We use cookies to enhance the usability of our website. If you continue, we'll assume that you are happy to receive all cookies. More information. Don't show this again.
NAGA
HPA
RESOURCES
  • TISSUE
  • BRAIN
  • SINGLE CELL
  • SUBCELLULAR
  • CANCER
  • BLOOD
  • CELL LINE
  • STRUCTURE & INTERACTION
ABOUT
  • INTRODUCTION
  • HISTORY
  • ORGANIZATION
  • PUBLICATIONS
  • ANTIBODY SUBMISSION
  • ANTIBODY AVAILABILITY
  • ACKNOWLEDGMENTS
  • CONTACT
NEWS
  • NEWS ARTICLES
  • PRESS ROOM
LEARN
  • DICTIONARY
  • PROTEIN CLASSES
  • PROTEIN EVIDENCE
  • METHODS
  • EDUCATIONAL VIDEOS
DATA
  • DOWNLOADABLE DATA
  • PUBLICATION DATA
  • RELEASE HISTORY
HELP
  • ANTIBODY VALIDATION
  • ASSAYS & ANNOTATION
  • DISCLAIMER
  • HELP & FAQ
  • PRIVACY STATEMENT
  • LICENCE & CITATION
Fields »
Search result

Field
Term
Gene name
Class
Subclass
Class
Keyword
Chromosome
External id
Tissue
Cell type
Expression
Antibody panel
Tissue
Main location
Patient ID
Annotation
Tissue
Category
Tau score
Cluster
Reliability
Brain region
Category
Tau score
Brain region
Category
Tau score
Brain region
Category
Tau score
Cluster
Reliability
Tissue
Cell type
Enrichment
Cell type
Category
Tau score
Cell type
Category
Tau score
Cell type
Category
Tau score
Cell lineage
Category
Tau score
Cluster
Cluster
Location
Searches
Location
Cell line
Class
Type
Phase
Reliability
Cancer
Prognosis
Cancer
Category
Cancer
Category
Tau score
Cluster
Variants
Interacting gene (ensg_id)
Type
Number of interactions
Pathway
Category
Score
Score
Score
Validation
Validation
Validation
Validation
Antibodies
Data type
Column


  • SUMMARY

  • TISSUE

  • BRAIN

  • SINGLE CELL

  • SUBCELL

  • CANCER

  • BLOOD

  • CELL LINE

  • STRUCT & INT

  • NAGA
TISSUE PRIMARY DATA SKIN Show tissue menu
ADIPOSE TISSUE ADRENAL GLAND AMYGDALA APPENDIX BASAL GANGLIA BONE MARROW BREAST BRONCHUS CEREBELLUM CEREBRAL CORTEX CERVIX CHOROID PLEXUS COLON DUODENUM
ENDOMETRIUM EPIDIDYMIS ESOPHAGUS FALLOPIAN TUBE GALLBLADDER HEART MUSCLE HIPPOCAMPAL FORMATION HYPOTHALAMUS KIDNEY LIVER LUNG LYMPH NODE MIDBRAIN NASOPHARYNX
ORAL MUCOSA OVARY PANCREAS PARATHYROID GLAND PITUITARY GLAND PLACENTA PROSTATE RECTUM RETINA SALIVARY GLAND SEMINAL VESICLE SKELETAL MUSCLE SKIN SMALL INTESTINE
SMOOTH MUSCLE SOFT TISSUE SPINAL CORD SPLEEN STOMACH TESTIS THYMUS THYROID GLAND TONGUE TONSIL URINARY BLADDER VAGINA
ANTIBODIES
AND
VALIDATION
Dictionary
Skin
Tissue proteome
Skin
SKIN - Expression summary
Protein expression
Skini

On the top, protein expression in current human tissue, based on all annotated cell types, is reported with the units not detected (n), low (l), medium (m) and high (h). Underneath, protein expression in each annotated cell type are reported using the same units.

Protein expression data is based on knowledge-based annotation. For genes where more than one antibody has been used, a collective score is set.

If knowledge-based annotation could not be performed for a gene, no data is displayed here. View antibody staining data further down this page.

h
m
l
n
Epidermal cells: Low
Fibroblasts: High
Keratinocytes: Medium
Langerhans: High
Melanocytes: Medium
RNA expressioni

A summary of mRNA expression data available for current tissue based on several datasets. The mRNA expression levels in human tissues are based on RNA-seq data generated by the Human Protein Atlas (HPA), Genotype-Tissue Expression (GTEx) portal and CAGE data generated by the FANTOM5 consortium. Consensus normalized expression levels for human tissues was created by combining the data from HPA and GTEx datasets.

The mRNA expression levels in pig are based on RNA-seq data generated by the Human Protein Atlas (HPA), and for mouse, HPA data and in situ hybridization generated by the Allen brain atlas are reported.

Scroll down to view mRNA expression data in more detail.
Consensus:13.0 nTPM
HPA:13.0 nTPM
GTEx:9.5 nTPM

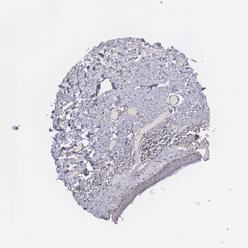
SKIN 1 - Antibody stainingi

Antibody staining in the annotated cell types in the current human tissue is reported as not detected, low, medium, or high, based on conventional immunohistochemistry profiling in selected tissues. This score is based on the combination of the staining intensity and fraction of stained cells.

Each image is clickable and will lead to virtual microscopy that enables deeper exploration of all samples and also displays staining intensity scores, fraction scores and subcellular localization as well as patient and tissue information for each sample.

Antibody HPA000649
Langerhans High
Fibroblasts High
Keratinocytes Medium
Melanocytes Medium


SKIN 2 - Antibody stainingi

Antibody staining in the annotated cell types in the current human tissue is reported as not detected, low, medium, or high, based on conventional immunohistochemistry profiling in selected tissues. This score is based on the combination of the staining intensity and fraction of stained cells.

Each image is clickable and will lead to virtual microscopy that enables deeper exploration of all samples and also displays staining intensity scores, fraction scores and subcellular localization as well as patient and tissue information for each sample.

Antibody HPA000649
Epidermal cells Not detected
 
 
 



SKIN - HPA RNA-seqi

The RNA-seq details section shows detailed information about the individual samples used for the transcript profiling and results of the RNA-seq analysis.

Information about each individual sample is listed below, including gender, age, a tissue section image and estimated fractions of cell types. nTPM (normalized transcripts per million) values give a quantification of the gene abundance which is comparable between different genes and samples.
Average nTPMi

Max subtype nTPM is the value for the subtype with the largest average nTPM across the subtype samples.

13.0
overview
Female, age 34
Skin sample 225
nTPM: 13.8
Cell types%
Keratinocytes:
60

Other cell types:
40

overview
Female, age 30
Skin sample 226
nTPM: 12.7
Cell types%
Keratinocytes:
55

Other cell types:
45

N/A
Male, age 57
Skin sample 227
nTPM: 12.5

SKIN - GTEx RNA-seqi

RNA-Seq data generated by the Genotype-Tissue Expression (GTEx) project from human tissues is reported as mean nTPM. More information can be found on the GTEx portal.

Distribution across the dataset is visualized with box plots, shown as median and 25th and 75th percentiles. Points are displayed as outliers if they are above or below 1.5 times the interquartile range. nTPM values of the individual samples are presented next to the box plot.
Max subtype nTPMi

Max subtype nTPM is the value for the subtype with the largest average nTPM across the subtype samples.

9.5
GTEx sample id Sample description nTPM
Skin - Not Sun Exposed (Suprapubic)
Average nTPM: 9.5
Samples: 604

Max nTPM: 21.9
Min nTPM: 4.3
Std nTPM: 2.1
Median nTPM: 9.3
GTEX-15RJ7-2126-SM-6PAMD 40-49 years, male 21.9
GTEX-11DYG-1526-SM-5A5JS 60-69 years, male 18.0
GTEX-W5X1-2526-SM-3GILC 40-49 years, female 17.5
GTEX-1F6I4-2326-SM-7RHGL 60-69 years, male 15.7
GTEX-Y3IK-1626-SM-4YCF5 50-59 years, female 15.4
GTEX-144FL-0626-SM-5LU43 50-59 years, male 15.3
GTEX-1F75A-0726-SM-7RHHD 50-59 years, male 15.2
GTEX-139YR-1026-SM-5LZYN 50-59 years, male 15.0
GTEX-17F97-2626-SM-7IGM5 50-59 years, male 15.0
GTEX-ZAK1-0626-SM-5HL8E 50-59 years, female 14.9
GTEX-Y8E4-2026-SM-5IFJB 40-49 years, male 14.5
GTEX-WFG7-2026-SM-5SI7P 20-29 years, male 14.4
GTEX-1EX96-1026-SM-7MKG2 50-59 years, male 14.3
GTEX-X585-2426-SM-46MW2 50-59 years, male 14.2
GTEX-18A66-0626-SM-7LT8Z 60-69 years, male 14.0
GTEX-1BAJH-2426-SM-7IGP8 70-79 years, male 13.9
GTEX-1F48J-0726-SM-7RHGS 50-59 years, female 13.9
GTEX-1N2DV-1526-SM-DTXEP 40-49 years, male 13.9
GTEX-Y114-2126-SM-4TT8B 50-59 years, female 13.8
GTEX-WXYG-2026-SM-4E3IY 50-59 years, female 13.7
GTEX-11WQC-1826-SM-5GU59 60-69 years, male 13.6
GTEX-ZDYS-2426-SM-4WKGI 50-59 years, male 13.5
GTEX-1GMRU-2126-SM-7P8RA 50-59 years, male 13.5
GTEX-1JMOU-1026-SM-CYPSS 60-69 years, female 13.5
GTEX-13NYB-0126-SM-5J1MD 40-49 years, male 13.4
GTEX-1RLM8-2926-SM-E8VON 50-59 years, male 13.4
GTEX-12ZZX-2426-SM-5GCOE 40-49 years, female 13.3
GTEX-18D9B-0926-SM-7LG4U 60-69 years, male 13.3
GTEX-VJYA-1526-SM-3GIJV 60-69 years, male 13.3
GTEX-ZDTS-0826-SM-4WKHL 60-69 years, male 13.3
GTEX-1IY9M-2826-SM-ARU8H 60-69 years, male 13.3
GTEX-146FQ-2126-SM-5RQHU 30-39 years, male 13.2
GTEX-1GZHY-0626-SM-9KNVC 50-59 years, female 13.2
GTEX-1PIGE-1826-SM-E8VOU 20-29 years, male 13.2
GTEX-1H1CY-0126-SM-9YFLY 60-69 years, female 13.1
GTEX-13FHO-0426-SM-5L3F5 60-69 years, male 13.0
GTEX-ZT9X-1526-SM-5DUXD 40-49 years, male 13.0
GTEX-1OJC3-1226-SM-DTXER 20-29 years, male 13.0
GTEX-111VG-1626-SM-5EGIO 60-69 years, male 12.9
GTEX-1EWIQ-0326-SM-7DHMQ 70-79 years, female 12.9
GTEX-1F75W-2726-SM-7SB8H 60-69 years, male 12.9
GTEX-13G51-1826-SM-5KLZH 60-69 years, male 12.7
GTEX-17HGU-2326-SM-7DUFE 50-59 years, male 12.7
GTEX-1EU9M-1426-SM-793AI 60-69 years, male 12.7
GTEX-XBED-1926-SM-47JYP 60-69 years, male 12.7
GTEX-YB5K-2026-SM-4VDT3 40-49 years, female 12.7
GTEX-YJ8O-2526-SM-5HL85 40-49 years, female 12.7
GTEX-ZTX8-1326-SM-4YCEL 20-29 years, male 12.7
GTEX-1QP29-1826-SM-DTX9S 50-59 years, male 12.7
GTEX-11P7K-1126-SM-5HL4L 30-39 years, male 12.6
GTEX-14PHY-1226-SM-5ZZWK 60-69 years, female 12.6
GTEX-18A6Q-0626-SM-7KFRP 60-69 years, male 12.6
GTEX-1AX8Z-0726-SM-73KTS 60-69 years, male 12.6
GTEX-13113-1626-SM-5EQ4I 60-69 years, female 12.5
GTEX-15G19-2426-SM-7KUMR 60-69 years, male 12.5
GTEX-12126-0826-SM-5FQTZ 20-29 years, male 12.4
GTEX-U8XE-0226-SM-4E3J3 30-39 years, male 12.4
GTEX-1CAMR-1326-SM-7PC1F 20-29 years, male 12.4
GTEX-1IDJC-1526-SM-B2LW4 50-59 years, male 12.4
GTEX-1R9PN-0426-SM-DTXDT 40-49 years, female 12.4
GTEX-14PJO-2526-SM-6AJBQ 60-69 years, male 12.3
GTEX-15SHW-0226-SM-7LTAT 60-69 years, male 12.3
GTEX-1F6IF-0926-SM-7SB7M 60-69 years, male 12.3
GTEX-1IDJE-1426-SM-ADEIW 50-59 years, female 12.3
GTEX-145MH-2826-SM-5RQJF 50-59 years, male 12.2
GTEX-17HG3-2626-SM-7DUF2 30-39 years, female 12.2
GTEX-UPK5-0426-SM-3GAEK 40-49 years, male 12.2
GTEX-ZC5H-1526-SM-5HL9Y 40-49 years, female 12.2
GTEX-ZF2S-1626-SM-57WES 50-59 years, female 12.2
GTEX-1AYD5-2626-SM-7PBXY 50-59 years, male 12.2
GTEX-11ZTT-2126-SM-5CVLO 60-69 years, female 12.1
GTEX-WHPG-2626-SM-3NMBR 50-59 years, male 12.1
GTEX-1QAET-0326-SM-EVR3U 50-59 years, male 12.1
GTEX-ZYVF-0926-SM-5E44J 50-59 years, female 12.0
GTEX-1HBPI-2126-SM-ARL9K 50-59 years, male 12.0
GTEX-1S82P-2126-SM-E6CI5 60-69 years, female 12.0
GTEX-145LU-1926-SM-79OJN 50-59 years, male 11.9
GTEX-18D9U-0126-SM-731BM 40-49 years, male 11.9
GTEX-Y5V6-2326-SM-4VDSA 60-69 years, male 11.9
GTEX-11VI4-1126-SM-5EQMD 40-49 years, female 11.8
GTEX-16YQH-2226-SM-7IGM2 30-39 years, male 11.8
GTEX-17F96-0126-SM-7EWDU 70-79 years, male 11.8
GTEX-1E2YA-2126-SM-7MXUO 50-59 years, male 11.8
GTEX-1H3O1-1326-SM-9MQLD 60-69 years, male 11.8
GTEX-1HC8U-1326-SM-9YFMJ 40-49 years, female 11.8
GTEX-12WSD-0626-SM-5GCMW 60-69 years, female 11.7
GTEX-14PJ3-1126-SM-5ZZVX 50-59 years, male 11.7
GTEX-X3Y1-2026-SM-3P5YM 40-49 years, male 11.7
GTEX-1R9K4-2826-SM-DTX8F 60-69 years, male 11.7
GTEX-11OF3-0126-SM-5PNYF 60-69 years, male 11.6
GTEX-13N11-2326-SM-5IJBF 50-59 years, female 11.6
GTEX-13OW5-2326-SM-5L3HO 60-69 years, male 11.6
GTEX-WH7G-2026-SM-3NMBL 40-49 years, male 11.6
GTEX-12584-0726-SM-5FQTK 40-49 years, male 11.5
GTEX-12KS4-2126-SM-5FQUT 30-39 years, male 11.5
GTEX-14PHX-2226-SM-6EU2P 50-59 years, male 11.5
GTEX-18A7A-0126-SM-731AH 50-59 years, female 11.5
GTEX-XQ3S-1426-SM-4BOPR 20-29 years, male 11.5
GTEX-YECK-0326-SM-4W1YS 60-69 years, male 11.5
GTEX-ZYW4-0626-SM-59HJR 60-69 years, male 11.5
GTEX-1H11D-1826-SM-9QEHM 40-49 years, male 11.5
GTEX-1I1CD-0626-SM-CE6SW 60-69 years, female 11.5
GTEX-1399R-1326-SM-5PNYS 30-39 years, male 11.4
GTEX-1EKGG-0626-SM-7DUGJ 60-69 years, male 11.4
GTEX-ZE7O-2726-SM-51MT5 50-59 years, female 11.4
GTEX-1JJEA-1826-SM-ARU8P 60-69 years, male 11.4
GTEX-15G1A-1626-SM-7KUKN 30-39 years, male 11.3
GTEX-WHSE-0126-SM-3NMBT 20-29 years, male 11.3
GTEX-X5EB-1926-SM-4E3IW 40-49 years, male 11.3
GTEX-1HFI6-0126-SM-CNPPI 40-49 years, male 11.3
GTEX-11NSD-0626-SM-5A5LU 20-29 years, male 11.2
GTEX-13OVK-1426-SM-6PAN7 40-49 years, male 11.2
GTEX-145MN-1526-SM-5SI9T 30-39 years, male 11.2
GTEX-183FY-1026-SM-7939A 20-29 years, male 11.2
GTEX-ZDXO-3126-SM-5IJDF 60-69 years, male 11.2
GTEX-1RAZR-2126-SM-E9U6T 40-49 years, male 11.2
GTEX-WFON-1926-SM-3LK7L 40-49 years, male 11.1
GTEX-XYKS-1426-SM-4BRUO 60-69 years, female 11.1
GTEX-1IKOE-1426-SM-CE6T7 30-39 years, female 11.1
GTEX-1JN1M-2726-SM-CY8I4 60-69 years, female 11.1
GTEX-11DXZ-2026-SM-5987S 50-59 years, male 11.0
GTEX-15ER7-0626-SM-6PANF 20-29 years, female 11.0
GTEX-16MT9-0126-SM-7EPI8 60-69 years, female 11.0
GTEX-ZVP2-0326-SM-57WBP 50-59 years, male 11.0
GTEX-1HSMP-0926-SM-A9SKX 70-79 years, male 11.0
GTEX-1IDJD-2326-SM-ACKWX 30-39 years, male 11.0
GTEX-1IDJF-2026-SM-CL53V 20-29 years, male 11.0
GTEX-1117F-2926-SM-5GZYI 60-69 years, female 10.9
GTEX-13JUV-2026-SM-5K7UA 40-49 years, female 10.9
GTEX-13PL6-1126-SM-5L3IE 40-49 years, female 10.9
GTEX-14ABY-2026-SM-62LDL 50-59 years, male 10.9
GTEX-14PK6-0226-SM-62LF5 70-79 years, female 10.9
GTEX-14XAO-1226-SM-6EU1C 60-69 years, female 10.9
GTEX-XBEW-1126-SM-4QARW 40-49 years, male 10.9
GTEX-1HT8W-0626-SM-A9G2H 30-39 years, male 10.9
GTEX-1LSVX-2526-SM-DIPEU 60-69 years, male 10.9
GTEX-1PBJJ-1026-SM-E76OS 30-39 years, male 10.9
GTEX-1313W-0626-SM-5EQ4H 50-59 years, female 10.8
GTEX-132AR-0326-SM-5KM2C 50-59 years, female 10.8
GTEX-16AAH-0626-SM-793C9 50-59 years, male 10.8
GTEX-1A32A-0626-SM-731AQ 50-59 years, female 10.8
GTEX-XXEK-1626-SM-4BRUZ 50-59 years, male 10.8
GTEX-1A8FM-0626-SM-7PC25 50-59 years, female 10.8
GTEX-1F75B-0726-SM-7PC3R 50-59 years, male 10.8
GTEX-1LVAM-0726-SM-E6CIL 50-59 years, female 10.8
GTEX-1S82U-1026-SM-E6CJK 30-39 years, female 10.8
GTEX-1399Q-2326-SM-5KM2X 40-49 years, male 10.7
GTEX-13X6J-0626-SM-5LU5F 50-59 years, male 10.7
GTEX-14ICL-1626-SM-5YYAO 30-39 years, male 10.7
GTEX-14LZ3-0126-SM-69LPM 60-69 years, female 10.7
GTEX-15DYW-2726-SM-6EU2I 60-69 years, female 10.7
GTEX-17KNJ-2126-SM-718AM 50-59 years, male 10.7
GTEX-UPJH-0226-SM-3GADV 50-59 years, male 10.7
GTEX-WYVS-1626-SM-3NM9R 40-49 years, female 10.7
GTEX-YFCO-1226-SM-5LUAT 40-49 years, male 10.7
GTEX-ZLWG-0826-SM-59888 50-59 years, female 10.7
GTEX-ZVTK-0226-SM-51MRG 20-29 years, male 10.7
GTEX-1H1ZS-2726-SM-9WG75 70-79 years, male 10.7
GTEX-1J8EW-2726-SM-CY8HR 60-69 years, female 10.7
GTEX-11DXY-0126-SM-5H11Q 60-69 years, male 10.6
GTEX-13O61-1426-SM-5KM3D 60-69 years, male 10.6
GTEX-1A3MW-0626-SM-731CB 60-69 years, female 10.6
GTEX-WYBS-0626-SM-3NMAS 60-69 years, female 10.6
GTEX-Y3I4-1726-SM-4TT89 50-59 years, male 10.6
GTEX-1C64N-2626-SM-7PC2N 50-59 years, male 10.6
GTEX-1EMGI-2326-SM-7PBYA 60-69 years, male 10.6
GTEX-1MJK3-0726-SM-E6CJC 20-29 years, male 10.6
GTEX-1RAZS-2526-SM-E6CHT 50-59 years, male 10.6
GTEX-13FTX-1526-SM-5K7VJ 20-29 years, female 10.5
GTEX-147F4-0726-SM-5TDDD 50-59 years, male 10.5
GTEX-14JG1-1526-SM-5YY9X 40-49 years, male 10.5
GTEX-17HHY-0426-SM-7DHLC 50-59 years, male 10.5
GTEX-1A8G6-2726-SM-731AR 60-69 years, male 10.5
GTEX-YEC4-1826-SM-4W1YP 40-49 years, male 10.5
GTEX-ZYT6-2326-SM-5GZY3 30-39 years, male 10.5
GTEX-ZZ64-1026-SM-5GZXG 20-29 years, male 10.5
GTEX-1H3NZ-2726-SM-9WYTQ 60-69 years, male 10.5
GTEX-1JMQI-1726-SM-ARL93 50-59 years, male 10.5
GTEX-1QP9N-1226-SM-E76QN 30-39 years, male 10.5
GTEX-13JVG-0726-SM-5KM16 60-69 years, male 10.4
GTEX-144GL-0626-SM-5LU4D 50-59 years, male 10.4
GTEX-1C6VQ-1226-SM-73KYD 50-59 years, male 10.4
GTEX-1H1DG-2426-SM-9QEHJ 70-79 years, male 10.4
GTEX-1HCU6-2526-SM-ADEHL 60-69 years, female 10.4
GTEX-1I6K7-1926-SM-B2LXR 40-49 years, male 10.4
GTEX-11TT1-1826-SM-5EQLV 20-29 years, male 10.3
GTEX-139TS-2126-SM-5K7XC 60-69 years, male 10.3
GTEX-15EU6-2226-SM-6EU2L 50-59 years, male 10.3
GTEX-1AX9I-2226-SM-73KUO 60-69 years, male 10.3
GTEX-1E1VI-0326-SM-793D1 50-59 years, male 10.3
GTEX-1C64O-1326-SM-7MGWR 60-69 years, male 10.3
GTEX-1I19N-0126-SM-CYPSF 70-79 years, male 10.3
GTEX-14BMV-2826-SM-5TDED 50-59 years, male 10.2
GTEX-WRHU-2826-SM-3MJG8 50-59 years, female 10.2
GTEX-Y111-0626-SM-4SOIT 50-59 years, male 10.2
GTEX-1PPH8-0126-SM-EWRN8 20-29 years, male 10.2
GTEX-1QMI2-2526-SM-E8VNZ 60-69 years, male 10.2
GTEX-11DXX-2126-SM-5PNYR 60-69 years, female 10.1
GTEX-11NUK-2726-SM-5A5MC 50-59 years, male 10.1
GTEX-12WSH-1526-SM-5BC5W 50-59 years, male 10.1
GTEX-13FH7-1126-SM-5K7UG 50-59 years, female 10.1
GTEX-14BMU-1226-SM-5S2OR 20-29 years, female 10.1
GTEX-1AX9J-1326-SM-731BJ 60-69 years, male 10.1
GTEX-X4EP-0626-SM-3P621 60-69 years, female 10.1
GTEX-1HR98-2226-SM-ADEI2 60-69 years, male 10.1
GTEX-1I1GV-0626-SM-ARL7M 60-69 years, male 10.1
GTEX-1192X-2726-SM-5N9DN 50-59 years, male 10.0
GTEX-12C56-1526-SM-5FQUQ 20-29 years, male 10.0
GTEX-12WSL-2026-SM-5GCML 50-59 years, male 10.0
GTEX-1314G-1326-SM-5BC6E 30-39 years, male 10.0
GTEX-145MG-1526-SM-5Q5EM 50-59 years, male 10.0
GTEX-16GPK-0626-SM-7KFSF 60-69 years, male 10.0
GTEX-17F98-1326-SM-7DUEP 40-49 years, female 10.0
GTEX-WI4N-2726-SM-3LK7Y 40-49 years, female 10.0
GTEX-11P82-1426-SM-DTXFY 20-29 years, male 10.0
GTEX-1H1DE-1326-SM-9KNUG 20-29 years, male 10.0
GTEX-1I1GP-1326-SM-A9G28 50-59 years, male 10.0
GTEX-1JMLX-0626-SM-ARL8T 50-59 years, male 10.0
GTEX-1LBAC-0826-SM-CY8IJ 20-29 years, male 10.0
GTEX-1PIIG-2326-SM-DTXFR 30-39 years, male 10.0
GTEX-11O72-0626-SM-5PNYE 40-49 years, male 9.9
GTEX-11PRG-0726-SM-5EGL1 50-59 years, male 9.9
GTEX-12ZZY-0726-SM-5EQ66 60-69 years, male 9.9
GTEX-13OVL-0126-SM-5L3GJ 50-59 years, male 9.9
GTEX-145LT-0526-SM-5LUB2 40-49 years, male 9.9
GTEX-14C38-0726-SM-5SI6M 50-59 years, male 9.9
GTEX-15CHR-1126-SM-7EWF4 50-59 years, male 9.9
GTEX-1I1GS-2626-SM-B2LY3 60-69 years, male 9.9
GTEX-1ICLZ-0326-SM-ARL82 60-69 years, male 9.9
GTEX-1IDJI-0126-SM-CMKHS 50-59 years, female 9.9
GTEX-1RAZA-2226-SM-E9U4X 20-29 years, male 9.9
GTEX-11EI6-2826-SM-5H11D 60-69 years, male 9.8
GTEX-13OVJ-0826-SM-5J1OK 50-59 years, female 9.8
GTEX-1CAV2-0126-SM-7IGN7 40-49 years, female 9.8
GTEX-WHSB-1326-SM-3LK6W 50-59 years, male 9.8
GTEX-WHWD-1826-SM-3LK6I 50-59 years, male 9.8
GTEX-X4EO-2926-SM-4E3JH 60-69 years, female 9.8
GTEX-ZYFC-0426-SM-5GICQ 50-59 years, male 9.8
GTEX-ZYFG-1526-SM-5GZYM 60-69 years, female 9.8
GTEX-1LB8K-0726-SM-D5OV2 50-59 years, male 9.8
GTEX-1QP66-1226-SM-DTX7U 50-59 years, male 9.8
GTEX-1R9PM-1926-SM-EVR3O 20-29 years, male 9.8
GTEX-11DZ1-2426-SM-5GZZX 50-59 years, male 9.7
GTEX-12WSJ-1126-SM-5LZVJ 40-49 years, female 9.7
GTEX-12WSK-2126-SM-5CVNC 40-49 years, female 9.7
GTEX-15RIE-1926-SM-7KUKJ 60-69 years, male 9.7
GTEX-15SKB-2826-SM-6PAMH 60-69 years, male 9.7
GTEX-1CB4F-1026-SM-7DUH1 60-69 years, male 9.7
GTEX-WY7C-2126-SM-3NB2R 50-59 years, male 9.7
GTEX-ZP4G-1426-SM-4WWCL 20-29 years, female 9.7
GTEX-1J8JJ-0626-SM-ARZMQ 60-69 years, female 9.7
GTEX-1JMQL-2226-SM-CNPP4 50-59 years, female 9.7
GTEX-1JN76-0626-SM-CKZOQ 20-29 years, female 9.7
GTEX-1PDJ9-1226-SM-EXUSX 20-29 years, male 9.7
GTEX-1QEPI-2626-SM-DTXF4 60-69 years, female 9.7
GTEX-1QPFJ-1926-SM-EVYBD 30-39 years, female 9.7
GTEX-117YX-1926-SM-5GIEC 50-59 years, male 9.6
GTEX-11DXW-0826-SM-5H118 40-49 years, male 9.6
GTEX-131XH-0126-SM-5LZUY 50-59 years, male 9.6
GTEX-16NPX-0726-SM-7KULC 50-59 years, male 9.6
GTEX-178AV-1726-SM-7KUL8 40-49 years, male 9.6
GTEX-17JCI-2926-SM-7DUFF 60-69 years, female 9.6
GTEX-1CB4E-0926-SM-7EPHT 60-69 years, male 9.6
GTEX-ZE9C-2526-SM-5IJDR 60-69 years, male 9.6
GTEX-1HCU7-0726-SM-A9SL1 50-59 years, male 9.6
GTEX-1LSNL-2726-SM-E9TKJ 50-59 years, male 9.6
GTEX-1RB15-1326-SM-E76Q9 60-69 years, male 9.6
GTEX-111FC-2526-SM-5GZXU 60-69 years, male 9.5
GTEX-139D8-1126-SM-5LU8W 30-39 years, female 9.5
GTEX-139UW-0326-SM-5J1ML 60-69 years, male 9.5
GTEX-14E6E-0526-SM-793DN 30-39 years, male 9.5
GTEX-17F9Y-0126-SM-79OKX 70-79 years, female 9.5
GTEX-Y5V5-0126-SM-5S2NW 60-69 years, female 9.5
GTEX-YF7O-1526-SM-5IFI6 50-59 years, male 9.5
GTEX-ZUA1-2626-SM-5NQ92 40-49 years, male 9.5
GTEX-ZVT4-2426-SM-5GIEI 50-59 years, female 9.5
GTEX-1GZ4I-2626-SM-9KNU3 50-59 years, male 9.5
GTEX-1JKYN-0826-SM-ARU8S 30-39 years, male 9.5
GTEX-11P81-2226-SM-5PNYI 30-39 years, female 9.4
GTEX-13FTW-0326-SM-5K7UW 40-49 years, male 9.4
GTEX-144GM-0526-SM-79OJO 20-29 years, male 9.4
GTEX-145MF-0926-SM-5Q5EA 50-59 years, male 9.4
GTEX-1B8KE-1126-SM-7EPHI 50-59 years, male 9.4
GTEX-1B8KZ-0326-SM-73KY4 50-59 years, male 9.4
GTEX-1B8L1-2226-SM-7P8PT 60-69 years, male 9.4
GTEX-1GPI6-1926-SM-9KNV7 60-69 years, male 9.4
GTEX-1HSKV-1226-SM-ADEI4 60-69 years, male 9.4
GTEX-1IE54-1126-SM-A9G2Z 40-49 years, female 9.4
GTEX-1M4P7-0726-SM-E6CJ3 60-69 years, male 9.4
GTEX-1PPGY-1626-SM-EVYBL 60-69 years, male 9.4
GTEX-131XF-2626-SM-5EQ6K 60-69 years, male 9.3
GTEX-13QBU-1226-SM-5LU4G 40-49 years, female 9.3
GTEX-147GR-2426-SM-5ZZWQ 60-69 years, male 9.3
GTEX-14BIN-1126-SM-5RQJZ 50-59 years, female 9.3
GTEX-15CHC-1126-SM-6LLHQ 60-69 years, female 9.3
GTEX-16MT8-2926-SM-7DUFO 60-69 years, female 9.3
GTEX-17F9E-2326-SM-79OKD 50-59 years, male 9.3
GTEX-17MFQ-1526-SM-7KFRR 20-29 years, male 9.3
GTEX-1B8SF-0126-SM-7DUG3 60-69 years, male 9.3
GTEX-1B932-2326-SM-79OL5 40-49 years, female 9.3
GTEX-1B933-2426-SM-7DHMD 50-59 years, female 9.3
GTEX-XV7Q-1826-SM-4BRUV 40-49 years, female 9.3
GTEX-14JG6-1426-SM-9WG7C 30-39 years, female 9.3
GTEX-1F75I-2226-SM-7SB8U 40-49 years, male 9.3
GTEX-1H1DF-1126-SM-9WG7G 40-49 years, female 9.3
GTEX-1KD5A-0126-SM-E9U54 50-59 years, male 9.3
GTEX-1LGOU-1326-SM-D3L8M 20-29 years, female 9.3
GTEX-1QCLZ-2426-SM-EVYBW 60-69 years, female 9.3
GTEX-111YS-1526-SM-5GZYW 60-69 years, male 9.2
GTEX-11EM3-1226-SM-5N9DD 20-29 years, female 9.2
GTEX-11EQ9-1626-SM-5PNY8 30-39 years, male 9.2
GTEX-139TU-0726-SM-5L3EK 60-69 years, male 9.2
GTEX-13X6H-0926-SM-5SIB2 50-59 years, female 9.2
GTEX-145ME-1726-SM-5Q5EU 40-49 years, female 9.2
GTEX-14A6H-2026-SM-5Q5DD 30-39 years, male 9.2
GTEX-15FZZ-0526-SM-7KUGD 30-39 years, female 9.2
GTEX-XOT4-0626-SM-4B66L 60-69 years, female 9.2
GTEX-ZXG5-2126-SM-59HKD 60-69 years, male 9.2
GTEX-1C6VR-0126-SM-7RHGB 60-69 years, male 9.2
GTEX-1GN73-0726-SM-7P8TJ 60-69 years, male 9.2
GTEX-1H2FU-0926-SM-9WPPT 60-69 years, female 9.2
GTEX-1HSMQ-2626-SM-A9SML 50-59 years, male 9.2
GTEX-1IL2V-1926-SM-B2LW8 70-79 years, male 9.2
GTEX-1JMQJ-0826-SM-CNPP7 50-59 years, male 9.2
GTEX-YEC3-1326-SM-DO92X 50-59 years, male 9.2
GTEX-14E1K-2026-SM-7DUEI 50-59 years, male 9.1
GTEX-14E6C-2426-SM-5S2NF 40-49 years, male 9.1
GTEX-1F52S-2926-SM-7MKGA 60-69 years, female 9.1
GTEX-WFG8-2126-SM-3GIKQ 20-29 years, male 9.1
GTEX-ZZPU-0826-SM-5GZX5 50-59 years, female 9.1
GTEX-1KANB-2826-SM-CY8I6 50-59 years, male 9.1
GTEX-131YS-2826-SM-5EQ47 60-69 years, female 9.0
GTEX-13FLV-0126-SM-5K7WT 50-59 years, male 9.0
GTEX-15D1Q-2826-SM-6LLH7 40-49 years, male 9.0
GTEX-16Z82-2626-SM-7KULU 60-69 years, male 9.0
GTEX-WEY5-2326-SM-3GIKK 40-49 years, female 9.0
GTEX-ZPU1-1126-SM-4YCF3 40-49 years, male 9.0
GTEX-1OJC4-2726-SM-E76PJ 50-59 years, female 9.0
GTEX-1QCLY-0226-SM-EWRNH 30-39 years, male 9.0
GTEX-1S5ZU-2526-SM-E6CIF 20-29 years, female 9.0
GTEX-1S83E-1326-SM-E6CJM 40-49 years, male 9.0
GTEX-13N2G-0226-SM-5K7VF 60-69 years, male 8.9
GTEX-13OW6-2726-SM-5J2OE 50-59 years, male 8.9
GTEX-13OW7-0426-SM-5K7VK 50-59 years, male 8.9
GTEX-13X6K-0626-SM-5LU5D 60-69 years, female 8.9
GTEX-145LS-0626-SM-7EPG7 60-69 years, female 8.9
GTEX-16NGA-0726-SM-731AO 40-49 years, female 8.9
GTEX-ZA64-1026-SM-5HL8R 20-29 years, male 8.9
GTEX-ZT9W-1126-SM-57WDR 50-59 years, male 8.9
GTEX-18D9A-1426-SM-7LT8M 30-39 years, female 8.9
GTEX-1GZ2Q-0126-SM-9WG6M 40-49 years, male 8.9
GTEX-1HCUA-0826-SM-ADEHM 50-59 years, female 8.9
GTEX-1ICG6-1226-SM-A9SLN 70-79 years, female 8.9
GTEX-1IOXB-2726-SM-CM2RI 50-59 years, male 8.9
GTEX-1JMQK-1226-SM-D4P2S 60-69 years, male 8.9
GTEX-1L5NE-1126-SM-D3L9P 50-59 years, male 8.9
GTEX-11GS4-0226-SM-5HL77 60-69 years, male 8.8
GTEX-11ZU8-0126-SM-5EQ58 60-69 years, male 8.8
GTEX-139TT-2126-SM-5LZWC 60-69 years, male 8.8
GTEX-13O3Q-0126-SM-5KM34 50-59 years, male 8.8
GTEX-13PVQ-0626-SM-5LU47 50-59 years, male 8.8
GTEX-13YAN-0226-SM-5TDC6 60-69 years, male 8.8
GTEX-14PJ2-0626-SM-6LLII 50-59 years, male 8.8
GTEX-15UF6-1926-SM-7KUDV 70-79 years, female 8.8
GTEX-1IKJJ-2226-SM-CJI4C 60-69 years, male 8.8
GTEX-1S831-1826-SM-EWROF 20-29 years, male 8.8
GTEX-133LE-2326-SM-5K7W3 20-29 years, female 8.7
GTEX-13NYS-0626-SM-5L3F1 60-69 years, male 8.7
GTEX-147JS-0226-SM-5S2U9 60-69 years, male 8.7
GTEX-14AS3-1526-SM-5Q5ED 40-49 years, female 8.7
GTEX-18A7B-2726-SM-7LG56 70-79 years, male 8.7
GTEX-1B97I-0626-SM-73KUZ 40-49 years, male 8.7
GTEX-WK11-2726-SM-3NMAQ 50-59 years, male 8.7
GTEX-X8HC-0626-SM-4E3HQ 50-59 years, female 8.7
GTEX-Z93S-1626-SM-5CVMB 50-59 years, male 8.7
GTEX-1GZ4H-0526-SM-9KNU9 50-59 years, female 8.7
GTEX-1KWVE-1026-SM-D3L9O 30-39 years, male 8.7
GTEX-1NSGN-0726-SM-DTXEF 50-59 years, male 8.7
GTEX-1O9I2-0226-SM-EYYXD 50-59 years, male 8.7
GTEX-131XW-0626-SM-5PNVD 50-59 years, female 8.6
GTEX-13U4I-2226-SM-5LU5H 40-49 years, female 8.6
GTEX-13VXU-0626-SM-5L3F9 50-59 years, male 8.6
GTEX-1497J-0226-SM-5QGPU 60-69 years, male 8.6
GTEX-15EO6-2426-SM-6PALZ 50-59 years, male 8.6
GTEX-ZAB4-2126-SM-5HL8U 40-49 years, male 8.6
GTEX-ZTTD-2826-SM-4YCFA 50-59 years, male 8.6
GTEX-ZYFD-0626-SM-5E44E 50-59 years, male 8.6
GTEX-14JFF-0626-SM-5ZZVT 60-69 years, male 8.6
GTEX-1CAMQ-1326-SM-7P8RV 40-49 years, male 8.6
GTEX-1GL5R-1326-SM-7RHHF 50-59 years, male 8.6
GTEX-1H1E6-0426-SM-9WYUS 30-39 years, male 8.6
GTEX-1JMPZ-0726-SM-CY8HZ 30-39 years, male 8.6
GTEX-1RMOY-1326-SM-E9TIH 50-59 years, male 8.6
GTEX-ZGAY-1826-SM-DO91Q 40-49 years, female 8.6
GTEX-12WSC-2826-SM-5BC5Y 50-59 years, male 8.5
GTEX-ZDTT-0426-SM-4WKFL 60-69 years, male 8.5
GTEX-1HGF4-0126-SM-CNPPX 60-69 years, male 8.5
GTEX-1KANC-1226-SM-CYPT7 50-59 years, female 8.5
GTEX-1NV5F-0626-SM-DTXEG 60-69 years, female 8.5
GTEX-ZF3C-0626-SM-DO92O 50-59 years, female 8.5
GTEX-13O3O-2326-SM-5IJD6 60-69 years, female 8.4
GTEX-147F3-1726-SM-5SIAW 50-59 years, female 8.4
GTEX-15RIG-0726-SM-7KUM7 40-49 years, male 8.4
GTEX-16MTA-0926-SM-6M47Z 50-59 years, male 8.4
GTEX-Y8LW-1526-SM-5IFHL 50-59 years, female 8.4
GTEX-ZLFU-1826-SM-4WWBV 40-49 years, male 8.4
GTEX-1GN1W-2426-SM-9KNUU 50-59 years, female 8.4
GTEX-1HCU9-0426-SM-9WYSD 20-29 years, male 8.4
GTEX-1QP28-1126-SM-EVYC4 50-59 years, female 8.4
GTEX-13NZ9-2626-SM-5L3FK 50-59 years, male 8.3
GTEX-13PVR-0426-SM-5RQK2 60-69 years, female 8.3
GTEX-XQ8I-0926-SM-4BOOF 50-59 years, male 8.3
GTEX-1CAMS-2226-SM-7PBXQ 40-49 years, female 8.3
GTEX-1GF9U-2026-SM-7SB92 40-49 years, female 8.3
GTEX-1GN1V-2826-SM-9JGIA 60-69 years, male 8.3
GTEX-1HSMO-0626-SM-ACKXC 60-69 years, male 8.3
GTEX-1J8Q3-0526-SM-ARL8U 60-69 years, male 8.3
GTEX-1LVAO-2726-SM-E9TJ8 60-69 years, male 8.3
GTEX-1POEN-2326-SM-E9J2L 30-39 years, female 8.3
GTEX-ZPIC-0526-SM-DO91W 40-49 years, female 8.3
GTEX-1211K-1526-SM-5FQU4 60-69 years, female 8.2
GTEX-1477Z-0326-SM-7IGLA 60-69 years, male 8.2
GTEX-17MF6-2626-SM-79OKQ 40-49 years, male 8.2
GTEX-18QFQ-1826-SM-72D52 30-39 years, male 8.2
GTEX-1A3MV-1826-SM-731CD 30-39 years, male 8.2
GTEX-ZAJG-1526-SM-5CVML 50-59 years, female 8.2
GTEX-ZPCL-1126-SM-4WWFE 60-69 years, female 8.2
GTEX-1F88F-0126-SM-9WYSZ 60-69 years, female 8.2
GTEX-1I1HK-2326-SM-CKZOH 60-69 years, male 8.2
GTEX-1IDJH-0126-SM-D3L92 70-79 years, male 8.2
GTEX-11ZUS-2626-SM-5FQUR 30-39 years, male 8.1
GTEX-12WSF-1626-SM-7KUG5 70-79 years, male 8.1
GTEX-139T8-0626-SM-5KLZX 60-69 years, male 8.1
GTEX-13X6I-1826-SM-5SIAO 60-69 years, male 8.1
GTEX-16BQI-1326-SM-6M486 30-39 years, female 8.1
GTEX-17EVP-2626-SM-7IGMA 40-49 years, male 8.1
GTEX-17EVQ-0126-SM-7IGLR 70-79 years, male 8.1
GTEX-183WM-0326-SM-72D5V 70-79 years, female 8.1
GTEX-XBEC-0726-SM-4QARZ 50-59 years, male 8.1
GTEX-1H4P4-2126-SM-9WYSL 50-59 years, male 8.1
GTEX-1HSGN-0826-SM-ACKW3 40-49 years, female 8.1
GTEX-1ICLY-0826-SM-CMKG1 50-59 years, male 8.1
GTEX-1LVAN-0626-SM-CNPOQ 50-59 years, female 8.1
GTEX-1RAZQ-1326-SM-E9TK6 30-39 years, male 8.1
GTEX-131XG-0326-SM-5L3DX 50-59 years, female 8.0
GTEX-18A67-1626-SM-7LT9T 50-59 years, male 8.0
GTEX-1GF9V-0826-SM-9KNUV 60-69 years, male 8.0
GTEX-1GMR8-0626-SM-7RHI7 50-59 years, female 8.0
GTEX-1IDJU-1726-SM-CMKHU 60-69 years, female 8.0
GTEX-1K2DA-1026-SM-CGQGF 50-59 years, male 8.0
GTEX-1LG7Z-1626-SM-CXKYR 30-39 years, male 8.0
GTEX-111CU-1126-SM-5EGIM 50-59 years, male 7.9
GTEX-1399S-0126-SM-5IJCF 30-39 years, female 7.9
GTEX-13RTJ-0126-SM-5S2NN 60-69 years, male 7.9
GTEX-14A5H-0826-SM-5QGPJ 60-69 years, male 7.9
GTEX-14PKV-1126-SM-6LLJ1 20-29 years, female 7.9
GTEX-18465-2826-SM-7LT9J 50-59 years, male 7.9
GTEX-1GF9W-1426-SM-7PBYM 60-69 years, male 7.9
GTEX-1GMR3-0126-SM-A9SLW 40-49 years, male 7.9
GTEX-1GPI7-1826-SM-9KNU1 20-29 years, male 7.9
GTEX-1GTWX-2026-SM-9YFLM 60-69 years, male 7.9
GTEX-1KANA-1326-SM-DIPFA 20-29 years, male 7.9
GTEX-1MCC2-1826-SM-DIPEX 30-39 years, female 7.9
GTEX-11WQK-1026-SM-5EQLX 50-59 years, male 7.8
GTEX-13SLW-0626-SM-5Q5ER 70-79 years, male 7.8
GTEX-144GO-2026-SM-5O99P 60-69 years, male 7.8
GTEX-14753-0726-SM-5QGQO 60-69 years, male 7.8
GTEX-14PJ6-2626-SM-6EU2T 60-69 years, female 7.8
GTEX-1C6WA-2626-SM-7MKGM 60-69 years, male 7.8
GTEX-1C475-1326-SM-7SB73 40-49 years, female 7.8
GTEX-1J8QM-2426-SM-A9SLS 60-69 years, female 7.8
GTEX-1JKYR-0626-SM-ARL8R 20-29 years, male 7.8
GTEX-1LVA9-2626-SM-EVYD4 50-59 years, male 7.8
GTEX-1N2EE-0626-SM-E76PW 60-69 years, male 7.8
GTEX-11LCK-2226-SM-5HL4Q 30-39 years, male 7.7
GTEX-1269C-0126-SM-5EQ5L 60-69 years, female 7.7
GTEX-148VJ-0626-SM-5LUAW 70-79 years, male 7.7
GTEX-14C39-1726-SM-5RQIL 40-49 years, male 7.7
GTEX-14PJN-1826-SM-6AJ98 30-39 years, male 7.7
GTEX-1GF9X-1326-SM-7PC2Y 40-49 years, female 7.7
GTEX-1I1GT-1026-SM-ARZLV 60-69 years, female 7.7
GTEX-1JK1U-0226-SM-ARZMX 60-69 years, male 7.7
GTEX-1KXAM-1626-SM-D3LAD 60-69 years, male 7.7
GTEX-1LG7Y-2526-SM-EWRO7 50-59 years, male 7.7
GTEX-1N5O9-0926-SM-E9J3C 60-69 years, male 7.7
GTEX-13FTY-2126-SM-5IFFB 40-49 years, female 7.6
GTEX-13VXT-1926-SM-5K7UO 20-29 years, female 7.6
GTEX-1B996-0426-SM-7EWF8 60-69 years, male 7.6
GTEX-VUSG-2326-SM-4KL1U 50-59 years, male 7.6
GTEX-XMD2-2126-SM-4YCF8 60-69 years, female 7.6
GTEX-1KAFJ-0126-SM-DIPEK 50-59 years, male 7.6
GTEX-1LSNM-0826-SM-DIPG8 50-59 years, male 7.6
GTEX-1399U-1126-SM-5L3DB 50-59 years, female 7.5
GTEX-145MO-2826-SM-5LU96 60-69 years, male 7.5
GTEX-14LLW-2626-SM-62LDZ 70-79 years, female 7.5
GTEX-14PII-0726-SM-6EU2B 60-69 years, male 7.5
GTEX-14PKU-0126-SM-6LLHV 40-49 years, female 7.5
GTEX-15RJE-2826-SM-7KUM9 40-49 years, male 7.5
GTEX-1EN7A-2426-SM-793DB 40-49 years, male 7.5
GTEX-1F5PL-0926-SM-7PC2W 40-49 years, female 7.5
GTEX-1JMPY-0226-SM-CKZOK 30-39 years, male 7.5
GTEX-12BJ1-0926-SM-5EQ62 60-69 years, male 7.4
GTEX-13112-0126-SM-5P9IU 50-59 years, male 7.4
GTEX-13SLX-2226-SM-62LEP 50-59 years, female 7.4
GTEX-14DAQ-0626-SM-793DS 60-69 years, female 7.4
GTEX-XAJ8-1426-SM-47JYM 40-49 years, male 7.4
GTEX-ZTSS-1426-SM-5985P 40-49 years, male 7.4
GTEX-ZWKS-0626-SM-5GIDV 30-39 years, male 7.4
GTEX-1122O-1026-SM-9WYSF 60-69 years, female 7.4
GTEX-1GMR2-0826-SM-7PC3V 50-59 years, male 7.4
GTEX-1HB9E-0126-SM-CM2S5 50-59 years, male 7.4
GTEX-1HKZK-0726-SM-ACKW2 40-49 years, male 7.4
GTEX-1HUB1-1426-SM-CGQF5 60-69 years, male 7.4
GTEX-1J1OQ-0126-SM-D4P2N 40-49 years, female 7.4
GTEX-1QP2A-1726-SM-E76QC 50-59 years, male 7.4
GTEX-1212Z-0126-SM-59HK4 60-69 years, male 7.3
GTEX-12WSM-1926-SM-5BC65 60-69 years, male 7.3
GTEX-13D11-0926-SM-5J2NC 50-59 years, female 7.3
GTEX-13N1W-2426-SM-5IJD1 70-79 years, male 7.3
GTEX-13OW8-1026-SM-5J1NQ 60-69 years, male 7.3
GTEX-15DDE-2926-SM-6LLJ3 50-59 years, female 7.3
GTEX-1CB4H-1126-SM-7MKGL 60-69 years, female 7.3
GTEX-WYJK-0526-SM-3NM8Z 50-59 years, male 7.3
GTEX-1K9T9-1526-SM-DIPFR 50-59 years, female 7.3
GTEX-1QW4Y-1126-SM-DTXE3 30-39 years, male 7.3
GTEX-14B4R-1326-SM-5Q5EZ 30-39 years, male 7.2
GTEX-14PJ5-1526-SM-6LLIL 60-69 years, female 7.2
GTEX-1A8G7-1326-SM-73KVM 60-69 years, male 7.2
GTEX-XK95-0226-SM-4AT58 40-49 years, male 7.2
GTEX-ZVE2-2826-SM-5GU51 50-59 years, male 7.2
GTEX-ZVZP-1226-SM-5GID7 50-59 years, male 7.2
GTEX-ZY6K-1426-SM-5GZX2 50-59 years, male 7.2
GTEX-1GN2E-0226-SM-9WG6K 60-69 years, male 7.2
GTEX-1H23P-0626-SM-9WG6T 60-69 years, male 7.2
GTEX-1IDJV-0126-SM-COH3Y 60-69 years, male 7.2
GTEX-1LKK1-2626-SM-DKPQE 50-59 years, female 7.2
GTEX-11GSP-2326-SM-5HL63 60-69 years, female 7.1
GTEX-15CHQ-0326-SM-69LQD 60-69 years, male 7.1
GTEX-1K2DU-1226-SM-CYPT4 20-29 years, male 7.1
GTEX-11UD2-2526-SM-5CVNU 50-59 years, male 7.0
GTEX-14C5O-0326-SM-5ZZUX 60-69 years, male 7.0
GTEX-1I6K6-1726-SM-CGQFD 30-39 years, male 7.0
GTEX-1R7EU-1626-SM-DTXG3 60-69 years, male 7.0
GTEX-13OVG-1626-SM-5J1NF 60-69 years, male 6.9
GTEX-1EH9U-2826-SM-7DUGT 60-69 years, male 6.9
GTEX-XUW1-0926-SM-4BONX 50-59 years, female 6.9
GTEX-1CB4I-0126-SM-7RHGG 50-59 years, male 6.9
GTEX-1HCVE-2726-SM-CL54F 50-59 years, male 6.9
GTEX-1MCYP-0526-SM-E9U6Q 20-29 years, female 6.9
GTEX-1R46S-2426-SM-E76QA 60-69 years, female 6.9
GTEX-1S3DN-2126-SM-E9TIN 50-59 years, male 6.9
GTEX-13IVO-0726-SM-5LZYV 70-79 years, male 6.8
GTEX-13NYC-0126-SM-5L3F4 60-69 years, male 6.8
GTEX-ZVE1-0726-SM-51MRN 50-59 years, female 6.8
GTEX-13PDP-0726-SM-5L3HP 60-69 years, male 6.7
GTEX-1AMFI-1326-SM-7939R 50-59 years, female 6.7
GTEX-XPVG-2126-SM-4B667 50-59 years, male 6.7
GTEX-1HBPN-0126-SM-CGQEF 50-59 years, male 6.7
GTEX-1JJE9-2626-SM-ARZMT 70-79 years, male 6.7
GTEX-1I1GU-0926-SM-ACKVS 40-49 years, male 6.6
GTEX-1LGRB-0926-SM-COH3K 50-59 years, female 6.6
GTEX-11TUW-0626-SM-5LU9M 60-69 years, male 6.5
GTEX-17HHE-1326-SM-7EWDZ 50-59 years, male 6.5
GTEX-1GN1U-0626-SM-9MQL9 50-59 years, female 6.5
GTEX-1HR9M-2226-SM-CNPPY 60-69 years, male 6.5
GTEX-1J1R8-2026-SM-CL53Y 40-49 years, male 6.5
GTEX-12WSA-0426-SM-5EQ5X 60-69 years, male 6.4
GTEX-13OVH-0526-SM-5L3E6 70-79 years, male 6.4
GTEX-1A3MX-2626-SM-7PC24 60-69 years, male 6.4
GTEX-1F88E-1626-SM-7SB8Z 60-69 years, female 6.4
GTEX-1HCU8-2526-SM-CE6RX 60-69 years, female 6.4
GTEX-16XZZ-0726-SM-7KUF2 60-69 years, male 6.3
GTEX-1C2JI-1026-SM-73KY1 50-59 years, male 6.3
GTEX-Y9LG-1126-SM-4VBQ7 30-39 years, male 6.3
GTEX-ZU9S-1826-SM-5NQ9E 30-39 years, male 6.3
GTEX-1F5PK-2226-SM-7SB6N 50-59 years, male 6.3
GTEX-ZLV1-1526-SM-DO91J 60-69 years, female 6.3
GTEX-12696-0126-SM-5EQ4L 60-69 years, male 6.2
GTEX-12ZZZ-0726-SM-5GCNZ 60-69 years, male 6.2
GTEX-17HII-1426-SM-7EPGG 50-59 years, male 6.2
GTEX-V1D1-2026-SM-3GAF4 50-59 years, male 6.2
GTEX-1I4MK-0126-SM-CY8G6 50-59 years, female 6.2
GTEX-1HBPM-0726-SM-9YFL7 60-69 years, female 6.1
GTEX-1HFI7-2326-SM-CGQFS 50-59 years, female 6.1
GTEX-1JJ6O-2726-SM-CNPOG 60-69 years, male 6.1
GTEX-Y5LM-0926-SM-6LLJG 40-49 years, female 6.0
GTEX-ZVT2-0126-SM-5GIDQ 50-59 years, female 5.9
GTEX-1H3VE-0726-SM-9YFL5 40-49 years, male 5.8
GTEX-11EQ8-0926-SM-5H12V 60-69 years, male 5.6
GTEX-13QJC-0126-SM-5ZZWJ 60-69 years, female 5.6
GTEX-1IDFM-0326-SM-ARL7V 60-69 years, male 5.6
GTEX-1AMEY-0826-SM-72D65 30-39 years, female 5.5
GTEX-ZYY3-2926-SM-5GIEB 60-69 years, female 5.5
GTEX-14DAR-1226-SM-73KYV 50-59 years, male 5.4
GTEX-13NZ8-1226-SM-5KM4A 60-69 years, female 5.3
GTEX-1CB4J-1326-SM-7P8RX 60-69 years, male 5.3
GTEX-1J8Q2-2626-SM-ACKWQ 60-69 years, male 5.2
GTEX-1PPH7-1126-SM-DTX9A 40-49 years, male 5.2
GTEX-13W3W-0726-SM-5IJDQ 60-69 years, female 5.1
GTEX-ZF29-0926-SM-4WKFZ 60-69 years, female 5.1
GTEX-14PJ4-0226-SM-5YY92 60-69 years, male 4.9
GTEX-1JN6P-2926-SM-CL54D 60-69 years, male 4.8
GTEX-145MI-0626-SM-5SI8S 60-69 years, female 4.6
GTEX-1F6RS-2026-SM-7RHHC 60-69 years, female 4.3
Show allShow less
Skin - Sun Exposed (Lower leg)
Average nTPM: 9.3
Samples: 701

Max nTPM: 18.2
Min nTPM: 4.0
Std nTPM: 2.2
Median nTPM: 9.2
GTEX-Y3IK-2426-SM-4WWDU 50-59 years, female 18.2
GTEX-13CF2-2526-SM-5LZYX 60-69 years, male 17.2
GTEX-11DXZ-2326-SM-5EGGV 50-59 years, male 16.5
GTEX-1MA7X-2226-SM-E6CIY 60-69 years, male 16.3
GTEX-S33H-1026-SM-EZ6L6 30-39 years, male 16.1
GTEX-T6MN-0126-SM-32PLP 50-59 years, male 16.0
GTEX-ZTPG-0326-SM-5O9AX 20-29 years, female 15.8
GTEX-PLZ4-0126-SM-5SI8O 50-59 years, female 15.7
GTEX-144GN-2326-SM-5LU4F 50-59 years, male 15.6
GTEX-1CAV2-2226-SM-7P8P2 40-49 years, female 15.4
GTEX-1HR98-0126-SM-B2LWI 60-69 years, male 15.4
GTEX-13G51-2526-SM-5LZYK 60-69 years, male 15.3
GTEX-Y3I4-2126-SM-4TT7C 50-59 years, male 15.3
GTEX-1PWST-0226-SM-E76QJ 70-79 years, male 15.0
GTEX-1EMGI-0126-SM-9KNUE 60-69 years, male 14.8
GTEX-W5X1-3026-SM-EAZAX 40-49 years, female 14.7
GTEX-18A7A-0226-SM-718BH 50-59 years, female 14.6
GTEX-ZDXO-3026-SM-5J1N5 60-69 years, male 14.6
GTEX-1HFI6-0226-SM-ADEHZ 40-49 years, male 14.6
GTEX-Q734-1926-SM-2I5EV 40-49 years, female 14.3
GTEX-12ZZX-0126-SM-5EGK9 40-49 years, female 14.2
GTEX-PX3G-0126-SM-2I3EN 20-29 years, female 14.2
GTEX-12584-0126-SM-5EGKQ 40-49 years, male 14.1
GTEX-1AYD5-2426-SM-73KXR 50-59 years, male 14.0
GTEX-ZDYS-2026-SM-5HL5L 50-59 years, male 14.0
GTEX-ZVTK-0426-SM-51MRS 20-29 years, male 14.0
GTEX-1F48J-0126-SM-7P8TT 50-59 years, female 14.0
GTEX-S7PM-0126-SM-4AD6S 60-69 years, male 13.9
GTEX-1B8L1-2526-SM-9WYTF 60-69 years, male 13.9
GTEX-X88G-0126-SM-47JZ3 30-39 years, male 13.6
GTEX-13FHP-0126-SM-5IJBG 50-59 years, male 13.5
GTEX-1J8EW-0126-SM-CJI4F 60-69 years, female 13.4
GTEX-13FXS-0226-SM-5IJCK 50-59 years, male 13.3
GTEX-XV7Q-2526-SM-4BRV9 40-49 years, female 13.3
GTEX-1H3VE-0326-SM-9YFLH 40-49 years, male 13.3
GTEX-QDT8-0126-SM-48TZ1 30-39 years, female 13.2
GTEX-1ICLZ-0126-SM-CKZPO 60-69 years, male 13.2
GTEX-14PJM-0226-SM-62LF1 50-59 years, female 13.1
GTEX-X4EP-0126-SM-3P5YV 60-69 years, female 13.1
GTEX-ZUA1-0126-SM-5GU76 40-49 years, male 13.1
GTEX-ZVT3-0126-SM-5GU6I 60-69 years, female 13.1
GTEX-1497J-2426-SM-7IGNX 60-69 years, male 13.0
GTEX-Y114-2426-SM-4TT8A 50-59 years, female 13.0
GTEX-1KD4Q-0226-SM-E9TJ9 40-49 years, male 13.0
GTEX-11TTK-0126-SM-5987B 60-69 years, female 12.9
GTEX-1A32A-0126-SM-718B1 50-59 years, female 12.8
GTEX-ZAK1-0126-SM-5IJD3 50-59 years, female 12.8
GTEX-ZV68-0126-SM-59HKS 50-59 years, female 12.8
GTEX-14JIY-0126-SM-6LLH6 60-69 years, male 12.7
GTEX-Y111-0126-SM-4SOIV 50-59 years, male 12.7
GTEX-1CB4F-0426-SM-9KNV4 60-69 years, male 12.7
GTEX-1CB4G-0226-SM-7PC3O 60-69 years, male 12.7
GTEX-1H2FU-0126-SM-9WYSI 60-69 years, female 12.7
GTEX-1I1GV-0526-SM-A9G29 60-69 years, male 12.7
GTEX-113IC-0126-SM-5HL6T 60-69 years, male 12.5
GTEX-12KS4-0326-SM-5EQ41 30-39 years, male 12.5
GTEX-Y8DK-0126-SM-4TT3L 60-69 years, male 12.5
GTEX-U8XE-0326-SM-3DB8P 30-39 years, male 12.4
GTEX-ZVT2-2526-SM-51MT1 50-59 years, female 12.4
GTEX-15SB6-1726-SM-6PAME 50-59 years, female 12.3
GTEX-17HHY-0126-SM-7LG5D 50-59 years, male 12.3
GTEX-P4PP-0126-SM-3LK69 30-39 years, female 12.3
GTEX-ZY6K-1826-SM-5GZXK 50-59 years, male 12.3
GTEX-TML8-1926-SM-32QOS 40-49 years, female 12.2
GTEX-TMZS-0126-SM-3DB9Q 60-69 years, male 12.2
GTEX-X638-0126-SM-47JZ8 70-79 years, female 12.2
GTEX-1J8JJ-0226-SM-CL53I 60-69 years, female 12.2
GTEX-1R9K4-0126-SM-DTX9X 60-69 years, male 12.2
GTEX-1314G-1526-SM-5EGK2 30-39 years, male 12.1
GTEX-YJ8A-0426-SM-5IFID 20-29 years, male 12.1
GTEX-1F6I4-0126-SM-9MQL2 60-69 years, male 12.1
GTEX-1F6IF-0726-SM-7P8TW 60-69 years, male 12.1
GTEX-1192X-0226-SM-5H12D 50-59 years, male 12.0
GTEX-11OF3-2626-SM-5GU7F 60-69 years, male 12.0
GTEX-144FL-0126-SM-5TDC8 50-59 years, male 12.0
GTEX-146FQ-0126-SM-5NQA9 30-39 years, male 12.0
GTEX-1EX96-1626-SM-7PBXR 50-59 years, male 12.0
GTEX-1IL2U-0226-SM-CE6T8 60-69 years, male 12.0
GTEX-1KD5A-0226-SM-D5OV3 50-59 years, male 12.0
GTEX-14753-0426-SM-5NQAM 60-69 years, male 11.9
GTEX-17F98-0626-SM-79OMX 40-49 years, female 11.9
GTEX-1AX8Z-0126-SM-7DHM6 60-69 years, male 11.9
GTEX-1B8SF-1426-SM-7DUGL 60-69 years, male 11.9
GTEX-POMQ-2226-SM-2I5FK 20-29 years, female 11.9
GTEX-XQ8I-0426-SM-4BOPO 50-59 years, male 11.9
GTEX-ZE9C-2726-SM-57WB5 60-69 years, male 11.9
GTEX-1C6WA-0126-SM-7PC2B 60-69 years, male 11.9
GTEX-1GN73-0226-SM-9WG67 60-69 years, male 11.9
GTEX-1ICG6-2526-SM-CGQFZ 70-79 years, female 11.9
GTEX-11DYG-0126-SM-59883 60-69 years, male 11.8
GTEX-11NUK-0126-SM-5A5L3 50-59 years, male 11.8
GTEX-11ZVC-2526-SM-5FQTE 50-59 years, female 11.8
GTEX-13VXT-0126-SM-5LU4I 20-29 years, female 11.8
GTEX-QEG4-0226-SM-2S1PY 30-39 years, male 11.8
GTEX-1H3O1-0426-SM-9YFKY 60-69 years, male 11.8
GTEX-1QP67-1626-SM-EAZ3X 40-49 years, female 11.8
GTEX-11DXW-0226-SM-5H122 40-49 years, male 11.7
GTEX-13FTW-2626-SM-5K7WL 40-49 years, male 11.7
GTEX-145MN-2226-SM-5SIAU 30-39 years, male 11.7
GTEX-14ICK-0226-SM-6EU25 40-49 years, male 11.7
GTEX-16GPK-0126-SM-7DHLE 60-69 years, male 11.7
GTEX-1BAJH-0526-SM-793CQ 70-79 years, male 11.7
GTEX-XUZC-1726-SM-4BRWS 30-39 years, female 11.7
GTEX-ZF28-0126-SM-4WKGK 60-69 years, male 11.7
GTEX-1EKGG-0226-SM-9WYTH 60-69 years, male 11.7
GTEX-1GZHY-0326-SM-9QEHI 50-59 years, female 11.7
GTEX-1QMI2-0226-SM-EVYBX 60-69 years, male 11.7
GTEX-ZF3C-0126-SM-DO92D 50-59 years, female 11.7
GTEX-ZQG8-1626-SM-DHXIT 60-69 years, female 11.7
GTEX-SIU8-0126-SM-2XCDT 50-59 years, male 11.6
GTEX-SSA3-0126-SM-32QPU 60-69 years, male 11.6
GTEX-RVPV-0126-SM-EAZAW 60-69 years, male 11.6
GTEX-11UD1-0126-SM-5PNYG 40-49 years, female 11.5
GTEX-ZC5H-0226-SM-4WAY9 40-49 years, female 11.5
GTEX-1IY9M-0126-SM-D3L8S 60-69 years, male 11.5
GTEX-111VG-2426-SM-5GZXD 60-69 years, male 11.4
GTEX-12WSD-0126-SM-59HKN 60-69 years, female 11.4
GTEX-139UW-2826-SM-5L3E7 60-69 years, male 11.4
GTEX-13FHO-0226-SM-5IFGY 60-69 years, male 11.4
GTEX-13OW7-0126-SM-5MR3B 50-59 years, male 11.4
GTEX-15DYW-0126-SM-7KULE 60-69 years, female 11.4
GTEX-18A6Q-0126-SM-731BZ 60-69 years, male 11.4
GTEX-QDVN-2026-SM-3GAEP 50-59 years, male 11.4
GTEX-ZE7O-0126-SM-57WC1 50-59 years, female 11.4
GTEX-OOBJ-0126-SM-E6CJW 60-69 years, male 11.4
GTEX-11O72-0126-SM-59887 40-49 years, male 11.3
GTEX-1HCU6-0126-SM-CL54K 60-69 years, female 11.3
GTEX-1K2DA-1826-SM-CGQGT 50-59 years, male 11.3
GTEX-1M4P7-0226-SM-DIPEV 60-69 years, male 11.3
GTEX-132NY-0326-SM-5IJBL 60-69 years, male 11.2
GTEX-13OVG-1926-SM-5L3DK 60-69 years, male 11.2
GTEX-17F97-0326-SM-7LG5B 50-59 years, male 11.2
GTEX-1IOXB-0126-SM-ARL8G 50-59 years, male 11.2
GTEX-ZVT4-0126-SM-DTXFN 50-59 years, female 11.2
GTEX-14ABY-0226-SM-5TDCQ 50-59 years, male 11.1
GTEX-RN64-0126-SM-2TC68 50-59 years, male 11.1
GTEX-SUCS-1926-SM-32PM3 70-79 years, male 11.1
GTEX-T5JC-0426-SM-32PLO 20-29 years, male 11.1
GTEX-VJYA-1126-SM-3GIJU 60-69 years, male 11.1
GTEX-WZTO-0126-SM-3NM95 40-49 years, male 11.1
GTEX-XBED-2226-SM-47JYQ 60-69 years, male 11.1
GTEX-ZVE2-0226-SM-59HJB 50-59 years, male 11.1
GTEX-1H3NZ-0126-SM-ACKX7 60-69 years, male 11.1
GTEX-1192W-2626-SM-5Q5AF 60-69 years, male 11.0
GTEX-147F4-0226-SM-5QGPW 50-59 years, male 11.0
GTEX-14BIN-0626-SM-793DP 50-59 years, female 11.0
GTEX-14JG1-0426-SM-6ETZZ 40-49 years, male 11.0
GTEX-14PHX-2326-SM-62LEM 50-59 years, male 11.0
GTEX-15G19-0126-SM-6PANQ 60-69 years, male 11.0
GTEX-O5YT-0126-SM-48TBW 20-29 years, male 11.0
GTEX-OHPL-0126-SM-2HMJ7 60-69 years, female 11.0
GTEX-WY7C-2326-SM-3NB2U 50-59 years, male 11.0
GTEX-1EWIQ-0126-SM-7RHH2 70-79 years, female 11.0
GTEX-1F88F-2726-SM-7PBZZ 60-69 years, female 11.0
GTEX-1GMR8-0126-SM-9WYTM 50-59 years, female 11.0
GTEX-1I1CD-0126-SM-CM2TK 60-69 years, female 11.0
GTEX-OIZF-0126-SM-7SB8I 60-69 years, male 11.0
GTEX-117YW-2626-SM-5GZZH 50-59 years, male 10.9
GTEX-11GSP-2526-SM-5N9BP 60-69 years, female 10.9
GTEX-11XUK-2026-SM-5EQLF 40-49 years, female 10.9
GTEX-12WSK-2326-SM-5GCOH 40-49 years, female 10.9
GTEX-1399U-2326-SM-5K7WY 50-59 years, female 10.9
GTEX-13OVL-0226-SM-5L3E9 50-59 years, male 10.9
GTEX-13VXU-0126-SM-5SI9F 50-59 years, male 10.9
GTEX-1MJK2-0426-SM-DTXE5 50-59 years, male 10.9
GTEX-11ZTS-0126-SM-5EQ6M 60-69 years, female 10.8
GTEX-17JCI-0126-SM-7LG5G 60-69 years, female 10.8
GTEX-R55G-2526-SM-2TC6D 40-49 years, female 10.8
GTEX-RTLS-0126-SM-447CA 60-69 years, female 10.8
GTEX-T2IS-0126-SM-4DM6O 20-29 years, female 10.8
GTEX-ZYT6-0226-SM-5NQ6T 30-39 years, male 10.8
GTEX-11ZTT-2426-SM-5EQLS 60-69 years, female 10.7
GTEX-139T8-0126-SM-5K7XZ 60-69 years, male 10.7
GTEX-13N11-2526-SM-5K7UE 50-59 years, female 10.7
GTEX-183FY-0126-SM-7LT9P 20-29 years, male 10.7
GTEX-PVOW-0126-SM-2XCFA 40-49 years, male 10.7
GTEX-YEC4-2126-SM-5IFJH 40-49 years, male 10.7
GTEX-ZYW4-0126-SM-5E44A 60-69 years, male 10.7
GTEX-1JMQI-2226-SM-CM2SD 50-59 years, male 10.7
GTEX-1N2DW-0226-SM-E9TK2 50-59 years, male 10.7
GTEX-1QEPI-0126-SM-EWRMQ 60-69 years, female 10.7
GTEX-QLQW-1126-SM-2S1Q8 30-39 years, male 10.6
GTEX-RWS6-2026-SM-2XCB5 60-69 years, female 10.6
GTEX-W5WG-1826-SM-4KL2Y 50-59 years, female 10.6
GTEX-ZEX8-2426-SM-4WKG4 50-59 years, male 10.6
GTEX-ZVZO-0126-SM-5A5L9 40-49 years, male 10.6
GTEX-1GZ2Q-0226-SM-7P8TL 40-49 years, male 10.6
GTEX-1H3VY-0126-SM-ACKXD 50-59 years, male 10.6
GTEX-1QP9N-1426-SM-DTXFL 30-39 years, male 10.6
GTEX-1R9PM-2026-SM-E76OY 20-29 years, male 10.6
GTEX-1RQEC-0426-SM-E6CHU 60-69 years, male 10.6
GTEX-13111-1626-SM-5EGJY 50-59 years, male 10.5
GTEX-139T4-0226-SM-5HL5S 50-59 years, female 10.5
GTEX-145MF-0626-SM-5LUAI 50-59 years, male 10.5
GTEX-15SDE-2226-SM-7IGLO 50-59 years, female 10.5
GTEX-OOBK-0126-SM-2YUND 40-49 years, male 10.5
GTEX-RUSQ-1526-SM-2TF62 50-59 years, male 10.5
GTEX-WI4N-1026-SM-3LK7N 40-49 years, female 10.5
GTEX-XUYS-0126-SM-47JWZ 50-59 years, male 10.5
GTEX-YB5K-2126-SM-4WWDJ 40-49 years, female 10.5
GTEX-1GMRU-0126-SM-9YFLV 50-59 years, male 10.5
GTEX-1JMQJ-0526-SM-CYPSU 50-59 years, male 10.5
GTEX-11GS4-2726-SM-5A5LE 60-69 years, male 10.4
GTEX-12WSN-5019-SM-79OM6 40-49 years, male 10.4
GTEX-1313W-0126-SM-5LZUN 50-59 years, female 10.4
GTEX-131YS-0126-SM-5KM1M 60-69 years, female 10.4
GTEX-139TS-2826-SM-5J1OO 60-69 years, male 10.4
GTEX-13OVJ-0126-SM-5KM36 50-59 years, female 10.4
GTEX-17EVQ-0226-SM-7LG4P 70-79 years, male 10.4
GTEX-1CAMR-1926-SM-7EPI2 20-29 years, male 10.4
GTEX-Y5V6-2426-SM-4VDSB 60-69 years, male 10.4
GTEX-YJ89-0126-SM-4TT3X 60-69 years, male 10.4
GTEX-1HSKV-0226-SM-A9SKJ 60-69 years, male 10.4
GTEX-1IDJF-0126-SM-CM2RS 20-29 years, male 10.4
GTEX-1PIGE-0126-SM-EVYBJ 20-29 years, male 10.4
GTEX-117YX-2326-SM-5H12W 50-59 years, male 10.3
GTEX-11WQC-2526-SM-5CVLE 60-69 years, male 10.3
GTEX-145LU-0126-SM-5TDCB 50-59 years, male 10.3
GTEX-14PK6-1926-SM-6ETZU 70-79 years, female 10.3
GTEX-16XZY-2126-SM-79OK1 70-79 years, male 10.3
GTEX-OIZG-0726-SM-33HBL 50-59 years, male 10.3
GTEX-S7SE-0126-SM-2XCD5 50-59 years, male 10.3
GTEX-TKQ1-1026-SM-4GICL 30-39 years, male 10.3
GTEX-U3ZH-2026-SM-3DB78 30-39 years, male 10.3
GTEX-WH7G-2326-SM-3NMBC 40-49 years, male 10.3
GTEX-XYKS-2126-SM-4E3IB 60-69 years, female 10.3
GTEX-ZDTS-0126-SM-4WAY5 60-69 years, male 10.3
GTEX-146FR-1326-SM-E9J48 60-69 years, female 10.3
GTEX-1GZ4H-1726-SM-7PBZJ 50-59 years, female 10.3
GTEX-1H1CY-2826-SM-9MQM3 60-69 years, female 10.3
GTEX-1HB9E-0226-SM-E9U4R 50-59 years, male 10.3
GTEX-1HCUA-2426-SM-ADEIS 50-59 years, female 10.3
GTEX-1RAZA-0126-SM-E6CI3 20-29 years, male 10.3
GTEX-111FC-0126-SM-5N9DL 60-69 years, male 10.2
GTEX-11P7K-2126-SM-5GU7G 30-39 years, male 10.2
GTEX-13OVI-1426-SM-5L3EY 60-69 years, female 10.2
GTEX-13X6H-2126-SM-7EWD5 50-59 years, female 10.2
GTEX-15D1Q-0126-SM-7KUG6 40-49 years, male 10.2
GTEX-1B8KZ-2026-SM-7DHMB 50-59 years, male 10.2
GTEX-1GN2E-0426-SM-9MQKX 60-69 years, male 10.2
GTEX-1HBPH-0426-SM-B2LW5 40-49 years, female 10.2
GTEX-1RAZQ-0726-SM-EAZ43 30-39 years, male 10.2
GTEX-113JC-2326-SM-5EQ4E 50-59 years, female 10.1
GTEX-11P81-2326-SM-59875 30-39 years, female 10.1
GTEX-11P82-1626-SM-59879 20-29 years, male 10.1
GTEX-12WSL-2526-SM-5GCNJ 50-59 years, male 10.1
GTEX-1399R-2726-SM-5IJBA 30-39 years, male 10.1
GTEX-13NZA-0226-SM-5K7Z7 60-69 years, male 10.1
GTEX-13O3P-0126-SM-5KM4S 50-59 years, male 10.1
GTEX-15SHU-0126-SM-7KUEH 40-49 years, female 10.1
GTEX-18D9U-0226-SM-718BP 40-49 years, male 10.1
GTEX-Q2AI-1326-SM-2S1PL 40-49 years, male 10.1
GTEX-QDVJ-1726-SM-2I5FX 50-59 years, male 10.1
GTEX-QVJO-1626-SM-2S1QW 60-69 years, female 10.1
GTEX-T6MO-1626-SM-32QOM 40-49 years, female 10.1
GTEX-U4B1-1826-SM-4DXSU 40-49 years, male 10.1
GTEX-X4EO-0326-SM-3P5YO 60-69 years, female 10.1
GTEX-1CAMS-0426-SM-7P8T2 40-49 years, female 10.1
GTEX-1HBPI-1526-SM-C1YQ1 50-59 years, male 10.1
GTEX-1KANB-0526-SM-E6CJH 50-59 years, male 10.1
GTEX-1POEN-0126-SM-EYYXJ 30-39 years, female 10.1
GTEX-139D8-0226-SM-5KLZO 30-39 years, female 10.0
GTEX-1AX9J-0226-SM-73KXM 60-69 years, male 10.0
GTEX-QV44-1926-SM-2S1RF 50-59 years, male 10.0
GTEX-XXEK-2226-SM-4BRUM 50-59 years, male 10.0
GTEX-YFC4-0126-SM-5CVLY 40-49 years, female 10.0
GTEX-1JKYN-1326-SM-CGQG9 30-39 years, male 10.0
GTEX-1JMPY-1326-SM-ARL8Y 30-39 years, male 10.0
GTEX-1QW4Y-1526-SM-EAZ3Z 30-39 years, male 10.0
GTEX-11TT1-2526-SM-5EGIB 20-29 years, male 9.9
GTEX-13YAN-0326-SM-5O9DF 60-69 years, male 9.9
GTEX-OXRP-0126-SM-3NB32 60-69 years, female 9.9
GTEX-Q2AG-0126-SM-33HBV 40-49 years, female 9.9
GTEX-RU72-0926-SM-2TF6B 50-59 years, female 9.9
GTEX-Y5V5-2326-SM-4V6GA 60-69 years, female 9.9
GTEX-ZYFD-0126-SM-5GIDL 50-59 years, male 9.9
GTEX-1F75A-0126-SM-7RHGM 50-59 years, male 9.9
GTEX-1I1GS-0126-SM-B2LVW 60-69 years, male 9.9
GTEX-1LC47-0326-SM-E9TJP 60-69 years, male 9.9
GTEX-1RLM8-2326-SM-EWRN4 50-59 years, male 9.9
GTEX-12126-0326-SM-5PNW3 20-29 years, male 9.8
GTEX-13X6I-0626-SM-5QGP9 60-69 years, male 9.8
GTEX-14XAO-2326-SM-6EU1B 60-69 years, female 9.8
GTEX-X4XY-0226-SM-4E3IZ 60-69 years, male 9.8
GTEX-ZAB4-0226-SM-5N9F5 40-49 years, male 9.8
GTEX-13OW5-0126-SM-DTXFS 60-69 years, male 9.8
GTEX-1AX9I-0126-SM-7SB74 60-69 years, male 9.8
GTEX-1NV5F-0226-SM-E8VNY 60-69 years, female 9.8
GTEX-11DXX-2426-SM-5GZZW 60-69 years, female 9.7
GTEX-12C56-1726-SM-5EQ61 20-29 years, male 9.7
GTEX-13OW6-0426-SM-5L3HM 50-59 years, male 9.7
GTEX-17HGU-0226-SM-7DHKV 50-59 years, male 9.7
GTEX-NPJ8-0126-SM-2YUNR 40-49 years, male 9.7
GTEX-1OJC4-0126-SM-E9J2E 50-59 years, female 9.7
GTEX-PSDG-0226-SM-DKPOZ 50-59 years, male 9.7
GTEX-11ZUS-0626-SM-59885 30-39 years, male 9.6
GTEX-12WSJ-1826-SM-5GCNY 40-49 years, female 9.6
GTEX-12ZZY-0226-SM-5LZVE 60-69 years, male 9.6
GTEX-15SHW-0326-SM-6PAML 60-69 years, male 9.6
GTEX-18A66-0226-SM-718BD 60-69 years, male 9.6
GTEX-XQ3S-1526-SM-4BOOC 20-29 years, male 9.6
GTEX-Y8E4-0626-SM-4WWDL 40-49 years, male 9.6
GTEX-1J1OQ-0226-SM-CYPSH 40-49 years, female 9.6
GTEX-13112-2826-SM-5DUWH 50-59 years, male 9.5
GTEX-14BIL-0126-SM-5SI92 50-59 years, male 9.5
GTEX-16YQH-0126-SM-7DUFJ 30-39 years, male 9.5
GTEX-17EUY-0426-SM-793BD 20-29 years, male 9.5
GTEX-WYJK-0126-SM-3NMAB 50-59 years, male 9.5
GTEX-XAJ8-0826-SM-47JY6 40-49 years, male 9.5
GTEX-1I19N-0326-SM-ACKVX 70-79 years, male 9.5
GTEX-11EI6-0126-SM-5985R 60-69 years, male 9.4
GTEX-1269C-2526-SM-5EGJ3 60-69 years, female 9.4
GTEX-145LV-2126-SM-5LU8N 50-59 years, male 9.4
GTEX-147GR-0526-SM-5S2MY 60-69 years, male 9.4
GTEX-14E6D-0126-SM-62LDV 50-59 years, male 9.4
GTEX-18465-0126-SM-731BN 50-59 years, male 9.4
GTEX-1CB4E-2226-SM-793DC 60-69 years, male 9.4
GTEX-OXRK-0226-SM-3NB2G 50-59 years, female 9.4
GTEX-R55E-0126-SM-2TC5Y 20-29 years, male 9.4
GTEX-WVJS-0126-SM-4MVOT 50-59 years, male 9.4
GTEX-ZZPT-0226-SM-5E43X 50-59 years, male 9.4
GTEX-1C6VQ-0126-SM-7P8RI 50-59 years, male 9.4
GTEX-1GN1U-0126-SM-7PBZK 50-59 years, female 9.4
GTEX-1I6K6-0126-SM-A9SLE 30-39 years, male 9.4
GTEX-1PBJI-0526-SM-E8VNK 20-29 years, female 9.4
GTEX-13D11-2426-SM-5KM1V 50-59 years, female 9.3
GTEX-13SLW-0126-SM-5SI6C 70-79 years, male 9.3
GTEX-14BMV-0126-SM-5S2PO 50-59 years, male 9.3
GTEX-15F5U-1526-SM-6PANO 40-49 years, male 9.3
GTEX-O5YW-0126-SM-3LK6D 50-59 years, male 9.3
GTEX-SJXC-0126-SM-2XCFF 60-69 years, male 9.3
GTEX-ZTX8-1426-SM-5DUVO 20-29 years, male 9.3
GTEX-1B933-0126-SM-7PC29 50-59 years, female 9.3
GTEX-1B996-0226-SM-7RHGO 60-69 years, male 9.3
GTEX-1HSMP-0126-SM-E6CJS 70-79 years, male 9.3
GTEX-11OC5-0126-SM-5HL6A 60-69 years, male 9.2
GTEX-11UD2-0226-SM-5EQKY 50-59 years, male 9.2
GTEX-14PJ3-1826-SM-62LEX 50-59 years, male 9.2
GTEX-OXRN-0126-SM-48TDM 50-59 years, male 9.2
GTEX-Q2AH-1626-SM-3GAF8 40-49 years, male 9.2
GTEX-RWSA-0126-SM-2XCBB 40-49 years, male 9.2
GTEX-U3ZM-1526-SM-3DB9D 40-49 years, male 9.2
GTEX-U412-0426-SM-3DB9O 60-69 years, male 9.2
GTEX-WXYG-2326-SM-4E3I6 50-59 years, female 9.2
GTEX-YB5E-2026-SM-5IFIS 40-49 years, male 9.2
GTEX-1EU9M-0226-SM-7P8SP 60-69 years, male 9.2
GTEX-1ICLY-0126-SM-D4P36 50-59 years, male 9.2
GTEX-1LB8K-0226-SM-EWRNW 50-59 years, male 9.2
GTEX-1LNCM-1126-SM-E9U5E 50-59 years, female 9.2
GTEX-1N2DV-0226-SM-E6CJ6 40-49 years, male 9.2
GTEX-1RDX4-0126-SM-E9J4P 50-59 years, female 9.2
GTEX-11DXY-2626-SM-5GIE7 60-69 years, male 9.1
GTEX-13NYS-0126-SM-5MR3W 60-69 years, male 9.1
GTEX-145LT-1726-SM-5QGP3 40-49 years, male 9.1
GTEX-VUSG-2526-SM-4KL1V 50-59 years, male 9.1
GTEX-1H11D-0226-SM-9WG6Z 40-49 years, male 9.1
GTEX-1PFEY-1526-SM-E76PP 30-39 years, male 9.1
GTEX-1QAET-0926-SM-E76QM 50-59 years, male 9.1
GTEX-1S82Z-0826-SM-E6CHY 30-39 years, female 9.1
GTEX-11DZ1-0126-SM-5985Q 50-59 years, male 9.0
GTEX-1399T-2826-SM-5KLYZ 60-69 years, male 9.0
GTEX-13N1W-0126-SM-5K7VT 70-79 years, male 9.0
GTEX-13O21-1426-SM-5K7XI 50-59 years, male 9.0
GTEX-13QJ3-0326-SM-5S2RA 50-59 years, male 9.0
GTEX-14A6H-0126-SM-5QGPK 30-39 years, male 9.0
GTEX-15DCD-0126-SM-7KUEK 70-79 years, female 9.0
GTEX-17F96-1626-SM-7DUFL 70-79 years, male 9.0
GTEX-17MF6-0126-SM-7LG4F 40-49 years, male 9.0
GTEX-18QFQ-0126-SM-731BE 30-39 years, male 9.0
GTEX-1C6VR-2426-SM-79OLD 60-69 years, male 9.0
GTEX-P4PQ-0126-SM-2S1NM 60-69 years, male 9.0
GTEX-X4XX-0126-SM-3NMC2 60-69 years, male 9.0
GTEX-1C64O-0126-SM-7SB8P 60-69 years, male 9.0
GTEX-1HKZK-0326-SM-9WYUH 40-49 years, male 9.0
GTEX-1HUB1-0426-SM-E9U4U 60-69 years, male 9.0
GTEX-1IKK5-0626-SM-ARL8A 60-69 years, male 9.0
GTEX-1PIIG-0226-SM-EWRN6 30-39 years, male 9.0
GTEX-1S82Y-2026-SM-EVYCM 40-49 years, male 9.0
GTEX-1211K-2026-SM-5EQ4Z 60-69 years, female 8.9
GTEX-OXRL-0126-SM-2YUMP 50-59 years, male 8.9
GTEX-QCQG-1726-SM-3GIJ9 50-59 years, female 8.9
GTEX-Z93T-0126-SM-5HL5N 50-59 years, male 8.9
GTEX-1HBPN-0226-SM-9YFM1 50-59 years, male 8.9
GTEX-1HT8W-0126-SM-CNPPP 30-39 years, male 8.9
GTEX-1I1GR-0126-SM-CL55F 60-69 years, male 8.9
GTEX-1JJEA-0326-SM-CNPOT 60-69 years, male 8.9
GTEX-1S3DN-2226-SM-EVYCD 50-59 years, male 8.9
GTEX-PWCY-1826-SM-DHXIZ 20-29 years, female 8.9
GTEX-14PHW-0126-SM-6LLJI 60-69 years, female 8.8
GTEX-14PII-0226-SM-6EU1T 60-69 years, male 8.8
GTEX-17KNJ-2326-SM-7DHLQ 50-59 years, male 8.8
GTEX-PLZ5-2026-SM-2S1O4 50-59 years, male 8.8
GTEX-QLQ7-1626-SM-2S1R8 60-69 years, male 8.8
GTEX-T2YK-0526-SM-32QPJ 50-59 years, male 8.8
GTEX-X8HC-0126-SM-4E3JW 50-59 years, female 8.8
GTEX-1F7RK-0126-SM-7PC2S 20-29 years, female 8.8
GTEX-1HSGN-0226-SM-CGQFV 40-49 years, female 8.8
GTEX-1I1HK-0126-SM-COH49 60-69 years, male 8.8
GTEX-1JMQK-0226-SM-CL543 60-69 years, male 8.8
GTEX-131XE-2326-SM-5PNZ2 50-59 years, male 8.7
GTEX-13SLX-0526-SM-5S2ON 50-59 years, female 8.7
GTEX-16AAH-1726-SM-7939C 50-59 years, male 8.7
GTEX-16MT8-0426-SM-7KUEY 60-69 years, female 8.7
GTEX-1AX9K-2326-SM-73KWU 50-59 years, male 8.7
GTEX-T8EM-1026-SM-3DB7M 40-49 years, male 8.7
GTEX-1GF9X-2026-SM-7PC3A 40-49 years, female 8.7
GTEX-1IDJH-0326-SM-A9SLQ 70-79 years, male 8.7
GTEX-1PPH8-0226-SM-E8VND 20-29 years, male 8.7
GTEX-R45C-0126-SM-EAZ2R 60-69 years, female 8.7
GTEX-RNOR-0126-SM-E9J4R 50-59 years, female 8.7
GTEX-11EMC-2926-SM-5EQ4F 60-69 years, female 8.6
GTEX-12ZZZ-0626-SM-5DUXI 60-69 years, male 8.6
GTEX-13NYB-2526-SM-5K7Z6 40-49 years, male 8.6
GTEX-13NZB-2526-SM-5J1OM 30-39 years, male 8.6
GTEX-14E6C-0126-SM-5RQIP 40-49 years, male 8.6
GTEX-14LLW-0126-SM-6LLIO 70-79 years, female 8.6
GTEX-16BQI-0226-SM-7KUEX 30-39 years, female 8.6
GTEX-1AYCT-2426-SM-7IGQ3 50-59 years, male 8.6
GTEX-UPJH-0326-SM-3GADU 50-59 years, male 8.6
GTEX-X5EB-2226-SM-46MW4 40-49 years, male 8.6
GTEX-XMD2-0126-SM-4YCDU 60-69 years, female 8.6
GTEX-Z93S-0126-SM-5HL7M 50-59 years, male 8.6
GTEX-1F75B-0126-SM-9KNVL 50-59 years, male 8.6
GTEX-1GPI7-0126-SM-9MQL8 20-29 years, male 8.6
GTEX-1H23P-0126-SM-ADEJ3 60-69 years, male 8.6
GTEX-1HBPM-0226-SM-ARL9F 60-69 years, female 8.6
GTEX-1K9T9-0126-SM-EVYCF 50-59 years, female 8.6
GTEX-1QP66-1726-SM-E8VO1 50-59 years, male 8.6
GTEX-1QPFJ-0226-SM-E76PB 30-39 years, female 8.6
GTEX-131XW-0426-SM-5LZWP 50-59 years, female 8.5
GTEX-145MO-0326-SM-5Q5B3 60-69 years, male 8.5
GTEX-14BIM-0226-SM-7IGLD 60-69 years, female 8.5
GTEX-17HII-0226-SM-7LG4E 50-59 years, male 8.5
GTEX-18D9A-1926-SM-7LG6P 30-39 years, female 8.5
GTEX-QESD-1426-SM-2S1R9 20-29 years, male 8.5
GTEX-WFG8-2226-SM-3GIL9 20-29 years, male 8.5
GTEX-X62O-0126-SM-4E3JN 50-59 years, male 8.5
GTEX-ZDTT-2726-SM-4WKF8 60-69 years, male 8.5
GTEX-1JN6P-0126-SM-D3L98 60-69 years, male 8.5
GTEX-139TT-0126-SM-5K7Y5 60-69 years, male 8.4
GTEX-139TU-0126-SM-5K7WH 60-69 years, male 8.4
GTEX-16NPX-0226-SM-79OMT 50-59 years, male 8.4
GTEX-17HG3-2226-SM-7938L 30-39 years, female 8.4
GTEX-1CB4J-0626-SM-7DHMP 60-69 years, male 8.4
GTEX-WFON-2126-SM-3LK7O 40-49 years, male 8.4
GTEX-WOFL-0126-SM-3MJG2 60-69 years, male 8.4
GTEX-WYVS-2126-SM-3NMA3 40-49 years, female 8.4
GTEX-1A8FM-0226-SM-7SB7Q 50-59 years, female 8.4
GTEX-1JK1U-2026-SM-CM2RZ 60-69 years, male 8.4
GTEX-1RB15-2126-SM-E9TIM 60-69 years, male 8.4
GTEX-1S5ZA-0126-SM-EVYCV 20-29 years, male 8.4
GTEX-11ZU8-2526-SM-5EQKI 60-69 years, male 8.3
GTEX-12WSC-0126-SM-5EQ4P 50-59 years, male 8.3
GTEX-131XH-2226-SM-5DUXJ 50-59 years, male 8.3
GTEX-13OVK-2026-SM-7KUEO 40-49 years, male 8.3
GTEX-NFK9-0226-SM-2HMKQ 40-49 years, male 8.3
GTEX-XBEW-0626-SM-4QASP 40-49 years, male 8.3
GTEX-ZXES-1826-SM-5E43S 30-39 years, female 8.3
GTEX-1F5PL-0326-SM-7P8PQ 40-49 years, female 8.3
GTEX-1H1E6-1726-SM-ACKVK 30-39 years, male 8.3
GTEX-1KANC-1526-SM-D3LAB 50-59 years, female 8.3
GTEX-1MA7W-2026-SM-E9TJ6 20-29 years, female 8.3
GTEX-1OJC3-0126-SM-E76QX 20-29 years, male 8.3
GTEX-1R7EU-0226-SM-EVR4G 60-69 years, male 8.3
GTEX-1R9PO-2126-SM-E9J4O 60-69 years, female 8.3
GTEX-11VI4-1726-SM-5CVLH 40-49 years, female 8.2
GTEX-148VI-1626-SM-5SI6E 60-69 years, female 8.2
GTEX-18D9B-0526-SM-7LTAS 60-69 years, male 8.2
GTEX-T5JW-1626-SM-3GADZ 20-29 years, female 8.2
GTEX-UJHI-1526-SM-3DB99 50-59 years, female 8.2
GTEX-WQUQ-0426-SM-3MJFU 60-69 years, male 8.2
GTEX-ZAB5-1826-SM-5HL7C 50-59 years, male 8.2
GTEX-ZXG5-0126-SM-5GIEU 60-69 years, male 8.2
GTEX-ZZ64-1726-SM-5GZYB 20-29 years, male 8.2
GTEX-1GF9V-0326-SM-7RHI5 60-69 years, male 8.2
GTEX-1JKYR-0126-SM-CNPOJ 20-29 years, male 8.2
GTEX-PW2O-1526-SM-7RHHB 20-29 years, male 8.2
GTEX-SE5C-1626-SM-2XCE3 40-49 years, female 8.2
GTEX-13O1R-0126-SM-5L3EH 60-69 years, male 8.1
GTEX-13RTK-1426-SM-5QGQJ 20-29 years, male 8.1
GTEX-13S7M-0126-SM-5SI6A 60-69 years, female 8.1
GTEX-1C64N-0126-SM-793D7 50-59 years, male 8.1
GTEX-RM2N-1426-SM-2TF4H 50-59 years, male 8.1
GTEX-XUW1-0426-SM-4BOOT 50-59 years, female 8.1
GTEX-ZYFC-0226-SM-5NQ75 50-59 years, male 8.1
GTEX-1HGF4-2426-SM-ACKXM 60-69 years, male 8.1
GTEX-1JMPZ-0226-SM-CNPP1 30-39 years, male 8.1
GTEX-1LSNM-1926-SM-E6CII 50-59 years, male 8.1
GTEX-1QP2A-0126-SM-E9J43 50-59 years, male 8.1
GTEX-117XS-2726-SM-5N9BL 60-69 years, male 8.0
GTEX-11H98-0126-SM-5EGHG 50-59 years, male 8.0
GTEX-13JUV-2726-SM-5LZZ8 40-49 years, female 8.0
GTEX-13W46-0226-SM-5SIAG 50-59 years, male 8.0
GTEX-13X6J-0126-SM-5QGOU 50-59 years, male 8.0
GTEX-14JG6-2226-SM-6EU2G 30-39 years, female 8.0
GTEX-14PN4-0126-SM-6EU2V 50-59 years, male 8.0
GTEX-16NGA-1726-SM-731B4 40-49 years, female 8.0
GTEX-17EVP-0326-SM-7DHLG 40-49 years, male 8.0
GTEX-Z9EW-1626-SM-5CVMN 40-49 years, male 8.0
GTEX-ZGAY-0526-SM-4WWBB 40-49 years, female 8.0
GTEX-1GPI6-0126-SM-9WG69 60-69 years, male 8.0
GTEX-1HSMQ-1226-SM-CGQFX 50-59 years, male 8.0
GTEX-1IGQW-0126-SM-COH42 60-69 years, male 8.0
GTEX-1LG7Z-1726-SM-D3LA4 30-39 years, male 8.0
GTEX-1R46S-0626-SM-E9J41 60-69 years, female 8.0
GTEX-11EQ9-2426-SM-5HL5T 30-39 years, male 7.9
GTEX-13N2G-2626-SM-5J1OT 60-69 years, male 7.9
GTEX-14BMU-2226-SM-5TDE9 20-29 years, female 7.9
GTEX-1A3MW-0126-SM-73KXX 60-69 years, female 7.9
GTEX-ZQUD-1426-SM-57WER 30-39 years, male 7.9
GTEX-1GN1V-0126-SM-9WPOS 60-69 years, male 7.9
GTEX-1HCU8-0626-SM-A9SM9 60-69 years, female 7.9
GTEX-1I4MK-2226-SM-ACKWD 50-59 years, female 7.9
GTEX-1M5QR-1226-SM-EWROB 40-49 years, male 7.9
GTEX-1PPH7-2326-SM-EVYB8 40-49 years, male 7.9
GTEX-12WSE-0526-SM-793B2 20-29 years, male 7.8
GTEX-13CF3-2426-SM-5IFGX 60-69 years, female 7.8
GTEX-13RTL-0126-SM-7LG5S 40-49 years, male 7.8
GTEX-V1D1-2226-SM-3NMAX 50-59 years, male 7.8
GTEX-1IL2V-0126-SM-CM2TX 70-79 years, male 7.8
GTEX-14E6E-1826-SM-5S2R7 30-39 years, male 7.7
GTEX-14LZ3-0226-SM-62LET 60-69 years, female 7.7
GTEX-15UKP-0426-SM-7KUFQ 20-29 years, male 7.7
GTEX-183WM-0126-SM-7LTAB 70-79 years, female 7.7
GTEX-1B97I-1626-SM-73KYO 40-49 years, male 7.7
GTEX-P4QT-0126-SM-2I3FL 50-59 years, female 7.7
GTEX-Y5LM-1926-SM-5RQJH 40-49 years, female 7.7
GTEX-ZF2S-2326-SM-4WWCE 50-59 years, female 7.7
GTEX-ZWKS-0126-SM-5SIAA 30-39 years, male 7.7
GTEX-1GN1W-0526-SM-9MQJQ 50-59 years, female 7.7
GTEX-1PDJ9-0326-SM-DTX95 20-29 years, male 7.7
GTEX-1R7EV-2426-SM-EVYBG 40-49 years, male 7.7
GTEX-1S83E-0126-SM-EWRO4 40-49 years, male 7.7
GTEX-13U4I-0126-SM-5LU38 40-49 years, female 7.6
GTEX-146FH-0126-SM-5QGPP 50-59 years, female 7.6
GTEX-14DAQ-0126-SM-5S2MQ 60-69 years, female 7.6
GTEX-18A67-0126-SM-7LG5P 50-59 years, male 7.6
GTEX-1A3MX-0126-SM-731BR 60-69 years, male 7.6
GTEX-1C4CL-0526-SM-73KVK 30-39 years, male 7.6
GTEX-ZU9S-0226-SM-5E441 30-39 years, male 7.6
GTEX-13NYC-0326-SM-E9J4S 60-69 years, male 7.6
GTEX-1F5PK-2426-SM-7RHHY 50-59 years, male 7.6
GTEX-1GL5R-1826-SM-9KNUY 50-59 years, male 7.6
GTEX-1GMR3-1926-SM-9KNUZ 40-49 years, male 7.6
GTEX-1H1DG-0126-SM-9WYU2 70-79 years, male 7.6
GTEX-1HCU7-0226-SM-CL545 50-59 years, male 7.6
GTEX-1IDFM-0126-SM-COH2V 60-69 years, male 7.6
GTEX-1IE54-0126-SM-CMKHW 40-49 years, female 7.6
GTEX-1JMQL-0226-SM-CNPP5 50-59 years, female 7.6
GTEX-1KAFJ-2026-SM-CY8ID 50-59 years, male 7.6
GTEX-1MGNQ-0126-SM-EVYCJ 40-49 years, male 7.6
GTEX-1MUQO-0126-SM-EAZ58 60-69 years, male 7.6
GTEX-1O97I-0326-SM-EYYX7 60-69 years, male 7.6
GTEX-1E1VI-0126-SM-7DHMZ 50-59 years, male 7.5
GTEX-OHPM-0126-SM-2YUN9 50-59 years, male 7.5
GTEX-PWO3-1526-SM-48TCM 60-69 years, female 7.5
GTEX-TSE9-0126-SM-3DB83 60-69 years, female 7.5
GTEX-1F75I-0326-SM-9YFLU 40-49 years, male 7.5
GTEX-1H4P4-0726-SM-9YFLR 50-59 years, male 7.5
GTEX-1LG7Y-0526-SM-DKPQC 50-59 years, male 7.5
GTEX-11GSO-2426-SM-5A5LY 60-69 years, male 7.4
GTEX-133LE-1826-SM-5J1MV 20-29 years, female 7.4
GTEX-15ETS-0126-SM-7KUMW 40-49 years, female 7.4
GTEX-17MFQ-1726-SM-793C7 20-29 years, male 7.4
GTEX-1C6VS-0526-SM-7DUEN 60-69 years, male 7.4
GTEX-11TUW-2726-SM-E9J4M 60-69 years, male 7.4
GTEX-1GF9U-2126-SM-7SB7L 40-49 years, female 7.4
GTEX-1GTWX-0126-SM-9YFLK 60-69 years, male 7.4
GTEX-1JMLX-0226-SM-CM2RO 50-59 years, male 7.4
GTEX-1MCQQ-0826-SM-DLHC2 60-69 years, male 7.4
GTEX-PLZ6-1426-SM-DKPOT 30-39 years, male 7.4
GTEX-13RTJ-2426-SM-5S2Q2 60-69 years, male 7.3
GTEX-14A5H-0426-SM-5QGQF 60-69 years, male 7.3
GTEX-15ER7-0326-SM-7KUEV 20-29 years, female 7.3
GTEX-15UF6-0826-SM-6PALJ 70-79 years, female 7.3
GTEX-1A3MV-1926-SM-718BT 30-39 years, male 7.3
GTEX-1C2JI-1826-SM-73KXC 50-59 years, male 7.3
GTEX-U8T8-0126-SM-3DB94 60-69 years, male 7.3
GTEX-XPVG-2626-SM-4B669 50-59 years, male 7.3
GTEX-1J1R8-1726-SM-ARL8M 40-49 years, male 7.3
GTEX-13FTX-1826-SM-5J1NX 20-29 years, female 7.2
GTEX-14PN3-2426-SM-6LLHS 60-69 years, female 7.2
GTEX-15EOM-0126-SM-7KUGG 20-29 years, female 7.2
GTEX-U3ZN-2326-SM-3DB7W 30-39 years, female 7.2
GTEX-ZVZP-2426-SM-59HKJ 50-59 years, male 7.2
GTEX-169BO-1326-SM-9MQK2 50-59 years, male 7.2
GTEX-1I1GQ-0126-SM-COH3H 50-59 years, male 7.2
GTEX-1J8Q3-1626-SM-CMKGC 60-69 years, male 7.2
GTEX-147F3-0526-SM-5SI98 50-59 years, female 7.1
GTEX-OIZH-0126-SM-2HMIS 50-59 years, male 7.1
GTEX-X585-0226-SM-4QAS2 50-59 years, male 7.1
GTEX-13FH7-2026-SM-E9J4I 50-59 years, female 7.1
GTEX-1QCLY-0326-SM-E8VOG 30-39 years, male 7.1
GTEX-1QP29-0626-SM-EWRMX 50-59 years, male 7.1
GTEX-11EM3-2426-SM-59861 20-29 years, female 7.0
GTEX-13O3Q-2426-SM-5IJBR 50-59 years, male 7.0
GTEX-13PVR-2326-SM-5QGR1 60-69 years, female 7.0
GTEX-14C5O-0126-SM-5SI6N 60-69 years, male 7.0
GTEX-14E7W-0126-SM-6LLJ9 70-79 years, male 7.0
GTEX-15DDE-0126-SM-6LPKH 50-59 years, female 7.0
GTEX-SN8G-0126-SM-32PLI 50-59 years, female 7.0
GTEX-WRHK-1426-SM-3MJF9 20-29 years, female 7.0
GTEX-X261-0126-SM-3NMD6 50-59 years, male 7.0
GTEX-1JMOU-1526-SM-CL54I 60-69 years, female 7.0
GTEX-1KXAM-2226-SM-CYPTC 60-69 years, male 7.0
GTEX-11NSD-2226-SM-5986V 20-29 years, male 6.9
GTEX-1212Z-2526-SM-5EGKP 60-69 years, male 6.9
GTEX-Y8LW-1826-SM-5S2MV 50-59 years, female 6.9
GTEX-1GF9W-0326-SM-9KNUN 60-69 years, male 6.9
GTEX-1JJ6O-0126-SM-E6CI8 60-69 years, male 6.9
GTEX-13IVO-0126-SM-5J1NG 70-79 years, male 6.8
GTEX-15RIG-0226-SM-7KFTL 40-49 years, male 6.8
GTEX-1CB4I-0226-SM-79OLH 50-59 years, male 6.8
GTEX-ZV6S-2326-SM-4YCEY 40-49 years, female 6.8
GTEX-1NHNU-1026-SM-E9J2A 50-59 years, male 6.8
GTEX-15CHC-2126-SM-6EU21 60-69 years, female 6.7
GTEX-18A7B-0126-SM-7LG64 70-79 years, male 6.7
GTEX-1AMEY-1326-SM-73KYK 30-39 years, female 6.7
GTEX-ZTSS-1926-SM-57WEW 40-49 years, male 6.7
GTEX-1HSMO-0126-SM-CL547 60-69 years, male 6.7
GTEX-1LGRB-2526-SM-CNPPQ 50-59 years, female 6.7
GTEX-1LVAN-0226-SM-COH3S 50-59 years, female 6.7
GTEX-1N2EF-0226-SM-EYYXB 60-69 years, male 6.7
GTEX-ZPIC-1726-SM-DHXIU 40-49 years, female 6.7
GTEX-145MI-0526-SM-5O9A8 60-69 years, female 6.6
GTEX-ZYY3-0126-SM-5GZY5 60-69 years, female 6.6
GTEX-131XF-5016-SM-7MGWE 60-69 years, male 6.6
GTEX-1CB4H-0226-SM-7PBXM 60-69 years, female 6.6
GTEX-1HFI7-1826-SM-ACKXH 50-59 years, female 6.6
GTEX-1HSEH-0126-SM-ACKXN 60-69 years, male 6.6
GTEX-1I1GU-2226-SM-CGQFA 40-49 years, male 6.6
GTEX-1JJE9-0326-SM-CL53Z 70-79 years, male 6.6
GTEX-13NZ8-0826-SM-5MR3I 60-69 years, female 6.5
GTEX-145LS-0126-SM-5QGP1 60-69 years, female 6.5
GTEX-R3RS-0126-SM-3GIJL 40-49 years, female 6.5
GTEX-1F52S-0126-SM-9MQJU 60-69 years, female 6.5
GTEX-1LGOU-2026-SM-DIPFF 20-29 years, female 6.5
GTEX-1OFPY-2426-SM-DTXEJ 60-69 years, male 6.5
GTEX-11WQK-0526-SM-5EQLD 50-59 years, male 6.4
GTEX-15EU6-0426-SM-6PAN5 50-59 years, male 6.4
GTEX-17HHE-2026-SM-79OKF 50-59 years, male 6.4
GTEX-12WSG-2826-SM-E9J4H 50-59 years, female 6.4
GTEX-1IKOH-0226-SM-COH4E 60-69 years, female 6.4
GTEX-12696-2426-SM-5EQ6H 60-69 years, male 6.3
GTEX-13FTY-0526-SM-5L3EV 40-49 years, female 6.3
GTEX-148VJ-0126-SM-5TDDN 70-79 years, male 6.3
GTEX-13O3O-0126-SM-E9J49 60-69 years, female 6.3
GTEX-1EN7A-0126-SM-7SB81 40-49 years, male 6.3
GTEX-1H1ZS-0426-SM-9WG6G 70-79 years, male 6.3
GTEX-1J8QM-2126-SM-CYPSJ 60-69 years, female 6.3
GTEX-P44H-0226-SM-2XCEU 40-49 years, male 6.2
GTEX-ZYFG-2326-SM-5E44B 60-69 years, female 6.2
GTEX-1HCU9-1526-SM-A9SL7 20-29 years, male 6.2
GTEX-1KANA-0726-SM-D3L9I 20-29 years, male 6.2
GTEX-13W3W-2426-SM-5LU5B 60-69 years, female 6.1
GTEX-14PJ6-2126-SM-6EU1V 60-69 years, female 6.1
GTEX-1B8KE-2126-SM-73KYX 50-59 years, male 6.1
GTEX-SNMC-1226-SM-2XCFP 20-29 years, male 6.1
GTEX-VJWN-0126-SM-3GIK7 50-59 years, female 6.1
GTEX-1IDJU-2626-SM-CM2RT 60-69 years, female 6.1
GTEX-1122O-2126-SM-5EGIR 60-69 years, female 6.0
GTEX-1B8SG-0126-SM-73KZ3 50-59 years, male 6.0
GTEX-144GL-0126-SM-5TDE2 50-59 years, male 5.9
GTEX-1C475-1826-SM-73KWA 40-49 years, female 5.9
GTEX-1HCVE-0126-SM-CGQEU 50-59 years, male 5.9
GTEX-1I1GP-2226-SM-CGQFK 50-59 years, male 5.9
GTEX-1128S-2326-SM-5GZZY 60-69 years, female 5.8
GTEX-ZAJG-0126-SM-5HL94 50-59 years, female 5.8
GTEX-1F6RS-0126-SM-9MQKZ 60-69 years, female 5.8
GTEX-11LCK-1026-SM-5A5KB 30-39 years, male 5.7
GTEX-1H1DE-2126-SM-9WG6R 20-29 years, male 5.7
GTEX-1K2DU-2326-SM-E9TIV 20-29 years, male 5.7
GTEX-1MCYP-1926-SM-E9J2R 20-29 years, female 5.7
GTEX-1IKJJ-0126-SM-CNPQB 60-69 years, male 5.6
GTEX-1JN76-0126-SM-CNPPE 20-29 years, female 5.6
GTEX-S95S-1226-SM-4GICG 60-69 years, male 5.5
GTEX-ZF29-2326-SM-DO92K 60-69 years, female 5.5
GTEX-13113-5016-SM-7EPIP 60-69 years, female 5.4
GTEX-1AMFI-2026-SM-731BH 50-59 years, female 5.4
GTEX-14DAR-2026-SM-5S2O3 50-59 years, male 5.3
GTEX-13OW8-1326-SM-5J1OW 60-69 years, male 5.2
GTEX-1CAMQ-0226-SM-7IGPK 40-49 years, male 5.2
GTEX-OXRO-0126-SM-2YUN4 60-69 years, female 5.2
GTEX-1E2YA-0126-SM-9KNUC 50-59 years, male 5.2
GTEX-1J8Q2-0526-SM-CM2RW 60-69 years, male 5.2
GTEX-1KWVE-1426-SM-E9TJO 30-39 years, male 5.2
GTEX-1L5NE-2526-SM-E6CIE 50-59 years, male 5.2
GTEX-S32W-2126-SM-2XCB1 50-59 years, female 5.1
GTEX-1JN1M-0326-SM-CYPT3 60-69 years, female 5.1
GTEX-145ME-1826-SM-5SI9G 40-49 years, female 5.0
GTEX-12WSA-0226-SM-5BC5V 60-69 years, male 4.9
GTEX-TMMY-0226-SM-33HBA 40-49 years, female 4.9
GTEX-1LBAC-0126-SM-DIPEZ 20-29 years, male 4.9
GTEX-1LH75-2426-SM-E9TJE 50-59 years, female 4.9
GTEX-13PDP-0126-SM-5L3HD 60-69 years, male 4.8
GTEX-16XZZ-0126-SM-793DV 60-69 years, male 4.8
GTEX-131XG-2626-SM-5KM17 50-59 years, female 4.7
GTEX-13OVH-0126-SM-5MR4B 70-79 years, male 4.7
GTEX-1I1GT-0626-SM-CGQER 60-69 years, female 4.7
GTEX-17GQL-2026-SM-718BA 60-69 years, male 4.6
GTEX-14A5I-0126-SM-5TDEA 50-59 years, female 4.0
Show allShow less

Contact

  • NEWS ARTICLES
  • PRESS ROOM

The Project

  • INTRODUCTION
  • ORGANIZATION
  • PUBLICATIONS

The Human Protein Atlas

  • DOWNLOADABLE DATA
  • LICENCE & CITATION
  • HELP & FAQ
The Human Protein Atlas project is funded
by the Knut & Alice Wallenberg Foundation.


contact@proteinatlas.org