We use cookies to enhance the usability of our website. If you continue, we'll assume that you are happy to receive all cookies. More information. Don't show this again.
ZNF248
HPA
RESOURCES
  • TISSUE
  • BRAIN
  • SINGLE CELL
  • SUBCELLULAR
  • CANCER
  • BLOOD
  • CELL LINE
  • STRUCTURE & INTERACTION
ABOUT
  • INTRODUCTION
  • HISTORY
  • ORGANIZATION
  • PUBLICATIONS
  • ANTIBODY SUBMISSION
  • ANTIBODY AVAILABILITY
  • ACKNOWLEDGMENTS
  • CONTACT
NEWS
  • NEWS ARTICLES
  • PRESS ROOM
LEARN
  • DICTIONARY
  • PROTEIN CLASSES
  • PROTEIN EVIDENCE
  • METHODS
  • EDUCATIONAL VIDEOS
DATA
  • DOWNLOADABLE DATA
  • PUBLICATION DATA
  • RELEASE HISTORY
HELP
  • ANTIBODY VALIDATION
  • ASSAYS & ANNOTATION
  • DISCLAIMER
  • HELP & FAQ
  • PRIVACY STATEMENT
  • LICENCE & CITATION
Fields »
Search result

Field
Term
Gene name
Class
Subclass
Class
Keyword
Chromosome
External id
Tissue
Cell type
Expression
Antibody panel
Tissue
Main location
Patient ID
Annotation
Tissue
Category
Tau score
Cluster
Reliability
Brain region
Category
Tau score
Brain region
Category
Tau score
Brain region
Category
Tau score
Cluster
Reliability
Tissue
Cell type
Enrichment
Cell type
Category
Tau score
Cell type
Category
Tau score
Cell type
Category
Tau score
Cell lineage
Category
Tau score
Cluster
Cluster
Location
Searches
Location
Cell line
Class
Type
Phase
Reliability
Cancer
Prognosis
Cancer
Category
Cancer
Category
Tau score
Cluster
Variants
Interacting gene (ensg_id)
Type
Number of interactions
Pathway
Category
Score
Score
Score
Validation
Validation
Validation
Validation
Antibodies
Data type
Column


  • SUMMARY

  • TISSUE

  • BRAIN

  • SINGLE CELL

  • SUBCELL

  • CANCER

  • BLOOD

  • CELL LINE

  • STRUCT & INT

  • ZNF248
CANCER CERVICAL CANCER Show tissue menu
BREAST CANCER CARCINOID CERVICAL CANCER COLORECTAL CANCER ENDOMETRIAL CANCER GLIOMA HEAD AND NECK CANCER LIVER CANCER LUNG CANCER LYMPHOMA
MELANOMA OVARIAN CANCER PANCREATIC CANCER PROSTATE CANCER RENAL CANCER SKIN CANCER STOMACH CANCER TESTIS CANCER THYROID CANCER UROTHELIAL CANCER
CESC TCGA PROTEIN EXPRESSION
ANTIBODIES
AND
VALIDATION
Dictionary
Cervical cancer
Human cancer
Cervical squamous cell carcinoma and endocervical adenocarcinoma
CERVICAL SQUAMOUS CELL CARCINOMA AND ENDOCERVICAL ADENOCARCINOMA (TCGA) - Interactive survival scatter ploti

The Survival Scatter plot shows the clinical status (i.e. dead or alive) for all individuals in the patient cohort, based on the same data that underlies the corresponding Kaplan-Meier plots. Patients that are alive at last time for follow-up are shown in blue and patients who have died during the study are shown in red.

The x-axis shows the expression levels (FPKM) of the investigated gene in the tumor tissue at the time of diagnosis. The y-axis shows the follow-up time after diagnosis (years). Both axes are complimented with kernel density curves demonstrating the data density over the axes. The top density plot shows the expression levels (FPKM) distribution among dead (red) and alive patients (blue). The right density plot shows the data density of the survived years of dead patients with high and low expression levels respectively, stratified using the cutoff indicated by the vertical dashed line through the Survival Scatter plot. This cutoff is automatically defined based on the FPKM cutoff that minimizes the p-score. The cutoff can be changed by dragging the vertical line or by entering a cutoff value in the square labeled "Current cut-off".

Under the Survival Scatter plot the p-score landscape (black curve; left axis) is shown together with dead median separation (red curve; right axis). Dead median separation is the difference in median mRNA expression between patients who have died with high and low expression, respectively. It is calculated as follows: median FPKM expression of dead patients with high expression - median FPKM expression of dead patients with low expression. This is intended to aid the user in visually exploring custom cutoffs and the associated p-scores and dead median separation.

Individual patient data is displayed and can be filtered by clicking on one or more of the category buttons on the top of the page. Categories describing expression level and patient information include: high, low, alive, dead, female, male and tumor stages. The scale of the x-axis can be toggled between linear and log-scale by clicking on the "x log" button. Mouse-over function shows TCGA ID, patient information and mRNA expression (FPKM) for each patient.

& Survival analysisi

Kaplan-Meier plots summarize results from analysis of correlation between mRNA expression level and patient survival. Patients were divided based on level of expression into one of the two groups "low" (under cut off) or "high" (over cut off). X-axis shows time for survival (years) and y-axis shows the probability of survival, where 1.0 corresponds to 100 percent.

ZNF248 is not prognostic in Cervical Squamous Cell Carcinoma and Endocervical Adenocarcinoma (TCGA)


Stage:


Survival analysis
Current cut offi

Current cut-off shows the cut-off (FPKM) currently selected. It may be changed manually. When the current cut-off is changed, the vertical dashed line indicating cut-off, the interactive survival scatter plot and the Kaplan-Meier curve will be automatically adjusted to show results accordingly.

:
Best expression cut offi

Based on the FPKM value of each gene, patients were classified into two groups and association between prognosis (survival) and gene expression (FPKM) was examined. The best expression cut-off refers the FPKM value that yields maximal difference with regard to survival between the two groups at the lowest log-rank P-value. Best expression cut-off was selected based on survival analysis .

When clicking on this number, the vertical dashed line indicating cut-off, the interactive survival plot, and the Kaplan-Meier curve will be adjusted to show results based on the best expression cut-off.

: 2.75
Median expressioni

Median expression refers to the median FPKM value calculated based on the gene expression (FPKM) data from all patients in this dataset. When clicking on this number, the vertical dashed line indicating cut-off, the interactive survival plot, and the Kaplan-Meier curve will be adjusted to show results based on the median expression.

: N/A
Median follow up timei

Median follow up time refers to the median time (years) after diagnosis with this type of cancer, based on clinical data from all patients in this dataset.

: N/A
P scorei

Log-rank P value for Kaplan-Meier plot showing results from analysis of correlation between mRNA expression level and patient survival.

N/A
5-year survival highi

5-year survival for patients with higher expression than the expression cutoff.

For melanoma and glioma, 3-year survival is shown.

N/A
5-year survival lowi

5-year survival for patients with lower expression than the expression cutoff.

For melanoma and glioma, 3-year survival is shown.

N/A
TCGA RNA samplesi

RNA-seq data is reported as average FPKM (number Fragments Per Kilobase of exon per Million reads), generated by the The Cancer Genome Atlas (TCGA) .

Normal distribution across the dataset is visualized with box plots, shown as median and 25th and 75th percentiles. Points are displayed as outliers if they are above or below 1.5 times the interquartile range. FPKM values of the individual samples are presented next to the box plot.

Average pTPM 4.8
Number of samples 283
Samples
Sample Description pTPM
TCGA-VS-A9UL-01A 79 years, female, white, stage:Stage IIIB, dead, 442 days 34.4
TCGA-VS-A8QA-01A 44 years, female, stage:Stage IB, alive, 1099 days 27.1
TCGA-EA-A556-01A 38 years, female, white, stage:Stage IB, alive, 453 days 25.4
TCGA-EK-A2R7-01A 45 years, female, white, stage:Stage IB, alive, 27 days 23.1
TCGA-VS-A9UP-01A 43 years, female, stage:Stage IIA, alive, 1444 days 21.8
TCGA-EK-A2PI-01A 44 years, female, white, stage:Stage IIIB, alive, 586 days 18.6
TCGA-EA-A3HS-01A 35 years, female, white, stage:Stage IB, alive, 959 days 18.1
TCGA-IR-A3L7-01A 37 years, female, white, stage:Stage IB, alive, 4483 days 17.8
TCGA-DS-A7WH-01A 34 years, female, white, stage:Stage IB, alive, 533 days 14.9
TCGA-VS-A8EH-01A 56 years, female, stage:Stage IIIB, alive, 986 days 14.7
TCGA-ZJ-A8QQ-01A 24 years, female, white, stage:Stage IIB, alive, 2056 days 14.4
TCGA-MY-A5BD-01A 62 years, female, white, stage:Stage IIB, alive, 1667 days 14.3
TCGA-HM-A3JK-01A 64 years, female, white, stage:Stage IIA, alive, 632 days 14.3
TCGA-JW-A5VH-01A 53 years, female, american indian or alaska native, stage:Stage IVB, dead, 100 days 14.2
TCGA-PN-A8MA-01A 43 years, female, black or african american, stage:Stage IIB, alive, 90 days 13.7
TCGA-VS-A94W-01A 39 years, female, white, stage:Stage IIB, alive, 1243 days 13.4
TCGA-LP-A7HU-01A 53 years, female, asian, stage:Stage II, alive, 406 days 13.0
TCGA-C5-A1ML-01A 49 years, female, white, stage:Stage IB, dead, 636 days 12.3
TCGA-VS-A952-01A 66 years, female, white, stage:Stage IB, alive, 1778 days 12.1
TCGA-ZJ-AAXA-01A 64 years, female, white, stage:Stage IB, alive, 43 days 11.8
TCGA-FU-A3TX-01A 78 years, female, stage:Stage IB, alive, 45 days 11.3
TCGA-EK-A2IP-01A 28 years, female, white, stage:Stage IB, alive, 202 days 10.1
TCGA-C5-A1MJ-01A 61 years, female, white, stage:Stage IB, dead, 14 days 10.0
TCGA-EA-A1QS-01A 46 years, female, white, stage:Stage IB, alive, 1203 days 10.0
TCGA-C5-A8YT-01A 36 years, female, white, stage:Stage IB, dead, 633 days 10.0
TCGA-VS-A9UJ-01A 55 years, female, stage:Stage IIB, dead, 52 days 9.8
TCGA-DS-A1OC-01A 47 years, female, white, stage:Stage IB, alive, 376 days 9.7
TCGA-UC-A7PD-01A 21 years, female, american indian or alaska native, stage:Stage IB, dead, 355 days 9.6
TCGA-Q1-A73R-01A 45 years, female, white, stage:Stage I, alive, 567 days 9.6
TCGA-IR-A3LF-01A 64 years, female, white, stage:Stage IB, alive, 2949 days 9.5
TCGA-VS-A957-01A 64 years, female, white, stage:Stage IB, alive, 1688 days 9.5
TCGA-LP-A4AW-01A 52 years, female, asian, stage:Stage IA, alive, 27 days 8.9
TCGA-C5-A7CL-01A 48 years, female, white, stage:Stage IIIB, dead, 471 days 8.5
TCGA-EA-A97N-01A 38 years, female, white, stage:Stage IB, alive, 11 days 7.5
TCGA-EK-A2PL-01A 36 years, female, white, stage:Stage IIIB, alive, 13 days 7.3
TCGA-JW-A5VI-01A 45 years, female, american indian or alaska native, stage:Stage IIB, alive, 747 days 7.1
TCGA-VS-A9UO-01A 43 years, female, white, stage:Stage IIB, alive, 1456 days 7.1
TCGA-EX-A69M-01A 62 years, female, white, stage:Stage IB, dead, 253 days 7.1
TCGA-EA-A5FO-01A 59 years, female, white, stage:Stage IB, alive, 815 days 7.0
TCGA-VS-A9UM-01A 39 years, female, black or african american, stage:Stage IVB, dead, 829 days 6.9
TCGA-C5-A1M5-01A 53 years, female, white, stage:Stage IB, dead, 2052 days 6.9
TCGA-VS-A9U5-01A 57 years, female, white, stage:Stage IIB, alive, 1535 days 6.8
TCGA-C5-A1BJ-01A 34 years, female, white, stage:Stage IIB, alive, 4385 days 6.8
TCGA-EK-A2RA-01A 74 years, female, stage:Stage IIA, alive, 1246 days 6.8
TCGA-Q1-A73Q-01A 46 years, female, white, stage:Stage I, alive, 284 days 6.6
TCGA-DS-A7WF-01A 41 years, female, stage:Stage IB, dead, 492 days 6.5
TCGA-VS-A9V3-01A 62 years, female, white, stage:Stage IVB, alive, 540 days 6.5
TCGA-VS-A8QC-01A 51 years, female, white, stage:Stage IVA, dead, 350 days 6.4
TCGA-VS-A8EI-01A 38 years, female, white, stage:Stage IIB, alive, 729 days 6.4
TCGA-VS-A9UQ-01A 32 years, female, stage:Stage IB, alive, 1263 days 6.4
TCGA-VS-A9U6-01A 52 years, female, white, stage:Stage IVB, alive, 1320 days 6.3
TCGA-C5-A7CJ-01A 42 years, female, white, stage:Stage IIA, dead, 3097 days 6.2
TCGA-C5-A8XJ-01A 74 years, female, white, stage:Stage IB, alive, 4467 days 6.1
TCGA-2W-A8YY-01A 51 years, female, white, stage:Stage IB, alive, 533 days 6.1
TCGA-C5-A902-01A 35 years, female, black or african american, stage:Stage IB, alive, 149 days 6.1
TCGA-4J-AA1J-01A 31 years, female, white, stage:Stage IB, alive, 542 days 6.0
TCGA-VS-A8EK-01A 65 years, female, white, stage:Stage IVA, dead, 829 days 5.9
TCGA-VS-A9V1-01A 46 years, female, white, stage:Stage IVB, dead, 157 days 5.8
TCGA-VS-A9UT-01A 72 years, female, asian, stage:Stage IB, alive, 482 days 5.8
TCGA-JW-AAVH-01A 46 years, female, white, stage:Stage IB, alive, 552 days 5.8
TCGA-DG-A2KK-01A 51 years, female, stage:Stage IIIB, alive, 2496 days 5.8
TCGA-EA-A439-01A 50 years, female, asian, stage:Stage IIA, alive, 965 days 5.8
TCGA-DS-A0VK-01A 45 years, female, white, stage:Stage IB, dead, 1118 days 5.8
TCGA-EK-A2R9-01A 58 years, female, white, stage:Stage IB, alive, 4 days 5.7
TCGA-C5-A2M2-01A 56 years, female, white, stage:Stage IB, dead, 1011 days 5.7
TCGA-C5-A2LZ-01A 65 years, female, white, stage:Stage IIIB, dead, 3046 days 5.7
TCGA-FU-A3WB-01A 43 years, female, white, stage:Stage IIA, alive, 491 days 5.6
TCGA-HM-A6W2-01A 34 years, female, black or african american, stage:Stage IVB, alive, 287 days 5.6
TCGA-DS-A1OD-01A 49 years, female, white, stage:Stage IB, alive, 3874 days 5.5
TCGA-IR-A3LA-01A 60 years, female, white, stage:Stage IB, alive, 4172 days 5.5
TCGA-XS-A8TJ-01A 41 years, female, black or african american, stage:Stage IB, alive, 890 days 5.3
TCGA-C5-A7XC-01A 26 years, female, white, stage:Stage IB, alive, 1551 days 5.3
TCGA-MU-A5YI-01A 60 years, female, black or african american, stage:Stage IA, alive, 1053 days 5.2
TCGA-C5-A7CK-01A 58 years, female, white, stage:Stage IVA, dead, 4086 days 5.2
TCGA-C5-A2LY-01A 30 years, female, white, stage:Stage IB, alive, 2383 days 5.2
TCGA-VS-A8EG-01A 36 years, female, stage:Stage IB, alive, 1386 days 5.2
TCGA-VS-A9UR-01A 53 years, female, white, stage:Stage IIA, alive, 793 days 5.1
TCGA-MA-AA3Z-01A 43 years, female, white, stage:Stage IB, alive, 595 days 5.1
TCGA-FU-A2QG-01A 29 years, female, white, stage:Stage IB, alive, 579 days 5.1
TCGA-VS-A9V5-01A 50 years, female, white, stage:Stage IIB, dead, 494 days 5.1
TCGA-EA-A43B-01A 43 years, female, white, stage:Stage IB, alive, 791 days 5.1
TCGA-VS-A94X-01A 40 years, female, black or african american, stage:Stage IIB, dead, 506 days 5.1
TCGA-Q1-A6DV-01A 36 years, female, asian, stage:Stage IB, alive, 491 days 5.1
TCGA-FU-A40J-01A 38 years, female, white, stage:Stage IIIB, alive, 426 days 5.0
TCGA-VS-A9UY-01A 29 years, female, stage:Stage IVB, dead, 555 days 5.0
TCGA-VS-A9UZ-01A 61 years, female, white, stage:Stage IB, alive, 2044 days 5.0
TCGA-VS-A9V4-01A 63 years, female, white, stage:Stage IVA, dead, 132 days 5.0
TCGA-C5-A1MI-01A 50 years, female, white, stage:Stage IB, dead, 1083 days 5.0
TCGA-LP-A4AX-01A 45 years, female, asian, stage:Stage IB, alive, 380 days 4.9
TCGA-EA-A4BA-01A 49 years, female, white, stage:Stage IB, alive, 755 days 4.9
TCGA-IR-A3LH-01A 49 years, female, black or african american, stage:Stage IIA, alive, 2394 days 4.8
TCGA-VS-A8EB-01A 41 years, female, white, stage:Stage IIIB, dead, 305 days 4.8
TCGA-C5-A2M1-01A 37 years, female, white, stage:Stage IB, alive, 1169 days 4.8
TCGA-C5-A905-01A 37 years, female, black or african american, stage:Stage IB, alive, 4879 days 4.8
TCGA-DS-A0VL-01A 25 years, female, white, stage:Stage IB, dead, 1692 days 4.8
TCGA-C5-A7CM-01A 35 years, female, white, stage:Stage IB, alive, 619 days 4.7
TCGA-EK-A2RN-01A 45 years, female, white, stage:Stage IB, alive, 71 days 4.7
TCGA-EX-A449-01A 42 years, female, white, stage:Stage IVB, alive, 447 days 4.7
TCGA-DG-A2KH-01A 25 years, female, stage:Stage IB, alive, 34 days 4.7
TCGA-C5-A7CG-01A 55 years, female, white, stage:Stage IB, alive, 6408 days 4.6
TCGA-C5-A8ZZ-01A 41 years, female, white, stage:Stage IIB, alive, 636 days 4.6
TCGA-VS-A9UC-01A 32 years, female, stage:Stage IIB, alive, 825 days 4.6
TCGA-FU-A57G-01A 49 years, female, white, stage:Stage IB, alive, 1078 days 4.6
TCGA-VS-A8QM-01A 47 years, female, stage:Stage IVB, dead, 951 days 4.5
TCGA-DS-A7WI-01A 43 years, female, white, stage:Stage IIA, dead, 252 days 4.5
TCGA-EA-A410-01A 51 years, female, white, stage:Stage IIA, alive, 803 days 4.5
TCGA-EA-A411-01A 50 years, female, white, stage:Stage IB, alive, 747 days 4.5
TCGA-C5-A1BL-01A 32 years, female, white, stage:Stage IB, alive, 5271 days 4.5
TCGA-VS-A9UB-01A 54 years, female, stage:Stage IIB, alive, 911 days 4.4
TCGA-C5-A2LS-01A 37 years, female, white, stage:Stage IB, alive, 1345 days 4.4
TCGA-EK-A2IR-01A 48 years, female, white, stage:Stage IB, alive, 3442 days 4.4
TCGA-EA-A5ZF-01A 56 years, female, asian, stage:Stage IB, alive, 828 days 4.3
TCGA-EA-A1QT-01A 47 years, female, white, stage:Stage IB, alive, 1243 days 4.3
TCGA-EK-A2H0-01A 24 years, female, white, stage:Stage IIB, alive, 1847 days 4.3
TCGA-EK-A3GN-01A 47 years, female, white, stage:Stage IIIB, alive, 27 days 4.3
TCGA-VS-A9V0-01A 58 years, female, stage:Stage IB, alive, 573 days 4.3
TCGA-C5-A1MP-01A 34 years, female, black or african american, stage:Stage IB, alive, 109 days 4.3
TCGA-VS-A9V2-01A 29 years, female, white, stage:Stage IB, alive, 555 days 4.2
TCGA-MA-AA41-01A 33 years, female, white, stage:Stage IIB, alive, 279 days 4.2
TCGA-UC-A7PI-01A 44 years, female, white, stage:Stage IB, alive, 2114 days 4.2
TCGA-JW-A69B-01A 44 years, female, white, stage:Stage IB, alive, 863 days 4.2
TCGA-FU-A23K-01A 28 years, female, white, stage:Stage IIIB, alive, 372 days 4.2
TCGA-HM-A3JJ-01A 40 years, female, black or african american, stage:Stage IB, dead, 659 days 4.2
TCGA-VS-A9UU-01A 42 years, female, stage:Stage IIB, alive, 442 days 4.1
TCGA-EA-A44S-01A 31 years, female, white, stage:Stage IIIB, alive, 369 days 4.1
TCGA-EA-A3HR-01A 57 years, female, white, stage:Stage II, alive, 940 days 4.1
TCGA-EA-A3HT-01A 68 years, female, white, stage:Stage IB, alive, 954 days 4.1
TCGA-FU-A3HZ-01A 64 years, female, white, stage:Stage IIA, alive, 1103 days 4.0
TCGA-FU-A3TQ-01A 55 years, female, white, stage:Stage IIIB, alive, 795 days 3.9
TCGA-HM-A4S6-01A 51 years, female, white, stage:Stage IIIB, alive, 454 days 3.9
TCGA-EA-A6QX-01A 49 years, female, asian, stage:Stage IIIB, alive, 730 days 3.9
TCGA-C5-A1M6-01A 55 years, female, white, stage:Stage IIB, dead, 955 days 3.8
TCGA-GH-A9DA-01A 27 years, female, white, stage:Stage IB, alive, 540 days 3.8
TCGA-VS-A8EJ-01A 60 years, female, white, stage:Stage IIB, dead, 607 days 3.8
TCGA-VS-A8Q9-01A 79 years, female, white, stage:Stage IB, alive, 1630 days 3.7
TCGA-DR-A0ZM-01A 61 years, female, white, stage:Stage IIIB, alive, 1791 days 3.7
TCGA-JW-A5VL-01A 37 years, female, american indian or alaska native, stage:Stage IB, alive, 474 days 3.7
TCGA-EK-A2RL-01A 32 years, female, black or african american, stage:Stage IB, dead, 1453 days 3.7
TCGA-VS-A94Z-01A 38 years, female, white, stage:Stage IIB, alive, 1015 days 3.7
TCGA-C5-A7X5-01A 72 years, female, black or african american, stage:Stage IVB, dead, 414 days 3.7
TCGA-VS-A9U7-01A 30 years, female, white, stage:Stage IB, alive, 1472 days 3.7
TCGA-ZX-AA5X-01A 64 years, female, white, stage:Stage IIIB, alive, 119 days 3.7
TCGA-EK-A2RC-01A 33 years, female, stage:Stage IB, alive, 129 days 3.7
TCGA-Q1-A6DW-01A 44 years, female, white, stage:Stage I, alive, 534 days 3.6
TCGA-EA-A3QE-01A 45 years, female, white, stage:Stage IB, alive, 761 days 3.6
TCGA-FU-A23L-01A 60 years, female, white, stage:Stage IIA, alive, 725 days 3.6
TCGA-C5-A7X3-01A 70 years, female, white, stage:Stage IIIB, dead, 284 days 3.6
TCGA-HG-A2PA-01A 38 years, female, white, stage:Stage IB, dead, 773 days 3.6
TCGA-DS-A1O9-01A 75 years, female, white, stage:Stage IVA, dead, 266 days 3.6
TCGA-ZJ-A8QR-01A 38 years, female, native hawaiian or other pacific islander, stage:Stage I, dead, 582 days 3.6
TCGA-VS-A9UV-01A 74 years, female, stage:Stage IVA, dead, 104 days 3.5
TCGA-C5-A8XI-01A 69 years, female, black or african american, stage:Stage IB, alive, 254 days 3.5
TCGA-EX-A1H5-01A 58 years, female, black or african american, stage:Stage IIB, alive, 619 days 3.5
TCGA-C5-A8XK-01A 30 years, female, black or african american, stage:'--, alive, 3039 days 3.5
TCGA-MY-A913-01A 28 years, female, black or african american, stage:Stage IIA, alive, 524 days 3.5
TCGA-LP-A5U2-01A 30 years, female, asian, stage:Stage IIIB, alive, 9 days 3.5
TCGA-RA-A741-01A 34 years, female, white, stage:Stage IIB, alive, 444 days 3.4
TCGA-Q1-A73P-01A 45 years, female, white, stage:Stage IB, alive, 483 days 3.4
TCGA-FU-A3YQ-01A 35 years, female, white, stage:Stage IB, alive, 861 days 3.4
TCGA-C5-A1M7-01A 37 years, female, white, stage:Stage IB, alive, 1409 days 3.4
TCGA-C5-A1M9-01A 46 years, female, white, stage:Stage IB, dead, 1065 days 3.4
TCGA-VS-A8QH-01A 76 years, female, white, stage:Stage IB, dead, 1210 days 3.3
TCGA-IR-A3LB-01A 53 years, female, white, stage:Stage IB, dead, 2032 days 3.3
TCGA-EX-A8YF-01A 44 years, female, white, stage:Stage IB, alive, 473 days 3.3
TCGA-MU-A51Y-01A 27 years, female, white, stage:Stage IIA, alive, 854 days 3.3
TCGA-C5-A7UH-01A 55 years, female, white, stage:Stage IIIB, alive, 3988 days 3.3
TCGA-Q1-A5R1-01A 32 years, female, white, stage:Stage IB, alive, 474 days 3.3
TCGA-BI-A20A-01A 49 years, female, white, stage:Stage IB, alive, 720 days 3.3
TCGA-JX-A3Q0-01A 63 years, female, black or african american, stage:Stage III, alive, 6375 days 3.2
TCGA-VS-A8Q8-01A 26 years, female, white, stage:Stage IB, dead, 978 days 3.2
TCGA-C5-A1MK-01A 79 years, female, white, stage:Stage IIIB, dead, 74 days 3.2
TCGA-C5-A3HL-01A 76 years, female, white, stage:Stage IB, alive, 621 days 3.2
TCGA-EA-A3QD-01A 59 years, female, white, stage:Stage IIIB, alive, 397 days 3.2
TCGA-EA-A5ZD-01A 40 years, female, asian, stage:Stage IB, alive, 830 days 3.2
TCGA-EX-A69L-01A 41 years, female, asian, stage:Stage IB, alive, 602 days 3.1
TCGA-VS-A950-01A 42 years, female, stage:Stage IIIA, alive, 1221 days 3.1
TCGA-EK-A2PM-01A 81 years, female, white, stage:Stage IIB, alive, 18 days 3.1
TCGA-C5-A907-01A 47 years, female, white, stage:Stage IB, alive, 448 days 3.1
TCGA-C5-A3HF-01A 24 years, female, white, stage:Stage IB, dead, 543 days 3.1
TCGA-EA-A3HQ-01A 60 years, female, white, stage:Stage II, alive, 1136 days 3.1
TCGA-MA-AA43-01A 48 years, female, white, stage:Stage IIIB, alive, 346 days 3.1
TCGA-VS-A954-01A 67 years, female, stage:Stage IIIB, alive, 1714 days 3.0
TCGA-C5-A7CO-01A 68 years, female, white, stage:Stage IB, alive, 4482 days 3.0
TCGA-DS-A1OA-01A 77 years, female, asian, stage:Stage IB, dead, 879 days 3.0
TCGA-UC-A7PG-01A 44 years, female, white, stage:Stage IIIB, dead, 370 days 3.0
TCGA-EK-A3GJ-01A 51 years, female, native hawaiian or other pacific islander, stage:Stage IB, alive, 3 days 2.9
TCGA-EK-A2RB-01A 48 years, female, white, stage:Stage IVB, alive, 9 days 2.9
TCGA-VS-AA62-01A 51 years, female, white, stage:Stage IIB, dead, 469 days 2.9
TCGA-C5-A901-01A 44 years, female, white, stage:'--, alive, 518 days 2.9
TCGA-LP-A5U3-01A 40 years, female, asian, stage:Stage IB, alive, 25 days 2.9
TCGA-C5-A1M8-01A 43 years, female, white, stage:Stage IB, alive, 919 days 2.8
TCGA-VS-A9UI-01A 76 years, female, white, stage:Stage IIB, dead, 1372 days 2.8
TCGA-C5-A8YQ-01A 79 years, female, white, stage:Stage IB, dead, 715 days 2.8
TCGA-C5-A7X8-01A 35 years, female, white, stage:Stage IB, alive, 83 days 2.7
TCGA-BI-A0VS-01A 48 years, female, white, stage:Stage IB, alive, 1735 days 2.7
TCGA-EK-A2PG-01A 88 years, female, black or african american, stage:'--, alive, 46 days 2.7
TCGA-JW-A5VJ-01A 56 years, female, american indian or alaska native, stage:Stage IIB, alive, 652 days 2.7
TCGA-EA-A3HU-01A 43 years, female, white, stage:Stage II, alive, 1013 days 2.7
TCGA-VS-A8EC-01A 55 years, female, white, stage:Stage IIIB, alive, 1415 days 2.7
TCGA-JW-A852-01A 42 years, female, white, stage:Stage IIB, dead, 252 days 2.7
TCGA-LP-A4AU-01A 35 years, female, asian, stage:Stage IIIB, alive, 343 days 2.6
TCGA-DG-A2KL-01A 53 years, female, stage:Stage IIA, alive, 1367 days 2.6
TCGA-EK-A2PK-01A 43 years, female, white, stage:Stage IB, alive, 12 days 2.5
TCGA-VS-A958-01A 46 years, female, white, stage:Stage IIB, alive, 1525 days 2.5
TCGA-IR-A3LK-01A 69 years, female, white, stage:Stage IB, dead, 908 days 2.5
TCGA-WL-A834-01A 57 years, female, white, stage:'--, alive, 791 days 2.5
TCGA-EX-A3L1-01A 32 years, female, white, stage:Stage IIA, alive, 463 days 2.5
TCGA-ZJ-AAX4-01A 85 years, female, white, stage:Stage II, alive, 21 days 2.5
TCGA-BI-A0VR-01A 53 years, female, white, stage:Stage IIIB, alive, 1505 days 2.5
TCGA-FU-A5XV-01A 32 years, female, white, stage:Stage IIIB, alive, 321 days 2.5
TCGA-DG-A2KM-01A 46 years, female, stage:Stage IB, alive, 1946 days 2.4
TCGA-Q1-A73O-01A 37 years, female, stage:Stage IB, alive, 428 days 2.4
TCGA-EK-A2R8-01A 48 years, female, white, stage:Stage IB, alive, 44 days 2.4
TCGA-EK-A3GK-01A 33 years, female, white, stage:Stage IB, alive, 15 days 2.4
TCGA-EA-A5ZE-01A 54 years, female, asian, stage:Stage IB, alive, 829 days 2.4
TCGA-FU-A3NI-01A 45 years, female, white, stage:Stage IB, dead, 638 days 2.4
TCGA-VS-A8QF-01A 42 years, female, white, stage:Stage IIB, alive, 1800 days 2.4
TCGA-EA-A78R-01A 54 years, female, asian, stage:Stage IB, alive, 410 days 2.3
TCGA-EA-A50E-01A 45 years, female, asian, stage:Stage IVA, dead, 227 days 2.3
TCGA-JX-A3Q8-01A 40 years, female, asian, stage:Stage IB, alive, 1357 days 2.3
TCGA-MA-AA3X-01A 50 years, female, black or african american, stage:Stage IIIB, alive, 617 days 2.3
TCGA-DR-A0ZL-01A 53 years, female, asian, stage:Stage IB, alive, 2669 days 2.3
TCGA-Q1-A73S-01A 33 years, female, white, stage:Stage IB, alive, 688 days 2.2
TCGA-C5-A7UC-01A 48 years, female, white, stage:Stage IB, dead, 523 days 2.2
TCGA-C5-A7CH-01A 43 years, female, white, stage:Stage IIB, alive, 4694 days 2.2
TCGA-IR-A3LI-01A 48 years, female, white, stage:Stage IVB, alive, 2493 days 2.2
TCGA-C5-A1MH-01A 71 years, female, white, stage:Stage IIIB, dead, 1186 days 2.2
TCGA-VS-A94Y-01A 47 years, female, white, stage:Stage IIB, dead, 144 days 2.2
TCGA-EK-A2RM-01A 40 years, female, white, stage:Stage IB, alive, 50 days 2.2
TCGA-EK-A2H1-01A 20 years, female, white, stage:Stage IB, alive, 799 days 2.1
TCGA-FU-A3HY-01A 47 years, female, white, stage:Stage IB, alive, 954 days 2.1
TCGA-C5-A8XH-01A 39 years, female, white, stage:Stage IB, dead, 1394 days 2.1
TCGA-FU-A770-01A 33 years, female, white, stage:Stage IIIB, alive, 34 days 2.1
TCGA-EK-A2RJ-01A 51 years, female, white, stage:Stage IB, alive, 53 days 2.1
TCGA-DS-A0VM-01A 51 years, female, white, stage:Stage IB, alive, 3589 days 2.1
TCGA-JW-A5VG-01A 35 years, female, american indian or alaska native, stage:Stage IIA, alive, 834 days 2.1
TCGA-MU-A8JM-01A 46 years, female, white, stage:Stage IB, alive, 607 days 2.1
TCGA-C5-A7UE-01A 45 years, female, white, stage:Stage IB, alive, 4738 days 2.0
TCGA-MY-A5BE-01A 42 years, female, black or african american, stage:Stage IB, alive, 1066 days 2.0
TCGA-EA-A3Y4-01A 40 years, female, white, stage:Stage IB, alive, 1122 days 2.0
TCGA-JX-A3PZ-01A 25 years, female, white, stage:Stage IB, dead, 642 days 1.9
TCGA-C5-A2LX-01A 54 years, female, white, stage:Stage IB, alive, 2526 days 1.9
TCGA-DS-A1OB-01A 45 years, female, white, stage:Stage IB, dead, 861 days 1.9
TCGA-JX-A5QV-01A 37 years, female, white, stage:Stage IB, alive, 636 days 1.9
TCGA-DS-A5RQ-01A 80 years, female, white, stage:Stage IB, alive, 512 days 1.9
TCGA-VS-A9UD-01A 73 years, female, white, stage:Stage IIIA, alive, 739 days 1.9
TCGA-VS-A8EL-01A 38 years, female, black or african american, stage:Stage IIB, alive, 1992 days 1.9
TCGA-MY-A5BF-01A 68 years, female, white, stage:Stage IIA, alive, 634 days 1.9
TCGA-C5-A1MN-01A 42 years, female, white, stage:Stage IIIB, dead, 1245 days 1.8
TCGA-C5-A2LT-01A 38 years, female, white, stage:Stage IB, alive, 2226 days 1.7
TCGA-C5-A3HE-01A 44 years, female, white, stage:Stage IB, alive, 548 days 1.7
TCGA-C5-A0TN-01A 21 years, female, black or african american, stage:Stage IB, dead, 348 days 1.7
TCGA-VS-A9UH-01A 53 years, female, black or african american, stage:Stage IVA, alive, 1427 days 1.7
TCGA-IR-A3LL-01A 60 years, female, white, stage:Stage IB, alive, 1106 days 1.7
TCGA-MA-AA42-01A 75 years, female, white, stage:Stage IIB, alive, 259 days 1.6
TCGA-DS-A3LQ-01A 46 years, female, stage:Stage IIIB, alive, 699 days 1.6
TCGA-ZJ-AAXU-01A 51 years, female, white, stage:Stage IIB, alive, 5 days 1.6
TCGA-VS-A953-01A 63 years, female, stage:Stage IVA, dead, 477 days 1.6
TCGA-EK-A2GZ-01A 64 years, female, black or african american, stage:Stage IIIB, alive, 383 days 1.5
TCGA-JW-A5VK-01A 43 years, female, black or african american, stage:Stage IB, alive, 623 days 1.5
TCGA-Q1-A5R2-01A 64 years, female, white, stage:'--, alive, 499 days 1.5
TCGA-DS-A0VN-01A 47 years, female, white, stage:Stage IB, alive, 3609 days 1.4
TCGA-C5-A7UI-01A 42 years, female, black or african american, stage:Stage IB, dead, 2888 days 1.4
TCGA-R2-A69V-01A 42 years, female, white, stage:Stage IB, alive, 596 days 1.4
TCGA-DG-A2KJ-01A 50 years, female, stage:Stage IIIB, alive, 2893 days 1.3
TCGA-MA-AA3Y-01A 48 years, female, white, stage:Stage IB, alive, 542 days 1.3
TCGA-C5-A1BM-01A 78 years, female, black or african american, stage:Stage IB, dead, 2520 days 1.2
TCGA-Q1-A6DT-01A 55 years, female, white, stage:Stage I, dead, 275 days 1.2
TCGA-C5-A1ME-01A 40 years, female, white, stage:Stage IB, alive, 1756 days 1.1
TCGA-EK-A2RO-01A 59 years, female, american indian or alaska native, stage:Stage IIB, alive, 2 days 1.1
TCGA-C5-A1MQ-01A 35 years, female, white, stage:Stage IIA, alive, 1031 days 1.0
TCGA-EK-A2RE-01A 26 years, female, white, stage:Stage IIA, alive, 57 days 1.0
TCGA-C5-A1MF-01A 49 years, female, white, stage:Stage IB, alive, 1617 days 0.9
TCGA-Q1-A5R3-01A 56 years, female, white, stage:'--, alive, 485 days 0.9
TCGA-FU-A3EO-01A 55 years, female, white, stage:Stage IIB, alive, 490 days 0.9
TCGA-IR-A3LC-01A 40 years, female, white, stage:Stage IB, alive, 3935 days 0.9
TCGA-C5-A2LV-01A 36 years, female, black or african american, stage:Stage IB, alive, 2234 days 0.9
TCGA-EK-A2RK-01A 67 years, female, white, stage:Stage IA, alive, 13 days 0.8
TCGA-UC-A7PF-01A 44 years, female, stage:Stage IB, dead, 2859 days 0.0
TCGA-VS-A959-01A 76 years, female, stage:Stage IIB, alive, 1561 days 0.0
TCGA-MA-AA3W-01A 54 years, female, white, stage:Stage IB, alive, 685 days 0.0
TCGA-EA-A5O9-01A 39 years, female, white, stage:Stage IB, alive, 788 days 0.0
TCGA-C5-A8YR-01A 56 years, female, white, stage:Stage IB, dead, 837 days 0.0
Show allShow less
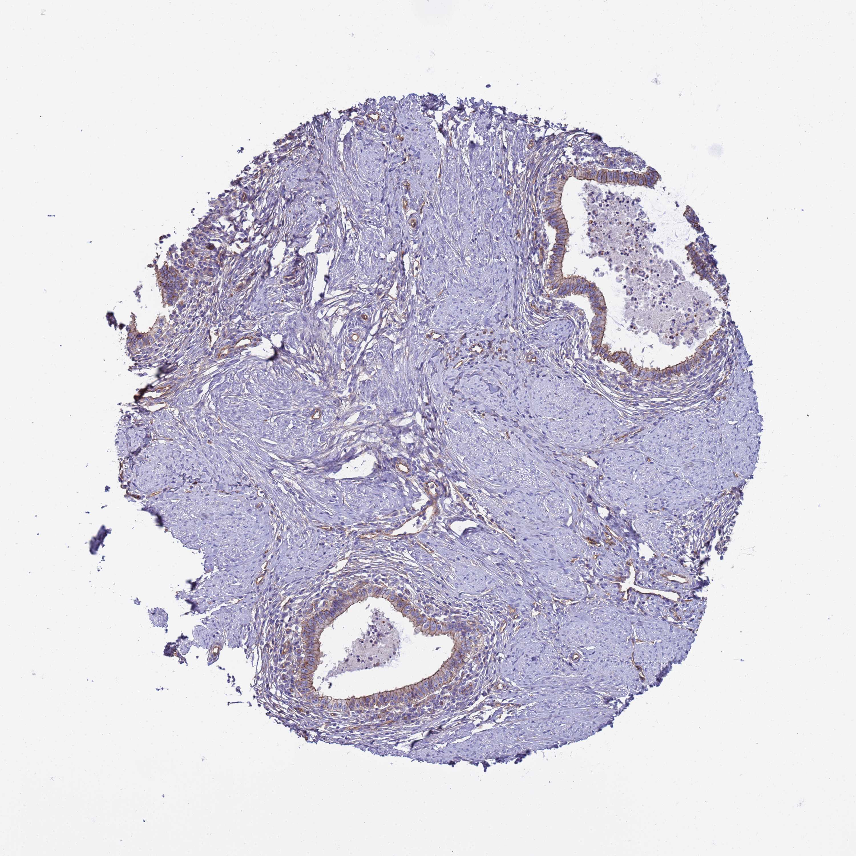
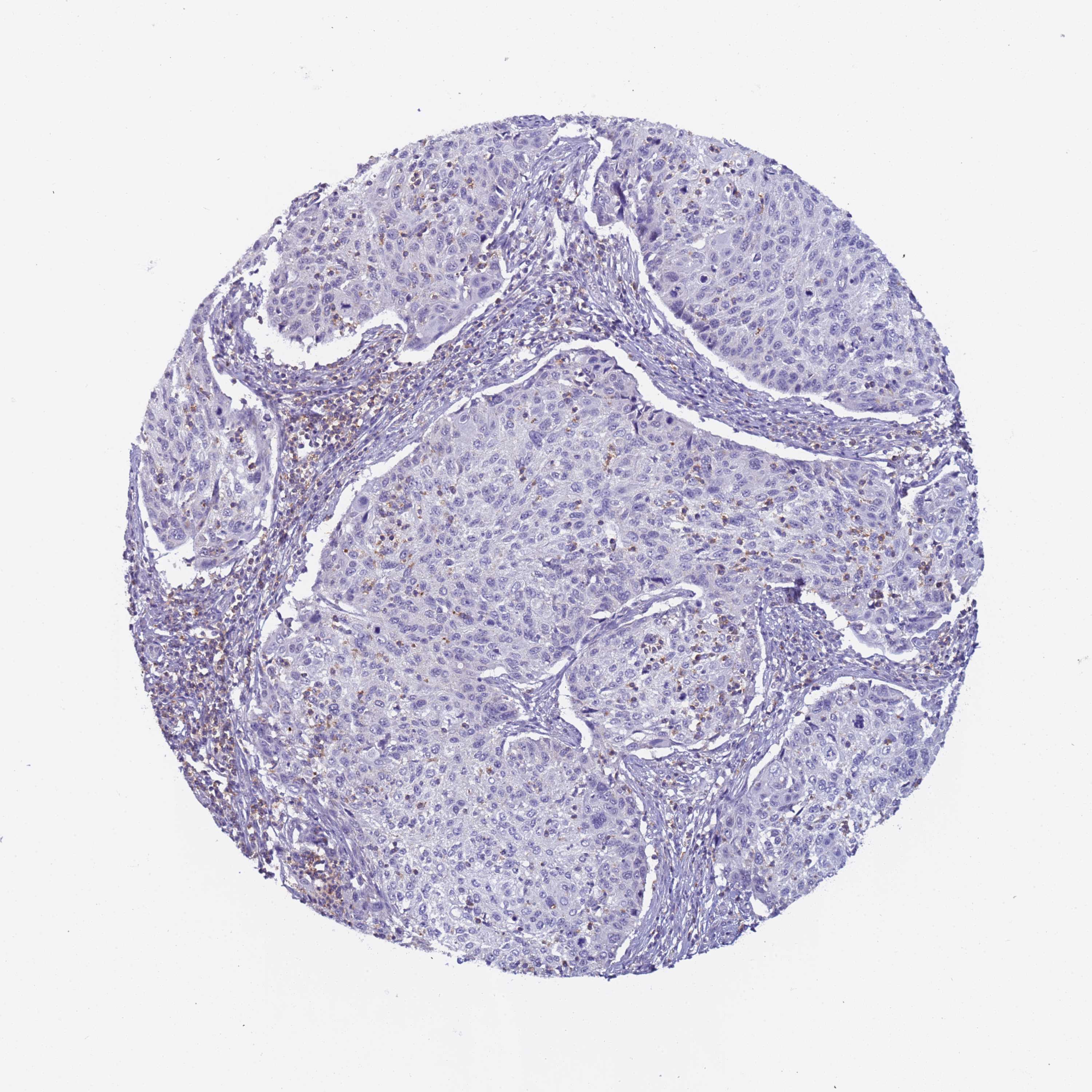
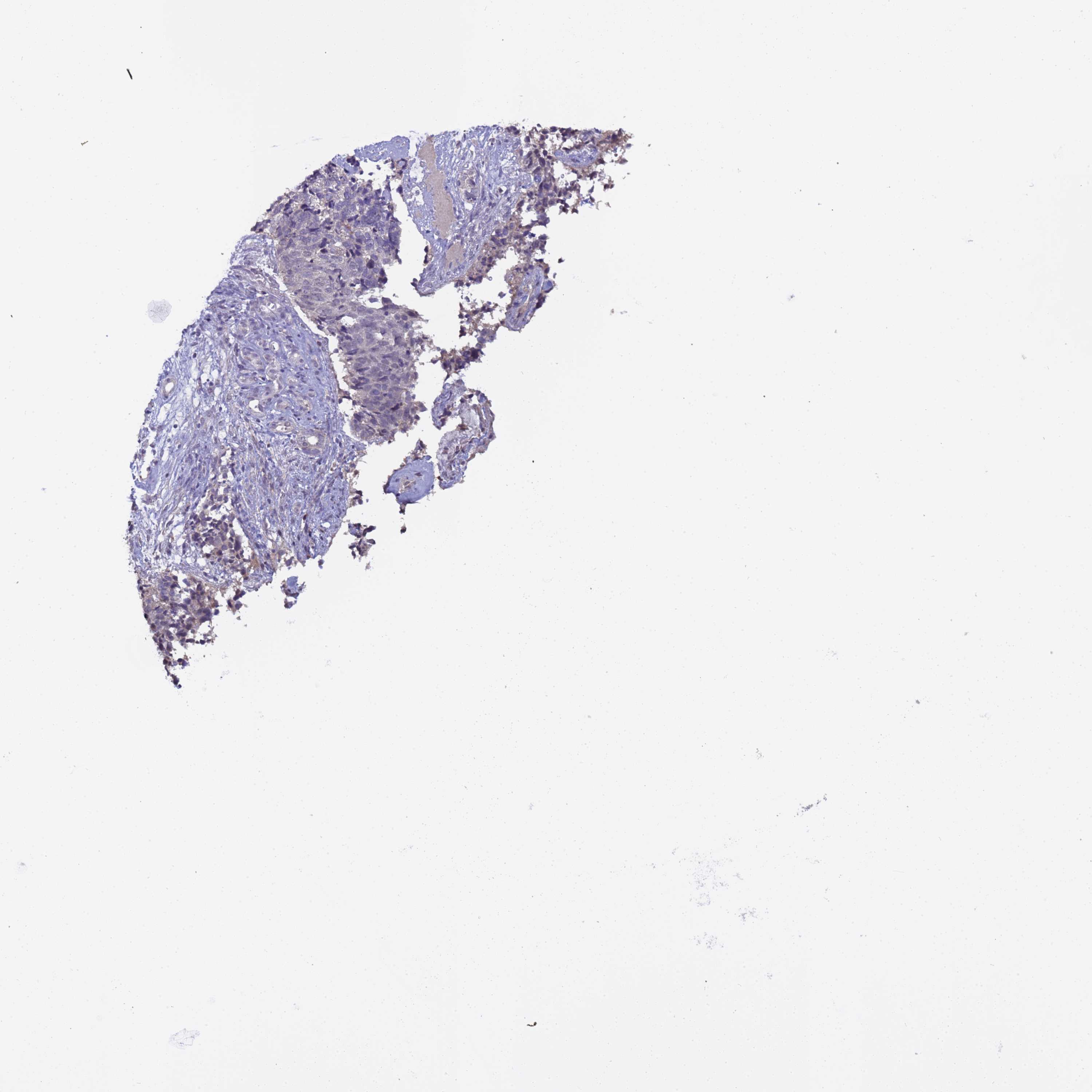
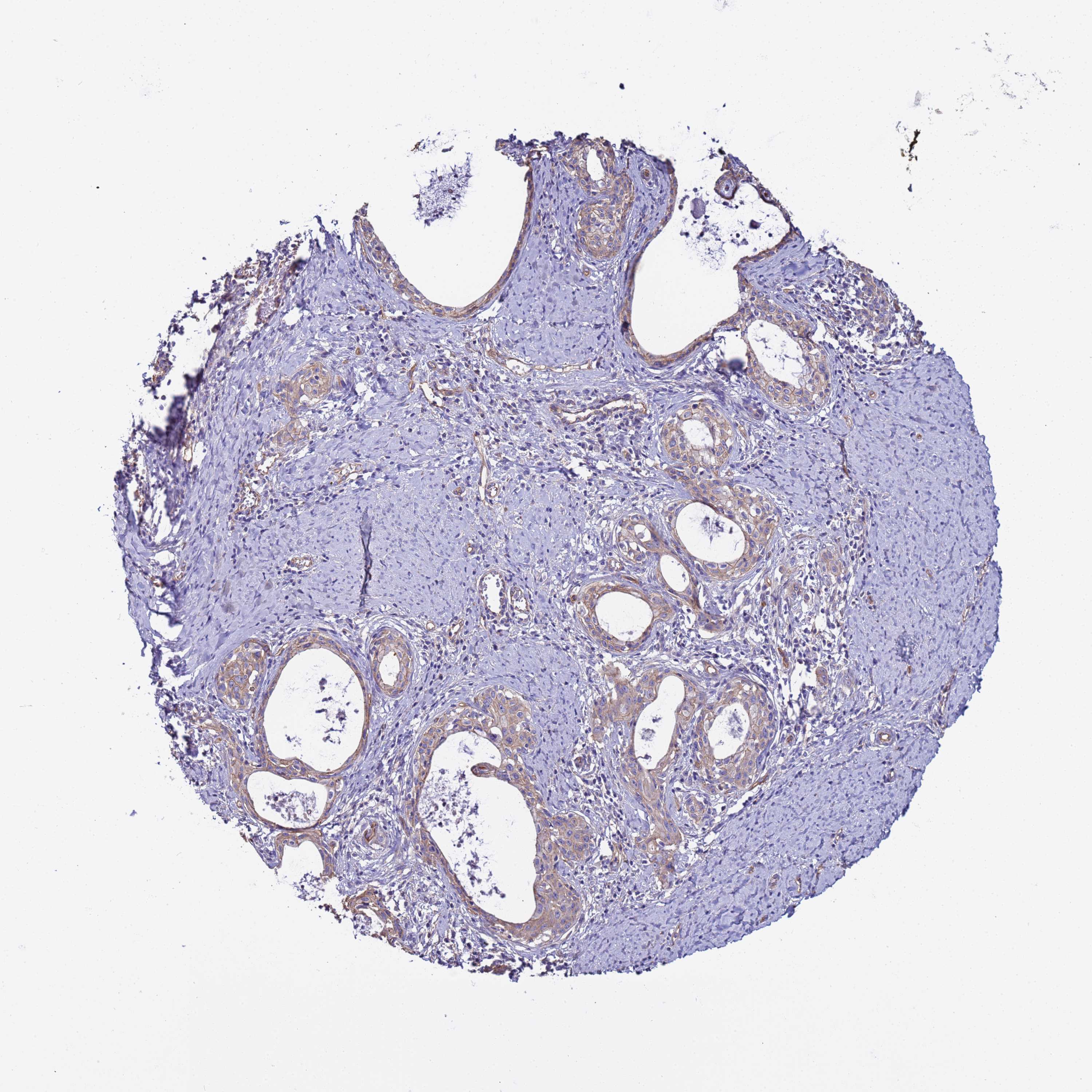
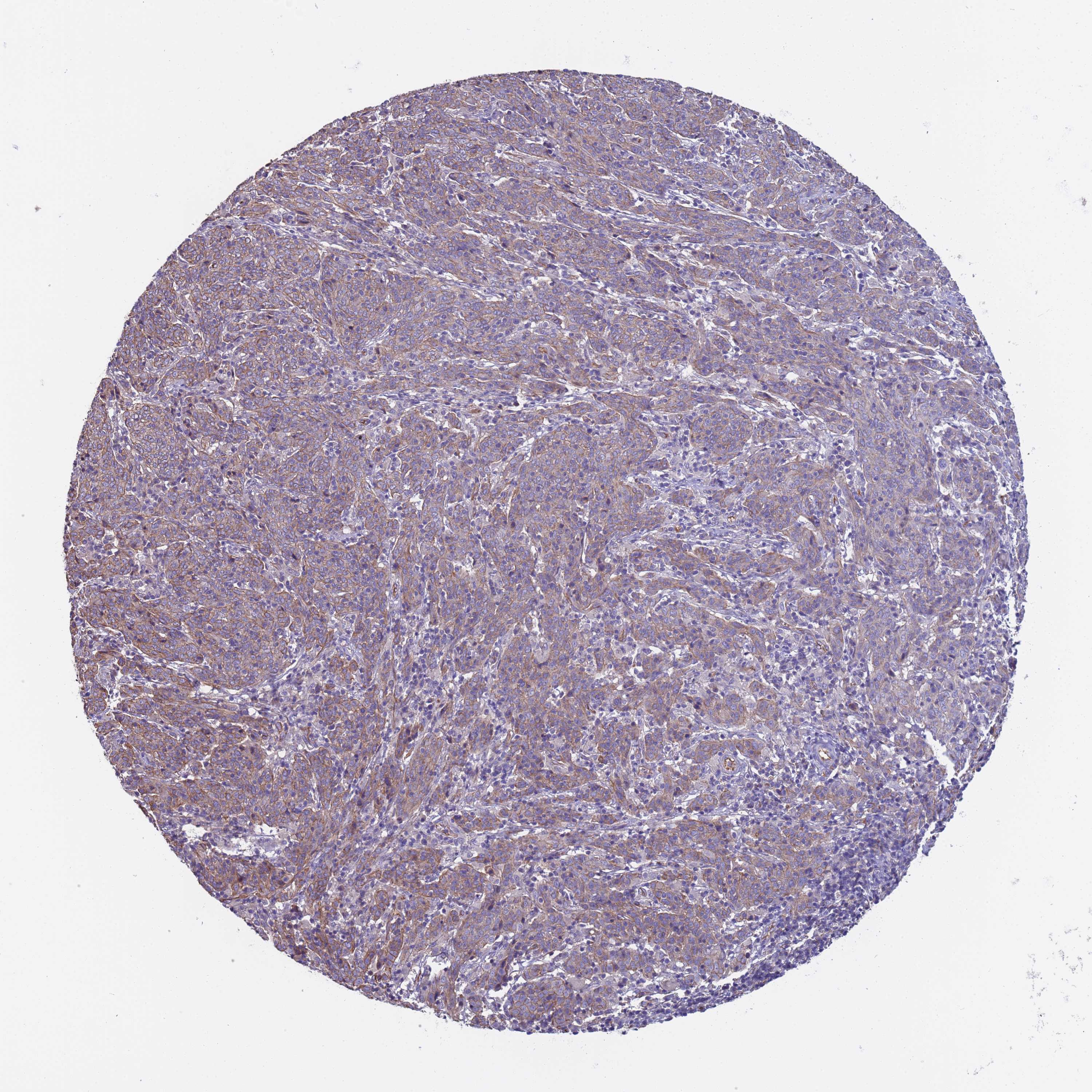
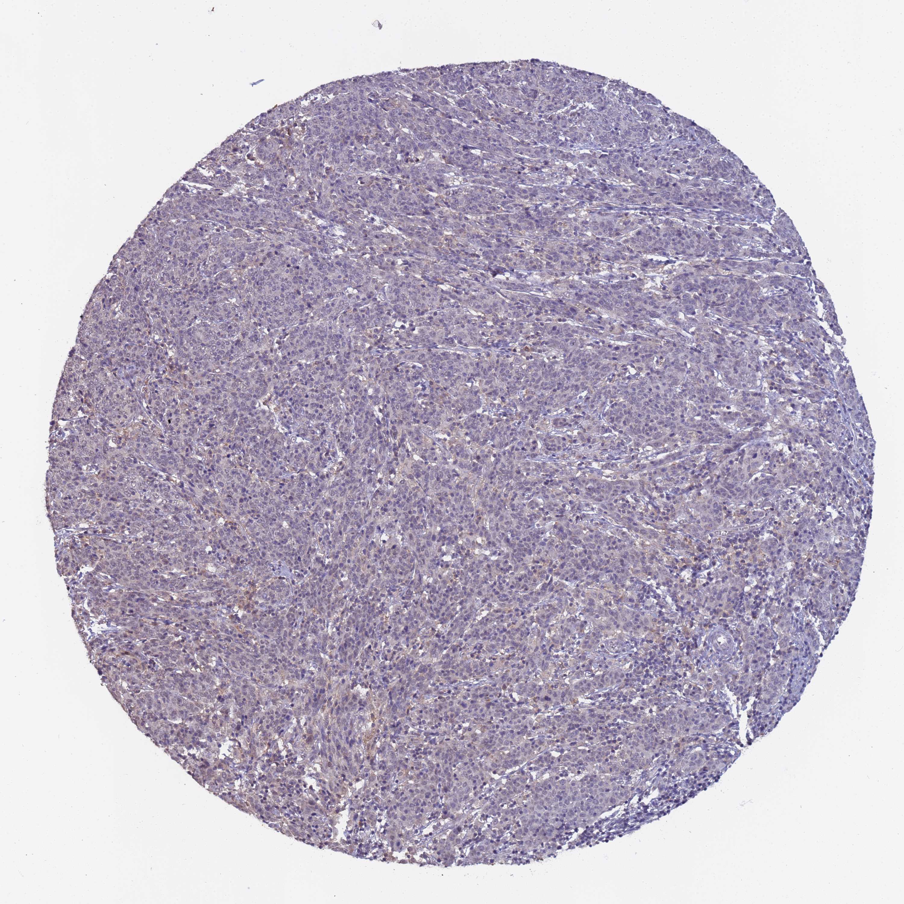
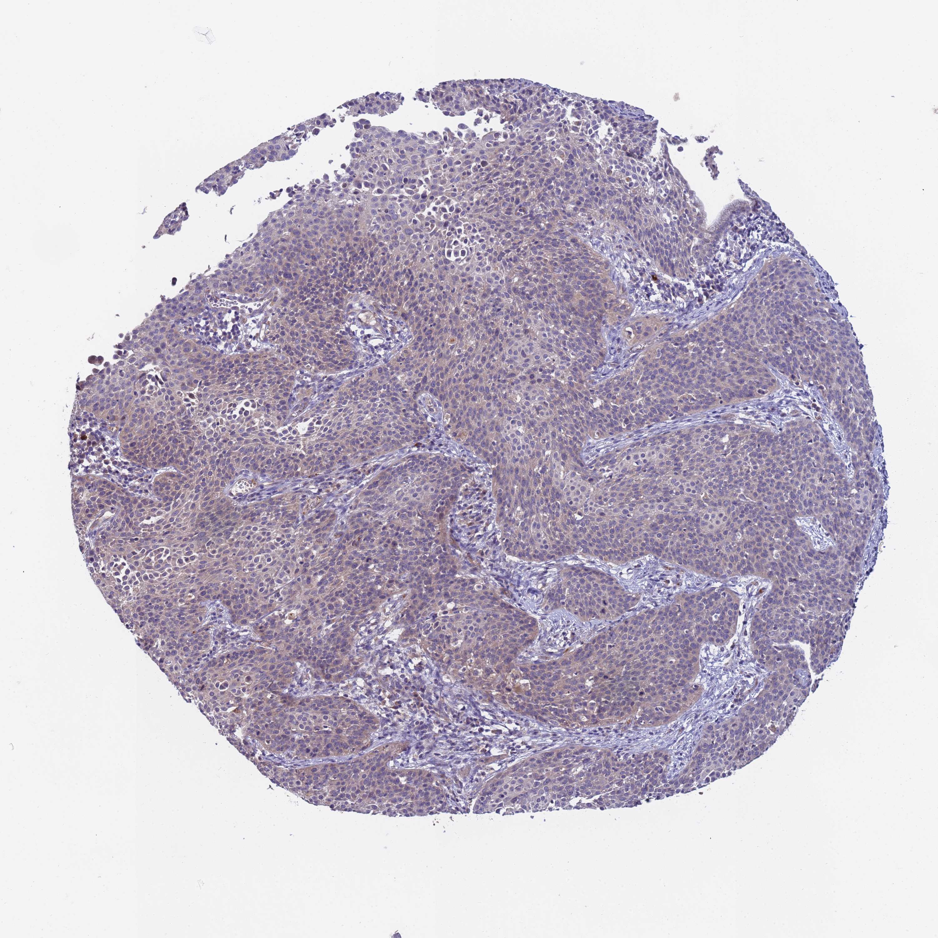
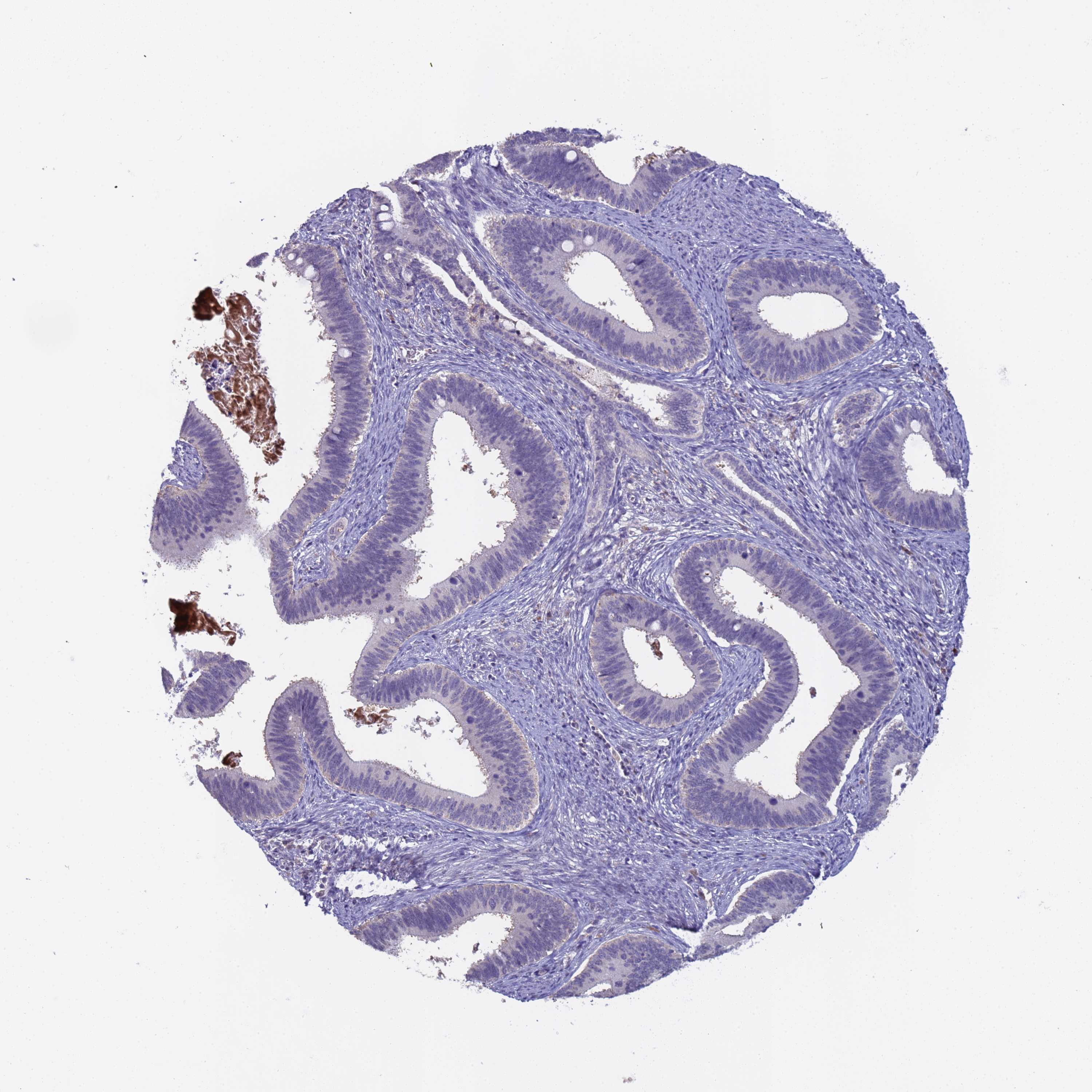
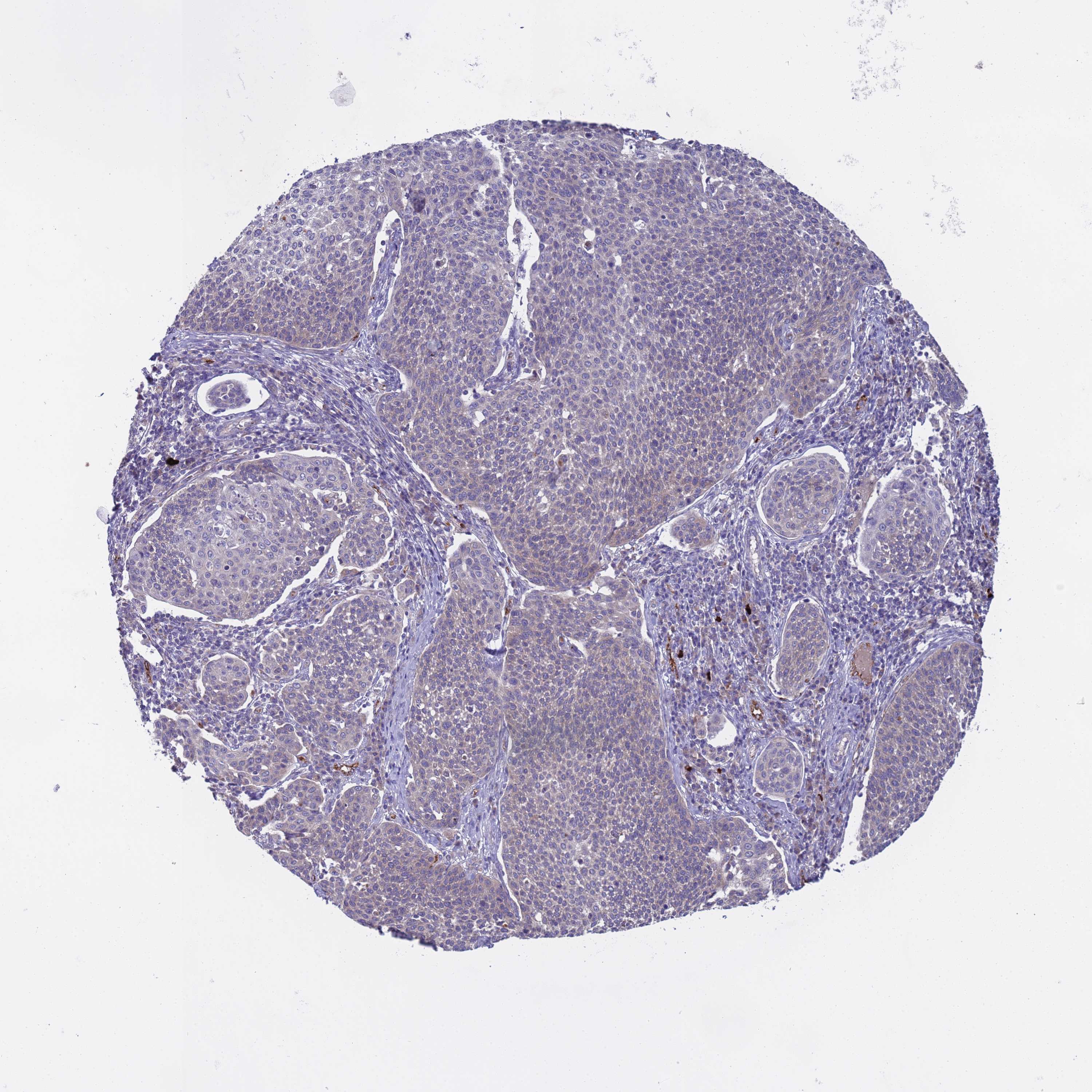
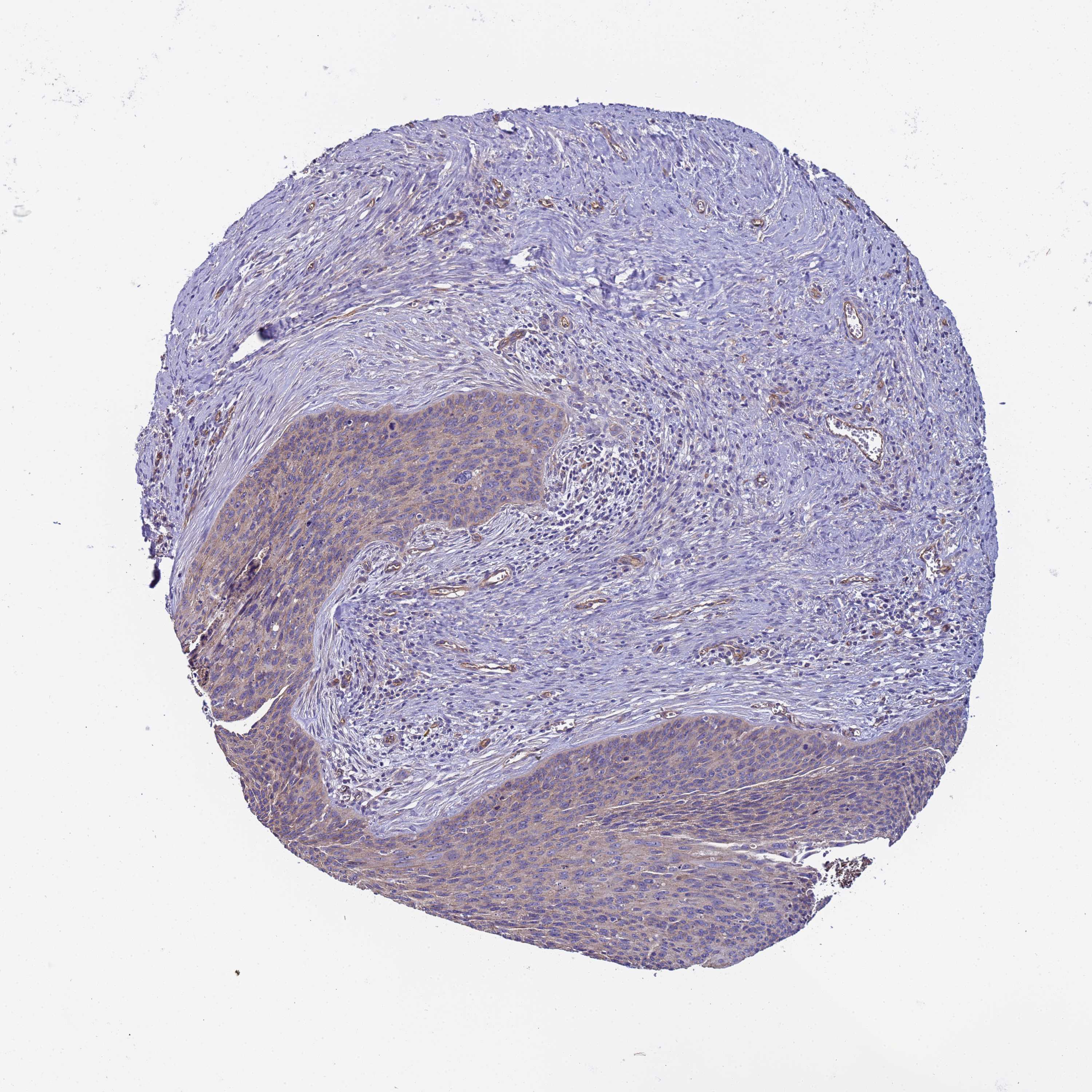
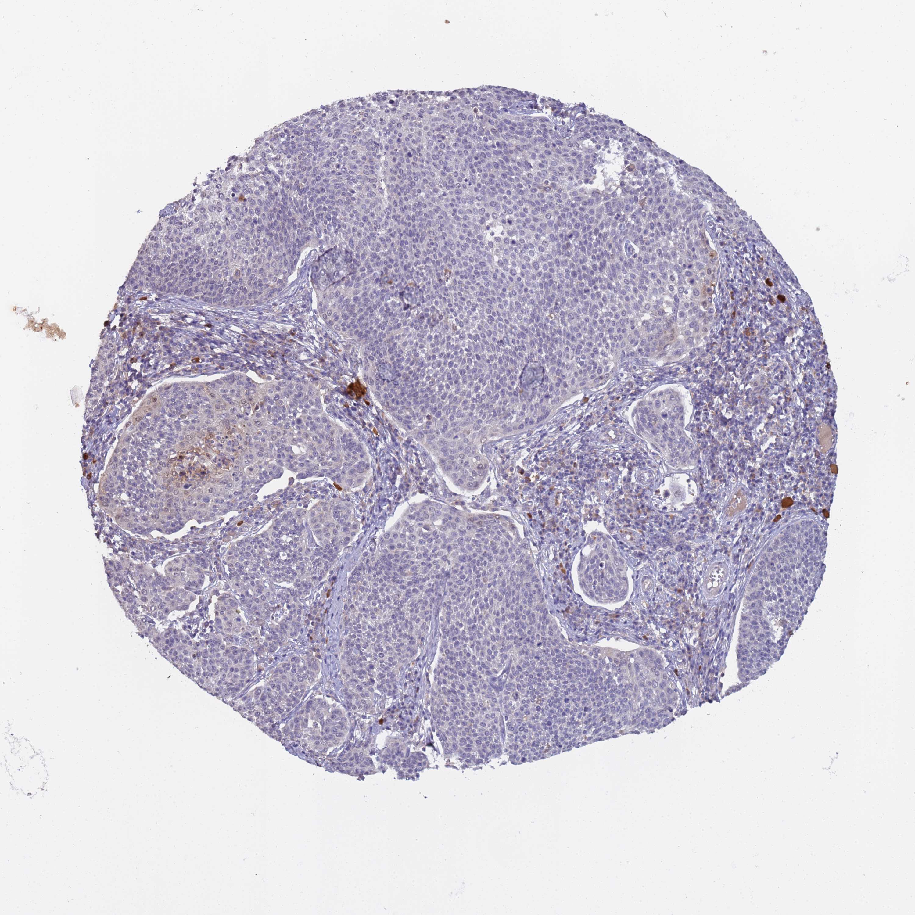
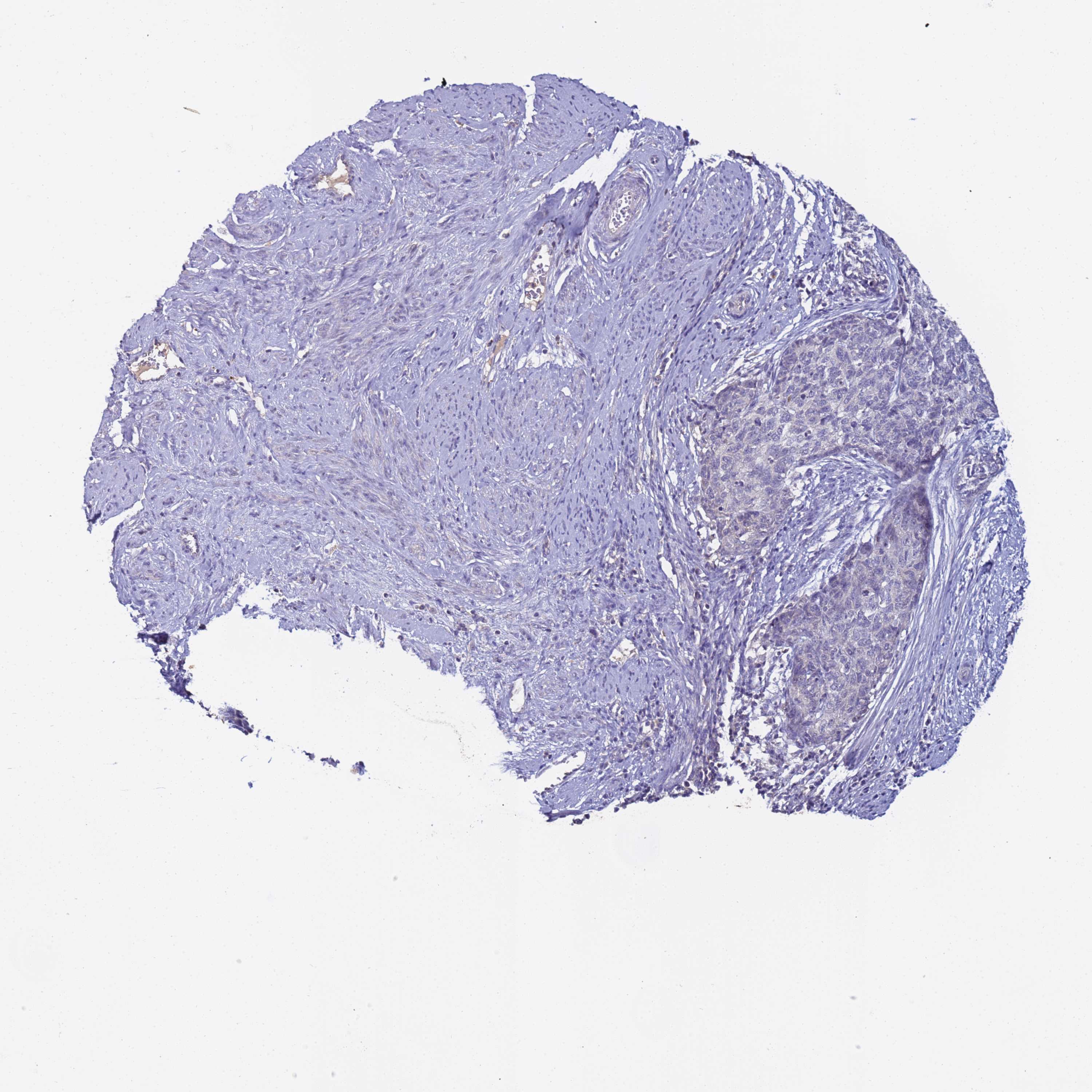
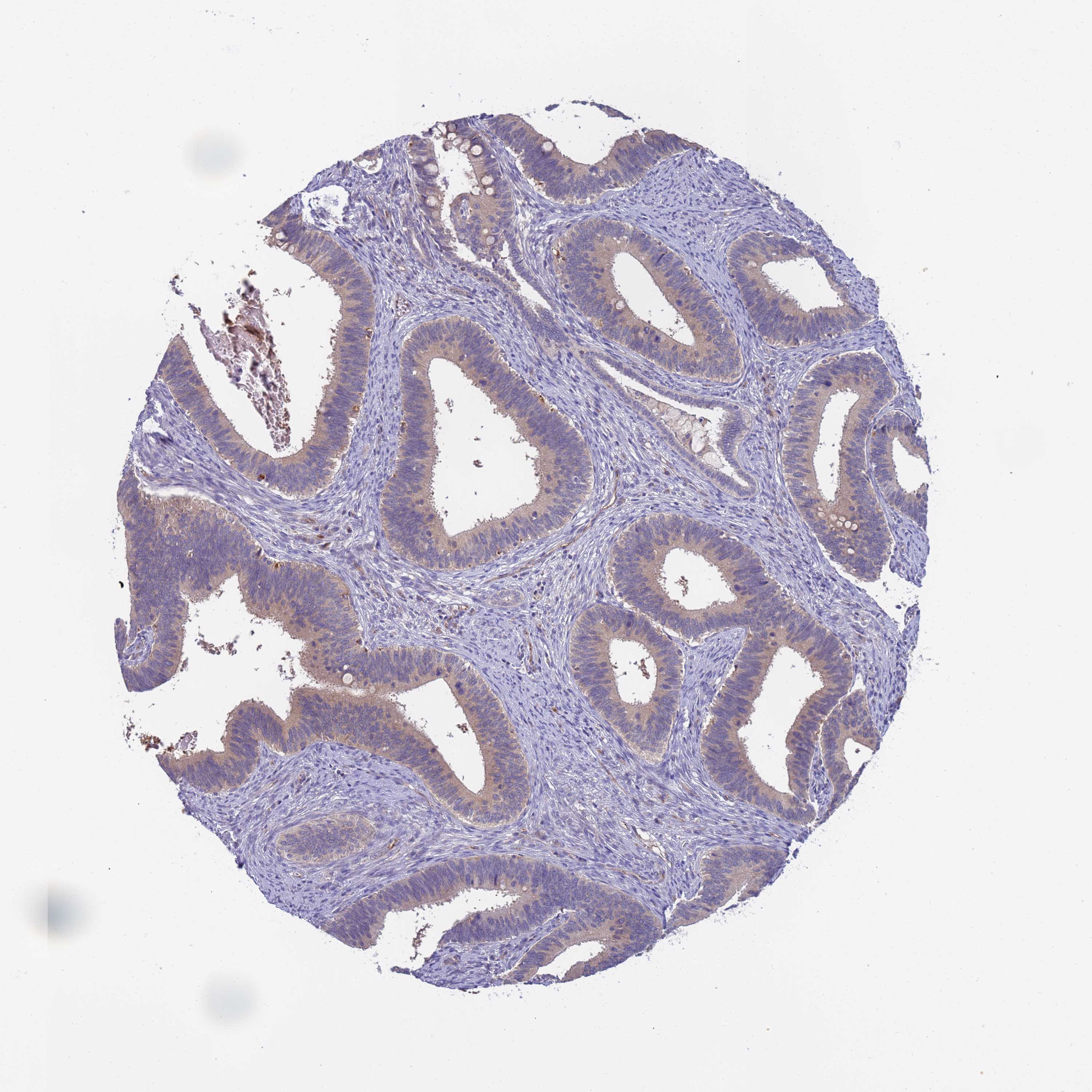
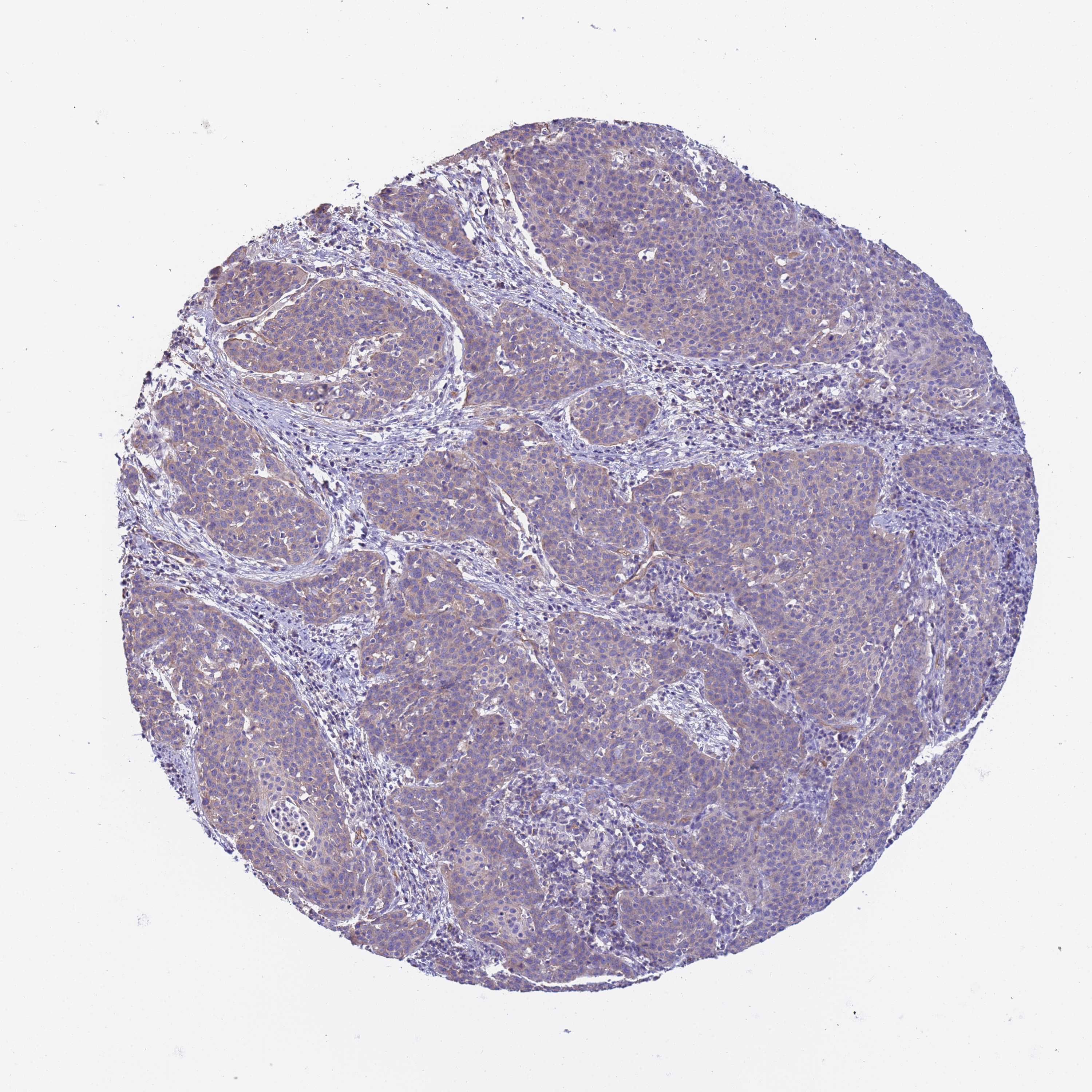
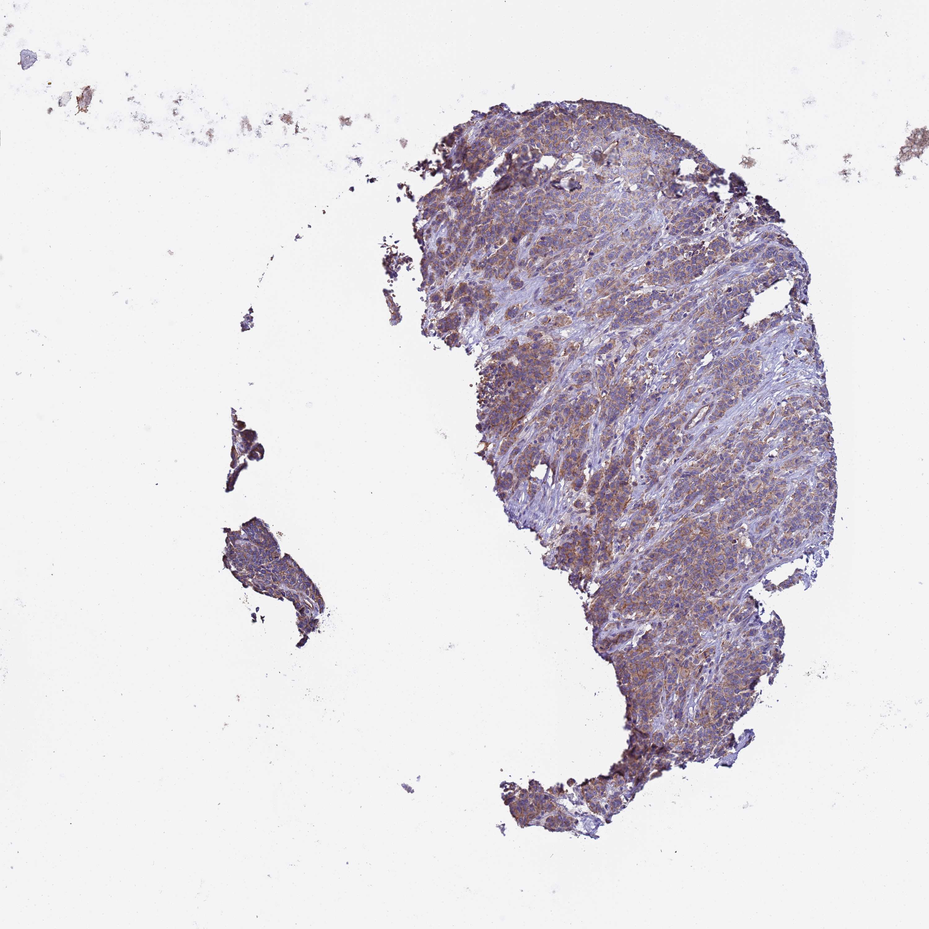
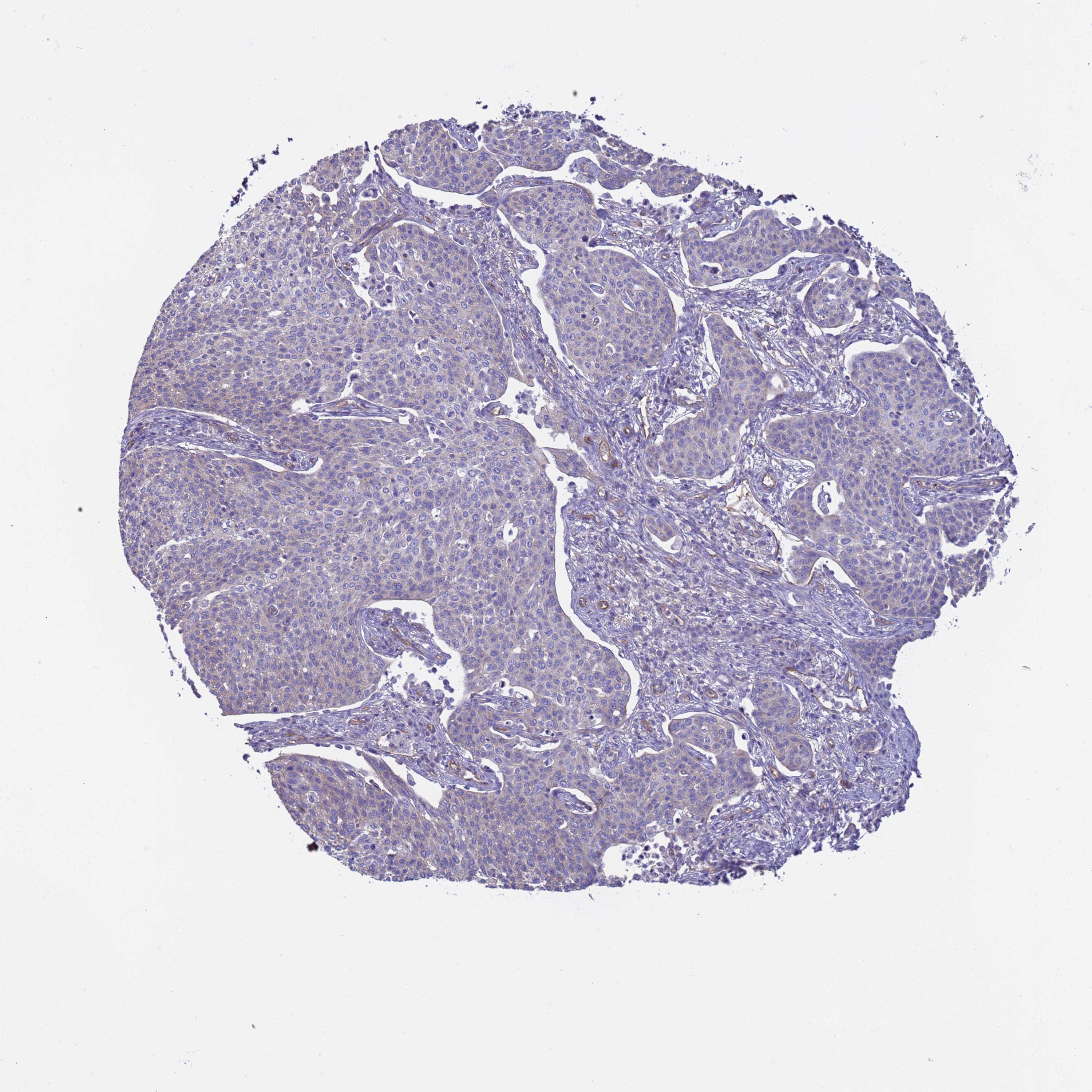
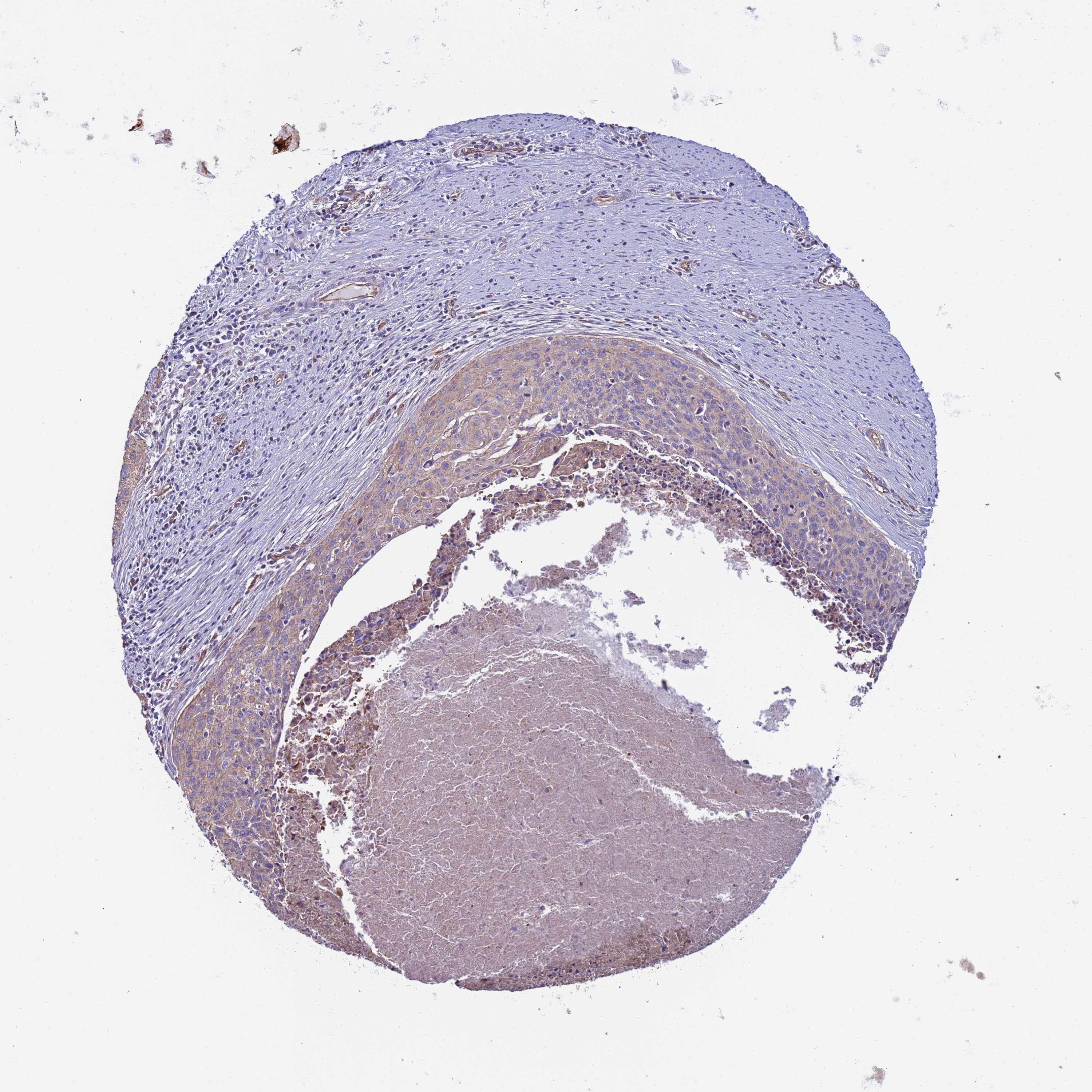
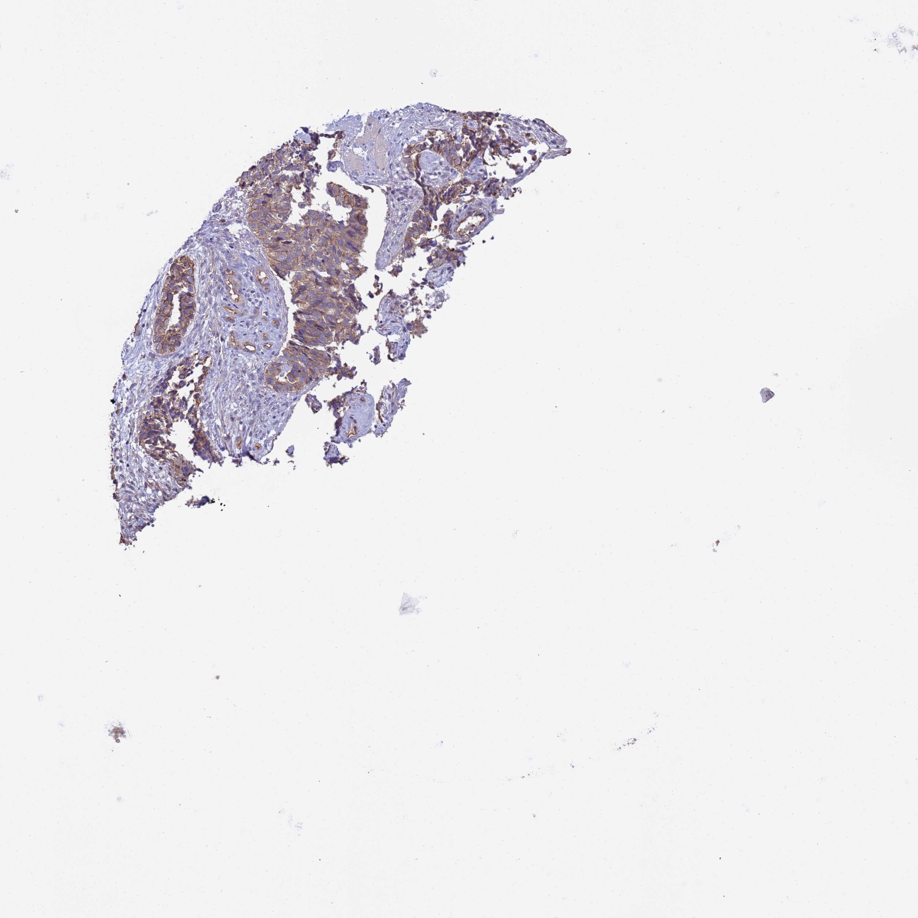
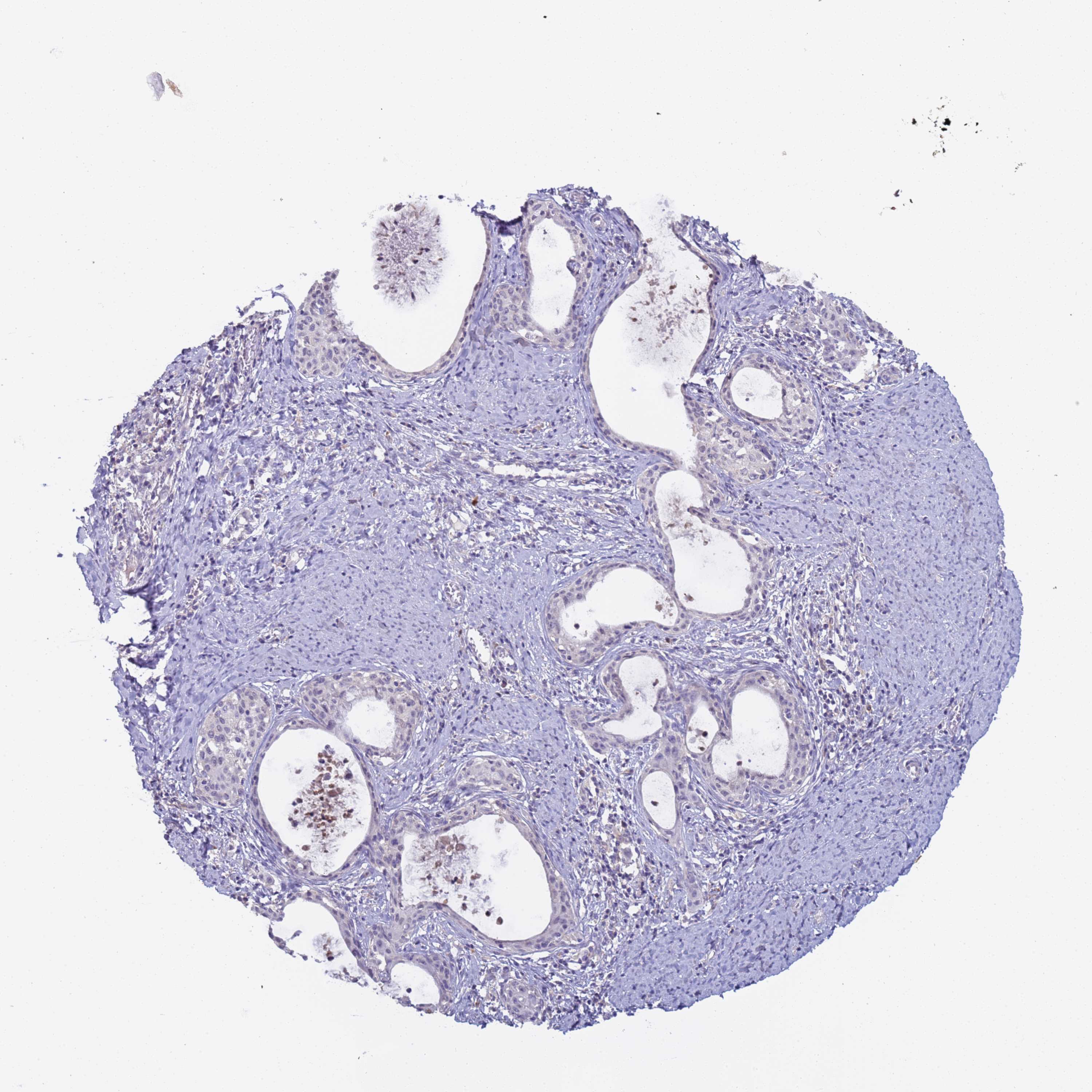
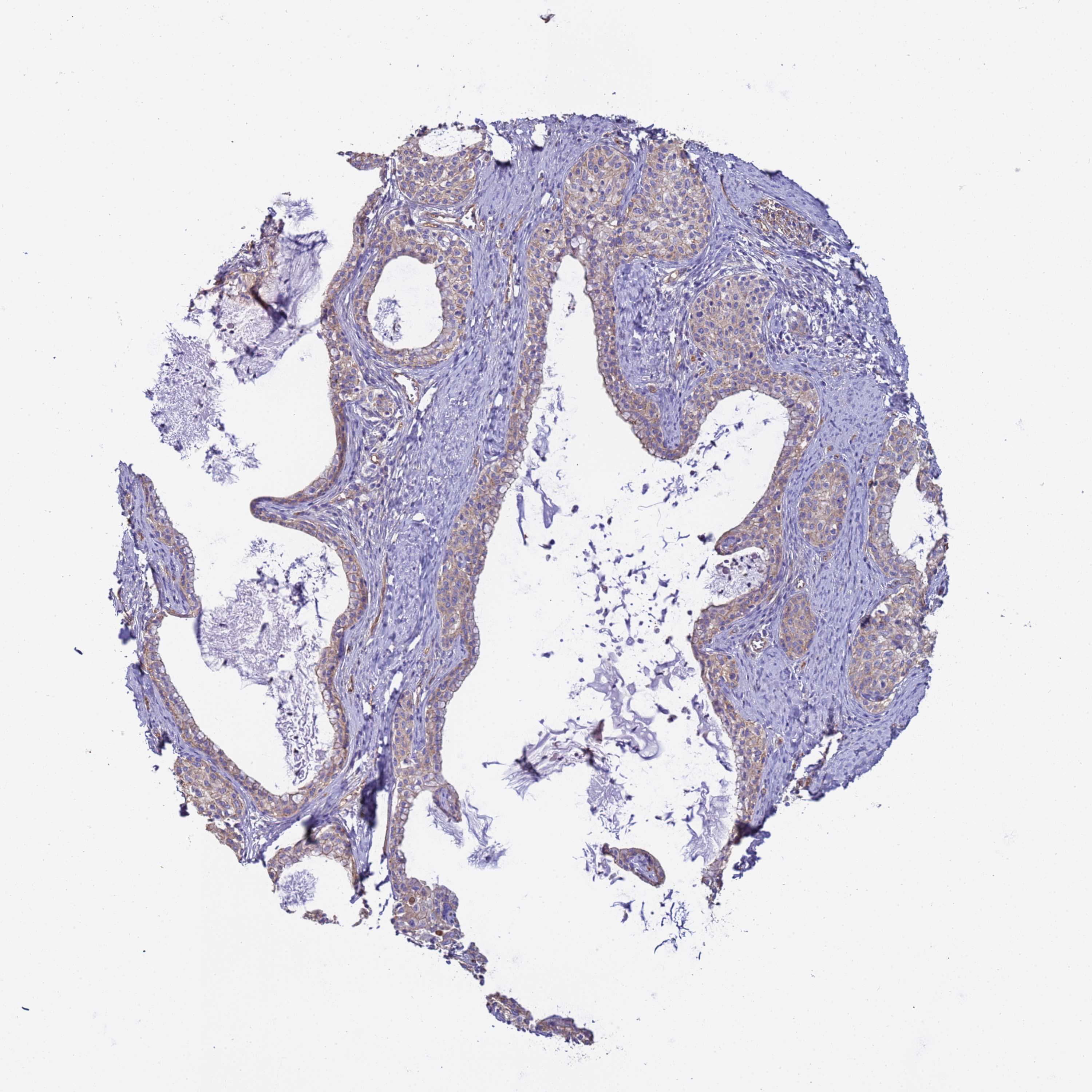
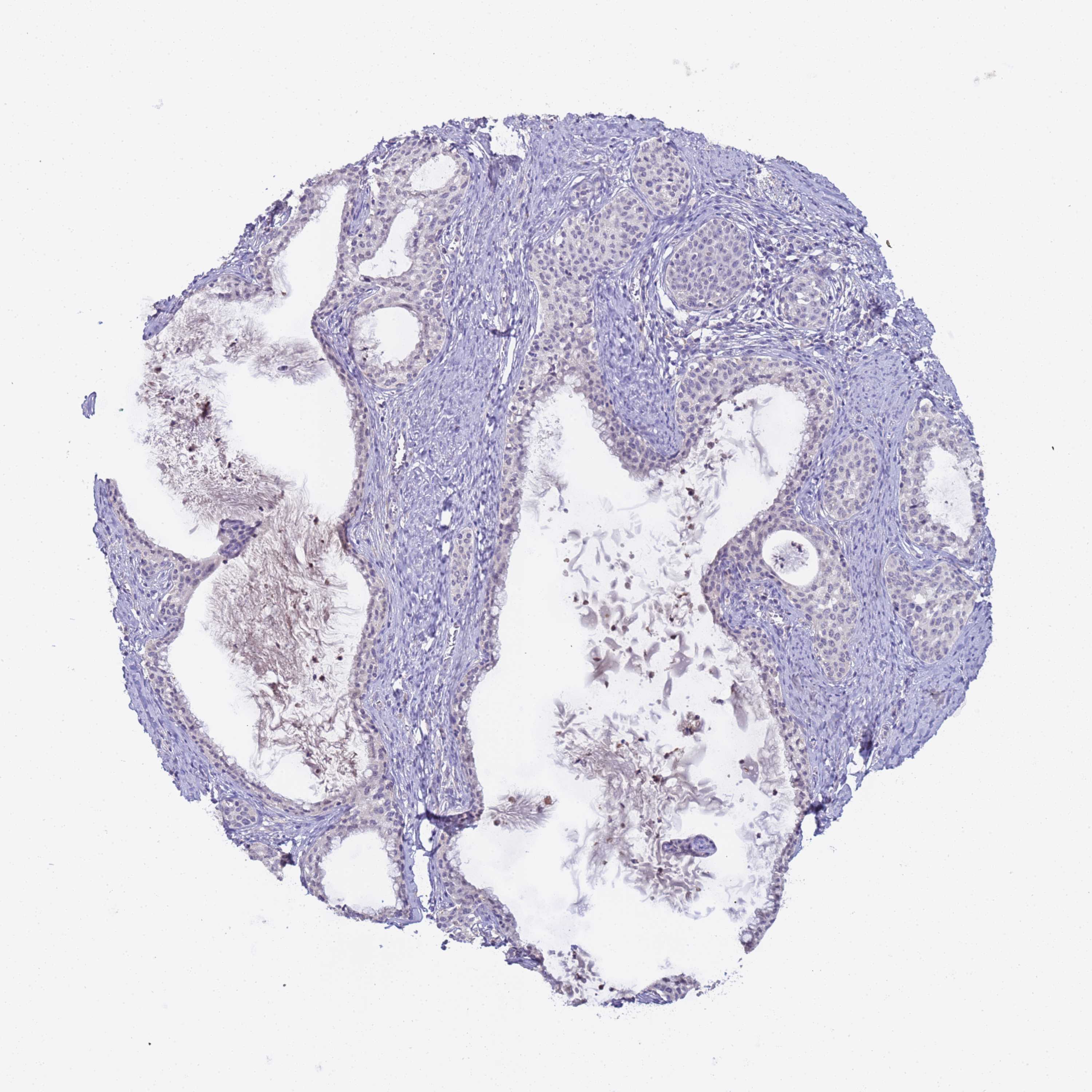
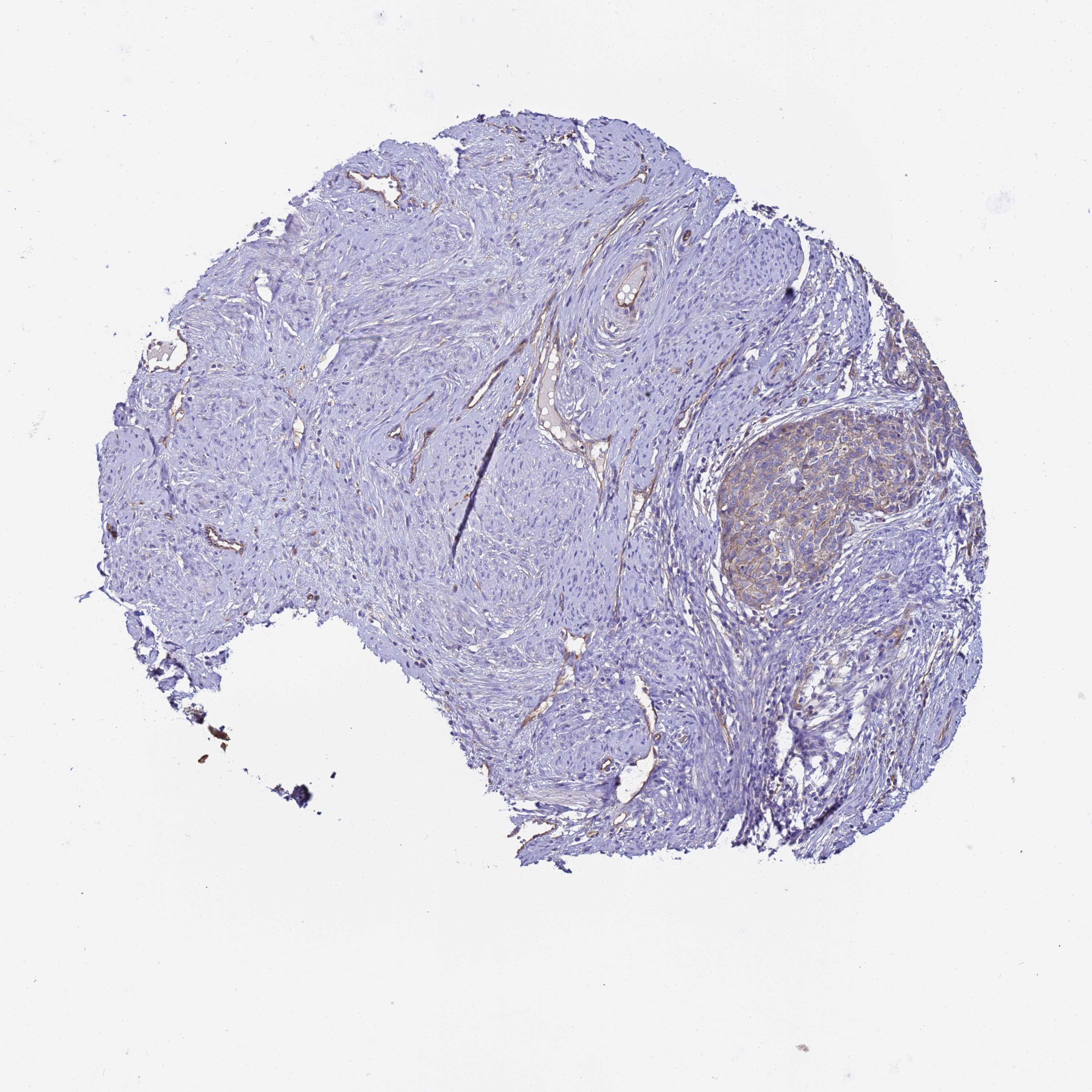
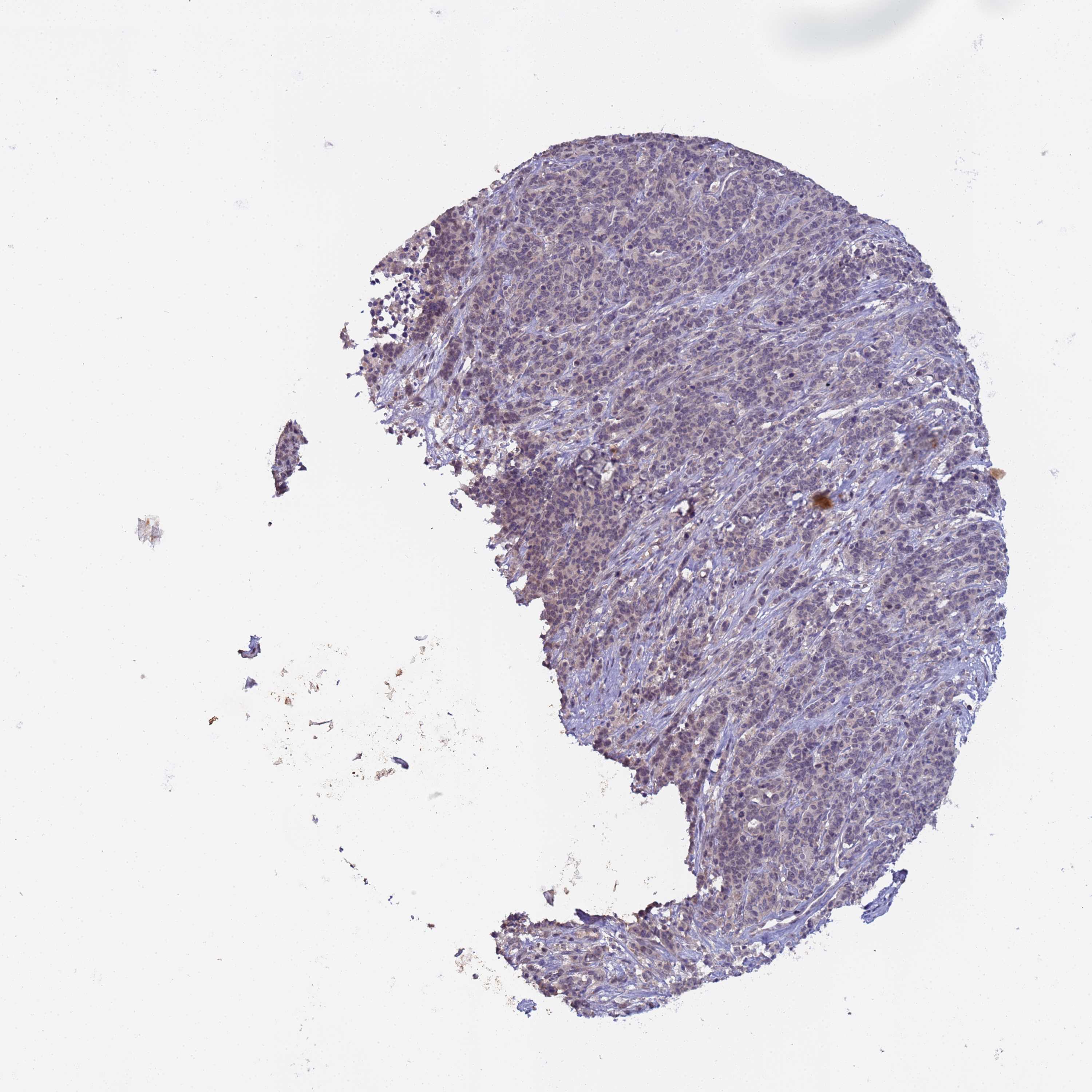
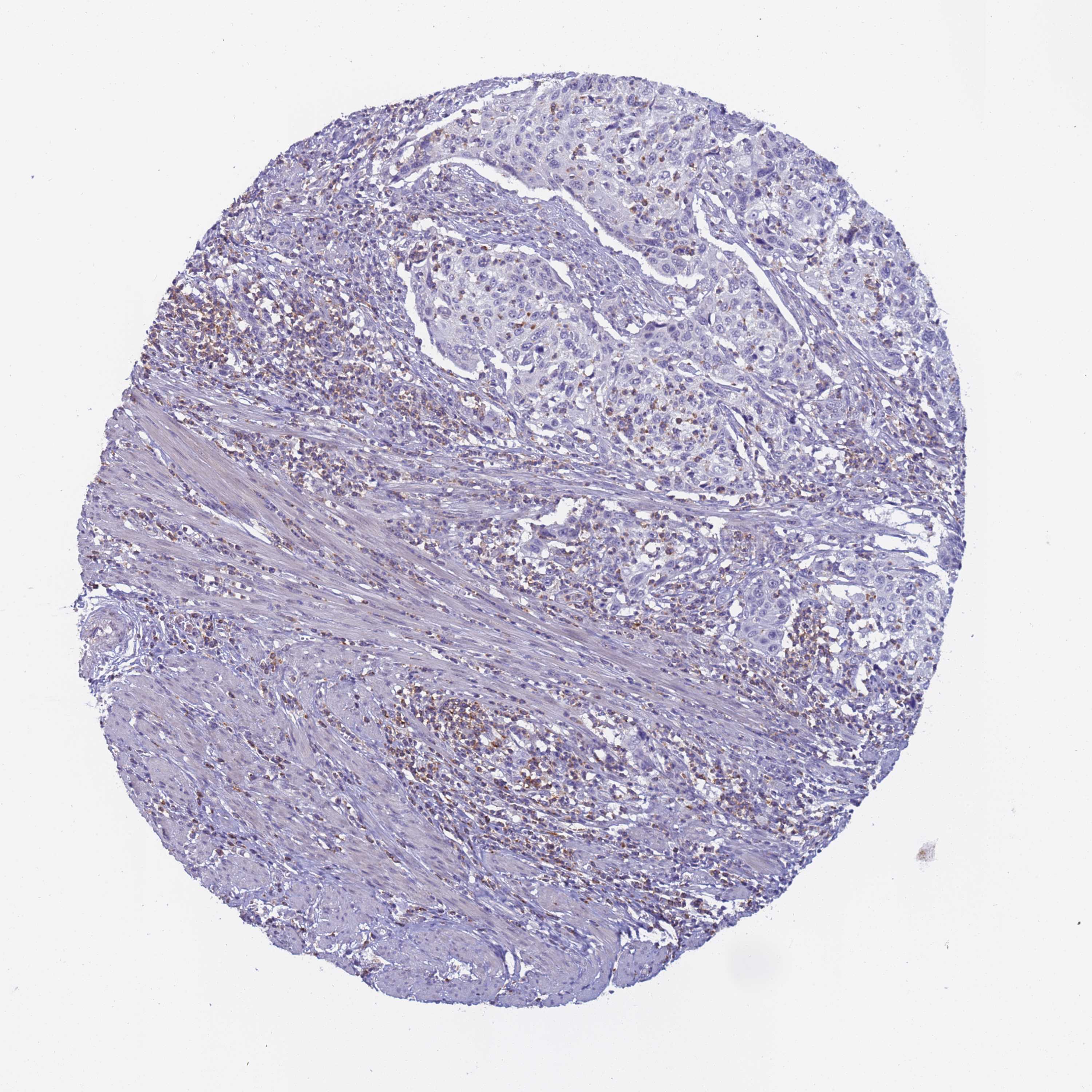
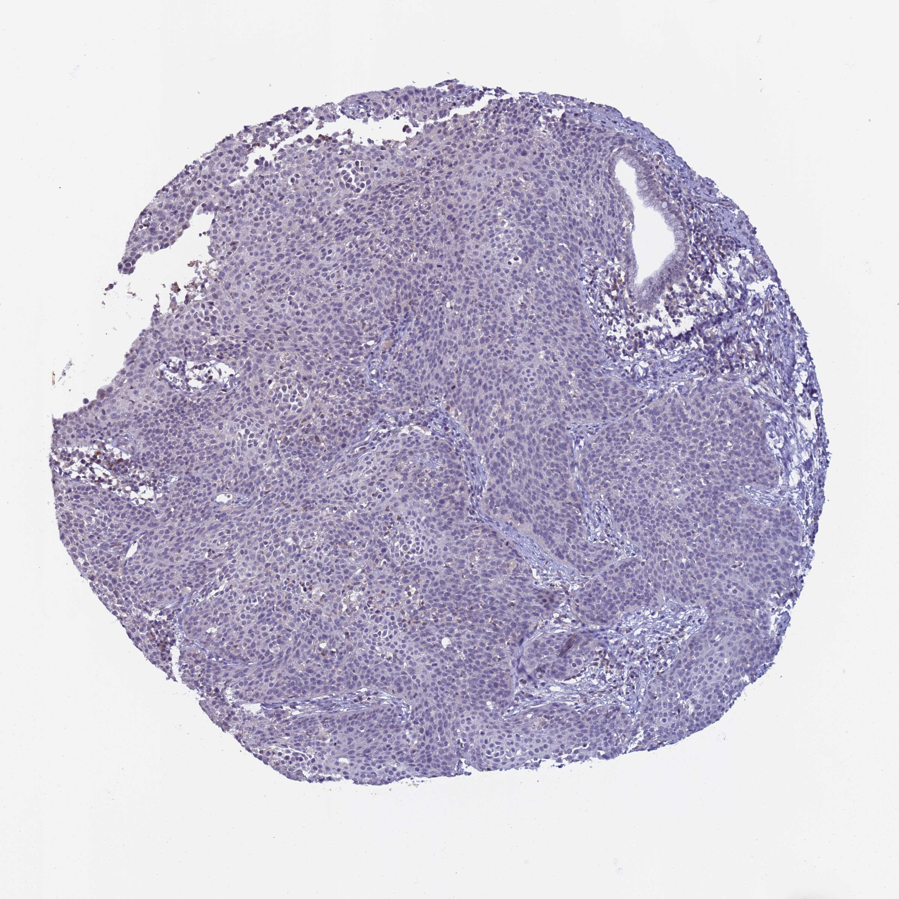
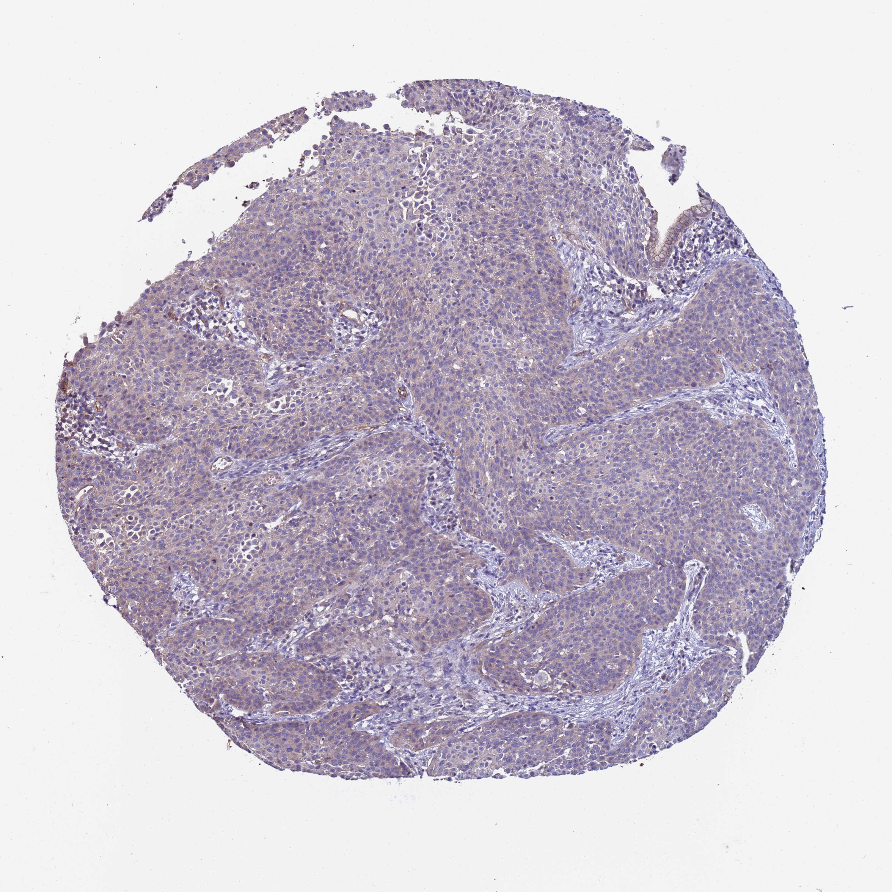
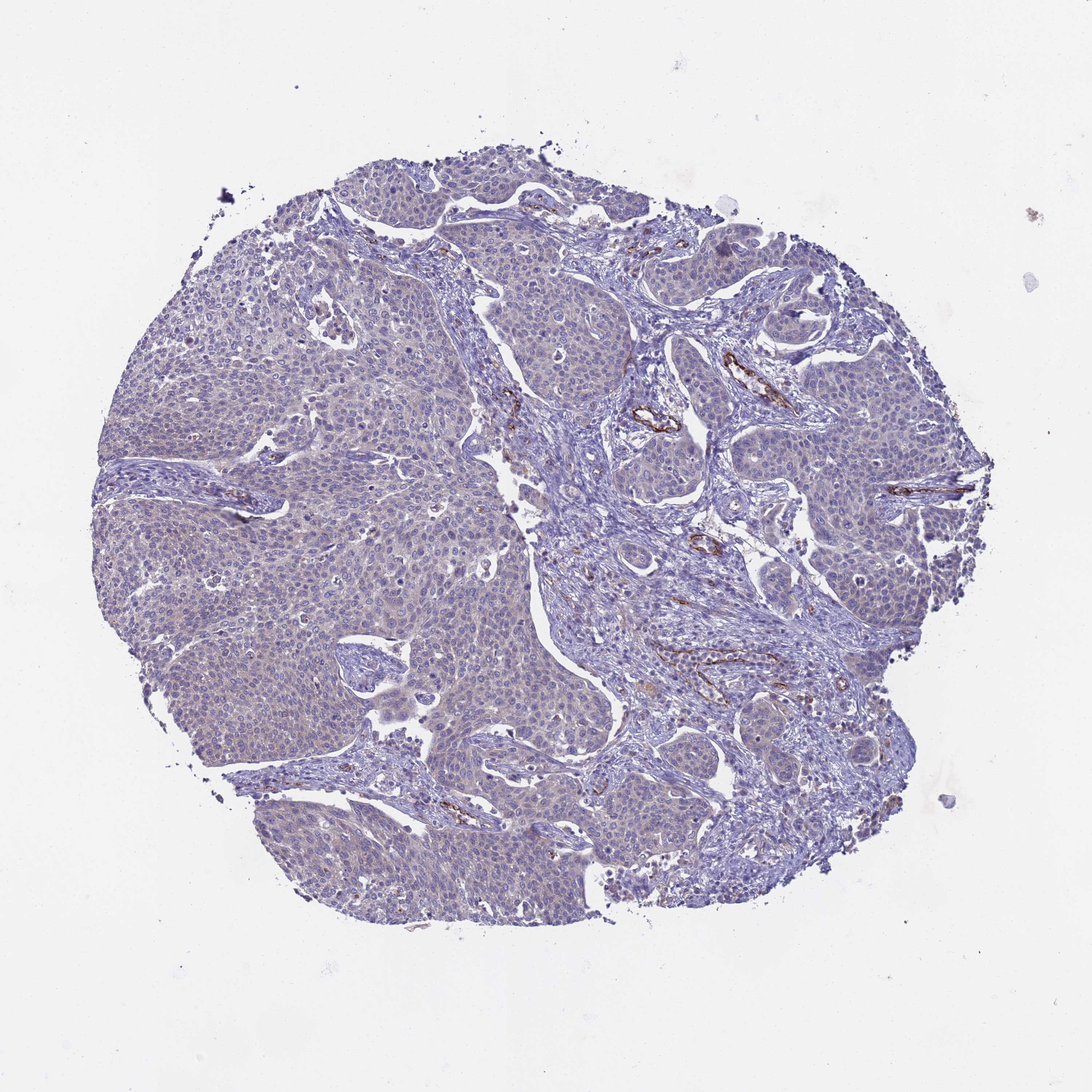
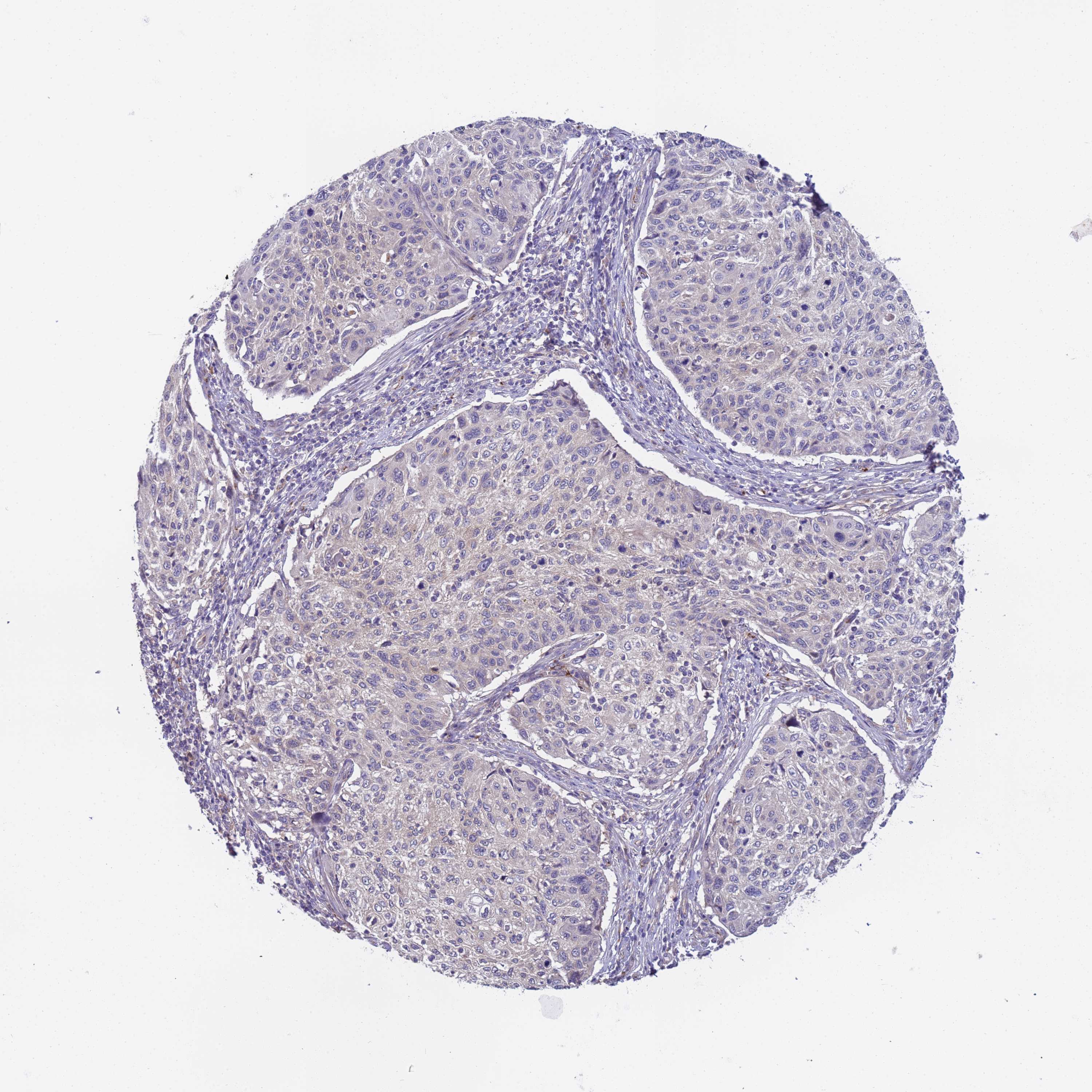
CERVICAL CANCER - Protein expressioni

A mouse-over function shows sample information and annotation data. Click on an image to view it in a full screen mode. Samples can be filtered based on level of antibody staining by selecting one or several of the following categories: high, medium, low and not detected. The assay and annotation is described here.

Note that samples used for immunohistochemistry by the Human Protein Atlas do not correspond to samples in the TCGA dataset.

 

Antibody stainingi

Antibody staining in the annotated cell types in the current human tissue is reported as not detected, low, medium, or high, based on conventional immunohistochemistry profiling in selected tissues. This score is based on the combination of the staining intensity and fraction of stained cells.

Each image is clickable and will lead to virtual microscopy that enables deeper exploration of all samples and also displays staining intensity scores, fraction scores and subcellular localization as well as patient and tissue information for each sample.


Antibody HPA018237

Antibody HPA018287

Antibody HPA018455
 Staining
  High
  Medium
  Low
  Not detected
 Intensity
  Strong
  Moderate
  Weak
  Negative
 Quantity
  >75%
  75%-25%
  <25%
  None
 Location
  Nuclear
  Cytoplasmic/membranous
  Cytoplasmic/membranous,nuclear
  None
Squamous cell carcinoma, NOS
Adenocarcinoma, NOS
Squamous cell carcinoma, NOS
Adenocarcinoma, NOS

Contact

  • NEWS ARTICLES
  • PRESS ROOM

The Project

  • INTRODUCTION
  • ORGANIZATION
  • PUBLICATIONS

The Human Protein Atlas

  • DOWNLOADABLE DATA
  • LICENCE & CITATION
  • HELP & FAQ
The Human Protein Atlas project is funded
by the Knut & Alice Wallenberg Foundation.


contact@proteinatlas.org