We use cookies to enhance the usability of our website. If you continue, we'll assume that you are happy to receive all cookies. More information. Don't show this again.
PSMB8
HPA
RESOURCES
  • TISSUE
  • BRAIN
  • SINGLE CELL
  • SUBCELLULAR
  • CANCER
  • BLOOD
  • CELL LINE
  • STRUCTURE & INTERACTION
ABOUT
  • INTRODUCTION
  • HISTORY
  • ORGANIZATION
  • PUBLICATIONS
  • ANTIBODY SUBMISSION
  • ANTIBODY AVAILABILITY
  • ACKNOWLEDGMENTS
  • CONTACT
NEWS
  • NEWS ARTICLES
  • PRESS ROOM
LEARN
  • DICTIONARY
  • PROTEIN CLASSES
  • PROTEIN EVIDENCE
  • METHODS
  • EDUCATIONAL VIDEOS
DATA
  • DOWNLOADABLE DATA
  • PUBLICATION DATA
  • RELEASE HISTORY
HELP
  • ANTIBODY VALIDATION
  • ASSAYS & ANNOTATION
  • DISCLAIMER
  • HELP & FAQ
  • PRIVACY STATEMENT
  • LICENCE & CITATION
Fields »
Search result

Field
Term
Gene name
Class
Subclass
Class
Keyword
Chromosome
External id
Tissue
Cell type
Expression
Antibody panel
Tissue
Main location
Patient ID
Annotation
Tissue
Category
Tau score
Cluster
Reliability
Brain region
Category
Tau score
Brain region
Category
Tau score
Brain region
Category
Tau score
Cluster
Reliability
Tissue
Cell type
Enrichment
Cell type
Category
Tau score
Cell type
Category
Tau score
Cell type
Category
Tau score
Cell lineage
Category
Tau score
Cluster
Cluster
Location
Searches
Location
Cell line
Class
Type
Phase
Reliability
Cancer
Prognosis
Cancer
Category
Cancer
Category
Tau score
Cluster
Variants
Interacting gene (ensg_id)
Type
Number of interactions
Pathway
Category
Score
Score
Score
Validation
Validation
Validation
Validation
Antibodies
Data type
Column


  • SUMMARY

  • TISSUE

  • BRAIN

  • SINGLE CELL

  • SUBCELL

  • CANCER

  • BLOOD

  • CELL LINE

  • STRUCT & INT

  • PSMB8
TISSUE PRIMARY DATA ESOPHAGUS Show tissue menu
ADIPOSE TISSUE ADRENAL GLAND AMYGDALA APPENDIX BASAL GANGLIA BONE MARROW BREAST BRONCHUS CEREBELLUM CEREBRAL CORTEX CERVIX CHOROID PLEXUS COLON DUODENUM
ENDOMETRIUM EPIDIDYMIS ESOPHAGUS FALLOPIAN TUBE GALLBLADDER HEART MUSCLE HIPPOCAMPAL FORMATION HYPOTHALAMUS KIDNEY LIVER LUNG LYMPH NODE MIDBRAIN NASOPHARYNX
ORAL MUCOSA OVARY PANCREAS PARATHYROID GLAND PITUITARY GLAND PLACENTA PROSTATE RECTUM RETINA SALIVARY GLAND SEMINAL VESICLE SKELETAL MUSCLE SKIN SMALL INTESTINE
SMOOTH MUSCLE SOFT TISSUE SPINAL CORD SPLEEN STOMACH TESTIS THYMUS THYROID GLAND TONGUE TONSIL URINARY BLADDER VAGINA
ANTIBODIES
AND
VALIDATION
Dictionary
Esophagus
Tissue proteome
Esophagus
ESOPHAGUS - Expression summary
Protein expression
Esophagusi

On the top, protein expression in current human tissue, based on all annotated cell types, is reported with the units not detected (n), low (l), medium (m) and high (h). Underneath, protein expression in each annotated cell type are reported using the same units.

Protein expression data is based on knowledge-based annotation. For genes where more than one antibody has been used, a collective score is set.

If knowledge-based annotation could not be performed for a gene, no data is displayed here. View antibody staining data further down this page.

h
m
l
n
Squamous epithelial cells: Medium
RNA expressioni

A summary of mRNA expression data available for current tissue based on several datasets. The mRNA expression levels in human tissues are based on RNA-seq data generated by the Human Protein Atlas (HPA), Genotype-Tissue Expression (GTEx) portal and CAGE data generated by the FANTOM5 consortium. Consensus normalized expression levels for human tissues was created by combining the data from HPA and GTEx datasets.

The mRNA expression levels in pig are based on RNA-seq data generated by the Human Protein Atlas (HPA), and for mouse, HPA data and in situ hybridization generated by the Allen brain atlas are reported.

Scroll down to view mRNA expression data in more detail.
Consensus:57.8 nTPM
HPA:6.0 nTPM
GTEx:57.8 nTPM
FANTOM5:66.1 Scaled Tags Per Million

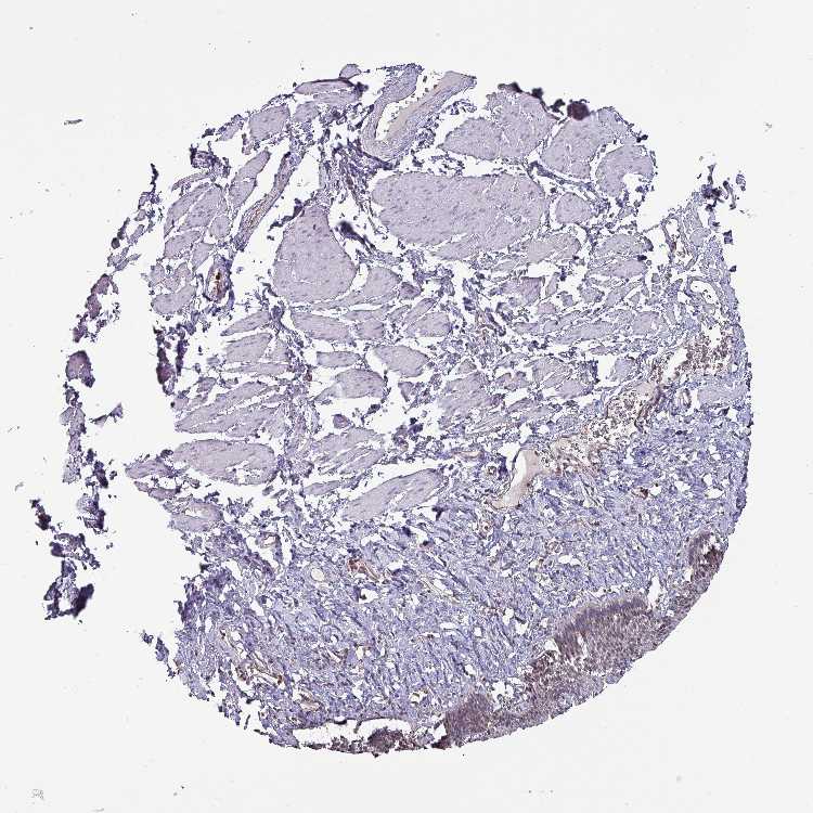
ESOPHAGUS - Antibody stainingi

Antibody staining in the annotated cell types in the current human tissue is reported as not detected, low, medium, or high, based on conventional immunohistochemistry profiling in selected tissues. This score is based on the combination of the staining intensity and fraction of stained cells.

Each image is clickable and will lead to virtual microscopy that enables deeper exploration of all samples and also displays staining intensity scores, fraction scores and subcellular localization as well as patient and tissue information for each sample.

Antibody HPA046995Antibody HPA050327
Squamous epithelial cells MediumMedium




ESOPHAGUS - HPA RNA-seqi

The RNA-seq details section shows detailed information about the individual samples used for the transcript profiling and results of the RNA-seq analysis.

Information about each individual sample is listed below, including gender, age, a tissue section image and estimated fractions of cell types. nTPM (normalized transcripts per million) values give a quantification of the gene abundance which is comparable between different genes and samples.
Average nTPMi

Max subtype nTPM is the value for the subtype with the largest average nTPM across the subtype samples.

6.0
overview
Female, age 70
Esophagus sample 130
nTPM: 9.1
Cell types%
Squamous epithelial cells:
35

Smooth muscle cells:
15

Skeletal muscle cells:
5

Other cell types:
45

overview
Male, age 38
Esophagus sample 131
nTPM: 4.7
Cell types%
Squamous epithelial cells:
60

Smooth muscle cells:
20

Other cell types:
20

overview
Male, age 76
Esophagus sample 132
nTPM: 4.2
Cell types%
Squamous epithelial cells:
45

Smooth muscle cells:
15

Other cell types:
40


ESOPHAGUS - GTEx RNA-seqi

RNA-Seq data generated by the Genotype-Tissue Expression (GTEx) project from human tissues is reported as mean nTPM. More information can be found on the GTEx portal.

Distribution across the dataset is visualized with box plots, shown as median and 25th and 75th percentiles. Points are displayed as outliers if they are above or below 1.5 times the interquartile range. nTPM values of the individual samples are presented next to the box plot.
Max subtype nTPMi

Max subtype nTPM is the value for the subtype with the largest average nTPM across the subtype samples.

57.8
GTEx sample id Sample description nTPM
Esophagus - Mucosa
Average nTPM: 57.8
Samples: 555

Max nTPM: 254.7
Min nTPM: 24.1
Std nTPM: 25.0
Median nTPM: 51.8
GTEX-R55D-1126-SM-48FEB 50-59 years, male 254.7
GTEX-146FR-0426-SM-5SI97 60-69 years, female 197.6
GTEX-1I6K7-1426-SM-B2LXP 40-49 years, male 190.6
GTEX-ZT9X-0526-SM-5GCOP 40-49 years, male 152.4
GTEX-1QW4Y-0526-SM-EAZ3V 30-39 years, male 151.7
GTEX-18465-1126-SM-7LG6E 50-59 years, male 150.6
GTEX-1MCQQ-1026-SM-EV7AX 60-69 years, male 145.3
GTEX-145ME-5004-SM-7MGXP 40-49 years, female 144.7
GTEX-WFJO-0826-SM-4LVM5 30-39 years, male 142.9
GTEX-12ZZW-1726-SM-5DUVD 50-59 years, male 142.5
GTEX-1CB4J-2426-SM-7MXVC 60-69 years, male 134.9
GTEX-ZV68-0926-SM-59HK7 50-59 years, female 132.6
GTEX-XLM4-2326-SM-4AT5E 60-69 years, male 127.3
GTEX-16Z82-1926-SM-6M47U 60-69 years, male 126.1
GTEX-16XZY-0926-SM-7938M 70-79 years, male 120.5
GTEX-15DCD-1626-SM-6AJBH 70-79 years, female 119.3
GTEX-1F5PL-1726-SM-9QEGL 40-49 years, female 117.0
GTEX-145MN-1026-SM-5NQ9G 30-39 years, male 114.0
GTEX-1F52S-1426-SM-7P8PU 60-69 years, female 113.9
GTEX-1GF9U-0826-SM-7MXTZ 40-49 years, female 112.8
GTEX-1BAJH-2026-SM-7P8OZ 70-79 years, male 109.9
GTEX-12WSN-5013-SM-7P8P9 40-49 years, male 108.6
GTEX-OHPN-1026-SM-E9TI8 60-69 years, female 108.3
GTEX-1HGF4-0926-SM-9WPP8 60-69 years, male 108.0
GTEX-11LCK-1726-SM-5S2OQ 30-39 years, male 107.8
GTEX-14PJ6-1026-SM-686ZB 60-69 years, female 105.8
GTEX-1RLM8-0726-SM-E6CRH 50-59 years, male 105.7
GTEX-ZTX8-0226-SM-5E44D 20-29 years, male 105.3
GTEX-1LVAM-1126-SM-DHXKP 50-59 years, female 104.9
GTEX-15RIE-0826-SM-6M47X 60-69 years, male 104.6
GTEX-XGQ4-1526-SM-4AT6H 50-59 years, male 104.2
GTEX-ZE9C-1126-SM-4WWBD 60-69 years, male 104.2
GTEX-17F97-1326-SM-7MGVO 50-59 years, male 103.7
GTEX-1HCU8-2226-SM-9WPOV 60-69 years, female 103.3
GTEX-145MF-1426-SM-5O9B6 50-59 years, male 102.6
GTEX-ZEX8-1426-SM-4WKHQ 50-59 years, male 100.4
GTEX-1269C-1026-SM-5N9EY 60-69 years, female 100.3
GTEX-178AV-0526-SM-6LPJH 40-49 years, male 99.4
GTEX-139UW-1126-SM-5IJEJ 60-69 years, male 96.8
GTEX-13111-0826-SM-5LZV3 50-59 years, male 95.7
GTEX-XQ3S-1126-SM-4BOPK 20-29 years, male 95.2
GTEX-1A8FM-1526-SM-7MXTA 50-59 years, female 94.0
GTEX-1HCU7-2126-SM-A96SG 50-59 years, male 94.0
GTEX-14E6E-0726-SM-5S2R3 30-39 years, male 93.9
GTEX-1AX8Z-5016-SM-AHZ2B 60-69 years, male 93.7
GTEX-132Q8-1826-SM-5EGIY 60-69 years, male 93.2
GTEX-ZGAY-1126-SM-4WWBS 40-49 years, female 92.2
GTEX-14PJ5-0526-SM-664OE 60-69 years, female 91.7
GTEX-1MA7W-0426-SM-E9TJ5 20-29 years, female 91.3
GTEX-15DCE-1326-SM-6LPJL 20-29 years, male 90.8
GTEX-ZF3C-1626-SM-4WWB4 50-59 years, female 90.6
GTEX-16A39-1026-SM-6LPJU 30-39 years, female 89.0
GTEX-14BIM-1326-SM-7EWD1 60-69 years, female 88.9
GTEX-145LS-1826-SM-5LUAZ 60-69 years, female 88.6
GTEX-XMD2-1326-SM-4YCET 60-69 years, female 88.5
GTEX-1HSGN-1626-SM-A96U2 40-49 years, female 88.0
GTEX-12WSL-1526-SM-5GCP8 50-59 years, male 87.7
GTEX-1AX9K-1126-SM-731DQ 50-59 years, male 87.7
GTEX-ZVE2-1326-SM-5NQ94 50-59 years, male 87.4
GTEX-15RIF-0826-SM-6M47C 20-29 years, male 86.7
GTEX-P78B-1026-SM-3NMC4 40-49 years, female 86.2
GTEX-1EN7A-1226-SM-7MGX9 40-49 years, male 85.3
GTEX-YECK-1626-SM-5IFHQ 60-69 years, male 84.9
GTEX-1I1GP-1026-SM-C1YRZ 50-59 years, male 84.4
GTEX-11ONC-1526-SM-5GU6S 60-69 years, male 84.2
GTEX-11DZ1-2026-SM-5A5KG 50-59 years, male 83.5
GTEX-1LVA9-2126-SM-DLHBY 50-59 years, male 83.2
GTEX-1LB8K-1326-SM-CXZKB 50-59 years, male 82.9
GTEX-1LSVX-1226-SM-DHXJN 60-69 years, male 82.9
GTEX-SNMC-0526-SM-4DM69 20-29 years, male 82.5
GTEX-ZAB4-1126-SM-5HL86 40-49 years, male 82.4
GTEX-14BMU-0926-SM-5S2QB 20-29 years, female 81.9
GTEX-1N2EE-2426-SM-EXOIO 60-69 years, male 81.2
GTEX-13NYB-0926-SM-5IFFA 40-49 years, male 80.6
GTEX-1K9T9-2026-SM-CXZK3 50-59 years, female 80.6
GTEX-1B996-1826-SM-7MGY6 60-69 years, male 80.2
GTEX-1QCLZ-1626-SM-E9U5R 60-69 years, female 80.0
GTEX-Y8E4-1726-SM-5LU9G 40-49 years, male 79.8
GTEX-1C2JI-1126-SM-731FH 50-59 years, male 79.3
GTEX-1CB4H-1526-SM-7MXU4 60-69 years, female 77.8
GTEX-1R9JW-1526-SM-DPRZK 30-39 years, female 77.5
GTEX-RVPV-0526-SM-47JYL 60-69 years, male 77.4
GTEX-RU72-0726-SM-46MUW 50-59 years, female 77.3
GTEX-UPJH-1026-SM-EAZB2 50-59 years, male 77.3
GTEX-YEC3-2526-SM-CXZIH 50-59 years, male 76.8
GTEX-14PHY-0626-SM-664NN 60-69 years, female 76.7
GTEX-1H3NZ-1326-SM-9JGHI 60-69 years, male 76.6
GTEX-1LGRB-1626-SM-CNNR7 50-59 years, female 76.5
GTEX-T5JW-1326-SM-4DM5G 20-29 years, female 76.3
GTEX-14JIY-0926-SM-6871D 60-69 years, male 76.1
GTEX-ZZPT-1426-SM-5N9C5 50-59 years, male 76.1
GTEX-18A7A-2326-SM-7KFRH 50-59 years, female 75.9
GTEX-183WM-1726-SM-7KFT5 70-79 years, female 75.8
GTEX-11EI6-1526-SM-5P9GL 60-69 years, male 75.5
GTEX-13OVG-0626-SM-5IFEP 60-69 years, male 75.3
GTEX-1QP67-0726-SM-DPRY1 40-49 years, female 75.3
GTEX-Y111-1626-SM-57WCY 50-59 years, male 74.6
GTEX-1JMPZ-2026-SM-C1YR8 30-39 years, male 74.5
GTEX-11ZU8-1526-SM-5EGHX 60-69 years, male 74.4
GTEX-1EU9M-2326-SM-7MKGS 60-69 years, male 74.1
GTEX-1C475-0926-SM-7MKFI 40-49 years, female 74.0
GTEX-SJXC-1426-SM-EYYVB 60-69 years, male 73.8
GTEX-1GL5R-1526-SM-7MKHO 50-59 years, male 73.4
GTEX-16MTA-0826-SM-6LLIC 50-59 years, male 73.1
GTEX-1H1DG-1226-SM-9JGH3 70-79 years, male 73.1
GTEX-WHWD-0926-SM-4OORY 50-59 years, male 72.2
GTEX-1M5QR-0726-SM-DHXK7 40-49 years, male 71.9
GTEX-131XE-1426-SM-5HL7V 50-59 years, male 71.6
GTEX-ZXES-1126-SM-5GZXN 30-39 years, female 71.5
GTEX-X3Y1-1326-SM-4PQZB 40-49 years, male 71.2
GTEX-1R9K4-1926-SM-DPRZW 60-69 years, male 71.1
GTEX-1F5PK-1526-SM-7MKGV 50-59 years, male 70.6
GTEX-1RAZS-2626-SM-EV79C 50-59 years, male 70.4
GTEX-1KD4Q-1126-SM-CXZKK 40-49 years, male 70.3
GTEX-14PKV-1726-SM-6871U 20-29 years, female 70.2
GTEX-13CF3-1626-SM-5IFG9 60-69 years, female 70.0
GTEX-OXRL-0626-SM-3NM9C 50-59 years, male 69.9
GTEX-1PFEY-0826-SM-E9U6A 30-39 years, male 69.9
GTEX-X4EO-1226-SM-4QARR 60-69 years, female 69.5
GTEX-1H3VY-2026-SM-9JGHK 50-59 years, male 69.5
GTEX-1HC8U-1526-SM-9WPO4 40-49 years, female 69.3
GTEX-11DXX-1126-SM-5GZZK 60-69 years, female 69.0
GTEX-YF7O-0926-SM-5IFIF 50-59 years, male 69.0
GTEX-1B8KZ-0726-SM-7938W 50-59 years, male 68.7
GTEX-TSE9-1226-SM-4DXTM 60-69 years, female 68.3
GTEX-ZA64-0626-SM-5HL9O 20-29 years, male 67.9
GTEX-1IY9M-1626-SM-AHZ39 60-69 years, male 67.6
GTEX-1J8EW-1326-SM-AHZ3S 60-69 years, female 67.4
GTEX-1I4MK-0426-SM-B2LWQ 50-59 years, female 66.6
GTEX-U8XE-1726-SM-4E3IF 30-39 years, male 66.0
GTEX-1RAZA-1326-SM-DPS12 20-29 years, male 65.9
GTEX-15EO6-1026-SM-7KUG9 50-59 years, male 65.5
GTEX-16BQI-1526-SM-6LLIE 30-39 years, female 65.5
GTEX-144GN-0626-SM-5O9B2 50-59 years, male 65.4
GTEX-14PJ4-1526-SM-664OA 60-69 years, male 65.1
GTEX-1MJIX-0826-SM-DTXEO 40-49 years, male 65.1
GTEX-W5WG-1626-SM-4LMKG 50-59 years, female 65.0
GTEX-1S82Y-1226-SM-EV7BD 40-49 years, male 64.9
GTEX-139TU-1226-SM-5J2NL 60-69 years, male 64.7
GTEX-1R7EU-0826-SM-DPRZL 60-69 years, male 64.7
GTEX-1399S-1326-SM-5P9GH 30-39 years, female 64.5
GTEX-1B97I-0926-SM-731DZ 40-49 years, male 64.5
GTEX-ZYFC-1626-SM-5N9EU 50-59 years, male 64.5
GTEX-15F5U-5010-SM-AHZ2D 40-49 years, male 64.3
GTEX-WK11-1026-SM-4OOS8 50-59 years, male 64.2
GTEX-111YS-0926-SM-5EGGI 60-69 years, male 64.1
GTEX-Q2AG-1326-SM-43V8K 40-49 years, female 64.0
GTEX-X4LF-0626-SM-4QASB 50-59 years, male 64.0
GTEX-15RJ7-0926-SM-6LPJO 40-49 years, male 63.9
GTEX-R55E-1326-SM-48FCR 20-29 years, male 63.4
GTEX-Y3IK-1126-SM-51MSV 50-59 years, female 63.1
GTEX-14BIN-2726-SM-5RQIE 50-59 years, female 62.3
GTEX-QVUS-0626-SM-447CC 60-69 years, female 62.3
GTEX-WOFM-0626-SM-4OOS3 20-29 years, male 62.1
GTEX-1GMR8-1826-SM-9WYUE 50-59 years, female 62.0
GTEX-13X6H-1326-SM-5LU42 50-59 years, female 61.8
GTEX-QLQW-0526-SM-4R1KS 30-39 years, male 61.8
GTEX-ZZ64-0226-SM-5E44X 20-29 years, male 61.5
GTEX-13W46-1926-SM-5J2MF 50-59 years, male 61.4
GTEX-1E1VI-1526-SM-7IGQ2 50-59 years, male 61.3
GTEX-15DYW-1826-SM-6LPIY 60-69 years, female 61.2
GTEX-U3ZN-1726-SM-4DXUQ 30-39 years, female 61.2
GTEX-XV7Q-1126-SM-4BRVS 40-49 years, female 61.2
GTEX-11ZTS-2626-SM-5EGIC 60-69 years, female 61.1
GTEX-Y8LW-0726-SM-5IFI1 50-59 years, female 61.1
GTEX-1HSMQ-2026-SM-B2LY1 50-59 years, male 60.8
GTEX-P4PP-0626-SM-3NM9X 30-39 years, female 60.7
GTEX-1HCUA-1426-SM-9WPP7 50-59 years, female 60.5
GTEX-X15G-0826-SM-4PQZD 50-59 years, female 60.4
GTEX-13PVQ-1726-SM-5IFF3 50-59 years, male 60.2
GTEX-1I1CD-1726-SM-A9G3P 60-69 years, female 60.2
GTEX-117YW-1926-SM-5H121 50-59 years, male 60.1
GTEX-PSDG-1326-SM-48TD2 50-59 years, male 60.1
GTEX-131XF-0826-SM-5GICG 60-69 years, male 60.0
GTEX-16NPX-1626-SM-6LLI5 50-59 years, male 60.0
GTEX-1HBPM-1426-SM-9WPPE 60-69 years, female 60.0
GTEX-15UF6-2326-SM-6M465 70-79 years, female 59.9
GTEX-RNOR-1226-SM-48FDQ 50-59 years, female 59.6
GTEX-Y5V6-1026-SM-4VBS2 60-69 years, male 59.5
GTEX-S32W-0926-SM-4AD5X 50-59 years, female 59.4
GTEX-1N2DV-2026-SM-EV7BL 40-49 years, male 59.4
GTEX-13FTW-1626-SM-5KM4N 40-49 years, male 59.3
GTEX-13O3Q-0826-SM-5IFGF 50-59 years, male 59.3
GTEX-XMK1-1326-SM-4B65Q 40-49 years, male 59.3
GTEX-144FL-2726-SM-5O98Z 50-59 years, male 59.2
GTEX-XYKS-1526-SM-4BRUP 60-69 years, female 58.9
GTEX-YJ89-1526-SM-5P9IR 60-69 years, male 58.9
GTEX-1LNCM-0626-SM-EV7AI 50-59 years, female 58.7
GTEX-13FLV-1126-SM-5J2NO 50-59 years, male 58.6
GTEX-1H23P-1426-SM-9JGH5 60-69 years, male 58.6
GTEX-X4EP-1626-SM-4QAS6 60-69 years, female 58.5
GTEX-1CB4I-1026-SM-7MKFZ 50-59 years, male 58.3
GTEX-QEL4-1426-SM-447AC 50-59 years, male 58.3
GTEX-18D9U-2126-SM-7LG4Y 40-49 years, male 58.2
GTEX-YFC4-1226-SM-5LU9R 40-49 years, female 58.2
GTEX-1OJC3-0826-SM-DPRYU 20-29 years, male 57.9
GTEX-17KNJ-1326-SM-7KFTG 50-59 years, male 57.8
GTEX-11NUK-1326-SM-5P9GN 50-59 years, male 57.7
GTEX-S33H-0826-SM-4AD5Y 30-39 years, male 57.7
GTEX-UPK5-1226-SM-4IHL8 40-49 years, male 57.6
GTEX-13JVG-2026-SM-5KM1N 60-69 years, male 57.5
GTEX-13SLX-1726-SM-5Q5E5 50-59 years, female 57.3
GTEX-Q2AI-0626-SM-48TZU 40-49 years, male 57.3
GTEX-ZYW4-1326-SM-5E45N 60-69 years, male 57.3
GTEX-146FQ-1026-SM-5LU8I 30-39 years, male 57.1
GTEX-17EVQ-1926-SM-7IGOF 70-79 years, male 57.1
GTEX-1EX96-2226-SM-7MKGT 50-59 years, male 57.1
GTEX-ZAB5-0926-SM-5CVMV 50-59 years, male 57.1
GTEX-Y3I4-1226-SM-4TT8N 50-59 years, male 57.0
GTEX-1LBAC-1226-SM-DHXK1 20-29 years, male 57.0
GTEX-15ER7-2126-SM-7939E 20-29 years, female 56.9
GTEX-1F88F-1126-SM-7MKHL 60-69 years, female 56.7
GTEX-1HCU6-1326-SM-A96TZ 60-69 years, female 56.7
GTEX-15EOM-5013-SM-7MKF9 20-29 years, female 56.6
GTEX-PLZ5-0926-SM-3TW8L 50-59 years, male 56.6
GTEX-1GN1U-1826-SM-9JGH2 50-59 years, female 56.6
GTEX-1212Z-2126-SM-5FQTM 60-69 years, male 56.5
GTEX-1F7RK-1526-SM-7P8T6 20-29 years, female 56.5
GTEX-14ICL-0526-SM-5RQJ6 30-39 years, male 56.3
GTEX-1QCLY-1526-SM-DPRXX 30-39 years, male 56.1
GTEX-1LSNL-2226-SM-DHXKM 50-59 years, male 56.0
GTEX-11GSP-1826-SM-5N9DQ 60-69 years, female 55.9
GTEX-1399U-1026-SM-5J1OC 50-59 years, female 55.7
GTEX-15SB6-0726-SM-6M48F 50-59 years, female 55.6
GTEX-13G51-0926-SM-5IFFU 60-69 years, male 55.5
GTEX-XUZC-0426-SM-4BOPE 30-39 years, female 55.5
GTEX-13FH7-0526-SM-5IJF8 50-59 years, female 55.4
GTEX-ZC5H-1326-SM-5HL7E 40-49 years, female 55.4
GTEX-1211K-0926-SM-5FQTL 60-69 years, female 55.3
GTEX-Y5V5-1626-SM-4VDSG 60-69 years, female 55.1
GTEX-1IDJD-1626-SM-C1YRC 30-39 years, male 55.1
GTEX-148VJ-1026-SM-5LU98 70-79 years, male 55.0
GTEX-WFG8-1226-SM-4V6EI 20-29 years, male 55.0
GTEX-17HGU-1426-SM-7938G 50-59 years, male 54.9
GTEX-ZT9W-1326-SM-51MTB 50-59 years, male 54.9
GTEX-1GTWX-1326-SM-9JGHU 60-69 years, male 54.9
GTEX-13OVJ-1226-SM-5L3HA 50-59 years, female 54.8
GTEX-144GM-1426-SM-5LU31 20-29 years, male 54.8
GTEX-16MT8-1326-SM-6M47R 60-69 years, female 54.8
GTEX-RUSQ-0826-SM-47JWW 50-59 years, male 54.6
GTEX-N7MT-0326-SM-48TDP 60-69 years, female 54.5
GTEX-ZAJG-1326-SM-5S2NV 50-59 years, female 54.4
GTEX-1H1ZS-1526-SM-9OSXR 70-79 years, male 54.4
GTEX-18D9B-2026-SM-7LT96 60-69 years, male 54.3
GTEX-R45C-1226-SM-48FEE 60-69 years, female 54.3
GTEX-QCQG-0626-SM-48U21 50-59 years, female 54.2
GTEX-S4P3-0426-SM-4AD56 50-59 years, female 54.2
GTEX-1IDJF-1226-SM-C1YPX 20-29 years, male 54.2
GTEX-VUSG-1226-SM-4KKZF 50-59 years, male 54.1
GTEX-ZLWG-1326-SM-DNZYZ 50-59 years, female 54.1
GTEX-169BO-0526-SM-793AK 50-59 years, male 54.0
GTEX-OOBK-0625-SM-3LK5P 40-49 years, male 54.0
GTEX-1KANB-1826-SM-DHXJU 50-59 years, male 54.0
GTEX-V955-1126-SM-4JBH3 60-69 years, male 53.9
GTEX-ZY6K-0626-SM-59HJL 50-59 years, male 53.9
GTEX-QLQ7-0926-SM-447BC 60-69 years, male 53.8
GTEX-13W3W-1626-SM-5LU35 60-69 years, female 53.6
GTEX-WH7G-0926-SM-4LVMJ 40-49 years, male 53.6
GTEX-1JMQK-2026-SM-C1YQN 60-69 years, male 53.6
GTEX-1QEPI-1826-SM-EAZ3J 60-69 years, female 53.4
GTEX-1RAZQ-1726-SM-EAZ4T 30-39 years, male 53.4
GTEX-1N2DW-1426-SM-EV7AZ 50-59 years, male 53.1
GTEX-QEG4-0726-SM-CNNRF 30-39 years, male 53.1
GTEX-13PVR-1826-SM-5Q5CC 60-69 years, female 53.0
GTEX-11EM3-0826-SM-5N9CC 20-29 years, female 52.6
GTEX-1JKYR-2126-SM-CNNPC 20-29 years, male 52.6
GTEX-13O61-0926-SM-5IFFE 60-69 years, male 52.5
GTEX-1RDX4-2126-SM-EV7B3 50-59 years, female 52.5
GTEX-13NZB-1226-SM-5J2MW 30-39 years, male 52.2
GTEX-P4QS-0626-SM-3NMD1 60-69 years, male 52.2
GTEX-ZDTT-1326-SM-4WKFH 60-69 years, male 52.2
GTEX-15ETS-1926-SM-7KUN5 40-49 years, female 52.1
GTEX-1NUQO-1126-SM-DTX98 20-29 years, female 52.1
GTEX-S341-0526-SM-4AD5U 40-49 years, female 52.0
GTEX-15RJE-0926-SM-6LLHZ 40-49 years, male 51.9
GTEX-1MCC2-1926-SM-DHXJR 30-39 years, female 51.9
GTEX-WFG7-1126-SM-4LMK3 20-29 years, male 51.8
GTEX-WHPG-1126-SM-4M1XT 50-59 years, male 51.8
GTEX-WRHK-0526-SM-4MVOF 20-29 years, female 51.8
GTEX-1JMLX-2326-SM-CXZJP 50-59 years, male 51.8
GTEX-1MGNQ-1626-SM-EAZ4Z 40-49 years, male 51.8
GTEX-13X6I-1026-SM-5LU4C 60-69 years, male 51.7
GTEX-17HII-1526-SM-9OSVD 50-59 years, male 51.6
GTEX-17MFQ-0526-SM-7KFTX 20-29 years, male 51.5
GTEX-T5JC-1726-SM-4DM6U 20-29 years, male 51.4
GTEX-ZDYS-0826-SM-4WWCR 50-59 years, male 51.4
GTEX-V1D1-1026-SM-4JBHE 50-59 years, male 51.3
GTEX-1EKGG-1726-SM-7MXUP 60-69 years, male 51.1
GTEX-1CB4F-1526-SM-7MKFM 60-69 years, male 51.0
GTEX-1HSKV-2426-SM-A8N8K 60-69 years, male 50.9
GTEX-11P82-0526-SM-5986P 20-29 years, male 50.7
GTEX-WFON-0826-SM-4LVMI 40-49 years, male 50.7
GTEX-1J1OQ-2526-SM-AHZ3Q 40-49 years, female 50.6
GTEX-1497J-2726-SM-5SI9W 60-69 years, male 50.5
GTEX-NFK9-1126-SM-3LK78 40-49 years, male 50.5
GTEX-QEG5-1426-SM-447AS 20-29 years, male 50.5
GTEX-1C64O-1826-SM-7DHM4 60-69 years, male 50.4
GTEX-17F9E-1926-SM-7IGQF 50-59 years, male 50.0
GTEX-SNOS-0626-SM-4DM5F 40-49 years, male 50.0
GTEX-14DAQ-1426-SM-5RQJD 60-69 years, female 49.9
GTEX-RM2N-0726-SM-48FD5 50-59 years, male 49.9
GTEX-1LG7Z-0926-SM-CXKYK 30-39 years, male 49.9
GTEX-13QJ3-1726-SM-5RQK9 50-59 years, male 49.8
GTEX-UJHI-0826-SM-4IHLM 50-59 years, female 49.8
GTEX-1PPGY-1726-SM-EVR3S 60-69 years, male 49.8
GTEX-S7SF-0926-SM-4AD4M 20-29 years, female 49.7
GTEX-13OW8-2326-SM-5L3I9 60-69 years, male 49.6
GTEX-13FHP-1526-SM-5IJGE 50-59 years, male 49.5
GTEX-11NSD-1126-SM-5N9BQ 20-29 years, male 49.4
GTEX-WVLH-1426-SM-4MVNX 50-59 years, male 49.4
GTEX-ZYY3-1526-SM-5SIA9 60-69 years, female 49.4
GTEX-1JMQJ-1226-SM-D3L97 50-59 years, male 49.4
GTEX-12WSK-1126-SM-5LZV8 40-49 years, female 49.3
GTEX-S3XE-0926-SM-4AD4S 50-59 years, male 49.1
GTEX-11EMC-2226-SM-5A5JW 60-69 years, female 49.0
GTEX-12WSD-1826-SM-5GCOA 60-69 years, female 49.0
GTEX-183FY-1526-SM-7IGOW 20-29 years, male 49.0
GTEX-SE5C-1226-SM-4BRWV 40-49 years, female 48.9
GTEX-WXYG-1226-SM-4ONCJ 50-59 years, female 48.9
GTEX-1CB4E-1026-SM-793AB 60-69 years, male 48.8
GTEX-1CAMQ-2726-SM-7MKGD 40-49 years, male 48.8
GTEX-VJYA-0726-SM-4KL1T 60-69 years, male 48.7
GTEX-12WSG-5007-SM-7DUGZ 50-59 years, female 48.6
GTEX-12ZZX-1326-SM-5DUWI 40-49 years, female 48.6
GTEX-Y114-0926-SM-4TT7J 50-59 years, female 48.6
GTEX-ZPU1-1426-SM-4WWFU 40-49 years, male 48.4
GTEX-1HFI6-1226-SM-A96SK 40-49 years, male 48.4
GTEX-1HKZK-1426-SM-A96U1 40-49 years, male 48.4
GTEX-11TT1-0526-SM-5P9JO 20-29 years, male 48.3
GTEX-RWS6-0826-SM-47JXF 60-69 years, female 48.2
GTEX-WQUQ-1626-SM-4OOSH 60-69 years, male 47.8
GTEX-14B4R-0326-SM-5TDDP 30-39 years, male 47.6
GTEX-133LE-0626-SM-5IFFJ 20-29 years, female 47.5
GTEX-N7MS-1225-SM-3LK5G 60-69 years, male 47.4
GTEX-OXRN-1726-SM-3NM9B 50-59 years, male 46.9
GTEX-TKQ1-0326-SM-4DXSM 30-39 years, male 46.8
GTEX-13O21-0626-SM-5IJDI 50-59 years, male 46.6
GTEX-13OVI-2626-SM-5KM4T 60-69 years, female 46.5
GTEX-13U4I-1126-SM-5LU3S 40-49 years, female 46.5
GTEX-11P81-0826-SM-5P9GR 30-39 years, female 46.4
GTEX-ZYT6-1126-SM-5GZYR 30-39 years, male 46.3
GTEX-1RAZR-1226-SM-E6CRD 40-49 years, male 46.3
GTEX-QV44-1126-SM-CL55C 50-59 years, male 46.3
GTEX-13RTK-0526-SM-5S2QF 20-29 years, male 46.1
GTEX-NPJ8-1926-SM-3MJGB 40-49 years, male 46.1
GTEX-ZF2S-1226-SM-4WWAX 50-59 years, female 46.1
GTEX-1IKK5-1326-SM-AHZ2X 60-69 years, male 46.1
GTEX-OIZF-0626-SM-7MKHG 60-69 years, male 46.1
GTEX-TMMY-1126-SM-4DXSX 40-49 years, female 46.0
GTEX-144GO-2726-SM-5O9A2 60-69 years, male 45.8
GTEX-18A66-1426-SM-7KFRT 60-69 years, male 45.8
GTEX-QDVJ-0726-SM-48U1W 50-59 years, male 45.8
GTEX-1OKEX-1326-SM-E9J2U 60-69 years, male 45.7
GTEX-16NGA-1426-SM-718AC 40-49 years, female 45.6
GTEX-1AYD5-0926-SM-793AF 50-59 years, male 45.6
GTEX-145LU-0926-SM-79OJL 50-59 years, male 45.4
GTEX-1LVAN-2326-SM-CNNPY 50-59 years, female 45.4
GTEX-U3ZM-0526-SM-4DXTB 40-49 years, male 45.3
GTEX-1GPI7-1026-SM-7MGY2 20-29 years, male 45.3
GTEX-1KAFJ-0626-SM-D3L8X 50-59 years, male 45.2
GTEX-14PJN-0526-SM-68724 30-39 years, male 45.1
GTEX-11VI4-0526-SM-5EQ48 40-49 years, female 45.0
GTEX-1AMEY-0226-SM-7189Q 30-39 years, female 45.0
GTEX-1B97J-1026-SM-7MXTE 50-59 years, female 45.0
GTEX-RU1J-0326-SM-46MUM 20-29 years, female 44.9
GTEX-1LG7Y-1726-SM-EV7AR 50-59 years, male 44.9
GTEX-PVOW-1626-SM-48TC9 40-49 years, male 44.7
GTEX-PWN1-0626-SM-48TDT 40-49 years, female 44.7
GTEX-13O1R-1326-SM-5IJF5 60-69 years, male 44.6
GTEX-Z9EW-0526-SM-5HL8S 40-49 years, male 44.6
GTEX-1EH9U-2426-SM-7EWFG 60-69 years, male 44.5
GTEX-13FHO-1726-SM-DPRZX 60-69 years, male 44.5
GTEX-14JG6-0926-SM-6871Y 30-39 years, female 44.3
GTEX-ZG7Y-1126-SM-4WWEZ 50-59 years, male 44.3
GTEX-1HCVE-1226-SM-9WPPH 50-59 years, male 44.3
GTEX-1I1GQ-1726-SM-B2LWZ 50-59 years, male 44.3
GTEX-1I1GV-2226-SM-ARU7E 60-69 years, male 44.3
GTEX-ZLFU-1126-SM-DO11K 40-49 years, male 44.3
GTEX-1EMGI-1926-SM-7938Y 60-69 years, male 44.1
GTEX-OIZI-1426-SM-3NB1T 40-49 years, male 44.1
GTEX-ZVP2-1326-SM-57WCE 50-59 years, male 44.1
GTEX-1IDJH-2026-SM-CNNQX 70-79 years, male 44.0
GTEX-145LV-1326-SM-5S2QI 50-59 years, male 43.9
GTEX-1HBPH-1126-SM-A96TU 40-49 years, female 43.9
GTEX-1J1R8-0326-SM-AHZ3D 40-49 years, male 43.6
GTEX-1PPH8-1626-SM-E6CQP 20-29 years, male 43.6
GTEX-1399Q-1126-SM-5P9JA 40-49 years, male 43.5
GTEX-18A6Q-1226-SM-7KFS9 60-69 years, male 43.4
GTEX-11DXZ-1226-SM-5H11L 50-59 years, male 43.2
GTEX-PLZ4-1626-SM-3P618 50-59 years, female 43.2
GTEX-15SHU-1426-SM-6LPIN 40-49 years, female 43.0
GTEX-17JCI-1226-SM-793D9 60-69 years, female 42.9
GTEX-18A67-2426-SM-7LT95 50-59 years, male 42.8
GTEX-11TUW-1326-SM-5EQKV 60-69 years, male 42.7
GTEX-T2YK-1326-SM-4DM6S 50-59 years, male 42.7
GTEX-1KXAM-0826-SM-CXZK9 60-69 years, male 42.7
GTEX-12696-1326-SM-5FQTJ 60-69 years, male 42.6
GTEX-13D11-1926-SM-5IFGB 50-59 years, female 42.6
GTEX-1122O-1726-SM-5GICM 60-69 years, female 42.4
GTEX-R55C-0826-SM-48FCL 40-49 years, male 42.4
GTEX-1GMR2-1526-SM-7MXV6 50-59 years, male 42.4
GTEX-POYW-1326-SM-48TCG 60-69 years, male 42.3
GTEX-146FH-1726-SM-5QGQ2 50-59 years, female 42.2
GTEX-18QFQ-1026-SM-7LG6B 30-39 years, male 42.2
GTEX-11I78-1526-SM-5A5K7 50-59 years, female 42.1
GTEX-148VI-1026-SM-5TDDJ 60-69 years, female 42.1
GTEX-1QP9N-0926-SM-E9U5S 30-39 years, male 42.1
GTEX-11DYG-1326-SM-5N9DO 60-69 years, male 42.0
GTEX-WYVS-0726-SM-4ONDO 40-49 years, female 42.0
GTEX-XQ8I-1526-SM-4BOOH 50-59 years, male 42.0
GTEX-TML8-1526-SM-4DXUX 40-49 years, female 41.9
GTEX-1H1DE-1026-SM-9JGH6 20-29 years, male 41.9
GTEX-YEC4-1026-SM-9WG7N 40-49 years, male 41.9
GTEX-131YS-1426-SM-5IJF7 60-69 years, female 41.8
GTEX-ZUA1-1226-SM-5NQ6O 40-49 years, male 41.8
GTEX-1R9PM-0926-SM-DPRYA 20-29 years, male 41.8
GTEX-ZVT2-1326-SM-5E45H 50-59 years, female 41.7
GTEX-1GMR3-1526-SM-9JGGL 40-49 years, male 41.6
GTEX-1I1GR-1326-SM-ARU7B 60-69 years, male 41.5
GTEX-15EU6-1626-SM-6LPKF 50-59 years, male 41.4
GTEX-ZYFG-1126-SM-5GICY 60-69 years, female 41.4
GTEX-1ICG6-1926-SM-ARU7L 70-79 years, female 41.4
GTEX-145LT-1126-SM-5LUA1 40-49 years, male 41.2
GTEX-1NSGN-2026-SM-DPRYM 50-59 years, male 41.1
GTEX-11DXY-1426-SM-5N9CN 60-69 years, male 41.0
GTEX-14C38-2126-SM-5RQJO 50-59 years, male 41.0
GTEX-R3RS-1326-SM-48FE7 40-49 years, female 41.0
GTEX-13OVK-1126-SM-6PAMR 40-49 years, male 40.9
GTEX-RN64-1026-SM-48FDX 50-59 years, male 40.9
GTEX-11XUK-0826-SM-5GU6P 40-49 years, female 40.8
GTEX-13YAN-1926-SM-7EPH9 60-69 years, male 40.8
GTEX-ZF29-1326-SM-DNZYV 60-69 years, female 40.8
GTEX-1IDFM-1126-SM-A96SY 60-69 years, male 40.7
GTEX-1JKYN-1526-SM-CGQGA 30-39 years, male 40.7
GTEX-QESD-0826-SM-47J4G 20-29 years, male 40.6
GTEX-Q2AH-0826-SM-48TZN 40-49 years, male 40.5
GTEX-1I1GS-2126-SM-ARU7G 60-69 years, male 40.5
GTEX-1K2DA-0626-SM-CGQGO 50-59 years, male 40.5
GTEX-12ZZY-1426-SM-5N9EI 60-69 years, male 40.4
GTEX-15UF7-0926-SM-6M46F 40-49 years, male 40.4
GTEX-1A32A-1826-SM-72D5G 50-59 years, female 40.4
GTEX-1MA7X-0726-SM-EV7AB 60-69 years, male 40.4
GTEX-X4XY-1726-SM-46MVO 60-69 years, male 40.3
GTEX-1B933-2026-SM-7EWFC 50-59 years, female 40.2
GTEX-14E1K-1226-SM-5S2PD 50-59 years, male 40.1
GTEX-T2IS-0826-SM-4DM6L 20-29 years, female 40.1
GTEX-132QS-1426-SM-5P9GE 60-69 years, male 40.0
GTEX-17F96-2526-SM-7DHL3 70-79 years, male 40.0
GTEX-1R9K5-1526-SM-DPRZA 50-59 years, male 40.0
GTEX-12WSA-1426-SM-5EGJU 60-69 years, male 39.9
GTEX-13QBU-1026-SM-5LU3R 40-49 years, female 39.9
GTEX-WYJK-1926-SM-4ONDP 50-59 years, male 39.9
GTEX-1JK1U-1726-SM-CNNPM 60-69 years, male 39.9
GTEX-1JMPY-0826-SM-AHZ4A 30-39 years, male 39.9
GTEX-12BJ1-1626-SM-5HL8Y 60-69 years, male 39.8
GTEX-OXRK-1326-SM-3NB1A 50-59 years, female 39.8
GTEX-147F3-0826-SM-5NQA7 50-59 years, female 39.7
GTEX-UJMC-0926-SM-4IHLK 50-59 years, male 39.5
GTEX-1AX9J-1826-SM-731FM 60-69 years, male 39.4
GTEX-T6MO-0526-SM-4DM6R 40-49 years, female 39.4
GTEX-WHSE-1526-SM-4M1XH 20-29 years, male 39.3
GTEX-Y5LM-1026-SM-4VDSQ 40-49 years, female 39.3
GTEX-1A3MV-1326-SM-7LG6C 30-39 years, male 39.2
GTEX-XBEW-1326-SM-4AT63 40-49 years, male 39.2
GTEX-1GN73-1926-SM-9JGGS 60-69 years, male 39.2
GTEX-SUCS-0726-SM-4DM7J 70-79 years, male 39.1
GTEX-1QP29-2126-SM-E6CPZ 50-59 years, male 39.1
GTEX-139T6-0626-SM-5IFF9 50-59 years, male 39.0
GTEX-12C56-1226-SM-5FQSU 20-29 years, male 38.7
GTEX-X585-1226-SM-46MW7 50-59 years, male 38.3
GTEX-12KS4-0926-SM-5BC5S 30-39 years, male 38.2
GTEX-1CB4G-1326-SM-7MKFP 60-69 years, male 38.2
GTEX-ZLV1-0526-SM-4WWD4 60-69 years, female 38.2
GTEX-XK95-1026-SM-4GIDV 40-49 years, male 38.1
GTEX-1AX9I-1426-SM-7DHM8 60-69 years, male 38.0
GTEX-1EWIQ-1526-SM-79OO7 70-79 years, female 38.0
GTEX-14PK6-1326-SM-686ZE 70-79 years, female 37.8
GTEX-18D9A-0526-SM-7KFSW 30-39 years, female 37.8
GTEX-14AS3-0626-SM-5QGQD 40-49 years, female 37.7
GTEX-1KANA-0626-SM-D4P3I 20-29 years, male 37.7
GTEX-139YR-1726-SM-5IFFK 50-59 years, male 37.6
GTEX-P4QT-0626-SM-3NMCP 50-59 years, female 37.6
GTEX-14C5O-1626-SM-73KYH 60-69 years, male 37.5
GTEX-1QP28-1826-SM-EAZ4L 50-59 years, female 37.4
GTEX-1399R-0826-SM-5IJEL 30-39 years, male 37.3
GTEX-13S86-0826-SM-5SI6J 40-49 years, male 37.3
GTEX-13X6K-2126-SM-5O9D4 60-69 years, female 37.3
GTEX-PLZ6-0526-SM-3P61C 30-39 years, male 37.3
GTEX-YB5E-0926-SM-4WWDQ 40-49 years, male 37.3
GTEX-14H4A-1626-SM-5SI69 40-49 years, female 37.2
GTEX-OIZH-0626-SM-3NB1L 50-59 years, male 37.0
GTEX-14PJ3-0626-SM-6UGC5 50-59 years, male 37.0
GTEX-14DAR-0826-SM-73KYJ 50-59 years, male 36.9
GTEX-ZTPG-1626-SM-5DUX2 20-29 years, female 36.9
GTEX-11P7K-1326-SM-5BC5G 30-39 years, male 36.8
GTEX-U3ZH-1026-SM-4DXUZ 30-39 years, male 36.8
GTEX-111CU-0726-SM-5GZYD 50-59 years, male 36.7
GTEX-14PJM-1526-SM-664NY 50-59 years, female 36.5
GTEX-T8EM-0526-SM-4DM64 40-49 years, male 36.5
GTEX-X62O-2226-SM-46MW3 50-59 years, male 36.4
GTEX-ZYVF-2226-SM-5GIDD 50-59 years, female 36.1
GTEX-OIZG-1026-SM-3LK5X 50-59 years, male 35.8
GTEX-S4Q7-0626-SM-4AD5M 20-29 years, male 35.3
GTEX-Y9LG-0626-SM-4WWDH 30-39 years, male 35.2
GTEX-1L5NE-1426-SM-DHXKV 50-59 years, male 35.2
GTEX-R55G-1026-SM-48FDI 40-49 years, female 34.8
GTEX-RTLS-1126-SM-46MUQ 60-69 years, female 34.8
GTEX-WEY5-0926-SM-4LMI4 40-49 years, female 34.6
GTEX-S95S-0426-SM-4B64I 60-69 years, male 34.5
GTEX-OXRP-0926-SM-48TC1 60-69 years, female 34.4
GTEX-YB5K-0826-SM-5YYB7 40-49 years, female 34.4
GTEX-11EQ9-0726-SM-5A5K2 30-39 years, male 34.3
GTEX-17HHE-0926-SM-7938K 50-59 years, male 34.1
GTEX-1B8KE-1826-SM-731FD 50-59 years, male 34.0
GTEX-O5YV-1026-SM-3LK72 60-69 years, female 33.7
GTEX-U4B1-0826-SM-4DXTW 40-49 years, male 33.7
GTEX-1QPFJ-1226-SM-EAZ3M 30-39 years, female 33.7
GTEX-1IKOE-1526-SM-C1YSD 30-39 years, female 33.5
GTEX-1C6VQ-1826-SM-7EWEH 50-59 years, male 33.4
GTEX-XXEK-0326-SM-4BRVV 50-59 years, male 33.3
GTEX-ZTSS-0626-SM-59867 40-49 years, male 33.2
GTEX-XBED-1026-SM-48TCB 60-69 years, male 33.1
GTEX-1I1GU-1426-SM-B2LX3 40-49 years, male 33.1
GTEX-17EUY-1426-SM-7938X 20-29 years, male 33.0
GTEX-1F75I-1726-SM-7MKGW 40-49 years, male 32.7
GTEX-1QP2A-1926-SM-EXOJ9 50-59 years, male 32.7
GTEX-1K2DU-1726-SM-EV79S 20-29 years, male 32.5
GTEX-PWCY-0726-SM-48TCS 20-29 years, female 32.3
GTEX-R53T-1126-SM-48FD4 50-59 years, female 32.1
GTEX-ZPCL-1426-SM-57WEC 60-69 years, female 32.0
GTEX-145MO-1426-SM-DTX9W 60-69 years, male 32.0
GTEX-1S83E-0826-SM-EV7B7 40-49 years, male 31.9
GTEX-ZQUD-0426-SM-57WFR 30-39 years, male 31.8
GTEX-1GN1W-2226-SM-9JGI5 50-59 years, female 31.7
GTEX-1HBPI-0626-SM-9WPP4 50-59 years, male 31.7
GTEX-13FTX-0526-SM-5IFGS 20-29 years, female 31.6
GTEX-1HB9E-1526-SM-D3LA6 50-59 years, male 31.6
GTEX-P4PQ-0626-SM-3NMCU 60-69 years, male 31.4
GTEX-1MCYP-1026-SM-DPRYB 20-29 years, female 31.4
GTEX-1PIGE-0926-SM-E9U5Z 20-29 years, male 31.4
GTEX-1H11D-2126-SM-9OSXM 40-49 years, male 31.3
GTEX-WHSB-0426-SM-4M1XI 50-59 years, male 31.1
GTEX-17F98-1726-SM-7938O 40-49 years, female 30.6
GTEX-ZAK1-1526-SM-5S2OV 50-59 years, female 30.6
GTEX-14A6H-1326-SM-5NQBC 30-39 years, male 29.3
GTEX-QDVN-1026-SM-48TZA 50-59 years, male 29.0
GTEX-REY6-1326-SM-48FDO 60-69 years, male 28.4
GTEX-13PL7-0226-SM-731DT 60-69 years, female 28.2
GTEX-1J8QM-1926-SM-AHZ3Z 60-69 years, female 28.0
GTEX-14ICK-2026-SM-6AJB2 40-49 years, male 27.8
GTEX-16AAH-0726-SM-793A9 50-59 years, male 27.8
GTEX-132AR-2226-SM-5J2NT 50-59 years, female 27.5
GTEX-1AMFI-0226-SM-731D5 50-59 years, female 26.6
GTEX-131XG-1026-SM-5GCMX 50-59 years, female 26.2
GTEX-1LGOU-0526-SM-D3LAO 20-29 years, female 24.1
Show allShow less

ESOPHAGUS - FANTOM5 CAGEi

RNA expression in human tissues obtained through Cap Analysis of Gene Expression (CAGE) generated by the FANTOM5 project are reported as Scaled Tags Per Million.

Max subtype Scaled Tags Per Millioni

Max subtype Scaled Tags Per Million is the value for the subtype with the largest average Scaled Tags Per Million across the subtype samples.

66.1
FANTOM5 sample id Sample description Scaled Tags Per Million
Esophagus
Scaled Tags Per Million: 66.1
FF:10015-101C6 68,74,75 years, mixed 66.1

Contact

  • NEWS ARTICLES
  • PRESS ROOM

The Project

  • INTRODUCTION
  • ORGANIZATION
  • PUBLICATIONS

The Human Protein Atlas

  • DOWNLOADABLE DATA
  • LICENCE & CITATION
  • HELP & FAQ
The Human Protein Atlas project is funded
by the Knut & Alice Wallenberg Foundation.


contact@proteinatlas.org