We use cookies to enhance the usability of our website. If you continue, we'll assume that you are happy to receive all cookies. More information. Don't show this again.
APRT
HPA
RESOURCES
  • TISSUE
  • BRAIN
  • SINGLE CELL
  • SUBCELLULAR
  • CANCER
  • BLOOD
  • CELL LINE
  • STRUCTURE & INTERACTION
ABOUT
  • INTRODUCTION
  • HISTORY
  • ORGANIZATION
  • PUBLICATIONS
  • ANTIBODY SUBMISSION
  • ANTIBODY AVAILABILITY
  • ACKNOWLEDGMENTS
  • CONTACT
NEWS
  • NEWS ARTICLES
  • PRESS ROOM
LEARN
  • DICTIONARY
  • PROTEIN CLASSES
  • PROTEIN EVIDENCE
  • METHODS
  • EDUCATIONAL VIDEOS
DATA
  • DOWNLOADABLE DATA
  • PUBLICATION DATA
  • RELEASE HISTORY
HELP
  • ANTIBODY VALIDATION
  • ASSAYS & ANNOTATION
  • DISCLAIMER
  • HELP & FAQ
  • PRIVACY STATEMENT
  • LICENCE & CITATION
Fields »
Search result

Field
Term
Gene name
Class
Subclass
Class
Keyword
Chromosome
External id
Tissue
Cell type
Expression
Antibody panel
Tissue
Main location
Patient ID
Annotation
Tissue
Category
Tau score
Cluster
Reliability
Brain region
Category
Tau score
Brain region
Category
Tau score
Brain region
Category
Tau score
Cluster
Reliability
Tissue
Cell type
Enrichment
Cell type
Category
Tau score
Cell type
Category
Tau score
Cell type
Category
Tau score
Cell lineage
Category
Tau score
Cluster
Cluster
Location
Searches
Location
Cell line
Class
Type
Phase
Reliability
Cancer
Prognosis
Cancer
Category
Cancer
Category
Tau score
Cluster
Variants
Interacting gene (ensg_id)
Type
Number of interactions
Pathway
Category
Score
Score
Score
Validation
Validation
Validation
Validation
Antibodies
Data type
Column


  • SUMMARY

  • TISSUE

  • BRAIN

  • SINGLE CELL

  • SUBCELL

  • CANCER

  • BLOOD

  • CELL LINE

  • STRUCT & INT

  • APRT
TISSUE PRIMARY DATA ADRENAL GLAND Show tissue menu
ADIPOSE TISSUE ADRENAL GLAND AMYGDALA APPENDIX BASAL GANGLIA BONE MARROW BREAST BRONCHUS CEREBELLUM CEREBRAL CORTEX CERVIX CHOROID PLEXUS COLON DUODENUM
ENDOMETRIUM EPIDIDYMIS ESOPHAGUS FALLOPIAN TUBE GALLBLADDER HEART MUSCLE HIPPOCAMPAL FORMATION HYPOTHALAMUS KIDNEY LIVER LUNG LYMPH NODE MIDBRAIN NASOPHARYNX
ORAL MUCOSA OVARY PANCREAS PARATHYROID GLAND PITUITARY GLAND PLACENTA PROSTATE RECTUM RETINA SALIVARY GLAND SEMINAL VESICLE SKELETAL MUSCLE SKIN SMALL INTESTINE
SMOOTH MUSCLE SOFT TISSUE SPINAL CORD SPLEEN STOMACH TESTIS THYMUS THYROID GLAND TONGUE TONSIL URINARY BLADDER VAGINA
ANTIBODIES
AND
VALIDATION
Dictionary
Adrenal gland
Tissue proteome
Adrenal gland
ADRENAL GLAND - Expression summary
Protein expression
Adrenal glandi

On the top, protein expression in current human tissue, based on all annotated cell types, is reported with the units not detected (n), low (l), medium (m) and high (h). Underneath, protein expression in each annotated cell type are reported using the same units.

Protein expression data is based on knowledge-based annotation. For genes where more than one antibody has been used, a collective score is set.

If knowledge-based annotation could not be performed for a gene, no data is displayed here. View antibody staining data further down this page.

h
m
l
n
Glandular cells: Medium
RNA expressioni

A summary of mRNA expression data available for current tissue based on several datasets. The mRNA expression levels in human tissues are based on RNA-seq data generated by the Human Protein Atlas (HPA), Genotype-Tissue Expression (GTEx) portal and CAGE data generated by the FANTOM5 consortium. Consensus normalized expression levels for human tissues was created by combining the data from HPA and GTEx datasets.

The mRNA expression levels in pig are based on RNA-seq data generated by the Human Protein Atlas (HPA), and for mouse, HPA data and in situ hybridization generated by the Allen brain atlas are reported.

Scroll down to view mRNA expression data in more detail.
Consensus:156.2 nTPM
HPA:62.4 nTPM
GTEx:156.2 nTPM

ADRENAL GLAND - Antibody stainingi

Antibody staining in the annotated cell types in the current human tissue is reported as not detected, low, medium, or high, based on conventional immunohistochemistry profiling in selected tissues. This score is based on the combination of the staining intensity and fraction of stained cells.

Each image is clickable and will lead to virtual microscopy that enables deeper exploration of all samples and also displays staining intensity scores, fraction scores and subcellular localization as well as patient and tissue information for each sample.

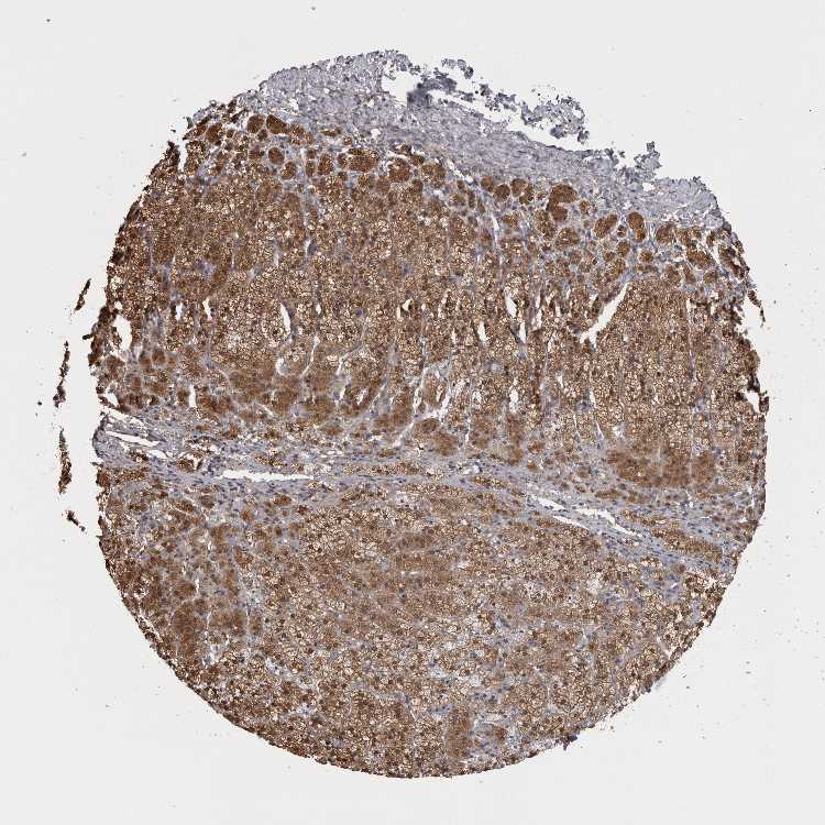
Antibody HPA026681
Glandular cells Medium


ADRENAL GLAND - HPA RNA-seqi

The RNA-seq details section shows detailed information about the individual samples used for the transcript profiling and results of the RNA-seq analysis.

Information about each individual sample is listed below, including gender, age, a tissue section image and estimated fractions of cell types. nTPM (normalized transcripts per million) values give a quantification of the gene abundance which is comparable between different genes and samples.
Average nTPMi

Max subtype nTPM is the value for the subtype with the largest average nTPM across the subtype samples.

62.4
overview
Female, age 62
Adrenal gland sample 87
nTPM: 78.3
Cell types%
Cortical cells:
50

Medullary cells:
40

Other cell types:
10

overview
Female, age 36
Adrenal gland sample 88
nTPM: 55.6
Cell types%
Cortical cells:
50

Medullary cells:
40

Other cell types:
10

overview
Female, age 63
Adrenal gland sample 89
nTPM: 53.4
Cell types%
Cortical cells:
50

Medullary cells:
40

Other cell types:
10


ADRENAL GLAND - GTEx RNA-seqi

RNA-Seq data generated by the Genotype-Tissue Expression (GTEx) project from human tissues is reported as mean nTPM. More information can be found on the GTEx portal.

Distribution across the dataset is visualized with box plots, shown as median and 25th and 75th percentiles. Points are displayed as outliers if they are above or below 1.5 times the interquartile range. nTPM values of the individual samples are presented next to the box plot.
Max subtype nTPMi

Max subtype nTPM is the value for the subtype with the largest average nTPM across the subtype samples.

156.2
GTEx sample id Sample description nTPM
Adrenal Gland
Average nTPM: 156.2
Samples: 258

Max nTPM: 365.7
Min nTPM: 62.5
Std nTPM: 47.9
Median nTPM: 144.7
GTEX-1PWST-2126-SM-DPRZ5 70-79 years, male 365.7
GTEX-O5YV-1126-SM-3LK73 60-69 years, female 323.1
GTEX-14A5I-2126-SM-5NQA8 50-59 years, female 300.0
GTEX-14753-1726-SM-5NQ9X 60-69 years, male 292.7
GTEX-1A3MW-2126-SM-731DO 60-69 years, female 284.3
GTEX-1K2DU-0826-SM-DHXKA 20-29 years, male 269.4
GTEX-1KD4Q-1826-SM-DIPFV 40-49 years, male 269.1
GTEX-15ER7-1126-SM-6M47F 20-29 years, female 259.8
GTEX-REY6-1726-SM-48FDL 60-69 years, male 258.7
GTEX-QEG5-1826-SM-CE6QW 20-29 years, male 256.5
GTEX-1PIIG-1426-SM-EXOIS 30-39 years, male 255.5
GTEX-Y5V5-1326-SM-4V6G9 60-69 years, female 254.4
GTEX-RWSA-1726-SM-47JX7 40-49 years, male 250.0
GTEX-1GMR3-0926-SM-9WPP9 40-49 years, male 249.3
GTEX-13FH7-0226-SM-5IFGG 50-59 years, female 248.3
GTEX-12WSD-2126-SM-5LZWK 60-69 years, female 238.4
GTEX-1A32A-2126-SM-718AZ 50-59 years, female 236.1
GTEX-15SHU-1926-SM-7KUMO 40-49 years, female 234.6
GTEX-ZYVF-1626-SM-5N9EH 50-59 years, female 232.5
GTEX-17HGU-0126-SM-7DHLV 50-59 years, male 230.8
GTEX-18A7A-1826-SM-7KFTU 50-59 years, female 228.1
GTEX-132NY-2226-SM-5J2LZ 60-69 years, male 227.0
GTEX-S32W-0126-SM-4AD61 50-59 years, female 226.1
GTEX-147F4-2526-SM-5NQBB 50-59 years, male 225.5
GTEX-R55E-1826-SM-EXOHD 20-29 years, male 225.0
GTEX-XMK1-0226-SM-4B65D 40-49 years, male 224.0
GTEX-14PJM-2226-SM-6AJAT 50-59 years, female 221.8
GTEX-1B996-2026-SM-7MKG7 60-69 years, male 221.8
GTEX-11EMC-0526-SM-5EGJN 60-69 years, female 221.2
GTEX-XQ3S-1726-SM-4BOOD 20-29 years, male 218.6
GTEX-1EKGG-2126-SM-7MKFT 60-69 years, male 216.4
GTEX-144GL-1826-SM-79OMB 50-59 years, male 215.6
GTEX-1JMLX-1126-SM-CXZJN 50-59 years, male 215.5
GTEX-1211K-0126-SM-59HJE 60-69 years, female 214.4
GTEX-1LNCM-0826-SM-DHXL6 50-59 years, female 210.9
GTEX-13O3O-1626-SM-5KM1O 60-69 years, female 209.1
GTEX-W5WG-1126-SM-4LMK4 50-59 years, female 206.9
GTEX-XYKS-0926-SM-4BRVG 60-69 years, female 205.3
GTEX-SUCS-0526-SM-4DM56 70-79 years, male 205.2
GTEX-14XAO-0326-SM-6ETZN 60-69 years, female 204.9
GTEX-1R7EV-1726-SM-E6CR8 40-49 years, male 204.1
GTEX-1I1GP-1826-SM-C1YS1 50-59 years, male 201.0
GTEX-11GSP-0326-SM-5A5KW 60-69 years, female 200.5
GTEX-PLZ5-0326-SM-3P614 50-59 years, male 200.3
GTEX-16MT8-1626-SM-7EWDW 60-69 years, female 199.9
GTEX-WFG8-0126-SM-4LVMH 20-29 years, male 198.3
GTEX-ZT9W-0126-SM-4YCFD 50-59 years, male 197.8
GTEX-Q2AH-0126-SM-48U2B 40-49 years, male 194.9
GTEX-12696-0626-SM-5EGGD 60-69 years, male 194.4
GTEX-17HHY-2226-SM-7KFS4 50-59 years, male 193.5
GTEX-11TT1-0126-SM-5LUAA 20-29 years, male 190.2
GTEX-1KWVE-0726-SM-D4P3O 30-39 years, male 189.9
GTEX-1HCU6-1826-SM-C1YRN 60-69 years, female 189.7
GTEX-1IDJH-1726-SM-A96T3 70-79 years, male 189.5
GTEX-U3ZM-0226-SM-4DXTA 40-49 years, male 188.9
GTEX-1M5QR-1726-SM-EV7AU 40-49 years, male 187.9
GTEX-14PK6-0126-SM-664O1 70-79 years, female 185.8
GTEX-13W3W-1326-SM-5LU4T 60-69 years, female 185.3
GTEX-S3XE-0126-SM-4AD4R 50-59 years, male 185.0
GTEX-14C38-1726-SM-5RQJC 50-59 years, male 184.3
GTEX-ZUA1-1926-SM-5E45E 40-49 years, male 184.0
GTEX-1QMI2-1926-SM-EAZ4B 60-69 years, male 183.9
GTEX-U3ZN-0826-SM-4DXSZ 30-39 years, female 183.8
GTEX-132QS-0126-SM-5IFH9 60-69 years, male 183.6
GTEX-1BAJH-2626-SM-7EPG6 70-79 years, male 183.4
GTEX-13PVR-0226-SM-5RQJI 60-69 years, female 183.1
GTEX-1EH9U-1726-SM-7P8QK 60-69 years, male 183.1
GTEX-13OW7-2726-SM-5L3HN 50-59 years, male 183.0
GTEX-1HBPI-1926-SM-CE6RT 50-59 years, male 183.0
GTEX-QLQW-0226-SM-447BJ 30-39 years, male 182.3
GTEX-1B8L1-1326-SM-7MKG6 60-69 years, male 181.2
GTEX-WQUQ-0126-SM-4OOSS 60-69 years, male 180.0
GTEX-1QP2A-2626-SM-EAZ3L 50-59 years, male 178.9
GTEX-S33H-1326-SM-4AD6A 30-39 years, male 178.5
GTEX-1NUQO-0626-SM-E6CQT 20-29 years, female 175.4
GTEX-OIZF-1326-SM-3MJGU 60-69 years, male 175.3
GTEX-UJMC-0226-SM-4IHLH 50-59 years, male 175.0
GTEX-VUSG-1526-SM-4KKZH 50-59 years, male 174.9
GTEX-OXRK-0126-SM-3NB1E 50-59 years, female 174.7
GTEX-1PPH8-0826-SM-DTX9T 20-29 years, male 174.2
GTEX-14A5H-2126-SM-7IGNV 60-69 years, male 173.6
GTEX-1J8EW-1826-SM-C1YQW 60-69 years, female 172.0
GTEX-14E1K-0626-SM-5S2PG 50-59 years, male 170.8
GTEX-TKQ2-0226-SM-4DM6V 50-59 years, male 169.7
GTEX-1GN73-1526-SM-9WPP1 60-69 years, male 169.4
GTEX-15DYW-2126-SM-6M47B 60-69 years, female 169.3
GTEX-V955-0126-SM-4JBH5 60-69 years, male 168.8
GTEX-14JG6-0126-SM-68726 30-39 years, female 168.6
GTEX-QXCU-1326-SM-48FE2 50-59 years, male 168.2
GTEX-XV7Q-0226-SM-4BRVL 40-49 years, female 167.1
GTEX-RM2N-0126-SM-48FDD 50-59 years, male 167.0
GTEX-Y5V6-1926-SM-5IFIL 60-69 years, male 166.7
GTEX-18D9B-1926-SM-7KFSV 60-69 years, male 166.6
GTEX-1GF9V-2026-SM-9JGHS 60-69 years, male 166.3
GTEX-1I1GQ-2026-SM-ARU7F 50-59 years, male 166.1
GTEX-QLQ7-0126-SM-CL55R 60-69 years, male 165.6
GTEX-14H4A-0226-SM-5SI6Q 40-49 years, female 164.0
GTEX-ZPCL-0826-SM-DNZZ7 60-69 years, female 162.8
GTEX-11NSD-0226-SM-5A5LR 20-29 years, male 162.3
GTEX-PW2O-0226-SM-48TC7 20-29 years, male 162.0
GTEX-1AX9K-0126-SM-7PC1B 50-59 years, male 162.0
GTEX-Q2AI-0226-SM-48U1D 40-49 years, male 161.6
GTEX-PWCY-0226-SM-48TD8 20-29 years, female 161.4
GTEX-13OW6-1726-SM-5IJGI 50-59 years, male 161.1
GTEX-13111-0326-SM-5DUXF 50-59 years, male 160.8
GTEX-13O1R-2326-SM-5IJF9 60-69 years, male 160.4
GTEX-1GN1V-1626-SM-7PBZF 60-69 years, male 158.7
GTEX-131YS-2026-SM-5P9J8 60-69 years, female 158.0
GTEX-PLZ6-0226-SM-3P61I 30-39 years, male 157.9
GTEX-1AX9J-0626-SM-72D7L 60-69 years, male 157.6
GTEX-Y9LG-0126-SM-5Q59W 30-39 years, male 157.3
GTEX-1339X-0826-SM-5J2O6 40-49 years, male 157.0
GTEX-1RQEC-1926-SM-DTX7M 60-69 years, male 156.9
GTEX-111YS-0126-SM-5987T 60-69 years, male 156.7
GTEX-11XUK-0126-SM-5CVLK 40-49 years, female 156.0
GTEX-131XG-1326-SM-5DUX4 50-59 years, female 155.7
GTEX-13QBU-0526-SM-5IJFE 40-49 years, female 155.7
GTEX-OOBK-3125-SM-3LK5R 40-49 years, male 155.3
GTEX-ZDTT-0126-SM-4WKHA 60-69 years, male 155.2
GTEX-1A8FM-1926-SM-7MXTX 50-59 years, female 155.0
GTEX-1F88F-1526-SM-9JGG1 60-69 years, female 154.7
GTEX-12ZZZ-0926-SM-5N9EQ 60-69 years, male 153.7
GTEX-QDVN-0426-SM-48TZ6 50-59 years, male 151.8
GTEX-QMRM-0126-SM-CJI1R 50-59 years, male 150.4
GTEX-18A6Q-1826-SM-72D6I 60-69 years, male 150.2
GTEX-QCQG-0126-SM-48U27 50-59 years, female 149.4
GTEX-X4LF-0126-SM-4QAS7 50-59 years, male 147.8
GTEX-X4EO-1726-SM-4QARN 60-69 years, female 147.2
GTEX-15EU6-0326-SM-6M48I 50-59 years, male 144.9
GTEX-WYVS-0226-SM-4ONDK 40-49 years, female 144.4
GTEX-TMMY-0126-SM-4DXTP 40-49 years, female 144.2
GTEX-XUZC-0226-SM-4BOO7 30-39 years, female 144.2
GTEX-S4Z8-0126-SM-4GICC 60-69 years, male 144.1
GTEX-Y114-0526-SM-4TT8V 50-59 years, female 143.8
GTEX-1B8KZ-0126-SM-7DHM5 50-59 years, male 142.9
GTEX-14PJ6-0126-SM-686Z5 60-69 years, female 142.4
GTEX-14PKV-0726-SM-686ZF 20-29 years, female 142.4
GTEX-1I1GV-1826-SM-CNNR8 60-69 years, male 142.4
GTEX-T6MO-0126-SM-4DM6X 40-49 years, female 142.3
GTEX-NFK9-1726-SM-3TW8P 40-49 years, male 142.2
GTEX-1H11D-2426-SM-9JGGN 40-49 years, male 140.5
GTEX-12WSJ-0126-SM-5GCOM 40-49 years, female 140.3
GTEX-P4QS-1326-SM-3NMCD 60-69 years, male 140.3
GTEX-1AX8Z-2426-SM-72D7D 60-69 years, male 139.7
GTEX-13PL7-1026-SM-5MR5C 60-69 years, female 139.3
GTEX-YFCO-0126-SM-4W1YT 40-49 years, male 138.9
GTEX-1LGRB-0326-SM-CNPQC 50-59 years, female 138.2
GTEX-1S82P-1126-SM-EV79M 60-69 years, female 137.6
GTEX-ZEX8-0626-SM-DO118 50-59 years, male 137.3
GTEX-13CF3-0126-SM-5IFFM 60-69 years, female 136.4
GTEX-ZZPU-1226-SM-5N9CK 50-59 years, female 136.2
GTEX-RNOR-1626-SM-EZ6MM 50-59 years, female 135.4
GTEX-13O61-0126-SM-5KM4P 60-69 years, male 135.3
GTEX-11DXY-1626-SM-5H12L 60-69 years, male 135.0
GTEX-12WSN-0926-SM-5GCN1 40-49 years, male 134.9
GTEX-13D11-0426-SM-5LZYA 50-59 years, female 134.2
GTEX-145LT-0126-SM-5S2QJ 40-49 years, male 133.7
GTEX-1RAZQ-0226-SM-EV7BK 30-39 years, male 133.2
GTEX-1399R-0326-SM-5KM1X 30-39 years, male 132.9
GTEX-VJYA-0526-SM-4KL1R 60-69 years, male 132.1
GTEX-1HC8U-0226-SM-9WG7Q 40-49 years, female 132.0
GTEX-13FTW-0126-SM-5IJED 40-49 years, male 131.7
GTEX-146FR-1526-SM-5SIB8 60-69 years, female 131.0
GTEX-1JKYN-0126-SM-AHZ4C 30-39 years, male 130.1
GTEX-1HKZK-0126-SM-B2LWF 40-49 years, male 129.9
GTEX-V1D1-0226-SM-4JBHG 50-59 years, male 129.7
GTEX-O5YT-1326-SM-3MJGR 20-29 years, male 129.4
GTEX-1KXAM-0326-SM-EV7AQ 60-69 years, male 128.8
GTEX-ZTSS-0326-SM-5987M 40-49 years, male 128.7
GTEX-ZA64-0226-SM-5HL9C 20-29 years, male 128.6
GTEX-OIZH-1326-SM-3NB1H 50-59 years, male 128.5
GTEX-12BJ1-0526-SM-5FQUD 60-69 years, male 128.4
GTEX-1F5PL-2326-SM-7MKFC 40-49 years, female 128.1
GTEX-Y5LM-0126-SM-4VBRL 40-49 years, female 127.8
GTEX-ZYFG-0926-SM-5BC5U 60-69 years, female 127.5
GTEX-11DXX-0126-SM-5EGH7 60-69 years, female 127.4
GTEX-14BMU-0126-SM-5S2Q9 20-29 years, female 127.3
GTEX-1K2DA-0226-SM-CGQGW 50-59 years, male 125.8
GTEX-1I1GU-0226-SM-AHZ2J 40-49 years, male 124.7
GTEX-ZF2S-0126-SM-4WKFO 50-59 years, female 124.5
GTEX-QDVJ-1126-SM-48U1U 50-59 years, male 123.9
GTEX-ZLV1-0226-SM-4WWC1 60-69 years, female 123.9
GTEX-1LVAN-0826-SM-CNNPG 50-59 years, female 123.3
GTEX-PX3G-1326-SM-48U18 20-29 years, female 122.6
GTEX-1H1E6-1026-SM-9JGFZ 30-39 years, male 122.3
GTEX-1J8Q3-0326-SM-CE6TD 60-69 years, male 121.8
GTEX-1LG7Z-0426-SM-D4P47 30-39 years, male 121.6
GTEX-11EM3-0326-SM-5A5KJ 20-29 years, female 121.5
GTEX-11EQ9-0126-SM-5986I 30-39 years, male 121.1
GTEX-Y3IK-0226-SM-51MRJ 50-59 years, female 121.0
GTEX-OHPK-1326-SM-3MJGN 50-59 years, female 120.4
GTEX-1CB4F-0126-SM-9JGGZ 60-69 years, male 120.1
GTEX-1399U-0226-SM-5P9J2 50-59 years, female 119.5
GTEX-12WSG-0726-SM-5EGIG 50-59 years, female 119.3
GTEX-1I1GT-0126-SM-B2LWM 60-69 years, female 119.2
GTEX-1IDJU-0126-SM-CNNR2 60-69 years, female 119.2
GTEX-14PJ4-0426-SM-6871F 60-69 years, male 118.3
GTEX-WY7C-0326-SM-4OND5 50-59 years, male 118.0
GTEX-14PN3-1426-SM-686Z8 60-69 years, female 117.9
GTEX-1F5PK-0826-SM-7MXVI 50-59 years, male 117.8
GTEX-Q734-0126-SM-48U1E 40-49 years, female 117.3
GTEX-ZVT2-0826-SM-5GIEO 50-59 years, female 117.3
GTEX-YB5E-0226-SM-5IFHI 40-49 years, male 116.3
GTEX-U4B1-0126-SM-4DXSN 40-49 years, male 115.9
GTEX-1B8KE-0926-SM-7189I 50-59 years, male 114.9
GTEX-S341-0126-SM-4AD64 40-49 years, female 114.6
GTEX-R55G-0126-SM-48FDS 40-49 years, female 114.5
GTEX-14E6E-0126-SM-73KXH 30-39 years, male 114.3
GTEX-1F75I-0126-SM-9WPPW 40-49 years, male 113.5
GTEX-YF7O-0126-SM-5IFIR 50-59 years, male 113.3
GTEX-1CAMS-0226-SM-79397 40-49 years, female 113.1
GTEX-P4QT-1326-SM-3NMD3 50-59 years, female 112.7
GTEX-S4Q7-0226-SM-4AD5O 20-29 years, male 112.0
GTEX-11I78-1826-SM-5A5M4 50-59 years, female 111.7
GTEX-17HHE-0226-SM-79399 50-59 years, male 111.6
GTEX-16AAH-0226-SM-793A8 50-59 years, male 111.4
GTEX-ZVP2-0126-SM-5NQ7D 50-59 years, male 111.4
GTEX-12WSK-0326-SM-5GCOJ 40-49 years, female 111.0
GTEX-ZT9X-0126-SM-4YCFC 40-49 years, male 110.6
GTEX-ZLWG-0126-SM-4WWC5 50-59 years, female 110.5
GTEX-16NGA-0126-SM-72D6U 40-49 years, female 110.3
GTEX-132AR-1726-SM-5EGHQ 50-59 years, female 109.9
GTEX-1ICG6-0226-SM-AHZ2P 70-79 years, female 109.8
GTEX-14DAR-1726-SM-664MZ 50-59 years, male 109.7
GTEX-ZP4G-0126-SM-4YCE3 20-29 years, female 109.3
GTEX-139YR-0126-SM-5IJEY 50-59 years, male 109.2
GTEX-R55C-0226-SM-48FEO 40-49 years, male 108.9
GTEX-OHPL-1326-SM-3MJGG 60-69 years, female 107.1
GTEX-131XF-0126-SM-5DUVF 60-69 years, male 107.0
GTEX-1C475-0126-SM-731DC 40-49 years, female 106.9
GTEX-1AMFI-0626-SM-731DR 50-59 years, female 106.3
GTEX-117YX-0126-SM-5EGH5 50-59 years, male 105.9
GTEX-1F75A-2026-SM-9KNTR 50-59 years, male 105.9
GTEX-17KNJ-0326-SM-7KFS5 50-59 years, male 105.7
GTEX-145MN-0226-SM-5QGPY 30-39 years, male 105.5
GTEX-1H3VY-1826-SM-9JGI4 50-59 years, male 104.4
GTEX-12WSL-0326-SM-5CVMK 50-59 years, male 103.4
GTEX-13N11-0826-SM-5IJFP 50-59 years, female 103.4
GTEX-RUSQ-0226-SM-47JWT 50-59 years, male 103.2
GTEX-11P7K-0126-SM-5986E 30-39 years, male 102.7
GTEX-13O21-0126-SM-5IJE8 50-59 years, male 101.5
GTEX-ZLFU-0826-SM-4WWBP 40-49 years, male 101.2
GTEX-11DXZ-0226-SM-5EGGZ 50-59 years, male 100.8
GTEX-1GL5R-1026-SM-7P8U1 50-59 years, male 100.1
GTEX-1399S-0426-SM-5IFG5 30-39 years, female 99.8
GTEX-1QP29-0326-SM-E6CQ4 50-59 years, male 99.3
GTEX-1122O-0326-SM-5H124 60-69 years, female 97.0
GTEX-15CHR-0626-SM-7938V 50-59 years, male 96.6
GTEX-111CU-0126-SM-5GZWZ 50-59 years, male 94.3
GTEX-13OVI-1226-SM-5J2ME 60-69 years, female 93.5
GTEX-1QPFJ-2526-SM-EXOJX 30-39 years, female 93.0
GTEX-1A3MV-0226-SM-731FS 30-39 years, male 92.2
GTEX-1CAMR-0126-SM-79391 20-29 years, male 91.5
GTEX-14DAQ-1826-SM-5S2VV 60-69 years, female 88.9
GTEX-R53T-0226-SM-48FEH 50-59 years, female 86.5
GTEX-WHPG-1526-SM-4M1ZK 50-59 years, male 72.6
GTEX-ZY6K-0126-SM-5SIAM 50-59 years, male 66.7
GTEX-1KANB-2626-SM-EV7BF 50-59 years, male 62.5
Show allShow less

Contact

  • NEWS ARTICLES
  • PRESS ROOM

The Project

  • INTRODUCTION
  • ORGANIZATION
  • PUBLICATIONS

The Human Protein Atlas

  • DOWNLOADABLE DATA
  • LICENCE & CITATION
  • HELP & FAQ
The Human Protein Atlas project is funded
by the Knut & Alice Wallenberg Foundation.


contact@proteinatlas.org