We use cookies to enhance the usability of our website. If you continue, we'll assume that you are happy to receive all cookies. More information. Don't show this again.
PPP1R14C
HPA
RESOURCES
  • TISSUE
  • BRAIN
  • SINGLE CELL
  • SUBCELLULAR
  • CANCER
  • BLOOD
  • CELL LINE
  • STRUCTURE & INTERACTION
ABOUT
  • INTRODUCTION
  • HISTORY
  • ORGANIZATION
  • PUBLICATIONS
  • ANTIBODY SUBMISSION
  • ANTIBODY AVAILABILITY
  • ACKNOWLEDGMENTS
  • CONTACT
NEWS
  • NEWS ARTICLES
  • PRESS ROOM
LEARN
  • DICTIONARY
  • PROTEIN CLASSES
  • PROTEIN EVIDENCE
  • METHODS
  • EDUCATIONAL VIDEOS
DATA
  • DOWNLOADABLE DATA
  • PUBLICATION DATA
  • RELEASE HISTORY
HELP
  • ANTIBODY VALIDATION
  • ASSAYS & ANNOTATION
  • DISCLAIMER
  • HELP & FAQ
  • PRIVACY STATEMENT
  • LICENCE & CITATION
Fields »
Search result

Field
Term
Gene name
Class
Subclass
Class
Keyword
Chromosome
External id
Tissue
Cell type
Expression
Antibody panel
Tissue
Main location
Patient ID
Annotation
Tissue
Category
Tau score
Cluster
Reliability
Brain region
Category
Tau score
Brain region
Category
Tau score
Brain region
Category
Tau score
Cluster
Reliability
Tissue
Cell type
Enrichment
Cell type
Category
Tau score
Cell type
Category
Tau score
Cell type
Category
Tau score
Cell lineage
Category
Tau score
Cluster
Cluster
Location
Searches
Location
Cell line
Class
Type
Phase
Reliability
Cancer
Prognosis
Cancer
Category
Cancer
Category
Tau score
Cluster
Variants
Interacting gene (ensg_id)
Type
Number of interactions
Pathway
Category
Score
Score
Score
Validation
Validation
Validation
Validation
Antibodies
Data type
Column


  • SUMMARY

  • TISSUE

  • BRAIN

  • SINGLE CELL

  • SUBCELL

  • CANCER

  • BLOOD

  • CELL LINE

  • STRUCT & INT

  • PPP1R14C
TISSUE PRIMARY DATA SKIN Show tissue menu
ADIPOSE TISSUE ADRENAL GLAND AMYGDALA APPENDIX BASAL GANGLIA BONE MARROW BREAST BRONCHUS CEREBELLUM CEREBRAL CORTEX CERVIX CHOROID PLEXUS COLON DUODENUM
ENDOMETRIUM EPIDIDYMIS ESOPHAGUS FALLOPIAN TUBE GALLBLADDER HEART MUSCLE HIPPOCAMPAL FORMATION HYPOTHALAMUS KIDNEY LIVER LUNG LYMPH NODE MIDBRAIN NASOPHARYNX
ORAL MUCOSA OVARY PANCREAS PARATHYROID GLAND PITUITARY GLAND PLACENTA PROSTATE RECTUM RETINA SALIVARY GLAND SEMINAL VESICLE SKELETAL MUSCLE SKIN SMALL INTESTINE
SMOOTH MUSCLE SOFT TISSUE SPINAL CORD SPLEEN STOMACH TESTIS THYMUS THYROID GLAND TONGUE TONSIL URINARY BLADDER VAGINA
ANTIBODIES
AND
VALIDATION
Dictionary
Skin
Tissue proteome
Skin
SKIN - Expression summary
Protein expression
Skini

On the top, protein expression in current human tissue, based on all annotated cell types, is reported with the units not detected (n), low (l), medium (m) and high (h). Underneath, protein expression in each annotated cell type are reported using the same units.

Protein expression data is based on knowledge-based annotation. For genes where more than one antibody has been used, a collective score is set.

If knowledge-based annotation could not be performed for a gene, no data is displayed here. View antibody staining data further down this page.

h
m
l
n
Epidermal cells: Medium
Fibroblasts: Not detected
Keratinocytes: Low
Langerhans: Not detected
Melanocytes: Not detected
RNA expressioni

A summary of mRNA expression data available for current tissue based on several datasets. The mRNA expression levels in human tissues are based on RNA-seq data generated by the Human Protein Atlas (HPA), Genotype-Tissue Expression (GTEx) portal and CAGE data generated by the FANTOM5 consortium. Consensus normalized expression levels for human tissues was created by combining the data from HPA and GTEx datasets.

The mRNA expression levels in pig are based on RNA-seq data generated by the Human Protein Atlas (HPA), and for mouse, HPA data and in situ hybridization generated by the Allen brain atlas are reported.

Scroll down to view mRNA expression data in more detail.
Consensus:94.2 nTPM
HPA:60.0 nTPM
GTEx:94.2 nTPM

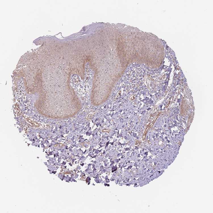
SKIN 1 - Antibody stainingi

Antibody staining in the annotated cell types in the current human tissue is reported as not detected, low, medium, or high, based on conventional immunohistochemistry profiling in selected tissues. This score is based on the combination of the staining intensity and fraction of stained cells.

Each image is clickable and will lead to virtual microscopy that enables deeper exploration of all samples and also displays staining intensity scores, fraction scores and subcellular localization as well as patient and tissue information for each sample.

Antibody HPA047907Antibody CAB044667
Langerhans Not detectedNot detected
Fibroblasts Not detectedLow
Keratinocytes Not detectedHigh
Melanocytes Not detectedNot detected

SKIN 2 - Antibody stainingi

Antibody staining in the annotated cell types in the current human tissue is reported as not detected, low, medium, or high, based on conventional immunohistochemistry profiling in selected tissues. This score is based on the combination of the staining intensity and fraction of stained cells.

Each image is clickable and will lead to virtual microscopy that enables deeper exploration of all samples and also displays staining intensity scores, fraction scores and subcellular localization as well as patient and tissue information for each sample.

Antibody HPA047907Antibody CAB044667
Epidermal cells MediumHigh
  
  
  




SKIN - HPA RNA-seqi

The RNA-seq details section shows detailed information about the individual samples used for the transcript profiling and results of the RNA-seq analysis.

Information about each individual sample is listed below, including gender, age, a tissue section image and estimated fractions of cell types. nTPM (normalized transcripts per million) values give a quantification of the gene abundance which is comparable between different genes and samples.
Average nTPMi

Max subtype nTPM is the value for the subtype with the largest average nTPM across the subtype samples.

60.0
overview
Female, age 34
Skin sample 225
nTPM: 58.6
Cell types%
Keratinocytes:
60

Other cell types:
40

overview
Female, age 30
Skin sample 226
nTPM: 83.1
Cell types%
Keratinocytes:
55

Other cell types:
45

N/A
Male, age 57
Skin sample 227
nTPM: 38.4

SKIN - GTEx RNA-seqi

RNA-Seq data generated by the Genotype-Tissue Expression (GTEx) project from human tissues is reported as mean nTPM. More information can be found on the GTEx portal.

Distribution across the dataset is visualized with box plots, shown as median and 25th and 75th percentiles. Points are displayed as outliers if they are above or below 1.5 times the interquartile range. nTPM values of the individual samples are presented next to the box plot.
Max subtype nTPMi

Max subtype nTPM is the value for the subtype with the largest average nTPM across the subtype samples.

94.2
GTEx sample id Sample description nTPM
Skin - Not Sun Exposed (Suprapubic)
Average nTPM: 94.2
Samples: 604

Max nTPM: 201.2
Min nTPM: 6.4
Std nTPM: 33.3
Median nTPM: 92.4
GTEX-14C39-1726-SM-5RQIL 40-49 years, male 201.2
GTEX-1H3VE-0726-SM-9YFL5 40-49 years, male 195.1
GTEX-148VJ-0626-SM-5LUAW 70-79 years, male 192.0
GTEX-1LKK1-2626-SM-DKPQE 50-59 years, female 184.6
GTEX-Y9LG-1126-SM-4VBQ7 30-39 years, male 183.6
GTEX-1PPH8-0126-SM-EWRN8 20-29 years, male 183.4
GTEX-1GN1V-2826-SM-9JGIA 60-69 years, male 182.4
GTEX-ZVZP-1226-SM-5GID7 50-59 years, male 180.7
GTEX-1H2FU-0926-SM-9WPPT 60-69 years, female 180.4
GTEX-1QPFJ-1926-SM-EVYBD 30-39 years, female 179.7
GTEX-1F6RS-2026-SM-7RHHC 60-69 years, female 175.2
GTEX-1I1GT-1026-SM-ARZLV 60-69 years, female 172.8
GTEX-15SKB-2826-SM-6PAMH 60-69 years, male 172.0
GTEX-1RAZQ-1326-SM-E9TK6 30-39 years, male 171.2
GTEX-13SLW-0626-SM-5Q5ER 70-79 years, male 169.8
GTEX-13IVO-0726-SM-5LZYV 70-79 years, male 169.1
GTEX-12ZZZ-0726-SM-5GCNZ 60-69 years, male 167.5
GTEX-1GN73-0726-SM-7P8TJ 60-69 years, male 165.7
GTEX-13YAN-0226-SM-5TDC6 60-69 years, male 165.6
GTEX-ZPCL-1126-SM-4WWFE 60-69 years, female 165.6
GTEX-1313W-0626-SM-5EQ4H 50-59 years, female 165.0
GTEX-17HHE-1326-SM-7EWDZ 50-59 years, male 164.9
GTEX-1IKJJ-2226-SM-CJI4C 60-69 years, male 164.1
GTEX-ZYY3-2926-SM-5GIEB 60-69 years, female 163.6
GTEX-1J8Q2-2626-SM-ACKWQ 60-69 years, male 161.6
GTEX-13PDP-0726-SM-5L3HP 60-69 years, male 160.1
GTEX-1HB9E-0126-SM-CM2S5 50-59 years, male 159.5
GTEX-13FTY-2126-SM-5IFFB 40-49 years, female 159.3
GTEX-15RJE-2826-SM-7KUM9 40-49 years, male 155.5
GTEX-1NV5F-0626-SM-DTXEG 60-69 years, female 154.2
GTEX-1PBJJ-1026-SM-E76OS 30-39 years, male 154.1
GTEX-1H3O1-1326-SM-9MQLD 60-69 years, male 154.0
GTEX-1J8EW-2726-SM-CY8HR 60-69 years, female 153.8
GTEX-1JMQJ-0826-SM-CNPP7 50-59 years, male 153.2
GTEX-15UF6-1926-SM-7KUDV 70-79 years, female 152.4
GTEX-YECK-0326-SM-4W1YS 60-69 years, male 151.6
GTEX-WHSB-1326-SM-3LK6W 50-59 years, male 151.1
GTEX-1CB4J-1326-SM-7P8RX 60-69 years, male 150.9
GTEX-13OVK-1426-SM-6PAN7 40-49 years, male 148.7
GTEX-1JMPY-0226-SM-CKZOK 30-39 years, male 148.7
GTEX-1QP2A-1726-SM-E76QC 50-59 years, male 148.7
GTEX-11ZU8-0126-SM-5EQ58 60-69 years, male 147.9
GTEX-1HBPM-0726-SM-9YFL7 60-69 years, female 146.9
GTEX-14ICL-1626-SM-5YYAO 30-39 years, male 145.3
GTEX-11DZ1-2426-SM-5GZZX 50-59 years, male 145.1
GTEX-1HCU7-0726-SM-A9SL1 50-59 years, male 144.1
GTEX-11DXY-0126-SM-5H11Q 60-69 years, male 144.0
GTEX-13JVG-0726-SM-5KM16 60-69 years, male 143.9
GTEX-1ICLZ-0326-SM-ARL82 60-69 years, male 143.0
GTEX-1HBPN-0126-SM-CGQEF 50-59 years, male 142.8
GTEX-1POEN-2326-SM-E9J2L 30-39 years, female 141.9
GTEX-17F9Y-0126-SM-79OKX 70-79 years, female 141.4
GTEX-15RIG-0726-SM-7KUM7 40-49 years, male 140.7
GTEX-13QJC-0126-SM-5ZZWJ 60-69 years, female 140.5
GTEX-12WSM-1926-SM-5BC65 60-69 years, male 140.4
GTEX-111VG-1626-SM-5EGIO 60-69 years, male 140.0
GTEX-1117F-2926-SM-5GZYI 60-69 years, female 139.9
GTEX-1GZ4H-0526-SM-9KNU9 50-59 years, female 139.8
GTEX-12WSK-2126-SM-5CVNC 40-49 years, female 139.6
GTEX-145MH-2826-SM-5RQJF 50-59 years, male 139.5
GTEX-1C64N-2626-SM-7PC2N 50-59 years, male 139.0
GTEX-13O3O-2326-SM-5IJD6 60-69 years, female 138.6
GTEX-1R46S-2426-SM-E76QA 60-69 years, female 137.9
GTEX-13PL6-1126-SM-5L3IE 40-49 years, female 137.3
GTEX-ZE9C-2526-SM-5IJDR 60-69 years, male 137.3
GTEX-1HT8W-0626-SM-A9G2H 30-39 years, male 136.4
GTEX-1HSKV-1226-SM-ADEI4 60-69 years, male 135.8
GTEX-1CAMS-2226-SM-7PBXQ 40-49 years, female 135.4
GTEX-14PJN-1826-SM-6AJ98 30-39 years, male 134.9
GTEX-13NZ8-1226-SM-5KM4A 60-69 years, female 134.4
GTEX-1GN1U-0626-SM-9MQL9 50-59 years, female 133.9
GTEX-13FLV-0126-SM-5K7WT 50-59 years, male 133.7
GTEX-15EO6-2426-SM-6PALZ 50-59 years, male 133.5
GTEX-1QP28-1126-SM-EVYC4 50-59 years, female 133.5
GTEX-17HII-1426-SM-7EPGG 50-59 years, male 133.4
GTEX-14PJ5-1526-SM-6LLIL 60-69 years, female 133.2
GTEX-1HGF4-0126-SM-CNPPX 60-69 years, male 133.2
GTEX-1JJEA-1826-SM-ARU8P 60-69 years, male 133.0
GTEX-ZLV1-1526-SM-DO91J 60-69 years, female 132.6
GTEX-1IKOE-1426-SM-CE6T7 30-39 years, female 132.1
GTEX-1J1OQ-0126-SM-D4P2N 40-49 years, female 131.7
GTEX-1S5ZU-2526-SM-E6CIF 20-29 years, female 131.6
GTEX-139UW-0326-SM-5J1ML 60-69 years, male 131.4
GTEX-1I1GV-0626-SM-ARL7M 60-69 years, male 130.8
GTEX-147GR-2426-SM-5ZZWQ 60-69 years, male 129.8
GTEX-1F88F-0126-SM-9WYSZ 60-69 years, female 129.5
GTEX-145MI-0626-SM-5SI8S 60-69 years, female 129.2
GTEX-Y111-0626-SM-4SOIT 50-59 years, male 128.3
GTEX-1E2YA-2126-SM-7MXUO 50-59 years, male 128.2
GTEX-XQ8I-0926-SM-4BOOF 50-59 years, male 128.1
GTEX-18QFQ-1826-SM-72D52 30-39 years, male 127.9
GTEX-11OF3-0126-SM-5PNYF 60-69 years, male 127.4
GTEX-1399S-0126-SM-5IJCF 30-39 years, female 127.2
GTEX-ZYW4-0626-SM-59HJR 60-69 years, male 127.1
GTEX-1S82U-1026-SM-E6CJK 30-39 years, female 126.6
GTEX-1LGRB-0926-SM-COH3K 50-59 years, female 126.5
GTEX-131XW-0626-SM-5PNVD 50-59 years, female 126.3
GTEX-1HCU6-2526-SM-ADEHL 60-69 years, female 126.3
GTEX-1HFI7-2326-SM-CGQFS 50-59 years, female 126.3
GTEX-11LCK-2226-SM-5HL4Q 30-39 years, male 126.2
GTEX-1122O-1026-SM-9WYSF 60-69 years, female 125.8
GTEX-1NSGN-0726-SM-DTXEF 50-59 years, male 125.6
GTEX-1C6WA-2626-SM-7MKGM 60-69 years, male 125.5
GTEX-1HSGN-0826-SM-ACKW3 40-49 years, female 125.5
GTEX-WH7G-2026-SM-3NMBL 40-49 years, male 125.1
GTEX-1F48J-0726-SM-7RHGS 50-59 years, female 125.0
GTEX-1H4P4-2126-SM-9WYSL 50-59 years, male 124.4
GTEX-14PII-0726-SM-6EU2B 60-69 years, male 124.3
GTEX-1BAJH-2426-SM-7IGP8 70-79 years, male 124.3
GTEX-1MCC2-1826-SM-DIPEX 30-39 years, female 123.9
GTEX-1399U-1126-SM-5L3DB 50-59 years, female 123.4
GTEX-ZVT4-2426-SM-5GIEI 50-59 years, female 123.4
GTEX-1EKGG-0626-SM-7DUGJ 60-69 years, male 123.1
GTEX-ZC5H-1526-SM-5HL9Y 40-49 years, female 123.0
GTEX-12ZZX-2426-SM-5GCOE 40-49 years, female 122.3
GTEX-1R9PN-0426-SM-DTXDT 40-49 years, female 121.6
GTEX-1C2JI-1026-SM-73KY1 50-59 years, male 121.3
GTEX-1KAFJ-0126-SM-DIPEK 50-59 years, male 121.2
GTEX-1GMRU-2126-SM-7P8RA 50-59 years, male 120.8
GTEX-ZYT6-2326-SM-5GZY3 30-39 years, male 120.2
GTEX-17MF6-2626-SM-79OKQ 40-49 years, male 120.1
GTEX-ZY6K-1426-SM-5GZX2 50-59 years, male 120.1
GTEX-1GF9V-0826-SM-9KNUV 60-69 years, male 119.5
GTEX-1GPI7-1826-SM-9KNU1 20-29 years, male 119.5
GTEX-15DYW-2726-SM-6EU2I 60-69 years, female 119.3
GTEX-ZAB4-2126-SM-5HL8U 40-49 years, male 119.1
GTEX-1MJK3-0726-SM-E6CJC 20-29 years, male 118.9
GTEX-ZF3C-0626-SM-DO92O 50-59 years, female 118.7
GTEX-11GSP-2326-SM-5HL63 60-69 years, female 118.6
GTEX-1I1GS-2626-SM-B2LY3 60-69 years, male 117.9
GTEX-1PIIG-2326-SM-DTXFR 30-39 years, male 117.8
GTEX-1CAMR-1326-SM-7PC1F 20-29 years, male 117.7
GTEX-14B4R-1326-SM-5Q5EZ 30-39 years, male 117.6
GTEX-1EMGI-2326-SM-7PBYA 60-69 years, male 117.5
GTEX-1KANB-2826-SM-CY8I6 50-59 years, male 117.3
GTEX-1269C-0126-SM-5EQ5L 60-69 years, female 117.2
GTEX-11EQ8-0926-SM-5H12V 60-69 years, male 117.1
GTEX-13SLX-2226-SM-62LEP 50-59 years, female 117.0
GTEX-1PDJ9-1226-SM-EXUSX 20-29 years, male 116.9
GTEX-1PPGY-1626-SM-EVYBL 60-69 years, male 116.9
GTEX-11P81-2226-SM-5PNYI 30-39 years, female 116.6
GTEX-1IE54-1126-SM-A9G2Z 40-49 years, female 116.0
GTEX-144GL-0626-SM-5LU4D 50-59 years, male 115.9
GTEX-1LSVX-2526-SM-DIPEU 60-69 years, male 115.6
GTEX-1S82P-2126-SM-E6CI5 60-69 years, female 115.5
GTEX-1H11D-1826-SM-9QEHM 40-49 years, male 115.1
GTEX-11PRG-0726-SM-5EGL1 50-59 years, male 114.8
GTEX-1MCYP-0526-SM-E9U6Q 20-29 years, female 114.4
GTEX-1J1R8-2026-SM-CL53Y 40-49 years, male 113.7
GTEX-X8HC-0626-SM-4E3HQ 50-59 years, female 113.6
GTEX-1LG7Y-2526-SM-EWRO7 50-59 years, male 113.5
GTEX-1A8G6-2726-SM-731AR 60-69 years, male 113.4
GTEX-18D9A-1426-SM-7LT8M 30-39 years, female 113.2
GTEX-13FHO-0426-SM-5L3F5 60-69 years, male 113.1
GTEX-1I1GP-1326-SM-A9G28 50-59 years, male 113.1
GTEX-16BQI-1326-SM-6M486 30-39 years, female 112.8
GTEX-1CAMQ-1326-SM-7P8RV 40-49 years, male 112.6
GTEX-1HSMQ-2626-SM-A9SML 50-59 years, male 112.6
GTEX-1JJ6O-2726-SM-CNPOG 60-69 years, male 112.6
GTEX-1IDJU-1726-SM-CMKHU 60-69 years, female 112.3
GTEX-139D8-1126-SM-5LU8W 30-39 years, female 112.2
GTEX-1RLM8-2926-SM-E8VON 50-59 years, male 112.2
GTEX-1HCVE-2726-SM-CL54F 50-59 years, male 112.1
GTEX-139TU-0726-SM-5L3EK 60-69 years, male 111.9
GTEX-UPJH-0226-SM-3GADV 50-59 years, male 111.9
GTEX-ZE7O-2726-SM-51MT5 50-59 years, female 111.9
GTEX-ZWKS-0626-SM-5GIDV 30-39 years, male 111.8
GTEX-1PPH7-1126-SM-DTX9A 40-49 years, male 111.8
GTEX-16YQH-2226-SM-7IGM2 30-39 years, male 111.5
GTEX-11WQC-1826-SM-5GU59 60-69 years, male 111.2
GTEX-1K2DU-1226-SM-CYPT4 20-29 years, male 111.2
GTEX-1R9PM-1926-SM-EVR3O 20-29 years, male 111.0
GTEX-144FL-0626-SM-5LU43 50-59 years, male 110.9
GTEX-ZF29-0926-SM-4WKFZ 60-69 years, female 110.9
GTEX-1HCUA-0826-SM-ADEHM 50-59 years, female 110.7
GTEX-111CU-1126-SM-5EGIM 50-59 years, male 110.6
GTEX-11ZTT-2126-SM-5CVLO 60-69 years, female 110.0
GTEX-16XZZ-0726-SM-7KUF2 60-69 years, male 109.9
GTEX-1LB8K-0726-SM-D5OV2 50-59 years, male 109.8
GTEX-ZYFC-0426-SM-5GICQ 50-59 years, male 109.5
GTEX-1HR9M-2226-SM-CNPPY 60-69 years, male 109.3
GTEX-1F52S-2926-SM-7MKGA 60-69 years, female 108.9
GTEX-18465-2826-SM-7LT9J 50-59 years, male 108.6
GTEX-15ER7-0626-SM-6PANF 20-29 years, female 108.5
GTEX-1AMFI-1326-SM-7939R 50-59 years, female 108.5
GTEX-1A3MV-1826-SM-731CD 30-39 years, male 108.3
GTEX-ZXG5-2126-SM-59HKD 60-69 years, male 108.3
GTEX-1S3DN-2126-SM-E9TIN 50-59 years, male 108.3
GTEX-17F97-2626-SM-7IGM5 50-59 years, male 108.2
GTEX-14PJ6-2626-SM-6EU2T 60-69 years, female 108.1
GTEX-1JN1M-2726-SM-CY8I4 60-69 years, female 108.1
GTEX-1CB4F-1026-SM-7DUH1 60-69 years, male 107.7
GTEX-ZVE1-0726-SM-51MRN 50-59 years, female 107.5
GTEX-14753-0726-SM-5QGQO 60-69 years, male 107.3
GTEX-1GN2E-0226-SM-9WG6K 60-69 years, male 107.3
GTEX-131XH-0126-SM-5LZUY 50-59 years, male 107.2
GTEX-Z93S-1626-SM-5CVMB 50-59 years, male 106.9
GTEX-1B8KE-1126-SM-7EPHI 50-59 years, male 106.8
GTEX-1LVAN-0626-SM-CNPOQ 50-59 years, female 106.8
GTEX-14PKU-0126-SM-6LLHV 40-49 years, female 106.7
GTEX-1C6VR-0126-SM-7RHGB 60-69 years, male 106.6
GTEX-1CB4H-1126-SM-7MKGL 60-69 years, female 106.5
GTEX-13X6H-0926-SM-5SIB2 50-59 years, female 106.2
GTEX-14BIN-1126-SM-5RQJZ 50-59 years, female 105.6
GTEX-1IDJI-0126-SM-CMKHS 50-59 years, female 105.6
GTEX-YEC4-1826-SM-4W1YP 40-49 years, male 105.4
GTEX-13OW6-2726-SM-5J2OE 50-59 years, male 105.3
GTEX-13NYC-0126-SM-5L3F4 60-69 years, male 105.2
GTEX-14E1K-2026-SM-7DUEI 50-59 years, male 105.2
GTEX-1QW4Y-1126-SM-DTXE3 30-39 years, male 104.9
GTEX-ZVT2-0126-SM-5GIDQ 50-59 years, female 104.8
GTEX-1HKZK-0726-SM-ACKW2 40-49 years, male 104.8
GTEX-1QP9N-1226-SM-E76QN 30-39 years, male 104.7
GTEX-145LS-0626-SM-7EPG7 60-69 years, female 104.6
GTEX-131XG-0326-SM-5L3DX 50-59 years, female 104.5
GTEX-17HHY-0426-SM-7DHLC 50-59 years, male 104.5
GTEX-1399Q-2326-SM-5KM2X 40-49 years, male 104.1
GTEX-ZTX8-1326-SM-4YCEL 20-29 years, male 104.1
GTEX-1H23P-0626-SM-9WG6T 60-69 years, male 104.0
GTEX-14PJ3-1126-SM-5ZZVX 50-59 years, male 103.9
GTEX-14PJ4-0226-SM-5YY92 60-69 years, male 103.8
GTEX-1I1GU-0926-SM-ACKVS 40-49 years, male 103.8
GTEX-1N2EE-0626-SM-E76PW 60-69 years, male 103.6
GTEX-13NYB-0126-SM-5J1MD 40-49 years, male 103.5
GTEX-YFCO-1226-SM-5LUAT 40-49 years, male 103.3
GTEX-13O61-1426-SM-5KM3D 60-69 years, male 103.0
GTEX-13RTJ-0126-SM-5S2NN 60-69 years, male 102.9
GTEX-144GO-2026-SM-5O99P 60-69 years, male 102.9
GTEX-14A6H-2026-SM-5Q5DD 30-39 years, male 102.9
GTEX-1EN7A-2426-SM-793DB 40-49 years, male 102.8
GTEX-13OVJ-0826-SM-5J1OK 50-59 years, female 102.6
GTEX-1IOXB-2726-SM-CM2RI 50-59 years, male 102.4
GTEX-1B8SF-0126-SM-7DUG3 60-69 years, male 102.3
GTEX-1B97I-0626-SM-73KUZ 40-49 years, male 102.0
GTEX-ZDTT-0426-SM-4WKFL 60-69 years, male 102.0
GTEX-1GZHY-0626-SM-9KNVC 50-59 years, female 102.0
GTEX-17MFQ-1526-SM-7KFRR 20-29 years, male 101.8
GTEX-11UD2-2526-SM-5CVNU 50-59 years, male 101.4
GTEX-12WSD-0626-SM-5GCMW 60-69 years, female 101.4
GTEX-1JK1U-0226-SM-ARZMX 60-69 years, male 101.4
GTEX-15FZZ-0526-SM-7KUGD 30-39 years, female 101.1
GTEX-1OJC4-2726-SM-E76PJ 50-59 years, female 101.0
GTEX-ZT9X-1526-SM-5DUXD 40-49 years, male 100.8
GTEX-1S83E-1326-SM-E6CJM 40-49 years, male 100.3
GTEX-13OVH-0526-SM-5L3E6 70-79 years, male 100.1
GTEX-13O3Q-0126-SM-5KM34 50-59 years, male 99.9
GTEX-147F4-0726-SM-5TDDD 50-59 years, male 99.7
GTEX-1C6VQ-1226-SM-73KYD 50-59 years, male 99.7
GTEX-14C5O-0326-SM-5ZZUX 60-69 years, male 99.6
GTEX-13VXT-1926-SM-5K7UO 20-29 years, female 99.3
GTEX-14JFF-0626-SM-5ZZVT 60-69 years, male 99.2
GTEX-1B8L1-2226-SM-7P8PT 60-69 years, male 99.0
GTEX-1H1ZS-2726-SM-9WG75 70-79 years, male 98.9
GTEX-X4EO-2926-SM-4E3JH 60-69 years, female 98.5
GTEX-131XF-2626-SM-5EQ6K 60-69 years, male 98.3
GTEX-XBED-1926-SM-47JYP 60-69 years, male 98.3
GTEX-1I1HK-2326-SM-CKZOH 60-69 years, male 98.3
GTEX-1AMEY-0826-SM-72D65 30-39 years, female 98.1
GTEX-13N1W-2426-SM-5IJD1 70-79 years, male 98.0
GTEX-1EH9U-2826-SM-7DUGT 60-69 years, male 98.0
GTEX-XAJ8-1426-SM-47JYM 40-49 years, male 98.0
GTEX-14PHX-2226-SM-6EU2P 50-59 years, male 97.8
GTEX-1JMPZ-0726-SM-CY8HZ 30-39 years, male 97.8
GTEX-11VI4-1126-SM-5EQMD 40-49 years, female 97.7
GTEX-17F9E-2326-SM-79OKD 50-59 years, male 97.7
GTEX-1GZ4I-2626-SM-9KNU3 50-59 years, male 97.6
GTEX-1LVA9-2626-SM-EVYD4 50-59 years, male 97.5
GTEX-13X6J-0626-SM-5LU5F 50-59 years, male 97.1
GTEX-11O72-0626-SM-5PNYE 40-49 years, male 96.8
GTEX-13OW7-0426-SM-5K7VK 50-59 years, male 96.8
GTEX-1RAZS-2526-SM-E6CHT 50-59 years, male 96.8
GTEX-1IDFM-0326-SM-ARL7V 60-69 years, male 96.6
GTEX-15D1Q-2826-SM-6LLH7 40-49 years, male 96.5
GTEX-17F98-1326-SM-7DUEP 40-49 years, female 96.5
GTEX-14LZ3-0126-SM-69LPM 60-69 years, female 96.2
GTEX-1F75A-0726-SM-7RHHD 50-59 years, male 95.9
GTEX-147F3-1726-SM-5SIAW 50-59 years, female 95.8
GTEX-1GMR8-0626-SM-7RHI7 50-59 years, female 95.6
GTEX-1QMI2-2526-SM-E8VNZ 60-69 years, male 95.2
GTEX-1HSMO-0626-SM-ACKXC 60-69 years, male 95.1
GTEX-1H1DE-1326-SM-9KNUG 20-29 years, male 95.0
GTEX-ZYVF-0926-SM-5E44J 50-59 years, female 94.6
GTEX-13NYS-0626-SM-5L3F1 60-69 years, male 94.4
GTEX-1RMOY-1326-SM-E9TIH 50-59 years, male 94.2
GTEX-ZF2S-1626-SM-57WES 50-59 years, female 94.1
GTEX-1HFI6-0126-SM-CNPPI 40-49 years, male 94.0
GTEX-WFG7-2026-SM-5SI7P 20-29 years, male 93.9
GTEX-ZA64-1026-SM-5HL8R 20-29 years, male 93.9
GTEX-1F5PK-2226-SM-7SB6N 50-59 years, male 93.8
GTEX-145LU-1926-SM-79OJN 50-59 years, male 93.7
GTEX-V1D1-2026-SM-3GAF4 50-59 years, male 93.7
GTEX-1IDJH-0126-SM-D3L92 70-79 years, male 93.7
GTEX-15CHC-1126-SM-6LLHQ 60-69 years, female 93.6
GTEX-Y8LW-1526-SM-5IFHL 50-59 years, female 93.6
GTEX-11WQK-1026-SM-5EQLX 50-59 years, male 93.3
GTEX-1JMLX-0626-SM-ARL8T 50-59 years, male 93.1
GTEX-WI4N-2726-SM-3LK7Y 40-49 years, female 93.0
GTEX-XBEW-1126-SM-4QARW 40-49 years, male 93.0
GTEX-ZTTD-2826-SM-4YCFA 50-59 years, male 93.0
GTEX-11TUW-0626-SM-5LU9M 60-69 years, male 92.7
GTEX-ZP4G-1426-SM-4WWCL 20-29 years, female 92.7
GTEX-14LLW-2626-SM-62LDZ 70-79 years, female 92.6
GTEX-1B933-2426-SM-7DHMD 50-59 years, female 92.2
GTEX-139T8-0626-SM-5KLZX 60-69 years, male 92.1
GTEX-145MF-0926-SM-5Q5EA 50-59 years, male 92.1
GTEX-1A8G7-1326-SM-73KVM 60-69 years, male 92.0
GTEX-1QCLY-0226-SM-EWRNH 30-39 years, male 91.8
GTEX-13FTX-1526-SM-5K7VJ 20-29 years, female 91.6
GTEX-15SHW-0226-SM-7LTAT 60-69 years, male 91.5
GTEX-1HR98-2226-SM-ADEI2 60-69 years, male 91.5
GTEX-12ZZY-0726-SM-5EQ66 60-69 years, male 91.1
GTEX-1O9I2-0226-SM-EYYXD 50-59 years, male 90.9
GTEX-1JJE9-2626-SM-ARZMT 70-79 years, male 90.7
GTEX-15DDE-2926-SM-6LLJ3 50-59 years, female 90.6
GTEX-14JG1-1526-SM-5YY9X 40-49 years, male 90.5
GTEX-1J8QM-2426-SM-A9SLS 60-69 years, female 90.4
GTEX-18A67-1626-SM-7LT9T 50-59 years, male 90.3
GTEX-WRHU-2826-SM-3MJG8 50-59 years, female 90.3
GTEX-1GL5R-1326-SM-7RHHF 50-59 years, male 90.1
GTEX-17KNJ-2126-SM-718AM 50-59 years, male 89.8
GTEX-1EU9M-1426-SM-793AI 60-69 years, male 89.7
GTEX-1OJC3-1226-SM-DTXER 20-29 years, male 89.4
GTEX-12WSH-1526-SM-5BC5W 50-59 years, male 89.3
GTEX-X5EB-1926-SM-4E3IW 40-49 years, male 89.0
GTEX-1211K-1526-SM-5FQU4 60-69 years, female 88.6
GTEX-1HBPI-2126-SM-ARL9K 50-59 years, male 88.5
GTEX-1GPI6-1926-SM-9KNV7 60-69 years, male 88.3
GTEX-1M4P7-0726-SM-E6CJ3 60-69 years, male 88.0
GTEX-144GM-0526-SM-79OJO 20-29 years, male 87.9
GTEX-WY7C-2126-SM-3NB2R 50-59 years, male 87.8
GTEX-13D11-0926-SM-5J2NC 50-59 years, female 87.7
GTEX-1F88E-1626-SM-7SB8Z 60-69 years, female 87.7
GTEX-11GS4-0226-SM-5HL77 60-69 years, male 87.6
GTEX-12696-0126-SM-5EQ4L 60-69 years, male 87.5
GTEX-14C38-0726-SM-5SI6M 50-59 years, male 87.3
GTEX-11NUK-2726-SM-5A5MC 50-59 years, male 86.7
GTEX-17EVP-2626-SM-7IGMA 40-49 years, male 86.6
GTEX-1A3MW-0626-SM-731CB 60-69 years, female 86.2
GTEX-13W3W-0726-SM-5IJDQ 60-69 years, female 86.0
GTEX-WXYG-2026-SM-4E3IY 50-59 years, female 85.8
GTEX-XBEC-0726-SM-4QARZ 50-59 years, male 85.8
GTEX-13FTW-0326-SM-5K7UW 40-49 years, male 85.7
GTEX-1I1CD-0626-SM-CE6SW 60-69 years, female 85.4
GTEX-1GF9W-1426-SM-7PBYM 60-69 years, male 85.3
GTEX-1N5O9-0926-SM-E9J3C 60-69 years, male 85.2
GTEX-12WSC-2826-SM-5BC5Y 50-59 years, male 85.1
GTEX-1212Z-0126-SM-59HK4 60-69 years, male 85.0
GTEX-11EQ9-1626-SM-5PNY8 30-39 years, male 84.9
GTEX-1477Z-0326-SM-7IGLA 60-69 years, male 84.6
GTEX-XV7Q-1826-SM-4BRUV 40-49 years, female 84.6
GTEX-1192X-2726-SM-5N9DN 50-59 years, male 84.4
GTEX-11P82-1426-SM-DTXFY 20-29 years, male 84.3
GTEX-12126-0826-SM-5FQTZ 20-29 years, male 84.2
GTEX-WHSE-0126-SM-3NMBT 20-29 years, male 84.2
GTEX-11ZUS-2626-SM-5FQUR 30-39 years, male 84.1
GTEX-VUSG-2326-SM-4KL1U 50-59 years, male 83.9
GTEX-1497J-0226-SM-5QGPU 60-69 years, male 83.7
GTEX-1B8KZ-0326-SM-73KY4 50-59 years, male 83.7
GTEX-145ME-1726-SM-5Q5EU 40-49 years, female 83.5
GTEX-18D9U-0126-SM-731BM 40-49 years, male 83.5
GTEX-1314G-1326-SM-5BC6E 30-39 years, male 83.4
GTEX-1CB4I-0126-SM-7RHGG 50-59 years, male 83.3
GTEX-1KD5A-0126-SM-E9U54 50-59 years, male 83.2
GTEX-1CB4E-0926-SM-7EPHT 60-69 years, male 83.1
GTEX-ZZPU-0826-SM-5GZX5 50-59 years, female 83.1
GTEX-13VXU-0626-SM-5L3F9 50-59 years, male 82.9
GTEX-183WM-0326-SM-72D5V 70-79 years, female 82.9
GTEX-ZVE2-2826-SM-5GU51 50-59 years, male 82.9
GTEX-1KXAM-1626-SM-D3LAD 60-69 years, male 82.9
GTEX-Y3I4-1726-SM-4TT89 50-59 years, male 82.7
GTEX-13OW8-1026-SM-5J1NQ 60-69 years, male 82.6
GTEX-1A8FM-0626-SM-7PC25 50-59 years, female 82.4
GTEX-1RB15-1326-SM-E76Q9 60-69 years, male 82.3
GTEX-1ICLY-0826-SM-CMKG1 50-59 years, male 81.8
GTEX-15CHR-1126-SM-7EWF4 50-59 years, male 81.7
GTEX-1LVAM-0726-SM-E6CIL 50-59 years, female 81.7
GTEX-14DAR-1226-SM-73KYV 50-59 years, male 81.4
GTEX-1LSNL-2726-SM-E9TKJ 50-59 years, male 81.2
GTEX-12WSJ-1126-SM-5LZVJ 40-49 years, female 81.1
GTEX-1EWIQ-0326-SM-7DHMQ 70-79 years, female 81.1
GTEX-ZAJG-1526-SM-5CVML 50-59 years, female 81.1
GTEX-1KWVE-1026-SM-D3L9O 30-39 years, male 81.1
GTEX-146FQ-2126-SM-5RQHU 30-39 years, male 81.0
GTEX-1AX9I-2226-SM-73KUO 60-69 years, male 81.0
GTEX-1JMQK-1226-SM-D4P2S 60-69 years, male 80.9
GTEX-ZDYS-2426-SM-4WKGI 50-59 years, male 80.6
GTEX-1R9K4-2826-SM-DTX8F 60-69 years, male 80.6
GTEX-14ABY-2026-SM-62LDL 50-59 years, male 80.4
GTEX-12584-0726-SM-5FQTK 40-49 years, male 80.0
GTEX-15G1A-1626-SM-7KUKN 30-39 years, male 80.0
GTEX-X585-2426-SM-46MW2 50-59 years, male 79.9
GTEX-1AYD5-2626-SM-7PBXY 50-59 years, male 79.8
GTEX-Y114-2126-SM-4TT8B 50-59 years, female 79.7
GTEX-133LE-2326-SM-5K7W3 20-29 years, female 79.5
GTEX-1JN76-0626-SM-CKZOQ 20-29 years, female 79.1
GTEX-XMD2-2126-SM-4YCF8 60-69 years, female 79.0
GTEX-1KANA-1326-SM-DIPFA 20-29 years, male 78.8
GTEX-14PK6-0226-SM-62LF5 70-79 years, female 78.7
GTEX-1JN6P-2926-SM-CL54D 60-69 years, male 78.7
GTEX-WHPG-2626-SM-3NMBR 50-59 years, male 78.5
GTEX-1JMQI-1726-SM-ARL93 50-59 years, male 78.3
GTEX-1QAET-0326-SM-EVR3U 50-59 years, male 78.1
GTEX-1F75B-0726-SM-7PC3R 50-59 years, male 78.0
GTEX-1GN1W-2426-SM-9KNUU 50-59 years, female 77.6
GTEX-1RAZR-2126-SM-E9U6T 40-49 years, male 77.3
GTEX-18A6Q-0626-SM-7KFRP 60-69 years, male 77.0
GTEX-11DXZ-2026-SM-5987S 50-59 years, male 76.9
GTEX-15G19-2426-SM-7KUMR 60-69 years, male 76.8
GTEX-13OW5-2326-SM-5L3HO 60-69 years, male 76.7
GTEX-12WSA-0426-SM-5EQ5X 60-69 years, male 76.5
GTEX-17HGU-2326-SM-7DUFE 50-59 years, male 76.5
GTEX-ZDTS-0826-SM-4WKHL 60-69 years, male 76.5
GTEX-111YS-1526-SM-5GZYW 60-69 years, male 76.3
GTEX-11DYG-1526-SM-5A5JS 60-69 years, male 76.3
GTEX-ZLFU-1826-SM-4WWBV 40-49 years, male 76.2
GTEX-XOT4-0626-SM-4B66L 60-69 years, female 76.0
GTEX-XUW1-0926-SM-4BONX 50-59 years, female 75.8
GTEX-12WSF-1626-SM-7KUG5 70-79 years, male 75.6
GTEX-15CHQ-0326-SM-69LQD 60-69 years, male 75.5
GTEX-139TS-2126-SM-5K7XC 60-69 years, male 75.3
GTEX-12C56-1526-SM-5FQUQ 20-29 years, male 74.7
GTEX-ZPU1-1126-SM-4YCF3 40-49 years, male 74.7
GTEX-WEY5-2326-SM-3GIKK 40-49 years, female 74.6
GTEX-1GF9X-1326-SM-7PC2Y 40-49 years, female 74.4
GTEX-1IDJV-0126-SM-COH3Y 60-69 years, male 74.3
GTEX-1IL2V-1926-SM-B2LW8 70-79 years, male 73.9
GTEX-XQ3S-1426-SM-4BOPR 20-29 years, male 73.8
GTEX-1R7EU-1626-SM-DTXG3 60-69 years, male 73.7
GTEX-1PIGE-1826-SM-E8VOU 20-29 years, male 73.3
GTEX-14PHY-1226-SM-5ZZWK 60-69 years, female 73.2
GTEX-ZU9S-1826-SM-5NQ9E 30-39 years, male 73.2
GTEX-1A3MX-2626-SM-7PC24 60-69 years, male 73.2
GTEX-16NPX-0726-SM-7KULC 50-59 years, male 73.0
GTEX-1EX96-1026-SM-7MKG2 50-59 years, male 73.0
GTEX-16AAH-0626-SM-793C9 50-59 years, male 72.9
GTEX-WYBS-0626-SM-3NMAS 60-69 years, female 72.4
GTEX-Y8E4-2026-SM-5IFJB 40-49 years, male 72.4
GTEX-16MTA-0926-SM-6M47Z 50-59 years, male 72.3
GTEX-1F75I-2226-SM-7SB8U 40-49 years, male 72.2
GTEX-13112-0126-SM-5P9IU 50-59 years, male 72.1
GTEX-13PVR-0426-SM-5RQK2 60-69 years, female 72.1
GTEX-16MT8-2926-SM-7DUFO 60-69 years, female 72.1
GTEX-1C64O-1326-SM-7MGWR 60-69 years, male 71.8
GTEX-14PKV-1126-SM-6LLJ1 20-29 years, female 71.6
GTEX-13X6K-0626-SM-5LU5D 60-69 years, female 71.3
GTEX-13X6I-1826-SM-5SIAO 60-69 years, male 71.2
GTEX-1GMR2-0826-SM-7PC3V 50-59 years, male 71.2
GTEX-1N2DV-1526-SM-DTXEP 40-49 years, male 71.2
GTEX-Y5V6-2326-SM-4VDSA 60-69 years, male 70.9
GTEX-12KS4-2126-SM-5FQUT 30-39 years, male 70.6
GTEX-1K9T9-1526-SM-DIPFR 50-59 years, female 70.6
GTEX-YEC3-1326-SM-DO92X 50-59 years, male 70.5
GTEX-1QEPI-2626-SM-DTXF4 60-69 years, female 70.2
GTEX-XPVG-2126-SM-4B667 50-59 years, male 70.1
GTEX-1C475-1326-SM-7SB73 40-49 years, female 70.1
GTEX-WHWD-1826-SM-3LK6I 50-59 years, male 69.9
GTEX-139TT-2126-SM-5LZWC 60-69 years, male 69.7
GTEX-XYKS-1426-SM-4BRUO 60-69 years, female 69.7
GTEX-14BMV-2826-SM-5TDED 50-59 years, male 69.5
GTEX-1F5PL-0926-SM-7PC2W 40-49 years, female 69.4
GTEX-1JMQL-2226-SM-CNPP4 50-59 years, female 69.3
GTEX-18A7A-0126-SM-731AH 50-59 years, female 68.1
GTEX-1B932-2326-SM-79OL5 40-49 years, female 68.1
GTEX-ZTSS-1426-SM-5985P 40-49 years, male 68.1
GTEX-1LBAC-0826-SM-CY8IJ 20-29 years, male 68.1
GTEX-1GMR3-0126-SM-A9SLW 40-49 years, male 67.9
GTEX-1F6I4-2326-SM-7RHGL 60-69 years, male 67.8
GTEX-14A5H-0826-SM-5QGPJ 60-69 years, male 67.5
GTEX-14AS3-1526-SM-5Q5ED 40-49 years, female 67.5
GTEX-14BMU-1226-SM-5S2OR 20-29 years, female 67.4
GTEX-13OVL-0126-SM-5L3GJ 50-59 years, male 67.1
GTEX-1JKYN-0826-SM-ARU8S 30-39 years, male 67.0
GTEX-11DXX-2126-SM-5PNYR 60-69 years, female 66.9
GTEX-1H1DG-2426-SM-9QEHJ 70-79 years, male 66.8
GTEX-14XAO-1226-SM-6EU1C 60-69 years, female 66.6
GTEX-15RIE-1926-SM-7KUKJ 60-69 years, male 66.6
GTEX-ZYFG-1526-SM-5GZYM 60-69 years, female 66.6
GTEX-139YR-1026-SM-5LZYN 50-59 years, male 66.4
GTEX-1GTWX-2026-SM-9YFLM 60-69 years, male 66.4
GTEX-1HSMP-0926-SM-A9SKX 70-79 years, male 66.1
GTEX-145MN-1526-SM-5SI9T 30-39 years, male 66.0
GTEX-Y5LM-0926-SM-6LLJG 40-49 years, female 66.0
GTEX-13G51-1826-SM-5KLZH 60-69 years, male 65.8
GTEX-WYVS-1626-SM-3NM9R 40-49 years, female 65.5
GTEX-1LVAO-2726-SM-E9TJ8 60-69 years, male 64.9
GTEX-ZLWG-0826-SM-59888 50-59 years, female 64.7
GTEX-14JG6-1426-SM-9WG7C 30-39 years, female 64.5
GTEX-1JMOU-1026-SM-CYPSS 60-69 years, female 64.5
GTEX-15RJ7-2126-SM-6PAMD 40-49 years, male 64.3
GTEX-ZAK1-0626-SM-5HL8E 50-59 years, female 64.3
GTEX-Y3IK-1626-SM-4YCF5 50-59 years, female 64.2
GTEX-145MO-2826-SM-5LU96 60-69 years, male 64.1
GTEX-18A7B-2726-SM-7LG56 70-79 years, male 64.0
GTEX-1J8Q3-0526-SM-ARL8U 60-69 years, male 63.8
GTEX-11P7K-1126-SM-5HL4L 30-39 years, male 63.7
GTEX-13PVQ-0626-SM-5LU47 50-59 years, male 63.7
GTEX-17F96-0126-SM-7EWDU 70-79 years, male 63.6
GTEX-14DAQ-0626-SM-793DS 60-69 years, female 63.5
GTEX-W5X1-2526-SM-3GILC 40-49 years, female 63.4
GTEX-WK11-2726-SM-3NMAQ 50-59 years, male 63.2
GTEX-WFON-1926-SM-3LK7L 40-49 years, male 62.4
GTEX-1ICG6-1226-SM-A9SLN 70-79 years, female 62.3
GTEX-X4EP-0626-SM-3P621 60-69 years, female 62.1
GTEX-YJ8O-2526-SM-5HL85 40-49 years, female 62.1
GTEX-1LSNM-0826-SM-DIPG8 50-59 years, male 62.1
GTEX-15EU6-2226-SM-6EU2L 50-59 years, male 61.7
GTEX-1HC8U-1326-SM-9YFMJ 40-49 years, female 61.5
GTEX-1K2DA-1026-SM-CGQGF 50-59 years, male 61.4
GTEX-1IY9M-2826-SM-ARU8H 60-69 years, male 61.3
GTEX-1JKYR-0626-SM-ARL8R 20-29 years, male 61.1
GTEX-16MT9-0126-SM-7EPI8 60-69 years, female 60.7
GTEX-1GZ2Q-0126-SM-9WG6M 40-49 years, male 60.7
GTEX-XXEK-1626-SM-4BRUZ 50-59 years, male 60.6
GTEX-14E6C-2426-SM-5S2NF 40-49 years, male 60.5
GTEX-13OVG-1626-SM-5J1NF 60-69 years, male 60.3
GTEX-1B996-0426-SM-7EWF8 60-69 years, male 60.3
GTEX-11EM3-1226-SM-5N9DD 20-29 years, female 60.1
GTEX-1I4MK-0126-SM-CY8G6 50-59 years, female 60.0
GTEX-1S831-1826-SM-EWROF 20-29 years, male 60.0
GTEX-ZZ64-1026-SM-5GZXG 20-29 years, male 59.8
GTEX-13QBU-1226-SM-5LU4G 40-49 years, female 59.6
GTEX-145MG-1526-SM-5Q5EM 50-59 years, male 59.2
GTEX-U8XE-0226-SM-4E3J3 30-39 years, male 59.2
GTEX-131YS-2826-SM-5EQ47 60-69 years, female 59.1
GTEX-16NGA-0726-SM-731AO 40-49 years, female 59.0
GTEX-1QP29-1826-SM-DTX9S 50-59 years, male 58.3
GTEX-16Z82-2626-SM-7KULU 60-69 years, male 58.2
GTEX-ZPIC-0526-SM-DO91W 40-49 years, female 57.8
GTEX-ZGAY-1826-SM-DO91Q 40-49 years, female 57.7
GTEX-ZDXO-3126-SM-5IJDF 60-69 years, male 57.4
GTEX-11DXW-0826-SM-5H118 40-49 years, male 57.1
GTEX-1A32A-0626-SM-731AQ 50-59 years, female 57.1
GTEX-13113-1626-SM-5EQ4I 60-69 years, female 56.8
GTEX-11TT1-1826-SM-5EQLV 20-29 years, male 56.4
GTEX-147JS-0226-SM-5S2U9 60-69 years, male 56.4
GTEX-1KANC-1226-SM-CYPT7 50-59 years, female 56.1
GTEX-1QCLZ-2426-SM-EVYBW 60-69 years, female 55.7
GTEX-1E1VI-0326-SM-793D1 50-59 years, male 55.3
GTEX-13N11-2326-SM-5IJBF 50-59 years, female 54.9
GTEX-1HCU9-0426-SM-9WYSD 20-29 years, male 54.8
GTEX-1IDJC-1526-SM-B2LW4 50-59 years, male 54.7
GTEX-183FY-1026-SM-7939A 20-29 years, male 54.2
GTEX-14E6E-0526-SM-793DN 30-39 years, male 54.0
GTEX-1H1CY-0126-SM-9YFLY 60-69 years, female 53.9
GTEX-12BJ1-0926-SM-5EQ62 60-69 years, male 53.7
GTEX-1HCU8-2526-SM-CE6RX 60-69 years, female 53.6
GTEX-XK95-0226-SM-4AT58 40-49 years, male 53.2
GTEX-ZVP2-0326-SM-57WBP 50-59 years, male 53.2
GTEX-ZT9W-1126-SM-57WDR 50-59 years, male 52.4
GTEX-1IDJF-2026-SM-CL53V 20-29 years, male 52.1
GTEX-178AV-1726-SM-7KUL8 40-49 years, male 51.9
GTEX-Y5V5-0126-SM-5S2NW 60-69 years, female 51.9
GTEX-13FH7-1126-SM-5K7UG 50-59 years, female 51.4
GTEX-WYJK-0526-SM-3NM8Z 50-59 years, male 51.3
GTEX-ZVTK-0226-SM-51MRG 20-29 years, male 51.1
GTEX-13U4I-2226-SM-5LU5H 40-49 years, female 50.7
GTEX-1LG7Z-1626-SM-CXKYR 30-39 years, male 49.9
GTEX-1I6K6-1726-SM-CGQFD 30-39 years, male 49.8
GTEX-18D9B-0926-SM-7LG4U 60-69 years, male 49.7
GTEX-1IDJD-2326-SM-ACKWX 30-39 years, male 49.6
GTEX-14PJO-2526-SM-6AJBQ 60-69 years, male 49.3
GTEX-1H1E6-0426-SM-9WYUS 30-39 years, male 48.8
GTEX-12WSL-2026-SM-5GCML 50-59 years, male 48.4
GTEX-UPK5-0426-SM-3GAEK 40-49 years, male 48.1
GTEX-117YX-1926-SM-5GIEC 50-59 years, male 47.6
GTEX-1J8JJ-0626-SM-ARZMQ 60-69 years, female 47.3
GTEX-1H1DF-1126-SM-9WG7G 40-49 years, female 47.0
GTEX-1HUB1-1426-SM-CGQF5 60-69 years, male 45.4
GTEX-1QP66-1226-SM-DTX7U 50-59 years, male 44.6
GTEX-13N2G-0226-SM-5K7VF 60-69 years, male 44.3
GTEX-1CAV2-0126-SM-7IGN7 40-49 years, female 43.9
GTEX-17HG3-2626-SM-7DUF2 30-39 years, female 43.4
GTEX-11EI6-2826-SM-5H11D 60-69 years, male 43.3
GTEX-18A66-0626-SM-7LT8Z 60-69 years, male 43.1
GTEX-1F6IF-0926-SM-7SB7M 60-69 years, male 43.1
GTEX-X3Y1-2026-SM-3P5YM 40-49 years, male 43.0
GTEX-1I6K7-1926-SM-B2LXR 40-49 years, male 42.7
GTEX-145LT-0526-SM-5LUB2 40-49 years, male 42.6
GTEX-13JUV-2026-SM-5K7UA 40-49 years, female 42.5
GTEX-14PJ2-0626-SM-6LLII 50-59 years, male 42.2
GTEX-132AR-0326-SM-5KM2C 50-59 years, female 41.9
GTEX-VJYA-1526-SM-3GIJV 60-69 years, male 41.5
GTEX-YF7O-1526-SM-5IFI6 50-59 years, male 41.1
GTEX-1AX8Z-0726-SM-73KTS 60-69 years, male 40.6
GTEX-1RAZA-2226-SM-E9U4X 20-29 years, male 40.6
GTEX-11NSD-0626-SM-5A5LU 20-29 years, male 39.9
GTEX-1IDJE-1426-SM-ADEIW 50-59 years, female 37.2
GTEX-ZYFD-0626-SM-5E44E 50-59 years, male 36.8
GTEX-1LGOU-1326-SM-D3L8M 20-29 years, female 36.3
GTEX-16GPK-0626-SM-7KFSF 60-69 years, male 35.8
GTEX-13NZ9-2626-SM-5L3FK 50-59 years, male 35.2
GTEX-ZUA1-2626-SM-5NQ92 40-49 years, male 35.1
GTEX-YB5K-2026-SM-4VDT3 40-49 years, female 35.0
GTEX-1F75W-2726-SM-7SB8H 60-69 years, male 33.2
GTEX-1H3NZ-2726-SM-9WYTQ 60-69 years, male 33.2
GTEX-WFG8-2126-SM-3GIKQ 20-29 years, male 32.3
GTEX-1I19N-0126-SM-CYPSF 70-79 years, male 31.7
GTEX-17JCI-2926-SM-7DUFF 60-69 years, female 31.6
GTEX-111FC-2526-SM-5GZXU 60-69 years, male 23.7
GTEX-1AX9J-1326-SM-731BJ 60-69 years, male 23.5
GTEX-1GF9U-2026-SM-7SB92 40-49 years, female 21.1
GTEX-17EVQ-0126-SM-7IGLR 70-79 years, male 14.3
GTEX-1399R-1326-SM-5PNYS 30-39 years, male 14.1
GTEX-1L5NE-1126-SM-D3L9P 50-59 years, male 6.4
Show allShow less
Skin - Sun Exposed (Lower leg)
Average nTPM: 85.0
Samples: 701

Max nTPM: 242.2
Min nTPM: 0.0
Std nTPM: 32.1
Median nTPM: 81.6
GTEX-1122O-2126-SM-5EGIR 60-69 years, female 242.2
GTEX-P4QT-0126-SM-2I3FL 50-59 years, female 232.4
GTEX-15ETS-0126-SM-7KUMW 40-49 years, female 208.2
GTEX-14A5I-0126-SM-5TDEA 50-59 years, female 204.3
GTEX-S32W-2126-SM-2XCB1 50-59 years, female 185.9
GTEX-1QPFJ-0226-SM-E76PB 30-39 years, female 172.6
GTEX-13OVH-0126-SM-5MR4B 70-79 years, male 172.4
GTEX-1PIIG-0226-SM-EWRN6 30-39 years, male 168.6
GTEX-1IKJJ-0126-SM-CNPQB 60-69 years, male 166.5
GTEX-1KANC-1526-SM-D3LAB 50-59 years, female 165.9
GTEX-ZTX8-1426-SM-5DUVO 20-29 years, male 165.0
GTEX-17GQL-2026-SM-718BA 60-69 years, male 162.8
GTEX-145LS-0126-SM-5QGP1 60-69 years, female 162.6
GTEX-1JJ6O-0126-SM-E6CI8 60-69 years, male 158.0
GTEX-14E6C-0126-SM-5RQIP 40-49 years, male 157.7
GTEX-131XE-2326-SM-5PNZ2 50-59 years, male 157.6
GTEX-1JN1M-0326-SM-CYPT3 60-69 years, female 156.8
GTEX-18D9A-1926-SM-7LG6P 30-39 years, female 155.2
GTEX-1H4P4-0726-SM-9YFLR 50-59 years, male 154.3
GTEX-1QP66-1726-SM-E8VO1 50-59 years, male 153.8
GTEX-1MA7W-2026-SM-E9TJ6 20-29 years, female 153.0
GTEX-1LVAN-0226-SM-COH3S 50-59 years, female 151.9
GTEX-1L5NE-2526-SM-E6CIE 50-59 years, male 151.6
GTEX-15ER7-0326-SM-7KUEV 20-29 years, female 150.4
GTEX-1R9PM-2026-SM-E76OY 20-29 years, male 150.1
GTEX-T5JW-1626-SM-3GADZ 20-29 years, female 149.2
GTEX-ZYFG-2326-SM-5E44B 60-69 years, female 147.8
GTEX-1I1GT-0626-SM-CGQER 60-69 years, female 147.3
GTEX-14PN4-0126-SM-6EU2V 50-59 years, male 146.6
GTEX-1E2YA-0126-SM-9KNUC 50-59 years, male 146.1
GTEX-ZXES-1826-SM-5E43S 30-39 years, female 145.9
GTEX-1HSMO-0126-SM-CL547 60-69 years, male 144.5
GTEX-ZV6S-2326-SM-4YCEY 40-49 years, female 142.7
GTEX-1HCU7-0226-SM-CL545 50-59 years, male 141.6
GTEX-1J8QM-2126-SM-CYPSJ 60-69 years, female 141.5
GTEX-17F96-1626-SM-7DUFL 70-79 years, male 141.3
GTEX-ZWKS-0126-SM-5SIAA 30-39 years, male 141.2
GTEX-ZF2S-2326-SM-4WWCE 50-59 years, female 140.9
GTEX-1KXAM-2226-SM-CYPTC 60-69 years, male 140.8
GTEX-ZVZP-2426-SM-59HKJ 50-59 years, male 140.7
GTEX-1PDJ9-0326-SM-DTX95 20-29 years, male 140.4
GTEX-14PJ6-2126-SM-6EU1V 60-69 years, female 140.3
GTEX-1RB15-2126-SM-E9TIM 60-69 years, male 140.1
GTEX-12696-2426-SM-5EQ6H 60-69 years, male 139.9
GTEX-145MO-0326-SM-5Q5B3 60-69 years, male 139.2
GTEX-12WSA-0226-SM-5BC5V 60-69 years, male 139.0
GTEX-1S3DN-2226-SM-EVYCD 50-59 years, male 138.6
GTEX-11H98-0126-SM-5EGHG 50-59 years, male 138.5
GTEX-17JCI-0126-SM-7LG5G 60-69 years, female 138.4
GTEX-P44H-0226-SM-2XCEU 40-49 years, male 138.4
GTEX-1LGRB-2526-SM-CNPPQ 50-59 years, female 138.3
GTEX-Z93S-0126-SM-5HL7M 50-59 years, male 137.2
GTEX-1C475-1826-SM-73KWA 40-49 years, female 136.8
GTEX-1MJK2-0426-SM-DTXE5 50-59 years, male 135.0
GTEX-1GMR3-1926-SM-9KNUZ 40-49 years, male 134.8
GTEX-1R46S-0626-SM-E9J41 60-69 years, female 133.4
GTEX-1HSGN-0226-SM-CGQFV 40-49 years, female 132.7
GTEX-15RIG-0226-SM-7KFTL 40-49 years, male 131.8
GTEX-16XZZ-0126-SM-793DV 60-69 years, male 131.2
GTEX-1CAMQ-0226-SM-7IGPK 40-49 years, male 130.7
GTEX-13SLW-0126-SM-5SI6C 70-79 years, male 126.8
GTEX-13PDP-0126-SM-5L3HD 60-69 years, male 125.9
GTEX-1JJEA-0326-SM-CNPOT 60-69 years, male 125.0
GTEX-X261-0126-SM-3NMD6 50-59 years, male 124.5
GTEX-131YS-0126-SM-5KM1M 60-69 years, female 124.4
GTEX-1M5QR-1226-SM-EWROB 40-49 years, male 124.0
GTEX-145MF-0626-SM-5LUAI 50-59 years, male 123.8
GTEX-1212Z-2526-SM-5EGKP 60-69 years, male 123.7
GTEX-1LG7Z-1726-SM-D3LA4 30-39 years, male 123.6
GTEX-OIZH-0126-SM-2HMIS 50-59 years, male 123.3
GTEX-1J1OQ-0226-SM-CYPSH 40-49 years, female 123.3
GTEX-1GN1U-0126-SM-7PBZK 50-59 years, female 123.1
GTEX-UJHI-1526-SM-3DB99 50-59 years, female 122.5
GTEX-Y8E4-0626-SM-4WWDL 40-49 years, male 122.1
GTEX-13NYB-2526-SM-5K7Z6 40-49 years, male 121.9
GTEX-139UW-2826-SM-5L3E7 60-69 years, male 121.5
GTEX-UPJH-0326-SM-3GADU 50-59 years, male 120.9
GTEX-1H1DG-0126-SM-9WYU2 70-79 years, male 120.8
GTEX-11EQ9-2426-SM-5HL5T 30-39 years, male 120.3
GTEX-14JG1-0426-SM-6ETZZ 40-49 years, male 118.6
GTEX-XBEW-0626-SM-4QASP 40-49 years, male 118.6
GTEX-12WSE-0526-SM-793B2 20-29 years, male 118.3
GTEX-T2IS-0126-SM-4DM6O 20-29 years, female 118.3
GTEX-1HCU6-0126-SM-CL54K 60-69 years, female 118.2
GTEX-139TS-2826-SM-5J1OO 60-69 years, male 118.1
GTEX-11EM3-2426-SM-59861 20-29 years, female 117.4
GTEX-14BIN-0626-SM-793DP 50-59 years, female 117.1
GTEX-1CB4H-0226-SM-7PBXM 60-69 years, female 117.1
GTEX-1KWVE-1426-SM-E9TJO 30-39 years, male 116.9
GTEX-13111-1626-SM-5EGJY 50-59 years, male 116.8
GTEX-1399R-2726-SM-5IJBA 30-39 years, male 116.6
GTEX-1B8KE-2126-SM-73KYX 50-59 years, male 116.5
GTEX-1I1GV-0526-SM-A9G29 60-69 years, male 116.3
GTEX-ZV68-0126-SM-59HKS 50-59 years, female 116.2
GTEX-13OVK-2026-SM-7KUEO 40-49 years, male 116.1
GTEX-WFG8-2226-SM-3GIL9 20-29 years, male 115.8
GTEX-1JN76-0126-SM-CNPPE 20-29 years, female 115.7
GTEX-OIZG-0726-SM-33HBL 50-59 years, male 115.6
GTEX-1KANA-0726-SM-D3L9I 20-29 years, male 115.3
GTEX-13JUV-2726-SM-5LZZ8 40-49 years, female 115.1
GTEX-1HFI7-1826-SM-ACKXH 50-59 years, female 115.1
GTEX-1I4MK-2226-SM-ACKWD 50-59 years, female 115.1
GTEX-WFON-2126-SM-3LK7O 40-49 years, male 114.5
GTEX-1O97I-0326-SM-EYYX7 60-69 years, male 114.0
GTEX-1IDJH-0326-SM-A9SLQ 70-79 years, male 113.9
GTEX-PLZ6-1426-SM-DKPOT 30-39 years, male 113.8
GTEX-1OJC3-0126-SM-E76QX 20-29 years, male 113.6
GTEX-11LCK-1026-SM-5A5KB 30-39 years, male 113.5
GTEX-1B97I-1626-SM-73KYO 40-49 years, male 113.5
GTEX-1HT8W-0126-SM-CNPPP 30-39 years, male 113.3
GTEX-1KAFJ-2026-SM-CY8ID 50-59 years, male 113.3
GTEX-P4PP-0126-SM-3LK69 30-39 years, female 113.1
GTEX-ZTSS-1926-SM-57WEW 40-49 years, male 113.0
GTEX-111FC-0126-SM-5N9DL 60-69 years, male 112.9
GTEX-ZYT6-0226-SM-5NQ6T 30-39 years, male 112.9
GTEX-WYVS-2126-SM-3NMA3 40-49 years, female 112.8
GTEX-11TUW-2726-SM-E9J4M 60-69 years, male 112.6
GTEX-1H3VE-0326-SM-9YFLH 40-49 years, male 112.2
GTEX-17KNJ-2326-SM-7DHLQ 50-59 years, male 112.1
GTEX-ZVTK-0426-SM-51MRS 20-29 years, male 112.1
GTEX-1128S-2326-SM-5GZZY 60-69 years, female 112.0
GTEX-1GF9V-0326-SM-7RHI5 60-69 years, male 112.0
GTEX-1CB4I-0226-SM-79OLH 50-59 years, male 111.5
GTEX-145MI-0526-SM-5O9A8 60-69 years, female 111.4
GTEX-1JN6P-0126-SM-D3L98 60-69 years, male 111.4
GTEX-16GPK-0126-SM-7DHLE 60-69 years, male 111.2
GTEX-ZU9S-0226-SM-5E441 30-39 years, male 111.2
GTEX-145ME-1826-SM-5SI9G 40-49 years, female 111.1
GTEX-1CAV2-2226-SM-7P8P2 40-49 years, female 110.9
GTEX-1HCU8-0626-SM-A9SM9 60-69 years, female 110.9
GTEX-PSDG-0226-SM-DKPOZ 50-59 years, male 110.9
GTEX-ZDTT-2726-SM-4WKF8 60-69 years, male 110.6
GTEX-SJXC-0126-SM-2XCFF 60-69 years, male 110.5
GTEX-WYJK-0126-SM-3NMAB 50-59 years, male 110.5
GTEX-13CF3-2426-SM-5IFGX 60-69 years, female 110.3
GTEX-14PII-0226-SM-6EU1T 60-69 years, male 110.0
GTEX-17MF6-0126-SM-7LG4F 40-49 years, male 110.0
GTEX-15EU6-0426-SM-6PAN5 50-59 years, male 109.8
GTEX-11UD2-0226-SM-5EQKY 50-59 years, male 109.6
GTEX-1B8SF-1426-SM-7DUGL 60-69 years, male 109.6
GTEX-ZVT2-2526-SM-51MT1 50-59 years, female 109.3
GTEX-13NZ8-0826-SM-5MR3I 60-69 years, female 109.0
GTEX-1I1GQ-0126-SM-COH3H 50-59 years, male 108.9
GTEX-15F5U-1526-SM-6PANO 40-49 years, male 108.6
GTEX-1K2DU-2326-SM-E9TIV 20-29 years, male 108.6
GTEX-1S83E-0126-SM-EWRO4 40-49 years, male 108.5
GTEX-ZVT4-0126-SM-DTXFN 50-59 years, female 108.5
GTEX-117XS-2726-SM-5N9BL 60-69 years, male 108.3
GTEX-11DYG-0126-SM-59883 60-69 years, male 108.2
GTEX-T8EM-1026-SM-3DB7M 40-49 years, male 108.1
GTEX-1OFPY-2426-SM-DTXEJ 60-69 years, male 107.9
GTEX-1EWIQ-0126-SM-7RHH2 70-79 years, female 107.7
GTEX-X4EO-0326-SM-3P5YO 60-69 years, female 107.5
GTEX-PVOW-0126-SM-2XCFA 40-49 years, male 106.9
GTEX-13113-5016-SM-7EPIP 60-69 years, female 106.6
GTEX-145MN-2226-SM-5SIAU 30-39 years, male 106.6
GTEX-YJ89-0126-SM-4TT3X 60-69 years, male 106.6
GTEX-12WSG-2826-SM-E9J4H 50-59 years, female 106.6
GTEX-Y3IK-2426-SM-4WWDU 50-59 years, female 106.5
GTEX-1F6RS-0126-SM-9MQKZ 60-69 years, female 106.5
GTEX-139D8-0226-SM-5KLZO 30-39 years, female 106.4
GTEX-17EVP-0326-SM-7DHLG 40-49 years, male 106.3
GTEX-15SHU-0126-SM-7KUEH 40-49 years, female 106.0
GTEX-13S7M-0126-SM-5SI6A 60-69 years, female 105.8
GTEX-1JMLX-0226-SM-CM2RO 50-59 years, male 105.3
GTEX-131XH-2226-SM-5DUXJ 50-59 years, male 105.2
GTEX-1GN2E-0426-SM-9MQKX 60-69 years, male 104.9
GTEX-U412-0426-SM-3DB9O 60-69 years, male 104.4
GTEX-1C6VQ-0126-SM-7P8RI 50-59 years, male 104.4
GTEX-RWSA-0126-SM-2XCBB 40-49 years, male 104.3
GTEX-ZYY3-0126-SM-5GZY5 60-69 years, female 104.3
GTEX-11GSO-2426-SM-5A5LY 60-69 years, male 104.2
GTEX-13D11-2426-SM-5KM1V 50-59 years, female 104.2
GTEX-1PFEY-1526-SM-E76PP 30-39 years, male 104.0
GTEX-12ZZZ-0626-SM-5DUXI 60-69 years, male 103.8
GTEX-ZGAY-0526-SM-4WWBB 40-49 years, female 103.8
GTEX-1HSKV-0226-SM-A9SKJ 60-69 years, male 103.8
GTEX-146FQ-0126-SM-5NQA9 30-39 years, male 103.6
GTEX-1I1GR-0126-SM-CL55F 60-69 years, male 103.6
GTEX-13FTW-2626-SM-5K7WL 40-49 years, male 103.3
GTEX-XPVG-2626-SM-4B669 50-59 years, male 103.3
GTEX-SN8G-0126-SM-32PLI 50-59 years, female 103.2
GTEX-1GL5R-1826-SM-9KNUY 50-59 years, male 103.1
GTEX-11DXZ-2326-SM-5EGGV 50-59 years, male 103.0
GTEX-1PPH8-0226-SM-E8VND 20-29 years, male 102.9
GTEX-OOBJ-0126-SM-E6CJW 60-69 years, male 102.7
GTEX-T2YK-0526-SM-32QPJ 50-59 years, male 102.4
GTEX-11TT1-2526-SM-5EGIB 20-29 years, male 102.3
GTEX-13OW6-0426-SM-5L3HM 50-59 years, male 102.2
GTEX-13IVO-0126-SM-5J1NG 70-79 years, male 102.0
GTEX-RTLS-0126-SM-447CA 60-69 years, female 101.9
GTEX-13CF2-2526-SM-5LZYX 60-69 years, male 101.8
GTEX-14PHX-2326-SM-62LEM 50-59 years, male 101.8
GTEX-14BMU-2226-SM-5TDE9 20-29 years, female 101.5
GTEX-X8HC-0126-SM-4E3JW 50-59 years, female 101.4
GTEX-1IOXB-0126-SM-ARL8G 50-59 years, male 101.4
GTEX-ZF3C-0126-SM-DO92D 50-59 years, female 101.1
GTEX-PX3G-0126-SM-2I3EN 20-29 years, female 101.0
GTEX-1KD4Q-0226-SM-E9TJ9 40-49 years, male 100.8
GTEX-1H11D-0226-SM-9WG6Z 40-49 years, male 100.7
GTEX-14E6D-0126-SM-62LDV 50-59 years, male 100.5
GTEX-YB5E-2026-SM-5IFIS 40-49 years, male 100.5
GTEX-1313W-0126-SM-5LZUN 50-59 years, female 100.3
GTEX-1HBPM-0226-SM-ARL9F 60-69 years, female 100.2
GTEX-1K2DA-1826-SM-CGQGT 50-59 years, male 100.0
GTEX-13N2G-2626-SM-5J1OT 60-69 years, male 99.8
GTEX-13OW8-1326-SM-5J1OW 60-69 years, male 99.7
GTEX-13QJ3-0326-SM-5S2RA 50-59 years, male 99.7
GTEX-11DXW-0226-SM-5H122 40-49 years, male 99.6
GTEX-1399T-2826-SM-5KLYZ 60-69 years, male 99.5
GTEX-1F75B-0126-SM-9KNVL 50-59 years, male 99.2
GTEX-14DAR-2026-SM-5S2O3 50-59 years, male 99.1
GTEX-1JMQI-2226-SM-CM2SD 50-59 years, male 98.7
GTEX-1C64N-0126-SM-793D7 50-59 years, male 98.4
GTEX-14LZ3-0226-SM-62LET 60-69 years, female 98.3
GTEX-15UF6-0826-SM-6PALJ 70-79 years, female 97.7
GTEX-YFC4-0126-SM-5CVLY 40-49 years, female 97.7
GTEX-148VJ-0126-SM-5TDDN 70-79 years, male 97.6
GTEX-1IDJU-2626-SM-CM2RT 60-69 years, female 97.6
GTEX-U8T8-0126-SM-3DB94 60-69 years, male 97.5
GTEX-1LSNM-1926-SM-E6CII 50-59 years, male 97.5
GTEX-1LB8K-0226-SM-EWRNW 50-59 years, male 97.4
GTEX-144FL-0126-SM-5TDC8 50-59 years, male 97.3
GTEX-SNMC-1226-SM-2XCFP 20-29 years, male 97.3
GTEX-1A3MV-1926-SM-718BT 30-39 years, male 97.2
GTEX-O5YW-0126-SM-3LK6D 50-59 years, male 97.2
GTEX-145LV-2126-SM-5LU8N 50-59 years, male 97.1
GTEX-1R7EU-0226-SM-EVR4G 60-69 years, male 96.9
GTEX-1211K-2026-SM-5EQ4Z 60-69 years, female 96.4
GTEX-14BMV-0126-SM-5S2PO 50-59 years, male 96.0
GTEX-1JMQJ-0526-SM-CYPSU 50-59 years, male 96.0
GTEX-1GF9W-0326-SM-9KNUN 60-69 years, male 95.8
GTEX-TKQ1-1026-SM-4GICL 30-39 years, male 95.6
GTEX-ZVZO-0126-SM-5A5L9 40-49 years, male 95.5
GTEX-1HCU9-1526-SM-A9SL7 20-29 years, male 95.4
GTEX-14JG6-2226-SM-6EU2G 30-39 years, female 94.9
GTEX-14XAO-2326-SM-6EU1B 60-69 years, female 94.9
GTEX-1H2FU-0126-SM-9WYSI 60-69 years, female 94.9
GTEX-1BAJH-0526-SM-793CQ 70-79 years, male 94.8
GTEX-1HGF4-2426-SM-ACKXM 60-69 years, male 94.6
GTEX-16MT8-0426-SM-7KUEY 60-69 years, female 94.4
GTEX-Y8DK-0126-SM-4TT3L 60-69 years, male 94.4
GTEX-1QCLY-0326-SM-E8VOG 30-39 years, male 94.3
GTEX-18QFQ-0126-SM-731BE 30-39 years, male 94.1
GTEX-R3RS-0126-SM-3GIJL 40-49 years, female 94.1
GTEX-1F5PL-0326-SM-7P8PQ 40-49 years, female 93.9
GTEX-ZPIC-1726-SM-DHXIU 40-49 years, female 93.9
GTEX-X585-0226-SM-4QAS2 50-59 years, male 93.8
GTEX-WRHK-1426-SM-3MJF9 20-29 years, female 93.5
GTEX-131XW-0426-SM-5LZWP 50-59 years, female 93.3
GTEX-ZE9C-2726-SM-57WB5 60-69 years, male 93.3
GTEX-Z93T-0126-SM-5HL5N 50-59 years, male 93.1
GTEX-1NV5F-0226-SM-E8VNY 60-69 years, female 93.0
GTEX-ZZ64-1726-SM-5GZYB 20-29 years, male 92.7
GTEX-1GZ4H-1726-SM-7PBZJ 50-59 years, female 92.7
GTEX-1JMPZ-0226-SM-CNPP1 30-39 years, male 92.7
GTEX-1CB4E-2226-SM-793DC 60-69 years, male 92.5
GTEX-1QP9N-1426-SM-DTXFL 30-39 years, male 92.3
GTEX-13X6J-0126-SM-5QGOU 50-59 years, male 92.2
GTEX-1399U-2326-SM-5K7WY 50-59 years, female 92.1
GTEX-14753-0426-SM-5NQAM 60-69 years, male 92.0
GTEX-S95S-1226-SM-4GICG 60-69 years, male 91.7
GTEX-ZDTS-0126-SM-4WAY5 60-69 years, male 91.7
GTEX-11WQK-0526-SM-5EQLD 50-59 years, male 91.3
GTEX-12ZZY-0226-SM-5LZVE 60-69 years, male 91.3
GTEX-13W46-0226-SM-5SIAG 50-59 years, male 91.3
GTEX-1GZ2Q-0226-SM-7P8TL 40-49 years, male 90.7
GTEX-QESD-1426-SM-2S1R9 20-29 years, male 90.5
GTEX-1EX96-1626-SM-7PBXR 50-59 years, male 90.2
GTEX-1GZHY-0326-SM-9QEHI 50-59 years, female 90.0
GTEX-1R7EV-2426-SM-EVYBG 40-49 years, male 90.0
GTEX-NFK9-0226-SM-2HMKQ 40-49 years, male 89.9
GTEX-1GPI7-0126-SM-9MQL8 20-29 years, male 89.9
GTEX-ZXG5-0126-SM-5GIEU 60-69 years, male 89.6
GTEX-148VI-1626-SM-5SI6E 60-69 years, female 89.5
GTEX-1JMQL-0226-SM-CNPP5 50-59 years, female 89.5
GTEX-132NY-0326-SM-5IJBL 60-69 years, male 89.4
GTEX-13YAN-0326-SM-5O9DF 60-69 years, male 89.3
GTEX-1RAZA-0126-SM-E6CI3 20-29 years, male 89.3
GTEX-13NYC-0326-SM-E9J4S 60-69 years, male 89.2
GTEX-13FH7-2026-SM-E9J4I 50-59 years, female 89.1
GTEX-13FTY-0526-SM-5L3EV 40-49 years, female 89.0
GTEX-VJWN-0126-SM-3GIK7 50-59 years, female 88.9
GTEX-1F52S-0126-SM-9MQJU 60-69 years, female 88.8
GTEX-Y5V5-2326-SM-4V6GA 60-69 years, female 88.7
GTEX-OXRO-0126-SM-2YUN4 60-69 years, female 88.6
GTEX-1HSMQ-1226-SM-CGQFX 50-59 years, male 88.5
GTEX-Y5LM-1926-SM-5RQJH 40-49 years, female 88.4
GTEX-13FTX-1826-SM-5J1NX 20-29 years, female 88.3
GTEX-1QMI2-0226-SM-EVYBX 60-69 years, male 88.1
GTEX-17MFQ-1726-SM-793C7 20-29 years, male 88.0
GTEX-VUSG-2526-SM-4KL1V 50-59 years, male 88.0
GTEX-11OF3-2626-SM-5GU7F 60-69 years, male 87.9
GTEX-T6MN-0126-SM-32PLP 50-59 years, male 87.8
GTEX-1HBPI-1526-SM-C1YQ1 50-59 years, male 87.8
GTEX-14LLW-0126-SM-6LLIO 70-79 years, female 87.3
GTEX-17HHE-2026-SM-79OKF 50-59 years, male 87.3
GTEX-1GMRU-0126-SM-9YFLV 50-59 years, male 87.3
GTEX-13FXS-0226-SM-5IJCK 50-59 years, male 87.1
GTEX-13O3P-0126-SM-5KM4S 50-59 years, male 87.1
GTEX-POMQ-2226-SM-2I5FK 20-29 years, female 87.1
GTEX-1CB4F-0426-SM-9KNV4 60-69 years, male 87.1
GTEX-11DXY-2626-SM-5GIE7 60-69 years, male 87.0
GTEX-144GL-0126-SM-5TDE2 50-59 years, male 86.9
GTEX-WQUQ-0426-SM-3MJFU 60-69 years, male 86.8
GTEX-1AX9J-0226-SM-73KXM 60-69 years, male 86.7
GTEX-TML8-1926-SM-32QOS 40-49 years, female 86.6
GTEX-1CB4G-0226-SM-7PC3O 60-69 years, male 86.6
GTEX-ZDYS-2026-SM-5HL5L 50-59 years, male 86.3
GTEX-18A6Q-0126-SM-731BZ 60-69 years, male 86.2
GTEX-12584-0126-SM-5EGKQ 40-49 years, male 85.9
GTEX-1N2EF-0226-SM-EYYXB 60-69 years, male 85.9
GTEX-17EUY-0426-SM-793BD 20-29 years, male 85.8
GTEX-ZEX8-2426-SM-4WKG4 50-59 years, male 85.6
GTEX-WI4N-1026-SM-3LK7N 40-49 years, female 85.5
GTEX-1AMFI-2026-SM-731BH 50-59 years, female 85.4
GTEX-1S82Z-0826-SM-E6CHY 30-39 years, female 85.4
GTEX-13X6H-2126-SM-7EWD5 50-59 years, female 85.3
GTEX-QDVJ-1726-SM-2I5FX 50-59 years, male 85.3
GTEX-ZF29-2326-SM-DO92K 60-69 years, female 85.3
GTEX-14PJM-0226-SM-62LF1 50-59 years, female 85.2
GTEX-1RDX4-0126-SM-E9J4P 50-59 years, female 85.2
GTEX-13PVR-2326-SM-5QGR1 60-69 years, female 85.0
GTEX-183WM-0126-SM-7LTAB 70-79 years, female 84.9
GTEX-1EMGI-0126-SM-9KNUE 60-69 years, male 84.8
GTEX-1IKOH-0226-SM-COH4E 60-69 years, female 84.8
GTEX-1LH75-2426-SM-E9TJE 50-59 years, female 84.8
GTEX-SUCS-1926-SM-32PM3 70-79 years, male 84.7
GTEX-169BO-1326-SM-9MQK2 50-59 years, male 84.6
GTEX-1POEN-0126-SM-EYYXJ 30-39 years, female 84.6
GTEX-13NZB-2526-SM-5J1OM 30-39 years, male 84.2
GTEX-O5YT-0126-SM-48TBW 20-29 years, male 84.2
GTEX-1J8Q2-0526-SM-CM2RW 60-69 years, male 83.9
GTEX-1GMR8-0126-SM-9WYTM 50-59 years, female 83.8
GTEX-1HCUA-2426-SM-ADEIS 50-59 years, female 83.7
GTEX-ZAB4-0226-SM-5N9F5 40-49 years, male 83.6
GTEX-14C5O-0126-SM-5SI6N 60-69 years, male 83.5
GTEX-YB5K-2126-SM-4WWDJ 40-49 years, female 83.3
GTEX-S7SE-0126-SM-2XCD5 50-59 years, male 82.9
GTEX-1C6VR-2426-SM-79OLD 60-69 years, male 82.8
GTEX-1S5ZA-0126-SM-EVYCV 20-29 years, male 82.8
GTEX-1ICLZ-0126-SM-CKZPO 60-69 years, male 82.7
GTEX-XUZC-1726-SM-4BRWS 30-39 years, female 82.6
GTEX-1JMQK-0226-SM-CL543 60-69 years, male 82.6
GTEX-13OW5-0126-SM-DTXFS 60-69 years, male 82.2
GTEX-1LGOU-2026-SM-DIPFF 20-29 years, female 82.2
GTEX-1CAMR-1926-SM-7EPI2 20-29 years, male 82.1
GTEX-18D9U-0226-SM-718BP 40-49 years, male 81.9
GTEX-11ZTS-0126-SM-5EQ6M 60-69 years, female 81.8
GTEX-15CHC-2126-SM-6EU21 60-69 years, female 81.7
GTEX-13SLX-0526-SM-5S2ON 50-59 years, female 81.6
GTEX-16BQI-0226-SM-7KUEX 30-39 years, female 81.6
GTEX-133LE-1826-SM-5J1MV 20-29 years, female 81.5
GTEX-PWO3-1526-SM-48TCM 60-69 years, female 81.4
GTEX-1IDJF-0126-SM-CM2RS 20-29 years, male 81.4
GTEX-QVJO-1626-SM-2S1QW 60-69 years, female 81.3
GTEX-ZAK1-0126-SM-5IJD3 50-59 years, female 81.3
GTEX-1H1CY-2826-SM-9MQM3 60-69 years, female 81.3
GTEX-16NGA-1726-SM-731B4 40-49 years, female 81.1
GTEX-12WSC-0126-SM-5EQ4P 50-59 years, male 81.0
GTEX-1MUQO-0126-SM-EAZ58 60-69 years, male 80.8
GTEX-XUYS-0126-SM-47JWZ 50-59 years, male 80.5
GTEX-1JMPY-1326-SM-ARL8Y 30-39 years, male 80.4
GTEX-Y5V6-2426-SM-4VDSB 60-69 years, male 80.3
GTEX-1IL2U-0226-SM-CE6T8 60-69 years, male 80.3
GTEX-18465-0126-SM-731BN 50-59 years, male 80.2
GTEX-OHPL-0126-SM-2HMJ7 60-69 years, female 80.2
GTEX-WH7G-2326-SM-3NMBC 40-49 years, male 80.2
GTEX-PWCY-1826-SM-DHXIZ 20-29 years, female 80.2
GTEX-13O21-1426-SM-5K7XI 50-59 years, male 80.1
GTEX-11EI6-0126-SM-5985R 60-69 years, male 80.0
GTEX-XQ3S-1526-SM-4BOOC 20-29 years, male 79.9
GTEX-18A66-0226-SM-718BD 60-69 years, male 79.8
GTEX-1PIGE-0126-SM-EVYBJ 20-29 years, male 79.5
GTEX-1S82Y-2026-SM-EVYCM 40-49 years, male 79.4
GTEX-1A8FM-0226-SM-7SB7Q 50-59 years, female 79.2
GTEX-1J1R8-1726-SM-ARL8M 40-49 years, male 79.1
GTEX-1JKYR-0126-SM-CNPOJ 20-29 years, male 78.9
GTEX-1QAET-0926-SM-E76QM 50-59 years, male 78.9
GTEX-16AAH-1726-SM-7939C 50-59 years, male 78.6
GTEX-13RTK-1426-SM-5QGQJ 20-29 years, male 78.4
GTEX-12ZZX-0126-SM-5EGK9 40-49 years, female 78.2
GTEX-1B8SG-0126-SM-73KZ3 50-59 years, male 78.2
GTEX-11VI4-1726-SM-5CVLH 40-49 years, female 78.1
GTEX-18A7B-0126-SM-7LG64 70-79 years, male 78.1
GTEX-1E1VI-0126-SM-7DHMZ 50-59 years, male 78.1
GTEX-1C4CL-0526-SM-73KVK 30-39 years, male 78.0
GTEX-131XF-5016-SM-7MGWE 60-69 years, male 77.9
GTEX-16YQH-0126-SM-7DUFJ 30-39 years, male 77.8
GTEX-SIU8-0126-SM-2XCDT 50-59 years, male 77.8
GTEX-W5WG-1826-SM-4KL2Y 50-59 years, female 77.7
GTEX-RVPV-0126-SM-EAZAW 60-69 years, male 77.7
GTEX-1C2JI-1826-SM-73KXC 50-59 years, male 77.5
GTEX-17F98-0626-SM-79OMX 40-49 years, female 77.3
GTEX-12WSK-2326-SM-5GCOH 40-49 years, female 77.2
GTEX-139TU-0126-SM-5K7WH 60-69 years, male 77.2
GTEX-ZYFC-0226-SM-5NQ75 50-59 years, male 77.2
GTEX-11DZ1-0126-SM-5985Q 50-59 years, male 77.1
GTEX-13O1R-0126-SM-5L3EH 60-69 years, male 77.1
GTEX-13RTJ-2426-SM-5S2Q2 60-69 years, male 77.1
GTEX-X4XY-0226-SM-4E3IZ 60-69 years, male 77.1
GTEX-13U4I-0126-SM-5LU38 40-49 years, female 76.9
GTEX-1LG7Y-0526-SM-DKPQC 50-59 years, male 76.9
GTEX-147GR-0526-SM-5S2MY 60-69 years, male 76.8
GTEX-ZY6K-1826-SM-5GZXK 50-59 years, male 76.8
GTEX-11OC5-0126-SM-5HL6A 60-69 years, male 76.7
GTEX-1HSEH-0126-SM-ACKXN 60-69 years, male 76.7
GTEX-111VG-2426-SM-5GZXD 60-69 years, male 76.6
GTEX-1F5PK-2426-SM-7RHHY 50-59 years, male 76.3
GTEX-RNOR-0126-SM-E9J4R 50-59 years, female 76.3
GTEX-1JMOU-1526-SM-CL54I 60-69 years, female 76.2
GTEX-1J8EW-0126-SM-CJI4F 60-69 years, female 76.1
GTEX-1HB9E-0226-SM-E9U4R 50-59 years, male 76.0
GTEX-15SB6-1726-SM-6PAME 50-59 years, female 75.9
GTEX-ZQG8-1626-SM-DHXIT 60-69 years, female 75.8
GTEX-13VXU-0126-SM-5SI9F 50-59 years, male 75.4
GTEX-145LT-1726-SM-5QGP3 40-49 years, male 75.1
GTEX-XAJ8-0826-SM-47JY6 40-49 years, male 75.1
GTEX-ZVE2-0226-SM-59HJB 50-59 years, male 75.1
GTEX-1HBPN-0226-SM-9YFM1 50-59 years, male 75.1
GTEX-Q2AG-0126-SM-33HBV 40-49 years, female 75.0
GTEX-XQ8I-0426-SM-4BOPO 50-59 years, male 74.9
GTEX-ZAB5-1826-SM-5HL7C 50-59 years, male 74.7
GTEX-17HII-0226-SM-7LG4E 50-59 years, male 74.6
GTEX-15G19-0126-SM-6PANQ 60-69 years, male 74.4
GTEX-S33H-1026-SM-EZ6L6 30-39 years, male 74.4
GTEX-12KS4-0326-SM-5EQ41 30-39 years, male 74.3
GTEX-P4PQ-0126-SM-2S1NM 60-69 years, male 74.3
GTEX-13112-2826-SM-5DUWH 50-59 years, male 74.2
GTEX-1269C-2526-SM-5EGJ3 60-69 years, female 73.9
GTEX-TSE9-0126-SM-3DB83 60-69 years, female 73.7
GTEX-14PN3-2426-SM-6LLHS 60-69 years, female 73.6
GTEX-1MCYP-1926-SM-E9J2R 20-29 years, female 73.6
GTEX-WVJS-0126-SM-4MVOT 50-59 years, male 73.5
GTEX-1314G-1526-SM-5EGK2 30-39 years, male 73.3
GTEX-13O3Q-2426-SM-5IJBR 50-59 years, male 73.3
GTEX-1CAMS-0426-SM-7P8T2 40-49 years, female 73.3
GTEX-Q2AH-1626-SM-3GAF8 40-49 years, male 73.2
GTEX-13O3O-0126-SM-E9J49 60-69 years, female 73.2
GTEX-13X6I-0626-SM-5QGP9 60-69 years, male 73.1
GTEX-14A5H-0426-SM-5QGQF 60-69 years, male 73.1
GTEX-16NPX-0226-SM-79OMT 50-59 years, male 73.1
GTEX-1I1CD-0126-SM-CM2TK 60-69 years, female 73.0
GTEX-12WSJ-1826-SM-5GCNY 40-49 years, female 72.8
GTEX-15D1Q-0126-SM-7KUG6 40-49 years, male 72.8
GTEX-X4EP-0126-SM-3P5YV 60-69 years, female 72.8
GTEX-14ICK-0226-SM-6EU25 40-49 years, male 72.6
GTEX-1EU9M-0226-SM-7P8SP 60-69 years, male 72.6
GTEX-1H3VY-0126-SM-ACKXD 50-59 years, male 72.6
GTEX-1H1DE-2126-SM-9WG6R 20-29 years, male 72.5
GTEX-1N2DW-0226-SM-E9TK2 50-59 years, male 72.5
GTEX-1J8JJ-0226-SM-CL53I 60-69 years, female 72.4
GTEX-1GF9U-2126-SM-7SB7L 40-49 years, female 72.3
GTEX-1GN73-0226-SM-9WG67 60-69 years, male 72.3
GTEX-12126-0326-SM-5PNW3 20-29 years, male 72.2
GTEX-OOBK-0126-SM-2YUND 40-49 years, male 72.2
GTEX-147F3-0526-SM-5SI98 50-59 years, female 72.1
GTEX-YEC4-2126-SM-5IFJH 40-49 years, male 72.1
GTEX-12WSL-2526-SM-5GCNJ 50-59 years, male 72.0
GTEX-1JJE9-0326-SM-CL53Z 70-79 years, male 71.8
GTEX-1A3MW-0126-SM-73KXX 60-69 years, female 71.7
GTEX-VJYA-1126-SM-3GIJU 60-69 years, male 71.6
GTEX-1EN7A-0126-SM-7SB81 40-49 years, male 71.5
GTEX-U8XE-0326-SM-3DB8P 30-39 years, male 71.4
GTEX-1F7RK-0126-SM-7PC2S 20-29 years, female 71.4
GTEX-113JC-2326-SM-5EQ4E 50-59 years, female 71.0
GTEX-11XUK-2026-SM-5EQLF 40-49 years, female 71.0
GTEX-15DYW-0126-SM-7KULE 60-69 years, female 71.0
GTEX-T5JC-0426-SM-32PLO 20-29 years, male 71.0
GTEX-15UKP-0426-SM-7KUFQ 20-29 years, male 70.9
GTEX-RU72-0926-SM-2TF6B 50-59 years, female 70.9
GTEX-RWS6-2026-SM-2XCB5 60-69 years, female 70.8
GTEX-X5EB-2226-SM-46MW4 40-49 years, male 70.8
GTEX-QV44-1926-SM-2S1RF 50-59 years, male 70.7
GTEX-1LC47-0326-SM-E9TJP 60-69 years, male 70.7
GTEX-Y111-0126-SM-4SOIV 50-59 years, male 70.3
GTEX-QEG4-0226-SM-2S1PY 30-39 years, male 70.2
GTEX-1LBAC-0126-SM-DIPEZ 20-29 years, male 70.2
GTEX-OXRN-0126-SM-48TDM 50-59 years, male 70.0
GTEX-1B996-0226-SM-7RHGO 60-69 years, male 70.0
GTEX-1H3NZ-0126-SM-ACKX7 60-69 years, male 70.0
GTEX-1HFI6-0226-SM-ADEHZ 40-49 years, male 70.0
GTEX-1KD5A-0226-SM-D5OV3 50-59 years, male 70.0
GTEX-11P81-2326-SM-59875 30-39 years, female 69.8
GTEX-1RQEC-0426-SM-E6CHU 60-69 years, male 69.7
GTEX-R45C-0126-SM-EAZ2R 60-69 years, female 69.7
GTEX-1F88F-2726-SM-7PBZZ 60-69 years, female 69.3
GTEX-1HCVE-0126-SM-CGQEU 50-59 years, male 69.3
GTEX-1MGNQ-0126-SM-EVYCJ 40-49 years, male 69.1
GTEX-14DAQ-0126-SM-5S2MQ 60-69 years, female 69.0
GTEX-T6MO-1626-SM-32QOM 40-49 years, female 68.8
GTEX-Y8LW-1826-SM-5S2MV 50-59 years, female 68.7
GTEX-1192W-2626-SM-5Q5AF 60-69 years, male 68.6
GTEX-WY7C-2326-SM-3NB2U 50-59 years, male 68.5
GTEX-XXEK-2226-SM-4BRUM 50-59 years, male 68.5
GTEX-14E7W-0126-SM-6LLJ9 70-79 years, male 68.4
GTEX-117YW-2626-SM-5GZZH 50-59 years, male 68.3
GTEX-X88G-0126-SM-47JZ3 30-39 years, male 68.3
GTEX-1IGQW-0126-SM-COH42 60-69 years, male 67.9
GTEX-1JK1U-2026-SM-CM2RZ 60-69 years, male 67.9
GTEX-11ZVC-2526-SM-5FQTE 50-59 years, female 67.8
GTEX-11ZU8-2526-SM-5EQKI 60-69 years, male 67.6
GTEX-Y114-2426-SM-4TT8A 50-59 years, female 67.4
GTEX-13OVJ-0126-SM-5KM36 50-59 years, female 67.2
GTEX-17F97-0326-SM-7LG5B 50-59 years, male 67.2
GTEX-1H1ZS-0426-SM-9WG6G 70-79 years, male 67.2
GTEX-XYKS-2126-SM-4E3IB 60-69 years, female 66.9
GTEX-QCQG-1726-SM-3GIJ9 50-59 years, female 66.6
GTEX-PLZ5-2026-SM-2S1O4 50-59 years, male 66.4
GTEX-12C56-1726-SM-5EQ61 20-29 years, male 66.0
GTEX-13FHP-0126-SM-5IJBG 50-59 years, male 65.6
GTEX-145LU-0126-SM-5TDCB 50-59 years, male 65.3
GTEX-TMMY-0226-SM-33HBA 40-49 years, female 65.3
GTEX-1CB4J-0626-SM-7DHMP 60-69 years, male 65.2
GTEX-ZAJG-0126-SM-5HL94 50-59 years, female 65.2
GTEX-13N11-2526-SM-5K7UE 50-59 years, female 65.1
GTEX-17HHY-0126-SM-7LG5D 50-59 years, male 65.1
GTEX-117YX-2326-SM-5H12W 50-59 years, male 65.0
GTEX-U3ZN-2326-SM-3DB7W 30-39 years, female 65.0
GTEX-ZC5H-0226-SM-4WAY9 40-49 years, female 65.0
GTEX-OXRP-0126-SM-3NB32 60-69 years, female 64.9
GTEX-ZYFD-0126-SM-5GIDL 50-59 years, male 64.9
GTEX-13NYS-0126-SM-5MR3W 60-69 years, male 64.8
GTEX-1AX9I-0126-SM-7SB74 60-69 years, male 64.8
GTEX-17HG3-2226-SM-7938L 30-39 years, female 64.5
GTEX-1EKGG-0226-SM-9WYTH 60-69 years, male 64.5
GTEX-183FY-0126-SM-7LT9P 20-29 years, male 64.4
GTEX-1ICG6-2526-SM-CGQFZ 70-79 years, female 64.4
GTEX-1H3O1-0426-SM-9YFKY 60-69 years, male 64.3
GTEX-1J8Q3-1626-SM-CMKGC 60-69 years, male 64.3
GTEX-17HGU-0226-SM-7DHKV 50-59 years, male 64.2
GTEX-NPJ8-0126-SM-2YUNR 40-49 years, male 64.0
GTEX-WXYG-2326-SM-4E3I6 50-59 years, female 64.0
GTEX-1I6K6-0126-SM-A9SLE 30-39 years, male 64.0
GTEX-13OVL-0226-SM-5L3E9 50-59 years, male 63.9
GTEX-11O72-0126-SM-59887 40-49 years, male 63.8
GTEX-1B8L1-2526-SM-9WYTF 60-69 years, male 63.6
GTEX-1ICLY-0126-SM-D4P36 50-59 years, male 63.6
GTEX-13OVI-1426-SM-5L3EY 60-69 years, female 63.5
GTEX-14PK6-1926-SM-6ETZU 70-79 years, female 63.5
GTEX-1HR98-0126-SM-B2LWI 60-69 years, male 63.5
GTEX-11DXX-2426-SM-5GZZW 60-69 years, female 63.4
GTEX-1F6IF-0726-SM-7P8TW 60-69 years, male 63.4
GTEX-1M4P7-0226-SM-DIPEV 60-69 years, male 63.4
GTEX-1497J-2426-SM-7IGNX 60-69 years, male 63.1
GTEX-17EVQ-0226-SM-7LG4P 70-79 years, male 63.0
GTEX-14E6E-1826-SM-5S2R7 30-39 years, male 62.9
GTEX-QDVN-2026-SM-3GAEP 50-59 years, male 62.9
GTEX-1PPH7-2326-SM-EVYB8 40-49 years, male 62.8
GTEX-139TT-0126-SM-5K7Y5 60-69 years, male 62.4
GTEX-131XG-2626-SM-5KM17 50-59 years, female 62.3
GTEX-11P82-1626-SM-59879 20-29 years, male 62.2
GTEX-18A67-0126-SM-7LG5P 50-59 years, male 62.2
GTEX-TMZS-0126-SM-3DB9Q 60-69 years, male 62.1
GTEX-XBED-2226-SM-47JYQ 60-69 years, male 62.0
GTEX-1MCQQ-0826-SM-DLHC2 60-69 years, male 61.8
GTEX-1IL2V-0126-SM-CM2TX 70-79 years, male 61.3
GTEX-XV7Q-2526-SM-4BRV9 40-49 years, female 61.2
GTEX-ZVT3-0126-SM-5GU6I 60-69 years, female 61.2
GTEX-1C6VS-0526-SM-7DUEN 60-69 years, male 61.1
GTEX-Z9EW-1626-SM-5CVMN 40-49 years, male 61.1
GTEX-1IDFM-0126-SM-COH2V 60-69 years, male 61.1
GTEX-11NSD-2226-SM-5986V 20-29 years, male 61.0
GTEX-RN64-0126-SM-2TC68 50-59 years, male 61.0
GTEX-OIZF-0126-SM-7SB8I 60-69 years, male 61.0
GTEX-13N1W-0126-SM-5K7VT 70-79 years, male 60.9
GTEX-1GN1V-0126-SM-9WPOS 60-69 years, male 60.9
GTEX-139T8-0126-SM-5K7XZ 60-69 years, male 60.8
GTEX-1C64O-0126-SM-7SB8P 60-69 years, male 60.7
GTEX-1K9T9-0126-SM-EVYCF 50-59 years, female 60.6
GTEX-15DCD-0126-SM-7KUEK 70-79 years, female 60.5
GTEX-1I1GP-2226-SM-CGQFK 50-59 years, male 59.9
GTEX-U3ZH-2026-SM-3DB78 30-39 years, male 59.8
GTEX-13NZA-0226-SM-5K7Z7 60-69 years, male 59.7
GTEX-13FHO-0226-SM-5IFGY 60-69 years, male 59.5
GTEX-PW2O-1526-SM-7RHHB 20-29 years, male 59.5
GTEX-W5X1-3026-SM-EAZAX 40-49 years, female 59.5
GTEX-XUW1-0426-SM-4BOOT 50-59 years, female 59.1
GTEX-1A3MX-0126-SM-731BR 60-69 years, male 58.9
GTEX-15DDE-0126-SM-6LPKH 50-59 years, female 58.6
GTEX-SSA3-0126-SM-32QPU 60-69 years, male 58.5
GTEX-1H23P-0126-SM-ADEJ3 60-69 years, male 57.8
GTEX-OHPM-0126-SM-2YUN9 50-59 years, male 57.6
GTEX-13VXT-0126-SM-5LU4I 20-29 years, female 56.8
GTEX-X4XX-0126-SM-3NMC2 60-69 years, male 56.7
GTEX-1NHNU-1026-SM-E9J2A 50-59 years, male 56.1
GTEX-1B8KZ-2026-SM-7DHMB 50-59 years, male 56.0
GTEX-1H1E6-1726-SM-ACKVK 30-39 years, male 55.8
GTEX-1HSMP-0126-SM-E6CJS 70-79 years, male 55.8
GTEX-1B933-0126-SM-7PC29 50-59 years, female 55.6
GTEX-1F48J-0126-SM-7P8TT 50-59 years, female 55.6
GTEX-11ZTT-2426-SM-5EQLS 60-69 years, female 55.2
GTEX-15SDE-2226-SM-7IGLO 50-59 years, female 55.2
GTEX-OXRK-0226-SM-3NB2G 50-59 years, female 55.2
GTEX-1IKK5-0626-SM-ARL8A 60-69 years, male 55.2
GTEX-1PWST-0226-SM-E76QJ 70-79 years, male 55.0
GTEX-1F75A-0126-SM-7RHGM 50-59 years, male 54.9
GTEX-146FH-0126-SM-5QGPP 50-59 years, female 54.8
GTEX-1KANB-0526-SM-E6CJH 50-59 years, male 54.7
GTEX-1F6I4-0126-SM-9MQL2 60-69 years, male 54.4
GTEX-1JKYN-1326-SM-CGQG9 30-39 years, male 54.0
GTEX-1A32A-0126-SM-718B1 50-59 years, female 53.7
GTEX-V1D1-2226-SM-3NMAX 50-59 years, male 53.7
GTEX-XMD2-0126-SM-4YCDU 60-69 years, female 53.6
GTEX-11GSP-2526-SM-5N9BP 60-69 years, female 53.3
GTEX-12WSD-0126-SM-59HKN 60-69 years, female 53.3
GTEX-WZTO-0126-SM-3NM95 40-49 years, male 53.3
GTEX-147F4-0226-SM-5QGPW 50-59 years, male 53.0
GTEX-1I1GS-0126-SM-B2LVW 60-69 years, male 53.0
GTEX-1192X-0226-SM-5H12D 50-59 years, male 52.8
GTEX-1QP29-0626-SM-EWRMX 50-59 years, male 52.7
GTEX-18A7A-0226-SM-718BH 50-59 years, female 52.5
GTEX-13RTL-0126-SM-7LG5S 40-49 years, male 52.3
GTEX-14BIL-0126-SM-5SI92 50-59 years, male 52.1
GTEX-14A6H-0126-SM-5QGPK 30-39 years, male 52.0
GTEX-14PHW-0126-SM-6LLJI 60-69 years, female 51.9
GTEX-1MA7X-2226-SM-E6CIY 60-69 years, male 51.6
GTEX-13G51-2526-SM-5LZYK 60-69 years, male 51.5
GTEX-11GS4-2726-SM-5A5LE 60-69 years, male 51.4
GTEX-11WQC-2526-SM-5CVLE 60-69 years, male 51.4
GTEX-1I19N-0326-SM-ACKVX 70-79 years, male 51.4
GTEX-U3ZM-1526-SM-3DB9D 40-49 years, male 51.0
GTEX-14PJ3-1826-SM-62LEX 50-59 years, male 50.2
GTEX-1AMEY-1326-SM-73KYK 30-39 years, female 50.1
GTEX-11UD1-0126-SM-5PNYG 40-49 years, female 50.0
GTEX-1GTWX-0126-SM-9YFLK 60-69 years, male 49.9
GTEX-1I1GU-2226-SM-CGQFA 40-49 years, male 49.8
GTEX-ZF28-0126-SM-4WKGK 60-69 years, male 49.3
GTEX-PLZ4-0126-SM-5SI8O 50-59 years, female 49.2
GTEX-11P7K-2126-SM-5GU7G 30-39 years, male 49.0
GTEX-18D9B-0526-SM-7LTAS 60-69 years, male 48.5
GTEX-QLQ7-1626-SM-2S1R8 60-69 years, male 48.2
GTEX-RM2N-1426-SM-2TF4H 50-59 years, male 48.2
GTEX-ZQUD-1426-SM-57WER 30-39 years, male 48.2
GTEX-11NUK-0126-SM-5A5L3 50-59 years, male 48.0
GTEX-1QEPI-0126-SM-EWRMQ 60-69 years, female 47.9
GTEX-1HKZK-0326-SM-9WYUH 40-49 years, male 47.8
GTEX-Q2AI-1326-SM-2S1PL 40-49 years, male 47.7
GTEX-11EMC-2926-SM-5EQ4F 60-69 years, female 47.4
GTEX-12WSN-5019-SM-79OM6 40-49 years, male 47.3
GTEX-ZYW4-0126-SM-5E44A 60-69 years, male 46.9
GTEX-1GF9X-2026-SM-7PC3A 40-49 years, female 46.9
GTEX-1GN1W-0526-SM-9MQJQ 50-59 years, female 46.1
GTEX-1AX8Z-0126-SM-7DHM6 60-69 years, male 45.7
GTEX-14ABY-0226-SM-5TDCQ 50-59 years, male 45.1
GTEX-15SHW-0326-SM-6PAML 60-69 years, male 45.0
GTEX-YJ8A-0426-SM-5IFID 20-29 years, male 44.7
GTEX-1AX9K-2326-SM-73KWU 50-59 years, male 44.5
GTEX-S7PM-0126-SM-4AD6S 60-69 years, male 43.8
GTEX-R55E-0126-SM-2TC5Y 20-29 years, male 43.5
GTEX-13W3W-2426-SM-5LU5B 60-69 years, female 43.2
GTEX-14BIM-0226-SM-7IGLD 60-69 years, female 42.4
GTEX-Y3I4-2126-SM-4TT7C 50-59 years, male 41.8
GTEX-1N2DV-0226-SM-E6CJ6 40-49 years, male 41.8
GTEX-ZE7O-0126-SM-57WC1 50-59 years, female 41.5
GTEX-13OVG-1926-SM-5L3DK 60-69 years, male 41.4
GTEX-1GPI6-0126-SM-9WG69 60-69 years, male 41.1
GTEX-1QP2A-0126-SM-E9J43 50-59 years, male 40.8
GTEX-1I1HK-0126-SM-COH49 60-69 years, male 40.6
GTEX-WOFL-0126-SM-3MJG2 60-69 years, male 40.3
GTEX-1IY9M-0126-SM-D3L8S 60-69 years, male 40.0
GTEX-X638-0126-SM-47JZ8 70-79 years, female 39.6
GTEX-11TTK-0126-SM-5987B 60-69 years, female 39.5
GTEX-ZTPG-0326-SM-5O9AX 20-29 years, female 39.2
GTEX-QDT8-0126-SM-48TZ1 30-39 years, female 38.6
GTEX-16XZY-2126-SM-79OK1 70-79 years, male 38.2
GTEX-R55G-2526-SM-2TC6D 40-49 years, female 38.1
GTEX-1AYCT-2426-SM-7IGQ3 50-59 years, male 37.6
GTEX-1R9K4-0126-SM-DTX9X 60-69 years, male 37.1
GTEX-QLQW-1126-SM-2S1Q8 30-39 years, male 36.8
GTEX-1RLM8-2326-SM-EWRN4 50-59 years, male 36.8
GTEX-13OW7-0126-SM-5MR3B 50-59 years, male 36.6
GTEX-ZDXO-3026-SM-5J1N5 60-69 years, male 35.8
GTEX-1LNCM-1126-SM-E9U5E 50-59 years, female 35.5
GTEX-1C6WA-0126-SM-7PC2B 60-69 years, male 34.2
GTEX-1IE54-0126-SM-CMKHW 40-49 years, female 34.0
GTEX-ZZPT-0226-SM-5E43X 50-59 years, male 32.6
GTEX-ZUA1-0126-SM-5GU76 40-49 years, male 31.0
GTEX-1AYD5-2426-SM-73KXR 50-59 years, male 30.5
GTEX-144GN-2326-SM-5LU4F 50-59 years, male 28.8
GTEX-Q734-1926-SM-2I5EV 40-49 years, female 27.9
GTEX-1OJC4-0126-SM-E9J2E 50-59 years, female 26.3
GTEX-SE5C-1626-SM-2XCE3 40-49 years, female 25.9
GTEX-1HUB1-0426-SM-E9U4U 60-69 years, male 25.8
GTEX-15EOM-0126-SM-7KUGG 20-29 years, female 25.2
GTEX-1PBJI-0526-SM-E8VNK 20-29 years, female 24.7
GTEX-1F75I-0326-SM-9YFLU 40-49 years, male 22.9
GTEX-RUSQ-1526-SM-2TF62 50-59 years, male 22.8
GTEX-OXRL-0126-SM-2YUMP 50-59 years, male 22.7
GTEX-X62O-0126-SM-4E3JN 50-59 years, male 21.7
GTEX-139T4-0226-SM-5HL5S 50-59 years, female 17.0
GTEX-113IC-0126-SM-5HL6T 60-69 years, male 14.8
GTEX-1R9PO-2126-SM-E9J4O 60-69 years, female 8.6
GTEX-U4B1-1826-SM-4DXSU 40-49 years, male 3.1
GTEX-1QP67-1626-SM-EAZ3X 40-49 years, female 3.1
GTEX-11ZUS-0626-SM-59885 30-39 years, male 2.8
GTEX-1HBPH-0426-SM-B2LW5 40-49 years, female 1.5
GTEX-1QW4Y-1526-SM-EAZ3Z 30-39 years, male 1.5
GTEX-1RAZQ-0726-SM-EAZ43 30-39 years, male 0.4
GTEX-14JIY-0126-SM-6LLH6 60-69 years, male 0.2
GTEX-146FR-1326-SM-E9J48 60-69 years, female 0.0
Show allShow less

Contact

  • NEWS ARTICLES
  • PRESS ROOM

The Project

  • INTRODUCTION
  • ORGANIZATION
  • PUBLICATIONS

The Human Protein Atlas

  • DOWNLOADABLE DATA
  • LICENCE & CITATION
  • HELP & FAQ
The Human Protein Atlas project is funded
by the Knut & Alice Wallenberg Foundation.


contact@proteinatlas.org