We use cookies to enhance the usability of our website. If you continue, we'll assume that you are happy to receive all cookies. More information. Don't show this again.
PSMB10
HPA
RESOURCES
  • TISSUE
  • BRAIN
  • SINGLE CELL
  • SUBCELLULAR
  • CANCER
  • BLOOD
  • CELL LINE
  • STRUCTURE & INTERACTION
ABOUT
  • INTRODUCTION
  • HISTORY
  • ORGANIZATION
  • PUBLICATIONS
  • ANTIBODY SUBMISSION
  • ANTIBODY AVAILABILITY
  • ACKNOWLEDGMENTS
  • CONTACT
NEWS
  • NEWS ARTICLES
  • PRESS ROOM
LEARN
  • DICTIONARY
  • PROTEIN CLASSES
  • PROTEIN EVIDENCE
  • METHODS
  • EDUCATIONAL VIDEOS
DATA
  • DOWNLOADABLE DATA
  • PUBLICATION DATA
  • RELEASE HISTORY
HELP
  • ANTIBODY VALIDATION
  • ASSAYS & ANNOTATION
  • DISCLAIMER
  • HELP & FAQ
  • PRIVACY STATEMENT
  • LICENCE & CITATION
Fields »
Search result

Field
Term
Gene name
Class
Subclass
Class
Keyword
Chromosome
External id
Tissue
Cell type
Expression
Antibody panel
Tissue
Main location
Patient ID
Annotation
Tissue
Category
Tau score
Cluster
Reliability
Brain region
Category
Tau score
Brain region
Category
Tau score
Brain region
Category
Tau score
Cluster
Reliability
Tissue
Cell type
Enrichment
Cell type
Category
Tau score
Cell type
Category
Tau score
Cell type
Category
Tau score
Cell lineage
Category
Tau score
Cluster
Cluster
Location
Searches
Location
Cell line
Class
Type
Phase
Reliability
Cancer
Prognosis
Cancer
Category
Cancer
Category
Tau score
Cluster
Variants
Interacting gene (ensg_id)
Type
Number of interactions
Pathway
Category
Score
Score
Score
Validation
Validation
Validation
Validation
Antibodies
Data type
Column


  • SUMMARY

  • TISSUE

  • BRAIN

  • SINGLE CELL

  • SUBCELL

  • CANCER

  • BLOOD

  • CELL LINE

  • STRUCT & INT

  • PSMB10
TISSUE PRIMARY DATA PANCREAS Show tissue menu
ADIPOSE TISSUE ADRENAL GLAND AMYGDALA APPENDIX BASAL GANGLIA BONE MARROW BREAST BRONCHUS CEREBELLUM CEREBRAL CORTEX CERVIX CHOROID PLEXUS COLON DUODENUM
ENDOMETRIUM EPIDIDYMIS ESOPHAGUS FALLOPIAN TUBE GALLBLADDER HEART MUSCLE HIPPOCAMPAL FORMATION HYPOTHALAMUS KIDNEY LIVER LUNG LYMPH NODE MIDBRAIN NASOPHARYNX
ORAL MUCOSA OVARY PANCREAS PARATHYROID GLAND PITUITARY GLAND PLACENTA PROSTATE RECTUM RETINA SALIVARY GLAND SEMINAL VESICLE SKELETAL MUSCLE SKIN SMALL INTESTINE
SMOOTH MUSCLE SOFT TISSUE SPINAL CORD SPLEEN STOMACH TESTIS THYMUS THYROID GLAND TONGUE TONSIL URINARY BLADDER VAGINA
ANTIBODIES
AND
VALIDATION
Dictionary
Pancreas
Tissue proteome
Pancreas
PANCREAS - Expression summary
Protein expression
Pancreasi

On the top, protein expression in current human tissue, based on all annotated cell types, is reported with the units not detected (n), low (l), medium (m) and high (h). Underneath, protein expression in each annotated cell type are reported using the same units.

Protein expression data is based on knowledge-based annotation. For genes where more than one antibody has been used, a collective score is set.

If knowledge-based annotation could not be performed for a gene, no data is displayed here. View antibody staining data further down this page.

h
m
l
n
Exocrine glandular cells: Low
Pancreatic endocrine cells: Not detected
RNA expressioni

A summary of mRNA expression data available for current tissue based on several datasets. The mRNA expression levels in human tissues are based on RNA-seq data generated by the Human Protein Atlas (HPA), Genotype-Tissue Expression (GTEx) portal and CAGE data generated by the FANTOM5 consortium. Consensus normalized expression levels for human tissues was created by combining the data from HPA and GTEx datasets.

The mRNA expression levels in pig are based on RNA-seq data generated by the Human Protein Atlas (HPA), and for mouse, HPA data and in situ hybridization generated by the Allen brain atlas are reported.

Scroll down to view mRNA expression data in more detail.
Consensus:14.6 nTPM
HPA:12.9 nTPM
GTEx:14.6 nTPM
FANTOM5:269.8 Scaled Tags Per Million

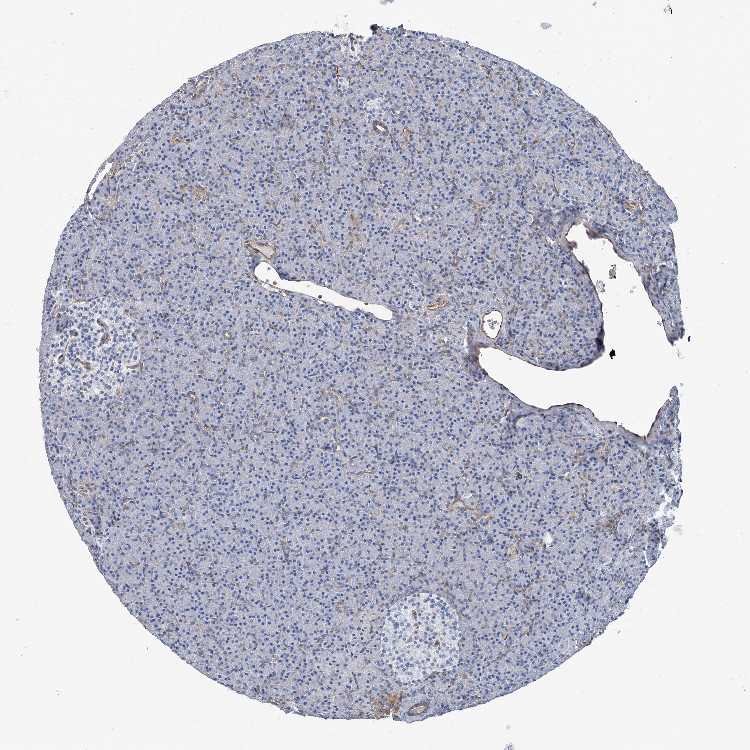
PANCREAS - Antibody stainingi

Antibody staining in the annotated cell types in the current human tissue is reported as not detected, low, medium, or high, based on conventional immunohistochemistry profiling in selected tissues. This score is based on the combination of the staining intensity and fraction of stained cells.

Each image is clickable and will lead to virtual microscopy that enables deeper exploration of all samples and also displays staining intensity scores, fraction scores and subcellular localization as well as patient and tissue information for each sample.

Antibody HPA030224Antibody HPA030225Antibody CAB034384Antibody CAB080377
Exocrine glandular cells LowLowLowNot detected
Pancreatic endocrine cells Not detectedNot detectedNot detectedNot detected









PANCREAS - HPA RNA-seqi

The RNA-seq details section shows detailed information about the individual samples used for the transcript profiling and results of the RNA-seq analysis.

Information about each individual sample is listed below, including gender, age, a tissue section image and estimated fractions of cell types. nTPM (normalized transcripts per million) values give a quantification of the gene abundance which is comparable between different genes and samples.
Average nTPMi

Max subtype nTPM is the value for the subtype with the largest average nTPM across the subtype samples.

12.9
overview
Female, age 59
Pancreas sample 194
nTPM: 17.8
Cell types%
Exocrine glandular cells:
75

Pancreatic endocrine cells:
10

Ductal cells:
5

Other cell types:
10

overview
Male, age 60
Pancreas sample 195
nTPM: 8
Cell types%
Exocrine glandular cells:
90

Pancreatic endocrine cells:
5

Ductal cells:
5


PANCREAS - GTEx RNA-seqi

RNA-Seq data generated by the Genotype-Tissue Expression (GTEx) project from human tissues is reported as mean nTPM. More information can be found on the GTEx portal.

Distribution across the dataset is visualized with box plots, shown as median and 25th and 75th percentiles. Points are displayed as outliers if they are above or below 1.5 times the interquartile range. nTPM values of the individual samples are presented next to the box plot.
Max subtype nTPMi

Max subtype nTPM is the value for the subtype with the largest average nTPM across the subtype samples.

14.6
GTEx sample id Sample description nTPM
Pancreas
Average nTPM: 14.6
Samples: 328

Max nTPM: 64.7
Min nTPM: 2.7
Std nTPM: 9.3
Median nTPM: 11.8
GTEX-WFON-0626-SM-4LVLX 40-49 years, male 64.7
GTEX-144FL-1526-SM-5Q5CA 50-59 years, male 50.4
GTEX-18A67-1726-SM-7KFT9 50-59 years, male 50.3
GTEX-1R46S-1426-SM-EXOJD 60-69 years, female 44.5
GTEX-1K2DU-1026-SM-DHXKC 20-29 years, male 41.5
GTEX-QDVJ-1226-SM-48U1V 50-59 years, male 41.3
GTEX-Y9LG-0726-SM-4VDS3 30-39 years, male 41.1
GTEX-1JKYN-0426-SM-CGQG2 30-39 years, male 39.9
GTEX-1A3MW-1926-SM-7IGM8 60-69 years, female 39.4
GTEX-139YR-1526-SM-5IFJ1 50-59 years, male 38.9
GTEX-1QAET-1326-SM-E9U64 50-59 years, male 38.2
GTEX-WY7C-1026-SM-4OND3 50-59 years, male 38.0
GTEX-1AX8Z-1726-SM-731DE 60-69 years, male 37.4
GTEX-V1D1-0726-SM-4JBH7 50-59 years, male 35.7
GTEX-OIZF-1026-SM-2HML5 60-69 years, male 35.1
GTEX-144GM-0726-SM-79OJQ 20-29 years, male 34.8
GTEX-U8XE-2026-SM-3DB8S 30-39 years, male 34.3
GTEX-1NSGN-1726-SM-EXOJG 50-59 years, male 34.3
GTEX-Q2AH-0926-SM-48TZK 40-49 years, male 33.5
GTEX-15FZZ-0626-SM-7KFTO 30-39 years, female 33.4
GTEX-WI4N-1826-SM-4OOSF 40-49 years, female 33.1
GTEX-1B932-1626-SM-731EA 40-49 years, female 33.0
GTEX-TKQ2-0426-SM-4DXUO 50-59 years, male 32.8
GTEX-13CF3-1026-SM-5LZWY 60-69 years, female 32.7
GTEX-1C64O-1426-SM-7EWER 60-69 years, male 32.2
GTEX-SUCS-1426-SM-4DM5W 70-79 years, male 31.1
GTEX-15UF7-0826-SM-6M46E 40-49 years, male 30.6
GTEX-1N2EF-2126-SM-DPRYL 60-69 years, male 30.6
GTEX-1PPH8-2326-SM-EAZ48 20-29 years, male 30.4
GTEX-14PN4-1626-SM-6AJB5 50-59 years, male 29.8
GTEX-18D9U-1626-SM-7KFTW 40-49 years, male 29.8
GTEX-ZTPG-1026-SM-5DUWP 20-29 years, female 29.5
GTEX-1IDJD-0126-SM-C1YQZ 30-39 years, male 28.5
GTEX-WFG8-0326-SM-4LVN4 20-29 years, male 28.4
GTEX-15SDE-0826-SM-6M463 50-59 years, female 28.0
GTEX-QMRM-0326-SM-CKZNB 50-59 years, male 28.0
GTEX-OOBK-1026-SM-48TC2 40-49 years, male 27.9
GTEX-OOBJ-1026-SM-3NB2L 60-69 years, male 27.0
GTEX-13O1R-1826-SM-5KM3B 60-69 years, male 26.5
GTEX-1CAMR-1126-SM-7MGXF 20-29 years, male 26.0
GTEX-1339X-1026-SM-5IFH5 40-49 years, male 25.8
GTEX-ZC5H-0826-SM-5N9FH 40-49 years, female 25.3
GTEX-YB5E-0526-SM-4VDSD 40-49 years, male 24.8
GTEX-15RJ7-0826-SM-6LLI8 40-49 years, male 24.6
GTEX-1R9K5-1226-SM-E6CPQ 50-59 years, male 24.5
GTEX-1PWST-1526-SM-EXOIT 70-79 years, male 23.4
GTEX-1K9T9-1726-SM-CXZK1 50-59 years, female 23.3
GTEX-1AYD5-0326-SM-7EWEO 50-59 years, male 22.7
GTEX-S32W-0826-SM-4AD5Z 50-59 years, female 22.4
GTEX-15EU6-1126-SM-68721 50-59 years, male 22.3
GTEX-1C4CL-0926-SM-79OL2 30-39 years, male 22.2
GTEX-VJYA-0826-SM-4KL1M 60-69 years, male 22.2
GTEX-13N11-0226-SM-5KM3C 50-59 years, female 22.1
GTEX-T8EM-0826-SM-4DM76 40-49 years, male 22.1
GTEX-S33H-1226-SM-4AD69 30-39 years, male 21.9
GTEX-14ICL-1126-SM-5S2RE 30-39 years, male 21.3
GTEX-SE5C-0326-SM-4BRWX 40-49 years, female 20.9
GTEX-1GN1U-1126-SM-9WPPZ 50-59 years, female 20.8
GTEX-1JKYR-1026-SM-CGQGI 20-29 years, male 20.8
GTEX-OHPL-1026-SM-3MJGI 60-69 years, female 20.5
GTEX-1JMPZ-1026-SM-CXZJS 30-39 years, male 20.0
GTEX-ZPU1-0226-SM-4WWC9 40-49 years, male 19.9
GTEX-145ME-0326-SM-5S2QO 40-49 years, female 19.7
GTEX-XBED-0226-SM-47JY8 60-69 years, male 19.7
GTEX-WHPG-0326-SM-4M1XV 50-59 years, male 19.6
GTEX-1JK1U-1026-SM-AHZ44 60-69 years, male 19.6
GTEX-13U4I-1526-SM-5IFFF 40-49 years, female 19.3
GTEX-11TT1-0326-SM-5LUAY 20-29 years, male 19.1
GTEX-WFG7-0426-SM-4LMK5 20-29 years, male 19.1
GTEX-PX3G-1026-SM-48TZW 20-29 years, female 18.8
GTEX-U4B1-0726-SM-4DXUA 40-49 years, male 18.8
GTEX-131XE-1926-SM-5IFER 50-59 years, male 18.7
GTEX-14PK6-1026-SM-664NZ 70-79 years, female 18.7
GTEX-144GN-0826-SM-5LU5G 50-59 years, male 18.6
GTEX-132QS-0926-SM-5P9GB 60-69 years, male 18.5
GTEX-14PHX-2026-SM-6872C 50-59 years, male 18.5
GTEX-WYJK-2426-SM-4ONDQ 50-59 years, male 18.3
GTEX-13FTX-1226-SM-5IFGN 20-29 years, female 18.1
GTEX-18A66-2126-SM-7189D 60-69 years, male 18.1
GTEX-1K2DA-0326-SM-CGQGX 50-59 years, male 18.0
GTEX-Y3I4-0826-SM-4TT2A 50-59 years, male 17.7
GTEX-ZF3C-2026-SM-4WWB5 50-59 years, female 17.7
GTEX-Y5LM-0526-SM-4V6G3 40-49 years, female 17.6
GTEX-1PFEY-1126-SM-DPRZ3 30-39 years, male 17.5
GTEX-14PJ2-1526-SM-686Z4 50-59 years, male 17.2
GTEX-1B8KZ-0926-SM-731D7 50-59 years, male 17.2
GTEX-17KNJ-1926-SM-7KFRV 50-59 years, male 16.9
GTEX-12WSN-0826-SM-5GCOF 40-49 years, male 16.6
GTEX-1RAZQ-1426-SM-EV7B2 30-39 years, male 16.5
GTEX-1128S-0826-SM-5GZZI 60-69 years, female 16.4
GTEX-TML8-0526-SM-32QOQ 40-49 years, female 16.4
GTEX-X4LF-0326-SM-4QAS9 50-59 years, male 16.3
GTEX-1QPFJ-2226-SM-EXOJW 30-39 years, female 16.3
GTEX-XMK1-0326-SM-4B652 40-49 years, male 16.1
GTEX-1NUQO-0826-SM-DPS16 20-29 years, female 16.1
GTEX-P4QS-1026-SM-3NMCW 60-69 years, male 15.9
GTEX-R55G-0326-SM-48FDM 40-49 years, female 15.9
GTEX-ZYT6-1326-SM-5E453 30-39 years, male 15.9
GTEX-1QP2A-1326-SM-EAZ3K 50-59 years, male 15.9
GTEX-QDVN-0926-SM-2I5GL 50-59 years, male 15.8
GTEX-WFJO-0626-SM-4LVMC 30-39 years, male 15.8
GTEX-1IDJC-0526-SM-AHZ2Q 50-59 years, male 15.8
GTEX-QLQ7-0626-SM-CE6QX 60-69 years, male 15.8
GTEX-1AYCT-1226-SM-7EPGH 50-59 years, male 15.7
GTEX-NFK9-1626-SM-3LK5J 40-49 years, male 15.7
GTEX-Y114-0826-SM-4TT77 50-59 years, female 15.7
GTEX-1O97I-1726-SM-EXOIP 60-69 years, male 15.6
GTEX-16Z82-1726-SM-7MGX3 60-69 years, male 15.3
GTEX-13VXT-1226-SM-5LU3M 20-29 years, female 15.1
GTEX-WXYG-0826-SM-4ONC7 50-59 years, female 15.1
GTEX-XYKS-1226-SM-4BRVI 60-69 years, female 15.1
GTEX-1B8KE-0726-SM-72D7G 50-59 years, male 15.0
GTEX-ZYFG-0826-SM-5BC5T 60-69 years, female 15.0
GTEX-14C39-1026-SM-73KWG 40-49 years, male 14.8
GTEX-1I1GU-0326-SM-AHZ2K 40-49 years, male 14.8
GTEX-17HGU-2026-SM-79OKS 50-59 years, male 14.7
GTEX-V955-0326-SM-4JBGV 60-69 years, male 14.7
GTEX-ZP4G-0426-SM-4YCER 20-29 years, female 14.7
GTEX-13PL7-2226-SM-5L3IC 60-69 years, female 14.6
GTEX-XXEK-1726-SM-4BRVB 50-59 years, male 14.6
GTEX-13X6H-0626-SM-5LU53 50-59 years, female 14.5
GTEX-11VI4-0426-SM-5EGHZ 40-49 years, female 14.3
GTEX-ZAB5-0826-SM-5P9FU 50-59 years, male 14.3
GTEX-S95S-0726-SM-4B64H 60-69 years, male 14.2
GTEX-1CB4G-1826-SM-7MKGO 60-69 years, male 14.1
GTEX-1CB4I-1326-SM-79OLY 50-59 years, male 14.1
GTEX-1QW4Y-0926-SM-DPRY2 30-39 years, male 14.1
GTEX-17MF6-1426-SM-7IGOX 40-49 years, male 14.0
GTEX-Y3IK-0426-SM-4WWE2 50-59 years, female 14.0
GTEX-XV7Q-0926-SM-4BRVQ 40-49 years, female 13.9
GTEX-1AMFI-0726-SM-731D9 50-59 years, female 13.8
GTEX-1AX9J-1726-SM-731FF 60-69 years, male 13.7
GTEX-XPVG-0326-SM-4B653 50-59 years, male 13.7
GTEX-PW2O-0826-SM-48TC5 20-29 years, male 13.6
GTEX-VUSG-0326-SM-3GIJ7 50-59 years, male 13.6
GTEX-RM2N-0326-SM-48FD8 50-59 years, male 13.5
GTEX-Y8E4-1326-SM-5IFIY 40-49 years, male 13.5
GTEX-ZZPU-0726-SM-5N9C8 50-59 years, female 13.5
GTEX-11P7K-0526-SM-5BC5I 30-39 years, male 13.4
GTEX-1399R-0426-SM-5IJE3 30-39 years, male 13.4
GTEX-1F5PL-0726-SM-7MKH8 40-49 years, female 13.4
GTEX-YF7O-1326-SM-4W1ZR 50-59 years, male 13.4
GTEX-ZLWG-0326-SM-4WWC7 50-59 years, female 13.3
GTEX-14PKV-0926-SM-6AJB4 20-29 years, female 13.2
GTEX-1497J-0426-SM-5Q5CO 60-69 years, male 13.1
GTEX-P4PP-1026-SM-3NM9O 30-39 years, female 13.1
GTEX-QESD-0226-SM-447BH 20-29 years, male 12.8
GTEX-N7MT-1626-SM-3LK71 60-69 years, female 12.7
GTEX-1I1GT-0926-SM-AHZ2G 60-69 years, female 12.7
GTEX-1I4MK-1026-SM-AHZ2H 50-59 years, female 12.7
GTEX-14PJ4-0726-SM-6872E 60-69 years, male 12.6
GTEX-O5YT-1026-SM-3MJGF 20-29 years, male 12.6
GTEX-WQUQ-2126-SM-4OOSO 60-69 years, male 12.6
GTEX-PLZ6-0726-SM-3P619 30-39 years, male 12.5
GTEX-1399U-0926-SM-5IFHA 50-59 years, female 12.4
GTEX-1S831-0626-SM-EV79N 20-29 years, male 12.4
GTEX-131XF-1426-SM-5BC68 60-69 years, male 12.3
GTEX-13FTW-0526-SM-5IFIP 40-49 years, male 12.3
GTEX-14PJO-1826-SM-69LPR 60-69 years, male 12.2
GTEX-YEC4-1326-SM-5IFHG 40-49 years, male 12.0
GTEX-ZT9W-0926-SM-57WFS 50-59 years, male 12.0
GTEX-ZVZP-0626-SM-59HL5 50-59 years, male 12.0
GTEX-1IDJU-0326-SM-CGQEE 60-69 years, female 12.0
GTEX-1CB4F-1226-SM-7DHKU 60-69 years, male 11.8
GTEX-WHSB-0726-SM-4M1XQ 50-59 years, male 11.8
GTEX-ZDYS-2526-SM-4WKGU 50-59 years, male 11.8
GTEX-1RAZA-1626-SM-EV79I 20-29 years, male 11.8
GTEX-WH7G-0826-SM-4LVMR 40-49 years, male 11.7
GTEX-WRHK-0226-SM-4MVOH 20-29 years, female 11.7
GTEX-13FH7-1426-SM-5IFIC 50-59 years, female 11.6
GTEX-15UF6-1826-SM-6LLI9 70-79 years, female 11.6
GTEX-SNOS-0926-SM-4DM7A 40-49 years, male 11.6
GTEX-13PVR-0726-SM-5S2PX 60-69 years, female 11.5
GTEX-13W3W-1026-SM-5IFG4 60-69 years, female 11.5
GTEX-OHPM-1026-SM-3LK74 50-59 years, male 11.5
GTEX-UJHI-0626-SM-3DB8T 50-59 years, female 11.5
GTEX-1H11D-0926-SM-9OSXO 40-49 years, male 11.5
GTEX-1H1DG-1426-SM-9OSXP 70-79 years, male 11.5
GTEX-T5JW-0226-SM-4DM7I 20-29 years, female 11.3
GTEX-1GMR3-1226-SM-7MGY1 40-49 years, male 11.3
GTEX-R55D-1426-SM-48FEN 50-59 years, male 11.2
GTEX-1A8FM-1826-SM-7MGXO 50-59 years, female 11.1
GTEX-15RIF-0626-SM-6LLI3 20-29 years, male 11.0
GTEX-1CAMS-1926-SM-7DUEU 40-49 years, female 11.0
GTEX-YB5K-1826-SM-5IFJC 40-49 years, female 11.0
GTEX-1B933-1726-SM-731FC 50-59 years, female 10.9
GTEX-14DAR-0526-SM-664MX 50-59 years, male 10.8
GTEX-1HSGN-1426-SM-A8NAA 40-49 years, female 10.8
GTEX-16MT8-1726-SM-7EWE7 60-69 years, female 10.7
GTEX-ZPCL-0726-SM-DO91S 60-69 years, female 10.7
GTEX-NPJ8-2126-SM-3MJGK 40-49 years, male 10.6
GTEX-ZG7Y-0326-SM-4WWEY 50-59 years, male 10.6
GTEX-12WSK-0226-SM-5BC62 40-49 years, female 10.5
GTEX-X15G-0726-SM-4PQZ5 50-59 years, female 10.5
GTEX-XGQ4-0226-SM-4GIDS 50-59 years, male 10.5
GTEX-12WSG-1026-SM-5EGII 50-59 years, female 10.4
GTEX-ZEX8-1026-SM-4WKHE 50-59 years, male 10.3
GTEX-1OFPY-0626-SM-EXOJ4 60-69 years, male 10.2
GTEX-WHWD-0726-SM-4OORX 50-59 years, male 10.1
GTEX-1OKEX-1726-SM-E9U4F 60-69 years, male 10.1
GTEX-11XUK-0626-SM-5N9ES 40-49 years, female 10.0
GTEX-ZF29-1126-SM-4WKGO 60-69 years, female 9.9
GTEX-QCQG-0426-SM-48U29 50-59 years, female 9.8
GTEX-1GF9X-1126-SM-7MKHC 40-49 years, female 9.8
GTEX-13O61-2126-SM-5IJEO 60-69 years, male 9.7
GTEX-15UKP-1326-SM-6LPI8 20-29 years, male 9.7
GTEX-QLQW-0326-SM-447A8 30-39 years, male 9.7
GTEX-12WSL-0426-SM-5GCNX 50-59 years, male 9.6
GTEX-1AX9K-2026-SM-731D1 50-59 years, male 9.6
GTEX-YFCO-1026-SM-5LU9S 40-49 years, male 9.6
GTEX-1399S-0326-SM-5IFFS 30-39 years, female 9.5
GTEX-QV44-0426-SM-4R1KF 50-59 years, male 9.5
GTEX-W5WG-0826-SM-4RGNE 50-59 years, female 9.5
GTEX-1HKZK-1126-SM-9WG82 40-49 years, male 9.5
GTEX-1C2JI-0926-SM-731F1 50-59 years, male 9.4
GTEX-13OVI-0526-SM-5IFFQ 60-69 years, female 9.3
GTEX-14PKU-0626-SM-6EU1Q 40-49 years, female 9.3
GTEX-1HSMO-2026-SM-CNNQO 60-69 years, male 9.3
GTEX-14BMU-0726-SM-73KXS 20-29 years, female 9.2
GTEX-14JG6-0426-SM-68715 30-39 years, female 9.2
GTEX-15CHR-2026-SM-7MXU2 50-59 years, male 9.2
GTEX-148VI-0826-SM-5TDDI 60-69 years, female 9.1
GTEX-15ER7-1326-SM-6LPK9 20-29 years, female 9.1
GTEX-WYVS-0926-SM-4SOJV 40-49 years, female 9.1
GTEX-132AR-1826-SM-5EGHR 50-59 years, female 9.0
GTEX-14PJ6-0926-SM-686ZA 60-69 years, female 9.0
GTEX-14PJN-1526-SM-6AJBP 30-39 years, male 9.0
GTEX-1QP29-1926-SM-DPRZO 50-59 years, male 9.0
GTEX-1H23P-2026-SM-9OSXY 60-69 years, male 8.9
GTEX-11LCK-0226-SM-5A5M6 30-39 years, male 8.8
GTEX-14PHY-1126-SM-664OR 60-69 years, female 8.8
GTEX-1B996-1326-SM-731EO 60-69 years, male 8.8
GTEX-ZVT2-2026-SM-5NQ8Q 50-59 years, female 8.8
GTEX-1R7EV-1126-SM-DPRXU 40-49 years, male 8.8
GTEX-XUW1-1726-SM-4BOOZ 50-59 years, female 8.6
GTEX-13YAN-2126-SM-5Q5C4 60-69 years, male 8.5
GTEX-P4PQ-1026-SM-3NMCN 60-69 years, male 8.5
GTEX-1M5QR-0926-SM-DHXK8 40-49 years, male 8.4
GTEX-1MUQO-1426-SM-DPRYJ 60-69 years, male 8.4
GTEX-YEC3-0626-SM-CMKFG 50-59 years, male 8.4
GTEX-1GL5R-0926-SM-9JGFO 50-59 years, male 8.3
GTEX-1S83E-1426-SM-EV7B8 40-49 years, male 8.3
GTEX-15SHV-1526-SM-6LLIB 60-69 years, male 8.2
GTEX-PSDG-1526-SM-48TCY 50-59 years, male 8.2
GTEX-XBEW-1626-SM-4SOJP 40-49 years, male 8.2
GTEX-13FLV-0626-SM-5IFEY 50-59 years, male 8.1
GTEX-Y8LW-1026-SM-5IFJY 50-59 years, female 8.1
GTEX-1R7EU-0726-SM-DPRZM 60-69 years, male 8.1
GTEX-14AS3-0326-SM-5Q5DB 40-49 years, female 8.0
GTEX-14PN3-0126-SM-6AJAU 60-69 years, female 8.0
GTEX-17F98-0426-SM-79ONZ 40-49 years, female 8.0
GTEX-ZDTT-1126-SM-4WKFW 60-69 years, male 8.0
GTEX-1N2DV-1726-SM-DPRYR 40-49 years, male 8.0
GTEX-11EQ9-1026-SM-5H134 30-39 years, male 7.9
GTEX-1PBJI-2126-SM-DPRYG 20-29 years, female 7.9
GTEX-117YX-0226-SM-5EGH6 50-59 years, male 7.7
GTEX-14PJ3-0426-SM-6LLHF 50-59 years, male 7.7
GTEX-X5EB-0526-SM-46MVP 40-49 years, male 7.7
GTEX-13SLX-1326-SM-5S2QS 50-59 years, female 7.5
GTEX-TMMY-1326-SM-4DXU9 40-49 years, female 7.5
GTEX-111YS-1226-SM-5EGGJ 60-69 years, male 7.4
GTEX-17F9E-1426-SM-793BG 50-59 years, male 7.4
GTEX-1122O-0726-SM-5GIEV 60-69 years, female 7.3
GTEX-178AV-0226-SM-793B7 40-49 years, male 7.3
GTEX-X3Y1-0726-SM-3P5YU 40-49 years, male 7.3
GTEX-ZLFU-0726-SM-57WF6 40-49 years, male 7.3
GTEX-13D11-2226-SM-5IFEO 50-59 years, female 7.2
GTEX-QV31-0226-SM-447BO 30-39 years, male 7.2
GTEX-R53T-0426-SM-48FEM 50-59 years, female 7.2
GTEX-S4P3-0626-SM-4AD59 50-59 years, female 7.2
GTEX-11ONC-0526-SM-5BC57 60-69 years, male 7.1
GTEX-12WSD-1626-SM-5GCNR 60-69 years, female 7.1
GTEX-1GN1W-1126-SM-9OSW3 50-59 years, female 7.1
GTEX-146FQ-1526-SM-5Q5CX 30-39 years, male 7.0
GTEX-1LG7Z-0326-SM-DHXK3 30-39 years, male 7.0
GTEX-1211K-1126-SM-5EGGB 60-69 years, female 6.9
GTEX-ZVP2-0726-SM-59HKY 50-59 years, male 6.8
GTEX-ZPIC-0926-SM-4WWFK 40-49 years, female 6.7
GTEX-ZYW4-2126-SM-59HJ9 60-69 years, male 6.6
GTEX-1CAMQ-1626-SM-7MGXG 40-49 years, male 6.6
GTEX-Q2AI-0426-SM-48U13 40-49 years, male 6.5
GTEX-11I78-0626-SM-5A5LZ 50-59 years, female 6.4
GTEX-145MO-2126-SM-5Q5CZ 60-69 years, male 6.4
GTEX-1B97J-1526-SM-79ONI 50-59 years, female 6.4
GTEX-S3XE-0526-SM-4AD4G 50-59 years, male 6.4
GTEX-111CU-0526-SM-5EGHK 50-59 years, male 6.3
GTEX-QEL4-1326-SM-447AD 50-59 years, male 6.3
GTEX-RWS6-1126-SM-47JXC 60-69 years, female 6.3
GTEX-UJMC-1126-SM-3GADP 50-59 years, male 6.3
GTEX-145MN-1426-SM-5SI9H 30-39 years, male 6.2
GTEX-146FR-0126-SM-5Q5F3 60-69 years, female 6.2
GTEX-1L5NE-0826-SM-DHXKU 50-59 years, male 6.2
GTEX-17HHE-0526-SM-7DUGR 50-59 years, male 6.1
GTEX-1LVAN-1226-SM-CNNQY 50-59 years, female 6.1
GTEX-1MGNQ-1226-SM-EV7BM 40-49 years, male 6.1
GTEX-1S82P-1026-SM-EAZ4W 60-69 years, female 6.1
GTEX-1J8EW-1926-SM-CGQGR 60-69 years, female 6.0
GTEX-1KXAM-0226-SM-EV7AP 60-69 years, male 6.0
GTEX-1QEPI-1626-SM-EAZ3I 60-69 years, female 6.0
GTEX-ZAB4-1726-SM-5HL8C 40-49 years, male 5.8
GTEX-1IL2U-2326-SM-CNNQV 60-69 years, male 5.8
GTEX-1GZ4H-0626-SM-9OSXJ 50-59 years, female 5.7
GTEX-14PJM-2126-SM-6AJAS 50-59 years, female 5.6
GTEX-15SB6-0226-SM-6LLIA 50-59 years, female 5.6
GTEX-ZYY3-0826-SM-5E44R 60-69 years, female 5.6
GTEX-1H1E6-0826-SM-9WG83 30-39 years, male 5.6
GTEX-1J8Q3-0626-SM-AHZ3V 60-69 years, male 5.6
GTEX-14E6E-1426-SM-5RQI2 30-39 years, male 5.4
GTEX-XQ8I-1926-SM-4BOOK 50-59 years, male 5.3
GTEX-11NSD-0526-SM-5A5LT 20-29 years, male 5.2
GTEX-131XG-1426-SM-5GCMO 50-59 years, female 5.2
GTEX-1KANA-1526-SM-CXZKG 20-29 years, male 5.2
GTEX-1C6VQ-1726-SM-7IGLQ 50-59 years, male 5.1
GTEX-Q734-0426-SM-48TZX 40-49 years, female 5.1
GTEX-ZV7C-0726-SM-59HKH 50-59 years, male 5.1
GTEX-1LSNM-0726-SM-DHXL1 50-59 years, male 5.1
GTEX-1QP28-1026-SM-EAZ4K 50-59 years, female 4.9
GTEX-18A6Q-1726-SM-7LT9A 60-69 years, male 4.6
GTEX-18A7A-1726-SM-7LT93 50-59 years, female 4.6
GTEX-1LGRB-0426-SM-CNNRD 50-59 years, female 4.6
GTEX-11DXX-0926-SM-5H112 60-69 years, female 4.4
GTEX-ZAK1-2326-SM-5CVMY 50-59 years, female 4.4
GTEX-11GSP-0426-SM-5A5KX 60-69 years, female 4.1
GTEX-15DYW-1626-SM-6LLI1 60-69 years, female 3.7
GTEX-12BJ1-1126-SM-5EGGG 60-69 years, male 3.5
GTEX-1I1GQ-2226-SM-B2LX1 50-59 years, male 3.4
GTEX-OIZI-1526-SM-E6CHI 40-49 years, male 2.7
GTEX-OXRK-1526-SM-E6CHJ 50-59 years, female 2.7
Show allShow less

PANCREAS - FANTOM5 CAGEi

RNA expression in human tissues obtained through Cap Analysis of Gene Expression (CAGE) generated by the FANTOM5 project are reported as Scaled Tags Per Million.

Max subtype Scaled Tags Per Millioni

Max subtype Scaled Tags Per Million is the value for the subtype with the largest average Scaled Tags Per Million across the subtype samples.

269.8
FANTOM5 sample id Sample description Scaled Tags Per Million
Pancreas
Scaled Tags Per Million: 269.8
FF:10049-101G4 52 years, male 269.8

Contact

  • NEWS ARTICLES
  • PRESS ROOM

The Project

  • INTRODUCTION
  • ORGANIZATION
  • PUBLICATIONS

The Human Protein Atlas

  • DOWNLOADABLE DATA
  • LICENCE & CITATION
  • HELP & FAQ
The Human Protein Atlas project is funded
by the Knut & Alice Wallenberg Foundation.


contact@proteinatlas.org