We use cookies to enhance the usability of our website. If you continue, we'll assume that you are happy to receive all cookies. More information. Don't show this again.
ETFRF1
HPA
RESOURCES
  • TISSUE
  • BRAIN
  • SINGLE CELL
  • SUBCELLULAR
  • CANCER
  • BLOOD
  • CELL LINE
  • STRUCTURE & INTERACTION
ABOUT
  • INTRODUCTION
  • HISTORY
  • ORGANIZATION
  • PUBLICATIONS
  • ANTIBODY SUBMISSION
  • ANTIBODY AVAILABILITY
  • ACKNOWLEDGMENTS
  • CONTACT
NEWS
  • NEWS ARTICLES
  • PRESS ROOM
LEARN
  • DICTIONARY
  • PROTEIN CLASSES
  • PROTEIN EVIDENCE
  • METHODS
  • EDUCATIONAL VIDEOS
DATA
  • DOWNLOADABLE DATA
  • PUBLICATION DATA
  • RELEASE HISTORY
HELP
  • ANTIBODY VALIDATION
  • ASSAYS & ANNOTATION
  • DISCLAIMER
  • HELP & FAQ
  • PRIVACY STATEMENT
  • LICENCE & CITATION
Fields »
Search result

Field
Term
Gene name
Class
Subclass
Class
Keyword
Chromosome
External id
Tissue
Cell type
Expression
Antibody panel
Tissue
Main location
Patient ID
Annotation
Tissue
Category
Tau score
Cluster
Reliability
Brain region
Category
Tau score
Brain region
Category
Tau score
Brain region
Category
Tau score
Cluster
Reliability
Tissue
Cell type
Enrichment
Cell type
Category
Tau score
Cell type
Category
Tau score
Cell type
Category
Tau score
Cell lineage
Category
Tau score
Cluster
Cluster
Location
Searches
Location
Cell line
Class
Type
Phase
Reliability
Cancer
Prognosis
Cancer
Category
Cancer
Category
Tau score
Cluster
Variants
Interacting gene (ensg_id)
Type
Number of interactions
Pathway
Category
Score
Score
Score
Validation
Validation
Validation
Validation
Antibodies
Data type
Column


  • SUMMARY

  • TISSUE

  • BRAIN

  • SINGLE CELL

  • SUBCELL

  • CANCER

  • BLOOD

  • CELL LINE

  • STRUCT & INT

  • ETFRF1
TISSUE PRIMARY DATA ESOPHAGUS Show tissue menu
ADIPOSE TISSUE ADRENAL GLAND AMYGDALA APPENDIX BASAL GANGLIA BONE MARROW BREAST BRONCHUS CEREBELLUM CEREBRAL CORTEX CERVIX CHOROID PLEXUS COLON DUODENUM
ENDOMETRIUM EPIDIDYMIS ESOPHAGUS FALLOPIAN TUBE GALLBLADDER HEART MUSCLE HIPPOCAMPAL FORMATION HYPOTHALAMUS KIDNEY LIVER LUNG LYMPH NODE MIDBRAIN NASOPHARYNX
ORAL MUCOSA OVARY PANCREAS PARATHYROID GLAND PITUITARY GLAND PLACENTA PROSTATE RECTUM RETINA SALIVARY GLAND SEMINAL VESICLE SKELETAL MUSCLE SKIN SMALL INTESTINE
SMOOTH MUSCLE SOFT TISSUE SPINAL CORD SPLEEN STOMACH TESTIS THYMUS THYROID GLAND TONGUE TONSIL URINARY BLADDER VAGINA
ANTIBODIES
AND
VALIDATION
Dictionary
Esophagus
Tissue proteome
Esophagus
ESOPHAGUS - Expression summary
Protein expression
Esophagusi

On the top, protein expression in current human tissue, based on all annotated cell types, is reported with the units not detected (n), low (l), medium (m) and high (h). Underneath, protein expression in each annotated cell type are reported using the same units.

Protein expression data is based on knowledge-based annotation. For genes where more than one antibody has been used, a collective score is set.

If knowledge-based annotation could not be performed for a gene, no data is displayed here. View antibody staining data further down this page.

h
m
l
n
Squamous epithelial cells: Low
RNA expressioni

A summary of mRNA expression data available for current tissue based on several datasets. The mRNA expression levels in human tissues are based on RNA-seq data generated by the Human Protein Atlas (HPA), Genotype-Tissue Expression (GTEx) portal and CAGE data generated by the FANTOM5 consortium. Consensus normalized expression levels for human tissues was created by combining the data from HPA and GTEx datasets.

The mRNA expression levels in pig are based on RNA-seq data generated by the Human Protein Atlas (HPA), and for mouse, HPA data and in situ hybridization generated by the Allen brain atlas are reported.

Scroll down to view mRNA expression data in more detail.
Consensus:21.8 nTPM
HPA:21.8 nTPM
GTEx:12.2 nTPM
FANTOM5:83.9 Scaled Tags Per Million

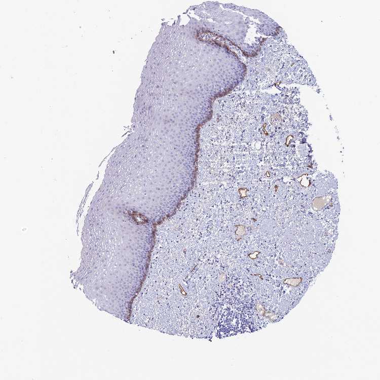
ESOPHAGUS - Antibody stainingi

Antibody staining in the annotated cell types in the current human tissue is reported as not detected, low, medium, or high, based on conventional immunohistochemistry profiling in selected tissues. This score is based on the combination of the staining intensity and fraction of stained cells.

Each image is clickable and will lead to virtual microscopy that enables deeper exploration of all samples and also displays staining intensity scores, fraction scores and subcellular localization as well as patient and tissue information for each sample.

Antibody HPA044255
Squamous epithelial cells Low


ESOPHAGUS - HPA RNA-seqi

The RNA-seq details section shows detailed information about the individual samples used for the transcript profiling and results of the RNA-seq analysis.

Information about each individual sample is listed below, including gender, age, a tissue section image and estimated fractions of cell types. nTPM (normalized transcripts per million) values give a quantification of the gene abundance which is comparable between different genes and samples.
Average nTPMi

Max subtype nTPM is the value for the subtype with the largest average nTPM across the subtype samples.

21.8
overview
Female, age 70
Esophagus sample 130
nTPM: 23.5
Cell types%
Squamous epithelial cells:
35

Smooth muscle cells:
15

Skeletal muscle cells:
5

Other cell types:
45

overview
Male, age 38
Esophagus sample 131
nTPM: 22.6
Cell types%
Squamous epithelial cells:
60

Smooth muscle cells:
20

Other cell types:
20

overview
Male, age 76
Esophagus sample 132
nTPM: 19.2
Cell types%
Squamous epithelial cells:
45

Smooth muscle cells:
15

Other cell types:
40


ESOPHAGUS - GTEx RNA-seqi

RNA-Seq data generated by the Genotype-Tissue Expression (GTEx) project from human tissues is reported as mean nTPM. More information can be found on the GTEx portal.

Distribution across the dataset is visualized with box plots, shown as median and 25th and 75th percentiles. Points are displayed as outliers if they are above or below 1.5 times the interquartile range. nTPM values of the individual samples are presented next to the box plot.
Max subtype nTPMi

Max subtype nTPM is the value for the subtype with the largest average nTPM across the subtype samples.

12.2
GTEx sample id Sample description nTPM
Esophagus - Mucosa
Average nTPM: 12.2
Samples: 555

Max nTPM: 24.7
Min nTPM: 0.8
Std nTPM: 3.8
Median nTPM: 12.5
GTEX-18A7A-2326-SM-7KFRH 50-59 years, female 24.7
GTEX-WRHK-0526-SM-4MVOF 20-29 years, female 24.5
GTEX-UPJH-1026-SM-EAZB2 50-59 years, male 22.9
GTEX-1AYD5-0926-SM-793AF 50-59 years, male 22.0
GTEX-18QFQ-1026-SM-7LG6B 30-39 years, male 21.9
GTEX-15SB6-0726-SM-6M48F 50-59 years, female 21.7
GTEX-YFC4-1226-SM-5LU9R 40-49 years, female 21.7
GTEX-Y5LM-1026-SM-4VDSQ 40-49 years, female 21.3
GTEX-14C38-2126-SM-5RQJO 50-59 years, male 21.0
GTEX-15UF6-2326-SM-6M465 70-79 years, female 20.9
GTEX-1LG7Y-1726-SM-EV7AR 50-59 years, male 20.5
GTEX-13OVJ-1226-SM-5L3HA 50-59 years, female 20.4
GTEX-13NYB-0926-SM-5IFFA 40-49 years, male 20.3
GTEX-18A66-1426-SM-7KFRT 60-69 years, male 20.0
GTEX-145LS-1826-SM-5LUAZ 60-69 years, female 19.8
GTEX-1GF9U-0826-SM-7MXTZ 40-49 years, female 19.8
GTEX-18D9A-0526-SM-7KFSW 30-39 years, female 19.6
GTEX-RTLS-1126-SM-46MUQ 60-69 years, female 19.6
GTEX-XMK1-1326-SM-4B65Q 40-49 years, male 19.6
GTEX-1PIGE-0926-SM-E9U5Z 20-29 years, male 19.5
GTEX-1CB4I-1026-SM-7MKFZ 50-59 years, male 18.9
GTEX-12WSA-1426-SM-5EGJU 60-69 years, male 18.5
GTEX-1B97I-0926-SM-731DZ 40-49 years, male 18.5
GTEX-12WSN-5013-SM-7P8P9 40-49 years, male 18.3
GTEX-WHSB-0426-SM-4M1XI 50-59 years, male 18.2
GTEX-ZAB4-1126-SM-5HL86 40-49 years, male 18.1
GTEX-12KS4-0926-SM-5BC5S 30-39 years, male 18.0
GTEX-146FQ-1026-SM-5LU8I 30-39 years, male 17.7
GTEX-13O3Q-0826-SM-5IFGF 50-59 years, male 17.6
GTEX-WEY5-0926-SM-4LMI4 40-49 years, female 17.6
GTEX-13QBU-1026-SM-5LU3R 40-49 years, female 17.5
GTEX-ZYY3-1526-SM-5SIA9 60-69 years, female 17.4
GTEX-144FL-2726-SM-5O98Z 50-59 years, male 17.3
GTEX-Y3IK-1126-SM-51MSV 50-59 years, female 17.3
GTEX-1S82Y-1226-SM-EV7BD 40-49 years, male 17.3
GTEX-14PKV-1726-SM-6871U 20-29 years, female 17.2
GTEX-15ETS-1926-SM-7KUN5 40-49 years, female 17.1
GTEX-RM2N-0726-SM-48FD5 50-59 years, male 17.1
GTEX-S33H-0826-SM-4AD5Y 30-39 years, male 17.1
GTEX-1J8QM-1926-SM-AHZ3Z 60-69 years, female 17.1
GTEX-1JMQJ-1226-SM-D3L97 50-59 years, male 17.1
GTEX-1QPFJ-1226-SM-EAZ3M 30-39 years, female 17.1
GTEX-11DZ1-2026-SM-5A5KG 50-59 years, male 17.0
GTEX-1AX9K-1126-SM-731DQ 50-59 years, male 17.0
GTEX-Y8E4-1726-SM-5LU9G 40-49 years, male 17.0
GTEX-1RAZR-1226-SM-E6CRD 40-49 years, male 17.0
GTEX-13FTW-1626-SM-5KM4N 40-49 years, male 16.9
GTEX-14C5O-1626-SM-73KYH 60-69 years, male 16.9
GTEX-X585-1226-SM-46MW7 50-59 years, male 16.8
GTEX-1K2DA-0626-SM-CGQGO 50-59 years, male 16.8
GTEX-1R9JW-1526-SM-DPRZK 30-39 years, female 16.8
GTEX-Y5V5-1626-SM-4VDSG 60-69 years, female 16.7
GTEX-ZDYS-0826-SM-4WWCR 50-59 years, male 16.7
GTEX-1LGOU-0526-SM-D3LAO 20-29 years, female 16.7
GTEX-13O21-0626-SM-5IJDI 50-59 years, male 16.6
GTEX-17MFQ-0526-SM-7KFTX 20-29 years, male 16.6
GTEX-133LE-0626-SM-5IFFJ 20-29 years, female 16.5
GTEX-1CB4F-1526-SM-7MKFM 60-69 years, male 16.5
GTEX-QCQG-0626-SM-48U21 50-59 years, female 16.5
GTEX-TKQ1-0326-SM-4DXSM 30-39 years, male 16.5
GTEX-ZF3C-1626-SM-4WWB4 50-59 years, female 16.4
GTEX-15F5U-5010-SM-AHZ2D 40-49 years, male 16.4
GTEX-1N2DV-2026-SM-EV7BL 40-49 years, male 16.4
GTEX-11EM3-0826-SM-5N9CC 20-29 years, female 16.3
GTEX-139T6-0626-SM-5IFF9 50-59 years, male 16.3
GTEX-OIZI-1426-SM-3NB1T 40-49 years, male 16.3
GTEX-12WSG-5007-SM-7DUGZ 50-59 years, female 16.2
GTEX-W5WG-1626-SM-4LMKG 50-59 years, female 16.2
GTEX-1IKOE-1526-SM-C1YSD 30-39 years, female 16.2
GTEX-13CF3-1626-SM-5IFG9 60-69 years, female 16.1
GTEX-15RJE-0926-SM-6LLHZ 40-49 years, male 16.1
GTEX-ZZPT-1426-SM-5N9C5 50-59 years, male 16.1
GTEX-13X6K-2126-SM-5O9D4 60-69 years, female 16.0
GTEX-14PJM-1526-SM-664NY 50-59 years, female 16.0
GTEX-PLZ4-1626-SM-3P618 50-59 years, female 16.0
GTEX-WFG7-1126-SM-4LMK3 20-29 years, male 16.0
GTEX-1JKYN-1526-SM-CGQGA 30-39 years, male 16.0
GTEX-14H4A-1626-SM-5SI69 40-49 years, female 15.9
GTEX-16BQI-1526-SM-6LLIE 30-39 years, female 15.9
GTEX-18A67-2426-SM-7LT95 50-59 years, male 15.9
GTEX-15RIF-0826-SM-6M47C 20-29 years, male 15.7
GTEX-RU72-0726-SM-46MUW 50-59 years, female 15.7
GTEX-WFG8-1226-SM-4V6EI 20-29 years, male 15.7
GTEX-Y111-1626-SM-57WCY 50-59 years, male 15.7
GTEX-1S83E-0826-SM-EV7B7 40-49 years, male 15.7
GTEX-1C2JI-1126-SM-731FH 50-59 years, male 15.6
GTEX-1MCYP-1026-SM-DPRYB 20-29 years, female 15.6
GTEX-YB5K-0826-SM-5YYB7 40-49 years, female 15.5
GTEX-ZAK1-1526-SM-5S2OV 50-59 years, female 15.5
GTEX-1N2DW-1426-SM-EV7AZ 50-59 years, male 15.5
GTEX-OIZF-0626-SM-7MKHG 60-69 years, male 15.5
GTEX-139TU-1226-SM-5J2NL 60-69 years, male 15.4
GTEX-13X6H-1326-SM-5LU42 50-59 years, female 15.4
GTEX-14ICK-2026-SM-6AJB2 40-49 years, male 15.4
GTEX-T5JC-1726-SM-4DM6U 20-29 years, male 15.4
GTEX-1PPH8-1626-SM-E6CQP 20-29 years, male 15.4
GTEX-S7SF-0926-SM-4AD4M 20-29 years, female 15.3
GTEX-UJHI-0826-SM-4IHLM 50-59 years, female 15.3
GTEX-1J1OQ-2526-SM-AHZ3Q 40-49 years, female 15.3
GTEX-11DXZ-1226-SM-5H11L 50-59 years, male 15.2
GTEX-146FR-0426-SM-5SI97 60-69 years, female 15.2
GTEX-T8EM-0526-SM-4DM64 40-49 years, male 15.2
GTEX-ZGAY-1126-SM-4WWBS 40-49 years, female 15.2
GTEX-1QCLZ-1626-SM-E9U5R 60-69 years, female 15.2
GTEX-XLM4-2326-SM-4AT5E 60-69 years, male 15.2
GTEX-13OVG-0626-SM-5IFEP 60-69 years, male 15.1
GTEX-144GN-0626-SM-5O9B2 50-59 years, male 15.1
GTEX-T5JW-1326-SM-4DM5G 20-29 years, female 15.1
GTEX-1H23P-1426-SM-9JGH5 60-69 years, male 15.1
GTEX-YEC3-2526-SM-CXZIH 50-59 years, male 15.1
GTEX-1F75I-1726-SM-7MKGW 40-49 years, male 15.0
GTEX-14PJ3-0626-SM-6UGC5 50-59 years, male 15.0
GTEX-1IY9M-1626-SM-AHZ39 60-69 years, male 15.0
GTEX-1NSGN-2026-SM-DPRYM 50-59 years, male 15.0
GTEX-15EU6-1626-SM-6LPKF 50-59 years, male 14.9
GTEX-11EQ9-0726-SM-5A5K2 30-39 years, male 14.8
GTEX-11LCK-1726-SM-5S2OQ 30-39 years, male 14.8
GTEX-12ZZX-1326-SM-5DUWI 40-49 years, female 14.8
GTEX-14JG6-0926-SM-6871Y 30-39 years, female 14.8
GTEX-14PJN-0526-SM-68724 30-39 years, male 14.8
GTEX-17HGU-1426-SM-7938G 50-59 years, male 14.8
GTEX-OXRK-1326-SM-3NB1A 50-59 years, female 14.8
GTEX-S32W-0926-SM-4AD5X 50-59 years, female 14.8
GTEX-1J1R8-0326-SM-AHZ3D 40-49 years, male 14.8
GTEX-1JKYR-2126-SM-CNNPC 20-29 years, male 14.8
GTEX-11DXX-1126-SM-5GZZK 60-69 years, female 14.7
GTEX-13D11-1926-SM-5IFGB 50-59 years, female 14.7
GTEX-169BO-0526-SM-793AK 50-59 years, male 14.7
GTEX-RWS6-0826-SM-47JXF 60-69 years, female 14.7
GTEX-1JMPY-0826-SM-AHZ4A 30-39 years, male 14.7
GTEX-1QP29-2126-SM-E6CPZ 50-59 years, male 14.7
GTEX-13X6I-1026-SM-5LU4C 60-69 years, male 14.6
GTEX-14PHY-0626-SM-664NN 60-69 years, female 14.6
GTEX-1AMEY-0226-SM-7189Q 30-39 years, female 14.6
GTEX-Y114-0926-SM-4TT7J 50-59 years, female 14.6
GTEX-Y5V6-1026-SM-4VBS2 60-69 years, male 14.6
GTEX-131XF-0826-SM-5GICG 60-69 years, male 14.5
GTEX-13FH7-0526-SM-5IJF8 50-59 years, female 14.5
GTEX-14DAR-0826-SM-73KYJ 50-59 years, male 14.5
GTEX-N7MT-0326-SM-48TDP 60-69 years, female 14.5
GTEX-QEG5-1426-SM-447AS 20-29 years, male 14.5
GTEX-ZF2S-1226-SM-4WWAX 50-59 years, female 14.5
GTEX-15DCD-1626-SM-6AJBH 70-79 years, female 14.4
GTEX-16MT8-1326-SM-6M47R 60-69 years, female 14.4
GTEX-WXYG-1226-SM-4ONCJ 50-59 years, female 14.4
GTEX-ZTX8-0226-SM-5E44D 20-29 years, male 14.4
GTEX-1H1DE-1026-SM-9JGH6 20-29 years, male 14.4
GTEX-1OJC3-0826-SM-DPRYU 20-29 years, male 14.4
GTEX-13RTK-0526-SM-5S2QF 20-29 years, male 14.3
GTEX-148VI-1026-SM-5TDDJ 60-69 years, female 14.3
GTEX-16Z82-1926-SM-6M47U 60-69 years, male 14.3
GTEX-18D9U-2126-SM-7LG4Y 40-49 years, male 14.3
GTEX-OOBK-0625-SM-3LK5P 40-49 years, male 14.3
GTEX-WHPG-1126-SM-4M1XT 50-59 years, male 14.3
GTEX-X4EO-1226-SM-4QARR 60-69 years, female 14.3
GTEX-Z9EW-0526-SM-5HL8S 40-49 years, male 14.3
GTEX-ZT9W-1326-SM-51MTB 50-59 years, male 14.3
GTEX-ZYVF-2226-SM-5GIDD 50-59 years, female 14.3
GTEX-14BIM-1326-SM-7EWD1 60-69 years, female 14.2
GTEX-14PJ5-0526-SM-664OE 60-69 years, female 14.2
GTEX-14PJ6-1026-SM-686ZB 60-69 years, female 14.1
GTEX-15EOM-5013-SM-7MKF9 20-29 years, female 14.1
GTEX-QVUS-0626-SM-447CC 60-69 years, female 14.1
GTEX-VJYA-0726-SM-4KL1T 60-69 years, male 14.1
GTEX-12WSL-1526-SM-5GCP8 50-59 years, male 14.0
GTEX-13U4I-1126-SM-5LU3S 40-49 years, female 14.0
GTEX-14B4R-0326-SM-5TDDP 30-39 years, male 14.0
GTEX-183WM-1726-SM-7KFT5 70-79 years, female 14.0
GTEX-RNOR-1226-SM-48FDQ 50-59 years, female 14.0
GTEX-ZDTT-1326-SM-4WKFH 60-69 years, male 14.0
GTEX-1OKEX-1326-SM-E9J2U 60-69 years, male 14.0
GTEX-12C56-1226-SM-5FQSU 20-29 years, male 13.9
GTEX-13FLV-1126-SM-5J2NO 50-59 years, male 13.9
GTEX-14JIY-0926-SM-6871D 60-69 years, male 13.9
GTEX-ZE9C-1126-SM-4WWBD 60-69 years, male 13.9
GTEX-ZQUD-0426-SM-57WFR 30-39 years, male 13.9
GTEX-ZTSS-0626-SM-59867 40-49 years, male 13.9
GTEX-1GMR8-1826-SM-9WYUE 50-59 years, female 13.9
GTEX-1H1ZS-1526-SM-9OSXR 70-79 years, male 13.9
GTEX-1KAFJ-0626-SM-D3L8X 50-59 years, male 13.9
GTEX-183FY-1526-SM-7IGOW 20-29 years, male 13.8
GTEX-S4P3-0426-SM-4AD56 50-59 years, female 13.8
GTEX-1QP28-1826-SM-EAZ4L 50-59 years, female 13.8
GTEX-12WSD-1826-SM-5GCOA 60-69 years, female 13.7
GTEX-131XG-1026-SM-5GCMX 50-59 years, female 13.7
GTEX-14E6E-0726-SM-5S2R3 30-39 years, male 13.7
GTEX-15SHU-1426-SM-6LPIN 40-49 years, female 13.7
GTEX-1AMFI-0226-SM-731D5 50-59 years, female 13.7
GTEX-ZEX8-1426-SM-4WKHQ 50-59 years, male 13.7
GTEX-1HSMQ-2026-SM-B2LY1 50-59 years, male 13.7
GTEX-1I1GQ-1726-SM-B2LWZ 50-59 years, male 13.7
GTEX-ZLFU-1126-SM-DO11K 40-49 years, male 13.7
GTEX-13PL7-0226-SM-731DT 60-69 years, female 13.6
GTEX-OXRN-1726-SM-3NM9B 50-59 years, male 13.6
GTEX-WFJO-0826-SM-4LVM5 30-39 years, male 13.6
GTEX-111CU-0726-SM-5GZYD 50-59 years, male 13.5
GTEX-17F96-2526-SM-7DHL3 70-79 years, male 13.5
GTEX-1AX9J-1826-SM-731FM 60-69 years, male 13.5
GTEX-SUCS-0726-SM-4DM7J 70-79 years, male 13.5
GTEX-YB5E-0926-SM-4WWDQ 40-49 years, male 13.5
GTEX-ZC5H-1326-SM-5HL7E 40-49 years, female 13.5
GTEX-1GMR3-1526-SM-9JGGL 40-49 years, male 13.5
GTEX-1MGNQ-1626-SM-EAZ4Z 40-49 years, male 13.5
GTEX-Q2AH-0826-SM-48TZN 40-49 years, male 13.4
GTEX-SE5C-1226-SM-4BRWV 40-49 years, female 13.4
GTEX-ZXES-1126-SM-5GZXN 30-39 years, female 13.4
GTEX-ZZ64-0226-SM-5E44X 20-29 years, male 13.4
GTEX-1I4MK-0426-SM-B2LWQ 50-59 years, female 13.4
GTEX-1JMLX-2326-SM-CXZJP 50-59 years, male 13.4
GTEX-1K2DU-1726-SM-EV79S 20-29 years, male 13.4
GTEX-12ZZW-1726-SM-5DUVD 50-59 years, male 13.3
GTEX-147F3-0826-SM-5NQA7 50-59 years, female 13.3
GTEX-1CB4G-1326-SM-7MKFP 60-69 years, male 13.3
GTEX-PWN1-0626-SM-48TDT 40-49 years, female 13.3
GTEX-QLQ7-0926-SM-447BC 60-69 years, male 13.3
GTEX-ZUA1-1226-SM-5NQ6O 40-49 years, male 13.3
GTEX-1R7EU-0826-SM-DPRZL 60-69 years, male 13.3
GTEX-132Q8-1826-SM-5EGIY 60-69 years, male 13.2
GTEX-145LT-1126-SM-5LUA1 40-49 years, male 13.2
GTEX-P4PP-0626-SM-3NM9X 30-39 years, female 13.2
GTEX-1NUQO-1126-SM-DTX98 20-29 years, female 13.2
GTEX-17F98-1726-SM-7938O 40-49 years, female 13.1
GTEX-18D9B-2026-SM-7LT96 60-69 years, male 13.1
GTEX-1CB4E-1026-SM-793AB 60-69 years, male 13.1
GTEX-SNMC-0526-SM-4DM69 20-29 years, male 13.1
GTEX-ZAJG-1326-SM-5S2NV 50-59 years, female 13.1
GTEX-ZPCL-1426-SM-57WEC 60-69 years, female 13.1
GTEX-1QP67-0726-SM-DPRY1 40-49 years, female 13.1
GTEX-QV44-1126-SM-CL55C 50-59 years, male 13.1
GTEX-11P82-0526-SM-5986P 20-29 years, male 13.0
GTEX-11TT1-0526-SM-5P9JO 20-29 years, male 13.0
GTEX-13JVG-2026-SM-5KM1N 60-69 years, male 13.0
GTEX-13W3W-1626-SM-5LU35 60-69 years, female 13.0
GTEX-PLZ6-0526-SM-3P61C 30-39 years, male 13.0
GTEX-U3ZM-0526-SM-4DXTB 40-49 years, male 13.0
GTEX-XXEK-0326-SM-4BRVV 50-59 years, male 13.0
GTEX-1ICG6-1926-SM-ARU7L 70-79 years, female 13.0
GTEX-1IKK5-1326-SM-AHZ2X 60-69 years, male 13.0
GTEX-1399R-0826-SM-5IJEL 30-39 years, male 12.9
GTEX-16NGA-1426-SM-718AC 40-49 years, female 12.9
GTEX-1C475-0926-SM-7MKFI 40-49 years, female 12.9
GTEX-N7MS-1225-SM-3LK5G 60-69 years, male 12.9
GTEX-R3RS-1326-SM-48FE7 40-49 years, female 12.9
GTEX-XBED-1026-SM-48TCB 60-69 years, male 12.9
GTEX-YF7O-0926-SM-5IFIF 50-59 years, male 12.9
GTEX-ZAB5-0926-SM-5CVMV 50-59 years, male 12.9
GTEX-ZYT6-1126-SM-5GZYR 30-39 years, male 12.9
GTEX-145MO-1426-SM-DTX9W 60-69 years, male 12.9
GTEX-1I1GP-1026-SM-C1YRZ 50-59 years, male 12.9
GTEX-111YS-0926-SM-5EGGI 60-69 years, male 12.8
GTEX-1399U-1026-SM-5J1OC 50-59 years, female 12.8
GTEX-145MF-1426-SM-5O9B6 50-59 years, male 12.8
GTEX-1EU9M-2326-SM-7MKGS 60-69 years, male 12.8
GTEX-NPJ8-1926-SM-3MJGB 40-49 years, male 12.8
GTEX-SNOS-0626-SM-4DM5F 40-49 years, male 12.8
GTEX-1IDJD-1626-SM-C1YRC 30-39 years, male 12.8
GTEX-13O61-0926-SM-5IFFE 60-69 years, male 12.7
GTEX-14PJ4-1526-SM-664OA 60-69 years, male 12.7
GTEX-17KNJ-1326-SM-7KFTG 50-59 years, male 12.7
GTEX-1EMGI-1926-SM-7938Y 60-69 years, male 12.7
GTEX-NFK9-1126-SM-3LK78 40-49 years, male 12.7
GTEX-S341-0526-SM-4AD5U 40-49 years, female 12.7
GTEX-XMD2-1326-SM-4YCET 60-69 years, female 12.7
GTEX-13FHO-1726-SM-DPRZX 60-69 years, male 12.7
GTEX-1BAJH-2026-SM-7P8OZ 70-79 years, male 12.7
GTEX-1JMQK-2026-SM-C1YQN 60-69 years, male 12.7
GTEX-1QP9N-0926-SM-E9U5S 30-39 years, male 12.7
GTEX-11P81-0826-SM-5P9GR 30-39 years, female 12.6
GTEX-16AAH-0726-SM-793A9 50-59 years, male 12.6
GTEX-1B8KE-1826-SM-731FD 50-59 years, male 12.6
GTEX-S4Q7-0626-SM-4AD5M 20-29 years, male 12.6
GTEX-Y8LW-0726-SM-5IFI1 50-59 years, female 12.6
GTEX-1H3NZ-1326-SM-9JGHI 60-69 years, male 12.6
GTEX-1HSKV-2426-SM-A8N8K 60-69 years, male 12.6
GTEX-OHPN-1026-SM-E9TI8 60-69 years, female 12.6
GTEX-178AV-0526-SM-6LPJH 40-49 years, male 12.5
GTEX-P4PQ-0626-SM-3NMCU 60-69 years, male 12.5
GTEX-ZVE2-1326-SM-5NQ94 50-59 years, male 12.5
GTEX-1HBPI-0626-SM-9WPP4 50-59 years, male 12.5
GTEX-1RLM8-0726-SM-E6CRH 50-59 years, male 12.5
GTEX-11DYG-1326-SM-5N9DO 60-69 years, male 12.4
GTEX-11EMC-2226-SM-5A5JW 60-69 years, female 12.4
GTEX-11P7K-1326-SM-5BC5G 30-39 years, male 12.4
GTEX-144GO-2726-SM-5O9A2 60-69 years, male 12.4
GTEX-TML8-1526-SM-4DXUX 40-49 years, female 12.4
GTEX-ZTPG-1626-SM-5DUX2 20-29 years, female 12.4
GTEX-1GPI7-1026-SM-7MGY2 20-29 years, male 12.4
GTEX-1LNCM-0626-SM-EV7AI 50-59 years, female 12.4
GTEX-13OW8-2326-SM-5L3I9 60-69 years, male 12.3
GTEX-QDVN-1026-SM-48TZA 50-59 years, male 12.3
GTEX-1MJIX-0826-SM-DTXEO 40-49 years, male 12.3
GTEX-11XUK-0826-SM-5GU6P 40-49 years, female 12.2
GTEX-WH7G-0926-SM-4LVMJ 40-49 years, male 12.2
GTEX-WQUQ-1626-SM-4OOSH 60-69 years, male 12.2
GTEX-1B97J-1026-SM-7MXTE 50-59 years, female 12.2
GTEX-1MA7W-0426-SM-E9TJ5 20-29 years, female 12.2
GTEX-144GM-1426-SM-5LU31 20-29 years, male 12.1
GTEX-15RJ7-0926-SM-6LPJO 40-49 years, male 12.1
GTEX-1B933-2026-SM-7EWFC 50-59 years, female 12.1
GTEX-1C64O-1826-SM-7DHM4 60-69 years, male 12.1
GTEX-PSDG-1326-SM-48TD2 50-59 years, male 12.1
GTEX-Q2AI-0626-SM-48TZU 40-49 years, male 12.1
GTEX-QESD-0826-SM-47J4G 20-29 years, male 12.1
GTEX-1I1GS-2126-SM-ARU7G 60-69 years, male 12.1
GTEX-13FTX-0526-SM-5IFGS 20-29 years, female 12.0
GTEX-PVOW-1626-SM-48TC9 40-49 years, male 12.0
GTEX-PWCY-0726-SM-48TCS 20-29 years, female 12.0
GTEX-U8XE-1726-SM-4E3IF 30-39 years, male 12.0
GTEX-ZA64-0626-SM-5HL9O 20-29 years, male 12.0
GTEX-1KXAM-0826-SM-CXZK9 60-69 years, male 12.0
GTEX-13O1R-1326-SM-5IJF5 60-69 years, male 11.9
GTEX-14DAQ-1426-SM-5RQJD 60-69 years, female 11.9
GTEX-16NPX-1626-SM-6LLI5 50-59 years, male 11.9
GTEX-U3ZN-1726-SM-4DXUQ 30-39 years, female 11.9
GTEX-ZLV1-0526-SM-4WWD4 60-69 years, female 11.9
GTEX-1CB4J-2426-SM-7MXVC 60-69 years, male 11.9
GTEX-1HKZK-1426-SM-A96U1 40-49 years, male 11.9
GTEX-1I1GU-1426-SM-B2LX3 40-49 years, male 11.9
GTEX-1L5NE-1426-SM-DHXKV 50-59 years, male 11.9
GTEX-1LGRB-1626-SM-CNNR7 50-59 years, female 11.9
GTEX-12696-1326-SM-5FQTJ 60-69 years, male 11.8
GTEX-17EVQ-1926-SM-7IGOF 70-79 years, male 11.8
GTEX-1A3MV-1326-SM-7LG6C 30-39 years, male 11.8
GTEX-O5YV-1026-SM-3LK72 60-69 years, female 11.8
GTEX-XQ8I-1526-SM-4BOOH 50-59 years, male 11.8
GTEX-ZVT2-1326-SM-5E45H 50-59 years, female 11.8
GTEX-1AX8Z-5016-SM-AHZ2B 60-69 years, male 11.8
GTEX-1IDJF-1226-SM-C1YPX 20-29 years, male 11.8
GTEX-1LVAN-2326-SM-CNNPY 50-59 years, female 11.8
GTEX-1211K-0926-SM-5FQTL 60-69 years, female 11.7
GTEX-R55C-0826-SM-48FCL 40-49 years, male 11.7
GTEX-RU1J-0326-SM-46MUM 20-29 years, female 11.7
GTEX-XYKS-1526-SM-4BRUP 60-69 years, female 11.7
GTEX-1PFEY-0826-SM-E9U6A 30-39 years, male 11.7
GTEX-14AS3-0626-SM-5QGQD 40-49 years, female 11.6
GTEX-14BIN-2726-SM-5RQIE 50-59 years, female 11.6
GTEX-14E1K-1226-SM-5S2PD 50-59 years, male 11.6
GTEX-1B8KZ-0726-SM-7938W 50-59 years, male 11.6
GTEX-RN64-1026-SM-48FDX 50-59 years, male 11.6
GTEX-T6MO-0526-SM-4DM6R 40-49 years, female 11.6
GTEX-XBEW-1326-SM-4AT63 40-49 years, male 11.6
GTEX-1GMR2-1526-SM-7MXV6 50-59 years, male 11.6
GTEX-11ZTS-2626-SM-5EGIC 60-69 years, female 11.5
GTEX-REY6-1326-SM-48FDO 60-69 years, male 11.5
GTEX-1JK1U-1726-SM-CNNPM 60-69 years, male 11.5
GTEX-1LBAC-1226-SM-DHXK1 20-29 years, male 11.5
GTEX-1LG7Z-0926-SM-CXKYK 30-39 years, male 11.5
GTEX-11I78-1526-SM-5A5K7 50-59 years, female 11.4
GTEX-R55G-1026-SM-48FDI 40-49 years, female 11.4
GTEX-VUSG-1226-SM-4KKZF 50-59 years, male 11.4
GTEX-WFON-0826-SM-4LVMI 40-49 years, male 11.4
GTEX-X4LF-0626-SM-4QASB 50-59 years, male 11.4
GTEX-1F5PL-1726-SM-9QEGL 40-49 years, female 11.4
GTEX-1LSVX-1226-SM-DHXJN 60-69 years, male 11.4
GTEX-13111-0826-SM-5LZV3 50-59 years, male 11.3
GTEX-139YR-1726-SM-5IFFK 50-59 years, male 11.3
GTEX-15RIE-0826-SM-6M47X 60-69 years, male 11.3
GTEX-V955-1126-SM-4JBH3 60-69 years, male 11.3
GTEX-145ME-5004-SM-7MGXP 40-49 years, female 11.3
GTEX-1HBPM-1426-SM-9WPPE 60-69 years, female 11.3
GTEX-16MTA-0826-SM-6LLIC 50-59 years, male 11.2
GTEX-P4QS-0626-SM-3NMD1 60-69 years, male 11.2
GTEX-QEL4-1426-SM-447AC 50-59 years, male 11.2
GTEX-X15G-0826-SM-4PQZD 50-59 years, female 11.2
GTEX-Y3I4-1226-SM-4TT8N 50-59 years, male 11.2
GTEX-1J8EW-1326-SM-AHZ3S 60-69 years, female 11.2
GTEX-15DCE-1326-SM-6LPJL 20-29 years, male 11.1
GTEX-16A39-1026-SM-6LPJU 30-39 years, female 11.1
GTEX-OXRP-0926-SM-48TC1 60-69 years, female 11.1
GTEX-UPK5-1226-SM-4IHL8 40-49 years, male 11.1
GTEX-XGQ4-1526-SM-4AT6H 50-59 years, male 11.1
GTEX-1F52S-1426-SM-7P8PU 60-69 years, female 11.1
GTEX-1RAZA-1326-SM-DPS12 20-29 years, male 11.1
GTEX-1GL5R-1526-SM-7MKHO 50-59 years, male 11.0
GTEX-OIZH-0626-SM-3NB1L 50-59 years, male 11.0
GTEX-U3ZH-1026-SM-4DXUZ 30-39 years, male 11.0
GTEX-1R9K4-1926-SM-DPRZW 60-69 years, male 11.0
GTEX-1122O-1726-SM-5GICM 60-69 years, female 10.9
GTEX-1GN1W-2226-SM-9JGI5 50-59 years, female 10.9
GTEX-1K9T9-2026-SM-CXZK3 50-59 years, female 10.9
GTEX-1QP2A-1926-SM-EXOJ9 50-59 years, male 10.9
GTEX-PLZ5-0926-SM-3TW8L 50-59 years, male 10.8
GTEX-1LVAM-1126-SM-DHXKP 50-59 years, female 10.8
GTEX-11VI4-0526-SM-5EQ48 40-49 years, female 10.7
GTEX-13QJ3-1726-SM-5RQK9 50-59 years, male 10.7
GTEX-1497J-2726-SM-5SI9W 60-69 years, male 10.7
GTEX-15ER7-2126-SM-7939E 20-29 years, female 10.7
GTEX-1F5PK-1526-SM-7MKGV 50-59 years, male 10.7
GTEX-WYVS-0726-SM-4ONDO 40-49 years, female 10.7
GTEX-ZYFC-1626-SM-5N9EU 50-59 years, male 10.7
GTEX-132QS-1426-SM-5P9GE 60-69 years, male 10.6
GTEX-13OVK-1126-SM-6PAMR 40-49 years, male 10.6
GTEX-18A6Q-1226-SM-7KFS9 60-69 years, male 10.6
GTEX-1AX9I-1426-SM-7DHM8 60-69 years, male 10.6
GTEX-QDVJ-0726-SM-48U1W 50-59 years, male 10.6
GTEX-Y9LG-0626-SM-4WWDH 30-39 years, male 10.6
GTEX-1HSGN-1626-SM-A96U2 40-49 years, female 10.6
GTEX-1N2EE-2426-SM-EXOIO 60-69 years, male 10.6
GTEX-QLQW-0526-SM-4R1KS 30-39 years, male 10.5
GTEX-ZYW4-1326-SM-5E45N 60-69 years, male 10.5
GTEX-1GN73-1926-SM-9JGGS 60-69 years, male 10.5
GTEX-1HCU8-2226-SM-9WPOV 60-69 years, female 10.5
GTEX-XUZC-0426-SM-4BOPE 30-39 years, female 10.4
GTEX-145LV-1326-SM-5S2QI 50-59 years, male 10.3
GTEX-WYJK-1926-SM-4ONDP 50-59 years, male 10.3
GTEX-1KANA-0626-SM-D4P3I 20-29 years, male 10.3
GTEX-YEC4-1026-SM-9WG7N 40-49 years, male 10.3
GTEX-ZLWG-1326-SM-DNZYZ 50-59 years, female 10.3
GTEX-17F9E-1926-SM-7IGQF 50-59 years, male 10.2
GTEX-X3Y1-1326-SM-4PQZB 40-49 years, male 10.2
GTEX-1HCUA-1426-SM-9WPP7 50-59 years, female 10.2
GTEX-ZPU1-1426-SM-4WWFU 40-49 years, male 10.1
GTEX-1HC8U-1526-SM-9WPO4 40-49 years, female 10.1
GTEX-1QCLY-1526-SM-DPRXX 30-39 years, male 10.1
GTEX-1A8FM-1526-SM-7MXTA 50-59 years, female 10.0
GTEX-1QW4Y-0526-SM-EAZ3V 30-39 years, male 10.0
GTEX-11DXY-1426-SM-5N9CN 60-69 years, male 9.9
GTEX-17HHE-0926-SM-7938K 50-59 years, male 9.9
GTEX-R45C-1226-SM-48FEE 60-69 years, female 9.9
GTEX-WVLH-1426-SM-4MVNX 50-59 years, male 9.9
GTEX-1H3VY-2026-SM-9JGHK 50-59 years, male 9.9
GTEX-ZF29-1326-SM-DNZYV 60-69 years, female 9.9
GTEX-Q2AG-1326-SM-43V8K 40-49 years, female 9.8
GTEX-R55E-1326-SM-48FCR 20-29 years, male 9.8
GTEX-TMMY-1126-SM-4DXSX 40-49 years, female 9.8
GTEX-ZYFG-1126-SM-5GICY 60-69 years, female 9.8
GTEX-1R9K5-1526-SM-DPRZA 50-59 years, male 9.8
GTEX-15DYW-1826-SM-6LPIY 60-69 years, female 9.7
GTEX-1I6K7-1426-SM-B2LXP 40-49 years, male 9.7
GTEX-11NSD-1126-SM-5N9BQ 20-29 years, male 9.6
GTEX-13YAN-1926-SM-7EPH9 60-69 years, male 9.6
GTEX-14BMU-0926-SM-5S2QB 20-29 years, female 9.6
GTEX-14PK6-1326-SM-686ZE 70-79 years, female 9.6
GTEX-XQ3S-1126-SM-4BOPK 20-29 years, male 9.6
GTEX-1GN1U-1826-SM-9JGH2 50-59 years, female 9.6
GTEX-12WSK-1126-SM-5LZV8 40-49 years, female 9.5
GTEX-1EH9U-2426-SM-7EWFG 60-69 years, male 9.5
GTEX-S3XE-0926-SM-4AD4S 50-59 years, male 9.5
GTEX-U4B1-0826-SM-4DXTW 40-49 years, male 9.5
GTEX-1B996-1826-SM-7MGY6 60-69 years, male 9.5
GTEX-13G51-0926-SM-5IFFU 60-69 years, male 9.4
GTEX-16XZY-0926-SM-7938M 70-79 years, male 9.4
GTEX-ZT9X-0526-SM-5GCOP 40-49 years, male 9.4
GTEX-1HCU7-2126-SM-A96SG 50-59 years, male 9.4
GTEX-11ONC-1526-SM-5GU6S 60-69 years, male 9.3
GTEX-15EO6-1026-SM-7KUG9 50-59 years, male 9.3
GTEX-1399S-1326-SM-5P9GH 30-39 years, female 9.2
GTEX-1KANB-1826-SM-DHXJU 50-59 years, male 9.2
GTEX-1RAZQ-1726-SM-EAZ4T 30-39 years, male 9.2
GTEX-139UW-1126-SM-5IJEJ 60-69 years, male 9.1
GTEX-145LU-0926-SM-79OJL 50-59 years, male 9.1
GTEX-ZG7Y-1126-SM-4WWEZ 50-59 years, male 9.1
GTEX-ZV68-0926-SM-59HK7 50-59 years, female 9.1
GTEX-ZVP2-1326-SM-57WCE 50-59 years, male 9.1
GTEX-1GTWX-1326-SM-9JGHU 60-69 years, male 9.0
GTEX-1HB9E-1526-SM-D3LA6 50-59 years, male 9.0
GTEX-QEG4-0726-SM-CNNRF 30-39 years, male 9.0
GTEX-11GSP-1826-SM-5N9DQ 60-69 years, female 8.9
GTEX-P4QT-0626-SM-3NMCP 50-59 years, female 8.9
GTEX-1MCC2-1926-SM-DHXJR 30-39 years, female 8.9
GTEX-12BJ1-1626-SM-5HL8Y 60-69 years, male 8.7
GTEX-13PVR-1826-SM-5Q5CC 60-69 years, female 8.7
GTEX-145MN-1026-SM-5NQ9G 30-39 years, male 8.7
GTEX-X4EP-1626-SM-4QAS6 60-69 years, female 8.7
GTEX-YECK-1626-SM-5IFHQ 60-69 years, male 8.7
GTEX-1KD4Q-1126-SM-CXZKK 40-49 years, male 8.7
GTEX-T2IS-0826-SM-4DM6L 20-29 years, female 8.6
GTEX-1EKGG-1726-SM-7MXUP 60-69 years, male 8.6
GTEX-1H11D-2126-SM-9OSXM 40-49 years, male 8.6
GTEX-1R9PM-0926-SM-DPRYA 20-29 years, male 8.6
GTEX-1C6VQ-1826-SM-7EWEH 50-59 years, male 8.5
GTEX-1JMPZ-2026-SM-C1YR8 30-39 years, male 8.5
GTEX-17JCI-1226-SM-793D9 60-69 years, female 8.4
GTEX-X4XY-1726-SM-46MVO 60-69 years, male 8.4
GTEX-14ICL-0526-SM-5RQJ6 30-39 years, male 8.2
GTEX-WK11-1026-SM-4OOS8 50-59 years, male 8.2
GTEX-131XE-1426-SM-5HL7V 50-59 years, male 8.0
GTEX-131YS-1426-SM-5IJF7 60-69 years, female 8.0
GTEX-17EUY-1426-SM-7938X 20-29 years, male 8.0
GTEX-WHWD-0926-SM-4OORY 50-59 years, male 8.0
GTEX-WOFM-0626-SM-4OOS3 20-29 years, male 8.0
GTEX-1HCVE-1226-SM-9WPPH 50-59 years, male 8.0
GTEX-1H1DG-1226-SM-9JGH3 70-79 years, male 7.9
GTEX-1M5QR-0726-SM-DHXK7 40-49 years, male 7.9
GTEX-132AR-2226-SM-5J2NT 50-59 years, female 7.8
GTEX-1A32A-1826-SM-72D5G 50-59 years, female 7.8
GTEX-13NZB-1226-SM-5J2MW 30-39 years, male 7.7
GTEX-13S86-0826-SM-5SI6J 40-49 years, male 7.7
GTEX-V1D1-1026-SM-4JBHE 50-59 years, male 7.7
GTEX-XK95-1026-SM-4GIDV 40-49 years, male 7.7
GTEX-ZY6K-0626-SM-59HJL 50-59 years, male 7.7
GTEX-P78B-1026-SM-3NMC4 40-49 years, female 7.6
GTEX-TSE9-1226-SM-4DXTM 60-69 years, female 7.6
GTEX-WHSE-1526-SM-4M1XH 20-29 years, male 7.6
GTEX-XV7Q-1126-SM-4BRVS 40-49 years, female 7.6
GTEX-1RAZS-2626-SM-EV79C 50-59 years, male 7.6
GTEX-13SLX-1726-SM-5Q5E5 50-59 years, female 7.4
GTEX-18465-1126-SM-7LG6E 50-59 years, male 7.4
GTEX-RUSQ-0826-SM-47JWW 50-59 years, male 7.4
GTEX-1LVA9-2126-SM-DLHBY 50-59 years, male 7.4
GTEX-11EI6-1526-SM-5P9GL 60-69 years, male 7.3
GTEX-1HBPH-1126-SM-A96TU 40-49 years, female 7.3
GTEX-1MA7X-0726-SM-EV7AB 60-69 years, male 7.3
GTEX-13OVI-2626-SM-5KM4T 60-69 years, female 7.2
GTEX-1IDFM-1126-SM-A96SY 60-69 years, male 7.2
GTEX-17F97-1326-SM-7MGVO 50-59 years, male 7.1
GTEX-1HFI6-1226-SM-A96SK 40-49 years, male 7.1
GTEX-1212Z-2126-SM-5FQTM 60-69 years, male 7.0
GTEX-15UF7-0926-SM-6M46F 40-49 years, male 7.0
GTEX-UJMC-0926-SM-4IHLK 50-59 years, male 7.0
GTEX-POYW-1326-SM-48TCG 60-69 years, male 6.9
GTEX-11NUK-1326-SM-5P9GN 50-59 years, male 6.8
GTEX-1HCU6-1326-SM-A96TZ 60-69 years, female 6.6
GTEX-1269C-1026-SM-5N9EY 60-69 years, female 6.5
GTEX-1F7RK-1526-SM-7P8T6 20-29 years, female 6.5
GTEX-1I1GR-1326-SM-ARU7B 60-69 years, male 6.5
GTEX-1HGF4-0926-SM-9WPP8 60-69 years, male 6.4
GTEX-1F88F-1126-SM-7MKHL 60-69 years, female 6.3
GTEX-11TUW-1326-SM-5EQKV 60-69 years, male 6.2
GTEX-1CB4H-1526-SM-7MXU4 60-69 years, female 6.0
GTEX-1EX96-2226-SM-7MKGT 50-59 years, male 5.9
GTEX-R55D-1126-SM-48FEB 50-59 years, male 5.8
GTEX-1IDJH-2026-SM-CNNQX 70-79 years, male 5.8
GTEX-1PPGY-1726-SM-EVR3S 60-69 years, male 5.8
GTEX-12ZZY-1426-SM-5N9EI 60-69 years, male 5.5
GTEX-1399Q-1126-SM-5P9JA 40-49 years, male 5.4
GTEX-146FH-1726-SM-5QGQ2 50-59 years, female 5.4
GTEX-17HII-1526-SM-9OSVD 50-59 years, male 5.4
GTEX-117YW-1926-SM-5H121 50-59 years, male 5.0
GTEX-13PVQ-1726-SM-5IFF3 50-59 years, male 5.0
GTEX-RVPV-0526-SM-47JYL 60-69 years, male 5.0
GTEX-11ZU8-1526-SM-5EGHX 60-69 years, male 4.9
GTEX-OXRL-0626-SM-3NM9C 50-59 years, male 4.9
GTEX-1I1GV-2226-SM-ARU7E 60-69 years, male 4.8
GTEX-13W46-1926-SM-5J2MF 50-59 years, male 4.7
GTEX-1RDX4-2126-SM-EV7B3 50-59 years, female 4.7
GTEX-1I1CD-1726-SM-A9G3P 60-69 years, female 4.1
GTEX-S95S-0426-SM-4B64I 60-69 years, male 4.0
GTEX-X62O-2226-SM-46MW3 50-59 years, male 3.8
GTEX-YJ89-1526-SM-5P9IR 60-69 years, male 3.8
GTEX-1LSNL-2226-SM-DHXKM 50-59 years, male 3.6
GTEX-OIZG-1026-SM-3LK5X 50-59 years, male 3.5
GTEX-1LB8K-1326-SM-CXZKB 50-59 years, male 3.4
GTEX-T2YK-1326-SM-4DM6S 50-59 years, male 3.2
GTEX-SJXC-1426-SM-EYYVB 60-69 years, male 3.2
GTEX-1QEPI-1826-SM-EAZ3J 60-69 years, female 2.9
GTEX-R53T-1126-SM-48FD4 50-59 years, female 2.8
GTEX-1E1VI-1526-SM-7IGQ2 50-59 years, male 2.2
GTEX-148VJ-1026-SM-5LU98 70-79 years, male 1.9
GTEX-14A6H-1326-SM-5NQBC 30-39 years, male 1.9
GTEX-1MCQQ-1026-SM-EV7AX 60-69 years, male 1.4
GTEX-1EWIQ-1526-SM-79OO7 70-79 years, female 1.2
GTEX-13FHP-1526-SM-5IJGE 50-59 years, male 0.8
GTEX-1CAMQ-2726-SM-7MKGD 40-49 years, male 0.8
GTEX-1EN7A-1226-SM-7MGX9 40-49 years, male 0.8
Show allShow less

ESOPHAGUS - FANTOM5 CAGEi

RNA expression in human tissues obtained through Cap Analysis of Gene Expression (CAGE) generated by the FANTOM5 project are reported as Scaled Tags Per Million.

Max subtype Scaled Tags Per Millioni

Max subtype Scaled Tags Per Million is the value for the subtype with the largest average Scaled Tags Per Million across the subtype samples.

83.9
FANTOM5 sample id Sample description Scaled Tags Per Million
Esophagus
Scaled Tags Per Million: 83.9
FF:10015-101C6 68,74,75 years, mixed 83.9

Contact

  • NEWS ARTICLES
  • PRESS ROOM

The Project

  • INTRODUCTION
  • ORGANIZATION
  • PUBLICATIONS

The Human Protein Atlas

  • DOWNLOADABLE DATA
  • LICENCE & CITATION
  • HELP & FAQ
The Human Protein Atlas project is funded
by the Knut & Alice Wallenberg Foundation.


contact@proteinatlas.org