We use cookies to enhance the usability of our website. If you continue, we'll assume that you are happy to receive all cookies. More information. Don't show this again.
CCDC69
HPA
RESOURCES
  • TISSUE
  • BRAIN
  • SINGLE CELL
  • SUBCELLULAR
  • CANCER
  • BLOOD
  • CELL LINE
  • STRUCTURE & INTERACTION
ABOUT
  • INTRODUCTION
  • HISTORY
  • ORGANIZATION
  • PUBLICATIONS
  • ANTIBODY SUBMISSION
  • ANTIBODY AVAILABILITY
  • ACKNOWLEDGMENTS
  • CONTACT
NEWS
  • NEWS ARTICLES
  • PRESS ROOM
LEARN
  • DICTIONARY
  • PROTEIN CLASSES
  • PROTEIN EVIDENCE
  • METHODS
  • EDUCATIONAL VIDEOS
DATA
  • DOWNLOADABLE DATA
  • PUBLICATION DATA
  • RELEASE HISTORY
HELP
  • ANTIBODY VALIDATION
  • ASSAYS & ANNOTATION
  • DISCLAIMER
  • HELP & FAQ
  • PRIVACY STATEMENT
  • LICENCE & CITATION
Fields »
Search result

Field
Term
Gene name
Class
Subclass
Class
Keyword
Chromosome
External id
Tissue
Cell type
Expression
Antibody panel
Tissue
Main location
Patient ID
Annotation
Tissue
Category
Tau score
Cluster
Reliability
Brain region
Category
Tau score
Brain region
Category
Tau score
Brain region
Category
Tau score
Cluster
Reliability
Tissue
Cell type
Enrichment
Cell type
Category
Tau score
Cell type
Category
Tau score
Cell type
Category
Tau score
Cell lineage
Category
Tau score
Cluster
Cluster
Location
Searches
Location
Cell line
Class
Type
Phase
Reliability
Cancer
Prognosis
Cancer
Category
Cancer
Category
Tau score
Cluster
Variants
Interacting gene (ensg_id)
Type
Number of interactions
Pathway
Category
Score
Score
Score
Validation
Validation
Validation
Validation
Antibodies
Data type
Column


  • SUMMARY

  • TISSUE

  • BRAIN

  • SINGLE CELL

  • SUBCELL

  • CANCER

  • BLOOD

  • CELL LINE

  • STRUCT & INT

  • CCDC69
TISSUE PRIMARY DATA SKIN Show tissue menu
ADIPOSE TISSUE ADRENAL GLAND AMYGDALA APPENDIX BASAL GANGLIA BONE MARROW BREAST BRONCHUS CEREBELLUM CEREBRAL CORTEX CERVIX CHOROID PLEXUS COLON DUODENUM
ENDOMETRIUM EPIDIDYMIS ESOPHAGUS FALLOPIAN TUBE GALLBLADDER HEART MUSCLE HIPPOCAMPAL FORMATION HYPOTHALAMUS KIDNEY LIVER LUNG LYMPH NODE MIDBRAIN NASOPHARYNX
ORAL MUCOSA OVARY PANCREAS PARATHYROID GLAND PITUITARY GLAND PLACENTA PROSTATE RECTUM RETINA SALIVARY GLAND SEMINAL VESICLE SKELETAL MUSCLE SKIN SMALL INTESTINE
SMOOTH MUSCLE SOFT TISSUE SPINAL CORD SPLEEN STOMACH TESTIS THYMUS THYROID GLAND TONGUE TONSIL URINARY BLADDER VAGINA
ANTIBODIES
AND
VALIDATION
Dictionary
Skin
Tissue proteome
Skin
SKIN - Expression summary
Protein expression
Skini

On the top, protein expression in current human tissue, based on all annotated cell types, is reported with the units not detected (n), low (l), medium (m) and high (h). Underneath, protein expression in each annotated cell type are reported using the same units.

Protein expression data is based on knowledge-based annotation. For genes where more than one antibody has been used, a collective score is set.

If knowledge-based annotation could not be performed for a gene, no data is displayed here. View antibody staining data further down this page.

h
m
l
n
Epidermal cells: Medium
Fibroblasts: Medium
Keratinocytes: Medium
Langerhans: Medium
Melanocytes: Medium
RNA expressioni

A summary of mRNA expression data available for current tissue based on several datasets. The mRNA expression levels in human tissues are based on RNA-seq data generated by the Human Protein Atlas (HPA), Genotype-Tissue Expression (GTEx) portal and CAGE data generated by the FANTOM5 consortium. Consensus normalized expression levels for human tissues was created by combining the data from HPA and GTEx datasets.

The mRNA expression levels in pig are based on RNA-seq data generated by the Human Protein Atlas (HPA), and for mouse, HPA data and in situ hybridization generated by the Allen brain atlas are reported.

Scroll down to view mRNA expression data in more detail.
Consensus:12.9 nTPM
HPA:6.7 nTPM
GTEx:12.9 nTPM

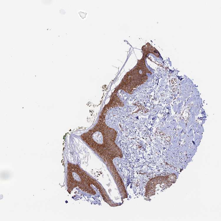
SKIN 1 - Antibody stainingi

Antibody staining in the annotated cell types in the current human tissue is reported as not detected, low, medium, or high, based on conventional immunohistochemistry profiling in selected tissues. This score is based on the combination of the staining intensity and fraction of stained cells.

Each image is clickable and will lead to virtual microscopy that enables deeper exploration of all samples and also displays staining intensity scores, fraction scores and subcellular localization as well as patient and tissue information for each sample.

Antibody HPA043648
Langerhans Medium
Fibroblasts Medium
Keratinocytes High
Melanocytes Medium

SKIN 2 - Antibody stainingi

Antibody staining in the annotated cell types in the current human tissue is reported as not detected, low, medium, or high, based on conventional immunohistochemistry profiling in selected tissues. This score is based on the combination of the staining intensity and fraction of stained cells.

Each image is clickable and will lead to virtual microscopy that enables deeper exploration of all samples and also displays staining intensity scores, fraction scores and subcellular localization as well as patient and tissue information for each sample.

Antibody HPA043648
Epidermal cells High
 
 
 


SKIN - HPA RNA-seqi

The RNA-seq details section shows detailed information about the individual samples used for the transcript profiling and results of the RNA-seq analysis.

Information about each individual sample is listed below, including gender, age, a tissue section image and estimated fractions of cell types. nTPM (normalized transcripts per million) values give a quantification of the gene abundance which is comparable between different genes and samples.
Average nTPMi

Max subtype nTPM is the value for the subtype with the largest average nTPM across the subtype samples.

6.7
overview
Female, age 34
Skin sample 225
nTPM: 6.5
Cell types%
Keratinocytes:
60

Other cell types:
40

overview
Female, age 30
Skin sample 226
nTPM: 6.7
Cell types%
Keratinocytes:
55

Other cell types:
45

N/A
Male, age 57
Skin sample 227
nTPM: 7.1

SKIN - GTEx RNA-seqi

RNA-Seq data generated by the Genotype-Tissue Expression (GTEx) project from human tissues is reported as mean nTPM. More information can be found on the GTEx portal.

Distribution across the dataset is visualized with box plots, shown as median and 25th and 75th percentiles. Points are displayed as outliers if they are above or below 1.5 times the interquartile range. nTPM values of the individual samples are presented next to the box plot.
Max subtype nTPMi

Max subtype nTPM is the value for the subtype with the largest average nTPM across the subtype samples.

12.9
GTEx sample id Sample description nTPM
Skin - Not Sun Exposed (Suprapubic)
Average nTPM: 12.7
Samples: 604

Max nTPM: 48.8
Min nTPM: 0.9
Std nTPM: 7.8
Median nTPM: 10.8
GTEX-13113-1626-SM-5EQ4I 60-69 years, female 48.8
GTEX-1I4MK-0126-SM-CY8G6 50-59 years, female 46.7
GTEX-13FH7-1126-SM-5K7UG 50-59 years, female 45.0
GTEX-14BMU-1226-SM-5S2OR 20-29 years, female 42.9
GTEX-11DZ1-2426-SM-5GZZX 50-59 years, male 42.1
GTEX-ZT9W-1126-SM-57WDR 50-59 years, male 40.1
GTEX-12WSL-2026-SM-5GCML 50-59 years, male 39.8
GTEX-YB5K-2026-SM-4VDT3 40-49 years, female 39.4
GTEX-1L5NE-1126-SM-D3L9P 50-59 years, male 37.9
GTEX-Y8LW-1526-SM-5IFHL 50-59 years, female 36.5
GTEX-14JG6-1426-SM-9WG7C 30-39 years, female 36.5
GTEX-1GMR2-0826-SM-7PC3V 50-59 years, male 34.6
GTEX-WEY5-2326-SM-3GIKK 40-49 years, female 34.3
GTEX-WFG8-2126-SM-3GIKQ 20-29 years, male 34.3
GTEX-18D9B-0926-SM-7LG4U 60-69 years, male 31.7
GTEX-1GF9U-2026-SM-7SB92 40-49 years, female 31.7
GTEX-WXYG-2026-SM-4E3IY 50-59 years, female 31.4
GTEX-1IDJF-2026-SM-CL53V 20-29 years, male 31.0
GTEX-1LSNM-0826-SM-DIPG8 50-59 years, male 31.0
GTEX-Y5LM-0926-SM-6LLJG 40-49 years, female 29.8
GTEX-1IDJU-1726-SM-CMKHU 60-69 years, female 29.5
GTEX-1MCC2-1826-SM-DIPEX 30-39 years, female 29.3
GTEX-ZTSS-1426-SM-5985P 40-49 years, male 28.7
GTEX-1LVAN-0626-SM-CNPOQ 50-59 years, female 28.5
GTEX-1K2DA-1026-SM-CGQGF 50-59 years, male 28.1
GTEX-12BJ1-0926-SM-5EQ62 60-69 years, male 28.0
GTEX-18D9A-1426-SM-7LT8M 30-39 years, female 27.8
GTEX-1QCLZ-2426-SM-EVYBW 60-69 years, female 27.8
GTEX-1192X-2726-SM-5N9DN 50-59 years, male 27.7
GTEX-13QBU-1226-SM-5LU4G 40-49 years, female 27.7
GTEX-X8HC-0626-SM-4E3HQ 50-59 years, female 27.6
GTEX-15UF6-1926-SM-7KUDV 70-79 years, female 27.5
GTEX-1MJK3-0726-SM-E6CJC 20-29 years, male 27.4
GTEX-1211K-1526-SM-5FQU4 60-69 years, female 27.1
GTEX-1KANC-1226-SM-CYPT7 50-59 years, female 27.1
GTEX-1H23P-0626-SM-9WG6T 60-69 years, male 26.9
GTEX-11EM3-1226-SM-5N9DD 20-29 years, female 26.8
GTEX-ZLWG-0826-SM-59888 50-59 years, female 26.7
GTEX-14PJ5-1526-SM-6LLIL 60-69 years, female 26.6
GTEX-1F52S-2926-SM-7MKGA 60-69 years, female 26.6
GTEX-1QP66-1226-SM-DTX7U 50-59 years, male 25.7
GTEX-1IDJE-1426-SM-ADEIW 50-59 years, female 25.6
GTEX-1IDJC-1526-SM-B2LW4 50-59 years, male 25.4
GTEX-1QPFJ-1926-SM-EVYBD 30-39 years, female 25.2
GTEX-1F48J-0726-SM-7RHGS 50-59 years, female 25.1
GTEX-146FQ-2126-SM-5RQHU 30-39 years, male 24.9
GTEX-ZYFG-1526-SM-5GZYM 60-69 years, female 24.9
GTEX-ZLFU-1826-SM-4WWBV 40-49 years, male 24.8
GTEX-16AAH-0626-SM-793C9 50-59 years, male 24.6
GTEX-1H1E6-0426-SM-9WYUS 30-39 years, male 24.5
GTEX-1LGRB-0926-SM-COH3K 50-59 years, female 24.5
GTEX-18A66-0626-SM-7LT8Z 60-69 years, male 24.2
GTEX-XUW1-0926-SM-4BONX 50-59 years, female 24.2
GTEX-131XG-0326-SM-5L3DX 50-59 years, female 24.1
GTEX-1H1ZS-2726-SM-9WG75 70-79 years, male 24.1
GTEX-1S82P-2126-SM-E6CI5 60-69 years, female 23.7
GTEX-14PK6-0226-SM-62LF5 70-79 years, female 23.5
GTEX-1S82U-1026-SM-E6CJK 30-39 years, female 23.5
GTEX-ZGAY-1826-SM-DO91Q 40-49 years, female 23.5
GTEX-13FTW-0326-SM-5K7UW 40-49 years, male 23.4
GTEX-117YX-1926-SM-5GIEC 50-59 years, male 23.3
GTEX-1F75B-0726-SM-7PC3R 50-59 years, male 23.2
GTEX-14DAR-1226-SM-73KYV 50-59 years, male 23.1
GTEX-16BQI-1326-SM-6M486 30-39 years, female 23.0
GTEX-ZP4G-1426-SM-4WWCL 20-29 years, female 23.0
GTEX-1HKZK-0726-SM-ACKW2 40-49 years, male 23.0
GTEX-1JMQK-1226-SM-D4P2S 60-69 years, male 22.8
GTEX-18D9U-0126-SM-731BM 40-49 years, male 22.6
GTEX-139YR-1026-SM-5LZYN 50-59 years, male 22.5
GTEX-17F98-1326-SM-7DUEP 40-49 years, female 22.5
GTEX-1IDJD-2326-SM-ACKWX 30-39 years, male 22.4
GTEX-13X6H-0926-SM-5SIB2 50-59 years, female 22.3
GTEX-17F96-0126-SM-7EWDU 70-79 years, male 22.1
GTEX-1LG7Z-1626-SM-CXKYR 30-39 years, male 22.1
GTEX-1RB15-1326-SM-E76Q9 60-69 years, male 22.1
GTEX-11VI4-1126-SM-5EQMD 40-49 years, female 22.0
GTEX-11DXX-2126-SM-5PNYR 60-69 years, female 21.9
GTEX-11NSD-0626-SM-5A5LU 20-29 years, male 21.9
GTEX-1IKOE-1426-SM-CE6T7 30-39 years, female 21.8
GTEX-131XF-2626-SM-5EQ6K 60-69 years, male 21.7
GTEX-1CAMS-2226-SM-7PBXQ 40-49 years, female 21.6
GTEX-1CAMR-1326-SM-7PC1F 20-29 years, male 21.5
GTEX-14PHX-2226-SM-6EU2P 50-59 years, male 21.4
GTEX-1JJ6O-2726-SM-CNPOG 60-69 years, male 21.4
GTEX-13O61-1426-SM-5KM3D 60-69 years, male 21.2
GTEX-WY7C-2126-SM-3NB2R 50-59 years, male 21.2
GTEX-13OVJ-0826-SM-5J1OK 50-59 years, female 20.9
GTEX-WH7G-2026-SM-3NMBL 40-49 years, male 20.9
GTEX-1LVAO-2726-SM-E9TJ8 60-69 years, male 20.9
GTEX-13FTX-1526-SM-5K7VJ 20-29 years, female 20.7
GTEX-15G1A-1626-SM-7KUKN 30-39 years, male 20.6
GTEX-13N11-2326-SM-5IJBF 50-59 years, female 20.5
GTEX-YFCO-1226-SM-5LUAT 40-49 years, male 20.5
GTEX-1J1R8-2026-SM-CL53Y 40-49 years, male 20.4
GTEX-1B8KE-1126-SM-7EPHI 50-59 years, male 20.3
GTEX-11EQ9-1626-SM-5PNY8 30-39 years, male 20.2
GTEX-1AX8Z-0726-SM-73KTS 60-69 years, male 20.2
GTEX-14PHY-1226-SM-5ZZWK 60-69 years, female 20.1
GTEX-14AS3-1526-SM-5Q5ED 40-49 years, female 20.0
GTEX-XK95-0226-SM-4AT58 40-49 years, male 20.0
GTEX-1H3NZ-2726-SM-9WYTQ 60-69 years, male 20.0
GTEX-1399R-1326-SM-5PNYS 30-39 years, male 19.9
GTEX-145MN-1526-SM-5SI9T 30-39 years, male 19.9
GTEX-111CU-1126-SM-5EGIM 50-59 years, male 19.7
GTEX-13VXT-1926-SM-5K7UO 20-29 years, female 19.7
GTEX-ZVP2-0326-SM-57WBP 50-59 years, male 19.6
GTEX-1JK1U-0226-SM-ARZMX 60-69 years, male 19.6
GTEX-1I6K6-1726-SM-CGQFD 30-39 years, male 19.5
GTEX-14PJ3-1126-SM-5ZZVX 50-59 years, male 19.4
GTEX-1HC8U-1326-SM-9YFMJ 40-49 years, female 19.4
GTEX-1LGOU-1326-SM-D3L8M 20-29 years, female 19.3
GTEX-1K2DU-1226-SM-CYPT4 20-29 years, male 19.0
GTEX-1QP29-1826-SM-DTX9S 50-59 years, male 18.8
GTEX-1QP28-1126-SM-EVYC4 50-59 years, female 18.6
GTEX-1HCU9-0426-SM-9WYSD 20-29 years, male 18.5
GTEX-17F9E-2326-SM-79OKD 50-59 years, male 18.4
GTEX-WI4N-2726-SM-3LK7Y 40-49 years, female 18.4
GTEX-ZVT2-0126-SM-5GIDQ 50-59 years, female 18.4
GTEX-1F6RS-2026-SM-7RHHC 60-69 years, female 18.4
GTEX-1RMOY-1326-SM-E9TIH 50-59 years, male 18.4
GTEX-145LT-0526-SM-5LUB2 40-49 years, male 18.3
GTEX-11P7K-1126-SM-5HL4L 30-39 years, male 18.2
GTEX-132AR-0326-SM-5KM2C 50-59 years, female 18.2
GTEX-15CHC-1126-SM-6LLHQ 60-69 years, female 18.2
GTEX-15EU6-2226-SM-6EU2L 50-59 years, male 18.2
GTEX-15RIE-1926-SM-7KUKJ 60-69 years, male 18.1
GTEX-16XZZ-0726-SM-7KUF2 60-69 years, male 18.1
GTEX-18A7B-2726-SM-7LG56 70-79 years, male 18.0
GTEX-1R9PN-0426-SM-DTXDT 40-49 years, female 18.0
GTEX-1RLM8-2926-SM-E8VON 50-59 years, male 18.0
GTEX-17HHE-1326-SM-7EWDZ 50-59 years, male 17.9
GTEX-XYKS-1426-SM-4BRUO 60-69 years, female 17.9
GTEX-1H1DF-1126-SM-9WG7G 40-49 years, female 17.9
GTEX-14PJO-2526-SM-6AJBQ 60-69 years, male 17.8
GTEX-XBEW-1126-SM-4QARW 40-49 years, male 17.8
GTEX-1QP9N-1226-SM-E76QN 30-39 years, male 17.8
GTEX-13N2G-0226-SM-5K7VF 60-69 years, male 17.6
GTEX-15RIG-0726-SM-7KUM7 40-49 years, male 17.6
GTEX-133LE-2326-SM-5K7W3 20-29 years, female 17.5
GTEX-WFON-1926-SM-3LK7L 40-49 years, male 17.5
GTEX-1H2FU-0926-SM-9WPPT 60-69 years, female 17.4
GTEX-1N2DV-1526-SM-DTXEP 40-49 years, male 17.4
GTEX-1PIGE-1826-SM-E8VOU 20-29 years, male 17.4
GTEX-14E6C-2426-SM-5S2NF 40-49 years, male 17.3
GTEX-1JKYN-0826-SM-ARU8S 30-39 years, male 17.3
GTEX-ZZPU-0826-SM-5GZX5 50-59 years, female 17.0
GTEX-1GZ4H-0526-SM-9KNU9 50-59 years, female 17.0
GTEX-X4EP-0626-SM-3P621 60-69 years, female 16.9
GTEX-X585-2426-SM-46MW2 50-59 years, male 16.9
GTEX-XQ8I-0926-SM-4BOOF 50-59 years, male 16.9
GTEX-183FY-1026-SM-7939A 20-29 years, male 16.8
GTEX-14E1K-2026-SM-7DUEI 50-59 years, male 16.7
GTEX-ZPU1-1126-SM-4YCF3 40-49 years, male 16.7
GTEX-11ZTT-2126-SM-5CVLO 60-69 years, female 16.6
GTEX-14PKV-1126-SM-6LLJ1 20-29 years, female 16.6
GTEX-1AX9J-1326-SM-731BJ 60-69 years, male 16.6
GTEX-YEC3-1326-SM-DO92X 50-59 years, male 16.6
GTEX-1CB4H-1126-SM-7MKGL 60-69 years, female 16.5
GTEX-ZAJG-1526-SM-5CVML 50-59 years, female 16.5
GTEX-1497J-0226-SM-5QGPU 60-69 years, male 16.4
GTEX-15FZZ-0526-SM-7KUGD 30-39 years, female 16.4
GTEX-12C56-1526-SM-5FQUQ 20-29 years, male 16.3
GTEX-1A3MW-0626-SM-731CB 60-69 years, female 16.3
GTEX-1J8QM-2426-SM-A9SLS 60-69 years, female 16.2
GTEX-1JN1M-2726-SM-CY8I4 60-69 years, female 16.2
GTEX-U8XE-0226-SM-4E3J3 30-39 years, male 16.0
GTEX-1ICLZ-0326-SM-ARL82 60-69 years, male 16.0
GTEX-WHWD-1826-SM-3LK6I 50-59 years, male 15.9
GTEX-ZDTT-0426-SM-4WKFL 60-69 years, male 15.9
GTEX-1AMFI-1326-SM-7939R 50-59 years, female 15.7
GTEX-WHPG-2626-SM-3NMBR 50-59 years, male 15.7
GTEX-1GF9X-1326-SM-7PC2Y 40-49 years, female 15.7
GTEX-1GPI7-1826-SM-9KNU1 20-29 years, male 15.7
GTEX-VJYA-1526-SM-3GIJV 60-69 years, male 15.6
GTEX-XPVG-2126-SM-4B667 50-59 years, male 15.6
GTEX-1C475-1326-SM-7SB73 40-49 years, female 15.6
GTEX-1C2JI-1026-SM-73KY1 50-59 years, male 15.5
GTEX-1ICG6-1226-SM-A9SLN 70-79 years, female 15.5
GTEX-145ME-1726-SM-5Q5EU 40-49 years, female 15.4
GTEX-17EVQ-0126-SM-7IGLR 70-79 years, male 15.4
GTEX-X3Y1-2026-SM-3P5YM 40-49 years, male 15.4
GTEX-1GL5R-1326-SM-7RHHF 50-59 years, male 15.4
GTEX-1HCVE-2726-SM-CL54F 50-59 years, male 15.4
GTEX-1R7EU-1626-SM-DTXG3 60-69 years, male 15.4
GTEX-1KANA-1326-SM-DIPFA 20-29 years, male 15.3
GTEX-ZLV1-1526-SM-DO91J 60-69 years, female 15.3
GTEX-1117F-2926-SM-5GZYI 60-69 years, female 15.1
GTEX-13NYS-0626-SM-5L3F1 60-69 years, male 15.1
GTEX-Y8E4-2026-SM-5IFJB 40-49 years, male 15.1
GTEX-1H1DG-2426-SM-9QEHJ 70-79 years, male 15.1
GTEX-1HCUA-0826-SM-ADEHM 50-59 years, female 15.1
GTEX-YF7O-1526-SM-5IFI6 50-59 years, male 15.0
GTEX-ZVZP-1226-SM-5GID7 50-59 years, male 15.0
GTEX-1HCU7-0726-SM-A9SL1 50-59 years, male 15.0
GTEX-13PVR-0426-SM-5RQK2 60-69 years, female 14.9
GTEX-1JMOU-1026-SM-CYPSS 60-69 years, female 14.9
GTEX-1RAZA-2226-SM-E9U4X 20-29 years, male 14.9
GTEX-17MF6-2626-SM-79OKQ 40-49 years, male 14.7
GTEX-11P82-1426-SM-DTXFY 20-29 years, male 14.7
GTEX-1F75I-2226-SM-7SB8U 40-49 years, male 14.7
GTEX-1A3MX-2626-SM-7PC24 60-69 years, male 14.5
GTEX-1GMR8-0626-SM-7RHI7 50-59 years, female 14.5
GTEX-ZPIC-0526-SM-DO91W 40-49 years, female 14.5
GTEX-16MT8-2926-SM-7DUFO 60-69 years, female 14.4
GTEX-1GTWX-2026-SM-9YFLM 60-69 years, male 14.4
GTEX-WYBS-0626-SM-3NMAS 60-69 years, female 14.1
GTEX-1I6K7-1926-SM-B2LXR 40-49 years, male 14.1
GTEX-13X6I-1826-SM-5SIAO 60-69 years, male 14.0
GTEX-147F3-1726-SM-5SIAW 50-59 years, female 14.0
GTEX-14XAO-1226-SM-6EU1C 60-69 years, female 14.0
GTEX-1CB4I-0126-SM-7RHGG 50-59 years, male 14.0
GTEX-13W3W-0726-SM-5IJDQ 60-69 years, female 13.9
GTEX-13RTJ-0126-SM-5S2NN 60-69 years, male 13.8
GTEX-WYJK-0526-SM-3NM8Z 50-59 years, male 13.8
GTEX-ZA64-1026-SM-5HL8R 20-29 years, male 13.8
GTEX-ZZ64-1026-SM-5GZXG 20-29 years, male 13.7
GTEX-1CB4J-1326-SM-7P8RX 60-69 years, male 13.7
GTEX-1CAV2-0126-SM-7IGN7 40-49 years, female 13.6
GTEX-1HUB1-1426-SM-CGQF5 60-69 years, male 13.6
GTEX-1399S-0126-SM-5IJCF 30-39 years, female 13.5
GTEX-13OVG-1626-SM-5J1NF 60-69 years, male 13.5
GTEX-1IDJI-0126-SM-CMKHS 50-59 years, female 13.5
GTEX-1JMQL-2226-SM-CNPP4 50-59 years, female 13.5
GTEX-13IVO-0726-SM-5LZYV 70-79 years, male 13.4
GTEX-XBED-1926-SM-47JYP 60-69 years, male 13.4
GTEX-XXEK-1626-SM-4BRUZ 50-59 years, male 13.4
GTEX-ZAB4-2126-SM-5HL8U 40-49 years, male 13.4
GTEX-11LCK-2226-SM-5HL4Q 30-39 years, male 13.3
GTEX-13JUV-2026-SM-5K7UA 40-49 years, female 13.3
GTEX-17HGU-2326-SM-7DUFE 50-59 years, male 13.3
GTEX-18QFQ-1826-SM-72D52 30-39 years, male 13.3
GTEX-111YS-1526-SM-5GZYW 60-69 years, male 13.2
GTEX-1314G-1326-SM-5BC6E 30-39 years, male 13.1
GTEX-ZPCL-1126-SM-4WWFE 60-69 years, female 13.1
GTEX-1GF9W-1426-SM-7PBYM 60-69 years, male 13.1
GTEX-12696-0126-SM-5EQ4L 60-69 years, male 13.0
GTEX-1A32A-0626-SM-731AQ 50-59 years, female 13.0
GTEX-12WSA-0426-SM-5EQ5X 60-69 years, male 12.9
GTEX-15RJE-2826-SM-7KUM9 40-49 years, male 12.9
GTEX-17F9Y-0126-SM-79OKX 70-79 years, female 12.9
GTEX-WYVS-1626-SM-3NM9R 40-49 years, female 12.9
GTEX-14PJ4-0226-SM-5YY92 60-69 years, male 12.8
GTEX-11EI6-2826-SM-5H11D 60-69 years, male 12.7
GTEX-14PJN-1826-SM-6AJ98 30-39 years, male 12.7
GTEX-ZTTD-2826-SM-4YCFA 50-59 years, male 12.6
GTEX-ZU9S-1826-SM-5NQ9E 30-39 years, male 12.6
GTEX-1F6IF-0926-SM-7SB7M 60-69 years, male 12.6
GTEX-1HSGN-0826-SM-ACKW3 40-49 years, female 12.6
GTEX-1LKK1-2626-SM-DKPQE 50-59 years, female 12.6
GTEX-1RAZR-2126-SM-E9U6T 40-49 years, male 12.6
GTEX-12WSJ-1126-SM-5LZVJ 40-49 years, female 12.4
GTEX-1C64O-1326-SM-7MGWR 60-69 years, male 12.4
GTEX-1HSMP-0926-SM-A9SKX 70-79 years, male 12.4
GTEX-1F88E-1626-SM-7SB8Z 60-69 years, female 12.3
GTEX-13OVK-1426-SM-6PAN7 40-49 years, male 12.2
GTEX-145MO-2826-SM-5LU96 60-69 years, male 12.2
GTEX-1EH9U-2826-SM-7DUGT 60-69 years, male 12.2
GTEX-1F5PK-2226-SM-7SB6N 50-59 years, male 12.2
GTEX-1LBAC-0826-SM-CY8IJ 20-29 years, male 12.2
GTEX-1PPH8-0126-SM-EWRN8 20-29 years, male 12.2
GTEX-1HSMQ-2626-SM-A9SML 50-59 years, male 12.1
GTEX-14C39-1726-SM-5RQIL 40-49 years, male 12.0
GTEX-1122O-1026-SM-9WYSF 60-69 years, female 12.0
GTEX-1I1GT-1026-SM-ARZLV 60-69 years, female 12.0
GTEX-15CHR-1126-SM-7EWF4 50-59 years, male 11.9
GTEX-1QCLY-0226-SM-EWRNH 30-39 years, male 11.9
GTEX-12WSK-2126-SM-5CVNC 40-49 years, female 11.8
GTEX-UPJH-0226-SM-3GADV 50-59 years, male 11.8
GTEX-Y3IK-1626-SM-4YCF5 50-59 years, female 11.8
GTEX-ZF29-0926-SM-4WKFZ 60-69 years, female 11.8
GTEX-ZY6K-1426-SM-5GZX2 50-59 years, male 11.8
GTEX-1F5PL-0926-SM-7PC2W 40-49 years, female 11.8
GTEX-1399U-1126-SM-5L3DB 50-59 years, female 11.7
GTEX-1A3MV-1826-SM-731CD 30-39 years, male 11.6
GTEX-1AMEY-0826-SM-72D65 30-39 years, female 11.6
GTEX-11P81-2226-SM-5PNYI 30-39 years, female 11.5
GTEX-ZYW4-0626-SM-59HJR 60-69 years, male 11.5
GTEX-1HB9E-0126-SM-CM2S5 50-59 years, male 11.5
GTEX-139D8-1126-SM-5LU8W 30-39 years, female 11.4
GTEX-16MTA-0926-SM-6M47Z 50-59 years, male 11.4
GTEX-XV7Q-1826-SM-4BRUV 40-49 years, female 11.4
GTEX-1LVAM-0726-SM-E6CIL 50-59 years, female 11.4
GTEX-1OJC3-1226-SM-DTXER 20-29 years, male 11.4
GTEX-ZWKS-0626-SM-5GIDV 30-39 years, male 11.3
GTEX-1HSMO-0626-SM-ACKXC 60-69 years, male 11.3
GTEX-13FHO-0426-SM-5L3F5 60-69 years, male 11.2
GTEX-13YAN-0226-SM-5TDC6 60-69 years, male 11.2
GTEX-14C5O-0326-SM-5ZZUX 60-69 years, male 11.2
GTEX-UPK5-0426-SM-3GAEK 40-49 years, male 11.1
GTEX-Y3I4-1726-SM-4TT89 50-59 years, male 11.1
GTEX-1F75W-2726-SM-7SB8H 60-69 years, male 11.1
GTEX-1HBPN-0126-SM-CGQEF 50-59 years, male 11.1
GTEX-1J8Q3-0526-SM-ARL8U 60-69 years, male 11.1
GTEX-144GM-0526-SM-79OJO 20-29 years, male 11.0
GTEX-1477Z-0326-SM-7IGLA 60-69 years, male 10.9
GTEX-17HII-1426-SM-7EPGG 50-59 years, male 10.9
GTEX-XAJ8-1426-SM-47JYM 40-49 years, male 10.9
GTEX-11EQ8-0926-SM-5H12V 60-69 years, male 10.8
GTEX-11TT1-1826-SM-5EQLV 20-29 years, male 10.8
GTEX-12ZZZ-0726-SM-5GCNZ 60-69 years, male 10.8
GTEX-15EO6-2426-SM-6PALZ 50-59 years, male 10.8
GTEX-ZVE2-2826-SM-5GU51 50-59 years, male 10.8
GTEX-1R9PM-1926-SM-EVR3O 20-29 years, male 10.8
GTEX-13OW5-2326-SM-5L3HO 60-69 years, male 10.7
GTEX-1GZ2Q-0126-SM-9WG6M 40-49 years, male 10.7
GTEX-1KD5A-0126-SM-E9U54 50-59 years, male 10.7
GTEX-139T8-0626-SM-5KLZX 60-69 years, male 10.6
GTEX-WHSE-0126-SM-3NMBT 20-29 years, male 10.6
GTEX-ZDTS-0826-SM-4WKHL 60-69 years, male 10.6
GTEX-1K9T9-1526-SM-DIPFR 50-59 years, female 10.6
GTEX-1S5ZU-2526-SM-E6CIF 20-29 years, female 10.6
GTEX-14PKU-0126-SM-6LLHV 40-49 years, female 10.5
GTEX-17F97-2626-SM-7IGM5 50-59 years, male 10.5
GTEX-VUSG-2326-SM-4KL1U 50-59 years, male 10.5
GTEX-ZDYS-2426-SM-4WKGI 50-59 years, male 10.5
GTEX-1S831-1826-SM-EWROF 20-29 years, male 10.5
GTEX-144GO-2026-SM-5O99P 60-69 years, male 10.4
GTEX-ZXG5-2126-SM-59HKD 60-69 years, male 10.4
GTEX-139TU-0726-SM-5L3EK 60-69 years, male 10.3
GTEX-14E6E-0526-SM-793DN 30-39 years, male 10.2
GTEX-14ICL-1626-SM-5YYAO 30-39 years, male 10.2
GTEX-1H1DE-1326-SM-9KNUG 20-29 years, male 10.2
GTEX-14PJ6-2626-SM-6EU2T 60-69 years, female 10.1
GTEX-15CHQ-0326-SM-69LQD 60-69 years, male 10.1
GTEX-15ER7-0626-SM-6PANF 20-29 years, female 10.1
GTEX-17JCI-2926-SM-7DUFF 60-69 years, female 10.1
GTEX-XBEC-0726-SM-4QARZ 50-59 years, male 10.1
GTEX-13D11-0926-SM-5J2NC 50-59 years, female 10.0
GTEX-13NZ9-2626-SM-5L3FK 50-59 years, male 10.0
GTEX-ZTX8-1326-SM-4YCEL 20-29 years, male 10.0
GTEX-13NZ8-1226-SM-5KM4A 60-69 years, female 9.9
GTEX-15D1Q-2826-SM-6LLH7 40-49 years, male 9.9
GTEX-ZC5H-1526-SM-5HL9Y 40-49 years, female 9.9
GTEX-1GN1W-2426-SM-9KNUU 50-59 years, female 9.9
GTEX-16NGA-0726-SM-731AO 40-49 years, female 9.8
GTEX-1O9I2-0226-SM-EYYXD 50-59 years, male 9.8
GTEX-16NPX-0726-SM-7KULC 50-59 years, male 9.7
GTEX-WFG7-2026-SM-5SI7P 20-29 years, male 9.7
GTEX-X5EB-1926-SM-4E3IW 40-49 years, male 9.7
GTEX-12WSF-1626-SM-7KUG5 70-79 years, male 9.6
GTEX-14B4R-1326-SM-5Q5EZ 30-39 years, male 9.6
GTEX-1C6WA-2626-SM-7MKGM 60-69 years, male 9.6
GTEX-W5X1-2526-SM-3GILC 40-49 years, female 9.6
GTEX-ZE7O-2726-SM-51MT5 50-59 years, female 9.6
GTEX-ZYFD-0626-SM-5E44E 50-59 years, male 9.6
GTEX-1HFI7-2326-SM-CGQFS 50-59 years, female 9.6
GTEX-1CB4F-1026-SM-7DUH1 60-69 years, male 9.5
GTEX-1JMPZ-0726-SM-CY8HZ 30-39 years, male 9.5
GTEX-1EWIQ-0326-SM-7DHMQ 70-79 years, female 9.4
GTEX-Y114-2126-SM-4TT8B 50-59 years, female 9.4
GTEX-1IY9M-2826-SM-ARU8H 60-69 years, male 9.4
GTEX-1KXAM-1626-SM-D3LAD 60-69 years, male 9.4
GTEX-13PL6-1126-SM-5L3IE 40-49 years, female 9.3
GTEX-Y5V5-0126-SM-5S2NW 60-69 years, female 9.3
GTEX-YJ8O-2526-SM-5HL85 40-49 years, female 9.3
GTEX-14C38-0726-SM-5SI6M 50-59 years, male 9.2
GTEX-1IDJV-0126-SM-COH3Y 60-69 years, male 9.2
GTEX-1S3DN-2126-SM-E9TIN 50-59 years, male 9.2
GTEX-12WSD-0626-SM-5GCMW 60-69 years, female 9.0
GTEX-13PVQ-0626-SM-5LU47 50-59 years, male 9.0
GTEX-ZUA1-2626-SM-5NQ92 40-49 years, male 9.0
GTEX-1I1CD-0626-SM-CE6SW 60-69 years, female 9.0
GTEX-1I1GU-0926-SM-ACKVS 40-49 years, male 9.0
GTEX-11DXZ-2026-SM-5987S 50-59 years, male 8.9
GTEX-12584-0726-SM-5FQTK 40-49 years, male 8.9
GTEX-13PDP-0726-SM-5L3HP 60-69 years, male 8.9
GTEX-1E1VI-0326-SM-793D1 50-59 years, male 8.9
GTEX-1H3VE-0726-SM-9YFL5 40-49 years, male 8.9
GTEX-14PII-0726-SM-6EU2B 60-69 years, male 8.8
GTEX-1B97I-0626-SM-73KUZ 40-49 years, male 8.8
GTEX-ZF2S-1626-SM-57WES 50-59 years, female 8.8
GTEX-ZT9X-1526-SM-5DUXD 40-49 years, male 8.8
GTEX-1F75A-0726-SM-7RHHD 50-59 years, male 8.8
GTEX-12ZZX-2426-SM-5GCOE 40-49 years, female 8.7
GTEX-1JJE9-2626-SM-ARZMT 70-79 years, male 8.7
GTEX-1QP2A-1726-SM-E76QC 50-59 years, male 8.7
GTEX-13NYC-0126-SM-5L3F4 60-69 years, male 8.6
GTEX-14753-0726-SM-5QGQO 60-69 years, male 8.6
GTEX-1I19N-0126-SM-CYPSF 70-79 years, male 8.6
GTEX-1B933-2426-SM-7DHMD 50-59 years, female 8.5
GTEX-1PDJ9-1226-SM-EXUSX 20-29 years, male 8.5
GTEX-111FC-2526-SM-5GZXU 60-69 years, male 8.4
GTEX-13QJC-0126-SM-5ZZWJ 60-69 years, female 8.4
GTEX-1NV5F-0626-SM-DTXEG 60-69 years, female 8.4
GTEX-1269C-0126-SM-5EQ5L 60-69 years, female 8.3
GTEX-15G19-2426-SM-7KUMR 60-69 years, male 8.3
GTEX-15RJ7-2126-SM-6PAMD 40-49 years, male 8.3
GTEX-1AYD5-2626-SM-7PBXY 50-59 years, male 8.3
GTEX-1EU9M-1426-SM-793AI 60-69 years, male 8.2
GTEX-1H1CY-0126-SM-9YFLY 60-69 years, female 8.2
GTEX-1HR98-2226-SM-ADEI2 60-69 years, male 8.2
GTEX-13X6K-0626-SM-5LU5D 60-69 years, female 8.1
GTEX-ZDXO-3126-SM-5IJDF 60-69 years, male 8.1
GTEX-1I1GP-1326-SM-A9G28 50-59 years, male 8.1
GTEX-12WSH-1526-SM-5BC5W 50-59 years, male 8.0
GTEX-1B932-2326-SM-79OL5 40-49 years, female 8.0
GTEX-1PBJJ-1026-SM-E76OS 30-39 years, male 8.0
GTEX-131YS-2826-SM-5EQ47 60-69 years, female 7.9
GTEX-13OW8-1026-SM-5J1NQ 60-69 years, male 7.9
GTEX-13SLX-2226-SM-62LEP 50-59 years, female 7.9
GTEX-1HCU6-2526-SM-ADEHL 60-69 years, female 7.9
GTEX-1IE54-1126-SM-A9G2Z 40-49 years, female 7.9
GTEX-1S83E-1326-SM-E6CJM 40-49 years, male 7.9
GTEX-11O72-0626-SM-5PNYE 40-49 years, male 7.8
GTEX-12ZZY-0726-SM-5EQ66 60-69 years, male 7.8
GTEX-183WM-0326-SM-72D5V 70-79 years, female 7.8
GTEX-1JKYR-0626-SM-ARL8R 20-29 years, male 7.8
GTEX-1JMPY-0226-SM-CKZOK 30-39 years, male 7.8
GTEX-1LVA9-2626-SM-EVYD4 50-59 years, male 7.8
GTEX-13O3O-2326-SM-5IJD6 60-69 years, female 7.7
GTEX-17HG3-2626-SM-7DUF2 30-39 years, female 7.7
GTEX-17KNJ-2126-SM-718AM 50-59 years, male 7.7
GTEX-1C64N-2626-SM-7PC2N 50-59 years, male 7.7
GTEX-1J8Q2-2626-SM-ACKWQ 60-69 years, male 7.7
GTEX-145MH-2826-SM-5RQJF 50-59 years, male 7.6
GTEX-ZYFC-0426-SM-5GICQ 50-59 years, male 7.6
GTEX-1HCU8-2526-SM-CE6RX 60-69 years, female 7.6
GTEX-1JN76-0626-SM-CKZOQ 20-29 years, female 7.6
GTEX-1PPH7-1126-SM-DTX9A 40-49 years, male 7.6
GTEX-1R46S-2426-SM-E76QA 60-69 years, female 7.6
GTEX-1RAZS-2526-SM-E6CHT 50-59 years, male 7.6
GTEX-14ABY-2026-SM-62LDL 50-59 years, male 7.5
GTEX-ZAK1-0626-SM-5HL8E 50-59 years, female 7.5
GTEX-12WSM-1926-SM-5BC65 60-69 years, male 7.4
GTEX-16GPK-0626-SM-7KFSF 60-69 years, male 7.4
GTEX-1EN7A-2426-SM-793DB 40-49 years, male 7.4
GTEX-ZVTK-0226-SM-51MRG 20-29 years, male 7.4
GTEX-11WQC-1826-SM-5GU59 60-69 years, male 7.3
GTEX-14A5H-0826-SM-5QGPJ 60-69 years, male 7.3
GTEX-15SHW-0226-SM-7LTAT 60-69 years, male 7.3
GTEX-18465-2826-SM-7LT9J 50-59 years, male 7.3
GTEX-1CAMQ-1326-SM-7P8RV 40-49 years, male 7.3
GTEX-1GZHY-0626-SM-9KNVC 50-59 years, female 7.3
GTEX-1HT8W-0626-SM-A9G2H 30-39 years, male 7.3
GTEX-1KWVE-1026-SM-D3L9O 30-39 years, male 7.3
GTEX-1NSGN-0726-SM-DTXEF 50-59 years, male 7.3
GTEX-18A67-1626-SM-7LT9T 50-59 years, male 7.2
GTEX-X4EO-2926-SM-4E3JH 60-69 years, female 7.2
GTEX-1ICLY-0826-SM-CMKG1 50-59 years, male 7.2
GTEX-1RAZQ-1326-SM-E9TK6 30-39 years, male 7.2
GTEX-11OF3-0126-SM-5PNYF 60-69 years, male 7.1
GTEX-13OVH-0526-SM-5L3E6 70-79 years, male 7.1
GTEX-WHSB-1326-SM-3LK6W 50-59 years, male 7.1
GTEX-ZVT4-2426-SM-5GIEI 50-59 years, female 7.1
GTEX-1HGF4-0126-SM-CNPPX 60-69 years, male 7.1
GTEX-1E2YA-2126-SM-7MXUO 50-59 years, male 6.9
GTEX-1H11D-1826-SM-9QEHM 40-49 years, male 6.9
GTEX-1JN6P-2926-SM-CL54D 60-69 years, male 6.9
GTEX-11WQK-1026-SM-5EQLX 50-59 years, male 6.8
GTEX-13O3Q-0126-SM-5KM34 50-59 years, male 6.8
GTEX-15DYW-2726-SM-6EU2I 60-69 years, female 6.8
GTEX-16Z82-2626-SM-7KULU 60-69 years, male 6.8
GTEX-1A8G7-1326-SM-73KVM 60-69 years, male 6.8
GTEX-Y9LG-1126-SM-4VBQ7 30-39 years, male 6.8
GTEX-1F6I4-2326-SM-7RHGL 60-69 years, male 6.8
GTEX-1HBPI-2126-SM-ARL9K 50-59 years, male 6.8
GTEX-1IDJH-0126-SM-D3L92 70-79 years, male 6.8
GTEX-1N5O9-0926-SM-E9J3C 60-69 years, male 6.8
GTEX-14PJ2-0626-SM-6LLII 50-59 years, male 6.7
GTEX-15SKB-2826-SM-6PAMH 60-69 years, male 6.7
GTEX-1JMLX-0626-SM-ARL8T 50-59 years, male 6.7
GTEX-145LS-0626-SM-7EPG7 60-69 years, female 6.6
GTEX-14BMV-2826-SM-5TDED 50-59 years, male 6.6
GTEX-1GF9V-0826-SM-9KNUV 60-69 years, male 6.6
GTEX-1GMRU-2126-SM-7P8RA 50-59 years, male 6.6
GTEX-1POEN-2326-SM-E9J2L 30-39 years, female 6.6
GTEX-11UD2-2526-SM-5CVNU 50-59 years, male 6.5
GTEX-145MG-1526-SM-5Q5EM 50-59 years, male 6.5
GTEX-18A7A-0126-SM-731AH 50-59 years, female 6.5
GTEX-1AX9I-2226-SM-73KUO 60-69 years, male 6.5
GTEX-1GMR3-0126-SM-A9SLW 40-49 years, male 6.5
GTEX-1GZ4I-2626-SM-9KNU3 50-59 years, male 6.5
GTEX-1KAFJ-0126-SM-DIPEK 50-59 years, male 6.5
GTEX-1PPGY-1626-SM-EVYBL 60-69 years, male 6.5
GTEX-145LU-1926-SM-79OJN 50-59 years, male 6.4
GTEX-147JS-0226-SM-5S2U9 60-69 years, male 6.4
GTEX-16YQH-2226-SM-7IGM2 30-39 years, male 6.4
GTEX-178AV-1726-SM-7KUL8 40-49 years, male 6.4
GTEX-1QW4Y-1126-SM-DTXE3 30-39 years, male 6.4
GTEX-12WSC-2826-SM-5BC5Y 50-59 years, male 6.3
GTEX-17MFQ-1526-SM-7KFRR 20-29 years, male 6.3
GTEX-ZE9C-2526-SM-5IJDR 60-69 years, male 6.3
GTEX-14JFF-0626-SM-5ZZVT 60-69 years, male 6.3
GTEX-1GN1U-0626-SM-9MQL9 50-59 years, female 6.3
GTEX-1H4P4-2126-SM-9WYSL 50-59 years, male 6.3
GTEX-131XH-0126-SM-5LZUY 50-59 years, male 6.2
GTEX-1GN73-0726-SM-7P8TJ 60-69 years, male 6.2
GTEX-1IOXB-2726-SM-CM2RI 50-59 years, male 6.2
GTEX-1J1OQ-0126-SM-D4P2N 40-49 years, female 6.2
GTEX-1LSNL-2726-SM-E9TKJ 50-59 years, male 6.2
GTEX-1N2EE-0626-SM-E76PW 60-69 years, male 6.2
GTEX-16MT9-0126-SM-7EPI8 60-69 years, female 6.1
GTEX-WRHU-2826-SM-3MJG8 50-59 years, female 6.1
GTEX-XQ3S-1426-SM-4BOPR 20-29 years, male 6.1
GTEX-ZYY3-2926-SM-5GIEB 60-69 years, female 6.1
GTEX-1HFI6-0126-SM-CNPPI 40-49 years, male 6.1
GTEX-1R9K4-2826-SM-DTX8F 60-69 years, male 6.1
GTEX-111VG-1626-SM-5EGIO 60-69 years, male 6.0
GTEX-11ZU8-0126-SM-5EQ58 60-69 years, male 6.0
GTEX-1C6VQ-1226-SM-73KYD 50-59 years, male 6.0
GTEX-139TT-2126-SM-5LZWC 60-69 years, male 5.9
GTEX-14A6H-2026-SM-5Q5DD 30-39 years, male 5.9
GTEX-14LLW-2626-SM-62LDZ 70-79 years, female 5.9
GTEX-17EVP-2626-SM-7IGMA 40-49 years, male 5.9
GTEX-17HHY-0426-SM-7DHLC 50-59 years, male 5.9
GTEX-1B8KZ-0326-SM-73KY4 50-59 years, male 5.9
GTEX-1HSKV-1226-SM-ADEI4 60-69 years, male 5.9
GTEX-1I1GS-2626-SM-B2LY3 60-69 years, male 5.9
GTEX-1J8EW-2726-SM-CY8HR 60-69 years, female 5.9
GTEX-139TS-2126-SM-5K7XC 60-69 years, male 5.8
GTEX-14LZ3-0126-SM-69LPM 60-69 years, female 5.8
GTEX-YEC4-1826-SM-4W1YP 40-49 years, male 5.8
GTEX-1EMGI-2326-SM-7PBYA 60-69 years, male 5.8
GTEX-1I1GV-0626-SM-ARL7M 60-69 years, male 5.8
GTEX-1QAET-0326-SM-EVR3U 50-59 years, male 5.8
GTEX-1QMI2-2526-SM-E8VNZ 60-69 years, male 5.8
GTEX-1B8SF-0126-SM-7DUG3 60-69 years, male 5.7
GTEX-YECK-0326-SM-4W1YS 60-69 years, male 5.7
GTEX-1KANB-2826-SM-CY8I6 50-59 years, male 5.7
GTEX-11GSP-2326-SM-5HL63 60-69 years, female 5.6
GTEX-ZVE1-0726-SM-51MRN 50-59 years, female 5.6
GTEX-1I1HK-2326-SM-CKZOH 60-69 years, male 5.6
GTEX-1B996-0426-SM-7EWF8 60-69 years, male 5.5
GTEX-XMD2-2126-SM-4YCF8 60-69 years, female 5.5
GTEX-1GN2E-0226-SM-9WG6K 60-69 years, male 5.5
GTEX-1HBPM-0726-SM-9YFL7 60-69 years, female 5.5
GTEX-148VJ-0626-SM-5LUAW 70-79 years, male 5.4
GTEX-1BAJH-2426-SM-7IGP8 70-79 years, male 5.4
GTEX-Z93S-1626-SM-5CVMB 50-59 years, male 5.4
GTEX-1LB8K-0726-SM-D5OV2 50-59 years, male 5.4
GTEX-144FL-0626-SM-5LU43 50-59 years, male 5.3
GTEX-1IKJJ-2226-SM-CJI4C 60-69 years, male 5.3
GTEX-12126-0826-SM-5FQTZ 20-29 years, male 5.2
GTEX-1MCYP-0526-SM-E9U6Q 20-29 years, female 5.2
GTEX-13SLW-0626-SM-5Q5ER 70-79 years, male 5.1
GTEX-ZYVF-0926-SM-5E44J 50-59 years, female 5.1
GTEX-11NUK-2726-SM-5A5MC 50-59 years, male 5.0
GTEX-1212Z-0126-SM-59HK4 60-69 years, male 5.0
GTEX-13N1W-2426-SM-5IJD1 70-79 years, male 5.0
GTEX-1JMQI-1726-SM-ARL93 50-59 years, male 5.0
GTEX-11DXY-0126-SM-5H11Q 60-69 years, male 4.9
GTEX-13JVG-0726-SM-5KM16 60-69 years, male 4.9
GTEX-V1D1-2026-SM-3GAF4 50-59 years, male 4.9
GTEX-12KS4-2126-SM-5FQUT 30-39 years, male 4.8
GTEX-131XW-0626-SM-5PNVD 50-59 years, female 4.8
GTEX-13OW7-0426-SM-5K7VK 50-59 years, male 4.7
GTEX-147F4-0726-SM-5TDDD 50-59 years, male 4.7
GTEX-1CB4E-0926-SM-7EPHT 60-69 years, male 4.7
GTEX-11DXW-0826-SM-5H118 40-49 years, male 4.6
GTEX-1IL2V-1926-SM-B2LW8 70-79 years, male 4.6
GTEX-1LG7Y-2526-SM-EWRO7 50-59 years, male 4.6
GTEX-1LSVX-2526-SM-DIPEU 60-69 years, male 4.6
GTEX-13OW6-2726-SM-5J2OE 50-59 years, male 4.4
GTEX-WK11-2726-SM-3NMAQ 50-59 years, male 4.4
GTEX-13112-0126-SM-5P9IU 50-59 years, male 4.3
GTEX-13NYB-0126-SM-5J1MD 40-49 years, male 4.3
GTEX-13OVL-0126-SM-5L3GJ 50-59 years, male 4.3
GTEX-18A6Q-0626-SM-7KFRP 60-69 years, male 4.3
GTEX-13VXU-0626-SM-5L3F9 50-59 years, male 4.2
GTEX-14JG1-1526-SM-5YY9X 40-49 years, male 4.2
GTEX-1GPI6-1926-SM-9KNV7 60-69 years, male 4.2
GTEX-1QEPI-2626-SM-DTXF4 60-69 years, female 4.2
GTEX-13G51-1826-SM-5KLZH 60-69 years, male 4.1
GTEX-15DDE-2926-SM-6LLJ3 50-59 years, female 4.1
GTEX-1M4P7-0726-SM-E6CJ3 60-69 years, male 4.1
GTEX-1PIIG-2326-SM-DTXFR 30-39 years, male 4.1
GTEX-ZF3C-0626-SM-DO92O 50-59 years, female 4.1
GTEX-13FTY-2126-SM-5IFFB 40-49 years, female 4.0
GTEX-145MF-0926-SM-5Q5EA 50-59 years, male 4.0
GTEX-1J8JJ-0626-SM-ARZMQ 60-69 years, female 4.0
GTEX-1JMQJ-0826-SM-CNPP7 50-59 years, male 4.0
GTEX-1OJC4-2726-SM-E76PJ 50-59 years, female 4.0
GTEX-11DYG-1526-SM-5A5JS 60-69 years, male 3.9
GTEX-147GR-2426-SM-5ZZWQ 60-69 years, male 3.9
GTEX-1F88F-0126-SM-9WYSZ 60-69 years, female 3.9
GTEX-1313W-0626-SM-5EQ4H 50-59 years, female 3.8
GTEX-13FLV-0126-SM-5K7WT 50-59 years, male 3.8
GTEX-13U4I-2226-SM-5LU5H 40-49 years, female 3.8
GTEX-1C6VR-0126-SM-7RHGB 60-69 years, male 3.8
GTEX-145MI-0626-SM-5SI8S 60-69 years, female 3.7
GTEX-ZYT6-2326-SM-5GZY3 30-39 years, male 3.7
GTEX-1EKGG-0626-SM-7DUGJ 60-69 years, male 3.6
GTEX-XOT4-0626-SM-4B66L 60-69 years, female 3.6
GTEX-1B8L1-2226-SM-7P8PT 60-69 years, male 3.5
GTEX-13X6J-0626-SM-5LU5F 50-59 years, male 3.4
GTEX-1A8FM-0626-SM-7PC25 50-59 years, female 3.4
GTEX-1JJEA-1826-SM-ARU8P 60-69 years, male 3.3
GTEX-11GS4-0226-SM-5HL77 60-69 years, male 3.2
GTEX-144GL-0626-SM-5LU4D 50-59 years, male 3.2
GTEX-1IDFM-0326-SM-ARL7V 60-69 years, male 3.1
GTEX-139UW-0326-SM-5J1ML 60-69 years, male 3.0
GTEX-1399Q-2326-SM-5KM2X 40-49 years, male 2.6
GTEX-Y5V6-2326-SM-4VDSA 60-69 years, male 2.6
GTEX-1H3O1-1326-SM-9MQLD 60-69 years, male 2.6
GTEX-14BIN-1126-SM-5RQJZ 50-59 years, female 2.5
GTEX-1HR9M-2226-SM-CNPPY 60-69 years, male 2.5
GTEX-14DAQ-0626-SM-793DS 60-69 years, female 2.4
GTEX-1EX96-1026-SM-7MKG2 50-59 years, male 2.3
GTEX-Y111-0626-SM-4SOIT 50-59 years, male 2.3
GTEX-11TUW-0626-SM-5LU9M 60-69 years, male 2.0
GTEX-1A8G6-2726-SM-731AR 60-69 years, male 1.7
GTEX-11ZUS-2626-SM-5FQUR 30-39 years, male 1.5
GTEX-11PRG-0726-SM-5EGL1 50-59 years, male 1.1
GTEX-1GN1V-2826-SM-9JGIA 60-69 years, male 0.9
Show allShow less
Skin - Sun Exposed (Lower leg)
Average nTPM: 12.9
Samples: 701

Max nTPM: 112.7
Min nTPM: 0.5
Std nTPM: 9.0
Median nTPM: 10.8
GTEX-SE5C-1626-SM-2XCE3 40-49 years, female 112.7
GTEX-1RAZQ-0726-SM-EAZ43 30-39 years, male 71.7
GTEX-1QP67-1626-SM-EAZ3X 40-49 years, female 71.0
GTEX-146FR-1326-SM-E9J48 60-69 years, female 54.5
GTEX-R45C-0126-SM-EAZ2R 60-69 years, female 53.9
GTEX-144GN-2326-SM-5LU4F 50-59 years, male 51.6
GTEX-Y3I4-2126-SM-4TT7C 50-59 years, male 48.2
GTEX-1N2DV-0226-SM-E6CJ6 40-49 years, male 45.4
GTEX-14PN4-0126-SM-6EU2V 50-59 years, male 39.7
GTEX-ZZPT-0226-SM-5E43X 50-59 years, male 39.7
GTEX-WH7G-2326-SM-3NMBC 40-49 years, male 38.8
GTEX-11DXX-2426-SM-5GZZW 60-69 years, female 36.5
GTEX-11P82-1626-SM-59879 20-29 years, male 34.8
GTEX-1HSEH-0126-SM-ACKXN 60-69 years, male 34.0
GTEX-1AX8Z-0126-SM-7DHM6 60-69 years, male 33.4
GTEX-Q2AI-1326-SM-2S1PL 40-49 years, male 33.2
GTEX-1GN1W-0526-SM-9MQJQ 50-59 years, female 33.1
GTEX-1K2DA-1826-SM-CGQGT 50-59 years, male 31.9
GTEX-17F98-0626-SM-79OMX 40-49 years, female 30.9
GTEX-1MCYP-1926-SM-E9J2R 20-29 years, female 30.7
GTEX-ZF29-2326-SM-DO92K 60-69 years, female 30.5
GTEX-11DZ1-0126-SM-5985Q 50-59 years, male 30.4
GTEX-13OVI-1426-SM-5L3EY 60-69 years, female 30.1
GTEX-NPJ8-0126-SM-2YUNR 40-49 years, male 29.6
GTEX-1LNCM-1126-SM-E9U5E 50-59 years, female 29.6
GTEX-PWCY-1826-SM-DHXIZ 20-29 years, female 29.6
GTEX-PLZ4-0126-SM-5SI8O 50-59 years, female 29.5
GTEX-1MUQO-0126-SM-EAZ58 60-69 years, male 29.5
GTEX-1192X-0226-SM-5H12D 50-59 years, male 29.3
GTEX-ZVT2-2526-SM-51MT1 50-59 years, female 29.2
GTEX-XAJ8-0826-SM-47JY6 40-49 years, male 28.8
GTEX-1MGNQ-0126-SM-EVYCJ 40-49 years, male 28.6
GTEX-U4B1-1826-SM-4DXSU 40-49 years, male 28.4
GTEX-14ICK-0226-SM-6EU25 40-49 years, male 28.2
GTEX-1HSMP-0126-SM-E6CJS 70-79 years, male 27.9
GTEX-ZDTT-2726-SM-4WKF8 60-69 years, male 27.6
GTEX-18A67-0126-SM-7LG5P 50-59 years, male 27.3
GTEX-145LV-2126-SM-5LU8N 50-59 years, male 26.8
GTEX-XUW1-0426-SM-4BOOT 50-59 years, female 26.7
GTEX-1A3MW-0126-SM-73KXX 60-69 years, female 26.6
GTEX-RUSQ-1526-SM-2TF62 50-59 years, male 26.6
GTEX-YB5E-2026-SM-5IFIS 40-49 years, male 26.5
GTEX-WI4N-1026-SM-3LK7N 40-49 years, female 26.2
GTEX-PLZ5-2026-SM-2S1O4 50-59 years, male 26.0
GTEX-R55G-2526-SM-2TC6D 40-49 years, female 26.0
GTEX-ZXES-1826-SM-5E43S 30-39 years, female 26.0
GTEX-ZTPG-0326-SM-5O9AX 20-29 years, female 25.9
GTEX-13VXT-0126-SM-5LU4I 20-29 years, female 25.8
GTEX-1H1E6-1726-SM-ACKVK 30-39 years, male 25.6
GTEX-ZQG8-1626-SM-DHXIT 60-69 years, female 25.6
GTEX-13OVJ-0126-SM-5KM36 50-59 years, female 25.5
GTEX-P4PQ-0126-SM-2S1NM 60-69 years, male 25.4
GTEX-1PWST-0226-SM-E76QJ 70-79 years, male 25.2
GTEX-13RTK-1426-SM-5QGQJ 20-29 years, male 25.1
GTEX-1J8QM-2126-SM-CYPSJ 60-69 years, female 25.0
GTEX-1PIGE-0126-SM-EVYBJ 20-29 years, male 24.9
GTEX-13N11-2526-SM-5K7UE 50-59 years, female 24.8
GTEX-18QFQ-0126-SM-731BE 30-39 years, male 24.8
GTEX-WXYG-2326-SM-4E3I6 50-59 years, female 24.7
GTEX-1H2FU-0126-SM-9WYSI 60-69 years, female 24.6
GTEX-1H1ZS-0426-SM-9WG6G 70-79 years, male 24.5
GTEX-T8EM-1026-SM-3DB7M 40-49 years, male 24.3
GTEX-1J1R8-1726-SM-ARL8M 40-49 years, male 24.3
GTEX-WRHK-1426-SM-3MJF9 20-29 years, female 24.2
GTEX-1HUB1-0426-SM-E9U4U 60-69 years, male 24.0
GTEX-13FTX-1826-SM-5J1NX 20-29 years, female 23.9
GTEX-1AYCT-2426-SM-7IGQ3 50-59 years, male 23.9
GTEX-1AMEY-1326-SM-73KYK 30-39 years, female 23.7
GTEX-1C2JI-1826-SM-73KXC 50-59 years, male 23.5
GTEX-WY7C-2326-SM-3NB2U 50-59 years, male 23.4
GTEX-11P7K-2126-SM-5GU7G 30-39 years, male 23.3
GTEX-17EUY-0426-SM-793BD 20-29 years, male 23.3
GTEX-11VI4-1726-SM-5CVLH 40-49 years, female 23.1
GTEX-ZEX8-2426-SM-4WKG4 50-59 years, male 22.6
GTEX-Y8LW-1826-SM-5S2MV 50-59 years, female 22.5
GTEX-1I1GU-2226-SM-CGQFA 40-49 years, male 22.4
GTEX-T6MO-1626-SM-32QOM 40-49 years, female 22.1
GTEX-1HCUA-2426-SM-ADEIS 50-59 years, female 22.1
GTEX-1JMQK-0226-SM-CL543 60-69 years, male 22.0
GTEX-1LC47-0326-SM-E9TJP 60-69 years, male 21.8
GTEX-14PJ3-1826-SM-62LEX 50-59 years, male 21.5
GTEX-1I4MK-2226-SM-ACKWD 50-59 years, female 21.5
GTEX-1R46S-0626-SM-E9J41 60-69 years, female 21.5
GTEX-1F75I-0326-SM-9YFLU 40-49 years, male 21.4
GTEX-13NZ8-0826-SM-5MR3I 60-69 years, female 21.3
GTEX-1399U-2326-SM-5K7WY 50-59 years, female 21.2
GTEX-1J8Q3-1626-SM-CMKGC 60-69 years, male 21.2
GTEX-1RLM8-2326-SM-EWRN4 50-59 years, male 21.2
GTEX-Y5LM-1926-SM-5RQJH 40-49 years, female 21.1
GTEX-1F48J-0126-SM-7P8TT 50-59 years, female 21.1
GTEX-ZGAY-0526-SM-4WWBB 40-49 years, female 21.0
GTEX-1LGRB-2526-SM-CNPPQ 50-59 years, female 21.0
GTEX-14BIM-0226-SM-7IGLD 60-69 years, female 20.9
GTEX-1AYD5-2426-SM-73KXR 50-59 years, male 20.9
GTEX-1S3DN-2226-SM-EVYCD 50-59 years, male 20.9
GTEX-ZF28-0126-SM-4WKGK 60-69 years, male 20.8
GTEX-X585-0226-SM-4QAS2 50-59 years, male 20.5
GTEX-1S82Z-0826-SM-E6CHY 30-39 years, female 20.5
GTEX-18A66-0226-SM-718BD 60-69 years, male 20.4
GTEX-13NYS-0126-SM-5MR3W 60-69 years, male 20.2
GTEX-1CAMS-0426-SM-7P8T2 40-49 years, female 20.2
GTEX-17HHE-2026-SM-79OKF 50-59 years, male 20.1
GTEX-1JK1U-2026-SM-CM2RZ 60-69 years, male 20.1
GTEX-12WSN-5019-SM-79OM6 40-49 years, male 19.9
GTEX-1QCLY-0326-SM-E8VOG 30-39 years, male 19.9
GTEX-11EM3-2426-SM-59861 20-29 years, female 19.8
GTEX-ZTSS-1926-SM-57WEW 40-49 years, male 19.8
GTEX-OOBJ-0126-SM-E6CJW 60-69 years, male 19.8
GTEX-1211K-2026-SM-5EQ4Z 60-69 years, female 19.7
GTEX-14DAR-2026-SM-5S2O3 50-59 years, male 19.7
GTEX-XBEW-0626-SM-4QASP 40-49 years, male 19.5
GTEX-1H23P-0126-SM-ADEJ3 60-69 years, male 19.5
GTEX-15CHC-2126-SM-6EU21 60-69 years, female 19.4
GTEX-15EOM-0126-SM-7KUGG 20-29 years, female 19.4
GTEX-14BMU-2226-SM-5TDE9 20-29 years, female 19.2
GTEX-1GZ4H-1726-SM-7PBZJ 50-59 years, female 19.2
GTEX-13O21-1426-SM-5K7XI 50-59 years, male 19.1
GTEX-QDVN-2026-SM-3GAEP 50-59 years, male 19.1
GTEX-13O3P-0126-SM-5KM4S 50-59 years, male 19.0
GTEX-14PN3-2426-SM-6LLHS 60-69 years, female 18.9
GTEX-SUCS-1926-SM-32PM3 70-79 years, male 18.9
GTEX-1IDJU-2626-SM-CM2RT 60-69 years, female 18.9
GTEX-1IDJF-0126-SM-CM2RS 20-29 years, male 18.8
GTEX-13FH7-2026-SM-E9J4I 50-59 years, female 18.7
GTEX-TMMY-0226-SM-33HBA 40-49 years, female 18.4
GTEX-XV7Q-2526-SM-4BRV9 40-49 years, female 18.4
GTEX-1C64O-0126-SM-7SB8P 60-69 years, male 18.4
GTEX-1RAZA-0126-SM-E6CI3 20-29 years, male 18.4
GTEX-14PHX-2326-SM-62LEM 50-59 years, male 18.3
GTEX-ZAB5-1826-SM-5HL7C 50-59 years, male 18.2
GTEX-1H1DG-0126-SM-9WYU2 70-79 years, male 18.2
GTEX-1S5ZA-0126-SM-EVYCV 20-29 years, male 18.2
GTEX-15ETS-0126-SM-7KUMW 40-49 years, female 18.1
GTEX-131XG-2626-SM-5KM17 50-59 years, female 18.0
GTEX-ZVZP-2426-SM-59HKJ 50-59 years, male 18.0
GTEX-1HKZK-0326-SM-9WYUH 40-49 years, male 17.9
GTEX-1497J-2426-SM-7IGNX 60-69 years, male 17.8
GTEX-183FY-0126-SM-7LT9P 20-29 years, male 17.8
GTEX-X8HC-0126-SM-4E3JW 50-59 years, female 17.8
GTEX-1H3NZ-0126-SM-ACKX7 60-69 years, male 17.8
GTEX-1PPH8-0226-SM-E8VND 20-29 years, male 17.8
GTEX-15SDE-2226-SM-7IGLO 50-59 years, female 17.7
GTEX-1LSNM-1926-SM-E6CII 50-59 years, male 17.7
GTEX-13YAN-0326-SM-5O9DF 60-69 years, male 17.6
GTEX-13D11-2426-SM-5KM1V 50-59 years, female 17.5
GTEX-14C5O-0126-SM-5SI6N 60-69 years, male 17.5
GTEX-O5YW-0126-SM-3LK6D 50-59 years, male 17.5
GTEX-13113-5016-SM-7EPIP 60-69 years, female 17.4
GTEX-1ICLY-0126-SM-D4P36 50-59 years, male 17.4
GTEX-12WSJ-1826-SM-5GCNY 40-49 years, female 17.3
GTEX-146FQ-0126-SM-5NQA9 30-39 years, male 17.3
GTEX-PWO3-1526-SM-48TCM 60-69 years, female 17.3
GTEX-ZAB4-0226-SM-5N9F5 40-49 years, male 17.2
GTEX-11H98-0126-SM-5EGHG 50-59 years, male 17.0
GTEX-18D9U-0226-SM-718BP 40-49 years, male 17.0
GTEX-SNMC-1226-SM-2XCFP 20-29 years, male 17.0
GTEX-1OJC4-0126-SM-E9J2E 50-59 years, female 17.0
GTEX-17EVQ-0226-SM-7LG4P 70-79 years, male 16.9
GTEX-WQUQ-0426-SM-3MJFU 60-69 years, male 16.9
GTEX-1ICG6-2526-SM-CGQFZ 70-79 years, female 16.9
GTEX-1QP9N-1426-SM-DTXFL 30-39 years, male 16.9
GTEX-1QPFJ-0226-SM-E76PB 30-39 years, female 16.9
GTEX-14PHW-0126-SM-6LLJI 60-69 years, female 16.8
GTEX-NFK9-0226-SM-2HMKQ 40-49 years, male 16.8
GTEX-14XAO-2326-SM-6EU1B 60-69 years, female 16.7
GTEX-U3ZM-1526-SM-3DB9D 40-49 years, male 16.7
GTEX-X638-0126-SM-47JZ8 70-79 years, female 16.7
GTEX-1GF9X-2026-SM-7PC3A 40-49 years, female 16.7
GTEX-145LT-1726-SM-5QGP3 40-49 years, male 16.6
GTEX-14A6H-0126-SM-5QGPK 30-39 years, male 16.6
GTEX-YEC4-2126-SM-5IFJH 40-49 years, male 16.6
GTEX-1ICLZ-0126-SM-CKZPO 60-69 years, male 16.6
GTEX-1LVAN-0226-SM-COH3S 50-59 years, female 16.6
GTEX-11EMC-2926-SM-5EQ4F 60-69 years, female 16.5
GTEX-13FTW-2626-SM-5K7WL 40-49 years, male 16.5
GTEX-1LBAC-0126-SM-DIPEZ 20-29 years, male 16.5
GTEX-1NHNU-1026-SM-E9J2A 50-59 years, male 16.5
GTEX-13O1R-0126-SM-5L3EH 60-69 years, male 16.4
GTEX-ZV6S-2326-SM-4YCEY 40-49 years, female 16.4
GTEX-139D8-0226-SM-5KLZO 30-39 years, female 16.2
GTEX-16XZY-2126-SM-79OK1 70-79 years, male 16.2
GTEX-1AX9K-2326-SM-73KWU 50-59 years, male 16.2
GTEX-1K9T9-0126-SM-EVYCF 50-59 years, female 16.2
GTEX-117YX-2326-SM-5H12W 50-59 years, male 16.0
GTEX-15UF6-0826-SM-6PALJ 70-79 years, female 16.0
GTEX-OXRL-0126-SM-2YUMP 50-59 years, male 16.0
GTEX-1JKYN-1326-SM-CGQG9 30-39 years, male 16.0
GTEX-YJ8A-0426-SM-5IFID 20-29 years, male 15.8
GTEX-1GF9W-0326-SM-9KNUN 60-69 years, male 15.8
GTEX-1K2DU-2326-SM-E9TIV 20-29 years, male 15.8
GTEX-146FH-0126-SM-5QGPP 50-59 years, female 15.7
GTEX-17F96-1626-SM-7DUFL 70-79 years, male 15.7
GTEX-OOBK-0126-SM-2YUND 40-49 years, male 15.7
GTEX-T5JW-1626-SM-3GADZ 20-29 years, female 15.7
GTEX-XQ8I-0426-SM-4BOPO 50-59 years, male 15.6
GTEX-14LLW-0126-SM-6LLIO 70-79 years, female 15.5
GTEX-1CB4J-0626-SM-7DHMP 60-69 years, male 15.5
GTEX-1QP66-1726-SM-E8VO1 50-59 years, male 15.4
GTEX-1F5PK-2426-SM-7RHHY 50-59 years, male 15.3
GTEX-13IVO-0126-SM-5J1NG 70-79 years, male 15.2
GTEX-XYKS-2126-SM-4E3IB 60-69 years, female 15.2
GTEX-X4EP-0126-SM-3P5YV 60-69 years, female 15.1
GTEX-1JMPY-1326-SM-ARL8Y 30-39 years, male 15.1
GTEX-13QJ3-0326-SM-5S2RA 50-59 years, male 15.0
GTEX-XBED-2226-SM-47JYQ 60-69 years, male 15.0
GTEX-1CAMR-1926-SM-7EPI2 20-29 years, male 14.9
GTEX-12WSG-2826-SM-E9J4H 50-59 years, female 14.9
GTEX-1F52S-0126-SM-9MQJU 60-69 years, female 14.9
GTEX-13FHO-0226-SM-5IFGY 60-69 years, male 14.8
GTEX-13W46-0226-SM-5SIAG 50-59 years, male 14.8
GTEX-1GPI7-0126-SM-9MQL8 20-29 years, male 14.8
GTEX-1QW4Y-1526-SM-EAZ3Z 30-39 years, male 14.8
GTEX-SN8G-0126-SM-32PLI 50-59 years, female 14.7
GTEX-1314G-1526-SM-5EGK2 30-39 years, male 14.6
GTEX-14JG6-2226-SM-6EU2G 30-39 years, female 14.6
GTEX-16AAH-1726-SM-7939C 50-59 years, male 14.6
GTEX-ZDYS-2026-SM-5HL5L 50-59 years, male 14.6
GTEX-1JN1M-0326-SM-CYPT3 60-69 years, female 14.6
GTEX-13X6H-2126-SM-7EWD5 50-59 years, female 14.5
GTEX-13X6I-0626-SM-5QGP9 60-69 years, male 14.5
GTEX-1HBPM-0226-SM-ARL9F 60-69 years, female 14.5
GTEX-1S82Y-2026-SM-EVYCM 40-49 years, male 14.5
GTEX-PLZ6-1426-SM-DKPOT 30-39 years, male 14.5
GTEX-QDVJ-1726-SM-2I5FX 50-59 years, male 14.4
GTEX-1GMR8-0126-SM-9WYTM 50-59 years, female 14.4
GTEX-139T8-0126-SM-5K7XZ 60-69 years, male 14.3
GTEX-VUSG-2526-SM-4KL1V 50-59 years, male 14.3
GTEX-X62O-0126-SM-4E3JN 50-59 years, male 14.3
GTEX-1A3MX-0126-SM-731BR 60-69 years, male 14.2
GTEX-Q734-1926-SM-2I5EV 40-49 years, female 14.2
GTEX-RM2N-1426-SM-2TF4H 50-59 years, male 14.2
GTEX-XUYS-0126-SM-47JWZ 50-59 years, male 14.2
GTEX-1I1GS-0126-SM-B2LVW 60-69 years, male 14.2
GTEX-1R7EU-0226-SM-EVR4G 60-69 years, male 14.2
GTEX-OHPM-0126-SM-2YUN9 50-59 years, male 14.1
GTEX-RTLS-0126-SM-447CA 60-69 years, female 14.1
GTEX-WYJK-0126-SM-3NMAB 50-59 years, male 14.1
GTEX-X88G-0126-SM-47JZ3 30-39 years, male 14.1
GTEX-17GQL-2026-SM-718BA 60-69 years, male 13.9
GTEX-X4XY-0226-SM-4E3IZ 60-69 years, male 13.9
GTEX-1HGF4-2426-SM-ACKXM 60-69 years, male 13.9
GTEX-W5WG-1826-SM-4KL2Y 50-59 years, female 13.8
GTEX-WOFL-0126-SM-3MJG2 60-69 years, male 13.8
GTEX-16MT8-0426-SM-7KUEY 60-69 years, female 13.7
GTEX-17F97-0326-SM-7LG5B 50-59 years, male 13.7
GTEX-1I1HK-0126-SM-COH49 60-69 years, male 13.7
GTEX-12C56-1726-SM-5EQ61 20-29 years, male 13.6
GTEX-14PJ6-2126-SM-6EU1V 60-69 years, female 13.6
GTEX-169BO-1326-SM-9MQK2 50-59 years, male 13.6
GTEX-1HSMQ-1226-SM-CGQFX 50-59 years, male 13.6
GTEX-XXEK-2226-SM-4BRUM 50-59 years, male 13.5
GTEX-1JJ6O-0126-SM-E6CI8 60-69 years, male 13.5
GTEX-1PFEY-1526-SM-E76PP 30-39 years, male 13.5
GTEX-P4QT-0126-SM-2I3FL 50-59 years, female 13.4
GTEX-ZF2S-2326-SM-4WWCE 50-59 years, female 13.4
GTEX-ZY6K-1826-SM-5GZXK 50-59 years, male 13.4
GTEX-13NZB-2526-SM-5J1OM 30-39 years, male 13.3
GTEX-QLQW-1126-SM-2S1Q8 30-39 years, male 13.3
GTEX-UPJH-0326-SM-3GADU 50-59 years, male 13.3
GTEX-PSDG-0226-SM-DKPOZ 50-59 years, male 13.3
GTEX-1HBPN-0226-SM-9YFM1 50-59 years, male 13.2
GTEX-1MA7W-2026-SM-E9TJ6 20-29 years, female 13.2
GTEX-11XUK-2026-SM-5EQLF 40-49 years, female 13.1
GTEX-18A7B-0126-SM-7LG64 70-79 years, male 13.1
GTEX-TKQ1-1026-SM-4GICL 30-39 years, male 13.1
GTEX-Z93T-0126-SM-5HL5N 50-59 years, male 13.1
GTEX-1QP29-0626-SM-EWRMX 50-59 years, male 13.1
GTEX-RWS6-2026-SM-2XCB5 60-69 years, female 13.0
GTEX-ZAJG-0126-SM-5HL94 50-59 years, female 13.0
GTEX-1QP2A-0126-SM-E9J43 50-59 years, male 13.0
GTEX-QLQ7-1626-SM-2S1R8 60-69 years, male 12.9
GTEX-YB5K-2126-SM-4WWDJ 40-49 years, female 12.9
GTEX-ZQUD-1426-SM-57WER 30-39 years, male 12.9
GTEX-1JMOU-1526-SM-CL54I 60-69 years, female 12.9
GTEX-W5X1-3026-SM-EAZAX 40-49 years, female 12.9
GTEX-1H3VY-0126-SM-ACKXD 50-59 years, male 12.8
GTEX-11GSP-2526-SM-5N9BP 60-69 years, female 12.7
GTEX-14PK6-1926-SM-6ETZU 70-79 years, female 12.7
GTEX-ZPIC-1726-SM-DHXIU 40-49 years, female 12.7
GTEX-1122O-2126-SM-5EGIR 60-69 years, female 12.6
GTEX-11ZTT-2426-SM-5EQLS 60-69 years, female 12.6
GTEX-1I6K6-0126-SM-A9SLE 30-39 years, male 12.6
GTEX-TML8-1926-SM-32QOS 40-49 years, female 12.5
GTEX-UJHI-1526-SM-3DB99 50-59 years, female 12.5
GTEX-1128S-2326-SM-5GZZY 60-69 years, female 12.4
GTEX-1A3MV-1926-SM-718BT 30-39 years, male 12.4
GTEX-13W3W-2426-SM-5LU5B 60-69 years, female 12.3
GTEX-1R9PO-2126-SM-E9J4O 60-69 years, female 12.3
GTEX-Z9EW-1626-SM-5CVMN 40-49 years, male 12.2
GTEX-1GTWX-0126-SM-9YFLK 60-69 years, male 12.2
GTEX-13CF3-2426-SM-5IFGX 60-69 years, female 12.1
GTEX-145MN-2226-SM-5SIAU 30-39 years, male 12.1
GTEX-15G19-0126-SM-6PANQ 60-69 years, male 12.1
GTEX-OIZH-0126-SM-2HMIS 50-59 years, male 12.1
GTEX-S7PM-0126-SM-4AD6S 60-69 years, male 12.1
GTEX-1CB4H-0226-SM-7PBXM 60-69 years, female 12.1
GTEX-1GN1U-0126-SM-7PBZK 50-59 years, female 12.1
GTEX-11TTK-0126-SM-5987B 60-69 years, female 12.0
GTEX-17HGU-0226-SM-7DHKV 50-59 years, male 12.0
GTEX-18D9B-0526-SM-7LTAS 60-69 years, male 12.0
GTEX-OXRK-0226-SM-3NB2G 50-59 years, female 12.0
GTEX-Y3IK-2426-SM-4WWDU 50-59 years, female 12.0
GTEX-1H3VE-0326-SM-9YFLH 40-49 years, male 12.0
GTEX-12584-0126-SM-5EGKQ 40-49 years, male 11.9
GTEX-11OC5-0126-SM-5HL6A 60-69 years, male 11.8
GTEX-14BIL-0126-SM-5SI92 50-59 years, male 11.8
GTEX-ZYW4-0126-SM-5E44A 60-69 years, male 11.8
GTEX-131XF-5016-SM-7MGWE 60-69 years, male 11.8
GTEX-1JN76-0126-SM-CNPPE 20-29 years, female 11.8
GTEX-11TT1-2526-SM-5EGIB 20-29 years, male 11.7
GTEX-12WSK-2326-SM-5GCOH 40-49 years, female 11.7
GTEX-1AMFI-2026-SM-731BH 50-59 years, female 11.7
GTEX-S95S-1226-SM-4GICG 60-69 years, male 11.7
GTEX-TMZS-0126-SM-3DB9Q 60-69 years, male 11.7
GTEX-16XZZ-0126-SM-793DV 60-69 years, male 11.6
GTEX-12WSL-2526-SM-5GCNJ 50-59 years, male 11.5
GTEX-13OVG-1926-SM-5L3DK 60-69 years, male 11.5
GTEX-14JIY-0126-SM-6LLH6 60-69 years, male 11.5
GTEX-18D9A-1926-SM-7LG6P 30-39 years, female 11.5
GTEX-1C4CL-0526-SM-73KVK 30-39 years, male 11.5
GTEX-Q2AG-0126-SM-33HBV 40-49 years, female 11.5
GTEX-ZE7O-0126-SM-57WC1 50-59 years, female 11.5
GTEX-ZUA1-0126-SM-5GU76 40-49 years, male 11.5
GTEX-1NV5F-0226-SM-E8VNY 60-69 years, female 11.5
GTEX-1399R-2726-SM-5IJBA 30-39 years, male 11.4
GTEX-WFG8-2226-SM-3GIL9 20-29 years, male 11.4
GTEX-1I1GT-0626-SM-CGQER 60-69 years, female 11.4
GTEX-13RTJ-2426-SM-5S2Q2 60-69 years, male 11.3
GTEX-1CB4I-0226-SM-79OLH 50-59 years, male 11.3
GTEX-113IC-0126-SM-5HL6T 60-69 years, male 11.2
GTEX-QV44-1926-SM-2S1RF 50-59 years, male 11.2
GTEX-1F6I4-0126-SM-9MQL2 60-69 years, male 11.2
GTEX-1F6IF-0726-SM-7P8TW 60-69 years, male 11.2
GTEX-1GF9U-2126-SM-7SB7L 40-49 years, female 11.2
GTEX-15SHU-0126-SM-7KUEH 40-49 years, female 11.1
GTEX-XUZC-1726-SM-4BRWS 30-39 years, female 11.1
GTEX-1H3O1-0426-SM-9YFKY 60-69 years, male 11.1
GTEX-1HCU6-0126-SM-CL54K 60-69 years, female 11.1
GTEX-1IDFM-0126-SM-COH2V 60-69 years, male 11.1
GTEX-1KANA-0726-SM-D3L9I 20-29 years, male 11.1
GTEX-1KD5A-0226-SM-D5OV3 50-59 years, male 11.1
GTEX-11LCK-1026-SM-5A5KB 30-39 years, male 11.0
GTEX-11ZUS-0626-SM-59885 30-39 years, male 11.0
GTEX-15EU6-0426-SM-6PAN5 50-59 years, male 11.0
GTEX-11UD1-0126-SM-5PNYG 40-49 years, female 10.9
GTEX-14ABY-0226-SM-5TDCQ 50-59 years, male 10.9
GTEX-15UKP-0426-SM-7KUFQ 20-29 years, male 10.9
GTEX-ZVE2-0226-SM-59HJB 50-59 years, male 10.9
GTEX-1B8L1-2526-SM-9WYTF 60-69 years, male 10.9
GTEX-1GN73-0226-SM-9WG67 60-69 years, male 10.9
GTEX-144FL-0126-SM-5TDC8 50-59 years, male 10.8
GTEX-V1D1-2226-SM-3NMAX 50-59 years, male 10.8
GTEX-ZYFG-2326-SM-5E44B 60-69 years, female 10.8
GTEX-1IE54-0126-SM-CMKHW 40-49 years, female 10.8
GTEX-147F4-0226-SM-5QGPW 50-59 years, male 10.7
GTEX-15SHW-0326-SM-6PAML 60-69 years, male 10.7
GTEX-QEG4-0226-SM-2S1PY 30-39 years, male 10.7
GTEX-1L5NE-2526-SM-E6CIE 50-59 years, male 10.7
GTEX-1OFPY-2426-SM-DTXEJ 60-69 years, male 10.7
GTEX-11EQ9-2426-SM-5HL5T 30-39 years, male 10.6
GTEX-13PDP-0126-SM-5L3HD 60-69 years, male 10.6
GTEX-145MO-0326-SM-5Q5B3 60-69 years, male 10.6
GTEX-15RIG-0226-SM-7KFTL 40-49 years, male 10.6
GTEX-1N2EF-0226-SM-EYYXB 60-69 years, male 10.6
GTEX-117XS-2726-SM-5N9BL 60-69 years, male 10.5
GTEX-QDT8-0126-SM-48TZ1 30-39 years, female 10.5
GTEX-ZC5H-0226-SM-4WAY9 40-49 years, female 10.5
GTEX-113JC-2326-SM-5EQ4E 50-59 years, female 10.4
GTEX-VJWN-0126-SM-3GIK7 50-59 years, female 10.4
GTEX-Y8E4-0626-SM-4WWDL 40-49 years, male 10.4
GTEX-1LH75-2426-SM-E9TJE 50-59 years, female 10.4
GTEX-1RQEC-0426-SM-E6CHU 60-69 years, male 10.4
GTEX-16YQH-0126-SM-7DUFJ 30-39 years, male 10.3
GTEX-14PII-0226-SM-6EU1T 60-69 years, male 10.2
GTEX-1B8KE-2126-SM-73KYX 50-59 years, male 10.2
GTEX-T5JC-0426-SM-32PLO 20-29 years, male 10.2
GTEX-14753-0426-SM-5NQAM 60-69 years, male 10.1
GTEX-U3ZN-2326-SM-3DB7W 30-39 years, female 10.1
GTEX-1EKGG-0226-SM-9WYTH 60-69 years, male 10.1
GTEX-SJXC-0126-SM-2XCFF 60-69 years, male 10.0
GTEX-VJYA-1126-SM-3GIJU 60-69 years, male 10.0
GTEX-ZDTS-0126-SM-4WAY5 60-69 years, male 10.0
GTEX-1HBPH-0426-SM-B2LW5 40-49 years, female 10.0
GTEX-11NSD-2226-SM-5986V 20-29 years, male 9.9
GTEX-1H1DE-2126-SM-9WG6R 20-29 years, male 9.9
GTEX-1KANC-1526-SM-D3LAB 50-59 years, female 9.9
GTEX-11ZU8-2526-SM-5EQKI 60-69 years, male 9.8
GTEX-13OVK-2026-SM-7KUEO 40-49 years, male 9.8
GTEX-183WM-0126-SM-7LTAB 70-79 years, female 9.8
GTEX-OXRN-0126-SM-48TDM 50-59 years, male 9.8
GTEX-RN64-0126-SM-2TC68 50-59 years, male 9.8
GTEX-ZZ64-1726-SM-5GZYB 20-29 years, male 9.8
GTEX-1I19N-0326-SM-ACKVX 70-79 years, male 9.8
GTEX-1R9PM-2026-SM-E76OY 20-29 years, male 9.8
GTEX-ZU9S-0226-SM-5E441 30-39 years, male 9.7
GTEX-1GZ2Q-0226-SM-7P8TL 40-49 years, male 9.7
GTEX-1R7EV-2426-SM-EVYBG 40-49 years, male 9.7
GTEX-RNOR-0126-SM-E9J4R 50-59 years, female 9.7
GTEX-11GSO-2426-SM-5A5LY 60-69 years, male 9.6
GTEX-X261-0126-SM-3NMD6 50-59 years, male 9.6
GTEX-X5EB-2226-SM-46MW4 40-49 years, male 9.6
GTEX-1PBJI-0526-SM-E8VNK 20-29 years, female 9.6
GTEX-111VG-2426-SM-5GZXD 60-69 years, male 9.5
GTEX-139T4-0226-SM-5HL5S 50-59 years, female 9.5
GTEX-13OW5-0126-SM-DTXFS 60-69 years, male 9.5
GTEX-1EWIQ-0126-SM-7RHH2 70-79 years, female 9.5
GTEX-1F6RS-0126-SM-9MQKZ 60-69 years, female 9.5
GTEX-1HCU7-0226-SM-CL545 50-59 years, male 9.5
GTEX-O5YT-0126-SM-48TBW 20-29 years, male 9.4
GTEX-12ZZX-0126-SM-5EGK9 40-49 years, female 9.3
GTEX-18A7A-0226-SM-718BH 50-59 years, female 9.3
GTEX-SIU8-0126-SM-2XCDT 50-59 years, male 9.3
GTEX-WZTO-0126-SM-3NM95 40-49 years, male 9.3
GTEX-1S83E-0126-SM-EWRO4 40-49 years, male 9.3
GTEX-12696-2426-SM-5EQ6H 60-69 years, male 9.2
GTEX-133LE-1826-SM-5J1MV 20-29 years, female 9.2
GTEX-WVJS-0126-SM-4MVOT 50-59 years, male 9.2
GTEX-ZYFD-0126-SM-5GIDL 50-59 years, male 9.2
GTEX-1GN1V-0126-SM-9WPOS 60-69 years, male 9.2
GTEX-1HCU9-1526-SM-A9SL7 20-29 years, male 9.2
GTEX-11O72-0126-SM-59887 40-49 years, male 9.1
GTEX-139TT-0126-SM-5K7Y5 60-69 years, male 9.1
GTEX-148VJ-0126-SM-5TDDN 70-79 years, male 9.1
GTEX-1CB4G-0226-SM-7PC3O 60-69 years, male 9.1
GTEX-1HCVE-0126-SM-CGQEU 50-59 years, male 9.1
GTEX-1MCQQ-0826-SM-DLHC2 60-69 years, male 9.1
GTEX-S33H-1026-SM-EZ6L6 30-39 years, male 9.1
GTEX-11DXZ-2326-SM-5EGGV 50-59 years, male 9.0
GTEX-Y114-2426-SM-4TT8A 50-59 years, female 9.0
GTEX-1LGOU-2026-SM-DIPFF 20-29 years, female 9.0
GTEX-13OVL-0226-SM-5L3E9 50-59 years, male 8.9
GTEX-15SB6-1726-SM-6PAME 50-59 years, female 8.9
GTEX-U8XE-0326-SM-3DB8P 30-39 years, male 8.9
GTEX-1HB9E-0226-SM-E9U4R 50-59 years, male 8.9
GTEX-1HFI6-0226-SM-ADEHZ 40-49 years, male 8.9
GTEX-1HR98-0126-SM-B2LWI 60-69 years, male 8.9
GTEX-QESD-1426-SM-2S1R9 20-29 years, male 8.8
GTEX-ZXG5-0126-SM-5GIEU 60-69 years, male 8.8
GTEX-1MA7X-2226-SM-E6CIY 60-69 years, male 8.8
GTEX-1PPH7-2326-SM-EVYB8 40-49 years, male 8.8
GTEX-13PVR-2326-SM-5QGR1 60-69 years, female 8.7
GTEX-P4PP-0126-SM-3LK69 30-39 years, female 8.7
GTEX-SSA3-0126-SM-32QPU 60-69 years, male 8.7
GTEX-ZDXO-3026-SM-5J1N5 60-69 years, male 8.7
GTEX-1H11D-0226-SM-9WG6Z 40-49 years, male 8.7
GTEX-1JKYR-0126-SM-CNPOJ 20-29 years, male 8.7
GTEX-117YW-2626-SM-5GZZH 50-59 years, male 8.6
GTEX-11GS4-2726-SM-5A5LE 60-69 years, male 8.6
GTEX-11P81-2326-SM-59875 30-39 years, female 8.6
GTEX-12126-0326-SM-5PNW3 20-29 years, male 8.6
GTEX-139TU-0126-SM-5K7WH 60-69 years, male 8.6
GTEX-13OW8-1326-SM-5J1OW 60-69 years, male 8.6
GTEX-TSE9-0126-SM-3DB83 60-69 years, female 8.6
GTEX-1E2YA-0126-SM-9KNUC 50-59 years, male 8.6
GTEX-QVJO-1626-SM-2S1QW 60-69 years, female 8.5
GTEX-1EU9M-0226-SM-7P8SP 60-69 years, male 8.5
GTEX-1J8EW-0126-SM-CJI4F 60-69 years, female 8.5
GTEX-1PDJ9-0326-SM-DTX95 20-29 years, male 8.5
GTEX-131YS-0126-SM-5KM1M 60-69 years, female 8.4
GTEX-145LU-0126-SM-5TDCB 50-59 years, male 8.4
GTEX-R55E-0126-SM-2TC5Y 20-29 years, male 8.4
GTEX-WYVS-2126-SM-3NMA3 40-49 years, female 8.4
GTEX-X4EO-0326-SM-3P5YO 60-69 years, female 8.4
GTEX-1C6VQ-0126-SM-7P8RI 50-59 years, male 8.4
GTEX-1HCU8-0626-SM-A9SM9 60-69 years, female 8.4
GTEX-PW2O-1526-SM-7RHHB 20-29 years, male 8.4
GTEX-13SLW-0126-SM-5SI6C 70-79 years, male 8.3
GTEX-U3ZH-2026-SM-3DB78 30-39 years, male 8.3
GTEX-1EX96-1626-SM-7PBXR 50-59 years, male 8.3
GTEX-13N1W-0126-SM-5K7VT 70-79 years, male 8.2
GTEX-XPVG-2626-SM-4B669 50-59 years, male 8.2
GTEX-ZE9C-2726-SM-57WB5 60-69 years, male 8.2
GTEX-148VI-1626-SM-5SI6E 60-69 years, female 8.1
GTEX-P44H-0226-SM-2XCEU 40-49 years, male 8.1
GTEX-Y5V5-2326-SM-4V6GA 60-69 years, female 8.1
GTEX-1CAV2-2226-SM-7P8P2 40-49 years, female 8.1
GTEX-1JMPZ-0226-SM-CNPP1 30-39 years, male 8.1
GTEX-16GPK-0126-SM-7DHLE 60-69 years, male 8.0
GTEX-17MF6-0126-SM-7LG4F 40-49 years, male 8.0
GTEX-1GMR3-1926-SM-9KNUZ 40-49 years, male 8.0
GTEX-1KAFJ-2026-SM-CY8ID 50-59 years, male 8.0
GTEX-ZF3C-0126-SM-DO92D 50-59 years, female 8.0
GTEX-13OW7-0126-SM-5MR3B 50-59 years, male 7.9
GTEX-17MFQ-1726-SM-793C7 20-29 years, male 7.9
GTEX-1B996-0226-SM-7RHGO 60-69 years, male 7.9
GTEX-1OJC3-0126-SM-E76QX 20-29 years, male 7.9
GTEX-OIZF-0126-SM-7SB8I 60-69 years, male 7.9
GTEX-11UD2-0226-SM-5EQKY 50-59 years, male 7.8
GTEX-12ZZY-0226-SM-5LZVE 60-69 years, male 7.8
GTEX-13N2G-2626-SM-5J1OT 60-69 years, male 7.8
GTEX-1CB4E-2226-SM-793DC 60-69 years, male 7.8
GTEX-Q2AH-1626-SM-3GAF8 40-49 years, male 7.8
GTEX-1F75A-0126-SM-7RHGM 50-59 years, male 7.8
GTEX-147F3-0526-SM-5SI98 50-59 years, female 7.7
GTEX-OHPL-0126-SM-2HMJ7 60-69 years, female 7.7
GTEX-RWSA-0126-SM-2XCBB 40-49 years, male 7.7
GTEX-XMD2-0126-SM-4YCDU 60-69 years, female 7.7
GTEX-1CB4F-0426-SM-9KNV4 60-69 years, male 7.7
GTEX-1IGQW-0126-SM-COH42 60-69 years, male 7.7
GTEX-1KXAM-2226-SM-CYPTC 60-69 years, male 7.7
GTEX-11DXY-2626-SM-5GIE7 60-69 years, male 7.6
GTEX-132NY-0326-SM-5IJBL 60-69 years, male 7.6
GTEX-13RTL-0126-SM-7LG5S 40-49 years, male 7.6
GTEX-13U4I-0126-SM-5LU38 40-49 years, female 7.6
GTEX-15DYW-0126-SM-7KULE 60-69 years, female 7.6
GTEX-OXRO-0126-SM-2YUN4 60-69 years, female 7.6
GTEX-13NYC-0326-SM-E9J4S 60-69 years, male 7.6
GTEX-1J1OQ-0226-SM-CYPSH 40-49 years, female 7.6
GTEX-1LG7Z-1726-SM-D3LA4 30-39 years, male 7.6
GTEX-1A32A-0126-SM-718B1 50-59 years, female 7.5
GTEX-11TUW-2726-SM-E9J4M 60-69 years, male 7.5
GTEX-1I1CD-0126-SM-CM2TK 60-69 years, female 7.5
GTEX-1POEN-0126-SM-EYYXJ 30-39 years, female 7.5
GTEX-12KS4-0326-SM-5EQ41 30-39 years, male 7.4
GTEX-T2IS-0126-SM-4DM6O 20-29 years, female 7.4
GTEX-1A8FM-0226-SM-7SB7Q 50-59 years, female 7.4
GTEX-1HSMO-0126-SM-CL547 60-69 years, male 7.4
GTEX-13G51-2526-SM-5LZYK 60-69 years, male 7.3
GTEX-14E6C-0126-SM-5RQIP 40-49 years, male 7.3
GTEX-15F5U-1526-SM-6PANO 40-49 years, male 7.3
GTEX-17HII-0226-SM-7LG4E 50-59 years, male 7.3
GTEX-1GPI6-0126-SM-9WG69 60-69 years, male 7.3
GTEX-1B8SG-0126-SM-73KZ3 50-59 years, male 7.2
GTEX-OIZG-0726-SM-33HBL 50-59 years, male 7.2
GTEX-T2YK-0526-SM-32QPJ 50-59 years, male 7.2
GTEX-U8T8-0126-SM-3DB94 60-69 years, male 7.2
GTEX-1B933-0126-SM-7PC29 50-59 years, female 7.1
GTEX-1269C-2526-SM-5EGJ3 60-69 years, female 7.0
GTEX-POMQ-2226-SM-2I5FK 20-29 years, female 7.0
GTEX-1C6WA-0126-SM-7PC2B 60-69 years, male 7.0
GTEX-1F75B-0126-SM-9KNVL 50-59 years, male 7.0
GTEX-1GL5R-1826-SM-9KNUY 50-59 years, male 7.0
GTEX-11ZVC-2526-SM-5FQTE 50-59 years, female 6.9
GTEX-ZWKS-0126-SM-5SIAA 30-39 years, male 6.9
GTEX-1JMQI-2226-SM-CM2SD 50-59 years, male 6.9
GTEX-145MI-0526-SM-5O9A8 60-69 years, female 6.8
GTEX-14PJM-0226-SM-62LF1 50-59 years, female 6.8
GTEX-ZVT3-0126-SM-5GU6I 60-69 years, female 6.8
GTEX-13S7M-0126-SM-5SI6A 60-69 years, female 6.7
GTEX-15DDE-0126-SM-6LPKH 50-59 years, female 6.7
GTEX-15ER7-0326-SM-7KUEV 20-29 years, female 6.7
GTEX-1B8KZ-2026-SM-7DHMB 50-59 years, male 6.7
GTEX-ZYFC-0226-SM-5NQ75 50-59 years, male 6.7
GTEX-147GR-0526-SM-5S2MY 60-69 years, male 6.6
GTEX-1B97I-1626-SM-73KYO 40-49 years, male 6.6
GTEX-1HFI7-1826-SM-ACKXH 50-59 years, female 6.6
GTEX-1IY9M-0126-SM-D3L8S 60-69 years, male 6.6
GTEX-1313W-0126-SM-5LZUN 50-59 years, female 6.4
GTEX-XQ3S-1526-SM-4BOOC 20-29 years, male 6.4
GTEX-1H4P4-0726-SM-9YFLR 50-59 years, male 6.4
GTEX-1JN6P-0126-SM-D3L98 60-69 years, male 6.4
GTEX-1M5QR-1226-SM-EWROB 40-49 years, male 6.4
GTEX-15D1Q-0126-SM-7KUG6 40-49 years, male 6.3
GTEX-16BQI-0226-SM-7KUEX 30-39 years, female 6.3
GTEX-QCQG-1726-SM-3GIJ9 50-59 years, female 6.3
GTEX-RU72-0926-SM-2TF6B 50-59 years, female 6.3
GTEX-U412-0426-SM-3DB9O 60-69 years, male 6.3
GTEX-ZTX8-1426-SM-5DUVO 20-29 years, male 6.3
GTEX-1HSGN-0226-SM-CGQFV 40-49 years, female 6.3
GTEX-ZVZO-0126-SM-5A5L9 40-49 years, male 6.2
GTEX-1GZHY-0326-SM-9QEHI 50-59 years, female 6.2
GTEX-1IDJH-0326-SM-A9SLQ 70-79 years, male 6.2
GTEX-1N2DW-0226-SM-E9TK2 50-59 years, male 6.2
GTEX-1O97I-0326-SM-EYYX7 60-69 years, male 6.2
GTEX-1192W-2626-SM-5Q5AF 60-69 years, male 6.1
GTEX-11WQK-0526-SM-5EQLD 50-59 years, male 6.1
GTEX-13FTY-0526-SM-5L3EV 40-49 years, female 6.1
GTEX-13X6J-0126-SM-5QGOU 50-59 years, male 6.1
GTEX-18465-0126-SM-731BN 50-59 years, male 6.1
GTEX-PX3G-0126-SM-2I3EN 20-29 years, female 6.1
GTEX-Y111-0126-SM-4SOIV 50-59 years, male 6.1
GTEX-ZVTK-0426-SM-51MRS 20-29 years, male 6.1
GTEX-1RB15-2126-SM-E9TIM 60-69 years, male 6.1
GTEX-14LZ3-0226-SM-62LET 60-69 years, female 6.0
GTEX-Y8DK-0126-SM-4TT3L 60-69 years, male 6.0
GTEX-1I1GV-0526-SM-A9G29 60-69 years, male 6.0
GTEX-1KD4Q-0226-SM-E9TJ9 40-49 years, male 6.0
GTEX-12WSA-0226-SM-5BC5V 60-69 years, male 5.9
GTEX-13111-1626-SM-5EGJY 50-59 years, male 5.9
GTEX-14A5I-0126-SM-5TDEA 50-59 years, female 5.9
GTEX-14E7W-0126-SM-6LLJ9 70-79 years, male 5.9
GTEX-16NGA-1726-SM-731B4 40-49 years, female 5.9
GTEX-1BAJH-0526-SM-793CQ 70-79 years, male 5.9
GTEX-R3RS-0126-SM-3GIJL 40-49 years, female 5.9
GTEX-WFON-2126-SM-3LK7O 40-49 years, male 5.9
GTEX-1QEPI-0126-SM-EWRMQ 60-69 years, female 5.9
GTEX-1RDX4-0126-SM-E9J4P 50-59 years, female 5.9
GTEX-13O3Q-2426-SM-5IJBR 50-59 years, male 5.8
GTEX-15DCD-0126-SM-7KUEK 70-79 years, female 5.8
GTEX-17JCI-0126-SM-7LG5G 60-69 years, female 5.8
GTEX-17KNJ-2326-SM-7DHLQ 50-59 years, male 5.8
GTEX-13O3O-0126-SM-E9J49 60-69 years, female 5.8
GTEX-1AX9I-0126-SM-7SB74 60-69 years, male 5.8
GTEX-1F88F-2726-SM-7PBZZ 60-69 years, female 5.8
GTEX-12WSD-0126-SM-59HKN 60-69 years, female 5.7
GTEX-16NPX-0226-SM-79OMT 50-59 years, male 5.7
GTEX-17HHY-0126-SM-7LG5D 50-59 years, male 5.7
GTEX-1C6VS-0526-SM-7DUEN 60-69 years, male 5.7
GTEX-ZYY3-0126-SM-5GZY5 60-69 years, female 5.7
GTEX-1EMGI-0126-SM-9KNUE 60-69 years, male 5.7
GTEX-1JMQJ-0526-SM-CYPSU 50-59 years, male 5.7
GTEX-11NUK-0126-SM-5A5L3 50-59 years, male 5.6
GTEX-11ZTS-0126-SM-5EQ6M 60-69 years, female 5.6
GTEX-13OVH-0126-SM-5MR4B 70-79 years, male 5.6
GTEX-18A6Q-0126-SM-731BZ 60-69 years, male 5.6
GTEX-1JJE9-0326-SM-CL53Z 70-79 years, male 5.6
GTEX-13CF2-2526-SM-5LZYX 60-69 years, male 5.5
GTEX-14JG1-0426-SM-6ETZZ 40-49 years, male 5.5
GTEX-1AX9J-0226-SM-73KXM 60-69 years, male 5.5
GTEX-1E1VI-0126-SM-7DHMZ 50-59 years, male 5.5
GTEX-1F7RK-0126-SM-7PC2S 20-29 years, female 5.5
GTEX-11DXW-0226-SM-5H122 40-49 years, male 5.4
GTEX-145LS-0126-SM-5QGP1 60-69 years, female 5.4
GTEX-1C475-1826-SM-73KWA 40-49 years, female 5.4
GTEX-X4XX-0126-SM-3NMC2 60-69 years, male 5.4
GTEX-ZV68-0126-SM-59HKS 50-59 years, female 5.4
GTEX-1I1GP-2226-SM-CGQFK 50-59 years, male 5.4
GTEX-1KANB-0526-SM-E6CJH 50-59 years, male 5.4
GTEX-13112-2826-SM-5DUWH 50-59 years, male 5.3
GTEX-13JUV-2726-SM-5LZZ8 40-49 years, female 5.3
GTEX-14E6D-0126-SM-62LDV 50-59 years, male 5.3
GTEX-1GMRU-0126-SM-9YFLV 50-59 years, male 5.3
GTEX-1IKK5-0626-SM-ARL8A 60-69 years, male 5.3
GTEX-1IL2V-0126-SM-CM2TX 70-79 years, male 5.3
GTEX-1LG7Y-0526-SM-DKPQC 50-59 years, male 5.3
GTEX-ZVT4-0126-SM-DTXFN 50-59 years, female 5.3
GTEX-11WQC-2526-SM-5CVLE 60-69 years, male 5.2
GTEX-12WSE-0526-SM-793B2 20-29 years, male 5.2
GTEX-13NYB-2526-SM-5K7Z6 40-49 years, male 5.2
GTEX-ZAK1-0126-SM-5IJD3 50-59 years, female 5.2
GTEX-1IKOH-0226-SM-COH4E 60-69 years, female 5.2
GTEX-1MJK2-0426-SM-DTXE5 50-59 years, male 5.2
GTEX-1R9K4-0126-SM-DTX9X 60-69 years, male 5.2
GTEX-131XW-0426-SM-5LZWP 50-59 years, female 5.1
GTEX-17EVP-0326-SM-7DHLG 40-49 years, male 5.1
GTEX-YFC4-0126-SM-5CVLY 40-49 years, female 5.1
GTEX-1HBPI-1526-SM-C1YQ1 50-59 years, male 5.1
GTEX-14A5H-0426-SM-5QGQF 60-69 years, male 5.0
GTEX-111FC-0126-SM-5N9DL 60-69 years, male 4.9
GTEX-1CAMQ-0226-SM-7IGPK 40-49 years, male 4.9
GTEX-S32W-2126-SM-2XCB1 50-59 years, female 4.9
GTEX-ZYT6-0226-SM-5NQ6T 30-39 years, male 4.9
GTEX-1GF9V-0326-SM-7RHI5 60-69 years, male 4.9
GTEX-1GN2E-0426-SM-9MQKX 60-69 years, male 4.9
GTEX-1HT8W-0126-SM-CNPPP 30-39 years, male 4.9
GTEX-RVPV-0126-SM-EAZAW 60-69 years, male 4.9
GTEX-12WSC-0126-SM-5EQ4P 50-59 years, male 4.8
GTEX-OXRP-0126-SM-3NB32 60-69 years, female 4.8
GTEX-PVOW-0126-SM-2XCFA 40-49 years, male 4.8
GTEX-1HSKV-0226-SM-A9SKJ 60-69 years, male 4.8
GTEX-1J8Q2-0526-SM-CM2RW 60-69 years, male 4.8
GTEX-1LB8K-0226-SM-EWRNW 50-59 years, male 4.8
GTEX-131XH-2226-SM-5DUXJ 50-59 years, male 4.7
GTEX-13FHP-0126-SM-5IJBG 50-59 years, male 4.7
GTEX-13FXS-0226-SM-5IJCK 50-59 years, male 4.7
GTEX-14DAQ-0126-SM-5S2MQ 60-69 years, female 4.7
GTEX-1B8SF-1426-SM-7DUGL 60-69 years, male 4.7
GTEX-S7SE-0126-SM-2XCD5 50-59 years, male 4.6
GTEX-Z93S-0126-SM-5HL7M 50-59 years, male 4.6
GTEX-1I1GR-0126-SM-CL55F 60-69 years, male 4.6
GTEX-12ZZZ-0626-SM-5DUXI 60-69 years, male 4.5
GTEX-11OF3-2626-SM-5GU7F 60-69 years, male 4.4
GTEX-11EI6-0126-SM-5985R 60-69 years, male 4.3
GTEX-13VXU-0126-SM-5SI9F 50-59 years, male 4.3
GTEX-13OW6-0426-SM-5L3HM 50-59 years, male 4.2
GTEX-1I1GQ-0126-SM-COH3H 50-59 years, male 4.2
GTEX-11DYG-0126-SM-59883 60-69 years, male 4.1
GTEX-1F5PL-0326-SM-7P8PQ 40-49 years, female 4.1
GTEX-1EN7A-0126-SM-7SB81 40-49 years, male 4.0
GTEX-145ME-1826-SM-5SI9G 40-49 years, female 3.9
GTEX-139TS-2826-SM-5J1OO 60-69 years, male 3.8
GTEX-14BIN-0626-SM-793DP 50-59 years, female 3.8
GTEX-14BMV-0126-SM-5S2PO 50-59 years, male 3.8
GTEX-Y5V6-2426-SM-4VDSB 60-69 years, male 3.8
GTEX-1M4P7-0226-SM-DIPEV 60-69 years, male 3.8
GTEX-13SLX-0526-SM-5S2ON 50-59 years, female 3.7
GTEX-1J8JJ-0226-SM-CL53I 60-69 years, female 3.7
GTEX-1H1CY-2826-SM-9MQM3 60-69 years, female 3.5
GTEX-131XE-2326-SM-5PNZ2 50-59 years, male 3.4
GTEX-1C64N-0126-SM-793D7 50-59 years, male 3.4
GTEX-1QMI2-0226-SM-EVYBX 60-69 years, male 3.4
GTEX-144GL-0126-SM-5TDE2 50-59 years, male 3.3
GTEX-1KWVE-1426-SM-E9TJO 30-39 years, male 3.3
GTEX-1PIIG-0226-SM-EWRN6 30-39 years, male 3.3
GTEX-T6MN-0126-SM-32PLP 50-59 years, male 3.2
GTEX-1399T-2826-SM-5KLYZ 60-69 years, male 3.1
GTEX-14E6E-1826-SM-5S2R7 30-39 years, male 3.1
GTEX-13NZA-0226-SM-5K7Z7 60-69 years, male 3.0
GTEX-1IKJJ-0126-SM-CNPQB 60-69 years, male 2.8
GTEX-1JJEA-0326-SM-CNPOT 60-69 years, male 2.7
GTEX-17HG3-2226-SM-7938L 30-39 years, female 2.6
GTEX-1IL2U-0226-SM-CE6T8 60-69 years, male 2.6
GTEX-1QAET-0926-SM-E76QM 50-59 years, male 2.5
GTEX-1C6VR-2426-SM-79OLD 60-69 years, male 2.4
GTEX-145MF-0626-SM-5LUAI 50-59 years, male 2.3
GTEX-1IOXB-0126-SM-ARL8G 50-59 years, male 2.2
GTEX-YJ89-0126-SM-4TT3X 60-69 years, male 1.9
GTEX-1212Z-2526-SM-5EGKP 60-69 years, male 1.6
GTEX-139UW-2826-SM-5L3E7 60-69 years, male 1.2
GTEX-1JMLX-0226-SM-CM2RO 50-59 years, male 1.2
GTEX-1JMQL-0226-SM-CNPP5 50-59 years, female 0.5
Show allShow less

Contact

  • NEWS ARTICLES
  • PRESS ROOM

The Project

  • INTRODUCTION
  • ORGANIZATION
  • PUBLICATIONS

The Human Protein Atlas

  • DOWNLOADABLE DATA
  • LICENCE & CITATION
  • HELP & FAQ
The Human Protein Atlas project is funded
by the Knut & Alice Wallenberg Foundation.


contact@proteinatlas.org