We use cookies to enhance the usability of our website. If you continue, we'll assume that you are happy to receive all cookies. More information. Don't show this again.
MYO1C
HPA
RESOURCES
  • TISSUE
  • BRAIN
  • SINGLE CELL
  • SUBCELLULAR
  • CANCER
  • BLOOD
  • CELL LINE
  • STRUCTURE & INTERACTION
ABOUT
  • INTRODUCTION
  • HISTORY
  • ORGANIZATION
  • PUBLICATIONS
  • ANTIBODY SUBMISSION
  • ANTIBODY AVAILABILITY
  • ACKNOWLEDGMENTS
  • CONTACT
NEWS
  • NEWS ARTICLES
  • PRESS ROOM
LEARN
  • DICTIONARY
  • PROTEIN CLASSES
  • PROTEIN EVIDENCE
  • METHODS
  • EDUCATIONAL VIDEOS
DATA
  • DOWNLOADABLE DATA
  • PUBLICATION DATA
  • RELEASE HISTORY
HELP
  • ANTIBODY VALIDATION
  • ASSAYS & ANNOTATION
  • DISCLAIMER
  • HELP & FAQ
  • PRIVACY STATEMENT
  • LICENCE & CITATION
Fields »
Search result

Field
Term
Gene name
Class
Subclass
Class
Keyword
Chromosome
External id
Tissue
Cell type
Expression
Antibody panel
Tissue
Main location
Patient ID
Annotation
Tissue
Category
Tau score
Cluster
Reliability
Brain region
Category
Tau score
Brain region
Category
Tau score
Brain region
Category
Tau score
Cluster
Reliability
Tissue
Cell type
Enrichment
Cell type
Category
Tau score
Cell type
Category
Tau score
Cell type
Category
Tau score
Cell lineage
Category
Tau score
Cluster
Cluster
Location
Searches
Location
Cell line
Class
Type
Phase
Reliability
Cancer
Prognosis
Cancer
Category
Cancer
Category
Tau score
Cluster
Variants
Interacting gene (ensg_id)
Type
Number of interactions
Pathway
Category
Score
Score
Score
Validation
Validation
Validation
Validation
Antibodies
Data type
Column


  • SUMMARY

  • TISSUE

  • BRAIN

  • SINGLE CELL

  • SUBCELL

  • CANCER

  • BLOOD

  • CELL LINE

  • STRUCT & INT

  • MYO1C
TISSUE PRIMARY DATA ADIPOSE TISSUE Show tissue menu
ADIPOSE TISSUE ADRENAL GLAND AMYGDALA APPENDIX BASAL GANGLIA BONE MARROW BREAST BRONCHUS CEREBELLUM CEREBRAL CORTEX CERVIX CHOROID PLEXUS COLON DUODENUM
ENDOMETRIUM EPIDIDYMIS ESOPHAGUS FALLOPIAN TUBE GALLBLADDER HEART MUSCLE HIPPOCAMPAL FORMATION HYPOTHALAMUS KIDNEY LIVER LUNG LYMPH NODE MIDBRAIN NASOPHARYNX
ORAL MUCOSA OVARY PANCREAS PARATHYROID GLAND PITUITARY GLAND PLACENTA PROSTATE RECTUM RETINA SALIVARY GLAND SEMINAL VESICLE SKELETAL MUSCLE SKIN SMALL INTESTINE
SMOOTH MUSCLE SOFT TISSUE SPINAL CORD SPLEEN STOMACH TESTIS THYMUS THYROID GLAND TONGUE TONSIL URINARY BLADDER VAGINA
ANTIBODIES
AND
VALIDATION
Dictionary
Tissue proteome
Adipose tissue
ADIPOSE TISSUE - Expression summary
Protein expression
Adipose tissuei

On the top, protein expression in current human tissue, based on all annotated cell types, is reported with the units not detected (n), low (l), medium (m) and high (h). Underneath, protein expression in each annotated cell type are reported using the same units.

Protein expression data is based on knowledge-based annotation. For genes where more than one antibody has been used, a collective score is set.

If knowledge-based annotation could not be performed for a gene, no data is displayed here. View antibody staining data further down this page.

h
m
l
n
Adipocytes: Medium
RNA expressioni

A summary of mRNA expression data available for current tissue based on several datasets. The mRNA expression levels in human tissues are based on RNA-seq data generated by the Human Protein Atlas (HPA), Genotype-Tissue Expression (GTEx) portal and CAGE data generated by the FANTOM5 consortium. Consensus normalized expression levels for human tissues was created by combining the data from HPA and GTEx datasets.

The mRNA expression levels in pig are based on RNA-seq data generated by the Human Protein Atlas (HPA), and for mouse, HPA data and in situ hybridization generated by the Allen brain atlas are reported.

Scroll down to view mRNA expression data in more detail.
Consensus:163.4 nTPM
HPA:163.4 nTPM
GTEx:147.8 nTPM
FANTOM5:143.5 Scaled Tags Per Million

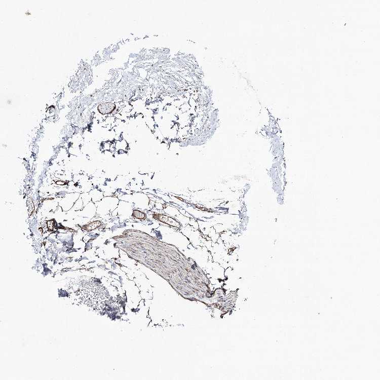
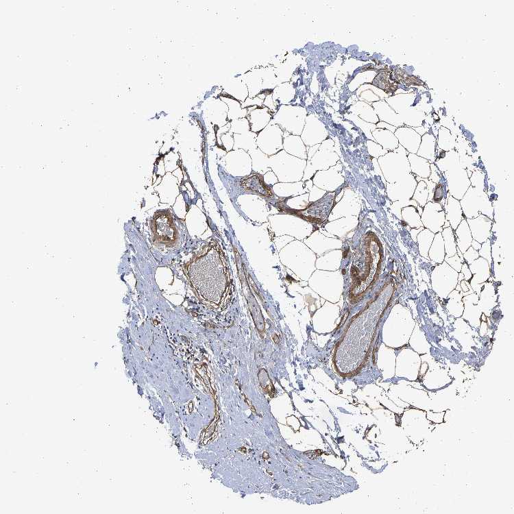
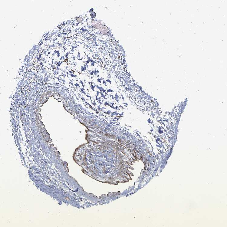
ADIPOSE TISSUE - Antibody stainingi

Antibody staining in the annotated cell types in the current human tissue is reported as not detected, low, medium, or high, based on conventional immunohistochemistry profiling in selected tissues. This score is based on the combination of the staining intensity and fraction of stained cells.

Each image is clickable and will lead to virtual microscopy that enables deeper exploration of all samples and also displays staining intensity scores, fraction scores and subcellular localization as well as patient and tissue information for each sample.

Antibody HPA001768Antibody CAB037023
Adipocytes HighMedium










ADIPOSE TISSUE - HPA RNA-seqi

The RNA-seq details section shows detailed information about the individual samples used for the transcript profiling and results of the RNA-seq analysis.

Information about each individual sample is listed below, including gender, age, a tissue section image and estimated fractions of cell types. nTPM (normalized transcripts per million) values give a quantification of the gene abundance which is comparable between different genes and samples.
Average nTPMi

Max subtype nTPM is the value for the subtype with the largest average nTPM across the subtype samples.

163.4
N/A
Female, age 80
Adipose tissue sample 86
nTPM: 155.7
Cell types%
Adipocytes:
95

Other cell types:
5

N/A
Female, age 45
Adipose tissue sample 115
nTPM: 240.6
N/A
Female, age 57
Adipose tissue sample 137
nTPM: 233.3
Cell types%
Adipocytes:
60

Fibroblasts:
20

Smooth muscle cells:
15

Other cell types:
5

overview
Female, age 74
Adipose tissue sample 329
nTPM: 83.9
Cell types%
Adipocytes:
50

Fibroblasts:
30

Smooth muscle cells:
15

Other cell types:
5

overview
Female, age 59
Adipose tissue sample 331
nTPM: 103.7
Cell types%
Adipocytes:
40

Fibroblasts:
40

Smooth muscle cells:
15

Other cell types:
5


ADIPOSE TISSUE - GTEx RNA-seqi

RNA-Seq data generated by the Genotype-Tissue Expression (GTEx) project from human tissues is reported as mean nTPM. More information can be found on the GTEx portal.

Distribution across the dataset is visualized with box plots, shown as median and 25th and 75th percentiles. Points are displayed as outliers if they are above or below 1.5 times the interquartile range. nTPM values of the individual samples are presented next to the box plot.
Max subtype nTPMi

Max subtype nTPM is the value for the subtype with the largest average nTPM across the subtype samples.

147.8
GTEx sample id Sample description nTPM
Adipose - Subcutaneous
Average nTPM: 147.8
Samples: 663

Max nTPM: 386.1
Min nTPM: 46.1
Std nTPM: 56.6
Median nTPM: 134.2
GTEX-YB5E-2126-SM-5IFI7 40-49 years, male 386.1
GTEX-ZQG8-1526-SM-5HL65 60-69 years, female 373.0
GTEX-1R7EV-1926-SM-EVYBF 40-49 years, male 363.4
GTEX-ZDTT-2626-SM-5S2OP 60-69 years, male 356.9
GTEX-R55G-2426-SM-2TC5I 40-49 years, female 352.5
GTEX-1MCYP-1826-SM-E9J2Q 20-29 years, female 348.7
GTEX-13QBU-2526-SM-5LU4X 40-49 years, female 348.5
GTEX-PWCY-1926-SM-3NB25 20-29 years, female 346.2
GTEX-14BMU-2126-SM-5S2TS 20-29 years, female 340.8
GTEX-1MA7W-1926-SM-E6CIO 20-29 years, female 337.4
GTEX-PLZ6-1326-SM-3NB24 30-39 years, male 335.0
GTEX-11EM3-2326-SM-5H12B 20-29 years, female 334.4
GTEX-11DXX-2326-SM-9YFKS 60-69 years, female 321.2
GTEX-1CAMS-0326-SM-7PC35 40-49 years, female 320.9
GTEX-X15G-2326-SM-4PQZS 50-59 years, female 302.1
GTEX-PWN1-0226-SM-DKPO9 40-49 years, female 299.7
GTEX-18A67-0226-SM-7LG67 50-59 years, male 297.8
GTEX-145ME-1926-SM-5MR6T 40-49 years, female 292.7
GTEX-1J8QM-2326-SM-CYPSL 60-69 years, female 287.3
GTEX-ZGAY-0626-SM-DO92E 40-49 years, female 281.9
GTEX-1I4MK-2026-SM-B2LVR 50-59 years, female 281.6
GTEX-1GPI7-0226-SM-9MQKB 20-29 years, male 280.4
GTEX-132QS-2526-SM-62LFJ 60-69 years, male 279.5
GTEX-ZZ64-1626-SM-5E43W 20-29 years, male 271.1
GTEX-WFG7-2526-SM-EWRM5 20-29 years, male 268.8
GTEX-1MCC2-2326-SM-E9U5G 30-39 years, female 267.5
GTEX-14PHX-2426-SM-62LEN 50-59 years, male 266.8
GTEX-1KANA-0826-SM-D3L9J 20-29 years, male 265.0
GTEX-1122O-2026-SM-9YFMG 60-69 years, female 264.8
GTEX-T6MO-1726-SM-33HB8 40-49 years, female 262.6
GTEX-U4B1-1726-SM-3DB9F 40-49 years, male 261.7
GTEX-1128S-2126-SM-5H12U 60-69 years, female 257.5
GTEX-18A66-0326-SM-718BE 60-69 years, male 256.7
GTEX-147F3-0626-SM-5NQ9I 50-59 years, female 255.4
GTEX-TML8-2026-SM-32QOP 40-49 years, female 255.1
GTEX-ZVT2-2226-SM-5NQ6P 50-59 years, female 254.1
GTEX-XUZC-1826-SM-4BRVO 30-39 years, female 253.5
GTEX-XMK1-2226-SM-4B673 40-49 years, male 252.5
GTEX-S4P3-1526-SM-E9J3W 50-59 years, female 250.8
GTEX-QV31-1326-SM-2S1QE 30-39 years, male 249.0
GTEX-O5YV-0226-SM-48TBY 60-69 years, female 247.5
GTEX-ZPCL-2126-SM-57WFZ 60-69 years, female 246.8
GTEX-W5WG-2526-SM-4SOJ2 50-59 years, female 245.6
GTEX-139T6-2126-SM-5KM37 50-59 years, male 245.3
GTEX-ZXES-2026-SM-5NQ6R 30-39 years, female 244.5
GTEX-WFG8-2326-SM-DIPDX 20-29 years, male 243.7
GTEX-15ETS-0426-SM-6PANI 40-49 years, female 243.1
GTEX-1K2DA-2126-SM-CGQGL 50-59 years, male 240.7
GTEX-145MN-2626-SM-5NQAH 30-39 years, male 240.2
GTEX-1IDJU-2526-SM-CMKGF 60-69 years, female 239.5
GTEX-13N1W-0226-SM-5K7W6 70-79 years, male 239.1
GTEX-WEY5-1926-SM-3GIL8 40-49 years, female 236.1
GTEX-1E2YA-0226-SM-9MQLY 50-59 years, male 235.4
GTEX-Y9LG-2026-SM-62LFS 30-39 years, male 234.7
GTEX-13113-1826-SM-5LZW4 60-69 years, female 234.6
GTEX-1AMEY-1426-SM-7939I 30-39 years, female 234.5
GTEX-P4PP-0226-SM-D4P1Z 30-39 years, female 234.3
GTEX-1LGOU-2226-SM-E9U56 20-29 years, female 233.1
GTEX-1GN1U-0226-SM-9YFLQ 50-59 years, female 232.1
GTEX-1HCU6-0226-SM-CGQES 60-69 years, female 230.9
GTEX-T5JW-1726-SM-3GADN 20-29 years, female 230.8
GTEX-13VXT-0226-SM-5LU9Q 20-29 years, female 230.6
GTEX-TKQ1-1126-SM-4GIAZ 30-39 years, male 226.4
GTEX-ZP4G-2326-SM-57WEM 20-29 years, female 225.4
GTEX-146FR-1826-SM-5QGPF 60-69 years, female 224.7
GTEX-1PFEY-1626-SM-E9J3M 30-39 years, male 224.6
GTEX-1C2JI-2226-SM-7IGPJ 50-59 years, male 224.3
GTEX-YF7O-2426-SM-5IFJL 50-59 years, male 222.8
GTEX-S95S-1326-SM-2XCDK 60-69 years, male 222.7
GTEX-ZDYS-2126-SM-5S2P2 50-59 years, male 222.2
GTEX-1HSGN-0126-SM-CGQFU 40-49 years, female 221.5
GTEX-14JG6-2326-SM-6LLH3 30-39 years, female 221.0
GTEX-17F98-1126-SM-79OJS 40-49 years, female 220.9
GTEX-WH7G-2226-SM-3NMBN 40-49 years, male 220.2
GTEX-17MFQ-1826-SM-7DHLS 20-29 years, male 219.4
GTEX-XBEW-0726-SM-4QARX 40-49 years, male 218.2
GTEX-14DAR-1926-SM-5S2NQ 50-59 years, male 218.1
GTEX-P78B-0226-SM-3NB1Z 40-49 years, female 215.3
GTEX-183FY-0326-SM-793BY 20-29 years, male 214.8
GTEX-OXRP-0226-SM-3NB14 60-69 years, female 214.4
GTEX-RTLS-0226-SM-2TF5E 60-69 years, female 213.1
GTEX-11P82-1726-SM-5Q5AT 20-29 years, male 212.0
GTEX-XGQ4-2226-SM-4AT4Y 50-59 years, male 211.3
GTEX-ZLV1-1826-SM-5FQU5 60-69 years, female 211.1
GTEX-15SDE-2426-SM-7KFRC 50-59 years, female 210.5
GTEX-TMZS-0226-SM-3DB9N 60-69 years, male 209.9
GTEX-WY7C-2426-SM-3NB2V 50-59 years, male 208.5
GTEX-1S82P-0226-SM-E6CI6 60-69 years, female 208.2
GTEX-1QP67-1726-SM-E8VOP 40-49 years, female 206.8
GTEX-XUW1-0526-SM-4BOP3 50-59 years, female 205.8
GTEX-13NZA-0126-SM-5K7UH 60-69 years, male 205.5
GTEX-SNMC-1326-SM-2XCFK 20-29 years, male 205.0
GTEX-1I6K7-0226-SM-CJI46 40-49 years, male 204.5
GTEX-14C39-2526-SM-5S2UH 40-49 years, male 204.4
GTEX-14PJM-0326-SM-62LF2 50-59 years, female 203.9
GTEX-16MTA-2126-SM-6PALC 50-59 years, male 203.7
GTEX-SNOS-1426-SM-32PLY 40-49 years, male 202.3
GTEX-S33H-1126-SM-2XCB6 30-39 years, male 201.5
GTEX-R55C-1626-SM-48FEG 40-49 years, male 201.0
GTEX-1RAZQ-0626-SM-E8VOR 30-39 years, male 200.6
GTEX-17EUY-0526-SM-7EWDE 20-29 years, male 199.5
GTEX-144GM-1926-SM-5LUAN 20-29 years, male 199.4
GTEX-1HBPI-1426-SM-B2LW7 50-59 years, male 198.6
GTEX-QLQW-1226-SM-2S1Q9 30-39 years, male 198.5
GTEX-1NHNU-1126-SM-E9J2C 50-59 years, male 198.4
GTEX-1PPH8-0626-SM-EWRN9 20-29 years, male 198.0
GTEX-15ER7-0426-SM-6PAM3 20-29 years, female 197.8
GTEX-11ZTT-2526-SM-5EQM9 60-69 years, female 197.7
GTEX-1HCUA-2226-SM-ADEHF 50-59 years, female 197.4
GTEX-1JKYN-1226-SM-CGQG8 30-39 years, male 196.4
GTEX-ZT9X-1926-SM-57WE7 40-49 years, male 196.0
GTEX-T8EM-1126-SM-3DB7D 40-49 years, male 195.7
GTEX-YB5K-2226-SM-4WWG1 40-49 years, female 195.3
GTEX-ZVTK-0526-SM-5GZWT 20-29 years, male 194.1
GTEX-1RAZA-0226-SM-E9U4W 20-29 years, male 194.0
GTEX-1A3MV-2126-SM-718BV 30-39 years, male 193.9
GTEX-1GN1W-0626-SM-9MQK3 50-59 years, female 193.7
GTEX-Q2AG-0226-SM-2S1P4 40-49 years, female 193.2
GTEX-ZLWG-2226-SM-DO92V 50-59 years, female 192.9
GTEX-18QFQ-0226-SM-731BQ 30-39 years, male 192.4
GTEX-12ZZY-0326-SM-5LZVQ 60-69 years, male 191.8
GTEX-ZTPG-0226-SM-5O99I 20-29 years, female 191.3
GTEX-11TUW-2626-SM-5EQKZ 60-69 years, male 190.5
GTEX-1497J-2326-SM-5NQBK 60-69 years, male 190.0
GTEX-1FIGZ-1626-SM-7SB8L 40-49 years, male 190.0
GTEX-1PIGE-0526-SM-DTXFA 20-29 years, male 189.5
GTEX-1399U-2426-SM-5K7XB 50-59 years, female 188.9
GTEX-U3ZM-1026-SM-EZ6LD 40-49 years, male 188.4
GTEX-1QP28-0226-SM-E9J2N 50-59 years, female 187.5
GTEX-P4QS-0226-SM-3NB1U 60-69 years, male 186.5
GTEX-11P7K-2026-SM-5GU74 30-39 years, male 185.9
GTEX-Q2AI-1426-SM-2S1P5 40-49 years, male 185.8
GTEX-16GPK-0226-SM-7DUFI 60-69 years, male 185.5
GTEX-18A7A-0326-SM-731AT 50-59 years, female 185.1
GTEX-18D9A-2026-SM-718BL 30-39 years, female 184.7
GTEX-1S83E-0226-SM-EVYCW 40-49 years, male 184.7
GTEX-13D11-2326-SM-5IJCY 50-59 years, female 184.4
GTEX-1F88F-2626-SM-9WG5K 60-69 years, female 184.4
GTEX-1EKGG-0126-SM-9YFLS 60-69 years, male 183.8
GTEX-1C4CL-0426-SM-7939N 30-39 years, male 183.5
GTEX-1J1R8-2226-SM-ARZMP 40-49 years, male 183.1
GTEX-12126-0426-SM-5Q5AP 20-29 years, male 183.0
GTEX-ZYY3-0226-SM-5E45M 60-69 years, female 182.6
GTEX-1H1ZS-0526-SM-9WG5L 70-79 years, male 182.3
GTEX-1LG7Z-2026-SM-DLHBP 30-39 years, male 181.7
GTEX-VUSG-2426-SM-4KKZG 50-59 years, male 181.6
GTEX-ZLFU-2626-SM-DO91L 40-49 years, male 181.5
GTEX-XPVG-2726-SM-4B66W 50-59 years, male 180.9
GTEX-1CAMR-1826-SM-7MXUJ 20-29 years, male 180.0
GTEX-1HSMP-0226-SM-CGQFI 70-79 years, male 178.9
GTEX-1MGNQ-0226-SM-EVYCK 40-49 years, male 178.5
GTEX-1LSNM-2026-SM-E6CIJ 50-59 years, male 178.2
GTEX-1QP29-0726-SM-DTXFM 50-59 years, male 178.0
GTEX-R55D-0326-SM-48FES 50-59 years, male 177.3
GTEX-1LVAN-0126-SM-COH4H 50-59 years, female 176.3
GTEX-OHPK-0226-SM-3MJH6 50-59 years, female 176.0
GTEX-1S831-0326-SM-EVYD3 20-29 years, male 176.0
GTEX-RVPV-1526-SM-EXOHF 60-69 years, male 176.0
GTEX-QLQ7-1526-SM-2S1QA 60-69 years, male 175.8
GTEX-1C475-1926-SM-7DUFV 40-49 years, female 175.5
GTEX-XUYS-0226-SM-47JX1 50-59 years, male 175.5
GTEX-ZZPU-2726-SM-5NQ8O 50-59 years, female 175.3
GTEX-ZC5H-0126-SM-4WAYL 40-49 years, female 174.5
GTEX-1RAZR-0226-SM-EVYC6 40-49 years, male 174.5
GTEX-ZPIC-1826-SM-57WFE 40-49 years, female 174.3
GTEX-169BO-1426-SM-9MQJT 50-59 years, male 173.3
GTEX-1I1GT-0526-SM-CGQEQ 60-69 years, female 173.3
GTEX-ZTSS-2026-SM-5987K 40-49 years, male 172.5
GTEX-1HSEH-0226-SM-ACKVV 60-69 years, male 172.3
GTEX-S7SE-0226-SM-2XCD4 50-59 years, male 172.2
GTEX-11EQ9-2526-SM-5HL66 30-39 years, male 171.8
GTEX-Q2AH-1726-SM-DIPDV 40-49 years, male 171.6
GTEX-ZPU1-2426-SM-4WWFM 40-49 years, male 171.5
GTEX-NFK9-0326-SM-3MJGV 40-49 years, male 171.2
GTEX-P44G-2326-SM-2XCCZ 30-39 years, male 170.9
GTEX-111YS-2426-SM-5GZZQ 60-69 years, male 170.5
GTEX-YEC4-2426-SM-57WFO 40-49 years, male 170.5
GTEX-T2IS-0226-SM-32QPH 20-29 years, female 170.2
GTEX-OXRK-0326-SM-3NB3R 50-59 years, female 170.1
GTEX-1KXAM-2326-SM-CYPTD 60-69 years, male 170.1
GTEX-OXRL-0226-SM-3NB18 50-59 years, male 170.0
GTEX-13PVR-2426-SM-5RQHN 60-69 years, female 169.9
GTEX-133LE-1926-SM-5N9FV 20-29 years, female 169.7
GTEX-1QAET-1126-SM-E8VML 50-59 years, male 169.6
GTEX-1QCLY-0526-SM-EAZ47 30-39 years, male 169.4
GTEX-ZAK1-0226-SM-5CVMX 50-59 years, female 169.3
GTEX-1EWIQ-0226-SM-793D3 70-79 years, female 168.8
GTEX-11TT1-2426-SM-5EQMK 20-29 years, male 168.5
GTEX-145LT-1826-SM-5QGP4 40-49 years, male 168.4
GTEX-YJ8O-2426-SM-5HL7S 40-49 years, female 168.1
GTEX-11I78-2626-SM-5Q5AI 50-59 years, female 168.0
GTEX-1GMR2-2526-SM-9MQKW 50-59 years, male 167.9
GTEX-P4PQ-0226-SM-2S1NK 60-69 years, male 167.4
GTEX-12KS4-0426-SM-5EQMC 30-39 years, male 167.2
GTEX-ZVP2-1826-SM-5GU62 50-59 years, male 167.2
GTEX-QMRM-1726-SM-2S1QG 50-59 years, male 166.6
GTEX-1QW4Y-1626-SM-EAZ41 30-39 years, male 166.5
GTEX-RM2N-1726-SM-2TF55 50-59 years, male 165.9
GTEX-1GMR3-2026-SM-9MQLG 40-49 years, male 165.9
GTEX-145MO-0426-SM-5QGP6 60-69 years, male 165.8
GTEX-14LLW-0226-SM-62LEL 70-79 years, female 165.3
GTEX-1HFI7-2026-SM-CGQFR 50-59 years, female 165.2
GTEX-13O1R-0226-SM-5K7U5 60-69 years, male 164.0
GTEX-ZTX8-1526-SM-5N9GI 20-29 years, male 163.8
GTEX-1K9T9-0226-SM-E9U6K 50-59 years, female 163.7
GTEX-17HHE-1926-SM-7EPGW 50-59 years, male 163.5
GTEX-17HHY-0226-SM-793BQ 50-59 years, male 163.5
GTEX-1EH9U-0226-SM-7PBY8 60-69 years, male 163.2
GTEX-13O21-1526-SM-5K7W4 50-59 years, male 163.1
GTEX-OOBJ-0226-SM-2YUMM 60-69 years, male 163.1
GTEX-ZVE2-0326-SM-57WFC 50-59 years, male 163.0
GTEX-OOBK-0226-SM-2YUMF 40-49 years, male 162.6
GTEX-14PN3-2526-SM-6EU15 60-69 years, female 162.5
GTEX-QCQG-1826-SM-2S1P2 50-59 years, female 162.2
GTEX-1LGRB-2426-SM-CNPP3 50-59 years, female 161.8
GTEX-PX3G-0226-SM-DKPOF 20-29 years, female 161.8
GTEX-1OFPY-2326-SM-E8VNU 60-69 years, male 161.2
GTEX-13W3W-2526-SM-5SI9P 60-69 years, female 160.8
GTEX-ZUA1-0226-SM-5NQ9Q 40-49 years, male 160.4
GTEX-RWSA-0226-SM-2XCBA 40-49 years, male 159.9
GTEX-XAJ8-0926-SM-47JXZ 40-49 years, male 159.8
GTEX-13X6J-0226-SM-7EPGC 50-59 years, male 159.4
GTEX-U3ZN-2626-SM-3DB7T 30-39 years, female 159.3
GTEX-QESD-1526-SM-2S1QT 20-29 years, male 159.0
GTEX-1QP66-1326-SM-DTXDQ 50-59 years, male 158.9
GTEX-T6MN-0226-SM-32PMD 50-59 years, male 158.6
GTEX-1H23P-0226-SM-9YFLO 60-69 years, male 158.5
GTEX-U8XE-0426-SM-3DB91 30-39 years, male 158.4
GTEX-1LSVX-0126-SM-EVYCY 60-69 years, male 158.3
GTEX-15UKP-0526-SM-7KFRO 20-29 years, male 158.2
GTEX-1F6I4-0226-SM-9MQMA 60-69 years, male 158.1
GTEX-QV44-1825-SM-447CF 50-59 years, male 157.7
GTEX-OIZF-0226-SM-E9TI3 60-69 years, male 157.7
GTEX-11WQC-2426-SM-5EQKQ 60-69 years, male 157.6
GTEX-13O3P-0226-SM-5KM3Z 50-59 years, male 157.5
GTEX-13O3Q-2326-SM-5KM3G 50-59 years, male 157.3
GTEX-13NZB-2426-SM-5K7UF 30-39 years, male 157.2
GTEX-1ICG6-2626-SM-CGQG1 70-79 years, female 156.2
GTEX-14PJ3-1926-SM-62LEY 50-59 years, male 155.9
GTEX-1GF9V-0226-SM-9MQKA 60-69 years, male 155.4
GTEX-PLZ5-1826-SM-3NB22 50-59 years, male 155.2
GTEX-1PBJI-0426-SM-E8VNM 20-29 years, female 155.0
GTEX-131XF-2226-SM-5EQKG 60-69 years, male 154.5
GTEX-1B8KE-2526-SM-73KYQ 50-59 years, male 154.5
GTEX-OIZH-0226-SM-2YUMH 50-59 years, male 154.5
GTEX-17HII-0326-SM-7LG4X 50-59 years, male 153.2
GTEX-11LCK-1126-SM-5A5KC 30-39 years, male 153.1
GTEX-O5YT-0226-SM-32PK5 20-29 years, male 153.0
GTEX-Z93T-0226-SM-5HL5Z 50-59 years, male 152.9
GTEX-1QP9N-1526-SM-DTXFK 30-39 years, male 152.9
GTEX-13OW7-0226-SM-5MR3N 50-59 years, male 152.4
GTEX-16YQH-0226-SM-6PALD 30-39 years, male 152.3
GTEX-14PJ6-2226-SM-6LLIV 60-69 years, female 151.9
GTEX-13FTW-2526-SM-5IJC8 40-49 years, male 151.4
GTEX-X8HC-0226-SM-4E3K1 50-59 years, female 151.2
GTEX-13CF2-2626-SM-5LZZA 60-69 years, male 150.4
GTEX-ZF28-0226-SM-5S2OE 60-69 years, male 150.4
GTEX-VUSH-0226-SM-EXUQV 30-39 years, male 150.3
GTEX-1B8SG-0226-SM-7939Q 50-59 years, male 150.1
GTEX-14BIL-0226-SM-5SI9E 50-59 years, male 149.9
GTEX-1JMLX-0126-SM-CMKG9 50-59 years, male 149.4
GTEX-1L5NE-2626-SM-E9U6P 50-59 years, male 148.9
GTEX-WHPG-2126-SM-4M1ZM 50-59 years, male 148.8
GTEX-WYJK-0226-SM-EYYV8 50-59 years, male 148.6
GTEX-QEG4-0326-SM-DIPE3 30-39 years, male 148.4
GTEX-1GMRU-0226-SM-9YFLW 50-59 years, male 148.3
GTEX-14AS3-2026-SM-5TDD9 40-49 years, female 148.2
GTEX-U412-0526-SM-3DB9I 60-69 years, male 147.8
GTEX-11EMC-2826-SM-5PNY6 60-69 years, female 147.7
GTEX-RU72-1026-SM-46MUG 50-59 years, female 147.1
GTEX-1GMR8-0226-SM-9YFL3 50-59 years, female 147.0
GTEX-XBED-2326-SM-47JYR 60-69 years, male 146.8
GTEX-UTHO-0426-SM-CE6QU 60-69 years, male 146.7
GTEX-14H4A-1026-SM-62LDY 40-49 years, female 146.3
GTEX-17F96-1726-SM-7IGMB 70-79 years, male 146.2
GTEX-1C64O-0226-SM-73KXB 60-69 years, male 146.0
GTEX-S32W-2226-SM-2XCAY 50-59 years, female 145.9
GTEX-1PDJ9-0426-SM-E9J3E 20-29 years, male 145.8
GTEX-16NGA-1826-SM-7LG5L 40-49 years, female 145.7
GTEX-1CB4I-0426-SM-7IGPR 50-59 years, male 145.1
GTEX-17HGU-0326-SM-7DUER 50-59 years, male 145.0
GTEX-1JN76-0226-SM-CMKGO 20-29 years, female 144.9
GTEX-1PWST-0326-SM-EAZ42 70-79 years, male 144.8
GTEX-1HCVE-0226-SM-CGQEV 50-59 years, male 144.1
GTEX-1QPFJ-0126-SM-E9J4B 30-39 years, female 144.1
GTEX-XQ8I-0526-SM-4BOPS 50-59 years, male 143.7
GTEX-YFC4-0226-SM-57WD2 40-49 years, female 143.6
GTEX-14ICL-2026-SM-62LDN 30-39 years, male 143.5
GTEX-ZF29-2226-SM-4WWB9 60-69 years, female 143.5
GTEX-X4EO-0426-SM-4QASA 60-69 years, female 143.1
GTEX-1I1GR-0226-SM-CMKHQ 60-69 years, male 143.0
GTEX-11ZTS-0226-SM-5EQKD 60-69 years, female 142.9
GTEX-UJHI-1626-SM-3DB9A 50-59 years, female 142.9
GTEX-1E1VI-0226-SM-793CZ 50-59 years, male 142.4
GTEX-WL46-0326-SM-3LK6Y 50-59 years, male 141.8
GTEX-1C6VR-2626-SM-7MGX2 60-69 years, male 141.8
GTEX-ZYFC-0326-SM-5NQ7H 50-59 years, male 141.6
GTEX-13IVO-0226-SM-5LZXU 70-79 years, male 141.3
GTEX-13JUV-2826-SM-5LZWU 40-49 years, female 141.2
GTEX-SJXC-0226-SM-2XCDU 60-69 years, male 140.4
GTEX-OIZI-0226-SM-2XCEE 40-49 years, male 140.1
GTEX-1R7EU-0326-SM-EWRNJ 60-69 years, male 140.1
GTEX-12WSC-0226-SM-5EQ52 50-59 years, male 140.0
GTEX-1F5PK-2526-SM-9MQKN 50-59 years, male 140.0
GTEX-ZVZP-2326-SM-59HL4 50-59 years, male 139.8
GTEX-1269C-2726-SM-5EGJ4 60-69 years, female 139.6
GTEX-XYKS-2726-SM-4E3IC 60-69 years, female 139.6
GTEX-1HSMQ-1426-SM-ADEHT 50-59 years, male 139.6
GTEX-13FHP-0226-SM-5K7WD 50-59 years, male 139.5
GTEX-1HSKV-0326-SM-ADEJC 60-69 years, male 139.4
GTEX-1HBPM-0326-SM-CMKGR 60-69 years, female 139.2
GTEX-1POEN-0226-SM-EYYXE 30-39 years, female 139.1
GTEX-13QJ3-0426-SM-5RQHP 50-59 years, male 139.0
GTEX-1MUQO-0526-SM-E9J31 60-69 years, male 139.0
GTEX-1HR9M-0226-SM-COH3E 60-69 years, male 138.9
GTEX-YJ8A-0526-SM-5IFHT 20-29 years, male 138.5
GTEX-Y8E5-0226-SM-57WCM 60-69 years, male 138.2
GTEX-131XE-2426-SM-5EQ5V 50-59 years, male 137.7
GTEX-1IKK5-0526-SM-CMKGG 60-69 years, male 137.6
GTEX-12584-0226-SM-5EQL5 40-49 years, male 137.2
GTEX-13SLX-0426-SM-5QGRC 50-59 years, female 137.2
GTEX-WI4N-1126-SM-3LK7Q 40-49 years, female 137.2
GTEX-13PVQ-0226-SM-5SIBG 50-59 years, male 137.0
GTEX-16BQI-0526-SM-6PAM8 30-39 years, female 137.0
GTEX-SIU8-0226-SM-2XCDS 50-59 years, male 136.8
GTEX-13FH7-2226-SM-5IJD4 50-59 years, female 136.4
GTEX-1N2EF-0626-SM-E9J32 60-69 years, male 136.0
GTEX-1I6K6-0226-SM-ADEID 30-39 years, male 135.5
GTEX-SUCS-1826-SM-32PM1 70-79 years, male 135.4
GTEX-1GN1V-0226-SM-9WYTN 60-69 years, male 135.4
GTEX-13O61-2426-SM-5J1NV 60-69 years, male 135.3
GTEX-17HG3-2326-SM-79OKH 30-39 years, female 134.2
GTEX-16XZZ-0226-SM-7MGVJ 60-69 years, male 133.8
GTEX-1HGF4-2526-SM-ADEIZ 60-69 years, male 133.5
GTEX-1314G-1626-SM-5EQ67 30-39 years, male 133.3
GTEX-11GS4-2626-SM-5A5LD 60-69 years, male 133.0
GTEX-R53T-1626-SM-3GAEW 50-59 years, female 133.0
GTEX-17EVP-0426-SM-79OKG 40-49 years, male 132.9
GTEX-1ICLY-0226-SM-ARL7R 50-59 years, male 132.8
GTEX-ZYT6-0326-SM-7LG5R 30-39 years, male 132.6
GTEX-11DXW-0326-SM-5H11W 40-49 years, male 132.5
GTEX-RNOR-0226-SM-EZ6MF 50-59 years, female 132.5
GTEX-11H98-0226-SM-5NQ89 50-59 years, male 132.3
GTEX-1LH75-2526-SM-E9U5A 50-59 years, female 132.3
GTEX-1JMPY-1426-SM-ARL8Z 30-39 years, male 132.2
GTEX-1B8SF-0526-SM-7939F 60-69 years, male 132.1
GTEX-18A6Q-0226-SM-718AS 60-69 years, male 131.8
GTEX-147JS-0426-SM-5TDD2 60-69 years, male 131.7
GTEX-1EMGI-0226-SM-9MQL1 60-69 years, male 131.5
GTEX-1RQEC-0526-SM-E6CHV 60-69 years, male 131.3
GTEX-YFCO-2026-SM-4W21Q 40-49 years, male 131.2
GTEX-1H1E6-2026-SM-9KNVK 30-39 years, male 131.2
GTEX-16AAH-2026-SM-7LG5F 50-59 years, male 131.1
GTEX-OHPN-0226-SM-48TBV 60-69 years, female 130.9
GTEX-1B97I-1726-SM-7939V 40-49 years, male 130.8
GTEX-14BIN-0726-SM-793DQ 50-59 years, female 130.4
GTEX-18D9U-0726-SM-7LG5J 40-49 years, male 130.4
GTEX-111CU-1826-SM-5GZYN 50-59 years, male 130.2
GTEX-Z93S-0226-SM-5HL7R 50-59 years, male 130.1
GTEX-15CHQ-0226-SM-6EU2S 60-69 years, male 129.8
GTEX-1LBAC-0226-SM-DHXJZ 20-29 years, male 129.8
GTEX-Y114-2326-SM-4TT7X 50-59 years, female 129.7
GTEX-13YAN-0426-SM-5O9DR 60-69 years, male 129.6
GTEX-14E6D-0226-SM-62LDW 50-59 years, male 129.5
GTEX-1MA7X-2126-SM-E6CIX 60-69 years, male 129.3
GTEX-YECK-0226-SM-4W215 60-69 years, male 128.8
GTEX-13OW6-0526-SM-5L3HY 50-59 years, male 128.7
GTEX-11GSO-2326-SM-5A5LX 60-69 years, male 128.6
GTEX-1AYD5-2326-SM-73KXF 50-59 years, male 128.4
GTEX-Y8E4-0726-SM-4WWFN 40-49 years, male 128.1
GTEX-11ZVC-2626-SM-5FQTA 50-59 years, female 127.7
GTEX-13PLJ-0126-SM-5L3HU 60-69 years, female 127.7
GTEX-YEC3-1226-SM-5IFI8 50-59 years, male 127.7
GTEX-SSA3-0226-SM-32QPN 60-69 years, male 127.6
GTEX-1PPGY-0326-SM-DTXFD 60-69 years, male 127.5
GTEX-14BMV-0226-SM-5S2N2 50-59 years, male 127.2
GTEX-XQ3S-1626-SM-4WAYN 20-29 years, male 127.0
GTEX-X638-0226-SM-47JZ9 70-79 years, female 126.8
GTEX-1BAJH-0426-SM-73KWY 70-79 years, male 126.7
GTEX-X5EB-2426-SM-4E3HX 40-49 years, male 126.7
GTEX-OHPM-0226-SM-3LK61 50-59 years, male 126.6
GTEX-1B996-0126-SM-7PBYF 60-69 years, male 126.6
GTEX-1CB4E-1826-SM-7RHG8 60-69 years, male 126.2
GTEX-1313W-0226-SM-5LZV7 50-59 years, female 126.1
GTEX-1I1GP-2326-SM-CGQFL 50-59 years, male 126.1
GTEX-13OVK-2126-SM-6PAN1 40-49 years, male 125.9
GTEX-Z9EW-1826-SM-5CVMA 40-49 years, male 125.7
GTEX-13RTJ-2526-SM-5S2Q3 60-69 years, male 125.6
GTEX-Y5V6-2526-SM-5IFJV 60-69 years, male 125.6
GTEX-1CB4H-0326-SM-9WG5G 60-69 years, female 125.6
GTEX-1J8EW-0226-SM-CYPSW 60-69 years, female 125.4
GTEX-117YX-2226-SM-5EGJJ 50-59 years, male 125.3
GTEX-1I19N-0426-SM-ACKVY 70-79 years, male 125.3
GTEX-144GL-0226-SM-5QGOX 50-59 years, male 124.8
GTEX-1HFI6-0326-SM-ADEI5 40-49 years, male 124.8
GTEX-XLM4-0226-SM-4AT4N 60-69 years, male 124.7
GTEX-1IY9M-0226-SM-CMKHP 60-69 years, male 124.6
GTEX-139TU-0226-SM-5J1NM 60-69 years, male 124.5
GTEX-139YR-2426-SM-5J1OB 50-59 years, male 124.5
GTEX-REY6-0326-SM-2TF5A 60-69 years, male 124.2
GTEX-16XZY-2526-SM-7DHL2 70-79 years, male 123.9
GTEX-1QP2A-0226-SM-EVYBC 50-59 years, male 123.8
GTEX-13111-1726-SM-5EGJZ 50-59 years, male 123.3
GTEX-XV7Q-2626-SM-4BRVA 40-49 years, female 123.1
GTEX-WVLH-0226-SM-3MJG6 50-59 years, male 123.0
GTEX-1HBPH-0526-SM-9YFMN 40-49 years, female 122.5
GTEX-131YS-0226-SM-5IJEH 60-69 years, female 122.3
GTEX-1J8JJ-0326-SM-CMKG6 60-69 years, female 122.3
GTEX-13G51-2626-SM-5LZYW 60-69 years, male 122.2
GTEX-1212Z-2426-SM-5EQ5D 60-69 years, male 122.0
GTEX-1IOXB-0226-SM-CMKHY 50-59 years, male 121.9
GTEX-1PIIG-0326-SM-EVYBV 30-39 years, male 121.9
GTEX-1H1DE-2026-SM-9WG6Q 20-29 years, male 121.8
GTEX-T5JC-0526-SM-32PM7 20-29 years, male 121.5
GTEX-1R9PM-2126-SM-E8VOB 20-29 years, male 121.5
GTEX-1I1GQ-0226-SM-COH3I 50-59 years, male 121.4
GTEX-OIZG-0826-SM-E9TI4 50-59 years, male 121.4
GTEX-1I1GS-0226-SM-B2LVX 60-69 years, male 121.3
GTEX-NPJ8-0226-SM-48TBN 40-49 years, male 121.2
GTEX-11P81-2426-SM-5GU65 30-39 years, female 120.7
GTEX-1A3MX-0226-SM-731C4 60-69 years, male 120.6
GTEX-ZEX8-2326-SM-5S2MN 50-59 years, male 120.2
GTEX-13S7M-0226-SM-5S2UG 60-69 years, female 120.0
GTEX-16MT8-0526-SM-6PAM6 60-69 years, female 120.0
GTEX-13112-2726-SM-5DUW5 50-59 years, male 119.9
GTEX-1399R-2626-SM-5KLZ7 30-39 years, male 119.9
GTEX-WFON-2226-SM-3TW8W 40-49 years, male 119.7
GTEX-XOT4-0226-SM-4B66Z 60-69 years, female 119.7
GTEX-1JK1U-2126-SM-CNPOU 60-69 years, male 119.5
GTEX-1QP6S-0126-SM-E9J4K 40-49 years, male 119.5
GTEX-1GF9X-1926-SM-ADEIC 40-49 years, female 119.4
GTEX-QDVJ-1826-SM-2S1P3 50-59 years, male 119.0
GTEX-13CF3-2326-SM-5IFGL 60-69 years, female 118.8
GTEX-1JJ6O-0226-SM-E6CI9 60-69 years, male 118.8
GTEX-1F48J-0226-SM-7SB82 50-59 years, female 118.4
GTEX-1MJK2-0526-SM-DTXE6 50-59 years, male 118.4
GTEX-1S5ZU-0226-SM-E6CHW 20-29 years, female 118.1
GTEX-1AMFI-2126-SM-731BT 50-59 years, female 117.9
GTEX-1H3VY-0226-SM-9YFMF 50-59 years, male 117.8
GTEX-13PDP-0226-SM-5K7W9 60-69 years, male 117.3
GTEX-14E6E-1926-SM-664N4 30-39 years, male 117.1
GTEX-139T8-0226-SM-5L3EA 60-69 years, male 117.0
GTEX-11ZUS-0726-SM-59886 30-39 years, male 116.7
GTEX-Y5V5-2426-SM-5IFJA 60-69 years, female 116.7
GTEX-1AX9K-2426-SM-73KZ4 50-59 years, male 116.5
GTEX-13NZ8-0926-SM-5MR3U 60-69 years, female 116.2
GTEX-ZDTS-0226-SM-5HL7Q 60-69 years, male 115.9
GTEX-12ZZX-0226-SM-5DUXU 40-49 years, female 115.8
GTEX-X4XY-0326-SM-46MVZ 60-69 years, male 115.8
GTEX-1HB9E-0426-SM-CNPPV 50-59 years, male 115.7
GTEX-1CAMQ-0126-SM-7SB7S 40-49 years, male 115.6
GTEX-12696-2526-SM-5EQLN 60-69 years, male 115.3
GTEX-144FL-0226-SM-5Q5D4 50-59 years, male 115.2
GTEX-ZV68-0226-SM-59HJF 50-59 years, female 115.1
GTEX-1B8L1-2626-SM-7SB77 60-69 years, male 115.1
GTEX-1GN2E-0326-SM-COH3C 60-69 years, male 114.7
GTEX-14ICK-0326-SM-6LLIZ 40-49 years, male 114.6
GTEX-13OVJ-0326-SM-5L3GL 50-59 years, female 114.2
GTEX-1JJEA-0226-SM-COH2X 60-69 years, male 114.1
GTEX-1GTWX-0226-SM-9YFLL 60-69 years, male 114.0
GTEX-13VXU-0226-SM-5SI9R 50-59 years, male 113.9
GTEX-1M5QR-2126-SM-DKPQM 40-49 years, male 113.7
GTEX-13SLW-0226-SM-5S2NA 70-79 years, male 113.6
GTEX-1399T-2726-SM-5K7XK 60-69 years, male 113.5
GTEX-1A3MW-0226-SM-7939O 60-69 years, female 113.4
GTEX-11ONC-2526-SM-5986W 60-69 years, male 113.3
GTEX-13NYB-2626-SM-9YFMI 40-49 years, male 113.0
GTEX-PSDG-0326-SM-48TCP 50-59 years, male 112.9
GTEX-ZVZO-0226-SM-5A5LA 40-49 years, male 112.6
GTEX-1KAFJ-2426-SM-D4P32 50-59 years, male 112.5
GTEX-14JIY-0526-SM-62LFH 60-69 years, male 112.1
GTEX-13N11-2626-SM-5K7UQ 50-59 years, female 111.6
GTEX-Y3I4-2226-SM-4TT7O 50-59 years, male 111.6
GTEX-1B932-0226-SM-7PBYH 40-49 years, female 111.6
GTEX-1H2FU-0226-SM-9YFKO 60-69 years, female 111.3
GTEX-14753-0326-SM-5QGQB 60-69 years, male 110.6
GTEX-1R46S-0526-SM-EVYBZ 60-69 years, female 110.4
GTEX-1GN73-0326-SM-9KNTW 60-69 years, male 110.2
GTEX-11EI6-0226-SM-5EQ64 60-69 years, male 109.8
GTEX-14PJ4-2226-SM-6LLIS 60-69 years, male 109.6
GTEX-ZF3C-0226-SM-4WWB3 50-59 years, female 109.4
GTEX-148VI-1726-SM-5S2W9 60-69 years, female 109.2
GTEX-12WSM-0226-SM-5LZV6 60-69 years, male 108.9
GTEX-1F6RS-0226-SM-9MQKO 60-69 years, female 108.8
GTEX-13OW8-1226-SM-5K7XD 60-69 years, male 108.5
GTEX-11OF3-2426-SM-5Q5AS 60-69 years, male 108.4
GTEX-14ABY-0326-SM-5TDDK 50-59 years, male 108.1
GTEX-QEL4-0326-SM-3GAE5 50-59 years, male 108.1
GTEX-ZVT4-0226-SM-51MSD 50-59 years, female 108.1
GTEX-12C56-1626-SM-5FQUO 20-29 years, male 108.0
GTEX-1CB4G-0326-SM-7SB8R 60-69 years, male 107.9
GTEX-14C5O-0226-SM-5SI6O 60-69 years, male 107.4
GTEX-1J8Q3-1526-SM-CMKGB 60-69 years, male 107.1
GTEX-R3RS-0226-SM-EYYVE 40-49 years, female 107.0
GTEX-15RIE-2326-SM-7KFSC 60-69 years, male 106.9
GTEX-14JG1-0526-SM-6LLHW 40-49 years, male 106.8
GTEX-1EU9M-0326-SM-7RHGF 60-69 years, male 106.8
GTEX-13X6K-0226-SM-5QGPB 60-69 years, female 106.6
GTEX-14PII-0326-SM-6LLIQ 60-69 years, male 106.3
GTEX-VJYA-1326-SM-3GIJC 60-69 years, male 106.3
GTEX-1IDJF-0226-SM-CMKGE 20-29 years, male 106.3
GTEX-1H4P4-0226-SM-9YFKT 50-59 years, male 106.2
GTEX-18465-0226-SM-7LG5M 50-59 years, male 106.0
GTEX-QEG5-0326-SM-2S1PB 20-29 years, male 106.0
GTEX-Y8LW-1926-SM-4WWFZ 50-59 years, female 105.8
GTEX-13U4I-0226-SM-5SIB1 40-49 years, female 105.7
GTEX-Y111-0226-SM-4SOIW 50-59 years, male 105.5
GTEX-1KWVE-1326-SM-E6CJ1 30-39 years, male 105.4
GTEX-15DCD-0226-SM-6LPKC 70-79 years, female 105.3
GTEX-1A32A-0226-SM-718B2 50-59 years, female 105.2
GTEX-1AX9J-0326-SM-73KXY 60-69 years, male 104.6
GTEX-132AR-0226-SM-5IJBE 50-59 years, female 104.5
GTEX-X4LF-1726-SM-3NMBZ 50-59 years, male 104.5
GTEX-1LB8K-0326-SM-E9TJC 50-59 years, male 104.5
GTEX-P4QT-0226-SM-3LK68 50-59 years, female 104.4
GTEX-11TTK-0226-SM-5N9EC 60-69 years, female 104.3
GTEX-1LSNL-0526-SM-DIPFI 50-59 years, male 104.3
GTEX-13N2G-2726-SM-5J1MG 60-69 years, male 104.2
GTEX-1I1HK-0226-SM-COH4A 60-69 years, male 103.9
GTEX-1GZ2Q-0326-SM-9WG6N 40-49 years, male 103.7
GTEX-1F88E-0526-SM-7SB8J 60-69 years, female 103.6
GTEX-14PK6-2026-SM-6LLHP 70-79 years, female 103.4
GTEX-P44H-0326-SM-2XCES 40-49 years, male 103.0
GTEX-Y3IK-2526-SM-4WWDM 50-59 years, female 103.0
GTEX-14E6C-0226-SM-5S2N3 40-49 years, male 102.7
GTEX-1LVA9-0226-SM-E9U5N 50-59 years, male 102.7
GTEX-11NUK-0326-SM-5HL5K 50-59 years, male 102.6
GTEX-15DDE-0226-SM-6LLJ6 50-59 years, female 102.5
GTEX-ZAJG-0226-SM-5HL81 50-59 years, female 102.1
GTEX-X88G-0226-SM-4GIE4 30-39 years, male 102.0
GTEX-XXEK-2426-SM-4BRUS 50-59 years, male 102.0
GTEX-1211K-2226-SM-5FQU6 60-69 years, female 101.9
GTEX-OXRN-0226-SM-2I5EJ 50-59 years, male 101.4
GTEX-1HSMO-0226-SM-CGQEZ 60-69 years, male 101.4
GTEX-YJ89-0226-SM-4TT3Y 60-69 years, male 101.2
GTEX-R45C-0226-SM-EVYAJ 60-69 years, female 100.5
GTEX-145MG-0126-SM-5TDDA 50-59 years, male 100.2
GTEX-1B933-0526-SM-7EPHM 50-59 years, female 99.7
GTEX-1HCU8-0726-SM-ADEIR 60-69 years, female 99.5
GTEX-12WSD-0226-SM-59HKO 60-69 years, female 99.3
GTEX-14E1K-2126-SM-793DU 50-59 years, male 98.9
GTEX-1C6WA-0226-SM-7IGPO 60-69 years, male 98.8
GTEX-12ZZZ-0526-SM-5DUX6 60-69 years, male 98.5
GTEX-1H3O1-0526-SM-9MQLS 60-69 years, male 98.4
GTEX-1IDJD-1226-SM-CM2TP 30-39 years, male 98.4
GTEX-1A8G6-0526-SM-7PC1E 60-69 years, male 98.3
GTEX-VJWN-0226-SM-EZ6LF 50-59 years, female 98.3
GTEX-N7MS-0326-SM-4E3K2 60-69 years, male 98.1
GTEX-139T4-0126-SM-5HL5G 50-59 years, female 97.9
GTEX-145MF-0526-SM-5LUA6 50-59 years, male 97.9
GTEX-1AX9I-0226-SM-7SB75 60-69 years, male 97.9
GTEX-1H1CY-2626-SM-9MQKJ 60-69 years, female 97.9
GTEX-1C6VS-0426-SM-79OJV 60-69 years, male 97.6
GTEX-1HT8W-0226-SM-CMKGT 30-39 years, male 97.6
GTEX-1R9K5-0226-SM-EWRNF 50-59 years, male 97.5
GTEX-11XUK-2126-SM-5EQLR 40-49 years, female 97.4
GTEX-1H3VE-0226-SM-9WYST 40-49 years, male 97.3
GTEX-ZE9C-2826-SM-5S2MO 60-69 years, male 97.2
GTEX-1CB4J-1126-SM-7PBY1 60-69 years, male 96.9
GTEX-1GZ4H-1826-SM-9MQLE 50-59 years, female 96.6
GTEX-X261-0226-SM-3NMD2 50-59 years, male 96.5
GTEX-1B8KZ-1926-SM-7DUG8 50-59 years, male 96.4
GTEX-WFJO-1926-SM-3GILA 30-39 years, male 96.4
GTEX-1I1GU-2326-SM-CGQFB 40-49 years, male 96.0
GTEX-1IGQW-0226-SM-COH43 60-69 years, male 95.5
GTEX-1C6VQ-0226-SM-7P8S5 50-59 years, male 95.4
GTEX-ZDXO-2426-SM-5S2NJ 60-69 years, male 95.1
GTEX-1F75A-0226-SM-7PC2K 50-59 years, male 94.9
GTEX-1JMQI-2026-SM-CMKGP 50-59 years, male 94.4
GTEX-1N2DW-0326-SM-E9TK3 50-59 years, male 94.4
GTEX-113IC-0226-SM-5HL5C 60-69 years, male 94.3
GTEX-139D8-0326-SM-5IJCJ 30-39 years, female 94.1
GTEX-11PRG-0626-SM-5BC56 50-59 years, male 93.9
GTEX-1117F-0226-SM-5GZZ7 60-69 years, female 93.5
GTEX-1QEPI-0226-SM-EWRMR 60-69 years, female 93.3
GTEX-ZXG5-0226-SM-59HJI 60-69 years, male 93.2
GTEX-SN8G-0226-SM-4DM6B 50-59 years, female 92.9
GTEX-1I1CD-0226-SM-CM2TL 60-69 years, female 92.4
GTEX-ZE7O-0226-SM-5S2N1 50-59 years, female 92.3
GTEX-1HUB1-0326-SM-A9SKQ 60-69 years, male 92.3
GTEX-11UD2-0126-SM-5EQL2 50-59 years, male 92.1
GTEX-13FTY-0626-SM-5L3F8 40-49 years, female 91.9
GTEX-1A8G7-0226-SM-731AS 60-69 years, male 91.6
GTEX-1JMQK-0126-SM-CM2S3 60-69 years, male 91.6
GTEX-POYW-0726-SM-2XCEO 60-69 years, male 91.5
GTEX-1IE54-0226-SM-CMKHX 40-49 years, female 91.5
GTEX-Q734-1826-SM-2I3EL 40-49 years, female 91.0
GTEX-1IL2U-0326-SM-CE6T9 60-69 years, male 90.7
GTEX-POMQ-2326-SM-DHXIS 20-29 years, female 90.5
GTEX-146FH-0226-SM-5QGPQ 50-59 years, female 90.4
GTEX-13OVL-0326-SM-5IJCS 50-59 years, male 89.8
GTEX-XBEC-0326-SM-4AT4M 50-59 years, male 89.1
GTEX-1EX96-1426-SM-7PBZ5 50-59 years, male 89.1
GTEX-13OVI-1326-SM-5IJBO 60-69 years, female 89.0
GTEX-11DZ1-0226-SM-5A5KF 50-59 years, male 88.9
GTEX-14A5H-0526-SM-5TDCN 60-69 years, male 88.8
GTEX-1OJC4-1726-SM-EXUSV 50-59 years, female 88.7
GTEX-QDT8-0226-SM-32PL4 30-39 years, female 88.6
GTEX-OXRO-0226-SM-3LK6F 60-69 years, female 88.5
GTEX-14DAQ-0226-SM-664MQ 60-69 years, female 88.4
GTEX-1LG7Y-0426-SM-DKPQB 50-59 years, male 88.4
GTEX-16NPX-0326-SM-7EWDI 50-59 years, male 88.3
GTEX-1GZ4I-0226-SM-7RHHO 50-59 years, male 88.1
GTEX-11UD1-0226-SM-5EQKL 40-49 years, female 87.7
GTEX-XMD2-0226-SM-4WWEE 60-69 years, female 87.7
GTEX-1JKYR-0226-SM-CNPOK 20-29 years, male 87.6
GTEX-1IKJJ-0226-SM-COH3T 60-69 years, male 87.4
GTEX-W5X1-2626-SM-4LMI8 40-49 years, female 87.1
GTEX-ZYFD-0226-SM-5NQ86 50-59 years, male 86.6
GTEX-1F52S-0226-SM-7SB7U 60-69 years, female 86.5
GTEX-131XW-0526-SM-5PNXZ 50-59 years, female 86.4
GTEX-1CB4F-0526-SM-9KNW2 60-69 years, male 86.4
GTEX-111FC-0226-SM-5N9B8 60-69 years, male 86.3
GTEX-12WSA-0326-SM-5BC6I 60-69 years, male 85.6
GTEX-1IL2V-0226-SM-CMKI2 70-79 years, male 85.4
GTEX-1J1OQ-0326-SM-CYPTJ 40-49 years, female 85.2
GTEX-15G19-0226-SM-6PAL2 60-69 years, male 84.7
GTEX-1HCU7-0326-SM-CMKGI 50-59 years, male 84.4
GTEX-PLZ4-0226-SM-CYPR1 50-59 years, female 84.4
GTEX-RUSQ-1626-SM-EZ6L4 50-59 years, male 84.3
GTEX-1A8FM-0126-SM-7SB7P 50-59 years, female 83.4
GTEX-1I1GV-0426-SM-ARZLX 60-69 years, male 83.4
GTEX-11EQ8-0226-SM-5EQ5G 60-69 years, male 83.1
GTEX-147GR-0426-SM-5S2OL 60-69 years, male 82.6
GTEX-139TT-0226-SM-5K7YH 60-69 years, male 82.2
GTEX-17MF6-0226-SM-7LG4G 40-49 years, male 82.2
GTEX-ZYVF-0226-SM-5GIEG 50-59 years, female 82.2
GTEX-145LS-0226-SM-5O9A5 60-69 years, female 82.0
GTEX-146FQ-0226-SM-5NQAL 30-39 years, male 82.0
GTEX-1RDX4-0226-SM-DTXG1 50-59 years, female 81.9
GTEX-13FHO-0326-SM-5IJBH 60-69 years, male 81.7
GTEX-111VG-2326-SM-5N9BK 60-69 years, male 81.6
GTEX-17F97-0426-SM-7LT9U 50-59 years, male 81.1
GTEX-XK95-0426-SM-4AT4R 40-49 years, male 81.1
GTEX-17KNJ-2226-SM-DKPOU 50-59 years, male 80.8
GTEX-TSE9-0226-SM-3DB84 60-69 years, female 80.5
GTEX-1JN6P-0226-SM-COH34 60-69 years, male 80.1
GTEX-14PJ2-0226-SM-6LLH4 50-59 years, male 79.7
GTEX-1JN1M-0126-SM-D4P23 60-69 years, female 79.6
GTEX-11O72-0226-SM-59869 40-49 years, male 79.5
GTEX-11ZU8-2426-SM-5EQMV 60-69 years, male 78.9
GTEX-1AYCT-2226-SM-7SB98 50-59 years, male 78.6
GTEX-145MI-0426-SM-5O99V 60-69 years, female 76.7
GTEX-1JJE9-1226-SM-CNPOI 70-79 years, male 76.4
GTEX-ZYW4-0226-SM-5E44M 60-69 years, male 76.0
GTEX-1LVAO-0226-SM-E9U6O 60-69 years, male 75.3
GTEX-WVJS-0226-SM-4MVOU 50-59 years, male 75.2
GTEX-13NZ9-0526-SM-5J1OX 50-59 years, male 73.9
GTEX-1F75I-0426-SM-7PC3S 40-49 years, male 73.4
GTEX-1KD5A-0326-SM-D5OVD 50-59 years, male 73.3
GTEX-17F9Y-0326-SM-7IGLS 70-79 years, female 71.3
GTEX-1H1DF-0226-SM-ARL9A 40-49 years, female 69.7
GTEX-1F75W-0226-SM-9JGGP 60-69 years, male 68.0
GTEX-1HR98-0226-SM-CGQEK 60-69 years, male 66.7
GTEX-1IDFM-0226-SM-CMKFX 60-69 years, male 64.8
GTEX-13JVG-0226-SM-5J1MW 60-69 years, male 64.0
GTEX-144GO-1626-SM-7EPG5 60-69 years, male 62.4
GTEX-1JMQL-0326-SM-CNPP6 50-59 years, female 61.9
GTEX-13NYS-0226-SM-5MR49 60-69 years, male 61.6
GTEX-1ICLZ-0226-SM-CKZPP 60-69 years, male 60.0
GTEX-12WSL-2426-SM-5GCN7 50-59 years, male 59.2
GTEX-183WM-0226-SM-7LT8T 70-79 years, female 48.6
GTEX-QDVN-2126-SM-33HBS 50-59 years, male 46.1
Show allShow less
Adipose - Visceral (Omentum)
Average nTPM: 124.2
Samples: 541

Max nTPM: 510.2
Min nTPM: 42.9
Std nTPM: 54.4
Median nTPM: 114.8
GTEX-1122O-0926-SM-9YFLC 60-69 years, female 510.2
GTEX-ZT9W-1026-SM-57WG5 50-59 years, male 356.4
GTEX-14JG6-0526-SM-6LLIH 30-39 years, female 330.1
GTEX-1MA7W-0526-SM-E6CIN 20-29 years, female 323.4
GTEX-13111-0626-SM-5LZVR 50-59 years, male 300.7
GTEX-1R7EV-1026-SM-DTX81 40-49 years, male 289.0
GTEX-1GPI7-0826-SM-9JGG7 20-29 years, male 277.3
GTEX-1RNTQ-0826-SM-E9TK8 20-29 years, female 276.6
GTEX-1CAMS-0926-SM-7SB7F 40-49 years, female 272.5
GTEX-ZDTT-0526-SM-5HL4M 60-69 years, male 265.2
GTEX-1HSMQ-1026-SM-ADEHU 50-59 years, male 263.5
GTEX-1MJK3-0626-SM-E6CJB 20-29 years, male 261.6
GTEX-14PKU-0226-SM-6EU16 40-49 years, female 260.1
GTEX-1211K-1226-SM-5EQ4N 60-69 years, female 255.9
GTEX-13FTW-0426-SM-5K7X2 40-49 years, male 253.2
GTEX-1K2DA-1126-SM-CGQGG 50-59 years, male 251.8
GTEX-132QS-0826-SM-5K7WV 60-69 years, male 251.2
GTEX-1J1R8-0526-SM-ACKWO 40-49 years, male 250.4
GTEX-ZYFG-1426-SM-5GICS 60-69 years, female 248.8
GTEX-17F98-0326-SM-7DHLH 40-49 years, female 246.5
GTEX-14BMU-0626-SM-73KZ6 20-29 years, female 241.6
GTEX-1399U-2026-SM-9WPNN 50-59 years, female 234.9
GTEX-ZF2S-1526-SM-5S2OO 50-59 years, female 231.9
GTEX-14E6E-0226-SM-7DUEF 30-39 years, male 229.7
GTEX-111YS-1326-SM-5EGGK 60-69 years, male 229.5
GTEX-ZP4G-1326-SM-5EGIW 20-29 years, female 227.4
GTEX-1OJC3-1326-SM-E9J3D 20-29 years, male 227.1
GTEX-ZYFC-1826-SM-5GZZA 50-59 years, male 224.6
GTEX-XMK1-0926-SM-4B66X 40-49 years, male 222.6
GTEX-WH7G-1126-SM-3NMBK 40-49 years, male 221.6
GTEX-1PFEY-0726-SM-E76PO 30-39 years, male 221.4
GTEX-ZVT2-0226-SM-5GIE3 50-59 years, female 217.5
GTEX-145LT-1526-SM-5O98P 40-49 years, male 215.7
GTEX-14PJ5-0426-SM-5ZZW2 60-69 years, female 215.3
GTEX-1QP29-1626-SM-EXUSZ 50-59 years, male 213.9
GTEX-ZV6S-1626-SM-5NQ81 40-49 years, female 213.2
GTEX-XPVG-1626-SM-EYYVK 50-59 years, male 213.0
GTEX-ZPCL-1026-SM-5GCOX 60-69 years, female 212.6
GTEX-1B996-1226-SM-73KWZ 60-69 years, male 211.6
GTEX-1LSNM-0626-SM-DIPG7 50-59 years, male 210.5
GTEX-1B97I-0526-SM-73KXE 40-49 years, male 209.1
GTEX-ZZ64-0626-SM-5GZWR 20-29 years, male 208.9
GTEX-1A3MV-0626-SM-731CH 30-39 years, male 208.8
GTEX-Y5V5-0226-SM-5S2N8 60-69 years, female 206.9
GTEX-1H1DE-0826-SM-ARU8V 20-29 years, male 204.7
GTEX-1MUQO-0826-SM-EVYCZ 60-69 years, male 204.6
GTEX-1RAZQ-1526-SM-E6CJI 30-39 years, male 203.0
GTEX-1C2JI-0826-SM-7EPHB 50-59 years, male 202.2
GTEX-ZPU1-1226-SM-5HL71 40-49 years, male 202.0
GTEX-11I78-0226-SM-5HL6R 50-59 years, female 201.2
GTEX-17GQL-0826-SM-731AM 60-69 years, male 200.3
GTEX-13O21-3126-SM-5J1OI 50-59 years, male 199.9
GTEX-ZLWG-0726-SM-5S2N4 50-59 years, female 197.1
GTEX-1AX9J-2226-SM-731CW 60-69 years, male 195.8
GTEX-1QCLY-1226-SM-EVYC3 30-39 years, male 195.0
GTEX-ZLV1-0926-SM-5S2MR 60-69 years, female 193.6
GTEX-1ICG6-1726-SM-ARU7K 70-79 years, female 192.8
GTEX-1LGRB-0526-SM-COH3A 50-59 years, female 191.5
GTEX-1HC8U-0926-SM-A9G3L 40-49 years, female 191.3
GTEX-1HFI7-0726-SM-ACKVN 50-59 years, female 191.2
GTEX-1LGOU-0826-SM-DHXKL 20-29 years, female 191.2
GTEX-17F9E-1326-SM-7DHL4 50-59 years, male 190.0
GTEX-XAJ8-0226-SM-4GIB2 40-49 years, male 188.7
GTEX-1KANA-1426-SM-CY8IF 20-29 years, male 188.4
GTEX-ZA64-0926-SM-5HL7H 20-29 years, male 187.7
GTEX-111CU-1026-SM-5EGIL 50-59 years, male 187.5
GTEX-Y5LM-0826-SM-4VDSW 40-49 years, female 187.3
GTEX-13QBU-1326-SM-5LU4K 40-49 years, female 186.8
GTEX-11TT1-1926-SM-5PNYN 20-29 years, male 186.3
GTEX-1OKEX-0926-SM-E8VNJ 60-69 years, male 185.0
GTEX-WHPG-0626-SM-3NMBD 50-59 years, male 184.8
GTEX-XBEW-1726-SM-4RGMA 40-49 years, male 184.8
GTEX-1HBPI-1826-SM-ADEHE 50-59 years, male 184.7
GTEX-17HGU-1726-SM-79OKM 50-59 years, male 183.8
GTEX-18D9U-0426-SM-731AN 40-49 years, male 183.8
GTEX-14PJ4-0126-SM-62LEZ 60-69 years, male 183.7
GTEX-ZVP2-0226-SM-57WBD 50-59 years, male 183.3
GTEX-1C475-0326-SM-7SB8O 40-49 years, female 183.2
GTEX-15EU6-1726-SM-6M48H 50-59 years, male 182.9
GTEX-WRHK-0826-SM-3MJFG 20-29 years, female 182.8
GTEX-139YR-0326-SM-5J1MC 50-59 years, male 179.2
GTEX-13VXT-0926-SM-5LU5K 20-29 years, female 178.1
GTEX-14B4R-0526-SM-5QGQT 30-39 years, male 176.8
GTEX-11LCK-0326-SM-5A5M7 30-39 years, male 176.6
GTEX-14ICL-0926-SM-5S2TU 30-39 years, male 176.6
GTEX-13D11-0526-SM-5LZYM 50-59 years, female 176.0
GTEX-1JKYR-1226-SM-CM2S7 20-29 years, male 175.4
GTEX-WYJK-1426-SM-3NM8V 50-59 years, male 174.9
GTEX-11P82-0326-SM-5HL51 20-29 years, male 173.2
GTEX-1LSNL-1426-SM-E6CJ9 50-59 years, male 171.8
GTEX-1B932-1726-SM-793A5 40-49 years, female 171.2
GTEX-1IDJU-0926-SM-ARL88 60-69 years, female 171.1
GTEX-14ICK-1726-SM-6AJA5 40-49 years, male 170.7
GTEX-1AX9K-0926-SM-7939G 50-59 years, male 169.5
GTEX-13OVG-1326-SM-5K7Y3 60-69 years, male 168.8
GTEX-18A66-1926-SM-7LTAG 60-69 years, male 168.6
GTEX-1QW4Y-0826-SM-DTXE1 30-39 years, male 167.7
GTEX-1HSEH-1326-SM-ADEI1 60-69 years, male 166.9
GTEX-131XH-0826-SM-5GCN8 50-59 years, male 166.3
GTEX-13FTX-0626-SM-5J2NS 20-29 years, female 166.2
GTEX-131XG-0126-SM-5K7UJ 50-59 years, female 166.1
GTEX-133LE-0926-SM-5P9J1 20-29 years, female 166.0
GTEX-Z9EW-0826-SM-5HL9T 40-49 years, male 166.0
GTEX-1B933-1326-SM-7939U 50-59 years, female 165.5
GTEX-13RTK-0726-SM-5Q5EN 20-29 years, male 165.0
GTEX-ZTSS-1026-SM-5985N 40-49 years, male 165.0
GTEX-1AMFI-1026-SM-73KYM 50-59 years, female 163.8
GTEX-1KANC-0526-SM-D4P3T 50-59 years, female 163.2
GTEX-WEY5-1326-SM-3GILS 40-49 years, female 162.6
GTEX-1339X-0726-SM-5L3FF 40-49 years, male 160.9
GTEX-12BJ1-0826-SM-5EQ5P 60-69 years, male 160.8
GTEX-13113-1126-SM-5LZU9 60-69 years, female 160.8
GTEX-Y8LW-0926-SM-4VBQ8 50-59 years, female 160.6
GTEX-1MCC2-0626-SM-DKPQI 30-39 years, female 160.3
GTEX-ZF29-0826-SM-5S2O2 60-69 years, female 160.3
GTEX-15DZA-0626-SM-6PANC 30-39 years, female 159.6
GTEX-1POEN-1626-SM-EVYC2 30-39 years, female 159.1
GTEX-1B8KE-0826-SM-72D6S 50-59 years, male 158.9
GTEX-1I6K7-1826-SM-CGQFO 40-49 years, male 158.5
GTEX-1N2DV-0626-SM-E9U5H 40-49 years, male 158.4
GTEX-13FH7-1926-SM-5J2OL 50-59 years, female 158.0
GTEX-1RQEC-2526-SM-EVYD2 60-69 years, male 158.0
GTEX-18A67-1326-SM-7LT8V 50-59 years, male 156.9
GTEX-16NGA-0526-SM-731AJ 40-49 years, female 156.6
GTEX-YEC4-0926-SM-5PNXY 40-49 years, male 156.6
GTEX-1I6K6-1526-SM-CGQFC 30-39 years, male 156.1
GTEX-13N1W-1226-SM-5K7UM 70-79 years, male 155.0
GTEX-ZQUD-0526-SM-57WG4 30-39 years, male 154.7
GTEX-1HCUA-0926-SM-ADEIX 50-59 years, female 154.7
GTEX-Y111-0926-SM-4SOIU 50-59 years, male 154.2
GTEX-1RAZR-1026-SM-E8VOJ 40-49 years, male 154.2
GTEX-U8XE-1926-SM-3DB98 30-39 years, male 154.1
GTEX-1LVAN-0926-SM-CNNQ2 50-59 years, female 153.8
GTEX-ZXES-0926-SM-5E43O 30-39 years, female 153.4
GTEX-131XF-0726-SM-5GIE5 60-69 years, male 153.1
GTEX-1RB15-1126-SM-E8VMX 60-69 years, male 152.6
GTEX-1OFPY-0826-SM-DTX8P 60-69 years, male 151.6
GTEX-YEC3-0926-SM-5Q5AC 50-59 years, male 149.8
GTEX-1L5NE-1726-SM-DHXKX 50-59 years, male 149.1
GTEX-WK11-2426-SM-3NMAA 50-59 years, male 149.0
GTEX-XGQ4-1026-SM-4AT4L 50-59 years, male 149.0
GTEX-14PHX-1626-SM-69LQB 50-59 years, male 148.3
GTEX-1AMEY-0526-SM-72D62 30-39 years, female 148.0
GTEX-12WSM-0626-SM-5GCOK 60-69 years, male 147.7
GTEX-11EQ9-1126-SM-5987I 30-39 years, male 147.6
GTEX-12C56-0826-SM-5EGJ5 20-29 years, male 147.5
GTEX-14PK6-0926-SM-62LF4 70-79 years, female 147.2
GTEX-1HBPN-1526-SM-9WYSB 50-59 years, male 146.8
GTEX-1I1GU-0626-SM-CMKHR 40-49 years, male 146.5
GTEX-12WSL-1126-SM-5CVNK 50-59 years, male 146.3
GTEX-17MFQ-1126-SM-7LT9O 20-29 years, male 146.2
GTEX-1QP9N-0426-SM-DTXFT 30-39 years, male 144.8
GTEX-146FH-2026-SM-5SI9I 50-59 years, female 144.5
GTEX-ZV7C-0826-SM-59HK8 50-59 years, male 144.5
GTEX-1RMOY-0826-SM-E9TIF 50-59 years, male 144.5
GTEX-139T6-0526-SM-5IJC9 50-59 years, male 144.2
GTEX-1GMR2-0226-SM-9JGHO 50-59 years, male 144.0
GTEX-1S3DN-1626-SM-EVYCC 50-59 years, male 143.9
GTEX-1QP67-1126-SM-EAZ4C 40-49 years, female 142.9
GTEX-15SHU-2326-SM-7KUMC 40-49 years, female 142.8
GTEX-YFCO-1126-SM-5S2N9 40-49 years, male 141.5
GTEX-18D9B-1726-SM-7LTAP 60-69 years, male 141.3
GTEX-145MF-1026-SM-5Q5EQ 50-59 years, male 140.6
GTEX-1CAMR-0326-SM-793AH 20-29 years, male 140.5
GTEX-17HHE-1526-SM-793AS 50-59 years, male 139.3
GTEX-11DXX-2026-SM-5EGJL 60-69 years, female 139.0
GTEX-1C6VR-1126-SM-7EPHD 60-69 years, male 138.9
GTEX-1H23P-1726-SM-A9SMN 60-69 years, male 137.7
GTEX-1CB4E-0826-SM-793CS 60-69 years, male 137.3
GTEX-1LG7Y-1126-SM-CYPTE 50-59 years, male 137.0
GTEX-13N2G-1926-SM-5J1O3 60-69 years, male 136.8
GTEX-13OW7-1126-SM-5K7V6 50-59 years, male 136.6
GTEX-ZPIC-0726-SM-57WFM 40-49 years, female 136.0
GTEX-146FR-0226-SM-5Q5F6 60-69 years, female 135.9
GTEX-14ABY-1926-SM-62LDJ 50-59 years, male 135.7
GTEX-1S82P-0926-SM-EWRNP 60-69 years, female 135.4
GTEX-Y3I4-0726-SM-E9J3Y 50-59 years, male 135.1
GTEX-16BQI-1126-SM-7KULF 30-39 years, female 134.9
GTEX-XBED-1326-SM-4AT4F 60-69 years, male 134.2
GTEX-1H11D-1126-SM-9YFM5 40-49 years, male 134.2
GTEX-1EKGG-1426-SM-7PBY2 60-69 years, male 134.1
GTEX-17HHY-1026-SM-7LG5E 50-59 years, male 133.7
GTEX-VUSG-1426-SM-3GIJN 50-59 years, male 133.1
GTEX-15CHC-0826-SM-686YW 60-69 years, female 132.9
GTEX-ZEX8-1226-SM-5S2OK 50-59 years, male 132.5
GTEX-13PVR-0526-SM-5S2OB 60-69 years, female 132.3
GTEX-14PJN-0626-SM-6EU13 30-39 years, male 132.1
GTEX-1QPFJ-2126-SM-EXOJV 30-39 years, female 132.0
GTEX-14PJ2-1426-SM-62LFF 50-59 years, male 131.8
GTEX-WXYG-0926-SM-3NB2O 50-59 years, female 131.6
GTEX-1GL5R-0726-SM-9MQL5 50-59 years, male 131.5
GTEX-13JUV-0626-SM-5J1MQ 40-49 years, female 131.4
GTEX-1E1VI-1826-SM-9WG5J 50-59 years, male 131.4
GTEX-13OW8-0326-SM-5L3FB 60-69 years, male 131.3
GTEX-1IDJC-0226-SM-CMKG2 50-59 years, male 131.2
GTEX-13OVJ-0926-SM-5K7U1 50-59 years, female 131.1
GTEX-178AV-0626-SM-6PAM1 40-49 years, male 131.0
GTEX-WFON-1226-SM-3TW8F 40-49 years, male 130.8
GTEX-1212Z-0526-SM-5FQSQ 60-69 years, male 130.7
GTEX-1399S-1426-SM-5PNYQ 30-39 years, female 130.7
GTEX-11VI4-1226-SM-5EQMP 40-49 years, female 130.6
GTEX-1313W-1626-SM-5J1OE 50-59 years, female 130.0
GTEX-12696-1826-SM-5EGJS 60-69 years, male 129.9
GTEX-13112-1126-SM-5GCMY 50-59 years, male 129.9
GTEX-14PN4-1426-SM-6LLJ4 50-59 years, male 129.5
GTEX-WHWD-0826-SM-3LK6R 50-59 years, male 129.5
GTEX-1LBAC-1026-SM-CXKYA 20-29 years, male 129.4
GTEX-1KXAM-0526-SM-DKPQN 60-69 years, male 129.2
GTEX-145LV-1026-SM-5O9AE 50-59 years, male 128.7
GTEX-ZQG8-1026-SM-51MR9 60-69 years, female 128.5
GTEX-WVLH-1626-SM-EXURN 50-59 years, male 128.5
GTEX-ZXG5-1626-SM-59HJK 60-69 years, male 126.6
GTEX-16MTA-1326-SM-6PALX 50-59 years, male 125.7
GTEX-14DAR-0426-SM-664MW 50-59 years, male 125.6
GTEX-11GS4-1026-SM-5N9DE 60-69 years, male 125.5
GTEX-1HKZK-1726-SM-ADEJ9 40-49 years, male 125.4
GTEX-ZDYS-2226-SM-5S2MI 50-59 years, male 125.0
GTEX-1PPH8-1026-SM-DPRXN 20-29 years, male 124.4
GTEX-14PN3-0326-SM-6EU1X 60-69 years, female 124.0
GTEX-1H1ZS-1326-SM-9WG74 70-79 years, male 124.0
GTEX-1PIGE-1226-SM-EVR3Q 20-29 years, male 124.0
GTEX-1LVAM-1026-SM-DIPFK 50-59 years, female 123.0
GTEX-1N2EE-1526-SM-DTXE9 60-69 years, male 122.6
GTEX-Y5V6-0626-SM-4WWFY 60-69 years, male 122.5
GTEX-13PL7-1226-SM-5SIAR 60-69 years, female 122.2
GTEX-1I1GP-1426-SM-ACKVZ 50-59 years, male 122.0
GTEX-14AS3-0426-SM-5QGQK 40-49 years, female 121.7
GTEX-WOFM-0726-SM-3MJF8 20-29 years, male 121.7
GTEX-11ZUS-1826-SM-5FQTR 30-39 years, male 121.5
GTEX-15ER7-1026-SM-7KUMD 20-29 years, female 121.5
GTEX-1QP66-0626-SM-E76PD 50-59 years, male 121.5
GTEX-ZYT6-2126-SM-5GZZ4 30-39 years, male 121.4
GTEX-11GSO-0226-SM-5A5LV 60-69 years, male 120.8
GTEX-1C64N-1326-SM-7SB7D 50-59 years, male 120.8
GTEX-XUZC-1126-SM-4BOPZ 30-39 years, female 120.2
GTEX-UTHO-1826-SM-3GAFE 60-69 years, male 120.1
GTEX-1IY9M-1226-SM-ACKX1 60-69 years, male 120.1
GTEX-1S5ZA-1026-SM-EWRO2 20-29 years, male 120.0
GTEX-1H4P4-0326-SM-9WYTD 50-59 years, male 119.8
GTEX-13NZB-0826-SM-5K7X5 30-39 years, male 119.6
GTEX-1KAFJ-0826-SM-CYPTF 50-59 years, male 119.5
GTEX-1EWIQ-2526-SM-7EPIJ 70-79 years, female 119.0
GTEX-1GF9V-1126-SM-9MQM7 60-69 years, male 118.7
GTEX-12ZZX-1726-SM-5BC63 40-49 years, female 118.6
GTEX-13O61-1926-SM-5KM1R 60-69 years, male 118.5
GTEX-17MF6-1326-SM-79ONE 40-49 years, male 118.2
GTEX-X3Y1-0926-SM-3P5YT 40-49 years, male 118.2
GTEX-1IDJH-1626-SM-A9SLP 70-79 years, male 118.2
GTEX-WL46-2026-SM-3LK7U 50-59 years, male 118.1
GTEX-14PJO-1626-SM-69LPQ 60-69 years, male 117.8
GTEX-15DYW-1526-SM-7KUEP 60-69 years, female 117.8
GTEX-W5X1-1426-SM-3GIKH 40-49 years, female 117.8
GTEX-1H1E6-1126-SM-9JGGV 30-39 years, male 117.8
GTEX-14BMV-1626-SM-73KVQ 50-59 years, male 117.5
GTEX-13OVL-0826-SM-5L3GV 50-59 years, male 117.3
GTEX-11DXZ-1426-SM-5H12A 50-59 years, male 116.9
GTEX-183FY-1226-SM-7DHLK 20-29 years, male 116.5
GTEX-1BAJH-2126-SM-7EWFB 70-79 years, male 116.2
GTEX-1GZ4H-0926-SM-9WG6Y 50-59 years, female 116.0
GTEX-14PJ3-0726-SM-69LQE 50-59 years, male 115.9
GTEX-1EU9M-1126-SM-793DE 60-69 years, male 115.9
GTEX-WFJO-1026-SM-3GIKL 30-39 years, male 115.7
GTEX-1GN1W-1226-SM-9MQLW 50-59 years, female 115.7
GTEX-1HCU9-0626-SM-ACKW6 20-29 years, male 115.7
GTEX-13G51-0526-SM-5IJCQ 60-69 years, male 115.4
GTEX-11P81-0726-SM-5PNYH 30-39 years, female 115.3
GTEX-1IDJI-0926-SM-ACKWZ 50-59 years, female 115.2
GTEX-132NY-1126-SM-5PNVE 60-69 years, male 115.1
GTEX-1GMR3-0826-SM-9WYT4 40-49 years, male 114.9
GTEX-1JMLX-1026-SM-D3L8U 50-59 years, male 114.9
GTEX-XV7Q-1726-SM-4BRUU 40-49 years, female 114.8
GTEX-XQ8I-1426-SM-4BOPW 50-59 years, male 114.2
GTEX-11OF3-0826-SM-5BC51 60-69 years, male 113.5
GTEX-14BIM-1626-SM-7EWD2 60-69 years, female 113.2
GTEX-15UKP-1426-SM-7KUDX 20-29 years, male 111.8
GTEX-14JIY-1426-SM-6EU29 60-69 years, male 111.6
GTEX-13X6J-1926-SM-5TDCU 50-59 years, male 110.5
GTEX-1GF9W-1026-SM-7SB8X 60-69 years, male 110.2
GTEX-13CF3-1126-SM-5LZXB 60-69 years, female 109.9
GTEX-18A7A-0926-SM-7LT8H 50-59 years, female 109.8
GTEX-1I4MK-0726-SM-ACKWC 50-59 years, female 109.4
GTEX-1KWVE-0226-SM-E9TKK 30-39 years, male 109.4
GTEX-14PHY-1026-SM-62LEV 60-69 years, female 109.1
GTEX-1B97J-1126-SM-7SB79 50-59 years, female 109.1
GTEX-12WSC-1726-SM-5GCN3 50-59 years, male 108.7
GTEX-1A3MX-0826-SM-72D64 60-69 years, male 108.5
GTEX-1CB4G-2126-SM-7IGQ8 60-69 years, male 108.4
GTEX-1GF9X-0926-SM-7PC2X 40-49 years, female 107.6
GTEX-1KD4Q-1426-SM-D4P3K 40-49 years, male 106.6
GTEX-13O3Q-1126-SM-5K7YK 50-59 years, male 106.5
GTEX-13W3W-1126-SM-5L3DO 60-69 years, female 106.1
GTEX-16AAH-1526-SM-7LT9W 50-59 years, male 106.0
GTEX-1LKK1-1526-SM-EVYCO 50-59 years, female 105.5
GTEX-ZTPG-2326-SM-57WFL 20-29 years, female 105.1
GTEX-XOT4-0826-SM-4B66Y 60-69 years, female 104.8
GTEX-X585-2526-SM-4QAS1 50-59 years, male 104.6
GTEX-169BO-0426-SM-7EPI1 50-59 years, male 104.5
GTEX-1B8SG-1426-SM-7EWEM 50-59 years, male 104.1
GTEX-1QMI2-1626-SM-EYYXK 60-69 years, male 104.1
GTEX-13S86-0926-SM-5SI6I 40-49 years, male 104.0
GTEX-1MA7X-1026-SM-DKPQ8 60-69 years, male 103.9
GTEX-145LU-1226-SM-5LU9B 50-59 years, male 103.5
GTEX-18QFQ-1326-SM-731CF 30-39 years, male 103.4
GTEX-1B8L1-0126-SM-9KNVS 60-69 years, male 103.3
GTEX-131XE-2026-SM-5LZW1 50-59 years, male 103.1
GTEX-1C6VS-1826-SM-73KXN 60-69 years, male 102.6
GTEX-1QEPI-2226-SM-E8VN6 60-69 years, female 102.4
GTEX-1F75I-1026-SM-7SB8B 40-49 years, male 101.9
GTEX-1N2EF-0926-SM-E8VNW 60-69 years, male 101.3
GTEX-139TU-1426-SM-5LZY9 60-69 years, male 101.2
GTEX-1J8EW-1526-SM-CMKFZ 60-69 years, female 101.2
GTEX-1HCU8-1126-SM-CM2SA 60-69 years, female 101.1
GTEX-144GN-0726-SM-5O98O 50-59 years, male 100.9
GTEX-1GZ2Q-1226-SM-9MQM8 40-49 years, male 100.8
GTEX-17JCI-1626-SM-7EPGZ 60-69 years, female 100.7
GTEX-1JMPY-0326-SM-CM2S2 30-39 years, male 100.5
GTEX-131YS-1726-SM-5HL7G 60-69 years, female 100.3
GTEX-WY7C-0926-SM-3NB34 50-59 years, male 100.1
GTEX-18A7B-1226-SM-718AU 70-79 years, male 100.0
GTEX-ZDTS-1826-SM-5S2N6 60-69 years, male 99.9
GTEX-ZF3C-1026-SM-5S2OC 50-59 years, female 99.9
GTEX-1GTWX-1526-SM-9MQLF 60-69 years, male 99.9
GTEX-11XUK-1726-SM-5GU61 40-49 years, female 99.7
GTEX-13PDP-1226-SM-5K7TW 60-69 years, male 99.6
GTEX-VJWN-2326-SM-EVYAP 50-59 years, female 99.1
GTEX-1CB4I-0826-SM-7MGX1 50-59 years, male 98.9
GTEX-1CB4F-1126-SM-79OLG 60-69 years, male 98.1
GTEX-1S831-1926-SM-EV79P 20-29 years, male 98.1
GTEX-1K9T9-1626-SM-DIPFS 50-59 years, female 98.0
GTEX-1AYCT-1126-SM-79OO8 50-59 years, male 97.8
GTEX-1AX9I-1726-SM-731BX 60-69 years, male 97.6
GTEX-15RIE-0126-SM-7KUF8 60-69 years, male 97.2
GTEX-13X6K-0726-SM-5LU2Z 60-69 years, female 97.1
GTEX-18465-1826-SM-731BB 50-59 years, male 97.1
GTEX-1JN76-1026-SM-ARZNI 20-29 years, female 97.0
GTEX-12WSK-1026-SM-5CVNR 40-49 years, female 96.6
GTEX-147JS-1026-SM-5S2MP 60-69 years, male 96.0
GTEX-16XZZ-1626-SM-7KUEC 60-69 years, male 95.9
GTEX-1HUB1-1526-SM-CGQF6 60-69 years, male 95.8
GTEX-1RAZA-0926-SM-E6CQ8 20-29 years, male 95.7
GTEX-1EN7A-1626-SM-79OLV 40-49 years, male 95.4
GTEX-WI4N-1526-SM-EZ6LG 40-49 years, female 95.4
GTEX-1C6VQ-1526-SM-73KU9 50-59 years, male 95.1
GTEX-ZUA1-2126-SM-57YRB 40-49 years, male 94.8
GTEX-Y8E4-1226-SM-5IFIM 40-49 years, male 94.7
GTEX-ZTX8-0726-SM-59HL9 20-29 years, male 94.6
GTEX-ZDXO-2326-SM-5LU9W 60-69 years, male 94.4
GTEX-1399T-1326-SM-5PNVH 60-69 years, male 94.3
GTEX-139D8-1626-SM-5IJFZ 30-39 years, female 94.1
GTEX-12584-2126-SM-5FQUM 40-49 years, male 94.0
GTEX-1F6I4-2126-SM-7PC2J 60-69 years, male 93.9
GTEX-1EH9U-1326-SM-79OM3 60-69 years, male 93.7
GTEX-ZF28-1426-SM-5S2OG 60-69 years, male 93.5
GTEX-1P4AB-1226-SM-DTXET 50-59 years, male 93.4
GTEX-1HT8W-0726-SM-A9SLB 30-39 years, male 93.1
GTEX-14E1K-0426-SM-5S2PF 50-59 years, male 93.0
GTEX-1IDJF-1726-SM-A9SLL 20-29 years, male 93.0
GTEX-1KD5A-1326-SM-CYPTB 50-59 years, male 92.7
GTEX-12WSI-1526-SM-5GCNM 50-59 years, male 92.5
GTEX-13VXU-1026-SM-5KLZE 50-59 years, male 92.4
GTEX-1A8G6-2026-SM-73KYC 60-69 years, male 92.2
GTEX-XXEK-1426-SM-4BRW1 50-59 years, male 92.2
GTEX-1HR9M-1426-SM-A9SMB 60-69 years, male 92.1
GTEX-13FXS-1326-SM-62LFR 50-59 years, male 91.8
GTEX-144GM-0626-SM-79OKY 20-29 years, male 91.5
GTEX-15SKB-1626-SM-6PAL6 60-69 years, male 90.9
GTEX-Y114-1326-SM-4TT9A 50-59 years, female 90.6
GTEX-11EM3-1126-SM-5A5KM 20-29 years, female 90.3
GTEX-12WSG-0426-SM-5FQSE 50-59 years, female 89.9
GTEX-117YW-0826-SM-5H11O 50-59 years, male 89.8
GTEX-11P7K-0826-SM-5BC5F 30-39 years, male 89.8
GTEX-ZVZP-1126-SM-5GICU 50-59 years, male 89.7
GTEX-1HBPH-2226-SM-9WYSO 40-49 years, female 89.6
GTEX-1JN6P-1626-SM-CYPSV 60-69 years, male 89.5
GTEX-1PBJI-1326-SM-E9J2V 20-29 years, female 89.5
GTEX-14BIL-2426-SM-5QGQR 50-59 years, male 89.4
GTEX-1B8KZ-1026-SM-73KYN 50-59 years, male 89.3
GTEX-14DAQ-2526-SM-5RQIO 60-69 years, female 89.2
GTEX-1GF9U-1226-SM-ARL9I 40-49 years, female 89.2
GTEX-1I19N-1026-SM-A96TT 70-79 years, male 89.1
GTEX-1GN73-0626-SM-7PC3I 60-69 years, male 88.6
GTEX-1CAMQ-1226-SM-7SB7E 40-49 years, male 88.5
GTEX-11ZTS-1326-SM-5EQMA 60-69 years, female 88.4
GTEX-1B8SF-1726-SM-73KZ5 60-69 years, male 88.4
GTEX-132Q8-1726-SM-5EGK8 60-69 years, male 88.1
GTEX-17F96-0726-SM-793CB 70-79 years, male 88.0
GTEX-XLM4-1026-SM-4AT51 60-69 years, male 88.0
GTEX-ZAB5-1126-SM-5Q5AD 50-59 years, male 88.0
GTEX-1EMGI-0726-SM-7PBZ4 60-69 years, male 88.0
GTEX-1QP28-0926-SM-EVR4D 50-59 years, female 87.9
GTEX-17EVP-1426-SM-79OMN 40-49 years, male 87.8
GTEX-X8HC-2326-SM-4QAS4 50-59 years, female 87.8
GTEX-14C39-0826-SM-5TDDU 40-49 years, male 87.7
GTEX-ZG7Y-1626-SM-5S2NO 50-59 years, male 87.0
GTEX-1LG7Z-0226-SM-E6CIG 30-39 years, male 87.0
GTEX-16GPK-1326-SM-7KUE4 60-69 years, male 86.9
GTEX-1LH75-1026-SM-EWROK 50-59 years, female 86.8
GTEX-12WSF-1526-SM-6PAN6 70-79 years, male 86.7
GTEX-1HSGN-1926-SM-CMKGS 40-49 years, female 86.7
GTEX-12WSA-1626-SM-5EGJV 60-69 years, male 86.5
GTEX-XYKS-1826-SM-4E3JV 60-69 years, female 86.5
GTEX-13NYS-0726-SM-5J1OR 60-69 years, male 86.1
GTEX-13OW6-2426-SM-5K7WO 50-59 years, male 86.1
GTEX-14E6D-1326-SM-62LES 50-59 years, male 85.9
GTEX-YECK-1426-SM-5IFHE 60-69 years, male 85.9
GTEX-1H1DG-2026-SM-9QEIV 70-79 years, male 85.7
GTEX-WYVS-0626-SM-4SOJY 40-49 years, female 85.2
GTEX-1HSMP-1126-SM-B2LXJ 70-79 years, male 85.2
GTEX-1I1GR-1726-SM-COH39 60-69 years, male 85.2
GTEX-15CHQ-1126-SM-686YY 60-69 years, male 85.0
GTEX-ZVE2-1826-SM-51MRZ 50-59 years, male 84.8
GTEX-1GZ4I-2326-SM-9YFMO 50-59 years, male 84.7
GTEX-11NUK-2026-SM-5PNVZ 50-59 years, male 84.6
GTEX-1QP6S-1626-SM-EVYC5 40-49 years, male 84.5
GTEX-15EOM-2326-SM-7KUMV 20-29 years, female 84.2
GTEX-13OVK-0326-SM-7KUEJ 40-49 years, male 83.9
GTEX-1MCQQ-1426-SM-E6CJA 60-69 years, male 83.8
GTEX-16NPV-0626-SM-7IGOR 50-59 years, female 83.4
GTEX-13IVO-2426-SM-5K7V9 70-79 years, male 83.2
GTEX-17KNJ-0426-SM-718AK 50-59 years, male 83.1
GTEX-13W46-1226-SM-5SIAS 50-59 years, male 83.0
GTEX-1JJE9-1526-SM-CM2RR 70-79 years, male 82.1
GTEX-11NV4-1426-SM-5BC4W 60-69 years, male 82.0
GTEX-XBEC-1826-SM-4QASN 50-59 years, male 81.8
GTEX-YJ89-1926-SM-5IFJ6 60-69 years, male 81.6
GTEX-14BIN-1226-SM-5S2OM 50-59 years, female 81.3
GTEX-1ICLY-1426-SM-CJI48 50-59 years, male 80.8
GTEX-1JMQJ-1926-SM-D4P3A 50-59 years, male 80.7
GTEX-1R9K4-1426-SM-DPRY4 60-69 years, male 80.7
GTEX-1JMQI-1026-SM-COH2U 50-59 years, male 80.5
GTEX-13NZ9-2026-SM-5KM1U 50-59 years, male 80.3
GTEX-1R9PO-0926-SM-E9U4Q 60-69 years, female 79.9
GTEX-132AR-0526-SM-5J2MJ 50-59 years, female 79.8
GTEX-ZE9C-1326-SM-5S2OW 60-69 years, male 79.1
GTEX-1IL2U-2726-SM-C1YSG 60-69 years, male 78.8
GTEX-VJYA-1626-SM-EXOHL 60-69 years, male 78.4
GTEX-1GN1U-0726-SM-9MQKL 50-59 years, female 78.0
GTEX-11PRG-1526-SM-5HL6Z 50-59 years, male 77.9
GTEX-11GSP-1026-SM-9WYSH 60-69 years, female 77.8
GTEX-1A8G7-1226-SM-73KYP 60-69 years, male 77.4
GTEX-1HFI6-1726-SM-CGQFH 40-49 years, male 77.3
GTEX-13PL6-0926-SM-5KLYY 40-49 years, female 77.1
GTEX-1AYD5-0126-SM-7DUG5 50-59 years, male 77.1
GTEX-Y9LG-1226-SM-4VBQA 30-39 years, male 77.1
GTEX-17F9Y-0726-SM-7LT9G 70-79 years, female 76.8
GTEX-1F5PL-1326-SM-7SB83 40-49 years, female 76.6
GTEX-1IDJD-0926-SM-ACKWW 30-39 years, male 76.6
GTEX-17HII-0826-SM-7DUFH 50-59 years, male 76.2
GTEX-1F6IF-2026-SM-7P8SE 60-69 years, male 75.8
GTEX-1JJ6O-2826-SM-CNNP7 60-69 years, male 75.6
GTEX-1HCU7-2026-SM-A9G2B 50-59 years, male 75.5
GTEX-1I1GT-1326-SM-ACKWB 60-69 years, female 75.5
GTEX-1A32A-0926-SM-718AB 50-59 years, female 75.2
GTEX-1HSMO-1426-SM-CNNQN 60-69 years, male 75.2
GTEX-1N2DW-0726-SM-DTX97 50-59 years, male 75.1
GTEX-11DYG-2026-SM-5EGGX 60-69 years, male 75.0
GTEX-ZGAY-1326-SM-5S2NS 40-49 years, female 74.7
GTEX-1KANB-2426-SM-EV7BE 50-59 years, male 74.4
GTEX-14E6C-1226-SM-5ZZUN 40-49 years, male 74.1
GTEX-ZE7O-1526-SM-5J1NH 50-59 years, female 74.0
GTEX-1K2DU-0726-SM-DIPF7 20-29 years, male 74.0
GTEX-XQ3S-2426-SM-4WAYB 20-29 years, male 73.9
GTEX-15D1Q-1326-SM-69LOA 40-49 years, male 73.8
GTEX-18D9A-0726-SM-7LTA7 30-39 years, female 73.6
GTEX-11DXY-0326-SM-5H12F 60-69 years, male 73.2
GTEX-1I1GQ-1026-SM-CNNQS 50-59 years, male 72.9
GTEX-1117F-1326-SM-5EGHH 60-69 years, female 72.0
GTEX-1HGF4-0226-SM-CNNQL 60-69 years, male 71.9
GTEX-ZZPU-0326-SM-5N9BJ 50-59 years, female 71.7
GTEX-1F75B-1226-SM-7MXTW 50-59 years, male 71.7
GTEX-1A8FM-2126-SM-7PC27 50-59 years, female 71.6
GTEX-13OVH-1126-SM-5K7YP 70-79 years, male 71.4
GTEX-13PVQ-2226-SM-5L3G9 50-59 years, male 71.4
GTEX-13U4I-1726-SM-5J1MF 40-49 years, female 71.4
GTEX-145ME-0726-SM-5O9A3 40-49 years, female 71.2
GTEX-1H3VE-1926-SM-9YFL4 40-49 years, male 71.1
GTEX-1F52S-1326-SM-7SB6Q 60-69 years, female 70.9
GTEX-1HSKV-1926-SM-CNPPN 60-69 years, male 70.9
GTEX-14PJM-1226-SM-686Z7 50-59 years, female 70.6
GTEX-WWTW-1326-SM-4MVNT 50-59 years, male 70.5
GTEX-18A6Q-1026-SM-7LT9S 60-69 years, male 70.4
GTEX-WYBS-1026-SM-4ONCY 60-69 years, female 70.4
GTEX-ZAJG-1626-SM-5HL7I 50-59 years, female 70.4
GTEX-14E7W-2326-SM-69LQC 70-79 years, male 70.3
GTEX-1O9I2-1326-SM-E6CQD 50-59 years, male 70.2
GTEX-ZYW4-2226-SM-5GZYG 60-69 years, male 70.1
GTEX-117YX-0726-SM-5GIET 50-59 years, male 70.0
GTEX-ZT9X-0926-SM-5O9C4 40-49 years, male 69.7
GTEX-1445S-2426-SM-79ON2 60-69 years, male 69.5
GTEX-1AX8Z-1626-SM-73KWD 60-69 years, male 69.5
GTEX-13X6H-1726-SM-5Q5EH 50-59 years, female 69.2
GTEX-12KS4-1526-SM-5EQ6E 30-39 years, male 69.1
GTEX-1H1CY-0826-SM-9WYTU 60-69 years, female 69.1
GTEX-12ZZW-2326-SM-5DUW2 50-59 years, male 68.6
GTEX-13N11-1826-SM-5IJDS 50-59 years, female 68.2
GTEX-1JKYN-0526-SM-CGQG3 30-39 years, male 68.2
GTEX-1HCU6-1626-SM-CMKGW 60-69 years, female 67.9
GTEX-1CAV2-0226-SM-7IGPQ 40-49 years, female 67.8
GTEX-1J8Q2-2226-SM-CM2TZ 60-69 years, male 67.4
GTEX-14C5O-0926-SM-793DM 60-69 years, male 67.2
GTEX-1H2FU-1426-SM-9WPO6 60-69 years, female 66.9
GTEX-1LVAO-2126-SM-DIPGA 60-69 years, male 66.4
GTEX-15G19-1126-SM-7KUEL 60-69 years, male 65.9
GTEX-11WQK-1526-SM-5EGKN 50-59 years, male 65.7
GTEX-16NPX-1026-SM-6PAM7 50-59 years, male 65.4
GTEX-1I1CD-1026-SM-COH3G 60-69 years, female 65.0
GTEX-17F97-1226-SM-79OJT 50-59 years, male 64.8
GTEX-UPK5-1826-SM-3GAEB 40-49 years, male 64.8
GTEX-1128S-0926-SM-5GZZU 60-69 years, female 64.6
GTEX-1GMRU-0726-SM-7PBZH 50-59 years, male 64.4
GTEX-13S7M-0826-SM-5QGQX 60-69 years, female 64.3
GTEX-ZC5H-1626-SM-5HL7L 40-49 years, female 64.3
GTEX-1192X-1526-SM-5H11I 50-59 years, male 64.0
GTEX-1QAET-1226-SM-DTX9I 50-59 years, male 63.6
GTEX-1HB9E-0526-SM-ARZNM 50-59 years, male 63.4
GTEX-1LSVX-1326-SM-DIPET 60-69 years, male 63.3
GTEX-1NV5F-2526-SM-EXUSK 60-69 years, female 63.3
GTEX-1IKK5-0826-SM-ACKWN 60-69 years, male 63.0
GTEX-14753-2526-SM-5LU97 60-69 years, male 62.9
GTEX-1IKOE-1726-SM-CNNQ6 30-39 years, female 62.6
GTEX-13X6I-1526-SM-5SIAC 60-69 years, male 62.0
GTEX-1J1OQ-1526-SM-CJI4E 40-49 years, female 61.7
GTEX-1IE54-1426-SM-CL53C 40-49 years, female 61.0
GTEX-1I1GS-0926-SM-A9SL5 60-69 years, male 59.4
GTEX-13FHO-2026-SM-5J1OA 60-69 years, male 58.6
GTEX-1H1DF-1426-SM-9YFMC 40-49 years, female 58.5
GTEX-1RLM8-1026-SM-EWROE 50-59 years, male 58.1
GTEX-ZYVF-1026-SM-5E44V 50-59 years, female 57.4
GTEX-YJ8A-1926-SM-EZ6LQ 20-29 years, male 55.3
GTEX-ZAB4-1426-SM-5CVN6 40-49 years, male 54.6
GTEX-14C38-1026-SM-73KY7 50-59 years, male 54.5
GTEX-1S5VW-2426-SM-EAZ52 60-69 years, male 54.3
GTEX-1F48J-1826-SM-7SB8T 50-59 years, female 51.8
GTEX-113JC-0726-SM-5GZZR 50-59 years, female 51.5
GTEX-1ICLZ-1626-SM-CE6SS 60-69 years, male 51.2
GTEX-17EVQ-0626-SM-7KFTB 70-79 years, male 49.0
GTEX-14PHW-1626-SM-6EU2H 60-69 years, female 48.9
GTEX-1JMQK-1326-SM-CNPOR 60-69 years, male 45.2
GTEX-13YAN-1126-SM-5TDC7 60-69 years, male 44.5
GTEX-13O3P-0926-SM-5IFFI 50-59 years, male 44.1
GTEX-145MI-0826-SM-5SI95 60-69 years, female 42.9
Show allShow less

ADIPOSE TISSUE - FANTOM5 CAGEi

RNA expression in human tissues obtained through Cap Analysis of Gene Expression (CAGE) generated by the FANTOM5 project are reported as Scaled Tags Per Million.

Max subtype Scaled Tags Per Millioni

Max subtype Scaled Tags Per Million is the value for the subtype with the largest average Scaled Tags Per Million across the subtype samples.

143.5
FANTOM5 sample id Sample description Scaled Tags Per Million
Adipose tissue
Scaled Tags Per Million: 143.5
FF:10010-101C1 65,65,76 years, mixed 143.5

Contact

  • NEWS ARTICLES
  • PRESS ROOM

The Project

  • INTRODUCTION
  • ORGANIZATION
  • PUBLICATIONS

The Human Protein Atlas

  • DOWNLOADABLE DATA
  • LICENCE & CITATION
  • HELP & FAQ
The Human Protein Atlas project is funded
by the Knut & Alice Wallenberg Foundation.


contact@proteinatlas.org