We use cookies to enhance the usability of our website. If you continue, we'll assume that you are happy to receive all cookies. More information. Don't show this again.
CRYZL1
HPA
RESOURCES
  • TISSUE
  • BRAIN
  • SINGLE CELL
  • SUBCELLULAR
  • CANCER
  • BLOOD
  • CELL LINE
  • STRUCTURE & INTERACTION
ABOUT
  • INTRODUCTION
  • HISTORY
  • ORGANIZATION
  • PUBLICATIONS
  • ANTIBODY SUBMISSION
  • ANTIBODY AVAILABILITY
  • ACKNOWLEDGMENTS
  • CONTACT
NEWS
  • NEWS ARTICLES
  • PRESS ROOM
LEARN
  • DICTIONARY
  • PROTEIN CLASSES
  • PROTEIN EVIDENCE
  • METHODS
  • EDUCATIONAL VIDEOS
DATA
  • DOWNLOADABLE DATA
  • PUBLICATION DATA
  • RELEASE HISTORY
HELP
  • ANTIBODY VALIDATION
  • ASSAYS & ANNOTATION
  • DISCLAIMER
  • HELP & FAQ
  • PRIVACY STATEMENT
  • LICENCE & CITATION
Fields »
Search result

Field
Term
Gene name
Class
Subclass
Class
Keyword
Chromosome
External id
Tissue
Cell type
Expression
Antibody panel
Tissue
Main location
Patient ID
Annotation
Tissue
Category
Tau score
Cluster
Reliability
Brain region
Category
Tau score
Brain region
Category
Tau score
Brain region
Category
Tau score
Cluster
Reliability
Tissue
Cell type
Enrichment
Cell type
Category
Tau score
Cell type
Category
Tau score
Cell type
Category
Tau score
Cell lineage
Category
Tau score
Cluster
Cluster
Location
Searches
Location
Cell line
Class
Type
Phase
Reliability
Cancer
Prognosis
Cancer
Category
Cancer
Category
Tau score
Cluster
Variants
Interacting gene (ensg_id)
Type
Number of interactions
Pathway
Category
Score
Score
Score
Validation
Validation
Validation
Validation
Antibodies
Data type
Column


  • SUMMARY

  • TISSUE

  • BRAIN

  • SINGLE CELL

  • SUBCELL

  • CANCER

  • BLOOD

  • CELL LINE

  • STRUCT & INT

  • CRYZL1
TISSUE PRIMARY DATA ADIPOSE TISSUE Show tissue menu
ADIPOSE TISSUE ADRENAL GLAND AMYGDALA APPENDIX BASAL GANGLIA BONE MARROW BREAST BRONCHUS CEREBELLUM CEREBRAL CORTEX CERVIX CHOROID PLEXUS COLON DUODENUM
ENDOMETRIUM EPIDIDYMIS ESOPHAGUS FALLOPIAN TUBE GALLBLADDER HEART MUSCLE HIPPOCAMPAL FORMATION HYPOTHALAMUS KIDNEY LIVER LUNG LYMPH NODE MIDBRAIN NASOPHARYNX
ORAL MUCOSA OVARY PANCREAS PARATHYROID GLAND PITUITARY GLAND PLACENTA PROSTATE RECTUM RETINA SALIVARY GLAND SEMINAL VESICLE SKELETAL MUSCLE SKIN SMALL INTESTINE
SMOOTH MUSCLE SOFT TISSUE SPINAL CORD SPLEEN STOMACH TESTIS THYMUS THYROID GLAND TONGUE TONSIL URINARY BLADDER VAGINA
ANTIBODIES
AND
VALIDATION
Dictionary
Tissue proteome
Adipose tissue
ADIPOSE TISSUE - Expression summary
Protein expression
Adipose tissuei

On the top, protein expression in current human tissue, based on all annotated cell types, is reported with the units not detected (n), low (l), medium (m) and high (h). Underneath, protein expression in each annotated cell type are reported using the same units.

Protein expression data is based on knowledge-based annotation. For genes where more than one antibody has been used, a collective score is set.

If knowledge-based annotation could not be performed for a gene, no data is displayed here. View antibody staining data further down this page.

h
m
l
n
Adipocytes: Medium
RNA expressioni

A summary of mRNA expression data available for current tissue based on several datasets. The mRNA expression levels in human tissues are based on RNA-seq data generated by the Human Protein Atlas (HPA), Genotype-Tissue Expression (GTEx) portal and CAGE data generated by the FANTOM5 consortium. Consensus normalized expression levels for human tissues was created by combining the data from HPA and GTEx datasets.

The mRNA expression levels in pig are based on RNA-seq data generated by the Human Protein Atlas (HPA), and for mouse, HPA data and in situ hybridization generated by the Allen brain atlas are reported.

Scroll down to view mRNA expression data in more detail.
Consensus:21.5 nTPM
HPA:21.5 nTPM
GTEx:20.6 nTPM
FANTOM5:35.9 Scaled Tags Per Million

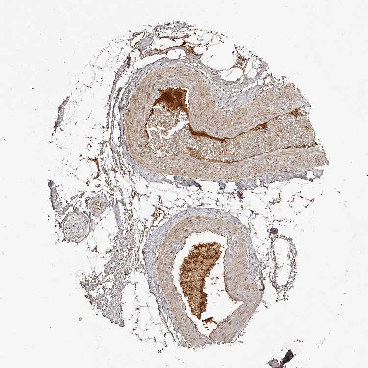
ADIPOSE TISSUE - Antibody stainingi

Antibody staining in the annotated cell types in the current human tissue is reported as not detected, low, medium, or high, based on conventional immunohistochemistry profiling in selected tissues. This score is based on the combination of the staining intensity and fraction of stained cells.

Each image is clickable and will lead to virtual microscopy that enables deeper exploration of all samples and also displays staining intensity scores, fraction scores and subcellular localization as well as patient and tissue information for each sample.

Antibody HPA019120Antibody HPA029399Antibody CAB034129
Adipocytes MediumHighMedium






ADIPOSE TISSUE - HPA RNA-seqi

The RNA-seq details section shows detailed information about the individual samples used for the transcript profiling and results of the RNA-seq analysis.

Information about each individual sample is listed below, including gender, age, a tissue section image and estimated fractions of cell types. nTPM (normalized transcripts per million) values give a quantification of the gene abundance which is comparable between different genes and samples.
Average nTPMi

Max subtype nTPM is the value for the subtype with the largest average nTPM across the subtype samples.

21.5
N/A
Female, age 80
Adipose tissue sample 86
nTPM: 20.3
Cell types%
Adipocytes:
95

Other cell types:
5

N/A
Female, age 45
Adipose tissue sample 115
nTPM: 29.9
N/A
Female, age 57
Adipose tissue sample 137
nTPM: 27.1
Cell types%
Adipocytes:
60

Fibroblasts:
20

Smooth muscle cells:
15

Other cell types:
5

overview
Female, age 74
Adipose tissue sample 329
nTPM: 15.9
Cell types%
Adipocytes:
50

Fibroblasts:
30

Smooth muscle cells:
15

Other cell types:
5

overview
Female, age 59
Adipose tissue sample 331
nTPM: 14.2
Cell types%
Adipocytes:
40

Fibroblasts:
40

Smooth muscle cells:
15

Other cell types:
5


ADIPOSE TISSUE - GTEx RNA-seqi

RNA-Seq data generated by the Genotype-Tissue Expression (GTEx) project from human tissues is reported as mean nTPM. More information can be found on the GTEx portal.

Distribution across the dataset is visualized with box plots, shown as median and 25th and 75th percentiles. Points are displayed as outliers if they are above or below 1.5 times the interquartile range. nTPM values of the individual samples are presented next to the box plot.
Max subtype nTPMi

Max subtype nTPM is the value for the subtype with the largest average nTPM across the subtype samples.

20.6
GTEx sample id Sample description nTPM
Adipose - Subcutaneous
Average nTPM: 20.6
Samples: 663

Max nTPM: 36.9
Min nTPM: 10.1
Std nTPM: 3.8
Median nTPM: 20.2
GTEX-Y5V6-2526-SM-5IFJV 60-69 years, male 36.9
GTEX-R53T-1626-SM-3GAEW 50-59 years, female 36.4
GTEX-13OVI-1326-SM-5IJBO 60-69 years, female 35.3
GTEX-17MF6-0226-SM-7LG4G 40-49 years, male 33.6
GTEX-ZXES-2026-SM-5NQ6R 30-39 years, female 32.1
GTEX-P44H-0326-SM-2XCES 40-49 years, male 31.9
GTEX-14PHX-2426-SM-62LEN 50-59 years, male 30.8
GTEX-16NGA-1826-SM-7LG5L 40-49 years, female 30.7
GTEX-Y8LW-1926-SM-4WWFZ 50-59 years, female 30.5
GTEX-1IKK5-0526-SM-CMKGG 60-69 years, male 30.1
GTEX-ZGAY-0626-SM-DO92E 40-49 years, female 30.1
GTEX-1GZ4H-1826-SM-9MQLE 50-59 years, female 30.0
GTEX-1QCLY-0526-SM-EAZ47 30-39 years, male 30.0
GTEX-1JKYN-1226-SM-CGQG8 30-39 years, male 29.9
GTEX-1QP6S-0126-SM-E9J4K 40-49 years, male 29.9
GTEX-OIZI-0226-SM-2XCEE 40-49 years, male 29.6
GTEX-17KNJ-2226-SM-DKPOU 50-59 years, male 29.3
GTEX-1497J-2326-SM-5NQBK 60-69 years, male 29.2
GTEX-SSA3-0226-SM-32QPN 60-69 years, male 29.2
GTEX-1JMQL-0326-SM-CNPP6 50-59 years, female 29.2
GTEX-NFK9-0326-SM-3MJGV 40-49 years, male 29.0
GTEX-ZZ64-1626-SM-5E43W 20-29 years, male 29.0
GTEX-1H1ZS-0526-SM-9WG5L 70-79 years, male 28.9
GTEX-1I1GQ-0226-SM-COH3I 50-59 years, male 28.9
GTEX-1A3MV-2126-SM-718BV 30-39 years, male 28.7
GTEX-1JN76-0226-SM-CMKGO 20-29 years, female 28.7
GTEX-YB5K-2226-SM-4WWG1 40-49 years, female 28.6
GTEX-WFG7-2526-SM-EWRM5 20-29 years, male 28.6
GTEX-PWN1-0226-SM-DKPO9 40-49 years, female 28.4
GTEX-17EVP-0426-SM-79OKG 40-49 years, male 28.3
GTEX-1C475-1926-SM-7DUFV 40-49 years, female 28.2
GTEX-1GN1U-0226-SM-9YFLQ 50-59 years, female 28.2
GTEX-1KXAM-2326-SM-CYPTD 60-69 years, male 28.1
GTEX-13N1W-0226-SM-5K7W6 70-79 years, male 28.0
GTEX-1B8KE-2526-SM-73KYQ 50-59 years, male 28.0
GTEX-148VI-1726-SM-5S2W9 60-69 years, female 27.9
GTEX-WEY5-1926-SM-3GIL8 40-49 years, female 27.9
GTEX-ZZPU-2726-SM-5NQ8O 50-59 years, female 27.8
GTEX-1GTWX-0226-SM-9YFLL 60-69 years, male 27.7
GTEX-ZVT2-2226-SM-5NQ6P 50-59 years, female 27.4
GTEX-TML8-2026-SM-32QOP 40-49 years, female 27.3
GTEX-145MO-0426-SM-5QGP6 60-69 years, male 27.2
GTEX-1CB4J-1126-SM-7PBY1 60-69 years, male 26.8
GTEX-1E2YA-0226-SM-9MQLY 50-59 years, male 26.8
GTEX-11H98-0226-SM-5NQ89 50-59 years, male 26.6
GTEX-OHPK-0226-SM-3MJH6 50-59 years, female 26.6
GTEX-X15G-2326-SM-4PQZS 50-59 years, female 26.5
GTEX-14C5O-0226-SM-5SI6O 60-69 years, male 26.4
GTEX-14H4A-1026-SM-62LDY 40-49 years, female 26.4
GTEX-17F98-1126-SM-79OJS 40-49 years, female 26.4
GTEX-Y114-2326-SM-4TT7X 50-59 years, female 26.4
GTEX-1EMGI-0226-SM-9MQL1 60-69 years, male 26.3
GTEX-13111-1726-SM-5EGJZ 50-59 years, male 26.2
GTEX-XBED-2326-SM-47JYR 60-69 years, male 26.2
GTEX-13113-1826-SM-5LZW4 60-69 years, female 26.1
GTEX-131XF-2226-SM-5EQKG 60-69 years, male 26.1
GTEX-1HFI7-2026-SM-CGQFR 50-59 years, female 26.1
GTEX-1314G-1626-SM-5EQ67 30-39 years, male 26.0
GTEX-13U4I-0226-SM-5SIB1 40-49 years, female 25.9
GTEX-ZYFD-0226-SM-5NQ86 50-59 years, male 25.9
GTEX-13YAN-0426-SM-5O9DR 60-69 years, male 25.8
GTEX-1J1R8-2226-SM-ARZMP 40-49 years, male 25.8
GTEX-14DAR-1926-SM-5S2NQ 50-59 years, male 25.7
GTEX-1PIGE-0526-SM-DTXFA 20-29 years, male 25.7
GTEX-18465-0226-SM-7LG5M 50-59 years, male 25.6
GTEX-OOBJ-0226-SM-2YUMM 60-69 years, male 25.6
GTEX-1I1CD-0226-SM-CM2TL 60-69 years, female 25.6
GTEX-1MCC2-2326-SM-E9U5G 30-39 years, female 25.6
GTEX-ZDTS-0226-SM-5HL7Q 60-69 years, male 25.5
GTEX-14ICL-2026-SM-62LDN 30-39 years, male 25.4
GTEX-16MTA-2126-SM-6PALC 50-59 years, male 25.4
GTEX-169BO-1426-SM-9MQJT 50-59 years, male 25.4
GTEX-QDVN-2126-SM-33HBS 50-59 years, male 25.3
GTEX-X5EB-2426-SM-4E3HX 40-49 years, male 25.3
GTEX-U3ZM-1026-SM-EZ6LD 40-49 years, male 25.3
GTEX-11EM3-2326-SM-5H12B 20-29 years, female 25.2
GTEX-1S5ZU-0226-SM-E6CHW 20-29 years, female 25.2
GTEX-12696-2526-SM-5EQLN 60-69 years, male 25.1
GTEX-18D9A-2026-SM-718BL 30-39 years, female 25.1
GTEX-1LG7Y-0426-SM-DKPQB 50-59 years, male 25.1
GTEX-PLZ6-1326-SM-3NB24 30-39 years, male 25.0
GTEX-1C4CL-0426-SM-7939N 30-39 years, male 24.9
GTEX-1399U-2426-SM-5K7XB 50-59 years, female 24.8
GTEX-147GR-0426-SM-5S2OL 60-69 years, male 24.8
GTEX-1CAMQ-0126-SM-7SB7S 40-49 years, male 24.8
GTEX-1JJ6O-0226-SM-E6CI9 60-69 years, male 24.8
GTEX-131XW-0526-SM-5PNXZ 50-59 years, female 24.7
GTEX-13N11-2626-SM-5K7UQ 50-59 years, female 24.7
GTEX-P4QS-0226-SM-3NB1U 60-69 years, male 24.7
GTEX-13NYB-2626-SM-9YFMI 40-49 years, male 24.7
GTEX-1B996-0126-SM-7PBYF 60-69 years, male 24.7
GTEX-1LG7Z-2026-SM-DLHBP 30-39 years, male 24.6
GTEX-1LVAO-0226-SM-E9U6O 60-69 years, male 24.6
GTEX-15CHQ-0226-SM-6EU2S 60-69 years, male 24.5
GTEX-1B8SG-0226-SM-7939Q 50-59 years, male 24.5
GTEX-ZF28-0226-SM-5S2OE 60-69 years, male 24.5
GTEX-1K2DA-2126-SM-CGQGL 50-59 years, male 24.5
GTEX-13RTJ-2526-SM-5S2Q3 60-69 years, male 24.4
GTEX-17HHE-1926-SM-7EPGW 50-59 years, male 24.4
GTEX-QCQG-1826-SM-2S1P2 50-59 years, female 24.4
GTEX-1GN73-0326-SM-9KNTW 60-69 years, male 24.4
GTEX-ZDYS-2126-SM-5S2P2 50-59 years, male 24.4
GTEX-11LCK-1126-SM-5A5KC 30-39 years, male 24.3
GTEX-14BIL-0226-SM-5SI9E 50-59 years, male 24.3
GTEX-1C2JI-2226-SM-7IGPJ 50-59 years, male 24.3
GTEX-T6MO-1726-SM-33HB8 40-49 years, female 24.3
GTEX-1HSEH-0226-SM-ACKVV 60-69 years, male 24.3
GTEX-1J8Q3-1526-SM-CMKGB 60-69 years, male 24.2
GTEX-XMK1-2226-SM-4B673 40-49 years, male 24.0
GTEX-1H2FU-0226-SM-9YFKO 60-69 years, female 24.0
GTEX-ZDTT-2626-SM-5S2OP 60-69 years, male 23.9
GTEX-14E6C-0226-SM-5S2N3 40-49 years, male 23.8
GTEX-PSDG-0326-SM-48TCP 50-59 years, male 23.8
GTEX-S33H-1126-SM-2XCB6 30-39 years, male 23.8
GTEX-1JMPY-1426-SM-ARL8Z 30-39 years, male 23.8
GTEX-1LH75-2526-SM-E9U5A 50-59 years, female 23.8
GTEX-11ZTT-2526-SM-5EQM9 60-69 years, female 23.7
GTEX-145MF-0526-SM-5LUA6 50-59 years, male 23.7
GTEX-15ER7-0426-SM-6PAM3 20-29 years, female 23.7
GTEX-ZYFC-0326-SM-5NQ7H 50-59 years, male 23.7
GTEX-13O21-1526-SM-5K7W4 50-59 years, male 23.6
GTEX-QESD-1526-SM-2S1QT 20-29 years, male 23.6
GTEX-QV31-1326-SM-2S1QE 30-39 years, male 23.6
GTEX-1HCVE-0226-SM-CGQEV 50-59 years, male 23.6
GTEX-15SDE-2426-SM-7KFRC 50-59 years, female 23.5
GTEX-1HCU6-0226-SM-CGQES 60-69 years, female 23.5
GTEX-145MN-2626-SM-5NQAH 30-39 years, male 23.4
GTEX-14PJ2-0226-SM-6LLH4 50-59 years, male 23.4
GTEX-XUYS-0226-SM-47JX1 50-59 years, male 23.4
GTEX-1HT8W-0226-SM-CMKGT 30-39 years, male 23.4
GTEX-1LGRB-2426-SM-CNPP3 50-59 years, female 23.4
GTEX-1PDJ9-0426-SM-E9J3E 20-29 years, male 23.4
GTEX-1PPH8-0626-SM-EWRN9 20-29 years, male 23.4
GTEX-1RAZQ-0626-SM-E8VOR 30-39 years, male 23.4
GTEX-1S83E-0226-SM-EVYCW 40-49 years, male 23.4
GTEX-18A66-0326-SM-718BE 60-69 years, male 23.3
GTEX-P44G-2326-SM-2XCCZ 30-39 years, male 23.3
GTEX-ZF29-2226-SM-4WWB9 60-69 years, female 23.3
GTEX-PX3G-0226-SM-DKPOF 20-29 years, female 23.3
GTEX-14LLW-0226-SM-62LEL 70-79 years, female 23.2
GTEX-16BQI-0526-SM-6PAM8 30-39 years, female 23.2
GTEX-P78B-0226-SM-3NB1Z 40-49 years, female 23.2
GTEX-T8EM-1126-SM-3DB7D 40-49 years, male 23.2
GTEX-13O1R-0226-SM-5K7U5 60-69 years, male 23.1
GTEX-13PVQ-0226-SM-5SIBG 50-59 years, male 23.1
GTEX-Y9LG-2026-SM-62LFS 30-39 years, male 23.1
GTEX-1C6VQ-0226-SM-7P8S5 50-59 years, male 23.1
GTEX-1KANA-0826-SM-D3L9J 20-29 years, male 23.1
GTEX-ZVTK-0526-SM-5GZWT 20-29 years, male 23.0
GTEX-1HSGN-0126-SM-CGQFU 40-49 years, female 23.0
GTEX-1OJC4-1726-SM-EXUSV 50-59 years, female 23.0
GTEX-1117F-0226-SM-5GZZ7 60-69 years, female 22.9
GTEX-11P7K-2026-SM-5GU74 30-39 years, male 22.9
GTEX-139T8-0226-SM-5L3EA 60-69 years, male 22.9
GTEX-1MCYP-1826-SM-E9J2Q 20-29 years, female 22.9
GTEX-1OFPY-2326-SM-E8VNU 60-69 years, male 22.9
GTEX-12KS4-0426-SM-5EQMC 30-39 years, male 22.8
GTEX-1QW4Y-1626-SM-EAZ41 30-39 years, male 22.8
GTEX-13S7M-0226-SM-5S2UG 60-69 years, female 22.7
GTEX-1BAJH-0426-SM-73KWY 70-79 years, male 22.7
GTEX-ZP4G-2326-SM-57WEM 20-29 years, female 22.7
GTEX-1LSNL-0526-SM-DIPFI 50-59 years, male 22.7
GTEX-1POEN-0226-SM-EYYXE 30-39 years, female 22.7
GTEX-WYJK-0226-SM-EYYV8 50-59 years, male 22.7
GTEX-11TUW-2626-SM-5EQKZ 60-69 years, male 22.6
GTEX-14JG6-2326-SM-6LLH3 30-39 years, female 22.6
GTEX-14PJ4-2226-SM-6LLIS 60-69 years, male 22.6
GTEX-ZPIC-1826-SM-57WFE 40-49 years, female 22.6
GTEX-145ME-1926-SM-5MR6T 40-49 years, female 22.6
GTEX-1B8L1-2626-SM-7SB77 60-69 years, male 22.6
GTEX-1GZ2Q-0326-SM-9WG6N 40-49 years, male 22.6
GTEX-1H1CY-2626-SM-9MQKJ 60-69 years, female 22.6
GTEX-13OW6-0526-SM-5L3HY 50-59 years, male 22.5
GTEX-OXRO-0226-SM-3LK6F 60-69 years, female 22.5
GTEX-PLZ5-1826-SM-3NB22 50-59 years, male 22.5
GTEX-QMRM-1726-SM-2S1QG 50-59 years, male 22.5
GTEX-ZVT4-0226-SM-51MSD 50-59 years, female 22.5
GTEX-1NHNU-1126-SM-E9J2C 50-59 years, male 22.5
GTEX-111YS-2426-SM-5GZZQ 60-69 years, male 22.4
GTEX-13OVK-2126-SM-6PAN1 40-49 years, male 22.4
GTEX-14PN3-2526-SM-6EU15 60-69 years, female 22.4
GTEX-1IDJF-0226-SM-CMKGE 20-29 years, male 22.4
GTEX-13OVL-0326-SM-5IJCS 50-59 years, male 22.3
GTEX-17HHY-0226-SM-793BQ 50-59 years, male 22.3
GTEX-1E1VI-0226-SM-793CZ 50-59 years, male 22.3
GTEX-XUZC-1826-SM-4BRVO 30-39 years, female 22.3
GTEX-132AR-0226-SM-5IJBE 50-59 years, female 22.2
GTEX-SNMC-1326-SM-2XCFK 20-29 years, male 22.2
GTEX-1A8FM-0126-SM-7SB7P 50-59 years, female 22.2
GTEX-1AX9I-0226-SM-7SB75 60-69 years, male 22.2
GTEX-1HBPM-0326-SM-CMKGR 60-69 years, female 22.2
GTEX-1I6K7-0226-SM-CJI46 40-49 years, male 22.2
GTEX-1JMLX-0126-SM-CMKG9 50-59 years, male 22.2
GTEX-1JN6P-0226-SM-COH34 60-69 years, male 22.2
GTEX-1LB8K-0326-SM-E9TJC 50-59 years, male 22.2
GTEX-17F96-1726-SM-7IGMB 70-79 years, male 22.1
GTEX-1A32A-0226-SM-718B2 50-59 years, female 22.1
GTEX-U3ZN-2626-SM-3DB7T 30-39 years, female 22.1
GTEX-1GN1W-0626-SM-9MQK3 50-59 years, female 22.1
GTEX-1H3O1-0526-SM-9MQLS 60-69 years, male 22.1
GTEX-1MA7X-2126-SM-E6CIX 60-69 years, male 22.1
GTEX-1PIIG-0326-SM-EVYBV 30-39 years, male 22.1
GTEX-139D8-0326-SM-5IJCJ 30-39 years, female 22.0
GTEX-RTLS-0226-SM-2TF5E 60-69 years, female 22.0
GTEX-ZYW4-0226-SM-5E44M 60-69 years, male 22.0
GTEX-1CB4H-0326-SM-9WG5G 60-69 years, female 22.0
GTEX-1I1GP-2326-SM-CGQFL 50-59 years, male 22.0
GTEX-1KWVE-1326-SM-E6CJ1 30-39 years, male 22.0
GTEX-1128S-2126-SM-5H12U 60-69 years, female 21.9
GTEX-17HII-0326-SM-7LG4X 50-59 years, male 21.9
GTEX-Z93T-0226-SM-5HL5Z 50-59 years, male 21.9
GTEX-ZVZP-2326-SM-59HL4 50-59 years, male 21.9
GTEX-1H1DE-2026-SM-9WG6Q 20-29 years, male 21.9
GTEX-1H3VE-0226-SM-9WYST 40-49 years, male 21.9
GTEX-1I1GR-0226-SM-CMKHQ 60-69 years, male 21.9
GTEX-11EQ9-2526-SM-5HL66 30-39 years, male 21.8
GTEX-11ZUS-0726-SM-59886 30-39 years, male 21.8
GTEX-13O3Q-2326-SM-5KM3G 50-59 years, male 21.8
GTEX-14PJ6-2226-SM-6LLIV 60-69 years, female 21.8
GTEX-1A3MX-0226-SM-731C4 60-69 years, male 21.8
GTEX-QLQ7-1526-SM-2S1QA 60-69 years, male 21.8
GTEX-R55G-2426-SM-2TC5I 40-49 years, female 21.8
GTEX-YJ8A-0526-SM-5IFHT 20-29 years, male 21.8
GTEX-144GL-0226-SM-5QGOX 50-59 years, male 21.7
GTEX-16GPK-0226-SM-7DUFI 60-69 years, male 21.7
GTEX-1AMEY-1426-SM-7939I 30-39 years, female 21.7
GTEX-1AX9J-0326-SM-73KXY 60-69 years, male 21.7
GTEX-XGQ4-2226-SM-4AT4Y 50-59 years, male 21.7
GTEX-1HSKV-0326-SM-ADEJC 60-69 years, male 21.7
GTEX-1KAFJ-2426-SM-D4P32 50-59 years, male 21.7
GTEX-1RAZR-0226-SM-EVYC6 40-49 years, male 21.7
GTEX-132QS-2526-SM-62LFJ 60-69 years, male 21.6
GTEX-1AYD5-2326-SM-73KXF 50-59 years, male 21.6
GTEX-TMZS-0226-SM-3DB9N 60-69 years, male 21.6
GTEX-YECK-0226-SM-4W215 60-69 years, male 21.6
GTEX-ZVE2-0326-SM-57WFC 50-59 years, male 21.6
GTEX-1R9K5-0226-SM-EWRNF 50-59 years, male 21.6
GTEX-VJWN-0226-SM-EZ6LF 50-59 years, female 21.6
GTEX-11WQC-2426-SM-5EQKQ 60-69 years, male 21.5
GTEX-13CF3-2326-SM-5IFGL 60-69 years, female 21.5
GTEX-144GM-1926-SM-5LUAN 20-29 years, male 21.5
GTEX-15DDE-0226-SM-6LLJ6 50-59 years, female 21.5
GTEX-QEG4-0326-SM-DIPE3 30-39 years, male 21.5
GTEX-139YR-2426-SM-5J1OB 50-59 years, male 21.4
GTEX-18D9U-0726-SM-7LG5J 40-49 years, male 21.4
GTEX-XQ3S-1626-SM-4WAYN 20-29 years, male 21.4
GTEX-YF7O-2426-SM-5IFJL 50-59 years, male 21.4
GTEX-1A8G6-0526-SM-7PC1E 60-69 years, male 21.4
GTEX-1I1GT-0526-SM-CGQEQ 60-69 years, female 21.4
GTEX-1IDJU-2526-SM-CMKGF 60-69 years, female 21.4
GTEX-12584-0226-SM-5EQL5 40-49 years, male 21.3
GTEX-WI4N-1126-SM-3LK7Q 40-49 years, female 21.3
GTEX-X4LF-1726-SM-3NMBZ 50-59 years, male 21.3
GTEX-11DXX-2326-SM-9YFKS 60-69 years, female 21.3
GTEX-11PRG-0626-SM-5BC56 50-59 years, male 21.2
GTEX-11TTK-0226-SM-5N9EC 60-69 years, female 21.2
GTEX-11ZVC-2626-SM-5FQTA 50-59 years, female 21.2
GTEX-12WSM-0226-SM-5LZV6 60-69 years, male 21.2
GTEX-13D11-2326-SM-5IJCY 50-59 years, female 21.2
GTEX-13QJ3-0426-SM-5RQHP 50-59 years, male 21.2
GTEX-13X6J-0226-SM-7EPGC 50-59 years, male 21.2
GTEX-1C64O-0226-SM-73KXB 60-69 years, male 21.2
GTEX-R55C-1626-SM-48FEG 40-49 years, male 21.2
GTEX-ZT9X-1926-SM-57WE7 40-49 years, male 21.2
GTEX-1JMQI-2026-SM-CMKGP 50-59 years, male 21.2
GTEX-1MGNQ-0226-SM-EVYCK 40-49 years, male 21.2
GTEX-13FTW-2526-SM-5IJC8 40-49 years, male 21.1
GTEX-13JUV-2826-SM-5LZWU 40-49 years, female 21.1
GTEX-14PJM-0326-SM-62LF2 50-59 years, female 21.1
GTEX-QDT8-0226-SM-32PL4 30-39 years, female 21.1
GTEX-WL46-0326-SM-3LK6Y 50-59 years, male 21.1
GTEX-ZXG5-0226-SM-59HJI 60-69 years, male 21.1
GTEX-1HGF4-2526-SM-ADEIZ 60-69 years, male 21.1
GTEX-13FH7-2226-SM-5IJD4 50-59 years, female 21.0
GTEX-13X6K-0226-SM-5QGPB 60-69 years, female 21.0
GTEX-14BMV-0226-SM-5S2N2 50-59 years, male 21.0
GTEX-ZVZO-0226-SM-5A5LA 40-49 years, male 21.0
GTEX-1QP66-1326-SM-DTXDQ 50-59 years, male 21.0
GTEX-139TT-0226-SM-5K7YH 60-69 years, male 20.9
GTEX-14PJ3-1926-SM-62LEY 50-59 years, male 20.9
GTEX-17HG3-2326-SM-79OKH 30-39 years, female 20.9
GTEX-1A3MW-0226-SM-7939O 60-69 years, female 20.9
GTEX-1AMFI-2126-SM-731BT 50-59 years, female 20.9
GTEX-1EWIQ-0226-SM-793D3 70-79 years, female 20.9
GTEX-16XZZ-0226-SM-7MGVJ 60-69 years, male 20.9
GTEX-1GF9V-0226-SM-9MQKA 60-69 years, male 20.9
GTEX-1GMR3-2026-SM-9MQLG 40-49 years, male 20.9
GTEX-1J1OQ-0326-SM-CYPTJ 40-49 years, female 20.9
GTEX-12126-0426-SM-5Q5AP 20-29 years, male 20.8
GTEX-OHPM-0226-SM-3LK61 50-59 years, male 20.8
GTEX-WH7G-2226-SM-3NMBN 40-49 years, male 20.8
GTEX-YB5E-2126-SM-5IFI7 40-49 years, male 20.8
GTEX-1CAMR-1826-SM-7MXUJ 20-29 years, male 20.8
GTEX-1HSMQ-1426-SM-ADEHT 50-59 years, male 20.8
GTEX-131YS-0226-SM-5IJEH 60-69 years, female 20.7
GTEX-ZF3C-0226-SM-4WWB3 50-59 years, female 20.7
GTEX-ZTSS-2026-SM-5987K 40-49 years, male 20.7
GTEX-1HSMP-0226-SM-CGQFI 70-79 years, male 20.7
GTEX-1HUB1-0326-SM-A9SKQ 60-69 years, male 20.7
GTEX-1PFEY-1626-SM-E9J3M 30-39 years, male 20.7
GTEX-1PPGY-0326-SM-DTXFD 60-69 years, male 20.7
GTEX-1S831-0326-SM-EVYD3 20-29 years, male 20.7
GTEX-12C56-1626-SM-5FQUO 20-29 years, male 20.6
GTEX-13NZB-2426-SM-5K7UF 30-39 years, male 20.6
GTEX-146FH-0226-SM-5QGPQ 50-59 years, female 20.6
GTEX-1CB4I-0426-SM-7IGPR 50-59 years, male 20.6
GTEX-OXRN-0226-SM-2I5EJ 50-59 years, male 20.6
GTEX-11NUK-0326-SM-5HL5K 50-59 years, male 20.6
GTEX-1H4P4-0226-SM-9YFKT 50-59 years, male 20.6
GTEX-1IKJJ-0226-SM-COH3T 60-69 years, male 20.6
GTEX-1J8JJ-0326-SM-CMKG6 60-69 years, female 20.6
GTEX-XOT4-0226-SM-4B66Z 60-69 years, female 20.6
GTEX-ZPU1-2426-SM-4WWFM 40-49 years, male 20.5
GTEX-1IOXB-0226-SM-CMKHY 50-59 years, male 20.5
GTEX-1MA7W-1926-SM-E6CIO 20-29 years, female 20.5
GTEX-13CF2-2626-SM-5LZZA 60-69 years, male 20.4
GTEX-14BMU-2126-SM-5S2TS 20-29 years, female 20.4
GTEX-RU72-1026-SM-46MUG 50-59 years, female 20.4
GTEX-Z93S-0226-SM-5HL7R 50-59 years, male 20.4
GTEX-1GN1V-0226-SM-9WYTN 60-69 years, male 20.4
GTEX-1IL2U-0326-SM-CE6T9 60-69 years, male 20.4
GTEX-TKQ1-1126-SM-4GIAZ 30-39 years, male 20.3
GTEX-1CB4G-0326-SM-7SB8R 60-69 years, male 20.3
GTEX-1HCUA-2226-SM-ADEHF 50-59 years, female 20.3
GTEX-1JJE9-1226-SM-CNPOI 70-79 years, male 20.3
GTEX-S4P3-1526-SM-E9J3W 50-59 years, female 20.3
GTEX-11EI6-0226-SM-5EQ64 60-69 years, male 20.2
GTEX-1211K-2226-SM-5FQU6 60-69 years, female 20.2
GTEX-1A8G7-0226-SM-731AS 60-69 years, male 20.2
GTEX-ZE7O-0226-SM-5S2N1 50-59 years, female 20.2
GTEX-1H3VY-0226-SM-9YFMF 50-59 years, male 20.2
GTEX-1LSVX-0126-SM-EVYCY 60-69 years, male 20.2
GTEX-1QPFJ-0126-SM-E9J4B 30-39 years, female 20.2
GTEX-139T6-2126-SM-5KM37 50-59 years, male 20.1
GTEX-13G51-2626-SM-5LZYW 60-69 years, male 20.1
GTEX-13QBU-2526-SM-5LU4X 40-49 years, female 20.1
GTEX-15UKP-0526-SM-7KFRO 20-29 years, male 20.1
GTEX-16YQH-0226-SM-6PALD 30-39 years, male 20.1
GTEX-QLQW-1226-SM-2S1Q9 30-39 years, male 20.1
GTEX-Y111-0226-SM-4SOIW 50-59 years, male 20.1
GTEX-ZQG8-1526-SM-5HL65 60-69 years, female 20.1
GTEX-1F75A-0226-SM-7PC2K 50-59 years, male 20.1
GTEX-1I19N-0426-SM-ACKVY 70-79 years, male 20.1
GTEX-1LGOU-2226-SM-E9U56 20-29 years, female 20.1
GTEX-117YX-2226-SM-5EGJJ 50-59 years, male 20.0
GTEX-11DXW-0326-SM-5H11W 40-49 years, male 20.0
GTEX-1313W-0226-SM-5LZV7 50-59 years, female 20.0
GTEX-P4QT-0226-SM-3LK68 50-59 years, female 20.0
GTEX-1GPI7-0226-SM-9MQKB 20-29 years, male 20.0
GTEX-1JK1U-2126-SM-CNPOU 60-69 years, male 20.0
GTEX-1KD5A-0326-SM-D5OVD 50-59 years, male 20.0
GTEX-13NZA-0126-SM-5K7UH 60-69 years, male 19.9
GTEX-13PVR-2426-SM-5RQHN 60-69 years, female 19.9
GTEX-17F97-0426-SM-7LT9U 50-59 years, male 19.9
GTEX-18A67-0226-SM-7LG67 50-59 years, male 19.9
GTEX-OXRP-0226-SM-3NB14 60-69 years, female 19.9
GTEX-S32W-2226-SM-2XCAY 50-59 years, female 19.9
GTEX-1EU9M-0326-SM-7RHGF 60-69 years, male 19.9
GTEX-1F75I-0426-SM-7PC3S 40-49 years, male 19.9
GTEX-1GMR2-2526-SM-9MQKW 50-59 years, male 19.9
GTEX-1HSMO-0226-SM-CGQEZ 60-69 years, male 19.9
GTEX-1I1GS-0226-SM-B2LVX 60-69 years, male 19.9
GTEX-1IDFM-0226-SM-CMKFX 60-69 years, male 19.9
GTEX-1JMQK-0126-SM-CM2S3 60-69 years, male 19.9
GTEX-RNOR-0226-SM-EZ6MF 50-59 years, female 19.9
GTEX-113IC-0226-SM-5HL5C 60-69 years, male 19.8
GTEX-12WSD-0226-SM-59HKO 60-69 years, female 19.8
GTEX-QV44-1825-SM-447CF 50-59 years, male 19.8
GTEX-X261-0226-SM-3NMD2 50-59 years, male 19.8
GTEX-X638-0226-SM-47JZ9 70-79 years, female 19.8
GTEX-ZUA1-0226-SM-5NQ9Q 40-49 years, male 19.8
GTEX-1FIGZ-1626-SM-7SB8L 40-49 years, male 19.8
GTEX-1HR9M-0226-SM-COH3E 60-69 years, male 19.8
GTEX-1JKYR-0226-SM-CNPOK 20-29 years, male 19.8
GTEX-1N2DW-0326-SM-E9TK3 50-59 years, male 19.8
GTEX-1QP2A-0226-SM-EVYBC 50-59 years, male 19.8
GTEX-11P82-1726-SM-5Q5AT 20-29 years, male 19.7
GTEX-OXRK-0326-SM-3NB3R 50-59 years, female 19.7
GTEX-XLM4-0226-SM-4AT4N 60-69 years, male 19.7
GTEX-ZC5H-0126-SM-4WAYL 40-49 years, female 19.7
GTEX-1I1HK-0226-SM-COH4A 60-69 years, male 19.7
GTEX-1IGQW-0226-SM-COH43 60-69 years, male 19.7
GTEX-WFG8-2326-SM-DIPDX 20-29 years, male 19.7
GTEX-ZLFU-2626-SM-DO91L 40-49 years, male 19.7
GTEX-12WSA-0326-SM-5BC6I 60-69 years, male 19.6
GTEX-145LS-0226-SM-5O9A5 60-69 years, female 19.6
GTEX-1B8KZ-1926-SM-7DUG8 50-59 years, male 19.6
GTEX-SJXC-0226-SM-2XCDU 60-69 years, male 19.6
GTEX-XPVG-2726-SM-4B66W 50-59 years, male 19.6
GTEX-ZAJG-0226-SM-5HL81 50-59 years, female 19.6
GTEX-1R7EU-0326-SM-EWRNJ 60-69 years, male 19.6
GTEX-11XUK-2126-SM-5EQLR 40-49 years, female 19.5
GTEX-13VXT-0226-SM-5LU9Q 20-29 years, female 19.5
GTEX-1B933-0526-SM-7EPHM 50-59 years, female 19.5
GTEX-1QP9N-1526-SM-DTXFK 30-39 years, male 19.5
GTEX-1C6WA-0226-SM-7IGPO 60-69 years, male 19.4
GTEX-XAJ8-0926-SM-47JXZ 40-49 years, male 19.4
GTEX-ZEX8-2326-SM-5S2MN 50-59 years, male 19.4
GTEX-ZTX8-1526-SM-5N9GI 20-29 years, male 19.4
GTEX-1H1DF-0226-SM-ARL9A 40-49 years, female 19.4
GTEX-1HFI6-0326-SM-ADEI5 40-49 years, male 19.4
GTEX-1IY9M-0226-SM-CMKHP 60-69 years, male 19.4
GTEX-1LVAN-0126-SM-COH4H 50-59 years, female 19.4
GTEX-OIZG-0826-SM-E9TI4 50-59 years, male 19.4
GTEX-R3RS-0226-SM-EYYVE 40-49 years, female 19.4
GTEX-UTHO-0426-SM-CE6QU 60-69 years, male 19.4
GTEX-11P81-2426-SM-5GU65 30-39 years, female 19.3
GTEX-14ABY-0326-SM-5TDDK 50-59 years, male 19.3
GTEX-15RIE-2326-SM-7KFSC 60-69 years, male 19.3
GTEX-1B8SF-0526-SM-7939F 60-69 years, male 19.3
GTEX-SNOS-1426-SM-32PLY 40-49 years, male 19.3
GTEX-WFON-2226-SM-3TW8W 40-49 years, male 19.3
GTEX-1C6VR-2626-SM-7MGX2 60-69 years, male 19.3
GTEX-1CB4E-1826-SM-7RHG8 60-69 years, male 19.3
GTEX-1R46S-0526-SM-EVYBZ 60-69 years, female 19.3
GTEX-1269C-2726-SM-5EGJ4 60-69 years, female 19.2
GTEX-145LT-1826-SM-5QGP4 40-49 years, male 19.2
GTEX-14E1K-2126-SM-793DU 50-59 years, male 19.2
GTEX-14E6D-0226-SM-62LDW 50-59 years, male 19.2
GTEX-1C6VS-0426-SM-79OJV 60-69 years, male 19.2
GTEX-O5YT-0226-SM-32PK5 20-29 years, male 19.2
GTEX-ZAK1-0226-SM-5CVMX 50-59 years, female 19.2
GTEX-11ZTS-0226-SM-5EQKD 60-69 years, female 19.1
GTEX-1212Z-2426-SM-5EQ5D 60-69 years, male 19.1
GTEX-14DAQ-0226-SM-664MQ 60-69 years, female 19.1
GTEX-14PII-0326-SM-6LLIQ 60-69 years, male 19.1
GTEX-TSE9-0226-SM-3DB84 60-69 years, female 19.1
GTEX-XUW1-0526-SM-4BOP3 50-59 years, female 19.1
GTEX-1122O-2026-SM-9YFMG 60-69 years, female 19.1
GTEX-1MJK2-0526-SM-DTXE6 50-59 years, male 19.1
GTEX-111VG-2326-SM-5N9BK 60-69 years, male 19.0
GTEX-1B97I-1726-SM-7939V 40-49 years, male 19.0
GTEX-SN8G-0226-SM-4DM6B 50-59 years, female 19.0
GTEX-T5JC-0526-SM-32PM7 20-29 years, male 19.0
GTEX-1CB4F-0526-SM-9KNW2 60-69 years, male 19.0
GTEX-1F5PK-2526-SM-9MQKN 50-59 years, male 19.0
GTEX-1QP28-0226-SM-E9J2N 50-59 years, female 19.0
GTEX-11UD2-0126-SM-5EQL2 50-59 years, male 18.9
GTEX-147F3-0626-SM-5NQ9I 50-59 years, female 18.9
GTEX-OIZH-0226-SM-2YUMH 50-59 years, male 18.9
GTEX-T2IS-0226-SM-32QPH 20-29 years, female 18.9
GTEX-XBEC-0326-SM-4AT4M 50-59 years, male 18.9
GTEX-YEC3-1226-SM-5IFI8 50-59 years, male 18.9
GTEX-ZYT6-0326-SM-7LG5R 30-39 years, male 18.9
GTEX-1HCU7-0326-SM-CMKGI 50-59 years, male 18.9
GTEX-1PWST-0326-SM-EAZ42 70-79 years, male 18.9
GTEX-P4PP-0226-SM-D4P1Z 30-39 years, female 18.9
GTEX-11I78-2626-SM-5Q5AI 50-59 years, female 18.8
GTEX-13IVO-0226-SM-5LZXU 70-79 years, male 18.8
GTEX-144GO-1626-SM-7EPG5 60-69 years, male 18.8
GTEX-146FR-1826-SM-5QGPF 60-69 years, female 18.8
GTEX-XBEW-0726-SM-4QARX 40-49 years, male 18.8
GTEX-1I4MK-2026-SM-B2LVR 50-59 years, female 18.8
GTEX-1RDX4-0226-SM-DTXG1 50-59 years, female 18.8
GTEX-139T4-0126-SM-5HL5G 50-59 years, female 18.7
GTEX-13OW7-0226-SM-5MR3N 50-59 years, male 18.7
GTEX-14C39-2526-SM-5S2UH 40-49 years, male 18.7
GTEX-14E6E-1926-SM-664N4 30-39 years, male 18.7
GTEX-16MT8-0526-SM-6PAM6 60-69 years, female 18.7
GTEX-Y8E4-0726-SM-4WWFN 40-49 years, male 18.7
GTEX-13JVG-0226-SM-5J1MW 60-69 years, male 18.6
GTEX-13PLJ-0126-SM-5L3HU 60-69 years, female 18.6
GTEX-14ICK-0326-SM-6LLIZ 40-49 years, male 18.6
GTEX-14JIY-0526-SM-62LFH 60-69 years, male 18.6
GTEX-17MFQ-1826-SM-7DHLS 20-29 years, male 18.6
GTEX-18A6Q-0226-SM-718AS 60-69 years, male 18.6
GTEX-18A7A-0326-SM-731AT 50-59 years, female 18.6
GTEX-VUSG-2426-SM-4KKZG 50-59 years, male 18.6
GTEX-WY7C-2426-SM-3NB2V 50-59 years, male 18.6
GTEX-1F48J-0226-SM-7SB82 50-59 years, female 18.6
GTEX-R45C-0226-SM-EVYAJ 60-69 years, female 18.6
GTEX-12WSC-0226-SM-5EQ52 50-59 years, male 18.5
GTEX-12ZZX-0226-SM-5DUXU 40-49 years, female 18.5
GTEX-12ZZZ-0526-SM-5DUX6 60-69 years, male 18.5
GTEX-13FHO-0326-SM-5IJBH 60-69 years, male 18.5
GTEX-15ETS-0426-SM-6PANI 40-49 years, female 18.5
GTEX-RM2N-1726-SM-2TF55 50-59 years, male 18.5
GTEX-WFJO-1926-SM-3GILA 30-39 years, male 18.5
GTEX-X4EO-0426-SM-4QASA 60-69 years, female 18.5
GTEX-18QFQ-0226-SM-731BQ 30-39 years, male 18.5
GTEX-1F88F-2626-SM-9WG5K 60-69 years, female 18.5
GTEX-1GMRU-0226-SM-9YFLW 50-59 years, male 18.5
GTEX-1I1GU-2326-SM-CGQFB 40-49 years, male 18.5
GTEX-1I1GV-0426-SM-ARZLX 60-69 years, male 18.5
GTEX-1J8QM-2326-SM-CYPSL 60-69 years, female 18.5
GTEX-Q2AH-1726-SM-DIPDV 40-49 years, male 18.5
GTEX-13O61-2426-SM-5J1NV 60-69 years, male 18.4
GTEX-15DCD-0226-SM-6LPKC 70-79 years, female 18.4
GTEX-ZLV1-1826-SM-5FQU5 60-69 years, female 18.4
GTEX-1F6I4-0226-SM-9MQMA 60-69 years, male 18.4
GTEX-OIZF-0226-SM-E9TI3 60-69 years, male 18.4
GTEX-1399R-2626-SM-5KLZ7 30-39 years, male 18.3
GTEX-16AAH-2026-SM-7LG5F 50-59 years, male 18.3
GTEX-17EUY-0526-SM-7EWDE 20-29 years, male 18.3
GTEX-P4PQ-0226-SM-2S1NK 60-69 years, male 18.3
GTEX-U412-0526-SM-3DB9I 60-69 years, male 18.3
GTEX-X8HC-0226-SM-4E3K1 50-59 years, female 18.3
GTEX-1R7EV-1926-SM-EVYBF 40-49 years, male 18.3
GTEX-ZLWG-2226-SM-DO92V 50-59 years, female 18.3
GTEX-1I6K6-0226-SM-ADEID 30-39 years, male 18.2
GTEX-1LSNM-2026-SM-E6CIJ 50-59 years, male 18.2
GTEX-11ZU8-2426-SM-5EQMV 60-69 years, male 18.1
GTEX-12ZZY-0326-SM-5LZVQ 60-69 years, male 18.1
GTEX-13OVJ-0326-SM-5L3GL 50-59 years, female 18.1
GTEX-O5YV-0226-SM-48TBY 60-69 years, female 18.1
GTEX-REY6-0326-SM-2TF5A 60-69 years, male 18.1
GTEX-W5WG-2526-SM-4SOJ2 50-59 years, female 18.1
GTEX-1JJEA-0226-SM-COH2X 60-69 years, male 18.1
GTEX-POMQ-2326-SM-DHXIS 20-29 years, female 18.1
GTEX-131XE-2426-SM-5EQ5V 50-59 years, male 18.0
GTEX-R55D-0326-SM-48FES 50-59 years, male 18.0
GTEX-U4B1-1726-SM-3DB9F 40-49 years, male 18.0
GTEX-1GZ4I-0226-SM-7RHHO 50-59 years, male 18.0
GTEX-111FC-0226-SM-5N9B8 60-69 years, male 17.9
GTEX-144FL-0226-SM-5Q5D4 50-59 years, male 17.9
GTEX-1AX9K-2426-SM-73KZ4 50-59 years, male 17.9
GTEX-ZPCL-2126-SM-57WFZ 60-69 years, female 17.9
GTEX-ZV68-0226-SM-59HJF 50-59 years, female 17.9
GTEX-ZVP2-1826-SM-5GU62 50-59 years, male 17.9
GTEX-1IL2V-0226-SM-CMKI2 70-79 years, male 17.9
GTEX-1MUQO-0526-SM-E9J31 60-69 years, male 17.9
GTEX-13OW8-1226-SM-5K7XD 60-69 years, male 17.8
GTEX-13VXU-0226-SM-5SI9R 50-59 years, male 17.8
GTEX-OXRL-0226-SM-3NB18 50-59 years, male 17.8
GTEX-W5X1-2626-SM-4LMI8 40-49 years, female 17.8
GTEX-1IDJD-1226-SM-CM2TP 30-39 years, male 17.8
GTEX-111CU-1826-SM-5GZYN 50-59 years, male 17.7
GTEX-11EMC-2826-SM-5PNY6 60-69 years, female 17.7
GTEX-11OF3-2426-SM-5Q5AS 60-69 years, male 17.7
GTEX-16NPX-0326-SM-7EWDI 50-59 years, male 17.7
GTEX-Q2AG-0226-SM-2S1P4 40-49 years, female 17.7
GTEX-ZDXO-2426-SM-5S2NJ 60-69 years, male 17.7
GTEX-1M5QR-2126-SM-DKPQM 40-49 years, male 17.7
GTEX-11GS4-2626-SM-5A5LD 60-69 years, male 17.6
GTEX-11GSO-2326-SM-5A5LX 60-69 years, male 17.6
GTEX-13112-2726-SM-5DUW5 50-59 years, male 17.6
GTEX-17F9Y-0326-SM-7IGLS 70-79 years, female 17.6
GTEX-1L5NE-2626-SM-E9U6P 50-59 years, male 17.6
GTEX-139TU-0226-SM-5J1NM 60-69 years, male 17.5
GTEX-13N2G-2726-SM-5J1MG 60-69 years, male 17.5
GTEX-T6MN-0226-SM-32PMD 50-59 years, male 17.5
GTEX-YEC4-2426-SM-57WFO 40-49 years, male 17.5
GTEX-1H1E6-2026-SM-9KNVK 30-39 years, male 17.5
GTEX-1ICLZ-0226-SM-CKZPP 60-69 years, male 17.5
GTEX-1N2EF-0626-SM-E9J32 60-69 years, male 17.5
GTEX-VUSH-0226-SM-EXUQV 30-39 years, male 17.5
GTEX-11TT1-2426-SM-5EQMK 20-29 years, male 17.4
GTEX-1F75W-0226-SM-9JGGP 60-69 years, male 17.4
GTEX-1QP29-0726-SM-DTXFM 50-59 years, male 17.4
GTEX-11ONC-2526-SM-5986W 60-69 years, male 17.3
GTEX-1AYCT-2226-SM-7SB98 50-59 years, male 17.3
GTEX-1EH9U-0226-SM-7PBY8 60-69 years, male 17.3
GTEX-1HR98-0226-SM-CGQEK 60-69 years, male 17.3
GTEX-1J8EW-0226-SM-CYPSW 60-69 years, female 17.3
GTEX-13FTY-0626-SM-5L3F8 40-49 years, female 17.2
GTEX-Y3IK-2526-SM-4WWDM 50-59 years, female 17.2
GTEX-YJ89-0226-SM-4TT3Y 60-69 years, male 17.2
GTEX-183FY-0326-SM-793BY 20-29 years, male 17.1
GTEX-U8XE-0426-SM-3DB91 30-39 years, male 17.1
GTEX-1GMR8-0226-SM-9YFL3 50-59 years, female 17.1
GTEX-1GN2E-0326-SM-COH3C 60-69 years, male 17.1
GTEX-1HBPI-1426-SM-B2LW7 50-59 years, male 17.1
GTEX-13NZ9-0526-SM-5J1OX 50-59 years, male 17.0
GTEX-13PDP-0226-SM-5K7W9 60-69 years, male 17.0
GTEX-POYW-0726-SM-2XCEO 60-69 years, male 17.0
GTEX-X4XY-0326-SM-46MVZ 60-69 years, male 17.0
GTEX-XXEK-2426-SM-4BRUS 50-59 years, male 17.0
GTEX-Y3I4-2226-SM-4TT7O 50-59 years, male 17.0
GTEX-Y8E5-0226-SM-57WCM 60-69 years, male 17.0
GTEX-1B932-0226-SM-7PBYH 40-49 years, female 17.0
GTEX-1LVA9-0226-SM-E9U5N 50-59 years, male 17.0
GTEX-11UD1-0226-SM-5EQKL 40-49 years, female 16.9
GTEX-Q2AI-1426-SM-2S1P5 40-49 years, male 16.9
GTEX-SIU8-0226-SM-2XCDS 50-59 years, male 16.9
GTEX-13O3P-0226-SM-5KM3Z 50-59 years, male 16.8
GTEX-1F52S-0226-SM-7SB7U 60-69 years, female 16.8
GTEX-146FQ-0226-SM-5NQAL 30-39 years, male 16.7
GTEX-ZYVF-0226-SM-5GIEG 50-59 years, female 16.7
GTEX-RVPV-1526-SM-EXOHF 60-69 years, male 16.7
GTEX-14JG1-0526-SM-6LLHW 40-49 years, male 16.6
GTEX-14PK6-2026-SM-6LLHP 70-79 years, female 16.6
GTEX-17HGU-0326-SM-7DUER 50-59 years, male 16.6
GTEX-S95S-1326-SM-2XCDK 60-69 years, male 16.6
GTEX-XV7Q-2626-SM-4BRVA 40-49 years, female 16.5
GTEX-YJ8O-2426-SM-5HL7S 40-49 years, female 16.5
GTEX-1F88E-0526-SM-7SB8J 60-69 years, female 16.5
GTEX-1PBJI-0426-SM-E8VNM 20-29 years, female 16.5
GTEX-1RAZA-0226-SM-E9U4W 20-29 years, male 16.5
GTEX-14753-0326-SM-5QGQB 60-69 years, male 16.4
GTEX-147JS-0426-SM-5TDD2 60-69 years, male 16.4
GTEX-183WM-0226-SM-7LT8T 70-79 years, female 16.4
GTEX-1QP67-1726-SM-E8VOP 40-49 years, female 16.4
GTEX-UJHI-1626-SM-3DB9A 50-59 years, female 16.3
GTEX-YFCO-2026-SM-4W21Q 40-49 years, male 16.3
GTEX-11O72-0226-SM-59869 40-49 years, male 16.2
GTEX-VJYA-1326-SM-3GIJC 60-69 years, male 16.2
GTEX-1EKGG-0126-SM-9YFLS 60-69 years, male 16.2
GTEX-13SLX-0426-SM-5QGRC 50-59 years, female 16.1
GTEX-13W3W-2526-SM-5SI9P 60-69 years, female 16.1
GTEX-Y5V5-2426-SM-5IFJA 60-69 years, female 16.1
GTEX-ZTPG-0226-SM-5O99I 20-29 years, female 16.1
GTEX-1RQEC-0526-SM-E6CHV 60-69 years, male 16.1
GTEX-RWSA-0226-SM-2XCBA 40-49 years, male 16.0
GTEX-13FHP-0226-SM-5K7WD 50-59 years, male 15.9
GTEX-T5JW-1726-SM-3GADN 20-29 years, female 15.9
GTEX-1ICLY-0226-SM-ARL7R 50-59 years, male 15.9
GTEX-1LBAC-0226-SM-DHXJZ 20-29 years, male 15.9
GTEX-1R9PM-2126-SM-E8VOB 20-29 years, male 15.9
GTEX-WVJS-0226-SM-4MVOU 50-59 years, male 15.8
GTEX-WVLH-0226-SM-3MJG6 50-59 years, male 15.8
GTEX-145MI-0426-SM-5O99V 60-69 years, female 15.7
GTEX-QEL4-0326-SM-3GAE5 50-59 years, male 15.7
GTEX-1S82P-0226-SM-E6CI6 60-69 years, female 15.7
GTEX-X88G-0226-SM-4GIE4 30-39 years, male 15.6
GTEX-Z9EW-1826-SM-5CVMA 40-49 years, male 15.6
GTEX-1CAMS-0326-SM-7PC35 40-49 years, female 15.6
GTEX-1QAET-1126-SM-E8VML 50-59 years, male 15.6
GTEX-16XZY-2526-SM-7DHL2 70-79 years, male 15.5
GTEX-S7SE-0226-SM-2XCD4 50-59 years, male 15.5
GTEX-RUSQ-1626-SM-EZ6L4 50-59 years, male 15.5
GTEX-11EQ8-0226-SM-5EQ5G 60-69 years, male 15.4
GTEX-SUCS-1826-SM-32PM1 70-79 years, male 15.4
GTEX-XYKS-2726-SM-4E3IC 60-69 years, female 15.4
GTEX-13SLW-0226-SM-5S2NA 70-79 years, male 15.3
GTEX-15G19-0226-SM-6PAL2 60-69 years, male 15.3
GTEX-1HBPH-0526-SM-9YFMN 40-49 years, female 15.3
GTEX-133LE-1926-SM-5N9FV 20-29 years, female 15.2
GTEX-145MG-0126-SM-5TDDA 50-59 years, male 15.2
GTEX-14BIN-0726-SM-793DQ 50-59 years, female 15.1
GTEX-1H23P-0226-SM-9YFLO 60-69 years, male 15.1
GTEX-PLZ4-0226-SM-CYPR1 50-59 years, female 15.0
GTEX-YFC4-0226-SM-57WD2 40-49 years, female 14.9
GTEX-ZYY3-0226-SM-5E45M 60-69 years, female 14.9
GTEX-1HB9E-0426-SM-CNPPV 50-59 years, male 14.9
GTEX-1399T-2726-SM-5K7XK 60-69 years, male 14.8
GTEX-OHPN-0226-SM-48TBV 60-69 years, female 14.8
GTEX-PWCY-1926-SM-3NB25 20-29 years, female 14.8
GTEX-N7MS-0326-SM-4E3K2 60-69 years, male 14.6
GTEX-1F6RS-0226-SM-9MQKO 60-69 years, female 14.6
GTEX-1QEPI-0226-SM-EWRMR 60-69 years, female 14.6
GTEX-11DZ1-0226-SM-5A5KF 50-59 years, male 14.5
GTEX-14AS3-2026-SM-5TDD9 40-49 years, female 14.2
GTEX-1ICG6-2626-SM-CGQG1 70-79 years, female 14.2
GTEX-1IE54-0226-SM-CMKHX 40-49 years, female 14.0
GTEX-OOBK-0226-SM-2YUMF 40-49 years, male 13.9
GTEX-1GF9X-1926-SM-ADEIC 40-49 years, female 13.9
GTEX-ZE9C-2826-SM-5S2MO 60-69 years, male 13.8
GTEX-1HCU8-0726-SM-ADEIR 60-69 years, female 13.7
GTEX-WHPG-2126-SM-4M1ZM 50-59 years, male 13.6
GTEX-13NYS-0226-SM-5MR49 60-69 years, male 13.5
GTEX-13NZ8-0926-SM-5MR3U 60-69 years, female 13.5
GTEX-NPJ8-0226-SM-48TBN 40-49 years, male 13.5
GTEX-Q734-1826-SM-2I3EL 40-49 years, female 13.5
GTEX-1EX96-1426-SM-7PBZ5 50-59 years, male 13.5
GTEX-XQ8I-0526-SM-4BOPS 50-59 years, male 13.0
GTEX-QDVJ-1826-SM-2S1P3 50-59 years, male 12.9
GTEX-1K9T9-0226-SM-E9U6K 50-59 years, female 12.9
GTEX-XK95-0426-SM-4AT4R 40-49 years, male 12.8
GTEX-1JN1M-0126-SM-D4P23 60-69 years, female 12.7
GTEX-QEG5-0326-SM-2S1PB 20-29 years, male 12.5
GTEX-14A5H-0526-SM-5TDCN 60-69 years, male 12.4
GTEX-12WSL-2426-SM-5GCN7 50-59 years, male 11.4
GTEX-XMD2-0226-SM-4WWEE 60-69 years, female 10.1
Show allShow less
Adipose - Visceral (Omentum)
Average nTPM: 16.6
Samples: 541

Max nTPM: 26.9
Min nTPM: 2.5
Std nTPM: 3.0
Median nTPM: 16.4
GTEX-ZQUD-0526-SM-57WG4 30-39 years, male 26.9
GTEX-11EQ9-1126-SM-5987I 30-39 years, male 26.6
GTEX-14E6C-1226-SM-5ZZUN 40-49 years, male 26.3
GTEX-14PKU-0226-SM-6EU16 40-49 years, female 26.3
GTEX-1QP9N-0426-SM-DTXFT 30-39 years, male 25.9
GTEX-131XG-0126-SM-5K7UJ 50-59 years, female 25.8
GTEX-1HBPN-1526-SM-9WYSB 50-59 years, male 25.5
GTEX-13OW7-1126-SM-5K7V6 50-59 years, male 24.9
GTEX-WOFM-0726-SM-3MJF8 20-29 years, male 24.6
GTEX-XMK1-0926-SM-4B66X 40-49 years, male 24.4
GTEX-17MF6-1326-SM-79ONE 40-49 years, male 23.7
GTEX-1J1R8-0526-SM-ACKWO 40-49 years, male 23.5
GTEX-13OVJ-0926-SM-5K7U1 50-59 years, female 23.3
GTEX-1A3MV-0626-SM-731CH 30-39 years, male 23.2
GTEX-18A7A-0926-SM-7LT8H 50-59 years, female 23.0
GTEX-18A66-1926-SM-7LTAG 60-69 years, male 22.8
GTEX-ZVP2-0226-SM-57WBD 50-59 years, male 22.8
GTEX-14PJM-1226-SM-686Z7 50-59 years, female 22.6
GTEX-ZF29-0826-SM-5S2O2 60-69 years, female 22.4
GTEX-14ABY-1926-SM-62LDJ 50-59 years, male 22.2
GTEX-W5X1-1426-SM-3GIKH 40-49 years, female 22.2
GTEX-ZF2S-1526-SM-5S2OO 50-59 years, female 22.1
GTEX-1MA7W-0526-SM-E6CIN 20-29 years, female 22.1
GTEX-ZPU1-1226-SM-5HL71 40-49 years, male 22.0
GTEX-1RMOY-0826-SM-E9TIF 50-59 years, male 21.7
GTEX-1GMR2-0226-SM-9JGHO 50-59 years, male 21.6
GTEX-1JMPY-0326-SM-CM2S2 30-39 years, male 21.6
GTEX-1OFPY-0826-SM-DTX8P 60-69 years, male 21.6
GTEX-1GN73-0626-SM-7PC3I 60-69 years, male 21.5
GTEX-1H1ZS-1326-SM-9WG74 70-79 years, male 21.5
GTEX-WYJK-1426-SM-3NM8V 50-59 years, male 21.4
GTEX-16NGA-0526-SM-731AJ 40-49 years, female 21.3
GTEX-16XZZ-1626-SM-7KUEC 60-69 years, male 21.3
GTEX-17HHE-1526-SM-793AS 50-59 years, male 21.3
GTEX-11DXX-2026-SM-5EGJL 60-69 years, female 21.1
GTEX-11NV4-1426-SM-5BC4W 60-69 years, male 21.1
GTEX-15SHU-2326-SM-7KUMC 40-49 years, female 21.1
GTEX-13111-0626-SM-5LZVR 50-59 years, male 21.0
GTEX-1HBPH-2226-SM-9WYSO 40-49 years, female 21.0
GTEX-1211K-1226-SM-5EQ4N 60-69 years, female 20.9
GTEX-131XF-0726-SM-5GIE5 60-69 years, male 20.9
GTEX-16MTA-1326-SM-6PALX 50-59 years, male 20.9
GTEX-11VI4-1226-SM-5EQMP 40-49 years, female 20.8
GTEX-13O21-3126-SM-5J1OI 50-59 years, male 20.8
GTEX-ZYW4-2226-SM-5GZYG 60-69 years, male 20.8
GTEX-13FHO-2026-SM-5J1OA 60-69 years, male 20.7
GTEX-14PN4-1426-SM-6LLJ4 50-59 years, male 20.7
GTEX-1B97I-0526-SM-73KXE 40-49 years, male 20.7
GTEX-X3Y1-0926-SM-3P5YT 40-49 years, male 20.7
GTEX-1LG7Y-1126-SM-CYPTE 50-59 years, male 20.7
GTEX-1C6VQ-1526-SM-73KU9 50-59 years, male 20.6
GTEX-ZT9W-1026-SM-57WG5 50-59 years, male 20.6
GTEX-1MUQO-0826-SM-EVYCZ 60-69 years, male 20.6
GTEX-15EOM-2326-SM-7KUMV 20-29 years, female 20.5
GTEX-ZVT2-0226-SM-5GIE3 50-59 years, female 20.5
GTEX-1I1GU-0626-SM-CMKHR 40-49 years, male 20.5
GTEX-1QCLY-1226-SM-EVYC3 30-39 years, male 20.5
GTEX-1212Z-0526-SM-5FQSQ 60-69 years, male 20.4
GTEX-1KWVE-0226-SM-E9TKK 30-39 years, male 20.4
GTEX-14JG6-0526-SM-6LLIH 30-39 years, female 20.3
GTEX-1AMFI-1026-SM-73KYM 50-59 years, female 20.3
GTEX-ZE7O-1526-SM-5J1NH 50-59 years, female 20.3
GTEX-145ME-0726-SM-5O9A3 40-49 years, female 20.2
GTEX-YEC4-0926-SM-5PNXY 40-49 years, male 20.2
GTEX-1HUB1-1526-SM-CGQF6 60-69 years, male 20.2
GTEX-111CU-1026-SM-5EGIL 50-59 years, male 20.1
GTEX-1399T-1326-SM-5PNVH 60-69 years, male 20.1
GTEX-17EVP-1426-SM-79OMN 40-49 years, male 20.1
GTEX-WFJO-1026-SM-3GIKL 30-39 years, male 20.1
GTEX-1RAZR-1026-SM-E8VOJ 40-49 years, male 20.1
GTEX-1HCU7-2026-SM-A9G2B 50-59 years, male 20.0
GTEX-1N2DW-0726-SM-DTX97 50-59 years, male 20.0
GTEX-13OVH-1126-SM-5K7YP 70-79 years, male 19.9
GTEX-Y5V5-0226-SM-5S2N8 60-69 years, female 19.9
GTEX-ZUA1-2126-SM-57YRB 40-49 years, male 19.9
GTEX-VUSG-1426-SM-3GIJN 50-59 years, male 19.8
GTEX-11ZUS-1826-SM-5FQTR 30-39 years, male 19.7
GTEX-1J8EW-1526-SM-CMKFZ 60-69 years, female 19.7
GTEX-1J8Q2-2226-SM-CM2TZ 60-69 years, male 19.7
GTEX-1AX9I-1726-SM-731BX 60-69 years, male 19.6
GTEX-ZYFG-1426-SM-5GICS 60-69 years, female 19.6
GTEX-1KXAM-0526-SM-DKPQN 60-69 years, male 19.6
GTEX-WYVS-0626-SM-4SOJY 40-49 years, female 19.5
GTEX-XLM4-1026-SM-4AT51 60-69 years, male 19.5
GTEX-ZZ64-0626-SM-5GZWR 20-29 years, male 19.5
GTEX-1N2EF-0926-SM-E8VNW 60-69 years, male 19.5
GTEX-12ZZX-1726-SM-5BC63 40-49 years, female 19.4
GTEX-131XH-0826-SM-5GCN8 50-59 years, male 19.4
GTEX-1GF9W-1026-SM-7SB8X 60-69 years, male 19.4
GTEX-1I1CD-1026-SM-COH3G 60-69 years, female 19.4
GTEX-1JKYR-1226-SM-CM2S7 20-29 years, male 19.4
GTEX-1K2DA-1126-SM-CGQGG 50-59 years, male 19.4
GTEX-1L5NE-1726-SM-DHXKX 50-59 years, male 19.4
GTEX-1NV5F-2526-SM-EXUSK 60-69 years, female 19.4
GTEX-11DYG-2026-SM-5EGGX 60-69 years, male 19.3
GTEX-12WSF-1526-SM-6PAN6 70-79 years, male 19.3
GTEX-ZYVF-1026-SM-5E44V 50-59 years, female 19.3
GTEX-1EMGI-0726-SM-7PBZ4 60-69 years, male 19.3
GTEX-1GZ4I-2326-SM-9YFMO 50-59 years, male 19.3
GTEX-1HCUA-0926-SM-ADEIX 50-59 years, female 19.3
GTEX-1HSKV-1926-SM-CNPPN 60-69 years, male 19.3
GTEX-1IDJI-0926-SM-ACKWZ 50-59 years, female 19.3
GTEX-1445S-2426-SM-79ON2 60-69 years, male 19.2
GTEX-145MF-1026-SM-5Q5EQ 50-59 years, male 19.2
GTEX-14C5O-0926-SM-793DM 60-69 years, male 19.2
GTEX-1A8G6-2026-SM-73KYC 60-69 years, male 19.2
GTEX-ZAB4-1426-SM-5CVN6 40-49 years, male 19.2
GTEX-1LG7Z-0226-SM-E6CIG 30-39 years, male 19.2
GTEX-12WSG-0426-SM-5FQSE 50-59 years, female 19.1
GTEX-13OVL-0826-SM-5L3GV 50-59 years, male 19.1
GTEX-Y8LW-0926-SM-4VBQ8 50-59 years, female 19.1
GTEX-ZP4G-1326-SM-5EGIW 20-29 years, female 19.1
GTEX-1C475-0326-SM-7SB8O 40-49 years, female 19.1
GTEX-11OF3-0826-SM-5BC51 60-69 years, male 19.0
GTEX-145LU-1226-SM-5LU9B 50-59 years, male 18.9
GTEX-X8HC-2326-SM-4QAS4 50-59 years, female 18.9
GTEX-1F6IF-2026-SM-7P8SE 60-69 years, male 18.9
GTEX-1GMRU-0726-SM-7PBZH 50-59 years, male 18.9
GTEX-1H23P-1726-SM-A9SMN 60-69 years, male 18.9
GTEX-113JC-0726-SM-5GZZR 50-59 years, female 18.8
GTEX-13G51-0526-SM-5IJCQ 60-69 years, male 18.8
GTEX-18A67-1326-SM-7LT8V 50-59 years, male 18.8
GTEX-1I6K6-1526-SM-CGQFC 30-39 years, male 18.8
GTEX-13FH7-1926-SM-5J2OL 50-59 years, female 18.7
GTEX-13X6H-1726-SM-5Q5EH 50-59 years, female 18.7
GTEX-1BAJH-2126-SM-7EWFB 70-79 years, male 18.7
GTEX-WRHK-0826-SM-3MJFG 20-29 years, female 18.7
GTEX-1CAMQ-1226-SM-7SB7E 40-49 years, male 18.7
GTEX-1E1VI-1826-SM-9WG5J 50-59 years, male 18.7
GTEX-14PHW-1626-SM-6EU2H 60-69 years, female 18.6
GTEX-14PJO-1626-SM-69LPQ 60-69 years, male 18.6
GTEX-14PN3-0326-SM-6EU1X 60-69 years, female 18.6
GTEX-1H1DG-2026-SM-9QEIV 70-79 years, male 18.6
GTEX-1R9PO-0926-SM-E9U4Q 60-69 years, female 18.6
GTEX-12584-2126-SM-5FQUM 40-49 years, male 18.5
GTEX-14BIN-1226-SM-5S2OM 50-59 years, female 18.5
GTEX-1B8KE-0826-SM-72D6S 50-59 years, male 18.5
GTEX-1B8L1-0126-SM-9KNVS 60-69 years, male 18.5
GTEX-1EWIQ-2526-SM-7EPIJ 70-79 years, female 18.4
GTEX-1C64N-1326-SM-7SB7D 50-59 years, male 18.4
GTEX-1GF9X-0926-SM-7PC2X 40-49 years, female 18.4
GTEX-1QP6S-1626-SM-EVYC5 40-49 years, male 18.4
GTEX-WXYG-0926-SM-3NB2O 50-59 years, female 18.3
GTEX-YECK-1426-SM-5IFHE 60-69 years, male 18.3
GTEX-ZDXO-2326-SM-5LU9W 60-69 years, male 18.3
GTEX-1QP66-0626-SM-E76PD 50-59 years, male 18.3
GTEX-11GS4-1026-SM-5N9DE 60-69 years, male 18.2
GTEX-139YR-0326-SM-5J1MC 50-59 years, male 18.2
GTEX-14PJN-0626-SM-6EU13 30-39 years, male 18.2
GTEX-18D9A-0726-SM-7LTA7 30-39 years, female 18.2
GTEX-1CAV2-0226-SM-7IGPQ 40-49 years, female 18.2
GTEX-1KD5A-1326-SM-CYPTB 50-59 years, male 18.2
GTEX-14BIL-2426-SM-5QGQR 50-59 years, male 18.1
GTEX-14PK6-0926-SM-62LF4 70-79 years, female 18.1
GTEX-Z9EW-0826-SM-5HL9T 40-49 years, male 18.1
GTEX-ZVE2-1826-SM-51MRZ 50-59 years, male 18.1
GTEX-11GSP-1026-SM-9WYSH 60-69 years, female 18.1
GTEX-1KD4Q-1426-SM-D4P3K 40-49 years, male 18.1
GTEX-1LSNL-1426-SM-E6CJ9 50-59 years, male 18.1
GTEX-1LSVX-1326-SM-DIPET 60-69 years, male 18.1
GTEX-1QPFJ-2126-SM-EXOJV 30-39 years, female 18.1
GTEX-13X6K-0726-SM-5LU2Z 60-69 years, female 18.0
GTEX-1399U-2026-SM-9WPNN 50-59 years, female 18.0
GTEX-1HSEH-1326-SM-ADEI1 60-69 years, male 18.0
GTEX-1IDJU-0926-SM-ARL88 60-69 years, female 18.0
GTEX-1LGOU-0826-SM-DHXKL 20-29 years, female 18.0
GTEX-13PVR-0526-SM-5S2OB 60-69 years, female 17.9
GTEX-UTHO-1826-SM-3GAFE 60-69 years, male 17.9
GTEX-XQ8I-1426-SM-4BOPW 50-59 years, male 17.9
GTEX-132NY-1126-SM-5PNVE 60-69 years, male 17.8
GTEX-146FH-2026-SM-5SI9I 50-59 years, female 17.8
GTEX-1A32A-0926-SM-718AB 50-59 years, female 17.8
GTEX-1EH9U-1326-SM-79OM3 60-69 years, male 17.8
GTEX-1HGF4-0226-SM-CNNQL 60-69 years, male 17.8
GTEX-1N2DV-0626-SM-E9U5H 40-49 years, male 17.8
GTEX-1R7EV-1026-SM-DTX81 40-49 years, male 17.8
GTEX-14PJ4-0126-SM-62LEZ 60-69 years, male 17.7
GTEX-15EU6-1726-SM-6M48H 50-59 years, male 17.7
GTEX-1AX9K-0926-SM-7939G 50-59 years, male 17.7
GTEX-1KANB-2426-SM-EV7BE 50-59 years, male 17.7
GTEX-13N11-1826-SM-5IJDS 50-59 years, female 17.6
GTEX-13X6J-1926-SM-5TDCU 50-59 years, male 17.6
GTEX-1B996-1226-SM-73KWZ 60-69 years, male 17.6
GTEX-WL46-2026-SM-3LK7U 50-59 years, male 17.6
GTEX-1RQEC-2526-SM-EVYD2 60-69 years, male 17.6
GTEX-139TU-1426-SM-5LZY9 60-69 years, male 17.5
GTEX-14B4R-0526-SM-5QGQT 30-39 years, male 17.5
GTEX-WFON-1226-SM-3TW8F 40-49 years, male 17.5
GTEX-1JMQJ-1926-SM-D4P3A 50-59 years, male 17.5
GTEX-11DXZ-1426-SM-5H12A 50-59 years, male 17.4
GTEX-11ZTS-1326-SM-5EQMA 60-69 years, female 17.4
GTEX-13U4I-1726-SM-5J1MF 40-49 years, female 17.4
GTEX-13YAN-1126-SM-5TDC7 60-69 years, male 17.4
GTEX-14753-2526-SM-5LU97 60-69 years, male 17.4
GTEX-1C2JI-0826-SM-7EPHB 50-59 years, male 17.4
GTEX-146FR-0226-SM-5Q5F6 60-69 years, female 17.3
GTEX-ZYT6-2126-SM-5GZZ4 30-39 years, male 17.3
GTEX-1HFI6-1726-SM-CGQFH 40-49 years, male 17.3
GTEX-1HT8W-0726-SM-A9SLB 30-39 years, male 17.3
GTEX-1IL2U-2726-SM-C1YSG 60-69 years, male 17.3
GTEX-1IY9M-1226-SM-ACKX1 60-69 years, male 17.3
GTEX-1LSNM-0626-SM-DIPG7 50-59 years, male 17.3
GTEX-1N2EE-1526-SM-DTXE9 60-69 years, male 17.3
GTEX-12BJ1-0826-SM-5EQ5P 60-69 years, male 17.2
GTEX-17F96-0726-SM-793CB 70-79 years, male 17.2
GTEX-17MFQ-1126-SM-7LT9O 20-29 years, male 17.2
GTEX-1CB4F-1126-SM-79OLG 60-69 years, male 17.2
GTEX-XAJ8-0226-SM-4GIB2 40-49 years, male 17.2
GTEX-ZDTS-1826-SM-5S2N6 60-69 years, male 17.2
GTEX-1122O-0926-SM-9YFLC 60-69 years, female 17.2
GTEX-1HC8U-0926-SM-A9G3L 40-49 years, female 17.2
GTEX-1I1GS-0926-SM-A9SL5 60-69 years, male 17.2
GTEX-1O9I2-1326-SM-E6CQD 50-59 years, male 17.2
GTEX-12WSA-1626-SM-5EGJV 60-69 years, male 17.1
GTEX-13113-1126-SM-5LZU9 60-69 years, female 17.1
GTEX-132QS-0826-SM-5K7WV 60-69 years, male 17.1
GTEX-Y8E4-1226-SM-5IFIM 40-49 years, male 17.1
GTEX-ZTPG-2326-SM-57WFL 20-29 years, female 17.1
GTEX-1HBPI-1826-SM-ADEHE 50-59 years, male 17.1
GTEX-1JMLX-1026-SM-D3L8U 50-59 years, male 17.1
GTEX-1RAZA-0926-SM-E6CQ8 20-29 years, male 17.1
GTEX-13VXU-1026-SM-5KLZE 50-59 years, male 17.0
GTEX-14DAR-0426-SM-664MW 50-59 years, male 17.0
GTEX-15CHC-0826-SM-686YW 60-69 years, female 17.0
GTEX-ZV6S-1626-SM-5NQ81 40-49 years, female 17.0
GTEX-1H1DE-0826-SM-ARU8V 20-29 years, male 17.0
GTEX-1I1GT-1326-SM-ACKWB 60-69 years, female 17.0
GTEX-1QW4Y-0826-SM-DTXE1 30-39 years, male 17.0
GTEX-1S82P-0926-SM-EWRNP 60-69 years, female 17.0
GTEX-WVLH-1626-SM-EXURN 50-59 years, male 17.0
GTEX-12WSI-1526-SM-5GCNM 50-59 years, male 16.9
GTEX-1399S-1426-SM-5PNYQ 30-39 years, female 16.9
GTEX-13NZB-0826-SM-5K7X5 30-39 years, male 16.9
GTEX-13VXT-0926-SM-5LU5K 20-29 years, female 16.9
GTEX-14BMV-1626-SM-73KVQ 50-59 years, male 16.9
GTEX-1A8G7-1226-SM-73KYP 60-69 years, male 16.9
GTEX-1HSGN-1926-SM-CMKGS 40-49 years, female 16.9
GTEX-1LH75-1026-SM-EWROK 50-59 years, female 16.9
GTEX-14E6E-0226-SM-7DUEF 30-39 years, male 16.8
GTEX-15DYW-1526-SM-7KUEP 60-69 years, female 16.8
GTEX-WHPG-0626-SM-3NMBD 50-59 years, male 16.8
GTEX-ZC5H-1626-SM-5HL7L 40-49 years, female 16.8
GTEX-ZPCL-1026-SM-5GCOX 60-69 years, female 16.8
GTEX-ZXG5-1626-SM-59HJK 60-69 years, male 16.8
GTEX-1F6I4-2126-SM-7PC2J 60-69 years, male 16.8
GTEX-1MA7X-1026-SM-DKPQ8 60-69 years, male 16.8
GTEX-139D8-1626-SM-5IJFZ 30-39 years, female 16.7
GTEX-15DZA-0626-SM-6PANC 30-39 years, female 16.7
GTEX-1A3MX-0826-SM-72D64 60-69 years, male 16.7
GTEX-1C6VR-1126-SM-7EPHD 60-69 years, male 16.7
GTEX-XBED-1326-SM-4AT4F 60-69 years, male 16.7
GTEX-1GN1U-0726-SM-9MQKL 50-59 years, female 16.7
GTEX-1I1GQ-1026-SM-CNNQS 50-59 years, male 16.7
GTEX-1IDJD-0926-SM-ACKWW 30-39 years, male 16.7
GTEX-1JN6P-1626-SM-CYPSV 60-69 years, male 16.7
GTEX-Y3I4-0726-SM-E9J3Y 50-59 years, male 16.7
GTEX-11DXY-0326-SM-5H12F 60-69 years, male 16.6
GTEX-15SKB-1626-SM-6PAL6 60-69 years, male 16.6
GTEX-UPK5-1826-SM-3GAEB 40-49 years, male 16.6
GTEX-ZGAY-1326-SM-5S2NS 40-49 years, female 16.6
GTEX-1PFEY-0726-SM-E76PO 30-39 years, male 16.6
GTEX-18A7B-1226-SM-718AU 70-79 years, male 16.5
GTEX-XOT4-0826-SM-4B66Y 60-69 years, female 16.5
GTEX-1F48J-1826-SM-7SB8T 50-59 years, female 16.5
GTEX-1H1CY-0826-SM-9WYTU 60-69 years, female 16.5
GTEX-1MCC2-0626-SM-DKPQI 30-39 years, female 16.5
GTEX-13OVG-1326-SM-5K7Y3 60-69 years, male 16.4
GTEX-14ICL-0926-SM-5S2TU 30-39 years, male 16.4
GTEX-17F97-1226-SM-79OJT 50-59 years, male 16.4
GTEX-17F9E-1326-SM-7DHL4 50-59 years, male 16.4
GTEX-Y114-1326-SM-4TT9A 50-59 years, female 16.4
GTEX-ZT9X-0926-SM-5O9C4 40-49 years, male 16.4
GTEX-1B97J-1126-SM-7SB79 50-59 years, female 16.4
GTEX-1GTWX-1526-SM-9MQLF 60-69 years, male 16.4
GTEX-1MCQQ-1426-SM-E6CJA 60-69 years, male 16.4
GTEX-12696-1826-SM-5EGJS 60-69 years, male 16.3
GTEX-12C56-0826-SM-5EGJ5 20-29 years, male 16.3
GTEX-145LT-1526-SM-5O98P 40-49 years, male 16.3
GTEX-1EU9M-1126-SM-793DE 60-69 years, male 16.3
GTEX-WY7C-0926-SM-3NB34 50-59 years, male 16.3
GTEX-ZYFC-1826-SM-5GZZA 50-59 years, male 16.3
GTEX-1HFI7-0726-SM-ACKVN 50-59 years, female 16.3
GTEX-1I1GR-1726-SM-COH39 60-69 years, male 16.3
GTEX-1I6K7-1826-SM-CGQFO 40-49 years, male 16.3
GTEX-1LBAC-1026-SM-CXKYA 20-29 years, male 16.3
GTEX-1P4AB-1226-SM-DTXET 50-59 years, male 16.3
GTEX-16NPX-1026-SM-6PAM7 50-59 years, male 16.2
GTEX-17EVQ-0626-SM-7KFTB 70-79 years, male 16.2
GTEX-ZPIC-0726-SM-57WFM 40-49 years, female 16.2
GTEX-1OKEX-0926-SM-E8VNJ 60-69 years, male 16.2
GTEX-1QMI2-1626-SM-EYYXK 60-69 years, male 16.2
GTEX-12WSM-0626-SM-5GCOK 60-69 years, male 16.1
GTEX-13O61-1926-SM-5KM1R 60-69 years, male 16.1
GTEX-145MI-0826-SM-5SI95 60-69 years, female 16.1
GTEX-14E6D-1326-SM-62LES 50-59 years, male 16.1
GTEX-15CHQ-1126-SM-686YY 60-69 years, male 16.1
GTEX-18D9B-1726-SM-7LTAP 60-69 years, male 16.1
GTEX-ZDYS-2226-SM-5S2MI 50-59 years, male 16.1
GTEX-1EKGG-1426-SM-7PBY2 60-69 years, male 16.1
GTEX-1H2FU-1426-SM-9WPO6 60-69 years, female 16.1
GTEX-1MJK3-0626-SM-E6CJB 20-29 years, male 16.1
GTEX-139T6-0526-SM-5IJC9 50-59 years, male 16.0
GTEX-14PJ3-0726-SM-69LQE 50-59 years, male 16.0
GTEX-15D1Q-1326-SM-69LOA 40-49 years, male 16.0
GTEX-178AV-0626-SM-6PAM1 40-49 years, male 16.0
GTEX-XGQ4-1026-SM-4AT4L 50-59 years, male 16.0
GTEX-ZA64-0926-SM-5HL7H 20-29 years, male 16.0
GTEX-ZAB5-1126-SM-5Q5AD 50-59 years, male 16.0
GTEX-ZQG8-1026-SM-51MR9 60-69 years, female 16.0
GTEX-1GZ4H-0926-SM-9WG6Y 50-59 years, female 16.0
GTEX-1IE54-1426-SM-CL53C 40-49 years, female 16.0
GTEX-11LCK-0326-SM-5A5M7 30-39 years, male 15.9
GTEX-11PRG-1526-SM-5HL6Z 50-59 years, male 15.9
GTEX-12WSL-1126-SM-5CVNK 50-59 years, male 15.9
GTEX-13N2G-1926-SM-5J1O3 60-69 years, male 15.9
GTEX-13W3W-1126-SM-5L3DO 60-69 years, female 15.9
GTEX-147JS-1026-SM-5S2MP 60-69 years, male 15.9
GTEX-18A6Q-1026-SM-7LT9S 60-69 years, male 15.9
GTEX-1F52S-1326-SM-7SB6Q 60-69 years, female 15.9
GTEX-1GMR3-0826-SM-9WYT4 40-49 years, male 15.9
GTEX-131YS-1726-SM-5HL7G 60-69 years, female 15.8
GTEX-14DAQ-2526-SM-5RQIO 60-69 years, female 15.8
GTEX-17HGU-1726-SM-79OKM 50-59 years, male 15.8
GTEX-17JCI-1626-SM-7EPGZ 60-69 years, female 15.8
GTEX-1GZ2Q-1226-SM-9MQM8 40-49 years, male 15.8
GTEX-1S3DN-1626-SM-EVYCC 50-59 years, male 15.8
GTEX-14PJ5-0426-SM-5ZZW2 60-69 years, female 15.7
GTEX-17F98-0326-SM-7DHLH 40-49 years, female 15.7
GTEX-XBEC-1826-SM-4QASN 50-59 years, male 15.7
GTEX-1GL5R-0726-SM-9MQL5 50-59 years, male 15.7
GTEX-1HCU6-1626-SM-CMKGW 60-69 years, female 15.7
GTEX-1I19N-1026-SM-A96TT 70-79 years, male 15.7
GTEX-1LKK1-1526-SM-EVYCO 50-59 years, female 15.7
GTEX-1LVAN-0926-SM-CNNQ2 50-59 years, female 15.7
GTEX-YJ8A-1926-SM-EZ6LQ 20-29 years, male 15.7
GTEX-11P81-0726-SM-5PNYH 30-39 years, female 15.6
GTEX-13FXS-1326-SM-62LFR 50-59 years, male 15.6
GTEX-14C38-1026-SM-73KY7 50-59 years, male 15.6
GTEX-14C39-0826-SM-5TDDU 40-49 years, male 15.6
GTEX-1C6VS-1826-SM-73KXN 60-69 years, male 15.6
GTEX-Y111-0926-SM-4SOIU 50-59 years, male 15.6
GTEX-YFCO-1126-SM-5S2N9 40-49 years, male 15.6
GTEX-ZG7Y-1626-SM-5S2NO 50-59 years, male 15.6
GTEX-ZV7C-0826-SM-59HK8 50-59 years, male 15.6
GTEX-1A8FM-2126-SM-7PC27 50-59 years, female 15.6
GTEX-1KANC-0526-SM-D4P3T 50-59 years, female 15.6
GTEX-1OJC3-1326-SM-E9J3D 20-29 years, male 15.6
GTEX-1QEPI-2226-SM-E8VN6 60-69 years, female 15.6
GTEX-1QP28-0926-SM-EVR4D 50-59 years, female 15.6
GTEX-1128S-0926-SM-5GZZU 60-69 years, female 15.5
GTEX-17HHY-1026-SM-7LG5E 50-59 years, male 15.5
GTEX-1B933-1326-SM-7939U 50-59 years, female 15.5
GTEX-XQ3S-2426-SM-4WAYB 20-29 years, male 15.5
GTEX-1ICG6-1726-SM-ARU7K 70-79 years, female 15.5
GTEX-1IKOE-1726-SM-CNNQ6 30-39 years, female 15.5
GTEX-1KAFJ-0826-SM-CYPTF 50-59 years, male 15.5
GTEX-12WSC-1726-SM-5GCN3 50-59 years, male 15.4
GTEX-15G19-1126-SM-7KUEL 60-69 years, male 15.4
GTEX-1B8SF-1726-SM-73KZ5 60-69 years, male 15.4
GTEX-WYBS-1026-SM-4ONCY 60-69 years, female 15.4
GTEX-ZXES-0926-SM-5E43O 30-39 years, female 15.4
GTEX-1CAMS-0926-SM-7SB7F 40-49 years, female 15.4
GTEX-11WQK-1526-SM-5EGKN 50-59 years, male 15.3
GTEX-1313W-1626-SM-5J1OE 50-59 years, female 15.3
GTEX-131XE-2026-SM-5LZW1 50-59 years, male 15.3
GTEX-13X6I-1526-SM-5SIAC 60-69 years, male 15.3
GTEX-Y5LM-0826-SM-4VDSW 40-49 years, female 15.3
GTEX-1LGRB-0526-SM-COH3A 50-59 years, female 15.3
GTEX-1POEN-1626-SM-EVYC2 30-39 years, female 15.3
GTEX-1QP67-1126-SM-EAZ4C 40-49 years, female 15.3
GTEX-13FTX-0626-SM-5J2NS 20-29 years, female 15.2
GTEX-18D9U-0426-SM-731AN 40-49 years, male 15.2
GTEX-ZDTT-0526-SM-5HL4M 60-69 years, male 15.2
GTEX-1HCU8-1126-SM-CM2SA 60-69 years, female 15.2
GTEX-1I4MK-0726-SM-ACKWC 50-59 years, female 15.2
GTEX-1IDJH-1626-SM-A9SLP 70-79 years, male 15.2
GTEX-VJWN-2326-SM-EVYAP 50-59 years, female 15.2
GTEX-11P7K-0826-SM-5BC5F 30-39 years, male 15.1
GTEX-132Q8-1726-SM-5EGK8 60-69 years, male 15.1
GTEX-13FTW-0426-SM-5K7X2 40-49 years, male 15.1
GTEX-13PL6-0926-SM-5KLYY 40-49 years, female 15.1
GTEX-14E7W-2326-SM-69LQC 70-79 years, male 15.1
GTEX-14JIY-1426-SM-6EU29 60-69 years, male 15.1
GTEX-1AYCT-1126-SM-79OO8 50-59 years, male 15.1
GTEX-WH7G-1126-SM-3NMBK 40-49 years, male 15.1
GTEX-WHWD-0826-SM-3LK6R 50-59 years, male 15.1
GTEX-1IDJC-0226-SM-CMKG2 50-59 years, male 15.1
GTEX-1PIGE-1226-SM-EVR3Q 20-29 years, male 15.1
GTEX-1117F-1326-SM-5EGHH 60-69 years, female 15.0
GTEX-XUZC-1126-SM-4BOPZ 30-39 years, female 15.0
GTEX-1GF9V-1126-SM-9MQM7 60-69 years, male 15.0
GTEX-1IKK5-0826-SM-ACKWN 60-69 years, male 15.0
GTEX-1JMQI-1026-SM-COH2U 50-59 years, male 15.0
GTEX-11TT1-1926-SM-5PNYN 20-29 years, male 14.9
GTEX-13OW6-2426-SM-5K7WO 50-59 years, male 14.9
GTEX-16NPV-0626-SM-7IGOR 50-59 years, female 14.9
GTEX-U8XE-1926-SM-3DB98 30-39 years, male 14.9
GTEX-YEC3-0926-SM-5Q5AC 50-59 years, male 14.9
GTEX-1HKZK-1726-SM-ADEJ9 40-49 years, male 14.9
GTEX-1HSMQ-1026-SM-ADEHU 50-59 years, male 14.9
GTEX-1J1OQ-1526-SM-CJI4E 40-49 years, female 14.9
GTEX-1EN7A-1626-SM-79OLV 40-49 years, male 14.8
GTEX-VJYA-1626-SM-EXOHL 60-69 years, male 14.8
GTEX-ZLWG-0726-SM-5S2N4 50-59 years, female 14.8
GTEX-13S7M-0826-SM-5QGQX 60-69 years, female 14.7
GTEX-XV7Q-1726-SM-4BRUU 40-49 years, female 14.7
GTEX-ZF28-1426-SM-5S2OG 60-69 years, male 14.7
GTEX-1ICLZ-1626-SM-CE6SS 60-69 years, male 14.7
GTEX-1JMQK-1326-SM-CNPOR 60-69 years, male 14.7
GTEX-1S831-1926-SM-EV79P 20-29 years, male 14.7
GTEX-111YS-1326-SM-5EGGK 60-69 years, male 14.6
GTEX-14BIM-1626-SM-7EWD2 60-69 years, female 14.6
GTEX-16GPK-1326-SM-7KUE4 60-69 years, male 14.6
GTEX-1RLM8-1026-SM-EWROE 50-59 years, male 14.6
GTEX-117YW-0826-SM-5H11O 50-59 years, male 14.5
GTEX-1B932-1726-SM-793A5 40-49 years, female 14.5
GTEX-X585-2526-SM-4QAS1 50-59 years, male 14.5
GTEX-1HB9E-0526-SM-ARZNM 50-59 years, male 14.5
GTEX-13RTK-0726-SM-5Q5EN 20-29 years, male 14.4
GTEX-13W46-1226-SM-5SIAS 50-59 years, male 14.4
GTEX-14PJ2-1426-SM-62LFF 50-59 years, male 14.4
GTEX-17GQL-0826-SM-731AM 60-69 years, male 14.4
GTEX-1AMEY-0526-SM-72D62 30-39 years, female 14.4
GTEX-ZTSS-1026-SM-5985N 40-49 years, male 14.4
GTEX-ZVZP-1126-SM-5GICU 50-59 years, male 14.4
GTEX-11NUK-2026-SM-5PNVZ 50-59 years, male 14.3
GTEX-13D11-0526-SM-5LZYM 50-59 years, female 14.3
GTEX-13O3Q-1126-SM-5K7YK 50-59 years, male 14.3
GTEX-16AAH-1526-SM-7LT9W 50-59 years, male 14.3
GTEX-16BQI-1126-SM-7KULF 30-39 years, female 14.3
GTEX-17HII-0826-SM-7DUFH 50-59 years, male 14.3
GTEX-1AX9J-2226-SM-731CW 60-69 years, male 14.3
GTEX-ZE9C-1326-SM-5S2OW 60-69 years, male 14.3
GTEX-XPVG-1626-SM-EYYVK 50-59 years, male 14.3
GTEX-13112-1126-SM-5GCMY 50-59 years, male 14.2
GTEX-13CF3-1126-SM-5LZXB 60-69 years, female 14.2
GTEX-14ICK-1726-SM-6AJA5 40-49 years, male 14.2
GTEX-1CB4E-0826-SM-793CS 60-69 years, male 14.2
GTEX-1I1GP-1426-SM-ACKVZ 50-59 years, male 14.2
GTEX-1192X-1526-SM-5H11I 50-59 years, male 14.1
GTEX-14PHX-1626-SM-69LQB 50-59 years, male 14.1
GTEX-1H4P4-0326-SM-9WYTD 50-59 years, male 14.1
GTEX-1JJE9-1526-SM-CM2RR 70-79 years, male 14.1
GTEX-1R9K4-1426-SM-DPRY4 60-69 years, male 14.1
GTEX-1RNTQ-0826-SM-E9TK8 20-29 years, female 14.1
GTEX-17KNJ-0426-SM-718AK 50-59 years, male 14.0
GTEX-Y5V6-0626-SM-4WWFY 60-69 years, male 14.0
GTEX-ZF3C-1026-SM-5S2OC 50-59 years, female 14.0
GTEX-1JN76-1026-SM-ARZNI 20-29 years, female 14.0
GTEX-1QP29-1626-SM-EXUSZ 50-59 years, male 14.0
GTEX-13QBU-1326-SM-5LU4K 40-49 years, female 13.9
GTEX-14E1K-0426-SM-5S2PF 50-59 years, male 13.9
GTEX-15RIE-0126-SM-7KUF8 60-69 years, male 13.9
GTEX-169BO-0426-SM-7EPI1 50-59 years, male 13.9
GTEX-18465-1826-SM-731BB 50-59 years, male 13.9
GTEX-1CB4G-2126-SM-7IGQ8 60-69 years, male 13.9
GTEX-WK11-2426-SM-3NMAA 50-59 years, male 13.9
GTEX-1GN1W-1226-SM-9MQLW 50-59 years, female 13.9
GTEX-1JJ6O-2826-SM-CNNP7 60-69 years, male 13.9
GTEX-WI4N-1526-SM-EZ6LG 40-49 years, female 13.9
GTEX-15UKP-1426-SM-7KUDX 20-29 years, male 13.8
GTEX-1K9T9-1626-SM-DIPFS 50-59 years, female 13.8
GTEX-1S5VW-2426-SM-EAZ52 60-69 years, male 13.8
GTEX-12ZZW-2326-SM-5DUW2 50-59 years, male 13.7
GTEX-15ER7-1026-SM-7KUMD 20-29 years, female 13.7
GTEX-1B8KZ-1026-SM-73KYN 50-59 years, male 13.7
GTEX-1GF9U-1226-SM-ARL9I 40-49 years, female 13.7
GTEX-1K2DU-0726-SM-DIPF7 20-29 years, male 13.7
GTEX-1LVAM-1026-SM-DIPFK 50-59 years, female 13.7
GTEX-11I78-0226-SM-5HL6R 50-59 years, female 13.6
GTEX-13OW8-0326-SM-5L3FB 60-69 years, male 13.6
GTEX-14PHY-1026-SM-62LEV 60-69 years, female 13.6
GTEX-WEY5-1326-SM-3GILS 40-49 years, female 13.6
GTEX-1H1DF-1426-SM-9YFMC 40-49 years, female 13.6
GTEX-1S5ZA-1026-SM-EWRO2 20-29 years, male 13.6
GTEX-11GSO-0226-SM-5A5LV 60-69 years, male 13.5
GTEX-144GM-0626-SM-79OKY 20-29 years, male 13.5
GTEX-1RAZQ-1526-SM-E6CJI 30-39 years, male 13.5
GTEX-13NYS-0726-SM-5J1OR 60-69 years, male 13.4
GTEX-1HSMO-1426-SM-CNNQN 60-69 years, male 13.4
GTEX-18QFQ-1326-SM-731CF 30-39 years, male 13.3
GTEX-1CAMR-0326-SM-793AH 20-29 years, male 13.3
GTEX-1IDJF-1726-SM-A9SLL 20-29 years, male 13.3
GTEX-13N1W-1226-SM-5K7UM 70-79 years, male 13.2
GTEX-145LV-1026-SM-5O9AE 50-59 years, male 13.2
GTEX-17F9Y-0726-SM-7LT9G 70-79 years, female 13.2
GTEX-1GPI7-0826-SM-9JGG7 20-29 years, male 13.2
GTEX-1AX8Z-1626-SM-73KWD 60-69 years, male 13.1
GTEX-1B8SG-1426-SM-7EWEM 50-59 years, male 13.1
GTEX-ZZPU-0326-SM-5N9BJ 50-59 years, female 13.0
GTEX-1HR9M-1426-SM-A9SMB 60-69 years, male 12.9
GTEX-13OVK-0326-SM-7KUEJ 40-49 years, male 12.8
GTEX-144GN-0726-SM-5O98O 50-59 years, male 12.8
GTEX-1AYD5-0126-SM-7DUG5 50-59 years, male 12.8
GTEX-1JKYN-0526-SM-CGQG3 30-39 years, male 12.8
GTEX-12KS4-1526-SM-5EQ6E 30-39 years, male 12.7
GTEX-12WSK-1026-SM-5CVNR 40-49 years, female 12.7
GTEX-133LE-0926-SM-5P9J1 20-29 years, female 12.7
GTEX-WWTW-1326-SM-4MVNT 50-59 years, male 12.7
GTEX-13O3P-0926-SM-5IFFI 50-59 years, male 12.6
GTEX-14AS3-0426-SM-5QGQK 40-49 years, female 12.6
GTEX-13JUV-0626-SM-5J1MQ 40-49 years, female 12.5
GTEX-YJ89-1926-SM-5IFJ6 60-69 years, male 12.4
GTEX-1339X-0726-SM-5L3FF 40-49 years, male 12.2
GTEX-1KANA-1426-SM-CY8IF 20-29 years, male 12.2
GTEX-14BMU-0626-SM-73KZ6 20-29 years, female 12.1
GTEX-13NZ9-2026-SM-5KM1U 50-59 years, male 12.0
GTEX-183FY-1226-SM-7DHLK 20-29 years, male 12.0
GTEX-1PBJI-1326-SM-E9J2V 20-29 years, female 11.9
GTEX-ZLV1-0926-SM-5S2MR 60-69 years, female 11.8
GTEX-1F75B-1226-SM-7MXTW 50-59 years, male 11.8
GTEX-1LVAO-2126-SM-DIPGA 60-69 years, male 11.8
GTEX-1CB4I-0826-SM-7MGX1 50-59 years, male 11.7
GTEX-1F5PL-1326-SM-7SB83 40-49 years, female 11.7
GTEX-13PVQ-2226-SM-5L3G9 50-59 years, male 11.5
GTEX-11EM3-1126-SM-5A5KM 20-29 years, female 11.4
GTEX-13S86-0926-SM-5SI6I 40-49 years, male 11.4
GTEX-ZAJG-1626-SM-5HL7I 50-59 years, female 11.4
GTEX-1H3VE-1926-SM-9YFL4 40-49 years, male 11.4
GTEX-117YX-0726-SM-5GIET 50-59 years, male 11.2
GTEX-XXEK-1426-SM-4BRW1 50-59 years, male 11.2
GTEX-11P82-0326-SM-5HL51 20-29 years, male 11.1
GTEX-11XUK-1726-SM-5GU61 40-49 years, female 11.1
GTEX-XBEW-1726-SM-4RGMA 40-49 years, male 11.1
GTEX-XYKS-1826-SM-4E3JV 60-69 years, female 11.1
GTEX-132AR-0526-SM-5J2MJ 50-59 years, female 10.9
GTEX-Y9LG-1226-SM-4VBQA 30-39 years, male 10.9
GTEX-ZTX8-0726-SM-59HL9 20-29 years, male 10.9
GTEX-1F75I-1026-SM-7SB8B 40-49 years, male 10.9
GTEX-1H11D-1126-SM-9YFM5 40-49 years, male 10.9
GTEX-1PPH8-1026-SM-DPRXN 20-29 years, male 10.9
GTEX-13IVO-2426-SM-5K7V9 70-79 years, male 10.8
GTEX-13PL7-1226-SM-5SIAR 60-69 years, female 10.8
GTEX-ZEX8-1226-SM-5S2OK 50-59 years, male 10.8
GTEX-13PDP-1226-SM-5K7TW 60-69 years, male 10.6
GTEX-1HCU9-0626-SM-ACKW6 20-29 years, male 10.6
GTEX-1H1E6-1126-SM-9JGGV 30-39 years, male 10.5
GTEX-1QAET-1226-SM-DTX9I 50-59 years, male 10.3
GTEX-1HSMP-1126-SM-B2LXJ 70-79 years, male 9.9
GTEX-1ICLY-1426-SM-CJI48 50-59 years, male 8.5
GTEX-1RB15-1126-SM-E8VMX 60-69 years, male 2.5
Show allShow less

ADIPOSE TISSUE - FANTOM5 CAGEi

RNA expression in human tissues obtained through Cap Analysis of Gene Expression (CAGE) generated by the FANTOM5 project are reported as Scaled Tags Per Million.

Max subtype Scaled Tags Per Millioni

Max subtype Scaled Tags Per Million is the value for the subtype with the largest average Scaled Tags Per Million across the subtype samples.

35.9
FANTOM5 sample id Sample description Scaled Tags Per Million
Adipose tissue
Scaled Tags Per Million: 35.9
FF:10010-101C1 65,65,76 years, mixed 35.9

Contact

  • NEWS ARTICLES
  • PRESS ROOM

The Project

  • INTRODUCTION
  • ORGANIZATION
  • PUBLICATIONS

The Human Protein Atlas

  • DOWNLOADABLE DATA
  • LICENCE & CITATION
  • HELP & FAQ
The Human Protein Atlas project is funded
by the Knut & Alice Wallenberg Foundation.


contact@proteinatlas.org