We use cookies to enhance the usability of our website. If you continue, we'll assume that you are happy to receive all cookies. More information. Don't show this again.
BAG6
HPA
RESOURCES
  • TISSUE
  • BRAIN
  • SINGLE CELL
  • SUBCELLULAR
  • CANCER
  • BLOOD
  • CELL LINE
  • STRUCTURE & INTERACTION
ABOUT
  • INTRODUCTION
  • HISTORY
  • ORGANIZATION
  • PUBLICATIONS
  • ANTIBODY SUBMISSION
  • ANTIBODY AVAILABILITY
  • ACKNOWLEDGMENTS
  • CONTACT
NEWS
  • NEWS ARTICLES
  • PRESS ROOM
LEARN
  • DICTIONARY
  • PROTEIN CLASSES
  • PROTEIN EVIDENCE
  • METHODS
  • EDUCATIONAL VIDEOS
DATA
  • DOWNLOADABLE DATA
  • PUBLICATION DATA
  • RELEASE HISTORY
HELP
  • ANTIBODY VALIDATION
  • ASSAYS & ANNOTATION
  • DISCLAIMER
  • HELP & FAQ
  • PRIVACY STATEMENT
  • LICENCE & CITATION
Fields »
Search result

Field
Term
Gene name
Class
Subclass
Class
Keyword
Chromosome
External id
Tissue
Cell type
Expression
Antibody panel
Tissue
Main location
Patient ID
Annotation
Tissue
Category
Tau score
Cluster
Reliability
Brain region
Category
Tau score
Brain region
Category
Tau score
Brain region
Category
Tau score
Cluster
Reliability
Tissue
Cell type
Enrichment
Cell type
Category
Tau score
Cell type
Category
Tau score
Cell type
Category
Tau score
Cell lineage
Category
Tau score
Cluster
Cluster
Location
Searches
Location
Cell line
Class
Type
Phase
Reliability
Cancer
Prognosis
Cancer
Category
Cancer
Category
Tau score
Cluster
Variants
Interacting gene (ensg_id)
Type
Number of interactions
Pathway
Category
Score
Score
Score
Validation
Validation
Validation
Validation
Antibodies
Data type
Column


  • SUMMARY

  • TISSUE

  • BRAIN

  • SINGLE CELL

  • SUBCELL

  • CANCER

  • BLOOD

  • CELL LINE

  • STRUCT & INT

  • BAG6
TISSUE PRIMARY DATA SKIN Show tissue menu
ADIPOSE TISSUE ADRENAL GLAND AMYGDALA APPENDIX BASAL GANGLIA BONE MARROW BREAST BRONCHUS CEREBELLUM CEREBRAL CORTEX CERVIX CHOROID PLEXUS COLON DUODENUM
ENDOMETRIUM EPIDIDYMIS ESOPHAGUS FALLOPIAN TUBE GALLBLADDER HEART MUSCLE HIPPOCAMPAL FORMATION HYPOTHALAMUS KIDNEY LIVER LUNG LYMPH NODE MIDBRAIN NASOPHARYNX
ORAL MUCOSA OVARY PANCREAS PARATHYROID GLAND PITUITARY GLAND PLACENTA PROSTATE RECTUM RETINA SALIVARY GLAND SEMINAL VESICLE SKELETAL MUSCLE SKIN SMALL INTESTINE
SMOOTH MUSCLE SOFT TISSUE SPINAL CORD SPLEEN STOMACH TESTIS THYMUS THYROID GLAND TONGUE TONSIL URINARY BLADDER VAGINA
ANTIBODIES
AND
VALIDATION
Dictionary
Skin
Tissue proteome
Skin
SKIN - Expression summary
Protein expression
Skini

On the top, protein expression in current human tissue, based on all annotated cell types, is reported with the units not detected (n), low (l), medium (m) and high (h). Underneath, protein expression in each annotated cell type are reported using the same units.

Protein expression data is based on knowledge-based annotation. For genes where more than one antibody has been used, a collective score is set.

If knowledge-based annotation could not be performed for a gene, no data is displayed here. View antibody staining data further down this page.

h
m
l
n
Cells in basal layer: Not detected
Cells in corneal layer: Not detected
Cells in granular layer: Medium
Cells in spinous layer: Not detected
Endothelial cells: Medium
Extracellular matrix: Not detected
Fibrohistiocytic cells: Not detected
Langerhans cells: Not detected
Lymphocytes: Medium
Melanocytes: Medium
Vascular mural cells: Not detected
RNA expressioni

A summary of mRNA expression data available for current tissue based on several datasets. The mRNA expression levels in human tissues are based on RNA-seq data generated by the Human Protein Atlas (HPA), Genotype-Tissue Expression (GTEx) portal and CAGE data generated by the FANTOM5 consortium. Consensus normalized expression levels for human tissues was created by combining the data from HPA and GTEx datasets.

The mRNA expression levels in pig are based on RNA-seq data generated by the Human Protein Atlas (HPA), and for mouse, HPA data and in situ hybridization generated by the Allen brain atlas are reported.

Scroll down to view mRNA expression data in more detail.
Consensus:81.5 nTPM
HPA:27.3 nTPM
GTEx:81.5 nTPM

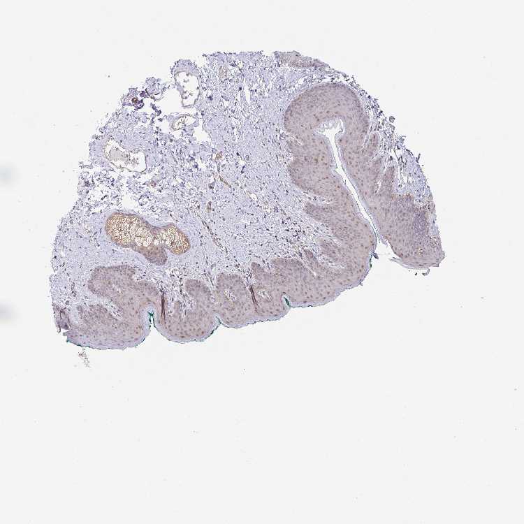
SKIN 1 - Antibody stainingi

Antibody staining in the annotated cell types in the current human tissue is reported as not detected, low, medium, or high, based on conventional immunohistochemistry profiling in selected tissues. This score is based on the combination of the staining intensity and fraction of stained cells.

Each image is clickable and will lead to virtual microscopy that enables deeper exploration of all samples and also displays staining intensity scores, fraction scores and subcellular localization as well as patient and tissue information for each sample.

Antibody HPA045116Antibody HPA053291Antibody CAB020704
Langerhans Not detectedNot detected-
Cells in basal layer --Not detected
Cells in corneal layer --Not detected
Cells in granular layer --Medium
Cells in spinous layer --Not detected
Endothelial cells --Medium
Extracellular matrix --Not detected
Fibroblasts Not detectedNot detected-
Fibrohistiocytic cells --Not detected
Keratinocytes LowLow-
Langerhans cells --Not detected
Lymphocytes --Medium
Melanocytes Not detectedNot detectedMedium
Vascular mural cells --Not detected
SKIN 2 - Antibody stainingi

Antibody staining in the annotated cell types in the current human tissue is reported as not detected, low, medium, or high, based on conventional immunohistochemistry profiling in selected tissues. This score is based on the combination of the staining intensity and fraction of stained cells.

Each image is clickable and will lead to virtual microscopy that enables deeper exploration of all samples and also displays staining intensity scores, fraction scores and subcellular localization as well as patient and tissue information for each sample.

Antibody HPA045116Antibody HPA053291
Epidermal cells MediumMedium
  
  
  
  
  
  
  
  
  
  
  
  
  





SKIN - HPA RNA-seqi

The RNA-seq details section shows detailed information about the individual samples used for the transcript profiling and results of the RNA-seq analysis.

Information about each individual sample is listed below, including gender, age, a tissue section image and estimated fractions of cell types. nTPM (normalized transcripts per million) values give a quantification of the gene abundance which is comparable between different genes and samples.
Average nTPMi

Max subtype nTPM is the value for the subtype with the largest average nTPM across the subtype samples.

27.3
overview
Female, age 34
Skin sample 225
nTPM: 24
Cell types%
Keratinocytes:
60

Other cell types:
40

overview
Female, age 30
Skin sample 226
nTPM: 23.1
Cell types%
Keratinocytes:
55

Other cell types:
45

N/A
Male, age 57
Skin sample 227
nTPM: 34.8

SKIN - GTEx RNA-seqi

RNA-Seq data generated by the Genotype-Tissue Expression (GTEx) project from human tissues is reported as mean nTPM. More information can be found on the GTEx portal.

Distribution across the dataset is visualized with box plots, shown as median and 25th and 75th percentiles. Points are displayed as outliers if they are above or below 1.5 times the interquartile range. nTPM values of the individual samples are presented next to the box plot.
Max subtype nTPMi

Max subtype nTPM is the value for the subtype with the largest average nTPM across the subtype samples.

81.5
GTEx sample id Sample description nTPM
Skin - Not Sun Exposed (Suprapubic)
Average nTPM: 77.0
Samples: 604

Max nTPM: 154.4
Min nTPM: 44.4
Std nTPM: 13.6
Median nTPM: 75.4
GTEX-1OJC3-1226-SM-DTXER 20-29 years, male 154.4
GTEX-ZTX8-1326-SM-4YCEL 20-29 years, male 153.0
GTEX-1N2DV-1526-SM-DTXEP 40-49 years, male 149.2
GTEX-Y114-2126-SM-4TT8B 50-59 years, female 129.5
GTEX-WFG7-2026-SM-5SI7P 20-29 years, male 125.1
GTEX-X585-2426-SM-46MW2 50-59 years, male 122.4
GTEX-1I1GT-1026-SM-ARZLV 60-69 years, female 113.7
GTEX-WHSB-1326-SM-3LK6W 50-59 years, male 112.1
GTEX-1HSMQ-2626-SM-A9SML 50-59 years, male 111.7
GTEX-1F75I-2226-SM-7SB8U 40-49 years, male 110.2
GTEX-131XF-2626-SM-5EQ6K 60-69 years, male 109.6
GTEX-1IKOE-1426-SM-CE6T7 30-39 years, female 109.6
GTEX-1ICLZ-0326-SM-ARL82 60-69 years, male 109.5
GTEX-12WSJ-1126-SM-5LZVJ 40-49 years, female 109.2
GTEX-1QP28-1126-SM-EVYC4 50-59 years, female 107.9
GTEX-14C39-1726-SM-5RQIL 40-49 years, male 107.5
GTEX-11P82-1426-SM-DTXFY 20-29 years, male 107.4
GTEX-17F98-1326-SM-7DUEP 40-49 years, female 106.4
GTEX-139YR-1026-SM-5LZYN 50-59 years, male 104.6
GTEX-1QP2A-1726-SM-E76QC 50-59 years, male 104.1
GTEX-1H2FU-0926-SM-9WPPT 60-69 years, female 103.2
GTEX-WHWD-1826-SM-3LK6I 50-59 years, male 103.1
GTEX-13O61-1426-SM-5KM3D 60-69 years, male 102.7
GTEX-13FTX-1526-SM-5K7VJ 20-29 years, female 102.6
GTEX-16AAH-0626-SM-793C9 50-59 years, male 102.6
GTEX-1QPFJ-1926-SM-EVYBD 30-39 years, female 102.6
GTEX-17HHE-1326-SM-7EWDZ 50-59 years, male 101.9
GTEX-WHPG-2626-SM-3NMBR 50-59 years, male 101.8
GTEX-1HGF4-0126-SM-CNPPX 60-69 years, male 101.7
GTEX-1MJK3-0726-SM-E6CJC 20-29 years, male 101.6
GTEX-131XG-0326-SM-5L3DX 50-59 years, female 101.3
GTEX-14PJ3-1126-SM-5ZZVX 50-59 years, male 101.3
GTEX-11ZU8-0126-SM-5EQ58 60-69 years, male 101.0
GTEX-11P7K-1126-SM-5HL4L 30-39 years, male 100.0
GTEX-1B97I-0626-SM-73KUZ 40-49 years, male 100.0
GTEX-14PJ4-0226-SM-5YY92 60-69 years, male 99.5
GTEX-ZVP2-0326-SM-57WBP 50-59 years, male 99.4
GTEX-14ICL-1626-SM-5YYAO 30-39 years, male 99.2
GTEX-1HCU7-0726-SM-A9SL1 50-59 years, male 99.2
GTEX-1MCYP-0526-SM-E9U6Q 20-29 years, female 99.2
GTEX-ZP4G-1426-SM-4WWCL 20-29 years, female 99.1
GTEX-11DYG-1526-SM-5A5JS 60-69 years, male 99.0
GTEX-1PPH8-0126-SM-EWRN8 20-29 years, male 98.5
GTEX-15UF6-1926-SM-7KUDV 70-79 years, female 98.3
GTEX-1399U-1126-SM-5L3DB 50-59 years, female 98.2
GTEX-ZTSS-1426-SM-5985P 40-49 years, male 98.2
GTEX-1497J-0226-SM-5QGPU 60-69 years, male 98.0
GTEX-1R46S-2426-SM-E76QA 60-69 years, female 97.6
GTEX-1NV5F-0626-SM-DTXEG 60-69 years, female 97.5
GTEX-ZVT2-0126-SM-5GIDQ 50-59 years, female 97.3
GTEX-1JK1U-0226-SM-ARZMX 60-69 years, male 97.1
GTEX-1S82U-1026-SM-E6CJK 30-39 years, female 97.0
GTEX-13QJC-0126-SM-5ZZWJ 60-69 years, female 96.6
GTEX-11WQC-1826-SM-5GU59 60-69 years, male 95.9
GTEX-13IVO-0726-SM-5LZYV 70-79 years, male 94.7
GTEX-1GZ4H-0526-SM-9KNU9 50-59 years, female 94.3
GTEX-1JMPY-0226-SM-CKZOK 30-39 years, male 94.3
GTEX-1F6I4-2326-SM-7RHGL 60-69 years, male 94.2
GTEX-1S82P-2126-SM-E6CI5 60-69 years, female 93.8
GTEX-15ER7-0626-SM-6PANF 20-29 years, female 93.5
GTEX-WHSE-0126-SM-3NMBT 20-29 years, male 93.4
GTEX-11DXX-2126-SM-5PNYR 60-69 years, female 93.3
GTEX-1LKK1-2626-SM-DKPQE 50-59 years, female 93.3
GTEX-Y111-0626-SM-4SOIT 50-59 years, male 93.1
GTEX-Y8LW-1526-SM-5IFHL 50-59 years, female 93.0
GTEX-1JMLX-0626-SM-ARL8T 50-59 years, male 93.0
GTEX-1H11D-1826-SM-9QEHM 40-49 years, male 92.8
GTEX-18QFQ-1826-SM-72D52 30-39 years, male 92.6
GTEX-111CU-1126-SM-5EGIM 50-59 years, male 92.3
GTEX-14PJ5-1526-SM-6LLIL 60-69 years, female 92.3
GTEX-1S83E-1326-SM-E6CJM 40-49 years, male 92.3
GTEX-1399S-0126-SM-5IJCF 30-39 years, female 92.1
GTEX-XBEW-1126-SM-4QARW 40-49 years, male 92.1
GTEX-1HBPI-2126-SM-ARL9K 50-59 years, male 92.1
GTEX-13X6H-0926-SM-5SIB2 50-59 years, female 91.9
GTEX-15RJ7-2126-SM-6PAMD 40-49 years, male 91.9
GTEX-WI4N-2726-SM-3LK7Y 40-49 years, female 91.5
GTEX-ZC5H-1526-SM-5HL9Y 40-49 years, female 91.4
GTEX-1RAZQ-1326-SM-E9TK6 30-39 years, male 91.2
GTEX-13D11-0926-SM-5J2NC 50-59 years, female 90.7
GTEX-13VXT-1926-SM-5K7UO 20-29 years, female 90.5
GTEX-13OW5-2326-SM-5L3HO 60-69 years, male 90.3
GTEX-1B8KE-1126-SM-7EPHI 50-59 years, male 90.3
GTEX-Y8E4-2026-SM-5IFJB 40-49 years, male 90.0
GTEX-ZZ64-1026-SM-5GZXG 20-29 years, male 90.0
GTEX-12WSK-2126-SM-5CVNC 40-49 years, female 89.9
GTEX-14PJ6-2626-SM-6EU2T 60-69 years, female 89.8
GTEX-1C2JI-1026-SM-73KY1 50-59 years, male 89.8
GTEX-1PBJJ-1026-SM-E76OS 30-39 years, male 89.5
GTEX-14PJO-2526-SM-6AJBQ 60-69 years, male 89.1
GTEX-1JKYR-0626-SM-ARL8R 20-29 years, male 89.1
GTEX-Y9LG-1126-SM-4VBQ7 30-39 years, male 88.9
GTEX-13PDP-0726-SM-5L3HP 60-69 years, male 88.8
GTEX-1PIIG-2326-SM-DTXFR 30-39 years, male 88.8
GTEX-ZYVF-0926-SM-5E44J 50-59 years, female 88.7
GTEX-11EQ9-1626-SM-5PNY8 30-39 years, male 88.6
GTEX-ZA64-1026-SM-5HL8R 20-29 years, male 88.6
GTEX-14PJN-1826-SM-6AJ98 30-39 years, male 88.4
GTEX-1F52S-2926-SM-7MKGA 60-69 years, female 88.4
GTEX-1F6RS-2026-SM-7RHHC 60-69 years, female 88.3
GTEX-1S5ZU-2526-SM-E6CIF 20-29 years, female 88.3
GTEX-12ZZY-0726-SM-5EQ66 60-69 years, male 88.1
GTEX-1PDJ9-1226-SM-EXUSX 20-29 years, male 88.1
GTEX-13FTW-0326-SM-5K7UW 40-49 years, male 88.0
GTEX-ZF29-0926-SM-4WKFZ 60-69 years, female 87.9
GTEX-1NSGN-0726-SM-DTXEF 50-59 years, male 87.9
GTEX-1RMOY-1326-SM-E9TIH 50-59 years, male 87.9
GTEX-148VJ-0626-SM-5LUAW 70-79 years, male 87.6
GTEX-1IKJJ-2226-SM-CJI4C 60-69 years, male 87.5
GTEX-WEY5-2326-SM-3GIKK 40-49 years, female 87.4
GTEX-1192X-2726-SM-5N9DN 50-59 years, male 87.3
GTEX-1GN1W-2426-SM-9KNUU 50-59 years, female 87.2
GTEX-ZVZP-1226-SM-5GID7 50-59 years, male 87.0
GTEX-1AMEY-0826-SM-72D65 30-39 years, female 86.9
GTEX-1B933-2426-SM-7DHMD 50-59 years, female 86.8
GTEX-12ZZX-2426-SM-5GCOE 40-49 years, female 86.7
GTEX-145MH-2826-SM-5RQJF 50-59 years, male 86.6
GTEX-17F9E-2326-SM-79OKD 50-59 years, male 86.6
GTEX-1EH9U-2826-SM-7DUGT 60-69 years, male 86.6
GTEX-1LGRB-0926-SM-COH3K 50-59 years, female 86.4
GTEX-1I4MK-0126-SM-CY8G6 50-59 years, female 86.3
GTEX-14PHX-2226-SM-6EU2P 50-59 years, male 86.2
GTEX-1R7EU-1626-SM-DTXG3 60-69 years, male 86.2
GTEX-ZPCL-1126-SM-4WWFE 60-69 years, female 85.9
GTEX-1I1GS-2626-SM-B2LY3 60-69 years, male 85.9
GTEX-13JVG-0726-SM-5KM16 60-69 years, male 85.8
GTEX-13W3W-0726-SM-5IJDQ 60-69 years, female 85.8
GTEX-1H23P-0626-SM-9WG6T 60-69 years, male 85.8
GTEX-XUW1-0926-SM-4BONX 50-59 years, female 85.7
GTEX-1122O-1026-SM-9WYSF 60-69 years, female 85.7
GTEX-15CHR-1126-SM-7EWF4 50-59 years, male 85.6
GTEX-1CB4E-0926-SM-7EPHT 60-69 years, male 85.5
GTEX-1RAZS-2526-SM-E6CHT 50-59 years, male 85.5
GTEX-1AX9J-1326-SM-731BJ 60-69 years, male 85.1
GTEX-17F9Y-0126-SM-79OKX 70-79 years, female 85.0
GTEX-1HCUA-0826-SM-ADEHM 50-59 years, female 84.9
GTEX-ZLFU-1826-SM-4WWBV 40-49 years, male 84.8
GTEX-1A3MW-0626-SM-731CB 60-69 years, female 84.7
GTEX-1QCLY-0226-SM-EWRNH 30-39 years, male 84.7
GTEX-ZAB4-2126-SM-5HL8U 40-49 years, male 84.6
GTEX-11DXZ-2026-SM-5987S 50-59 years, male 84.5
GTEX-ZDTT-0426-SM-4WKFL 60-69 years, male 84.5
GTEX-WFON-1926-SM-3LK7L 40-49 years, male 84.4
GTEX-1GMRU-2126-SM-7P8RA 50-59 years, male 84.4
GTEX-1LBAC-0826-SM-CY8IJ 20-29 years, male 84.3
GTEX-1QP9N-1226-SM-E76QN 30-39 years, male 84.3
GTEX-17HGU-2326-SM-7DUFE 50-59 years, male 84.0
GTEX-WY7C-2126-SM-3NB2R 50-59 years, male 84.0
GTEX-13OVH-0526-SM-5L3E6 70-79 years, male 83.9
GTEX-UPJH-0226-SM-3GADV 50-59 years, male 83.9
GTEX-ZDTS-0826-SM-4WKHL 60-69 years, male 83.9
GTEX-13G51-1826-SM-5KLZH 60-69 years, male 83.7
GTEX-13FHO-0426-SM-5L3F5 60-69 years, male 83.5
GTEX-15G1A-1626-SM-7KUKN 30-39 years, male 83.4
GTEX-ZF2S-1626-SM-57WES 50-59 years, female 83.4
GTEX-12BJ1-0926-SM-5EQ62 60-69 years, male 83.3
GTEX-14BIN-1126-SM-5RQJZ 50-59 years, female 83.3
GTEX-14C5O-0326-SM-5ZZUX 60-69 years, male 83.3
GTEX-17F97-2626-SM-7IGM5 50-59 years, male 83.3
GTEX-ZY6K-1426-SM-5GZX2 50-59 years, male 83.3
GTEX-1HSMP-0926-SM-A9SKX 70-79 years, male 83.3
GTEX-18D9U-0126-SM-731BM 40-49 years, male 83.2
GTEX-1IE54-1126-SM-A9G2Z 40-49 years, female 83.2
GTEX-X4EP-0626-SM-3P621 60-69 years, female 83.1
GTEX-133LE-2326-SM-5K7W3 20-29 years, female 83.0
GTEX-13OVK-1426-SM-6PAN7 40-49 years, male 83.0
GTEX-14E6C-2426-SM-5S2NF 40-49 years, male 83.0
GTEX-1KAFJ-0126-SM-DIPEK 50-59 years, male 83.0
GTEX-XAJ8-1426-SM-47JYM 40-49 years, male 82.9
GTEX-1HFI7-2326-SM-CGQFS 50-59 years, female 82.9
GTEX-139D8-1126-SM-5LU8W 30-39 years, female 82.6
GTEX-18A66-0626-SM-7LT8Z 60-69 years, male 82.6
GTEX-ZYY3-2926-SM-5GIEB 60-69 years, female 82.5
GTEX-11LCK-2226-SM-5HL4Q 30-39 years, male 82.4
GTEX-145MN-1526-SM-5SI9T 30-39 years, male 82.4
GTEX-1C6VQ-1226-SM-73KYD 50-59 years, male 82.4
GTEX-ZLWG-0826-SM-59888 50-59 years, female 82.3
GTEX-1JN76-0626-SM-CKZOQ 20-29 years, female 82.1
GTEX-13NYS-0626-SM-5L3F1 60-69 years, male 82.0
GTEX-1LVAM-0726-SM-E6CIL 50-59 years, female 82.0
GTEX-1GTWX-2026-SM-9YFLM 60-69 years, male 81.9
GTEX-1I1GV-0626-SM-ARL7M 60-69 years, male 81.9
GTEX-139UW-0326-SM-5J1ML 60-69 years, male 81.8
GTEX-14PK6-0226-SM-62LF5 70-79 years, female 81.8
GTEX-1CB4J-1326-SM-7P8RX 60-69 years, male 81.8
GTEX-WXYG-2026-SM-4E3IY 50-59 years, female 81.7
GTEX-1HCU6-2526-SM-ADEHL 60-69 years, female 81.7
GTEX-13113-1626-SM-5EQ4I 60-69 years, female 81.6
GTEX-15EO6-2426-SM-6PALZ 50-59 years, male 81.5
GTEX-139T8-0626-SM-5KLZX 60-69 years, male 81.4
GTEX-11O72-0626-SM-5PNYE 40-49 years, male 81.3
GTEX-1117F-2926-SM-5GZYI 60-69 years, female 81.2
GTEX-13PL6-1126-SM-5L3IE 40-49 years, female 81.2
GTEX-15RJE-2826-SM-7KUM9 40-49 years, male 81.2
GTEX-1GMR8-0626-SM-7RHI7 50-59 years, female 81.2
GTEX-1AX9I-2226-SM-73KUO 60-69 years, male 81.1
GTEX-12ZZZ-0726-SM-5GCNZ 60-69 years, male 81.0
GTEX-15DDE-2926-SM-6LLJ3 50-59 years, female 80.9
GTEX-YEC3-1326-SM-DO92X 50-59 years, male 80.9
GTEX-ZPIC-0526-SM-DO91W 40-49 years, female 80.9
GTEX-ZDYS-2426-SM-4WKGI 50-59 years, male 80.8
GTEX-14JG6-1426-SM-9WG7C 30-39 years, female 80.8
GTEX-XXEK-1626-SM-4BRUZ 50-59 years, male 80.7
GTEX-YFCO-1226-SM-5LUAT 40-49 years, male 80.7
GTEX-ZZPU-0826-SM-5GZX5 50-59 years, female 80.7
GTEX-12696-0126-SM-5EQ4L 60-69 years, male 80.6
GTEX-1EX96-1026-SM-7MKG2 50-59 years, male 80.6
GTEX-1I1GU-0926-SM-ACKVS 40-49 years, male 80.5
GTEX-1PPH7-1126-SM-DTX9A 40-49 years, male 80.5
GTEX-1JMQI-1726-SM-ARL93 50-59 years, male 80.4
GTEX-11EM3-1226-SM-5N9DD 20-29 years, female 80.3
GTEX-144GM-0526-SM-79OJO 20-29 years, male 80.3
GTEX-18A7A-0126-SM-731AH 50-59 years, female 80.3
GTEX-1HC8U-1326-SM-9YFMJ 40-49 years, female 80.3
GTEX-X8HC-0626-SM-4E3HQ 50-59 years, female 80.2
GTEX-1J8Q3-0526-SM-ARL8U 60-69 years, male 80.2
GTEX-147F4-0726-SM-5TDDD 50-59 years, male 80.1
GTEX-15FZZ-0526-SM-7KUGD 30-39 years, female 80.1
GTEX-1IDJU-1726-SM-CMKHU 60-69 years, female 80.1
GTEX-XQ8I-0926-SM-4BOOF 50-59 years, male 79.9
GTEX-15CHQ-0326-SM-69LQD 60-69 years, male 79.8
GTEX-1A32A-0626-SM-731AQ 50-59 years, female 79.8
GTEX-U8XE-0226-SM-4E3J3 30-39 years, male 79.8
GTEX-1GN1U-0626-SM-9MQL9 50-59 years, female 79.8
GTEX-ZYFC-0426-SM-5GICQ 50-59 years, male 79.6
GTEX-1IY9M-2826-SM-ARU8H 60-69 years, male 79.6
GTEX-ZE9C-2526-SM-5IJDR 60-69 years, male 79.5
GTEX-1LSNM-0826-SM-DIPG8 50-59 years, male 79.5
GTEX-1R9K4-2826-SM-DTX8F 60-69 years, male 79.5
GTEX-1J1OQ-0126-SM-D4P2N 40-49 years, female 79.4
GTEX-1AMFI-1326-SM-7939R 50-59 years, female 79.2
GTEX-1KANA-1326-SM-DIPFA 20-29 years, male 79.2
GTEX-17F96-0126-SM-7EWDU 70-79 years, male 79.1
GTEX-1EU9M-1426-SM-793AI 60-69 years, male 79.1
GTEX-Y3I4-1726-SM-4TT89 50-59 years, male 79.1
GTEX-1IDJC-1526-SM-B2LW4 50-59 years, male 79.1
GTEX-13RTJ-0126-SM-5S2NN 60-69 years, male 79.0
GTEX-11NSD-0626-SM-5A5LU 20-29 years, male 78.7
GTEX-17HII-1426-SM-7EPGG 50-59 years, male 78.7
GTEX-1K2DU-1226-SM-CYPT4 20-29 years, male 78.6
GTEX-1R9PM-1926-SM-EVR3O 20-29 years, male 78.6
GTEX-ZGAY-1826-SM-DO91Q 40-49 years, female 78.6
GTEX-16NGA-0726-SM-731AO 40-49 years, female 78.5
GTEX-14PKV-1126-SM-6LLJ1 20-29 years, female 78.2
GTEX-ZVT4-2426-SM-5GIEI 50-59 years, female 78.2
GTEX-13O3O-2326-SM-5IJD6 60-69 years, female 78.1
GTEX-14PHY-1226-SM-5ZZWK 60-69 years, female 78.1
GTEX-ZE7O-2726-SM-51MT5 50-59 years, female 78.0
GTEX-1LB8K-0726-SM-D5OV2 50-59 years, male 77.9
GTEX-13PVR-0426-SM-5RQK2 60-69 years, female 77.8
GTEX-1CB4F-1026-SM-7DUH1 60-69 years, male 77.8
GTEX-1GPI7-1826-SM-9KNU1 20-29 years, male 77.8
GTEX-1A3MX-2626-SM-7PC24 60-69 years, male 77.7
GTEX-1JJEA-1826-SM-ARU8P 60-69 years, male 77.7
GTEX-147F3-1726-SM-5SIAW 50-59 years, female 77.6
GTEX-14LLW-2626-SM-62LDZ 70-79 years, female 77.6
GTEX-14PKU-0126-SM-6LLHV 40-49 years, female 77.6
GTEX-XBED-1926-SM-47JYP 60-69 years, male 77.6
GTEX-13NZ8-1226-SM-5KM4A 60-69 years, female 77.5
GTEX-1JN1M-2726-SM-CY8I4 60-69 years, female 77.5
GTEX-12126-0826-SM-5FQTZ 20-29 years, male 77.4
GTEX-ZT9X-1526-SM-5DUXD 40-49 years, male 77.4
GTEX-ZYFD-0626-SM-5E44E 50-59 years, male 77.4
GTEX-1C64O-1326-SM-7MGWR 60-69 years, male 77.4
GTEX-1HKZK-0726-SM-ACKW2 40-49 years, male 77.4
GTEX-1LVAN-0626-SM-CNPOQ 50-59 years, female 77.3
GTEX-1211K-1526-SM-5FQU4 60-69 years, female 77.1
GTEX-1J8Q2-2626-SM-ACKWQ 60-69 years, male 77.1
GTEX-1H1DF-1126-SM-9WG7G 40-49 years, female 77.0
GTEX-1PPGY-1626-SM-EVYBL 60-69 years, male 77.0
GTEX-11VI4-1126-SM-5EQMD 40-49 years, female 76.9
GTEX-1B8SF-0126-SM-7DUG3 60-69 years, male 76.9
GTEX-ZT9W-1126-SM-57WDR 50-59 years, male 76.9
GTEX-1QW4Y-1126-SM-DTXE3 30-39 years, male 76.9
GTEX-ZLV1-1526-SM-DO91J 60-69 years, female 76.9
GTEX-16XZZ-0726-SM-7KUF2 60-69 years, male 76.8
GTEX-11EQ8-0926-SM-5H12V 60-69 years, male 76.6
GTEX-12WSD-0626-SM-5GCMW 60-69 years, female 76.6
GTEX-13QBU-1226-SM-5LU4G 40-49 years, female 76.6
GTEX-1RAZR-2126-SM-E9U6T 40-49 years, male 76.6
GTEX-1MCC2-1826-SM-DIPEX 30-39 years, female 76.5
GTEX-14B4R-1326-SM-5Q5EZ 30-39 years, male 76.4
GTEX-1HBPN-0126-SM-CGQEF 50-59 years, male 76.4
GTEX-139TT-2126-SM-5LZWC 60-69 years, male 76.3
GTEX-15CHC-1126-SM-6LLHQ 60-69 years, female 76.3
GTEX-145MI-0626-SM-5SI8S 60-69 years, female 76.2
GTEX-1KXAM-1626-SM-D3LAD 60-69 years, male 76.2
GTEX-15RIG-0726-SM-7KUM7 40-49 years, male 76.1
GTEX-1HBPM-0726-SM-9YFL7 60-69 years, female 76.1
GTEX-1CAV2-0126-SM-7IGN7 40-49 years, female 76.0
GTEX-13OVJ-0826-SM-5J1OK 50-59 years, female 75.9
GTEX-1S831-1826-SM-EWROF 20-29 years, male 75.9
GTEX-12C56-1526-SM-5FQUQ 20-29 years, male 75.8
GTEX-139TS-2126-SM-5K7XC 60-69 years, male 75.8
GTEX-14753-0726-SM-5QGQO 60-69 years, male 75.8
GTEX-X3Y1-2026-SM-3P5YM 40-49 years, male 75.7
GTEX-139TU-0726-SM-5L3EK 60-69 years, male 75.6
GTEX-14PII-0726-SM-6EU2B 60-69 years, male 75.6
GTEX-1F5PL-0926-SM-7PC2W 40-49 years, female 75.6
GTEX-1GL5R-1326-SM-7RHHF 50-59 years, male 75.6
GTEX-11DZ1-2426-SM-5GZZX 50-59 years, male 75.5
GTEX-1QMI2-2526-SM-E8VNZ 60-69 years, male 75.5
GTEX-1N5O9-0926-SM-E9J3C 60-69 years, male 75.4
GTEX-1EWIQ-0326-SM-7DHMQ 70-79 years, female 75.3
GTEX-1HT8W-0626-SM-A9G2H 30-39 years, male 75.3
GTEX-11OF3-0126-SM-5PNYF 60-69 years, male 75.1
GTEX-1GPI6-1926-SM-9KNV7 60-69 years, male 75.1
GTEX-1H1DE-1326-SM-9KNUG 20-29 years, male 75.1
GTEX-1HB9E-0126-SM-CM2S5 50-59 years, male 75.1
GTEX-11P81-2226-SM-5PNYI 30-39 years, female 75.0
GTEX-13NYC-0126-SM-5L3F4 60-69 years, male 75.0
GTEX-16MTA-0926-SM-6M47Z 50-59 years, male 75.0
GTEX-1C64N-2626-SM-7PC2N 50-59 years, male 74.9
GTEX-1GF9X-1326-SM-7PC2Y 40-49 years, female 74.9
GTEX-18A67-1626-SM-7LT9T 50-59 years, male 74.8
GTEX-1LSVX-2526-SM-DIPEU 60-69 years, male 74.8
GTEX-XYKS-1426-SM-4BRUO 60-69 years, female 74.7
GTEX-14C38-0726-SM-5SI6M 50-59 years, male 74.6
GTEX-1A8G6-2726-SM-731AR 60-69 years, male 74.6
GTEX-WH7G-2026-SM-3NMBL 40-49 years, male 74.6
GTEX-1GN73-0726-SM-7P8TJ 60-69 years, male 74.6
GTEX-1J8EW-2726-SM-CY8HR 60-69 years, female 74.6
GTEX-1F75A-0726-SM-7RHHD 50-59 years, male 74.5
GTEX-1OJC4-2726-SM-E76PJ 50-59 years, female 74.5
GTEX-1269C-0126-SM-5EQ5L 60-69 years, female 74.4
GTEX-1HCU9-0426-SM-9WYSD 20-29 years, male 74.4
GTEX-1LSNL-2726-SM-E9TKJ 50-59 years, male 74.4
GTEX-13NYB-0126-SM-5J1MD 40-49 years, male 74.3
GTEX-144FL-0626-SM-5LU43 50-59 years, male 74.3
GTEX-W5X1-2526-SM-3GILC 40-49 years, female 74.3
GTEX-1GF9V-0826-SM-9KNUV 60-69 years, male 74.2
GTEX-1C475-1326-SM-7SB73 40-49 years, female 74.1
GTEX-17HHY-0426-SM-7DHLC 50-59 years, male 74.0
GTEX-1CAMQ-1326-SM-7P8RV 40-49 years, male 74.0
GTEX-1I6K7-1926-SM-B2LXR 40-49 years, male 74.0
GTEX-1S3DN-2126-SM-E9TIN 50-59 years, male 74.0
GTEX-YJ8O-2526-SM-5HL85 40-49 years, female 73.9
GTEX-1F75B-0726-SM-7PC3R 50-59 years, male 73.9
GTEX-14XAO-1226-SM-6EU1C 60-69 years, female 73.8
GTEX-1GMR2-0826-SM-7PC3V 50-59 years, male 73.8
GTEX-13YAN-0226-SM-5TDC6 60-69 years, male 73.7
GTEX-1QP29-1826-SM-DTX9S 50-59 years, male 73.7
GTEX-11GS4-0226-SM-5HL77 60-69 years, male 73.5
GTEX-13O3Q-0126-SM-5KM34 50-59 years, male 73.5
GTEX-13OW6-2726-SM-5J2OE 50-59 years, male 73.5
GTEX-16BQI-1326-SM-6M486 30-39 years, female 73.5
GTEX-1R9PN-0426-SM-DTXDT 40-49 years, female 73.5
GTEX-13PVQ-0626-SM-5LU47 50-59 years, male 73.4
GTEX-18A7B-2726-SM-7LG56 70-79 years, male 73.4
GTEX-147GR-2426-SM-5ZZWQ 60-69 years, male 73.3
GTEX-14AS3-1526-SM-5Q5ED 40-49 years, female 73.2
GTEX-14DAR-1226-SM-73KYV 50-59 years, male 73.2
GTEX-16MT8-2926-SM-7DUFO 60-69 years, female 73.2
GTEX-1CAMR-1326-SM-7PC1F 20-29 years, male 73.2
GTEX-11ZTT-2126-SM-5CVLO 60-69 years, female 73.1
GTEX-14LZ3-0126-SM-69LPM 60-69 years, female 73.1
GTEX-18D9A-1426-SM-7LT8M 30-39 years, female 73.1
GTEX-1GN2E-0226-SM-9WG6K 60-69 years, male 73.1
GTEX-1GZ4I-2626-SM-9KNU3 50-59 years, male 73.1
GTEX-14E1K-2026-SM-7DUEI 50-59 years, male 72.9
GTEX-X5EB-1926-SM-4E3IW 40-49 years, male 72.9
GTEX-1RLM8-2926-SM-E8VON 50-59 years, male 72.9
GTEX-117YX-1926-SM-5GIEC 50-59 years, male 72.8
GTEX-15EU6-2226-SM-6EU2L 50-59 years, male 72.7
GTEX-1A3MV-1826-SM-731CD 30-39 years, male 72.7
GTEX-111YS-1526-SM-5GZYW 60-69 years, male 72.6
GTEX-14BMU-1226-SM-5S2OR 20-29 years, female 72.6
GTEX-1J1R8-2026-SM-CL53Y 40-49 years, male 72.4
GTEX-1313W-0626-SM-5EQ4H 50-59 years, female 72.3
GTEX-13OW7-0426-SM-5K7VK 50-59 years, male 72.3
GTEX-13FLV-0126-SM-5K7WT 50-59 years, male 72.2
GTEX-ZPU1-1126-SM-4YCF3 40-49 years, male 72.2
GTEX-13OVG-1626-SM-5J1NF 60-69 years, male 72.0
GTEX-1H1E6-0426-SM-9WYUS 30-39 years, male 72.0
GTEX-11WQK-1026-SM-5EQLX 50-59 years, male 71.9
GTEX-183FY-1026-SM-7939A 20-29 years, male 71.9
GTEX-1HCVE-2726-SM-CL54F 50-59 years, male 71.9
GTEX-111VG-1626-SM-5EGIO 60-69 years, male 71.8
GTEX-11PRG-0726-SM-5EGL1 50-59 years, male 71.8
GTEX-15SKB-2826-SM-6PAMH 60-69 years, male 71.8
GTEX-12WSA-0426-SM-5EQ5X 60-69 years, male 71.7
GTEX-13JUV-2026-SM-5K7UA 40-49 years, female 71.7
GTEX-1F48J-0726-SM-7RHGS 50-59 years, female 71.7
GTEX-145LT-0526-SM-5LUB2 40-49 years, male 71.6
GTEX-11TUW-0626-SM-5LU9M 60-69 years, male 71.5
GTEX-YECK-0326-SM-4W1YS 60-69 years, male 71.5
GTEX-13X6K-0626-SM-5LU5D 60-69 years, female 71.4
GTEX-1LGOU-1326-SM-D3L8M 20-29 years, female 71.3
GTEX-1HSKV-1226-SM-ADEI4 60-69 years, male 71.0
GTEX-1JMOU-1026-SM-CYPSS 60-69 years, female 71.0
GTEX-1PIGE-1826-SM-E8VOU 20-29 years, male 71.0
GTEX-1CAMS-2226-SM-7PBXQ 40-49 years, female 70.9
GTEX-13X6I-1826-SM-5SIAO 60-69 years, male 70.8
GTEX-145LU-1926-SM-79OJN 50-59 years, male 70.8
GTEX-WRHU-2826-SM-3MJG8 50-59 years, female 70.8
GTEX-ZXG5-2126-SM-59HKD 60-69 years, male 70.8
GTEX-1CB4H-1126-SM-7MKGL 60-69 years, female 70.6
GTEX-1GF9W-1426-SM-7PBYM 60-69 years, male 70.4
GTEX-1IDJE-1426-SM-ADEIW 50-59 years, female 70.4
GTEX-1JMQK-1226-SM-D4P2S 60-69 years, male 70.4
GTEX-12KS4-2126-SM-5FQUT 30-39 years, male 70.3
GTEX-13OVL-0126-SM-5L3GJ 50-59 years, male 70.3
GTEX-15D1Q-2826-SM-6LLH7 40-49 years, male 70.2
GTEX-1EN7A-2426-SM-793DB 40-49 years, male 70.2
GTEX-1QCLZ-2426-SM-EVYBW 60-69 years, female 70.2
GTEX-11DXY-0126-SM-5H11Q 60-69 years, male 70.1
GTEX-12WSF-1626-SM-7KUG5 70-79 years, male 70.1
GTEX-17KNJ-2126-SM-718AM 50-59 years, male 70.1
GTEX-1KANB-2826-SM-CY8I6 50-59 years, male 70.1
GTEX-1M4P7-0726-SM-E6CJ3 60-69 years, male 69.9
GTEX-18D9B-0926-SM-7LG4U 60-69 years, male 69.7
GTEX-1RB15-1326-SM-E76Q9 60-69 years, male 69.7
GTEX-ZWKS-0626-SM-5GIDV 30-39 years, male 69.6
GTEX-1GN1V-2826-SM-9JGIA 60-69 years, male 69.6
GTEX-11EI6-2826-SM-5H11D 60-69 years, male 69.5
GTEX-146FQ-2126-SM-5RQHU 30-39 years, male 69.5
GTEX-1JKYN-0826-SM-ARU8S 30-39 years, male 69.5
GTEX-1IDJD-2326-SM-ACKWX 30-39 years, male 69.4
GTEX-13SLW-0626-SM-5Q5ER 70-79 years, male 69.3
GTEX-1AX8Z-0726-SM-73KTS 60-69 years, male 69.2
GTEX-131YS-2826-SM-5EQ47 60-69 years, female 69.1
GTEX-XQ3S-1426-SM-4BOPR 20-29 years, male 69.1
GTEX-1JJE9-2626-SM-ARZMT 70-79 years, male 69.1
GTEX-18A6Q-0626-SM-7KFRP 60-69 years, male 69.0
GTEX-ZYT6-2326-SM-5GZY3 30-39 years, male 69.0
GTEX-1I1GP-1326-SM-A9G28 50-59 years, male 69.0
GTEX-16MT9-0126-SM-7EPI8 60-69 years, female 68.9
GTEX-ZUA1-2626-SM-5NQ92 40-49 years, male 68.9
GTEX-1GZHY-0626-SM-9KNVC 50-59 years, female 68.9
GTEX-1KANC-1226-SM-CYPT7 50-59 years, female 68.9
GTEX-13X6J-0626-SM-5LU5F 50-59 years, male 68.8
GTEX-ZAK1-0626-SM-5HL8E 50-59 years, female 68.8
GTEX-1IDJV-0126-SM-COH3Y 60-69 years, male 68.8
GTEX-145LS-0626-SM-7EPG7 60-69 years, female 68.7
GTEX-1C6VR-0126-SM-7RHGB 60-69 years, male 68.7
GTEX-1HSMO-0626-SM-ACKXC 60-69 years, male 68.7
GTEX-1JMQJ-0826-SM-CNPP7 50-59 years, male 68.5
GTEX-1HR9M-2226-SM-CNPPY 60-69 years, male 68.4
GTEX-1I6K6-1726-SM-CGQFD 30-39 years, male 68.4
GTEX-17EVQ-0126-SM-7IGLR 70-79 years, male 68.3
GTEX-1IL2V-1926-SM-B2LW8 70-79 years, male 68.3
GTEX-1F5PK-2226-SM-7SB6N 50-59 years, male 68.2
GTEX-1H1DG-2426-SM-9QEHJ 70-79 years, male 68.2
GTEX-VUSG-2326-SM-4KL1U 50-59 years, male 68.1
GTEX-ZAJG-1526-SM-5CVML 50-59 years, female 68.1
GTEX-1K9T9-1526-SM-DIPFR 50-59 years, female 68.1
GTEX-1A8G7-1326-SM-73KVM 60-69 years, male 68.0
GTEX-13N2G-0226-SM-5K7VF 60-69 years, male 67.9
GTEX-17MFQ-1526-SM-7KFRR 20-29 years, male 67.9
GTEX-1KWVE-1026-SM-D3L9O 30-39 years, male 67.9
GTEX-1H4P4-2126-SM-9WYSL 50-59 years, male 67.8
GTEX-1QAET-0326-SM-EVR3U 50-59 years, male 67.8
GTEX-11GSP-2326-SM-5HL63 60-69 years, female 67.7
GTEX-131XH-0126-SM-5LZUY 50-59 years, male 67.7
GTEX-YF7O-1526-SM-5IFI6 50-59 years, male 67.5
GTEX-1HSGN-0826-SM-ACKW3 40-49 years, female 67.5
GTEX-XK95-0226-SM-4AT58 40-49 years, male 67.4
GTEX-12584-0726-SM-5FQTK 40-49 years, male 67.3
GTEX-13SLX-2226-SM-62LEP 50-59 years, female 67.3
GTEX-14E6E-0526-SM-793DN 30-39 years, male 67.3
GTEX-XV7Q-1826-SM-4BRUV 40-49 years, female 67.1
GTEX-Y3IK-1626-SM-4YCF5 50-59 years, female 67.1
GTEX-13N1W-2426-SM-5IJD1 70-79 years, male 67.0
GTEX-1H3O1-1326-SM-9MQLD 60-69 years, male 67.0
GTEX-131XW-0626-SM-5PNVD 50-59 years, female 66.9
GTEX-13112-0126-SM-5P9IU 50-59 years, male 66.7
GTEX-1J8QM-2426-SM-A9SLS 60-69 years, female 66.7
GTEX-1KD5A-0126-SM-E9U54 50-59 years, male 66.7
GTEX-1QEPI-2626-SM-DTXF4 60-69 years, female 66.6
GTEX-144GL-0626-SM-5LU4D 50-59 years, male 66.5
GTEX-145ME-1726-SM-5Q5EU 40-49 years, female 66.4
GTEX-1RAZA-2226-SM-E9U4X 20-29 years, male 66.4
GTEX-11NUK-2726-SM-5A5MC 50-59 years, male 66.3
GTEX-1H1CY-0126-SM-9YFLY 60-69 years, female 66.3
GTEX-13NZ9-2626-SM-5L3FK 50-59 years, male 66.2
GTEX-WYBS-0626-SM-3NMAS 60-69 years, female 66.2
GTEX-14JFF-0626-SM-5ZZVT 60-69 years, male 66.2
GTEX-1JJ6O-2726-SM-CNPOG 60-69 years, male 66.1
GTEX-132AR-0326-SM-5KM2C 50-59 years, female 66.0
GTEX-ZTTD-2826-SM-4YCFA 50-59 years, male 66.0
GTEX-1POEN-2326-SM-E9J2L 30-39 years, female 66.0
GTEX-15DYW-2726-SM-6EU2I 60-69 years, female 65.9
GTEX-XOT4-0626-SM-4B66L 60-69 years, female 65.8
GTEX-1N2EE-0626-SM-E76PW 60-69 years, male 65.8
GTEX-13OW8-1026-SM-5J1NQ 60-69 years, male 65.7
GTEX-1477Z-0326-SM-7IGLA 60-69 years, male 65.6
GTEX-V1D1-2026-SM-3GAF4 50-59 years, male 65.6
GTEX-1QP66-1226-SM-DTX7U 50-59 years, male 65.6
GTEX-13VXU-0626-SM-5L3F9 50-59 years, male 65.5
GTEX-1B8KZ-0326-SM-73KY4 50-59 years, male 65.5
GTEX-ZYFG-1526-SM-5GZYM 60-69 years, female 65.5
GTEX-1K2DA-1026-SM-CGQGF 50-59 years, male 65.5
GTEX-1IDJI-0126-SM-CMKHS 50-59 years, female 65.4
GTEX-1399Q-2326-SM-5KM2X 40-49 years, male 65.1
GTEX-183WM-0326-SM-72D5V 70-79 years, female 65.1
GTEX-X4EO-2926-SM-4E3JH 60-69 years, female 65.1
GTEX-1F88E-1626-SM-7SB8Z 60-69 years, female 65.1
GTEX-13U4I-2226-SM-5LU5H 40-49 years, female 65.0
GTEX-145MO-2826-SM-5LU96 60-69 years, male 65.0
GTEX-1GZ2Q-0126-SM-9WG6M 40-49 years, male 65.0
GTEX-17EVP-2626-SM-7IGMA 40-49 years, male 64.9
GTEX-1LG7Z-1626-SM-CXKYR 30-39 years, male 64.9
GTEX-14ABY-2026-SM-62LDL 50-59 years, male 64.8
GTEX-WK11-2726-SM-3NMAQ 50-59 years, male 64.8
GTEX-1E2YA-2126-SM-7MXUO 50-59 years, male 64.8
GTEX-15SHW-0226-SM-7LTAT 60-69 years, male 64.7
GTEX-1C6WA-2626-SM-7MKGM 60-69 years, male 64.7
GTEX-15G19-2426-SM-7KUMR 60-69 years, male 64.6
GTEX-17HG3-2626-SM-7DUF2 30-39 years, female 64.6
GTEX-1BAJH-2426-SM-7IGP8 70-79 years, male 64.6
GTEX-144GO-2026-SM-5O99P 60-69 years, male 64.5
GTEX-178AV-1726-SM-7KUL8 40-49 years, male 64.5
GTEX-WYVS-1626-SM-3NM9R 40-49 years, female 64.5
GTEX-XPVG-2126-SM-4B667 50-59 years, male 64.5
GTEX-1LVA9-2626-SM-EVYD4 50-59 years, male 64.5
GTEX-14DAQ-0626-SM-793DS 60-69 years, female 64.4
GTEX-1H3VE-0726-SM-9YFL5 40-49 years, male 64.4
GTEX-1LG7Y-2526-SM-EWRO7 50-59 years, male 64.3
GTEX-13FH7-1126-SM-5K7UG 50-59 years, female 64.2
GTEX-1ICG6-1226-SM-A9SLN 70-79 years, female 64.1
GTEX-1F88F-0126-SM-9WYSZ 60-69 years, female 63.8
GTEX-1IDJF-2026-SM-CL53V 20-29 years, male 63.8
GTEX-1212Z-0126-SM-59HK4 60-69 years, male 63.7
GTEX-16Z82-2626-SM-7KULU 60-69 years, male 63.7
GTEX-1EKGG-0626-SM-7DUGJ 60-69 years, male 63.7
GTEX-1GMR3-0126-SM-A9SLW 40-49 years, male 63.7
GTEX-1ICLY-0826-SM-CMKG1 50-59 years, male 63.7
GTEX-1L5NE-1126-SM-D3L9P 50-59 years, male 63.7
GTEX-Y5V5-0126-SM-5S2NW 60-69 years, female 63.6
GTEX-Z93S-1626-SM-5CVMB 50-59 years, male 63.6
GTEX-1LVAO-2726-SM-E9TJ8 60-69 years, male 63.5
GTEX-1IDFM-0326-SM-ARL7V 60-69 years, male 63.4
GTEX-1IOXB-2726-SM-CM2RI 50-59 years, male 63.4
GTEX-XBEC-0726-SM-4QARZ 50-59 years, male 63.3
GTEX-1AYD5-2626-SM-7PBXY 50-59 years, male 63.3
GTEX-11ZUS-2626-SM-5FQUR 30-39 years, male 62.9
GTEX-14BMV-2826-SM-5TDED 50-59 years, male 62.9
GTEX-17JCI-2926-SM-7DUFF 60-69 years, female 62.9
GTEX-12WSL-2026-SM-5GCML 50-59 years, male 62.7
GTEX-WYJK-0526-SM-3NM8Z 50-59 years, male 62.7
GTEX-1GF9U-2026-SM-7SB92 40-49 years, female 62.7
GTEX-1CB4I-0126-SM-7RHGG 50-59 years, male 62.6
GTEX-1I1HK-2326-SM-CKZOH 60-69 years, male 62.6
GTEX-14A6H-2026-SM-5Q5DD 30-39 years, male 62.5
GTEX-1JMPZ-0726-SM-CY8HZ 30-39 years, male 62.5
GTEX-11TT1-1826-SM-5EQLV 20-29 years, male 62.3
GTEX-1H3NZ-2726-SM-9WYTQ 60-69 years, male 62.3
GTEX-1IDJH-0126-SM-D3L92 70-79 years, male 62.1
GTEX-Y5LM-0926-SM-6LLJG 40-49 years, female 62.0
GTEX-1E1VI-0326-SM-793D1 50-59 years, male 61.8
GTEX-1HR98-2226-SM-ADEI2 60-69 years, male 61.8
GTEX-1314G-1326-SM-5BC6E 30-39 years, male 61.7
GTEX-ZVE2-2826-SM-5GU51 50-59 years, male 61.6
GTEX-1I1CD-0626-SM-CE6SW 60-69 years, female 61.6
GTEX-15RIE-1926-SM-7KUKJ 60-69 years, male 61.5
GTEX-16NPX-0726-SM-7KULC 50-59 years, male 61.4
GTEX-145MF-0926-SM-5Q5EA 50-59 years, male 61.3
GTEX-1HCU8-2526-SM-CE6RX 60-69 years, female 61.2
GTEX-1J8JJ-0626-SM-ARZMQ 60-69 years, female 61.2
GTEX-12WSH-1526-SM-5BC5W 50-59 years, male 61.1
GTEX-1JMQL-2226-SM-CNPP4 50-59 years, female 61.0
GTEX-1O9I2-0226-SM-EYYXD 50-59 years, male 60.8
GTEX-1B932-2326-SM-79OL5 40-49 years, female 60.6
GTEX-1I19N-0126-SM-CYPSF 70-79 years, male 60.6
GTEX-111FC-2526-SM-5GZXU 60-69 years, male 60.4
GTEX-ZYW4-0626-SM-59HJR 60-69 years, male 60.3
GTEX-13FTY-2126-SM-5IFFB 40-49 years, female 60.2
GTEX-ZDXO-3126-SM-5IJDF 60-69 years, male 60.1
GTEX-1F6IF-0926-SM-7SB7M 60-69 years, male 59.8
GTEX-YEC4-1826-SM-4W1YP 40-49 years, male 59.2
GTEX-147JS-0226-SM-5S2U9 60-69 years, male 59.1
GTEX-11UD2-2526-SM-5CVNU 50-59 years, male 58.7
GTEX-145MG-1526-SM-5Q5EM 50-59 years, male 58.7
GTEX-11DXW-0826-SM-5H118 40-49 years, male 58.6
GTEX-1B996-0426-SM-7EWF8 60-69 years, male 58.6
GTEX-WFG8-2126-SM-3GIKQ 20-29 years, male 58.5
GTEX-13N11-2326-SM-5IJBF 50-59 years, female 58.3
GTEX-12WSM-1926-SM-5BC65 60-69 years, male 58.2
GTEX-16GPK-0626-SM-7KFSF 60-69 years, male 57.5
GTEX-16YQH-2226-SM-7IGM2 30-39 years, male 57.4
GTEX-12WSC-2826-SM-5BC5Y 50-59 years, male 57.3
GTEX-17MF6-2626-SM-79OKQ 40-49 years, male 57.3
GTEX-1EMGI-2326-SM-7PBYA 60-69 years, male 57.1
GTEX-ZVTK-0226-SM-51MRG 20-29 years, male 57.0
GTEX-ZU9S-1826-SM-5NQ9E 30-39 years, male 56.7
GTEX-1JN6P-2926-SM-CL54D 60-69 years, male 56.4
GTEX-14A5H-0826-SM-5QGPJ 60-69 years, male 55.8
GTEX-1B8L1-2226-SM-7P8PT 60-69 years, male 55.8
GTEX-UPK5-0426-SM-3GAEK 40-49 years, male 55.7
GTEX-14PJ2-0626-SM-6LLII 50-59 years, male 55.6
GTEX-YB5K-2026-SM-4VDT3 40-49 years, female 55.6
GTEX-1399R-1326-SM-5PNYS 30-39 years, male 54.6
GTEX-XMD2-2126-SM-4YCF8 60-69 years, female 54.6
GTEX-1A8FM-0626-SM-7PC25 50-59 years, female 53.9
GTEX-1HUB1-1426-SM-CGQF5 60-69 years, male 53.9
GTEX-14JG1-1526-SM-5YY9X 40-49 years, male 53.4
GTEX-VJYA-1526-SM-3GIJV 60-69 years, male 53.2
GTEX-ZF3C-0626-SM-DO92O 50-59 years, female 52.4
GTEX-1F75W-2726-SM-7SB8H 60-69 years, male 52.2
GTEX-ZVE1-0726-SM-51MRN 50-59 years, female 51.1
GTEX-18465-2826-SM-7LT9J 50-59 years, male 49.8
GTEX-Y5V6-2326-SM-4VDSA 60-69 years, male 47.4
GTEX-1HFI6-0126-SM-CNPPI 40-49 years, male 44.8
GTEX-1H1ZS-2726-SM-9WG75 70-79 years, male 44.4
Show allShow less
Skin - Sun Exposed (Lower leg)
Average nTPM: 81.5
Samples: 701

Max nTPM: 198.2
Min nTPM: 44.7
Std nTPM: 15.3
Median nTPM: 79.5
GTEX-SE5C-1626-SM-2XCE3 40-49 years, female 198.2
GTEX-16XZZ-0126-SM-793DV 60-69 years, male 135.8
GTEX-ZTX8-1426-SM-5DUVO 20-29 years, male 134.5
GTEX-1L5NE-2526-SM-E6CIE 50-59 years, male 127.8
GTEX-P4QT-0126-SM-2I3FL 50-59 years, female 127.0
GTEX-13111-1626-SM-5EGJY 50-59 years, male 126.9
GTEX-WI4N-1026-SM-3LK7N 40-49 years, female 125.2
GTEX-1B8KE-2126-SM-73KYX 50-59 years, male 124.0
GTEX-12WSJ-1826-SM-5GCNY 40-49 years, female 123.3
GTEX-ZF3C-0126-SM-DO92D 50-59 years, female 123.1
GTEX-11DXZ-2326-SM-5EGGV 50-59 years, male 122.0
GTEX-13YAN-0326-SM-5O9DF 60-69 years, male 121.9
GTEX-Y114-2426-SM-4TT8A 50-59 years, female 121.2
GTEX-1K2DA-1826-SM-CGQGT 50-59 years, male 120.8
GTEX-13CF2-2526-SM-5LZYX 60-69 years, male 119.0
GTEX-15UF6-0826-SM-6PALJ 70-79 years, female 118.1
GTEX-1399U-2326-SM-5K7WY 50-59 years, female 118.0
GTEX-SN8G-0126-SM-32PLI 50-59 years, female 117.3
GTEX-131XE-2326-SM-5PNZ2 50-59 years, male 116.9
GTEX-1KANC-1526-SM-D3LAB 50-59 years, female 116.1
GTEX-XYKS-2126-SM-4E3IB 60-69 years, female 115.2
GTEX-1B97I-1626-SM-73KYO 40-49 years, male 114.9
GTEX-15F5U-1526-SM-6PANO 40-49 years, male 114.8
GTEX-18D9A-1926-SM-7LG6P 30-39 years, female 114.3
GTEX-1CAV2-2226-SM-7P8P2 40-49 years, female 114.3
GTEX-13FXS-0226-SM-5IJCK 50-59 years, male 114.2
GTEX-13X6H-2126-SM-7EWD5 50-59 years, female 114.0
GTEX-1C475-1826-SM-73KWA 40-49 years, female 114.0
GTEX-T6MN-0126-SM-32PLP 50-59 years, male 113.6
GTEX-1OJC3-0126-SM-E76QX 20-29 years, male 112.9
GTEX-14PN4-0126-SM-6EU2V 50-59 years, male 112.8
GTEX-14ICK-0226-SM-6EU25 40-49 years, male 112.2
GTEX-13FTW-2626-SM-5K7WL 40-49 years, male 112.1
GTEX-1QP9N-1426-SM-DTXFL 30-39 years, male 111.9
GTEX-139UW-2826-SM-5L3E7 60-69 years, male 111.8
GTEX-Y3IK-2426-SM-4WWDU 50-59 years, female 111.7
GTEX-ZGAY-0526-SM-4WWBB 40-49 years, female 111.0
GTEX-XUZC-1726-SM-4BRWS 30-39 years, female 110.0
GTEX-YB5E-2026-SM-5IFIS 40-49 years, male 109.8
GTEX-1MA7W-2026-SM-E9TJ6 20-29 years, female 109.1
GTEX-13NYS-0126-SM-5MR3W 60-69 years, male 108.8
GTEX-1R46S-0626-SM-E9J41 60-69 years, female 108.6
GTEX-1HBPM-0226-SM-ARL9F 60-69 years, female 108.5
GTEX-TKQ1-1026-SM-4GICL 30-39 years, male 108.1
GTEX-1I4MK-2226-SM-ACKWD 50-59 years, female 108.0
GTEX-15ER7-0326-SM-7KUEV 20-29 years, female 107.4
GTEX-WRHK-1426-SM-3MJF9 20-29 years, female 107.2
GTEX-PX3G-0126-SM-2I3EN 20-29 years, female 107.0
GTEX-1211K-2026-SM-5EQ4Z 60-69 years, female 106.9
GTEX-ZV68-0126-SM-59HKS 50-59 years, female 106.2
GTEX-1R9PM-2026-SM-E76OY 20-29 years, male 106.2
GTEX-1JJ6O-0126-SM-E6CI8 60-69 years, male 104.9
GTEX-13OVH-0126-SM-5MR4B 70-79 years, male 103.7
GTEX-ZYFD-0126-SM-5GIDL 50-59 years, male 103.3
GTEX-1PDJ9-0326-SM-DTX95 20-29 years, male 103.3
GTEX-UJHI-1526-SM-3DB99 50-59 years, female 102.5
GTEX-1LSNM-1926-SM-E6CII 50-59 years, male 102.5
GTEX-1F6RS-0126-SM-9MQKZ 60-69 years, female 102.4
GTEX-1JMLX-0226-SM-CM2RO 50-59 years, male 102.4
GTEX-1LGOU-2026-SM-DIPFF 20-29 years, female 102.4
GTEX-14PII-0226-SM-6EU1T 60-69 years, male 102.2
GTEX-13FHP-0126-SM-5IJBG 50-59 years, male 101.8
GTEX-12WSK-2326-SM-5GCOH 40-49 years, female 101.5
GTEX-WFON-2126-SM-3LK7O 40-49 years, male 101.4
GTEX-PSDG-0226-SM-DKPOZ 50-59 years, male 101.3
GTEX-1LBAC-0126-SM-DIPEZ 20-29 years, male 100.7
GTEX-1EMGI-0126-SM-9KNUE 60-69 years, male 100.6
GTEX-RTLS-0126-SM-447CA 60-69 years, female 100.5
GTEX-ZYT6-0226-SM-5NQ6T 30-39 years, male 100.5
GTEX-1H2FU-0126-SM-9WYSI 60-69 years, female 100.2
GTEX-U412-0426-SM-3DB9O 60-69 years, male 100.1
GTEX-17HG3-2226-SM-7938L 30-39 years, female 100.0
GTEX-ZPIC-1726-SM-DHXIU 40-49 years, female 99.8
GTEX-OHPM-0126-SM-2YUN9 50-59 years, male 99.7
GTEX-YB5K-2126-SM-4WWDJ 40-49 years, female 99.5
GTEX-11TT1-2526-SM-5EGIB 20-29 years, male 99.4
GTEX-139TS-2826-SM-5J1OO 60-69 years, male 99.2
GTEX-T2YK-0526-SM-32QPJ 50-59 years, male 99.2
GTEX-13OVI-1426-SM-5L3EY 60-69 years, female 99.1
GTEX-1HGF4-2426-SM-ACKXM 60-69 years, male 99.1
GTEX-1PPH8-0226-SM-E8VND 20-29 years, male 99.0
GTEX-11DYG-0126-SM-59883 60-69 years, male 98.7
GTEX-1R7EU-0226-SM-EVR4G 60-69 years, male 98.6
GTEX-ZTPG-0326-SM-5O9AX 20-29 years, female 98.5
GTEX-13PVR-2326-SM-5QGR1 60-69 years, female 98.1
GTEX-15ETS-0126-SM-7KUMW 40-49 years, female 98.1
GTEX-S7PM-0126-SM-4AD6S 60-69 years, male 98.0
GTEX-1J8QM-2126-SM-CYPSJ 60-69 years, female 97.8
GTEX-T6MO-1626-SM-32QOM 40-49 years, female 97.7
GTEX-1JN76-0126-SM-CNPPE 20-29 years, female 97.7
GTEX-11TUW-2726-SM-E9J4M 60-69 years, male 97.6
GTEX-1JMQL-0226-SM-CNPP5 50-59 years, female 97.5
GTEX-13SLW-0126-SM-5SI6C 70-79 years, male 97.4
GTEX-14A5I-0126-SM-5TDEA 50-59 years, female 97.4
GTEX-1LG7Z-1726-SM-D3LA4 30-39 years, male 97.4
GTEX-1A3MX-0126-SM-731BR 60-69 years, male 97.1
GTEX-12696-2426-SM-5EQ6H 60-69 years, male 97.0
GTEX-NFK9-0226-SM-2HMKQ 40-49 years, male 97.0
GTEX-Y8DK-0126-SM-4TT3L 60-69 years, male 97.0
GTEX-1HSMO-0126-SM-CL547 60-69 years, male 96.7
GTEX-1CB4E-2226-SM-793DC 60-69 years, male 96.6
GTEX-16AAH-1726-SM-7939C 50-59 years, male 96.4
GTEX-145MN-2226-SM-5SIAU 30-39 years, male 96.3
GTEX-13FTX-1826-SM-5J1NX 20-29 years, female 96.2
GTEX-13RTK-1426-SM-5QGQJ 20-29 years, male 96.0
GTEX-145LV-2126-SM-5LU8N 50-59 years, male 95.6
GTEX-1HSGN-0226-SM-CGQFV 40-49 years, female 95.6
GTEX-ZF29-2326-SM-DO92K 60-69 years, female 95.6
GTEX-1S5ZA-0126-SM-EVYCV 20-29 years, male 95.5
GTEX-17GQL-2026-SM-718BA 60-69 years, male 95.3
GTEX-17HII-0226-SM-7LG4E 50-59 years, male 95.3
GTEX-RM2N-1426-SM-2TF4H 50-59 years, male 95.1
GTEX-1OFPY-2426-SM-DTXEJ 60-69 years, male 95.0
GTEX-17EVP-0326-SM-7DHLG 40-49 years, male 94.8
GTEX-1NV5F-0226-SM-E8VNY 60-69 years, female 94.8
GTEX-1I6K6-0126-SM-A9SLE 30-39 years, male 94.5
GTEX-1S3DN-2226-SM-EVYCD 50-59 years, male 94.3
GTEX-1PIIG-0226-SM-EWRN6 30-39 years, male 94.2
GTEX-1BAJH-0526-SM-793CQ 70-79 years, male 94.1
GTEX-XBEW-0626-SM-4QASP 40-49 years, male 94.1
GTEX-1LGRB-2526-SM-CNPPQ 50-59 years, female 94.0
GTEX-1AX9J-0226-SM-73KXM 60-69 years, male 93.9
GTEX-QESD-1426-SM-2S1R9 20-29 years, male 93.9
GTEX-1H3VE-0326-SM-9YFLH 40-49 years, male 93.8
GTEX-OXRO-0126-SM-2YUN4 60-69 years, female 93.7
GTEX-1IKK5-0626-SM-ARL8A 60-69 years, male 93.7
GTEX-1MJK2-0426-SM-DTXE5 50-59 years, male 93.7
GTEX-15SHU-0126-SM-7KUEH 40-49 years, female 93.6
GTEX-1QAET-0926-SM-E76QM 50-59 years, male 93.5
GTEX-1A3MW-0126-SM-73KXX 60-69 years, female 93.3
GTEX-1IL2U-0226-SM-CE6T8 60-69 years, male 93.3
GTEX-1JMQI-2226-SM-CM2SD 50-59 years, male 93.3
GTEX-NPJ8-0126-SM-2YUNR 40-49 years, male 93.2
GTEX-14PJM-0226-SM-62LF1 50-59 years, female 93.1
GTEX-WYJK-0126-SM-3NMAB 50-59 years, male 93.1
GTEX-11UD1-0126-SM-5PNYG 40-49 years, female 93.0
GTEX-1LC47-0326-SM-E9TJP 60-69 years, male 93.0
GTEX-1PFEY-1526-SM-E76PP 30-39 years, male 93.0
GTEX-Y5V5-2326-SM-4V6GA 60-69 years, female 92.9
GTEX-13O3P-0126-SM-5KM4S 50-59 years, male 92.8
GTEX-1K2DU-2326-SM-E9TIV 20-29 years, male 92.8
GTEX-18D9U-0226-SM-718BP 40-49 years, male 92.7
GTEX-Y111-0126-SM-4SOIV 50-59 years, male 92.7
GTEX-OOBJ-0126-SM-E6CJW 60-69 years, male 92.7
GTEX-1QPFJ-0226-SM-E76PB 30-39 years, female 92.6
GTEX-131XG-2626-SM-5KM17 50-59 years, female 92.5
GTEX-ZF2S-2326-SM-4WWCE 50-59 years, female 92.5
GTEX-ZXES-1826-SM-5E43S 30-39 years, female 92.5
GTEX-117XS-2726-SM-5N9BL 60-69 years, male 92.3
GTEX-1H1DG-0126-SM-9WYU2 70-79 years, male 92.2
GTEX-WH7G-2326-SM-3NMBC 40-49 years, male 92.0
GTEX-WXYG-2326-SM-4E3I6 50-59 years, female 92.0
GTEX-T5JC-0426-SM-32PLO 20-29 years, male 91.9
GTEX-T5JW-1626-SM-3GADZ 20-29 years, female 91.8
GTEX-1GN1U-0126-SM-7PBZK 50-59 years, female 91.8
GTEX-1LB8K-0226-SM-EWRNW 50-59 years, male 91.2
GTEX-W5WG-1826-SM-4KL2Y 50-59 years, female 91.1
GTEX-133LE-1826-SM-5J1MV 20-29 years, female 91.0
GTEX-SUCS-1926-SM-32PM3 70-79 years, male 91.0
GTEX-ZWKS-0126-SM-5SIAA 30-39 years, male 91.0
GTEX-ZDTS-0126-SM-4WAY5 60-69 years, male 90.8
GTEX-1QCLY-0326-SM-E8VOG 30-39 years, male 90.8
GTEX-17F96-1626-SM-7DUFL 70-79 years, male 90.6
GTEX-1C4CL-0526-SM-73KVK 30-39 years, male 90.6
GTEX-1JMPY-1326-SM-ARL8Y 30-39 years, male 90.6
GTEX-13JUV-2726-SM-5LZZ8 40-49 years, female 90.4
GTEX-13NZ8-0826-SM-5MR3I 60-69 years, female 90.4
GTEX-1J1OQ-0226-SM-CYPSH 40-49 years, female 90.3
GTEX-1PIGE-0126-SM-EVYBJ 20-29 years, male 90.3
GTEX-132NY-0326-SM-5IJBL 60-69 years, male 90.2
GTEX-1QMI2-0226-SM-EVYBX 60-69 years, male 90.2
GTEX-11P81-2326-SM-59875 30-39 years, female 90.1
GTEX-WQUQ-0426-SM-3MJFU 60-69 years, male 90.0
GTEX-14XAO-2326-SM-6EU1B 60-69 years, female 89.9
GTEX-ZVZP-2426-SM-59HKJ 50-59 years, male 89.9
GTEX-1EWIQ-0126-SM-7RHH2 70-79 years, female 89.9
GTEX-17F98-0626-SM-79OMX 40-49 years, female 89.8
GTEX-11DZ1-0126-SM-5985Q 50-59 years, male 89.6
GTEX-S32W-2126-SM-2XCB1 50-59 years, female 89.6
GTEX-ZZ64-1726-SM-5GZYB 20-29 years, male 89.6
GTEX-1GMR8-0126-SM-9WYTM 50-59 years, female 89.4
GTEX-1S83E-0126-SM-EWRO4 40-49 years, male 89.4
GTEX-U8T8-0126-SM-3DB94 60-69 years, male 89.1
GTEX-18A7A-0226-SM-718BH 50-59 years, female 89.0
GTEX-1JN6P-0126-SM-D3L98 60-69 years, male 89.0
GTEX-13112-2826-SM-5DUWH 50-59 years, male 88.8
GTEX-1N2DV-0226-SM-E6CJ6 40-49 years, male 88.8
GTEX-1HFI6-0226-SM-ADEHZ 40-49 years, male 88.7
GTEX-1HFI7-1826-SM-ACKXH 50-59 years, female 88.7
GTEX-17EUY-0426-SM-793BD 20-29 years, male 88.5
GTEX-ZVTK-0426-SM-51MRS 20-29 years, male 88.5
GTEX-18A6Q-0126-SM-731BZ 60-69 years, male 88.4
GTEX-1N2EF-0226-SM-EYYXB 60-69 years, male 88.3
GTEX-11H98-0126-SM-5EGHG 50-59 years, male 88.2
GTEX-OIZH-0126-SM-2HMIS 50-59 years, male 88.2
GTEX-14PHX-2326-SM-62LEM 50-59 years, male 88.1
GTEX-QEG4-0226-SM-2S1PY 30-39 years, male 88.1
GTEX-X4EP-0126-SM-3P5YV 60-69 years, female 88.1
GTEX-X261-0126-SM-3NMD6 50-59 years, male 88.0
GTEX-1JN1M-0326-SM-CYPT3 60-69 years, female 88.0
GTEX-W5X1-3026-SM-EAZAX 40-49 years, female 88.0
GTEX-Y5LM-1926-SM-5RQJH 40-49 years, female 87.9
GTEX-YJ89-0126-SM-4TT3X 60-69 years, male 87.9
GTEX-139D8-0226-SM-5KLZO 30-39 years, female 87.8
GTEX-17JCI-0126-SM-7LG5G 60-69 years, female 87.7
GTEX-ZAJG-0126-SM-5HL94 50-59 years, female 87.6
GTEX-131YS-0126-SM-5KM1M 60-69 years, female 87.5
GTEX-139TU-0126-SM-5K7WH 60-69 years, male 87.5
GTEX-XAJ8-0826-SM-47JY6 40-49 years, male 87.5
GTEX-12ZZX-0126-SM-5EGK9 40-49 years, female 87.4
GTEX-13G51-2526-SM-5LZYK 60-69 years, male 87.4
GTEX-13PDP-0126-SM-5L3HD 60-69 years, male 87.4
GTEX-16NGA-1726-SM-731B4 40-49 years, female 87.4
GTEX-1GMR3-1926-SM-9KNUZ 40-49 years, male 87.4
GTEX-11P7K-2126-SM-5GU7G 30-39 years, male 87.3
GTEX-16GPK-0126-SM-7DHLE 60-69 years, male 87.2
GTEX-1I1GV-0526-SM-A9G29 60-69 years, male 87.2
GTEX-1192X-0226-SM-5H12D 50-59 years, male 87.1
GTEX-145ME-1826-SM-5SI9G 40-49 years, female 87.1
GTEX-1S82Y-2026-SM-EVYCM 40-49 years, male 87.1
GTEX-ZAB4-0226-SM-5N9F5 40-49 years, male 86.8
GTEX-1HCUA-2426-SM-ADEIS 50-59 years, female 86.7
GTEX-XQ8I-0426-SM-4BOPO 50-59 years, male 86.5
GTEX-1HCU7-0226-SM-CL545 50-59 years, male 86.5
GTEX-Q2AI-1326-SM-2S1PL 40-49 years, male 86.4
GTEX-1JMQJ-0526-SM-CYPSU 50-59 years, male 86.4
GTEX-UPJH-0326-SM-3GADU 50-59 years, male 86.2
GTEX-YJ8A-0426-SM-5IFID 20-29 years, male 86.2
GTEX-1H1CY-2826-SM-9MQM3 60-69 years, female 86.2
GTEX-1LH75-2426-SM-E9TJE 50-59 years, female 86.2
GTEX-145MI-0526-SM-5O9A8 60-69 years, female 86.0
GTEX-1MGNQ-0126-SM-EVYCJ 40-49 years, male 86.0
GTEX-13NZB-2526-SM-5J1OM 30-39 years, male 85.9
GTEX-13X6J-0126-SM-5QGOU 50-59 years, male 85.9
GTEX-13O1R-0126-SM-5L3EH 60-69 years, male 85.8
GTEX-145MO-0326-SM-5Q5B3 60-69 years, male 85.8
GTEX-13113-5016-SM-7EPIP 60-69 years, female 85.7
GTEX-131XH-2226-SM-5DUXJ 50-59 years, male 85.6
GTEX-ZDTT-2726-SM-4WKF8 60-69 years, male 85.6
GTEX-U8XE-0326-SM-3DB8P 30-39 years, male 85.4
GTEX-1S82Z-0826-SM-E6CHY 30-39 years, female 85.4
GTEX-1313W-0126-SM-5LZUN 50-59 years, female 85.3
GTEX-1I1GS-0126-SM-B2LVW 60-69 years, male 85.2
GTEX-1F75B-0126-SM-9KNVL 50-59 years, male 85.1
GTEX-1314G-1526-SM-5EGK2 30-39 years, male 85.0
GTEX-1CB4I-0226-SM-79OLH 50-59 years, male 85.0
GTEX-OHPL-0126-SM-2HMJ7 60-69 years, female 85.0
GTEX-1RB15-2126-SM-E9TIM 60-69 years, male 85.0
GTEX-11EQ9-2426-SM-5HL5T 30-39 years, male 84.9
GTEX-XUW1-0426-SM-4BOOT 50-59 years, female 84.9
GTEX-1KD4Q-0226-SM-E9TJ9 40-49 years, male 84.9
GTEX-PLZ6-1426-SM-DKPOT 30-39 years, male 84.9
GTEX-16BQI-0226-SM-7KUEX 30-39 years, female 84.8
GTEX-ZYY3-0126-SM-5GZY5 60-69 years, female 84.7
GTEX-1GZ4H-1726-SM-7PBZJ 50-59 years, female 84.7
GTEX-12WSA-0226-SM-5BC5V 60-69 years, male 84.6
GTEX-ZTSS-1926-SM-57WEW 40-49 years, male 84.6
GTEX-1J1R8-1726-SM-ARL8M 40-49 years, male 84.6
GTEX-17EVQ-0226-SM-7LG4P 70-79 years, male 84.5
GTEX-1B8L1-2526-SM-9WYTF 60-69 years, male 84.5
GTEX-1CAMQ-0226-SM-7IGPK 40-49 years, male 84.4
GTEX-1H23P-0126-SM-ADEJ3 60-69 years, male 84.3
GTEX-1HCU9-1526-SM-A9SL7 20-29 years, male 84.3
GTEX-14PN3-2426-SM-6LLHS 60-69 years, female 84.0
GTEX-ZV6S-2326-SM-4YCEY 40-49 years, female 84.0
GTEX-1LVAN-0226-SM-COH3S 50-59 years, female 84.0
GTEX-14PJ6-2126-SM-6EU1V 60-69 years, female 83.9
GTEX-ZE7O-0126-SM-57WC1 50-59 years, female 83.9
GTEX-18A66-0226-SM-718BD 60-69 years, male 83.8
GTEX-QLQ7-1626-SM-2S1R8 60-69 years, male 83.8
GTEX-11EM3-2426-SM-59861 20-29 years, female 83.5
GTEX-RU72-0926-SM-2TF6B 50-59 years, female 83.5
GTEX-ZAK1-0126-SM-5IJD3 50-59 years, female 83.4
GTEX-1KANB-0526-SM-E6CJH 50-59 years, male 83.4
GTEX-15DDE-0126-SM-6LPKH 50-59 years, female 83.3
GTEX-1GTWX-0126-SM-9YFLK 60-69 years, male 83.2
GTEX-14BIN-0626-SM-793DP 50-59 years, female 83.1
GTEX-O5YW-0126-SM-3LK6D 50-59 years, male 83.1
GTEX-1GL5R-1826-SM-9KNUY 50-59 years, male 83.1
GTEX-1GZHY-0326-SM-9QEHI 50-59 years, female 83.1
GTEX-1H11D-0226-SM-9WG6Z 40-49 years, male 83.1
GTEX-PWCY-1826-SM-DHXIZ 20-29 years, female 83.1
GTEX-T2IS-0126-SM-4DM6O 20-29 years, female 83.0
GTEX-14C5O-0126-SM-5SI6N 60-69 years, male 82.9
GTEX-Q2AH-1626-SM-3GAF8 40-49 years, male 82.9
GTEX-1CB4H-0226-SM-7PBXM 60-69 years, female 82.7
GTEX-1F52S-0126-SM-9MQJU 60-69 years, female 82.7
GTEX-14DAR-2026-SM-5S2O3 50-59 years, male 82.6
GTEX-18A7B-0126-SM-7LG64 70-79 years, male 82.6
GTEX-ZY6K-1826-SM-5GZXK 50-59 years, male 82.6
GTEX-1F5PL-0326-SM-7P8PQ 40-49 years, female 82.6
GTEX-X4XX-0126-SM-3NMC2 60-69 years, male 82.5
GTEX-1MUQO-0126-SM-EAZ58 60-69 years, male 82.5
GTEX-11UD2-0226-SM-5EQKY 50-59 years, male 82.4
GTEX-T8EM-1026-SM-3DB7M 40-49 years, male 82.4
GTEX-TSE9-0126-SM-3DB83 60-69 years, female 82.2
GTEX-1AX9I-0126-SM-7SB74 60-69 years, male 82.2
GTEX-1E2YA-0126-SM-9KNUC 50-59 years, male 82.1
GTEX-1H4P4-0726-SM-9YFLR 50-59 years, male 82.1
GTEX-1HSMQ-1226-SM-CGQFX 50-59 years, male 82.1
GTEX-16YQH-0126-SM-7DUFJ 30-39 years, male 82.0
GTEX-1B8KZ-2026-SM-7DHMB 50-59 years, male 82.0
GTEX-11OF3-2626-SM-5GU7F 60-69 years, male 81.9
GTEX-111FC-0126-SM-5N9DL 60-69 years, male 81.8
GTEX-1GF9W-0326-SM-9KNUN 60-69 years, male 81.8
GTEX-13O21-1426-SM-5K7XI 50-59 years, male 81.6
GTEX-11DXX-2426-SM-5GZZW 60-69 years, female 81.4
GTEX-P4PP-0126-SM-3LK69 30-39 years, female 81.4
GTEX-XPVG-2626-SM-4B669 50-59 years, male 81.4
GTEX-ZYFC-0226-SM-5NQ75 50-59 years, male 81.4
GTEX-12WSE-0526-SM-793B2 20-29 years, male 81.2
GTEX-1C6VR-2426-SM-79OLD 60-69 years, male 81.2
GTEX-Z9EW-1626-SM-5CVMN 40-49 years, male 81.2
GTEX-139T8-0126-SM-5K7XZ 60-69 years, male 81.1
GTEX-14LZ3-0226-SM-62LET 60-69 years, female 81.1
GTEX-Y8E4-0626-SM-4WWDL 40-49 years, male 81.1
GTEX-1CB4G-0226-SM-7PC3O 60-69 years, male 81.1
GTEX-1JMQK-0226-SM-CL543 60-69 years, male 81.1
GTEX-1RAZA-0126-SM-E6CI3 20-29 years, male 81.1
GTEX-12584-0126-SM-5EGKQ 40-49 years, male 81.0
GTEX-1CAMR-1926-SM-7EPI2 20-29 years, male 80.9
GTEX-OXRN-0126-SM-48TDM 50-59 years, male 80.9
GTEX-1B8SF-1426-SM-7DUGL 60-69 years, male 80.8
GTEX-SNMC-1226-SM-2XCFP 20-29 years, male 80.7
GTEX-1GMRU-0126-SM-9YFLV 50-59 years, male 80.7
GTEX-16MT8-0426-SM-7KUEY 60-69 years, female 80.4
GTEX-X88G-0126-SM-47JZ3 30-39 years, male 80.4
GTEX-1HCU6-0126-SM-CL54K 60-69 years, female 80.4
GTEX-1IDJU-2626-SM-CM2RT 60-69 years, female 80.4
GTEX-1RDX4-0126-SM-E9J4P 50-59 years, female 80.4
GTEX-11GSO-2426-SM-5A5LY 60-69 years, male 80.3
GTEX-1JMPZ-0226-SM-CNPP1 30-39 years, male 80.3
GTEX-11XUK-2026-SM-5EQLF 40-49 years, female 80.2
GTEX-13OW6-0426-SM-5L3HM 50-59 years, male 80.2
GTEX-Y3I4-2126-SM-4TT7C 50-59 years, male 80.2
GTEX-1KANA-0726-SM-D3L9I 20-29 years, male 80.2
GTEX-12ZZY-0226-SM-5LZVE 60-69 years, male 80.1
GTEX-1128S-2326-SM-5GZZY 60-69 years, female 80.0
GTEX-OOBK-0126-SM-2YUND 40-49 years, male 79.9
GTEX-PLZ5-2026-SM-2S1O4 50-59 years, male 79.9
GTEX-XXEK-2226-SM-4BRUM 50-59 years, male 79.9
GTEX-1F6I4-0126-SM-9MQL2 60-69 years, male 79.9
GTEX-12WSC-0126-SM-5EQ4P 50-59 years, male 79.8
GTEX-15RIG-0226-SM-7KFTL 40-49 years, male 79.8
GTEX-QLQW-1126-SM-2S1Q8 30-39 years, male 79.8
GTEX-1GF9X-2026-SM-7PC3A 40-49 years, female 79.7
GTEX-13RTJ-2426-SM-5S2Q2 60-69 years, male 79.6
GTEX-13VXT-0126-SM-5LU4I 20-29 years, female 79.6
GTEX-17HHY-0126-SM-7LG5D 50-59 years, male 79.6
GTEX-13IVO-0126-SM-5J1NG 70-79 years, male 79.5
GTEX-1E1VI-0126-SM-7DHMZ 50-59 years, male 79.5
GTEX-13D11-2426-SM-5KM1V 50-59 years, female 79.4
GTEX-117YX-2326-SM-5H12W 50-59 years, male 79.3
GTEX-11VI4-1726-SM-5CVLH 40-49 years, female 79.3
GTEX-1JK1U-2026-SM-CM2RZ 60-69 years, male 79.3
GTEX-18QFQ-0126-SM-731BE 30-39 years, male 79.2
GTEX-1KXAM-2226-SM-CYPTC 60-69 years, male 79.2
GTEX-17HGU-0226-SM-7DHKV 50-59 years, male 79.1
GTEX-12126-0326-SM-5PNW3 20-29 years, male 79.0
GTEX-1HSMP-0126-SM-E6CJS 70-79 years, male 79.0
GTEX-14PJ3-1826-SM-62LEX 50-59 years, male 78.9
GTEX-1N2DW-0226-SM-E9TK2 50-59 years, male 78.9
GTEX-12ZZZ-0626-SM-5DUXI 60-69 years, male 78.8
GTEX-R55G-2526-SM-2TC6D 40-49 years, female 78.8
GTEX-1HSKV-0226-SM-A9SKJ 60-69 years, male 78.8
GTEX-11LCK-1026-SM-5A5KB 30-39 years, male 78.7
GTEX-13VXU-0126-SM-5SI9F 50-59 years, male 78.7
GTEX-169BO-1326-SM-9MQK2 50-59 years, male 78.7
GTEX-ZDYS-2026-SM-5HL5L 50-59 years, male 78.6
GTEX-1H1DE-2126-SM-9WG6R 20-29 years, male 78.5
GTEX-13OW5-0126-SM-DTXFS 60-69 years, male 78.4
GTEX-17MFQ-1726-SM-793C7 20-29 years, male 78.3
GTEX-1IOXB-0126-SM-ARL8G 50-59 years, male 78.3
GTEX-1KAFJ-2026-SM-CY8ID 50-59 years, male 78.3
GTEX-113JC-2326-SM-5EQ4E 50-59 years, female 78.2
GTEX-1KWVE-1426-SM-E9TJO 30-39 years, male 78.2
GTEX-148VJ-0126-SM-5TDDN 70-79 years, male 78.1
GTEX-147F4-0226-SM-5QGPW 50-59 years, male 78.0
GTEX-14JG6-2226-SM-6EU2G 30-39 years, female 78.0
GTEX-X585-0226-SM-4QAS2 50-59 years, male 78.0
GTEX-1M5QR-1226-SM-EWROB 40-49 years, male 78.0
GTEX-11ZU8-2526-SM-5EQKI 60-69 years, male 77.9
GTEX-13N2G-2626-SM-5J1OT 60-69 years, male 77.9
GTEX-13S7M-0126-SM-5SI6A 60-69 years, female 77.9
GTEX-1IDJF-0126-SM-CM2RS 20-29 years, male 77.9
GTEX-1PWST-0226-SM-E76QJ 70-79 years, male 77.9
GTEX-148VI-1626-SM-5SI6E 60-69 years, female 77.8
GTEX-1I1GT-0626-SM-CGQER 60-69 years, female 77.8
GTEX-ZXG5-0126-SM-5GIEU 60-69 years, male 77.7
GTEX-1399T-2826-SM-5KLYZ 60-69 years, male 77.6
GTEX-S33H-1026-SM-EZ6L6 30-39 years, male 77.6
GTEX-Z93T-0126-SM-5HL5N 50-59 years, male 77.5
GTEX-1J8EW-0126-SM-CJI4F 60-69 years, female 77.5
GTEX-11ZTS-0126-SM-5EQ6M 60-69 years, female 77.4
GTEX-12KS4-0326-SM-5EQ41 30-39 years, male 77.4
GTEX-15EU6-0426-SM-6PAN5 50-59 years, male 77.4
GTEX-1H3O1-0426-SM-9YFKY 60-69 years, male 77.4
GTEX-XBED-2226-SM-47JYQ 60-69 years, male 77.3
GTEX-1B996-0226-SM-7RHGO 60-69 years, male 77.3
GTEX-14BMV-0126-SM-5S2PO 50-59 years, male 77.2
GTEX-XQ3S-1526-SM-4BOOC 20-29 years, male 77.2
GTEX-YEC4-2126-SM-5IFJH 40-49 years, male 77.2
GTEX-1497J-2426-SM-7IGNX 60-69 years, male 77.1
GTEX-TML8-1926-SM-32QOS 40-49 years, female 77.1
GTEX-X5EB-2226-SM-46MW4 40-49 years, male 77.1
GTEX-1IDJH-0326-SM-A9SLQ 70-79 years, male 77.1
GTEX-12WSD-0126-SM-59HKN 60-69 years, female 76.9
GTEX-U3ZM-1526-SM-3DB9D 40-49 years, male 76.9
GTEX-144GN-2326-SM-5LU4F 50-59 years, male 76.7
GTEX-1AX8Z-0126-SM-7DHM6 60-69 years, male 76.7
GTEX-Z93S-0126-SM-5HL7M 50-59 years, male 76.7
GTEX-1B8SG-0126-SM-73KZ3 50-59 years, male 76.6
GTEX-12WSG-2826-SM-E9J4H 50-59 years, female 76.6
GTEX-14E6E-1826-SM-5S2R7 30-39 years, male 76.5
GTEX-1QP66-1726-SM-E8VO1 50-59 years, male 76.5
GTEX-13W46-0226-SM-5SIAG 50-59 years, male 76.4
GTEX-1HR98-0126-SM-B2LWI 60-69 years, male 76.4
GTEX-RNOR-0126-SM-E9J4R 50-59 years, female 76.4
GTEX-1HBPI-1526-SM-C1YQ1 50-59 years, male 76.2
GTEX-1K9T9-0126-SM-EVYCF 50-59 years, female 76.2
GTEX-13SLX-0526-SM-5S2ON 50-59 years, female 76.1
GTEX-14JG1-0426-SM-6ETZZ 40-49 years, male 76.1
GTEX-1A3MV-1926-SM-718BT 30-39 years, male 76.1
GTEX-1GN73-0226-SM-9WG67 60-69 years, male 76.0
GTEX-1J8JJ-0226-SM-CL53I 60-69 years, female 76.0
GTEX-X8HC-0126-SM-4E3JW 50-59 years, female 75.9
GTEX-1HSEH-0126-SM-ACKXN 60-69 years, male 75.8
GTEX-11ZVC-2526-SM-5FQTE 50-59 years, female 75.7
GTEX-18A67-0126-SM-7LG5P 50-59 years, male 75.7
GTEX-1CB4F-0426-SM-9KNV4 60-69 years, male 75.7
GTEX-11WQK-0526-SM-5EQLD 50-59 years, male 75.6
GTEX-14E6D-0126-SM-62LDV 50-59 years, male 75.5
GTEX-1C2JI-1826-SM-73KXC 50-59 years, male 75.5
GTEX-1R7EV-2426-SM-EVYBG 40-49 years, male 75.4
GTEX-13U4I-0126-SM-5LU38 40-49 years, female 75.2
GTEX-145MF-0626-SM-5LUAI 50-59 years, male 75.2
GTEX-17KNJ-2326-SM-7DHLQ 50-59 years, male 75.2
GTEX-1GN2E-0426-SM-9MQKX 60-69 years, male 75.2
GTEX-1AMFI-2026-SM-731BH 50-59 years, female 75.1
GTEX-14E6C-0126-SM-5RQIP 40-49 years, male 75.0
GTEX-1H3VY-0126-SM-ACKXD 50-59 years, male 75.0
GTEX-13FTY-0526-SM-5L3EV 40-49 years, female 74.9
GTEX-1LNCM-1126-SM-E9U5E 50-59 years, female 74.9
GTEX-13OVK-2026-SM-7KUEO 40-49 years, male 74.8
GTEX-YFC4-0126-SM-5CVLY 40-49 years, female 74.8
GTEX-1HBPN-0226-SM-9YFM1 50-59 years, male 74.8
GTEX-1NHNU-1026-SM-E9J2A 50-59 years, male 74.8
GTEX-11GS4-2726-SM-5A5LE 60-69 years, male 74.6
GTEX-O5YT-0126-SM-48TBW 20-29 years, male 74.6
GTEX-S95S-1226-SM-4GICG 60-69 years, male 74.6
GTEX-14A5H-0426-SM-5QGQF 60-69 years, male 74.5
GTEX-RWSA-0126-SM-2XCBB 40-49 years, male 74.5
GTEX-13OVL-0226-SM-5L3E9 50-59 years, male 74.4
GTEX-X4EO-0326-SM-3P5YO 60-69 years, female 74.4
GTEX-ZAB5-1826-SM-5HL7C 50-59 years, male 74.4
GTEX-1GPI7-0126-SM-9MQL8 20-29 years, male 74.4
GTEX-ZVT4-0126-SM-DTXFN 50-59 years, female 74.4
GTEX-11TTK-0126-SM-5987B 60-69 years, female 74.3
GTEX-1C64N-0126-SM-793D7 50-59 years, male 74.2
GTEX-ZQUD-1426-SM-57WER 30-39 years, male 74.1
GTEX-OXRP-0126-SM-3NB32 60-69 years, female 74.0
GTEX-PVOW-0126-SM-2XCFA 40-49 years, male 74.0
GTEX-13NYC-0326-SM-E9J4S 60-69 years, male 74.0
GTEX-1IKJJ-0126-SM-CNPQB 60-69 years, male 74.0
GTEX-R55E-0126-SM-2TC5Y 20-29 years, male 73.8
GTEX-131XW-0426-SM-5LZWP 50-59 years, female 73.7
GTEX-1399R-2726-SM-5IJBA 30-39 years, male 73.7
GTEX-1QP2A-0126-SM-E9J43 50-59 years, male 73.7
GTEX-ZE9C-2726-SM-57WB5 60-69 years, male 73.6
GTEX-11P82-1626-SM-59879 20-29 years, male 73.5
GTEX-ZVZO-0126-SM-5A5L9 40-49 years, male 73.3
GTEX-1212Z-2526-SM-5EGKP 60-69 years, male 73.2
GTEX-1I1GQ-0126-SM-COH3H 50-59 years, male 73.2
GTEX-12C56-1726-SM-5EQ61 20-29 years, male 73.1
GTEX-13W3W-2426-SM-5LU5B 60-69 years, female 73.1
GTEX-1JMOU-1526-SM-CL54I 60-69 years, female 73.1
GTEX-11GSP-2526-SM-5N9BP 60-69 years, female 73.0
GTEX-14BIL-0126-SM-5SI92 50-59 years, male 73.0
GTEX-17HHE-2026-SM-79OKF 50-59 years, male 73.0
GTEX-13O3O-0126-SM-E9J49 60-69 years, female 73.0
GTEX-1J8Q2-0526-SM-CM2RW 60-69 years, male 72.9
GTEX-1IL2V-0126-SM-CM2TX 70-79 years, male 72.8
GTEX-145LS-0126-SM-5QGP1 60-69 years, female 72.7
GTEX-18465-0126-SM-731BN 50-59 years, male 72.7
GTEX-14DAQ-0126-SM-5S2MQ 60-69 years, female 72.5
GTEX-15UKP-0426-SM-7KUFQ 20-29 years, male 72.5
GTEX-13OVJ-0126-SM-5KM36 50-59 years, female 72.3
GTEX-13QJ3-0326-SM-5S2RA 50-59 years, male 72.3
GTEX-WOFL-0126-SM-3MJG2 60-69 years, male 72.2
GTEX-1C6WA-0126-SM-7PC2B 60-69 years, male 72.2
GTEX-1269C-2526-SM-5EGJ3 60-69 years, female 72.1
GTEX-139TT-0126-SM-5K7Y5 60-69 years, male 72.1
GTEX-13OW7-0126-SM-5MR3B 50-59 years, male 72.1
GTEX-13OW8-1326-SM-5J1OW 60-69 years, male 72.1
GTEX-ZC5H-0226-SM-4WAY9 40-49 years, female 72.1
GTEX-1I1GU-2226-SM-CGQFA 40-49 years, male 72.1
GTEX-183FY-0126-SM-7LT9P 20-29 years, male 72.0
GTEX-OXRK-0226-SM-3NB2G 50-59 years, female 72.0
GTEX-ZU9S-0226-SM-5E441 30-39 years, male 72.0
GTEX-ZYFG-2326-SM-5E44B 60-69 years, female 72.0
GTEX-S7SE-0126-SM-2XCD5 50-59 years, male 71.9
GTEX-1POEN-0126-SM-EYYXJ 30-39 years, female 71.9
GTEX-13FH7-2026-SM-E9J4I 50-59 years, female 71.8
GTEX-1EN7A-0126-SM-7SB81 40-49 years, male 71.8
GTEX-1EU9M-0226-SM-7P8SP 60-69 years, male 71.8
GTEX-1HCVE-0126-SM-CGQEU 50-59 years, male 71.8
GTEX-ZQG8-1626-SM-DHXIT 60-69 years, female 71.8
GTEX-117YW-2626-SM-5GZZH 50-59 years, male 71.6
GTEX-147F3-0526-SM-5SI98 50-59 years, female 71.6
GTEX-1AYD5-2426-SM-73KXR 50-59 years, male 71.6
GTEX-WYVS-2126-SM-3NMA3 40-49 years, female 71.6
GTEX-13CF3-2426-SM-5IFGX 60-69 years, female 71.5
GTEX-1JJEA-0326-SM-CNPOT 60-69 years, male 71.5
GTEX-1RQEC-0426-SM-E6CHU 60-69 years, male 71.4
GTEX-13N1W-0126-SM-5K7VT 70-79 years, male 71.3
GTEX-15DYW-0126-SM-7KULE 60-69 years, female 71.3
GTEX-X4XY-0226-SM-4E3IZ 60-69 years, male 71.3
GTEX-13NYB-2526-SM-5K7Z6 40-49 years, male 71.2
GTEX-1AYCT-2426-SM-7IGQ3 50-59 years, male 71.2
GTEX-ZVT2-2526-SM-51MT1 50-59 years, female 71.2
GTEX-11WQC-2526-SM-5CVLE 60-69 years, male 71.1
GTEX-OXRL-0126-SM-2YUMP 50-59 years, male 71.1
GTEX-QV44-1926-SM-2S1RF 50-59 years, male 71.0
GTEX-QVJO-1626-SM-2S1QW 60-69 years, female 71.0
GTEX-13X6I-0626-SM-5QGP9 60-69 years, male 70.9
GTEX-1F75I-0326-SM-9YFLU 40-49 years, male 70.9
GTEX-ZZPT-0226-SM-5E43X 50-59 years, male 70.7
GTEX-11EMC-2926-SM-5EQ4F 60-69 years, female 70.6
GTEX-146FQ-0126-SM-5NQA9 30-39 years, male 70.6
GTEX-RUSQ-1526-SM-2TF62 50-59 years, male 70.6
GTEX-1HKZK-0326-SM-9WYUH 40-49 years, male 70.5
GTEX-15G19-0126-SM-6PANQ 60-69 years, male 70.4
GTEX-U4B1-1826-SM-4DXSU 40-49 years, male 70.4
GTEX-111VG-2426-SM-5GZXD 60-69 years, male 70.3
GTEX-U3ZH-2026-SM-3DB78 30-39 years, male 70.3
GTEX-1I1CD-0126-SM-CM2TK 60-69 years, female 70.2
GTEX-1MCQQ-0826-SM-DLHC2 60-69 years, male 70.1
GTEX-1QP29-0626-SM-EWRMX 50-59 years, male 70.1
GTEX-11NSD-2226-SM-5986V 20-29 years, male 70.0
GTEX-1KD5A-0226-SM-D5OV3 50-59 years, male 70.0
GTEX-146FH-0126-SM-5QGPP 50-59 years, female 69.9
GTEX-VUSG-2526-SM-4KL1V 50-59 years, male 69.9
GTEX-15SDE-2226-SM-7IGLO 50-59 years, female 69.8
GTEX-1JKYN-1326-SM-CGQG9 30-39 years, male 69.8
GTEX-11DXY-2626-SM-5GIE7 60-69 years, male 69.7
GTEX-147GR-0526-SM-5S2MY 60-69 years, male 69.7
GTEX-U3ZN-2326-SM-3DB7W 30-39 years, female 69.6
GTEX-1F5PK-2426-SM-7RHHY 50-59 years, male 69.6
GTEX-11EI6-0126-SM-5985R 60-69 years, male 69.4
GTEX-ZYW4-0126-SM-5E44A 60-69 years, male 69.4
GTEX-1HT8W-0126-SM-CNPPP 30-39 years, male 69.4
GTEX-11OC5-0126-SM-5HL6A 60-69 years, male 69.3
GTEX-16NPX-0226-SM-79OMT 50-59 years, male 69.2
GTEX-SIU8-0126-SM-2XCDT 50-59 years, male 69.2
GTEX-WFG8-2226-SM-3GIL9 20-29 years, male 69.2
GTEX-1GN1V-0126-SM-9WPOS 60-69 years, male 69.2
GTEX-1H1E6-1726-SM-ACKVK 30-39 years, male 69.2
GTEX-1PPH7-2326-SM-EVYB8 40-49 years, male 69.1
GTEX-P4PQ-0126-SM-2S1NM 60-69 years, male 69.0
GTEX-PLZ4-0126-SM-5SI8O 50-59 years, female 69.0
GTEX-1GN1W-0526-SM-9MQJQ 50-59 years, female 69.0
GTEX-XMD2-0126-SM-4YCDU 60-69 years, female 68.9
GTEX-1HB9E-0226-SM-E9U4R 50-59 years, male 68.9
GTEX-1122O-2126-SM-5EGIR 60-69 years, female 68.8
GTEX-144GL-0126-SM-5TDE2 50-59 years, male 68.7
GTEX-1F6IF-0726-SM-7P8TW 60-69 years, male 68.7
GTEX-1ICG6-2526-SM-CGQFZ 70-79 years, female 68.7
GTEX-ZEX8-2426-SM-4WKG4 50-59 years, male 68.6
GTEX-1A8FM-0226-SM-7SB7Q 50-59 years, female 68.6
GTEX-POMQ-2226-SM-2I5FK 20-29 years, female 68.5
GTEX-ZF28-0126-SM-4WKGK 60-69 years, male 68.5
GTEX-1J8Q3-1626-SM-CMKGC 60-69 years, male 68.5
GTEX-14BMU-2226-SM-5TDE9 20-29 years, female 68.4
GTEX-1GF9V-0326-SM-7RHI5 60-69 years, male 68.4
GTEX-15D1Q-0126-SM-7KUG6 40-49 years, male 68.3
GTEX-1H3NZ-0126-SM-ACKX7 60-69 years, male 68.3
GTEX-15SHW-0326-SM-6PAML 60-69 years, male 68.2
GTEX-ZUA1-0126-SM-5GU76 40-49 years, male 68.2
GTEX-1B933-0126-SM-7PC29 50-59 years, female 68.2
GTEX-11NUK-0126-SM-5A5L3 50-59 years, male 68.1
GTEX-1GZ2Q-0226-SM-7P8TL 40-49 years, male 68.1
GTEX-1HCU8-0626-SM-A9SM9 60-69 years, female 68.1
GTEX-1AMEY-1326-SM-73KYK 30-39 years, female 68.0
GTEX-XUYS-0126-SM-47JWZ 50-59 years, male 68.0
GTEX-1IY9M-0126-SM-D3L8S 60-69 years, male 67.9
GTEX-15DCD-0126-SM-7KUEK 70-79 years, female 67.6
GTEX-15EOM-0126-SM-7KUGG 20-29 years, female 67.6
GTEX-16XZY-2126-SM-79OK1 70-79 years, male 67.6
GTEX-1O97I-0326-SM-EYYX7 60-69 years, male 67.6
GTEX-15CHC-2126-SM-6EU21 60-69 years, female 67.4
GTEX-17MF6-0126-SM-7LG4F 40-49 years, male 67.3
GTEX-14LLW-0126-SM-6LLIO 70-79 years, female 67.2
GTEX-RWS6-2026-SM-2XCB5 60-69 years, female 67.2
GTEX-ZVE2-0226-SM-59HJB 50-59 years, male 67.2
GTEX-1IE54-0126-SM-CMKHW 40-49 years, female 67.2
GTEX-1ICLY-0126-SM-D4P36 50-59 years, male 67.1
GTEX-145LU-0126-SM-5TDCB 50-59 years, male 66.9
GTEX-1LG7Y-0526-SM-DKPQC 50-59 years, male 66.9
GTEX-17F97-0326-SM-7LG5B 50-59 years, male 66.8
GTEX-1AX9K-2326-SM-73KWU 50-59 years, male 66.8
GTEX-WY7C-2326-SM-3NB2U 50-59 years, male 66.8
GTEX-1EKGG-0226-SM-9WYTH 60-69 years, male 66.7
GTEX-12WSL-2526-SM-5GCNJ 50-59 years, male 66.6
GTEX-SJXC-0126-SM-2XCFF 60-69 years, male 66.6
GTEX-ZVT3-0126-SM-5GU6I 60-69 years, female 66.6
GTEX-1ICLZ-0126-SM-CKZPO 60-69 years, male 66.6
GTEX-13OVG-1926-SM-5L3DK 60-69 years, male 66.5
GTEX-1RAZQ-0726-SM-EAZ43 30-39 years, male 66.5
GTEX-VJYA-1126-SM-3GIJU 60-69 years, male 66.4
GTEX-1GPI6-0126-SM-9WG69 60-69 years, male 66.4
GTEX-11ZTT-2426-SM-5EQLS 60-69 years, female 66.3
GTEX-PWO3-1526-SM-48TCM 60-69 years, female 66.3
GTEX-1MA7X-2226-SM-E6CIY 60-69 years, male 66.3
GTEX-1A32A-0126-SM-718B1 50-59 years, female 66.2
GTEX-1CAMS-0426-SM-7P8T2 40-49 years, female 66.2
GTEX-1F48J-0126-SM-7P8TT 50-59 years, female 66.2
GTEX-14JIY-0126-SM-6LLH6 60-69 years, male 66.0
GTEX-13N11-2526-SM-5K7UE 50-59 years, female 65.9
GTEX-1IKOH-0226-SM-COH4E 60-69 years, female 65.9
GTEX-TMMY-0226-SM-33HBA 40-49 years, female 65.7
GTEX-146FR-1326-SM-E9J48 60-69 years, female 65.7
GTEX-13RTL-0126-SM-7LG5S 40-49 years, male 65.4
GTEX-RN64-0126-SM-2TC68 50-59 years, male 65.4
GTEX-13NZA-0226-SM-5K7Z7 60-69 years, male 65.2
GTEX-P44H-0226-SM-2XCEU 40-49 years, male 65.2
GTEX-1CB4J-0626-SM-7DHMP 60-69 years, male 65.0
GTEX-14PHW-0126-SM-6LLJI 60-69 years, female 64.8
GTEX-14A6H-0126-SM-5QGPK 30-39 years, male 64.7
GTEX-145LT-1726-SM-5QGP3 40-49 years, male 64.6
GTEX-VJWN-0126-SM-3GIK7 50-59 years, female 64.6
GTEX-1F75A-0126-SM-7RHGM 50-59 years, male 64.6
GTEX-1HUB1-0426-SM-E9U4U 60-69 years, male 64.6
GTEX-1PBJI-0526-SM-E8VNK 20-29 years, female 64.6
GTEX-11DXW-0226-SM-5H122 40-49 years, male 64.5
GTEX-XV7Q-2526-SM-4BRV9 40-49 years, female 64.4
GTEX-1C64O-0126-SM-7SB8P 60-69 years, male 64.4
GTEX-1EX96-1626-SM-7PBXR 50-59 years, male 64.2
GTEX-1RLM8-2326-SM-EWRN4 50-59 years, male 64.2
GTEX-1I19N-0326-SM-ACKVX 70-79 years, male 64.1
GTEX-1I1GR-0126-SM-CL55F 60-69 years, male 64.0
GTEX-OIZF-0126-SM-7SB8I 60-69 years, male 64.0
GTEX-144FL-0126-SM-5TDC8 50-59 years, male 63.8
GTEX-QDT8-0126-SM-48TZ1 30-39 years, female 63.8
GTEX-TMZS-0126-SM-3DB9Q 60-69 years, male 63.8
GTEX-14ABY-0226-SM-5TDCQ 50-59 years, male 63.6
GTEX-15SB6-1726-SM-6PAME 50-59 years, female 63.6
GTEX-14E7W-0126-SM-6LLJ9 70-79 years, male 63.5
GTEX-1H1ZS-0426-SM-9WG6G 70-79 years, male 63.3
GTEX-1QEPI-0126-SM-EWRMQ 60-69 years, female 63.3
GTEX-QCQG-1726-SM-3GIJ9 50-59 years, female 63.0
GTEX-1JKYR-0126-SM-CNPOJ 20-29 years, male 62.9
GTEX-OIZG-0726-SM-33HBL 50-59 years, male 62.8
GTEX-QDVJ-1726-SM-2I5FX 50-59 years, male 62.8
GTEX-1I1GP-2226-SM-CGQFK 50-59 years, male 62.7
GTEX-X638-0126-SM-47JZ8 70-79 years, female 62.6
GTEX-131XF-5016-SM-7MGWE 60-69 years, male 62.6
GTEX-113IC-0126-SM-5HL6T 60-69 years, male 62.2
GTEX-18D9B-0526-SM-7LTAS 60-69 years, male 61.9
GTEX-R3RS-0126-SM-3GIJL 40-49 years, female 61.8
GTEX-WZTO-0126-SM-3NM95 40-49 years, male 61.8
GTEX-1JJE9-0326-SM-CL53Z 70-79 years, male 61.8
GTEX-1OJC4-0126-SM-E9J2E 50-59 years, female 61.7
GTEX-1R9PO-2126-SM-E9J4O 60-69 years, female 61.7
GTEX-11O72-0126-SM-59887 40-49 years, male 61.5
GTEX-ZDXO-3026-SM-5J1N5 60-69 years, male 61.4
GTEX-139T4-0226-SM-5HL5S 50-59 years, female 61.2
GTEX-Y8LW-1826-SM-5S2MV 50-59 years, female 61.2
GTEX-1IGQW-0126-SM-COH42 60-69 years, male 61.2
GTEX-1MCYP-1926-SM-E9J2R 20-29 years, female 60.9
GTEX-PW2O-1526-SM-7RHHB 20-29 years, male 60.7
GTEX-1HBPH-0426-SM-B2LW5 40-49 years, female 60.3
GTEX-14753-0426-SM-5NQAM 60-69 years, male 60.2
GTEX-1R9K4-0126-SM-DTX9X 60-69 years, male 60.1
GTEX-14BIM-0226-SM-7IGLD 60-69 years, female 59.9
GTEX-1F88F-2726-SM-7PBZZ 60-69 years, female 59.4
GTEX-Q2AG-0126-SM-33HBV 40-49 years, female 59.2
GTEX-11ZUS-0626-SM-59885 30-39 years, male 59.0
GTEX-12WSN-5019-SM-79OM6 40-49 years, male 59.0
GTEX-1F7RK-0126-SM-7PC2S 20-29 years, female 58.9
GTEX-V1D1-2226-SM-3NMAX 50-59 years, male 58.5
GTEX-X62O-0126-SM-4E3JN 50-59 years, male 58.2
GTEX-RVPV-0126-SM-EAZAW 60-69 years, male 58.1
GTEX-1C6VS-0526-SM-7DUEN 60-69 years, male 57.5
GTEX-1IDFM-0126-SM-COH2V 60-69 years, male 57.5
GTEX-1QP67-1626-SM-EAZ3X 40-49 years, female 57.3
GTEX-Q734-1926-SM-2I5EV 40-49 years, female 56.7
GTEX-WVJS-0126-SM-4MVOT 50-59 years, male 56.6
GTEX-1I1HK-0126-SM-COH49 60-69 years, male 56.6
GTEX-1192W-2626-SM-5Q5AF 60-69 years, male 56.5
GTEX-R45C-0126-SM-EAZ2R 60-69 years, female 56.3
GTEX-QDVN-2026-SM-3GAEP 50-59 years, male 56.1
GTEX-13FHO-0226-SM-5IFGY 60-69 years, male 56.0
GTEX-Y5V6-2426-SM-4VDSB 60-69 years, male 55.4
GTEX-1GF9U-2126-SM-7SB7L 40-49 years, female 55.3
GTEX-SSA3-0126-SM-32QPU 60-69 years, male 55.0
GTEX-1QW4Y-1526-SM-EAZ3Z 30-39 years, male 53.6
GTEX-1M4P7-0226-SM-DIPEV 60-69 years, male 53.3
GTEX-183WM-0126-SM-7LTAB 70-79 years, female 52.9
GTEX-13O3Q-2426-SM-5IJBR 50-59 years, male 51.7
GTEX-14PK6-1926-SM-6ETZU 70-79 years, female 51.6
GTEX-1C6VQ-0126-SM-7P8RI 50-59 years, male 44.7
Show allShow less

Contact

  • NEWS ARTICLES
  • PRESS ROOM

The Project

  • INTRODUCTION
  • ORGANIZATION
  • PUBLICATIONS

The Human Protein Atlas

  • DOWNLOADABLE DATA
  • LICENCE & CITATION
  • HELP & FAQ
The Human Protein Atlas project is funded
by the Knut & Alice Wallenberg Foundation.


contact@proteinatlas.org