We use cookies to enhance the usability of our website. If you continue, we'll assume that you are happy to receive all cookies. More information. Don't show this again.
PBX2
HPA
RESOURCES
  • TISSUE
  • BRAIN
  • SINGLE CELL
  • SUBCELLULAR
  • CANCER
  • BLOOD
  • CELL LINE
  • STRUCTURE & INTERACTION
ABOUT
  • INTRODUCTION
  • HISTORY
  • ORGANIZATION
  • PUBLICATIONS
  • ANTIBODY SUBMISSION
  • ANTIBODY AVAILABILITY
  • ACKNOWLEDGMENTS
  • CONTACT
NEWS
  • NEWS ARTICLES
  • PRESS ROOM
LEARN
  • DICTIONARY
  • PROTEIN CLASSES
  • PROTEIN EVIDENCE
  • METHODS
  • EDUCATIONAL VIDEOS
DATA
  • DOWNLOADABLE DATA
  • PUBLICATION DATA
  • RELEASE HISTORY
HELP
  • ANTIBODY VALIDATION
  • ASSAYS & ANNOTATION
  • DISCLAIMER
  • HELP & FAQ
  • PRIVACY STATEMENT
  • LICENCE & CITATION
Fields »
Search result

Field
Term
Gene name
Class
Subclass
Class
Keyword
Chromosome
External id
Tissue
Cell type
Expression
Antibody panel
Tissue
Main location
Patient ID
Annotation
Tissue
Category
Tau score
Cluster
Reliability
Brain region
Category
Tau score
Brain region
Category
Tau score
Brain region
Category
Tau score
Cluster
Reliability
Tissue
Cell type
Enrichment
Cell type
Category
Tau score
Cell type
Category
Tau score
Cell type
Category
Tau score
Cell lineage
Category
Tau score
Cluster
Cluster
Location
Searches
Location
Cell line
Class
Type
Phase
Reliability
Cancer
Prognosis
Cancer
Category
Cancer
Category
Tau score
Cluster
Variants
Interacting gene (ensg_id)
Type
Number of interactions
Pathway
Category
Score
Score
Score
Validation
Validation
Validation
Validation
Antibodies
Data type
Column


  • SUMMARY

  • TISSUE

  • BRAIN

  • SINGLE CELL

  • SUBCELL

  • CANCER

  • BLOOD

  • CELL LINE

  • STRUCT & INT

  • PBX2
TISSUE PRIMARY DATA ADRENAL GLAND Show tissue menu
ADIPOSE TISSUE ADRENAL GLAND AMYGDALA APPENDIX BASAL GANGLIA BONE MARROW BREAST BRONCHUS CEREBELLUM CEREBRAL CORTEX CERVIX CHOROID PLEXUS COLON DUODENUM
ENDOMETRIUM EPIDIDYMIS ESOPHAGUS FALLOPIAN TUBE GALLBLADDER HEART MUSCLE HIPPOCAMPAL FORMATION HYPOTHALAMUS KIDNEY LIVER LUNG LYMPH NODE MIDBRAIN NASOPHARYNX
ORAL MUCOSA OVARY PANCREAS PARATHYROID GLAND PITUITARY GLAND PLACENTA PROSTATE RECTUM RETINA SALIVARY GLAND SEMINAL VESICLE SKELETAL MUSCLE SKIN SMALL INTESTINE
SMOOTH MUSCLE SOFT TISSUE SPINAL CORD SPLEEN STOMACH TESTIS THYMUS THYROID GLAND TONGUE TONSIL URINARY BLADDER VAGINA
ANTIBODIES
AND
VALIDATION
Dictionary
Adrenal gland
Tissue proteome
Adrenal gland
ADRENAL GLAND - Expression summary
Protein expression
Adrenal glandi

On the top, protein expression in current human tissue, based on all annotated cell types, is reported with the units not detected (n), low (l), medium (m) and high (h). Underneath, protein expression in each annotated cell type are reported using the same units.

Protein expression data is based on knowledge-based annotation. For genes where more than one antibody has been used, a collective score is set.

If knowledge-based annotation could not be performed for a gene, no data is displayed here. View antibody staining data further down this page.

h
m
l
n
Glandular cells: Medium
RNA expressioni

A summary of mRNA expression data available for current tissue based on several datasets. The mRNA expression levels in human tissues are based on RNA-seq data generated by the Human Protein Atlas (HPA), Genotype-Tissue Expression (GTEx) portal and CAGE data generated by the FANTOM5 consortium. Consensus normalized expression levels for human tissues was created by combining the data from HPA and GTEx datasets.

The mRNA expression levels in pig are based on RNA-seq data generated by the Human Protein Atlas (HPA), and for mouse, HPA data and in situ hybridization generated by the Allen brain atlas are reported.

Scroll down to view mRNA expression data in more detail.
Consensus:38.3 nTPM
HPA:9.8 nTPM
GTEx:38.3 nTPM

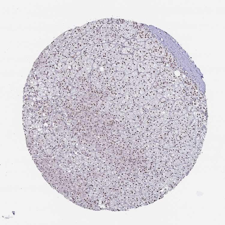
ADRENAL GLAND - Antibody stainingi

Antibody staining in the annotated cell types in the current human tissue is reported as not detected, low, medium, or high, based on conventional immunohistochemistry profiling in selected tissues. This score is based on the combination of the staining intensity and fraction of stained cells.

Each image is clickable and will lead to virtual microscopy that enables deeper exploration of all samples and also displays staining intensity scores, fraction scores and subcellular localization as well as patient and tissue information for each sample.

Antibody HPA061478
Glandular cells Medium



ADRENAL GLAND - HPA RNA-seqi

The RNA-seq details section shows detailed information about the individual samples used for the transcript profiling and results of the RNA-seq analysis.

Information about each individual sample is listed below, including gender, age, a tissue section image and estimated fractions of cell types. nTPM (normalized transcripts per million) values give a quantification of the gene abundance which is comparable between different genes and samples.
Average nTPMi

Max subtype nTPM is the value for the subtype with the largest average nTPM across the subtype samples.

9.8
overview
Female, age 62
Adrenal gland sample 87
nTPM: 12.9
Cell types%
Cortical cells:
50

Medullary cells:
40

Other cell types:
10

overview
Female, age 36
Adrenal gland sample 88
nTPM: 10.6
Cell types%
Cortical cells:
50

Medullary cells:
40

Other cell types:
10

overview
Female, age 63
Adrenal gland sample 89
nTPM: 5.8
Cell types%
Cortical cells:
50

Medullary cells:
40

Other cell types:
10


ADRENAL GLAND - GTEx RNA-seqi

RNA-Seq data generated by the Genotype-Tissue Expression (GTEx) project from human tissues is reported as mean nTPM. More information can be found on the GTEx portal.

Distribution across the dataset is visualized with box plots, shown as median and 25th and 75th percentiles. Points are displayed as outliers if they are above or below 1.5 times the interquartile range. nTPM values of the individual samples are presented next to the box plot.
Max subtype nTPMi

Max subtype nTPM is the value for the subtype with the largest average nTPM across the subtype samples.

38.3
GTEx sample id Sample description nTPM
Adrenal Gland
Average nTPM: 38.3
Samples: 258

Max nTPM: 69.3
Min nTPM: 20.5
Std nTPM: 7.8
Median nTPM: 37.2
GTEX-14753-1726-SM-5NQ9X 60-69 years, male 69.3
GTEX-1KD4Q-1826-SM-DIPFV 40-49 years, male 67.5
GTEX-1A3MW-2126-SM-731DO 60-69 years, female 67.1
GTEX-1LNCM-0826-SM-DHXL6 50-59 years, female 62.4
GTEX-17HHY-2226-SM-7KFS4 50-59 years, male 57.9
GTEX-1K2DU-0826-SM-DHXKA 20-29 years, male 56.9
GTEX-1EKGG-2126-SM-7MKFT 60-69 years, male 55.9
GTEX-1HBPI-1926-SM-CE6RT 50-59 years, male 54.9
GTEX-1GF9V-2026-SM-9JGHS 60-69 years, male 54.8
GTEX-S33H-1326-SM-4AD6A 30-39 years, male 53.8
GTEX-1A32A-2126-SM-718AZ 50-59 years, female 53.2
GTEX-12WSK-0326-SM-5GCOJ 40-49 years, female 53.1
GTEX-14C38-1726-SM-5RQJC 50-59 years, male 53.1
GTEX-12WSN-0926-SM-5GCN1 40-49 years, male 52.5
GTEX-13O3O-1626-SM-5KM1O 60-69 years, female 52.1
GTEX-18A6Q-1826-SM-72D6I 60-69 years, male 51.8
GTEX-VUSG-1526-SM-4KKZH 50-59 years, male 51.1
GTEX-12ZZZ-0926-SM-5N9EQ 60-69 years, male 50.8
GTEX-1JMLX-1126-SM-CXZJN 50-59 years, male 50.7
GTEX-1M5QR-1726-SM-EV7AU 40-49 years, male 49.8
GTEX-ZYVF-1626-SM-5N9EH 50-59 years, female 49.7
GTEX-144GL-1826-SM-79OMB 50-59 years, male 49.6
GTEX-13OW6-1726-SM-5IJGI 50-59 years, male 48.9
GTEX-Q2AH-0126-SM-48U2B 40-49 years, male 48.8
GTEX-1339X-0826-SM-5J2O6 40-49 years, male 48.7
GTEX-1EH9U-1726-SM-7P8QK 60-69 years, male 48.6
GTEX-1R7EV-1726-SM-E6CR8 40-49 years, male 48.6
GTEX-11EMC-0526-SM-5EGJN 60-69 years, female 48.5
GTEX-11GSP-0326-SM-5A5KW 60-69 years, female 48.4
GTEX-1B8L1-1326-SM-7MKG6 60-69 years, male 47.7
GTEX-1IDJH-1726-SM-A96T3 70-79 years, male 47.6
GTEX-15ER7-1126-SM-6M47F 20-29 years, female 47.5
GTEX-147F4-2526-SM-5NQBB 50-59 years, male 47.4
GTEX-17HGU-0126-SM-7DHLV 50-59 years, male 47.3
GTEX-1I1GV-1826-SM-CNNR8 60-69 years, male 47.1
GTEX-131XF-0126-SM-5DUVF 60-69 years, male 47.0
GTEX-NFK9-1726-SM-3TW8P 40-49 years, male 46.8
GTEX-131YS-2026-SM-5P9J8 60-69 years, female 46.5
GTEX-1PIIG-1426-SM-EXOIS 30-39 years, male 46.2
GTEX-1K2DA-0226-SM-CGQGW 50-59 years, male 46.0
GTEX-14DAQ-1826-SM-5S2VV 60-69 years, female 45.9
GTEX-1AX8Z-2426-SM-72D7D 60-69 years, male 45.8
GTEX-WQUQ-0126-SM-4OOSS 60-69 years, male 45.7
GTEX-12WSG-0726-SM-5EGIG 50-59 years, female 45.6
GTEX-14A5I-2126-SM-5NQA8 50-59 years, female 45.2
GTEX-13O61-0126-SM-5KM4P 60-69 years, male 45.1
GTEX-13OW7-2726-SM-5L3HN 50-59 years, male 45.0
GTEX-1HKZK-0126-SM-B2LWF 40-49 years, male 45.0
GTEX-1ICG6-0226-SM-AHZ2P 70-79 years, female 45.0
GTEX-1B8KZ-0126-SM-7DHM5 50-59 years, male 44.8
GTEX-1KANB-2626-SM-EV7BF 50-59 years, male 44.8
GTEX-1A8FM-1926-SM-7MXTX 50-59 years, female 44.7
GTEX-1F88F-1526-SM-9JGG1 60-69 years, female 44.7
GTEX-XQ3S-1726-SM-4BOOD 20-29 years, male 44.6
GTEX-QEG5-1826-SM-CE6QW 20-29 years, male 44.6
GTEX-18A7A-1826-SM-7KFTU 50-59 years, female 44.1
GTEX-1QP29-0326-SM-E6CQ4 50-59 years, male 44.1
GTEX-1F5PK-0826-SM-7MXVI 50-59 years, male 44.0
GTEX-1I1GQ-2026-SM-ARU7F 50-59 years, male 43.8
GTEX-RNOR-1626-SM-EZ6MM 50-59 years, female 43.8
GTEX-1RQEC-1926-SM-DTX7M 60-69 years, male 43.6
GTEX-15DYW-2126-SM-6M47B 60-69 years, female 43.5
GTEX-111YS-0126-SM-5987T 60-69 years, male 43.4
GTEX-1LG7Z-0426-SM-D4P47 30-39 years, male 43.4
GTEX-11DXY-1626-SM-5H12L 60-69 years, male 43.3
GTEX-1GMR3-0926-SM-9WPP9 40-49 years, male 43.3
GTEX-13CF3-0126-SM-5IFFM 60-69 years, female 43.2
GTEX-V1D1-0226-SM-4JBHG 50-59 years, male 43.0
GTEX-1RAZQ-0226-SM-EV7BK 30-39 years, male 42.9
GTEX-O5YT-1326-SM-3MJGR 20-29 years, male 42.8
GTEX-XMK1-0226-SM-4B65D 40-49 years, male 42.5
GTEX-R55E-1826-SM-EXOHD 20-29 years, male 42.2
GTEX-Y5V5-1326-SM-4V6G9 60-69 years, female 42.0
GTEX-1KWVE-0726-SM-D4P3O 30-39 years, male 42.0
GTEX-14DAR-1726-SM-664MZ 50-59 years, male 41.5
GTEX-WFG8-0126-SM-4LVMH 20-29 years, male 41.4
GTEX-ZP4G-0126-SM-4YCE3 20-29 years, female 41.4
GTEX-TMMY-0126-SM-4DXTP 40-49 years, female 41.1
GTEX-1BAJH-2626-SM-7EPG6 70-79 years, male 40.9
GTEX-11I78-1826-SM-5A5M4 50-59 years, female 40.8
GTEX-QDVJ-1126-SM-48U1U 50-59 years, male 40.7
GTEX-14PJM-2226-SM-6AJAT 50-59 years, female 40.6
GTEX-QMRM-0126-SM-CJI1R 50-59 years, male 40.6
GTEX-ZZPU-1226-SM-5N9CK 50-59 years, female 40.4
GTEX-13N11-0826-SM-5IJFP 50-59 years, female 40.1
GTEX-13O1R-2326-SM-5IJF9 60-69 years, male 40.1
GTEX-O5YV-1126-SM-3LK73 60-69 years, female 40.1
GTEX-ZUA1-1926-SM-5E45E 40-49 years, male 40.1
GTEX-QDVN-0426-SM-48TZ6 50-59 years, male 40.0
GTEX-12WSL-0326-SM-5CVMK 50-59 years, male 39.9
GTEX-14PK6-0126-SM-664O1 70-79 years, female 39.8
GTEX-1399R-0326-SM-5KM1X 30-39 years, male 39.7
GTEX-15SHU-1926-SM-7KUMO 40-49 years, female 39.7
GTEX-REY6-1726-SM-48FDL 60-69 years, male 39.7
GTEX-13O21-0126-SM-5IJE8 50-59 years, male 39.5
GTEX-13111-0326-SM-5DUXF 50-59 years, male 39.4
GTEX-1B996-2026-SM-7MKG7 60-69 years, male 39.2
GTEX-VJYA-0526-SM-4KL1R 60-69 years, male 39.2
GTEX-111CU-0126-SM-5GZWZ 50-59 years, male 38.8
GTEX-Q734-0126-SM-48U1E 40-49 years, female 38.6
GTEX-1F75I-0126-SM-9WPPW 40-49 years, male 38.6
GTEX-117YX-0126-SM-5EGH5 50-59 years, male 38.5
GTEX-ZDTT-0126-SM-4WKHA 60-69 years, male 38.5
GTEX-15EU6-0326-SM-6M48I 50-59 years, male 38.4
GTEX-TKQ2-0226-SM-4DM6V 50-59 years, male 38.4
GTEX-11EQ9-0126-SM-5986I 30-39 years, male 38.3
GTEX-132NY-2226-SM-5J2LZ 60-69 years, male 38.1
GTEX-PLZ6-0226-SM-3P61I 30-39 years, male 38.1
GTEX-QCQG-0126-SM-48U27 50-59 years, female 38.1
GTEX-S4Z8-0126-SM-4GICC 60-69 years, male 38.1
GTEX-X4EO-1726-SM-4QARN 60-69 years, female 38.1
GTEX-1HCU6-1826-SM-C1YRN 60-69 years, female 38.1
GTEX-PLZ5-0326-SM-3P614 50-59 years, male 38.0
GTEX-YB5E-0226-SM-5IFHI 40-49 years, male 38.0
GTEX-16NGA-0126-SM-72D6U 40-49 years, female 37.9
GTEX-PW2O-0226-SM-48TC7 20-29 years, male 37.8
GTEX-U3ZM-0226-SM-4DXTA 40-49 years, male 37.8
GTEX-12WSD-2126-SM-5LZWK 60-69 years, female 37.7
GTEX-1HC8U-0226-SM-9WG7Q 40-49 years, female 37.7
GTEX-1LVAN-0826-SM-CNNPG 50-59 years, female 37.7
GTEX-11DXZ-0226-SM-5EGGZ 50-59 years, male 37.6
GTEX-14JG6-0126-SM-68726 30-39 years, female 37.5
GTEX-1F75A-2026-SM-9KNTR 50-59 years, male 37.5
GTEX-1J8Q3-0326-SM-CE6TD 60-69 years, male 37.5
GTEX-S341-0126-SM-4AD64 40-49 years, female 37.4
GTEX-1GL5R-1026-SM-7P8U1 50-59 years, male 37.4
GTEX-13PL7-1026-SM-5MR5C 60-69 years, female 37.3
GTEX-1PPH8-0826-SM-DTX9T 20-29 years, male 37.3
GTEX-146FR-1526-SM-5SIB8 60-69 years, female 37.2
GTEX-Q2AI-0226-SM-48U1D 40-49 years, male 37.2
GTEX-ZA64-0226-SM-5HL9C 20-29 years, male 37.1
GTEX-1CB4F-0126-SM-9JGGZ 60-69 years, male 37.1
GTEX-1J8EW-1826-SM-C1YQW 60-69 years, female 37.0
GTEX-1GN1V-1626-SM-7PBZF 60-69 years, male 36.9
GTEX-14PJ4-0426-SM-6871F 60-69 years, male 36.8
GTEX-11NSD-0226-SM-5A5LR 20-29 years, male 36.7
GTEX-ZT9X-0126-SM-4YCFC 40-49 years, male 36.7
GTEX-Y5V6-1926-SM-5IFIL 60-69 years, male 36.5
GTEX-1I1GT-0126-SM-B2LWM 60-69 years, female 36.5
GTEX-145LT-0126-SM-5S2QJ 40-49 years, male 36.4
GTEX-14PJ6-0126-SM-686Z5 60-69 years, female 36.4
GTEX-18D9B-1926-SM-7KFSV 60-69 years, male 36.4
GTEX-UJMC-0226-SM-4IHLH 50-59 years, male 36.4
GTEX-YFCO-0126-SM-4W1YT 40-49 years, male 36.2
GTEX-1399S-0426-SM-5IFG5 30-39 years, female 36.1
GTEX-1I1GU-0226-SM-AHZ2J 40-49 years, male 36.1
GTEX-WYVS-0226-SM-4ONDK 40-49 years, female 36.0
GTEX-ZLWG-0126-SM-4WWC5 50-59 years, female 36.0
GTEX-12696-0626-SM-5EGGD 60-69 years, male 35.9
GTEX-1399U-0226-SM-5P9J2 50-59 years, female 35.9
GTEX-R55C-0226-SM-48FEO 40-49 years, male 35.8
GTEX-S3XE-0126-SM-4AD4R 50-59 years, male 35.8
GTEX-P4QS-1326-SM-3NMCD 60-69 years, male 35.7
GTEX-XV7Q-0226-SM-4BRVL 40-49 years, female 35.6
GTEX-ZEX8-0626-SM-DO118 50-59 years, male 35.5
GTEX-131XG-1326-SM-5DUX4 50-59 years, female 35.3
GTEX-1A3MV-0226-SM-731FS 30-39 years, male 35.3
GTEX-S4Q7-0226-SM-4AD5O 20-29 years, male 35.3
GTEX-1LGRB-0326-SM-CNPQC 50-59 years, female 35.3
GTEX-13QBU-0526-SM-5IJFE 40-49 years, female 35.1
GTEX-14PN3-1426-SM-686Z8 60-69 years, female 35.0
GTEX-P4QT-1326-SM-3NMD3 50-59 years, female 35.0
GTEX-1NUQO-0626-SM-E6CQT 20-29 years, female 35.0
GTEX-1JKYN-0126-SM-AHZ4C 30-39 years, male 34.9
GTEX-14H4A-0226-SM-5SI6Q 40-49 years, female 34.8
GTEX-XUZC-0226-SM-4BOO7 30-39 years, female 34.8
GTEX-1QPFJ-2526-SM-EXOJX 30-39 years, female 34.8
GTEX-T6MO-0126-SM-4DM6X 40-49 years, female 34.7
GTEX-SUCS-0526-SM-4DM56 70-79 years, male 34.6
GTEX-1QP2A-2626-SM-EAZ3L 50-59 years, male 34.6
GTEX-13OVI-1226-SM-5J2ME 60-69 years, female 34.5
GTEX-14E1K-0626-SM-5S2PG 50-59 years, male 34.5
GTEX-132QS-0126-SM-5IFH9 60-69 years, male 34.4
GTEX-RWSA-1726-SM-47JX7 40-49 years, male 34.4
GTEX-13W3W-1326-SM-5LU4T 60-69 years, female 34.3
GTEX-OXRK-0126-SM-3NB1E 50-59 years, female 34.3
GTEX-1AX9K-0126-SM-7PC1B 50-59 years, male 34.2
GTEX-13FTW-0126-SM-5IJED 40-49 years, male 34.1
GTEX-OIZH-1326-SM-3NB1H 50-59 years, male 34.0
GTEX-12WSJ-0126-SM-5GCOM 40-49 years, female 33.8
GTEX-11EM3-0326-SM-5A5KJ 20-29 years, female 33.7
GTEX-1S82P-1126-SM-EV79M 60-69 years, female 33.7
GTEX-ZYFG-0926-SM-5BC5U 60-69 years, female 33.6
GTEX-14BMU-0126-SM-5S2Q9 20-29 years, female 33.4
GTEX-12BJ1-0526-SM-5FQUD 60-69 years, male 33.3
GTEX-145MN-0226-SM-5QGPY 30-39 years, male 33.3
GTEX-OIZF-1326-SM-3MJGU 60-69 years, male 33.3
GTEX-V955-0126-SM-4JBH5 60-69 years, male 33.2
GTEX-1211K-0126-SM-59HJE 60-69 years, female 33.1
GTEX-ZPCL-0826-SM-DNZZ7 60-69 years, female 33.0
GTEX-OOBK-3125-SM-3LK5R 40-49 years, male 32.9
GTEX-1I1GP-1826-SM-C1YS1 50-59 years, male 32.9
GTEX-13PVR-0226-SM-5RQJI 60-69 years, female 32.8
GTEX-OHPL-1326-SM-3MJGG 60-69 years, female 32.8
GTEX-1QMI2-1926-SM-EAZ4B 60-69 years, male 32.8
GTEX-15CHR-0626-SM-7938V 50-59 years, male 32.7
GTEX-WY7C-0326-SM-4OND5 50-59 years, male 32.7
GTEX-ZVT2-0826-SM-5GIEO 50-59 years, female 32.7
GTEX-OHPK-1326-SM-3MJGN 50-59 years, female 32.6
GTEX-U4B1-0126-SM-4DXSN 40-49 years, male 32.6
GTEX-RM2N-0126-SM-48FDD 50-59 years, male 32.5
GTEX-17HHE-0226-SM-79399 50-59 years, male 32.4
GTEX-17KNJ-0326-SM-7KFS5 50-59 years, male 32.4
GTEX-PX3G-1326-SM-48U18 20-29 years, female 32.4
GTEX-YF7O-0126-SM-5IFIR 50-59 years, male 32.2
GTEX-ZTSS-0326-SM-5987M 40-49 years, male 32.2
GTEX-14PKV-0726-SM-686ZF 20-29 years, female 32.1
GTEX-W5WG-1126-SM-4LMK4 50-59 years, female 32.1
GTEX-11P7K-0126-SM-5986E 30-39 years, male 32.0
GTEX-16MT8-1626-SM-7EWDW 60-69 years, female 32.0
GTEX-139YR-0126-SM-5IJEY 50-59 years, male 31.9
GTEX-13D11-0426-SM-5LZYA 50-59 years, female 31.9
GTEX-PWCY-0226-SM-48TD8 20-29 years, female 31.8
GTEX-ZF2S-0126-SM-4WKFO 50-59 years, female 31.8
GTEX-1122O-0326-SM-5H124 60-69 years, female 31.6
GTEX-Y3IK-0226-SM-51MRJ 50-59 years, female 31.6
GTEX-Y5LM-0126-SM-4VBRL 40-49 years, female 31.5
GTEX-ZLV1-0226-SM-4WWC1 60-69 years, female 31.5
GTEX-1CAMR-0126-SM-79391 20-29 years, male 31.2
GTEX-QLQW-0226-SM-447BJ 30-39 years, male 31.2
GTEX-11TT1-0126-SM-5LUAA 20-29 years, male 31.1
GTEX-WHPG-1526-SM-4M1ZK 50-59 years, male 31.1
GTEX-1AX9J-0626-SM-72D7L 60-69 years, male 31.0
GTEX-X4LF-0126-SM-4QAS7 50-59 years, male 31.0
GTEX-1IDJU-0126-SM-CNNR2 60-69 years, female 31.0
GTEX-ZLFU-0826-SM-4WWBP 40-49 years, male 30.9
GTEX-1KXAM-0326-SM-EV7AQ 60-69 years, male 30.9
GTEX-11XUK-0126-SM-5CVLK 40-49 years, female 30.0
GTEX-1H11D-2426-SM-9JGGN 40-49 years, male 30.0
GTEX-1H1E6-1026-SM-9JGFZ 30-39 years, male 29.9
GTEX-13FH7-0226-SM-5IFGG 50-59 years, female 29.8
GTEX-14A5H-2126-SM-7IGNV 60-69 years, male 29.7
GTEX-XYKS-0926-SM-4BRVG 60-69 years, female 29.7
GTEX-QLQ7-0126-SM-CL55R 60-69 years, male 29.6
GTEX-14XAO-0326-SM-6ETZN 60-69 years, female 29.4
GTEX-U3ZN-0826-SM-4DXSZ 30-39 years, female 29.3
GTEX-R55G-0126-SM-48FDS 40-49 years, female 29.2
GTEX-ZVP2-0126-SM-5NQ7D 50-59 years, male 28.8
GTEX-Y114-0526-SM-4TT8V 50-59 years, female 28.5
GTEX-QXCU-1326-SM-48FE2 50-59 years, male 28.4
GTEX-S32W-0126-SM-4AD61 50-59 years, female 28.3
GTEX-1AMFI-0626-SM-731DR 50-59 years, female 28.1
GTEX-1B8KE-0926-SM-7189I 50-59 years, male 27.8
GTEX-1F5PL-2326-SM-7MKFC 40-49 years, female 27.8
GTEX-14E6E-0126-SM-73KXH 30-39 years, male 27.7
GTEX-1H3VY-1826-SM-9JGI4 50-59 years, male 27.6
GTEX-11DXX-0126-SM-5EGH7 60-69 years, female 27.4
GTEX-16AAH-0226-SM-793A8 50-59 years, male 27.4
GTEX-Y9LG-0126-SM-5Q59W 30-39 years, male 27.0
GTEX-1PWST-2126-SM-DPRZ5 70-79 years, male 26.8
GTEX-ZY6K-0126-SM-5SIAM 50-59 years, male 25.8
GTEX-1GN73-1526-SM-9WPP1 60-69 years, male 25.6
GTEX-1CAMS-0226-SM-79397 40-49 years, female 25.4
GTEX-R53T-0226-SM-48FEH 50-59 years, female 25.0
GTEX-1C475-0126-SM-731DC 40-49 years, female 24.7
GTEX-132AR-1726-SM-5EGHQ 50-59 years, female 22.3
GTEX-ZT9W-0126-SM-4YCFD 50-59 years, male 21.2
GTEX-RUSQ-0226-SM-47JWT 50-59 years, male 20.5
Show allShow less

Contact

  • NEWS ARTICLES
  • PRESS ROOM

The Project

  • INTRODUCTION
  • ORGANIZATION
  • PUBLICATIONS

The Human Protein Atlas

  • DOWNLOADABLE DATA
  • LICENCE & CITATION
  • HELP & FAQ
The Human Protein Atlas project is funded
by the Knut & Alice Wallenberg Foundation.


contact@proteinatlas.org