We use cookies to enhance the usability of our website. If you continue, we'll assume that you are happy to receive all cookies. More information. Don't show this again.
LAGE3
HPA
RESOURCES
  • TISSUE
  • BRAIN
  • SINGLE CELL
  • SUBCELLULAR
  • CANCER
  • BLOOD
  • CELL LINE
  • STRUCTURE & INTERACTION
ABOUT
  • INTRODUCTION
  • HISTORY
  • ORGANIZATION
  • PUBLICATIONS
  • ANTIBODY SUBMISSION
  • ANTIBODY AVAILABILITY
  • ACKNOWLEDGMENTS
  • CONTACT
NEWS
  • NEWS ARTICLES
  • PRESS ROOM
LEARN
  • DICTIONARY
  • PROTEIN CLASSES
  • PROTEIN EVIDENCE
  • METHODS
  • EDUCATIONAL VIDEOS
DATA
  • DOWNLOADABLE DATA
  • PUBLICATION DATA
  • RELEASE HISTORY
HELP
  • ANTIBODY VALIDATION
  • ASSAYS & ANNOTATION
  • DISCLAIMER
  • HELP & FAQ
  • PRIVACY STATEMENT
  • LICENCE & CITATION
Fields »
Search result

Field
Term
Gene name
Class
Subclass
Class
Keyword
Chromosome
External id
Tissue
Cell type
Expression
Antibody panel
Tissue
Main location
Patient ID
Annotation
Tissue
Category
Tau score
Cluster
Reliability
Brain region
Category
Tau score
Brain region
Category
Tau score
Brain region
Category
Tau score
Cluster
Reliability
Tissue
Cell type
Enrichment
Cell type
Category
Tau score
Cell type
Category
Tau score
Cell type
Category
Tau score
Cell lineage
Category
Tau score
Cluster
Cluster
Location
Searches
Location
Cell line
Class
Type
Phase
Reliability
Cancer
Prognosis
Cancer
Category
Cancer
Category
Tau score
Cluster
Variants
Interacting gene (ensg_id)
Type
Number of interactions
Pathway
Category
Score
Score
Score
Validation
Validation
Validation
Validation
Antibodies
Data type
Column


  • SUMMARY

  • TISSUE

  • BRAIN

  • SINGLE CELL

  • SUBCELL

  • CANCER

  • BLOOD

  • CELL LINE

  • STRUCT & INT

  • LAGE3
TISSUE PRIMARY DATA ADIPOSE TISSUE Show tissue menu
ADIPOSE TISSUE ADRENAL GLAND AMYGDALA APPENDIX BASAL GANGLIA BONE MARROW BREAST BRONCHUS CEREBELLUM CEREBRAL CORTEX CERVIX CHOROID PLEXUS COLON DUODENUM
ENDOMETRIUM EPIDIDYMIS ESOPHAGUS FALLOPIAN TUBE GALLBLADDER HEART MUSCLE HIPPOCAMPAL FORMATION HYPOTHALAMUS KIDNEY LIVER LUNG LYMPH NODE MIDBRAIN NASOPHARYNX
ORAL MUCOSA OVARY PANCREAS PARATHYROID GLAND PITUITARY GLAND PLACENTA PROSTATE RECTUM RETINA SALIVARY GLAND SEMINAL VESICLE SKELETAL MUSCLE SKIN SMALL INTESTINE
SMOOTH MUSCLE SOFT TISSUE SPINAL CORD SPLEEN STOMACH TESTIS THYMUS THYROID GLAND TONGUE TONSIL URINARY BLADDER VAGINA
ANTIBODIES
AND
VALIDATION
Dictionary
Tissue proteome
Adipose tissue
ADIPOSE TISSUE - Expression summary
Protein expression
Adipose tissuei

On the top, protein expression in current human tissue, based on all annotated cell types, is reported with the units not detected (n), low (l), medium (m) and high (h). Underneath, protein expression in each annotated cell type are reported using the same units.

Protein expression data is based on knowledge-based annotation. For genes where more than one antibody has been used, a collective score is set.

If knowledge-based annotation could not be performed for a gene, no data is displayed here. View antibody staining data further down this page.

h
m
l
n
Adipocytes: Low
RNA expressioni

A summary of mRNA expression data available for current tissue based on several datasets. The mRNA expression levels in human tissues are based on RNA-seq data generated by the Human Protein Atlas (HPA), Genotype-Tissue Expression (GTEx) portal and CAGE data generated by the FANTOM5 consortium. Consensus normalized expression levels for human tissues was created by combining the data from HPA and GTEx datasets.

The mRNA expression levels in pig are based on RNA-seq data generated by the Human Protein Atlas (HPA), and for mouse, HPA data and in situ hybridization generated by the Allen brain atlas are reported.

Scroll down to view mRNA expression data in more detail.
Consensus:11.5 nTPM
HPA:8.6 nTPM
GTEx:11.5 nTPM
FANTOM5:8.0 Scaled Tags Per Million

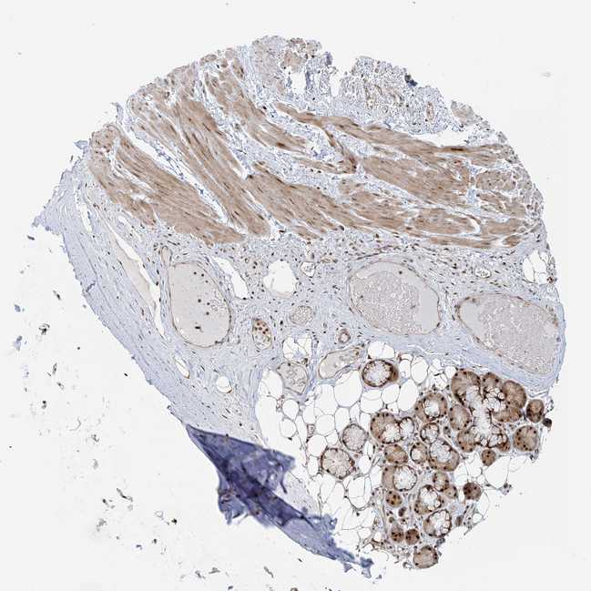
ADIPOSE TISSUE - Antibody stainingi

Antibody staining in the annotated cell types in the current human tissue is reported as not detected, low, medium, or high, based on conventional immunohistochemistry profiling in selected tissues. This score is based on the combination of the staining intensity and fraction of stained cells.

Each image is clickable and will lead to virtual microscopy that enables deeper exploration of all samples and also displays staining intensity scores, fraction scores and subcellular localization as well as patient and tissue information for each sample.

Antibody HPA036122Antibody HPA036123
Adipocytes LowNot detected







ADIPOSE TISSUE - HPA RNA-seqi

The RNA-seq details section shows detailed information about the individual samples used for the transcript profiling and results of the RNA-seq analysis.

Information about each individual sample is listed below, including gender, age, a tissue section image and estimated fractions of cell types. nTPM (normalized transcripts per million) values give a quantification of the gene abundance which is comparable between different genes and samples.
Average nTPMi

Max subtype nTPM is the value for the subtype with the largest average nTPM across the subtype samples.

8.6
N/A
Female, age 80
Adipose tissue sample 86
nTPM: 13.9
Cell types%
Adipocytes:
95

Other cell types:
5

N/A
Female, age 45
Adipose tissue sample 115
nTPM: 8.2
N/A
Female, age 57
Adipose tissue sample 137
nTPM: 10.3
Cell types%
Adipocytes:
60

Fibroblasts:
20

Smooth muscle cells:
15

Other cell types:
5

overview
Female, age 74
Adipose tissue sample 329
nTPM: 6.9
Cell types%
Adipocytes:
50

Fibroblasts:
30

Smooth muscle cells:
15

Other cell types:
5

overview
Female, age 59
Adipose tissue sample 331
nTPM: 3.7
Cell types%
Adipocytes:
40

Fibroblasts:
40

Smooth muscle cells:
15

Other cell types:
5


ADIPOSE TISSUE - GTEx RNA-seqi

RNA-Seq data generated by the Genotype-Tissue Expression (GTEx) project from human tissues is reported as mean nTPM. More information can be found on the GTEx portal.

Distribution across the dataset is visualized with box plots, shown as median and 25th and 75th percentiles. Points are displayed as outliers if they are above or below 1.5 times the interquartile range. nTPM values of the individual samples are presented next to the box plot.
Max subtype nTPMi

Max subtype nTPM is the value for the subtype with the largest average nTPM across the subtype samples.

11.5
GTEx sample id Sample description nTPM
Adipose - Subcutaneous
Average nTPM: 10.5
Samples: 663

Max nTPM: 28.4
Min nTPM: 2.8
Std nTPM: 3.0
Median nTPM: 10.1
GTEX-XYKS-2726-SM-4E3IC 60-69 years, female 28.4
GTEX-14E1K-2126-SM-793DU 50-59 years, male 24.2
GTEX-Y5V6-2526-SM-5IFJV 60-69 years, male 22.8
GTEX-15UKP-0526-SM-7KFRO 20-29 years, male 21.8
GTEX-17KNJ-2226-SM-DKPOU 50-59 years, male 20.9
GTEX-13G51-2626-SM-5LZYW 60-69 years, male 20.2
GTEX-1LBAC-0226-SM-DHXJZ 20-29 years, male 20.0
GTEX-NPJ8-0226-SM-48TBN 40-49 years, male 19.8
GTEX-13FHP-0226-SM-5K7WD 50-59 years, male 19.2
GTEX-XMD2-0226-SM-4WWEE 60-69 years, female 19.2
GTEX-POMQ-2326-SM-DHXIS 20-29 years, female 18.9
GTEX-1QEPI-0226-SM-EWRMR 60-69 years, female 18.5
GTEX-11EMC-2826-SM-5PNY6 60-69 years, female 18.4
GTEX-1ICG6-2626-SM-CGQG1 70-79 years, female 18.4
GTEX-1N2DW-0326-SM-E9TK3 50-59 years, male 18.1
GTEX-1K9T9-0226-SM-E9U6K 50-59 years, female 17.6
GTEX-1C6VR-2626-SM-7MGX2 60-69 years, male 17.3
GTEX-QDVJ-1826-SM-2S1P3 50-59 years, male 17.2
GTEX-XK95-0426-SM-4AT4R 40-49 years, male 17.1
GTEX-X88G-0226-SM-4GIE4 30-39 years, male 17.0
GTEX-1JK1U-2126-SM-CNPOU 60-69 years, male 16.8
GTEX-144GO-1626-SM-7EPG5 60-69 years, male 16.7
GTEX-11OF3-2426-SM-5Q5AS 60-69 years, male 16.6
GTEX-11XUK-2126-SM-5EQLR 40-49 years, female 16.5
GTEX-W5WG-2526-SM-4SOJ2 50-59 years, female 16.5
GTEX-11EQ8-0226-SM-5EQ5G 60-69 years, male 16.1
GTEX-1H23P-0226-SM-9YFLO 60-69 years, male 16.0
GTEX-1QP66-1326-SM-DTXDQ 50-59 years, male 16.0
GTEX-14BMV-0226-SM-5S2N2 50-59 years, male 15.9
GTEX-ZC5H-0126-SM-4WAYL 40-49 years, female 15.9
GTEX-ZDXO-2426-SM-5S2NJ 60-69 years, male 15.9
GTEX-13OVL-0326-SM-5IJCS 50-59 years, male 15.8
GTEX-13OW6-0526-SM-5L3HY 50-59 years, male 15.8
GTEX-S4P3-1526-SM-E9J3W 50-59 years, female 15.8
GTEX-11O72-0226-SM-59869 40-49 years, male 15.7
GTEX-111CU-1826-SM-5GZYN 50-59 years, male 15.6
GTEX-14ICK-0326-SM-6LLIZ 40-49 years, male 15.6
GTEX-Z9EW-1826-SM-5CVMA 40-49 years, male 15.6
GTEX-1GN2E-0326-SM-COH3C 60-69 years, male 15.6
GTEX-1IDJD-1226-SM-CM2TP 30-39 years, male 15.6
GTEX-X15G-2326-SM-4PQZS 50-59 years, female 15.5
GTEX-1GTWX-0226-SM-9YFLL 60-69 years, male 15.5
GTEX-1399U-2426-SM-5K7XB 50-59 years, female 15.4
GTEX-147GR-0426-SM-5S2OL 60-69 years, male 15.4
GTEX-1KD5A-0326-SM-D5OVD 50-59 years, male 15.4
GTEX-13W3W-2526-SM-5SI9P 60-69 years, female 15.3
GTEX-ZF3C-0226-SM-4WWB3 50-59 years, female 15.3
GTEX-1CAMR-1826-SM-7MXUJ 20-29 years, male 15.3
GTEX-145MN-2626-SM-5NQAH 30-39 years, male 15.1
GTEX-ZVP2-1826-SM-5GU62 50-59 years, male 15.1
GTEX-1GF9X-1926-SM-ADEIC 40-49 years, female 15.1
GTEX-VJWN-0226-SM-EZ6LF 50-59 years, female 15.1
GTEX-11I78-2626-SM-5Q5AI 50-59 years, female 15.0
GTEX-XQ8I-0526-SM-4BOPS 50-59 years, male 15.0
GTEX-1IL2V-0226-SM-CMKI2 70-79 years, male 15.0
GTEX-12126-0426-SM-5Q5AP 20-29 years, male 14.9
GTEX-13RTJ-2526-SM-5S2Q3 60-69 years, male 14.9
GTEX-16NGA-1826-SM-7LG5L 40-49 years, female 14.9
GTEX-1I6K6-0226-SM-ADEID 30-39 years, male 14.9
GTEX-YJ8O-2426-SM-5HL7S 40-49 years, female 14.8
GTEX-ZYFD-0226-SM-5NQ86 50-59 years, male 14.8
GTEX-13NYS-0226-SM-5MR49 60-69 years, male 14.7
GTEX-ZP4G-2326-SM-57WEM 20-29 years, female 14.7
GTEX-1399T-2726-SM-5K7XK 60-69 years, male 14.5
GTEX-113IC-0226-SM-5HL5C 60-69 years, male 14.4
GTEX-13NZ9-0526-SM-5J1OX 50-59 years, male 14.4
GTEX-SUCS-1826-SM-32PM1 70-79 years, male 14.4
GTEX-1HR98-0226-SM-CGQEK 60-69 years, male 14.4
GTEX-1HSMP-0226-SM-CGQFI 70-79 years, male 14.4
GTEX-Y8E5-0226-SM-57WCM 60-69 years, male 14.3
GTEX-1GZ4H-1826-SM-9MQLE 50-59 years, female 14.3
GTEX-18D9U-0726-SM-7LG5J 40-49 years, male 14.2
GTEX-O5YV-0226-SM-48TBY 60-69 years, female 14.2
GTEX-1CAMS-0326-SM-7PC35 40-49 years, female 14.2
GTEX-1I1GU-2326-SM-CGQFB 40-49 years, male 14.2
GTEX-1R7EV-1926-SM-EVYBF 40-49 years, male 14.2
GTEX-1HB9E-0426-SM-CNPPV 50-59 years, male 14.1
GTEX-1PPGY-0326-SM-DTXFD 60-69 years, male 14.1
GTEX-13FH7-2226-SM-5IJD4 50-59 years, female 14.0
GTEX-111VG-2326-SM-5N9BK 60-69 years, male 13.9
GTEX-139YR-2426-SM-5J1OB 50-59 years, male 13.9
GTEX-18465-0226-SM-7LG5M 50-59 years, male 13.9
GTEX-XXEK-2426-SM-4BRUS 50-59 years, male 13.9
GTEX-13NZ8-0926-SM-5MR3U 60-69 years, female 13.8
GTEX-146FQ-0226-SM-5NQAL 30-39 years, male 13.8
GTEX-XGQ4-2226-SM-4AT4Y 50-59 years, male 13.8
GTEX-16XZY-2526-SM-7DHL2 70-79 years, male 13.7
GTEX-169BO-1426-SM-9MQJT 50-59 years, male 13.7
GTEX-1QP9N-1526-SM-DTXFK 30-39 years, male 13.7
GTEX-11DZ1-0226-SM-5A5KF 50-59 years, male 13.6
GTEX-133LE-1926-SM-5N9FV 20-29 years, female 13.6
GTEX-13YAN-0426-SM-5O9DR 60-69 years, male 13.6
GTEX-18A6Q-0226-SM-718AS 60-69 years, male 13.6
GTEX-Y5V5-2426-SM-5IFJA 60-69 years, female 13.6
GTEX-13O61-2426-SM-5J1NV 60-69 years, male 13.5
GTEX-14A5H-0526-SM-5TDCN 60-69 years, male 13.5
GTEX-18A67-0226-SM-7LG67 50-59 years, male 13.5
GTEX-ZYT6-0326-SM-7LG5R 30-39 years, male 13.5
GTEX-ZPCL-2126-SM-57WFZ 60-69 years, female 13.4
GTEX-1RQEC-0526-SM-E6CHV 60-69 years, male 13.3
GTEX-1S82P-0226-SM-E6CI6 60-69 years, female 13.3
GTEX-131XW-0526-SM-5PNXZ 50-59 years, female 13.2
GTEX-139T4-0126-SM-5HL5G 50-59 years, female 13.2
GTEX-U8XE-0426-SM-3DB91 30-39 years, male 13.2
GTEX-11TT1-2426-SM-5EQMK 20-29 years, male 13.1
GTEX-16GPK-0226-SM-7DUFI 60-69 years, male 13.1
GTEX-1B933-0526-SM-7EPHM 50-59 years, female 13.1
GTEX-WFON-2226-SM-3TW8W 40-49 years, male 13.1
GTEX-Y3I4-2226-SM-4TT7O 50-59 years, male 13.1
GTEX-11P82-1726-SM-5Q5AT 20-29 years, male 13.0
GTEX-12C56-1626-SM-5FQUO 20-29 years, male 13.0
GTEX-145MG-0126-SM-5TDDA 50-59 years, male 13.0
GTEX-14E6E-1926-SM-664N4 30-39 years, male 13.0
GTEX-183WM-0226-SM-7LT8T 70-79 years, female 13.0
GTEX-YECK-0226-SM-4W215 60-69 years, male 13.0
GTEX-1313W-0226-SM-5LZV7 50-59 years, female 12.9
GTEX-132QS-2526-SM-62LFJ 60-69 years, male 12.9
GTEX-139TU-0226-SM-5J1NM 60-69 years, male 12.9
GTEX-13CF3-2326-SM-5IFGL 60-69 years, female 12.9
GTEX-13JVG-0226-SM-5J1MW 60-69 years, male 12.9
GTEX-14BIN-0726-SM-793DQ 50-59 years, female 12.9
GTEX-1F6RS-0226-SM-9MQKO 60-69 years, female 12.9
GTEX-1GPI7-0226-SM-9MQKB 20-29 years, male 12.9
GTEX-1MJK2-0526-SM-DTXE6 50-59 years, male 12.9
GTEX-11UD1-0226-SM-5EQKL 40-49 years, female 12.8
GTEX-14ABY-0326-SM-5TDDK 50-59 years, male 12.8
GTEX-14AS3-2026-SM-5TDD9 40-49 years, female 12.8
GTEX-WY7C-2426-SM-3NB2V 50-59 years, male 12.8
GTEX-YFCO-2026-SM-4W21Q 40-49 years, male 12.8
GTEX-YJ8A-0526-SM-5IFHT 20-29 years, male 12.8
GTEX-13FTW-2526-SM-5IJC8 40-49 years, male 12.7
GTEX-145LS-0226-SM-5O9A5 60-69 years, female 12.7
GTEX-14753-0326-SM-5QGQB 60-69 years, male 12.7
GTEX-1C64O-0226-SM-73KXB 60-69 years, male 12.7
GTEX-UJHI-1626-SM-3DB9A 50-59 years, female 12.7
GTEX-1A3MX-0226-SM-731C4 60-69 years, male 12.6
GTEX-1AX9K-2426-SM-73KZ4 50-59 years, male 12.6
GTEX-13OVI-1326-SM-5IJBO 60-69 years, female 12.5
GTEX-XUZC-1826-SM-4BRVO 30-39 years, female 12.5
GTEX-YB5E-2126-SM-5IFI7 40-49 years, male 12.5
GTEX-ZPU1-2426-SM-4WWFM 40-49 years, male 12.5
GTEX-1EH9U-0226-SM-7PBY8 60-69 years, male 12.5
GTEX-ZVZO-0226-SM-5A5LA 40-49 years, male 12.4
GTEX-WFG8-2326-SM-DIPDX 20-29 years, male 12.4
GTEX-13PLJ-0126-SM-5L3HU 60-69 years, female 12.3
GTEX-13X6J-0226-SM-7EPGC 50-59 years, male 12.3
GTEX-144GM-1926-SM-5LUAN 20-29 years, male 12.3
GTEX-15RIE-2326-SM-7KFSC 60-69 years, male 12.3
GTEX-1B97I-1726-SM-7939V 40-49 years, male 12.3
GTEX-1GMR2-2526-SM-9MQKW 50-59 years, male 12.3
GTEX-1JMQK-0126-SM-CM2S3 60-69 years, male 12.3
GTEX-1LG7Z-2026-SM-DLHBP 30-39 years, male 12.3
GTEX-1M5QR-2126-SM-DKPQM 40-49 years, male 12.3
GTEX-1PBJI-0426-SM-E8VNM 20-29 years, female 12.3
GTEX-RUSQ-1626-SM-EZ6L4 50-59 years, male 12.3
GTEX-Q734-1826-SM-2I3EL 40-49 years, female 12.2
GTEX-T5JW-1726-SM-3GADN 20-29 years, female 12.2
GTEX-VUSG-2426-SM-4KKZG 50-59 years, male 12.2
GTEX-WHPG-2126-SM-4M1ZM 50-59 years, male 12.2
GTEX-1HFI6-0326-SM-ADEI5 40-49 years, male 12.2
GTEX-1N2EF-0626-SM-E9J32 60-69 years, male 12.2
GTEX-14PK6-2026-SM-6LLHP 70-79 years, female 12.1
GTEX-Z93T-0226-SM-5HL5Z 50-59 years, male 12.1
GTEX-ZVT4-0226-SM-51MSD 50-59 years, female 12.1
GTEX-1HCU7-0326-SM-CMKGI 50-59 years, male 12.1
GTEX-1IDJU-2526-SM-CMKGF 60-69 years, female 12.1
GTEX-12ZZY-0326-SM-5LZVQ 60-69 years, male 12.0
GTEX-131XE-2426-SM-5EQ5V 50-59 years, male 12.0
GTEX-13VXT-0226-SM-5LU9Q 20-29 years, female 12.0
GTEX-ZYVF-0226-SM-5GIEG 50-59 years, female 12.0
GTEX-1HSMQ-1426-SM-ADEHT 50-59 years, male 12.0
GTEX-11H98-0226-SM-5NQ89 50-59 years, male 11.9
GTEX-13PDP-0226-SM-5K7W9 60-69 years, male 11.9
GTEX-17EUY-0526-SM-7EWDE 20-29 years, male 11.9
GTEX-1A32A-0226-SM-718B2 50-59 years, female 11.9
GTEX-YEC3-1226-SM-5IFI8 50-59 years, male 11.9
GTEX-1F75A-0226-SM-7PC2K 50-59 years, male 11.9
GTEX-1PIGE-0526-SM-DTXFA 20-29 years, male 11.9
GTEX-OIZF-0226-SM-E9TI3 60-69 years, male 11.9
GTEX-16AAH-2026-SM-7LG5F 50-59 years, male 11.8
GTEX-OHPN-0226-SM-48TBV 60-69 years, female 11.8
GTEX-TMZS-0226-SM-3DB9N 60-69 years, male 11.8
GTEX-X8HC-0226-SM-4E3K1 50-59 years, female 11.8
GTEX-YFC4-0226-SM-57WD2 40-49 years, female 11.8
GTEX-ZUA1-0226-SM-5NQ9Q 40-49 years, male 11.8
GTEX-1GN1W-0626-SM-9MQK3 50-59 years, female 11.8
GTEX-1QP28-0226-SM-E9J2N 50-59 years, female 11.8
GTEX-1QP29-0726-SM-DTXFM 50-59 years, male 11.8
GTEX-1AYD5-2326-SM-73KXF 50-59 years, male 11.7
GTEX-WVLH-0226-SM-3MJG6 50-59 years, male 11.7
GTEX-Y114-2326-SM-4TT7X 50-59 years, female 11.7
GTEX-ZVZP-2326-SM-59HL4 50-59 years, male 11.7
GTEX-1FIGZ-1626-SM-7SB8L 40-49 years, male 11.7
GTEX-1GN1V-0226-SM-9WYTN 60-69 years, male 11.7
GTEX-ZDYS-2126-SM-5S2P2 50-59 years, male 11.7
GTEX-13SLX-0426-SM-5QGRC 50-59 years, female 11.6
GTEX-145LT-1826-SM-5QGP4 40-49 years, male 11.6
GTEX-14PJM-0326-SM-62LF2 50-59 years, female 11.6
GTEX-1LGOU-2226-SM-E9U56 20-29 years, female 11.6
GTEX-12ZZZ-0526-SM-5DUX6 60-69 years, male 11.5
GTEX-13SLW-0226-SM-5S2NA 70-79 years, male 11.5
GTEX-17F96-1726-SM-7IGMB 70-79 years, male 11.5
GTEX-OHPM-0226-SM-3LK61 50-59 years, male 11.5
GTEX-QV44-1825-SM-447CF 50-59 years, male 11.5
GTEX-1GMRU-0226-SM-9YFLW 50-59 years, male 11.5
GTEX-1H3VY-0226-SM-9YFMF 50-59 years, male 11.5
GTEX-1QAET-1126-SM-E8VML 50-59 years, male 11.5
GTEX-11GSO-2326-SM-5A5LX 60-69 years, male 11.4
GTEX-13NZB-2426-SM-5K7UF 30-39 years, male 11.4
GTEX-17F97-0426-SM-7LT9U 50-59 years, male 11.4
GTEX-R55G-2426-SM-2TC5I 40-49 years, female 11.4
GTEX-11DXX-2326-SM-9YFKS 60-69 years, female 11.4
GTEX-1HSKV-0326-SM-ADEJC 60-69 years, male 11.4
GTEX-1I6K7-0226-SM-CJI46 40-49 years, male 11.4
GTEX-1LSNM-2026-SM-E6CIJ 50-59 years, male 11.4
GTEX-1LVA9-0226-SM-E9U5N 50-59 years, male 11.4
GTEX-1R7EU-0326-SM-EWRNJ 60-69 years, male 11.4
GTEX-11ZTT-2526-SM-5EQM9 60-69 years, female 11.3
GTEX-14PJ3-1926-SM-62LEY 50-59 years, male 11.3
GTEX-15SDE-2426-SM-7KFRC 50-59 years, female 11.3
GTEX-N7MS-0326-SM-4E3K2 60-69 years, male 11.3
GTEX-W5X1-2626-SM-4LMI8 40-49 years, female 11.3
GTEX-XBEW-0726-SM-4QARX 40-49 years, male 11.3
GTEX-ZV68-0226-SM-59HJF 50-59 years, female 11.3
GTEX-1B932-0226-SM-7PBYH 40-49 years, female 11.3
GTEX-1RDX4-0226-SM-DTXG1 50-59 years, female 11.3
GTEX-ZLWG-2226-SM-DO92V 50-59 years, female 11.3
GTEX-11EQ9-2526-SM-5HL66 30-39 years, male 11.2
GTEX-11TUW-2626-SM-5EQKZ 60-69 years, male 11.2
GTEX-13O21-1526-SM-5K7W4 50-59 years, male 11.2
GTEX-16BQI-0526-SM-6PAM8 30-39 years, female 11.2
GTEX-16MT8-0526-SM-6PAM6 60-69 years, female 11.2
GTEX-XBED-2326-SM-47JYR 60-69 years, male 11.2
GTEX-1OFPY-2326-SM-E8VNU 60-69 years, male 11.2
GTEX-11ZTS-0226-SM-5EQKD 60-69 years, female 11.1
GTEX-12WSC-0226-SM-5EQ52 50-59 years, male 11.1
GTEX-PLZ5-1826-SM-3NB22 50-59 years, male 11.1
GTEX-U4B1-1726-SM-3DB9F 40-49 years, male 11.1
GTEX-ZZPU-2726-SM-5NQ8O 50-59 years, female 11.1
GTEX-1H3VE-0226-SM-9WYST 40-49 years, male 11.1
GTEX-1HR9M-0226-SM-COH3E 60-69 years, male 11.1
GTEX-1JJ6O-0226-SM-E6CI9 60-69 years, male 11.1
GTEX-1PFEY-1626-SM-E9J3M 30-39 years, male 11.1
GTEX-1RAZQ-0626-SM-E8VOR 30-39 years, male 11.1
GTEX-OIZG-0826-SM-E9TI4 50-59 years, male 11.1
GTEX-P4PP-0226-SM-D4P1Z 30-39 years, female 11.1
GTEX-RVPV-1526-SM-EXOHF 60-69 years, male 11.1
GTEX-147JS-0426-SM-5TDD2 60-69 years, male 11.0
GTEX-14PJ4-2226-SM-6LLIS 60-69 years, male 11.0
GTEX-TKQ1-1126-SM-4GIAZ 30-39 years, male 11.0
GTEX-1GZ4I-0226-SM-7RHHO 50-59 years, male 11.0
GTEX-1I1GS-0226-SM-B2LVX 60-69 years, male 11.0
GTEX-111FC-0226-SM-5N9B8 60-69 years, male 10.9
GTEX-147F3-0626-SM-5NQ9I 50-59 years, female 10.9
GTEX-1497J-2326-SM-5NQBK 60-69 years, male 10.9
GTEX-1F75I-0426-SM-7PC3S 40-49 years, male 10.9
GTEX-1MA7X-2126-SM-E6CIX 60-69 years, male 10.9
GTEX-1B8KZ-1926-SM-7DUG8 50-59 years, male 10.8
GTEX-1CB4I-0426-SM-7IGPR 50-59 years, male 10.8
GTEX-SIU8-0226-SM-2XCDS 50-59 years, male 10.8
GTEX-WFJO-1926-SM-3GILA 30-39 years, male 10.8
GTEX-WH7G-2226-SM-3NMBN 40-49 years, male 10.8
GTEX-X261-0226-SM-3NMD2 50-59 years, male 10.8
GTEX-XUW1-0526-SM-4BOP3 50-59 years, female 10.8
GTEX-1C6VQ-0226-SM-7P8S5 50-59 years, male 10.8
GTEX-11P81-2426-SM-5GU65 30-39 years, female 10.7
GTEX-13U4I-0226-SM-5SIB1 40-49 years, female 10.7
GTEX-15CHQ-0226-SM-6EU2S 60-69 years, male 10.7
GTEX-1A8G7-0226-SM-731AS 60-69 years, male 10.7
GTEX-Y8E4-0726-SM-4WWFN 40-49 years, male 10.7
GTEX-1EKGG-0126-SM-9YFLS 60-69 years, male 10.7
GTEX-1HSMO-0226-SM-CGQEZ 60-69 years, male 10.7
GTEX-1ICLZ-0226-SM-CKZPP 60-69 years, male 10.7
GTEX-1L5NE-2626-SM-E9U6P 50-59 years, male 10.7
GTEX-13VXU-0226-SM-5SI9R 50-59 years, male 10.6
GTEX-14E6D-0226-SM-62LDW 50-59 years, male 10.6
GTEX-14JIY-0526-SM-62LFH 60-69 years, male 10.6
GTEX-1E1VI-0226-SM-793CZ 50-59 years, male 10.6
GTEX-SJXC-0226-SM-2XCDU 60-69 years, male 10.6
GTEX-SNOS-1426-SM-32PLY 40-49 years, male 10.6
GTEX-ZAK1-0226-SM-5CVMX 50-59 years, female 10.6
GTEX-1J8EW-0226-SM-CYPSW 60-69 years, female 10.6
GTEX-1JJEA-0226-SM-COH2X 60-69 years, male 10.6
GTEX-1QP67-1726-SM-E8VOP 40-49 years, female 10.6
GTEX-QEG4-0326-SM-DIPE3 30-39 years, male 10.6
GTEX-12WSD-0226-SM-59HKO 60-69 years, female 10.5
GTEX-131YS-0226-SM-5IJEH 60-69 years, female 10.5
GTEX-13N2G-2726-SM-5J1MG 60-69 years, male 10.5
GTEX-13NZA-0126-SM-5K7UH 60-69 years, male 10.5
GTEX-13OVK-2126-SM-6PAN1 40-49 years, male 10.5
GTEX-14JG1-0526-SM-6LLHW 40-49 years, male 10.5
GTEX-16MTA-2126-SM-6PALC 50-59 years, male 10.5
GTEX-WVJS-0226-SM-4MVOU 50-59 years, male 10.5
GTEX-X4XY-0326-SM-46MVZ 60-69 years, male 10.5
GTEX-YF7O-2426-SM-5IFJL 50-59 years, male 10.5
GTEX-1PPH8-0626-SM-EWRN9 20-29 years, male 10.5
GTEX-1RAZA-0226-SM-E9U4W 20-29 years, male 10.5
GTEX-132AR-0226-SM-5IJBE 50-59 years, female 10.4
GTEX-13OVJ-0326-SM-5L3GL 50-59 years, female 10.4
GTEX-13QBU-2526-SM-5LU4X 40-49 years, female 10.4
GTEX-14DAQ-0226-SM-664MQ 60-69 years, female 10.4
GTEX-15DCD-0226-SM-6LPKC 70-79 years, female 10.4
GTEX-16NPX-0326-SM-7EWDI 50-59 years, male 10.4
GTEX-SN8G-0226-SM-4DM6B 50-59 years, female 10.4
GTEX-T5JC-0526-SM-32PM7 20-29 years, male 10.4
GTEX-1EX96-1426-SM-7PBZ5 50-59 years, male 10.4
GTEX-1H1DE-2026-SM-9WG6Q 20-29 years, male 10.4
GTEX-1IDFM-0226-SM-CMKFX 60-69 years, male 10.4
GTEX-1IE54-0226-SM-CMKHX 40-49 years, female 10.4
GTEX-1IY9M-0226-SM-CMKHP 60-69 years, male 10.4
GTEX-1LB8K-0326-SM-E9TJC 50-59 years, male 10.4
GTEX-1RAZR-0226-SM-EVYC6 40-49 years, male 10.4
GTEX-1399R-2626-SM-5KLZ7 30-39 years, male 10.3
GTEX-14C39-2526-SM-5S2UH 40-49 years, male 10.3
GTEX-OXRN-0226-SM-2I5EJ 50-59 years, male 10.3
GTEX-P4QS-0226-SM-3NB1U 60-69 years, male 10.3
GTEX-1F75W-0226-SM-9JGGP 60-69 years, male 10.3
GTEX-1JJE9-1226-SM-CNPOI 70-79 years, male 10.3
GTEX-13D11-2326-SM-5IJCY 50-59 years, female 10.2
GTEX-15G19-0226-SM-6PAL2 60-69 years, male 10.2
GTEX-17MFQ-1826-SM-7DHLS 20-29 years, male 10.2
GTEX-OXRK-0326-SM-3NB3R 50-59 years, female 10.2
GTEX-1GZ2Q-0326-SM-9WG6N 40-49 years, male 10.2
GTEX-1HSGN-0126-SM-CGQFU 40-49 years, female 10.2
GTEX-1OJC4-1726-SM-EXUSV 50-59 years, female 10.2
GTEX-1S83E-0226-SM-EVYCW 40-49 years, male 10.2
GTEX-13O3P-0226-SM-5KM3Z 50-59 years, male 10.1
GTEX-13O3Q-2326-SM-5KM3G 50-59 years, male 10.1
GTEX-XMK1-2226-SM-4B673 40-49 years, male 10.1
GTEX-1I1CD-0226-SM-CM2TL 60-69 years, female 10.1
GTEX-1KWVE-1326-SM-E6CJ1 30-39 years, male 10.1
GTEX-1PDJ9-0426-SM-E9J3E 20-29 years, male 10.1
GTEX-XAJ8-0926-SM-47JXZ 40-49 years, male 10.0
GTEX-ZEX8-2326-SM-5S2MN 50-59 years, male 10.0
GTEX-1HCU8-0726-SM-ADEIR 60-69 years, female 10.0
GTEX-1I1GQ-0226-SM-COH3I 50-59 years, male 10.0
GTEX-1LSNL-0526-SM-DIPFI 50-59 years, male 10.0
GTEX-1117F-0226-SM-5GZZ7 60-69 years, female 9.9
GTEX-1212Z-2426-SM-5EQ5D 60-69 years, male 9.9
GTEX-13IVO-0226-SM-5LZXU 70-79 years, male 9.9
GTEX-OXRL-0226-SM-3NB18 50-59 years, male 9.9
GTEX-PSDG-0326-SM-48TCP 50-59 years, male 9.9
GTEX-QEG5-0326-SM-2S1PB 20-29 years, male 9.9
GTEX-WI4N-1126-SM-3LK7Q 40-49 years, female 9.9
GTEX-X638-0226-SM-47JZ9 70-79 years, female 9.9
GTEX-Y3IK-2526-SM-4WWDM 50-59 years, female 9.9
GTEX-YJ89-0226-SM-4TT3Y 60-69 years, male 9.9
GTEX-ZE9C-2826-SM-5S2MO 60-69 years, male 9.9
GTEX-ZYY3-0226-SM-5E45M 60-69 years, female 9.9
GTEX-1I1GP-2326-SM-CGQFL 50-59 years, male 9.9
GTEX-1PWST-0326-SM-EAZ42 70-79 years, male 9.9
GTEX-1QP2A-0226-SM-EVYBC 50-59 years, male 9.9
GTEX-1R46S-0526-SM-EVYBZ 60-69 years, female 9.9
GTEX-12WSL-2426-SM-5GCN7 50-59 years, male 9.8
GTEX-139D8-0326-SM-5IJCJ 30-39 years, female 9.8
GTEX-14BMU-2126-SM-5S2TS 20-29 years, female 9.8
GTEX-14LLW-0226-SM-62LEL 70-79 years, female 9.8
GTEX-14PII-0326-SM-6LLIQ 60-69 years, male 9.8
GTEX-P78B-0226-SM-3NB1Z 40-49 years, female 9.8
GTEX-13NYB-2626-SM-9YFMI 40-49 years, male 9.8
GTEX-145ME-1926-SM-5MR6T 40-49 years, female 9.8
GTEX-1GN73-0326-SM-9KNTW 60-69 years, male 9.8
GTEX-Q2AH-1726-SM-DIPDV 40-49 years, male 9.8
GTEX-11TTK-0226-SM-5N9EC 60-69 years, female 9.7
GTEX-13FHO-0326-SM-5IJBH 60-69 years, male 9.7
GTEX-13OW8-1226-SM-5K7XD 60-69 years, male 9.7
GTEX-POYW-0726-SM-2XCEO 60-69 years, male 9.7
GTEX-ZQG8-1526-SM-5HL65 60-69 years, female 9.7
GTEX-ZTPG-0226-SM-5O99I 20-29 years, female 9.7
GTEX-16XZZ-0226-SM-7MGVJ 60-69 years, male 9.7
GTEX-1J1R8-2226-SM-ARZMP 40-49 years, male 9.7
GTEX-1J8Q3-1526-SM-CMKGB 60-69 years, male 9.7
GTEX-1KAFJ-2426-SM-D4P32 50-59 years, male 9.7
GTEX-R3RS-0226-SM-EYYVE 40-49 years, female 9.7
GTEX-ZGAY-0626-SM-DO92E 40-49 years, female 9.7
GTEX-139T8-0226-SM-5L3EA 60-69 years, male 9.6
GTEX-13PVR-2426-SM-5RQHN 60-69 years, female 9.6
GTEX-145MF-0526-SM-5LUA6 50-59 years, male 9.6
GTEX-16YQH-0226-SM-6PALD 30-39 years, male 9.6
GTEX-ZDTT-2626-SM-5S2OP 60-69 years, male 9.6
GTEX-1GMR8-0226-SM-9YFL3 50-59 years, female 9.6
GTEX-1I1HK-0226-SM-COH4A 60-69 years, male 9.6
GTEX-1MCYP-1826-SM-E9J2Q 20-29 years, female 9.6
GTEX-1MUQO-0526-SM-E9J31 60-69 years, male 9.6
GTEX-11EI6-0226-SM-5EQ64 60-69 years, male 9.5
GTEX-11EM3-2326-SM-5H12B 20-29 years, female 9.5
GTEX-1314G-1626-SM-5EQ67 30-39 years, male 9.5
GTEX-U412-0526-SM-3DB9I 60-69 years, male 9.5
GTEX-Y111-0226-SM-4SOIW 50-59 years, male 9.5
GTEX-1122O-2026-SM-9YFMG 60-69 years, female 9.5
GTEX-1IOXB-0226-SM-CMKHY 50-59 years, male 9.5
GTEX-1LVAN-0126-SM-COH4H 50-59 years, female 9.5
GTEX-1MA7W-1926-SM-E6CIO 20-29 years, female 9.5
GTEX-1R9PM-2126-SM-E8VOB 20-29 years, male 9.5
GTEX-11WQC-2426-SM-5EQKQ 60-69 years, male 9.4
GTEX-13PVQ-0226-SM-5SIBG 50-59 years, male 9.4
GTEX-1C6WA-0226-SM-7IGPO 60-69 years, male 9.4
GTEX-1E2YA-0226-SM-9MQLY 50-59 years, male 9.4
GTEX-1LSVX-0126-SM-EVYCY 60-69 years, male 9.4
GTEX-11ZU8-2426-SM-5EQMV 60-69 years, male 9.3
GTEX-11ZUS-0726-SM-59886 30-39 years, male 9.3
GTEX-12ZZX-0226-SM-5DUXU 40-49 years, female 9.3
GTEX-13111-1726-SM-5EGJZ 50-59 years, male 9.3
GTEX-13112-2726-SM-5DUW5 50-59 years, male 9.3
GTEX-145MO-0426-SM-5QGP6 60-69 years, male 9.3
GTEX-18D9A-2026-SM-718BL 30-39 years, female 9.3
GTEX-S95S-1326-SM-2XCDK 60-69 years, male 9.3
GTEX-ZDTS-0226-SM-5HL7Q 60-69 years, male 9.3
GTEX-1EMGI-0226-SM-9MQL1 60-69 years, male 9.3
GTEX-1ICLY-0226-SM-ARL7R 50-59 years, male 9.3
GTEX-1JKYR-0226-SM-CNPOK 20-29 years, male 9.3
GTEX-11P7K-2026-SM-5GU74 30-39 years, male 9.2
GTEX-12WSM-0226-SM-5LZV6 60-69 years, male 9.2
GTEX-13FTY-0626-SM-5L3F8 40-49 years, female 9.2
GTEX-13OW7-0226-SM-5MR3N 50-59 years, male 9.2
GTEX-OIZH-0226-SM-2YUMH 50-59 years, male 9.2
GTEX-YEC4-2426-SM-57WFO 40-49 years, male 9.2
GTEX-1GMR3-2026-SM-9MQLG 40-49 years, male 9.2
GTEX-1H4P4-0226-SM-9YFKT 50-59 years, male 9.2
GTEX-1HCU6-0226-SM-CGQES 60-69 years, female 9.2
GTEX-1I1GT-0526-SM-CGQEQ 60-69 years, female 9.2
GTEX-1I4MK-2026-SM-B2LVR 50-59 years, female 9.2
GTEX-1J8JJ-0326-SM-CMKG6 60-69 years, female 9.2
GTEX-1LGRB-2426-SM-CNPP3 50-59 years, female 9.2
GTEX-UTHO-0426-SM-CE6QU 60-69 years, male 9.2
GTEX-13113-1826-SM-5LZW4 60-69 years, female 9.1
GTEX-13CF2-2626-SM-5LZZA 60-69 years, male 9.1
GTEX-14PN3-2526-SM-6EU15 60-69 years, female 9.1
GTEX-1C2JI-2226-SM-7IGPJ 50-59 years, male 9.1
GTEX-R55D-0326-SM-48FES 50-59 years, male 9.1
GTEX-Y8LW-1926-SM-4WWFZ 50-59 years, female 9.1
GTEX-ZZ64-1626-SM-5E43W 20-29 years, male 9.1
GTEX-1CB4E-1826-SM-7RHG8 60-69 years, male 9.1
GTEX-1J1OQ-0326-SM-CYPTJ 40-49 years, female 9.1
GTEX-1PIIG-0326-SM-EVYBV 30-39 years, male 9.1
GTEX-1QP6S-0126-SM-E9J4K 40-49 years, male 9.1
GTEX-145MI-0426-SM-5O99V 60-69 years, female 9.0
GTEX-146FR-1826-SM-5QGPF 60-69 years, female 9.0
GTEX-14JG6-2326-SM-6LLH3 30-39 years, female 9.0
GTEX-1B8SF-0526-SM-7939F 60-69 years, male 9.0
GTEX-Q2AG-0226-SM-2S1P4 40-49 years, female 9.0
GTEX-ZE7O-0226-SM-5S2N1 50-59 years, female 9.0
GTEX-ZXG5-0226-SM-59HJI 60-69 years, male 9.0
GTEX-11NUK-0326-SM-5HL5K 50-59 years, male 9.0
GTEX-1F88F-2626-SM-9WG5K 60-69 years, female 9.0
GTEX-P4PQ-0226-SM-2S1NK 60-69 years, male 8.9
GTEX-QDVN-2126-SM-33HBS 50-59 years, male 8.9
GTEX-YB5K-2226-SM-4WWG1 40-49 years, female 8.9
GTEX-1JKYN-1226-SM-CGQG8 30-39 years, male 8.9
GTEX-1QW4Y-1626-SM-EAZ41 30-39 years, male 8.9
GTEX-R45C-0226-SM-EVYAJ 60-69 years, female 8.9
GTEX-11GS4-2626-SM-5A5LD 60-69 years, male 8.8
GTEX-11ONC-2526-SM-5986W 60-69 years, male 8.8
GTEX-17HHY-0226-SM-793BQ 50-59 years, male 8.8
GTEX-183FY-0326-SM-793BY 20-29 years, male 8.8
GTEX-T6MN-0226-SM-32PMD 50-59 years, male 8.8
GTEX-Y9LG-2026-SM-62LFS 30-39 years, male 8.8
GTEX-ZAJG-0226-SM-5HL81 50-59 years, female 8.8
GTEX-ZT9X-1926-SM-57WE7 40-49 years, male 8.8
GTEX-ZVTK-0526-SM-5GZWT 20-29 years, male 8.8
GTEX-1CB4G-0326-SM-7SB8R 60-69 years, male 8.8
GTEX-1H3O1-0526-SM-9MQLS 60-69 years, male 8.8
GTEX-1NHNU-1126-SM-E9J2C 50-59 years, male 8.8
GTEX-13N11-2626-SM-5K7UQ 50-59 years, female 8.7
GTEX-13N1W-0226-SM-5K7W6 70-79 years, male 8.7
GTEX-13X6K-0226-SM-5QGPB 60-69 years, female 8.7
GTEX-14PJ6-2226-SM-6LLIV 60-69 years, female 8.7
GTEX-WL46-0326-SM-3LK6Y 50-59 years, male 8.7
GTEX-1A8FM-0126-SM-7SB7P 50-59 years, female 8.7
GTEX-1F52S-0226-SM-7SB7U 60-69 years, female 8.7
GTEX-1F6I4-0226-SM-9MQMA 60-69 years, male 8.7
GTEX-1HUB1-0326-SM-A9SKQ 60-69 years, male 8.7
GTEX-1I19N-0426-SM-ACKVY 70-79 years, male 8.7
GTEX-1POEN-0226-SM-EYYXE 30-39 years, female 8.7
GTEX-1R9K5-0226-SM-EWRNF 50-59 years, male 8.7
GTEX-XOT4-0226-SM-4B66Z 60-69 years, female 8.7
GTEX-117YX-2226-SM-5EGJJ 50-59 years, male 8.6
GTEX-1211K-2226-SM-5FQU6 60-69 years, female 8.6
GTEX-13O1R-0226-SM-5K7U5 60-69 years, male 8.6
GTEX-14PHX-2426-SM-62LEN 50-59 years, male 8.6
GTEX-17HGU-0326-SM-7DUER 50-59 years, male 8.6
GTEX-1A3MV-2126-SM-718BV 30-39 years, male 8.6
GTEX-1C4CL-0426-SM-7939N 30-39 years, male 8.6
GTEX-XQ3S-1626-SM-4WAYN 20-29 years, male 8.6
GTEX-ZYFC-0326-SM-5NQ7H 50-59 years, male 8.6
GTEX-1HBPH-0526-SM-9YFMN 40-49 years, female 8.6
GTEX-1HSEH-0226-SM-ACKVV 60-69 years, male 8.6
GTEX-14PJ2-0226-SM-6LLH4 50-59 years, male 8.5
GTEX-18A7A-0326-SM-731AT 50-59 years, female 8.5
GTEX-1BAJH-0426-SM-73KWY 70-79 years, male 8.5
GTEX-QESD-1526-SM-2S1QT 20-29 years, male 8.5
GTEX-RWSA-0226-SM-2XCBA 40-49 years, male 8.5
GTEX-VJYA-1326-SM-3GIJC 60-69 years, male 8.5
GTEX-X4LF-1726-SM-3NMBZ 50-59 years, male 8.5
GTEX-X5EB-2426-SM-4E3HX 40-49 years, male 8.5
GTEX-1A8G6-0526-SM-7PC1E 60-69 years, male 8.5
GTEX-1F5PK-2526-SM-9MQKN 50-59 years, male 8.5
GTEX-1JN1M-0126-SM-D4P23 60-69 years, female 8.5
GTEX-1LVAO-0226-SM-E9U6O 60-69 years, male 8.5
GTEX-12WSA-0326-SM-5BC6I 60-69 years, male 8.4
GTEX-139T6-2126-SM-5KM37 50-59 years, male 8.4
GTEX-PWCY-1926-SM-3NB25 20-29 years, female 8.4
GTEX-ZPIC-1826-SM-57WFE 40-49 years, female 8.4
GTEX-1H1DF-0226-SM-ARL9A 40-49 years, female 8.4
GTEX-1I1GR-0226-SM-CMKHQ 60-69 years, male 8.4
GTEX-1IGQW-0226-SM-COH43 60-69 years, male 8.4
GTEX-11ZVC-2626-SM-5FQTA 50-59 years, female 8.3
GTEX-12584-0226-SM-5EQL5 40-49 years, male 8.3
GTEX-1AX9J-0326-SM-73KXY 60-69 years, male 8.3
GTEX-OOBK-0226-SM-2YUMF 40-49 years, male 8.3
GTEX-1KANA-0826-SM-D3L9J 20-29 years, male 8.3
GTEX-144FL-0226-SM-5Q5D4 50-59 years, male 8.2
GTEX-17F9Y-0326-SM-7IGLS 70-79 years, female 8.2
GTEX-17HII-0326-SM-7LG4X 50-59 years, male 8.2
GTEX-1H1ZS-0526-SM-9WG5L 70-79 years, male 8.2
GTEX-1IKK5-0526-SM-CMKGG 60-69 years, male 8.2
GTEX-1IL2U-0326-SM-CE6T9 60-69 years, male 8.2
GTEX-ZLFU-2626-SM-DO91L 40-49 years, male 8.2
GTEX-13JUV-2826-SM-5LZWU 40-49 years, female 8.1
GTEX-14DAR-1926-SM-5S2NQ 50-59 years, male 8.1
GTEX-1A3MW-0226-SM-7939O 60-69 years, female 8.1
GTEX-1C475-1926-SM-7DUFV 40-49 years, female 8.1
GTEX-OOBJ-0226-SM-2YUMM 60-69 years, male 8.1
GTEX-Q2AI-1426-SM-2S1P5 40-49 years, male 8.1
GTEX-18QFQ-0226-SM-731BQ 30-39 years, male 8.1
GTEX-1CAMQ-0126-SM-7SB7S 40-49 years, male 8.1
GTEX-1EU9M-0326-SM-7RHGF 60-69 years, male 8.1
GTEX-1HCVE-0226-SM-CGQEV 50-59 years, male 8.1
GTEX-PLZ4-0226-SM-CYPR1 50-59 years, female 8.1
GTEX-PX3G-0226-SM-DKPOF 20-29 years, female 8.1
GTEX-11LCK-1126-SM-5A5KC 30-39 years, male 8.0
GTEX-146FH-0226-SM-5QGPQ 50-59 years, female 8.0
GTEX-QLQW-1226-SM-2S1Q9 30-39 years, male 8.0
GTEX-R55C-1626-SM-48FEG 40-49 years, male 8.0
GTEX-ZXES-2026-SM-5NQ6R 30-39 years, female 8.0
GTEX-1JMLX-0126-SM-CMKG9 50-59 years, male 8.0
GTEX-14BIL-0226-SM-5SI9E 50-59 years, male 7.9
GTEX-14H4A-1026-SM-62LDY 40-49 years, female 7.9
GTEX-17F98-1126-SM-79OJS 40-49 years, female 7.9
GTEX-18A66-0326-SM-718BE 60-69 years, male 7.9
GTEX-S7SE-0226-SM-2XCD4 50-59 years, male 7.9
GTEX-TSE9-0226-SM-3DB84 60-69 years, female 7.9
GTEX-ZTSS-2026-SM-5987K 40-49 years, male 7.9
GTEX-1JMQI-2026-SM-CMKGP 50-59 years, male 7.9
GTEX-11PRG-0626-SM-5BC56 50-59 years, male 7.8
GTEX-13QJ3-0426-SM-5RQHP 50-59 years, male 7.8
GTEX-14ICL-2026-SM-62LDN 30-39 years, male 7.8
GTEX-17HHE-1926-SM-7EPGW 50-59 years, male 7.8
GTEX-X4EO-0426-SM-4QASA 60-69 years, female 7.8
GTEX-ZVE2-0326-SM-57WFC 50-59 years, male 7.8
GTEX-1GF9V-0226-SM-9MQKA 60-69 years, male 7.8
GTEX-1J8QM-2326-SM-CYPSL 60-69 years, female 7.8
GTEX-QCQG-1826-SM-2S1P2 50-59 years, female 7.7
GTEX-ZYW4-0226-SM-5E44M 60-69 years, male 7.7
GTEX-1B8L1-2626-SM-7SB77 60-69 years, male 7.7
GTEX-1H2FU-0226-SM-9YFKO 60-69 years, female 7.7
GTEX-1HBPI-1426-SM-B2LW7 50-59 years, male 7.7
GTEX-U3ZM-1026-SM-EZ6LD 40-49 years, male 7.7
GTEX-QDT8-0226-SM-32PL4 30-39 years, female 7.6
GTEX-S33H-1126-SM-2XCB6 30-39 years, male 7.6
GTEX-TML8-2026-SM-32QOP 40-49 years, female 7.6
GTEX-XUYS-0226-SM-47JX1 50-59 years, male 7.6
GTEX-1QPFJ-0126-SM-E9J4B 30-39 years, female 7.6
GTEX-PWN1-0226-SM-DKPO9 40-49 years, female 7.6
GTEX-111YS-2426-SM-5GZZQ 60-69 years, male 7.5
GTEX-1269C-2726-SM-5EGJ4 60-69 years, female 7.5
GTEX-RU72-1026-SM-46MUG 50-59 years, female 7.5
GTEX-ZLV1-1826-SM-5FQU5 60-69 years, female 7.5
GTEX-ZVT2-2226-SM-5NQ6P 50-59 years, female 7.5
GTEX-1IDJF-0226-SM-CMKGE 20-29 years, male 7.5
GTEX-1JN76-0226-SM-CMKGO 20-29 years, female 7.5
GTEX-13S7M-0226-SM-5S2UG 60-69 years, female 7.4
GTEX-144GL-0226-SM-5QGOX 50-59 years, male 7.4
GTEX-14E6C-0226-SM-5S2N3 40-49 years, male 7.4
GTEX-1AMFI-2126-SM-731BT 50-59 years, female 7.4
GTEX-1EWIQ-0226-SM-793D3 70-79 years, female 7.4
GTEX-S32W-2226-SM-2XCAY 50-59 years, female 7.4
GTEX-XPVG-2726-SM-4B66W 50-59 years, male 7.4
GTEX-ZF29-2226-SM-4WWB9 60-69 years, female 7.4
GTEX-ZTX8-1526-SM-5N9GI 20-29 years, male 7.4
GTEX-1S831-0326-SM-EVYD3 20-29 years, male 7.4
GTEX-RNOR-0226-SM-EZ6MF 50-59 years, female 7.4
GTEX-11UD2-0126-SM-5EQL2 50-59 years, male 7.3
GTEX-T2IS-0226-SM-32QPH 20-29 years, female 7.3
GTEX-1H1CY-2626-SM-9MQKJ 60-69 years, female 7.3
GTEX-1HFI7-2026-SM-CGQFR 50-59 years, female 7.3
GTEX-1I1GV-0426-SM-ARZLX 60-69 years, male 7.3
GTEX-WFG7-2526-SM-EWRM5 20-29 years, male 7.3
GTEX-11DXW-0326-SM-5H11W 40-49 years, male 7.2
GTEX-O5YT-0226-SM-32PK5 20-29 years, male 7.2
GTEX-XBEC-0326-SM-4AT4M 50-59 years, male 7.2
GTEX-XLM4-0226-SM-4AT4N 60-69 years, male 7.2
GTEX-1HCUA-2226-SM-ADEHF 50-59 years, female 7.2
GTEX-1KXAM-2326-SM-CYPTD 60-69 years, male 7.2
GTEX-12KS4-0426-SM-5EQMC 30-39 years, male 7.1
GTEX-1AMEY-1426-SM-7939I 30-39 years, female 7.1
GTEX-OXRP-0226-SM-3NB14 60-69 years, female 7.1
GTEX-XV7Q-2626-SM-4BRVA 40-49 years, female 7.1
GTEX-Z93S-0226-SM-5HL7R 50-59 years, male 7.1
GTEX-1AYCT-2226-SM-7SB98 50-59 years, male 7.1
GTEX-1CB4J-1126-SM-7PBY1 60-69 years, male 7.1
GTEX-1HGF4-2526-SM-ADEIZ 60-69 years, male 7.1
GTEX-1JN6P-0226-SM-COH34 60-69 years, male 7.1
GTEX-1MCC2-2326-SM-E9U5G 30-39 years, female 7.1
GTEX-1MGNQ-0226-SM-EVYCK 40-49 years, male 7.1
GTEX-QMRM-1726-SM-2S1QG 50-59 years, male 7.0
GTEX-1F48J-0226-SM-7SB82 50-59 years, female 7.0
GTEX-1K2DA-2126-SM-CGQGL 50-59 years, male 7.0
GTEX-1128S-2126-SM-5H12U 60-69 years, female 6.9
GTEX-15DDE-0226-SM-6LLJ6 50-59 years, female 6.9
GTEX-OHPK-0226-SM-3MJH6 50-59 years, female 6.9
GTEX-T8EM-1126-SM-3DB7D 40-49 years, male 6.9
GTEX-1AX9I-0226-SM-7SB75 60-69 years, male 6.9
GTEX-15ETS-0426-SM-6PANI 40-49 years, female 6.8
GTEX-OXRO-0226-SM-3LK6F 60-69 years, female 6.8
GTEX-R53T-1626-SM-3GAEW 50-59 years, female 6.8
GTEX-1B996-0126-SM-7PBYF 60-69 years, male 6.8
GTEX-1HT8W-0226-SM-CMKGT 30-39 years, male 6.8
GTEX-1LH75-2526-SM-E9U5A 50-59 years, female 6.8
GTEX-131XF-2226-SM-5EQKG 60-69 years, male 6.7
GTEX-P4QT-0226-SM-3LK68 50-59 years, female 6.7
GTEX-QV31-1326-SM-2S1QE 30-39 years, male 6.7
GTEX-1C6VS-0426-SM-79OJV 60-69 years, male 6.6
GTEX-1H1E6-2026-SM-9KNVK 30-39 years, male 6.6
GTEX-1HBPM-0326-SM-CMKGR 60-69 years, female 6.6
GTEX-1LG7Y-0426-SM-DKPQB 50-59 years, male 6.6
GTEX-PLZ6-1326-SM-3NB24 30-39 years, male 6.5
GTEX-1IKJJ-0226-SM-COH3T 60-69 years, male 6.5
GTEX-17MF6-0226-SM-7LG4G 40-49 years, male 6.4
GTEX-1CB4F-0526-SM-9KNW2 60-69 years, male 6.4
GTEX-139TT-0226-SM-5K7YH 60-69 years, male 6.3
GTEX-148VI-1726-SM-5S2W9 60-69 years, female 6.3
GTEX-17HG3-2326-SM-79OKH 30-39 years, female 6.3
GTEX-U3ZN-2626-SM-3DB7T 30-39 years, female 6.3
GTEX-1JMQL-0326-SM-CNPP6 50-59 years, female 6.3
GTEX-WYJK-0226-SM-EYYV8 50-59 years, male 6.3
GTEX-15ER7-0426-SM-6PAM3 20-29 years, female 6.2
GTEX-RM2N-1726-SM-2TF55 50-59 years, male 6.2
GTEX-17EVP-0426-SM-79OKG 40-49 years, male 6.1
GTEX-1QCLY-0526-SM-EAZ47 30-39 years, male 6.1
GTEX-1CB4H-0326-SM-9WG5G 60-69 years, female 6.0
GTEX-VUSH-0226-SM-EXUQV 30-39 years, male 6.0
GTEX-ZF28-0226-SM-5S2OE 60-69 years, male 5.9
GTEX-1B8KE-2526-SM-73KYQ 50-59 years, male 5.7
GTEX-T6MO-1726-SM-33HB8 40-49 years, female 5.7
GTEX-1S5ZU-0226-SM-E6CHW 20-29 years, female 5.7
GTEX-1GN1U-0226-SM-9YFLQ 50-59 years, female 5.6
GTEX-1JMPY-1426-SM-ARL8Z 30-39 years, male 5.5
GTEX-1B8SG-0226-SM-7939Q 50-59 years, male 5.4
GTEX-NFK9-0326-SM-3MJGV 40-49 years, male 5.2
GTEX-QLQ7-1526-SM-2S1QA 60-69 years, male 5.2
GTEX-14C5O-0226-SM-5SI6O 60-69 years, male 5.1
GTEX-WEY5-1926-SM-3GIL8 40-49 years, female 5.1
GTEX-1F88E-0526-SM-7SB8J 60-69 years, female 5.0
GTEX-12696-2526-SM-5EQLN 60-69 years, male 4.9
GTEX-QEL4-0326-SM-3GAE5 50-59 years, male 4.8
GTEX-P44H-0326-SM-2XCES 40-49 years, male 4.7
GTEX-RTLS-0226-SM-2TF5E 60-69 years, female 4.5
GTEX-SNMC-1326-SM-2XCFK 20-29 years, male 4.5
GTEX-SSA3-0226-SM-32QPN 60-69 years, male 4.5
GTEX-OIZI-0226-SM-2XCEE 40-49 years, male 4.3
GTEX-P44G-2326-SM-2XCCZ 30-39 years, male 4.2
GTEX-REY6-0326-SM-2TF5A 60-69 years, male 2.8
Show allShow less
Adipose - Visceral (Omentum)
Average nTPM: 11.5
Samples: 541

Max nTPM: 35.6
Min nTPM: 3.4
Std nTPM: 3.7
Median nTPM: 10.9
GTEX-11TT1-1926-SM-5PNYN 20-29 years, male 35.6
GTEX-13X6H-1726-SM-5Q5EH 50-59 years, female 34.9
GTEX-1POEN-1626-SM-EVYC2 30-39 years, female 32.9
GTEX-1399S-1426-SM-5PNYQ 30-39 years, female 27.8
GTEX-14PJO-1626-SM-69LPQ 60-69 years, male 25.1
GTEX-12BJ1-0826-SM-5EQ5P 60-69 years, male 24.7
GTEX-1HC8U-0926-SM-A9G3L 40-49 years, female 24.1
GTEX-14C38-1026-SM-73KY7 50-59 years, male 23.7
GTEX-1H3VE-1926-SM-9YFL4 40-49 years, male 22.9
GTEX-1RB15-1126-SM-E8VMX 60-69 years, male 22.9
GTEX-ZPIC-0726-SM-57WFM 40-49 years, female 22.8
GTEX-11XUK-1726-SM-5GU61 40-49 years, female 22.7
GTEX-13IVO-2426-SM-5K7V9 70-79 years, male 21.4
GTEX-WWTW-1326-SM-4MVNT 50-59 years, male 21.2
GTEX-15UKP-1426-SM-7KUDX 20-29 years, male 21.1
GTEX-Y5LM-0826-SM-4VDSW 40-49 years, female 21.0
GTEX-ZYVF-1026-SM-5E44V 50-59 years, female 20.7
GTEX-14PN3-0326-SM-6EU1X 60-69 years, female 20.6
GTEX-U8XE-1926-SM-3DB98 30-39 years, male 20.3
GTEX-14PKU-0226-SM-6EU16 40-49 years, female 20.0
GTEX-13FH7-1926-SM-5J2OL 50-59 years, female 19.6
GTEX-1ICG6-1726-SM-ARU7K 70-79 years, female 19.6
GTEX-146FH-2026-SM-5SI9I 50-59 years, female 19.2
GTEX-1128S-0926-SM-5GZZU 60-69 years, female 19.1
GTEX-11DXX-2026-SM-5EGJL 60-69 years, female 19.0
GTEX-11I78-0226-SM-5HL6R 50-59 years, female 18.8
GTEX-14BIM-1626-SM-7EWD2 60-69 years, female 18.8
GTEX-11EQ9-1126-SM-5987I 30-39 years, male 18.6
GTEX-132AR-0526-SM-5J2MJ 50-59 years, female 18.6
GTEX-13CF3-1126-SM-5LZXB 60-69 years, female 18.0
GTEX-1QAET-1226-SM-DTX9I 50-59 years, male 18.0
GTEX-131XE-2026-SM-5LZW1 50-59 years, male 17.7
GTEX-1212Z-0526-SM-5FQSQ 60-69 years, male 17.5
GTEX-15G19-1126-SM-7KUEL 60-69 years, male 17.4
GTEX-15RIE-0126-SM-7KUF8 60-69 years, male 17.4
GTEX-1F75B-1226-SM-7MXTW 50-59 years, male 17.3
GTEX-1OKEX-0926-SM-E8VNJ 60-69 years, male 17.2
GTEX-XXEK-1426-SM-4BRW1 50-59 years, male 17.1
GTEX-1C6VR-1126-SM-7EPHD 60-69 years, male 16.9
GTEX-16MTA-1326-SM-6PALX 50-59 years, male 16.8
GTEX-139D8-1626-SM-5IJFZ 30-39 years, female 16.6
GTEX-131XG-0126-SM-5K7UJ 50-59 years, female 16.5
GTEX-1H11D-1126-SM-9YFM5 40-49 years, male 16.4
GTEX-13NZ9-2026-SM-5KM1U 50-59 years, male 16.2
GTEX-1K2DU-0726-SM-DIPF7 20-29 years, male 16.2
GTEX-14E1K-0426-SM-5S2PF 50-59 years, male 16.1
GTEX-YJ89-1926-SM-5IFJ6 60-69 years, male 16.1
GTEX-1122O-0926-SM-9YFLC 60-69 years, female 16.0
GTEX-1339X-0726-SM-5L3FF 40-49 years, male 15.9
GTEX-1H1DE-0826-SM-ARU8V 20-29 years, male 15.9
GTEX-1313W-1626-SM-5J1OE 50-59 years, female 15.8
GTEX-14PHW-1626-SM-6EU2H 60-69 years, female 15.8
GTEX-14PN4-1426-SM-6LLJ4 50-59 years, male 15.7
GTEX-12WSI-1526-SM-5GCNM 50-59 years, male 15.6
GTEX-XYKS-1826-SM-4E3JV 60-69 years, female 15.6
GTEX-1QEPI-2226-SM-E8VN6 60-69 years, female 15.6
GTEX-1IKOE-1726-SM-CNNQ6 30-39 years, female 15.5
GTEX-1AYD5-0126-SM-7DUG5 50-59 years, male 15.4
GTEX-132QS-0826-SM-5K7WV 60-69 years, male 15.3
GTEX-ZZPU-0326-SM-5N9BJ 50-59 years, female 15.3
GTEX-1ICLY-1426-SM-CJI48 50-59 years, male 15.3
GTEX-13NYS-0726-SM-5J1OR 60-69 years, male 15.2
GTEX-1MCQQ-1426-SM-E6CJA 60-69 years, male 15.2
GTEX-1O9I2-1326-SM-E6CQD 50-59 years, male 15.2
GTEX-VJWN-2326-SM-EVYAP 50-59 years, female 15.2
GTEX-13FTW-0426-SM-5K7X2 40-49 years, male 15.1
GTEX-ZLWG-0726-SM-5S2N4 50-59 years, female 15.1
GTEX-145LV-1026-SM-5O9AE 50-59 years, male 15.0
GTEX-1LGOU-0826-SM-DHXKL 20-29 years, female 15.0
GTEX-17HGU-1726-SM-79OKM 50-59 years, male 14.9
GTEX-13FTX-0626-SM-5J2NS 20-29 years, female 14.8
GTEX-14C39-0826-SM-5TDDU 40-49 years, male 14.8
GTEX-1CB4E-0826-SM-793CS 60-69 years, male 14.6
GTEX-XUZC-1126-SM-4BOPZ 30-39 years, female 14.6
GTEX-1H1DF-1426-SM-9YFMC 40-49 years, female 14.6
GTEX-1PIGE-1226-SM-EVR3Q 20-29 years, male 14.6
GTEX-13O61-1926-SM-5KM1R 60-69 years, male 14.5
GTEX-169BO-0426-SM-7EPI1 50-59 years, male 14.5
GTEX-Z9EW-0826-SM-5HL9T 40-49 years, male 14.5
GTEX-1PFEY-0726-SM-E76PO 30-39 years, male 14.5
GTEX-1S5VW-2426-SM-EAZ52 60-69 years, male 14.5
GTEX-ZE7O-1526-SM-5J1NH 50-59 years, female 14.4
GTEX-14PHY-1026-SM-62LEV 60-69 years, female 14.3
GTEX-1GN1W-1226-SM-9MQLW 50-59 years, female 14.3
GTEX-1IDJD-0926-SM-ACKWW 30-39 years, male 14.3
GTEX-13OVL-0826-SM-5L3GV 50-59 years, male 14.2
GTEX-13PDP-1226-SM-5K7TW 60-69 years, male 14.2
GTEX-1K9T9-1626-SM-DIPFS 50-59 years, female 14.2
GTEX-1LSNL-1426-SM-E6CJ9 50-59 years, male 14.2
GTEX-WI4N-1526-SM-EZ6LG 40-49 years, female 14.2
GTEX-13112-1126-SM-5GCMY 50-59 years, male 14.1
GTEX-14PK6-0926-SM-62LF4 70-79 years, female 14.1
GTEX-17EVQ-0626-SM-7KFTB 70-79 years, male 14.1
GTEX-17F97-1226-SM-79OJT 50-59 years, male 14.1
GTEX-17GQL-0826-SM-731AM 60-69 years, male 14.1
GTEX-1192X-1526-SM-5H11I 50-59 years, male 14.0
GTEX-1B933-1326-SM-7939U 50-59 years, female 14.0
GTEX-13OW8-0326-SM-5L3FB 60-69 years, male 13.9
GTEX-1HSEH-1326-SM-ADEI1 60-69 years, male 13.9
GTEX-1RNTQ-0826-SM-E9TK8 20-29 years, female 13.9
GTEX-133LE-0926-SM-5P9J1 20-29 years, female 13.8
GTEX-14E6D-1326-SM-62LES 50-59 years, male 13.8
GTEX-14PJ4-0126-SM-62LEZ 60-69 years, male 13.8
GTEX-1AYCT-1126-SM-79OO8 50-59 years, male 13.8
GTEX-17F9Y-0726-SM-7LT9G 70-79 years, female 13.7
GTEX-13FHO-2026-SM-5J1OA 60-69 years, male 13.6
GTEX-X8HC-2326-SM-4QAS4 50-59 years, female 13.6
GTEX-ZAB4-1426-SM-5CVN6 40-49 years, male 13.6
GTEX-1QP28-0926-SM-EVR4D 50-59 years, female 13.6
GTEX-12ZZX-1726-SM-5BC63 40-49 years, female 13.5
GTEX-XQ3S-2426-SM-4WAYB 20-29 years, male 13.5
GTEX-XQ8I-1426-SM-4BOPW 50-59 years, male 13.5
GTEX-1399U-2026-SM-9WPNN 50-59 years, female 13.5
GTEX-11GSO-0226-SM-5A5LV 60-69 years, male 13.4
GTEX-131XH-0826-SM-5GCN8 50-59 years, male 13.4
GTEX-1B97I-0526-SM-73KXE 40-49 years, male 13.4
GTEX-13O3Q-1126-SM-5K7YK 50-59 years, male 13.3
GTEX-13S86-0926-SM-5SI6I 40-49 years, male 13.3
GTEX-13YAN-1126-SM-5TDC7 60-69 years, male 13.3
GTEX-13113-1126-SM-5LZU9 60-69 years, female 13.2
GTEX-13D11-0526-SM-5LZYM 50-59 years, female 13.2
GTEX-1CB4G-2126-SM-7IGQ8 60-69 years, male 13.2
GTEX-XV7Q-1726-SM-4BRUU 40-49 years, female 13.2
GTEX-YEC3-0926-SM-5Q5AC 50-59 years, male 13.2
GTEX-ZDTS-1826-SM-5S2N6 60-69 years, male 13.2
GTEX-ZYT6-2126-SM-5GZZ4 30-39 years, male 13.2
GTEX-1H1DG-2026-SM-9QEIV 70-79 years, male 13.2
GTEX-1JJE9-1526-SM-CM2RR 70-79 years, male 13.2
GTEX-1MCC2-0626-SM-DKPQI 30-39 years, female 13.2
GTEX-11P81-0726-SM-5PNYH 30-39 years, female 13.0
GTEX-1AX8Z-1626-SM-73KWD 60-69 years, male 13.0
GTEX-XBEW-1726-SM-4RGMA 40-49 years, male 13.0
GTEX-ZAJG-1626-SM-5HL7I 50-59 years, female 13.0
GTEX-ZVE2-1826-SM-51MRZ 50-59 years, male 13.0
GTEX-1F6I4-2126-SM-7PC2J 60-69 years, male 13.0
GTEX-1GF9X-0926-SM-7PC2X 40-49 years, female 13.0
GTEX-13OW6-2426-SM-5K7WO 50-59 years, male 12.9
GTEX-145MF-1026-SM-5Q5EQ 50-59 years, male 12.9
GTEX-16XZZ-1626-SM-7KUEC 60-69 years, male 12.9
GTEX-17F98-0326-SM-7DHLH 40-49 years, female 12.9
GTEX-Y111-0926-SM-4SOIU 50-59 years, male 12.9
GTEX-Y5V5-0226-SM-5S2N8 60-69 years, female 12.9
GTEX-1A8FM-2126-SM-7PC27 50-59 years, female 12.9
GTEX-1HT8W-0726-SM-A9SLB 30-39 years, male 12.9
GTEX-1LVAO-2126-SM-DIPGA 60-69 years, male 12.9
GTEX-1N2EF-0926-SM-E8VNW 60-69 years, male 12.9
GTEX-14AS3-0426-SM-5QGQK 40-49 years, female 12.8
GTEX-14E6E-0226-SM-7DUEF 30-39 years, male 12.8
GTEX-1H1E6-1126-SM-9JGGV 30-39 years, male 12.8
GTEX-14BIL-2426-SM-5QGQR 50-59 years, male 12.7
GTEX-14PJ3-0726-SM-69LQE 50-59 years, male 12.7
GTEX-16BQI-1126-SM-7KULF 30-39 years, female 12.7
GTEX-1JMQK-1326-SM-CNPOR 60-69 years, male 12.7
GTEX-11GS4-1026-SM-5N9DE 60-69 years, male 12.6
GTEX-13111-0626-SM-5LZVR 50-59 years, male 12.6
GTEX-17KNJ-0426-SM-718AK 50-59 years, male 12.6
GTEX-117YX-0726-SM-5GIET 50-59 years, male 12.5
GTEX-13PL7-1226-SM-5SIAR 60-69 years, female 12.5
GTEX-ZF28-1426-SM-5S2OG 60-69 years, male 12.5
GTEX-ZYFC-1826-SM-5GZZA 50-59 years, male 12.5
GTEX-11WQK-1526-SM-5EGKN 50-59 years, male 12.4
GTEX-13VXT-0926-SM-5LU5K 20-29 years, female 12.4
GTEX-1LGRB-0526-SM-COH3A 50-59 years, female 12.4
GTEX-13VXU-1026-SM-5KLZE 50-59 years, male 12.3
GTEX-ZPU1-1226-SM-5HL71 40-49 years, male 12.3
GTEX-1HCU7-2026-SM-A9G2B 50-59 years, male 12.3
GTEX-13X6J-1926-SM-5TDCU 50-59 years, male 12.2
GTEX-14JIY-1426-SM-6EU29 60-69 years, male 12.2
GTEX-14PJ2-1426-SM-62LFF 50-59 years, male 12.2
GTEX-1GF9U-1226-SM-ARL9I 40-49 years, female 12.2
GTEX-1JMQI-1026-SM-COH2U 50-59 years, male 12.2
GTEX-1QP66-0626-SM-E76PD 50-59 years, male 12.2
GTEX-111CU-1026-SM-5EGIL 50-59 years, male 12.1
GTEX-1211K-1226-SM-5EQ4N 60-69 years, female 12.1
GTEX-13N2G-1926-SM-5J1O3 60-69 years, male 12.1
GTEX-Y5V6-0626-SM-4WWFY 60-69 years, male 12.1
GTEX-Y8LW-0926-SM-4VBQ8 50-59 years, female 12.1
GTEX-1HSMO-1426-SM-CNNQN 60-69 years, male 12.1
GTEX-1JKYR-1226-SM-CM2S7 20-29 years, male 12.1
GTEX-1OJC3-1326-SM-E9J3D 20-29 years, male 12.1
GTEX-13G51-0526-SM-5IJCQ 60-69 years, male 12.0
GTEX-15D1Q-1326-SM-69LOA 40-49 years, male 12.0
GTEX-1B8SG-1426-SM-7EWEM 50-59 years, male 12.0
GTEX-ZV6S-1626-SM-5NQ81 40-49 years, female 12.0
GTEX-1C64N-1326-SM-7SB7D 50-59 years, male 12.0
GTEX-1I1GS-0926-SM-A9SL5 60-69 years, male 12.0
GTEX-1RQEC-2526-SM-EVYD2 60-69 years, male 12.0
GTEX-12584-2126-SM-5FQUM 40-49 years, male 11.9
GTEX-15CHC-0826-SM-686YW 60-69 years, female 11.9
GTEX-17F9E-1326-SM-7DHL4 50-59 years, male 11.9
GTEX-17HHY-1026-SM-7LG5E 50-59 years, male 11.9
GTEX-1LVAN-0926-SM-CNNQ2 50-59 years, female 11.9
GTEX-1RAZR-1026-SM-E8VOJ 40-49 years, male 11.9
GTEX-12696-1826-SM-5EGJS 60-69 years, male 11.8
GTEX-12ZZW-2326-SM-5DUW2 50-59 years, male 11.8
GTEX-13OVG-1326-SM-5K7Y3 60-69 years, male 11.8
GTEX-ZPCL-1026-SM-5GCOX 60-69 years, female 11.8
GTEX-ZQG8-1026-SM-51MR9 60-69 years, female 11.8
GTEX-1HFI7-0726-SM-ACKVN 50-59 years, female 11.8
GTEX-1HSMP-1126-SM-B2LXJ 70-79 years, male 11.8
GTEX-1HSMQ-1026-SM-ADEHU 50-59 years, male 11.8
GTEX-1HUB1-1526-SM-CGQF6 60-69 years, male 11.8
GTEX-1KWVE-0226-SM-E9TKK 30-39 years, male 11.8
GTEX-1RLM8-1026-SM-EWROE 50-59 years, male 11.8
GTEX-144GN-0726-SM-5O98O 50-59 years, male 11.7
GTEX-14E6C-1226-SM-5ZZUN 40-49 years, male 11.7
GTEX-16NPV-0626-SM-7IGOR 50-59 years, female 11.7
GTEX-XGQ4-1026-SM-4AT4L 50-59 years, male 11.7
GTEX-ZE9C-1326-SM-5S2OW 60-69 years, male 11.7
GTEX-1GL5R-0726-SM-9MQL5 50-59 years, male 11.7
GTEX-1I1GQ-1026-SM-CNNQS 50-59 years, male 11.7
GTEX-1I1GT-1326-SM-ACKWB 60-69 years, female 11.7
GTEX-1I6K7-1826-SM-CGQFO 40-49 years, male 11.7
GTEX-1IL2U-2726-SM-C1YSG 60-69 years, male 11.7
GTEX-12WSA-1626-SM-5EGJV 60-69 years, male 11.6
GTEX-13OVK-0326-SM-7KUEJ 40-49 years, male 11.6
GTEX-X585-2526-SM-4QAS1 50-59 years, male 11.6
GTEX-XBEC-1826-SM-4QASN 50-59 years, male 11.6
GTEX-XLM4-1026-SM-4AT51 60-69 years, male 11.6
GTEX-ZDXO-2326-SM-5LU9W 60-69 years, male 11.6
GTEX-1I1GU-0626-SM-CMKHR 40-49 years, male 11.6
GTEX-1J8Q2-2226-SM-CM2TZ 60-69 years, male 11.6
GTEX-1L5NE-1726-SM-DHXKX 50-59 years, male 11.6
GTEX-1MJK3-0626-SM-E6CJB 20-29 years, male 11.6
GTEX-13QBU-1326-SM-5LU4K 40-49 years, female 11.5
GTEX-14JG6-0526-SM-6LLIH 30-39 years, female 11.5
GTEX-1GF9W-1026-SM-7SB8X 60-69 years, male 11.5
GTEX-1RAZQ-1526-SM-E6CJI 30-39 years, male 11.5
GTEX-1S3DN-1626-SM-EVYCC 50-59 years, male 11.5
GTEX-139YR-0326-SM-5J1MC 50-59 years, male 11.4
GTEX-18D9B-1726-SM-7LTAP 60-69 years, male 11.4
GTEX-1F5PL-1326-SM-7SB83 40-49 years, female 11.4
GTEX-YJ8A-1926-SM-EZ6LQ 20-29 years, male 11.4
GTEX-1117F-1326-SM-5EGHH 60-69 years, female 11.3
GTEX-11ZTS-1326-SM-5EQMA 60-69 years, female 11.3
GTEX-13FXS-1326-SM-62LFR 50-59 years, male 11.3
GTEX-13OVH-1126-SM-5K7YP 70-79 years, male 11.3
GTEX-WEY5-1326-SM-3GILS 40-49 years, female 11.3
GTEX-XMK1-0926-SM-4B66X 40-49 years, male 11.3
GTEX-1F48J-1826-SM-7SB8T 50-59 years, female 11.3
GTEX-1QP67-1126-SM-EAZ4C 40-49 years, female 11.3
GTEX-1R9K4-1426-SM-DPRY4 60-69 years, male 11.3
GTEX-13O21-3126-SM-5J1OI 50-59 years, male 11.2
GTEX-13X6I-1526-SM-5SIAC 60-69 years, male 11.2
GTEX-145LT-1526-SM-5O98P 40-49 years, male 11.2
GTEX-15EOM-2326-SM-7KUMV 20-29 years, female 11.2
GTEX-18A66-1926-SM-7LTAG 60-69 years, male 11.2
GTEX-11GSP-1026-SM-9WYSH 60-69 years, female 11.2
GTEX-1GZ2Q-1226-SM-9MQM8 40-49 years, male 11.2
GTEX-1LVAM-1026-SM-DIPFK 50-59 years, female 11.2
GTEX-WVLH-1626-SM-EXURN 50-59 years, male 11.2
GTEX-117YW-0826-SM-5H11O 50-59 years, male 11.1
GTEX-132NY-1126-SM-5PNVE 60-69 years, male 11.1
GTEX-14PHX-1626-SM-69LQB 50-59 years, male 11.1
GTEX-16AAH-1526-SM-7LT9W 50-59 years, male 11.1
GTEX-16NPX-1026-SM-6PAM7 50-59 years, male 11.1
GTEX-WL46-2026-SM-3LK7U 50-59 years, male 11.1
GTEX-1H2FU-1426-SM-9WPO6 60-69 years, female 11.1
GTEX-ZG7Y-1626-SM-5S2NO 50-59 years, male 11.0
GTEX-ZP4G-1326-SM-5EGIW 20-29 years, female 11.0
GTEX-ZTPG-2326-SM-57WFL 20-29 years, female 11.0
GTEX-1H1ZS-1326-SM-9WG74 70-79 years, male 11.0
GTEX-1K2DA-1126-SM-CGQGG 50-59 years, male 11.0
GTEX-11P82-0326-SM-5HL51 20-29 years, male 10.9
GTEX-15ER7-1026-SM-7KUMD 20-29 years, female 10.9
GTEX-WHWD-0826-SM-3LK6R 50-59 years, male 10.9
GTEX-XBED-1326-SM-4AT4F 60-69 years, male 10.9
GTEX-ZF2S-1526-SM-5S2OO 50-59 years, female 10.9
GTEX-ZXG5-1626-SM-59HJK 60-69 years, male 10.9
GTEX-1GF9V-1126-SM-9MQM7 60-69 years, male 10.9
GTEX-1H4P4-0326-SM-9WYTD 50-59 years, male 10.9
GTEX-1HBPI-1826-SM-ADEHE 50-59 years, male 10.9
GTEX-1HCU9-0626-SM-ACKW6 20-29 years, male 10.9
GTEX-11DXY-0326-SM-5H12F 60-69 years, male 10.8
GTEX-13N11-1826-SM-5IJDS 50-59 years, female 10.8
GTEX-18A67-1326-SM-7LT8V 50-59 years, male 10.8
GTEX-1CB4I-0826-SM-7MGX1 50-59 years, male 10.8
GTEX-1F75I-1026-SM-7SB8B 40-49 years, male 10.8
GTEX-1HCU8-1126-SM-CM2SA 60-69 years, female 10.8
GTEX-1LH75-1026-SM-EWROK 50-59 years, female 10.8
GTEX-1N2EE-1526-SM-DTXE9 60-69 years, male 10.8
GTEX-1OFPY-0826-SM-DTX8P 60-69 years, male 10.8
GTEX-1RAZA-0926-SM-E6CQ8 20-29 years, male 10.8
GTEX-VJYA-1626-SM-EXOHL 60-69 years, male 10.8
GTEX-11PRG-1526-SM-5HL6Z 50-59 years, male 10.7
GTEX-11ZUS-1826-SM-5FQTR 30-39 years, male 10.7
GTEX-131YS-1726-SM-5HL7G 60-69 years, female 10.7
GTEX-13W3W-1126-SM-5L3DO 60-69 years, female 10.7
GTEX-14BMV-1626-SM-73KVQ 50-59 years, male 10.7
GTEX-18A7B-1226-SM-718AU 70-79 years, male 10.7
GTEX-1C2JI-0826-SM-7EPHB 50-59 years, male 10.7
GTEX-ZAB5-1126-SM-5Q5AD 50-59 years, male 10.7
GTEX-1B97J-1126-SM-7SB79 50-59 years, female 10.7
GTEX-1I4MK-0726-SM-ACKWC 50-59 years, female 10.7
GTEX-1JMLX-1026-SM-D3L8U 50-59 years, male 10.7
GTEX-1LKK1-1526-SM-EVYCO 50-59 years, female 10.7
GTEX-1QW4Y-0826-SM-DTXE1 30-39 years, male 10.7
GTEX-11LCK-0326-SM-5A5M7 30-39 years, male 10.6
GTEX-1S82P-0926-SM-EWRNP 60-69 years, female 10.6
GTEX-12WSG-0426-SM-5FQSE 50-59 years, female 10.5
GTEX-1C6VQ-1526-SM-73KU9 50-59 years, male 10.5
GTEX-VUSG-1426-SM-3GIJN 50-59 years, male 10.5
GTEX-ZC5H-1626-SM-5HL7L 40-49 years, female 10.5
GTEX-1KANB-2426-SM-EV7BE 50-59 years, male 10.5
GTEX-1QP6S-1626-SM-EVYC5 40-49 years, male 10.5
GTEX-Y3I4-0726-SM-E9J3Y 50-59 years, male 10.5
GTEX-13OVJ-0926-SM-5K7U1 50-59 years, female 10.4
GTEX-13PVR-0526-SM-5S2OB 60-69 years, female 10.4
GTEX-13X6K-0726-SM-5LU2Z 60-69 years, female 10.4
GTEX-16NGA-0526-SM-731AJ 40-49 years, female 10.4
GTEX-WRHK-0826-SM-3MJFG 20-29 years, female 10.4
GTEX-X3Y1-0926-SM-3P5YT 40-49 years, male 10.4
GTEX-ZA64-0926-SM-5HL7H 20-29 years, male 10.4
GTEX-1HFI6-1726-SM-CGQFH 40-49 years, male 10.4
GTEX-1HR9M-1426-SM-A9SMB 60-69 years, male 10.4
GTEX-1LBAC-1026-SM-CXKYA 20-29 years, male 10.4
GTEX-131XF-0726-SM-5GIE5 60-69 years, male 10.3
GTEX-14ICK-1726-SM-6AJA5 40-49 years, male 10.3
GTEX-1GZ4H-0926-SM-9WG6Y 50-59 years, female 10.3
GTEX-1I1CD-1026-SM-COH3G 60-69 years, female 10.3
GTEX-12WSC-1726-SM-5GCN3 50-59 years, male 10.2
GTEX-14ABY-1926-SM-62LDJ 50-59 years, male 10.2
GTEX-Y8E4-1226-SM-5IFIM 40-49 years, male 10.2
GTEX-ZVT2-0226-SM-5GIE3 50-59 years, female 10.2
GTEX-1I1GR-1726-SM-COH39 60-69 years, male 10.2
GTEX-1I6K6-1526-SM-CGQFC 30-39 years, male 10.2
GTEX-1IDJH-1626-SM-A9SLP 70-79 years, male 10.2
GTEX-1QMI2-1626-SM-EYYXK 60-69 years, male 10.2
GTEX-147JS-1026-SM-5S2MP 60-69 years, male 10.1
GTEX-14DAR-0426-SM-664MW 50-59 years, male 10.1
GTEX-15DYW-1526-SM-7KUEP 60-69 years, female 10.1
GTEX-1GTWX-1526-SM-9MQLF 60-69 years, male 10.1
GTEX-1H23P-1726-SM-A9SMN 60-69 years, male 10.1
GTEX-1I19N-1026-SM-A96TT 70-79 years, male 10.1
GTEX-1J8EW-1526-SM-CMKFZ 60-69 years, female 10.1
GTEX-1JJ6O-2826-SM-CNNP7 60-69 years, male 10.1
GTEX-1QP29-1626-SM-EXUSZ 50-59 years, male 10.1
GTEX-16GPK-1326-SM-7KUE4 60-69 years, male 10.0
GTEX-1BAJH-2126-SM-7EWFB 70-79 years, male 10.0
GTEX-1EU9M-1126-SM-793DE 60-69 years, male 10.0
GTEX-WK11-2426-SM-3NMAA 50-59 years, male 10.0
GTEX-1GN1U-0726-SM-9MQKL 50-59 years, female 10.0
GTEX-1GN73-0626-SM-7PC3I 60-69 years, male 10.0
GTEX-1I1GP-1426-SM-ACKVZ 50-59 years, male 10.0
GTEX-1KAFJ-0826-SM-CYPTF 50-59 years, male 10.0
GTEX-13NZB-0826-SM-5K7X5 30-39 years, male 9.9
GTEX-1A8G7-1226-SM-73KYP 60-69 years, male 9.9
GTEX-WYBS-1026-SM-4ONCY 60-69 years, female 9.9
GTEX-YFCO-1126-SM-5S2N9 40-49 years, male 9.9
GTEX-1E1VI-1826-SM-9WG5J 50-59 years, male 9.9
GTEX-1MA7W-0526-SM-E6CIN 20-29 years, female 9.9
GTEX-1RMOY-0826-SM-E9TIF 50-59 years, male 9.9
GTEX-139TU-1426-SM-5LZY9 60-69 years, male 9.8
GTEX-17EVP-1426-SM-79OMN 40-49 years, male 9.8
GTEX-17F96-0726-SM-793CB 70-79 years, male 9.8
GTEX-1C6VS-1826-SM-73KXN 60-69 years, male 9.8
GTEX-ZVP2-0226-SM-57WBD 50-59 years, male 9.8
GTEX-1HGF4-0226-SM-CNNQL 60-69 years, male 9.8
GTEX-1KANC-0526-SM-D4P3T 50-59 years, female 9.8
GTEX-1QP9N-0426-SM-DTXFT 30-39 years, male 9.8
GTEX-1R7EV-1026-SM-DTX81 40-49 years, male 9.8
GTEX-11NUK-2026-SM-5PNVZ 50-59 years, male 9.7
GTEX-11OF3-0826-SM-5BC51 60-69 years, male 9.7
GTEX-17MFQ-1126-SM-7LT9O 20-29 years, male 9.7
GTEX-1EH9U-1326-SM-79OM3 60-69 years, male 9.7
GTEX-1EWIQ-2526-SM-7EPIJ 70-79 years, female 9.7
GTEX-ZEX8-1226-SM-5S2OK 50-59 years, male 9.7
GTEX-ZTSS-1026-SM-5985N 40-49 years, male 9.7
GTEX-17HII-0826-SM-7DUFH 50-59 years, male 9.6
GTEX-17JCI-1626-SM-7EPGZ 60-69 years, female 9.6
GTEX-18D9U-0426-SM-731AN 40-49 years, male 9.6
GTEX-WHPG-0626-SM-3NMBD 50-59 years, male 9.6
GTEX-1GMR2-0226-SM-9JGHO 50-59 years, male 9.6
GTEX-1R9PO-0926-SM-E9U4Q 60-69 years, female 9.6
GTEX-11DYG-2026-SM-5EGGX 60-69 years, male 9.5
GTEX-132Q8-1726-SM-5EGK8 60-69 years, male 9.5
GTEX-13PL6-0926-SM-5KLYY 40-49 years, female 9.5
GTEX-145ME-0726-SM-5O9A3 40-49 years, female 9.5
GTEX-1AMFI-1026-SM-73KYM 50-59 years, female 9.5
GTEX-W5X1-1426-SM-3GIKH 40-49 years, female 9.5
GTEX-XOT4-0826-SM-4B66Y 60-69 years, female 9.5
GTEX-1H1CY-0826-SM-9WYTU 60-69 years, female 9.5
GTEX-1JN76-1026-SM-ARZNI 20-29 years, female 9.5
GTEX-1KD4Q-1426-SM-D4P3K 40-49 years, male 9.5
GTEX-1LSVX-1326-SM-DIPET 60-69 years, male 9.5
GTEX-13O3P-0926-SM-5IFFI 50-59 years, male 9.4
GTEX-13W46-1226-SM-5SIAS 50-59 years, male 9.4
GTEX-18465-1826-SM-731BB 50-59 years, male 9.4
GTEX-18QFQ-1326-SM-731CF 30-39 years, male 9.4
GTEX-XAJ8-0226-SM-4GIB2 40-49 years, male 9.4
GTEX-ZLV1-0926-SM-5S2MR 60-69 years, female 9.4
GTEX-1B8L1-0126-SM-9KNVS 60-69 years, male 9.4
GTEX-1CAMS-0926-SM-7SB7F 40-49 years, female 9.4
GTEX-1J1OQ-1526-SM-CJI4E 40-49 years, female 9.4
GTEX-1N2DV-0626-SM-E9U5H 40-49 years, male 9.4
GTEX-18A6Q-1026-SM-7LT9S 60-69 years, male 9.3
GTEX-ZYFG-1426-SM-5GICS 60-69 years, female 9.3
GTEX-1HCUA-0926-SM-ADEIX 50-59 years, female 9.3
GTEX-1IY9M-1226-SM-ACKX1 60-69 years, male 9.3
GTEX-1P4AB-1226-SM-DTXET 50-59 years, male 9.3
GTEX-14B4R-0526-SM-5QGQT 30-39 years, male 9.2
GTEX-14BIN-1226-SM-5S2OM 50-59 years, female 9.2
GTEX-1B8SF-1726-SM-73KZ5 60-69 years, male 9.2
GTEX-Y114-1326-SM-4TT9A 50-59 years, female 9.2
GTEX-1JMQJ-1926-SM-D4P3A 50-59 years, male 9.2
GTEX-13JUV-0626-SM-5J1MQ 40-49 years, female 9.1
GTEX-13RTK-0726-SM-5Q5EN 20-29 years, male 9.1
GTEX-15SKB-1626-SM-6PAL6 60-69 years, male 9.1
GTEX-1AX9K-0926-SM-7939G 50-59 years, male 9.1
GTEX-WY7C-0926-SM-3NB34 50-59 years, male 9.1
GTEX-1F6IF-2026-SM-7P8SE 60-69 years, male 9.1
GTEX-1GPI7-0826-SM-9JGG7 20-29 years, male 9.1
GTEX-1GZ4I-2326-SM-9YFMO 50-59 years, male 9.1
GTEX-1HSKV-1926-SM-CNPPN 60-69 years, male 9.1
GTEX-12C56-0826-SM-5EGJ5 20-29 years, male 9.0
GTEX-12WSL-1126-SM-5CVNK 50-59 years, male 9.0
GTEX-13U4I-1726-SM-5J1MF 40-49 years, female 9.0
GTEX-15CHQ-1126-SM-686YY 60-69 years, male 9.0
GTEX-15DZA-0626-SM-6PANC 30-39 years, female 9.0
GTEX-178AV-0626-SM-6PAM1 40-49 years, male 9.0
GTEX-1A8G6-2026-SM-73KYC 60-69 years, male 9.0
GTEX-WFON-1226-SM-3TW8F 40-49 years, male 9.0
GTEX-ZDTT-0526-SM-5HL4M 60-69 years, male 9.0
GTEX-ZVZP-1126-SM-5GICU 50-59 years, male 9.0
GTEX-1IDJF-1726-SM-A9SLL 20-29 years, male 9.0
GTEX-XPVG-1626-SM-EYYVK 50-59 years, male 9.0
GTEX-11EM3-1126-SM-5A5KM 20-29 years, female 8.9
GTEX-13OW7-1126-SM-5K7V6 50-59 years, male 8.9
GTEX-14BMU-0626-SM-73KZ6 20-29 years, female 8.9
GTEX-183FY-1226-SM-7DHLK 20-29 years, male 8.9
GTEX-1JKYN-0526-SM-CGQG3 30-39 years, male 8.9
GTEX-1MA7X-1026-SM-DKPQ8 60-69 years, male 8.9
GTEX-1S5ZA-1026-SM-EWRO2 20-29 years, male 8.9
GTEX-11DXZ-1426-SM-5H12A 50-59 years, male 8.8
GTEX-11P7K-0826-SM-5BC5F 30-39 years, male 8.8
GTEX-1AMEY-0526-SM-72D62 30-39 years, female 8.8
GTEX-ZUA1-2126-SM-57YRB 40-49 years, male 8.8
GTEX-1IKK5-0826-SM-ACKWN 60-69 years, male 8.8
GTEX-12WSM-0626-SM-5GCOK 60-69 years, male 8.7
GTEX-13S7M-0826-SM-5QGQX 60-69 years, female 8.7
GTEX-1B932-1726-SM-793A5 40-49 years, female 8.7
GTEX-1HB9E-0526-SM-ARZNM 50-59 years, male 8.7
GTEX-1ICLZ-1626-SM-CE6SS 60-69 years, male 8.7
GTEX-145MI-0826-SM-5SI95 60-69 years, female 8.6
GTEX-14753-2526-SM-5LU97 60-69 years, male 8.6
GTEX-14DAQ-2526-SM-5RQIO 60-69 years, female 8.6
GTEX-14E7W-2326-SM-69LQC 70-79 years, male 8.6
GTEX-ZYW4-2226-SM-5GZYG 60-69 years, male 8.6
GTEX-1C475-0326-SM-7SB8O 40-49 years, female 8.6
GTEX-1GMR3-0826-SM-9WYT4 40-49 years, male 8.6
GTEX-1LG7Z-0226-SM-E6CIG 30-39 years, male 8.6
GTEX-1N2DW-0726-SM-DTX97 50-59 years, male 8.6
GTEX-11VI4-1226-SM-5EQMP 40-49 years, female 8.5
GTEX-13N1W-1226-SM-5K7UM 70-79 years, male 8.5
GTEX-1B8KE-0826-SM-72D6S 50-59 years, male 8.5
GTEX-1CAMR-0326-SM-793AH 20-29 years, male 8.5
GTEX-1JN6P-1626-SM-CYPSV 60-69 years, male 8.5
GTEX-12WSK-1026-SM-5CVNR 40-49 years, female 8.4
GTEX-18A7A-0926-SM-7LT8H 50-59 years, female 8.4
GTEX-1CB4F-1126-SM-79OLG 60-69 years, male 8.4
GTEX-WH7G-1126-SM-3NMBK 40-49 years, male 8.4
GTEX-1IDJC-0226-SM-CMKG2 50-59 years, male 8.4
GTEX-139T6-0526-SM-5IJC9 50-59 years, male 8.3
GTEX-14PJN-0626-SM-6EU13 30-39 years, male 8.3
GTEX-1B8KZ-1026-SM-73KYN 50-59 years, male 8.3
GTEX-1B996-1226-SM-73KWZ 60-69 years, male 8.3
GTEX-1IDJU-0926-SM-ARL88 60-69 years, female 8.3
GTEX-1MUQO-0826-SM-EVYCZ 60-69 years, male 8.3
GTEX-15SHU-2326-SM-7KUMC 40-49 years, female 8.2
GTEX-ZQUD-0526-SM-57WG4 30-39 years, male 8.2
GTEX-ZT9W-1026-SM-57WG5 50-59 years, male 8.2
GTEX-ZV7C-0826-SM-59HK8 50-59 years, male 8.2
GTEX-1HBPN-1526-SM-9WYSB 50-59 years, male 8.2
GTEX-1KD5A-1326-SM-CYPTB 50-59 years, male 8.2
GTEX-1LG7Y-1126-SM-CYPTE 50-59 years, male 8.2
GTEX-1QCLY-1226-SM-EVYC3 30-39 years, male 8.2
GTEX-13PVQ-2226-SM-5L3G9 50-59 years, male 8.1
GTEX-144GM-0626-SM-79OKY 20-29 years, male 8.1
GTEX-145LU-1226-SM-5LU9B 50-59 years, male 8.1
GTEX-Y9LG-1226-SM-4VBQA 30-39 years, male 8.1
GTEX-ZZ64-0626-SM-5GZWR 20-29 years, male 8.1
GTEX-1F52S-1326-SM-7SB6Q 60-69 years, female 8.1
GTEX-1KXAM-0526-SM-DKPQN 60-69 years, male 8.1
GTEX-1LSNM-0626-SM-DIPG7 50-59 years, male 8.1
GTEX-1NV5F-2526-SM-EXUSK 60-69 years, female 8.1
GTEX-18D9A-0726-SM-7LTA7 30-39 years, female 8.0
GTEX-14PJM-1226-SM-686Z7 50-59 years, female 7.9
GTEX-15EU6-1726-SM-6M48H 50-59 years, male 7.9
GTEX-YECK-1426-SM-5IFHE 60-69 years, male 7.9
GTEX-1IDJI-0926-SM-ACKWZ 50-59 years, female 7.9
GTEX-1EN7A-1626-SM-79OLV 40-49 years, male 7.8
GTEX-WYVS-0626-SM-4SOJY 40-49 years, female 7.8
GTEX-YEC4-0926-SM-5PNXY 40-49 years, male 7.8
GTEX-ZDYS-2226-SM-5S2MI 50-59 years, male 7.8
GTEX-ZGAY-1326-SM-5S2NS 40-49 years, female 7.8
GTEX-1PBJI-1326-SM-E9J2V 20-29 years, female 7.8
GTEX-ZTX8-0726-SM-59HL9 20-29 years, male 7.7
GTEX-12KS4-1526-SM-5EQ6E 30-39 years, male 7.6
GTEX-11NV4-1426-SM-5BC4W 60-69 years, male 7.5
GTEX-1399T-1326-SM-5PNVH 60-69 years, male 7.5
GTEX-146FR-0226-SM-5Q5F6 60-69 years, female 7.5
GTEX-14ICL-0926-SM-5S2TU 30-39 years, male 7.5
GTEX-WXYG-0926-SM-3NB2O 50-59 years, female 7.5
GTEX-1PPH8-1026-SM-DPRXN 20-29 years, male 7.5
GTEX-ZF3C-1026-SM-5S2OC 50-59 years, female 7.4
GTEX-1S831-1926-SM-EV79P 20-29 years, male 7.4
GTEX-111YS-1326-SM-5EGGK 60-69 years, male 7.3
GTEX-1HSGN-1926-SM-CMKGS 40-49 years, female 7.3
GTEX-17HHE-1526-SM-793AS 50-59 years, male 7.2
GTEX-1KANA-1426-SM-CY8IF 20-29 years, male 7.2
GTEX-ZF29-0826-SM-5S2O2 60-69 years, female 7.2
GTEX-113JC-0726-SM-5GZZR 50-59 years, female 7.0
GTEX-WYJK-1426-SM-3NM8V 50-59 years, male 7.0
GTEX-1J1R8-0526-SM-ACKWO 40-49 years, male 7.0
GTEX-12WSF-1526-SM-6PAN6 70-79 years, male 6.9
GTEX-1CAV2-0226-SM-7IGPQ 40-49 years, female 6.9
GTEX-ZT9X-0926-SM-5O9C4 40-49 years, male 6.9
GTEX-1GMRU-0726-SM-7PBZH 50-59 years, male 6.9
GTEX-1HCU6-1626-SM-CMKGW 60-69 years, female 6.9
GTEX-1IE54-1426-SM-CL53C 40-49 years, female 6.9
GTEX-1445S-2426-SM-79ON2 60-69 years, male 6.8
GTEX-1EMGI-0726-SM-7PBZ4 60-69 years, male 6.8
GTEX-1HBPH-2226-SM-9WYSO 40-49 years, female 6.8
GTEX-1QPFJ-2126-SM-EXOJV 30-39 years, female 6.8
GTEX-14PJ5-0426-SM-5ZZW2 60-69 years, female 6.7
GTEX-UPK5-1826-SM-3GAEB 40-49 years, male 6.7
GTEX-1EKGG-1426-SM-7PBY2 60-69 years, male 6.7
GTEX-1CAMQ-1226-SM-7SB7E 40-49 years, male 6.3
GTEX-1HKZK-1726-SM-ADEJ9 40-49 years, male 6.3
GTEX-1A3MX-0826-SM-72D64 60-69 years, male 6.2
GTEX-ZXES-0926-SM-5E43O 30-39 years, female 6.1
GTEX-WOFM-0726-SM-3MJF8 20-29 years, male 6.0
GTEX-1AX9I-1726-SM-731BX 60-69 years, male 5.7
GTEX-1A32A-0926-SM-718AB 50-59 years, female 5.6
GTEX-1AX9J-2226-SM-731CW 60-69 years, male 5.6
GTEX-UTHO-1826-SM-3GAFE 60-69 years, male 5.5
GTEX-14C5O-0926-SM-793DM 60-69 years, male 5.3
GTEX-17MF6-1326-SM-79ONE 40-49 years, male 5.3
GTEX-1JMPY-0326-SM-CM2S2 30-39 years, male 4.9
GTEX-1A3MV-0626-SM-731CH 30-39 years, male 4.8
GTEX-WFJO-1026-SM-3GIKL 30-39 years, male 3.4
Show allShow less

ADIPOSE TISSUE - FANTOM5 CAGEi

RNA expression in human tissues obtained through Cap Analysis of Gene Expression (CAGE) generated by the FANTOM5 project are reported as Scaled Tags Per Million.

Max subtype Scaled Tags Per Millioni

Max subtype Scaled Tags Per Million is the value for the subtype with the largest average Scaled Tags Per Million across the subtype samples.

8.0
FANTOM5 sample id Sample description Scaled Tags Per Million
Adipose tissue
Scaled Tags Per Million: 8.0
FF:10010-101C1 65,65,76 years, mixed 8.0

Contact

  • NEWS ARTICLES
  • PRESS ROOM

The Project

  • INTRODUCTION
  • ORGANIZATION
  • PUBLICATIONS

The Human Protein Atlas

  • DOWNLOADABLE DATA
  • LICENCE & CITATION
  • HELP & FAQ
The Human Protein Atlas project is funded
by the Knut & Alice Wallenberg Foundation.


contact@proteinatlas.org