We use cookies to enhance the usability of our website. If you continue, we'll assume that you are happy to receive all cookies. More information. Don't show this again.
TPM2
HPA
RESOURCES
  • TISSUE
  • BRAIN
  • SINGLE CELL
  • SUBCELLULAR
  • CANCER
  • BLOOD
  • CELL LINE
  • STRUCTURE & INTERACTION
ABOUT
  • INTRODUCTION
  • HISTORY
  • ORGANIZATION
  • PUBLICATIONS
  • ANTIBODY SUBMISSION
  • ANTIBODY AVAILABILITY
  • ACKNOWLEDGMENTS
  • CONTACT
NEWS
  • NEWS ARTICLES
  • PRESS ROOM
LEARN
  • DICTIONARY
  • PROTEIN CLASSES
  • PROTEIN EVIDENCE
  • METHODS
  • EDUCATIONAL VIDEOS
DATA
  • DOWNLOADABLE DATA
  • PUBLICATION DATA
  • RELEASE HISTORY
HELP
  • ANTIBODY VALIDATION
  • ASSAYS & ANNOTATION
  • DISCLAIMER
  • HELP & FAQ
  • PRIVACY STATEMENT
  • LICENCE & CITATION
Fields »
Search result

Field
Term
Gene name
Class
Subclass
Class
Keyword
Chromosome
External id
Tissue
Cell type
Expression
Antibody panel
Tissue
Main location
Patient ID
Annotation
Tissue
Category
Tau score
Cluster
Reliability
Brain region
Category
Tau score
Brain region
Category
Tau score
Brain region
Category
Tau score
Cluster
Reliability
Tissue
Cell type
Enrichment
Cell type
Category
Tau score
Cell type
Category
Tau score
Cell type
Category
Tau score
Cell lineage
Category
Tau score
Cluster
Cluster
Location
Searches
Location
Cell line
Class
Type
Phase
Reliability
Cancer
Prognosis
Cancer
Category
Cancer
Category
Tau score
Cluster
Variants
Interacting gene (ensg_id)
Type
Number of interactions
Pathway
Category
Score
Score
Score
Validation
Validation
Validation
Validation
Antibodies
Data type
Column


  • SUMMARY

  • TISSUE

  • BRAIN

  • SINGLE CELL

  • SUBCELL

  • CANCER

  • BLOOD

  • CELL LINE

  • STRUCT & INT

  • TPM2
BRAIN CEREBELLUM Show tissue menu
AMYGDALA BASAL GANGLIA CEREBELLUM CEREBRAL CORTEX CHOROID PLEXUS HIPPOCAMPAL FORMATION HYPOTHALAMUS MEDULLA OBLONGATA
MIDBRAIN OLFACTORY BULB PITUITARY GLAND PONS RETINA SPINAL CORD THALAMUS WHITE MATTER
ANTIBODIES
AND
VALIDATION
Brain proteome
Cerebellum
CEREBELLUM - Expression summary
Protein expression
Cerebellumi

On the top, protein expression in current human tissue, based on all annotated cell types, is reported with the units not detected (n), low (l), medium (m) and high (h). Underneath, protein expression in each annotated cell type are reported using the same units.

Protein expression data is based on knowledge-based annotation. For genes where more than one antibody has been used, a collective score is set.

If knowledge-based annotation could not be performed for a gene, no data is displayed here. View antibody staining data further down this page.

h
m
l
n
Cells in granular layer: Medium
Cells in molecular layer: Medium
Purkinje cells: Medium
RNA expressioni

A summary of mRNA expression data available for current tissue based on several datasets. The mRNA expression levels in human tissues are based on RNA-seq data generated by the Human Protein Atlas (HPA), Genotype-Tissue Expression (GTEx) portal and CAGE data generated by the FANTOM5 consortium. Consensus normalized expression levels for human tissues was created by combining the data from HPA and GTEx datasets.

The mRNA expression levels in pig are based on RNA-seq data generated by the Human Protein Atlas (HPA), and for mouse, HPA data and in situ hybridization generated by the Allen brain atlas are reported.

Scroll down to view mRNA expression data in more detail.
Consensus:116.6 nTPM
HPA Brain:49.7 nTPM
GTEx:116.6 nTPM
FANTOM5:11.8 Scaled Tags Per Million
Pig:32.5 nTPM
Mouse:17.7 nTPM
Allen mouse:1.5 Expression energy

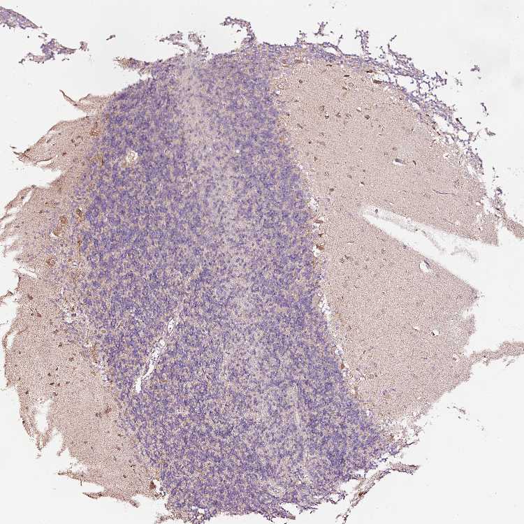
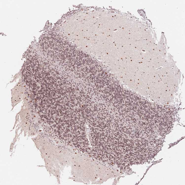
CEREBELLUM - Antibody stainingi

Antibody staining in the annotated cell types in the current human tissue is reported as not detected, low, medium, or high, based on conventional immunohistochemistry profiling in selected tissues. This score is based on the combination of the staining intensity and fraction of stained cells.

Each image is clickable and will lead to virtual microscopy that enables deeper exploration of all samples and also displays staining intensity scores, fraction scores and subcellular localization as well as patient and tissue information for each sample.

Antibody HPA047089Antibody HPA053624
Purkinje cells LowMedium
Cells in granular layer MediumMedium
Cells in molecular layer MediumHigh




CEREBELLUM - HPA Brain RNA-seq
Max subtype nTPMi

Max subtype nTPM is the value for the subtype with the largest average nTPM across the subtype samples.

49.7
Sample id Sample description nTPM
Cerebellar cortex
nTPM: 39.7
1769 Male, age 76, right hemisphere 94.5
1774 Male, age 80, left hemisphere 53.6
1788 Male, age 55, unknown 40.6
1768 Female, age 72, unknown 33.9
2055 Female, age 91, right hemisphere 28.6
2003 Female, age 85, right hemisphere 26.0
2006 Male, age 61, right hemisphere 26.0
2101 Male, age 74, right hemisphere 14.2
Cerebellar nuclei
nTPM: 19.2
2882 Male, age 76, left hemisphere 25.5
2175 Male, age 61, right hemisphere 24.6
1871 Male, age 74, unknown 19.5
1966 Female, age 91, left hemisphere 19.0
1879 Male, age 55, unknown 18.2
2783 Female, age 72, unknown 17.9
2177 Female, age 85, both hemispheres 17.6
2005 Male, age 80, left hemisphere 16.4
2318 Male, age 74, left hemisphere 14.2
Flocculonodular lobe
nTPM: 49.7
1767 Male, age 76, left hemisphere 94.5
1771 Male, age 80, left hemisphere 55.9
1765 Male, age 55, unknown 55.7
1792 Male, age 74, unknown 39.8
1835 Female, age 85, right hemisphere 38.0
2004 Male, age 61, right hemisphere 33.5
2176 Female, age 91, right hemisphere 30.3
Vermis
nTPM: 44.5
1770 Male, age 76, left hemisphere 90.7
1766 Male, age 55, unknown 51.2
1825 Male, age 74, unknown 47.8
2834 Male, age 80, left hemisphere 43.0
1778 Female, age 91, left hemisphere 42.1
1988 Female, age 85, left hemisphere 39.6
2460 Male, age 61, both hemispheres 38.9
1928 Female, age 72, unknown 24.2
1751 Male, age 74, right hemisphere 22.7

CEREBELLUM - GTEx RNA-seqi

RNA-Seq data generated by the Genotype-Tissue Expression (GTEx) project from human tissues is reported as mean nTPM. More information can be found on the GTEx portal.

Distribution across the dataset is visualized with box plots, shown as median and 25th and 75th percentiles. Points are displayed as outliers if they are above or below 1.5 times the interquartile range. nTPM values of the individual samples are presented next to the box plot.
Max subtype nTPMi

Max subtype nTPM is the value for the subtype with the largest average nTPM across the subtype samples.

116.6
GTEx sample id Sample description nTPM
Brain - Cerebellar Hemisphere
Average nTPM: 111.7
Samples: 215

Max nTPM: 869.0
Min nTPM: 18.8
Std nTPM: 73.9
Median nTPM: 97.4
GTEX-16NPV-0011-R11a-SM-7IGMK 50-59 years, female 869.0
GTEX-132Q8-0011-R11b-SM-5DUW9 60-69 years, male 366.4
GTEX-ZF28-0011-R11a-SM-4WWEI 60-69 years, male 333.8
GTEX-XMD1-0011-R11A-SM-4AT5J 60-69 years, male 276.3
GTEX-1LKK1-0011-R11a-SM-EXOIG 50-59 years, female 248.6
GTEX-1H3VE-0011-R11b-SM-C1YRP 40-49 years, male 243.8
GTEX-16XZZ-0011-R11a-SM-7EPI3 60-69 years, male 239.2
GTEX-1I19N-0011-R11b-SM-ARU6Y 70-79 years, male 233.8
GTEX-17EVQ-0011-R11a-SM-7LT9C 70-79 years, male 231.2
GTEX-12WSD-0011-R11a-SM-9OSVC 60-69 years, female 219.1
GTEX-1HUB1-0011-R11b-SM-CE6SC 60-69 years, male 213.1
GTEX-13JUV-0011-R11a-SM-5LZYH 40-49 years, female 212.7
GTEX-13X6I-0011-R11a-SM-5P9HN 60-69 years, male 210.4
GTEX-NL4W-0011-R11A-SM-2I3DW 50-59 years, male 208.3
GTEX-11DZ1-0011-R11b-SM-DO11W 50-59 years, male 198.6
GTEX-13FLV-0011-R11a-SM-5LZZ7 50-59 years, male 192.8
GTEX-17JCI-0011-R11a-SM-7189Y 60-69 years, female 186.7
GTEX-1CAV2-0011-R11a-SM-ARU8D 40-49 years, female 183.5
GTEX-1J8Q2-0011-R11a-SM-A9SKI 60-69 years, male 179.5
GTEX-1GMR8-0011-R11b-SM-9OSX2 50-59 years, female 176.3
GTEX-11EMC-0011-R11b-SM-DNZZK 60-69 years, female 176.1
GTEX-13NZA-0011-R11b-SM-5KM4W 60-69 years, male 173.9
GTEX-1H3O1-0011-R11a-SM-A96RV 60-69 years, male 172.8
GTEX-1GMRU-0011-R11b-SM-C1YQ4 50-59 years, male 172.6
GTEX-1H1DG-0011-R11a-SM-C1YQK 70-79 years, male 169.4
GTEX-WWYW-0011-R11A-SM-3NB38 50-59 years, female 167.0
GTEX-ZE9C-0011-R11a-SM-4WKGG 60-69 years, male 164.5
GTEX-1H4P4-0011-R11b-SM-CE6S8 50-59 years, male 164.1
GTEX-13CZV-0011-R11b-SM-5N9FN 60-69 years, male 162.1
GTEX-1B933-0011-R11a-SM-7P8PM 50-59 years, female 161.3
GTEX-1HGF4-0011-R11a-SM-C1YRR 60-69 years, male 157.5
GTEX-1F48J-0011-R11b-SM-9OSWV 50-59 years, female 157.1
GTEX-NPJ8-0011-R11A-SM-2YUMS 40-49 years, male 153.9
GTEX-1ICLZ-0011-R11a-SM-CJI3N 60-69 years, male 153.5
GTEX-ZE7O-0011-R11a-SM-57WBC 50-59 years, female 151.9
GTEX-N7MS-0011-R11A-SM-2HMJS 60-69 years, male 150.8
GTEX-1IGQW-0011-R11a-SM-C1YRV 60-69 years, male 146.2
GTEX-13JVG-0011-R11a-SM-5KM53 60-69 years, male 146.1
GTEX-13OVJ-0011-R11a-SM-5P9H8 50-59 years, female 145.6
GTEX-1F52S-0011-R11a-SM-CJI23 60-69 years, female 145.6
GTEX-15G19-0011-R11b-SM-6LPIH 60-69 years, male 145.2
GTEX-X585-0011-R11B-SM-46MUZ 50-59 years, male 144.5
GTEX-1C64N-0011-R11b-SM-7P8Q6 50-59 years, male 144.1
GTEX-13QIC-0011-R11b-SM-5O9BU 60-69 years, female 143.2
GTEX-131XW-0011-R11a-SM-5DUV9 50-59 years, female 140.6
GTEX-11TTK-0011-R11b-SM-DO112 60-69 years, female 140.1
GTEX-13SLW-0011-R11a-SM-5SI8Q 70-79 years, male 138.9
GTEX-1IOXB-0011-R11a-SM-A9G1X 50-59 years, male 138.3
GTEX-13FHO-0011-R11b-SM-5LZYQ 60-69 years, male 137.1
GTEX-1BAJH-0011-R11b-SM-7IGLM 70-79 years, male 136.8
GTEX-1313W-0011-R11a-SM-5DUXN 50-59 years, female 136.5
GTEX-11WQC-0011-R11b-SM-57WD6 60-69 years, male 136.3
GTEX-18A6Q-0011-R11a-SM-72D6H 60-69 years, male 136.1
GTEX-ZAB4-0011-R11a-SM-4SOKI 40-49 years, male 135.3
GTEX-NPJ7-0011-R11A-SM-2I3E8 60-69 years, female 134.7
GTEX-14BIN-0011-R11a-SM-5SI79 50-59 years, female 134.5
GTEX-13OVH-0011-R11b-SM-5KM4X 70-79 years, male 133.8
GTEX-13OW8-0011-R11a-SM-5L3GT 60-69 years, male 132.9
GTEX-17HII-0011-R11b-SM-7KFSX 50-59 years, male 130.0
GTEX-OHPN-0011-R11A-SM-2I5FM 60-69 years, female 129.1
GTEX-13RTJ-0011-R11a-SM-5O9CK 60-69 years, male 128.1
GTEX-1GF9W-0011-R11b-SM-9OSXG 60-69 years, male 126.1
GTEX-1H3NZ-0011-R11b-SM-CE6SF 60-69 years, male 125.7
GTEX-YJ89-0011-R11a-SM-4SOKA 60-69 years, male 125.6
GTEX-11DYG-0011-R11a-SM-DNZZP 60-69 years, male 125.5
GTEX-14ASI-0011-R11b-SM-6AJBJ 60-69 years, male 123.9
GTEX-18464-0011-R11a-SM-72D76 50-59 years, male 123.1
GTEX-X4XX-0011-R11A-SM-46MWQ 60-69 years, male 122.6
GTEX-14ABY-0011-R11a-SM-5SI7C 50-59 years, male 122.1
GTEX-12WSH-0011-R11a-SM-5LZVM 50-59 years, male 119.8
GTEX-13SLX-0011-R11b-SM-5O9C8 50-59 years, female 119.1
GTEX-13PVQ-0011-R11a-SM-5O9DU 50-59 years, male 119.0
GTEX-14C5O-0011-R11b-SM-6872H 60-69 years, male 118.3
GTEX-139UW-0011-R11a-SM-5IJGN 60-69 years, male 118.0
GTEX-11ZTS-0011-R11a-SM-DO113 60-69 years, female 117.6
GTEX-13OVL-0011-R11b-SM-5L3G7 50-59 years, male 117.2
GTEX-1H1CY-0011-R11a-SM-C1YQR 60-69 years, female 115.9
GTEX-1A3MX-0011-R11b-SM-7DUGP 60-69 years, male 115.4
GTEX-X4EP-0011-R11B-SM-4QASK 60-69 years, female 115.2
GTEX-1J1OQ-0011-R11a-SM-A96S3 40-49 years, female 114.6
GTEX-13OW7-0011-R11a-SM-5O9DY 50-59 years, male 114.4
GTEX-X261-0011-R11A-SM-4E3JY 50-59 years, male 112.1
GTEX-17F97-0011-R11b-SM-7KFRQ 50-59 years, male 111.0
GTEX-12WSF-0011-R11a-SM-5LZVT 70-79 years, male 110.8
GTEX-WHSE-0011-R11A-SM-3P5YY 20-29 years, male 110.2
GTEX-1HSKV-0011-R11b-SM-AHZ2E 60-69 years, male 109.1
GTEX-1IY9M-0011-R11b-SM-A96TI 60-69 years, male 107.8
GTEX-13PLJ-0011-R11b-SM-5O9BS 60-69 years, female 107.7
GTEX-16YQH-0011-R11b-SM-7LT98 30-39 years, male 107.7
GTEX-13FXS-0011-R11a-SM-5L3DM 50-59 years, male 106.9
GTEX-14C39-0011-R11b-SM-5YYAF 40-49 years, male 106.8
GTEX-145LU-0011-R11b-SM-5P9JX 50-59 years, male 104.4
GTEX-RVPV-0011-R11A-SM-2TF6F 60-69 years, male 104.3
GTEX-13NYB-0011-R11a-SM-5KM3Q 40-49 years, male 104.1
GTEX-1I1GV-0011-R11a-SM-CJI3Z 60-69 years, male 103.9
GTEX-1E1VI-0011-R11a-SM-9OSWI 50-59 years, male 103.5
GTEX-1IKK5-0011-R11a-SM-C1YRX 60-69 years, male 103.5
GTEX-1EMGI-0011-R11b-SM-9OSWX 60-69 years, male 102.2
GTEX-1399T-0011-R11a-SM-5J2O1 60-69 years, male 101.3
GTEX-NL3H-0011-R11A-SM-2I3E6 60-69 years, male 101.2
GTEX-14BIM-0011-R11b-SM-5S2RN 60-69 years, female 100.3
GTEX-1IDJH-0011-R11b-SM-C1YRT 70-79 years, male 99.8
GTEX-1F6I4-0011-R11b-SM-9OSWS 60-69 years, male 99.5
GTEX-12WSI-0011-R11b-SM-5P9EZ 50-59 years, male 99.4
GTEX-1I1GR-0011-R11a-SM-CM2T5 60-69 years, male 98.9
GTEX-1H1ZS-0011-R11a-SM-C1YQM 70-79 years, male 98.4
GTEX-ZDXO-0011-R11a-SM-4WWD9 60-69 years, male 98.2
GTEX-13NYS-0011-R11b-SM-5MR4P 60-69 years, male 97.4
GTEX-1B8SF-0011-R11a-SM-79OOP 60-69 years, male 97.1
GTEX-1I1GQ-0011-R11b-SM-CKZPA 50-59 years, male 97.1
GTEX-13X6J-0011-R11a-SM-5P9HE 50-59 years, male 96.7
GTEX-16GPK-0011-R11b-SM-7MKFF 60-69 years, male 96.3
GTEX-12WSM-0011-R11a-SM-5DUX8 60-69 years, male 96.2
GTEX-1IL2V-0011-R11a-SM-ARU6T 70-79 years, male 95.6
GTEX-WZTO-0011-R11A-SM-4E3K9 40-49 years, male 95.0
GTEX-1N2DW-0011-R11b-SM-EXOIL 50-59 years, male 94.8
GTEX-13O3O-0011-R11b-SM-5KM4G 60-69 years, female 94.6
GTEX-18465-0011-R11a-SM-72D78 50-59 years, male 94.5
GTEX-14E6D-0011-R11b-SM-664NP 50-59 years, male 93.6
GTEX-13FHP-0011-R11b-SM-5LZXP 50-59 years, male 93.5
GTEX-139TT-0011-R11b-SM-5LZV1 60-69 years, male 93.4
GTEX-R55E-0011-R11A-SM-2TC6I 20-29 years, male 93.1
GTEX-1IKOH-0011-R11a-SM-AHZ38 60-69 years, female 93.0
GTEX-QMR6-0011-R11A-SM-32PKK 50-59 years, male 92.9
GTEX-144GL-0011-R11b-SM-5P9F6 50-59 years, male 92.8
GTEX-ZVT3-0011-R11b-SM-57WBI 60-69 years, female 92.6
GTEX-12WSE-0011-R11b-SM-5P9JW 20-29 years, male 92.4
GTEX-TSE9-0011-R11A-SM-3DB7N 60-69 years, female 91.8
GTEX-183WM-0011-R11a-SM-718A5 70-79 years, female 90.9
GTEX-1B8L1-0011-R11b-SM-793DJ 60-69 years, male 90.9
GTEX-1JMQJ-0011-R11a-SM-EXOJY 50-59 years, male 90.9
GTEX-1CB4G-0011-R11a-SM-9OSWG 60-69 years, male 90.4
GTEX-1LVAO-0011-R11b-SM-EXOI8 60-69 years, male 90.2
GTEX-1F7RK-0011-R11b-SM-9QEI2 20-29 years, female 89.0
GTEX-145MH-0011-R11a-SM-5P9HQ 50-59 years, male 88.3
GTEX-YFC4-0011-R11a-SM-4SOK6 40-49 years, female 88.3
GTEX-17EVP-0011-R11a-SM-7EWDL 40-49 years, male 87.3
GTEX-11DXY-0011-R11a-SM-DNZZN 60-69 years, male 85.5
GTEX-15DYW-0011-R11a-SM-6LPIT 60-69 years, female 85.3
GTEX-T5JC-0011-R11A-SM-32PMB 20-29 years, male 84.8
GTEX-1HB9E-0011-R11b-SM-ARU79 50-59 years, male 84.3
GTEX-11OF3-0011-R11a-SM-57WCR 60-69 years, male 83.9
GTEX-1JMOU-0011-R11b-SM-EXUTA 60-69 years, female 83.6
GTEX-1HFI6-0011-R11b-SM-A96RU 40-49 years, male 82.8
GTEX-1LG7Y-0011-R11a-SM-EXOIH 50-59 years, male 82.8
GTEX-12ZZZ-0011-R11a-SM-5EGLC 60-69 years, male 81.3
GTEX-WVLH-0011-R11A-SM-3MJFO 50-59 years, male 80.6
GTEX-1F75A-0011-R11a-SM-AHZ35 50-59 years, male 80.6
GTEX-1GZ4I-0011-R11b-SM-9OSWR 50-59 years, male 79.9
GTEX-1I1HK-0011-R11a-SM-B2LVN 60-69 years, male 79.1
GTEX-1N2EE-0011-R11b-SM-EXOIJ 60-69 years, male 77.5
GTEX-13FTY-0011-R11a-SM-5IJEA 40-49 years, female 77.1
GTEX-13CF2-0011-R11b-SM-5LZXO 60-69 years, male 77.0
GTEX-13OW5-0011-R11b-SM-5L3GG 60-69 years, male 77.0
GTEX-13N2G-0011-R11a-SM-5MR3F 60-69 years, male 74.9
GTEX-11H98-0011-R11b-SM-5NQ6U 50-59 years, male 74.8
GTEX-13OW6-0011-R11a-SM-5L3H2 50-59 years, male 74.6
GTEX-1B8SG-0011-R11a-SM-7P8PF 50-59 years, male 74.5
GTEX-Z93S-0011-R11a-SM-4RGNN 50-59 years, male 73.8
GTEX-Q2AG-0011-R11A-SM-2HMKZ 40-49 years, female 72.4
GTEX-1R9K4-0011-R11a-SM-EZ6N9 60-69 years, male 72.4
GTEX-ZUA1-0011-R11b-SM-51MTI 40-49 years, male 71.8
GTEX-WL46-0011-R11A-SM-3MJFT 50-59 years, male 71.6
GTEX-1GN73-0011-R11b-SM-9OSX4 60-69 years, male 70.9
GTEX-12126-0011-R11a-SM-5BC6X 20-29 years, male 70.8
GTEX-15EO6-0011-R11b-SM-6M47M 50-59 years, male 70.2
GTEX-15DCD-0011-R11a-SM-D4P1R 70-79 years, female 70.2
GTEX-RU72-0011-R11A-SM-CM2U1 50-59 years, female 69.8
GTEX-1IL2U-0011-R11a-SM-CE6SO 60-69 years, male 69.7
GTEX-1JJ6O-0011-R11b-SM-EXUS2 60-69 years, male 68.3
GTEX-11EI6-0011-R11a-SM-DO11V 60-69 years, male 67.8
GTEX-13X6K-0011-R11a-SM-5P9F5 60-69 years, female 67.1
GTEX-145MI-0011-R11a-SM-5P9JZ 60-69 years, female 66.6
GTEX-13S7M-0011-R11b-SM-5P9HU 60-69 years, female 66.5
GTEX-Y8DK-0011-R11A-SM-4SOK2 60-69 years, male 65.1
GTEX-P44H-0011-R11A-SM-2XCER 40-49 years, male 64.0
GTEX-1HCU6-0011-R11b-SM-AHZ2F 60-69 years, female 63.8
GTEX-T6MN-0011-R11A-SM-32QOX 50-59 years, male 63.3
GTEX-1J8EW-0011-R11a-SM-AHZ37 60-69 years, female 63.0
GTEX-1EKGG-0011-R11a-SM-9QEHZ 60-69 years, male 62.7
GTEX-1JJEA-0011-R11a-SM-EXUTE 60-69 years, male 62.7
GTEX-1HBPI-0011-R11b-SM-CE6SH 50-59 years, male 62.0
GTEX-1GTWX-0011-R11b-SM-C1YQJ 60-69 years, male 61.9
GTEX-1KD4Q-0011-R11b-SM-EXOIE 40-49 years, male 61.9
GTEX-11GSP-0011-R11b-SM-5NQ7V 60-69 years, female 61.5
GTEX-1R9PO-0011-R11b-SM-EZ6NB 60-69 years, female 61.0
GTEX-14PN4-0011-R11a-SM-686ZW 50-59 years, male 60.9
GTEX-ZVZQ-0011-R11a-SM-51MS6 60-69 years, female 60.8
GTEX-131YS-0011-R11b-SM-5EGLM 60-69 years, female 60.6
GTEX-P44G-0011-R11A-SM-2I3FD 30-39 years, male 59.8
GTEX-13VXU-0011-R11b-SM-5O9DJ 50-59 years, male 58.4
GTEX-131XH-0011-R11a-SM-5EGLN 50-59 years, male 57.4
GTEX-14DAQ-0011-R11a-SM-664NO 60-69 years, female 55.1
GTEX-1F75W-0011-R11b-SM-AHZ34 60-69 years, male 53.5
GTEX-1GZHY-0011-R11a-SM-C1YRQ 50-59 years, female 53.4
GTEX-12ZZX-0011-R11a-SM-5DUVJ 40-49 years, female 52.8
GTEX-N7MT-0011-R11A-SM-2I3DZ 60-69 years, female 52.5
GTEX-1AX9I-0011-R11b-SM-7DHN4 60-69 years, male 47.2
GTEX-15ER7-0011-R11a-SM-6LPIL 20-29 years, female 46.1
GTEX-11ZUS-0011-R11b-SM-5BC7B 30-39 years, male 45.3
GTEX-S7SE-0011-R11A-SM-2XCDD 50-59 years, male 45.0
GTEX-QDT8-0011-R11A-SM-32PKD 30-39 years, female 41.0
GTEX-17HG3-0011-R11b-SM-7KFT4 30-39 years, female 39.1
GTEX-13G51-0011-R11b-SM-5J2NE 60-69 years, male 38.7
GTEX-UTHO-0011-R11A-SM-3GIJE 60-69 years, male 38.7
GTEX-1M4P7-0011-R11b-SM-EXOIK 60-69 years, male 37.1
GTEX-13O3Q-0011-R11b-SM-5KM2W 50-59 years, male 35.7
GTEX-15CHQ-0011-R11b-SM-686ZZ 60-69 years, male 35.6
GTEX-12WSC-0011-R11a-SM-5GU5J 50-59 years, male 32.9
GTEX-11PRG-0011-R11b-SM-DNZZY 50-59 years, male 30.2
GTEX-14E7W-0011-R11a-SM-5ZZVA 70-79 years, male 28.8
GTEX-1LSVX-0011-R11b-SM-EXOIA 60-69 years, male 27.9
GTEX-1I1GS-0011-R11a-SM-C1YRU 60-69 years, male 24.0
GTEX-16Z82-0011-R11a-SM-79OKJ 60-69 years, male 20.5
GTEX-T2IS-0011-R11A-SM-32QPC 20-29 years, female 18.8
Show allShow less
Brain - Cerebellum
Average nTPM: 116.6
Samples: 241

Max nTPM: 591.4
Min nTPM: 19.2
Std nTPM: 56.0
Median nTPM: 114.2
GTEX-1H3VE-2826-SM-9WPOL 40-49 years, male 591.4
GTEX-15SHU-3026-SM-6LPIB 40-49 years, female 315.5
GTEX-1E1VI-2926-SM-7IGLT 50-59 years, male 288.8
GTEX-XMD1-2826-SM-4AT5F 60-69 years, male 277.5
GTEX-1RNSC-3126-SM-EVR4V 60-69 years, male 275.9
GTEX-ZF28-2926-SM-4WKG1 60-69 years, male 240.2
GTEX-132Q8-2926-SM-5IFFP 60-69 years, male 229.7
GTEX-11DZ1-2926-SM-5A5KI 50-59 years, male 227.6
GTEX-145MG-3126-SM-5Q5D3 50-59 years, male 217.9
GTEX-1A8G7-3026-SM-73KTT 60-69 years, male 210.9
GTEX-1EWIQ-3026-SM-7IGOJ 70-79 years, female 203.1
GTEX-1KANB-3226-SM-D4P3G 50-59 years, male 199.9
GTEX-WWYW-3026-SM-3NB36 50-59 years, female 193.9
GTEX-1269C-3126-SM-5EGI6 60-69 years, female 193.1
GTEX-YFC4-3026-SM-5IFJK 40-49 years, female 193.1
GTEX-11TTK-2826-SM-5GU5K 60-69 years, female 188.9
GTEX-1HSMO-2926-SM-C1YR5 60-69 years, male 181.5
GTEX-12WSM-2126-SM-5GCOC 60-69 years, male 178.6
GTEX-11EMC-3326-SM-5P9JH 60-69 years, female 177.2
GTEX-1JMQJ-3126-SM-EV79G 50-59 years, male 174.2
GTEX-1B8SG-1926-SM-73KUB 50-59 years, male 172.8
GTEX-1H1DG-2826-SM-9JGHB 70-79 years, male 169.0
GTEX-16XZZ-2926-SM-6LPK4 60-69 years, male 166.8
GTEX-11O72-2826-SM-5HL6W 40-49 years, male 165.3
GTEX-17HII-2926-SM-79OMK 50-59 years, male 164.1
GTEX-1A3MX-2926-SM-718B7 60-69 years, male 163.8
GTEX-13RTJ-3126-SM-5S2Q4 60-69 years, male 163.7
GTEX-1EH9U-3126-SM-7MXU5 60-69 years, male 160.5
GTEX-13OW7-2926-SM-5MR3Z 50-59 years, male 158.9
GTEX-13OW8-2926-SM-5L3FV 60-69 years, male 158.7
GTEX-14BIN-3326-SM-5Q5E6 50-59 years, female 158.4
GTEX-1H3O1-1826-SM-A96TO 60-69 years, male 158.0
GTEX-1JJE9-3026-SM-CNNPA 70-79 years, male 157.1
GTEX-14BIM-3126-SM-5Q5C7 60-69 years, female 156.4
GTEX-Y111-2826-SM-4TT3O 50-59 years, male 155.3
GTEX-ZAJG-3026-SM-5HL92 50-59 years, female 155.1
GTEX-11DXW-1026-SM-5H11K 40-49 years, male 153.8
GTEX-1QEPI-3026-SM-EXOIW 60-69 years, female 151.5
GTEX-13X6I-2926-SM-5Q5C3 60-69 years, male 151.2
GTEX-13OVH-2926-SM-5IJFH 70-79 years, male 150.8
GTEX-ZYFD-2926-SM-5GID9 50-59 years, male 150.6
GTEX-1C64N-3126-SM-79OO3 50-59 years, male 150.3
GTEX-N7MT-1226-SM-DKPOK 60-69 years, female 149.7
GTEX-X4XX-2926-SM-3NMB1 60-69 years, male 149.3
GTEX-13JVG-3226-SM-5IJGJ 60-69 years, male 148.8
GTEX-11ZTS-3226-SM-5EGID 60-69 years, female 148.3
GTEX-1JN1M-3126-SM-AHZ4E 60-69 years, female 147.4
GTEX-1J1OQ-3126-SM-D4P2O 40-49 years, female 147.2
GTEX-17F97-2926-SM-7DUEQ 50-59 years, male 146.1
GTEX-15G19-2826-SM-6M48K 60-69 years, male 145.1
GTEX-16YQH-2926-SM-6LPJE 30-39 years, male 145.1
GTEX-13FHO-2926-SM-5L3ES 60-69 years, male 144.6
GTEX-X4EP-3026-SM-3P5YP 60-69 years, female 144.6
GTEX-1JMPZ-2826-SM-C1YRA 30-39 years, male 144.1
GTEX-14PJO-2926-SM-686ZI 60-69 years, male 143.7
GTEX-1HB9E-3126-SM-AHZ4M 50-59 years, male 143.4
GTEX-ZAK1-2926-SM-5HL9S 50-59 years, female 143.3
GTEX-1IL2V-3026-SM-CYPSA 70-79 years, male 143.1
GTEX-12ZZZ-3126-SM-5LZU6 60-69 years, male 142.0
GTEX-R55E-2526-SM-2TC6H 20-29 years, male 141.8
GTEX-13OVL-3026-SM-5IJF1 50-59 years, male 140.5
GTEX-13SLX-3226-SM-5YYA6 50-59 years, female 139.2
GTEX-18A6Q-2826-SM-7LTAO 60-69 years, male 139.0
GTEX-ZYY3-3026-SM-5GIEJ 60-69 years, female 138.6
GTEX-1PWST-3026-SM-EAZ3H 70-79 years, male 137.8
GTEX-1192X-3226-SM-5987D 50-59 years, male 137.2
GTEX-1F52S-3026-SM-7P8PV 60-69 years, female 136.5
GTEX-1399T-3126-SM-5IJFS 60-69 years, male 136.4
GTEX-145LU-2626-SM-5LU9Z 50-59 years, male 136.3
GTEX-14ABY-3026-SM-664NE 50-59 years, male 136.3
GTEX-ZAB4-2926-SM-57WCV 40-49 years, male 136.1
GTEX-XLM4-2926-SM-4AT59 60-69 years, male 135.5
GTEX-1BAJH-3126-SM-7MGXY 70-79 years, male 135.5
GTEX-1F48J-2726-SM-7P8PW 50-59 years, female 135.5
GTEX-1HSKV-2926-SM-B2LWJ 60-69 years, male 135.3
GTEX-11DYG-2926-SM-5H132 60-69 years, male 134.9
GTEX-1E2YA-2926-SM-7MGWX 50-59 years, male 134.5
GTEX-13NYB-3226-SM-5J2ND 40-49 years, male 133.6
GTEX-13JUV-3026-SM-5K7WX 40-49 years, female 132.4
GTEX-1LG7Y-3126-SM-EV7AS 50-59 years, male 132.2
GTEX-13OVJ-2726-SM-5IJG6 50-59 years, female 132.0
GTEX-1QP6S-3026-SM-EAZ4N 40-49 years, male 131.6
GTEX-ZDXO-2926-SM-4WKFM 60-69 years, male 131.4
GTEX-1128S-2826-SM-5N9DI 60-69 years, female 130.9
GTEX-T6MN-2526-SM-32PMN 50-59 years, male 130.6
GTEX-1IDJH-3126-SM-C1YQS 70-79 years, male 130.2
GTEX-X261-3126-SM-4PQZC 50-59 years, male 129.6
GTEX-1CB4H-3026-SM-79OLX 60-69 years, female 128.6
GTEX-17JCI-3026-SM-7EWDR 60-69 years, female 128.0
GTEX-13PVQ-2926-SM-5L3HJ 50-59 years, male 127.7
GTEX-1GF9W-2726-SM-9JGGW 60-69 years, male 127.7
GTEX-145MF-2826-SM-7EPGU 50-59 years, male 127.1
GTEX-Q2AG-2826-SM-2HMJQ 40-49 years, female 126.7
GTEX-1A8G6-3126-SM-731D8 60-69 years, male 126.6
GTEX-NPJ8-2626-SM-2D7W2 40-49 years, male 126.5
GTEX-1EMGI-3126-SM-7MXUR 60-69 years, male 126.2
GTEX-1H1ZS-2926-SM-9WPP2 70-79 years, male 125.7
GTEX-13QIC-3026-SM-5LU58 60-69 years, female 125.5
GTEX-WVLH-2926-SM-3MJG5 50-59 years, male 125.4
GTEX-14C5O-2926-SM-5RQI1 60-69 years, male 125.1
GTEX-1HBPH-3026-SM-9WPNY 40-49 years, female 125.1
GTEX-1H3NZ-2926-SM-9WPQ8 60-69 years, male 124.6
GTEX-1JMLX-3026-SM-EV79Q 50-59 years, male 124.6
GTEX-1RQEC-3026-SM-DPRXM 60-69 years, male 122.8
GTEX-1H1CY-3026-SM-9OSW7 60-69 years, female 122.6
GTEX-1R9PO-2826-SM-E6CPV 60-69 years, female 122.1
GTEX-YJ89-2926-SM-5P9IT 60-69 years, male 121.3
GTEX-14ASI-2926-SM-5Q5DG 60-69 years, male 120.5
GTEX-1JMQK-2926-SM-D4P2T 60-69 years, male 119.7
GTEX-14BMV-2926-SM-5TDEE 50-59 years, male 118.9
GTEX-14JIY-2326-SM-6AJAJ 60-69 years, male 117.3
GTEX-17EVQ-2726-SM-7EWDT 70-79 years, male 117.3
GTEX-1B8SF-3026-SM-731DX 60-69 years, male 116.8
GTEX-1JJ6O-3026-SM-C1YQH 60-69 years, male 116.8
GTEX-WHSE-2926-SM-3NMBG 20-29 years, male 116.4
GTEX-17HHY-2926-SM-79OJW 50-59 years, male 116.2
GTEX-15DYW-3026-SM-7KFRM 60-69 years, female 115.5
GTEX-11DXY-3126-SM-5N9BT 60-69 years, male 114.6
GTEX-1F6IF-3026-SM-7P8QN 60-69 years, male 114.4
GTEX-15EO6-2926-SM-6M48D 50-59 years, male 114.2
GTEX-1GTWX-2926-SM-7MXV4 60-69 years, male 114.2
GTEX-12WSD-3026-SM-5LZU7 60-69 years, female 112.8
GTEX-1NV8Z-3026-SM-DTX8Z 60-69 years, male 112.5
GTEX-1B8L1-3226-SM-7P8OX 60-69 years, male 112.3
GTEX-1F75A-2926-SM-7MXVN 50-59 years, male 112.0
GTEX-1313W-3026-SM-5LZUZ 50-59 years, female 111.1
GTEX-13FHP-2926-SM-5IJG9 50-59 years, male 110.6
GTEX-1GZ2Q-3026-SM-9JGG3 40-49 years, male 109.5
GTEX-ZVT3-2926-SM-5GU6M 60-69 years, female 108.3
GTEX-1H4P4-2726-SM-9JGGB 50-59 years, male 108.1
GTEX-13FXS-3026-SM-5LZYO 50-59 years, male 107.4
GTEX-TSE9-2926-SM-3DB77 60-69 years, female 107.3
GTEX-1JJEA-2926-SM-C1YSK 60-69 years, male 106.9
GTEX-T5JC-2326-SM-32PMR 20-29 years, male 104.9
GTEX-1I1GV-3026-SM-CNNR9 60-69 years, male 104.8
GTEX-11OC5-0626-SM-5HL6M 60-69 years, male 104.7
GTEX-13OW5-3126-SM-5MR3Y 60-69 years, male 104.2
GTEX-14A5I-2826-SM-5SIBF 50-59 years, female 104.0
GTEX-18465-2926-SM-7KFSE 50-59 years, male 103.9
GTEX-14E6D-2926-SM-664OP 50-59 years, male 103.6
GTEX-1CB4G-2926-SM-7MKFQ 60-69 years, male 103.1
GTEX-14PJM-3026-SM-6LLHM 50-59 years, female 102.8
GTEX-OHPN-2626-SM-2I5H1 60-69 years, female 102.7
GTEX-1F6I4-3026-SM-7P8SI 60-69 years, male 102.3
GTEX-1B933-3026-SM-731DB 50-59 years, female 101.4
GTEX-12WSE-2926-SM-5RQJ9 20-29 years, male 100.9
GTEX-13CF2-3026-SM-5IFFX 60-69 years, male 100.8
GTEX-13O3O-3026-SM-5KM42 60-69 years, female 100.4
GTEX-13112-2926-SM-5DUWT 50-59 years, male 100.1
GTEX-1IY9M-3126-SM-AHZ3A 60-69 years, male 100.0
GTEX-NPJ7-2826-SM-2I3FU 60-69 years, female 98.7
GTEX-145LS-3026-SM-5O99S 60-69 years, female 98.6
GTEX-12WSH-3126-SM-5LZW8 50-59 years, male 98.3
GTEX-13N2G-3126-SM-5IJGL 60-69 years, male 96.8
GTEX-14JFF-2826-SM-6871Q 60-69 years, male 95.6
GTEX-1IKOH-2826-SM-CNNRC 60-69 years, female 95.4
GTEX-12126-0926-SM-5FQTW 20-29 years, male 95.3
GTEX-1GN73-3026-SM-7MXV8 60-69 years, male 95.2
GTEX-1KD4Q-3026-SM-EV7A7 40-49 years, male 94.6
GTEX-131XH-2926-SM-5LZU4 50-59 years, male 93.9
GTEX-183WM-2726-SM-7KFRF 70-79 years, female 93.0
GTEX-11NV4-2226-SM-5BC4T 60-69 years, male 92.6
GTEX-11PRG-2826-SM-5BC54 50-59 years, male 91.1
GTEX-14PN4-3026-SM-664O4 50-59 years, male 91.0
GTEX-QVJO-1325-SM-2S1QX 60-69 years, female 90.7
GTEX-1RDX4-3226-SM-DPS14 50-59 years, female 90.3
GTEX-N7MS-2526-SM-2D7W3 60-69 years, male 89.5
GTEX-131YS-3026-SM-5EGHY 60-69 years, female 89.4
GTEX-RNOR-2226-SM-2TF5O 50-59 years, female 88.9
GTEX-WZTO-2826-SM-3NM8P 40-49 years, male 88.8
GTEX-139TT-2626-SM-5LZUB 60-69 years, male 88.2
GTEX-11NUK-3026-SM-5986K 50-59 years, male 86.9
GTEX-147GR-3126-SM-5S2PM 60-69 years, male 85.8
GTEX-13OW6-2926-SM-5KM29 50-59 years, male 85.0
GTEX-14C39-3026-SM-5S2QE 40-49 years, male 84.6
GTEX-RU72-2926-SM-2TF66 50-59 years, female 84.3
GTEX-1GF9V-3026-SM-7P8R8 60-69 years, male 83.8
GTEX-11ZUS-2826-SM-5EQKW 30-39 years, male 83.6
GTEX-Y8DK-0726-SM-4TT3S 60-69 years, male 83.4
GTEX-147F4-3026-SM-5Q5BJ 50-59 years, male 82.7
GTEX-QMR6-1326-SM-32PLB 50-59 years, male 82.6
GTEX-1MJK2-3026-SM-EV7A5 50-59 years, male 81.8
GTEX-1I1CD-2926-SM-A96SJ 60-69 years, female 79.7
GTEX-1GZ4I-2926-SM-9JGGO 50-59 years, male 79.0
GTEX-13S7M-3026-SM-5S2QQ 60-69 years, female 78.4
GTEX-144GL-2926-SM-5O99F 50-59 years, male 77.4
GTEX-1C6WA-3326-SM-7MKGN 60-69 years, male 77.3
GTEX-1EKGG-3126-SM-9WPO5 60-69 years, male 77.3
GTEX-1R46S-3126-SM-DPRZ9 60-69 years, female 77.3
GTEX-11ONC-3026-SM-5985W 60-69 years, male 76.5
GTEX-1PIIG-2826-SM-DTX7O 30-39 years, male 76.5
GTEX-1EU9M-2926-SM-793DF 60-69 years, male 76.4
GTEX-Z93S-2826-SM-57WBL 50-59 years, male 75.2
GTEX-1JMOU-2826-SM-EV79R 60-69 years, female 75.2
GTEX-1POEN-2726-SM-E9U6B 30-39 years, female 73.8
GTEX-11GSP-3126-SM-5A5LL 60-69 years, female 73.7
GTEX-12WSC-2926-SM-5BC5Z 50-59 years, male 71.6
GTEX-13VXU-3026-SM-5LU3K 50-59 years, male 71.3
GTEX-12ZZY-2926-SM-5DUXO 60-69 years, male 70.8
GTEX-11EI6-2926-SM-5985U 60-69 years, male 70.6
GTEX-1P4AB-3026-SM-EXOJS 50-59 years, male 70.1
GTEX-QDT8-3026-SM-32PKB 30-39 years, female 70.0
GTEX-1KWVE-2226-SM-CXZKN 30-39 years, male 68.9
GTEX-117XS-3126-SM-5GIDP 60-69 years, male 67.2
GTEX-13X6K-2826-SM-5O9DS 60-69 years, female 67.2
GTEX-1HBPI-2726-SM-9WPPF 50-59 years, male 67.1
GTEX-WL46-2826-SM-3LK81 50-59 years, male 65.8
GTEX-145MH-2926-SM-5Q5D2 50-59 years, male 65.7
GTEX-15ER7-3026-SM-6M47W 20-29 years, female 65.6
GTEX-1I1HK-2726-SM-AHZ2M 60-69 years, male 65.3
GTEX-ZUA1-2926-SM-59HL3 40-49 years, male 65.2
GTEX-17HG3-2826-SM-7EPGO 30-39 years, female 63.3
GTEX-17EVP-2926-SM-793BU 40-49 years, male 63.1
GTEX-ZZPT-2926-SM-5EQ5S 50-59 years, male 61.5
GTEX-QVUS-2926-SM-3GIJB 60-69 years, female 61.2
GTEX-1B996-2926-SM-7MXUH 60-69 years, male 60.1
GTEX-111FC-3326-SM-5GZYV 60-69 years, male 58.9
GTEX-P44G-2526-SM-2I5EK 30-39 years, male 58.5
GTEX-P44H-2426-SM-2XCEJ 40-49 years, male 57.0
GTEX-14JG1-2926-SM-686ZK 40-49 years, male 55.9
GTEX-12ZZX-2826-SM-5BC6K 40-49 years, female 53.4
GTEX-PWO3-1026-SM-2I5F2 60-69 years, female 53.0
GTEX-13O3Q-3026-SM-5IJGD 50-59 years, male 52.3
GTEX-13X6J-2926-SM-7EPGP 50-59 years, male 51.8
GTEX-16Z82-2926-SM-6LPJJ 60-69 years, male 51.1
GTEX-1C6VR-3026-SM-7IGLW 60-69 years, male 49.9
GTEX-1F75W-3126-SM-7P8SJ 60-69 years, male 48.8
GTEX-14DAQ-3026-SM-5S2QZ 60-69 years, female 48.1
GTEX-UTHO-2926-SM-3P5Z9 60-69 years, male 47.4
GTEX-11ZVC-3026-SM-59HJM 50-59 years, female 45.6
GTEX-PVOW-2626-SM-32PL8 40-49 years, male 44.9
GTEX-13G51-3126-SM-5IJG7 60-69 years, male 41.5
GTEX-1GZHY-3026-SM-7MXVA 50-59 years, female 39.7
GTEX-1HCVE-2926-SM-9WPPJ 50-59 years, male 39.0
GTEX-139TS-3126-SM-5LZWX 60-69 years, male 38.0
GTEX-11GSO-3026-SM-5Q5AL 60-69 years, male 35.9
GTEX-T2IS-2926-SM-32QPO 20-29 years, female 33.1
GTEX-14E7W-2926-SM-5S2R8 70-79 years, male 31.2
GTEX-1EX96-3126-SM-9JGGC 50-59 years, male 30.4
GTEX-S7SE-2526-SM-2XCDL 50-59 years, male 26.1
GTEX-1LSVX-2826-SM-EVR58 60-69 years, male 19.2
Show allShow less

CEREBELLUM - FANTOM5 CAGEi

RNA expression in human tissues obtained through Cap Analysis of Gene Expression (CAGE) generated by the FANTOM5 project are reported as Scaled Tags Per Million.

Max subtype Scaled Tags Per Millioni

Max subtype Scaled Tags Per Million is the value for the subtype with the largest average Scaled Tags Per Million across the subtype samples.

11.8
FANTOM5 sample id Sample description Scaled Tags Per Million
Cerebellum
Scaled Tags Per Million: 11.8
FF:10083-102B2 22-68 years, mixed 12.8
FF:10166-103B4 76 years, female 10.8

CEREBELLUM - Pig RNA-seqi

RNA-seq data obtained from pig brain is reported as nTPM .

Normal distribution across the dataset is visualized with box plots, shown as median and 25th and 75th percentiles. Points are displayed as outliers if they are above or below 1.5 times the interquartile range. nTPM values of the individual samples are presented next to the box plot.
Max subtype nTPMi

Max subtype nTPM is the value for the subtype with the largest average nTPM across the subtype samples.

32.5
Pig sample Sample description nTPM
Cerebellum
nTPM: 32.5
Samples: 4

Max nTPM: 42.0
Min nTPM: 25.8
Sample A Female 42.0
Sample B Female 25.8
Sample C Male 33.9
Sample D Male 28.1

CEREBELLUM - Mouse RNA-seqi

RNA-seq data obtained from mouse brain is reported as nTPM .

Normal distribution across the dataset is visualized with box plots, shown as median and 25th and 75th percentiles. Points are displayed as outliers if they are above or below 1.5 times the interquartile range. nTPM values of the individual samples are presented next to the box plot.
Max subtype nTPMi

Max subtype nTPM is the value for the subtype with the largest average nTPM across the subtype samples.

17.7
Mouse sample Sample description nTPM
Cerebellum
nTPM: 17.7
Samples: 4

Max nTPM: 18.4
Min nTPM: 17.1
Sample A Male 18.1
Sample B Male 18.4
Sample C Female 17.3
Sample D Female 17.1

CEREBELLUM - Allen Mouse ISHi

In situ hybridization (ISH) data generated by the Allen brain atlas from mouse brain is reported as expression energy. For more details about a particular experiment, click on the corresponding Allen experiment ID.

Max subtype Expression energyi

Max subtype Expression energy is the value for the subtype with the largest average Expression energy across the subtype samples.

1.5
Allen experiment id Experiment description Expression energy
Cerebellum
Expression energy: 1.5
71486976 Antisense, RP_050913_01_A10, Mouse strain C57BL/6J (56 days, male) 1.5

Contact

  • NEWS ARTICLES
  • PRESS ROOM

The Project

  • INTRODUCTION
  • ORGANIZATION
  • PUBLICATIONS

The Human Protein Atlas

  • DOWNLOADABLE DATA
  • LICENCE & CITATION
  • HELP & FAQ
The Human Protein Atlas project is funded
by the Knut & Alice Wallenberg Foundation.


contact@proteinatlas.org