We use cookies to enhance the usability of our website. If you continue, we'll assume that you are happy to receive all cookies. More information. Don't show this again.
CCDC69
HPA
RESOURCES
  • TISSUE
  • BRAIN
  • SINGLE CELL
  • SUBCELLULAR
  • CANCER
  • BLOOD
  • CELL LINE
  • STRUCTURE & INTERACTION
ABOUT
  • INTRODUCTION
  • HISTORY
  • ORGANIZATION
  • PUBLICATIONS
  • ANTIBODY SUBMISSION
  • ANTIBODY AVAILABILITY
  • ACKNOWLEDGMENTS
  • CONTACT
NEWS
  • NEWS ARTICLES
  • PRESS ROOM
LEARN
  • DICTIONARY
  • PROTEIN CLASSES
  • PROTEIN EVIDENCE
  • METHODS
  • EDUCATIONAL VIDEOS
DATA
  • DOWNLOADABLE DATA
  • PUBLICATION DATA
  • RELEASE HISTORY
HELP
  • ANTIBODY VALIDATION
  • ASSAYS & ANNOTATION
  • DISCLAIMER
  • HELP & FAQ
  • PRIVACY STATEMENT
  • LICENCE & CITATION
Fields »
Search result

Field
Term
Gene name
Class
Subclass
Class
Keyword
Chromosome
External id
Tissue
Cell type
Expression
Antibody panel
Tissue
Main location
Patient ID
Annotation
Tissue
Category
Tau score
Cluster
Reliability
Brain region
Category
Tau score
Brain region
Category
Tau score
Brain region
Category
Tau score
Cluster
Reliability
Tissue
Cell type
Enrichment
Cell type
Category
Tau score
Cell type
Category
Tau score
Cell type
Category
Tau score
Cell lineage
Category
Tau score
Cluster
Cluster
Location
Searches
Location
Cell line
Class
Type
Phase
Reliability
Cancer
Prognosis
Cancer
Category
Cancer
Category
Tau score
Cluster
Variants
Interacting gene (ensg_id)
Type
Number of interactions
Pathway
Category
Score
Score
Score
Validation
Validation
Validation
Validation
Antibodies
Data type
Column


  • SUMMARY

  • TISSUE

  • BRAIN

  • SINGLE CELL

  • SUBCELL

  • CANCER

  • BLOOD

  • CELL LINE

  • STRUCT & INT

  • CCDC69
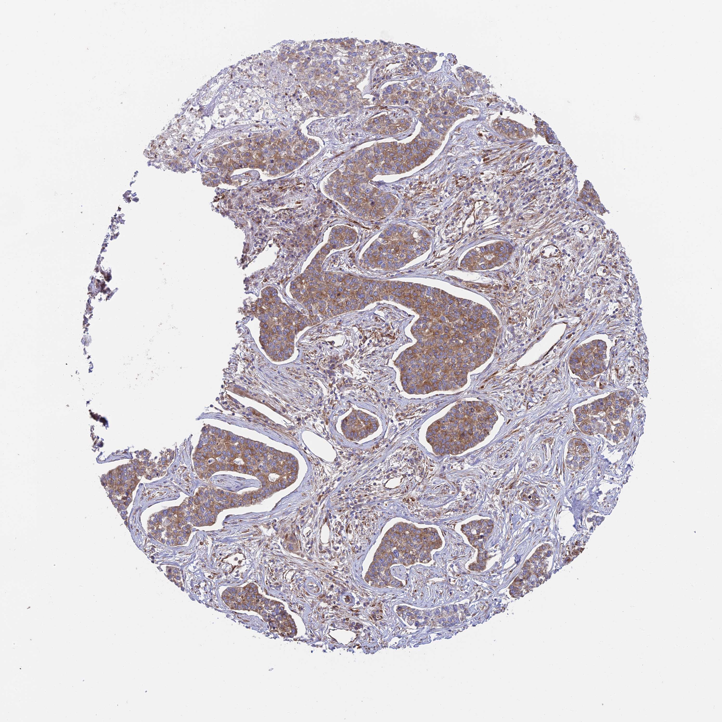
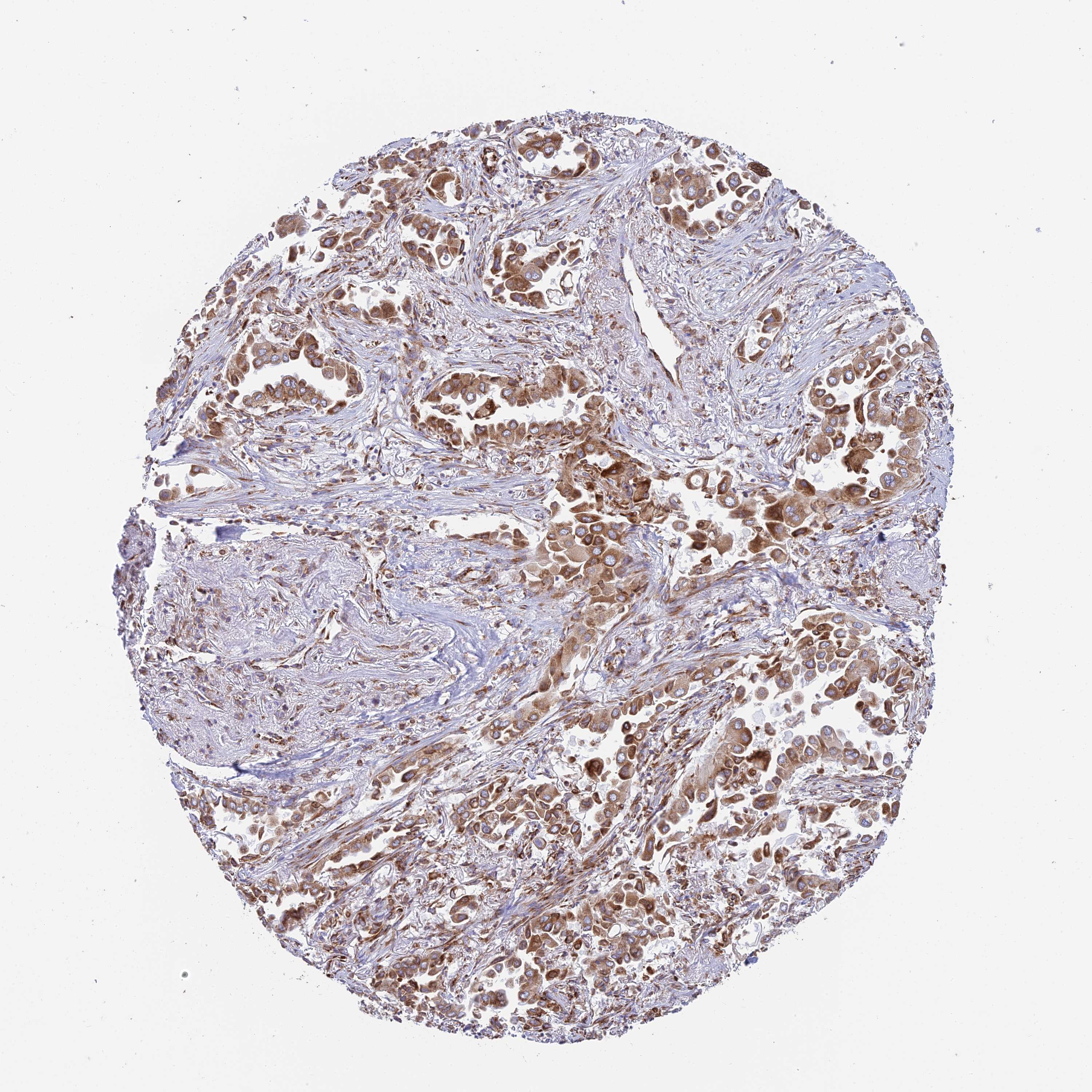
CANCER LUNG CANCER Show tissue menu
BREAST CANCER CARCINOID CERVICAL CANCER COLORECTAL CANCER ENDOMETRIAL CANCER GLIOMA HEAD AND NECK CANCER LIVER CANCER LUNG CANCER LYMPHOMA
MELANOMA OVARIAN CANCER PANCREATIC CANCER PROSTATE CANCER RENAL CANCER SKIN CANCER STOMACH CANCER TESTIS CANCER THYROID CANCER UROTHELIAL CANCER
LUAD TCGA LUAD VALIDATION LUSC TCGA LUSC VALIDATION PROTEIN LUAD CPTAC PROTEIN LUSC CPTAC PROTEIN EXPRESSION
ANTIBODIES
AND
VALIDATION
Dictionary
Lung cancer
Human cancer
Lung adenocarcinoma
Lung squamous cell carcinoma
LUNG ADENOCARCINOMA (TCGA) - Interactive survival scatter ploti

The Survival Scatter plot shows the clinical status (i.e. dead or alive) for all individuals in the patient cohort, based on the same data that underlies the corresponding Kaplan-Meier plots. Patients that are alive at last time for follow-up are shown in blue and patients who have died during the study are shown in red.

The x-axis shows the expression levels (FPKM) of the investigated gene in the tumor tissue at the time of diagnosis. The y-axis shows the follow-up time after diagnosis (years). Both axes are complimented with kernel density curves demonstrating the data density over the axes. The top density plot shows the expression levels (FPKM) distribution among dead (red) and alive patients (blue). The right density plot shows the data density of the survived years of dead patients with high and low expression levels respectively, stratified using the cutoff indicated by the vertical dashed line through the Survival Scatter plot. This cutoff is automatically defined based on the FPKM cutoff that minimizes the p-score. The cutoff can be changed by dragging the vertical line or by entering a cutoff value in the square labeled "Current cut-off".

Under the Survival Scatter plot the p-score landscape (black curve; left axis) is shown together with dead median separation (red curve; right axis). Dead median separation is the difference in median mRNA expression between patients who have died with high and low expression, respectively. It is calculated as follows: median FPKM expression of dead patients with high expression - median FPKM expression of dead patients with low expression. This is intended to aid the user in visually exploring custom cutoffs and the associated p-scores and dead median separation.

Individual patient data is displayed and can be filtered by clicking on one or more of the category buttons on the top of the page. Categories describing expression level and patient information include: high, low, alive, dead, female, male and tumor stages. The scale of the x-axis can be toggled between linear and log-scale by clicking on the "x log" button. Mouse-over function shows TCGA ID, patient information and mRNA expression (FPKM) for each patient.

& Survival analysisi

Kaplan-Meier plots summarize results from analysis of correlation between mRNA expression level and patient survival. Patients were divided based on level of expression into one of the two groups "low" (under cut off) or "high" (over cut off). X-axis shows time for survival (years) and y-axis shows the probability of survival, where 1.0 corresponds to 100 percent.

CCDC69 is not prognostic in Lung Adenocarcinoma (TCGA)


Stage:


Survival analysis
Current cut offi

Current cut-off shows the cut-off (FPKM) currently selected. It may be changed manually. When the current cut-off is changed, the vertical dashed line indicating cut-off, the interactive survival scatter plot and the Kaplan-Meier curve will be automatically adjusted to show results accordingly.

:
Best expression cut offi

Based on the FPKM value of each gene, patients were classified into two groups and association between prognosis (survival) and gene expression (FPKM) was examined. The best expression cut-off refers the FPKM value that yields maximal difference with regard to survival between the two groups at the lowest log-rank P-value. Best expression cut-off was selected based on survival analysis .

When clicking on this number, the vertical dashed line indicating cut-off, the interactive survival plot, and the Kaplan-Meier curve will be adjusted to show results based on the best expression cut-off.

: 20.72
Median expressioni

Median expression refers to the median FPKM value calculated based on the gene expression (FPKM) data from all patients in this dataset. When clicking on this number, the vertical dashed line indicating cut-off, the interactive survival plot, and the Kaplan-Meier curve will be adjusted to show results based on the median expression.

: N/A
Median follow up timei

Median follow up time refers to the median time (years) after diagnosis with this type of cancer, based on clinical data from all patients in this dataset.

: N/A
P scorei

Log-rank P value for Kaplan-Meier plot showing results from analysis of correlation between mRNA expression level and patient survival.

N/A
5-year survival highi

5-year survival for patients with higher expression than the expression cutoff.

For melanoma and glioma, 3-year survival is shown.

N/A
5-year survival lowi

5-year survival for patients with lower expression than the expression cutoff.

For melanoma and glioma, 3-year survival is shown.

N/A
TCGA RNA samplesi

RNA-seq data is reported as average FPKM (number Fragments Per Kilobase of exon per Million reads), generated by the The Cancer Genome Atlas (TCGA) .

Normal distribution across the dataset is visualized with box plots, shown as median and 25th and 75th percentiles. Points are displayed as outliers if they are above or below 1.5 times the interquartile range. FPKM values of the individual samples are presented next to the box plot.

Average pTPM 18.3
Number of samples 497
Samples
Sample Description pTPM
TCGA-64-1680-01A 63 years, male, white, stage:Stage IV, alive, 1126 days 119.2
TCGA-62-8397-01A 70 years, female, white, stage:Stage IIB, alive, 1289 days 97.6
TCGA-67-6216-01A 57 years, female, white, stage:Stage IA, alive, 141 days 95.0
TCGA-86-8278-01A 63 years, female, white, stage:Stage IIB, alive, 944 days 69.6
TCGA-50-8460-01A 74 years, male, white, stage:Stage IA, alive, 829 days 66.4
TCGA-55-8206-01A 56 years, male, white, stage:Stage IA, alive, 888 days 65.9
TCGA-49-AARR-01A 68 years, male, black or african american, stage:Stage IA, alive, 4992 days 64.8
TCGA-38-4626-01A 57 years, female, white, stage:'--, alive, 3674 days 63.9
TCGA-86-7714-01A 61 years, female, black or african american, stage:Stage IIIA, dead, 625 days 63.3
TCGA-97-8174-01A 67 years, male, white, stage:Stage IIA, dead, 164 days 62.5
TCGA-55-7816-01A 49 years, female, white, stage:Stage IV, dead, 468 days 58.6
TCGA-44-6148-01A 60 years, male, white, stage:Stage IA, alive, 704 days 55.5
TCGA-49-6745-01A 82 years, male, white, stage:Stage IIIA, alive, 522 days 54.2
TCGA-05-4384-01A 66 years, male, stage:Stage IIIA, alive, 426 days 52.0
TCGA-67-6215-01A 52 years, female, white, stage:Stage IB, alive, 174 days 52.0
TCGA-62-A46Y-01A 70 years, female, white, stage:Stage IIIA, dead, 414 days 48.9
TCGA-75-6212-01A female, stage:Stage IIB, dead, 1516 days 48.2
TCGA-78-7162-01A 75 years, male, white, stage:Stage IA, dead, 3169 days 46.4
TCGA-69-8253-01A 59 years, female, black or african american, stage:Stage IIA, alive, 426 days 45.1
TCGA-62-8395-01A 80 years, female, white, stage:Stage IIB, alive, 1216 days 44.8
TCGA-NJ-A55A-01A 76 years, female, white, stage:Stage IB, alive, 15 days 44.7
TCGA-55-8512-01A 41 years, male, white, stage:Stage IV, dead, 607 days 44.0
TCGA-73-4659-01A 66 years, male, white, stage:Stage IIIA, dead, 711 days 42.5
TCGA-55-6971-01A 59 years, female, white, stage:Stage IB, alive, 1400 days 42.4
TCGA-44-6778-01A 59 years, male, black or african american, stage:Stage IA, alive, 1864 days 41.8
TCGA-67-3774-01A 73 years, female, white, stage:Stage IB, alive, 385 days 41.8
TCGA-44-7671-01A 64 years, male, black or african american, stage:Stage IB, alive, 889 days 41.7
TCGA-73-4677-01A 74 years, male, white, stage:'--, dead, 38 days 41.4
TCGA-97-7553-01A 58 years, female, white, stage:Stage IA, alive, 1870 days 41.4
TCGA-69-7763-01A 69 years, male, white, stage:Stage IA, alive, 690 days 40.8
TCGA-55-8621-01A 75 years, female, white, stage:Stage IA, alive, 515 days 40.7
TCGA-75-6206-01A male, stage:Stage IB, alive, 2590 days 40.7
TCGA-86-A4P8-01A 59 years, female, white, stage:Stage IIIA, alive, 805 days 39.1
TCGA-62-8399-01A 62 years, male, white, stage:Stage IIIA, alive, 2696 days 38.8
TCGA-97-7552-01A 70 years, male, white, stage:Stage IB, alive, 1932 days 38.6
TCGA-55-8513-01A 77 years, female, white, stage:Stage IIB, alive, 791 days 38.1
TCGA-O1-A52J-01A 74 years, female, white, stage:Stage IA, dead, 1798 days 37.6
TCGA-86-8671-01A 72 years, female, white, stage:Stage IIB, alive, 839 days 37.3
TCGA-91-6835-01A 81 years, female, white, stage:Stage IA, alive, 79 days 37.3
TCGA-MP-A4TH-01A 70 years, female, white, stage:Stage IA, alive, 741 days 37.3
TCGA-99-AA5R-01A 70 years, female, black or african american, stage:Stage IA, alive, 658 days 36.8
TCGA-38-7271-01A 72 years, female, white, stage:Stage IA, dead, 800 days 36.6
TCGA-86-8076-01A 42 years, male, white, stage:Stage IA, alive, 993 days 36.3
TCGA-55-7574-01A 64 years, female, white, stage:Stage IB, dead, 995 days 36.1
TCGA-55-A48X-01A 63 years, female, white, stage:Stage IIA, alive, 689 days 36.0
TCGA-44-6147-01A 67 years, female, white, stage:Stage IA, alive, 845 days 35.9
TCGA-44-2668-01A 51 years, male, white, stage:Stage IB, dead, 761 days 35.6
TCGA-44-3398-01A 77 years, female, white, stage:Stage IA, alive, 1163 days 35.2
TCGA-55-6980-01A 56 years, male, white, stage:Stage IA, alive, 2109 days 34.9
TCGA-50-5939-01A 85 years, male, white, stage:Stage IB, dead, 460 days 34.7
TCGA-86-6851-01A 73 years, female, white, stage:Stage IIA, alive, 179 days 34.0
TCGA-91-6849-01A 75 years, female, black or african american, stage:Stage IIIA, alive, 35 days 33.7
TCGA-91-8497-01A 75 years, female, white, stage:Stage IA, dead, 434 days 33.6
TCGA-55-6986-01A 74 years, female, white, stage:Stage IB, alive, 3261 days 33.5
TCGA-44-7661-01A 69 years, female, white, stage:Stage IB, dead, 557 days 33.3
TCGA-86-8359-01A 52 years, male, white, stage:Stage IIIA, dead, 444 days 33.3
TCGA-L9-A743-01A 56 years, male, black or african american, stage:Stage IIA, alive, 664 days 33.3
TCGA-93-7347-01A 76 years, female, white, stage:Stage IA, alive, 683 days 33.2
TCGA-55-8299-01A 61 years, female, white, stage:Stage IA, dead, 469 days 33.2
TCGA-97-A4M2-01A 66 years, male, white, stage:Stage IA, alive, 624 days 33.2
TCGA-MP-A4T9-01A 54 years, female, white, stage:Stage IIIA, dead, 1265 days 32.9
TCGA-44-2662-01A 65 years, male, white, stage:Stage IB, alive, 1280 days 32.5
TCGA-69-8453-01A 77 years, male, white, stage:Stage IIB, alive, 813 days 32.5
TCGA-78-7537-01A 72 years, male, stage:Stage IB, dead, 1622 days 32.1
TCGA-97-8172-01A 75 years, female, white, stage:Stage IB, alive, 545 days 31.8
TCGA-MP-A4TI-01A 72 years, male, white, stage:Stage IIA, dead, 429 days 31.3
TCGA-50-5055-01A 79 years, female, white, stage:Stage IIA, dead, 1830 days 31.1
TCGA-55-8208-01A 73 years, female, white, stage:Stage IA, alive, 674 days 30.9
TCGA-97-A4M6-01A 45 years, female, white, stage:Stage IA, alive, 568 days 30.8
TCGA-49-6744-01A 64 years, female, white, stage:Stage IIA, alive, 1683 days 30.7
TCGA-J2-8194-01A 69 years, female, white, stage:Stage IIB, alive, 724 days 30.6
TCGA-50-5942-01A 67 years, female, white, stage:Stage IA, alive, 1847 days 30.3
TCGA-55-8619-01A 72 years, female, white, stage:Stage IIB, alive, 416 days 30.1
TCGA-97-8552-01A 55 years, female, white, stage:Stage I, alive, 626 days 29.9
TCGA-78-8648-01A 58 years, female, stage:Stage IIB, dead, 1209 days 29.8
TCGA-44-2657-01A 74 years, female, white, stage:Stage IB, alive, 1351 days 29.8
TCGA-MP-A4TJ-01A 62 years, female, stage:Stage IA, dead, 339 days 29.8
TCGA-73-7498-01A 58 years, female, white, stage:Stage IA, alive, 1189 days 29.8
TCGA-55-7573-01A 72 years, female, white, stage:Stage IA, alive, 487 days 28.9
TCGA-44-2655-01A 65 years, female, white, stage:Stage IA, alive, 1324 days 28.8
TCGA-50-5941-01A 55 years, female, white, stage:Stage IIIA, alive, 1474 days 28.7
TCGA-95-8039-01A 72 years, male, white, stage:Stage IA, alive, 830 days 28.6
TCGA-75-7025-01A male, stage:Stage IB, alive, 3305 days 28.5
TCGA-NJ-A7XG-01A 49 years, male, black or african american, stage:Stage IIIA, alive, 617 days 28.3
TCGA-55-8089-01A 56 years, male, white, stage:Stage IA, dead, 702 days 28.2
TCGA-97-A4LX-01A 81 years, male, white, stage:Stage IB, alive, 614 days 27.9
TCGA-55-6987-01A 77 years, male, white, stage:Stage IA, alive, 2137 days 27.7
TCGA-86-8674-01A 50 years, male, white, stage:Stage IIA, alive, 806 days 27.3
TCGA-05-4433-01A 82 years, male, stage:Stage IB, alive, 730 days 27.2
TCGA-91-6830-01A 65 years, female, white, stage:Stage IIA, alive, 60 days 27.2
TCGA-78-7156-01A 62 years, male, white, stage:Stage IV, dead, 976 days 27.1
TCGA-44-5645-01A 61 years, female, black or african american, stage:Stage IA, alive, 852 days 27.0
TCGA-L4-A4E6-01A 67 years, male, white, stage:Stage IA, alive, 435 days 27.0
TCGA-50-5930-01A 47 years, male, white, stage:Stage IIIA, dead, 282 days 27.0
TCGA-55-6970-01A 67 years, female, white, stage:Stage IIIA, dead, 464 days 26.9
TCGA-93-A4JP-01A 64 years, male, asian, stage:Stage IV, alive, 578 days 26.8
TCGA-69-7978-01A 59 years, male, white, stage:Stage IIB, alive, 134 days 26.7
TCGA-49-6743-01A 81 years, female, white, stage:Stage IIIA, alive, 1621 days 26.4
TCGA-44-2661-01A 69 years, female, white, stage:Stage IA, alive, 1159 days 26.0
TCGA-55-8207-01A 73 years, male, white, stage:Stage IB, alive, 977 days 26.0
TCGA-97-8176-01A 63 years, male, white, stage:Stage IIIA, dead, 468 days 25.9
TCGA-55-6642-01A 63 years, male, white, stage:Stage IB, alive, 2449 days 25.8
TCGA-55-6985-01A 58 years, female, white, stage:Stage IB, alive, 1233 days 25.8
TCGA-55-8092-01A 75 years, male, white, stage:Stage IIB, dead, 154 days 25.7
TCGA-44-6145-01A 62 years, female, white, stage:Stage IA, alive, 595 days 25.7
TCGA-50-8457-01A 63 years, female, black or african american, stage:Stage IA, alive, 1125 days 25.6
TCGA-MP-A4T7-01A 75 years, female, stage:Stage IV, dead, 167 days 25.6
TCGA-75-6214-01A female, stage:Stage IIIA, dead, 1115 days 25.4
TCGA-55-A493-01A 54 years, female, white, stage:Stage IB, alive, 28 days 25.3
TCGA-53-7626-01A 76 years, female, white, stage:Stage IIA, dead, 929 days 25.3
TCGA-86-A4P7-01A 63 years, female, white, stage:Stage IB, alive, 415 days 25.0
TCGA-75-5146-01A male, stage:Stage IB, alive, 2368 days 25.0
TCGA-73-A9RS-01A 41 years, male, black or african american, stage:Stage IIB, dead, 340 days 25.0
TCGA-78-7152-01A 65 years, male, white, stage:Stage IB, dead, 1215 days 24.8
TCGA-97-A4M7-01A 74 years, male, white, stage:Stage IA, alive, 629 days 24.3
TCGA-MN-A4N5-01A 63 years, male, white, stage:Stage IA, alive, 84 days 24.1
TCGA-78-7150-01A 59 years, male, white, stage:Stage IIB, dead, 666 days 24.1
TCGA-55-8205-01A 76 years, female, white, stage:Stage IIA, alive, 599 days 24.1
TCGA-97-A4M5-01A 83 years, male, white, stage:Stage IA, alive, 634 days 24.0
TCGA-55-7724-01A 76 years, female, white, stage:Stage IB, alive, 705 days 23.6
TCGA-38-6178-01A 70 years, female, white, stage:Stage IIIA, alive, 448 days 23.6
TCGA-86-8056-01A 63 years, female, white, stage:Stage IIIA, alive, 139 days 23.5
TCGA-50-8459-01A 68 years, male, white, stage:Stage IIB, alive, 1119 days 23.4
TCGA-55-8204-01A 87 years, female, white, stage:Stage IB, alive, 515 days 23.3
TCGA-91-7771-01A 62 years, male, white, stage:Stage IIB, alive, 492 days 23.2
TCGA-83-5908-01A 59 years, female, white, stage:Stage IA, alive, 824 days 23.1
TCGA-86-8280-01A 54 years, female, white, stage:Stage IIA, alive, 701 days 23.1
TCGA-05-5425-01A 68 years, male, stage:Stage IIB, alive, 882 days 23.1
TCGA-05-4430-01A 59 years, female, stage:Stage IB, alive, 761 days 22.9
TCGA-05-4426-01A 71 years, male, stage:Stage IB, alive, 791 days 22.9
TCGA-05-4249-01A 67 years, male, stage:Stage IB, alive, 1523 days 22.7
TCGA-44-A47G-01A 73 years, female, white, stage:Stage IA, alive, 351 days 22.7
TCGA-38-A44F-01A 80 years, male, white, stage:Stage IB, alive, 133 days 22.6
TCGA-78-7148-01A 71 years, male, white, stage:Stage IIB, dead, 626 days 22.6
TCGA-93-A4JN-01A 71 years, male, white, stage:Stage IV, alive, 718 days 22.4
TCGA-71-6725-01A 48 years, female, asian, stage:Stage IB, alive, 256 days 22.3
TCGA-78-7633-01A 67 years, male, white, stage:Stage IB, dead, 1528 days 22.0
TCGA-55-8091-01A 74 years, male, white, stage:Stage IB, alive, 600 days 21.7
TCGA-97-7546-01A 76 years, female, white, stage:Stage IA, alive, 1285 days 21.7
TCGA-55-8203-01A 69 years, female, white, stage:Stage IA, alive, 547 days 21.6
TCGA-93-A4JQ-01A 49 years, male, white, stage:Stage IA, alive, 526 days 21.5
TCGA-55-7227-01A 77 years, male, white, stage:Stage IIIA, dead, 952 days 21.5
TCGA-91-6848-01A 59 years, male, white, stage:Stage IIIA, alive, 224 days 21.3
TCGA-05-4425-01A 70 years, female, stage:Stage IV, alive, 669 days 21.3
TCGA-95-A4VK-01A 74 years, female, white, stage:Stage IIIA, alive, 651 days 21.2
TCGA-55-8508-01A 60 years, female, black or african american, stage:Stage IIA, alive, 617 days 21.2
TCGA-91-6828-01A 70 years, male, white, stage:Stage IA, alive, 323 days 21.1
TCGA-49-AAR4-01A 51 years, male, black or african american, stage:Stage IIIA, dead, 879 days 21.0
TCGA-95-A4VN-01A 62 years, female, white, stage:Stage IIA, alive, 553 days 21.0
TCGA-97-7941-01A 72 years, female, white, stage:Stage IA, alive, 484 days 21.0
TCGA-55-6983-01A 81 years, male, white, stage:Stage IIB, alive, 2823 days 20.9
TCGA-50-6673-01A 84 years, female, white, stage:Stage I, dead, 22 days 20.8
TCGA-69-8254-01A 85 years, male, white, stage:'--, alive, 409 days 20.8
TCGA-44-2656-01A 59 years, male, white, stage:Stage IB, alive, 1429 days 20.8
TCGA-05-4424-01A 70 years, male, stage:Stage IIB, alive, 913 days 20.7
TCGA-44-3919-01A 71 years, female, white, stage:Stage IA, dead, 1026 days 20.7
TCGA-78-7160-01A 61 years, male, white, stage:Stage IV, dead, 697 days 20.6
TCGA-86-7701-01A 66 years, male, white, stage:Stage IV, alive, 947 days 20.4
TCGA-55-7727-01A 70 years, male, white, stage:Stage IIIA, alive, 119 days 20.3
TCGA-55-7995-01A 73 years, female, white, stage:Stage IA, alive, 889 days 20.3
TCGA-55-1592-01A 65 years, male, white, stage:Stage IA, dead, 701 days 20.3
TCGA-44-6777-01A 85 years, female, white, stage:Stage IB, dead, 987 days 20.2
TCGA-67-6217-01A 73 years, female, white, stage:Stage IIA, alive, 422 days 20.2
TCGA-99-7458-01A 74 years, female, white, stage:Stage IIIA, alive, 747 days 20.1
TCGA-78-7147-01A 67 years, female, white, stage:Stage IIB, dead, 586 days 19.9
TCGA-05-4417-01A 51 years, female, stage:Stage IB, alive, 455 days 19.9
TCGA-J2-8192-01A 65 years, female, white, stage:Stage IIA, alive, 739 days 19.8
TCGA-35-3615-01A 57 years, male, white, stage:Stage IB, alive, 14 days 19.8
TCGA-44-7669-01A 59 years, male, black or african american, stage:Stage IIA, dead, 574 days 19.8
TCGA-55-8507-01A 53 years, male, white, stage:Stage IA, alive, 418 days 19.7
TCGA-49-AARO-01A 39 years, female, black or african american, stage:Stage IA, alive, 3759 days 19.7
TCGA-55-7283-01A 76 years, female, white, stage:Stage IIIA, alive, 609 days 19.5
TCGA-86-8672-01A 59 years, male, white, stage:Stage IIB, dead, 19 days 19.5
TCGA-55-6979-01A 59 years, female, white, stage:Stage IIB, dead, 237 days 19.5
TCGA-55-7914-01A 71 years, female, white, stage:Stage IIA, dead, 187 days 19.3
TCGA-91-A4BC-01A 59 years, male, white, stage:Stage IIA, alive, 44 days 19.3
TCGA-05-4432-01A 66 years, male, stage:Stage IIB, alive, 761 days 19.3
TCGA-44-2666-01A 43 years, male, white, stage:Stage IB, dead, 97 days 19.3
TCGA-97-7938-01A 76 years, female, white, stage:Stage IA, dead, 18 days 19.2
TCGA-78-7539-01A 75 years, female, white, stage:Stage IIA, alive, 791 days 19.1
TCGA-50-5049-01A 70 years, male, white, stage:Stage IA, alive, 3094 days 19.1
TCGA-05-4250-01A 79 years, female, stage:Stage IIIA, dead, 121 days 18.9
TCGA-44-6775-01A 72 years, female, white, stage:Stage IB, alive, 705 days 18.8
TCGA-05-4434-01A 67 years, female, stage:Stage IV, dead, 457 days 18.7
TCGA-50-6590-01A 72 years, female, white, stage:Stage IB, dead, 1288 days 18.6
TCGA-69-7974-01A 54 years, female, white, stage:Stage IIIA, alive, 184 days 18.5
TCGA-69-7761-01A 84 years, male, white, stage:Stage IB, alive, 186 days 18.5
TCGA-55-8097-01A 60 years, female, white, stage:Stage IA, alive, 476 days 18.5
TCGA-86-7953-01A 69 years, female, white, stage:Stage IA, alive, 997 days 18.5
TCGA-55-6978-01A 81 years, male, white, stage:Stage IIA, dead, 176 days 18.3
TCGA-78-7143-01A 62 years, female, white, stage:Stage IB, dead, 4961 days 18.3
TCGA-05-4405-01A 74 years, female, stage:Stage IB, alive, 610 days 18.2
TCGA-55-8087-01A 59 years, female, white, stage:Stage IB, alive, 462 days 18.2
TCGA-93-A4JO-01A 70 years, male, white, stage:Stage IA, dead, 33 days 18.0
TCGA-44-A479-01A 73 years, female, black or african american, stage:Stage IB, alive, 486 days 18.0
TCGA-05-4396-01A 76 years, male, stage:Stage IIIB, dead, 303 days 17.9
TCGA-NJ-A4YG-01A 65 years, male, white, stage:Stage IB, alive, 2261 days 17.9
TCGA-50-5045-01A 57 years, female, black or african american, stage:'--, dead, 2174 days 17.7
TCGA-NJ-A4YF-01A 50 years, female, black or african american, stage:Stage IA, alive, 2161 days 17.6
TCGA-78-8655-01A 77 years, female, stage:Stage IA, alive, 2360 days 17.5
TCGA-44-7672-01A 52 years, female, white, stage:Stage IA, alive, 719 days 17.5
TCGA-78-8660-01A 69 years, male, stage:Stage IIB, dead, 321 days 17.4
TCGA-NJ-A55R-01A 67 years, male, white, stage:Stage IA, alive, 603 days 17.4
TCGA-91-6829-01A 78 years, male, white, stage:Stage IB, dead, 1258 days 17.4
TCGA-78-7167-01A 77 years, male, white, stage:Stage IV, dead, 2681 days 17.3
TCGA-38-4627-01A 64 years, female, white, stage:Stage IIA, dead, 1147 days 17.1
TCGA-NJ-A55O-01A 56 years, female, white, stage:Stage IIA, alive, 13 days 17.1
TCGA-NJ-A4YQ-01A 69 years, female, white, stage:Stage IA, alive, 1432 days 17.1
TCGA-86-6562-01A 52 years, male, white, stage:Stage IIA, dead, 376 days 17.0
TCGA-49-4501-01A 67 years, female, white, stage:Stage IB, dead, 1421 days 16.9
TCGA-05-5420-01A 67 years, male, stage:Stage IIIA, alive, 457 days 16.8
TCGA-97-A4M1-01A 52 years, female, white, stage:Stage IA, alive, 601 days 16.7
TCGA-86-8075-01A 66 years, female, white, stage:Stage IB, dead, 694 days 16.7
TCGA-49-AARN-01A 56 years, female, black or african american, stage:Stage IA, dead, 1135 days 16.7
TCGA-95-7947-01A 67 years, male, white, stage:Stage IA, alive, 477 days 16.7
TCGA-55-6968-01A 61 years, male, white, stage:Stage IV, dead, 1293 days 16.6
TCGA-75-5125-01A male, stage:Stage IIB, dead, 2027 days 16.5
TCGA-44-3396-01A 74 years, female, white, stage:Stage IIIA, alive, 1130 days 16.5
TCGA-55-8510-01A 55 years, female, white, stage:Stage IB, alive, 539 days 16.4
TCGA-69-7765-01A 56 years, male, black or african american, stage:'--, alive, 165 days 16.3
TCGA-49-4486-01A 72 years, male, white, stage:Stage IA, dead, 2318 days 16.3
TCGA-86-7954-01A 68 years, female, white, stage:Stage IB, alive, 605 days 16.2
TCGA-55-8090-01A 80 years, male, white, stage:Stage IA, dead, 598 days 16.2
TCGA-S2-AA1A-01A 68 years, female, black or african american, stage:Stage IA, alive, 513 days 16.2
TCGA-55-6712-01A 71 years, male, white, stage:Stage IIA, dead, 171 days 16.2
TCGA-49-AAR0-01A 57 years, male, black or african american, stage:Stage IA, alive, 4765 days 16.1
TCGA-55-8302-01A 54 years, male, white, stage:Stage IB, alive, 478 days 16.1
TCGA-05-4422-01A 68 years, male, stage:Stage IB, alive, 365 days 16.1
TCGA-44-8120-01A 58 years, male, black or african american, stage:Stage IB, alive, 260 days 16.1
TCGA-44-6774-01A 56 years, female, white, stage:Stage IIIA, alive, 658 days 16.0
TCGA-J2-A4AG-01A 66 years, female, white, stage:Stage IA, alive, 988 days 16.0
TCGA-55-A4DG-01A 71 years, male, white, stage:Stage IA, alive, 608 days 15.9
TCGA-44-6776-01A 60 years, female, white, stage:Stage IA, alive, 2616 days 15.6
TCGA-99-8025-01A 72 years, female, black or african american, stage:Stage IIIA, alive, 1060 days 15.6
TCGA-44-3918-01A 60 years, female, white, stage:Stage IA, alive, 1036 days 15.6
TCGA-J2-A4AE-01A 77 years, female, white, stage:Stage IA, alive, 1079 days 15.5
TCGA-MP-A4T4-01A 68 years, female, white, stage:Stage IIB, dead, 2617 days 15.5
TCGA-44-7670-01A 47 years, female, white, stage:Stage IIA, alive, 882 days 15.4
TCGA-64-1681-01A 61 years, female, white, stage:Stage IA, dead, 1167 days 15.4
TCGA-75-5147-01A female, stage:Stage IB, alive, 1333 days 15.3
TCGA-86-8668-01A 61 years, female, white, stage:Stage IA, alive, 423 days 15.3
TCGA-05-4403-01A 76 years, male, stage:Stage IB, alive, 578 days 15.3
TCGA-99-8028-01A 50 years, female, black or african american, stage:Stage IA, alive, 1118 days 15.3
TCGA-55-7994-01A 81 years, male, white, stage:Stage IIB, alive, 603 days 15.2
TCGA-64-5779-01A 61 years, male, white, stage:Stage IIIA, alive, 864 days 15.2
TCGA-69-A59K-01A 60 years, female, black or african american, stage:Stage IIB, alive, 591 days 15.1
TCGA-50-7109-01A 60 years, male, white, stage:Stage IA, dead, 308 days 15.0
TCGA-73-4662-01A 65 years, female, white, stage:Stage IA, alive, 2515 days 15.0
TCGA-86-8074-01A 62 years, female, white, stage:Stage IIA, alive, 24 days 14.9
TCGA-50-6594-01A 79 years, female, black or african american, stage:Stage IIIA, dead, 370 days 14.8
TCGA-38-4625-01A 66 years, female, white, stage:Stage IB, alive, 2973 days 14.8
TCGA-49-4505-01A 61 years, female, white, stage:Stage IIB, dead, 428 days 14.8
TCGA-55-8301-01A 58 years, male, white, stage:Stage IB, alive, 534 days 14.8
TCGA-97-A4M3-01A 69 years, female, white, stage:Stage IA, alive, 540 days 14.8
TCGA-44-6779-01A 50 years, female, white, stage:Stage IIB, dead, 500 days 14.7
TCGA-55-6972-01A 72 years, male, white, stage:Stage IB, dead, 1632 days 14.7
TCGA-91-6840-01A 59 years, female, white, stage:Stage IA, alive, 372 days 14.6
TCGA-93-7348-01A 75 years, female, white, stage:Stage IA, alive, 531 days 14.6
TCGA-55-6981-01A 53 years, female, white, stage:Stage IIIA, dead, 1379 days 14.6
TCGA-NJ-A4YP-01A 52 years, male, white, stage:Stage IB, alive, 50 days 14.6
TCGA-50-6592-01A 71 years, female, white, stage:Stage IB, dead, 777 days 14.6
TCGA-73-4658-01A 80 years, female, white, stage:Stage IB, dead, 1600 days 14.5
TCGA-69-7980-01A 70 years, female, white, stage:Stage I, alive, 411 days 14.5
TCGA-44-2659-01A 65 years, female, white, stage:Stage IIB, alive, 1367 days 14.4
TCGA-64-5775-01A 71 years, male, white, stage:Stage IIIA, dead, 62 days 14.4
TCGA-44-A47A-01A 78 years, female, white, stage:Stage IB, alive, 466 days 14.3
TCGA-55-7911-01A 70 years, female, white, stage:Stage IA, alive, 537 days 14.3
TCGA-MP-A4SV-01A 67 years, male, stage:Stage IB, dead, 2620 days 14.1
TCGA-44-2665-01A 55 years, female, white, stage:Stage IIB, alive, 1301 days 14.1
TCGA-67-3771-01A 77 years, female, black or african american, stage:Stage IA, alive, 610 days 14.0
TCGA-50-5072-01A 74 years, male, white, stage:Stage IIIA, dead, 250 days 14.0
TCGA-55-8614-01A 76 years, male, white, stage:Stage IB, alive, 536 days 14.0
TCGA-50-6593-01A 49 years, female, white, stage:Stage IIIA, dead, 336 days 13.9
TCGA-73-4668-01A 66 years, female, american indian or alaska native, stage:Stage IIB, alive, 467 days 13.8
TCGA-97-7547-01A 67 years, female, white, stage:Stage IB, alive, 1965 days 13.8
TCGA-55-7728-01A 64 years, female, white, stage:Stage IB, alive, 704 days 13.7
TCGA-L9-A8F4-01A 64 years, female, black or african american, stage:Stage IB, alive, 476 days 13.7
TCGA-55-A491-01A 81 years, female, white, stage:Stage IA, alive, 626 days 13.7
TCGA-78-7161-01A 69 years, female, white, stage:Stage IIB, dead, 291 days 13.6
TCGA-99-8032-01A 61 years, male, white, stage:Stage IA, alive, 44 days 13.6
TCGA-62-8398-01A 55 years, male, white, stage:Stage IIIA, dead, 444 days 13.6
TCGA-97-8177-01A 59 years, female, white, stage:Stage IB, alive, 499 days 13.6
TCGA-91-6831-01A 66 years, male, white, stage:Stage IB, alive, 310 days 13.6
TCGA-97-8179-01A 72 years, male, white, stage:Stage IA, alive, 435 days 13.6
TCGA-50-5933-01A 72 years, male, white, stage:Stage IIIB, dead, 2393 days 13.5
TCGA-44-7659-01A 70 years, male, white, stage:Stage IA, alive, 691 days 13.4
TCGA-44-A47B-01A 79 years, male, white, stage:Stage IB, alive, 287 days 13.4
TCGA-MP-A4SW-01A 53 years, male, white, stage:Stage IIB, dead, 1778 days 13.3
TCGA-55-6982-01A 79 years, female, white, stage:Stage IIB, dead, 995 days 13.3
TCGA-55-8085-01A 64 years, male, white, stage:Stage IA, alive, 904 days 13.3
TCGA-55-A4DF-01A 88 years, male, white, stage:Stage IA, dead, 440 days 13.2
TCGA-49-6742-01A 70 years, male, white, stage:Stage IIA, dead, 488 days 13.2
TCGA-80-5608-01A female, stage:Stage IA, alive, 2832 days 13.2
TCGA-49-4490-01A 45 years, female, white, stage:Stage IIIA, dead, 385 days 13.2
TCGA-05-4382-01A 68 years, male, stage:Stage IB, alive, 607 days 13.1
TCGA-05-4402-01A 57 years, female, stage:Stage IV, dead, 244 days 13.1
TCGA-05-4389-01A 70 years, male, stage:Stage IA, alive, 1369 days 13.0
TCGA-MP-A4TK-01A 56 years, female, stage:Stage IIB, dead, 582 days 13.0
TCGA-97-8175-01A 55 years, female, white, stage:Stage IB, alive, 551 days 13.0
TCGA-L9-A444-01A 60 years, female, white, stage:Stage IA, alive, 307 days 12.8
TCGA-55-6543-01A 60 years, female, white, stage:Stage IA, alive, 435 days 12.8
TCGA-49-4494-01A 77 years, male, white, stage:Stage IIIA, dead, 1081 days 12.7
TCGA-50-5936-01A 58 years, male, white, stage:Stage IIIA, dead, 257 days 12.7
TCGA-MN-A4N4-01A 57 years, male, white, stage:Stage IA, alive, 1175 days 12.7
TCGA-69-7973-01A 42 years, female, white, stage:Stage IB, alive, 230 days 12.6
TCGA-55-7815-01A 76 years, male, stage:Stage IB, alive, 773 days 12.6
TCGA-50-5066-01A 72 years, male, black or african american, stage:Stage IB, alive, 1442 days 12.5
TCGA-95-7948-01A 42 years, female, white, stage:Stage IB, alive, 476 days 12.5
TCGA-44-6146-01A 64 years, male, white, stage:Stage IIB, alive, 728 days 12.3
TCGA-64-5778-01A 60 years, male, white, stage:Stage IB, alive, 1305 days 12.2
TCGA-55-8511-01A 73 years, female, white, stage:Stage IB, alive, 552 days 12.1
TCGA-62-A46V-01A 78 years, female, white, stage:Stage IB, alive, 2199 days 12.1
TCGA-44-A4SU-01A 67 years, female, white, stage:Stage IA, dead, 409 days 12.1
TCGA-99-8033-01A 74 years, female, white, stage:Stage IV, dead, 656 days 12.0
TCGA-86-8279-01A 46 years, male, white, stage:Stage IIA, alive, 949 days 12.0
TCGA-49-6767-01A 46 years, female, white, stage:Stage IIB, alive, 677 days 11.9
TCGA-64-5815-01A 74 years, male, white, stage:Stage IIB, alive, 866 days 11.9
TCGA-MP-A4TF-01A 58 years, female, white, stage:Stage IIA, dead, 336 days 11.9
TCGA-MP-A4TC-01A 77 years, male, white, stage:Stage IIIA, dead, 74 days 11.7
TCGA-78-7159-01A 60 years, female, white, stage:Stage IA, alive, 1974 days 11.6
TCGA-MP-A4TD-01A 71 years, male, white, stage:Stage IIIA, dead, 307 days 11.6
TCGA-44-5643-01A 53 years, male, black or african american, stage:Stage IIIA, alive, 1013 days 11.5
TCGA-49-4510-01A 51 years, female, black or african american, stage:Stage IIB, dead, 896 days 11.5
TCGA-L9-A5IP-01A 40 years, female, black or african american, stage:Stage IV, dead, 58 days 11.5
TCGA-55-8096-01A 67 years, female, white, stage:Stage IB, dead, 719 days 11.5
TCGA-86-A456-01A 78 years, female, asian, stage:Stage IA, alive, 896 days 11.5
TCGA-55-A57B-01A 80 years, female, black or african american, stage:Stage IA, alive, 546 days 11.5
TCGA-69-8255-01A 71 years, male, white, stage:Stage IA, alive, 129 days 11.5
TCGA-95-7039-01A 54 years, female, white, stage:Stage IIB, alive, 1272 days 11.4
TCGA-73-4666-01A 52 years, female, white, stage:Stage IV, alive, 800 days 11.4
TCGA-86-8073-01A 58 years, male, white, stage:Stage IB, alive, 740 days 11.4
TCGA-64-1679-01A 58 years, female, white, stage:Stage IIIA, alive, 2488 days 11.3
TCGA-50-5932-01A 75 years, male, white, stage:Stage IIB, dead, 1235 days 11.3
TCGA-62-A472-01A 70 years, male, white, stage:Stage IIB, alive, 910 days 11.3
TCGA-49-AAR3-01A 69 years, male, black or african american, stage:Stage IIB, alive, 1893 days 11.3
TCGA-86-8669-01A 64 years, male, white, stage:Stage IA, alive, 938 days 11.2
TCGA-38-4629-01A 68 years, male, white, stage:Stage IIB, dead, 864 days 11.2
TCGA-55-6975-01A 61 years, male, white, stage:Stage IIB, dead, 118 days 11.1
TCGA-62-A46R-01A 54 years, female, white, stage:Stage IB, dead, 1725 days 11.1
TCGA-MP-A5C7-01A 76 years, female, white, stage:Stage IB, alive, 2248 days 11.0
TCGA-55-8620-01A 60 years, male, white, stage:Stage IV, dead, 375 days 11.0
TCGA-78-7540-01A 66 years, female, white, stage:Stage IB, dead, 1197 days 10.9
TCGA-78-7220-01A 53 years, female, white, stage:Stage IIIA, dead, 807 days 10.9
TCGA-55-7576-01A 54 years, male, black or african american, stage:Stage IB, alive, 670 days 10.9
TCGA-50-5944-01A 69 years, female, white, stage:Stage IA, alive, 1750 days 10.9
TCGA-05-5423-01A 65 years, male, stage:Stage IIB, alive, 151 days 10.9
TCGA-86-A4JF-01A 56 years, male, white, stage:Stage IIB, dead, 737 days 10.9
TCGA-55-1594-01A 68 years, male, white, stage:Stage IIIA, alive, 1178 days 10.9
TCGA-91-6836-01A 52 years, female, white, stage:Stage IB, alive, 417 days 10.9
TCGA-49-4487-01A 72 years, female, white, stage:Stage IA, dead, 855 days 10.9
TCGA-95-A4VP-01A 66 years, female, white, stage:Stage IIIA, alive, 605 days 10.8
TCGA-05-5428-01A 57 years, male, stage:Stage IIA, alive, 670 days 10.8
TCGA-55-A48Y-01A 69 years, male, white, stage:Stage IIA, alive, 630 days 10.8
TCGA-05-4427-01A 65 years, female, stage:Stage IIB, alive, 791 days 10.8
TCGA-67-3772-01A 82 years, female, white, stage:Stage IB, alive, 573 days 10.8
TCGA-05-4398-01A 47 years, female, stage:Stage IIIB, alive, 1431 days 10.8
TCGA-L9-A50W-01A 75 years, male, black or african american, stage:Stage IIA, dead, 442 days 10.8
TCGA-35-4122-01A 69 years, male, white, stage:Stage IA, alive, 225 days 10.7
TCGA-86-8585-01A 57 years, male, white, stage:Stage IB, alive, 353 days 10.3
TCGA-95-7944-01A 71 years, male, white, stage:Stage IA, alive, 377 days 10.2
TCGA-73-7499-01A 81 years, female, white, stage:Stage IB, dead, 1531 days 10.2
TCGA-44-4112-01A 60 years, female, white, stage:Stage IB, dead, 808 days 10.2
TCGA-44-A4SS-01A 73 years, male, white, stage:Stage IA, alive, 415 days 10.2
TCGA-97-7554-01A 83 years, female, white, stage:Stage IIIA, alive, 775 days 10.1
TCGA-49-AAQV-01A 63 years, female, black or african american, stage:Stage II, dead, 677 days 10.1
TCGA-MP-A4T6-01A 76 years, female, white, stage:Stage IIIA, dead, 1790 days 10.0
TCGA-38-4632-01A 42 years, male, black or african american, stage:Stage IV, dead, 1357 days 9.9
TCGA-97-A4M0-01A 60 years, female, white, stage:Stage IB, alive, 652 days 9.8
TCGA-MP-A4T8-01A 68 years, male, stage:Stage IIIA, dead, 161 days 9.8
TCGA-93-8067-01A 77 years, male, asian, stage:Stage IB, alive, 186 days 9.8
TCGA-50-5068-01A 59 years, female, white, stage:Stage IIB, dead, 1499 days 9.7
TCGA-62-8394-01A 65 years, female, white, stage:Stage IIIB, dead, 139 days 9.6
TCGA-55-8616-01A 58 years, female, white, stage:Stage IB, alive, 48 days 9.5
TCGA-44-8119-01A 73 years, male, white, stage:Stage IIB, alive, 285 days 9.5
TCGA-55-8505-01A 62 years, male, white, stage:Stage IIIA, alive, 440 days 9.5
TCGA-MP-A4TA-01A 75 years, female, white, stage:Stage IA, dead, 950 days 9.3
TCGA-78-8640-01A 59 years, male, stage:Stage IIA, alive, 7062 days 9.2
TCGA-91-8496-01A 63 years, female, white, stage:Stage IB, alive, 505 days 9.2
TCGA-55-7907-01A 77 years, male, white, stage:Stage IIA, dead, 343 days 9.2
TCGA-55-6984-01A 71 years, female, white, stage:Stage IIB, dead, 760 days 9.2
TCGA-75-7027-01A male, stage:Stage IB, alive, 3059 days 9.1
TCGA-62-A46S-01A 73 years, male, white, stage:Stage IB, dead, 1653 days 9.1
TCGA-55-7570-01A 60 years, male, black or african american, stage:Stage IA, alive, 824 days 9.0
TCGA-78-7154-01A 72 years, male, white, stage:Stage IIIA, dead, 593 days 9.0
TCGA-35-4123-01A 38 years, male, white, stage:Stage IA, alive, 182 days 8.9
TCGA-78-7149-01A 71 years, male, white, stage:Stage IIIB, alive, 3940 days 8.9
TCGA-86-8055-01A 79 years, male, white, stage:Stage IIA, dead, 124 days 8.9
TCGA-69-7764-01A 75 years, male, white, stage:Stage IA, alive, 414 days 8.9
TCGA-49-6761-01A 68 years, female, white, stage:Stage IIIA, alive, 354 days 8.8
TCGA-62-8402-01A 73 years, female, white, stage:Stage IIIA, dead, 1498 days 8.7
TCGA-91-8499-01A 76 years, female, white, stage:Stage IA, alive, 36 days 8.6
TCGA-95-7562-01A 71 years, male, black or african american, stage:Stage IIA, dead, 87 days 8.5
TCGA-55-7903-01A 64 years, male, white, stage:Stage IA, alive, 567 days 8.4
TCGA-50-6595-01A 74 years, female, white, stage:Stage IIIA, dead, 189 days 8.3
TCGA-95-7567-01A 61 years, male, white, stage:Stage IIB, alive, 568 days 8.3
TCGA-05-4420-01A 41 years, male, stage:Stage IB, alive, 912 days 8.2
TCGA-NJ-A4YI-01A 87 years, female, white, stage:Stage IIIA, dead, 4 days 8.2
TCGA-05-4418-01A 69 years, male, stage:Stage IIIA, dead, 274 days 8.1
TCGA-49-4514-01A 79 years, female, white, stage:Stage IA, alive, 1700 days 8.1
TCGA-44-7662-01A 61 years, male, white, stage:Stage IB, alive, 218 days 8.1
TCGA-86-8358-01A 44 years, male, white, stage:Stage IB, alive, 653 days 8.0
TCGA-05-5715-01A 69 years, female, stage:Stage IB, alive, 62 days 8.0
TCGA-50-5935-01A 86 years, female, white, stage:Stage IA, dead, 653 days 7.9
TCGA-73-4675-01A 59 years, male, white, stage:Stage IIIA, dead, 922 days 7.8
TCGA-86-8673-01A 61 years, male, white, stage:Stage IB, alive, 862 days 7.8
TCGA-62-A46P-01A 65 years, male, white, stage:Stage IB, dead, 594 days 7.8
TCGA-L9-A443-01A 63 years, female, white, stage:Stage IA, dead, 193 days 7.8
TCGA-97-8547-01A 78 years, female, stage:Stage IIIA, alive, 657 days 7.8
TCGA-MP-A4SY-01A 61 years, male, white, stage:Stage IIB, dead, 1501 days 7.7
TCGA-55-7726-01A 72 years, female, white, stage:Stage IA, alive, 652 days 7.7
TCGA-05-4397-01A 65 years, male, stage:Stage IIB, dead, 731 days 7.7
TCGA-62-A470-01A 84 years, male, white, stage:Stage IB, dead, 1194 days 7.7
TCGA-05-4390-01A 58 years, female, stage:Stage IB, alive, 1126 days 7.5
TCGA-53-7813-01A 51 years, female, white, stage:Stage IIIB, alive, 424 days 7.5
TCGA-55-7725-01A 68 years, female, white, stage:Stage IA, alive, 442 days 7.5
TCGA-44-3917-01A 33 years, female, white, stage:Stage IB, alive, 1183 days 7.3
TCGA-64-5781-01A 55 years, female, white, stage:Stage IB, alive, 1559 days 7.3
TCGA-78-7542-01A 56 years, male, white, stage:Stage IB, dead, 321 days 7.2
TCGA-49-4488-01A 74 years, female, white, stage:Stage IA, dead, 869 days 7.0
TCGA-67-3773-01A 84 years, female, white, stage:Stage IB, alive, 427 days 7.0
TCGA-L4-A4E5-01A 48 years, female, white, stage:Stage I, alive, 578 days 7.0
TCGA-86-7713-01A 70 years, male, white, stage:Stage IIA, alive, 1157 days 7.0
TCGA-73-4676-01A 45 years, male, white, stage:Stage IIA, dead, 281 days 7.0
TCGA-86-8054-01A 61 years, male, white, stage:Stage IIB, alive, 1148 days 7.0
TCGA-78-7155-01A 68 years, male, white, stage:Stage IB, dead, 1171 days 6.9
TCGA-55-A48Z-01A 60 years, female, white, stage:Stage IIIB, alive, 651 days 6.9
TCGA-73-4670-01A 69 years, female, white, stage:Stage IV, alive, 131 days 6.9
TCGA-78-7145-01A 52 years, female, white, stage:Stage IV, dead, 826 days 6.7
TCGA-78-7163-01A 60 years, male, white, stage:Stage IB, alive, 7248 days 6.7
TCGA-55-1596-01A 55 years, male, asian, stage:Stage IIB, alive, 2065 days 6.7
TCGA-50-5051-01A 42 years, female, white, stage:Stage IIIA, dead, 478 days 6.6
TCGA-69-7979-01A 71 years, female, white, stage:Stage IB, alive, 408 days 6.6
TCGA-55-8506-01A 62 years, female, white, stage:Stage IIB, alive, 11 days 6.6
TCGA-44-8117-01A 54 years, female, white, stage:Stage IB, alive, 385 days 6.6
TCGA-50-5946-01A 62 years, male, white, stage:Stage IA, alive, 1617 days 6.6
TCGA-55-7281-01A 70 years, female, white, stage:Stage IA, alive, 872 days 6.5
TCGA-55-5899-01A 58 years, male, white, stage:'--, alive, 930 days 6.5
TCGA-55-7910-01A 50 years, female, black or african american, stage:Stage IIA, alive, 1040 days 6.4
TCGA-86-7711-01A 70 years, male, white, stage:Stage IIA, dead, 1046 days 6.4
TCGA-55-A490-01A 78 years, male, white, stage:Stage IIA, dead, 99 days 6.3
TCGA-78-7166-01A 84 years, male, white, stage:Stage IIB, dead, 258 days 6.1
TCGA-78-7146-01A 71 years, female, white, stage:Stage IIIA, dead, 173 days 6.1
TCGA-62-A471-01A 64 years, male, white, stage:Stage IIB, alive, 1246 days 6.0
TCGA-97-8171-01A 81 years, male, asian, stage:Stage IV, alive, 568 days 6.0
TCGA-4B-A93V-01A 52 years, female, black or african american, stage:Stage IA, dead, 300 days 5.9
TCGA-05-4415-01A 57 years, male, stage:Stage IIIB, dead, 91 days 5.9
TCGA-50-5044-01A 72 years, female, white, stage:Stage IIIB, dead, 624 days 5.8
TCGA-91-A4BD-01A 78 years, male, white, stage:Stage IIA, alive, 603 days 5.8
TCGA-MP-A4TE-01A 56 years, male, white, stage:Stage IIA, dead, 896 days 5.8
TCGA-78-7535-01A 45 years, male, white, stage:Stage IB, dead, 949 days 5.8
TCGA-64-5774-01A 60 years, male, white, stage:Stage IB, alive, 2676 days 5.7
TCGA-67-3770-01A 70 years, female, white, stage:Stage IA, alive, 610 days 5.6
TCGA-38-4631-01A 72 years, female, white, stage:Stage IB, dead, 354 days 5.5
TCGA-71-8520-01A 60 years, female, asian, stage:Stage IB, dead, 210 days 5.5
TCGA-J2-A4AD-01A 61 years, female, white, stage:Stage IA, dead, 550 days 5.4
TCGA-55-8615-01A 67 years, male, white, stage:Stage IIIA, alive, 446 days 5.3
TCGA-L9-A7SV-01A 69 years, male, black or african american, stage:Stage IIA, alive, 565 days 5.2
TCGA-38-4628-01A 65 years, female, white, stage:Stage IIB, dead, 1492 days 5.1
TCGA-95-8494-01A 67 years, male, white, stage:Stage IIA, alive, 84 days 5.0
TCGA-49-AARE-01A 51 years, female, black or african american, stage:Stage IA, dead, 1229 days 5.0
TCGA-53-7624-01A 40 years, female, white, stage:Stage IV, dead, 1043 days 4.8
TCGA-80-5611-01A male, stage:Stage IB, alive, 2595 days 4.7
TCGA-78-7536-01A 69 years, male, white, stage:Stage IIIA, dead, 244 days 4.7
TCGA-78-7153-01A 65 years, female, white, stage:Stage IB, alive, 3635 days 4.6
TCGA-49-4512-01A 69 years, female, white, stage:Stage IIIA, dead, 905 days 4.4
TCGA-05-5429-01A 60 years, male, stage:Stage IIIA, dead, 275 days 4.3
TCGA-62-A46O-01A 65 years, female, white, stage:Stage IB, dead, 1454 days 4.3
TCGA-55-8514-01A 70 years, female, black or african american, stage:Stage IB, alive, 520 days 4.2
TCGA-49-AAR2-01A 64 years, male, black or african american, stage:Stage IB, alive, 2224 days 4.0
TCGA-49-4506-01A 68 years, female, white, stage:Stage IIB, dead, 999 days 4.0
TCGA-50-5931-01A 75 years, female, white, stage:Stage IB, dead, 434 days 4.0
TCGA-86-A4D0-01A 48 years, male, white, stage:Stage IIA, dead, 116 days 3.9
TCGA-MN-A4N1-01A 60 years, male, black or african american, stage:Stage IIA, alive, 827 days 3.7
TCGA-55-A494-01A 61 years, female, white, stage:Stage IB, alive, 481 days 3.7
TCGA-38-4630-01A 75 years, female, white, stage:Stage IB, dead, 1073 days 3.7
TCGA-95-7043-01A 63 years, female, white, stage:Stage IA, dead, 503 days 3.4
TCGA-44-5644-01A 51 years, female, white, stage:Stage IB, alive, 863 days 3.2
TCGA-64-1676-01A 58 years, male, white, stage:Stage IA, alive, 1728 days 3.2
TCGA-78-8662-01A 53 years, female, stage:Stage IB, dead, 3361 days 3.1
TCGA-35-5375-01A 61 years, male, white, stage:Stage IIIA, alive, 264 days 3.0
TCGA-50-6597-01A 79 years, female, white, stage:Stage IB, dead, 1268 days 2.9
TCGA-78-7158-01A 59 years, female, white, stage:Stage IIIB, dead, 179 days 2.8
TCGA-44-7667-01A 49 years, female, white, stage:Stage IIB, alive, 1097 days 2.8
TCGA-44-7660-01A 72 years, male, white, stage:Stage IB, alive, 592 days 2.8
TCGA-91-6847-01A 62 years, female, white, stage:Stage IB, alive, 842 days 2.8
TCGA-97-7937-01A 65 years, male, white, stage:Stage IB, alive, 564 days 2.8
TCGA-86-7955-01A 62 years, male, white, stage:Stage IB, alive, 1072 days 2.6
TCGA-49-4507-01A 73 years, female, white, stage:Stage IIIA, dead, 268 days 2.6
TCGA-53-A4EZ-01A 63 years, male, white, stage:Stage IIA, alive, 1071 days 2.5
TCGA-69-7760-01A 73 years, male, white, stage:Stage IIB, alive, 202 days 2.4
TCGA-64-1677-01A 77 years, female, white, stage:Stage IIIA, dead, 628 days 2.0
TCGA-49-AARQ-01A 41 years, female, black or african american, stage:Stage I, alive, 6732 days 2.0
TCGA-50-6591-01A 63 years, female, white, stage:Stage IV, dead, 119 days 1.6
TCGA-49-AAR9-01A 61 years, male, black or african american, stage:Stage IIB, dead, 260 days 1.3
TCGA-55-8094-01A 51 years, male, white, stage:Stage IV, alive, 541 days 1.2
TCGA-64-1678-01A 70 years, female, white, stage:'--, alive, 1189 days 0.9
TCGA-55-A492-01A 70 years, female, white, stage:Stage IA, alive, 596 days 0.9
Show allShow less
LUNG ADENOCARCINOMA (VALIDATION) - Interactive survival scatter ploti

The Survival Scatter plot shows the clinical status (i.e. dead or alive) for all individuals in the patient cohort, based on the same data that underlies the corresponding Kaplan-Meier plots. Patients that are alive at last time for follow-up are shown in blue and patients who have died during the study are shown in red.

The x-axis shows the expression levels (FPKM) of the investigated gene in the tumor tissue at the time of diagnosis. The y-axis shows the follow-up time after diagnosis (years). Both axes are complimented with kernel density curves demonstrating the data density over the axes. The top density plot shows the expression levels (FPKM) distribution among dead (red) and alive patients (blue). The right density plot shows the data density of the survived years of dead patients with high and low expression levels respectively, stratified using the cutoff indicated by the vertical dashed line through the Survival Scatter plot. This cutoff is automatically defined based on the FPKM cutoff that minimizes the p-score. The cutoff can be changed by dragging the vertical line or by entering a cutoff value in the square labeled "Current cut-off".

Under the Survival Scatter plot the p-score landscape (black curve; left axis) is shown together with dead median separation (red curve; right axis). Dead median separation is the difference in median mRNA expression between patients who have died with high and low expression, respectively. It is calculated as follows: median FPKM expression of dead patients with high expression - median FPKM expression of dead patients with low expression. This is intended to aid the user in visually exploring custom cutoffs and the associated p-scores and dead median separation.

Individual patient data is displayed and can be filtered by clicking on one or more of the category buttons on the top of the page. Categories describing expression level and patient information include: high, low, alive, dead, female, male and tumor stages. The scale of the x-axis can be toggled between linear and log-scale by clicking on the "x log" button. Mouse-over function shows TCGA ID, patient information and mRNA expression (FPKM) for each patient.

& Survival analysisi

Kaplan-Meier plots summarize results from analysis of correlation between mRNA expression level and patient survival. Patients were divided based on level of expression into one of the two groups "low" (under cut off) or "high" (over cut off). X-axis shows time for survival (years) and y-axis shows the probability of survival, where 1.0 corresponds to 100 percent.

CCDC69 is not prognostic in Lung Adenocarcinoma (validation)


Stage:

Survival analysis
Current cut offi

Current cut-off shows the cut-off (FPKM) currently selected. It may be changed manually. When the current cut-off is changed, the vertical dashed line indicating cut-off, the interactive survival scatter plot and the Kaplan-Meier curve will be automatically adjusted to show results accordingly.

:
Best expression cut offi

Based on the FPKM value of each gene, patients were classified into two groups and association between prognosis (survival) and gene expression (FPKM) was examined. The best expression cut-off refers the FPKM value that yields maximal difference with regard to survival between the two groups at the lowest log-rank P-value. Best expression cut-off was selected based on survival analysis .

When clicking on this number, the vertical dashed line indicating cut-off, the interactive survival plot, and the Kaplan-Meier curve will be adjusted to show results based on the best expression cut-off.

: 18.46
Median expressioni

Median expression refers to the median FPKM value calculated based on the gene expression (FPKM) data from all patients in this dataset. When clicking on this number, the vertical dashed line indicating cut-off, the interactive survival plot, and the Kaplan-Meier curve will be adjusted to show results based on the median expression.

: N/A
Median follow up timei

Median follow up time refers to the median time (years) after diagnosis with this type of cancer, based on clinical data from all patients in this dataset.

: N/A
P scorei

Log-rank P value for Kaplan-Meier plot showing results from analysis of correlation between mRNA expression level and patient survival.

N/A
5-year survival highi

5-year survival for patients with higher expression than the expression cutoff.

For melanoma and glioma, 3-year survival is shown.

N/A
5-year survival lowi

5-year survival for patients with lower expression than the expression cutoff.

For melanoma and glioma, 3-year survival is shown.

N/A
TCGA RNA samplesi

RNA-seq data is reported as average FPKM (number Fragments Per Kilobase of exon per Million reads), generated by the The Cancer Genome Atlas (TCGA) .

Normal distribution across the dataset is visualized with box plots, shown as median and 25th and 75th percentiles. Points are displayed as outliers if they are above or below 1.5 times the interquartile range. FPKM values of the individual samples are presented next to the box plot.

Average pTPM 22.7
Number of samples 105
Samples
Sample Description pTPM
L773 64 years, female, stage:Stage IV, dead, 311 days 69.3
L808 48 years, female, stage:Stage IA, alive, 3001 days 43.1
L619 68 years, female, stage:Stage IIIA, dead, 1905 days 41.3
L829 76 years, male, stage:Stage IA, alive, 2173 days 37.7
L885 62 years, female, stage:Stage IA, alive, 1618 days 37.4
L605 74 years, female, stage:Stage IA, alive, 2460 days 36.1
L617 68 years, male, stage:Stage IIIA, dead, 238 days 34.4
L887 77 years, male, stage:Stage IA, dead, 374 days 33.8
L673 74 years, female, stage:Stage IA, dead, 568 days 33.7
L543 65 years, male, stage:Stage IA, alive, 2711 days 33.5
L731 59 years, female, stage:Stage IA, dead, 964 days 32.9
L603 70 years, female, stage:Stage IB, dead, 972 days 32.9
L875 69 years, female, stage:Stage IA, alive, 1675 days 32.5
L585 70 years, female, stage:Stage IIA, dead, 402 days 32.2
L551 62 years, male, stage:Stage IA, alive, 2924 days 32.0
L874 56 years, female, stage:Stage IIIA, alive, 1733 days 31.8
L606 55 years, male, stage:Stage IA, alive, 2336 days 30.8
L545 60 years, female, stage:Stage IA, alive, 2874 days 30.7
L596 74 years, female, stage:Stage IA, alive, 2319 days 30.5
L567 83 years, female, stage:Stage IIIA, dead, 1299 days 30.5
L620 70 years, female, stage:Stage IIIA, dead, 338 days 30.2
L565 59 years, female, stage:Stage IB, dead, 543 days 29.8
L865 75 years, female, stage:Stage IIB, alive, 1927 days 29.6
L752 65 years, male, stage:Stage IIIA, alive, 1647 days 29.6
L880 75 years, female, stage:Stage IA, alive, 1767 days 29.3
L800 66 years, female, stage:Stage IA, dead, 2417 days 29.0
L828 68 years, female, stage:Stage IIB, alive, 2222 days 28.8
L530 76 years, female, stage:Stage IIA, dead, 308 days 28.5
L871 74 years, male, stage:Stage IB, dead, 873 days 27.9
L872 71 years, female, stage:Stage IA, alive, 1793 days 26.8
L662 66 years, male, stage:Stage IA, dead, 865 days 26.8
L725 64 years, female, stage:Stage IA, alive, 1830 days 26.7
L695 68 years, female, stage:Stage IB, dead, 1762 days 26.4
L877 70 years, female, stage:Stage IA, alive, 1599 days 26.1
L400 78 years, male, stage:Stage IIA, dead, 1233 days 26.0
L816 73 years, female, stage:Stage IIA, dead, 353 days 25.4
L593 78 years, male, stage:Stage IA, dead, 2436 days 25.4
L703 71 years, male, stage:Stage IIA, dead, 1137 days 25.0
L688 57 years, male, stage:Stage IIIA, dead, 789 days 24.8
L557 81 years, female, stage:Stage IB, alive, 2580 days 24.6
L561 62 years, female, stage:Stage IA, alive, 2543 days 24.6
L569 76 years, female, stage:Stage IA, alive, 2531 days 23.7
L663 62 years, female, stage:Stage IB, alive, 2018 days 23.5
L458 76 years, female, stage:Stage IA, dead, 223 days 23.4
L439 80 years, male, stage:Stage IIB, dead, 2773 days 23.3
L749 49 years, female, stage:Stage IIIA, dead, 189 days 22.9
L842 62 years, female, stage:Stage IB, alive, 2005 days 22.8
L735 75 years, female, stage:Stage IA, alive, 1830 days 22.5
L566 58 years, male, stage:Stage IB, alive, 2489 days 22.4
L455 52 years, female, stage:Stage IA, alive, 3315 days 22.3
L873 62 years, female, stage:Stage IA, alive, 1740 days 22.2
L832 65 years, female, stage:Stage IA, alive, 2145 days 21.9
L766 59 years, male, stage:Stage IB, alive, 1793 days 21.9
L621 79 years, female, stage:Stage IIIA, dead, 1487 days 21.7
L810 64 years, female, stage:Stage IIIA, dead, 625 days 20.9
L802 62 years, female, stage:Stage IA, dead, 773 days 20.7
L473 66 years, female, stage:Stage IA, alive, 3021 days 20.6
L504 65 years, female, stage:Stage IA, dead, 1295 days 20.6
L638 65 years, male, stage:Stage IA, alive, 2076 days 20.3
L778 65 years, female, stage:Stage IA, alive, 1600 days 19.6
L827 70 years, male, stage:Stage IIB, dead, 1105 days 19.6
L511 56 years, female, stage:Stage IIIA, alive, 2942 days 19.5
L541 70 years, female, stage:Stage IIIA, dead, 915 days 19.4
L791 66 years, female, stage:Stage IIIA, dead, 368 days 19.2
L850 77 years, male, stage:Stage IIIA, dead, 997 days 19.1
L656 58 years, male, stage:Stage IA, alive, 2227 days 18.7
L484 64 years, female, stage:Stage IA, alive, 2895 days 18.7
L838 71 years, female, stage:Stage IA, dead, 1005 days 18.2
L890 56 years, female, stage:Stage IIB, dead, 1264 days 18.2
L446 71 years, female, stage:Stage IIB, dead, 415 days 18.2
L682 64 years, female, stage:Stage IIB, dead, 840 days 18.2
L746 64 years, female, stage:Stage IIIA, dead, 594 days 17.7
L626 76 years, female, stage:Stage IA, dead, 1994 days 17.6
L532 69 years, female, stage:Stage IA, dead, 301 days 17.3
L678 65 years, female, stage:Stage IB, dead, 1114 days 17.2
L440 80 years, male, stage:Stage IIB, dead, 651 days 17.0
L607 59 years, male, stage:Stage IB, alive, 2572 days 17.0
L630 65 years, female, stage:Stage IA, dead, 1733 days 16.9
L613 72 years, male, stage:Stage IIIA, dead, 19 days 16.7
L546 57 years, male, stage:Stage IA, dead, 973 days 16.4
L462 67 years, male, stage:Stage IIIA, dead, 568 days 15.8
L599 80 years, male, stage:Stage IB, dead, 2083 days 15.5
L738 74 years, female, stage:Stage IB, dead, 1314 days 15.4
L401 74 years, male, stage:Stage IIIA, dead, 1888 days 15.1
L826 45 years, female, stage:Stage IV, dead, 935 days 15.1
L851 70 years, male, stage:Stage IB, dead, 1315 days 15.0
L768 60 years, male, stage:Stage IIIA, dead, 472 days 14.9
L867 62 years, female, stage:Stage IIIA, dead, 317 days 14.7
L879 75 years, male, stage:Stage IV, dead, 873 days 14.7
L404 74 years, female, stage:Stage IIA, dead, 2318 days 14.5
L601 75 years, male, stage:Stage IB, dead, 2068 days 14.1
L710 72 years, female, stage:Stage IIA, alive, 1775 days 13.5
L782 73 years, female, stage:Stage IIB, alive, 3371 days 13.4
L413 72 years, female, stage:Stage IIIA, dead, 313 days 13.4
L814 73 years, male, stage:Stage IIIA, alive, 2466 days 12.8
L764 66 years, male, stage:Stage IIIA, alive, 1684 days 12.7
L831 62 years, female, stage:Stage IB, alive, 2152 days 12.2
L612 80 years, female, stage:Stage IIIA, alive, 2410 days 12.1
L683 77 years, female, stage:Stage IIA, dead, 612 days 12.0
L493 56 years, female, stage:Stage IIB, alive, 2945 days 11.0
L689 69 years, male, stage:Stage IA, alive, 1943 days 10.3
L531 74 years, male, stage:Stage IB, dead, 928 days 10.1
L602 69 years, female, stage:Stage IA, alive, 2277 days 9.9
L728 77 years, male, stage:Stage IIB, dead, 1128 days 9.6
L616 54 years, male, stage:Stage IA, dead, 410 days 7.9
Show allShow less
LUNG SQUAMOUS CELL CARCINOMA (TCGA) - Interactive survival scatter ploti

The Survival Scatter plot shows the clinical status (i.e. dead or alive) for all individuals in the patient cohort, based on the same data that underlies the corresponding Kaplan-Meier plots. Patients that are alive at last time for follow-up are shown in blue and patients who have died during the study are shown in red.

The x-axis shows the expression levels (FPKM) of the investigated gene in the tumor tissue at the time of diagnosis. The y-axis shows the follow-up time after diagnosis (years). Both axes are complimented with kernel density curves demonstrating the data density over the axes. The top density plot shows the expression levels (FPKM) distribution among dead (red) and alive patients (blue). The right density plot shows the data density of the survived years of dead patients with high and low expression levels respectively, stratified using the cutoff indicated by the vertical dashed line through the Survival Scatter plot. This cutoff is automatically defined based on the FPKM cutoff that minimizes the p-score. The cutoff can be changed by dragging the vertical line or by entering a cutoff value in the square labeled "Current cut-off".

Under the Survival Scatter plot the p-score landscape (black curve; left axis) is shown together with dead median separation (red curve; right axis). Dead median separation is the difference in median mRNA expression between patients who have died with high and low expression, respectively. It is calculated as follows: median FPKM expression of dead patients with high expression - median FPKM expression of dead patients with low expression. This is intended to aid the user in visually exploring custom cutoffs and the associated p-scores and dead median separation.

Individual patient data is displayed and can be filtered by clicking on one or more of the category buttons on the top of the page. Categories describing expression level and patient information include: high, low, alive, dead, female, male and tumor stages. The scale of the x-axis can be toggled between linear and log-scale by clicking on the "x log" button. Mouse-over function shows TCGA ID, patient information and mRNA expression (FPKM) for each patient.

& Survival analysisi

Kaplan-Meier plots summarize results from analysis of correlation between mRNA expression level and patient survival. Patients were divided based on level of expression into one of the two groups "low" (under cut off) or "high" (over cut off). X-axis shows time for survival (years) and y-axis shows the probability of survival, where 1.0 corresponds to 100 percent.

CCDC69 is potential prognostic, high expression is unfavorable in Lung Squamous Cell Carcinoma (TCGA)


Stage:


Survival analysis
Current cut offi

Current cut-off shows the cut-off (FPKM) currently selected. It may be changed manually. When the current cut-off is changed, the vertical dashed line indicating cut-off, the interactive survival scatter plot and the Kaplan-Meier curve will be automatically adjusted to show results accordingly.

:
Best expression cut offi

Based on the FPKM value of each gene, patients were classified into two groups and association between prognosis (survival) and gene expression (FPKM) was examined. The best expression cut-off refers the FPKM value that yields maximal difference with regard to survival between the two groups at the lowest log-rank P-value. Best expression cut-off was selected based on survival analysis .

When clicking on this number, the vertical dashed line indicating cut-off, the interactive survival plot, and the Kaplan-Meier curve will be adjusted to show results based on the best expression cut-off.

: 13.64
Median expressioni

Median expression refers to the median FPKM value calculated based on the gene expression (FPKM) data from all patients in this dataset. When clicking on this number, the vertical dashed line indicating cut-off, the interactive survival plot, and the Kaplan-Meier curve will be adjusted to show results based on the median expression.

: N/A
Median follow up timei

Median follow up time refers to the median time (years) after diagnosis with this type of cancer, based on clinical data from all patients in this dataset.

: N/A
P scorei

Log-rank P value for Kaplan-Meier plot showing results from analysis of correlation between mRNA expression level and patient survival.

N/A
5-year survival highi

5-year survival for patients with higher expression than the expression cutoff.

For melanoma and glioma, 3-year survival is shown.

N/A
5-year survival lowi

5-year survival for patients with lower expression than the expression cutoff.

For melanoma and glioma, 3-year survival is shown.

N/A
TCGA RNA samplesi

RNA-seq data is reported as average FPKM (number Fragments Per Kilobase of exon per Million reads), generated by the The Cancer Genome Atlas (TCGA) .

Normal distribution across the dataset is visualized with box plots, shown as median and 25th and 75th percentiles. Points are displayed as outliers if they are above or below 1.5 times the interquartile range. FPKM values of the individual samples are presented next to the box plot.

Average pTPM 10.4
Number of samples 489
Samples
Sample Description pTPM
TCGA-85-A4PA-01A 61 years, male, white, stage:Stage IB, alive, 741 days 89.7
TCGA-77-A5FZ-01A 64 years, male, stage:Stage IIIB, dead, 3838 days 49.9
TCGA-98-A53H-01A 76 years, female, white, stage:Stage IA, alive, 618 days 45.6
TCGA-56-8623-01A 71 years, male, white, stage:Stage IB, dead, 692 days 41.2
TCGA-60-2697-01A 41 years, male, white, stage:Stage IIA, dead, 372 days 41.2
TCGA-98-A53D-01A 68 years, male, white, stage:Stage IIB, dead, 645 days 39.8
TCGA-60-2715-01A 51 years, male, white, stage:Stage IA, dead, 1075 days 39.5
TCGA-22-1002-01A 69 years, male, white, stage:Stage IA, dead, 131 days 36.2
TCGA-98-A53C-01A 77 years, female, white, stage:Stage IA, alive, 822 days 36.1
TCGA-22-1016-01A 65 years, male, white, stage:Stage IB, dead, 822 days 33.7
TCGA-85-8048-01A 62 years, male, white, stage:Stage IA, alive, 765 days 32.8
TCGA-22-4596-01A 69 years, female, white, stage:Stage IB, dead, 17 days 31.3
TCGA-56-7731-01A 66 years, female, white, stage:Stage IB, dead, 3 days 31.1
TCGA-85-8355-01A 63 years, male, white, stage:Stage IA, alive, 61 days 28.1
TCGA-39-5040-01A 59 years, male, white, stage:Stage IIIA, dead, 519 days 27.9
TCGA-66-2769-01A 75 years, male, stage:Stage IIIB, dead, 215 days 26.9
TCGA-22-1005-01A 63 years, male, white, stage:Stage IA, dead, 1953 days 26.8
TCGA-85-A50M-01A 47 years, male, asian, stage:Stage IIA, dead, 826 days 26.6
TCGA-22-4609-01A 81 years, male, white, stage:Stage IA, dead, 291 days 26.6
TCGA-22-5492-01A 73 years, female, stage:Stage IIIA, dead, 506 days 25.1
TCGA-63-A5MN-01A 78 years, female, stage:Stage IIB, dead, 345 days 24.6
TCGA-NC-A5HJ-01A 59 years, male, white, stage:Stage IIB, dead, 418 days 24.5
TCGA-43-A56U-01A 76 years, female, white, stage:Stage IA, alive, 432 days 24.4
TCGA-22-4605-01A 78 years, female, stage:Stage IB, dead, 974 days 24.2
TCGA-56-8625-01A 66 years, female, white, stage:Stage IIIA, dead, 315 days 24.1
TCGA-63-7022-01A female, stage:Stage IA, alive, 2073 days 24.1
TCGA-98-7454-01A 73 years, male, white, stage:Stage IB, alive, 652 days 24.0
TCGA-60-2704-01A 73 years, male, white, stage:Stage IIB, dead, 1154 days 23.8
TCGA-96-7545-01A 73 years, male, white, stage:Stage IA, dead, 1736 days 23.7
TCGA-39-5039-01A 76 years, male, white, stage:Stage IIA, dead, 544 days 23.6
TCGA-56-8201-01A 74 years, male, white, stage:Stage IIB, dead, 397 days 23.4
TCGA-52-7622-01A 62 years, female, white, stage:Stage IA, alive, 862 days 23.1
TCGA-77-8133-01A 74 years, male, stage:Stage IIA, dead, 1640 days 22.9
TCGA-66-2790-01A 72 years, male, stage:Stage IIB, alive, 699 days 22.8
TCGA-56-8628-01A 78 years, male, white, stage:Stage IA, alive, 616 days 22.6
TCGA-56-A4ZJ-01A 75 years, female, white, stage:Stage IA, alive, 640 days 22.5
TCGA-56-8309-01A 66 years, male, white, stage:Stage IA, alive, 428 days 22.4
TCGA-22-1017-01A 62 years, male, white, stage:Stage IA, dead, 1485 days 22.1
TCGA-34-8454-01A 62 years, female, white, stage:Stage IIIA, alive, 1180 days 22.1
TCGA-22-1000-01A 76 years, male, white, stage:Stage IB, dead, 454 days 22.0
TCGA-43-5668-01A 78 years, male, white, stage:Stage IIA, dead, 559 days 21.8
TCGA-85-8049-01A 57 years, male, white, stage:Stage IB, alive, 579 days 21.6
TCGA-34-2608-01A 84 years, male, white, stage:Stage IB, dead, 1000 days 21.0
TCGA-46-3766-01A 62 years, female, white, stage:Stage IA, alive, 370 days 20.8
TCGA-46-3767-01A 76 years, male, white, stage:Stage IA, alive, 396 days 20.8
TCGA-58-8386-01A 75 years, male, stage:Stage IV, dead, 1 days 20.7
TCGA-39-5022-01A 76 years, male, white, stage:Stage IB, dead, 1679 days 20.5
TCGA-39-5028-01A 75 years, male, white, stage:Stage IIIA, dead, 52 days 20.3
TCGA-43-6647-01A 69 years, female, white, stage:Stage IIB, alive, 757 days 20.0
TCGA-22-1011-01A 73 years, male, white, stage:Stage IB, dead, 53 days 19.9
TCGA-XC-AA0X-01A 77 years, female, black or african american, stage:Stage IA, dead, 6 days 19.8
TCGA-96-A4JL-01A 78 years, female, asian, stage:Stage IIA, alive, 842 days 19.8
TCGA-60-2725-01A 74 years, male, white, stage:Stage IB, alive, 816 days 19.8
TCGA-58-8393-01A 68 years, female, white, stage:Stage IB, alive, 1058 days 19.4
TCGA-39-5030-01A 81 years, female, asian, stage:Stage IIIA, dead, 59 days 19.4
TCGA-22-5472-01A 67 years, male, white, stage:Stage IB, dead, 1975 days 19.3
TCGA-66-2789-01A 73 years, male, stage:Stage IIIB, dead, 123 days 19.3
TCGA-21-1076-01A 54 years, female, white, stage:Stage IB, alive, 1852 days 19.2
TCGA-22-5474-01A 74 years, male, white, stage:Stage IB, dead, 445 days 19.1
TCGA-43-2581-01A 47 years, female, white, stage:Stage IIIA, alive, 1176 days 18.8
TCGA-66-2744-01A 71 years, male, stage:Stage IIB, alive, 30 days 18.6
TCGA-60-2698-01A 62 years, male, white, stage:Stage IIB, dead, 311 days 18.6
TCGA-85-8287-01A 72 years, male, white, stage:Stage IA, dead, 23 days 18.5
TCGA-66-2800-01A 70 years, male, stage:Stage IIIB, alive, 1492 days 18.4
TCGA-63-A5MS-01A 78 years, male, stage:Stage IB, alive, 2381 days 18.4
TCGA-43-8118-01A 55 years, female, white, stage:Stage IA, dead, 89 days 18.3
TCGA-52-7809-01A 74 years, male, white, stage:Stage IB, dead, 166 days 18.2
TCGA-43-6773-01A 76 years, male, white, stage:Stage IIB, dead, 116 days 17.8
TCGA-34-5232-01A 75 years, female, black or african american, stage:Stage IIA, alive, 2471 days 17.7
TCGA-22-5478-01A 79 years, male, stage:Stage IB, dead, 24 days 17.7
TCGA-77-8131-01A 72 years, male, stage:Stage IB, dead, 383 days 17.5
TCGA-96-8170-01A 75 years, female, white, stage:Stage IIA, alive, 531 days 17.2
TCGA-56-6545-01A 77 years, female, white, stage:Stage IB, alive, 666 days 17.1
TCGA-60-2709-01A 69 years, male, black or african american, stage:Stage IB, alive, 1505 days 17.1
TCGA-85-6561-01A 66 years, male, white, stage:Stage IB, alive, 1224 days 16.9
TCGA-85-A513-01A 60 years, female, asian, stage:Stage IA, alive, 910 days 16.9
TCGA-66-2767-01A 62 years, male, stage:Stage IIIB, alive, 61 days 16.9
TCGA-68-8250-01A 66 years, male, black or african american, stage:Stage IA, alive, 244 days 16.7
TCGA-66-2771-01A 60 years, male, stage:Stage IIB, alive, 578 days 16.6
TCGA-85-8350-01A 61 years, male, white, stage:Stage IA, alive, 683 days 16.6
TCGA-66-2777-01A 71 years, male, stage:Stage IB, alive, 61 days 16.4
TCGA-60-2710-01A 67 years, female, white, stage:Stage IIA, alive, 2024 days 16.0
TCGA-43-8115-01A 72 years, female, white, stage:Stage IIA, alive, 407 days 15.9
TCGA-34-5234-01A 71 years, female, white, stage:Stage IA, alive, 2271 days 15.9
TCGA-56-A49D-01A 67 years, male, white, stage:Stage IIIA, alive, 637 days 15.9
TCGA-68-A59I-01A 73 years, female, black or african american, stage:Stage IIIA, alive, 492 days 15.9
TCGA-90-A4EE-01A 53 years, male, white, stage:Stage IIA, alive, 688 days 15.8
TCGA-18-4721-01A 74 years, male, white, stage:Stage IA, alive, 4694 days 15.8
TCGA-LA-A7SW-01A 71 years, male, black or african american, stage:Stage IIIA, dead, 408 days 15.8
TCGA-60-2712-01A 79 years, female, white, stage:Stage IIB, dead, 274 days 15.8
TCGA-85-8353-01A 72 years, male, white, stage:Stage IIIA, dead, 94 days 15.6
TCGA-66-2786-01A 68 years, female, stage:Stage IA, alive, 790 days 15.5
TCGA-39-5031-01A 76 years, female, stage:Stage IA, dead, 1841 days 15.5
TCGA-92-8064-01A 58 years, male, white, stage:'--, alive, 160 days 15.5
TCGA-56-5897-01A 74 years, male, white, stage:Stage IA, alive, 378 days 15.4
TCGA-39-5019-01A 70 years, male, white, stage:Stage IB, alive, 3387 days 15.3
TCGA-98-A53I-01A 64 years, male, white, stage:Stage IIA, alive, 565 days 15.3
TCGA-77-8138-01A 74 years, male, stage:Stage IB, dead, 539 days 15.3
TCGA-34-2596-01A 70 years, male, white, stage:Stage IIB, dead, 80 days 15.2
TCGA-22-0940-01A 71 years, male, white, stage:Stage IIA, dead, 669 days 15.1
TCGA-85-8584-01A 71 years, male, white, stage:Stage IIA, dead, 383 days 15.1
TCGA-58-8388-01A 60 years, male, white, stage:Stage IB, dead, 412 days 15.0
TCGA-56-A4BY-01A 66 years, male, white, stage:Stage IB, dead, 543 days 15.0
TCGA-98-A53B-01A 69 years, male, white, stage:Stage IB, dead, 61 days 15.0
TCGA-77-6842-01A 79 years, male, white, stage:Stage IIB, dead, 899 days 15.0
TCGA-66-2788-01A 56 years, male, stage:Stage IB, alive, 699 days 15.0
TCGA-85-6560-01A 59 years, male, white, stage:Stage IIA, alive, 1259 days 14.9
TCGA-43-2578-01A 59 years, female, white, stage:Stage IA, dead, 684 days 14.8
TCGA-85-7843-01A 50 years, male, white, stage:Stage IIA, alive, 35 days 14.7
TCGA-21-1077-01A 64 years, male, white, stage:Stage IIB, dead, 1058 days 14.6
TCGA-66-2791-01A 66 years, male, stage:Stage IIIB, dead, 153 days 14.5
TCGA-43-A475-01A 67 years, female, white, stage:Stage IIB, alive, 296 days 14.4
TCGA-56-A5DS-01A 72 years, female, white, stage:Stage IB, alive, 8 days 14.4
TCGA-85-7699-01A 73 years, male, white, stage:Stage IIIA, dead, 1001 days 14.3
TCGA-90-7766-01A 66 years, female, white, stage:Stage IA, alive, 289 days 14.3
TCGA-60-2721-01A 73 years, male, white, stage:Stage IB, alive, 983 days 14.3
TCGA-43-7656-01A 71 years, male, white, stage:Stage IA, alive, 596 days 14.2
TCGA-21-1078-01A 77 years, male, white, stage:Stage IB, dead, 474 days 14.0
TCGA-22-4595-01A 57 years, male, white, stage:Stage IIIA, dead, 734 days 14.0
TCGA-21-5784-01A 80 years, female, white, stage:Stage IB, alive, 1268 days 13.9
TCGA-43-8116-01A 73 years, male, white, stage:Stage IA, alive, 358 days 13.9
TCGA-22-4594-01A 60 years, female, stage:Stage IIIA, dead, 1470 days 13.9
TCGA-22-5489-01A 64 years, male, white, stage:Stage IA, dead, 1912 days 13.8
TCGA-85-6175-01A 63 years, female, white, stage:Stage IIB, dead, 294 days 13.7
TCGA-46-3769-01A 57 years, male, white, stage:'--, alive, 135 days 13.7
TCGA-34-8455-01A 67 years, male, white, stage:Stage IV, dead, 123 days 13.6
TCGA-56-8626-01A 59 years, male, white, stage:Stage IA, dead, 302 days 13.6
TCGA-63-A5MP-01A 56 years, male, stage:Stage IIB, alive, 769 days 13.6
TCGA-43-5670-01A 70 years, male, white, stage:Stage IIA, alive, 849 days 13.5
TCGA-21-5787-01A 65 years, male, black or african american, stage:Stage IIIA, dead, 329 days 13.1
TCGA-77-A5GH-01A 81 years, male, stage:Stage IB, alive, 1182 days 13.0
TCGA-85-8072-01A 60 years, male, white, stage:Stage IA, alive, 932 days 13.0
TCGA-85-8580-01A 52 years, female, white, stage:Stage IB, alive, 1113 days 12.9
TCGA-63-7020-01A male, stage:Stage IA, alive, 2133 days 12.9
TCGA-46-3765-01A 59 years, female, white, stage:Stage IA, alive, 405 days 12.9
TCGA-56-5898-01A 69 years, male, white, stage:Stage IA, alive, 555 days 12.8
TCGA-77-7338-01A 64 years, male, white, stage:Stage IB, dead, 5 days 12.8
TCGA-56-8503-01A 76 years, female, white, stage:Stage IIB, alive, 41 days 12.8
TCGA-63-6202-01A male, stage:Stage IIA, alive, 1602 days 12.7
TCGA-85-7697-01A 49 years, male, white, stage:Stage IIB, alive, 1063 days 12.7
TCGA-18-3407-01A 72 years, male, asian, stage:Stage IB, dead, 136 days 12.7
TCGA-85-8276-01A 62 years, male, white, stage:Stage IIA, alive, 1050 days 12.7
TCGA-68-7756-01A 84 years, male, white, stage:Stage IIIA, alive, 202 days 12.7
TCGA-21-1070-01A 60 years, female, black or african american, stage:Stage IIIA, alive, 3636 days 12.6
TCGA-66-2783-01A 67 years, male, stage:Stage IIIB, alive, 759 days 12.5
TCGA-66-2753-01A 69 years, male, stage:Stage IB, alive, 31 days 12.4
TCGA-63-A5MG-01A 68 years, male, stage:Stage IB, alive, 2148 days 12.2
TCGA-60-2706-01A 58 years, male, white, stage:Stage IA, alive, 2820 days 12.2
TCGA-33-4547-01A 68 years, male, white, stage:Stage IB, alive, 2419 days 12.2
TCGA-66-2770-01A 79 years, male, stage:Stage IB, alive, 700 days 12.1
TCGA-77-8156-01A 60 years, male, stage:Stage IB, alive, 1106 days 12.1
TCGA-85-7844-01A 71 years, male, white, stage:Stage IB, alive, 911 days 12.0
TCGA-98-8022-01A 61 years, male, white, stage:Stage IA, dead, 933 days 12.0
TCGA-18-3416-01A 83 years, male, stage:Stage IIB, dead, 973 days 11.9
TCGA-77-8008-01A 68 years, male, stage:Stage IB, dead, 2639 days 11.9
TCGA-33-6737-01A 71 years, male, white, stage:Stage IIIA, dead, 601 days 11.9
TCGA-60-2723-01A 74 years, female, white, stage:Stage IB, alive, 1092 days 11.8
TCGA-J1-A4AH-01A 70 years, male, white, stage:Stage IIA, alive, 581 days 11.8
TCGA-56-8308-01A 79 years, male, white, stage:Stage IIB, alive, 517 days 11.7
TCGA-96-8169-01A 67 years, female, white, stage:Stage IA, alive, 557 days 11.7
TCGA-34-5239-01A 75 years, male, white, stage:Stage IIIA, alive, 1834 days 11.5
TCGA-66-2787-01A 57 years, male, stage:Stage IA, alive, 1217 days 11.5
TCGA-60-2713-01A 64 years, male, white, stage:Stage IB, alive, 1731 days 11.5
TCGA-56-8622-01A 68 years, male, white, stage:Stage IB, alive, 55 days 11.5
TCGA-60-2696-01A 76 years, female, black or african american, stage:Stage IIA, dead, 109 days 11.4
TCGA-39-5011-01A 70 years, female, white, stage:Stage IA, alive, 4053 days 11.3
TCGA-34-5241-01A 79 years, male, white, stage:Stage IB, dead, 515 days 11.3
TCGA-68-A59J-01A 74 years, female, white, stage:Stage IB, alive, 448 days 11.3
TCGA-O2-A52N-01A 78 years, male, white, stage:Stage I, dead, 1006 days 11.3
TCGA-NC-A5HE-01A 60 years, male, white, stage:Stage IIB, alive, 2336 days 11.3
TCGA-77-8136-01A 74 years, female, stage:Stage IIB, dead, 1189 days 11.1
TCGA-66-2785-01A 65 years, male, stage:Stage IB, alive, 60 days 11.1
TCGA-63-7021-01A male, stage:Stage IA, alive, 2142 days 11.1
TCGA-77-8146-01A 72 years, male, stage:Stage IA, alive, 3189 days 11.1
TCGA-66-2758-01A 71 years, male, stage:Stage IB, alive, 639 days 11.1
TCGA-70-6722-01A 47 years, male, asian, stage:Stage IIIA, alive, 367 days 11.0
TCGA-22-A5C4-01A 70 years, male, white, stage:Stage IIA, alive, 671 days 11.0
TCGA-21-1082-01A 61 years, male, white, stage:Stage IB, alive, 3644 days 10.9
TCGA-39-5035-01A 72 years, female, white, stage:Stage IA, alive, 2080 days 10.9
TCGA-98-8023-01A 70 years, male, white, stage:Stage IIIA, alive, 649 days 10.9
TCGA-60-2703-01A 73 years, male, white, stage:Stage IIB, dead, 2945 days 10.8
TCGA-22-4613-01A 73 years, female, white, stage:Stage IA, dead, 358 days 10.7
TCGA-85-8582-01A 49 years, male, white, stage:Stage IA, alive, 1160 days 10.7
TCGA-39-5029-01A 67 years, male, white, stage:Stage IIIA, dead, 740 days 10.7
TCGA-52-7812-01A 68 years, male, white, stage:'--, dead, 835 days 10.6
TCGA-60-2707-01A 70 years, male, stage:Stage IB, dead, 667 days 10.6
TCGA-96-A4JK-01A 65 years, male, white, stage:Stage IIA, alive, 589 days 10.5
TCGA-85-8288-01A 70 years, male, white, stage:Stage IIA, dead, 402 days 10.3
TCGA-90-A59Q-01A 61 years, female, white, stage:Stage IIA, dead, 322 days 10.3
TCGA-52-7811-01A 67 years, male, white, stage:Stage IB, dead, 266 days 10.2
TCGA-77-A5G1-01A 75 years, male, stage:Stage IIIA, alive, 4026 days 10.2
TCGA-56-8624-01A 84 years, male, white, stage:Stage IIB, alive, 420 days 10.2
TCGA-63-A5MV-01A 69 years, male, stage:Stage IIA, alive, 1100 days 10.1
TCGA-85-A4JC-01A 84 years, male, white, stage:Stage IIA, dead, 604 days 10.1
TCGA-90-A4ED-01A 69 years, male, white, stage:Stage IB, alive, 615 days 10.1
TCGA-22-4591-01A 80 years, male, white, stage:Stage IIIA, dead, 623 days 10.0
TCGA-22-4599-01A 73 years, female, white, stage:Stage IB, dead, 1161 days 10.0
TCGA-60-2695-01A 74 years, female, white, stage:Stage IB, alive, 642 days 10.0
TCGA-L3-A4E7-01A 71 years, male, white, stage:Stage IB, alive, 392 days 10.0
TCGA-56-7822-01A 75 years, male, black or african american, stage:Stage IIB, dead, 532 days 10.0
TCGA-18-4086-01A 64 years, male, stage:Stage IB, dead, 85 days 10.0
TCGA-66-2734-01A 62 years, female, stage:Stage IB, alive, 1311 days 9.9
TCGA-22-5480-01A 66 years, female, white, stage:Stage IA, dead, 2170 days 9.8
TCGA-92-8065-01A 74 years, female, white, stage:Stage IIB, alive, 70 days 9.8
TCGA-60-2719-01A 83 years, female, white, stage:Stage IB, alive, 1297 days 9.7
TCGA-34-8456-01A 71 years, female, white, stage:Stage IIA, alive, 804 days 9.7
TCGA-60-2714-01A 66 years, female, white, stage:Stage IIB, alive, 1531 days 9.7
TCGA-98-8021-01A 75 years, female, white, stage:Stage IA, alive, 937 days 9.7
TCGA-39-5021-01A 70 years, male, white, stage:Stage IB, dead, 2086 days 9.7
TCGA-66-2742-01A 70 years, male, stage:Stage IV, alive, 641 days 9.7
TCGA-90-7964-01A 70 years, male, white, stage:Stage IB, alive, 428 days 9.7
TCGA-77-8007-01A 68 years, male, stage:Stage IIB, dead, 198 days 9.6
TCGA-18-3410-01A 81 years, male, stage:Stage IIB, dead, 146 days 9.6
TCGA-18-3406-01A 67 years, male, white, stage:Stage IA, dead, 371 days 9.4
TCGA-94-8491-01A 73 years, male, white, stage:Stage IIA, alive, 810 days 9.4
TCGA-43-7658-01A 75 years, female, white, stage:Stage IA, dead, 2378 days 9.4
TCGA-96-7544-01A 83 years, male, white, stage:Stage IIB, dead, 2160 days 9.4
TCGA-66-2794-01A 64 years, male, stage:Stage IIIB, alive, 1645 days 9.4
TCGA-22-4601-01A 73 years, female, white, stage:Stage IIIA, dead, 1057 days 9.3
TCGA-O2-A52S-01A 57 years, female, white, stage:Stage III, dead, 387 days 9.3
TCGA-85-A510-01A 74 years, female, white, stage:Stage IIB, alive, 482 days 9.3
TCGA-94-7943-01A 80 years, male, white, stage:Stage IA, alive, 559 days 9.2
TCGA-22-5479-01A 64 years, male, white, stage:Stage IB, dead, 2625 days 9.1
TCGA-63-A5ML-01A 68 years, male, stage:Stage IB, alive, 1386 days 9.1
TCGA-43-7657-01A 68 years, female, white, stage:Stage IA, alive, 236 days 9.0
TCGA-77-8140-01A 66 years, female, stage:Stage IIB, dead, 351 days 8.9
TCGA-18-3419-01A 73 years, male, stage:Stage IIB, alive, 2811 days 8.9
TCGA-92-7340-01A 45 years, female, white, stage:Stage IIA, alive, 82 days 8.9
TCGA-58-8387-01A 60 years, male, white, stage:Stage IIA, dead, 403 days 8.8
TCGA-98-8020-01A 56 years, female, black or african american, stage:Stage IIIA, dead, 84 days 8.8
TCGA-90-6837-01A 64 years, male, white, stage:Stage IIB, alive, 758 days 8.8
TCGA-18-4083-01A 63 years, male, white, stage:Stage IIB, dead, 188 days 8.8
TCGA-66-2781-01A 67 years, male, stage:Stage IB, alive, 121 days 8.8
TCGA-18-3409-01A 74 years, male, white, stage:Stage IA, alive, 3747 days 8.8
TCGA-85-A511-01A 62 years, male, white, stage:Stage IIB, dead, 455 days 8.7
TCGA-22-4604-01A 73 years, male, white, stage:Stage IIA, dead, 399 days 8.7
TCGA-63-A5MM-01A 69 years, female, stage:Stage IIB, dead, 456 days 8.7
TCGA-58-A46J-01A 64 years, male, white, stage:Stage IIB, alive, 2589 days 8.7
TCGA-66-2765-01A 64 years, male, stage:Stage IB, alive, 61 days 8.6
TCGA-77-8150-01A 64 years, male, stage:Stage IIIA, dead, 1655 days 8.6
TCGA-66-2773-01A 69 years, male, stage:Stage IB, dead, 92 days 8.6
TCGA-34-2600-01A 76 years, female, white, stage:Stage IA, dead, 1874 days 8.5
TCGA-43-6771-01A 85 years, male, white, stage:Stage IB, dead, 166 days 8.5
TCGA-85-7698-01A 48 years, male, white, stage:Stage IA, alive, 952 days 8.5
TCGA-39-5016-01A 44 years, male, white, stage:Stage IIA, alive, 3850 days 8.5
TCGA-22-5483-01A 74 years, male, white, stage:Stage IIA, dead, 573 days 8.5
TCGA-85-8481-01A 70 years, male, white, stage:Stage IIB, dead, 236 days 8.5
TCGA-66-2768-01A 57 years, male, stage:Stage IIB, alive, 61 days 8.4
TCGA-77-8139-01A 72 years, male, stage:Stage IIB, alive, 3166 days 8.4
TCGA-18-3408-01A 77 years, female, white, stage:Stage IB, dead, 2304 days 8.4
TCGA-21-5782-01A 68 years, female, white, stage:Stage IB, dead, 962 days 8.4
TCGA-34-5928-01A 83 years, female, white, stage:Stage IIB, alive, 1196 days 8.4
TCGA-56-7222-01A 60 years, male, white, stage:Stage IB, dead, 562 days 8.4
TCGA-21-1083-01A 75 years, male, white, stage:Stage IA, dead, 1315 days 8.3
TCGA-66-2755-01A 63 years, male, stage:Stage IB, alive, 28 days 8.3
TCGA-56-A4ZK-01A 76 years, female, white, stage:Stage IB, alive, 570 days 8.1
TCGA-21-5786-01A 64 years, male, white, stage:Stage IB, alive, 1032 days 8.1
TCGA-22-5485-01A 58 years, female, white, stage:Stage IA, dead, 916 days 8.0
TCGA-66-2737-01A 72 years, male, stage:Stage IIB, alive, 61 days 8.0
TCGA-63-A5MT-01A 74 years, male, stage:Stage IIB, alive, 498 days 7.9
TCGA-66-2763-01A 63 years, female, stage:Stage IB, alive, 30 days 7.9
TCGA-56-8082-01A 80 years, female, white, stage:Stage IIA, alive, 455 days 7.9
TCGA-85-8052-01A 53 years, male, white, stage:Stage IIB, alive, 734 days 7.8
TCGA-NC-A5HQ-01A 70 years, male, white, stage:Stage IIIA, dead, 448 days 7.8
TCGA-NK-A5CX-01A 73 years, male, white, stage:Stage IIA, alive, 111 days 7.8
TCGA-60-2720-01A 60 years, female, white, stage:Stage IB, alive, 97 days 7.8
TCGA-85-8351-01A 72 years, male, white, stage:Stage IIA, alive, 510 days 7.8
TCGA-33-4538-01A 66 years, male, white, stage:Stage IIIA, dead, 2979 days 7.8
TCGA-51-4079-01A 73 years, female, black or african american, stage:Stage IB, dead, 12 days 7.7
TCGA-LA-A446-01A 68 years, male, white, stage:Stage IA, alive, 401 days 7.7
TCGA-39-5034-01A 73 years, female, white, stage:Stage IIB, dead, 1107 days 7.7
TCGA-85-8666-01A 65 years, male, white, stage:Stage IB, dead, 687 days 7.6
TCGA-66-2782-01A 71 years, male, stage:Stage IIB, dead, 365 days 7.6
TCGA-43-6143-01A 70 years, male, white, stage:Stage IB, alive, 699 days 7.4
TCGA-77-A5GF-01A 70 years, male, stage:Stage IIA, dead, 840 days 7.4
TCGA-66-2757-01A 65 years, female, stage:Stage IA, dead, 1338 days 7.3
TCGA-56-8305-01A 72 years, male, white, stage:Stage IB, alive, 105 days 7.3
TCGA-68-8251-01A 78 years, male, white, stage:Stage IB, alive, 406 days 7.3
TCGA-37-3792-01A 69 years, male, white, stage:Stage IB, alive, 12 days 7.3
TCGA-77-6844-01A 74 years, male, white, stage:Stage IIIA, dead, 2284 days 7.2
TCGA-43-2576-01A 62 years, female, white, stage:Stage IIIA, alive, 1223 days 7.2
TCGA-94-A5I4-01A 61 years, male, white, stage:Stage IIA, alive, 491 days 7.2
TCGA-56-8307-01A 55 years, female, white, stage:Stage IIB, alive, 818 days 7.2
TCGA-66-2727-01A 55 years, female, stage:Stage IB, dead, 516 days 7.1
TCGA-22-5471-01A 75 years, male, white, stage:Stage IB, alive, 1845 days 7.1
TCGA-18-3414-01A 73 years, male, asian, stage:Stage IV, dead, 716 days 7.1
TCGA-94-A4VJ-01A 71 years, female, white, stage:Stage IA, alive, 430 days 7.1
TCGA-34-7107-01A 70 years, male, white, stage:Stage II, dead, 34 days 7.0
TCGA-22-5481-01A 72 years, female, white, stage:Stage IIB, dead, 2409 days 7.0
TCGA-77-7142-01A 59 years, female, white, stage:Stage IB, alive, 2227 days 7.0
TCGA-37-4130-01A 56 years, male, white, stage:Stage IA, alive, 247 days 7.0
TCGA-58-A46L-01A 73 years, male, white, stage:Stage IIIA, alive, 1723 days 7.0
TCGA-22-5477-01A 65 years, male, white, stage:Stage IA, dead, 1346 days 7.0
TCGA-98-A539-01A 63 years, male, white, stage:Stage IIB, alive, 173 days 6.9
TCGA-51-6867-01A 72 years, female, white, stage:Stage I, dead, 1856 days 6.9
TCGA-85-8277-01A 70 years, male, white, stage:Stage IIIA, dead, 307 days 6.9
TCGA-33-AASB-01A 66 years, male, black or african american, stage:Stage IB, dead, 211 days 6.9
TCGA-66-2778-01A 68 years, female, stage:Stage IIIB, alive, 578 days 6.8
TCGA-85-7710-01A 59 years, female, white, stage:Stage IA, alive, 42 days 6.8
TCGA-33-4587-01A 63 years, female, white, stage:Stage IB, dead, 1656 days 6.8
TCGA-33-AAS8-01A 59 years, female, black or african american, stage:Stage IA, dead, 1114 days 6.8
TCGA-21-5783-01A 76 years, male, white, stage:Stage IB, dead, 2680 days 6.8
TCGA-98-A538-01A 67 years, male, white, stage:Stage IIB, alive, 826 days 6.8
TCGA-56-7221-01A 79 years, male, white, stage:Stage IB, alive, 608 days 6.8
TCGA-94-8035-01A 64 years, male, white, stage:Stage IIB, alive, 122 days 6.8
TCGA-43-6770-01A 59 years, female, black or african american, stage:Stage IB, alive, 653 days 6.8
TCGA-60-2711-01A 64 years, female, white, stage:Stage IB, alive, 1260 days 6.7
TCGA-77-A5G6-01A 66 years, male, stage:Stage IIIA, dead, 678 days 6.7
TCGA-21-1080-01A 66 years, male, white, stage:Stage IB, alive, 3724 days 6.7
TCGA-66-2759-01A 66 years, male, stage:Stage IIIA, alive, 762 days 6.7
TCGA-92-8063-01A 52 years, male, white, stage:Stage IIIA, alive, 122 days 6.7
TCGA-39-5024-01A 65 years, female, white, stage:Stage IIIA, alive, 2510 days 6.6
TCGA-56-7730-01A 73 years, male, white, stage:Stage IIA, dead, 198 days 6.6
TCGA-77-7141-01A 64 years, male, white, stage:Stage IB, alive, 15 days 6.5
TCGA-77-7465-01A 58 years, male, white, stage:Stage IIA, alive, 990 days 6.5
TCGA-37-A5EM-01A 49 years, male, white, stage:Stage II, alive, 867 days 6.4
TCGA-21-1079-01A 71 years, male, white, stage:Stage IIIA, dead, 965 days 6.3
TCGA-34-5236-01A 60 years, male, white, stage:Stage IIB, dead, 276 days 6.3
TCGA-63-A5MB-01A 62 years, male, stage:Stage IB, alive, 3123 days 6.2
TCGA-43-3920-01A 71 years, male, white, stage:Stage IB, alive, 1007 days 6.2
TCGA-O2-A52V-01A 75 years, female, black or african american, stage:Stage II, dead, 1335 days 6.2
TCGA-22-5473-01A 78 years, male, white, stage:'--, dead, 1933 days 6.1
TCGA-58-A46M-01A 61 years, male, white, stage:Stage IIB, alive, 1072 days 6.1
TCGA-51-4080-01A 65 years, male, black or african american, stage:Stage IIIB, dead, 12 days 6.1
TCGA-85-7950-01A 46 years, male, white, stage:Stage IB, alive, 576 days 6.0
TCGA-63-A5MJ-01A 54 years, male, stage:Stage IIB, alive, 1824 days 6.0
TCGA-37-3789-01A 65 years, male, white, stage:Stage IB, alive, 13 days 6.0
TCGA-37-3783-01A 51 years, male, white, stage:Stage IIIA, alive, 122 days 6.0
TCGA-77-7337-01A 65 years, male, white, stage:Stage IIB, dead, 3253 days 5.9
TCGA-85-A4JB-01A 74 years, male, white, stage:Stage IIB, alive, 942 days 5.9
TCGA-NC-A5HL-01A 73 years, male, white, stage:Stage IIA, dead, 88 days 5.9
TCGA-77-7138-01A 67 years, male, stage:Stage IB, dead, 340 days 5.9
TCGA-18-3415-01A 77 years, male, stage:Stage IB, dead, 2803 days 5.9
TCGA-90-7767-01A 56 years, male, white, stage:Stage IIB, alive, 89 days 5.9
TCGA-77-6843-01A 74 years, male, white, stage:Stage IIA, dead, 2224 days 5.8
TCGA-37-4132-01A 61 years, female, white, stage:Stage IV, alive, 227 days 5.8
TCGA-58-8390-01A 70 years, male, white, stage:Stage IIA, alive, 911 days 5.8
TCGA-77-7463-01A 75 years, male, white, stage:Stage IB, dead, 1423 days 5.7
TCGA-85-A4QQ-01A 68 years, male, white, stage:Stage IB, dead, 927 days 5.7
TCGA-37-A5EN-01A 59 years, male, white, stage:Stage IIIB, alive, 660 days 5.7
TCGA-22-5491-01A 74 years, male, white, stage:Stage IA, dead, 1713 days 5.7
TCGA-66-2792-01A 58 years, male, stage:Stage IIB, alive, 913 days 5.7
TCGA-66-2780-01A 65 years, male, stage:Stage IB, dead, 366 days 5.7
TCGA-34-5231-01A 72 years, male, white, stage:Stage IA, dead, 1984 days 5.6
TCGA-58-A46K-01A 59 years, male, white, stage:Stage IIIA, dead, 1045 days 5.6
TCGA-33-A4WN-01A 60 years, male, white, stage:Stage IB, dead, 143 days 5.6
TCGA-56-8629-01A 63 years, male, white, stage:Stage IIA, alive, 481 days 5.5
TCGA-22-1012-01A 80 years, female, white, stage:Stage IB, dead, 429 days 5.5
TCGA-56-A4BW-01A 55 years, male, white, stage:Stage IIA, alive, 585 days 5.4
TCGA-43-3394-01A 52 years, male, black or african american, stage:Stage IB, dead, 1190 days 5.4
TCGA-NK-A5D1-01A 57 years, male, white, stage:Stage IIA, alive, 511 days 5.4
TCGA-18-3412-01A 52 years, male, white, stage:Stage IB, dead, 345 days 5.4
TCGA-98-A53A-01A 70 years, male, black or african american, stage:Stage IB, dead, 552 days 5.4
TCGA-34-5927-01A 70 years, female, white, stage:Stage IA, alive, 1361 days 5.4
TCGA-56-8083-01A 56 years, male, white, stage:Stage IB, alive, 150 days 5.4
TCGA-33-4532-01A 68 years, male, white, stage:Stage IB, dead, 3924 days 5.4
TCGA-92-7341-01A 71 years, male, white, stage:Stage IB, alive, 106 days 5.4
TCGA-58-8392-01A 70 years, male, white, stage:Stage IB, dead, 501 days 5.3
TCGA-43-A56V-01A 61 years, male, black or african american, stage:Stage IIIA, alive, 366 days 5.3
TCGA-18-5592-01A 57 years, male, stage:Stage IIB, alive, 1519 days 5.3
TCGA-22-4607-01A 75 years, male, white, stage:Stage IB, dead, 587 days 5.3
TCGA-85-A50Z-01A 57 years, male, white, stage:Stage IIA, alive, 493 days 5.2
TCGA-77-8143-01A 76 years, male, stage:Stage IIIA, dead, 803 days 5.2
TCGA-37-4141-01A 65 years, female, white, stage:Stage IA, alive, 12 days 5.2
TCGA-56-8504-01A 74 years, male, white, stage:Stage IB, alive, 510 days 5.2
TCGA-46-3768-01A 58 years, male, white, stage:Stage IIIA, dead, 299 days 5.2
TCGA-63-A5MR-01A 70 years, female, stage:Stage IB, alive, 2716 days 5.2
TCGA-18-3421-01A 65 years, male, white, stage:Stage IB, alive, 2645 days 5.1
TCGA-56-1622-01A 58 years, male, white, stage:Stage IB, dead, 881 days 5.1
TCGA-46-6026-01A 81 years, male, white, stage:Stage IIB, alive, 423 days 5.1
TCGA-85-7696-01A 64 years, male, white, stage:Stage IA, alive, 1111 days 5.0
TCGA-33-A5GW-01A 67 years, male, white, stage:Stage IIA, dead, 9 days 5.0
TCGA-33-4566-01A 40 years, male, white, stage:Stage IB, dead, 5287 days 5.0
TCGA-21-1071-01A 67 years, male, white, stage:Stage IB, dead, 1426 days 5.0
TCGA-56-8304-01A 73 years, female, white, stage:Stage IA, alive, 106 days 4.9
TCGA-77-8130-01A 69 years, male, stage:Stage IIB, alive, 4765 days 4.9
TCGA-66-2795-01A 68 years, male, stage:Stage IIIB, alive, 122 days 4.9
TCGA-33-AASI-01A 65 years, female, black or african american, stage:Stage IIB, dead, 1344 days 4.9
TCGA-94-7557-01A 73 years, male, black or african american, stage:Stage IB, dead, 5 days 4.8
TCGA-77-8144-01A 70 years, male, stage:Stage IB, alive, 833 days 4.8
TCGA-33-4533-01A 76 years, female, black or african american, stage:Stage IB, alive, 4068 days 4.8
TCGA-NC-A5HF-01A 74 years, male, white, stage:Stage IIIB, dead, 138 days 4.8
TCGA-77-A5GA-01A 76 years, male, stage:Stage IB, alive, 1280 days 4.8
TCGA-34-5929-01A 78 years, female, white, stage:Stage IB, dead, 151 days 4.7
TCGA-22-4593-01A 77 years, male, white, stage:Stage IIA, dead, 1067 days 4.7
TCGA-39-5036-01A 73 years, male, white, stage:Stage IB, alive, 2165 days 4.7
TCGA-37-5819-01A 64 years, male, white, stage:Stage IIIA, alive, 103 days 4.7
TCGA-56-A5DR-01A 81 years, male, white, stage:Stage IA, alive, 4 days 4.7
TCGA-66-2793-01A 68 years, male, stage:Stage IIIB, dead, 306 days 4.6
TCGA-85-A4CN-01A 56 years, female, white, stage:Stage IIB, alive, 1038 days 4.6
TCGA-66-2756-01A 68 years, male, stage:Stage IIIB, alive, 30 days 4.5
TCGA-NK-A7XE-01A 66 years, male, black or african american, stage:Stage IIIB, alive, 13 days 4.5
TCGA-63-A5MI-01A 65 years, male, stage:Stage IIIA, alive, 1784 days 4.4
TCGA-O2-A52Q-01A 44 years, female, white, stage:Stage III, dead, 113 days 4.4
TCGA-21-1081-01A 69 years, male, white, stage:Stage IIB, dead, 284 days 4.4
TCGA-56-A62T-01A 78 years, male, black or african american, stage:Stage IIA, alive, 440 days 4.4
TCGA-21-1072-01A 75 years, male, white, stage:Stage IB, alive, 3016 days 4.3
TCGA-56-7582-01A 83 years, male, white, stage:Stage IB, alive, 601 days 4.3
TCGA-77-8148-01A 68 years, male, stage:Stage IIIA, alive, 2023 days 4.2
TCGA-85-8664-01A 73 years, male, white, stage:Stage IIB, dead, 550 days 4.2
TCGA-77-A5G3-01A 63 years, male, stage:Stage IIB, alive, 4570 days 4.1
TCGA-18-3411-01A 63 years, female, stage:Stage IIIA, alive, 3576 days 4.1
TCGA-37-4133-01A 63 years, male, white, stage:Stage IIIA, alive, 238 days 4.1
TCGA-22-0944-01A 61 years, male, white, stage:Stage IB, dead, 223 days 4.0
TCGA-56-7579-01A 61 years, male, white, stage:Stage IIIA, dead, 951 days 4.0
TCGA-58-8391-01A 57 years, female, white, stage:Stage IIIA, alive, 2167 days 3.9
TCGA-51-4081-01A 55 years, male, white, stage:Stage IIB, alive, 911 days 3.9
TCGA-18-3417-01A 65 years, male, stage:Stage IV, dead, 1097 days 3.8
TCGA-NC-A5HH-01A 53 years, male, white, stage:Stage IA, alive, 37 days 3.8
TCGA-63-A5MH-01A 68 years, male, stage:Stage IA, alive, 2026 days 3.8
TCGA-34-5240-01A 73 years, female, white, stage:Stage IIB, alive, 1541 days 3.8
TCGA-60-2716-01A 39 years, male, stage:Stage IIB, alive, 1475 days 3.7
TCGA-O2-A52W-01A 63 years, male, black or african american, stage:Stage I, dead, 261 days 3.7
TCGA-85-8071-01A 52 years, male, white, stage:Stage IIA, alive, 815 days 3.7
TCGA-33-4586-01A 57 years, male, white, stage:Stage IIIA, dead, 428 days 3.7
TCGA-85-A4CL-01A 65 years, male, white, stage:Stage IA, dead, 921 days 3.7
TCGA-63-7023-01A male, stage:Stage IIA, alive, 1682 days 3.6
TCGA-NC-A5HM-01A 76 years, male, white, stage:Stage IB, alive, 1212 days 3.6
TCGA-77-8154-01A 67 years, male, stage:Stage IA, alive, 1841 days 3.6
TCGA-NC-A5HO-01A 70 years, female, white, stage:Stage IIIA, alive, 1336 days 3.5
TCGA-L3-A524-01A 45 years, female, white, stage:Stage IIB, dead, 490 days 3.5
TCGA-33-4589-01A 62 years, female, white, stage:Stage IIB, dead, 47 days 3.5
TCGA-77-7139-01A 56 years, male, white, stage:Stage IIB, alive, 4261 days 3.3
TCGA-18-5595-01A 50 years, male, stage:Stage IB, dead, 827 days 3.3
TCGA-94-A5I6-01A 62 years, male, white, stage:Stage IIB, alive, 538 days 3.3
TCGA-60-2726-01A 56 years, male, white, stage:Stage IIA, dead, 358 days 3.3
TCGA-63-A5MW-01A 76 years, male, stage:Stage IB, alive, 1639 days 3.3
TCGA-37-A5EL-01A 53 years, male, white, stage:Stage IIB, dead, 1143 days 3.2
TCGA-NK-A5CR-01A 77 years, male, stage:Stage IB, alive, 2542 days 3.2
TCGA-33-6738-01A 80 years, male, white, stage:Stage IIIA, alive, 1927 days 3.2
TCGA-85-A53L-01A 63 years, male, asian, stage:Stage IIA, alive, 377 days 3.2
TCGA-34-A5IX-01A 80 years, male, white, stage:Stage IIB, alive, 1031 days 3.1
TCGA-77-7335-01A 62 years, female, white, stage:Stage IIIB, dead, 2133 days 3.1
TCGA-68-7755-01A 60 years, female, white, stage:Stage IIA, alive, 83 days 3.1
TCGA-56-7580-01A 84 years, male, white, stage:Stage IB, alive, 925 days 3.0
TCGA-33-4583-01A 73 years, male, white, stage:Stage IA, dead, 4601 days 3.0
TCGA-98-A53J-01A 77 years, male, white, stage:Stage IB, alive, 630 days 3.0
TCGA-66-2766-01A 54 years, male, stage:Stage IIIA, alive, 31 days 3.0
TCGA-63-A5MY-01A 63 years, male, stage:Stage IA, alive, 1052 days 2.9
TCGA-NK-A5CT-01A 70 years, male, white, stage:Stage IA, alive, 1997 days 2.8
TCGA-39-5027-01A 73 years, male, white, stage:Stage IB, alive, 3108 days 2.8
TCGA-85-8354-01A 53 years, male, white, stage:Stage IB, alive, 995 days 2.8
TCGA-77-8153-01A 77 years, female, stage:Stage IB, alive, 1992 days 2.8
TCGA-NC-A5HT-01A 69 years, male, white, stage:Stage IIIA, alive, 804 days 2.8
TCGA-33-AASL-01A 57 years, female, black or african american, stage:Stage IA, dead, 826 days 2.8
TCGA-77-6845-01A 69 years, male, white, stage:Stage IIB, dead, 708 days 2.7
TCGA-NC-A5HI-01A 68 years, female, white, stage:Stage IB, alive, 1743 days 2.7
TCGA-60-2708-01A 64 years, female, white, stage:Stage IIB, alive, 2447 days 2.7
TCGA-46-6025-01A 71 years, male, white, stage:Stage IIB, alive, 324 days 2.7
TCGA-O2-A5IB-01A 71 years, female, white, stage:Stage III, dead, 340 days 2.7
TCGA-66-2754-01A 67 years, male, stage:Stage IIIA, alive, 61 days 2.7
TCGA-94-8490-01A 70 years, male, white, stage:Stage IIB, alive, 153 days 2.6
TCGA-22-5482-01A 81 years, male, white, stage:Stage IB, dead, 357 days 2.5
TCGA-85-8070-01A 71 years, male, white, stage:Stage IB, alive, 960 days 2.5
TCGA-94-7033-01A 73 years, male, white, stage:Stage IB, alive, 640 days 2.4
TCGA-77-8009-01A 68 years, male, stage:Stage IIB, dead, 1695 days 2.4
TCGA-56-7223-01A 66 years, male, white, stage:Stage IIIA, dead, 442 days 2.4
TCGA-37-4135-01A 68 years, male, white, stage:Stage IB, alive, 207 days 2.3
TCGA-90-7769-01A 55 years, male, white, stage:Stage IIB, alive, 358 days 2.3
TCGA-77-8145-01A 73 years, male, stage:Stage IIIB, dead, 212 days 2.2
TCGA-NC-A5HK-01A 58 years, female, white, stage:Stage IIB, alive, 128 days 2.2
TCGA-21-A5DI-01A 77 years, male, white, stage:Stage IA, alive, 979 days 2.2
TCGA-77-8128-01A 60 years, male, stage:Stage IIIA, dead, 1150 days 2.1
TCGA-58-A46N-01A 52 years, male, white, stage:Stage IB, alive, 910 days 2.1
TCGA-39-5037-01A 65 years, male, white, stage:Stage IIA, alive, 1690 days 2.1
TCGA-MF-A522-01A 54 years, male, white, stage:Stage IB, dead, 360 days 2.1
TCGA-60-2722-01A 66 years, male, white, stage:Stage IIB, alive, 908 days 2.1
TCGA-33-4582-01A 55 years, male, white, stage:Stage IA, dead, 3149 days 2.0
TCGA-85-A5B5-01A 58 years, male, white, stage:Stage IA, alive, 111 days 2.0
TCGA-85-A4QR-01A 67 years, male, white, stage:Stage IB, alive, 600 days 1.9
TCGA-56-A4BX-01A 70 years, male, white, stage:Stage IIA, alive, 405 days 1.8
TCGA-85-8352-01A 67 years, male, white, stage:Stage IIIA, dead, 161 days 1.8
TCGA-NC-A5HP-01A 69 years, male, white, stage:Stage IV, dead, 770 days 1.7
TCGA-70-6723-01A 65 years, male, asian, stage:Stage IIA, alive, 375 days 1.7
TCGA-85-6798-01A 57 years, male, white, stage:Stage IIIA, dead, 195 days 1.7
TCGA-NC-A5HD-01A 79 years, male, white, stage:Stage IIB, dead, 2 days 1.7
TCGA-37-4129-01A 52 years, female, white, stage:Stage IA, alive, 242 days 1.6
TCGA-21-1075-01A 57 years, male, white, stage:Stage IIB, alive, 2134 days 1.6
TCGA-NC-A5HN-01A 77 years, male, white, stage:Stage IIA, alive, 1499 days 1.5
TCGA-77-7140-01A 69 years, female, white, stage:Stage IIB, dead, 632 days 1.4
TCGA-NC-A5HR-01A 75 years, female, white, stage:Stage IIA, alive, 1244 days 1.3
TCGA-52-7810-01A 60 years, female, white, stage:Stage IIB, alive, 923 days 1.2
TCGA-85-A512-01A 46 years, male, white, stage:Stage IIA, alive, 465 days 1.1
TCGA-60-2724-01A 47 years, male, white, stage:Stage IIIA, alive, 717 days 1.1
TCGA-85-8479-01A 66 years, male, white, stage:Stage IA, alive, 468 days 1.0
TCGA-33-AASJ-01A 60 years, male, black or african american, stage:Stage IB, dead, 3600 days 0.8
TCGA-33-AASD-01A 83 years, male, black or african american, stage:Stage IA, dead, 2249 days 0.7
TCGA-NC-A5HG-01A 59 years, male, white, stage:Stage IIIA, alive, 1963 days 0.7
TCGA-43-A474-01A 66 years, male, white, stage:Stage IIA, alive, 353 days 0.3
Show allShow less
LUNG SQUAMOUS CELL CARCINOMA (VALIDATION) - Interactive survival scatter ploti

The Survival Scatter plot shows the clinical status (i.e. dead or alive) for all individuals in the patient cohort, based on the same data that underlies the corresponding Kaplan-Meier plots. Patients that are alive at last time for follow-up are shown in blue and patients who have died during the study are shown in red.

The x-axis shows the expression levels (FPKM) of the investigated gene in the tumor tissue at the time of diagnosis. The y-axis shows the follow-up time after diagnosis (years). Both axes are complimented with kernel density curves demonstrating the data density over the axes. The top density plot shows the expression levels (FPKM) distribution among dead (red) and alive patients (blue). The right density plot shows the data density of the survived years of dead patients with high and low expression levels respectively, stratified using the cutoff indicated by the vertical dashed line through the Survival Scatter plot. This cutoff is automatically defined based on the FPKM cutoff that minimizes the p-score. The cutoff can be changed by dragging the vertical line or by entering a cutoff value in the square labeled "Current cut-off".

Under the Survival Scatter plot the p-score landscape (black curve; left axis) is shown together with dead median separation (red curve; right axis). Dead median separation is the difference in median mRNA expression between patients who have died with high and low expression, respectively. It is calculated as follows: median FPKM expression of dead patients with high expression - median FPKM expression of dead patients with low expression. This is intended to aid the user in visually exploring custom cutoffs and the associated p-scores and dead median separation.

Individual patient data is displayed and can be filtered by clicking on one or more of the category buttons on the top of the page. Categories describing expression level and patient information include: high, low, alive, dead, female, male and tumor stages. The scale of the x-axis can be toggled between linear and log-scale by clicking on the "x log" button. Mouse-over function shows TCGA ID, patient information and mRNA expression (FPKM) for each patient.

& Survival analysisi

Kaplan-Meier plots summarize results from analysis of correlation between mRNA expression level and patient survival. Patients were divided based on level of expression into one of the two groups "low" (under cut off) or "high" (over cut off). X-axis shows time for survival (years) and y-axis shows the probability of survival, where 1.0 corresponds to 100 percent.

CCDC69 is not prognostic in Lung Squamous Cell Carcinoma (validation)


Stage:

Survival analysis
Current cut offi

Current cut-off shows the cut-off (FPKM) currently selected. It may be changed manually. When the current cut-off is changed, the vertical dashed line indicating cut-off, the interactive survival scatter plot and the Kaplan-Meier curve will be automatically adjusted to show results accordingly.

:
Best expression cut offi

Based on the FPKM value of each gene, patients were classified into two groups and association between prognosis (survival) and gene expression (FPKM) was examined. The best expression cut-off refers the FPKM value that yields maximal difference with regard to survival between the two groups at the lowest log-rank P-value. Best expression cut-off was selected based on survival analysis .

When clicking on this number, the vertical dashed line indicating cut-off, the interactive survival plot, and the Kaplan-Meier curve will be adjusted to show results based on the best expression cut-off.

: 11.54
Median expressioni

Median expression refers to the median FPKM value calculated based on the gene expression (FPKM) data from all patients in this dataset. When clicking on this number, the vertical dashed line indicating cut-off, the interactive survival plot, and the Kaplan-Meier curve will be adjusted to show results based on the median expression.

: N/A
Median follow up timei

Median follow up time refers to the median time (years) after diagnosis with this type of cancer, based on clinical data from all patients in this dataset.

: N/A
P scorei

Log-rank P value for Kaplan-Meier plot showing results from analysis of correlation between mRNA expression level and patient survival.

N/A
5-year survival highi

5-year survival for patients with higher expression than the expression cutoff.

For melanoma and glioma, 3-year survival is shown.

N/A
5-year survival lowi

5-year survival for patients with lower expression than the expression cutoff.

For melanoma and glioma, 3-year survival is shown.

N/A
TCGA RNA samplesi

RNA-seq data is reported as average FPKM (number Fragments Per Kilobase of exon per Million reads), generated by the The Cancer Genome Atlas (TCGA) .

Normal distribution across the dataset is visualized with box plots, shown as median and 25th and 75th percentiles. Points are displayed as outliers if they are above or below 1.5 times the interquartile range. FPKM values of the individual samples are presented next to the box plot.

Average pTPM 18.3
Number of samples 68
Samples
Sample Description pTPM
L860 77 years, male, stage:Stage IA, alive, 2056 days 40.6
L755 82 years, male, stage:Stage IIA, dead, 227 days 33.4
L715 69 years, female, stage:Stage IIIA, dead, 150 days 33.1
L442 75 years, female, stage:Stage IB, dead, 2433 days 32.5
L751 59 years, female, stage:Stage IIIA, alive, 1600 days 30.9
L406 64 years, male, stage:Stage IA, alive, 3057 days 29.7
L490 58 years, male, stage:Stage IA, dead, 716 days 29.0
L760 80 years, male, stage:Stage IIA, alive, 1895 days 28.7
L824 70 years, male, stage:Stage IA, dead, 665 days 28.6
L884 71 years, male, stage:Stage IIA, alive, 1627 days 27.2
L758 84 years, male, stage:Stage IA, dead, 1562 days 26.4
L456 48 years, male, stage:Stage IIA, dead, 1660 days 26.2
L658 65 years, female, stage:Stage IIB, alive, 2083 days 25.9
L661 66 years, male, stage:Stage IA, dead, 1123 days 25.5
L723 67 years, male, stage:Stage IIA, dead, 433 days 24.2
L572 58 years, male, stage:Stage IA, alive, 2532 days 24.1
L852 64 years, male, stage:Stage IB, dead, 700 days 22.8
L744 75 years, male, stage:Stage IA, alive, 1614 days 22.5
L856 69 years, male, stage:Stage IA, dead, 1465 days 22.4
L712 61 years, male, stage:Stage IA, alive, 1698 days 22.2
L604 67 years, male, stage:Stage IIA, dead, 286 days 22.1
L753 61 years, male, stage:Stage IIA, alive, 1705 days 21.5
L864 66 years, female, stage:Stage IA, alive, 2192 days 21.4
L563 61 years, female, stage:Stage IIB, dead, 1216 days 21.0
L644 67 years, male, stage:Stage IA, dead, 282 days 20.7
L444 74 years, female, stage:Stage IIB, alive, 3337 days 20.5
L496 77 years, male, stage:Stage IB, alive, 2761 days 20.3
L767 67 years, male, stage:Stage IA, alive, 1718 days 20.1
L559 72 years, male, stage:Stage IIB, alive, 2615 days 19.9
L586 67 years, male, stage:Stage IIA, dead, 784 days 19.9
L788 54 years, female, stage:Stage IA, alive, 3385 days 19.8
L886 71 years, male, stage:Stage IB, dead, 1932 days 19.2
L736 67 years, male, stage:Stage IA, dead, 1195 days 19.1
L655 62 years, male, stage:Stage IIA, dead, 1603 days 19.0
L592 61 years, male, stage:Stage IB, alive, 2368 days 18.9
L529 79 years, female, stage:Stage IA, alive, 2775 days 18.6
L472 71 years, male, stage:Stage IB, dead, 423 days 17.7
L652 82 years, male, stage:Stage IA, dead, 5 days 17.6
L468 53 years, male, stage:Stage IB, alive, 3004 days 17.2
L820 73 years, female, stage:Stage IA, alive, 2405 days 16.9
L719 63 years, male, stage:Stage IB, alive, 1615 days 16.6
L633 77 years, female, stage:Stage IA, alive, 2102 days 16.5
L650 69 years, female, stage:Stage IB, dead, 986 days 16.0
L817 76 years, female, stage:Stage IIIA, dead, 1279 days 15.9
L466 65 years, female, stage:Stage IIIA, dead, 412 days 15.9
L420 57 years, female, stage:Stage IIB, dead, 295 days 15.6
L747 74 years, female, stage:Stage IA, dead, 1112 days 15.3
L464 66 years, male, stage:Stage IB, dead, 1935 days 15.2
L488 61 years, female, stage:Stage IIA, alive, 2993 days 13.2
L470 78 years, female, stage:Stage IB, dead, 1774 days 13.2
L642 67 years, male, stage:Stage IB, dead, 1167 days 11.9
L854 62 years, female, stage:Stage IB, alive, 2256 days 11.9
L483 65 years, male, stage:Stage IB, dead, 77 days 11.7
L756 72 years, male, stage:Stage IB, alive, 1796 days 11.4
L534 66 years, male, stage:Stage IIA, alive, 2693 days 11.1
L858 69 years, female, stage:Stage IIB, dead, 558 days 10.5
L685 71 years, female, stage:Stage IIB, alive, 1944 days 10.3
L452 62 years, male, stage:Stage IIIA, dead, 3115 days 8.5
L539 78 years, male, stage:Stage IB, dead, 370 days 8.4
L608 73 years, male, stage:Stage IA, alive, 2350 days 7.6
L568 77 years, female, stage:Stage IIB, dead, 71 days 7.6
L447 67 years, male, stage:Stage IIB, alive, 3203 days 6.6
L457 46 years, female, stage:Stage IIA, alive, 2901 days 6.4
L818 67 years, male, stage:Stage IB, alive, 2480 days 5.9
L881 70 years, male, stage:Stage IB, alive, 1752 days 5.6
L459 75 years, male, stage:Stage IIA, alive, 3181 days 4.8
L739 49 years, female, stage:Stage IIIA, dead, 352 days 4.7
L857 69 years, male, stage:Stage IB, dead, 226 days 1.7
Show allShow less
LUNG ADENOCARCINOMA - Protein relative expression (CPTAC)
Number of samples 213
Samples
Sample ID Sample type nRPX
CPT0111480003 Normal 1.3
CPT0068100003 Tumor 1.3
CPT0062810003 Normal 0.9
CPT0000930003 Normal 0.8
CPT0069550003 Normal 0.8
CPT0063840003 Normal 0.8
CPT0114010003 Normal 0.8
CPT0013630003 Normal 0.8
CPT0106100003 Normal 0.7
CPT0090600003 Normal 0.7
CPT0125830003 Normal 0.7
CPT0105010004 Normal 0.7
CPT0001810003 Normal 0.7
CPT0021490003 Normal 0.7
CPT0146700003 Normal 0.7
CPT0066810003 Normal 0.7
CPT0090720003 Normal 0.6
CPT0068830003 Normal 0.6
CPT0001800013 Tumor 0.6
CPT0105190003 Normal 0.6
CPT0086770003 Normal 0.6
CPT0067770003 Normal 0.6
CPT0105250003 Normal 0.6
CPT0147380004 Tumor 0.6
CPT0118650003 Normal 0.6
CPT0069360003 Tumor 0.6
CPT0069370003 Normal 0.5
CPT0092940003 Normal 0.5
CPT0102480003 Normal 0.5
CPT0147500003 Normal 0.5
CPT0068130003 Normal 0.5
CPT0118890003 Normal 0.5
CPT0070080003 Normal 0.5
CPT0090370003 Normal 0.5
CPT0063750003 Normal 0.5
CPT0091870003 Normal 0.5
CPT0001970003 Normal 0.5
CPT0147000003 Normal 0.4
CPT0014290003 Normal 0.4
CPT0109850003 Normal 0.4
CPT0086320003 Normal 0.4
CPT0067950003 Normal 0.4
CPT0147100003 Normal 0.4
CPT0015420003 Normal 0.4
CPT0147900003 Normal 0.4
CPT0021450003 Tumor 0.4
CPT0001590003 Normal 0.4
CPT0105610003 Normal 0.4
CPT0091860003 Tumor 0.4
CPT0118340003 Tumor 0.4
CPT0014930003 Normal 0.3
CPT0001390003 Normal 0.3
CPT0118010003 Normal 0.3
CPT0148300003 Normal 0.3
CPT0089360003 Normal 0.3
CPT0109710003 Normal 0.3
CPT0146800003 Normal 0.3
CPT0083140003 Normal 0.3
CPT0148000003 Normal 0.3
CPT0084170003 Normal 0.3
CPT0083420003 Normal 0.3
CPT0092240003 Tumor 0.3
CPT0118600003 Normal 0.3
CPT0105740003 Normal 0.3
CPT0067290003 Normal 0.3
CPT0055100004 Tumor 0.3
CPT0148200003 Normal 0.3
CPT0069720003 Normal 0.2
CPT0104630003 Tumor 0.2
CPT0118360003 Normal 0.2
CPT0118180003 Normal 0.2
CPT0106110003 Tumor 0.2
CPT0114690003 Normal 0.2
CPT0148180004 Tumor 0.2
CPT0117970003 Tumor 0.2
CPT0083810003 Normal 0.2
CPT0067620003 Tumor 0.2
CPT0118570003 Tumor 0.2
CPT0070060003 Tumor 0.2
CPT0148100003 Normal 0.2
CPT0104750003 Tumor 0.2
CPT0114880003 Normal 0.2
CPT0147080004 Tumor 0.2
CPT0008420003 Normal 0.2
CPT0011750003 Normal 0.1
CPT0118240003 Normal 0.1
CPT0097600003 Normal 0.1
CPT0148280004 Tumor 0.1
CPT0113210003 Tumor 0.1
CPT0111590003 Normal 0.1
CPT0104650003 Normal 0.1
CPT0013880003 Tumor 0.1
CPT0105550003 Normal 0.1
CPT0105060003 Tumor 0.1
CPT0014860003 Tumor 0.1
CPT0082770003 Normal 0.1
CPT0115090003 Normal 0.1
CPT0147980004 Tumor 0.1
CPT0053040004 Tumor 0.1
CPT0097580003 Tumor 0.1
CPT0067110003 Normal 0.1
CPT0082740004 Tumor 0.1
CPT0082890003 Normal 0.1
CPT0113220003 Normal 0.1
CPT0110980004 Tumor 0.1
CPT0001960003 Tumor 0.0
CPT0125810003 Tumor 0.0
CPT0105630003 Tumor 0.0
CPT0069520003 Tumor 0.0
CPT0023320003 Normal 0.0
CPT0011710004 Tumor 0.0
CPT0066780003 Tumor 0.0
CPT0112080003 Normal 0.0
CPT0146600003 Normal 0.0
CPT0105680003 Normal 0.0
CPT0092250003 Normal 0.0
CPT0069700003 Tumor 0.0
CPT0013910003 Normal 0.0
CPT0109740004 Tumor 0.0
CPT0092930003 Tumor 0.0
CPT0023310003 Tumor 0.0
CPT0105710003 Tumor -0.1
CPT0118620003 Tumor -0.1
CPT0067250003 Tumor -0.1
CPT0067070003 Tumor -0.1
CPT0068800003 Tumor -0.1
CPT0118830003 Normal -0.1
CPT0091260003 Normal -0.1
CPT0112060003 Tumor -0.1
CPT0118200003 Tumor -0.1
CPT0105600003 Tumor -0.1
CPT0109760003 Normal -0.1
CPT0063730003 Tumor -0.1
CPT0001070003 Normal -0.1
CPT0114840003 Tumor -0.1
CPT0092530003 Tumor -0.1
CPT0090340003 Tumor -0.1
CPT0082850004 Tumor -0.2
CPT0067940003 Tumor -0.2
CPT0104760003 Normal -0.2
CPT0111300003 Tumor -0.2
CPT0011930003 Normal -0.2
CPT0008410003 Tumor -0.2
CPT0110890003 Normal -0.2
CPT0015410003 Tumor -0.2
CPT0090900004 Normal -0.2
CPT0146980004 Tumor -0.2
CPT0083780003 Tumor -0.2
CPT0067450003 Tumor -0.3
CPT0067470004 Normal -0.3
CPT0001380003 Tumor -0.3
CPT0105270003 Tumor -0.3
CPT0147400003 Normal -0.3
CPT0063810003 Tumor -0.3
CPT0089340003 Tumor -0.3
CPT0079850003 Normal -0.3
CPT0147480004 Tumor -0.3
CPT0086310003 Tumor -0.3
CPT0102450003 Tumor -0.3
CPT0118160003 Tumor -0.4
CPT0090700003 Tumor -0.4
CPT0091240003 Tumor -0.4
CPT0118880003 Tumor -0.4
CPT0109830004 Tumor -0.4
CPT0115070003 Tumor -0.5
CPT0008450003 Tumor -0.5
CPT0098130003 Tumor -0.5
CPT0146880004 Tumor -0.5
CPT0001060010 Tumor -0.5
CPT0079830003 Tumor -0.5
CPT0113990003 Tumor -0.6
CPT0084140003 Tumor -0.6
CPT0105510003 Tumor -0.6
CPT0013600003 Tumor -0.6
CPT0014260003 Tumor -0.6
CPT0146680004 Tumor -0.6
CPT0000920017 Tumor -0.6
CPT0086750003 Tumor -0.7
CPT0146780004 Tumor -0.7
CPT0083100003 Tumor -0.8
CPT0011910004 Tumor -0.8
CPT0118810003 Tumor -0.8
CPT0090570004 Tumor -0.8
CPT0104970003 Tumor -0.8
CPT0105230003 Tumor -0.9
CPT0090860003 Tumor -0.9
CPT0114660004 Tumor -0.9
CPT0147880004 Tumor -0.9
CPT0110860004 Tumor -0.9
CPT0052170004 Tumor -1.0
CPT0051690004 Tumor -1.1
CPT0001580009 Tumor -1.2
CPT0083390004 Tumor -1.2
CPT0109720004 Tumor -1.3
CPT0001660013 Tumor N/A
CPT0001690003 Normal N/A
CPT0052940004 Tumor N/A
CPT0066890003 Tumor N/A
CPT0066930003 Normal N/A
CPT0068610003 Tumor N/A
CPT0068650003 Normal N/A
CPT0090170004 Tumor N/A
CPT0090200003 Normal N/A
CPT0105330003 Tumor N/A
CPT0105370004 Normal N/A
CPT0105940003 Tumor N/A
CPT0105980003 Normal N/A
CPT0109680004 Tumor N/A
CPT0109700003 Normal N/A
CPT0146580004 Tumor N/A
CPT0147580004 Tumor N/A
CPT0147600003 Normal N/A
CPT0148080004 Tumor N/A
Show allShow less
LUNG SQUAMOUS CELL CARCINOMA - Protein relative expression (CPTAC)
Number of samples 212
Samples
Sample ID Sample type nRPX
CPT0237710003 Normal 1.3
CPT0233330003 Normal 1.2
CPT0197520003 Normal 1.1
CPT0234820003 Normal 1.1
CPT0111000004 Normal 1.0
CPT0104380003 Normal 0.9
CPT0234950004 Normal 0.9
CPT0146500003 Normal 0.8
CPT0112600003 Normal 0.8
CPT0112660003 Normal 0.8
CPT0105430003 Normal 0.8
CPT0079060003 Normal 0.8
CPT0083990003 Normal 0.8
CPT0237780003 Normal 0.7
CPT0112730003 Normal 0.7
CPT0204660003 Normal 0.7
CPT0068320003 Normal 0.7
CPT0197860003 Normal 0.7
CPT0086270003 Normal 0.7
CPT0205000003 Normal 0.7
CPT0147200003 Normal 0.7
CPT0087210003 Normal 0.7
CPT0219390003 Normal 0.7
CPT0221220003 Normal 0.6
CPT0202740003 Normal 0.6
CPT0237430003 Normal 0.6
CPT0223820003 Normal 0.6
CPT0233640003 Normal 0.6
CPT0221660003 Normal 0.6
CPT0130070003 Normal 0.6
CPT0091620003 Normal 0.6
CPT0108600003 Normal 0.6
CPT0128900003 Normal 0.6
CPT0236430003 Normal 0.6
CPT0175410003 Normal 0.6
CPT0183270003 Normal 0.6
CPT0079110003 Normal 0.6
CPT0191930003 Normal 0.6
CPT0146400003 Normal 0.6
CPT0187370003 Tumor 0.6
CPT0117770003 Normal 0.6
CPT0222740003 Normal 0.6
CPT0001030003 Normal 0.6
CPT0197100003 Normal 0.6
CPT0192590004 Normal 0.5
CPT0233160003 Normal 0.5
CPT0147700003 Normal 0.5
CPT0241210003 Normal 0.5
CPT0245790003 Normal 0.5
CPT0197380003 Normal 0.5
CPT0217490003 Normal 0.5
CPT0237990003 Normal 0.5
CPT0237210003 Normal 0.5
CPT0238130003 Normal 0.5
CPT0104950003 Normal 0.5
CPT0023500003 Normal 0.5
CPT0225470003 Normal 0.5
CPT0069900003 Normal 0.5
CPT0191750003 Normal 0.5
CPT0245780003 Tumor 0.5
CPT0227420003 Normal 0.4
CPT0130440004 Normal 0.4
CPT0091090003 Normal 0.4
CPT0112550003 Normal 0.4
CPT0089880003 Tumor 0.4
CPT0063500003 Normal 0.4
CPT0063430003 Tumor 0.4
CPT0186140003 Normal 0.4
CPT0237570003 Normal 0.4
CPT0187380003 Normal 0.4
CPT0227070003 Normal 0.4
CPT0102840003 Normal 0.4
CPT0126400003 Normal 0.4
CPT0010060003 Normal 0.4
CPT0234580003 Normal 0.4
CPT0209040003 Normal 0.4
CPT0175160003 Normal 0.4
CPT0238110004 Tumor 0.4
CPT0204990003 Tumor 0.4
CPT0202220004 Normal 0.4
CPT0207250003 Normal 0.3
CPT0197480003 Tumor 0.3
CPT0237080003 Normal 0.3
CPT0123370003 Normal 0.3
CPT0098800003 Normal 0.3
CPT0245890003 Normal 0.3
CPT0136660003 Normal 0.3
CPT0202400004 Normal 0.3
CPT0117720003 Tumor 0.3
CPT0175270003 Normal 0.3
CPT0007760003 Normal 0.3
CPT0064050003 Normal 0.3
CPT0126470003 Normal 0.2
CPT0108560003 Tumor 0.2
CPT0191860003 Tumor 0.2
CPT0202720003 Tumor 0.2
CPT0136640003 Tumor 0.2
CPT0204600003 Tumor 0.2
CPT0130310003 Normal 0.2
CPT0218310003 Normal 0.2
CPT0175260003 Tumor 0.2
CPT0126760003 Normal 0.2
CPT0197740003 Tumor 0.2
CPT0010050003 Tumor 0.2
CPT0232690003 Normal 0.2
CPT0112580003 Tumor 0.2
CPT0234790003 Tumor 0.2
CPT0237060004 Tumor 0.1
CPT0202040003 Normal 0.1
CPT0115860003 Normal 0.1
CPT0245840003 Normal 0.1
CPT0197210003 Tumor 0.1
CPT0186210003 Normal 0.1
CPT0079100003 Tumor 0.1
CPT0232670003 Tumor 0.1
CPT0202170003 Tumor 0.1
CPT0079050003 Tumor 0.1
CPT0063440003 Normal 0.1
CPT0195520003 Normal 0.1
CPT0202580004 Normal 0.1
CPT0204820003 Normal 0.1
CPT0126450003 Tumor 0.0
CPT0186130003 Tumor 0.0
CPT0221200003 Tumor 0.0
CPT0196820003 Normal 0.0
CPT0197090003 Tumor 0.0
CPT0197150003 Tumor 0.0
CPT0217420003 Tumor 0.0
CPT0091610003 Tumor 0.0
CPT0245880003 Tumor 0.0
CPT0091820003 Tumor -0.1
CPT0209510003 Normal -0.1
CPT0207210003 Tumor -0.1
CPT0086260003 Tumor -0.1
CPT0091050003 Tumor -0.1
CPT0191710003 Tumor -0.1
CPT0234560003 Tumor -0.1
CPT0197170003 Normal -0.1
CPT0227400003 Tumor -0.1
CPT0104360003 Tumor -0.1
CPT0068280003 Tumor -0.1
CPT0237690004 Tumor -0.1
CPT0112650003 Tumor -0.1
CPT0126810003 Tumor -0.1
CPT0233600003 Tumor -0.2
CPT0147180004 Tumor -0.2
CPT0175560003 Tumor -0.2
CPT0192540004 Tumor -0.2
CPT0115830003 Tumor -0.2
CPT0196810003 Tumor -0.2
CPT0219360003 Tumor -0.2
CPT0218280003 Tumor -0.2
CPT0098770003 Tumor -0.2
CPT0001020003 Tumor -0.2
CPT0007740003 Tumor -0.3
CPT0104930003 Tumor -0.3
CPT0123350003 Tumor -0.3
CPT0225380003 Tumor -0.3
CPT0126830003 Normal -0.3
CPT0130030003 Tumor -0.3
CPT0237970004 Tumor -0.3
CPT0146380004 Tumor -0.4
CPT0202020008 Tumor -0.4
CPT0190550003 Tumor -0.4
CPT0234930004 Tumor -0.4
CPT0069890003 Tumor -0.4
CPT0128890003 Tumor -0.4
CPT0245830003 Tumor -0.4
CPT0241170003 Tumor -0.5
CPT0146480004 Tumor -0.5
CPT0023470003 Tumor -0.5
CPT0221650003 Tumor -0.5
CPT0204800003 Tumor -0.5
CPT0126670003 Tumor -0.5
CPT0208780003 Normal -0.5
CPT0087190003 Tumor -0.5
CPT0130270003 Tumor -0.5
CPT0186180003 Tumor -0.5
CPT0208770003 Tumor -0.5
CPT0237550004 Tumor -0.5
CPT0236420003 Tumor -0.5
CPT0126390003 Tumor -0.6
CPT0202350004 Tumor -0.6
CPT0175390003 Tumor -0.6
CPT0101130003 Tumor -0.6
CPT0147680004 Tumor -0.6
CPT0233120003 Tumor -0.6
CPT0102790003 Tumor -0.6
CPT0126740003 Tumor -0.6
CPT0202530004 Tumor -0.6
CPT0209020004 Tumor -0.6
CPT0112720003 Tumor -0.6
CPT0223790003 Tumor -0.7
CPT0175120003 Tumor -0.7
CPT0064040003 Tumor -0.7
CPT0063480003 Tumor -0.7
CPT0237410004 Tumor -0.7
CPT0237200004 Tumor -0.7
CPT0112540003 Tumor -0.7
CPT0083980003 Tumor -0.7
CPT0237760003 Tumor -0.7
CPT0105420003 Tumor -0.8
CPT0195510003 Tumor -0.8
CPT0090440003 Tumor -0.8
CPT0222730003 Tumor -0.9
CPT0130410003 Tumor -0.9
CPT0227020003 Tumor -1.1
CPT0209490003 Tumor -1.1
CPT0183250004 Tumor -1.1
CPT0111150004 Tumor -1.2
CPT0233320003 Tumor -1.2
CPT0126530003 Tumor -1.3
Show allShow less
LUNG CANCER - Protein expressioni

A mouse-over function shows sample information and annotation data. Click on an image to view it in a full screen mode. Samples can be filtered based on level of antibody staining by selecting one or several of the following categories: high, medium, low and not detected. The assay and annotation is described here.

Note that samples used for immunohistochemistry by the Human Protein Atlas do not correspond to samples in the TCGA dataset.

 

Antibody stainingi

Antibody staining in the annotated cell types in the current human tissue is reported as not detected, low, medium, or high, based on conventional immunohistochemistry profiling in selected tissues. This score is based on the combination of the staining intensity and fraction of stained cells.

Each image is clickable and will lead to virtual microscopy that enables deeper exploration of all samples and also displays staining intensity scores, fraction scores and subcellular localization as well as patient and tissue information for each sample.


Antibody HPA043648
 Staining
  High
  Medium
  Low
  Not detected
 Intensity
  Strong
  Moderate
  Weak
  Negative
 Quantity
  >75%
  75%-25%
  <25%
  None
 Location
  Nuclear
  Cytoplasmic/membranous
  Cytoplasmic/membranous,nuclear
  None
Squamous cell carcinoma, NOS
Adenocarcinoma, NOS

Contact

  • NEWS ARTICLES
  • PRESS ROOM

The Project

  • INTRODUCTION
  • ORGANIZATION
  • PUBLICATIONS

The Human Protein Atlas

  • DOWNLOADABLE DATA
  • LICENCE & CITATION
  • HELP & FAQ
The Human Protein Atlas project is funded
by the Knut & Alice Wallenberg Foundation.


contact@proteinatlas.org