We use cookies to enhance the usability of our website. If you continue, we'll assume that you are happy to receive all cookies. More information. Don't show this again.
LAMB3
HPA
RESOURCES
  • TISSUE
  • BRAIN
  • SINGLE CELL
  • SUBCELLULAR
  • CANCER
  • BLOOD
  • CELL LINE
  • STRUCTURE & INTERACTION
ABOUT
  • INTRODUCTION
  • HISTORY
  • ORGANIZATION
  • PUBLICATIONS
  • ANTIBODY SUBMISSION
  • ANTIBODY AVAILABILITY
  • ACKNOWLEDGMENTS
  • CONTACT
NEWS
  • NEWS ARTICLES
  • PRESS ROOM
LEARN
  • DICTIONARY
  • PROTEIN CLASSES
  • PROTEIN EVIDENCE
  • METHODS
  • EDUCATIONAL VIDEOS
DATA
  • DOWNLOADABLE DATA
  • PUBLICATION DATA
  • RELEASE HISTORY
HELP
  • ANTIBODY VALIDATION
  • ASSAYS & ANNOTATION
  • DISCLAIMER
  • HELP & FAQ
  • PRIVACY STATEMENT
  • LICENCE & CITATION
Fields »
Search result

Field
Term
Gene name
Class
Subclass
Class
Keyword
Chromosome
External id
Tissue
Cell type
Expression
Antibody panel
Tissue
Main location
Patient ID
Annotation
Tissue
Category
Tau score
Cluster
Reliability
Brain region
Category
Tau score
Brain region
Category
Tau score
Brain region
Category
Tau score
Cluster
Reliability
Tissue
Cell type
Enrichment
Cell type
Category
Tau score
Cell type
Category
Tau score
Cell type
Category
Tau score
Cell lineage
Category
Tau score
Cluster
Cluster
Location
Searches
Location
Cell line
Class
Type
Phase
Reliability
Cancer
Prognosis
Cancer
Category
Cancer
Category
Tau score
Cluster
Variants
Interacting gene (ensg_id)
Type
Number of interactions
Pathway
Category
Score
Score
Score
Validation
Validation
Validation
Validation
Antibodies
Data type
Column


  • SUMMARY

  • TISSUE

  • BRAIN

  • SINGLE CELL

  • SUBCELL

  • CANCER

  • BLOOD

  • CELL LINE

  • STRUCT & INT

  • LAMB3
TISSUE PRIMARY DATA BREAST Show tissue menu
ADIPOSE TISSUE ADRENAL GLAND AMYGDALA APPENDIX BASAL GANGLIA BONE MARROW BREAST BRONCHUS CEREBELLUM CEREBRAL CORTEX CERVIX CHOROID PLEXUS COLON DUODENUM
ENDOMETRIUM EPIDIDYMIS ESOPHAGUS FALLOPIAN TUBE GALLBLADDER HEART MUSCLE HIPPOCAMPAL FORMATION HYPOTHALAMUS KIDNEY LIVER LUNG LYMPH NODE MIDBRAIN ORAL MUCOSA
OVARY PANCREAS PARATHYROID GLAND PITUITARY GLAND PLACENTA PROSTATE RECTUM RETINA SALIVARY GLAND SEMINAL VESICLE SKELETAL MUSCLE SKIN SMALL INTESTINE SMOOTH MUSCLE
SOFT TISSUE SPINAL CORD SPLEEN STOMACH TESTIS THYMUS THYROID GLAND TONGUE TONSIL URINARY BLADDER VAGINA
ANTIBODIES
AND
VALIDATION
Dictionary
Breast
Tissue proteome
Breast
BREAST - Expression summary
Protein expression
Breasti

On the top, protein expression in current human tissue, based on all annotated cell types, is reported with the units not detected (n), low (l), medium (m) and high (h). Underneath, protein expression in each annotated cell type are reported using the same units.

Protein expression data is based on knowledge-based annotation. For genes where more than one antibody has been used, a collective score is set.

If knowledge-based annotation could not be performed for a gene, no data is displayed here. View antibody staining data further down this page.

h
m
l
n
Adipocytes: Medium
Glandular cells: Medium
Myoepithelial cells: Medium
RNA expressioni

A summary of mRNA expression data available for current tissue based on several datasets. The mRNA expression levels in human tissues are based on RNA-seq data generated by the Human Protein Atlas (HPA), Genotype-Tissue Expression (GTEx) portal and CAGE data generated by the FANTOM5 consortium. Consensus normalized expression levels for human tissues was created by combining the data from HPA and GTEx datasets.

The mRNA expression levels in pig are based on RNA-seq data generated by the Human Protein Atlas (HPA), and for mouse, HPA data and in situ hybridization generated by the Allen brain atlas are reported.

Scroll down to view mRNA expression data in more detail.
Consensus:20.0 nTPM
HPA:20.0 nTPM
GTEx:19.5 nTPM
FANTOM5:10.3 Scaled Tags Per Million

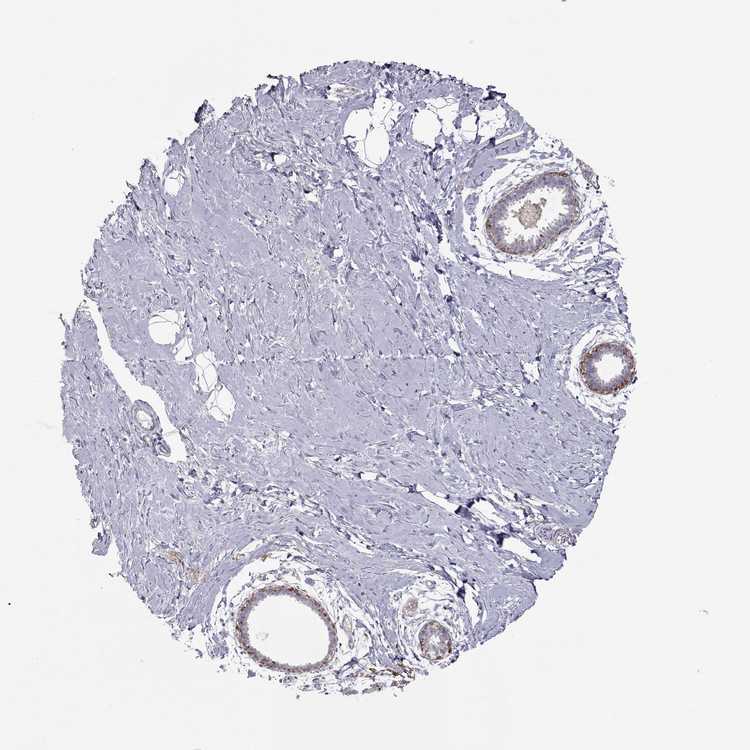
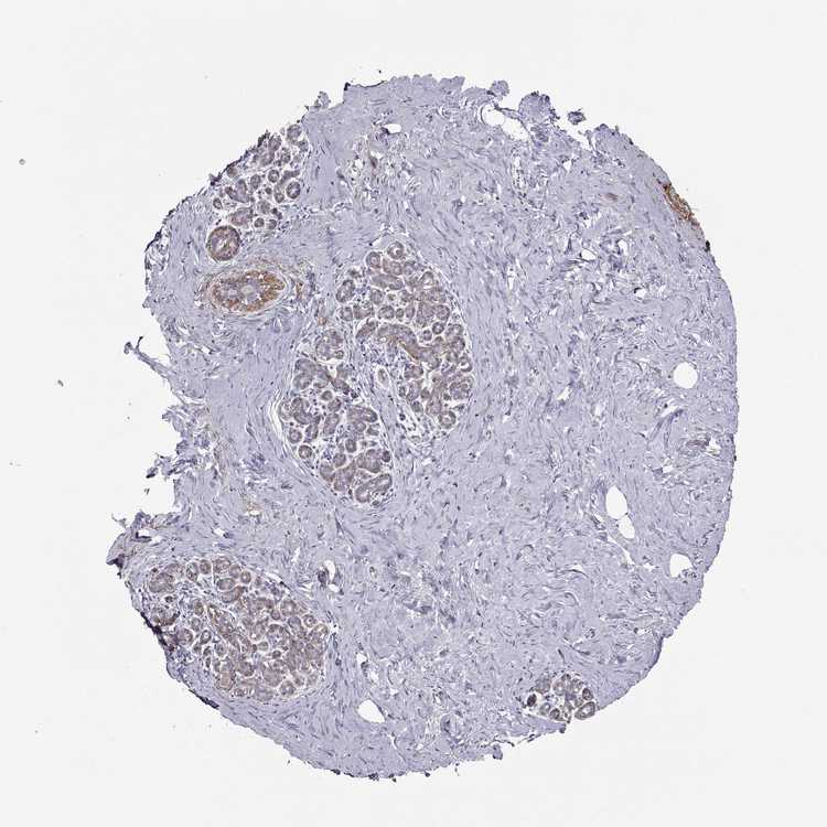
BREAST - Antibody stainingi

Antibody staining in the annotated cell types in the current human tissue is reported as not detected, low, medium, or high, based on conventional immunohistochemistry profiling in selected tissues. This score is based on the combination of the staining intensity and fraction of stained cells.

Each image is clickable and will lead to virtual microscopy that enables deeper exploration of all samples and also displays staining intensity scores, fraction scores and subcellular localization as well as patient and tissue information for each sample.

Antibody HPA008069Antibody CAB078183
Adipocytes MediumNot detected
Glandular cells MediumNot detected
Myoepithelial cells MediumHigh




BREAST - HPA RNA-seqi

The RNA-seq details section shows detailed information about the individual samples used for the transcript profiling and results of the RNA-seq analysis.

Information about each individual sample is listed below, including gender, age, a tissue section image and estimated fractions of cell types. nTPM (normalized transcripts per million) values give a quantification of the gene abundance which is comparable between different genes and samples.
Average nTPMi

Max subtype nTPM is the value for the subtype with the largest average nTPM across the subtype samples.

20.0
overview
Female, age 52
Breast sample 373
nTPM: 23.5
Cell types%
Glandular cells:
15

Adipocytes:
5

Other cell types:
80

overview
Female, age 80
Breast sample 390
nTPM: 15
Cell types%
Glandular cells:
5

Adipocytes:
15

Other cell types:
80

overview
Female, age 47
Breast sample 405
nTPM: 17.6
Cell types%
Glandular cells:
5

Adipocytes:
5

Other cell types:
90

overview
Female, age 38
Breast sample 410
nTPM: 23.9
Cell types%
Glandular cells:
40

Adipocytes:
5

Other cell types:
55


BREAST - GTEx RNA-seqi

RNA-Seq data generated by the Genotype-Tissue Expression (GTEx) project from human tissues is reported as mean nTPM. More information can be found on the GTEx portal.

Distribution across the dataset is visualized with box plots, shown as median and 25th and 75th percentiles. Points are displayed as outliers if they are above or below 1.5 times the interquartile range. nTPM values of the individual samples are presented next to the box plot.
Max subtype nTPMi

Max subtype nTPM is the value for the subtype with the largest average nTPM across the subtype samples.

19.5
GTEx sample id Sample description nTPM
Breast - Mammary Tissue
Average nTPM: 19.5
Samples: 459

Max nTPM: 109.6
Min nTPM: 0.2
Std nTPM: 16.8
Median nTPM: 14.6
GTEX-T2IS-1526-SM-32QPR 20-29 years, female 109.6
GTEX-13PL6-2926-SM-5L3I2 40-49 years, female 92.0
GTEX-1H1CY-2226-SM-9WG7E 60-69 years, female 91.5
GTEX-1QEPI-0926-SM-DTXF3 60-69 years, female 75.4
GTEX-12ZZX-1126-SM-5EGKB 40-49 years, female 75.2
GTEX-13SLX-2326-SM-5ZZWE 50-59 years, female 74.9
GTEX-R3RS-0626-SM-48FE1 40-49 years, female 74.4
GTEX-15ER7-1626-SM-6PAMZ 20-29 years, female 73.8
GTEX-1GN1U-0526-SM-9KNTT 50-59 years, female 66.3
GTEX-17JCI-0726-SM-7EPH1 60-69 years, female 65.8
GTEX-RU72-0626-SM-46MUI 50-59 years, female 60.8
GTEX-YFC4-1426-SM-5IFJG 40-49 years, female 60.8
GTEX-1HSGN-1526-SM-A9SMO 40-49 years, female 59.5
GTEX-11PRG-0826-SM-5EQ6A 50-59 years, male 59.3
GTEX-ZC5H-2626-SM-5J2MG 40-49 years, female 58.8
GTEX-1POEN-0926-SM-DTX88 30-39 years, female 56.6
GTEX-15FZZ-0726-SM-7KUFZ 30-39 years, female 56.2
GTEX-13FTY-2226-SM-5J1ND 40-49 years, female 56.0
GTEX-17HG3-0126-SM-7IGNH 30-39 years, female 55.7
GTEX-1IDJE-0826-SM-CKZNZ 50-59 years, female 55.6
GTEX-Y3IK-2326-SM-4WWDT 50-59 years, female 55.4
GTEX-WYBS-0926-SM-3NM94 60-69 years, female 53.9
GTEX-131XW-0726-SM-5EGK3 50-59 years, female 53.6
GTEX-ZF3C-2326-SM-5S2NC 50-59 years, female 53.5
GTEX-XOT4-0726-SM-4GIAW 60-69 years, female 52.5
GTEX-14PJ4-2126-SM-6ETZJ 60-69 years, male 52.0
GTEX-U8XE-0826-SM-4E3J1 30-39 years, male 51.9
GTEX-14AS3-1626-SM-5S2OY 40-49 years, female 51.7
GTEX-1269C-2426-SM-5FQSN 60-69 years, female 51.3
GTEX-ZF2S-2026-SM-5E461 50-59 years, female 49.6
GTEX-SE5C-2126-SM-4BRUJ 40-49 years, female 49.5
GTEX-131YS-0626-SM-5EGKL 60-69 years, female 49.0
GTEX-13QIC-2326-SM-5LU5N 60-69 years, female 48.9
GTEX-Y5V5-2126-SM-4WWFO 60-69 years, female 48.2
GTEX-1HBPN-2326-SM-9WPPU 50-59 years, male 47.9
GTEX-1CB4G-2326-SM-79OOI 60-69 years, male 47.7
GTEX-1IE54-0626-SM-ARL8D 40-49 years, female 47.0
GTEX-WYVS-1726-SM-3NMAY 40-49 years, female 46.2
GTEX-1IKOH-2326-SM-CM2TW 60-69 years, female 46.1
GTEX-1F6I4-2526-SM-7SB8F 60-69 years, male 45.0
GTEX-11P81-1926-SM-5BC53 30-39 years, female 44.8
GTEX-1RAZS-1226-SM-E8VMT 50-59 years, male 44.8
GTEX-1B932-0826-SM-73KXG 40-49 years, female 44.4
GTEX-18A7A-0726-SM-7LTAI 50-59 years, female 44.3
GTEX-ZXES-0826-SM-5E43C 30-39 years, female 44.3
GTEX-QDT8-0626-SM-48TYW 30-39 years, female 44.1
GTEX-1HCUA-0726-SM-ACKVU 50-59 years, female 43.8
GTEX-1IDJF-2326-SM-ARL86 20-29 years, male 43.4
GTEX-Q2AG-0326-SM-48U1O 40-49 years, female 43.1
GTEX-1GF9X-1026-SM-ACKX2 40-49 years, female 42.9
GTEX-ZLV1-1426-SM-DO92Z 60-69 years, female 42.3
GTEX-X15G-1626-SM-3NMB3 50-59 years, female 41.4
GTEX-1MCC2-2126-SM-EWRON 30-39 years, female 41.3
GTEX-15UF6-0126-SM-6PAMB 70-79 years, female 40.9
GTEX-11WQC-1726-SM-5GU4W 60-69 years, male 40.5
GTEX-1GZHY-0726-SM-9WG6B 50-59 years, female 40.3
GTEX-133LE-1726-SM-5K7VQ 20-29 years, female 39.9
GTEX-1NUQO-2226-SM-E9U68 20-29 years, female 39.4
GTEX-13CF2-2026-SM-5K7VI 60-69 years, male 39.1
GTEX-ZGAY-1726-SM-DO91P 40-49 years, female 38.8
GTEX-1GPI6-0626-SM-7RHHJ 60-69 years, male 38.7
GTEX-1K9T9-1426-SM-DIPFQ 50-59 years, female 38.2
GTEX-ZAK1-1326-SM-EVYAS 50-59 years, female 37.5
GTEX-1LNCM-0226-SM-DIPF4 50-59 years, female 37.4
GTEX-1KANA-2026-SM-DIPFB 20-29 years, male 37.3
GTEX-RUSQ-2026-SM-4GIAK 50-59 years, male 37.1
GTEX-183FY-1126-SM-7DHLJ 20-29 years, male 37.0
GTEX-1HSKV-2026-SM-CMKGX 60-69 years, male 36.7
GTEX-132AR-0826-SM-5EGK6 50-59 years, female 36.6
GTEX-14LLW-0626-SM-62LFC 70-79 years, female 36.1
GTEX-1ICG6-1326-SM-ACKWR 70-79 years, female 36.1
GTEX-XMK1-1126-SM-4IHJ8 40-49 years, male 36.0
GTEX-1GMR8-0726-SM-9KNVI 50-59 years, female 35.9
GTEX-1N5O9-1126-SM-DTXEQ 60-69 years, male 35.8
GTEX-15UF7-0726-SM-6M46D 40-49 years, male 35.6
GTEX-1B933-2526-SM-7IGO5 50-59 years, female 35.6
GTEX-X4EP-2926-SM-3P5YQ 60-69 years, female 35.1
GTEX-ZAJG-0626-SM-5HL8X 50-59 years, female 34.4
GTEX-1QCLZ-2326-SM-DTXDO 60-69 years, female 34.4
GTEX-139T8-0826-SM-5L3DE 60-69 years, male 33.9
GTEX-ZZPU-0626-SM-5E43T 50-59 years, female 33.7
GTEX-16NGA-0826-SM-718AF 40-49 years, female 33.5
GTEX-1LVAM-0926-SM-E9TJ2 50-59 years, female 32.9
GTEX-WRHU-0326-SM-3MJFY 50-59 years, female 32.3
GTEX-13NZ9-1026-SM-5MR5K 50-59 years, male 32.2
GTEX-1IKOE-1326-SM-CE6T6 30-39 years, female 31.9
GTEX-1IKJJ-2326-SM-COH3U 60-69 years, male 31.2
GTEX-13PVR-2226-SM-7DHKP 60-69 years, female 31.1
GTEX-14A5I-0726-SM-5TDEB 50-59 years, female 31.0
GTEX-WXYG-2226-SM-4E3IM 50-59 years, female 30.9
GTEX-WY7C-2726-SM-3NB3P 50-59 years, male 30.4
GTEX-Y5LM-1726-SM-4VDSX 40-49 years, female 30.4
GTEX-ZVT4-1026-SM-57WC4 50-59 years, female 30.4
GTEX-14ABY-2126-SM-5QGQZ 50-59 years, male 30.1
GTEX-1GMRU-0826-SM-9WYT7 50-59 years, male 29.9
GTEX-WI4N-1426-SM-3LK7H 40-49 years, female 29.7
GTEX-1BAJH-0826-SM-7EWEF 70-79 years, male 29.4
GTEX-13W3W-1226-SM-5LU4H 60-69 years, female 29.3
GTEX-1S82U-1126-SM-E9U6I 30-39 years, female 29.1
GTEX-TML8-1226-SM-32QON 40-49 years, female 28.7
GTEX-1J8EW-2626-SM-CL53E 60-69 years, female 28.7
GTEX-T5JW-2026-SM-4DM63 20-29 years, female 28.3
GTEX-1GN1W-1926-SM-7P8TH 50-59 years, female 28.1
GTEX-11P7K-0726-SM-5EGKX 30-39 years, male 27.7
GTEX-1399U-1826-SM-5PNZ1 50-59 years, female 27.7
GTEX-U3ZN-1926-SM-4DXSG 30-39 years, female 27.6
GTEX-UJHI-1426-SM-3DB9C 50-59 years, female 27.5
GTEX-14PHY-1926-SM-5YY95 60-69 years, female 27.4
GTEX-S33H-0326-SM-4AD6N 30-39 years, male 27.3
GTEX-11GSP-0926-SM-9WYSG 60-69 years, female 27.1
GTEX-11EM3-1326-SM-5N9C6 20-29 years, female 26.8
GTEX-VJWN-0726-SM-3GIJ8 50-59 years, female 26.8
GTEX-1LVAN-1326-SM-CNPQE 50-59 years, female 26.8
GTEX-ZTPG-2826-SM-57WGA 20-29 years, female 26.7
GTEX-1R9PN-0326-SM-DTX85 40-49 years, female 26.6
GTEX-11EQ9-1826-SM-5Q5AJ 30-39 years, male 26.0
GTEX-15ETS-0626-SM-7KUMX 40-49 years, female 26.0
GTEX-ZF29-1926-SM-5S2P1 60-69 years, female 25.9
GTEX-TMMY-0726-SM-33HBE 40-49 years, female 25.8
GTEX-RU1J-0626-SM-4WAWY 20-29 years, female 25.7
GTEX-WFON-1826-SM-3GILG 40-49 years, male 25.7
GTEX-11TUW-1826-SM-5BC5D 60-69 years, male 25.5
GTEX-147F4-2826-SM-5NQBN 50-59 years, male 25.2
GTEX-13D11-1026-SM-5IJFB 50-59 years, female 25.0
GTEX-13O3O-0826-SM-5K7WE 60-69 years, female 25.0
GTEX-1J8Q3-1326-SM-CMKI1 60-69 years, male 25.0
GTEX-12WSN-1326-SM-5GCNT 40-49 years, male 24.8
GTEX-1R7EV-1526-SM-E8VOD 40-49 years, male 24.7
GTEX-1GMR3-2626-SM-7RHHG 40-49 years, male 24.6
GTEX-1AX8Z-0926-SM-731AW 60-69 years, male 24.5
GTEX-1I1GT-1126-SM-ARL7J 60-69 years, female 24.5
GTEX-RWS6-1926-SM-47JXY 60-69 years, female 24.4
GTEX-ZVZQ-0826-SM-51MRF 60-69 years, female 24.3
GTEX-1MA7W-1026-SM-DKPQK 20-29 years, female 24.3
GTEX-1MJK3-1126-SM-E9J3F 20-29 years, male 24.3
GTEX-1R46S-2526-SM-E8VN2 60-69 years, female 24.2
GTEX-1I1GU-1026-SM-ADEHJ 40-49 years, male 24.1
GTEX-14H4A-2526-SM-5YYAY 40-49 years, female 23.7
GTEX-1C6VS-0726-SM-7EPHF 60-69 years, male 23.6
GTEX-1QPFJ-2026-SM-EVYBE 30-39 years, female 23.6
GTEX-ZY6K-1626-SM-5GZWV 50-59 years, male 23.5
GTEX-1N2EE-2126-SM-E8VNN 60-69 years, male 23.5
GTEX-ZVTK-0326-SM-51MRR 20-29 years, male 23.4
GTEX-11EMC-2026-SM-5A5JV 60-69 years, female 23.1
GTEX-1HC8U-0826-SM-ADEIL 40-49 years, female 22.9
GTEX-XMD2-0926-SM-4WWEF 60-69 years, female 22.8
GTEX-1S82Z-0726-SM-E6CHX 30-39 years, female 22.8
GTEX-T6MO-0326-SM-32QOK 40-49 years, female 22.7
GTEX-14BMU-1626-SM-5TDE7 20-29 years, female 22.6
GTEX-1JJE9-2326-SM-ARL8Q 70-79 years, male 22.6
GTEX-1MCYP-0126-SM-E6CIS 20-29 years, female 22.6
GTEX-11GS4-2126-SM-5A5KR 60-69 years, male 22.4
GTEX-1RQEC-2026-SM-DTXDM 60-69 years, male 22.4
GTEX-T5JC-2126-SM-32PMO 20-29 years, male 22.3
GTEX-1J8QM-2026-SM-ARZMW 60-69 years, female 22.2
GTEX-XYKS-1326-SM-4BRUN 60-69 years, female 21.8
GTEX-S4P3-1326-SM-4AD6V 50-59 years, female 21.6
GTEX-17HHY-0926-SM-793C1 50-59 years, male 21.4
GTEX-1GN2E-2226-SM-9WG6J 60-69 years, male 21.4
GTEX-13FTW-1426-SM-5LZWZ 40-49 years, male 21.2
GTEX-1RAZQ-1226-SM-EWRNL 30-39 years, male 21.2
GTEX-ZPIC-1126-SM-5BC7F 40-49 years, female 20.9
GTEX-ZVT2-1826-SM-5NQ8W 50-59 years, female 20.9
GTEX-1I1GP-0426-SM-COH3N 50-59 years, male 20.8
GTEX-1JKYN-0726-SM-ARZMY 30-39 years, male 20.8
GTEX-U3ZH-1426-SM-4DXSR 30-39 years, male 20.5
GTEX-1MJK2-2226-SM-EVYCR 50-59 years, male 20.5
GTEX-13NZB-2126-SM-5MR4Y 30-39 years, male 20.4
GTEX-YB5K-1626-SM-5IFIN 40-49 years, female 20.3
GTEX-14E6E-1326-SM-5S2NR 30-39 years, male 20.1
GTEX-ZDYS-1126-SM-5K7UB 50-59 years, male 20.1
GTEX-1A8G7-2426-SM-731AK 60-69 years, male 19.8
GTEX-ZU9S-1926-SM-5NQBP 30-39 years, male 19.8
GTEX-11DXW-0626-SM-5N9ER 40-49 years, male 19.7
GTEX-17HGU-1326-SM-79OKB 50-59 years, male 19.4
GTEX-1H23P-0726-SM-9WG7K 60-69 years, male 19.4
GTEX-1C64O-0726-SM-7DUFU 60-69 years, male 19.3
GTEX-11I78-2226-SM-5PNYA 50-59 years, female 19.0
GTEX-1GZ4I-2826-SM-9MQK5 50-59 years, male 18.9
GTEX-1HR9M-2426-SM-ACKXI 60-69 years, male 18.9
GTEX-1IY9M-2726-SM-CMKG5 60-69 years, male 18.9
GTEX-16YQH-2826-SM-6PAMY 30-39 years, male 18.8
GTEX-1HCVE-2626-SM-ADEJ8 50-59 years, male 18.8
GTEX-1B8SG-1226-SM-7IGPF 50-59 years, male 18.5
GTEX-XUZC-1626-SM-4BRVP 30-39 years, female 18.5
GTEX-14PN4-0626-SM-62LFP 50-59 years, male 18.4
GTEX-17HHE-1426-SM-7EPH4 50-59 years, male 18.2
GTEX-Y8E4-1626-SM-5S2MW 40-49 years, male 18.2
GTEX-1F5PL-1026-SM-7RHI1 40-49 years, female 18.1
GTEX-1KAFJ-0226-SM-DIPEL 50-59 years, male 18.0
GTEX-YECK-0726-SM-EZ6LV 60-69 years, male 18.0
GTEX-Y5V6-2126-SM-4WWFX 60-69 years, male 17.9
GTEX-1CB4J-1826-SM-7EWF9 60-69 years, male 17.8
GTEX-13O3P-0826-SM-5L3DH 50-59 years, male 17.7
GTEX-1B97J-0426-SM-79OLQ 50-59 years, female 17.6
GTEX-S4Q7-1126-SM-4AD6R 20-29 years, male 17.6
GTEX-1R9PM-1826-SM-EVYBH 20-29 years, male 17.6
GTEX-1R7EU-1226-SM-E8VMR 60-69 years, male 17.5
GTEX-146FH-0826-SM-5SI8T 50-59 years, female 17.2
GTEX-QMRM-1626-SM-D4P1U 50-59 years, male 17.2
GTEX-TKQ1-0226-SM-33HB5 30-39 years, male 16.9
GTEX-1I4MK-1626-SM-CM2TJ 50-59 years, female 16.9
GTEX-1HUB1-1626-SM-CM2SL 60-69 years, male 16.7
GTEX-12KS4-0126-SM-5Q5A5 30-39 years, male 16.6
GTEX-13NZ8-0126-SM-5IJCT 60-69 years, female 16.6
GTEX-14PKU-0426-SM-6EU1P 40-49 years, female 16.3
GTEX-W5X1-2326-SM-3GIL6 40-49 years, female 16.3
GTEX-T6MN-0726-SM-32PML 50-59 years, male 16.2
GTEX-XV7Q-2326-SM-4BRVZ 40-49 years, female 16.2
GTEX-Y111-2026-SM-4SOJA 50-59 years, male 16.1
GTEX-1I6K7-1026-SM-A9SLK 40-49 years, male 16.1
GTEX-1L5NE-2126-SM-CY8IH 50-59 years, male 16.1
GTEX-11ZTT-2326-SM-5EQLG 60-69 years, female 16.0
GTEX-13N11-1726-SM-5J1OJ 50-59 years, female 16.0
GTEX-18QFQ-0826-SM-718AX 30-39 years, male 15.9
GTEX-ZT9W-2026-SM-51MRA 50-59 years, male 15.8
GTEX-Y3I4-1526-SM-4TT7K 50-59 years, male 15.6
GTEX-13113-5013-SM-7SB7G 60-69 years, female 15.6
GTEX-1P4AB-1826-SM-E76PU 50-59 years, male 15.6
GTEX-YB5E-1726-SM-5IFJ3 40-49 years, male 15.4
GTEX-17EUY-1926-SM-7DUF6 20-29 years, male 15.3
GTEX-1E2YA-2726-SM-7IGPW 50-59 years, male 15.1
GTEX-13CF3-2126-SM-5IFJP 60-69 years, female 15.0
GTEX-R53T-1526-SM-48FEK 50-59 years, female 15.0
GTEX-ZV6S-1826-SM-5NQ8D 40-49 years, female 15.0
GTEX-XGQ4-0926-SM-4AT4U 50-59 years, male 14.9
GTEX-1F75I-2026-SM-7SB7N 40-49 years, male 14.9
GTEX-Y114-2026-SM-4TT7L 50-59 years, female 14.8
GTEX-1122O-1226-SM-5H113 60-69 years, female 14.6
GTEX-17EVP-0226-SM-79OND 40-49 years, male 14.6
GTEX-18A6Q-0926-SM-7LG4N 60-69 years, male 14.6
GTEX-S32W-2026-SM-4AD6E 50-59 years, female 14.6
GTEX-1HCU8-0126-SM-ADEHH 60-69 years, female 14.6
GTEX-Y9LG-1426-SM-5IFJZ 30-39 years, male 14.5
GTEX-11LCK-2426-SM-5HL5F 30-39 years, male 14.4
GTEX-11ZUS-0826-SM-5FQUY 30-39 years, male 14.4
GTEX-1QCLY-1626-SM-DTXDW 30-39 years, male 14.4
GTEX-139TU-0626-SM-5KM3X 60-69 years, male 14.3
GTEX-15EOM-5019-SM-793DK 20-29 years, female 14.3
GTEX-1I1GV-2426-SM-CGQFM 60-69 years, male 14.3
GTEX-14B4R-1226-SM-5TDDT 30-39 years, male 14.2
GTEX-1GZ4H-0326-SM-7P8QX 50-59 years, female 14.0
GTEX-1JMPY-0526-SM-CL54O 30-39 years, male 14.0
GTEX-1LG7Z-0726-SM-CXKYD 30-39 years, male 13.9
GTEX-11EI6-0626-SM-5985T 60-69 years, male 13.8
GTEX-144GM-0926-SM-5O994 20-29 years, male 13.8
GTEX-1EU9M-2826-SM-7EWFH 60-69 years, male 13.6
GTEX-S341-1526-SM-4AD6K 40-49 years, female 13.6
GTEX-XUW1-2326-SM-4BOO5 50-59 years, female 13.6
GTEX-ZTTD-1026-SM-51MRD 50-59 years, male 13.6
GTEX-18D9A-1526-SM-7LG4J 30-39 years, female 13.5
GTEX-13OW8-0226-SM-5K7UP 60-69 years, male 13.3
GTEX-1K2DA-1726-SM-CGQGS 50-59 years, male 13.3
GTEX-ZQG8-0726-SM-5P9H9 60-69 years, female 13.2
GTEX-XBED-1626-SM-47JYN 60-69 years, male 13.1
GTEX-ZVE2-1226-SM-5NQ8R 50-59 years, male 13.1
GTEX-1HFI7-0126-SM-CGQFQ 50-59 years, female 13.1
GTEX-1QW4Y-1026-SM-DTXE2 30-39 years, male 13.1
GTEX-1313W-0826-SM-5EQ4T 50-59 years, female 13.0
GTEX-ZEX8-2226-SM-57WC6 50-59 years, male 12.9
GTEX-13SLW-2526-SM-62LDQ 70-79 years, male 12.8
GTEX-13OW5-2226-SM-5L3HC 60-69 years, male 12.7
GTEX-ZV7C-1826-SM-5NQ83 50-59 years, male 12.7
GTEX-WYJK-1326-SM-3NB2T 50-59 years, male 12.6
GTEX-1QP29-1726-SM-E8VMQ 50-59 years, male 12.6
GTEX-1GZ2Q-2626-SM-7MXV9 40-49 years, male 12.5
GTEX-13PVQ-1026-SM-5KM3M 50-59 years, male 12.4
GTEX-1LGRB-1826-SM-CNPQL 50-59 years, female 12.4
GTEX-UPK5-2326-SM-3P5Z8 40-49 years, male 12.3
GTEX-11NSD-0926-SM-5N9DR 20-29 years, male 12.2
GTEX-1A3MX-2726-SM-718B6 60-69 years, male 12.2
GTEX-1CB4E-0226-SM-79OLW 60-69 years, male 12.2
GTEX-S4UY-0726-SM-4AD6X 40-49 years, female 12.2
GTEX-VUSG-2226-SM-4KKZO 50-59 years, male 12.1
GTEX-1LSNM-1326-SM-E9TJ1 50-59 years, male 12.1
GTEX-1QP9N-1826-SM-E8VMP 30-39 years, male 12.1
GTEX-16BQI-1026-SM-7KUEA 30-39 years, female 11.8
GTEX-1CAMS-1426-SM-7IGPM 40-49 years, female 11.8
GTEX-17F98-0526-SM-79OK5 40-49 years, female 11.7
GTEX-1QP28-1226-SM-E9J2M 50-59 years, female 11.7
GTEX-1A3MV-1626-SM-731C1 30-39 years, male 11.6
GTEX-V955-2026-SM-3GAFA 60-69 years, male 11.5
GTEX-1H11D-1526-SM-9MQJY 40-49 years, male 11.5
GTEX-139T6-1626-SM-5PNYZ 50-59 years, male 11.4
GTEX-1117F-2826-SM-5GZXL 60-69 years, female 11.3
GTEX-17GQL-0326-SM-7LG5U 60-69 years, male 11.3
GTEX-1I1HK-2426-SM-ADEHX 60-69 years, male 11.3
GTEX-1LBAC-0926-SM-CXKY9 20-29 years, male 11.3
GTEX-1JMOU-2026-SM-CMKGU 60-69 years, female 11.1
GTEX-1B8L1-2426-SM-9WYTE 60-69 years, male 10.9
GTEX-1211K-1926-SM-5EQLB 60-69 years, female 10.7
GTEX-U412-1826-SM-4DXTJ 60-69 years, male 10.6
GTEX-ZZ64-1226-SM-5E43R 20-29 years, male 10.6
GTEX-12BJ1-1826-SM-5HL9N 60-69 years, male 10.4
GTEX-14ICK-2426-SM-6EU27 40-49 years, male 10.4
GTEX-QVJO-1826-SM-447C9 60-69 years, female 10.4
GTEX-1EWIQ-1726-SM-7SB7T 70-79 years, female 10.3
GTEX-17MFQ-0926-SM-7LG4S 20-29 years, male 10.1
GTEX-1B97I-0426-SM-79OL7 40-49 years, male 10.1
GTEX-1H3VY-0926-SM-ACKXE 50-59 years, male 10.1
GTEX-13FHO-0826-SM-5L3E8 60-69 years, male 10.0
GTEX-XQ3S-1326-SM-4BOPQ 20-29 years, male 10.0
GTEX-1F75A-1826-SM-7SB8G 50-59 years, male 10.0
GTEX-1GPI7-0926-SM-7PC3J 20-29 years, male 10.0
GTEX-13S86-1226-SM-5S2OA 40-49 years, male 9.9
GTEX-1192X-2326-SM-5987X 50-59 years, male 9.8
GTEX-1H1E6-0926-SM-9YFLT 30-39 years, male 9.5
GTEX-11P82-1326-SM-5HL62 20-29 years, male 9.4
GTEX-1HKZK-1826-SM-ADEJ2 40-49 years, male 9.4
GTEX-1I19N-2826-SM-CL55D 70-79 years, male 9.4
GTEX-1LSNL-2826-SM-E9U5L 50-59 years, male 9.4
GTEX-11TT1-2126-SM-5GU5Y 20-29 years, male 9.3
GTEX-Y8LW-1626-SM-5IFHX 50-59 years, female 9.3
GTEX-ZDTT-2126-SM-DKPOM 60-69 years, male 9.3
GTEX-145LT-0726-SM-5S2VM 40-49 years, male 9.2
GTEX-1JK1U-1826-SM-ARL8W 60-69 years, male 9.2
GTEX-1M5QR-2526-SM-E9U5P 40-49 years, male 9.2
GTEX-1CAMR-1426-SM-793BO 20-29 years, male 9.1
GTEX-1N2EF-2226-SM-E9J33 60-69 years, male 9.1
GTEX-145ME-1526-SM-5Q5F2 40-49 years, female 8.8
GTEX-T2YK-2226-SM-32QPT 50-59 years, male 8.8
GTEX-1HCU9-0326-SM-9WYSC 20-29 years, male 8.7
GTEX-13N1W-0626-SM-5MR4U 70-79 years, male 8.5
GTEX-144GL-2026-SM-5LU3O 50-59 years, male 8.5
GTEX-XMD1-0826-SM-4AT52 60-69 years, male 8.4
GTEX-PSDG-1626-SM-48TCQ 50-59 years, male 8.2
GTEX-1JJEA-2726-SM-ARL8V 60-69 years, male 8.2
GTEX-WOFL-0826-SM-3MJG1 60-69 years, male 8.1
GTEX-18A7B-2626-SM-7LG55 70-79 years, male 7.8
GTEX-111YS-1926-SM-5GICC 60-69 years, male 7.7
GTEX-132NY-0826-SM-5K7Y7 60-69 years, male 7.7
GTEX-1GMR2-1926-SM-9MQLZ 50-59 years, male 7.7
GTEX-1J8Q2-2726-SM-A9G2X 60-69 years, male 7.7
GTEX-1AMEY-1026-SM-718AA 30-39 years, female 7.6
GTEX-11ONC-2126-SM-5HL6E 60-69 years, male 7.4
GTEX-TKQ2-1826-SM-33HB2 50-59 years, male 7.4
GTEX-18A66-1726-SM-7LG5N 60-69 years, male 7.4
GTEX-1OKEX-0826-SM-E9J2B 60-69 years, male 7.3
GTEX-132Q8-1426-SM-5EGK7 60-69 years, male 7.2
GTEX-ZUA1-1526-SM-59HLS 40-49 years, male 7.1
GTEX-1JMPZ-1626-SM-COH31 30-39 years, male 7.1
GTEX-1MA7X-1626-SM-E9U5B 60-69 years, male 7.1
GTEX-15SHW-1326-SM-6PAL8 60-69 years, male 7.0
GTEX-1IOXB-1926-SM-ARL8E 50-59 years, male 7.0
GTEX-WFG8-2026-SM-EXOHO 20-29 years, male 7.0
GTEX-18465-2026-SM-718AP 50-59 years, male 6.9
GTEX-13FTX-1126-SM-5N9EN 20-29 years, female 6.8
GTEX-11O72-2126-SM-5N9FO 40-49 years, male 6.7
GTEX-ZDXO-0126-SM-5S2ND 60-69 years, male 6.7
GTEX-17F9E-2526-SM-7MGW2 50-59 years, male 6.7
GTEX-1LC47-1226-SM-D4P44 60-69 years, male 6.6
GTEX-17KNJ-2026-SM-7LG53 50-59 years, male 6.5
GTEX-X4XY-0926-SM-4E3JD 60-69 years, male 6.5
GTEX-12WSK-2226-SM-5GCO5 40-49 years, female 6.3
GTEX-1314G-1226-SM-5BC6D 30-39 years, male 6.3
GTEX-145MO-0826-SM-5NQBL 60-69 years, male 6.2
GTEX-1KXAM-1026-SM-CY8IA 60-69 years, male 6.2
GTEX-14PJO-0726-SM-69LO8 60-69 years, male 6.1
GTEX-QEL4-2126-SM-447AE 50-59 years, male 6.1
GTEX-ZLWG-1926-SM-DO92J 50-59 years, female 6.1
GTEX-14BMV-0626-SM-793AU 50-59 years, male 6.0
GTEX-WHSB-1926-SM-EXOHH 50-59 years, male 6.0
GTEX-1JMQK-2626-SM-COH2W 60-69 years, male 5.9
GTEX-1HBPM-0126-SM-ARL9E 60-69 years, female 5.7
GTEX-1PDJ9-1126-SM-EXUSW 20-29 years, male 5.7
GTEX-11DZ1-0326-SM-5N9BN 50-59 years, male 5.6
GTEX-ZYFC-0826-SM-5E44K 50-59 years, male 5.6
GTEX-1B8KE-1226-SM-73KWK 50-59 years, male 5.5
GTEX-REY6-2426-SM-48FF5 60-69 years, male 5.5
GTEX-1KANC-1426-SM-CYPT9 50-59 years, female 5.5
GTEX-1H1DG-0526-SM-9YFLN 70-79 years, male 5.4
GTEX-1IDJU-1826-SM-CMKHV 60-69 years, female 5.4
GTEX-1JN1M-3026-SM-CMKGK 60-69 years, female 5.4
GTEX-X261-0626-SM-3NMD9 50-59 years, male 5.2
GTEX-ZAB4-2526-SM-5HL8M 40-49 years, male 5.2
GTEX-ZQUD-1926-SM-51MSA 30-39 years, male 5.2
GTEX-ZTX8-1226-SM-4YCE9 20-29 years, male 5.2
GTEX-1GF9U-1726-SM-7MGY5 40-49 years, female 5.2
GTEX-YJ8O-2226-SM-5IFHW 40-49 years, female 5.1
GTEX-Z9EW-1526-SM-EZ6LU 40-49 years, male 5.0
GTEX-1B8KZ-1526-SM-7DUG7 50-59 years, male 4.9
GTEX-11DXZ-1926-SM-5GZZL 50-59 years, male 4.8
GTEX-1F75B-0626-SM-7SB8A 50-59 years, male 4.8
GTEX-1C6VQ-0426-SM-79OOX 50-59 years, male 4.7
GTEX-1KD5A-1926-SM-DKPQA 50-59 years, male 4.7
GTEX-1JKYR-0926-SM-CMKGJ 20-29 years, male 4.6
GTEX-117XS-1926-SM-5GICO 60-69 years, male 4.5
GTEX-XQ8I-2426-SM-4WAXY 50-59 years, male 4.4
GTEX-117YX-1426-SM-5H12H 50-59 years, male 4.1
GTEX-ZYT6-0126-SM-5E45J 30-39 years, male 4.0
GTEX-1R9JW-0326-SM-EAZ45 30-39 years, female 4.0
GTEX-13VXU-2826-SM-664MA 50-59 years, male 3.9
GTEX-1ICLY-1726-SM-B2LVT 50-59 years, male 3.9
GTEX-12WSM-1726-SM-5BC6J 60-69 years, male 3.8
GTEX-13QJ3-0826-SM-7DHKK 50-59 years, male 3.8
GTEX-14DAR-1326-SM-7DUEG 50-59 years, male 3.8
GTEX-14E6C-1326-SM-62LEQ 40-49 years, male 3.8
GTEX-1NHNU-0926-SM-E9J2T 50-59 years, male 3.8
GTEX-1I6K6-0826-SM-ARL7Z 30-39 years, male 3.7
GTEX-1IGQW-0926-SM-ADEH6 60-69 years, male 3.7
GTEX-QEG5-0726-SM-D4P1T 20-29 years, male 3.7
GTEX-11OF3-1926-SM-59889 60-69 years, male 3.6
GTEX-S7SE-0826-SM-4AT4D 50-59 years, male 3.6
GTEX-UTHO-1026-SM-3GAF7 60-69 years, male 3.6
GTEX-1H1ZS-0126-SM-9YFKQ 70-79 years, male 3.6
GTEX-11GSO-1926-SM-5A5K3 60-69 years, male 3.4
GTEX-YEC3-1026-SM-5IFI5 50-59 years, male 3.4
GTEX-15G19-2126-SM-6M48J 60-69 years, male 3.3
GTEX-145MN-1926-SM-5SIAI 30-39 years, male 3.1
GTEX-ZA64-1526-SM-5CVMD 20-29 years, male 3.0
GTEX-1C475-1226-SM-7SB72 40-49 years, female 3.0
GTEX-1C6WA-2426-SM-7SB86 60-69 years, male 3.0
GTEX-1F5PK-2126-SM-7PC28 50-59 years, male 3.0
GTEX-ZLFU-2126-SM-DO931 40-49 years, male 3.0
GTEX-1HSEH-2026-SM-ADEHN 60-69 years, male 2.9
GTEX-14E7W-0826-SM-62LEJ 70-79 years, male 2.7
GTEX-17F97-2526-SM-7EWDV 50-59 years, male 2.7
GTEX-1RLM8-2226-SM-EVYD1 50-59 years, male 2.7
GTEX-17EVQ-0426-SM-7LG57 70-79 years, male 2.6
GTEX-R55D-0826-SM-48FEA 50-59 years, male 2.6
GTEX-1H4P4-2226-SM-9MQKQ 50-59 years, male 2.6
GTEX-1HSMO-0826-SM-ADEIV 60-69 years, male 2.5
GTEX-1AX9I-0726-SM-73KWV 60-69 years, male 2.3
GTEX-1QMI2-0726-SM-E9J4F 60-69 years, male 2.3
GTEX-13O61-1826-SM-5KM4I 60-69 years, male 2.2
GTEX-1M4P7-2626-SM-E9U5F 60-69 years, male 2.2
GTEX-1JN6P-2426-SM-ARL99 60-69 years, male 2.1
GTEX-1EKGG-2626-SM-7IGPY 60-69 years, male 2.0
GTEX-1EN7A-1426-SM-7PBY4 40-49 years, male 2.0
GTEX-1GF9V-2526-SM-7SB8K 60-69 years, male 2.0
GTEX-1HT8W-2226-SM-CGQEC 30-39 years, male 2.0
GTEX-11NV4-2026-SM-5N9DG 60-69 years, male 1.9
GTEX-11WQK-2426-SM-5GU5C 50-59 years, male 1.9
GTEX-1AX9J-1126-SM-731B7 60-69 years, male 1.8
GTEX-183WM-0726-SM-7LTAA 70-79 years, female 1.7
GTEX-YFCO-1826-SM-4W1YH 40-49 years, male 1.7
GTEX-1HCU7-1026-SM-ADEIP 50-59 years, male 1.7
GTEX-1HR98-0426-SM-COH36 60-69 years, male 1.6
GTEX-145MF-2226-SM-7EPIR 50-59 years, male 1.5
GTEX-15RJE-2626-SM-7KFT1 40-49 years, male 1.5
GTEX-ZYW4-0826-SM-5GIDG 60-69 years, male 1.5
GTEX-1PPH7-0826-SM-E8VNX 40-49 years, male 1.4
GTEX-1IDJH-2226-SM-E6CJV 70-79 years, male 1.3
GTEX-1PPGY-1526-SM-EVYBK 60-69 years, male 1.3
GTEX-X62O-0526-SM-EWRMA 50-59 years, male 1.3
GTEX-11DXY-2326-SM-5GICW 60-69 years, male 1.2
GTEX-13O3Q-2226-SM-5KM4O 50-59 years, male 1.2
GTEX-1NV8Z-2826-SM-E8VME 60-69 years, male 1.2
GTEX-169BO-1126-SM-7MGWN 50-59 years, male 1.1
GTEX-1LSVX-2426-SM-E6CJX 60-69 years, male 1.1
GTEX-1ICLZ-0426-SM-B2LW2 60-69 years, male 0.9
GTEX-17F96-2426-SM-7IGLN 70-79 years, male 0.8
GTEX-13W46-0826-SM-5LU3H 50-59 years, male 0.7
GTEX-17MF6-0326-SM-7EPH5 40-49 years, male 0.7
GTEX-1KD4Q-2326-SM-D4P3M 40-49 years, male 0.7
GTEX-1IDFM-0426-SM-B2LVV 60-69 years, male 0.6
GTEX-14753-2426-SM-5LU8U 60-69 years, male 0.5
GTEX-1JMLX-2026-SM-CMKGN 50-59 years, male 0.4
GTEX-ZWKS-2826-SM-5NQ74 30-39 years, male 0.2
Show allShow less

BREAST - FANTOM5 CAGEi

RNA expression in human tissues obtained through Cap Analysis of Gene Expression (CAGE) generated by the FANTOM5 project are reported as Scaled Tags Per Million.

Max subtype Scaled Tags Per Millioni

Max subtype Scaled Tags Per Million is the value for the subtype with the largest average Scaled Tags Per Million across the subtype samples.

10.3
FANTOM5 sample id Sample description Scaled Tags Per Million
Breast
Scaled Tags Per Million: 10.3
FF:10080-102A8 77 years, female 10.3

Contact

  • NEWS ARTICLES
  • PRESS ROOM

The Project

  • INTRODUCTION
  • ORGANIZATION
  • PUBLICATIONS

The Human Protein Atlas

  • DOWNLOADABLE DATA
  • LICENCE & CITATION
  • HELP & FAQ
The Human Protein Atlas project is funded
by the Knut & Alice Wallenberg Foundation.


contact@proteinatlas.org