We use cookies to enhance the usability of our website. If you continue, we'll assume that you are happy to receive all cookies. More information. Don't show this again.
ZNF544
HPA
RESOURCES
  • TISSUE
  • BRAIN
  • SINGLE CELL
  • SUBCELLULAR
  • CANCER
  • BLOOD
  • CELL LINE
  • STRUCTURE & INTERACTION
ABOUT
  • INTRODUCTION
  • HISTORY
  • ORGANIZATION
  • PUBLICATIONS
  • ANTIBODY SUBMISSION
  • ANTIBODY AVAILABILITY
  • ACKNOWLEDGMENTS
  • CONTACT
NEWS
  • NEWS ARTICLES
  • PRESS ROOM
LEARN
  • DICTIONARY
  • PROTEIN CLASSES
  • PROTEIN EVIDENCE
  • METHODS
  • EDUCATIONAL VIDEOS
DATA
  • DOWNLOADABLE DATA
  • PUBLICATION DATA
  • RELEASE HISTORY
HELP
  • ANTIBODY VALIDATION
  • ASSAYS & ANNOTATION
  • DISCLAIMER
  • HELP & FAQ
  • PRIVACY STATEMENT
  • LICENCE & CITATION
Fields »
Search result

Field
Term
Gene name
Class
Subclass
Class
Keyword
Chromosome
External id
Tissue
Cell type
Expression
Antibody panel
Tissue
Main location
Patient ID
Annotation
Tissue
Category
Tau score
Cluster
Reliability
Brain region
Category
Tau score
Brain region
Category
Tau score
Brain region
Category
Tau score
Cluster
Reliability
Tissue
Cell type
Enrichment
Cell type
Category
Tau score
Cell type
Category
Tau score
Cell type
Category
Tau score
Cell lineage
Category
Tau score
Cluster
Cluster
Location
Searches
Location
Cell line
Class
Type
Phase
Reliability
Cancer
Prognosis
Cancer
Category
Cancer
Category
Tau score
Cluster
Variants
Interacting gene (ensg_id)
Type
Number of interactions
Pathway
Category
Score
Score
Score
Validation
Validation
Validation
Validation
Antibodies
Data type
Column


  • SUMMARY

  • TISSUE

  • BRAIN

  • SINGLE CELL

  • SUBCELL

  • CANCER

  • BLOOD

  • CELL LINE

  • STRUCT & INT

  • ZNF544
TISSUE PRIMARY DATA SKIN Show tissue menu
ADIPOSE TISSUE ADRENAL GLAND AMYGDALA APPENDIX BASAL GANGLIA BONE MARROW BREAST BRONCHUS CEREBELLUM CEREBRAL CORTEX CERVIX CHOROID PLEXUS COLON DUODENUM
ENDOMETRIUM EPIDIDYMIS ESOPHAGUS FALLOPIAN TUBE GALLBLADDER HEART MUSCLE HIPPOCAMPAL FORMATION HYPOTHALAMUS KIDNEY LIVER LUNG LYMPH NODE MIDBRAIN NASOPHARYNX
ORAL MUCOSA OVARY PANCREAS PARATHYROID GLAND PITUITARY GLAND PLACENTA PROSTATE RECTUM RETINA SALIVARY GLAND SEMINAL VESICLE SKELETAL MUSCLE SKIN SMALL INTESTINE
SMOOTH MUSCLE SOFT TISSUE SPINAL CORD SPLEEN STOMACH TESTIS THYMUS THYROID GLAND TONGUE TONSIL URINARY BLADDER VAGINA
ANTIBODIES
AND
VALIDATION
Dictionary
Skin
Tissue proteome
Skin
SKIN - Expression summary
Protein expression
Skini

On the top, protein expression in current human tissue, based on all annotated cell types, is reported with the units not detected (n), low (l), medium (m) and high (h). Underneath, protein expression in each annotated cell type are reported using the same units.

Protein expression data is based on knowledge-based annotation. For genes where more than one antibody has been used, a collective score is set.

If knowledge-based annotation could not be performed for a gene, no data is displayed here. View antibody staining data further down this page.

h
m
l
n
Epidermal cells: High
Fibroblasts: High
Keratinocytes: High
Langerhans: High
Melanocytes: High
RNA expressioni

A summary of mRNA expression data available for current tissue based on several datasets. The mRNA expression levels in human tissues are based on RNA-seq data generated by the Human Protein Atlas (HPA), Genotype-Tissue Expression (GTEx) portal and CAGE data generated by the FANTOM5 consortium. Consensus normalized expression levels for human tissues was created by combining the data from HPA and GTEx datasets.

The mRNA expression levels in pig are based on RNA-seq data generated by the Human Protein Atlas (HPA), and for mouse, HPA data and in situ hybridization generated by the Allen brain atlas are reported.

Scroll down to view mRNA expression data in more detail.
Consensus:13.5 nTPM
HPA:13.5 nTPM
GTEx:11.0 nTPM

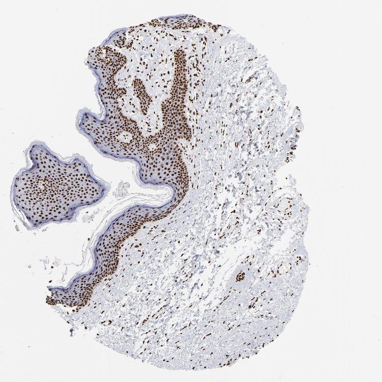
SKIN 1 - Antibody stainingi

Antibody staining in the annotated cell types in the current human tissue is reported as not detected, low, medium, or high, based on conventional immunohistochemistry profiling in selected tissues. This score is based on the combination of the staining intensity and fraction of stained cells.

Each image is clickable and will lead to virtual microscopy that enables deeper exploration of all samples and also displays staining intensity scores, fraction scores and subcellular localization as well as patient and tissue information for each sample.

Antibody HPA002732
Langerhans High
Fibroblasts High
Keratinocytes High
Melanocytes High


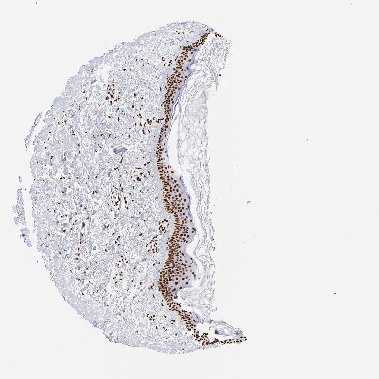
SKIN 2 - Antibody stainingi

Antibody staining in the annotated cell types in the current human tissue is reported as not detected, low, medium, or high, based on conventional immunohistochemistry profiling in selected tissues. This score is based on the combination of the staining intensity and fraction of stained cells.

Each image is clickable and will lead to virtual microscopy that enables deeper exploration of all samples and also displays staining intensity scores, fraction scores and subcellular localization as well as patient and tissue information for each sample.

Antibody HPA002732
Epidermal cells High
 
 
 


SKIN - HPA RNA-seqi

The RNA-seq details section shows detailed information about the individual samples used for the transcript profiling and results of the RNA-seq analysis.

Information about each individual sample is listed below, including gender, age, a tissue section image and estimated fractions of cell types. nTPM (normalized transcripts per million) values give a quantification of the gene abundance which is comparable between different genes and samples.
Average nTPMi

Max subtype nTPM is the value for the subtype with the largest average nTPM across the subtype samples.

13.5
overview
Female, age 34
Skin sample 225
nTPM: 13.8
Cell types%
Keratinocytes:
60

Other cell types:
40

overview
Female, age 30
Skin sample 226
nTPM: 19.1
Cell types%
Keratinocytes:
55

Other cell types:
45

N/A
Male, age 57
Skin sample 227
nTPM: 7.7

SKIN - GTEx RNA-seqi

RNA-Seq data generated by the Genotype-Tissue Expression (GTEx) project from human tissues is reported as mean nTPM. More information can be found on the GTEx portal.

Distribution across the dataset is visualized with box plots, shown as median and 25th and 75th percentiles. Points are displayed as outliers if they are above or below 1.5 times the interquartile range. nTPM values of the individual samples are presented next to the box plot.
Max subtype nTPMi

Max subtype nTPM is the value for the subtype with the largest average nTPM across the subtype samples.

11.0
GTEx sample id Sample description nTPM
Skin - Not Sun Exposed (Suprapubic)
Average nTPM: 11.0
Samples: 604

Max nTPM: 22.6
Min nTPM: 3.9
Std nTPM: 2.8
Median nTPM: 10.9
GTEX-1RAZS-2526-SM-E6CHT 50-59 years, male 22.6
GTEX-1IDFM-0326-SM-ARL7V 60-69 years, male 20.0
GTEX-1KANB-2826-SM-CY8I6 50-59 years, male 18.7
GTEX-15SKB-2826-SM-6PAMH 60-69 years, male 18.6
GTEX-V1D1-2026-SM-3GAF4 50-59 years, male 18.5
GTEX-1LVAM-0726-SM-E6CIL 50-59 years, female 18.5
GTEX-1JN1M-2726-SM-CY8I4 60-69 years, female 18.1
GTEX-1QMI2-2526-SM-E8VNZ 60-69 years, male 18.1
GTEX-1JMQI-1726-SM-ARL93 50-59 years, male 17.8
GTEX-11WQC-1826-SM-5GU59 60-69 years, male 17.5
GTEX-1NV5F-0626-SM-DTXEG 60-69 years, female 17.5
GTEX-1A3MW-0626-SM-731CB 60-69 years, female 17.0
GTEX-1EU9M-1426-SM-793AI 60-69 years, male 17.0
GTEX-1PDJ9-1226-SM-EXUSX 20-29 years, male 17.0
GTEX-11OF3-0126-SM-5PNYF 60-69 years, male 16.9
GTEX-147GR-2426-SM-5ZZWQ 60-69 years, male 16.6
GTEX-1LSVX-2526-SM-DIPEU 60-69 years, male 16.6
GTEX-144GL-0626-SM-5LU4D 50-59 years, male 16.5
GTEX-1EMGI-2326-SM-7PBYA 60-69 years, male 16.5
GTEX-1HFI6-0126-SM-CNPPI 40-49 years, male 16.5
GTEX-1399Q-2326-SM-5KM2X 40-49 years, male 16.3
GTEX-1LKK1-2626-SM-DKPQE 50-59 years, female 16.3
GTEX-1IOXB-2726-SM-CM2RI 50-59 years, male 16.2
GTEX-11WQK-1026-SM-5EQLX 50-59 years, male 16.1
GTEX-139D8-1126-SM-5LU8W 30-39 years, female 16.1
GTEX-15G19-2426-SM-7KUMR 60-69 years, male 16.1
GTEX-1H2FU-0926-SM-9WPPT 60-69 years, female 16.0
GTEX-1HB9E-0126-SM-CM2S5 50-59 years, male 16.0
GTEX-1HT8W-0626-SM-A9G2H 30-39 years, male 15.9
GTEX-1HR9M-2226-SM-CNPPY 60-69 years, male 15.8
GTEX-15DDE-2926-SM-6LLJ3 50-59 years, female 15.7
GTEX-ZE9C-2526-SM-5IJDR 60-69 years, male 15.6
GTEX-13VXU-0626-SM-5L3F9 50-59 years, male 15.5
GTEX-1F5PK-2226-SM-7SB6N 50-59 years, male 15.5
GTEX-1IKJJ-2226-SM-CJI4C 60-69 years, male 15.5
GTEX-13OW7-0426-SM-5K7VK 50-59 years, male 15.4
GTEX-15RIG-0726-SM-7KUM7 40-49 years, male 15.4
GTEX-1A8G7-1326-SM-73KVM 60-69 years, male 15.4
GTEX-1GMRU-2126-SM-7P8RA 50-59 years, male 15.4
GTEX-1GZ4I-2626-SM-9KNU3 50-59 years, male 15.4
GTEX-1JN76-0626-SM-CKZOQ 20-29 years, female 15.4
GTEX-1S83E-1326-SM-E6CJM 40-49 years, male 15.4
GTEX-13G51-1826-SM-5KLZH 60-69 years, male 15.3
GTEX-13O3Q-0126-SM-5KM34 50-59 years, male 15.3
GTEX-145MF-0926-SM-5Q5EA 50-59 years, male 15.3
GTEX-X585-2426-SM-46MW2 50-59 years, male 15.3
GTEX-1E2YA-2126-SM-7MXUO 50-59 years, male 15.3
GTEX-WEY5-2326-SM-3GIKK 40-49 years, female 15.2
GTEX-1JKYR-0626-SM-ARL8R 20-29 years, male 15.2
GTEX-14LZ3-0126-SM-69LPM 60-69 years, female 15.1
GTEX-Y111-0626-SM-4SOIT 50-59 years, male 15.1
GTEX-ZE7O-2726-SM-51MT5 50-59 years, female 15.1
GTEX-1HSMP-0926-SM-A9SKX 70-79 years, male 15.1
GTEX-1GPI6-1926-SM-9KNV7 60-69 years, male 15.0
GTEX-1H11D-1826-SM-9QEHM 40-49 years, male 15.0
GTEX-13X6K-0626-SM-5LU5D 60-69 years, female 14.9
GTEX-ZWKS-0626-SM-5GIDV 30-39 years, male 14.9
GTEX-ZYT6-2326-SM-5GZY3 30-39 years, male 14.9
GTEX-1ICLY-0826-SM-CMKG1 50-59 years, male 14.9
GTEX-1LVA9-2626-SM-EVYD4 50-59 years, male 14.9
GTEX-1PPGY-1626-SM-EVYBL 60-69 years, male 14.9
GTEX-111VG-1626-SM-5EGIO 60-69 years, male 14.8
GTEX-1HCVE-2726-SM-CL54F 50-59 years, male 14.8
GTEX-1S82U-1026-SM-E6CJK 30-39 years, female 14.8
GTEX-11ZU8-0126-SM-5EQ58 60-69 years, male 14.7
GTEX-13NYB-0126-SM-5J1MD 40-49 years, male 14.7
GTEX-YECK-0326-SM-4W1YS 60-69 years, male 14.7
GTEX-1HSMO-0626-SM-ACKXC 60-69 years, male 14.7
GTEX-13NYS-0626-SM-5L3F1 60-69 years, male 14.6
GTEX-13QJC-0126-SM-5ZZWJ 60-69 years, female 14.6
GTEX-14DAQ-0626-SM-793DS 60-69 years, female 14.5
GTEX-15ER7-0626-SM-6PANF 20-29 years, female 14.5
GTEX-1F6RS-2026-SM-7RHHC 60-69 years, female 14.5
GTEX-14C5O-0326-SM-5ZZUX 60-69 years, male 14.3
GTEX-16YQH-2226-SM-7IGM2 30-39 years, male 14.3
GTEX-18A7A-0126-SM-731AH 50-59 years, female 14.3
GTEX-1F88E-1626-SM-7SB8Z 60-69 years, female 14.3
GTEX-1K2DU-1226-SM-CYPT4 20-29 years, male 14.3
GTEX-ZYFC-0426-SM-5GICQ 50-59 years, male 14.2
GTEX-1AYD5-2626-SM-7PBXY 50-59 years, male 14.2
GTEX-1MCYP-0526-SM-E9U6Q 20-29 years, female 14.2
GTEX-1R7EU-1626-SM-DTXG3 60-69 years, male 14.2
GTEX-14PJ2-0626-SM-6LLII 50-59 years, male 14.1
GTEX-1GF9X-1326-SM-7PC2Y 40-49 years, female 14.1
GTEX-15RJE-2826-SM-7KUM9 40-49 years, male 14.0
GTEX-ZXG5-2126-SM-59HKD 60-69 years, male 14.0
GTEX-1JJ6O-2726-SM-CNPOG 60-69 years, male 14.0
GTEX-1LG7Y-2526-SM-EWRO7 50-59 years, male 14.0
GTEX-11ZUS-2626-SM-5FQUR 30-39 years, male 13.9
GTEX-145MH-2826-SM-5RQJF 50-59 years, male 13.9
GTEX-1JMQK-1226-SM-D4P2S 60-69 years, male 13.9
GTEX-11PRG-0726-SM-5EGL1 50-59 years, male 13.8
GTEX-18A6Q-0626-SM-7KFRP 60-69 years, male 13.8
GTEX-1C6VR-0126-SM-7RHGB 60-69 years, male 13.8
GTEX-1F88F-0126-SM-9WYSZ 60-69 years, female 13.8
GTEX-1GMR3-0126-SM-A9SLW 40-49 years, male 13.8
GTEX-1HBPI-2126-SM-ARL9K 50-59 years, male 13.8
GTEX-1OJC4-2726-SM-E76PJ 50-59 years, female 13.8
GTEX-1S82P-2126-SM-E6CI5 60-69 years, female 13.8
GTEX-12126-0826-SM-5FQTZ 20-29 years, male 13.7
GTEX-1JJEA-1826-SM-ARU8P 60-69 years, male 13.7
GTEX-14PJ3-1126-SM-5ZZVX 50-59 years, male 13.6
GTEX-15CHC-1126-SM-6LLHQ 60-69 years, female 13.6
GTEX-17KNJ-2126-SM-718AM 50-59 years, male 13.6
GTEX-11DXX-2126-SM-5PNYR 60-69 years, female 13.5
GTEX-13SLW-0626-SM-5Q5ER 70-79 years, male 13.5
GTEX-145MI-0626-SM-5SI8S 60-69 years, female 13.5
GTEX-14BIN-1126-SM-5RQJZ 50-59 years, female 13.5
GTEX-1BAJH-2426-SM-7IGP8 70-79 years, male 13.5
GTEX-ZVE1-0726-SM-51MRN 50-59 years, female 13.5
GTEX-1HR98-2226-SM-ADEI2 60-69 years, male 13.5
GTEX-1I1HK-2326-SM-CKZOH 60-69 years, male 13.5
GTEX-1JMQJ-0826-SM-CNPP7 50-59 years, male 13.5
GTEX-1PPH7-1126-SM-DTX9A 40-49 years, male 13.5
GTEX-1QCLY-0226-SM-EWRNH 30-39 years, male 13.5
GTEX-144FL-0626-SM-5LU43 50-59 years, male 13.4
GTEX-1J8Q3-0526-SM-ARL8U 60-69 years, male 13.4
GTEX-139TT-2126-SM-5LZWC 60-69 years, male 13.3
GTEX-139UW-0326-SM-5J1ML 60-69 years, male 13.3
GTEX-13IVO-0726-SM-5LZYV 70-79 years, male 13.3
GTEX-13OW6-2726-SM-5J2OE 50-59 years, male 13.3
GTEX-14ABY-2026-SM-62LDL 50-59 years, male 13.3
GTEX-1E1VI-0326-SM-793D1 50-59 years, male 13.3
GTEX-1B8L1-2226-SM-7P8PT 60-69 years, male 13.3
GTEX-1PBJJ-1026-SM-E76OS 30-39 years, male 13.3
GTEX-1PIIG-2326-SM-DTXFR 30-39 years, male 13.3
GTEX-1313W-0626-SM-5EQ4H 50-59 years, female 13.2
GTEX-13NZ8-1226-SM-5KM4A 60-69 years, female 13.2
GTEX-13PDP-0726-SM-5L3HP 60-69 years, male 13.2
GTEX-1A8G6-2726-SM-731AR 60-69 years, male 13.2
GTEX-1EKGG-0626-SM-7DUGJ 60-69 years, male 13.2
GTEX-UPK5-0426-SM-3GAEK 40-49 years, male 13.2
GTEX-X4EO-2926-SM-4E3JH 60-69 years, female 13.2
GTEX-Y8E4-2026-SM-5IFJB 40-49 years, male 13.2
GTEX-1LVAO-2726-SM-E9TJ8 60-69 years, male 13.2
GTEX-12ZZX-2426-SM-5GCOE 40-49 years, female 13.1
GTEX-13OW8-1026-SM-5J1NQ 60-69 years, male 13.0
GTEX-18QFQ-1826-SM-72D52 30-39 years, male 13.0
GTEX-ZUA1-2626-SM-5NQ92 40-49 years, male 13.0
GTEX-1H1DG-2426-SM-9QEHJ 70-79 years, male 13.0
GTEX-111YS-1526-SM-5GZYW 60-69 years, male 12.9
GTEX-11NUK-2726-SM-5A5MC 50-59 years, male 12.9
GTEX-16AAH-0626-SM-793C9 50-59 years, male 12.9
GTEX-18A67-1626-SM-7LT9T 50-59 years, male 12.9
GTEX-1H3O1-1326-SM-9MQLD 60-69 years, male 12.9
GTEX-1J1OQ-0126-SM-D4P2N 40-49 years, female 12.9
GTEX-131XH-0126-SM-5LZUY 50-59 years, male 12.8
GTEX-13FTY-2126-SM-5IFFB 40-49 years, female 12.8
GTEX-13PL6-1126-SM-5L3IE 40-49 years, female 12.8
GTEX-1B8KZ-0326-SM-73KY4 50-59 years, male 12.8
GTEX-1LGOU-1326-SM-D3L8M 20-29 years, female 12.8
GTEX-1LSNL-2726-SM-E9TKJ 50-59 years, male 12.8
GTEX-1N2EE-0626-SM-E76PW 60-69 years, male 12.8
GTEX-14XAO-1226-SM-6EU1C 60-69 years, female 12.7
GTEX-1B8SF-0126-SM-7DUG3 60-69 years, male 12.7
GTEX-Y5LM-0926-SM-6LLJG 40-49 years, female 12.7
GTEX-1GN1V-2826-SM-9JGIA 60-69 years, male 12.7
GTEX-1I19N-0126-SM-CYPSF 70-79 years, male 12.7
GTEX-1RMOY-1326-SM-E9TIH 50-59 years, male 12.7
GTEX-14753-0726-SM-5QGQO 60-69 years, male 12.6
GTEX-14E1K-2026-SM-7DUEI 50-59 years, male 12.6
GTEX-14JG1-1526-SM-5YY9X 40-49 years, male 12.6
GTEX-15EU6-2226-SM-6EU2L 50-59 years, male 12.6
GTEX-XMD2-2126-SM-4YCF8 60-69 years, female 12.6
GTEX-1F6I4-2326-SM-7RHGL 60-69 years, male 12.6
GTEX-1MCC2-1826-SM-DIPEX 30-39 years, female 12.6
GTEX-1PIGE-1826-SM-E8VOU 20-29 years, male 12.6
GTEX-1R9PN-0426-SM-DTXDT 40-49 years, female 12.6
GTEX-183WM-0326-SM-72D5V 70-79 years, female 12.5
GTEX-ZYVF-0926-SM-5E44J 50-59 years, female 12.5
GTEX-1GN73-0726-SM-7P8TJ 60-69 years, male 12.5
GTEX-1H1DE-1326-SM-9KNUG 20-29 years, male 12.5
GTEX-1HCU7-0726-SM-A9SL1 50-59 years, male 12.5
GTEX-ZF3C-0626-SM-DO92O 50-59 years, female 12.5
GTEX-13VXT-1926-SM-5K7UO 20-29 years, female 12.4
GTEX-14BMV-2826-SM-5TDED 50-59 years, male 12.4
GTEX-17HG3-2626-SM-7DUF2 30-39 years, female 12.4
GTEX-VUSG-2326-SM-4KL1U 50-59 years, male 12.4
GTEX-1H1CY-0126-SM-9YFLY 60-69 years, female 12.4
GTEX-145MO-2826-SM-5LU96 60-69 years, male 12.3
GTEX-14AS3-1526-SM-5Q5ED 40-49 years, female 12.3
GTEX-1HSKV-1226-SM-ADEI4 60-69 years, male 12.3
GTEX-1HSMQ-2626-SM-A9SML 50-59 years, male 12.3
GTEX-1KAFJ-0126-SM-DIPEK 50-59 years, male 12.3
GTEX-1KANC-1226-SM-CYPT7 50-59 years, female 12.3
GTEX-12KS4-2126-SM-5FQUT 30-39 years, male 12.2
GTEX-1399S-0126-SM-5IJCF 30-39 years, female 12.2
GTEX-1B933-2426-SM-7DHMD 50-59 years, female 12.2
GTEX-1CAMQ-1326-SM-7P8RV 40-49 years, male 12.2
GTEX-1HBPN-0126-SM-CGQEF 50-59 years, male 12.2
GTEX-11P81-2226-SM-5PNYI 30-39 years, female 12.1
GTEX-13D11-0926-SM-5J2NC 50-59 years, female 12.1
GTEX-15RIE-1926-SM-7KUKJ 60-69 years, male 12.1
GTEX-17HHY-0426-SM-7DHLC 50-59 years, male 12.1
GTEX-17MF6-2626-SM-79OKQ 40-49 years, male 12.1
GTEX-1C6VQ-1226-SM-73KYD 50-59 years, male 12.1
GTEX-1A8FM-0626-SM-7PC25 50-59 years, female 12.1
GTEX-1I1GU-0926-SM-ACKVS 40-49 years, male 12.1
GTEX-11EI6-2826-SM-5H11D 60-69 years, male 12.0
GTEX-1269C-0126-SM-5EQ5L 60-69 years, female 12.0
GTEX-12WSJ-1126-SM-5LZVJ 40-49 years, female 12.0
GTEX-13X6J-0626-SM-5LU5F 50-59 years, male 12.0
GTEX-14C39-1726-SM-5RQIL 40-49 years, male 12.0
GTEX-183FY-1026-SM-7939A 20-29 years, male 12.0
GTEX-1B8KE-1126-SM-7EPHI 50-59 years, male 12.0
GTEX-1IL2V-1926-SM-B2LW8 70-79 years, male 12.0
GTEX-1R46S-2426-SM-E76QA 60-69 years, female 12.0
GTEX-11DXW-0826-SM-5H118 40-49 years, male 11.9
GTEX-11DXZ-2026-SM-5987S 50-59 years, male 11.9
GTEX-12WSA-0426-SM-5EQ5X 60-69 years, male 11.9
GTEX-12WSD-0626-SM-5GCMW 60-69 years, female 11.9
GTEX-139TS-2126-SM-5K7XC 60-69 years, male 11.9
GTEX-16Z82-2626-SM-7KULU 60-69 years, male 11.9
GTEX-1B932-2326-SM-79OL5 40-49 years, female 11.9
GTEX-X4EP-0626-SM-3P621 60-69 years, female 11.9
GTEX-XBEW-1126-SM-4QARW 40-49 years, male 11.9
GTEX-XQ3S-1426-SM-4BOPR 20-29 years, male 11.9
GTEX-1F75A-0726-SM-7RHHD 50-59 years, male 11.9
GTEX-1GMR8-0626-SM-7RHI7 50-59 years, female 11.9
GTEX-1IDJV-0126-SM-COH3Y 60-69 years, male 11.9
GTEX-1IKOE-1426-SM-CE6T7 30-39 years, female 11.9
GTEX-1JK1U-0226-SM-ARZMX 60-69 years, male 11.9
GTEX-1QW4Y-1126-SM-DTXE3 30-39 years, male 11.9
GTEX-1GN2E-0226-SM-9WG6K 60-69 years, male 11.8
GTEX-1HSGN-0826-SM-ACKW3 40-49 years, female 11.8
GTEX-1I6K7-1926-SM-B2LXR 40-49 years, male 11.8
GTEX-1K9T9-1526-SM-DIPFR 50-59 years, female 11.8
GTEX-1QEPI-2626-SM-DTXF4 60-69 years, female 11.8
GTEX-13JUV-2026-SM-5K7UA 40-49 years, female 11.7
GTEX-13YAN-0226-SM-5TDC6 60-69 years, male 11.7
GTEX-144GM-0526-SM-79OJO 20-29 years, male 11.7
GTEX-14A6H-2026-SM-5Q5DD 30-39 years, male 11.7
GTEX-14PII-0726-SM-6EU2B 60-69 years, male 11.7
GTEX-15SHW-0226-SM-7LTAT 60-69 years, male 11.7
GTEX-17F98-1326-SM-7DUEP 40-49 years, female 11.7
GTEX-ZY6K-1426-SM-5GZX2 50-59 years, male 11.7
GTEX-1HBPM-0726-SM-9YFL7 60-69 years, female 11.7
GTEX-1IDJI-0126-SM-CMKHS 50-59 years, female 11.7
GTEX-1GF9U-2026-SM-7SB92 40-49 years, female 11.6
GTEX-1IDJU-1726-SM-CMKHU 60-69 years, female 11.6
GTEX-1RAZA-2226-SM-E9U4X 20-29 years, male 11.6
GTEX-13X6H-0926-SM-5SIB2 50-59 years, female 11.5
GTEX-148VJ-0626-SM-5LUAW 70-79 years, male 11.5
GTEX-14C38-0726-SM-5SI6M 50-59 years, male 11.5
GTEX-14PHY-1226-SM-5ZZWK 60-69 years, female 11.5
GTEX-16MT9-0126-SM-7EPI8 60-69 years, female 11.5
GTEX-18D9U-0126-SM-731BM 40-49 years, male 11.5
GTEX-1CB4J-1326-SM-7P8RX 60-69 years, male 11.5
GTEX-1H3VE-0726-SM-9YFL5 40-49 years, male 11.5
GTEX-1I1GT-1026-SM-ARZLV 60-69 years, female 11.5
GTEX-1IDJH-0126-SM-D3L92 70-79 years, male 11.5
GTEX-1M4P7-0726-SM-E6CJ3 60-69 years, male 11.5
GTEX-12WSM-1926-SM-5BC65 60-69 years, male 11.4
GTEX-13FLV-0126-SM-5K7WT 50-59 years, male 11.4
GTEX-17HGU-2326-SM-7DUFE 50-59 years, male 11.4
GTEX-1CB4E-0926-SM-7EPHT 60-69 years, male 11.4
GTEX-ZPU1-1126-SM-4YCF3 40-49 years, male 11.4
GTEX-1F75B-0726-SM-7PC3R 50-59 years, male 11.4
GTEX-1QP2A-1726-SM-E76QC 50-59 years, male 11.4
GTEX-11UD2-2526-SM-5CVNU 50-59 years, male 11.3
GTEX-12BJ1-0926-SM-5EQ62 60-69 years, male 11.3
GTEX-18A66-0626-SM-7LT8Z 60-69 years, male 11.3
GTEX-1AX8Z-0726-SM-73KTS 60-69 years, male 11.3
GTEX-1F52S-2926-SM-7MKGA 60-69 years, female 11.3
GTEX-ZC5H-1526-SM-5HL9Y 40-49 years, female 11.3
GTEX-ZPCL-1126-SM-4WWFE 60-69 years, female 11.3
GTEX-1C64N-2626-SM-7PC2N 50-59 years, male 11.3
GTEX-1CB4I-0126-SM-7RHGG 50-59 years, male 11.3
GTEX-1H1E6-0426-SM-9WYUS 30-39 years, male 11.3
GTEX-1HCU9-0426-SM-9WYSD 20-29 years, male 11.3
GTEX-1J8EW-2726-SM-CY8HR 60-69 years, female 11.3
GTEX-1KD5A-0126-SM-E9U54 50-59 years, male 11.3
GTEX-13JVG-0726-SM-5KM16 60-69 years, male 11.2
GTEX-17F97-2626-SM-7IGM5 50-59 years, male 11.2
GTEX-VJYA-1526-SM-3GIJV 60-69 years, male 11.2
GTEX-Z93S-1626-SM-5CVMB 50-59 years, male 11.2
GTEX-ZT9X-1526-SM-5DUXD 40-49 years, male 11.2
GTEX-1H1DF-1126-SM-9WG7G 40-49 years, female 11.2
GTEX-1IE54-1126-SM-A9G2Z 40-49 years, female 11.2
GTEX-1NSGN-0726-SM-DTXEF 50-59 years, male 11.2
GTEX-13N2G-0226-SM-5K7VF 60-69 years, male 11.1
GTEX-13NYC-0126-SM-5L3F4 60-69 years, male 11.1
GTEX-13PVQ-0626-SM-5LU47 50-59 years, male 11.1
GTEX-14ICL-1626-SM-5YYAO 30-39 years, male 11.1
GTEX-14PHX-2226-SM-6EU2P 50-59 years, male 11.1
GTEX-15EO6-2426-SM-6PALZ 50-59 years, male 11.1
GTEX-1EX96-1026-SM-7MKG2 50-59 years, male 11.1
GTEX-1HCU6-2526-SM-ADEHL 60-69 years, female 11.1
GTEX-1QAET-0326-SM-EVR3U 50-59 years, male 11.1
GTEX-13NZ9-2626-SM-5L3FK 50-59 years, male 11.0
GTEX-13OVH-0526-SM-5L3E6 70-79 years, male 11.0
GTEX-144GO-2026-SM-5O99P 60-69 years, male 11.0
GTEX-14PJN-1826-SM-6AJ98 30-39 years, male 11.0
GTEX-WK11-2726-SM-3NMAQ 50-59 years, male 11.0
GTEX-XXEK-1626-SM-4BRUZ 50-59 years, male 11.0
GTEX-1H4P4-2126-SM-9WYSL 50-59 years, male 11.0
GTEX-1JJE9-2626-SM-ARZMT 70-79 years, male 11.0
GTEX-1KWVE-1026-SM-D3L9O 30-39 years, male 11.0
GTEX-1KXAM-1626-SM-D3LAD 60-69 years, male 11.0
GTEX-1QPFJ-1926-SM-EVYBD 30-39 years, female 11.0
GTEX-117YX-1926-SM-5GIEC 50-59 years, male 10.9
GTEX-11TT1-1826-SM-5EQLV 20-29 years, male 10.9
GTEX-139T8-0626-SM-5KLZX 60-69 years, male 10.9
GTEX-16NGA-0726-SM-731AO 40-49 years, female 10.9
GTEX-1EH9U-2826-SM-7DUGT 60-69 years, male 10.9
GTEX-XQ8I-0926-SM-4BOOF 50-59 years, male 10.9
GTEX-1A3MX-2626-SM-7PC24 60-69 years, male 10.9
GTEX-1F75W-2726-SM-7SB8H 60-69 years, male 10.9
GTEX-1KANA-1326-SM-DIPFA 20-29 years, male 10.9
GTEX-1N2DV-1526-SM-DTXEP 40-49 years, male 10.9
GTEX-1R9K4-2826-SM-DTX8F 60-69 years, male 10.9
GTEX-1R9PM-1926-SM-EVR3O 20-29 years, male 10.9
GTEX-1122O-1026-SM-9WYSF 60-69 years, female 10.8
GTEX-14JFF-0626-SM-5ZZVT 60-69 years, male 10.8
GTEX-1GF9V-0826-SM-9KNUV 60-69 years, male 10.8
GTEX-1MJK3-0726-SM-E6CJC 20-29 years, male 10.8
GTEX-1S5ZU-2526-SM-E6CIF 20-29 years, female 10.8
GTEX-1192X-2726-SM-5N9DN 50-59 years, male 10.7
GTEX-139YR-1026-SM-5LZYN 50-59 years, male 10.7
GTEX-13N11-2326-SM-5IJBF 50-59 years, female 10.7
GTEX-13OW5-2326-SM-5L3HO 60-69 years, male 10.7
GTEX-14B4R-1326-SM-5Q5EZ 30-39 years, male 10.7
GTEX-17F96-0126-SM-7EWDU 70-79 years, male 10.7
GTEX-1AX9I-2226-SM-73KUO 60-69 years, male 10.7
GTEX-1CB4H-1126-SM-7MKGL 60-69 years, female 10.7
GTEX-133LE-2326-SM-5K7W3 20-29 years, female 10.6
GTEX-13SLX-2226-SM-62LEP 50-59 years, female 10.6
GTEX-145LU-1926-SM-79OJN 50-59 years, male 10.6
GTEX-1J1R8-2026-SM-CL53Y 40-49 years, male 10.6
GTEX-1JMPZ-0726-SM-CY8HZ 30-39 years, male 10.6
GTEX-1QP9N-1226-SM-E76QN 30-39 years, male 10.6
GTEX-1RAZQ-1326-SM-E9TK6 30-39 years, male 10.6
GTEX-12696-0126-SM-5EQ4L 60-69 years, male 10.5
GTEX-147F4-0726-SM-5TDDD 50-59 years, male 10.5
GTEX-14A5H-0826-SM-5QGPJ 60-69 years, male 10.5
GTEX-ZF29-0926-SM-4WKFZ 60-69 years, female 10.5
GTEX-ZF2S-1626-SM-57WES 50-59 years, female 10.5
GTEX-ZP4G-1426-SM-4WWCL 20-29 years, female 10.5
GTEX-1LB8K-0726-SM-D5OV2 50-59 years, male 10.5
GTEX-1QP28-1126-SM-EVYC4 50-59 years, female 10.5
GTEX-12ZZY-0726-SM-5EQ66 60-69 years, male 10.4
GTEX-13O61-1426-SM-5KM3D 60-69 years, male 10.4
GTEX-14LLW-2626-SM-62LDZ 70-79 years, female 10.4
GTEX-17HHE-1326-SM-7EWDZ 50-59 years, male 10.4
GTEX-WHWD-1826-SM-3LK6I 50-59 years, male 10.4
GTEX-XK95-0226-SM-4AT58 40-49 years, male 10.4
GTEX-XYKS-1426-SM-4BRUO 60-69 years, female 10.4
GTEX-1I1GP-1326-SM-A9G28 50-59 years, male 10.4
GTEX-1J8QM-2426-SM-A9SLS 60-69 years, female 10.4
GTEX-11DZ1-2426-SM-5GZZX 50-59 years, male 10.3
GTEX-13FHO-0426-SM-5L3F5 60-69 years, male 10.3
GTEX-14PKU-0126-SM-6LLHV 40-49 years, female 10.3
GTEX-WFON-1926-SM-3LK7L 40-49 years, male 10.3
GTEX-Y3I4-1726-SM-4TT89 50-59 years, male 10.3
GTEX-ZVTK-0226-SM-51MRG 20-29 years, male 10.3
GTEX-1F6IF-0926-SM-7SB7M 60-69 years, male 10.3
GTEX-1H3NZ-2726-SM-9WYTQ 60-69 years, male 10.3
GTEX-1399U-1126-SM-5L3DB 50-59 years, female 10.2
GTEX-13O3O-2326-SM-5IJD6 60-69 years, female 10.2
GTEX-1477Z-0326-SM-7IGLA 60-69 years, male 10.2
GTEX-16GPK-0626-SM-7KFSF 60-69 years, male 10.2
GTEX-W5X1-2526-SM-3GILC 40-49 years, female 10.2
GTEX-ZAK1-0626-SM-5HL8E 50-59 years, female 10.2
GTEX-ZTTD-2826-SM-4YCFA 50-59 years, male 10.2
GTEX-ZVE2-2826-SM-5GU51 50-59 years, male 10.2
GTEX-ZZ64-1026-SM-5GZXG 20-29 years, male 10.2
GTEX-1N5O9-0926-SM-E9J3C 60-69 years, male 10.2
GTEX-1POEN-2326-SM-E9J2L 30-39 years, female 10.2
GTEX-1PPH8-0126-SM-EWRN8 20-29 years, male 10.2
GTEX-1EN7A-2426-SM-793DB 40-49 years, male 10.1
GTEX-XUW1-0926-SM-4BONX 50-59 years, female 10.1
GTEX-Y3IK-1626-SM-4YCF5 50-59 years, female 10.1
GTEX-ZYY3-2926-SM-5GIEB 60-69 years, female 10.1
GTEX-1S831-1826-SM-EWROF 20-29 years, male 10.1
GTEX-YEC3-1326-SM-DO92X 50-59 years, male 10.1
GTEX-11EQ8-0926-SM-5H12V 60-69 years, male 10.0
GTEX-145LS-0626-SM-7EPG7 60-69 years, female 10.0
GTEX-147F3-1726-SM-5SIAW 50-59 years, female 10.0
GTEX-178AV-1726-SM-7KUL8 40-49 years, male 10.0
GTEX-18465-2826-SM-7LT9J 50-59 years, male 10.0
GTEX-18A7B-2726-SM-7LG56 70-79 years, male 10.0
GTEX-WH7G-2026-SM-3NMBL 40-49 years, male 10.0
GTEX-ZVZP-1226-SM-5GID7 50-59 years, male 10.0
GTEX-17EVP-2626-SM-7IGMA 40-49 years, male 9.9
GTEX-1AX9J-1326-SM-731BJ 60-69 years, male 9.9
GTEX-1I1GS-2626-SM-B2LY3 60-69 years, male 9.9
GTEX-11DXY-0126-SM-5H11Q 60-69 years, male 9.8
GTEX-11EQ9-1626-SM-5PNY8 30-39 years, male 9.8
GTEX-1212Z-0126-SM-59HK4 60-69 years, male 9.8
GTEX-12WSC-2826-SM-5BC5Y 50-59 years, male 9.8
GTEX-12WSH-1526-SM-5BC5W 50-59 years, male 9.8
GTEX-17MFQ-1526-SM-7KFRR 20-29 years, male 9.8
GTEX-1EWIQ-0326-SM-7DHMQ 70-79 years, female 9.8
GTEX-UPJH-0226-SM-3GADV 50-59 years, male 9.8
GTEX-ZT9W-1126-SM-57WDR 50-59 years, male 9.8
GTEX-1GN1U-0626-SM-9MQL9 50-59 years, female 9.8
GTEX-12WSF-1626-SM-7KUG5 70-79 years, male 9.7
GTEX-13OVL-0126-SM-5L3GJ 50-59 years, male 9.7
GTEX-13X6I-1826-SM-5SIAO 60-69 years, male 9.7
GTEX-14PJ5-1526-SM-6LLIL 60-69 years, female 9.7
GTEX-16NPX-0726-SM-7KULC 50-59 years, male 9.7
GTEX-WHSB-1326-SM-3LK6W 50-59 years, male 9.7
GTEX-WYJK-0526-SM-3NM8Z 50-59 years, male 9.7
GTEX-1F75I-2226-SM-7SB8U 40-49 years, male 9.7
GTEX-1HKZK-0726-SM-ACKW2 40-49 years, male 9.7
GTEX-1IY9M-2826-SM-ARU8H 60-69 years, male 9.7
GTEX-139TU-0726-SM-5L3EK 60-69 years, male 9.6
GTEX-145LT-0526-SM-5LUB2 40-49 years, male 9.6
GTEX-1C64O-1326-SM-7MGWR 60-69 years, male 9.6
GTEX-1H1ZS-2726-SM-9WG75 70-79 years, male 9.6
GTEX-11DYG-1526-SM-5A5JS 60-69 years, male 9.5
GTEX-131XF-2626-SM-5EQ6K 60-69 years, male 9.5
GTEX-17EVQ-0126-SM-7IGLR 70-79 years, male 9.5
GTEX-1HCU8-2526-SM-CE6RX 60-69 years, female 9.5
GTEX-1JMLX-0626-SM-ARL8T 50-59 years, male 9.5
GTEX-1RAZR-2126-SM-E9U6T 40-49 years, male 9.5
GTEX-13112-0126-SM-5P9IU 50-59 years, male 9.4
GTEX-131YS-2826-SM-5EQ47 60-69 years, female 9.4
GTEX-WHPG-2626-SM-3NMBR 50-59 years, male 9.4
GTEX-YFCO-1226-SM-5LUAT 40-49 years, male 9.4
GTEX-11P82-1426-SM-DTXFY 20-29 years, male 9.4
GTEX-1I1GV-0626-SM-ARL7M 60-69 years, male 9.4
GTEX-1ICLZ-0326-SM-ARL82 60-69 years, male 9.4
GTEX-1LSNM-0826-SM-DIPG8 50-59 years, male 9.4
GTEX-14E6E-0526-SM-793DN 30-39 years, male 9.3
GTEX-17F9E-2326-SM-79OKD 50-59 years, male 9.3
GTEX-17F9Y-0126-SM-79OKX 70-79 years, female 9.3
GTEX-1AMFI-1326-SM-7939R 50-59 years, female 9.3
GTEX-XBEC-0726-SM-4QARZ 50-59 years, male 9.3
GTEX-Y5V5-0126-SM-5S2NW 60-69 years, female 9.3
GTEX-1GMR2-0826-SM-7PC3V 50-59 years, male 9.3
GTEX-1AMEY-0826-SM-72D65 30-39 years, female 9.2
GTEX-XAJ8-1426-SM-47JYM 40-49 years, male 9.2
GTEX-XBED-1926-SM-47JYP 60-69 years, male 9.2
GTEX-1GN1W-2426-SM-9KNUU 50-59 years, female 9.2
GTEX-1JKYN-0826-SM-ARU8S 30-39 years, male 9.2
GTEX-1JMOU-1026-SM-CYPSS 60-69 years, female 9.2
GTEX-1QP66-1226-SM-DTX7U 50-59 years, male 9.2
GTEX-13RTJ-0126-SM-5S2NN 60-69 years, male 9.1
GTEX-1A3MV-1826-SM-731CD 30-39 years, male 9.1
GTEX-WXYG-2026-SM-4E3IY 50-59 years, female 9.1
GTEX-XV7Q-1826-SM-4BRUV 40-49 years, female 9.1
GTEX-ZA64-1026-SM-5HL8R 20-29 years, male 9.1
GTEX-ZDTS-0826-SM-4WKHL 60-69 years, male 9.1
GTEX-ZVT4-2426-SM-5GIEI 50-59 years, female 9.1
GTEX-1HGF4-0126-SM-CNPPX 60-69 years, male 9.1
GTEX-14PJO-2526-SM-6AJBQ 60-69 years, male 9.0
GTEX-WRHU-2826-SM-3MJG8 50-59 years, female 9.0
GTEX-WYVS-1626-SM-3NM9R 40-49 years, female 9.0
GTEX-1F48J-0726-SM-7RHGS 50-59 years, female 9.0
GTEX-1GTWX-2026-SM-9YFLM 60-69 years, male 9.0
GTEX-1GZ2Q-0126-SM-9WG6M 40-49 years, male 9.0
GTEX-1I1CD-0626-SM-CE6SW 60-69 years, female 9.0
GTEX-13FH7-1126-SM-5K7UG 50-59 years, female 8.9
GTEX-13FTW-0326-SM-5K7UW 40-49 years, male 8.9
GTEX-15D1Q-2826-SM-6LLH7 40-49 years, male 8.9
GTEX-15DYW-2726-SM-6EU2I 60-69 years, female 8.9
GTEX-ZZPU-0826-SM-5GZX5 50-59 years, female 8.9
GTEX-1GPI7-1826-SM-9KNU1 20-29 years, male 8.9
GTEX-1J8Q2-2626-SM-ACKWQ 60-69 years, male 8.9
GTEX-ZPIC-0526-SM-DO91W 40-49 years, female 8.9
GTEX-1117F-2926-SM-5GZYI 60-69 years, female 8.8
GTEX-145MN-1526-SM-5SI9T 30-39 years, male 8.8
GTEX-X3Y1-2026-SM-3P5YM 40-49 years, male 8.8
GTEX-X5EB-1926-SM-4E3IW 40-49 years, male 8.8
GTEX-1J8JJ-0626-SM-ARZMQ 60-69 years, female 8.8
GTEX-1S3DN-2126-SM-E9TIN 50-59 years, male 8.8
GTEX-11GSP-2326-SM-5HL63 60-69 years, female 8.7
GTEX-13U4I-2226-SM-5LU5H 40-49 years, female 8.7
GTEX-15G1A-1626-SM-7KUKN 30-39 years, male 8.7
GTEX-1B97I-0626-SM-73KUZ 40-49 years, male 8.7
GTEX-WHSE-0126-SM-3NMBT 20-29 years, male 8.7
GTEX-1IDJC-1526-SM-B2LW4 50-59 years, male 8.7
GTEX-1211K-1526-SM-5FQU4 60-69 years, female 8.6
GTEX-131XW-0626-SM-5PNVD 50-59 years, female 8.6
GTEX-147JS-0226-SM-5S2U9 60-69 years, male 8.6
GTEX-17HII-1426-SM-7EPGG 50-59 years, male 8.6
GTEX-1CAV2-0126-SM-7IGN7 40-49 years, female 8.6
GTEX-X8HC-0626-SM-4E3HQ 50-59 years, female 8.6
GTEX-11EM3-1226-SM-5N9DD 20-29 years, female 8.5
GTEX-1314G-1326-SM-5BC6E 30-39 years, male 8.5
GTEX-13FTX-1526-SM-5K7VJ 20-29 years, female 8.5
GTEX-1F5PL-0926-SM-7PC2W 40-49 years, female 8.5
GTEX-1IDJF-2026-SM-CL53V 20-29 years, male 8.5
GTEX-132AR-0326-SM-5KM2C 50-59 years, female 8.4
GTEX-13PVR-0426-SM-5RQK2 60-69 years, female 8.4
GTEX-146FQ-2126-SM-5RQHU 30-39 years, male 8.4
GTEX-14PJ6-2626-SM-6EU2T 60-69 years, female 8.4
GTEX-WY7C-2126-SM-3NB2R 50-59 years, male 8.4
GTEX-1C475-1326-SM-7SB73 40-49 years, female 8.4
GTEX-1CAMR-1326-SM-7PC1F 20-29 years, male 8.4
GTEX-1H23P-0626-SM-9WG6T 60-69 years, male 8.4
GTEX-12584-0726-SM-5FQTK 40-49 years, male 8.3
GTEX-13W3W-0726-SM-5IJDQ 60-69 years, female 8.3
GTEX-WFG8-2126-SM-3GIKQ 20-29 years, male 8.3
GTEX-XOT4-0626-SM-4B66L 60-69 years, female 8.3
GTEX-ZDXO-3126-SM-5IJDF 60-69 years, male 8.3
GTEX-1GZHY-0626-SM-9KNVC 50-59 years, female 8.3
GTEX-ZLV1-1526-SM-DO91J 60-69 years, female 8.3
GTEX-WFG7-2026-SM-5SI7P 20-29 years, male 8.2
GTEX-Y5V6-2326-SM-4VDSA 60-69 years, male 8.2
GTEX-YEC4-1826-SM-4W1YP 40-49 years, male 8.2
GTEX-1IDJD-2326-SM-ACKWX 30-39 years, male 8.2
GTEX-1K2DA-1026-SM-CGQGF 50-59 years, male 8.2
GTEX-1RLM8-2926-SM-E8VON 50-59 years, male 8.2
GTEX-11VI4-1126-SM-5EQMD 40-49 years, female 8.1
GTEX-131XG-0326-SM-5L3DX 50-59 years, female 8.1
GTEX-13OVG-1626-SM-5J1NF 60-69 years, male 8.1
GTEX-15RJ7-2126-SM-6PAMD 40-49 years, male 8.1
GTEX-1A32A-0626-SM-731AQ 50-59 years, female 8.1
GTEX-1C2JI-1026-SM-73KY1 50-59 years, male 8.1
GTEX-Y9LG-1126-SM-4VBQ7 30-39 years, male 8.1
GTEX-11GS4-0226-SM-5HL77 60-69 years, male 8.0
GTEX-11P7K-1126-SM-5HL4L 30-39 years, male 8.0
GTEX-11TUW-0626-SM-5LU9M 60-69 years, male 8.0
GTEX-18D9B-0926-SM-7LG4U 60-69 years, male 8.0
GTEX-ZDYS-2426-SM-4WKGI 50-59 years, male 8.0
GTEX-111FC-2526-SM-5GZXU 60-69 years, male 7.9
GTEX-11LCK-2226-SM-5HL4Q 30-39 years, male 7.9
GTEX-14PJ4-0226-SM-5YY92 60-69 years, male 7.9
GTEX-16BQI-1326-SM-6M486 30-39 years, female 7.9
GTEX-YF7O-1526-SM-5IFI6 50-59 years, male 7.9
GTEX-14JG6-1426-SM-9WG7C 30-39 years, female 7.9
GTEX-1ICG6-1226-SM-A9SLN 70-79 years, female 7.9
GTEX-1LVAN-0626-SM-CNPOQ 50-59 years, female 7.9
GTEX-15CHR-1126-SM-7EWF4 50-59 years, male 7.8
GTEX-ZYW4-0626-SM-59HJR 60-69 years, male 7.8
GTEX-1JN6P-2926-SM-CL54D 60-69 years, male 7.8
GTEX-12C56-1526-SM-5FQUQ 20-29 years, male 7.7
GTEX-1GL5R-1326-SM-7RHHF 50-59 years, male 7.7
GTEX-1GZ4H-0526-SM-9KNU9 50-59 years, female 7.7
GTEX-ZGAY-1826-SM-DO91Q 40-49 years, female 7.7
GTEX-111CU-1126-SM-5EGIM 50-59 years, male 7.6
GTEX-12WSK-2126-SM-5CVNC 40-49 years, female 7.6
GTEX-ZU9S-1826-SM-5NQ9E 30-39 years, male 7.6
GTEX-1HC8U-1326-SM-9YFMJ 40-49 years, female 7.5
GTEX-15UF6-1926-SM-7KUDV 70-79 years, female 7.4
GTEX-16XZZ-0726-SM-7KUF2 60-69 years, male 7.4
GTEX-18D9A-1426-SM-7LT8M 30-39 years, female 7.4
GTEX-1HFI7-2326-SM-CGQFS 50-59 years, female 7.4
GTEX-1O9I2-0226-SM-EYYXD 50-59 years, male 7.4
GTEX-12WSL-2026-SM-5GCML 50-59 years, male 7.3
GTEX-145MG-1526-SM-5Q5EM 50-59 years, male 7.3
GTEX-16MT8-2926-SM-7DUFO 60-69 years, female 7.3
GTEX-1C6WA-2626-SM-7MKGM 60-69 years, male 7.3
GTEX-ZTX8-1326-SM-4YCEL 20-29 years, male 7.3
GTEX-1RB15-1326-SM-E76Q9 60-69 years, male 7.3
GTEX-13OVK-1426-SM-6PAN7 40-49 years, male 7.2
GTEX-YJ8O-2526-SM-5HL85 40-49 years, female 7.2
GTEX-ZAB4-2126-SM-5HL8U 40-49 years, male 7.2
GTEX-1CAMS-2226-SM-7PBXQ 40-49 years, female 7.2
GTEX-1JMPY-0226-SM-CKZOK 30-39 years, male 7.2
GTEX-11O72-0626-SM-5PNYE 40-49 years, male 7.1
GTEX-13N1W-2426-SM-5IJD1 70-79 years, male 7.1
GTEX-14E6C-2426-SM-5S2NF 40-49 years, male 7.1
GTEX-15FZZ-0526-SM-7KUGD 30-39 years, female 7.1
GTEX-ZAJG-1526-SM-5CVML 50-59 years, female 7.1
GTEX-ZDTT-0426-SM-4WKFL 60-69 years, male 7.1
GTEX-1LGRB-0926-SM-COH3K 50-59 years, female 7.1
GTEX-13113-1626-SM-5EQ4I 60-69 years, female 7.0
GTEX-ZVP2-0326-SM-57WBP 50-59 years, male 7.0
GTEX-ZYFD-0626-SM-5E44E 50-59 years, male 7.0
GTEX-ZYFG-1526-SM-5GZYM 60-69 years, female 7.0
GTEX-XPVG-2126-SM-4B667 50-59 years, male 6.9
GTEX-1B996-0426-SM-7EWF8 60-69 years, male 6.8
GTEX-1CB4F-1026-SM-7DUH1 60-69 years, male 6.8
GTEX-YB5K-2026-SM-4VDT3 40-49 years, female 6.8
GTEX-145ME-1726-SM-5Q5EU 40-49 years, female 6.7
GTEX-1I4MK-0126-SM-CY8G6 50-59 years, female 6.7
GTEX-1L5NE-1126-SM-D3L9P 50-59 years, male 6.7
GTEX-11NSD-0626-SM-5A5LU 20-29 years, male 6.6
GTEX-1399R-1326-SM-5PNYS 30-39 years, male 6.6
GTEX-1GF9W-1426-SM-7PBYM 60-69 years, male 6.6
GTEX-14PK6-0226-SM-62LF5 70-79 years, female 6.5
GTEX-17JCI-2926-SM-7DUFF 60-69 years, female 6.5
GTEX-ZLWG-0826-SM-59888 50-59 years, female 6.5
GTEX-ZVT2-0126-SM-5GIDQ 50-59 years, female 6.5
GTEX-1JMQL-2226-SM-CNPP4 50-59 years, female 6.5
GTEX-1LBAC-0826-SM-CY8IJ 20-29 years, male 6.5
GTEX-1QCLZ-2426-SM-EVYBW 60-69 years, female 6.5
GTEX-U8XE-0226-SM-4E3J3 30-39 years, male 6.4
GTEX-1I6K6-1726-SM-CGQFD 30-39 years, male 6.4
GTEX-WYBS-0626-SM-3NMAS 60-69 years, female 6.3
GTEX-1OJC3-1226-SM-DTXER 20-29 years, male 6.3
GTEX-ZTSS-1426-SM-5985P 40-49 years, male 6.2
GTEX-1HUB1-1426-SM-CGQF5 60-69 years, male 6.2
GTEX-1QP29-1826-SM-DTX9S 50-59 years, male 6.2
GTEX-13QBU-1226-SM-5LU4G 40-49 years, female 6.1
GTEX-14BMU-1226-SM-5S2OR 20-29 years, female 6.0
GTEX-15CHQ-0326-SM-69LQD 60-69 years, male 5.9
GTEX-WI4N-2726-SM-3LK7Y 40-49 years, female 5.9
GTEX-11ZTT-2126-SM-5CVLO 60-69 years, female 5.8
GTEX-1IDJE-1426-SM-ADEIW 50-59 years, female 5.8
GTEX-Y114-2126-SM-4TT8B 50-59 years, female 5.5
GTEX-14PKV-1126-SM-6LLJ1 20-29 years, female 5.3
GTEX-Y8LW-1526-SM-5IFHL 50-59 years, female 5.2
GTEX-ZLFU-1826-SM-4WWBV 40-49 years, male 5.2
GTEX-1HCUA-0826-SM-ADEHM 50-59 years, female 5.2
GTEX-12ZZZ-0726-SM-5GCNZ 60-69 years, male 5.1
GTEX-13OVJ-0826-SM-5J1OK 50-59 years, female 5.1
GTEX-1LG7Z-1626-SM-CXKYR 30-39 years, male 5.0
GTEX-1497J-0226-SM-5QGPU 60-69 years, male 4.8
GTEX-16MTA-0926-SM-6M47Z 50-59 years, male 4.8
GTEX-14DAR-1226-SM-73KYV 50-59 years, male 3.9
Show allShow less
Skin - Sun Exposed (Lower leg)
Average nTPM: 8.9
Samples: 701

Max nTPM: 18.0
Min nTPM: 3.2
Std nTPM: 2.5
Median nTPM: 8.8
GTEX-1JJ6O-0126-SM-E6CI8 60-69 years, male 18.0
GTEX-1HCU7-0226-SM-CL545 50-59 years, male 15.8
GTEX-XYKS-2126-SM-4E3IB 60-69 years, female 15.6
GTEX-13FHP-0126-SM-5IJBG 50-59 years, male 15.5
GTEX-1KD4Q-0226-SM-E9TJ9 40-49 years, male 15.5
GTEX-15SB6-1726-SM-6PAME 50-59 years, female 15.4
GTEX-17KNJ-2326-SM-7DHLQ 50-59 years, male 15.4
GTEX-1KANB-0526-SM-E6CJH 50-59 years, male 15.4
GTEX-1JMQI-2226-SM-CM2SD 50-59 years, male 15.3
GTEX-11UD2-0226-SM-5EQKY 50-59 years, male 15.2
GTEX-1QMI2-0226-SM-EVYBX 60-69 years, male 15.2
GTEX-15EU6-0426-SM-6PAN5 50-59 years, male 15.1
GTEX-ZE9C-2726-SM-57WB5 60-69 years, male 15.1
GTEX-1PIIG-0226-SM-EWRN6 30-39 years, male 15.1
GTEX-13JUV-2726-SM-5LZZ8 40-49 years, female 14.9
GTEX-ZTX8-1426-SM-5DUVO 20-29 years, male 14.9
GTEX-11OF3-2626-SM-5GU7F 60-69 years, male 14.8
GTEX-ZF2S-2326-SM-4WWCE 50-59 years, female 14.8
GTEX-SJXC-0126-SM-2XCFF 60-69 years, male 14.7
GTEX-1HFI6-0226-SM-ADEHZ 40-49 years, male 14.6
GTEX-14E6E-1826-SM-5S2R7 30-39 years, male 14.5
GTEX-1BAJH-0526-SM-793CQ 70-79 years, male 14.5
GTEX-WVJS-0126-SM-4MVOT 50-59 years, male 14.5
GTEX-XBEW-0626-SM-4QASP 40-49 years, male 14.3
GTEX-1R7EU-0226-SM-EVR4G 60-69 years, male 14.1
GTEX-ZYT6-0226-SM-5NQ6T 30-39 years, male 14.0
GTEX-12WSE-0526-SM-793B2 20-29 years, male 13.9
GTEX-13NYB-2526-SM-5K7Z6 40-49 years, male 13.8
GTEX-YJ89-0126-SM-4TT3X 60-69 years, male 13.8
GTEX-11DXZ-2326-SM-5EGGV 50-59 years, male 13.7
GTEX-17JCI-0126-SM-7LG5G 60-69 years, female 13.7
GTEX-18D9A-1926-SM-7LG6P 30-39 years, female 13.7
GTEX-1C64N-0126-SM-793D7 50-59 years, male 13.6
GTEX-1HT8W-0126-SM-CNPPP 30-39 years, male 13.6
GTEX-1MA7W-2026-SM-E9TJ6 20-29 years, female 13.6
GTEX-W5X1-3026-SM-EAZAX 40-49 years, female 13.6
GTEX-16GPK-0126-SM-7DHLE 60-69 years, male 13.5
GTEX-1IL2U-0226-SM-CE6T8 60-69 years, male 13.5
GTEX-1KANC-1526-SM-D3LAB 50-59 years, female 13.5
GTEX-SNMC-1226-SM-2XCFP 20-29 years, male 13.4
GTEX-1NV5F-0226-SM-E8VNY 60-69 years, female 13.4
GTEX-16AAH-1726-SM-7939C 50-59 years, male 13.3
GTEX-OOBJ-0126-SM-E6CJW 60-69 years, male 13.3
GTEX-145LU-0126-SM-5TDCB 50-59 years, male 13.2
GTEX-1RQEC-0426-SM-E6CHU 60-69 years, male 13.2
GTEX-11DXW-0226-SM-5H122 40-49 years, male 13.1
GTEX-1C6VR-2426-SM-79OLD 60-69 years, male 13.1
GTEX-1I19N-0326-SM-ACKVX 70-79 years, male 13.1
GTEX-1MJK2-0426-SM-DTXE5 50-59 years, male 13.1
GTEX-13NYC-0326-SM-E9J4S 60-69 years, male 13.0
GTEX-1EMGI-0126-SM-9KNUE 60-69 years, male 13.0
GTEX-1H1E6-1726-SM-ACKVK 30-39 years, male 13.0
GTEX-1IOXB-0126-SM-ARL8G 50-59 years, male 13.0
GTEX-1K2DU-2326-SM-E9TIV 20-29 years, male 12.9
GTEX-Y8E4-0626-SM-4WWDL 40-49 years, male 12.8
GTEX-1KANA-0726-SM-D3L9I 20-29 years, male 12.8
GTEX-1QP2A-0126-SM-E9J43 50-59 years, male 12.8
GTEX-T2YK-0526-SM-32QPJ 50-59 years, male 12.7
GTEX-X261-0126-SM-3NMD6 50-59 years, male 12.7
GTEX-1B8L1-2526-SM-9WYTF 60-69 years, male 12.7
GTEX-1IDJH-0326-SM-A9SLQ 70-79 years, male 12.7
GTEX-1JJEA-0326-SM-CNPOT 60-69 years, male 12.7
GTEX-139UW-2826-SM-5L3E7 60-69 years, male 12.6
GTEX-1B97I-1626-SM-73KYO 40-49 years, male 12.6
GTEX-1I1GQ-0126-SM-COH3H 50-59 years, male 12.6
GTEX-1QAET-0926-SM-E76QM 50-59 years, male 12.6
GTEX-QESD-1426-SM-2S1R9 20-29 years, male 12.5
GTEX-XQ3S-1526-SM-4BOOC 20-29 years, male 12.5
GTEX-1S83E-0126-SM-EWRO4 40-49 years, male 12.5
GTEX-145MF-0626-SM-5LUAI 50-59 years, male 12.4
GTEX-1GPI7-0126-SM-9MQL8 20-29 years, male 12.4
GTEX-13O3Q-2426-SM-5IJBR 50-59 years, male 12.3
GTEX-14BMV-0126-SM-5S2PO 50-59 years, male 12.3
GTEX-1C64O-0126-SM-7SB8P 60-69 years, male 12.3
GTEX-1HBPI-1526-SM-C1YQ1 50-59 years, male 12.3
GTEX-11WQK-0526-SM-5EQLD 50-59 years, male 12.2
GTEX-1399T-2826-SM-5KLYZ 60-69 years, male 12.2
GTEX-ZV68-0126-SM-59HKS 50-59 years, female 12.2
GTEX-PWO3-1526-SM-48TCM 60-69 years, female 12.1
GTEX-X88G-0126-SM-47JZ3 30-39 years, male 12.1
GTEX-1212Z-2526-SM-5EGKP 60-69 years, male 12.0
GTEX-13OVK-2026-SM-7KUEO 40-49 years, male 12.0
GTEX-14XAO-2326-SM-6EU1B 60-69 years, female 12.0
GTEX-15RIG-0226-SM-7KFTL 40-49 years, male 12.0
GTEX-15UKP-0426-SM-7KUFQ 20-29 years, male 12.0
GTEX-S7SE-0126-SM-2XCD5 50-59 years, male 12.0
GTEX-1HBPN-0226-SM-9YFM1 50-59 years, male 12.0
GTEX-1B8SF-1426-SM-7DUGL 60-69 years, male 11.9
GTEX-ZAK1-0126-SM-5IJD3 50-59 years, female 11.9
GTEX-1EX96-1626-SM-7PBXR 50-59 years, male 11.9
GTEX-1GF9W-0326-SM-9KNUN 60-69 years, male 11.9
GTEX-1H3NZ-0126-SM-ACKX7 60-69 years, male 11.9
GTEX-1LSNM-1926-SM-E6CII 50-59 years, male 11.9
GTEX-1R9PM-2026-SM-E76OY 20-29 years, male 11.9
GTEX-PX3G-0126-SM-2I3EN 20-29 years, female 11.8
GTEX-T5JW-1626-SM-3GADZ 20-29 years, female 11.8
GTEX-1LG7Z-1726-SM-D3LA4 30-39 years, male 11.8
GTEX-OIZF-0126-SM-7SB8I 60-69 years, male 11.8
GTEX-1JMQJ-0526-SM-CYPSU 50-59 years, male 11.7
GTEX-1KWVE-1426-SM-E9TJO 30-39 years, male 11.7
GTEX-1RDX4-0126-SM-E9J4P 50-59 years, female 11.7
GTEX-11XUK-2026-SM-5EQLF 40-49 years, female 11.6
GTEX-15CHC-2126-SM-6EU21 60-69 years, female 11.6
GTEX-11LCK-1026-SM-5A5KB 30-39 years, male 11.5
GTEX-14753-0426-SM-5NQAM 60-69 years, male 11.5
GTEX-V1D1-2226-SM-3NMAX 50-59 years, male 11.5
GTEX-1F5PK-2426-SM-7RHHY 50-59 years, male 11.5
GTEX-1PDJ9-0326-SM-DTX95 20-29 years, male 11.5
GTEX-11EI6-0126-SM-5985R 60-69 years, male 11.4
GTEX-139D8-0226-SM-5KLZO 30-39 years, female 11.4
GTEX-18465-0126-SM-731BN 50-59 years, male 11.4
GTEX-1JMQK-0226-SM-CL543 60-69 years, male 11.4
GTEX-131XH-2226-SM-5DUXJ 50-59 years, male 11.3
GTEX-1399R-2726-SM-5IJBA 30-39 years, male 11.3
GTEX-1CB4I-0226-SM-79OLH 50-59 years, male 11.3
GTEX-SIU8-0126-SM-2XCDT 50-59 years, male 11.3
GTEX-1EKGG-0226-SM-9WYTH 60-69 years, male 11.3
GTEX-1IKJJ-0126-SM-CNPQB 60-69 years, male 11.3
GTEX-1N2DW-0226-SM-E9TK2 50-59 years, male 11.3
GTEX-144GL-0126-SM-5TDE2 50-59 years, male 11.2
GTEX-14LZ3-0226-SM-62LET 60-69 years, female 11.2
GTEX-15D1Q-0126-SM-7KUG6 40-49 years, male 11.2
GTEX-OIZH-0126-SM-2HMIS 50-59 years, male 11.2
GTEX-POMQ-2226-SM-2I5FK 20-29 years, female 11.2
GTEX-WYJK-0126-SM-3NMAB 50-59 years, male 11.2
GTEX-1399U-2326-SM-5K7WY 50-59 years, female 11.1
GTEX-13N2G-2626-SM-5J1OT 60-69 years, male 11.1
GTEX-15G19-0126-SM-6PANQ 60-69 years, male 11.1
GTEX-1CB4E-2226-SM-793DC 60-69 years, male 11.1
GTEX-SUCS-1926-SM-32PM3 70-79 years, male 11.1
GTEX-Y3IK-2426-SM-4WWDU 50-59 years, female 11.1
GTEX-1EU9M-0226-SM-7P8SP 60-69 years, male 11.1
GTEX-1GF9U-2126-SM-7SB7L 40-49 years, female 11.1
GTEX-1HB9E-0226-SM-E9U4R 50-59 years, male 11.1
GTEX-1HCU9-1526-SM-A9SL7 20-29 years, male 11.1
GTEX-12ZZY-0226-SM-5LZVE 60-69 years, male 11.0
GTEX-147GR-0526-SM-5S2MY 60-69 years, male 11.0
GTEX-SN8G-0126-SM-32PLI 50-59 years, female 11.0
GTEX-XUYS-0126-SM-47JWZ 50-59 years, male 11.0
GTEX-Y8DK-0126-SM-4TT3L 60-69 years, male 11.0
GTEX-ZVZO-0126-SM-5A5L9 40-49 years, male 11.0
GTEX-1GMR3-1926-SM-9KNUZ 40-49 years, male 11.0
GTEX-11DYG-0126-SM-59883 60-69 years, male 10.9
GTEX-11OC5-0126-SM-5HL6A 60-69 years, male 10.9
GTEX-13D11-2426-SM-5KM1V 50-59 years, female 10.9
GTEX-183FY-0126-SM-7LT9P 20-29 years, male 10.9
GTEX-131XF-5016-SM-7MGWE 60-69 years, male 10.9
GTEX-1GMRU-0126-SM-9YFLV 50-59 years, male 10.9
GTEX-1GN2E-0426-SM-9MQKX 60-69 years, male 10.9
GTEX-14PHX-2326-SM-62LEM 50-59 years, male 10.8
GTEX-17HG3-2226-SM-7938L 30-39 years, female 10.8
GTEX-P4QT-0126-SM-2I3FL 50-59 years, female 10.8
GTEX-XUZC-1726-SM-4BRWS 30-39 years, female 10.8
GTEX-1CB4G-0226-SM-7PC3O 60-69 years, male 10.8
GTEX-1IDJU-2626-SM-CM2RT 60-69 years, female 10.8
GTEX-1JKYR-0126-SM-CNPOJ 20-29 years, male 10.8
GTEX-S33H-1026-SM-EZ6L6 30-39 years, male 10.8
GTEX-12584-0126-SM-5EGKQ 40-49 years, male 10.7
GTEX-13111-1626-SM-5EGJY 50-59 years, male 10.7
GTEX-13CF3-2426-SM-5IFGX 60-69 years, female 10.7
GTEX-13OVH-0126-SM-5MR4B 70-79 years, male 10.7
GTEX-1E1VI-0126-SM-7DHMZ 50-59 years, male 10.7
GTEX-TKQ1-1026-SM-4GICL 30-39 years, male 10.7
GTEX-XQ8I-0426-SM-4BOPO 50-59 years, male 10.7
GTEX-ZVZP-2426-SM-59HKJ 50-59 years, male 10.7
GTEX-ZZ64-1726-SM-5GZYB 20-29 years, male 10.7
GTEX-1J8JJ-0226-SM-CL53I 60-69 years, female 10.7
GTEX-1JMPZ-0226-SM-CNPP1 30-39 years, male 10.7
GTEX-1M5QR-1226-SM-EWROB 40-49 years, male 10.7
GTEX-14JG1-0426-SM-6ETZZ 40-49 years, male 10.6
GTEX-15ETS-0126-SM-7KUMW 40-49 years, female 10.6
GTEX-15F5U-1526-SM-6PANO 40-49 years, male 10.6
GTEX-1AYCT-2426-SM-7IGQ3 50-59 years, male 10.6
GTEX-O5YT-0126-SM-48TBW 20-29 years, male 10.6
GTEX-1HR98-0126-SM-B2LWI 60-69 years, male 10.6
GTEX-1JMQL-0226-SM-CNPP5 50-59 years, female 10.6
GTEX-1S82Y-2026-SM-EVYCM 40-49 years, male 10.6
GTEX-14BIN-0626-SM-793DP 50-59 years, female 10.5
GTEX-1C4CL-0526-SM-73KVK 30-39 years, male 10.5
GTEX-VJWN-0126-SM-3GIK7 50-59 years, female 10.5
GTEX-Y5V5-2326-SM-4V6GA 60-69 years, female 10.5
GTEX-1CB4F-0426-SM-9KNV4 60-69 years, male 10.5
GTEX-1HSKV-0226-SM-A9SKJ 60-69 years, male 10.5
GTEX-1JKYN-1326-SM-CGQG9 30-39 years, male 10.5
GTEX-1128S-2326-SM-5GZZY 60-69 years, female 10.4
GTEX-13FXS-0226-SM-5IJCK 50-59 years, male 10.4
GTEX-13RTK-1426-SM-5QGQJ 20-29 years, male 10.4
GTEX-13U4I-0126-SM-5LU38 40-49 years, female 10.4
GTEX-13YAN-0326-SM-5O9DF 60-69 years, male 10.4
GTEX-P44H-0226-SM-2XCEU 40-49 years, male 10.4
GTEX-U412-0426-SM-3DB9O 60-69 years, male 10.4
GTEX-XAJ8-0826-SM-47JY6 40-49 years, male 10.4
GTEX-1GZ2Q-0226-SM-7P8TL 40-49 years, male 10.4
GTEX-1H1DE-2126-SM-9WG6R 20-29 years, male 10.4
GTEX-1IDJF-0126-SM-CM2RS 20-29 years, male 10.4
GTEX-1K2DA-1826-SM-CGQGT 50-59 years, male 10.4
GTEX-1LVAN-0226-SM-COH3S 50-59 years, female 10.4
GTEX-1RAZA-0126-SM-E6CI3 20-29 years, male 10.4
GTEX-1S3DN-2226-SM-EVYCD 50-59 years, male 10.4
GTEX-12126-0326-SM-5PNW3 20-29 years, male 10.3
GTEX-12WSC-0126-SM-5EQ4P 50-59 years, male 10.3
GTEX-12ZZX-0126-SM-5EGK9 40-49 years, female 10.3
GTEX-OOBK-0126-SM-2YUND 40-49 years, male 10.3
GTEX-S32W-2126-SM-2XCB1 50-59 years, female 10.3
GTEX-ZVE2-0226-SM-59HJB 50-59 years, male 10.3
GTEX-1GMR8-0126-SM-9WYTM 50-59 years, female 10.3
GTEX-1KD5A-0226-SM-D5OV3 50-59 years, male 10.3
GTEX-13G51-2526-SM-5LZYK 60-69 years, male 10.2
GTEX-14ABY-0226-SM-5TDCQ 50-59 years, male 10.2
GTEX-14E6D-0126-SM-62LDV 50-59 years, male 10.2
GTEX-14PII-0226-SM-6EU1T 60-69 years, male 10.2
GTEX-X4EP-0126-SM-3P5YV 60-69 years, female 10.2
GTEX-ZAB5-1826-SM-5HL7C 50-59 years, male 10.2
GTEX-1IKK5-0626-SM-ARL8A 60-69 years, male 10.2
GTEX-11P81-2326-SM-59875 30-39 years, female 10.1
GTEX-15DDE-0126-SM-6LPKH 50-59 years, female 10.1
GTEX-16NPX-0226-SM-79OMT 50-59 years, male 10.1
GTEX-18A66-0226-SM-718BD 60-69 years, male 10.1
GTEX-OIZG-0726-SM-33HBL 50-59 years, male 10.1
GTEX-Z93S-0126-SM-5HL7M 50-59 years, male 10.1
GTEX-Z93T-0126-SM-5HL5N 50-59 years, male 10.1
GTEX-1HSGN-0226-SM-CGQFV 40-49 years, female 10.1
GTEX-139TU-0126-SM-5K7WH 60-69 years, male 10.0
GTEX-17GQL-2026-SM-718BA 60-69 years, male 10.0
GTEX-17MF6-0126-SM-7LG4F 40-49 years, male 10.0
GTEX-VJYA-1126-SM-3GIJU 60-69 years, male 10.0
GTEX-WZTO-0126-SM-3NM95 40-49 years, male 10.0
GTEX-1H3O1-0426-SM-9YFKY 60-69 years, male 10.0
GTEX-1PIGE-0126-SM-EVYBJ 20-29 years, male 10.0
GTEX-13X6I-0626-SM-5QGP9 60-69 years, male 9.9
GTEX-1A3MX-0126-SM-731BR 60-69 years, male 9.9
GTEX-1B8KZ-2026-SM-7DHMB 50-59 years, male 9.9
GTEX-T6MN-0126-SM-32PLP 50-59 years, male 9.9
GTEX-ZDTS-0126-SM-4WAY5 60-69 years, male 9.9
GTEX-1EN7A-0126-SM-7SB81 40-49 years, male 9.9
GTEX-1GN73-0226-SM-9WG67 60-69 years, male 9.9
GTEX-1QCLY-0326-SM-E8VOG 30-39 years, male 9.9
GTEX-11WQC-2526-SM-5CVLE 60-69 years, male 9.8
GTEX-13X6J-0126-SM-5QGOU 50-59 years, male 9.8
GTEX-145LS-0126-SM-5QGP1 60-69 years, female 9.8
GTEX-14PN4-0126-SM-6EU2V 50-59 years, male 9.8
GTEX-17F96-1626-SM-7DUFL 70-79 years, male 9.8
GTEX-17F98-0626-SM-79OMX 40-49 years, female 9.8
GTEX-1AMFI-2026-SM-731BH 50-59 years, female 9.8
GTEX-U3ZH-2026-SM-3DB78 30-39 years, male 9.8
GTEX-Y111-0126-SM-4SOIV 50-59 years, male 9.8
GTEX-ZY6K-1826-SM-5GZXK 50-59 years, male 9.8
GTEX-1F88F-2726-SM-7PBZZ 60-69 years, female 9.8
GTEX-139TS-2826-SM-5J1OO 60-69 years, male 9.7
GTEX-13VXU-0126-SM-5SI9F 50-59 years, male 9.7
GTEX-13W3W-2426-SM-5LU5B 60-69 years, female 9.7
GTEX-144FL-0126-SM-5TDC8 50-59 years, male 9.7
GTEX-Y5LM-1926-SM-5RQJH 40-49 years, female 9.7
GTEX-1E2YA-0126-SM-9KNUC 50-59 years, male 9.7
GTEX-1H1ZS-0426-SM-9WG6G 70-79 years, male 9.7
GTEX-1IGQW-0126-SM-COH42 60-69 years, male 9.7
GTEX-1JN76-0126-SM-CNPPE 20-29 years, female 9.7
GTEX-1MUQO-0126-SM-EAZ58 60-69 years, male 9.7
GTEX-PLZ6-1426-SM-DKPOT 30-39 years, male 9.7
GTEX-11O72-0126-SM-59887 40-49 years, male 9.6
GTEX-1269C-2526-SM-5EGJ3 60-69 years, female 9.6
GTEX-139T8-0126-SM-5K7XZ 60-69 years, male 9.6
GTEX-13O3P-0126-SM-5KM4S 50-59 years, male 9.6
GTEX-13SLW-0126-SM-5SI6C 70-79 years, male 9.6
GTEX-1C475-1826-SM-73KWA 40-49 years, female 9.6
GTEX-NFK9-0226-SM-2HMKQ 40-49 years, male 9.6
GTEX-PVOW-0126-SM-2XCFA 40-49 years, male 9.6
GTEX-QEG4-0226-SM-2S1PY 30-39 years, male 9.6
GTEX-QVJO-1626-SM-2S1QW 60-69 years, female 9.6
GTEX-WFON-2126-SM-3LK7O 40-49 years, male 9.6
GTEX-1GL5R-1826-SM-9KNUY 50-59 years, male 9.6
GTEX-1I1GR-0126-SM-CL55F 60-69 years, male 9.6
GTEX-1ICLY-0126-SM-D4P36 50-59 years, male 9.6
GTEX-1K9T9-0126-SM-EVYCF 50-59 years, female 9.6
GTEX-1MCQQ-0826-SM-DLHC2 60-69 years, male 9.6
GTEX-1O97I-0326-SM-EYYX7 60-69 years, male 9.6
GTEX-1OFPY-2426-SM-DTXEJ 60-69 years, male 9.6
GTEX-1192X-0226-SM-5H12D 50-59 years, male 9.5
GTEX-11UD1-0126-SM-5PNYG 40-49 years, female 9.5
GTEX-13NYS-0126-SM-5MR3W 60-69 years, male 9.5
GTEX-14PHW-0126-SM-6LLJI 60-69 years, female 9.5
GTEX-17HGU-0226-SM-7DHKV 50-59 years, male 9.5
GTEX-QV44-1926-SM-2S1RF 50-59 years, male 9.5
GTEX-1H3VE-0326-SM-9YFLH 40-49 years, male 9.5
GTEX-1NHNU-1026-SM-E9J2A 50-59 years, male 9.5
GTEX-11NUK-0126-SM-5A5L3 50-59 years, male 9.4
GTEX-ZZPT-0226-SM-5E43X 50-59 years, male 9.4
GTEX-1F75B-0126-SM-9KNVL 50-59 years, male 9.4
GTEX-1F75I-0326-SM-9YFLU 40-49 years, male 9.4
GTEX-1H1CY-2826-SM-9MQM3 60-69 years, female 9.4
GTEX-1IDFM-0126-SM-COH2V 60-69 years, male 9.4
GTEX-11ZU8-2526-SM-5EQKI 60-69 years, male 9.3
GTEX-OXRN-0126-SM-48TDM 50-59 years, male 9.3
GTEX-X4XY-0226-SM-4E3IZ 60-69 years, male 9.3
GTEX-1F7RK-0126-SM-7PC2S 20-29 years, female 9.3
GTEX-1JN6P-0126-SM-D3L98 60-69 years, male 9.3
GTEX-PWCY-1826-SM-DHXIZ 20-29 years, female 9.3
GTEX-11EM3-2426-SM-59861 20-29 years, female 9.2
GTEX-13OVL-0226-SM-5L3E9 50-59 years, male 9.2
GTEX-14PJM-0226-SM-62LF1 50-59 years, female 9.2
GTEX-TML8-1926-SM-32QOS 40-49 years, female 9.2
GTEX-UJHI-1526-SM-3DB99 50-59 years, female 9.2
GTEX-XPVG-2626-SM-4B669 50-59 years, male 9.2
GTEX-YB5E-2026-SM-5IFIS 40-49 years, male 9.2
GTEX-YFC4-0126-SM-5CVLY 40-49 years, female 9.2
GTEX-1GN1V-0126-SM-9WPOS 60-69 years, male 9.2
GTEX-1GPI6-0126-SM-9WG69 60-69 years, male 9.2
GTEX-1HCU8-0626-SM-A9SM9 60-69 years, female 9.2
GTEX-1JJE9-0326-SM-CL53Z 70-79 years, male 9.2
GTEX-1QP9N-1426-SM-DTXFL 30-39 years, male 9.2
GTEX-1S5ZA-0126-SM-EVYCV 20-29 years, male 9.2
GTEX-1313W-0126-SM-5LZUN 50-59 years, female 9.1
GTEX-13PVR-2326-SM-5QGR1 60-69 years, female 9.1
GTEX-14PJ6-2126-SM-6EU1V 60-69 years, female 9.1
GTEX-1CAMQ-0226-SM-7IGPK 40-49 years, male 9.1
GTEX-OXRK-0226-SM-3NB2G 50-59 years, female 9.1
GTEX-P4PP-0126-SM-3LK69 30-39 years, female 9.1
GTEX-S7PM-0126-SM-4AD6S 60-69 years, male 9.1
GTEX-ZTSS-1926-SM-57WEW 40-49 years, male 9.1
GTEX-1F5PL-0326-SM-7P8PQ 40-49 years, female 9.1
GTEX-1I1GS-0126-SM-B2LVW 60-69 years, male 9.1
GTEX-1IKOH-0226-SM-COH4E 60-69 years, female 9.1
GTEX-1LGOU-2026-SM-DIPFF 20-29 years, female 9.1
GTEX-12WSJ-1826-SM-5GCNY 40-49 years, female 9.0
GTEX-13113-5016-SM-7EPIP 60-69 years, female 9.0
GTEX-133LE-1826-SM-5J1MV 20-29 years, female 9.0
GTEX-145MN-2226-SM-5SIAU 30-39 years, male 9.0
GTEX-14PJ3-1826-SM-62LEX 50-59 years, male 9.0
GTEX-15DCD-0126-SM-7KUEK 70-79 years, female 9.0
GTEX-1A3MV-1926-SM-718BT 30-39 years, male 9.0
GTEX-1AX9J-0226-SM-73KXM 60-69 years, male 9.0
GTEX-1CAMR-1926-SM-7EPI2 20-29 years, male 9.0
GTEX-T2IS-0126-SM-4DM6O 20-29 years, female 9.0
GTEX-1I1GV-0526-SM-A9G29 60-69 years, male 9.0
GTEX-1KXAM-2226-SM-CYPTC 60-69 years, male 9.0
GTEX-11DXY-2626-SM-5GIE7 60-69 years, male 8.9
GTEX-1211K-2026-SM-5EQ4Z 60-69 years, female 8.9
GTEX-14C5O-0126-SM-5SI6N 60-69 years, male 8.9
GTEX-14ICK-0226-SM-6EU25 40-49 years, male 8.9
GTEX-WXYG-2326-SM-4E3I6 50-59 years, female 8.9
GTEX-ZWKS-0126-SM-5SIAA 30-39 years, male 8.9
GTEX-ZYFC-0226-SM-5NQ75 50-59 years, male 8.9
GTEX-1CB4H-0226-SM-7PBXM 60-69 years, female 8.9
GTEX-1H11D-0226-SM-9WG6Z 40-49 years, male 8.9
GTEX-1IL2V-0126-SM-CM2TX 70-79 years, male 8.9
GTEX-1J8Q2-0526-SM-CM2RW 60-69 years, male 8.9
GTEX-1L5NE-2526-SM-E6CIE 50-59 years, male 8.9
GTEX-1MCYP-1926-SM-E9J2R 20-29 years, female 8.9
GTEX-145MO-0326-SM-5Q5B3 60-69 years, male 8.8
GTEX-18A6Q-0126-SM-731BZ 60-69 years, male 8.8
GTEX-1AMEY-1326-SM-73KYK 30-39 years, female 8.8
GTEX-WQUQ-0426-SM-3MJFU 60-69 years, male 8.8
GTEX-1J1R8-1726-SM-ARL8M 40-49 years, male 8.8
GTEX-1LB8K-0226-SM-EWRNW 50-59 years, male 8.8
GTEX-111FC-0126-SM-5N9DL 60-69 years, male 8.7
GTEX-12KS4-0326-SM-5EQ41 30-39 years, male 8.7
GTEX-14A5I-0126-SM-5TDEA 50-59 years, female 8.7
GTEX-18D9U-0226-SM-718BP 40-49 years, male 8.7
GTEX-UPJH-0326-SM-3GADU 50-59 years, male 8.7
GTEX-ZVTK-0426-SM-51MRS 20-29 years, male 8.7
GTEX-1HSMQ-1226-SM-CGQFX 50-59 years, male 8.7
GTEX-1OJC3-0126-SM-E76QX 20-29 years, male 8.7
GTEX-RVPV-0126-SM-EAZAW 60-69 years, male 8.7
GTEX-113JC-2326-SM-5EQ4E 50-59 years, female 8.6
GTEX-147F4-0226-SM-5QGPW 50-59 years, male 8.6
GTEX-17EVP-0326-SM-7DHLG 40-49 years, male 8.6
GTEX-1AX8Z-0126-SM-7DHM6 60-69 years, male 8.6
GTEX-QLQW-1126-SM-2S1Q8 30-39 years, male 8.6
GTEX-U3ZN-2326-SM-3DB7W 30-39 years, female 8.6
GTEX-1JMLX-0226-SM-CM2RO 50-59 years, male 8.6
GTEX-1KAFJ-2026-SM-CY8ID 50-59 years, male 8.6
GTEX-1LG7Y-0526-SM-DKPQC 50-59 years, male 8.6
GTEX-1MA7X-2226-SM-E6CIY 60-69 years, male 8.6
GTEX-132NY-0326-SM-5IJBL 60-69 years, male 8.5
GTEX-13OVI-1426-SM-5L3EY 60-69 years, female 8.5
GTEX-17EUY-0426-SM-793BD 20-29 years, male 8.5
GTEX-1AX9K-2326-SM-73KWU 50-59 years, male 8.5
GTEX-W5WG-1826-SM-4KL2Y 50-59 years, female 8.5
GTEX-XBED-2226-SM-47JYQ 60-69 years, male 8.5
GTEX-ZXG5-0126-SM-5GIEU 60-69 years, male 8.5
GTEX-1EWIQ-0126-SM-7RHH2 70-79 years, female 8.5
GTEX-1HSMP-0126-SM-E6CJS 70-79 years, male 8.5
GTEX-1IE54-0126-SM-CMKHW 40-49 years, female 8.5
GTEX-1QP66-1726-SM-E8VO1 50-59 years, male 8.5
GTEX-13112-2826-SM-5DUWH 50-59 years, male 8.4
GTEX-145MI-0526-SM-5O9A8 60-69 years, female 8.4
GTEX-1B8SG-0126-SM-73KZ3 50-59 years, male 8.4
GTEX-WH7G-2326-SM-3NMBC 40-49 years, male 8.4
GTEX-1AX9I-0126-SM-7SB74 60-69 years, male 8.4
GTEX-1HKZK-0326-SM-9WYUH 40-49 years, male 8.4
GTEX-1I1GP-2226-SM-CGQFK 50-59 years, male 8.4
GTEX-1J8QM-2126-SM-CYPSJ 60-69 years, female 8.4
GTEX-1N2DV-0226-SM-E6CJ6 40-49 years, male 8.4
GTEX-11EQ9-2426-SM-5HL5T 30-39 years, male 8.3
GTEX-11H98-0126-SM-5EGHG 50-59 years, male 8.3
GTEX-11ZTS-0126-SM-5EQ6M 60-69 years, female 8.3
GTEX-12696-2426-SM-5EQ6H 60-69 years, male 8.3
GTEX-14DAQ-0126-SM-5S2MQ 60-69 years, female 8.3
GTEX-183WM-0126-SM-7LTAB 70-79 years, female 8.3
GTEX-ZE7O-0126-SM-57WC1 50-59 years, female 8.3
GTEX-1F75A-0126-SM-7RHGM 50-59 years, male 8.3
GTEX-1GN1U-0126-SM-7PBZK 50-59 years, female 8.3
GTEX-1JK1U-2026-SM-CM2RZ 60-69 years, male 8.3
GTEX-1PFEY-1526-SM-E76PP 30-39 years, male 8.3
GTEX-1QPFJ-0226-SM-E76PB 30-39 years, female 8.3
GTEX-111VG-2426-SM-5GZXD 60-69 years, male 8.2
GTEX-131XE-2326-SM-5PNZ2 50-59 years, male 8.2
GTEX-13OW6-0426-SM-5L3HM 50-59 years, male 8.2
GTEX-13S7M-0126-SM-5SI6A 60-69 years, female 8.2
GTEX-16NGA-1726-SM-731B4 40-49 years, female 8.2
GTEX-1A3MW-0126-SM-73KXX 60-69 years, female 8.2
GTEX-R3RS-0126-SM-3GIJL 40-49 years, female 8.2
GTEX-RWSA-0126-SM-2XCBB 40-49 years, male 8.2
GTEX-WYVS-2126-SM-3NMA3 40-49 years, female 8.2
GTEX-X4EO-0326-SM-3P5YO 60-69 years, female 8.2
GTEX-11TUW-2726-SM-E9J4M 60-69 years, male 8.2
GTEX-1A8FM-0226-SM-7SB7Q 50-59 years, female 8.2
GTEX-1F6I4-0126-SM-9MQL2 60-69 years, male 8.2
GTEX-1GZ4H-1726-SM-7PBZJ 50-59 years, female 8.2
GTEX-11P7K-2126-SM-5GU7G 30-39 years, male 8.1
GTEX-16BQI-0226-SM-7KUEX 30-39 years, female 8.1
GTEX-18A7A-0226-SM-718BH 50-59 years, female 8.1
GTEX-TMZS-0126-SM-3DB9Q 60-69 years, male 8.1
GTEX-1H4P4-0726-SM-9YFLR 50-59 years, male 8.1
GTEX-1M4P7-0226-SM-DIPEV 60-69 years, male 8.1
GTEX-1PPH8-0226-SM-E8VND 20-29 years, male 8.1
GTEX-1RLM8-2326-SM-EWRN4 50-59 years, male 8.1
GTEX-117XS-2726-SM-5N9BL 60-69 years, male 8.0
GTEX-131XW-0426-SM-5LZWP 50-59 years, female 8.0
GTEX-131YS-0126-SM-5KM1M 60-69 years, female 8.0
GTEX-13FTY-0526-SM-5L3EV 40-49 years, female 8.0
GTEX-145ME-1826-SM-5SI9G 40-49 years, female 8.0
GTEX-PLZ5-2026-SM-2S1O4 50-59 years, male 8.0
GTEX-Q2AH-1626-SM-3GAF8 40-49 years, male 8.0
GTEX-QDVJ-1726-SM-2I5FX 50-59 years, male 8.0
GTEX-TSE9-0126-SM-3DB83 60-69 years, female 8.0
GTEX-XMD2-0126-SM-4YCDU 60-69 years, female 8.0
GTEX-1CAMS-0426-SM-7P8T2 40-49 years, female 8.0
GTEX-1I1CD-0126-SM-CM2TK 60-69 years, female 8.0
GTEX-1LC47-0326-SM-E9TJP 60-69 years, male 8.0
GTEX-PSDG-0226-SM-DKPOZ 50-59 years, male 8.0
GTEX-ZF3C-0126-SM-DO92D 50-59 years, female 8.0
GTEX-117YX-2326-SM-5H12W 50-59 years, male 7.9
GTEX-13SLX-0526-SM-5S2ON 50-59 years, female 7.9
GTEX-14PN3-2426-SM-6LLHS 60-69 years, female 7.9
GTEX-15ER7-0326-SM-7KUEV 20-29 years, female 7.9
GTEX-16XZY-2126-SM-79OK1 70-79 years, male 7.9
GTEX-RN64-0126-SM-2TC68 50-59 years, male 7.9
GTEX-T8EM-1026-SM-3DB7M 40-49 years, male 7.9
GTEX-1I6K6-0126-SM-A9SLE 30-39 years, male 7.9
GTEX-1J8Q3-1626-SM-CMKGC 60-69 years, male 7.9
GTEX-1MGNQ-0126-SM-EVYCJ 40-49 years, male 7.9
GTEX-1R7EV-2426-SM-EVYBG 40-49 years, male 7.9
GTEX-1S82Z-0826-SM-E6CHY 30-39 years, female 7.9
GTEX-11ZVC-2526-SM-5FQTE 50-59 years, female 7.8
GTEX-13NZ8-0826-SM-5MR3I 60-69 years, female 7.8
GTEX-14E7W-0126-SM-6LLJ9 70-79 years, male 7.8
GTEX-17HHY-0126-SM-7LG5D 50-59 years, male 7.8
GTEX-Y5V6-2426-SM-4VDSB 60-69 years, male 7.8
GTEX-ZDYS-2026-SM-5HL5L 50-59 years, male 7.8
GTEX-1HCU6-0126-SM-CL54K 60-69 years, female 7.8
GTEX-1QEPI-0126-SM-EWRMQ 60-69 years, female 7.8
GTEX-13FHO-0226-SM-5IFGY 60-69 years, male 7.7
GTEX-14A5H-0426-SM-5QGQF 60-69 years, male 7.7
GTEX-18QFQ-0126-SM-731BE 30-39 years, male 7.7
GTEX-Q2AG-0126-SM-33HBV 40-49 years, female 7.7
GTEX-T5JC-0426-SM-32PLO 20-29 years, male 7.7
GTEX-U8XE-0326-SM-3DB8P 30-39 years, male 7.7
GTEX-VUSG-2526-SM-4KL1V 50-59 years, male 7.7
GTEX-ZC5H-0226-SM-4WAY9 40-49 years, female 7.7
GTEX-ZDTT-2726-SM-4WKF8 60-69 years, male 7.7
GTEX-1F6RS-0126-SM-9MQKZ 60-69 years, female 7.7
GTEX-1HCVE-0126-SM-CGQEU 50-59 years, male 7.7
GTEX-1HSEH-0126-SM-ACKXN 60-69 years, male 7.7
GTEX-12C56-1726-SM-5EQ61 20-29 years, male 7.6
GTEX-12WSL-2526-SM-5GCNJ 50-59 years, male 7.6
GTEX-17MFQ-1726-SM-793C7 20-29 years, male 7.6
GTEX-WFG8-2226-SM-3GIL9 20-29 years, male 7.6
GTEX-1F6IF-0726-SM-7P8TW 60-69 years, male 7.6
GTEX-PW2O-1526-SM-7RHHB 20-29 years, male 7.6
GTEX-11TT1-2526-SM-5EGIB 20-29 years, male 7.5
GTEX-1497J-2426-SM-7IGNX 60-69 years, male 7.5
GTEX-15SHW-0326-SM-6PAML 60-69 years, male 7.5
GTEX-RWS6-2026-SM-2XCB5 60-69 years, female 7.5
GTEX-X585-0226-SM-4QAS2 50-59 years, male 7.5
GTEX-Z9EW-1626-SM-5CVMN 40-49 years, male 7.5
GTEX-ZYFG-2326-SM-5E44B 60-69 years, female 7.5
GTEX-1B996-0226-SM-7RHGO 60-69 years, male 7.5
GTEX-1122O-2126-SM-5EGIR 60-69 years, female 7.4
GTEX-11ZUS-0626-SM-59885 30-39 years, male 7.4
GTEX-12WSA-0226-SM-5BC5V 60-69 years, male 7.4
GTEX-18D9B-0526-SM-7LTAS 60-69 years, male 7.4
GTEX-NPJ8-0126-SM-2YUNR 40-49 years, male 7.4
GTEX-ZQUD-1426-SM-57WER 30-39 years, male 7.4
GTEX-1GF9X-2026-SM-7PC3A 40-49 years, female 7.4
GTEX-1I4MK-2226-SM-ACKWD 50-59 years, female 7.4
GTEX-1J1OQ-0226-SM-CYPSH 40-49 years, female 7.4
GTEX-11NSD-2226-SM-5986V 20-29 years, male 7.3
GTEX-1C2JI-1826-SM-73KXC 50-59 years, male 7.3
GTEX-OHPM-0126-SM-2YUN9 50-59 years, male 7.3
GTEX-P4PQ-0126-SM-2S1NM 60-69 years, male 7.3
GTEX-S95S-1226-SM-4GICG 60-69 years, male 7.3
GTEX-ZGAY-0526-SM-4WWBB 40-49 years, female 7.3
GTEX-ZU9S-0226-SM-5E441 30-39 years, male 7.3
GTEX-1HFI7-1826-SM-ACKXH 50-59 years, female 7.3
GTEX-1LGRB-2526-SM-CNPPQ 50-59 years, female 7.3
GTEX-1POEN-0126-SM-EYYXJ 30-39 years, female 7.3
GTEX-1QW4Y-1526-SM-EAZ3Z 30-39 years, male 7.3
GTEX-14BIM-0226-SM-7IGLD 60-69 years, female 7.2
GTEX-16YQH-0126-SM-7DUFJ 30-39 years, male 7.2
GTEX-1CB4J-0626-SM-7DHMP 60-69 years, male 7.2
GTEX-WI4N-1026-SM-3LK7N 40-49 years, female 7.2
GTEX-13OW5-0126-SM-DTXFS 60-69 years, male 7.2
GTEX-1F52S-0126-SM-9MQJU 60-69 years, female 7.2
GTEX-1H3VY-0126-SM-ACKXD 50-59 years, male 7.2
GTEX-1HCUA-2426-SM-ADEIS 50-59 years, female 7.2
GTEX-1ICLZ-0126-SM-CKZPO 60-69 years, male 7.2
GTEX-1R9PO-2126-SM-E9J4O 60-69 years, female 7.2
GTEX-11GS4-2726-SM-5A5LE 60-69 years, male 7.1
GTEX-1314G-1526-SM-5EGK2 30-39 years, male 7.1
GTEX-139TT-0126-SM-5K7Y5 60-69 years, male 7.1
GTEX-147F3-0526-SM-5SI98 50-59 years, female 7.1
GTEX-1A32A-0126-SM-718B1 50-59 years, female 7.1
GTEX-QCQG-1726-SM-3GIJ9 50-59 years, female 7.1
GTEX-R55E-0126-SM-2TC5Y 20-29 years, male 7.1
GTEX-WRHK-1426-SM-3MJF9 20-29 years, female 7.1
GTEX-WY7C-2326-SM-3NB2U 50-59 years, male 7.1
GTEX-XUW1-0426-SM-4BOOT 50-59 years, female 7.1
GTEX-169BO-1326-SM-9MQK2 50-59 years, male 7.1
GTEX-1B933-0126-SM-7PC29 50-59 years, female 7.1
GTEX-1PWST-0226-SM-E76QJ 70-79 years, male 7.1
GTEX-ZQG8-1626-SM-DHXIT 60-69 years, female 7.1
GTEX-11DXX-2426-SM-5GZZW 60-69 years, female 7.0
GTEX-11GSO-2426-SM-5A5LY 60-69 years, male 7.0
GTEX-13O21-1426-SM-5K7XI 50-59 years, male 7.0
GTEX-13OW8-1326-SM-5J1OW 60-69 years, male 7.0
GTEX-13VXT-0126-SM-5LU4I 20-29 years, female 7.0
GTEX-146FQ-0126-SM-5NQA9 30-39 years, male 7.0
GTEX-16XZZ-0126-SM-793DV 60-69 years, male 7.0
GTEX-OHPL-0126-SM-2HMJ7 60-69 years, female 7.0
GTEX-T6MO-1626-SM-32QOM 40-49 years, female 7.0
GTEX-WOFL-0126-SM-3MJG2 60-69 years, male 7.0
GTEX-ZV6S-2326-SM-4YCEY 40-49 years, female 7.0
GTEX-1H23P-0126-SM-ADEJ3 60-69 years, male 7.0
GTEX-11EMC-2926-SM-5EQ4F 60-69 years, female 6.9
GTEX-145LT-1726-SM-5QGP3 40-49 years, male 6.9
GTEX-145LV-2126-SM-5LU8N 50-59 years, male 6.9
GTEX-17F97-0326-SM-7LG5B 50-59 years, male 6.9
GTEX-X638-0126-SM-47JZ8 70-79 years, female 6.9
GTEX-ZVT3-0126-SM-5GU6I 60-69 years, female 6.9
GTEX-1GTWX-0126-SM-9YFLK 60-69 years, male 6.9
GTEX-1RB15-2126-SM-E9TIM 60-69 years, male 6.9
GTEX-14JG6-2226-SM-6EU2G 30-39 years, female 6.8
GTEX-15DYW-0126-SM-7KULE 60-69 years, female 6.8
GTEX-15SHU-0126-SM-7KUEH 40-49 years, female 6.8
GTEX-18A67-0126-SM-7LG5P 50-59 years, male 6.8
GTEX-O5YW-0126-SM-3LK6D 50-59 years, male 6.8
GTEX-1GF9V-0326-SM-7RHI5 60-69 years, male 6.8
GTEX-1R9K4-0126-SM-DTX9X 60-69 years, male 6.8
GTEX-12WSN-5019-SM-79OM6 40-49 years, male 6.7
GTEX-U3ZM-1526-SM-3DB9D 40-49 years, male 6.7
GTEX-XXEK-2226-SM-4BRUM 50-59 years, male 6.7
GTEX-1H2FU-0126-SM-9WYSI 60-69 years, female 6.7
GTEX-1LBAC-0126-SM-DIPEZ 20-29 years, male 6.7
GTEX-1LH75-2426-SM-E9TJE 50-59 years, female 6.7
GTEX-13NZB-2526-SM-5J1OM 30-39 years, male 6.6
GTEX-13OW7-0126-SM-5MR3B 50-59 years, male 6.6
GTEX-14BMU-2226-SM-5TDE9 20-29 years, female 6.6
GTEX-1AYD5-2426-SM-73KXR 50-59 years, male 6.6
GTEX-QLQ7-1626-SM-2S1R8 60-69 years, male 6.6
GTEX-1C6VQ-0126-SM-7P8RI 50-59 years, male 6.6
GTEX-1H1DG-0126-SM-9WYU2 70-79 years, male 6.6
GTEX-1HGF4-2426-SM-ACKXM 60-69 years, male 6.6
GTEX-1QP29-0626-SM-EWRMX 50-59 years, male 6.6
GTEX-ZVT4-0126-SM-DTXFN 50-59 years, female 6.6
GTEX-11P82-1626-SM-59879 20-29 years, male 6.5
GTEX-14E6C-0126-SM-5RQIP 40-49 years, male 6.5
GTEX-15UF6-0826-SM-6PALJ 70-79 years, female 6.5
GTEX-Q2AI-1326-SM-2S1PL 40-49 years, male 6.5
GTEX-Y3I4-2126-SM-4TT7C 50-59 years, male 6.5
GTEX-1IY9M-0126-SM-D3L8S 60-69 years, male 6.5
GTEX-1N2EF-0226-SM-EYYXB 60-69 years, male 6.5
GTEX-11VI4-1726-SM-5CVLH 40-49 years, female 6.4
GTEX-ZUA1-0126-SM-5GU76 40-49 years, male 6.4
GTEX-1GZHY-0326-SM-9QEHI 50-59 years, female 6.4
GTEX-1I1HK-0126-SM-COH49 60-69 years, male 6.4
GTEX-139T4-0226-SM-5HL5S 50-59 years, female 6.3
GTEX-148VI-1626-SM-5SI6E 60-69 years, female 6.3
GTEX-OXRL-0126-SM-2YUMP 50-59 years, male 6.3
GTEX-QDT8-0126-SM-48TZ1 30-39 years, female 6.3
GTEX-RTLS-0126-SM-447CA 60-69 years, female 6.3
GTEX-SSA3-0126-SM-32QPU 60-69 years, male 6.3
GTEX-X5EB-2226-SM-46MW4 40-49 years, male 6.3
GTEX-X62O-0126-SM-4E3JN 50-59 years, male 6.3
GTEX-Y114-2426-SM-4TT8A 50-59 years, female 6.3
GTEX-ZYFD-0126-SM-5GIDL 50-59 years, male 6.3
GTEX-ZYY3-0126-SM-5GZY5 60-69 years, female 6.3
GTEX-1JMPY-1326-SM-ARL8Y 30-39 years, male 6.3
GTEX-1PBJI-0526-SM-E8VNK 20-29 years, female 6.3
GTEX-ZPIC-1726-SM-DHXIU 40-49 years, female 6.3
GTEX-12WSK-2326-SM-5GCOH 40-49 years, female 6.2
GTEX-12ZZZ-0626-SM-5DUXI 60-69 years, male 6.2
GTEX-13RTJ-2426-SM-5S2Q2 60-69 years, male 6.2
GTEX-18A7B-0126-SM-7LG64 70-79 years, male 6.2
GTEX-ZTPG-0326-SM-5O9AX 20-29 years, female 6.2
GTEX-1F48J-0126-SM-7P8TT 50-59 years, female 6.2
GTEX-1I1GU-2226-SM-CGQFA 40-49 years, male 6.2
GTEX-1LNCM-1126-SM-E9U5E 50-59 years, female 6.2
GTEX-RNOR-0126-SM-E9J4R 50-59 years, female 6.2
GTEX-12WSD-0126-SM-59HKN 60-69 years, female 6.1
GTEX-13N1W-0126-SM-5K7VT 70-79 years, male 6.1
GTEX-R55G-2526-SM-2TC6D 40-49 years, female 6.1
GTEX-RUSQ-1526-SM-2TF62 50-59 years, male 6.1
GTEX-YJ8A-0426-SM-5IFID 20-29 years, male 6.1
GTEX-1J8EW-0126-SM-CJI4F 60-69 years, female 6.1
GTEX-1192W-2626-SM-5Q5AF 60-69 years, male 6.0
GTEX-13N11-2526-SM-5K7UE 50-59 years, female 6.0
GTEX-14DAR-2026-SM-5S2O3 50-59 years, male 6.0
GTEX-17EVQ-0226-SM-7LG4P 70-79 years, male 6.0
GTEX-17HHE-2026-SM-79OKF 50-59 years, male 6.0
GTEX-QDVN-2026-SM-3GAEP 50-59 years, male 6.0
GTEX-TMMY-0226-SM-33HBA 40-49 years, female 6.0
GTEX-YEC4-2126-SM-5IFJH 40-49 years, male 6.0
GTEX-ZEX8-2426-SM-4WKG4 50-59 years, male 6.0
GTEX-1R46S-0626-SM-E9J41 60-69 years, female 6.0
GTEX-13NZA-0226-SM-5K7Z7 60-69 years, male 5.9
GTEX-1C6VS-0526-SM-7DUEN 60-69 years, male 5.9
GTEX-RM2N-1426-SM-2TF4H 50-59 years, male 5.9
GTEX-U8T8-0126-SM-3DB94 60-69 years, male 5.9
GTEX-1HUB1-0426-SM-E9U4U 60-69 years, male 5.9
GTEX-13FTW-2626-SM-5K7WL 40-49 years, male 5.8
GTEX-13W46-0226-SM-5SIAG 50-59 years, male 5.8
GTEX-X8HC-0126-SM-4E3JW 50-59 years, female 5.8
GTEX-1HSMO-0126-SM-CL547 60-69 years, male 5.8
GTEX-13CF2-2526-SM-5LZYX 60-69 years, male 5.7
GTEX-13FTX-1826-SM-5J1NX 20-29 years, female 5.7
GTEX-13QJ3-0326-SM-5S2RA 50-59 years, male 5.7
GTEX-146FH-0126-SM-5QGPP 50-59 years, female 5.7
GTEX-13O3O-0126-SM-E9J49 60-69 years, female 5.7
GTEX-1CAV2-2226-SM-7P8P2 40-49 years, female 5.7
GTEX-1QP67-1626-SM-EAZ3X 40-49 years, female 5.7
GTEX-117YW-2626-SM-5GZZH 50-59 years, male 5.6
GTEX-13PDP-0126-SM-5L3HD 60-69 years, male 5.6
GTEX-1ICG6-2526-SM-CGQFZ 70-79 years, female 5.6
GTEX-1PPH7-2326-SM-EVYB8 40-49 years, male 5.6
GTEX-13RTL-0126-SM-7LG5S 40-49 years, male 5.5
GTEX-13X6H-2126-SM-7EWD5 50-59 years, female 5.5
GTEX-148VJ-0126-SM-5TDDN 70-79 years, male 5.5
GTEX-Q734-1926-SM-2I5EV 40-49 years, female 5.5
GTEX-XV7Q-2526-SM-4BRV9 40-49 years, female 5.5
GTEX-1C6WA-0126-SM-7PC2B 60-69 years, male 5.5
GTEX-ZF29-2326-SM-DO92K 60-69 years, female 5.4
GTEX-15EOM-0126-SM-7KUGG 20-29 years, female 5.3
GTEX-11DZ1-0126-SM-5985Q 50-59 years, male 5.2
GTEX-16MT8-0426-SM-7KUEY 60-69 years, female 5.2
GTEX-1HBPM-0226-SM-ARL9F 60-69 years, female 5.2
GTEX-1I1GT-0626-SM-CGQER 60-69 years, female 5.2
GTEX-1GN1W-0526-SM-9MQJQ 50-59 years, female 5.0
GTEX-1JN1M-0326-SM-CYPT3 60-69 years, female 5.0
GTEX-13OVG-1926-SM-5L3DK 60-69 years, male 4.9
GTEX-13OVJ-0126-SM-5KM36 50-59 years, female 4.9
GTEX-144GN-2326-SM-5LU4F 50-59 years, male 4.9
GTEX-15SDE-2226-SM-7IGLO 50-59 years, female 4.9
GTEX-YB5K-2126-SM-4WWDJ 40-49 years, female 4.9
GTEX-13FH7-2026-SM-E9J4I 50-59 years, female 4.9
GTEX-113IC-0126-SM-5HL6T 60-69 years, male 4.8
GTEX-13IVO-0126-SM-5J1NG 70-79 years, male 4.7
GTEX-ZAB4-0226-SM-5N9F5 40-49 years, male 4.7
GTEX-146FR-1326-SM-E9J48 60-69 years, female 4.7
GTEX-11TTK-0126-SM-5987B 60-69 years, female 4.6
GTEX-11ZTT-2426-SM-5EQLS 60-69 years, female 4.6
GTEX-U4B1-1826-SM-4DXSU 40-49 years, male 4.6
GTEX-ZF28-0126-SM-4WKGK 60-69 years, male 4.6
GTEX-1HBPH-0426-SM-B2LW5 40-49 years, female 4.6
GTEX-1JMOU-1526-SM-CL54I 60-69 years, female 4.6
GTEX-14JIY-0126-SM-6LLH6 60-69 years, male 4.5
GTEX-17HII-0226-SM-7LG4E 50-59 years, male 4.5
GTEX-1B8KE-2126-SM-73KYX 50-59 years, male 4.5
GTEX-PLZ4-0126-SM-5SI8O 50-59 years, female 4.4
GTEX-RU72-0926-SM-2TF6B 50-59 years, female 4.4
GTEX-ZVT2-2526-SM-51MT1 50-59 years, female 4.4
GTEX-ZXES-1826-SM-5E43S 30-39 years, female 4.4
GTEX-14A6H-0126-SM-5QGPK 30-39 years, male 4.3
GTEX-OXRP-0126-SM-3NB32 60-69 years, female 4.3
GTEX-X4XX-0126-SM-3NMC2 60-69 years, male 4.3
GTEX-1OJC4-0126-SM-E9J2E 50-59 years, female 4.3
GTEX-OXRO-0126-SM-2YUN4 60-69 years, female 4.2
GTEX-Y8LW-1826-SM-5S2MV 50-59 years, female 4.2
GTEX-14PK6-1926-SM-6ETZU 70-79 years, female 4.1
GTEX-ZAJG-0126-SM-5HL94 50-59 years, female 4.1
GTEX-14BIL-0126-SM-5SI92 50-59 years, male 3.9
GTEX-14LLW-0126-SM-6LLIO 70-79 years, female 3.9
GTEX-12WSG-2826-SM-E9J4H 50-59 years, female 3.8
GTEX-11GSP-2526-SM-5N9BP 60-69 years, female 3.7
GTEX-SE5C-1626-SM-2XCE3 40-49 years, female 3.7
GTEX-ZDXO-3026-SM-5J1N5 60-69 years, male 3.6
GTEX-ZYW4-0126-SM-5E44A 60-69 years, male 3.5
GTEX-1RAZQ-0726-SM-EAZ43 30-39 years, male 3.5
GTEX-R45C-0126-SM-EAZ2R 60-69 years, female 3.5
GTEX-131XG-2626-SM-5KM17 50-59 years, female 3.3
GTEX-13O1R-0126-SM-5L3EH 60-69 years, male 3.2
Show allShow less

Contact

  • NEWS ARTICLES
  • PRESS ROOM

The Project

  • INTRODUCTION
  • ORGANIZATION
  • PUBLICATIONS

The Human Protein Atlas

  • DOWNLOADABLE DATA
  • LICENCE & CITATION
  • HELP & FAQ
The Human Protein Atlas project is funded
by the Knut & Alice Wallenberg Foundation.


contact@proteinatlas.org