We use cookies to enhance the usability of our website. If you continue, we'll assume that you are happy to receive all cookies. More information. Don't show this again.
NF1
HPA
RESOURCES
  • TISSUE
  • BRAIN
  • SINGLE CELL
  • SUBCELLULAR
  • CANCER
  • BLOOD
  • CELL LINE
  • STRUCTURE & INTERACTION
ABOUT
  • INTRODUCTION
  • HISTORY
  • ORGANIZATION
  • PUBLICATIONS
  • ANTIBODY SUBMISSION
  • ANTIBODY AVAILABILITY
  • ACKNOWLEDGMENTS
  • CONTACT
NEWS
  • NEWS ARTICLES
  • PRESS ROOM
LEARN
  • DICTIONARY
  • PROTEIN CLASSES
  • PROTEIN EVIDENCE
  • METHODS
  • EDUCATIONAL VIDEOS
DATA
  • DOWNLOADABLE DATA
  • PUBLICATION DATA
  • RELEASE HISTORY
HELP
  • ANTIBODY VALIDATION
  • ASSAYS & ANNOTATION
  • DISCLAIMER
  • HELP & FAQ
  • PRIVACY STATEMENT
  • LICENCE & CITATION
Fields »
Search result

Field
Term
Gene name
Class
Subclass
Class
Keyword
Chromosome
External id
Tissue
Cell type
Expression
Antibody panel
Tissue
Main location
Patient ID
Annotation
Tissue
Category
Tau score
Cluster
Reliability
Brain region
Category
Tau score
Brain region
Category
Tau score
Brain region
Category
Tau score
Cluster
Reliability
Tissue
Cell type
Enrichment
Cell type
Category
Tau score
Cell type
Category
Tau score
Cell type
Category
Tau score
Cell lineage
Category
Tau score
Cluster
Cluster
Location
Searches
Location
Cell line
Class
Type
Phase
Reliability
Cancer
Prognosis
Cancer
Category
Cancer
Category
Tau score
Cluster
Variants
Interacting gene (ensg_id)
Type
Number of interactions
Pathway
Category
Score
Score
Score
Validation
Validation
Validation
Validation
Antibodies
Data type
Column


  • SUMMARY

  • TISSUE

  • BRAIN

  • SINGLE CELL

  • SUBCELL

  • CANCER

  • BLOOD

  • CELL LINE

  • STRUCT & INT

  • NF1
TISSUE PRIMARY DATA SKIN Show tissue menu
ADIPOSE TISSUE ADRENAL GLAND AMYGDALA APPENDIX BASAL GANGLIA BONE MARROW BREAST BRONCHUS CEREBELLUM CEREBRAL CORTEX CERVIX CHOROID PLEXUS COLON DUODENUM
ENDOMETRIUM EPIDIDYMIS ESOPHAGUS FALLOPIAN TUBE GALLBLADDER HEART MUSCLE HIPPOCAMPAL FORMATION HYPOTHALAMUS KIDNEY LIVER LUNG LYMPH NODE MIDBRAIN NASOPHARYNX
ORAL MUCOSA OVARY PANCREAS PARATHYROID GLAND PITUITARY GLAND PLACENTA PROSTATE RECTUM RETINA SALIVARY GLAND SEMINAL VESICLE SKELETAL MUSCLE SKIN SMALL INTESTINE
SMOOTH MUSCLE SOFT TISSUE SPINAL CORD SPLEEN STOMACH TESTIS THYMUS THYROID GLAND TONGUE TONSIL URINARY BLADDER VAGINA
ANTIBODIES
AND
VALIDATION
Dictionary
Skin
Tissue proteome
Skin
SKIN - Expression summary
Protein expression
Skini

On the top, protein expression in current human tissue, based on all annotated cell types, is reported with the units not detected (n), low (l), medium (m) and high (h). Underneath, protein expression in each annotated cell type are reported using the same units.

Protein expression data is based on knowledge-based annotation. For genes where more than one antibody has been used, a collective score is set.

If knowledge-based annotation could not be performed for a gene, no data is displayed here. View antibody staining data further down this page.

h
m
l
n
Epidermal cells: Not detected
Fibroblasts: High
Keratinocytes: Low
Langerhans: Not detected
Melanocytes: Medium
RNA expressioni

A summary of mRNA expression data available for current tissue based on several datasets. The mRNA expression levels in human tissues are based on RNA-seq data generated by the Human Protein Atlas (HPA), Genotype-Tissue Expression (GTEx) portal and CAGE data generated by the FANTOM5 consortium. Consensus normalized expression levels for human tissues was created by combining the data from HPA and GTEx datasets.

The mRNA expression levels in pig are based on RNA-seq data generated by the Human Protein Atlas (HPA), and for mouse, HPA data and in situ hybridization generated by the Allen brain atlas are reported.

Scroll down to view mRNA expression data in more detail.
Consensus:10.9 nTPM
HPA:10.9 nTPM
GTEx:6.0 nTPM

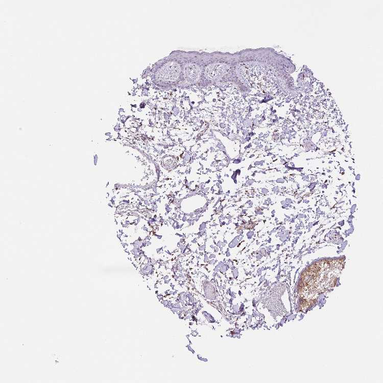
SKIN 1 - Antibody stainingi

Antibody staining in the annotated cell types in the current human tissue is reported as not detected, low, medium, or high, based on conventional immunohistochemistry profiling in selected tissues. This score is based on the combination of the staining intensity and fraction of stained cells.

Each image is clickable and will lead to virtual microscopy that enables deeper exploration of all samples and also displays staining intensity scores, fraction scores and subcellular localization as well as patient and tissue information for each sample.

Antibody HPA045502
Langerhans Not detected
Fibroblasts High
Keratinocytes Low
Melanocytes Medium


SKIN 2 - Antibody stainingi

Antibody staining in the annotated cell types in the current human tissue is reported as not detected, low, medium, or high, based on conventional immunohistochemistry profiling in selected tissues. This score is based on the combination of the staining intensity and fraction of stained cells.

Each image is clickable and will lead to virtual microscopy that enables deeper exploration of all samples and also displays staining intensity scores, fraction scores and subcellular localization as well as patient and tissue information for each sample.

Antibody HPA045502
Epidermal cells Not detected
 
 
 


SKIN - HPA RNA-seqi

The RNA-seq details section shows detailed information about the individual samples used for the transcript profiling and results of the RNA-seq analysis.

Information about each individual sample is listed below, including gender, age, a tissue section image and estimated fractions of cell types. nTPM (normalized transcripts per million) values give a quantification of the gene abundance which is comparable between different genes and samples.
Average nTPMi

Max subtype nTPM is the value for the subtype with the largest average nTPM across the subtype samples.

10.9
overview
Female, age 34
Skin sample 225
nTPM: 11.1
Cell types%
Keratinocytes:
60

Other cell types:
40

overview
Female, age 30
Skin sample 226
nTPM: 13
Cell types%
Keratinocytes:
55

Other cell types:
45

N/A
Male, age 57
Skin sample 227
nTPM: 8.7

SKIN - GTEx RNA-seqi

RNA-Seq data generated by the Genotype-Tissue Expression (GTEx) project from human tissues is reported as mean nTPM. More information can be found on the GTEx portal.

Distribution across the dataset is visualized with box plots, shown as median and 25th and 75th percentiles. Points are displayed as outliers if they are above or below 1.5 times the interquartile range. nTPM values of the individual samples are presented next to the box plot.
Max subtype nTPMi

Max subtype nTPM is the value for the subtype with the largest average nTPM across the subtype samples.

6.0
GTEx sample id Sample description nTPM
Skin - Not Sun Exposed (Suprapubic)
Average nTPM: 5.8
Samples: 604

Max nTPM: 13.1
Min nTPM: 2.4
Std nTPM: 1.1
Median nTPM: 5.7
GTEX-14E6C-2426-SM-5S2NF 40-49 years, male 13.1
GTEX-1S5ZU-2526-SM-E6CIF 20-29 years, female 9.6
GTEX-12696-0126-SM-5EQ4L 60-69 years, male 9.2
GTEX-1F88E-1626-SM-7SB8Z 60-69 years, female 9.1
GTEX-1JMQL-2226-SM-CNPP4 50-59 years, female 9.1
GTEX-1JN6P-2926-SM-CL54D 60-69 years, male 9.0
GTEX-1F75B-0726-SM-7PC3R 50-59 years, male 8.8
GTEX-1GF9U-2026-SM-7SB92 40-49 years, female 8.7
GTEX-1HSMO-0626-SM-ACKXC 60-69 years, male 8.7
GTEX-1I1GV-0626-SM-ARL7M 60-69 years, male 8.7
GTEX-13N1W-2426-SM-5IJD1 70-79 years, male 8.6
GTEX-X8HC-0626-SM-4E3HQ 50-59 years, female 8.6
GTEX-1EH9U-2826-SM-7DUGT 60-69 years, male 8.5
GTEX-1JKYR-0626-SM-ARL8R 20-29 years, male 8.5
GTEX-1F75I-2226-SM-7SB8U 40-49 years, male 8.4
GTEX-1HBPI-2126-SM-ARL9K 50-59 years, male 8.4
GTEX-148VJ-0626-SM-5LUAW 70-79 years, male 8.3
GTEX-1GF9W-1426-SM-7PBYM 60-69 years, male 8.3
GTEX-1I1GS-2626-SM-B2LY3 60-69 years, male 8.3
GTEX-1CB4F-1026-SM-7DUH1 60-69 years, male 8.2
GTEX-1A3MX-2626-SM-7PC24 60-69 years, male 8.1
GTEX-1GPI6-1926-SM-9KNV7 60-69 years, male 8.1
GTEX-1J1OQ-0126-SM-D4P2N 40-49 years, female 8.1
GTEX-15UF6-1926-SM-7KUDV 70-79 years, female 8.0
GTEX-1CB4J-1326-SM-7P8RX 60-69 years, male 8.0
GTEX-1JJE9-2626-SM-ARZMT 70-79 years, male 8.0
GTEX-16XZZ-0726-SM-7KUF2 60-69 years, male 7.9
GTEX-1CAV2-0126-SM-7IGN7 40-49 years, female 7.9
GTEX-1F6RS-2026-SM-7RHHC 60-69 years, female 7.9
GTEX-1GN1U-0626-SM-9MQL9 50-59 years, female 7.9
GTEX-1HSKV-1226-SM-ADEI4 60-69 years, male 7.9
GTEX-1LGRB-0926-SM-COH3K 50-59 years, female 7.8
GTEX-11TUW-0626-SM-5LU9M 60-69 years, male 7.7
GTEX-1B932-2326-SM-79OL5 40-49 years, female 7.7
GTEX-WHSE-0126-SM-3NMBT 20-29 years, male 7.7
GTEX-1C475-1326-SM-7SB73 40-49 years, female 7.7
GTEX-1H1DE-1326-SM-9KNUG 20-29 years, male 7.7
GTEX-1HUB1-1426-SM-CGQF5 60-69 years, male 7.7
GTEX-1IDFM-0326-SM-ARL7V 60-69 years, male 7.7
GTEX-147JS-0226-SM-5S2U9 60-69 years, male 7.6
GTEX-14DAQ-0626-SM-793DS 60-69 years, female 7.6
GTEX-17F9Y-0126-SM-79OKX 70-79 years, female 7.6
GTEX-17MF6-2626-SM-79OKQ 40-49 years, male 7.6
GTEX-1A32A-0626-SM-731AQ 50-59 years, female 7.6
GTEX-1AMFI-1326-SM-7939R 50-59 years, female 7.6
GTEX-1EX96-1026-SM-7MKG2 50-59 years, male 7.6
GTEX-1H23P-0626-SM-9WG6T 60-69 years, male 7.6
GTEX-1J8Q3-0526-SM-ARL8U 60-69 years, male 7.6
GTEX-1A8FM-0626-SM-7PC25 50-59 years, female 7.5
GTEX-145MI-0626-SM-5SI8S 60-69 years, female 7.4
GTEX-1LGOU-1326-SM-D3L8M 20-29 years, female 7.4
GTEX-13YAN-0226-SM-5TDC6 60-69 years, male 7.3
GTEX-1E1VI-0326-SM-793D1 50-59 years, male 7.3
GTEX-ZT9W-1126-SM-57WDR 50-59 years, male 7.3
GTEX-ZVE2-2826-SM-5GU51 50-59 years, male 7.3
GTEX-1F75W-2726-SM-7SB8H 60-69 years, male 7.3
GTEX-1HR98-2226-SM-ADEI2 60-69 years, male 7.3
GTEX-1L5NE-1126-SM-D3L9P 50-59 years, male 7.3
GTEX-13JUV-2026-SM-5K7UA 40-49 years, female 7.2
GTEX-13X6K-0626-SM-5LU5D 60-69 years, female 7.2
GTEX-16MT8-2926-SM-7DUFO 60-69 years, female 7.2
GTEX-18A7B-2726-SM-7LG56 70-79 years, male 7.2
GTEX-1F48J-0726-SM-7RHGS 50-59 years, female 7.2
GTEX-1211K-1526-SM-5FQU4 60-69 years, female 7.1
GTEX-13N11-2326-SM-5IJBF 50-59 years, female 7.1
GTEX-13OVG-1626-SM-5J1NF 60-69 years, male 7.1
GTEX-14C5O-0326-SM-5ZZUX 60-69 years, male 7.1
GTEX-WYBS-0626-SM-3NMAS 60-69 years, female 7.1
GTEX-ZUA1-2626-SM-5NQ92 40-49 years, male 7.1
GTEX-ZYY3-2926-SM-5GIEB 60-69 years, female 7.1
GTEX-1F6IF-0926-SM-7SB7M 60-69 years, male 7.1
GTEX-1HKZK-0726-SM-ACKW2 40-49 years, male 7.1
GTEX-1HR9M-2226-SM-CNPPY 60-69 years, male 7.1
GTEX-1I1GP-1326-SM-A9G28 50-59 years, male 7.1
GTEX-1QP66-1226-SM-DTX7U 50-59 years, male 7.1
GTEX-12KS4-2126-SM-5FQUT 30-39 years, male 7.0
GTEX-131XF-2626-SM-5EQ6K 60-69 years, male 7.0
GTEX-145MO-2826-SM-5LU96 60-69 years, male 7.0
GTEX-1GMR3-0126-SM-A9SLW 40-49 years, male 7.0
GTEX-1GMR8-0626-SM-7RHI7 50-59 years, female 7.0
GTEX-1H3NZ-2726-SM-9WYTQ 60-69 years, male 7.0
GTEX-1I19N-0126-SM-CYPSF 70-79 years, male 7.0
GTEX-12ZZZ-0726-SM-5GCNZ 60-69 years, male 6.9
GTEX-13VXU-0626-SM-5L3F9 50-59 years, male 6.9
GTEX-15D1Q-2826-SM-6LLH7 40-49 years, male 6.9
GTEX-16GPK-0626-SM-7KFSF 60-69 years, male 6.9
GTEX-1A8G7-1326-SM-73KVM 60-69 years, male 6.9
GTEX-WHWD-1826-SM-3LK6I 50-59 years, male 6.9
GTEX-YF7O-1526-SM-5IFI6 50-59 years, male 6.9
GTEX-1GN1W-2426-SM-9KNUU 50-59 years, female 6.9
GTEX-1H1DF-1126-SM-9WG7G 40-49 years, female 6.9
GTEX-1M4P7-0726-SM-E6CJ3 60-69 years, male 6.9
GTEX-ZGAY-1826-SM-DO91Q 40-49 years, female 6.9
GTEX-12ZZY-0726-SM-5EQ66 60-69 years, male 6.8
GTEX-14LLW-2626-SM-62LDZ 70-79 years, female 6.8
GTEX-15ER7-0626-SM-6PANF 20-29 years, female 6.8
GTEX-16NGA-0726-SM-731AO 40-49 years, female 6.8
GTEX-18A67-1626-SM-7LT9T 50-59 years, male 6.8
GTEX-1EU9M-1426-SM-793AI 60-69 years, male 6.8
GTEX-1F52S-2926-SM-7MKGA 60-69 years, female 6.8
GTEX-ZAB4-2126-SM-5HL8U 40-49 years, male 6.8
GTEX-ZYFC-0426-SM-5GICQ 50-59 years, male 6.8
GTEX-1GZHY-0626-SM-9KNVC 50-59 years, female 6.8
GTEX-1H4P4-2126-SM-9WYSL 50-59 years, male 6.8
GTEX-1HCU9-0426-SM-9WYSD 20-29 years, male 6.8
GTEX-1IDJC-1526-SM-B2LW4 50-59 years, male 6.8
GTEX-1J8Q2-2626-SM-ACKWQ 60-69 years, male 6.8
GTEX-1LVA9-2626-SM-EVYD4 50-59 years, male 6.8
GTEX-1N5O9-0926-SM-E9J3C 60-69 years, male 6.8
GTEX-1O9I2-0226-SM-EYYXD 50-59 years, male 6.8
GTEX-11EM3-1226-SM-5N9DD 20-29 years, female 6.7
GTEX-1269C-0126-SM-5EQ5L 60-69 years, female 6.7
GTEX-12WSM-1926-SM-5BC65 60-69 years, male 6.7
GTEX-13OVH-0526-SM-5L3E6 70-79 years, male 6.7
GTEX-14PKU-0126-SM-6LLHV 40-49 years, female 6.7
GTEX-15G1A-1626-SM-7KUKN 30-39 years, male 6.7
GTEX-183FY-1026-SM-7939A 20-29 years, male 6.7
GTEX-18A66-0626-SM-7LT8Z 60-69 years, male 6.7
GTEX-ZDTS-0826-SM-4WKHL 60-69 years, male 6.7
GTEX-1C64O-1326-SM-7MGWR 60-69 years, male 6.7
GTEX-1GZ4I-2626-SM-9KNU3 50-59 years, male 6.7
GTEX-1H1E6-0426-SM-9WYUS 30-39 years, male 6.7
GTEX-1H3VE-0726-SM-9YFL5 40-49 years, male 6.7
GTEX-1HGF4-0126-SM-CNPPX 60-69 years, male 6.7
GTEX-1IE54-1126-SM-A9G2Z 40-49 years, female 6.7
GTEX-1JMPZ-0726-SM-CY8HZ 30-39 years, male 6.7
GTEX-1JMQI-1726-SM-ARL93 50-59 years, male 6.7
GTEX-11EQ9-1626-SM-5PNY8 30-39 years, male 6.6
GTEX-11GSP-2326-SM-5HL63 60-69 years, female 6.6
GTEX-144GM-0526-SM-79OJO 20-29 years, male 6.6
GTEX-1B8KZ-0326-SM-73KY4 50-59 years, male 6.6
GTEX-ZVT4-2426-SM-5GIEI 50-59 years, female 6.6
GTEX-1GTWX-2026-SM-9YFLM 60-69 years, male 6.6
GTEX-1IKJJ-2226-SM-CJI4C 60-69 years, male 6.6
GTEX-1KWVE-1026-SM-D3L9O 30-39 years, male 6.6
GTEX-1PPH7-1126-SM-DTX9A 40-49 years, male 6.6
GTEX-11P7K-1126-SM-5HL4L 30-39 years, male 6.5
GTEX-11UD2-2526-SM-5CVNU 50-59 years, male 6.5
GTEX-13113-1626-SM-5EQ4I 60-69 years, female 6.5
GTEX-13JVG-0726-SM-5KM16 60-69 years, male 6.5
GTEX-14BMV-2826-SM-5TDED 50-59 years, male 6.5
GTEX-1C6VQ-1226-SM-73KYD 50-59 years, male 6.5
GTEX-WRHU-2826-SM-3MJG8 50-59 years, female 6.5
GTEX-ZLWG-0826-SM-59888 50-59 years, female 6.5
GTEX-ZYFD-0626-SM-5E44E 50-59 years, male 6.5
GTEX-14JG6-1426-SM-9WG7C 30-39 years, female 6.5
GTEX-1GPI7-1826-SM-9KNU1 20-29 years, male 6.5
GTEX-1GZ2Q-0126-SM-9WG6M 40-49 years, male 6.5
GTEX-1HSMQ-2626-SM-A9SML 50-59 years, male 6.5
GTEX-1IL2V-1926-SM-B2LW8 70-79 years, male 6.5
GTEX-1JJ6O-2726-SM-CNPOG 60-69 years, male 6.5
GTEX-1RAZA-2226-SM-E9U4X 20-29 years, male 6.5
GTEX-1RAZR-2126-SM-E9U6T 40-49 years, male 6.5
GTEX-13D11-0926-SM-5J2NC 50-59 years, female 6.4
GTEX-13OVJ-0826-SM-5J1OK 50-59 years, female 6.4
GTEX-13QBU-1226-SM-5LU4G 40-49 years, female 6.4
GTEX-13X6J-0626-SM-5LU5F 50-59 years, male 6.4
GTEX-1497J-0226-SM-5QGPU 60-69 years, male 6.4
GTEX-18D9U-0126-SM-731BM 40-49 years, male 6.4
GTEX-WEY5-2326-SM-3GIKK 40-49 years, female 6.4
GTEX-ZAJG-1526-SM-5CVML 50-59 years, female 6.4
GTEX-ZVTK-0226-SM-51MRG 20-29 years, male 6.4
GTEX-1I1CD-0626-SM-CE6SW 60-69 years, female 6.4
GTEX-1I1GU-0926-SM-ACKVS 40-49 years, male 6.4
GTEX-1I6K6-1726-SM-CGQFD 30-39 years, male 6.4
GTEX-1IDJD-2326-SM-ACKWX 30-39 years, male 6.4
GTEX-1N2DV-1526-SM-DTXEP 40-49 years, male 6.4
GTEX-1QW4Y-1126-SM-DTXE3 30-39 years, male 6.4
GTEX-1R9K4-2826-SM-DTX8F 60-69 years, male 6.4
GTEX-12C56-1526-SM-5FQUQ 20-29 years, male 6.3
GTEX-1314G-1326-SM-5BC6E 30-39 years, male 6.3
GTEX-131XG-0326-SM-5L3DX 50-59 years, female 6.3
GTEX-139UW-0326-SM-5J1ML 60-69 years, male 6.3
GTEX-13FLV-0126-SM-5K7WT 50-59 years, male 6.3
GTEX-13NZ8-1226-SM-5KM4A 60-69 years, female 6.3
GTEX-13OVK-1426-SM-6PAN7 40-49 years, male 6.3
GTEX-17F98-1326-SM-7DUEP 40-49 years, female 6.3
GTEX-18A7A-0126-SM-731AH 50-59 years, female 6.3
GTEX-1B933-2426-SM-7DHMD 50-59 years, female 6.3
GTEX-VJYA-1526-SM-3GIJV 60-69 years, male 6.3
GTEX-ZVE1-0726-SM-51MRN 50-59 years, female 6.3
GTEX-1HBPM-0726-SM-9YFL7 60-69 years, female 6.3
GTEX-1ICLY-0826-SM-CMKG1 50-59 years, male 6.3
GTEX-1IDJH-0126-SM-D3L92 70-79 years, male 6.3
GTEX-1IDJV-0126-SM-COH3Y 60-69 years, male 6.3
GTEX-1J8JJ-0626-SM-ARZMQ 60-69 years, female 6.3
GTEX-1JMPY-0226-SM-CKZOK 30-39 years, male 6.3
GTEX-1K9T9-1526-SM-DIPFR 50-59 years, female 6.3
GTEX-1LG7Y-2526-SM-EWRO7 50-59 years, male 6.3
GTEX-1LSVX-2526-SM-DIPEU 60-69 years, male 6.3
GTEX-139T8-0626-SM-5KLZX 60-69 years, male 6.2
GTEX-13RTJ-0126-SM-5S2NN 60-69 years, male 6.2
GTEX-14PJ4-0226-SM-5YY92 60-69 years, male 6.2
GTEX-14PJO-2526-SM-6AJBQ 60-69 years, male 6.2
GTEX-15EO6-2426-SM-6PALZ 50-59 years, male 6.2
GTEX-1A3MW-0626-SM-731CB 60-69 years, female 6.2
GTEX-1B8KE-1126-SM-7EPHI 50-59 years, male 6.2
GTEX-VUSG-2326-SM-4KL1U 50-59 years, male 6.2
GTEX-1JMLX-0626-SM-ARL8T 50-59 years, male 6.2
GTEX-1JN1M-2726-SM-CY8I4 60-69 years, female 6.2
GTEX-1NV5F-0626-SM-DTXEG 60-69 years, female 6.2
GTEX-11EI6-2826-SM-5H11D 60-69 years, male 6.1
GTEX-11EQ8-0926-SM-5H12V 60-69 years, male 6.1
GTEX-11O72-0626-SM-5PNYE 40-49 years, male 6.1
GTEX-11WQK-1026-SM-5EQLX 50-59 years, male 6.1
GTEX-13O3O-2326-SM-5IJD6 60-69 years, female 6.1
GTEX-13OW7-0426-SM-5K7VK 50-59 years, male 6.1
GTEX-13X6H-0926-SM-5SIB2 50-59 years, female 6.1
GTEX-1477Z-0326-SM-7IGLA 60-69 years, male 6.1
GTEX-14BMU-1226-SM-5S2OR 20-29 years, female 6.1
GTEX-15DDE-2926-SM-6LLJ3 50-59 years, female 6.1
GTEX-16NPX-0726-SM-7KULC 50-59 years, male 6.1
GTEX-183WM-0326-SM-72D5V 70-79 years, female 6.1
GTEX-18A6Q-0626-SM-7KFRP 60-69 years, male 6.1
GTEX-X4EO-2926-SM-4E3JH 60-69 years, female 6.1
GTEX-XAJ8-1426-SM-47JYM 40-49 years, male 6.1
GTEX-1F5PK-2226-SM-7SB6N 50-59 years, male 6.1
GTEX-1H1ZS-2726-SM-9WG75 70-79 years, male 6.1
GTEX-1IDJE-1426-SM-ADEIW 50-59 years, female 6.1
GTEX-1IY9M-2826-SM-ARU8H 60-69 years, male 6.1
GTEX-1JMOU-1026-SM-CYPSS 60-69 years, female 6.1
GTEX-1MCYP-0526-SM-E9U6Q 20-29 years, female 6.1
GTEX-11DXW-0826-SM-5H118 40-49 years, male 6.0
GTEX-12WSC-2826-SM-5BC5Y 50-59 years, male 6.0
GTEX-12WSK-2126-SM-5CVNC 40-49 years, female 6.0
GTEX-13OW8-1026-SM-5J1NQ 60-69 years, male 6.0
GTEX-13SLW-0626-SM-5Q5ER 70-79 years, male 6.0
GTEX-145LS-0626-SM-7EPG7 60-69 years, female 6.0
GTEX-14B4R-1326-SM-5Q5EZ 30-39 years, male 6.0
GTEX-15RJE-2826-SM-7KUM9 40-49 years, male 6.0
GTEX-17EVQ-0126-SM-7IGLR 70-79 years, male 6.0
GTEX-17MFQ-1526-SM-7KFRR 20-29 years, male 6.0
GTEX-18QFQ-1826-SM-72D52 30-39 years, male 6.0
GTEX-1AMEY-0826-SM-72D65 30-39 years, female 6.0
GTEX-1AX9I-2226-SM-73KUO 60-69 years, male 6.0
GTEX-1AX9J-1326-SM-731BJ 60-69 years, male 6.0
GTEX-1B97I-0626-SM-73KUZ 40-49 years, male 6.0
GTEX-Y8E4-2026-SM-5IFJB 40-49 years, male 6.0
GTEX-1F5PL-0926-SM-7PC2W 40-49 years, female 6.0
GTEX-1GMRU-2126-SM-7P8RA 50-59 years, male 6.0
GTEX-1GN1V-2826-SM-9JGIA 60-69 years, male 6.0
GTEX-1GN73-0726-SM-7P8TJ 60-69 years, male 6.0
GTEX-1H2FU-0926-SM-9WPPT 60-69 years, female 6.0
GTEX-1I1GT-1026-SM-ARZLV 60-69 years, female 6.0
GTEX-1LVAN-0626-SM-CNPOQ 50-59 years, female 6.0
GTEX-1R46S-2426-SM-E76QA 60-69 years, female 6.0
GTEX-11DXY-0126-SM-5H11Q 60-69 years, male 5.9
GTEX-11ZU8-0126-SM-5EQ58 60-69 years, male 5.9
GTEX-12WSD-0626-SM-5GCMW 60-69 years, female 5.9
GTEX-12WSF-1626-SM-7KUG5 70-79 years, male 5.9
GTEX-131YS-2826-SM-5EQ47 60-69 years, female 5.9
GTEX-1399U-1126-SM-5L3DB 50-59 years, female 5.9
GTEX-13FHO-0426-SM-5L3F5 60-69 years, male 5.9
GTEX-13PVQ-0626-SM-5LU47 50-59 years, male 5.9
GTEX-13VXT-1926-SM-5K7UO 20-29 years, female 5.9
GTEX-14PJ5-1526-SM-6LLIL 60-69 years, female 5.9
GTEX-15SKB-2826-SM-6PAMH 60-69 years, male 5.9
GTEX-18465-2826-SM-7LT9J 50-59 years, male 5.9
GTEX-1A8G6-2726-SM-731AR 60-69 years, male 5.9
GTEX-1B8SF-0126-SM-7DUG3 60-69 years, male 5.9
GTEX-WFG8-2126-SM-3GIKQ 20-29 years, male 5.9
GTEX-X4EP-0626-SM-3P621 60-69 years, female 5.9
GTEX-XMD2-2126-SM-4YCF8 60-69 years, female 5.9
GTEX-ZDYS-2426-SM-4WKGI 50-59 years, male 5.9
GTEX-ZU9S-1826-SM-5NQ9E 30-39 years, male 5.9
GTEX-14JFF-0626-SM-5ZZVT 60-69 years, male 5.9
GTEX-1B8L1-2226-SM-7P8PT 60-69 years, male 5.9
GTEX-1C64N-2626-SM-7PC2N 50-59 years, male 5.9
GTEX-1CAMR-1326-SM-7PC1F 20-29 years, male 5.9
GTEX-1F75A-0726-SM-7RHHD 50-59 years, male 5.9
GTEX-1F88F-0126-SM-9WYSZ 60-69 years, female 5.9
GTEX-1GF9V-0826-SM-9KNUV 60-69 years, male 5.9
GTEX-1HCU6-2526-SM-ADEHL 60-69 years, female 5.9
GTEX-1J1R8-2026-SM-CL53Y 40-49 years, male 5.9
GTEX-1KANA-1326-SM-DIPFA 20-29 years, male 5.9
GTEX-1KXAM-1626-SM-D3LAD 60-69 years, male 5.9
GTEX-1PIIG-2326-SM-DTXFR 30-39 years, male 5.9
GTEX-1QMI2-2526-SM-E8VNZ 60-69 years, male 5.9
GTEX-133LE-2326-SM-5K7W3 20-29 years, female 5.8
GTEX-139TS-2126-SM-5K7XC 60-69 years, male 5.8
GTEX-147F3-1726-SM-5SIAW 50-59 years, female 5.8
GTEX-17HHE-1326-SM-7EWDZ 50-59 years, male 5.8
GTEX-1B996-0426-SM-7EWF8 60-69 years, male 5.8
GTEX-1C2JI-1026-SM-73KY1 50-59 years, male 5.8
GTEX-WFON-1926-SM-3LK7L 40-49 years, male 5.8
GTEX-WHPG-2626-SM-3NMBR 50-59 years, male 5.8
GTEX-XQ3S-1426-SM-4BOPR 20-29 years, male 5.8
GTEX-Y8LW-1526-SM-5IFHL 50-59 years, female 5.8
GTEX-ZA64-1026-SM-5HL8R 20-29 years, male 5.8
GTEX-ZTX8-1326-SM-4YCEL 20-29 years, male 5.8
GTEX-1CAMQ-1326-SM-7P8RV 40-49 years, male 5.8
GTEX-1F6I4-2326-SM-7RHGL 60-69 years, male 5.8
GTEX-1I4MK-0126-SM-CY8G6 50-59 years, female 5.8
GTEX-1JMQK-1226-SM-D4P2S 60-69 years, male 5.8
GTEX-1JN76-0626-SM-CKZOQ 20-29 years, female 5.8
GTEX-1LG7Z-1626-SM-CXKYR 30-39 years, male 5.8
GTEX-1S831-1826-SM-EWROF 20-29 years, male 5.8
GTEX-12WSL-2026-SM-5GCML 50-59 years, male 5.7
GTEX-13NYB-0126-SM-5J1MD 40-49 years, male 5.7
GTEX-13NZ9-2626-SM-5L3FK 50-59 years, male 5.7
GTEX-13OVL-0126-SM-5L3GJ 50-59 years, male 5.7
GTEX-13U4I-2226-SM-5LU5H 40-49 years, female 5.7
GTEX-14ICL-1626-SM-5YYAO 30-39 years, male 5.7
GTEX-16Z82-2626-SM-7KULU 60-69 years, male 5.7
GTEX-17F9E-2326-SM-79OKD 50-59 years, male 5.7
GTEX-1A3MV-1826-SM-731CD 30-39 years, male 5.7
GTEX-U8XE-0226-SM-4E3J3 30-39 years, male 5.7
GTEX-XXEK-1626-SM-4BRUZ 50-59 years, male 5.7
GTEX-1GZ4H-0526-SM-9KNU9 50-59 years, female 5.7
GTEX-1KANC-1226-SM-CYPT7 50-59 years, female 5.7
GTEX-1QCLY-0226-SM-EWRNH 30-39 years, male 5.7
GTEX-11DYG-1526-SM-5A5JS 60-69 years, male 5.6
GTEX-11NUK-2726-SM-5A5MC 50-59 years, male 5.6
GTEX-11WQC-1826-SM-5GU59 60-69 years, male 5.6
GTEX-11ZUS-2626-SM-5FQUR 30-39 years, male 5.6
GTEX-12WSA-0426-SM-5EQ5X 60-69 years, male 5.6
GTEX-12ZZX-2426-SM-5GCOE 40-49 years, female 5.6
GTEX-139TU-0726-SM-5L3EK 60-69 years, male 5.6
GTEX-13FH7-1126-SM-5K7UG 50-59 years, female 5.6
GTEX-13X6I-1826-SM-5SIAO 60-69 years, male 5.6
GTEX-144GO-2026-SM-5O99P 60-69 years, male 5.6
GTEX-145MH-2826-SM-5RQJF 50-59 years, male 5.6
GTEX-14C38-0726-SM-5SI6M 50-59 years, male 5.6
GTEX-14PJ2-0626-SM-6LLII 50-59 years, male 5.6
GTEX-15FZZ-0526-SM-7KUGD 30-39 years, female 5.6
GTEX-15RJ7-2126-SM-6PAMD 40-49 years, male 5.6
GTEX-17HG3-2626-SM-7DUF2 30-39 years, female 5.6
GTEX-17JCI-2926-SM-7DUFF 60-69 years, female 5.6
GTEX-1EWIQ-0326-SM-7DHMQ 70-79 years, female 5.6
GTEX-WI4N-2726-SM-3LK7Y 40-49 years, female 5.6
GTEX-WYJK-0526-SM-3NM8Z 50-59 years, male 5.6
GTEX-ZDXO-3126-SM-5IJDF 60-69 years, male 5.6
GTEX-ZYW4-0626-SM-59HJR 60-69 years, male 5.6
GTEX-1H1CY-0126-SM-9YFLY 60-69 years, female 5.6
GTEX-1HFI7-2326-SM-CGQFS 50-59 years, female 5.6
GTEX-1JJEA-1826-SM-ARU8P 60-69 years, male 5.6
GTEX-1JK1U-0226-SM-ARZMX 60-69 years, male 5.6
GTEX-1JMQJ-0826-SM-CNPP7 50-59 years, male 5.6
GTEX-1KD5A-0126-SM-E9U54 50-59 years, male 5.6
GTEX-1LSNL-2726-SM-E9TKJ 50-59 years, male 5.6
GTEX-1LSNM-0826-SM-DIPG8 50-59 years, male 5.6
GTEX-1OJC3-1226-SM-DTXER 20-29 years, male 5.6
GTEX-1R7EU-1626-SM-DTXG3 60-69 years, male 5.6
GTEX-13NYC-0126-SM-5L3F4 60-69 years, male 5.5
GTEX-13O61-1426-SM-5KM3D 60-69 years, male 5.5
GTEX-13PVR-0426-SM-5RQK2 60-69 years, female 5.5
GTEX-145LT-0526-SM-5LUB2 40-49 years, male 5.5
GTEX-145LU-1926-SM-79OJN 50-59 years, male 5.5
GTEX-145MF-0926-SM-5Q5EA 50-59 years, male 5.5
GTEX-14AS3-1526-SM-5Q5ED 40-49 years, female 5.5
GTEX-14PHX-2226-SM-6EU2P 50-59 years, male 5.5
GTEX-15CHQ-0326-SM-69LQD 60-69 years, male 5.5
GTEX-17HHY-0426-SM-7DHLC 50-59 years, male 5.5
GTEX-W5X1-2526-SM-3GILC 40-49 years, female 5.5
GTEX-WK11-2726-SM-3NMAQ 50-59 years, male 5.5
GTEX-Y5LM-0926-SM-6LLJG 40-49 years, female 5.5
GTEX-YB5K-2026-SM-4VDT3 40-49 years, female 5.5
GTEX-YJ8O-2526-SM-5HL85 40-49 years, female 5.5
GTEX-ZF2S-1626-SM-57WES 50-59 years, female 5.5
GTEX-1HCVE-2726-SM-CL54F 50-59 years, male 5.5
GTEX-1IDJF-2026-SM-CL53V 20-29 years, male 5.5
GTEX-1IDJI-0126-SM-CMKHS 50-59 years, female 5.5
GTEX-1QP2A-1726-SM-E76QC 50-59 years, male 5.5
GTEX-1117F-2926-SM-5GZYI 60-69 years, female 5.4
GTEX-117YX-1926-SM-5GIEC 50-59 years, male 5.4
GTEX-11DXZ-2026-SM-5987S 50-59 years, male 5.4
GTEX-12WSH-1526-SM-5BC5W 50-59 years, male 5.4
GTEX-13112-0126-SM-5P9IU 50-59 years, male 5.4
GTEX-139YR-1026-SM-5LZYN 50-59 years, male 5.4
GTEX-14753-0726-SM-5QGQO 60-69 years, male 5.4
GTEX-16AAH-0626-SM-793C9 50-59 years, male 5.4
GTEX-XK95-0226-SM-4AT58 40-49 years, male 5.4
GTEX-Y111-0626-SM-4SOIT 50-59 years, male 5.4
GTEX-Z93S-1626-SM-5CVMB 50-59 years, male 5.4
GTEX-ZF29-0926-SM-4WKFZ 60-69 years, female 5.4
GTEX-ZVP2-0326-SM-57WBP 50-59 years, male 5.4
GTEX-ZVT2-0126-SM-5GIDQ 50-59 years, female 5.4
GTEX-ZZ64-1026-SM-5GZXG 20-29 years, male 5.4
GTEX-1122O-1026-SM-9WYSF 60-69 years, female 5.4
GTEX-1HSGN-0826-SM-ACKW3 40-49 years, female 5.4
GTEX-1I1HK-2326-SM-CKZOH 60-69 years, male 5.4
GTEX-1IDJU-1726-SM-CMKHU 60-69 years, female 5.4
GTEX-1J8EW-2726-SM-CY8HR 60-69 years, female 5.4
GTEX-1K2DU-1226-SM-CYPT4 20-29 years, male 5.4
GTEX-1MJK3-0726-SM-E6CJC 20-29 years, male 5.4
GTEX-1QAET-0326-SM-EVR3U 50-59 years, male 5.4
GTEX-1QEPI-2626-SM-DTXF4 60-69 years, female 5.4
GTEX-1R9PM-1926-SM-EVR3O 20-29 years, male 5.4
GTEX-1192X-2726-SM-5N9DN 50-59 years, male 5.3
GTEX-11GS4-0226-SM-5HL77 60-69 years, male 5.3
GTEX-13G51-1826-SM-5KLZH 60-69 years, male 5.3
GTEX-13N2G-0226-SM-5K7VF 60-69 years, male 5.3
GTEX-13O3Q-0126-SM-5KM34 50-59 years, male 5.3
GTEX-13OW6-2726-SM-5J2OE 50-59 years, male 5.3
GTEX-144FL-0626-SM-5LU43 50-59 years, male 5.3
GTEX-145ME-1726-SM-5Q5EU 40-49 years, female 5.3
GTEX-14PJ6-2626-SM-6EU2T 60-69 years, female 5.3
GTEX-UPJH-0226-SM-3GADV 50-59 years, male 5.3
GTEX-X5EB-1926-SM-4E3IW 40-49 years, male 5.3
GTEX-XBED-1926-SM-47JYP 60-69 years, male 5.3
GTEX-ZE7O-2726-SM-51MT5 50-59 years, female 5.3
GTEX-ZWKS-0626-SM-5GIDV 30-39 years, male 5.3
GTEX-ZY6K-1426-SM-5GZX2 50-59 years, male 5.3
GTEX-1IOXB-2726-SM-CM2RI 50-59 years, male 5.3
GTEX-1J8QM-2426-SM-A9SLS 60-69 years, female 5.3
GTEX-1KAFJ-0126-SM-DIPEK 50-59 years, male 5.3
GTEX-1N2EE-0626-SM-E76PW 60-69 years, male 5.3
GTEX-1PBJJ-1026-SM-E76OS 30-39 years, male 5.3
GTEX-1RB15-1326-SM-E76Q9 60-69 years, male 5.3
GTEX-YEC3-1326-SM-DO92X 50-59 years, male 5.3
GTEX-11DZ1-2426-SM-5GZZX 50-59 years, male 5.2
GTEX-11NSD-0626-SM-5A5LU 20-29 years, male 5.2
GTEX-12584-0726-SM-5FQTK 40-49 years, male 5.2
GTEX-139D8-1126-SM-5LU8W 30-39 years, female 5.2
GTEX-13QJC-0126-SM-5ZZWJ 60-69 years, female 5.2
GTEX-146FQ-2126-SM-5RQHU 30-39 years, male 5.2
GTEX-14XAO-1226-SM-6EU1C 60-69 years, female 5.2
GTEX-17EVP-2626-SM-7IGMA 40-49 years, male 5.2
GTEX-1AX8Z-0726-SM-73KTS 60-69 years, male 5.2
GTEX-V1D1-2026-SM-3GAF4 50-59 years, male 5.2
GTEX-Y5V5-0126-SM-5S2NW 60-69 years, female 5.2
GTEX-ZC5H-1526-SM-5HL9Y 40-49 years, female 5.2
GTEX-ZXG5-2126-SM-59HKD 60-69 years, male 5.2
GTEX-1C6VR-0126-SM-7RHGB 60-69 years, male 5.2
GTEX-1CB4I-0126-SM-7RHGG 50-59 years, male 5.2
GTEX-1EMGI-2326-SM-7PBYA 60-69 years, male 5.2
GTEX-1GN2E-0226-SM-9WG6K 60-69 years, male 5.2
GTEX-1H3O1-1326-SM-9MQLD 60-69 years, male 5.2
GTEX-1HCU8-2526-SM-CE6RX 60-69 years, female 5.2
GTEX-1I6K7-1926-SM-B2LXR 40-49 years, male 5.2
GTEX-1LVAO-2726-SM-E9TJ8 60-69 years, male 5.2
GTEX-1NSGN-0726-SM-DTXEF 50-59 years, male 5.2
GTEX-1QCLZ-2426-SM-EVYBW 60-69 years, female 5.2
GTEX-1RAZS-2526-SM-E6CHT 50-59 years, male 5.2
GTEX-1S82P-2126-SM-E6CI5 60-69 years, female 5.2
GTEX-111FC-2526-SM-5GZXU 60-69 years, male 5.1
GTEX-1212Z-0126-SM-59HK4 60-69 years, male 5.1
GTEX-131XW-0626-SM-5PNVD 50-59 years, female 5.1
GTEX-13NYS-0626-SM-5L3F1 60-69 years, male 5.1
GTEX-13PDP-0726-SM-5L3HP 60-69 years, male 5.1
GTEX-13SLX-2226-SM-62LEP 50-59 years, female 5.1
GTEX-13W3W-0726-SM-5IJDQ 60-69 years, female 5.1
GTEX-14BIN-1126-SM-5RQJZ 50-59 years, female 5.1
GTEX-14C39-1726-SM-5RQIL 40-49 years, male 5.1
GTEX-14PJN-1826-SM-6AJ98 30-39 years, male 5.1
GTEX-14PK6-0226-SM-62LF5 70-79 years, female 5.1
GTEX-15EU6-2226-SM-6EU2L 50-59 years, male 5.1
GTEX-178AV-1726-SM-7KUL8 40-49 years, male 5.1
GTEX-17HII-1426-SM-7EPGG 50-59 years, male 5.1
GTEX-17KNJ-2126-SM-718AM 50-59 years, male 5.1
GTEX-Y114-2126-SM-4TT8B 50-59 years, female 5.1
GTEX-1LB8K-0726-SM-D5OV2 50-59 years, male 5.1
GTEX-1PDJ9-1226-SM-EXUSX 20-29 years, male 5.1
GTEX-1PPGY-1626-SM-EVYBL 60-69 years, male 5.1
GTEX-12BJ1-0926-SM-5EQ62 60-69 years, male 5.0
GTEX-139TT-2126-SM-5LZWC 60-69 years, male 5.0
GTEX-13PL6-1126-SM-5L3IE 40-49 years, female 5.0
GTEX-14JG1-1526-SM-5YY9X 40-49 years, male 5.0
GTEX-15CHC-1126-SM-6LLHQ 60-69 years, female 5.0
GTEX-16BQI-1326-SM-6M486 30-39 years, female 5.0
GTEX-1CB4E-0926-SM-7EPHT 60-69 years, male 5.0
GTEX-Y3IK-1626-SM-4YCF5 50-59 years, female 5.0
GTEX-ZYVF-0926-SM-5E44J 50-59 years, female 5.0
GTEX-11P82-1426-SM-DTXFY 20-29 years, male 5.0
GTEX-1GMR2-0826-SM-7PC3V 50-59 years, male 5.0
GTEX-1HC8U-1326-SM-9YFMJ 40-49 years, female 5.0
GTEX-1HCU7-0726-SM-A9SL1 50-59 years, male 5.0
GTEX-1HCUA-0826-SM-ADEHM 50-59 years, female 5.0
GTEX-1JKYN-0826-SM-ARU8S 30-39 years, male 5.0
GTEX-1KANB-2826-SM-CY8I6 50-59 years, male 5.0
GTEX-1LBAC-0826-SM-CY8IJ 20-29 years, male 5.0
GTEX-1LKK1-2626-SM-DKPQE 50-59 years, female 5.0
GTEX-1LVAM-0726-SM-E6CIL 50-59 years, female 5.0
GTEX-1RLM8-2926-SM-E8VON 50-59 years, male 5.0
GTEX-ZPIC-0526-SM-DO91W 40-49 years, female 5.0
GTEX-11LCK-2226-SM-5HL4Q 30-39 years, male 4.9
GTEX-11VI4-1126-SM-5EQMD 40-49 years, female 4.9
GTEX-131XH-0126-SM-5LZUY 50-59 years, male 4.9
GTEX-13OW5-2326-SM-5L3HO 60-69 years, male 4.9
GTEX-145MN-1526-SM-5SI9T 30-39 years, male 4.9
GTEX-147F4-0726-SM-5TDDD 50-59 years, male 4.9
GTEX-1BAJH-2426-SM-7IGP8 70-79 years, male 4.9
GTEX-1C6WA-2626-SM-7MKGM 60-69 years, male 4.9
GTEX-1EN7A-2426-SM-793DB 40-49 years, male 4.9
GTEX-WYVS-1626-SM-3NM9R 40-49 years, female 4.9
GTEX-XV7Q-1826-SM-4BRUV 40-49 years, female 4.9
GTEX-1H11D-1826-SM-9QEHM 40-49 years, male 4.9
GTEX-1H1DG-2426-SM-9QEHJ 70-79 years, male 4.9
GTEX-1POEN-2326-SM-E9J2L 30-39 years, female 4.9
GTEX-1QP28-1126-SM-EVYC4 50-59 years, female 4.9
GTEX-1S83E-1326-SM-E6CJM 40-49 years, male 4.9
GTEX-111YS-1526-SM-5GZYW 60-69 years, male 4.8
GTEX-11ZTT-2126-SM-5CVLO 60-69 years, female 4.8
GTEX-12126-0826-SM-5FQTZ 20-29 years, male 4.8
GTEX-14A6H-2026-SM-5Q5DD 30-39 years, male 4.8
GTEX-14PKV-1126-SM-6LLJ1 20-29 years, female 4.8
GTEX-15DYW-2726-SM-6EU2I 60-69 years, female 4.8
GTEX-WY7C-2126-SM-3NB2R 50-59 years, male 4.8
GTEX-YFCO-1226-SM-5LUAT 40-49 years, male 4.8
GTEX-ZTSS-1426-SM-5985P 40-49 years, male 4.8
GTEX-18D9A-1426-SM-7LT8M 30-39 years, female 4.8
GTEX-1CAMS-2226-SM-7PBXQ 40-49 years, female 4.8
GTEX-1GF9X-1326-SM-7PC2Y 40-49 years, female 4.8
GTEX-1GL5R-1326-SM-7RHHF 50-59 years, male 4.8
GTEX-1HT8W-0626-SM-A9G2H 30-39 years, male 4.8
GTEX-1ICG6-1226-SM-A9SLN 70-79 years, female 4.8
GTEX-1ICLZ-0326-SM-ARL82 60-69 years, male 4.8
GTEX-1QP29-1826-SM-DTX9S 50-59 years, male 4.8
GTEX-1QPFJ-1926-SM-EVYBD 30-39 years, female 4.8
GTEX-ZLV1-1526-SM-DO91J 60-69 years, female 4.8
GTEX-11DXX-2126-SM-5PNYR 60-69 years, female 4.7
GTEX-11P81-2226-SM-5PNYI 30-39 years, female 4.7
GTEX-11PRG-0726-SM-5EGL1 50-59 years, male 4.7
GTEX-1313W-0626-SM-5EQ4H 50-59 years, female 4.7
GTEX-13FTX-1526-SM-5K7VJ 20-29 years, female 4.7
GTEX-14ABY-2026-SM-62LDL 50-59 years, male 4.7
GTEX-17F96-0126-SM-7EWDU 70-79 years, male 4.7
GTEX-17HGU-2326-SM-7DUFE 50-59 years, male 4.7
GTEX-1CB4H-1126-SM-7MKGL 60-69 years, female 4.7
GTEX-ZDTT-0426-SM-4WKFL 60-69 years, male 4.7
GTEX-ZLFU-1826-SM-4WWBV 40-49 years, male 4.7
GTEX-1K2DA-1026-SM-CGQGF 50-59 years, male 4.7
GTEX-111CU-1126-SM-5EGIM 50-59 years, male 4.6
GTEX-11TT1-1826-SM-5EQLV 20-29 years, male 4.6
GTEX-1EKGG-0626-SM-7DUGJ 60-69 years, male 4.6
GTEX-UPK5-0426-SM-3GAEK 40-49 years, male 4.6
GTEX-X3Y1-2026-SM-3P5YM 40-49 years, male 4.6
GTEX-Y3I4-1726-SM-4TT89 50-59 years, male 4.6
GTEX-ZPU1-1126-SM-4YCF3 40-49 years, male 4.6
GTEX-1AYD5-2626-SM-7PBXY 50-59 years, male 4.6
GTEX-1HSMP-0926-SM-A9SKX 70-79 years, male 4.6
GTEX-1MCC2-1826-SM-DIPEX 30-39 years, female 4.6
GTEX-1RMOY-1326-SM-E9TIH 50-59 years, male 4.6
GTEX-13FTY-2126-SM-5IFFB 40-49 years, female 4.5
GTEX-14E6E-0526-SM-793DN 30-39 years, male 4.5
GTEX-14PJ3-1126-SM-5ZZVX 50-59 years, male 4.5
GTEX-15CHR-1126-SM-7EWF4 50-59 years, male 4.5
GTEX-16MTA-0926-SM-6M47Z 50-59 years, male 4.5
GTEX-18D9B-0926-SM-7LG4U 60-69 years, male 4.5
GTEX-WFG7-2026-SM-5SI7P 20-29 years, male 4.5
GTEX-WHSB-1326-SM-3LK6W 50-59 years, male 4.5
GTEX-XOT4-0626-SM-4B66L 60-69 years, female 4.5
GTEX-XUW1-0926-SM-4BONX 50-59 years, female 4.5
GTEX-YEC4-1826-SM-4W1YP 40-49 years, male 4.5
GTEX-ZT9X-1526-SM-5DUXD 40-49 years, male 4.5
GTEX-ZYFG-1526-SM-5GZYM 60-69 years, female 4.5
GTEX-1HB9E-0126-SM-CM2S5 50-59 years, male 4.5
GTEX-1HBPN-0126-SM-CGQEF 50-59 years, male 4.5
GTEX-1HFI6-0126-SM-CNPPI 40-49 years, male 4.5
GTEX-1IKOE-1426-SM-CE6T7 30-39 years, female 4.5
GTEX-1OJC4-2726-SM-E76PJ 50-59 years, female 4.5
GTEX-1S82U-1026-SM-E6CJK 30-39 years, female 4.5
GTEX-132AR-0326-SM-5KM2C 50-59 years, female 4.4
GTEX-1399S-0126-SM-5IJCF 30-39 years, female 4.4
GTEX-144GL-0626-SM-5LU4D 50-59 years, male 4.4
GTEX-147GR-2426-SM-5ZZWQ 60-69 years, male 4.4
GTEX-XBEW-1126-SM-4QARW 40-49 years, male 4.4
GTEX-Y9LG-1126-SM-4VBQ7 30-39 years, male 4.4
GTEX-ZAK1-0626-SM-5HL8E 50-59 years, female 4.4
GTEX-ZE9C-2526-SM-5IJDR 60-69 years, male 4.4
GTEX-ZYT6-2326-SM-5GZY3 30-39 years, male 4.4
GTEX-13IVO-0726-SM-5LZYV 70-79 years, male 4.3
GTEX-ZP4G-1426-SM-4WWCL 20-29 years, female 4.3
GTEX-15SHW-0226-SM-7LTAT 60-69 years, male 4.2
GTEX-XPVG-2126-SM-4B667 50-59 years, male 4.2
GTEX-111VG-1626-SM-5EGIO 60-69 years, male 4.1
GTEX-14A5H-0826-SM-5QGPJ 60-69 years, male 4.1
GTEX-14DAR-1226-SM-73KYV 50-59 years, male 4.1
GTEX-14PII-0726-SM-6EU2B 60-69 years, male 4.1
GTEX-16YQH-2226-SM-7IGM2 30-39 years, male 4.1
GTEX-XBEC-0726-SM-4QARZ 50-59 years, male 4.1
GTEX-ZTTD-2826-SM-4YCFA 50-59 years, male 4.1
GTEX-1RAZQ-1326-SM-E9TK6 30-39 years, male 4.1
GTEX-145MG-1526-SM-5Q5EM 50-59 years, male 4.0
GTEX-16MT9-0126-SM-7EPI8 60-69 years, female 4.0
GTEX-WH7G-2026-SM-3NMBL 40-49 years, male 4.0
GTEX-ZZPU-0826-SM-5GZX5 50-59 years, female 4.0
GTEX-1R9PN-0426-SM-DTXDT 40-49 years, female 4.0
GTEX-12WSJ-1126-SM-5LZVJ 40-49 years, female 3.9
GTEX-1399Q-2326-SM-5KM2X 40-49 years, male 3.9
GTEX-1399R-1326-SM-5PNYS 30-39 years, male 3.9
GTEX-13FTW-0326-SM-5K7UW 40-49 years, male 3.9
GTEX-XQ8I-0926-SM-4BOOF 50-59 years, male 3.9
GTEX-XYKS-1426-SM-4BRUO 60-69 years, female 3.9
GTEX-1E2YA-2126-SM-7MXUO 50-59 years, male 3.9
GTEX-1PPH8-0126-SM-EWRN8 20-29 years, male 3.9
GTEX-14E1K-2026-SM-7DUEI 50-59 years, male 3.8
GTEX-17F97-2626-SM-7IGM5 50-59 years, male 3.8
GTEX-1S3DN-2126-SM-E9TIN 50-59 years, male 3.8
GTEX-14PHY-1226-SM-5ZZWK 60-69 years, female 3.7
GTEX-15RIG-0726-SM-7KUM7 40-49 years, male 3.7
GTEX-YECK-0326-SM-4W1YS 60-69 years, male 3.7
GTEX-1QP9N-1226-SM-E76QN 30-39 years, male 3.7
GTEX-ZF3C-0626-SM-DO92O 50-59 years, female 3.7
GTEX-11OF3-0126-SM-5PNYF 60-69 years, male 3.6
GTEX-14LZ3-0126-SM-69LPM 60-69 years, female 3.6
GTEX-WXYG-2026-SM-4E3IY 50-59 years, female 3.6
GTEX-15RIE-1926-SM-7KUKJ 60-69 years, male 3.5
GTEX-ZVZP-1226-SM-5GID7 50-59 years, male 3.5
GTEX-15G19-2426-SM-7KUMR 60-69 years, male 3.4
GTEX-X585-2426-SM-46MW2 50-59 years, male 3.3
GTEX-Y5V6-2326-SM-4VDSA 60-69 years, male 3.3
GTEX-ZPCL-1126-SM-4WWFE 60-69 years, female 3.3
GTEX-1PIGE-1826-SM-E8VOU 20-29 years, male 2.4
Show allShow less
Skin - Sun Exposed (Lower leg)
Average nTPM: 6.0
Samples: 701

Max nTPM: 11.6
Min nTPM: 2.7
Std nTPM: 1.2
Median nTPM: 5.9
GTEX-1HSMO-0126-SM-CL547 60-69 years, male 11.6
GTEX-16XZZ-0126-SM-793DV 60-69 years, male 10.9
GTEX-1JMOU-1526-SM-CL54I 60-69 years, female 10.5
GTEX-1GPI6-0126-SM-9WG69 60-69 years, male 10.1
GTEX-1B8KE-2126-SM-73KYX 50-59 years, male 9.9
GTEX-1R9PO-2126-SM-E9J4O 60-69 years, female 9.9
GTEX-14E7W-0126-SM-6LLJ9 70-79 years, male 9.7
GTEX-1LH75-2426-SM-E9TJE 50-59 years, female 9.7
GTEX-14E6C-0126-SM-5RQIP 40-49 years, male 9.6
GTEX-P44H-0226-SM-2XCEU 40-49 years, male 9.6
GTEX-1A3MW-0126-SM-73KXX 60-69 years, female 9.5
GTEX-1AX9I-0126-SM-7SB74 60-69 years, male 9.5
GTEX-17HHE-2026-SM-79OKF 50-59 years, male 9.4
GTEX-1H3VY-0126-SM-ACKXD 50-59 years, male 9.2
GTEX-15F5U-1526-SM-6PANO 40-49 years, male 9.1
GTEX-15EOM-0126-SM-7KUGG 20-29 years, female 9.0
GTEX-1HFI7-1826-SM-ACKXH 50-59 years, female 9.0
GTEX-1JN1M-0326-SM-CYPT3 60-69 years, female 9.0
GTEX-13YAN-0326-SM-5O9DF 60-69 years, male 8.9
GTEX-1H1DE-2126-SM-9WG6R 20-29 years, male 8.9
GTEX-14A5I-0126-SM-5TDEA 50-59 years, female 8.8
GTEX-14BIL-0126-SM-5SI92 50-59 years, male 8.8
GTEX-1C475-1826-SM-73KWA 40-49 years, female 8.8
GTEX-1JMPY-1326-SM-ARL8Y 30-39 years, male 8.8
GTEX-1QW4Y-1526-SM-EAZ3Z 30-39 years, male 8.8
GTEX-PVOW-0126-SM-2XCFA 40-49 years, male 8.7
GTEX-14C5O-0126-SM-5SI6N 60-69 years, male 8.6
GTEX-14JIY-0126-SM-6LLH6 60-69 years, male 8.6
GTEX-ZYW4-0126-SM-5E44A 60-69 years, male 8.6
GTEX-13O1R-0126-SM-5L3EH 60-69 years, male 8.5
GTEX-SNMC-1226-SM-2XCFP 20-29 years, male 8.5
GTEX-X62O-0126-SM-4E3JN 50-59 years, male 8.5
GTEX-13OVI-1426-SM-5L3EY 60-69 years, female 8.4
GTEX-146FR-1326-SM-E9J48 60-69 years, female 8.4
GTEX-1H23P-0126-SM-ADEJ3 60-69 years, male 8.4
GTEX-11ZUS-0626-SM-59885 30-39 years, male 8.3
GTEX-1JMQL-0226-SM-CNPP5 50-59 years, female 8.3
GTEX-1N2EF-0226-SM-EYYXB 60-69 years, male 8.3
GTEX-OIZF-0126-SM-7SB8I 60-69 years, male 8.3
GTEX-12WSK-2326-SM-5GCOH 40-49 years, female 8.2
GTEX-WFG8-2226-SM-3GIL9 20-29 years, male 8.2
GTEX-1RAZQ-0726-SM-EAZ43 30-39 years, male 8.2
GTEX-14LLW-0126-SM-6LLIO 70-79 years, female 8.1
GTEX-1A8FM-0226-SM-7SB7Q 50-59 years, female 8.1
GTEX-1EN7A-0126-SM-7SB81 40-49 years, male 8.1
GTEX-1LGRB-2526-SM-CNPPQ 50-59 years, female 8.1
GTEX-11H98-0126-SM-5EGHG 50-59 years, male 8.0
GTEX-15D1Q-0126-SM-7KUG6 40-49 years, male 8.0
GTEX-1AYCT-2426-SM-7IGQ3 50-59 years, male 8.0
GTEX-1I4MK-2226-SM-ACKWD 50-59 years, female 8.0
GTEX-1PBJI-0526-SM-E8VNK 20-29 years, female 8.0
GTEX-13OW8-1326-SM-5J1OW 60-69 years, male 7.9
GTEX-16AAH-1726-SM-7939C 50-59 years, male 7.9
GTEX-1C4CL-0526-SM-73KVK 30-39 years, male 7.9
GTEX-1C64O-0126-SM-7SB8P 60-69 years, male 7.9
GTEX-1I1GS-0126-SM-B2LVW 60-69 years, male 7.9
GTEX-13W46-0226-SM-5SIAG 50-59 years, male 7.8
GTEX-14PN3-2426-SM-6LLHS 60-69 years, female 7.8
GTEX-1I19N-0326-SM-ACKVX 70-79 years, male 7.8
GTEX-QLQ7-1626-SM-2S1R8 60-69 years, male 7.7
GTEX-U4B1-1826-SM-4DXSU 40-49 years, male 7.7
GTEX-1F75B-0126-SM-9KNVL 50-59 years, male 7.7
GTEX-11TT1-2526-SM-5EGIB 20-29 years, male 7.6
GTEX-13X6J-0126-SM-5QGOU 50-59 years, male 7.6
GTEX-QESD-1426-SM-2S1R9 20-29 years, male 7.6
GTEX-1F48J-0126-SM-7P8TT 50-59 years, female 7.6
GTEX-1IKJJ-0126-SM-CNPQB 60-69 years, male 7.6
GTEX-13112-2826-SM-5DUWH 50-59 years, male 7.5
GTEX-14DAQ-0126-SM-5S2MQ 60-69 years, female 7.5
GTEX-1C2JI-1826-SM-73KXC 50-59 years, male 7.5
GTEX-OXRO-0126-SM-2YUN4 60-69 years, female 7.5
GTEX-1E2YA-0126-SM-9KNUC 50-59 years, male 7.5
GTEX-1F6IF-0726-SM-7P8TW 60-69 years, male 7.5
GTEX-1IKOH-0226-SM-COH4E 60-69 years, female 7.5
GTEX-1JN6P-0126-SM-D3L98 60-69 years, male 7.5
GTEX-13U4I-0126-SM-5LU38 40-49 years, female 7.4
GTEX-145MI-0526-SM-5O9A8 60-69 years, female 7.4
GTEX-148VJ-0126-SM-5TDDN 70-79 years, male 7.4
GTEX-15UF6-0826-SM-6PALJ 70-79 years, female 7.4
GTEX-S32W-2126-SM-2XCB1 50-59 years, female 7.4
GTEX-VJWN-0126-SM-3GIK7 50-59 years, female 7.4
GTEX-1HGF4-2426-SM-ACKXM 60-69 years, male 7.4
GTEX-1IKK5-0626-SM-ARL8A 60-69 years, male 7.4
GTEX-11ZU8-2526-SM-5EQKI 60-69 years, male 7.3
GTEX-148VI-1626-SM-5SI6E 60-69 years, female 7.3
GTEX-18A66-0226-SM-718BD 60-69 years, male 7.3
GTEX-1I1GU-2226-SM-CGQFA 40-49 years, male 7.3
GTEX-1IY9M-0126-SM-D3L8S 60-69 years, male 7.3
GTEX-1LG7Y-0526-SM-DKPQC 50-59 years, male 7.3
GTEX-RNOR-0126-SM-E9J4R 50-59 years, female 7.3
GTEX-131XG-2626-SM-5KM17 50-59 years, female 7.2
GTEX-13OVH-0126-SM-5MR4B 70-79 years, male 7.2
GTEX-13QJ3-0326-SM-5S2RA 50-59 years, male 7.2
GTEX-16XZY-2126-SM-79OK1 70-79 years, male 7.2
GTEX-183FY-0126-SM-7LT9P 20-29 years, male 7.2
GTEX-1AMEY-1326-SM-73KYK 30-39 years, female 7.2
GTEX-11TUW-2726-SM-E9J4M 60-69 years, male 7.2
GTEX-13NYC-0326-SM-E9J4S 60-69 years, male 7.2
GTEX-1CB4G-0226-SM-7PC3O 60-69 years, male 7.2
GTEX-1F75I-0326-SM-9YFLU 40-49 years, male 7.2
GTEX-1H1E6-1726-SM-ACKVK 30-39 years, male 7.2
GTEX-1HBPH-0426-SM-B2LW5 40-49 years, female 7.2
GTEX-1HCU6-0126-SM-CL54K 60-69 years, female 7.2
GTEX-1NHNU-1026-SM-E9J2A 50-59 years, male 7.2
GTEX-1R46S-0626-SM-E9J41 60-69 years, female 7.2
GTEX-12696-2426-SM-5EQ6H 60-69 years, male 7.1
GTEX-13OVJ-0126-SM-5KM36 50-59 years, female 7.1
GTEX-14A6H-0126-SM-5QGPK 30-39 years, male 7.1
GTEX-1CB4J-0626-SM-7DHMP 60-69 years, male 7.1
GTEX-X4EO-0326-SM-3P5YO 60-69 years, female 7.1
GTEX-1CB4F-0426-SM-9KNV4 60-69 years, male 7.1
GTEX-1HBPI-1526-SM-C1YQ1 50-59 years, male 7.1
GTEX-111VG-2426-SM-5GZXD 60-69 years, male 7.0
GTEX-11P7K-2126-SM-5GU7G 30-39 years, male 7.0
GTEX-1AX9J-0226-SM-73KXM 60-69 years, male 7.0
GTEX-WRHK-1426-SM-3MJF9 20-29 years, female 7.0
GTEX-1GF9W-0326-SM-9KNUN 60-69 years, male 7.0
GTEX-113JC-2326-SM-5EQ4E 50-59 years, female 6.9
GTEX-11DZ1-0126-SM-5985Q 50-59 years, male 6.9
GTEX-11TTK-0126-SM-5987B 60-69 years, female 6.9
GTEX-12KS4-0326-SM-5EQ41 30-39 years, male 6.9
GTEX-131XE-2326-SM-5PNZ2 50-59 years, male 6.9
GTEX-13RTJ-2426-SM-5S2Q2 60-69 years, male 6.9
GTEX-17GQL-2026-SM-718BA 60-69 years, male 6.9
GTEX-18A7B-0126-SM-7LG64 70-79 years, male 6.9
GTEX-1AX8Z-0126-SM-7DHM6 60-69 years, male 6.9
GTEX-1AYD5-2426-SM-73KXR 50-59 years, male 6.9
GTEX-1CB4E-2226-SM-793DC 60-69 years, male 6.9
GTEX-R55E-0126-SM-2TC5Y 20-29 years, male 6.9
GTEX-U3ZH-2026-SM-3DB78 30-39 years, male 6.9
GTEX-UPJH-0326-SM-3GADU 50-59 years, male 6.9
GTEX-ZUA1-0126-SM-5GU76 40-49 years, male 6.9
GTEX-13O3O-0126-SM-E9J49 60-69 years, female 6.9
GTEX-1F6I4-0126-SM-9MQL2 60-69 years, male 6.9
GTEX-1GMR8-0126-SM-9WYTM 50-59 years, female 6.9
GTEX-1HUB1-0426-SM-E9U4U 60-69 years, male 6.9
GTEX-1I1GP-2226-SM-CGQFK 50-59 years, male 6.9
GTEX-1IGQW-0126-SM-COH42 60-69 years, male 6.9
GTEX-1J8Q2-0526-SM-CM2RW 60-69 years, male 6.9
GTEX-1QAET-0926-SM-E76QM 50-59 years, male 6.9
GTEX-11GSO-2426-SM-5A5LY 60-69 years, male 6.8
GTEX-11P81-2326-SM-59875 30-39 years, female 6.8
GTEX-13S7M-0126-SM-5SI6A 60-69 years, female 6.8
GTEX-17EUY-0426-SM-793BD 20-29 years, male 6.8
GTEX-1B8KZ-2026-SM-7DHMB 50-59 years, male 6.8
GTEX-OXRP-0126-SM-3NB32 60-69 years, female 6.8
GTEX-ZTPG-0326-SM-5O9AX 20-29 years, female 6.8
GTEX-1HCU9-1526-SM-A9SL7 20-29 years, male 6.8
GTEX-1I1GR-0126-SM-CL55F 60-69 years, male 6.8
GTEX-1I1GT-0626-SM-CGQER 60-69 years, female 6.8
GTEX-1PPH7-2326-SM-EVYB8 40-49 years, male 6.8
GTEX-1RDX4-0126-SM-E9J4P 50-59 years, female 6.8
GTEX-113IC-0126-SM-5HL6T 60-69 years, male 6.7
GTEX-11EM3-2426-SM-59861 20-29 years, female 6.7
GTEX-12WSD-0126-SM-59HKN 60-69 years, female 6.7
GTEX-139TT-0126-SM-5K7Y5 60-69 years, male 6.7
GTEX-14PHW-0126-SM-6LLJI 60-69 years, female 6.7
GTEX-15SHW-0326-SM-6PAML 60-69 years, male 6.7
GTEX-17F96-1626-SM-7DUFL 70-79 years, male 6.7
GTEX-17MFQ-1726-SM-793C7 20-29 years, male 6.7
GTEX-1B8SG-0126-SM-73KZ3 50-59 years, male 6.7
GTEX-1B97I-1626-SM-73KYO 40-49 years, male 6.7
GTEX-1E1VI-0126-SM-7DHMZ 50-59 years, male 6.7
GTEX-RWSA-0126-SM-2XCBB 40-49 years, male 6.7
GTEX-V1D1-2226-SM-3NMAX 50-59 years, male 6.7
GTEX-ZZPT-0226-SM-5E43X 50-59 years, male 6.7
GTEX-1C6WA-0126-SM-7PC2B 60-69 years, male 6.7
GTEX-1GMRU-0126-SM-9YFLV 50-59 years, male 6.7
GTEX-1GZHY-0326-SM-9QEHI 50-59 years, female 6.7
GTEX-1H1ZS-0426-SM-9WG6G 70-79 years, male 6.7
GTEX-1HSMQ-1226-SM-CGQFX 50-59 years, male 6.7
GTEX-1I1CD-0126-SM-CM2TK 60-69 years, female 6.7
GTEX-1I6K6-0126-SM-A9SLE 30-39 years, male 6.7
GTEX-1JMQJ-0526-SM-CYPSU 50-59 years, male 6.7
GTEX-1JN76-0126-SM-CNPPE 20-29 years, female 6.7
GTEX-1LSNM-1926-SM-E6CII 50-59 years, male 6.7
GTEX-1MA7X-2226-SM-E6CIY 60-69 years, male 6.7
GTEX-1R7EV-2426-SM-EVYBG 40-49 years, male 6.7
GTEX-11WQK-0526-SM-5EQLD 50-59 years, male 6.6
GTEX-13111-1626-SM-5EGJY 50-59 years, male 6.6
GTEX-131XW-0426-SM-5LZWP 50-59 years, female 6.6
GTEX-17HG3-2226-SM-7938L 30-39 years, female 6.6
GTEX-17HII-0226-SM-7LG4E 50-59 years, male 6.6
GTEX-1AMFI-2026-SM-731BH 50-59 years, female 6.6
GTEX-1CAMR-1926-SM-7EPI2 20-29 years, male 6.6
GTEX-OHPM-0126-SM-2YUN9 50-59 years, male 6.6
GTEX-SN8G-0126-SM-32PLI 50-59 years, female 6.6
GTEX-T8EM-1026-SM-3DB7M 40-49 years, male 6.6
GTEX-Y5V5-2326-SM-4V6GA 60-69 years, female 6.6
GTEX-YJ8A-0426-SM-5IFID 20-29 years, male 6.6
GTEX-ZYFC-0226-SM-5NQ75 50-59 years, male 6.6
GTEX-1H3O1-0426-SM-9YFKY 60-69 years, male 6.6
GTEX-1JJ6O-0126-SM-E6CI8 60-69 years, male 6.6
GTEX-1JK1U-2026-SM-CM2RZ 60-69 years, male 6.6
GTEX-1JMLX-0226-SM-CM2RO 50-59 years, male 6.6
GTEX-1OJC4-0126-SM-E9J2E 50-59 years, female 6.6
GTEX-1QP67-1626-SM-EAZ3X 40-49 years, female 6.6
GTEX-12WSL-2526-SM-5GCNJ 50-59 years, male 6.5
GTEX-13FHP-0126-SM-5IJBG 50-59 years, male 6.5
GTEX-145LV-2126-SM-5LU8N 50-59 years, male 6.5
GTEX-146FH-0126-SM-5QGPP 50-59 years, female 6.5
GTEX-14ICK-0226-SM-6EU25 40-49 years, male 6.5
GTEX-15DYW-0126-SM-7KULE 60-69 years, female 6.5
GTEX-15EU6-0426-SM-6PAN5 50-59 years, male 6.5
GTEX-15UKP-0426-SM-7KUFQ 20-29 years, male 6.5
GTEX-17MF6-0126-SM-7LG4F 40-49 years, male 6.5
GTEX-1A3MV-1926-SM-718BT 30-39 years, male 6.5
GTEX-1C6VS-0526-SM-7DUEN 60-69 years, male 6.5
GTEX-RM2N-1426-SM-2TF4H 50-59 years, male 6.5
GTEX-YB5K-2126-SM-4WWDJ 40-49 years, female 6.5
GTEX-1B996-0226-SM-7RHGO 60-69 years, male 6.5
GTEX-1GN1U-0126-SM-7PBZK 50-59 years, female 6.5
GTEX-1H3VE-0326-SM-9YFLH 40-49 years, male 6.5
GTEX-1KANC-1526-SM-D3LAB 50-59 years, female 6.5
GTEX-1LNCM-1126-SM-E9U5E 50-59 years, female 6.5
GTEX-1MGNQ-0126-SM-EVYCJ 40-49 years, male 6.5
GTEX-1POEN-0126-SM-EYYXJ 30-39 years, female 6.5
GTEX-1QP66-1726-SM-E8VO1 50-59 years, male 6.5
GTEX-R45C-0126-SM-EAZ2R 60-69 years, female 6.5
GTEX-11DXZ-2326-SM-5EGGV 50-59 years, male 6.4
GTEX-11LCK-1026-SM-5A5KB 30-39 years, male 6.4
GTEX-11WQC-2526-SM-5CVLE 60-69 years, male 6.4
GTEX-12WSA-0226-SM-5BC5V 60-69 years, male 6.4
GTEX-139T4-0226-SM-5HL5S 50-59 years, female 6.4
GTEX-139TU-0126-SM-5K7WH 60-69 years, male 6.4
GTEX-13NZA-0226-SM-5K7Z7 60-69 years, male 6.4
GTEX-13VXT-0126-SM-5LU4I 20-29 years, female 6.4
GTEX-14XAO-2326-SM-6EU1B 60-69 years, female 6.4
GTEX-SJXC-0126-SM-2XCFF 60-69 years, male 6.4
GTEX-WI4N-1026-SM-3LK7N 40-49 years, female 6.4
GTEX-WYVS-2126-SM-3NMA3 40-49 years, female 6.4
GTEX-XBED-2226-SM-47JYQ 60-69 years, male 6.4
GTEX-ZXG5-0126-SM-5GIEU 60-69 years, male 6.4
GTEX-1EMGI-0126-SM-9KNUE 60-69 years, male 6.4
GTEX-1EX96-1626-SM-7PBXR 50-59 years, male 6.4
GTEX-1F5PK-2426-SM-7RHHY 50-59 years, male 6.4
GTEX-1F88F-2726-SM-7PBZZ 60-69 years, female 6.4
GTEX-1H2FU-0126-SM-9WYSI 60-69 years, female 6.4
GTEX-1HT8W-0126-SM-CNPPP 30-39 years, male 6.4
GTEX-1I1HK-0126-SM-COH49 60-69 years, male 6.4
GTEX-1IDJH-0326-SM-A9SLQ 70-79 years, male 6.4
GTEX-1QP2A-0126-SM-E9J43 50-59 years, male 6.4
GTEX-11GSP-2526-SM-5N9BP 60-69 years, female 6.3
GTEX-11UD1-0126-SM-5PNYG 40-49 years, female 6.3
GTEX-12584-0126-SM-5EGKQ 40-49 years, male 6.3
GTEX-13N1W-0126-SM-5K7VT 70-79 years, male 6.3
GTEX-13NYS-0126-SM-5MR3W 60-69 years, male 6.3
GTEX-13SLW-0126-SM-5SI6C 70-79 years, male 6.3
GTEX-15SDE-2226-SM-7IGLO 50-59 years, female 6.3
GTEX-16YQH-0126-SM-7DUFJ 30-39 years, male 6.3
GTEX-18D9B-0526-SM-7LTAS 60-69 years, male 6.3
GTEX-Q2AH-1626-SM-3GAF8 40-49 years, male 6.3
GTEX-T2YK-0526-SM-32QPJ 50-59 years, male 6.3
GTEX-TSE9-0126-SM-3DB83 60-69 years, female 6.3
GTEX-WOFL-0126-SM-3MJG2 60-69 years, male 6.3
GTEX-X4XY-0226-SM-4E3IZ 60-69 years, male 6.3
GTEX-ZAB4-0226-SM-5N9F5 40-49 years, male 6.3
GTEX-ZVT3-0126-SM-5GU6I 60-69 years, female 6.3
GTEX-1F75A-0126-SM-7RHGM 50-59 years, male 6.3
GTEX-1GN1V-0126-SM-9WPOS 60-69 years, male 6.3
GTEX-1HCU8-0626-SM-A9SM9 60-69 years, female 6.3
GTEX-1ICLY-0126-SM-D4P36 50-59 years, male 6.3
GTEX-1JJE9-0326-SM-CL53Z 70-79 years, male 6.3
GTEX-1JKYN-1326-SM-CGQG9 30-39 years, male 6.3
GTEX-117XS-2726-SM-5N9BL 60-69 years, male 6.2
GTEX-11NUK-0126-SM-5A5L3 50-59 years, male 6.2
GTEX-13FTX-1826-SM-5J1NX 20-29 years, female 6.2
GTEX-13OVG-1926-SM-5L3DK 60-69 years, male 6.2
GTEX-13X6H-2126-SM-7EWD5 50-59 years, female 6.2
GTEX-147F4-0226-SM-5QGPW 50-59 years, male 6.2
GTEX-147GR-0526-SM-5S2MY 60-69 years, male 6.2
GTEX-14DAR-2026-SM-5S2O3 50-59 years, male 6.2
GTEX-14PJM-0226-SM-62LF1 50-59 years, female 6.2
GTEX-15DDE-0126-SM-6LPKH 50-59 years, female 6.2
GTEX-15ETS-0126-SM-7KUMW 40-49 years, female 6.2
GTEX-16MT8-0426-SM-7KUEY 60-69 years, female 6.2
GTEX-X638-0126-SM-47JZ8 70-79 years, female 6.2
GTEX-XUYS-0126-SM-47JWZ 50-59 years, male 6.2
GTEX-ZDTS-0126-SM-4WAY5 60-69 years, male 6.2
GTEX-1GF9X-2026-SM-7PC3A 40-49 years, female 6.2
GTEX-1GPI7-0126-SM-9MQL8 20-29 years, male 6.2
GTEX-1GZ4H-1726-SM-7PBZJ 50-59 years, female 6.2
GTEX-1HBPM-0226-SM-ARL9F 60-69 years, female 6.2
GTEX-1HBPN-0226-SM-9YFM1 50-59 years, male 6.2
GTEX-1J8JJ-0226-SM-CL53I 60-69 years, female 6.2
GTEX-1JMPZ-0226-SM-CNPP1 30-39 years, male 6.2
GTEX-1KWVE-1426-SM-E9TJO 30-39 years, male 6.2
GTEX-1PPH8-0226-SM-E8VND 20-29 years, male 6.2
GTEX-1QMI2-0226-SM-EVYBX 60-69 years, male 6.2
GTEX-1S82Y-2026-SM-EVYCM 40-49 years, male 6.2
GTEX-11ZVC-2526-SM-5FQTE 50-59 years, female 6.1
GTEX-12C56-1726-SM-5EQ61 20-29 years, male 6.1
GTEX-12WSC-0126-SM-5EQ4P 50-59 years, male 6.1
GTEX-13RTL-0126-SM-7LG5S 40-49 years, male 6.1
GTEX-144GN-2326-SM-5LU4F 50-59 years, male 6.1
GTEX-17HHY-0126-SM-7LG5D 50-59 years, male 6.1
GTEX-18465-0126-SM-731BN 50-59 years, male 6.1
GTEX-QLQW-1126-SM-2S1Q8 30-39 years, male 6.1
GTEX-X8HC-0126-SM-4E3JW 50-59 years, female 6.1
GTEX-Y3I4-2126-SM-4TT7C 50-59 years, male 6.1
GTEX-ZYFD-0126-SM-5GIDL 50-59 years, male 6.1
GTEX-1GL5R-1826-SM-9KNUY 50-59 years, male 6.1
GTEX-1HCUA-2426-SM-ADEIS 50-59 years, female 6.1
GTEX-1I1GV-0526-SM-A9G29 60-69 years, male 6.1
GTEX-1IDJF-0126-SM-CM2RS 20-29 years, male 6.1
GTEX-1JMQK-0226-SM-CL543 60-69 years, male 6.1
GTEX-1LC47-0326-SM-E9TJP 60-69 years, male 6.1
GTEX-1LG7Z-1726-SM-D3LA4 30-39 years, male 6.1
GTEX-1RLM8-2326-SM-EWRN4 50-59 years, male 6.1
GTEX-PW2O-1526-SM-7RHHB 20-29 years, male 6.1
GTEX-ZF29-2326-SM-DO92K 60-69 years, female 6.1
GTEX-117YW-2626-SM-5GZZH 50-59 years, male 6.0
GTEX-11OC5-0126-SM-5HL6A 60-69 years, male 6.0
GTEX-11ZTS-0126-SM-5EQ6M 60-69 years, female 6.0
GTEX-13O3P-0126-SM-5KM4S 50-59 years, male 6.0
GTEX-13X6I-0626-SM-5QGP9 60-69 years, male 6.0
GTEX-144FL-0126-SM-5TDC8 50-59 years, male 6.0
GTEX-18D9U-0226-SM-718BP 40-49 years, male 6.0
GTEX-1CAMQ-0226-SM-7IGPK 40-49 years, male 6.0
GTEX-T5JC-0426-SM-32PLO 20-29 years, male 6.0
GTEX-T6MO-1626-SM-32QOM 40-49 years, female 6.0
GTEX-ZGAY-0526-SM-4WWBB 40-49 years, female 6.0
GTEX-ZTSS-1926-SM-57WEW 40-49 years, male 6.0
GTEX-ZY6K-1826-SM-5GZXK 50-59 years, male 6.0
GTEX-1F6RS-0126-SM-9MQKZ 60-69 years, female 6.0
GTEX-1GN1W-0526-SM-9MQJQ 50-59 years, female 6.0
GTEX-1H11D-0226-SM-9WG6Z 40-49 years, male 6.0
GTEX-1H1DG-0126-SM-9WYU2 70-79 years, male 6.0
GTEX-1HSGN-0226-SM-CGQFV 40-49 years, female 6.0
GTEX-1J1R8-1726-SM-ARL8M 40-49 years, male 6.0
GTEX-1J8Q3-1626-SM-CMKGC 60-69 years, male 6.0
GTEX-1MCYP-1926-SM-E9J2R 20-29 years, female 6.0
GTEX-1N2DV-0226-SM-E6CJ6 40-49 years, male 6.0
GTEX-1N2DW-0226-SM-E9TK2 50-59 years, male 6.0
GTEX-1O97I-0326-SM-EYYX7 60-69 years, male 6.0
GTEX-1S82Z-0826-SM-E6CHY 30-39 years, female 6.0
GTEX-117YX-2326-SM-5H12W 50-59 years, male 5.9
GTEX-11DXY-2626-SM-5GIE7 60-69 years, male 5.9
GTEX-11GS4-2726-SM-5A5LE 60-69 years, male 5.9
GTEX-11NSD-2226-SM-5986V 20-29 years, male 5.9
GTEX-1399R-2726-SM-5IJBA 30-39 years, male 5.9
GTEX-139T8-0126-SM-5K7XZ 60-69 years, male 5.9
GTEX-13CF3-2426-SM-5IFGX 60-69 years, female 5.9
GTEX-13FXS-0226-SM-5IJCK 50-59 years, male 5.9
GTEX-14ABY-0226-SM-5TDCQ 50-59 years, male 5.9
GTEX-16GPK-0126-SM-7DHLE 60-69 years, male 5.9
GTEX-17EVP-0326-SM-7DHLG 40-49 years, male 5.9
GTEX-18A6Q-0126-SM-731BZ 60-69 years, male 5.9
GTEX-1A3MX-0126-SM-731BR 60-69 years, male 5.9
GTEX-1BAJH-0526-SM-793CQ 70-79 years, male 5.9
GTEX-OXRN-0126-SM-48TDM 50-59 years, male 5.9
GTEX-RU72-0926-SM-2TF6B 50-59 years, female 5.9
GTEX-SSA3-0126-SM-32QPU 60-69 years, male 5.9
GTEX-TKQ1-1026-SM-4GICL 30-39 years, male 5.9
GTEX-ZAJG-0126-SM-5HL94 50-59 years, female 5.9
GTEX-ZDXO-3026-SM-5J1N5 60-69 years, male 5.9
GTEX-ZQUD-1426-SM-57WER 30-39 years, male 5.9
GTEX-1B933-0126-SM-7PC29 50-59 years, female 5.9
GTEX-1EU9M-0226-SM-7P8SP 60-69 years, male 5.9
GTEX-1H3NZ-0126-SM-ACKX7 60-69 years, male 5.9
GTEX-1HSEH-0126-SM-ACKXN 60-69 years, male 5.9
GTEX-1IDJU-2626-SM-CM2RT 60-69 years, female 5.9
GTEX-1IE54-0126-SM-CMKHW 40-49 years, female 5.9
GTEX-1JKYR-0126-SM-CNPOJ 20-29 years, male 5.9
GTEX-1MA7W-2026-SM-E9TJ6 20-29 years, female 5.9
GTEX-1MCQQ-0826-SM-DLHC2 60-69 years, male 5.9
GTEX-1PIGE-0126-SM-EVYBJ 20-29 years, male 5.9
GTEX-1R7EU-0226-SM-EVR4G 60-69 years, male 5.9
GTEX-PLZ6-1426-SM-DKPOT 30-39 years, male 5.9
GTEX-ZVT4-0126-SM-DTXFN 50-59 years, female 5.9
GTEX-1128S-2326-SM-5GZZY 60-69 years, female 5.8
GTEX-13D11-2426-SM-5KM1V 50-59 years, female 5.8
GTEX-13IVO-0126-SM-5J1NG 70-79 years, male 5.8
GTEX-13NYB-2526-SM-5K7Z6 40-49 years, male 5.8
GTEX-13NZ8-0826-SM-5MR3I 60-69 years, female 5.8
GTEX-13SLX-0526-SM-5S2ON 50-59 years, female 5.8
GTEX-13W3W-2426-SM-5LU5B 60-69 years, female 5.8
GTEX-145ME-1826-SM-5SI9G 40-49 years, female 5.8
GTEX-15DCD-0126-SM-7KUEK 70-79 years, female 5.8
GTEX-15SHU-0126-SM-7KUEH 40-49 years, female 5.8
GTEX-18A7A-0226-SM-718BH 50-59 years, female 5.8
GTEX-WQUQ-0426-SM-3MJFU 60-69 years, male 5.8
GTEX-Y8LW-1826-SM-5S2MV 50-59 years, female 5.8
GTEX-ZEX8-2426-SM-4WKG4 50-59 years, male 5.8
GTEX-ZTX8-1426-SM-5DUVO 20-29 years, male 5.8
GTEX-ZVE2-0226-SM-59HJB 50-59 years, male 5.8
GTEX-ZYY3-0126-SM-5GZY5 60-69 years, female 5.8
GTEX-ZZ64-1726-SM-5GZYB 20-29 years, male 5.8
GTEX-12WSG-2826-SM-E9J4H 50-59 years, female 5.8
GTEX-1F52S-0126-SM-9MQJU 60-69 years, female 5.8
GTEX-1GN73-0226-SM-9WG67 60-69 years, male 5.8
GTEX-1GTWX-0126-SM-9YFLK 60-69 years, male 5.8
GTEX-1HFI6-0226-SM-ADEHZ 40-49 years, male 5.8
GTEX-1HSKV-0226-SM-A9SKJ 60-69 years, male 5.8
GTEX-1IL2V-0126-SM-CM2TX 70-79 years, male 5.8
GTEX-1K9T9-0126-SM-EVYCF 50-59 years, female 5.8
GTEX-1LBAC-0126-SM-DIPEZ 20-29 years, male 5.8
GTEX-1M4P7-0226-SM-DIPEV 60-69 years, male 5.8
GTEX-11EMC-2926-SM-5EQ4F 60-69 years, female 5.7
GTEX-12ZZZ-0626-SM-5DUXI 60-69 years, male 5.7
GTEX-1399T-2826-SM-5KLYZ 60-69 years, male 5.7
GTEX-144GL-0126-SM-5TDE2 50-59 years, male 5.7
GTEX-145MF-0626-SM-5LUAI 50-59 years, male 5.7
GTEX-147F3-0526-SM-5SI98 50-59 years, female 5.7
GTEX-14BMV-0126-SM-5S2PO 50-59 years, male 5.7
GTEX-14PHX-2326-SM-62LEM 50-59 years, male 5.7
GTEX-14PJ6-2126-SM-6EU1V 60-69 years, female 5.7
GTEX-14PN4-0126-SM-6EU2V 50-59 years, male 5.7
GTEX-15ER7-0326-SM-7KUEV 20-29 years, female 5.7
GTEX-17HGU-0226-SM-7DHKV 50-59 years, male 5.7
GTEX-18A67-0126-SM-7LG5P 50-59 years, male 5.7
GTEX-RTLS-0126-SM-447CA 60-69 years, female 5.7
GTEX-RUSQ-1526-SM-2TF62 50-59 years, male 5.7
GTEX-VJYA-1126-SM-3GIJU 60-69 years, male 5.7
GTEX-X261-0126-SM-3NMD6 50-59 years, male 5.7
GTEX-XYKS-2126-SM-4E3IB 60-69 years, female 5.7
GTEX-ZF28-0126-SM-4WKGK 60-69 years, male 5.7
GTEX-13FH7-2026-SM-E9J4I 50-59 years, female 5.7
GTEX-1HCU7-0226-SM-CL545 50-59 years, male 5.7
GTEX-1HKZK-0326-SM-9WYUH 40-49 years, male 5.7
GTEX-1I1GQ-0126-SM-COH3H 50-59 years, male 5.7
GTEX-1JMQI-2226-SM-CM2SD 50-59 years, male 5.7
GTEX-1KAFJ-2026-SM-CY8ID 50-59 years, male 5.7
GTEX-1QP9N-1426-SM-DTXFL 30-39 years, male 5.7
GTEX-1192X-0226-SM-5H12D 50-59 years, male 5.6
GTEX-11UD2-0226-SM-5EQKY 50-59 years, male 5.6
GTEX-1212Z-2526-SM-5EGKP 60-69 years, male 5.6
GTEX-139TS-2826-SM-5J1OO 60-69 years, male 5.6
GTEX-139UW-2826-SM-5L3E7 60-69 years, male 5.6
GTEX-13FTY-0526-SM-5L3EV 40-49 years, female 5.6
GTEX-13G51-2526-SM-5LZYK 60-69 years, male 5.6
GTEX-13OW7-0126-SM-5MR3B 50-59 years, male 5.6
GTEX-13PDP-0126-SM-5L3HD 60-69 years, male 5.6
GTEX-145LU-0126-SM-5TDCB 50-59 years, male 5.6
GTEX-14BIN-0626-SM-793DP 50-59 years, female 5.6
GTEX-15RIG-0226-SM-7KFTL 40-49 years, male 5.6
GTEX-17EVQ-0226-SM-7LG4P 70-79 years, male 5.6
GTEX-1C6VR-2426-SM-79OLD 60-69 years, male 5.6
GTEX-Q2AG-0126-SM-33HBV 40-49 years, female 5.6
GTEX-ZE7O-0126-SM-57WC1 50-59 years, female 5.6
GTEX-ZVTK-0426-SM-51MRS 20-29 years, male 5.6
GTEX-ZVZP-2426-SM-59HKJ 50-59 years, male 5.6
GTEX-ZYT6-0226-SM-5NQ6T 30-39 years, male 5.6
GTEX-1CAV2-2226-SM-7P8P2 40-49 years, female 5.6
GTEX-1KANA-0726-SM-D3L9I 20-29 years, male 5.6
GTEX-1KANB-0526-SM-E6CJH 50-59 years, male 5.6
GTEX-1LGOU-2026-SM-DIPFF 20-29 years, female 5.6
GTEX-1OJC3-0126-SM-E76QX 20-29 years, male 5.6
GTEX-1PWST-0226-SM-E76QJ 70-79 years, male 5.6
GTEX-1S5ZA-0126-SM-EVYCV 20-29 years, male 5.6
GTEX-ZF3C-0126-SM-DO92D 50-59 years, female 5.6
GTEX-1192W-2626-SM-5Q5AF 60-69 years, male 5.5
GTEX-11DYG-0126-SM-59883 60-69 years, male 5.5
GTEX-11EQ9-2426-SM-5HL5T 30-39 years, male 5.5
GTEX-11OF3-2626-SM-5GU7F 60-69 years, male 5.5
GTEX-12WSE-0526-SM-793B2 20-29 years, male 5.5
GTEX-12WSN-5019-SM-79OM6 40-49 years, male 5.5
GTEX-1314G-1526-SM-5EGK2 30-39 years, male 5.5
GTEX-13OVL-0226-SM-5L3E9 50-59 years, male 5.5
GTEX-14E6E-1826-SM-5S2R7 30-39 years, male 5.5
GTEX-14PJ3-1826-SM-62LEX 50-59 years, male 5.5
GTEX-17F98-0626-SM-79OMX 40-49 years, female 5.5
GTEX-1A32A-0126-SM-718B1 50-59 years, female 5.5
GTEX-1AX9K-2326-SM-73KWU 50-59 years, male 5.5
GTEX-OHPL-0126-SM-2HMJ7 60-69 years, female 5.5
GTEX-PX3G-0126-SM-2I3EN 20-29 years, female 5.5
GTEX-QCQG-1726-SM-3GIJ9 50-59 years, female 5.5
GTEX-QVJO-1626-SM-2S1QW 60-69 years, female 5.5
GTEX-VUSG-2526-SM-4KL1V 50-59 years, male 5.5
GTEX-WFON-2126-SM-3LK7O 40-49 years, male 5.5
GTEX-WH7G-2326-SM-3NMBC 40-49 years, male 5.5
GTEX-WXYG-2326-SM-4E3I6 50-59 years, female 5.5
GTEX-ZWKS-0126-SM-5SIAA 30-39 years, male 5.5
GTEX-1GMR3-1926-SM-9KNUZ 40-49 years, male 5.5
GTEX-1H4P4-0726-SM-9YFLR 50-59 years, male 5.5
GTEX-1L5NE-2526-SM-E6CIE 50-59 years, male 5.5
GTEX-1211K-2026-SM-5EQ4Z 60-69 years, female 5.4
GTEX-12ZZY-0226-SM-5LZVE 60-69 years, male 5.4
GTEX-132NY-0326-SM-5IJBL 60-69 years, male 5.4
GTEX-13N2G-2626-SM-5J1OT 60-69 years, male 5.4
GTEX-13O21-1426-SM-5K7XI 50-59 years, male 5.4
GTEX-13RTK-1426-SM-5QGQJ 20-29 years, male 5.4
GTEX-16BQI-0226-SM-7KUEX 30-39 years, female 5.4
GTEX-QEG4-0226-SM-2S1PY 30-39 years, male 5.4
GTEX-R3RS-0126-SM-3GIJL 40-49 years, female 5.4
GTEX-R55G-2526-SM-2TC6D 40-49 years, female 5.4
GTEX-TMMY-0226-SM-33HBA 40-49 years, female 5.4
GTEX-U8T8-0126-SM-3DB94 60-69 years, male 5.4
GTEX-XAJ8-0826-SM-47JY6 40-49 years, male 5.4
GTEX-YJ89-0126-SM-4TT3X 60-69 years, male 5.4
GTEX-ZV68-0126-SM-59HKS 50-59 years, female 5.4
GTEX-1F7RK-0126-SM-7PC2S 20-29 years, female 5.4
GTEX-1GN2E-0426-SM-9MQKX 60-69 years, male 5.4
GTEX-1GZ2Q-0226-SM-7P8TL 40-49 years, male 5.4
GTEX-1H1CY-2826-SM-9MQM3 60-69 years, female 5.4
GTEX-1K2DU-2326-SM-E9TIV 20-29 years, male 5.4
GTEX-1KD4Q-0226-SM-E9TJ9 40-49 years, male 5.4
GTEX-1KD5A-0226-SM-D5OV3 50-59 years, male 5.4
GTEX-1NV5F-0226-SM-E8VNY 60-69 years, female 5.4
GTEX-1QCLY-0326-SM-E8VOG 30-39 years, male 5.4
GTEX-11DXW-0226-SM-5H122 40-49 years, male 5.3
GTEX-131YS-0126-SM-5KM1M 60-69 years, female 5.3
GTEX-13CF2-2526-SM-5LZYX 60-69 years, male 5.3
GTEX-13N11-2526-SM-5K7UE 50-59 years, female 5.3
GTEX-14A5H-0426-SM-5QGQF 60-69 years, male 5.3
GTEX-17F97-0326-SM-7LG5B 50-59 years, male 5.3
GTEX-1CB4I-0226-SM-79OLH 50-59 years, male 5.3
GTEX-NFK9-0226-SM-2HMKQ 40-49 years, male 5.3
GTEX-QDVJ-1726-SM-2I5FX 50-59 years, male 5.3
GTEX-XV7Q-2526-SM-4BRV9 40-49 years, female 5.3
GTEX-XXEK-2226-SM-4BRUM 50-59 years, male 5.3
GTEX-Y111-0126-SM-4SOIV 50-59 years, male 5.3
GTEX-Y8DK-0126-SM-4TT3L 60-69 years, male 5.3
GTEX-ZDYS-2026-SM-5HL5L 50-59 years, male 5.3
GTEX-169BO-1326-SM-9MQK2 50-59 years, male 5.3
GTEX-1GF9U-2126-SM-7SB7L 40-49 years, female 5.3
GTEX-1K2DA-1826-SM-CGQGT 50-59 years, male 5.3
GTEX-1MUQO-0126-SM-EAZ58 60-69 years, male 5.3
GTEX-SE5C-1626-SM-2XCE3 40-49 years, female 5.3
GTEX-131XH-2226-SM-5DUXJ 50-59 years, male 5.2
GTEX-13NZB-2526-SM-5J1OM 30-39 years, male 5.2
GTEX-13VXU-0126-SM-5SI9F 50-59 years, male 5.2
GTEX-18QFQ-0126-SM-731BE 30-39 years, male 5.2
GTEX-O5YW-0126-SM-3LK6D 50-59 years, male 5.2
GTEX-P4QT-0126-SM-2I3FL 50-59 years, female 5.2
GTEX-PLZ4-0126-SM-5SI8O 50-59 years, female 5.2
GTEX-QDT8-0126-SM-48TZ1 30-39 years, female 5.2
GTEX-S7PM-0126-SM-4AD6S 60-69 years, male 5.2
GTEX-U3ZN-2326-SM-3DB7W 30-39 years, female 5.2
GTEX-Z9EW-1626-SM-5CVMN 40-49 years, male 5.2
GTEX-ZAK1-0126-SM-5IJD3 50-59 years, female 5.2
GTEX-ZU9S-0226-SM-5E441 30-39 years, male 5.2
GTEX-1B8L1-2526-SM-9WYTF 60-69 years, male 5.2
GTEX-1C6VQ-0126-SM-7P8RI 50-59 years, male 5.2
GTEX-1GF9V-0326-SM-7RHI5 60-69 years, male 5.2
GTEX-1LB8K-0226-SM-EWRNW 50-59 years, male 5.2
GTEX-1LVAN-0226-SM-COH3S 50-59 years, female 5.2
GTEX-1PIIG-0226-SM-EWRN6 30-39 years, male 5.2
GTEX-1RB15-2126-SM-E9TIM 60-69 years, male 5.2
GTEX-ZPIC-1726-SM-DHXIU 40-49 years, female 5.2
GTEX-11O72-0126-SM-59887 40-49 years, male 5.1
GTEX-11ZTT-2426-SM-5EQLS 60-69 years, female 5.1
GTEX-1269C-2526-SM-5EGJ3 60-69 years, female 5.1
GTEX-13JUV-2726-SM-5LZZ8 40-49 years, female 5.1
GTEX-13OW6-0426-SM-5L3HM 50-59 years, male 5.1
GTEX-14PII-0226-SM-6EU1T 60-69 years, male 5.1
GTEX-16NGA-1726-SM-731B4 40-49 years, female 5.1
GTEX-16NPX-0226-SM-79OMT 50-59 years, male 5.1
GTEX-PWO3-1526-SM-48TCM 60-69 years, female 5.1
GTEX-RN64-0126-SM-2TC68 50-59 years, male 5.1
GTEX-RWS6-2026-SM-2XCB5 60-69 years, female 5.1
GTEX-SIU8-0126-SM-2XCDT 50-59 years, male 5.1
GTEX-U3ZM-1526-SM-3DB9D 40-49 years, male 5.1
GTEX-X5EB-2226-SM-46MW4 40-49 years, male 5.1
GTEX-Z93S-0126-SM-5HL7M 50-59 years, male 5.1
GTEX-ZF2S-2326-SM-4WWCE 50-59 years, female 5.1
GTEX-ZV6S-2326-SM-4YCEY 40-49 years, female 5.1
GTEX-1EKGG-0226-SM-9WYTH 60-69 years, male 5.1
GTEX-1EWIQ-0126-SM-7RHH2 70-79 years, female 5.1
GTEX-1HSMP-0126-SM-E6CJS 70-79 years, male 5.1
GTEX-PSDG-0226-SM-DKPOZ 50-59 years, male 5.1
GTEX-11EI6-0126-SM-5985R 60-69 years, male 5.0
GTEX-11XUK-2026-SM-5EQLF 40-49 years, female 5.0
GTEX-12ZZX-0126-SM-5EGK9 40-49 years, female 5.0
GTEX-13FHO-0226-SM-5IFGY 60-69 years, male 5.0
GTEX-13O3Q-2426-SM-5IJBR 50-59 years, male 5.0
GTEX-14E6D-0126-SM-62LDV 50-59 years, male 5.0
GTEX-17KNJ-2326-SM-7DHLQ 50-59 years, male 5.0
GTEX-T2IS-0126-SM-4DM6O 20-29 years, female 5.0
GTEX-TML8-1926-SM-32QOS 40-49 years, female 5.0
GTEX-U8XE-0326-SM-3DB8P 30-39 years, male 5.0
GTEX-XMD2-0126-SM-4YCDU 60-69 years, female 5.0
GTEX-XPVG-2626-SM-4B669 50-59 years, male 5.0
GTEX-Y114-2426-SM-4TT8A 50-59 years, female 5.0
GTEX-ZAB5-1826-SM-5HL7C 50-59 years, male 5.0
GTEX-ZDTT-2726-SM-4WKF8 60-69 years, male 5.0
GTEX-13OW5-0126-SM-DTXFS 60-69 years, male 5.0
GTEX-1HB9E-0226-SM-E9U4R 50-59 years, male 5.0
GTEX-1HCVE-0126-SM-CGQEU 50-59 years, male 5.0
GTEX-1MJK2-0426-SM-DTXE5 50-59 years, male 5.0
GTEX-1QP29-0626-SM-EWRMX 50-59 years, male 5.0
GTEX-1R9K4-0126-SM-DTX9X 60-69 years, male 5.0
GTEX-ZQG8-1626-SM-DHXIT 60-69 years, female 5.0
GTEX-11VI4-1726-SM-5CVLH 40-49 years, female 4.9
GTEX-12WSJ-1826-SM-5GCNY 40-49 years, female 4.9
GTEX-13FTW-2626-SM-5K7WL 40-49 years, male 4.9
GTEX-145LT-1726-SM-5QGP3 40-49 years, male 4.9
GTEX-146FQ-0126-SM-5NQA9 30-39 years, male 4.9
GTEX-15G19-0126-SM-6PANQ 60-69 years, male 4.9
GTEX-OXRL-0126-SM-2YUMP 50-59 years, male 4.9
GTEX-S7SE-0126-SM-2XCD5 50-59 years, male 4.9
GTEX-XQ3S-1526-SM-4BOOC 20-29 years, male 4.9
GTEX-YFC4-0126-SM-5CVLY 40-49 years, female 4.9
GTEX-ZYFG-2326-SM-5E44B 60-69 years, female 4.9
GTEX-1JJEA-0326-SM-CNPOT 60-69 years, male 4.9
GTEX-1PFEY-1526-SM-E76PP 30-39 years, male 4.9
GTEX-1QEPI-0126-SM-EWRMQ 60-69 years, female 4.9
GTEX-1R9PM-2026-SM-E76OY 20-29 years, male 4.9
GTEX-1RAZA-0126-SM-E6CI3 20-29 years, male 4.9
GTEX-11P82-1626-SM-59879 20-29 years, male 4.8
GTEX-1313W-0126-SM-5LZUN 50-59 years, female 4.8
GTEX-15CHC-2126-SM-6EU21 60-69 years, female 4.8
GTEX-183WM-0126-SM-7LTAB 70-79 years, female 4.8
GTEX-OXRK-0226-SM-3NB2G 50-59 years, female 4.8
GTEX-T5JW-1626-SM-3GADZ 20-29 years, female 4.8
GTEX-XQ8I-0426-SM-4BOPO 50-59 years, male 4.8
GTEX-Y5LM-1926-SM-5RQJH 40-49 years, female 4.8
GTEX-YB5E-2026-SM-5IFIS 40-49 years, male 4.8
GTEX-1ICLZ-0126-SM-CKZPO 60-69 years, male 4.8
GTEX-1IL2U-0226-SM-CE6T8 60-69 years, male 4.8
GTEX-1J1OQ-0226-SM-CYPSH 40-49 years, female 4.8
GTEX-139D8-0226-SM-5KLZO 30-39 years, female 4.7
GTEX-145MO-0326-SM-5Q5B3 60-69 years, male 4.7
GTEX-14JG6-2226-SM-6EU2G 30-39 years, female 4.7
GTEX-14LZ3-0226-SM-62LET 60-69 years, female 4.7
GTEX-PLZ5-2026-SM-2S1O4 50-59 years, male 4.7
GTEX-Q734-1926-SM-2I5EV 40-49 years, female 4.7
GTEX-T6MN-0126-SM-32PLP 50-59 years, male 4.7
GTEX-W5WG-1826-SM-4KL2Y 50-59 years, female 4.7
GTEX-WYJK-0126-SM-3NMAB 50-59 years, male 4.7
GTEX-X585-0226-SM-4QAS2 50-59 years, male 4.7
GTEX-YEC4-2126-SM-5IFJH 40-49 years, male 4.7
GTEX-1CAMS-0426-SM-7P8T2 40-49 years, female 4.7
GTEX-1IOXB-0126-SM-ARL8G 50-59 years, male 4.7
GTEX-1KXAM-2226-SM-CYPTC 60-69 years, male 4.7
GTEX-1QPFJ-0226-SM-E76PB 30-39 years, female 4.7
GTEX-1S83E-0126-SM-EWRO4 40-49 years, male 4.7
GTEX-OOBJ-0126-SM-E6CJW 60-69 years, male 4.7
GTEX-14BIM-0226-SM-7IGLD 60-69 years, female 4.6
GTEX-18D9A-1926-SM-7LG6P 30-39 years, female 4.6
GTEX-Q2AI-1326-SM-2S1PL 40-49 years, male 4.6
GTEX-Z93T-0126-SM-5HL5N 50-59 years, male 4.6
GTEX-1IDFM-0126-SM-COH2V 60-69 years, male 4.6
GTEX-1J8QM-2126-SM-CYPSJ 60-69 years, female 4.6
GTEX-1RQEC-0426-SM-E6CHU 60-69 years, male 4.6
GTEX-S33H-1026-SM-EZ6L6 30-39 years, male 4.6
GTEX-12126-0326-SM-5PNW3 20-29 years, male 4.5
GTEX-145LS-0126-SM-5QGP1 60-69 years, female 4.5
GTEX-NPJ8-0126-SM-2YUNR 40-49 years, male 4.5
GTEX-X4EP-0126-SM-3P5YV 60-69 years, female 4.5
GTEX-ZVT2-2526-SM-51MT1 50-59 years, female 4.5
GTEX-ZVZO-0126-SM-5A5L9 40-49 years, male 4.5
GTEX-1HR98-0126-SM-B2LWI 60-69 years, male 4.5
GTEX-1S3DN-2226-SM-EVYCD 50-59 years, male 4.5
GTEX-W5X1-3026-SM-EAZAX 40-49 years, female 4.5
GTEX-11DXX-2426-SM-5GZZW 60-69 years, female 4.4
GTEX-13113-5016-SM-7EPIP 60-69 years, female 4.4
GTEX-13OVK-2026-SM-7KUEO 40-49 years, male 4.4
GTEX-145MN-2226-SM-5SIAU 30-39 years, male 4.4
GTEX-14JG1-0426-SM-6ETZZ 40-49 years, male 4.4
GTEX-1B8SF-1426-SM-7DUGL 60-69 years, male 4.4
GTEX-WY7C-2326-SM-3NB2U 50-59 years, male 4.4
GTEX-XUW1-0426-SM-4BOOT 50-59 years, female 4.4
GTEX-Y8E4-0626-SM-4WWDL 40-49 years, male 4.4
GTEX-1CB4H-0226-SM-7PBXM 60-69 years, female 4.4
GTEX-1OFPY-2426-SM-DTXEJ 60-69 years, male 4.4
GTEX-PWCY-1826-SM-DHXIZ 20-29 years, female 4.4
GTEX-133LE-1826-SM-5J1MV 20-29 years, female 4.3
GTEX-OIZG-0726-SM-33HBL 50-59 years, male 4.3
GTEX-X4XX-0126-SM-3NMC2 60-69 years, male 4.3
GTEX-1F5PL-0326-SM-7P8PQ 40-49 years, female 4.3
GTEX-1J8EW-0126-SM-CJI4F 60-69 years, female 4.3
GTEX-14753-0426-SM-5NQAM 60-69 years, male 4.2
GTEX-1497J-2426-SM-7IGNX 60-69 years, male 4.2
GTEX-OOBK-0126-SM-2YUND 40-49 years, male 4.2
GTEX-S95S-1226-SM-4GICG 60-69 years, male 4.2
GTEX-WVJS-0126-SM-4MVOT 50-59 years, male 4.2
GTEX-WZTO-0126-SM-3NM95 40-49 years, male 4.2
GTEX-ZC5H-0226-SM-4WAY9 40-49 years, female 4.2
GTEX-U412-0426-SM-3DB9O 60-69 years, male 4.1
GTEX-13PVR-2326-SM-5QGR1 60-69 years, female 4.0
GTEX-17JCI-0126-SM-7LG5G 60-69 years, female 4.0
GTEX-1C64N-0126-SM-793D7 50-59 years, male 4.0
GTEX-QDVN-2026-SM-3GAEP 50-59 years, male 4.0
GTEX-QV44-1926-SM-2S1RF 50-59 years, male 4.0
GTEX-111FC-0126-SM-5N9DL 60-69 years, male 3.9
GTEX-14PK6-1926-SM-6ETZU 70-79 years, female 3.9
GTEX-SUCS-1926-SM-32PM3 70-79 years, male 3.9
GTEX-XBEW-0626-SM-4QASP 40-49 years, male 3.9
GTEX-XUZC-1726-SM-4BRWS 30-39 years, female 3.9
GTEX-ZE9C-2726-SM-57WB5 60-69 years, male 3.9
GTEX-131XF-5016-SM-7MGWE 60-69 years, male 3.9
GTEX-1M5QR-1226-SM-EWROB 40-49 years, male 3.9
GTEX-1PDJ9-0326-SM-DTX95 20-29 years, male 3.9
GTEX-TMZS-0126-SM-3DB9Q 60-69 years, male 3.8
GTEX-Y5V6-2426-SM-4VDSB 60-69 years, male 3.8
GTEX-RVPV-0126-SM-EAZAW 60-69 years, male 3.8
GTEX-O5YT-0126-SM-48TBW 20-29 years, male 3.7
GTEX-1ICG6-2526-SM-CGQFZ 70-79 years, female 3.7
GTEX-14BMU-2226-SM-5TDE9 20-29 years, female 3.6
GTEX-Y3IK-2426-SM-4WWDU 50-59 years, female 3.6
GTEX-ZXES-1826-SM-5E43S 30-39 years, female 3.6
GTEX-POMQ-2226-SM-2I5FK 20-29 years, female 3.5
GTEX-X88G-0126-SM-47JZ3 30-39 years, male 3.5
GTEX-P4PQ-0126-SM-2S1NM 60-69 years, male 3.4
GTEX-1399U-2326-SM-5K7WY 50-59 years, female 3.3
GTEX-UJHI-1526-SM-3DB99 50-59 years, female 3.3
GTEX-15SB6-1726-SM-6PAME 50-59 years, female 3.2
GTEX-P4PP-0126-SM-3LK69 30-39 years, female 3.2
GTEX-1122O-2126-SM-5EGIR 60-69 years, female 3.0
GTEX-OIZH-0126-SM-2HMIS 50-59 years, male 2.7
Show allShow less

Contact

  • NEWS ARTICLES
  • PRESS ROOM

The Project

  • INTRODUCTION
  • ORGANIZATION
  • PUBLICATIONS

The Human Protein Atlas

  • DOWNLOADABLE DATA
  • LICENCE & CITATION
  • HELP & FAQ
The Human Protein Atlas project is funded
by the Knut & Alice Wallenberg Foundation.


contact@proteinatlas.org