We use cookies to enhance the usability of our website. If you continue, we'll assume that you are happy to receive all cookies. More information. Don't show this again.
BRD2
HPA
RESOURCES
  • TISSUE
  • BRAIN
  • SINGLE CELL
  • SUBCELLULAR
  • CANCER
  • BLOOD
  • CELL LINE
  • STRUCTURE & INTERACTION
ABOUT
  • INTRODUCTION
  • HISTORY
  • ORGANIZATION
  • PUBLICATIONS
  • ANTIBODY SUBMISSION
  • ANTIBODY AVAILABILITY
  • ACKNOWLEDGMENTS
  • CONTACT
NEWS
  • NEWS ARTICLES
  • PRESS ROOM
LEARN
  • DICTIONARY
  • PROTEIN CLASSES
  • PROTEIN EVIDENCE
  • METHODS
  • EDUCATIONAL VIDEOS
DATA
  • DOWNLOADABLE DATA
  • PUBLICATION DATA
  • RELEASE HISTORY
HELP
  • ANTIBODY VALIDATION
  • ASSAYS & ANNOTATION
  • DISCLAIMER
  • HELP & FAQ
  • PRIVACY STATEMENT
  • LICENCE & CITATION
Fields »
Search result

Field
Term
Gene name
Class
Subclass
Class
Keyword
Chromosome
External id
Tissue
Cell type
Expression
Antibody panel
Tissue
Main location
Patient ID
Annotation
Tissue
Category
Tau score
Cluster
Reliability
Brain region
Category
Tau score
Brain region
Category
Tau score
Brain region
Category
Tau score
Cluster
Reliability
Tissue
Cell type
Enrichment
Cell type
Category
Tau score
Cell type
Category
Tau score
Cell type
Category
Tau score
Cell lineage
Category
Tau score
Cluster
Cluster
Location
Searches
Location
Cell line
Class
Type
Phase
Reliability
Cancer
Prognosis
Cancer
Category
Cancer
Category
Tau score
Cluster
Variants
Interacting gene (ensg_id)
Type
Number of interactions
Pathway
Category
Score
Score
Score
Validation
Validation
Validation
Validation
Antibodies
Data type
Column


  • SUMMARY

  • TISSUE

  • BRAIN

  • SINGLE CELL

  • SUBCELL

  • CANCER

  • BLOOD

  • CELL LINE

  • STRUCT & INT

  • BRD2
TISSUE PRIMARY DATA THYROID GLAND Show tissue menu
ADIPOSE TISSUE ADRENAL GLAND AMYGDALA APPENDIX BASAL GANGLIA BONE MARROW BREAST BRONCHUS CEREBELLUM CEREBRAL CORTEX CERVIX CHOROID PLEXUS COLON DUODENUM
ENDOMETRIUM EPIDIDYMIS ESOPHAGUS FALLOPIAN TUBE GALLBLADDER HEART MUSCLE HIPPOCAMPAL FORMATION HYPOTHALAMUS KIDNEY LIVER LUNG LYMPH NODE MIDBRAIN NASOPHARYNX
ORAL MUCOSA OVARY PANCREAS PARATHYROID GLAND PITUITARY GLAND PLACENTA PROSTATE RECTUM RETINA SALIVARY GLAND SEMINAL VESICLE SKELETAL MUSCLE SKIN SMALL INTESTINE
SMOOTH MUSCLE SOFT TISSUE SPINAL CORD SPLEEN STOMACH TESTIS THYMUS THYROID GLAND TONGUE TONSIL URINARY BLADDER VAGINA
ANTIBODIES
AND
VALIDATION
Dictionary
Thyroid gland
Tissue proteome
Thyroid gland
THYROID GLAND - Expression summary
Protein expression
Thyroid glandi

On the top, protein expression in current human tissue, based on all annotated cell types, is reported with the units not detected (n), low (l), medium (m) and high (h). Underneath, protein expression in each annotated cell type are reported using the same units.

Protein expression data is based on knowledge-based annotation. For genes where more than one antibody has been used, a collective score is set.

If knowledge-based annotation could not be performed for a gene, no data is displayed here. View antibody staining data further down this page.

h
m
l
n
Glandular cells: Low
RNA expressioni

A summary of mRNA expression data available for current tissue based on several datasets. The mRNA expression levels in human tissues are based on RNA-seq data generated by the Human Protein Atlas (HPA), Genotype-Tissue Expression (GTEx) portal and CAGE data generated by the FANTOM5 consortium. Consensus normalized expression levels for human tissues was created by combining the data from HPA and GTEx datasets.

The mRNA expression levels in pig are based on RNA-seq data generated by the Human Protein Atlas (HPA), and for mouse, HPA data and in situ hybridization generated by the Allen brain atlas are reported.

Scroll down to view mRNA expression data in more detail.
Consensus:74.7 nTPM
HPA:33.5 nTPM
GTEx:74.7 nTPM
FANTOM5:136.2 Scaled Tags Per Million

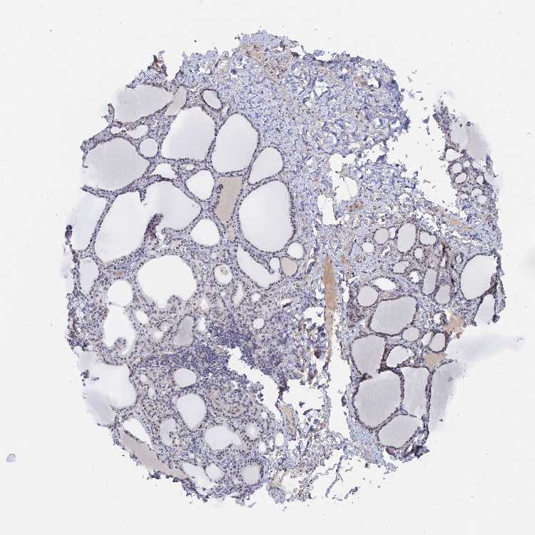
THYROID GLAND - Antibody stainingi

Antibody staining in the annotated cell types in the current human tissue is reported as not detected, low, medium, or high, based on conventional immunohistochemistry profiling in selected tissues. This score is based on the combination of the staining intensity and fraction of stained cells.

Each image is clickable and will lead to virtual microscopy that enables deeper exploration of all samples and also displays staining intensity scores, fraction scores and subcellular localization as well as patient and tissue information for each sample.

Antibody HPA042816
Glandular cells Low



THYROID GLAND - HPA RNA-seqi

The RNA-seq details section shows detailed information about the individual samples used for the transcript profiling and results of the RNA-seq analysis.

Information about each individual sample is listed below, including gender, age, a tissue section image and estimated fractions of cell types. nTPM (normalized transcripts per million) values give a quantification of the gene abundance which is comparable between different genes and samples.
Average nTPMi

Max subtype nTPM is the value for the subtype with the largest average nTPM across the subtype samples.

33.5
overview
Female, age 20
Thyroid gland sample 249
nTPM: 26.9
Cell types%
Glandular cells:
70

Endothelial cells:
20

Other cell types:
10

overview
Female, age 55
Thyroid gland sample 250
nTPM: 42.3
Cell types%
Glandular cells:
70

Endothelial cells:
20

Other cell types:
10

overview
Female, age 58
Thyroid gland sample 251
nTPM: 38.6
Cell types%
Glandular cells:
70

Endothelial cells:
15

Other cell types:
15

overview
Female, age 48
Thyroid gland sample 252
nTPM: 36.7
Cell types%
Glandular cells:
70

Endothelial cells:
20

Other cell types:
10

overview
Male, age 21
Thyroid gland sample 363
nTPM: 23
Cell types%
Glandular cells:
75

Endothelial cells:
10

Other cell types:
15


THYROID GLAND - GTEx RNA-seqi

RNA-Seq data generated by the Genotype-Tissue Expression (GTEx) project from human tissues is reported as mean nTPM. More information can be found on the GTEx portal.

Distribution across the dataset is visualized with box plots, shown as median and 25th and 75th percentiles. Points are displayed as outliers if they are above or below 1.5 times the interquartile range. nTPM values of the individual samples are presented next to the box plot.
Max subtype nTPMi

Max subtype nTPM is the value for the subtype with the largest average nTPM across the subtype samples.

74.7
GTEx sample id Sample description nTPM
Thyroid
Average nTPM: 74.7
Samples: 653

Max nTPM: 160.1
Min nTPM: 27.1
Std nTPM: 14.6
Median nTPM: 73.5
GTEX-11GSO-0626-SM-5A5LW 60-69 years, male 160.1
GTEX-ZYFD-0826-SM-5NQ9A 50-59 years, male 153.2
GTEX-OXRN-1526-SM-E6CHM 50-59 years, male 136.7
GTEX-OXRP-0326-SM-33HBJ 60-69 years, female 125.0
GTEX-1PIIG-2026-SM-EVR43 30-39 years, male 124.8
GTEX-1GN1V-0626-SM-7P8QU 60-69 years, male 121.9
GTEX-WHSE-0626-SM-4RGNF 20-29 years, male 121.1
GTEX-U412-0726-SM-EVR2Y 60-69 years, male 117.6
GTEX-1N5O9-1026-SM-DTX8Y 60-69 years, male 116.2
GTEX-11TTK-0826-SM-5N9EG 60-69 years, female 115.3
GTEX-ZYFC-0926-SM-5GZWW 50-59 years, male 112.5
GTEX-13N1W-0826-SM-5MR5J 70-79 years, male 112.4
GTEX-13X6J-0826-SM-5LU32 50-59 years, male 112.3
GTEX-1F75A-0326-SM-7MXTR 50-59 years, male 111.8
GTEX-1399T-0126-SM-5KM15 60-69 years, male 110.8
GTEX-111FC-1026-SM-5GZX1 60-69 years, male 110.7
GTEX-1F52S-0526-SM-7P8TP 60-69 years, female 109.1
GTEX-1GF9W-0626-SM-7MXVJ 60-69 years, male 108.7
GTEX-117YW-0126-SM-5EGGN 50-59 years, male 108.0
GTEX-VJYA-0426-SM-3GIJK 60-69 years, male 107.9
GTEX-14ASI-0726-SM-5Q5DC 60-69 years, male 107.3
GTEX-ZY6K-0226-SM-5SIAY 50-59 years, male 107.2
GTEX-RN5K-2826-SM-EZ6L3 50-59 years, female 106.2
GTEX-13RTJ-0326-SM-5YYAE 60-69 years, male 104.6
GTEX-144GO-0126-SM-5LUAO 60-69 years, male 104.3
GTEX-1HSMQ-0526-SM-A96TY 50-59 years, male 103.5
GTEX-1313W-0726-SM-5EGK1 50-59 years, female 102.8
GTEX-13VXU-0826-SM-5KLZ2 50-59 years, male 102.3
GTEX-12696-0326-SM-5EGL4 60-69 years, male 101.5
GTEX-13NYB-0726-SM-5MR4J 40-49 years, male 101.5
GTEX-Y111-1926-SM-4SOIS 50-59 years, male 101.1
GTEX-13OVJ-0626-SM-5J2O2 50-59 years, female 101.0
GTEX-13FLW-0326-SM-5J2M4 50-59 years, male 100.9
GTEX-WK11-0926-SM-3NMAU 50-59 years, male 100.9
GTEX-13OW8-0126-SM-5IJE5 60-69 years, male 100.7
GTEX-WL46-0126-SM-3TW8I 50-59 years, male 100.4
GTEX-17HG3-0226-SM-7EWEA 30-39 years, female 100.1
GTEX-WYBS-1926-SM-3NM8N 60-69 years, female 99.0
GTEX-1PPGY-1426-SM-EVR3R 60-69 years, male 98.5
GTEX-13QJ3-0926-SM-73KX5 50-59 years, male 98.4
GTEX-14JIY-1226-SM-6871R 60-69 years, male 98.2
GTEX-11NSD-0126-SM-5987F 20-29 years, male 97.7
GTEX-12BJ1-0426-SM-5FQSO 60-69 years, male 97.4
GTEX-147F4-0826-SM-5QGRB 50-59 years, male 96.9
GTEX-QV31-0726-SM-3GAEG 30-39 years, male 96.7
GTEX-ZV7C-0126-SM-57WDE 50-59 years, male 96.7
GTEX-1LG7Y-0626-SM-DHXJM 50-59 years, male 96.7
GTEX-11DYG-0826-SM-5N9GH 60-69 years, male 96.4
GTEX-R3RS-0726-SM-3GIJR 40-49 years, female 96.4
GTEX-ZVT3-0726-SM-5GICN 60-69 years, female 96.4
GTEX-13FTY-0726-SM-5J2OH 40-49 years, female 96.3
GTEX-1H3VE-0826-SM-9KNVQ 40-49 years, male 96.2
GTEX-11EQ9-0626-SM-5A5K1 30-39 years, male 95.9
GTEX-ZXG5-0926-SM-5NQ8H 60-69 years, male 95.8
GTEX-131XH-0526-SM-5DUX7 50-59 years, male 95.3
GTEX-1IOXB-1026-SM-CJI4D 50-59 years, male 94.6
GTEX-1IY9M-1026-SM-A96TG 60-69 years, male 94.2
GTEX-12WSH-0226-SM-5GCOG 50-59 years, male 93.2
GTEX-1B8SG-1126-SM-7IGMT 50-59 years, male 93.2
GTEX-1212Z-0426-SM-5FQT6 60-69 years, male 92.9
GTEX-13IVO-0926-SM-5KLZP 70-79 years, male 92.6
GTEX-T2IS-0626-SM-32QP6 20-29 years, female 92.6
GTEX-14PKV-0626-SM-6AJA2 20-29 years, female 92.5
GTEX-145MH-0426-SM-5LU8T 50-59 years, male 92.4
GTEX-16AAH-0326-SM-7DHML 50-59 years, male 92.1
GTEX-17HHY-0826-SM-7EPID 50-59 years, male 91.6
GTEX-12WSE-1226-SM-73KUF 20-29 years, male 91.5
GTEX-15CHQ-0826-SM-69LOT 60-69 years, male 91.5
GTEX-1I6K7-1126-SM-A96SW 40-49 years, male 91.5
GTEX-1B8KE-0626-SM-7189H 50-59 years, male 91.4
GTEX-1AMFI-0526-SM-7189M 50-59 years, female 91.3
GTEX-11O72-2326-SM-5BC7H 40-49 years, male 91.1
GTEX-ZUA1-0926-SM-4YCDX 40-49 years, male 90.8
GTEX-11EI6-0726-SM-59866 60-69 years, male 90.7
GTEX-12ZZZ-1226-SM-59HK1 60-69 years, male 90.7
GTEX-1HCVE-0726-SM-A96SH 50-59 years, male 90.7
GTEX-13PL6-1026-SM-5L3E5 40-49 years, female 90.6
GTEX-11ZTT-1026-SM-5EQKF 60-69 years, female 90.4
GTEX-14E7W-0926-SM-5YYA4 70-79 years, male 90.0
GTEX-ZVZP-1026-SM-5GICI 50-59 years, male 89.9
GTEX-U8T8-2326-SM-3DB96 60-69 years, male 89.8
GTEX-1192X-1126-SM-5EGGU 50-59 years, male 89.6
GTEX-1IKOH-0626-SM-CJI35 60-69 years, female 89.5
GTEX-XUZC-0126-SM-4BOO6 30-39 years, female 89.4
GTEX-1B8KZ-0426-SM-731DP 50-59 years, male 89.2
GTEX-1JJE9-0226-SM-CY8HU 70-79 years, male 89.0
GTEX-1H1DF-1026-SM-9QEJ1 40-49 years, female 88.9
GTEX-1MCC2-0526-SM-DHXJS 30-39 years, female 88.8
GTEX-15EU6-1426-SM-6M48E 50-59 years, male 88.6
GTEX-15DDE-0626-SM-69LOK 50-59 years, female 88.5
GTEX-183WM-2626-SM-7KFRY 70-79 years, female 88.5
GTEX-1HT8W-1526-SM-CE6S3 30-39 years, male 88.4
GTEX-RVPV-1226-SM-2TF73 60-69 years, male 88.3
GTEX-1J1OQ-0526-SM-A9G2P 40-49 years, female 88.2
GTEX-T8EM-0226-SM-3DB7C 40-49 years, male 87.8
GTEX-Y5LM-0626-SM-4V6G4 40-49 years, female 87.8
GTEX-1IGQW-0626-SM-C1YR9 60-69 years, male 87.7
GTEX-P44G-0626-SM-2I5EO 30-39 years, male 87.4
GTEX-11DZ1-2726-SM-5A5KH 50-59 years, male 87.1
GTEX-1211K-0726-SM-5FQUW 60-69 years, female 87.1
GTEX-13O61-0226-SM-5KM52 60-69 years, male 87.1
GTEX-R55E-0826-SM-2TC5M 20-29 years, male 87.1
GTEX-14ABY-0926-SM-5Q5DY 50-59 years, male 87.0
GTEX-1I1GV-0726-SM-ARZLY 60-69 years, male 87.0
GTEX-1HSMO-0726-SM-A96TM 60-69 years, male 86.9
GTEX-X261-0726-SM-EZ6MH 50-59 years, male 86.8
GTEX-15UF6-1126-SM-6LPJ3 70-79 years, female 86.7
GTEX-1K2DA-1526-SM-CGQGQ 50-59 years, male 86.7
GTEX-1QP2A-0626-SM-DTX9C 50-59 years, male 86.6
GTEX-13FTW-0626-SM-5IFEX 40-49 years, male 86.3
GTEX-ZZ64-0126-SM-5GZXA 20-29 years, male 86.3
GTEX-1GZ2Q-0826-SM-7P8TK 40-49 years, male 86.2
GTEX-11I78-0526-SM-5986A 50-59 years, female 86.1
GTEX-1HBPI-0826-SM-9WYTX 50-59 years, male 86.1
GTEX-1JKYN-1126-SM-CGQG5 30-39 years, male 86.1
GTEX-11VI4-0226-SM-5GU6C 40-49 years, female 85.4
GTEX-S341-0226-SM-D4P1Y 40-49 years, female 85.4
GTEX-131XE-0126-SM-5LZVC 50-59 years, male 85.3
GTEX-132QS-0326-SM-5IJFN 60-69 years, male 85.3
GTEX-Y114-0626-SM-4TT98 50-59 years, female 85.3
GTEX-ZA64-0426-SM-5HL96 20-29 years, male 85.3
GTEX-1F5PL-0826-SM-7MXU7 40-49 years, female 85.3
GTEX-1GN1W-0126-SM-7MXV7 50-59 years, female 85.3
GTEX-YEC4-0626-SM-5CVLU 40-49 years, male 85.2
GTEX-131YS-0726-SM-5P9G9 60-69 years, female 84.9
GTEX-13FLV-0226-SM-5J2OF 50-59 years, male 84.8
GTEX-17HII-1926-SM-79OLB 50-59 years, male 84.8
GTEX-1KD4Q-1026-SM-CXZKJ 40-49 years, male 84.8
GTEX-12WSC-0826-SM-5EQ5Q 50-59 years, male 84.6
GTEX-OIZI-0726-SM-2XCEI 40-49 years, male 84.5
GTEX-ZTX8-0626-SM-59HKC 20-29 years, male 84.3
GTEX-1H1DG-0726-SM-A96TN 70-79 years, male 84.2
GTEX-11OF3-0626-SM-5BC4Y 60-69 years, male 83.9
GTEX-Y9LG-0426-SM-4VBRT 30-39 years, male 83.9
GTEX-1399R-0126-SM-5IFEV 30-39 years, male 83.8
GTEX-QLQ7-0726-SM-2I5G2 60-69 years, male 83.8
GTEX-13NZA-1026-SM-5MR48 60-69 years, male 83.7
GTEX-U3ZN-0326-SM-3DB86 30-39 years, female 83.7
GTEX-ZYFG-0626-SM-5GZYA 60-69 years, female 83.5
GTEX-1QMI2-0826-SM-EXUT4 60-69 years, male 83.4
GTEX-11UD2-0626-SM-5GU6L 50-59 years, male 83.3
GTEX-11XUK-0226-SM-5EQLW 40-49 years, female 83.2
GTEX-1399U-0326-SM-5P9G5 50-59 years, female 83.2
GTEX-16GPK-0926-SM-6LPJ9 60-69 years, male 83.2
GTEX-1HR98-0326-SM-CGQEL 60-69 years, male 83.2
GTEX-14PJ3-0126-SM-69LQP 50-59 years, male 83.1
GTEX-11DXX-0226-SM-5P9HL 60-69 years, female 82.9
GTEX-14XAO-0426-SM-6AJB6 60-69 years, female 82.9
GTEX-14B4R-0126-SM-5TDE4 30-39 years, male 82.7
GTEX-ZYVF-1126-SM-5E458 50-59 years, female 82.7
GTEX-1ICLZ-0526-SM-ARZM8 60-69 years, male 82.7
GTEX-13D11-0226-SM-5LZXL 50-59 years, female 82.6
GTEX-PX3G-2626-SM-2I3EG 20-29 years, female 82.6
GTEX-UJMC-0326-SM-3GAE2 50-59 years, male 82.6
GTEX-1OFPY-1526-SM-DTX8R 60-69 years, male 82.6
GTEX-13NYC-2426-SM-5MR3K 60-69 years, male 82.5
GTEX-13OW5-0626-SM-5J2N2 60-69 years, male 82.3
GTEX-15RJ7-0326-SM-6M47H 40-49 years, male 82.2
GTEX-ZAK1-0726-SM-5HL8Q 50-59 years, female 82.2
GTEX-ZTPG-0826-SM-5DUVC 20-29 years, female 82.2
GTEX-1H1ZS-0726-SM-A9G3K 70-79 years, male 82.2
GTEX-139T6-0326-SM-5J2LY 50-59 years, male 82.1
GTEX-1IDJU-1626-SM-CJI4B 60-69 years, female 82.1
GTEX-1QEPI-0726-SM-E76QG 60-69 years, female 82.1
GTEX-1MGNQ-0726-SM-DPRYH 40-49 years, male 81.9
GTEX-1BAJH-0926-SM-79OO6 70-79 years, male 81.8
GTEX-14PJ6-0326-SM-6871H 60-69 years, female 81.7
GTEX-11TT1-1126-SM-5P9GV 20-29 years, male 81.6
GTEX-1HR9M-0626-SM-A96S6 60-69 years, male 81.6
GTEX-1MJK2-0826-SM-DTXE8 50-59 years, male 81.6
GTEX-QDT8-1226-SM-EVR35 30-39 years, female 81.6
GTEX-14PII-0826-SM-6871S 60-69 years, male 81.5
GTEX-145MG-0826-SM-5Q5C2 50-59 years, male 81.4
GTEX-145MI-1126-SM-5O9AK 60-69 years, female 81.4
GTEX-RN64-0626-SM-2TC5V 50-59 years, male 81.4
GTEX-ZTSS-0226-SM-59877 40-49 years, male 81.4
GTEX-ZYW4-1126-SM-5SI99 60-69 years, male 81.4
GTEX-1EX96-0126-SM-9KNVH 50-59 years, male 81.3
GTEX-1GMR3-0726-SM-9WPOF 40-49 years, male 81.3
GTEX-1RAZR-1126-SM-E6CRC 40-49 years, male 81.3
GTEX-ZYT6-0426-SM-5GID3 30-39 years, male 81.2
GTEX-16BQI-0726-SM-6LPJZ 30-39 years, female 81.1
GTEX-13O1R-0826-SM-5J2MB 60-69 years, male 81.0
GTEX-1C2JI-0326-SM-7EWFD 50-59 years, male 81.0
GTEX-1B933-1026-SM-7P8RO 50-59 years, female 80.9
GTEX-1HCU9-0226-SM-9WPNT 20-29 years, male 80.9
GTEX-1QP9N-0126-SM-DPRZS 30-39 years, male 80.9
GTEX-13N2G-0726-SM-5MR38 60-69 years, male 80.8
GTEX-14PJ4-0326-SM-664OT 60-69 years, male 80.8
GTEX-17F97-0626-SM-7IGOH 50-59 years, male 80.8
GTEX-1IDJH-0826-SM-CE6SY 70-79 years, male 80.8
GTEX-P78B-0526-SM-2I5F7 40-49 years, female 80.7
GTEX-1EWIQ-0826-SM-7MXTH 70-79 years, female 80.6
GTEX-ZAJG-0726-SM-5HL9A 50-59 years, female 80.5
GTEX-ZPCL-0126-SM-4WWC8 60-69 years, female 80.4
GTEX-139TS-0126-SM-5K7XJ 60-69 years, male 80.3
GTEX-WVLH-0626-SM-3MJG7 50-59 years, male 80.3
GTEX-1AX9I-0626-SM-72D54 60-69 years, male 80.2
GTEX-QEG5-0826-SM-2I5GF 20-29 years, male 80.2
GTEX-1JN6P-0626-SM-ARZN6 60-69 years, male 80.2
GTEX-1FIGZ-0226-SM-7P8QR 40-49 years, male 79.8
GTEX-Q734-0526-SM-2I3EH 40-49 years, female 79.7
GTEX-1GZ4I-0626-SM-9WPPN 50-59 years, male 79.7
GTEX-14PKU-0326-SM-6AJA7 40-49 years, female 79.6
GTEX-1C6VQ-0526-SM-7MGWD 50-59 years, male 79.6
GTEX-13OVI-0826-SM-5KLZ8 60-69 years, female 79.5
GTEX-16Z82-0426-SM-7EPGX 60-69 years, male 79.5
GTEX-111CU-0226-SM-5GZXC 50-59 years, male 79.4
GTEX-TMMY-0826-SM-33HB9 40-49 years, female 79.4
GTEX-117XS-0526-SM-5987Q 60-69 years, male 79.3
GTEX-OHPM-2626-SM-33HC5 50-59 years, male 79.3
GTEX-13X6H-0526-SM-5LU4Q 50-59 years, female 79.2
GTEX-XGQ4-0426-SM-4AT4I 50-59 years, male 79.2
GTEX-QXCU-0326-SM-2TC63 50-59 years, male 79.1
GTEX-1I1GT-0826-SM-B2LWO 60-69 years, female 79.1
GTEX-1C64N-1026-SM-79ONM 50-59 years, male 79.0
GTEX-XUW1-1026-SM-4BONY 50-59 years, female 78.9
GTEX-1EMGI-0826-SM-7EPHY 60-69 years, male 78.8
GTEX-1P4AB-1126-SM-DTX94 50-59 years, male 78.8
GTEX-146FR-0326-SM-5SI8U 60-69 years, female 78.7
GTEX-16YQH-0326-SM-6LPJV 30-39 years, male 78.7
GTEX-U3ZM-0126-SM-3DB8M 40-49 years, male 78.7
GTEX-XMK1-0626-SM-4B65A 40-49 years, male 78.7
GTEX-1J8JJ-0726-SM-AHZ3E 60-69 years, female 78.7
GTEX-1IE54-0926-SM-A9G2Y 40-49 years, female 78.6
GTEX-1E1VI-0726-SM-7P8QJ 50-59 years, male 78.5
GTEX-13JVG-0926-SM-5IJE1 60-69 years, male 78.4
GTEX-1KANC-0826-SM-D3LA8 50-59 years, female 78.4
GTEX-11P81-0126-SM-5HL5Y 30-39 years, female 78.3
GTEX-13RTK-0326-SM-5RQHS 20-29 years, male 78.3
GTEX-XLM4-0726-SM-4AT64 60-69 years, male 78.3
GTEX-13FXS-0726-SM-5LZXJ 50-59 years, male 78.2
GTEX-14ICL-0426-SM-5RQJ3 30-39 years, male 78.2
GTEX-1J8Q3-0226-SM-C1YR4 60-69 years, male 78.2
GTEX-111YS-0726-SM-5GZY8 60-69 years, male 78.1
GTEX-11ZVC-0126-SM-5986G 50-59 years, female 78.1
GTEX-11P7K-0226-SM-5986Z 30-39 years, male 78.0
GTEX-1AX9K-0626-SM-73KVD 50-59 years, male 77.9
GTEX-1H11D-0626-SM-9WPQ1 40-49 years, male 77.9
GTEX-1PIGE-0726-SM-DPRZD 20-29 years, male 77.8
GTEX-18465-1426-SM-7KFTF 50-59 years, male 77.7
GTEX-XXEK-1326-SM-4BRV1 50-59 years, male 77.7
GTEX-11EQ8-0826-SM-5N9FG 60-69 years, male 77.6
GTEX-12WSK-0926-SM-5CVNQ 40-49 years, female 77.6
GTEX-147GR-0726-SM-5S2PL 60-69 years, male 77.6
GTEX-T5JW-1226-SM-3GACY 20-29 years, female 77.6
GTEX-Z9EW-0226-SM-5CVM7 40-49 years, male 77.6
GTEX-T6MO-0226-SM-32QOL 40-49 years, female 77.5
GTEX-TSE9-0626-SM-3DB8B 60-69 years, female 77.5
GTEX-1HB9E-0826-SM-CNNQJ 50-59 years, male 77.4
GTEX-WWYW-0826-SM-3NB2X 50-59 years, female 77.3
GTEX-14PN3-0826-SM-69LOS 60-69 years, female 77.1
GTEX-1CB4J-1426-SM-7MKFR 60-69 years, male 77.1
GTEX-11P82-0226-SM-5HL4O 20-29 years, male 77.0
GTEX-13FHO-0926-SM-5N9EW 60-69 years, male 77.0
GTEX-14BMU-0226-SM-5S2QA 20-29 years, female 77.0
GTEX-ZE7O-1126-SM-57WC8 50-59 years, female 77.0
GTEX-1M4P7-0626-SM-EVR51 60-69 years, male 76.9
GTEX-1QP6S-2526-SM-DTX9Z 40-49 years, male 76.9
GTEX-13VXT-0626-SM-5SIA1 20-29 years, female 76.8
GTEX-N7MS-2326-SM-2HMLD 60-69 years, male 76.8
GTEX-SJXC-0726-SM-2XCFJ 60-69 years, male 76.8
GTEX-1GTWX-0726-SM-9WPPA 60-69 years, male 76.8
GTEX-1I1GU-0826-SM-ARZM5 40-49 years, male 76.8
GTEX-1HBPH-0926-SM-A9SME 40-49 years, female 76.7
GTEX-WFG7-0326-SM-DKPO8 20-29 years, male 76.7
GTEX-11NUK-1026-SM-5HL5J 50-59 years, male 76.4
GTEX-PWN1-2626-SM-2I3FH 40-49 years, female 76.4
GTEX-W5X1-0426-SM-3GILB 40-49 years, female 76.4
GTEX-1JMPY-0126-SM-CJI39 30-39 years, male 76.4
GTEX-1F6IF-1126-SM-9KNV2 60-69 years, male 76.3
GTEX-1HCUA-0126-SM-B2LWC 50-59 years, female 76.3
GTEX-13O21-2226-SM-5MR3L 50-59 years, male 76.2
GTEX-11EMC-0226-SM-5EGLP 60-69 years, female 76.1
GTEX-11GS4-0826-SM-5986J 60-69 years, male 76.1
GTEX-1I19N-0226-SM-CE6ST 70-79 years, male 76.1
GTEX-15EO6-0126-SM-6LPKJ 50-59 years, male 76.0
GTEX-X4XY-0826-SM-4E3JM 60-69 years, male 76.0
GTEX-1EU9M-0626-SM-7MXUT 60-69 years, male 76.0
GTEX-S7SE-0726-SM-2XCD7 50-59 years, male 75.8
GTEX-1I1GR-1126-SM-A9G2I 60-69 years, male 75.8
GTEX-1O9I2-1226-SM-E6CQC 50-59 years, male 75.8
GTEX-14PN4-1526-SM-6871V 50-59 years, male 75.7
GTEX-1A3MV-0326-SM-73KW7 30-39 years, male 75.7
GTEX-WH7G-0526-SM-3NMBI 40-49 years, male 75.7
GTEX-1JK1U-0326-SM-CXZJH 60-69 years, male 75.7
GTEX-13FHP-0926-SM-5L3EC 50-59 years, male 75.6
GTEX-113JC-0126-SM-5EGJW 50-59 years, female 75.5
GTEX-131XG-0226-SM-5IFG1 50-59 years, female 75.5
GTEX-Y5V6-0526-SM-4VBRV 60-69 years, male 75.4
GTEX-17F9Y-0526-SM-7EWDC 70-79 years, female 75.3
GTEX-OXRO-1226-SM-48TDL 60-69 years, female 75.3
GTEX-1S83E-0726-SM-EV7B6 40-49 years, male 75.3
GTEX-1AYCT-0226-SM-73KVB 50-59 years, male 75.2
GTEX-ZLWG-0526-SM-4WWFB 50-59 years, female 75.2
GTEX-1I1GS-0726-SM-C1YS7 60-69 years, male 75.2
GTEX-1OJC4-0526-SM-E6CQV 50-59 years, female 75.2
GTEX-1CB4I-0726-SM-7DUGS 50-59 years, male 75.1
GTEX-RM2N-0526-SM-2TF4N 50-59 years, male 75.1
GTEX-1LB8K-0626-SM-D4P3Z 50-59 years, male 75.1
GTEX-17JCI-0626-SM-7IGM7 60-69 years, female 75.0
GTEX-1H1E6-0326-SM-9OSWE 30-39 years, male 75.0
GTEX-1JKYR-0826-SM-ARU8L 20-29 years, male 74.9
GTEX-1KD5A-0426-SM-D4P3X 50-59 years, male 74.9
GTEX-V955-0426-SM-3GAEL 60-69 years, male 74.8
GTEX-1R9PM-0226-SM-DPRY7 20-29 years, male 74.8
GTEX-13NZ9-1126-SM-5MR37 50-59 years, male 74.7
GTEX-14PQA-1226-SM-6M47A 50-59 years, female 74.6
GTEX-QDVJ-0226-SM-2I5FV 50-59 years, male 74.6
GTEX-12WSL-0626-SM-5GCOY 50-59 years, male 74.5
GTEX-XYKS-0826-SM-4BRVF 60-69 years, female 74.5
GTEX-15CHC-0126-SM-5YYBA 60-69 years, female 74.4
GTEX-OIZG-0226-SM-2TC5L 50-59 years, male 74.3
GTEX-1HSGN-0726-SM-A9G2F 40-49 years, female 74.3
GTEX-SNOS-0226-SM-32PLR 40-49 years, male 74.2
GTEX-1CB4G-1526-SM-7P8QG 60-69 years, male 74.2
GTEX-1128S-0126-SM-5H12S 60-69 years, female 74.1
GTEX-13112-0326-SM-5P9IW 50-59 years, male 74.0
GTEX-OHPK-2626-SM-2HMK9 50-59 years, female 74.0
GTEX-1KXAM-1726-SM-D3LAE 60-69 years, male 74.0
GTEX-PLZ4-1226-SM-2I5FE 50-59 years, female 73.9
GTEX-WHSB-1626-SM-3LK6J 50-59 years, male 73.8
GTEX-ZVP2-0426-SM-57WC2 50-59 years, male 73.8
GTEX-13FH7-0126-SM-5KLZ1 50-59 years, female 73.7
GTEX-15G19-0626-SM-6M474 60-69 years, male 73.7
GTEX-1CB4H-0126-SM-7IGN2 60-69 years, female 73.5
GTEX-1LGRB-1226-SM-CNNPS 50-59 years, female 73.5
GTEX-1QP66-0326-SM-DTX7V 50-59 years, male 73.5
GTEX-12584-0826-SM-5FQSK 40-49 years, male 73.4
GTEX-13O3Q-0626-SM-5IJG1 50-59 years, male 73.4
GTEX-1GMR8-0826-SM-9KNUR 50-59 years, female 73.4
GTEX-13PVQ-0726-SM-5L3GI 50-59 years, male 73.2
GTEX-12WSJ-0326-SM-5GCMT 40-49 years, female 73.1
GTEX-1HUB1-1226-SM-B2LWX 60-69 years, male 73.1
GTEX-1IKJJ-1026-SM-A96SQ 60-69 years, male 73.1
GTEX-1LVAM-0826-SM-EV79X 50-59 years, female 73.1
GTEX-1PPH8-0926-SM-DTX9U 20-29 years, male 72.9
GTEX-139YR-1226-SM-5IFEU 50-59 years, male 72.8
GTEX-14E6E-0326-SM-73KY6 30-39 years, male 72.8
GTEX-1QPFJ-0626-SM-DTX7Y 30-39 years, female 72.8
GTEX-11EM3-0126-SM-5985K 20-29 years, female 72.7
GTEX-11DXY-0426-SM-5H12R 60-69 years, male 72.6
GTEX-11TUW-0226-SM-5LU8X 60-69 years, male 72.6
GTEX-131XF-1826-SM-5EGKG 60-69 years, male 72.6
GTEX-YF7O-0726-SM-4W213 50-59 years, male 72.5
GTEX-139UW-0126-SM-5KM1B 60-69 years, male 72.4
GTEX-ZDXO-1726-SM-5HL6L 60-69 years, male 72.4
GTEX-1ICLY-0726-SM-A96TB 50-59 years, male 72.3
GTEX-1RDX4-0926-SM-E9U6D 50-59 years, female 72.3
GTEX-132AR-1126-SM-5P9GA 50-59 years, female 72.2
GTEX-WFJO-0226-SM-3GIKW 30-39 years, male 72.0
GTEX-1GF9V-0926-SM-9KNW7 60-69 years, male 72.0
GTEX-OIZF-2626-SM-7P8QZ 60-69 years, male 72.0
GTEX-ZV6S-0226-SM-59HJT 40-49 years, female 71.9
GTEX-1NUQO-0926-SM-DTXEX 20-29 years, female 71.9
GTEX-ZF29-0726-SM-DO92H 60-69 years, female 71.9
GTEX-1C6VS-0826-SM-7EWEI 60-69 years, male 71.8
GTEX-YJ89-0726-SM-5P9F7 60-69 years, male 71.8
GTEX-17F96-0526-SM-79OLE 70-79 years, male 71.6
GTEX-QEL4-0726-SM-3GIJ5 50-59 years, male 71.6
GTEX-RWSA-0826-SM-2XCBF 40-49 years, male 71.6
GTEX-14C38-0826-SM-5S2U8 50-59 years, male 71.5
GTEX-1B97I-0326-SM-7DUGB 40-49 years, male 71.5
GTEX-169BO-0326-SM-7EPIM 50-59 years, male 71.4
GTEX-RU1J-0226-SM-2TF5Y 20-29 years, female 71.4
GTEX-1PFEY-0226-SM-EVR3M 30-39 years, male 71.4
GTEX-RTLS-0626-SM-5SI7Z 60-69 years, female 71.3
GTEX-P4PQ-2626-SM-33HC9 60-69 years, male 71.1
GTEX-ZQG8-0926-SM-57WFF 60-69 years, female 71.1
GTEX-1F75I-0926-SM-7MXUU 40-49 years, male 71.1
GTEX-1PDJ9-0826-SM-E76PS 20-29 years, male 71.1
GTEX-148VJ-0726-SM-5LU8J 70-79 years, male 71.0
GTEX-POYW-0826-SM-2XCEM 60-69 years, male 71.0
GTEX-1B8SF-0626-SM-73KVV 60-69 years, male 70.9
GTEX-RNOR-0926-SM-2TF56 50-59 years, female 70.9
GTEX-117YX-1226-SM-5H11S 50-59 years, male 70.8
GTEX-ZQUD-0126-SM-7EPIS 30-39 years, male 70.8
GTEX-1I1GP-0326-SM-CNPQ4 50-59 years, male 70.7
GTEX-13NZ8-0226-SM-5J2OK 60-69 years, female 70.6
GTEX-ZPU1-0426-SM-4WWCA 40-49 years, male 70.6
GTEX-1QAET-0226-SM-EVR3T 50-59 years, male 70.6
GTEX-11DXZ-0926-SM-5N9CG 50-59 years, male 70.5
GTEX-18D9U-1026-SM-72D5R 40-49 years, male 70.5
GTEX-1EH9U-0926-SM-7EWF1 60-69 years, male 70.5
GTEX-1JMLX-0826-SM-CNNPP 50-59 years, male 70.5
GTEX-1LVAN-0726-SM-CNNPF 50-59 years, female 70.5
GTEX-12WSN-0726-SM-5GCMS 40-49 years, male 70.4
GTEX-1H2FU-0626-SM-9WPPS 60-69 years, female 70.4
GTEX-1HKZK-0826-SM-A9G2C 40-49 years, male 70.4
GTEX-Z93S-0526-SM-EVYB4 50-59 years, male 70.3
GTEX-P4QT-2626-SM-2I3FM 50-59 years, female 70.2
GTEX-148VI-0526-SM-5TDDG 60-69 years, female 70.1
GTEX-17F9E-0626-SM-79ON5 50-59 years, male 70.1
GTEX-1CB4F-0826-SM-793CV 60-69 years, male 70.1
GTEX-NFK9-0726-SM-2HMJW 40-49 years, male 70.1
GTEX-ZDYS-0626-SM-5J2N5 50-59 years, male 70.0
GTEX-1MA7X-0926-SM-DIPEJ 60-69 years, male 70.0
GTEX-14C39-0226-SM-5TDDW 40-49 years, male 69.9
GTEX-12ZZY-0826-SM-5EQMT 60-69 years, male 69.8
GTEX-1RAZA-0826-SM-EAZ4I 20-29 years, male 69.8
GTEX-12WSG-0226-SM-5EGIF 50-59 years, female 69.7
GTEX-18QFQ-0726-SM-7LG6D 30-39 years, male 69.6
GTEX-TKQ1-0126-SM-33HB3 30-39 years, male 69.6
GTEX-VUSG-0426-SM-3GIKD 50-59 years, male 69.6
GTEX-1122O-0226-SM-5N9DA 60-69 years, female 69.5
GTEX-17KNJ-1026-SM-79ONK 50-59 years, male 69.5
GTEX-1K9T9-0826-SM-EAZ4X 50-59 years, female 69.5
GTEX-13OVK-0226-SM-6M472 40-49 years, male 69.3
GTEX-Q2AG-0826-SM-2HMKF 40-49 years, female 69.3
GTEX-1GPI7-0726-SM-9WG84 20-29 years, male 69.3
GTEX-1I6K6-0726-SM-B2LX4 30-39 years, male 69.2
GTEX-145LT-0226-SM-5S2QK 40-49 years, male 69.1
GTEX-R55C-0626-SM-2TF4Q 40-49 years, male 69.1
GTEX-WXYG-0226-SM-3NB2Y 50-59 years, female 69.1
GTEX-15ETS-0526-SM-6PAN3 40-49 years, female 69.0
GTEX-SN8G-1526-SM-4DM79 50-59 years, female 68.9
GTEX-16NGA-0326-SM-718AJ 40-49 years, female 68.8
GTEX-ZDTS-0926-SM-5YY9D 60-69 years, male 68.8
GTEX-12ZZX-1226-SM-5EGHS 40-49 years, female 68.7
GTEX-13111-0226-SM-5EQ55 50-59 years, male 68.7
GTEX-Y5V5-0326-SM-5RQJG 60-69 years, female 68.7
GTEX-ZLFU-0626-SM-4WWBO 40-49 years, male 68.7
GTEX-13PVR-0626-SM-5S2RC 60-69 years, female 68.6
GTEX-13OW6-0726-SM-5L3FX 50-59 years, male 68.5
GTEX-13OW7-0826-SM-5L3EL 50-59 years, male 68.5
GTEX-W5WG-1426-SM-4KKZP 50-59 years, female 68.5
GTEX-1RAZQ-0926-SM-EAZ4Q 30-39 years, male 68.4
GTEX-13CF3-0926-SM-5LZZC 60-69 years, female 68.3
GTEX-U3ZH-0226-SM-3DB7B 30-39 years, male 68.3
GTEX-14BMV-0726-SM-73KVE 50-59 years, male 68.1
GTEX-Q2AH-0726-SM-2I3EA 40-49 years, male 68.1
GTEX-WHPG-0226-SM-3NMB9 50-59 years, male 68.1
GTEX-1LBAC-0726-SM-D3L9U 20-29 years, male 68.1
GTEX-18A6Q-0726-SM-7LT8Y 60-69 years, male 67.9
GTEX-QV44-0826-SM-2S1RG 50-59 years, male 67.9
GTEX-RWS6-0626-SM-2XCAS 60-69 years, female 67.8
GTEX-1HFI7-0326-SM-9WPOX 50-59 years, female 67.7
GTEX-PWCY-2326-SM-2I3EQ 20-29 years, female 67.6
GTEX-U4B1-0626-SM-3DB8L 40-49 years, male 67.6
GTEX-1JMQJ-2026-SM-CNPP9 50-59 years, male 67.6
GTEX-16XZY-0726-SM-79OMU 70-79 years, male 67.5
GTEX-SE5C-0726-SM-4BRWY 40-49 years, female 67.5
GTEX-16NPX-1426-SM-6LPK3 50-59 years, male 67.4
GTEX-13PDP-1026-SM-5L3FA 60-69 years, male 67.3
GTEX-1F48J-0926-SM-7P8PZ 50-59 years, female 67.3
GTEX-1192W-0126-SM-5EGGS 60-69 years, male 67.2
GTEX-15SB6-1526-SM-7KUMQ 50-59 years, female 67.2
GTEX-1ICG6-0426-SM-ARU7M 70-79 years, female 67.2
GTEX-1NV5F-0726-SM-DTXEH 60-69 years, female 67.2
GTEX-1A8G7-1026-SM-73KVA 60-69 years, male 67.1
GTEX-OXRK-0626-SM-2HMJ5 50-59 years, female 67.0
GTEX-1R9K4-0726-SM-EWRN2 60-69 years, male 67.0
GTEX-ZT9W-0226-SM-7SB6H 50-59 years, male 67.0
GTEX-144GM-0226-SM-5Q5CB 20-29 years, male 66.9
GTEX-146FQ-0726-SM-5LUA7 30-39 years, male 66.9
GTEX-13YAN-0926-SM-5O9C3 60-69 years, male 66.8
GTEX-1K2DU-0126-SM-E9TIU 20-29 years, male 66.8
GTEX-1A8FM-0726-SM-7DUGK 50-59 years, female 66.7
GTEX-X4LF-0426-SM-3NMB5 50-59 years, male 66.6
GTEX-145ME-0126-SM-5S2QM 40-49 years, female 66.5
GTEX-XBED-0126-SM-47JY7 60-69 years, male 66.5
GTEX-13OVG-0226-SM-5LU93 60-69 years, male 66.4
GTEX-1HBPM-0926-SM-ARL9C 60-69 years, female 66.3
GTEX-1QW4Y-0226-SM-EAZ3U 30-39 years, male 66.3
GTEX-1GN73-0826-SM-9OSW4 60-69 years, male 66.2
GTEX-RUSQ-1026-SM-2TF6V 50-59 years, male 66.0
GTEX-1JMQK-2126-SM-CY8I2 60-69 years, male 66.0
GTEX-1MUQO-0726-SM-E9TJM 60-69 years, male 66.0
GTEX-1IKOE-0926-SM-ARU7X 30-39 years, female 65.9
GTEX-178AV-0726-SM-6LPJI 40-49 years, male 65.8
GTEX-1PBJI-0726-SM-EXUSQ 20-29 years, female 65.8
GTEX-17GQL-0226-SM-7LTAK 60-69 years, male 65.6
GTEX-14PHW-2926-SM-6AJBA 60-69 years, female 65.5
GTEX-XBEW-0126-SM-4AT66 40-49 years, male 65.5
GTEX-1HBPN-1226-SM-B2LW9 50-59 years, male 65.5
GTEX-1RAZS-1026-SM-E9TID 50-59 years, male 65.5
GTEX-ZZPU-1326-SM-5GZWS 50-59 years, female 65.4
GTEX-18A7A-0826-SM-7KFTJ 50-59 years, female 65.3
GTEX-YFC4-2626-SM-5P9FQ 40-49 years, female 65.2
GTEX-ZC5H-0626-SM-5LU9K 40-49 years, female 65.2
GTEX-1HCU7-0826-SM-B2LX7 50-59 years, male 65.2
GTEX-1IDJC-1026-SM-A96T2 50-59 years, male 65.2
GTEX-15D1Q-0626-SM-6AJAZ 40-49 years, male 65.1
GTEX-1CB4E-0326-SM-7MXT3 60-69 years, male 65.0
GTEX-133LE-0326-SM-5P9G4 20-29 years, female 64.9
GTEX-1C475-0226-SM-7MGXM 40-49 years, female 64.9
GTEX-1LH75-0626-SM-DIPG3 50-59 years, female 64.9
GTEX-1QCLY-0826-SM-DTX8A 30-39 years, male 64.8
GTEX-ZF3C-0826-SM-DO11E 50-59 years, female 64.8
GTEX-P4QS-2626-SM-2I3EV 60-69 years, male 64.7
GTEX-18A66-0826-SM-72D5Z 60-69 years, male 64.6
GTEX-1CAMR-0226-SM-7DUGO 20-29 years, male 64.6
GTEX-QDVN-0626-SM-2I3FP 50-59 years, male 64.6
GTEX-1B97J-0626-SM-7P8RU 50-59 years, female 64.6
GTEX-14E6C-2626-SM-5RQJP 40-49 years, male 64.5
GTEX-1LSVX-0726-SM-E9TJG 60-69 years, male 64.5
GTEX-14BIN-0126-SM-5TDCG 50-59 years, female 64.4
GTEX-14JG6-1326-SM-9OSXU 30-39 years, female 64.4
GTEX-X5EB-0726-SM-46MVR 40-49 years, male 64.2
GTEX-YB5E-0626-SM-4VDSE 40-49 years, male 64.2
GTEX-1GL5R-0626-SM-7PBZY 50-59 years, male 64.2
GTEX-1RQEC-1026-SM-EVR5B 60-69 years, male 64.2
GTEX-13QBU-0626-SM-5J2OG 40-49 years, female 64.1
GTEX-R55G-0726-SM-2TC6J 40-49 years, female 63.8
GTEX-1PBJJ-1926-SM-DTX8T 30-39 years, male 63.8
GTEX-1R9JW-0226-SM-EVR4K 30-39 years, female 63.8
GTEX-1AMEY-0126-SM-73KTX 30-39 years, female 63.7
GTEX-1AX9J-2126-SM-731DD 60-69 years, male 63.7
GTEX-13S86-1126-SM-5RQJX 40-49 years, male 63.6
GTEX-1J8QM-0726-SM-CE6RF 60-69 years, female 63.4
GTEX-17HHE-0426-SM-79OK3 50-59 years, male 63.3
GTEX-OHPL-2626-SM-2HMJA 60-69 years, female 63.3
GTEX-ZYY3-1926-SM-5GZXS 60-69 years, female 63.3
GTEX-15SHV-0426-SM-6M476 60-69 years, male 63.2
GTEX-1LGOU-0126-SM-EV79W 20-29 years, female 63.2
GTEX-11LCK-0526-SM-5A5M9 30-39 years, male 63.1
GTEX-ZVZQ-0626-SM-59HJU 60-69 years, female 63.1
GTEX-1R9K5-0726-SM-EAZ4E 50-59 years, male 63.1
GTEX-18D9B-0726-SM-72D6K 60-69 years, male 63.0
GTEX-WFG8-0426-SM-3GILD 20-29 years, male 63.0
GTEX-17EVP-0126-SM-7EPHW 40-49 years, male 62.9
GTEX-S7SF-0226-SM-5SI7H 20-29 years, female 62.9
GTEX-1PWST-0726-SM-EWRMO 70-79 years, male 62.9
GTEX-1KAFJ-0426-SM-DHXJH 50-59 years, male 62.8
GTEX-S32W-0726-SM-2XCBL 50-59 years, female 62.7
GTEX-14A6H-2426-SM-5Q5BO 30-39 years, male 62.6
GTEX-REY6-0526-SM-2TF5M 60-69 years, male 62.5
GTEX-WYJK-1626-SM-3NM9J 50-59 years, male 62.4
GTEX-1QP67-0326-SM-EVR45 40-49 years, female 62.4
GTEX-15DZA-0226-SM-7KFS6 30-39 years, female 62.3
GTEX-OXRL-2626-SM-2I3F1 50-59 years, male 62.3
GTEX-Y3IK-0526-SM-4WWE3 50-59 years, female 62.3
GTEX-ZF28-0826-SM-4WKGJ 60-69 years, male 62.3
GTEX-16XZZ-0826-SM-7IGM3 60-69 years, male 62.2
GTEX-1B8L1-1626-SM-7IGMH 60-69 years, male 62.1
GTEX-1JJEA-0626-SM-D3L96 60-69 years, male 62.1
GTEX-1O97I-1026-SM-E76PI 60-69 years, male 62.1
GTEX-14C5O-0826-SM-5TDEG 60-69 years, male 61.9
GTEX-1I1GQ-0826-SM-CNNQR 50-59 years, male 61.9
GTEX-1C6VR-0426-SM-7IGN6 60-69 years, male 61.7
GTEX-1F75B-0826-SM-9QEIT 50-59 years, male 61.6
GTEX-183FY-0626-SM-79OKR 20-29 years, male 61.5
GTEX-WYVS-0326-SM-3NM9V 40-49 years, female 61.5
GTEX-15RIE-0426-SM-7KUMH 60-69 years, male 61.4
GTEX-X4XX-0926-SM-46MV7 60-69 years, male 61.4
GTEX-YEC3-0826-SM-4WWFP 50-59 years, male 61.4
GTEX-14A5H-0726-SM-5Q5DW 60-69 years, male 61.2
GTEX-14PJM-1326-SM-664NX 50-59 years, female 61.1
GTEX-1GMRU-1126-SM-9KNV1 50-59 years, male 61.1
GTEX-1RQED-0926-SM-EWRNZ 60-69 years, male 60.8
GTEX-13O3O-0926-SM-5KM1F 60-69 years, female 60.6
GTEX-17HGU-0826-SM-7EWE5 50-59 years, male 60.6
GTEX-RU72-0126-SM-2TF6Z 50-59 years, female 60.6
GTEX-15G1A-0326-SM-6M467 30-39 years, male 60.5
GTEX-18A67-0826-SM-7KFTI 50-59 years, male 60.5
GTEX-1CAMS-0826-SM-7P8P1 40-49 years, female 60.4
GTEX-15CHR-1726-SM-7DUGW 50-59 years, male 60.1
GTEX-1MJK3-0326-SM-DTX96 20-29 years, male 60.1
GTEX-ZPIC-0226-SM-DO91T 40-49 years, female 60.1
GTEX-15SHU-0726-SM-7KUFI 40-49 years, female 59.9
GTEX-1HSKV-1026-SM-B2LWK 60-69 years, male 59.9
GTEX-15FZZ-0226-SM-6LLI4 30-39 years, female 59.8
GTEX-1CAMQ-1126-SM-7EWFE 40-49 years, male 59.7
GTEX-1IL2V-0626-SM-ARU7S 70-79 years, male 59.7
GTEX-11GSP-0126-SM-5A5KU 60-69 years, female 59.6
GTEX-1EKGG-0726-SM-7IGPX 60-69 years, male 59.6
GTEX-Y3I4-0226-SM-4TT27 50-59 years, male 59.6
GTEX-1JMPZ-0626-SM-CY8HY 30-39 years, male 59.6
GTEX-13113-0126-SM-5LZVX 60-69 years, female 59.5
GTEX-13O3P-0726-SM-5J2OM 50-59 years, male 59.3
GTEX-1RMOY-0126-SM-EWRNN 50-59 years, male 59.3
GTEX-1AX8Z-0826-SM-7DUFZ 60-69 years, male 59.2
GTEX-YFCO-0326-SM-4W1ZP 40-49 years, male 59.2
GTEX-1QCLZ-0626-SM-E6CR2 60-69 years, female 59.2
GTEX-1GZHY-1426-SM-9WG5H 50-59 years, female 59.1
GTEX-1RNSC-1126-SM-E9TIP 60-69 years, male 59.1
GTEX-1JMQL-0926-SM-CJI3F 50-59 years, female 59.0
GTEX-O5YV-1526-SM-EV799 60-69 years, female 59.0
GTEX-1B932-0926-SM-73KUP 40-49 years, female 58.9
GTEX-1C4CL-0726-SM-7IGP9 30-39 years, male 58.9
GTEX-1HC8U-1226-SM-9WYUW 40-49 years, female 58.9
GTEX-17MF6-0626-SM-7LT8D 40-49 years, male 58.8
GTEX-1497J-0126-SM-5Q5BK 60-69 years, male 58.7
GTEX-T6MN-0626-SM-32PM9 50-59 years, male 58.7
GTEX-1EN7A-1026-SM-7IGPZ 40-49 years, male 58.5
GTEX-Q2AI-0326-SM-2I3EK 40-49 years, male 58.5
GTEX-14ICK-1626-SM-6ETZX 40-49 years, male 58.4
GTEX-R53T-0526-SM-3GADL 50-59 years, female 58.2
GTEX-13U4I-0526-SM-5LU59 40-49 years, female 58.1
GTEX-YB5K-0526-SM-5LUAS 40-49 years, female 58.1
GTEX-11ZTS-1126-SM-5LU9X 60-69 years, female 58.0
GTEX-1GF9X-0126-SM-A9G38 40-49 years, female 58.0
GTEX-WY7C-0226-SM-3NB37 50-59 years, male 57.8
GTEX-1QP28-0626-SM-E76P5 50-59 years, female 57.8
GTEX-SUCS-0226-SM-32PLQ 70-79 years, male 57.7
GTEX-XV7Q-0326-SM-4BRVM 40-49 years, female 57.7
GTEX-1R46S-0426-SM-EVR48 60-69 years, female 57.7
GTEX-1HFI6-1326-SM-A9SL8 40-49 years, male 57.6
GTEX-132NY-1026-SM-5P9IY 60-69 years, male 57.4
GTEX-16MTA-0726-SM-7KUL4 50-59 years, male 57.4
GTEX-ZLV1-0126-SM-4WWBZ 60-69 years, female 57.4
GTEX-ZGAY-1026-SM-4WWBR 40-49 years, female 57.3
GTEX-ZAB5-0726-SM-5P9JG 50-59 years, male 57.2
GTEX-1GF9U-0226-SM-7P8TY 40-49 years, female 57.2
GTEX-1HSEH-0826-SM-B2LXE 60-69 years, male 57.0
GTEX-11NV4-0626-SM-5N9BR 60-69 years, male 56.9
GTEX-1OJC3-0626-SM-E8VMO 20-29 years, male 56.8
GTEX-X8HC-0726-SM-46MWG 50-59 years, female 56.5
GTEX-1F88F-0726-SM-7P8R7 60-69 years, female 56.5
GTEX-1J1R8-0126-SM-CJI36 40-49 years, male 56.3
GTEX-12WSD-0926-SM-5GCNL 60-69 years, female 56.2
GTEX-13G51-1226-SM-5K7Z3 60-69 years, male 56.2
GTEX-1GZ4H-0226-SM-9JGGJ 50-59 years, female 56.2
GTEX-145LU-0426-SM-5O9AH 50-59 years, male 55.8
GTEX-XOT4-1526-SM-EAZ2W 60-69 years, female 55.8
GTEX-144GL-1226-SM-5O9A4 50-59 years, male 55.7
GTEX-15RJE-1326-SM-6LPI6 40-49 years, male 55.4
GTEX-16MT8-0626-SM-6M47Q 60-69 years, female 55.4
GTEX-1A8G6-0626-SM-7IGNB 60-69 years, male 55.4
GTEX-14PJO-0626-SM-6LLHH 60-69 years, male 55.2
GTEX-1J8EW-1126-SM-A96T8 60-69 years, female 55.2
GTEX-13W46-0926-SM-5LU3T 50-59 years, male 54.9
GTEX-WEY5-0526-SM-3GIKZ 40-49 years, female 54.9
GTEX-1S5ZU-0726-SM-EWROH 20-29 years, female 54.9
GTEX-Y8E4-0126-SM-4VBQ2 40-49 years, male 54.8
GTEX-OOBJ-2626-SM-2I3F6 60-69 years, male 54.7
GTEX-1IL2U-0826-SM-CL53Q 60-69 years, male 54.7
GTEX-18D9A-0126-SM-7KFSI 30-39 years, female 54.5
GTEX-1H1DE-0226-SM-ARZN8 20-29 years, male 54.4
GTEX-V1D1-0926-SM-4JBHQ 50-59 years, male 54.1
GTEX-SIU8-0626-SM-2XCDN 50-59 years, male 53.7
GTEX-1HGF4-0726-SM-9WYU9 60-69 years, male 53.3
GTEX-WOFL-0726-SM-3MJG4 60-69 years, male 53.0
GTEX-1LG7Z-0526-SM-D4P3Q 30-39 years, male 52.4
GTEX-1269C-0226-SM-5EGKS 60-69 years, female 52.3
GTEX-14DAQ-0826-SM-73KWT 60-69 years, female 52.2
GTEX-13N11-1026-SM-5K7XQ 50-59 years, female 51.8
GTEX-15ER7-0726-SM-7KUMF 20-29 years, female 51.8
GTEX-1477Z-0226-SM-5TDCI 60-69 years, male 51.3
GTEX-WRHU-0926-SM-4E3IG 50-59 years, female 51.1
GTEX-X15G-0526-SM-3NMB7 50-59 years, female 50.6
GTEX-1GN2E-0826-SM-9WYT8 60-69 years, male 50.2
GTEX-1H1CY-0726-SM-9OSXX 60-69 years, female 49.3
GTEX-13QJC-0826-SM-5RQKC 60-69 years, female 48.7
GTEX-14753-0926-SM-5Q5BI 60-69 years, male 47.4
GTEX-14AS3-0226-SM-5Q5B6 40-49 years, female 46.9
GTEX-ZT9X-0226-SM-51MT2 40-49 years, male 46.0
GTEX-111VG-0526-SM-5N9BW 60-69 years, male 45.0
GTEX-1GN1U-0826-SM-9WPPX 50-59 years, female 44.2
GTEX-17EVQ-0526-SM-7KFSK 70-79 years, male 44.1
GTEX-15RIF-0326-SM-7KUFR 20-29 years, male 43.6
GTEX-1JJ6O-0626-SM-AHZ3H 60-69 years, male 41.7
GTEX-14PK6-0426-SM-6EU1J 70-79 years, female 27.1
Show allShow less

THYROID GLAND - FANTOM5 CAGEi

RNA expression in human tissues obtained through Cap Analysis of Gene Expression (CAGE) generated by the FANTOM5 project are reported as Scaled Tags Per Million.

Max subtype Scaled Tags Per Millioni

Max subtype Scaled Tags Per Million is the value for the subtype with the largest average Scaled Tags Per Million across the subtype samples.

136.2
FANTOM5 sample id Sample description Scaled Tags Per Million
Thyroid
Scaled Tags Per Million: 136.2
FF:10028-101E1 67,68,78 years, mixed 136.2

Contact

  • NEWS ARTICLES
  • PRESS ROOM

The Project

  • INTRODUCTION
  • ORGANIZATION
  • PUBLICATIONS

The Human Protein Atlas

  • DOWNLOADABLE DATA
  • LICENCE & CITATION
  • HELP & FAQ
The Human Protein Atlas project is funded
by the Knut & Alice Wallenberg Foundation.


contact@proteinatlas.org