We use cookies to enhance the usability of our website. If you continue, we'll assume that you are happy to receive all cookies. More information. Don't show this again.
GPRIN2
HPA
RESOURCES
  • TISSUE
  • BRAIN
  • SINGLE CELL
  • SUBCELLULAR
  • CANCER
  • BLOOD
  • CELL LINE
  • STRUCTURE & INTERACTION
ABOUT
  • INTRODUCTION
  • HISTORY
  • ORGANIZATION
  • PUBLICATIONS
  • ANTIBODY SUBMISSION
  • ANTIBODY AVAILABILITY
  • ACKNOWLEDGMENTS
  • CONTACT
NEWS
  • NEWS ARTICLES
  • PRESS ROOM
LEARN
  • DICTIONARY
  • PROTEIN CLASSES
  • PROTEIN EVIDENCE
  • METHODS
  • EDUCATIONAL VIDEOS
DATA
  • DOWNLOADABLE DATA
  • PUBLICATION DATA
  • RELEASE HISTORY
HELP
  • ANTIBODY VALIDATION
  • ASSAYS & ANNOTATION
  • DISCLAIMER
  • HELP & FAQ
  • PRIVACY STATEMENT
  • LICENCE & CITATION
Fields »
Search result

Field
Term
Gene name
Class
Subclass
Class
Keyword
Chromosome
External id
Tissue
Cell type
Expression
Antibody panel
Tissue
Main location
Patient ID
Annotation
Tissue
Category
Tau score
Cluster
Reliability
Brain region
Category
Tau score
Brain region
Category
Tau score
Brain region
Category
Tau score
Cluster
Reliability
Tissue
Cell type
Enrichment
Cell type
Category
Tau score
Cell type
Category
Tau score
Cell type
Category
Tau score
Cell lineage
Category
Tau score
Cluster
Cluster
Location
Searches
Location
Cell line
Class
Type
Phase
Reliability
Cancer
Prognosis
Cancer
Category
Cancer
Category
Tau score
Cluster
Variants
Interacting gene (ensg_id)
Type
Number of interactions
Pathway
Category
Score
Score
Score
Validation
Validation
Validation
Validation
Antibodies
Data type
Column


  • SUMMARY

  • TISSUE

  • BRAIN

  • SINGLE CELL

  • SUBCELL

  • CANCER

  • BLOOD

  • CELL LINE

  • STRUCT & INT

  • GPRIN2
TISSUE PRIMARY DATA SKIN Show tissue menu
ADIPOSE TISSUE ADRENAL GLAND AMYGDALA APPENDIX BASAL GANGLIA BONE MARROW BREAST BRONCHUS CEREBELLUM CEREBRAL CORTEX CERVIX CHOROID PLEXUS COLON DUODENUM
ENDOMETRIUM EPIDIDYMIS ESOPHAGUS FALLOPIAN TUBE GALLBLADDER HEART MUSCLE HIPPOCAMPAL FORMATION HYPOTHALAMUS KIDNEY LIVER LUNG LYMPH NODE MIDBRAIN ORAL MUCOSA
OVARY PANCREAS PARATHYROID GLAND PITUITARY GLAND PLACENTA PROSTATE RECTUM RETINA SALIVARY GLAND SEMINAL VESICLE SKELETAL MUSCLE SKIN SMALL INTESTINE SMOOTH MUSCLE
SOFT TISSUE SPINAL CORD SPLEEN STOMACH TESTIS THYMUS THYROID GLAND TONGUE TONSIL URINARY BLADDER VAGINA
ANTIBODIES
AND
VALIDATION
Dictionary
Skin
Tissue proteome
Skin
SKIN - Expression summary
Protein expression
Skini

On the top, protein expression in current human tissue, based on all annotated cell types, is reported with the units not detected (n), low (l), medium (m) and high (h). Underneath, protein expression in each annotated cell type are reported using the same units.

Protein expression data is based on knowledge-based annotation. For genes where more than one antibody has been used, a collective score is set.

If knowledge-based annotation could not be performed for a gene, no data is displayed here. View antibody staining data further down this page.

h
m
l
n
Epidermal cells: Medium
Fibroblasts: Medium
Keratinocytes: Medium
Langerhans: Medium
Melanocytes: Medium
RNA expressioni

A summary of mRNA expression data available for current tissue based on several datasets. The mRNA expression levels in human tissues are based on RNA-seq data generated by the Human Protein Atlas (HPA), Genotype-Tissue Expression (GTEx) portal and CAGE data generated by the FANTOM5 consortium. Consensus normalized expression levels for human tissues was created by combining the data from HPA and GTEx datasets.

The mRNA expression levels in pig are based on RNA-seq data generated by the Human Protein Atlas (HPA), and for mouse, HPA data and in situ hybridization generated by the Allen brain atlas are reported.

Scroll down to view mRNA expression data in more detail.
Consensus:16.9 nTPM
HPA:12.9 nTPM
GTEx:16.9 nTPM

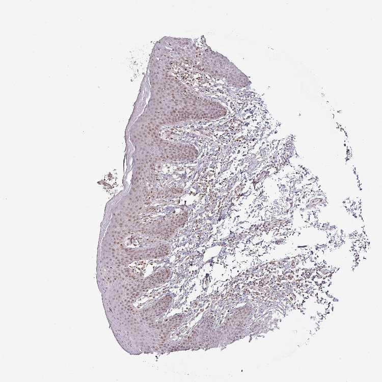
SKIN 1 - Antibody stainingi

Antibody staining in the annotated cell types in the current human tissue is reported as not detected, low, medium, or high, based on conventional immunohistochemistry profiling in selected tissues. This score is based on the combination of the staining intensity and fraction of stained cells.

Each image is clickable and will lead to virtual microscopy that enables deeper exploration of all samples and also displays staining intensity scores, fraction scores and subcellular localization as well as patient and tissue information for each sample.

Antibody HPA038129
Langerhans Medium
Fibroblasts Medium
Keratinocytes Medium
Melanocytes Medium


SKIN 2 - Antibody stainingi

Antibody staining in the annotated cell types in the current human tissue is reported as not detected, low, medium, or high, based on conventional immunohistochemistry profiling in selected tissues. This score is based on the combination of the staining intensity and fraction of stained cells.

Each image is clickable and will lead to virtual microscopy that enables deeper exploration of all samples and also displays staining intensity scores, fraction scores and subcellular localization as well as patient and tissue information for each sample.

Antibody HPA038129
Epidermal cells Medium
 
 
 


SKIN - HPA RNA-seqi

The RNA-seq details section shows detailed information about the individual samples used for the transcript profiling and results of the RNA-seq analysis.

Information about each individual sample is listed below, including gender, age, a tissue section image and estimated fractions of cell types. nTPM (normalized transcripts per million) values give a quantification of the gene abundance which is comparable between different genes and samples.
Average nTPMi

Max subtype nTPM is the value for the subtype with the largest average nTPM across the subtype samples.

12.9
overview
Female, age 34
Skin sample 225
nTPM: 10.4
Cell types%
Keratinocytes:
60

Other cell types:
40

overview
Female, age 30
Skin sample 226
nTPM: 16.1
Cell types%
Keratinocytes:
55

Other cell types:
45

N/A
Male, age 57
Skin sample 227
nTPM: 12.2

SKIN - GTEx RNA-seqi

RNA-Seq data generated by the Genotype-Tissue Expression (GTEx) project from human tissues is reported as mean nTPM. More information can be found on the GTEx portal.

Distribution across the dataset is visualized with box plots, shown as median and 25th and 75th percentiles. Points are displayed as outliers if they are above or below 1.5 times the interquartile range. nTPM values of the individual samples are presented next to the box plot.
Max subtype nTPMi

Max subtype nTPM is the value for the subtype with the largest average nTPM across the subtype samples.

16.9
GTEx sample id Sample description nTPM
Skin - Not Sun Exposed (Suprapubic)
Average nTPM: 16.9
Samples: 604

Max nTPM: 70.5
Min nTPM: 1.1
Std nTPM: 10.6
Median nTPM: 14.2
GTEX-Y114-2126-SM-4TT8B 50-59 years, female 70.5
GTEX-1OJC3-1226-SM-DTXER 20-29 years, male 59.8
GTEX-1IKOE-1426-SM-CE6T7 30-39 years, female 58.3
GTEX-1399S-0126-SM-5IJCF 30-39 years, female 57.3
GTEX-ZP4G-1426-SM-4WWCL 20-29 years, female 55.9
GTEX-15RIG-0726-SM-7KUM7 40-49 years, male 54.8
GTEX-1JMPY-0226-SM-CKZOK 30-39 years, male 53.5
GTEX-1QP2A-1726-SM-E76QC 50-59 years, male 53.3
GTEX-1RAZQ-1326-SM-E9TK6 30-39 years, male 50.2
GTEX-1399U-1126-SM-5L3DB 50-59 years, female 49.1
GTEX-1QW4Y-1126-SM-DTXE3 30-39 years, male 47.7
GTEX-131XF-2626-SM-5EQ6K 60-69 years, male 45.9
GTEX-Y9LG-1126-SM-4VBQ7 30-39 years, male 45.7
GTEX-1PPGY-1626-SM-EVYBL 60-69 years, male 45.7
GTEX-11DZ1-2426-SM-5GZZX 50-59 years, male 45.0
GTEX-17HII-1426-SM-7EPGG 50-59 years, male 44.8
GTEX-1MJK3-0726-SM-E6CJC 20-29 years, male 44.7
GTEX-111CU-1126-SM-5EGIM 50-59 years, male 44.4
GTEX-131XG-0326-SM-5L3DX 50-59 years, female 43.6
GTEX-1S82U-1026-SM-E6CJK 30-39 years, female 42.2
GTEX-1EKGG-0626-SM-7DUGJ 60-69 years, male 41.9
GTEX-13O61-1426-SM-5KM3D 60-69 years, male 41.2
GTEX-111VG-1626-SM-5EGIO 60-69 years, male 40.8
GTEX-11DXZ-2026-SM-5987S 50-59 years, male 40.8
GTEX-18QFQ-1826-SM-72D52 30-39 years, male 40.7
GTEX-1R9PN-0426-SM-DTXDT 40-49 years, female 40.7
GTEX-1R7EU-1626-SM-DTXG3 60-69 years, male 40.1
GTEX-XBEW-1126-SM-4QARW 40-49 years, male 39.1
GTEX-14PHY-1226-SM-5ZZWK 60-69 years, female 38.8
GTEX-1I1GT-1026-SM-ARZLV 60-69 years, female 38.4
GTEX-XAJ8-1426-SM-47JYM 40-49 years, male 37.9
GTEX-1PPH8-0126-SM-EWRN8 20-29 years, male 37.7
GTEX-15FZZ-0526-SM-7KUGD 30-39 years, female 37.6
GTEX-1C6WA-2626-SM-7MKGM 60-69 years, male 37.0
GTEX-YFCO-1226-SM-5LUAT 40-49 years, male 36.9
GTEX-WHSB-1326-SM-3LK6W 50-59 years, male 36.8
GTEX-17HHE-1326-SM-7EWDZ 50-59 years, male 36.6
GTEX-1H2FU-0926-SM-9WPPT 60-69 years, female 35.9
GTEX-1LBAC-0826-SM-CY8IJ 20-29 years, male 35.9
GTEX-1QPFJ-1926-SM-EVYBD 30-39 years, female 35.5
GTEX-1B8KE-1126-SM-7EPHI 50-59 years, male 35.2
GTEX-1OJC4-2726-SM-E76PJ 50-59 years, female 35.2
GTEX-ZLV1-1526-SM-DO91J 60-69 years, female 35.2
GTEX-1S3DN-2126-SM-E9TIN 50-59 years, male 34.5
GTEX-1HCUA-0826-SM-ADEHM 50-59 years, female 34.3
GTEX-ZDTT-0426-SM-4WKFL 60-69 years, male 34.2
GTEX-1HSMQ-2626-SM-A9SML 50-59 years, male 34.2
GTEX-ZZPU-0826-SM-5GZX5 50-59 years, female 33.9
GTEX-ZF29-0926-SM-4WKFZ 60-69 years, female 33.7
GTEX-1LB8K-0726-SM-D5OV2 50-59 years, male 33.6
GTEX-14PK6-0226-SM-62LF5 70-79 years, female 33.4
GTEX-17HGU-2326-SM-7DUFE 50-59 years, male 33.4
GTEX-ZVT2-0126-SM-5GIDQ 50-59 years, female 33.1
GTEX-147F4-0726-SM-5TDDD 50-59 years, male 32.9
GTEX-1EMGI-2326-SM-7PBYA 60-69 years, male 32.6
GTEX-1CB4E-0926-SM-7EPHT 60-69 years, male 32.5
GTEX-1KXAM-1626-SM-D3LAD 60-69 years, male 31.9
GTEX-ZPCL-1126-SM-4WWFE 60-69 years, female 31.7
GTEX-1NSGN-0726-SM-DTXEF 50-59 years, male 31.7
GTEX-ZTX8-1326-SM-4YCEL 20-29 years, male 31.3
GTEX-1H11D-1826-SM-9QEHM 40-49 years, male 31.1
GTEX-1192X-2726-SM-5N9DN 50-59 years, male 30.9
GTEX-18A67-1626-SM-7LT9T 50-59 years, male 30.7
GTEX-1K2DA-1026-SM-CGQGF 50-59 years, male 30.7
GTEX-1122O-1026-SM-9WYSF 60-69 years, female 30.6
GTEX-1C2JI-1026-SM-73KY1 50-59 years, male 30.5
GTEX-1RMOY-1326-SM-E9TIH 50-59 years, male 30.5
GTEX-15CHR-1126-SM-7EWF4 50-59 years, male 30.3
GTEX-X585-2426-SM-46MW2 50-59 years, male 30.1
GTEX-14PJ4-0226-SM-5YY92 60-69 years, male 30.0
GTEX-ZLFU-1826-SM-4WWBV 40-49 years, male 29.9
GTEX-1LSNM-0826-SM-DIPG8 50-59 years, male 29.9
GTEX-1QP28-1126-SM-EVYC4 50-59 years, female 29.9
GTEX-1B97I-0626-SM-73KUZ 40-49 years, male 29.1
GTEX-ZPIC-0526-SM-DO91W 40-49 years, female 28.6
GTEX-1IKJJ-2226-SM-CJI4C 60-69 years, male 28.5
GTEX-1JMQJ-0826-SM-CNPP7 50-59 years, male 28.4
GTEX-14PHX-2226-SM-6EU2P 50-59 years, male 28.1
GTEX-14ICL-1626-SM-5YYAO 30-39 years, male 28.0
GTEX-WHPG-2626-SM-3NMBR 50-59 years, male 27.7
GTEX-1CAMR-1326-SM-7PC1F 20-29 years, male 27.5
GTEX-1KANB-2826-SM-CY8I6 50-59 years, male 27.5
GTEX-1CB4F-1026-SM-7DUH1 60-69 years, male 27.3
GTEX-VUSG-2326-SM-4KL1U 50-59 years, male 27.3
GTEX-1MCYP-0526-SM-E9U6Q 20-29 years, female 27.3
GTEX-1HSGN-0826-SM-ACKW3 40-49 years, female 27.2
GTEX-1S82P-2126-SM-E6CI5 60-69 years, female 27.2
GTEX-1JK1U-0226-SM-ARZMX 60-69 years, male 27.1
GTEX-15CHQ-0326-SM-69LQD 60-69 years, male 27.0
GTEX-11P81-2226-SM-5PNYI 30-39 years, female 26.9
GTEX-12WSK-2126-SM-5CVNC 40-49 years, female 26.8
GTEX-1ICLZ-0326-SM-ARL82 60-69 years, male 26.8
GTEX-17F9E-2326-SM-79OKD 50-59 years, male 26.7
GTEX-14PJ6-2626-SM-6EU2T 60-69 years, female 26.6
GTEX-1GPI7-1826-SM-9KNU1 20-29 years, male 26.5
GTEX-14PII-0726-SM-6EU2B 60-69 years, male 26.4
GTEX-ZPU1-1126-SM-4YCF3 40-49 years, male 26.3
GTEX-1LGRB-0926-SM-COH3K 50-59 years, female 26.3
GTEX-1N2DV-1526-SM-DTXEP 40-49 years, male 26.3
GTEX-1E2YA-2126-SM-7MXUO 50-59 years, male 26.2
GTEX-11OF3-0126-SM-5PNYF 60-69 years, male 26.1
GTEX-XYKS-1426-SM-4BRUO 60-69 years, female 26.1
GTEX-ZF3C-0626-SM-DO92O 50-59 years, female 26.1
GTEX-145MN-1526-SM-5SI9T 30-39 years, male 25.2
GTEX-11VI4-1126-SM-5EQMD 40-49 years, female 25.1
GTEX-17F97-2626-SM-7IGM5 50-59 years, male 24.9
GTEX-1HBPN-0126-SM-CGQEF 50-59 years, male 24.8
GTEX-Y3I4-1726-SM-4TT89 50-59 years, male 24.6
GTEX-1I4MK-0126-SM-CY8G6 50-59 years, female 24.6
GTEX-ZF2S-1626-SM-57WES 50-59 years, female 24.4
GTEX-1LVAN-0626-SM-CNPOQ 50-59 years, female 24.3
GTEX-Y8E4-2026-SM-5IFJB 40-49 years, male 24.2
GTEX-1QCLY-0226-SM-EWRNH 30-39 years, male 24.1
GTEX-12WSH-1526-SM-5BC5W 50-59 years, male 24.0
GTEX-1GMRU-2126-SM-7P8RA 50-59 years, male 24.0
GTEX-ZYY3-2926-SM-5GIEB 60-69 years, female 23.9
GTEX-1LVAM-0726-SM-E6CIL 50-59 years, female 23.9
GTEX-144GM-0526-SM-79OJO 20-29 years, male 23.6
GTEX-14PKU-0126-SM-6LLHV 40-49 years, female 23.6
GTEX-131YS-2826-SM-5EQ47 60-69 years, female 22.7
GTEX-1HFI7-2326-SM-CGQFS 50-59 years, female 22.7
GTEX-145MH-2826-SM-5RQJF 50-59 years, male 22.6
GTEX-1212Z-0126-SM-59HK4 60-69 years, male 22.5
GTEX-WYVS-1626-SM-3NM9R 40-49 years, female 22.5
GTEX-ZWKS-0626-SM-5GIDV 30-39 years, male 22.4
GTEX-WFG7-2026-SM-5SI7P 20-29 years, male 22.3
GTEX-ZVZP-1226-SM-5GID7 50-59 years, male 22.3
GTEX-1J1R8-2026-SM-CL53Y 40-49 years, male 22.3
GTEX-11LCK-2226-SM-5HL4Q 30-39 years, male 22.2
GTEX-11NSD-0626-SM-5A5LU 20-29 years, male 22.2
GTEX-1H1ZS-2726-SM-9WG75 70-79 years, male 22.2
GTEX-1POEN-2326-SM-E9J2L 30-39 years, female 22.2
GTEX-1PIGE-1826-SM-E8VOU 20-29 years, male 22.1
GTEX-13QJC-0126-SM-5ZZWJ 60-69 years, female 22.0
GTEX-13OW7-0426-SM-5K7VK 50-59 years, male 21.9
GTEX-XBED-1926-SM-47JYP 60-69 years, male 21.9
GTEX-ZVP2-0326-SM-57WBP 50-59 years, male 21.9
GTEX-15RJ7-2126-SM-6PAMD 40-49 years, male 21.8
GTEX-1HSKV-1226-SM-ADEI4 60-69 years, male 21.8
GTEX-YEC3-1326-SM-DO92X 50-59 years, male 21.8
GTEX-183FY-1026-SM-7939A 20-29 years, male 21.7
GTEX-11GSP-2326-SM-5HL63 60-69 years, female 21.6
GTEX-X5EB-1926-SM-4E3IW 40-49 years, male 21.6
GTEX-1GF9V-0826-SM-9KNUV 60-69 years, male 21.6
GTEX-1I1GV-0626-SM-ARL7M 60-69 years, male 21.6
GTEX-17F98-1326-SM-7DUEP 40-49 years, female 21.5
GTEX-145LS-0626-SM-7EPG7 60-69 years, female 21.4
GTEX-1A3MV-1826-SM-731CD 30-39 years, male 21.4
GTEX-1C475-1326-SM-7SB73 40-49 years, female 21.4
GTEX-1K9T9-1526-SM-DIPFR 50-59 years, female 21.4
GTEX-Z93S-1626-SM-5CVMB 50-59 years, male 21.3
GTEX-1GN2E-0226-SM-9WG6K 60-69 years, male 21.3
GTEX-Y5LM-0926-SM-6LLJG 40-49 years, female 21.2
GTEX-1GN1V-2826-SM-9JGIA 60-69 years, male 21.2
GTEX-1IY9M-2826-SM-ARU8H 60-69 years, male 21.2
GTEX-1JMQK-1226-SM-D4P2S 60-69 years, male 21.2
GTEX-13113-1626-SM-5EQ4I 60-69 years, female 21.1
GTEX-14B4R-1326-SM-5Q5EZ 30-39 years, male 21.1
GTEX-1KANA-1326-SM-DIPFA 20-29 years, male 21.1
GTEX-14PJ3-1126-SM-5ZZVX 50-59 years, male 21.0
GTEX-1CB4I-0126-SM-7RHGG 50-59 years, male 21.0
GTEX-1F6I4-2326-SM-7RHGL 60-69 years, male 20.8
GTEX-1J8EW-2726-SM-CY8HR 60-69 years, female 20.8
GTEX-1MCC2-1826-SM-DIPEX 30-39 years, female 20.8
GTEX-12ZZZ-0726-SM-5GCNZ 60-69 years, male 20.7
GTEX-Y3IK-1626-SM-4YCF5 50-59 years, female 20.7
GTEX-ZE9C-2526-SM-5IJDR 60-69 years, male 20.7
GTEX-13N11-2326-SM-5IJBF 50-59 years, female 20.6
GTEX-14BIN-1126-SM-5RQJZ 50-59 years, female 20.5
GTEX-1AMEY-0826-SM-72D65 30-39 years, female 20.5
GTEX-133LE-2326-SM-5K7W3 20-29 years, female 20.4
GTEX-14ABY-2026-SM-62LDL 50-59 years, male 20.4
GTEX-13FTW-0326-SM-5K7UW 40-49 years, male 20.3
GTEX-18A6Q-0626-SM-7KFRP 60-69 years, male 20.2
GTEX-11P7K-1126-SM-5HL4L 30-39 years, male 20.1
GTEX-ZTSS-1426-SM-5985P 40-49 years, male 20.1
GTEX-1PBJJ-1026-SM-E76OS 30-39 years, male 20.1
GTEX-13FLV-0126-SM-5K7WT 50-59 years, male 20.0
GTEX-14DAR-1226-SM-73KYV 50-59 years, male 20.0
GTEX-13OVK-1426-SM-6PAN7 40-49 years, male 19.9
GTEX-1C64O-1326-SM-7MGWR 60-69 years, male 19.9
GTEX-Y8LW-1526-SM-5IFHL 50-59 years, female 19.8
GTEX-1HSMP-0926-SM-A9SKX 70-79 years, male 19.8
GTEX-14E1K-2026-SM-7DUEI 50-59 years, male 19.7
GTEX-1JN76-0626-SM-CKZOQ 20-29 years, female 19.7
GTEX-1H1DE-1326-SM-9KNUG 20-29 years, male 19.6
GTEX-14PJ5-1526-SM-6LLIL 60-69 years, female 19.4
GTEX-1GZHY-0626-SM-9KNVC 50-59 years, female 19.4
GTEX-1R9PM-1926-SM-EVR3O 20-29 years, male 19.4
GTEX-1S83E-1326-SM-E6CJM 40-49 years, male 19.4
GTEX-1IDJU-1726-SM-CMKHU 60-69 years, female 19.3
GTEX-147GR-2426-SM-5ZZWQ 60-69 years, male 19.2
GTEX-XUW1-0926-SM-4BONX 50-59 years, female 19.2
GTEX-13OW6-2726-SM-5J2OE 50-59 years, male 19.1
GTEX-13FTX-1526-SM-5K7VJ 20-29 years, female 19.0
GTEX-13NYB-0126-SM-5J1MD 40-49 years, male 19.0
GTEX-WY7C-2126-SM-3NB2R 50-59 years, male 18.9
GTEX-1ICG6-1226-SM-A9SLN 70-79 years, female 18.9
GTEX-1QP9N-1226-SM-E76QN 30-39 years, male 18.9
GTEX-WH7G-2026-SM-3NMBL 40-49 years, male 18.7
GTEX-WHWD-1826-SM-3LK6I 50-59 years, male 18.6
GTEX-18D9A-1426-SM-7LT8M 30-39 years, female 18.6
GTEX-X3Y1-2026-SM-3P5YM 40-49 years, male 18.5
GTEX-11P82-1426-SM-DTXFY 20-29 years, male 18.5
GTEX-1CAMS-2226-SM-7PBXQ 40-49 years, female 18.5
GTEX-17MFQ-1526-SM-7KFRR 20-29 years, male 18.4
GTEX-1R46S-2426-SM-E76QA 60-69 years, female 18.4
GTEX-12WSJ-1126-SM-5LZVJ 40-49 years, female 18.3
GTEX-17KNJ-2126-SM-718AM 50-59 years, male 18.3
GTEX-1AYD5-2626-SM-7PBXY 50-59 years, male 18.3
GTEX-139TS-2126-SM-5K7XC 60-69 years, male 18.2
GTEX-X4EO-2926-SM-4E3JH 60-69 years, female 18.2
GTEX-ZDYS-2426-SM-4WKGI 50-59 years, male 18.2
GTEX-1F88F-0126-SM-9WYSZ 60-69 years, female 18.2
GTEX-1N5O9-0926-SM-E9J3C 60-69 years, male 18.2
GTEX-1IOXB-2726-SM-CM2RI 50-59 years, male 18.1
GTEX-1J8QM-2426-SM-A9SLS 60-69 years, female 18.1
GTEX-14XAO-1226-SM-6EU1C 60-69 years, female 18.0
GTEX-1C6VR-0126-SM-7RHGB 60-69 years, male 18.0
GTEX-1B8SF-0126-SM-7DUG3 60-69 years, male 17.8
GTEX-1CB4J-1326-SM-7P8RX 60-69 years, male 17.8
GTEX-1F5PL-0926-SM-7PC2W 40-49 years, female 17.8
GTEX-11ZTT-2126-SM-5CVLO 60-69 years, female 17.6
GTEX-139YR-1026-SM-5LZYN 50-59 years, male 17.6
GTEX-ZDXO-3126-SM-5IJDF 60-69 years, male 17.6
GTEX-1GZ4H-0526-SM-9KNU9 50-59 years, female 17.6
GTEX-11ZU8-0126-SM-5EQ58 60-69 years, male 17.5
GTEX-13IVO-0726-SM-5LZYV 70-79 years, male 17.5
GTEX-YECK-0326-SM-4W1YS 60-69 years, male 17.5
GTEX-1399Q-2326-SM-5KM2X 40-49 years, male 17.4
GTEX-13D11-0926-SM-5J2NC 50-59 years, female 17.4
GTEX-11DXX-2126-SM-5PNYR 60-69 years, female 17.3
GTEX-12696-0126-SM-5EQ4L 60-69 years, male 17.3
GTEX-1HCU7-0726-SM-A9SL1 50-59 years, male 17.3
GTEX-13VXT-1926-SM-5K7UO 20-29 years, female 17.2
GTEX-XPVG-2126-SM-4B667 50-59 years, male 17.2
GTEX-1GF9X-1326-SM-7PC2Y 40-49 years, female 17.2
GTEX-1GN73-0726-SM-7P8TJ 60-69 years, male 17.2
GTEX-13FTY-2126-SM-5IFFB 40-49 years, female 17.1
GTEX-VJYA-1526-SM-3GIJV 60-69 years, male 17.1
GTEX-ZT9X-1526-SM-5DUXD 40-49 years, male 17.1
GTEX-16MTA-0926-SM-6M47Z 50-59 years, male 17.0
GTEX-16NGA-0726-SM-731AO 40-49 years, female 17.0
GTEX-1GN1W-2426-SM-9KNUU 50-59 years, female 17.0
GTEX-1GZ4I-2626-SM-9KNU3 50-59 years, male 17.0
GTEX-1LKK1-2626-SM-DKPQE 50-59 years, female 17.0
GTEX-15RJE-2826-SM-7KUM9 40-49 years, male 16.9
GTEX-UPJH-0226-SM-3GADV 50-59 years, male 16.9
GTEX-13FHO-0426-SM-5L3F5 60-69 years, male 16.8
GTEX-15G1A-1626-SM-7KUKN 30-39 years, male 16.8
GTEX-1IDJI-0126-SM-CMKHS 50-59 years, female 16.8
GTEX-1RLM8-2926-SM-E8VON 50-59 years, male 16.8
GTEX-11UD2-2526-SM-5CVNU 50-59 years, male 16.7
GTEX-15CHC-1126-SM-6LLHQ 60-69 years, female 16.7
GTEX-1HB9E-0126-SM-CM2S5 50-59 years, male 16.7
GTEX-17EVP-2626-SM-7IGMA 40-49 years, male 16.6
GTEX-13SLX-2226-SM-62LEP 50-59 years, female 16.5
GTEX-18D9U-0126-SM-731BM 40-49 years, male 16.5
GTEX-15DYW-2726-SM-6EU2I 60-69 years, female 16.3
GTEX-15RIE-1926-SM-7KUKJ 60-69 years, male 16.3
GTEX-1GL5R-1326-SM-7RHHF 50-59 years, male 16.3
GTEX-1GPI6-1926-SM-9KNV7 60-69 years, male 16.3
GTEX-11NUK-2726-SM-5A5MC 50-59 years, male 16.2
GTEX-13OW8-1026-SM-5J1NQ 60-69 years, male 16.2
GTEX-ZGAY-1826-SM-DO91Q 40-49 years, female 16.2
GTEX-111YS-1526-SM-5GZYW 60-69 years, male 16.1
GTEX-1KANC-1226-SM-CYPT7 50-59 years, female 16.1
GTEX-1B932-2326-SM-79OL5 40-49 years, female 16.0
GTEX-1H1E6-0426-SM-9WYUS 30-39 years, male 16.0
GTEX-14BMU-1226-SM-5S2OR 20-29 years, female 15.9
GTEX-1NV5F-0626-SM-DTXEG 60-69 years, female 15.9
GTEX-131XH-0126-SM-5LZUY 50-59 years, male 15.8
GTEX-1JJE9-2626-SM-ARZMT 70-79 years, male 15.8
GTEX-WXYG-2026-SM-4E3IY 50-59 years, female 15.6
GTEX-1N2EE-0626-SM-E76PW 60-69 years, male 15.6
GTEX-1EU9M-1426-SM-793AI 60-69 years, male 15.5
GTEX-1H4P4-2126-SM-9WYSL 50-59 years, male 15.5
GTEX-13OVH-0526-SM-5L3E6 70-79 years, male 15.4
GTEX-1BAJH-2426-SM-7IGP8 70-79 years, male 15.4
GTEX-1I1HK-2326-SM-CKZOH 60-69 years, male 15.4
GTEX-11TUW-0626-SM-5LU9M 60-69 years, male 15.3
GTEX-1AMFI-1326-SM-7939R 50-59 years, female 15.3
GTEX-ZAK1-0626-SM-5HL8E 50-59 years, female 15.3
GTEX-11EQ9-1626-SM-5PNY8 30-39 years, male 15.2
GTEX-18465-2826-SM-7LT9J 50-59 years, male 15.2
GTEX-1HGF4-0126-SM-CNPPX 60-69 years, male 15.2
GTEX-XOT4-0626-SM-4B66L 60-69 years, female 15.1
GTEX-1QMI2-2526-SM-E8VNZ 60-69 years, male 15.0
GTEX-11WQC-1826-SM-5GU59 60-69 years, male 14.9
GTEX-18A7A-0126-SM-731AH 50-59 years, female 14.9
GTEX-1GN1U-0626-SM-9MQL9 50-59 years, female 14.9
GTEX-1PIIG-2326-SM-DTXFR 30-39 years, male 14.9
GTEX-1KAFJ-0126-SM-DIPEK 50-59 years, male 14.8
GTEX-1211K-1526-SM-5FQU4 60-69 years, female 14.7
GTEX-15ER7-0626-SM-6PANF 20-29 years, female 14.6
GTEX-12WSD-0626-SM-5GCMW 60-69 years, female 14.5
GTEX-15G19-2426-SM-7KUMR 60-69 years, male 14.5
GTEX-16MT8-2926-SM-7DUFO 60-69 years, female 14.4
GTEX-1EN7A-2426-SM-793DB 40-49 years, male 14.4
GTEX-1IDJD-2326-SM-ACKWX 30-39 years, male 14.4
GTEX-ZVT4-2426-SM-5GIEI 50-59 years, female 14.3
GTEX-14AS3-1526-SM-5Q5ED 40-49 years, female 14.2
GTEX-X4EP-0626-SM-3P621 60-69 years, female 14.2
GTEX-ZA64-1026-SM-5HL8R 20-29 years, male 14.2
GTEX-145ME-1726-SM-5Q5EU 40-49 years, female 14.1
GTEX-YEC4-1826-SM-4W1YP 40-49 years, male 14.1
GTEX-1B8L1-2226-SM-7P8PT 60-69 years, male 14.1
GTEX-1PPH7-1126-SM-DTX9A 40-49 years, male 14.1
GTEX-146FQ-2126-SM-5RQHU 30-39 years, male 14.0
GTEX-16AAH-0626-SM-793C9 50-59 years, male 13.9
GTEX-ZE7O-2726-SM-51MT5 50-59 years, female 13.9
GTEX-1GMR2-0826-SM-7PC3V 50-59 years, male 13.9
GTEX-1S5ZU-2526-SM-E6CIF 20-29 years, female 13.9
GTEX-11GS4-0226-SM-5HL77 60-69 years, male 13.8
GTEX-14PJN-1826-SM-6AJ98 30-39 years, male 13.8
GTEX-ZY6K-1426-SM-5GZX2 50-59 years, male 13.8
GTEX-1HCVE-2726-SM-CL54F 50-59 years, male 13.8
GTEX-1KWVE-1026-SM-D3L9O 30-39 years, male 13.8
GTEX-13O3Q-0126-SM-5KM34 50-59 years, male 13.7
GTEX-13U4I-2226-SM-5LU5H 40-49 years, female 13.7
GTEX-16MT9-0126-SM-7EPI8 60-69 years, female 13.7
GTEX-1S831-1826-SM-EWROF 20-29 years, male 13.7
GTEX-13OVG-1626-SM-5J1NF 60-69 years, male 13.6
GTEX-1497J-0226-SM-5QGPU 60-69 years, male 13.5
GTEX-WEY5-2326-SM-3GIKK 40-49 years, female 13.5
GTEX-14JG6-1426-SM-9WG7C 30-39 years, female 13.5
GTEX-1JJEA-1826-SM-ARU8P 60-69 years, male 13.5
GTEX-1LVA9-2626-SM-EVYD4 50-59 years, male 13.5
GTEX-14C39-1726-SM-5RQIL 40-49 years, male 13.4
GTEX-ZLWG-0826-SM-59888 50-59 years, female 13.4
GTEX-1F5PK-2226-SM-7SB6N 50-59 years, male 13.4
GTEX-11PRG-0726-SM-5EGL1 50-59 years, male 13.3
GTEX-1269C-0126-SM-5EQ5L 60-69 years, female 13.3
GTEX-XBEC-0726-SM-4QARZ 50-59 years, male 13.2
GTEX-1H3O1-1326-SM-9MQLD 60-69 years, male 13.2
GTEX-1K2DU-1226-SM-CYPT4 20-29 years, male 13.2
GTEX-11WQK-1026-SM-5EQLX 50-59 years, male 13.1
GTEX-13VXU-0626-SM-5L3F9 50-59 years, male 13.1
GTEX-Y111-0626-SM-4SOIT 50-59 years, male 13.1
GTEX-1A3MX-2626-SM-7PC24 60-69 years, male 13.1
GTEX-1I1GU-0926-SM-ACKVS 40-49 years, male 13.1
GTEX-Y5V6-2326-SM-4VDSA 60-69 years, male 13.0
GTEX-1JN1M-2726-SM-CY8I4 60-69 years, female 13.0
GTEX-XQ3S-1426-SM-4BOPR 20-29 years, male 12.9
GTEX-12ZZY-0726-SM-5EQ66 60-69 years, male 12.8
GTEX-145LU-1926-SM-79OJN 50-59 years, male 12.7
GTEX-ZC5H-1526-SM-5HL9Y 40-49 years, female 12.7
GTEX-11DYG-1526-SM-5A5JS 60-69 years, male 12.6
GTEX-11EM3-1226-SM-5N9DD 20-29 years, female 12.6
GTEX-12126-0826-SM-5FQTZ 20-29 years, male 12.6
GTEX-15D1Q-2826-SM-6LLH7 40-49 years, male 12.6
GTEX-17F96-0126-SM-7EWDU 70-79 years, male 12.6
GTEX-1F75A-0726-SM-7RHHD 50-59 years, male 12.6
GTEX-1F75I-2226-SM-7SB8U 40-49 years, male 12.6
GTEX-1GTWX-2026-SM-9YFLM 60-69 years, male 12.6
GTEX-1HCU8-2526-SM-CE6RX 60-69 years, female 12.6
GTEX-1JMLX-0626-SM-ARL8T 50-59 years, male 12.6
GTEX-1QEPI-2626-SM-DTXF4 60-69 years, female 12.6
GTEX-11O72-0626-SM-5PNYE 40-49 years, male 12.5
GTEX-ZXG5-2126-SM-59HKD 60-69 years, male 12.5
GTEX-11TT1-1826-SM-5EQLV 20-29 years, male 12.4
GTEX-12WSM-1926-SM-5BC65 60-69 years, male 12.4
GTEX-12WSC-2826-SM-5BC5Y 50-59 years, male 12.3
GTEX-132AR-0326-SM-5KM2C 50-59 years, female 12.3
GTEX-14C5O-0326-SM-5ZZUX 60-69 years, male 12.3
GTEX-U8XE-0226-SM-4E3J3 30-39 years, male 12.3
GTEX-XQ8I-0926-SM-4BOOF 50-59 years, male 12.3
GTEX-1LG7Y-2526-SM-EWRO7 50-59 years, male 12.3
GTEX-1313W-0626-SM-5EQ4H 50-59 years, female 12.2
GTEX-131XW-0626-SM-5PNVD 50-59 years, female 12.2
GTEX-13G51-1826-SM-5KLZH 60-69 years, male 12.2
GTEX-13O3O-2326-SM-5IJD6 60-69 years, female 12.2
GTEX-ZTTD-2826-SM-4YCFA 50-59 years, male 12.2
GTEX-ZYVF-0926-SM-5E44J 50-59 years, female 12.2
GTEX-13SLW-0626-SM-5Q5ER 70-79 years, male 12.1
GTEX-1AX8Z-0726-SM-73KTS 60-69 years, male 12.1
GTEX-ZU9S-1826-SM-5NQ9E 30-39 years, male 12.1
GTEX-1PDJ9-1226-SM-EXUSX 20-29 years, male 12.1
GTEX-1RAZS-2526-SM-E6CHT 50-59 years, male 12.1
GTEX-13FH7-1126-SM-5K7UG 50-59 years, female 12.0
GTEX-13JVG-0726-SM-5KM16 60-69 years, male 12.0
GTEX-13X6H-0926-SM-5SIB2 50-59 years, female 12.0
GTEX-1IDJV-0126-SM-COH3Y 60-69 years, male 12.0
GTEX-1LSNL-2726-SM-E9TKJ 50-59 years, male 12.0
GTEX-13OVL-0126-SM-5L3GJ 50-59 years, male 11.9
GTEX-14JG1-1526-SM-5YY9X 40-49 years, male 11.9
GTEX-17JCI-2926-SM-7DUFF 60-69 years, female 11.9
GTEX-1A8G7-1326-SM-73KVM 60-69 years, male 11.8
GTEX-1H23P-0626-SM-9WG6T 60-69 years, male 11.7
GTEX-1HCU9-0426-SM-9WYSD 20-29 years, male 11.7
GTEX-139TT-2126-SM-5LZWC 60-69 years, male 11.6
GTEX-139TU-0726-SM-5L3EK 60-69 years, male 11.6
GTEX-ZYFG-1526-SM-5GZYM 60-69 years, female 11.6
GTEX-1IE54-1126-SM-A9G2Z 40-49 years, female 11.6
GTEX-1QCLZ-2426-SM-EVYBW 60-69 years, female 11.5
GTEX-1QP29-1826-SM-DTX9S 50-59 years, male 11.5
GTEX-13NYC-0126-SM-5L3F4 60-69 years, male 11.4
GTEX-13OW5-2326-SM-5L3HO 60-69 years, male 11.4
GTEX-1B8KZ-0326-SM-73KY4 50-59 years, male 11.4
GTEX-1C6VQ-1226-SM-73KYD 50-59 years, male 11.3
GTEX-1F52S-2926-SM-7MKGA 60-69 years, female 11.3
GTEX-ZYFC-0426-SM-5GICQ 50-59 years, male 11.3
GTEX-ZYT6-2326-SM-5GZY3 30-39 years, male 11.3
GTEX-1HR9M-2226-SM-CNPPY 60-69 years, male 11.3
GTEX-1RAZR-2126-SM-E9U6T 40-49 years, male 11.3
GTEX-12C56-1526-SM-5FQUQ 20-29 years, male 11.2
GTEX-147F3-1726-SM-5SIAW 50-59 years, female 11.2
GTEX-ZAB4-2126-SM-5HL8U 40-49 years, male 11.2
GTEX-1QAET-0326-SM-EVR3U 50-59 years, male 11.1
GTEX-12ZZX-2426-SM-5GCOE 40-49 years, female 11.0
GTEX-V1D1-2026-SM-3GAF4 50-59 years, male 11.0
GTEX-1IDJF-2026-SM-CL53V 20-29 years, male 11.0
GTEX-1JKYR-0626-SM-ARL8R 20-29 years, male 11.0
GTEX-178AV-1726-SM-7KUL8 40-49 years, male 10.9
GTEX-1AX9I-2226-SM-73KUO 60-69 years, male 10.9
GTEX-14JFF-0626-SM-5ZZVT 60-69 years, male 10.9
GTEX-148VJ-0626-SM-5LUAW 70-79 years, male 10.8
GTEX-15EO6-2426-SM-6PALZ 50-59 years, male 10.8
GTEX-16BQI-1326-SM-6M486 30-39 years, female 10.8
GTEX-18A66-0626-SM-7LT8Z 60-69 years, male 10.8
GTEX-ZZ64-1026-SM-5GZXG 20-29 years, male 10.8
GTEX-1C64N-2626-SM-7PC2N 50-59 years, male 10.7
GTEX-139T8-0626-SM-5KLZX 60-69 years, male 10.6
GTEX-1EWIQ-0326-SM-7DHMQ 70-79 years, female 10.6
GTEX-1HKZK-0726-SM-ACKW2 40-49 years, male 10.6
GTEX-14PJO-2526-SM-6AJBQ 60-69 years, male 10.5
GTEX-XV7Q-1826-SM-4BRUV 40-49 years, female 10.5
GTEX-1F75B-0726-SM-7PC3R 50-59 years, male 10.5
GTEX-11DXY-0126-SM-5H11Q 60-69 years, male 10.4
GTEX-XXEK-1626-SM-4BRUZ 50-59 years, male 10.4
GTEX-1JMOU-1026-SM-CYPSS 60-69 years, female 10.4
GTEX-14PKV-1126-SM-6LLJ1 20-29 years, female 10.3
GTEX-144GL-0626-SM-5LU4D 50-59 years, male 10.2
GTEX-1I1GS-2626-SM-B2LY3 60-69 years, male 10.2
GTEX-1IDJC-1526-SM-B2LW4 50-59 years, male 10.2
GTEX-11EI6-2826-SM-5H11D 60-69 years, male 10.1
GTEX-16YQH-2226-SM-7IGM2 30-39 years, male 10.1
GTEX-WRHU-2826-SM-3MJG8 50-59 years, female 10.1
GTEX-YJ8O-2526-SM-5HL85 40-49 years, female 10.1
GTEX-12WSA-0426-SM-5EQ5X 60-69 years, male 10.0
GTEX-Y5V5-0126-SM-5S2NW 60-69 years, female 10.0
GTEX-13W3W-0726-SM-5IJDQ 60-69 years, female 9.9
GTEX-145MG-1526-SM-5Q5EM 50-59 years, male 9.9
GTEX-1CAMQ-1326-SM-7P8RV 40-49 years, male 9.9
GTEX-1J8Q3-0526-SM-ARL8U 60-69 years, male 9.9
GTEX-17MF6-2626-SM-79OKQ 40-49 years, male 9.8
GTEX-WFON-1926-SM-3LK7L 40-49 years, male 9.8
GTEX-1HT8W-0626-SM-A9G2H 30-39 years, male 9.8
GTEX-1JN6P-2926-SM-CL54D 60-69 years, male 9.8
GTEX-1LSVX-2526-SM-DIPEU 60-69 years, male 9.7
GTEX-W5X1-2526-SM-3GILC 40-49 years, female 9.6
GTEX-WI4N-2726-SM-3LK7Y 40-49 years, female 9.6
GTEX-1HR98-2226-SM-ADEI2 60-69 years, male 9.6
GTEX-1IDJE-1426-SM-ADEIW 50-59 years, female 9.6
GTEX-1477Z-0326-SM-7IGLA 60-69 years, male 9.5
GTEX-15EU6-2226-SM-6EU2L 50-59 years, male 9.5
GTEX-1HBPM-0726-SM-9YFL7 60-69 years, female 9.5
GTEX-16Z82-2626-SM-7KULU 60-69 years, male 9.4
GTEX-1CB4H-1126-SM-7MKGL 60-69 years, female 9.4
GTEX-1HBPI-2126-SM-ARL9K 50-59 years, male 9.3
GTEX-14LZ3-0126-SM-69LPM 60-69 years, female 9.1
GTEX-1EH9U-2826-SM-7DUGT 60-69 years, male 9.1
GTEX-1LG7Z-1626-SM-CXKYR 30-39 years, male 9.1
GTEX-13X6I-1826-SM-5SIAO 60-69 years, male 9.0
GTEX-14A6H-2026-SM-5Q5DD 30-39 years, male 9.0
GTEX-1B996-0426-SM-7EWF8 60-69 years, male 9.0
GTEX-WYJK-0526-SM-3NM8Z 50-59 years, male 8.9
GTEX-WFG8-2126-SM-3GIKQ 20-29 years, male 8.8
GTEX-ZVE2-2826-SM-5GU51 50-59 years, male 8.8
GTEX-1GMR8-0626-SM-7RHI7 50-59 years, female 8.7
GTEX-11EQ8-0926-SM-5H12V 60-69 years, male 8.6
GTEX-12KS4-2126-SM-5FQUT 30-39 years, male 8.6
GTEX-13NYS-0626-SM-5L3F1 60-69 years, male 8.6
GTEX-1B933-2426-SM-7DHMD 50-59 years, female 8.6
GTEX-17HHY-0426-SM-7DHLC 50-59 years, male 8.5
GTEX-ZT9W-1126-SM-57WDR 50-59 years, male 8.5
GTEX-1HCU6-2526-SM-ADEHL 60-69 years, female 8.5
GTEX-139UW-0326-SM-5J1ML 60-69 years, male 8.4
GTEX-1M4P7-0726-SM-E6CJ3 60-69 years, male 8.4
GTEX-11ZUS-2626-SM-5FQUR 30-39 years, male 8.3
GTEX-12BJ1-0926-SM-5EQ62 60-69 years, male 8.3
GTEX-15SKB-2826-SM-6PAMH 60-69 years, male 8.3
GTEX-15UF6-1926-SM-7KUDV 70-79 years, female 8.3
GTEX-16XZZ-0726-SM-7KUF2 60-69 years, male 8.3
GTEX-1J1OQ-0126-SM-D4P2N 40-49 years, female 8.3
GTEX-13PVQ-0626-SM-5LU47 50-59 years, male 8.2
GTEX-15DDE-2926-SM-6LLJ3 50-59 years, female 8.2
GTEX-1H1DG-2426-SM-9QEHJ 70-79 years, male 8.2
GTEX-1I1CD-0626-SM-CE6SW 60-69 years, female 8.2
GTEX-1IL2V-1926-SM-B2LW8 70-79 years, male 8.2
GTEX-1F6RS-2026-SM-7RHHC 60-69 years, female 8.1
GTEX-1HC8U-1326-SM-9YFMJ 40-49 years, female 8.1
GTEX-1QP66-1226-SM-DTX7U 50-59 years, male 8.1
GTEX-117YX-1926-SM-5GIEC 50-59 years, male 8.0
GTEX-13N1W-2426-SM-5IJD1 70-79 years, male 8.0
GTEX-1JJ6O-2726-SM-CNPOG 60-69 years, male 8.0
GTEX-145LT-0526-SM-5LUB2 40-49 years, male 7.8
GTEX-14A5H-0826-SM-5QGPJ 60-69 years, male 7.8
GTEX-14E6E-0526-SM-793DN 30-39 years, male 7.8
GTEX-1JKYN-0826-SM-ARU8S 30-39 years, male 7.8
GTEX-1KD5A-0126-SM-E9U54 50-59 years, male 7.8
GTEX-13N2G-0226-SM-5K7VF 60-69 years, male 7.7
GTEX-16NPX-0726-SM-7KULC 50-59 years, male 7.7
GTEX-ZYW4-0626-SM-59HJR 60-69 years, male 7.7
GTEX-14C38-0726-SM-5SI6M 50-59 years, male 7.6
GTEX-18D9B-0926-SM-7LG4U 60-69 years, male 7.6
GTEX-1A8G6-2726-SM-731AR 60-69 years, male 7.6
GTEX-X8HC-0626-SM-4E3HQ 50-59 years, female 7.6
GTEX-13112-0126-SM-5P9IU 50-59 years, male 7.5
GTEX-144GO-2026-SM-5O99P 60-69 years, male 7.5
GTEX-147JS-0226-SM-5S2U9 60-69 years, male 7.5
GTEX-17F9Y-0126-SM-79OKX 70-79 years, female 7.5
GTEX-1RB15-1326-SM-E76Q9 60-69 years, male 7.5
GTEX-1JMPZ-0726-SM-CY8HZ 30-39 years, male 7.4
GTEX-1R9K4-2826-SM-DTX8F 60-69 years, male 7.4
GTEX-1CAV2-0126-SM-7IGN7 40-49 years, female 7.3
GTEX-13PVR-0426-SM-5RQK2 60-69 years, female 7.2
GTEX-14LLW-2626-SM-62LDZ 70-79 years, female 7.2
GTEX-1EX96-1026-SM-7MKG2 50-59 years, male 7.2
GTEX-1GF9W-1426-SM-7PBYM 60-69 years, male 7.2
GTEX-1H1DF-1126-SM-9WG7G 40-49 years, female 7.2
GTEX-1I6K6-1726-SM-CGQFD 30-39 years, male 7.2
GTEX-1LGOU-1326-SM-D3L8M 20-29 years, female 7.2
GTEX-13X6J-0626-SM-5LU5F 50-59 years, male 7.1
GTEX-1I6K7-1926-SM-B2LXR 40-49 years, male 7.1
GTEX-ZDTS-0826-SM-4WKHL 60-69 years, male 7.0
GTEX-1F48J-0726-SM-7RHGS 50-59 years, female 7.0
GTEX-1314G-1326-SM-5BC6E 30-39 years, male 6.9
GTEX-13PDP-0726-SM-5L3HP 60-69 years, male 6.9
GTEX-13RTJ-0126-SM-5S2NN 60-69 years, male 6.9
GTEX-144FL-0626-SM-5LU43 50-59 years, male 6.9
GTEX-14BMV-2826-SM-5TDED 50-59 years, male 6.9
GTEX-12584-0726-SM-5FQTK 40-49 years, male 6.7
GTEX-1A3MW-0626-SM-731CB 60-69 years, female 6.7
GTEX-1HFI6-0126-SM-CNPPI 40-49 years, male 6.6
GTEX-1J8Q2-2626-SM-ACKWQ 60-69 years, male 6.6
GTEX-1JMQI-1726-SM-ARL93 50-59 years, male 6.6
GTEX-13X6K-0626-SM-5LU5D 60-69 years, female 6.5
GTEX-1A32A-0626-SM-731AQ 50-59 years, female 6.5
GTEX-1I1GP-1326-SM-A9G28 50-59 years, male 6.5
GTEX-183WM-0326-SM-72D5V 70-79 years, female 6.4
GTEX-1LVAO-2726-SM-E9TJ8 60-69 years, male 6.4
GTEX-1H3NZ-2726-SM-9WYTQ 60-69 years, male 6.2
GTEX-13QBU-1226-SM-5LU4G 40-49 years, female 6.1
GTEX-XMD2-2126-SM-4YCF8 60-69 years, female 6.1
GTEX-12WSF-1626-SM-7KUG5 70-79 years, male 5.9
GTEX-145MO-2826-SM-5LU96 60-69 years, male 5.8
GTEX-1ICLY-0826-SM-CMKG1 50-59 years, male 5.7
GTEX-1IDJH-0126-SM-D3L92 70-79 years, male 5.7
GTEX-1117F-2926-SM-5GZYI 60-69 years, female 5.6
GTEX-1H1CY-0126-SM-9YFLY 60-69 years, female 5.6
GTEX-145MF-0926-SM-5Q5EA 50-59 years, male 5.5
GTEX-12WSL-2026-SM-5GCML 50-59 years, male 5.4
GTEX-UPK5-0426-SM-3GAEK 40-49 years, male 5.4
GTEX-WK11-2726-SM-3NMAQ 50-59 years, male 5.4
GTEX-1A8FM-0626-SM-7PC25 50-59 years, female 5.3
GTEX-13YAN-0226-SM-5TDC6 60-69 years, male 5.2
GTEX-1HSMO-0626-SM-ACKXC 60-69 years, male 5.1
GTEX-13PL6-1126-SM-5L3IE 40-49 years, female 5.0
GTEX-14DAQ-0626-SM-793DS 60-69 years, female 5.0
GTEX-15SHW-0226-SM-7LTAT 60-69 years, male 4.9
GTEX-17HG3-2626-SM-7DUF2 30-39 years, female 4.9
GTEX-13OVJ-0826-SM-5J1OK 50-59 years, female 4.5
GTEX-1GZ2Q-0126-SM-9WG6M 40-49 years, male 4.5
GTEX-1HUB1-1426-SM-CGQF5 60-69 years, male 4.4
GTEX-13NZ8-1226-SM-5KM4A 60-69 years, female 4.3
GTEX-1RAZA-2226-SM-E9U4X 20-29 years, male 4.2
GTEX-145MI-0626-SM-5SI8S 60-69 years, female 4.1
GTEX-1F88E-1626-SM-7SB8Z 60-69 years, female 4.1
GTEX-1O9I2-0226-SM-EYYXD 50-59 years, male 4.1
GTEX-11DXW-0826-SM-5H118 40-49 years, male 4.0
GTEX-13JUV-2026-SM-5K7UA 40-49 years, female 4.0
GTEX-14753-0726-SM-5QGQO 60-69 years, male 4.0
GTEX-14E6C-2426-SM-5S2NF 40-49 years, male 4.0
GTEX-139D8-1126-SM-5LU8W 30-39 years, female 3.9
GTEX-1GMR3-0126-SM-A9SLW 40-49 years, male 3.9
GTEX-13NZ9-2626-SM-5L3FK 50-59 years, male 3.8
GTEX-1J8JJ-0626-SM-ARZMQ 60-69 years, female 3.7
GTEX-18A7B-2726-SM-7LG56 70-79 years, male 3.6
GTEX-YB5K-2026-SM-4VDT3 40-49 years, female 3.5
GTEX-ZAJG-1526-SM-5CVML 50-59 years, female 3.5
GTEX-1F6IF-0926-SM-7SB7M 60-69 years, male 3.5
GTEX-1JMQL-2226-SM-CNPP4 50-59 years, female 3.5
GTEX-14PJ2-0626-SM-6LLII 50-59 years, male 3.4
GTEX-1E1VI-0326-SM-793D1 50-59 years, male 3.4
GTEX-WHSE-0126-SM-3NMBT 20-29 years, male 3.4
GTEX-1H3VE-0726-SM-9YFL5 40-49 years, male 3.4
GTEX-XK95-0226-SM-4AT58 40-49 years, male 3.1
GTEX-1399R-1326-SM-5PNYS 30-39 years, male 3.0
GTEX-1L5NE-1126-SM-D3L9P 50-59 years, male 3.0
GTEX-16GPK-0626-SM-7KFSF 60-69 years, male 2.7
GTEX-ZUA1-2626-SM-5NQ92 40-49 years, male 2.5
GTEX-1AX9J-1326-SM-731BJ 60-69 years, male 2.3
GTEX-WYBS-0626-SM-3NMAS 60-69 years, female 2.3
GTEX-YF7O-1526-SM-5IFI6 50-59 years, male 2.3
GTEX-1GF9U-2026-SM-7SB92 40-49 years, female 2.2
GTEX-17EVQ-0126-SM-7IGLR 70-79 years, male 2.1
GTEX-ZYFD-0626-SM-5E44E 50-59 years, male 2.0
GTEX-111FC-2526-SM-5GZXU 60-69 years, male 1.9
GTEX-ZVE1-0726-SM-51MRN 50-59 years, female 1.8
GTEX-ZVTK-0226-SM-51MRG 20-29 years, male 1.8
GTEX-1I19N-0126-SM-CYPSF 70-79 years, male 1.6
GTEX-1IDFM-0326-SM-ARL7V 60-69 years, male 1.2
GTEX-1F75W-2726-SM-7SB8H 60-69 years, male 1.1
Show allShow less
Skin - Sun Exposed (Lower leg)
Average nTPM: 16.1
Samples: 701

Max nTPM: 66.9
Min nTPM: 0.7
Std nTPM: 9.1
Median nTPM: 14.1
GTEX-17JCI-0126-SM-7LG5G 60-69 years, female 66.9
GTEX-1K2DA-1826-SM-CGQGT 50-59 years, male 59.2
GTEX-1OJC3-0126-SM-E76QX 20-29 years, male 56.6
GTEX-ZGAY-0526-SM-4WWBB 40-49 years, female 54.9
GTEX-OIZG-0726-SM-33HBL 50-59 years, male 48.4
GTEX-PX3G-0126-SM-2I3EN 20-29 years, female 47.6
GTEX-ZXES-1826-SM-5E43S 30-39 years, female 45.3
GTEX-Y114-2426-SM-4TT8A 50-59 years, female 42.1
GTEX-XUZC-1726-SM-4BRWS 30-39 years, female 42.0
GTEX-ZV68-0126-SM-59HKS 50-59 years, female 41.8
GTEX-T2YK-0526-SM-32QPJ 50-59 years, male 39.3
GTEX-1399R-2726-SM-5IJBA 30-39 years, male 39.2
GTEX-1KANC-1526-SM-D3LAB 50-59 years, female 39.0
GTEX-P4QT-0126-SM-2I3FL 50-59 years, female 38.9
GTEX-1QP66-1726-SM-E8VO1 50-59 years, male 38.3
GTEX-13OVH-0126-SM-5MR4B 70-79 years, male 38.1
GTEX-11DXZ-2326-SM-5EGGV 50-59 years, male 37.9
GTEX-1E2YA-0126-SM-9KNUC 50-59 years, male 37.9
GTEX-1C475-1826-SM-73KWA 40-49 years, female 36.9
GTEX-1CAV2-2226-SM-7P8P2 40-49 years, female 36.4
GTEX-ZF2S-2326-SM-4WWCE 50-59 years, female 35.4
GTEX-Y3IK-2426-SM-4WWDU 50-59 years, female 35.3
GTEX-1B8KE-2126-SM-73KYX 50-59 years, male 35.0
GTEX-ZPIC-1726-SM-DHXIU 40-49 years, female 35.0
GTEX-169BO-1326-SM-9MQK2 50-59 years, male 34.5
GTEX-18A6Q-0126-SM-731BZ 60-69 years, male 34.2
GTEX-1MA7W-2026-SM-E9TJ6 20-29 years, female 34.2
GTEX-W5X1-3026-SM-EAZAX 40-49 years, female 34.0
GTEX-145MN-2226-SM-5SIAU 30-39 years, male 33.7
GTEX-1399U-2326-SM-5K7WY 50-59 years, female 33.4
GTEX-1JMQJ-0526-SM-CYPSU 50-59 years, male 33.4
GTEX-1PIGE-0126-SM-EVYBJ 20-29 years, male 33.2
GTEX-13NZB-2526-SM-5J1OM 30-39 years, male 33.1
GTEX-1I1GQ-0126-SM-COH3H 50-59 years, male 33.1
GTEX-1QCLY-0326-SM-E8VOG 30-39 years, male 33.0
GTEX-XUYS-0126-SM-47JWZ 50-59 years, male 32.9
GTEX-16GPK-0126-SM-7DHLE 60-69 years, male 32.8
GTEX-1EMGI-0126-SM-9KNUE 60-69 years, male 32.7
GTEX-12696-2426-SM-5EQ6H 60-69 years, male 32.0
GTEX-1LBAC-0126-SM-DIPEZ 20-29 years, male 32.0
GTEX-Z93S-0126-SM-5HL7M 50-59 years, male 31.8
GTEX-1PPH8-0226-SM-E8VND 20-29 years, male 31.8
GTEX-12WSK-2326-SM-5GCOH 40-49 years, female 31.4
GTEX-18D9A-1926-SM-7LG6P 30-39 years, female 31.4
GTEX-OOBJ-0126-SM-E6CJW 60-69 years, male 31.3
GTEX-18QFQ-0126-SM-731BE 30-39 years, male 30.9
GTEX-ZVZO-0126-SM-5A5L9 40-49 years, male 30.9
GTEX-1IL2U-0226-SM-CE6T8 60-69 years, male 30.9
GTEX-1KANA-0726-SM-D3L9I 20-29 years, male 30.9
GTEX-1CB4I-0226-SM-79OLH 50-59 years, male 30.8
GTEX-WYVS-2126-SM-3NMA3 40-49 years, female 30.7
GTEX-1CB4F-0426-SM-9KNV4 60-69 years, male 30.7
GTEX-ZVT2-2526-SM-51MT1 50-59 years, female 30.5
GTEX-1JMLX-0226-SM-CM2RO 50-59 years, male 30.4
GTEX-13OW8-1326-SM-5J1OW 60-69 years, male 30.3
GTEX-RNOR-0126-SM-E9J4R 50-59 years, female 30.2
GTEX-13NYB-2526-SM-5K7Z6 40-49 years, male 30.1
GTEX-WQUQ-0426-SM-3MJFU 60-69 years, male 30.0
GTEX-1F5PL-0326-SM-7P8PQ 40-49 years, female 30.0
GTEX-S33H-1026-SM-EZ6L6 30-39 years, male 30.0
GTEX-11EI6-0126-SM-5985R 60-69 years, male 29.8
GTEX-1KXAM-2226-SM-CYPTC 60-69 years, male 29.6
GTEX-16NGA-1726-SM-731B4 40-49 years, female 29.5
GTEX-ZDTT-2726-SM-4WKF8 60-69 years, male 29.4
GTEX-VJYA-1126-SM-3GIJU 60-69 years, male 29.3
GTEX-11XUK-2026-SM-5EQLF 40-49 years, female 29.2
GTEX-T5JW-1626-SM-3GADZ 20-29 years, female 28.7
GTEX-14PJ6-2126-SM-6EU1V 60-69 years, female 28.6
GTEX-1IOXB-0126-SM-ARL8G 50-59 years, male 28.4
GTEX-13111-1626-SM-5EGJY 50-59 years, male 28.3
GTEX-13113-5016-SM-7EPIP 60-69 years, female 28.2
GTEX-14PII-0226-SM-6EU1T 60-69 years, male 28.2
GTEX-1JMPY-1326-SM-ARL8Y 30-39 years, male 28.2
GTEX-ZF29-2326-SM-DO92K 60-69 years, female 28.2
GTEX-1S3DN-2226-SM-EVYCD 50-59 years, male 28.1
GTEX-17MFQ-1726-SM-793C7 20-29 years, male 28.0
GTEX-VUSG-2526-SM-4KL1V 50-59 years, male 28.0
GTEX-1IKJJ-0126-SM-CNPQB 60-69 years, male 28.0
GTEX-1LB8K-0226-SM-EWRNW 50-59 years, male 28.0
GTEX-1OFPY-2426-SM-DTXEJ 60-69 years, male 27.9
GTEX-1RDX4-0126-SM-E9J4P 50-59 years, female 27.9
GTEX-15SB6-1726-SM-6PAME 50-59 years, female 27.7
GTEX-1HR98-0126-SM-B2LWI 60-69 years, male 27.6
GTEX-139TS-2826-SM-5J1OO 60-69 years, male 27.4
GTEX-1R7EU-0226-SM-EVR4G 60-69 years, male 27.3
GTEX-ZF3C-0126-SM-DO92D 50-59 years, female 27.3
GTEX-1R9PM-2026-SM-E76OY 20-29 years, male 27.1
GTEX-NFK9-0226-SM-2HMKQ 40-49 years, male 27.0
GTEX-1LG7Z-1726-SM-D3LA4 30-39 years, male 26.9
GTEX-13FXS-0226-SM-5IJCK 50-59 years, male 26.8
GTEX-18A67-0126-SM-7LG5P 50-59 years, male 26.7
GTEX-Z93T-0126-SM-5HL5N 50-59 years, male 26.7
GTEX-ZQG8-1626-SM-DHXIT 60-69 years, female 26.7
GTEX-ZYY3-0126-SM-5GZY5 60-69 years, female 26.6
GTEX-1S83E-0126-SM-EWRO4 40-49 years, male 26.6
GTEX-15RIG-0226-SM-7KFTL 40-49 years, male 26.4
GTEX-ZYFG-2326-SM-5E44B 60-69 years, female 26.4
GTEX-15ETS-0126-SM-7KUMW 40-49 years, female 26.2
GTEX-T6MN-0126-SM-32PLP 50-59 years, male 26.1
GTEX-145LS-0126-SM-5QGP1 60-69 years, female 25.9
GTEX-14JG1-0426-SM-6ETZZ 40-49 years, male 25.7
GTEX-1LSNM-1926-SM-E6CII 50-59 years, male 25.7
GTEX-13QJ3-0326-SM-5S2RA 50-59 years, male 25.5
GTEX-X585-0226-SM-4QAS2 50-59 years, male 25.5
GTEX-1H1ZS-0426-SM-9WG6G 70-79 years, male 25.5
GTEX-1HSGN-0226-SM-CGQFV 40-49 years, female 25.5
GTEX-1I1GV-0526-SM-A9G29 60-69 years, male 25.4
GTEX-13FHP-0126-SM-5IJBG 50-59 years, male 25.3
GTEX-1BAJH-0526-SM-793CQ 70-79 years, male 25.3
GTEX-OHPL-0126-SM-2HMJ7 60-69 years, female 25.2
GTEX-ZWKS-0126-SM-5SIAA 30-39 years, male 25.2
GTEX-13IVO-0126-SM-5J1NG 70-79 years, male 25.1
GTEX-XBED-2226-SM-47JYQ 60-69 years, male 25.1
GTEX-ZAB5-1826-SM-5HL7C 50-59 years, male 25.1
GTEX-1KWVE-1426-SM-E9TJO 30-39 years, male 25.0
GTEX-QDVJ-1726-SM-2I5FX 50-59 years, male 24.9
GTEX-RTLS-0126-SM-447CA 60-69 years, female 24.7
GTEX-WYJK-0126-SM-3NMAB 50-59 years, male 24.7
GTEX-1212Z-2526-SM-5EGKP 60-69 years, male 24.5
GTEX-1MJK2-0426-SM-DTXE5 50-59 years, male 24.4
GTEX-11EQ9-2426-SM-5HL5T 30-39 years, male 24.2
GTEX-1122O-2126-SM-5EGIR 60-69 years, female 24.1
GTEX-17EVP-0326-SM-7DHLG 40-49 years, male 24.1
GTEX-1CB4E-2226-SM-793DC 60-69 years, male 24.1
GTEX-O5YW-0126-SM-3LK6D 50-59 years, male 24.1
GTEX-ZVTK-0426-SM-51MRS 20-29 years, male 24.1
GTEX-15ER7-0326-SM-7KUEV 20-29 years, female 24.0
GTEX-TMZS-0126-SM-3DB9Q 60-69 years, male 23.9
GTEX-YB5E-2026-SM-5IFIS 40-49 years, male 23.9
GTEX-1HCU9-1526-SM-A9SL7 20-29 years, male 23.8
GTEX-1S5ZA-0126-SM-EVYCV 20-29 years, male 23.8
GTEX-1JJEA-0326-SM-CNPOT 60-69 years, male 23.7
GTEX-1HCU8-0626-SM-A9SM9 60-69 years, female 23.5
GTEX-131YS-0126-SM-5KM1M 60-69 years, female 23.4
GTEX-ZYFC-0226-SM-5NQ75 50-59 years, male 23.3
GTEX-12WSD-0126-SM-59HKN 60-69 years, female 23.2
GTEX-139D8-0226-SM-5KLZO 30-39 years, female 23.2
GTEX-XYKS-2126-SM-4E3IB 60-69 years, female 23.1
GTEX-SUCS-1926-SM-32PM3 70-79 years, male 23.0
GTEX-ZXG5-0126-SM-5GIEU 60-69 years, male 23.0
GTEX-14LZ3-0226-SM-62LET 60-69 years, female 22.9
GTEX-14BIN-0626-SM-793DP 50-59 years, female 22.8
GTEX-ZTSS-1926-SM-57WEW 40-49 years, male 22.8
GTEX-U8T8-0126-SM-3DB94 60-69 years, male 22.7
GTEX-1JN6P-0126-SM-D3L98 60-69 years, male 22.7
GTEX-12WSC-0126-SM-5EQ4P 50-59 years, male 22.6
GTEX-13S7M-0126-SM-5SI6A 60-69 years, female 22.6
GTEX-1C4CL-0526-SM-73KVK 30-39 years, male 22.6
GTEX-ZEX8-2426-SM-4WKG4 50-59 years, male 22.6
GTEX-1GL5R-1826-SM-9KNUY 50-59 years, male 22.6
GTEX-1H4P4-0726-SM-9YFLR 50-59 years, male 22.5
GTEX-TKQ1-1026-SM-4GICL 30-39 years, male 22.4
GTEX-1HSKV-0226-SM-A9SKJ 60-69 years, male 22.4
GTEX-17F96-1626-SM-7DUFL 70-79 years, male 22.2
GTEX-X88G-0126-SM-47JZ3 30-39 years, male 22.1
GTEX-15CHC-2126-SM-6EU21 60-69 years, female 22.0
GTEX-183FY-0126-SM-7LT9P 20-29 years, male 22.0
GTEX-YJ89-0126-SM-4TT3X 60-69 years, male 21.9
GTEX-1HSMP-0126-SM-E6CJS 70-79 years, male 21.9
GTEX-1I1GT-0626-SM-CGQER 60-69 years, female 21.9
GTEX-17KNJ-2326-SM-7DHLQ 50-59 years, male 21.8
GTEX-Y5V5-2326-SM-4V6GA 60-69 years, female 21.7
GTEX-1LVAN-0226-SM-COH3S 50-59 years, female 21.7
GTEX-131XH-2226-SM-5DUXJ 50-59 years, male 21.6
GTEX-1HSMQ-1226-SM-CGQFX 50-59 years, male 21.6
GTEX-UJHI-1526-SM-3DB99 50-59 years, female 21.5
GTEX-1LH75-2426-SM-E9TJE 50-59 years, female 21.5
GTEX-13JUV-2726-SM-5LZZ8 40-49 years, female 21.4
GTEX-16BQI-0226-SM-7KUEX 30-39 years, female 21.4
GTEX-1S82Y-2026-SM-EVYCM 40-49 years, male 21.4
GTEX-XAJ8-0826-SM-47JY6 40-49 years, male 21.3
GTEX-1EWIQ-0126-SM-7RHH2 70-79 years, female 21.3
GTEX-11DYG-0126-SM-59883 60-69 years, male 21.2
GTEX-S95S-1226-SM-4GICG 60-69 years, male 21.2
GTEX-1QP9N-1426-SM-DTXFL 30-39 years, male 21.2
GTEX-PW2O-1526-SM-7RHHB 20-29 years, male 21.2
GTEX-14PHX-2326-SM-62LEM 50-59 years, male 21.1
GTEX-ZVT4-0126-SM-DTXFN 50-59 years, female 21.1
GTEX-1I4MK-2226-SM-ACKWD 50-59 years, female 20.9
GTEX-PWCY-1826-SM-DHXIZ 20-29 years, female 20.8
GTEX-18A66-0226-SM-718BD 60-69 years, male 20.7
GTEX-148VI-1626-SM-5SI6E 60-69 years, female 20.6
GTEX-1GN1U-0126-SM-7PBZK 50-59 years, female 20.6
GTEX-1JN1M-0326-SM-CYPT3 60-69 years, female 20.6
GTEX-1PIIG-0226-SM-EWRN6 30-39 years, male 20.6
GTEX-1GMRU-0126-SM-9YFLV 50-59 years, male 20.4
GTEX-1HCU7-0226-SM-CL545 50-59 years, male 20.4
GTEX-1O97I-0326-SM-EYYX7 60-69 years, male 20.4
GTEX-P4PP-0126-SM-3LK69 30-39 years, female 20.3
GTEX-1J8QM-2126-SM-CYPSJ 60-69 years, female 20.3
GTEX-117XS-2726-SM-5N9BL 60-69 years, male 20.2
GTEX-U8XE-0326-SM-3DB8P 30-39 years, male 20.2
GTEX-PLZ6-1426-SM-DKPOT 30-39 years, male 20.2
GTEX-13OVG-1926-SM-5L3DK 60-69 years, male 20.1
GTEX-ZZ64-1726-SM-5GZYB 20-29 years, male 20.1
GTEX-1IY9M-0126-SM-D3L8S 60-69 years, male 20.1
GTEX-111VG-2426-SM-5GZXD 60-69 years, male 19.9
GTEX-13N11-2526-SM-5K7UE 50-59 years, female 19.9
GTEX-1MGNQ-0126-SM-EVYCJ 40-49 years, male 19.9
GTEX-146FQ-0126-SM-5NQA9 30-39 years, male 19.8
GTEX-13RTK-1426-SM-5QGQJ 20-29 years, male 19.7
GTEX-XBEW-0626-SM-4QASP 40-49 years, male 19.7
GTEX-1QPFJ-0226-SM-E76PB 30-39 years, female 19.7
GTEX-13FTY-0526-SM-5L3EV 40-49 years, female 19.6
GTEX-14PK6-1926-SM-6ETZU 70-79 years, female 19.6
GTEX-17GQL-2026-SM-718BA 60-69 years, male 19.6
GTEX-QESD-1426-SM-2S1R9 20-29 years, male 19.6
GTEX-131XE-2326-SM-5PNZ2 50-59 years, male 19.5
GTEX-15SDE-2226-SM-7IGLO 50-59 years, female 19.5
GTEX-14E7W-0126-SM-6LLJ9 70-79 years, male 19.4
GTEX-X4XX-0126-SM-3NMC2 60-69 years, male 19.4
GTEX-PSDG-0226-SM-DKPOZ 50-59 years, male 19.4
GTEX-13OW6-0426-SM-5L3HM 50-59 years, male 19.2
GTEX-S7SE-0126-SM-2XCD5 50-59 years, male 19.2
GTEX-1GZHY-0326-SM-9QEHI 50-59 years, female 19.2
GTEX-1IL2V-0126-SM-CM2TX 70-79 years, male 19.2
GTEX-1J1OQ-0226-SM-CYPSH 40-49 years, female 19.2
GTEX-145LV-2126-SM-5LU8N 50-59 years, male 19.1
GTEX-YB5K-2126-SM-4WWDJ 40-49 years, female 19.0
GTEX-1F6I4-0126-SM-9MQL2 60-69 years, male 19.0
GTEX-11P81-2326-SM-59875 30-39 years, female 18.9
GTEX-17F98-0626-SM-79OMX 40-49 years, female 18.9
GTEX-1GF9V-0326-SM-7RHI5 60-69 years, male 18.9
GTEX-13OVI-1426-SM-5L3EY 60-69 years, female 18.8
GTEX-1B8SF-1426-SM-7DUGL 60-69 years, male 18.8
GTEX-14E6D-0126-SM-62LDV 50-59 years, male 18.7
GTEX-1GPI7-0126-SM-9MQL8 20-29 years, male 18.6
GTEX-1B97I-1626-SM-73KYO 40-49 years, male 18.5
GTEX-13O3O-0126-SM-E9J49 60-69 years, female 18.3
GTEX-1MUQO-0126-SM-EAZ58 60-69 years, male 18.3
GTEX-1R46S-0626-SM-E9J41 60-69 years, female 18.3
GTEX-RVPV-0126-SM-EAZAW 60-69 years, male 18.3
GTEX-11OC5-0126-SM-5HL6A 60-69 years, male 18.2
GTEX-1AX9J-0226-SM-73KXM 60-69 years, male 18.2
GTEX-TML8-1926-SM-32QOS 40-49 years, female 18.2
GTEX-Y5LM-1926-SM-5RQJH 40-49 years, female 18.2
GTEX-1KD4Q-0226-SM-E9TJ9 40-49 years, male 18.2
GTEX-111FC-0126-SM-5N9DL 60-69 years, male 18.1
GTEX-147GR-0526-SM-5S2MY 60-69 years, male 18.1
GTEX-18D9U-0226-SM-718BP 40-49 years, male 18.1
GTEX-U3ZN-2326-SM-3DB7W 30-39 years, female 18.1
GTEX-Y8E4-0626-SM-4WWDL 40-49 years, male 18.1
GTEX-1HFI6-0226-SM-ADEHZ 40-49 years, male 18.1
GTEX-1CAMR-1926-SM-7EPI2 20-29 years, male 18.0
GTEX-UPJH-0326-SM-3GADU 50-59 years, male 18.0
GTEX-11GSO-2426-SM-5A5LY 60-69 years, male 17.9
GTEX-Y8DK-0126-SM-4TT3L 60-69 years, male 17.9
GTEX-ZU9S-0226-SM-5E441 30-39 years, male 17.8
GTEX-R3RS-0126-SM-3GIJL 40-49 years, female 17.7
GTEX-WFON-2126-SM-3LK7O 40-49 years, male 17.7
GTEX-X638-0126-SM-47JZ8 70-79 years, female 17.7
GTEX-ZTX8-1426-SM-5DUVO 20-29 years, male 17.7
GTEX-U412-0426-SM-3DB9O 60-69 years, male 17.6
GTEX-ZYT6-0226-SM-5NQ6T 30-39 years, male 17.6
GTEX-1J8EW-0126-SM-CJI4F 60-69 years, female 17.6
GTEX-WI4N-1026-SM-3LK7N 40-49 years, female 17.5
GTEX-14PJM-0226-SM-62LF1 50-59 years, female 17.4
GTEX-1JKYR-0126-SM-CNPOJ 20-29 years, male 17.4
GTEX-1IDJH-0326-SM-A9SLQ 70-79 years, male 17.3
GTEX-18A7A-0226-SM-718BH 50-59 years, female 17.2
GTEX-144GL-0126-SM-5TDE2 50-59 years, male 17.1
GTEX-17HGU-0226-SM-7DHKV 50-59 years, male 17.1
GTEX-12WSG-2826-SM-E9J4H 50-59 years, female 17.1
GTEX-1A8FM-0226-SM-7SB7Q 50-59 years, female 17.1
GTEX-X4EO-0326-SM-3P5YO 60-69 years, female 16.9
GTEX-1POEN-0126-SM-EYYXJ 30-39 years, female 16.9
GTEX-12ZZZ-0626-SM-5DUXI 60-69 years, male 16.8
GTEX-13YAN-0326-SM-5O9DF 60-69 years, male 16.8
GTEX-15F5U-1526-SM-6PANO 40-49 years, male 16.8
GTEX-1QP2A-0126-SM-E9J43 50-59 years, male 16.8
GTEX-RU72-0926-SM-2TF6B 50-59 years, female 16.7
GTEX-131XF-5016-SM-7MGWE 60-69 years, male 16.7
GTEX-1192W-2626-SM-5Q5AF 60-69 years, male 16.6
GTEX-133LE-1826-SM-5J1MV 20-29 years, female 16.6
GTEX-145MO-0326-SM-5Q5B3 60-69 years, male 16.5
GTEX-1192X-0226-SM-5H12D 50-59 years, male 16.4
GTEX-Y8LW-1826-SM-5S2MV 50-59 years, female 16.4
GTEX-1JJ6O-0126-SM-E6CI8 60-69 years, male 16.4
GTEX-1JMQI-2226-SM-CM2SD 50-59 years, male 16.4
GTEX-145ME-1826-SM-5SI9G 40-49 years, female 16.3
GTEX-QVJO-1626-SM-2S1QW 60-69 years, female 16.3
GTEX-1HBPN-0226-SM-9YFM1 50-59 years, male 16.3
GTEX-1AYD5-2426-SM-73KXR 50-59 years, male 16.2
GTEX-X8HC-0126-SM-4E3JW 50-59 years, female 16.2
GTEX-1C64O-0126-SM-7SB8P 60-69 years, male 16.2
GTEX-1H11D-0226-SM-9WG6Z 40-49 years, male 16.2
GTEX-12WSL-2526-SM-5GCNJ 50-59 years, male 16.1
GTEX-1CAMQ-0226-SM-7IGPK 40-49 years, male 16.1
GTEX-Y111-0126-SM-4SOIV 50-59 years, male 16.1
GTEX-ZAK1-0126-SM-5IJD3 50-59 years, female 16.1
GTEX-1269C-2526-SM-5EGJ3 60-69 years, female 15.9
GTEX-WH7G-2326-SM-3NMBC 40-49 years, male 15.9
GTEX-17HHE-2026-SM-79OKF 50-59 years, male 15.8
GTEX-1LGRB-2526-SM-CNPPQ 50-59 years, female 15.8
GTEX-1MCQQ-0826-SM-DLHC2 60-69 years, male 15.8
GTEX-14DAR-2026-SM-5S2O3 50-59 years, male 15.7
GTEX-XPVG-2626-SM-4B669 50-59 years, male 15.7
GTEX-1EN7A-0126-SM-7SB81 40-49 years, male 15.7
GTEX-12126-0326-SM-5PNW3 20-29 years, male 15.6
GTEX-14A5H-0426-SM-5QGQF 60-69 years, male 15.6
GTEX-QCQG-1726-SM-3GIJ9 50-59 years, female 15.6
GTEX-11DZ1-0126-SM-5985Q 50-59 years, male 15.4
GTEX-16MT8-0426-SM-7KUEY 60-69 years, female 15.4
GTEX-18D9B-0526-SM-7LTAS 60-69 years, male 15.4
GTEX-1H1CY-2826-SM-9MQM3 60-69 years, female 15.4
GTEX-14BMV-0126-SM-5S2PO 50-59 years, male 15.3
GTEX-14ICK-0226-SM-6EU25 40-49 years, male 15.3
GTEX-1IKK5-0626-SM-ARL8A 60-69 years, male 15.3
GTEX-1KANB-0526-SM-E6CJH 50-59 years, male 15.3
GTEX-11P7K-2126-SM-5GU7G 30-39 years, male 15.2
GTEX-139UW-2826-SM-5L3E7 60-69 years, male 15.2
GTEX-13FTW-2626-SM-5K7WL 40-49 years, male 15.2
GTEX-13X6I-0626-SM-5QGP9 60-69 years, male 15.2
GTEX-16YQH-0126-SM-7DUFJ 30-39 years, male 15.2
GTEX-1IKOH-0226-SM-COH4E 60-69 years, female 15.2
GTEX-1PFEY-1526-SM-E76PP 30-39 years, male 15.2
GTEX-1C64N-0126-SM-793D7 50-59 years, male 15.1
GTEX-ZQUD-1426-SM-57WER 30-39 years, male 15.1
GTEX-11UD1-0126-SM-5PNYG 40-49 years, female 15.0
GTEX-ZVE2-0226-SM-59HJB 50-59 years, male 15.0
GTEX-1ICG6-2526-SM-CGQFZ 70-79 years, female 15.0
GTEX-1IDJF-0126-SM-CM2RS 20-29 years, male 15.0
GTEX-13CF3-2426-SM-5IFGX 60-69 years, female 14.9
GTEX-ZVZP-2426-SM-59HKJ 50-59 years, male 14.9
GTEX-1GF9X-2026-SM-7PC3A 40-49 years, female 14.9
GTEX-1IDJU-2626-SM-CM2RT 60-69 years, female 14.9
GTEX-1K2DU-2326-SM-E9TIV 20-29 years, male 14.9
GTEX-WY7C-2326-SM-3NB2U 50-59 years, male 14.8
GTEX-1211K-2026-SM-5EQ4Z 60-69 years, female 14.7
GTEX-1JK1U-2026-SM-CM2RZ 60-69 years, male 14.7
GTEX-R45C-0126-SM-EAZ2R 60-69 years, female 14.7
GTEX-1314G-1526-SM-5EGK2 30-39 years, male 14.6
GTEX-ZAJG-0126-SM-5HL94 50-59 years, female 14.6
GTEX-1KD5A-0226-SM-D5OV3 50-59 years, male 14.6
GTEX-1LGOU-2026-SM-DIPFF 20-29 years, female 14.6
GTEX-11LCK-1026-SM-5A5KB 30-39 years, male 14.5
GTEX-11VI4-1726-SM-5CVLH 40-49 years, female 14.5
GTEX-15DYW-0126-SM-7KULE 60-69 years, female 14.5
GTEX-13FH7-2026-SM-E9J4I 50-59 years, female 14.5
GTEX-OHPM-0126-SM-2YUN9 50-59 years, male 14.4
GTEX-OIZH-0126-SM-2HMIS 50-59 years, male 14.4
GTEX-SIU8-0126-SM-2XCDT 50-59 years, male 14.4
GTEX-ZY6K-1826-SM-5GZXK 50-59 years, male 14.4
GTEX-1HFI7-1826-SM-ACKXH 50-59 years, female 14.4
GTEX-1JMPZ-0226-SM-CNPP1 30-39 years, male 14.4
GTEX-11DXW-0226-SM-5H122 40-49 years, male 14.3
GTEX-13U4I-0126-SM-5LU38 40-49 years, female 14.3
GTEX-1128S-2326-SM-5GZZY 60-69 years, female 14.1
GTEX-13SLW-0126-SM-5SI6C 70-79 years, male 14.1
GTEX-14JG6-2226-SM-6EU2G 30-39 years, female 14.1
GTEX-17HG3-2226-SM-7938L 30-39 years, female 14.1
GTEX-1B8L1-2526-SM-9WYTF 60-69 years, male 14.1
GTEX-1HCU6-0126-SM-CL54K 60-69 years, female 14.1
GTEX-1L5NE-2526-SM-E6CIE 50-59 years, male 14.1
GTEX-1I1GP-2226-SM-CGQFK 50-59 years, male 14.0
GTEX-1J1R8-1726-SM-ARL8M 40-49 years, male 14.0
GTEX-11EM3-2426-SM-59861 20-29 years, female 13.9
GTEX-11UD2-0226-SM-5EQKY 50-59 years, male 13.9
GTEX-12C56-1726-SM-5EQ61 20-29 years, male 13.9
GTEX-1399T-2826-SM-5KLYZ 60-69 years, male 13.9
GTEX-RM2N-1426-SM-2TF4H 50-59 years, male 13.9
GTEX-ZDYS-2026-SM-5HL5L 50-59 years, male 13.9
GTEX-1GN2E-0426-SM-9MQKX 60-69 years, male 13.9
GTEX-1GTWX-0126-SM-9YFLK 60-69 years, male 13.9
GTEX-1K9T9-0126-SM-EVYCF 50-59 years, female 13.9
GTEX-T2IS-0126-SM-4DM6O 20-29 years, female 13.8
GTEX-1JMQK-0226-SM-CL543 60-69 years, male 13.8
GTEX-15DCD-0126-SM-7KUEK 70-79 years, female 13.7
GTEX-X5EB-2226-SM-46MW4 40-49 years, male 13.7
GTEX-1I1CD-0126-SM-CM2TK 60-69 years, female 13.7
GTEX-1I1GR-0126-SM-CL55F 60-69 years, male 13.7
GTEX-1J8JJ-0226-SM-CL53I 60-69 years, female 13.7
GTEX-1QMI2-0226-SM-EVYBX 60-69 years, male 13.7
GTEX-13CF2-2526-SM-5LZYX 60-69 years, male 13.6
GTEX-1ICLY-0126-SM-D4P36 50-59 years, male 13.6
GTEX-11OF3-2626-SM-5GU7F 60-69 years, male 13.5
GTEX-ZV6S-2326-SM-4YCEY 40-49 years, female 13.5
GTEX-1EKGG-0226-SM-9WYTH 60-69 years, male 13.5
GTEX-13N2G-2626-SM-5J1OT 60-69 years, male 13.4
GTEX-17EUY-0426-SM-793BD 20-29 years, male 13.4
GTEX-1AMFI-2026-SM-731BH 50-59 years, female 13.4
GTEX-1RQEC-0426-SM-E6CHU 60-69 years, male 13.4
GTEX-1S82Z-0826-SM-E6CHY 30-39 years, female 13.4
GTEX-1AMEY-1326-SM-73KYK 30-39 years, female 13.3
GTEX-O5YT-0126-SM-48TBW 20-29 years, male 13.3
GTEX-QLQ7-1626-SM-2S1R8 60-69 years, male 13.3
GTEX-113JC-2326-SM-5EQ4E 50-59 years, female 13.2
GTEX-12WSA-0226-SM-5BC5V 60-69 years, male 13.2
GTEX-13O3Q-2426-SM-5IJBR 50-59 years, male 13.2
GTEX-13X6J-0126-SM-5QGOU 50-59 years, male 13.2
GTEX-17F97-0326-SM-7LG5B 50-59 years, male 13.2
GTEX-1A3MV-1926-SM-718BT 30-39 years, male 13.2
GTEX-1B8SG-0126-SM-73KZ3 50-59 years, male 13.2
GTEX-1EU9M-0226-SM-7P8SP 60-69 years, male 13.2
GTEX-1H3VY-0126-SM-ACKXD 50-59 years, male 13.2
GTEX-1KAFJ-2026-SM-CY8ID 50-59 years, male 13.2
GTEX-1313W-0126-SM-5LZUN 50-59 years, female 13.1
GTEX-17HII-0226-SM-7LG4E 50-59 years, male 13.1
GTEX-OXRK-0226-SM-3NB2G 50-59 years, female 13.1
GTEX-POMQ-2226-SM-2I5FK 20-29 years, female 13.1
GTEX-WXYG-2326-SM-4E3I6 50-59 years, female 13.1
GTEX-WZTO-0126-SM-3NM95 40-49 years, male 13.1
GTEX-ZDTS-0126-SM-4WAY5 60-69 years, male 13.1
GTEX-11NSD-2226-SM-5986V 20-29 years, male 13.0
GTEX-XQ3S-1526-SM-4BOOC 20-29 years, male 13.0
GTEX-1HCUA-2426-SM-ADEIS 50-59 years, female 13.0
GTEX-1JMQL-0226-SM-CNPP5 50-59 years, female 13.0
GTEX-15G19-0126-SM-6PANQ 60-69 years, male 12.9
GTEX-1JN76-0126-SM-CNPPE 20-29 years, female 12.9
GTEX-139TU-0126-SM-5K7WH 60-69 years, male 12.8
GTEX-15EU6-0426-SM-6PAN5 50-59 years, male 12.8
GTEX-16AAH-1726-SM-7939C 50-59 years, male 12.8
GTEX-QEG4-0226-SM-2S1PY 30-39 years, male 12.8
GTEX-11DXY-2626-SM-5GIE7 60-69 years, male 12.7
GTEX-13W46-0226-SM-5SIAG 50-59 years, male 12.7
GTEX-1A3MX-0126-SM-731BR 60-69 years, male 12.7
GTEX-1EX96-1626-SM-7PBXR 50-59 years, male 12.7
GTEX-RWS6-2026-SM-2XCB5 60-69 years, female 12.6
GTEX-T5JC-0426-SM-32PLO 20-29 years, male 12.6
GTEX-1GN1V-0126-SM-9WPOS 60-69 years, male 12.6
GTEX-1GN73-0226-SM-9WG67 60-69 years, male 12.6
GTEX-1IGQW-0126-SM-COH42 60-69 years, male 12.6
GTEX-1RAZA-0126-SM-E6CI3 20-29 years, male 12.6
GTEX-13OVL-0226-SM-5L3E9 50-59 years, male 12.5
GTEX-1H1DG-0126-SM-9WYU2 70-79 years, male 12.5
GTEX-1H3VE-0326-SM-9YFLH 40-49 years, male 12.5
GTEX-11EMC-2926-SM-5EQ4F 60-69 years, female 12.4
GTEX-ZE7O-0126-SM-57WC1 50-59 years, female 12.4
GTEX-1MCYP-1926-SM-E9J2R 20-29 years, female 12.4
GTEX-11GSP-2526-SM-5N9BP 60-69 years, female 12.3
GTEX-13RTL-0126-SM-7LG5S 40-49 years, male 12.3
GTEX-14ABY-0226-SM-5TDCQ 50-59 years, male 12.3
GTEX-1LG7Y-0526-SM-DKPQC 50-59 years, male 12.3
GTEX-11ZTS-0126-SM-5EQ6M 60-69 years, female 12.2
GTEX-13RTJ-2426-SM-5S2Q2 60-69 years, male 12.2
GTEX-1AX8Z-0126-SM-7DHM6 60-69 years, male 12.2
GTEX-1E1VI-0126-SM-7DHMZ 50-59 years, male 12.2
GTEX-RWSA-0126-SM-2XCBB 40-49 years, male 12.2
GTEX-12ZZY-0226-SM-5LZVE 60-69 years, male 12.1
GTEX-13D11-2426-SM-5KM1V 50-59 years, female 12.1
GTEX-14PJ3-1826-SM-62LEX 50-59 years, male 11.9
GTEX-13NYC-0326-SM-E9J4S 60-69 years, male 11.9
GTEX-1HT8W-0126-SM-CNPPP 30-39 years, male 11.9
GTEX-12WSE-0526-SM-793B2 20-29 years, male 11.8
GTEX-1JJE9-0326-SM-CL53Z 70-79 years, male 11.8
GTEX-132NY-0326-SM-5IJBL 60-69 years, male 11.7
GTEX-1C6VR-2426-SM-79OLD 60-69 years, male 11.7
GTEX-1HBPI-1526-SM-C1YQ1 50-59 years, male 11.7
GTEX-WRHK-1426-SM-3MJF9 20-29 years, female 11.6
GTEX-YFC4-0126-SM-5CVLY 40-49 years, female 11.6
GTEX-1B996-0226-SM-7RHGO 60-69 years, male 11.6
GTEX-OXRN-0126-SM-48TDM 50-59 years, male 11.5
GTEX-PWO3-1526-SM-48TCM 60-69 years, female 11.5
GTEX-1F52S-0126-SM-9MQJU 60-69 years, female 11.5
GTEX-1HSEH-0126-SM-ACKXN 60-69 years, male 11.5
GTEX-13OW5-0126-SM-DTXFS 60-69 years, male 11.4
GTEX-1H3O1-0426-SM-9YFKY 60-69 years, male 11.4
GTEX-12KS4-0326-SM-5EQ41 30-39 years, male 11.2
GTEX-Y3I4-2126-SM-4TT7C 50-59 years, male 11.2
GTEX-1A32A-0126-SM-718B1 50-59 years, female 11.1
GTEX-Q2AI-1326-SM-2S1PL 40-49 years, male 11.1
GTEX-1497J-2426-SM-7IGNX 60-69 years, male 11.0
GTEX-NPJ8-0126-SM-2YUNR 40-49 years, male 11.0
GTEX-ZDXO-3026-SM-5J1N5 60-69 years, male 11.0
GTEX-1F6RS-0126-SM-9MQKZ 60-69 years, female 11.0
GTEX-11ZVC-2526-SM-5FQTE 50-59 years, female 10.9
GTEX-ZE9C-2726-SM-57WB5 60-69 years, male 10.9
GTEX-17HHY-0126-SM-7LG5D 50-59 years, male 10.8
GTEX-1I6K6-0126-SM-A9SLE 30-39 years, male 10.8
GTEX-139TT-0126-SM-5K7Y5 60-69 years, male 10.7
GTEX-13OVK-2026-SM-7KUEO 40-49 years, male 10.7
GTEX-QLQW-1126-SM-2S1Q8 30-39 years, male 10.7
GTEX-U3ZM-1526-SM-3DB9D 40-49 years, male 10.7
GTEX-X4XY-0226-SM-4E3IZ 60-69 years, male 10.7
GTEX-1I1HK-0126-SM-COH49 60-69 years, male 10.7
GTEX-1NV5F-0226-SM-E8VNY 60-69 years, female 10.7
GTEX-11GS4-2726-SM-5A5LE 60-69 years, male 10.6
GTEX-14C5O-0126-SM-5SI6N 60-69 years, male 10.6
GTEX-18465-0126-SM-731BN 50-59 years, male 10.6
GTEX-Z9EW-1626-SM-5CVMN 40-49 years, male 10.6
GTEX-1AX9I-0126-SM-7SB74 60-69 years, male 10.6
GTEX-1C6VQ-0126-SM-7P8RI 50-59 years, male 10.6
GTEX-1J8Q3-1626-SM-CMKGC 60-69 years, male 10.6
GTEX-1QAET-0926-SM-E76QM 50-59 years, male 10.6
GTEX-13FHO-0226-SM-5IFGY 60-69 years, male 10.5
GTEX-14PN3-2426-SM-6LLHS 60-69 years, female 10.5
GTEX-PLZ4-0126-SM-5SI8O 50-59 years, female 10.5
GTEX-1F75B-0126-SM-9KNVL 50-59 years, male 10.5
GTEX-X4EP-0126-SM-3P5YV 60-69 years, female 10.4
GTEX-YEC4-2126-SM-5IFJH 40-49 years, male 10.4
GTEX-1B933-0126-SM-7PC29 50-59 years, female 10.4
GTEX-1NHNU-1026-SM-E9J2A 50-59 years, male 10.4
GTEX-11DXX-2426-SM-5GZZW 60-69 years, female 10.3
GTEX-13SLX-0526-SM-5S2ON 50-59 years, female 10.3
GTEX-15SHU-0126-SM-7KUEH 40-49 years, female 10.3
GTEX-1CB4G-0226-SM-7PC3O 60-69 years, male 10.3
GTEX-1I1GS-0126-SM-B2LVW 60-69 years, male 10.3
GTEX-1M5QR-1226-SM-EWROB 40-49 years, male 10.3
GTEX-18A7B-0126-SM-7LG64 70-79 years, male 10.2
GTEX-11O72-0126-SM-59887 40-49 years, male 10.1
GTEX-13PDP-0126-SM-5L3HD 60-69 years, male 10.1
GTEX-PLZ5-2026-SM-2S1O4 50-59 years, male 10.1
GTEX-R55E-0126-SM-2TC5Y 20-29 years, male 10.1
GTEX-ZAB4-0226-SM-5N9F5 40-49 years, male 10.1
GTEX-1F75A-0126-SM-7RHGM 50-59 years, male 10.1
GTEX-13PVR-2326-SM-5QGR1 60-69 years, female 10.0
GTEX-13VXU-0126-SM-5SI9F 50-59 years, male 10.0
GTEX-SSA3-0126-SM-32QPU 60-69 years, male 10.0
GTEX-1GF9W-0326-SM-9KNUN 60-69 years, male 10.0
GTEX-145LU-0126-SM-5TDCB 50-59 years, male 9.9
GTEX-Q2AH-1626-SM-3GAF8 40-49 years, male 9.9
GTEX-1HBPM-0226-SM-ARL9F 60-69 years, female 9.9
GTEX-1N2DW-0226-SM-E9TK2 50-59 years, male 9.9
GTEX-11H98-0126-SM-5EGHG 50-59 years, male 9.8
GTEX-131XG-2626-SM-5KM17 50-59 years, female 9.8
GTEX-13G51-2526-SM-5LZYK 60-69 years, male 9.8
GTEX-13X6H-2126-SM-7EWD5 50-59 years, female 9.8
GTEX-QV44-1926-SM-2S1RF 50-59 years, male 9.8
GTEX-XMD2-0126-SM-4YCDU 60-69 years, female 9.8
GTEX-12WSJ-1826-SM-5GCNY 40-49 years, female 9.7
GTEX-13NZA-0226-SM-5K7Z7 60-69 years, male 9.7
GTEX-XQ8I-0426-SM-4BOPO 50-59 years, male 9.7
GTEX-ZTPG-0326-SM-5O9AX 20-29 years, female 9.7
GTEX-1OJC4-0126-SM-E9J2E 50-59 years, female 9.7
GTEX-1QEPI-0126-SM-EWRMQ 60-69 years, female 9.7
GTEX-ZVT3-0126-SM-5GU6I 60-69 years, female 9.6
GTEX-1J8Q2-0526-SM-CM2RW 60-69 years, male 9.6
GTEX-117YW-2626-SM-5GZZH 50-59 years, male 9.5
GTEX-147F4-0226-SM-5QGPW 50-59 years, male 9.5
GTEX-XUW1-0426-SM-4BOOT 50-59 years, female 9.5
GTEX-13OW7-0126-SM-5MR3B 50-59 years, male 9.4
GTEX-1CB4J-0626-SM-7DHMP 60-69 years, male 9.4
GTEX-1GMR8-0126-SM-9WYTM 50-59 years, female 9.4
GTEX-11NUK-0126-SM-5A5L3 50-59 years, male 9.3
GTEX-14PN4-0126-SM-6EU2V 50-59 years, male 9.3
GTEX-OOBK-0126-SM-2YUND 40-49 years, male 9.3
GTEX-1RB15-2126-SM-E9TIM 60-69 years, male 9.3
GTEX-S7PM-0126-SM-4AD6S 60-69 years, male 9.2
GTEX-1GMR3-1926-SM-9KNUZ 40-49 years, male 9.2
GTEX-1N2DV-0226-SM-E6CJ6 40-49 years, male 9.2
GTEX-16NPX-0226-SM-79OMT 50-59 years, male 9.1
GTEX-SN8G-0126-SM-32PLI 50-59 years, female 9.1
GTEX-1H2FU-0126-SM-9WYSI 60-69 years, female 9.1
GTEX-11WQC-2526-SM-5CVLE 60-69 years, male 9.0
GTEX-147F3-0526-SM-5SI98 50-59 years, female 9.0
GTEX-14LLW-0126-SM-6LLIO 70-79 years, female 9.0
GTEX-16XZY-2126-SM-79OK1 70-79 years, male 9.0
GTEX-1CAMS-0426-SM-7P8T2 40-49 years, female 9.0
GTEX-1H23P-0126-SM-ADEJ3 60-69 years, male 9.0
GTEX-13VXT-0126-SM-5LU4I 20-29 years, female 8.9
GTEX-1HCVE-0126-SM-CGQEU 50-59 years, male 8.9
GTEX-1C2JI-1826-SM-73KXC 50-59 years, male 8.8
GTEX-WVJS-0126-SM-4MVOT 50-59 years, male 8.8
GTEX-14A6H-0126-SM-5QGPK 30-39 years, male 8.7
GTEX-TMMY-0226-SM-33HBA 40-49 years, female 8.7
GTEX-U3ZH-2026-SM-3DB78 30-39 years, male 8.7
GTEX-XXEK-2226-SM-4BRUM 50-59 years, male 8.7
GTEX-1F5PK-2426-SM-7RHHY 50-59 years, male 8.7
GTEX-1HB9E-0226-SM-E9U4R 50-59 years, male 8.7
GTEX-13N1W-0126-SM-5K7VT 70-79 years, male 8.6
GTEX-ZF28-0126-SM-4WKGK 60-69 years, male 8.6
GTEX-13O21-1426-SM-5K7XI 50-59 years, male 8.5
GTEX-145MI-0526-SM-5O9A8 60-69 years, female 8.5
GTEX-14BMU-2226-SM-5TDE9 20-29 years, female 8.5
GTEX-Q2AG-0126-SM-33HBV 40-49 years, female 8.5
GTEX-1F88F-2726-SM-7PBZZ 60-69 years, female 8.5
GTEX-1GPI6-0126-SM-9WG69 60-69 years, male 8.5
GTEX-1GZ4H-1726-SM-7PBZJ 50-59 years, female 8.5
GTEX-15DDE-0126-SM-6LPKH 50-59 years, female 8.4
GTEX-T8EM-1026-SM-3DB7M 40-49 years, male 8.4
GTEX-1GZ2Q-0226-SM-7P8TL 40-49 years, male 8.4
GTEX-1H3NZ-0126-SM-ACKX7 60-69 years, male 8.4
GTEX-1HGF4-2426-SM-ACKXM 60-69 years, male 8.4
GTEX-1PDJ9-0326-SM-DTX95 20-29 years, male 8.4
GTEX-11TT1-2526-SM-5EGIB 20-29 years, male 8.3
GTEX-11ZU8-2526-SM-5EQKI 60-69 years, male 8.3
GTEX-144GN-2326-SM-5LU4F 50-59 years, male 8.3
GTEX-148VJ-0126-SM-5TDDN 70-79 years, male 8.3
GTEX-1AYCT-2426-SM-7IGQ3 50-59 years, male 8.3
GTEX-W5WG-1826-SM-4KL2Y 50-59 years, female 8.3
GTEX-1F6IF-0726-SM-7P8TW 60-69 years, male 8.3
GTEX-11WQK-0526-SM-5EQLD 50-59 years, male 8.2
GTEX-144FL-0126-SM-5TDC8 50-59 years, male 8.2
GTEX-15UKP-0426-SM-7KUFQ 20-29 years, male 8.2
GTEX-XV7Q-2526-SM-4BRV9 40-49 years, female 8.2
GTEX-SJXC-0126-SM-2XCFF 60-69 years, male 8.1
GTEX-ZC5H-0226-SM-4WAY9 40-49 years, female 8.1
GTEX-1JKYN-1326-SM-CGQG9 30-39 years, male 8.1
GTEX-145MF-0626-SM-5LUAI 50-59 years, male 8.0
GTEX-WFG8-2226-SM-3GIL9 20-29 years, male 8.0
GTEX-1C6WA-0126-SM-7PC2B 60-69 years, male 8.0
GTEX-117YX-2326-SM-5H12W 50-59 years, male 7.9
GTEX-11TUW-2726-SM-E9J4M 60-69 years, male 7.9
GTEX-13O1R-0126-SM-5L3EH 60-69 years, male 7.8
GTEX-1GN1W-0526-SM-9MQJQ 50-59 years, female 7.8
GTEX-1H1DE-2126-SM-9WG6R 20-29 years, male 7.8
GTEX-13FTX-1826-SM-5J1NX 20-29 years, female 7.7
GTEX-14753-0426-SM-5NQAM 60-69 years, male 7.7
GTEX-1PWST-0226-SM-E76QJ 70-79 years, male 7.7
GTEX-14A5I-0126-SM-5TDEA 50-59 years, female 7.6
GTEX-V1D1-2226-SM-3NMAX 50-59 years, male 7.6
GTEX-Y5V6-2426-SM-4VDSB 60-69 years, male 7.6
GTEX-1MA7X-2226-SM-E6CIY 60-69 years, male 7.6
GTEX-OXRO-0126-SM-2YUN4 60-69 years, female 7.5
GTEX-SE5C-1626-SM-2XCE3 40-49 years, female 7.5
GTEX-11P82-1626-SM-59879 20-29 years, male 7.4
GTEX-1PBJI-0526-SM-E8VNK 20-29 years, female 7.4
GTEX-113IC-0126-SM-5HL6T 60-69 years, male 7.2
GTEX-131XW-0426-SM-5LZWP 50-59 years, female 7.2
GTEX-1B8KZ-2026-SM-7DHMB 50-59 years, male 7.2
GTEX-VJWN-0126-SM-3GIK7 50-59 years, female 7.2
GTEX-1LC47-0326-SM-E9TJP 60-69 years, male 7.2
GTEX-13NZ8-0826-SM-5MR3I 60-69 years, female 7.1
GTEX-11ZTT-2426-SM-5EQLS 60-69 years, female 6.9
GTEX-12584-0126-SM-5EGKQ 40-49 years, male 6.9
GTEX-14DAQ-0126-SM-5S2MQ 60-69 years, female 6.9
GTEX-P4PQ-0126-SM-2S1NM 60-69 years, male 6.9
GTEX-S32W-2126-SM-2XCB1 50-59 years, female 6.9
GTEX-OIZF-0126-SM-7SB8I 60-69 years, male 6.9
GTEX-146FH-0126-SM-5QGPP 50-59 years, female 6.8
GTEX-1CB4H-0226-SM-7PBXM 60-69 years, female 6.8
GTEX-13O3P-0126-SM-5KM4S 50-59 years, male 6.7
GTEX-145LT-1726-SM-5QGP3 40-49 years, male 6.7
GTEX-14E6C-0126-SM-5RQIP 40-49 years, male 6.7
GTEX-17EVQ-0226-SM-7LG4P 70-79 years, male 6.7
GTEX-OXRL-0126-SM-2YUMP 50-59 years, male 6.7
GTEX-PVOW-0126-SM-2XCFA 40-49 years, male 6.7
GTEX-R55G-2526-SM-2TC6D 40-49 years, female 6.7
GTEX-1F48J-0126-SM-7P8TT 50-59 years, female 6.7
GTEX-12ZZX-0126-SM-5EGK9 40-49 years, female 6.6
GTEX-15SHW-0326-SM-6PAML 60-69 years, male 6.6
GTEX-13112-2826-SM-5DUWH 50-59 years, male 6.5
GTEX-1C6VS-0526-SM-7DUEN 60-69 years, male 6.5
GTEX-1QP29-0626-SM-EWRMX 50-59 years, male 6.5
GTEX-14XAO-2326-SM-6EU1B 60-69 years, female 6.4
GTEX-1N2EF-0226-SM-EYYXB 60-69 years, male 6.4
GTEX-17MF6-0126-SM-7LG4F 40-49 years, male 6.3
GTEX-1H1E6-1726-SM-ACKVK 30-39 years, male 6.3
GTEX-14E6E-1826-SM-5S2R7 30-39 years, male 6.2
GTEX-1F7RK-0126-SM-7PC2S 20-29 years, female 6.1
GTEX-1PPH7-2326-SM-EVYB8 40-49 years, male 6.1
GTEX-QDT8-0126-SM-48TZ1 30-39 years, female 6.0
GTEX-ZUA1-0126-SM-5GU76 40-49 years, male 6.0
GTEX-11TTK-0126-SM-5987B 60-69 years, female 5.8
GTEX-ZYFD-0126-SM-5GIDL 50-59 years, male 5.8
GTEX-OXRP-0126-SM-3NB32 60-69 years, female 5.7
GTEX-1HSMO-0126-SM-CL547 60-69 years, male 5.7
GTEX-1R7EV-2426-SM-EVYBG 40-49 years, male 5.6
GTEX-139T8-0126-SM-5K7XZ 60-69 years, male 5.2
GTEX-15D1Q-0126-SM-7KUG6 40-49 years, male 5.2
GTEX-1HKZK-0326-SM-9WYUH 40-49 years, male 5.2
GTEX-14PHW-0126-SM-6LLJI 60-69 years, female 5.1
GTEX-1GF9U-2126-SM-7SB7L 40-49 years, female 5.1
GTEX-1IDFM-0126-SM-COH2V 60-69 years, male 5.1
GTEX-1AX9K-2326-SM-73KWU 50-59 years, male 5.0
GTEX-16XZZ-0126-SM-793DV 60-69 years, male 4.9
GTEX-RN64-0126-SM-2TC68 50-59 years, male 4.9
GTEX-TSE9-0126-SM-3DB83 60-69 years, female 4.9
GTEX-14BIM-0226-SM-7IGLD 60-69 years, female 4.8
GTEX-P44H-0226-SM-2XCEU 40-49 years, male 4.7
GTEX-1I1GU-2226-SM-CGQFA 40-49 years, male 4.5
GTEX-YJ8A-0426-SM-5IFID 20-29 years, male 4.4
GTEX-T6MO-1626-SM-32QOM 40-49 years, female 4.3
GTEX-1IE54-0126-SM-CMKHW 40-49 years, female 4.3
GTEX-1ICLZ-0126-SM-CKZPO 60-69 years, male 4.2
GTEX-1A3MW-0126-SM-73KXX 60-69 years, female 4.1
GTEX-WOFL-0126-SM-3MJG2 60-69 years, male 4.1
GTEX-13OVJ-0126-SM-5KM36 50-59 years, female 4.0
GTEX-13W3W-2426-SM-5LU5B 60-69 years, female 4.0
GTEX-X261-0126-SM-3NMD6 50-59 years, male 4.0
GTEX-1JMOU-1526-SM-CL54I 60-69 years, female 4.0
GTEX-1LNCM-1126-SM-E9U5E 50-59 years, female 4.0
GTEX-12WSN-5019-SM-79OM6 40-49 years, male 3.9
GTEX-14BIL-0126-SM-5SI92 50-59 years, male 3.9
GTEX-139T4-0226-SM-5HL5S 50-59 years, female 3.7
GTEX-1M4P7-0226-SM-DIPEV 60-69 years, male 3.7
GTEX-1RLM8-2326-SM-EWRN4 50-59 years, male 3.7
GTEX-ZYW4-0126-SM-5E44A 60-69 years, male 3.5
GTEX-1R9PO-2126-SM-E9J4O 60-69 years, female 3.5
GTEX-SNMC-1226-SM-2XCFP 20-29 years, male 3.4
GTEX-1I19N-0326-SM-ACKVX 70-79 years, male 3.3
GTEX-13NYS-0126-SM-5MR3W 60-69 years, male 3.1
GTEX-RUSQ-1526-SM-2TF62 50-59 years, male 3.1
GTEX-1HUB1-0426-SM-E9U4U 60-69 years, male 3.1
GTEX-1QW4Y-1526-SM-EAZ3Z 30-39 years, male 3.1
GTEX-ZZPT-0226-SM-5E43X 50-59 years, male 2.9
GTEX-1R9K4-0126-SM-DTX9X 60-69 years, male 2.8
GTEX-Q734-1926-SM-2I5EV 40-49 years, female 2.7
GTEX-X62O-0126-SM-4E3JN 50-59 years, male 2.7
GTEX-15UF6-0826-SM-6PALJ 70-79 years, female 2.2
GTEX-1F75I-0326-SM-9YFLU 40-49 years, male 2.2
GTEX-15EOM-0126-SM-7KUGG 20-29 years, female 2.0
GTEX-U4B1-1826-SM-4DXSU 40-49 years, male 1.9
GTEX-11ZUS-0626-SM-59885 30-39 years, male 1.6
GTEX-QDVN-2026-SM-3GAEP 50-59 years, male 1.4
GTEX-14JIY-0126-SM-6LLH6 60-69 years, male 1.3
GTEX-183WM-0126-SM-7LTAB 70-79 years, female 1.3
GTEX-1HBPH-0426-SM-B2LW5 40-49 years, female 0.9
GTEX-1QP67-1626-SM-EAZ3X 40-49 years, female 0.9
GTEX-146FR-1326-SM-E9J48 60-69 years, female 0.7
GTEX-1RAZQ-0726-SM-EAZ43 30-39 years, male 0.7
Show allShow less

Contact

  • NEWS ARTICLES
  • PRESS ROOM

The Project

  • INTRODUCTION
  • ORGANIZATION
  • PUBLICATIONS

The Human Protein Atlas

  • DOWNLOADABLE DATA
  • LICENCE & CITATION
  • HELP & FAQ
The Human Protein Atlas project is funded
by the Knut & Alice Wallenberg Foundation.


contact@proteinatlas.org