We use cookies to enhance the usability of our website. If you continue, we'll assume that you are happy to receive all cookies. More information. Don't show this again.
IGLV7-43
HPA
RESOURCES
  • TISSUE
  • BRAIN
  • SINGLE CELL
  • SUBCELLULAR
  • CANCER
  • BLOOD
  • CELL LINE
  • STRUCTURE & INTERACTION
ABOUT
  • INTRODUCTION
  • HISTORY
  • ORGANIZATION
  • PUBLICATIONS
  • ANTIBODY SUBMISSION
  • ANTIBODY AVAILABILITY
  • ACKNOWLEDGMENTS
  • CONTACT
NEWS
  • NEWS ARTICLES
  • PRESS ROOM
LEARN
  • DICTIONARY
  • PROTEIN CLASSES
  • PROTEIN EVIDENCE
  • METHODS
  • EDUCATIONAL VIDEOS
DATA
  • DOWNLOADABLE DATA
  • PUBLICATION DATA
  • RELEASE HISTORY
HELP
  • ANTIBODY VALIDATION
  • ASSAYS & ANNOTATION
  • DISCLAIMER
  • HELP & FAQ
  • PRIVACY STATEMENT
  • LICENCE & CITATION
Fields »
Search result

Field
Term
Gene name
Class
Subclass
Class
Keyword
Chromosome
External id
Tissue
Cell type
Expression
Antibody panel
Tissue
Main location
Patient ID
Annotation
Tissue
Category
Tau score
Cluster
Reliability
Brain region
Category
Tau score
Brain region
Category
Tau score
Brain region
Category
Tau score
Cluster
Reliability
Tissue
Cell type
Enrichment
Cell type
Category
Tau score
Cell type
Category
Tau score
Cell type
Category
Tau score
Cell lineage
Category
Tau score
Cluster
Cluster
Location
Searches
Location
Cell line
Class
Type
Phase
Reliability
Cancer
Prognosis
Cancer
Category
Cancer
Category
Tau score
Cluster
Variants
Interacting gene (ensg_id)
Type
Number of interactions
Pathway
Category
Score
Score
Score
Validation
Validation
Validation
Validation
Antibodies
Data type
Column


  • SUMMARY

  • TISSUE

  • BRAIN

  • SINGLE CELL

  • SUBCELL

  • CANCER

  • BLOOD

  • CELL LINE

  • STRUCT & INT

  • IGLV7-43
BRAIN CEREBRAL CORTEX Show tissue menu
AMYGDALA BASAL GANGLIA CEREBELLUM CEREBRAL CORTEX CHOROID PLEXUS HIPPOCAMPAL FORMATION HYPOTHALAMUS
MEDULLA OBLONGATA MIDBRAIN PONS SPINAL CORD THALAMUS WHITE MATTER
ANTIBODIES
AND
VALIDATION
Brain proteome
Cerebral cortex
CEREBRAL CORTEX - Expression summary
Protein expression
Cerebral cortexi

On the top, protein expression in current human tissue, based on all annotated cell types, is reported with the units not detected (n), low (l), medium (m) and high (h). Underneath, protein expression in each annotated cell type are reported using the same units.

Protein expression data is based on knowledge-based annotation. For genes where more than one antibody has been used, a collective score is set.

If knowledge-based annotation could not be performed for a gene, no data is displayed here. View antibody staining data further down this page.

h
m
l
n
Endothelial cells: Not detected
Glial cells: Not detected
Neuronal cells: Not detected
Neuropil: Not detected
RNA expressioni

A summary of mRNA expression data available for current tissue based on several datasets. The mRNA expression levels in human tissues are based on RNA-seq data generated by the Human Protein Atlas (HPA), Genotype-Tissue Expression (GTEx) portal and CAGE data generated by the FANTOM5 consortium. Consensus normalized expression levels for human tissues was created by combining the data from HPA and GTEx datasets.

The mRNA expression levels in pig are based on RNA-seq data generated by the Human Protein Atlas (HPA), and for mouse, HPA data and in situ hybridization generated by the Allen brain atlas are reported.

Scroll down to view mRNA expression data in more detail.
Consensus:0.0 nTPM
HPA:0.0 nTPM
HPA Brain:0.3 nTPM
HPA PFC Brain:0.4 nTPM
FANTOM5:0.0 Scaled Tags Per Million

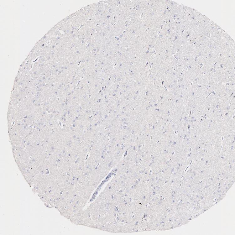
CEREBRAL CORTEX - Antibody stainingi

Antibody staining in the annotated cell types in the current human tissue is reported as not detected, low, medium, or high, based on conventional immunohistochemistry profiling in selected tissues. This score is based on the combination of the staining intensity and fraction of stained cells.

Each image is clickable and will lead to virtual microscopy that enables deeper exploration of all samples and also displays staining intensity scores, fraction scores and subcellular localization as well as patient and tissue information for each sample.

Antibody HPA003182
Endothelial cells Not detected
Glial cells Not detected
Neuronal cells Low
Neuropil Not detected



CEREBRAL CORTEX - HPA RNA-seqi

The RNA-seq details section shows detailed information about the individual samples used for the transcript profiling and results of the RNA-seq analysis.

Information about each individual sample is listed below, including gender, age, a tissue section image and estimated fractions of cell types. nTPM (normalized transcripts per million) values give a quantification of the gene abundance which is comparable between different genes and samples.
Average nTPMi

Max subtype nTPM is the value for the subtype with the largest average nTPM across the subtype samples.

0.0
N/A
Male, age 5
Cerebral cortex sample 48
nTPM: 0.2
overview
Female, age 40
Cerebral cortex sample 105
nTPM: 0
Cell types%
Neuronal cells:
35

Glial cells and endothelial cells:
65

overview
Male, age 70
Cerebral cortex sample 106
nTPM: 0
Cell types%
Neuronal cells:
35

Glial cells and endothelial cells:
65


CEREBRAL CORTEX - HPA Brain RNA-seq
Max subtype nTPMi

Max subtype nTPM is the value for the subtype with the largest average nTPM across the subtype samples.

0.3
Sample id Sample description nTPM
Angular gyrus
nTPM: 0.0
1866 Male, age 76, both hemispheres 0.2
1790 Male, age 76, right hemisphere 0.0
2103 Male, age 75, left hemisphere 0.0
2221 Female, age 67, right hemisphere 0.0
2260 Female, age 72, left hemisphere 0.0
2265 Female, age 91, left hemisphere 0.0
2602 Female, age 94, right hemisphere 0.0
2722 Male, age 61, left hemisphere 0.0
Anterior cingulate cortex, supragenual-dorsal
nTPM: 0.0
1896 Female, age 85, right hemisphere 0.0
2342 Female, age 94, right hemisphere 0.0
2472 Male, age 75, left hemisphere 0.0
2478 Female, age 67, right hemisphere 0.0
2547 Male, age 74, left hemisphere 0.0
Anterior cingulate cortex, supragenual-ventral
nTPM: 0.0
1755 Female, age 94, right hemisphere 0.0
1761 Male, age 74, left hemisphere 0.0
1950 Female, age 85, right hemisphere 0.0
2479 Female, age 67, right hemisphere 0.0
2538 Male, age 75, left hemisphere 0.0
Anterior insular cortex, dorsal
nTPM: 0.0
2001 Male, age 76, right hemisphere 0.0
2235 Female, age 91, right hemisphere 0.0
2506 Female, age 94, right hemisphere 0.0
2670 Male, age 75, left hemisphere 0.0
Anterior insular cortex, ventral
nTPM: 0.0
1852 Male, age 76, left hemisphere 0.0
1925 Female, age 91, left hemisphere 0.0
2262 Female, age 67, right hemisphere 0.0
2507 Female, age 94, left hemisphere 0.0
2596 Male, age 75, left hemisphere 0.0
2757 Male, age 61, right hemisphere 0.0
Area parastriata, inferior
nTPM: 0.0
1760 Female, age 67, left hemisphere 0.1
1758 Female, age 72, right hemisphere 0.0
1789 Male, age 76, right hemisphere 0.0
2234 Male, age 75, left hemisphere 0.0
2268 Male, age 61, right hemisphere 0.0
2421 Female, age 91, left hemisphere 0.0
2509 Female, age 94, left hemisphere 0.0
Area parastriata, parietal
nTPM: 0.0
1785 Male, age 76, right hemisphere 0.0
2233 Male, age 61, right hemisphere 0.0
2236 Female, age 91, left hemisphere 0.0
2420 Male, age 75, left hemisphere 0.0
2680 Female, age 94, right hemisphere 0.0
Area parastriata, superior
nTPM: 0.0
2881 Male, age 76, left hemisphere 0.1
1773 Female, age 91, left hemisphere 0.0
2419 Male, age 75, right hemisphere 0.0
2435 Male, age 61, left hemisphere 0.0
2604 Female, age 94, right hemisphere 0.0
2684 Female, age 67, left hemisphere 0.0
Area parastriata, temporal
nTPM: 0.0
1804 Male, age 76, right hemisphere 0.0
2267 Male, age 61, right hemisphere 0.0
2424 Female, age 67, left hemisphere 0.0
2471 Male, age 75, left hemisphere 0.0
2681 Female, age 94, right hemisphere 0.0
Area striata
nTPM: 0.0
1753 Female, age 72, right hemisphere 0.0
1884 Male, age 76, left hemisphere 0.0
2002 Female, age 91, right hemisphere 0.0
2417 Male, age 61, right hemisphere 0.0
2427 Female, age 91, left hemisphere 0.0
2679 Female, age 94, right hemisphere 0.0
Claustrum
nTPM: 0.0
2292 Female, age 85, both hemispheres 0.1
2645 Female, age 72, unknown 0.1
1956 Male, age 74, unknown 0.0
2196 Female, age 79, unknown 0.0
2198 Male, age 80, both hemispheres 0.0
2284 Female, age 91, both hemispheres 0.0
2392 Female, age 94, both hemispheres 0.0
2491 Male, age 75, both hemispheres 0.0
2568 Male, age 61, both hemispheres 0.0
Frontal eye field
nTPM: 0.0
2147 Male, age 61, left hemisphere 0.0
2441 Male, age 75, left hemisphere 0.0
2543 Male, age 74, left hemisphere 0.0
2761 Female, age 94, left hemisphere 0.0
Frontal operculum
nTPM: 0.3
2348 Male, age 75, left hemisphere 1.0
2030 Male, age 61, right hemisphere 0.0
2781 Female, age 85, right hemisphere 0.0
Fusiform gyrus
nTPM: 0.0
1807 Male, age 76, left hemisphere 0.1
2074 Female, age 91, left hemisphere 0.0
2112 Male, age 80, both hemispheres 0.0
2431 Male, age 75, right hemisphere 0.0
2433 Female, age 72, left hemisphere 0.0
2617 Female, age 94, left hemisphere 0.0
2784 Female, age 85, left hemisphere 0.0
Inferior frontal gyrus, opercular
nTPM: 0.0
2865 Male, age 61, left hemisphere 0.0
2866 Male, age 61, right hemisphere 0.0
2867 Male, age 75, left hemisphere 0.0
2868 Male, age 75, right hemisphere 0.0
2869 Male, age 74, left hemisphere 0.0
2871 Female, age 94, left hemisphere 0.0
2872 Female, age 94, right hemisphere 0.0
2873 Female, age 85, left hemisphere 0.0
2874 Female, age 85, right hemisphere 0.0
2875 Female, age 67, left hemisphere 0.0
Inferior parietal lobule
nTPM: 0.0
2418 Male, age 75, left hemisphere 0.0
2599 Female, age 94, left hemisphere 0.0
2606 Female, age 67, right hemisphere 0.0
2876 Male, age 76, right hemisphere 0.0
Inferior temporal gyrus
nTPM: 0.0
1808 Male, age 76, left hemisphere 0.1
1880 Male, age 80, right hemisphere 0.0
1965 Female, age 91, left hemisphere 0.0
1970 Female, age 85, right hemisphere 0.0
2430 Male, age 75, right hemisphere 0.0
2689 Female, age 94, right hemisphere 0.0
Intraparietal deep sulcus
nTPM: 0.0
2102 Female, age 91, left hemisphere 0.0
2230 Male, age 61, right hemisphere 0.0
2600 Female, age 94, right hemisphere 0.0
2607 Female, age 67, right hemisphere 0.0
2669 Male, age 75, left hemisphere 0.0
2798 Male, age 76, left hemisphere 0.0
Lingual gyrus
nTPM: 0.0
1893 Male, age 76, left hemisphere 0.1
2073 Female, age 85, left hemisphere 0.0
2618 Female, age 94, left hemisphere 0.0
2688 Male, age 75, right hemisphere 0.0
2838 Male, age 80, right hemisphere 0.0
Middle cingulate cortex
nTPM: 0.0
2028 Female, age 85, left hemisphere 0.0
2357 Female, age 67, right hemisphere 0.0
2539 Male, age 75, left hemisphere 0.0
2633 Male, age 74, left hemisphere 0.0
2640 Female, age 94, right hemisphere 0.0
Middle temporal gyrus
nTPM: 0.0
2616 Female, age 94, left hemisphere 0.1
1799 Male, age 76, left hemisphere 0.0
1819 Male, age 80, right hemisphere 0.0
2034 Female, age 91, right hemisphere 0.0
2611 Male, age 75, right hemisphere 0.0
Occipital cortex
nTPM: 0.0
1842 Male, age 76, right hemisphere 0.0
2426 Male, age 75, midline 0.0
2470 Male, age 75, right hemisphere 0.0
2608 Female, age 67, both hemispheres 0.0
2677 Female, age 67, right hemisphere 0.0
Olfactory area
nTPM: 0.0
2542 Male, age 74, left hemisphere 0.2
1805 Female, age 85, right hemisphere 0.0
2222 Female, age 67, right hemisphere 0.0
2352 Female, age 94, right hemisphere 0.0
2440 Male, age 75, left hemisphere 0.0
2756 Female, age 67, right hemisphere 0.0
Olfactory tubercle
nTPM: 0.0
1846 Male, age 80, right hemisphere 0.0
1998 Female, age 91, both hemispheres 0.0
2487 Female, age 94, left hemisphere 0.0
2856 Male, age 75, right hemisphere 0.0
Orbitofrontal gyrus, anterior
nTPM: 0.0
2862 Female, age 85, left hemisphere 0.2
2863 Female, age 85, right hemisphere 0.0
2864 Female, age 67, left hemisphere 0.0
Paracentral lobule, anterior
nTPM: 0.0
1754 Male, age 75, left hemisphere 0.0
1776 Female, age 85, right hemisphere 0.0
1926 Male, age 61, left hemisphere 0.0
2340 Female, age 67, right hemisphere 0.0
2474 Male, age 74, left hemisphere 0.0
2638 Female, age 94, right hemisphere 0.0
Paracentral lobule, posterior
nTPM: 0.0
1764 Male, age 74, right hemisphere 0.0
1775 Female, age 85, right hemisphere 0.0
2345 Male, age 61, left hemisphere 0.0
2446 Male, age 75, left hemisphere 0.0
2551 Female, age 94, right hemisphere 0.0
Parietal operculum
nTPM: 0.0
1763 Male, age 74, left hemisphere 0.0
2356 Female, age 67, right hemisphere 0.0
2552 Female, age 94, right hemisphere 0.0
2719 Male, age 75, left hemisphere 0.0
Parieto-insular cortex
nTPM: 0.0
2671 Male, age 75, left hemisphere 0.1
1976 Female, age 91, right hemisphere 0.0
2232 Male, age 61, right hemisphere 0.0
2508 Female, age 94, right hemisphere 0.0
2831 Male, age 76, right hemisphere 0.0
Parieto-occipital transitional area
nTPM: 0.0
1784 Male, age 76, right hemisphere 0.1
2270 Male, age 61, right hemisphere 0.0
2468 Male, age 75, left hemisphere 0.0
2674 Female, age 94, right hemisphere 0.0
2683 Female, age 67, left hemisphere 0.0
Piriform cortex
nTPM: 0.3
2347 Male, age 75, right hemisphere 0.6
2153 Female, age 85, left hemisphere 0.0
Postcentral gyrus
nTPM: 0.0
2533 Male, age 75, right hemisphere 0.0
Postcentral gyrus, dorsal
nTPM: 0.0
1836 Female, age 85, right hemisphere 0.0
2151 Male, age 61, left hemisphere 0.0
2339 Female, age 67, right hemisphere 0.0
2350 Male, age 75, left hemisphere 0.0
2477 Female, age 94, right hemisphere 0.0
2544 Male, age 74, left hemisphere 0.0
Postcentral gyrus, middle
nTPM: 0.1
2545 Male, age 74, left hemisphere 0.7
1897 Female, age 85, right hemisphere 0.0
2146 Female, age 67, right hemisphere 0.0
2248 Male, age 61, left hemisphere 0.0
2444 Male, age 75, left hemisphere 0.0
Postcentral gyrus, ventral
nTPM: 0.0
2024 Female, age 85, right hemisphere 0.0
2445 Male, age 75, left hemisphere 0.0
2836 Female, age 94, right hemisphere 0.0
Posterior cingulate cortex
nTPM: 0.0
1759 Male, age 74, right hemisphere 0.0
2473 Male, age 75, left hemisphere 0.0
2553 Female, age 94, right hemisphere 0.0
Posterior cingulate cortex, dorsal
nTPM: 0.0
2343 Male, age 61, left hemisphere 0.2
2076 Female, age 85, right hemisphere 0.0
2540 Male, age 75, right hemisphere 0.0
2556 Female, age 67, right hemisphere 0.0
2634 Male, age 74, left hemisphere 0.0
2641 Female, age 94, right hemisphere 0.0
Posterior cingulate cortex, ventral
nTPM: 0.0
1762 Female, age 94, right hemisphere 0.0
1994 Female, age 85, right hemisphere 0.0
2346 Male, age 61, left hemisphere 0.0
2448 Female, age 67, right hemisphere 0.0
2541 Male, age 75, right hemisphere 0.0
2635 Male, age 74, left hemisphere 0.0
Posterior insular cortex
nTPM: 0.0
1823 Male, age 76, right hemisphere 0.0
2231 Male, age 61, left hemisphere 0.0
2511 Female, age 67, right hemisphere 0.0
2597 Male, age 75, left hemisphere 0.0
2603 Female, age 94, left hemisphere 0.0
2832 Female, age 91, right hemisphere 0.0
Precentral gyrus
nTPM: 0.0
2557 Male, age 75, right hemisphere 0.0
Precentral gyrus, dorsal
nTPM: 0.0
1756 Male, age 74, left hemisphere 0.0
2354 Female, age 67, right hemisphere 0.0
2442 Male, age 75, left hemisphere 0.0
2476 Female, age 94, right hemisphere 0.0
Precentral gyrus, middle
nTPM: 0.0
1909 Male, age 61, left hemisphere 0.0
1969 Female, age 67, right hemisphere 0.0
2443 Male, age 75, left hemisphere 0.0
2475 Male, age 74, right hemisphere 0.0
2549 Female, age 94, right hemisphere 0.0
Precentral gyrus, ventral
nTPM: 0.0
2550 Female, age 94, right hemisphere 0.0
2630 Male, age 75, left hemisphere 0.0
2662 Female, age 67, right hemisphere 0.0
2678 Male, age 74, left hemisphere 0.0
Precuneus
nTPM: 0.0
2467 Male, age 75, right hemisphere 0.1
1780 Female, age 91, right hemisphere 0.0
1782 Male, age 76, right hemisphere 0.0
2510 Female, age 67, right hemisphere 0.0
2594 Male, age 61, left hemisphere 0.0
2673 Female, age 94, right hemisphere 0.0
Premotor cortex, dorsal
nTPM: 0.0
1878 Female, age 85, right hemisphere 0.0
2027 Male, age 61, left hemisphere 0.0
2536 Male, age 75, left hemisphere 0.0
2554 Female, age 67, right hemisphere 0.0
2631 Male, age 74, left hemisphere 0.0
Premotor cortex, ventral
nTPM: 0.1
2349 Male, age 75, left hemisphere 0.4
2637 Female, age 94, right hemisphere 0.1
1757 Male, age 74, left hemisphere 0.0
1777 Female, age 67, left hemisphere 0.0
1779 Male, age 61, left hemisphere 0.0
1881 Female, age 85, right hemisphere 0.0
Retrosplenial cortex
nTPM: 0.1
1914 Male, age 76, right hemisphere 0.2
1951 Male, age 61, right hemisphere 0.0
2675 Female, age 94, left hemisphere 0.0
Subcentral gyrus, S2
nTPM: 0.0
1964 Female, age 85, right hemisphere 0.0
2072 Male, age 61, left hemisphere 0.0
2351 Male, age 75, left hemisphere 0.0
2555 Female, age 67, right hemisphere 0.0
2762 Male, age 74, left hemisphere 0.0
2839 Female, age 94, right hemisphere 0.0
Superior parietal lobule
nTPM: 0.0
1992 Female, age 91, right hemisphere 0.1
1800 Male, age 76, right hemisphere 0.0
2229 Male, age 61, right hemisphere 0.0
2605 Female, age 67, right hemisphere 0.0
2672 Female, age 94, right hemisphere 0.0
Superior temporal gyrus
nTPM: 0.0
1844 Female, age 91, left hemisphere 0.2
1843 Male, age 76, left hemisphere 0.0
2025 Male, age 80, right hemisphere 0.0
2615 Female, age 94, left hemisphere 0.0
2687 Male, age 75, right hemisphere 0.0
Supplementary motor cortex
nTPM: 0.0
1993 Male, age 61, left hemisphere 0.0
2537 Male, age 75, left hemisphere 0.0
2548 Female, age 94, right hemisphere 0.0
2632 Male, age 74, left hemisphere 0.0
Supramarginal gyrus
nTPM: 0.0
1798 Male, age 76, right hemisphere 0.0
1991 Female, age 91, right hemisphere 0.0
2415 Male, age 61, left hemisphere 0.0
2513 Female, age 72, left hemisphere 0.0
2601 Female, age 94, left hemisphere 0.0
Temporal pole
nTPM: 0.0
1826 Male, age 76, right hemisphere 0.0
1832 Female, age 91, left hemisphere 0.0
1853 Female, age 85, right hemisphere 0.0
2518 Male, age 75, right hemisphere 0.0
2612 Female, age 94, left hemisphere 0.0
Temporo-insular cortex, parainsular gyrus
nTPM: 0.0
2676 Female, age 94, right hemisphere 0.1
1802 Male, age 76, left hemisphere 0.0
2264 Female, age 91, right hemisphere 0.0
2416 Male, age 61, right hemisphere 0.0
2512 Female, age 67, right hemisphere 0.0
2598 Male, age 75, left hemisphere 0.0
Temporo-occipital transitional zone
nTPM: 0.0
1793 Male, age 80, right hemisphere 0.0
1900 Male, age 76, left hemisphere 0.0
2251 Female, age 85, right hemisphere 0.0
Transversal temporal gyrus, anterior
nTPM: 0.0
2610 Male, age 75, right hemisphere 0.1
1809 Male, age 76, right hemisphere 0.0
1888 Female, age 91, left hemisphere 0.0
1910 Male, age 80, right hemisphere 0.0
2522 Female, age 94, left hemisphere 0.0
Transversal temporal gyrus, posterior
nTPM: 0.0
1922 Male, age 76, left hemisphere 0.0
1967 Female, age 91, right hemisphere 0.0
2520 Male, age 75, right hemisphere 0.0
2614 Female, age 94, left hemisphere 0.0
2833 Male, age 80, right hemisphere 0.0

CEREBRAL CORTEX - HPA PFC Brain RNA-seq
Max subtype nTPMi

Max subtype nTPM is the value for the subtype with the largest average nTPM across the subtype samples.

0.4
Sample id Sample description nTPM
Anterior cingulate gyrus, pregenual-dorsal
nTPM: 0.1
1515 Female, age 94, right hemisphere 1.0
1511 Male, age 61, right hemisphere 0.1
1510 Male, age 61, left hemisphere 0.0
1512 Male, age 75, left hemisphere 0.0
1513 Male, age 74, left hemisphere 0.0
1514 Male, age 74, right hemisphere 0.0
1516 Female, age 85, left hemisphere 0.0
1517 Female, age 67, left hemisphere 0.0
1518 Female, age 67, right hemisphere 0.0
Anterior cingulate gyrus, pregenual-ventral
nTPM: 0.1
1520 Male, age 75, right hemisphere 0.6
1522 Male, age 74, right hemisphere 0.2
1519 Male, age 61, left hemisphere 0.0
1521 Male, age 74, left hemisphere 0.0
1523 Female, age 67, left hemisphere 0.0
Anterior cingulate gyrus, subgenual
nTPM: 0.0
1524 Male, age 61, left hemisphere 0.0
1525 Male, age 75, left hemisphere 0.0
1526 Male, age 75, right hemisphere 0.0
1527 Male, age 74, left hemisphere 0.0
1528 Male, age 74, right hemisphere 0.0
1529 Female, age 85, left hemisphere 0.0
1530 Female, age 67, right hemisphere 0.0
Dorsolateral prefrontal cortex
nTPM: 0.0
1444 Male, age 75, left hemisphere 0.0
1445 Male, age 75, right hemisphere 0.0
1446 Male, age 74, right hemisphere 0.0
1447 Female, age 94, left hemisphere 0.0
1448 Female, age 94, right hemisphere 0.0
1449 Female, age 85, right hemisphere 0.0
1450 Female, age 67, right hemisphere 0.0
Dorsomedial prefrontal cortex
nTPM: 0.0
1439 Male, age 61, left hemisphere 0.0
1440 Male, age 61, right hemisphere 0.0
1441 Male, age 75, left hemisphere 0.0
1442 Male, age 75, right hemisphere 0.0
1443 Female, age 67, right hemisphere 0.0
Frontal cortex
nTPM: 0.0
1576 Male, age 74, left hemisphere 0.4
1572 Male, age 61, left hemisphere 0.0
1573 Male, age 61, right hemisphere 0.0
1574 Male, age 75, left hemisphere 0.0
1575 Male, age 75, right hemisphere 0.0
1577 Male, age 74, right hemisphere 0.0
1578 Female, age 94, left hemisphere 0.0
1579 Female, age 94, right hemisphere 0.0
1580 Female, age 85, left hemisphere 0.0
1581 Female, age 85, right hemisphere 0.0
1582 Female, age 67, left hemisphere 0.0
1583 Female, age 67, right hemisphere 0.0
Frontomarginal cortex
nTPM: 0.0
1465 Male, age 61, left hemisphere 0.0
1466 Male, age 61, right hemisphere 0.0
1467 Male, age 75, right hemisphere 0.0
1468 Male, age 74, left hemisphere 0.0
1469 Female, age 94, left hemisphere 0.0
1470 Female, age 94, right hemisphere 0.0
1471 Female, age 85, left hemisphere 0.0
1472 Female, age 67, left hemisphere 0.0
1473 Female, age 67, right hemisphere 0.0
Frontopolar cortex
nTPM: 0.0
1458 Male, age 61, left hemisphere 0.0
1459 Male, age 61, right hemisphere 0.0
1460 Male, age 75, left hemisphere 0.0
1461 Male, age 75, right hemisphere 0.0
1462 Female, age 94, left hemisphere 0.0
1463 Female, age 67, left hemisphere 0.0
1464 Female, age 67, right hemisphere 0.0
Gyrus rectus
nTPM: 0.1
1477 Male, age 75, right hemisphere 1.0
1475 Male, age 61, right hemisphere 0.1
1476 Male, age 75, left hemisphere 0.1
1474 Male, age 61, left hemisphere 0.0
1478 Female, age 94, left hemisphere 0.0
1479 Female, age 94, right hemisphere 0.0
1480 Female, age 85, left hemisphere 0.0
1481 Female, age 67, left hemisphere 0.0
Inferior frontal gyrus, orbital
nTPM: 0.1
1505 Male, age 74, right hemisphere 1.7
1500 Male, age 61, left hemisphere 0.0
1501 Male, age 61, right hemisphere 0.0
1502 Male, age 75, left hemisphere 0.0
1503 Male, age 75, right hemisphere 0.0
1504 Male, age 74, left hemisphere 0.0
1506 Female, age 94, left hemisphere 0.0
1507 Female, age 85, left hemisphere 0.0
1508 Female, age 85, right hemisphere 0.0
1509 Female, age 67, right hemisphere 0.0
Inferior frontal gyrus, triangular
nTPM: 0.0
1542 Male, age 61, left hemisphere 0.1
1548 Female, age 85, right hemisphere 0.1
1543 Male, age 61, right hemisphere 0.0
1544 Male, age 75, right hemisphere 0.0
1545 Male, age 74, right hemisphere 0.0
1546 Female, age 94, right hemisphere 0.0
1547 Female, age 85, left hemisphere 0.0
1549 Female, age 67, left hemisphere 0.0
Orbitofrontal gyrus, lateral
nTPM: 0.0
1493 Male, age 61, right hemisphere 0.0
1494 Male, age 75, left hemisphere 0.0
1495 Female, age 94, left hemisphere 0.0
1496 Female, age 94, right hemisphere 0.0
1497 Female, age 85, left hemisphere 0.0
1498 Female, age 85, right hemisphere 0.0
1499 Female, age 67, right hemisphere 0.0
Orbitofrontal gyrus, medial
nTPM: 0.0
1482 Male, age 61, left hemisphere 0.0
1483 Male, age 75, left hemisphere 0.0
1484 Male, age 75, right hemisphere 0.0
1485 Male, age 74, left hemisphere 0.0
1486 Male, age 74, right hemisphere 0.0
1487 Female, age 94, left hemisphere 0.0
1488 Female, age 94, right hemisphere 0.0
1489 Female, age 85, left hemisphere 0.0
1490 Female, age 85, right hemisphere 0.0
1491 Female, age 67, left hemisphere 0.0
1492 Female, age 67, right hemisphere 0.0
Orbitofrontal gyrus, posterior
nTPM: 0.0
1538 Female, age 85, left hemisphere 0.2
1534 Male, age 75, right hemisphere 0.1
1535 Male, age 74, left hemisphere 0.1
1531 Male, age 61, left hemisphere 0.0
1532 Male, age 61, right hemisphere 0.0
1533 Male, age 75, left hemisphere 0.0
1536 Female, age 94, left hemisphere 0.0
1537 Female, age 94, right hemisphere 0.0
1539 Female, age 85, right hemisphere 0.0
1540 Female, age 67, left hemisphere 0.0
1541 Female, age 67, right hemisphere 0.0
Subcallosal gyrus
nTPM: 0.0
1551 Male, age 61, right hemisphere 0.3
1558 Female, age 85, left hemisphere 0.1
1550 Male, age 61, left hemisphere 0.0
1552 Male, age 75, left hemisphere 0.0
1553 Male, age 75, right hemisphere 0.0
1554 Male, age 74, left hemisphere 0.0
1555 Male, age 74, right hemisphere 0.0
1556 Female, age 94, left hemisphere 0.0
1557 Female, age 94, right hemisphere 0.0
1559 Female, age 85, right hemisphere 0.0
1560 Female, age 67, left hemisphere 0.0
1561 Female, age 67, right hemisphere 0.0
Superior frontal gyrus
nTPM: 0.0
1563 Male, age 61, right hemisphere 0.1
1564 Male, age 75, left hemisphere 0.1
1565 Male, age 75, right hemisphere 0.1
1562 Male, age 61, left hemisphere 0.0
1566 Male, age 74, right hemisphere 0.0
1567 Female, age 94, left hemisphere 0.0
1568 Female, age 94, right hemisphere 0.0
1569 Female, age 85, left hemisphere 0.0
1570 Female, age 85, right hemisphere 0.0
1571 Female, age 67, right hemisphere 0.0
Temporal cortex
nTPM: 0.0
1590 Male, age 61, right hemisphere 0.0
1591 Male, age 75, right hemisphere 0.0
1592 Male, age 74, left hemisphere 0.0
1593 Male, age 74, right hemisphere 0.0
1594 Female, age 94, left hemisphere 0.0
1595 Female, age 94, right hemisphere 0.0
1596 Female, age 85, right hemisphere 0.0
Ventrolateral prefrontal cortex
nTPM: 0.0
1452 Male, age 74, left hemisphere 0.2
1451 Male, age 75, right hemisphere 0.0
1453 Male, age 74, right hemisphere 0.0
1454 Female, age 94, left hemisphere 0.0
1455 Female, age 85, right hemisphere 0.0
1456 Female, age 67, left hemisphere 0.0
1457 Female, age 67, right hemisphere 0.0
Ventromedial prefrontal cortex
nTPM: 0.4
1434 Male, age 75, right hemisphere 2.9
1432 Male, age 61, left hemisphere 0.0
1433 Male, age 61, right hemisphere 0.0
1435 Female, age 94, right hemisphere 0.0
1436 Female, age 85, left hemisphere 0.0
1437 Female, age 85, right hemisphere 0.0
1438 Female, age 67, left hemisphere 0.0

CEREBRAL CORTEX - FANTOM5 CAGEi

RNA expression in human tissues obtained through Cap Analysis of Gene Expression (CAGE) generated by the FANTOM5 project are reported as Scaled Tags Per Million.

Max subtype Scaled Tags Per Millioni

Max subtype Scaled Tags Per Million is the value for the subtype with the largest average Scaled Tags Per Million across the subtype samples.

0
FANTOM5 sample id Sample description Scaled Tags Per Million
Occipital cortex
Scaled Tags Per Million: 0.0
FF:10163-103B1 76 years, female 0.0
Postcentral gyrus
Scaled Tags Per Million: 0.0
FF:10032-101E5 44-52 years, mixed 0.0
Frontal lobe
Scaled Tags Per Million: 0.0
FF:10040-101F4 32-61 years, mixed 0.0
Insula
Scaled Tags Per Million: 0.0
FF:10039-101F3 20-68 years, mixed 0.0
Medial frontal gyrus
Scaled Tags Per Million: 0.0
FF:10150-102I6 76 years, female 0.0
Medial temporal gyrus
Scaled Tags Per Million: 0.0
FF:10183-103D3 60 years, female 0.0
FF:10156-103A3 76 years, female 0.0
Occipital lobe
Scaled Tags Per Million: 0.0
FF:10076-102A4 27 years, male 0.0
Occipital pole
Scaled Tags Per Million: 0.0
FF:10036-101E9 22-68 years, mixed 0.0
Paracentral gyrus
Scaled Tags Per Million: 0.0
FF:10035-101E8 22-69 years, mixed 0.0
Parietal lobe
Scaled Tags Per Million: 0.0
FF:10171-103B9 60 years, female 0.0
FF:10157-103A4 76 years, female 0.0
FF:10034-101E7 35-89 years, mixed 0.0
Temporal lobe
Scaled Tags Per Million: 0.0
FF:10031-101E4 32-61 years, mixed 0.0

Contact

  • NEWS ARTICLES
  • PRESS ROOM

The Project

  • INTRODUCTION
  • ORGANIZATION
  • PUBLICATIONS

The Human Protein Atlas

  • DOWNLOADABLE DATA
  • LICENCE & CITATION
  • HELP & FAQ
The Human Protein Atlas project is funded
by the Knut & Alice Wallenberg Foundation.


contact@proteinatlas.org