We use cookies to enhance the usability of our website. If you continue, we'll assume that you are happy to receive all cookies. More information. Don't show this again.
SELENOT
HPA
RESOURCES
  • TISSUE
  • BRAIN
  • SINGLE CELL
  • SUBCELLULAR
  • CANCER
  • BLOOD
  • CELL LINE
  • STRUCTURE & INTERACTION
ABOUT
  • INTRODUCTION
  • HISTORY
  • ORGANIZATION
  • PUBLICATIONS
  • ANTIBODY SUBMISSION
  • ANTIBODY AVAILABILITY
  • ACKNOWLEDGMENTS
  • CONTACT
NEWS
  • NEWS ARTICLES
  • PRESS ROOM
LEARN
  • DICTIONARY
  • PROTEIN CLASSES
  • PROTEIN EVIDENCE
  • METHODS
  • EDUCATIONAL VIDEOS
DATA
  • DOWNLOADABLE DATA
  • PUBLICATION DATA
  • RELEASE HISTORY
HELP
  • ANTIBODY VALIDATION
  • ASSAYS & ANNOTATION
  • DISCLAIMER
  • HELP & FAQ
  • PRIVACY STATEMENT
  • LICENCE & CITATION
Fields »
Search result

Field
Term
Gene name
Class
Subclass
Class
Keyword
Chromosome
External id
Tissue
Cell type
Expression
Antibody panel
Tissue
Main location
Patient ID
Annotation
Tissue
Category
Tau score
Cluster
Reliability
Brain region
Category
Tau score
Brain region
Category
Tau score
Brain region
Category
Tau score
Cluster
Reliability
Tissue
Cell type
Enrichment
Cell type
Category
Tau score
Cell type
Category
Tau score
Cell type
Category
Tau score
Cell lineage
Category
Tau score
Cluster
Cluster
Location
Searches
Location
Cell line
Class
Type
Phase
Reliability
Cancer
Prognosis
Cancer
Category
Cancer
Category
Tau score
Cluster
Variants
Interacting gene (ensg_id)
Type
Number of interactions
Pathway
Category
Score
Score
Score
Validation
Validation
Validation
Validation
Antibodies
Data type
Column


  • SUMMARY

  • TISSUE

  • BRAIN

  • SINGLE CELL

  • SUBCELL

  • CANCER

  • BLOOD

  • CELL LINE

  • STRUCT & INT

  • SELENOT
TISSUE PRIMARY DATA COLON Show tissue menu
ADIPOSE TISSUE ADRENAL GLAND AMYGDALA APPENDIX BASAL GANGLIA BONE MARROW BREAST BRONCHUS CEREBELLUM CEREBRAL CORTEX CERVIX CHOROID PLEXUS COLON DUODENUM
ENDOMETRIUM EPIDIDYMIS ESOPHAGUS FALLOPIAN TUBE GALLBLADDER HEART MUSCLE HIPPOCAMPAL FORMATION HYPOTHALAMUS KIDNEY LIVER LUNG LYMPH NODE MIDBRAIN NASOPHARYNX
ORAL MUCOSA OVARY PANCREAS PARATHYROID GLAND PITUITARY GLAND PLACENTA PROSTATE RECTUM RETINA SALIVARY GLAND SEMINAL VESICLE SKELETAL MUSCLE SKIN SMALL INTESTINE
SMOOTH MUSCLE SOFT TISSUE SPINAL CORD SPLEEN STOMACH TESTIS THYMUS THYROID GLAND TONGUE TONSIL URINARY BLADDER VAGINA
ANTIBODIES
AND
VALIDATION
Dictionary
Colon
Tissue proteome
Intestine
COLON - Expression summary
Protein expression
Coloni

On the top, protein expression in current human tissue, based on all annotated cell types, is reported with the units not detected (n), low (l), medium (m) and high (h). Underneath, protein expression in each annotated cell type are reported using the same units.

Protein expression data is based on knowledge-based annotation. For genes where more than one antibody has been used, a collective score is set.

If knowledge-based annotation could not be performed for a gene, no data is displayed here. View antibody staining data further down this page.

h
m
l
n
Endothelial cells: Medium
Glandular cells: Medium
Peripheral nerve/ganglion: Medium
RNA expressioni

A summary of mRNA expression data available for current tissue based on several datasets. The mRNA expression levels in human tissues are based on RNA-seq data generated by the Human Protein Atlas (HPA), Genotype-Tissue Expression (GTEx) portal and CAGE data generated by the FANTOM5 consortium. Consensus normalized expression levels for human tissues was created by combining the data from HPA and GTEx datasets.

The mRNA expression levels in pig are based on RNA-seq data generated by the Human Protein Atlas (HPA), and for mouse, HPA data and in situ hybridization generated by the Allen brain atlas are reported.

Scroll down to view mRNA expression data in more detail.
Consensus:47.5 nTPM
HPA:47.5 nTPM
GTEx:35.6 nTPM
FANTOM5:162.6 Scaled Tags Per Million

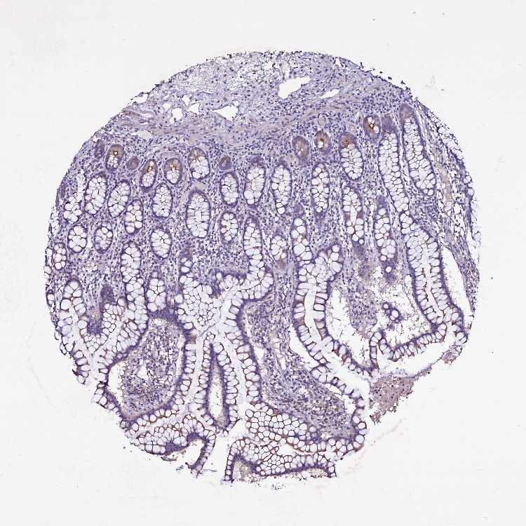
COLON - Antibody stainingi

Antibody staining in the annotated cell types in the current human tissue is reported as not detected, low, medium, or high, based on conventional immunohistochemistry profiling in selected tissues. This score is based on the combination of the staining intensity and fraction of stained cells.

Each image is clickable and will lead to virtual microscopy that enables deeper exploration of all samples and also displays staining intensity scores, fraction scores and subcellular localization as well as patient and tissue information for each sample.

Antibody HPA039780
Endothelial cells Medium
Glandular cells Medium
Peripheral nerve/ganglion Medium



COLON - HPA RNA-seqi

The RNA-seq details section shows detailed information about the individual samples used for the transcript profiling and results of the RNA-seq analysis.

Information about each individual sample is listed below, including gender, age, a tissue section image and estimated fractions of cell types. nTPM (normalized transcripts per million) values give a quantification of the gene abundance which is comparable between different genes and samples.
Average nTPMi

Max subtype nTPM is the value for the subtype with the largest average nTPM across the subtype samples.

47.5
overview
Male, age 54
Colon sample 67
nTPM: 45.1
Cell types%
Glandular cells:
65

Smooth muscle cells:
10

Other cell types:
25

overview
Female, age 57
Colon sample 68
nTPM: 49.5
Cell types%
Glandular cells:
40

Smooth muscle cells:
5

Other cell types:
55

overview
Male, age 80
Colon sample 69
nTPM: 49.7
Cell types%
Glandular cells:
55

Smooth muscle cells:
5

Other cell types:
40

overview
Male, age 68
Colon sample 70
nTPM: 43.4
Cell types%
Glandular cells:
35

Smooth muscle cells:
10

Other cell types:
55

overview
Female, age 68
Colon sample 76
nTPM: 55
Cell types%
Glandular cells:
25

Smooth muscle cells:
5

Other cell types:
70

overview
Female, age 61
Colon sample 299
nTPM: 56.5
Cell types%
Glandular cells:
5

Smooth muscle cells:
65

Other cell types:
30

overview
Male, age 80
Colon sample 300
nTPM: 53.2
Cell types%
Glandular cells:
15

Smooth muscle cells:
20

Other cell types:
65

overview
Female, age 78
Colon sample 368
nTPM: 51.2
Cell types%
Glandular cells:
45

Smooth muscle cells:
5

Other cell types:
50

overview
Male, age 84
Colon sample 381
nTPM: 42.1
Cell types%
Glandular cells:
50

Smooth muscle cells:
15

Other cell types:
35

overview
Male, age 80
Colon sample 384
nTPM: 43.4
Cell types%
Glandular cells:
20

Smooth muscle cells:
35

Other cell types:
45

overview
Female, age 78
Colon sample 389
nTPM: 46.3
Cell types%
Glandular cells:
35

Smooth muscle cells:
10

Other cell types:
55

overview
Female, age 69
Colon sample 391
nTPM: 46.8
Cell types%
Glandular cells:
10

Smooth muscle cells:
45

Other cell types:
45

overview
Female, age 72
Colon sample 403
nTPM: 35.7
Cell types%
Glandular cells:
20

Smooth muscle cells:
15

Other cell types:
65


COLON - GTEx RNA-seqi

RNA-Seq data generated by the Genotype-Tissue Expression (GTEx) project from human tissues is reported as mean nTPM. More information can be found on the GTEx portal.

Distribution across the dataset is visualized with box plots, shown as median and 25th and 75th percentiles. Points are displayed as outliers if they are above or below 1.5 times the interquartile range. nTPM values of the individual samples are presented next to the box plot.
Max subtype nTPMi

Max subtype nTPM is the value for the subtype with the largest average nTPM across the subtype samples.

35.6
GTEx sample id Sample description nTPM
Colon - Sigmoid
Average nTPM: 34.1
Samples: 373

Max nTPM: 64.6
Min nTPM: 15.9
Std nTPM: 7.5
Median nTPM: 33.7
GTEX-XAJ8-0726-SM-47JY5 40-49 years, male 64.6
GTEX-ZDTS-2726-SM-5L3E2 60-69 years, male 61.2
GTEX-15RJ7-1726-SM-6PAL3 40-49 years, male 60.6
GTEX-YEC3-2026-SM-DKPOL 50-59 years, male 54.8
GTEX-1RMOY-1726-SM-EVYC9 50-59 years, male 53.9
GTEX-11EM3-1626-SM-5N9CO 20-29 years, female 53.2
GTEX-1K2DA-1626-SM-CGQGB 50-59 years, male 52.9
GTEX-11P7K-1826-SM-5HL5A 30-39 years, male 52.5
GTEX-13OVK-1026-SM-7KFTC 40-49 years, male 52.0
GTEX-15G1A-1926-SM-7KUFF 30-39 years, male 51.3
GTEX-11I78-1326-SM-5PNY9 50-59 years, female 51.2
GTEX-1PBJJ-2026-SM-DTX8U 30-39 years, male 50.5
GTEX-1N2EF-1726-SM-EXUSI 60-69 years, male 48.6
GTEX-VJYA-2126-SM-4KL1O 60-69 years, male 48.2
GTEX-ZP4G-1526-SM-57WE5 20-29 years, female 47.7
GTEX-1LGOU-1726-SM-D3L8P 20-29 years, female 46.6
GTEX-ZTSS-1226-SM-51MSZ 40-49 years, male 46.5
GTEX-1L5NE-1926-SM-D3L9R 50-59 years, male 46.3
GTEX-1I1CD-2826-SM-A9SL4 60-69 years, female 45.9
GTEX-1CAMR-1026-SM-7P8QI 20-29 years, male 45.7
GTEX-11EQ8-2626-SM-5N9BO 60-69 years, male 45.2
GTEX-11TT1-0926-SM-5GU5M 20-29 years, male 45.1
GTEX-1JK1U-1426-SM-CNPOW 60-69 years, male 45.1
GTEX-1KXAM-1926-SM-D3LAG 60-69 years, male 45.0
GTEX-13CF3-1326-SM-5LZXZ 60-69 years, female 44.7
GTEX-1QP2A-2226-SM-DTXF6 50-59 years, male 44.5
GTEX-13O1R-2426-SM-5KLZZ 60-69 years, male 44.3
GTEX-1AX9K-1626-SM-73KUS 50-59 years, male 44.3
GTEX-YFCO-1526-SM-5YYB8 40-49 years, male 44.1
GTEX-ZLV1-1326-SM-DO11Q 60-69 years, female 44.1
GTEX-15DYW-2426-SM-7KUG8 60-69 years, female 43.5
GTEX-Y114-1626-SM-4TT7I 50-59 years, female 43.5
GTEX-1CAMS-2626-SM-7PBY3 40-49 years, female 43.4
GTEX-1GN73-2726-SM-9WYUB 60-69 years, male 43.1
GTEX-1RAZR-2026-SM-E9TKE 40-49 years, male 43.1
GTEX-17KNJ-1826-SM-7LT9N 50-59 years, male 43.0
GTEX-1S831-1726-SM-EWROJ 20-29 years, male 43.0
GTEX-1HCU7-2726-SM-A9G3D 50-59 years, male 42.7
GTEX-1K9T9-2926-SM-E9TKD 50-59 years, female 42.7
GTEX-11ZTT-1626-SM-5EQKR 60-69 years, female 42.6
GTEX-14E1K-1626-SM-664MO 50-59 years, male 42.3
GTEX-1LBAC-1726-SM-D3L9W 20-29 years, male 42.3
GTEX-1S5ZA-1426-SM-E6CJQ 20-29 years, male 42.3
GTEX-1399U-2226-SM-5KLZI 50-59 years, female 42.2
GTEX-WFG7-1626-SM-4LVMF 20-29 years, male 42.2
GTEX-WXYG-1726-SM-4ONCU 50-59 years, female 42.2
GTEX-Y9LG-1326-SM-4VBQB 30-39 years, male 42.2
GTEX-131XG-1526-SM-5GCNQ 50-59 years, female 42.1
GTEX-ZPCL-1626-SM-57WGC 60-69 years, female 42.0
GTEX-X5EB-1126-SM-46MVV 40-49 years, male 41.9
GTEX-1PIEJ-1826-SM-EWRMN 20-29 years, female 41.9
GTEX-145LT-0826-SM-5S2QL 40-49 years, male 41.8
GTEX-1AYCT-1926-SM-793AE 50-59 years, male 41.6
GTEX-1LG7Z-1326-SM-DIPF3 30-39 years, male 41.6
GTEX-13FH7-1626-SM-5J2O9 50-59 years, female 41.5
GTEX-11DXX-1926-SM-5EGJK 60-69 years, female 41.4
GTEX-17F96-2126-SM-7KFSM 70-79 years, male 41.4
GTEX-ZYFD-2226-SM-5E43P 50-59 years, male 41.4
GTEX-14E6E-1726-SM-5S2R6 30-39 years, male 41.3
GTEX-1CB4F-1926-SM-7MKFN 60-69 years, male 41.3
GTEX-1F5PL-1926-SM-7MXTP 40-49 years, female 41.3
GTEX-15RIE-2026-SM-7KFRW 60-69 years, male 41.2
GTEX-1J8Q3-2426-SM-CL53S 60-69 years, male 41.2
GTEX-1AMEY-1826-SM-72D5L 30-39 years, female 41.1
GTEX-ZV6S-1126-SM-57WE9 40-49 years, female 41.0
GTEX-1J1R8-1426-SM-CL55O 40-49 years, male 41.0
GTEX-13W3W-2226-SM-5LU4M 60-69 years, female 40.9
GTEX-18D9A-1326-SM-7LT8P 30-39 years, female 40.9
GTEX-1KANA-1726-SM-CY8IG 20-29 years, male 40.5
GTEX-1MGNQ-2126-SM-EV7AC 40-49 years, male 40.5
GTEX-1H3VY-2526-SM-9KNW1 50-59 years, male 40.4
GTEX-111YS-1826-SM-5GIEP 60-69 years, male 40.1
GTEX-1ICG6-2226-SM-B2LY7 70-79 years, female 40.1
GTEX-1JN76-1326-SM-ARU94 20-29 years, female 40.1
GTEX-18A6Q-2226-SM-7LG61 60-69 years, male 39.9
GTEX-12WSG-2426-SM-5EQLZ 50-59 years, female 39.8
GTEX-1399R-2126-SM-5K7WZ 30-39 years, male 39.7
GTEX-1QPFJ-2426-SM-EVR3L 30-39 years, female 39.7
GTEX-16BQI-2026-SM-7KULQ 30-39 years, female 39.6
GTEX-ZQUD-1026-SM-4YCEZ 30-39 years, male 39.6
GTEX-ZY6K-1326-SM-5GZWP 50-59 years, male 39.6
GTEX-1LSNM-1426-SM-E6CIH 50-59 years, male 39.6
GTEX-ZPIC-2626-SM-57WE2 40-49 years, female 39.5
GTEX-13PVR-1726-SM-5Q5EC 60-69 years, female 39.4
GTEX-YF7O-1626-SM-5IFII 50-59 years, male 39.4
GTEX-1F75W-2126-SM-7RHIA 60-69 years, male 39.4
GTEX-1PIGE-1526-SM-DTXFC 20-29 years, male 39.4
GTEX-1OFPY-1226-SM-E76OM 60-69 years, male 39.3
GTEX-ZXES-1726-SM-5E43G 30-39 years, female 39.2
GTEX-ZZ64-0826-SM-5E449 20-29 years, male 39.1
GTEX-1JMQJ-2626-SM-CY8HQ 50-59 years, male 39.1
GTEX-11DXZ-1626-SM-5GIDI 50-59 years, male 39.0
GTEX-14PJ3-1226-SM-5ZZVY 50-59 years, male 39.0
GTEX-1HCUA-1926-SM-B2LWE 50-59 years, female 39.0
GTEX-13G51-2126-SM-5IJD9 60-69 years, male 38.9
GTEX-WOFM-1926-SM-4OOSP 20-29 years, male 38.9
GTEX-117YX-0526-SM-5EGJH 50-59 years, male 38.8
GTEX-17MFQ-1226-SM-7KFSA 20-29 years, male 38.8
GTEX-1GMR8-2926-SM-9KNW5 50-59 years, female 38.8
GTEX-1LVAM-1726-SM-DHXKQ 50-59 years, female 38.8
GTEX-11GS4-1826-SM-5HL4T 60-69 years, male 38.7
GTEX-1J8QM-1226-SM-CY8HI 60-69 years, female 38.6
GTEX-ZA64-1426-SM-5CVMC 20-29 years, male 38.5
GTEX-ZF28-2526-SM-57WFH 60-69 years, male 38.5
GTEX-15RIF-1426-SM-7KUKQ 20-29 years, male 38.3
GTEX-WQUQ-2626-SM-4MVNP 60-69 years, male 38.3
GTEX-1RLM8-1726-SM-E9TKF 50-59 years, male 38.3
GTEX-15DZA-1026-SM-6PAND 30-39 years, female 38.2
GTEX-1B996-2726-SM-7DUGG 60-69 years, male 38.2
GTEX-14PHX-1126-SM-5YYA5 50-59 years, male 38.1
GTEX-1211K-1826-SM-5EGJ2 60-69 years, female 37.9
GTEX-12BJ1-2026-SM-5FQUH 60-69 years, male 37.9
GTEX-ZLFU-1426-SM-4WWEU 40-49 years, male 37.9
GTEX-13111-1926-SM-5GCOL 50-59 years, male 37.8
GTEX-ZF2S-1826-SM-4WKFF 50-59 years, female 37.8
GTEX-11ZU8-1126-SM-5EQ5K 60-69 years, male 37.7
GTEX-132AR-2826-SM-5IJFV 50-59 years, female 37.7
GTEX-1B8L1-1926-SM-7IGND 60-69 years, male 37.7
GTEX-ZLWG-1826-SM-DO11I 50-59 years, female 37.7
GTEX-14BMU-1326-SM-5RQIH 20-29 years, female 37.6
GTEX-W5WG-2026-SM-4LMIB 50-59 years, female 37.6
GTEX-13QBU-2026-SM-5KLZB 40-49 years, female 37.5
GTEX-16MTA-1626-SM-6M47N 50-59 years, male 37.4
GTEX-13D11-0626-SM-5LZYY 50-59 years, female 37.3
GTEX-XBED-1726-SM-47JYO 60-69 years, male 37.3
GTEX-17EUY-1726-SM-79OK4 20-29 years, male 37.2
GTEX-ZQG8-2426-SM-57WEE 60-69 years, female 37.2
GTEX-14JG6-1626-SM-5YYBC 30-39 years, female 37.0
GTEX-XXEK-1826-SM-4BRVC 50-59 years, male 37.0
GTEX-1J1OQ-2826-SM-D3L88 40-49 years, female 37.0
GTEX-12696-1926-SM-5EGJT 60-69 years, male 36.9
GTEX-ZVT2-1726-SM-51MRO 50-59 years, female 36.9
GTEX-15ETS-2326-SM-7KUGC 40-49 years, female 36.7
GTEX-12WSM-1426-SM-5GCPA 60-69 years, male 36.6
GTEX-1RQEC-2626-SM-EVR3Z 60-69 years, male 36.6
GTEX-13113-1426-SM-5EGHU 60-69 years, female 36.4
GTEX-ZAJG-2626-SM-5S2NU 50-59 years, female 36.4
GTEX-1HBPN-2026-SM-B2LWA 50-59 years, male 36.4
GTEX-1HFI7-1626-SM-9WYTR 50-59 years, female 36.3
GTEX-1IDJU-1926-SM-CL53W 60-69 years, female 36.3
GTEX-12WSJ-1426-SM-5GCON 40-49 years, female 36.2
GTEX-XV7Q-2226-SM-4BRVY 40-49 years, female 36.2
GTEX-1H1DE-1626-SM-9KNU5 20-29 years, male 36.2
GTEX-ZT9W-1726-SM-51MS3 50-59 years, male 36.1
GTEX-1JKYR-2026-SM-CNPON 20-29 years, male 36.1
GTEX-WRHK-1126-SM-4MVOJ 20-29 years, female 36.0
GTEX-1QP29-2526-SM-E6CQ3 50-59 years, male 36.0
GTEX-WHPG-1626-SM-4M1ZL 50-59 years, male 35.9
GTEX-WY7C-1926-SM-4ONCI 50-59 years, male 35.9
GTEX-15ER7-2826-SM-6PAN2 20-29 years, female 35.8
GTEX-17GQL-1626-SM-7LG69 60-69 years, male 35.7
GTEX-1IDJI-2226-SM-CKZPM 50-59 years, female 35.7
GTEX-1C475-1526-SM-7DHM3 40-49 years, female 35.6
GTEX-1JMPY-1026-SM-ARZN1 30-39 years, male 35.6
GTEX-139T6-1426-SM-5P9J7 50-59 years, male 35.5
GTEX-17JCI-2826-SM-7IGNA 60-69 years, female 35.3
GTEX-18A67-2226-SM-7LT9Z 50-59 years, male 35.3
GTEX-1HSMQ-2526-SM-A9SMK 50-59 years, male 35.3
GTEX-1I1GP-2826-SM-A9SKZ 50-59 years, male 35.3
GTEX-145ME-1126-SM-5SIAT 40-49 years, female 35.2
GTEX-1H1E6-1826-SM-A9G21 30-39 years, male 35.2
GTEX-1R7EU-1826-SM-DTX9L 60-69 years, male 35.2
GTEX-Y3I4-1126-SM-4TT7Y 50-59 years, male 35.1
GTEX-1JKYN-2226-SM-ARZNE 30-39 years, male 35.1
GTEX-13O61-1526-SM-5KM3P 60-69 years, male 35.0
GTEX-1AMFI-1826-SM-73KWB 50-59 years, female 35.0
GTEX-1GL5R-1726-SM-9KNUX 50-59 years, male 35.0
GTEX-1LGRB-2026-SM-COH47 50-59 years, female 35.0
GTEX-16NGA-0926-SM-718AG 40-49 years, female 34.9
GTEX-1F5PK-1726-SM-7RHHW 50-59 years, male 34.8
GTEX-1R9JW-2126-SM-E76QT 30-39 years, female 34.8
GTEX-YJ8A-1726-SM-5P9IQ 20-29 years, male 34.7
GTEX-WFG8-1726-SM-4LVM6 20-29 years, male 34.6
GTEX-1QP67-1426-SM-E8VOO 40-49 years, female 34.6
GTEX-11VI4-1426-SM-5GU6O 40-49 years, female 34.4
GTEX-144GM-1126-SM-79OJK 20-29 years, male 34.4
GTEX-16Z82-2426-SM-7KUMS 60-69 years, male 34.4
GTEX-1B97I-1526-SM-73KUK 40-49 years, male 34.4
GTEX-111CU-1226-SM-5EGIN 50-59 years, male 34.3
GTEX-14PK6-1826-SM-69LOM 70-79 years, female 34.3
GTEX-1LSNL-1626-SM-E9TJY 50-59 years, male 34.3
GTEX-17HHE-1626-SM-7DHLN 50-59 years, male 34.2
GTEX-YJ8O-1426-SM-5PNV9 40-49 years, female 34.2
GTEX-1GPI7-1926-SM-9KNUH 20-29 years, male 34.0
GTEX-1LB8K-2526-SM-DIPEQ 50-59 years, male 33.8
GTEX-15F5U-1426-SM-7KUN2 40-49 years, male 33.7
GTEX-Y5LM-1426-SM-5RQJL 40-49 years, female 33.7
GTEX-15FZZ-1826-SM-6LLJP 30-39 years, female 33.5
GTEX-1LVAN-2626-SM-CNPQF 50-59 years, female 33.5
GTEX-13FTW-2126-SM-5K7YG 40-49 years, male 33.4
GTEX-13RTJ-1926-SM-5YYA2 60-69 years, male 33.4
GTEX-1HBPI-2226-SM-9WYTY 50-59 years, male 33.4
GTEX-1122O-1426-SM-5H11R 60-69 years, female 33.3
GTEX-1339X-1726-SM-5P9J9 40-49 years, male 33.3
GTEX-14A5H-1626-SM-5SIAN 60-69 years, male 33.3
GTEX-13VXT-2026-SM-5L3EW 20-29 years, female 33.2
GTEX-1GTWX-2626-SM-9WPOT 60-69 years, male 33.2
GTEX-1I1GT-2026-SM-CKZPK 60-69 years, female 33.2
GTEX-1HSGN-2226-SM-A9SL6 40-49 years, female 33.1
GTEX-1R9K5-2226-SM-DTX9G 50-59 years, male 33.1
GTEX-1AX9J-2526-SM-73KUY 60-69 years, male 33.0
GTEX-XUZC-1526-SM-4BRV4 30-39 years, female 33.0
GTEX-183FY-1426-SM-7DHLM 20-29 years, male 32.9
GTEX-1RAZQ-2026-SM-E76P7 30-39 years, male 32.9
GTEX-12ZZW-2426-SM-5DUWE 50-59 years, male 32.8
GTEX-ZTTD-2626-SM-57WEX 50-59 years, male 32.8
GTEX-ZYFG-1826-SM-5GZWX 60-69 years, female 32.8
GTEX-1QP28-2226-SM-DTX8C 50-59 years, female 32.8
GTEX-1B8KE-1526-SM-7DUG2 50-59 years, male 32.7
GTEX-ZYT6-2826-SM-5GICX 30-39 years, male 32.7
GTEX-1LSVX-2026-SM-E9TJD 60-69 years, male 32.7
GTEX-1S82P-2026-SM-E9TIQ 60-69 years, female 32.7
GTEX-1A3MV-1026-SM-72D5U 30-39 years, male 32.5
GTEX-1LG7Y-2226-SM-E9U5K 50-59 years, male 32.5
GTEX-12WSL-1826-SM-5LZW9 50-59 years, male 32.4
GTEX-145MO-2626-SM-5QGPD 60-69 years, male 32.4
GTEX-1C2JI-1726-SM-73KUW 50-59 years, male 32.4
GTEX-1GF9X-1426-SM-7RHGX 40-49 years, female 32.4
GTEX-1QCLZ-2026-SM-EAZ4A 60-69 years, female 32.4
GTEX-1EU9M-2726-SM-7P8QD 60-69 years, male 32.3
GTEX-1QW4Y-1426-SM-E76P3 30-39 years, male 32.3
GTEX-1HCVE-2326-SM-9WYUD 50-59 years, male 32.2
GTEX-1IDJH-2826-SM-CJI49 70-79 years, male 32.2
GTEX-12WSD-2626-SM-5EGJE 60-69 years, female 32.1
GTEX-13X6J-2826-SM-7EPGA 50-59 years, male 32.1
GTEX-1A32A-2626-SM-73KX9 50-59 years, female 32.1
GTEX-18A66-2626-SM-72D67 60-69 years, male 32.0
GTEX-WH7G-1426-SM-4LVMU 40-49 years, male 32.0
GTEX-ZAB5-1426-SM-5HL9D 50-59 years, male 32.0
GTEX-1JJEA-2526-SM-CY8HJ 60-69 years, male 32.0
GTEX-14PJ4-1826-SM-5YY97 60-69 years, male 31.9
GTEX-WHSE-2726-SM-EZ6ML 20-29 years, male 31.9
GTEX-11EI6-2626-SM-5PNVT 60-69 years, male 31.8
GTEX-131XE-1026-SM-5EGKE 50-59 years, male 31.8
GTEX-14C5O-2626-SM-5RQI5 60-69 years, male 31.8
GTEX-1E2YA-2526-SM-7IGOU 50-59 years, male 31.8
GTEX-11EMC-1426-SM-5N9E4 60-69 years, female 31.6
GTEX-131YS-2926-SM-5EGKI 60-69 years, female 31.5
GTEX-X4EO-2726-SM-4E3HS 60-69 years, female 31.5
GTEX-14C39-1626-SM-5S2P4 40-49 years, male 31.4
GTEX-WHWD-1526-SM-4OORV 50-59 years, male 31.4
GTEX-1JMQK-2326-SM-ARZN4 60-69 years, male 31.4
GTEX-11EQ9-1526-SM-5PNY7 30-39 years, male 31.3
GTEX-13OVI-2126-SM-5KM3U 60-69 years, female 31.3
GTEX-1HBPH-2526-SM-ACKXK 40-49 years, female 31.3
GTEX-14PN3-1926-SM-6EU1Y 60-69 years, female 31.2
GTEX-1IKOE-2126-SM-A96T5 30-39 years, female 31.2
GTEX-1PBJI-2526-SM-E6CP4 20-29 years, female 31.2
GTEX-1HKZK-2026-SM-9WYUF 40-49 years, male 31.1
GTEX-1QP9N-0826-SM-DTX9O 30-39 years, male 31.0
GTEX-139UW-2326-SM-5KM1Y 60-69 years, male 30.8
GTEX-ZG7Y-1826-SM-4WWD3 50-59 years, male 30.8
GTEX-ZVT4-2626-SM-5N9GJ 50-59 years, female 30.8
GTEX-1C64N-2226-SM-7SB7C 50-59 years, male 30.8
GTEX-1PDJ9-2026-SM-E76PT 20-29 years, male 30.8
GTEX-1GZ4H-1326-SM-7P8TE 50-59 years, female 30.7
GTEX-147JS-2626-SM-5S2UX 60-69 years, male 30.4
GTEX-12ZZY-2726-SM-5EQ45 60-69 years, male 30.3
GTEX-15G19-2726-SM-6LPKG 60-69 years, male 30.1
GTEX-15UF7-1326-SM-7KUKV 40-49 years, male 30.1
GTEX-1PFEY-1726-SM-DPRZ4 30-39 years, male 30.1
GTEX-1I6K6-1926-SM-A96SN 30-39 years, male 29.8
GTEX-132NY-2726-SM-5PNY2 60-69 years, male 29.7
GTEX-XQ8I-2326-SM-4BOQC 50-59 years, male 29.7
GTEX-1HSKV-2326-SM-A9SL9 60-69 years, male 29.7
GTEX-13SLW-2826-SM-5Q5ES 70-79 years, male 29.5
GTEX-148VJ-2426-SM-5NQ9Y 70-79 years, male 29.3
GTEX-139D8-2926-SM-5IJBM 30-39 years, female 29.1
GTEX-17F9Y-2626-SM-7IGN9 70-79 years, female 29.1
GTEX-1A3MX-2326-SM-718B4 60-69 years, male 29.0
GTEX-1N2DV-1826-SM-E6CJ5 40-49 years, male 28.9
GTEX-17HGU-2626-SM-79OKN 50-59 years, male 28.8
GTEX-1B932-2126-SM-7IGMU 40-49 years, female 28.8
GTEX-13U4I-2626-SM-5SI9C 40-49 years, female 28.7
GTEX-13N2G-2226-SM-5IJCU 60-69 years, male 28.5
GTEX-ZE9C-2126-SM-4WKGY 60-69 years, male 28.5
GTEX-183WM-2526-SM-731BP 70-79 years, female 28.4
GTEX-1C4CL-1626-SM-7DUF3 30-39 years, male 28.4
GTEX-1GMR3-2526-SM-7P8QS 40-49 years, male 28.4
GTEX-146FH-2426-SM-5Q5EW 50-59 years, female 28.3
GTEX-Y5V6-1626-SM-4VDT2 60-69 years, male 28.3
GTEX-1C64O-2426-SM-7P8R3 60-69 years, male 28.3
GTEX-1GMR2-1826-SM-9KNUP 50-59 years, male 28.3
GTEX-117XS-2226-SM-5GIE1 60-69 years, male 28.2
GTEX-14PKV-1926-SM-686YU 20-29 years, female 28.2
GTEX-WFON-1326-SM-4LVMN 40-49 years, male 28.2
GTEX-1IL2U-2526-SM-C1YQV 60-69 years, male 28.2
GTEX-14AS3-1026-SM-5TDD7 40-49 years, female 28.1
GTEX-ZC5H-2426-SM-4WAZ6 40-49 years, female 28.0
GTEX-1HSEH-1926-SM-A96SB 60-69 years, male 27.9
GTEX-15CHQ-2626-SM-686YZ 60-69 years, male 27.8
GTEX-1EMGI-2626-SM-7IGNR 60-69 years, male 27.8
GTEX-13CF2-1826-SM-5N9GK 60-69 years, male 27.7
GTEX-WI4N-2226-SM-4OOS9 40-49 years, female 27.7
GTEX-WYVS-1126-SM-4SOJX 40-49 years, female 27.7
GTEX-1OJC3-1826-SM-DTX93 20-29 years, male 27.7
GTEX-1212Z-1826-SM-5FQSH 60-69 years, male 27.6
GTEX-12KS4-2326-SM-5EGJB 30-39 years, male 27.6
GTEX-1CB4G-2726-SM-79OO4 60-69 years, male 27.6
GTEX-V955-1726-SM-4JBHF 60-69 years, male 27.6
GTEX-11P81-1426-SM-5P9JN 30-39 years, female 27.5
GTEX-1H3NZ-2526-SM-9KNVO 60-69 years, male 27.3
GTEX-15UF6-2726-SM-7KULY 70-79 years, female 27.2
GTEX-1C6VQ-2626-SM-7IGMQ 50-59 years, male 27.2
GTEX-15RJE-2226-SM-6M46A 40-49 years, male 27.1
GTEX-1EH9U-1926-SM-7P8QM 60-69 years, male 27.1
GTEX-1QCLY-2026-SM-EVR4C 30-39 years, male 27.1
GTEX-1R9PO-2026-SM-E9J4N 60-69 years, female 27.0
GTEX-WYJK-2326-SM-4ONDN 50-59 years, male 26.8
GTEX-ZYY3-2226-SM-5E45A 60-69 years, female 26.8
GTEX-YECK-2826-SM-5IFHF 60-69 years, male 26.6
GTEX-11TUW-2326-SM-5EQMO 60-69 years, male 26.5
GTEX-145MH-2726-SM-5QGQ6 50-59 years, male 26.5
GTEX-18465-2726-SM-7LT9I 50-59 years, male 26.4
GTEX-XUW1-1826-SM-4BOQD 50-59 years, female 26.4
GTEX-ZPU1-1726-SM-4WWFV 40-49 years, male 26.4
GTEX-1HSMO-2526-SM-A9SKP 60-69 years, male 26.3
GTEX-13X6K-2726-SM-5O9DG 60-69 years, female 26.2
GTEX-11DXY-2026-SM-5N9CZ 60-69 years, male 26.0
GTEX-13OW5-2826-SM-5KM1G 60-69 years, male 26.0
GTEX-Z93S-2626-SM-57WBX 50-59 years, male 25.9
GTEX-1PPH8-2226-SM-EWRN7 20-29 years, male 25.9
GTEX-1RDX4-1926-SM-E6CJJ 50-59 years, female 25.9
GTEX-13OVJ-1826-SM-5KM2D 50-59 years, female 25.8
GTEX-13OW6-2226-SM-5N9FL 50-59 years, male 25.8
GTEX-ZE7O-2626-SM-51MSS 50-59 years, female 25.7
GTEX-14DAQ-2926-SM-664MV 60-69 years, female 25.5
GTEX-11PRG-2026-SM-5GU5F 50-59 years, male 25.3
GTEX-1JMPZ-2626-SM-ARU8Z 30-39 years, male 25.3
GTEX-1H3VE-2326-SM-9KNVU 40-49 years, male 25.2
GTEX-18QFQ-1726-SM-731C9 30-39 years, male 25.1
GTEX-ZVT3-2826-SM-5GU6A 60-69 years, female 25.1
GTEX-1GMRU-2626-SM-9WPPM 50-59 years, male 25.1
GTEX-11ONC-1926-SM-5GU75 60-69 years, male 25.0
GTEX-Y8LW-1126-SM-4VDS4 50-59 years, female 25.0
GTEX-ZF29-1826-SM-4WKG8 60-69 years, female 25.0
GTEX-1I1GR-2226-SM-ARL7F 60-69 years, male 24.9
GTEX-1JJE9-2526-SM-ARU8K 70-79 years, male 24.9
GTEX-147GR-2826-SM-5RQK8 60-69 years, male 24.7
GTEX-1PIIG-2126-SM-EXUSD 30-39 years, male 24.6
GTEX-1BAJH-2726-SM-7IGNJ 70-79 years, male 24.5
GTEX-13OW8-2726-SM-5L3FZ 60-69 years, male 24.4
GTEX-17HG3-1126-SM-7DUFC 30-39 years, female 24.4
GTEX-Y8E4-2326-SM-EAZAZ 40-49 years, male 24.2
GTEX-1JN6P-2126-SM-ARL98 60-69 years, male 24.1
GTEX-1H23P-2626-SM-9KNVN 60-69 years, male 23.7
GTEX-15EO6-2326-SM-6LPKK 50-59 years, male 23.6
GTEX-16XZZ-2726-SM-7EWDO 60-69 years, male 23.6
GTEX-1HB9E-2526-SM-D4P35 50-59 years, male 23.6
GTEX-12ZZX-2726-SM-5N9FT 40-49 years, female 23.5
GTEX-X15G-1526-SM-4PQZM 50-59 years, female 23.1
GTEX-1HCU6-2926-SM-B2LWV 60-69 years, female 23.1
GTEX-1477Z-2126-SM-5Q5CM 60-69 years, male 22.8
GTEX-1J8EW-2426-SM-CE6T5 60-69 years, female 22.8
GTEX-11ZTS-1526-SM-5N9G7 60-69 years, female 22.7
GTEX-14BIN-2426-SM-5TDCF 50-59 years, female 22.7
GTEX-14A5I-2426-SM-5Q5CP 50-59 years, female 22.5
GTEX-1P4AB-2626-SM-DTXEU 50-59 years, male 22.2
GTEX-1H1ZS-2626-SM-9QEIX 70-79 years, male 21.8
GTEX-1J8JJ-2426-SM-D4P4A 60-69 years, female 21.6
GTEX-1JMLX-2526-SM-CY8HX 50-59 years, male 21.6
GTEX-145LS-2926-SM-5O99G 60-69 years, female 21.5
GTEX-ZAB4-2426-SM-5HL8A 40-49 years, male 21.5
GTEX-1LKK1-2426-SM-DIPES 50-59 years, female 21.3
GTEX-13FHO-2726-SM-5K7VG 60-69 years, male 20.6
GTEX-13PVQ-2726-SM-5L3H7 50-59 years, male 20.6
GTEX-1LVAO-2826-SM-E9TJH 60-69 years, male 20.0
GTEX-139TS-2226-SM-5J2N1 60-69 years, male 19.4
GTEX-14E6C-2226-SM-5QGQG 40-49 years, male 19.2
GTEX-13PL7-2426-SM-5J2N3 60-69 years, female 19.1
GTEX-13X6I-2726-SM-5Q5ET 60-69 years, male 19.0
GTEX-1HBPM-2626-SM-9WYU5 60-69 years, female 19.0
GTEX-ZVZQ-2626-SM-59HLB 60-69 years, female 15.9
Show allShow less
Colon - Transverse
Average nTPM: 35.6
Samples: 406

Max nTPM: 62.8
Min nTPM: 15.7
Std nTPM: 6.7
Median nTPM: 35.4
GTEX-XAJ8-0426-SM-47JYJ 40-49 years, male 62.8
GTEX-11TT1-1026-SM-5PNW7 20-29 years, male 57.6
GTEX-U4B1-1126-SM-4DXV3 40-49 years, male 54.8
GTEX-1N2EF-1926-SM-DTX8M 60-69 years, male 53.8
GTEX-1H11D-2626-SM-9JGH4 40-49 years, male 52.8
GTEX-14E6E-1526-SM-5RQIG 30-39 years, male 51.4
GTEX-1PIEJ-2026-SM-E6CPA 20-29 years, female 51.3
GTEX-Q2AH-1226-SM-48TZL 40-49 years, male 50.9
GTEX-1IKOE-2026-SM-AHZ31 30-39 years, female 50.7
GTEX-T5JW-1126-SM-4DM5V 20-29 years, female 50.4
GTEX-11P82-1026-SM-5BC5J 20-29 years, male 49.2
GTEX-13CF3-1426-SM-5K7YY 60-69 years, female 49.0
GTEX-16NGA-1026-SM-7KFS3 40-49 years, female 49.0
GTEX-14PK6-1726-SM-6871J 70-79 years, female 48.9
GTEX-1HSMP-2326-SM-D3L8R 70-79 years, male 48.9
GTEX-X5EB-0926-SM-46MVT 40-49 years, male 48.3
GTEX-1K2DA-2026-SM-CGQGK 50-59 years, male 48.2
GTEX-144GM-1226-SM-5LU52 20-29 years, male 48.1
GTEX-1OKEX-1226-SM-DTXEC 60-69 years, male 48.1
GTEX-1LVAN-2526-SM-CNPPC 50-59 years, female 47.8
GTEX-QV31-0826-SM-CKZNC 30-39 years, male 47.5
GTEX-145MN-1726-SM-5SIA6 30-39 years, male 47.1
GTEX-1C475-1626-SM-731FP 40-49 years, female 47.1
GTEX-132AR-2726-SM-5PNVN 50-59 years, female 47.0
GTEX-1399R-2226-SM-5P9JB 30-39 years, male 46.9
GTEX-13W3W-2126-SM-5K7UX 60-69 years, female 46.6
GTEX-1CAMR-0926-SM-7MXTD 20-29 years, male 45.8
GTEX-13S86-1626-SM-5Q5C5 40-49 years, male 45.6
GTEX-1RAZR-1926-SM-E6CRF 40-49 years, male 45.6
GTEX-131XG-1826-SM-5LZV4 50-59 years, female 45.2
GTEX-R53T-1326-SM-48FCQ 50-59 years, female 45.1
GTEX-1AX8Z-2726-SM-73KUC 60-69 years, male 45.0
GTEX-111CU-1426-SM-5GZYP 50-59 years, male 44.9
GTEX-1GMR2-1726-SM-9JGI2 50-59 years, male 44.8
GTEX-1JN76-1226-SM-C1YRM 20-29 years, female 44.7
GTEX-1QP9N-1026-SM-E6CPX 30-39 years, male 44.7
GTEX-WHSB-0926-SM-4M1XJ 50-59 years, male 44.3
GTEX-ZVP2-1526-SM-5NQ82 50-59 years, male 44.3
GTEX-Y3IK-1826-SM-4WWDS 50-59 years, female 44.1
GTEX-15CHC-1626-SM-5ZZWS 60-69 years, female 43.9
GTEX-17F9E-1826-SM-7IGMC 50-59 years, male 43.9
GTEX-17HHE-1826-SM-79OKE 50-59 years, male 43.9
GTEX-O5YT-1426-SM-3MJHC 20-29 years, male 43.9
GTEX-15CHR-1426-SM-7DUGV 50-59 years, male 43.6
GTEX-1LGOU-1626-SM-D3LAK 20-29 years, female 43.6
GTEX-15SB6-1226-SM-7KUMP 50-59 years, female 43.5
GTEX-OXRK-1726-SM-3NB16 50-59 years, female 43.5
GTEX-1NHNU-2326-SM-E6CQE 50-59 years, male 43.4
GTEX-ZLWG-1726-SM-DNZZ2 50-59 years, female 43.4
GTEX-WFG7-1526-SM-4LVMG 20-29 years, male 43.3
GTEX-1CB4F-2026-SM-79OLU 60-69 years, male 43.2
GTEX-XXEK-1926-SM-4BRVD 50-59 years, male 43.1
GTEX-Y8LW-1226-SM-4WWDP 50-59 years, female 42.9
GTEX-1F5PL-2126-SM-7PC2O 40-49 years, female 42.6
GTEX-12BJ1-2126-SM-5BC5O 60-69 years, male 42.3
GTEX-QMRM-1226-SM-447C6 50-59 years, male 42.3
GTEX-1QP67-1326-SM-EAZ4D 40-49 years, female 42.3
GTEX-16AAH-1326-SM-7KFRG 50-59 years, male 42.2
GTEX-1MA7W-0626-SM-EV79Z 20-29 years, female 42.2
GTEX-1H1E6-1926-SM-9OSWD 30-39 years, male 42.1
GTEX-11EM3-1526-SM-5A5KN 20-29 years, female 42.0
GTEX-17F96-2026-SM-79ON4 70-79 years, male 42.0
GTEX-1JKYN-2326-SM-CGQG7 30-39 years, male 41.9
GTEX-ZY6K-1226-SM-5GZYL 50-59 years, male 41.7
GTEX-1KANC-0926-SM-D3LA9 50-59 years, female 41.7
GTEX-ZV7C-1526-SM-5NQ72 50-59 years, male 41.6
GTEX-1IDJC-1326-SM-CL53H 50-59 years, male 41.6
GTEX-1H3VY-2426-SM-9WPPD 50-59 years, male 41.5
GTEX-14XAO-2026-SM-69LOI 60-69 years, female 41.3
GTEX-Q2AI-0926-SM-48U1F 40-49 years, male 41.3
GTEX-QDVN-1326-SM-48TZ3 50-59 years, male 41.2
GTEX-W5WG-2426-SM-4LMI6 50-59 years, female 41.2
GTEX-1CB4I-2226-SM-7P8SL 50-59 years, male 41.2
GTEX-S4Q7-0826-SM-4AD5E 20-29 years, male 41.1
GTEX-18A66-2426-SM-7KFSQ 60-69 years, male 41.0
GTEX-WEY5-1426-SM-4LMJ3 40-49 years, female 41.0
GTEX-117YX-0826-SM-5H11J 50-59 years, male 40.8
GTEX-12WSL-1626-SM-5GCMU 50-59 years, male 40.8
GTEX-YB5E-1626-SM-5IFIQ 40-49 years, male 40.8
GTEX-TKQ1-0626-SM-4DXTS 30-39 years, male 40.6
GTEX-ZF2S-1926-SM-4WWAN 50-59 years, female 40.6
GTEX-1GN73-2626-SM-9KNUQ 60-69 years, male 40.6
GTEX-1J1OQ-2726-SM-AHZ3R 40-49 years, female 40.5
GTEX-1QCLZ-1926-SM-E6CR3 60-69 years, female 40.5
GTEX-111YS-1626-SM-5GZZ9 60-69 years, male 40.4
GTEX-1PFEY-1426-SM-E9U6U 30-39 years, male 40.4
GTEX-13OVG-1426-SM-5K7VP 60-69 years, male 40.3
GTEX-14E1K-1826-SM-793DT 50-59 years, male 40.3
GTEX-UJHI-1126-SM-4IHLN 50-59 years, female 40.3
GTEX-1RAZQ-2126-SM-DTX9V 30-39 years, male 40.3
GTEX-WY7C-1626-SM-4ONC8 50-59 years, male 40.2
GTEX-1RMOY-1626-SM-EVYC8 50-59 years, male 40.2
GTEX-13X6H-1926-SM-7EWD3 50-59 years, female 40.1
GTEX-145LS-2726-SM-5Q5D8 60-69 years, female 40.0
GTEX-15DYW-2326-SM-6PAMU 60-69 years, female 40.0
GTEX-1ICLZ-2426-SM-CKZOD 60-69 years, male 40.0
GTEX-1S82U-0726-SM-E9TKI 30-39 years, female 40.0
GTEX-13FH7-1526-SM-5J2N6 50-59 years, female 39.9
GTEX-13OVK-0826-SM-7KULZ 40-49 years, male 39.8
GTEX-14BMU-1526-SM-5TDE6 20-29 years, female 39.8
GTEX-QLQ7-1126-SM-CYPRB 60-69 years, male 39.6
GTEX-1RAZA-1726-SM-DPS13 20-29 years, male 39.5
GTEX-139YR-2126-SM-5KM11 50-59 years, male 39.4
GTEX-144GL-2526-SM-5TDDL 50-59 years, male 39.4
GTEX-ZV6S-1226-SM-59HLH 40-49 years, female 39.4
GTEX-ZXES-1626-SM-5NQ7L 30-39 years, female 39.4
GTEX-1F5PK-1926-SM-7MXT7 50-59 years, male 39.4
GTEX-13O21-2426-SM-5MR4A 50-59 years, male 39.3
GTEX-15RIE-1826-SM-6M48P 60-69 years, male 39.3
GTEX-Y5LM-1526-SM-4VDTA 40-49 years, female 39.3
GTEX-1KANB-1526-SM-CXZK4 50-59 years, male 39.3
GTEX-14PKV-2126-SM-664O3 20-29 years, female 39.1
GTEX-1AMFI-1726-SM-7189L 50-59 years, female 39.1
GTEX-1B932-2826-SM-73KUD 40-49 years, female 39.1
GTEX-QDVJ-1326-SM-48U1X 50-59 years, male 39.1
GTEX-1LGRB-1426-SM-CNNPT 50-59 years, female 39.1
GTEX-12WSJ-1526-SM-5GCNI 40-49 years, female 39.0
GTEX-13D11-0826-SM-5KLZJ 50-59 years, female 39.0
GTEX-1EH9U-2026-SM-7PBYS 60-69 years, male 39.0
GTEX-1PIGE-1426-SM-E9U61 20-29 years, male 39.0
GTEX-1QPFJ-2326-SM-E6CR7 30-39 years, female 39.0
GTEX-11DXX-1826-SM-5H126 60-69 years, female 38.9
GTEX-1C4CL-2126-SM-7IGQC 30-39 years, male 38.8
GTEX-1H1DG-2226-SM-9WPPC 70-79 years, male 38.8
GTEX-146FQ-1926-SM-5NQBY 30-39 years, male 38.7
GTEX-ZDYS-2326-SM-4WKG6 50-59 years, male 38.7
GTEX-1LBAC-1626-SM-CXZKV 20-29 years, male 38.7
GTEX-117YW-1826-SM-5PNY5 50-59 years, male 38.6
GTEX-1B996-2626-SM-73KZ1 60-69 years, male 38.6
GTEX-17F98-1026-SM-7IGO8 40-49 years, female 38.5
GTEX-XGQ4-1226-SM-4AT67 50-59 years, male 38.5
GTEX-ZT9W-1826-SM-51MQX 50-59 years, male 38.5
GTEX-11P7K-1526-SM-5EGI7 30-39 years, male 38.4
GTEX-13VXT-2426-SM-5LU46 20-29 years, female 38.4
GTEX-15G1A-1826-SM-7KUKO 30-39 years, male 38.2
GTEX-14ICK-1026-SM-6AJA4 40-49 years, male 38.1
GTEX-14PJ4-1926-SM-6LLHG 60-69 years, male 38.1
GTEX-Q734-1126-SM-48TZY 40-49 years, female 38.1
GTEX-ZPIC-2226-SM-57WDX 40-49 years, female 38.1
GTEX-13PVR-1626-SM-73KVF 60-69 years, female 38.0
GTEX-14H4A-1926-SM-5ZZWN 40-49 years, female 38.0
GTEX-17KNJ-1726-SM-7LG6A 50-59 years, male 38.0
GTEX-XBED-1526-SM-4AT5W 60-69 years, male 38.0
GTEX-1LG7Z-1426-SM-CXKYV 30-39 years, male 38.0
GTEX-14PHX-1526-SM-68717 50-59 years, male 37.8
GTEX-1I4MK-1126-SM-B2LWS 50-59 years, female 37.8
GTEX-1MCC2-1626-SM-DIPEW 30-39 years, female 37.8
GTEX-133LE-1526-SM-5IFEN 20-29 years, female 37.7
GTEX-U3ZN-2126-SM-4DXU1 30-39 years, female 37.7
GTEX-ZDTT-1926-SM-5HL5W 60-69 years, male 37.7
GTEX-144GN-1126-SM-5LU33 50-59 years, male 37.6
GTEX-R55G-1226-SM-48FDC 40-49 years, female 37.6
GTEX-SNMC-1126-SM-4DM5M 20-29 years, male 37.6
GTEX-WHWD-1226-SM-4OOS1 50-59 years, male 37.6
GTEX-XUZC-1326-SM-4BRV2 30-39 years, female 37.6
GTEX-ZGAY-2126-SM-4YCFB 40-49 years, female 37.6
GTEX-15UF6-2626-SM-6M466 70-79 years, female 37.5
GTEX-P4PP-1426-SM-3NM9L 30-39 years, female 37.5
GTEX-1MUQO-2626-SM-EWRO3 60-69 years, male 37.5
GTEX-1NSGN-2326-SM-E9U5X 50-59 years, male 37.5
GTEX-1HCU7-2626-SM-C1YQO 50-59 years, male 37.4
GTEX-U412-1726-SM-EZ6KX 60-69 years, male 37.4
GTEX-1C64O-2326-SM-73KU8 60-69 years, male 37.3
GTEX-1J1R8-1126-SM-CNPQ3 40-49 years, male 37.3
GTEX-15RIF-1326-SM-6LPKO 20-29 years, male 37.2
GTEX-1JJ6O-2426-SM-ARU8J 60-69 years, male 37.2
GTEX-14C5O-2526-SM-73KU2 60-69 years, male 37.1
GTEX-1AYCT-1826-SM-731EG 50-59 years, male 37.1
GTEX-1B8KE-1926-SM-731EE 50-59 years, male 37.1
GTEX-1GZ4H-1226-SM-9KNUA 50-59 years, female 37.1
GTEX-1R9JW-2026-SM-EAZ4O 30-39 years, female 37.1
GTEX-XMK1-1726-SM-4B64Z 40-49 years, male 37.0
GTEX-1KXAM-2126-SM-CY8I9 60-69 years, male 37.0
GTEX-R45C-2126-SM-EZ6KZ 60-69 years, female 36.9
GTEX-ZG7Y-2126-SM-DO117 50-59 years, male 36.9
GTEX-147F3-1926-SM-5SIB9 50-59 years, female 36.8
GTEX-11I78-1226-SM-5A5K6 50-59 years, female 36.7
GTEX-1399U-1926-SM-5IFH7 50-59 years, female 36.7
GTEX-P4QT-1426-SM-3NMCX 50-59 years, female 36.7
GTEX-Y3I4-1426-SM-4TT9C 50-59 years, male 36.7
GTEX-1I1GT-1926-SM-ARU7D 60-69 years, female 36.7
GTEX-1N2DV-1426-SM-DPRYQ 40-49 years, male 36.6
GTEX-1R9K5-2126-SM-E8VN1 50-59 years, male 36.5
GTEX-18A7B-2026-SM-72D71 70-79 years, male 36.4
GTEX-PWN1-1426-SM-48TDF 40-49 years, female 36.4
GTEX-S4UY-0826-SM-4AD4Z 40-49 years, female 36.4
GTEX-SNOS-1226-SM-4DM5H 40-49 years, male 36.4
GTEX-S3XE-1126-SM-4AD4N 50-59 years, male 36.3
GTEX-15DCE-2026-SM-7KUFE 20-29 years, male 36.1
GTEX-15DZA-0926-SM-69LQ3 30-39 years, female 36.1
GTEX-ZPCL-1826-SM-57WF1 60-69 years, female 36.1
GTEX-1QW4Y-1326-SM-EWRMZ 30-39 years, male 36.1
GTEX-1339X-1626-SM-5IJDN 40-49 years, male 36.0
GTEX-14JIY-3326-SM-6871E 60-69 years, male 36.0
GTEX-1JJE9-2426-SM-D3L8T 70-79 years, male 35.9
GTEX-ZP4G-1726-SM-4WWCM 20-29 years, female 35.8
GTEX-1A3MV-1126-SM-718BS 30-39 years, male 35.7
GTEX-13QJ3-2626-SM-9OSXQ 50-59 years, male 35.7
GTEX-TML8-1326-SM-4DXTO 40-49 years, female 35.6
GTEX-1JN1M-2626-SM-CY8I3 60-69 years, female 35.6
GTEX-PSDG-1826-SM-EAZ2S 50-59 years, male 35.6
GTEX-R55D-1826-SM-48FEF 50-59 years, male 35.4
GTEX-1GL5R-2426-SM-7MXV1 50-59 years, male 35.4
GTEX-13OVJ-1726-SM-5IJDZ 50-59 years, female 35.3
GTEX-WYJK-2226-SM-4ONDJ 50-59 years, male 35.3
GTEX-X3Y1-1726-SM-4PQZL 40-49 years, male 35.3
GTEX-18D9A-1126-SM-7KFRJ 30-39 years, female 35.2
GTEX-YF7O-1726-SM-5IFJ9 50-59 years, male 35.2
GTEX-1IDJD-2226-SM-A96TD 30-39 years, male 35.2
GTEX-1JK1U-1526-SM-AHZ46 60-69 years, male 35.2
GTEX-178AV-1326-SM-6LPJX 40-49 years, male 35.1
GTEX-1F75B-2726-SM-7P8QO 50-59 years, male 35.1
GTEX-OIZH-1426-SM-3NB1O 50-59 years, male 35.0
GTEX-QLQW-0426-SM-447A7 30-39 years, male 35.0
GTEX-ZYVF-2826-SM-5GIDK 50-59 years, female 35.0
GTEX-1JMPY-0426-SM-C1YQ3 30-39 years, male 35.0
GTEX-14PJ5-0926-SM-6LLIK 60-69 years, female 34.9
GTEX-ZEX8-1926-SM-4WKFR 50-59 years, male 34.9
GTEX-1IDJF-1826-SM-CKZOE 20-29 years, male 34.9
GTEX-1122O-1526-SM-5N9CL 60-69 years, female 34.7
GTEX-OXRL-1426-SM-3NM9E 50-59 years, male 34.7
GTEX-1399S-1926-SM-5J2M5 30-39 years, female 34.6
GTEX-1B8KZ-1326-SM-7DUG6 50-59 years, male 34.6
GTEX-1HFI7-1726-SM-A9G22 50-59 years, female 34.6
GTEX-14JG6-1726-SM-69LPL 30-39 years, female 34.5
GTEX-1LVAM-1626-SM-EV79Y 50-59 years, female 34.5
GTEX-1QCLY-1726-SM-DPRXY 30-39 years, male 34.5
GTEX-18QFQ-1526-SM-72D57 30-39 years, male 34.4
GTEX-PLZ5-1126-SM-3P613 50-59 years, male 34.4
GTEX-145LT-0926-SM-5LU9C 40-49 years, male 34.3
GTEX-S7SF-1926-SM-4AT5B 20-29 years, female 34.3
GTEX-1POEN-2026-SM-E6CRL 30-39 years, female 34.3
GTEX-XV7Q-2126-SM-4BRVX 40-49 years, female 34.2
GTEX-ZYFG-1926-SM-5GID5 60-69 years, female 34.2
GTEX-1MGNQ-2026-SM-EAZ51 40-49 years, male 34.2
GTEX-145ME-0826-SM-5O9AF 40-49 years, female 34.1
GTEX-X15G-1326-SM-4PQZJ 50-59 years, female 34.1
GTEX-11EQ9-1426-SM-5987G 30-39 years, male 34.0
GTEX-18D9U-1926-SM-7KFTM 40-49 years, male 34.0
GTEX-1IKK5-2726-SM-CNPQ6 60-69 years, male 34.0
GTEX-11ZVC-2126-SM-5EGJ1 50-59 years, female 33.9
GTEX-14DAQ-2726-SM-5S2QY 60-69 years, female 33.9
GTEX-14PJM-2626-SM-686ZD 50-59 years, female 33.9
GTEX-RWS6-1826-SM-47JXX 60-69 years, female 33.9
GTEX-WOFM-2026-SM-4OOSQ 20-29 years, male 33.9
GTEX-Y114-1526-SM-4TT79 50-59 years, female 33.9
GTEX-1AMEY-1926-SM-73KVT 30-39 years, female 33.8
GTEX-ZVT2-1926-SM-5GU5T 50-59 years, female 33.8
GTEX-1GF9X-1526-SM-7P8QP 40-49 years, female 33.8
GTEX-1S5VW-2926-SM-E9U6H 60-69 years, male 33.8
GTEX-1S83E-1626-SM-EV7B9 40-49 years, male 33.8
GTEX-V955-1626-SM-4JBHJ 60-69 years, male 33.7
GTEX-SJXC-2226-SM-EVYAK 60-69 years, male 33.7
GTEX-13111-0726-SM-5DUVE 50-59 years, male 33.6
GTEX-ZZ64-0726-SM-5GZX4 20-29 years, male 33.6
GTEX-17JCI-2626-SM-7EWE6 60-69 years, female 33.4
GTEX-T6MO-0826-SM-4DM51 40-49 years, female 33.3
GTEX-ZPU1-1926-SM-57WDT 40-49 years, male 33.2
GTEX-1KANA-1926-SM-DHXKF 20-29 years, male 33.2
GTEX-11NSD-1626-SM-5986U 20-29 years, male 33.1
GTEX-1EMGI-2726-SM-7P8S4 60-69 years, male 33.1
GTEX-1F75I-2426-SM-9WPOY 40-49 years, male 33.1
GTEX-1IGQW-2326-SM-CE6RV 60-69 years, male 33.1
GTEX-13OW6-2126-SM-5N9GL 50-59 years, male 33.0
GTEX-1C6VQ-2726-SM-73KUL 50-59 years, male 33.0
GTEX-S4P3-1226-SM-4AD4Y 50-59 years, female 33.0
GTEX-1MJK3-0926-SM-EV7AY 20-29 years, male 33.0
GTEX-139TS-1926-SM-5IJFO 60-69 years, male 32.9
GTEX-Y8E4-2426-SM-4WWDN 40-49 years, male 32.9
GTEX-YEC3-2426-SM-DO11A 50-59 years, male 32.9
GTEX-1HCVE-2526-SM-A9G2G 50-59 years, male 32.8
GTEX-1LH75-2126-SM-EVR5F 50-59 years, female 32.8
GTEX-QEL4-1926-SM-D3L8D 50-59 years, male 32.8
GTEX-18D9B-2526-SM-718BN 60-69 years, male 32.7
GTEX-1R7EU-1926-SM-E9U62 60-69 years, male 32.7
GTEX-WFON-1426-SM-4LVMT 40-49 years, male 32.6
GTEX-1K9T9-2826-SM-D4P3F 50-59 years, female 32.6
GTEX-1C2JI-1626-SM-7EPHC 50-59 years, male 32.5
GTEX-OOBJ-1426-SM-E6CHH 60-69 years, male 32.5
GTEX-OXRO-0726-SM-E9U4C 60-69 years, female 32.5
GTEX-ZF29-1726-SM-4WKFV 60-69 years, female 32.4
GTEX-OIZF-1426-SM-2HML2 60-69 years, male 32.4
GTEX-13O61-1626-SM-5KM3T 60-69 years, male 32.3
GTEX-SE5C-1526-SM-4BRWU 40-49 years, female 32.3
GTEX-11TTK-2426-SM-5PNYO 60-69 years, female 32.2
GTEX-1S3DN-1826-SM-EV79K 50-59 years, male 32.2
GTEX-1IDJU-2026-SM-A9SLM 60-69 years, female 32.1
GTEX-11DXZ-1726-SM-5H12M 50-59 years, male 32.0
GTEX-147GR-2726-SM-664OO 60-69 years, male 32.0
GTEX-14DAR-1526-SM-5RQIX 50-59 years, male 32.0
GTEX-O5YW-1426-SM-3MJHF 50-59 years, male 32.0
GTEX-QCQG-1626-SM-48U26 50-59 years, female 32.0
GTEX-S341-1426-SM-4AD6U 40-49 years, female 31.9
GTEX-RU1J-1326-SM-46MUL 20-29 years, female 31.8
GTEX-17EVQ-1826-SM-7IGPH 70-79 years, male 31.6
GTEX-PWCY-1026-SM-48TD4 20-29 years, female 31.6
GTEX-111VG-2226-SM-5N9DU 60-69 years, male 31.5
GTEX-13FTW-1826-SM-5IJEN 40-49 years, male 31.5
GTEX-RM2N-0926-SM-48FD1 50-59 years, male 31.5
GTEX-1JKYR-1926-SM-C1YR7 20-29 years, male 31.5
GTEX-WYVS-1826-SM-4OND6 40-49 years, female 31.3
GTEX-Y9LG-1526-SM-4WWDR 30-39 years, male 31.3
GTEX-ZLV1-1226-SM-4WWBX 60-69 years, female 31.3
GTEX-X4EO-2526-SM-EWRM8 60-69 years, female 31.3
GTEX-1AX9I-2626-SM-73KU5 60-69 years, male 31.2
GTEX-1PWST-2426-SM-EWRMP 70-79 years, male 31.2
GTEX-14AS3-1126-SM-5Q5CR 40-49 years, female 31.0
GTEX-XUW1-1926-SM-4BOP1 50-59 years, female 30.9
GTEX-14PJ3-0926-SM-69LQG 50-59 years, male 30.8
GTEX-15CHQ-2526-SM-6EU24 60-69 years, male 30.8
GTEX-1HCU6-2726-SM-A9SKV 60-69 years, female 30.7
GTEX-1LSVX-1726-SM-DHXJP 60-69 years, male 30.7
GTEX-13QBU-1826-SM-5IJG3 40-49 years, female 30.6
GTEX-15SHU-2526-SM-6M47D 40-49 years, female 30.6
GTEX-P78B-1726-SM-3P5ZV 40-49 years, female 30.6
GTEX-PX3G-1426-SM-48U1J 20-29 years, female 30.6
GTEX-XYKS-2226-SM-4E3IU 60-69 years, female 30.6
GTEX-ZTSS-1126-SM-5985O 40-49 years, male 30.6
GTEX-13PL7-2526-SM-5IFGR 60-69 years, female 30.5
GTEX-1CAMS-2526-SM-7EPH7 40-49 years, female 30.5
GTEX-13FHP-2426-SM-5KLZ5 50-59 years, male 30.4
GTEX-PLZ6-0926-SM-3P5ZQ 30-39 years, male 30.4
GTEX-TKQ2-1326-SM-4DXT9 50-59 years, male 30.4
GTEX-VJYA-2026-SM-4KL1K 60-69 years, male 30.4
GTEX-YEC4-1926-SM-5IFHJ 40-49 years, male 30.4
GTEX-14BMV-2426-SM-5S2PP 50-59 years, male 30.2
GTEX-1GPI7-1726-SM-7P8R1 20-29 years, male 30.2
GTEX-1N5O9-2726-SM-E76QH 60-69 years, male 30.1
GTEX-1RDX4-1826-SM-EVR54 50-59 years, female 30.0
GTEX-OXRN-2026-SM-E6CHK 50-59 years, male 30.0
GTEX-148VJ-2626-SM-5QGPI 70-79 years, male 29.9
GTEX-11VI4-1526-SM-5EQKC 40-49 years, female 29.6
GTEX-13O3P-2326-SM-5KM55 50-59 years, male 29.6
GTEX-131XE-0826-SM-5HL9W 50-59 years, male 29.5
GTEX-18A7A-2226-SM-7LT8K 50-59 years, female 29.5
GTEX-12ZZZ-2426-SM-5GCNN 60-69 years, male 29.4
GTEX-14ICL-1226-SM-5S2RD 30-39 years, male 29.4
GTEX-1BAJH-2326-SM-7IGMO 70-79 years, male 29.4
GTEX-1GZ4I-2426-SM-9WPPP 50-59 years, male 29.3
GTEX-OHPM-1426-SM-3TW8Y 50-59 years, male 29.0
GTEX-11O72-2226-SM-5PNW2 40-49 years, male 28.8
GTEX-1HCU9-1326-SM-B2LXT 20-29 years, male 28.7
GTEX-1HSGN-2626-SM-CE6S1 40-49 years, female 28.7
GTEX-1JMPZ-2426-SM-C1YQP 30-39 years, male 28.7
GTEX-11GSP-1626-SM-5986N 60-69 years, female 28.3
GTEX-Z93S-2426-SM-5HL8N 50-59 years, male 28.3
GTEX-1HKZK-2126-SM-A9SL3 40-49 years, male 28.3
GTEX-1PPH8-2026-SM-DTX7P 20-29 years, male 28.2
GTEX-11P81-1126-SM-5GU5G 30-39 years, female 28.0
GTEX-139T6-1326-SM-5IFFO 50-59 years, male 28.0
GTEX-U3ZH-1326-SM-4DXSF 30-39 years, male 28.0
GTEX-16Z82-2226-SM-6LPJ7 60-69 years, male 27.9
GTEX-1H1DE-1526-SM-ARL9B 20-29 years, male 27.9
GTEX-1HSEH-1726-SM-B2LXH 60-69 years, male 27.9
GTEX-XPVG-1826-SM-4B64X 50-59 years, male 27.7
GTEX-UJMC-1326-SM-4IHLS 50-59 years, male 27.6
GTEX-WH7G-1326-SM-4LVMS 40-49 years, male 27.6
GTEX-11ONC-2026-SM-5HL61 60-69 years, male 27.5
GTEX-1PPGY-2826-SM-DTX9H 60-69 years, male 27.4
GTEX-OHPN-2026-SM-E9TIA 60-69 years, female 27.4
GTEX-16XZZ-2626-SM-6M47S 60-69 years, male 27.2
GTEX-1128S-1626-SM-5H12O 60-69 years, female 27.1
GTEX-15ER7-2926-SM-7KUFK 20-29 years, female 27.1
GTEX-16NPV-2626-SM-6M484 50-59 years, female 27.1
GTEX-1AYD5-1726-SM-7RHFW 50-59 years, male 27.1
GTEX-147JS-2526-SM-5S2Q8 60-69 years, male 27.0
GTEX-11TUW-2026-SM-5EQL8 60-69 years, male 26.9
GTEX-1IOXB-2626-SM-CJI2N 50-59 years, male 26.9
GTEX-13O3O-2526-SM-5L3DR 60-69 years, female 26.8
GTEX-17HGU-2426-SM-7EWDP 50-59 years, male 26.7
GTEX-1E2YA-2626-SM-7MGWW 50-59 years, male 26.5
GTEX-ZAB4-2226-SM-5HL97 40-49 years, male 26.2
GTEX-WVJS-2426-SM-EZ6LI 50-59 years, male 26.2
GTEX-WQUQ-2526-SM-4MVNO 60-69 years, male 26.1
GTEX-XBEW-1926-SM-4SOJO 40-49 years, male 26.0
GTEX-13OW5-2626-SM-5MR3M 60-69 years, male 25.6
GTEX-XQ8I-2126-SM-4BOOM 50-59 years, male 25.6
GTEX-1211K-1726-SM-5FQUJ 60-69 years, female 25.4
GTEX-17MF6-2426-SM-7LTAM 40-49 years, male 25.4
GTEX-1LG7Y-2126-SM-DIPER 50-59 years, male 25.4
GTEX-17GQL-1526-SM-7LTAC 60-69 years, male 25.2
GTEX-11LCK-2026-SM-5A5MA 30-39 years, male 25.0
GTEX-17EUY-1826-SM-7DUEZ 20-29 years, male 25.0
GTEX-1R9PM-1526-SM-DPRY8 20-29 years, male 24.7
GTEX-12C56-0626-SM-5EGGC 20-29 years, male 24.6
GTEX-ZYFC-2626-SM-5NQ6S 50-59 years, male 24.3
GTEX-NFK9-2026-SM-3LK5K 40-49 years, male 24.2
GTEX-1L5NE-2026-SM-CXZKR 50-59 years, male 24.0
GTEX-1I1GR-2526-SM-CNNQF 60-69 years, male 23.9
GTEX-145MO-2426-SM-5NQ9W 60-69 years, male 23.8
GTEX-1GMR3-2826-SM-9WPOG 40-49 years, male 23.7
GTEX-1NV5F-2226-SM-DTX8O 60-69 years, female 23.7
GTEX-1GF9U-1526-SM-7MXUW 40-49 years, female 23.6
GTEX-R55C-1126-SM-48FCJ 40-49 years, male 23.4
GTEX-U3ZM-1126-SM-4DXUB 40-49 years, male 23.4
GTEX-14BIN-3026-SM-5ZZUS 50-59 years, female 22.9
GTEX-1I6K6-1826-SM-B2LX5 30-39 years, male 22.8
GTEX-1QMI2-2626-SM-E6CR4 60-69 years, male 22.5
GTEX-1JMLX-2726-SM-CM2SB 50-59 years, male 22.3
GTEX-13OVI-2026-SM-5J1MU 60-69 years, female 22.2
GTEX-1HSMQ-2726-SM-C1YRE 50-59 years, male 22.1
GTEX-13U4I-2426-SM-5LU34 40-49 years, female 21.4
GTEX-12KS4-2426-SM-5LU8P 30-39 years, male 21.0
GTEX-17HII-2726-SM-7MGVM 50-59 years, male 20.4
GTEX-16MT8-2726-SM-7IGLJ 60-69 years, female 20.1
GTEX-14C39-1926-SM-5ZZW5 40-49 years, male 15.7
Show allShow less

COLON - FANTOM5 CAGEi

RNA expression in human tissues obtained through Cap Analysis of Gene Expression (CAGE) generated by the FANTOM5 project are reported as Scaled Tags Per Million.

Max subtype Scaled Tags Per Millioni

Max subtype Scaled Tags Per Million is the value for the subtype with the largest average Scaled Tags Per Million across the subtype samples.

162.6
FANTOM5 sample id Sample description Scaled Tags Per Million
Colon
Scaled Tags Per Million: 162.6
FF:10014-101C5 62,83,84 years, mixed 162.6

Contact

  • NEWS ARTICLES
  • PRESS ROOM

The Project

  • INTRODUCTION
  • ORGANIZATION
  • PUBLICATIONS

The Human Protein Atlas

  • DOWNLOADABLE DATA
  • LICENCE & CITATION
  • HELP & FAQ
The Human Protein Atlas project is funded
by the Knut & Alice Wallenberg Foundation.


contact@proteinatlas.org