXR 50-59 years, male 45.8
GTEX-1LBAC-0126-SM-DIPEZ 20-29 years, male 45.7
GTEX-15SB6-1726-SM-6PAME 50-59 years, female 45.4
GTEX-18D9A-1926-SM-7LG6P 30-39 years, female 45.4
GTEX-1CB4G-0226-SM-7PC3O 60-69 years, male 45.3
GTEX-13PDP-0126-SM-5L3HD 60-69 years, male 45.2
GTEX-145LT-1726-SM-5QGP3 40-49 years, male 45.0
GTEX-14E6C-0126-SM-5RQIP 40-49 years, male 45.0
GTEX-131XF-5016-SM-7MGWE 60-69 years, male 45.0
GTEX-1I4MK-2226-SM-ACKWD 50-59 years, female 45.0
GTEX-13FHP-0126-SM-5IJBG 50-59 years, male 44.9
GTEX-1KANA-0726-SM-D3L9I 20-29 years, male 44.9
GTEX-15ETS-0126-SM-7KUMW 40-49 years, female 44.8
GTEX-1C6VQ-0126-SM-7P8RI 50-59 years, male 44.8
GTEX-Y5V6-2426-SM-4VDSB 60-69 years, male 44.7
GTEX-1E2YA-0126-SM-9KNUC 50-59 years, male 44.7
GTEX-1PDJ9-0326-SM-DTX95 20-29 years, male 44.7
GTEX-1IDFM-0126-SM-COH2V 60-69 years, male 44.3
GTEX-11OF3-2626-SM-5GU7F 60-69 years, male 44.2
GTEX-1C64N-0126-SM-793D7 50-59 years, male 44.2
GTEX-T6MO-1626-SM-32QOM 40-49 years, female 44.2
GTEX-ZVE2-0226-SM-59HJB 50-59 years, male 44.2
GTEX-1HSMO-0126-SM-CL547 60-69 years, male 44.2
GTEX-17JCI-0126-SM-7LG5G 60-69 years, female 44.1
GTEX-1BAJH-0526-SM-793CQ 70-79 years, male 44.1
GTEX-TSE9-0126-SM-3DB83 60-69 years, female 44.1
GTEX-ZVT2-2526-SM-51MT1 50-59 years, female 44.1
GTEX-1HCUA-2426-SM-ADEIS 50-59 years, female 44.1
GTEX-1O97I-0326-SM-EYYX7 60-69 years, male 44.1
GTEX-18A6Q-0126-SM-731BZ 60-69 years, male 44.0
GTEX-1AX9J-0226-SM-73KXM 60-69 years, male 44.0
GTEX-1GF9X-2026-SM-7PC3A 40-49 years, female 44.0
GTEX-1KXAM-2226-SM-CYPTC 60-69 years, male 44.0
GTEX-13FTX-1826-SM-5J1NX 20-29 years, female 43.9
GTEX-13SLW-0126-SM-5SI6C 70-79 years, male 43.9
GTEX-1A3MW-0126-SM-73KXX 60-69 years, female 43.9
GTEX-OIZH-0126-SM-2HMIS 50-59 years, male 43.8
GTEX-13JUV-2726-SM-5LZZ8 40-49 years, female 43.7
GTEX-148VI-1626-SM-5SI6E 60-69 years, female 43.7
GTEX-11EQ9-2426-SM-5HL5T 30-39 years, male 43.6
GTEX-S7SE-0126-SM-2XCD5 50-59 years, male 43.6
GTEX-ZVZP-2426-SM-59HKJ 50-59 years, male 43.5
GTEX-ZWKS-0126-SM-5SIAA 30-39 years, male 43.5
GTEX-1H23P-0126-SM-ADEJ3 60-69 years, male 43.5
GTEX-11H98-0126-SM-5EGHG 50-59 years, male 43.4
GTEX-15ER7-0326-SM-7KUEV 20-29 years, female 43.4
GTEX-1J8QM-2126-SM-CYPSJ 60-69 years, female 43.4
GTEX-1R7EU-0226-SM-EVR4G 60-69 years, male 43.4
GTEX-16AAH-1726-SM-7939C 50-59 years, male 43.2
GTEX-14XAO-2326-SM-6EU1B 60-69 years, female 43.1
GTEX-14BMU-2226-SM-5TDE9 20-29 years, female 43.0
GTEX-W5WG-1826-SM-4KL2Y 50-59 years, female 42.9
GTEX-XBEW-0626-SM-4QASP 40-49 years, male 42.9
GTEX-11UD2-0226-SM-5EQKY 50-59 years, male 42.8
GTEX-1QMI2-0226-SM-EVYBX 60-69 years, male 42.8
GTEX-13OVH-0126-SM-5MR4B 70-79 years, male 42.6
GTEX-1GMR8-0126-SM-9WYTM 50-59 years, female 42.5
GTEX-1S82Z-0826-SM-E6CHY 30-39 years, female 42.5
GTEX-13N2G-2626-SM-5J1OT 60-69 years, male 42.4
GTEX-18A67-0126-SM-7LG5P 50-59 years, male 42.4
GTEX-1F5PL-0326-SM-7P8PQ 40-49 years, female 42.4
GTEX-1H2FU-0126-SM-9WYSI 60-69 years, female 42.4
GTEX-1IDJF-0126-SM-CM2RS 20-29 years, male 42.4
GTEX-14PK6-1926-SM-6ETZU 70-79 years, female 42.3
GTEX-UJHI-1526-SM-3DB99 50-59 years, female 42.3
GTEX-1I6K6-0126-SM-A9SLE 30-39 years, male 42.3
GTEX-ZAK1-0126-SM-5IJD3 50-59 years, female 42.2
GTEX-1R9K4-0126-SM-DTX9X 60-69 years, male 42.2
GTEX-1399T-2826-SM-5KLYZ 60-69 years, male 42.1
GTEX-T8EM-1026-SM-3DB7M 40-49 years, male 42.1
GTEX-RVPV-0126-SM-EAZAW 60-69 years, male 42.1
GTEX-1HSGN-0226-SM-CGQFV 40-49 years, female 42.0
GTEX-1JN76-0126-SM-CNPPE 20-29 years, female 42.0
GTEX-12696-2426-SM-5EQ6H 60-69 years, male 41.9
GTEX-X261-0126-SM-3NMD6 50-59 years, male 41.9
GTEX-Y8DK-0126-SM-4TT3L 60-69 years, male 41.9
GTEX-1N2DW-0226-SM-E9TK2 50-59 years, male 41.9
GTEX-11P81-2326-SM-59875 30-39 years, female 41.8
GTEX-1C6VR-2426-SM-79OLD 60-69 years, male 41.8
GTEX-ZTPG-0326-SM-5O9AX 20-29 years, female 41.8
GTEX-1GF9V-0326-SM-7RHI5 60-69 years, male 41.7
GTEX-1HFI6-0226-SM-ADEHZ 40-49 years, male 41.7
GTEX-1MUQO-0126-SM-EAZ58 60-69 years, male 41.7
GTEX-1212Z-2526-SM-5EGKP 60-69 years, male 41.6
GTEX-133LE-1826-SM-5J1MV 20-29 years, female 41.6
GTEX-13IVO-0126-SM-5J1NG 70-79 years, male 41.6
GTEX-ZV68-0126-SM-59HKS 50-59 years, female 41.6
GTEX-12584-0126-SM-5EGKQ 40-49 years, male 41.5
GTEX-XAJ8-0826-SM-47JY6 40-49 years, male 41.5
GTEX-U3ZH-2026-SM-3DB78 30-39 years, male 41.3
GTEX-VJYA-1126-SM-3GIJU 60-69 years, male 41.3
GTEX-1AX9K-2326-SM-73KWU 50-59 years, male 41.2
GTEX-1RB15-2126-SM-E9TIM 60-69 years, male 41.2
GTEX-13NYB-2526-SM-5K7Z6 40-49 years, male 41.1
GTEX-12ZZX-0126-SM-5EGK9 40-49 years, female 41.0
GTEX-TML8-1926-SM-32QOS 40-49 years, female 41.0
GTEX-WFG8-2226-SM-3GIL9 20-29 years, male 41.0
GTEX-OOBJ-0126-SM-E6CJW 60-69 years, male 41.0
GTEX-11EI6-0126-SM-5985R 60-69 years, male 40.9
GTEX-12ZZY-0226-SM-5LZVE 60-69 years, male 40.8
GTEX-OXRK-0226-SM-3NB2G 50-59 years, female 40.8
GTEX-OXRP-0126-SM-3NB32 60-69 years, female 40.8
GTEX-Y8E4-0626-SM-4WWDL 40-49 years, male 40.8
GTEX-ZTSS-1926-SM-57WEW 40-49 years, male 40.8
GTEX-1F88F-2726-SM-7PBZZ 60-69 years, female 40.8
GTEX-1I1GT-0626-SM-CGQER 60-69 years, female 40.8
GTEX-1JK1U-2026-SM-CM2RZ 60-69 years, male 40.8
GTEX-111FC-0126-SM-5N9DL 60-69 years, male 40.7
GTEX-145MO-0326-SM-5Q5B3 60-69 years, male 40.7
GTEX-1F75A-0126-SM-7RHGM 50-59 years, male 40.7
GTEX-1JMQI-2226-SM-CM2SD 50-59 years, male 40.7
GTEX-1POEN-0126-SM-EYYXJ 30-39 years, female 40.7
GTEX-14A5H-0426-SM-5QGQF 60-69 years, male 40.6
GTEX-1QPFJ-0226-SM-E76PB 30-39 years, female 40.6
GTEX-14LZ3-0226-SM-62LET 60-69 years, female 40.5
GTEX-14PJM-0226-SM-62LF1 50-59 years, female 40.5
GTEX-1HBPN-0226-SM-9YFM1 50-59 years, male 40.5
GTEX-1RDX4-0126-SM-E9J4P 50-59 years, female 40.5
GTEX-13FHO-0226-SM-5IFGY 60-69 years, male 40.4
GTEX-QCQG-1726-SM-3GIJ9 50-59 years, female 40.4
GTEX-R3RS-0126-SM-3GIJL 40-49 years, female 40.4
GTEX-VUSG-2526-SM-4KL1V 50-59 years, male 40.4
GTEX-YB5K-2126-SM-4WWDJ 40-49 years, female 40.4
GTEX-1GPI7-0126-SM-9MQL8 20-29 years, male 40.4
GTEX-1KD5A-0226-SM-D5OV3 50-59 years, male 40.4
GTEX-12WSC-0126-SM-5EQ4P 50-59 years, male 40.3
GTEX-1IDJH-0326-SM-A9SLQ 70-79 years, male 40.3
GTEX-1F5PK-2426-SM-7RHHY 50-59 years, male 40.2
GTEX-1OJC3-0126-SM-E76QX 20-29 years, male 40.2
GTEX-12KS4-0326-SM-5EQ41 30-39 years, male 40.1
GTEX-15EU6-0426-SM-6PAN5 50-59 years, male 40.1
GTEX-17GQL-2026-SM-718BA 60-69 years, male 40.1
GTEX-1B97I-1626-SM-73KYO 40-49 years, male 40.1
GTEX-Y5V5-2326-SM-4V6GA 60-69 years, female 40.1
GTEX-WXYG-2326-SM-4E3I6 50-59 years, female 40.0
GTEX-SE5C-1626-SM-2XCE3 40-49 years, female 40.0
GTEX-13FTW-2626-SM-5K7WL 40-49 years, male 39.9
GTEX-1IE54-0126-SM-CMKHW 40-49 years, female 39.9
GTEX-1QAET-0926-SM-E76QM 50-59 years, male 39.9
GTEX-11DXW-0226-SM-5H122 40-49 years, male 39.8
GTEX-12WSJ-1826-SM-5GCNY 40-49 years, female 39.8
GTEX-13112-2826-SM-5DUWH 50-59 years, male 39.8
GTEX-13YAN-0326-SM-5O9DF 60-69 years, male 39.8
GTEX-13PVR-2326-SM-5QGR1 60-69 years, female 39.7
GTEX-O5YT-0126-SM-48TBW 20-29 years, male 39.7
GTEX-1MA7W-2026-SM-E9TJ6 20-29 years, female 39.7
GTEX-13O3P-0126-SM-5KM4S 50-59 years, male 39.6
GTEX-13U4I-0126-SM-5LU38 40-49 years, female 39.6
GTEX-14753-0426-SM-5NQAM 60-69 years, male 39.6
GTEX-1F6I4-0126-SM-9MQL2 60-69 years, male 39.6
GTEX-S33H-1026-SM-EZ6L6 30-39 years, male 39.6
GTEX-12WSL-2526-SM-5GCNJ 50-59 years, male 39.5
GTEX-1B8SG-0126-SM-73KZ3 50-59 years, male 39.5
GTEX-1F48J-0126-SM-7P8TT 50-59 years, female 39.5
GTEX-1H3NZ-0126-SM-ACKX7 60-69 years, male 39.5
GTEX-13111-1626-SM-5EGJY 50-59 years, male 39.3
GTEX-17F96-1626-SM-7DUFL 70-79 years, male 39.3
GTEX-1F6IF-0726-SM-7P8TW 60-69 years, male 39.3
GTEX-1IOXB-0126-SM-ARL8G 50-59 years, male 39.3
GTEX-1HR98-0126-SM-B2LWI 60-69 years, male 39.2
GTEX-1MCQQ-0826-SM-DLHC2 60-69 years, male 39.2
GTEX-PSDG-0226-SM-DKPOZ 50-59 years, male 39.2
GTEX-ZF3C-0126-SM-DO92D 50-59 years, female 39.2
GTEX-13D11-2426-SM-5KM1V 50-59 years, female 39.1
GTEX-16XZZ-0126-SM-793DV 60-69 years, male 39.1
GTEX-1I1CD-0126-SM-CM2TK 60-69 years, female 39.1
GTEX-1OFPY-2426-SM-DTXEJ 60-69 years, male 39.1
GTEX-12ZZZ-0626-SM-5DUXI 60-69 years, male 39.0
GTEX-1313W-0126-SM-5LZUN 50-59 years, female 39.0
GTEX-148VJ-0126-SM-5TDDN 70-79 years, male 39.0
GTEX-1F7RK-0126-SM-7PC2S 20-29 years, female 39.0
GTEX-1IL2U-0226-SM-CE6T8 60-69 years, male 39.0
GTEX-1LGOU-2026-SM-DIPFF 20-29 years, female 39.0
GTEX-1PIGE-0126-SM-EVYBJ 20-29 years, male 39.0
GTEX-132NY-0326-SM-5IJBL 60-69 years, male 38.9
GTEX-117XS-2726-SM-5N9BL 60-69 years, male 38.7
GTEX-14BMV-0126-SM-5S2PO 50-59 years, male 38.7
GTEX-WYJK-0126-SM-3NMAB 50-59 years, male 38.7
GTEX-13CF3-2426-SM-5IFGX 60-69 years, female 38.6
GTEX-Z9EW-1626-SM-5CVMN 40-49 years, male 38.6
GTEX-13O3Q-2426-SM-5IJBR 50-59 years, male 38.5
GTEX-13S7M-0126-SM-5SI6A 60-69 years, female 38.5
GTEX-15D1Q-0126-SM-7KUG6 40-49 years, male 38.5
GTEX-15SHU-0126-SM-7KUEH 40-49 years, female 38.5
GTEX-17EVP-0326-SM-7DHLG 40-49 years, male 38.5
GTEX-WVJS-0126-SM-4MVOT 50-59 years, male 38.5
GTEX-1JMQJ-0526-SM-CYPSU 50-59 years, male 38.5
GTEX-PW2O-1526-SM-7RHHB 20-29 years, male 38.5
GTEX-1399R-2726-SM-5IJBA 30-39 years, male 38.4
GTEX-17KNJ-2326-SM-7DHLQ 50-59 years, male 38.4
GTEX-1H3VE-0326-SM-9YFLH 40-49 years, male 38.4
GTEX-131XW-0426-SM-5LZWP 50-59 years, female 38.3
GTEX-14ABY-0226-SM-5TDCQ 50-59 years, male 38.3
GTEX-18465-0126-SM-731BN 50-59 years, male 38.3
GTEX-1F52S-0126-SM-9MQJU 60-69 years, female 38.3
GTEX-1GZ2Q-0226-SM-7P8TL 40-49 years, male 38.3
GTEX-1192W-2626-SM-5Q5AF 60-69 years, male 38.2
GTEX-QDVN-2026-SM-3GAEP 50-59 years, male 38.2
GTEX-1JMLX-0226-SM-CM2RO 50-59 years, male 38.2
GTEX-11NSD-2226-SM-5986V 20-29 years, male 38.1
GTEX-1KAFJ-2026-SM-CY8ID 50-59 years, male 38.1
GTEX-1KWVE-1426-SM-E9TJO 30-39 years, male 38.1
GTEX-14BIM-0226-SM-7IGLD 60-69 years, female 38.0
GTEX-183WM-0126-SM-7LTAB 70-79 years, female 38.0
GTEX-1JN6P-0126-SM-D3L98 60-69 years, male 38.0
GTEX-1PPH7-2326-SM-EVYB8 40-49 years, male 38.0
GTEX-11TT1-2526-SM-5EGIB 20-29 years, male 37.9
GTEX-1211K-2026-SM-5EQ4Z 60-69 years, female 37.9
GTEX-X4XY-0226-SM-4E3IZ 60-69 years, male 37.9
GTEX-1HBPI-1526-SM-C1YQ1 50-59 years, male 37.9
GTEX-1JJ6O-0126-SM-E6CI8 60-69 years, male 37.9
GTEX-1LC47-0326-SM-E9TJP 60-69 years, male 37.9
GTEX-1269C-2526-SM-5EGJ3 60-69 years, female 37.8
GTEX-13X6H-2126-SM-7EWD5 50-59 years, female 37.8
GTEX-1B8L1-2526-SM-9WYTF 60-69 years, male 37.8
GTEX-1HFI7-1826-SM-ACKXH 50-59 years, female 37.8
GTEX-1ICLZ-0126-SM-CKZPO 60-69 years, male 37.8
GTEX-1JMPZ-0226-SM-CNPP1 30-39 years, male 37.8
GTEX-X88G-0126-SM-47JZ3 30-39 years, male 37.7
GTEX-Z93S-0126-SM-5HL7M 50-59 years, male 37.7
GTEX-1EN7A-0126-SM-7SB81 40-49 years, male 37.7
GTEX-1H1DG-0126-SM-9WYU2 70-79 years, male 37.7
GTEX-U412-0426-SM-3DB9O 60-69 years, male 37.6
GTEX-1HSMQ-1226-SM-CGQFX 50-59 years, male 37.6
GTEX-1RAZA-0126-SM-E6CI3 20-29 years, male 37.6
GTEX-1S3DN-2226-SM-EVYCD 50-59 years, male 37.6
GTEX-17HG3-2226-SM-7938L 30-39 years, female 37.5
GTEX-YFC4-0126-SM-5CVLY 40-49 years, female 37.5
GTEX-1I1GQ-0126-SM-COH3H 50-59 years, male 37.5
GTEX-1QEPI-0126-SM-EWRMQ 60-69 years, female 37.5
GTEX-145ME-1826-SM-5SI9G 40-49 years, female 37.4
GTEX-15RIG-0226-SM-7KFTL 40-49 years, male 37.4
GTEX-18A7A-0226-SM-718BH 50-59 years, female 37.4
GTEX-NPJ8-0126-SM-2YUNR 40-49 years, male 37.4
GTEX-11OC5-0126-SM-5HL6A 60-69 years, male 37.3
GTEX-13CF2-2526-SM-5LZYX 60-69 years, male 37.3
GTEX-13OVL-0226-SM-5L3E9 50-59 years, male 37.3
GTEX-15F5U-1526-SM-6PANO 40-49 years, male 37.3
GTEX-XMD2-0126-SM-4YCDU 60-69 years, female 37.3
GTEX-14DAQ-0126-SM-5S2MQ 60-69 years, female 37.2
GTEX-ZDTT-2726-SM-4WKF8 60-69 years, male 37.2
GTEX-ZZ64-1726-SM-5GZYB 20-29 years, male 37.2
GTEX-1H1E6-1726-SM-ACKVK 30-39 years, male 37.2
GTEX-18A66-0226-SM-718BD 60-69 years, male 37.1
GTEX-ZXG5-0126-SM-5GIEU 60-69 years, male 37.1
GTEX-1CAV2-2226-SM-7P8P2 40-49 years, female 37.1
GTEX-1GZ4H-1726-SM-7PBZJ 50-59 years, female 37.1
GTEX-XXEK-2226-SM-4BRUM 50-59 years, male 37.0
GTEX-1I1GR-0126-SM-CL55F 60-69 years, male 37.0
GTEX-SIU8-0126-SM-2XCDT 50-59 years, male 36.9
GTEX-1ICLY-0126-SM-D4P36 50-59 years, male 36.9
GTEX-1JKYN-1326-SM-CGQG9 30-39 years, male 36.9
GTEX-13NZ8-0826-SM-5MR3I 60-69 years, female 36.8
GTEX-TKQ1-1026-SM-4GICL 30-39 years, male 36.8
GTEX-1GMRU-0126-SM-9YFLV 50-59 years, male 36.8
GTEX-1JKYR-0126-SM-CNPOJ 20-29 years, male 36.8
GTEX-12WSA-0226-SM-5BC5V 60-69 years, male 36.7
GTEX-18A7B-0126-SM-7LG64 70-79 years, male 36.7
GTEX-Q2AH-1626-SM-3GAF8 40-49 years, male 36.7
GTEX-XV7Q-2526-SM-4BRV9 40-49 years, female 36.7
GTEX-1H11D-0226-SM-9WG6Z 40-49 years, male 36.7
GTEX-1M5QR-1226-SM-EWROB 40-49 years, male 36.7
GTEX-117YX-2326-SM-5H12W 50-59 years, male 36.6
GTEX-13X6I-0626-SM-5QGP9 60-69 years, male 36.6
GTEX-PX3G-0126-SM-2I3EN 20-29 years, female 36.6
GTEX-T2IS-0126-SM-4DM6O 20-29 years, female 36.6
GTEX-1GZHY-0326-SM-9QEHI 50-59 years, female 36.6
GTEX-1ICG6-2526-SM-CGQFZ 70-79 years, female 36.6
GTEX-14PN3-2426-SM-6LLHS 60-69 years, female 36.5
GTEX-1CB4E-2226-SM-793DC 60-69 years, male 36.5
GTEX-1K9T9-0126-SM-EVYCF 50-59 years, female 36.5
GTEX-11DYG-0126-SM-59883 60-69 years, male 36.4
GTEX-139TU-0126-SM-5K7WH 60-69 years, male 36.4
GTEX-1NV5F-0226-SM-E8VNY 60-69 years, female 36.4
GTEX-14JG1-0426-SM-6ETZZ 40-49 years, male 36.3
GTEX-1LVAN-0226-SM-COH3S 50-59 years, female 36.3
GTEX-117YW-2626-SM-5GZZH 50-59 years, male 36.2
GTEX-1192X-0226-SM-5H12D 50-59 years, male 36.2
GTEX-145MF-0626-SM-5LUAI 50-59 years, male 36.2
GTEX-1CAMR-1926-SM-7EPI2 20-29 years, male 36.2
GTEX-T5JC-0426-SM-32PLO 20-29 years, male 36.2
GTEX-1CAMS-0426-SM-7P8T2 40-49 years, female 36.2
GTEX-1H3VY-0126-SM-ACKXD 50-59 years, male 36.2
GTEX-1HSKV-0226-SM-A9SKJ 60-69 years, male 36.2
GTEX-1K2DU-2326-SM-E9TIV 20-29 years, male 36.2
GTEX-1NHNU-1026-SM-E9J2A 50-59 years, male 36.2
GTEX-14DAR-2026-SM-5S2O3 50-59 years, male 36.1
GTEX-183FY-0126-SM-7LT9P 20-29 years, male 36.1
GTEX-Q2AG-0126-SM-33HBV 40-49 years, female 36.1
GTEX-1EU9M-0226-SM-7P8SP 60-69 years, male 36.1
GTEX-1H3O1-0426-SM-9YFKY 60-69 years, male 36.1
GTEX-1I19N-0326-SM-ACKVX 70-79 years, male 36.1
GTEX-13SLX-0526-SM-5S2ON 50-59 years, female 36.0
GTEX-ZAB5-1826-SM-5HL7C 50-59 years, male 36.0
GTEX-111VG-2426-SM-5GZXD 60-69 years, male 35.9
GTEX-13OW6-0426-SM-5L3HM 50-59 years, male 35.9
GTEX-1EKGG-0226-SM-9WYTH 60-69 years, male 35.9
GTEX-144FL-0126-SM-5TDC8 50-59 years, male 35.8
GTEX-14C5O-0126-SM-5SI6N 60-69 years, male 35.8
GTEX-15UKP-0426-SM-7KUFQ 20-29 years, male 35.8
GTEX-1IGQW-0126-SM-COH42 60-69 years, male 35.8
GTEX-1LB8K-0226-SM-EWRNW 50-59 years, male 35.8
GTEX-14PHX-2326-SM-62LEM 50-59 years, male 35.7
GTEX-18D9U-0226-SM-718BP 40-49 years, male 35.7
GTEX-S32W-2126-SM-2XCB1 50-59 years, female 35.7
GTEX-U8T8-0126-SM-3DB94 60-69 years, male 35.7
GTEX-ZC5H-0226-SM-4WAY9 40-49 years, female 35.7
GTEX-ZV6S-2326-SM-4YCEY 40-49 years, female 35.7
GTEX-1LH75-2426-SM-E9TJE 50-59 years, female 35.7
GTEX-11ZVC-2526-SM-5FQTE 50-59 years, female 35.6
GTEX-14E6D-0126-SM-62LDV 50-59 years, male 35.6
GTEX-T2YK-0526-SM-32QPJ 50-59 years, male 35.6
GTEX-T6MN-0126-SM-32PLP 50-59 years, male 35.6
GTEX-1HGF4-2426-SM-ACKXM 60-69 years, male 35.6
GTEX-OIZF-0126-SM-7SB8I 60-69 years, male 35.6
GTEX-14PJ6-2126-SM-6EU1V 60-69 years, female 35.5
GTEX-1AX9I-0126-SM-7SB74 60-69 years, male 35.5
GTEX-1IDJU-2626-SM-CM2RT 60-69 years, female 35.5
GTEX-1PPH8-0226-SM-E8VND 20-29 years, male 35.5
GTEX-1R46S-0626-SM-E9J41 60-69 years, female 35.5
GTEX-131XH-2226-SM-5DUXJ 50-59 years, male 35.4
GTEX-139D8-0226-SM-5KLZO 30-39 years, female 35.4
GTEX-14ICK-0226-SM-6EU25 40-49 years, male 35.4
GTEX-1I1GU-2226-SM-CGQFA 40-49 years, male 35.4
GTEX-1J8Q3-1626-SM-CMKGC 60-69 years, male 35.4
GTEX-1LNCM-1126-SM-E9U5E 50-59 years, female 35.4
GTEX-145LU-0126-SM-5TDCB 50-59 years, male 35.3
GTEX-1C2JI-1826-SM-73KXC 50-59 years, male 35.3
GTEX-1CB4I-0226-SM-79OLH 50-59 years, male 35.3
GTEX-ZE7O-0126-SM-57WC1 50-59 years, female 35.3
GTEX-1A8FM-0226-SM-7SB7Q 50-59 years, female 35.3
GTEX-11DXY-2626-SM-5GIE7 60-69 years, male 35.2
GTEX-12126-0326-SM-5PNW3 20-29 years, male 35.2
GTEX-13113-5016-SM-7EPIP 60-69 years, female 35.2
GTEX-139T8-0126-SM-5K7XZ 60-69 years, male 35.2
GTEX-13O1R-0126-SM-5L3EH 60-69 years, male 35.2
GTEX-13W46-0226-SM-5SIAG 50-59 years, male 35.2
GTEX-145MN-2226-SM-5SIAU 30-39 years, male 35.2
GTEX-1A32A-0126-SM-718B1 50-59 years, female 35.2
GTEX-RTLS-0126-SM-447CA 60-69 years, female 35.2
GTEX-17MFQ-1726-SM-793C7 20-29 years, male 35.1
GTEX-P4PP-0126-SM-3LK69 30-39 years, female 35.1
GTEX-PLZ4-0126-SM-5SI8O 50-59 years, female 35.1
GTEX-1B996-0226-SM-7RHGO 60-69 years, male 35.1
GTEX-1314G-1526-SM-5EGK2 30-39 years, male 35.0
GTEX-17EVQ-0226-SM-7LG4P 70-79 years, male 35.0
GTEX-QV44-1926-SM-2S1RF 50-59 years, male 35.0
GTEX-X585-0226-SM-4QAS2 50-59 years, male 35.0
GTEX-X5EB-2226-SM-46MW4 40-49 years, male 35.0
GTEX-Y114-2426-SM-4TT8A 50-59 years, female 35.0
GTEX-ZY6K-1826-SM-5GZXK 50-59 years, male 35.0
GTEX-1HCU8-0626-SM-A9SM9 60-69 years, female 35.0
GTEX-131YS-0126-SM-5KM1M 60-69 years, female 34.9
GTEX-X4XX-0126-SM-3NMC2 60-69 years, male 34.9
GTEX-1C6WA-0126-SM-7PC2B 60-69 years, male 34.9
GTEX-1IL2V-0126-SM-CM2TX 70-79 years, male 34.9
GTEX-1JN1M-0326-SM-CYPT3 60-69 years, female 34.9
GTEX-16BQI-0226-SM-7KUEX 30-39 years, female 34.8
GTEX-SSA3-0126-SM-32QPU 60-69 years, male 34.8
GTEX-1CB4F-0426-SM-9KNV4 60-69 years, male 34.8
GTEX-1J8EW-0126-SM-CJI4F 60-69 years, female 34.8
GTEX-13RTJ-2426-SM-5S2Q2 60-69 years, male 34.7
GTEX-13RTK-1426-SM-5QGQJ 20-29 years, male 34.7
GTEX-13W3W-2426-SM-5LU5B 60-69 years, female 34.7
GTEX-1CAMQ-0226-SM-7IGPK 40-49 years, male 34.7
GTEX-RWSA-0126-SM-2XCBB 40-49 years, male 34.7
GTEX-12WSG-2826-SM-E9J4H 50-59 years, female 34.7
GTEX-1JMPY-1326-SM-ARL8Y 30-39 years, male 34.7
GTEX-11DXX-2426-SM-5GZZW 60-69 years, female 34.6
GTEX-OOBK-0126-SM-2YUND 40-49 years, male 34.6
GTEX-RUSQ-1526-SM-2TF62 50-59 years, male 34.6
GTEX-ZVZO-0126-SM-5A5L9 40-49 years, male 34.6
GTEX-13VXT-0126-SM-5LU4I 20-29 years, female 34.5
GTEX-Y5LM-1926-SM-5RQJH 40-49 years, female 34.5
GTEX-13N11-2526-SM-5K7UE 50-59 years, female 34.4
GTEX-13OVI-1426-SM-5L3EY 60-69 years, female 34.4
GTEX-ZQUD-1426-SM-57WER 30-39 years, male 34.4
GTEX-1C64O-0126-SM-7SB8P 60-69 years, male 34.4
GTEX-1GN73-0226-SM-9WG67 60-69 years, male 34.4
GTEX-11GS4-2726-SM-5A5LE 60-69 years, male 34.3
GTEX-QDVJ-1726-SM-2I5FX 50-59 years, male 34.3
GTEX-1JMQK-0226-SM-CL543 60-69 years, male 34.3
GTEX-147GR-0526-SM-5S2MY 60-69 years, male 34.2
GTEX-X4EO-0326-SM-3P5YO 60-69 years, female 34.2
GTEX-1S5ZA-0126-SM-EVYCV 20-29 years, male 34.2
GTEX-147F3-0526-SM-5SI98 50-59 years, female 34.1
GTEX-1GL5R-1826-SM-9KNUY 50-59 years, male 34.1
GTEX-16MT8-0426-SM-7KUEY 60-69 years, female 34.0
GTEX-1AYD5-2426-SM-73KXR 50-59 years, male 34.0
GTEX-NFK9-0226-SM-2HMKQ 40-49 years, male 34.0
GTEX-WY7C-2326-SM-3NB2U 50-59 years, male 34.0
GTEX-1H1DE-2126-SM-9WG6R 20-29 years, male 34.0
GTEX-1IY9M-0126-SM-D3L8S 60-69 years, male 34.0
GTEX-1LG7Y-0526-SM-DKPQC 50-59 years, male 34.0
GTEX-OHPL-0126-SM-2HMJ7 60-69 years, female 33.9
GTEX-1J1OQ-0226-SM-CYPSH 40-49 years, female 33.8
GTEX-1J1R8-1726-SM-ARL8M 40-49 years, male 33.8
GTEX-1J8Q2-0526-SM-CM2RW 60-69 years, male 33.8
GTEX-11LCK-1026-SM-5A5KB 30-39 years, male 33.7
GTEX-SN8G-0126-SM-32PLI 50-59 years, female 33.7
GTEX-Y111-0126-SM-4SOIV 50-59 years, male 33.7
GTEX-YEC4-2126-SM-5IFJH 40-49 years, male 33.7
GTEX-ZXES-1826-SM-5E43S 30-39 years, female 33.7
GTEX-1HCVE-0126-SM-CGQEU 50-59 years, male 33.7
GTEX-1R9PO-2126-SM-E9J4O 60-69 years, female 33.7
GTEX-RWS6-2026-SM-2XCB5 60-69 years, female 33.6
GTEX-XUYS-0126-SM-47JWZ 50-59 years, male 33.6
GTEX-1I1GV-0526-SM-A9G29 60-69 years, male 33.6
GTEX-1PWST-0226-SM-E76QJ 70-79 years, male 33.6
GTEX-11NUK-0126-SM-5A5L3 50-59 years, male 33.5
GTEX-13VXU-0126-SM-5SI9F 50-59 years, male 33.5
GTEX-1B8KZ-2026-SM-7DHMB 50-59 years, male 33.5
GTEX-WQUQ-0426-SM-3MJFU 60-69 years, male 33.5
GTEX-WYVS-2126-SM-3NMA3 40-49 years, female 33.5
GTEX-PLZ6-1426-SM-DKPOT 30-39 years, male 33.5
GTEX-145LV-2126-SM-5LU8N 50-59 years, male 33.4
GTEX-UPJH-0326-SM-3GADU 50-59 years, male 33.4
GTEX-11XUK-2026-SM-5EQLF 40-49 years, female 33.3
GTEX-11ZTS-0126-SM-5EQ6M 60-69 years, female 33.3
GTEX-13NZB-2526-SM-5J1OM 30-39 years, male 33.3
GTEX-144GL-0126-SM-5TDE2 50-59 years, male 33.3
GTEX-1GPI6-0126-SM-9WG69 60-69 years, male 33.3
GTEX-1JMOU-1526-SM-CL54I 60-69 years, female 33.3
GTEX-15DYW-0126-SM-7KULE 60-69 years, female 33.2
GTEX-1GF9U-2126-SM-7SB7L 40-49 years, female 33.2
GTEX-1QW4Y-1526-SM-EAZ3Z 30-39 years, male 33.2
GTEX-SUCS-1926-SM-32PM3 70-79 years, male 33.1
GTEX-YB5E-2026-SM-5IFIS 40-49 years, male 33.1
GTEX-1JJE9-0326-SM-CL53Z 70-79 years, male 33.1
GTEX-1QP2A-0126-SM-E9J43 50-59 years, male 33.1
GTEX-1S82Y-2026-SM-EVYCM 40-49 years, male 33.1
GTEX-11DZ1-0126-SM-5985Q 50-59 years, male 33.0
GTEX-139TT-0126-SM-5K7Y5 60-69 years, male 33.0
GTEX-16GPK-0126-SM-7DHLE 60-69 years, male 33.0
GTEX-X4EP-0126-SM-3P5YV 60-69 years, female 33.0
GTEX-13RTL-0126-SM-7LG5S 40-49 years, male 32.9
GTEX-13X6J-0126-SM-5QGOU 50-59 years, male 32.9
GTEX-15CHC-2126-SM-6EU21 60-69 years, female 32.9
GTEX-15SHW-0326-SM-6PAML 60-69 years, male 32.9
GTEX-1A3MV-1926-SM-718BT 30-39 years, male 32.9
GTEX-146FR-1326-SM-E9J48 60-69 years, female 32.9
GTEX-17HHY-0126-SM-7LG5D 50-59 years, male 32.8
GTEX-ZGAY-0526-SM-4WWBB 40-49 years, female 32.8
GTEX-1MA7X-2226-SM-E6CIY 60-69 years, male 32.8
GTEX-1QP29-0626-SM-EWRMX 50-59 years, male 32.8
GTEX-13OW8-1326-SM-5J1OW 60-69 years, male 32.7
GTEX-1PBJI-0526-SM-E8VNK 20-29 years, female 32.7
GTEX-144GN-2326-SM-5LU4F 50-59 years, male 32.6
GTEX-14BIL-0126-SM-5SI92 50-59 years, male 32.6
GTEX-15SDE-2226-SM-7IGLO 50-59 years, female 32.6
GTEX-1HSEH-0126-SM-ACKXN 60-69 years, male 32.6
GTEX-1RLM8-2326-SM-EWRN4 50-59 years, male 32.6
GTEX-113JC-2326-SM-5EQ4E 50-59 years, female 32.5
GTEX-1497J-2426-SM-7IGNX 60-69 years, male 32.5
GTEX-ZDTS-0126-SM-4WAY5 60-69 years, male 32.5
GTEX-11ZU8-2526-SM-5EQKI 60-69 years, male 32.4
GTEX-Z93T-0126-SM-5HL5N 50-59 years, male 32.4
GTEX-1B933-0126-SM-7PC29 50-59 years, female 32.4
GTEX-1QCLY-0326-SM-E8VOG 30-39 years, male 32.4
GTEX-1RQEC-0426-SM-E6CHU 60-69 years, male 32.4
GTEX-16NPX-0226-SM-79OMT 50-59 years, male 32.3
GTEX-WFON-2126-SM-3LK7O 40-49 years, male 32.3
GTEX-ZVT3-0126-SM-5GU6I 60-69 years, female 32.3
GTEX-1LSNM-1926-SM-E6CII 50-59 years, male 32.2
GTEX-14LLW-0126-SM-6LLIO 70-79 years, female 32.0
GTEX-18D9B-0526-SM-7LTAS 60-69 years, male 32.0
GTEX-1C4CL-0526-SM-73KVK 30-39 years, male 32.0
GTEX-XQ3S-1526-SM-4BOOC 20-29 years, male 32.0
GTEX-1HUB1-0426-SM-E9U4U 60-69 years, male 32.0
GTEX-1M4P7-0226-SM-DIPEV 60-69 years, male 32.0
GTEX-1AX8Z-0126-SM-7DHM6 60-69 years, male 31.9
GTEX-PWCY-1826-SM-DHXIZ 20-29 years, female 31.9
GTEX-ZQG8-1626-SM-DHXIT 60-69 years, female 31.9
GTEX-11ZTT-2426-SM-5EQLS 60-69 years, female 31.8
GTEX-13O21-1426-SM-5K7XI 50-59 years, male 31.8
GTEX-15DCD-0126-SM-7KUEK 70-79 years, female 31.8
GTEX-17HII-0226-SM-7LG4E 50-59 years, male 31.8
GTEX-V1D1-2226-SM-3NMAX 50-59 years, male 31.8
GTEX-1F75I-0326-SM-9YFLU 40-49 years, male 31.8
GTEX-1R7EV-2426-SM-EVYBG 40-49 years, male 31.8
GTEX-ZF29-2326-SM-DO92K 60-69 years, female 31.8
GTEX-13NZA-0226-SM-5K7Z7 60-69 years, male 31.7
GTEX-PWO3-1526-SM-48TCM 60-69 years, female 31.7
GTEX-1HB9E-0226-SM-E9U4R 50-59 years, male 31.7
GTEX-1CB4J-0626-SM-7DHMP 60-69 years, male 31.6
GTEX-WI4N-1026-SM-3LK7N 40-49 years, female 31.5
GTEX-WRHK-1426-SM-3MJF9 20-29 years, female 31.5
GTEX-X8HC-0126-SM-4E3JW 50-59 years, female 31.5
GTEX-OXRN-0126-SM-48TDM 50-59 years, male 31.4
GTEX-XUZC-1726-SM-4BRWS 30-39 years, female 31.4
GTEX-18QFQ-0126-SM-731BE 30-39 years, male 31.3
GTEX-TMZS-0126-SM-3DB9Q 60-69 years, male 31.3
GTEX-ZVT4-0126-SM-DTXFN 50-59 years, female 31.3
GTEX-11VI4-1726-SM-5CVLH 40-49 years, female 31.2
GTEX-146FQ-0126-SM-5NQA9 30-39 years, male 31.2
GTEX-RM2N-1426-SM-2TF4H 50-59 years, male 31.2
GTEX-WZTO-0126-SM-3NM95 40-49 years, male 31.2
GTEX-1OJC4-0126-SM-E9J2E 50-59 years, female 31.2
GTEX-RNOR-0126-SM-E9J4R 50-59 years, female 31.2
GTEX-11EMC-2926-SM-5EQ4F 60-69 years, female 31.1
GTEX-11P82-1626-SM-59879 20-29 years, male 31.1
GTEX-12WSD-0126-SM-59HKN 60-69 years, female 31.1
GTEX-16NGA-1726-SM-731B4 40-49 years, female 31.1
GTEX-1AMFI-2026-SM-731BH 50-59 years, female 31.1
GTEX-1E1VI-0126-SM-7DHMZ 50-59 years, male 31.1
GTEX-1HCU9-1526-SM-A9SL7 20-29 years, male 31.1
GTEX-1PFEY-1526-SM-E76PP 30-39 years, male 31.1
GTEX-17HGU-0226-SM-7DHKV 50-59 years, male 31.0
GTEX-ZYY3-0126-SM-5GZY5 60-69 years, female 31.0
GTEX-1I1HK-0126-SM-COH49 60-69 years, male 31.0
GTEX-11UD1-0126-SM-5PNYG 40-49 years, female 30.9
GTEX-12WSK-2326-SM-5GCOH 40-49 years, female 30.9
GTEX-147F4-0226-SM-5QGPW 50-59 years, male 30.9
GTEX-1HBPM-0226-SM-ARL9F 60-69 years, female 30.9
GTEX-1GN1V-0126-SM-9WPOS 60-69 years, male 30.8
GTEX-11GSP-2526-SM-5N9BP 60-69 years, female 30.7
GTEX-13N1W-0126-SM-5K7VT 70-79 years, male 30.6
GTEX-14PHW-0126-SM-6LLJI 60-69 years, female 30.6
GTEX-ZDYS-2026-SM-5HL5L 50-59 years, male 30.6
GTEX-ZEX8-2426-SM-4WKG4 50-59 years, male 30.6
GTEX-1HCU6-0126-SM-CL54K 60-69 years, female 30.6
GTEX-16XZY-2126-SM-79OK1 70-79 years, male 30.5
GTEX-17EUY-0426-SM-793BD 20-29 years, male 30.5
GTEX-17F98-0626-SM-79OMX 40-49 years, female 30.5
GTEX-ZYFG-2326-SM-5E44B 60-69 years, female 30.5
GTEX-12C56-1726-SM-5EQ61 20-29 years, male 30.4
GTEX-13OW7-0126-SM-5MR3B 50-59 years, male 30.4
GTEX-X62O-0126-SM-4E3JN 50-59 years, male 30.4
GTEX-131XG-2626-SM-5KM17 50-59 years, female 30.3
GTEX-XPVG-2626-SM-4B669 50-59 years, male 30.3
GTEX-13O3O-0126-SM-E9J49 60-69 years, female 30.3
GTEX-11TTK-0126-SM-5987B 60-69 years, female 30.2
GTEX-1MCYP-1926-SM-E9J2R 20-29 years, female 30.2
GTEX-14PJ3-1826-SM-62LEX 50-59 years, male 30.1
GTEX-1AMEY-1326-SM-73KYK 30-39 years, female 30.1
GTEX-R45C-0126-SM-EAZ2R 60-69 years, female 30.1
GTEX-11EM3-2426-SM-59861 20-29 years, female 30.0
GTEX-12WSN-5019-SM-79OM6 40-49 years, male 30.0
GTEX-XUW1-0426-SM-4BOOT 50-59 years, female 30.0
GTEX-1GN1W-0526-SM-9MQJQ 50-59 years, female 30.0
GTEX-ZZPT-0226-SM-5E43X 50-59 years, male 29.9
GTEX-1MGNQ-0126-SM-EVYCJ 40-49 years, male 29.9
GTEX-1128S-2326-SM-5GZZY 60-69 years, female 29.8
GTEX-X638-0126-SM-47JZ8 70-79 years, female 29.8
GTEX-1QP67-1626-SM-EAZ3X 40-49 years, female 29.7
GTEX-17MF6-0126-SM-7LG4F 40-49 years, male 29.6
GTEX-ZUA1-0126-SM-5GU76 40-49 years, male 29.5
GTEX-14JIY-0126-SM-6LLH6 60-69 years, male 29.4
GTEX-OXRO-0126-SM-2YUN4 60-69 years, female 29.4
GTEX-P4PQ-0126-SM-2S1NM 60-69 years, male 29.4
GTEX-1HBPH-0426-SM-B2LW5 40-49 years, female 29.4
GTEX-1HKZK-0326-SM-9WYUH 40-49 years, male 29.4
GTEX-11ZUS-0626-SM-59885 30-39 years, male 29.3
GTEX-146FH-0126-SM-5QGPP 50-59 years, female 29.3
GTEX-QLQW-1126-SM-2S1Q8 30-39 years, male 29.3
GTEX-XQ8I-0426-SM-4BOPO 50-59 years, male 29.3
GTEX-ZYFC-0226-SM-5NQ75 50-59 years, male 29.3
GTEX-S7PM-0126-SM-4AD6S 60-69 years, male 29.0
GTEX-11GSO-2426-SM-5A5LY 60-69 years, male 28.9
GTEX-1C6VS-0526-SM-7DUEN 60-69 years, male 28.9
GTEX-Q2AI-1326-SM-2S1PL 40-49 years, male 28.9
GTEX-1I1GP-2226-SM-CGQFK 50-59 years, male 28.9
GTEX-1IKK5-0626-SM-ARL8A 60-69 years, male 28.7
GTEX-139T4-0226-SM-5HL5S 50-59 years, female 28.6
GTEX-1KANB-0526-SM-E6CJH 50-59 years, male 28.6
GTEX-ZPIC-1726-SM-DHXIU 40-49 years, female 28.6
GTEX-14JG6-2226-SM-6EU2G 30-39 years, female 28.5
GTEX-U4B1-1826-SM-4DXSU 40-49 years, male 28.5
GTEX-1QP9N-1426-SM-DTXFL 30-39 years, male 28.5
GTEX-1N2DV-0226-SM-E6CJ6 40-49 years, male 28.4
GTEX-Y3I4-2126-SM-4TT7C 50-59 years, male 28.2
GTEX-1HSMP-0126-SM-E6CJS 70-79 years, male 28.2
GTEX-QVJO-1626-SM-2S1QW 60-69 years, female 28.1
GTEX-R55E-0126-SM-2TC5Y 20-29 years, male 28.1
GTEX-ZAJG-0126-SM-5HL94 50-59 years, female 28.1
GTEX-U3ZN-2326-SM-3DB7W 30-39 years, female 28.0
GTEX-14A6H-0126-SM-5QGPK 30-39 years, male 27.9
GTEX-S95S-1226-SM-4GICG 60-69 years, male 27.9
GTEX-13FH7-2026-SM-E9J4I 50-59 years, female 27.9
GTEX-XBED-2226-SM-47JYQ 60-69 years, male 27.8
GTEX-1GF9W-0326-SM-9KNUN 60-69 years, male 27.7
GTEX-1GTWX-0126-SM-9YFLK 60-69 years, male 27.6
GTEX-ZYW4-0126-SM-5E44A 60-69 years, male 27.5
GTEX-1IKOH-0226-SM-COH4E 60-69 years, female 27.5
GTEX-O5YW-0126-SM-3LK6D 50-59 years, male 27.4
GTEX-PLZ5-2026-SM-2S1O4 50-59 years, male 27.4
GTEX-RN64-0126-SM-2TC68 50-59 years, male 27.3
GTEX-1I1GS-0126-SM-B2LVW 60-69 years, male 27.3
GTEX-Y8LW-1826-SM-5S2MV 50-59 years, female 27.2
GTEX-1RAZQ-0726-SM-EAZ43 30-39 years, male 27.2
GTEX-17F97-0326-SM-7LG5B 50-59 years, male 27.0
GTEX-1AYCT-2426-SM-7IGQ3 50-59 years, male 27.0
GTEX-ZDXO-3026-SM-5J1N5 60-69 years, male 27.0
GTEX-1QP66-1726-SM-E8VO1 50-59 years, male 27.0
GTEX-R55G-2526-SM-2TC6D 40-49 years, female 26.8
GTEX-13QJ3-0326-SM-5S2RA 50-59 years, male 26.7
GTEX-QDT8-0126-SM-48TZ1 30-39 years, female 26.5
GTEX-WH7G-2326-SM-3NMBC 40-49 years, male 26.3
GTEX-ZAB4-0226-SM-5N9F5 40-49 years, male 26.3
GTEX-1H1ZS-0426-SM-9WG6G 70-79 years, male 26.3
GTEX-14E7W-0126-SM-6LLJ9 70-79 years, male 26.2
GTEX-13FTY-0526-SM-5L3EV 40-49 years, female 26.1
GTEX-RU72-0926-SM-2TF6B 50-59 years, female 26.0
GTEX-WOFL-0126-SM-3MJG2 60-69 years, male 26.0
GTEX-QLQ7-1626-SM-2S1R8 60-69 years, male 25.7
GTEX-13OVJ-0126-SM-5KM36 50-59 years, female 25.6
GTEX-16YQH-0126-SM-7DUFJ 30-39 years, male 25.6
GTEX-11P7K-2126-SM-5GU7G 30-39 years, male 25.4
GTEX-169BO-1326-SM-9MQK2 50-59 years, male 25.3
GTEX-17HHE-2026-SM-79OKF 50-59 years, male 25.2
GTEX-Q734-1926-SM-2I5EV 40-49 years, female 25.2
GTEX-13OVG-1926-SM-5L3DK 60-69 years, male 25.1
GTEX-QEG4-0226-SM-2S1PY 30-39 years, male 25.1
GTEX-ZF28-0126-SM-4WKGK 60-69 years, male 24.9
GTEX-U3ZM-1526-SM-3DB9D 40-49 years, male 24.7
GTEX-113IC-0126-SM-5HL6T 60-69 years, male 24.5
GTEX-1399U-2326-SM-5K7WY 50-59 years, female 24.4
GTEX-OHPM-0126-SM-2YUN9 50-59 years, male 24.3
GTEX-OXRL-0126-SM-2YUMP 50-59 years, male 19.6
Show allShow less

Contact

  • NEWS ARTICLES
  • PRESS ROOM

The Project

  • INTRODUCTION
  • ORGANIZATION
  • PUBLICATIONS

The Human Protein Atlas

  • DOWNLOADABLE DATA
  • LICENCE & CITATION
  • HELP & FAQ
The Human Protein Atlas project is funded
by the Knut & Alice Wallenberg Foundation.


contact@proteinatlas.org