We use cookies to enhance the usability of our website. If you continue, we'll assume that you are happy to receive all cookies. More information. Don't show this again.
CES1
HPA
RESOURCES
  • TISSUE
  • BRAIN
  • SINGLE CELL
  • SUBCELLULAR
  • CANCER
  • BLOOD
  • CELL LINE
  • STRUCTURE & INTERACTION
ABOUT
  • INTRODUCTION
  • HISTORY
  • ORGANIZATION
  • PUBLICATIONS
  • ANTIBODY SUBMISSION
  • ANTIBODY AVAILABILITY
  • ACKNOWLEDGMENTS
  • CONTACT
NEWS
  • NEWS ARTICLES
  • PRESS ROOM
LEARN
  • DICTIONARY
  • PROTEIN CLASSES
  • PROTEIN EVIDENCE
  • METHODS
  • EDUCATIONAL VIDEOS
DATA
  • DOWNLOADABLE DATA
  • PUBLICATION DATA
  • RELEASE HISTORY
HELP
  • ANTIBODY VALIDATION
  • ASSAYS & ANNOTATION
  • DISCLAIMER
  • HELP & FAQ
  • PRIVACY STATEMENT
  • LICENCE & CITATION
Fields »
Search result

Field
Term
Gene name
Class
Subclass
Class
Keyword
Chromosome
External id
Tissue
Cell type
Expression
Antibody panel
Tissue
Main location
Patient ID
Annotation
Tissue
Category
Tau score
Cluster
Reliability
Brain region
Category
Tau score
Brain region
Category
Tau score
Brain region
Category
Tau score
Cluster
Reliability
Tissue
Cell type
Enrichment
Cell type
Category
Tau score
Cell type
Category
Tau score
Cell type
Category
Tau score
Cell lineage
Category
Tau score
Cluster
Cluster
Location
Searches
Location
Cell line
Class
Type
Phase
Reliability
Cancer
Prognosis
Cancer
Category
Cancer
Category
Tau score
Cluster
Variants
Interacting gene (ensg_id)
Type
Number of interactions
Pathway
Category
Score
Score
Score
Validation
Validation
Validation
Validation
Antibodies
Data type
Column


  • SUMMARY

  • TISSUE

  • BRAIN

  • SINGLE CELL

  • SUBCELL

  • CANCER

  • BLOOD

  • CELL LINE

  • STRUCT & INT

  • CES1
TISSUE PRIMARY DATA COLON Show tissue menu
ADIPOSE TISSUE ADRENAL GLAND AMYGDALA APPENDIX BASAL GANGLIA BONE MARROW BREAST BRONCHUS CEREBELLUM CEREBRAL CORTEX CERVIX CHOROID PLEXUS COLON DUODENUM
ENDOMETRIUM EPIDIDYMIS ESOPHAGUS FALLOPIAN TUBE GALLBLADDER HEART MUSCLE HIPPOCAMPAL FORMATION HYPOTHALAMUS KIDNEY LIVER LUNG LYMPH NODE MIDBRAIN NASOPHARYNX
ORAL MUCOSA OVARY PANCREAS PARATHYROID GLAND PITUITARY GLAND PLACENTA PROSTATE RECTUM RETINA SALIVARY GLAND SEMINAL VESICLE SKELETAL MUSCLE SKIN SMALL INTESTINE
SMOOTH MUSCLE SOFT TISSUE SPINAL CORD SPLEEN STOMACH TESTIS THYMUS THYROID GLAND TONGUE TONSIL URINARY BLADDER VAGINA
ANTIBODIES
AND
VALIDATION
Dictionary
Colon
Tissue proteome
Intestine
COLON - Expression summary
Protein expression
Coloni

On the top, protein expression in current human tissue, based on all annotated cell types, is reported with the units not detected (n), low (l), medium (m) and high (h). Underneath, protein expression in each annotated cell type are reported using the same units.

Protein expression data is based on knowledge-based annotation. For genes where more than one antibody has been used, a collective score is set.

If knowledge-based annotation could not be performed for a gene, no data is displayed here. View antibody staining data further down this page.

h
m
l
n
Endocrine cells: High
Endothelial cells: Not detected
Enterocytes: Not detected
Enterocytes - Microvilli: Not detected
Fibroblasts: Not detected
Goblet cells: Not detected
Mucosal lymphoid cells: Not detected
RNA expressioni

A summary of mRNA expression data available for current tissue based on several datasets. The mRNA expression levels in human tissues are based on RNA-seq data generated by the Human Protein Atlas (HPA), Genotype-Tissue Expression (GTEx) portal and CAGE data generated by the FANTOM5 consortium. Consensus normalized expression levels for human tissues was created by combining the data from HPA and GTEx datasets.

The mRNA expression levels in pig are based on RNA-seq data generated by the Human Protein Atlas (HPA), and for mouse, HPA data and in situ hybridization generated by the Allen brain atlas are reported.

Scroll down to view mRNA expression data in more detail.
Consensus:79.6 nTPM
HPA:18.9 nTPM
GTEx:79.6 nTPM
FANTOM5:53.7 Scaled Tags Per Million

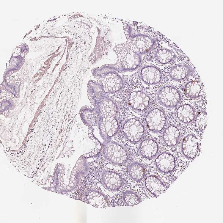
COLON - Antibody stainingi

Antibody staining in the annotated cell types in the current human tissue is reported as not detected, low, medium, or high, based on conventional immunohistochemistry profiling in selected tissues. This score is based on the combination of the staining intensity and fraction of stained cells.

Each image is clickable and will lead to virtual microscopy that enables deeper exploration of all samples and also displays staining intensity scores, fraction scores and subcellular localization as well as patient and tissue information for each sample.

Antibody HPA012023Antibody HPA046717
Endocrine cells High-
Endothelial cells Not detectedNot detected
Enterocytes Not detected-
Enterocytes - Microvilli Not detected-
Fibroblasts Not detected-
Glandular cells -Medium
Goblet cells Not detected-
Mucosal lymphoid cells Not detected-
Peripheral nerve/ganglion -Not detected





COLON - HPA RNA-seqi

The RNA-seq details section shows detailed information about the individual samples used for the transcript profiling and results of the RNA-seq analysis.

Information about each individual sample is listed below, including gender, age, a tissue section image and estimated fractions of cell types. nTPM (normalized transcripts per million) values give a quantification of the gene abundance which is comparable between different genes and samples.
Average nTPMi

Max subtype nTPM is the value for the subtype with the largest average nTPM across the subtype samples.

18.9
overview
Male, age 54
Colon sample 67
nTPM: 7.4
Cell types%
Glandular cells:
65

Smooth muscle cells:
10

Other cell types:
25

overview
Female, age 57
Colon sample 68
nTPM: 10.3
Cell types%
Glandular cells:
40

Smooth muscle cells:
5

Other cell types:
55

overview
Male, age 80
Colon sample 69
nTPM: 6.5
Cell types%
Glandular cells:
55

Smooth muscle cells:
5

Other cell types:
40

overview
Male, age 68
Colon sample 70
nTPM: 12.4
Cell types%
Glandular cells:
35

Smooth muscle cells:
10

Other cell types:
55

overview
Female, age 68
Colon sample 76
nTPM: 14.7
Cell types%
Glandular cells:
25

Smooth muscle cells:
5

Other cell types:
70

overview
Female, age 61
Colon sample 299
nTPM: 48.5
Cell types%
Glandular cells:
5

Smooth muscle cells:
65

Other cell types:
30

overview
Male, age 80
Colon sample 300
nTPM: 29.9
Cell types%
Glandular cells:
15

Smooth muscle cells:
20

Other cell types:
65

overview
Female, age 78
Colon sample 368
nTPM: 14.1
Cell types%
Glandular cells:
45

Smooth muscle cells:
5

Other cell types:
50

overview
Male, age 84
Colon sample 381
nTPM: 21.3
Cell types%
Glandular cells:
50

Smooth muscle cells:
15

Other cell types:
35

overview
Male, age 80
Colon sample 384
nTPM: 12.8
Cell types%
Glandular cells:
20

Smooth muscle cells:
35

Other cell types:
45

overview
Female, age 78
Colon sample 389
nTPM: 11.8
Cell types%
Glandular cells:
35

Smooth muscle cells:
10

Other cell types:
55

overview
Female, age 69
Colon sample 391
nTPM: 30.5
Cell types%
Glandular cells:
10

Smooth muscle cells:
45

Other cell types:
45

overview
Female, age 72
Colon sample 403
nTPM: 25
Cell types%
Glandular cells:
20

Smooth muscle cells:
15

Other cell types:
65


COLON - GTEx RNA-seqi

RNA-Seq data generated by the Genotype-Tissue Expression (GTEx) project from human tissues is reported as mean nTPM. More information can be found on the GTEx portal.

Distribution across the dataset is visualized with box plots, shown as median and 25th and 75th percentiles. Points are displayed as outliers if they are above or below 1.5 times the interquartile range. nTPM values of the individual samples are presented next to the box plot.
Max subtype nTPMi

Max subtype nTPM is the value for the subtype with the largest average nTPM across the subtype samples.

79.6
GTEx sample id Sample description nTPM
Colon - Sigmoid
Average nTPM: 79.6
Samples: 373

Max nTPM: 351.1
Min nTPM: 3.6
Std nTPM: 47.5
Median nTPM: 70.8
GTEX-11ZTT-1626-SM-5EQKR 60-69 years, female 351.1
GTEX-WY7C-1926-SM-4ONCI 50-59 years, male 236.5
GTEX-1QPFJ-2426-SM-EVR3L 30-39 years, female 234.3
GTEX-11I78-1326-SM-5PNY9 50-59 years, female 224.4
GTEX-131YS-2926-SM-5EGKI 60-69 years, female 206.5
GTEX-139UW-2326-SM-5KM1Y 60-69 years, male 204.7
GTEX-ZPCL-1626-SM-57WGC 60-69 years, female 197.4
GTEX-1399U-2226-SM-5KLZI 50-59 years, female 187.5
GTEX-139T6-1426-SM-5P9J7 50-59 years, male 182.5
GTEX-1I1GT-2026-SM-CKZPK 60-69 years, female 181.7
GTEX-1HSEH-1926-SM-A96SB 60-69 years, male 176.5
GTEX-WFG8-1726-SM-4LVM6 20-29 years, male 173.4
GTEX-111CU-1226-SM-5EGIN 50-59 years, male 170.2
GTEX-1E2YA-2526-SM-7IGOU 50-59 years, male 163.5
GTEX-XV7Q-2226-SM-4BRVY 40-49 years, female 162.9
GTEX-1S831-1726-SM-EWROJ 20-29 years, male 162.6
GTEX-13OVK-1026-SM-7KFTC 40-49 years, male 161.2
GTEX-1QP29-2526-SM-E6CQ3 50-59 years, male 161.2
GTEX-14PK6-1826-SM-69LOM 70-79 years, female 160.9
GTEX-145LT-0826-SM-5S2QL 40-49 years, male 159.6
GTEX-11DXX-1926-SM-5EGJK 60-69 years, female 158.8
GTEX-ZT9W-1726-SM-51MS3 50-59 years, male 157.8
GTEX-13FH7-1626-SM-5J2O9 50-59 years, female 156.5
GTEX-15RIF-1426-SM-7KUKQ 20-29 years, male 156.5
GTEX-11P81-1426-SM-5P9JN 30-39 years, female 156.1
GTEX-13CF3-1326-SM-5LZXZ 60-69 years, female 155.4
GTEX-1KANA-1726-SM-CY8IG 20-29 years, male 155.2
GTEX-15RJ7-1726-SM-6PAL3 40-49 years, male 154.4
GTEX-14E1K-1626-SM-664MO 50-59 years, male 153.0
GTEX-1HKZK-2026-SM-9WYUF 40-49 years, male 152.7
GTEX-ZP4G-1526-SM-57WE5 20-29 years, female 152.2
GTEX-16MTA-1626-SM-6M47N 50-59 years, male 150.8
GTEX-1F5PK-1726-SM-7RHHW 50-59 years, male 150.8
GTEX-ZZ64-0826-SM-5E449 20-29 years, male 150.1
GTEX-ZF2S-1826-SM-4WKFF 50-59 years, female 149.0
GTEX-1B8KE-1526-SM-7DUG2 50-59 years, male 147.9
GTEX-ZQG8-2426-SM-57WEE 60-69 years, female 147.9
GTEX-183FY-1426-SM-7DHLM 20-29 years, male 147.3
GTEX-1PIGE-1526-SM-DTXFC 20-29 years, male 146.5
GTEX-XUZC-1526-SM-4BRV4 30-39 years, female 145.9
GTEX-12BJ1-2026-SM-5FQUH 60-69 years, male 144.3
GTEX-1R9JW-2126-SM-E76QT 30-39 years, female 142.3
GTEX-15G1A-1926-SM-7KUFF 30-39 years, male 140.8
GTEX-1R9K5-2226-SM-DTX9G 50-59 years, male 140.6
GTEX-ZLFU-1426-SM-4WWEU 40-49 years, male 140.5
GTEX-17HGU-2626-SM-79OKN 50-59 years, male 140.0
GTEX-1GN73-2726-SM-9WYUB 60-69 years, male 139.6
GTEX-1JK1U-1426-SM-CNPOW 60-69 years, male 138.7
GTEX-1LVAM-1726-SM-DHXKQ 50-59 years, female 137.6
GTEX-1RMOY-1726-SM-EVYC9 50-59 years, male 137.2
GTEX-Y3I4-1126-SM-4TT7Y 50-59 years, male 136.8
GTEX-14DAQ-2926-SM-664MV 60-69 years, female 130.6
GTEX-17MFQ-1226-SM-7KFSA 20-29 years, male 130.4
GTEX-1JMPY-1026-SM-ARZN1 30-39 years, male 129.9
GTEX-1IKOE-2126-SM-A96T5 30-39 years, female 129.4
GTEX-1H1ZS-2626-SM-9QEIX 70-79 years, male 128.1
GTEX-18D9A-1326-SM-7LT8P 30-39 years, female 127.6
GTEX-14PHX-1126-SM-5YYA5 50-59 years, male 127.0
GTEX-145ME-1126-SM-5SIAT 40-49 years, female 125.1
GTEX-WYVS-1126-SM-4SOJX 40-49 years, female 124.8
GTEX-1HSGN-2226-SM-A9SL6 40-49 years, female 124.2
GTEX-ZC5H-2426-SM-4WAZ6 40-49 years, female 124.0
GTEX-1JKYR-2026-SM-CNPON 20-29 years, male 123.9
GTEX-1PDJ9-2026-SM-E76PT 20-29 years, male 123.2
GTEX-11EM3-1626-SM-5N9CO 20-29 years, female 122.8
GTEX-1N2DV-1826-SM-E6CJ5 40-49 years, male 122.4
GTEX-17HHE-1626-SM-7DHLN 50-59 years, male 122.2
GTEX-X15G-1526-SM-4PQZM 50-59 years, female 121.8
GTEX-15DYW-2426-SM-7KUG8 60-69 years, female 121.7
GTEX-1PBJI-2526-SM-E6CP4 20-29 years, female 121.7
GTEX-14BMU-1326-SM-5RQIH 20-29 years, female 121.6
GTEX-1C2JI-1726-SM-73KUW 50-59 years, male 121.1
GTEX-1JMPZ-2626-SM-ARU8Z 30-39 years, male 120.6
GTEX-11GS4-1826-SM-5HL4T 60-69 years, male 120.3
GTEX-Y9LG-1326-SM-4VBQB 30-39 years, male 119.2
GTEX-ZPIC-2626-SM-57WE2 40-49 years, female 118.5
GTEX-13CF2-1826-SM-5N9GK 60-69 years, male 118.3
GTEX-ZDTS-2726-SM-5L3E2 60-69 years, male 116.9
GTEX-14JG6-1626-SM-5YYBC 30-39 years, female 116.7
GTEX-13O61-1526-SM-5KM3P 60-69 years, male 115.9
GTEX-1A32A-2626-SM-73KX9 50-59 years, female 114.9
GTEX-13RTJ-1926-SM-5YYA2 60-69 years, male 113.1
GTEX-14E6E-1726-SM-5S2R6 30-39 years, male 112.0
GTEX-1N2EF-1726-SM-EXUSI 60-69 years, male 111.9
GTEX-ZV6S-1126-SM-57WE9 40-49 years, female 111.6
GTEX-1RDX4-1926-SM-E6CJJ 50-59 years, female 110.6
GTEX-13PVR-1726-SM-5Q5EC 60-69 years, female 110.1
GTEX-17GQL-1626-SM-7LG69 60-69 years, male 110.1
GTEX-1KXAM-1926-SM-D3LAG 60-69 years, male 109.4
GTEX-ZF29-1826-SM-4WKG8 60-69 years, female 109.1
GTEX-17F96-2126-SM-7KFSM 70-79 years, male 107.7
GTEX-14PJ4-1826-SM-5YY97 60-69 years, male 107.6
GTEX-13PL7-2426-SM-5J2N3 60-69 years, female 107.2
GTEX-16BQI-2026-SM-7KULQ 30-39 years, female 107.1
GTEX-1399R-2126-SM-5K7WZ 30-39 years, male 106.8
GTEX-1L5NE-1926-SM-D3L9R 50-59 years, male 106.5
GTEX-1HSMO-2526-SM-A9SKP 60-69 years, male 106.2
GTEX-ZA64-1426-SM-5CVMC 20-29 years, male 106.1
GTEX-1C475-1526-SM-7DHM3 40-49 years, female 106.0
GTEX-1LG7Y-2226-SM-E9U5K 50-59 years, male 106.0
GTEX-11P7K-1826-SM-5HL5A 30-39 years, male 105.8
GTEX-1AMFI-1826-SM-73KWB 50-59 years, female 105.8
GTEX-1C4CL-1626-SM-7DUF3 30-39 years, male 105.8
GTEX-1AYCT-1926-SM-793AE 50-59 years, male 104.6
GTEX-ZG7Y-1826-SM-4WWD3 50-59 years, male 104.5
GTEX-Y114-1626-SM-4TT7I 50-59 years, female 104.3
GTEX-1IDJI-2226-SM-CKZPM 50-59 years, female 102.0
GTEX-1GL5R-1726-SM-9KNUX 50-59 years, male 101.9
GTEX-WQUQ-2626-SM-4MVNP 60-69 years, male 101.3
GTEX-1QP28-2226-SM-DTX8C 50-59 years, female 101.3
GTEX-YEC3-2026-SM-DKPOL 50-59 years, male 100.5
GTEX-17KNJ-1826-SM-7LT9N 50-59 years, male 100.1
GTEX-1GZ4H-1326-SM-7P8TE 50-59 years, female 99.5
GTEX-1JN76-1326-SM-ARU94 20-29 years, female 99.5
GTEX-YECK-2826-SM-5IFHF 60-69 years, male 98.3
GTEX-1IDJU-1926-SM-CL53W 60-69 years, female 98.2
GTEX-1GMR8-2926-SM-9KNW5 50-59 years, female 97.7
GTEX-1LG7Z-1326-SM-DIPF3 30-39 years, male 97.4
GTEX-14A5H-1626-SM-5SIAN 60-69 years, male 97.2
GTEX-12WSJ-1426-SM-5GCON 40-49 years, female 96.9
GTEX-13D11-0626-SM-5LZYY 50-59 years, female 96.8
GTEX-15EO6-2326-SM-6LPKK 50-59 years, male 96.7
GTEX-1LB8K-2526-SM-DIPEQ 50-59 years, male 96.7
GTEX-1A3MX-2326-SM-718B4 60-69 years, male 96.2
GTEX-1AX9J-2526-SM-73KUY 60-69 years, male 96.2
GTEX-ZAJG-2626-SM-5S2NU 50-59 years, female 96.2
GTEX-132AR-2826-SM-5IJFV 50-59 years, female 96.0
GTEX-1PPH8-2226-SM-EWRN7 20-29 years, male 96.0
GTEX-1ICG6-2226-SM-B2LY7 70-79 years, female 95.9
GTEX-1QP67-1426-SM-E8VOO 40-49 years, female 95.8
GTEX-1OFPY-1226-SM-E76OM 60-69 years, male 95.0
GTEX-ZXES-1726-SM-5E43G 30-39 years, female 94.8
GTEX-1B932-2126-SM-7IGMU 40-49 years, female 94.5
GTEX-XBED-1726-SM-47JYO 60-69 years, male 94.4
GTEX-18465-2726-SM-7LT9I 50-59 years, male 93.0
GTEX-13111-1926-SM-5GCOL 50-59 years, male 91.9
GTEX-13FTW-2126-SM-5K7YG 40-49 years, male 90.5
GTEX-X4EO-2726-SM-4E3HS 60-69 years, female 89.6
GTEX-ZLWG-1826-SM-DO11I 50-59 years, female 89.3
GTEX-1AX9K-1626-SM-73KUS 50-59 years, male 89.2
GTEX-1H1E6-1826-SM-A9G21 30-39 years, male 86.1
GTEX-13QBU-2026-SM-5KLZB 40-49 years, female 85.2
GTEX-16NGA-0926-SM-718AG 40-49 years, female 85.1
GTEX-ZYFG-1826-SM-5GZWX 60-69 years, female 84.6
GTEX-1LVAN-2626-SM-CNPQF 50-59 years, female 84.3
GTEX-XQ8I-2326-SM-4BOQC 50-59 years, male 84.2
GTEX-Y5LM-1426-SM-5RQJL 40-49 years, female 84.0
GTEX-14PKV-1926-SM-686YU 20-29 years, female 83.8
GTEX-1H3NZ-2526-SM-9KNVO 60-69 years, male 83.7
GTEX-1PBJJ-2026-SM-DTX8U 30-39 years, male 83.6
GTEX-1QCLZ-2026-SM-EAZ4A 60-69 years, female 83.2
GTEX-11EMC-1426-SM-5N9E4 60-69 years, female 82.8
GTEX-12ZZX-2726-SM-5N9FT 40-49 years, female 82.5
GTEX-1LSNL-1626-SM-E9TJY 50-59 years, male 82.5
GTEX-1J8Q3-2426-SM-CL53S 60-69 years, male 82.3
GTEX-17JCI-2826-SM-7IGNA 60-69 years, female 81.4
GTEX-1CB4G-2726-SM-79OO4 60-69 years, male 81.4
GTEX-ZYY3-2226-SM-5E45A 60-69 years, female 81.0
GTEX-1K9T9-2926-SM-E9TKD 50-59 years, female 80.8
GTEX-1IDJH-2826-SM-CJI49 70-79 years, male 80.7
GTEX-1H1DE-1626-SM-9KNU5 20-29 years, male 80.5
GTEX-1JMLX-2526-SM-CY8HX 50-59 years, male 80.4
GTEX-1J1OQ-2826-SM-D3L88 40-49 years, female 79.6
GTEX-ZLV1-1326-SM-DO11Q 60-69 years, female 79.6
GTEX-14C5O-2626-SM-5RQI5 60-69 years, male 79.5
GTEX-13U4I-2626-SM-5SI9C 40-49 years, female 79.3
GTEX-ZPU1-1726-SM-4WWFV 40-49 years, male 78.2
GTEX-YJ8O-1426-SM-5PNV9 40-49 years, female 77.3
GTEX-1RAZQ-2026-SM-E76P7 30-39 years, male 77.0
GTEX-145MO-2626-SM-5QGPD 60-69 years, male 76.3
GTEX-1211K-1826-SM-5EGJ2 60-69 years, female 76.1
GTEX-1I1CD-2826-SM-A9SL4 60-69 years, female 75.3
GTEX-ZAB5-1426-SM-5HL9D 50-59 years, male 75.1
GTEX-XUW1-1826-SM-4BOQD 50-59 years, female 75.0
GTEX-1F5PL-1926-SM-7MXTP 40-49 years, female 74.8
GTEX-18A66-2626-SM-72D67 60-69 years, male 74.4
GTEX-WRHK-1126-SM-4MVOJ 20-29 years, female 74.0
GTEX-15RIE-2026-SM-7KFRW 60-69 years, male 73.3
GTEX-ZYFD-2226-SM-5E43P 50-59 years, male 73.3
GTEX-11ZTS-1526-SM-5N9G7 60-69 years, female 73.1
GTEX-1F75W-2126-SM-7RHIA 60-69 years, male 73.1
GTEX-117YX-0526-SM-5EGJH 50-59 years, male 72.8
GTEX-1R7EU-1826-SM-DTX9L 60-69 years, male 72.8
GTEX-1J8QM-1226-SM-CY8HI 60-69 years, female 72.2
GTEX-WHPG-1626-SM-4M1ZL 50-59 years, male 71.4
GTEX-ZTSS-1226-SM-51MSZ 40-49 years, male 71.3
GTEX-V955-1726-SM-4JBHF 60-69 years, male 70.8
GTEX-WXYG-1726-SM-4ONCU 50-59 years, female 70.3
GTEX-146FH-2426-SM-5Q5EW 50-59 years, female 70.0
GTEX-11TT1-0926-SM-5GU5M 20-29 years, male 69.8
GTEX-1QCLY-2026-SM-EVR4C 30-39 years, male 69.8
GTEX-15DZA-1026-SM-6PAND 30-39 years, female 69.4
GTEX-1LGOU-1726-SM-D3L8P 20-29 years, female 69.2
GTEX-ZTTD-2626-SM-57WEX 50-59 years, male 68.9
GTEX-117XS-2226-SM-5GIE1 60-69 years, male 68.5
GTEX-1B97I-1526-SM-73KUK 40-49 years, male 68.3
GTEX-1J8EW-2426-SM-CE6T5 60-69 years, female 67.5
GTEX-131XG-1526-SM-5GCNQ 50-59 years, female 67.3
GTEX-13PVQ-2726-SM-5L3H7 50-59 years, male 66.7
GTEX-18QFQ-1726-SM-731C9 30-39 years, male 66.6
GTEX-YFCO-1526-SM-5YYB8 40-49 years, male 66.3
GTEX-1HBPN-2026-SM-B2LWA 50-59 years, male 65.6
GTEX-ZVT3-2826-SM-5GU6A 60-69 years, female 65.4
GTEX-12WSM-1426-SM-5GCPA 60-69 years, male 65.1
GTEX-1HFI7-1626-SM-9WYTR 50-59 years, female 64.8
GTEX-1CAMS-2626-SM-7PBY3 40-49 years, female 64.3
GTEX-Z93S-2626-SM-57WBX 50-59 years, male 63.8
GTEX-1HCUA-1926-SM-B2LWE 50-59 years, female 63.8
GTEX-1S82P-2026-SM-E9TIQ 60-69 years, female 63.7
GTEX-1LSVX-2026-SM-E9TJD 60-69 years, male 63.6
GTEX-1QW4Y-1426-SM-E76P3 30-39 years, male 63.4
GTEX-ZVT2-1726-SM-51MRO 50-59 years, female 63.2
GTEX-1GF9X-1426-SM-7RHGX 40-49 years, female 62.9
GTEX-12ZZW-2426-SM-5DUWE 50-59 years, male 62.7
GTEX-1HSKV-2326-SM-A9SL9 60-69 years, male 62.7
GTEX-1HCU6-2926-SM-B2LWV 60-69 years, female 62.6
GTEX-1JKYN-2226-SM-ARZNE 30-39 years, male 62.4
GTEX-12WSL-1826-SM-5LZW9 50-59 years, male 62.3
GTEX-13OW8-2726-SM-5L3FZ 60-69 years, male 61.4
GTEX-1CB4F-1926-SM-7MKFN 60-69 years, male 61.4
GTEX-1I1GP-2826-SM-A9SKZ 50-59 years, male 61.4
GTEX-1I1GR-2226-SM-ARL7F 60-69 years, male 60.2
GTEX-111YS-1826-SM-5GIEP 60-69 years, male 59.5
GTEX-1JMQK-2326-SM-ARZN4 60-69 years, male 58.8
GTEX-16XZZ-2726-SM-7EWDO 60-69 years, male 58.2
GTEX-15ETS-2326-SM-7KUGC 40-49 years, female 58.0
GTEX-1QP2A-2226-SM-DTXF6 50-59 years, male 58.0
GTEX-14BIN-2426-SM-5TDCF 50-59 years, female 57.9
GTEX-13G51-2126-SM-5IJD9 60-69 years, male 57.6
GTEX-183WM-2526-SM-731BP 70-79 years, female 57.6
GTEX-YF7O-1626-SM-5IFII 50-59 years, male 57.6
GTEX-15CHQ-2626-SM-686YZ 60-69 years, male 57.5
GTEX-XAJ8-0726-SM-47JY5 40-49 years, male 57.5
GTEX-1PIEJ-1826-SM-EWRMN 20-29 years, female 56.7
GTEX-1J1R8-1426-SM-CL55O 40-49 years, male 56.1
GTEX-ZE7O-2626-SM-51MSS 50-59 years, female 56.0
GTEX-14C39-1626-SM-5S2P4 40-49 years, male 55.2
GTEX-144GM-1126-SM-79OJK 20-29 years, male 55.1
GTEX-15UF7-1326-SM-7KUKV 40-49 years, male 55.0
GTEX-11ONC-1926-SM-5GU75 60-69 years, male 54.6
GTEX-1LSNM-1426-SM-E6CIH 50-59 years, male 54.4
GTEX-1GMRU-2626-SM-9WPPM 50-59 years, male 54.3
GTEX-13N2G-2226-SM-5IJCU 60-69 years, male 54.1
GTEX-1GTWX-2626-SM-9WPOT 60-69 years, male 54.1
GTEX-11EQ9-1526-SM-5PNY7 30-39 years, male 53.7
GTEX-1MGNQ-2126-SM-EV7AC 40-49 years, male 53.7
GTEX-1C6VQ-2626-SM-7IGMQ 50-59 years, male 53.2
GTEX-1JJE9-2526-SM-ARU8K 70-79 years, male 53.2
GTEX-1QP9N-0826-SM-DTX9O 30-39 years, male 52.7
GTEX-ZAB4-2426-SM-5HL8A 40-49 years, male 52.0
GTEX-WFG7-1626-SM-4LVMF 20-29 years, male 51.9
GTEX-18A67-2226-SM-7LT9Z 50-59 years, male 51.7
GTEX-1CAMR-1026-SM-7P8QI 20-29 years, male 51.5
GTEX-13X6K-2726-SM-5O9DG 60-69 years, female 51.2
GTEX-1LBAC-1726-SM-D3L9W 20-29 years, male 50.6
GTEX-17F9Y-2626-SM-7IGN9 70-79 years, female 49.6
GTEX-1HSMQ-2526-SM-A9SMK 50-59 years, male 49.6
GTEX-1477Z-2126-SM-5Q5CM 60-69 years, male 49.1
GTEX-18A6Q-2226-SM-7LG61 60-69 years, male 49.0
GTEX-1GPI7-1926-SM-9KNUH 20-29 years, male 48.9
GTEX-XXEK-1826-SM-4BRVC 50-59 years, male 48.7
GTEX-15G19-2726-SM-6LPKG 60-69 years, male 48.6
GTEX-1GMR3-2526-SM-7P8QS 40-49 years, male 48.5
GTEX-1JMQJ-2626-SM-CY8HQ 50-59 years, male 48.2
GTEX-WFON-1326-SM-4LVMN 40-49 years, male 48.1
GTEX-14A5I-2426-SM-5Q5CP 50-59 years, female 47.6
GTEX-11VI4-1426-SM-5GU6O 40-49 years, female 47.4
GTEX-1HB9E-2526-SM-D4P35 50-59 years, male 47.4
GTEX-1122O-1426-SM-5H11R 60-69 years, female 46.8
GTEX-15F5U-1426-SM-7KUN2 40-49 years, male 46.6
GTEX-17EUY-1726-SM-79OK4 20-29 years, male 46.2
GTEX-13O1R-2426-SM-5KLZZ 60-69 years, male 45.9
GTEX-1EH9U-1926-SM-7P8QM 60-69 years, male 45.8
GTEX-1K2DA-1626-SM-CGQGB 50-59 years, male 45.6
GTEX-1LVAO-2826-SM-E9TJH 60-69 years, male 44.7
GTEX-1HCU7-2726-SM-A9G3D 50-59 years, male 44.1
GTEX-1JJEA-2526-SM-CY8HJ 60-69 years, male 44.0
GTEX-1LKK1-2426-SM-DIPES 50-59 years, female 44.0
GTEX-11EI6-2626-SM-5PNVT 60-69 years, male 43.8
GTEX-1C64N-2226-SM-7SB7C 50-59 years, male 43.8
GTEX-WHWD-1526-SM-4OORV 50-59 years, male 43.4
GTEX-14E6C-2226-SM-5QGQG 40-49 years, male 43.3
GTEX-13X6J-2826-SM-7EPGA 50-59 years, male 43.2
GTEX-1C64O-2426-SM-7P8R3 60-69 years, male 42.8
GTEX-15UF6-2726-SM-7KULY 70-79 years, female 42.6
GTEX-147GR-2826-SM-5RQK8 60-69 years, male 42.2
GTEX-145MH-2726-SM-5QGQ6 50-59 years, male 41.8
GTEX-1R9PO-2026-SM-E9J4N 60-69 years, female 41.3
GTEX-1RAZR-2026-SM-E9TKE 40-49 years, male 41.0
GTEX-1PIIG-2126-SM-EXUSD 30-39 years, male 40.8
GTEX-1B996-2726-SM-7DUGG 60-69 years, male 40.6
GTEX-13OVI-2126-SM-5KM3U 60-69 years, female 40.5
GTEX-1S5ZA-1426-SM-E6CJQ 20-29 years, male 40.5
GTEX-14PN3-1926-SM-6EU1Y 60-69 years, female 40.3
GTEX-1H3VY-2526-SM-9KNW1 50-59 years, male 40.1
GTEX-14PJ3-1226-SM-5ZZVY 50-59 years, male 40.0
GTEX-ZF28-2526-SM-57WFH 60-69 years, male 39.6
GTEX-132NY-2726-SM-5PNY2 60-69 years, male 39.0
GTEX-YJ8A-1726-SM-5P9IQ 20-29 years, male 38.4
GTEX-13VXT-2026-SM-5L3EW 20-29 years, female 38.3
GTEX-1A3MV-1026-SM-72D5U 30-39 years, male 37.5
GTEX-12KS4-2326-SM-5EGJB 30-39 years, male 37.4
GTEX-11TUW-2326-SM-5EQMO 60-69 years, male 37.1
GTEX-147JS-2626-SM-5S2UX 60-69 years, male 37.1
GTEX-1HCVE-2326-SM-9WYUD 50-59 years, male 36.9
GTEX-139D8-2926-SM-5IJBM 30-39 years, female 36.8
GTEX-11DXZ-1626-SM-5GIDI 50-59 years, male 36.5
GTEX-131XE-1026-SM-5EGKE 50-59 years, male 36.2
GTEX-13SLW-2826-SM-5Q5ES 70-79 years, male 36.0
GTEX-14AS3-1026-SM-5TDD7 40-49 years, female 35.9
GTEX-12ZZY-2726-SM-5EQ45 60-69 years, male 34.6
GTEX-1EU9M-2726-SM-7P8QD 60-69 years, male 34.5
GTEX-1RLM8-1726-SM-E9TKF 50-59 years, male 33.9
GTEX-ZVT4-2626-SM-5N9GJ 50-59 years, female 33.0
GTEX-1RQEC-2626-SM-EVR3Z 60-69 years, male 33.0
GTEX-13FHO-2726-SM-5K7VG 60-69 years, male 32.9
GTEX-13X6I-2726-SM-5Q5ET 60-69 years, male 32.6
GTEX-13113-1426-SM-5EGHU 60-69 years, female 32.5
GTEX-11ZU8-1126-SM-5EQ5K 60-69 years, male 32.4
GTEX-ZY6K-1326-SM-5GZWP 50-59 years, male 32.1
GTEX-1HBPI-2226-SM-9WYTY 50-59 years, male 31.6
GTEX-1B8L1-1926-SM-7IGND 60-69 years, male 30.4
GTEX-12696-1926-SM-5EGJT 60-69 years, male 30.1
GTEX-145LS-2926-SM-5O99G 60-69 years, female 30.1
GTEX-1339X-1726-SM-5P9J9 40-49 years, male 29.7
GTEX-1H23P-2626-SM-9KNVN 60-69 years, male 29.0
GTEX-Y8LW-1126-SM-4VDS4 50-59 years, female 28.4
GTEX-1212Z-1826-SM-5FQSH 60-69 years, male 28.3
GTEX-15ER7-2826-SM-6PAN2 20-29 years, female 28.1
GTEX-1I6K6-1926-SM-A96SN 30-39 years, male 28.0
GTEX-13OW5-2826-SM-5KM1G 60-69 years, male 27.7
GTEX-1HBPM-2626-SM-9WYU5 60-69 years, female 27.5
GTEX-1BAJH-2726-SM-7IGNJ 70-79 years, male 26.7
GTEX-1EMGI-2626-SM-7IGNR 60-69 years, male 26.7
GTEX-12WSD-2626-SM-5EGJE 60-69 years, female 26.4
GTEX-1JN6P-2126-SM-ARL98 60-69 years, male 26.3
GTEX-12WSG-2426-SM-5EQLZ 50-59 years, female 26.1
GTEX-13OVJ-1826-SM-5KM2D 50-59 years, female 25.7
GTEX-13OW6-2226-SM-5N9FL 50-59 years, male 24.1
GTEX-WI4N-2226-SM-4OOS9 40-49 years, female 23.8
GTEX-11PRG-2026-SM-5GU5F 50-59 years, male 23.7
GTEX-1GMR2-1826-SM-9KNUP 50-59 years, male 23.7
GTEX-15RJE-2226-SM-6M46A 40-49 years, male 23.4
GTEX-11EQ8-2626-SM-5N9BO 60-69 years, male 23.3
GTEX-ZYT6-2826-SM-5GICX 30-39 years, male 23.1
GTEX-16Z82-2426-SM-7KUMS 60-69 years, male 21.8
GTEX-17HG3-1126-SM-7DUFC 30-39 years, female 20.7
GTEX-ZE9C-2126-SM-4WKGY 60-69 years, male 20.3
GTEX-1LGRB-2026-SM-COH47 50-59 years, female 19.2
GTEX-148VJ-2426-SM-5NQ9Y 70-79 years, male 19.1
GTEX-WHSE-2726-SM-EZ6ML 20-29 years, male 19.1
GTEX-11DXY-2026-SM-5N9CZ 60-69 years, male 18.8
GTEX-1HBPH-2526-SM-ACKXK 40-49 years, female 18.5
GTEX-ZVZQ-2626-SM-59HLB 60-69 years, female 18.4
GTEX-1PFEY-1726-SM-DPRZ4 30-39 years, male 18.3
GTEX-1OJC3-1826-SM-DTX93 20-29 years, male 18.0
GTEX-139TS-2226-SM-5J2N1 60-69 years, male 17.2
GTEX-1J8JJ-2426-SM-D4P4A 60-69 years, female 15.1
GTEX-1P4AB-2626-SM-DTXEU 50-59 years, male 14.3
GTEX-Y8E4-2326-SM-EAZAZ 40-49 years, male 13.6
GTEX-WYJK-2326-SM-4ONDN 50-59 years, male 13.3
GTEX-13W3W-2226-SM-5LU4M 60-69 years, female 12.9
GTEX-WOFM-1926-SM-4OOSP 20-29 years, male 12.2
GTEX-1H3VE-2326-SM-9KNVU 40-49 years, male 12.2
GTEX-X5EB-1126-SM-46MVV 40-49 years, male 12.0
GTEX-Y5V6-1626-SM-4VDT2 60-69 years, male 11.6
GTEX-WH7G-1426-SM-4LVMU 40-49 years, male 11.2
GTEX-1IL2U-2526-SM-C1YQV 60-69 years, male 10.4
GTEX-15FZZ-1826-SM-6LLJP 30-39 years, female 10.1
GTEX-1AMEY-1826-SM-72D5L 30-39 years, female 9.1
GTEX-W5WG-2026-SM-4LMIB 50-59 years, female 9.1
GTEX-VJYA-2126-SM-4KL1O 60-69 years, male 6.2
GTEX-ZQUD-1026-SM-4YCEZ 30-39 years, male 3.6
Show allShow less
Colon - Transverse
Average nTPM: 42.6
Samples: 406

Max nTPM: 218.3
Min nTPM: 1.8
Std nTPM: 40.2
Median nTPM: 30.6
GTEX-OXRN-2026-SM-E6CHK 50-59 years, male 218.3
GTEX-13W3W-2126-SM-5K7UX 60-69 years, female 197.4
GTEX-15CHC-1626-SM-5ZZWS 60-69 years, female 192.9
GTEX-RWS6-1826-SM-47JXX 60-69 years, female 187.9
GTEX-1CB4I-2226-SM-7P8SL 50-59 years, male 181.7
GTEX-U3ZH-1326-SM-4DXSF 30-39 years, male 181.6
GTEX-X5EB-0926-SM-46MVT 40-49 years, male 180.9
GTEX-S3XE-1126-SM-4AD4N 50-59 years, male 175.1
GTEX-1MCC2-1626-SM-DIPEW 30-39 years, female 168.3
GTEX-WY7C-1626-SM-4ONC8 50-59 years, male 150.7
GTEX-Y3I4-1426-SM-4TT9C 50-59 years, male 149.7
GTEX-ZF29-1726-SM-4WKFV 60-69 years, female 144.4
GTEX-17F96-2026-SM-79ON4 70-79 years, male 140.1
GTEX-13FH7-1526-SM-5J2N6 50-59 years, female 138.5
GTEX-14DAQ-2726-SM-5S2QY 60-69 years, female 137.6
GTEX-1I1GT-1926-SM-ARU7D 60-69 years, female 134.6
GTEX-11P81-1126-SM-5GU5G 30-39 years, female 134.1
GTEX-13O61-1626-SM-5KM3T 60-69 years, male 131.8
GTEX-1C2JI-1626-SM-7EPHC 50-59 years, male 130.5
GTEX-145ME-0826-SM-5O9AF 40-49 years, female 124.0
GTEX-1PPGY-2826-SM-DTX9H 60-69 years, male 123.0
GTEX-1S82U-0726-SM-E9TKI 30-39 years, female 118.7
GTEX-1LVAN-2526-SM-CNPPC 50-59 years, female 117.2
GTEX-1RMOY-1626-SM-EVYC8 50-59 years, male 113.8
GTEX-13CF3-1426-SM-5K7YY 60-69 years, female 112.6
GTEX-Y114-1526-SM-4TT79 50-59 years, female 112.3
GTEX-X4EO-2526-SM-EWRM8 60-69 years, female 110.9
GTEX-14E1K-1826-SM-793DT 50-59 years, male 109.2
GTEX-15DZA-0926-SM-69LQ3 30-39 years, female 103.8
GTEX-1PPH8-2026-SM-DTX7P 20-29 years, male 103.5
GTEX-1HSMP-2326-SM-D3L8R 70-79 years, male 102.6
GTEX-1GL5R-2426-SM-7MXV1 50-59 years, male 101.9
GTEX-14H4A-1926-SM-5ZZWN 40-49 years, female 101.4
GTEX-YEC4-1926-SM-5IFHJ 40-49 years, male 101.2
GTEX-1GN73-2626-SM-9KNUQ 60-69 years, male 99.8
GTEX-1IDJC-1326-SM-CL53H 50-59 years, male 98.8
GTEX-1NV5F-2226-SM-DTX8O 60-69 years, female 98.6
GTEX-12WSJ-1526-SM-5GCNI 40-49 years, female 97.7
GTEX-1LG7Y-2126-SM-DIPER 50-59 years, male 95.0
GTEX-1NHNU-2326-SM-E6CQE 50-59 years, male 95.0
GTEX-18A7B-2026-SM-72D71 70-79 years, male 94.8
GTEX-1IDJF-1826-SM-CKZOE 20-29 years, male 94.4
GTEX-V955-1626-SM-4JBHJ 60-69 years, male 94.2
GTEX-QLQ7-1126-SM-CYPRB 60-69 years, male 93.5
GTEX-1C64O-2326-SM-73KU8 60-69 years, male 92.5
GTEX-PSDG-1826-SM-EAZ2S 50-59 years, male 92.2
GTEX-18QFQ-1526-SM-72D57 30-39 years, male 92.1
GTEX-15G1A-1826-SM-7KUKO 30-39 years, male 91.8
GTEX-1MJK3-0926-SM-EV7AY 20-29 years, male 91.5
GTEX-12WSL-1626-SM-5GCMU 50-59 years, male 91.4
GTEX-T6MO-0826-SM-4DM51 40-49 years, female 91.0
GTEX-ZV6S-1226-SM-59HLH 40-49 years, female 90.3
GTEX-16NPV-2626-SM-6M484 50-59 years, female 90.2
GTEX-1JJ6O-2426-SM-ARU8J 60-69 years, male 90.0
GTEX-1GZ4H-1226-SM-9KNUA 50-59 years, female 89.4
GTEX-X3Y1-1726-SM-4PQZL 40-49 years, male 88.9
GTEX-TKQ1-0626-SM-4DXTS 30-39 years, male 88.1
GTEX-111YS-1626-SM-5GZZ9 60-69 years, male 87.8
GTEX-XGQ4-1226-SM-4AT67 50-59 years, male 87.7
GTEX-1MUQO-2626-SM-EWRO3 60-69 years, male 85.4
GTEX-1JMPZ-2426-SM-C1YQP 30-39 years, male 84.2
GTEX-1OKEX-1226-SM-DTXEC 60-69 years, male 83.6
GTEX-1HKZK-2126-SM-A9SL3 40-49 years, male 82.8
GTEX-ZZ64-0726-SM-5GZX4 20-29 years, male 81.1
GTEX-14C5O-2526-SM-73KU2 60-69 years, male 80.8
GTEX-ZYFC-2626-SM-5NQ6S 50-59 years, male 80.6
GTEX-ZYFG-1926-SM-5GID5 60-69 years, female 80.4
GTEX-1RAZQ-2126-SM-DTX9V 30-39 years, male 79.6
GTEX-1AYD5-1726-SM-7RHFW 50-59 years, male 79.2
GTEX-14PJM-2626-SM-686ZD 50-59 years, female 79.0
GTEX-WEY5-1426-SM-4LMJ3 40-49 years, female 78.9
GTEX-117YX-0826-SM-5H11J 50-59 years, male 77.1
GTEX-16NGA-1026-SM-7KFS3 40-49 years, female 76.8
GTEX-14BMV-2426-SM-5S2PP 50-59 years, male 74.3
GTEX-1IGQW-2326-SM-CE6RV 60-69 years, male 73.1
GTEX-ZXES-1626-SM-5NQ7L 30-39 years, female 72.3
GTEX-1HCU6-2726-SM-A9SKV 60-69 years, female 71.5
GTEX-18A7A-2226-SM-7LT8K 50-59 years, female 70.4
GTEX-12ZZZ-2426-SM-5GCNN 60-69 years, male 70.2
GTEX-14PJ5-0926-SM-6LLIK 60-69 years, female 70.1
GTEX-U412-1726-SM-EZ6KX 60-69 years, male 69.7
GTEX-1R9K5-2126-SM-E8VN1 50-59 years, male 69.6
GTEX-13OVK-0826-SM-7KULZ 40-49 years, male 69.2
GTEX-R45C-2126-SM-EZ6KZ 60-69 years, female 69.2
GTEX-145LS-2726-SM-5Q5D8 60-69 years, female 69.0
GTEX-17JCI-2626-SM-7EWE6 60-69 years, female 68.9
GTEX-18D9B-2526-SM-718BN 60-69 years, male 68.3
GTEX-11TTK-2426-SM-5PNYO 60-69 years, female 68.1
GTEX-1N5O9-2726-SM-E76QH 60-69 years, male 68.1
GTEX-11ZVC-2126-SM-5EGJ1 50-59 years, female 67.8
GTEX-1HSGN-2626-SM-CE6S1 40-49 years, female 67.4
GTEX-WQUQ-2526-SM-4MVNO 60-69 years, male 66.5
GTEX-14ICL-1226-SM-5S2RD 30-39 years, male 66.4
GTEX-1KXAM-2126-SM-CY8I9 60-69 years, male 66.0
GTEX-1R9JW-2026-SM-EAZ4O 30-39 years, female 65.0
GTEX-15UF6-2626-SM-6M466 70-79 years, female 64.9
GTEX-13U4I-2426-SM-5LU34 40-49 years, female 64.5
GTEX-1N2EF-1926-SM-DTX8M 60-69 years, male 64.2
GTEX-1ICLZ-2426-SM-CKZOD 60-69 years, male 63.9
GTEX-11ONC-2026-SM-5HL61 60-69 years, male 63.5
GTEX-Y8LW-1226-SM-4WWDP 50-59 years, female 62.0
GTEX-Z93S-2426-SM-5HL8N 50-59 years, male 61.7
GTEX-11O72-2226-SM-5PNW2 40-49 years, male 61.5
GTEX-17MF6-2426-SM-7LTAM 40-49 years, male 61.4
GTEX-1QMI2-2626-SM-E6CR4 60-69 years, male 61.2
GTEX-17GQL-1526-SM-7LTAC 60-69 years, male 60.9
GTEX-1E2YA-2626-SM-7MGWW 50-59 years, male 60.1
GTEX-17KNJ-1726-SM-7LG6A 50-59 years, male 59.8
GTEX-1GZ4I-2426-SM-9WPPP 50-59 years, male 59.3
GTEX-SNMC-1126-SM-4DM5M 20-29 years, male 59.1
GTEX-XYKS-2226-SM-4E3IU 60-69 years, female 58.6
GTEX-S4P3-1226-SM-4AD4Y 50-59 years, female 58.4
GTEX-1JMLX-2726-SM-CM2SB 50-59 years, male 58.3
GTEX-15DYW-2326-SM-6PAMU 60-69 years, female 57.1
GTEX-OXRL-1426-SM-3NM9E 50-59 years, male 56.9
GTEX-1AMEY-1926-SM-73KVT 30-39 years, female 56.4
GTEX-1IKK5-2726-SM-CNPQ6 60-69 years, male 56.3
GTEX-OXRO-0726-SM-E9U4C 60-69 years, female 56.3
GTEX-S341-1426-SM-4AD6U 40-49 years, female 56.2
GTEX-ZPCL-1826-SM-57WF1 60-69 years, female 56.2
GTEX-XUW1-1926-SM-4BOP1 50-59 years, female 55.8
GTEX-PWCY-1026-SM-48TD4 20-29 years, female 55.5
GTEX-ZGAY-2126-SM-4YCFB 40-49 years, female 54.8
GTEX-XXEK-1926-SM-4BRVD 50-59 years, male 54.1
GTEX-145MO-2426-SM-5NQ9W 60-69 years, male 53.8
GTEX-Y8E4-2426-SM-4WWDN 40-49 years, male 53.5
GTEX-1R9PM-1526-SM-DPRY8 20-29 years, male 53.2
GTEX-1RDX4-1826-SM-EVR54 50-59 years, female 53.0
GTEX-1J1OQ-2726-SM-AHZ3R 40-49 years, female 52.8
GTEX-1AX8Z-2726-SM-73KUC 60-69 years, male 52.2
GTEX-11EQ9-1426-SM-5987G 30-39 years, male 52.0
GTEX-1GMR2-1726-SM-9JGI2 50-59 years, male 51.5
GTEX-S4UY-0826-SM-4AD4Z 40-49 years, female 50.8
GTEX-1A3MV-1126-SM-718BS 30-39 years, male 50.6
GTEX-14AS3-1126-SM-5Q5CR 40-49 years, female 50.0
GTEX-WYVS-1826-SM-4OND6 40-49 years, female 49.8
GTEX-ZAB4-2226-SM-5HL97 40-49 years, male 49.5
GTEX-1JJE9-2426-SM-D3L8T 70-79 years, male 49.5
GTEX-1QW4Y-1326-SM-EWRMZ 30-39 years, male 49.4
GTEX-11GSP-1626-SM-5986N 60-69 years, female 49.3
GTEX-SE5C-1526-SM-4BRWU 40-49 years, female 49.2
GTEX-17F9E-1826-SM-7IGMC 50-59 years, male 49.1
GTEX-ZP4G-1726-SM-4WWCM 20-29 years, female 47.5
GTEX-1AYCT-1826-SM-731EG 50-59 years, male 47.0
GTEX-SJXC-2226-SM-EVYAK 60-69 years, male 47.0
GTEX-14PJ3-0926-SM-69LQG 50-59 years, male 46.1
GTEX-1HCVE-2526-SM-A9G2G 50-59 years, male 45.7
GTEX-XBEW-1926-SM-4SOJO 40-49 years, male 45.4
GTEX-WYJK-2226-SM-4ONDJ 50-59 years, male 44.9
GTEX-ZG7Y-2126-SM-DO117 50-59 years, male 44.9
GTEX-R55C-1126-SM-48FCJ 40-49 years, male 43.7
GTEX-1IDJD-2226-SM-A96TD 30-39 years, male 43.3
GTEX-1CB4F-2026-SM-79OLU 60-69 years, male 43.1
GTEX-1LBAC-1626-SM-CXZKV 20-29 years, male 43.1
GTEX-O5YW-1426-SM-3MJHF 50-59 years, male 42.6
GTEX-13VXT-2426-SM-5LU46 20-29 years, female 42.4
GTEX-1JK1U-1526-SM-AHZ46 60-69 years, male 42.4
GTEX-1B996-2626-SM-73KZ1 60-69 years, male 41.3
GTEX-1HCU7-2626-SM-C1YQO 50-59 years, male 40.8
GTEX-XAJ8-0426-SM-47JYJ 40-49 years, male 40.7
GTEX-1KANB-1526-SM-CXZK4 50-59 years, male 40.5
GTEX-111VG-2226-SM-5N9DU 60-69 years, male 40.4
GTEX-Q734-1126-SM-48TZY 40-49 years, female 40.3
GTEX-1S5VW-2926-SM-E9U6H 60-69 years, male 40.2
GTEX-1BAJH-2326-SM-7IGMO 70-79 years, male 40.0
GTEX-17EVQ-1826-SM-7IGPH 70-79 years, male 39.9
GTEX-14JG6-1726-SM-69LPL 30-39 years, female 39.3
GTEX-1LSVX-1726-SM-DHXJP 60-69 years, male 39.0
GTEX-WH7G-1326-SM-4LVMS 40-49 years, male 38.8
GTEX-NFK9-2026-SM-3LK5K 40-49 years, male 38.7
GTEX-1QPFJ-2326-SM-E6CR7 30-39 years, female 38.6
GTEX-PX3G-1426-SM-48U1J 20-29 years, female 38.3
GTEX-P4QT-1426-SM-3NMCX 50-59 years, female 38.1
GTEX-1LH75-2126-SM-EVR5F 50-59 years, female 37.8
GTEX-1POEN-2026-SM-E6CRL 30-39 years, female 37.0
GTEX-1H1DE-1526-SM-ARL9B 20-29 years, male 36.7
GTEX-15SHU-2526-SM-6M47D 40-49 years, female 36.3
GTEX-QDVJ-1326-SM-48U1X 50-59 years, male 36.3
GTEX-1JKYR-1926-SM-C1YR7 20-29 years, male 36.2
GTEX-ZYVF-2826-SM-5GIDK 50-59 years, female 36.1
GTEX-14BIN-3026-SM-5ZZUS 50-59 years, female 35.5
GTEX-13QJ3-2626-SM-9OSXQ 50-59 years, male 35.3
GTEX-1F75B-2726-SM-7P8QO 50-59 years, male 35.2
GTEX-PLZ6-0926-SM-3P5ZQ 30-39 years, male 35.1
GTEX-1H1DG-2226-SM-9WPPC 70-79 years, male 35.1
GTEX-1MA7W-0626-SM-EV79Z 20-29 years, female 34.9
GTEX-1GMR3-2826-SM-9WPOG 40-49 years, male 34.5
GTEX-1JN1M-2626-SM-CY8I3 60-69 years, female 34.5
GTEX-1IOXB-2626-SM-CJI2N 50-59 years, male 34.3
GTEX-13OW6-2126-SM-5N9GL 50-59 years, male 34.2
GTEX-QDVN-1326-SM-48TZ3 50-59 years, male 34.0
GTEX-15DCE-2026-SM-7KUFE 20-29 years, male 33.8
GTEX-17HGU-2426-SM-7EWDP 50-59 years, male 33.2
GTEX-11TUW-2026-SM-5EQL8 60-69 years, male 33.1
GTEX-1KANA-1926-SM-DHXKF 20-29 years, male 33.0
GTEX-13OVG-1426-SM-5K7VP 60-69 years, male 32.6
GTEX-P78B-1726-SM-3P5ZV 40-49 years, female 32.5
GTEX-QMRM-1226-SM-447C6 50-59 years, male 32.5
GTEX-1LGOU-1626-SM-D3LAK 20-29 years, female 30.9
GTEX-148VJ-2626-SM-5QGPI 70-79 years, male 30.7
GTEX-P4PP-1426-SM-3NM9L 30-39 years, female 30.7
GTEX-15CHQ-2526-SM-6EU24 60-69 years, male 30.6
GTEX-1GF9X-1526-SM-7P8QP 40-49 years, female 30.6
GTEX-VJYA-2026-SM-4KL1K 60-69 years, male 30.5
GTEX-13O3P-2326-SM-5KM55 50-59 years, male 30.4
GTEX-OHPM-1426-SM-3TW8Y 50-59 years, male 29.4
GTEX-17F98-1026-SM-7IGO8 40-49 years, female 29.3
GTEX-1GF9U-1526-SM-7MXUW 40-49 years, female 29.3
GTEX-17HII-2726-SM-7MGVM 50-59 years, male 29.1
GTEX-ZDYS-2326-SM-4WKG6 50-59 years, male 28.9
GTEX-WVJS-2426-SM-EZ6LI 50-59 years, male 28.7
GTEX-1339X-1626-SM-5IJDN 40-49 years, male 28.3
GTEX-16Z82-2226-SM-6LPJ7 60-69 years, male 28.3
GTEX-X15G-1326-SM-4PQZJ 50-59 years, female 27.5
GTEX-16XZZ-2626-SM-6M47S 60-69 years, male 27.2
GTEX-1C6VQ-2726-SM-73KUL 50-59 years, male 27.2
GTEX-RU1J-1326-SM-46MUL 20-29 years, female 27.2
GTEX-144GL-2526-SM-5TDDL 50-59 years, male 27.1
GTEX-OIZH-1426-SM-3NB1O 50-59 years, male 26.8
GTEX-U3ZM-1126-SM-4DXUB 40-49 years, male 26.5
GTEX-147GR-2726-SM-664OO 60-69 years, male 26.4
GTEX-13OVI-2026-SM-5J1MU 60-69 years, female 25.7
GTEX-13PVR-1626-SM-73KVF 60-69 years, female 25.7
GTEX-1AX9I-2626-SM-73KU5 60-69 years, male 25.5
GTEX-O5YT-1426-SM-3MJHC 20-29 years, male 25.5
GTEX-OHPN-2026-SM-E9TIA 60-69 years, female 25.2
GTEX-SNOS-1226-SM-4DM5H 40-49 years, male 24.4
GTEX-XQ8I-2126-SM-4BOOM 50-59 years, male 24.4
GTEX-12KS4-2426-SM-5LU8P 30-39 years, male 24.0
GTEX-11P7K-1526-SM-5EGI7 30-39 years, male 23.6
GTEX-13O3O-2526-SM-5L3DR 60-69 years, female 23.6
GTEX-13X6H-1926-SM-7EWD3 50-59 years, female 23.2
GTEX-1EH9U-2026-SM-7PBYS 60-69 years, male 23.2
GTEX-11VI4-1526-SM-5EQKC 40-49 years, female 23.1
GTEX-13S86-1626-SM-5Q5C5 40-49 years, male 23.0
GTEX-1PWST-2426-SM-EWRMP 70-79 years, male 22.5
GTEX-ZPU1-1926-SM-57WDT 40-49 years, male 22.1
GTEX-QLQW-0426-SM-447A7 30-39 years, male 21.7
GTEX-1IDJU-2026-SM-A9SLM 60-69 years, female 21.6
GTEX-1B932-2826-SM-73KUD 40-49 years, female 21.5
GTEX-18D9A-1126-SM-7KFRJ 30-39 years, female 21.4
GTEX-1HCU9-1326-SM-B2LXT 20-29 years, male 21.2
GTEX-1EMGI-2726-SM-7P8S4 60-69 years, male 21.0
GTEX-13OW5-2626-SM-5MR3M 60-69 years, male 20.7
GTEX-15RIF-1326-SM-6LPKO 20-29 years, male 20.5
GTEX-16MT8-2726-SM-7IGLJ 60-69 years, female 20.5
GTEX-PWN1-1426-SM-48TDF 40-49 years, female 20.4
GTEX-YEC3-2426-SM-DO11A 50-59 years, male 20.4
GTEX-15SB6-1226-SM-7KUMP 50-59 years, female 20.3
GTEX-1I1GR-2526-SM-CNNQF 60-69 years, male 20.3
GTEX-13FHP-2426-SM-5KLZ5 50-59 years, male 20.1
GTEX-XBED-1526-SM-4AT5W 60-69 years, male 20.1
GTEX-15ER7-2926-SM-7KUFK 20-29 years, female 19.9
GTEX-11NSD-1626-SM-5986U 20-29 years, male 19.7
GTEX-QCQG-1626-SM-48U26 50-59 years, female 19.7
GTEX-Q2AI-0926-SM-48U1F 40-49 years, male 19.6
GTEX-14ICK-1026-SM-6AJA4 40-49 years, male 19.2
GTEX-147JS-2526-SM-5S2Q8 60-69 years, male 19.1
GTEX-15RIE-1826-SM-6M48P 60-69 years, male 18.7
GTEX-1QCLZ-1926-SM-E6CR3 60-69 years, female 18.7
GTEX-14PKV-2126-SM-664O3 20-29 years, female 18.5
GTEX-1H3VY-2426-SM-9WPPD 50-59 years, male 18.1
GTEX-18A66-2426-SM-7KFSQ 60-69 years, male 18.0
GTEX-1MGNQ-2026-SM-EAZ51 40-49 years, male 18.0
GTEX-146FQ-1926-SM-5NQBY 30-39 years, male 17.5
GTEX-1I6K6-1826-SM-B2LX5 30-39 years, male 17.4
GTEX-11I78-1226-SM-5A5K6 50-59 years, female 17.2
GTEX-OXRK-1726-SM-3NB16 50-59 years, female 17.2
GTEX-R55G-1226-SM-48FDC 40-49 years, female 17.2
GTEX-13111-0726-SM-5DUVE 50-59 years, male 16.9
GTEX-139YR-2126-SM-5KM11 50-59 years, male 16.8
GTEX-W5WG-2426-SM-4LMI6 50-59 years, female 16.8
GTEX-1S3DN-1826-SM-EV79K 50-59 years, male 16.6
GTEX-ZTSS-1126-SM-5985O 40-49 years, male 16.4
GTEX-1HSEH-1726-SM-B2LXH 60-69 years, male 16.4
GTEX-117YW-1826-SM-5PNY5 50-59 years, male 16.2
GTEX-1128S-1626-SM-5H12O 60-69 years, female 16.1
GTEX-TKQ2-1326-SM-4DXT9 50-59 years, male 15.9
GTEX-QEL4-1926-SM-D3L8D 50-59 years, male 15.8
GTEX-1R7EU-1926-SM-E9U62 60-69 years, male 15.6
GTEX-1HFI7-1726-SM-A9G22 50-59 years, female 14.7
GTEX-178AV-1326-SM-6LPJX 40-49 years, male 14.6
GTEX-17EUY-1826-SM-7DUEZ 20-29 years, male 14.3
GTEX-1I4MK-1126-SM-B2LWS 50-59 years, female 14.3
GTEX-S7SF-1926-SM-4AT5B 20-29 years, female 13.9
GTEX-OIZF-1426-SM-2HML2 60-69 years, male 13.9
GTEX-14C39-1926-SM-5ZZW5 40-49 years, male 13.8
GTEX-R53T-1326-SM-48FCQ 50-59 years, female 13.8
GTEX-Y9LG-1526-SM-4WWDR 30-39 years, male 13.8
GTEX-1F5PL-2126-SM-7PC2O 40-49 years, female 13.4
GTEX-11TT1-1026-SM-5PNW7 20-29 years, male 13.0
GTEX-S4Q7-0826-SM-4AD5E 20-29 years, male 12.9
GTEX-1PIGE-1426-SM-E9U61 20-29 years, male 12.7
GTEX-131XE-0826-SM-5HL9W 50-59 years, male 12.5
GTEX-18D9U-1926-SM-7KFTM 40-49 years, male 12.3
GTEX-1KANC-0926-SM-D3LA9 50-59 years, female 12.3
GTEX-144GN-1126-SM-5LU33 50-59 years, male 12.2
GTEX-1JMPY-0426-SM-C1YQ3 30-39 years, male 12.2
GTEX-145LT-0926-SM-5LU9C 40-49 years, male 12.0
GTEX-Y3IK-1826-SM-4WWDS 50-59 years, female 12.0
GTEX-UJMC-1326-SM-4IHLS 50-59 years, male 11.7
GTEX-ZY6K-1226-SM-5GZYL 50-59 years, male 11.6
GTEX-11DXX-1826-SM-5H126 60-69 years, female 11.5
GTEX-1H11D-2626-SM-9JGH4 40-49 years, male 11.3
GTEX-111CU-1426-SM-5GZYP 50-59 years, male 10.6
GTEX-1K9T9-2826-SM-D4P3F 50-59 years, female 10.6
GTEX-1RAZA-1726-SM-DPS13 20-29 years, male 10.6
GTEX-1CAMS-2526-SM-7EPH7 40-49 years, female 10.4
GTEX-Y5LM-1526-SM-4VDTA 40-49 years, female 10.4
GTEX-1AMFI-1726-SM-7189L 50-59 years, female 10.3
GTEX-13OVJ-1726-SM-5IJDZ 50-59 years, female 9.6
GTEX-ZF2S-1926-SM-4WWAN 50-59 years, female 9.6
GTEX-1NSGN-2326-SM-E9U5X 50-59 years, male 9.5
GTEX-1B8KZ-1326-SM-7DUG6 50-59 years, male 9.4
GTEX-14BMU-1526-SM-5TDE6 20-29 years, female 9.3
GTEX-XV7Q-2126-SM-4BRVX 40-49 years, female 9.3
GTEX-ZLWG-1726-SM-DNZZ2 50-59 years, female 9.1
GTEX-1GPI7-1726-SM-7P8R1 20-29 years, male 9.0
GTEX-14JIY-3326-SM-6871E 60-69 years, male 8.9
GTEX-ZEX8-1926-SM-4WKFR 50-59 years, male 8.9
GTEX-1L5NE-2026-SM-CXZKR 50-59 years, male 8.8
GTEX-17HHE-1826-SM-79OKE 50-59 years, male 8.7
GTEX-XUZC-1326-SM-4BRV2 30-39 years, female 8.4
GTEX-1QCLY-1726-SM-DPRXY 30-39 years, male 8.3
GTEX-132AR-2726-SM-5PNVN 50-59 years, female 8.2
GTEX-TML8-1326-SM-4DXTO 40-49 years, female 8.1
GTEX-11LCK-2026-SM-5A5MA 30-39 years, male 8.0
GTEX-131XG-1826-SM-5LZV4 50-59 years, female 7.9
GTEX-1PIEJ-2026-SM-E6CPA 20-29 years, female 7.9
GTEX-R55D-1826-SM-48FEF 50-59 years, male 7.8
GTEX-T5JW-1126-SM-4DM5V 20-29 years, female 7.8
GTEX-XMK1-1726-SM-4B64Z 40-49 years, male 7.8
GTEX-12C56-0626-SM-5EGGC 20-29 years, male 7.7
GTEX-PLZ5-1126-SM-3P613 50-59 years, male 7.7
GTEX-11EM3-1526-SM-5A5KN 20-29 years, female 7.6
GTEX-14PHX-1526-SM-68717 50-59 years, male 7.6
GTEX-14PK6-1726-SM-6871J 70-79 years, female 7.6
GTEX-1F75I-2426-SM-9WPOY 40-49 years, male 7.6
GTEX-1LVAM-1626-SM-EV79Y 50-59 years, female 7.6
GTEX-1RAZR-1926-SM-E6CRF 40-49 years, male 7.5
GTEX-147F3-1926-SM-5SIB9 50-59 years, female 7.4
GTEX-U4B1-1126-SM-4DXV3 40-49 years, male 7.4
GTEX-U3ZN-2126-SM-4DXU1 30-39 years, female 7.3
GTEX-ZDTT-1926-SM-5HL5W 60-69 years, male 7.2
GTEX-RM2N-0926-SM-48FD1 50-59 years, male 7.1
GTEX-1C4CL-2126-SM-7IGQC 30-39 years, male 6.9
GTEX-139TS-1926-SM-5IJFO 60-69 years, male 6.8
GTEX-QV31-0826-SM-CKZNC 30-39 years, male 6.7
GTEX-1F5PK-1926-SM-7MXT7 50-59 years, male 6.6
GTEX-WOFM-2026-SM-4OOSQ 20-29 years, male 6.5
GTEX-1399R-2226-SM-5P9JB 30-39 years, male 6.2
GTEX-1399U-1926-SM-5IFH7 50-59 years, female 6.2
GTEX-13QBU-1826-SM-5IJG3 40-49 years, female 6.2
GTEX-ZLV1-1226-SM-4WWBX 60-69 years, female 6.2
GTEX-1S83E-1626-SM-EV7B9 40-49 years, male 6.1
GTEX-WHSB-0926-SM-4M1XJ 50-59 years, male 6.0
GTEX-1PFEY-1426-SM-E9U6U 30-39 years, male 6.0
GTEX-ZVP2-1526-SM-5NQ82 50-59 years, male 5.9
GTEX-13D11-0826-SM-5KLZJ 50-59 years, female 5.8
GTEX-YF7O-1726-SM-5IFJ9 50-59 years, male 5.8
GTEX-1JN76-1226-SM-C1YRM 20-29 years, female 5.7
GTEX-1211K-1726-SM-5FQUJ 60-69 years, female 5.4
GTEX-14E6E-1526-SM-5RQIG 30-39 years, male 5.4
GTEX-1QP67-1326-SM-EAZ4D 40-49 years, female 5.3
GTEX-1B8KE-1926-SM-731EE 50-59 years, male 5.2
GTEX-OOBJ-1426-SM-E6CHH 60-69 years, male 5.2
GTEX-13PL7-2526-SM-5IFGR 60-69 years, female 5.1
GTEX-12BJ1-2126-SM-5BC5O 60-69 years, male 5.0
GTEX-1LG7Z-1426-SM-CXKYV 30-39 years, male 5.0
GTEX-WHWD-1226-SM-4OOS1 50-59 years, male 4.5
GTEX-1122O-1526-SM-5N9CL 60-69 years, female 4.4
GTEX-13FTW-1826-SM-5IJEN 40-49 years, male 4.4
GTEX-UJHI-1126-SM-4IHLN 50-59 years, female 4.4
GTEX-ZV7C-1526-SM-5NQ72 50-59 years, male 4.4
GTEX-11P82-1026-SM-5BC5J 20-29 years, male 4.3
GTEX-139T6-1326-SM-5IFFO 50-59 years, male 4.3
GTEX-1HSMQ-2726-SM-C1YRE 50-59 years, male 4.3
GTEX-ZPIC-2226-SM-57WDX 40-49 years, female 4.2
GTEX-1H1E6-1926-SM-9OSWD 30-39 years, male 4.2
GTEX-14PJ4-1926-SM-6LLHG 60-69 years, male 4.1
GTEX-1N2DV-1426-SM-DPRYQ 40-49 years, male 4.1
GTEX-WFON-1426-SM-4LVMT 40-49 years, male 4.0
GTEX-14XAO-2026-SM-69LOI 60-69 years, female 3.9
GTEX-15CHR-1426-SM-7DUGV 50-59 years, male 3.9
GTEX-1IKOE-2026-SM-AHZ31 30-39 years, female 3.9
GTEX-14DAR-1526-SM-5RQIX 50-59 years, male 3.8
GTEX-XPVG-1826-SM-4B64X 50-59 years, male 3.8
GTEX-ZVT2-1926-SM-5GU5T 50-59 years, female 3.8
GTEX-ZT9W-1826-SM-51MQX 50-59 years, male 3.7
GTEX-1LGRB-1426-SM-CNNPT 50-59 years, female 3.7
GTEX-144GM-1226-SM-5LU52 20-29 years, male 3.6
GTEX-1C475-1626-SM-731FP 40-49 years, female 3.6
GTEX-YB5E-1626-SM-5IFIQ 40-49 years, male 3.6
GTEX-133LE-1526-SM-5IFEN 20-29 years, female 3.2
GTEX-1K2DA-2026-SM-CGQGK 50-59 years, male 3.2
GTEX-WFG7-1526-SM-4LVMG 20-29 years, male 3.1
GTEX-1399S-1926-SM-5J2M5 30-39 years, female 3.0
GTEX-1CAMR-0926-SM-7MXTD 20-29 years, male 2.8
GTEX-1QP9N-1026-SM-E6CPX 30-39 years, male 2.4
GTEX-11DXZ-1726-SM-5H12M 50-59 years, male 2.3
GTEX-145MN-1726-SM-5SIA6 30-39 years, male 2.1
GTEX-16AAH-1326-SM-7KFRG 50-59 years, male 2.1
GTEX-1J1R8-1126-SM-CNPQ3 40-49 years, male 2.1
GTEX-1JKYN-2326-SM-CGQG7 30-39 years, male 2.1
GTEX-Q2AH-1226-SM-48TZL 40-49 years, male 2.0
GTEX-13O21-2426-SM-5MR4A 50-59 years, male 1.8
Show allShow less

COLON - FANTOM5 CAGEi

RNA expression in human tissues obtained through Cap Analysis of Gene Expression (CAGE) generated by the FANTOM5 project are reported as Scaled Tags Per Million.

Max subtype Scaled Tags Per Millioni

Max subtype Scaled Tags Per Million is the value for the subtype with the largest average Scaled Tags Per Million across the subtype samples.

53.7
FANTOM5 sample id Sample description Scaled Tags Per Million
Colon
Scaled Tags Per Million: 53.7
FF:10014-101C5 62,83,84 years, mixed 53.7

Contact

  • NEWS ARTICLES
  • PRESS ROOM

The Project

  • INTRODUCTION
  • ORGANIZATION
  • PUBLICATIONS

The Human Protein Atlas

  • DOWNLOADABLE DATA
  • LICENCE & CITATION
  • HELP & FAQ
The Human Protein Atlas project is funded
by the Knut & Alice Wallenberg Foundation.


contact@proteinatlas.org