We use cookies to enhance the usability of our website. If you continue, we'll assume that you are happy to receive all cookies. More information. Don't show this again.
KLHL9
HPA
RESOURCES
  • TISSUE
  • BRAIN
  • SINGLE CELL
  • SUBCELLULAR
  • CANCER
  • BLOOD
  • CELL LINE
  • STRUCTURE & INTERACTION
ABOUT
  • INTRODUCTION
  • HISTORY
  • ORGANIZATION
  • PUBLICATIONS
  • ANTIBODY SUBMISSION
  • ANTIBODY AVAILABILITY
  • ACKNOWLEDGMENTS
  • CONTACT
NEWS
  • NEWS ARTICLES
  • PRESS ROOM
LEARN
  • DICTIONARY
  • PROTEIN CLASSES
  • PROTEIN EVIDENCE
  • METHODS
  • EDUCATIONAL VIDEOS
DATA
  • DOWNLOADABLE DATA
  • PUBLICATION DATA
  • RELEASE HISTORY
HELP
  • ANTIBODY VALIDATION
  • ASSAYS & ANNOTATION
  • DISCLAIMER
  • HELP & FAQ
  • PRIVACY STATEMENT
  • LICENCE & CITATION
Fields »
Search result

Field
Term
Gene name
Class
Subclass
Class
Keyword
Chromosome
External id
Tissue
Cell type
Expression
Antibody panel
Tissue
Main location
Patient ID
Annotation
Tissue
Category
Tau score
Cluster
Reliability
Brain region
Category
Tau score
Brain region
Category
Tau score
Brain region
Category
Tau score
Cluster
Reliability
Tissue
Cell type
Enrichment
Cell type
Category
Tau score
Cell type
Category
Tau score
Cell type
Category
Tau score
Cell lineage
Category
Tau score
Cluster
Cluster
Location
Searches
Location
Cell line
Class
Type
Phase
Reliability
Cancer
Prognosis
Cancer
Category
Cancer
Category
Tau score
Cluster
Variants
Interacting gene (ensg_id)
Type
Number of interactions
Pathway
Category
Score
Score
Score
Validation
Validation
Validation
Validation
Antibodies
Data type
Column


  • SUMMARY

  • TISSUE

  • BRAIN

  • SINGLE CELL

  • SUBCELL

  • CANCER

  • BLOOD

  • CELL LINE

  • STRUCT & INT

  • KLHL9
TISSUE PRIMARY DATA TESTIS Show tissue menu
ADIPOSE TISSUE ADRENAL GLAND AMYGDALA APPENDIX BASAL GANGLIA BONE MARROW BREAST BRONCHUS CEREBELLUM CEREBRAL CORTEX CERVIX CHOROID PLEXUS COLON DUODENUM
ENDOMETRIUM EPIDIDYMIS ESOPHAGUS FALLOPIAN TUBE GALLBLADDER HEART MUSCLE HIPPOCAMPAL FORMATION HYPOTHALAMUS KIDNEY LIVER LUNG LYMPH NODE MIDBRAIN NASOPHARYNX
ORAL MUCOSA OVARY PANCREAS PARATHYROID GLAND PITUITARY GLAND PLACENTA PROSTATE RECTUM RETINA SALIVARY GLAND SEMINAL VESICLE SKELETAL MUSCLE SKIN SMALL INTESTINE
SMOOTH MUSCLE SOFT TISSUE SPINAL CORD SPLEEN STOMACH TESTIS THYMUS THYROID GLAND TONGUE TONSIL URINARY BLADDER VAGINA
ANTIBODIES
AND
VALIDATION
Dictionary
Testis
Tissue proteome
Testis
TESTIS - Expression summary
Protein expression
Testisi

On the top, protein expression in current human tissue, based on all annotated cell types, is reported with the units not detected (n), low (l), medium (m) and high (h). Underneath, protein expression in each annotated cell type are reported using the same units.

Protein expression data is based on knowledge-based annotation. For genes where more than one antibody has been used, a collective score is set.

If knowledge-based annotation could not be performed for a gene, no data is displayed here. View antibody staining data further down this page.

h
m
l
n
Cells in seminiferous ducts: Not detected
Leydig cells: Medium
RNA expressioni

A summary of mRNA expression data available for current tissue based on several datasets. The mRNA expression levels in human tissues are based on RNA-seq data generated by the Human Protein Atlas (HPA), Genotype-Tissue Expression (GTEx) portal and CAGE data generated by the FANTOM5 consortium. Consensus normalized expression levels for human tissues was created by combining the data from HPA and GTEx datasets.

The mRNA expression levels in pig are based on RNA-seq data generated by the Human Protein Atlas (HPA), and for mouse, HPA data and in situ hybridization generated by the Allen brain atlas are reported.

Scroll down to view mRNA expression data in more detail.
Consensus:6.9 nTPM
HPA:6.9 nTPM
GTEx:3.8 nTPM
FANTOM5:21.5 Scaled Tags Per Million

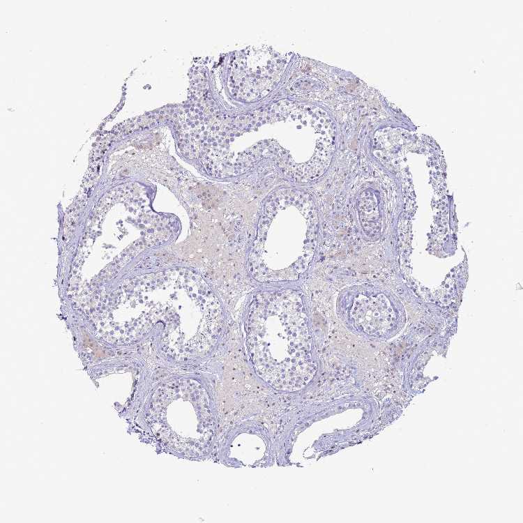
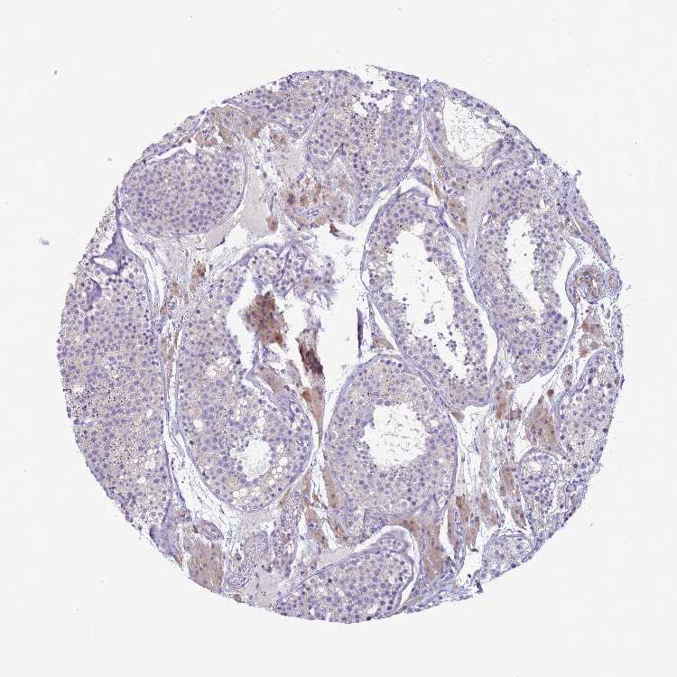
TESTIS - Antibody stainingi

Antibody staining in the annotated cell types in the current human tissue is reported as not detected, low, medium, or high, based on conventional immunohistochemistry profiling in selected tissues. This score is based on the combination of the staining intensity and fraction of stained cells.

Each image is clickable and will lead to virtual microscopy that enables deeper exploration of all samples and also displays staining intensity scores, fraction scores and subcellular localization as well as patient and tissue information for each sample.

Antibody HPA046039
Leydig cells Medium
Cells in seminiferous ducts Not detected



TESTIS - HPA RNA-seqi

The RNA-seq details section shows detailed information about the individual samples used for the transcript profiling and results of the RNA-seq analysis.

Information about each individual sample is listed below, including gender, age, a tissue section image and estimated fractions of cell types. nTPM (normalized transcripts per million) values give a quantification of the gene abundance which is comparable between different genes and samples.
Average nTPMi

Max subtype nTPM is the value for the subtype with the largest average nTPM across the subtype samples.

6.9
overview
Male, age 56
Testis sample 244
nTPM: 7.5
Cell types%
Cells in seminiferous ducts:
65

Other cell types:
35

overview
Male, age 34
Testis sample 278
nTPM: 6
Cell types%
Cells in seminiferous ducts:
75

Other cell types:
25

overview
Male, age 62
Testis sample 279
nTPM: 5.4
Cell types%
Cells in seminiferous ducts:
70

Other cell types:
30

overview
Male, age 34
Testis sample 280
nTPM: 8.3
Cell types%
Cells in seminiferous ducts:
60

Other cell types:
40

overview
Male, age 26
Testis sample 281
nTPM: 5.4
Cell types%
Cells in seminiferous ducts:
55

Other cell types:
45

overview
Male, age 50
Testis sample 282
nTPM: 5.1
Cell types%
Cells in seminiferous ducts:
85

Other cell types:
15

overview
Male, age 37
Testis sample 283
nTPM: 5.9
Cell types%
Cells in seminiferous ducts:
35

Other cell types:
65

overview
Male, age 51
Testis sample 349
nTPM: 10.3
Cell types%
Cells in seminiferous ducts:
65

Other cell types:
35

overview
Male, age 34
Testis sample 354
nTPM: 7.2
Cell types%
Cells in seminiferous ducts:
70

Other cell types:
30

overview
Male, age 26
Testis sample 371
nTPM: 8
Cell types%
Cells in seminiferous ducts:
75

Other cell types:
25


TESTIS - GTEx RNA-seqi

RNA-Seq data generated by the Genotype-Tissue Expression (GTEx) project from human tissues is reported as mean nTPM. More information can be found on the GTEx portal.

Distribution across the dataset is visualized with box plots, shown as median and 25th and 75th percentiles. Points are displayed as outliers if they are above or below 1.5 times the interquartile range. nTPM values of the individual samples are presented next to the box plot.
Max subtype nTPMi

Max subtype nTPM is the value for the subtype with the largest average nTPM across the subtype samples.

3.8
GTEx sample id Sample description nTPM
Testis
Average nTPM: 3.8
Samples: 361

Max nTPM: 7.9
Min nTPM: 2.0
Std nTPM: 0.9
Median nTPM: 3.6
GTEX-1JKYN-1026-SM-CGQG4 30-39 years, male 7.9
GTEX-1EH9U-2626-SM-7IGQN 60-69 years, male 7.1
GTEX-1H1DG-2726-SM-9JGI1 70-79 years, male 7.1
GTEX-1B8KZ-1826-SM-73KVJ 50-59 years, male 6.8
GTEX-1AX8Z-2826-SM-73KTZ 60-69 years, male 6.6
GTEX-1GL5R-0826-SM-9KNTS 50-59 years, male 6.4
GTEX-WY7C-2226-SM-4ONCS 50-59 years, male 6.3
GTEX-1JKYR-1626-SM-AHZ3L 20-29 years, male 6.3
GTEX-1C6VS-1126-SM-7EWEW 60-69 years, male 6.2
GTEX-1QAET-1926-SM-DPRZG 50-59 years, male 6.2
GTEX-14A6H-2326-SM-5Q5B5 30-39 years, male 6.0
GTEX-11DXY-0226-SM-5H123 60-69 years, male 5.9
GTEX-13QJ3-0226-SM-5S2PU 50-59 years, male 5.9
GTEX-12BJ1-1326-SM-5BC5P 60-69 years, male 5.8
GTEX-13OW8-0526-SM-5KM24 60-69 years, male 5.8
GTEX-15SKB-0326-SM-6M477 60-69 years, male 5.8
GTEX-XK95-2726-SM-4V6G6 40-49 years, male 5.8
GTEX-1K2DA-1326-SM-CGQGP 50-59 years, male 5.7
GTEX-S4Z8-2126-SM-4AD5H 60-69 years, male 5.6
GTEX-117YX-2026-SM-5GIEF 50-59 years, male 5.5
GTEX-1KXAM-1826-SM-D3LAF 60-69 years, male 5.5
GTEX-11TT1-2226-SM-5GU6B 20-29 years, male 5.4
GTEX-1AX9K-1826-SM-731CY 50-59 years, male 5.4
GTEX-1399Q-2826-SM-5IJEZ 40-49 years, male 5.3
GTEX-13OVK-2226-SM-6LPJY 40-49 years, male 5.3
GTEX-1H1E6-0626-SM-9OSWF 30-39 years, male 5.3
GTEX-11P7K-1026-SM-5HL6Y 30-39 years, male 5.2
GTEX-1GMR2-0726-SM-7MXVK 50-59 years, male 5.2
GTEX-1NHNU-1526-SM-E6CP2 50-59 years, male 5.2
GTEX-147GR-0626-SM-5S2PK 60-69 years, male 5.1
GTEX-U3ZH-1526-SM-4DXV1 30-39 years, male 5.1
GTEX-ZLFU-2026-SM-4WWG2 40-49 years, male 5.1
GTEX-1J8Q3-0726-SM-AHZ3W 60-69 years, male 5.1
GTEX-1KD5A-1826-SM-DHXJI 50-59 years, male 5.1
GTEX-18A67-1826-SM-7KFT7 50-59 years, male 5.0
GTEX-1CAMR-1526-SM-79OLP 20-29 years, male 5.0
GTEX-O5YT-2126-SM-3MJGD 20-29 years, male 5.0
GTEX-S33H-0126-SM-4AD62 30-39 years, male 5.0
GTEX-WHSB-2126-SM-4M1XF 50-59 years, male 5.0
GTEX-1H11D-1626-SM-9JGHM 40-49 years, male 5.0
GTEX-1HSKV-1826-SM-CNPPM 60-69 years, male 5.0
GTEX-1HSMQ-1726-SM-B2LXZ 50-59 years, male 5.0
GTEX-1QP29-0426-SM-EVR3Y 50-59 years, male 5.0
GTEX-12WSM-1326-SM-5GCP9 60-69 years, male 4.9
GTEX-Y3I4-2026-SM-4TT6Z 50-59 years, male 4.9
GTEX-1HBPN-2226-SM-9WPNR 50-59 years, male 4.9
GTEX-1RAZR-2226-SM-E6CRG 40-49 years, male 4.9
GTEX-1S831-2026-SM-EXOJP 20-29 years, male 4.9
GTEX-1399R-1626-SM-5P9GG 30-39 years, male 4.8
GTEX-15RIF-1826-SM-6M469 20-29 years, male 4.7
GTEX-15RJ7-1826-SM-7KUMJ 40-49 years, male 4.7
GTEX-1AYCT-1026-SM-79ONR 50-59 years, male 4.7
GTEX-Y9LG-1726-SM-4VBQE 30-39 years, male 4.7
GTEX-YJ89-0626-SM-4TT3Z 60-69 years, male 4.7
GTEX-ZAB4-0126-SM-5CVMG 40-49 years, male 4.7
GTEX-1QP2A-1626-SM-E6CPO 50-59 years, male 4.7
GTEX-145LT-0426-SM-5LUAP 40-49 years, male 4.6
GTEX-QV44-1726-SM-4R1KG 50-59 years, male 4.6
GTEX-1JMQK-2726-SM-CNNPI 60-69 years, male 4.6
GTEX-13N2G-0126-SM-5N9DV 60-69 years, male 4.5
GTEX-14E6E-1026-SM-664N9 30-39 years, male 4.5
GTEX-16MTA-1126-SM-6LPJA 50-59 years, male 4.5
GTEX-17HGU-0726-SM-7DUFN 50-59 years, male 4.5
GTEX-OIZH-2126-SM-3NB1P 50-59 years, male 4.5
GTEX-OIZI-0126-SM-3NB13 40-49 years, male 4.5
GTEX-RN64-2326-SM-48FDW 50-59 years, male 4.5
GTEX-YB5E-1926-SM-5IFIG 40-49 years, male 4.5
GTEX-ZUA1-2726-SM-59HLJ 40-49 years, male 4.5
GTEX-1IL2U-0126-SM-CNPQ5 60-69 years, male 4.5
GTEX-1LBAC-1826-SM-D3L9X 20-29 years, male 4.5
GTEX-183FY-1926-SM-7KFRI 20-29 years, male 4.4
GTEX-XGQ4-2026-SM-4AT6G 50-59 years, male 4.4
GTEX-Y8E4-2226-SM-5LU94 40-49 years, male 4.4
GTEX-ZDTT-2026-SM-5K7TY 60-69 years, male 4.4
GTEX-ZTX8-1126-SM-51MRM 20-29 years, male 4.4
GTEX-ZV7C-2026-SM-5NQ8F 50-59 years, male 4.4
GTEX-1GMR3-1726-SM-9JGGQ 40-49 years, male 4.4
GTEX-1HSMO-2426-SM-A9G24 60-69 years, male 4.4
GTEX-11P82-1526-SM-5BC5M 20-29 years, male 4.3
GTEX-12WSH-0326-SM-5GCNH 50-59 years, male 4.3
GTEX-13OW6-0126-SM-5IJGM 50-59 years, male 4.3
GTEX-144GN-1626-SM-5Q5BU 50-59 years, male 4.3
GTEX-145MF-1726-SM-5LU9H 50-59 years, male 4.3
GTEX-14PJ3-1626-SM-664O5 50-59 years, male 4.3
GTEX-U4B1-1526-SM-4DXSL 40-49 years, male 4.3
GTEX-WFON-2026-SM-4LVMW 40-49 years, male 4.3
GTEX-1H1ZS-2826-SM-9OSXS 70-79 years, male 4.3
GTEX-1IY9M-2526-SM-C1YQF 60-69 years, male 4.3
GTEX-1JK1U-0726-SM-C1YPZ 60-69 years, male 4.3
GTEX-1KANA-1626-SM-CXZL2 20-29 years, male 4.3
GTEX-11EQ9-1926-SM-5PNVV 30-39 years, male 4.2
GTEX-1339X-1926-SM-5PNVP 40-49 years, male 4.2
GTEX-13FTW-1326-SM-5LZZD 40-49 years, male 4.2
GTEX-147F4-0626-SM-5LUAK 50-59 years, male 4.2
GTEX-14PJN-1626-SM-68727 30-39 years, male 4.2
GTEX-15RIE-0626-SM-6M47G 60-69 years, male 4.2
GTEX-18D9B-2726-SM-72D73 60-69 years, male 4.2
GTEX-X261-2326-SM-4PQYU 50-59 years, male 4.2
GTEX-XMK1-2026-SM-4B65K 40-49 years, male 4.2
GTEX-YF7O-2026-SM-4W1YE 50-59 years, male 4.2
GTEX-1GN1V-1826-SM-9JGGD 60-69 years, male 4.2
GTEX-1IDJF-2226-SM-AHZ2T 20-29 years, male 4.2
GTEX-1JJ6O-0526-SM-AHZ3G 60-69 years, male 4.2
GTEX-11EQ8-1426-SM-5EGJR 60-69 years, male 4.1
GTEX-11WQK-2826-SM-5EQKH 50-59 years, male 4.1
GTEX-14B4R-1026-SM-5TDDS 30-39 years, male 4.1
GTEX-14DAR-1126-SM-793AT 50-59 years, male 4.1
GTEX-14E1K-1926-SM-73KWS 50-59 years, male 4.1
GTEX-14E7W-0726-SM-664OK 70-79 years, male 4.1
GTEX-14PHX-1426-SM-69LPP 50-59 years, male 4.1
GTEX-17F9E-1626-SM-7EWDB 50-59 years, male 4.1
GTEX-18A66-0726-SM-72D77 60-69 years, male 4.1
GTEX-1AX9I-1826-SM-72D5I 60-69 years, male 4.1
GTEX-1E2YA-2826-SM-7EPIN 50-59 years, male 4.1
GTEX-R55D-0126-SM-48FEL 50-59 years, male 4.1
GTEX-1I1GS-1826-SM-C1YS8 60-69 years, male 4.1
GTEX-1LSNL-2426-SM-DHXKO 50-59 years, male 4.1
GTEX-1LSVX-2126-SM-EV7A9 60-69 years, male 4.1
GTEX-1M5QR-2626-SM-EV7AV 40-49 years, male 4.1
GTEX-1QP9N-1326-SM-DPRZN 30-39 years, male 4.1
GTEX-11ONC-2226-SM-5HL6D 60-69 years, male 4.0
GTEX-1399T-1526-SM-5P9J6 60-69 years, male 4.0
GTEX-13NYB-2226-SM-5MR58 40-49 years, male 4.0
GTEX-13O21-1226-SM-5J2MK 50-59 years, male 4.0
GTEX-1CB4I-0926-SM-7MKFY 50-59 years, male 4.0
GTEX-PLZ6-1226-SM-3P5ZS 30-39 years, male 4.0
GTEX-RM2N-1326-SM-48FCW 50-59 years, male 4.0
GTEX-VJYA-1426-SM-4KL1Y 60-69 years, male 4.0
GTEX-XPVG-2226-SM-4B65U 50-59 years, male 4.0
GTEX-YFCO-1726-SM-4W21S 40-49 years, male 4.0
GTEX-1B8L1-2326-SM-9JGGA 60-69 years, male 4.0
GTEX-1RAZQ-1126-SM-EAZ4S 30-39 years, male 4.0
GTEX-139T6-1226-SM-5IFFC 50-59 years, male 3.9
GTEX-16AAH-1626-SM-7EWE2 50-59 years, male 3.9
GTEX-17MFQ-0826-SM-793C8 20-29 years, male 3.9
GTEX-18QFQ-1926-SM-72D5H 30-39 years, male 3.9
GTEX-1BAJH-0726-SM-7IGMF 70-79 years, male 3.9
GTEX-1E1VI-1026-SM-7MKGQ 50-59 years, male 3.9
GTEX-OHPM-2126-SM-3LK75 50-59 years, male 3.9
GTEX-P4QS-2126-SM-3NMCF 60-69 years, male 3.9
GTEX-Q2AI-1226-SM-48U14 40-49 years, male 3.9
GTEX-SNMC-1026-SM-4DM7K 20-29 years, male 3.9
GTEX-WFG8-1926-SM-4LVM1 20-29 years, male 3.9
GTEX-1CB4F-2126-SM-7MXUL 60-69 years, male 3.9
GTEX-1EMGI-0626-SM-7MXUS 60-69 years, male 3.9
GTEX-1GZ4I-2726-SM-9JGG9 50-59 years, male 3.9
GTEX-1HB9E-1926-SM-D4P34 50-59 years, male 3.9
GTEX-1K2DU-2226-SM-CXZJY 20-29 years, male 3.9
GTEX-1PPH8-1226-SM-DPRXO 20-29 years, male 3.9
GTEX-111CU-1726-SM-5EGHM 50-59 years, male 3.8
GTEX-13OVH-0726-SM-5N9BU 70-79 years, male 3.8
GTEX-18A7B-1526-SM-7KFTH 70-79 years, male 3.8
GTEX-1A3MV-0726-SM-72D5M 30-39 years, male 3.8
GTEX-1C64O-2126-SM-7IGPB 60-69 years, male 3.8
GTEX-PLZ5-1526-SM-3P5ZX 50-59 years, male 3.8
GTEX-S3XE-1526-SM-4AD5A 50-59 years, male 3.8
GTEX-V955-1926-SM-4KL1L 60-69 years, male 3.8
GTEX-XPT6-1626-SM-4B655 20-29 years, male 3.8
GTEX-ZAB5-2426-SM-5CVMW 50-59 years, male 3.8
GTEX-1GTWX-2226-SM-9JGHD 60-69 years, male 3.8
GTEX-1I1GU-0726-SM-ARU7H 40-49 years, male 3.8
GTEX-1RQED-1626-SM-EAZ55 60-69 years, male 3.8
GTEX-OIZF-2126-SM-7P8R2 60-69 years, male 3.8
GTEX-111FC-1926-SM-5GZYC 60-69 years, male 3.7
GTEX-13NZB-2026-SM-5MR4M 30-39 years, male 3.7
GTEX-13O61-2026-SM-5J2M6 60-69 years, male 3.7
GTEX-145MH-2326-SM-5O9AW 50-59 years, male 3.7
GTEX-16XZZ-0626-SM-6M47T 60-69 years, male 3.7
GTEX-QMRM-1526-SM-4R1K6 50-59 years, male 3.7
GTEX-R55C-1426-SM-48FED 40-49 years, male 3.7
GTEX-RUSQ-2126-SM-47JXK 50-59 years, male 3.7
GTEX-S4Q7-1226-SM-4AD5I 20-29 years, male 3.7
GTEX-T5JC-0726-SM-4DM55 20-29 years, male 3.7
GTEX-U3ZM-1626-SM-4DXSK 40-49 years, male 3.7
GTEX-ZPU1-2126-SM-57WED 40-49 years, male 3.7
GTEX-ZT9X-1426-SM-5DUX1 40-49 years, male 3.7
GTEX-ZVZP-2226-SM-57WBF 50-59 years, male 3.7
GTEX-ZYT6-2726-SM-5GICP 30-39 years, male 3.7
GTEX-1I6K7-2426-SM-AHZ2I 40-49 years, male 3.7
GTEX-1QP6S-0826-SM-E6CPP 40-49 years, male 3.7
GTEX-111YS-2026-SM-5EGGL 60-69 years, male 3.6
GTEX-11EI6-2226-SM-5EGJM 60-69 years, male 3.6
GTEX-11NSD-1026-SM-5N9BE 20-29 years, male 3.6
GTEX-11OF3-1826-SM-5987N 60-69 years, male 3.6
GTEX-131XE-0426-SM-5IJF4 50-59 years, male 3.6
GTEX-139TT-2226-SM-5LZWO 60-69 years, male 3.6
GTEX-145MO-0126-SM-5S2QU 60-69 years, male 3.6
GTEX-14A5H-0626-SM-5TDCO 60-69 years, male 3.6
GTEX-14C5O-2326-SM-73KYU 60-69 years, male 3.6
GTEX-14PJ2-2026-SM-6AJAQ 50-59 years, male 3.6
GTEX-14PJ4-1726-SM-664OC 60-69 years, male 3.6
GTEX-1CB4G-2426-SM-7DUGM 60-69 years, male 3.6
GTEX-OOBJ-2126-SM-3NB1N 60-69 years, male 3.6
GTEX-QLQ7-1426-SM-4R1JX 60-69 years, male 3.6
GTEX-QLQW-1026-SM-447A9 30-39 years, male 3.6
GTEX-SNOS-1126-SM-4DM67 40-49 years, male 3.6
GTEX-T8EM-0126-SM-4DM5R 40-49 years, male 3.6
GTEX-V1D1-2126-SM-4JBH4 50-59 years, male 3.6
GTEX-ZA64-1626-SM-5CVME 20-29 years, male 3.6
GTEX-ZT9W-2226-SM-57WFU 50-59 years, male 3.6
GTEX-ZTSS-1526-SM-51MTC 40-49 years, male 3.6
GTEX-1GN73-1726-SM-9JGFR 60-69 years, male 3.6
GTEX-1HCVE-2826-SM-9WPPI 50-59 years, male 3.6
GTEX-1L5NE-1626-SM-DHXKW 50-59 years, male 3.6
GTEX-1LG7Y-2326-SM-EVR56 50-59 years, male 3.6
GTEX-1PDJ9-1426-SM-DPRYW 20-29 years, male 3.6
GTEX-12C56-1426-SM-5FQSW 20-29 years, male 3.5
GTEX-13111-1526-SM-5EGJX 50-59 years, male 3.5
GTEX-16Z82-2726-SM-7KULV 60-69 years, male 3.5
GTEX-17KNJ-1126-SM-7KFT6 50-59 years, male 3.5
GTEX-1AX9J-1226-SM-72D6P 60-69 years, male 3.5
GTEX-1B8SF-2926-SM-731DL 60-69 years, male 3.5
GTEX-1F6IF-0526-SM-7MKHD 60-69 years, male 3.5
GTEX-OXRL-2126-SM-3NM98 50-59 years, male 3.5
GTEX-TKQ2-1526-SM-4DXUN 50-59 years, male 3.5
GTEX-U8XE-0126-SM-4E3I3 30-39 years, male 3.5
GTEX-WZTO-0326-SM-4PQYZ 40-49 years, male 3.5
GTEX-X3Y1-2626-SM-4PQZI 40-49 years, male 3.5
GTEX-XBED-2026-SM-4AT5D 60-69 years, male 3.5
GTEX-Y5V6-1726-SM-4VDSZ 60-69 years, male 3.5
GTEX-ZZ64-1126-SM-5GZXY 20-29 years, male 3.5
GTEX-1I1GP-2426-SM-B2LXK 50-59 years, male 3.5
GTEX-1ICLY-2926-SM-C1YS5 50-59 years, male 3.5
GTEX-1PIGE-1626-SM-DPRZE 20-29 years, male 3.5
GTEX-1R9K5-2326-SM-DPRZC 50-59 years, male 3.5
GTEX-11NUK-2626-SM-5A5MB 50-59 years, male 3.4
GTEX-11O72-0726-SM-5P9GO 40-49 years, male 3.4
GTEX-1212Z-0326-SM-5FQSJ 60-69 years, male 3.4
GTEX-12WSI-2126-SM-5GCMV 50-59 years, male 3.4
GTEX-13NZA-2526-SM-5IJFX 60-69 years, male 3.4
GTEX-16YQH-1826-SM-6LPJW 30-39 years, male 3.4
GTEX-1B8KE-1426-SM-7EWEL 50-59 years, male 3.4
GTEX-NFK9-0126-SM-3LK5H 40-49 years, male 3.4
GTEX-PW2O-1426-SM-48TCD 20-29 years, male 3.4
GTEX-R55E-0726-SM-48FCZ 20-29 years, male 3.4
GTEX-WH7G-1926-SM-4LVMM 40-49 years, male 3.4
GTEX-WYJK-1826-SM-4ONDM 50-59 years, male 3.4
GTEX-X5EB-2026-SM-4E3KA 40-49 years, male 3.4
GTEX-YEC3-1726-SM-5IFIK 50-59 years, male 3.4
GTEX-1F6I4-1426-SM-7MXU3 60-69 years, male 3.4
GTEX-1F75A-2826-SM-7MXTS 50-59 years, male 3.4
GTEX-1GF9V-0626-SM-7MXU1 60-69 years, male 3.4
GTEX-1J1R8-1326-SM-CE6TC 40-49 years, male 3.4
GTEX-1JMQJ-0726-SM-CXZJJ 50-59 years, male 3.4
GTEX-1N2EE-0826-SM-E6CRI 60-69 years, male 3.4
GTEX-QEG5-0126-SM-CMKFD 20-29 years, male 3.4
GTEX-11DXZ-2126-SM-59881 50-59 years, male 3.3
GTEX-13OVL-0426-SM-5IFG6 50-59 years, male 3.3
GTEX-13OW5-2526-SM-5L3I1 60-69 years, male 3.3
GTEX-147JS-0126-SM-5S2TW 60-69 years, male 3.3
GTEX-17GQL-1726-SM-718B8 60-69 years, male 3.3
GTEX-17HHE-1226-SM-793C6 50-59 years, male 3.3
GTEX-18A6Q-2626-SM-7KFT3 60-69 years, male 3.3
GTEX-U8T8-1126-SM-4DXUE 60-69 years, male 3.3
GTEX-YEC4-1526-SM-4W1YU 40-49 years, male 3.3
GTEX-ZDYS-1326-SM-5IJFF 50-59 years, male 3.3
GTEX-ZYFC-0126-SM-5GIEH 50-59 years, male 3.3
GTEX-1KANB-2126-SM-DHXJV 50-59 years, male 3.3
GTEX-1OKEX-1926-SM-E6CP7 60-69 years, male 3.3
GTEX-1PPGY-0726-SM-EXOJ7 60-69 years, male 3.3
GTEX-1RB15-1926-SM-EV79J 60-69 years, male 3.3
GTEX-OIZG-0126-SM-E9TI2 50-59 years, male 3.3
GTEX-117XS-2026-SM-5GID1 60-69 years, male 3.2
GTEX-11GS4-2026-SM-5N9CP 60-69 years, male 3.2
GTEX-14BIL-2226-SM-73KWF 50-59 years, male 3.2
GTEX-Q2AH-1526-SM-48TZG 40-49 years, male 3.2
GTEX-WVLH-2626-SM-4MVNV 50-59 years, male 3.2
GTEX-Z93S-1726-SM-5HL8G 50-59 years, male 3.2
GTEX-ZVTK-0126-SM-57WDG 20-29 years, male 3.2
GTEX-1GPI7-1426-SM-9JGGR 20-29 years, male 3.2
GTEX-1JMLX-0726-SM-AHZ3M 50-59 years, male 3.2
GTEX-1LVA9-2826-SM-EAZ5D 50-59 years, male 3.2
GTEX-1MA7X-1526-SM-DHXJF 60-69 years, male 3.2
GTEX-1RAZA-2126-SM-EVR4A 20-29 years, male 3.2
GTEX-12ZZY-0126-SM-5LZV2 60-69 years, male 3.1
GTEX-13FLW-2126-SM-5N9FD 50-59 years, male 3.1
GTEX-14C38-0126-SM-5YY9V 50-59 years, male 3.1
GTEX-18465-1526-SM-7KFTV 50-59 years, male 3.1
GTEX-1C4CL-1926-SM-731DY 30-39 years, male 3.1
GTEX-1C64N-2826-SM-7IGP5 50-59 years, male 3.1
GTEX-1EU9M-1626-SM-7EWF2 60-69 years, male 3.1
GTEX-S7SE-0326-SM-4AT5Q 50-59 years, male 3.1
GTEX-TKQ1-0926-SM-4DXU2 30-39 years, male 3.1
GTEX-XBEC-0126-SM-4GIDT 50-59 years, male 3.1
GTEX-XLM4-1526-SM-4AT6D 60-69 years, male 3.1
GTEX-Y111-2426-SM-4TT23 50-59 years, male 3.1
GTEX-1IOXB-1526-SM-A96T6 50-59 years, male 3.1
GTEX-1JJEA-1926-SM-AHZ41 60-69 years, male 3.1
GTEX-QV31-1126-SM-CKZNA 30-39 years, male 3.1
GTEX-11LCK-2326-SM-5HL53 30-39 years, male 3.0
GTEX-12WSL-2326-SM-5DUXQ 50-59 years, male 3.0
GTEX-144GL-0726-SM-5LU4P 50-59 years, male 3.0
GTEX-14753-0626-SM-5Q5CY 60-69 years, male 3.0
GTEX-15SHV-1926-SM-6LPI1 60-69 years, male 3.0
GTEX-S95S-1126-SM-4B64E 60-69 years, male 3.0
GTEX-SUCS-1326-SM-4DM5T 70-79 years, male 3.0
GTEX-1EN7A-2226-SM-7MXU6 40-49 years, male 3.0
GTEX-1GN2E-0126-SM-9OSW8 60-69 years, male 3.0
GTEX-1MJK2-1326-SM-EV7A4 50-59 years, male 3.0
GTEX-1QMI2-2826-SM-DPRXR 60-69 years, male 3.0
GTEX-117YW-1526-SM-5EGGP 50-59 years, male 2.9
GTEX-132QS-1226-SM-5P9GD 60-69 years, male 2.9
GTEX-13VXU-0726-SM-5J2O7 50-59 years, male 2.9
GTEX-144GM-0426-SM-5Q5C8 20-29 years, male 2.9
GTEX-15G19-1326-SM-6LPIR 60-69 years, male 2.9
GTEX-1B996-2326-SM-731EC 60-69 years, male 2.9
GTEX-1GMRU-0626-SM-7MKH2 50-59 years, male 2.9
GTEX-S7PM-0626-SM-4AD4Q 60-69 years, male 2.9
GTEX-T6MN-2026-SM-4DM7L 50-59 years, male 2.9
GTEX-WHSE-0426-SM-4M1XO 20-29 years, male 2.9
GTEX-1IKJJ-2126-SM-C1YQU 60-69 years, male 2.9
GTEX-1R7EU-1726-SM-DTX9M 60-69 years, male 2.9
GTEX-WQUQ-0326-SM-EWRM7 60-69 years, male 2.9
GTEX-OOBK-2126-SM-3LK5T 40-49 years, male 2.8
GTEX-RWSA-2426-SM-47JXR 40-49 years, male 2.8
GTEX-WOFM-1126-SM-4OOSB 20-29 years, male 2.8
GTEX-XAJ8-1326-SM-47JYT 40-49 years, male 2.8
GTEX-ZQUD-2026-SM-51MSM 30-39 years, male 2.8
GTEX-1GF9W-2126-SM-7MXUX 60-69 years, male 2.8
GTEX-1HSEH-0726-SM-B2LXD 60-69 years, male 2.8
GTEX-1IDJH-2326-SM-D4P2K 70-79 years, male 2.8
GTEX-1S5VW-2626-SM-EVR4W 60-69 years, male 2.8
GTEX-RVPV-1126-SM-EAZAV 60-69 years, male 2.8
GTEX-12696-0226-SM-5EGL3 60-69 years, male 2.7
GTEX-13FHP-2826-SM-5IJFW 50-59 years, male 2.7
GTEX-14C39-0526-SM-664OF 40-49 years, male 2.7
GTEX-1A3MX-1026-SM-731F8 60-69 years, male 2.7
GTEX-UPJH-0126-SM-4IHLL 50-59 years, male 2.7
GTEX-WK11-0326-SM-4OOS6 50-59 years, male 2.7
GTEX-1O97I-2426-SM-DPRZ2 60-69 years, male 2.7
GTEX-111VG-1926-SM-5GIDO 60-69 years, male 2.6
GTEX-11NV4-1726-SM-5N9FC 60-69 years, male 2.6
GTEX-139TS-1726-SM-5IJG5 60-69 years, male 2.6
GTEX-13N1W-2626-SM-5IJEP 70-79 years, male 2.6
GTEX-17MF6-2726-SM-7IGMZ 40-49 years, male 2.6
GTEX-1C6VR-1526-SM-7MKG9 60-69 years, male 2.6
GTEX-1EKGG-2726-SM-79OOD 60-69 years, male 2.6
GTEX-REY6-0126-SM-48FDT 60-69 years, male 2.6
GTEX-1KWVE-1126-SM-DHXJY 30-39 years, male 2.6
GTEX-1MCQQ-2326-SM-DLHBX 60-69 years, male 2.6
GTEX-PVOW-2126-SM-EZ6LN 40-49 years, male 2.6
GTEX-11WQC-2326-SM-5EQKE 60-69 years, male 2.5
GTEX-17HHY-0726-SM-7IGM6 50-59 years, male 2.5
GTEX-XQ3S-2726-SM-4BOP2 20-29 years, male 2.5
GTEX-1HUB1-2026-SM-A96S8 60-69 years, male 2.5
GTEX-1I1GV-2526-SM-B2LXL 60-69 years, male 2.5
GTEX-11ZUS-2726-SM-5FQUA 30-39 years, male 2.4
GTEX-14ABY-0626-SM-5Q5C9 50-59 years, male 2.4
GTEX-1KD4Q-2126-SM-EV7A6 40-49 years, male 2.4
GTEX-1PIIG-0526-SM-E6CQM 30-39 years, male 2.4
GTEX-13112-0226-SM-5P9IV 50-59 years, male 2.3
GTEX-17HII-0126-SM-7KFSS 50-59 years, male 2.3
GTEX-N7MS-0126-SM-3TW8O 60-69 years, male 2.3
GTEX-QEG4-0126-SM-48TZE 30-39 years, male 2.3
GTEX-17EVP-2426-SM-7IGNK 40-49 years, male 2.3
GTEX-1H4P4-1926-SM-9WPOO 50-59 years, male 2.3
GTEX-11TUW-2226-SM-5EQL9 60-69 years, male 2.2
GTEX-1HKZK-1926-SM-9WPPK 40-49 years, male 2.2
GTEX-1JN6P-2826-SM-CXZJK 60-69 years, male 2.2
GTEX-13O1R-0726-SM-5IJEI 60-69 years, male 2.1
GTEX-1LB8K-2326-SM-DHXJL 50-59 years, male 2.0
Show allShow less

TESTIS - FANTOM5 CAGEi

RNA expression in human tissues obtained through Cap Analysis of Gene Expression (CAGE) generated by the FANTOM5 project are reported as Scaled Tags Per Million.

Max subtype Scaled Tags Per Millioni

Max subtype Scaled Tags Per Million is the value for the subtype with the largest average Scaled Tags Per Million across the subtype samples.

21.5
FANTOM5 sample id Sample description Scaled Tags Per Million
Testis
Scaled Tags Per Million: 21.5
FF:10026-101D8 34,53,86 years, male 27.3
FF:10096-102C6 14-64 years, male 15.7

Contact

  • NEWS ARTICLES
  • PRESS ROOM

The Project

  • INTRODUCTION
  • ORGANIZATION
  • PUBLICATIONS

The Human Protein Atlas

  • DOWNLOADABLE DATA
  • LICENCE & CITATION
  • HELP & FAQ
The Human Protein Atlas project is funded
by the Knut & Alice Wallenberg Foundation.


contact@proteinatlas.org