We use cookies to enhance the usability of our website. If you continue, we'll assume that you are happy to receive all cookies. More information. Don't show this again.
PSORS1C2
HPA
RESOURCES
  • TISSUE
  • BRAIN
  • SINGLE CELL
  • SUBCELLULAR
  • CANCER
  • BLOOD
  • CELL LINE
  • STRUCTURE & INTERACTION
ABOUT
  • INTRODUCTION
  • HISTORY
  • ORGANIZATION
  • PUBLICATIONS
  • ANTIBODY SUBMISSION
  • ANTIBODY AVAILABILITY
  • ACKNOWLEDGMENTS
  • CONTACT
NEWS
  • NEWS ARTICLES
  • PRESS ROOM
LEARN
  • DICTIONARY
  • PROTEIN CLASSES
  • PROTEIN EVIDENCE
  • METHODS
  • EDUCATIONAL VIDEOS
DATA
  • DOWNLOADABLE DATA
  • PUBLICATION DATA
  • RELEASE HISTORY
HELP
  • ANTIBODY VALIDATION
  • ASSAYS & ANNOTATION
  • DISCLAIMER
  • HELP & FAQ
  • PRIVACY STATEMENT
  • LICENCE & CITATION
Fields »
Search result

Field
Term
Gene name
Class
Subclass
Class
Keyword
Chromosome
External id
Tissue
Cell type
Expression
Antibody panel
Tissue
Main location
Patient ID
Annotation
Tissue
Category
Tau score
Cluster
Reliability
Brain region
Category
Tau score
Brain region
Category
Tau score
Brain region
Category
Tau score
Cluster
Reliability
Tissue
Cell type
Enrichment
Cell type
Category
Tau score
Cell type
Category
Tau score
Cell type
Category
Tau score
Cell lineage
Category
Tau score
Cluster
Cluster
Location
Searches
Location
Cell line
Class
Type
Phase
Reliability
Cancer
Prognosis
Cancer
Category
Cancer
Category
Tau score
Cluster
Variants
Interacting gene (ensg_id)
Type
Number of interactions
Pathway
Category
Score
Score
Score
Validation
Validation
Validation
Validation
Antibodies
Data type
Column


  • SUMMARY

  • TISSUE

  • BRAIN

  • SINGLE CELL

  • SUBCELL

  • CANCER

  • BLOOD

  • CELL LINE

  • STRUCT & INT

  • PSORS1C2
TISSUE PRIMARY DATA SKIN Show tissue menu
ADIPOSE TISSUE ADRENAL GLAND AMYGDALA APPENDIX BASAL GANGLIA BONE MARROW BREAST BRONCHUS CEREBELLUM CEREBRAL CORTEX CERVIX CHOROID PLEXUS COLON DUODENUM
ENDOMETRIUM EPIDIDYMIS ESOPHAGUS FALLOPIAN TUBE GALLBLADDER HEART MUSCLE HIPPOCAMPAL FORMATION HYPOTHALAMUS KIDNEY LIVER LUNG LYMPH NODE MIDBRAIN NASOPHARYNX
ORAL MUCOSA OVARY PANCREAS PARATHYROID GLAND PITUITARY GLAND PLACENTA PROSTATE RECTUM RETINA SALIVARY GLAND SEMINAL VESICLE SKELETAL MUSCLE SKIN SMALL INTESTINE
SMOOTH MUSCLE SOFT TISSUE SPINAL CORD SPLEEN STOMACH TESTIS THYMUS THYROID GLAND TONGUE TONSIL URINARY BLADDER VAGINA
ANTIBODIES
AND
VALIDATION
Dictionary
Skin
Tissue proteome
Skin
SKIN - Expression summary
Protein expression
Skini

On the top, protein expression in current human tissue, based on all annotated cell types, is reported with the units not detected (n), low (l), medium (m) and high (h). Underneath, protein expression in each annotated cell type are reported using the same units.

Protein expression data is based on knowledge-based annotation. For genes where more than one antibody has been used, a collective score is set.

If knowledge-based annotation could not be performed for a gene, no data is displayed here. View antibody staining data further down this page.

h
m
l
n
Cells in basal layer: Not detected
Cells in corneal layer: Not detected
Cells in granular layer: Medium
Cells in spinous layer: Not detected
Endothelial cells: Not detected
Extracellular matrix: Not detected
Fibrohistiocytic cells: Not detected
Hair follicles: Low
Langerhans cells: Not detected
Lymphocytes: Not detected
Melanocytes: Not detected
Vascular mural cells: Not detected
RNA expressioni

A summary of mRNA expression data available for current tissue based on several datasets. The mRNA expression levels in human tissues are based on RNA-seq data generated by the Human Protein Atlas (HPA), Genotype-Tissue Expression (GTEx) portal and CAGE data generated by the FANTOM5 consortium. Consensus normalized expression levels for human tissues was created by combining the data from HPA and GTEx datasets.

The mRNA expression levels in pig are based on RNA-seq data generated by the Human Protein Atlas (HPA), and for mouse, HPA data and in situ hybridization generated by the Allen brain atlas are reported.

Scroll down to view mRNA expression data in more detail.
Consensus:182.3 nTPM
HPA:33.4 nTPM
GTEx:182.3 nTPM

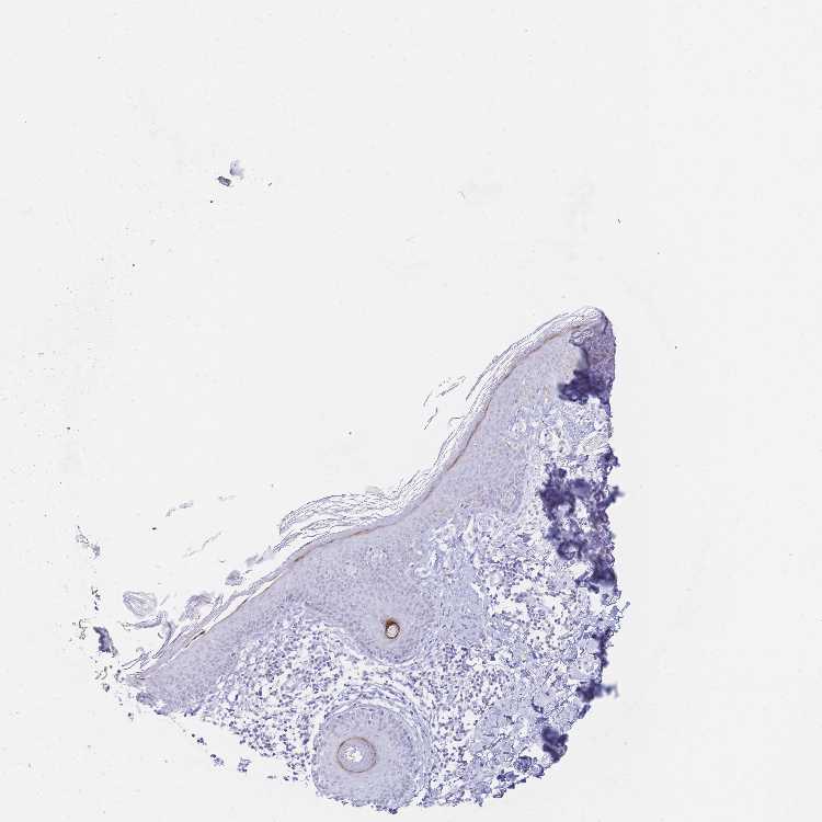
SKIN 1 - Antibody stainingi

Antibody staining in the annotated cell types in the current human tissue is reported as not detected, low, medium, or high, based on conventional immunohistochemistry profiling in selected tissues. This score is based on the combination of the staining intensity and fraction of stained cells.

Each image is clickable and will lead to virtual microscopy that enables deeper exploration of all samples and also displays staining intensity scores, fraction scores and subcellular localization as well as patient and tissue information for each sample.

Antibody HPA061228
Cells in basal layer Not detected
Cells in corneal layer Not detected
Cells in granular layer Medium
Cells in spinous layer Not detected
Endothelial cells Not detected
Extracellular matrix Not detected
Fibrohistiocytic cells Not detected
Hair follicles Low
Langerhans cells Not detected
Lymphocytes Not detected
Melanocytes Not detected
Vascular mural cells Not detected


SKIN 2 - Antibody stainingi

Antibody staining in the annotated cell types in the current human tissue is reported as not detected, low, medium, or high, based on conventional immunohistochemistry profiling in selected tissues. This score is based on the combination of the staining intensity and fraction of stained cells.

Each image is clickable and will lead to virtual microscopy that enables deeper exploration of all samples and also displays staining intensity scores, fraction scores and subcellular localization as well as patient and tissue information for each sample.

Antibody HPA061228
Cells in basal layer Not detected
Cells in corneal layer Not detected
Cells in granular layer Medium
Cells in spinous layer Not detected
Endothelial cells Not detected
Extracellular matrix Not detected
Fibrohistiocytic cells Not detected
Langerhans cells Not detected
Lymphocytes Not detected
Melanocytes Not detected
Vascular mural cells Not detected
 



SKIN - HPA RNA-seqi

The RNA-seq details section shows detailed information about the individual samples used for the transcript profiling and results of the RNA-seq analysis.

Information about each individual sample is listed below, including gender, age, a tissue section image and estimated fractions of cell types. nTPM (normalized transcripts per million) values give a quantification of the gene abundance which is comparable between different genes and samples.
Average nTPMi

Max subtype nTPM is the value for the subtype with the largest average nTPM across the subtype samples.

33.4
overview
Female, age 34
Skin sample 225
nTPM: 52.8
Cell types%
Keratinocytes:
60

Other cell types:
40

overview
Female, age 30
Skin sample 226
nTPM: 0
Cell types%
Keratinocytes:
55

Other cell types:
45

N/A
Male, age 57
Skin sample 227
nTPM: 47.6

SKIN - GTEx RNA-seqi

RNA-Seq data generated by the Genotype-Tissue Expression (GTEx) project from human tissues is reported as mean nTPM. More information can be found on the GTEx portal.

Distribution across the dataset is visualized with box plots, shown as median and 25th and 75th percentiles. Points are displayed as outliers if they are above or below 1.5 times the interquartile range. nTPM values of the individual samples are presented next to the box plot.
Max subtype nTPMi

Max subtype nTPM is the value for the subtype with the largest average nTPM across the subtype samples.

182.3
GTEx sample id Sample description nTPM
Skin - Not Sun Exposed (Suprapubic)
Average nTPM: 182.3
Samples: 604

Max nTPM: 5485.3
Min nTPM: 0.4
Std nTPM: 374.5
Median nTPM: 90.8
GTEX-1AX9J-1326-SM-731BJ 60-69 years, male 5485.3
GTEX-YF7O-1526-SM-5IFI6 50-59 years, male 2935.8
GTEX-WH7G-2026-SM-3NMBL 40-49 years, male 2224.7
GTEX-1RB15-1326-SM-E76Q9 60-69 years, male 2154.0
GTEX-17EVQ-0126-SM-7IGLR 70-79 years, male 2134.9
GTEX-145MO-2826-SM-5LU96 60-69 years, male 2077.3
GTEX-111FC-2526-SM-5GZXU 60-69 years, male 1914.2
GTEX-WYJK-0526-SM-3NM8Z 50-59 years, male 1812.9
GTEX-1R9PM-1926-SM-EVR3O 20-29 years, male 1628.1
GTEX-1GF9U-2026-SM-7SB92 40-49 years, female 1600.6
GTEX-XK95-0226-SM-4AT58 40-49 years, male 1588.7
GTEX-11O72-0626-SM-5PNYE 40-49 years, male 1408.1
GTEX-WFON-1926-SM-3LK7L 40-49 years, male 1268.8
GTEX-ZYFD-0626-SM-5E44E 50-59 years, male 1267.0
GTEX-14JG6-1426-SM-9WG7C 30-39 years, female 1211.2
GTEX-12WSF-1626-SM-7KUG5 70-79 years, male 1105.3
GTEX-16GPK-0626-SM-7KFSF 60-69 years, male 995.4
GTEX-1PIIG-2326-SM-DTXFR 30-39 years, male 967.3
GTEX-11DXW-0826-SM-5H118 40-49 years, male 959.1
GTEX-12KS4-2126-SM-5FQUT 30-39 years, male 957.0
GTEX-145MG-1526-SM-5Q5EM 50-59 years, male 949.6
GTEX-ZUA1-2626-SM-5NQ92 40-49 years, male 860.8
GTEX-13NZ9-2626-SM-5L3FK 50-59 years, male 826.7
GTEX-1H1CY-0126-SM-9YFLY 60-69 years, female 810.6
GTEX-1S831-1826-SM-EWROF 20-29 years, male 806.7
GTEX-1LSNM-0826-SM-DIPG8 50-59 years, male 801.4
GTEX-ZZ64-1026-SM-5GZXG 20-29 years, male 771.1
GTEX-1F6I4-2326-SM-7RHGL 60-69 years, male 767.8
GTEX-1B933-2426-SM-7DHMD 50-59 years, female 730.7
GTEX-1E2YA-2126-SM-7MXUO 50-59 years, male 726.4
GTEX-13G51-1826-SM-5KLZH 60-69 years, male 718.8
GTEX-1KD5A-0126-SM-E9U54 50-59 years, male 716.4
GTEX-1I6K7-1926-SM-B2LXR 40-49 years, male 697.0
GTEX-1N5O9-0926-SM-E9J3C 60-69 years, male 660.5
GTEX-1JMQJ-0826-SM-CNPP7 50-59 years, male 651.4
GTEX-1LG7Z-1626-SM-CXKYR 30-39 years, male 628.9
GTEX-1L5NE-1126-SM-D3L9P 50-59 years, male 600.0
GTEX-139TT-2126-SM-5LZWC 60-69 years, male 585.9
GTEX-14PJO-2526-SM-6AJBQ 60-69 years, male 578.0
GTEX-1PIGE-1826-SM-E8VOU 20-29 years, male 472.4
GTEX-1QP66-1226-SM-DTX7U 50-59 years, male 469.1
GTEX-YJ8O-2526-SM-5HL85 40-49 years, female 467.0
GTEX-1IDJD-2326-SM-ACKWX 30-39 years, male 463.4
GTEX-12ZZX-2426-SM-5GCOE 40-49 years, female 457.0
GTEX-13O61-1426-SM-5KM3D 60-69 years, male 456.9
GTEX-18A6Q-0626-SM-7KFRP 60-69 years, male 446.7
GTEX-14PJ3-1126-SM-5ZZVX 50-59 years, male 438.8
GTEX-11DYG-1526-SM-5A5JS 60-69 years, male 430.4
GTEX-139TU-0726-SM-5L3EK 60-69 years, male 404.6
GTEX-15CHQ-0326-SM-69LQD 60-69 years, male 398.0
GTEX-1211K-1526-SM-5FQU4 60-69 years, female 394.0
GTEX-Z93S-1626-SM-5CVMB 50-59 years, male 393.2
GTEX-17F97-2626-SM-7IGM5 50-59 years, male 392.3
GTEX-14DAR-1226-SM-73KYV 50-59 years, male 391.9
GTEX-1IDJC-1526-SM-B2LW4 50-59 years, male 385.4
GTEX-11EI6-2826-SM-5H11D 60-69 years, male 373.3
GTEX-18A7B-2726-SM-7LG56 70-79 years, male 362.6
GTEX-ZTX8-1326-SM-4YCEL 20-29 years, male 350.8
GTEX-18A66-0626-SM-7LT8Z 60-69 years, male 347.2
GTEX-11EQ9-1626-SM-5PNY8 30-39 years, male 340.9
GTEX-11WQK-1026-SM-5EQLX 50-59 years, male 333.8
GTEX-WK11-2726-SM-3NMAQ 50-59 years, male 330.1
GTEX-13OVL-0126-SM-5L3GJ 50-59 years, male 320.4
GTEX-XPVG-2126-SM-4B667 50-59 years, male 318.9
GTEX-1I1GP-1326-SM-A9G28 50-59 years, male 307.8
GTEX-145LT-0526-SM-5LUB2 40-49 years, male 305.7
GTEX-ZP4G-1426-SM-4WWCL 20-29 years, female 302.1
GTEX-1HCU7-0726-SM-A9SL1 50-59 years, male 301.2
GTEX-ZVZP-1226-SM-5GID7 50-59 years, male 300.8
GTEX-1C6WA-2626-SM-7MKGM 60-69 years, male 298.9
GTEX-15SHW-0226-SM-7LTAT 60-69 years, male 292.3
GTEX-1MJK3-0726-SM-E6CJC 20-29 years, male 287.9
GTEX-1S3DN-2126-SM-E9TIN 50-59 years, male 285.0
GTEX-ZT9X-1526-SM-5DUXD 40-49 years, male 275.0
GTEX-15RIE-1926-SM-7KUKJ 60-69 years, male 268.2
GTEX-1N2DV-1526-SM-DTXEP 40-49 years, male 262.4
GTEX-Y114-2126-SM-4TT8B 50-59 years, female 260.5
GTEX-ZU9S-1826-SM-5NQ9E 30-39 years, male 254.8
GTEX-12WSC-2826-SM-5BC5Y 50-59 years, male 253.5
GTEX-1KANA-1326-SM-DIPFA 20-29 years, male 251.4
GTEX-17F98-1326-SM-7DUEP 40-49 years, female 251.0
GTEX-1PBJJ-1026-SM-E76OS 30-39 years, male 245.4
GTEX-1OJC3-1226-SM-DTXER 20-29 years, male 243.6
GTEX-111CU-1126-SM-5EGIM 50-59 years, male 242.8
GTEX-145MF-0926-SM-5Q5EA 50-59 years, male 242.0
GTEX-11P82-1426-SM-DTXFY 20-29 years, male 241.4
GTEX-WFG7-2026-SM-5SI7P 20-29 years, male 241.2
GTEX-17F9E-2326-SM-79OKD 50-59 years, male 240.3
GTEX-XBEW-1126-SM-4QARW 40-49 years, male 238.8
GTEX-14LZ3-0126-SM-69LPM 60-69 years, female 238.7
GTEX-13OVK-1426-SM-6PAN7 40-49 years, male 231.7
GTEX-14C39-1726-SM-5RQIL 40-49 years, male 231.0
GTEX-1J8JJ-0626-SM-ARZMQ 60-69 years, female 227.9
GTEX-1HBPN-0126-SM-CGQEF 50-59 years, male 226.1
GTEX-18A7A-0126-SM-731AH 50-59 years, female 225.6
GTEX-13PDP-0726-SM-5L3HP 60-69 years, male 220.2
GTEX-1H2FU-0926-SM-9WPPT 60-69 years, female 220.0
GTEX-14JG1-1526-SM-5YY9X 40-49 years, male 217.8
GTEX-WRHU-2826-SM-3MJG8 50-59 years, female 215.3
GTEX-131XF-2626-SM-5EQ6K 60-69 years, male 214.3
GTEX-XAJ8-1426-SM-47JYM 40-49 years, male 206.6
GTEX-13QJC-0126-SM-5ZZWJ 60-69 years, female 204.6
GTEX-W5X1-2526-SM-3GILC 40-49 years, female 197.0
GTEX-1H1E6-0426-SM-9WYUS 30-39 years, male 195.1
GTEX-1117F-2926-SM-5GZYI 60-69 years, female 194.2
GTEX-ZYW4-0626-SM-59HJR 60-69 years, male 194.0
GTEX-1QCLZ-2426-SM-EVYBW 60-69 years, female 193.7
GTEX-13VXT-1926-SM-5K7UO 20-29 years, female 190.4
GTEX-1F52S-2926-SM-7MKGA 60-69 years, female 189.2
GTEX-ZXG5-2126-SM-59HKD 60-69 years, male 183.5
GTEX-1CAMR-1326-SM-7PC1F 20-29 years, male 183.0
GTEX-1GZ4H-0526-SM-9KNU9 50-59 years, female 182.9
GTEX-131XG-0326-SM-5L3DX 50-59 years, female 182.1
GTEX-1QPFJ-1926-SM-EVYBD 30-39 years, female 180.9
GTEX-ZAB4-2126-SM-5HL8U 40-49 years, male 180.7
GTEX-16YQH-2226-SM-7IGM2 30-39 years, male 179.3
GTEX-1PPH8-0126-SM-EWRN8 20-29 years, male 179.2
GTEX-WHSE-0126-SM-3NMBT 20-29 years, male 179.0
GTEX-1KAFJ-0126-SM-DIPEK 50-59 years, male 177.2
GTEX-XQ8I-0926-SM-4BOOF 50-59 years, male 176.0
GTEX-ZLFU-1826-SM-4WWBV 40-49 years, male 173.6
GTEX-1IKOE-1426-SM-CE6T7 30-39 years, female 172.8
GTEX-1QP9N-1226-SM-E76QN 30-39 years, male 172.3
GTEX-ZVP2-0326-SM-57WBP 50-59 years, male 171.1
GTEX-1HCVE-2726-SM-CL54F 50-59 years, male 171.0
GTEX-1MCC2-1826-SM-DIPEX 30-39 years, female 170.9
GTEX-1NV5F-0626-SM-DTXEG 60-69 years, female 170.1
GTEX-11P7K-1126-SM-5HL4L 30-39 years, male 169.1
GTEX-ZC5H-1526-SM-5HL9Y 40-49 years, female 169.1
GTEX-13IVO-0726-SM-5LZYV 70-79 years, male 168.6
GTEX-1RAZS-2526-SM-E6CHT 50-59 years, male 167.2
GTEX-1RAZQ-1326-SM-E9TK6 30-39 years, male 167.1
GTEX-ZPU1-1126-SM-4YCF3 40-49 years, male 167.0
GTEX-14ICL-1626-SM-5YYAO 30-39 years, male 166.6
GTEX-WXYG-2026-SM-4E3IY 50-59 years, female 166.3
GTEX-1A8G6-2726-SM-731AR 60-69 years, male 164.6
GTEX-15SKB-2826-SM-6PAMH 60-69 years, male 164.5
GTEX-UPJH-0226-SM-3GADV 50-59 years, male 164.1
GTEX-133LE-2326-SM-5K7W3 20-29 years, female 163.6
GTEX-1F75I-2226-SM-7SB8U 40-49 years, male 162.9
GTEX-1JN1M-2726-SM-CY8I4 60-69 years, female 162.7
GTEX-1GN73-0726-SM-7P8TJ 60-69 years, male 160.9
GTEX-1ICLZ-0326-SM-ARL82 60-69 years, male 160.9
GTEX-13PL6-1126-SM-5L3IE 40-49 years, female 160.3
GTEX-17HII-1426-SM-7EPGG 50-59 years, male 159.6
GTEX-13N11-2326-SM-5IJBF 50-59 years, female 158.7
GTEX-1NSGN-0726-SM-DTXEF 50-59 years, male 157.0
GTEX-13FLV-0126-SM-5K7WT 50-59 years, male 154.1
GTEX-139T8-0626-SM-5KLZX 60-69 years, male 153.5
GTEX-11DXX-2126-SM-5PNYR 60-69 years, female 152.3
GTEX-ZPCL-1126-SM-4WWFE 60-69 years, female 152.3
GTEX-1F5PK-2226-SM-7SB6N 50-59 years, male 148.4
GTEX-1S83E-1326-SM-E6CJM 40-49 years, male 148.2
GTEX-WHPG-2626-SM-3NMBR 50-59 years, male 148.0
GTEX-YFCO-1226-SM-5LUAT 40-49 years, male 147.8
GTEX-16NGA-0726-SM-731AO 40-49 years, female 147.5
GTEX-1QP2A-1726-SM-E76QC 50-59 years, male 147.5
GTEX-13FHO-0426-SM-5L3F5 60-69 years, male 146.8
GTEX-ZE7O-2726-SM-51MT5 50-59 years, female 145.6
GTEX-11EQ8-0926-SM-5H12V 60-69 years, male 144.8
GTEX-YECK-0326-SM-4W1YS 60-69 years, male 144.7
GTEX-1HCUA-0826-SM-ADEHM 50-59 years, female 144.4
GTEX-1CAMQ-1326-SM-7P8RV 40-49 years, male 143.5
GTEX-1EMGI-2326-SM-7PBYA 60-69 years, male 143.2
GTEX-14PII-0726-SM-6EU2B 60-69 years, male 142.9
GTEX-1497J-0226-SM-5QGPU 60-69 years, male 142.7
GTEX-Y8LW-1526-SM-5IFHL 50-59 years, female 142.7
GTEX-12WSH-1526-SM-5BC5W 50-59 years, male 142.3
GTEX-13YAN-0226-SM-5TDC6 60-69 years, male 141.7
GTEX-17F96-0126-SM-7EWDU 70-79 years, male 141.4
GTEX-16AAH-0626-SM-793C9 50-59 years, male 141.2
GTEX-1399S-0126-SM-5IJCF 30-39 years, female 140.8
GTEX-1F6RS-2026-SM-7RHHC 60-69 years, female 140.6
GTEX-1JK1U-0226-SM-ARZMX 60-69 years, male 139.5
GTEX-Y9LG-1126-SM-4VBQ7 30-39 years, male 139.4
GTEX-ZZPU-0826-SM-5GZX5 50-59 years, female 139.1
GTEX-1HSMQ-2626-SM-A9SML 50-59 years, male 139.0
GTEX-183FY-1026-SM-7939A 20-29 years, male 136.9
GTEX-17F9Y-0126-SM-79OKX 70-79 years, female 136.3
GTEX-14PJN-1826-SM-6AJ98 30-39 years, male 136.2
GTEX-1AMEY-0826-SM-72D65 30-39 years, female 136.2
GTEX-1GN1U-0626-SM-9MQL9 50-59 years, female 135.8
GTEX-1F5PL-0926-SM-7PC2W 40-49 years, female 135.6
GTEX-1GF9V-0826-SM-9KNUV 60-69 years, male 135.6
GTEX-14E1K-2026-SM-7DUEI 50-59 years, male 135.5
GTEX-1HSGN-0826-SM-ACKW3 40-49 years, female 135.2
GTEX-1I1GT-1026-SM-ARZLV 60-69 years, female 134.9
GTEX-12C56-1526-SM-5FQUQ 20-29 years, male 134.1
GTEX-1B8KE-1126-SM-7EPHI 50-59 years, male 133.9
GTEX-13D11-0926-SM-5J2NC 50-59 years, female 133.5
GTEX-13113-1626-SM-5EQ4I 60-69 years, female 133.1
GTEX-ZAJG-1526-SM-5CVML 50-59 years, female 133.1
GTEX-11LCK-2226-SM-5HL4Q 30-39 years, male 132.3
GTEX-1A3MV-1826-SM-731CD 30-39 years, male 131.7
GTEX-11NSD-0626-SM-5A5LU 20-29 years, male 131.4
GTEX-1JMPY-0226-SM-CKZOK 30-39 years, male 130.5
GTEX-XYKS-1426-SM-4BRUO 60-69 years, female 130.1
GTEX-13SLW-0626-SM-5Q5ER 70-79 years, male 129.5
GTEX-11WQC-1826-SM-5GU59 60-69 years, male 129.3
GTEX-WHSB-1326-SM-3LK6W 50-59 years, male 129.2
GTEX-11ZTT-2126-SM-5CVLO 60-69 years, female 128.8
GTEX-1JJEA-1826-SM-ARU8P 60-69 years, male 127.1
GTEX-111YS-1526-SM-5GZYW 60-69 years, male 127.0
GTEX-1JMLX-0626-SM-ARL8T 50-59 years, male 126.8
GTEX-11ZU8-0126-SM-5EQ58 60-69 years, male 125.6
GTEX-1GF9X-1326-SM-7PC2Y 40-49 years, female 125.5
GTEX-1HCU9-0426-SM-9WYSD 20-29 years, male 124.8
GTEX-15RJ7-2126-SM-6PAMD 40-49 years, male 123.5
GTEX-17HHE-1326-SM-7EWDZ 50-59 years, male 123.1
GTEX-1QP29-1826-SM-DTX9S 50-59 years, male 122.8
GTEX-139YR-1026-SM-5LZYN 50-59 years, male 122.4
GTEX-16MT8-2926-SM-7DUFO 60-69 years, female 122.1
GTEX-1C64N-2626-SM-7PC2N 50-59 years, male 121.7
GTEX-ZF3C-0626-SM-DO92O 50-59 years, female 121.4
GTEX-13X6K-0626-SM-5LU5D 60-69 years, female 120.1
GTEX-1RLM8-2926-SM-E8VON 50-59 years, male 119.7
GTEX-1IDJU-1726-SM-CMKHU 60-69 years, female 119.5
GTEX-1QP28-1126-SM-EVYC4 50-59 years, female 119.5
GTEX-1F75A-0726-SM-7RHHD 50-59 years, male 119.3
GTEX-13OVH-0526-SM-5L3E6 70-79 years, male 118.9
GTEX-14PJ5-1526-SM-6LLIL 60-69 years, female 118.3
GTEX-1RMOY-1326-SM-E9TIH 50-59 years, male 118.2
GTEX-1QCLY-0226-SM-EWRNH 30-39 years, male 118.1
GTEX-1JKYR-0626-SM-ARL8R 20-29 years, male 117.6
GTEX-ZVT2-0126-SM-5GIDQ 50-59 years, female 116.8
GTEX-13OW5-2326-SM-5L3HO 60-69 years, male 116.3
GTEX-WEY5-2326-SM-3GIKK 40-49 years, female 115.9
GTEX-12ZZY-0726-SM-5EQ66 60-69 years, male 115.7
GTEX-14C5O-0326-SM-5ZZUX 60-69 years, male 115.6
GTEX-1J8EW-2726-SM-CY8HR 60-69 years, female 115.2
GTEX-1GL5R-1326-SM-7RHHF 50-59 years, male 114.6
GTEX-14PHX-2226-SM-6EU2P 50-59 years, male 114.4
GTEX-1B8SF-0126-SM-7DUG3 60-69 years, male 114.0
GTEX-Y8E4-2026-SM-5IFJB 40-49 years, male 113.7
GTEX-ZLV1-1526-SM-DO91J 60-69 years, female 112.9
GTEX-1122O-1026-SM-9WYSF 60-69 years, female 112.3
GTEX-15FZZ-0526-SM-7KUGD 30-39 years, female 111.0
GTEX-1CB4F-1026-SM-7DUH1 60-69 years, male 110.9
GTEX-1HB9E-0126-SM-CM2S5 50-59 years, male 110.6
GTEX-13NYS-0626-SM-5L3F1 60-69 years, male 110.5
GTEX-14PJ4-0226-SM-5YY92 60-69 years, male 109.8
GTEX-1H23P-0626-SM-9WG6T 60-69 years, male 109.6
GTEX-ZYY3-2926-SM-5GIEB 60-69 years, female 109.5
GTEX-1R9K4-2826-SM-DTX8F 60-69 years, male 109.5
GTEX-1EU9M-1426-SM-793AI 60-69 years, male 109.1
GTEX-1OJC4-2726-SM-E76PJ 50-59 years, female 108.2
GTEX-1R46S-2426-SM-E76QA 60-69 years, female 107.8
GTEX-12WSM-1926-SM-5BC65 60-69 years, male 107.5
GTEX-14AS3-1526-SM-5Q5ED 40-49 years, female 106.7
GTEX-X5EB-1926-SM-4E3IW 40-49 years, male 106.7
GTEX-1JMQK-1226-SM-D4P2S 60-69 years, male 105.9
GTEX-ZDTT-0426-SM-4WKFL 60-69 years, male 105.7
GTEX-ZT9W-1126-SM-57WDR 50-59 years, male 105.4
GTEX-Y3I4-1726-SM-4TT89 50-59 years, male 105.3
GTEX-1HSKV-1226-SM-ADEI4 60-69 years, male 105.3
GTEX-YEC4-1826-SM-4W1YP 40-49 years, male 104.9
GTEX-16MTA-0926-SM-6M47Z 50-59 years, male 104.4
GTEX-1AX9I-2226-SM-73KUO 60-69 years, male 104.2
GTEX-1H11D-1826-SM-9QEHM 40-49 years, male 104.1
GTEX-Y3IK-1626-SM-4YCF5 50-59 years, female 104.0
GTEX-1CB4J-1326-SM-7P8RX 60-69 years, male 103.3
GTEX-1EX96-1026-SM-7MKG2 50-59 years, male 102.7
GTEX-1HGF4-0126-SM-CNPPX 60-69 years, male 102.0
GTEX-1F48J-0726-SM-7RHGS 50-59 years, female 101.9
GTEX-1HCU6-2526-SM-ADEHL 60-69 years, female 101.9
GTEX-14753-0726-SM-5QGQO 60-69 years, male 101.6
GTEX-16Z82-2626-SM-7KULU 60-69 years, male 101.5
GTEX-15CHC-1126-SM-6LLHQ 60-69 years, female 101.4
GTEX-ZLWG-0826-SM-59888 50-59 years, female 100.4
GTEX-15UF6-1926-SM-7KUDV 70-79 years, female 100.3
GTEX-VUSG-2326-SM-4KL1U 50-59 years, male 100.3
GTEX-1LB8K-0726-SM-D5OV2 50-59 years, male 99.4
GTEX-12WSD-0626-SM-5GCMW 60-69 years, female 98.8
GTEX-XUW1-0926-SM-4BONX 50-59 years, female 98.6
GTEX-WI4N-2726-SM-3LK7Y 40-49 years, female 98.1
GTEX-14PK6-0226-SM-62LF5 70-79 years, female 97.3
GTEX-17HHY-0426-SM-7DHLC 50-59 years, male 97.1
GTEX-ZVT4-2426-SM-5GIEI 50-59 years, female 97.1
GTEX-13W3W-0726-SM-5IJDQ 60-69 years, female 97.0
GTEX-11GS4-0226-SM-5HL77 60-69 years, male 96.9
GTEX-1LGRB-0926-SM-COH3K 50-59 years, female 96.5
GTEX-13FTY-2126-SM-5IFFB 40-49 years, female 96.4
GTEX-111VG-1626-SM-5EGIO 60-69 years, male 96.3
GTEX-X4EO-2926-SM-4E3JH 60-69 years, female 96.3
GTEX-1PPGY-1626-SM-EVYBL 60-69 years, male 95.2
GTEX-1LGOU-1326-SM-D3L8M 20-29 years, female 94.9
GTEX-14PHY-1226-SM-5ZZWK 60-69 years, female 94.8
GTEX-1CAMS-2226-SM-7PBXQ 40-49 years, female 94.3
GTEX-1MCYP-0526-SM-E9U6Q 20-29 years, female 94.0
GTEX-1GTWX-2026-SM-9YFLM 60-69 years, male 93.7
GTEX-1399R-1326-SM-5PNYS 30-39 years, male 93.5
GTEX-ZAK1-0626-SM-5HL8E 50-59 years, female 93.5
GTEX-ZDYS-2426-SM-4WKGI 50-59 years, male 93.4
GTEX-1GMRU-2126-SM-7P8RA 50-59 years, male 92.7
GTEX-1399U-1126-SM-5L3DB 50-59 years, female 92.5
GTEX-1313W-0626-SM-5EQ4H 50-59 years, female 92.2
GTEX-ZA64-1026-SM-5HL8R 20-29 years, male 92.1
GTEX-1QAET-0326-SM-EVR3U 50-59 years, male 91.7
GTEX-1K2DA-1026-SM-CGQGF 50-59 years, male 91.6
GTEX-1192X-2726-SM-5N9DN 50-59 years, male 91.3
GTEX-1C2JI-1026-SM-73KY1 50-59 years, male 90.9
GTEX-12ZZZ-0726-SM-5GCNZ 60-69 years, male 90.8
GTEX-1IE54-1126-SM-A9G2Z 40-49 years, female 90.8
GTEX-117YX-1926-SM-5GIEC 50-59 years, male 90.1
GTEX-ZTSS-1426-SM-5985P 40-49 years, male 90.1
GTEX-13X6H-0926-SM-5SIB2 50-59 years, female 89.8
GTEX-18D9U-0126-SM-731BM 40-49 years, male 89.6
GTEX-13X6I-1826-SM-5SIAO 60-69 years, male 89.0
GTEX-1LVAM-0726-SM-E6CIL 50-59 years, female 88.6
GTEX-1I6K6-1726-SM-CGQFD 30-39 years, male 88.4
GTEX-14B4R-1326-SM-5Q5EZ 30-39 years, male 88.1
GTEX-13OW6-2726-SM-5J2OE 50-59 years, male 87.7
GTEX-1S82P-2126-SM-E6CI5 60-69 years, female 87.1
GTEX-13FTW-0326-SM-5K7UW 40-49 years, male 86.9
GTEX-1I1GV-0626-SM-ARL7M 60-69 years, male 86.6
GTEX-1KXAM-1626-SM-D3LAD 60-69 years, male 86.6
GTEX-145LS-0626-SM-7EPG7 60-69 years, female 85.9
GTEX-1IDFM-0326-SM-ARL7V 60-69 years, male 85.6
GTEX-139D8-1126-SM-5LU8W 30-39 years, female 85.4
GTEX-13OW7-0426-SM-5K7VK 50-59 years, male 85.3
GTEX-1LVAN-0626-SM-CNPOQ 50-59 years, female 85.2
GTEX-1HBPI-2126-SM-ARL9K 50-59 years, male 85.0
GTEX-1269C-0126-SM-5EQ5L 60-69 years, female 84.8
GTEX-1C64O-1326-SM-7MGWR 60-69 years, male 84.5
GTEX-16BQI-1326-SM-6M486 30-39 years, female 84.4
GTEX-1I1GS-2626-SM-B2LY3 60-69 years, male 84.4
GTEX-11P81-2226-SM-5PNYI 30-39 years, female 83.4
GTEX-WYVS-1626-SM-3NM9R 40-49 years, female 82.7
GTEX-15RJE-2826-SM-7KUM9 40-49 years, male 82.6
GTEX-15EO6-2426-SM-6PALZ 50-59 years, male 82.4
GTEX-1R9PN-0426-SM-DTXDT 40-49 years, female 82.3
GTEX-147GR-2426-SM-5ZZWQ 60-69 years, male 82.2
GTEX-15RIG-0726-SM-7KUM7 40-49 years, male 81.7
GTEX-1GPI7-1826-SM-9KNU1 20-29 years, male 81.3
GTEX-1JN76-0626-SM-CKZOQ 20-29 years, female 81.3
GTEX-11DXZ-2026-SM-5987S 50-59 years, male 81.2
GTEX-11DZ1-2426-SM-5GZZX 50-59 years, male 80.9
GTEX-X3Y1-2026-SM-3P5YM 40-49 years, male 80.8
GTEX-14PKV-1126-SM-6LLJ1 20-29 years, female 80.5
GTEX-1477Z-0326-SM-7IGLA 60-69 years, male 80.1
GTEX-144GL-0626-SM-5LU4D 50-59 years, male 79.4
GTEX-1PPH7-1126-SM-DTX9A 40-49 years, male 79.4
GTEX-12WSJ-1126-SM-5LZVJ 40-49 years, female 78.9
GTEX-ZF2S-1626-SM-57WES 50-59 years, female 78.8
GTEX-1GZ4I-2626-SM-9KNU3 50-59 years, male 78.7
GTEX-1HSMP-0926-SM-A9SKX 70-79 years, male 78.6
GTEX-12126-0826-SM-5FQTZ 20-29 years, male 78.4
GTEX-11DXY-0126-SM-5H11Q 60-69 years, male 78.3
GTEX-1S5ZU-2526-SM-E6CIF 20-29 years, female 78.2
GTEX-13OVJ-0826-SM-5J1OK 50-59 years, female 78.0
GTEX-14PJ6-2626-SM-6EU2T 60-69 years, female 77.8
GTEX-1I1GU-0926-SM-ACKVS 40-49 years, male 77.8
GTEX-13FTX-1526-SM-5K7VJ 20-29 years, female 77.5
GTEX-1A8G7-1326-SM-73KVM 60-69 years, male 77.5
GTEX-1ICG6-1226-SM-A9SLN 70-79 years, female 76.9
GTEX-18QFQ-1826-SM-72D52 30-39 years, male 76.8
GTEX-1JJ6O-2726-SM-CNPOG 60-69 years, male 76.8
GTEX-15CHR-1126-SM-7EWF4 50-59 years, male 76.4
GTEX-144GM-0526-SM-79OJO 20-29 years, male 75.8
GTEX-1J8Q2-2626-SM-ACKWQ 60-69 years, male 75.8
GTEX-12WSK-2126-SM-5CVNC 40-49 years, female 75.5
GTEX-146FQ-2126-SM-5RQHU 30-39 years, male 75.0
GTEX-1IKJJ-2226-SM-CJI4C 60-69 years, male 74.9
GTEX-WY7C-2126-SM-3NB2R 50-59 years, male 74.5
GTEX-1K2DU-1226-SM-CYPT4 20-29 years, male 74.0
GTEX-1KANC-1226-SM-CYPT7 50-59 years, female 73.2
GTEX-1LVAO-2726-SM-E9TJ8 60-69 years, male 73.1
GTEX-11VI4-1126-SM-5EQMD 40-49 years, female 72.5
GTEX-1AYD5-2626-SM-7PBXY 50-59 years, male 72.5
GTEX-1HBPM-0726-SM-9YFL7 60-69 years, female 72.4
GTEX-1IDJF-2026-SM-CL53V 20-29 years, male 72.3
GTEX-1H1DE-1326-SM-9KNUG 20-29 years, male 72.1
GTEX-ZF29-0926-SM-4WKFZ 60-69 years, female 72.0
GTEX-1ICLY-0826-SM-CMKG1 50-59 years, male 72.0
GTEX-X4EP-0626-SM-3P621 60-69 years, female 71.1
GTEX-1C6VR-0126-SM-7RHGB 60-69 years, male 70.8
GTEX-15ER7-0626-SM-6PANF 20-29 years, female 70.7
GTEX-145ME-1726-SM-5Q5EU 40-49 years, female 70.6
GTEX-1R7EU-1626-SM-DTXG3 60-69 years, male 70.2
GTEX-ZGAY-1826-SM-DO91Q 40-49 years, female 67.9
GTEX-15G19-2426-SM-7KUMR 60-69 years, male 67.8
GTEX-17HGU-2326-SM-7DUFE 50-59 years, male 67.2
GTEX-147F4-0726-SM-5TDDD 50-59 years, male 67.1
GTEX-18465-2826-SM-7LT9J 50-59 years, male 66.8
GTEX-147F3-1726-SM-5SIAW 50-59 years, female 66.7
GTEX-1POEN-2326-SM-E9J2L 30-39 years, female 66.3
GTEX-11GSP-2326-SM-5HL63 60-69 years, female 65.9
GTEX-12584-0726-SM-5FQTK 40-49 years, male 65.9
GTEX-1QEPI-2626-SM-DTXF4 60-69 years, female 65.8
GTEX-1HT8W-0626-SM-A9G2H 30-39 years, male 65.4
GTEX-1M4P7-0726-SM-E6CJ3 60-69 years, male 65.2
GTEX-1CB4H-1126-SM-7MKGL 60-69 years, female 65.0
GTEX-16NPX-0726-SM-7KULC 50-59 years, male 64.6
GTEX-1B97I-0626-SM-73KUZ 40-49 years, male 64.5
GTEX-17KNJ-2126-SM-718AM 50-59 years, male 64.1
GTEX-1KANB-2826-SM-CY8I6 50-59 years, male 64.1
GTEX-XQ3S-1426-SM-4BOPR 20-29 years, male 63.9
GTEX-1EWIQ-0326-SM-7DHMQ 70-79 years, female 62.9
GTEX-1GF9W-1426-SM-7PBYM 60-69 years, male 62.9
GTEX-1J8QM-2426-SM-A9SLS 60-69 years, female 62.9
GTEX-18A67-1626-SM-7LT9T 50-59 years, male 62.7
GTEX-1J1R8-2026-SM-CL53Y 40-49 years, male 62.7
GTEX-Y5V5-0126-SM-5S2NW 60-69 years, female 62.5
GTEX-XXEK-1626-SM-4BRUZ 50-59 years, male 62.4
GTEX-XBED-1926-SM-47JYP 60-69 years, male 62.0
GTEX-1H1ZS-2726-SM-9WG75 70-79 years, male 62.0
GTEX-1H4P4-2126-SM-9WYSL 50-59 years, male 61.9
GTEX-1RAZR-2126-SM-E9U6T 40-49 years, male 61.8
GTEX-Y111-0626-SM-4SOIT 50-59 years, male 61.6
GTEX-ZDTS-0826-SM-4WKHL 60-69 years, male 61.6
GTEX-1KWVE-1026-SM-D3L9O 30-39 years, male 61.4
GTEX-14BMU-1226-SM-5S2OR 20-29 years, female 59.8
GTEX-11EM3-1226-SM-5N9DD 20-29 years, female 59.4
GTEX-WHWD-1826-SM-3LK6I 50-59 years, male 59.4
GTEX-131YS-2826-SM-5EQ47 60-69 years, female 59.2
GTEX-1F88E-1626-SM-7SB8Z 60-69 years, female 59.1
GTEX-XBEC-0726-SM-4QARZ 50-59 years, male 58.9
GTEX-14PKU-0126-SM-6LLHV 40-49 years, female 58.8
GTEX-13PVR-0426-SM-5RQK2 60-69 years, female 58.6
GTEX-ZVE2-2826-SM-5GU51 50-59 years, male 58.5
GTEX-14A6H-2026-SM-5Q5DD 30-39 years, male 58.4
GTEX-WYBS-0626-SM-3NMAS 60-69 years, female 58.4
GTEX-1GMR2-0826-SM-7PC3V 50-59 years, male 57.7
GTEX-145MN-1526-SM-5SI9T 30-39 years, male 57.4
GTEX-1F75B-0726-SM-7PC3R 50-59 years, male 57.2
GTEX-13PVQ-0626-SM-5LU47 50-59 years, male 56.8
GTEX-18D9A-1426-SM-7LT8M 30-39 years, female 56.8
GTEX-1EH9U-2826-SM-7DUGT 60-69 years, male 56.7
GTEX-1HC8U-1326-SM-9YFMJ 40-49 years, female 55.6
GTEX-1GN1W-2426-SM-9KNUU 50-59 years, female 55.0
GTEX-1PDJ9-1226-SM-EXUSX 20-29 years, male 54.8
GTEX-14A5H-0826-SM-5QGPJ 60-69 years, male 54.7
GTEX-1LSNL-2726-SM-E9TKJ 50-59 years, male 54.6
GTEX-1CB4E-0926-SM-7EPHT 60-69 years, male 54.3
GTEX-1IDJI-0126-SM-CMKHS 50-59 years, female 54.3
GTEX-13112-0126-SM-5P9IU 50-59 years, male 53.9
GTEX-1GN2E-0226-SM-9WG6K 60-69 years, male 53.9
GTEX-14JFF-0626-SM-5ZZVT 60-69 years, male 53.8
GTEX-11NUK-2726-SM-5A5MC 50-59 years, male 52.6
GTEX-ZYFG-1526-SM-5GZYM 60-69 years, female 52.4
GTEX-1HKZK-0726-SM-ACKW2 40-49 years, male 52.2
GTEX-1GMR8-0626-SM-7RHI7 50-59 years, female 51.9
GTEX-15DYW-2726-SM-6EU2I 60-69 years, female 51.8
GTEX-1GPI6-1926-SM-9KNV7 60-69 years, male 51.8
GTEX-17MFQ-1526-SM-7KFRR 20-29 years, male 51.7
GTEX-ZY6K-1426-SM-5GZX2 50-59 years, male 51.7
GTEX-1IDJV-0126-SM-COH3Y 60-69 years, male 51.7
GTEX-1314G-1326-SM-5BC6E 30-39 years, male 51.4
GTEX-178AV-1726-SM-7KUL8 40-49 years, male 51.4
GTEX-1AMFI-1326-SM-7939R 50-59 years, female 51.3
GTEX-YB5K-2026-SM-4VDT3 40-49 years, female 51.3
GTEX-XOT4-0626-SM-4B66L 60-69 years, female 51.2
GTEX-1HFI7-2326-SM-CGQFS 50-59 years, female 50.8
GTEX-1EKGG-0626-SM-7DUGJ 60-69 years, male 50.5
GTEX-13N2G-0226-SM-5K7VF 60-69 years, male 50.3
GTEX-11OF3-0126-SM-5PNYF 60-69 years, male 50.2
GTEX-13JUV-2026-SM-5K7UA 40-49 years, female 50.2
GTEX-13NZ8-1226-SM-5KM4A 60-69 years, female 50.2
GTEX-1I19N-0126-SM-CYPSF 70-79 years, male 50.2
GTEX-Y5V6-2326-SM-4VDSA 60-69 years, male 50.0
GTEX-17EVP-2626-SM-7IGMA 40-49 years, male 49.9
GTEX-1A3MX-2626-SM-7PC24 60-69 years, male 49.9
GTEX-1J1OQ-0126-SM-D4P2N 40-49 years, female 49.9
GTEX-13O3Q-0126-SM-5KM34 50-59 years, male 49.8
GTEX-1B8L1-2226-SM-7P8PT 60-69 years, male 49.8
GTEX-11TUW-0626-SM-5LU9M 60-69 years, male 49.6
GTEX-14BIN-1126-SM-5RQJZ 50-59 years, female 49.6
GTEX-13OW8-1026-SM-5J1NQ 60-69 years, male 47.8
GTEX-XMD2-2126-SM-4YCF8 60-69 years, female 47.8
GTEX-1QW4Y-1126-SM-DTXE3 30-39 years, male 47.8
GTEX-ZVE1-0726-SM-51MRN 50-59 years, female 47.6
GTEX-131XW-0626-SM-5PNVD 50-59 years, female 47.5
GTEX-1J8Q3-0526-SM-ARL8U 60-69 years, male 47.1
GTEX-1JKYN-0826-SM-ARU8S 30-39 years, male 46.8
GTEX-XV7Q-1826-SM-4BRUV 40-49 years, female 46.6
GTEX-15D1Q-2826-SM-6LLH7 40-49 years, male 46.2
GTEX-11UD2-2526-SM-5CVNU 50-59 years, male 46.0
GTEX-15EU6-2226-SM-6EU2L 50-59 years, male 45.7
GTEX-1QMI2-2526-SM-E8VNZ 60-69 years, male 45.7
GTEX-1JMQI-1726-SM-ARL93 50-59 years, male 45.4
GTEX-147JS-0226-SM-5S2U9 60-69 years, male 45.3
GTEX-13O3O-2326-SM-5IJD6 60-69 years, female 45.2
GTEX-1IDJH-0126-SM-D3L92 70-79 years, male 45.2
GTEX-1B8KZ-0326-SM-73KY4 50-59 years, male 44.7
GTEX-12WSL-2026-SM-5GCML 50-59 years, male 43.7
GTEX-145MI-0626-SM-5SI8S 60-69 years, female 42.7
GTEX-YEC3-1326-SM-DO92X 50-59 years, male 42.2
GTEX-13SLX-2226-SM-62LEP 50-59 years, female 41.8
GTEX-13NYC-0126-SM-5L3F4 60-69 years, male 41.4
GTEX-ZE9C-2526-SM-5IJDR 60-69 years, male 41.4
GTEX-14ABY-2026-SM-62LDL 50-59 years, male 41.2
GTEX-1LKK1-2626-SM-DKPQE 50-59 years, female 41.0
GTEX-1A32A-0626-SM-731AQ 50-59 years, female 40.6
GTEX-1LG7Y-2526-SM-EWRO7 50-59 years, male 40.4
GTEX-1B996-0426-SM-7EWF8 60-69 years, male 39.3
GTEX-1212Z-0126-SM-59HK4 60-69 years, male 39.2
GTEX-13FH7-1126-SM-5K7UG 50-59 years, female 39.1
GTEX-14DAQ-0626-SM-793DS 60-69 years, female 39.1
GTEX-1GMR3-0126-SM-A9SLW 40-49 years, male 39.1
GTEX-1N2EE-0626-SM-E76PW 60-69 years, male 38.9
GTEX-U8XE-0226-SM-4E3J3 30-39 years, male 38.2
GTEX-15G1A-1626-SM-7KUKN 30-39 years, male 37.7
GTEX-1HR9M-2226-SM-CNPPY 60-69 years, male 37.2
GTEX-1EN7A-2426-SM-793DB 40-49 years, male 37.0
GTEX-1HFI6-0126-SM-CNPPI 40-49 years, male 36.7
GTEX-ZPIC-0526-SM-DO91W 40-49 years, female 36.4
GTEX-1H3NZ-2726-SM-9WYTQ 60-69 years, male 36.0
GTEX-X8HC-0626-SM-4E3HQ 50-59 years, female 35.6
GTEX-14PJ2-0626-SM-6LLII 50-59 years, male 35.2
GTEX-139TS-2126-SM-5K7XC 60-69 years, male 34.1
GTEX-ZWKS-0626-SM-5GIDV 30-39 years, male 34.1
GTEX-1IDJE-1426-SM-ADEIW 50-59 years, female 34.0
GTEX-1CAV2-0126-SM-7IGN7 40-49 years, female 33.6
GTEX-12BJ1-0926-SM-5EQ62 60-69 years, male 33.5
GTEX-ZDXO-3126-SM-5IJDF 60-69 years, male 33.4
GTEX-1IY9M-2826-SM-ARU8H 60-69 years, male 32.2
GTEX-1IOXB-2726-SM-CM2RI 50-59 years, male 32.1
GTEX-13N1W-2426-SM-5IJD1 70-79 years, male 31.9
GTEX-1JJE9-2626-SM-ARZMT 70-79 years, male 31.8
GTEX-1GZHY-0626-SM-9KNVC 50-59 years, female 30.5
GTEX-14BMV-2826-SM-5TDED 50-59 years, male 30.4
GTEX-145MH-2826-SM-5RQJF 50-59 years, male 30.3
GTEX-1K9T9-1526-SM-DIPFR 50-59 years, female 30.0
GTEX-1C475-1326-SM-7SB73 40-49 years, female 29.9
GTEX-13RTJ-0126-SM-5S2NN 60-69 years, male 29.8
GTEX-1JMOU-1026-SM-CYPSS 60-69 years, female 29.6
GTEX-1LBAC-0826-SM-CY8IJ 20-29 years, male 29.5
GTEX-14E6E-0526-SM-793DN 30-39 years, male 29.4
GTEX-V1D1-2026-SM-3GAF4 50-59 years, male 29.3
GTEX-13NYB-0126-SM-5J1MD 40-49 years, male 29.0
GTEX-145LU-1926-SM-79OJN 50-59 years, male 28.9
GTEX-17JCI-2926-SM-7DUFF 60-69 years, female 28.6
GTEX-1F88F-0126-SM-9WYSZ 60-69 years, female 28.3
GTEX-1I1HK-2326-SM-CKZOH 60-69 years, male 28.2
GTEX-18D9B-0926-SM-7LG4U 60-69 years, male 28.1
GTEX-1JMPZ-0726-SM-CY8HZ 30-39 years, male 28.1
GTEX-1BAJH-2426-SM-7IGP8 70-79 years, male 27.9
GTEX-1S82U-1026-SM-E6CJK 30-39 years, female 27.9
GTEX-14E6C-2426-SM-5S2NF 40-49 years, male 27.6
GTEX-WFG8-2126-SM-3GIKQ 20-29 years, male 26.8
GTEX-16XZZ-0726-SM-7KUF2 60-69 years, male 26.7
GTEX-Y5LM-0926-SM-6LLJG 40-49 years, female 26.7
GTEX-ZVTK-0226-SM-51MRG 20-29 years, male 26.0
GTEX-139UW-0326-SM-5J1ML 60-69 years, male 25.6
GTEX-1HCU8-2526-SM-CE6RX 60-69 years, female 25.1
GTEX-1B932-2326-SM-79OL5 40-49 years, female 24.0
GTEX-13OVG-1626-SM-5J1NF 60-69 years, male 23.9
GTEX-1HSMO-0626-SM-ACKXC 60-69 years, male 23.9
GTEX-132AR-0326-SM-5KM2C 50-59 years, female 23.6
GTEX-1I4MK-0126-SM-CY8G6 50-59 years, female 23.5
GTEX-12WSA-0426-SM-5EQ5X 60-69 years, male 23.2
GTEX-1C6VQ-1226-SM-73KYD 50-59 years, male 23.2
GTEX-1H1DG-2426-SM-9QEHJ 70-79 years, male 22.9
GTEX-1CB4I-0126-SM-7RHGG 50-59 years, male 22.7
GTEX-13U4I-2226-SM-5LU5H 40-49 years, female 22.2
GTEX-17MF6-2626-SM-79OKQ 40-49 years, male 22.2
GTEX-X585-2426-SM-46MW2 50-59 years, male 21.2
GTEX-1I1CD-0626-SM-CE6SW 60-69 years, female 21.1
GTEX-1O9I2-0226-SM-EYYXD 50-59 years, male 20.8
GTEX-16MT9-0126-SM-7EPI8 60-69 years, female 20.7
GTEX-14LLW-2626-SM-62LDZ 70-79 years, female 19.7
GTEX-1JN6P-2926-SM-CL54D 60-69 years, male 19.6
GTEX-1HUB1-1426-SM-CGQF5 60-69 years, male 19.2
GTEX-13QBU-1226-SM-5LU4G 40-49 years, female 18.8
GTEX-1H3O1-1326-SM-9MQLD 60-69 years, male 18.7
GTEX-1AX8Z-0726-SM-73KTS 60-69 years, male 17.8
GTEX-12696-0126-SM-5EQ4L 60-69 years, male 16.7
GTEX-1399Q-2326-SM-5KM2X 40-49 years, male 16.7
GTEX-VJYA-1526-SM-3GIJV 60-69 years, male 16.7
GTEX-14XAO-1226-SM-6EU1C 60-69 years, female 15.4
GTEX-ZTTD-2826-SM-4YCFA 50-59 years, male 15.4
GTEX-1A3MW-0626-SM-731CB 60-69 years, female 15.1
GTEX-11TT1-1826-SM-5EQLV 20-29 years, male 15.0
GTEX-1F6IF-0926-SM-7SB7M 60-69 years, male 13.3
GTEX-ZYFC-0426-SM-5GICQ 50-59 years, male 12.5
GTEX-1RAZA-2226-SM-E9U4X 20-29 years, male 12.1
GTEX-UPK5-0426-SM-3GAEK 40-49 years, male 11.3
GTEX-1LSVX-2526-SM-DIPEU 60-69 years, male 11.1
GTEX-13X6J-0626-SM-5LU5F 50-59 years, male 9.4
GTEX-144GO-2026-SM-5O99P 60-69 years, male 9.1
GTEX-183WM-0326-SM-72D5V 70-79 years, female 9.0
GTEX-15DDE-2926-SM-6LLJ3 50-59 years, female 8.6
GTEX-144FL-0626-SM-5LU43 50-59 years, male 8.0
GTEX-1GN1V-2826-SM-9JGIA 60-69 years, male 7.9
GTEX-1H1DF-1126-SM-9WG7G 40-49 years, female 7.9
GTEX-14C38-0726-SM-5SI6M 50-59 years, male 7.1
GTEX-1JMQL-2226-SM-CNPP4 50-59 years, female 6.8
GTEX-1E1VI-0326-SM-793D1 50-59 years, male 6.7
GTEX-148VJ-0626-SM-5LUAW 70-79 years, male 6.0
GTEX-11PRG-0726-SM-5EGL1 50-59 years, male 5.2
GTEX-ZYT6-2326-SM-5GZY3 30-39 years, male 4.8
GTEX-1A8FM-0626-SM-7PC25 50-59 years, female 4.4
GTEX-11ZUS-2626-SM-5FQUR 30-39 years, male 3.2
GTEX-1F75W-2726-SM-7SB8H 60-69 years, male 2.5
GTEX-13JVG-0726-SM-5KM16 60-69 years, male 2.0
GTEX-1H3VE-0726-SM-9YFL5 40-49 years, male 2.0
GTEX-1IL2V-1926-SM-B2LW8 70-79 years, male 1.8
GTEX-13VXU-0626-SM-5L3F9 50-59 years, male 1.5
GTEX-ZYVF-0926-SM-5E44J 50-59 years, female 1.5
GTEX-131XH-0126-SM-5LZUY 50-59 years, male 1.4
GTEX-1HR98-2226-SM-ADEI2 60-69 years, male 1.4
GTEX-17HG3-2626-SM-7DUF2 30-39 years, female 0.9
GTEX-1GZ2Q-0126-SM-9WG6M 40-49 years, male 0.7
GTEX-1LVA9-2626-SM-EVYD4 50-59 years, male 0.4
Show allShow less
Skin - Sun Exposed (Lower leg)
Average nTPM: 141.2
Samples: 701

Max nTPM: 1373.6
Min nTPM: 0.1
Std nTPM: 132.7
Median nTPM: 107.7
GTEX-ZQUD-1426-SM-57WER 30-39 years, male 1373.6
GTEX-ZGAY-0526-SM-4WWBB 40-49 years, female 937.5
GTEX-1LBAC-0126-SM-DIPEZ 20-29 years, male 908.2
GTEX-1LGOU-2026-SM-DIPFF 20-29 years, female 850.4
GTEX-1F75A-0126-SM-7RHGM 50-59 years, male 813.3
GTEX-13OVK-2026-SM-7KUEO 40-49 years, male 787.6
GTEX-1CAMR-1926-SM-7EPI2 20-29 years, male 734.4
GTEX-147F3-0526-SM-5SI98 50-59 years, female 701.4
GTEX-1PPH7-2326-SM-EVYB8 40-49 years, male 649.4
GTEX-18A66-0226-SM-718BD 60-69 years, male 644.1
GTEX-13O21-1426-SM-5K7XI 50-59 years, male 601.0
GTEX-1K2DA-1826-SM-CGQGT 50-59 years, male 593.4
GTEX-12126-0326-SM-5PNW3 20-29 years, male 572.6
GTEX-ZXES-1826-SM-5E43S 30-39 years, female 560.4
GTEX-OIZG-0726-SM-33HBL 50-59 years, male 547.6
GTEX-13OVH-0126-SM-5MR4B 70-79 years, male 534.2
GTEX-1S3DN-2226-SM-EVYCD 50-59 years, male 510.4
GTEX-1B8SG-0126-SM-73KZ3 50-59 years, male 507.4
GTEX-1F7RK-0126-SM-7PC2S 20-29 years, female 495.0
GTEX-1S83E-0126-SM-EWRO4 40-49 years, male 474.1
GTEX-UJHI-1526-SM-3DB99 50-59 years, female 473.8
GTEX-YB5E-2026-SM-5IFIS 40-49 years, male 455.2
GTEX-131XF-5016-SM-7MGWE 60-69 years, male 454.6
GTEX-QCQG-1726-SM-3GIJ9 50-59 years, female 448.3
GTEX-PWCY-1826-SM-DHXIZ 20-29 years, female 444.2
GTEX-11TT1-2526-SM-5EGIB 20-29 years, male 443.7
GTEX-1EKGG-0226-SM-9WYTH 60-69 years, male 431.4
GTEX-ZVT2-2526-SM-51MT1 50-59 years, female 429.2
GTEX-1PPH8-0226-SM-E8VND 20-29 years, male 428.8
GTEX-1K2DU-2326-SM-E9TIV 20-29 years, male 426.6
GTEX-1HKZK-0326-SM-9WYUH 40-49 years, male 403.8
GTEX-TKQ1-1026-SM-4GICL 30-39 years, male 398.7
GTEX-QLQW-1126-SM-2S1Q8 30-39 years, male 392.1
GTEX-1CAV2-2226-SM-7P8P2 40-49 years, female 390.6
GTEX-1LG7Y-0526-SM-DKPQC 50-59 years, male 387.6
GTEX-ZVZP-2426-SM-59HKJ 50-59 years, male 382.4
GTEX-1H2FU-0126-SM-9WYSI 60-69 years, female 380.4
GTEX-1C6WA-0126-SM-7PC2B 60-69 years, male 379.3
GTEX-WZTO-0126-SM-3NM95 40-49 years, male 378.5
GTEX-Y3IK-2426-SM-4WWDU 50-59 years, female 366.6
GTEX-11NSD-2226-SM-5986V 20-29 years, male 354.7
GTEX-1F6RS-0126-SM-9MQKZ 60-69 years, female 348.7
GTEX-T5JW-1626-SM-3GADZ 20-29 years, female 347.9
GTEX-WYJK-0126-SM-3NMAB 50-59 years, male 347.7
GTEX-1HSGN-0226-SM-CGQFV 40-49 years, female 347.4
GTEX-XBEW-0626-SM-4QASP 40-49 years, male 346.1
GTEX-1N2EF-0226-SM-EYYXB 60-69 years, male 340.7
GTEX-ZF2S-2326-SM-4WWCE 50-59 years, female 328.9
GTEX-TML8-1926-SM-32QOS 40-49 years, female 327.7
GTEX-11DXZ-2326-SM-5EGGV 50-59 years, male 325.6
GTEX-17F98-0626-SM-79OMX 40-49 years, female 315.6
GTEX-Y5V6-2426-SM-4VDSB 60-69 years, male 311.7
GTEX-P4QT-0126-SM-2I3FL 50-59 years, female 310.2
GTEX-11EM3-2426-SM-59861 20-29 years, female 306.9
GTEX-O5YW-0126-SM-3LK6D 50-59 years, male 305.0
GTEX-1J8QM-2126-SM-CYPSJ 60-69 years, female 303.5
GTEX-ZF3C-0126-SM-DO92D 50-59 years, female 302.3
GTEX-13FXS-0226-SM-5IJCK 50-59 years, male 300.7
GTEX-1KANA-0726-SM-D3L9I 20-29 years, male 297.9
GTEX-1A3MV-1926-SM-718BT 30-39 years, male 293.4
GTEX-1QCLY-0326-SM-E8VOG 30-39 years, male 292.4
GTEX-13113-5016-SM-7EPIP 60-69 years, female 289.7
GTEX-XQ8I-0426-SM-4BOPO 50-59 years, male 289.3
GTEX-ZYFD-0126-SM-5GIDL 50-59 years, male 286.8
GTEX-ZTX8-1426-SM-5DUVO 20-29 years, male 286.4
GTEX-ZQG8-1626-SM-DHXIT 60-69 years, female 286.1
GTEX-1QP9N-1426-SM-DTXFL 30-39 years, male 285.9
GTEX-16AAH-1726-SM-7939C 50-59 years, male 281.4
GTEX-X88G-0126-SM-47JZ3 30-39 years, male 276.6
GTEX-RTLS-0126-SM-447CA 60-69 years, female 276.2
GTEX-1KANC-1526-SM-D3LAB 50-59 years, female 269.2
GTEX-WI4N-1026-SM-3LK7N 40-49 years, female 265.9
GTEX-1OJC3-0126-SM-E76QX 20-29 years, male 265.9
GTEX-YB5K-2126-SM-4WWDJ 40-49 years, female 265.1
GTEX-13NZB-2526-SM-5J1OM 30-39 years, male 264.6
GTEX-1122O-2126-SM-5EGIR 60-69 years, female 263.6
GTEX-16NGA-1726-SM-731B4 40-49 years, female 261.4
GTEX-1I4MK-2226-SM-ACKWD 50-59 years, female 258.4
GTEX-Y8DK-0126-SM-4TT3L 60-69 years, male 257.6
GTEX-13O3P-0126-SM-5KM4S 50-59 years, male 253.5
GTEX-145LV-2126-SM-5LU8N 50-59 years, male 252.5
GTEX-OOBJ-0126-SM-E6CJW 60-69 years, male 251.9
GTEX-1LGRB-2526-SM-CNPPQ 50-59 years, female 251.2
GTEX-14LZ3-0226-SM-62LET 60-69 years, female 249.1
GTEX-1LG7Z-1726-SM-D3LA4 30-39 years, male 247.3
GTEX-1EMGI-0126-SM-9KNUE 60-69 years, male 245.4
GTEX-1QPFJ-0226-SM-E76PB 30-39 years, female 244.1
GTEX-1399T-2826-SM-5KLYZ 60-69 years, male 242.6
GTEX-ZV68-0126-SM-59HKS 50-59 years, female 240.2
GTEX-1HCVE-0126-SM-CGQEU 50-59 years, male 240.0
GTEX-14A5I-0126-SM-5TDEA 50-59 years, female 239.3
GTEX-14E6D-0126-SM-62LDV 50-59 years, male 238.8
GTEX-1JJ6O-0126-SM-E6CI8 60-69 years, male 237.4
GTEX-14PHX-2326-SM-62LEM 50-59 years, male 237.3
GTEX-W5X1-3026-SM-EAZAX 40-49 years, female 236.0
GTEX-12ZZZ-0626-SM-5DUXI 60-69 years, male 234.6
GTEX-13JUV-2726-SM-5LZZ8 40-49 years, female 233.2
GTEX-1ICG6-2526-SM-CGQFZ 70-79 years, female 231.7
GTEX-13OVL-0226-SM-5L3E9 50-59 years, male 229.9
GTEX-17F96-1626-SM-7DUFL 70-79 years, male 228.2
GTEX-1PIGE-0126-SM-EVYBJ 20-29 years, male 228.2
GTEX-Y114-2426-SM-4TT8A 50-59 years, female 227.5
GTEX-T8EM-1026-SM-3DB7M 40-49 years, male 227.4
GTEX-14DAR-2026-SM-5S2O3 50-59 years, male 226.5
GTEX-T2YK-0526-SM-32QPJ 50-59 years, male 226.0
GTEX-1HCU7-0226-SM-CL545 50-59 years, male 225.7
GTEX-13NZ8-0826-SM-5MR3I 60-69 years, female 225.4
GTEX-PLZ6-1426-SM-DKPOT 30-39 years, male 225.3
GTEX-XYKS-2126-SM-4E3IB 60-69 years, female 225.2
GTEX-11DXX-2426-SM-5GZZW 60-69 years, female 223.5
GTEX-1S82Z-0826-SM-E6CHY 30-39 years, female 221.9
GTEX-U412-0426-SM-3DB9O 60-69 years, male 221.1
GTEX-1497J-2426-SM-7IGNX 60-69 years, male 217.2
GTEX-1AX9J-0226-SM-73KXM 60-69 years, male 217.1
GTEX-1GN1U-0126-SM-7PBZK 50-59 years, female 216.8
GTEX-1S5ZA-0126-SM-EVYCV 20-29 years, male 214.5
GTEX-145MO-0326-SM-5Q5B3 60-69 years, male 213.7
GTEX-133LE-1826-SM-5J1MV 20-29 years, female 211.8
GTEX-1I1GT-0626-SM-CGQER 60-69 years, female 210.3
GTEX-117YW-2626-SM-5GZZH 50-59 years, male 209.4
GTEX-ZVTK-0426-SM-51MRS 20-29 years, male 207.7
GTEX-146FQ-0126-SM-5NQA9 30-39 years, male 206.7
GTEX-1F5PL-0326-SM-7P8PQ 40-49 years, female 206.3
GTEX-13111-1626-SM-5EGJY 50-59 years, male 205.1
GTEX-1M5QR-1226-SM-EWROB 40-49 years, male 203.7
GTEX-139D8-0226-SM-5KLZO 30-39 years, female 202.1
GTEX-145LT-1726-SM-5QGP3 40-49 years, male 202.1
GTEX-1ICLY-0126-SM-D4P36 50-59 years, male 202.1
GTEX-PX3G-0126-SM-2I3EN 20-29 years, female 201.8
GTEX-ZY6K-1826-SM-5GZXK 50-59 years, male 199.3
GTEX-1LVAN-0226-SM-COH3S 50-59 years, female 195.9
GTEX-1KXAM-2226-SM-CYPTC 60-69 years, male 195.7
GTEX-11P81-2326-SM-59875 30-39 years, female 195.1
GTEX-1399U-2326-SM-5K7WY 50-59 years, female 194.1
GTEX-T6MN-0126-SM-32PLP 50-59 years, male 194.0
GTEX-Y111-0126-SM-4SOIV 50-59 years, male 193.7
GTEX-QEG4-0226-SM-2S1PY 30-39 years, male 193.0
GTEX-145ME-1826-SM-5SI9G 40-49 years, female 192.9
GTEX-OXRK-0226-SM-3NB2G 50-59 years, female 192.7
GTEX-X4EP-0126-SM-3P5YV 60-69 years, female 192.4
GTEX-17GQL-2026-SM-718BA 60-69 years, male 191.6
GTEX-15F5U-1526-SM-6PANO 40-49 years, male 189.5
GTEX-1PDJ9-0326-SM-DTX95 20-29 years, male 189.2
GTEX-1399R-2726-SM-5IJBA 30-39 years, male 188.5
GTEX-XUZC-1726-SM-4BRWS 30-39 years, female 186.1
GTEX-ZAK1-0126-SM-5IJD3 50-59 years, female 185.7
GTEX-145LS-0126-SM-5QGP1 60-69 years, female 183.9
GTEX-1E2YA-0126-SM-9KNUC 50-59 years, male 183.9
GTEX-13PVR-2326-SM-5QGR1 60-69 years, female 183.6
GTEX-13OW5-0126-SM-DTXFS 60-69 years, male 183.6
GTEX-ZDTT-2726-SM-4WKF8 60-69 years, male 183.5
GTEX-1POEN-0126-SM-EYYXJ 30-39 years, female 181.8
GTEX-14ICK-0226-SM-6EU25 40-49 years, male 180.5
GTEX-1B8SF-1426-SM-7DUGL 60-69 years, male 179.8
GTEX-1KWVE-1426-SM-E9TJO 30-39 years, male 178.8
GTEX-ZF29-2326-SM-DO92K 60-69 years, female 178.7
GTEX-13VXT-0126-SM-5LU4I 20-29 years, female 178.4
GTEX-1J1OQ-0226-SM-CYPSH 40-49 years, female 177.7
GTEX-145MN-2226-SM-5SIAU 30-39 years, male 177.5
GTEX-13SLW-0126-SM-5SI6C 70-79 years, male 177.2
GTEX-12WSK-2326-SM-5GCOH 40-49 years, female 176.5
GTEX-Q2AG-0126-SM-33HBV 40-49 years, female 175.8
GTEX-P4PP-0126-SM-3LK69 30-39 years, female 175.0
GTEX-139TS-2826-SM-5J1OO 60-69 years, male 174.2
GTEX-14PJ3-1826-SM-62LEX 50-59 years, male 171.6
GTEX-13FHP-0126-SM-5IJBG 50-59 years, male 170.8
GTEX-12ZZY-0226-SM-5LZVE 60-69 years, male 170.3
GTEX-1JK1U-2026-SM-CM2RZ 60-69 years, male 170.2
GTEX-YEC4-2126-SM-5IFJH 40-49 years, male 170.0
GTEX-POMQ-2226-SM-2I5FK 20-29 years, female 169.1
GTEX-XUW1-0426-SM-4BOOT 50-59 years, female 169.1
GTEX-1H1CY-2826-SM-9MQM3 60-69 years, female 169.1
GTEX-17JCI-0126-SM-7LG5G 60-69 years, female 167.2
GTEX-14PJM-0226-SM-62LF1 50-59 years, female 166.5
GTEX-1F5PK-2426-SM-7RHHY 50-59 years, male 165.5
GTEX-14753-0426-SM-5NQAM 60-69 years, male 165.4
GTEX-1R9PM-2026-SM-E76OY 20-29 years, male 165.3
GTEX-ZYT6-0226-SM-5NQ6T 30-39 years, male 164.7
GTEX-1OFPY-2426-SM-DTXEJ 60-69 years, male 164.5
GTEX-13NYS-0126-SM-5MR3W 60-69 years, male 164.0
GTEX-13FTW-2626-SM-5K7WL 40-49 years, male 163.7
GTEX-131YS-0126-SM-5KM1M 60-69 years, female 163.1
GTEX-1CB4I-0226-SM-79OLH 50-59 years, male 162.6
GTEX-1JMLX-0226-SM-CM2RO 50-59 years, male 162.6
GTEX-PSDG-0226-SM-DKPOZ 50-59 years, male 161.9
GTEX-1HGF4-2426-SM-ACKXM 60-69 years, male 161.3
GTEX-W5WG-1826-SM-4KL2Y 50-59 years, female 160.8
GTEX-ZV6S-2326-SM-4YCEY 40-49 years, female 160.7
GTEX-1PIIG-0226-SM-EWRN6 30-39 years, male 160.6
GTEX-12C56-1726-SM-5EQ61 20-29 years, male 160.3
GTEX-ZXG5-0126-SM-5GIEU 60-69 years, male 159.9
GTEX-13YAN-0326-SM-5O9DF 60-69 years, male 159.7
GTEX-13RTK-1426-SM-5QGQJ 20-29 years, male 158.8
GTEX-169BO-1326-SM-9MQK2 50-59 years, male 157.9
GTEX-11DYG-0126-SM-59883 60-69 years, male 157.6
GTEX-1NV5F-0226-SM-E8VNY 60-69 years, female 155.5
GTEX-17EVP-0326-SM-7DHLG 40-49 years, male 153.9
GTEX-15ER7-0326-SM-7KUEV 20-29 years, female 153.3
GTEX-1B8L1-2526-SM-9WYTF 60-69 years, male 153.1
GTEX-XUYS-0126-SM-47JWZ 50-59 years, male 152.8
GTEX-146FH-0126-SM-5QGPP 50-59 years, female 152.5
GTEX-1CB4E-2226-SM-793DC 60-69 years, male 152.3
GTEX-15SHU-0126-SM-7KUEH 40-49 years, female 152.0
GTEX-1JN6P-0126-SM-D3L98 60-69 years, male 150.7
GTEX-WRHK-1426-SM-3MJF9 20-29 years, female 150.5
GTEX-1HCUA-2426-SM-ADEIS 50-59 years, female 150.4
GTEX-1I1GR-0126-SM-CL55F 60-69 years, male 150.4
GTEX-1IL2U-0226-SM-CE6T8 60-69 years, male 149.3
GTEX-Y5V5-2326-SM-4V6GA 60-69 years, female 149.0
GTEX-139T8-0126-SM-5K7XZ 60-69 years, male 148.3
GTEX-1JMQI-2226-SM-CM2SD 50-59 years, male 148.0
GTEX-OIZH-0126-SM-2HMIS 50-59 years, male 147.9
GTEX-11EQ9-2426-SM-5HL5T 30-39 years, male 147.7
GTEX-144FL-0126-SM-5TDC8 50-59 years, male 147.7
GTEX-T6MO-1626-SM-32QOM 40-49 years, female 147.6
GTEX-16GPK-0126-SM-7DHLE 60-69 years, male 147.5
GTEX-Y8E4-0626-SM-4WWDL 40-49 years, male 147.0
GTEX-S33H-1026-SM-EZ6L6 30-39 years, male 146.9
GTEX-117YX-2326-SM-5H12W 50-59 years, male 146.6
GTEX-1HCU6-0126-SM-CL54K 60-69 years, female 146.6
GTEX-1GZ2Q-0226-SM-7P8TL 40-49 years, male 146.5
GTEX-13W46-0226-SM-5SIAG 50-59 years, male 146.4
GTEX-13D11-2426-SM-5KM1V 50-59 years, female 146.0
GTEX-14BMU-2226-SM-5TDE9 20-29 years, female 145.1
GTEX-ZTSS-1926-SM-57WEW 40-49 years, male 144.9
GTEX-1GF9V-0326-SM-7RHI5 60-69 years, male 144.9
GTEX-1MA7W-2026-SM-E9TJ6 20-29 years, female 144.6
GTEX-17EUY-0426-SM-793BD 20-29 years, male 144.1
GTEX-1QP66-1726-SM-E8VO1 50-59 years, male 143.7
GTEX-1313W-0126-SM-5LZUN 50-59 years, female 143.1
GTEX-WQUQ-0426-SM-3MJFU 60-69 years, male 143.0
GTEX-13QJ3-0326-SM-5S2RA 50-59 years, male 142.4
GTEX-13X6J-0126-SM-5QGOU 50-59 years, male 142.4
GTEX-16XZZ-0126-SM-793DV 60-69 years, male 142.4
GTEX-OXRN-0126-SM-48TDM 50-59 years, male 142.3
GTEX-145MI-0526-SM-5O9A8 60-69 years, female 142.2
GTEX-1HFI6-0226-SM-ADEHZ 40-49 years, male 142.2
GTEX-U3ZM-1526-SM-3DB9D 40-49 years, male 142.0
GTEX-QESD-1426-SM-2S1R9 20-29 years, male 141.9
GTEX-12WSJ-1826-SM-5GCNY 40-49 years, female 140.9
GTEX-14PII-0226-SM-6EU1T 60-69 years, male 140.2
GTEX-WY7C-2326-SM-3NB2U 50-59 years, male 139.1
GTEX-1R46S-0626-SM-E9J41 60-69 years, female 138.9
GTEX-11P82-1626-SM-59879 20-29 years, male 138.6
GTEX-1CAMQ-0226-SM-7IGPK 40-49 years, male 138.1
GTEX-13FTX-1826-SM-5J1NX 20-29 years, female 137.5
GTEX-13S7M-0126-SM-5SI6A 60-69 years, female 137.5
GTEX-13CF2-2526-SM-5LZYX 60-69 years, male 137.2
GTEX-1B8KE-2126-SM-73KYX 50-59 years, male 137.1
GTEX-1F6I4-0126-SM-9MQL2 60-69 years, male 135.9
GTEX-OHPM-0126-SM-2YUN9 50-59 years, male 135.2
GTEX-1IGQW-0126-SM-COH42 60-69 years, male 135.2
GTEX-ZWKS-0126-SM-5SIAA 30-39 years, male 135.1
GTEX-1EX96-1626-SM-7PBXR 50-59 years, male 134.8
GTEX-1H1DG-0126-SM-9WYU2 70-79 years, male 134.8
GTEX-ZDTS-0126-SM-4WAY5 60-69 years, male 134.0
GTEX-131XE-2326-SM-5PNZ2 50-59 years, male 133.7
GTEX-R3RS-0126-SM-3GIJL 40-49 years, female 133.1
GTEX-1F52S-0126-SM-9MQJU 60-69 years, female 133.1
GTEX-11ZTS-0126-SM-5EQ6M 60-69 years, female 133.0
GTEX-YJ89-0126-SM-4TT3X 60-69 years, male 132.6
GTEX-1LB8K-0226-SM-EWRNW 50-59 years, male 132.4
GTEX-1R7EU-0226-SM-EVR4G 60-69 years, male 132.3
GTEX-1MUQO-0126-SM-EAZ58 60-69 years, male 131.5
GTEX-111VG-2426-SM-5GZXD 60-69 years, male 131.3
GTEX-1C475-1826-SM-73KWA 40-49 years, female 130.6
GTEX-18D9A-1926-SM-7LG6P 30-39 years, female 130.5
GTEX-ZE9C-2726-SM-57WB5 60-69 years, male 130.5
GTEX-1GL5R-1826-SM-9KNUY 50-59 years, male 130.0
GTEX-RM2N-1426-SM-2TF4H 50-59 years, male 129.9
GTEX-1J8EW-0126-SM-CJI4F 60-69 years, female 129.6
GTEX-13OVJ-0126-SM-5KM36 50-59 years, female 129.5
GTEX-1JMQK-0226-SM-CL543 60-69 years, male 129.2
GTEX-1PWST-0226-SM-E76QJ 70-79 years, male 128.7
GTEX-12KS4-0326-SM-5EQ41 30-39 years, male 128.1
GTEX-T5JC-0426-SM-32PLO 20-29 years, male 127.9
GTEX-1GZHY-0326-SM-9QEHI 50-59 years, female 127.9
GTEX-11P7K-2126-SM-5GU7G 30-39 years, male 127.5
GTEX-SUCS-1926-SM-32PM3 70-79 years, male 127.2
GTEX-13IVO-0126-SM-5J1NG 70-79 years, male 127.0
GTEX-U3ZH-2026-SM-3DB78 30-39 years, male 127.0
GTEX-NFK9-0226-SM-2HMKQ 40-49 years, male 126.9
GTEX-1HT8W-0126-SM-CNPPP 30-39 years, male 126.9
GTEX-15DDE-0126-SM-6LPKH 50-59 years, female 126.3
GTEX-SNMC-1226-SM-2XCFP 20-29 years, male 126.3
GTEX-1EWIQ-0126-SM-7RHH2 70-79 years, female 126.1
GTEX-1BAJH-0526-SM-793CQ 70-79 years, male 125.9
GTEX-UPJH-0326-SM-3GADU 50-59 years, male 125.6
GTEX-15ETS-0126-SM-7KUMW 40-49 years, female 124.6
GTEX-RVPV-0126-SM-EAZAW 60-69 years, male 124.6
GTEX-13112-2826-SM-5DUWH 50-59 years, male 124.5
GTEX-1211K-2026-SM-5EQ4Z 60-69 years, female 123.5
GTEX-1AMEY-1326-SM-73KYK 30-39 years, female 123.4
GTEX-1J8JJ-0226-SM-CL53I 60-69 years, female 123.1
GTEX-PVOW-0126-SM-2XCFA 40-49 years, male 122.9
GTEX-1LH75-2426-SM-E9TJE 50-59 years, female 122.9
GTEX-12ZZX-0126-SM-5EGK9 40-49 years, female 122.2
GTEX-1CB4H-0226-SM-7PBXM 60-69 years, female 122.2
GTEX-1GMR3-1926-SM-9KNUZ 40-49 years, male 122.1
GTEX-1JKYN-1326-SM-CGQG9 30-39 years, male 121.9
GTEX-S32W-2126-SM-2XCB1 50-59 years, female 121.8
GTEX-1MJK2-0426-SM-DTXE5 50-59 years, male 121.3
GTEX-13NYC-0326-SM-E9J4S 60-69 years, male 121.0
GTEX-ZEX8-2426-SM-4WKG4 50-59 years, male 120.9
GTEX-ZVE2-0226-SM-59HJB 50-59 years, male 120.6
GTEX-1H23P-0126-SM-ADEJ3 60-69 years, male 120.6
GTEX-131XH-2226-SM-5DUXJ 50-59 years, male 120.3
GTEX-1GMR8-0126-SM-9WYTM 50-59 years, female 120.0
GTEX-1R7EV-2426-SM-EVYBG 40-49 years, male 119.6
GTEX-1KANB-0526-SM-E6CJH 50-59 years, male 118.0
GTEX-1JMPY-1326-SM-ARL8Y 30-39 years, male 117.9
GTEX-1128S-2326-SM-5GZZY 60-69 years, female 117.8
GTEX-WXYG-2326-SM-4E3I6 50-59 years, female 117.6
GTEX-1QMI2-0226-SM-EVYBX 60-69 years, male 117.6
GTEX-WVJS-0126-SM-4MVOT 50-59 years, male 117.2
GTEX-U8T8-0126-SM-3DB94 60-69 years, male 117.1
GTEX-PLZ4-0126-SM-5SI8O 50-59 years, female 116.8
GTEX-QV44-1926-SM-2S1RF 50-59 years, male 116.3
GTEX-17F97-0326-SM-7LG5B 50-59 years, male 116.2
GTEX-18D9U-0226-SM-718BP 40-49 years, male 116.1
GTEX-14E6C-0126-SM-5RQIP 40-49 years, male 115.8
GTEX-1PFEY-1526-SM-E76PP 30-39 years, male 115.7
GTEX-14LLW-0126-SM-6LLIO 70-79 years, female 115.2
GTEX-1EU9M-0226-SM-7P8SP 60-69 years, male 115.2
GTEX-1B97I-1626-SM-73KYO 40-49 years, male 114.1
GTEX-11GSO-2426-SM-5A5LY 60-69 years, male 114.0
GTEX-1JN76-0126-SM-CNPPE 20-29 years, female 114.0
GTEX-ZAB5-1826-SM-5HL7C 50-59 years, male 113.7
GTEX-1H11D-0226-SM-9WG6Z 40-49 years, male 113.6
GTEX-1CB4G-0226-SM-7PC3O 60-69 years, male 113.3
GTEX-13X6H-2126-SM-7EWD5 50-59 years, female 113.2
GTEX-18QFQ-0126-SM-731BE 30-39 years, male 113.1
GTEX-1JMPZ-0226-SM-CNPP1 30-39 years, male 113.0
GTEX-183FY-0126-SM-7LT9P 20-29 years, male 112.7
GTEX-1GN73-0226-SM-9WG67 60-69 years, male 112.7
GTEX-ZF28-0126-SM-4WKGK 60-69 years, male 112.6
GTEX-X585-0226-SM-4QAS2 50-59 years, male 111.8
GTEX-ZPIC-1726-SM-DHXIU 40-49 years, female 111.0
GTEX-1H3VE-0326-SM-9YFLH 40-49 years, male 110.9
GTEX-1HBPN-0226-SM-9YFM1 50-59 years, male 110.4
GTEX-131XG-2626-SM-5KM17 50-59 years, female 110.2
GTEX-TMMY-0226-SM-33HBA 40-49 years, female 110.0
GTEX-132NY-0326-SM-5IJBL 60-69 years, male 109.5
GTEX-1HSKV-0226-SM-A9SKJ 60-69 years, male 109.4
GTEX-11H98-0126-SM-5EGHG 50-59 years, male 109.2
GTEX-1C6VS-0526-SM-7DUEN 60-69 years, male 109.1
GTEX-14C5O-0126-SM-5SI6N 60-69 years, male 109.0
GTEX-S95S-1226-SM-4GICG 60-69 years, male 108.8
GTEX-X4EO-0326-SM-3P5YO 60-69 years, female 108.2
GTEX-11UD2-0226-SM-5EQKY 50-59 years, male 107.7
GTEX-12WSA-0226-SM-5BC5V 60-69 years, male 107.7
GTEX-1N2DV-0226-SM-E6CJ6 40-49 years, male 107.3
GTEX-1HSMQ-1226-SM-CGQFX 50-59 years, male 107.2
GTEX-1IKK5-0626-SM-ARL8A 60-69 years, male 107.1
GTEX-1I1CD-0126-SM-CM2TK 60-69 years, female 107.0
GTEX-1MGNQ-0126-SM-EVYCJ 40-49 years, male 107.0
GTEX-1GZ4H-1726-SM-7PBZJ 50-59 years, female 106.9
GTEX-1C2JI-1826-SM-73KXC 50-59 years, male 106.8
GTEX-1CB4F-0426-SM-9KNV4 60-69 years, male 106.3
GTEX-12584-0126-SM-5EGKQ 40-49 years, male 106.0
GTEX-1B996-0226-SM-7RHGO 60-69 years, male 106.0
GTEX-14PJ6-2126-SM-6EU1V 60-69 years, female 105.9
GTEX-14JG6-2226-SM-6EU2G 30-39 years, female 105.5
GTEX-ZZ64-1726-SM-5GZYB 20-29 years, male 105.3
GTEX-11EI6-0126-SM-5985R 60-69 years, male 105.2
GTEX-1J1R8-1726-SM-ARL8M 40-49 years, male 104.8
GTEX-15EU6-0426-SM-6PAN5 50-59 years, male 104.7
GTEX-WYVS-2126-SM-3NMA3 40-49 years, female 104.7
GTEX-13OW8-1326-SM-5J1OW 60-69 years, male 104.5
GTEX-ZU9S-0226-SM-5E441 30-39 years, male 103.6
GTEX-1RDX4-0126-SM-E9J4P 50-59 years, female 103.2
GTEX-11VI4-1726-SM-5CVLH 40-49 years, female 102.9
GTEX-13VXU-0126-SM-5SI9F 50-59 years, male 102.5
GTEX-117XS-2726-SM-5N9BL 60-69 years, male 102.4
GTEX-1JMQJ-0526-SM-CYPSU 50-59 years, male 102.2
GTEX-1HCU9-1526-SM-A9SL7 20-29 years, male 101.6
GTEX-17KNJ-2326-SM-7DHLQ 50-59 years, male 101.4
GTEX-18A6Q-0126-SM-731BZ 60-69 years, male 101.1
GTEX-17MFQ-1726-SM-793C7 20-29 years, male 101.0
GTEX-1IDJF-0126-SM-CM2RS 20-29 years, male 100.8
GTEX-ZE7O-0126-SM-57WC1 50-59 years, female 100.5
GTEX-ZYY3-0126-SM-5GZY5 60-69 years, female 100.2
GTEX-T2IS-0126-SM-4DM6O 20-29 years, female 100.1
GTEX-15SB6-1726-SM-6PAME 50-59 years, female 99.9
GTEX-1IOXB-0126-SM-ARL8G 50-59 years, male 99.7
GTEX-11DZ1-0126-SM-5985Q 50-59 years, male 99.3
GTEX-15G19-0126-SM-6PANQ 60-69 years, male 99.3
GTEX-11EMC-2926-SM-5EQ4F 60-69 years, female 99.0
GTEX-17HHE-2026-SM-79OKF 50-59 years, male 98.4
GTEX-1A3MX-0126-SM-731BR 60-69 years, male 97.8
GTEX-Y5LM-1926-SM-5RQJH 40-49 years, female 97.4
GTEX-ZYFC-0226-SM-5NQ75 50-59 years, male 97.3
GTEX-1H4P4-0726-SM-9YFLR 50-59 years, male 97.2
GTEX-QVJO-1626-SM-2S1QW 60-69 years, female 97.0
GTEX-1H3VY-0126-SM-ACKXD 50-59 years, male 96.9
GTEX-13SLX-0526-SM-5S2ON 50-59 years, female 96.2
GTEX-1RB15-2126-SM-E9TIM 60-69 years, male 96.1
GTEX-1GF9X-2026-SM-7PC3A 40-49 years, female 96.0
GTEX-WFON-2126-SM-3LK7O 40-49 years, male 95.9
GTEX-12WSC-0126-SM-5EQ4P 50-59 years, male 95.6
GTEX-14PN4-0126-SM-6EU2V 50-59 years, male 94.9
GTEX-VJWN-0126-SM-3GIK7 50-59 years, female 94.5
GTEX-ZYFG-2326-SM-5E44B 60-69 years, female 94.5
GTEX-15DCD-0126-SM-7KUEK 70-79 years, female 94.4
GTEX-12696-2426-SM-5EQ6H 60-69 years, male 94.3
GTEX-1GN2E-0426-SM-9MQKX 60-69 years, male 94.1
GTEX-11DXW-0226-SM-5H122 40-49 years, male 93.9
GTEX-P4PQ-0126-SM-2S1NM 60-69 years, male 93.7
GTEX-11TUW-2726-SM-E9J4M 60-69 years, male 93.6
GTEX-PLZ5-2026-SM-2S1O4 50-59 years, male 93.5
GTEX-XV7Q-2526-SM-4BRV9 40-49 years, female 93.4
GTEX-ZAB4-0226-SM-5N9F5 40-49 years, male 93.3
GTEX-1JN1M-0326-SM-CYPT3 60-69 years, female 93.0
GTEX-1HSMP-0126-SM-E6CJS 70-79 years, male 92.9
GTEX-16YQH-0126-SM-7DUFJ 30-39 years, male 92.8
GTEX-111FC-0126-SM-5N9DL 60-69 years, male 92.7
GTEX-1GF9W-0326-SM-9KNUN 60-69 years, male 92.3
GTEX-13OW6-0426-SM-5L3HM 50-59 years, male 92.2
GTEX-1LSNM-1926-SM-E6CII 50-59 years, male 92.2
GTEX-13FHO-0226-SM-5IFGY 60-69 years, male 91.5
GTEX-11UD1-0126-SM-5PNYG 40-49 years, female 91.2
GTEX-X261-0126-SM-3NMD6 50-59 years, male 90.8
GTEX-13CF3-2426-SM-5IFGX 60-69 years, female 90.7
GTEX-X5EB-2226-SM-46MW4 40-49 years, male 90.4
GTEX-14BMV-0126-SM-5S2PO 50-59 years, male 90.3
GTEX-1I1GV-0526-SM-A9G29 60-69 years, male 89.7
GTEX-NPJ8-0126-SM-2YUNR 40-49 years, male 89.5
GTEX-ZDYS-2026-SM-5HL5L 50-59 years, male 89.5
GTEX-17HG3-2226-SM-7938L 30-39 years, female 89.4
GTEX-VUSG-2526-SM-4KL1V 50-59 years, male 89.4
GTEX-Y3I4-2126-SM-4TT7C 50-59 years, male 89.2
GTEX-11WQC-2526-SM-5CVLE 60-69 years, male 88.7
GTEX-145LU-0126-SM-5TDCB 50-59 years, male 88.4
GTEX-1GPI7-0126-SM-9MQL8 20-29 years, male 88.2
GTEX-148VI-1626-SM-5SI6E 60-69 years, female 88.1
GTEX-X8HC-0126-SM-4E3JW 50-59 years, female 88.0
GTEX-RU72-0926-SM-2TF6B 50-59 years, female 87.9
GTEX-1HSEH-0126-SM-ACKXN 60-69 years, male 87.4
GTEX-1269C-2526-SM-5EGJ3 60-69 years, female 86.0
GTEX-18A7A-0226-SM-718BH 50-59 years, female 85.8
GTEX-13N2G-2626-SM-5J1OT 60-69 years, male 85.4
GTEX-15RIG-0226-SM-7KFTL 40-49 years, male 85.4
GTEX-ZZPT-0226-SM-5E43X 50-59 years, male 85.1
GTEX-ZAJG-0126-SM-5HL94 50-59 years, female 85.0
GTEX-1GMRU-0126-SM-9YFLV 50-59 years, male 84.9
GTEX-1AX9I-0126-SM-7SB74 60-69 years, male 84.8
GTEX-SN8G-0126-SM-32PLI 50-59 years, female 84.7
GTEX-OIZF-0126-SM-7SB8I 60-69 years, male 84.4
GTEX-1F88F-2726-SM-7PBZZ 60-69 years, female 83.9
GTEX-1192X-0226-SM-5H12D 50-59 years, male 83.8
GTEX-ZTPG-0326-SM-5O9AX 20-29 years, female 83.4
GTEX-OOBK-0126-SM-2YUND 40-49 years, male 82.9
GTEX-Y8LW-1826-SM-5S2MV 50-59 years, female 82.9
GTEX-1QP29-0626-SM-EWRMX 50-59 years, male 82.9
GTEX-11LCK-1026-SM-5A5KB 30-39 years, male 82.8
GTEX-ZC5H-0226-SM-4WAY9 40-49 years, female 82.7
GTEX-1O97I-0326-SM-EYYX7 60-69 years, male 82.5
GTEX-XXEK-2226-SM-4BRUM 50-59 years, male 81.9
GTEX-14DAQ-0126-SM-5S2MQ 60-69 years, female 81.8
GTEX-139TT-0126-SM-5K7Y5 60-69 years, male 81.6
GTEX-PW2O-1526-SM-7RHHB 20-29 years, male 80.9
GTEX-14BIN-0626-SM-793DP 50-59 years, female 80.8
GTEX-OHPL-0126-SM-2HMJ7 60-69 years, female 80.8
GTEX-1I6K6-0126-SM-A9SLE 30-39 years, male 80.8
GTEX-1H3O1-0426-SM-9YFKY 60-69 years, male 80.5
GTEX-1I19N-0326-SM-ACKVX 70-79 years, male 80.3
GTEX-1314G-1526-SM-5EGK2 30-39 years, male 80.2
GTEX-17HGU-0226-SM-7DHKV 50-59 years, male 80.1
GTEX-RNOR-0126-SM-E9J4R 50-59 years, female 80.0
GTEX-13O1R-0126-SM-5L3EH 60-69 years, male 79.4
GTEX-X4XX-0126-SM-3NMC2 60-69 years, male 79.3
GTEX-1H1ZS-0426-SM-9WG6G 70-79 years, male 79.2
GTEX-1C6VR-2426-SM-79OLD 60-69 years, male 78.6
GTEX-SJXC-0126-SM-2XCFF 60-69 years, male 78.5
GTEX-S7PM-0126-SM-4AD6S 60-69 years, male 78.3
GTEX-1KAFJ-2026-SM-CY8ID 50-59 years, male 77.9
GTEX-RWSA-0126-SM-2XCBB 40-49 years, male 77.8
GTEX-ZVT3-0126-SM-5GU6I 60-69 years, female 77.4
GTEX-1KD5A-0226-SM-D5OV3 50-59 years, male 77.4
GTEX-16BQI-0226-SM-7KUEX 30-39 years, female 77.3
GTEX-1NHNU-1026-SM-E9J2A 50-59 years, male 77.2
GTEX-1IDJH-0326-SM-A9SLQ 70-79 years, male 76.5
GTEX-1LC47-0326-SM-E9TJP 60-69 years, male 76.4
GTEX-XPVG-2626-SM-4B669 50-59 years, male 75.8
GTEX-1RQEC-0426-SM-E6CHU 60-69 years, male 75.8
GTEX-1HBPM-0226-SM-ARL9F 60-69 years, female 74.5
GTEX-13PDP-0126-SM-5L3HD 60-69 years, male 73.5
GTEX-1I1GS-0126-SM-B2LVW 60-69 years, male 73.5
GTEX-14PN3-2426-SM-6LLHS 60-69 years, female 72.9
GTEX-13G51-2526-SM-5LZYK 60-69 years, male 72.8
GTEX-U3ZN-2326-SM-3DB7W 30-39 years, female 72.8
GTEX-R55G-2526-SM-2TC6D 40-49 years, female 72.7
GTEX-1IDJU-2626-SM-CM2RT 60-69 years, female 72.2
GTEX-17HII-0226-SM-7LG4E 50-59 years, male 71.8
GTEX-1H3NZ-0126-SM-ACKX7 60-69 years, male 71.4
GTEX-1HBPI-1526-SM-C1YQ1 50-59 years, male 71.2
GTEX-12WSL-2526-SM-5GCNJ 50-59 years, male 70.6
GTEX-Z93S-0126-SM-5HL7M 50-59 years, male 70.6
GTEX-11ZVC-2526-SM-5FQTE 50-59 years, female 70.5
GTEX-1B8KZ-2026-SM-7DHMB 50-59 years, male 70.3
GTEX-13X6I-0626-SM-5QGP9 60-69 years, male 70.2
GTEX-15SDE-2226-SM-7IGLO 50-59 years, female 70.2
GTEX-12WSE-0526-SM-793B2 20-29 years, male 70.1
GTEX-12WSD-0126-SM-59HKN 60-69 years, female 69.8
GTEX-18465-0126-SM-731BN 50-59 years, male 69.6
GTEX-QLQ7-1626-SM-2S1R8 60-69 years, male 69.6
GTEX-XQ3S-1526-SM-4BOOC 20-29 years, male 69.6
GTEX-1I1GQ-0126-SM-COH3H 50-59 years, male 69.5
GTEX-13OVI-1426-SM-5L3EY 60-69 years, female 69.2
GTEX-X638-0126-SM-47JZ8 70-79 years, female 69.2
GTEX-TMZS-0126-SM-3DB9Q 60-69 years, male 69.0
GTEX-12WSG-2826-SM-E9J4H 50-59 years, female 69.0
GTEX-U8XE-0326-SM-3DB8P 30-39 years, male 68.7
GTEX-1J8Q3-1626-SM-CMKGC 60-69 years, male 68.7
GTEX-Z9EW-1626-SM-5CVMN 40-49 years, male 68.4
GTEX-1JJEA-0326-SM-CNPOT 60-69 years, male 67.9
GTEX-Q2AI-1326-SM-2S1PL 40-49 years, male 67.8
GTEX-YJ8A-0426-SM-5IFID 20-29 years, male 67.8
GTEX-147GR-0526-SM-5S2MY 60-69 years, male 67.7
GTEX-1S82Y-2026-SM-EVYCM 40-49 years, male 67.6
GTEX-RUSQ-1526-SM-2TF62 50-59 years, male 67.5
GTEX-1E1VI-0126-SM-7DHMZ 50-59 years, male 67.4
GTEX-1JKYR-0126-SM-CNPOJ 20-29 years, male 67.4
GTEX-RWS6-2026-SM-2XCB5 60-69 years, female 67.1
GTEX-139TU-0126-SM-5K7WH 60-69 years, male 66.7
GTEX-1HCU8-0626-SM-A9SM9 60-69 years, female 66.6
GTEX-14A5H-0426-SM-5QGQF 60-69 years, male 66.2
GTEX-1PBJI-0526-SM-E8VNK 20-29 years, female 66.1
GTEX-OXRP-0126-SM-3NB32 60-69 years, female 66.0
GTEX-113JC-2326-SM-5EQ4E 50-59 years, female 65.7
GTEX-16NPX-0226-SM-79OMT 50-59 years, male 65.6
GTEX-1IDFM-0126-SM-COH2V 60-69 years, male 65.6
GTEX-WH7G-2326-SM-3NMBC 40-49 years, male 65.4
GTEX-13O3Q-2426-SM-5IJBR 50-59 years, male 65.3
GTEX-1K9T9-0126-SM-EVYCF 50-59 years, female 65.2
GTEX-15CHC-2126-SM-6EU21 60-69 years, female 64.8
GTEX-17EVQ-0226-SM-7LG4P 70-79 years, male 64.8
GTEX-1C4CL-0526-SM-73KVK 30-39 years, male 64.3
GTEX-1212Z-2526-SM-5EGKP 60-69 years, male 64.1
GTEX-1L5NE-2526-SM-E6CIE 50-59 years, male 63.8
GTEX-1QAET-0926-SM-E76QM 50-59 years, male 63.7
GTEX-13U4I-0126-SM-5LU38 40-49 years, female 63.5
GTEX-1F48J-0126-SM-7P8TT 50-59 years, female 63.1
GTEX-S7SE-0126-SM-2XCD5 50-59 years, male 62.8
GTEX-1HR98-0126-SM-B2LWI 60-69 years, male 62.4
GTEX-11ZTT-2426-SM-5EQLS 60-69 years, female 62.3
GTEX-15UKP-0426-SM-7KUFQ 20-29 years, male 62.3
GTEX-R45C-0126-SM-EAZ2R 60-69 years, female 61.4
GTEX-14JG1-0426-SM-6ETZZ 40-49 years, male 61.3
GTEX-1H1E6-1726-SM-ACKVK 30-39 years, male 61.0
GTEX-1IKJJ-0126-SM-CNPQB 60-69 years, male 60.4
GTEX-12WSN-5019-SM-79OM6 40-49 years, male 60.3
GTEX-O5YT-0126-SM-48TBW 20-29 years, male 59.3
GTEX-18D9B-0526-SM-7LTAS 60-69 years, male 58.7
GTEX-Q2AH-1626-SM-3GAF8 40-49 years, male 58.7
GTEX-QDVN-2026-SM-3GAEP 50-59 years, male 58.6
GTEX-1GTWX-0126-SM-9YFLK 60-69 years, male 58.5
GTEX-XBED-2226-SM-47JYQ 60-69 years, male 58.2
GTEX-Z93T-0126-SM-5HL5N 50-59 years, male 58.2
GTEX-RN64-0126-SM-2TC68 50-59 years, male 57.8
GTEX-1C64N-0126-SM-793D7 50-59 years, male 57.6
GTEX-1MA7X-2226-SM-E6CIY 60-69 years, male 57.3
GTEX-OXRO-0126-SM-2YUN4 60-69 years, female 57.2
GTEX-13NYB-2526-SM-5K7Z6 40-49 years, male 57.1
GTEX-147F4-0226-SM-5QGPW 50-59 years, male 56.9
GTEX-15DYW-0126-SM-7KULE 60-69 years, female 56.7
GTEX-1RAZA-0126-SM-E6CI3 20-29 years, male 56.6
GTEX-ZVT4-0126-SM-DTXFN 50-59 years, female 56.2
GTEX-13NZA-0226-SM-5K7Z7 60-69 years, male 55.6
GTEX-11GS4-2726-SM-5A5LE 60-69 years, male 55.1
GTEX-144GL-0126-SM-5TDE2 50-59 years, male 55.1
GTEX-14PHW-0126-SM-6LLJI 60-69 years, female 54.6
GTEX-18A67-0126-SM-7LG5P 50-59 years, male 54.6
GTEX-XAJ8-0826-SM-47JY6 40-49 years, male 54.6
GTEX-14XAO-2326-SM-6EU1B 60-69 years, female 53.5
GTEX-11TTK-0126-SM-5987B 60-69 years, female 53.2
GTEX-13O3O-0126-SM-E9J49 60-69 years, female 53.1
GTEX-1H1DE-2126-SM-9WG6R 20-29 years, male 52.9
GTEX-13N1W-0126-SM-5K7VT 70-79 years, male 52.6
GTEX-1JMOU-1526-SM-CL54I 60-69 years, female 51.9
GTEX-ZVZO-0126-SM-5A5L9 40-49 years, male 51.4
GTEX-1MCQQ-0826-SM-DLHC2 60-69 years, male 51.3
GTEX-1QEPI-0126-SM-EWRMQ 60-69 years, female 51.2
GTEX-1IL2V-0126-SM-CM2TX 70-79 years, male 50.9
GTEX-VJYA-1126-SM-3GIJU 60-69 years, male 50.7
GTEX-16MT8-0426-SM-7KUEY 60-69 years, female 50.5
GTEX-P44H-0226-SM-2XCEU 40-49 years, male 50.4
GTEX-1GN1W-0526-SM-9MQJQ 50-59 years, female 50.4
GTEX-13FTY-0526-SM-5L3EV 40-49 years, female 50.0
GTEX-1F75B-0126-SM-9KNVL 50-59 years, male 49.4
GTEX-ZDXO-3026-SM-5J1N5 60-69 years, male 49.2
GTEX-YFC4-0126-SM-5CVLY 40-49 years, female 49.1
GTEX-1J8Q2-0526-SM-CM2RW 60-69 years, male 49.0
GTEX-1JJE9-0326-SM-CL53Z 70-79 years, male 48.2
GTEX-14BIL-0126-SM-5SI92 50-59 years, male 47.9
GTEX-11O72-0126-SM-59887 40-49 years, male 47.5
GTEX-1EN7A-0126-SM-7SB81 40-49 years, male 47.5
GTEX-14PK6-1926-SM-6ETZU 70-79 years, female 47.4
GTEX-1HFI7-1826-SM-ACKXH 50-59 years, female 47.1
GTEX-1QP2A-0126-SM-E9J43 50-59 years, male 47.1
GTEX-1C64O-0126-SM-7SB8P 60-69 years, male 46.5
GTEX-18A7B-0126-SM-7LG64 70-79 years, male 46.4
GTEX-1A8FM-0226-SM-7SB7Q 50-59 years, female 46.2
GTEX-1CB4J-0626-SM-7DHMP 60-69 years, male 46.0
GTEX-13FH7-2026-SM-E9J4I 50-59 years, female 46.0
GTEX-1HB9E-0226-SM-E9U4R 50-59 years, male 45.9
GTEX-131XW-0426-SM-5LZWP 50-59 years, female 45.8
GTEX-1AX9K-2326-SM-73KWU 50-59 years, male 45.6
GTEX-11ZU8-2526-SM-5EQKI 60-69 years, male 45.3
GTEX-11XUK-2026-SM-5EQLF 40-49 years, female 45.2
GTEX-1MCYP-1926-SM-E9J2R 20-29 years, female 44.9
GTEX-17HHY-0126-SM-7LG5D 50-59 years, male 44.5
GTEX-1F6IF-0726-SM-7P8TW 60-69 years, male 44.3
GTEX-1CAMS-0426-SM-7P8T2 40-49 years, female 44.1
GTEX-11GSP-2526-SM-5N9BP 60-69 years, female 43.5
GTEX-14ABY-0226-SM-5TDCQ 50-59 years, male 43.3
GTEX-WFG8-2226-SM-3GIL9 20-29 years, male 43.3
GTEX-1A32A-0126-SM-718B1 50-59 years, female 42.9
GTEX-1LNCM-1126-SM-E9U5E 50-59 years, female 42.6
GTEX-13OW7-0126-SM-5MR3B 50-59 years, male 42.5
GTEX-QDT8-0126-SM-48TZ1 30-39 years, female 42.4
GTEX-1B933-0126-SM-7PC29 50-59 years, female 42.2
GTEX-14A6H-0126-SM-5QGPK 30-39 years, male 41.9
GTEX-1IE54-0126-SM-CMKHW 40-49 years, female 41.9
GTEX-SSA3-0126-SM-32QPU 60-69 years, male 40.8
GTEX-15UF6-0826-SM-6PALJ 70-79 years, female 40.2
GTEX-13N11-2526-SM-5K7UE 50-59 years, female 40.0
GTEX-1AMFI-2026-SM-731BH 50-59 years, female 39.9
GTEX-1GF9U-2126-SM-7SB7L 40-49 years, female 39.9
GTEX-11OF3-2626-SM-5GU7F 60-69 years, male 39.7
GTEX-1IY9M-0126-SM-D3L8S 60-69 years, male 39.2
GTEX-XMD2-0126-SM-4YCDU 60-69 years, female 38.1
GTEX-139UW-2826-SM-5L3E7 60-69 years, male 37.2
GTEX-113IC-0126-SM-5HL6T 60-69 years, male 36.6
GTEX-11DXY-2626-SM-5GIE7 60-69 years, male 36.4
GTEX-13RTL-0126-SM-7LG5S 40-49 years, male 36.2
GTEX-R55E-0126-SM-2TC5Y 20-29 years, male 34.8
GTEX-14E7W-0126-SM-6LLJ9 70-79 years, male 34.5
GTEX-1I1GU-2226-SM-CGQFA 40-49 years, male 34.2
GTEX-QDVJ-1726-SM-2I5FX 50-59 years, male 33.4
GTEX-14E6E-1826-SM-5S2R7 30-39 years, male 32.9
GTEX-SE5C-1626-SM-2XCE3 40-49 years, female 32.3
GTEX-SIU8-0126-SM-2XCDT 50-59 years, male 32.1
GTEX-13W3W-2426-SM-5LU5B 60-69 years, female 31.8
GTEX-TSE9-0126-SM-3DB83 60-69 years, female 31.1
GTEX-ZYW4-0126-SM-5E44A 60-69 years, male 31.1
GTEX-13RTJ-2426-SM-5S2Q2 60-69 years, male 31.0
GTEX-V1D1-2226-SM-3NMAX 50-59 years, male 27.8
GTEX-15SHW-0326-SM-6PAML 60-69 years, male 27.7
GTEX-13OVG-1926-SM-5L3DK 60-69 years, male 27.5
GTEX-ZUA1-0126-SM-5GU76 40-49 years, male 27.1
GTEX-1HSMO-0126-SM-CL547 60-69 years, male 26.5
GTEX-1IKOH-0226-SM-COH4E 60-69 years, female 26.1
GTEX-1I1HK-0126-SM-COH49 60-69 years, male 24.9
GTEX-1192W-2626-SM-5Q5AF 60-69 years, male 24.7
GTEX-15D1Q-0126-SM-7KUG6 40-49 years, male 24.4
GTEX-1GN1V-0126-SM-9WPOS 60-69 years, male 24.3
GTEX-16XZY-2126-SM-79OK1 70-79 years, male 24.1
GTEX-1GPI6-0126-SM-9WG69 60-69 years, male 24.1
GTEX-OXRL-0126-SM-2YUMP 50-59 years, male 24.0
GTEX-1ICLZ-0126-SM-CKZPO 60-69 years, male 24.0
GTEX-144GN-2326-SM-5LU4F 50-59 years, male 23.6
GTEX-1F75I-0326-SM-9YFLU 40-49 years, male 23.4
GTEX-1I1GP-2226-SM-CGQFK 50-59 years, male 23.0
GTEX-1AX8Z-0126-SM-7DHM6 60-69 years, male 22.7
GTEX-11NUK-0126-SM-5A5L3 50-59 years, male 22.6
GTEX-1HUB1-0426-SM-E9U4U 60-69 years, male 22.2
GTEX-1OJC4-0126-SM-E9J2E 50-59 years, female 21.3
GTEX-1AYD5-2426-SM-73KXR 50-59 years, male 20.3
GTEX-148VJ-0126-SM-5TDDN 70-79 years, male 19.6
GTEX-11WQK-0526-SM-5EQLD 50-59 years, male 19.3
GTEX-17MF6-0126-SM-7LG4F 40-49 years, male 18.6
GTEX-14BIM-0226-SM-7IGLD 60-69 years, female 18.3
GTEX-Q734-1926-SM-2I5EV 40-49 years, female 16.1
GTEX-139T4-0226-SM-5HL5S 50-59 years, female 14.7
GTEX-PWO3-1526-SM-48TCM 60-69 years, female 14.5
GTEX-X4XY-0226-SM-4E3IZ 60-69 years, male 14.1
GTEX-1KD4Q-0226-SM-E9TJ9 40-49 years, male 14.0
GTEX-1AYCT-2426-SM-7IGQ3 50-59 years, male 13.6
GTEX-1JMQL-0226-SM-CNPP5 50-59 years, female 13.4
GTEX-WOFL-0126-SM-3MJG2 60-69 years, male 12.4
GTEX-1C6VQ-0126-SM-7P8RI 50-59 years, male 12.3
GTEX-183WM-0126-SM-7LTAB 70-79 years, female 12.0
GTEX-X62O-0126-SM-4E3JN 50-59 years, male 11.4
GTEX-15EOM-0126-SM-7KUGG 20-29 years, female 10.1
GTEX-145MF-0626-SM-5LUAI 50-59 years, male 8.9
GTEX-11OC5-0126-SM-5HL6A 60-69 years, male 8.7
GTEX-1R9PO-2126-SM-E9J4O 60-69 years, female 6.3
GTEX-1N2DW-0226-SM-E9TK2 50-59 years, male 4.5
GTEX-1RLM8-2326-SM-EWRN4 50-59 years, male 3.9
GTEX-1QP67-1626-SM-EAZ3X 40-49 years, female 3.2
GTEX-1A3MW-0126-SM-73KXX 60-69 years, female 2.6
GTEX-1M4P7-0226-SM-DIPEV 60-69 years, male 2.0
GTEX-14JIY-0126-SM-6LLH6 60-69 years, male 1.2
GTEX-11ZUS-0626-SM-59885 30-39 years, male 0.8
GTEX-1QW4Y-1526-SM-EAZ3Z 30-39 years, male 0.6
GTEX-U4B1-1826-SM-4DXSU 40-49 years, male 0.4
GTEX-1R9K4-0126-SM-DTX9X 60-69 years, male 0.4
GTEX-146FR-1326-SM-E9J48 60-69 years, female 0.2
GTEX-1HBPH-0426-SM-B2LW5 40-49 years, female 0.2
GTEX-1RAZQ-0726-SM-EAZ43 30-39 years, male 0.1
Show allShow less

Contact

  • NEWS ARTICLES
  • PRESS ROOM

The Project

  • INTRODUCTION
  • ORGANIZATION
  • PUBLICATIONS

The Human Protein Atlas

  • DOWNLOADABLE DATA
  • LICENCE & CITATION
  • HELP & FAQ
The Human Protein Atlas project is funded
by the Knut & Alice Wallenberg Foundation.


contact@proteinatlas.org