We use cookies to enhance the usability of our website. If you continue, we'll assume that you are happy to receive all cookies. More information. Don't show this again.
MT1A
HPA
RESOURCES
  • TISSUE
  • BRAIN
  • SINGLE CELL
  • SUBCELLULAR
  • CANCER
  • BLOOD
  • CELL LINE
  • STRUCTURE & INTERACTION
ABOUT
  • INTRODUCTION
  • HISTORY
  • ORGANIZATION
  • PUBLICATIONS
  • ANTIBODY SUBMISSION
  • ANTIBODY AVAILABILITY
  • ACKNOWLEDGMENTS
  • CONTACT
NEWS
  • NEWS ARTICLES
  • PRESS ROOM
LEARN
  • DICTIONARY
  • PROTEIN CLASSES
  • PROTEIN EVIDENCE
  • METHODS
  • EDUCATIONAL VIDEOS
DATA
  • DOWNLOADABLE DATA
  • PUBLICATION DATA
  • RELEASE HISTORY
HELP
  • ANTIBODY VALIDATION
  • ASSAYS & ANNOTATION
  • DISCLAIMER
  • HELP & FAQ
  • PRIVACY STATEMENT
  • LICENCE & CITATION
Fields »
Search result

Field
Term
Gene name
Class
Subclass
Class
Keyword
Chromosome
External id
Tissue
Cell type
Expression
Antibody panel
Tissue
Main location
Patient ID
Annotation
Tissue
Category
Tau score
Cluster
Reliability
Brain region
Category
Tau score
Brain region
Category
Tau score
Brain region
Category
Tau score
Cluster
Reliability
Tissue
Cell type
Enrichment
Cell type
Category
Tau score
Cell type
Category
Tau score
Cell type
Category
Tau score
Cell lineage
Category
Tau score
Cluster
Cluster
Location
Searches
Location
Cell line
Class
Type
Phase
Reliability
Cancer
Prognosis
Cancer
Category
Cancer
Category
Tau score
Cluster
Variants
Interacting gene (ensg_id)
Type
Number of interactions
Pathway
Category
Score
Score
Score
Validation
Validation
Validation
Validation
Antibodies
Data type
Column


  • SUMMARY

  • TISSUE

  • BRAIN

  • SINGLE CELL

  • SUBCELL

  • CANCER

  • BLOOD

  • CELL LINE

  • STRUCT & INT

  • MT1A
TISSUE PRIMARY DATA BREAST Show tissue menu
ADIPOSE TISSUE ADRENAL GLAND AMYGDALA APPENDIX BASAL GANGLIA BONE MARROW BREAST BRONCHUS CEREBELLUM CEREBRAL CORTEX CERVIX CHOROID PLEXUS COLON DUODENUM
ENDOMETRIUM EPIDIDYMIS ESOPHAGUS FALLOPIAN TUBE GALLBLADDER HEART MUSCLE HIPPOCAMPAL FORMATION HYPOTHALAMUS KIDNEY LIVER LUNG LYMPH NODE MIDBRAIN NASOPHARYNX
ORAL MUCOSA OVARY PANCREAS PARATHYROID GLAND PITUITARY GLAND PLACENTA PROSTATE RECTUM RETINA SALIVARY GLAND SEMINAL VESICLE SKELETAL MUSCLE SKIN SMALL INTESTINE
SMOOTH MUSCLE SOFT TISSUE SPINAL CORD SPLEEN STOMACH TESTIS THYMUS THYROID GLAND TONGUE TONSIL URINARY BLADDER VAGINA
ANTIBODIES
AND
VALIDATION
Dictionary
Breast
Tissue proteome
Breast
BREAST - Expression summary
Protein expression
Breasti

On the top, protein expression in current human tissue, based on all annotated cell types, is reported with the units not detected (n), low (l), medium (m) and high (h). Underneath, protein expression in each annotated cell type are reported using the same units.

Protein expression data is based on knowledge-based annotation. For genes where more than one antibody has been used, a collective score is set.

If knowledge-based annotation could not be performed for a gene, no data is displayed here. View antibody staining data further down this page.

h
m
l
n
Adipocytes: Not detected
Glandular cells: High
Myoepithelial cells: High
RNA expressioni

A summary of mRNA expression data available for current tissue based on several datasets. The mRNA expression levels in human tissues are based on RNA-seq data generated by the Human Protein Atlas (HPA), Genotype-Tissue Expression (GTEx) portal and CAGE data generated by the FANTOM5 consortium. Consensus normalized expression levels for human tissues was created by combining the data from HPA and GTEx datasets.

The mRNA expression levels in pig are based on RNA-seq data generated by the Human Protein Atlas (HPA), and for mouse, HPA data and in situ hybridization generated by the Allen brain atlas are reported.

Scroll down to view mRNA expression data in more detail.
Consensus:201.4 nTPM
HPA:11.2 nTPM
GTEx:201.4 nTPM
FANTOM5:331.1 Scaled Tags Per Million

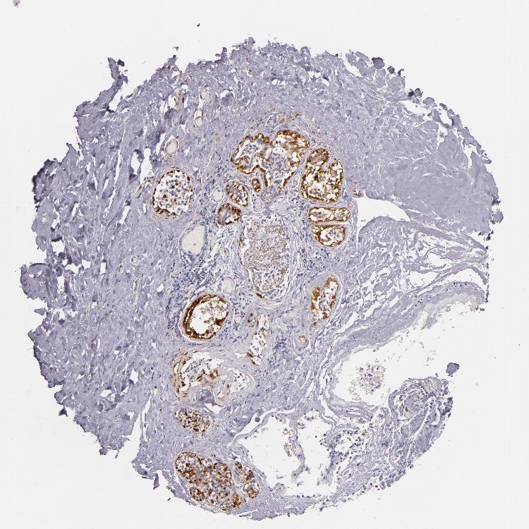
BREAST - Antibody stainingi

Antibody staining in the annotated cell types in the current human tissue is reported as not detected, low, medium, or high, based on conventional immunohistochemistry profiling in selected tissues. This score is based on the combination of the staining intensity and fraction of stained cells.

Each image is clickable and will lead to virtual microscopy that enables deeper exploration of all samples and also displays staining intensity scores, fraction scores and subcellular localization as well as patient and tissue information for each sample.

Antibody CAB002161Antibody CAB013056
Adipocytes Not detectedNot detected
Glandular cells LowHigh
Myoepithelial cells HighHigh





BREAST - HPA RNA-seqi

The RNA-seq details section shows detailed information about the individual samples used for the transcript profiling and results of the RNA-seq analysis.

Information about each individual sample is listed below, including gender, age, a tissue section image and estimated fractions of cell types. nTPM (normalized transcripts per million) values give a quantification of the gene abundance which is comparable between different genes and samples.
Average nTPMi

Max subtype nTPM is the value for the subtype with the largest average nTPM across the subtype samples.

11.2
overview
Female, age 52
Breast sample 373
nTPM: 7.5
Cell types%
Glandular cells:
15

Adipocytes:
5

Other cell types:
80

overview
Female, age 80
Breast sample 390
nTPM: 30.7
Cell types%
Glandular cells:
5

Adipocytes:
15

Other cell types:
80

overview
Female, age 47
Breast sample 405
nTPM: 2.2
Cell types%
Glandular cells:
5

Adipocytes:
5

Other cell types:
90

overview
Female, age 38
Breast sample 410
nTPM: 4.5
Cell types%
Glandular cells:
40

Adipocytes:
5

Other cell types:
55


BREAST - GTEx RNA-seqi

RNA-Seq data generated by the Genotype-Tissue Expression (GTEx) project from human tissues is reported as mean nTPM. More information can be found on the GTEx portal.

Distribution across the dataset is visualized with box plots, shown as median and 25th and 75th percentiles. Points are displayed as outliers if they are above or below 1.5 times the interquartile range. nTPM values of the individual samples are presented next to the box plot.
Max subtype nTPMi

Max subtype nTPM is the value for the subtype with the largest average nTPM across the subtype samples.

201.4
GTEx sample id Sample description nTPM
Breast - Mammary Tissue
Average nTPM: 201.4
Samples: 459

Max nTPM: 5714.3
Min nTPM: 0.9
Std nTPM: 430.1
Median nTPM: 56.4
GTEX-RUSQ-2026-SM-4GIAK 50-59 years, male 5714.3
GTEX-13PVQ-1026-SM-5KM3M 50-59 years, male 2206.1
GTEX-YEC3-1026-SM-5IFI5 50-59 years, male 2199.3
GTEX-Y5V6-2126-SM-4WWFX 60-69 years, male 2056.2
GTEX-1ICLY-1726-SM-B2LVT 50-59 years, male 1919.9
GTEX-1N2EF-2226-SM-E9J33 60-69 years, male 1767.2
GTEX-1L5NE-2126-SM-CY8IH 50-59 years, male 1672.7
GTEX-11WQK-2426-SM-5GU5C 50-59 years, male 1550.6
GTEX-13N1W-0626-SM-5MR4U 70-79 years, male 1521.3
GTEX-13CF3-2126-SM-5IFJP 60-69 years, female 1515.4
GTEX-1R7EV-1526-SM-E8VOD 40-49 years, male 1449.1
GTEX-ZLFU-2126-SM-DO931 40-49 years, male 1434.1
GTEX-1IDJF-2326-SM-ARL86 20-29 years, male 1425.4
GTEX-11P82-1326-SM-5HL62 20-29 years, male 1380.3
GTEX-1HSEH-2026-SM-ADEHN 60-69 years, male 1339.7
GTEX-17F98-0526-SM-79OK5 40-49 years, female 1225.4
GTEX-ZQG8-0726-SM-5P9H9 60-69 years, female 1167.5
GTEX-1S82Z-0726-SM-E6CHX 30-39 years, female 1135.4
GTEX-13FTX-1126-SM-5N9EN 20-29 years, female 1021.3
GTEX-ZT9W-2026-SM-51MRA 50-59 years, male 1021.0
GTEX-14B4R-1226-SM-5TDDT 30-39 years, male 989.9
GTEX-X4XY-0926-SM-4E3JD 60-69 years, male 978.4
GTEX-145ME-1526-SM-5Q5F2 40-49 years, female 973.1
GTEX-Y9LG-1426-SM-5IFJZ 30-39 years, male 968.4
GTEX-12WSN-1326-SM-5GCNT 40-49 years, male 943.6
GTEX-11ZTT-2326-SM-5EQLG 60-69 years, female 925.4
GTEX-14753-2426-SM-5LU8U 60-69 years, male 912.3
GTEX-14PJ4-2126-SM-6ETZJ 60-69 years, male 891.8
GTEX-ZLWG-1926-SM-DO92J 50-59 years, female 857.8
GTEX-15EOM-5019-SM-793DK 20-29 years, female 855.9
GTEX-Y114-2026-SM-4TT7L 50-59 years, female 779.4
GTEX-13O61-1826-SM-5KM4I 60-69 years, male 728.4
GTEX-14E6E-1326-SM-5S2NR 30-39 years, male 726.4
GTEX-1CAMR-1426-SM-793BO 20-29 years, male 712.1
GTEX-11TUW-1826-SM-5BC5D 60-69 years, male 706.3
GTEX-17GQL-0326-SM-7LG5U 60-69 years, male 683.3
GTEX-U8XE-0826-SM-4E3J1 30-39 years, male 673.1
GTEX-1MJK3-1126-SM-E9J3F 20-29 years, male 640.9
GTEX-13S86-1226-SM-5S2OA 40-49 years, male 639.8
GTEX-13O3O-0826-SM-5K7WE 60-69 years, female 632.0
GTEX-PSDG-1626-SM-48TCQ 50-59 years, male 621.2
GTEX-ZZ64-1226-SM-5E43R 20-29 years, male 597.8
GTEX-1I1GU-1026-SM-ADEHJ 40-49 years, male 584.1
GTEX-14PN4-0626-SM-62LFP 50-59 years, male 583.8
GTEX-15G19-2126-SM-6M48J 60-69 years, male 564.5
GTEX-YB5E-1726-SM-5IFJ3 40-49 years, male 557.8
GTEX-11TT1-2126-SM-5GU5Y 20-29 years, male 533.2
GTEX-14E6C-1326-SM-62LEQ 40-49 years, male 519.2
GTEX-1KAFJ-0226-SM-DIPEL 50-59 years, male 497.9
GTEX-14PKU-0426-SM-6EU1P 40-49 years, female 487.7
GTEX-1JN1M-3026-SM-CMKGK 60-69 years, female 482.5
GTEX-1I1GP-0426-SM-COH3N 50-59 years, male 482.0
GTEX-1C6VS-0726-SM-7EPHF 60-69 years, male 481.1
GTEX-1HCU7-1026-SM-ADEIP 50-59 years, male 466.3
GTEX-1ICG6-1326-SM-ACKWR 70-79 years, female 448.9
GTEX-U412-1826-SM-4DXTJ 60-69 years, male 434.5
GTEX-XYKS-1326-SM-4BRUN 60-69 years, female 428.6
GTEX-1NHNU-0926-SM-E9J2T 50-59 years, male 428.4
GTEX-1IDFM-0426-SM-B2LVV 60-69 years, male 418.0
GTEX-15UF7-0726-SM-6M46D 40-49 years, male 398.9
GTEX-ZAJG-0626-SM-5HL8X 50-59 years, female 391.6
GTEX-1I4MK-1626-SM-CM2TJ 50-59 years, female 387.3
GTEX-146FH-0826-SM-5SI8T 50-59 years, female 371.7
GTEX-1H1DG-0526-SM-9YFLN 70-79 years, male 363.5
GTEX-QEG5-0726-SM-D4P1T 20-29 years, male 363.1
GTEX-1AMEY-1026-SM-718AA 30-39 years, female 349.4
GTEX-S32W-2026-SM-4AD6E 50-59 years, female 346.0
GTEX-R55D-0826-SM-48FEA 50-59 years, male 342.5
GTEX-ZU9S-1926-SM-5NQBP 30-39 years, male 342.4
GTEX-1QW4Y-1026-SM-DTXE2 30-39 years, male 332.3
GTEX-WHSB-1926-SM-EXOHH 50-59 years, male 323.3
GTEX-ZA64-1526-SM-5CVMD 20-29 years, male 321.1
GTEX-1KANC-1426-SM-CYPT9 50-59 years, female 319.3
GTEX-1GF9U-1726-SM-7MGY5 40-49 years, female 305.1
GTEX-1A3MX-2726-SM-718B6 60-69 years, male 301.5
GTEX-13OW8-0226-SM-5K7UP 60-69 years, male 293.4
GTEX-12BJ1-1826-SM-5HL9N 60-69 years, male 292.6
GTEX-ZTTD-1026-SM-51MRD 50-59 years, male 287.0
GTEX-T6MO-0326-SM-32QOK 40-49 years, female 280.8
GTEX-X261-0626-SM-3NMD9 50-59 years, male 280.8
GTEX-1211K-1926-SM-5EQLB 60-69 years, female 279.1
GTEX-17MF6-0326-SM-7EPH5 40-49 years, male 279.1
GTEX-TKQ1-0226-SM-33HB5 30-39 years, male 272.5
GTEX-1A8G7-2426-SM-731AK 60-69 years, male 271.4
GTEX-145MO-0826-SM-5NQBL 60-69 years, male 269.5
GTEX-17EVQ-0426-SM-7LG57 70-79 years, male 260.0
GTEX-1GF9V-2526-SM-7SB8K 60-69 years, male 256.2
GTEX-1F75B-0626-SM-7SB8A 50-59 years, male 254.7
GTEX-11DZ1-0326-SM-5N9BN 50-59 years, male 251.4
GTEX-1QCLZ-2326-SM-DTXDO 60-69 years, female 249.9
GTEX-13O3Q-2226-SM-5KM4O 50-59 years, male 243.5
GTEX-1LGRB-1826-SM-CNPQL 50-59 years, female 241.9
GTEX-11LCK-2426-SM-5HL5F 30-39 years, male 240.9
GTEX-1M4P7-2626-SM-E9U5F 60-69 years, male 236.6
GTEX-1H3VY-0926-SM-ACKXE 50-59 years, male 235.1
GTEX-ZDTT-2126-SM-DKPOM 60-69 years, male 232.4
GTEX-ZDYS-1126-SM-5K7UB 50-59 years, male 232.3
GTEX-1C475-1226-SM-7SB72 40-49 years, female 231.1
GTEX-16BQI-1026-SM-7KUEA 30-39 years, female 220.8
GTEX-12WSM-1726-SM-5BC6J 60-69 years, male 217.5
GTEX-YECK-0726-SM-EZ6LV 60-69 years, male 216.7
GTEX-14ICK-2426-SM-6EU27 40-49 years, male 216.4
GTEX-ZPIC-1126-SM-5BC7F 40-49 years, female 214.8
GTEX-133LE-1726-SM-5K7VQ 20-29 years, female 209.5
GTEX-1IDJH-2226-SM-E6CJV 70-79 years, male 204.7
GTEX-1LSVX-2426-SM-E6CJX 60-69 years, male 202.1
GTEX-1S82U-1126-SM-E9U6I 30-39 years, female 200.8
GTEX-1HCU8-0126-SM-ADEHH 60-69 years, female 198.8
GTEX-1AX9J-1126-SM-731B7 60-69 years, male 198.7
GTEX-1H23P-0726-SM-9WG7K 60-69 years, male 196.1
GTEX-17F97-2526-SM-7EWDV 50-59 years, male 194.1
GTEX-1J8Q2-2726-SM-A9G2X 60-69 years, male 194.1
GTEX-ZYW4-0826-SM-5GIDG 60-69 years, male 187.1
GTEX-WFG8-2026-SM-EXOHO 20-29 years, male 183.2
GTEX-1B97J-0426-SM-79OLQ 50-59 years, female 182.9
GTEX-WXYG-2226-SM-4E3IM 50-59 years, female 180.8
GTEX-ZLV1-1426-SM-DO92Z 60-69 years, female 180.8
GTEX-1AX9I-0726-SM-73KWV 60-69 years, male 179.6
GTEX-132AR-0826-SM-5EGK6 50-59 years, female 172.3
GTEX-1JN6P-2426-SM-ARL99 60-69 years, male 171.6
GTEX-13NZ8-0126-SM-5IJCT 60-69 years, female 169.3
GTEX-117YX-1426-SM-5H12H 50-59 years, male 167.4
GTEX-1A3MV-1626-SM-731C1 30-39 years, male 165.8
GTEX-1HCU9-0326-SM-9WYSC 20-29 years, male 164.6
GTEX-1122O-1226-SM-5H113 60-69 years, female 163.1
GTEX-S4Q7-1126-SM-4AD6R 20-29 years, male 162.8
GTEX-1CB4J-1826-SM-7EWF9 60-69 years, male 162.6
GTEX-1E2YA-2726-SM-7IGPW 50-59 years, male 160.4
GTEX-17EVP-0226-SM-79OND 40-49 years, male 157.4
GTEX-17MFQ-0926-SM-7LG4S 20-29 years, male 155.6
GTEX-1H11D-1526-SM-9MQJY 40-49 years, male 153.9
GTEX-14BMU-1626-SM-5TDE7 20-29 years, female 153.4
GTEX-XQ8I-2426-SM-4WAXY 50-59 years, male 149.6
GTEX-REY6-2426-SM-48FF5 60-69 years, male 146.9
GTEX-1JMQK-2626-SM-COH2W 60-69 years, male 143.9
GTEX-ZY6K-1626-SM-5GZWV 50-59 years, male 143.8
GTEX-1399U-1826-SM-5PNZ1 50-59 years, female 142.8
GTEX-1B8KE-1226-SM-73KWK 50-59 years, male 141.6
GTEX-139T6-1626-SM-5PNYZ 50-59 years, male 141.3
GTEX-1QP9N-1826-SM-E8VMP 30-39 years, male 139.5
GTEX-1PPH7-0826-SM-E8VNX 40-49 years, male 139.2
GTEX-ZV6S-1826-SM-5NQ8D 40-49 years, female 138.2
GTEX-Y8LW-1626-SM-5IFHX 50-59 years, female 137.6
GTEX-XBED-1626-SM-47JYN 60-69 years, male 135.7
GTEX-1KXAM-1026-SM-CY8IA 60-69 years, male 134.7
GTEX-1HT8W-2226-SM-CGQEC 30-39 years, male 130.4
GTEX-Y3I4-1526-SM-4TT7K 50-59 years, male 130.0
GTEX-1PPGY-1526-SM-EVYBK 60-69 years, male 129.7
GTEX-1JJE9-2326-SM-ARL8Q 70-79 years, male 125.9
GTEX-13D11-1026-SM-5IJFB 50-59 years, female 123.1
GTEX-11O72-2126-SM-5N9FO 40-49 years, male 120.5
GTEX-17EUY-1926-SM-7DUF6 20-29 years, male 119.0
GTEX-ZV7C-1826-SM-5NQ83 50-59 years, male 116.7
GTEX-11OF3-1926-SM-59889 60-69 years, male 116.4
GTEX-17F96-2426-SM-7IGLN 70-79 years, male 115.6
GTEX-XMD2-0926-SM-4WWEF 60-69 years, female 115.3
GTEX-144GM-0926-SM-5O994 20-29 years, male 115.0
GTEX-T5JW-2026-SM-4DM63 20-29 years, female 114.4
GTEX-1F5PL-1026-SM-7RHI1 40-49 years, female 113.2
GTEX-QMRM-1626-SM-D4P1U 50-59 years, male 112.5
GTEX-V955-2026-SM-3GAFA 60-69 years, male 108.8
GTEX-ZTX8-1226-SM-4YCE9 20-29 years, male 108.5
GTEX-13W46-0826-SM-5LU3H 50-59 years, male 107.5
GTEX-Y8E4-1626-SM-5S2MW 40-49 years, male 107.5
GTEX-ZWKS-2826-SM-5NQ74 30-39 years, male 105.0
GTEX-14LLW-0626-SM-62LFC 70-79 years, female 104.1
GTEX-X62O-0526-SM-EWRMA 50-59 years, male 101.6
GTEX-1LG7Z-0726-SM-CXKYD 30-39 years, male 101.1
GTEX-1C6WA-2426-SM-7SB86 60-69 years, male 100.2
GTEX-XV7Q-2326-SM-4BRVZ 40-49 years, female 99.3
GTEX-XGQ4-0926-SM-4AT4U 50-59 years, male 99.1
GTEX-1313W-0826-SM-5EQ4T 50-59 years, female 96.6
GTEX-1IOXB-1926-SM-ARL8E 50-59 years, male 96.1
GTEX-13O3P-0826-SM-5L3DH 50-59 years, male 94.8
GTEX-YFCO-1826-SM-4W1YH 40-49 years, male 94.8
GTEX-14PHY-1926-SM-5YY95 60-69 years, female 93.1
GTEX-SE5C-2126-SM-4BRUJ 40-49 years, female 92.9
GTEX-13W3W-1226-SM-5LU4H 60-69 years, female 92.2
GTEX-QEL4-2126-SM-447AE 50-59 years, male 91.4
GTEX-XUW1-2326-SM-4BOO5 50-59 years, female 90.4
GTEX-WI4N-1426-SM-3LK7H 40-49 years, female 89.8
GTEX-11GSO-1926-SM-5A5K3 60-69 years, male 89.4
GTEX-183FY-1126-SM-7DHLJ 20-29 years, male 89.3
GTEX-1CAMS-1426-SM-7IGPM 40-49 years, female 89.1
GTEX-1HFI7-0126-SM-CGQFQ 50-59 years, female 88.7
GTEX-1H1ZS-0126-SM-9YFKQ 70-79 years, male 87.4
GTEX-13VXU-2826-SM-664MA 50-59 years, male 87.3
GTEX-13FTW-1426-SM-5LZWZ 40-49 years, male 86.2
GTEX-1KANA-2026-SM-DIPFB 20-29 years, male 86.0
GTEX-145LT-0726-SM-5S2VM 40-49 years, male 85.0
GTEX-Z9EW-1526-SM-EZ6LU 40-49 years, male 84.8
GTEX-1I6K6-0826-SM-ARL7Z 30-39 years, male 83.6
GTEX-ZVT4-1026-SM-57WC4 50-59 years, female 82.9
GTEX-1IE54-0626-SM-ARL8D 40-49 years, female 82.9
GTEX-S7SE-0826-SM-4AT4D 50-59 years, male 81.4
GTEX-1LC47-1226-SM-D4P44 60-69 years, male 80.8
GTEX-S4UY-0726-SM-4AD6X 40-49 years, female 80.3
GTEX-183WM-0726-SM-7LTAA 70-79 years, female 80.1
GTEX-1QP28-1226-SM-E9J2M 50-59 years, female 79.3
GTEX-11NV4-2026-SM-5N9DG 60-69 years, male 79.2
GTEX-1JK1U-1826-SM-ARL8W 60-69 years, male 79.2
GTEX-S33H-0326-SM-4AD6N 30-39 years, male 78.7
GTEX-YB5K-1626-SM-5IFIN 40-49 years, female 78.1
GTEX-1OKEX-0826-SM-E9J2B 60-69 years, male 77.9
GTEX-1RLM8-2226-SM-EVYD1 50-59 years, male 77.7
GTEX-Y5LM-1726-SM-4VDSX 40-49 years, female 74.7
GTEX-1GPI7-0926-SM-7PC3J 20-29 years, male 74.0
GTEX-S4P3-1326-SM-4AD6V 50-59 years, female 71.5
GTEX-12KS4-0126-SM-5Q5A5 30-39 years, male 70.4
GTEX-17F9E-2526-SM-7MGW2 50-59 years, male 69.6
GTEX-ZVT2-1826-SM-5NQ8W 50-59 years, female 69.5
GTEX-18D9A-1526-SM-7LG4J 30-39 years, female 68.4
GTEX-1HR9M-2426-SM-ACKXI 60-69 years, male 67.1
GTEX-1PDJ9-1126-SM-EXUSW 20-29 years, male 66.7
GTEX-XMD1-0826-SM-4AT52 60-69 years, male 66.1
GTEX-13PVR-2226-SM-7DHKP 60-69 years, female 65.7
GTEX-1HUB1-1626-SM-CM2SL 60-69 years, male 65.5
GTEX-13OW5-2226-SM-5L3HC 60-69 years, male 65.1
GTEX-WY7C-2726-SM-3NB3P 50-59 years, male 65.0
GTEX-T5JC-2126-SM-32PMO 20-29 years, male 64.4
GTEX-1HSMO-0826-SM-ADEIV 60-69 years, male 61.6
GTEX-17HGU-1326-SM-79OKB 50-59 years, male 61.2
GTEX-1JMLX-2026-SM-CMKGN 50-59 years, male 60.1
GTEX-1QPFJ-2026-SM-EVYBE 30-39 years, female 60.0
GTEX-1GMR8-0726-SM-9KNVI 50-59 years, female 59.2
GTEX-11ZUS-0826-SM-5FQUY 30-39 years, male 57.7
GTEX-14AS3-1626-SM-5S2OY 40-49 years, female 57.7
GTEX-1IKOH-2326-SM-CM2TW 60-69 years, female 57.3
GTEX-111YS-1926-SM-5GICC 60-69 years, male 56.6
GTEX-1JKYN-0726-SM-ARZMY 30-39 years, male 56.4
GTEX-1I1GT-1126-SM-ARL7J 60-69 years, female 56.3
GTEX-1KD5A-1926-SM-DKPQA 50-59 years, male 55.3
GTEX-18465-2026-SM-718AP 50-59 years, male 55.2
GTEX-1JMOU-2026-SM-CMKGU 60-69 years, female 55.0
GTEX-ZQUD-1926-SM-51MSA 30-39 years, male 54.4
GTEX-169BO-1126-SM-7MGWN 50-59 years, male 54.1
GTEX-1GZ4H-0326-SM-7P8QX 50-59 years, female 52.6
GTEX-14PJO-0726-SM-69LO8 60-69 years, male 52.4
GTEX-1R46S-2526-SM-E8VN2 60-69 years, female 51.4
GTEX-1314G-1226-SM-5BC6D 30-39 years, male 50.8
GTEX-1ICLZ-0426-SM-B2LW2 60-69 years, male 50.8
GTEX-1MCC2-2126-SM-EWRON 30-39 years, female 48.7
GTEX-14H4A-2526-SM-5YYAY 40-49 years, female 47.7
GTEX-VJWN-0726-SM-3GIJ8 50-59 years, female 47.7
GTEX-1J8Q3-1326-SM-CMKI1 60-69 years, male 47.7
GTEX-QVJO-1826-SM-447C9 60-69 years, female 47.3
GTEX-11EQ9-1826-SM-5Q5AJ 30-39 years, male 47.0
GTEX-1B8SG-1226-SM-7IGPF 50-59 years, male 46.3
GTEX-XMK1-1126-SM-4IHJ8 40-49 years, male 45.4
GTEX-1P4AB-1826-SM-E76PU 50-59 years, male 45.2
GTEX-15SHW-1326-SM-6PAL8 60-69 years, male 45.1
GTEX-11DXY-2326-SM-5GICW 60-69 years, male 44.9
GTEX-1117F-2826-SM-5GZXL 60-69 years, female 44.7
GTEX-1IKOE-1326-SM-CE6T6 30-39 years, female 44.7
GTEX-1R9PN-0326-SM-DTX85 40-49 years, female 44.7
GTEX-1J8QM-2026-SM-ARZMW 60-69 years, female 44.3
GTEX-16YQH-2826-SM-6PAMY 30-39 years, male 44.2
GTEX-1C64O-0726-SM-7DUFU 60-69 years, male 43.9
GTEX-1F75I-2026-SM-7SB7N 40-49 years, male 43.9
GTEX-13SLW-2526-SM-62LDQ 70-79 years, male 43.7
GTEX-13FHO-0826-SM-5L3E8 60-69 years, male 43.2
GTEX-1GN1W-1926-SM-7P8TH 50-59 years, female 42.3
GTEX-1IDJU-1826-SM-CMKHV 60-69 years, female 42.3
GTEX-1MCYP-0126-SM-E6CIS 20-29 years, female 41.4
GTEX-ZF3C-2326-SM-5S2NC 50-59 years, female 41.3
GTEX-1QP29-1726-SM-E8VMQ 50-59 years, male 40.1
GTEX-11EI6-0626-SM-5985T 60-69 years, male 39.9
GTEX-12WSK-2226-SM-5GCO5 40-49 years, female 38.9
GTEX-1B97I-0426-SM-79OL7 40-49 years, male 38.1
GTEX-15RJE-2626-SM-7KFT1 40-49 years, male 37.6
GTEX-14DAR-1326-SM-7DUEG 50-59 years, male 37.4
GTEX-1KD4Q-2326-SM-D4P3M 40-49 years, male 37.4
GTEX-1H1E6-0926-SM-9YFLT 30-39 years, male 37.3
GTEX-TML8-1226-SM-32QON 40-49 years, female 37.2
GTEX-1GMR3-2626-SM-7RHHG 40-49 years, male 36.8
GTEX-1HBPM-0126-SM-ARL9E 60-69 years, female 36.6
GTEX-1B8KZ-1526-SM-7DUG7 50-59 years, male 35.7
GTEX-1MA7W-1026-SM-DKPQK 20-29 years, female 35.5
GTEX-11NSD-0926-SM-5N9DR 20-29 years, male 35.0
GTEX-1HCUA-0726-SM-ACKVU 50-59 years, female 34.8
GTEX-14E7W-0826-SM-62LEJ 70-79 years, male 34.6
GTEX-18A66-1726-SM-7LG5N 60-69 years, male 34.6
GTEX-1I19N-2826-SM-CL55D 70-79 years, male 34.3
GTEX-UTHO-1026-SM-3GAF7 60-69 years, male 34.1
GTEX-1IGQW-0926-SM-ADEH6 60-69 years, male 33.8
GTEX-1HR98-0426-SM-COH36 60-69 years, male 33.7
GTEX-1GZHY-0726-SM-9WG6B 50-59 years, female 33.2
GTEX-1MA7X-1626-SM-E9U5B 60-69 years, male 32.9
GTEX-132NY-0826-SM-5K7Y7 60-69 years, male 32.6
GTEX-T2YK-2226-SM-32QPT 50-59 years, male 31.9
GTEX-11DXZ-1926-SM-5GZZL 50-59 years, male 31.0
GTEX-14BMV-0626-SM-793AU 50-59 years, male 30.7
GTEX-ZDXO-0126-SM-5S2ND 60-69 years, male 30.7
GTEX-X4EP-2926-SM-3P5YQ 60-69 years, female 30.2
GTEX-15UF6-0126-SM-6PAMB 70-79 years, female 30.0
GTEX-1N5O9-1126-SM-DTXEQ 60-69 years, male 29.5
GTEX-1C6VQ-0426-SM-79OOX 50-59 years, male 29.2
GTEX-RWS6-1926-SM-47JXY 60-69 years, female 28.5
GTEX-1I6K7-1026-SM-A9SLK 40-49 years, male 28.1
GTEX-1R7EU-1226-SM-E8VMR 60-69 years, male 27.9
GTEX-145MN-1926-SM-5SIAI 30-39 years, male 27.7
GTEX-WFON-1826-SM-3GILG 40-49 years, male 27.7
GTEX-1K9T9-1426-SM-DIPFQ 50-59 years, female 27.4
GTEX-YJ8O-2226-SM-5IFHW 40-49 years, female 26.7
GTEX-13QJ3-0826-SM-7DHKK 50-59 years, male 26.6
GTEX-1GF9X-1026-SM-ACKX2 40-49 years, female 26.2
GTEX-ZGAY-1726-SM-DO91P 40-49 years, female 26.2
GTEX-1LVAM-0926-SM-E9TJ2 50-59 years, female 26.1
GTEX-ZAB4-2526-SM-5HL8M 40-49 years, male 26.0
GTEX-1GMRU-0826-SM-9WYT7 50-59 years, male 26.0
GTEX-1HKZK-1826-SM-ADEJ2 40-49 years, male 25.4
GTEX-11EMC-2026-SM-5A5JV 60-69 years, female 24.7
GTEX-1192X-2326-SM-5987X 50-59 years, male 24.6
GTEX-13QIC-2326-SM-5LU5N 60-69 years, female 24.5
GTEX-RU1J-0626-SM-4WAWY 20-29 years, female 24.5
GTEX-1LSNM-1326-SM-E9TJ1 50-59 years, male 24.5
GTEX-ZF29-1926-SM-5S2P1 60-69 years, female 24.4
GTEX-ZUA1-1526-SM-59HLS 40-49 years, male 23.9
GTEX-18A7B-2626-SM-7LG55 70-79 years, male 23.7
GTEX-1CB4E-0226-SM-79OLW 60-69 years, male 23.6
GTEX-1AX8Z-0926-SM-731AW 60-69 years, male 23.0
GTEX-11P81-1926-SM-5BC53 30-39 years, female 22.7
GTEX-WYBS-0926-SM-3NM94 60-69 years, female 22.5
GTEX-WRHU-0326-SM-3MJFY 50-59 years, female 22.2
GTEX-11ONC-2126-SM-5HL6E 60-69 years, male 22.0
GTEX-1QMI2-0726-SM-E9J4F 60-69 years, male 21.6
GTEX-145MF-2226-SM-7EPIR 50-59 years, male 21.5
GTEX-11I78-2226-SM-5PNYA 50-59 years, female 21.0
GTEX-14A5I-0726-SM-5TDEB 50-59 years, female 21.0
GTEX-17JCI-0726-SM-7EPH1 60-69 years, female 20.8
GTEX-132Q8-1426-SM-5EGK7 60-69 years, male 20.7
GTEX-13NZ9-1026-SM-5MR5K 50-59 years, male 20.6
GTEX-UJHI-1426-SM-3DB9C 50-59 years, female 20.3
GTEX-1LNCM-0226-SM-DIPF4 50-59 years, female 19.7
GTEX-1F5PK-2126-SM-7PC28 50-59 years, male 19.6
GTEX-TMMY-0726-SM-33HBE 40-49 years, female 19.4
GTEX-1JMPY-0526-SM-CL54O 30-39 years, male 19.4
GTEX-13NZB-2126-SM-5MR4Y 30-39 years, male 18.9
GTEX-1LBAC-0926-SM-CXKY9 20-29 years, male 18.6
GTEX-18A6Q-0926-SM-7LG4N 60-69 years, male 18.3
GTEX-WOFL-0826-SM-3MJG1 60-69 years, male 18.3
GTEX-Q2AG-0326-SM-48U1O 40-49 years, female 18.0
GTEX-1GZ4I-2826-SM-9MQK5 50-59 years, male 17.8
GTEX-T2IS-1526-SM-32QPR 20-29 years, female 17.7
GTEX-1B933-2526-SM-7IGO5 50-59 years, female 17.3
GTEX-1M5QR-2526-SM-E9U5P 40-49 years, male 17.3
GTEX-1LSNL-2826-SM-E9U5L 50-59 years, male 17.2
GTEX-1EN7A-1426-SM-7PBY4 40-49 years, male 16.9
GTEX-139TU-0626-SM-5KM3X 60-69 years, male 16.7
GTEX-1BAJH-0826-SM-7EWEF 70-79 years, male 16.3
GTEX-1RQEC-2026-SM-DTXDM 60-69 years, male 16.3
GTEX-16NGA-0826-SM-718AF 40-49 years, female 14.7
GTEX-15ETS-0626-SM-7KUMX 40-49 years, female 14.6
GTEX-144GL-2026-SM-5LU3O 50-59 years, male 14.0
GTEX-R53T-1526-SM-48FEK 50-59 years, female 14.0
GTEX-RU72-0626-SM-46MUI 50-59 years, female 13.9
GTEX-1EKGG-2626-SM-7IGPY 60-69 years, male 13.8
GTEX-1HC8U-0826-SM-ADEIL 40-49 years, female 13.8
GTEX-11GSP-0926-SM-9WYSG 60-69 years, female 13.5
GTEX-13113-5013-SM-7SB7G 60-69 years, female 13.4
GTEX-1HBPN-2326-SM-9WPPU 50-59 years, male 13.4
GTEX-1NV8Z-2826-SM-E8VME 60-69 years, male 13.4
GTEX-1H4P4-2226-SM-9MQKQ 50-59 years, male 13.2
GTEX-1MJK2-2226-SM-EVYCR 50-59 years, male 13.2
GTEX-11EM3-1326-SM-5N9C6 20-29 years, female 12.7
GTEX-X15G-1626-SM-3NMB3 50-59 years, female 12.5
GTEX-1JKYR-0926-SM-CMKGJ 20-29 years, male 12.3
GTEX-11GS4-2126-SM-5A5KR 60-69 years, male 12.2
GTEX-XOT4-0726-SM-4GIAW 60-69 years, female 12.2
GTEX-1R9JW-0326-SM-EAZ45 30-39 years, female 12.1
GTEX-1R9PM-1826-SM-EVYBH 20-29 years, male 12.1
GTEX-S341-1526-SM-4AD6K 40-49 years, female 11.9
GTEX-1GMR2-1926-SM-9MQLZ 50-59 years, male 11.9
GTEX-UPK5-2326-SM-3P5Z8 40-49 years, male 11.7
GTEX-117XS-1926-SM-5GICO 60-69 years, male 11.4
GTEX-TKQ2-1826-SM-33HB2 50-59 years, male 11.4
GTEX-1QEPI-0926-SM-DTXF3 60-69 years, female 11.4
GTEX-1269C-2426-SM-5FQSN 60-69 years, female 11.3
GTEX-1GPI6-0626-SM-7RHHJ 60-69 years, male 11.2
GTEX-1IKJJ-2326-SM-COH3U 60-69 years, male 11.2
GTEX-R3RS-0626-SM-48FE1 40-49 years, female 11.1
GTEX-147F4-2826-SM-5NQBN 50-59 years, male 10.6
GTEX-1IDJE-0826-SM-CKZNZ 50-59 years, female 10.2
GTEX-ZZPU-0626-SM-5E43T 50-59 years, female 10.1
GTEX-ZC5H-2626-SM-5J2MG 40-49 years, female 10.0
GTEX-Y3IK-2326-SM-4WWDT 50-59 years, female 9.3
GTEX-11P7K-0726-SM-5EGKX 30-39 years, male 8.8
GTEX-XQ3S-1326-SM-4BOPQ 20-29 years, male 8.8
GTEX-1F6I4-2526-SM-7SB8F 60-69 years, male 8.5
GTEX-Y5V5-2126-SM-4WWFO 60-69 years, female 8.3
GTEX-XUZC-1626-SM-4BRVP 30-39 years, female 8.2
GTEX-ZYT6-0126-SM-5E45J 30-39 years, male 8.2
GTEX-ZYFC-0826-SM-5E44K 50-59 years, male 8.0
GTEX-1B8L1-2426-SM-9WYTE 60-69 years, male 8.0
GTEX-ZEX8-2226-SM-57WC6 50-59 years, male 7.9
GTEX-1F75A-1826-SM-7SB8G 50-59 years, male 7.8
GTEX-139T8-0826-SM-5L3DE 60-69 years, male 7.7
GTEX-17HG3-0126-SM-7IGNH 30-39 years, female 7.6
GTEX-ZVTK-0326-SM-51MRR 20-29 years, male 7.6
GTEX-1RAZQ-1226-SM-EWRNL 30-39 years, male 7.6
GTEX-1HSGN-1526-SM-A9SMO 40-49 years, female 7.5
GTEX-WYJK-1326-SM-3NB2T 50-59 years, male 7.3
GTEX-1K2DA-1726-SM-CGQGS 50-59 years, male 7.2
GTEX-Y111-2026-SM-4SOJA 50-59 years, male 7.1
GTEX-ZAK1-1326-SM-EVYAS 50-59 years, female 7.0
GTEX-13N11-1726-SM-5J1OJ 50-59 years, female 6.8
GTEX-13PL6-2926-SM-5L3I2 40-49 years, female 6.7
GTEX-14ABY-2126-SM-5QGQZ 50-59 years, male 6.5
GTEX-1LVAN-1326-SM-CNPQE 50-59 years, female 6.5
GTEX-17HHY-0926-SM-793C1 50-59 years, male 6.4
GTEX-1JMPZ-1626-SM-COH31 30-39 years, male 6.2
GTEX-1B932-0826-SM-73KXG 40-49 years, female 6.1
GTEX-1JJEA-2726-SM-ARL8V 60-69 years, male 6.1
GTEX-11WQC-1726-SM-5GU4W 60-69 years, male 6.0
GTEX-1EWIQ-1726-SM-7SB7T 70-79 years, female 6.0
GTEX-1GN1U-0526-SM-9KNTT 50-59 years, female 5.9
GTEX-1N2EE-2126-SM-E8VNN 60-69 years, male 5.8
GTEX-1I1HK-2426-SM-ADEHX 60-69 years, male 5.7
GTEX-11PRG-0826-SM-5EQ6A 50-59 years, male 5.6
GTEX-1HCVE-2626-SM-ADEJ8 50-59 years, male 5.6
GTEX-1GN2E-2226-SM-9WG6J 60-69 years, male 5.3
GTEX-ZVE2-1226-SM-5NQ8R 50-59 years, male 5.2
GTEX-ZVZQ-0826-SM-51MRF 60-69 years, female 5.2
GTEX-1EU9M-2826-SM-7EWFH 60-69 years, male 5.1
GTEX-18A7A-0726-SM-7LTAI 50-59 years, female 4.8
GTEX-U3ZN-1926-SM-4DXSG 30-39 years, female 4.8
GTEX-1RAZS-1226-SM-E8VMT 50-59 years, male 4.8
GTEX-131XW-0726-SM-5EGK3 50-59 years, female 4.6
GTEX-T6MN-0726-SM-32PML 50-59 years, male 4.6
GTEX-17HHE-1426-SM-7EPH4 50-59 years, male 4.4
GTEX-VUSG-2226-SM-4KKZO 50-59 years, male 4.4
GTEX-18QFQ-0826-SM-718AX 30-39 years, male 4.3
GTEX-QDT8-0626-SM-48TYW 30-39 years, female 4.3
GTEX-1GZ2Q-2626-SM-7MXV9 40-49 years, male 4.0
GTEX-1QCLY-1626-SM-DTXDW 30-39 years, male 3.8
GTEX-15FZZ-0726-SM-7KUFZ 30-39 years, female 3.7
GTEX-U3ZH-1426-SM-4DXSR 30-39 years, male 3.7
GTEX-1I1GV-2426-SM-CGQFM 60-69 years, male 3.7
GTEX-ZXES-0826-SM-5E43C 30-39 years, female 3.3
GTEX-17KNJ-2026-SM-7LG53 50-59 years, male 2.8
GTEX-W5X1-2326-SM-3GIL6 40-49 years, female 2.8
GTEX-1HSKV-2026-SM-CMKGX 60-69 years, male 2.8
GTEX-13CF2-2026-SM-5K7VI 60-69 years, male 2.7
GTEX-13SLX-2326-SM-5ZZWE 50-59 years, female 2.7
GTEX-13FTY-2226-SM-5J1ND 40-49 years, female 2.6
GTEX-YFC4-1426-SM-5IFJG 40-49 years, female 2.5
GTEX-1J8EW-2626-SM-CL53E 60-69 years, female 2.4
GTEX-ZTPG-2826-SM-57WGA 20-29 years, female 2.3
GTEX-12ZZX-1126-SM-5EGKB 40-49 years, female 2.2
GTEX-ZF2S-2026-SM-5E461 50-59 years, female 2.2
GTEX-WYVS-1726-SM-3NMAY 40-49 years, female 2.1
GTEX-1H1CY-2226-SM-9WG7E 60-69 years, female 2.1
GTEX-1NUQO-2226-SM-E9U68 20-29 years, female 1.9
GTEX-131YS-0626-SM-5EGKL 60-69 years, female 1.7
GTEX-1CB4G-2326-SM-79OOI 60-69 years, male 1.7
GTEX-11DXW-0626-SM-5N9ER 40-49 years, male 1.5
GTEX-15ER7-1626-SM-6PAMZ 20-29 years, female 1.5
GTEX-1IY9M-2726-SM-CMKG5 60-69 years, male 1.2
GTEX-1POEN-0926-SM-DTX88 30-39 years, female 0.9
Show allShow less

BREAST - FANTOM5 CAGEi

RNA expression in human tissues obtained through Cap Analysis of Gene Expression (CAGE) generated by the FANTOM5 project are reported as Scaled Tags Per Million.

Max subtype Scaled Tags Per Millioni

Max subtype Scaled Tags Per Million is the value for the subtype with the largest average Scaled Tags Per Million across the subtype samples.

331.1
FANTOM5 sample id Sample description Scaled Tags Per Million
Breast
Scaled Tags Per Million: 331.1
FF:10080-102A8 77 years, female 331.1

Contact

  • NEWS ARTICLES
  • PRESS ROOM

The Project

  • INTRODUCTION
  • ORGANIZATION
  • PUBLICATIONS

The Human Protein Atlas

  • DOWNLOADABLE DATA
  • LICENCE & CITATION
  • HELP & FAQ
The Human Protein Atlas project is funded
by the Knut & Alice Wallenberg Foundation.


contact@proteinatlas.org