We use cookies to enhance the usability of our website. If you continue, we'll assume that you are happy to receive all cookies. More information. Don't show this again.
DCTN1
HPA
RESOURCES
  • TISSUE
  • BRAIN
  • SINGLE CELL
  • SUBCELLULAR
  • CANCER
  • BLOOD
  • CELL LINE
  • STRUCTURE & INTERACTION
ABOUT
  • INTRODUCTION
  • HISTORY
  • ORGANIZATION
  • PUBLICATIONS
  • ANTIBODY SUBMISSION
  • ANTIBODY AVAILABILITY
  • ACKNOWLEDGMENTS
  • CONTACT
NEWS
  • NEWS ARTICLES
  • PRESS ROOM
LEARN
  • DICTIONARY
  • PROTEIN CLASSES
  • PROTEIN EVIDENCE
  • METHODS
  • EDUCATIONAL VIDEOS
DATA
  • DOWNLOADABLE DATA
  • PUBLICATION DATA
  • RELEASE HISTORY
HELP
  • ANTIBODY VALIDATION
  • ASSAYS & ANNOTATION
  • DISCLAIMER
  • HELP & FAQ
  • PRIVACY STATEMENT
  • LICENCE & CITATION
Fields »
Search result

Field
Term
Gene name
Class
Subclass
Class
Keyword
Chromosome
External id
Tissue
Cell type
Expression
Antibody panel
Tissue
Main location
Patient ID
Annotation
Tissue
Category
Tau score
Cluster
Reliability
Brain region
Category
Tau score
Brain region
Category
Tau score
Brain region
Category
Tau score
Cluster
Reliability
Tissue
Cell type
Enrichment
Cell type
Category
Tau score
Cell type
Category
Tau score
Cell type
Category
Tau score
Cell lineage
Category
Tau score
Cluster
Cluster
Location
Searches
Location
Cell line
Class
Type
Phase
Reliability
Cancer
Prognosis
Cancer
Category
Cancer
Category
Tau score
Cluster
Variants
Interacting gene (ensg_id)
Type
Number of interactions
Pathway
Category
Score
Score
Score
Validation
Validation
Validation
Validation
Antibodies
Data type
Column


  • SUMMARY

  • TISSUE

  • BRAIN

  • SINGLE CELL

  • SUBCELL

  • CANCER

  • BLOOD

  • CELL LINE

  • STRUCT & INT

  • DCTN1
TISSUE PRIMARY DATA SKIN Show tissue menu
ADIPOSE TISSUE ADRENAL GLAND AMYGDALA APPENDIX BASAL GANGLIA BONE MARROW BREAST BRONCHUS CEREBELLUM CEREBRAL CORTEX CERVIX CHOROID PLEXUS COLON DUODENUM
ENDOMETRIUM EPIDIDYMIS ESOPHAGUS FALLOPIAN TUBE GALLBLADDER HEART MUSCLE HIPPOCAMPAL FORMATION HYPOTHALAMUS KIDNEY LIVER LUNG LYMPH NODE MIDBRAIN NASOPHARYNX
ORAL MUCOSA OVARY PANCREAS PARATHYROID GLAND PITUITARY GLAND PLACENTA PROSTATE RECTUM RETINA SALIVARY GLAND SEMINAL VESICLE SKELETAL MUSCLE SKIN SMALL INTESTINE
SMOOTH MUSCLE SOFT TISSUE SPINAL CORD SPLEEN STOMACH TESTIS THYMUS THYROID GLAND TONGUE TONSIL URINARY BLADDER VAGINA
ANTIBODIES
AND
VALIDATION
Dictionary
Skin
Tissue proteome
Skin
SKIN - Expression summary
Protein expression
Skini

On the top, protein expression in current human tissue, based on all annotated cell types, is reported with the units not detected (n), low (l), medium (m) and high (h). Underneath, protein expression in each annotated cell type are reported using the same units.

Protein expression data is based on knowledge-based annotation. For genes where more than one antibody has been used, a collective score is set.

If knowledge-based annotation could not be performed for a gene, no data is displayed here. View antibody staining data further down this page.

h
m
l
n
Epidermal cells: Low
Fibroblasts: High
Keratinocytes: Medium
Langerhans: Low
Melanocytes: Medium
RNA expressioni

A summary of mRNA expression data available for current tissue based on several datasets. The mRNA expression levels in human tissues are based on RNA-seq data generated by the Human Protein Atlas (HPA), Genotype-Tissue Expression (GTEx) portal and CAGE data generated by the FANTOM5 consortium. Consensus normalized expression levels for human tissues was created by combining the data from HPA and GTEx datasets.

The mRNA expression levels in pig are based on RNA-seq data generated by the Human Protein Atlas (HPA), and for mouse, HPA data and in situ hybridization generated by the Allen brain atlas are reported.

Scroll down to view mRNA expression data in more detail.
Consensus:42.8 nTPM
HPA:37.0 nTPM
GTEx:42.8 nTPM

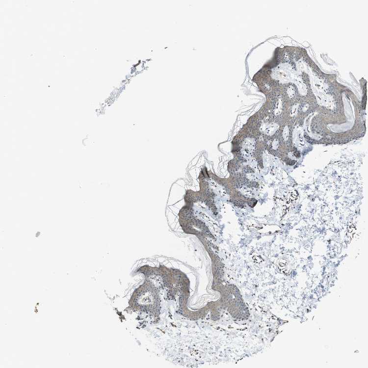
SKIN 1 - Antibody stainingi

Antibody staining in the annotated cell types in the current human tissue is reported as not detected, low, medium, or high, based on conventional immunohistochemistry profiling in selected tissues. This score is based on the combination of the staining intensity and fraction of stained cells.

Each image is clickable and will lead to virtual microscopy that enables deeper exploration of all samples and also displays staining intensity scores, fraction scores and subcellular localization as well as patient and tissue information for each sample.

Antibody HPA034635Antibody HPA069977Antibody HPA071875Antibody CAB009108
Langerhans LowNot detectedHighLow
Fibroblasts HighMediumHighNot detected
Keratinocytes MediumMediumHighLow
Melanocytes MediumMediumHighLow








SKIN 2 - Antibody stainingi

Antibody staining in the annotated cell types in the current human tissue is reported as not detected, low, medium, or high, based on conventional immunohistochemistry profiling in selected tissues. This score is based on the combination of the staining intensity and fraction of stained cells.

Each image is clickable and will lead to virtual microscopy that enables deeper exploration of all samples and also displays staining intensity scores, fraction scores and subcellular localization as well as patient and tissue information for each sample.

Antibody HPA034635Antibody HPA069977Antibody HPA071875Antibody CAB009108
Epidermal cells LowMediumHighNot detected
    
    
    



SKIN - HPA RNA-seqi

The RNA-seq details section shows detailed information about the individual samples used for the transcript profiling and results of the RNA-seq analysis.

Information about each individual sample is listed below, including gender, age, a tissue section image and estimated fractions of cell types. nTPM (normalized transcripts per million) values give a quantification of the gene abundance which is comparable between different genes and samples.
Average nTPMi

Max subtype nTPM is the value for the subtype with the largest average nTPM across the subtype samples.

37.0
overview
Female, age 34
Skin sample 225
nTPM: 45.1
Cell types%
Keratinocytes:
60

Other cell types:
40

overview
Female, age 30
Skin sample 226
nTPM: 37.2
Cell types%
Keratinocytes:
55

Other cell types:
45

N/A
Male, age 57
Skin sample 227
nTPM: 28.8

SKIN - GTEx RNA-seqi

RNA-Seq data generated by the Genotype-Tissue Expression (GTEx) project from human tissues is reported as mean nTPM. More information can be found on the GTEx portal.

Distribution across the dataset is visualized with box plots, shown as median and 25th and 75th percentiles. Points are displayed as outliers if they are above or below 1.5 times the interquartile range. nTPM values of the individual samples are presented next to the box plot.
Max subtype nTPMi

Max subtype nTPM is the value for the subtype with the largest average nTPM across the subtype samples.

42.8
GTEx sample id Sample description nTPM
Skin - Not Sun Exposed (Suprapubic)
Average nTPM: 40.6
Samples: 604

Max nTPM: 94.9
Min nTPM: 20.3
Std nTPM: 9.0
Median nTPM: 39.9
GTEX-1OJC3-1226-SM-DTXER 20-29 years, male 94.9
GTEX-ZTX8-1326-SM-4YCEL 20-29 years, male 80.8
GTEX-11DYG-1526-SM-5A5JS 60-69 years, male 80.7
GTEX-X585-2426-SM-46MW2 50-59 years, male 76.5
GTEX-Y114-2126-SM-4TT8B 50-59 years, female 75.5
GTEX-1N2DV-1526-SM-DTXEP 40-49 years, male 75.4
GTEX-11P7K-1126-SM-5HL4L 30-39 years, male 73.8
GTEX-WFG7-2026-SM-5SI7P 20-29 years, male 70.7
GTEX-1F6I4-2326-SM-7RHGL 60-69 years, male 66.5
GTEX-15RJ7-2126-SM-6PAMD 40-49 years, male 64.0
GTEX-XBEW-1126-SM-4QARW 40-49 years, male 63.2
GTEX-139YR-1026-SM-5LZYN 50-59 years, male 63.0
GTEX-1F75I-2226-SM-7SB8U 40-49 years, male 62.7
GTEX-14PJO-2526-SM-6AJBQ 60-69 years, male 62.0
GTEX-1MJK3-0726-SM-E6CJC 20-29 years, male 61.5
GTEX-18A66-0626-SM-7LT8Z 60-69 years, male 59.9
GTEX-ZVP2-0326-SM-57WBP 50-59 years, male 59.7
GTEX-17F97-2626-SM-7IGM5 50-59 years, male 59.2
GTEX-WXYG-2026-SM-4E3IY 50-59 years, female 58.6
GTEX-1S82P-2126-SM-E6CI5 60-69 years, female 58.4
GTEX-14PJ3-1126-SM-5ZZVX 50-59 years, male 58.0
GTEX-1EX96-1026-SM-7MKG2 50-59 years, male 58.0
GTEX-1PPH8-0126-SM-EWRN8 20-29 years, male 57.2
GTEX-13FTX-1526-SM-5K7VJ 20-29 years, female 57.1
GTEX-1IKOE-1426-SM-CE6T7 30-39 years, female 56.9
GTEX-11WQC-1826-SM-5GU59 60-69 years, male 56.7
GTEX-1HSMQ-2626-SM-A9SML 50-59 years, male 56.7
GTEX-1IY9M-2826-SM-ARU8H 60-69 years, male 56.7
GTEX-1PIGE-1826-SM-E8VOU 20-29 years, male 56.4
GTEX-1E2YA-2126-SM-7MXUO 50-59 years, male 55.6
GTEX-1S82U-1026-SM-E6CJK 30-39 years, female 55.6
GTEX-131XF-2626-SM-5EQ6K 60-69 years, male 55.4
GTEX-1PIIG-2326-SM-DTXFR 30-39 years, male 55.4
GTEX-14ICL-1626-SM-5YYAO 30-39 years, male 55.3
GTEX-Y3IK-1626-SM-4YCF5 50-59 years, female 55.0
GTEX-1JMLX-0626-SM-ARL8T 50-59 years, male 54.9
GTEX-131XG-0326-SM-5L3DX 50-59 years, female 54.8
GTEX-15RIG-0726-SM-7KUM7 40-49 years, male 54.8
GTEX-11DXZ-2026-SM-5987S 50-59 years, male 54.3
GTEX-139D8-1126-SM-5LU8W 30-39 years, female 53.8
GTEX-17F98-1326-SM-7DUEP 40-49 years, female 53.7
GTEX-ZDTS-0826-SM-4WKHL 60-69 years, male 53.6
GTEX-1F75A-0726-SM-7RHHD 50-59 years, male 53.5
GTEX-13IVO-0726-SM-5LZYV 70-79 years, male 53.1
GTEX-13O61-1426-SM-5KM3D 60-69 years, male 53.1
GTEX-1C64N-2626-SM-7PC2N 50-59 years, male 53.1
GTEX-18QFQ-1826-SM-72D52 30-39 years, male 53.0
GTEX-16AAH-0626-SM-793C9 50-59 years, male 52.8
GTEX-WH7G-2026-SM-3NMBL 40-49 years, male 52.7
GTEX-13NYB-0126-SM-5J1MD 40-49 years, male 52.6
GTEX-1JMPY-0226-SM-CKZOK 30-39 years, male 52.6
GTEX-12WSJ-1126-SM-5LZVJ 40-49 years, female 52.5
GTEX-1QP9N-1226-SM-E76QN 30-39 years, male 52.3
GTEX-1H1CY-0126-SM-9YFLY 60-69 years, female 52.2
GTEX-1JJEA-1826-SM-ARU8P 60-69 years, male 52.1
GTEX-WHWD-1826-SM-3LK6I 50-59 years, male 52.0
GTEX-13OW5-2326-SM-5L3HO 60-69 years, male 51.7
GTEX-1IDJC-1526-SM-B2LW4 50-59 years, male 51.6
GTEX-13G51-1826-SM-5KLZH 60-69 years, male 51.4
GTEX-144FL-0626-SM-5LU43 50-59 years, male 51.4
GTEX-WHPG-2626-SM-3NMBR 50-59 years, male 51.4
GTEX-1GMRU-2126-SM-7P8RA 50-59 years, male 51.3
GTEX-1PDJ9-1226-SM-EXUSX 20-29 years, male 51.3
GTEX-17F9E-2326-SM-79OKD 50-59 years, male 50.9
GTEX-1B97I-0626-SM-73KUZ 40-49 years, male 50.9
GTEX-1IKJJ-2226-SM-CJI4C 60-69 years, male 50.9
GTEX-Y111-0626-SM-4SOIT 50-59 years, male 50.8
GTEX-1J8EW-2726-SM-CY8HR 60-69 years, female 50.8
GTEX-1MCYP-0526-SM-E9U6Q 20-29 years, female 50.8
GTEX-17F96-0126-SM-7EWDU 70-79 years, male 50.5
GTEX-Y8E4-2026-SM-5IFJB 40-49 years, male 50.3
GTEX-1NV5F-0626-SM-DTXEG 60-69 years, female 50.2
GTEX-14PHX-2226-SM-6EU2P 50-59 years, male 50.1
GTEX-1192X-2726-SM-5N9DN 50-59 years, male 50.0
GTEX-X3Y1-2026-SM-3P5YM 40-49 years, male 50.0
GTEX-1QP29-1826-SM-DTX9S 50-59 years, male 49.8
GTEX-1S83E-1326-SM-E6CJM 40-49 years, male 49.8
GTEX-12WSD-0626-SM-5GCMW 60-69 years, female 49.7
GTEX-15ER7-0626-SM-6PANF 20-29 years, female 49.4
GTEX-13PDP-0726-SM-5L3HP 60-69 years, male 49.2
GTEX-1R9PM-1926-SM-EVR3O 20-29 years, male 49.1
GTEX-11P82-1426-SM-DTXFY 20-29 years, male 49.0
GTEX-1GZ4H-0526-SM-9KNU9 50-59 years, female 48.9
GTEX-17HGU-2326-SM-7DUFE 50-59 years, male 48.8
GTEX-12126-0826-SM-5FQTZ 20-29 years, male 48.7
GTEX-1F52S-2926-SM-7MKGA 60-69 years, female 48.7
GTEX-1PBJJ-1026-SM-E76OS 30-39 years, male 48.7
GTEX-17HHE-1326-SM-7EWDZ 50-59 years, male 48.6
GTEX-15G1A-1626-SM-7KUKN 30-39 years, male 48.3
GTEX-1H1DE-1326-SM-9KNUG 20-29 years, male 48.3
GTEX-1HCUA-0826-SM-ADEHM 50-59 years, female 48.3
GTEX-1QP28-1126-SM-EVYC4 50-59 years, female 48.3
GTEX-12C56-1526-SM-5FQUQ 20-29 years, male 48.2
GTEX-YFCO-1226-SM-5LUAT 40-49 years, male 48.2
GTEX-12WSL-2026-SM-5GCML 50-59 years, male 48.1
GTEX-13PL6-1126-SM-5L3IE 40-49 years, female 48.1
GTEX-146FQ-2126-SM-5RQHU 30-39 years, male 48.0
GTEX-14PHY-1226-SM-5ZZWK 60-69 years, female 48.0
GTEX-1H3O1-1326-SM-9MQLD 60-69 years, male 48.0
GTEX-1RAZS-2526-SM-E6CHT 50-59 years, male 48.0
GTEX-145MH-2826-SM-5RQJF 50-59 years, male 47.8
GTEX-15DDE-2926-SM-6LLJ3 50-59 years, female 47.8
GTEX-1C64O-1326-SM-7MGWR 60-69 years, male 47.7
GTEX-1HCU7-0726-SM-A9SL1 50-59 years, male 47.7
GTEX-1RLM8-2926-SM-E8VON 50-59 years, male 47.7
GTEX-1497J-0226-SM-5QGPU 60-69 years, male 47.6
GTEX-13JVG-0726-SM-5KM16 60-69 years, male 47.5
GTEX-13YAN-0226-SM-5TDC6 60-69 years, male 47.4
GTEX-12WSH-1526-SM-5BC5W 50-59 years, male 47.3
GTEX-15SHW-0226-SM-7LTAT 60-69 years, male 47.3
GTEX-WY7C-2126-SM-3NB2R 50-59 years, male 47.3
GTEX-14LZ3-0126-SM-69LPM 60-69 years, female 47.2
GTEX-145MN-1526-SM-5SI9T 30-39 years, male 47.1
GTEX-1I1GT-1026-SM-ARZLV 60-69 years, female 47.1
GTEX-1LBAC-0826-SM-CY8IJ 20-29 years, male 47.1
GTEX-1NSGN-0726-SM-DTXEF 50-59 years, male 47.1
GTEX-1BAJH-2426-SM-7IGP8 70-79 years, male 46.9
GTEX-ZZ64-1026-SM-5GZXG 20-29 years, male 46.9
GTEX-ZDYS-2426-SM-4WKGI 50-59 years, male 46.8
GTEX-1HBPI-2126-SM-ARL9K 50-59 years, male 46.8
GTEX-1HCU6-2526-SM-ADEHL 60-69 years, female 46.8
GTEX-14BIN-1126-SM-5RQJZ 50-59 years, female 46.7
GTEX-UPJH-0226-SM-3GADV 50-59 years, male 46.6
GTEX-WHSB-1326-SM-3LK6W 50-59 years, male 46.6
GTEX-13OVK-1426-SM-6PAN7 40-49 years, male 46.5
GTEX-1HGF4-0126-SM-CNPPX 60-69 years, male 46.5
GTEX-1HR98-2226-SM-ADEI2 60-69 years, male 46.5
GTEX-139TT-2126-SM-5LZWC 60-69 years, male 46.1
GTEX-18A7A-0126-SM-731AH 50-59 years, female 46.1
GTEX-ZAK1-0626-SM-5HL8E 50-59 years, female 46.1
GTEX-1CAMR-1326-SM-7PC1F 20-29 years, male 46.1
GTEX-1F75B-0726-SM-7PC3R 50-59 years, male 46.1
GTEX-YEC3-1326-SM-DO92X 50-59 years, male 46.1
GTEX-1399Q-2326-SM-5KM2X 40-49 years, male 46.0
GTEX-18D9B-0926-SM-7LG4U 60-69 years, male 46.0
GTEX-1QPFJ-1926-SM-EVYBD 30-39 years, female 46.0
GTEX-139UW-0326-SM-5J1ML 60-69 years, male 45.9
GTEX-17F9Y-0126-SM-79OKX 70-79 years, female 45.9
GTEX-1313W-0626-SM-5EQ4H 50-59 years, female 45.8
GTEX-1HSMP-0926-SM-A9SKX 70-79 years, male 45.8
GTEX-Y3I4-1726-SM-4TT89 50-59 years, male 45.7
GTEX-147F4-0726-SM-5TDDD 50-59 years, male 45.6
GTEX-1B933-2426-SM-7DHMD 50-59 years, female 45.6
GTEX-ZC5H-1526-SM-5HL9Y 40-49 years, female 45.6
GTEX-1LSVX-2526-SM-DIPEU 60-69 years, male 45.6
GTEX-1A3MV-1826-SM-731CD 30-39 years, male 45.5
GTEX-14JG6-1426-SM-9WG7C 30-39 years, female 45.5
GTEX-1H2FU-0926-SM-9WPPT 60-69 years, female 45.4
GTEX-1LVA9-2626-SM-EVYD4 50-59 years, male 45.4
GTEX-17EVQ-0126-SM-7IGLR 70-79 years, male 45.3
GTEX-18D9U-0126-SM-731BM 40-49 years, male 45.3
GTEX-1399U-1126-SM-5L3DB 50-59 years, female 45.2
GTEX-145LU-1926-SM-79OJN 50-59 years, male 45.2
GTEX-XYKS-1426-SM-4BRUO 60-69 years, female 45.2
GTEX-11PRG-0726-SM-5EGL1 50-59 years, male 45.1
GTEX-11NUK-2726-SM-5A5MC 50-59 years, male 45.0
GTEX-11OF3-0126-SM-5PNYF 60-69 years, male 45.0
GTEX-1JMQI-1726-SM-ARL93 50-59 years, male 45.0
GTEX-14E1K-2026-SM-7DUEI 50-59 years, male 44.9
GTEX-1GF9X-1326-SM-7PC2Y 40-49 years, female 44.9
GTEX-1RAZQ-1326-SM-E9TK6 30-39 years, male 44.9
GTEX-11O72-0626-SM-5PNYE 40-49 years, male 44.8
GTEX-ZT9X-1526-SM-5DUXD 40-49 years, male 44.8
GTEX-1I1GV-0626-SM-ARL7M 60-69 years, male 44.8
GTEX-1JK1U-0226-SM-ARZMX 60-69 years, male 44.8
GTEX-ZLWG-0826-SM-59888 50-59 years, female 44.7
GTEX-11ZTT-2126-SM-5CVLO 60-69 years, female 44.6
GTEX-WI4N-2726-SM-3LK7Y 40-49 years, female 44.6
GTEX-1AYD5-2626-SM-7PBXY 50-59 years, male 44.6
GTEX-1KANA-1326-SM-DIPFA 20-29 years, male 44.6
GTEX-11DXX-2126-SM-5PNYR 60-69 years, female 44.5
GTEX-131XH-0126-SM-5LZUY 50-59 years, male 44.5
GTEX-18A6Q-0626-SM-7KFRP 60-69 years, male 44.5
GTEX-1AX9I-2226-SM-73KUO 60-69 years, male 44.5
GTEX-WYBS-0626-SM-3NMAS 60-69 years, female 44.5
GTEX-1IDJE-1426-SM-ADEIW 50-59 years, female 44.5
GTEX-12ZZX-2426-SM-5GCOE 40-49 years, female 44.3
GTEX-1CB4E-0926-SM-7EPHT 60-69 years, male 44.3
GTEX-ZYFC-0426-SM-5GICQ 50-59 years, male 44.3
GTEX-1HC8U-1326-SM-9YFMJ 40-49 years, female 44.3
GTEX-14C39-1726-SM-5RQIL 40-49 years, male 44.2
GTEX-1A32A-0626-SM-731AQ 50-59 years, female 44.2
GTEX-1I1GP-1326-SM-A9G28 50-59 years, male 44.2
GTEX-1117F-2926-SM-5GZYI 60-69 years, female 44.1
GTEX-ZLFU-1826-SM-4WWBV 40-49 years, male 44.1
GTEX-1LVAM-0726-SM-E6CIL 50-59 years, female 44.1
GTEX-1RAZR-2126-SM-E9U6T 40-49 years, male 44.1
GTEX-117YX-1926-SM-5GIEC 50-59 years, male 44.0
GTEX-12WSK-2126-SM-5CVNC 40-49 years, female 44.0
GTEX-13FTW-0326-SM-5K7UW 40-49 years, male 44.0
GTEX-1H4P4-2126-SM-9WYSL 50-59 years, male 44.0
GTEX-1HSKV-1226-SM-ADEI4 60-69 years, male 44.0
GTEX-13X6H-0926-SM-5SIB2 50-59 years, female 43.8
GTEX-111VG-1626-SM-5EGIO 60-69 years, male 43.7
GTEX-ZF2S-1626-SM-57WES 50-59 years, female 43.7
GTEX-ZXG5-2126-SM-59HKD 60-69 years, male 43.7
GTEX-1I1GS-2626-SM-B2LY3 60-69 years, male 43.7
GTEX-1QP2A-1726-SM-E76QC 50-59 years, male 43.7
GTEX-11EQ8-0926-SM-5H12V 60-69 years, male 43.6
GTEX-11P81-2226-SM-5PNYI 30-39 years, female 43.6
GTEX-1PPGY-1626-SM-EVYBL 60-69 years, male 43.6
GTEX-11NSD-0626-SM-5A5LU 20-29 years, male 43.5
GTEX-15CHR-1126-SM-7EWF4 50-59 years, male 43.5
GTEX-1A8G6-2726-SM-731AR 60-69 years, male 43.5
GTEX-1RB15-1326-SM-E76Q9 60-69 years, male 43.5
GTEX-11GS4-0226-SM-5HL77 60-69 years, male 43.4
GTEX-139TU-0726-SM-5L3EK 60-69 years, male 43.4
GTEX-12KS4-2126-SM-5FQUT 30-39 years, male 43.3
GTEX-12ZZY-0726-SM-5EQ66 60-69 years, male 43.3
GTEX-1GN1W-2426-SM-9KNUU 50-59 years, female 43.3
GTEX-139TS-2126-SM-5K7XC 60-69 years, male 43.2
GTEX-13VXT-1926-SM-5K7UO 20-29 years, female 43.2
GTEX-X5EB-1926-SM-4E3IW 40-49 years, male 43.2
GTEX-Y8LW-1526-SM-5IFHL 50-59 years, female 43.2
GTEX-ZT9W-1126-SM-57WDR 50-59 years, male 43.2
GTEX-13113-1626-SM-5EQ4I 60-69 years, female 43.1
GTEX-17MFQ-1526-SM-7KFRR 20-29 years, male 43.1
GTEX-15UF6-1926-SM-7KUDV 70-79 years, female 43.0
GTEX-1122O-1026-SM-9WYSF 60-69 years, female 43.0
GTEX-ZP4G-1426-SM-4WWCL 20-29 years, female 42.9
GTEX-1GN1V-2826-SM-9JGIA 60-69 years, male 42.9
GTEX-1IDJI-0126-SM-CMKHS 50-59 years, female 42.9
GTEX-11DXY-0126-SM-5H11Q 60-69 years, male 42.8
GTEX-13FLV-0126-SM-5K7WT 50-59 years, male 42.8
GTEX-13X6K-0626-SM-5LU5D 60-69 years, female 42.8
GTEX-1IL2V-1926-SM-B2LW8 70-79 years, male 42.8
GTEX-1JN76-0626-SM-CKZOQ 20-29 years, female 42.8
GTEX-1QCLY-0226-SM-EWRNH 30-39 years, male 42.8
GTEX-1QP66-1226-SM-DTX7U 50-59 years, male 42.8
GTEX-11EQ9-1626-SM-5PNY8 30-39 years, male 42.7
GTEX-148VJ-0626-SM-5LUAW 70-79 years, male 42.6
GTEX-15SKB-2826-SM-6PAMH 60-69 years, male 42.5
GTEX-YECK-0326-SM-4W1YS 60-69 years, male 42.5
GTEX-1LGOU-1326-SM-D3L8M 20-29 years, female 42.5
GTEX-YF7O-1526-SM-5IFI6 50-59 years, male 42.3
GTEX-1GF9V-0826-SM-9KNUV 60-69 years, male 42.3
GTEX-1S3DN-2126-SM-E9TIN 50-59 years, male 42.3
GTEX-1S831-1826-SM-EWROF 20-29 years, male 42.3
GTEX-14PJ5-1526-SM-6LLIL 60-69 years, female 42.2
GTEX-1AX9J-1326-SM-731BJ 60-69 years, male 42.2
GTEX-XBED-1926-SM-47JYP 60-69 years, male 42.2
GTEX-18D9A-1426-SM-7LT8M 30-39 years, female 42.2
GTEX-13SLX-2226-SM-62LEP 50-59 years, female 42.1
GTEX-1A8FM-0626-SM-7PC25 50-59 years, female 42.1
GTEX-1IE54-1126-SM-A9G2Z 40-49 years, female 42.1
GTEX-1JMQJ-0826-SM-CNPP7 50-59 years, male 42.0
GTEX-1211K-1526-SM-5FQU4 60-69 years, female 41.9
GTEX-12WSF-1626-SM-7KUG5 70-79 years, male 41.9
GTEX-13SLW-0626-SM-5Q5ER 70-79 years, male 41.8
GTEX-1CAMQ-1326-SM-7P8RV 40-49 years, male 41.8
GTEX-12ZZZ-0726-SM-5GCNZ 60-69 years, male 41.7
GTEX-1CB4F-1026-SM-7DUH1 60-69 years, male 41.7
GTEX-1H11D-1826-SM-9QEHM 40-49 years, male 41.7
GTEX-147GR-2426-SM-5ZZWQ 60-69 years, male 41.6
GTEX-14AS3-1526-SM-5Q5ED 40-49 years, female 41.6
GTEX-1KANB-2826-SM-CY8I6 50-59 years, male 41.6
GTEX-16NGA-0726-SM-731AO 40-49 years, female 41.5
GTEX-13NYS-0626-SM-5L3F1 60-69 years, male 41.4
GTEX-14PII-0726-SM-6EU2B 60-69 years, male 41.4
GTEX-15DYW-2726-SM-6EU2I 60-69 years, female 41.4
GTEX-15G19-2426-SM-7KUMR 60-69 years, male 41.4
GTEX-1GPI6-1926-SM-9KNV7 60-69 years, male 41.4
GTEX-1RMOY-1326-SM-E9TIH 50-59 years, male 41.4
GTEX-1EH9U-2826-SM-7DUGT 60-69 years, male 41.3
GTEX-1HSMO-0626-SM-ACKXC 60-69 years, male 41.3
GTEX-18A7B-2726-SM-7LG56 70-79 years, male 41.2
GTEX-11ZU8-0126-SM-5EQ58 60-69 years, male 41.1
GTEX-1HCU9-0426-SM-9WYSD 20-29 years, male 41.1
GTEX-1KAFJ-0126-SM-DIPEK 50-59 years, male 41.1
GTEX-111CU-1126-SM-5EGIM 50-59 years, male 41.0
GTEX-13FHO-0426-SM-5L3F5 60-69 years, male 41.0
GTEX-14753-0726-SM-5QGQO 60-69 years, male 41.0
GTEX-15EU6-2226-SM-6EU2L 50-59 years, male 41.0
GTEX-1B8KE-1126-SM-7EPHI 50-59 years, male 41.0
GTEX-1EU9M-1426-SM-793AI 60-69 years, male 41.0
GTEX-1QMI2-2526-SM-E8VNZ 60-69 years, male 41.0
GTEX-145MG-1526-SM-5Q5EM 50-59 years, male 40.9
GTEX-18A67-1626-SM-7LT9T 50-59 years, male 40.9
GTEX-145ME-1726-SM-5Q5EU 40-49 years, female 40.8
GTEX-14PJN-1826-SM-6AJ98 30-39 years, male 40.8
GTEX-1C6VQ-1226-SM-73KYD 50-59 years, male 40.8
GTEX-1N5O9-0926-SM-E9J3C 60-69 years, male 40.8
GTEX-XXEK-1626-SM-4BRUZ 50-59 years, male 40.7
GTEX-ZVT4-2426-SM-5GIEI 50-59 years, female 40.7
GTEX-1F6RS-2026-SM-7RHHC 60-69 years, female 40.6
GTEX-14BMU-1226-SM-5S2OR 20-29 years, female 40.5
GTEX-ZDTT-0426-SM-4WKFL 60-69 years, male 40.5
GTEX-14PK6-0226-SM-62LF5 70-79 years, female 40.3
GTEX-W5X1-2526-SM-3GILC 40-49 years, female 40.3
GTEX-ZE7O-2726-SM-51MT5 50-59 years, female 40.3
GTEX-1KANC-1226-SM-CYPT7 50-59 years, female 40.3
GTEX-1QW4Y-1126-SM-DTXE3 30-39 years, male 40.3
GTEX-13OVJ-0826-SM-5J1OK 50-59 years, female 40.2
GTEX-14JG1-1526-SM-5YY9X 40-49 years, male 40.2
GTEX-15EO6-2426-SM-6PALZ 50-59 years, male 40.2
GTEX-WHSE-0126-SM-3NMBT 20-29 years, male 40.2
GTEX-ZE9C-2526-SM-5IJDR 60-69 years, male 40.2
GTEX-1HT8W-0626-SM-A9G2H 30-39 years, male 40.2
GTEX-X4EO-2926-SM-4E3JH 60-69 years, female 40.1
GTEX-14PJ6-2626-SM-6EU2T 60-69 years, female 40.0
GTEX-1LVAN-0626-SM-CNPOQ 50-59 years, female 40.0
GTEX-1269C-0126-SM-5EQ5L 60-69 years, female 39.9
GTEX-144GO-2026-SM-5O99P 60-69 years, male 39.9
GTEX-ZYVF-0926-SM-5E44J 50-59 years, female 39.8
GTEX-183FY-1026-SM-7939A 20-29 years, male 39.7
GTEX-1R9K4-2826-SM-DTX8F 60-69 years, male 39.7
GTEX-13QJC-0126-SM-5ZZWJ 60-69 years, female 39.6
GTEX-1F5PL-0926-SM-7PC2W 40-49 years, female 39.5
GTEX-1GZ4I-2626-SM-9KNU3 50-59 years, male 39.5
GTEX-1JKYR-0626-SM-ARL8R 20-29 years, male 39.5
GTEX-1K2DU-1226-SM-CYPT4 20-29 years, male 39.5
GTEX-1R7EU-1626-SM-DTXG3 60-69 years, male 39.5
GTEX-13112-0126-SM-5P9IU 50-59 years, male 39.4
GTEX-13JUV-2026-SM-5K7UA 40-49 years, female 39.3
GTEX-16YQH-2226-SM-7IGM2 30-39 years, male 39.3
GTEX-1GPI7-1826-SM-9KNU1 20-29 years, male 39.3
GTEX-1GTWX-2026-SM-9YFLM 60-69 years, male 39.3
GTEX-XQ8I-0926-SM-4BOOF 50-59 years, male 39.2
GTEX-ZYT6-2326-SM-5GZY3 30-39 years, male 39.2
GTEX-1R9PN-0426-SM-DTXDT 40-49 years, female 39.2
GTEX-ZGAY-1826-SM-DO91Q 40-49 years, female 39.1
GTEX-11DZ1-2426-SM-5GZZX 50-59 years, male 39.0
GTEX-13OVL-0126-SM-5L3GJ 50-59 years, male 39.0
GTEX-147F3-1726-SM-5SIAW 50-59 years, female 39.0
GTEX-15RJE-2826-SM-7KUM9 40-49 years, male 39.0
GTEX-1B8SF-0126-SM-7DUG3 60-69 years, male 39.0
GTEX-WRHU-2826-SM-3MJG8 50-59 years, female 39.0
GTEX-XQ3S-1426-SM-4BOPR 20-29 years, male 39.0
GTEX-1C475-1326-SM-7SB73 40-49 years, female 39.0
GTEX-111YS-1526-SM-5GZYW 60-69 years, male 38.9
GTEX-13D11-0926-SM-5J2NC 50-59 years, female 38.9
GTEX-14DAR-1226-SM-73KYV 50-59 years, male 38.9
GTEX-WYVS-1626-SM-3NM9R 40-49 years, female 38.9
GTEX-1ICLZ-0326-SM-ARL82 60-69 years, male 38.8
GTEX-13OW6-2726-SM-5J2OE 50-59 years, male 38.7
GTEX-WFON-1926-SM-3LK7L 40-49 years, male 38.7
GTEX-ZF29-0926-SM-4WKFZ 60-69 years, female 38.7
GTEX-ZPU1-1126-SM-4YCF3 40-49 years, male 38.7
GTEX-ZLV1-1526-SM-DO91J 60-69 years, female 38.7
GTEX-1LSNL-2726-SM-E9TKJ 50-59 years, male 38.6
GTEX-1EWIQ-0326-SM-7DHMQ 70-79 years, female 38.5
GTEX-1H1E6-0426-SM-9WYUS 30-39 years, male 38.5
GTEX-13NZ9-2626-SM-5L3FK 50-59 years, male 38.4
GTEX-16BQI-1326-SM-6M486 30-39 years, female 38.4
GTEX-XOT4-0626-SM-4B66L 60-69 years, female 38.4
GTEX-ZZPU-0826-SM-5GZX5 50-59 years, female 38.4
GTEX-13N2G-0226-SM-5K7VF 60-69 years, male 38.3
GTEX-1JMOU-1026-SM-CYPSS 60-69 years, female 38.3
GTEX-ZPIC-0526-SM-DO91W 40-49 years, female 38.3
GTEX-17HG3-2626-SM-7DUF2 30-39 years, female 38.2
GTEX-1M4P7-0726-SM-E6CJ3 60-69 years, male 38.2
GTEX-14PJ2-0626-SM-6LLII 50-59 years, male 38.0
GTEX-17HHY-0426-SM-7DHLC 50-59 years, male 38.0
GTEX-WEY5-2326-SM-3GIKK 40-49 years, female 38.0
GTEX-13FTY-2126-SM-5IFFB 40-49 years, female 37.9
GTEX-1A3MW-0626-SM-731CB 60-69 years, female 37.9
GTEX-12584-0726-SM-5FQTK 40-49 years, male 37.8
GTEX-1314G-1326-SM-5BC6E 30-39 years, male 37.8
GTEX-ZUA1-2626-SM-5NQ92 40-49 years, male 37.8
GTEX-1I19N-0126-SM-CYPSF 70-79 years, male 37.8
GTEX-1I6K6-1726-SM-CGQFD 30-39 years, male 37.8
GTEX-ZA64-1026-SM-5HL8R 20-29 years, male 37.7
GTEX-1LKK1-2626-SM-DKPQE 50-59 years, female 37.7
GTEX-ZYFG-1526-SM-5GZYM 60-69 years, female 37.6
GTEX-ZY6K-1426-SM-5GZX2 50-59 years, male 37.5
GTEX-14A6H-2026-SM-5Q5DD 30-39 years, male 37.4
GTEX-15CHC-1126-SM-6LLHQ 60-69 years, female 37.4
GTEX-1E1VI-0326-SM-793D1 50-59 years, male 37.4
GTEX-1I6K7-1926-SM-B2LXR 40-49 years, male 37.4
GTEX-1GMR2-0826-SM-7PC3V 50-59 years, male 37.3
GTEX-1N2EE-0626-SM-E76PW 60-69 years, male 37.3
GTEX-11EI6-2826-SM-5H11D 60-69 years, male 37.2
GTEX-11VI4-1126-SM-5EQMD 40-49 years, female 37.2
GTEX-145LS-0626-SM-7EPG7 60-69 years, female 37.2
GTEX-1MCC2-1826-SM-DIPEX 30-39 years, female 37.2
GTEX-13N11-2326-SM-5IJBF 50-59 years, female 37.1
GTEX-1IDJD-2326-SM-ACKWX 30-39 years, male 37.1
GTEX-1QAET-0326-SM-EVR3U 50-59 years, male 37.1
GTEX-11EM3-1226-SM-5N9DD 20-29 years, female 37.0
GTEX-145MF-0926-SM-5Q5EA 50-59 years, male 37.0
GTEX-17HII-1426-SM-7EPGG 50-59 years, male 37.0
GTEX-YJ8O-2526-SM-5HL85 40-49 years, female 37.0
GTEX-1F48J-0726-SM-7RHGS 50-59 years, female 36.9
GTEX-1EMGI-2326-SM-7PBYA 60-69 years, male 36.8
GTEX-1H3NZ-2726-SM-9WYTQ 60-69 years, male 36.8
GTEX-1H1DG-2426-SM-9QEHJ 70-79 years, male 36.7
GTEX-15RIE-1926-SM-7KUKJ 60-69 years, male 36.6
GTEX-1IDJH-0126-SM-D3L92 70-79 years, male 36.6
GTEX-132AR-0326-SM-5KM2C 50-59 years, female 36.5
GTEX-13QBU-1226-SM-5LU4G 40-49 years, female 36.5
GTEX-1L5NE-1126-SM-D3L9P 50-59 years, male 36.5
GTEX-16MT9-0126-SM-7EPI8 60-69 years, female 36.4
GTEX-1JN1M-2726-SM-CY8I4 60-69 years, female 36.4
GTEX-12WSM-1926-SM-5BC65 60-69 years, male 36.3
GTEX-1GN73-0726-SM-7P8TJ 60-69 years, male 36.3
GTEX-1GZ2Q-0126-SM-9WG6M 40-49 years, male 36.3
GTEX-1JKYN-0826-SM-ARU8S 30-39 years, male 36.3
GTEX-11DXW-0826-SM-5H118 40-49 years, male 36.2
GTEX-1I1HK-2326-SM-CKZOH 60-69 years, male 36.2
GTEX-133LE-2326-SM-5K7W3 20-29 years, female 36.1
GTEX-1GZHY-0626-SM-9KNVC 50-59 years, female 36.1
GTEX-145MO-2826-SM-5LU96 60-69 years, male 36.0
GTEX-16NPX-0726-SM-7KULC 50-59 years, male 36.0
GTEX-1HCVE-2726-SM-CL54F 50-59 years, male 36.0
GTEX-13VXU-0626-SM-5L3F9 50-59 years, male 35.9
GTEX-14ABY-2026-SM-62LDL 50-59 years, male 35.9
GTEX-144GL-0626-SM-5LU4D 50-59 years, male 35.8
GTEX-ZYW4-0626-SM-59HJR 60-69 years, male 35.8
GTEX-14JFF-0626-SM-5ZZVT 60-69 years, male 35.8
GTEX-1HB9E-0126-SM-CM2S5 50-59 years, male 35.8
GTEX-1HKZK-0726-SM-ACKW2 40-49 years, male 35.8
GTEX-13RTJ-0126-SM-5S2NN 60-69 years, male 35.7
GTEX-13W3W-0726-SM-5IJDQ 60-69 years, female 35.7
GTEX-14BMV-2826-SM-5TDED 50-59 years, male 35.7
GTEX-1HSGN-0826-SM-ACKW3 40-49 years, female 35.7
GTEX-16GPK-0626-SM-7KFSF 60-69 years, male 35.6
GTEX-1EN7A-2426-SM-793DB 40-49 years, male 35.6
GTEX-1CAMS-2226-SM-7PBXQ 40-49 years, female 35.6
GTEX-1QCLZ-2426-SM-EVYBW 60-69 years, female 35.6
GTEX-1C2JI-1026-SM-73KY1 50-59 years, male 35.5
GTEX-1EKGG-0626-SM-7DUGJ 60-69 years, male 35.5
GTEX-YB5K-2026-SM-4VDT3 40-49 years, female 35.5
GTEX-1J1OQ-0126-SM-D4P2N 40-49 years, female 35.5
GTEX-1JMQK-1226-SM-D4P2S 60-69 years, male 35.5
GTEX-1KD5A-0126-SM-E9U54 50-59 years, male 35.5
GTEX-13PVR-0426-SM-5RQK2 60-69 years, female 35.4
GTEX-14PKV-1126-SM-6LLJ1 20-29 years, female 35.4
GTEX-15CHQ-0326-SM-69LQD 60-69 years, male 35.4
GTEX-1GN2E-0226-SM-9WG6K 60-69 years, male 35.4
GTEX-1HFI7-2326-SM-CGQFS 50-59 years, female 35.4
GTEX-1IDJF-2026-SM-CL53V 20-29 years, male 35.4
GTEX-13FH7-1126-SM-5K7UG 50-59 years, female 35.3
GTEX-13X6J-0626-SM-5LU5F 50-59 years, male 35.3
GTEX-15FZZ-0526-SM-7KUGD 30-39 years, female 35.3
GTEX-1AX8Z-0726-SM-73KTS 60-69 years, male 35.3
GTEX-ZWKS-0626-SM-5GIDV 30-39 years, male 35.3
GTEX-12BJ1-0926-SM-5EQ62 60-69 years, male 35.2
GTEX-1IDFM-0326-SM-ARL7V 60-69 years, male 35.2
GTEX-13PVQ-0626-SM-5LU47 50-59 years, male 35.1
GTEX-145LT-0526-SM-5LUB2 40-49 years, male 35.1
GTEX-1JMPZ-0726-SM-CY8HZ 30-39 years, male 35.1
GTEX-1OJC4-2726-SM-E76PJ 50-59 years, female 35.1
GTEX-11LCK-2226-SM-5HL4Q 30-39 years, male 35.0
GTEX-13X6I-1826-SM-5SIAO 60-69 years, male 35.0
GTEX-WK11-2726-SM-3NMAQ 50-59 years, male 35.0
GTEX-1J8Q2-2626-SM-ACKWQ 60-69 years, male 35.0
GTEX-1C6VR-0126-SM-7RHGB 60-69 years, male 34.9
GTEX-1R46S-2426-SM-E76QA 60-69 years, female 34.9
GTEX-1399S-0126-SM-5IJCF 30-39 years, female 34.8
GTEX-1GN1U-0626-SM-9MQL9 50-59 years, female 34.8
GTEX-1KXAM-1626-SM-D3LAD 60-69 years, male 34.8
GTEX-14PJ4-0226-SM-5YY92 60-69 years, male 34.7
GTEX-ZDXO-3126-SM-5IJDF 60-69 years, male 34.7
GTEX-13OW7-0426-SM-5K7VK 50-59 years, male 34.5
GTEX-1LB8K-0726-SM-D5OV2 50-59 years, male 34.5
GTEX-144GM-0526-SM-79OJO 20-29 years, male 34.3
GTEX-1HFI6-0126-SM-CNPPI 40-49 years, male 34.3
GTEX-1LSNM-0826-SM-DIPG8 50-59 years, male 34.3
GTEX-13NZ8-1226-SM-5KM4A 60-69 years, female 34.2
GTEX-17EVP-2626-SM-7IGMA 40-49 years, male 34.2
GTEX-16MT8-2926-SM-7DUFO 60-69 years, female 34.1
GTEX-1PPH7-1126-SM-DTX9A 40-49 years, male 34.1
GTEX-14E6E-0526-SM-793DN 30-39 years, male 34.0
GTEX-16XZZ-0726-SM-7KUF2 60-69 years, male 34.0
GTEX-1GMR8-0626-SM-7RHI7 50-59 years, female 34.0
GTEX-1H3VE-0726-SM-9YFL5 40-49 years, male 34.0
GTEX-145MI-0626-SM-5SI8S 60-69 years, female 33.9
GTEX-1A8G7-1326-SM-73KVM 60-69 years, male 33.9
GTEX-ZPCL-1126-SM-4WWFE 60-69 years, female 33.9
GTEX-XK95-0226-SM-4AT58 40-49 years, male 33.8
GTEX-1C6WA-2626-SM-7MKGM 60-69 years, male 33.7
GTEX-14B4R-1326-SM-5Q5EZ 30-39 years, male 33.6
GTEX-183WM-0326-SM-72D5V 70-79 years, female 33.6
GTEX-1QEPI-2626-SM-DTXF4 60-69 years, female 33.6
GTEX-17KNJ-2126-SM-718AM 50-59 years, male 33.5
GTEX-13O3O-2326-SM-5IJD6 60-69 years, female 33.4
GTEX-ZVZP-1226-SM-5GID7 50-59 years, male 33.4
GTEX-1F75W-2726-SM-7SB8H 60-69 years, male 33.4
GTEX-1H1DF-1126-SM-9WG7G 40-49 years, female 33.4
GTEX-11ZUS-2626-SM-5FQUR 30-39 years, male 33.3
GTEX-1F5PK-2226-SM-7SB6N 50-59 years, male 33.3
GTEX-1POEN-2326-SM-E9J2L 30-39 years, female 33.3
GTEX-16Z82-2626-SM-7KULU 60-69 years, male 33.2
GTEX-1GF9W-1426-SM-7PBYM 60-69 years, male 33.2
GTEX-1I1CD-0626-SM-CE6SW 60-69 years, female 33.2
GTEX-1RAZA-2226-SM-E9U4X 20-29 years, male 33.2
GTEX-131XW-0626-SM-5PNVD 50-59 years, female 33.1
GTEX-13O3Q-0126-SM-5KM34 50-59 years, male 33.1
GTEX-XUW1-0926-SM-4BONX 50-59 years, female 33.1
GTEX-ZAB4-2126-SM-5HL8U 40-49 years, male 33.1
GTEX-1CB4H-1126-SM-7MKGL 60-69 years, female 33.0
GTEX-Y5V5-0126-SM-5S2NW 60-69 years, female 33.0
GTEX-ZTTD-2826-SM-4YCFA 50-59 years, male 33.0
GTEX-1J8QM-2426-SM-A9SLS 60-69 years, female 33.0
GTEX-1S5ZU-2526-SM-E6CIF 20-29 years, female 33.0
GTEX-VJYA-1526-SM-3GIJV 60-69 years, male 32.9
GTEX-1CAV2-0126-SM-7IGN7 40-49 years, female 32.8
GTEX-U8XE-0226-SM-4E3J3 30-39 years, male 32.8
GTEX-ZVE2-2826-SM-5GU51 50-59 years, male 32.8
GTEX-14PKU-0126-SM-6LLHV 40-49 years, female 32.7
GTEX-X4EP-0626-SM-3P621 60-69 years, female 32.7
GTEX-1HR9M-2226-SM-CNPPY 60-69 years, male 32.7
GTEX-14LLW-2626-SM-62LDZ 70-79 years, female 32.6
GTEX-14C38-0726-SM-5SI6M 50-59 years, male 32.5
GTEX-XAJ8-1426-SM-47JYM 40-49 years, male 32.5
GTEX-1IOXB-2726-SM-CM2RI 50-59 years, male 32.5
GTEX-11GSP-2326-SM-5HL63 60-69 years, female 32.4
GTEX-ZVTK-0226-SM-51MRG 20-29 years, male 32.4
GTEX-ZVT2-0126-SM-5GIDQ 50-59 years, female 32.3
GTEX-XMD2-2126-SM-4YCF8 60-69 years, female 32.2
GTEX-1GF9U-2026-SM-7SB92 40-49 years, female 32.2
GTEX-ZAJG-1526-SM-5CVML 50-59 years, female 32.1
GTEX-1HBPN-0126-SM-CGQEF 50-59 years, male 32.1
GTEX-111FC-2526-SM-5GZXU 60-69 years, male 32.0
GTEX-1B8KZ-0326-SM-73KY4 50-59 years, male 32.0
GTEX-UPK5-0426-SM-3GAEK 40-49 years, male 32.0
GTEX-1CB4I-0126-SM-7RHGG 50-59 years, male 31.9
GTEX-1ICLY-0826-SM-CMKG1 50-59 years, male 31.9
GTEX-1IDJU-1726-SM-CMKHU 60-69 years, female 31.8
GTEX-16MTA-0926-SM-6M47Z 50-59 years, male 31.7
GTEX-1399R-1326-SM-5PNYS 30-39 years, male 31.6
GTEX-XBEC-0726-SM-4QARZ 50-59 years, male 31.6
GTEX-XV7Q-1826-SM-4BRUV 40-49 years, female 31.6
GTEX-YEC4-1826-SM-4W1YP 40-49 years, male 31.6
GTEX-178AV-1726-SM-7KUL8 40-49 years, male 31.4
GTEX-Z93S-1626-SM-5CVMB 50-59 years, male 31.4
GTEX-Y9LG-1126-SM-4VBQ7 30-39 years, male 31.3
GTEX-1GL5R-1326-SM-7RHHF 50-59 years, male 31.3
GTEX-1K2DA-1026-SM-CGQGF 50-59 years, male 31.3
GTEX-1AMFI-1326-SM-7939R 50-59 years, female 31.2
GTEX-14A5H-0826-SM-5QGPJ 60-69 years, male 30.9
GTEX-1I1GU-0926-SM-ACKVS 40-49 years, male 30.9
GTEX-1J8JJ-0626-SM-ARZMQ 60-69 years, female 30.9
GTEX-17JCI-2926-SM-7DUFF 60-69 years, female 30.8
GTEX-X8HC-0626-SM-4E3HQ 50-59 years, female 30.8
GTEX-ZF3C-0626-SM-DO92O 50-59 years, female 30.8
GTEX-14XAO-1226-SM-6EU1C 60-69 years, female 30.7
GTEX-13OVG-1626-SM-5J1NF 60-69 years, male 30.6
GTEX-1K9T9-1526-SM-DIPFR 50-59 years, female 30.4
GTEX-139T8-0626-SM-5KLZX 60-69 years, male 30.3
GTEX-WYJK-0526-SM-3NM8Z 50-59 years, male 30.3
GTEX-1HBPM-0726-SM-9YFL7 60-69 years, female 30.3
GTEX-1J8Q3-0526-SM-ARL8U 60-69 years, male 30.2
GTEX-1KWVE-1026-SM-D3L9O 30-39 years, male 30.2
GTEX-131YS-2826-SM-5EQ47 60-69 years, female 30.1
GTEX-13N1W-2426-SM-5IJD1 70-79 years, male 30.1
GTEX-1B932-2326-SM-79OL5 40-49 years, female 30.1
GTEX-1F6IF-0926-SM-7SB7M 60-69 years, male 30.0
GTEX-1I4MK-0126-SM-CY8G6 50-59 years, female 29.9
GTEX-1B8L1-2226-SM-7P8PT 60-69 years, male 29.8
GTEX-12WSC-2826-SM-5BC5Y 50-59 years, male 29.7
GTEX-13OVH-0526-SM-5L3E6 70-79 years, male 29.7
GTEX-1CB4J-1326-SM-7P8RX 60-69 years, male 29.7
GTEX-147JS-0226-SM-5S2U9 60-69 years, male 29.5
GTEX-1H1ZS-2726-SM-9WG75 70-79 years, male 29.4
GTEX-1F88E-1626-SM-7SB8Z 60-69 years, female 29.1
GTEX-1GMR3-0126-SM-A9SLW 40-49 years, male 29.1
GTEX-11TUW-0626-SM-5LU9M 60-69 years, male 29.0
GTEX-1477Z-0326-SM-7IGLA 60-69 years, male 29.0
GTEX-1B996-0426-SM-7EWF8 60-69 years, male 29.0
GTEX-14C5O-0326-SM-5ZZUX 60-69 years, male 28.9
GTEX-WFG8-2126-SM-3GIKQ 20-29 years, male 28.9
GTEX-1JJE9-2626-SM-ARZMT 70-79 years, male 28.9
GTEX-12WSA-0426-SM-5EQ5X 60-69 years, male 28.8
GTEX-1212Z-0126-SM-59HK4 60-69 years, male 28.7
GTEX-12696-0126-SM-5EQ4L 60-69 years, male 28.7
GTEX-13U4I-2226-SM-5LU5H 40-49 years, female 28.7
GTEX-ZYFD-0626-SM-5E44E 50-59 years, male 28.7
GTEX-1LVAO-2726-SM-E9TJ8 60-69 years, male 28.7
GTEX-1HUB1-1426-SM-CGQF5 60-69 years, male 28.5
GTEX-1LGRB-0926-SM-COH3K 50-59 years, female 28.5
GTEX-15D1Q-2826-SM-6LLH7 40-49 years, male 28.4
GTEX-1AMEY-0826-SM-72D65 30-39 years, female 28.4
GTEX-ZYY3-2926-SM-5GIEB 60-69 years, female 28.4
GTEX-1ICG6-1226-SM-A9SLN 70-79 years, female 28.3
GTEX-Y5V6-2326-SM-4VDSA 60-69 years, male 28.2
GTEX-VUSG-2326-SM-4KL1U 50-59 years, male 27.7
GTEX-1LG7Z-1626-SM-CXKYR 30-39 years, male 27.5
GTEX-14DAQ-0626-SM-793DS 60-69 years, female 27.4
GTEX-13NYC-0126-SM-5L3F4 60-69 years, male 27.3
GTEX-1JJ6O-2726-SM-CNPOG 60-69 years, male 27.3
GTEX-1IDJV-0126-SM-COH3Y 60-69 years, male 27.2
GTEX-1O9I2-0226-SM-EYYXD 50-59 years, male 27.2
GTEX-ZU9S-1826-SM-5NQ9E 30-39 years, male 27.1
GTEX-11UD2-2526-SM-5CVNU 50-59 years, male 27.0
GTEX-14E6C-2426-SM-5S2NF 40-49 years, male 27.0
GTEX-1JN6P-2926-SM-CL54D 60-69 years, male 27.0
GTEX-1LG7Y-2526-SM-EWRO7 50-59 years, male 26.6
GTEX-1F88F-0126-SM-9WYSZ 60-69 years, female 26.5
GTEX-1J1R8-2026-SM-CL53Y 40-49 years, male 26.5
GTEX-11TT1-1826-SM-5EQLV 20-29 years, male 26.2
GTEX-ZVE1-0726-SM-51MRN 50-59 years, female 26.1
GTEX-ZTSS-1426-SM-5985P 40-49 years, male 26.0
GTEX-13OW8-1026-SM-5J1NQ 60-69 years, male 25.4
GTEX-17MF6-2626-SM-79OKQ 40-49 years, male 25.4
GTEX-XPVG-2126-SM-4B667 50-59 years, male 25.3
GTEX-V1D1-2026-SM-3GAF4 50-59 years, male 25.2
GTEX-18465-2826-SM-7LT9J 50-59 years, male 24.5
GTEX-Y5LM-0926-SM-6LLJG 40-49 years, female 24.5
GTEX-1A3MX-2626-SM-7PC24 60-69 years, male 23.5
GTEX-1H23P-0626-SM-9WG6T 60-69 years, male 23.2
GTEX-1HCU8-2526-SM-CE6RX 60-69 years, female 22.3
GTEX-1JMQL-2226-SM-CNPP4 50-59 years, female 21.4
GTEX-11WQK-1026-SM-5EQLX 50-59 years, male 20.3
Show allShow less
Skin - Sun Exposed (Lower leg)
Average nTPM: 42.8
Samples: 701

Max nTPM: 78.7
Min nTPM: 20.8
Std nTPM: 8.7
Median nTPM: 41.5
GTEX-11DXZ-2326-SM-5EGGV 50-59 years, male 78.7
GTEX-Y3IK-2426-SM-4WWDU 50-59 years, female 76.3
GTEX-Y114-2426-SM-4TT8A 50-59 years, female 75.6
GTEX-P4QT-0126-SM-2I3FL 50-59 years, female 74.1
GTEX-PX3G-0126-SM-2I3EN 20-29 years, female 74.0
GTEX-13FXS-0226-SM-5IJCK 50-59 years, male 72.6
GTEX-13CF2-2526-SM-5LZYX 60-69 years, male 70.9
GTEX-SE5C-1626-SM-2XCE3 40-49 years, female 70.7
GTEX-1EMGI-0126-SM-9KNUE 60-69 years, male 70.6
GTEX-1CAV2-2226-SM-7P8P2 40-49 years, female 67.6
GTEX-13FTW-2626-SM-5K7WL 40-49 years, male 66.1
GTEX-139TS-2826-SM-5J1OO 60-69 years, male 64.4
GTEX-139UW-2826-SM-5L3E7 60-69 years, male 63.7
GTEX-T6MN-0126-SM-32PLP 50-59 years, male 63.7
GTEX-11DYG-0126-SM-59883 60-69 years, male 63.6
GTEX-1PPH8-0226-SM-E8VND 20-29 years, male 63.4
GTEX-1399U-2326-SM-5K7WY 50-59 years, female 63.3
GTEX-1HFI6-0226-SM-ADEHZ 40-49 years, male 63.3
GTEX-ZTX8-1426-SM-5DUVO 20-29 years, male 63.1
GTEX-XYKS-2126-SM-4E3IB 60-69 years, female 62.6
GTEX-NFK9-0226-SM-2HMKQ 40-49 years, male 62.4
GTEX-13111-1626-SM-5EGJY 50-59 years, male 61.7
GTEX-13FHP-0126-SM-5IJBG 50-59 years, male 61.3
GTEX-ZV68-0126-SM-59HKS 50-59 years, female 61.0
GTEX-S33H-1026-SM-EZ6L6 30-39 years, male 60.8
GTEX-12WSK-2326-SM-5GCOH 40-49 years, female 60.7
GTEX-1LBAC-0126-SM-DIPEZ 20-29 years, male 59.7
GTEX-1PIGE-0126-SM-EVYBJ 20-29 years, male 59.7
GTEX-1LSNM-1926-SM-E6CII 50-59 years, male 59.5
GTEX-1H3VE-0326-SM-9YFLH 40-49 years, male 59.3
GTEX-OIZH-0126-SM-2HMIS 50-59 years, male 59.1
GTEX-15ETS-0126-SM-7KUMW 40-49 years, female 59.0
GTEX-1PIIG-0226-SM-EWRN6 30-39 years, male 59.0
GTEX-1H2FU-0126-SM-9WYSI 60-69 years, female 58.3
GTEX-12WSJ-1826-SM-5GCNY 40-49 years, female 58.1
GTEX-1I6K6-0126-SM-A9SLE 30-39 years, male 58.1
GTEX-1KANC-1526-SM-D3LAB 50-59 years, female 58.0
GTEX-P4PP-0126-SM-3LK69 30-39 years, female 57.8
GTEX-OOBJ-0126-SM-E6CJW 60-69 years, male 57.8
GTEX-14PII-0226-SM-6EU1T 60-69 years, male 57.6
GTEX-OXRK-0226-SM-3NB2G 50-59 years, female 57.6
GTEX-TKQ1-1026-SM-4GICL 30-39 years, male 57.4
GTEX-WXYG-2326-SM-4E3I6 50-59 years, female 57.4
GTEX-W5X1-3026-SM-EAZAX 40-49 years, female 57.2
GTEX-UJHI-1526-SM-3DB99 50-59 years, female 57.0
GTEX-1NV5F-0226-SM-E8VNY 60-69 years, female 56.6
GTEX-WH7G-2326-SM-3NMBC 40-49 years, male 56.4
GTEX-1I1GV-0526-SM-A9G29 60-69 years, male 56.3
GTEX-ZF3C-0126-SM-DO92D 50-59 years, female 56.3
GTEX-TML8-1926-SM-32QOS 40-49 years, female 56.2
GTEX-13G51-2526-SM-5LZYK 60-69 years, male 56.0
GTEX-NPJ8-0126-SM-2YUNR 40-49 years, male 56.0
GTEX-1I4MK-2226-SM-ACKWD 50-59 years, female 56.0
GTEX-1R9PM-2026-SM-E76OY 20-29 years, male 55.8
GTEX-13YAN-0326-SM-5O9DF 60-69 years, male 55.6
GTEX-O5YW-0126-SM-3LK6D 50-59 years, male 55.6
GTEX-XUZC-1726-SM-4BRWS 30-39 years, female 55.3
GTEX-ZYFD-0126-SM-5GIDL 50-59 years, male 55.3
GTEX-PSDG-0226-SM-DKPOZ 50-59 years, male 55.3
GTEX-1RAZA-0126-SM-E6CI3 20-29 years, male 55.2
GTEX-18A7A-0226-SM-718BH 50-59 years, female 55.1
GTEX-18D9A-1926-SM-7LG6P 30-39 years, female 55.1
GTEX-RM2N-1426-SM-2TF4H 50-59 years, male 55.0
GTEX-1JMLX-0226-SM-CM2RO 50-59 years, male 55.0
GTEX-1211K-2026-SM-5EQ4Z 60-69 years, female 54.9
GTEX-1OJC3-0126-SM-E76QX 20-29 years, male 54.9
GTEX-1K2DA-1826-SM-CGQGT 50-59 years, male 54.8
GTEX-OHPM-0126-SM-2YUN9 50-59 years, male 54.7
GTEX-18A6Q-0126-SM-731BZ 60-69 years, male 54.6
GTEX-ZTPG-0326-SM-5O9AX 20-29 years, female 54.5
GTEX-1PDJ9-0326-SM-DTX95 20-29 years, male 54.5
GTEX-1HCUA-2426-SM-ADEIS 50-59 years, female 54.4
GTEX-1192X-0226-SM-5H12D 50-59 years, male 54.3
GTEX-1F6I4-0126-SM-9MQL2 60-69 years, male 54.3
GTEX-1MGNQ-0126-SM-EVYCJ 40-49 years, male 54.3
GTEX-1KD4Q-0226-SM-E9TJ9 40-49 years, male 54.2
GTEX-XBEW-0626-SM-4QASP 40-49 years, male 53.9
GTEX-11P7K-2126-SM-5GU7G 30-39 years, male 53.8
GTEX-11XUK-2026-SM-5EQLF 40-49 years, female 53.6
GTEX-POMQ-2226-SM-2I5FK 20-29 years, female 53.5
GTEX-WYJK-0126-SM-3NMAB 50-59 years, male 53.4
GTEX-ZYT6-0226-SM-5NQ6T 30-39 years, male 53.4
GTEX-1H1CY-2826-SM-9MQM3 60-69 years, female 53.4
GTEX-Y8DK-0126-SM-4TT3L 60-69 years, male 53.1
GTEX-YJ89-0126-SM-4TT3X 60-69 years, male 52.9
GTEX-1F6RS-0126-SM-9MQKZ 60-69 years, female 52.9
GTEX-X88G-0126-SM-47JZ3 30-39 years, male 52.8
GTEX-1CB4F-0426-SM-9KNV4 60-69 years, male 52.8
GTEX-ZF29-2326-SM-DO92K 60-69 years, female 52.7
GTEX-1GZ4H-1726-SM-7PBZJ 50-59 years, female 52.6
GTEX-S7PM-0126-SM-4AD6S 60-69 years, male 52.5
GTEX-OIZG-0726-SM-33HBL 50-59 years, male 52.3
GTEX-Y111-0126-SM-4SOIV 50-59 years, male 52.2
GTEX-ZAK1-0126-SM-5IJD3 50-59 years, female 52.2
GTEX-1B97I-1626-SM-73KYO 40-49 years, male 52.1
GTEX-16GPK-0126-SM-7DHLE 60-69 years, male 52.0
GTEX-1S3DN-2226-SM-EVYCD 50-59 years, male 52.0
GTEX-145MN-2226-SM-5SIAU 30-39 years, male 51.9
GTEX-ZDYS-2026-SM-5HL5L 50-59 years, male 51.9
GTEX-ZVTK-0426-SM-51MRS 20-29 years, male 51.9
GTEX-ZDTS-0126-SM-4WAY5 60-69 years, male 51.8
GTEX-YB5E-2026-SM-5IFIS 40-49 years, male 51.7
GTEX-15ER7-0326-SM-7KUEV 20-29 years, female 51.5
GTEX-1HR98-0126-SM-B2LWI 60-69 years, male 51.5
GTEX-1313W-0126-SM-5LZUN 50-59 years, female 51.4
GTEX-1HSGN-0226-SM-CGQFV 40-49 years, female 51.4
GTEX-1JN6P-0126-SM-D3L98 60-69 years, male 51.4
GTEX-1LG7Z-1726-SM-D3LA4 30-39 years, male 51.4
GTEX-1QP9N-1426-SM-DTXFL 30-39 years, male 51.4
GTEX-13SLW-0126-SM-5SI6C 70-79 years, male 51.2
GTEX-WFON-2126-SM-3LK7O 40-49 years, male 51.0
GTEX-18QFQ-0126-SM-731BE 30-39 years, male 50.9
GTEX-ZE9C-2726-SM-57WB5 60-69 years, male 50.9
GTEX-1L5NE-2526-SM-E6CIE 50-59 years, male 50.9
GTEX-1MA7W-2026-SM-E9TJ6 20-29 years, female 50.9
GTEX-1S82Y-2026-SM-EVYCM 40-49 years, male 50.9
GTEX-144GN-2326-SM-5LU4F 50-59 years, male 50.8
GTEX-YB5K-2126-SM-4WWDJ 40-49 years, female 50.8
GTEX-ZVZO-0126-SM-5A5L9 40-49 years, male 50.8
GTEX-1EWIQ-0126-SM-7RHH2 70-79 years, female 50.8
GTEX-1F75B-0126-SM-9KNVL 50-59 years, male 50.8
GTEX-1S5ZA-0126-SM-EVYCV 20-29 years, male 50.8
GTEX-U412-0426-SM-3DB9O 60-69 years, male 50.7
GTEX-1IKK5-0626-SM-ARL8A 60-69 years, male 50.7
GTEX-1MJK2-0426-SM-DTXE5 50-59 years, male 50.7
GTEX-14PHX-2326-SM-62LEM 50-59 years, male 50.6
GTEX-14PJM-0226-SM-62LF1 50-59 years, female 50.6
GTEX-ZGAY-0526-SM-4WWBB 40-49 years, female 50.6
GTEX-1CB4E-2226-SM-793DC 60-69 years, male 50.4
GTEX-14PJ3-1826-SM-62LEX 50-59 years, male 50.3
GTEX-17F98-0626-SM-79OMX 40-49 years, female 50.3
GTEX-13OVK-2026-SM-7KUEO 40-49 years, male 50.2
GTEX-1JMPY-1326-SM-ARL8Y 30-39 years, male 50.2
GTEX-1B8KE-2126-SM-73KYX 50-59 years, male 50.0
GTEX-SUCS-1926-SM-32PM3 70-79 years, male 50.0
GTEX-ZE7O-0126-SM-57WC1 50-59 years, female 50.0
GTEX-1GN1U-0126-SM-7PBZK 50-59 years, female 50.0
GTEX-QEG4-0226-SM-2S1PY 30-39 years, male 49.9
GTEX-T2YK-0526-SM-32QPJ 50-59 years, male 49.9
GTEX-UPJH-0326-SM-3GADU 50-59 years, male 49.9
GTEX-1B8L1-2526-SM-9WYTF 60-69 years, male 49.9
GTEX-1AX9I-0126-SM-7SB74 60-69 years, male 49.8
GTEX-1IL2U-0226-SM-CE6T8 60-69 years, male 49.8
GTEX-Q2AI-1326-SM-2S1PL 40-49 years, male 49.7
GTEX-14PN4-0126-SM-6EU2V 50-59 years, male 49.6
GTEX-131YS-0126-SM-5KM1M 60-69 years, female 49.5
GTEX-15F5U-1526-SM-6PANO 40-49 years, male 49.5
GTEX-1C4CL-0526-SM-73KVK 30-39 years, male 49.5
GTEX-145LV-2126-SM-5LU8N 50-59 years, male 49.4
GTEX-1CB4G-0226-SM-7PC3O 60-69 years, male 49.4
GTEX-111FC-0126-SM-5N9DL 60-69 years, male 49.3
GTEX-13O21-1426-SM-5K7XI 50-59 years, male 49.3
GTEX-SIU8-0126-SM-2XCDT 50-59 years, male 49.3
GTEX-1QCLY-0326-SM-E8VOG 30-39 years, male 49.2
GTEX-RTLS-0126-SM-447CA 60-69 years, female 49.0
GTEX-ZZPT-0226-SM-5E43X 50-59 years, male 49.0
GTEX-11OF3-2626-SM-5GU7F 60-69 years, male 48.9
GTEX-17HG3-2226-SM-7938L 30-39 years, female 48.9
GTEX-O5YT-0126-SM-48TBW 20-29 years, male 48.8
GTEX-1H3O1-0426-SM-9YFKY 60-69 years, male 48.7
GTEX-1R7EU-0226-SM-EVR4G 60-69 years, male 48.7
GTEX-11GS4-2726-SM-5A5LE 60-69 years, male 48.6
GTEX-T6MO-1626-SM-32QOM 40-49 years, female 48.6
GTEX-1N2DV-0226-SM-E6CJ6 40-49 years, male 48.5
GTEX-117YX-2326-SM-5H12W 50-59 years, male 48.4
GTEX-12126-0326-SM-5PNW3 20-29 years, male 48.4
GTEX-W5WG-1826-SM-4KL2Y 50-59 years, female 48.4
GTEX-1N2DW-0226-SM-E9TK2 50-59 years, male 48.4
GTEX-PWCY-1826-SM-DHXIZ 20-29 years, female 48.4
GTEX-13VXU-0126-SM-5SI9F 50-59 years, male 48.3
GTEX-1OFPY-2426-SM-DTXEJ 60-69 years, male 48.3
GTEX-1HGF4-2426-SM-ACKXM 60-69 years, male 48.2
GTEX-OOBK-0126-SM-2YUND 40-49 years, male 48.1
GTEX-1CB4I-0226-SM-79OLH 50-59 years, male 48.0
GTEX-OHPL-0126-SM-2HMJ7 60-69 years, female 48.0
GTEX-PLZ4-0126-SM-5SI8O 50-59 years, female 48.0
GTEX-11UD1-0126-SM-5PNYG 40-49 years, female 47.9
GTEX-131XE-2326-SM-5PNZ2 50-59 years, male 47.9
GTEX-1399R-2726-SM-5IJBA 30-39 years, male 47.9
GTEX-XQ8I-0426-SM-4BOPO 50-59 years, male 47.9
GTEX-14BIN-0626-SM-793DP 50-59 years, female 47.8
GTEX-1J8JJ-0226-SM-CL53I 60-69 years, female 47.8
GTEX-17JCI-0126-SM-7LG5G 60-69 years, female 47.7
GTEX-WQUQ-0426-SM-3MJFU 60-69 years, male 47.7
GTEX-1HBPM-0226-SM-ARL9F 60-69 years, female 47.6
GTEX-1HCU6-0126-SM-CL54K 60-69 years, female 47.6
GTEX-1PFEY-1526-SM-E76PP 30-39 years, male 47.6
GTEX-ZF2S-2326-SM-4WWCE 50-59 years, female 47.4
GTEX-1HSKV-0226-SM-A9SKJ 60-69 years, male 47.4
GTEX-1JMQJ-0526-SM-CYPSU 50-59 years, male 47.4
GTEX-1497J-2426-SM-7IGNX 60-69 years, male 47.3
GTEX-P4PQ-0126-SM-2S1NM 60-69 years, male 47.3
GTEX-1IOXB-0126-SM-ARL8G 50-59 years, male 47.3
GTEX-RVPV-0126-SM-EAZAW 60-69 years, male 47.3
GTEX-13X6J-0126-SM-5QGOU 50-59 years, male 47.2
GTEX-13FTX-1826-SM-5J1NX 20-29 years, female 47.1
GTEX-14ICK-0226-SM-6EU25 40-49 years, male 47.1
GTEX-1BAJH-0526-SM-793CQ 70-79 years, male 47.0
GTEX-1GN73-0226-SM-9WG67 60-69 years, male 46.9
GTEX-1GF9X-2026-SM-7PC3A 40-49 years, female 46.7
GTEX-145MO-0326-SM-5Q5B3 60-69 years, male 46.6
GTEX-12WSE-0526-SM-793B2 20-29 years, male 46.5
GTEX-13NYB-2526-SM-5K7Z6 40-49 years, male 46.5
GTEX-15SHU-0126-SM-7KUEH 40-49 years, female 46.4
GTEX-1AX8Z-0126-SM-7DHM6 60-69 years, male 46.3
GTEX-1GMRU-0126-SM-9YFLV 50-59 years, male 46.3
GTEX-18A66-0226-SM-718BD 60-69 years, male 46.2
GTEX-1GZHY-0326-SM-9QEHI 50-59 years, female 46.2
GTEX-1LB8K-0226-SM-EWRNW 50-59 years, male 46.2
GTEX-16AAH-1726-SM-7939C 50-59 years, male 46.1
GTEX-1GMR8-0126-SM-9WYTM 50-59 years, female 46.1
GTEX-139T8-0126-SM-5K7XZ 60-69 years, male 46.0
GTEX-T8EM-1026-SM-3DB7M 40-49 years, male 46.0
GTEX-12WSG-2826-SM-E9J4H 50-59 years, female 46.0
GTEX-1GF9W-0326-SM-9KNUN 60-69 years, male 46.0
GTEX-1HSMP-0126-SM-E6CJS 70-79 years, male 46.0
GTEX-12ZZX-0126-SM-5EGK9 40-49 years, female 45.9
GTEX-13PVR-2326-SM-5QGR1 60-69 years, female 45.9
GTEX-1LGOU-2026-SM-DIPFF 20-29 years, female 45.9
GTEX-1MUQO-0126-SM-EAZ58 60-69 years, male 45.9
GTEX-QV44-1926-SM-2S1RF 50-59 years, male 45.8
GTEX-X4XX-0126-SM-3NMC2 60-69 years, male 45.8
GTEX-1KAFJ-2026-SM-CY8ID 50-59 years, male 45.8
GTEX-1QMI2-0226-SM-EVYBX 60-69 years, male 45.8
GTEX-RNOR-0126-SM-E9J4R 50-59 years, female 45.8
GTEX-132NY-0326-SM-5IJBL 60-69 years, male 45.7
GTEX-14BMU-2226-SM-5TDE9 20-29 years, female 45.7
GTEX-17EUY-0426-SM-793BD 20-29 years, male 45.7
GTEX-1CAMS-0426-SM-7P8T2 40-49 years, female 45.7
GTEX-1S82Z-0826-SM-E6CHY 30-39 years, female 45.7
GTEX-1AYD5-2426-SM-73KXR 50-59 years, male 45.6
GTEX-WRHK-1426-SM-3MJF9 20-29 years, female 45.5
GTEX-ZDTT-2726-SM-4WKF8 60-69 years, male 45.4
GTEX-146FR-1326-SM-E9J48 60-69 years, female 45.4
GTEX-1QP67-1626-SM-EAZ3X 40-49 years, female 45.4
GTEX-15SB6-1726-SM-6PAME 50-59 years, female 45.3
GTEX-U8T8-0126-SM-3DB94 60-69 years, male 45.3
GTEX-Y5V5-2326-SM-4V6GA 60-69 years, female 45.3
GTEX-1JJ6O-0126-SM-E6CI8 60-69 years, male 45.3
GTEX-X4EO-0326-SM-3P5YO 60-69 years, female 45.2
GTEX-1J8EW-0126-SM-CJI4F 60-69 years, female 45.2
GTEX-12584-0126-SM-5EGKQ 40-49 years, male 45.1
GTEX-13VXT-0126-SM-5LU4I 20-29 years, female 45.1
GTEX-QESD-1426-SM-2S1R9 20-29 years, male 45.1
GTEX-X585-0226-SM-4QAS2 50-59 years, male 45.1
GTEX-1JJEA-0326-SM-CNPOT 60-69 years, male 45.1
GTEX-1HBPI-1526-SM-C1YQ1 50-59 years, male 45.0
GTEX-11DZ1-0126-SM-5985Q 50-59 years, male 44.9
GTEX-13X6H-2126-SM-7EWD5 50-59 years, female 44.9
GTEX-1C475-1826-SM-73KWA 40-49 years, female 44.9
GTEX-ZZ64-1726-SM-5GZYB 20-29 years, male 44.8
GTEX-131XH-2226-SM-5DUXJ 50-59 years, male 44.7
GTEX-PLZ6-1426-SM-DKPOT 30-39 years, male 44.7
GTEX-OXRL-0126-SM-2YUMP 50-59 years, male 44.6
GTEX-R45C-0126-SM-EAZ2R 60-69 years, female 44.6
GTEX-1AYCT-2426-SM-7IGQ3 50-59 years, male 44.5
GTEX-YEC4-2126-SM-5IFJH 40-49 years, male 44.5
GTEX-146FQ-0126-SM-5NQA9 30-39 years, male 44.3
GTEX-17HII-0226-SM-7LG4E 50-59 years, male 44.3
GTEX-Y8E4-0626-SM-4WWDL 40-49 years, male 44.3
GTEX-14JIY-0126-SM-6LLH6 60-69 years, male 44.2
GTEX-QVJO-1626-SM-2S1QW 60-69 years, female 44.2
GTEX-1IDJH-0326-SM-A9SLQ 70-79 years, male 44.2
GTEX-11H98-0126-SM-5EGHG 50-59 years, male 44.1
GTEX-12C56-1726-SM-5EQ61 20-29 years, male 44.1
GTEX-1JMQI-2226-SM-CM2SD 50-59 years, male 44.1
GTEX-14E6C-0126-SM-5RQIP 40-49 years, male 44.0
GTEX-QLQW-1126-SM-2S1Q8 30-39 years, male 44.0
GTEX-WY7C-2326-SM-3NB2U 50-59 years, male 44.0
GTEX-1QAET-0926-SM-E76QM 50-59 years, male 44.0
GTEX-13OW6-0426-SM-5L3HM 50-59 years, male 43.9
GTEX-1CAMR-1926-SM-7EPI2 20-29 years, male 43.9
GTEX-Z9EW-1626-SM-5CVMN 40-49 years, male 43.9
GTEX-ZWKS-0126-SM-5SIAA 30-39 years, male 43.9
GTEX-1GPI7-0126-SM-9MQL8 20-29 years, male 43.9
GTEX-13NYS-0126-SM-5MR3W 60-69 years, male 43.8
GTEX-18D9U-0226-SM-718BP 40-49 years, male 43.8
GTEX-XMD2-0126-SM-4YCDU 60-69 years, female 43.8
GTEX-ZVT2-2526-SM-51MT1 50-59 years, female 43.8
GTEX-1F5PL-0326-SM-7P8PQ 40-49 years, female 43.8
GTEX-1JMPZ-0226-SM-CNPP1 30-39 years, male 43.8
GTEX-13OVL-0226-SM-5L3E9 50-59 years, male 43.7
GTEX-1B8SF-1426-SM-7DUGL 60-69 years, male 43.7
GTEX-XUW1-0426-SM-4BOOT 50-59 years, female 43.7
GTEX-1M5QR-1226-SM-EWROB 40-49 years, male 43.7
GTEX-13OW5-0126-SM-DTXFS 60-69 years, male 43.6
GTEX-WI4N-1026-SM-3LK7N 40-49 years, female 43.5
GTEX-1H3VY-0126-SM-ACKXD 50-59 years, male 43.5
GTEX-1LVAN-0226-SM-COH3S 50-59 years, female 43.5
GTEX-1RQEC-0426-SM-E6CHU 60-69 years, male 43.5
GTEX-16XZZ-0126-SM-793DV 60-69 years, male 43.4
GTEX-1J1OQ-0226-SM-CYPSH 40-49 years, female 43.4
GTEX-1LC47-0326-SM-E9TJP 60-69 years, male 43.4
GTEX-11ZTS-0126-SM-5EQ6M 60-69 years, female 43.3
GTEX-12WSD-0126-SM-59HKN 60-69 years, female 43.3
GTEX-17EVP-0326-SM-7DHLG 40-49 years, male 43.3
GTEX-Y3I4-2126-SM-4TT7C 50-59 years, male 43.3
GTEX-ZV6S-2326-SM-4YCEY 40-49 years, female 43.3
GTEX-1LNCM-1126-SM-E9U5E 50-59 years, female 43.3
GTEX-1QP66-1726-SM-E8VO1 50-59 years, male 43.3
GTEX-13D11-2426-SM-5KM1V 50-59 years, female 43.2
GTEX-PLZ5-2026-SM-2S1O4 50-59 years, male 43.2
GTEX-ZY6K-1826-SM-5GZXK 50-59 years, male 43.2
GTEX-13NZ8-0826-SM-5MR3I 60-69 years, female 43.1
GTEX-X261-0126-SM-3NMD6 50-59 years, male 43.1
GTEX-S7SE-0126-SM-2XCD5 50-59 years, male 43.0
GTEX-1KANB-0526-SM-E6CJH 50-59 years, male 43.0
GTEX-1S83E-0126-SM-EWRO4 40-49 years, male 43.0
GTEX-15SHW-0326-SM-6PAML 60-69 years, male 42.9
GTEX-XAJ8-0826-SM-47JY6 40-49 years, male 42.9
GTEX-1GMR3-1926-SM-9KNUZ 40-49 years, male 42.9
GTEX-117XS-2726-SM-5N9BL 60-69 years, male 42.8
GTEX-16NGA-1726-SM-731B4 40-49 years, female 42.7
GTEX-17HHY-0126-SM-7LG5D 50-59 years, male 42.7
GTEX-1GN2E-0426-SM-9MQKX 60-69 years, male 42.7
GTEX-14JG1-0426-SM-6ETZZ 40-49 years, male 42.6
GTEX-1I1GS-0126-SM-B2LVW 60-69 years, male 42.6
GTEX-1314G-1526-SM-5EGK2 30-39 years, male 42.4
GTEX-U8XE-0326-SM-3DB8P 30-39 years, male 42.4
GTEX-1H1E6-1726-SM-ACKVK 30-39 years, male 42.4
GTEX-ZVT4-0126-SM-DTXFN 50-59 years, female 42.4
GTEX-1269C-2526-SM-5EGJ3 60-69 years, female 42.3
GTEX-139D8-0226-SM-5KLZO 30-39 years, female 42.3
GTEX-145LU-0126-SM-5TDCB 50-59 years, male 42.2
GTEX-1GF9V-0326-SM-7RHI5 60-69 years, male 42.2
GTEX-1H4P4-0726-SM-9YFLR 50-59 years, male 42.1
GTEX-1JMQK-0226-SM-CL543 60-69 years, male 42.0
GTEX-11P81-2326-SM-59875 30-39 years, female 41.9
GTEX-11P82-1626-SM-59879 20-29 years, male 41.9
GTEX-12KS4-0326-SM-5EQ41 30-39 years, male 41.9
GTEX-12ZZZ-0626-SM-5DUXI 60-69 years, male 41.9
GTEX-ZC5H-0226-SM-4WAY9 40-49 years, female 41.9
GTEX-131XW-0426-SM-5LZWP 50-59 years, female 41.8
GTEX-OXRP-0126-SM-3NB32 60-69 years, female 41.8
GTEX-YFC4-0126-SM-5CVLY 40-49 years, female 41.8
GTEX-ZYFC-0226-SM-5NQ75 50-59 years, male 41.8
GTEX-1F6IF-0726-SM-7P8TW 60-69 years, male 41.8
GTEX-13O3P-0126-SM-5KM4S 50-59 years, male 41.7
GTEX-13OW7-0126-SM-5MR3B 50-59 years, male 41.7
GTEX-17EVQ-0226-SM-7LG4P 70-79 years, male 41.7
GTEX-1AX9J-0226-SM-73KXM 60-69 years, male 41.7
GTEX-1F52S-0126-SM-9MQJU 60-69 years, female 41.7
GTEX-1GZ2Q-0226-SM-7P8TL 40-49 years, male 41.7
GTEX-13113-5016-SM-7EPIP 60-69 years, female 41.6
GTEX-14E6D-0126-SM-62LDV 50-59 years, male 41.6
GTEX-15UF6-0826-SM-6PALJ 70-79 years, female 41.6
GTEX-Y5LM-1926-SM-5RQJH 40-49 years, female 41.6
GTEX-1H1DG-0126-SM-9WYU2 70-79 years, male 41.6
GTEX-1KD5A-0226-SM-D5OV3 50-59 years, male 41.6
GTEX-11EM3-2426-SM-59861 20-29 years, female 41.5
GTEX-13JUV-2726-SM-5LZZ8 40-49 years, female 41.5
GTEX-SNMC-1226-SM-2XCFP 20-29 years, male 41.5
GTEX-ZQUD-1426-SM-57WER 30-39 years, male 41.5
GTEX-1HCU7-0226-SM-CL545 50-59 years, male 41.5
GTEX-1ICLZ-0126-SM-CKZPO 60-69 years, male 41.5
GTEX-1IDJF-0126-SM-CM2RS 20-29 years, male 41.5
GTEX-1MA7X-2226-SM-E6CIY 60-69 years, male 41.5
GTEX-15G19-0126-SM-6PANQ 60-69 years, male 41.4
GTEX-RUSQ-1526-SM-2TF62 50-59 years, male 41.4
GTEX-RWS6-2026-SM-2XCB5 60-69 years, female 41.4
GTEX-1ICG6-2526-SM-CGQFZ 70-79 years, female 41.4
GTEX-1QPFJ-0226-SM-E76PB 30-39 years, female 41.4
GTEX-1RB15-2126-SM-E9TIM 60-69 years, male 41.4
GTEX-117YW-2626-SM-5GZZH 50-59 years, male 41.3
GTEX-1399T-2826-SM-5KLYZ 60-69 years, male 41.3
GTEX-XBED-2226-SM-47JYQ 60-69 years, male 41.3
GTEX-1EX96-1626-SM-7PBXR 50-59 years, male 41.1
GTEX-1GN1W-0526-SM-9MQJQ 50-59 years, female 41.1
GTEX-1H11D-0226-SM-9WG6Z 40-49 years, male 41.1
GTEX-13RTK-1426-SM-5QGQJ 20-29 years, male 41.0
GTEX-TMZS-0126-SM-3DB9Q 60-69 years, male 41.0
GTEX-1HSMQ-1226-SM-CGQFX 50-59 years, male 41.0
GTEX-11DXW-0226-SM-5H122 40-49 years, male 40.9
GTEX-1B8SG-0126-SM-73KZ3 50-59 years, male 40.9
GTEX-15DDE-0126-SM-6LPKH 50-59 years, female 40.8
GTEX-QDVJ-1726-SM-2I5FX 50-59 years, male 40.8
GTEX-1KXAM-2226-SM-CYPTC 60-69 years, male 40.8
GTEX-145MF-0626-SM-5LUAI 50-59 years, male 40.7
GTEX-OXRN-0126-SM-48TDM 50-59 years, male 40.7
GTEX-T2IS-0126-SM-4DM6O 20-29 years, female 40.7
GTEX-X4EP-0126-SM-3P5YV 60-69 years, female 40.7
GTEX-13SLX-0526-SM-5S2ON 50-59 years, female 40.6
GTEX-1QP29-0626-SM-EWRMX 50-59 years, male 40.6
GTEX-139TT-0126-SM-5K7Y5 60-69 years, male 40.5
GTEX-1A3MV-1926-SM-718BT 30-39 years, male 40.5
GTEX-1C64O-0126-SM-7SB8P 60-69 years, male 40.5
GTEX-1H3NZ-0126-SM-ACKX7 60-69 years, male 40.5
GTEX-12ZZY-0226-SM-5LZVE 60-69 years, male 40.4
GTEX-13OVI-1426-SM-5L3EY 60-69 years, female 40.4
GTEX-ZVT3-0126-SM-5GU6I 60-69 years, female 40.4
GTEX-11ZVC-2526-SM-5FQTE 50-59 years, female 40.3
GTEX-PVOW-0126-SM-2XCFA 40-49 years, male 40.3
GTEX-11WQC-2526-SM-5CVLE 60-69 years, male 40.2
GTEX-1B8KZ-2026-SM-7DHMB 50-59 years, male 40.2
GTEX-ZXES-1826-SM-5E43S 30-39 years, female 40.2
GTEX-1IGQW-0126-SM-COH42 60-69 years, male 40.2
GTEX-13S7M-0126-SM-5SI6A 60-69 years, female 40.1
GTEX-16YQH-0126-SM-7DUFJ 30-39 years, male 40.1
GTEX-1A32A-0126-SM-718B1 50-59 years, female 40.1
GTEX-ZAB4-0226-SM-5N9F5 40-49 years, male 40.1
GTEX-1HSEH-0126-SM-ACKXN 60-69 years, male 40.1
GTEX-1IY9M-0126-SM-D3L8S 60-69 years, male 40.1
GTEX-1R46S-0626-SM-E9J41 60-69 years, female 40.1
GTEX-13N11-2526-SM-5K7UE 50-59 years, female 40.0
GTEX-1B933-0126-SM-7PC29 50-59 years, female 40.0
GTEX-OIZF-0126-SM-7SB8I 60-69 years, male 40.0
GTEX-14E6E-1826-SM-5S2R7 30-39 years, male 39.9
GTEX-14PN3-2426-SM-6LLHS 60-69 years, female 39.9
GTEX-WVJS-0126-SM-4MVOT 50-59 years, male 39.9
GTEX-1J8QM-2126-SM-CYPSJ 60-69 years, female 39.9
GTEX-1PWST-0226-SM-E76QJ 70-79 years, male 39.9
GTEX-13112-2826-SM-5DUWH 50-59 years, male 39.8
GTEX-1RDX4-0126-SM-E9J4P 50-59 years, female 39.8
GTEX-11O72-0126-SM-59887 40-49 years, male 39.7
GTEX-147GR-0526-SM-5S2MY 60-69 years, male 39.7
GTEX-14DAR-2026-SM-5S2O3 50-59 years, male 39.7
GTEX-XUYS-0126-SM-47JWZ 50-59 years, male 39.7
GTEX-13PDP-0126-SM-5L3HD 60-69 years, male 39.6
GTEX-145ME-1826-SM-5SI9G 40-49 years, female 39.6
GTEX-R55E-0126-SM-2TC5Y 20-29 years, male 39.6
GTEX-RWSA-0126-SM-2XCBB 40-49 years, male 39.6
GTEX-VJYA-1126-SM-3GIJU 60-69 years, male 39.6
GTEX-XQ3S-1526-SM-4BOOC 20-29 years, male 39.5
GTEX-1I1GR-0126-SM-CL55F 60-69 years, male 39.5
GTEX-1122O-2126-SM-5EGIR 60-69 years, female 39.4
GTEX-14LZ3-0226-SM-62LET 60-69 years, female 39.4
GTEX-17F96-1626-SM-7DUFL 70-79 years, male 39.4
GTEX-WYVS-2126-SM-3NMA3 40-49 years, female 39.4
GTEX-12WSC-0126-SM-5EQ4P 50-59 years, male 39.3
GTEX-183FY-0126-SM-7LT9P 20-29 years, male 39.3
GTEX-T5JW-1626-SM-3GADZ 20-29 years, female 39.3
GTEX-1I1CD-0126-SM-CM2TK 60-69 years, female 39.3
GTEX-ZQG8-1626-SM-DHXIT 60-69 years, female 39.3
GTEX-15RIG-0226-SM-7KFTL 40-49 years, male 39.2
GTEX-QLQ7-1626-SM-2S1R8 60-69 years, male 39.2
GTEX-RN64-0126-SM-2TC68 50-59 years, male 39.2
GTEX-SJXC-0126-SM-2XCFF 60-69 years, male 39.2
GTEX-1HT8W-0126-SM-CNPPP 30-39 years, male 39.2
GTEX-11GSP-2526-SM-5N9BP 60-69 years, female 39.1
GTEX-131XF-5016-SM-7MGWE 60-69 years, male 39.0
GTEX-1E2YA-0126-SM-9KNUC 50-59 years, male 39.0
GTEX-1HKZK-0326-SM-9WYUH 40-49 years, male 39.0
GTEX-1K2DU-2326-SM-E9TIV 20-29 years, male 39.0
GTEX-13OVJ-0126-SM-5KM36 50-59 years, female 38.9
GTEX-QCQG-1726-SM-3GIJ9 50-59 years, female 38.9
GTEX-1IE54-0126-SM-CMKHW 40-49 years, female 38.9
GTEX-T5JC-0426-SM-32PLO 20-29 years, male 38.8
GTEX-1EKGG-0226-SM-9WYTH 60-69 years, male 38.8
GTEX-1QW4Y-1526-SM-EAZ3Z 30-39 years, male 38.8
GTEX-1B996-0226-SM-7RHGO 60-69 years, male 38.7
GTEX-1F5PK-2426-SM-7RHHY 50-59 years, male 38.7
GTEX-11ZTT-2426-SM-5EQLS 60-69 years, female 38.6
GTEX-139TU-0126-SM-5K7WH 60-69 years, male 38.6
GTEX-17HHE-2026-SM-79OKF 50-59 years, male 38.6
GTEX-X5EB-2226-SM-46MW4 40-49 years, male 38.6
GTEX-11DXX-2426-SM-5GZZW 60-69 years, female 38.5
GTEX-11UD2-0226-SM-5EQKY 50-59 years, male 38.5
GTEX-1212Z-2526-SM-5EGKP 60-69 years, male 38.5
GTEX-11TUW-2726-SM-E9J4M 60-69 years, male 38.5
GTEX-1ICLY-0126-SM-D4P36 50-59 years, male 38.5
GTEX-1QP2A-0126-SM-E9J43 50-59 years, male 38.5
GTEX-U3ZM-1526-SM-3DB9D 40-49 years, male 38.4
GTEX-Z93T-0126-SM-5HL5N 50-59 years, male 38.4
GTEX-1HBPH-0426-SM-B2LW5 40-49 years, female 38.4
GTEX-1OJC4-0126-SM-E9J2E 50-59 years, female 38.4
GTEX-1POEN-0126-SM-EYYXJ 30-39 years, female 38.4
GTEX-Q734-1926-SM-2I5EV 40-49 years, female 38.3
GTEX-1GL5R-1826-SM-9KNUY 50-59 years, male 38.3
GTEX-1GTWX-0126-SM-9YFLK 60-69 years, male 38.2
GTEX-1HCU9-1526-SM-A9SL7 20-29 years, male 38.1
GTEX-1HFI7-1826-SM-ACKXH 50-59 years, female 38.1
GTEX-1NHNU-1026-SM-E9J2A 50-59 years, male 38.1
GTEX-11EQ9-2426-SM-5HL5T 30-39 years, male 38.0
GTEX-12WSN-5019-SM-79OM6 40-49 years, male 38.0
GTEX-13W3W-2426-SM-5LU5B 60-69 years, female 38.0
GTEX-145LT-1726-SM-5QGP3 40-49 years, male 38.0
GTEX-14ABY-0226-SM-5TDCQ 50-59 years, male 38.0
GTEX-183WM-0126-SM-7LTAB 70-79 years, female 38.0
GTEX-1C2JI-1826-SM-73KXC 50-59 years, male 38.0
GTEX-1F75I-0326-SM-9YFLU 40-49 years, male 38.0
GTEX-1JKYN-1326-SM-CGQG9 30-39 years, male 38.0
GTEX-1R7EV-2426-SM-EVYBG 40-49 years, male 38.0
GTEX-1C6VR-2426-SM-79OLD 60-69 years, male 37.9
GTEX-R55G-2526-SM-2TC6D 40-49 years, female 37.9
GTEX-RU72-0926-SM-2TF6B 50-59 years, female 37.9
GTEX-1R9K4-0126-SM-DTX9X 60-69 years, male 37.9
GTEX-12WSL-2526-SM-5GCNJ 50-59 years, male 37.8
GTEX-145LS-0126-SM-5QGP1 60-69 years, female 37.8
GTEX-15EU6-0426-SM-6PAN5 50-59 years, male 37.8
GTEX-SN8G-0126-SM-32PLI 50-59 years, female 37.8
GTEX-1JK1U-2026-SM-CM2RZ 60-69 years, male 37.8
GTEX-13N2G-2626-SM-5J1OT 60-69 years, male 37.7
GTEX-13X6I-0626-SM-5QGP9 60-69 years, male 37.7
GTEX-14BMV-0126-SM-5S2PO 50-59 years, male 37.7
GTEX-1F48J-0126-SM-7P8TT 50-59 years, female 37.7
GTEX-11EI6-0126-SM-5985R 60-69 years, male 37.6
GTEX-13U4I-0126-SM-5LU38 40-49 years, female 37.6
GTEX-1A3MX-0126-SM-731BR 60-69 years, male 37.6
GTEX-ZVZP-2426-SM-59HKJ 50-59 years, male 37.6
GTEX-1IDFM-0126-SM-COH2V 60-69 years, male 37.6
GTEX-1LGRB-2526-SM-CNPPQ 50-59 years, female 37.6
GTEX-14LLW-0126-SM-6LLIO 70-79 years, female 37.5
GTEX-1HBPN-0226-SM-9YFM1 50-59 years, male 37.5
GTEX-1F75A-0126-SM-7RHGM 50-59 years, male 37.4
GTEX-17MFQ-1726-SM-793C7 20-29 years, male 37.3
GTEX-X8HC-0126-SM-4E3JW 50-59 years, female 37.3
GTEX-XV7Q-2526-SM-4BRV9 40-49 years, female 37.3
GTEX-1I19N-0326-SM-ACKVX 70-79 years, male 37.3
GTEX-17F97-0326-SM-7LG5B 50-59 years, male 37.2
GTEX-1CB4H-0226-SM-7PBXM 60-69 years, female 37.2
GTEX-113IC-0126-SM-5HL6T 60-69 years, male 37.1
GTEX-113JC-2326-SM-5EQ4E 50-59 years, female 37.0
GTEX-XPVG-2626-SM-4B669 50-59 years, male 37.0
GTEX-14DAQ-0126-SM-5S2MQ 60-69 years, female 36.9
GTEX-1C64N-0126-SM-793D7 50-59 years, male 36.9
GTEX-1KWVE-1426-SM-E9TJO 30-39 years, male 36.9
GTEX-11VI4-1726-SM-5CVLH 40-49 years, female 36.8
GTEX-133LE-1826-SM-5J1MV 20-29 years, female 36.8
GTEX-13NZB-2526-SM-5J1OM 30-39 years, male 36.8
GTEX-14753-0426-SM-5NQAM 60-69 years, male 36.8
GTEX-15DYW-0126-SM-7KULE 60-69 years, female 36.8
GTEX-PWO3-1526-SM-48TCM 60-69 years, female 36.8
GTEX-1HB9E-0226-SM-E9U4R 50-59 years, male 36.8
GTEX-1J1R8-1726-SM-ARL8M 40-49 years, male 36.8
GTEX-145MI-0526-SM-5O9A8 60-69 years, female 36.7
GTEX-18A67-0126-SM-7LG5P 50-59 years, male 36.7
GTEX-OXRO-0126-SM-2YUN4 60-69 years, female 36.7
GTEX-1C6WA-0126-SM-7PC2B 60-69 years, male 36.7
GTEX-1MCYP-1926-SM-E9J2R 20-29 years, female 36.7
GTEX-1RAZQ-0726-SM-EAZ43 30-39 years, male 36.7
GTEX-11OC5-0126-SM-5HL6A 60-69 years, male 36.6
GTEX-1E1VI-0126-SM-7DHMZ 50-59 years, male 36.5
GTEX-WZTO-0126-SM-3NM95 40-49 years, male 36.5
GTEX-ZVE2-0226-SM-59HJB 50-59 years, male 36.5
GTEX-1IKOH-0226-SM-COH4E 60-69 years, female 36.5
GTEX-1JKYR-0126-SM-CNPOJ 20-29 years, male 36.5
GTEX-12696-2426-SM-5EQ6H 60-69 years, male 36.4
GTEX-13O1R-0126-SM-5L3EH 60-69 years, male 36.4
GTEX-1AX9K-2326-SM-73KWU 50-59 years, male 36.4
GTEX-ZYFG-2326-SM-5E44B 60-69 years, female 36.4
GTEX-11NSD-2226-SM-5986V 20-29 years, male 36.2
GTEX-17HGU-0226-SM-7DHKV 50-59 years, male 36.2
GTEX-ZEX8-2426-SM-4WKG4 50-59 years, male 36.2
GTEX-1RLM8-2326-SM-EWRN4 50-59 years, male 36.1
GTEX-V1D1-2226-SM-3NMAX 50-59 years, male 36.0
GTEX-13NZA-0226-SM-5K7Z7 60-69 years, male 35.9
GTEX-13FH7-2026-SM-E9J4I 50-59 years, female 35.9
GTEX-11NUK-0126-SM-5A5L3 50-59 years, male 35.8
GTEX-1A8FM-0226-SM-7SB7Q 50-59 years, female 35.8
GTEX-1H1DE-2126-SM-9WG6R 20-29 years, male 35.8
GTEX-144FL-0126-SM-5TDC8 50-59 years, male 35.7
GTEX-18465-0126-SM-731BN 50-59 years, male 35.7
GTEX-13QJ3-0326-SM-5S2RA 50-59 years, male 35.6
GTEX-1J8Q3-1626-SM-CMKGC 60-69 years, male 35.6
GTEX-13OVH-0126-SM-5MR4B 70-79 years, male 35.5
GTEX-14A5I-0126-SM-5TDEA 50-59 years, female 35.5
GTEX-15SDE-2226-SM-7IGLO 50-59 years, female 35.5
GTEX-QDT8-0126-SM-48TZ1 30-39 years, female 35.5
GTEX-16BQI-0226-SM-7KUEX 30-39 years, female 35.4
GTEX-1KANA-0726-SM-D3L9I 20-29 years, male 35.4
GTEX-13W46-0226-SM-5SIAG 50-59 years, male 35.3
GTEX-146FH-0126-SM-5QGPP 50-59 years, female 35.3
GTEX-14BIM-0226-SM-7IGLD 60-69 years, female 35.3
GTEX-17GQL-2026-SM-718BA 60-69 years, male 35.3
GTEX-1IKJJ-0126-SM-CNPQB 60-69 years, male 35.3
GTEX-1HUB1-0426-SM-E9U4U 60-69 years, male 35.2
GTEX-1PPH7-2326-SM-EVYB8 40-49 years, male 35.2
GTEX-WFG8-2226-SM-3GIL9 20-29 years, male 35.1
GTEX-XXEK-2226-SM-4BRUM 50-59 years, male 35.1
GTEX-1M4P7-0226-SM-DIPEV 60-69 years, male 35.1
GTEX-S95S-1226-SM-4GICG 60-69 years, male 35.0
GTEX-ZAB5-1826-SM-5HL7C 50-59 years, male 35.0
GTEX-1IDJU-2626-SM-CM2RT 60-69 years, female 35.0
GTEX-147F3-0526-SM-5SI98 50-59 years, female 34.9
GTEX-1LG7Y-0526-SM-DKPQC 50-59 years, male 34.9
GTEX-ZDXO-3026-SM-5J1N5 60-69 years, male 34.8
GTEX-13O3O-0126-SM-E9J49 60-69 years, female 34.8
GTEX-1JN76-0126-SM-CNPPE 20-29 years, female 34.8
GTEX-13OVG-1926-SM-5L3DK 60-69 years, male 34.7
GTEX-17KNJ-2326-SM-7DHLQ 50-59 years, male 34.7
GTEX-148VI-1626-SM-5SI6E 60-69 years, female 34.6
GTEX-Z93S-0126-SM-5HL7M 50-59 years, male 34.6
GTEX-U3ZH-2026-SM-3DB78 30-39 years, male 34.5
GTEX-1GF9U-2126-SM-7SB7L 40-49 years, female 34.5
GTEX-11LCK-1026-SM-5A5KB 30-39 years, male 34.4
GTEX-13CF3-2426-SM-5IFGX 60-69 years, female 34.4
GTEX-16XZY-2126-SM-79OK1 70-79 years, male 34.4
GTEX-11ZUS-0626-SM-59885 30-39 years, male 34.3
GTEX-139T4-0226-SM-5HL5S 50-59 years, female 34.3
GTEX-1AMFI-2026-SM-731BH 50-59 years, female 34.3
GTEX-1H1ZS-0426-SM-9WG6G 70-79 years, male 34.3
GTEX-111VG-2426-SM-5GZXD 60-69 years, male 34.2
GTEX-ZTSS-1926-SM-57WEW 40-49 years, male 34.2
GTEX-ZXG5-0126-SM-5GIEU 60-69 years, male 34.2
GTEX-11TTK-0126-SM-5987B 60-69 years, female 34.1
GTEX-17MF6-0126-SM-7LG4F 40-49 years, male 34.1
GTEX-ZF28-0126-SM-4WKGK 60-69 years, male 34.1
GTEX-ZU9S-0226-SM-5E441 30-39 years, male 34.1
GTEX-12WSA-0226-SM-5BC5V 60-69 years, male 34.0
GTEX-131XG-2626-SM-5KM17 50-59 years, female 34.0
GTEX-1EU9M-0226-SM-7P8SP 60-69 years, male 34.0
GTEX-13N1W-0126-SM-5K7VT 70-79 years, male 33.9
GTEX-1GPI6-0126-SM-9WG69 60-69 years, male 33.9
GTEX-14JG6-2226-SM-6EU2G 30-39 years, female 33.8
GTEX-1AMEY-1326-SM-73KYK 30-39 years, female 33.7
GTEX-1CB4J-0626-SM-7DHMP 60-69 years, male 33.7
GTEX-ZUA1-0126-SM-5GU76 40-49 years, male 33.7
GTEX-X62O-0126-SM-4E3JN 50-59 years, male 33.6
GTEX-VUSG-2526-SM-4KL1V 50-59 years, male 33.5
GTEX-1HCU8-0626-SM-A9SM9 60-69 years, female 33.5
GTEX-1MCQQ-0826-SM-DLHC2 60-69 years, male 33.4
GTEX-147F4-0226-SM-5QGPW 50-59 years, male 33.3
GTEX-14BIL-0126-SM-5SI92 50-59 years, male 33.3
GTEX-1C6VS-0526-SM-7DUEN 60-69 years, male 33.3
GTEX-U4B1-1826-SM-4DXSU 40-49 years, male 33.3
GTEX-ZYW4-0126-SM-5E44A 60-69 years, male 33.2
GTEX-1F7RK-0126-SM-7PC2S 20-29 years, female 33.2
GTEX-148VJ-0126-SM-5TDDN 70-79 years, male 33.1
GTEX-16NPX-0226-SM-79OMT 50-59 years, male 33.1
GTEX-X4XY-0226-SM-4E3IZ 60-69 years, male 33.1
GTEX-ZAJG-0126-SM-5HL94 50-59 years, female 33.1
GTEX-PW2O-1526-SM-7RHHB 20-29 years, male 33.1
GTEX-X638-0126-SM-47JZ8 70-79 years, female 33.0
GTEX-1I1GQ-0126-SM-COH3H 50-59 years, male 33.0
GTEX-1HSMO-0126-SM-CL547 60-69 years, male 32.8
GTEX-1K9T9-0126-SM-EVYCF 50-59 years, female 32.8
GTEX-14XAO-2326-SM-6EU1B 60-69 years, female 32.7
GTEX-18A7B-0126-SM-7LG64 70-79 years, male 32.7
GTEX-SSA3-0126-SM-32QPU 60-69 years, male 32.7
GTEX-1128S-2326-SM-5GZZY 60-69 years, female 32.6
GTEX-13IVO-0126-SM-5J1NG 70-79 years, male 32.6
GTEX-11GSO-2426-SM-5A5LY 60-69 years, male 32.5
GTEX-18D9B-0526-SM-7LTAS 60-69 years, male 32.5
GTEX-1IL2V-0126-SM-CM2TX 70-79 years, male 32.5
GTEX-11DXY-2626-SM-5GIE7 60-69 years, male 32.4
GTEX-1GN1V-0126-SM-9WPOS 60-69 years, male 32.3
GTEX-15CHC-2126-SM-6EU21 60-69 years, female 32.2
GTEX-Y5V6-2426-SM-4VDSB 60-69 years, male 32.2
GTEX-13NYC-0326-SM-E9J4S 60-69 years, male 32.2
GTEX-1QEPI-0126-SM-EWRMQ 60-69 years, female 32.1
GTEX-R3RS-0126-SM-3GIJL 40-49 years, female 32.0
GTEX-Y8LW-1826-SM-5S2MV 50-59 years, female 32.0
GTEX-1A3MW-0126-SM-73KXX 60-69 years, female 31.9
GTEX-P44H-0226-SM-2XCEU 40-49 years, male 31.9
GTEX-14PJ6-2126-SM-6EU1V 60-69 years, female 31.8
GTEX-1O97I-0326-SM-EYYX7 60-69 years, male 31.8
GTEX-YJ8A-0426-SM-5IFID 20-29 years, male 31.7
GTEX-1N2EF-0226-SM-EYYXB 60-69 years, male 31.7
GTEX-11TT1-2526-SM-5EGIB 20-29 years, male 31.6
GTEX-WOFL-0126-SM-3MJG2 60-69 years, male 31.6
GTEX-Q2AG-0126-SM-33HBV 40-49 years, female 31.5
GTEX-1JMOU-1526-SM-CL54I 60-69 years, female 31.5
GTEX-ZPIC-1726-SM-DHXIU 40-49 years, female 31.5
GTEX-1I1GP-2226-SM-CGQFK 50-59 years, male 31.4
GTEX-1I1GT-0626-SM-CGQER 60-69 years, female 31.4
GTEX-1R9PO-2126-SM-E9J4O 60-69 years, female 31.4
GTEX-1CAMQ-0226-SM-7IGPK 40-49 years, male 31.2
GTEX-TMMY-0226-SM-33HBA 40-49 years, female 31.0
GTEX-144GL-0126-SM-5TDE2 50-59 years, male 30.9
GTEX-1192W-2626-SM-5Q5AF 60-69 years, male 30.8
GTEX-11EMC-2926-SM-5EQ4F 60-69 years, female 30.7
GTEX-QDVN-2026-SM-3GAEP 50-59 years, male 30.7
GTEX-1H23P-0126-SM-ADEJ3 60-69 years, male 30.7
GTEX-1JN1M-0326-SM-CYPT3 60-69 years, female 30.7
GTEX-U3ZN-2326-SM-3DB7W 30-39 years, female 30.6
GTEX-1I1GU-2226-SM-CGQFA 40-49 years, male 30.6
GTEX-13FHO-0226-SM-5IFGY 60-69 years, male 30.5
GTEX-13FTY-0526-SM-5L3EV 40-49 years, female 30.3
GTEX-1JMQL-0226-SM-CNPP5 50-59 years, female 30.3
GTEX-14PK6-1926-SM-6ETZU 70-79 years, female 30.2
GTEX-1I1HK-0126-SM-COH49 60-69 years, male 30.2
GTEX-13O3Q-2426-SM-5IJBR 50-59 years, male 30.1
GTEX-S32W-2126-SM-2XCB1 50-59 years, female 30.1
GTEX-14A6H-0126-SM-5QGPK 30-39 years, male 30.0
GTEX-14C5O-0126-SM-5SI6N 60-69 years, male 30.0
GTEX-1PBJI-0526-SM-E8VNK 20-29 years, female 29.9
GTEX-TSE9-0126-SM-3DB83 60-69 years, female 29.7
GTEX-169BO-1326-SM-9MQK2 50-59 years, male 29.7
GTEX-1F88F-2726-SM-7PBZZ 60-69 years, female 29.7
GTEX-14E7W-0126-SM-6LLJ9 70-79 years, male 29.6
GTEX-14PHW-0126-SM-6LLJI 60-69 years, female 29.6
GTEX-1C6VQ-0126-SM-7P8RI 50-59 years, male 29.6
GTEX-11ZU8-2526-SM-5EQKI 60-69 years, male 29.5
GTEX-15EOM-0126-SM-7KUGG 20-29 years, female 29.5
GTEX-14A5H-0426-SM-5QGQF 60-69 years, male 29.2
GTEX-VJWN-0126-SM-3GIK7 50-59 years, female 28.7
GTEX-13RTJ-2426-SM-5S2Q2 60-69 years, male 28.6
GTEX-13RTL-0126-SM-7LG5S 40-49 years, male 28.5
GTEX-16MT8-0426-SM-7KUEY 60-69 years, female 28.4
GTEX-15D1Q-0126-SM-7KUG6 40-49 years, male 28.3
GTEX-1EN7A-0126-SM-7SB81 40-49 years, male 28.2
GTEX-ZYY3-0126-SM-5GZY5 60-69 years, female 27.6
GTEX-1JJE9-0326-SM-CL53Z 70-79 years, male 27.5
GTEX-13OW8-1326-SM-5J1OW 60-69 years, male 27.2
GTEX-Q2AH-1626-SM-3GAF8 40-49 years, male 26.9
GTEX-1HCVE-0126-SM-CGQEU 50-59 years, male 26.9
GTEX-15DCD-0126-SM-7KUEK 70-79 years, female 26.6
GTEX-1J8Q2-0526-SM-CM2RW 60-69 years, male 26.5
GTEX-15UKP-0426-SM-7KUFQ 20-29 years, male 26.2
GTEX-1LH75-2426-SM-E9TJE 50-59 years, female 23.9
GTEX-11WQK-0526-SM-5EQLD 50-59 years, male 20.8
Show allShow less

Contact

  • NEWS ARTICLES
  • PRESS ROOM

The Project

  • INTRODUCTION
  • ORGANIZATION
  • PUBLICATIONS

The Human Protein Atlas

  • DOWNLOADABLE DATA
  • LICENCE & CITATION
  • HELP & FAQ
The Human Protein Atlas project is funded
by the Knut & Alice Wallenberg Foundation.


contact@proteinatlas.org