We use cookies to enhance the usability of our website. If you continue, we'll assume that you are happy to receive all cookies. More information. Don't show this again.
TPM2
HPA
RESOURCES
  • TISSUE
  • BRAIN
  • SINGLE CELL
  • SUBCELLULAR
  • CANCER
  • BLOOD
  • CELL LINE
  • STRUCTURE & INTERACTION
ABOUT
  • INTRODUCTION
  • HISTORY
  • ORGANIZATION
  • PUBLICATIONS
  • ANTIBODY SUBMISSION
  • ANTIBODY AVAILABILITY
  • ACKNOWLEDGMENTS
  • CONTACT
NEWS
  • NEWS ARTICLES
  • PRESS ROOM
LEARN
  • DICTIONARY
  • PROTEIN CLASSES
  • PROTEIN EVIDENCE
  • METHODS
  • EDUCATIONAL VIDEOS
DATA
  • DOWNLOADABLE DATA
  • PUBLICATION DATA
  • RELEASE HISTORY
HELP
  • ANTIBODY VALIDATION
  • ASSAYS & ANNOTATION
  • DISCLAIMER
  • HELP & FAQ
  • PRIVACY STATEMENT
  • LICENCE & CITATION
Fields »
Search result

Field
Term
Gene name
Class
Subclass
Class
Keyword
Chromosome
External id
Tissue
Cell type
Expression
Antibody panel
Tissue
Main location
Patient ID
Annotation
Tissue
Category
Tau score
Cluster
Reliability
Brain region
Category
Tau score
Brain region
Category
Tau score
Brain region
Category
Tau score
Cluster
Reliability
Tissue
Cell type
Enrichment
Cell type
Category
Tau score
Cell type
Category
Tau score
Cell type
Category
Tau score
Cell lineage
Category
Tau score
Cluster
Cluster
Location
Searches
Location
Cell line
Class
Type
Phase
Reliability
Cancer
Prognosis
Cancer
Category
Cancer
Category
Tau score
Cluster
Variants
Interacting gene (ensg_id)
Type
Number of interactions
Pathway
Category
Score
Score
Score
Validation
Validation
Validation
Validation
Antibodies
Data type
Column


  • SUMMARY

  • TISSUE

  • BRAIN

  • SINGLE CELL

  • SUBCELL

  • CANCER

  • BLOOD

  • CELL LINE

  • STRUCT & INT

  • TPM2
TISSUE PRIMARY DATA ESOPHAGUS Show tissue menu
ADIPOSE TISSUE ADRENAL GLAND AMYGDALA APPENDIX BASAL GANGLIA BONE MARROW BREAST BRONCHUS CEREBELLUM CEREBRAL CORTEX CERVIX CHOROID PLEXUS COLON DUODENUM
ENDOMETRIUM EPIDIDYMIS ESOPHAGUS FALLOPIAN TUBE GALLBLADDER HEART MUSCLE HIPPOCAMPAL FORMATION HYPOTHALAMUS KIDNEY LIVER LUNG LYMPH NODE MIDBRAIN NASOPHARYNX
ORAL MUCOSA OVARY PANCREAS PARATHYROID GLAND PITUITARY GLAND PLACENTA PROSTATE RECTUM RETINA SALIVARY GLAND SEMINAL VESICLE SKELETAL MUSCLE SKIN SMALL INTESTINE
SMOOTH MUSCLE SOFT TISSUE SPINAL CORD SPLEEN STOMACH TESTIS THYMUS THYROID GLAND TONGUE TONSIL URINARY BLADDER VAGINA
ANTIBODIES
AND
VALIDATION
Dictionary
Esophagus
Tissue proteome
Esophagus
ESOPHAGUS - Expression summary
Protein expression
Esophagusi

On the top, protein expression in current human tissue, based on all annotated cell types, is reported with the units not detected (n), low (l), medium (m) and high (h). Underneath, protein expression in each annotated cell type are reported using the same units.

Protein expression data is based on knowledge-based annotation. For genes where more than one antibody has been used, a collective score is set.

If knowledge-based annotation could not be performed for a gene, no data is displayed here. View antibody staining data further down this page.

h
m
l
n
Squamous epithelial cells: Medium
RNA expressioni

A summary of mRNA expression data available for current tissue based on several datasets. The mRNA expression levels in human tissues are based on RNA-seq data generated by the Human Protein Atlas (HPA), Genotype-Tissue Expression (GTEx) portal and CAGE data generated by the FANTOM5 consortium. Consensus normalized expression levels for human tissues was created by combining the data from HPA and GTEx datasets.

The mRNA expression levels in pig are based on RNA-seq data generated by the Human Protein Atlas (HPA), and for mouse, HPA data and in situ hybridization generated by the Allen brain atlas are reported.

Scroll down to view mRNA expression data in more detail.
Consensus:984.3 nTPM
HPA:984.3 nTPM
GTEx:333.9 nTPM
FANTOM5:3848.2 Scaled Tags Per Million

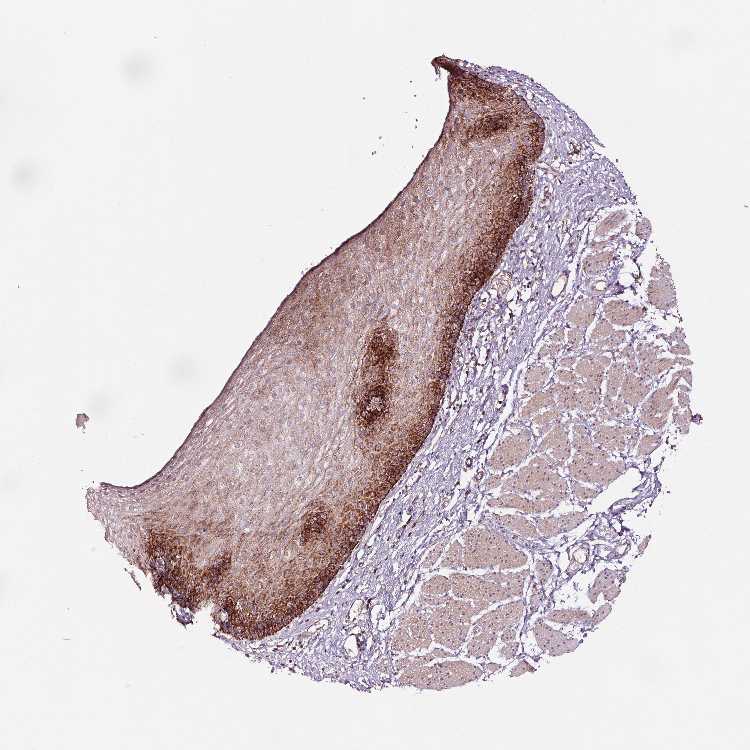
ESOPHAGUS - Antibody stainingi

Antibody staining in the annotated cell types in the current human tissue is reported as not detected, low, medium, or high, based on conventional immunohistochemistry profiling in selected tissues. This score is based on the combination of the staining intensity and fraction of stained cells.

Each image is clickable and will lead to virtual microscopy that enables deeper exploration of all samples and also displays staining intensity scores, fraction scores and subcellular localization as well as patient and tissue information for each sample.

Antibody HPA047089Antibody HPA053624
Squamous epithelial cells HighMedium



ESOPHAGUS - HPA RNA-seqi

The RNA-seq details section shows detailed information about the individual samples used for the transcript profiling and results of the RNA-seq analysis.

Information about each individual sample is listed below, including gender, age, a tissue section image and estimated fractions of cell types. nTPM (normalized transcripts per million) values give a quantification of the gene abundance which is comparable between different genes and samples.
Average nTPMi

Max subtype nTPM is the value for the subtype with the largest average nTPM across the subtype samples.

984.3
overview
Female, age 70
Esophagus sample 130
nTPM: 1012.5
Cell types%
Squamous epithelial cells:
35

Smooth muscle cells:
15

Skeletal muscle cells:
5

Other cell types:
45

overview
Male, age 38
Esophagus sample 131
nTPM: 1076.8
Cell types%
Squamous epithelial cells:
60

Smooth muscle cells:
20

Other cell types:
20

overview
Male, age 76
Esophagus sample 132
nTPM: 863.6
Cell types%
Squamous epithelial cells:
45

Smooth muscle cells:
15

Other cell types:
40


ESOPHAGUS - GTEx RNA-seqi

RNA-Seq data generated by the Genotype-Tissue Expression (GTEx) project from human tissues is reported as mean nTPM. More information can be found on the GTEx portal.

Distribution across the dataset is visualized with box plots, shown as median and 25th and 75th percentiles. Points are displayed as outliers if they are above or below 1.5 times the interquartile range. nTPM values of the individual samples are presented next to the box plot.
Max subtype nTPMi

Max subtype nTPM is the value for the subtype with the largest average nTPM across the subtype samples.

333.9
GTEx sample id Sample description nTPM
Esophagus - Mucosa
Average nTPM: 333.9
Samples: 555

Max nTPM: 3547.0
Min nTPM: 37.1
Std nTPM: 303.9
Median nTPM: 273.5
GTEX-N7MS-1225-SM-3LK5G 60-69 years, male 3547.0
GTEX-WEY5-0926-SM-4LMI4 40-49 years, female 3354.5
GTEX-1LGOU-0526-SM-D3LAO 20-29 years, female 2490.0
GTEX-1QP29-2126-SM-E6CPZ 50-59 years, male 2004.4
GTEX-11VI4-0526-SM-5EQ48 40-49 years, female 1444.8
GTEX-ZAK1-1526-SM-5S2OV 50-59 years, female 1444.6
GTEX-13JVG-2026-SM-5KM1N 60-69 years, male 1418.1
GTEX-ZYW4-1326-SM-5E45N 60-69 years, male 1169.7
GTEX-17F9E-1926-SM-7IGQF 50-59 years, male 1133.2
GTEX-1BAJH-2026-SM-7P8OZ 70-79 years, male 1041.7
GTEX-1GMR2-1526-SM-7MXV6 50-59 years, male 992.8
GTEX-13FLV-1126-SM-5J2NO 50-59 years, male 947.2
GTEX-14B4R-0326-SM-5TDDP 30-39 years, male 922.0
GTEX-13X6K-2126-SM-5O9D4 60-69 years, female 911.2
GTEX-TSE9-1226-SM-4DXTM 60-69 years, female 889.6
GTEX-1B97J-1026-SM-7MXTE 50-59 years, female 885.3
GTEX-11EM3-0826-SM-5N9CC 20-29 years, female 862.7
GTEX-1QPFJ-1226-SM-EAZ3M 30-39 years, female 836.1
GTEX-1OKEX-1326-SM-E9J2U 60-69 years, male 827.5
GTEX-1JKYN-1526-SM-CGQGA 30-39 years, male 818.7
GTEX-1MJIX-0826-SM-DTXEO 40-49 years, male 813.3
GTEX-ZAB5-0926-SM-5CVMV 50-59 years, male 799.4
GTEX-13O21-0626-SM-5IJDI 50-59 years, male 786.7
GTEX-15SB6-0726-SM-6M48F 50-59 years, female 785.7
GTEX-15RIF-0826-SM-6M47C 20-29 years, male 771.9
GTEX-13W3W-1626-SM-5LU35 60-69 years, female 748.7
GTEX-1EKGG-1726-SM-7MXUP 60-69 years, male 746.4
GTEX-13PVR-1826-SM-5Q5CC 60-69 years, female 741.0
GTEX-17F98-1726-SM-7938O 40-49 years, female 731.8
GTEX-11TT1-0526-SM-5P9JO 20-29 years, male 714.3
GTEX-XQ8I-1526-SM-4BOOH 50-59 years, male 706.7
GTEX-1ICG6-1926-SM-ARU7L 70-79 years, female 706.6
GTEX-1JKYR-2126-SM-CNNPC 20-29 years, male 696.4
GTEX-T6MO-0526-SM-4DM6R 40-49 years, female 687.2
GTEX-1F7RK-1526-SM-7P8T6 20-29 years, female 685.4
GTEX-111CU-0726-SM-5GZYD 50-59 years, male 683.7
GTEX-14DAQ-1426-SM-5RQJD 60-69 years, female 675.5
GTEX-1399R-0826-SM-5IJEL 30-39 years, male 670.9
GTEX-15EOM-5013-SM-7MKF9 20-29 years, female 670.4
GTEX-XUZC-0426-SM-4BOPE 30-39 years, female 668.7
GTEX-1LG7Z-0926-SM-CXKYK 30-39 years, male 664.9
GTEX-16A39-1026-SM-6LPJU 30-39 years, female 658.2
GTEX-R55C-0826-SM-48FCL 40-49 years, male 657.3
GTEX-1AMFI-0226-SM-731D5 50-59 years, female 636.5
GTEX-RTLS-1126-SM-46MUQ 60-69 years, female 636.2
GTEX-1LVAM-1126-SM-DHXKP 50-59 years, female 633.2
GTEX-OXRK-1326-SM-3NB1A 50-59 years, female 631.1
GTEX-ZF2S-1226-SM-4WWAX 50-59 years, female 625.0
GTEX-ZTPG-1626-SM-5DUX2 20-29 years, female 622.4
GTEX-P4PP-0626-SM-3NM9X 30-39 years, female 616.3
GTEX-OXRP-0926-SM-48TC1 60-69 years, female 613.7
GTEX-132QS-1426-SM-5P9GE 60-69 years, male 608.6
GTEX-P78B-1026-SM-3NMC4 40-49 years, female 605.2
GTEX-13QBU-1026-SM-5LU3R 40-49 years, female 604.8
GTEX-ZDTT-1326-SM-4WKFH 60-69 years, male 604.5
GTEX-13X6I-1026-SM-5LU4C 60-69 years, male 593.6
GTEX-14C5O-1626-SM-73KYH 60-69 years, male 589.2
GTEX-1MA7W-0426-SM-E9TJ5 20-29 years, female 584.6
GTEX-YB5K-0826-SM-5YYB7 40-49 years, female 582.8
GTEX-ZPCL-1426-SM-57WEC 60-69 years, female 582.2
GTEX-17HHE-0926-SM-7938K 50-59 years, male 577.2
GTEX-Z9EW-0526-SM-5HL8S 40-49 years, male 573.2
GTEX-XV7Q-1126-SM-4BRVS 40-49 years, female 572.1
GTEX-13FTX-0526-SM-5IFGS 20-29 years, female 567.1
GTEX-14PJ3-0626-SM-6UGC5 50-59 years, male 566.9
GTEX-1R9JW-1526-SM-DPRZK 30-39 years, female 565.2
GTEX-PWCY-0726-SM-48TCS 20-29 years, female 564.7
GTEX-1JMQJ-1226-SM-D3L97 50-59 years, male 557.5
GTEX-1B8KE-1826-SM-731FD 50-59 years, male 553.6
GTEX-1H3NZ-1326-SM-9JGHI 60-69 years, male 552.4
GTEX-15EO6-1026-SM-7KUG9 50-59 years, male 549.5
GTEX-ZF29-1326-SM-DNZYV 60-69 years, female 546.2
GTEX-1212Z-2126-SM-5FQTM 60-69 years, male 544.4
GTEX-1E1VI-1526-SM-7IGQ2 50-59 years, male 543.0
GTEX-Y9LG-0626-SM-4WWDH 30-39 years, male 542.7
GTEX-1I1GQ-1726-SM-B2LWZ 50-59 years, male 541.0
GTEX-17KNJ-1326-SM-7KFTG 50-59 years, male 540.9
GTEX-15SHU-1426-SM-6LPIN 40-49 years, female 540.0
GTEX-1GN1U-1826-SM-9JGH2 50-59 years, female 539.7
GTEX-PLZ6-0526-SM-3P61C 30-39 years, male 534.3
GTEX-12WSN-5013-SM-7P8P9 40-49 years, male 528.3
GTEX-1A3MV-1326-SM-7LG6C 30-39 years, male 522.4
GTEX-R55G-1026-SM-48FDI 40-49 years, female 522.1
GTEX-ZVT2-1326-SM-5E45H 50-59 years, female 520.4
GTEX-QCQG-0626-SM-48U21 50-59 years, female 519.7
GTEX-13OW8-2326-SM-5L3I9 60-69 years, male 516.2
GTEX-SNMC-0526-SM-4DM69 20-29 years, male 514.2
GTEX-17MFQ-0526-SM-7KFTX 20-29 years, male 508.9
GTEX-1HCU7-2126-SM-A96SG 50-59 years, male 501.2
GTEX-15DCD-1626-SM-6AJBH 70-79 years, female 500.5
GTEX-1MCC2-1926-SM-DHXJR 30-39 years, female 499.5
GTEX-S95S-0426-SM-4B64I 60-69 years, male 491.3
GTEX-15ETS-1926-SM-7KUN5 40-49 years, female 490.9
GTEX-YEC4-1026-SM-9WG7N 40-49 years, male 489.3
GTEX-15EU6-1626-SM-6LPKF 50-59 years, male 487.3
GTEX-1F5PL-1726-SM-9QEGL 40-49 years, female 485.8
GTEX-145ME-5004-SM-7MGXP 40-49 years, female 485.1
GTEX-ZXES-1126-SM-5GZXN 30-39 years, female 482.0
GTEX-1F88F-1126-SM-7MKHL 60-69 years, female 481.4
GTEX-1GN73-1926-SM-9JGGS 60-69 years, male 474.2
GTEX-14PJM-1526-SM-664NY 50-59 years, female 470.0
GTEX-12WSK-1126-SM-5LZV8 40-49 years, female 469.8
GTEX-ZEX8-1426-SM-4WKHQ 50-59 years, male 469.8
GTEX-17F97-1326-SM-7MGVO 50-59 years, male 460.7
GTEX-1I1GS-2126-SM-ARU7G 60-69 years, male 459.4
GTEX-1LBAC-1226-SM-DHXK1 20-29 years, male 458.4
GTEX-16AAH-0726-SM-793A9 50-59 years, male 457.9
GTEX-15ER7-2126-SM-7939E 20-29 years, female 455.8
GTEX-ZYFG-1126-SM-5GICY 60-69 years, female 452.7
GTEX-1211K-0926-SM-5FQTL 60-69 years, female 447.4
GTEX-ZTSS-0626-SM-59867 40-49 years, male 447.2
GTEX-1LVAN-2326-SM-CNNPY 50-59 years, female 443.5
GTEX-ZAB4-1126-SM-5HL86 40-49 years, male 443.0
GTEX-14PKV-1726-SM-6871U 20-29 years, female 441.9
GTEX-1H3VY-2026-SM-9JGHK 50-59 years, male 440.2
GTEX-SE5C-1226-SM-4BRWV 40-49 years, female 438.5
GTEX-1A32A-1826-SM-72D5G 50-59 years, female 437.6
GTEX-UJMC-0926-SM-4IHLK 50-59 years, male 436.8
GTEX-13OVK-1126-SM-6PAMR 40-49 years, male 435.7
GTEX-1MGNQ-1626-SM-EAZ4Z 40-49 years, male 433.6
GTEX-RM2N-0726-SM-48FD5 50-59 years, male 433.0
GTEX-UPJH-1026-SM-EAZB2 50-59 years, male 427.8
GTEX-REY6-1326-SM-48FDO 60-69 years, male 426.1
GTEX-QESD-0826-SM-47J4G 20-29 years, male 425.6
GTEX-PVOW-1626-SM-48TC9 40-49 years, male 425.1
GTEX-1CB4I-1026-SM-7MKFZ 50-59 years, male 424.8
GTEX-1HCVE-1226-SM-9WPPH 50-59 years, male 424.6
GTEX-131YS-1426-SM-5IJF7 60-69 years, female 423.5
GTEX-YEC3-2526-SM-CXZIH 50-59 years, male 422.4
GTEX-13O61-0926-SM-5IFFE 60-69 years, male 421.7
GTEX-1K2DA-0626-SM-CGQGO 50-59 years, male 421.2
GTEX-1JMPY-0826-SM-AHZ4A 30-39 years, male 421.0
GTEX-R53T-1126-SM-48FD4 50-59 years, female 419.2
GTEX-1AMEY-0226-SM-7189Q 30-39 years, female 416.1
GTEX-ZZ64-0226-SM-5E44X 20-29 years, male 411.8
GTEX-XMD2-1326-SM-4YCET 60-69 years, female 411.4
GTEX-1GPI7-1026-SM-7MGY2 20-29 years, male 411.2
GTEX-145MO-1426-SM-DTX9W 60-69 years, male 408.6
GTEX-11GSP-1826-SM-5N9DQ 60-69 years, female 407.7
GTEX-ZYT6-1126-SM-5GZYR 30-39 years, male 406.0
GTEX-12ZZX-1326-SM-5DUWI 40-49 years, female 404.6
GTEX-ZLWG-1326-SM-DNZYZ 50-59 years, female 403.7
GTEX-1C6VQ-1826-SM-7EWEH 50-59 years, male 402.6
GTEX-WFON-0826-SM-4LVMI 40-49 years, male 401.8
GTEX-17HGU-1426-SM-7938G 50-59 years, male 401.5
GTEX-13PL7-0226-SM-731DT 60-69 years, female 398.6
GTEX-12WSD-1826-SM-5GCOA 60-69 years, female 398.4
GTEX-XBEW-1326-SM-4AT63 40-49 years, male 398.4
GTEX-1H1DE-1026-SM-9JGH6 20-29 years, male 398.3
GTEX-131XG-1026-SM-5GCMX 50-59 years, female 397.8
GTEX-14H4A-1626-SM-5SI69 40-49 years, female 395.1
GTEX-11EQ9-0726-SM-5A5K2 30-39 years, male 394.8
GTEX-YF7O-0926-SM-5IFIF 50-59 years, male 393.5
GTEX-ZY6K-0626-SM-59HJL 50-59 years, male 392.5
GTEX-145LU-0926-SM-79OJL 50-59 years, male 392.4
GTEX-1HCUA-1426-SM-9WPP7 50-59 years, female 390.0
GTEX-1F75I-1726-SM-7MKGW 40-49 years, male 389.7
GTEX-13OVJ-1226-SM-5L3HA 50-59 years, female 386.6
GTEX-14PJN-0526-SM-68724 30-39 years, male 385.0
GTEX-15DYW-1826-SM-6LPIY 60-69 years, female 383.0
GTEX-14BIM-1326-SM-7EWD1 60-69 years, female 380.3
GTEX-SUCS-0726-SM-4DM7J 70-79 years, male 379.1
GTEX-U3ZM-0526-SM-4DXTB 40-49 years, male 376.6
GTEX-Y8LW-0726-SM-5IFI1 50-59 years, female 375.1
GTEX-18D9U-2126-SM-7LG4Y 40-49 years, male 373.2
GTEX-ZPU1-1426-SM-4WWFU 40-49 years, male 372.3
GTEX-14ICL-0526-SM-5RQJ6 30-39 years, male 372.1
GTEX-1EN7A-1226-SM-7MGX9 40-49 years, male 371.6
GTEX-1A8FM-1526-SM-7MXTA 50-59 years, female 370.3
GTEX-XYKS-1526-SM-4BRUP 60-69 years, female 370.0
GTEX-1B996-1826-SM-7MGY6 60-69 years, male 370.0
GTEX-1HBPH-1126-SM-A96TU 40-49 years, female 367.6
GTEX-1N2DW-1426-SM-EV7AZ 50-59 years, male 367.6
GTEX-18A66-1426-SM-7KFRT 60-69 years, male 366.1
GTEX-145LT-1126-SM-5LUA1 40-49 years, male 365.6
GTEX-ZQUD-0426-SM-57WFR 30-39 years, male 365.4
GTEX-1I1GP-1026-SM-C1YRZ 50-59 years, male 365.0
GTEX-1KD4Q-1126-SM-CXZKK 40-49 years, male 364.2
GTEX-13SLX-1726-SM-5Q5E5 50-59 years, female 362.9
GTEX-1R9K4-1926-SM-DPRZW 60-69 years, male 361.4
GTEX-14E6E-0726-SM-5S2R3 30-39 years, male 361.1
GTEX-12WSG-5007-SM-7DUGZ 50-59 years, female 360.9
GTEX-U3ZN-1726-SM-4DXUQ 30-39 years, female 360.6
GTEX-Y3I4-1226-SM-4TT8N 50-59 years, male 360.3
GTEX-1CB4J-2426-SM-7MXVC 60-69 years, male 358.7
GTEX-13G51-0926-SM-5IFFU 60-69 years, male 356.6
GTEX-12696-1326-SM-5FQTJ 60-69 years, male 355.9
GTEX-1122O-1726-SM-5GICM 60-69 years, female 355.8
GTEX-15UF6-2326-SM-6M465 70-79 years, female 355.6
GTEX-RWS6-0826-SM-47JXF 60-69 years, female 355.2
GTEX-T5JC-1726-SM-4DM6U 20-29 years, male 354.9
GTEX-145MF-1426-SM-5O9B6 50-59 years, male 354.8
GTEX-15F5U-5010-SM-AHZ2D 40-49 years, male 354.8
GTEX-WRHK-0526-SM-4MVOF 20-29 years, female 353.9
GTEX-1R7EU-0826-SM-DPRZL 60-69 years, male 352.4
GTEX-1399U-1026-SM-5J1OC 50-59 years, female 351.9
GTEX-15UF7-0926-SM-6M46F 40-49 years, male 351.5
GTEX-ZVP2-1326-SM-57WCE 50-59 years, male 350.3
GTEX-1M5QR-0726-SM-DHXK7 40-49 years, male 350.2
GTEX-14PHY-0626-SM-664NN 60-69 years, female 349.8
GTEX-1GL5R-1526-SM-7MKHO 50-59 years, male 348.7
GTEX-1GN1W-2226-SM-9JGI5 50-59 years, female 347.6
GTEX-14BMU-0926-SM-5S2QB 20-29 years, female 347.3
GTEX-11DXZ-1226-SM-5H11L 50-59 years, male 346.5
GTEX-ZLFU-1126-SM-DO11K 40-49 years, male 346.2
GTEX-X4LF-0626-SM-4QASB 50-59 years, male 342.2
GTEX-Y3IK-1126-SM-51MSV 50-59 years, female 339.9
GTEX-1JMQK-2026-SM-C1YQN 60-69 years, male 338.9
GTEX-178AV-0526-SM-6LPJH 40-49 years, male 338.6
GTEX-1MCYP-1026-SM-DPRYB 20-29 years, female 337.6
GTEX-Y111-1626-SM-57WCY 50-59 years, male 336.9
GTEX-1CB4E-1026-SM-793AB 60-69 years, male 335.2
GTEX-OXRL-0626-SM-3NM9C 50-59 years, male 334.5
GTEX-13QJ3-1726-SM-5RQK9 50-59 years, male 333.7
GTEX-13U4I-1126-SM-5LU3S 40-49 years, female 332.7
GTEX-WH7G-0926-SM-4LVMJ 40-49 years, male 329.6
GTEX-1F5PK-1526-SM-7MKGV 50-59 years, male 328.9
GTEX-146FR-0426-SM-5SI97 60-69 years, female 328.8
GTEX-169BO-0526-SM-793AK 50-59 years, male 328.5
GTEX-1QP9N-0926-SM-E9U5S 30-39 years, male 326.6
GTEX-ZG7Y-1126-SM-4WWEZ 50-59 years, male 325.0
GTEX-144GO-2726-SM-5O9A2 60-69 years, male 321.3
GTEX-14E1K-1226-SM-5S2PD 50-59 years, male 321.0
GTEX-17F96-2526-SM-7DHL3 70-79 years, male 320.9
GTEX-V955-1126-SM-4JBH3 60-69 years, male 320.4
GTEX-1C475-0926-SM-7MKFI 40-49 years, female 318.5
GTEX-1AX8Z-5016-SM-AHZ2B 60-69 years, male 317.9
GTEX-XLM4-2326-SM-4AT5E 60-69 years, male 317.9
GTEX-11P82-0526-SM-5986P 20-29 years, male 316.7
GTEX-11TUW-1326-SM-5EQKV 60-69 years, male 314.8
GTEX-1B97I-0926-SM-731DZ 40-49 years, male 314.8
GTEX-X15G-0826-SM-4PQZD 50-59 years, female 313.2
GTEX-1QCLZ-1626-SM-E9U5R 60-69 years, female 312.8
GTEX-XMK1-1326-SM-4B65Q 40-49 years, male 311.7
GTEX-1LSVX-1226-SM-DHXJN 60-69 years, male 308.9
GTEX-147F3-0826-SM-5NQA7 50-59 years, female 308.8
GTEX-1N2DV-2026-SM-EV7BL 40-49 years, male 308.8
GTEX-139TU-1226-SM-5J2NL 60-69 years, male 308.0
GTEX-1H1ZS-1526-SM-9OSXR 70-79 years, male 307.3
GTEX-1LVA9-2126-SM-DLHBY 50-59 years, male 306.7
GTEX-13111-0826-SM-5LZV3 50-59 years, male 306.5
GTEX-1JMLX-2326-SM-CXZJP 50-59 years, male 303.5
GTEX-13FTW-1626-SM-5KM4N 40-49 years, male 303.1
GTEX-WHWD-0926-SM-4OORY 50-59 years, male 302.8
GTEX-RVPV-0526-SM-47JYL 60-69 years, male 302.4
GTEX-ZV68-0926-SM-59HK7 50-59 years, female 302.4
GTEX-RNOR-1226-SM-48FDQ 50-59 years, female 302.3
GTEX-13FH7-0526-SM-5IJF8 50-59 years, female 302.0
GTEX-QDVN-1026-SM-48TZA 50-59 years, male 301.8
GTEX-S4P3-0426-SM-4AD56 50-59 years, female 300.6
GTEX-11DZ1-2026-SM-5A5KG 50-59 years, male 300.4
GTEX-ZZPT-1426-SM-5N9C5 50-59 years, male 300.3
GTEX-133LE-0626-SM-5IFFJ 20-29 years, female 299.8
GTEX-WK11-1026-SM-4OOS8 50-59 years, male 297.7
GTEX-18A7A-2326-SM-7KFRH 50-59 years, female 297.1
GTEX-1HCU6-1326-SM-A96TZ 60-69 years, female 296.8
GTEX-XQ3S-1126-SM-4BOPK 20-29 years, male 296.3
GTEX-1GMR8-1826-SM-9WYUE 50-59 years, female 296.1
GTEX-1QCLY-1526-SM-DPRXX 30-39 years, male 295.4
GTEX-14DAR-0826-SM-73KYJ 50-59 years, male 292.1
GTEX-1PFEY-0826-SM-E9U6A 30-39 years, male 291.8
GTEX-11EI6-1526-SM-5P9GL 60-69 years, male 289.6
GTEX-T5JW-1326-SM-4DM5G 20-29 years, female 289.1
GTEX-11ZTS-2626-SM-5EGIC 60-69 years, female 289.0
GTEX-16Z82-1926-SM-6M47U 60-69 years, male 288.0
GTEX-P4PQ-0626-SM-3NMCU 60-69 years, male 286.7
GTEX-1269C-1026-SM-5N9EY 60-69 years, female 286.6
GTEX-ZA64-0626-SM-5HL9O 20-29 years, male 284.1
GTEX-QEG4-0726-SM-CNNRF 30-39 years, male 282.6
GTEX-13YAN-1926-SM-7EPH9 60-69 years, male 281.5
GTEX-RU1J-0326-SM-46MUM 20-29 years, female 280.7
GTEX-1R9PM-0926-SM-DPRYA 20-29 years, male 280.1
GTEX-TKQ1-0326-SM-4DXSM 30-39 years, male 279.7
GTEX-13FHO-1726-SM-DPRZX 60-69 years, male 277.5
GTEX-WYVS-0726-SM-4ONDO 40-49 years, female 275.6
GTEX-11DYG-1326-SM-5N9DO 60-69 years, male 275.5
GTEX-1HBPI-0626-SM-9WPP4 50-59 years, male 274.5
GTEX-1OJC3-0826-SM-DPRYU 20-29 years, male 273.5
GTEX-1J8QM-1926-SM-AHZ3Z 60-69 years, female 272.6
GTEX-OXRN-1726-SM-3NM9B 50-59 years, male 268.7
GTEX-R55D-1126-SM-48FEB 50-59 years, male 263.7
GTEX-1I1GU-1426-SM-B2LX3 40-49 years, male 263.3
GTEX-1I6K7-1426-SM-B2LXP 40-49 years, male 262.7
GTEX-1C64O-1826-SM-7DHM4 60-69 years, male 261.7
GTEX-11P81-0826-SM-5P9GR 30-39 years, female 260.0
GTEX-OOBK-0625-SM-3LK5P 40-49 years, male 257.8
GTEX-OIZI-1426-SM-3NB1T 40-49 years, male 256.9
GTEX-12BJ1-1626-SM-5HL8Y 60-69 years, male 256.6
GTEX-1HSGN-1626-SM-A96U2 40-49 years, female 255.5
GTEX-11XUK-0826-SM-5GU6P 40-49 years, female 253.7
GTEX-T2IS-0826-SM-4DM6L 20-29 years, female 253.2
GTEX-R3RS-1326-SM-48FE7 40-49 years, female 252.9
GTEX-1399S-1326-SM-5P9GH 30-39 years, female 252.7
GTEX-12KS4-0926-SM-5BC5S 30-39 years, male 252.1
GTEX-1IY9M-1626-SM-AHZ39 60-69 years, male 251.5
GTEX-WFJO-0826-SM-4LVM5 30-39 years, male 251.4
GTEX-W5WG-1626-SM-4LMKG 50-59 years, female 250.8
GTEX-ZT9W-1326-SM-51MTB 50-59 years, male 249.3
GTEX-146FQ-1026-SM-5LU8I 30-39 years, male 248.7
GTEX-PLZ5-0926-SM-3TW8L 50-59 years, male 247.6
GTEX-13RTK-0526-SM-5S2QF 20-29 years, male 246.1
GTEX-ZAJG-1326-SM-5S2NV 50-59 years, female 245.3
GTEX-1LSNL-2226-SM-DHXKM 50-59 years, male 245.1
GTEX-1HB9E-1526-SM-D3LA6 50-59 years, male 244.9
GTEX-144GN-0626-SM-5O9B2 50-59 years, male 243.6
GTEX-13O3Q-0826-SM-5IFGF 50-59 years, male 242.8
GTEX-1QP28-1826-SM-EAZ4L 50-59 years, female 242.7
GTEX-Q2AG-1326-SM-43V8K 40-49 years, female 241.4
GTEX-S3XE-0926-SM-4AD4S 50-59 years, male 240.7
GTEX-X4EO-1226-SM-4QARR 60-69 years, female 239.2
GTEX-17HII-1526-SM-9OSVD 50-59 years, male 239.1
GTEX-WHPG-1126-SM-4M1XT 50-59 years, male 238.8
GTEX-144GM-1426-SM-5LU31 20-29 years, male 237.8
GTEX-16MT8-1326-SM-6M47R 60-69 years, female 237.5
GTEX-1QEPI-1826-SM-EAZ3J 60-69 years, female 236.4
GTEX-WHSB-0426-SM-4M1XI 50-59 years, male 235.4
GTEX-1HC8U-1526-SM-9WPO4 40-49 years, female 235.4
GTEX-1B933-2026-SM-7EWFC 50-59 years, female 234.9
GTEX-11NUK-1326-SM-5P9GN 50-59 years, male 234.3
GTEX-TML8-1526-SM-4DXUX 40-49 years, female 233.7
GTEX-139YR-1726-SM-5IFFK 50-59 years, male 233.5
GTEX-WVLH-1426-SM-4MVNX 50-59 years, male 231.3
GTEX-P4QS-0626-SM-3NMD1 60-69 years, male 231.2
GTEX-145LS-1826-SM-5LUAZ 60-69 years, female 230.0
GTEX-R45C-1226-SM-48FEE 60-69 years, female 229.3
GTEX-1JMPZ-2026-SM-C1YR8 30-39 years, male 228.9
GTEX-U3ZH-1026-SM-4DXUZ 30-39 years, male 227.7
GTEX-1J1R8-0326-SM-AHZ3D 40-49 years, male 227.4
GTEX-S341-0526-SM-4AD5U 40-49 years, female 227.2
GTEX-1KANA-0626-SM-D4P3I 20-29 years, male 226.8
GTEX-WHSE-1526-SM-4M1XH 20-29 years, male 225.5
GTEX-OHPN-1026-SM-E9TI8 60-69 years, female 221.8
GTEX-139T6-0626-SM-5IFF9 50-59 years, male 220.2
GTEX-15RJ7-0926-SM-6LPJO 40-49 years, male 220.2
GTEX-12ZZW-1726-SM-5DUVD 50-59 years, male 219.9
GTEX-1AX9I-1426-SM-7DHM8 60-69 years, male 219.4
GTEX-UPK5-1226-SM-4IHL8 40-49 years, male 218.9
GTEX-Y5LM-1026-SM-4VDSQ 40-49 years, female 217.9
GTEX-X62O-2226-SM-46MW3 50-59 years, male 217.7
GTEX-17EUY-1426-SM-7938X 20-29 years, male 216.9
GTEX-14AS3-0626-SM-5QGQD 40-49 years, female 216.0
GTEX-ZYVF-2226-SM-5GIDD 50-59 years, female 214.4
GTEX-111YS-0926-SM-5EGGI 60-69 years, male 214.3
GTEX-WYJK-1926-SM-4ONDP 50-59 years, male 213.8
GTEX-17EVQ-1926-SM-7IGOF 70-79 years, male 213.0
GTEX-1IKOE-1526-SM-C1YSD 30-39 years, female 211.9
GTEX-13CF3-1626-SM-5IFG9 60-69 years, female 210.4
GTEX-16NGA-1426-SM-718AC 40-49 years, female 210.2
GTEX-11NSD-1126-SM-5N9BQ 20-29 years, male 210.0
GTEX-17JCI-1226-SM-793D9 60-69 years, female 209.9
GTEX-XGQ4-1526-SM-4AT6H 50-59 years, male 209.9
GTEX-14PJ6-1026-SM-686ZB 60-69 years, female 209.7
GTEX-146FH-1726-SM-5QGQ2 50-59 years, female 209.0
GTEX-S32W-0926-SM-4AD5X 50-59 years, female 208.4
GTEX-XBED-1026-SM-48TCB 60-69 years, male 208.3
GTEX-1R9K5-1526-SM-DPRZA 50-59 years, male 208.3
GTEX-14JG6-0926-SM-6871Y 30-39 years, female 208.1
GTEX-1KXAM-0826-SM-CXZK9 60-69 years, male 208.1
GTEX-UJHI-0826-SM-4IHLM 50-59 years, female 208.0
GTEX-1GMR3-1526-SM-9JGGL 40-49 years, male 207.3
GTEX-PWN1-0626-SM-48TDT 40-49 years, female 205.2
GTEX-P4QT-0626-SM-3NMCP 50-59 years, female 204.7
GTEX-13D11-1926-SM-5IFGB 50-59 years, female 204.4
GTEX-Y5V6-1026-SM-4VBS2 60-69 years, male 203.6
GTEX-1EWIQ-1526-SM-79OO7 70-79 years, female 203.0
GTEX-S4Q7-0626-SM-4AD5M 20-29 years, male 202.9
GTEX-1I4MK-0426-SM-B2LWQ 50-59 years, female 201.6
GTEX-XXEK-0326-SM-4BRVV 50-59 years, male 201.4
GTEX-139UW-1126-SM-5IJEJ 60-69 years, male 201.0
GTEX-16BQI-1526-SM-6LLIE 30-39 years, female 200.7
GTEX-11I78-1526-SM-5A5K7 50-59 years, female 200.6
GTEX-WFG7-1126-SM-4LMK3 20-29 years, male 200.2
GTEX-TMMY-1126-SM-4DXSX 40-49 years, female 196.3
GTEX-12C56-1226-SM-5FQSU 20-29 years, male 196.0
GTEX-1PPGY-1726-SM-EVR3S 60-69 years, male 194.6
GTEX-1C2JI-1126-SM-731FH 50-59 years, male 193.9
GTEX-11DXX-1126-SM-5GZZK 60-69 years, female 192.8
GTEX-12WSA-1426-SM-5EGJU 60-69 years, male 192.7
GTEX-X585-1226-SM-46MW7 50-59 years, male 191.5
GTEX-13PVQ-1726-SM-5IFF3 50-59 years, male 190.7
GTEX-1LG7Y-1726-SM-EV7AR 50-59 years, male 189.8
GTEX-18QFQ-1026-SM-7LG6B 30-39 years, male 189.5
GTEX-RUSQ-0826-SM-47JWW 50-59 years, male 189.4
GTEX-ZGAY-1126-SM-4WWBS 40-49 years, female 189.3
GTEX-1HSMQ-2026-SM-B2LY1 50-59 years, male 187.5
GTEX-1QW4Y-0526-SM-EAZ3V 30-39 years, male 187.5
GTEX-148VI-1026-SM-5TDDJ 60-69 years, female 187.3
GTEX-ZT9X-0526-SM-5GCOP 40-49 years, male 187.1
GTEX-Q2AH-0826-SM-48TZN 40-49 years, male 186.2
GTEX-ZYFC-1626-SM-5N9EU 50-59 years, male 185.3
GTEX-15RIE-0826-SM-6M47X 60-69 years, male 184.7
GTEX-1CB4F-1526-SM-7MKFM 60-69 years, male 182.9
GTEX-16XZY-0926-SM-7938M 70-79 years, male 181.8
GTEX-12ZZY-1426-SM-5N9EI 60-69 years, male 181.6
GTEX-131XF-0826-SM-5GICG 60-69 years, male 181.5
GTEX-RN64-1026-SM-48FDX 50-59 years, male 180.0
GTEX-OIZF-0626-SM-7MKHG 60-69 years, male 179.0
GTEX-Y5V5-1626-SM-4VDSG 60-69 years, female 178.3
GTEX-1I1CD-1726-SM-A9G3P 60-69 years, female 177.4
GTEX-1MA7X-0726-SM-EV7AB 60-69 years, male 177.1
GTEX-14BIN-2726-SM-5RQIE 50-59 years, female 176.8
GTEX-16MTA-0826-SM-6LLIC 50-59 years, male 176.5
GTEX-1I1GR-1326-SM-ARU7B 60-69 years, male 176.3
GTEX-1J8EW-1326-SM-AHZ3S 60-69 years, female 176.0
GTEX-132AR-2226-SM-5J2NT 50-59 years, female 174.9
GTEX-SNOS-0626-SM-4DM5F 40-49 years, male 174.6
GTEX-1S83E-0826-SM-EV7B7 40-49 years, male 174.4
GTEX-QVUS-0626-SM-447CC 60-69 years, female 173.9
GTEX-NFK9-1126-SM-3LK78 40-49 years, male 173.8
GTEX-1I1GV-2226-SM-ARU7E 60-69 years, male 173.6
GTEX-QDVJ-0726-SM-48U1W 50-59 years, male 173.1
GTEX-N7MT-0326-SM-48TDP 60-69 years, female 171.2
GTEX-V1D1-1026-SM-4JBHE 50-59 years, male 171.2
GTEX-1LGRB-1626-SM-CNNR7 50-59 years, female 170.4
GTEX-1HFI6-1226-SM-A96SK 40-49 years, male 168.2
GTEX-1H1DG-1226-SM-9JGH3 70-79 years, male 167.2
GTEX-QEL4-1426-SM-447AC 50-59 years, male 167.0
GTEX-1RLM8-0726-SM-E6CRH 50-59 years, male 166.8
GTEX-QLQW-0526-SM-4R1KS 30-39 years, male 166.4
GTEX-U8XE-1726-SM-4E3IF 30-39 years, male 166.4
GTEX-13FHP-1526-SM-5IJGE 50-59 years, male 166.0
GTEX-OIZH-0626-SM-3NB1L 50-59 years, male 165.7
GTEX-SJXC-1426-SM-EYYVB 60-69 years, male 164.7
GTEX-183WM-1726-SM-7KFT5 70-79 years, female 164.3
GTEX-1H11D-2126-SM-9OSXM 40-49 years, male 163.3
GTEX-1NUQO-1126-SM-DTX98 20-29 years, female 163.1
GTEX-YFC4-1226-SM-5LU9R 40-49 years, female 163.0
GTEX-18A67-2426-SM-7LT95 50-59 years, male 162.6
GTEX-OIZG-1026-SM-3LK5X 50-59 years, male 161.2
GTEX-ZDYS-0826-SM-4WWCR 50-59 years, male 161.2
GTEX-QLQ7-0926-SM-447BC 60-69 years, male 160.9
GTEX-13S86-0826-SM-5SI6J 40-49 years, male 160.3
GTEX-1IDJH-2026-SM-CNNQX 70-79 years, male 160.1
GTEX-18A6Q-1226-SM-7KFS9 60-69 years, male 159.1
GTEX-18D9A-0526-SM-7KFSW 30-39 years, female 158.8
GTEX-U4B1-0826-SM-4DXTW 40-49 years, male 158.5
GTEX-13O1R-1326-SM-5IJF5 60-69 years, male 158.4
GTEX-1QP67-0726-SM-DPRY1 40-49 years, female 158.3
GTEX-T8EM-0526-SM-4DM64 40-49 years, male 157.4
GTEX-VUSG-1226-SM-4KKZF 50-59 years, male 157.2
GTEX-1H23P-1426-SM-9JGH5 60-69 years, male 157.2
GTEX-132Q8-1826-SM-5EGIY 60-69 years, male 155.6
GTEX-13OVG-0626-SM-5IFEP 60-69 years, male 155.6
GTEX-11LCK-1726-SM-5S2OQ 30-39 years, male 154.8
GTEX-13W46-1926-SM-5J2MF 50-59 years, male 153.0
GTEX-R55E-1326-SM-48FCR 20-29 years, male 152.9
GTEX-12WSL-1526-SM-5GCP8 50-59 years, male 152.3
GTEX-13X6H-1326-SM-5LU42 50-59 years, female 151.4
GTEX-YECK-1626-SM-5IFHQ 60-69 years, male 150.8
GTEX-183FY-1526-SM-7IGOW 20-29 years, male 150.4
GTEX-1JK1U-1726-SM-CNNPM 60-69 years, male 147.4
GTEX-1HKZK-1426-SM-A96U1 40-49 years, male 146.7
GTEX-POYW-1326-SM-48TCG 60-69 years, male 145.0
GTEX-WFG8-1226-SM-4V6EI 20-29 years, male 144.3
GTEX-18D9B-2026-SM-7LT96 60-69 years, male 143.7
GTEX-1K9T9-2026-SM-CXZK3 50-59 years, female 141.1
GTEX-1IDFM-1126-SM-A96SY 60-69 years, male 140.6
GTEX-1GTWX-1326-SM-9JGHU 60-69 years, male 139.2
GTEX-Y114-0926-SM-4TT7J 50-59 years, female 138.3
GTEX-11DXY-1426-SM-5N9CN 60-69 years, male 137.9
GTEX-ZTX8-0226-SM-5E44D 20-29 years, male 136.4
GTEX-1QP2A-1926-SM-EXOJ9 50-59 years, male 136.4
GTEX-ZYY3-1526-SM-5SIA9 60-69 years, female 135.1
GTEX-1EU9M-2326-SM-7MKGS 60-69 years, male 134.3
GTEX-1HBPM-1426-SM-9WPPE 60-69 years, female 132.7
GTEX-14PK6-1326-SM-686ZE 70-79 years, female 132.6
GTEX-145LV-1326-SM-5S2QI 50-59 years, male 132.0
GTEX-15DCE-1326-SM-6LPJL 20-29 years, male 132.0
GTEX-ZVE2-1326-SM-5NQ94 50-59 years, male 130.2
GTEX-ZF3C-1626-SM-4WWB4 50-59 years, female 129.8
GTEX-QEG5-1426-SM-447AS 20-29 years, male 129.4
GTEX-XK95-1026-SM-4GIDV 40-49 years, male 128.2
GTEX-1RAZA-1326-SM-DPS12 20-29 years, male 127.5
GTEX-145MN-1026-SM-5NQ9G 30-39 years, male 127.4
GTEX-1B8KZ-0726-SM-7938W 50-59 years, male 126.7
GTEX-ZLV1-0526-SM-4WWD4 60-69 years, female 126.0
GTEX-1399Q-1126-SM-5P9JA 40-49 years, male 125.4
GTEX-X3Y1-1326-SM-4PQZB 40-49 years, male 124.4
GTEX-1PIGE-0926-SM-E9U5Z 20-29 years, male 123.8
GTEX-1GF9U-0826-SM-7MXTZ 40-49 years, female 123.7
GTEX-1LNCM-0626-SM-EV7AI 50-59 years, female 123.7
GTEX-WQUQ-1626-SM-4OOSH 60-69 years, male 123.6
GTEX-WXYG-1226-SM-4ONCJ 50-59 years, female 123.6
GTEX-18465-1126-SM-7LG6E 50-59 years, male 122.5
GTEX-1IDJF-1226-SM-C1YPX 20-29 years, male 120.4
GTEX-1J1OQ-2526-SM-AHZ3Q 40-49 years, female 119.0
GTEX-1CB4G-1326-SM-7MKFP 60-69 years, male 118.8
GTEX-13NYB-0926-SM-5IFFA 40-49 years, male 118.3
GTEX-15RJE-0926-SM-6LLHZ 40-49 years, male 117.1
GTEX-YJ89-1526-SM-5P9IR 60-69 years, male 116.7
GTEX-1IKK5-1326-SM-AHZ2X 60-69 years, male 112.3
GTEX-14PJ4-1526-SM-664OA 60-69 years, male 110.0
GTEX-1CAMQ-2726-SM-7MKGD 40-49 years, male 109.4
GTEX-1MCQQ-1026-SM-EV7AX 60-69 years, male 109.1
GTEX-1AX9K-1126-SM-731DQ 50-59 years, male 108.9
GTEX-ZC5H-1326-SM-5HL7E 40-49 years, female 108.9
GTEX-1NSGN-2026-SM-DPRYM 50-59 years, male 107.6
GTEX-1497J-2726-SM-5SI9W 60-69 years, male 106.3
GTEX-1F52S-1426-SM-7P8PU 60-69 years, female 106.2
GTEX-1HCU8-2226-SM-9WPOV 60-69 years, female 105.6
GTEX-O5YV-1026-SM-3LK72 60-69 years, female 104.5
GTEX-Y8E4-1726-SM-5LU9G 40-49 years, male 104.1
GTEX-Q2AI-0626-SM-48TZU 40-49 years, male 103.4
GTEX-11EMC-2226-SM-5A5JW 60-69 years, female 102.9
GTEX-VJYA-0726-SM-4KL1T 60-69 years, male 102.8
GTEX-PLZ4-1626-SM-3P618 50-59 years, female 102.6
GTEX-14ICK-2026-SM-6AJB2 40-49 years, male 102.0
GTEX-1RAZQ-1726-SM-EAZ4T 30-39 years, male 100.3
GTEX-144FL-2726-SM-5O98Z 50-59 years, male 100.0
GTEX-S7SF-0926-SM-4AD4M 20-29 years, female 99.9
GTEX-148VJ-1026-SM-5LU98 70-79 years, male 99.5
GTEX-QV44-1126-SM-CL55C 50-59 years, male 97.4
GTEX-1CB4H-1526-SM-7MXU4 60-69 years, female 96.3
GTEX-14A6H-1326-SM-5NQBC 30-39 years, male 93.9
GTEX-14PJ5-0526-SM-664OE 60-69 years, female 93.4
GTEX-T2YK-1326-SM-4DM6S 50-59 years, male 92.3
GTEX-11ZU8-1526-SM-5EGHX 60-69 years, male 91.9
GTEX-1KANB-1826-SM-DHXJU 50-59 years, male 90.2
GTEX-117YW-1926-SM-5H121 50-59 years, male 89.1
GTEX-1RAZS-2626-SM-EV79C 50-59 years, male 88.1
GTEX-1PPH8-1626-SM-E6CQP 20-29 years, male 87.1
GTEX-1IDJD-1626-SM-C1YRC 30-39 years, male 86.8
GTEX-1RAZR-1226-SM-E6CRD 40-49 years, male 83.2
GTEX-13NZB-1226-SM-5J2MW 30-39 years, male 82.7
GTEX-11ONC-1526-SM-5GU6S 60-69 years, male 81.3
GTEX-NPJ8-1926-SM-3MJGB 40-49 years, male 80.0
GTEX-1EH9U-2426-SM-7EWFG 60-69 years, male 79.2
GTEX-1AX9J-1826-SM-731FM 60-69 years, male 78.9
GTEX-16NPX-1626-SM-6LLI5 50-59 years, male 77.9
GTEX-13OVI-2626-SM-5KM4T 60-69 years, female 77.2
GTEX-1KAFJ-0626-SM-D3L8X 50-59 years, male 75.8
GTEX-131XE-1426-SM-5HL7V 50-59 years, male 74.1
GTEX-PSDG-1326-SM-48TD2 50-59 years, male 73.5
GTEX-RU72-0726-SM-46MUW 50-59 years, female 73.2
GTEX-1EX96-2226-SM-7MKGT 50-59 years, male 73.1
GTEX-1HSKV-2426-SM-A8N8K 60-69 years, male 71.2
GTEX-1EMGI-1926-SM-7938Y 60-69 years, male 70.0
GTEX-1L5NE-1426-SM-DHXKV 50-59 years, male 65.3
GTEX-1K2DU-1726-SM-EV79S 20-29 years, male 64.0
GTEX-ZUA1-1226-SM-5NQ6O 40-49 years, male 63.7
GTEX-X4EP-1626-SM-4QAS6 60-69 years, female 62.2
GTEX-11P7K-1326-SM-5BC5G 30-39 years, male 62.1
GTEX-ZE9C-1126-SM-4WWBD 60-69 years, male 59.2
GTEX-YB5E-0926-SM-4WWDQ 40-49 years, male 58.8
GTEX-WOFM-0626-SM-4OOS3 20-29 years, male 57.5
GTEX-1LB8K-1326-SM-CXZKB 50-59 years, male 53.7
GTEX-S33H-0826-SM-4AD5Y 30-39 years, male 51.0
GTEX-1N2EE-2426-SM-EXOIO 60-69 years, male 49.6
GTEX-1S82Y-1226-SM-EV7BD 40-49 years, male 46.8
GTEX-X4XY-1726-SM-46MVO 60-69 years, male 46.4
GTEX-1RDX4-2126-SM-EV7B3 50-59 years, female 45.8
GTEX-1HGF4-0926-SM-9WPP8 60-69 years, male 43.2
GTEX-14C38-2126-SM-5RQJO 50-59 years, male 40.4
GTEX-1AYD5-0926-SM-793AF 50-59 years, male 38.4
GTEX-14JIY-0926-SM-6871D 60-69 years, male 37.1
Show allShow less

ESOPHAGUS - FANTOM5 CAGEi

RNA expression in human tissues obtained through Cap Analysis of Gene Expression (CAGE) generated by the FANTOM5 project are reported as Scaled Tags Per Million.

Max subtype Scaled Tags Per Millioni

Max subtype Scaled Tags Per Million is the value for the subtype with the largest average Scaled Tags Per Million across the subtype samples.

3848.2
FANTOM5 sample id Sample description Scaled Tags Per Million
Esophagus
Scaled Tags Per Million: 3848.2
FF:10015-101C6 68,74,75 years, mixed 3848.2

Contact

  • NEWS ARTICLES
  • PRESS ROOM

The Project

  • INTRODUCTION
  • ORGANIZATION
  • PUBLICATIONS

The Human Protein Atlas

  • DOWNLOADABLE DATA
  • LICENCE & CITATION
  • HELP & FAQ
The Human Protein Atlas project is funded
by the Knut & Alice Wallenberg Foundation.


contact@proteinatlas.org