We use cookies to enhance the usability of our website. If you continue, we'll assume that you are happy to receive all cookies. More information. Don't show this again.
CPT1B
HPA
RESOURCES
  • TISSUE
  • BRAIN
  • SINGLE CELL
  • SUBCELLULAR
  • CANCER
  • BLOOD
  • CELL LINE
  • STRUCTURE & INTERACTION
ABOUT
  • INTRODUCTION
  • HISTORY
  • ORGANIZATION
  • PUBLICATIONS
  • ANTIBODY SUBMISSION
  • ANTIBODY AVAILABILITY
  • ACKNOWLEDGMENTS
  • CONTACT
NEWS
  • NEWS ARTICLES
  • PRESS ROOM
LEARN
  • DICTIONARY
  • PROTEIN CLASSES
  • PROTEIN EVIDENCE
  • METHODS
  • EDUCATIONAL VIDEOS
DATA
  • DOWNLOADABLE DATA
  • PUBLICATION DATA
  • RELEASE HISTORY
HELP
  • ANTIBODY VALIDATION
  • ASSAYS & ANNOTATION
  • DISCLAIMER
  • HELP & FAQ
  • PRIVACY STATEMENT
  • LICENCE & CITATION
Fields »
Search result

Field
Term
Gene name
Class
Subclass
Class
Keyword
Chromosome
External id
Tissue
Cell type
Expression
Antibody panel
Tissue
Main location
Patient ID
Annotation
Tissue
Category
Tau score
Cluster
Reliability
Brain region
Category
Tau score
Brain region
Category
Tau score
Brain region
Category
Tau score
Cluster
Reliability
Tissue
Cell type
Enrichment
Cell type
Category
Tau score
Cell type
Category
Tau score
Cell type
Category
Tau score
Cell lineage
Category
Tau score
Cluster
Cluster
Location
Searches
Location
Cell line
Class
Type
Phase
Reliability
Cancer
Prognosis
Cancer
Category
Cancer
Category
Tau score
Cluster
Variants
Interacting gene (ensg_id)
Type
Number of interactions
Pathway
Category
Score
Score
Score
Validation
Validation
Validation
Validation
Antibodies
Data type
Column


  • SUMMARY

  • TISSUE

  • BRAIN

  • SINGLE CELL

  • SUBCELL

  • CANCER

  • BLOOD

  • CELL LINE

  • STRUCT & INT

  • CPT1B
TISSUE PRIMARY DATA COLON Show tissue menu
ADIPOSE TISSUE ADRENAL GLAND AMYGDALA APPENDIX BASAL GANGLIA BONE MARROW BREAST BRONCHUS CEREBELLUM CEREBRAL CORTEX CERVIX CHOROID PLEXUS COLON DUODENUM
ENDOMETRIUM EPIDIDYMIS ESOPHAGUS FALLOPIAN TUBE GALLBLADDER HEART MUSCLE HIPPOCAMPAL FORMATION HYPOTHALAMUS KIDNEY LIVER LUNG LYMPH NODE MIDBRAIN NASOPHARYNX
OVARY PANCREAS PARATHYROID GLAND PITUITARY GLAND PLACENTA PROSTATE RECTUM RETINA SALIVARY GLAND SEMINAL VESICLE SKELETAL MUSCLE SKIN SMALL INTESTINE SMOOTH MUSCLE
SOFT TISSUE SPINAL CORD SPLEEN STOMACH TESTIS THYMUS THYROID GLAND TONGUE TONSIL URINARY BLADDER VAGINA
ANTIBODIES
AND
VALIDATION
Dictionary
Colon
Tissue proteome
Intestine
COLON - Expression summary
Protein expression
Coloni

On the top, protein expression in current human tissue, based on all annotated cell types, is reported with the units not detected (n), low (l), medium (m) and high (h). Underneath, protein expression in each annotated cell type are reported using the same units.

Protein expression data is based on knowledge-based annotation. For genes where more than one antibody has been used, a collective score is set.

If knowledge-based annotation could not be performed for a gene, no data is displayed here. View antibody staining data further down this page.

h
m
l
n
Endocrine cells: Not detected
Endothelial cells: Not detected
Enterocytes: Not detected
Enterocytes - Microvilli: Not detected
Fibroblasts: Not detected
Goblet cells: Not detected
Mucosal lymphoid cells: Not detected
Peripheral nerve/ganglion: Not detected
RNA expressioni

A summary of mRNA expression data available for current tissue based on several datasets. The mRNA expression levels in human tissues are based on RNA-seq data generated by the Human Protein Atlas (HPA), Genotype-Tissue Expression (GTEx) portal and CAGE data generated by the FANTOM5 consortium. Consensus normalized expression levels for human tissues was created by combining the data from HPA and GTEx datasets.

The mRNA expression levels in pig are based on RNA-seq data generated by the Human Protein Atlas (HPA), and for mouse, HPA data and in situ hybridization generated by the Allen brain atlas are reported.

Scroll down to view mRNA expression data in more detail.
Consensus:13.6 nTPM
HPA:7.3 nTPM
GTEx:13.6 nTPM
FANTOM5:2.5 Scaled Tags Per Million

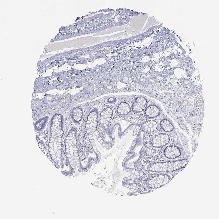
COLON - Antibody stainingi

Antibody staining in the annotated cell types in the current human tissue is reported as not detected, low, medium, or high, based on conventional immunohistochemistry profiling in selected tissues. This score is based on the combination of the staining intensity and fraction of stained cells.

Each image is clickable and will lead to virtual microscopy that enables deeper exploration of all samples and also displays staining intensity scores, fraction scores and subcellular localization as well as patient and tissue information for each sample.

Antibody HPA079265
Endocrine cells Not detected
Endothelial cells Not detected
Enterocytes Not detected
Enterocytes - Microvilli Not detected
Fibroblasts Not detected
Goblet cells Not detected
Mucosal lymphoid cells Not detected
Peripheral nerve/ganglion Not detected


COLON - HPA RNA-seqi

The RNA-seq details section shows detailed information about the individual samples used for the transcript profiling and results of the RNA-seq analysis.

Information about each individual sample is listed below, including gender, age, a tissue section image and estimated fractions of cell types. nTPM (normalized transcripts per million) values give a quantification of the gene abundance which is comparable between different genes and samples.
Average nTPMi

Max subtype nTPM is the value for the subtype with the largest average nTPM across the subtype samples.

7.3
overview
Male, age 54
Colon sample 67
nTPM: 2.9
Cell types%
Glandular cells:
65

Smooth muscle cells:
10

Other cell types:
25

overview
Female, age 57
Colon sample 68
nTPM: 3.1
Cell types%
Glandular cells:
40

Smooth muscle cells:
5

Other cell types:
55

overview
Male, age 80
Colon sample 69
nTPM: 5.5
Cell types%
Glandular cells:
55

Smooth muscle cells:
5

Other cell types:
40

overview
Male, age 68
Colon sample 70
nTPM: 2.4
Cell types%
Glandular cells:
35

Smooth muscle cells:
10

Other cell types:
55

overview
Female, age 68
Colon sample 76
nTPM: 2.8
Cell types%
Glandular cells:
25

Smooth muscle cells:
5

Other cell types:
70

overview
Female, age 61
Colon sample 299
nTPM: 6.9
Cell types%
Glandular cells:
5

Smooth muscle cells:
65

Other cell types:
30

overview
Male, age 80
Colon sample 300
nTPM: 11.4
Cell types%
Glandular cells:
15

Smooth muscle cells:
20

Other cell types:
65

overview
Female, age 78
Colon sample 368
nTPM: 9.2
Cell types%
Glandular cells:
45

Smooth muscle cells:
5

Other cell types:
50

overview
Male, age 84
Colon sample 381
nTPM: 10.2
Cell types%
Glandular cells:
50

Smooth muscle cells:
15

Other cell types:
35

overview
Male, age 80
Colon sample 384
nTPM: 6.8
Cell types%
Glandular cells:
20

Smooth muscle cells:
35

Other cell types:
45

overview
Female, age 78
Colon sample 389
nTPM: 9.7
Cell types%
Glandular cells:
35

Smooth muscle cells:
10

Other cell types:
55

overview
Female, age 69
Colon sample 391
nTPM: 5.8
Cell types%
Glandular cells:
10

Smooth muscle cells:
45

Other cell types:
45

overview
Female, age 72
Colon sample 403
nTPM: 17.5
Cell types%
Glandular cells:
20

Smooth muscle cells:
15

Other cell types:
65


COLON - GTEx RNA-seqi

RNA-Seq data generated by the Genotype-Tissue Expression (GTEx) project from human tissues is reported as mean nTPM. More information can be found on the GTEx portal.

Distribution across the dataset is visualized with box plots, shown as median and 25th and 75th percentiles. Points are displayed as outliers if they are above or below 1.5 times the interquartile range. nTPM values of the individual samples are presented next to the box plot.
Max subtype nTPMi

Max subtype nTPM is the value for the subtype with the largest average nTPM across the subtype samples.

13.6
GTEx sample id Sample description nTPM
Colon - Sigmoid
Average nTPM: 6.5
Samples: 373

Max nTPM: 24.1
Min nTPM: 0.6
Std nTPM: 3.8
Median nTPM: 5.5
GTEX-VJYA-2126-SM-4KL1O 60-69 years, male 24.1
GTEX-13W3W-2226-SM-5LU4M 60-69 years, female 24.0
GTEX-Y8LW-1126-SM-4VDS4 50-59 years, female 22.9
GTEX-11EQ8-2626-SM-5N9BO 60-69 years, male 22.6
GTEX-1C64O-2426-SM-7P8R3 60-69 years, male 20.1
GTEX-1LG7Y-2226-SM-E9U5K 50-59 years, male 20.0
GTEX-W5WG-2026-SM-4LMIB 50-59 years, female 19.7
GTEX-Y8E4-2326-SM-EAZAZ 40-49 years, male 19.7
GTEX-WH7G-1426-SM-4LVMU 40-49 years, male 19.6
GTEX-13113-1426-SM-5EGHU 60-69 years, female 18.4
GTEX-13CF2-1826-SM-5N9GK 60-69 years, male 17.5
GTEX-13X6K-2726-SM-5O9DG 60-69 years, female 16.0
GTEX-Y5V6-1626-SM-4VDT2 60-69 years, male 16.0
GTEX-11ONC-1926-SM-5GU75 60-69 years, male 15.9
GTEX-WYJK-2326-SM-4ONDN 50-59 years, male 15.8
GTEX-17F9Y-2626-SM-7IGN9 70-79 years, female 15.4
GTEX-YEC3-2026-SM-DKPOL 50-59 years, male 15.0
GTEX-12ZZX-2726-SM-5N9FT 40-49 years, female 14.1
GTEX-WOFM-1926-SM-4OOSP 20-29 years, male 14.0
GTEX-1AMEY-1826-SM-72D5L 30-39 years, female 13.9
GTEX-1GMRU-2626-SM-9WPPM 50-59 years, male 13.9
GTEX-1PFEY-1726-SM-DPRZ4 30-39 years, male 13.3
GTEX-1HB9E-2526-SM-D4P35 50-59 years, male 13.1
GTEX-1C6VQ-2626-SM-7IGMQ 50-59 years, male 12.9
GTEX-183WM-2526-SM-731BP 70-79 years, female 12.8
GTEX-1N2DV-1826-SM-E6CJ5 40-49 years, male 12.4
GTEX-1477Z-2126-SM-5Q5CM 60-69 years, male 12.3
GTEX-17HG3-1126-SM-7DUFC 30-39 years, female 12.3
GTEX-1S5ZA-1426-SM-E6CJQ 20-29 years, male 12.3
GTEX-14A5I-2426-SM-5Q5CP 50-59 years, female 11.8
GTEX-X5EB-1126-SM-46MVV 40-49 years, male 11.8
GTEX-147GR-2826-SM-5RQK8 60-69 years, male 11.4
GTEX-15FZZ-1826-SM-6LLJP 30-39 years, female 11.4
GTEX-1EH9U-1926-SM-7P8QM 60-69 years, male 11.4
GTEX-ZAJG-2626-SM-5S2NU 50-59 years, female 11.1
GTEX-13PL7-2426-SM-5J2N3 60-69 years, female 10.8
GTEX-V955-1726-SM-4JBHF 60-69 years, male 10.7
GTEX-ZF28-2526-SM-57WFH 60-69 years, male 10.7
GTEX-1QP28-2226-SM-DTX8C 50-59 years, female 10.7
GTEX-Z93S-2626-SM-57WBX 50-59 years, male 10.6
GTEX-1HBPM-2626-SM-9WYU5 60-69 years, female 10.6
GTEX-1F75W-2126-SM-7RHIA 60-69 years, male 10.5
GTEX-ZQUD-1026-SM-4YCEZ 30-39 years, male 10.3
GTEX-1P4AB-2626-SM-DTXEU 50-59 years, male 10.3
GTEX-145MH-2726-SM-5QGQ6 50-59 years, male 10.2
GTEX-1JN6P-2126-SM-ARL98 60-69 years, male 10.2
GTEX-145LS-2926-SM-5O99G 60-69 years, female 10.0
GTEX-1HCVE-2326-SM-9WYUD 50-59 years, male 9.9
GTEX-1OJC3-1826-SM-DTX93 20-29 years, male 9.9
GTEX-Y5LM-1426-SM-5RQJL 40-49 years, female 9.8
GTEX-ZYY3-2226-SM-5E45A 60-69 years, female 9.8
GTEX-11VI4-1426-SM-5GU6O 40-49 years, female 9.7
GTEX-1RAZQ-2026-SM-E76P7 30-39 years, male 9.6
GTEX-Y9LG-1326-SM-4VBQB 30-39 years, male 9.5
GTEX-148VJ-2426-SM-5NQ9Y 70-79 years, male 9.4
GTEX-15F5U-1426-SM-7KUN2 40-49 years, male 9.4
GTEX-ZF29-1826-SM-4WKG8 60-69 years, female 9.3
GTEX-ZVZQ-2626-SM-59HLB 60-69 years, female 9.3
GTEX-1PIEJ-1826-SM-EWRMN 20-29 years, female 9.3
GTEX-15RJE-2226-SM-6M46A 40-49 years, male 9.2
GTEX-15UF6-2726-SM-7KULY 70-79 years, female 9.2
GTEX-XUW1-1826-SM-4BOQD 50-59 years, female 9.2
GTEX-1H3NZ-2526-SM-9KNVO 60-69 years, male 9.1
GTEX-1JMQK-2326-SM-ARZN4 60-69 years, male 9.1
GTEX-XQ8I-2326-SM-4BOQC 50-59 years, male 9.0
GTEX-1RDX4-1926-SM-E6CJJ 50-59 years, female 9.0
GTEX-ZE9C-2126-SM-4WKGY 60-69 years, male 8.9
GTEX-1PBJI-2526-SM-E6CP4 20-29 years, female 8.9
GTEX-1RQEC-2626-SM-EVR3Z 60-69 years, male 8.9
GTEX-18465-2726-SM-7LT9I 50-59 years, male 8.8
GTEX-1212Z-1826-SM-5FQSH 60-69 years, male 8.7
GTEX-13OW6-2226-SM-5N9FL 50-59 years, male 8.7
GTEX-1LGRB-2026-SM-COH47 50-59 years, female 8.7
GTEX-1QCLY-2026-SM-EVR4C 30-39 years, male 8.7
GTEX-15CHQ-2626-SM-686YZ 60-69 years, male 8.6
GTEX-15G19-2726-SM-6LPKG 60-69 years, male 8.6
GTEX-17EUY-1726-SM-79OK4 20-29 years, male 8.6
GTEX-1GMR2-1826-SM-9KNUP 50-59 years, male 8.6
GTEX-1QP29-2526-SM-E6CQ3 50-59 years, male 8.6
GTEX-145MO-2626-SM-5QGPD 60-69 years, male 8.5
GTEX-1JMPZ-2626-SM-ARU8Z 30-39 years, male 8.5
GTEX-139D8-2926-SM-5IJBM 30-39 years, female 8.4
GTEX-WQUQ-2626-SM-4MVNP 60-69 years, male 8.4
GTEX-ZYT6-2826-SM-5GICX 30-39 years, male 8.4
GTEX-1H3VE-2326-SM-9KNVU 40-49 years, male 8.4
GTEX-1J8JJ-2426-SM-D4P4A 60-69 years, female 8.4
GTEX-1LKK1-2426-SM-DIPES 50-59 years, female 8.4
GTEX-1R9PO-2026-SM-E9J4N 60-69 years, female 8.4
GTEX-132AR-2826-SM-5IJFV 50-59 years, female 8.3
GTEX-18A67-2226-SM-7LT9Z 50-59 years, male 8.3
GTEX-1H23P-2626-SM-9KNVN 60-69 years, male 8.3
GTEX-132NY-2726-SM-5PNY2 60-69 years, male 8.2
GTEX-1HCU6-2926-SM-B2LWV 60-69 years, female 8.2
GTEX-12ZZY-2726-SM-5EQ45 60-69 years, male 8.1
GTEX-ZT9W-1726-SM-51MS3 50-59 years, male 8.1
GTEX-1GTWX-2626-SM-9WPOT 60-69 years, male 8.1
GTEX-1I1GR-2226-SM-ARL7F 60-69 years, male 8.0
GTEX-1S831-1726-SM-EWROJ 20-29 years, male 8.0
GTEX-X15G-1526-SM-4PQZM 50-59 years, female 7.9
GTEX-1JMLX-2526-SM-CY8HX 50-59 years, male 7.9
GTEX-1LVAO-2826-SM-E9TJH 60-69 years, male 7.8
GTEX-12WSD-2626-SM-5EGJE 60-69 years, female 7.7
GTEX-13OVJ-1826-SM-5KM2D 50-59 years, female 7.7
GTEX-16XZZ-2726-SM-7EWDO 60-69 years, male 7.7
GTEX-139TS-2226-SM-5J2N1 60-69 years, male 7.6
GTEX-15ETS-2326-SM-7KUGC 40-49 years, female 7.6
GTEX-13N2G-2226-SM-5IJCU 60-69 years, male 7.5
GTEX-1GL5R-1726-SM-9KNUX 50-59 years, male 7.5
GTEX-13OW8-2726-SM-5L3FZ 60-69 years, male 7.4
GTEX-1HSMO-2526-SM-A9SKP 60-69 years, male 7.4
GTEX-1PPH8-2226-SM-EWRN7 20-29 years, male 7.4
GTEX-1S82P-2026-SM-E9TIQ 60-69 years, female 7.4
GTEX-11PRG-2026-SM-5GU5F 50-59 years, male 7.3
GTEX-1H3VY-2526-SM-9KNW1 50-59 years, male 7.3
GTEX-13U4I-2626-SM-5SI9C 40-49 years, female 7.2
GTEX-14C39-1626-SM-5S2P4 40-49 years, male 7.2
GTEX-ZC5H-2426-SM-4WAZ6 40-49 years, female 7.2
GTEX-1HFI7-1626-SM-9WYTR 50-59 years, female 7.2
GTEX-1JJE9-2526-SM-ARU8K 70-79 years, male 7.2
GTEX-13PVQ-2726-SM-5L3H7 50-59 years, male 7.1
GTEX-14PK6-1826-SM-69LOM 70-79 years, female 7.1
GTEX-1LG7Z-1326-SM-DIPF3 30-39 years, male 7.1
GTEX-ZVT3-2826-SM-5GU6A 60-69 years, female 7.0
GTEX-14BIN-2426-SM-5TDCF 50-59 years, female 6.9
GTEX-1A32A-2626-SM-73KX9 50-59 years, female 6.9
GTEX-1GZ4H-1326-SM-7P8TE 50-59 years, female 6.9
GTEX-1C64N-2226-SM-7SB7C 50-59 years, male 6.8
GTEX-X4EO-2726-SM-4E3HS 60-69 years, female 6.7
GTEX-XV7Q-2226-SM-4BRVY 40-49 years, female 6.7
GTEX-11ZTS-1526-SM-5N9G7 60-69 years, female 6.6
GTEX-1HCU7-2726-SM-A9G3D 50-59 years, male 6.6
GTEX-11DXY-2026-SM-5N9CZ 60-69 years, male 6.5
GTEX-13SLW-2826-SM-5Q5ES 70-79 years, male 6.5
GTEX-18QFQ-1726-SM-731C9 30-39 years, male 6.5
GTEX-1EU9M-2726-SM-7P8QD 60-69 years, male 6.5
GTEX-13X6J-2826-SM-7EPGA 50-59 years, male 6.4
GTEX-17KNJ-1826-SM-7LT9N 50-59 years, male 6.4
GTEX-1B932-2126-SM-7IGMU 40-49 years, female 6.4
GTEX-WI4N-2226-SM-4OOS9 40-49 years, female 6.4
GTEX-1HSGN-2226-SM-A9SL6 40-49 years, female 6.4
GTEX-1LSNM-1426-SM-E6CIH 50-59 years, male 6.4
GTEX-1PIGE-1526-SM-DTXFC 20-29 years, male 6.4
GTEX-117XS-2226-SM-5GIE1 60-69 years, male 6.3
GTEX-11EMC-1426-SM-5N9E4 60-69 years, female 6.3
GTEX-ZE7O-2626-SM-51MSS 50-59 years, female 6.3
GTEX-ZTSS-1226-SM-51MSZ 40-49 years, male 6.3
GTEX-ZVT4-2626-SM-5N9GJ 50-59 years, female 6.3
GTEX-1IDJI-2226-SM-CKZPM 50-59 years, female 6.3
GTEX-ZLWG-1826-SM-DO11I 50-59 years, female 6.3
GTEX-12KS4-2326-SM-5EGJB 30-39 years, male 6.2
GTEX-18A6Q-2226-SM-7LG61 60-69 years, male 6.2
GTEX-YECK-2826-SM-5IFHF 60-69 years, male 6.2
GTEX-ZPCL-1626-SM-57WGC 60-69 years, female 6.2
GTEX-ZPU1-1726-SM-4WWFV 40-49 years, male 6.2
GTEX-1I1GP-2826-SM-A9SKZ 50-59 years, male 6.2
GTEX-1QP67-1426-SM-E8VOO 40-49 years, female 6.2
GTEX-12ZZW-2426-SM-5DUWE 50-59 years, male 6.1
GTEX-17JCI-2826-SM-7IGNA 60-69 years, female 6.1
GTEX-WYVS-1126-SM-4SOJX 40-49 years, female 6.1
GTEX-ZYFG-1826-SM-5GZWX 60-69 years, female 6.1
GTEX-1HBPN-2026-SM-B2LWA 50-59 years, male 6.1
GTEX-1IDJU-1926-SM-CL53W 60-69 years, female 6.1
GTEX-11EQ9-1526-SM-5PNY7 30-39 years, male 6.0
GTEX-12696-1926-SM-5EGJT 60-69 years, male 6.0
GTEX-14DAQ-2926-SM-664MV 60-69 years, female 6.0
GTEX-16NGA-0926-SM-718AG 40-49 years, female 6.0
GTEX-16Z82-2426-SM-7KUMS 60-69 years, male 6.0
GTEX-1BAJH-2726-SM-7IGNJ 70-79 years, male 6.0
GTEX-WFON-1326-SM-4LVMN 40-49 years, male 6.0
GTEX-1I1CD-2826-SM-A9SL4 60-69 years, female 6.0
GTEX-1JMPY-1026-SM-ARZN1 30-39 years, male 6.0
GTEX-13D11-0626-SM-5LZYY 50-59 years, female 5.9
GTEX-WRHK-1126-SM-4MVOJ 20-29 years, female 5.9
GTEX-ZAB5-1426-SM-5HL9D 50-59 years, male 5.9
GTEX-1HBPI-2226-SM-9WYTY 50-59 years, male 5.9
GTEX-1JN76-1326-SM-ARU94 20-29 years, female 5.9
GTEX-YJ8O-1426-SM-5PNV9 40-49 years, female 5.8
GTEX-1LVAN-2626-SM-CNPQF 50-59 years, female 5.8
GTEX-11EI6-2626-SM-5PNVT 60-69 years, male 5.7
GTEX-17MFQ-1226-SM-7KFSA 20-29 years, male 5.7
GTEX-1CB4G-2726-SM-79OO4 60-69 years, male 5.7
GTEX-1EMGI-2626-SM-7IGNR 60-69 years, male 5.7
GTEX-XBED-1726-SM-47JYO 60-69 years, male 5.7
GTEX-13OW5-2826-SM-5KM1G 60-69 years, male 5.6
GTEX-18D9A-1326-SM-7LT8P 30-39 years, female 5.6
GTEX-11TUW-2326-SM-5EQMO 60-69 years, male 5.5
GTEX-13FHO-2726-SM-5K7VG 60-69 years, male 5.5
GTEX-14PJ4-1826-SM-5YY97 60-69 years, male 5.5
GTEX-15EO6-2326-SM-6LPKK 50-59 years, male 5.5
GTEX-17F96-2126-SM-7KFSM 70-79 years, male 5.5
GTEX-1HSKV-2326-SM-A9SL9 60-69 years, male 5.5
GTEX-1ICG6-2226-SM-B2LY7 70-79 years, female 5.5
GTEX-1KANA-1726-SM-CY8IG 20-29 years, male 5.5
GTEX-131XE-1026-SM-5EGKE 50-59 years, male 5.4
GTEX-14PKV-1926-SM-686YU 20-29 years, female 5.4
GTEX-WFG8-1726-SM-4LVM6 20-29 years, male 5.4
GTEX-1J8QM-1226-SM-CY8HI 60-69 years, female 5.4
GTEX-13FTW-2126-SM-5K7YG 40-49 years, male 5.3
GTEX-13O61-1526-SM-5KM3P 60-69 years, male 5.3
GTEX-ZTTD-2626-SM-57WEX 50-59 years, male 5.3
GTEX-13OVK-1026-SM-7KFTC 40-49 years, male 5.2
GTEX-147JS-2626-SM-5S2UX 60-69 years, male 5.2
GTEX-1E2YA-2526-SM-7IGOU 50-59 years, male 5.2
GTEX-1QCLZ-2026-SM-EAZ4A 60-69 years, female 5.2
GTEX-1R7EU-1826-SM-DTX9L 60-69 years, male 5.2
GTEX-WHSE-2726-SM-EZ6ML 20-29 years, male 5.2
GTEX-WHWD-1526-SM-4OORV 50-59 years, male 5.1
GTEX-XUZC-1526-SM-4BRV4 30-39 years, female 5.1
GTEX-Y3I4-1126-SM-4TT7Y 50-59 years, male 5.1
GTEX-ZG7Y-1826-SM-4WWD3 50-59 years, male 5.1
GTEX-ZYFD-2226-SM-5E43P 50-59 years, male 5.1
GTEX-1GMR3-2526-SM-7P8QS 40-49 years, male 5.1
GTEX-1PDJ9-2026-SM-E76PT 20-29 years, male 5.1
GTEX-11DXX-1926-SM-5EGJK 60-69 years, female 5.0
GTEX-11ZU8-1126-SM-5EQ5K 60-69 years, male 5.0
GTEX-ZAB4-2426-SM-5HL8A 40-49 years, male 5.0
GTEX-ZPIC-2626-SM-57WE2 40-49 years, female 5.0
GTEX-ZQG8-2426-SM-57WEE 60-69 years, female 5.0
GTEX-ZY6K-1326-SM-5GZWP 50-59 years, male 5.0
GTEX-1F5PK-1726-SM-7RHHW 50-59 years, male 5.0
GTEX-1GPI7-1926-SM-9KNUH 20-29 years, male 5.0
GTEX-1H1DE-1626-SM-9KNU5 20-29 years, male 5.0
GTEX-1JMQJ-2626-SM-CY8HQ 50-59 years, male 5.0
GTEX-1OFPY-1226-SM-E76OM 60-69 years, male 5.0
GTEX-1PIIG-2126-SM-EXUSD 30-39 years, male 5.0
GTEX-145ME-1126-SM-5SIAT 40-49 years, female 4.9
GTEX-1GMR8-2926-SM-9KNW5 50-59 years, female 4.9
GTEX-1GN73-2726-SM-9WYUB 60-69 years, male 4.9
GTEX-1J8EW-2426-SM-CE6T5 60-69 years, female 4.9
GTEX-1LVAM-1726-SM-DHXKQ 50-59 years, female 4.9
GTEX-13VXT-2026-SM-5L3EW 20-29 years, female 4.8
GTEX-14E6E-1726-SM-5S2R6 30-39 years, male 4.8
GTEX-15ER7-2826-SM-6PAN2 20-29 years, female 4.8
GTEX-17HGU-2626-SM-79OKN 50-59 years, male 4.8
GTEX-1A3MV-1026-SM-72D5U 30-39 years, male 4.8
GTEX-1B8L1-1926-SM-7IGND 60-69 years, male 4.8
GTEX-1C4CL-1626-SM-7DUF3 30-39 years, male 4.8
GTEX-ZV6S-1126-SM-57WE9 40-49 years, female 4.8
GTEX-1HSEH-1926-SM-A96SB 60-69 years, male 4.8
GTEX-1JJEA-2526-SM-CY8HJ 60-69 years, male 4.8
GTEX-WXYG-1726-SM-4ONCU 50-59 years, female 4.7
GTEX-1I1GT-2026-SM-CKZPK 60-69 years, female 4.7
GTEX-1IDJH-2826-SM-CJI49 70-79 years, male 4.7
GTEX-1J1R8-1426-SM-CL55O 40-49 years, male 4.7
GTEX-1QW4Y-1426-SM-E76P3 30-39 years, male 4.7
GTEX-1339X-1726-SM-5P9J9 40-49 years, male 4.6
GTEX-17GQL-1626-SM-7LG69 60-69 years, male 4.6
GTEX-1A3MX-2326-SM-718B4 60-69 years, male 4.6
GTEX-1GF9X-1426-SM-7RHGX 40-49 years, female 4.6
GTEX-1JKYN-2226-SM-ARZNE 30-39 years, male 4.6
GTEX-1LB8K-2526-SM-DIPEQ 50-59 years, male 4.6
GTEX-1QP9N-0826-SM-DTX9O 30-39 years, male 4.6
GTEX-1122O-1426-SM-5H11R 60-69 years, female 4.5
GTEX-139UW-2326-SM-5KM1Y 60-69 years, male 4.5
GTEX-1399U-2226-SM-5KLZI 50-59 years, female 4.4
GTEX-1AX9K-1626-SM-73KUS 50-59 years, male 4.4
GTEX-YJ8A-1726-SM-5P9IQ 20-29 years, male 4.4
GTEX-ZP4G-1526-SM-57WE5 20-29 years, female 4.4
GTEX-1RAZR-2026-SM-E9TKE 40-49 years, male 4.4
GTEX-11P81-1426-SM-5P9JN 30-39 years, female 4.3
GTEX-12WSJ-1426-SM-5GCON 40-49 years, female 4.3
GTEX-12WSL-1826-SM-5LZW9 50-59 years, male 4.3
GTEX-12WSM-1426-SM-5GCPA 60-69 years, male 4.3
GTEX-13111-1926-SM-5GCOL 50-59 years, male 4.3
GTEX-13OVI-2126-SM-5KM3U 60-69 years, female 4.3
GTEX-146FH-2426-SM-5Q5EW 50-59 years, female 4.3
GTEX-1MGNQ-2126-SM-EV7AC 40-49 years, male 4.3
GTEX-ZLV1-1326-SM-DO11Q 60-69 years, female 4.3
GTEX-11GS4-1826-SM-5HL4T 60-69 years, male 4.2
GTEX-1HKZK-2026-SM-9WYUF 40-49 years, male 4.2
GTEX-1IL2U-2526-SM-C1YQV 60-69 years, male 4.2
GTEX-1K2DA-1626-SM-CGQGB 50-59 years, male 4.2
GTEX-1211K-1826-SM-5EGJ2 60-69 years, female 4.1
GTEX-12WSG-2426-SM-5EQLZ 50-59 years, female 4.1
GTEX-1LSNL-1626-SM-E9TJY 50-59 years, male 4.1
GTEX-13QBU-2026-SM-5KLZB 40-49 years, female 4.0
GTEX-14PN3-1926-SM-6EU1Y 60-69 years, female 4.0
GTEX-1B97I-1526-SM-73KUK 40-49 years, male 4.0
GTEX-ZA64-1426-SM-5CVMC 20-29 years, male 4.0
GTEX-1R9JW-2126-SM-E76QT 30-39 years, female 4.0
GTEX-15RJ7-1726-SM-6PAL3 40-49 years, male 3.9
GTEX-XAJ8-0726-SM-47JY5 40-49 years, male 3.9
GTEX-1JKYR-2026-SM-CNPON 20-29 years, male 3.9
GTEX-111YS-1826-SM-5GIEP 60-69 years, male 3.8
GTEX-139T6-1426-SM-5P9J7 50-59 years, male 3.8
GTEX-13X6I-2726-SM-5Q5ET 60-69 years, male 3.8
GTEX-WHPG-1626-SM-4M1ZL 50-59 years, male 3.8
GTEX-1HCUA-1926-SM-B2LWE 50-59 years, female 3.8
GTEX-12BJ1-2026-SM-5FQUH 60-69 years, male 3.7
GTEX-15DZA-1026-SM-6PAND 30-39 years, female 3.7
GTEX-1HSMQ-2526-SM-A9SMK 50-59 years, male 3.7
GTEX-111CU-1226-SM-5EGIN 50-59 years, male 3.6
GTEX-11DXZ-1626-SM-5GIDI 50-59 years, male 3.6
GTEX-13CF3-1326-SM-5LZXZ 60-69 years, female 3.6
GTEX-14E1K-1626-SM-664MO 50-59 years, male 3.6
GTEX-16BQI-2026-SM-7KULQ 30-39 years, female 3.6
GTEX-1C2JI-1726-SM-73KUW 50-59 years, male 3.6
GTEX-1CB4F-1926-SM-7MKFN 60-69 years, male 3.6
GTEX-ZLFU-1426-SM-4WWEU 40-49 years, male 3.6
GTEX-1LBAC-1726-SM-D3L9W 20-29 years, male 3.6
GTEX-13RTJ-1926-SM-5YYA2 60-69 years, male 3.5
GTEX-1H1ZS-2626-SM-9QEIX 70-79 years, male 3.5
GTEX-1KXAM-1926-SM-D3LAG 60-69 years, male 3.5
GTEX-1QP2A-2226-SM-DTXF6 50-59 years, male 3.5
GTEX-1B996-2726-SM-7DUGG 60-69 years, male 3.4
GTEX-1JK1U-1426-SM-CNPOW 60-69 years, male 3.4
GTEX-1K9T9-2926-SM-E9TKD 50-59 years, female 3.4
GTEX-1PBJJ-2026-SM-DTX8U 30-39 years, male 3.4
GTEX-1QPFJ-2426-SM-EVR3L 30-39 years, female 3.4
GTEX-1RLM8-1726-SM-E9TKF 50-59 years, male 3.4
GTEX-15UF7-1326-SM-7KUKV 40-49 years, male 3.3
GTEX-1H1E6-1826-SM-A9G21 30-39 years, male 3.3
GTEX-11ZTT-1626-SM-5EQKR 60-69 years, female 3.2
GTEX-145LT-0826-SM-5S2QL 40-49 years, male 3.2
GTEX-14BMU-1326-SM-5RQIH 20-29 years, female 3.2
GTEX-14JG6-1626-SM-5YYBC 30-39 years, female 3.2
GTEX-1AMFI-1826-SM-73KWB 50-59 years, female 3.2
GTEX-1HBPH-2526-SM-ACKXK 40-49 years, female 3.2
GTEX-1IKOE-2126-SM-A96T5 30-39 years, female 3.2
GTEX-1J1OQ-2826-SM-D3L88 40-49 years, female 3.2
GTEX-1LGOU-1726-SM-D3L8P 20-29 years, female 3.2
GTEX-1399R-2126-SM-5K7WZ 30-39 years, male 3.1
GTEX-13FH7-1626-SM-5J2O9 50-59 years, female 3.1
GTEX-14AS3-1026-SM-5TDD7 40-49 years, female 3.1
GTEX-14C5O-2626-SM-5RQI5 60-69 years, male 3.1
GTEX-15DYW-2426-SM-7KUG8 60-69 years, female 3.1
GTEX-17HHE-1626-SM-7DHLN 50-59 years, male 3.1
GTEX-ZZ64-0826-SM-5E449 20-29 years, male 3.1
GTEX-14PJ3-1226-SM-5ZZVY 50-59 years, male 3.0
GTEX-15RIF-1426-SM-7KUKQ 20-29 years, male 3.0
GTEX-1C475-1526-SM-7DHM3 40-49 years, female 3.0
GTEX-WY7C-1926-SM-4ONCI 50-59 years, male 3.0
GTEX-YFCO-1526-SM-5YYB8 40-49 years, male 3.0
GTEX-14A5H-1626-SM-5SIAN 60-69 years, male 2.9
GTEX-16MTA-1626-SM-6M47N 50-59 years, male 2.9
GTEX-18A66-2626-SM-72D67 60-69 years, male 2.9
GTEX-XXEK-1826-SM-4BRVC 50-59 years, male 2.9
GTEX-1F5PL-1926-SM-7MXTP 40-49 years, female 2.9
GTEX-1R9K5-2226-SM-DTX9G 50-59 years, male 2.9
GTEX-1RMOY-1726-SM-EVYC9 50-59 years, male 2.9
GTEX-117YX-0526-SM-5EGJH 50-59 years, male 2.7
GTEX-11TT1-0926-SM-5GU5M 20-29 years, male 2.7
GTEX-131XG-1526-SM-5GCNQ 50-59 years, female 2.7
GTEX-13G51-2126-SM-5IJD9 60-69 years, male 2.7
GTEX-13O1R-2426-SM-5KLZZ 60-69 years, male 2.7
GTEX-WFG7-1626-SM-4LVMF 20-29 years, male 2.7
GTEX-ZVT2-1726-SM-51MRO 50-59 years, female 2.7
GTEX-1CAMS-2626-SM-7PBY3 40-49 years, female 2.7
GTEX-13PVR-1726-SM-5Q5EC 60-69 years, female 2.6
GTEX-14PHX-1126-SM-5YYA5 50-59 years, male 2.6
GTEX-1LSVX-2026-SM-E9TJD 60-69 years, male 2.6
GTEX-144GM-1126-SM-79OJK 20-29 years, male 2.5
GTEX-1B8KE-1526-SM-7DUG2 50-59 years, male 2.5
GTEX-ZDTS-2726-SM-5L3E2 60-69 years, male 2.5
GTEX-1J8Q3-2426-SM-CL53S 60-69 years, male 2.5
GTEX-11P7K-1826-SM-5HL5A 30-39 years, male 2.4
GTEX-1AX9J-2526-SM-73KUY 60-69 years, male 2.4
GTEX-Y114-1626-SM-4TT7I 50-59 years, female 2.4
GTEX-1N2EF-1726-SM-EXUSI 60-69 years, male 2.4
GTEX-11EM3-1626-SM-5N9CO 20-29 years, female 2.3
GTEX-183FY-1426-SM-7DHLM 20-29 years, male 2.3
GTEX-1I6K6-1926-SM-A96SN 30-39 years, male 2.2
GTEX-131YS-2926-SM-5EGKI 60-69 years, female 2.0
GTEX-15RIE-2026-SM-7KFRW 60-69 years, male 2.0
GTEX-ZXES-1726-SM-5E43G 30-39 years, female 2.0
GTEX-1AYCT-1926-SM-793AE 50-59 years, male 1.8
GTEX-14E6C-2226-SM-5QGQG 40-49 years, male 1.7
GTEX-YF7O-1626-SM-5IFII 50-59 years, male 1.7
GTEX-ZF2S-1826-SM-4WKFF 50-59 years, female 1.5
GTEX-11I78-1326-SM-5PNY9 50-59 years, female 1.4
GTEX-15G1A-1926-SM-7KUFF 30-39 years, male 1.2
GTEX-1L5NE-1926-SM-D3L9R 50-59 years, male 1.2
GTEX-1CAMR-1026-SM-7P8QI 20-29 years, male 0.6
Show allShow less
Colon - Transverse
Average nTPM: 13.6
Samples: 406

Max nTPM: 49.4
Min nTPM: 1.2
Std nTPM: 8.7
Median nTPM: 11.4
GTEX-14C39-1926-SM-5ZZW5 40-49 years, male 49.4
GTEX-OOBJ-1426-SM-E6CHH 60-69 years, male 43.0
GTEX-13PL7-2526-SM-5IFGR 60-69 years, female 41.4
GTEX-XPVG-1826-SM-4B64X 50-59 years, male 39.6
GTEX-ZT9W-1826-SM-51MQX 50-59 years, male 38.3
GTEX-13O21-2426-SM-5MR4A 50-59 years, male 38.2
GTEX-1K2DA-2026-SM-CGQGK 50-59 years, male 37.3
GTEX-14XAO-2026-SM-69LOI 60-69 years, female 35.9
GTEX-11DXZ-1726-SM-5H12M 50-59 years, male 35.8
GTEX-1399R-2226-SM-5P9JB 30-39 years, male 34.5
GTEX-11DXX-1826-SM-5H126 60-69 years, female 32.9
GTEX-R55D-1826-SM-48FEF 50-59 years, male 32.9
GTEX-R53T-1326-SM-48FCQ 50-59 years, female 32.6
GTEX-1399U-1926-SM-5IFH7 50-59 years, female 31.7
GTEX-1L5NE-2026-SM-CXZKR 50-59 years, male 31.7
GTEX-ZLV1-1226-SM-4WWBX 60-69 years, female 31.0
GTEX-1F75B-2726-SM-7P8QO 50-59 years, male 30.5
GTEX-13D11-0826-SM-5KLZJ 50-59 years, female 30.4
GTEX-XBEW-1926-SM-4SOJO 40-49 years, male 30.2
GTEX-1J1R8-1126-SM-CNPQ3 40-49 years, male 29.8
GTEX-11LCK-2026-SM-5A5MA 30-39 years, male 29.7
GTEX-131XE-0826-SM-5HL9W 50-59 years, male 29.7
GTEX-ZPIC-2226-SM-57WDX 40-49 years, female 29.6
GTEX-139TS-1926-SM-5IJFO 60-69 years, male 29.3
GTEX-UJHI-1126-SM-4IHLN 50-59 years, female 29.0
GTEX-XQ8I-2126-SM-4BOOM 50-59 years, male 28.9
GTEX-1F5PK-1926-SM-7MXT7 50-59 years, male 28.7
GTEX-UJMC-1326-SM-4IHLS 50-59 years, male 28.5
GTEX-132AR-2726-SM-5PNVN 50-59 years, female 28.4
GTEX-XV7Q-2126-SM-4BRVX 40-49 years, female 28.1
GTEX-1B8KZ-1326-SM-7DUG6 50-59 years, male 27.9
GTEX-1H11D-2626-SM-9JGH4 40-49 years, male 27.7
GTEX-15CHR-1426-SM-7DUGV 50-59 years, male 27.5
GTEX-YEC3-2426-SM-DO11A 50-59 years, male 27.5
GTEX-1122O-1526-SM-5N9CL 60-69 years, female 27.4
GTEX-Y9LG-1526-SM-4WWDR 30-39 years, male 27.1
GTEX-17HII-2726-SM-7MGVM 50-59 years, male 26.9
GTEX-1JK1U-1526-SM-AHZ46 60-69 years, male 26.8
GTEX-QCQG-1626-SM-48U26 50-59 years, female 26.7
GTEX-14PK6-1726-SM-6871J 70-79 years, female 26.6
GTEX-XBED-1526-SM-4AT5W 60-69 years, male 26.5
GTEX-Q2AH-1226-SM-48TZL 40-49 years, male 26.4
GTEX-1H1DG-2226-SM-9WPPC 70-79 years, male 26.1
GTEX-1HSMQ-2726-SM-C1YRE 50-59 years, male 26.0
GTEX-1KANC-0926-SM-D3LA9 50-59 years, female 25.9
GTEX-14E6E-1526-SM-5RQIG 30-39 years, male 25.7
GTEX-1LVAM-1626-SM-EV79Y 50-59 years, female 25.7
GTEX-NFK9-2026-SM-3LK5K 40-49 years, male 25.6
GTEX-17HGU-2426-SM-7EWDP 50-59 years, male 25.3
GTEX-14PJ4-1926-SM-6LLHG 60-69 years, male 25.1
GTEX-1399S-1926-SM-5J2M5 30-39 years, female 24.9
GTEX-TML8-1326-SM-4DXTO 40-49 years, female 24.7
GTEX-14DAR-1526-SM-5RQIX 50-59 years, male 24.5
GTEX-WFON-1426-SM-4LVMT 40-49 years, male 24.2
GTEX-VJYA-2026-SM-4KL1K 60-69 years, male 24.1
GTEX-1S83E-1626-SM-EV7B9 40-49 years, male 24.1
GTEX-1H1E6-1926-SM-9OSWD 30-39 years, male 24.0
GTEX-1R7EU-1926-SM-E9U62 60-69 years, male 24.0
GTEX-1NSGN-2326-SM-E9U5X 50-59 years, male 23.6
GTEX-W5WG-2426-SM-4LMI6 50-59 years, female 23.5
GTEX-XYKS-2226-SM-4E3IU 60-69 years, female 23.5
GTEX-ZDTT-1926-SM-5HL5W 60-69 years, male 23.5
GTEX-U3ZM-1126-SM-4DXUB 40-49 years, male 23.2
GTEX-1RAZR-1926-SM-E6CRF 40-49 years, male 23.2
GTEX-U3ZN-2126-SM-4DXU1 30-39 years, female 23.0
GTEX-1N2DV-1426-SM-DPRYQ 40-49 years, male 23.0
GTEX-12BJ1-2126-SM-5BC5O 60-69 years, male 22.9
GTEX-13S86-1626-SM-5Q5C5 40-49 years, male 22.8
GTEX-139T6-1326-SM-5IFFO 50-59 years, male 22.7
GTEX-RM2N-0926-SM-48FD1 50-59 years, male 22.7
GTEX-S4P3-1226-SM-4AD4Y 50-59 years, female 22.6
GTEX-ZEX8-1926-SM-4WKFR 50-59 years, male 22.4
GTEX-PWCY-1026-SM-48TD4 20-29 years, female 22.1
GTEX-13QBU-1826-SM-5IJG3 40-49 years, female 22.0
GTEX-1QP67-1326-SM-EAZ4D 40-49 years, female 21.9
GTEX-139YR-2126-SM-5KM11 50-59 years, male 21.8
GTEX-P4QT-1426-SM-3NMCX 50-59 years, female 21.7
GTEX-147F3-1926-SM-5SIB9 50-59 years, female 21.6
GTEX-1211K-1726-SM-5FQUJ 60-69 years, female 21.4
GTEX-TKQ2-1326-SM-4DXT9 50-59 years, male 21.1
GTEX-1HSEH-1726-SM-B2LXH 60-69 years, male 21.1
GTEX-1I4MK-1126-SM-B2LWS 50-59 years, female 21.0
GTEX-1JN76-1226-SM-C1YRM 20-29 years, female 20.8
GTEX-YB5E-1626-SM-5IFIQ 40-49 years, male 20.5
GTEX-1RDX4-1826-SM-EVR54 50-59 years, female 20.5
GTEX-QEL4-1926-SM-D3L8D 50-59 years, male 20.4
GTEX-13111-0726-SM-5DUVE 50-59 years, male 20.1
GTEX-1LGRB-1426-SM-CNNPT 50-59 years, female 20.1
GTEX-1LG7Z-1426-SM-CXKYV 30-39 years, male 20.0
GTEX-147GR-2726-SM-664OO 60-69 years, male 19.6
GTEX-1CAMS-2526-SM-7EPH7 40-49 years, female 19.6
GTEX-SNOS-1226-SM-4DM5H 40-49 years, male 19.3
GTEX-13OVJ-1726-SM-5IJDZ 50-59 years, female 19.2
GTEX-Y3IK-1826-SM-4WWDS 50-59 years, female 19.2
GTEX-YF7O-1726-SM-5IFJ9 50-59 years, male 19.2
GTEX-1S3DN-1826-SM-EV79K 50-59 years, male 19.1
GTEX-17GQL-1526-SM-7LTAC 60-69 years, male 19.0
GTEX-1AX9I-2626-SM-73KU5 60-69 years, male 19.0
GTEX-U4B1-1126-SM-4DXV3 40-49 years, male 19.0
GTEX-1IDJU-2026-SM-A9SLM 60-69 years, female 19.0
GTEX-12C56-0626-SM-5EGGC 20-29 years, male 18.9
GTEX-1JKYN-2326-SM-CGQG7 30-39 years, male 18.9
GTEX-17EUY-1826-SM-7DUEZ 20-29 years, male 18.8
GTEX-ZVT2-1926-SM-5GU5T 50-59 years, female 18.7
GTEX-ZLWG-1726-SM-DNZZ2 50-59 years, female 18.7
GTEX-131XG-1826-SM-5LZV4 50-59 years, female 18.6
GTEX-Y5LM-1526-SM-4VDTA 40-49 years, female 18.6
GTEX-1QCLY-1726-SM-DPRXY 30-39 years, male 18.4
GTEX-OIZF-1426-SM-2HML2 60-69 years, male 18.4
GTEX-PLZ5-1126-SM-3P613 50-59 years, male 18.3
GTEX-OHPN-2026-SM-E9TIA 60-69 years, female 17.8
GTEX-145MN-1726-SM-5SIA6 30-39 years, male 17.7
GTEX-R55G-1226-SM-48FDC 40-49 years, female 17.7
GTEX-X15G-1326-SM-4PQZJ 50-59 years, female 17.7
GTEX-WH7G-1326-SM-4LVMS 40-49 years, male 17.6
GTEX-WHWD-1226-SM-4OOS1 50-59 years, male 17.6
GTEX-ZG7Y-2126-SM-DO117 50-59 years, male 17.6
GTEX-14PHX-1526-SM-68717 50-59 years, male 17.5
GTEX-1GF9X-1526-SM-7P8QP 40-49 years, female 17.5
GTEX-13OW6-2126-SM-5N9GL 50-59 years, male 17.4
GTEX-1K9T9-2826-SM-D4P3F 50-59 years, female 17.4
GTEX-11P82-1026-SM-5BC5J 20-29 years, male 17.1
GTEX-QLQW-0426-SM-447A7 30-39 years, male 17.0
GTEX-Q2AI-0926-SM-48U1F 40-49 years, male 16.9
GTEX-ZV7C-1526-SM-5NQ72 50-59 years, male 16.9
GTEX-1E2YA-2626-SM-7MGWW 50-59 years, male 16.6
GTEX-16NPV-2626-SM-6M484 50-59 years, female 16.5
GTEX-QV31-0826-SM-CKZNC 30-39 years, male 16.5
GTEX-1F75I-2426-SM-9WPOY 40-49 years, male 16.4
GTEX-1PFEY-1426-SM-E9U6U 30-39 years, male 16.3
GTEX-11I78-1226-SM-5A5K6 50-59 years, female 16.2
GTEX-17KNJ-1726-SM-7LG6A 50-59 years, male 16.2
GTEX-XUZC-1326-SM-4BRV2 30-39 years, female 16.2
GTEX-1H3VY-2426-SM-9WPPD 50-59 years, male 16.2
GTEX-1RAZA-1726-SM-DPS13 20-29 years, male 16.2
GTEX-11VI4-1526-SM-5EQKC 40-49 years, female 16.0
GTEX-OHPM-1426-SM-3TW8Y 50-59 years, male 16.0
GTEX-16Z82-2226-SM-6LPJ7 60-69 years, male 15.9
GTEX-OXRO-0726-SM-E9U4C 60-69 years, female 15.7
GTEX-13FTW-1826-SM-5IJEN 40-49 years, male 15.6
GTEX-Q734-1126-SM-48TZY 40-49 years, female 15.6
GTEX-OIZH-1426-SM-3NB1O 50-59 years, male 15.5
GTEX-QDVN-1326-SM-48TZ3 50-59 years, male 15.5
GTEX-1H1DE-1526-SM-ARL9B 20-29 years, male 15.5
GTEX-13PVR-1626-SM-73KVF 60-69 years, female 15.4
GTEX-WFG7-1526-SM-4LVMG 20-29 years, male 15.4
GTEX-XMK1-1726-SM-4B64Z 40-49 years, male 15.4
GTEX-ZDYS-2326-SM-4WKG6 50-59 years, male 15.4
GTEX-1MGNQ-2026-SM-EAZ51 40-49 years, male 15.4
GTEX-1AMFI-1726-SM-7189L 50-59 years, female 15.2
GTEX-SE5C-1526-SM-4BRWU 40-49 years, female 15.0
GTEX-111CU-1426-SM-5GZYP 50-59 years, male 14.8
GTEX-ZAB4-2226-SM-5HL97 40-49 years, male 14.8
GTEX-OXRK-1726-SM-3NB16 50-59 years, female 14.7
GTEX-17HHE-1826-SM-79OKE 50-59 years, male 14.6
GTEX-WOFM-2026-SM-4OOSQ 20-29 years, male 14.6
GTEX-1AYCT-1826-SM-731EG 50-59 years, male 14.5
GTEX-1B8KE-1926-SM-731EE 50-59 years, male 14.5
GTEX-1F5PL-2126-SM-7PC2O 40-49 years, female 14.5
GTEX-1LG7Y-2126-SM-DIPER 50-59 years, male 14.5
GTEX-S4UY-0826-SM-4AD4Z 40-49 years, female 14.4
GTEX-1MJK3-0926-SM-EV7AY 20-29 years, male 14.4
GTEX-1QCLZ-1926-SM-E6CR3 60-69 years, female 14.3
GTEX-16AAH-1326-SM-7KFRG 50-59 years, male 14.2
GTEX-15ER7-2926-SM-7KUFK 20-29 years, female 14.1
GTEX-T5JW-1126-SM-4DM5V 20-29 years, female 14.1
GTEX-1I1GR-2526-SM-CNNQF 60-69 years, male 14.1
GTEX-1PPGY-2826-SM-DTX9H 60-69 years, male 14.1
GTEX-11NSD-1626-SM-5986U 20-29 years, male 14.0
GTEX-QDVJ-1326-SM-48U1X 50-59 years, male 14.0
GTEX-S7SF-1926-SM-4AT5B 20-29 years, female 14.0
GTEX-14JG6-1726-SM-69LPL 30-39 years, female 13.7
GTEX-13U4I-2426-SM-5LU34 40-49 years, female 13.6
GTEX-133LE-1526-SM-5IFEN 20-29 years, female 13.5
GTEX-11TT1-1026-SM-5PNW7 20-29 years, male 13.4
GTEX-PWN1-1426-SM-48TDF 40-49 years, female 13.3
GTEX-178AV-1326-SM-6LPJX 40-49 years, male 13.2
GTEX-14BIN-3026-SM-5ZZUS 50-59 years, female 13.1
GTEX-16MT8-2726-SM-7IGLJ 60-69 years, female 13.0
GTEX-1GF9U-1526-SM-7MXUW 40-49 years, female 12.9
GTEX-117YW-1826-SM-5PNY5 50-59 years, male 12.8
GTEX-SJXC-2226-SM-EVYAK 60-69 years, male 12.8
GTEX-1QMI2-2626-SM-E6CR4 60-69 years, male 12.7
GTEX-1JMLX-2726-SM-CM2SB 50-59 years, male 12.6
GTEX-X3Y1-1726-SM-4PQZL 40-49 years, male 12.4
GTEX-145MO-2426-SM-5NQ9W 60-69 years, male 12.3
GTEX-1HSGN-2626-SM-CE6S1 40-49 years, female 12.3
GTEX-14BMU-1526-SM-5TDE6 20-29 years, female 12.2
GTEX-1HFI7-1726-SM-A9G22 50-59 years, female 12.2
GTEX-PLZ6-0926-SM-3P5ZQ 30-39 years, male 12.1
GTEX-ZTSS-1126-SM-5985O 40-49 years, male 12.1
GTEX-WQUQ-2526-SM-4MVNO 60-69 years, male 12.0
GTEX-1NV5F-2226-SM-DTX8O 60-69 years, female 12.0
GTEX-1POEN-2026-SM-E6CRL 30-39 years, female 12.0
GTEX-11P7K-1526-SM-5EGI7 30-39 years, male 11.9
GTEX-146FQ-1926-SM-5NQBY 30-39 years, male 11.9
GTEX-14PJM-2626-SM-686ZD 50-59 years, female 11.8
GTEX-WYVS-1826-SM-4OND6 40-49 years, female 11.8
GTEX-1PIEJ-2026-SM-E6CPA 20-29 years, female 11.8
GTEX-13O3O-2526-SM-5L3DR 60-69 years, female 11.7
GTEX-147JS-2526-SM-5S2Q8 60-69 years, male 11.5
GTEX-18D9A-1126-SM-7KFRJ 30-39 years, female 11.5
GTEX-1KXAM-2126-SM-CY8I9 60-69 years, male 11.5
GTEX-1GPI7-1726-SM-7P8R1 20-29 years, male 11.4
GTEX-15SB6-1226-SM-7KUMP 50-59 years, female 11.3
GTEX-1HCU9-1326-SM-B2LXT 20-29 years, male 11.3
GTEX-1R9PM-1526-SM-DPRY8 20-29 years, male 11.3
GTEX-XGQ4-1226-SM-4AT67 50-59 years, male 11.2
GTEX-15RIF-1326-SM-6LPKO 20-29 years, male 11.1
GTEX-1C6VQ-2726-SM-73KUL 50-59 years, male 11.1
GTEX-13QJ3-2626-SM-9OSXQ 50-59 years, male 11.1
GTEX-1LH75-2126-SM-EVR5F 50-59 years, female 11.1
GTEX-1PWST-2426-SM-EWRMP 70-79 years, male 11.1
GTEX-11EM3-1526-SM-5A5KN 20-29 years, female 11.0
GTEX-OXRN-2026-SM-E6CHK 50-59 years, male 10.9
GTEX-1B932-2826-SM-73KUD 40-49 years, female 10.8
GTEX-1KANA-1926-SM-DHXKF 20-29 years, male 10.7
GTEX-13X6H-1926-SM-7EWD3 50-59 years, female 10.6
GTEX-ZVP2-1526-SM-5NQ82 50-59 years, male 10.6
GTEX-16XZZ-2626-SM-6M47S 60-69 years, male 10.5
GTEX-R55C-1126-SM-48FCJ 40-49 years, male 10.2
GTEX-1PIGE-1426-SM-E9U61 20-29 years, male 10.2
GTEX-144GN-1126-SM-5LU33 50-59 years, male 10.1
GTEX-ZPCL-1826-SM-57WF1 60-69 years, female 10.1
GTEX-PX3G-1426-SM-48U1J 20-29 years, female 10.0
GTEX-1JMPY-0426-SM-C1YQ3 30-39 years, male 9.9
GTEX-17MF6-2426-SM-7LTAM 40-49 years, male 9.7
GTEX-1JJ6O-2426-SM-ARU8J 60-69 years, male 9.7
GTEX-R45C-2126-SM-EZ6KZ 60-69 years, female 9.7
GTEX-1C475-1626-SM-731FP 40-49 years, female 9.6
GTEX-O5YW-1426-SM-3MJHF 50-59 years, male 9.5
GTEX-WYJK-2226-SM-4ONDJ 50-59 years, male 9.5
GTEX-XUW1-1926-SM-4BOP1 50-59 years, female 9.5
GTEX-Y8E4-2426-SM-4WWDN 40-49 years, male 9.5
GTEX-11O72-2226-SM-5PNW2 40-49 years, male 9.4
GTEX-145LT-0926-SM-5LU9C 40-49 years, male 9.4
GTEX-14PKV-2126-SM-664O3 20-29 years, female 9.4
GTEX-O5YT-1426-SM-3MJHC 20-29 years, male 9.3
GTEX-S3XE-1126-SM-4AD4N 50-59 years, male 9.3
GTEX-WHSB-0926-SM-4M1XJ 50-59 years, male 9.3
GTEX-17EVQ-1826-SM-7IGPH 70-79 years, male 9.2
GTEX-S4Q7-0826-SM-4AD5E 20-29 years, male 9.1
GTEX-ZPU1-1926-SM-57WDT 40-49 years, male 9.1
GTEX-1QP9N-1026-SM-E6CPX 30-39 years, male 9.0
GTEX-P78B-1726-SM-3P5ZV 40-49 years, female 8.9
GTEX-1IDJD-2226-SM-A96TD 30-39 years, male 8.9
GTEX-13OW5-2626-SM-5MR3M 60-69 years, male 8.8
GTEX-15UF6-2626-SM-6M466 70-79 years, female 8.7
GTEX-ZY6K-1226-SM-5GZYL 50-59 years, male 8.7
GTEX-13OVG-1426-SM-5K7VP 60-69 years, male 8.6
GTEX-15DYW-2326-SM-6PAMU 60-69 years, female 8.6
GTEX-13VXT-2426-SM-5LU46 20-29 years, female 8.5
GTEX-1JMPZ-2426-SM-C1YQP 30-39 years, male 8.5
GTEX-1HCU7-2626-SM-C1YQO 50-59 years, male 8.4
GTEX-1PPH8-2026-SM-DTX7P 20-29 years, male 8.4
GTEX-11TTK-2426-SM-5PNYO 60-69 years, female 8.3
GTEX-15RIE-1826-SM-6M48P 60-69 years, male 8.3
GTEX-PSDG-1826-SM-EAZ2S 50-59 years, male 8.2
GTEX-12KS4-2426-SM-5LU8P 30-39 years, male 8.1
GTEX-X4EO-2526-SM-EWRM8 60-69 years, female 8.1
GTEX-11ONC-2026-SM-5HL61 60-69 years, male 8.0
GTEX-ZP4G-1726-SM-4WWCM 20-29 years, female 8.0
GTEX-1AMEY-1926-SM-73KVT 30-39 years, female 7.9
GTEX-P4PP-1426-SM-3NM9L 30-39 years, female 7.9
GTEX-1N5O9-2726-SM-E76QH 60-69 years, male 7.9
GTEX-13OVK-0826-SM-7KULZ 40-49 years, male 7.8
GTEX-14ICK-1026-SM-6AJA4 40-49 years, male 7.8
GTEX-14JIY-3326-SM-6871E 60-69 years, male 7.8
GTEX-15CHQ-2526-SM-6EU24 60-69 years, male 7.8
GTEX-RU1J-1326-SM-46MUL 20-29 years, female 7.8
GTEX-1GMR3-2826-SM-9WPOG 40-49 years, male 7.8
GTEX-1JJE9-2426-SM-D3L8T 70-79 years, male 7.8
GTEX-15DCE-2026-SM-7KUFE 20-29 years, male 7.7
GTEX-1IOXB-2626-SM-CJI2N 50-59 years, male 7.7
GTEX-13OVI-2026-SM-5J1MU 60-69 years, female 7.6
GTEX-18A66-2426-SM-7KFSQ 60-69 years, male 7.6
GTEX-1EH9U-2026-SM-7PBYS 60-69 years, male 7.6
GTEX-1NHNU-2326-SM-E6CQE 50-59 years, male 7.6
GTEX-18D9B-2526-SM-718BN 60-69 years, male 7.5
GTEX-1HCVE-2526-SM-A9G2G 50-59 years, male 7.5
GTEX-1LGOU-1626-SM-D3LAK 20-29 years, female 7.5
GTEX-11GSP-1626-SM-5986N 60-69 years, female 7.4
GTEX-OXRL-1426-SM-3NM9E 50-59 years, male 7.4
GTEX-QMRM-1226-SM-447C6 50-59 years, male 7.4
GTEX-Z93S-2426-SM-5HL8N 50-59 years, male 7.4
GTEX-18D9U-1926-SM-7KFTM 40-49 years, male 7.2
GTEX-ZGAY-2126-SM-4YCFB 40-49 years, female 7.2
GTEX-1IGQW-2326-SM-CE6RV 60-69 years, male 7.2
GTEX-1QW4Y-1326-SM-EWRMZ 30-39 years, male 7.2
GTEX-16NGA-1026-SM-7KFS3 40-49 years, female 7.1
GTEX-1IKOE-2026-SM-AHZ31 30-39 years, female 6.9
GTEX-14DAQ-2726-SM-5S2QY 60-69 years, female 6.8
GTEX-15SHU-2526-SM-6M47D 40-49 years, female 6.8
GTEX-T6MO-0826-SM-4DM51 40-49 years, female 6.8
GTEX-14C5O-2526-SM-73KU2 60-69 years, male 6.7
GTEX-1GZ4I-2426-SM-9WPPP 50-59 years, male 6.7
GTEX-13FHP-2426-SM-5KLZ5 50-59 years, male 6.6
GTEX-18A7A-2226-SM-7LT8K 50-59 years, female 6.6
GTEX-1C2JI-1626-SM-7EPHC 50-59 years, male 6.6
GTEX-1KANB-1526-SM-CXZK4 50-59 years, male 6.6
GTEX-WVJS-2426-SM-EZ6LI 50-59 years, male 6.6
GTEX-1128S-1626-SM-5H12O 60-69 years, female 6.5
GTEX-11TUW-2026-SM-5EQL8 60-69 years, male 6.5
GTEX-13W3W-2126-SM-5K7UX 60-69 years, female 6.5
GTEX-1C64O-2326-SM-73KU8 60-69 years, male 6.5
GTEX-1I1GT-1926-SM-ARU7D 60-69 years, female 6.5
GTEX-13O3P-2326-SM-5KM55 50-59 years, male 6.4
GTEX-144GL-2526-SM-5TDDL 50-59 years, male 6.4
GTEX-V955-1626-SM-4JBHJ 60-69 years, male 6.4
GTEX-148VJ-2626-SM-5QGPI 70-79 years, male 6.3
GTEX-1GL5R-2426-SM-7MXV1 50-59 years, male 6.3
GTEX-1HKZK-2126-SM-A9SL3 40-49 years, male 6.3
GTEX-11ZVC-2126-SM-5EGJ1 50-59 years, female 6.2
GTEX-18A7B-2026-SM-72D71 70-79 years, male 6.2
GTEX-ZZ64-0726-SM-5GZX4 20-29 years, male 6.2
GTEX-1MA7W-0626-SM-EV79Z 20-29 years, female 6.2
GTEX-11EQ9-1426-SM-5987G 30-39 years, male 6.1
GTEX-ZF2S-1926-SM-4WWAN 50-59 years, female 6.1
GTEX-1EMGI-2726-SM-7P8S4 60-69 years, male 6.1
GTEX-1B996-2626-SM-73KZ1 60-69 years, male 6.0
GTEX-Y3I4-1426-SM-4TT9C 50-59 years, male 6.0
GTEX-U412-1726-SM-EZ6KX 60-69 years, male 6.0
GTEX-1HCU6-2726-SM-A9SKV 60-69 years, female 5.9
GTEX-1QPFJ-2326-SM-E6CR7 30-39 years, female 5.9
GTEX-1BAJH-2326-SM-7IGMO 70-79 years, male 5.8
GTEX-ZYFC-2626-SM-5NQ6S 50-59 years, male 5.8
GTEX-1MCC2-1626-SM-DIPEW 30-39 years, female 5.8
GTEX-1R9JW-2026-SM-EAZ4O 30-39 years, female 5.8
GTEX-12WSL-1626-SM-5GCMU 50-59 years, male 5.7
GTEX-1J1OQ-2726-SM-AHZ3R 40-49 years, female 5.7
GTEX-1RAZQ-2126-SM-DTX9V 30-39 years, male 5.7
GTEX-145LS-2726-SM-5Q5D8 60-69 years, female 5.6
GTEX-1C4CL-2126-SM-7IGQC 30-39 years, male 5.6
GTEX-SNMC-1126-SM-4DM5M 20-29 years, male 5.5
GTEX-1AYD5-1726-SM-7RHFW 50-59 years, male 5.5
GTEX-17F98-1026-SM-7IGO8 40-49 years, female 5.4
GTEX-14PJ5-0926-SM-6LLIK 60-69 years, female 5.3
GTEX-1S82U-0726-SM-E9TKI 30-39 years, female 5.3
GTEX-144GM-1226-SM-5LU52 20-29 years, male 5.2
GTEX-14BMV-2426-SM-5S2PP 50-59 years, male 5.2
GTEX-17F96-2026-SM-79ON4 70-79 years, male 5.2
GTEX-17JCI-2626-SM-7EWE6 60-69 years, female 5.2
GTEX-1JKYR-1926-SM-C1YR7 20-29 years, male 5.2
GTEX-111YS-1626-SM-5GZZ9 60-69 years, male 5.1
GTEX-11P81-1126-SM-5GU5G 30-39 years, female 5.1
GTEX-111VG-2226-SM-5N9DU 60-69 years, male 4.9
GTEX-15G1A-1826-SM-7KUKO 30-39 years, male 4.9
GTEX-1IDJF-1826-SM-CKZOE 20-29 years, male 4.9
GTEX-1JN1M-2626-SM-CY8I3 60-69 years, female 4.9
GTEX-17F9E-1826-SM-7IGMC 50-59 years, male 4.8
GTEX-Y8LW-1226-SM-4WWDP 50-59 years, female 4.8
GTEX-1GN73-2626-SM-9KNUQ 60-69 years, male 4.8
GTEX-1GZ4H-1226-SM-9KNUA 50-59 years, female 4.8
GTEX-WEY5-1426-SM-4LMJ3 40-49 years, female 4.7
GTEX-1ICLZ-2426-SM-CKZOD 60-69 years, male 4.7
GTEX-1S5VW-2926-SM-E9U6H 60-69 years, male 4.7
GTEX-YEC4-1926-SM-5IFHJ 40-49 years, male 4.6
GTEX-12WSJ-1526-SM-5GCNI 40-49 years, female 4.5
GTEX-145ME-0826-SM-5O9AF 40-49 years, female 4.5
GTEX-S341-1426-SM-4AD6U 40-49 years, female 4.5
GTEX-ZF29-1726-SM-4WKFV 60-69 years, female 4.5
GTEX-1MUQO-2626-SM-EWRO3 60-69 years, male 4.5
GTEX-15CHC-1626-SM-5ZZWS 60-69 years, female 4.4
GTEX-1LSVX-1726-SM-DHXJP 60-69 years, male 4.4
GTEX-ZYFG-1926-SM-5GID5 60-69 years, female 4.3
GTEX-1CAMR-0926-SM-7MXTD 20-29 years, male 4.3
GTEX-1339X-1626-SM-5IJDN 40-49 years, male 4.2
GTEX-14PJ3-0926-SM-69LQG 50-59 years, male 4.2
GTEX-XAJ8-0426-SM-47JYJ 40-49 years, male 4.2
GTEX-1IKK5-2726-SM-CNPQ6 60-69 years, male 4.1
GTEX-1LBAC-1626-SM-CXZKV 20-29 years, male 4.1
GTEX-WY7C-1626-SM-4ONC8 50-59 years, male 4.0
GTEX-1AX8Z-2726-SM-73KUC 60-69 years, male 3.9
GTEX-1CB4F-2026-SM-79OLU 60-69 years, male 3.9
GTEX-X5EB-0926-SM-46MVT 40-49 years, male 3.9
GTEX-1LVAN-2526-SM-CNPPC 50-59 years, female 3.9
GTEX-12ZZZ-2426-SM-5GCNN 60-69 years, male 3.8
GTEX-13O61-1626-SM-5KM3T 60-69 years, male 3.8
GTEX-14E1K-1826-SM-793DT 50-59 years, male 3.8
GTEX-14ICL-1226-SM-5S2RD 30-39 years, male 3.8
GTEX-XXEK-1926-SM-4BRVD 50-59 years, male 3.8
GTEX-1IDJC-1326-SM-CL53H 50-59 years, male 3.8
GTEX-14AS3-1126-SM-5Q5CR 40-49 years, female 3.7
GTEX-U3ZH-1326-SM-4DXSF 30-39 years, male 3.7
GTEX-15DZA-0926-SM-69LQ3 30-39 years, female 3.6
GTEX-1A3MV-1126-SM-718BS 30-39 years, male 3.6
GTEX-1I6K6-1826-SM-B2LX5 30-39 years, male 3.6
GTEX-ZV6S-1226-SM-59HLH 40-49 years, female 3.5
GTEX-ZYVF-2826-SM-5GIDK 50-59 years, female 3.5
GTEX-1N2EF-1926-SM-DTX8M 60-69 years, male 3.4
GTEX-TKQ1-0626-SM-4DXTS 30-39 years, male 3.3
GTEX-1GMR2-1726-SM-9JGI2 50-59 years, male 3.3
GTEX-13CF3-1426-SM-5K7YY 60-69 years, female 3.2
GTEX-RWS6-1826-SM-47JXX 60-69 years, female 3.2
GTEX-1RMOY-1626-SM-EVYC8 50-59 years, male 3.2
GTEX-18QFQ-1526-SM-72D57 30-39 years, male 3.1
GTEX-14H4A-1926-SM-5ZZWN 40-49 years, female 3.0
GTEX-1R9K5-2126-SM-E8VN1 50-59 years, male 3.0
GTEX-ZXES-1626-SM-5NQ7L 30-39 years, female 2.9
GTEX-QLQ7-1126-SM-CYPRB 60-69 years, male 2.9
GTEX-13FH7-1526-SM-5J2N6 50-59 years, female 2.8
GTEX-1CB4I-2226-SM-7P8SL 50-59 years, male 2.8
GTEX-Y114-1526-SM-4TT79 50-59 years, female 2.6
GTEX-1OKEX-1226-SM-DTXEC 60-69 years, male 2.5
GTEX-1HSMP-2326-SM-D3L8R 70-79 years, male 2.0
GTEX-117YX-0826-SM-5H11J 50-59 years, male 1.2
Show allShow less

COLON - FANTOM5 CAGEi

RNA expression in human tissues obtained through Cap Analysis of Gene Expression (CAGE) generated by the FANTOM5 project are reported as Scaled Tags Per Million.

Max subtype Scaled Tags Per Millioni

Max subtype Scaled Tags Per Million is the value for the subtype with the largest average Scaled Tags Per Million across the subtype samples.

2.5
FANTOM5 sample id Sample description Scaled Tags Per Million
Colon
Scaled Tags Per Million: 2.5
FF:10014-101C5 62,83,84 years, mixed 2.5

Contact

  • NEWS ARTICLES
  • PRESS ROOM

The Project

  • INTRODUCTION
  • ORGANIZATION
  • PUBLICATIONS

The Human Protein Atlas

  • DOWNLOADABLE DATA
  • LICENCE & CITATION
  • HELP & FAQ
The Human Protein Atlas project is funded
by the Knut & Alice Wallenberg Foundation.


contact@proteinatlas.org