We use cookies to enhance the usability of our website. If you continue, we'll assume that you are happy to receive all cookies. More information. Don't show this again.
MRPL38
HPA
RESOURCES
  • TISSUE
  • BRAIN
  • SINGLE CELL
  • SUBCELLULAR
  • CANCER
  • BLOOD
  • CELL LINE
  • STRUCTURE & INTERACTION
ABOUT
  • INTRODUCTION
  • HISTORY
  • ORGANIZATION
  • PUBLICATIONS
  • ANTIBODY SUBMISSION
  • ANTIBODY AVAILABILITY
  • ACKNOWLEDGMENTS
  • CONTACT
NEWS
  • NEWS ARTICLES
  • PRESS ROOM
LEARN
  • DICTIONARY
  • PROTEIN CLASSES
  • PROTEIN EVIDENCE
  • METHODS
  • EDUCATIONAL VIDEOS
DATA
  • DOWNLOADABLE DATA
  • PUBLICATION DATA
  • RELEASE HISTORY
HELP
  • ANTIBODY VALIDATION
  • ASSAYS & ANNOTATION
  • DISCLAIMER
  • HELP & FAQ
  • PRIVACY STATEMENT
  • LICENCE & CITATION
Fields »
Search result

Field
Term
Gene name
Class
Subclass
Class
Keyword
Chromosome
External id
Tissue
Cell type
Expression
Antibody panel
Tissue
Main location
Patient ID
Annotation
Tissue
Category
Tau score
Cluster
Reliability
Brain region
Category
Tau score
Brain region
Category
Tau score
Brain region
Category
Tau score
Cluster
Reliability
Tissue
Cell type
Enrichment
Cell type
Category
Tau score
Cell type
Category
Tau score
Cell type
Category
Tau score
Cell lineage
Category
Tau score
Cluster
Cluster
Location
Searches
Location
Cell line
Class
Type
Phase
Reliability
Cancer
Prognosis
Cancer
Category
Cancer
Category
Tau score
Cluster
Variants
Interacting gene (ensg_id)
Type
Number of interactions
Pathway
Category
Score
Score
Score
Validation
Validation
Validation
Validation
Antibodies
Data type
Column


  • SUMMARY

  • TISSUE

  • BRAIN

  • SINGLE CELL

  • SUBCELL

  • CANCER

  • BLOOD

  • CELL LINE

  • STRUCT & INT

  • MRPL38
TISSUE PRIMARY DATA SKIN Show tissue menu
ADIPOSE TISSUE ADRENAL GLAND AMYGDALA APPENDIX BASAL GANGLIA BONE MARROW BREAST BRONCHUS CEREBELLUM CEREBRAL CORTEX CERVIX CHOROID PLEXUS COLON DUODENUM
ENDOMETRIUM EPIDIDYMIS ESOPHAGUS FALLOPIAN TUBE GALLBLADDER HEART MUSCLE HIPPOCAMPAL FORMATION HYPOTHALAMUS KIDNEY LIVER LUNG LYMPH NODE MIDBRAIN NASOPHARYNX
ORAL MUCOSA OVARY PANCREAS PARATHYROID GLAND PITUITARY GLAND PLACENTA PROSTATE RECTUM RETINA SALIVARY GLAND SEMINAL VESICLE SKELETAL MUSCLE SKIN SMALL INTESTINE
SMOOTH MUSCLE SOFT TISSUE SPINAL CORD SPLEEN STOMACH TESTIS THYMUS THYROID GLAND TONGUE TONSIL URINARY BLADDER VAGINA
ANTIBODIES
AND
VALIDATION
Dictionary
Skin
Tissue proteome
Skin
SKIN - Expression summary
Protein expression
Skini

On the top, protein expression in current human tissue, based on all annotated cell types, is reported with the units not detected (n), low (l), medium (m) and high (h). Underneath, protein expression in each annotated cell type are reported using the same units.

Protein expression data is based on knowledge-based annotation. For genes where more than one antibody has been used, a collective score is set.

If knowledge-based annotation could not be performed for a gene, no data is displayed here. View antibody staining data further down this page.

h
m
l
n
Epidermal cells: Medium
Fibroblasts: Low
Keratinocytes: Low
Langerhans: Not detected
Melanocytes: Medium
RNA expressioni

A summary of mRNA expression data available for current tissue based on several datasets. The mRNA expression levels in human tissues are based on RNA-seq data generated by the Human Protein Atlas (HPA), Genotype-Tissue Expression (GTEx) portal and CAGE data generated by the FANTOM5 consortium. Consensus normalized expression levels for human tissues was created by combining the data from HPA and GTEx datasets.

The mRNA expression levels in pig are based on RNA-seq data generated by the Human Protein Atlas (HPA), and for mouse, HPA data and in situ hybridization generated by the Allen brain atlas are reported.

Scroll down to view mRNA expression data in more detail.
Consensus:26.1 nTPM
HPA:23.9 nTPM
GTEx:26.1 nTPM

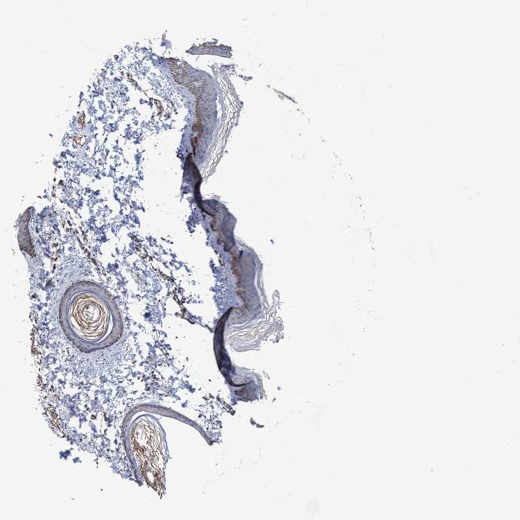
SKIN 1 - Antibody stainingi

Antibody staining in the annotated cell types in the current human tissue is reported as not detected, low, medium, or high, based on conventional immunohistochemistry profiling in selected tissues. This score is based on the combination of the staining intensity and fraction of stained cells.

Each image is clickable and will lead to virtual microscopy that enables deeper exploration of all samples and also displays staining intensity scores, fraction scores and subcellular localization as well as patient and tissue information for each sample.

Antibody HPA023054Antibody HPA023135
Langerhans LowNot detected
Fibroblasts MediumLow
Keratinocytes MediumLow
Melanocytes MediumMedium




SKIN 2 - Antibody stainingi

Antibody staining in the annotated cell types in the current human tissue is reported as not detected, low, medium, or high, based on conventional immunohistochemistry profiling in selected tissues. This score is based on the combination of the staining intensity and fraction of stained cells.

Each image is clickable and will lead to virtual microscopy that enables deeper exploration of all samples and also displays staining intensity scores, fraction scores and subcellular localization as well as patient and tissue information for each sample.

Antibody HPA023054Antibody HPA023135
Epidermal cells HighMedium
  
  
  




SKIN - HPA RNA-seqi

The RNA-seq details section shows detailed information about the individual samples used for the transcript profiling and results of the RNA-seq analysis.

Information about each individual sample is listed below, including gender, age, a tissue section image and estimated fractions of cell types. nTPM (normalized transcripts per million) values give a quantification of the gene abundance which is comparable between different genes and samples.
Average nTPMi

Max subtype nTPM is the value for the subtype with the largest average nTPM across the subtype samples.

23.9
overview
Female, age 34
Skin sample 225
nTPM: 21.9
Cell types%
Keratinocytes:
60

Other cell types:
40

overview
Female, age 30
Skin sample 226
nTPM: 13.4
Cell types%
Keratinocytes:
55

Other cell types:
45

N/A
Male, age 57
Skin sample 227
nTPM: 36.5

SKIN - GTEx RNA-seqi

RNA-Seq data generated by the Genotype-Tissue Expression (GTEx) project from human tissues is reported as mean nTPM. More information can be found on the GTEx portal.

Distribution across the dataset is visualized with box plots, shown as median and 25th and 75th percentiles. Points are displayed as outliers if they are above or below 1.5 times the interquartile range. nTPM values of the individual samples are presented next to the box plot.
Max subtype nTPMi

Max subtype nTPM is the value for the subtype with the largest average nTPM across the subtype samples.

26.1
GTEx sample id Sample description nTPM
Skin - Not Sun Exposed (Suprapubic)
Average nTPM: 26.1
Samples: 604

Max nTPM: 62.5
Min nTPM: 14.8
Std nTPM: 6.4
Median nTPM: 25.0
GTEX-Y114-2126-SM-4TT8B 50-59 years, female 62.5
GTEX-1OJC3-1226-SM-DTXER 20-29 years, male 60.7
GTEX-1N2DV-1526-SM-DTXEP 40-49 years, male 54.8
GTEX-WFG7-2026-SM-5SI7P 20-29 years, male 53.5
GTEX-X585-2426-SM-46MW2 50-59 years, male 51.6
GTEX-1PIGE-1826-SM-E8VOU 20-29 years, male 49.5
GTEX-17F97-2626-SM-7IGM5 50-59 years, male 48.5
GTEX-1IKOE-1426-SM-CE6T7 30-39 years, female 48.5
GTEX-15RIG-0726-SM-7KUM7 40-49 years, male 48.0
GTEX-14PJ3-1126-SM-5ZZVX 50-59 years, male 46.3
GTEX-ZTX8-1326-SM-4YCEL 20-29 years, male 45.8
GTEX-XBEW-1126-SM-4QARW 40-49 years, male 45.2
GTEX-15G19-2426-SM-7KUMR 60-69 years, male 44.9
GTEX-15RIE-1926-SM-7KUKJ 60-69 years, male 43.2
GTEX-1399Q-2326-SM-5KM2X 40-49 years, male 42.5
GTEX-1HSMP-0926-SM-A9SKX 70-79 years, male 42.3
GTEX-Y111-0626-SM-4SOIT 50-59 years, male 41.9
GTEX-147F4-0726-SM-5TDDD 50-59 years, male 41.4
GTEX-1E2YA-2126-SM-7MXUO 50-59 years, male 41.0
GTEX-Y5V6-2326-SM-4VDSA 60-69 years, male 40.8
GTEX-11DYG-1526-SM-5A5JS 60-69 years, male 40.6
GTEX-1PPH8-0126-SM-EWRN8 20-29 years, male 39.2
GTEX-13JVG-0726-SM-5KM16 60-69 years, male 39.0
GTEX-14PHY-1226-SM-5ZZWK 60-69 years, female 38.9
GTEX-YFCO-1226-SM-5LUAT 40-49 years, male 38.8
GTEX-12WSJ-1126-SM-5LZVJ 40-49 years, female 38.5
GTEX-WHSB-1326-SM-3LK6W 50-59 years, male 38.5
GTEX-1QP9N-1226-SM-E76QN 30-39 years, male 38.3
GTEX-ZF3C-0626-SM-DO92O 50-59 years, female 38.2
GTEX-YB5K-2026-SM-4VDT3 40-49 years, female 38.0
GTEX-11PRG-0726-SM-5EGL1 50-59 years, male 37.7
GTEX-131XH-0126-SM-5LZUY 50-59 years, male 37.5
GTEX-11DXX-2126-SM-5PNYR 60-69 years, female 37.3
GTEX-1HSMQ-2626-SM-A9SML 50-59 years, male 37.1
GTEX-1F6I4-2326-SM-7RHGL 60-69 years, male 37.0
GTEX-1JMLX-0626-SM-ARL8T 50-59 years, male 37.0
GTEX-YEC4-1826-SM-4W1YP 40-49 years, male 36.7
GTEX-131XG-0326-SM-5L3DX 50-59 years, female 36.6
GTEX-WXYG-2026-SM-4E3IY 50-59 years, female 36.2
GTEX-11OF3-0126-SM-5PNYF 60-69 years, male 36.0
GTEX-11WQC-1826-SM-5GU59 60-69 years, male 35.9
GTEX-ZLFU-1826-SM-4WWBV 40-49 years, male 35.8
GTEX-15RJ7-2126-SM-6PAMD 40-49 years, male 35.6
GTEX-11P7K-1126-SM-5HL4L 30-39 years, male 35.4
GTEX-12126-0826-SM-5FQTZ 20-29 years, male 35.4
GTEX-12WSH-1526-SM-5BC5W 50-59 years, male 35.3
GTEX-13FTX-1526-SM-5K7VJ 20-29 years, female 35.2
GTEX-ZYW4-0626-SM-59HJR 60-69 years, male 35.1
GTEX-1R9PN-0426-SM-DTXDT 40-49 years, female 35.1
GTEX-14E1K-2026-SM-7DUEI 50-59 years, male 34.9
GTEX-14ICL-1626-SM-5YYAO 30-39 years, male 34.9
GTEX-13NYB-0126-SM-5J1MD 40-49 years, male 34.8
GTEX-11P82-1426-SM-DTXFY 20-29 years, male 34.3
GTEX-1MCYP-0526-SM-E9U6Q 20-29 years, female 34.2
GTEX-1MJK3-0726-SM-E6CJC 20-29 years, male 34.2
GTEX-16YQH-2226-SM-7IGM2 30-39 years, male 34.1
GTEX-15G1A-1626-SM-7KUKN 30-39 years, male 34.0
GTEX-16AAH-0626-SM-793C9 50-59 years, male 33.9
GTEX-Y8E4-2026-SM-5IFJB 40-49 years, male 33.9
GTEX-WI4N-2726-SM-3LK7Y 40-49 years, female 33.8
GTEX-ZT9X-1526-SM-5DUXD 40-49 years, male 33.8
GTEX-11WQK-1026-SM-5EQLX 50-59 years, male 33.5
GTEX-1J8EW-2726-SM-CY8HR 60-69 years, female 33.5
GTEX-14A5H-0826-SM-5QGPJ 60-69 years, male 33.4
GTEX-1F75I-2226-SM-7SB8U 40-49 years, male 33.4
GTEX-1H3O1-1326-SM-9MQLD 60-69 years, male 33.4
GTEX-YEC3-1326-SM-DO92X 50-59 years, male 33.4
GTEX-13NYS-0626-SM-5L3F1 60-69 years, male 33.3
GTEX-ZPCL-1126-SM-4WWFE 60-69 years, female 33.2
GTEX-14C38-0726-SM-5SI6M 50-59 years, male 33.1
GTEX-1192X-2726-SM-5N9DN 50-59 years, male 32.9
GTEX-13IVO-0726-SM-5LZYV 70-79 years, male 32.9
GTEX-17F98-1326-SM-7DUEP 40-49 years, female 32.9
GTEX-WHWD-1826-SM-3LK6I 50-59 years, male 32.9
GTEX-14PJO-2526-SM-6AJBQ 60-69 years, male 32.8
GTEX-17F9E-2326-SM-79OKD 50-59 years, male 32.8
GTEX-Y3I4-1726-SM-4TT89 50-59 years, male 32.8
GTEX-ZE7O-2726-SM-51MT5 50-59 years, female 32.8
GTEX-18QFQ-1826-SM-72D52 30-39 years, male 32.7
GTEX-WH7G-2026-SM-3NMBL 40-49 years, male 32.7
GTEX-1NV5F-0626-SM-DTXEG 60-69 years, female 32.7
GTEX-XQ3S-1426-SM-4BOPR 20-29 years, male 32.5
GTEX-1JJEA-1826-SM-ARU8P 60-69 years, male 32.5
GTEX-13G51-1826-SM-5KLZH 60-69 years, male 32.4
GTEX-XOT4-0626-SM-4B66L 60-69 years, female 32.1
GTEX-1LSVX-2526-SM-DIPEU 60-69 years, male 32.1
GTEX-1QCLY-0226-SM-EWRNH 30-39 years, male 32.1
GTEX-ZYT6-2326-SM-5GZY3 30-39 years, male 32.0
GTEX-15DYW-2726-SM-6EU2I 60-69 years, female 31.9
GTEX-ZVP2-0326-SM-57WBP 50-59 years, male 31.8
GTEX-16MTA-0926-SM-6M47Z 50-59 years, male 31.6
GTEX-ZPU1-1126-SM-4YCF3 40-49 years, male 31.6
GTEX-YECK-0326-SM-4W1YS 60-69 years, male 31.5
GTEX-1F5PK-2226-SM-7SB6N 50-59 years, male 31.5
GTEX-11ZU8-0126-SM-5EQ58 60-69 years, male 31.4
GTEX-139TS-2126-SM-5K7XC 60-69 years, male 31.4
GTEX-139UW-0326-SM-5J1ML 60-69 years, male 31.4
GTEX-1HGF4-0126-SM-CNPPX 60-69 years, male 31.3
GTEX-145MH-2826-SM-5RQJF 50-59 years, male 31.2
GTEX-15CHR-1126-SM-7EWF4 50-59 years, male 31.2
GTEX-ZF29-0926-SM-4WKFZ 60-69 years, female 31.2
GTEX-1CAMR-1326-SM-7PC1F 20-29 years, male 31.2
GTEX-ZTTD-2826-SM-4YCFA 50-59 years, male 31.1
GTEX-1JN76-0626-SM-CKZOQ 20-29 years, female 31.0
GTEX-1CAMS-2226-SM-7PBXQ 40-49 years, female 30.9
GTEX-14C39-1726-SM-5RQIL 40-49 years, male 30.8
GTEX-XXEK-1626-SM-4BRUZ 50-59 years, male 30.8
GTEX-1S82P-2126-SM-E6CI5 60-69 years, female 30.8
GTEX-1313W-0626-SM-5EQ4H 50-59 years, female 30.7
GTEX-18A67-1626-SM-7LT9T 50-59 years, male 30.7
GTEX-ZC5H-1526-SM-5HL9Y 40-49 years, female 30.7
GTEX-1LBAC-0826-SM-CY8IJ 20-29 years, male 30.7
GTEX-1AYD5-2626-SM-7PBXY 50-59 years, male 30.6
GTEX-1IKJJ-2226-SM-CJI4C 60-69 years, male 30.6
GTEX-17F96-0126-SM-7EWDU 70-79 years, male 30.5
GTEX-15DDE-2926-SM-6LLJ3 50-59 years, female 30.4
GTEX-144GO-2026-SM-5O99P 60-69 years, male 30.3
GTEX-1I1GU-0926-SM-ACKVS 40-49 years, male 30.3
GTEX-13112-0126-SM-5P9IU 50-59 years, male 30.2
GTEX-1H3VE-0726-SM-9YFL5 40-49 years, male 30.2
GTEX-1LVAN-0626-SM-CNPOQ 50-59 years, female 30.2
GTEX-14PII-0726-SM-6EU2B 60-69 years, male 30.1
GTEX-Y8LW-1526-SM-5IFHL 50-59 years, female 30.1
GTEX-1R9K4-2826-SM-DTX8F 60-69 years, male 30.1
GTEX-13RTJ-0126-SM-5S2NN 60-69 years, male 30.0
GTEX-ZDTS-0826-SM-4WKHL 60-69 years, male 30.0
GTEX-15SHW-0226-SM-7LTAT 60-69 years, male 29.9
GTEX-1KAFJ-0126-SM-DIPEK 50-59 years, male 29.8
GTEX-13D11-0926-SM-5J2NC 50-59 years, female 29.7
GTEX-XYKS-1426-SM-4BRUO 60-69 years, female 29.7
GTEX-1RAZA-2226-SM-E9U4X 20-29 years, male 29.7
GTEX-1PIIG-2326-SM-DTXFR 30-39 years, male 29.6
GTEX-131XF-2626-SM-5EQ6K 60-69 years, male 29.5
GTEX-15SKB-2826-SM-6PAMH 60-69 years, male 29.5
GTEX-ZDTT-0426-SM-4WKFL 60-69 years, male 29.5
GTEX-1C64O-1326-SM-7MGWR 60-69 years, male 29.5
GTEX-117YX-1926-SM-5GIEC 50-59 years, male 29.4
GTEX-1EX96-1026-SM-7MKG2 50-59 years, male 29.4
GTEX-13O61-1426-SM-5KM3D 60-69 years, male 29.3
GTEX-1H11D-1826-SM-9QEHM 40-49 years, male 29.3
GTEX-144FL-0626-SM-5LU43 50-59 years, male 29.2
GTEX-14753-0726-SM-5QGQO 60-69 years, male 29.2
GTEX-148VJ-0626-SM-5LUAW 70-79 years, male 29.2
GTEX-1497J-0226-SM-5QGPU 60-69 years, male 29.2
GTEX-14PJ5-1526-SM-6LLIL 60-69 years, female 29.2
GTEX-17F9Y-0126-SM-79OKX 70-79 years, female 29.2
GTEX-ZVZP-1226-SM-5GID7 50-59 years, male 29.2
GTEX-13OVG-1626-SM-5J1NF 60-69 years, male 29.1
GTEX-16MT9-0126-SM-7EPI8 60-69 years, female 29.1
GTEX-13OW6-2726-SM-5J2OE 50-59 years, male 29.0
GTEX-1CB4E-0926-SM-7EPHT 60-69 years, male 29.0
GTEX-X5EB-1926-SM-4E3IW 40-49 years, male 29.0
GTEX-1PPGY-1626-SM-EVYBL 60-69 years, male 29.0
GTEX-145MG-1526-SM-5Q5EM 50-59 years, male 28.9
GTEX-14PHX-2226-SM-6EU2P 50-59 years, male 28.8
GTEX-1LVA9-2626-SM-EVYD4 50-59 years, male 28.8
GTEX-18D9B-0926-SM-7LG4U 60-69 years, male 28.7
GTEX-18D9U-0126-SM-731BM 40-49 years, male 28.7
GTEX-11P81-2226-SM-5PNYI 30-39 years, female 28.6
GTEX-14PJN-1826-SM-6AJ98 30-39 years, male 28.5
GTEX-16BQI-1326-SM-6M486 30-39 years, female 28.5
GTEX-1122O-1026-SM-9WYSF 60-69 years, female 28.5
GTEX-12ZZX-2426-SM-5GCOE 40-49 years, female 28.4
GTEX-147GR-2426-SM-5ZZWQ 60-69 years, male 28.4
GTEX-ZA64-1026-SM-5HL8R 20-29 years, male 28.4
GTEX-1JMQK-1226-SM-D4P2S 60-69 years, male 28.4
GTEX-1GN1V-2826-SM-9JGIA 60-69 years, male 28.3
GTEX-1QAET-0326-SM-EVR3U 50-59 years, male 28.3
GTEX-1RMOY-1326-SM-E9TIH 50-59 years, male 28.3
GTEX-14LZ3-0126-SM-69LPM 60-69 years, female 28.2
GTEX-1E1VI-0326-SM-793D1 50-59 years, male 28.2
GTEX-Y9LG-1126-SM-4VBQ7 30-39 years, male 28.2
GTEX-ZDYS-2426-SM-4WKGI 50-59 years, male 28.2
GTEX-1JMQJ-0826-SM-CNPP7 50-59 years, male 28.2
GTEX-111YS-1526-SM-5GZYW 60-69 years, male 28.1
GTEX-18A6Q-0626-SM-7KFRP 60-69 years, male 28.1
GTEX-ZZ64-1026-SM-5GZXG 20-29 years, male 28.1
GTEX-1S3DN-2126-SM-E9TIN 50-59 years, male 28.1
GTEX-13X6H-0926-SM-5SIB2 50-59 years, female 28.0
GTEX-1C6WA-2626-SM-7MKGM 60-69 years, male 27.9
GTEX-1IL2V-1926-SM-B2LW8 70-79 years, male 27.9
GTEX-1CAMQ-1326-SM-7P8RV 40-49 years, male 27.8
GTEX-1GPI7-1826-SM-9KNU1 20-29 years, male 27.8
GTEX-1LVAM-0726-SM-E6CIL 50-59 years, female 27.8
GTEX-1PBJJ-1026-SM-E76OS 30-39 years, male 27.8
GTEX-1399S-0126-SM-5IJCF 30-39 years, female 27.7
GTEX-13FTY-2126-SM-5IFFB 40-49 years, female 27.7
GTEX-ZYFG-1526-SM-5GZYM 60-69 years, female 27.7
GTEX-1NSGN-0726-SM-DTXEF 50-59 years, male 27.7
GTEX-12WSD-0626-SM-5GCMW 60-69 years, female 27.6
GTEX-139D8-1126-SM-5LU8W 30-39 years, female 27.6
GTEX-14XAO-1226-SM-6EU1C 60-69 years, female 27.6
GTEX-1AX9I-2226-SM-73KUO 60-69 years, male 27.6
GTEX-1JKYR-0626-SM-ARL8R 20-29 years, male 27.6
GTEX-1JMQI-1726-SM-ARL93 50-59 years, male 27.6
GTEX-1LSNM-0826-SM-DIPG8 50-59 years, male 27.6
GTEX-11DXZ-2026-SM-5987S 50-59 years, male 27.5
GTEX-139TU-0726-SM-5L3EK 60-69 years, male 27.5
GTEX-VUSG-2326-SM-4KL1U 50-59 years, male 27.5
GTEX-11VI4-1126-SM-5EQMD 40-49 years, female 27.4
GTEX-14AS3-1526-SM-5Q5ED 40-49 years, female 27.4
GTEX-U8XE-0226-SM-4E3J3 30-39 years, male 27.4
GTEX-XK95-0226-SM-4AT58 40-49 years, male 27.4
GTEX-1C64N-2626-SM-7PC2N 50-59 years, male 27.4
GTEX-1LGRB-0926-SM-COH3K 50-59 years, female 27.4
GTEX-1R9PM-1926-SM-EVR3O 20-29 years, male 27.4
GTEX-11TUW-0626-SM-5LU9M 60-69 years, male 27.3
GTEX-1HCU6-2526-SM-ADEHL 60-69 years, female 27.3
GTEX-1KD5A-0126-SM-E9U54 50-59 years, male 27.3
GTEX-1399U-1126-SM-5L3DB 50-59 years, female 27.2
GTEX-1N2EE-0626-SM-E76PW 60-69 years, male 27.2
GTEX-1S82U-1026-SM-E6CJK 30-39 years, female 27.2
GTEX-X4EO-2926-SM-4E3JH 60-69 years, female 27.1
GTEX-1HB9E-0126-SM-CM2S5 50-59 years, male 27.1
GTEX-1I19N-0126-SM-CYPSF 70-79 years, male 27.0
GTEX-1JMPY-0226-SM-CKZOK 30-39 years, male 27.0
GTEX-1QW4Y-1126-SM-DTXE3 30-39 years, male 27.0
GTEX-14E6E-0526-SM-793DN 30-39 years, male 26.9
GTEX-14LLW-2626-SM-62LDZ 70-79 years, female 26.9
GTEX-14PK6-0226-SM-62LF5 70-79 years, female 26.9
GTEX-18A66-0626-SM-7LT8Z 60-69 years, male 26.9
GTEX-ZWKS-0626-SM-5GIDV 30-39 years, male 26.9
GTEX-W5X1-2526-SM-3GILC 40-49 years, female 26.8
GTEX-1KANB-2826-SM-CY8I6 50-59 years, male 26.8
GTEX-1F75A-0726-SM-7RHHD 50-59 years, male 26.7
GTEX-1JK1U-0226-SM-ARZMX 60-69 years, male 26.7
GTEX-1QP28-1126-SM-EVYC4 50-59 years, female 26.7
GTEX-17HHE-1326-SM-7EWDZ 50-59 years, male 26.6
GTEX-17KNJ-2126-SM-718AM 50-59 years, male 26.6
GTEX-1H1CY-0126-SM-9YFLY 60-69 years, female 26.6
GTEX-1H1DG-2426-SM-9QEHJ 70-79 years, male 26.6
GTEX-1HC8U-1326-SM-9YFMJ 40-49 years, female 26.6
GTEX-11NSD-0626-SM-5A5LU 20-29 years, male 26.5
GTEX-139YR-1026-SM-5LZYN 50-59 years, male 26.5
GTEX-13O3Q-0126-SM-5KM34 50-59 years, male 26.5
GTEX-WEY5-2326-SM-3GIKK 40-49 years, female 26.5
GTEX-14JFF-0626-SM-5ZZVT 60-69 years, male 26.5
GTEX-1QP2A-1726-SM-E76QC 50-59 years, male 26.5
GTEX-13FTW-0326-SM-5K7UW 40-49 years, male 26.4
GTEX-145MN-1526-SM-5SI9T 30-39 years, male 26.4
GTEX-Y5LM-0926-SM-6LLJG 40-49 years, female 26.4
GTEX-ZF2S-1626-SM-57WES 50-59 years, female 26.4
GTEX-1I6K7-1926-SM-B2LXR 40-49 years, male 26.4
GTEX-1IY9M-2826-SM-ARU8H 60-69 years, male 26.4
GTEX-11NUK-2726-SM-5A5MC 50-59 years, male 26.3
GTEX-139TT-2126-SM-5LZWC 60-69 years, male 26.3
GTEX-145LT-0526-SM-5LUB2 40-49 years, male 26.3
GTEX-UPK5-0426-SM-3GAEK 40-49 years, male 26.3
GTEX-XQ8I-0926-SM-4BOOF 50-59 years, male 26.2
GTEX-1H2FU-0926-SM-9WPPT 60-69 years, female 26.2
GTEX-1I1GV-0626-SM-ARL7M 60-69 years, male 26.2
GTEX-12ZZY-0726-SM-5EQ66 60-69 years, male 26.1
GTEX-13NZ8-1226-SM-5KM4A 60-69 years, female 26.1
GTEX-13YAN-0226-SM-5TDC6 60-69 years, male 26.1
GTEX-15RJE-2826-SM-7KUM9 40-49 years, male 26.1
GTEX-16NPX-0726-SM-7KULC 50-59 years, male 26.1
GTEX-1A3MV-1826-SM-731CD 30-39 years, male 26.1
GTEX-1EN7A-2426-SM-793DB 40-49 years, male 26.1
GTEX-ZAK1-0626-SM-5HL8E 50-59 years, female 26.1
GTEX-ZDXO-3126-SM-5IJDF 60-69 years, male 26.1
GTEX-1H1ZS-2726-SM-9WG75 70-79 years, male 26.1
GTEX-12WSL-2026-SM-5GCML 50-59 years, male 26.0
GTEX-16MT8-2926-SM-7DUFO 60-69 years, female 26.0
GTEX-1B97I-0626-SM-73KUZ 40-49 years, male 26.0
GTEX-1B8KE-1126-SM-7EPHI 50-59 years, male 25.9
GTEX-1BAJH-2426-SM-7IGP8 70-79 years, male 25.9
GTEX-1F52S-2926-SM-7MKGA 60-69 years, female 25.9
GTEX-XPVG-2126-SM-4B667 50-59 years, male 25.9
GTEX-11O72-0626-SM-5PNYE 40-49 years, male 25.8
GTEX-132AR-0326-SM-5KM2C 50-59 years, female 25.7
GTEX-WY7C-2126-SM-3NB2R 50-59 years, male 25.7
GTEX-111VG-1626-SM-5EGIO 60-69 years, male 25.6
GTEX-13SLX-2226-SM-62LEP 50-59 years, female 25.6
GTEX-13U4I-2226-SM-5LU5H 40-49 years, female 25.6
GTEX-17HG3-2626-SM-7DUF2 30-39 years, female 25.6
GTEX-1IDJC-1526-SM-B2LW4 50-59 years, male 25.6
GTEX-1RAZS-2526-SM-E6CHT 50-59 years, male 25.6
GTEX-12696-0126-SM-5EQ4L 60-69 years, male 25.5
GTEX-14DAR-1226-SM-73KYV 50-59 years, male 25.5
GTEX-1A8G6-2726-SM-731AR 60-69 years, male 25.5
GTEX-1AX8Z-0726-SM-73KTS 60-69 years, male 25.5
GTEX-1K2DA-1026-SM-CGQGF 50-59 years, male 25.5
GTEX-13OVJ-0826-SM-5J1OK 50-59 years, female 25.4
GTEX-WHPG-2626-SM-3NMBR 50-59 years, male 25.4
GTEX-Y3IK-1626-SM-4YCF5 50-59 years, female 25.4
GTEX-1HCU7-0726-SM-A9SL1 50-59 years, male 25.4
GTEX-1QPFJ-1926-SM-EVYBD 30-39 years, female 25.4
GTEX-1399R-1326-SM-5PNYS 30-39 years, male 25.2
GTEX-17HGU-2326-SM-7DUFE 50-59 years, male 25.2
GTEX-X4EP-0626-SM-3P621 60-69 years, female 25.2
GTEX-1J1OQ-0126-SM-D4P2N 40-49 years, female 25.2
GTEX-1LSNL-2726-SM-E9TKJ 50-59 years, male 25.2
GTEX-11GSP-2326-SM-5HL63 60-69 years, female 25.1
GTEX-13X6K-0626-SM-5LU5D 60-69 years, female 25.1
GTEX-1A3MW-0626-SM-731CB 60-69 years, female 25.1
GTEX-ZVE1-0726-SM-51MRN 50-59 years, female 25.1
GTEX-1C475-1326-SM-7SB73 40-49 years, female 25.1
GTEX-1GN1W-2426-SM-9KNUU 50-59 years, female 25.1
GTEX-1H1E6-0426-SM-9WYUS 30-39 years, male 25.1
GTEX-1HBPM-0726-SM-9YFL7 60-69 years, female 25.1
GTEX-13VXT-1926-SM-5K7UO 20-29 years, female 25.0
GTEX-144GL-0626-SM-5LU4D 50-59 years, male 25.0
GTEX-145LS-0626-SM-7EPG7 60-69 years, female 25.0
GTEX-14JG1-1526-SM-5YY9X 40-49 years, male 25.0
GTEX-X3Y1-2026-SM-3P5YM 40-49 years, male 25.0
GTEX-ZE9C-2526-SM-5IJDR 60-69 years, male 25.0
GTEX-ZPIC-0526-SM-DO91W 40-49 years, female 25.0
GTEX-145LU-1926-SM-79OJN 50-59 years, male 24.9
GTEX-Z93S-1626-SM-5CVMB 50-59 years, male 24.9
GTEX-ZY6K-1426-SM-5GZX2 50-59 years, male 24.8
GTEX-11DZ1-2426-SM-5GZZX 50-59 years, male 24.7
GTEX-12584-0726-SM-5FQTK 40-49 years, male 24.7
GTEX-13OW7-0426-SM-5K7VK 50-59 years, male 24.7
GTEX-14ABY-2026-SM-62LDL 50-59 years, male 24.7
GTEX-18A7A-0126-SM-731AH 50-59 years, female 24.7
GTEX-XBEC-0726-SM-4QARZ 50-59 years, male 24.7
GTEX-1HBPN-0126-SM-CGQEF 50-59 years, male 24.7
GTEX-13FHO-0426-SM-5L3F5 60-69 years, male 24.6
GTEX-17HHY-0426-SM-7DHLC 50-59 years, male 24.6
GTEX-17MFQ-1526-SM-7KFRR 20-29 years, male 24.6
GTEX-1HR9M-2226-SM-CNPPY 60-69 years, male 24.6
GTEX-13113-1626-SM-5EQ4I 60-69 years, female 24.5
GTEX-14PJ6-2626-SM-6EU2T 60-69 years, female 24.5
GTEX-YF7O-1526-SM-5IFI6 50-59 years, male 24.5
GTEX-1S831-1826-SM-EWROF 20-29 years, male 24.5
GTEX-11ZTT-2126-SM-5CVLO 60-69 years, female 24.4
GTEX-13NYC-0126-SM-5L3F4 60-69 years, male 24.4
GTEX-145ME-1726-SM-5Q5EU 40-49 years, female 24.4
GTEX-1IDJF-2026-SM-CL53V 20-29 years, male 24.4
GTEX-1JN6P-2926-SM-CL54D 60-69 years, male 24.4
GTEX-11DXY-0126-SM-5H11Q 60-69 years, male 24.3
GTEX-1B8SF-0126-SM-7DUG3 60-69 years, male 24.3
GTEX-ZP4G-1426-SM-4WWCL 20-29 years, female 24.3
GTEX-11EQ9-1626-SM-5PNY8 30-39 years, male 24.2
GTEX-1211K-1526-SM-5FQU4 60-69 years, female 24.2
GTEX-1RLM8-2926-SM-E8VON 50-59 years, male 24.2
GTEX-1117F-2926-SM-5GZYI 60-69 years, female 24.1
GTEX-11TT1-1826-SM-5EQLV 20-29 years, male 24.1
GTEX-13FH7-1126-SM-5K7UG 50-59 years, female 24.1
GTEX-13SLW-0626-SM-5Q5ER 70-79 years, male 24.1
GTEX-13VXU-0626-SM-5L3F9 50-59 years, male 24.1
GTEX-1F88F-0126-SM-9WYSZ 60-69 years, female 24.1
GTEX-1HBPI-2126-SM-ARL9K 50-59 years, male 24.1
GTEX-11ZUS-2626-SM-5FQUR 30-39 years, male 24.0
GTEX-WHSE-0126-SM-3NMBT 20-29 years, male 24.0
GTEX-1LGOU-1326-SM-D3L8M 20-29 years, female 24.0
GTEX-13PVR-0426-SM-5RQK2 60-69 years, female 23.9
GTEX-146FQ-2126-SM-5RQHU 30-39 years, male 23.9
GTEX-14PKV-1126-SM-6LLJ1 20-29 years, female 23.9
GTEX-1C2JI-1026-SM-73KY1 50-59 years, male 23.9
GTEX-1GF9V-0826-SM-9KNUV 60-69 years, male 23.9
GTEX-12WSK-2126-SM-5CVNC 40-49 years, female 23.8
GTEX-1A8G7-1326-SM-73KVM 60-69 years, male 23.8
GTEX-1GF9X-1326-SM-7PC2Y 40-49 years, female 23.8
GTEX-144GM-0526-SM-79OJO 20-29 years, male 23.7
GTEX-178AV-1726-SM-7KUL8 40-49 years, male 23.7
GTEX-1F75B-0726-SM-7PC3R 50-59 years, male 23.7
GTEX-1GTWX-2026-SM-9YFLM 60-69 years, male 23.7
GTEX-1RAZQ-1326-SM-E9TK6 30-39 years, male 23.7
GTEX-111CU-1126-SM-5EGIM 50-59 years, male 23.6
GTEX-183WM-0326-SM-72D5V 70-79 years, female 23.6
GTEX-1B8KZ-0326-SM-73KY4 50-59 years, male 23.6
GTEX-X8HC-0626-SM-4E3HQ 50-59 years, female 23.6
GTEX-1CB4J-1326-SM-7P8RX 60-69 years, male 23.6
GTEX-1I1GP-1326-SM-A9G28 50-59 years, male 23.6
GTEX-1KANA-1326-SM-DIPFA 20-29 years, male 23.6
GTEX-11GS4-0226-SM-5HL77 60-69 years, male 23.5
GTEX-12KS4-2126-SM-5FQUT 30-39 years, male 23.5
GTEX-1C6VQ-1226-SM-73KYD 50-59 years, male 23.5
GTEX-1CAV2-0126-SM-7IGN7 40-49 years, female 23.5
GTEX-1JN1M-2726-SM-CY8I4 60-69 years, female 23.5
GTEX-133LE-2326-SM-5K7W3 20-29 years, female 23.4
GTEX-1I1HK-2326-SM-CKZOH 60-69 years, male 23.4
GTEX-1LKK1-2626-SM-DKPQE 50-59 years, female 23.4
GTEX-13N11-2326-SM-5IJBF 50-59 years, female 23.3
GTEX-14E6C-2426-SM-5S2NF 40-49 years, male 23.3
GTEX-1EH9U-2826-SM-7DUGT 60-69 years, male 23.3
GTEX-1GN1U-0626-SM-9MQL9 50-59 years, female 23.3
GTEX-1K9T9-1526-SM-DIPFR 50-59 years, female 23.3
GTEX-131XW-0626-SM-5PNVD 50-59 years, female 23.2
GTEX-13PL6-1126-SM-5L3IE 40-49 years, female 23.2
GTEX-1GZ2Q-0126-SM-9WG6M 40-49 years, male 23.2
GTEX-1N5O9-0926-SM-E9J3C 60-69 years, male 23.2
GTEX-13PVQ-0626-SM-5LU47 50-59 years, male 23.1
GTEX-1L5NE-1126-SM-D3L9P 50-59 years, male 23.1
GTEX-1LG7Y-2526-SM-EWRO7 50-59 years, male 23.1
GTEX-1PDJ9-1226-SM-EXUSX 20-29 years, male 23.1
GTEX-12BJ1-0926-SM-5EQ62 60-69 years, male 23.0
GTEX-14C5O-0326-SM-5ZZUX 60-69 years, male 23.0
GTEX-14PJ4-0226-SM-5YY92 60-69 years, male 23.0
GTEX-ZVTK-0226-SM-51MRG 20-29 years, male 23.0
GTEX-1GZ4H-0526-SM-9KNU9 50-59 years, female 23.0
GTEX-11EQ8-0926-SM-5H12V 60-69 years, male 22.9
GTEX-13NZ9-2626-SM-5L3FK 50-59 years, male 22.9
GTEX-13OVH-0526-SM-5L3E6 70-79 years, male 22.9
GTEX-13OVL-0126-SM-5L3GJ 50-59 years, male 22.9
GTEX-ZLWG-0826-SM-59888 50-59 years, female 22.9
GTEX-ZXG5-2126-SM-59HKD 60-69 years, male 22.9
GTEX-1JJE9-2626-SM-ARZMT 70-79 years, male 22.9
GTEX-12ZZZ-0726-SM-5GCNZ 60-69 years, male 22.8
GTEX-14PKU-0126-SM-6LLHV 40-49 years, female 22.8
GTEX-1CB4H-1126-SM-7MKGL 60-69 years, female 22.8
GTEX-1HFI6-0126-SM-CNPPI 40-49 years, male 22.8
GTEX-13FLV-0126-SM-5K7WT 50-59 years, male 22.7
GTEX-XUW1-0926-SM-4BONX 50-59 years, female 22.7
GTEX-1HCU8-2526-SM-CE6RX 60-69 years, female 22.7
GTEX-1I1GS-2626-SM-B2LY3 60-69 years, male 22.7
GTEX-1K2DU-1226-SM-CYPT4 20-29 years, male 22.7
GTEX-1QEPI-2626-SM-DTXF4 60-69 years, female 22.7
GTEX-1269C-0126-SM-5EQ5L 60-69 years, female 22.6
GTEX-1EWIQ-0326-SM-7DHMQ 70-79 years, female 22.6
GTEX-UPJH-0226-SM-3GADV 50-59 years, male 22.6
GTEX-12WSA-0426-SM-5EQ5X 60-69 years, male 22.5
GTEX-13OW5-2326-SM-5L3HO 60-69 years, male 22.5
GTEX-15EU6-2226-SM-6EU2L 50-59 years, male 22.5
GTEX-18D9A-1426-SM-7LT8M 30-39 years, female 22.5
GTEX-1F6IF-0926-SM-7SB7M 60-69 years, male 22.5
GTEX-1I1GT-1026-SM-ARZLV 60-69 years, female 22.5
GTEX-1JKYN-0826-SM-ARU8S 30-39 years, male 22.5
GTEX-1OJC4-2726-SM-E76PJ 50-59 years, female 22.5
GTEX-1EU9M-1426-SM-793AI 60-69 years, male 22.4
GTEX-1JMPZ-0726-SM-CY8HZ 30-39 years, male 22.4
GTEX-1KANC-1226-SM-CYPT7 50-59 years, female 22.4
GTEX-17EVQ-0126-SM-7IGLR 70-79 years, male 22.3
GTEX-ZZPU-0826-SM-5GZX5 50-59 years, female 22.3
GTEX-1EMGI-2326-SM-7PBYA 60-69 years, male 22.3
GTEX-1GMR2-0826-SM-7PC3V 50-59 years, male 22.3
GTEX-1HFI7-2326-SM-CGQFS 50-59 years, female 22.3
GTEX-1IDJH-0126-SM-D3L92 70-79 years, male 22.3
GTEX-13JUV-2026-SM-5K7UA 40-49 years, female 22.2
GTEX-13PDP-0726-SM-5L3HP 60-69 years, male 22.2
GTEX-147F3-1726-SM-5SIAW 50-59 years, female 22.2
GTEX-1GZ4I-2626-SM-9KNU3 50-59 years, male 22.2
GTEX-1H1DE-1326-SM-9KNUG 20-29 years, male 22.2
GTEX-1HCUA-0826-SM-ADEHM 50-59 years, female 22.2
GTEX-1QP66-1226-SM-DTX7U 50-59 years, male 22.2
GTEX-1R7EU-1626-SM-DTXG3 60-69 years, male 22.2
GTEX-16XZZ-0726-SM-7KUF2 60-69 years, male 22.1
GTEX-XBED-1926-SM-47JYP 60-69 years, male 22.1
GTEX-1JMOU-1026-SM-CYPSS 60-69 years, female 22.1
GTEX-1QMI2-2526-SM-E8VNZ 60-69 years, male 22.1
GTEX-1GMR3-0126-SM-A9SLW 40-49 years, male 22.0
GTEX-11UD2-2526-SM-5CVNU 50-59 years, male 21.9
GTEX-145MO-2826-SM-5LU96 60-69 years, male 21.9
GTEX-17EVP-2626-SM-7IGMA 40-49 years, male 21.9
GTEX-XV7Q-1826-SM-4BRUV 40-49 years, female 21.9
GTEX-1HCVE-2726-SM-CL54F 50-59 years, male 21.9
GTEX-13W3W-0726-SM-5IJDQ 60-69 years, female 21.8
GTEX-145MF-0926-SM-5Q5EA 50-59 years, male 21.8
GTEX-16NGA-0726-SM-731AO 40-49 years, female 21.8
GTEX-16Z82-2626-SM-7KULU 60-69 years, male 21.8
GTEX-WFON-1926-SM-3LK7L 40-49 years, male 21.8
GTEX-1S83E-1326-SM-E6CJM 40-49 years, male 21.8
GTEX-ZYFC-0426-SM-5GICQ 50-59 years, male 21.7
GTEX-1F5PL-0926-SM-7PC2W 40-49 years, female 21.7
GTEX-1AX9J-1326-SM-731BJ 60-69 years, male 21.6
GTEX-XAJ8-1426-SM-47JYM 40-49 years, male 21.6
GTEX-1HR98-2226-SM-ADEI2 60-69 years, male 21.6
GTEX-1LVAO-2726-SM-E9TJ8 60-69 years, male 21.6
GTEX-1O9I2-0226-SM-EYYXD 50-59 years, male 21.6
GTEX-12WSF-1626-SM-7KUG5 70-79 years, male 21.5
GTEX-13O3O-2326-SM-5IJD6 60-69 years, female 21.5
GTEX-1CB4F-1026-SM-7DUH1 60-69 years, male 21.5
GTEX-1HT8W-0626-SM-A9G2H 30-39 years, male 21.5
GTEX-1ICG6-1226-SM-A9SLN 70-79 years, female 21.5
GTEX-1RB15-1326-SM-E76Q9 60-69 years, male 21.5
GTEX-1212Z-0126-SM-59HK4 60-69 years, male 21.4
GTEX-12WSM-1926-SM-5BC65 60-69 years, male 21.4
GTEX-13N2G-0226-SM-5K7VF 60-69 years, male 21.4
GTEX-14DAQ-0626-SM-793DS 60-69 years, female 21.4
GTEX-15CHC-1126-SM-6LLHQ 60-69 years, female 21.4
GTEX-1B996-0426-SM-7EWF8 60-69 years, male 21.4
GTEX-14BMU-1226-SM-5S2OR 20-29 years, female 21.3
GTEX-17JCI-2926-SM-7DUFF 60-69 years, female 21.3
GTEX-ZAJG-1526-SM-5CVML 50-59 years, female 21.3
GTEX-1CB4I-0126-SM-7RHGG 50-59 years, male 21.3
GTEX-1GPI6-1926-SM-9KNV7 60-69 years, male 21.3
GTEX-1HCU9-0426-SM-9WYSD 20-29 years, male 21.3
GTEX-1LB8K-0726-SM-D5OV2 50-59 years, male 21.3
GTEX-1R46S-2426-SM-E76QA 60-69 years, female 21.3
GTEX-WRHU-2826-SM-3MJG8 50-59 years, female 21.2
GTEX-1A32A-0626-SM-731AQ 50-59 years, female 21.1
GTEX-1B933-2426-SM-7DHMD 50-59 years, female 21.1
GTEX-1EKGG-0626-SM-7DUGJ 60-69 years, male 21.1
GTEX-ZVT4-2426-SM-5GIEI 50-59 years, female 21.1
GTEX-1ICLZ-0326-SM-ARL82 60-69 years, male 21.1
GTEX-1KXAM-1626-SM-D3LAD 60-69 years, male 21.1
GTEX-13X6I-1826-SM-5SIAO 60-69 years, male 21.0
GTEX-14A6H-2026-SM-5Q5DD 30-39 years, male 21.0
GTEX-YJ8O-2526-SM-5HL85 40-49 years, female 21.0
GTEX-1H1DF-1126-SM-9WG7G 40-49 years, female 21.0
GTEX-1PPH7-1126-SM-DTX9A 40-49 years, male 21.0
GTEX-13OW8-1026-SM-5J1NQ 60-69 years, male 20.9
GTEX-Y5V5-0126-SM-5S2NW 60-69 years, female 20.9
GTEX-1F48J-0726-SM-7RHGS 50-59 years, female 20.9
GTEX-1JMQL-2226-SM-CNPP4 50-59 years, female 20.9
GTEX-1LG7Z-1626-SM-CXKYR 30-39 years, male 20.9
GTEX-1POEN-2326-SM-E9J2L 30-39 years, female 20.9
GTEX-11DXW-0826-SM-5H118 40-49 years, male 20.8
GTEX-13OVK-1426-SM-6PAN7 40-49 years, male 20.7
GTEX-15EO6-2426-SM-6PALZ 50-59 years, male 20.7
GTEX-17HII-1426-SM-7EPGG 50-59 years, male 20.7
GTEX-18A7B-2726-SM-7LG56 70-79 years, male 20.7
GTEX-1QCLZ-2426-SM-EVYBW 60-69 years, female 20.7
GTEX-1IOXB-2726-SM-CM2RI 50-59 years, male 20.6
GTEX-1M4P7-0726-SM-E6CJ3 60-69 years, male 20.6
GTEX-ZLV1-1526-SM-DO91J 60-69 years, female 20.6
GTEX-WK11-2726-SM-3NMAQ 50-59 years, male 20.5
GTEX-WYVS-1626-SM-3NM9R 40-49 years, female 20.5
GTEX-1MCC2-1826-SM-DIPEX 30-39 years, female 20.5
GTEX-13QJC-0126-SM-5ZZWJ 60-69 years, female 20.3
GTEX-XMD2-2126-SM-4YCF8 60-69 years, female 20.3
GTEX-1B8L1-2226-SM-7P8PT 60-69 years, male 20.2
GTEX-12C56-1526-SM-5FQUQ 20-29 years, male 20.1
GTEX-WYJK-0526-SM-3NM8Z 50-59 years, male 20.1
GTEX-ZTSS-1426-SM-5985P 40-49 years, male 20.1
GTEX-1A8FM-0626-SM-7PC25 50-59 years, female 20.1
GTEX-1F75W-2726-SM-7SB8H 60-69 years, male 20.1
GTEX-1GMR8-0626-SM-7RHI7 50-59 years, female 20.1
GTEX-18465-2826-SM-7LT9J 50-59 years, male 20.0
GTEX-1I6K6-1726-SM-CGQFD 30-39 years, male 20.0
GTEX-1QP29-1826-SM-DTX9S 50-59 years, male 20.0
GTEX-11LCK-2226-SM-5HL4Q 30-39 years, male 19.9
GTEX-15D1Q-2826-SM-6LLH7 40-49 years, male 19.9
GTEX-15UF6-1926-SM-7KUDV 70-79 years, female 19.8
GTEX-17MF6-2626-SM-79OKQ 40-49 years, male 19.8
GTEX-ZT9W-1126-SM-57WDR 50-59 years, male 19.8
GTEX-1GN2E-0226-SM-9WG6K 60-69 years, male 19.8
GTEX-1IDJE-1426-SM-ADEIW 50-59 years, female 19.8
GTEX-1S5ZU-2526-SM-E6CIF 20-29 years, female 19.8
GTEX-13X6J-0626-SM-5LU5F 50-59 years, male 19.7
GTEX-1477Z-0326-SM-7IGLA 60-69 years, male 19.7
GTEX-14BMV-2826-SM-5TDED 50-59 years, male 19.7
GTEX-14BIN-1126-SM-5RQJZ 50-59 years, female 19.6
GTEX-ZYFD-0626-SM-5E44E 50-59 years, male 19.6
GTEX-ZYY3-2926-SM-5GIEB 60-69 years, female 19.6
GTEX-1J8JJ-0626-SM-ARZMQ 60-69 years, female 19.6
GTEX-ZGAY-1826-SM-DO91Q 40-49 years, female 19.6
GTEX-11EM3-1226-SM-5N9DD 20-29 years, female 19.5
GTEX-14B4R-1326-SM-5Q5EZ 30-39 years, male 19.4
GTEX-1GL5R-1326-SM-7RHHF 50-59 years, male 19.4
GTEX-15CHQ-0326-SM-69LQD 60-69 years, male 19.3
GTEX-ZYVF-0926-SM-5E44J 50-59 years, female 19.3
GTEX-1J1R8-2026-SM-CL53Y 40-49 years, male 19.3
GTEX-111FC-2526-SM-5GZXU 60-69 years, male 19.2
GTEX-145MI-0626-SM-5SI8S 60-69 years, female 19.2
GTEX-ZVE2-2826-SM-5GU51 50-59 years, male 19.2
GTEX-1C6VR-0126-SM-7RHGB 60-69 years, male 19.2
GTEX-1IDJU-1726-SM-CMKHU 60-69 years, female 19.2
GTEX-ZVT2-0126-SM-5GIDQ 50-59 years, female 19.1
GTEX-1HUB1-1426-SM-CGQF5 60-69 years, male 19.1
GTEX-14JG6-1426-SM-9WG7C 30-39 years, female 19.0
GTEX-1HSKV-1226-SM-ADEI4 60-69 years, male 19.0
GTEX-1J8QM-2426-SM-A9SLS 60-69 years, female 19.0
GTEX-183FY-1026-SM-7939A 20-29 years, male 18.9
GTEX-ZU9S-1826-SM-5NQ9E 30-39 years, male 18.8
GTEX-1I4MK-0126-SM-CY8G6 50-59 years, female 18.8
GTEX-1JJ6O-2726-SM-CNPOG 60-69 years, male 18.8
GTEX-1GZHY-0626-SM-9KNVC 50-59 years, female 18.7
GTEX-1RAZR-2126-SM-E9U6T 40-49 years, male 18.7
GTEX-131YS-2826-SM-5EQ47 60-69 years, female 18.6
GTEX-16GPK-0626-SM-7KFSF 60-69 years, male 18.6
GTEX-1AMEY-0826-SM-72D65 30-39 years, female 18.6
GTEX-1IDFM-0326-SM-ARL7V 60-69 years, male 18.6
GTEX-1IE54-1126-SM-A9G2Z 40-49 years, female 18.6
GTEX-15ER7-0626-SM-6PANF 20-29 years, female 18.4
GTEX-15FZZ-0526-SM-7KUGD 30-39 years, female 18.4
GTEX-1GN73-0726-SM-7P8TJ 60-69 years, male 18.4
GTEX-1HKZK-0726-SM-ACKW2 40-49 years, male 18.4
GTEX-13QBU-1226-SM-5LU4G 40-49 years, female 18.3
GTEX-1KWVE-1026-SM-D3L9O 30-39 years, male 18.3
GTEX-147JS-0226-SM-5S2U9 60-69 years, male 18.2
GTEX-1H4P4-2126-SM-9WYSL 50-59 years, male 18.2
GTEX-139T8-0626-SM-5KLZX 60-69 years, male 18.1
GTEX-1A3MX-2626-SM-7PC24 60-69 years, male 18.1
GTEX-1I1CD-0626-SM-CE6SW 60-69 years, female 18.0
GTEX-13N1W-2426-SM-5IJD1 70-79 years, male 17.9
GTEX-1HSMO-0626-SM-ACKXC 60-69 years, male 17.9
GTEX-1314G-1326-SM-5BC6E 30-39 years, male 17.8
GTEX-1IDJV-0126-SM-COH3Y 60-69 years, male 17.8
GTEX-12WSC-2826-SM-5BC5Y 50-59 years, male 17.7
GTEX-ZAB4-2126-SM-5HL8U 40-49 years, male 17.6
GTEX-WFG8-2126-SM-3GIKQ 20-29 years, male 17.5
GTEX-1IDJD-2326-SM-ACKWX 30-39 years, male 17.5
GTEX-1H3NZ-2726-SM-9WYTQ 60-69 years, male 17.2
GTEX-14PJ2-0626-SM-6LLII 50-59 years, male 17.1
GTEX-11EI6-2826-SM-5H11D 60-69 years, male 17.0
GTEX-1F88E-1626-SM-7SB8Z 60-69 years, female 16.8
GTEX-1B932-2326-SM-79OL5 40-49 years, female 16.6
GTEX-1GMRU-2126-SM-7P8RA 50-59 years, male 16.6
GTEX-ZUA1-2626-SM-5NQ92 40-49 years, male 16.5
GTEX-1ICLY-0826-SM-CMKG1 50-59 years, male 16.5
GTEX-1GF9W-1426-SM-7PBYM 60-69 years, male 16.4
GTEX-1H23P-0626-SM-9WG6T 60-69 years, male 16.4
GTEX-1IDJI-0126-SM-CMKHS 50-59 years, female 16.2
GTEX-1J8Q2-2626-SM-ACKWQ 60-69 years, male 16.1
GTEX-V1D1-2026-SM-3GAF4 50-59 years, male 16.0
GTEX-1F6RS-2026-SM-7RHHC 60-69 years, female 15.9
GTEX-1J8Q3-0526-SM-ARL8U 60-69 years, male 15.4
GTEX-VJYA-1526-SM-3GIJV 60-69 years, male 15.2
GTEX-1GF9U-2026-SM-7SB92 40-49 years, female 15.2
GTEX-WYBS-0626-SM-3NMAS 60-69 years, female 15.1
GTEX-1AMFI-1326-SM-7939R 50-59 years, female 14.9
GTEX-1HSGN-0826-SM-ACKW3 40-49 years, female 14.8
Show allShow less
Skin - Sun Exposed (Lower leg)
Average nTPM: 25.5
Samples: 701

Max nTPM: 74.5
Min nTPM: 13.6
Std nTPM: 6.5
Median nTPM: 24.6
GTEX-SE5C-1626-SM-2XCE3 40-49 years, female 74.5
GTEX-15SB6-1726-SM-6PAME 50-59 years, female 65.0
GTEX-1399U-2326-SM-5K7WY 50-59 years, female 54.9
GTEX-Y3IK-2426-SM-4WWDU 50-59 years, female 52.4
GTEX-O5YT-0126-SM-48TBW 20-29 years, male 49.4
GTEX-W5X1-3026-SM-EAZAX 40-49 years, female 48.9
GTEX-XUZC-1726-SM-4BRWS 30-39 years, female 48.1
GTEX-Y114-2426-SM-4TT8A 50-59 years, female 47.6
GTEX-P4PP-0126-SM-3LK69 30-39 years, female 45.3
GTEX-OIZG-0726-SM-33HBL 50-59 years, male 45.1
GTEX-Y5V6-2426-SM-4VDSB 60-69 years, male 42.6
GTEX-13FTW-2626-SM-5K7WL 40-49 years, male 42.0
GTEX-POMQ-2226-SM-2I5FK 20-29 years, female 41.8
GTEX-UJHI-1526-SM-3DB99 50-59 years, female 40.8
GTEX-11UD1-0126-SM-5PNYG 40-49 years, female 40.7
GTEX-U8T8-0126-SM-3DB94 60-69 years, male 40.6
GTEX-RVPV-0126-SM-EAZAW 60-69 years, male 40.6
GTEX-1122O-2126-SM-5EGIR 60-69 years, female 40.3
GTEX-13CF2-2526-SM-5LZYX 60-69 years, male 40.0
GTEX-X88G-0126-SM-47JZ3 30-39 years, male 39.5
GTEX-1497J-2426-SM-7IGNX 60-69 years, male 39.2
GTEX-1IKK5-0626-SM-ARL8A 60-69 years, male 39.2
GTEX-S33H-1026-SM-EZ6L6 30-39 years, male 39.1
GTEX-13FXS-0226-SM-5IJCK 50-59 years, male 38.9
GTEX-P4QT-0126-SM-2I3FL 50-59 years, female 38.7
GTEX-T6MN-0126-SM-32PLP 50-59 years, male 38.6
GTEX-1NV5F-0226-SM-E8VNY 60-69 years, female 38.5
GTEX-SUCS-1926-SM-32PM3 70-79 years, male 38.4
GTEX-WVJS-0126-SM-4MVOT 50-59 years, male 38.2
GTEX-ZVTK-0426-SM-51MRS 20-29 years, male 37.6
GTEX-WXYG-2326-SM-4E3I6 50-59 years, female 37.3
GTEX-ZYFD-0126-SM-5GIDL 50-59 years, male 37.1
GTEX-139UW-2826-SM-5L3E7 60-69 years, male 36.9
GTEX-17F98-0626-SM-79OMX 40-49 years, female 36.9
GTEX-RTLS-0126-SM-447CA 60-69 years, female 36.7
GTEX-1H1CY-2826-SM-9MQM3 60-69 years, female 36.1
GTEX-1211K-2026-SM-5EQ4Z 60-69 years, female 35.9
GTEX-12126-0326-SM-5PNW3 20-29 years, male 35.9
GTEX-PX3G-0126-SM-2I3EN 20-29 years, female 35.7
GTEX-S7PM-0126-SM-4AD6S 60-69 years, male 35.7
GTEX-PWCY-1826-SM-DHXIZ 20-29 years, female 35.7
GTEX-1CAV2-2226-SM-7P8P2 40-49 years, female 35.5
GTEX-1MJK2-0426-SM-DTXE5 50-59 years, male 35.5
GTEX-OIZH-0126-SM-2HMIS 50-59 years, male 35.4
GTEX-SIU8-0126-SM-2XCDT 50-59 years, male 35.3
GTEX-1QP9N-1426-SM-DTXFL 30-39 years, male 35.3
GTEX-13X6H-2126-SM-7EWD5 50-59 years, female 35.2
GTEX-Y111-0126-SM-4SOIV 50-59 years, male 35.2
GTEX-Y8DK-0126-SM-4TT3L 60-69 years, male 35.2
GTEX-TMZS-0126-SM-3DB9Q 60-69 years, male 35.0
GTEX-W5WG-1826-SM-4KL2Y 50-59 years, female 35.0
GTEX-1OJC3-0126-SM-E76QX 20-29 years, male 35.0
GTEX-13FHP-0126-SM-5IJBG 50-59 years, male 34.8
GTEX-U412-0426-SM-3DB9O 60-69 years, male 34.7
GTEX-T2YK-0526-SM-32QPJ 50-59 years, male 34.6
GTEX-ZE9C-2726-SM-57WB5 60-69 years, male 34.5
GTEX-1R9PM-2026-SM-E76OY 20-29 years, male 34.3
GTEX-139TS-2826-SM-5J1OO 60-69 years, male 34.1
GTEX-1KD4Q-0226-SM-E9TJ9 40-49 years, male 34.1
GTEX-1JMLX-0226-SM-CM2RO 50-59 years, male 34.0
GTEX-ZGAY-0526-SM-4WWBB 40-49 years, female 33.9
GTEX-13NYB-2526-SM-5K7Z6 40-49 years, male 33.8
GTEX-XYKS-2126-SM-4E3IB 60-69 years, female 33.8
GTEX-ZTX8-1426-SM-5DUVO 20-29 years, male 33.8
GTEX-1J8EW-0126-SM-CJI4F 60-69 years, female 33.7
GTEX-145MF-0626-SM-5LUAI 50-59 years, male 33.6
GTEX-NPJ8-0126-SM-2YUNR 40-49 years, male 33.6
GTEX-1JN6P-0126-SM-D3L98 60-69 years, male 33.6
GTEX-P4PQ-0126-SM-2S1NM 60-69 years, male 33.5
GTEX-WI4N-1026-SM-3LK7N 40-49 years, female 33.5
GTEX-X8HC-0126-SM-4E3JW 50-59 years, female 33.5
GTEX-1JMPY-1326-SM-ARL8Y 30-39 years, male 33.5
GTEX-XQ3S-1526-SM-4BOOC 20-29 years, male 33.3
GTEX-14BMU-2226-SM-5TDE9 20-29 years, female 33.2
GTEX-O5YW-0126-SM-3LK6D 50-59 years, male 33.2
GTEX-12WSK-2326-SM-5GCOH 40-49 years, female 33.0
GTEX-131XF-5016-SM-7MGWE 60-69 years, male 33.0
GTEX-14753-0426-SM-5NQAM 60-69 years, male 32.9
GTEX-14PN4-0126-SM-6EU2V 50-59 years, male 32.8
GTEX-T5JW-1626-SM-3GADZ 20-29 years, female 32.7
GTEX-YJ89-0126-SM-4TT3X 60-69 years, male 32.6
GTEX-18A6Q-0126-SM-731BZ 60-69 years, male 32.5
GTEX-1K2DA-1826-SM-CGQGT 50-59 years, male 32.5
GTEX-145MO-0326-SM-5Q5B3 60-69 years, male 32.4
GTEX-ZDTS-0126-SM-4WAY5 60-69 years, male 32.4
GTEX-ZVZO-0126-SM-5A5L9 40-49 years, male 32.3
GTEX-WYJK-0126-SM-3NMAB 50-59 years, male 32.2
GTEX-XBEW-0626-SM-4QASP 40-49 years, male 32.2
GTEX-12WSJ-1826-SM-5GCNY 40-49 years, female 32.1
GTEX-YB5K-2126-SM-4WWDJ 40-49 years, female 32.1
GTEX-11DYG-0126-SM-59883 60-69 years, male 32.0
GTEX-14PJ3-1826-SM-62LEX 50-59 years, male 32.0
GTEX-1F5PL-0326-SM-7P8PQ 40-49 years, female 32.0
GTEX-WY7C-2326-SM-3NB2U 50-59 years, male 31.9
GTEX-ZVT2-2526-SM-51MT1 50-59 years, female 31.9
GTEX-1HR98-0126-SM-B2LWI 60-69 years, male 31.8
GTEX-13111-1626-SM-5EGJY 50-59 years, male 31.7
GTEX-1CAMS-0426-SM-7P8T2 40-49 years, female 31.7
GTEX-Y5LM-1926-SM-5RQJH 40-49 years, female 31.4
GTEX-13G51-2526-SM-5LZYK 60-69 years, male 31.2
GTEX-1IL2U-0226-SM-CE6T8 60-69 years, male 31.2
GTEX-14XAO-2326-SM-6EU1B 60-69 years, female 31.1
GTEX-1C4CL-0526-SM-73KVK 30-39 years, male 31.1
GTEX-X4EP-0126-SM-3P5YV 60-69 years, female 31.1
GTEX-YEC4-2126-SM-5IFJH 40-49 years, male 31.1
GTEX-YFC4-0126-SM-5CVLY 40-49 years, female 31.1
GTEX-14E6E-1826-SM-5S2R7 30-39 years, male 31.0
GTEX-1CB4E-2226-SM-793DC 60-69 years, male 31.0
GTEX-T8EM-1026-SM-3DB7M 40-49 years, male 31.0
GTEX-1399R-2726-SM-5IJBA 30-39 years, male 30.9
GTEX-13NYS-0126-SM-5MR3W 60-69 years, male 30.9
GTEX-145LT-1726-SM-5QGP3 40-49 years, male 30.9
GTEX-14ICK-0226-SM-6EU25 40-49 years, male 30.9
GTEX-15RIG-0226-SM-7KFTL 40-49 years, male 30.9
GTEX-13O21-1426-SM-5K7XI 50-59 years, male 30.8
GTEX-14PHX-2326-SM-62LEM 50-59 years, male 30.8
GTEX-YB5E-2026-SM-5IFIS 40-49 years, male 30.8
GTEX-1PIIG-0226-SM-EWRN6 30-39 years, male 30.8
GTEX-1QAET-0926-SM-E76QM 50-59 years, male 30.7
GTEX-14A5H-0426-SM-5QGQF 60-69 years, male 30.6
GTEX-U8XE-0326-SM-3DB8P 30-39 years, male 30.6
GTEX-13RTK-1426-SM-5QGQJ 20-29 years, male 30.5
GTEX-13YAN-0326-SM-5O9DF 60-69 years, male 30.5
GTEX-1LVAN-0226-SM-COH3S 50-59 years, female 30.5
GTEX-117XS-2726-SM-5N9BL 60-69 years, male 30.3
GTEX-13NZ8-0826-SM-5MR3I 60-69 years, female 30.3
GTEX-S7SE-0126-SM-2XCD5 50-59 years, male 30.3
GTEX-1RB15-2126-SM-E9TIM 60-69 years, male 30.3
GTEX-OOBJ-0126-SM-E6CJW 60-69 years, male 30.3
GTEX-1F6RS-0126-SM-9MQKZ 60-69 years, female 30.2
GTEX-ZF3C-0126-SM-DO92D 50-59 years, female 30.2
GTEX-1N2DW-0226-SM-E9TK2 50-59 years, male 30.1
GTEX-1S5ZA-0126-SM-EVYCV 20-29 years, male 30.1
GTEX-145MN-2226-SM-5SIAU 30-39 years, male 30.0
GTEX-XQ8I-0426-SM-4BOPO 50-59 years, male 30.0
GTEX-1IOXB-0126-SM-ARL8G 50-59 years, male 30.0
GTEX-1LBAC-0126-SM-DIPEZ 20-29 years, male 30.0
GTEX-X4XX-0126-SM-3NMC2 60-69 years, male 29.9
GTEX-11P7K-2126-SM-5GU7G 30-39 years, male 29.8
GTEX-15ER7-0326-SM-7KUEV 20-29 years, female 29.8
GTEX-1B8SF-1426-SM-7DUGL 60-69 years, male 29.8
GTEX-13CF3-2426-SM-5IFGX 60-69 years, female 29.7
GTEX-WFON-2126-SM-3LK7O 40-49 years, male 29.7
GTEX-1IDJH-0326-SM-A9SLQ 70-79 years, male 29.7
GTEX-18QFQ-0126-SM-731BE 30-39 years, male 29.6
GTEX-QDVN-2026-SM-3GAEP 50-59 years, male 29.6
GTEX-WQUQ-0426-SM-3MJFU 60-69 years, male 29.6
GTEX-1EWIQ-0126-SM-7RHH2 70-79 years, female 29.6
GTEX-1JMQI-2226-SM-CM2SD 50-59 years, male 29.6
GTEX-11WQK-0526-SM-5EQLD 50-59 years, male 29.5
GTEX-1F6I4-0126-SM-9MQL2 60-69 years, male 29.4
GTEX-1H3VE-0326-SM-9YFLH 40-49 years, male 29.4
GTEX-1HFI6-0226-SM-ADEHZ 40-49 years, male 29.4
GTEX-14PK6-1926-SM-6ETZU 70-79 years, female 29.3
GTEX-13PVR-2326-SM-5QGR1 60-69 years, female 29.2
GTEX-1B8KE-2126-SM-73KYX 50-59 years, male 29.2
GTEX-T6MO-1626-SM-32QOM 40-49 years, female 29.2
GTEX-UPJH-0326-SM-3GADU 50-59 years, male 29.1
GTEX-1HBPM-0226-SM-ARL9F 60-69 years, female 29.1
GTEX-117YX-2326-SM-5H12W 50-59 years, male 29.0
GTEX-1A3MX-0126-SM-731BR 60-69 years, male 29.0
GTEX-1I1GV-0526-SM-A9G29 60-69 years, male 29.0
GTEX-Y8E4-0626-SM-4WWDL 40-49 years, male 28.9
GTEX-1LG7Z-1726-SM-D3LA4 30-39 years, male 28.9
GTEX-11OF3-2626-SM-5GU7F 60-69 years, male 28.8
GTEX-131XG-2626-SM-5KM17 50-59 years, female 28.8
GTEX-13VXU-0126-SM-5SI9F 50-59 years, male 28.8
GTEX-145LS-0126-SM-5QGP1 60-69 years, female 28.8
GTEX-14PII-0226-SM-6EU1T 60-69 years, male 28.8
GTEX-OXRN-0126-SM-48TDM 50-59 years, male 28.8
GTEX-13OVK-2026-SM-7KUEO 40-49 years, male 28.7
GTEX-X4XY-0226-SM-4E3IZ 60-69 years, male 28.7
GTEX-1EMGI-0126-SM-9KNUE 60-69 years, male 28.7
GTEX-1OFPY-2426-SM-DTXEJ 60-69 years, male 28.7
GTEX-13113-5016-SM-7EPIP 60-69 years, female 28.6
GTEX-131YS-0126-SM-5KM1M 60-69 years, female 28.5
GTEX-1GPI7-0126-SM-9MQL8 20-29 years, male 28.5
GTEX-1JMQL-0226-SM-CNPP5 50-59 years, female 28.5
GTEX-12696-2426-SM-5EQ6H 60-69 years, male 28.4
GTEX-1C64N-0126-SM-793D7 50-59 years, male 28.4
GTEX-1F75B-0126-SM-9KNVL 50-59 years, male 28.4
GTEX-1MCQQ-0826-SM-DLHC2 60-69 years, male 28.4
GTEX-144GN-2326-SM-5LU4F 50-59 years, male 28.3
GTEX-15UF6-0826-SM-6PALJ 70-79 years, female 28.3
GTEX-11TUW-2726-SM-E9J4M 60-69 years, male 28.3
GTEX-1313W-0126-SM-5LZUN 50-59 years, female 28.2
GTEX-13N11-2526-SM-5K7UE 50-59 years, female 28.2
GTEX-14JG1-0426-SM-6ETZZ 40-49 years, male 28.2
GTEX-18D9U-0226-SM-718BP 40-49 years, male 28.2
GTEX-Q2AI-1326-SM-2S1PL 40-49 years, male 28.2
GTEX-ZAK1-0126-SM-5IJD3 50-59 years, female 28.2
GTEX-1PFEY-1526-SM-E76PP 30-39 years, male 28.2
GTEX-117YW-2626-SM-5GZZH 50-59 years, male 28.1
GTEX-11DXZ-2326-SM-5EGGV 50-59 years, male 28.1
GTEX-17JCI-0126-SM-7LG5G 60-69 years, female 28.1
GTEX-1I6K6-0126-SM-A9SLE 30-39 years, male 28.1
GTEX-1PDJ9-0326-SM-DTX95 20-29 years, male 28.1
GTEX-X585-0226-SM-4QAS2 50-59 years, male 28.0
GTEX-1GTWX-0126-SM-9YFLK 60-69 years, male 28.0
GTEX-11UD2-0226-SM-5EQKY 50-59 years, male 27.9
GTEX-17GQL-2026-SM-718BA 60-69 years, male 27.9
GTEX-1HCU8-0626-SM-A9SM9 60-69 years, female 27.8
GTEX-1R7EU-0226-SM-EVR4G 60-69 years, male 27.8
GTEX-RNOR-0126-SM-E9J4R 50-59 years, female 27.8
GTEX-12ZZZ-0626-SM-5DUXI 60-69 years, male 27.7
GTEX-18A7A-0226-SM-718BH 50-59 years, female 27.7
GTEX-1BAJH-0526-SM-793CQ 70-79 years, male 27.7
GTEX-1GF9X-2026-SM-7PC3A 40-49 years, female 27.7
GTEX-1KAFJ-2026-SM-CY8ID 50-59 years, male 27.7
GTEX-16GPK-0126-SM-7DHLE 60-69 years, male 27.6
GTEX-Y3I4-2126-SM-4TT7C 50-59 years, male 27.6
GTEX-1LGRB-2526-SM-CNPPQ 50-59 years, female 27.6
GTEX-1GMR3-1926-SM-9KNUZ 40-49 years, male 27.5
GTEX-1GZ4H-1726-SM-7PBZJ 50-59 years, female 27.5
GTEX-1ICLZ-0126-SM-CKZPO 60-69 years, male 27.5
GTEX-1192X-0226-SM-5H12D 50-59 years, male 27.4
GTEX-12WSD-0126-SM-59HKN 60-69 years, female 27.4
GTEX-13D11-2426-SM-5KM1V 50-59 years, female 27.4
GTEX-RWSA-0126-SM-2XCBB 40-49 years, male 27.4
GTEX-WH7G-2326-SM-3NMBC 40-49 years, male 27.4
GTEX-Z93T-0126-SM-5HL5N 50-59 years, male 27.4
GTEX-1B8L1-2526-SM-9WYTF 60-69 years, male 27.4
GTEX-1M5QR-1226-SM-EWROB 40-49 years, male 27.4
GTEX-12ZZX-0126-SM-5EGK9 40-49 years, female 27.3
GTEX-OHPL-0126-SM-2HMJ7 60-69 years, female 27.3
GTEX-RU72-0926-SM-2TF6B 50-59 years, female 27.3
GTEX-TKQ1-1026-SM-4GICL 30-39 years, male 27.3
GTEX-ZTSS-1926-SM-57WEW 40-49 years, male 27.3
GTEX-1HGF4-2426-SM-ACKXM 60-69 years, male 27.3
GTEX-1HSMQ-1226-SM-CGQFX 50-59 years, male 27.3
GTEX-1J1OQ-0226-SM-CYPSH 40-49 years, female 27.3
GTEX-13112-2826-SM-5DUWH 50-59 years, male 27.2
GTEX-1AX8Z-0126-SM-7DHM6 60-69 years, male 27.2
GTEX-1AYCT-2426-SM-7IGQ3 50-59 years, male 27.2
GTEX-13OW5-0126-SM-DTXFS 60-69 years, male 27.2
GTEX-11GS4-2726-SM-5A5LE 60-69 years, male 27.1
GTEX-139D8-0226-SM-5KLZO 30-39 years, female 27.1
GTEX-13FHO-0226-SM-5IFGY 60-69 years, male 27.1
GTEX-NFK9-0226-SM-2HMKQ 40-49 years, male 27.1
GTEX-X4EO-0326-SM-3P5YO 60-69 years, female 27.1
GTEX-1IDJF-0126-SM-CM2RS 20-29 years, male 27.1
GTEX-1KANC-1526-SM-D3LAB 50-59 years, female 27.1
GTEX-ZF29-2326-SM-DO92K 60-69 years, female 27.1
GTEX-145LV-2126-SM-5LU8N 50-59 years, male 27.0
GTEX-ZTPG-0326-SM-5O9AX 20-29 years, female 27.0
GTEX-1JKYR-0126-SM-CNPOJ 20-29 years, male 27.0
GTEX-1LGOU-2026-SM-DIPFF 20-29 years, female 27.0
GTEX-1MCYP-1926-SM-E9J2R 20-29 years, female 27.0
GTEX-1N2DV-0226-SM-E6CJ6 40-49 years, male 27.0
GTEX-18D9A-1926-SM-7LG6P 30-39 years, female 26.9
GTEX-T2IS-0126-SM-4DM6O 20-29 years, female 26.9
GTEX-TML8-1926-SM-32QOS 40-49 years, female 26.9
GTEX-X5EB-2226-SM-46MW4 40-49 years, male 26.9
GTEX-XXEK-2226-SM-4BRUM 50-59 years, male 26.9
GTEX-1H3O1-0426-SM-9YFKY 60-69 years, male 26.9
GTEX-1MA7W-2026-SM-E9TJ6 20-29 years, female 26.9
GTEX-1AX9J-0226-SM-73KXM 60-69 years, male 26.8
GTEX-S95S-1226-SM-4GICG 60-69 years, male 26.8
GTEX-ZDYS-2026-SM-5HL5L 50-59 years, male 26.8
GTEX-1HSGN-0226-SM-CGQFV 40-49 years, female 26.8
GTEX-146FQ-0126-SM-5NQA9 30-39 years, male 26.7
GTEX-ZWKS-0126-SM-5SIAA 30-39 years, male 26.7
GTEX-1CB4H-0226-SM-7PBXM 60-69 years, female 26.7
GTEX-1JJEA-0326-SM-CNPOT 60-69 years, male 26.7
GTEX-111FC-0126-SM-5N9DL 60-69 years, male 26.6
GTEX-17KNJ-2326-SM-7DHLQ 50-59 years, male 26.6
GTEX-ZYT6-0226-SM-5NQ6T 30-39 years, male 26.6
GTEX-X261-0126-SM-3NMD6 50-59 years, male 26.5
GTEX-1GZHY-0326-SM-9QEHI 50-59 years, female 26.5
GTEX-1J1R8-1726-SM-ARL8M 40-49 years, male 26.5
GTEX-1QCLY-0326-SM-E8VOG 30-39 years, male 26.5
GTEX-11DXW-0226-SM-5H122 40-49 years, male 26.4
GTEX-18A67-0126-SM-7LG5P 50-59 years, male 26.4
GTEX-XAJ8-0826-SM-47JY6 40-49 years, male 26.4
GTEX-139TU-0126-SM-5K7WH 60-69 years, male 26.3
GTEX-13O3Q-2426-SM-5IJBR 50-59 years, male 26.3
GTEX-13X6J-0126-SM-5QGOU 50-59 years, male 26.3
GTEX-147F4-0226-SM-5QGPW 50-59 years, male 26.3
GTEX-17HG3-2226-SM-7938L 30-39 years, female 26.3
GTEX-WZTO-0126-SM-3NM95 40-49 years, male 26.3
GTEX-XMD2-0126-SM-4YCDU 60-69 years, female 26.3
GTEX-ZVZP-2426-SM-59HKJ 50-59 years, male 26.3
GTEX-1H11D-0226-SM-9WG6Z 40-49 years, male 26.3
GTEX-PLZ5-2026-SM-2S1O4 50-59 years, male 26.2
GTEX-QV44-1926-SM-2S1RF 50-59 years, male 26.2
GTEX-Z93S-0126-SM-5HL7M 50-59 years, male 26.2
GTEX-1H2FU-0126-SM-9WYSI 60-69 years, female 26.2
GTEX-1MUQO-0126-SM-EAZ58 60-69 years, male 26.2
GTEX-13IVO-0126-SM-5J1NG 70-79 years, male 26.1
GTEX-13QJ3-0326-SM-5S2RA 50-59 years, male 26.1
GTEX-1LB8K-0226-SM-EWRNW 50-59 years, male 26.1
GTEX-PLZ6-1426-SM-DKPOT 30-39 years, male 26.1
GTEX-131XH-2226-SM-5DUXJ 50-59 years, male 26.0
GTEX-13JUV-2726-SM-5LZZ8 40-49 years, female 26.0
GTEX-1GMRU-0126-SM-9YFLV 50-59 years, male 26.0
GTEX-12ZZY-0226-SM-5LZVE 60-69 years, male 25.9
GTEX-15G19-0126-SM-6PANQ 60-69 years, male 25.9
GTEX-1A3MV-1926-SM-718BT 30-39 years, male 25.9
GTEX-1PIGE-0126-SM-EVYBJ 20-29 years, male 25.9
GTEX-11OC5-0126-SM-5HL6A 60-69 years, male 25.8
GTEX-132NY-0326-SM-5IJBL 60-69 years, male 25.8
GTEX-18465-0126-SM-731BN 50-59 years, male 25.8
GTEX-1CAMR-1926-SM-7EPI2 20-29 years, male 25.8
GTEX-1JMQJ-0526-SM-CYPSU 50-59 years, male 25.8
GTEX-14DAR-2026-SM-5S2O3 50-59 years, male 25.7
GTEX-1EX96-1626-SM-7PBXR 50-59 years, male 25.7
GTEX-1212Z-2526-SM-5EGKP 60-69 years, male 25.6
GTEX-12WSE-0526-SM-793B2 20-29 years, male 25.6
GTEX-15ETS-0126-SM-7KUMW 40-49 years, female 25.6
GTEX-U3ZN-2326-SM-3DB7W 30-39 years, female 25.6
GTEX-146FH-0126-SM-5QGPP 50-59 years, female 25.5
GTEX-14PJM-0226-SM-62LF1 50-59 years, female 25.5
GTEX-XBED-2226-SM-47JYQ 60-69 years, male 25.5
GTEX-XUW1-0426-SM-4BOOT 50-59 years, female 25.5
GTEX-ZYFG-2326-SM-5E44B 60-69 years, female 25.5
GTEX-ZZ64-1726-SM-5GZYB 20-29 years, male 25.5
GTEX-1J8JJ-0226-SM-CL53I 60-69 years, female 25.5
GTEX-11EQ9-2426-SM-5HL5T 30-39 years, male 25.4
GTEX-145ME-1826-SM-5SI9G 40-49 years, female 25.4
GTEX-PWO3-1526-SM-48TCM 60-69 years, female 25.4
GTEX-ZE7O-0126-SM-57WC1 50-59 years, female 25.4
GTEX-1AX9K-2326-SM-73KWU 50-59 years, male 25.3
GTEX-OHPM-0126-SM-2YUN9 50-59 years, male 25.3
GTEX-RM2N-1426-SM-2TF4H 50-59 years, male 25.3
GTEX-VJWN-0126-SM-3GIK7 50-59 years, female 25.3
GTEX-1GF9W-0326-SM-9KNUN 60-69 years, male 25.3
GTEX-1KWVE-1426-SM-E9TJO 30-39 years, male 25.3
GTEX-1CB4J-0626-SM-7DHMP 60-69 years, male 25.2
GTEX-ZV68-0126-SM-59HKS 50-59 years, female 25.2
GTEX-1ICG6-2526-SM-CGQFZ 70-79 years, female 25.2
GTEX-1269C-2526-SM-5EGJ3 60-69 years, female 25.1
GTEX-1CB4I-0226-SM-79OLH 50-59 years, male 25.1
GTEX-ZYFC-0226-SM-5NQ75 50-59 years, male 25.1
GTEX-1HSKV-0226-SM-A9SKJ 60-69 years, male 25.1
GTEX-1RDX4-0126-SM-E9J4P 50-59 years, female 25.1
GTEX-13NZB-2526-SM-5J1OM 30-39 years, male 25.0
GTEX-1PPH8-0226-SM-E8VND 20-29 years, male 25.0
GTEX-ZPIC-1726-SM-DHXIU 40-49 years, female 25.0
GTEX-14BIN-0626-SM-793DP 50-59 years, female 24.9
GTEX-13O3P-0126-SM-5KM4S 50-59 years, male 24.8
GTEX-ZDTT-2726-SM-4WKF8 60-69 years, male 24.8
GTEX-1HCUA-2426-SM-ADEIS 50-59 years, female 24.8
GTEX-1JMQK-0226-SM-CL543 60-69 years, male 24.8
GTEX-131XW-0426-SM-5LZWP 50-59 years, female 24.7
GTEX-13OW7-0126-SM-5MR3B 50-59 years, male 24.7
GTEX-1AYD5-2426-SM-73KXR 50-59 years, male 24.7
GTEX-WRHK-1426-SM-3MJF9 20-29 years, female 24.7
GTEX-1JMPZ-0226-SM-CNPP1 30-39 years, male 24.7
GTEX-1KANA-0726-SM-D3L9I 20-29 years, male 24.7
GTEX-11DXX-2426-SM-5GZZW 60-69 years, female 24.6
GTEX-11GSP-2526-SM-5N9BP 60-69 years, female 24.6
GTEX-13S7M-0126-SM-5SI6A 60-69 years, female 24.6
GTEX-QCQG-1726-SM-3GIJ9 50-59 years, female 24.6
GTEX-1H1DG-0126-SM-9WYU2 70-79 years, male 24.6
GTEX-13OVI-1426-SM-5L3EY 60-69 years, female 24.5
GTEX-14E6D-0126-SM-62LDV 50-59 years, male 24.5
GTEX-16XZZ-0126-SM-793DV 60-69 years, male 24.5
GTEX-QEG4-0226-SM-2S1PY 30-39 years, male 24.5
GTEX-SJXC-0126-SM-2XCFF 60-69 years, male 24.5
GTEX-VUSG-2526-SM-4KL1V 50-59 years, male 24.5
GTEX-1GN1U-0126-SM-7PBZK 50-59 years, female 24.5
GTEX-1QMI2-0226-SM-EVYBX 60-69 years, male 24.5
GTEX-12584-0126-SM-5EGKQ 40-49 years, male 24.4
GTEX-13N2G-2626-SM-5J1OT 60-69 years, male 24.4
GTEX-15F5U-1526-SM-6PANO 40-49 years, male 24.4
GTEX-1B8SG-0126-SM-73KZ3 50-59 years, male 24.4
GTEX-1HCU6-0126-SM-CL54K 60-69 years, female 24.4
GTEX-1HSEH-0126-SM-ACKXN 60-69 years, male 24.4
GTEX-1S83E-0126-SM-EWRO4 40-49 years, male 24.4
GTEX-15UKP-0426-SM-7KUFQ 20-29 years, male 24.3
GTEX-17EUY-0426-SM-793BD 20-29 years, male 24.3
GTEX-YJ8A-0426-SM-5IFID 20-29 years, male 24.3
GTEX-ZDXO-3026-SM-5J1N5 60-69 years, male 24.3
GTEX-145LU-0126-SM-5TDCB 50-59 years, male 24.2
GTEX-17HGU-0226-SM-7DHKV 50-59 years, male 24.2
GTEX-1I1GP-2226-SM-CGQFK 50-59 years, male 24.2
GTEX-1B933-0126-SM-7PC29 50-59 years, female 24.1
GTEX-1K2DU-2326-SM-E9TIV 20-29 years, male 24.1
GTEX-PSDG-0226-SM-DKPOZ 50-59 years, male 24.1
GTEX-11EMC-2926-SM-5EQ4F 60-69 years, female 24.0
GTEX-11XUK-2026-SM-5EQLF 40-49 years, female 24.0
GTEX-13RTJ-2426-SM-5S2Q2 60-69 years, male 24.0
GTEX-1LSNM-1926-SM-E6CII 50-59 years, male 24.0
GTEX-144FL-0126-SM-5TDC8 50-59 years, male 23.9
GTEX-13SLW-0126-SM-5SI6C 70-79 years, male 23.8
GTEX-RUSQ-1526-SM-2TF62 50-59 years, male 23.8
GTEX-ZC5H-0226-SM-4WAY9 40-49 years, female 23.8
GTEX-1JN76-0126-SM-CNPPE 20-29 years, female 23.8
GTEX-11ZTS-0126-SM-5EQ6M 60-69 years, female 23.7
GTEX-12WSA-0226-SM-5BC5V 60-69 years, male 23.7
GTEX-16BQI-0226-SM-7KUEX 30-39 years, female 23.7
GTEX-RWS6-2026-SM-2XCB5 60-69 years, female 23.7
GTEX-ZAJG-0126-SM-5HL94 50-59 years, female 23.7
GTEX-ZF2S-2326-SM-4WWCE 50-59 years, female 23.7
GTEX-ZXES-1826-SM-5E43S 30-39 years, female 23.7
GTEX-1AX9I-0126-SM-7SB74 60-69 years, male 23.7
GTEX-1H1DE-2126-SM-9WG6R 20-29 years, male 23.7
GTEX-1I1GS-0126-SM-B2LVW 60-69 years, male 23.7
GTEX-1314G-1526-SM-5EGK2 30-39 years, male 23.6
GTEX-13X6I-0626-SM-5QGP9 60-69 years, male 23.6
GTEX-1F52S-0126-SM-9MQJU 60-69 years, female 23.5
GTEX-12WSL-2526-SM-5GCNJ 50-59 years, male 23.4
GTEX-14JG6-2226-SM-6EU2G 30-39 years, female 23.4
GTEX-16MT8-0426-SM-7KUEY 60-69 years, female 23.4
GTEX-17HHY-0126-SM-7LG5D 50-59 years, male 23.4
GTEX-XUYS-0126-SM-47JWZ 50-59 years, male 23.4
GTEX-ZV6S-2326-SM-4YCEY 40-49 years, female 23.4
GTEX-1GN2E-0426-SM-9MQKX 60-69 years, male 23.4
GTEX-11DXY-2626-SM-5GIE7 60-69 years, male 23.3
GTEX-13FTX-1826-SM-5J1NX 20-29 years, female 23.3
GTEX-OOBK-0126-SM-2YUND 40-49 years, male 23.3
GTEX-169BO-1326-SM-9MQK2 50-59 years, male 23.3
GTEX-15DDE-0126-SM-6LPKH 50-59 years, female 23.2
GTEX-1GZ2Q-0226-SM-7P8TL 40-49 years, male 23.2
GTEX-1S82Y-2026-SM-EVYCM 40-49 years, male 23.2
GTEX-ZQG8-1626-SM-DHXIT 60-69 years, female 23.2
GTEX-13U4I-0126-SM-5LU38 40-49 years, female 23.1
GTEX-13VXT-0126-SM-5LU4I 20-29 years, female 23.1
GTEX-PLZ4-0126-SM-5SI8O 50-59 years, female 23.1
GTEX-133LE-1826-SM-5J1MV 20-29 years, female 23.0
GTEX-1399T-2826-SM-5KLYZ 60-69 years, male 23.0
GTEX-14LZ3-0226-SM-62LET 60-69 years, female 23.0
GTEX-18A7B-0126-SM-7LG64 70-79 years, male 23.0
GTEX-OXRK-0226-SM-3NB2G 50-59 years, female 23.0
GTEX-QDT8-0126-SM-48TZ1 30-39 years, female 23.0
GTEX-SN8G-0126-SM-32PLI 50-59 years, female 23.0
GTEX-U3ZM-1526-SM-3DB9D 40-49 years, male 23.0
GTEX-13FH7-2026-SM-E9J4I 50-59 years, female 23.0
GTEX-1F75I-0326-SM-9YFLU 40-49 years, male 23.0
GTEX-1F7RK-0126-SM-7PC2S 20-29 years, female 23.0
GTEX-1QP66-1726-SM-E8VO1 50-59 years, male 23.0
GTEX-13OVL-0226-SM-5L3E9 50-59 years, male 22.9
GTEX-1IDFM-0126-SM-COH2V 60-69 years, male 22.9
GTEX-131XE-2326-SM-5PNZ2 50-59 years, male 22.8
GTEX-144GL-0126-SM-5TDE2 50-59 years, male 22.8
GTEX-U4B1-1826-SM-4DXSU 40-49 years, male 22.8
GTEX-VJYA-1126-SM-3GIJU 60-69 years, male 22.8
GTEX-1GF9V-0326-SM-7RHI5 60-69 years, male 22.8
GTEX-1HCU9-1526-SM-A9SL7 20-29 years, male 22.8
GTEX-11P81-2326-SM-59875 30-39 years, female 22.7
GTEX-14BIM-0226-SM-7IGLD 60-69 years, female 22.7
GTEX-1C2JI-1826-SM-73KXC 50-59 years, male 22.7
GTEX-ZAB4-0226-SM-5N9F5 40-49 years, male 22.7
GTEX-1C6VQ-0126-SM-7P8RI 50-59 years, male 22.7
GTEX-1HBPN-0226-SM-9YFM1 50-59 years, male 22.7
GTEX-11O72-0126-SM-59887 40-49 years, male 22.6
GTEX-1F5PK-2426-SM-7RHHY 50-59 years, male 22.6
GTEX-1HCVE-0126-SM-CGQEU 50-59 years, male 22.6
GTEX-11TT1-2526-SM-5EGIB 20-29 years, male 22.5
GTEX-13OW8-1326-SM-5J1OW 60-69 years, male 22.5
GTEX-14BMV-0126-SM-5S2PO 50-59 years, male 22.5
GTEX-1B97I-1626-SM-73KYO 40-49 years, male 22.5
GTEX-1NHNU-1026-SM-E9J2A 50-59 years, male 22.5
GTEX-11P82-1626-SM-59879 20-29 years, male 22.4
GTEX-1B8KZ-2026-SM-7DHMB 50-59 years, male 22.4
GTEX-XPVG-2626-SM-4B669 50-59 years, male 22.4
GTEX-1PBJI-0526-SM-E8VNK 20-29 years, female 22.4
GTEX-11ZTT-2426-SM-5EQLS 60-69 years, female 22.3
GTEX-OXRO-0126-SM-2YUN4 60-69 years, female 22.3
GTEX-Y5V5-2326-SM-4V6GA 60-69 years, female 22.3
GTEX-1CB4F-0426-SM-9KNV4 60-69 years, male 22.3
GTEX-1CB4G-0226-SM-7PC3O 60-69 years, male 22.3
GTEX-1F75A-0126-SM-7RHGM 50-59 years, male 22.3
GTEX-1I4MK-2226-SM-ACKWD 50-59 years, female 22.3
GTEX-1LNCM-1126-SM-E9U5E 50-59 years, female 22.3
GTEX-1QP67-1626-SM-EAZ3X 40-49 years, female 22.3
GTEX-11H98-0126-SM-5EGHG 50-59 years, male 22.2
GTEX-148VI-1626-SM-5SI6E 60-69 years, female 22.2
GTEX-PVOW-0126-SM-2XCFA 40-49 years, male 22.2
GTEX-1128S-2326-SM-5GZZY 60-69 years, female 22.1
GTEX-1192W-2626-SM-5Q5AF 60-69 years, male 22.1
GTEX-11EM3-2426-SM-59861 20-29 years, female 22.1
GTEX-1A32A-0126-SM-718B1 50-59 years, female 22.1
GTEX-ZY6K-1826-SM-5GZXK 50-59 years, male 22.1
GTEX-1KD5A-0226-SM-D5OV3 50-59 years, male 22.1
GTEX-17EVP-0326-SM-7DHLG 40-49 years, male 22.0
GTEX-1HB9E-0226-SM-E9U4R 50-59 years, male 22.0
GTEX-1JKYN-1326-SM-CGQG9 30-39 years, male 22.0
GTEX-15SHU-0126-SM-7KUEH 40-49 years, female 21.9
GTEX-16AAH-1726-SM-7939C 50-59 years, male 21.9
GTEX-1C475-1826-SM-73KWA 40-49 years, female 21.9
GTEX-OXRP-0126-SM-3NB32 60-69 years, female 21.9
GTEX-ZVT3-0126-SM-5GU6I 60-69 years, female 21.9
GTEX-13O3O-0126-SM-E9J49 60-69 years, female 21.9
GTEX-1J8QM-2126-SM-CYPSJ 60-69 years, female 21.9
GTEX-1R46S-0626-SM-E9J41 60-69 years, female 21.9
GTEX-139T8-0126-SM-5K7XZ 60-69 years, male 21.8
GTEX-16NGA-1726-SM-731B4 40-49 years, female 21.8
GTEX-OXRL-0126-SM-2YUMP 50-59 years, male 21.8
GTEX-T5JC-0426-SM-32PLO 20-29 years, male 21.8
GTEX-ZF28-0126-SM-4WKGK 60-69 years, male 21.8
GTEX-12WSG-2826-SM-E9J4H 50-59 years, female 21.8
GTEX-1R9K4-0126-SM-DTX9X 60-69 years, male 21.8
GTEX-11VI4-1726-SM-5CVLH 40-49 years, female 21.7
GTEX-13PDP-0126-SM-5L3HD 60-69 years, male 21.7
GTEX-14PJ6-2126-SM-6EU1V 60-69 years, female 21.7
GTEX-15CHC-2126-SM-6EU21 60-69 years, female 21.7
GTEX-1C6WA-0126-SM-7PC2B 60-69 years, male 21.7
GTEX-1L5NE-2526-SM-E6CIE 50-59 years, male 21.7
GTEX-1I19N-0326-SM-ACKVX 70-79 years, male 21.6
GTEX-1LG7Y-0526-SM-DKPQC 50-59 years, male 21.6
GTEX-1O97I-0326-SM-EYYX7 60-69 years, male 21.6
GTEX-11LCK-1026-SM-5A5KB 30-39 years, male 21.5
GTEX-13OW6-0426-SM-5L3HM 50-59 years, male 21.5
GTEX-1MGNQ-0126-SM-EVYCJ 40-49 years, male 21.5
GTEX-14E6C-0126-SM-5RQIP 40-49 years, male 21.4
GTEX-U3ZH-2026-SM-3DB78 30-39 years, male 21.4
GTEX-1QPFJ-0226-SM-E76PB 30-39 years, female 21.4
GTEX-13OVH-0126-SM-5MR4B 70-79 years, male 21.3
GTEX-17HHE-2026-SM-79OKF 50-59 years, male 21.3
GTEX-ZQUD-1426-SM-57WER 30-39 years, male 21.3
GTEX-1RLM8-2326-SM-EWRN4 50-59 years, male 21.3
GTEX-111VG-2426-SM-5GZXD 60-69 years, male 21.2
GTEX-113JC-2326-SM-5EQ4E 50-59 years, female 21.2
GTEX-17EVQ-0226-SM-7LG4P 70-79 years, male 21.2
GTEX-17F97-0326-SM-7LG5B 50-59 years, male 21.2
GTEX-18D9B-0526-SM-7LTAS 60-69 years, male 21.2
GTEX-ZU9S-0226-SM-5E441 30-39 years, male 21.2
GTEX-1KXAM-2226-SM-CYPTC 60-69 years, male 21.2
GTEX-1QW4Y-1526-SM-EAZ3Z 30-39 years, male 21.2
GTEX-1R7EV-2426-SM-EVYBG 40-49 years, male 21.2
GTEX-ZVT4-0126-SM-DTXFN 50-59 years, female 21.2
GTEX-1KANB-0526-SM-E6CJH 50-59 years, male 21.1
GTEX-1POEN-0126-SM-EYYXJ 30-39 years, female 21.1
GTEX-12C56-1726-SM-5EQ61 20-29 years, male 21.0
GTEX-13W3W-2426-SM-5LU5B 60-69 years, female 21.0
GTEX-14PN3-2426-SM-6LLHS 60-69 years, female 21.0
GTEX-R3RS-0126-SM-3GIJL 40-49 years, female 21.0
GTEX-1R9PO-2126-SM-E9J4O 60-69 years, female 21.0
GTEX-147GR-0526-SM-5S2MY 60-69 years, male 20.9
GTEX-Z9EW-1626-SM-5CVMN 40-49 years, male 20.9
GTEX-1GF9U-2126-SM-7SB7L 40-49 years, female 20.9
GTEX-1LC47-0326-SM-E9TJP 60-69 years, male 20.9
GTEX-QESD-1426-SM-2S1R9 20-29 years, male 20.8
GTEX-WFG8-2226-SM-3GIL9 20-29 years, male 20.8
GTEX-1I1GU-2226-SM-CGQFA 40-49 years, male 20.8
GTEX-139T4-0226-SM-5HL5S 50-59 years, female 20.7
GTEX-TSE9-0126-SM-3DB83 60-69 years, female 20.7
GTEX-1H4P4-0726-SM-9YFLR 50-59 years, male 20.7
GTEX-1LH75-2426-SM-E9TJE 50-59 years, female 20.7
GTEX-1M4P7-0226-SM-DIPEV 60-69 years, male 20.7
GTEX-13NZA-0226-SM-5K7Z7 60-69 years, male 20.6
GTEX-145MI-0526-SM-5O9A8 60-69 years, female 20.6
GTEX-14ABY-0226-SM-5TDCQ 50-59 years, male 20.6
GTEX-18A66-0226-SM-718BD 60-69 years, male 20.6
GTEX-ZEX8-2426-SM-4WKG4 50-59 years, male 20.6
GTEX-1QP2A-0126-SM-E9J43 50-59 years, male 20.6
GTEX-14A5I-0126-SM-5TDEA 50-59 years, female 20.5
GTEX-15DYW-0126-SM-7KULE 60-69 years, female 20.5
GTEX-ZAB5-1826-SM-5HL7C 50-59 years, male 20.5
GTEX-1HBPI-1526-SM-C1YQ1 50-59 years, male 20.5
GTEX-1PWST-0226-SM-E76QJ 70-79 years, male 20.5
GTEX-1RQEC-0426-SM-E6CHU 60-69 years, male 20.5
GTEX-17F96-1626-SM-7DUFL 70-79 years, male 20.4
GTEX-WYVS-2126-SM-3NMA3 40-49 years, female 20.4
GTEX-11NSD-2226-SM-5986V 20-29 years, male 20.3
GTEX-13O1R-0126-SM-5L3EH 60-69 years, male 20.3
GTEX-14A6H-0126-SM-5QGPK 30-39 years, male 20.3
GTEX-X638-0126-SM-47JZ8 70-79 years, female 20.3
GTEX-1JN1M-0326-SM-CYPT3 60-69 years, female 20.2
GTEX-11DZ1-0126-SM-5985Q 50-59 years, male 20.1
GTEX-1AMFI-2026-SM-731BH 50-59 years, female 20.1
GTEX-1C64O-0126-SM-7SB8P 60-69 years, male 20.1
GTEX-1I1GR-0126-SM-CL55F 60-69 years, male 20.1
GTEX-1OJC4-0126-SM-E9J2E 50-59 years, female 20.1
GTEX-1QP29-0626-SM-EWRMX 50-59 years, male 20.1
GTEX-12KS4-0326-SM-5EQ41 30-39 years, male 20.0
GTEX-15SDE-2226-SM-7IGLO 50-59 years, female 20.0
GTEX-1GN73-0226-SM-9WG67 60-69 years, male 20.0
GTEX-11GSO-2426-SM-5A5LY 60-69 years, male 19.9
GTEX-183FY-0126-SM-7LT9P 20-29 years, male 19.9
GTEX-X62O-0126-SM-4E3JN 50-59 years, male 19.9
GTEX-1GPI6-0126-SM-9WG69 60-69 years, male 19.9
GTEX-16NPX-0226-SM-79OMT 50-59 years, male 19.8
GTEX-ZYY3-0126-SM-5GZY5 60-69 years, female 19.8
GTEX-15SHW-0326-SM-6PAML 60-69 years, male 19.7
GTEX-13NYC-0326-SM-E9J4S 60-69 years, male 19.7
GTEX-1GMR8-0126-SM-9WYTM 50-59 years, female 19.7
GTEX-11ZVC-2526-SM-5FQTE 50-59 years, female 19.6
GTEX-15EU6-0426-SM-6PAN5 50-59 years, male 19.6
GTEX-Q2AG-0126-SM-33HBV 40-49 years, female 19.6
GTEX-SNMC-1226-SM-2XCFP 20-29 years, male 19.6
GTEX-1GL5R-1826-SM-9KNUY 50-59 years, male 19.6
GTEX-11ZUS-0626-SM-59885 30-39 years, male 19.5
GTEX-17MF6-0126-SM-7LG4F 40-49 years, male 19.5
GTEX-1IDJU-2626-SM-CM2RT 60-69 years, female 19.5
GTEX-1PPH7-2326-SM-EVYB8 40-49 years, male 19.5
GTEX-1S3DN-2226-SM-EVYCD 50-59 years, male 19.5
GTEX-PW2O-1526-SM-7RHHB 20-29 years, male 19.5
GTEX-12WSC-0126-SM-5EQ4P 50-59 years, male 19.4
GTEX-R55E-0126-SM-2TC5Y 20-29 years, male 19.4
GTEX-139TT-0126-SM-5K7Y5 60-69 years, male 19.3
GTEX-1E1VI-0126-SM-7DHMZ 50-59 years, male 19.3
GTEX-1GN1W-0526-SM-9MQJQ 50-59 years, female 19.3
GTEX-11WQC-2526-SM-5CVLE 60-69 years, male 19.2
GTEX-13N1W-0126-SM-5K7VT 70-79 years, male 19.2
GTEX-1AMEY-1326-SM-73KYK 30-39 years, female 19.2
GTEX-1EKGG-0226-SM-9WYTH 60-69 years, male 19.2
GTEX-1HSMP-0126-SM-E6CJS 70-79 years, male 19.2
GTEX-1J8Q2-0526-SM-CM2RW 60-69 years, male 19.2
GTEX-1JJ6O-0126-SM-E6CI8 60-69 years, male 19.2
GTEX-1RAZA-0126-SM-E6CI3 20-29 years, male 19.2
GTEX-ZVE2-0226-SM-59HJB 50-59 years, male 19.1
GTEX-ZZPT-0226-SM-5E43X 50-59 years, male 19.1
GTEX-1K9T9-0126-SM-EVYCF 50-59 years, female 19.1
GTEX-1MA7X-2226-SM-E6CIY 60-69 years, male 19.1
GTEX-113IC-0126-SM-5HL6T 60-69 years, male 19.0
GTEX-11NUK-0126-SM-5A5L3 50-59 years, male 19.0
GTEX-17HII-0226-SM-7LG4E 50-59 years, male 19.0
GTEX-S32W-2126-SM-2XCB1 50-59 years, female 19.0
GTEX-1H3VY-0126-SM-ACKXD 50-59 years, male 19.0
GTEX-1HKZK-0326-SM-9WYUH 40-49 years, male 19.0
GTEX-16XZY-2126-SM-79OK1 70-79 years, male 18.9
GTEX-P44H-0226-SM-2XCEU 40-49 years, male 18.9
GTEX-1F48J-0126-SM-7P8TT 50-59 years, female 18.9
GTEX-13SLX-0526-SM-5S2ON 50-59 years, female 18.8
GTEX-1F6IF-0726-SM-7P8TW 60-69 years, male 18.8
GTEX-1HBPH-0426-SM-B2LW5 40-49 years, female 18.8
GTEX-1I1CD-0126-SM-CM2TK 60-69 years, female 18.8
GTEX-13OVG-1926-SM-5L3DK 60-69 years, male 18.7
GTEX-13W46-0226-SM-5SIAG 50-59 years, male 18.7
GTEX-17MFQ-1726-SM-793C7 20-29 years, male 18.7
GTEX-TMMY-0226-SM-33HBA 40-49 years, female 18.7
GTEX-14DAQ-0126-SM-5S2MQ 60-69 years, female 18.6
GTEX-11ZU8-2526-SM-5EQKI 60-69 years, male 18.5
GTEX-13RTL-0126-SM-7LG5S 40-49 years, male 18.5
GTEX-14C5O-0126-SM-5SI6N 60-69 years, male 18.5
GTEX-14LLW-0126-SM-6LLIO 70-79 years, female 18.5
GTEX-R55G-2526-SM-2TC6D 40-49 years, female 18.5
GTEX-1H3NZ-0126-SM-ACKX7 60-69 years, male 18.5
GTEX-1ICLY-0126-SM-D4P36 50-59 years, male 18.5
GTEX-1IY9M-0126-SM-D3L8S 60-69 years, male 18.5
GTEX-Q734-1926-SM-2I5EV 40-49 years, female 18.4
GTEX-Y8LW-1826-SM-5S2MV 50-59 years, female 18.4
GTEX-ZYW4-0126-SM-5E44A 60-69 years, male 18.4
GTEX-1HT8W-0126-SM-CNPPP 30-39 years, male 18.4
GTEX-1IL2V-0126-SM-CM2TX 70-79 years, male 18.4
GTEX-13OVJ-0126-SM-5KM36 50-59 years, female 18.3
GTEX-147F3-0526-SM-5SI98 50-59 years, female 18.3
GTEX-1N2EF-0226-SM-EYYXB 60-69 years, male 18.3
GTEX-14E7W-0126-SM-6LLJ9 70-79 years, male 18.2
GTEX-1RAZQ-0726-SM-EAZ43 30-39 years, male 18.2
GTEX-OIZF-0126-SM-7SB8I 60-69 years, male 18.2
GTEX-1C6VR-2426-SM-79OLD 60-69 years, male 18.1
GTEX-1H1E6-1726-SM-ACKVK 30-39 years, male 18.1
GTEX-1H1ZS-0426-SM-9WG6G 70-79 years, male 18.1
GTEX-1I1GQ-0126-SM-COH3H 50-59 years, male 18.1
GTEX-1IGQW-0126-SM-COH42 60-69 years, male 18.1
GTEX-1IKOH-0226-SM-COH4E 60-69 years, female 18.1
GTEX-11EI6-0126-SM-5985R 60-69 years, male 18.0
GTEX-1B996-0226-SM-7RHGO 60-69 years, male 18.0
GTEX-1JMOU-1526-SM-CL54I 60-69 years, female 18.0
GTEX-SSA3-0126-SM-32QPU 60-69 years, male 17.8
GTEX-1E2YA-0126-SM-9KNUC 50-59 years, male 17.8
GTEX-1IKJJ-0126-SM-CNPQB 60-69 years, male 17.8
GTEX-1J8Q3-1626-SM-CMKGC 60-69 years, male 17.8
GTEX-14PHW-0126-SM-6LLJI 60-69 years, female 17.7
GTEX-1A3MW-0126-SM-73KXX 60-69 years, female 17.5
GTEX-1HUB1-0426-SM-E9U4U 60-69 years, male 17.5
GTEX-13FTY-0526-SM-5L3EV 40-49 years, female 17.4
GTEX-14BIL-0126-SM-5SI92 50-59 years, male 17.4
GTEX-1C6VS-0526-SM-7DUEN 60-69 years, male 17.4
GTEX-1JJE9-0326-SM-CL53Z 70-79 years, male 17.4
GTEX-16YQH-0126-SM-7DUFJ 30-39 years, male 17.3
GTEX-1EN7A-0126-SM-7SB81 40-49 years, male 17.3
GTEX-1CAMQ-0226-SM-7IGPK 40-49 years, male 17.2
GTEX-1I1GT-0626-SM-CGQER 60-69 years, female 17.2
GTEX-1HCU7-0226-SM-CL545 50-59 years, male 17.1
GTEX-15DCD-0126-SM-7KUEK 70-79 years, female 17.0
GTEX-ZUA1-0126-SM-5GU76 40-49 years, male 17.0
GTEX-1GN1V-0126-SM-9WPOS 60-69 years, male 17.0
GTEX-148VJ-0126-SM-5TDDN 70-79 years, male 16.9
GTEX-V1D1-2226-SM-3NMAX 50-59 years, male 16.9
GTEX-ZXG5-0126-SM-5GIEU 60-69 years, male 16.9
GTEX-QDVJ-1726-SM-2I5FX 50-59 years, male 16.7
GTEX-1H23P-0126-SM-ADEJ3 60-69 years, male 16.6
GTEX-1HSMO-0126-SM-CL547 60-69 years, male 16.6
GTEX-15D1Q-0126-SM-7KUG6 40-49 years, male 16.5
GTEX-WOFL-0126-SM-3MJG2 60-69 years, male 16.5
GTEX-R45C-0126-SM-EAZ2R 60-69 years, female 16.5
GTEX-1EU9M-0226-SM-7P8SP 60-69 years, male 16.3
GTEX-1JK1U-2026-SM-CM2RZ 60-69 years, male 16.2
GTEX-Q2AH-1626-SM-3GAF8 40-49 years, male 16.1
GTEX-1F88F-2726-SM-7PBZZ 60-69 years, female 16.1
GTEX-14JIY-0126-SM-6LLH6 60-69 years, male 15.9
GTEX-1QEPI-0126-SM-EWRMQ 60-69 years, female 15.8
GTEX-1IE54-0126-SM-CMKHW 40-49 years, female 15.7
GTEX-1HFI7-1826-SM-ACKXH 50-59 years, female 15.5
GTEX-146FR-1326-SM-E9J48 60-69 years, female 15.4
GTEX-1A8FM-0226-SM-7SB7Q 50-59 years, female 15.4
GTEX-QVJO-1626-SM-2S1QW 60-69 years, female 15.3
GTEX-XV7Q-2526-SM-4BRV9 40-49 years, female 15.2
GTEX-1I1HK-0126-SM-COH49 60-69 years, male 15.2
GTEX-11TTK-0126-SM-5987B 60-69 years, female 15.1
GTEX-QLQW-1126-SM-2S1Q8 30-39 years, male 15.0
GTEX-183WM-0126-SM-7LTAB 70-79 years, female 14.9
GTEX-QLQ7-1626-SM-2S1R8 60-69 years, male 14.8
GTEX-12WSN-5019-SM-79OM6 40-49 years, male 14.7
GTEX-15EOM-0126-SM-7KUGG 20-29 years, female 14.2
GTEX-RN64-0126-SM-2TC68 50-59 years, male 14.0
GTEX-1S82Z-0826-SM-E6CHY 30-39 years, female 13.6
Show allShow less

Contact

  • NEWS ARTICLES
  • PRESS ROOM

The Project

  • INTRODUCTION
  • ORGANIZATION
  • PUBLICATIONS

The Human Protein Atlas

  • DOWNLOADABLE DATA
  • LICENCE & CITATION
  • HELP & FAQ
The Human Protein Atlas project is funded
by the Knut & Alice Wallenberg Foundation.


contact@proteinatlas.org