We use cookies to enhance the usability of our website. If you continue, we'll assume that you are happy to receive all cookies. More information. Don't show this again.
GSTK1
HPA
RESOURCES
  • TISSUE
  • BRAIN
  • SINGLE CELL
  • SUBCELLULAR
  • CANCER
  • BLOOD
  • CELL LINE
  • STRUCTURE & INTERACTION
ABOUT
  • INTRODUCTION
  • HISTORY
  • ORGANIZATION
  • PUBLICATIONS
  • ANTIBODY SUBMISSION
  • ANTIBODY AVAILABILITY
  • ACKNOWLEDGMENTS
  • CONTACT
NEWS
  • NEWS ARTICLES
  • PRESS ROOM
LEARN
  • DICTIONARY
  • PROTEIN CLASSES
  • PROTEIN EVIDENCE
  • METHODS
  • EDUCATIONAL VIDEOS
DATA
  • DOWNLOADABLE DATA
  • PUBLICATION DATA
  • RELEASE HISTORY
HELP
  • ANTIBODY VALIDATION
  • ASSAYS & ANNOTATION
  • DISCLAIMER
  • HELP & FAQ
  • PRIVACY STATEMENT
  • LICENCE & CITATION
Fields »
Search result

Field
Term
Gene name
Class
Subclass
Class
Keyword
Chromosome
External id
Tissue
Cell type
Expression
Antibody panel
Tissue
Main location
Patient ID
Annotation
Tissue
Category
Tau score
Cluster
Reliability
Brain region
Category
Tau score
Brain region
Category
Tau score
Brain region
Category
Tau score
Cluster
Reliability
Tissue
Cell type
Enrichment
Cell type
Category
Tau score
Cell type
Category
Tau score
Cell type
Category
Tau score
Cell lineage
Category
Tau score
Cluster
Cluster
Location
Searches
Location
Cell line
Class
Type
Phase
Reliability
Cancer
Prognosis
Cancer
Category
Cancer
Category
Tau score
Cluster
Variants
Interacting gene (ensg_id)
Type
Number of interactions
Pathway
Category
Score
Score
Score
Validation
Validation
Validation
Validation
Antibodies
Data type
Column


  • SUMMARY

  • TISSUE

  • BRAIN

  • SINGLE CELL

  • SUBCELL

  • CANCER

  • BLOOD

  • CELL LINE

  • STRUCT & INT

  • GSTK1
TISSUE PRIMARY DATA SKIN Show tissue menu
ADIPOSE TISSUE ADRENAL GLAND AMYGDALA APPENDIX BASAL GANGLIA BONE MARROW BREAST BRONCHUS CEREBELLUM CEREBRAL CORTEX CERVIX CHOROID PLEXUS COLON DUODENUM
ENDOMETRIUM EPIDIDYMIS ESOPHAGUS FALLOPIAN TUBE GALLBLADDER HEART MUSCLE HIPPOCAMPAL FORMATION HYPOTHALAMUS KIDNEY LIVER LUNG LYMPH NODE MIDBRAIN NASOPHARYNX
ORAL MUCOSA OVARY PANCREAS PARATHYROID GLAND PITUITARY GLAND PLACENTA PROSTATE RECTUM RETINA SALIVARY GLAND SEMINAL VESICLE SKELETAL MUSCLE SKIN SMALL INTESTINE
SMOOTH MUSCLE SOFT TISSUE SPINAL CORD SPLEEN STOMACH TESTIS THYMUS THYROID GLAND TONGUE TONSIL URINARY BLADDER VAGINA
ANTIBODIES
AND
VALIDATION
Dictionary
Skin
Tissue proteome
Skin
SKIN - Expression summary
Protein expression
Skini

On the top, protein expression in current human tissue, based on all annotated cell types, is reported with the units not detected (n), low (l), medium (m) and high (h). Underneath, protein expression in each annotated cell type are reported using the same units.

Protein expression data is based on knowledge-based annotation. For genes where more than one antibody has been used, a collective score is set.

If knowledge-based annotation could not be performed for a gene, no data is displayed here. View antibody staining data further down this page.

h
m
l
n
Cells in basal layer: Medium
Cells in corneal layer: Not detected
Cells in granular layer: Not detected
Cells in spinous layer: Medium
Eccrine glands: High
Endothelial cells: High
Extracellular matrix: Not detected
Fibrohistiocytic cells: High
Langerhans cells: Medium
Lymphocytes: High
Melanocytes: High
Vascular mural cells: High
RNA expressioni

A summary of mRNA expression data available for current tissue based on several datasets. The mRNA expression levels in human tissues are based on RNA-seq data generated by the Human Protein Atlas (HPA), Genotype-Tissue Expression (GTEx) portal and CAGE data generated by the FANTOM5 consortium. Consensus normalized expression levels for human tissues was created by combining the data from HPA and GTEx datasets.

The mRNA expression levels in pig are based on RNA-seq data generated by the Human Protein Atlas (HPA), and for mouse, HPA data and in situ hybridization generated by the Allen brain atlas are reported.

Scroll down to view mRNA expression data in more detail.
Consensus:128.6 nTPM
HPA:121.0 nTPM
GTEx:128.6 nTPM

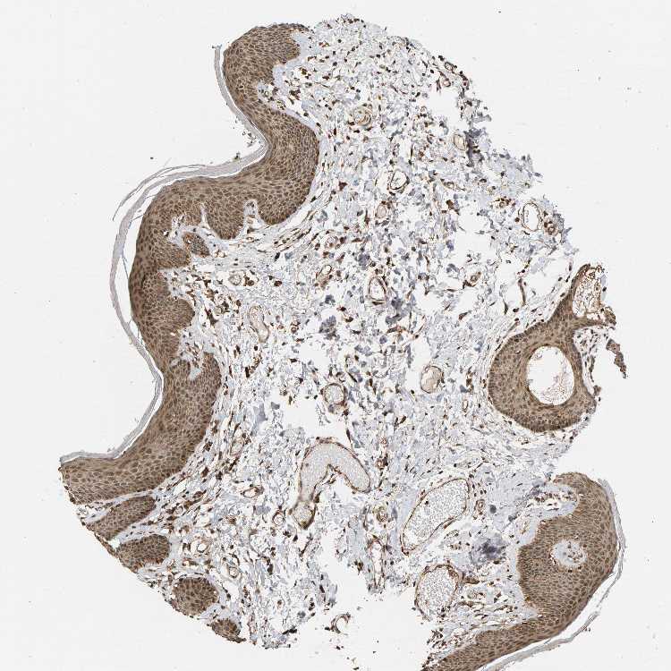
SKIN 1 - Antibody stainingi

Antibody staining in the annotated cell types in the current human tissue is reported as not detected, low, medium, or high, based on conventional immunohistochemistry profiling in selected tissues. This score is based on the combination of the staining intensity and fraction of stained cells.

Each image is clickable and will lead to virtual microscopy that enables deeper exploration of all samples and also displays staining intensity scores, fraction scores and subcellular localization as well as patient and tissue information for each sample.

Antibody HPA006311Antibody HPA022904
Langerhans -Medium
Cells in basal layer Medium-
Cells in corneal layer Not detected-
Cells in granular layer Not detected-
Cells in spinous layer Low-
Eccrine glands High-
Endothelial cells High-
Extracellular matrix Not detected-
Fibroblasts -Medium
Fibrohistiocytic cells High-
Keratinocytes -Medium
Langerhans cells Low-
Lymphocytes High-
Melanocytes HighLow
Vascular mural cells High-


SKIN 2 - Antibody stainingi

Antibody staining in the annotated cell types in the current human tissue is reported as not detected, low, medium, or high, based on conventional immunohistochemistry profiling in selected tissues. This score is based on the combination of the staining intensity and fraction of stained cells.

Each image is clickable and will lead to virtual microscopy that enables deeper exploration of all samples and also displays staining intensity scores, fraction scores and subcellular localization as well as patient and tissue information for each sample.

Antibody HPA006311Antibody HPA022904
Cells in basal layer Medium-
Cells in corneal layer Not detected-
Cells in granular layer Not detected-
Cells in spinous layer Medium-
Endothelial cells High-
Epidermal cells -Medium
Extracellular matrix Not detected-
Fibrohistiocytic cells High-
Langerhans cells Medium-
Lymphocytes High-
Melanocytes High-
Vascular mural cells Not detected-
  
  
  





SKIN - HPA RNA-seqi

The RNA-seq details section shows detailed information about the individual samples used for the transcript profiling and results of the RNA-seq analysis.

Information about each individual sample is listed below, including gender, age, a tissue section image and estimated fractions of cell types. nTPM (normalized transcripts per million) values give a quantification of the gene abundance which is comparable between different genes and samples.
Average nTPMi

Max subtype nTPM is the value for the subtype with the largest average nTPM across the subtype samples.

121.0
overview
Female, age 34
Skin sample 225
nTPM: 124.3
Cell types%
Keratinocytes:
60

Other cell types:
40

overview
Female, age 30
Skin sample 226
nTPM: 103.7
Cell types%
Keratinocytes:
55

Other cell types:
45

N/A
Male, age 57
Skin sample 227
nTPM: 135

SKIN - GTEx RNA-seqi

RNA-Seq data generated by the Genotype-Tissue Expression (GTEx) project from human tissues is reported as mean nTPM. More information can be found on the GTEx portal.

Distribution across the dataset is visualized with box plots, shown as median and 25th and 75th percentiles. Points are displayed as outliers if they are above or below 1.5 times the interquartile range. nTPM values of the individual samples are presented next to the box plot.
Max subtype nTPMi

Max subtype nTPM is the value for the subtype with the largest average nTPM across the subtype samples.

128.6
GTEx sample id Sample description nTPM
Skin - Not Sun Exposed (Suprapubic)
Average nTPM: 128.6
Samples: 604

Max nTPM: 244.4
Min nTPM: 63.8
Std nTPM: 22.9
Median nTPM: 125.2
GTEX-Y5V6-2326-SM-4VDSA 60-69 years, male 244.4
GTEX-1PIGE-1826-SM-E8VOU 20-29 years, male 212.9
GTEX-11DYG-1526-SM-5A5JS 60-69 years, male 204.8
GTEX-17F97-2626-SM-7IGM5 50-59 years, male 200.1
GTEX-1OJC3-1226-SM-DTXER 20-29 years, male 199.4
GTEX-1N2DV-1526-SM-DTXEP 40-49 years, male 195.3
GTEX-15SHW-0226-SM-7LTAT 60-69 years, male 194.1
GTEX-14PJ3-1126-SM-5ZZVX 50-59 years, male 193.0
GTEX-15RIG-0726-SM-7KUM7 40-49 years, male 193.0
GTEX-11TT1-1826-SM-5EQLV 20-29 years, male 190.4
GTEX-11OF3-0126-SM-5PNYF 60-69 years, male 190.0
GTEX-13OVG-1626-SM-5J1NF 60-69 years, male 189.8
GTEX-11P7K-1126-SM-5HL4L 30-39 years, male 187.1
GTEX-1AYD5-2626-SM-7PBXY 50-59 years, male 186.4
GTEX-1QAET-0326-SM-EVR3U 50-59 years, male 184.7
GTEX-131XH-0126-SM-5LZUY 50-59 years, male 184.1
GTEX-144FL-0626-SM-5LU43 50-59 years, male 181.4
GTEX-Y114-2126-SM-4TT8B 50-59 years, female 181.1
GTEX-13JVG-0726-SM-5KM16 60-69 years, male 179.1
GTEX-1QCLY-0226-SM-EWRNH 30-39 years, male 177.9
GTEX-1HCU8-2526-SM-CE6RX 60-69 years, female 177.3
GTEX-1I19N-0126-SM-CYPSF 70-79 years, male 177.3
GTEX-15RIE-1926-SM-7KUKJ 60-69 years, male 176.4
GTEX-1S3DN-2126-SM-E9TIN 50-59 years, male 176.4
GTEX-1S82P-2126-SM-E6CI5 60-69 years, female 175.1
GTEX-147F4-0726-SM-5TDDD 50-59 years, male 174.2
GTEX-WFG7-2026-SM-5SI7P 20-29 years, male 173.7
GTEX-X585-2426-SM-46MW2 50-59 years, male 172.7
GTEX-1QP9N-1226-SM-E76QN 30-39 years, male 171.0
GTEX-1RAZS-2526-SM-E6CHT 50-59 years, male 170.9
GTEX-1EX96-1026-SM-7MKG2 50-59 years, male 170.3
GTEX-ZDTS-0826-SM-4WKHL 60-69 years, male 170.3
GTEX-13NYB-0126-SM-5J1MD 40-49 years, male 170.2
GTEX-1E2YA-2126-SM-7MXUO 50-59 years, male 169.5
GTEX-WI4N-2726-SM-3LK7Y 40-49 years, female 169.1
GTEX-14JFF-0626-SM-5ZZVT 60-69 years, male 168.7
GTEX-YECK-0326-SM-4W1YS 60-69 years, male 167.8
GTEX-1RAZA-2226-SM-E9U4X 20-29 years, male 166.6
GTEX-18A6Q-0626-SM-7KFRP 60-69 years, male 166.2
GTEX-16YQH-2226-SM-7IGM2 30-39 years, male 166.1
GTEX-11PRG-0726-SM-5EGL1 50-59 years, male 165.8
GTEX-ZPU1-1126-SM-4YCF3 40-49 years, male 162.9
GTEX-ZF3C-0626-SM-DO92O 50-59 years, female 162.9
GTEX-1PPH8-0126-SM-EWRN8 20-29 years, male 162.2
GTEX-1S82U-1026-SM-E6CJK 30-39 years, female 162.2
GTEX-1399Q-2326-SM-5KM2X 40-49 years, male 162.0
GTEX-1O9I2-0226-SM-EYYXD 50-59 years, male 161.7
GTEX-Y111-0626-SM-4SOIT 50-59 years, male 161.6
GTEX-1M4P7-0726-SM-E6CJ3 60-69 years, male 160.7
GTEX-17HII-1426-SM-7EPGG 50-59 years, male 160.2
GTEX-1CAMQ-1326-SM-7P8RV 40-49 years, male 159.7
GTEX-YEC3-1326-SM-DO92X 50-59 years, male 159.2
GTEX-1HSMP-0926-SM-A9SKX 70-79 years, male 159.0
GTEX-WFG8-2126-SM-3GIKQ 20-29 years, male 158.8
GTEX-XBEW-1126-SM-4QARW 40-49 years, male 158.8
GTEX-1LVAM-0726-SM-E6CIL 50-59 years, female 158.8
GTEX-1LVA9-2626-SM-EVYD4 50-59 years, male 158.3
GTEX-V1D1-2026-SM-3GAF4 50-59 years, male 158.2
GTEX-13112-0126-SM-5P9IU 50-59 years, male 158.0
GTEX-W5X1-2526-SM-3GILC 40-49 years, female 158.0
GTEX-145LT-0526-SM-5LUB2 40-49 years, male 157.9
GTEX-1IY9M-2826-SM-ARU8H 60-69 years, male 157.6
GTEX-ZDXO-3126-SM-5IJDF 60-69 years, male 157.2
GTEX-1JJEA-1826-SM-ARU8P 60-69 years, male 157.0
GTEX-147GR-2426-SM-5ZZWQ 60-69 years, male 156.9
GTEX-14PJO-2526-SM-6AJBQ 60-69 years, male 156.8
GTEX-YEC4-1826-SM-4W1YP 40-49 years, male 156.8
GTEX-1CAMR-1326-SM-7PC1F 20-29 years, male 155.8
GTEX-1R9K4-2826-SM-DTX8F 60-69 years, male 155.8
GTEX-1F6I4-2326-SM-7RHGL 60-69 years, male 155.6
GTEX-Y3IK-1626-SM-4YCF5 50-59 years, female 155.5
GTEX-ZPCL-1126-SM-4WWFE 60-69 years, female 155.4
GTEX-11ZUS-2626-SM-5FQUR 30-39 years, male 154.9
GTEX-1MJK3-0726-SM-E6CJC 20-29 years, male 154.9
GTEX-13G51-1826-SM-5KLZH 60-69 years, male 154.8
GTEX-1HFI6-0126-SM-CNPPI 40-49 years, male 154.4
GTEX-139UW-0326-SM-5J1ML 60-69 years, male 154.2
GTEX-XQ3S-1426-SM-4BOPR 20-29 years, male 153.6
GTEX-1E1VI-0326-SM-793D1 50-59 years, male 153.5
GTEX-WH7G-2026-SM-3NMBL 40-49 years, male 153.4
GTEX-XPVG-2126-SM-4B667 50-59 years, male 153.3
GTEX-1K2DA-1026-SM-CGQGF 50-59 years, male 153.3
GTEX-1JMQK-1226-SM-D4P2S 60-69 years, male 153.2
GTEX-12BJ1-0926-SM-5EQ62 60-69 years, male 153.1
GTEX-17EVP-2626-SM-7IGMA 40-49 years, male 153.0
GTEX-ZDTT-0426-SM-4WKFL 60-69 years, male 153.0
GTEX-1RAZQ-1326-SM-E9TK6 30-39 years, male 152.8
GTEX-XOT4-0626-SM-4B66L 60-69 years, female 152.6
GTEX-1QW4Y-1126-SM-DTXE3 30-39 years, male 152.6
GTEX-15G19-2426-SM-7KUMR 60-69 years, male 152.3
GTEX-139TT-2126-SM-5LZWC 60-69 years, male 152.2
GTEX-1C64O-1326-SM-7MGWR 60-69 years, male 152.2
GTEX-1F5PK-2226-SM-7SB6N 50-59 years, male 152.1
GTEX-11DXX-2126-SM-5PNYR 60-69 years, female 151.7
GTEX-15RJ7-2126-SM-6PAMD 40-49 years, male 151.5
GTEX-13SLX-2226-SM-62LEP 50-59 years, female 151.4
GTEX-Y9LG-1126-SM-4VBQ7 30-39 years, male 151.3
GTEX-12WSF-1626-SM-7KUG5 70-79 years, male 150.5
GTEX-11DXY-0126-SM-5H11Q 60-69 years, male 150.4
GTEX-1399R-1326-SM-5PNYS 30-39 years, male 150.4
GTEX-WHPG-2626-SM-3NMBR 50-59 years, male 150.3
GTEX-ZVP2-0326-SM-57WBP 50-59 years, male 150.2
GTEX-1LVAN-0626-SM-CNPOQ 50-59 years, female 150.1
GTEX-1JMLX-0626-SM-ARL8T 50-59 years, male 149.8
GTEX-18465-2826-SM-7LT9J 50-59 years, male 149.7
GTEX-1BAJH-2426-SM-7IGP8 70-79 years, male 149.7
GTEX-14ICL-1626-SM-5YYAO 30-39 years, male 149.6
GTEX-17KNJ-2126-SM-718AM 50-59 years, male 149.0
GTEX-1IOXB-2726-SM-CM2RI 50-59 years, male 148.8
GTEX-1GZ4I-2626-SM-9KNU3 50-59 years, male 148.7
GTEX-12126-0826-SM-5FQTZ 20-29 years, male 148.5
GTEX-139TS-2126-SM-5K7XC 60-69 years, male 148.3
GTEX-1H1DG-2426-SM-9QEHJ 70-79 years, male 148.3
GTEX-ZTX8-1326-SM-4YCEL 20-29 years, male 148.2
GTEX-1CB4I-0126-SM-7RHGG 50-59 years, male 147.8
GTEX-1LG7Y-2526-SM-EWRO7 50-59 years, male 147.7
GTEX-14PHY-1226-SM-5ZZWK 60-69 years, female 147.6
GTEX-11DXZ-2026-SM-5987S 50-59 years, male 147.2
GTEX-1GPI7-1826-SM-9KNU1 20-29 years, male 147.0
GTEX-Y3I4-1726-SM-4TT89 50-59 years, male 146.8
GTEX-1C6WA-2626-SM-7MKGM 60-69 years, male 146.7
GTEX-ZT9X-1526-SM-5DUXD 40-49 years, male 146.7
GTEX-1IKJJ-2226-SM-CJI4C 60-69 years, male 146.7
GTEX-15RJE-2826-SM-7KUM9 40-49 years, male 146.6
GTEX-UPK5-0426-SM-3GAEK 40-49 years, male 146.3
GTEX-YB5K-2026-SM-4VDT3 40-49 years, female 146.3
GTEX-1CAMS-2226-SM-7PBXQ 40-49 years, female 146.3
GTEX-14ABY-2026-SM-62LDL 50-59 years, male 146.2
GTEX-1AX8Z-0726-SM-73KTS 60-69 years, male 145.9
GTEX-WK11-2726-SM-3NMAQ 50-59 years, male 145.9
GTEX-13U4I-2226-SM-5LU5H 40-49 years, female 145.7
GTEX-1CB4E-0926-SM-7EPHT 60-69 years, male 145.5
GTEX-148VJ-0626-SM-5LUAW 70-79 years, male 145.4
GTEX-12ZZY-0726-SM-5EQ66 60-69 years, male 145.0
GTEX-178AV-1726-SM-7KUL8 40-49 years, male 144.7
GTEX-1JN6P-2926-SM-CL54D 60-69 years, male 144.7
GTEX-15DYW-2726-SM-6EU2I 60-69 years, female 144.5
GTEX-1LSVX-2526-SM-DIPEU 60-69 years, male 144.5
GTEX-ZYT6-2326-SM-5GZY3 30-39 years, male 144.4
GTEX-1H1CY-0126-SM-9YFLY 60-69 years, female 144.4
GTEX-17F96-0126-SM-7EWDU 70-79 years, male 144.2
GTEX-X3Y1-2026-SM-3P5YM 40-49 years, male 144.1
GTEX-1HCU6-2526-SM-ADEHL 60-69 years, female 144.1
GTEX-1B996-0426-SM-7EWF8 60-69 years, male 143.9
GTEX-1NSGN-0726-SM-DTXEF 50-59 years, male 143.8
GTEX-1I6K7-1926-SM-B2LXR 40-49 years, male 143.7
GTEX-14XAO-1226-SM-6EU1C 60-69 years, female 143.5
GTEX-145MN-1526-SM-5SI9T 30-39 years, male 143.3
GTEX-XXEK-1626-SM-4BRUZ 50-59 years, male 142.8
GTEX-1B97I-0626-SM-73KUZ 40-49 years, male 142.6
GTEX-1N2EE-0626-SM-E76PW 60-69 years, male 142.6
GTEX-111FC-2526-SM-5GZXU 60-69 years, male 142.3
GTEX-1C6VQ-1226-SM-73KYD 50-59 years, male 142.3
GTEX-1IL2V-1926-SM-B2LW8 70-79 years, male 142.2
GTEX-1LKK1-2626-SM-DKPQE 50-59 years, female 142.2
GTEX-11NUK-2726-SM-5A5MC 50-59 years, male 142.1
GTEX-11WQC-1826-SM-5GU59 60-69 years, male 141.9
GTEX-1S83E-1326-SM-E6CJM 40-49 years, male 141.9
GTEX-1HCUA-0826-SM-ADEHM 50-59 years, female 141.7
GTEX-13VXU-0626-SM-5L3F9 50-59 years, male 141.2
GTEX-1212Z-0126-SM-59HK4 60-69 years, male 141.1
GTEX-139TU-0726-SM-5L3EK 60-69 years, male 141.1
GTEX-ZVTK-0226-SM-51MRG 20-29 years, male 141.1
GTEX-1192X-2726-SM-5N9DN 50-59 years, male 140.9
GTEX-Y8E4-2026-SM-5IFJB 40-49 years, male 140.9
GTEX-14BMV-2826-SM-5TDED 50-59 years, male 140.8
GTEX-1C64N-2626-SM-7PC2N 50-59 years, male 140.6
GTEX-1EMGI-2326-SM-7PBYA 60-69 years, male 140.6
GTEX-11VI4-1126-SM-5EQMD 40-49 years, female 140.4
GTEX-145MG-1526-SM-5Q5EM 50-59 years, male 140.2
GTEX-YFCO-1226-SM-5LUAT 40-49 years, male 140.2
GTEX-17HG3-2626-SM-7DUF2 30-39 years, female 139.9
GTEX-ZTTD-2826-SM-4YCFA 50-59 years, male 139.8
GTEX-1IKOE-1426-SM-CE6T7 30-39 years, female 139.7
GTEX-1K9T9-1526-SM-DIPFR 50-59 years, female 139.5
GTEX-14E1K-2026-SM-7DUEI 50-59 years, male 138.6
GTEX-17F9E-2326-SM-79OKD 50-59 years, male 138.6
GTEX-1AX9I-2226-SM-73KUO 60-69 years, male 138.6
GTEX-11NSD-0626-SM-5A5LU 20-29 years, male 138.3
GTEX-13OW6-2726-SM-5J2OE 50-59 years, male 138.3
GTEX-WRHU-2826-SM-3MJG8 50-59 years, female 137.4
GTEX-17MFQ-1526-SM-7KFRR 20-29 years, male 137.3
GTEX-13PL6-1126-SM-5L3IE 40-49 years, female 137.1
GTEX-111YS-1526-SM-5GZYW 60-69 years, male 137.0
GTEX-15CHQ-0326-SM-69LQD 60-69 years, male 136.8
GTEX-11ZU8-0126-SM-5EQ58 60-69 years, male 136.7
GTEX-132AR-0326-SM-5KM2C 50-59 years, female 136.3
GTEX-ZXG5-2126-SM-59HKD 60-69 years, male 136.3
GTEX-1JN76-0626-SM-CKZOQ 20-29 years, female 136.3
GTEX-1PPGY-1626-SM-EVYBL 60-69 years, male 136.3
GTEX-14A5H-0826-SM-5QGPJ 60-69 years, male 136.2
GTEX-1GMR3-0126-SM-A9SLW 40-49 years, male 136.1
GTEX-1PIIG-2326-SM-DTXFR 30-39 years, male 136.0
GTEX-1LGOU-1326-SM-D3L8M 20-29 years, female 135.9
GTEX-13OVL-0126-SM-5L3GJ 50-59 years, male 135.8
GTEX-13X6K-0626-SM-5LU5D 60-69 years, female 134.9
GTEX-183WM-0326-SM-72D5V 70-79 years, female 134.8
GTEX-14PHX-2226-SM-6EU2P 50-59 years, male 134.6
GTEX-1EKGG-0626-SM-7DUGJ 60-69 years, male 134.5
GTEX-1JMPY-0226-SM-CKZOK 30-39 years, male 134.2
GTEX-14753-0726-SM-5QGQO 60-69 years, male 134.1
GTEX-1I1GP-1326-SM-A9G28 50-59 years, male 134.1
GTEX-12WSJ-1126-SM-5LZVJ 40-49 years, female 133.8
GTEX-14JG1-1526-SM-5YY9X 40-49 years, male 133.8
GTEX-146FQ-2126-SM-5RQHU 30-39 years, male 133.7
GTEX-145MH-2826-SM-5RQJF 50-59 years, male 133.6
GTEX-XBEC-0726-SM-4QARZ 50-59 years, male 133.6
GTEX-1RMOY-1326-SM-E9TIH 50-59 years, male 133.6
GTEX-1POEN-2326-SM-E9J2L 30-39 years, female 133.5
GTEX-13O61-1426-SM-5KM3D 60-69 years, male 133.4
GTEX-145LS-0626-SM-7EPG7 60-69 years, female 133.4
GTEX-1KANB-2826-SM-CY8I6 50-59 years, male 133.4
GTEX-14DAQ-0626-SM-793DS 60-69 years, female 133.3
GTEX-ZE9C-2526-SM-5IJDR 60-69 years, male 133.3
GTEX-1HB9E-0126-SM-CM2S5 50-59 years, male 133.1
GTEX-13FHO-0426-SM-5L3F5 60-69 years, male 133.0
GTEX-1H3O1-1326-SM-9MQLD 60-69 years, male 133.0
GTEX-13FTY-2126-SM-5IFFB 40-49 years, female 132.9
GTEX-17HHE-1326-SM-7EWDZ 50-59 years, male 132.9
GTEX-1QEPI-2626-SM-DTXF4 60-69 years, female 132.8
GTEX-16Z82-2626-SM-7KULU 60-69 years, male 132.7
GTEX-WY7C-2126-SM-3NB2R 50-59 years, male 132.3
GTEX-1F75W-2726-SM-7SB8H 60-69 years, male 132.1
GTEX-Z93S-1626-SM-5CVMB 50-59 years, male 132.0
GTEX-1GMR2-0826-SM-7PC3V 50-59 years, male 131.9
GTEX-14PJ4-0226-SM-5YY92 60-69 years, male 131.8
GTEX-1J1OQ-0126-SM-D4P2N 40-49 years, female 131.7
GTEX-ZAK1-0626-SM-5HL8E 50-59 years, female 131.6
GTEX-16MT8-2926-SM-7DUFO 60-69 years, female 131.5
GTEX-1EN7A-2426-SM-793DB 40-49 years, male 131.4
GTEX-1RLM8-2926-SM-E8VON 50-59 years, male 131.3
GTEX-1J8JJ-0626-SM-ARZMQ 60-69 years, female 131.2
GTEX-WXYG-2026-SM-4E3IY 50-59 years, female 131.1
GTEX-12696-0126-SM-5EQ4L 60-69 years, male 131.0
GTEX-1IDJH-0126-SM-D3L92 70-79 years, male 131.0
GTEX-13OW5-2326-SM-5L3HO 60-69 years, male 130.9
GTEX-14LLW-2626-SM-62LDZ 70-79 years, female 130.8
GTEX-14DAR-1226-SM-73KYV 50-59 years, male 130.6
GTEX-16XZZ-0726-SM-7KUF2 60-69 years, male 130.6
GTEX-18A66-0626-SM-7LT8Z 60-69 years, male 130.6
GTEX-1JJE9-2626-SM-ARZMT 70-79 years, male 130.4
GTEX-13PVQ-0626-SM-5LU47 50-59 years, male 130.3
GTEX-ZY6K-1426-SM-5GZX2 50-59 years, male 130.3
GTEX-16MT9-0126-SM-7EPI8 60-69 years, female 129.8
GTEX-1PPH7-1126-SM-DTX9A 40-49 years, male 129.8
GTEX-ZYW4-0626-SM-59HJR 60-69 years, male 129.1
GTEX-1QP66-1226-SM-DTX7U 50-59 years, male 129.1
GTEX-1GZ2Q-0126-SM-9WG6M 40-49 years, male 128.9
GTEX-1JKYN-0826-SM-ARU8S 30-39 years, male 128.9
GTEX-1GF9V-0826-SM-9KNUV 60-69 years, male 128.7
GTEX-1J8EW-2726-SM-CY8HR 60-69 years, female 128.7
GTEX-13OW7-0426-SM-5K7VK 50-59 years, male 128.6
GTEX-1CAV2-0126-SM-7IGN7 40-49 years, female 128.5
GTEX-1A8G7-1326-SM-73KVM 60-69 years, male 128.4
GTEX-1GN1V-2826-SM-9JGIA 60-69 years, male 128.4
GTEX-1NV5F-0626-SM-DTXEG 60-69 years, female 128.3
GTEX-13OVJ-0826-SM-5J1OK 50-59 years, female 128.2
GTEX-1CB4F-1026-SM-7DUH1 60-69 years, male 128.1
GTEX-14BIN-1126-SM-5RQJZ 50-59 years, female 127.9
GTEX-131XW-0626-SM-5PNVD 50-59 years, female 127.8
GTEX-1GMRU-2126-SM-7P8RA 50-59 years, male 127.8
GTEX-14C38-0726-SM-5SI6M 50-59 years, male 127.7
GTEX-15UF6-1926-SM-7KUDV 70-79 years, female 127.6
GTEX-ZDYS-2426-SM-4WKGI 50-59 years, male 127.6
GTEX-VJYA-1526-SM-3GIJV 60-69 years, male 127.5
GTEX-X8HC-0626-SM-4E3HQ 50-59 years, female 127.5
GTEX-1HBPI-2126-SM-ARL9K 50-59 years, male 127.4
GTEX-11UD2-2526-SM-5CVNU 50-59 years, male 127.2
GTEX-15G1A-1626-SM-7KUKN 30-39 years, male 127.2
GTEX-17JCI-2926-SM-7DUFF 60-69 years, female 127.2
GTEX-1H4P4-2126-SM-9WYSL 50-59 years, male 127.2
GTEX-1OJC4-2726-SM-E76PJ 50-59 years, female 127.2
GTEX-ZVT4-2426-SM-5GIEI 50-59 years, female 127.1
GTEX-1HUB1-1426-SM-CGQF5 60-69 years, male 127.1
GTEX-1JMOU-1026-SM-CYPSS 60-69 years, female 127.1
GTEX-1HT8W-0626-SM-A9G2H 30-39 years, male 127.0
GTEX-WHSB-1326-SM-3LK6W 50-59 years, male 126.9
GTEX-XQ8I-0926-SM-4BOOF 50-59 years, male 126.8
GTEX-13RTJ-0126-SM-5S2NN 60-69 years, male 126.7
GTEX-16NPX-0726-SM-7KULC 50-59 years, male 126.7
GTEX-1IDJE-1426-SM-ADEIW 50-59 years, female 126.7
GTEX-1KANA-1326-SM-DIPFA 20-29 years, male 126.7
GTEX-ZAJG-1526-SM-5CVML 50-59 years, female 126.6
GTEX-1I1GV-0626-SM-ARL7M 60-69 years, male 126.6
GTEX-1B8SF-0126-SM-7DUG3 60-69 years, male 126.5
GTEX-1H11D-1826-SM-9QEHM 40-49 years, male 126.5
GTEX-1LG7Z-1626-SM-CXKYR 30-39 years, male 126.5
GTEX-ZP4G-1426-SM-4WWCL 20-29 years, female 126.4
GTEX-1LSNM-0826-SM-DIPG8 50-59 years, male 126.3
GTEX-ZF29-0926-SM-4WKFZ 60-69 years, female 126.2
GTEX-1ICLZ-0326-SM-ARL82 60-69 years, male 126.0
GTEX-13O3Q-0126-SM-5KM34 50-59 years, male 125.9
GTEX-X4EO-2926-SM-4E3JH 60-69 years, female 125.9
GTEX-XMD2-2126-SM-4YCF8 60-69 years, female 125.9
GTEX-1I1CD-0626-SM-CE6SW 60-69 years, female 125.8
GTEX-15D1Q-2826-SM-6LLH7 40-49 years, male 125.6
GTEX-ZVZP-1226-SM-5GID7 50-59 years, male 125.6
GTEX-12WSD-0626-SM-5GCMW 60-69 years, female 125.5
GTEX-13FH7-1126-SM-5K7UG 50-59 years, female 125.4
GTEX-ZUA1-2626-SM-5NQ92 40-49 years, male 125.4
GTEX-1I1GS-2626-SM-B2LY3 60-69 years, male 125.4
GTEX-1GN1W-2426-SM-9KNUU 50-59 years, female 125.3
GTEX-13YAN-0226-SM-5TDC6 60-69 years, male 125.1
GTEX-1H1DE-1326-SM-9KNUG 20-29 years, male 125.1
GTEX-15SKB-2826-SM-6PAMH 60-69 years, male 125.0
GTEX-ZC5H-1526-SM-5HL9Y 40-49 years, female 124.9
GTEX-11P82-1426-SM-DTXFY 20-29 years, male 124.9
GTEX-1HR98-2226-SM-ADEI2 60-69 years, male 124.9
GTEX-1JMQJ-0826-SM-CNPP7 50-59 years, male 124.8
GTEX-13D11-0926-SM-5J2NC 50-59 years, female 124.7
GTEX-1KANC-1226-SM-CYPT7 50-59 years, female 124.7
GTEX-1I1GT-1026-SM-ARZLV 60-69 years, female 124.6
GTEX-XV7Q-1826-SM-4BRUV 40-49 years, female 124.4
GTEX-18D9A-1426-SM-7LT8M 30-39 years, female 124.3
GTEX-14E6E-0526-SM-793DN 30-39 years, male 124.0
GTEX-18QFQ-1826-SM-72D52 30-39 years, male 124.0
GTEX-16AAH-0626-SM-793C9 50-59 years, male 123.8
GTEX-1KAFJ-0126-SM-DIPEK 50-59 years, male 123.8
GTEX-1PBJJ-1026-SM-E76OS 30-39 years, male 123.7
GTEX-13PVR-0426-SM-5RQK2 60-69 years, female 123.6
GTEX-UPJH-0226-SM-3GADV 50-59 years, male 123.6
GTEX-12ZZZ-0726-SM-5GCNZ 60-69 years, male 123.5
GTEX-WEY5-2326-SM-3GIKK 40-49 years, female 123.4
GTEX-1H1ZS-2726-SM-9WG75 70-79 years, male 123.4
GTEX-117YX-1926-SM-5GIEC 50-59 years, male 123.2
GTEX-11GSP-2326-SM-5HL63 60-69 years, female 123.2
GTEX-13OW8-1026-SM-5J1NQ 60-69 years, male 123.2
GTEX-1HC8U-1326-SM-9YFMJ 40-49 years, female 123.2
GTEX-1IDJU-1726-SM-CMKHU 60-69 years, female 123.2
GTEX-1JKYR-0626-SM-ARL8R 20-29 years, male 123.2
GTEX-13FLV-0126-SM-5K7WT 50-59 years, male 123.0
GTEX-14PK6-0226-SM-62LF5 70-79 years, female 122.9
GTEX-14PJ6-2626-SM-6EU2T 60-69 years, female 122.8
GTEX-ZF2S-1626-SM-57WES 50-59 years, female 122.8
GTEX-ZPIC-0526-SM-DO91W 40-49 years, female 122.8
GTEX-ZZPU-0826-SM-5GZX5 50-59 years, female 122.7
GTEX-1497J-0226-SM-5QGPU 60-69 years, male 122.6
GTEX-1LSNL-2726-SM-E9TKJ 50-59 years, male 122.6
GTEX-1S831-1826-SM-EWROF 20-29 years, male 122.2
GTEX-18D9U-0126-SM-731BM 40-49 years, male 121.9
GTEX-ZVE1-0726-SM-51MRN 50-59 years, female 121.9
GTEX-1J1R8-2026-SM-CL53Y 40-49 years, male 121.6
GTEX-1JK1U-0226-SM-ARZMX 60-69 years, male 121.6
GTEX-16GPK-0626-SM-7KFSF 60-69 years, male 121.4
GTEX-17HGU-2326-SM-7DUFE 50-59 years, male 121.4
GTEX-ZZ64-1026-SM-5GZXG 20-29 years, male 121.4
GTEX-1477Z-0326-SM-7IGLA 60-69 years, male 121.3
GTEX-15FZZ-0526-SM-7KUGD 30-39 years, female 121.3
GTEX-1A8G6-2726-SM-731AR 60-69 years, male 121.0
GTEX-13W3W-0726-SM-5IJDQ 60-69 years, female 120.9
GTEX-1GN73-0726-SM-7P8TJ 60-69 years, male 120.9
GTEX-1GTWX-2026-SM-9YFLM 60-69 years, male 120.9
GTEX-1KD5A-0126-SM-E9U54 50-59 years, male 120.9
GTEX-144GL-0626-SM-5LU4D 50-59 years, male 120.8
GTEX-1A3MV-1826-SM-731CD 30-39 years, male 120.8
GTEX-1F88F-0126-SM-9WYSZ 60-69 years, female 120.6
GTEX-1B8KZ-0326-SM-73KY4 50-59 years, male 120.5
GTEX-1RB15-1326-SM-E76Q9 60-69 years, male 120.5
GTEX-18D9B-0926-SM-7LG4U 60-69 years, male 120.4
GTEX-12ZZX-2426-SM-5GCOE 40-49 years, female 119.8
GTEX-ZYFG-1526-SM-5GZYM 60-69 years, female 119.7
GTEX-1HCU7-0726-SM-A9SL1 50-59 years, male 119.7
GTEX-1LBAC-0826-SM-CY8IJ 20-29 years, male 119.6
GTEX-14A6H-2026-SM-5Q5DD 30-39 years, male 119.5
GTEX-14PJ2-0626-SM-6LLII 50-59 years, male 119.5
GTEX-1F75I-2226-SM-7SB8U 40-49 years, male 119.5
GTEX-145ME-1726-SM-5Q5EU 40-49 years, female 119.4
GTEX-11TUW-0626-SM-5LU9M 60-69 years, male 119.1
GTEX-1QMI2-2526-SM-E8VNZ 60-69 years, male 119.1
GTEX-111VG-1626-SM-5EGIO 60-69 years, male 119.0
GTEX-11O72-0626-SM-5PNYE 40-49 years, male 119.0
GTEX-11P81-2226-SM-5PNYI 30-39 years, female 119.0
GTEX-1HGF4-0126-SM-CNPPX 60-69 years, male 118.9
GTEX-1R46S-2426-SM-E76QA 60-69 years, female 118.5
GTEX-12WSH-1526-SM-5BC5W 50-59 years, male 118.4
GTEX-13X6J-0626-SM-5LU5F 50-59 years, male 118.4
GTEX-15EU6-2226-SM-6EU2L 50-59 years, male 118.4
GTEX-1HSGN-0826-SM-ACKW3 40-49 years, female 118.4
GTEX-15CHR-1126-SM-7EWF4 50-59 years, male 118.3
GTEX-1IDJC-1526-SM-B2LW4 50-59 years, male 118.3
GTEX-1IDJF-2026-SM-CL53V 20-29 years, male 118.3
GTEX-13FTX-1526-SM-5K7VJ 20-29 years, female 118.2
GTEX-ZE7O-2726-SM-51MT5 50-59 years, female 118.2
GTEX-ZVT2-0126-SM-5GIDQ 50-59 years, female 118.2
GTEX-13N1W-2426-SM-5IJD1 70-79 years, male 118.0
GTEX-U8XE-0226-SM-4E3J3 30-39 years, male 118.0
GTEX-ZU9S-1826-SM-5NQ9E 30-39 years, male 118.0
GTEX-131YS-2826-SM-5EQ47 60-69 years, female 117.8
GTEX-17HHY-0426-SM-7DHLC 50-59 years, male 117.8
GTEX-1GF9W-1426-SM-7PBYM 60-69 years, male 117.8
GTEX-1A3MW-0626-SM-731CB 60-69 years, female 117.7
GTEX-VUSG-2326-SM-4KL1U 50-59 years, male 117.7
GTEX-X5EB-1926-SM-4E3IW 40-49 years, male 117.7
GTEX-1JMPZ-0726-SM-CY8HZ 30-39 years, male 117.6
GTEX-1S5ZU-2526-SM-E6CIF 20-29 years, female 117.6
GTEX-14LZ3-0126-SM-69LPM 60-69 years, female 117.5
GTEX-18A7A-0126-SM-731AH 50-59 years, female 117.4
GTEX-WHSE-0126-SM-3NMBT 20-29 years, male 117.4
GTEX-13JUV-2026-SM-5K7UA 40-49 years, female 117.3
GTEX-145MF-0926-SM-5Q5EA 50-59 years, male 117.3
GTEX-YJ8O-2526-SM-5HL85 40-49 years, female 117.2
GTEX-15CHC-1126-SM-6LLHQ 60-69 years, female 117.1
GTEX-1JJ6O-2726-SM-CNPOG 60-69 years, male 117.0
GTEX-13X6I-1826-SM-5SIAO 60-69 years, male 116.8
GTEX-1313W-0626-SM-5EQ4H 50-59 years, female 116.6
GTEX-X4EP-0626-SM-3P621 60-69 years, female 116.6
GTEX-13113-1626-SM-5EQ4I 60-69 years, female 116.5
GTEX-17MF6-2626-SM-79OKQ 40-49 years, male 116.4
GTEX-1A8FM-0626-SM-7PC25 50-59 years, female 116.4
GTEX-13FTW-0326-SM-5K7UW 40-49 years, male 116.3
GTEX-144GO-2026-SM-5O99P 60-69 years, male 116.3
GTEX-16MTA-0926-SM-6M47Z 50-59 years, male 116.3
GTEX-ZYFC-0426-SM-5GICQ 50-59 years, male 116.2
GTEX-1HFI7-2326-SM-CGQFS 50-59 years, female 116.2
GTEX-11GS4-0226-SM-5HL77 60-69 years, male 116.1
GTEX-1C6VR-0126-SM-7RHGB 60-69 years, male 116.1
GTEX-13N11-2326-SM-5IJBF 50-59 years, female 116.0
GTEX-13NZ9-2626-SM-5L3FK 50-59 years, male 115.9
GTEX-145LU-1926-SM-79OJN 50-59 years, male 115.8
GTEX-18A7B-2726-SM-7LG56 70-79 years, male 115.8
GTEX-1GL5R-1326-SM-7RHHF 50-59 years, male 115.8
GTEX-1IDJI-0126-SM-CMKHS 50-59 years, female 115.8
GTEX-15ER7-0626-SM-6PANF 20-29 years, female 115.7
GTEX-1ICG6-1226-SM-A9SLN 70-79 years, female 115.7
GTEX-1R9PM-1926-SM-EVR3O 20-29 years, male 115.6
GTEX-1LB8K-0726-SM-D5OV2 50-59 years, male 115.5
GTEX-13NYC-0126-SM-5L3F4 60-69 years, male 115.1
GTEX-131XF-2626-SM-5EQ6K 60-69 years, male 115.0
GTEX-1399U-1126-SM-5L3DB 50-59 years, female 115.0
GTEX-1HSKV-1226-SM-ADEI4 60-69 years, male 115.0
GTEX-XUW1-0926-SM-4BONX 50-59 years, female 114.9
GTEX-1I6K6-1726-SM-CGQFD 30-39 years, male 114.9
GTEX-12584-0726-SM-5FQTK 40-49 years, male 114.7
GTEX-ZA64-1026-SM-5HL8R 20-29 years, male 114.7
GTEX-ZYVF-0926-SM-5E44J 50-59 years, female 114.6
GTEX-1QCLZ-2426-SM-EVYBW 60-69 years, female 114.4
GTEX-15EO6-2426-SM-6PALZ 50-59 years, male 114.3
GTEX-1LVAO-2726-SM-E9TJ8 60-69 years, male 114.1
GTEX-12KS4-2126-SM-5FQUT 30-39 years, male 114.0
GTEX-1399S-0126-SM-5IJCF 30-39 years, female 114.0
GTEX-14PKV-1126-SM-6LLJ1 20-29 years, female 114.0
GTEX-16NGA-0726-SM-731AO 40-49 years, female 113.8
GTEX-11EI6-2826-SM-5H11D 60-69 years, male 113.7
GTEX-XYKS-1426-SM-4BRUO 60-69 years, female 113.7
GTEX-16BQI-1326-SM-6M486 30-39 years, female 113.5
GTEX-1H1E6-0426-SM-9WYUS 30-39 years, male 113.4
GTEX-1HBPN-0126-SM-CGQEF 50-59 years, male 113.4
GTEX-1R9PN-0426-SM-DTXDT 40-49 years, female 113.3
GTEX-1H3VE-0726-SM-9YFL5 40-49 years, male 113.2
GTEX-14C39-1726-SM-5RQIL 40-49 years, male 113.1
GTEX-WFON-1926-SM-3LK7L 40-49 years, male 113.1
GTEX-1F48J-0726-SM-7RHGS 50-59 years, female 113.1
GTEX-1GPI6-1926-SM-9KNV7 60-69 years, male 113.1
GTEX-1117F-2926-SM-5GZYI 60-69 years, female 113.0
GTEX-15DDE-2926-SM-6LLJ3 50-59 years, female 113.0
GTEX-WHWD-1826-SM-3LK6I 50-59 years, male 113.0
GTEX-ZYFD-0626-SM-5E44E 50-59 years, male 113.0
GTEX-1EWIQ-0326-SM-7DHMQ 70-79 years, female 112.9
GTEX-XBED-1926-SM-47JYP 60-69 years, male 112.9
GTEX-12WSL-2026-SM-5GCML 50-59 years, male 112.7
GTEX-13O3O-2326-SM-5IJD6 60-69 years, female 112.7
GTEX-Y5LM-0926-SM-6LLJG 40-49 years, female 112.7
GTEX-14PJN-1826-SM-6AJ98 30-39 years, male 112.6
GTEX-1EU9M-1426-SM-793AI 60-69 years, male 112.6
GTEX-1F75A-0726-SM-7RHHD 50-59 years, male 112.5
GTEX-13N2G-0226-SM-5K7VF 60-69 years, male 112.4
GTEX-1B8KE-1126-SM-7EPHI 50-59 years, male 112.3
GTEX-1HSMQ-2626-SM-A9SML 50-59 years, male 112.0
GTEX-XK95-0226-SM-4AT58 40-49 years, male 111.9
GTEX-1HCU9-0426-SM-9WYSD 20-29 years, male 111.8
GTEX-11LCK-2226-SM-5HL4Q 30-39 years, male 111.6
GTEX-11DXW-0826-SM-5H118 40-49 years, male 111.5
GTEX-1A32A-0626-SM-731AQ 50-59 years, female 111.3
GTEX-1N5O9-0926-SM-E9J3C 60-69 years, male 111.1
GTEX-1RAZR-2126-SM-E9U6T 40-49 years, male 110.9
GTEX-13OVH-0526-SM-5L3E6 70-79 years, male 110.8
GTEX-144GM-0526-SM-79OJO 20-29 years, male 110.7
GTEX-WYBS-0626-SM-3NMAS 60-69 years, female 110.7
GTEX-1B8L1-2226-SM-7P8PT 60-69 years, male 110.7
GTEX-183FY-1026-SM-7939A 20-29 years, male 110.5
GTEX-1C2JI-1026-SM-73KY1 50-59 years, male 110.5
GTEX-11EQ9-1626-SM-5PNY8 30-39 years, male 110.3
GTEX-139D8-1126-SM-5LU8W 30-39 years, female 110.3
GTEX-1I1HK-2326-SM-CKZOH 60-69 years, male 110.3
GTEX-1KXAM-1626-SM-D3LAD 60-69 years, male 110.3
GTEX-147F3-1726-SM-5SIAW 50-59 years, female 110.2
GTEX-14PII-0726-SM-6EU2B 60-69 years, male 110.1
GTEX-Y8LW-1526-SM-5IFHL 50-59 years, female 110.1
GTEX-14AS3-1526-SM-5Q5ED 40-49 years, female 110.0
GTEX-1F6IF-0926-SM-7SB7M 60-69 years, male 110.0
GTEX-1JMQL-2226-SM-CNPP4 50-59 years, female 109.9
GTEX-1GZHY-0626-SM-9KNVC 50-59 years, female 109.8
GTEX-ZLWG-0826-SM-59888 50-59 years, female 109.7
GTEX-ZVE2-2826-SM-5GU51 50-59 years, male 109.6
GTEX-111CU-1126-SM-5EGIM 50-59 years, male 109.5
GTEX-139YR-1026-SM-5LZYN 50-59 years, male 109.5
GTEX-14E6C-2426-SM-5S2NF 40-49 years, male 109.5
GTEX-XAJ8-1426-SM-47JYM 40-49 years, male 109.5
GTEX-WYVS-1626-SM-3NM9R 40-49 years, female 109.4
GTEX-ZLFU-1826-SM-4WWBV 40-49 years, male 109.4
GTEX-1IDFM-0326-SM-ARL7V 60-69 years, male 109.4
GTEX-ZTSS-1426-SM-5985P 40-49 years, male 109.1
GTEX-1HR9M-2226-SM-CNPPY 60-69 years, male 109.1
GTEX-1C475-1326-SM-7SB73 40-49 years, female 109.0
GTEX-12WSM-1926-SM-5BC65 60-69 years, male 108.9
GTEX-145MI-0626-SM-5SI8S 60-69 years, female 108.7
GTEX-13SLW-0626-SM-5Q5ER 70-79 years, male 107.9
GTEX-14B4R-1326-SM-5Q5EZ 30-39 years, male 107.9
GTEX-13X6H-0926-SM-5SIB2 50-59 years, female 107.8
GTEX-ZYY3-2926-SM-5GIEB 60-69 years, female 107.8
GTEX-1GF9X-1326-SM-7PC2Y 40-49 years, female 107.8
GTEX-ZLV1-1526-SM-DO91J 60-69 years, female 107.7
GTEX-11ZTT-2126-SM-5CVLO 60-69 years, female 107.6
GTEX-1JMQI-1726-SM-ARL93 50-59 years, male 107.5
GTEX-1B933-2426-SM-7DHMD 50-59 years, female 107.4
GTEX-1122O-1026-SM-9WYSF 60-69 years, female 107.2
GTEX-ZT9W-1126-SM-57WDR 50-59 years, male 107.1
GTEX-1KWVE-1026-SM-D3L9O 30-39 years, male 107.1
GTEX-WYJK-0526-SM-3NM8Z 50-59 years, male 106.9
GTEX-13IVO-0726-SM-5LZYV 70-79 years, male 106.4
GTEX-1J8QM-2426-SM-A9SLS 60-69 years, female 106.3
GTEX-ZAB4-2126-SM-5HL8U 40-49 years, male 106.1
GTEX-1F75B-0726-SM-7PC3R 50-59 years, male 105.8
GTEX-11EM3-1226-SM-5N9DD 20-29 years, female 105.7
GTEX-1JN1M-2726-SM-CY8I4 60-69 years, female 105.7
GTEX-145MO-2826-SM-5LU96 60-69 years, male 105.5
GTEX-13QBU-1226-SM-5LU4G 40-49 years, female 105.4
GTEX-1IDJD-2326-SM-ACKWX 30-39 years, male 105.4
GTEX-1PDJ9-1226-SM-EXUSX 20-29 years, male 105.4
GTEX-1QP28-1126-SM-EVYC4 50-59 years, female 105.4
GTEX-12WSA-0426-SM-5EQ5X 60-69 years, male 105.3
GTEX-12WSC-2826-SM-5BC5Y 50-59 years, male 105.2
GTEX-131XG-0326-SM-5L3DX 50-59 years, female 105.1
GTEX-1QP2A-1726-SM-E76QC 50-59 years, male 105.1
GTEX-ZWKS-0626-SM-5GIDV 30-39 years, male 104.9
GTEX-1269C-0126-SM-5EQ5L 60-69 years, female 104.5
GTEX-1GMR8-0626-SM-7RHI7 50-59 years, female 104.4
GTEX-1I1GU-0926-SM-ACKVS 40-49 years, male 104.3
GTEX-1EH9U-2826-SM-7DUGT 60-69 years, male 104.1
GTEX-1MCC2-1826-SM-DIPEX 30-39 years, female 104.1
GTEX-1211K-1526-SM-5FQU4 60-69 years, female 104.0
GTEX-1H3NZ-2726-SM-9WYTQ 60-69 years, male 103.9
GTEX-1QP29-1826-SM-DTX9S 50-59 years, male 103.2
GTEX-1GN1U-0626-SM-9MQL9 50-59 years, female 102.8
GTEX-1MCYP-0526-SM-E9U6Q 20-29 years, female 102.7
GTEX-13OVK-1426-SM-6PAN7 40-49 years, male 102.5
GTEX-1F52S-2926-SM-7MKGA 60-69 years, female 102.5
GTEX-1F5PL-0926-SM-7PC2W 40-49 years, female 102.4
GTEX-1HKZK-0726-SM-ACKW2 40-49 years, male 102.3
GTEX-1HCVE-2726-SM-CL54F 50-59 years, male 102.2
GTEX-17F9Y-0126-SM-79OKX 70-79 years, female 101.9
GTEX-139T8-0626-SM-5KLZX 60-69 years, male 101.8
GTEX-17EVQ-0126-SM-7IGLR 70-79 years, male 101.5
GTEX-17F98-1326-SM-7DUEP 40-49 years, female 101.5
GTEX-133LE-2326-SM-5K7W3 20-29 years, female 101.4
GTEX-1GN2E-0226-SM-9WG6K 60-69 years, male 101.2
GTEX-18A67-1626-SM-7LT9T 50-59 years, male 100.3
GTEX-1QPFJ-1926-SM-EVYBD 30-39 years, female 99.8
GTEX-1J8Q3-0526-SM-ARL8U 60-69 years, male 99.3
GTEX-ZGAY-1826-SM-DO91Q 40-49 years, female 99.2
GTEX-1L5NE-1126-SM-D3L9P 50-59 years, male 99.0
GTEX-1314G-1326-SM-5BC6E 30-39 years, male 98.1
GTEX-12C56-1526-SM-5FQUQ 20-29 years, male 98.0
GTEX-13NYS-0626-SM-5L3F1 60-69 years, male 98.0
GTEX-1CB4H-1126-SM-7MKGL 60-69 years, female 98.0
GTEX-1IE54-1126-SM-A9G2Z 40-49 years, female 97.9
GTEX-14C5O-0326-SM-5ZZUX 60-69 years, male 97.5
GTEX-YF7O-1526-SM-5IFI6 50-59 years, male 97.3
GTEX-1J8Q2-2626-SM-ACKWQ 60-69 years, male 96.8
GTEX-13PDP-0726-SM-5L3HP 60-69 years, male 96.7
GTEX-1AX9J-1326-SM-731BJ 60-69 years, male 96.5
GTEX-12WSK-2126-SM-5CVNC 40-49 years, female 96.4
GTEX-1ICLY-0826-SM-CMKG1 50-59 years, male 96.4
GTEX-1HBPM-0726-SM-9YFL7 60-69 years, female 96.0
GTEX-14PKU-0126-SM-6LLHV 40-49 years, female 95.6
GTEX-1B932-2326-SM-79OL5 40-49 years, female 95.6
GTEX-1A3MX-2626-SM-7PC24 60-69 years, male 95.5
GTEX-1K2DU-1226-SM-CYPT4 20-29 years, male 95.4
GTEX-1LGRB-0926-SM-COH3K 50-59 years, female 95.4
GTEX-1H23P-0626-SM-9WG6T 60-69 years, male 95.3
GTEX-1GZ4H-0526-SM-9KNU9 50-59 years, female 95.2
GTEX-14PJ5-1526-SM-6LLIL 60-69 years, female 94.6
GTEX-14JG6-1426-SM-9WG7C 30-39 years, female 94.5
GTEX-147JS-0226-SM-5S2U9 60-69 years, male 94.4
GTEX-1H2FU-0926-SM-9WPPT 60-69 years, female 93.2
GTEX-1AMFI-1326-SM-7939R 50-59 years, female 93.0
GTEX-11DZ1-2426-SM-5GZZX 50-59 years, male 92.3
GTEX-1AMEY-0826-SM-72D65 30-39 years, female 92.3
GTEX-1CB4J-1326-SM-7P8RX 60-69 years, male 92.3
GTEX-1I4MK-0126-SM-CY8G6 50-59 years, female 92.0
GTEX-14BMU-1226-SM-5S2OR 20-29 years, female 90.6
GTEX-Y5V5-0126-SM-5S2NW 60-69 years, female 90.6
GTEX-1HSMO-0626-SM-ACKXC 60-69 years, male 90.6
GTEX-1H1DF-1126-SM-9WG7G 40-49 years, female 90.0
GTEX-1R7EU-1626-SM-DTXG3 60-69 years, male 89.9
GTEX-1IDJV-0126-SM-COH3Y 60-69 years, male 89.8
GTEX-13VXT-1926-SM-5K7UO 20-29 years, female 89.2
GTEX-13NZ8-1226-SM-5KM4A 60-69 years, female 87.7
GTEX-13QJC-0126-SM-5ZZWJ 60-69 years, female 87.3
GTEX-1GF9U-2026-SM-7SB92 40-49 years, female 85.1
GTEX-1F88E-1626-SM-7SB8Z 60-69 years, female 85.0
GTEX-11EQ8-0926-SM-5H12V 60-69 years, male 77.6
GTEX-1F6RS-2026-SM-7RHHC 60-69 years, female 65.7
GTEX-11WQK-1026-SM-5EQLX 50-59 years, male 63.8
Show allShow less
Skin - Sun Exposed (Lower leg)
Average nTPM: 124.1
Samples: 701

Max nTPM: 224.6
Min nTPM: 56.7
Std nTPM: 22.6
Median nTPM: 121.8
GTEX-15SB6-1726-SM-6PAME 50-59 years, female 224.6
GTEX-Y5V6-2426-SM-4VDSB 60-69 years, male 218.8
GTEX-RVPV-0126-SM-EAZAW 60-69 years, male 216.2
GTEX-1192W-2626-SM-5Q5AF 60-69 years, male 204.0
GTEX-1IKK5-0626-SM-ARL8A 60-69 years, male 202.3
GTEX-1399U-2326-SM-5K7WY 50-59 years, female 200.4
GTEX-Y3IK-2426-SM-4WWDU 50-59 years, female 199.9
GTEX-11UD1-0126-SM-5PNYG 40-49 years, female 196.6
GTEX-W5X1-3026-SM-EAZAX 40-49 years, female 196.5
GTEX-X88G-0126-SM-47JZ3 30-39 years, male 184.6
GTEX-S33H-1026-SM-EZ6L6 30-39 years, male 182.9
GTEX-POMQ-2226-SM-2I5FK 20-29 years, female 182.4
GTEX-13FTW-2626-SM-5K7WL 40-49 years, male 180.2
GTEX-ZVZO-0126-SM-5A5L9 40-49 years, male 179.5
GTEX-TMZS-0126-SM-3DB9Q 60-69 years, male 179.3
GTEX-183WM-0126-SM-7LTAB 70-79 years, female 176.5
GTEX-1QP9N-1426-SM-DTXFL 30-39 years, male 176.3
GTEX-12126-0326-SM-5PNW3 20-29 years, male 175.3
GTEX-14E6C-0126-SM-5RQIP 40-49 years, male 174.7
GTEX-O5YW-0126-SM-3LK6D 50-59 years, male 173.3
GTEX-1I1GV-0526-SM-A9G29 60-69 years, male 172.7
GTEX-1N2DW-0226-SM-E9TK2 50-59 years, male 172.4
GTEX-1R9PO-2126-SM-E9J4O 60-69 years, female 171.8
GTEX-1QAET-0926-SM-E76QM 50-59 years, male 171.7
GTEX-S7PM-0126-SM-4AD6S 60-69 years, male 171.6
GTEX-XQ3S-1526-SM-4BOOC 20-29 years, male 170.6
GTEX-1H1CY-2826-SM-9MQM3 60-69 years, female 168.6
GTEX-13CF2-2526-SM-5LZYX 60-69 years, male 168.3
GTEX-1ICLZ-0126-SM-CKZPO 60-69 years, male 167.9
GTEX-T6MN-0126-SM-32PLP 50-59 years, male 166.9
GTEX-XUZC-1726-SM-4BRWS 30-39 years, female 166.7
GTEX-1C6VQ-0126-SM-7P8RI 50-59 years, male 166.6
GTEX-ZE9C-2726-SM-57WB5 60-69 years, male 165.4
GTEX-139UW-2826-SM-5L3E7 60-69 years, male 164.9
GTEX-1R9K4-0126-SM-DTX9X 60-69 years, male 164.8
GTEX-15UF6-0826-SM-6PALJ 70-79 years, female 163.9
GTEX-139TS-2826-SM-5J1OO 60-69 years, male 163.1
GTEX-ZVTK-0426-SM-51MRS 20-29 years, male 163.0
GTEX-O5YT-0126-SM-48TBW 20-29 years, male 162.9
GTEX-WVJS-0126-SM-4MVOT 50-59 years, male 162.6
GTEX-14753-0426-SM-5NQAM 60-69 years, male 162.3
GTEX-OIZG-0726-SM-33HBL 50-59 years, male 161.6
GTEX-13NYB-2526-SM-5K7Z6 40-49 years, male 161.4
GTEX-Y114-2426-SM-4TT8A 50-59 years, female 161.3
GTEX-146FQ-0126-SM-5NQA9 30-39 years, male 159.7
GTEX-QDVN-2026-SM-3GAEP 50-59 years, male 159.1
GTEX-U8XE-0326-SM-3DB8P 30-39 years, male 158.6
GTEX-OOBJ-0126-SM-E6CJW 60-69 years, male 158.5
GTEX-1PPH8-0226-SM-E8VND 20-29 years, male 158.2
GTEX-P4PP-0126-SM-3LK69 30-39 years, female 157.7
GTEX-1HB9E-0226-SM-E9U4R 50-59 years, male 157.5
GTEX-1I1GP-2226-SM-CGQFK 50-59 years, male 157.2
GTEX-P4PQ-0126-SM-2S1NM 60-69 years, male 156.7
GTEX-ZYFD-0126-SM-5GIDL 50-59 years, male 156.5
GTEX-PWCY-1826-SM-DHXIZ 20-29 years, female 156.5
GTEX-U412-0426-SM-3DB9O 60-69 years, male 156.4
GTEX-11DYG-0126-SM-59883 60-69 years, male 156.3
GTEX-11ZUS-0626-SM-59885 30-39 years, male 155.9
GTEX-1497J-2426-SM-7IGNX 60-69 years, male 155.4
GTEX-13FHO-0226-SM-5IFGY 60-69 years, male 154.7
GTEX-WI4N-1026-SM-3LK7N 40-49 years, female 154.6
GTEX-Z93S-0126-SM-5HL7M 50-59 years, male 154.5
GTEX-Z93T-0126-SM-5HL5N 50-59 years, male 154.5
GTEX-PX3G-0126-SM-2I3EN 20-29 years, female 154.2
GTEX-1B933-0126-SM-7PC29 50-59 years, female 153.8
GTEX-ZDTS-0126-SM-4WAY5 60-69 years, male 153.7
GTEX-13O3Q-2426-SM-5IJBR 50-59 years, male 153.6
GTEX-13113-5016-SM-7EPIP 60-69 years, female 153.2
GTEX-PWO3-1526-SM-48TCM 60-69 years, female 152.9
GTEX-1JMLX-0226-SM-CM2RO 50-59 years, male 152.9
GTEX-117XS-2726-SM-5N9BL 60-69 years, male 152.7
GTEX-WZTO-0126-SM-3NM95 40-49 years, male 152.7
GTEX-1J8EW-0126-SM-CJI4F 60-69 years, female 151.7
GTEX-11GS4-2726-SM-5A5LE 60-69 years, male 151.6
GTEX-17F98-0626-SM-79OMX 40-49 years, female 151.5
GTEX-QEG4-0226-SM-2S1PY 30-39 years, male 151.5
GTEX-16MT8-0426-SM-7KUEY 60-69 years, female 151.1
GTEX-Q734-1926-SM-2I5EV 40-49 years, female 151.0
GTEX-13FXS-0226-SM-5IJCK 50-59 years, male 150.9
GTEX-1RAZQ-0726-SM-EAZ43 30-39 years, male 150.6
GTEX-1MA7X-2226-SM-E6CIY 60-69 years, male 150.5
GTEX-1PIIG-0226-SM-EWRN6 30-39 years, male 150.2
GTEX-13FHP-0126-SM-5IJBG 50-59 years, male 149.4
GTEX-X4EP-0126-SM-3P5YV 60-69 years, female 149.4
GTEX-YJ89-0126-SM-4TT3X 60-69 years, male 149.4
GTEX-1IOXB-0126-SM-ARL8G 50-59 years, male 149.3
GTEX-1JJ6O-0126-SM-E6CI8 60-69 years, male 148.9
GTEX-18465-0126-SM-731BN 50-59 years, male 148.8
GTEX-X4XX-0126-SM-3NMC2 60-69 years, male 148.6
GTEX-1PBJI-0526-SM-E8VNK 20-29 years, female 148.6
GTEX-ZDXO-3026-SM-5J1N5 60-69 years, male 148.5
GTEX-X8HC-0126-SM-4E3JW 50-59 years, female 148.4
GTEX-1JN6P-0126-SM-D3L98 60-69 years, male 148.3
GTEX-ZVT2-2526-SM-51MT1 50-59 years, female 148.2
GTEX-1KANB-0526-SM-E6CJH 50-59 years, male 148.2
GTEX-T5JC-0426-SM-32PLO 20-29 years, male 147.9
GTEX-Y8DK-0126-SM-4TT3L 60-69 years, male 147.8
GTEX-17JCI-0126-SM-7LG5G 60-69 years, female 147.4
GTEX-OHPL-0126-SM-2HMJ7 60-69 years, female 146.9
GTEX-145MF-0626-SM-5LUAI 50-59 years, male 146.7
GTEX-14JIY-0126-SM-6LLH6 60-69 years, male 146.6
GTEX-1CAV2-2226-SM-7P8P2 40-49 years, female 146.4
GTEX-1RQEC-0426-SM-E6CHU 60-69 years, male 146.3
GTEX-15RIG-0226-SM-7KFTL 40-49 years, male 146.1
GTEX-18A6Q-0126-SM-731BZ 60-69 years, male 146.1
GTEX-WFG8-2226-SM-3GIL9 20-29 years, male 146.1
GTEX-S7SE-0126-SM-2XCD5 50-59 years, male 145.8
GTEX-XQ8I-0426-SM-4BOPO 50-59 years, male 145.7
GTEX-144FL-0126-SM-5TDC8 50-59 years, male 145.4
GTEX-Y3I4-2126-SM-4TT7C 50-59 years, male 145.2
GTEX-1KD4Q-0226-SM-E9TJ9 40-49 years, male 145.1
GTEX-Y111-0126-SM-4SOIV 50-59 years, male 144.7
GTEX-13G51-2526-SM-5LZYK 60-69 years, male 144.6
GTEX-131XH-2226-SM-5DUXJ 50-59 years, male 144.4
GTEX-SUCS-1926-SM-32PM3 70-79 years, male 144.4
GTEX-13OVJ-0126-SM-5KM36 50-59 years, female 144.1
GTEX-12WSE-0526-SM-793B2 20-29 years, male 143.9
GTEX-1H3VE-0326-SM-9YFLH 40-49 years, male 143.9
GTEX-UJHI-1526-SM-3DB99 50-59 years, female 143.6
GTEX-1M5QR-1226-SM-EWROB 40-49 years, male 143.2
GTEX-T2IS-0126-SM-4DM6O 20-29 years, female 143.1
GTEX-SIU8-0126-SM-2XCDT 50-59 years, male 142.8
GTEX-1QW4Y-1526-SM-EAZ3Z 30-39 years, male 142.5
GTEX-1EWIQ-0126-SM-7RHH2 70-79 years, female 142.2
GTEX-14JG1-0426-SM-6ETZZ 40-49 years, male 142.0
GTEX-14ICK-0226-SM-6EU25 40-49 years, male 141.9
GTEX-131XF-5016-SM-7MGWE 60-69 years, male 141.7
GTEX-1NV5F-0226-SM-E8VNY 60-69 years, female 141.6
GTEX-OXRL-0126-SM-2YUMP 50-59 years, male 141.5
GTEX-VJYA-1126-SM-3GIJU 60-69 years, male 141.1
GTEX-ZF3C-0126-SM-DO92D 50-59 years, female 141.1
GTEX-11P7K-2126-SM-5GU7G 30-39 years, male 140.9
GTEX-1F7RK-0126-SM-7PC2S 20-29 years, female 140.9
GTEX-117YW-2626-SM-5GZZH 50-59 years, male 140.8
GTEX-131YS-0126-SM-5KM1M 60-69 years, female 140.8
GTEX-1GN2E-0426-SM-9MQKX 60-69 years, male 140.8
GTEX-132NY-0326-SM-5IJBL 60-69 years, male 140.7
GTEX-13FTY-0526-SM-5L3EV 40-49 years, female 140.7
GTEX-TML8-1926-SM-32QOS 40-49 years, female 140.7
GTEX-Q2AH-1626-SM-3GAF8 40-49 years, male 140.6
GTEX-12WSD-0126-SM-59HKN 60-69 years, female 140.5
GTEX-1MCQQ-0826-SM-DLHC2 60-69 years, male 140.5
GTEX-12WSK-2326-SM-5GCOH 40-49 years, female 140.3
GTEX-14PJ3-1826-SM-62LEX 50-59 years, male 140.2
GTEX-18A7A-0226-SM-718BH 50-59 years, female 140.0
GTEX-1LSNM-1926-SM-E6CII 50-59 years, male 140.0
GTEX-1B8SF-1426-SM-7DUGL 60-69 years, male 139.9
GTEX-ZVT4-0126-SM-DTXFN 50-59 years, female 139.8
GTEX-15SHW-0326-SM-6PAML 60-69 years, male 139.7
GTEX-1HCU8-0626-SM-A9SM9 60-69 years, female 139.4
GTEX-1M4P7-0226-SM-DIPEV 60-69 years, male 139.4
GTEX-1CAMS-0426-SM-7P8T2 40-49 years, female 139.2
GTEX-1A32A-0126-SM-718B1 50-59 years, female 139.0
GTEX-1C64N-0126-SM-793D7 50-59 years, male 138.9
GTEX-1LG7Y-0526-SM-DKPQC 50-59 years, male 138.6
GTEX-1RLM8-2326-SM-EWRN4 50-59 years, male 138.4
GTEX-145LS-0126-SM-5QGP1 60-69 years, female 138.2
GTEX-14A5H-0426-SM-5QGQF 60-69 years, male 138.1
GTEX-13N11-2526-SM-5K7UE 50-59 years, female 138.0
GTEX-1211K-2026-SM-5EQ4Z 60-69 years, female 137.9
GTEX-1HCU6-0126-SM-CL54K 60-69 years, female 137.8
GTEX-1PWST-0226-SM-E76QJ 70-79 years, male 137.8
GTEX-WOFL-0126-SM-3MJG2 60-69 years, male 137.6
GTEX-1HFI6-0226-SM-ADEHZ 40-49 years, male 137.5
GTEX-T2YK-0526-SM-32QPJ 50-59 years, male 137.4
GTEX-WQUQ-0426-SM-3MJFU 60-69 years, male 137.3
GTEX-113IC-0126-SM-5HL6T 60-69 years, male 137.2
GTEX-1RAZA-0126-SM-E6CI3 20-29 years, male 137.2
GTEX-RM2N-1426-SM-2TF4H 50-59 years, male 137.1
GTEX-17HHY-0126-SM-7LG5D 50-59 years, male 136.9
GTEX-X62O-0126-SM-4E3JN 50-59 years, male 136.9
GTEX-1AX8Z-0126-SM-7DHM6 60-69 years, male 136.8
GTEX-1IDJH-0326-SM-A9SLQ 70-79 years, male 136.8
GTEX-13OVG-1926-SM-5L3DK 60-69 years, male 136.6
GTEX-1HBPI-1526-SM-C1YQ1 50-59 years, male 136.4
GTEX-11ZTS-0126-SM-5EQ6M 60-69 years, female 136.2
GTEX-1313W-0126-SM-5LZUN 50-59 years, female 136.2
GTEX-14E6D-0126-SM-62LDV 50-59 years, male 136.2
GTEX-1EMGI-0126-SM-9KNUE 60-69 years, male 136.2
GTEX-1HSMP-0126-SM-E6CJS 70-79 years, male 136.0
GTEX-1J8JJ-0226-SM-CL53I 60-69 years, female 136.0
GTEX-111FC-0126-SM-5N9DL 60-69 years, male 135.9
GTEX-1KANC-1526-SM-D3LAB 50-59 years, female 135.8
GTEX-13NZB-2526-SM-5J1OM 30-39 years, male 135.7
GTEX-147F4-0226-SM-5QGPW 50-59 years, male 135.5
GTEX-OIZH-0126-SM-2HMIS 50-59 years, male 135.3
GTEX-1I19N-0326-SM-ACKVX 70-79 years, male 135.3
GTEX-13OW6-0426-SM-5L3HM 50-59 years, male 135.2
GTEX-1B996-0226-SM-7RHGO 60-69 years, male 135.2
GTEX-SJXC-0126-SM-2XCFF 60-69 years, male 135.1
GTEX-13VXU-0126-SM-5SI9F 50-59 years, male 135.0
GTEX-11OC5-0126-SM-5HL6A 60-69 years, male 134.8
GTEX-16GPK-0126-SM-7DHLE 60-69 years, male 134.5
GTEX-QESD-1426-SM-2S1R9 20-29 years, male 134.5
GTEX-OXRN-0126-SM-48TDM 50-59 years, male 134.4
GTEX-1F75B-0126-SM-9KNVL 50-59 years, male 134.4
GTEX-1LB8K-0226-SM-EWRNW 50-59 years, male 134.1
GTEX-14PHX-2326-SM-62LEM 50-59 years, male 134.0
GTEX-PSDG-0226-SM-DKPOZ 50-59 years, male 133.8
GTEX-RTLS-0126-SM-447CA 60-69 years, female 133.6
GTEX-1HGF4-2426-SM-ACKXM 60-69 years, male 133.5
GTEX-1QP67-1626-SM-EAZ3X 40-49 years, female 133.3
GTEX-11ZVC-2526-SM-5FQTE 50-59 years, female 133.2
GTEX-1F75A-0126-SM-7RHGM 50-59 years, male 133.2
GTEX-RU72-0926-SM-2TF6B 50-59 years, female 133.1
GTEX-YFC4-0126-SM-5CVLY 40-49 years, female 133.1
GTEX-ZY6K-1826-SM-5GZXK 50-59 years, male 133.0
GTEX-1JKYR-0126-SM-CNPOJ 20-29 years, male 133.0
GTEX-14PJM-0226-SM-62LF1 50-59 years, female 132.9
GTEX-1K2DA-1826-SM-CGQGT 50-59 years, male 132.8
GTEX-144GN-2326-SM-5LU4F 50-59 years, male 132.7
GTEX-1EX96-1626-SM-7PBXR 50-59 years, male 132.7
GTEX-WY7C-2326-SM-3NB2U 50-59 years, male 132.6
GTEX-1H3VY-0126-SM-ACKXD 50-59 years, male 132.4
GTEX-1PDJ9-0326-SM-DTX95 20-29 years, male 132.3
GTEX-13O21-1426-SM-5K7XI 50-59 years, male 132.2
GTEX-17MF6-0126-SM-7LG4F 40-49 years, male 132.1
GTEX-1HR98-0126-SM-B2LWI 60-69 years, male 132.0
GTEX-1MJK2-0426-SM-DTXE5 50-59 years, male 132.0
GTEX-U3ZM-1526-SM-3DB9D 40-49 years, male 131.9
GTEX-ZAB4-0226-SM-5N9F5 40-49 years, male 131.9
GTEX-169BO-1326-SM-9MQK2 50-59 years, male 131.8
GTEX-1GZ2Q-0226-SM-7P8TL 40-49 years, male 131.8
GTEX-145LT-1726-SM-5QGP3 40-49 years, male 131.7
GTEX-11NUK-0126-SM-5A5L3 50-59 years, male 131.4
GTEX-QV44-1926-SM-2S1RF 50-59 years, male 131.4
GTEX-11OF3-2626-SM-5GU7F 60-69 years, male 131.1
GTEX-1H3O1-0426-SM-9YFKY 60-69 years, male 131.0
GTEX-17F97-0326-SM-7LG5B 50-59 years, male 130.7
GTEX-W5WG-1826-SM-4KL2Y 50-59 years, female 130.7
GTEX-15ER7-0326-SM-7KUEV 20-29 years, female 130.5
GTEX-ZDYS-2026-SM-5HL5L 50-59 years, male 130.4
GTEX-1S83E-0126-SM-EWRO4 40-49 years, male 130.3
GTEX-PLZ6-1426-SM-DKPOT 30-39 years, male 130.2
GTEX-14PII-0226-SM-6EU1T 60-69 years, male 130.1
GTEX-QDT8-0126-SM-48TZ1 30-39 years, female 130.1
GTEX-X4XY-0226-SM-4E3IZ 60-69 years, male 130.1
GTEX-1122O-2126-SM-5EGIR 60-69 years, female 129.9
GTEX-139TU-0126-SM-5K7WH 60-69 years, male 129.9
GTEX-ZE7O-0126-SM-57WC1 50-59 years, female 129.9
GTEX-1OJC3-0126-SM-E76QX 20-29 years, male 129.9
GTEX-R55E-0126-SM-2TC5Y 20-29 years, male 129.7
GTEX-1R9PM-2026-SM-E76OY 20-29 years, male 129.6
GTEX-R45C-0126-SM-EAZ2R 60-69 years, female 129.6
GTEX-13IVO-0126-SM-5J1NG 70-79 years, male 129.5
GTEX-ZAK1-0126-SM-5IJD3 50-59 years, female 129.5
GTEX-1OFPY-2426-SM-DTXEJ 60-69 years, male 129.5
GTEX-XXEK-2226-SM-4BRUM 50-59 years, male 129.4
GTEX-1KWVE-1426-SM-E9TJO 30-39 years, male 129.4
GTEX-1C6WA-0126-SM-7PC2B 60-69 years, male 129.3
GTEX-RNOR-0126-SM-E9J4R 50-59 years, female 129.3
GTEX-15DCD-0126-SM-7KUEK 70-79 years, female 129.2
GTEX-1JMQK-0226-SM-CL543 60-69 years, male 129.2
GTEX-1MA7W-2026-SM-E9TJ6 20-29 years, female 129.2
GTEX-WH7G-2326-SM-3NMBC 40-49 years, male 129.1
GTEX-1LGOU-2026-SM-DIPFF 20-29 years, female 129.1
GTEX-UPJH-0326-SM-3GADU 50-59 years, male 129.0
GTEX-1HCVE-0126-SM-CGQEU 50-59 years, male 129.0
GTEX-139T4-0226-SM-5HL5S 50-59 years, female 128.8
GTEX-1IL2U-0226-SM-CE6T8 60-69 years, male 128.8
GTEX-1S82Z-0826-SM-E6CHY 30-39 years, female 128.8
GTEX-1F6I4-0126-SM-9MQL2 60-69 years, male 128.7
GTEX-14PN4-0126-SM-6EU2V 50-59 years, male 128.6
GTEX-1PFEY-1526-SM-E76PP 30-39 years, male 128.6
GTEX-1AYD5-2426-SM-73KXR 50-59 years, male 128.4
GTEX-XBEW-0626-SM-4QASP 40-49 years, male 128.3
GTEX-1GTWX-0126-SM-9YFLK 60-69 years, male 128.3
GTEX-1N2DV-0226-SM-E6CJ6 40-49 years, male 128.3
GTEX-11WQC-2526-SM-5CVLE 60-69 years, male 128.2
GTEX-NPJ8-0126-SM-2YUNR 40-49 years, male 128.1
GTEX-WYJK-0126-SM-3NMAB 50-59 years, male 127.8
GTEX-14BMV-0126-SM-5S2PO 50-59 years, male 127.7
GTEX-16NPX-0226-SM-79OMT 50-59 years, male 127.6
GTEX-1AYCT-2426-SM-7IGQ3 50-59 years, male 127.6
GTEX-11TUW-2726-SM-E9J4M 60-69 years, male 127.3
GTEX-U3ZH-2026-SM-3DB78 30-39 years, male 127.1
GTEX-P4QT-0126-SM-2I3FL 50-59 years, female 127.0
GTEX-11UD2-0226-SM-5EQKY 50-59 years, male 126.9
GTEX-1399R-2726-SM-5IJBA 30-39 years, male 126.9
GTEX-16YQH-0126-SM-7DUFJ 30-39 years, male 126.9
GTEX-1RB15-2126-SM-E9TIM 60-69 years, male 126.8
GTEX-1NHNU-1026-SM-E9J2A 50-59 years, male 126.7
GTEX-WXYG-2326-SM-4E3I6 50-59 years, female 126.6
GTEX-OXRP-0126-SM-3NB32 60-69 years, female 126.5
GTEX-1RDX4-0126-SM-E9J4P 50-59 years, female 126.5
GTEX-1IL2V-0126-SM-CM2TX 70-79 years, male 126.4
GTEX-1I1GS-0126-SM-B2LVW 60-69 years, male 126.3
GTEX-113JC-2326-SM-5EQ4E 50-59 years, female 126.1
GTEX-145MO-0326-SM-5Q5B3 60-69 years, male 126.1
GTEX-183FY-0126-SM-7LT9P 20-29 years, male 126.1
GTEX-1C4CL-0526-SM-73KVK 30-39 years, male 126.1
GTEX-11DXZ-2326-SM-5EGGV 50-59 years, male 126.0
GTEX-RN64-0126-SM-2TC68 50-59 years, male 126.0
GTEX-1IKOH-0226-SM-COH4E 60-69 years, female 126.0
GTEX-11DXY-2626-SM-5GIE7 60-69 years, male 125.9
GTEX-131XW-0426-SM-5LZWP 50-59 years, female 125.9
GTEX-1S3DN-2226-SM-EVYCD 50-59 years, male 125.9
GTEX-S95S-1226-SM-4GICG 60-69 years, male 125.8
GTEX-13FH7-2026-SM-E9J4I 50-59 years, female 125.8
GTEX-1GF9W-0326-SM-9KNUN 60-69 years, male 125.6
GTEX-1BAJH-0526-SM-793CQ 70-79 years, male 125.5
GTEX-15D1Q-0126-SM-7KUG6 40-49 years, male 125.3
GTEX-18A7B-0126-SM-7LG64 70-79 years, male 125.3
GTEX-T8EM-1026-SM-3DB7M 40-49 years, male 125.3
GTEX-1F5PL-0326-SM-7P8PQ 40-49 years, female 125.3
GTEX-1IGQW-0126-SM-COH42 60-69 years, male 125.3
GTEX-1JMPY-1326-SM-ARL8Y 30-39 years, male 125.3
GTEX-1O97I-0326-SM-EYYX7 60-69 years, male 125.3
GTEX-13QJ3-0326-SM-5S2RA 50-59 years, male 125.2
GTEX-14BMU-2226-SM-5TDE9 20-29 years, female 125.2
GTEX-ZVT3-0126-SM-5GU6I 60-69 years, female 125.1
GTEX-139T8-0126-SM-5K7XZ 60-69 years, male 124.9
GTEX-SSA3-0126-SM-32QPU 60-69 years, male 124.9
GTEX-11GSO-2426-SM-5A5LY 60-69 years, male 124.7
GTEX-T6MO-1626-SM-32QOM 40-49 years, female 124.6
GTEX-YB5E-2026-SM-5IFIS 40-49 years, male 124.6
GTEX-1L5NE-2526-SM-E6CIE 50-59 years, male 124.5
GTEX-ZQG8-1626-SM-DHXIT 60-69 years, female 124.5
GTEX-15CHC-2126-SM-6EU21 60-69 years, female 124.4
GTEX-1CAMR-1926-SM-7EPI2 20-29 years, male 124.4
GTEX-XUYS-0126-SM-47JWZ 50-59 years, male 124.4
GTEX-13YAN-0326-SM-5O9DF 60-69 years, male 124.3
GTEX-1HBPM-0226-SM-ARL9F 60-69 years, female 124.2
GTEX-1ICG6-2526-SM-CGQFZ 70-79 years, female 124.2
GTEX-13OW7-0126-SM-5MR3B 50-59 years, male 124.1
GTEX-QVJO-1626-SM-2S1QW 60-69 years, female 124.1
GTEX-1JJEA-0326-SM-CNPOT 60-69 years, male 124.1
GTEX-1GPI6-0126-SM-9WG69 60-69 years, male 124.0
GTEX-145MN-2226-SM-5SIAU 30-39 years, male 123.9
GTEX-1IDFM-0126-SM-COH2V 60-69 years, male 123.9
GTEX-13X6J-0126-SM-5QGOU 50-59 years, male 123.7
GTEX-1AX9I-0126-SM-7SB74 60-69 years, male 123.6
GTEX-PVOW-0126-SM-2XCFA 40-49 years, male 123.2
GTEX-YB5K-2126-SM-4WWDJ 40-49 years, female 123.2
GTEX-17HG3-2226-SM-7938L 30-39 years, female 123.1
GTEX-14E7W-0126-SM-6LLJ9 70-79 years, male 123.0
GTEX-1KAFJ-2026-SM-CY8ID 50-59 years, male 123.0
GTEX-ZYT6-0226-SM-5NQ6T 30-39 years, male 122.9
GTEX-18QFQ-0126-SM-731BE 30-39 years, male 122.8
GTEX-ZV68-0126-SM-59HKS 50-59 years, female 122.8
GTEX-1HSGN-0226-SM-CGQFV 40-49 years, female 122.7
GTEX-V1D1-2226-SM-3NMAX 50-59 years, male 122.6
GTEX-1GN1V-0126-SM-9WPOS 60-69 years, male 122.4
GTEX-1GZHY-0326-SM-9QEHI 50-59 years, female 122.4
GTEX-14A6H-0126-SM-5QGPK 30-39 years, male 122.3
GTEX-18D9U-0226-SM-718BP 40-49 years, male 122.3
GTEX-12ZZX-0126-SM-5EGK9 40-49 years, female 122.2
GTEX-13NZ8-0826-SM-5MR3I 60-69 years, female 122.1
GTEX-13W46-0226-SM-5SIAG 50-59 years, male 122.0
GTEX-13NZA-0226-SM-5K7Z7 60-69 years, male 121.9
GTEX-1ICLY-0126-SM-D4P36 50-59 years, male 121.8
GTEX-1LG7Z-1726-SM-D3LA4 30-39 years, male 121.8
GTEX-1CB4I-0226-SM-79OLH 50-59 years, male 121.5
GTEX-1JMPZ-0226-SM-CNPP1 30-39 years, male 121.5
GTEX-18D9A-1926-SM-7LG6P 30-39 years, female 121.4
GTEX-1HSKV-0226-SM-A9SKJ 60-69 years, male 121.4
GTEX-1QP66-1726-SM-E8VO1 50-59 years, male 121.4
GTEX-13OVL-0226-SM-5L3E9 50-59 years, male 121.3
GTEX-T5JW-1626-SM-3GADZ 20-29 years, female 121.1
GTEX-14PK6-1926-SM-6ETZU 70-79 years, female 121.0
GTEX-1CB4E-2226-SM-793DC 60-69 years, male 121.0
GTEX-13S7M-0126-SM-5SI6A 60-69 years, female 120.9
GTEX-17MFQ-1726-SM-793C7 20-29 years, male 120.9
GTEX-XMD2-0126-SM-4YCDU 60-69 years, female 120.8
GTEX-131XE-2326-SM-5PNZ2 50-59 years, male 120.7
GTEX-16XZY-2126-SM-79OK1 70-79 years, male 120.7
GTEX-1JMQJ-0526-SM-CYPSU 50-59 years, male 120.7
GTEX-1QMI2-0226-SM-EVYBX 60-69 years, male 120.7
GTEX-12ZZY-0226-SM-5LZVE 60-69 years, male 120.6
GTEX-1B8KZ-2026-SM-7DHMB 50-59 years, male 120.6
GTEX-1HBPH-0426-SM-B2LW5 40-49 years, female 120.6
GTEX-1HUB1-0426-SM-E9U4U 60-69 years, male 120.6
GTEX-1OJC4-0126-SM-E9J2E 50-59 years, female 120.5
GTEX-QLQ7-1626-SM-2S1R8 60-69 years, male 120.1
GTEX-VUSG-2526-SM-4KL1V 50-59 years, male 120.0
GTEX-1399T-2826-SM-5KLYZ 60-69 years, male 119.9
GTEX-13111-1626-SM-5EGJY 50-59 years, male 119.8
GTEX-13RTJ-2426-SM-5S2Q2 60-69 years, male 119.8
GTEX-13O3P-0126-SM-5KM4S 50-59 years, male 119.7
GTEX-X261-0126-SM-3NMD6 50-59 years, male 119.7
GTEX-X5EB-2226-SM-46MW4 40-49 years, male 119.7
GTEX-1H4P4-0726-SM-9YFLR 50-59 years, male 119.7
GTEX-PLZ4-0126-SM-5SI8O 50-59 years, female 119.6
GTEX-1LNCM-1126-SM-E9U5E 50-59 years, female 119.6
GTEX-1LVAN-0226-SM-COH3S 50-59 years, female 119.6
GTEX-1JJE9-0326-SM-CL53Z 70-79 years, male 119.5
GTEX-1J8Q2-0526-SM-CM2RW 60-69 years, male 119.4
GTEX-17EVQ-0226-SM-7LG4P 70-79 years, male 119.0
GTEX-Q2AI-1326-SM-2S1PL 40-49 years, male 119.0
GTEX-X4EO-0326-SM-3P5YO 60-69 years, female 118.9
GTEX-1J1OQ-0226-SM-CYPSH 40-49 years, female 118.7
GTEX-15SDE-2226-SM-7IGLO 50-59 years, female 118.6
GTEX-17EUY-0426-SM-793BD 20-29 years, male 118.5
GTEX-NFK9-0226-SM-2HMKQ 40-49 years, male 118.5
GTEX-WYVS-2126-SM-3NMA3 40-49 years, female 118.4
GTEX-11DXW-0226-SM-5H122 40-49 years, male 118.3
GTEX-13OW8-1326-SM-5J1OW 60-69 years, male 118.3
GTEX-ZYFC-0226-SM-5NQ75 50-59 years, male 118.3
GTEX-1I1CD-0126-SM-CM2TK 60-69 years, female 118.3
GTEX-1C64O-0126-SM-7SB8P 60-69 years, male 118.2
GTEX-1GPI7-0126-SM-9MQL8 20-29 years, male 118.2
GTEX-1GF9U-2126-SM-7SB7L 40-49 years, female 118.1
GTEX-1F75I-0326-SM-9YFLU 40-49 years, male 118.0
GTEX-144GL-0126-SM-5TDE2 50-59 years, male 117.9
GTEX-ZAJG-0126-SM-5HL94 50-59 years, female 117.9
GTEX-ZGAY-0526-SM-4WWBB 40-49 years, female 117.9
GTEX-Q2AG-0126-SM-33HBV 40-49 years, female 117.7
GTEX-ZXES-1826-SM-5E43S 30-39 years, female 117.7
GTEX-U3ZN-2326-SM-3DB7W 30-39 years, female 117.6
GTEX-Y8E4-0626-SM-4WWDL 40-49 years, male 117.6
GTEX-ZYY3-0126-SM-5GZY5 60-69 years, female 117.6
GTEX-1JN1M-0326-SM-CYPT3 60-69 years, female 117.5
GTEX-14DAQ-0126-SM-5S2MQ 60-69 years, female 117.4
GTEX-QDVJ-1726-SM-2I5FX 50-59 years, male 117.4
GTEX-12ZZZ-0626-SM-5DUXI 60-69 years, male 117.3
GTEX-1IY9M-0126-SM-D3L8S 60-69 years, male 117.2
GTEX-11ZU8-2526-SM-5EQKI 60-69 years, male 117.1
GTEX-1A3MX-0126-SM-731BR 60-69 years, male 116.9
GTEX-111VG-2426-SM-5GZXD 60-69 years, male 116.7
GTEX-1JMQL-0226-SM-CNPP5 50-59 years, female 116.7
GTEX-QLQW-1126-SM-2S1Q8 30-39 years, male 116.6
GTEX-ZWKS-0126-SM-5SIAA 30-39 years, male 116.6
GTEX-1192X-0226-SM-5H12D 50-59 years, male 116.5
GTEX-15ETS-0126-SM-7KUMW 40-49 years, female 116.5
GTEX-1CB4F-0426-SM-9KNV4 60-69 years, male 116.2
GTEX-1H1DG-0126-SM-9WYU2 70-79 years, male 116.2
GTEX-13RTL-0126-SM-7LG5S 40-49 years, male 116.1
GTEX-WFON-2126-SM-3LK7O 40-49 years, male 116.1
GTEX-RWSA-0126-SM-2XCBB 40-49 years, male 115.9
GTEX-XBED-2226-SM-47JYQ 60-69 years, male 115.8
GTEX-ZYFG-2326-SM-5E44B 60-69 years, female 115.6
GTEX-1CB4G-0226-SM-7PC3O 60-69 years, male 115.5
GTEX-1CAMQ-0226-SM-7IGPK 40-49 years, male 115.4
GTEX-1N2EF-0226-SM-EYYXB 60-69 years, male 115.4
GTEX-13U4I-0126-SM-5LU38 40-49 years, female 115.3
GTEX-15EU6-0426-SM-6PAN5 50-59 years, male 115.3
GTEX-17KNJ-2326-SM-7DHLQ 50-59 years, male 115.3
GTEX-148VI-1626-SM-5SI6E 60-69 years, female 115.2
GTEX-OXRO-0126-SM-2YUN4 60-69 years, female 115.2
GTEX-1IDJF-0126-SM-CM2RS 20-29 years, male 115.2
GTEX-14BIM-0226-SM-7IGLD 60-69 years, female 115.1
GTEX-OHPM-0126-SM-2YUN9 50-59 years, male 115.1
GTEX-X638-0126-SM-47JZ8 70-79 years, female 115.1
GTEX-1KD5A-0226-SM-D5OV3 50-59 years, male 115.0
GTEX-13OW5-0126-SM-DTXFS 60-69 years, male 114.9
GTEX-1GMR3-1926-SM-9KNUZ 40-49 years, male 114.9
GTEX-1314G-1526-SM-5EGK2 30-39 years, male 114.7
GTEX-13D11-2426-SM-5KM1V 50-59 years, female 114.7
GTEX-15DDE-0126-SM-6LPKH 50-59 years, female 114.7
GTEX-17HHE-2026-SM-79OKF 50-59 years, male 114.7
GTEX-ZYW4-0126-SM-5E44A 60-69 years, male 114.6
GTEX-1AMFI-2026-SM-731BH 50-59 years, female 114.5
GTEX-1POEN-0126-SM-EYYXJ 30-39 years, female 114.3
GTEX-QCQG-1726-SM-3GIJ9 50-59 years, female 114.2
GTEX-147GR-0526-SM-5S2MY 60-69 years, male 114.1
GTEX-1HSMO-0126-SM-CL547 60-69 years, male 114.1
GTEX-13X6I-0626-SM-5QGP9 60-69 years, male 114.0
GTEX-14PJ6-2126-SM-6EU1V 60-69 years, female 114.0
GTEX-1EU9M-0226-SM-7P8SP 60-69 years, male 113.9
GTEX-1J1R8-1726-SM-ARL8M 40-49 years, male 113.9
GTEX-1QEPI-0126-SM-EWRMQ 60-69 years, female 113.8
GTEX-11EM3-2426-SM-59861 20-29 years, female 113.5
GTEX-YEC4-2126-SM-5IFJH 40-49 years, male 113.5
GTEX-Y5LM-1926-SM-5RQJH 40-49 years, female 113.3
GTEX-12WSG-2826-SM-E9J4H 50-59 years, female 113.3
GTEX-1AX9J-0226-SM-73KXM 60-69 years, male 113.2
GTEX-133LE-1826-SM-5J1MV 20-29 years, female 113.1
GTEX-145LV-2126-SM-5LU8N 50-59 years, male 113.1
GTEX-WRHK-1426-SM-3MJF9 20-29 years, female 113.1
GTEX-1EKGG-0226-SM-9WYTH 60-69 years, male 113.0
GTEX-13SLX-0526-SM-5S2ON 50-59 years, female 112.9
GTEX-15SHU-0126-SM-7KUEH 40-49 years, female 112.9
GTEX-X585-0226-SM-4QAS2 50-59 years, male 112.9
GTEX-11XUK-2026-SM-5EQLF 40-49 years, female 112.7
GTEX-1C2JI-1826-SM-73KXC 50-59 years, male 112.6
GTEX-PLZ5-2026-SM-2S1O4 50-59 years, male 112.6
GTEX-14BIN-0626-SM-793DP 50-59 years, female 112.5
GTEX-11O72-0126-SM-59887 40-49 years, male 112.4
GTEX-12WSJ-1826-SM-5GCNY 40-49 years, female 112.4
GTEX-XAJ8-0826-SM-47JY6 40-49 years, male 112.3
GTEX-ZF29-2326-SM-DO92K 60-69 years, female 112.3
GTEX-1212Z-2526-SM-5EGKP 60-69 years, male 112.1
GTEX-14ABY-0226-SM-5TDCQ 50-59 years, male 112.1
GTEX-13OVI-1426-SM-5L3EY 60-69 years, female 112.0
GTEX-13PVR-2326-SM-5QGR1 60-69 years, female 112.0
GTEX-1MGNQ-0126-SM-EVYCJ 40-49 years, male 112.0
GTEX-13PDP-0126-SM-5L3HD 60-69 years, male 111.9
GTEX-146FH-0126-SM-5QGPP 50-59 years, female 111.9
GTEX-XV7Q-2526-SM-4BRV9 40-49 years, female 111.9
GTEX-1HT8W-0126-SM-CNPPP 30-39 years, male 111.9
GTEX-1QCLY-0326-SM-E8VOG 30-39 years, male 111.9
GTEX-1GF9V-0326-SM-7RHI5 60-69 years, male 111.7
GTEX-1S5ZA-0126-SM-EVYCV 20-29 years, male 111.7
GTEX-139D8-0226-SM-5KLZO 30-39 years, female 111.6
GTEX-1PIGE-0126-SM-EVYBJ 20-29 years, male 111.6
GTEX-11GSP-2526-SM-5N9BP 60-69 years, female 111.5
GTEX-1AX9K-2326-SM-73KWU 50-59 years, male 111.4
GTEX-ZF28-0126-SM-4WKGK 60-69 years, male 111.3
GTEX-1GN73-0226-SM-9WG67 60-69 years, male 111.3
GTEX-117YX-2326-SM-5H12W 50-59 years, male 111.1
GTEX-14E6E-1826-SM-5S2R7 30-39 years, male 111.1
GTEX-TKQ1-1026-SM-4GICL 30-39 years, male 111.1
GTEX-1I1GR-0126-SM-CL55F 60-69 years, male 111.1
GTEX-13CF3-2426-SM-5IFGX 60-69 years, female 111.0
GTEX-1HSEH-0126-SM-ACKXN 60-69 years, male 111.0
GTEX-1128S-2326-SM-5GZZY 60-69 years, female 110.8
GTEX-1A3MV-1926-SM-718BT 30-39 years, male 110.7
GTEX-ZZ64-1726-SM-5GZYB 20-29 years, male 110.7
GTEX-OOBK-0126-SM-2YUND 40-49 years, male 110.5
GTEX-1S82Y-2026-SM-EVYCM 40-49 years, male 110.5
GTEX-13O3O-0126-SM-E9J49 60-69 years, female 110.4
GTEX-17HII-0226-SM-7LG4E 50-59 years, male 110.3
GTEX-13OVK-2026-SM-7KUEO 40-49 years, male 110.2
GTEX-1F6IF-0726-SM-7P8TW 60-69 years, male 110.1
GTEX-1GMRU-0126-SM-9YFLV 50-59 years, male 110.1
GTEX-OXRK-0226-SM-3NB2G 50-59 years, female 109.8
GTEX-1H2FU-0126-SM-9WYSI 60-69 years, female 109.8
GTEX-1QPFJ-0226-SM-E76PB 30-39 years, female 109.7
GTEX-1269C-2526-SM-5EGJ3 60-69 years, female 109.6
GTEX-12KS4-0326-SM-5EQ41 30-39 years, male 109.3
GTEX-1E1VI-0126-SM-7DHMZ 50-59 years, male 109.3
GTEX-U8T8-0126-SM-3DB94 60-69 years, male 109.3
GTEX-SE5C-1626-SM-2XCE3 40-49 years, female 109.2
GTEX-11VI4-1726-SM-5CVLH 40-49 years, female 109.1
GTEX-145LU-0126-SM-5TDCB 50-59 years, male 109.1
GTEX-12WSL-2526-SM-5GCNJ 50-59 years, male 109.0
GTEX-14LLW-0126-SM-6LLIO 70-79 years, female 109.0
GTEX-11H98-0126-SM-5EGHG 50-59 years, male 108.9
GTEX-1CB4H-0226-SM-7PBXM 60-69 years, female 108.9
GTEX-1GN1U-0126-SM-7PBZK 50-59 years, female 108.9
GTEX-13OVH-0126-SM-5MR4B 70-79 years, male 108.8
GTEX-1I1GQ-0126-SM-COH3H 50-59 years, male 108.8
GTEX-ZC5H-0226-SM-4WAY9 40-49 years, female 108.7
GTEX-PW2O-1526-SM-7RHHB 20-29 years, male 108.3
GTEX-12696-2426-SM-5EQ6H 60-69 years, male 108.1
GTEX-Y5V5-2326-SM-4V6GA 60-69 years, female 108.1
GTEX-1PPH7-2326-SM-EVYB8 40-49 years, male 108.1
GTEX-1IKJJ-0126-SM-CNPQB 60-69 years, male 107.9
GTEX-ZTX8-1426-SM-5DUVO 20-29 years, male 107.8
GTEX-R3RS-0126-SM-3GIJL 40-49 years, female 107.7
GTEX-XUW1-0426-SM-4BOOT 50-59 years, female 107.7
GTEX-1HCU9-1526-SM-A9SL7 20-29 years, male 107.7
GTEX-ZAB5-1826-SM-5HL7C 50-59 years, male 107.4
GTEX-1HCUA-2426-SM-ADEIS 50-59 years, female 107.2
GTEX-1I1HK-0126-SM-COH49 60-69 years, male 107.2
GTEX-17EVP-0326-SM-7DHLG 40-49 years, male 107.0
GTEX-13112-2826-SM-5DUWH 50-59 years, male 106.9
GTEX-13JUV-2726-SM-5LZZ8 40-49 years, female 106.8
GTEX-1KANA-0726-SM-D3L9I 20-29 years, male 106.8
GTEX-OIZF-0126-SM-7SB8I 60-69 years, male 106.7
GTEX-15G19-0126-SM-6PANQ 60-69 years, male 106.6
GTEX-R55G-2526-SM-2TC6D 40-49 years, female 106.6
GTEX-ZUA1-0126-SM-5GU76 40-49 years, male 106.6
GTEX-1JKYN-1326-SM-CGQG9 30-39 years, male 106.6
GTEX-11DXX-2426-SM-5GZZW 60-69 years, female 106.4
GTEX-1CB4J-0626-SM-7DHMP 60-69 years, male 106.4
GTEX-17HGU-0226-SM-7DHKV 50-59 years, male 106.3
GTEX-1K9T9-0126-SM-EVYCF 50-59 years, female 106.3
GTEX-13RTK-1426-SM-5QGQJ 20-29 years, male 106.2
GTEX-15DYW-0126-SM-7KULE 60-69 years, female 106.1
GTEX-139TT-0126-SM-5K7Y5 60-69 years, male 106.0
GTEX-U4B1-1826-SM-4DXSU 40-49 years, male 106.0
GTEX-1B97I-1626-SM-73KYO 40-49 years, male 105.9
GTEX-ZVZP-2426-SM-59HKJ 50-59 years, male 105.8
GTEX-1B8L1-2526-SM-9WYTF 60-69 years, male 105.8
GTEX-12WSA-0226-SM-5BC5V 60-69 years, male 105.7
GTEX-VJWN-0126-SM-3GIK7 50-59 years, female 105.7
GTEX-13N1W-0126-SM-5K7VT 70-79 years, male 105.6
GTEX-1B8SG-0126-SM-73KZ3 50-59 years, male 105.4
GTEX-12WSC-0126-SM-5EQ4P 50-59 years, male 105.3
GTEX-RWS6-2026-SM-2XCB5 60-69 years, female 105.2
GTEX-1H1ZS-0426-SM-9WG6G 70-79 years, male 105.2
GTEX-YJ8A-0426-SM-5IFID 20-29 years, male 105.1
GTEX-XPVG-2626-SM-4B669 50-59 years, male 104.7
GTEX-1HKZK-0326-SM-9WYUH 40-49 years, male 104.7
GTEX-13O1R-0126-SM-5L3EH 60-69 years, male 104.4
GTEX-XYKS-2126-SM-4E3IB 60-69 years, female 104.3
GTEX-1KXAM-2226-SM-CYPTC 60-69 years, male 104.3
GTEX-15F5U-1526-SM-6PANO 40-49 years, male 104.1
GTEX-RUSQ-1526-SM-2TF62 50-59 years, male 103.9
GTEX-Y8LW-1826-SM-5S2MV 50-59 years, female 103.9
GTEX-16BQI-0226-SM-7KUEX 30-39 years, female 103.8
GTEX-1GZ4H-1726-SM-7PBZJ 50-59 years, female 103.8
GTEX-1I6K6-0126-SM-A9SLE 30-39 years, male 103.8
GTEX-11ZTT-2426-SM-5EQLS 60-69 years, female 103.7
GTEX-13W3W-2426-SM-5LU5B 60-69 years, female 103.7
GTEX-1IDJU-2626-SM-CM2RT 60-69 years, female 103.7
GTEX-14JG6-2226-SM-6EU2G 30-39 years, female 103.6
GTEX-1GF9X-2026-SM-7PC3A 40-49 years, female 103.5
GTEX-11TTK-0126-SM-5987B 60-69 years, female 103.4
GTEX-12584-0126-SM-5EGKQ 40-49 years, male 103.4
GTEX-16XZZ-0126-SM-793DV 60-69 years, male 103.4
GTEX-1R7EU-0226-SM-EVR4G 60-69 years, male 103.4
GTEX-1C6VR-2426-SM-79OLD 60-69 years, male 103.3
GTEX-1F88F-2726-SM-7PBZZ 60-69 years, female 103.3
GTEX-1J8QM-2126-SM-CYPSJ 60-69 years, female 103.3
GTEX-13VXT-0126-SM-5LU4I 20-29 years, female 103.2
GTEX-145MI-0526-SM-5O9A8 60-69 years, female 103.2
GTEX-1QP29-0626-SM-EWRMX 50-59 years, male 103.2
GTEX-14C5O-0126-SM-5SI6N 60-69 years, male 102.8
GTEX-SN8G-0126-SM-32PLI 50-59 years, female 102.8
GTEX-1R46S-0626-SM-E9J41 60-69 years, female 102.7
GTEX-12C56-1726-SM-5EQ61 20-29 years, male 102.5
GTEX-11EI6-0126-SM-5985R 60-69 years, male 102.4
GTEX-1F6RS-0126-SM-9MQKZ 60-69 years, female 102.4
GTEX-1K2DU-2326-SM-E9TIV 20-29 years, male 102.2
GTEX-14BIL-0126-SM-5SI92 50-59 years, male 101.9
GTEX-1HBPN-0226-SM-9YFM1 50-59 years, male 101.9
GTEX-1H1DE-2126-SM-9WG6R 20-29 years, male 101.4
GTEX-13FTX-1826-SM-5J1NX 20-29 years, female 100.6
GTEX-1GL5R-1826-SM-9KNUY 50-59 years, male 100.3
GTEX-1F48J-0126-SM-7P8TT 50-59 years, female 100.1
GTEX-17F96-1626-SM-7DUFL 70-79 years, male 99.8
GTEX-14LZ3-0226-SM-62LET 60-69 years, female 99.7
GTEX-14DAR-2026-SM-5S2O3 50-59 years, male 99.6
GTEX-11DZ1-0126-SM-5985Q 50-59 years, male 99.4
GTEX-14PN3-2426-SM-6LLHS 60-69 years, female 99.4
GTEX-1LH75-2426-SM-E9TJE 50-59 years, female 99.4
GTEX-1GN1W-0526-SM-9MQJQ 50-59 years, female 99.3
GTEX-13SLW-0126-SM-5SI6C 70-79 years, male 99.1
GTEX-14PHW-0126-SM-6LLJI 60-69 years, female 99.0
GTEX-1E2YA-0126-SM-9KNUC 50-59 years, male 98.7
GTEX-ZTPG-0326-SM-5O9AX 20-29 years, female 98.6
GTEX-1LGRB-2526-SM-CNPPQ 50-59 years, female 98.4
GTEX-1R7EV-2426-SM-EVYBG 40-49 years, male 98.4
GTEX-1QP2A-0126-SM-E9J43 50-59 years, male 98.1
GTEX-11TT1-2526-SM-5EGIB 20-29 years, male 97.9
GTEX-1LBAC-0126-SM-DIPEZ 20-29 years, male 97.9
GTEX-145ME-1826-SM-5SI9G 40-49 years, female 97.8
GTEX-18A67-0126-SM-7LG5P 50-59 years, male 97.8
GTEX-ZPIC-1726-SM-DHXIU 40-49 years, female 97.8
GTEX-1I1GT-0626-SM-CGQER 60-69 years, female 97.7
GTEX-1HSMQ-1226-SM-CGQFX 50-59 years, male 97.4
GTEX-1MUQO-0126-SM-EAZ58 60-69 years, male 97.3
GTEX-13N2G-2626-SM-5J1OT 60-69 years, male 97.2
GTEX-1H3NZ-0126-SM-ACKX7 60-69 years, male 97.1
GTEX-1J8Q3-1626-SM-CMKGC 60-69 years, male 97.1
GTEX-11P82-1626-SM-59879 20-29 years, male 97.0
GTEX-1I1GU-2226-SM-CGQFA 40-49 years, male 97.0
GTEX-ZDTT-2726-SM-4WKF8 60-69 years, male 96.8
GTEX-11EQ9-2426-SM-5HL5T 30-39 years, male 96.7
GTEX-15UKP-0426-SM-7KUFQ 20-29 years, male 96.7
GTEX-16AAH-1726-SM-7939C 50-59 years, male 96.3
GTEX-13NYC-0326-SM-E9J4S 60-69 years, male 96.3
GTEX-11P81-2326-SM-59875 30-39 years, female 96.1
GTEX-P44H-0226-SM-2XCEU 40-49 years, male 96.0
GTEX-1IE54-0126-SM-CMKHW 40-49 years, female 95.9
GTEX-147F3-0526-SM-5SI98 50-59 years, female 95.8
GTEX-1JMQI-2226-SM-CM2SD 50-59 years, male 95.7
GTEX-ZXG5-0126-SM-5GIEU 60-69 years, male 95.6
GTEX-ZF2S-2326-SM-4WWCE 50-59 years, female 95.3
GTEX-ZV6S-2326-SM-4YCEY 40-49 years, female 95.0
GTEX-1H11D-0226-SM-9WG6Z 40-49 years, male 94.8
GTEX-18A66-0226-SM-718BD 60-69 years, male 94.6
GTEX-ZU9S-0226-SM-5E441 30-39 years, male 94.6
GTEX-SNMC-1226-SM-2XCFP 20-29 years, male 94.5
GTEX-1AMEY-1326-SM-73KYK 30-39 years, female 94.3
GTEX-ZVE2-0226-SM-59HJB 50-59 years, male 94.2
GTEX-1A3MW-0126-SM-73KXX 60-69 years, female 94.0
GTEX-ZQUD-1426-SM-57WER 30-39 years, male 93.8
GTEX-1F5PK-2426-SM-7RHHY 50-59 years, male 93.0
GTEX-1JMOU-1526-SM-CL54I 60-69 years, female 92.9
GTEX-12WSN-5019-SM-79OM6 40-49 years, male 92.0
GTEX-148VJ-0126-SM-5TDDN 70-79 years, male 92.0
GTEX-1C6VS-0526-SM-7DUEN 60-69 years, male 91.8
GTEX-14A5I-0126-SM-5TDEA 50-59 years, female 91.5
GTEX-13NYS-0126-SM-5MR3W 60-69 years, male 91.3
GTEX-1F52S-0126-SM-9MQJU 60-69 years, female 91.3
GTEX-1JK1U-2026-SM-CM2RZ 60-69 years, male 91.2
GTEX-18D9B-0526-SM-7LTAS 60-69 years, male 90.6
GTEX-1H1E6-1726-SM-ACKVK 30-39 years, male 90.4
GTEX-1I4MK-2226-SM-ACKWD 50-59 years, female 90.3
GTEX-11LCK-1026-SM-5A5KB 30-39 years, male 90.1
GTEX-146FR-1326-SM-E9J48 60-69 years, female 89.9
GTEX-TSE9-0126-SM-3DB83 60-69 years, female 89.7
GTEX-TMMY-0226-SM-33HBA 40-49 years, female 89.2
GTEX-13X6H-2126-SM-7EWD5 50-59 years, female 88.9
GTEX-ZEX8-2426-SM-4WKG4 50-59 years, male 88.7
GTEX-1LC47-0326-SM-E9TJP 60-69 years, male 88.3
GTEX-14XAO-2326-SM-6EU1B 60-69 years, female 87.7
GTEX-1C475-1826-SM-73KWA 40-49 years, female 87.5
GTEX-1A8FM-0226-SM-7SB7Q 50-59 years, female 87.4
GTEX-ZTSS-1926-SM-57WEW 40-49 years, male 87.0
GTEX-1EN7A-0126-SM-7SB81 40-49 years, male 86.5
GTEX-1GMR8-0126-SM-9WYTM 50-59 years, female 86.3
GTEX-1MCYP-1926-SM-E9J2R 20-29 years, female 86.1
GTEX-16NGA-1726-SM-731B4 40-49 years, female 85.9
GTEX-S32W-2126-SM-2XCB1 50-59 years, female 85.2
GTEX-11EMC-2926-SM-5EQ4F 60-69 years, female 84.3
GTEX-1B8KE-2126-SM-73KYX 50-59 years, male 82.8
GTEX-Z9EW-1626-SM-5CVMN 40-49 years, male 82.6
GTEX-17GQL-2026-SM-718BA 60-69 years, male 81.6
GTEX-131XG-2626-SM-5KM17 50-59 years, female 81.3
GTEX-1HCU7-0226-SM-CL545 50-59 years, male 81.1
GTEX-11NSD-2226-SM-5986V 20-29 years, male 80.9
GTEX-1H23P-0126-SM-ADEJ3 60-69 years, male 80.1
GTEX-1HFI7-1826-SM-ACKXH 50-59 years, female 74.9
GTEX-ZZPT-0226-SM-5E43X 50-59 years, male 74.1
GTEX-1JN76-0126-SM-CNPPE 20-29 years, female 71.4
GTEX-15EOM-0126-SM-7KUGG 20-29 years, female 68.9
GTEX-11WQK-0526-SM-5EQLD 50-59 years, male 56.7
Show allShow less

Contact

  • NEWS ARTICLES
  • PRESS ROOM

The Project

  • INTRODUCTION
  • ORGANIZATION
  • PUBLICATIONS

The Human Protein Atlas

  • DOWNLOADABLE DATA
  • LICENCE & CITATION
  • HELP & FAQ
The Human Protein Atlas project is funded
by the Knut & Alice Wallenberg Foundation.


contact@proteinatlas.org