We use cookies to enhance the usability of our website. If you continue, we'll assume that you are happy to receive all cookies. More information. Don't show this again.
GDI1
HPA
RESOURCES
  • TISSUE
  • BRAIN
  • SINGLE CELL
  • SUBCELLULAR
  • CANCER
  • BLOOD
  • CELL LINE
  • STRUCTURE & INTERACTION
ABOUT
  • INTRODUCTION
  • HISTORY
  • ORGANIZATION
  • PUBLICATIONS
  • ANTIBODY SUBMISSION
  • ANTIBODY AVAILABILITY
  • ACKNOWLEDGMENTS
  • CONTACT
NEWS
  • NEWS ARTICLES
  • PRESS ROOM
LEARN
  • DICTIONARY
  • PROTEIN CLASSES
  • PROTEIN EVIDENCE
  • METHODS
  • EDUCATIONAL VIDEOS
DATA
  • DOWNLOADABLE DATA
  • PUBLICATION DATA
  • RELEASE HISTORY
HELP
  • ANTIBODY VALIDATION
  • ASSAYS & ANNOTATION
  • DISCLAIMER
  • HELP & FAQ
  • PRIVACY STATEMENT
  • LICENCE & CITATION
Fields »
Search result

Field
Term
Gene name
Class
Subclass
Class
Keyword
Chromosome
External id
Tissue
Cell type
Expression
Antibody panel
Tissue
Main location
Patient ID
Annotation
Tissue
Category
Tau score
Cluster
Reliability
Brain region
Category
Tau score
Brain region
Category
Tau score
Brain region
Category
Tau score
Cluster
Reliability
Tissue
Cell type
Enrichment
Cell type
Category
Tau score
Cell type
Category
Tau score
Cell type
Category
Tau score
Cell lineage
Category
Tau score
Cluster
Cluster
Location
Searches
Location
Cell line
Class
Type
Phase
Reliability
Cancer
Prognosis
Cancer
Category
Cancer
Category
Tau score
Cluster
Variants
Interacting gene (ensg_id)
Type
Number of interactions
Pathway
Category
Score
Score
Score
Validation
Validation
Validation
Validation
Antibodies
Data type
Column


  • SUMMARY

  • TISSUE

  • BRAIN

  • SINGLE CELL

  • SUBCELL

  • CANCER

  • BLOOD

  • CELL LINE

  • STRUCT & INT

  • GDI1
TISSUE PRIMARY DATA COLON Show tissue menu
ADIPOSE TISSUE ADRENAL GLAND AMYGDALA APPENDIX BASAL GANGLIA BONE MARROW BREAST BRONCHUS CEREBELLUM CEREBRAL CORTEX CERVIX CHOROID PLEXUS COLON DUODENUM
ENDOMETRIUM EPIDIDYMIS ESOPHAGUS FALLOPIAN TUBE GALLBLADDER HEART MUSCLE HIPPOCAMPAL FORMATION HYPOTHALAMUS KIDNEY LIVER LUNG LYMPH NODE MIDBRAIN NASOPHARYNX
ORAL MUCOSA OVARY PANCREAS PARATHYROID GLAND PITUITARY GLAND PLACENTA PROSTATE RECTUM RETINA SALIVARY GLAND SEMINAL VESICLE SKELETAL MUSCLE SKIN SMALL INTESTINE
SMOOTH MUSCLE SOFT TISSUE SPINAL CORD SPLEEN STOMACH TESTIS THYMUS THYROID GLAND TONGUE TONSIL URINARY BLADDER VAGINA
ANTIBODIES
AND
VALIDATION
Dictionary
Colon
Tissue proteome
Intestine
COLON - Expression summary
Protein expression
Coloni

On the top, protein expression in current human tissue, based on all annotated cell types, is reported with the units not detected (n), low (l), medium (m) and high (h). Underneath, protein expression in each annotated cell type are reported using the same units.

Protein expression data is based on knowledge-based annotation. For genes where more than one antibody has been used, a collective score is set.

If knowledge-based annotation could not be performed for a gene, no data is displayed here. View antibody staining data further down this page.

h
m
l
n
Endothelial cells: Not detected
Glandular cells: Medium
Peripheral nerve/ganglion: Medium
RNA expressioni

A summary of mRNA expression data available for current tissue based on several datasets. The mRNA expression levels in human tissues are based on RNA-seq data generated by the Human Protein Atlas (HPA), Genotype-Tissue Expression (GTEx) portal and CAGE data generated by the FANTOM5 consortium. Consensus normalized expression levels for human tissues was created by combining the data from HPA and GTEx datasets.

The mRNA expression levels in pig are based on RNA-seq data generated by the Human Protein Atlas (HPA), and for mouse, HPA data and in situ hybridization generated by the Allen brain atlas are reported.

Scroll down to view mRNA expression data in more detail.
Consensus:88.7 nTPM
HPA:41.6 nTPM
GTEx:88.7 nTPM
FANTOM5:51.0 Scaled Tags Per Million

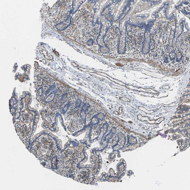
COLON - Antibody stainingi

Antibody staining in the annotated cell types in the current human tissue is reported as not detected, low, medium, or high, based on conventional immunohistochemistry profiling in selected tissues. This score is based on the combination of the staining intensity and fraction of stained cells.

Each image is clickable and will lead to virtual microscopy that enables deeper exploration of all samples and also displays staining intensity scores, fraction scores and subcellular localization as well as patient and tissue information for each sample.

Antibody HPA049290Antibody HPA057668Antibody CAB012979
Endothelial cells Not detectedLowLow
Glandular cells MediumMediumMedium
Peripheral nerve/ganglion MediumLowMedium




COLON - HPA RNA-seqi

The RNA-seq details section shows detailed information about the individual samples used for the transcript profiling and results of the RNA-seq analysis.

Information about each individual sample is listed below, including gender, age, a tissue section image and estimated fractions of cell types. nTPM (normalized transcripts per million) values give a quantification of the gene abundance which is comparable between different genes and samples.
Average nTPMi

Max subtype nTPM is the value for the subtype with the largest average nTPM across the subtype samples.

41.6
overview
Male, age 54
Colon sample 67
nTPM: 32.3
Cell types%
Glandular cells:
65

Smooth muscle cells:
10

Other cell types:
25

overview
Female, age 57
Colon sample 68
nTPM: 32
Cell types%
Glandular cells:
40

Smooth muscle cells:
5

Other cell types:
55

overview
Male, age 80
Colon sample 69
nTPM: 28.2
Cell types%
Glandular cells:
55

Smooth muscle cells:
5

Other cell types:
40

overview
Male, age 68
Colon sample 70
nTPM: 46.7
Cell types%
Glandular cells:
35

Smooth muscle cells:
10

Other cell types:
55

overview
Female, age 68
Colon sample 76
nTPM: 32.6
Cell types%
Glandular cells:
25

Smooth muscle cells:
5

Other cell types:
70

overview
Female, age 61
Colon sample 299
nTPM: 64.4
Cell types%
Glandular cells:
5

Smooth muscle cells:
65

Other cell types:
30

overview
Male, age 80
Colon sample 300
nTPM: 42.6
Cell types%
Glandular cells:
15

Smooth muscle cells:
20

Other cell types:
65

overview
Female, age 78
Colon sample 368
nTPM: 38.7
Cell types%
Glandular cells:
45

Smooth muscle cells:
5

Other cell types:
50

overview
Male, age 84
Colon sample 381
nTPM: 46.9
Cell types%
Glandular cells:
50

Smooth muscle cells:
15

Other cell types:
35

overview
Male, age 80
Colon sample 384
nTPM: 32.3
Cell types%
Glandular cells:
20

Smooth muscle cells:
35

Other cell types:
45

overview
Female, age 78
Colon sample 389
nTPM: 43.5
Cell types%
Glandular cells:
35

Smooth muscle cells:
10

Other cell types:
55

overview
Female, age 69
Colon sample 391
nTPM: 43.2
Cell types%
Glandular cells:
10

Smooth muscle cells:
45

Other cell types:
45

overview
Female, age 72
Colon sample 403
nTPM: 57.7
Cell types%
Glandular cells:
20

Smooth muscle cells:
15

Other cell types:
65


COLON - GTEx RNA-seqi

RNA-Seq data generated by the Genotype-Tissue Expression (GTEx) project from human tissues is reported as mean nTPM. More information can be found on the GTEx portal.

Distribution across the dataset is visualized with box plots, shown as median and 25th and 75th percentiles. Points are displayed as outliers if they are above or below 1.5 times the interquartile range. nTPM values of the individual samples are presented next to the box plot.
Max subtype nTPMi

Max subtype nTPM is the value for the subtype with the largest average nTPM across the subtype samples.

88.7
GTEx sample id Sample description nTPM
Colon - Sigmoid
Average nTPM: 88.7
Samples: 373

Max nTPM: 198.0
Min nTPM: 36.8
Std nTPM: 16.7
Median nTPM: 88.3
GTEX-11EQ8-2626-SM-5N9BO 60-69 years, male 198.0
GTEX-1N2EF-1726-SM-EXUSI 60-69 years, male 143.7
GTEX-13RTJ-1926-SM-5YYA2 60-69 years, male 134.9
GTEX-132AR-2826-SM-5IJFV 50-59 years, female 134.5
GTEX-ZAJG-2626-SM-5S2NU 50-59 years, female 130.7
GTEX-1C6VQ-2626-SM-7IGMQ 50-59 years, male 129.4
GTEX-13PL7-2426-SM-5J2N3 60-69 years, female 126.8
GTEX-14C5O-2626-SM-5RQI5 60-69 years, male 125.3
GTEX-1IL2U-2526-SM-C1YQV 60-69 years, male 124.9
GTEX-13OVJ-1826-SM-5KM2D 50-59 years, female 123.6
GTEX-12ZZW-2426-SM-5DUWE 50-59 years, male 121.0
GTEX-13OW6-2226-SM-5N9FL 50-59 years, male 120.4
GTEX-13D11-0626-SM-5LZYY 50-59 years, female 117.8
GTEX-ZTTD-2626-SM-57WEX 50-59 years, male 117.8
GTEX-ZDTS-2726-SM-5L3E2 60-69 years, male 117.4
GTEX-ZYFD-2226-SM-5E43P 50-59 years, male 116.9
GTEX-1HSEH-1926-SM-A96SB 60-69 years, male 116.7
GTEX-12WSG-2426-SM-5EQLZ 50-59 years, female 115.7
GTEX-1J8EW-2426-SM-CE6T5 60-69 years, female 115.2
GTEX-139D8-2926-SM-5IJBM 30-39 years, female 115.1
GTEX-12KS4-2326-SM-5EGJB 30-39 years, male 115.0
GTEX-ZF2S-1826-SM-4WKFF 50-59 years, female 114.6
GTEX-1LG7Y-2226-SM-E9U5K 50-59 years, male 114.4
GTEX-1RQEC-2626-SM-EVR3Z 60-69 years, male 114.4
GTEX-YFCO-1526-SM-5YYB8 40-49 years, male 113.4
GTEX-1A3MX-2326-SM-718B4 60-69 years, male 112.4
GTEX-1I1CD-2826-SM-A9SL4 60-69 years, female 112.3
GTEX-131XE-1026-SM-5EGKE 50-59 years, male 112.1
GTEX-ZF28-2526-SM-57WFH 60-69 years, male 112.1
GTEX-12WSL-1826-SM-5LZW9 50-59 years, male 111.9
GTEX-1JN6P-2126-SM-ARL98 60-69 years, male 111.7
GTEX-XQ8I-2326-SM-4BOQC 50-59 years, male 111.6
GTEX-17F9Y-2626-SM-7IGN9 70-79 years, female 110.6
GTEX-14A5H-1626-SM-5SIAN 60-69 years, male 110.5
GTEX-ZAB5-1426-SM-5HL9D 50-59 years, male 110.1
GTEX-183WM-2526-SM-731BP 70-79 years, female 110.0
GTEX-WI4N-2226-SM-4OOS9 40-49 years, female 109.5
GTEX-1LKK1-2426-SM-DIPES 50-59 years, female 109.3
GTEX-WHSE-2726-SM-EZ6ML 20-29 years, male 108.9
GTEX-16XZZ-2726-SM-7EWDO 60-69 years, male 107.7
GTEX-X15G-1526-SM-4PQZM 50-59 years, female 107.6
GTEX-1I1GR-2226-SM-ARL7F 60-69 years, male 107.6
GTEX-15ER7-2826-SM-6PAN2 20-29 years, female 107.0
GTEX-ZVT3-2826-SM-5GU6A 60-69 years, female 106.9
GTEX-1GMRU-2626-SM-9WPPM 50-59 years, male 106.8
GTEX-13FHO-2726-SM-5K7VG 60-69 years, male 106.4
GTEX-16NGA-0926-SM-718AG 40-49 years, female 105.9
GTEX-11ZU8-1126-SM-5EQ5K 60-69 years, male 105.5
GTEX-15UF6-2726-SM-7KULY 70-79 years, female 105.1
GTEX-1LSNL-1626-SM-E9TJY 50-59 years, male 105.1
GTEX-1N2DV-1826-SM-E6CJ5 40-49 years, male 104.6
GTEX-17F96-2126-SM-7KFSM 70-79 years, male 104.0
GTEX-1JJE9-2526-SM-ARU8K 70-79 years, male 104.0
GTEX-1K9T9-2926-SM-E9TKD 50-59 years, female 103.8
GTEX-12WSD-2626-SM-5EGJE 60-69 years, female 103.7
GTEX-ZLWG-1826-SM-DO11I 50-59 years, female 103.3
GTEX-WXYG-1726-SM-4ONCU 50-59 years, female 103.2
GTEX-147GR-2826-SM-5RQK8 60-69 years, male 103.1
GTEX-11P7K-1826-SM-5HL5A 30-39 years, male 103.0
GTEX-11TT1-0926-SM-5GU5M 20-29 years, male 103.0
GTEX-15G19-2726-SM-6LPKG 60-69 years, male 102.6
GTEX-11DXY-2026-SM-5N9CZ 60-69 years, male 102.5
GTEX-1HCU6-2926-SM-B2LWV 60-69 years, female 102.4
GTEX-1EH9U-1926-SM-7P8QM 60-69 years, male 102.3
GTEX-1HSKV-2326-SM-A9SL9 60-69 years, male 102.1
GTEX-1PBJJ-2026-SM-DTX8U 30-39 years, male 101.7
GTEX-XV7Q-2226-SM-4BRVY 40-49 years, female 101.6
GTEX-1RDX4-1926-SM-E6CJJ 50-59 years, female 101.6
GTEX-ZYY3-2226-SM-5E45A 60-69 years, female 101.4
GTEX-17JCI-2826-SM-7IGNA 60-69 years, female 101.2
GTEX-13PVQ-2726-SM-5L3H7 50-59 years, male 101.1
GTEX-18A67-2226-SM-7LT9Z 50-59 years, male 100.8
GTEX-1P4AB-2626-SM-DTXEU 50-59 years, male 100.8
GTEX-ZVT4-2626-SM-5N9GJ 50-59 years, female 100.6
GTEX-YF7O-1626-SM-5IFII 50-59 years, male 100.5
GTEX-12WSM-1426-SM-5GCPA 60-69 years, male 100.3
GTEX-1HCUA-1926-SM-B2LWE 50-59 years, female 100.3
GTEX-11PRG-2026-SM-5GU5F 50-59 years, male 99.8
GTEX-11EMC-1426-SM-5N9E4 60-69 years, female 99.7
GTEX-11ZTS-1526-SM-5N9G7 60-69 years, female 99.5
GTEX-131YS-2926-SM-5EGKI 60-69 years, female 99.3
GTEX-1R9PO-2026-SM-E9J4N 60-69 years, female 99.3
GTEX-13O61-1526-SM-5KM3P 60-69 years, male 99.1
GTEX-13X6J-2826-SM-7EPGA 50-59 years, male 98.9
GTEX-1S5ZA-1426-SM-E6CJQ 20-29 years, male 98.9
GTEX-14E6C-2226-SM-5QGQG 40-49 years, male 98.7
GTEX-11P81-1426-SM-5P9JN 30-39 years, female 98.5
GTEX-13OW5-2826-SM-5KM1G 60-69 years, male 98.5
GTEX-11EI6-2626-SM-5PNVT 60-69 years, male 98.4
GTEX-11DXX-1926-SM-5EGJK 60-69 years, female 97.9
GTEX-14C39-1626-SM-5S2P4 40-49 years, male 97.7
GTEX-ZG7Y-1826-SM-4WWD3 50-59 years, male 97.5
GTEX-139TS-2226-SM-5J2N1 60-69 years, male 97.3
GTEX-11EM3-1626-SM-5N9CO 20-29 years, female 97.1
GTEX-13OW8-2726-SM-5L3FZ 60-69 years, male 97.0
GTEX-XXEK-1826-SM-4BRVC 50-59 years, male 96.9
GTEX-ZVZQ-2626-SM-59HLB 60-69 years, female 96.9
GTEX-12WSJ-1426-SM-5GCON 40-49 years, female 96.8
GTEX-1HSMQ-2526-SM-A9SMK 50-59 years, male 96.7
GTEX-1B932-2126-SM-7IGMU 40-49 years, female 96.6
GTEX-ZE9C-2126-SM-4WKGY 60-69 years, male 96.5
GTEX-1F5PL-1926-SM-7MXTP 40-49 years, female 96.4
GTEX-1JMQK-2326-SM-ARZN4 60-69 years, male 96.4
GTEX-145MH-2726-SM-5QGQ6 50-59 years, male 96.3
GTEX-1LVAM-1726-SM-DHXKQ 50-59 years, female 96.3
GTEX-145MO-2626-SM-5QGPD 60-69 years, male 96.2
GTEX-ZLFU-1426-SM-4WWEU 40-49 years, male 96.1
GTEX-1QCLY-2026-SM-EVR4C 30-39 years, male 95.7
GTEX-13CF3-1326-SM-5LZXZ 60-69 years, female 95.6
GTEX-1GMR8-2926-SM-9KNW5 50-59 years, female 95.5
GTEX-13O1R-2426-SM-5KLZZ 60-69 years, male 95.4
GTEX-1IDJH-2826-SM-CJI49 70-79 years, male 95.3
GTEX-XUW1-1826-SM-4BOQD 50-59 years, female 95.2
GTEX-1EU9M-2726-SM-7P8QD 60-69 years, male 94.9
GTEX-1GMR3-2526-SM-7P8QS 40-49 years, male 94.9
GTEX-13U4I-2626-SM-5SI9C 40-49 years, female 94.7
GTEX-14DAQ-2926-SM-664MV 60-69 years, female 94.7
GTEX-11TUW-2326-SM-5EQMO 60-69 years, male 94.6
GTEX-12696-1926-SM-5EGJT 60-69 years, male 94.6
GTEX-1GL5R-1726-SM-9KNUX 50-59 years, male 94.3
GTEX-1477Z-2126-SM-5Q5CM 60-69 years, male 94.1
GTEX-ZE7O-2626-SM-51MSS 50-59 years, female 93.9
GTEX-15RIE-2026-SM-7KFRW 60-69 years, male 93.6
GTEX-14BMU-1326-SM-5RQIH 20-29 years, female 93.3
GTEX-132NY-2726-SM-5PNY2 60-69 years, male 93.1
GTEX-1399R-2126-SM-5K7WZ 30-39 years, male 93.1
GTEX-16MTA-1626-SM-6M47N 50-59 years, male 93.1
GTEX-V955-1726-SM-4JBHF 60-69 years, male 93.1
GTEX-1ICG6-2226-SM-B2LY7 70-79 years, female 93.0
GTEX-1HCVE-2326-SM-9WYUD 50-59 years, male 92.8
GTEX-14A5I-2426-SM-5Q5CP 50-59 years, female 92.5
GTEX-1LSVX-2026-SM-E9TJD 60-69 years, male 92.5
GTEX-13OVK-1026-SM-7KFTC 40-49 years, male 92.3
GTEX-148VJ-2426-SM-5NQ9Y 70-79 years, male 92.3
GTEX-ZY6K-1326-SM-5GZWP 50-59 years, male 92.1
GTEX-11I78-1326-SM-5PNY9 50-59 years, female 92.0
GTEX-YJ8A-1726-SM-5P9IQ 20-29 years, male 92.0
GTEX-1PIGE-1526-SM-DTXFC 20-29 years, male 92.0
GTEX-139T6-1426-SM-5P9J7 50-59 years, male 91.9
GTEX-1339X-1726-SM-5P9J9 40-49 years, male 91.8
GTEX-147JS-2626-SM-5S2UX 60-69 years, male 91.7
GTEX-1BAJH-2726-SM-7IGNJ 70-79 years, male 91.5
GTEX-1QW4Y-1426-SM-E76P3 30-39 years, male 91.5
GTEX-X4EO-2726-SM-4E3HS 60-69 years, female 91.4
GTEX-YJ8O-1426-SM-5PNV9 40-49 years, female 91.4
GTEX-1KANA-1726-SM-CY8IG 20-29 years, male 91.4
GTEX-1A32A-2626-SM-73KX9 50-59 years, female 91.2
GTEX-YECK-2826-SM-5IFHF 60-69 years, male 91.1
GTEX-1AX9K-1626-SM-73KUS 50-59 years, male 91.0
GTEX-1GZ4H-1326-SM-7P8TE 50-59 years, female 91.0
GTEX-ZAB4-2426-SM-5HL8A 40-49 years, male 90.9
GTEX-1HKZK-2026-SM-9WYUF 40-49 years, male 90.9
GTEX-1PDJ9-2026-SM-E76PT 20-29 years, male 90.9
GTEX-XAJ8-0726-SM-47JY5 40-49 years, male 90.8
GTEX-18A6Q-2226-SM-7LG61 60-69 years, male 90.7
GTEX-1H3VE-2326-SM-9KNVU 40-49 years, male 90.7
GTEX-17GQL-1626-SM-7LG69 60-69 years, male 90.5
GTEX-1EMGI-2626-SM-7IGNR 60-69 years, male 90.5
GTEX-1JMPZ-2626-SM-ARU8Z 30-39 years, male 90.5
GTEX-111CU-1226-SM-5EGIN 50-59 years, male 90.4
GTEX-14JG6-1626-SM-5YYBC 30-39 years, female 90.4
GTEX-1I1GP-2826-SM-A9SKZ 50-59 years, male 90.4
GTEX-139UW-2326-SM-5KM1Y 60-69 years, male 90.2
GTEX-15DYW-2426-SM-7KUG8 60-69 years, female 90.2
GTEX-ZPU1-1726-SM-4WWFV 40-49 years, male 90.2
GTEX-1JJEA-2526-SM-CY8HJ 60-69 years, male 90.2
GTEX-ZLV1-1326-SM-DO11Q 60-69 years, female 90.2
GTEX-WHWD-1526-SM-4OORV 50-59 years, male 90.1
GTEX-12ZZX-2726-SM-5N9FT 40-49 years, female 90.0
GTEX-WFON-1326-SM-4LVMN 40-49 years, male 89.8
GTEX-1PIIG-2126-SM-EXUSD 30-39 years, male 89.8
GTEX-14BIN-2426-SM-5TDCF 50-59 years, female 89.6
GTEX-1C4CL-1626-SM-7DUF3 30-39 years, male 89.6
GTEX-14AS3-1026-SM-5TDD7 40-49 years, female 89.5
GTEX-117YX-0526-SM-5EGJH 50-59 years, male 89.4
GTEX-17KNJ-1826-SM-7LT9N 50-59 years, male 89.3
GTEX-1HCU7-2726-SM-A9G3D 50-59 years, male 89.3
GTEX-1QP29-2526-SM-E6CQ3 50-59 years, male 89.3
GTEX-1399U-2226-SM-5KLZI 50-59 years, female 89.0
GTEX-1HBPH-2526-SM-ACKXK 40-49 years, female 88.8
GTEX-1JK1U-1426-SM-CNPOW 60-69 years, male 88.8
GTEX-ZZ64-0826-SM-5E449 20-29 years, male 88.5
GTEX-ZPCL-1626-SM-57WGC 60-69 years, female 88.4
GTEX-1IDJI-2226-SM-CKZPM 50-59 years, female 88.4
GTEX-11EQ9-1526-SM-5PNY7 30-39 years, male 88.3
GTEX-1B996-2726-SM-7DUGG 60-69 years, male 88.3
GTEX-1RAZQ-2026-SM-E76P7 30-39 years, male 88.3
GTEX-1JMLX-2526-SM-CY8HX 50-59 years, male 88.0
GTEX-13FTW-2126-SM-5K7YG 40-49 years, male 87.7
GTEX-1RAZR-2026-SM-E9TKE 40-49 years, male 87.7
GTEX-1LB8K-2526-SM-DIPEQ 50-59 years, male 87.6
GTEX-1S831-1726-SM-EWROJ 20-29 years, male 87.6
GTEX-1GMR2-1826-SM-9KNUP 50-59 years, male 87.5
GTEX-ZC5H-2426-SM-4WAZ6 40-49 years, female 87.3
GTEX-WYVS-1126-SM-4SOJX 40-49 years, female 87.0
GTEX-ZT9W-1726-SM-51MS3 50-59 years, male 86.9
GTEX-1JMQJ-2626-SM-CY8HQ 50-59 years, male 86.8
GTEX-1I1GT-2026-SM-CKZPK 60-69 years, female 86.6
GTEX-13X6K-2726-SM-5O9DG 60-69 years, female 86.4
GTEX-15CHQ-2626-SM-686YZ 60-69 years, male 86.4
GTEX-1QP9N-0826-SM-DTX9O 30-39 years, male 86.4
GTEX-145LS-2926-SM-5O99G 60-69 years, female 86.3
GTEX-XUZC-1526-SM-4BRV4 30-39 years, female 86.3
GTEX-1LGRB-2026-SM-COH47 50-59 years, female 86.3
GTEX-1LVAO-2826-SM-E9TJH 60-69 years, male 86.1
GTEX-16Z82-2426-SM-7KUMS 60-69 years, male 86.0
GTEX-117XS-2226-SM-5GIE1 60-69 years, male 85.9
GTEX-11ONC-1926-SM-5GU75 60-69 years, male 85.9
GTEX-15RJE-2226-SM-6M46A 40-49 years, male 85.9
GTEX-1PIEJ-1826-SM-EWRMN 20-29 years, female 85.9
GTEX-12ZZY-2726-SM-5EQ45 60-69 years, male 85.8
GTEX-1R7EU-1826-SM-DTX9L 60-69 years, male 85.8
GTEX-1A3MV-1026-SM-72D5U 30-39 years, male 85.6
GTEX-1LGOU-1726-SM-D3L8P 20-29 years, female 85.6
GTEX-1QP28-2226-SM-DTX8C 50-59 years, female 85.6
GTEX-1RLM8-1726-SM-E9TKF 50-59 years, male 85.6
GTEX-18465-2726-SM-7LT9I 50-59 years, male 85.5
GTEX-1K2DA-1626-SM-CGQGB 50-59 years, male 85.4
GTEX-1CB4F-1926-SM-7MKFN 60-69 years, male 85.1
GTEX-18D9A-1326-SM-7LT8P 30-39 years, female 85.0
GTEX-1F5PK-1726-SM-7RHHW 50-59 years, male 84.9
GTEX-14PHX-1126-SM-5YYA5 50-59 years, male 84.8
GTEX-1GN73-2726-SM-9WYUB 60-69 years, male 84.5
GTEX-14PJ4-1826-SM-5YY97 60-69 years, male 84.4
GTEX-ZP4G-1526-SM-57WE5 20-29 years, female 84.3
GTEX-1F75W-2126-SM-7RHIA 60-69 years, male 84.3
GTEX-1GF9X-1426-SM-7RHGX 40-49 years, female 84.2
GTEX-1H3NZ-2526-SM-9KNVO 60-69 years, male 84.2
GTEX-1RMOY-1726-SM-EVYC9 50-59 years, male 84.2
GTEX-14PK6-1826-SM-69LOM 70-79 years, female 84.1
GTEX-1HBPM-2626-SM-9WYU5 60-69 years, female 84.0
GTEX-13111-1926-SM-5GCOL 50-59 years, male 83.9
GTEX-11GS4-1826-SM-5HL4T 60-69 years, male 83.7
GTEX-14PJ3-1226-SM-5ZZVY 50-59 years, male 83.6
GTEX-13CF2-1826-SM-5N9GK 60-69 years, male 83.5
GTEX-13N2G-2226-SM-5IJCU 60-69 years, male 83.4
GTEX-WFG8-1726-SM-4LVM6 20-29 years, male 83.2
GTEX-13PVR-1726-SM-5Q5EC 60-69 years, female 83.1
GTEX-15RIF-1426-SM-7KUKQ 20-29 years, male 83.1
GTEX-17HG3-1126-SM-7DUFC 30-39 years, female 82.8
GTEX-WQUQ-2626-SM-4MVNP 60-69 years, male 82.8
GTEX-1I6K6-1926-SM-A96SN 30-39 years, male 82.8
GTEX-1212Z-1826-SM-5FQSH 60-69 years, male 82.7
GTEX-13X6I-2726-SM-5Q5ET 60-69 years, male 82.5
GTEX-1HBPN-2026-SM-B2LWA 50-59 years, male 82.5
GTEX-1J8JJ-2426-SM-D4P4A 60-69 years, female 82.5
GTEX-1211K-1826-SM-5EGJ2 60-69 years, female 82.4
GTEX-11ZTT-1626-SM-5EQKR 60-69 years, female 82.2
GTEX-1H1ZS-2626-SM-9QEIX 70-79 years, male 82.2
GTEX-1122O-1426-SM-5H11R 60-69 years, female 82.1
GTEX-1E2YA-2526-SM-7IGOU 50-59 years, male 82.1
GTEX-Y3I4-1126-SM-4TT7Y 50-59 years, male 82.0
GTEX-1QCLZ-2026-SM-EAZ4A 60-69 years, female 82.0
GTEX-1JMPY-1026-SM-ARZN1 30-39 years, male 81.9
GTEX-1C64N-2226-SM-7SB7C 50-59 years, male 81.5
GTEX-ZYFG-1826-SM-5GZWX 60-69 years, female 81.4
GTEX-1GTWX-2626-SM-9WPOT 60-69 years, male 81.2
GTEX-1OFPY-1226-SM-E76OM 60-69 years, male 81.2
GTEX-144GM-1126-SM-79OJK 20-29 years, male 80.9
GTEX-1R9K5-2226-SM-DTX9G 50-59 years, male 80.8
GTEX-111YS-1826-SM-5GIEP 60-69 years, male 80.7
GTEX-1HSGN-2226-SM-A9SL6 40-49 years, female 80.7
GTEX-1J8QM-1226-SM-CY8HI 60-69 years, female 80.6
GTEX-14E6E-1726-SM-5S2R6 30-39 years, male 80.5
GTEX-1B8L1-1926-SM-7IGND 60-69 years, male 80.5
GTEX-ZA64-1426-SM-5CVMC 20-29 years, male 80.5
GTEX-1HB9E-2526-SM-D4P35 50-59 years, male 80.5
GTEX-1LSNM-1426-SM-E6CIH 50-59 years, male 80.5
GTEX-14PN3-1926-SM-6EU1Y 60-69 years, female 80.4
GTEX-Y9LG-1326-SM-4VBQB 30-39 years, male 80.4
GTEX-12BJ1-2026-SM-5FQUH 60-69 years, male 80.3
GTEX-15RJ7-1726-SM-6PAL3 40-49 years, male 80.3
GTEX-11DXZ-1626-SM-5GIDI 50-59 years, male 80.2
GTEX-145ME-1126-SM-5SIAT 40-49 years, female 80.2
GTEX-1S82P-2026-SM-E9TIQ 60-69 years, female 80.2
GTEX-1IDJU-1926-SM-CL53W 60-69 years, female 80.1
GTEX-13QBU-2026-SM-5KLZB 40-49 years, female 79.6
GTEX-1AMFI-1826-SM-73KWB 50-59 years, female 79.5
GTEX-1H1DE-1626-SM-9KNU5 20-29 years, male 79.4
GTEX-17MFQ-1226-SM-7KFSA 20-29 years, male 79.3
GTEX-1QP2A-2226-SM-DTXF6 50-59 years, male 79.2
GTEX-13FH7-1626-SM-5J2O9 50-59 years, female 79.1
GTEX-1PBJI-2526-SM-E6CP4 20-29 years, female 79.1
GTEX-XBED-1726-SM-47JYO 60-69 years, male 79.0
GTEX-ZQG8-2426-SM-57WEE 60-69 years, female 78.6
GTEX-15EO6-2326-SM-6LPKK 50-59 years, male 78.5
GTEX-1KXAM-1926-SM-D3LAG 60-69 years, male 78.5
GTEX-1PPH8-2226-SM-EWRN7 20-29 years, male 78.5
GTEX-ZYT6-2826-SM-5GICX 30-39 years, male 78.4
GTEX-1IKOE-2126-SM-A96T5 30-39 years, female 78.4
GTEX-1JN76-1326-SM-ARU94 20-29 years, female 78.4
GTEX-16BQI-2026-SM-7KULQ 30-39 years, female 78.3
GTEX-1J1OQ-2826-SM-D3L88 40-49 years, female 78.3
GTEX-1CAMS-2626-SM-7PBY3 40-49 years, female 78.1
GTEX-17HGU-2626-SM-79OKN 50-59 years, male 77.9
GTEX-WFG7-1626-SM-4LVMF 20-29 years, male 77.9
GTEX-ZTSS-1226-SM-51MSZ 40-49 years, male 77.9
GTEX-14PKV-1926-SM-686YU 20-29 years, female 77.8
GTEX-15UF7-1326-SM-7KUKV 40-49 years, male 77.8
GTEX-131XG-1526-SM-5GCNQ 50-59 years, female 77.6
GTEX-ZPIC-2626-SM-57WE2 40-49 years, female 77.4
GTEX-1HBPI-2226-SM-9WYTY 50-59 years, male 77.4
GTEX-1CB4G-2726-SM-79OO4 60-69 years, male 77.1
GTEX-13SLW-2826-SM-5Q5ES 70-79 years, male 76.7
GTEX-1HFI7-1626-SM-9WYTR 50-59 years, female 76.6
GTEX-WHPG-1626-SM-4M1ZL 50-59 years, male 76.4
GTEX-1LG7Z-1326-SM-DIPF3 30-39 years, male 76.4
GTEX-ZVT2-1726-SM-51MRO 50-59 years, female 76.2
GTEX-1HSMO-2526-SM-A9SKP 60-69 years, male 75.8
GTEX-YEC3-2026-SM-DKPOL 50-59 years, male 75.6
GTEX-15ETS-2326-SM-7KUGC 40-49 years, female 75.4
GTEX-17HHE-1626-SM-7DHLN 50-59 years, male 75.3
GTEX-18QFQ-1726-SM-731C9 30-39 years, male 75.2
GTEX-146FH-2426-SM-5Q5EW 50-59 years, female 75.1
GTEX-1QP67-1426-SM-E8VOO 40-49 years, female 75.1
GTEX-145LT-0826-SM-5S2QL 40-49 years, male 75.0
GTEX-1H23P-2626-SM-9KNVN 60-69 years, male 74.8
GTEX-1JKYN-2226-SM-ARZNE 30-39 years, male 74.7
GTEX-15DZA-1026-SM-6PAND 30-39 years, female 74.4
GTEX-17EUY-1726-SM-79OK4 20-29 years, male 74.4
GTEX-Y8LW-1126-SM-4VDS4 50-59 years, female 74.4
GTEX-Z93S-2626-SM-57WBX 50-59 years, male 74.1
GTEX-13VXT-2026-SM-5L3EW 20-29 years, female 74.0
GTEX-1C475-1526-SM-7DHM3 40-49 years, female 73.6
GTEX-Y5LM-1426-SM-5RQJL 40-49 years, female 73.6
GTEX-13OVI-2126-SM-5KM3U 60-69 years, female 73.5
GTEX-13G51-2126-SM-5IJD9 60-69 years, male 73.2
GTEX-ZV6S-1126-SM-57WE9 40-49 years, female 72.9
GTEX-1R9JW-2126-SM-E76QT 30-39 years, female 72.9
GTEX-183FY-1426-SM-7DHLM 20-29 years, male 72.7
GTEX-1C2JI-1726-SM-73KUW 50-59 years, male 72.7
GTEX-15F5U-1426-SM-7KUN2 40-49 years, male 71.6
GTEX-1QPFJ-2426-SM-EVR3L 30-39 years, female 71.5
GTEX-1H1E6-1826-SM-A9G21 30-39 years, male 71.0
GTEX-18A66-2626-SM-72D67 60-69 years, male 70.8
GTEX-1L5NE-1926-SM-D3L9R 50-59 years, male 70.7
GTEX-1B8KE-1526-SM-7DUG2 50-59 years, male 70.6
GTEX-1B97I-1526-SM-73KUK 40-49 years, male 70.5
GTEX-WY7C-1926-SM-4ONCI 50-59 years, male 70.5
GTEX-Y114-1626-SM-4TT7I 50-59 years, female 70.5
GTEX-1C64O-2426-SM-7P8R3 60-69 years, male 70.5
GTEX-1JKYR-2026-SM-CNPON 20-29 years, male 70.2
GTEX-1GPI7-1926-SM-9KNUH 20-29 years, male 69.9
GTEX-ZF29-1826-SM-4WKG8 60-69 years, female 69.5
GTEX-ZXES-1726-SM-5E43G 30-39 years, female 68.6
GTEX-1H3VY-2526-SM-9KNW1 50-59 years, male 67.6
GTEX-1MGNQ-2126-SM-EV7AC 40-49 years, male 67.5
GTEX-1LBAC-1726-SM-D3L9W 20-29 years, male 67.2
GTEX-1AX9J-2526-SM-73KUY 60-69 years, male 66.1
GTEX-14E1K-1626-SM-664MO 50-59 years, male 64.9
GTEX-1J8Q3-2426-SM-CL53S 60-69 years, male 64.9
GTEX-1LVAN-2626-SM-CNPQF 50-59 years, female 64.6
GTEX-1CAMR-1026-SM-7P8QI 20-29 years, male 64.1
GTEX-11VI4-1426-SM-5GU6O 40-49 years, female 62.0
GTEX-15G1A-1926-SM-7KUFF 30-39 years, male 62.0
GTEX-1PFEY-1726-SM-DPRZ4 30-39 years, male 61.6
GTEX-13113-1426-SM-5EGHU 60-69 years, female 61.5
GTEX-WRHK-1126-SM-4MVOJ 20-29 years, female 61.5
GTEX-Y5V6-1626-SM-4VDT2 60-69 years, male 61.5
GTEX-1J1R8-1426-SM-CL55O 40-49 years, male 58.7
GTEX-1AMEY-1826-SM-72D5L 30-39 years, female 57.1
GTEX-1AYCT-1926-SM-793AE 50-59 years, male 55.4
GTEX-WH7G-1426-SM-4LVMU 40-49 years, male 54.9
GTEX-VJYA-2126-SM-4KL1O 60-69 years, male 53.5
GTEX-W5WG-2026-SM-4LMIB 50-59 years, female 52.3
GTEX-1OJC3-1826-SM-DTX93 20-29 years, male 50.0
GTEX-Y8E4-2326-SM-EAZAZ 40-49 years, male 48.6
GTEX-ZQUD-1026-SM-4YCEZ 30-39 years, male 47.0
GTEX-13W3W-2226-SM-5LU4M 60-69 years, female 46.0
GTEX-WYJK-2326-SM-4ONDN 50-59 years, male 45.5
GTEX-WOFM-1926-SM-4OOSP 20-29 years, male 45.3
GTEX-X5EB-1126-SM-46MVV 40-49 years, male 40.5
GTEX-15FZZ-1826-SM-6LLJP 30-39 years, female 36.8
Show allShow less
Colon - Transverse
Average nTPM: 67.1
Samples: 406

Max nTPM: 135.8
Min nTPM: 30.3
Std nTPM: 18.6
Median nTPM: 64.0
GTEX-1F75B-2726-SM-7P8QO 50-59 years, male 135.8
GTEX-ZYVF-2826-SM-5GIDK 50-59 years, female 122.5
GTEX-11GSP-1626-SM-5986N 60-69 years, female 118.4
GTEX-11O72-2226-SM-5PNW2 40-49 years, male 117.7
GTEX-145MO-2426-SM-5NQ9W 60-69 years, male 111.7
GTEX-1LG7Y-2126-SM-DIPER 50-59 years, male 108.8
GTEX-14C5O-2526-SM-73KU2 60-69 years, male 106.3
GTEX-13FH7-1526-SM-5J2N6 50-59 years, female 105.4
GTEX-13OW5-2626-SM-5MR3M 60-69 years, male 103.7
GTEX-15UF6-2626-SM-6M466 70-79 years, female 102.9
GTEX-13OVI-2026-SM-5J1MU 60-69 years, female 101.4
GTEX-XAJ8-0426-SM-47JYJ 40-49 years, male 101.2
GTEX-1IGQW-2326-SM-CE6RV 60-69 years, male 100.8
GTEX-13O3P-2326-SM-5KM55 50-59 years, male 100.2
GTEX-145LS-2726-SM-5Q5D8 60-69 years, female 99.9
GTEX-RWS6-1826-SM-47JXX 60-69 years, female 99.8
GTEX-14AS3-1126-SM-5Q5CR 40-49 years, female 99.4
GTEX-1EMGI-2726-SM-7P8S4 60-69 years, male 98.3
GTEX-11ZVC-2126-SM-5EGJ1 50-59 years, female 98.0
GTEX-1HCU7-2626-SM-C1YQO 50-59 years, male 97.2
GTEX-11TUW-2026-SM-5EQL8 60-69 years, male 97.1
GTEX-WVJS-2426-SM-EZ6LI 50-59 years, male 96.3
GTEX-17F96-2026-SM-79ON4 70-79 years, male 96.2
GTEX-117YX-0826-SM-5H11J 50-59 years, male 95.5
GTEX-1JMLX-2726-SM-CM2SB 50-59 years, male 95.4
GTEX-1N2EF-1926-SM-DTX8M 60-69 years, male 95.4
GTEX-SJXC-2226-SM-EVYAK 60-69 years, male 95.0
GTEX-1GL5R-2426-SM-7MXV1 50-59 years, male 94.9
GTEX-18A7B-2026-SM-72D71 70-79 years, male 93.5
GTEX-TKQ1-0626-SM-4DXTS 30-39 years, male 93.4
GTEX-YEC4-1926-SM-5IFHJ 40-49 years, male 93.4
GTEX-1JJE9-2426-SM-D3L8T 70-79 years, male 93.4
GTEX-V955-1626-SM-4JBHJ 60-69 years, male 93.3
GTEX-Y3I4-1426-SM-4TT9C 50-59 years, male 93.1
GTEX-WEY5-1426-SM-4LMJ3 40-49 years, female 93.0
GTEX-1QMI2-2626-SM-E6CR4 60-69 years, male 92.8
GTEX-OXRL-1426-SM-3NM9E 50-59 years, male 92.4
GTEX-OXRN-2026-SM-E6CHK 50-59 years, male 92.4
GTEX-14C39-1926-SM-5ZZW5 40-49 years, male 92.2
GTEX-14PJ5-0926-SM-6LLIK 60-69 years, female 92.0
GTEX-16NPV-2626-SM-6M484 50-59 years, female 91.8
GTEX-12ZZZ-2426-SM-5GCNN 60-69 years, male 91.6
GTEX-11EQ9-1426-SM-5987G 30-39 years, male 91.4
GTEX-17JCI-2626-SM-7EWE6 60-69 years, female 91.3
GTEX-1IDJF-1826-SM-CKZOE 20-29 years, male 91.3
GTEX-15DZA-0926-SM-69LQ3 30-39 years, female 90.4
GTEX-1C6VQ-2726-SM-73KUL 50-59 years, male 90.3
GTEX-1HSMP-2326-SM-D3L8R 70-79 years, male 90.3
GTEX-17EVQ-1826-SM-7IGPH 70-79 years, male 90.2
GTEX-11ONC-2026-SM-5HL61 60-69 years, male 90.1
GTEX-1ICLZ-2426-SM-CKZOD 60-69 years, male 89.9
GTEX-14DAQ-2726-SM-5S2QY 60-69 years, female 89.8
GTEX-15SHU-2526-SM-6M47D 40-49 years, female 89.8
GTEX-1EH9U-2026-SM-7PBYS 60-69 years, male 89.8
GTEX-16XZZ-2626-SM-6M47S 60-69 years, male 89.3
GTEX-17F9E-1826-SM-7IGMC 50-59 years, male 89.2
GTEX-15CHC-1626-SM-5ZZWS 60-69 years, female 89.1
GTEX-13U4I-2426-SM-5LU34 40-49 years, female 88.9
GTEX-1AX8Z-2726-SM-73KUC 60-69 years, male 88.2
GTEX-18D9B-2526-SM-718BN 60-69 years, male 88.1
GTEX-Y114-1526-SM-4TT79 50-59 years, female 87.9
GTEX-147JS-2526-SM-5S2Q8 60-69 years, male 87.8
GTEX-Y8LW-1226-SM-4WWDP 50-59 years, female 87.8
GTEX-1JJ6O-2426-SM-ARU8J 60-69 years, male 87.8
GTEX-14ICL-1226-SM-5S2RD 30-39 years, male 87.7
GTEX-S341-1426-SM-4AD6U 40-49 years, female 87.7
GTEX-11TTK-2426-SM-5PNYO 60-69 years, female 87.4
GTEX-1GZ4H-1226-SM-9KNUA 50-59 years, female 87.3
GTEX-1H1DG-2226-SM-9WPPC 70-79 years, male 87.2
GTEX-U412-1726-SM-EZ6KX 60-69 years, male 87.2
GTEX-1HCU6-2726-SM-A9SKV 60-69 years, female 87.1
GTEX-11P81-1126-SM-5GU5G 30-39 years, female 87.0
GTEX-ZAB4-2226-SM-5HL97 40-49 years, male 86.5
GTEX-13OVG-1426-SM-5K7VP 60-69 years, male 86.1
GTEX-1PWST-2426-SM-EWRMP 70-79 years, male 86.1
GTEX-1C2JI-1626-SM-7EPHC 50-59 years, male 85.6
GTEX-111YS-1626-SM-5GZZ9 60-69 years, male 85.5
GTEX-13OVJ-1726-SM-5IJDZ 50-59 years, female 85.5
GTEX-1MCC2-1626-SM-DIPEW 30-39 years, female 85.5
GTEX-14PJ3-0926-SM-69LQG 50-59 years, male 85.2
GTEX-16Z82-2226-SM-6LPJ7 60-69 years, male 85.0
GTEX-T6MO-0826-SM-4DM51 40-49 years, female 84.6
GTEX-1GN73-2626-SM-9KNUQ 60-69 years, male 84.5
GTEX-1NV5F-2226-SM-DTX8O 60-69 years, female 84.5
GTEX-1AMEY-1926-SM-73KVT 30-39 years, female 84.4
GTEX-OXRO-0726-SM-E9U4C 60-69 years, female 84.4
GTEX-14H4A-1926-SM-5ZZWN 40-49 years, female 84.2
GTEX-1RAZQ-2126-SM-DTX9V 30-39 years, male 84.0
GTEX-15CHQ-2526-SM-6EU24 60-69 years, male 83.9
GTEX-ZYFG-1926-SM-5GID5 60-69 years, female 83.8
GTEX-12WSL-1626-SM-5GCMU 50-59 years, male 83.6
GTEX-1S82U-0726-SM-E9TKI 30-39 years, female 83.6
GTEX-145ME-0826-SM-5O9AF 40-49 years, female 83.5
GTEX-ZF29-1726-SM-4WKFV 60-69 years, female 83.4
GTEX-1LVAN-2526-SM-CNPPC 50-59 years, female 83.4
GTEX-XYKS-2226-SM-4E3IU 60-69 years, female 83.2
GTEX-14BMV-2426-SM-5S2PP 50-59 years, male 83.0
GTEX-13CF3-1426-SM-5K7YY 60-69 years, female 82.3
GTEX-13O3O-2526-SM-5L3DR 60-69 years, female 82.3
GTEX-18A7A-2226-SM-7LT8K 50-59 years, female 82.3
GTEX-17HII-2726-SM-7MGVM 50-59 years, male 82.3
GTEX-1S5VW-2926-SM-E9U6H 60-69 years, male 82.1
GTEX-13O61-1626-SM-5KM3T 60-69 years, male 82.0
GTEX-1BAJH-2326-SM-7IGMO 70-79 years, male 81.5
GTEX-12WSJ-1526-SM-5GCNI 40-49 years, female 81.3
GTEX-131XE-0826-SM-5HL9W 50-59 years, male 81.2
GTEX-XXEK-1926-SM-4BRVD 50-59 years, male 81.2
GTEX-1OKEX-1226-SM-DTXEC 60-69 years, male 81.2
GTEX-111VG-2226-SM-5N9DU 60-69 years, male 80.8
GTEX-1AYD5-1726-SM-7RHFW 50-59 years, male 80.8
GTEX-ZYFC-2626-SM-5NQ6S 50-59 years, male 80.6
GTEX-1IDJD-2226-SM-A96TD 30-39 years, male 80.5
GTEX-1LH75-2126-SM-EVR5F 50-59 years, female 80.5
GTEX-14BIN-3026-SM-5ZZUS 50-59 years, female 80.3
GTEX-18QFQ-1526-SM-72D57 30-39 years, male 80.2
GTEX-1339X-1626-SM-5IJDN 40-49 years, male 80.1
GTEX-1GZ4I-2426-SM-9WPPP 50-59 years, male 80.1
GTEX-OHPM-1426-SM-3TW8Y 50-59 years, male 80.0
GTEX-1A3MV-1126-SM-718BS 30-39 years, male 79.9
GTEX-1JN1M-2626-SM-CY8I3 60-69 years, female 79.9
GTEX-1POEN-2026-SM-E6CRL 30-39 years, female 79.9
GTEX-13VXT-2426-SM-5LU46 20-29 years, female 79.7
GTEX-X5EB-0926-SM-46MVT 40-49 years, male 79.5
GTEX-13FHP-2426-SM-5KLZ5 50-59 years, male 79.4
GTEX-1LSVX-1726-SM-DHXJP 60-69 years, male 79.2
GTEX-QLQ7-1126-SM-CYPRB 60-69 years, male 79.2
GTEX-U3ZH-1326-SM-4DXSF 30-39 years, male 79.1
GTEX-1IOXB-2626-SM-CJI2N 50-59 years, male 79.1
GTEX-1HCVE-2526-SM-A9G2G 50-59 years, male 78.8
GTEX-X3Y1-1726-SM-4PQZL 40-49 years, male 78.7
GTEX-13W3W-2126-SM-5K7UX 60-69 years, female 78.2
GTEX-1KANB-1526-SM-CXZK4 50-59 years, male 77.6
GTEX-13S86-1626-SM-5Q5C5 40-49 years, male 77.2
GTEX-1E2YA-2626-SM-7MGWW 50-59 years, male 77.1
GTEX-1C64O-2326-SM-73KU8 60-69 years, male 77.0
GTEX-1MUQO-2626-SM-EWRO3 60-69 years, male 76.9
GTEX-1GMR2-1726-SM-9JGI2 50-59 years, male 76.7
GTEX-17KNJ-1726-SM-7LG6A 50-59 years, male 76.6
GTEX-1PPGY-2826-SM-DTX9H 60-69 years, male 76.6
GTEX-17GQL-1526-SM-7LTAC 60-69 years, male 76.5
GTEX-SNMC-1126-SM-4DM5M 20-29 years, male 76.4
GTEX-1QW4Y-1326-SM-EWRMZ 30-39 years, male 76.4
GTEX-R45C-2126-SM-EZ6KZ 60-69 years, female 75.9
GTEX-Z93S-2426-SM-5HL8N 50-59 years, male 75.8
GTEX-1I1GT-1926-SM-ARU7D 60-69 years, female 75.7
GTEX-WYJK-2226-SM-4ONDJ 50-59 years, male 75.6
GTEX-1JMPZ-2426-SM-C1YQP 30-39 years, male 75.5
GTEX-1J1OQ-2726-SM-AHZ3R 40-49 years, female 75.3
GTEX-1399R-2226-SM-5P9JB 30-39 years, male 75.2
GTEX-P78B-1726-SM-3P5ZV 40-49 years, female 75.0
GTEX-13OVK-0826-SM-7KULZ 40-49 years, male 74.7
GTEX-148VJ-2626-SM-5QGPI 70-79 years, male 74.5
GTEX-16NGA-1026-SM-7KFS3 40-49 years, female 74.5
GTEX-Q734-1126-SM-48TZY 40-49 years, female 74.5
GTEX-X4EO-2526-SM-EWRM8 60-69 years, female 74.4
GTEX-1HKZK-2126-SM-A9SL3 40-49 years, male 74.3
GTEX-16MT8-2726-SM-7IGLJ 60-69 years, female 73.9
GTEX-1HSMQ-2726-SM-C1YRE 50-59 years, male 73.8
GTEX-11NSD-1626-SM-5986U 20-29 years, male 73.7
GTEX-1H1DE-1526-SM-ARL9B 20-29 years, male 73.6
GTEX-144GL-2526-SM-5TDDL 50-59 years, male 73.4
GTEX-1IKK5-2726-SM-CNPQ6 60-69 years, male 73.2
GTEX-ZXES-1626-SM-5NQ7L 30-39 years, female 73.0
GTEX-S3XE-1126-SM-4AD4N 50-59 years, male 72.9
GTEX-WY7C-1626-SM-4ONC8 50-59 years, male 72.8
GTEX-1N5O9-2726-SM-E76QH 60-69 years, male 72.6
GTEX-1GMR3-2826-SM-9WPOG 40-49 years, male 72.1
GTEX-1LBAC-1626-SM-CXZKV 20-29 years, male 72.1
GTEX-14E1K-1826-SM-793DT 50-59 years, male 71.5
GTEX-WQUQ-2526-SM-4MVNO 60-69 years, male 71.2
GTEX-RU1J-1326-SM-46MUL 20-29 years, female 71.1
GTEX-1RMOY-1626-SM-EVYC8 50-59 years, male 71.1
GTEX-ZV6S-1226-SM-59HLH 40-49 years, female 71.0
GTEX-1CB4I-2226-SM-7P8SL 50-59 years, male 70.9
GTEX-1GF9U-1526-SM-7MXUW 40-49 years, female 70.9
GTEX-QDVJ-1326-SM-48U1X 50-59 years, male 70.8
GTEX-1GF9X-1526-SM-7P8QP 40-49 years, female 70.5
GTEX-14PJM-2626-SM-686ZD 50-59 years, female 70.3
GTEX-15DYW-2326-SM-6PAMU 60-69 years, female 70.0
GTEX-ZZ64-0726-SM-5GZX4 20-29 years, male 69.9
GTEX-PSDG-1826-SM-EAZ2S 50-59 years, male 69.7
GTEX-X15G-1326-SM-4PQZJ 50-59 years, female 69.0
GTEX-1AX9I-2626-SM-73KU5 60-69 years, male 68.8
GTEX-XGQ4-1226-SM-4AT67 50-59 years, male 68.7
GTEX-NFK9-2026-SM-3LK5K 40-49 years, male 68.5
GTEX-SNOS-1226-SM-4DM5H 40-49 years, male 68.0
GTEX-1LGOU-1626-SM-D3LAK 20-29 years, female 68.0
GTEX-15G1A-1826-SM-7KUKO 30-39 years, male 67.9
GTEX-13OW6-2126-SM-5N9GL 50-59 years, male 67.5
GTEX-14E6E-1526-SM-5RQIG 30-39 years, male 67.2
GTEX-PLZ6-0926-SM-3P5ZQ 30-39 years, male 67.2
GTEX-Y8E4-2426-SM-4WWDN 40-49 years, male 66.9
GTEX-12KS4-2426-SM-5LU8P 30-39 years, male 66.7
GTEX-XUW1-1926-SM-4BOP1 50-59 years, female 66.6
GTEX-QEL4-1926-SM-D3L8D 50-59 years, male 66.5
GTEX-WH7G-1326-SM-4LVMS 40-49 years, male 65.9
GTEX-13QJ3-2626-SM-9OSXQ 50-59 years, male 65.9
GTEX-15RIE-1826-SM-6M48P 60-69 years, male 65.4
GTEX-XQ8I-2126-SM-4BOOM 50-59 years, male 65.1
GTEX-SE5C-1526-SM-4BRWU 40-49 years, female 65.0
GTEX-1R9K5-2126-SM-E8VN1 50-59 years, male 64.3
GTEX-132AR-2726-SM-5PNVN 50-59 years, female 64.2
GTEX-1KANA-1926-SM-DHXKF 20-29 years, male 64.2
GTEX-1R9PM-1526-SM-DPRY8 20-29 years, male 63.9
GTEX-11TT1-1026-SM-5PNW7 20-29 years, male 63.8
GTEX-147GR-2726-SM-664OO 60-69 years, male 63.8
GTEX-ZG7Y-2126-SM-DO117 50-59 years, male 63.7
GTEX-15ER7-2926-SM-7KUFK 20-29 years, female 63.6
GTEX-XV7Q-2126-SM-4BRVX 40-49 years, female 63.5
GTEX-17MF6-2426-SM-7LTAM 40-49 years, male 63.3
GTEX-14JIY-3326-SM-6871E 60-69 years, male 61.7
GTEX-OIZH-1426-SM-3NB1O 50-59 years, male 61.7
GTEX-XBEW-1926-SM-4SOJO 40-49 years, male 61.3
GTEX-ZGAY-2126-SM-4YCFB 40-49 years, female 60.9
GTEX-14ICK-1026-SM-6AJA4 40-49 years, male 60.7
GTEX-13PL7-2526-SM-5IFGR 60-69 years, female 60.6
GTEX-QLQW-0426-SM-447A7 30-39 years, male 60.6
GTEX-O5YW-1426-SM-3MJHF 50-59 years, male 60.4
GTEX-U3ZM-1126-SM-4DXUB 40-49 years, male 60.4
GTEX-VJYA-2026-SM-4KL1K 60-69 years, male 60.3
GTEX-1I1GR-2526-SM-CNNQF 60-69 years, male 60.3
GTEX-117YW-1826-SM-5PNY5 50-59 years, male 60.2
GTEX-139TS-1926-SM-5IJFO 60-69 years, male 60.1
GTEX-1IDJC-1326-SM-CL53H 50-59 years, male 60.1
GTEX-ZTSS-1126-SM-5985O 40-49 years, male 60.0
GTEX-ZY6K-1226-SM-5GZYL 50-59 years, male 60.0
GTEX-178AV-1326-SM-6LPJX 40-49 years, male 59.9
GTEX-R55C-1126-SM-48FCJ 40-49 years, male 59.6
GTEX-1B996-2626-SM-73KZ1 60-69 years, male 59.3
GTEX-1RDX4-1826-SM-EVR54 50-59 years, female 59.1
GTEX-ZPCL-1826-SM-57WF1 60-69 years, female 59.0
GTEX-15DCE-2026-SM-7KUFE 20-29 years, male 58.7
GTEX-11DXX-1826-SM-5H126 60-69 years, female 58.6
GTEX-WYVS-1826-SM-4OND6 40-49 years, female 58.6
GTEX-ZP4G-1726-SM-4WWCM 20-29 years, female 58.3
GTEX-1PPH8-2026-SM-DTX7P 20-29 years, male 58.3
GTEX-17F98-1026-SM-7IGO8 40-49 years, female 58.2
GTEX-17HGU-2426-SM-7EWDP 50-59 years, male 58.1
GTEX-14BMU-1526-SM-5TDE6 20-29 years, female 57.9
GTEX-1K9T9-2826-SM-D4P3F 50-59 years, female 57.8
GTEX-OHPN-2026-SM-E9TIA 60-69 years, female 57.6
GTEX-1HCU9-1326-SM-B2LXT 20-29 years, male 57.5
GTEX-11LCK-2026-SM-5A5MA 30-39 years, male 57.2
GTEX-O5YT-1426-SM-3MJHC 20-29 years, male 57.0
GTEX-15RIF-1326-SM-6LPKO 20-29 years, male 56.9
GTEX-OIZF-1426-SM-2HML2 60-69 years, male 56.8
GTEX-1CAMS-2526-SM-7EPH7 40-49 years, female 56.6
GTEX-14PK6-1726-SM-6871J 70-79 years, female 56.3
GTEX-1KXAM-2126-SM-CY8I9 60-69 years, male 56.3
GTEX-QMRM-1226-SM-447C6 50-59 years, male 56.0
GTEX-S7SF-1926-SM-4AT5B 20-29 years, female 55.9
GTEX-Q2AI-0926-SM-48U1F 40-49 years, male 55.7
GTEX-Q2AH-1226-SM-48TZL 40-49 years, male 55.6
GTEX-1I6K6-1826-SM-B2LX5 30-39 years, male 55.6
GTEX-1R7EU-1926-SM-E9U62 60-69 years, male 55.6
GTEX-17EUY-1826-SM-7DUEZ 20-29 years, male 55.5
GTEX-1AMFI-1726-SM-7189L 50-59 years, female 55.2
GTEX-1S3DN-1826-SM-EV79K 50-59 years, male 55.2
GTEX-13D11-0826-SM-5KLZJ 50-59 years, female 55.0
GTEX-R55G-1226-SM-48FDC 40-49 years, female 55.0
GTEX-1QCLZ-1926-SM-E6CR3 60-69 years, female 54.9
GTEX-1R9JW-2026-SM-EAZ4O 30-39 years, female 54.9
GTEX-PLZ5-1126-SM-3P613 50-59 years, male 54.8
GTEX-ZT9W-1826-SM-51MQX 50-59 years, male 54.8
GTEX-PWCY-1026-SM-48TD4 20-29 years, female 54.7
GTEX-ZDYS-2326-SM-4WKG6 50-59 years, male 54.7
GTEX-139YR-2126-SM-5KM11 50-59 years, male 54.5
GTEX-S4P3-1226-SM-4AD4Y 50-59 years, female 54.5
GTEX-1CB4F-2026-SM-79OLU 60-69 years, male 54.3
GTEX-1H1E6-1926-SM-9OSWD 30-39 years, male 54.1
GTEX-16AAH-1326-SM-7KFRG 50-59 years, male 54.0
GTEX-XBED-1526-SM-4AT5W 60-69 years, male 54.0
GTEX-1N2DV-1426-SM-DPRYQ 40-49 years, male 54.0
GTEX-1LVAM-1626-SM-EV79Y 50-59 years, female 53.9
GTEX-UJHI-1126-SM-4IHLN 50-59 years, female 53.8
GTEX-1NSGN-2326-SM-E9U5X 50-59 years, male 53.7
GTEX-1HSGN-2626-SM-CE6S1 40-49 years, female 53.6
GTEX-1128S-1626-SM-5H12O 60-69 years, female 53.5
GTEX-146FQ-1926-SM-5NQBY 30-39 years, male 53.5
GTEX-1NHNU-2326-SM-E6CQE 50-59 years, male 53.5
GTEX-ZLV1-1226-SM-4WWBX 60-69 years, female 53.4
GTEX-1I4MK-1126-SM-B2LWS 50-59 years, female 53.4
GTEX-1211K-1726-SM-5FQUJ 60-69 years, female 53.3
GTEX-14JG6-1726-SM-69LPL 30-39 years, female 53.3
GTEX-1MJK3-0926-SM-EV7AY 20-29 years, male 53.2
GTEX-18D9U-1926-SM-7KFTM 40-49 years, male 53.1
GTEX-PX3G-1426-SM-48U1J 20-29 years, female 53.1
GTEX-1JK1U-1526-SM-AHZ46 60-69 years, male 53.1
GTEX-OOBJ-1426-SM-E6CHH 60-69 years, male 53.1
GTEX-TKQ2-1326-SM-4DXT9 50-59 years, male 52.9
GTEX-13PVR-1626-SM-73KVF 60-69 years, female 52.8
GTEX-1399S-1926-SM-5J2M5 30-39 years, female 52.7
GTEX-14XAO-2026-SM-69LOI 60-69 years, female 52.7
GTEX-1L5NE-2026-SM-CXZKR 50-59 years, male 52.7
GTEX-1B932-2826-SM-73KUD 40-49 years, female 52.5
GTEX-ZPU1-1926-SM-57WDT 40-49 years, male 52.5
GTEX-UJMC-1326-SM-4IHLS 50-59 years, male 52.2
GTEX-WFON-1426-SM-4LVMT 40-49 years, male 52.2
GTEX-1JKYR-1926-SM-C1YR7 20-29 years, male 52.1
GTEX-QDVN-1326-SM-48TZ3 50-59 years, male 52.0
GTEX-1PIGE-1426-SM-E9U61 20-29 years, male 52.0
GTEX-W5WG-2426-SM-4LMI6 50-59 years, female 51.6
GTEX-1F5PK-1926-SM-7MXT7 50-59 years, male 51.6
GTEX-1IDJU-2026-SM-A9SLM 60-69 years, female 51.6
GTEX-12C56-0626-SM-5EGGC 20-29 years, male 51.4
GTEX-QCQG-1626-SM-48U26 50-59 years, female 51.4
GTEX-13111-0726-SM-5DUVE 50-59 years, male 51.0
GTEX-P4PP-1426-SM-3NM9L 30-39 years, female 51.0
GTEX-WHWD-1226-SM-4OOS1 50-59 years, male 51.0
GTEX-TML8-1326-SM-4DXTO 40-49 years, female 50.8
GTEX-S4UY-0826-SM-4AD4Z 40-49 years, female 50.7
GTEX-1K2DA-2026-SM-CGQGK 50-59 years, male 50.7
GTEX-15CHR-1426-SM-7DUGV 50-59 years, male 50.6
GTEX-R53T-1326-SM-48FCQ 50-59 years, female 50.6
GTEX-13QBU-1826-SM-5IJG3 40-49 years, female 50.5
GTEX-Y3IK-1826-SM-4WWDS 50-59 years, female 50.5
GTEX-18A66-2426-SM-7KFSQ 60-69 years, male 50.4
GTEX-S4Q7-0826-SM-4AD5E 20-29 years, male 50.4
GTEX-RM2N-0926-SM-48FD1 50-59 years, male 50.3
GTEX-1F5PL-2126-SM-7PC2O 40-49 years, female 50.0
GTEX-14PKV-2126-SM-664O3 20-29 years, female 49.7
GTEX-P4QT-1426-SM-3NMCX 50-59 years, female 49.7
GTEX-WOFM-2026-SM-4OOSQ 20-29 years, male 49.5
GTEX-1KANC-0926-SM-D3LA9 50-59 years, female 49.5
GTEX-145MN-1726-SM-5SIA6 30-39 years, male 49.4
GTEX-Y5LM-1526-SM-4VDTA 40-49 years, female 49.4
GTEX-U3ZN-2126-SM-4DXU1 30-39 years, female 49.3
GTEX-1LGRB-1426-SM-CNNPT 50-59 years, female 49.2
GTEX-OXRK-1726-SM-3NB16 50-59 years, female 49.1
GTEX-1122O-1526-SM-5N9CL 60-69 years, female 48.9
GTEX-145LT-0926-SM-5LU9C 40-49 years, male 48.9
GTEX-R55D-1826-SM-48FEF 50-59 years, male 48.9
GTEX-1H11D-2626-SM-9JGH4 40-49 years, male 48.9
GTEX-14PHX-1526-SM-68717 50-59 years, male 48.8
GTEX-144GM-1226-SM-5LU52 20-29 years, male 48.7
GTEX-1GPI7-1726-SM-7P8R1 20-29 years, male 48.7
GTEX-1LG7Z-1426-SM-CXKYV 30-39 years, male 48.7
GTEX-ZF2S-1926-SM-4WWAN 50-59 years, female 48.6
GTEX-14DAR-1526-SM-5RQIX 50-59 years, male 48.5
GTEX-1HSEH-1726-SM-B2LXH 60-69 years, male 48.4
GTEX-131XG-1826-SM-5LZV4 50-59 years, female 48.3
GTEX-ZDTT-1926-SM-5HL5W 60-69 years, male 48.3
GTEX-1JKYN-2326-SM-CGQG7 30-39 years, male 48.2
GTEX-YF7O-1726-SM-5IFJ9 50-59 years, male 48.1
GTEX-11P7K-1526-SM-5EGI7 30-39 years, male 48.0
GTEX-QV31-0826-SM-CKZNC 30-39 years, male 48.0
GTEX-15SB6-1226-SM-7KUMP 50-59 years, female 47.9
GTEX-11I78-1226-SM-5A5K6 50-59 years, female 47.8
GTEX-YEC3-2426-SM-DO11A 50-59 years, male 47.4
GTEX-1AYCT-1826-SM-731EG 50-59 years, male 47.3
GTEX-1QCLY-1726-SM-DPRXY 30-39 years, male 47.1
GTEX-13X6H-1926-SM-7EWD3 50-59 years, female 47.0
GTEX-Y9LG-1526-SM-4WWDR 30-39 years, male 46.9
GTEX-147F3-1926-SM-5SIB9 50-59 years, female 46.8
GTEX-144GN-1126-SM-5LU33 50-59 years, male 46.7
GTEX-1MGNQ-2026-SM-EAZ51 40-49 years, male 46.7
GTEX-ZLWG-1726-SM-DNZZ2 50-59 years, female 46.6
GTEX-1399U-1926-SM-5IFH7 50-59 years, female 46.5
GTEX-1H3VY-2426-SM-9WPPD 50-59 years, male 46.5
GTEX-139T6-1326-SM-5IFFO 50-59 years, male 46.3
GTEX-ZV7C-1526-SM-5NQ72 50-59 years, male 46.3
GTEX-13FTW-1826-SM-5IJEN 40-49 years, male 46.2
GTEX-18D9A-1126-SM-7KFRJ 30-39 years, female 45.9
GTEX-1CAMR-0926-SM-7MXTD 20-29 years, male 45.8
GTEX-1J1R8-1126-SM-CNPQ3 40-49 years, male 45.8
GTEX-1B8KZ-1326-SM-7DUG6 50-59 years, male 45.7
GTEX-ZVT2-1926-SM-5GU5T 50-59 years, female 45.7
GTEX-ZVP2-1526-SM-5NQ82 50-59 years, male 45.4
GTEX-ZPIC-2226-SM-57WDX 40-49 years, female 45.3
GTEX-111CU-1426-SM-5GZYP 50-59 years, male 45.2
GTEX-XUZC-1326-SM-4BRV2 30-39 years, female 44.8
GTEX-1C4CL-2126-SM-7IGQC 30-39 years, male 44.6
GTEX-YB5E-1626-SM-5IFIQ 40-49 years, male 44.6
GTEX-11VI4-1526-SM-5EQKC 40-49 years, female 44.4
GTEX-T5JW-1126-SM-4DM5V 20-29 years, female 44.4
GTEX-XPVG-1826-SM-4B64X 50-59 years, male 44.1
GTEX-1QP67-1326-SM-EAZ4D 40-49 years, female 44.0
GTEX-1HFI7-1726-SM-A9G22 50-59 years, female 43.6
GTEX-1S83E-1626-SM-EV7B9 40-49 years, male 43.6
GTEX-PWN1-1426-SM-48TDF 40-49 years, female 43.5
GTEX-ZEX8-1926-SM-4WKFR 50-59 years, male 43.2
GTEX-11DXZ-1726-SM-5H12M 50-59 years, male 43.0
GTEX-12BJ1-2126-SM-5BC5O 60-69 years, male 42.7
GTEX-14PJ4-1926-SM-6LLHG 60-69 years, male 42.7
GTEX-1MA7W-0626-SM-EV79Z 20-29 years, female 42.7
GTEX-1PFEY-1426-SM-E9U6U 30-39 years, male 42.6
GTEX-WFG7-1526-SM-4LVMG 20-29 years, male 42.4
GTEX-XMK1-1726-SM-4B64Z 40-49 years, male 42.3
GTEX-1JN76-1226-SM-C1YRM 20-29 years, female 41.7
GTEX-1QP9N-1026-SM-E6CPX 30-39 years, male 41.6
GTEX-1F75I-2426-SM-9WPOY 40-49 years, male 41.2
GTEX-1RAZA-1726-SM-DPS13 20-29 years, male 40.8
GTEX-1JMPY-0426-SM-C1YQ3 30-39 years, male 40.7
GTEX-133LE-1526-SM-5IFEN 20-29 years, female 39.7
GTEX-U4B1-1126-SM-4DXV3 40-49 years, male 39.5
GTEX-13O21-2426-SM-5MR4A 50-59 years, male 38.8
GTEX-1QPFJ-2326-SM-E6CR7 30-39 years, female 38.5
GTEX-11P82-1026-SM-5BC5J 20-29 years, male 38.4
GTEX-11EM3-1526-SM-5A5KN 20-29 years, female 37.8
GTEX-WHSB-0926-SM-4M1XJ 50-59 years, male 36.6
GTEX-1PIEJ-2026-SM-E6CPA 20-29 years, female 36.2
GTEX-17HHE-1826-SM-79OKE 50-59 years, male 36.1
GTEX-1RAZR-1926-SM-E6CRF 40-49 years, male 36.1
GTEX-1C475-1626-SM-731FP 40-49 years, female 35.2
GTEX-1IKOE-2026-SM-AHZ31 30-39 years, female 34.6
GTEX-1B8KE-1926-SM-731EE 50-59 years, male 30.3
Show allShow less

COLON - FANTOM5 CAGEi

RNA expression in human tissues obtained through Cap Analysis of Gene Expression (CAGE) generated by the FANTOM5 project are reported as Scaled Tags Per Million.

Max subtype Scaled Tags Per Millioni

Max subtype Scaled Tags Per Million is the value for the subtype with the largest average Scaled Tags Per Million across the subtype samples.

51.0
FANTOM5 sample id Sample description Scaled Tags Per Million
Colon
Scaled Tags Per Million: 51.0
FF:10014-101C5 62,83,84 years, mixed 51.0

Contact

  • NEWS ARTICLES
  • PRESS ROOM

The Project

  • INTRODUCTION
  • ORGANIZATION
  • PUBLICATIONS

The Human Protein Atlas

  • DOWNLOADABLE DATA
  • LICENCE & CITATION
  • HELP & FAQ
The Human Protein Atlas project is funded
by the Knut & Alice Wallenberg Foundation.


contact@proteinatlas.org