We use cookies to enhance the usability of our website. If you continue, we'll assume that you are happy to receive all cookies. More information. Don't show this again.
HNRNPAB
HPA
RESOURCES
  • TISSUE
  • BRAIN
  • SINGLE CELL
  • SUBCELLULAR
  • CANCER
  • BLOOD
  • CELL LINE
  • STRUCTURE & INTERACTION
ABOUT
  • INTRODUCTION
  • HISTORY
  • ORGANIZATION
  • PUBLICATIONS
  • ANTIBODY SUBMISSION
  • ANTIBODY AVAILABILITY
  • ACKNOWLEDGMENTS
  • CONTACT
NEWS
  • NEWS ARTICLES
  • PRESS ROOM
LEARN
  • DICTIONARY
  • PROTEIN CLASSES
  • PROTEIN EVIDENCE
  • METHODS
  • EDUCATIONAL VIDEOS
DATA
  • DOWNLOADABLE DATA
  • PUBLICATION DATA
  • RELEASE HISTORY
HELP
  • ANTIBODY VALIDATION
  • ASSAYS & ANNOTATION
  • DISCLAIMER
  • HELP & FAQ
  • PRIVACY STATEMENT
  • LICENCE & CITATION
Fields »
Search result

Field
Term
Gene name
Class
Subclass
Class
Keyword
Chromosome
External id
Tissue
Cell type
Expression
Antibody panel
Tissue
Main location
Patient ID
Annotation
Tissue
Category
Tau score
Cluster
Reliability
Brain region
Category
Tau score
Brain region
Category
Tau score
Brain region
Category
Tau score
Cluster
Reliability
Tissue
Cell type
Enrichment
Cell type
Category
Tau score
Cell type
Category
Tau score
Cell type
Category
Tau score
Cell lineage
Category
Tau score
Cluster
Cluster
Location
Searches
Location
Cell line
Class
Type
Phase
Reliability
Cancer
Prognosis
Cancer
Category
Cancer
Category
Tau score
Cluster
Variants
Interacting gene (ensg_id)
Type
Number of interactions
Pathway
Category
Score
Score
Score
Validation
Validation
Validation
Validation
Antibodies
Data type
Column


  • SUMMARY

  • TISSUE

  • BRAIN

  • SINGLE CELL

  • SUBCELL

  • CANCER

  • BLOOD

  • CELL LINE

  • STRUCT & INT

  • HNRNPAB
TISSUE PRIMARY DATA ESOPHAGUS Show tissue menu
ADIPOSE TISSUE ADRENAL GLAND AMYGDALA APPENDIX BASAL GANGLIA BONE MARROW BREAST BRONCHUS CEREBELLUM CEREBRAL CORTEX CERVIX CHOROID PLEXUS COLON DUODENUM
ENDOMETRIUM EPIDIDYMIS ESOPHAGUS FALLOPIAN TUBE GALLBLADDER HEART MUSCLE HIPPOCAMPAL FORMATION HYPOTHALAMUS KIDNEY LIVER LUNG LYMPH NODE MIDBRAIN NASOPHARYNX
ORAL MUCOSA OVARY PANCREAS PARATHYROID GLAND PITUITARY GLAND PLACENTA PROSTATE RECTUM RETINA SALIVARY GLAND SEMINAL VESICLE SKELETAL MUSCLE SKIN SMALL INTESTINE
SMOOTH MUSCLE SOFT TISSUE SPINAL CORD SPLEEN STOMACH TESTIS THYMUS THYROID GLAND TONGUE TONSIL URINARY BLADDER VAGINA
ANTIBODIES
AND
VALIDATION
Dictionary
Esophagus
Tissue proteome
Esophagus
ESOPHAGUS - Expression summary
Protein expression
Esophagusi

On the top, protein expression in current human tissue, based on all annotated cell types, is reported with the units not detected (n), low (l), medium (m) and high (h). Underneath, protein expression in each annotated cell type are reported using the same units.

Protein expression data is based on knowledge-based annotation. For genes where more than one antibody has been used, a collective score is set.

If knowledge-based annotation could not be performed for a gene, no data is displayed here. View antibody staining data further down this page.

h
m
l
n
Squamous epithelial cells: High
RNA expressioni

A summary of mRNA expression data available for current tissue based on several datasets. The mRNA expression levels in human tissues are based on RNA-seq data generated by the Human Protein Atlas (HPA), Genotype-Tissue Expression (GTEx) portal and CAGE data generated by the FANTOM5 consortium. Consensus normalized expression levels for human tissues was created by combining the data from HPA and GTEx datasets.

The mRNA expression levels in pig are based on RNA-seq data generated by the Human Protein Atlas (HPA), and for mouse, HPA data and in situ hybridization generated by the Allen brain atlas are reported.

Scroll down to view mRNA expression data in more detail.
Consensus:118.5 nTPM
HPA:77.9 nTPM
GTEx:118.5 nTPM
FANTOM5:213.4 Scaled Tags Per Million

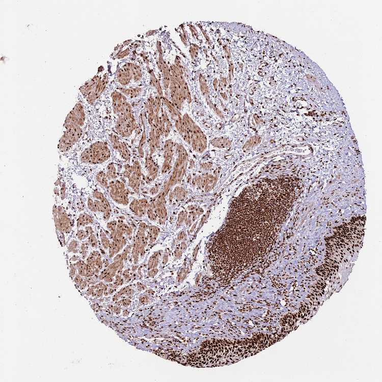
ESOPHAGUS - Antibody stainingi

Antibody staining in the annotated cell types in the current human tissue is reported as not detected, low, medium, or high, based on conventional immunohistochemistry profiling in selected tissues. This score is based on the combination of the staining intensity and fraction of stained cells.

Each image is clickable and will lead to virtual microscopy that enables deeper exploration of all samples and also displays staining intensity scores, fraction scores and subcellular localization as well as patient and tissue information for each sample.

Antibody HPA046688
Squamous epithelial cells High



ESOPHAGUS - HPA RNA-seqi

The RNA-seq details section shows detailed information about the individual samples used for the transcript profiling and results of the RNA-seq analysis.

Information about each individual sample is listed below, including gender, age, a tissue section image and estimated fractions of cell types. nTPM (normalized transcripts per million) values give a quantification of the gene abundance which is comparable between different genes and samples.
Average nTPMi

Max subtype nTPM is the value for the subtype with the largest average nTPM across the subtype samples.

77.9
overview
Female, age 70
Esophagus sample 130
nTPM: 74.4
Cell types%
Squamous epithelial cells:
35

Smooth muscle cells:
15

Skeletal muscle cells:
5

Other cell types:
45

overview
Male, age 38
Esophagus sample 131
nTPM: 83.6
Cell types%
Squamous epithelial cells:
60

Smooth muscle cells:
20

Other cell types:
20

overview
Male, age 76
Esophagus sample 132
nTPM: 75.6
Cell types%
Squamous epithelial cells:
45

Smooth muscle cells:
15

Other cell types:
40


ESOPHAGUS - GTEx RNA-seqi

RNA-Seq data generated by the Genotype-Tissue Expression (GTEx) project from human tissues is reported as mean nTPM. More information can be found on the GTEx portal.

Distribution across the dataset is visualized with box plots, shown as median and 25th and 75th percentiles. Points are displayed as outliers if they are above or below 1.5 times the interquartile range. nTPM values of the individual samples are presented next to the box plot.
Max subtype nTPMi

Max subtype nTPM is the value for the subtype with the largest average nTPM across the subtype samples.

118.5
GTEx sample id Sample description nTPM
Esophagus - Mucosa
Average nTPM: 118.5
Samples: 555

Max nTPM: 248.7
Min nTPM: 49.0
Std nTPM: 31.1
Median nTPM: 114.7
GTEX-T5JW-1326-SM-4DM5G 20-29 years, female 248.7
GTEX-1I1GP-1026-SM-C1YRZ 50-59 years, male 239.2
GTEX-15DCE-1326-SM-6LPJL 20-29 years, male 232.5
GTEX-13O1R-1326-SM-5IJF5 60-69 years, male 219.3
GTEX-ZTX8-0226-SM-5E44D 20-29 years, male 216.5
GTEX-1F5PL-1726-SM-9QEGL 40-49 years, female 216.1
GTEX-1GF9U-0826-SM-7MXTZ 40-49 years, female 211.6
GTEX-ZY6K-0626-SM-59HJL 50-59 years, male 200.7
GTEX-14PJ6-1026-SM-686ZB 60-69 years, female 197.5
GTEX-1AX8Z-5016-SM-AHZ2B 60-69 years, male 196.2
GTEX-RUSQ-0826-SM-47JWW 50-59 years, male 196.1
GTEX-11TT1-0526-SM-5P9JO 20-29 years, male 195.8
GTEX-1QP2A-1926-SM-EXOJ9 50-59 years, male 194.1
GTEX-14PK6-1326-SM-686ZE 70-79 years, female 193.1
GTEX-YFC4-1226-SM-5LU9R 40-49 years, female 192.8
GTEX-Y9LG-0626-SM-4WWDH 30-39 years, male 190.6
GTEX-TMMY-1126-SM-4DXSX 40-49 years, female 189.0
GTEX-145ME-5004-SM-7MGXP 40-49 years, female 187.8
GTEX-15F5U-5010-SM-AHZ2D 40-49 years, male 187.7
GTEX-XQ3S-1126-SM-4BOPK 20-29 years, male 187.0
GTEX-1C6VQ-1826-SM-7EWEH 50-59 years, male 185.4
GTEX-1C475-0926-SM-7MKFI 40-49 years, female 183.9
GTEX-1L5NE-1426-SM-DHXKV 50-59 years, male 181.9
GTEX-WHWD-0926-SM-4OORY 50-59 years, male 181.6
GTEX-148VI-1026-SM-5TDDJ 60-69 years, female 180.9
GTEX-ZYFG-1126-SM-5GICY 60-69 years, female 180.2
GTEX-17F9E-1926-SM-7IGQF 50-59 years, male 176.6
GTEX-14BMU-0926-SM-5S2QB 20-29 years, female 176.3
GTEX-1PFEY-0826-SM-E9U6A 30-39 years, male 175.8
GTEX-S4P3-0426-SM-4AD56 50-59 years, female 174.7
GTEX-R55E-1326-SM-48FCR 20-29 years, male 172.8
GTEX-18D9U-2126-SM-7LG4Y 40-49 years, male 172.7
GTEX-1N2DV-2026-SM-EV7BL 40-49 years, male 172.0
GTEX-11GSP-1826-SM-5N9DQ 60-69 years, female 171.9
GTEX-XGQ4-1526-SM-4AT6H 50-59 years, male 171.7
GTEX-11DXX-1126-SM-5GZZK 60-69 years, female 171.1
GTEX-13X6H-1326-SM-5LU42 50-59 years, female 170.7
GTEX-14PJ4-1526-SM-664OA 60-69 years, male 169.0
GTEX-11ZU8-1526-SM-5EGHX 60-69 years, male 168.1
GTEX-13PVQ-1726-SM-5IFF3 50-59 years, male 167.3
GTEX-VJYA-0726-SM-4KL1T 60-69 years, male 165.7
GTEX-ZVP2-1326-SM-57WCE 50-59 years, male 165.5
GTEX-14ICL-0526-SM-5RQJ6 30-39 years, male 165.4
GTEX-WOFM-0626-SM-4OOS3 20-29 years, male 164.9
GTEX-1H11D-2126-SM-9OSXM 40-49 years, male 164.6
GTEX-1I4MK-0426-SM-B2LWQ 50-59 years, female 163.6
GTEX-1GPI7-1026-SM-7MGY2 20-29 years, male 163.1
GTEX-ZAJG-1326-SM-5S2NV 50-59 years, female 162.0
GTEX-11I78-1526-SM-5A5K7 50-59 years, female 161.9
GTEX-1C2JI-1126-SM-731FH 50-59 years, male 160.4
GTEX-14B4R-0326-SM-5TDDP 30-39 years, male 159.4
GTEX-U4B1-0826-SM-4DXTW 40-49 years, male 159.3
GTEX-17MFQ-0526-SM-7KFTX 20-29 years, male 159.1
GTEX-1QP9N-0926-SM-E9U5S 30-39 years, male 159.0
GTEX-15RJ7-0926-SM-6LPJO 40-49 years, male 157.2
GTEX-15RJE-0926-SM-6LLHZ 40-49 years, male 157.2
GTEX-1KD4Q-1126-SM-CXZKK 40-49 years, male 157.1
GTEX-133LE-0626-SM-5IFFJ 20-29 years, female 156.8
GTEX-16MTA-0826-SM-6LLIC 50-59 years, male 156.3
GTEX-1CB4J-2426-SM-7MXVC 60-69 years, male 156.3
GTEX-1JK1U-1726-SM-CNNPM 60-69 years, male 156.3
GTEX-1PPH8-1626-SM-E6CQP 20-29 years, male 156.3
GTEX-1CB4I-1026-SM-7MKFZ 50-59 years, male 156.2
GTEX-ZLFU-1126-SM-DO11K 40-49 years, male 155.9
GTEX-1NSGN-2026-SM-DPRYM 50-59 years, male 155.4
GTEX-14PJ5-0526-SM-664OE 60-69 years, female 154.5
GTEX-1K9T9-2026-SM-CXZK3 50-59 years, female 154.2
GTEX-1H1DE-1026-SM-9JGH6 20-29 years, male 154.1
GTEX-16XZY-0926-SM-7938M 70-79 years, male 154.0
GTEX-1HCU6-1326-SM-A96TZ 60-69 years, female 153.8
GTEX-PVOW-1626-SM-48TC9 40-49 years, male 153.7
GTEX-13CF3-1626-SM-5IFG9 60-69 years, female 153.5
GTEX-QEG4-0726-SM-CNNRF 30-39 years, male 152.5
GTEX-TSE9-1226-SM-4DXTM 60-69 years, female 151.9
GTEX-11LCK-1726-SM-5S2OQ 30-39 years, male 151.0
GTEX-1A3MV-1326-SM-7LG6C 30-39 years, male 150.9
GTEX-S341-0526-SM-4AD5U 40-49 years, female 150.9
GTEX-1R7EU-0826-SM-DPRZL 60-69 years, male 149.5
GTEX-R3RS-1326-SM-48FE7 40-49 years, female 148.9
GTEX-XUZC-0426-SM-4BOPE 30-39 years, female 148.7
GTEX-1B996-1826-SM-7MGY6 60-69 years, male 148.5
GTEX-15RIF-0826-SM-6M47C 20-29 years, male 147.8
GTEX-18A67-2426-SM-7LT95 50-59 years, male 147.8
GTEX-X4EO-1226-SM-4QARR 60-69 years, female 146.8
GTEX-14ICK-2026-SM-6AJB2 40-49 years, male 146.1
GTEX-1RAZQ-1726-SM-EAZ4T 30-39 years, male 146.1
GTEX-Y111-1626-SM-57WCY 50-59 years, male 145.9
GTEX-WXYG-1226-SM-4ONCJ 50-59 years, female 145.6
GTEX-139UW-1126-SM-5IJEJ 60-69 years, male 145.3
GTEX-1LVAN-2326-SM-CNNPY 50-59 years, female 145.2
GTEX-ZV68-0926-SM-59HK7 50-59 years, female 145.1
GTEX-1LNCM-0626-SM-EV7AI 50-59 years, female 144.9
GTEX-13RTK-0526-SM-5S2QF 20-29 years, male 144.8
GTEX-1IKOE-1526-SM-C1YSD 30-39 years, female 144.5
GTEX-1OJC3-0826-SM-DPRYU 20-29 years, male 144.5
GTEX-14PJN-0526-SM-68724 30-39 years, male 144.4
GTEX-18A6Q-1226-SM-7KFS9 60-69 years, male 144.0
GTEX-1F75I-1726-SM-7MKGW 40-49 years, male 143.9
GTEX-111YS-0926-SM-5EGGI 60-69 years, male 143.8
GTEX-U3ZM-0526-SM-4DXTB 40-49 years, male 143.4
GTEX-ZZ64-0226-SM-5E44X 20-29 years, male 143.2
GTEX-1HCUA-1426-SM-9WPP7 50-59 years, female 143.2
GTEX-S3XE-0926-SM-4AD4S 50-59 years, male 143.1
GTEX-1GN73-1926-SM-9JGGS 60-69 years, male 142.7
GTEX-XMK1-1326-SM-4B65Q 40-49 years, male 142.6
GTEX-132QS-1426-SM-5P9GE 60-69 years, male 142.5
GTEX-18QFQ-1026-SM-7LG6B 30-39 years, male 141.9
GTEX-R55D-1126-SM-48FEB 50-59 years, male 141.7
GTEX-1I6K7-1426-SM-B2LXP 40-49 years, male 141.6
GTEX-12WSL-1526-SM-5GCP8 50-59 years, male 141.4
GTEX-14C38-2126-SM-5RQJO 50-59 years, male 141.3
GTEX-13FLV-1126-SM-5J2NO 50-59 years, male 141.0
GTEX-QESD-0826-SM-47J4G 20-29 years, male 141.0
GTEX-YEC3-2526-SM-CXZIH 50-59 years, male 140.7
GTEX-15RIE-0826-SM-6M47X 60-69 years, male 140.6
GTEX-S32W-0926-SM-4AD5X 50-59 years, female 140.6
GTEX-14JG6-0926-SM-6871Y 30-39 years, female 140.4
GTEX-NPJ8-1926-SM-3MJGB 40-49 years, male 140.2
GTEX-1OKEX-1326-SM-E9J2U 60-69 years, male 140.2
GTEX-1RAZA-1326-SM-DPS12 20-29 years, male 139.9
GTEX-1I1GS-2126-SM-ARU7G 60-69 years, male 139.8
GTEX-1497J-2726-SM-5SI9W 60-69 years, male 139.7
GTEX-1H3VY-2026-SM-9JGHK 50-59 years, male 139.7
GTEX-1N2DW-1426-SM-EV7AZ 50-59 years, male 139.5
GTEX-15SHU-1426-SM-6LPIN 40-49 years, female 139.1
GTEX-11P81-0826-SM-5P9GR 30-39 years, female 139.0
GTEX-RU1J-0326-SM-46MUM 20-29 years, female 138.6
GTEX-11EM3-0826-SM-5N9CC 20-29 years, female 138.4
GTEX-11EMC-2226-SM-5A5JW 60-69 years, female 138.4
GTEX-14PKV-1726-SM-6871U 20-29 years, female 138.4
GTEX-RM2N-0726-SM-48FD5 50-59 years, male 138.1
GTEX-ZTPG-1626-SM-5DUX2 20-29 years, female 138.1
GTEX-1399S-1326-SM-5P9GH 30-39 years, female 137.3
GTEX-Y3I4-1226-SM-4TT8N 50-59 years, male 137.3
GTEX-1M5QR-0726-SM-DHXK7 40-49 years, male 137.3
GTEX-18D9A-0526-SM-7KFSW 30-39 years, female 137.0
GTEX-1LVAM-1126-SM-DHXKP 50-59 years, female 136.8
GTEX-ZDYS-0826-SM-4WWCR 50-59 years, male 136.7
GTEX-YB5E-0926-SM-4WWDQ 40-49 years, male 136.6
GTEX-145MF-1426-SM-5O9B6 50-59 years, male 136.1
GTEX-RU72-0726-SM-46MUW 50-59 years, female 136.0
GTEX-OXRL-0626-SM-3NM9C 50-59 years, male 135.6
GTEX-1IDJD-1626-SM-C1YRC 30-39 years, male 135.6
GTEX-14AS3-0626-SM-5QGQD 40-49 years, female 135.4
GTEX-12696-1326-SM-5FQTJ 60-69 years, male 134.9
GTEX-14JIY-0926-SM-6871D 60-69 years, male 134.9
GTEX-1CB4E-1026-SM-793AB 60-69 years, male 134.8
GTEX-ZGAY-1126-SM-4WWBS 40-49 years, female 134.7
GTEX-X4LF-0626-SM-4QASB 50-59 years, male 134.6
GTEX-1AMEY-0226-SM-7189Q 30-39 years, female 134.5
GTEX-1KANB-1826-SM-DHXJU 50-59 years, male 134.5
GTEX-1QP28-1826-SM-EAZ4L 50-59 years, female 134.4
GTEX-131XF-0826-SM-5GICG 60-69 years, male 134.0
GTEX-ZXES-1126-SM-5GZXN 30-39 years, female 133.9
GTEX-R55C-0826-SM-48FCL 40-49 years, male 133.8
GTEX-1AYD5-0926-SM-793AF 50-59 years, male 133.5
GTEX-1HBPH-1126-SM-A96TU 40-49 years, female 133.4
GTEX-16BQI-1526-SM-6LLIE 30-39 years, female 133.2
GTEX-1KANA-0626-SM-D4P3I 20-29 years, male 133.2
GTEX-1JKYN-1526-SM-CGQGA 30-39 years, male 133.0
GTEX-ZTSS-0626-SM-59867 40-49 years, male 132.6
GTEX-1F88F-1126-SM-7MKHL 60-69 years, female 132.3
GTEX-XLM4-2326-SM-4AT5E 60-69 years, male 132.3
GTEX-Q2AI-0626-SM-48TZU 40-49 years, male 132.1
GTEX-1N2EE-2426-SM-EXOIO 60-69 years, male 131.7
GTEX-16A39-1026-SM-6LPJU 30-39 years, female 131.6
GTEX-ZE9C-1126-SM-4WWBD 60-69 years, male 131.6
GTEX-13QBU-1026-SM-5LU3R 40-49 years, female 131.4
GTEX-ZG7Y-1126-SM-4WWEZ 50-59 years, male 131.3
GTEX-1QCLY-1526-SM-DPRXX 30-39 years, male 130.9
GTEX-13SLX-1726-SM-5Q5E5 50-59 years, female 130.4
GTEX-1EMGI-1926-SM-7938Y 60-69 years, male 130.4
GTEX-18A7A-2326-SM-7KFRH 50-59 years, female 130.2
GTEX-PWCY-0726-SM-48TCS 20-29 years, female 130.2
GTEX-WQUQ-1626-SM-4OOSH 60-69 years, male 129.9
GTEX-13FH7-0526-SM-5IJF8 50-59 years, female 128.9
GTEX-13NZB-1226-SM-5J2MW 30-39 years, male 128.9
GTEX-1GL5R-1526-SM-7MKHO 50-59 years, male 128.9
GTEX-1MCC2-1926-SM-DHXJR 30-39 years, female 128.9
GTEX-1AX9J-1826-SM-731FM 60-69 years, male 128.8
GTEX-TKQ1-0326-SM-4DXSM 30-39 years, male 128.8
GTEX-Q2AH-0826-SM-48TZN 40-49 years, male 128.5
GTEX-148VJ-1026-SM-5LU98 70-79 years, male 128.2
GTEX-QLQ7-0926-SM-447BC 60-69 years, male 128.0
GTEX-1399U-1026-SM-5J1OC 50-59 years, female 127.8
GTEX-11EQ9-0726-SM-5A5K2 30-39 years, male 127.7
GTEX-PSDG-1326-SM-48TD2 50-59 years, male 127.5
GTEX-XBEW-1326-SM-4AT63 40-49 years, male 127.0
GTEX-QEG5-1426-SM-447AS 20-29 years, male 126.8
GTEX-11NSD-1126-SM-5N9BQ 20-29 years, male 126.6
GTEX-ZYY3-1526-SM-5SIA9 60-69 years, female 126.6
GTEX-WFG7-1126-SM-4LMK3 20-29 years, male 126.5
GTEX-13W3W-1626-SM-5LU35 60-69 years, female 126.3
GTEX-1GMR2-1526-SM-7MXV6 50-59 years, male 126.3
GTEX-146FQ-1026-SM-5LU8I 30-39 years, male 125.7
GTEX-144GO-2726-SM-5O9A2 60-69 years, male 125.4
GTEX-ZYFC-1626-SM-5N9EU 50-59 years, male 125.1
GTEX-T8EM-0526-SM-4DM64 40-49 years, male 124.9
GTEX-139T6-0626-SM-5IFF9 50-59 years, male 124.7
GTEX-144FL-2726-SM-5O98Z 50-59 years, male 124.6
GTEX-144GN-0626-SM-5O9B2 50-59 years, male 124.6
GTEX-1H23P-1426-SM-9JGH5 60-69 years, male 124.6
GTEX-1MGNQ-1626-SM-EAZ4Z 40-49 years, male 124.6
GTEX-WK11-1026-SM-4OOS8 50-59 years, male 124.2
GTEX-1HSKV-2426-SM-A8N8K 60-69 years, male 124.1
GTEX-11NUK-1326-SM-5P9GN 50-59 years, male 124.0
GTEX-1LG7Z-0926-SM-CXKYK 30-39 years, male 124.0
GTEX-ZF29-1326-SM-DNZYV 60-69 years, female 123.8
GTEX-1QP67-0726-SM-DPRY1 40-49 years, female 123.7
GTEX-ZYT6-1126-SM-5GZYR 30-39 years, male 123.6
GTEX-1R9PM-0926-SM-DPRYA 20-29 years, male 123.3
GTEX-PWN1-0626-SM-48TDT 40-49 years, female 123.1
GTEX-16NPX-1626-SM-6LLI5 50-59 years, male 123.0
GTEX-12BJ1-1626-SM-5HL8Y 60-69 years, male 122.8
GTEX-14E6E-0726-SM-5S2R3 30-39 years, male 122.7
GTEX-1J8EW-1326-SM-AHZ3S 60-69 years, female 122.7
GTEX-14E1K-1226-SM-5S2PD 50-59 years, male 122.6
GTEX-Y5V6-1026-SM-4VBS2 60-69 years, male 122.6
GTEX-1QCLZ-1626-SM-E9U5R 60-69 years, female 122.4
GTEX-12ZZX-1326-SM-5DUWI 40-49 years, female 122.0
GTEX-139YR-1726-SM-5IFFK 50-59 years, male 122.0
GTEX-15SB6-0726-SM-6M48F 50-59 years, female 122.0
GTEX-SUCS-0726-SM-4DM7J 70-79 years, male 122.0
GTEX-169BO-0526-SM-793AK 50-59 years, male 121.9
GTEX-RNOR-1226-SM-48FDQ 50-59 years, female 121.8
GTEX-1KXAM-0826-SM-CXZK9 60-69 years, male 121.6
GTEX-1212Z-2126-SM-5FQTM 60-69 years, male 121.3
GTEX-13OVG-0626-SM-5IFEP 60-69 years, male 121.3
GTEX-SNMC-0526-SM-4DM69 20-29 years, male 121.3
GTEX-18A66-1426-SM-7KFRT 60-69 years, male 121.2
GTEX-OIZH-0626-SM-3NB1L 50-59 years, male 121.2
GTEX-Z9EW-0526-SM-5HL8S 40-49 years, male 121.2
GTEX-1JMQK-2026-SM-C1YQN 60-69 years, male 120.9
GTEX-1JMQJ-1226-SM-D3L97 50-59 years, male 120.7
GTEX-ZVT2-1326-SM-5E45H 50-59 years, female 120.4
GTEX-ZYW4-1326-SM-5E45N 60-69 years, male 120.4
GTEX-11DYG-1326-SM-5N9DO 60-69 years, male 120.2
GTEX-NFK9-1126-SM-3LK78 40-49 years, male 120.1
GTEX-1AX9K-1126-SM-731DQ 50-59 years, male 119.9
GTEX-14H4A-1626-SM-5SI69 40-49 years, female 119.7
GTEX-Y8E4-1726-SM-5LU9G 40-49 years, male 119.7
GTEX-1JKYR-2126-SM-CNNPC 20-29 years, male 119.5
GTEX-11ZTS-2626-SM-5EGIC 60-69 years, female 119.4
GTEX-146FR-0426-SM-5SI97 60-69 years, female 119.0
GTEX-145MO-1426-SM-DTX9W 60-69 years, male 118.9
GTEX-Y114-0926-SM-4TT7J 50-59 years, female 118.6
GTEX-1IKK5-1326-SM-AHZ2X 60-69 years, male 118.6
GTEX-13S86-0826-SM-5SI6J 40-49 years, male 118.5
GTEX-12WSA-1426-SM-5EGJU 60-69 years, male 118.3
GTEX-ZUA1-1226-SM-5NQ6O 40-49 years, male 118.2
GTEX-1HC8U-1526-SM-9WPO4 40-49 years, female 118.2
GTEX-17EUY-1426-SM-7938X 20-29 years, male 118.1
GTEX-1PIGE-0926-SM-E9U5Z 20-29 years, male 118.1
GTEX-ZA64-0626-SM-5HL9O 20-29 years, male 118.0
GTEX-ZT9W-1326-SM-51MTB 50-59 years, male 117.9
GTEX-18465-1126-SM-7LG6E 50-59 years, male 117.8
GTEX-OXRN-1726-SM-3NM9B 50-59 years, male 117.7
GTEX-183WM-1726-SM-7KFT5 70-79 years, female 117.6
GTEX-13FTW-1626-SM-5KM4N 40-49 years, male 117.2
GTEX-QVUS-0626-SM-447CC 60-69 years, female 117.1
GTEX-1JMPZ-2026-SM-C1YR8 30-39 years, male 117.1
GTEX-WFJO-0826-SM-4LVM5 30-39 years, male 116.9
GTEX-13YAN-1926-SM-7EPH9 60-69 years, male 116.1
GTEX-P78B-1026-SM-3NMC4 40-49 years, female 116.1
GTEX-146FH-1726-SM-5QGQ2 50-59 years, female 115.9
GTEX-QDVJ-0726-SM-48U1W 50-59 years, male 115.7
GTEX-Y8LW-0726-SM-5IFI1 50-59 years, female 115.6
GTEX-1QW4Y-0526-SM-EAZ3V 30-39 years, male 115.6
GTEX-1HBPI-0626-SM-9WPP4 50-59 years, male 115.4
GTEX-ZLWG-1326-SM-DNZYZ 50-59 years, female 115.2
GTEX-12WSK-1126-SM-5LZV8 40-49 years, female 115.1
GTEX-RN64-1026-SM-48FDX 50-59 years, male 115.1
GTEX-Y3IK-1126-SM-51MSV 50-59 years, female 115.1
GTEX-1J1OQ-2526-SM-AHZ3Q 40-49 years, female 114.9
GTEX-1RDX4-2126-SM-EV7B3 50-59 years, female 114.9
GTEX-11DXZ-1226-SM-5H11L 50-59 years, male 114.8
GTEX-1K2DA-0626-SM-CGQGO 50-59 years, male 114.8
GTEX-11P82-0526-SM-5986P 20-29 years, male 114.7
GTEX-18D9B-2026-SM-7LT96 60-69 years, male 114.7
GTEX-UPJH-1026-SM-EAZB2 50-59 years, male 114.4
GTEX-1HGF4-0926-SM-9WPP8 60-69 years, male 114.3
GTEX-1I1CD-1726-SM-A9G3P 60-69 years, female 114.3
GTEX-ZPU1-1426-SM-4WWFU 40-49 years, male 114.1
GTEX-1QPFJ-1226-SM-EAZ3M 30-39 years, female 114.1
GTEX-12WSD-1826-SM-5GCOA 60-69 years, female 114.0
GTEX-OIZG-1026-SM-3LK5X 50-59 years, male 113.8
GTEX-W5WG-1626-SM-4LMKG 50-59 years, female 113.8
GTEX-WFG8-1226-SM-4V6EI 20-29 years, male 113.7
GTEX-1R9K4-1926-SM-DPRZW 60-69 years, male 113.7
GTEX-1S83E-0826-SM-EV7B7 40-49 years, male 113.7
GTEX-11DZ1-2026-SM-5A5KG 50-59 years, male 113.3
GTEX-1IY9M-1626-SM-AHZ39 60-69 years, male 113.3
GTEX-14PJ3-0626-SM-6UGC5 50-59 years, male 113.2
GTEX-15EU6-1626-SM-6LPKF 50-59 years, male 113.0
GTEX-1QEPI-1826-SM-EAZ3J 60-69 years, female 113.0
GTEX-1B8KE-1826-SM-731FD 50-59 years, male 112.9
GTEX-1H1DG-1226-SM-9JGH3 70-79 years, male 112.7
GTEX-1F5PK-1526-SM-7MKGV 50-59 years, male 112.6
GTEX-1F52S-1426-SM-7P8PU 60-69 years, female 112.3
GTEX-13U4I-1126-SM-5LU3S 40-49 years, female 112.2
GTEX-ZLV1-0526-SM-4WWD4 60-69 years, female 111.8
GTEX-1LSVX-1226-SM-DHXJN 60-69 years, male 111.8
GTEX-1MCQQ-1026-SM-EV7AX 60-69 years, male 111.8
GTEX-1NUQO-1126-SM-DTX98 20-29 years, female 111.8
GTEX-UPK5-1226-SM-4IHL8 40-49 years, male 111.7
GTEX-1HKZK-1426-SM-A96U1 40-49 years, male 111.5
GTEX-1J1R8-0326-SM-AHZ3D 40-49 years, male 111.5
GTEX-13111-0826-SM-5LZV3 50-59 years, male 111.2
GTEX-XXEK-0326-SM-4BRVV 50-59 years, male 111.1
GTEX-12ZZW-1726-SM-5DUVD 50-59 years, male 111.0
GTEX-1QP29-2126-SM-E6CPZ 50-59 years, male 111.0
GTEX-1122O-1726-SM-5GICM 60-69 years, female 110.8
GTEX-13NYB-0926-SM-5IFFA 40-49 years, male 110.5
GTEX-1MCYP-1026-SM-DPRYB 20-29 years, female 110.5
GTEX-117YW-1926-SM-5H121 50-59 years, male 110.4
GTEX-WYVS-0726-SM-4ONDO 40-49 years, female 110.4
GTEX-ZDTT-1326-SM-4WKFH 60-69 years, male 110.4
GTEX-1CAMQ-2726-SM-7MKGD 40-49 years, male 110.3
GTEX-WFON-0826-SM-4LVMI 40-49 years, male 110.2
GTEX-12C56-1226-SM-5FQSU 20-29 years, male 110.0
GTEX-P4QT-0626-SM-3NMCP 50-59 years, female 109.9
GTEX-YEC4-1026-SM-9WG7N 40-49 years, male 109.9
GTEX-U8XE-1726-SM-4E3IF 30-39 years, male 109.8
GTEX-145MN-1026-SM-5NQ9G 30-39 years, male 109.6
GTEX-1MA7X-0726-SM-EV7AB 60-69 years, male 109.6
GTEX-13O21-0626-SM-5IJDI 50-59 years, male 109.4
GTEX-1211K-0926-SM-5FQTL 60-69 years, female 109.3
GTEX-XYKS-1526-SM-4BRUP 60-69 years, female 109.3
GTEX-1J8QM-1926-SM-AHZ3Z 60-69 years, female 109.3
GTEX-11TUW-1326-SM-5EQKV 60-69 years, male 109.2
GTEX-1H1ZS-1526-SM-9OSXR 70-79 years, male 109.2
GTEX-1B97I-0926-SM-731DZ 40-49 years, male 108.9
GTEX-14DAR-0826-SM-73KYJ 50-59 years, male 108.0
GTEX-1AMFI-0226-SM-731D5 50-59 years, female 108.0
GTEX-1B97J-1026-SM-7MXTE 50-59 years, female 108.0
GTEX-1LBAC-1226-SM-DHXK1 20-29 years, male 108.0
GTEX-111CU-0726-SM-5GZYD 50-59 years, male 107.7
GTEX-1EN7A-1226-SM-7MGX9 40-49 years, male 107.7
GTEX-REY6-1326-SM-48FDO 60-69 years, male 107.4
GTEX-1EX96-2226-SM-7MKGT 50-59 years, male 107.3
GTEX-12WSN-5013-SM-7P8P9 40-49 years, male 107.3
GTEX-1I1GU-1426-SM-B2LX3 40-49 years, male 107.2
GTEX-V955-1126-SM-4JBH3 60-69 years, male 107.1
GTEX-1I1GQ-1726-SM-B2LWZ 50-59 years, male 107.1
GTEX-11XUK-0826-SM-5GU6P 40-49 years, female 106.9
GTEX-QDVN-1026-SM-48TZA 50-59 years, male 106.7
GTEX-WYJK-1926-SM-4ONDP 50-59 years, male 106.7
GTEX-16NGA-1426-SM-718AC 40-49 years, female 106.5
GTEX-PLZ5-0926-SM-3TW8L 50-59 years, male 106.5
GTEX-12ZZY-1426-SM-5N9EI 60-69 years, male 106.1
GTEX-183FY-1526-SM-7IGOW 20-29 years, male 106.1
GTEX-132Q8-1826-SM-5EGIY 60-69 years, male 105.9
GTEX-131YS-1426-SM-5IJF7 60-69 years, female 105.8
GTEX-1399Q-1126-SM-5P9JA 40-49 years, male 105.6
GTEX-X15G-0826-SM-4PQZD 50-59 years, female 105.6
GTEX-RWS6-0826-SM-47JXF 60-69 years, female 105.4
GTEX-1IDJF-1226-SM-C1YPX 20-29 years, male 105.3
GTEX-1RAZR-1226-SM-E6CRD 40-49 years, male 105.3
GTEX-T2IS-0826-SM-4DM6L 20-29 years, female 105.2
GTEX-13X6I-1026-SM-5LU4C 60-69 years, male 105.1
GTEX-13X6K-2126-SM-5O9D4 60-69 years, female 105.0
GTEX-QV44-1126-SM-CL55C 50-59 years, male 105.0
GTEX-S4Q7-0626-SM-4AD5M 20-29 years, male 104.9
GTEX-R55G-1026-SM-48FDI 40-49 years, female 104.8
GTEX-SJXC-1426-SM-EYYVB 60-69 years, male 104.5
GTEX-OOBK-0625-SM-3LK5P 40-49 years, male 104.3
GTEX-1B933-2026-SM-7EWFC 50-59 years, female 104.2
GTEX-1A32A-1826-SM-72D5G 50-59 years, female 104.0
GTEX-11DXY-1426-SM-5N9CN 60-69 years, male 103.6
GTEX-17HHE-0926-SM-7938K 50-59 years, male 103.1
GTEX-1MA7W-0426-SM-E9TJ5 20-29 years, female 103.1
GTEX-1IDJH-2026-SM-CNNQX 70-79 years, male 103.0
GTEX-WEY5-0926-SM-4LMI4 40-49 years, female 102.7
GTEX-14PJM-1526-SM-664NY 50-59 years, female 102.6
GTEX-17JCI-1226-SM-793D9 60-69 years, female 102.6
GTEX-13FTX-0526-SM-5IFGS 20-29 years, female 102.5
GTEX-13OVK-1126-SM-6PAMR 40-49 years, male 102.5
GTEX-17EVQ-1926-SM-7IGOF 70-79 years, male 102.5
GTEX-OXRK-1326-SM-3NB1A 50-59 years, female 102.5
GTEX-X3Y1-1326-SM-4PQZB 40-49 years, male 102.4
GTEX-1EKGG-1726-SM-7MXUP 60-69 years, male 102.2
GTEX-17F98-1726-SM-7938O 40-49 years, female 101.8
GTEX-QEL4-1426-SM-447AC 50-59 years, male 101.8
GTEX-14BIN-2726-SM-5RQIE 50-59 years, female 101.7
GTEX-YECK-1626-SM-5IFHQ 60-69 years, male 101.7
GTEX-ZT9X-0526-SM-5GCOP 40-49 years, male 101.1
GTEX-13OVJ-1226-SM-5L3HA 50-59 years, female 101.0
GTEX-131XG-1026-SM-5GCMX 50-59 years, female 100.8
GTEX-17KNJ-1326-SM-7KFTG 50-59 years, male 100.7
GTEX-X4XY-1726-SM-46MVO 60-69 years, male 100.7
GTEX-SNOS-0626-SM-4DM5F 40-49 years, male 100.4
GTEX-YF7O-0926-SM-5IFIF 50-59 years, male 100.2
GTEX-WRHK-0526-SM-4MVOF 20-29 years, female 100.0
GTEX-YB5K-0826-SM-5YYB7 40-49 years, female 99.9
GTEX-144GM-1426-SM-5LU31 20-29 years, male 99.6
GTEX-1CB4F-1526-SM-7MKFM 60-69 years, male 99.4
GTEX-1HB9E-1526-SM-D3LA6 50-59 years, male 99.3
GTEX-ZEX8-1426-SM-4WKHQ 50-59 years, male 99.0
GTEX-1MJIX-0826-SM-DTXEO 40-49 years, male 99.0
GTEX-WVLH-1426-SM-4MVNX 50-59 years, male 98.9
GTEX-1C64O-1826-SM-7DHM4 60-69 years, male 98.8
GTEX-Y5V5-1626-SM-4VDSG 60-69 years, female 98.8
GTEX-1GN1W-2226-SM-9JGI5 50-59 years, female 98.8
GTEX-UJHI-0826-SM-4IHLM 50-59 years, female 98.7
GTEX-1HCVE-1226-SM-9WPPH 50-59 years, male 98.7
GTEX-1R9K5-1526-SM-DPRZA 50-59 years, male 98.5
GTEX-13JVG-2026-SM-5KM1N 60-69 years, male 98.0
GTEX-VUSG-1226-SM-4KKZF 50-59 years, male 97.9
GTEX-12KS4-0926-SM-5BC5S 30-39 years, male 97.8
GTEX-S33H-0826-SM-4AD5Y 30-39 years, male 97.8
GTEX-1I1GR-1326-SM-ARU7B 60-69 years, male 97.8
GTEX-147F3-0826-SM-5NQA7 50-59 years, female 97.6
GTEX-S7SF-0926-SM-4AD4M 20-29 years, female 97.6
GTEX-1JMPY-0826-SM-AHZ4A 30-39 years, male 97.6
GTEX-U3ZN-1726-SM-4DXUQ 30-39 years, female 97.5
GTEX-XK95-1026-SM-4GIDV 40-49 years, male 97.5
GTEX-1HSMQ-2026-SM-B2LY1 50-59 years, male 97.3
GTEX-ZPCL-1426-SM-57WEC 60-69 years, female 97.1
GTEX-131XE-1426-SM-5HL7V 50-59 years, male 97.0
GTEX-17F96-2526-SM-7DHL3 70-79 years, male 97.0
GTEX-S95S-0426-SM-4B64I 60-69 years, male 97.0
GTEX-13PVR-1826-SM-5Q5CC 60-69 years, female 96.9
GTEX-ZAB5-0926-SM-5CVMV 50-59 years, male 96.9
GTEX-P4PQ-0626-SM-3NMCU 60-69 years, male 96.8
GTEX-16MT8-1326-SM-6M47R 60-69 years, female 96.1
GTEX-1EU9M-2326-SM-7MKGS 60-69 years, male 95.8
GTEX-OIZI-1426-SM-3NB1T 40-49 years, male 95.7
GTEX-U3ZH-1026-SM-4DXUZ 30-39 years, male 95.6
GTEX-1RAZS-2626-SM-EV79C 50-59 years, male 95.6
GTEX-WHPG-1126-SM-4M1XT 50-59 years, male 95.5
GTEX-OHPN-1026-SM-E9TI8 60-69 years, female 95.5
GTEX-13O3Q-0826-SM-5IFGF 50-59 years, male 95.4
GTEX-1EWIQ-1526-SM-79OO7 70-79 years, female 95.3
GTEX-11P7K-1326-SM-5BC5G 30-39 years, male 95.2
GTEX-139TU-1226-SM-5J2NL 60-69 years, male 95.2
GTEX-1B8KZ-0726-SM-7938W 50-59 years, male 95.2
GTEX-15DYW-1826-SM-6LPIY 60-69 years, female 95.0
GTEX-145LT-1126-SM-5LUA1 40-49 years, male 94.8
GTEX-1PPGY-1726-SM-EVR3S 60-69 years, male 94.8
GTEX-T6MO-0526-SM-4DM6R 40-49 years, female 94.6
GTEX-WH7G-0926-SM-4LVMJ 40-49 years, male 94.4
GTEX-12WSG-5007-SM-7DUGZ 50-59 years, female 94.3
GTEX-OIZF-0626-SM-7MKHG 60-69 years, male 94.2
GTEX-P4QS-0626-SM-3NMD1 60-69 years, male 94.0
GTEX-16AAH-0726-SM-793A9 50-59 years, male 93.9
GTEX-1CB4G-1326-SM-7MKFP 60-69 years, male 93.9
GTEX-Y5LM-1026-SM-4VDSQ 40-49 years, female 93.9
GTEX-1F7RK-1526-SM-7P8T6 20-29 years, female 93.8
GTEX-13D11-1926-SM-5IFGB 50-59 years, female 93.7
GTEX-13OW8-2326-SM-5L3I9 60-69 years, male 93.6
GTEX-17HGU-1426-SM-7938G 50-59 years, male 93.4
GTEX-QLQW-0526-SM-4R1KS 30-39 years, male 93.4
GTEX-1LB8K-1326-SM-CXZKB 50-59 years, male 93.4
GTEX-UJMC-0926-SM-4IHLK 50-59 years, male 92.8
GTEX-YJ89-1526-SM-5P9IR 60-69 years, male 92.3
GTEX-1S82Y-1226-SM-EV7BD 40-49 years, male 92.3
GTEX-13PL7-0226-SM-731DT 60-69 years, female 92.0
GTEX-15ER7-2126-SM-7939E 20-29 years, female 92.0
GTEX-V1D1-1026-SM-4JBHE 50-59 years, male 92.0
GTEX-WHSB-0426-SM-4M1XI 50-59 years, male 91.9
GTEX-WHSE-1526-SM-4M1XH 20-29 years, male 91.7
GTEX-15UF6-2326-SM-6M465 70-79 years, female 91.6
GTEX-14BIM-1326-SM-7EWD1 60-69 years, female 91.5
GTEX-1LGRB-1626-SM-CNNR7 50-59 years, female 91.5
GTEX-1GMR8-1826-SM-9WYUE 50-59 years, female 91.3
GTEX-15UF7-0926-SM-6M46F 40-49 years, male 90.7
GTEX-OXRP-0926-SM-48TC1 60-69 years, female 90.1
GTEX-1HCU7-2126-SM-A96SG 50-59 years, male 90.1
GTEX-1K2DU-1726-SM-EV79S 20-29 years, male 90.0
GTEX-ZVE2-1326-SM-5NQ94 50-59 years, male 89.7
GTEX-1R9JW-1526-SM-DPRZK 30-39 years, female 89.6
GTEX-11ONC-1526-SM-5GU6S 60-69 years, male 89.4
GTEX-15DCD-1626-SM-6AJBH 70-79 years, female 89.1
GTEX-R53T-1126-SM-48FD4 50-59 years, female 89.0
GTEX-XV7Q-1126-SM-4BRVS 40-49 years, female 88.8
GTEX-XBED-1026-SM-48TCB 60-69 years, male 88.5
GTEX-13FHO-1726-SM-DPRZX 60-69 years, male 88.0
GTEX-O5YV-1026-SM-3LK72 60-69 years, female 87.4
GTEX-RVPV-0526-SM-47JYL 60-69 years, male 86.8
GTEX-ZYVF-2226-SM-5GIDD 50-59 years, female 86.6
GTEX-1ICG6-1926-SM-ARU7L 70-79 years, female 86.6
GTEX-1HCU8-2226-SM-9WPOV 60-69 years, female 86.1
GTEX-R45C-1226-SM-48FEE 60-69 years, female 86.0
GTEX-178AV-0526-SM-6LPJH 40-49 years, male 85.8
GTEX-13OVI-2626-SM-5KM4T 60-69 years, female 85.6
GTEX-1GTWX-1326-SM-9JGHU 60-69 years, male 85.6
GTEX-132AR-2226-SM-5J2NT 50-59 years, female 85.5
GTEX-RTLS-1126-SM-46MUQ 60-69 years, female 84.5
GTEX-13W46-1926-SM-5J2MF 50-59 years, male 84.2
GTEX-145LV-1326-SM-5S2QI 50-59 years, male 84.0
GTEX-14PHY-0626-SM-664NN 60-69 years, female 83.9
GTEX-1LSNL-2226-SM-DHXKM 50-59 years, male 83.9
GTEX-1399R-0826-SM-5IJEL 30-39 years, male 83.6
GTEX-11VI4-0526-SM-5EQ48 40-49 years, female 83.5
GTEX-14A6H-1326-SM-5NQBC 30-39 years, male 83.5
GTEX-1A8FM-1526-SM-7MXTA 50-59 years, female 83.5
GTEX-Q2AG-1326-SM-43V8K 40-49 years, female 83.4
GTEX-SE5C-1226-SM-4BRWV 40-49 years, female 83.3
GTEX-QCQG-0626-SM-48U21 50-59 years, female 83.2
GTEX-1KAFJ-0626-SM-D3L8X 50-59 years, male 82.9
GTEX-13G51-0926-SM-5IFFU 60-69 years, male 82.8
GTEX-13FHP-1526-SM-5IJGE 50-59 years, male 82.4
GTEX-1E1VI-1526-SM-7IGQ2 50-59 years, male 82.2
GTEX-ZF2S-1226-SM-4WWAX 50-59 years, female 82.2
GTEX-POYW-1326-SM-48TCG 60-69 years, male 81.9
GTEX-PLZ6-0526-SM-3P61C 30-39 years, male 81.7
GTEX-1BAJH-2026-SM-7P8OZ 70-79 years, male 81.0
GTEX-1HFI6-1226-SM-A96SK 40-49 years, male 80.9
GTEX-1LGOU-0526-SM-D3LAO 20-29 years, female 80.6
GTEX-14DAQ-1426-SM-5RQJD 60-69 years, female 80.4
GTEX-X4EP-1626-SM-4QAS6 60-69 years, female 80.4
GTEX-15ETS-1926-SM-7KUN5 40-49 years, female 79.5
GTEX-1I1GV-2226-SM-ARU7E 60-69 years, male 77.9
GTEX-145LU-0926-SM-79OJL 50-59 years, male 77.6
GTEX-1JMLX-2326-SM-CXZJP 50-59 years, male 77.4
GTEX-1AX9I-1426-SM-7DHM8 60-69 years, male 77.2
GTEX-145LS-1826-SM-5LUAZ 60-69 years, female 77.0
GTEX-15EOM-5013-SM-7MKF9 20-29 years, female 76.7
GTEX-ZQUD-0426-SM-57WFR 30-39 years, male 76.6
GTEX-ZAB4-1126-SM-5HL86 40-49 years, male 76.5
GTEX-ZC5H-1326-SM-5HL7E 40-49 years, female 76.5
GTEX-PLZ4-1626-SM-3P618 50-59 years, female 75.7
GTEX-1IDFM-1126-SM-A96SY 60-69 years, male 75.7
GTEX-11EI6-1526-SM-5P9GL 60-69 years, male 75.6
GTEX-1RLM8-0726-SM-E6CRH 50-59 years, male 75.5
GTEX-XQ8I-1526-SM-4BOOH 50-59 years, male 75.1
GTEX-1LVA9-2126-SM-DLHBY 50-59 years, male 74.1
GTEX-1LG7Y-1726-SM-EV7AR 50-59 years, male 73.4
GTEX-T5JC-1726-SM-4DM6U 20-29 years, male 73.0
GTEX-15EO6-1026-SM-7KUG9 50-59 years, male 72.2
GTEX-17F97-1326-SM-7MGVO 50-59 years, male 71.8
GTEX-16Z82-1926-SM-6M47U 60-69 years, male 70.9
GTEX-ZZPT-1426-SM-5N9C5 50-59 years, male 70.2
GTEX-1GN1U-1826-SM-9JGH2 50-59 years, female 70.2
GTEX-1HBPM-1426-SM-9WPPE 60-69 years, female 70.1
GTEX-13O61-0926-SM-5IFFE 60-69 years, male 69.5
GTEX-X62O-2226-SM-46MW3 50-59 years, male 68.5
GTEX-1HSGN-1626-SM-A96U2 40-49 years, female 67.9
GTEX-N7MT-0326-SM-48TDP 60-69 years, female 67.5
GTEX-17HII-1526-SM-9OSVD 50-59 years, male 67.4
GTEX-14C5O-1626-SM-73KYH 60-69 years, male 66.9
GTEX-XMD2-1326-SM-4YCET 60-69 years, female 66.8
GTEX-T2YK-1326-SM-4DM6S 50-59 years, male 66.7
GTEX-ZAK1-1526-SM-5S2OV 50-59 years, female 63.9
GTEX-13QJ3-1726-SM-5RQK9 50-59 years, male 63.6
GTEX-1EH9U-2426-SM-7EWFG 60-69 years, male 62.1
GTEX-1H3NZ-1326-SM-9JGHI 60-69 years, male 61.2
GTEX-ZF3C-1626-SM-4WWB4 50-59 years, female 60.7
GTEX-TML8-1526-SM-4DXUX 40-49 years, female 59.8
GTEX-N7MS-1225-SM-3LK5G 60-69 years, male 58.7
GTEX-X585-1226-SM-46MW7 50-59 years, male 58.3
GTEX-1CB4H-1526-SM-7MXU4 60-69 years, female 56.3
GTEX-P4PP-0626-SM-3NM9X 30-39 years, female 56.1
GTEX-1GMR3-1526-SM-9JGGL 40-49 years, male 52.7
GTEX-1269C-1026-SM-5N9EY 60-69 years, female 49.0
Show allShow less

ESOPHAGUS - FANTOM5 CAGEi

RNA expression in human tissues obtained through Cap Analysis of Gene Expression (CAGE) generated by the FANTOM5 project are reported as Scaled Tags Per Million.

Max subtype Scaled Tags Per Millioni

Max subtype Scaled Tags Per Million is the value for the subtype with the largest average Scaled Tags Per Million across the subtype samples.

213.4
FANTOM5 sample id Sample description Scaled Tags Per Million
Esophagus
Scaled Tags Per Million: 213.4
FF:10015-101C6 68,74,75 years, mixed 213.4

Contact

  • NEWS ARTICLES
  • PRESS ROOM

The Project

  • INTRODUCTION
  • ORGANIZATION
  • PUBLICATIONS

The Human Protein Atlas

  • DOWNLOADABLE DATA
  • LICENCE & CITATION
  • HELP & FAQ
The Human Protein Atlas project is funded
by the Knut & Alice Wallenberg Foundation.


contact@proteinatlas.org