We use cookies to enhance the usability of our website. If you continue, we'll assume that you are happy to receive all cookies. More information. Don't show this again.
CYP2A13
HPA
RESOURCES
  • TISSUE
  • BRAIN
  • SINGLE CELL
  • SUBCELLULAR
  • CANCER
  • BLOOD
  • CELL LINE
  • STRUCTURE & INTERACTION
ABOUT
  • INTRODUCTION
  • HISTORY
  • ORGANIZATION
  • PUBLICATIONS
  • ANTIBODY SUBMISSION
  • ANTIBODY AVAILABILITY
  • ACKNOWLEDGMENTS
  • CONTACT
NEWS
  • NEWS ARTICLES
  • PRESS ROOM
LEARN
  • DICTIONARY
  • PROTEIN CLASSES
  • PROTEIN EVIDENCE
  • METHODS
  • EDUCATIONAL VIDEOS
DATA
  • DOWNLOADABLE DATA
  • PUBLICATION DATA
  • RELEASE HISTORY
HELP
  • ANTIBODY VALIDATION
  • ASSAYS & ANNOTATION
  • DISCLAIMER
  • HELP & FAQ
  • PRIVACY STATEMENT
  • LICENCE & CITATION
Fields »
Search result

Field
Term
Gene name
Class
Subclass
Class
Keyword
Chromosome
External id
Tissue
Cell type
Expression
Antibody panel
Tissue
Main location
Patient ID
Annotation
Tissue
Category
Tau score
Cluster
Reliability
Brain region
Category
Tau score
Brain region
Category
Tau score
Brain region
Category
Tau score
Cluster
Reliability
Tissue
Cell type
Enrichment
Cell type
Category
Tau score
Cell type
Category
Tau score
Cell type
Category
Tau score
Cell lineage
Category
Tau score
Cluster
Cluster
Location
Searches
Location
Cell line
Class
Type
Phase
Reliability
Cancer
Prognosis
Cancer
Category
Cancer
Category
Tau score
Cluster
Variants
Interacting gene (ensg_id)
Type
Number of interactions
Pathway
Category
Score
Score
Score
Validation
Validation
Validation
Validation
Antibodies
Data type
Column


  • SUMMARY

  • TISSUE

  • BRAIN

  • SINGLE CELL

  • SUBCELL

  • CANCER

  • BLOOD

  • CELL LINE

  • STRUCT & INT

  • CYP2A13
TISSUE PRIMARY DATA OVARY Show tissue menu
ADIPOSE TISSUE ADRENAL GLAND AMYGDALA APPENDIX BASAL GANGLIA BONE MARROW BREAST BRONCHUS CEREBELLUM CEREBRAL CORTEX CERVIX CHOROID PLEXUS COLON DUODENUM
ENDOMETRIUM EPIDIDYMIS ESOPHAGUS FALLOPIAN TUBE GALLBLADDER HEART MUSCLE HIPPOCAMPAL FORMATION HYPOTHALAMUS KIDNEY LIVER LUNG LYMPH NODE MIDBRAIN NASOPHARYNX
ORAL MUCOSA OVARY PANCREAS PARATHYROID GLAND PITUITARY GLAND PLACENTA PROSTATE RECTUM RETINA SALIVARY GLAND SEMINAL VESICLE SKELETAL MUSCLE SKIN SMALL INTESTINE
SMOOTH MUSCLE SOFT TISSUE SPINAL CORD SPLEEN STOMACH TESTIS THYMUS THYROID GLAND TONGUE TONSIL URINARY BLADDER VAGINA
ANTIBODIES
AND
VALIDATION
Dictionary
Ovary
Tissue proteome
Ovary
OVARY - Expression summary
Protein expression
Ovaryi

On the top, protein expression in current human tissue, based on all annotated cell types, is reported with the units not detected (n), low (l), medium (m) and high (h). Underneath, protein expression in each annotated cell type are reported using the same units.

Protein expression data is based on knowledge-based annotation. For genes where more than one antibody has been used, a collective score is set.

If knowledge-based annotation could not be performed for a gene, no data is displayed here. View antibody staining data further down this page.

h
m
l
n
Ovarian stroma cells: Not detected
RNA expressioni

A summary of mRNA expression data available for current tissue based on several datasets. The mRNA expression levels in human tissues are based on RNA-seq data generated by the Human Protein Atlas (HPA), Genotype-Tissue Expression (GTEx) portal and CAGE data generated by the FANTOM5 consortium. Consensus normalized expression levels for human tissues was created by combining the data from HPA and GTEx datasets.

The mRNA expression levels in pig are based on RNA-seq data generated by the Human Protein Atlas (HPA), and for mouse, HPA data and in situ hybridization generated by the Allen brain atlas are reported.

Scroll down to view mRNA expression data in more detail.
Consensus:0.0 nTPM
HPA:0.0 nTPM
GTEx:0.0 nTPM
FANTOM5:0.0 Scaled Tags Per Million

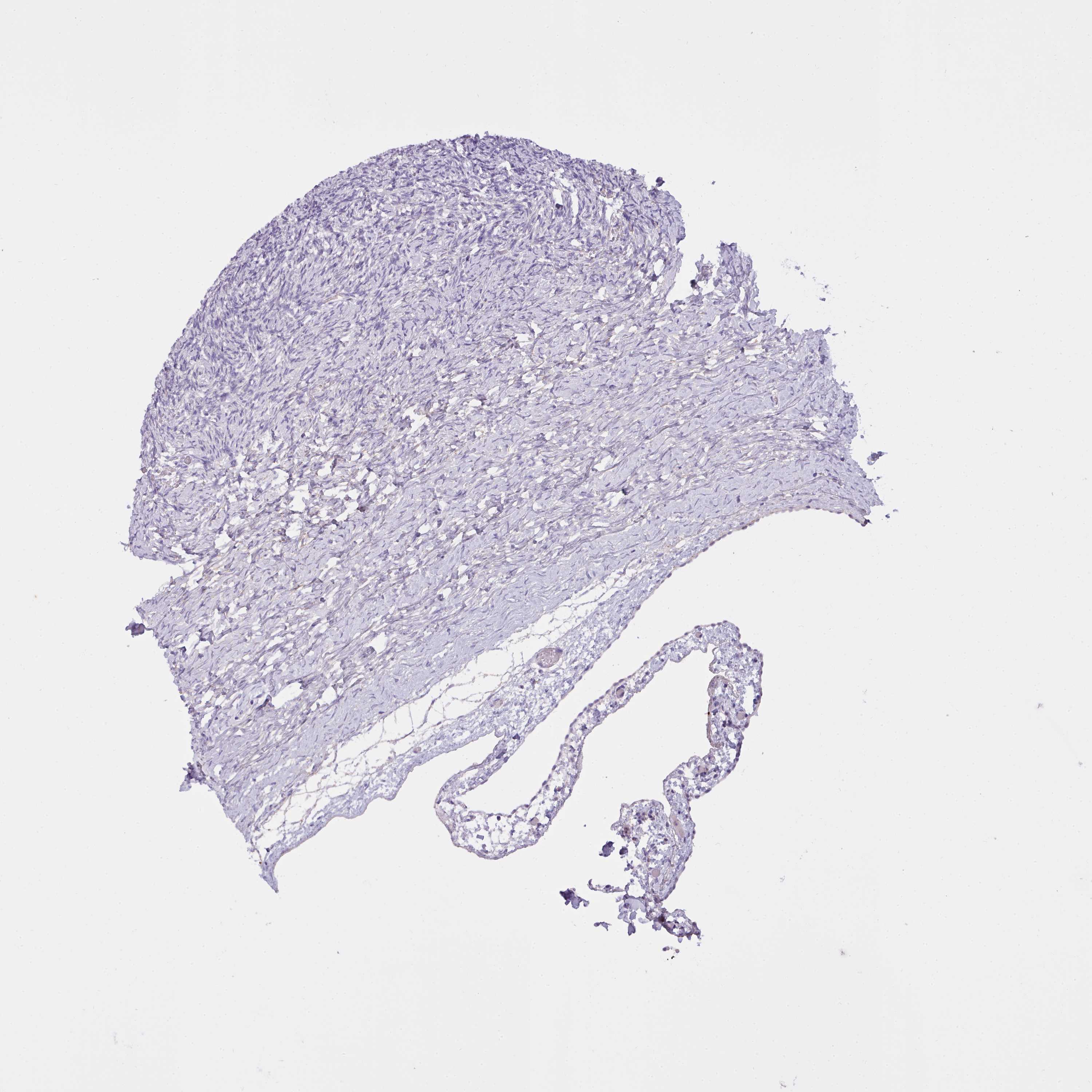
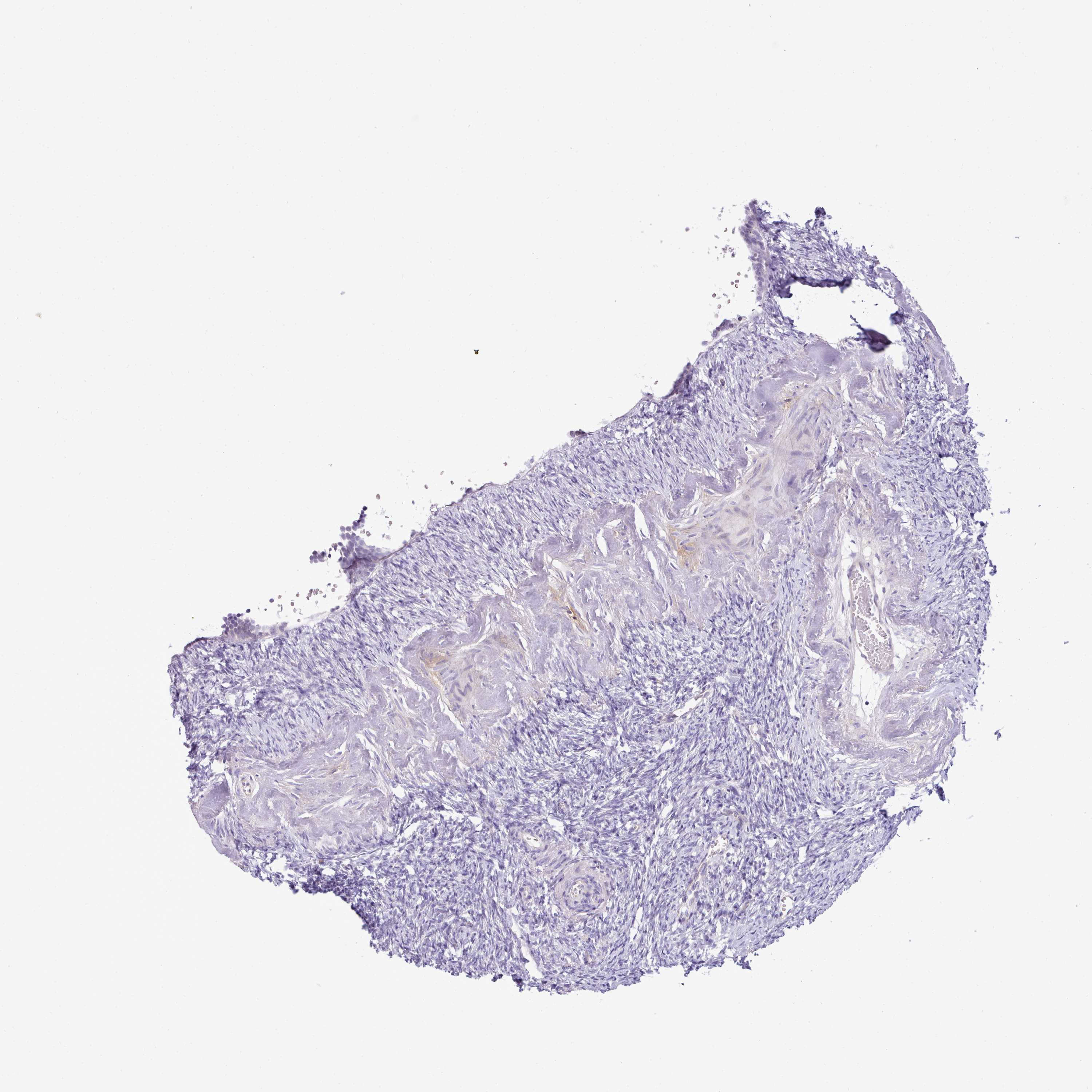
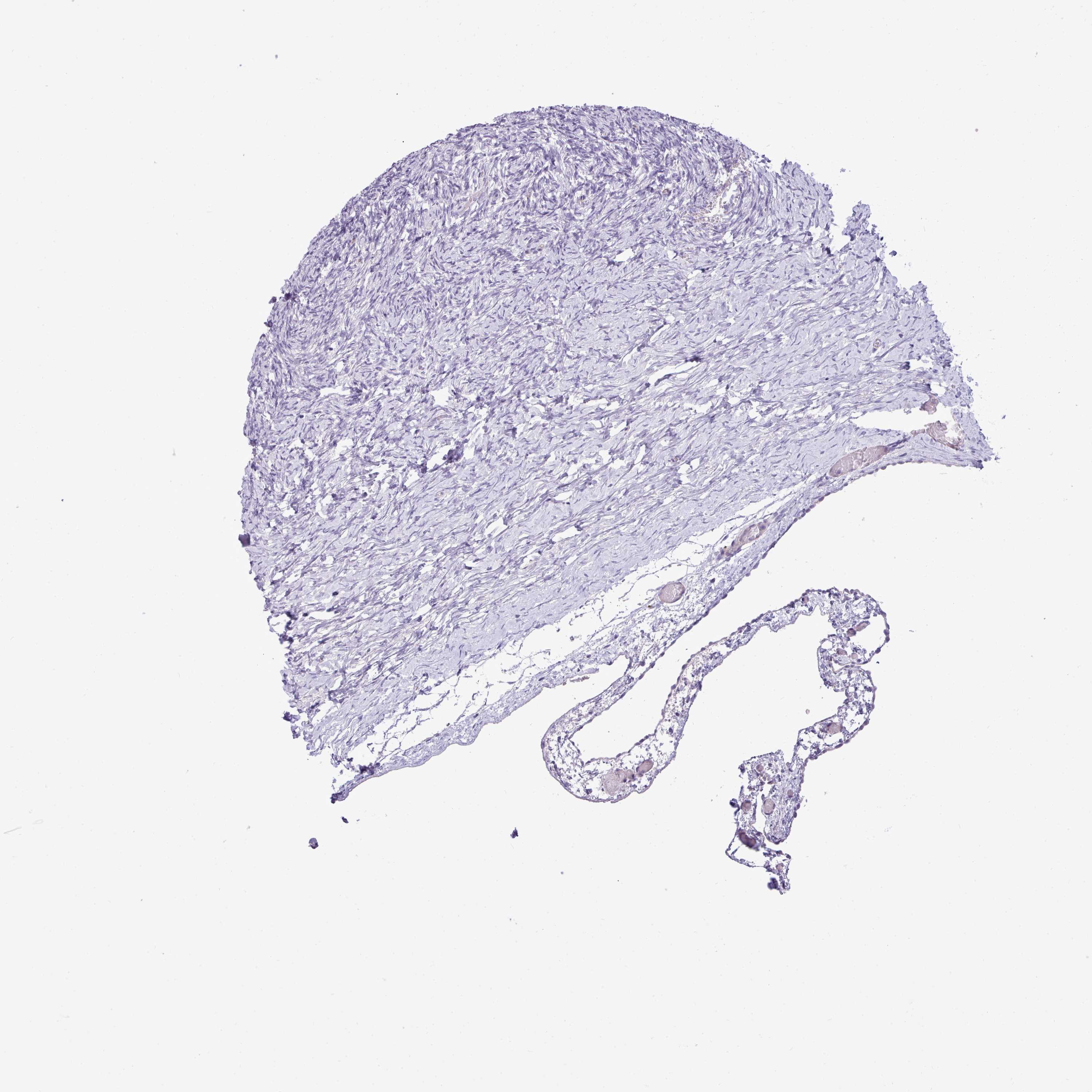
OVARY - Antibody stainingi

Antibody staining in the annotated cell types in the current human tissue is reported as not detected, low, medium, or high, based on conventional immunohistochemistry profiling in selected tissues. This score is based on the combination of the staining intensity and fraction of stained cells.

Each image is clickable and will lead to virtual microscopy that enables deeper exploration of all samples and also displays staining intensity scores, fraction scores and subcellular localization as well as patient and tissue information for each sample.

Antibody HPA046713Antibody HPA047262
Ovarian stroma cells Not detectedNot detected





OVARY - HPA RNA-seqi

The RNA-seq details section shows detailed information about the individual samples used for the transcript profiling and results of the RNA-seq analysis.

Information about each individual sample is listed below, including gender, age, a tissue section image and estimated fractions of cell types. nTPM (normalized transcripts per million) values give a quantification of the gene abundance which is comparable between different genes and samples.
Average nTPMi

Max subtype nTPM is the value for the subtype with the largest average nTPM across the subtype samples.

0.0
overview
Female, age 64
Ovary sample 192
nTPM: 0
Cell types%
Stromal cells:
70

Smooth muscle cells:
15

Other cell types:
15

overview
Female, age 52
Ovary sample 193
nTPM: 0
Cell types%
Stromal cells:
95

Other cell types:
5

overview
Female, age 80
Ovary sample 308
nTPM: 0
Cell types%
Stromal cells:
70

Smooth muscle cells:
25

Other cell types:
5

N/A
Female, age 7
Ovary sample 3662
nTPM: 0
N/A
Female, age 16
Ovary sample 3663
nTPM: 0
N/A
Female, age 20
Ovary sample 3664
nTPM: 0
N/A
Female, age 32
Ovary sample 3665
nTPM: 0

OVARY - GTEx RNA-seqi

RNA-Seq data generated by the Genotype-Tissue Expression (GTEx) project from human tissues is reported as mean nTPM. More information can be found on the GTEx portal.

Distribution across the dataset is visualized with box plots, shown as median and 25th and 75th percentiles. Points are displayed as outliers if they are above or below 1.5 times the interquartile range. nTPM values of the individual samples are presented next to the box plot.
Max subtype nTPMi

Max subtype nTPM is the value for the subtype with the largest average nTPM across the subtype samples.

0.0
GTEx sample id Sample description nTPM
Ovary
Average nTPM: 0.0
Samples: 180

Max nTPM: 0.1
Min nTPM: 0.0
Std nTPM: 0.0
Median nTPM:
GTEX-1IKOE-2326-SM-A8N99 30-39 years, female 0.1
GTEX-11DXX-1426-SM-5GIDU 60-69 years, female 0.0
GTEX-11EM3-1726-SM-5N9D1 20-29 years, female 0.0
GTEX-11EMC-1726-SM-5H11P 60-69 years, female 0.0
GTEX-11GSP-0226-SM-5A5KV 60-69 years, female 0.0
GTEX-11I78-1926-SM-59878 50-59 years, female 0.0
GTEX-11P81-1526-SM-5P9GS 30-39 years, female 0.0
GTEX-11VI4-1026-SM-5EQM1 40-49 years, female 0.0
GTEX-11XUK-1626-SM-5GU5O 40-49 years, female 0.0
GTEX-11ZTS-1926-SM-5CVLA 60-69 years, female 0.0
GTEX-11ZTT-1826-SM-5CVLN 60-69 years, female 0.0
GTEX-11ZVC-1426-SM-5EGGA 50-59 years, female 0.0
GTEX-1269C-1826-SM-5N9E1 60-69 years, female 0.0
GTEX-12WSD-2726-SM-59HLR 60-69 years, female 0.0
GTEX-12WSG-1426-SM-5FQUK 50-59 years, female 0.0
GTEX-12WSJ-1226-SM-5LU91 40-49 years, female 0.0
GTEX-12WSK-1926-SM-5LZVK 40-49 years, female 0.0
GTEX-12ZZX-2026-SM-5LZV9 40-49 years, female 0.0
GTEX-1313W-2726-SM-5P9IX 50-59 years, female 0.0
GTEX-131XG-1926-SM-5LZVG 50-59 years, female 0.0
GTEX-131YS-2226-SM-5P9G8 60-69 years, female 0.0
GTEX-132AR-1426-SM-5IFF1 50-59 years, female 0.0
GTEX-133LE-1226-SM-5IFGC 20-29 years, female 0.0
GTEX-1399S-2126-SM-5J2MH 30-39 years, female 0.0
GTEX-1399U-1726-SM-5P9J4 50-59 years, female 0.0
GTEX-139D8-2426-SM-5KM3A 30-39 years, female 0.0
GTEX-13D11-1126-SM-5KLYS 50-59 years, female 0.0
GTEX-13FTX-0926-SM-5IFF7 20-29 years, female 0.0
GTEX-13N11-0526-SM-5IJFI 50-59 years, female 0.0
GTEX-13O3O-2726-SM-5KM35 60-69 years, female 0.0
GTEX-13OVI-0726-SM-5L3DD 60-69 years, female 0.0
GTEX-13OVJ-2426-SM-5KM3I 50-59 years, female 0.0
GTEX-13PL7-2326-SM-5L3FY 60-69 years, female 0.0
GTEX-13PVR-1226-SM-5RQJ2 60-69 years, female 0.0
GTEX-13QBU-1526-SM-5LU3W 40-49 years, female 0.0
GTEX-13QIC-1526-SM-5IJFL 60-69 years, female 0.0
GTEX-13SLX-2426-SM-664OM 50-59 years, female 0.0
GTEX-13U4I-2126-SM-5LU55 40-49 years, female 0.0
GTEX-13VXT-1526-SM-5LU3J 20-29 years, female 0.0
GTEX-13W3W-1526-SM-5LU5I 60-69 years, female 0.0
GTEX-13X6H-1026-SM-5SIBE 50-59 years, female 0.0
GTEX-145LS-2326-SM-5TDCY 60-69 years, female 0.0
GTEX-145ME-1226-SM-5SIB6 40-49 years, female 0.0
GTEX-145MI-2626-SM-5QGQ8 60-69 years, female 0.0
GTEX-146FH-2526-SM-5Q5BP 50-59 years, female 0.0
GTEX-14AS3-1326-SM-5RQJE 40-49 years, female 0.0
GTEX-14BIN-1426-SM-664NI 50-59 years, female 0.0
GTEX-14BMU-1726-SM-5TDE8 20-29 years, female 0.0
GTEX-14DAQ-2226-SM-5YYAD 60-69 years, female 0.0
GTEX-14JG6-0626-SM-68716 30-39 years, female 0.0
GTEX-14PJM-2426-SM-686ZC 50-59 years, female 0.0
GTEX-14PKU-1226-SM-686ZM 40-49 years, female 0.0
GTEX-14PKV-1226-SM-6871T 20-29 years, female 0.0
GTEX-14PN3-1526-SM-6ETZM 60-69 years, female 0.0
GTEX-15DDE-2326-SM-6AJA8 50-59 years, female 0.0
GTEX-15DYW-2626-SM-6LPK7 60-69 years, female 0.0
GTEX-15EOM-1526-SM-68723 20-29 years, female 0.0
GTEX-15ER7-2326-SM-7KUN3 20-29 years, female 0.0
GTEX-15FZZ-0826-SM-6LLJO 30-39 years, female 0.0
GTEX-15SDE-0926-SM-6LPIA 50-59 years, female 0.0
GTEX-15UF6-2026-SM-6LPI3 70-79 years, female 0.0
GTEX-16MT8-2226-SM-6LPK2 60-69 years, female 0.0
GTEX-16NGA-0426-SM-7LG6K 40-49 years, female 0.0
GTEX-17JCI-2326-SM-7IGPC 60-69 years, female 0.0
GTEX-183WM-1926-SM-72D5F 70-79 years, female 0.0
GTEX-18A7A-2626-SM-7LG6L 50-59 years, female 0.0
GTEX-18D9A-0826-SM-718C1 30-39 years, female 0.0
GTEX-1A32A-2726-SM-73KVU 50-59 years, female 0.0
GTEX-1AMEY-0926-SM-72D6G 30-39 years, female 0.0
GTEX-1AMFI-1426-SM-731EL 50-59 years, female 0.0
GTEX-1F48J-2326-SM-7MKG3 50-59 years, female 0.0
GTEX-1F6RS-2726-SM-7MKHA 60-69 years, female 0.0
GTEX-OHPK-2426-SM-3MJGH 50-59 years, female 0.0
GTEX-OHPL-2426-SM-48TDN 60-69 years, female 0.0
GTEX-P4PP-2426-SM-3P61L 30-39 years, female 0.0
GTEX-P4QT-2426-SM-3NMCL 50-59 years, female 0.0
GTEX-P78B-1926-SM-3P616 40-49 years, female 0.0
GTEX-PLZ4-2826-SM-3P617 50-59 years, female 0.0
GTEX-POMQ-1426-SM-3P61D 20-29 years, female 0.0
GTEX-PWCY-1326-SM-48TCU 20-29 years, female 0.0
GTEX-PWN1-2426-SM-48TDD 40-49 years, female 0.0
GTEX-PX3G-2426-SM-48TZZ 20-29 years, female 0.0
GTEX-Q734-0726-SM-48TZP 40-49 years, female 0.0
GTEX-QCQG-1426-SM-48U22 50-59 years, female 0.0
GTEX-R55G-1526-SM-48FER 40-49 years, female 0.0
GTEX-RTLS-2326-SM-46MUH 60-69 years, female 0.0
GTEX-RU1J-0826-SM-46MUU 20-29 years, female 0.0
GTEX-RU72-2226-SM-46MUE 50-59 years, female 0.0
GTEX-RWS6-1026-SM-47JXD 60-69 years, female 0.0
GTEX-S32W-1226-SM-4AD67 50-59 years, female 0.0
GTEX-S341-0726-SM-4AD5R 40-49 years, female 0.0
GTEX-S4P3-0926-SM-4AD54 50-59 years, female 0.0
GTEX-S7SF-1326-SM-4AD4P 20-29 years, female 0.0
GTEX-T2IS-2026-SM-4DM6W 20-29 years, female 0.0
GTEX-T5JW-0426-SM-4DM7M 20-29 years, female 0.0
GTEX-T6MO-1126-SM-4DM5D 40-49 years, female 0.0
GTEX-TML8-0926-SM-4DXSJ 40-49 years, female 0.0
GTEX-TMMY-1726-SM-4DXTD 40-49 years, female 0.0
GTEX-TSE9-2226-SM-4DXUR 60-69 years, female 0.0
GTEX-U3ZN-1026-SM-4DXTC 30-39 years, female 0.0
GTEX-UJHI-1226-SM-4IHLR 50-59 years, female 0.0
GTEX-W5WG-0926-SM-4RTX9 50-59 years, female 0.0
GTEX-WEY5-0626-SM-4LMIA 40-49 years, female 0.0
GTEX-WI4N-2526-SM-4OOSE 40-49 years, female 0.0
GTEX-WWYW-2726-SM-4MVOP 50-59 years, female 0.0
GTEX-WXYG-1426-SM-4ONCK 50-59 years, female 0.0
GTEX-WYBS-2426-SM-4ONDI 60-69 years, female 0.0
GTEX-WYVS-1526-SM-4OND4 40-49 years, female 0.0
GTEX-X15G-1726-SM-4PQZN 50-59 years, female 0.0
GTEX-X4EO-2426-SM-4QASD 60-69 years, female 0.0
GTEX-X8HC-2726-SM-46MUA 50-59 years, female 0.0
GTEX-XMD3-2326-SM-4AT5H 50-59 years, female 0.0
GTEX-XUW1-0126-SM-4BOOQ 50-59 years, female 0.0
GTEX-XUZC-1026-SM-4BOPY 30-39 years, female 0.0
GTEX-XV7Q-1426-SM-4BRWA 40-49 years, female 0.0
GTEX-XYKS-1726-SM-4E3IO 60-69 years, female 0.0
GTEX-Y114-1726-SM-4TT7U 50-59 years, female 0.0
GTEX-Y3IK-2026-SM-4YCDG 50-59 years, female 0.0
GTEX-YFC4-2726-SM-5IFJW 40-49 years, female 0.0
GTEX-YJ8O-1026-SM-5CVM5 40-49 years, female 0.0
GTEX-ZAJG-2726-SM-5S2MU 50-59 years, female 0.0
GTEX-ZC5H-2026-SM-5CVN2 40-49 years, female 0.0
GTEX-ZLWG-0926-SM-4WWC3 50-59 years, female 0.0
GTEX-ZP4G-0626-SM-4WWF1 20-29 years, female 0.0
GTEX-ZPIC-1426-SM-4WWCP 40-49 years, female 0.0
GTEX-ZV6S-1426-SM-59HKX 40-49 years, female 0.0
GTEX-ZVT2-0326-SM-5E44G 50-59 years, female 0.0
GTEX-ZVT3-2626-SM-5GU5L 60-69 years, female 0.0
GTEX-ZYFG-1726-SM-5GZZB 60-69 years, female 0.0
GTEX-ZYY3-2726-SM-5EGH4 60-69 years, female 0.0
GTEX-ZZPU-2126-SM-5EGIU 50-59 years, female 0.0
GTEX-1A8FM-2226-SM-7PC1C 50-59 years, female 0.0
GTEX-1B933-2126-SM-7MGXR 50-59 years, female 0.0
GTEX-1C475-0426-SM-7P8OU 40-49 years, female 0.0
GTEX-1CAMS-2126-SM-7MXTF 40-49 years, female 0.0
GTEX-1EWIQ-2226-SM-7MGXJ 70-79 years, female 0.0
GTEX-1F52S-2226-SM-7MXVE 60-69 years, female 0.0
GTEX-1F5PL-1626-SM-7MXTY 40-49 years, female 0.0
GTEX-1F88E-2026-SM-7MXVP 60-69 years, female 0.0
GTEX-1F88F-2126-SM-9KNUK 60-69 years, female 0.0
GTEX-1GF9X-2426-SM-7SB7W 40-49 years, female 0.0
GTEX-1GN1U-2326-SM-9MQK4 50-59 years, female 0.0
GTEX-1GN1W-1426-SM-9JGHP 50-59 years, female 0.0
GTEX-1GZHY-2426-SM-9JGGK 50-59 years, female 0.0
GTEX-1H1CY-1926-SM-9WG7X 60-69 years, female 0.0
GTEX-1H2FU-2326-SM-9WG7R 60-69 years, female 0.0
GTEX-1HBPH-2726-SM-A96TW 40-49 years, female 0.0
GTEX-1HCUA-1326-SM-9WPP6 50-59 years, female 0.0
GTEX-1HSGN-2426-SM-C1YRI 40-49 years, female 0.0
GTEX-1I4MK-1526-SM-CE6T1 50-59 years, female 0.0
GTEX-1ICG6-1526-SM-C1YQT 70-79 years, female 0.0
GTEX-1IDJE-1126-SM-A96SO 50-59 years, female 0.0
GTEX-1IDJU-1126-SM-A9G2S 60-69 years, female 0.0
GTEX-1J1OQ-1626-SM-CE6TB 40-49 years, female 0.0
GTEX-1J8JJ-0826-SM-AHZ3F 60-69 years, female 0.0
GTEX-1JN1M-2126-SM-D4P2X 60-69 years, female 0.0
GTEX-1JN76-1426-SM-AHZ4F 20-29 years, female 0.0
GTEX-1K9T9-2426-SM-DHXKT 50-59 years, female 0.0
GTEX-1KANC-1026-SM-D3LAA 50-59 years, female 0.0
GTEX-1LGOU-1026-SM-DHXL4 20-29 years, female 0.0
GTEX-1LGRB-2326-SM-CNNPU 50-59 years, female 0.0
GTEX-1LKK1-1626-SM-EVR4Y 50-59 years, female 0.0
GTEX-1LNCM-0926-SM-DHXK5 50-59 years, female 0.0
GTEX-1LVAM-1826-SM-DHXKR 50-59 years, female 0.0
GTEX-1LVAN-2726-SM-CNPQG 50-59 years, female 0.0
GTEX-1MA7W-1426-SM-EV7A1 20-29 years, female 0.0
GTEX-1MCC2-1026-SM-EVR5I 30-39 years, female 0.0
GTEX-1OJC4-2026-SM-E6CQW 50-59 years, female 0.0
GTEX-1PBJI-2026-SM-DPRYF 20-29 years, female 0.0
GTEX-1PIEJ-1626-SM-E6CP9 20-29 years, female 0.0
GTEX-1QEPI-2726-SM-DPRZ6 60-69 years, female 0.0
GTEX-1QP28-1326-SM-DPRXZ 50-59 years, female 0.0
GTEX-1QP67-1526-SM-E76P4 40-49 years, female 0.0
GTEX-1QPFJ-1726-SM-EXOJU 30-39 years, female 0.0
GTEX-1R9PN-0626-SM-E6CR9 40-49 years, female 0.0
GTEX-1RDX4-0826-SM-E9TK7 50-59 years, female 0.0
GTEX-1S5ZU-2326-SM-EAZ5B 20-29 years, female 0.0
GTEX-QDT8-2226-SM-EZ6LT 30-39 years, female 0.0
GTEX-QVJO-3126-SM-COH22 60-69 years, female 0.0
GTEX-SN8G-2426-SM-EVR31 50-59 years, female 0.0
Show allShow less

OVARY - FANTOM5 CAGEi

RNA expression in human tissues obtained through Cap Analysis of Gene Expression (CAGE) generated by the FANTOM5 project are reported as Scaled Tags Per Million.

Max subtype Scaled Tags Per Millioni

Max subtype Scaled Tags Per Million is the value for the subtype with the largest average Scaled Tags Per Million across the subtype samples.

0
FANTOM5 sample id Sample description Scaled Tags Per Million
Ovary
Scaled Tags Per Million: 0.0
FF:10020-101D2 47,75,84 years, female 0.0

Contact

  • NEWS ARTICLES
  • PRESS ROOM

The Project

  • INTRODUCTION
  • ORGANIZATION
  • PUBLICATIONS

The Human Protein Atlas

  • DOWNLOADABLE DATA
  • LICENCE & CITATION
  • HELP & FAQ
The Human Protein Atlas project is funded
by the Knut & Alice Wallenberg Foundation.


contact@proteinatlas.org